We use cookies to enhance the usability of our website. If you continue, we'll assume that you are happy to receive all cookies. More information. Don't show this again.
THNSL2
HPA
RESOURCES
  • TISSUE
  • BRAIN
  • SINGLE CELL
  • SUBCELLULAR
  • CANCER
  • BLOOD
  • CELL LINE
  • STRUCTURE & INTERACTION
ABOUT
  • INTRODUCTION
  • HISTORY
  • ORGANIZATION
  • PUBLICATIONS
  • ANTIBODY SUBMISSION
  • ANTIBODY AVAILABILITY
  • ACKNOWLEDGMENTS
  • CONTACT
NEWS
  • NEWS ARTICLES
  • PRESS ROOM
LEARN
  • DICTIONARY
  • PROTEIN CLASSES
  • PROTEIN EVIDENCE
  • METHODS
  • EDUCATIONAL VIDEOS
DATA
  • DOWNLOADABLE DATA
  • PUBLICATION DATA
  • RELEASE HISTORY
HELP
  • ANTIBODY VALIDATION
  • ASSAYS & ANNOTATION
  • DISCLAIMER
  • HELP & FAQ
  • PRIVACY STATEMENT
  • LICENCE & CITATION
Fields »
Search result

Field
Term
Gene name
Class
Subclass
Class
Keyword
Chromosome
External id
Tissue
Cell type
Expression
Antibody panel
Tissue
Main location
Patient ID
Annotation
Tissue
Category
Tau score
Cluster
Reliability
Brain region
Category
Tau score
Brain region
Category
Tau score
Brain region
Category
Tau score
Cluster
Reliability
Tissue
Cell type
Enrichment
Cell type
Category
Tau score
Cell type
Category
Tau score
Cell type
Category
Tau score
Cell lineage
Category
Tau score
Cluster
Cluster
Location
Searches
Location
Cell line
Class
Type
Phase
Reliability
Cancer
Prognosis
Cancer
Category
Cancer
Category
Tau score
Cluster
Variants
Interacting gene (ensg_id)
Type
Number of interactions
Pathway
Category
Score
Score
Score
Validation
Validation
Validation
Validation
Antibodies
Data type
Column


  • SUMMARY

  • TISSUE

  • BRAIN

  • SINGLE CELL

  • SUBCELL

  • CANCER

  • BLOOD

  • CELL LINE

  • STRUCT & INT

  • THNSL2
TISSUE PRIMARY DATA SKIN Show tissue menu
ADIPOSE TISSUE ADRENAL GLAND AMYGDALA APPENDIX BASAL GANGLIA BONE MARROW BREAST BRONCHUS CEREBELLUM CEREBRAL CORTEX CERVIX CHOROID PLEXUS COLON DUODENUM
ENDOMETRIUM EPIDIDYMIS ESOPHAGUS FALLOPIAN TUBE GALLBLADDER HEART MUSCLE HIPPOCAMPAL FORMATION HYPOTHALAMUS KIDNEY LIVER LUNG LYMPH NODE MIDBRAIN NASOPHARYNX
ORAL MUCOSA OVARY PANCREAS PARATHYROID GLAND PITUITARY GLAND PLACENTA PROSTATE RECTUM RETINA SALIVARY GLAND SEMINAL VESICLE SKELETAL MUSCLE SKIN SMALL INTESTINE
SMOOTH MUSCLE SOFT TISSUE SPINAL CORD SPLEEN STOMACH TESTIS THYMUS THYROID GLAND TONGUE TONSIL URINARY BLADDER VAGINA
ANTIBODIES
AND
VALIDATION
Dictionary
Skin
Tissue proteome
Skin
SKIN - Expression summary
Protein expression
Skini

On the top, protein expression in current human tissue, based on all annotated cell types, is reported with the units not detected (n), low (l), medium (m) and high (h). Underneath, protein expression in each annotated cell type are reported using the same units.

Protein expression data is based on knowledge-based annotation. For genes where more than one antibody has been used, a collective score is set.

If knowledge-based annotation could not be performed for a gene, no data is displayed here. View antibody staining data further down this page.

h
m
l
n
Epidermal cells: Medium
Fibroblasts: Not detected
Keratinocytes: Low
Langerhans: Low
Melanocytes: Low
RNA expressioni

A summary of mRNA expression data available for current tissue based on several datasets. The mRNA expression levels in human tissues are based on RNA-seq data generated by the Human Protein Atlas (HPA), Genotype-Tissue Expression (GTEx) portal and CAGE data generated by the FANTOM5 consortium. Consensus normalized expression levels for human tissues was created by combining the data from HPA and GTEx datasets.

The mRNA expression levels in pig are based on RNA-seq data generated by the Human Protein Atlas (HPA), and for mouse, HPA data and in situ hybridization generated by the Allen brain atlas are reported.

Scroll down to view mRNA expression data in more detail.
Consensus:9.0 nTPM
HPA:6.6 nTPM
GTEx:9.0 nTPM

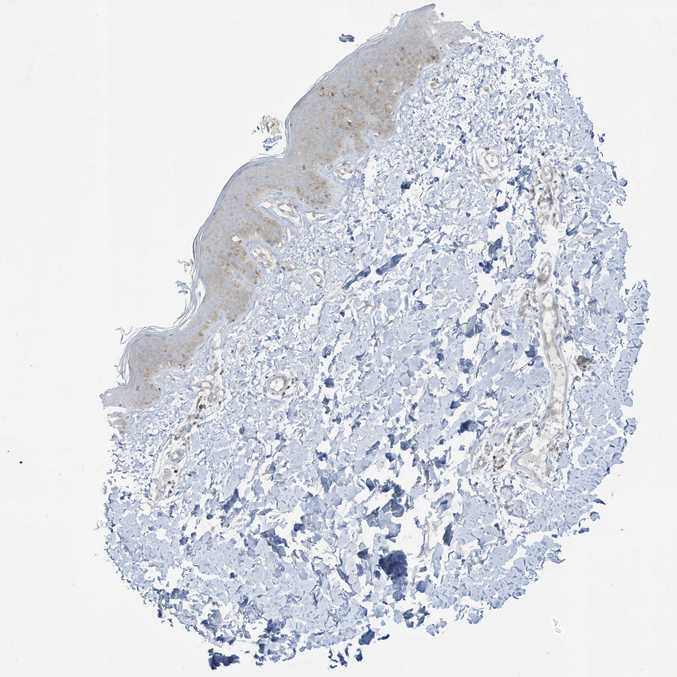
SKIN 1 - Antibody stainingi

Antibody staining in the annotated cell types in the current human tissue is reported as not detected, low, medium, or high, based on conventional immunohistochemistry profiling in selected tissues. This score is based on the combination of the staining intensity and fraction of stained cells.

Each image is clickable and will lead to virtual microscopy that enables deeper exploration of all samples and also displays staining intensity scores, fraction scores and subcellular localization as well as patient and tissue information for each sample.

Antibody HPA035395
Langerhans Low
Fibroblasts Not detected
Keratinocytes Low
Melanocytes Low

SKIN 2 - Antibody stainingi

Antibody staining in the annotated cell types in the current human tissue is reported as not detected, low, medium, or high, based on conventional immunohistochemistry profiling in selected tissues. This score is based on the combination of the staining intensity and fraction of stained cells.

Each image is clickable and will lead to virtual microscopy that enables deeper exploration of all samples and also displays staining intensity scores, fraction scores and subcellular localization as well as patient and tissue information for each sample.

Antibody HPA035395
Epidermal cells Medium
 
 
 


SKIN - HPA RNA-seqi

The RNA-seq details section shows detailed information about the individual samples used for the transcript profiling and results of the RNA-seq analysis.

Information about each individual sample is listed below, including gender, age, a tissue section image and estimated fractions of cell types. nTPM (normalized transcripts per million) values give a quantification of the gene abundance which is comparable between different genes and samples.
Average nTPMi

Max subtype nTPM is the value for the subtype with the largest average nTPM across the subtype samples.

6.6
overview
Female, age 34
Skin sample 225
nTPM: 6.9
Cell types%
Keratinocytes:
60

Other cell types:
40

overview
Female, age 30
Skin sample 226
nTPM: 2.4
Cell types%
Keratinocytes:
55

Other cell types:
45

N/A
Male, age 57
Skin sample 227
nTPM: 10.6

SKIN - GTEx RNA-seqi

RNA-Seq data generated by the Genotype-Tissue Expression (GTEx) project from human tissues is reported as mean nTPM. More information can be found on the GTEx portal.

Distribution across the dataset is visualized with box plots, shown as median and 25th and 75th percentiles. Points are displayed as outliers if they are above or below 1.5 times the interquartile range. nTPM values of the individual samples are presented next to the box plot.
Max subtype nTPMi

Max subtype nTPM is the value for the subtype with the largest average nTPM across the subtype samples.

9.0
GTEx sample id Sample description nTPM
Skin - Not Sun Exposed (Suprapubic)
Average nTPM: 9.0
Samples: 604

Max nTPM: 28.8
Min nTPM: 0.1
Std nTPM: 4.6
Median nTPM: 9.0
GTEX-11DXZ-2026-SM-5987S 50-59 years, male 28.8
GTEX-ZYW4-0626-SM-59HJR 60-69 years, male 27.1
GTEX-13JVG-0726-SM-5KM16 60-69 years, male 24.7
GTEX-145ME-1726-SM-5Q5EU 40-49 years, female 24.4
GTEX-147F4-0726-SM-5TDDD 50-59 years, male 22.3
GTEX-11P7K-1126-SM-5HL4L 30-39 years, male 21.4
GTEX-WFG8-2126-SM-3GIKQ 20-29 years, male 21.0
GTEX-WHSB-1326-SM-3LK6W 50-59 years, male 20.2
GTEX-1QCLY-0226-SM-EWRNH 30-39 years, male 20.2
GTEX-11TT1-1826-SM-5EQLV 20-29 years, male 19.8
GTEX-131XF-2626-SM-5EQ6K 60-69 years, male 19.8
GTEX-Y9LG-1126-SM-4VBQ7 30-39 years, male 19.1
GTEX-XMD2-2126-SM-4YCF8 60-69 years, female 19.0
GTEX-1JMQI-1726-SM-ARL93 50-59 years, male 18.8
GTEX-14PJ3-1126-SM-5ZZVX 50-59 years, male 18.7
GTEX-1C475-1326-SM-7SB73 40-49 years, female 18.6
GTEX-12WSJ-1126-SM-5LZVJ 40-49 years, female 18.1
GTEX-YEC4-1826-SM-4W1YP 40-49 years, male 17.8
GTEX-ZF2S-1626-SM-57WES 50-59 years, female 17.8
GTEX-ZVP2-0326-SM-57WBP 50-59 years, male 17.8
GTEX-1I4MK-0126-SM-CY8G6 50-59 years, female 17.8
GTEX-14DAR-1226-SM-73KYV 50-59 years, male 17.5
GTEX-18A7A-0126-SM-731AH 50-59 years, female 17.5
GTEX-XQ3S-1426-SM-4BOPR 20-29 years, male 17.4
GTEX-139TS-2126-SM-5K7XC 60-69 years, male 17.2
GTEX-145MG-1526-SM-5Q5EM 50-59 years, male 17.1
GTEX-12WSA-0426-SM-5EQ5X 60-69 years, male 17.0
GTEX-1BAJH-2426-SM-7IGP8 70-79 years, male 17.0
GTEX-1N2DV-1526-SM-DTXEP 40-49 years, male 17.0
GTEX-1C64O-1326-SM-7MGWR 60-69 years, male 16.9
GTEX-ZDXO-3126-SM-5IJDF 60-69 years, male 16.8
GTEX-1399R-1326-SM-5PNYS 30-39 years, male 16.6
GTEX-Y8LW-1526-SM-5IFHL 50-59 years, female 16.6
GTEX-1I19N-0126-SM-CYPSF 70-79 years, male 16.6
GTEX-1RAZS-2526-SM-E6CHT 50-59 years, male 16.6
GTEX-1KANC-1226-SM-CYPT7 50-59 years, female 16.3
GTEX-1LVAN-0626-SM-CNPOQ 50-59 years, female 16.3
GTEX-1H1CY-0126-SM-9YFLY 60-69 years, female 16.1
GTEX-1EN7A-2426-SM-793DB 40-49 years, male 16.0
GTEX-131XH-0126-SM-5LZUY 50-59 years, male 15.9
GTEX-15D1Q-2826-SM-6LLH7 40-49 years, male 15.9
GTEX-117YX-1926-SM-5GIEC 50-59 years, male 15.8
GTEX-13OVG-1626-SM-5J1NF 60-69 years, male 15.8
GTEX-1KAFJ-0126-SM-DIPEK 50-59 years, male 15.8
GTEX-1LVAM-0726-SM-E6CIL 50-59 years, female 15.7
GTEX-1H3O1-1326-SM-9MQLD 60-69 years, male 15.5
GTEX-1J8EW-2726-SM-CY8HR 60-69 years, female 15.5
GTEX-18465-2826-SM-7LT9J 50-59 years, male 15.4
GTEX-1212Z-0126-SM-59HK4 60-69 years, male 15.3
GTEX-13N11-2326-SM-5IJBF 50-59 years, female 15.3
GTEX-1GZ2Q-0126-SM-9WG6M 40-49 years, male 15.3
GTEX-145LT-0526-SM-5LUB2 40-49 years, male 15.2
GTEX-1QMI2-2526-SM-E8VNZ 60-69 years, male 15.2
GTEX-1HCU8-2526-SM-CE6RX 60-69 years, female 15.1
GTEX-1LSNM-0826-SM-DIPG8 50-59 years, male 15.0
GTEX-111CU-1126-SM-5EGIM 50-59 years, male 14.9
GTEX-16YQH-2226-SM-7IGM2 30-39 years, male 14.9
GTEX-17EVP-2626-SM-7IGMA 40-49 years, male 14.9
GTEX-W5X1-2526-SM-3GILC 40-49 years, female 14.9
GTEX-YF7O-1526-SM-5IFI6 50-59 years, male 14.9
GTEX-15DYW-2726-SM-6EU2I 60-69 years, female 14.8
GTEX-1A3MV-1826-SM-731CD 30-39 years, male 14.8
GTEX-1HKZK-0726-SM-ACKW2 40-49 years, male 14.8
GTEX-Y114-2126-SM-4TT8B 50-59 years, female 14.7
GTEX-13N2G-0226-SM-5K7VF 60-69 years, male 14.5
GTEX-X8HC-0626-SM-4E3HQ 50-59 years, female 14.5
GTEX-ZYVF-0926-SM-5E44J 50-59 years, female 14.5
GTEX-11DYG-1526-SM-5A5JS 60-69 years, male 14.4
GTEX-132AR-0326-SM-5KM2C 50-59 years, female 14.4
GTEX-144FL-0626-SM-5LU43 50-59 years, male 14.4
GTEX-1AX9J-1326-SM-731BJ 60-69 years, male 14.4
GTEX-WEY5-2326-SM-3GIKK 40-49 years, female 14.4
GTEX-11ZUS-2626-SM-5FQUR 30-39 years, male 14.3
GTEX-UPK5-0426-SM-3GAEK 40-49 years, male 14.3
GTEX-ZT9W-1126-SM-57WDR 50-59 years, male 14.3
GTEX-1H4P4-2126-SM-9WYSL 50-59 years, male 14.3
GTEX-1B8KE-1126-SM-7EPHI 50-59 years, male 14.2
GTEX-1JMQJ-0826-SM-CNPP7 50-59 years, male 14.2
GTEX-1QW4Y-1126-SM-DTXE3 30-39 years, male 14.2
GTEX-16MTA-0926-SM-6M47Z 50-59 years, male 14.1
GTEX-Y5V6-2326-SM-4VDSA 60-69 years, male 14.1
GTEX-1JMOU-1026-SM-CYPSS 60-69 years, female 14.1
GTEX-11WQC-1826-SM-5GU59 60-69 years, male 14.0
GTEX-ZYFG-1526-SM-5GZYM 60-69 years, female 14.0
GTEX-1HSMP-0926-SM-A9SKX 70-79 years, male 14.0
GTEX-YEC3-1326-SM-DO92X 50-59 years, male 14.0
GTEX-11VI4-1126-SM-5EQMD 40-49 years, female 13.9
GTEX-15RIE-1926-SM-7KUKJ 60-69 years, male 13.9
GTEX-16GPK-0626-SM-7KFSF 60-69 years, male 13.9
GTEX-ZLWG-0826-SM-59888 50-59 years, female 13.9
GTEX-ZUA1-2626-SM-5NQ92 40-49 years, male 13.9
GTEX-1HC8U-1326-SM-9YFMJ 40-49 years, female 13.9
GTEX-1QP29-1826-SM-DTX9S 50-59 years, male 13.9
GTEX-14DAQ-0626-SM-793DS 60-69 years, female 13.8
GTEX-17F97-2626-SM-7IGM5 50-59 years, male 13.8
GTEX-ZZ64-1026-SM-5GZXG 20-29 years, male 13.8
GTEX-1122O-1026-SM-9WYSF 60-69 years, female 13.8
GTEX-1CAMQ-1326-SM-7P8RV 40-49 years, male 13.8
GTEX-1F88F-0126-SM-9WYSZ 60-69 years, female 13.8
GTEX-1H1DE-1326-SM-9KNUG 20-29 years, male 13.8
GTEX-1RAZQ-1326-SM-E9TK6 30-39 years, male 13.8
GTEX-12WSH-1526-SM-5BC5W 50-59 years, male 13.7
GTEX-13PVQ-0626-SM-5LU47 50-59 years, male 13.7
GTEX-1497J-0226-SM-5QGPU 60-69 years, male 13.7
GTEX-1F6I4-2326-SM-7RHGL 60-69 years, male 13.6
GTEX-1RAZA-2226-SM-E9U4X 20-29 years, male 13.6
GTEX-16MT8-2926-SM-7DUFO 60-69 years, female 13.5
GTEX-ZAB4-2126-SM-5HL8U 40-49 years, male 13.5
GTEX-1LG7Z-1626-SM-CXKYR 30-39 years, male 13.5
GTEX-13O3Q-0126-SM-5KM34 50-59 years, male 13.4
GTEX-13VXU-0626-SM-5L3F9 50-59 years, male 13.4
GTEX-13YAN-0226-SM-5TDC6 60-69 years, male 13.4
GTEX-17HHE-1326-SM-7EWDZ 50-59 years, male 13.4
GTEX-11DXY-0126-SM-5H11Q 60-69 years, male 13.3
GTEX-178AV-1726-SM-7KUL8 40-49 years, male 13.3
GTEX-14JG6-1426-SM-9WG7C 30-39 years, female 13.3
GTEX-1399S-0126-SM-5IJCF 30-39 years, female 13.2
GTEX-1B8L1-2226-SM-7P8PT 60-69 years, male 13.2
GTEX-13X6H-0926-SM-5SIB2 50-59 years, female 13.1
GTEX-17F98-1326-SM-7DUEP 40-49 years, female 13.1
GTEX-X4EO-2926-SM-4E3JH 60-69 years, female 13.1
GTEX-XBEW-1126-SM-4QARW 40-49 years, male 13.1
GTEX-15G1A-1626-SM-7KUKN 30-39 years, male 13.0
GTEX-Y3I4-1726-SM-4TT89 50-59 years, male 13.0
GTEX-1399Q-2326-SM-5KM2X 40-49 years, male 12.9
GTEX-1LGRB-0926-SM-COH3K 50-59 years, female 12.9
GTEX-1AYD5-2626-SM-7PBXY 50-59 years, male 12.8
GTEX-1CB4J-1326-SM-7P8RX 60-69 years, male 12.7
GTEX-1HR9M-2226-SM-CNPPY 60-69 years, male 12.7
GTEX-1KD5A-0126-SM-E9U54 50-59 years, male 12.7
GTEX-139TU-0726-SM-5L3EK 60-69 years, male 12.6
GTEX-13OW7-0426-SM-5K7VK 50-59 years, male 12.6
GTEX-18A7B-2726-SM-7LG56 70-79 years, male 12.6
GTEX-1IKOE-1426-SM-CE6T7 30-39 years, female 12.6
GTEX-1JMQL-2226-SM-CNPP4 50-59 years, female 12.6
GTEX-13VXT-1926-SM-5K7UO 20-29 years, female 12.5
GTEX-ZVZP-1226-SM-5GID7 50-59 years, male 12.5
GTEX-13NZ9-2626-SM-5L3FK 50-59 years, male 12.4
GTEX-WFG7-2026-SM-5SI7P 20-29 years, male 12.4
GTEX-XXEK-1626-SM-4BRUZ 50-59 years, male 12.4
GTEX-1CAMS-2226-SM-7PBXQ 40-49 years, female 12.4
GTEX-1PIGE-1826-SM-E8VOU 20-29 years, male 12.4
GTEX-13FH7-1126-SM-5K7UG 50-59 years, female 12.3
GTEX-145MO-2826-SM-5LU96 60-69 years, male 12.3
GTEX-18D9U-0126-SM-731BM 40-49 years, male 12.3
GTEX-1EMGI-2326-SM-7PBYA 60-69 years, male 12.3
GTEX-1HUB1-1426-SM-CGQF5 60-69 years, male 12.3
GTEX-1AX8Z-0726-SM-73KTS 60-69 years, male 12.2
GTEX-ZP4G-1426-SM-4WWCL 20-29 years, female 12.2
GTEX-1A8FM-0626-SM-7PC25 50-59 years, female 12.2
GTEX-1HCU6-2526-SM-ADEHL 60-69 years, female 12.2
GTEX-15RIG-0726-SM-7KUM7 40-49 years, male 12.1
GTEX-1K2DU-1226-SM-CYPT4 20-29 years, male 12.1
GTEX-VJYA-1526-SM-3GIJV 60-69 years, male 12.0
GTEX-1HCU7-0726-SM-A9SL1 50-59 years, male 12.0
GTEX-15FZZ-0526-SM-7KUGD 30-39 years, female 11.9
GTEX-16NGA-0726-SM-731AO 40-49 years, female 11.9
GTEX-YJ8O-2526-SM-5HL85 40-49 years, female 11.9
GTEX-1CAMR-1326-SM-7PC1F 20-29 years, male 11.9
GTEX-1F6IF-0926-SM-7SB7M 60-69 years, male 11.9
GTEX-1F75I-2226-SM-7SB8U 40-49 years, male 11.9
GTEX-11EM3-1226-SM-5N9DD 20-29 years, female 11.8
GTEX-13X6I-1826-SM-5SIAO 60-69 years, male 11.8
GTEX-XOT4-0626-SM-4B66L 60-69 years, female 11.8
GTEX-1R7EU-1626-SM-DTXG3 60-69 years, male 11.8
GTEX-13QBU-1226-SM-5LU4G 40-49 years, female 11.7
GTEX-145MF-0926-SM-5Q5EA 50-59 years, male 11.7
GTEX-1CAV2-0126-SM-7IGN7 40-49 years, female 11.7
GTEX-ZDTS-0826-SM-4WKHL 60-69 years, male 11.7
GTEX-ZVE2-2826-SM-5GU51 50-59 years, male 11.7
GTEX-1GL5R-1326-SM-7RHHF 50-59 years, male 11.7
GTEX-1QEPI-2626-SM-DTXF4 60-69 years, female 11.7
GTEX-12KS4-2126-SM-5FQUT 30-39 years, male 11.6
GTEX-133LE-2326-SM-5K7W3 20-29 years, female 11.6
GTEX-17MF6-2626-SM-79OKQ 40-49 years, male 11.6
GTEX-1CB4F-1026-SM-7DUH1 60-69 years, male 11.6
GTEX-Z93S-1626-SM-5CVMB 50-59 years, male 11.6
GTEX-111VG-1626-SM-5EGIO 60-69 years, male 11.5
GTEX-11ZTT-2126-SM-5CVLO 60-69 years, female 11.5
GTEX-14JG1-1526-SM-5YY9X 40-49 years, male 11.5
GTEX-14PK6-0226-SM-62LF5 70-79 years, female 11.5
GTEX-1A32A-0626-SM-731AQ 50-59 years, female 11.5
GTEX-WFON-1926-SM-3LK7L 40-49 years, male 11.5
GTEX-1JMLX-0626-SM-ARL8T 50-59 years, male 11.5
GTEX-V1D1-2026-SM-3GAF4 50-59 years, male 11.4
GTEX-WY7C-2126-SM-3NB2R 50-59 years, male 11.4
GTEX-ZU9S-1826-SM-5NQ9E 30-39 years, male 11.4
GTEX-1H1E6-0426-SM-9WYUS 30-39 years, male 11.4
GTEX-183WM-0326-SM-72D5V 70-79 years, female 11.3
GTEX-145LS-0626-SM-7EPG7 60-69 years, female 11.2
GTEX-1LVAO-2726-SM-E9TJ8 60-69 years, male 11.2
GTEX-Y5V5-0126-SM-5S2NW 60-69 years, female 11.1
GTEX-1HFI6-0126-SM-CNPPI 40-49 years, male 11.1
GTEX-1L5NE-1126-SM-D3L9P 50-59 years, male 11.1
GTEX-1S82U-1026-SM-E6CJK 30-39 years, female 11.1
GTEX-13FTX-1526-SM-5K7VJ 20-29 years, female 11.0
GTEX-13RTJ-0126-SM-5S2NN 60-69 years, male 11.0
GTEX-16AAH-0626-SM-793C9 50-59 years, male 11.0
GTEX-18D9B-0926-SM-7LG4U 60-69 years, male 11.0
GTEX-1A3MX-2626-SM-7PC24 60-69 years, male 11.0
GTEX-1H23P-0626-SM-9WG6T 60-69 years, male 11.0
GTEX-11NUK-2726-SM-5A5MC 50-59 years, male 10.9
GTEX-ZTX8-1326-SM-4YCEL 20-29 years, male 10.9
GTEX-12C56-1526-SM-5FQUQ 20-29 years, male 10.8
GTEX-14LZ3-0126-SM-69LPM 60-69 years, female 10.8
GTEX-14JFF-0626-SM-5ZZVT 60-69 years, male 10.8
GTEX-1S82P-2126-SM-E6CI5 60-69 years, female 10.8
GTEX-11NSD-0626-SM-5A5LU 20-29 years, male 10.7
GTEX-11P81-2226-SM-5PNYI 30-39 years, female 10.7
GTEX-1399U-1126-SM-5L3DB 50-59 years, female 10.7
GTEX-13JUV-2026-SM-5K7UA 40-49 years, female 10.7
GTEX-15EU6-2226-SM-6EU2L 50-59 years, male 10.7
GTEX-15RJE-2826-SM-7KUM9 40-49 years, male 10.7
GTEX-1JKYN-0826-SM-ARU8S 30-39 years, male 10.7
GTEX-WH7G-2026-SM-3NMBL 40-49 years, male 10.6
GTEX-YECK-0326-SM-4W1YS 60-69 years, male 10.6
GTEX-1PPGY-1626-SM-EVYBL 60-69 years, male 10.6
GTEX-12WSD-0626-SM-5GCMW 60-69 years, female 10.5
GTEX-139UW-0326-SM-5J1ML 60-69 years, male 10.5
GTEX-13OVL-0126-SM-5L3GJ 50-59 years, male 10.5
GTEX-14E1K-2026-SM-7DUEI 50-59 years, male 10.5
GTEX-183FY-1026-SM-7939A 20-29 years, male 10.5
GTEX-ZTTD-2826-SM-4YCFA 50-59 years, male 10.5
GTEX-11PRG-0726-SM-5EGL1 50-59 years, male 10.4
GTEX-1314G-1326-SM-5BC6E 30-39 years, male 10.4
GTEX-Y111-0626-SM-4SOIT 50-59 years, male 10.4
GTEX-1GPI6-1926-SM-9KNV7 60-69 years, male 10.4
GTEX-1HBPN-0126-SM-CGQEF 50-59 years, male 10.4
GTEX-1ICG6-1226-SM-A9SLN 70-79 years, female 10.4
GTEX-1IDJV-0126-SM-COH3Y 60-69 years, male 10.4
GTEX-1KANA-1326-SM-DIPFA 20-29 years, male 10.4
GTEX-1211K-1526-SM-5FQU4 60-69 years, female 10.3
GTEX-13113-1626-SM-5EQ4I 60-69 years, female 10.3
GTEX-ZLFU-1826-SM-4WWBV 40-49 years, male 10.3
GTEX-11GSP-2326-SM-5HL63 60-69 years, female 10.2
GTEX-1GZ4H-0526-SM-9KNU9 50-59 years, female 10.2
GTEX-1RLM8-2926-SM-E8VON 50-59 years, male 10.2
GTEX-11LCK-2226-SM-5HL4Q 30-39 years, male 10.1
GTEX-145MN-1526-SM-5SI9T 30-39 years, male 10.1
GTEX-YFCO-1226-SM-5LUAT 40-49 years, male 10.1
GTEX-1GN1U-0626-SM-9MQL9 50-59 years, female 10.1
GTEX-1HSMQ-2626-SM-A9SML 50-59 years, male 10.1
GTEX-131XG-0326-SM-5L3DX 50-59 years, female 10.0
GTEX-1EH9U-2826-SM-7DUGT 60-69 years, male 10.0
GTEX-WI4N-2726-SM-3LK7Y 40-49 years, female 10.0
GTEX-X5EB-1926-SM-4E3IW 40-49 years, male 10.0
GTEX-ZTSS-1426-SM-5985P 40-49 years, male 10.0
GTEX-1R9PM-1926-SM-EVR3O 20-29 years, male 10.0
GTEX-13OW5-2326-SM-5L3HO 60-69 years, male 9.9
GTEX-18A6Q-0626-SM-7KFRP 60-69 years, male 9.9
GTEX-ZYT6-2326-SM-5GZY3 30-39 years, male 9.9
GTEX-1GMR2-0826-SM-7PC3V 50-59 years, male 9.9
GTEX-1QCLZ-2426-SM-EVYBW 60-69 years, female 9.9
GTEX-12ZZY-0726-SM-5EQ66 60-69 years, male 9.8
GTEX-14A6H-2026-SM-5Q5DD 30-39 years, male 9.8
GTEX-14PJ4-0226-SM-5YY92 60-69 years, male 9.8
GTEX-ZAK1-0626-SM-5HL8E 50-59 years, female 9.8
GTEX-1O9I2-0226-SM-EYYXD 50-59 years, male 9.8
GTEX-1QP66-1226-SM-DTX7U 50-59 years, male 9.8
GTEX-139YR-1026-SM-5LZYN 50-59 years, male 9.7
GTEX-14B4R-1326-SM-5Q5EZ 30-39 years, male 9.7
GTEX-1AX9I-2226-SM-73KUO 60-69 years, male 9.7
GTEX-XBED-1926-SM-47JYP 60-69 years, male 9.7
GTEX-18D9A-1426-SM-7LT8M 30-39 years, female 9.7
GTEX-1C6VR-0126-SM-7RHGB 60-69 years, male 9.7
GTEX-1GZ4I-2626-SM-9KNU3 50-59 years, male 9.7
GTEX-1I1GV-0626-SM-ARL7M 60-69 years, male 9.7
GTEX-13X6K-0626-SM-5LU5D 60-69 years, female 9.6
GTEX-147JS-0226-SM-5S2U9 60-69 years, male 9.6
GTEX-14PHY-1226-SM-5ZZWK 60-69 years, female 9.6
GTEX-15CHQ-0326-SM-69LQD 60-69 years, male 9.6
GTEX-X3Y1-2026-SM-3P5YM 40-49 years, male 9.6
GTEX-1313W-0626-SM-5EQ4H 50-59 years, female 9.5
GTEX-1EWIQ-0326-SM-7DHMQ 70-79 years, female 9.5
GTEX-XUW1-0926-SM-4BONX 50-59 years, female 9.5
GTEX-1HR98-2226-SM-ADEI2 60-69 years, male 9.5
GTEX-1I1CD-0626-SM-CE6SW 60-69 years, female 9.5
GTEX-1NV5F-0626-SM-DTXEG 60-69 years, female 9.5
GTEX-12126-0826-SM-5FQTZ 20-29 years, male 9.4
GTEX-12WSC-2826-SM-5BC5Y 50-59 years, male 9.4
GTEX-18A66-0626-SM-7LT8Z 60-69 years, male 9.4
GTEX-1HB9E-0126-SM-CM2S5 50-59 years, male 9.4
GTEX-1S5ZU-2526-SM-E6CIF 20-29 years, female 9.4
GTEX-1C2JI-1026-SM-73KY1 50-59 years, male 9.3
GTEX-ZZPU-0826-SM-5GZX5 50-59 years, female 9.3
GTEX-ZPIC-0526-SM-DO91W 40-49 years, female 9.3
GTEX-11ZU8-0126-SM-5EQ58 60-69 years, male 9.2
GTEX-12WSF-1626-SM-7KUG5 70-79 years, male 9.2
GTEX-1A8G7-1326-SM-73KVM 60-69 years, male 9.2
GTEX-13FTW-0326-SM-5K7UW 40-49 years, male 9.1
GTEX-13SLW-0626-SM-5Q5ER 70-79 years, male 9.1
GTEX-17MFQ-1526-SM-7KFRR 20-29 years, male 9.1
GTEX-1CB4H-1126-SM-7MKGL 60-69 years, female 9.1
GTEX-WHPG-2626-SM-3NMBR 50-59 years, male 9.1
GTEX-ZE7O-2726-SM-51MT5 50-59 years, female 9.1
GTEX-1IL2V-1926-SM-B2LW8 70-79 years, male 9.1
GTEX-139D8-1126-SM-5LU8W 30-39 years, female 9.0
GTEX-13NYB-0126-SM-5J1MD 40-49 years, male 9.0
GTEX-14BMU-1226-SM-5S2OR 20-29 years, female 9.0
GTEX-ZPCL-1126-SM-4WWFE 60-69 years, female 9.0
GTEX-1GMRU-2126-SM-7P8RA 50-59 years, male 9.0
GTEX-1HBPI-2126-SM-ARL9K 50-59 years, male 9.0
GTEX-1IDJC-1526-SM-B2LW4 50-59 years, male 9.0
GTEX-14PJN-1826-SM-6AJ98 30-39 years, male 8.9
GTEX-WK11-2726-SM-3NMAQ 50-59 years, male 8.9
GTEX-1HGF4-0126-SM-CNPPX 60-69 years, male 8.9
GTEX-1B8SF-0126-SM-7DUG3 60-69 years, male 8.8
GTEX-17HG3-2626-SM-7DUF2 30-39 years, female 8.7
GTEX-ZE9C-2526-SM-5IJDR 60-69 years, male 8.7
GTEX-1QAET-0326-SM-EVR3U 50-59 years, male 8.7
GTEX-148VJ-0626-SM-5LUAW 70-79 years, male 8.6
GTEX-1GN1W-2426-SM-9KNUU 50-59 years, female 8.6
GTEX-1GZHY-0626-SM-9KNVC 50-59 years, female 8.6
GTEX-1JMPZ-0726-SM-CY8HZ 30-39 years, male 8.6
GTEX-17HII-1426-SM-7EPGG 50-59 years, male 8.5
GTEX-1I1GT-1026-SM-ARZLV 60-69 years, female 8.5
GTEX-1J8Q2-2626-SM-ACKWQ 60-69 years, male 8.5
GTEX-ZF3C-0626-SM-DO92O 50-59 years, female 8.5
GTEX-1B97I-0626-SM-73KUZ 40-49 years, male 8.4
GTEX-1F5PK-2226-SM-7SB6N 50-59 years, male 8.4
GTEX-1GN2E-0226-SM-9WG6K 60-69 years, male 8.4
GTEX-1JN1M-2726-SM-CY8I4 60-69 years, female 8.4
GTEX-Y8E4-2026-SM-5IFJB 40-49 years, male 8.3
GTEX-1PDJ9-1226-SM-EXUSX 20-29 years, male 8.3
GTEX-13QJC-0126-SM-5ZZWJ 60-69 years, female 8.2
GTEX-147GR-2426-SM-5ZZWQ 60-69 years, male 8.2
GTEX-1QP2A-1726-SM-E76QC 50-59 years, male 8.2
GTEX-1477Z-0326-SM-7IGLA 60-69 years, male 8.1
GTEX-15DDE-2926-SM-6LLJ3 50-59 years, female 8.1
GTEX-WYBS-0626-SM-3NMAS 60-69 years, female 8.1
GTEX-1GN73-0726-SM-7P8TJ 60-69 years, male 8.1
GTEX-1GTWX-2026-SM-9YFLM 60-69 years, male 8.1
GTEX-1H3NZ-2726-SM-9WYTQ 60-69 years, male 8.1
GTEX-1IDFM-0326-SM-ARL7V 60-69 years, male 8.1
GTEX-1JN6P-2926-SM-CL54D 60-69 years, male 8.1
GTEX-XK95-0226-SM-4AT58 40-49 years, male 8.0
GTEX-1JMQK-1226-SM-D4P2S 60-69 years, male 8.0
GTEX-1NSGN-0726-SM-DTXEF 50-59 years, male 8.0
GTEX-1RAZR-2126-SM-E9U6T 40-49 years, male 8.0
GTEX-15CHC-1126-SM-6LLHQ 60-69 years, female 7.9
GTEX-15UF6-1926-SM-7KUDV 70-79 years, female 7.9
GTEX-16BQI-1326-SM-6M486 30-39 years, female 7.9
GTEX-1R9K4-2826-SM-DTX8F 60-69 years, male 7.9
GTEX-11TUW-0626-SM-5LU9M 60-69 years, male 7.8
GTEX-14C39-1726-SM-5RQIL 40-49 years, male 7.8
GTEX-WRHU-2826-SM-3MJG8 50-59 years, female 7.8
GTEX-WXYG-2026-SM-4E3IY 50-59 years, female 7.8
GTEX-YB5K-2026-SM-4VDT3 40-49 years, female 7.8
GTEX-ZVTK-0226-SM-51MRG 20-29 years, male 7.8
GTEX-1C64N-2626-SM-7PC2N 50-59 years, male 7.8
GTEX-1J8QM-2426-SM-A9SLS 60-69 years, female 7.8
GTEX-12696-0126-SM-5EQ4L 60-69 years, male 7.7
GTEX-13N1W-2426-SM-5IJD1 70-79 years, male 7.7
GTEX-17KNJ-2126-SM-718AM 50-59 years, male 7.7
GTEX-U8XE-0226-SM-4E3J3 30-39 years, male 7.7
GTEX-1GF9W-1426-SM-7PBYM 60-69 years, male 7.7
GTEX-1GMR8-0626-SM-7RHI7 50-59 years, female 7.7
GTEX-1H1ZS-2726-SM-9WG75 70-79 years, male 7.7
GTEX-11DXX-2126-SM-5PNYR 60-69 years, female 7.6
GTEX-X4EP-0626-SM-3P621 60-69 years, female 7.6
GTEX-ZVT4-2426-SM-5GIEI 50-59 years, female 7.6
GTEX-1KANB-2826-SM-CY8I6 50-59 years, male 7.6
GTEX-1KWVE-1026-SM-D3L9O 30-39 years, male 7.6
GTEX-13OVH-0526-SM-5L3E6 70-79 years, male 7.5
GTEX-1HBPM-0726-SM-9YFL7 60-69 years, female 7.5
GTEX-1HSKV-1226-SM-ADEI4 60-69 years, male 7.5
GTEX-1N5O9-0926-SM-E9J3C 60-69 years, male 7.5
GTEX-XQ8I-0926-SM-4BOOF 50-59 years, male 7.4
GTEX-ZVT2-0126-SM-5GIDQ 50-59 years, female 7.4
GTEX-1H3VE-0726-SM-9YFL5 40-49 years, male 7.4
GTEX-1JMPY-0226-SM-CKZOK 30-39 years, male 7.4
GTEX-1KXAM-1626-SM-D3LAD 60-69 years, male 7.4
GTEX-111YS-1526-SM-5GZYW 60-69 years, male 7.3
GTEX-145LU-1926-SM-79OJN 50-59 years, male 7.3
GTEX-15EO6-2426-SM-6PALZ 50-59 years, male 7.3
GTEX-1A3MW-0626-SM-731CB 60-69 years, female 7.3
GTEX-1H1DG-2426-SM-9QEHJ 70-79 years, male 7.3
GTEX-ZLV1-1526-SM-DO91J 60-69 years, female 7.3
GTEX-12WSL-2026-SM-5GCML 50-59 years, male 7.2
GTEX-14E6C-2426-SM-5S2NF 40-49 years, male 7.2
GTEX-14PJ2-0626-SM-6LLII 50-59 years, male 7.2
GTEX-18QFQ-1826-SM-72D52 30-39 years, male 7.2
GTEX-ZAJG-1526-SM-5CVML 50-59 years, female 7.2
GTEX-ZY6K-1426-SM-5GZX2 50-59 years, male 7.2
GTEX-1IKJJ-2226-SM-CJI4C 60-69 years, male 7.2
GTEX-1LB8K-0726-SM-D5OV2 50-59 years, male 7.2
GTEX-1QP28-1126-SM-EVYC4 50-59 years, female 7.2
GTEX-1117F-2926-SM-5GZYI 60-69 years, female 7.1
GTEX-11UD2-2526-SM-5CVNU 50-59 years, male 7.1
GTEX-1EU9M-1426-SM-793AI 60-69 years, male 7.1
GTEX-1IY9M-2826-SM-ARU8H 60-69 years, male 7.1
GTEX-1JJE9-2626-SM-ARZMT 70-79 years, male 7.1
GTEX-1PPH7-1126-SM-DTX9A 40-49 years, male 7.1
GTEX-13FHO-0426-SM-5L3F5 60-69 years, male 7.0
GTEX-1J1OQ-0126-SM-D4P2N 40-49 years, female 7.0
GTEX-12BJ1-0926-SM-5EQ62 60-69 years, male 6.9
GTEX-144GM-0526-SM-79OJO 20-29 years, male 6.9
GTEX-XYKS-1426-SM-4BRUO 60-69 years, female 6.9
GTEX-1MJK3-0726-SM-E6CJC 20-29 years, male 6.9
GTEX-1QP9N-1226-SM-E76QN 30-39 years, male 6.9
GTEX-17HHY-0426-SM-7DHLC 50-59 years, male 6.8
GTEX-13PVR-0426-SM-5RQK2 60-69 years, female 6.6
GTEX-1IDJI-0126-SM-CMKHS 50-59 years, female 6.6
GTEX-1IE54-1126-SM-A9G2Z 40-49 years, female 6.6
GTEX-1MCYP-0526-SM-E9U6Q 20-29 years, female 6.6
GTEX-14PJ6-2626-SM-6EU2T 60-69 years, female 6.5
GTEX-1AMFI-1326-SM-7939R 50-59 years, female 6.5
GTEX-1HSMO-0626-SM-ACKXC 60-69 years, male 6.5
GTEX-11GS4-0226-SM-5HL77 60-69 years, male 6.4
GTEX-13PL6-1126-SM-5L3IE 40-49 years, female 6.4
GTEX-14PJO-2526-SM-6AJBQ 60-69 years, male 6.4
GTEX-15SKB-2826-SM-6PAMH 60-69 years, male 6.4
GTEX-17F96-0126-SM-7EWDU 70-79 years, male 6.4
GTEX-1E1VI-0326-SM-793D1 50-59 years, male 6.4
GTEX-ZVE1-0726-SM-51MRN 50-59 years, female 6.4
GTEX-1JJ6O-2726-SM-CNPOG 60-69 years, male 6.4
GTEX-1LVA9-2626-SM-EVYD4 50-59 years, male 6.4
GTEX-13IVO-0726-SM-5LZYV 70-79 years, male 6.3
GTEX-13O61-1426-SM-5KM3D 60-69 years, male 6.3
GTEX-14PHX-2226-SM-6EU2P 50-59 years, male 6.3
GTEX-ZF29-0926-SM-4WKFZ 60-69 years, female 6.3
GTEX-WYJK-0526-SM-3NM8Z 50-59 years, male 6.2
GTEX-WYVS-1626-SM-3NM9R 40-49 years, female 6.2
GTEX-11DXW-0826-SM-5H118 40-49 years, male 6.1
GTEX-11OF3-0126-SM-5PNYF 60-69 years, male 6.1
GTEX-146FQ-2126-SM-5RQHU 30-39 years, male 6.1
GTEX-14PII-0726-SM-6EU2B 60-69 years, male 6.1
GTEX-Y5LM-0926-SM-6LLJG 40-49 years, female 6.1
GTEX-ZDYS-2426-SM-4WKGI 50-59 years, male 6.1
GTEX-1H1DF-1126-SM-9WG7G 40-49 years, female 6.1
GTEX-1I1GS-2626-SM-B2LY3 60-69 years, male 6.1
GTEX-1IDJU-1726-SM-CMKHU 60-69 years, female 6.1
GTEX-1OJC4-2726-SM-E76PJ 50-59 years, female 6.1
GTEX-131YS-2826-SM-5EQ47 60-69 years, female 6.0
GTEX-13D11-0926-SM-5J2NC 50-59 years, female 6.0
GTEX-WHWD-1826-SM-3LK6I 50-59 years, male 6.0
GTEX-1GN1V-2826-SM-9JGIA 60-69 years, male 6.0
GTEX-1LKK1-2626-SM-DKPQE 50-59 years, female 6.0
GTEX-14E6E-0526-SM-793DN 30-39 years, male 5.9
GTEX-14PJ5-1526-SM-6LLIL 60-69 years, female 5.9
GTEX-XPVG-2126-SM-4B667 50-59 years, male 5.9
GTEX-ZPU1-1126-SM-4YCF3 40-49 years, male 5.9
GTEX-1HSGN-0826-SM-ACKW3 40-49 years, female 5.9
GTEX-1S83E-1326-SM-E6CJM 40-49 years, male 5.9
GTEX-11EI6-2826-SM-5H11D 60-69 years, male 5.8
GTEX-13NYS-0626-SM-5L3F1 60-69 years, male 5.8
GTEX-1EX96-1026-SM-7MKG2 50-59 years, male 5.8
GTEX-1I6K7-1926-SM-B2LXR 40-49 years, male 5.8
GTEX-13112-0126-SM-5P9IU 50-59 years, male 5.7
GTEX-139TT-2126-SM-5LZWC 60-69 years, male 5.7
GTEX-13W3W-0726-SM-5IJDQ 60-69 years, female 5.7
GTEX-147F3-1726-SM-5SIAW 50-59 years, female 5.7
GTEX-XBEC-0726-SM-4QARZ 50-59 years, male 5.7
GTEX-1GMR3-0126-SM-A9SLW 40-49 years, male 5.7
GTEX-1HFI7-2326-SM-CGQFS 50-59 years, female 5.7
GTEX-1J1R8-2026-SM-CL53Y 40-49 years, male 5.7
GTEX-1J8Q3-0526-SM-ARL8U 60-69 years, male 5.7
GTEX-1LSVX-2526-SM-DIPEU 60-69 years, male 5.7
GTEX-1MCC2-1826-SM-DIPEX 30-39 years, female 5.7
GTEX-13SLX-2226-SM-62LEP 50-59 years, female 5.6
GTEX-14PKV-1126-SM-6LLJ1 20-29 years, female 5.6
GTEX-1EKGG-0626-SM-7DUGJ 60-69 years, male 5.6
GTEX-1LG7Y-2526-SM-EWRO7 50-59 years, male 5.6
GTEX-1N2EE-0626-SM-E76PW 60-69 years, male 5.6
GTEX-14ABY-2026-SM-62LDL 50-59 years, male 5.5
GTEX-14BMV-2826-SM-5TDED 50-59 years, male 5.5
GTEX-16Z82-2626-SM-7KULU 60-69 years, male 5.5
GTEX-1F48J-0726-SM-7RHGS 50-59 years, female 5.5
GTEX-1IDJF-2026-SM-CL53V 20-29 years, male 5.5
GTEX-1IOXB-2726-SM-CM2RI 50-59 years, male 5.5
GTEX-13O3O-2326-SM-5IJD6 60-69 years, female 5.4
GTEX-ZYFD-0626-SM-5E44E 50-59 years, male 5.4
GTEX-1JK1U-0226-SM-ARZMX 60-69 years, male 5.4
GTEX-1S831-1826-SM-EWROF 20-29 years, male 5.4
GTEX-131XW-0626-SM-5PNVD 50-59 years, female 5.3
GTEX-ZT9X-1526-SM-5DUXD 40-49 years, male 5.3
GTEX-1IDJD-2326-SM-ACKWX 30-39 years, male 5.3
GTEX-1RB15-1326-SM-E76Q9 60-69 years, male 5.3
GTEX-1RMOY-1326-SM-E9TIH 50-59 years, male 5.3
GTEX-12584-0726-SM-5FQTK 40-49 years, male 5.2
GTEX-1269C-0126-SM-5EQ5L 60-69 years, female 5.2
GTEX-17F9Y-0126-SM-79OKX 70-79 years, female 5.2
GTEX-1GF9X-1326-SM-7PC2Y 40-49 years, female 5.2
GTEX-UPJH-0226-SM-3GADV 50-59 years, male 5.1
GTEX-XV7Q-1826-SM-4BRUV 40-49 years, female 5.1
GTEX-1E2YA-2126-SM-7MXUO 50-59 years, male 5.1
GTEX-1GF9U-2026-SM-7SB92 40-49 years, female 5.1
GTEX-1PIIG-2326-SM-DTXFR 30-39 years, male 5.1
GTEX-145MH-2826-SM-5RQJF 50-59 years, male 5.0
GTEX-14753-0726-SM-5QGQO 60-69 years, male 5.0
GTEX-1B8KZ-0326-SM-73KY4 50-59 years, male 5.0
GTEX-1B932-2326-SM-79OL5 40-49 years, female 5.0
GTEX-11EQ9-1626-SM-5PNY8 30-39 years, male 4.9
GTEX-144GO-2026-SM-5O99P 60-69 years, male 4.9
GTEX-15G19-2426-SM-7KUMR 60-69 years, male 4.9
GTEX-1B933-2426-SM-7DHMD 50-59 years, female 4.9
GTEX-1F75A-0726-SM-7RHHD 50-59 years, male 4.9
GTEX-1I1GU-0926-SM-ACKVS 40-49 years, male 4.9
GTEX-ZYY3-2926-SM-5GIEB 60-69 years, female 4.8
GTEX-13FTY-2126-SM-5IFFB 40-49 years, female 4.7
GTEX-13NYC-0126-SM-5L3F4 60-69 years, male 4.7
GTEX-145MI-0626-SM-5SI8S 60-69 years, female 4.7
GTEX-1F75W-2726-SM-7SB8H 60-69 years, male 4.7
GTEX-1IDJE-1426-SM-ADEIW 50-59 years, female 4.6
GTEX-12WSM-1926-SM-5BC65 60-69 years, male 4.5
GTEX-XAJ8-1426-SM-47JYM 40-49 years, male 4.5
GTEX-ZC5H-1526-SM-5HL9Y 40-49 years, female 4.5
GTEX-1JKYR-0626-SM-ARL8R 20-29 years, male 4.5
GTEX-13PDP-0726-SM-5L3HP 60-69 years, male 4.4
GTEX-1C6VQ-1226-SM-73KYD 50-59 years, male 4.4
GTEX-1HT8W-0626-SM-A9G2H 30-39 years, male 4.4
GTEX-1LSNL-2726-SM-E9TKJ 50-59 years, male 4.4
GTEX-ZGAY-1826-SM-DO91Q 40-49 years, female 4.4
GTEX-139T8-0626-SM-5KLZX 60-69 years, male 4.3
GTEX-13OW8-1026-SM-5J1NQ 60-69 years, male 4.3
GTEX-14ICL-1626-SM-5YYAO 30-39 years, male 4.3
GTEX-16MT9-0126-SM-7EPI8 60-69 years, female 4.3
GTEX-16XZZ-0726-SM-7KUF2 60-69 years, male 4.3
GTEX-1I1GP-1326-SM-A9G28 50-59 years, male 4.3
GTEX-13U4I-2226-SM-5LU5H 40-49 years, female 4.2
GTEX-14PKU-0126-SM-6LLHV 40-49 years, female 4.2
GTEX-14XAO-1226-SM-6EU1C 60-69 years, female 4.2
GTEX-1A8G6-2726-SM-731AR 60-69 years, male 4.2
GTEX-1CB4E-0926-SM-7EPHT 60-69 years, male 4.2
GTEX-1F75B-0726-SM-7PC3R 50-59 years, male 4.2
GTEX-17EVQ-0126-SM-7IGLR 70-79 years, male 4.1
GTEX-ZYFC-0426-SM-5GICQ 50-59 years, male 4.1
GTEX-1POEN-2326-SM-E9J2L 30-39 years, female 4.1
GTEX-13G51-1826-SM-5KLZH 60-69 years, male 4.0
GTEX-13X6J-0626-SM-5LU5F 50-59 years, male 4.0
GTEX-14AS3-1526-SM-5Q5ED 40-49 years, female 4.0
GTEX-1GF9V-0826-SM-9KNUV 60-69 years, male 4.0
GTEX-1H2FU-0926-SM-9WPPT 60-69 years, female 4.0
GTEX-1JJEA-1826-SM-ARU8P 60-69 years, male 4.0
GTEX-1F52S-2926-SM-7MKGA 60-69 years, female 3.9
GTEX-13OVK-1426-SM-6PAN7 40-49 years, male 3.8
GTEX-1HCU9-0426-SM-9WYSD 20-29 years, male 3.8
GTEX-1R46S-2426-SM-E76QA 60-69 years, female 3.8
GTEX-14BIN-1126-SM-5RQJZ 50-59 years, female 3.7
GTEX-15ER7-0626-SM-6PANF 20-29 years, female 3.7
GTEX-1I1HK-2326-SM-CKZOH 60-69 years, male 3.7
GTEX-1ICLZ-0326-SM-ARL82 60-69 years, male 3.7
GTEX-1H11D-1826-SM-9QEHM 40-49 years, male 3.4
GTEX-12ZZZ-0726-SM-5GCNZ 60-69 years, male 3.3
GTEX-1F5PL-0926-SM-7PC2W 40-49 years, female 3.3
GTEX-1C6WA-2626-SM-7MKGM 60-69 years, male 3.2
GTEX-ZXG5-2126-SM-59HKD 60-69 years, male 3.2
GTEX-1QPFJ-1926-SM-EVYBD 30-39 years, female 3.2
GTEX-14C5O-0326-SM-5ZZUX 60-69 years, male 3.1
GTEX-1AMEY-0826-SM-72D65 30-39 years, female 3.0
GTEX-13NZ8-1226-SM-5KM4A 60-69 years, female 2.9
GTEX-1HCVE-2726-SM-CL54F 50-59 years, male 2.9
GTEX-1ICLY-0826-SM-CMKG1 50-59 years, male 2.9
GTEX-1R9PN-0426-SM-DTXDT 40-49 years, female 2.9
GTEX-11DZ1-2426-SM-5GZZX 50-59 years, male 2.8
GTEX-WHSE-0126-SM-3NMBT 20-29 years, male 2.7
GTEX-14A5H-0826-SM-5QGPJ 60-69 years, male 2.5
GTEX-1F6RS-2026-SM-7RHHC 60-69 years, female 2.3
GTEX-ZA64-1026-SM-5HL8R 20-29 years, male 2.2
GTEX-12WSK-2126-SM-5CVNC 40-49 years, female 2.0
GTEX-1F88E-1626-SM-7SB8Z 60-69 years, female 2.0
GTEX-1LGOU-1326-SM-D3L8M 20-29 years, female 1.9
GTEX-1OJC3-1226-SM-DTXER 20-29 years, male 1.5
GTEX-11O72-0626-SM-5PNYE 40-49 years, male 1.2
GTEX-14LLW-2626-SM-62LDZ 70-79 years, female 1.2
GTEX-1LBAC-0826-SM-CY8IJ 20-29 years, male 1.1
GTEX-1M4P7-0726-SM-E6CJ3 60-69 years, male 1.1
GTEX-16NPX-0726-SM-7KULC 50-59 years, male 1.0
GTEX-17F9E-2326-SM-79OKD 50-59 years, male 1.0
GTEX-11P82-1426-SM-DTXFY 20-29 years, male 1.0
GTEX-1HCUA-0826-SM-ADEHM 50-59 years, female 1.0
GTEX-111FC-2526-SM-5GZXU 60-69 years, male 0.9
GTEX-11WQK-1026-SM-5EQLX 50-59 years, male 0.9
GTEX-ZDTT-0426-SM-4WKFL 60-69 years, male 0.9
GTEX-1S3DN-2126-SM-E9TIN 50-59 years, male 0.9
GTEX-ZWKS-0626-SM-5GIDV 30-39 years, male 0.8
GTEX-1J8JJ-0626-SM-ARZMQ 60-69 years, female 0.8
GTEX-1JN76-0626-SM-CKZOQ 20-29 years, female 0.8
GTEX-1K2DA-1026-SM-CGQGF 50-59 years, male 0.8
GTEX-14C38-0726-SM-5SI6M 50-59 years, male 0.7
GTEX-1B996-0426-SM-7EWF8 60-69 years, male 0.7
GTEX-1CB4I-0126-SM-7RHGG 50-59 years, male 0.7
GTEX-1IDJH-0126-SM-D3L92 70-79 years, male 0.7
GTEX-1K9T9-1526-SM-DIPFR 50-59 years, female 0.7
GTEX-17JCI-2926-SM-7DUFF 60-69 years, female 0.6
GTEX-Y3IK-1626-SM-4YCF5 50-59 years, female 0.6
GTEX-1GPI7-1826-SM-9KNU1 20-29 years, male 0.6
GTEX-1I6K6-1726-SM-CGQFD 30-39 years, male 0.6
GTEX-1PBJJ-1026-SM-E76OS 30-39 years, male 0.6
GTEX-13OW6-2726-SM-5J2OE 50-59 years, male 0.5
GTEX-15SHW-0226-SM-7LTAT 60-69 years, male 0.5
GTEX-13FLV-0126-SM-5K7WT 50-59 years, male 0.4
GTEX-15CHR-1126-SM-7EWF4 50-59 years, male 0.4
GTEX-15RJ7-2126-SM-6PAMD 40-49 years, male 0.4
GTEX-VUSG-2326-SM-4KL1U 50-59 years, male 0.4
GTEX-1192X-2726-SM-5N9DN 50-59 years, male 0.3
GTEX-144GL-0626-SM-5LU4D 50-59 years, male 0.3
GTEX-17HGU-2326-SM-7DUFE 50-59 years, male 0.3
GTEX-18A67-1626-SM-7LT9T 50-59 years, male 0.3
GTEX-X585-2426-SM-46MW2 50-59 years, male 0.3
GTEX-13OVJ-0826-SM-5J1OK 50-59 years, female 0.2
GTEX-11EQ8-0926-SM-5H12V 60-69 years, male 0.1
GTEX-12ZZX-2426-SM-5GCOE 40-49 years, female 0.1
GTEX-1PPH8-0126-SM-EWRN8 20-29 years, male 0.1
Show allShow less
Skin - Sun Exposed (Lower leg)
Average nTPM: 9.0
Samples: 701

Max nTPM: 27.8
Min nTPM: 0.3
Std nTPM: 4.5
Median nTPM: 9.0
GTEX-11P7K-2126-SM-5GU7G 30-39 years, male 27.8
GTEX-11UD1-0126-SM-5PNYG 40-49 years, female 26.9
GTEX-OXRL-0126-SM-2YUMP 50-59 years, male 24.7
GTEX-ZVZO-0126-SM-5A5L9 40-49 years, male 21.4
GTEX-SE5C-1626-SM-2XCE3 40-49 years, female 20.9
GTEX-W5X1-3026-SM-EAZAX 40-49 years, female 20.5
GTEX-1HSMP-0126-SM-E6CJS 70-79 years, male 20.2
GTEX-1N2DV-0226-SM-E6CJ6 40-49 years, male 20.2
GTEX-1NHNU-1026-SM-E9J2A 50-59 years, male 19.5
GTEX-1CAV2-2226-SM-7P8P2 40-49 years, female 19.4
GTEX-11DXZ-2326-SM-5EGGV 50-59 years, male 19.3
GTEX-13RTL-0126-SM-7LG5S 40-49 years, male 19.0
GTEX-TMZS-0126-SM-3DB9Q 60-69 years, male 18.9
GTEX-U3ZM-1526-SM-3DB9D 40-49 years, male 18.9
GTEX-131XF-5016-SM-7MGWE 60-69 years, male 18.9
GTEX-17F98-0626-SM-79OMX 40-49 years, female 18.7
GTEX-P4PQ-0126-SM-2S1NM 60-69 years, male 18.7
GTEX-1H1CY-2826-SM-9MQM3 60-69 years, female 18.5
GTEX-1F75I-0326-SM-9YFLU 40-49 years, male 18.3
GTEX-13YAN-0326-SM-5O9DF 60-69 years, male 18.2
GTEX-WFG8-2226-SM-3GIL9 20-29 years, male 18.1
GTEX-113IC-0126-SM-5HL6T 60-69 years, male 17.9
GTEX-14JIY-0126-SM-6LLH6 60-69 years, male 17.8
GTEX-O5YW-0126-SM-3LK6D 50-59 years, male 17.6
GTEX-POMQ-2226-SM-2I5FK 20-29 years, female 17.6
GTEX-U412-0426-SM-3DB9O 60-69 years, male 17.6
GTEX-S7PM-0126-SM-4AD6S 60-69 years, male 17.3
GTEX-12WSE-0526-SM-793B2 20-29 years, male 17.1
GTEX-17EUY-0426-SM-793BD 20-29 years, male 17.1
GTEX-1HKZK-0326-SM-9WYUH 40-49 years, male 17.1
GTEX-139TS-2826-SM-5J1OO 60-69 years, male 17.0
GTEX-WZTO-0126-SM-3NM95 40-49 years, male 17.0
GTEX-TKQ1-1026-SM-4GICL 30-39 years, male 16.9
GTEX-ZDXO-3026-SM-5J1N5 60-69 years, male 16.9
GTEX-OIZG-0726-SM-33HBL 50-59 years, male 16.8
GTEX-11XUK-2026-SM-5EQLF 40-49 years, female 16.7
GTEX-1BAJH-0526-SM-793CQ 70-79 years, male 16.7
GTEX-1I1GV-0526-SM-A9G29 60-69 years, male 16.7
GTEX-QV44-1926-SM-2S1RF 50-59 years, male 16.5
GTEX-WVJS-0126-SM-4MVOT 50-59 years, male 16.4
GTEX-XQ3S-1526-SM-4BOOC 20-29 years, male 16.4
GTEX-RVPV-0126-SM-EAZAW 60-69 years, male 16.4
GTEX-1KANC-1526-SM-D3LAB 50-59 years, female 16.3
GTEX-1R7EU-0226-SM-EVR4G 60-69 years, male 16.3
GTEX-13N11-2526-SM-5K7UE 50-59 years, female 16.1
GTEX-PLZ5-2026-SM-2S1O4 50-59 years, male 16.0
GTEX-1A3MV-1926-SM-718BT 30-39 years, male 15.9
GTEX-QDT8-0126-SM-48TZ1 30-39 years, female 15.9
GTEX-XUZC-1726-SM-4BRWS 30-39 years, female 15.8
GTEX-1HSEH-0126-SM-ACKXN 60-69 years, male 15.8
GTEX-13O3Q-2426-SM-5IJBR 50-59 years, male 15.7
GTEX-1EN7A-0126-SM-7SB81 40-49 years, male 15.7
GTEX-13FTW-2626-SM-5K7WL 40-49 years, male 15.6
GTEX-147F4-0226-SM-5QGPW 50-59 years, male 15.6
GTEX-13O21-1426-SM-5K7XI 50-59 years, male 15.5
GTEX-1399U-2326-SM-5K7WY 50-59 years, female 15.4
GTEX-145MO-0326-SM-5Q5B3 60-69 years, male 15.3
GTEX-TML8-1926-SM-32QOS 40-49 years, female 15.3
GTEX-1C64O-0126-SM-7SB8P 60-69 years, male 15.3
GTEX-1H3O1-0426-SM-9YFKY 60-69 years, male 15.3
GTEX-1RAZA-0126-SM-E6CI3 20-29 years, male 15.3
GTEX-U8XE-0326-SM-3DB8P 30-39 years, male 15.2
GTEX-WH7G-2326-SM-3NMBC 40-49 years, male 15.2
GTEX-117YW-2626-SM-5GZZH 50-59 years, male 15.1
GTEX-144GN-2326-SM-5LU4F 50-59 years, male 15.1
GTEX-1KAFJ-2026-SM-CY8ID 50-59 years, male 15.1
GTEX-S33H-1026-SM-EZ6L6 30-39 years, male 15.1
GTEX-1IL2U-0226-SM-CE6T8 60-69 years, male 15.0
GTEX-1QCLY-0326-SM-E8VOG 30-39 years, male 15.0
GTEX-QVJO-1626-SM-2S1QW 60-69 years, female 14.9
GTEX-XMD2-0126-SM-4YCDU 60-69 years, female 14.9
GTEX-R55G-2526-SM-2TC6D 40-49 years, female 14.8
GTEX-X8HC-0126-SM-4E3JW 50-59 years, female 14.8
GTEX-1B8L1-2526-SM-9WYTF 60-69 years, male 14.8
GTEX-1QW4Y-1526-SM-EAZ3Z 30-39 years, male 14.8
GTEX-13OVG-1926-SM-5L3DK 60-69 years, male 14.7
GTEX-13RTK-1426-SM-5QGQJ 20-29 years, male 14.7
GTEX-1J8EW-0126-SM-CJI4F 60-69 years, female 14.7
GTEX-11ZUS-0626-SM-59885 30-39 years, male 14.6
GTEX-13X6H-2126-SM-7EWD5 50-59 years, female 14.6
GTEX-S95S-1226-SM-4GICG 60-69 years, male 14.6
GTEX-1IKK5-0626-SM-ARL8A 60-69 years, male 14.6
GTEX-18465-0126-SM-731BN 50-59 years, male 14.5
GTEX-1I19N-0326-SM-ACKVX 70-79 years, male 14.5
GTEX-1CAMQ-0226-SM-7IGPK 40-49 years, male 14.4
GTEX-X4XX-0126-SM-3NMC2 60-69 years, male 14.4
GTEX-1JMQJ-0526-SM-CYPSU 50-59 years, male 14.4
GTEX-T5JW-1626-SM-3GADZ 20-29 years, female 14.3
GTEX-1CB4F-0426-SM-9KNV4 60-69 years, male 14.3
GTEX-UJHI-1526-SM-3DB99 50-59 years, female 14.2
GTEX-Y8DK-0126-SM-4TT3L 60-69 years, male 14.2
GTEX-1A32A-0126-SM-718B1 50-59 years, female 14.1
GTEX-1AX8Z-0126-SM-7DHM6 60-69 years, male 14.1
GTEX-1AX9J-0226-SM-73KXM 60-69 years, male 14.1
GTEX-U4B1-1826-SM-4DXSU 40-49 years, male 14.1
GTEX-1RAZQ-0726-SM-EAZ43 30-39 years, male 14.1
GTEX-139T4-0226-SM-5HL5S 50-59 years, female 14.0
GTEX-13FHP-0126-SM-5IJBG 50-59 years, male 14.0
GTEX-13OW7-0126-SM-5MR3B 50-59 years, male 14.0
GTEX-W5WG-1826-SM-4KL2Y 50-59 years, female 14.0
GTEX-12WSJ-1826-SM-5GCNY 40-49 years, female 13.9
GTEX-1GPI6-0126-SM-9WG69 60-69 years, male 13.9
GTEX-OIZH-0126-SM-2HMIS 50-59 years, male 13.8
GTEX-ZYW4-0126-SM-5E44A 60-69 years, male 13.8
GTEX-1PBJI-0526-SM-E8VNK 20-29 years, female 13.8
GTEX-18A7B-0126-SM-7LG64 70-79 years, male 13.7
GTEX-1LGRB-2526-SM-CNPPQ 50-59 years, female 13.7
GTEX-PW2O-1526-SM-7RHHB 20-29 years, male 13.7
GTEX-1313W-0126-SM-5LZUN 50-59 years, female 13.6
GTEX-QEG4-0226-SM-2S1PY 30-39 years, male 13.6
GTEX-1R9PO-2126-SM-E9J4O 60-69 years, female 13.6
GTEX-15DYW-0126-SM-7KULE 60-69 years, female 13.5
GTEX-ZYFG-2326-SM-5E44B 60-69 years, female 13.5
GTEX-145LT-1726-SM-5QGP3 40-49 years, male 13.4
GTEX-1ICG6-2526-SM-CGQFZ 70-79 years, female 13.4
GTEX-1PFEY-1526-SM-E76PP 30-39 years, male 13.4
GTEX-PWO3-1526-SM-48TCM 60-69 years, female 13.3
GTEX-1JMQI-2226-SM-CM2SD 50-59 years, male 13.3
GTEX-132NY-0326-SM-5IJBL 60-69 years, male 13.2
GTEX-18A7A-0226-SM-718BH 50-59 years, female 13.2
GTEX-SIU8-0126-SM-2XCDT 50-59 years, male 13.2
GTEX-X261-0126-SM-3NMD6 50-59 years, male 13.2
GTEX-12KS4-0326-SM-5EQ41 30-39 years, male 13.1
GTEX-11DXY-2626-SM-5GIE7 60-69 years, male 13.0
GTEX-RTLS-0126-SM-447CA 60-69 years, female 13.0
GTEX-13O3O-0126-SM-E9J49 60-69 years, female 13.0
GTEX-11LCK-1026-SM-5A5KB 30-39 years, male 12.9
GTEX-1399R-2726-SM-5IJBA 30-39 years, male 12.9
GTEX-14BIL-0126-SM-5SI92 50-59 years, male 12.9
GTEX-1MA7X-2226-SM-E6CIY 60-69 years, male 12.9
GTEX-14DAR-2026-SM-5S2O3 50-59 years, male 12.8
GTEX-15D1Q-0126-SM-7KUG6 40-49 years, male 12.8
GTEX-17HHE-2026-SM-79OKF 50-59 years, male 12.8
GTEX-1CAMR-1926-SM-7EPI2 20-29 years, male 12.8
GTEX-XUYS-0126-SM-47JWZ 50-59 years, male 12.8
GTEX-Y8LW-1826-SM-5S2MV 50-59 years, female 12.8
GTEX-ZVT3-0126-SM-5GU6I 60-69 years, female 12.8
GTEX-ZDTS-0126-SM-4WAY5 60-69 years, male 12.7
GTEX-1QMI2-0226-SM-EVYBX 60-69 years, male 12.7
GTEX-Q2AI-1326-SM-2S1PL 40-49 years, male 12.6
GTEX-R3RS-0126-SM-3GIJL 40-49 years, female 12.6
GTEX-OOBJ-0126-SM-E6CJW 60-69 years, male 12.6
GTEX-11TT1-2526-SM-5EGIB 20-29 years, male 12.5
GTEX-YEC4-2126-SM-5IFJH 40-49 years, male 12.5
GTEX-1314G-1526-SM-5EGK2 30-39 years, male 12.4
GTEX-15SDE-2226-SM-7IGLO 50-59 years, female 12.4
GTEX-1F88F-2726-SM-7PBZZ 60-69 years, female 12.4
GTEX-1LVAN-0226-SM-COH3S 50-59 years, female 12.4
GTEX-12C56-1726-SM-5EQ61 20-29 years, male 12.3
GTEX-1497J-2426-SM-7IGNX 60-69 years, male 12.3
GTEX-QCQG-1726-SM-3GIJ9 50-59 years, female 12.3
GTEX-X5EB-2226-SM-46MW4 40-49 years, male 12.3
GTEX-Y114-2426-SM-4TT8A 50-59 years, female 12.3
GTEX-ZF2S-2326-SM-4WWCE 50-59 years, female 12.3
GTEX-ZXES-1826-SM-5E43S 30-39 years, female 12.3
GTEX-1CAMS-0426-SM-7P8T2 40-49 years, female 12.3
GTEX-14PJ3-1826-SM-62LEX 50-59 years, male 12.2
GTEX-T6MO-1626-SM-32QOM 40-49 years, female 12.2
GTEX-WY7C-2326-SM-3NB2U 50-59 years, male 12.2
GTEX-XBEW-0626-SM-4QASP 40-49 years, male 12.2
GTEX-ZE7O-0126-SM-57WC1 50-59 years, female 12.2
GTEX-1GZ2Q-0226-SM-7P8TL 40-49 years, male 12.2
GTEX-1LSNM-1926-SM-E6CII 50-59 years, male 12.2
GTEX-1PPH7-2326-SM-EVYB8 40-49 years, male 12.2
GTEX-16GPK-0126-SM-7DHLE 60-69 years, male 12.1
GTEX-ZAB4-0226-SM-5N9F5 40-49 years, male 12.1
GTEX-1HCU6-0126-SM-CL54K 60-69 years, female 12.1
GTEX-1HCU8-0626-SM-A9SM9 60-69 years, female 12.1
GTEX-11GSP-2526-SM-5N9BP 60-69 years, female 12.0
GTEX-14JG6-2226-SM-6EU2G 30-39 years, female 12.0
GTEX-SUCS-1926-SM-32PM3 70-79 years, male 12.0
GTEX-YJ89-0126-SM-4TT3X 60-69 years, male 12.0
GTEX-1QP2A-0126-SM-E9J43 50-59 years, male 12.0
GTEX-13X6I-0626-SM-5QGP9 60-69 years, male 11.9
GTEX-14JG1-0426-SM-6ETZZ 40-49 years, male 11.9
GTEX-1A3MX-0126-SM-731BR 60-69 years, male 11.9
GTEX-13FH7-2026-SM-E9J4I 50-59 years, female 11.9
GTEX-1NV5F-0226-SM-E8VNY 60-69 years, female 11.9
GTEX-117YX-2326-SM-5H12W 50-59 years, male 11.8
GTEX-13QJ3-0326-SM-5S2RA 50-59 years, male 11.8
GTEX-1CB4J-0626-SM-7DHMP 60-69 years, male 11.8
GTEX-Y111-0126-SM-4SOIV 50-59 years, male 11.8
GTEX-1I1CD-0126-SM-CM2TK 60-69 years, female 11.8
GTEX-117XS-2726-SM-5N9BL 60-69 years, male 11.7
GTEX-144FL-0126-SM-5TDC8 50-59 years, male 11.7
GTEX-WRHK-1426-SM-3MJF9 20-29 years, female 11.7
GTEX-X4EO-0326-SM-3P5YO 60-69 years, female 11.7
GTEX-Y5V6-2426-SM-4VDSB 60-69 years, male 11.7
GTEX-ZEX8-2426-SM-4WKG4 50-59 years, male 11.7
GTEX-RNOR-0126-SM-E9J4R 50-59 years, female 11.7
GTEX-1122O-2126-SM-5EGIR 60-69 years, female 11.6
GTEX-11GSO-2426-SM-5A5LY 60-69 years, male 11.6
GTEX-11VI4-1726-SM-5CVLH 40-49 years, female 11.6
GTEX-13111-1626-SM-5EGJY 50-59 years, male 11.6
GTEX-145LU-0126-SM-5TDCB 50-59 years, male 11.6
GTEX-145MN-2226-SM-5SIAU 30-39 years, male 11.6
GTEX-14PK6-1926-SM-6ETZU 70-79 years, female 11.6
GTEX-1H1DE-2126-SM-9WG6R 20-29 years, male 11.6
GTEX-11ZTT-2426-SM-5EQLS 60-69 years, female 11.5
GTEX-139TU-0126-SM-5K7WH 60-69 years, male 11.5
GTEX-13FXS-0226-SM-5IJCK 50-59 years, male 11.5
GTEX-PX3G-0126-SM-2I3EN 20-29 years, female 11.5
GTEX-U8T8-0126-SM-3DB94 60-69 years, male 11.5
GTEX-1K2DU-2326-SM-E9TIV 20-29 years, male 11.5
GTEX-1O97I-0326-SM-EYYX7 60-69 years, male 11.5
GTEX-12WSA-0226-SM-5BC5V 60-69 years, male 11.4
GTEX-13VXT-0126-SM-5LU4I 20-29 years, female 11.4
GTEX-13VXU-0126-SM-5SI9F 50-59 years, male 11.4
GTEX-Q734-1926-SM-2I5EV 40-49 years, female 11.4
GTEX-Y3I4-2126-SM-4TT7C 50-59 years, male 11.4
GTEX-ZVZP-2426-SM-59HKJ 50-59 years, male 11.4
GTEX-11WQC-2526-SM-5CVLE 60-69 years, male 11.3
GTEX-T8EM-1026-SM-3DB7M 40-49 years, male 11.3
GTEX-ZZ64-1726-SM-5GZYB 20-29 years, male 11.3
GTEX-1IKOH-0226-SM-COH4E 60-69 years, female 11.3
GTEX-1RLM8-2326-SM-EWRN4 50-59 years, male 11.3
GTEX-14PN3-2426-SM-6LLHS 60-69 years, female 11.2
GTEX-Q2AH-1626-SM-3GAF8 40-49 years, male 11.2
GTEX-YFC4-0126-SM-5CVLY 40-49 years, female 11.2
GTEX-1F6I4-0126-SM-9MQL2 60-69 years, male 11.2
GTEX-1H4P4-0726-SM-9YFLR 50-59 years, male 11.2
GTEX-14A6H-0126-SM-5QGPK 30-39 years, male 11.1
GTEX-ZE9C-2726-SM-57WB5 60-69 years, male 11.1
GTEX-1CB4G-0226-SM-7PC3O 60-69 years, male 11.1
GTEX-1GN2E-0426-SM-9MQKX 60-69 years, male 11.1
GTEX-1I4MK-2226-SM-ACKWD 50-59 years, female 11.1
GTEX-131XH-2226-SM-5DUXJ 50-59 years, male 11.0
GTEX-1AMFI-2026-SM-731BH 50-59 years, female 11.0
GTEX-1JMOU-1526-SM-CL54I 60-69 years, female 11.0
GTEX-1KANB-0526-SM-E6CJH 50-59 years, male 11.0
GTEX-1KD5A-0226-SM-D5OV3 50-59 years, male 11.0
GTEX-1RQEC-0426-SM-E6CHU 60-69 years, male 11.0
GTEX-1EWIQ-0126-SM-7RHH2 70-79 years, female 10.9
GTEX-1QP29-0626-SM-EWRMX 50-59 years, male 10.9
GTEX-1211K-2026-SM-5EQ4Z 60-69 years, female 10.8
GTEX-12126-0326-SM-5PNW3 20-29 years, male 10.8
GTEX-15EU6-0426-SM-6PAN5 50-59 years, male 10.8
GTEX-18D9U-0226-SM-718BP 40-49 years, male 10.8
GTEX-ZVT2-2526-SM-51MT1 50-59 years, female 10.8
GTEX-17EVP-0326-SM-7DHLG 40-49 years, male 10.7
GTEX-Z93S-0126-SM-5HL7M 50-59 years, male 10.7
GTEX-Z93T-0126-SM-5HL5N 50-59 years, male 10.7
GTEX-11H98-0126-SM-5EGHG 50-59 years, male 10.6
GTEX-11NUK-0126-SM-5A5L3 50-59 years, male 10.6
GTEX-133LE-1826-SM-5J1MV 20-29 years, female 10.6
GTEX-13CF2-2526-SM-5LZYX 60-69 years, male 10.6
GTEX-145MF-0626-SM-5LUAI 50-59 years, male 10.6
GTEX-T2IS-0126-SM-4DM6O 20-29 years, female 10.6
GTEX-X4EP-0126-SM-3P5YV 60-69 years, female 10.6
GTEX-ZUA1-0126-SM-5GU76 40-49 years, male 10.6
GTEX-1JN1M-0326-SM-CYPT3 60-69 years, female 10.6
GTEX-1LB8K-0226-SM-EWRNW 50-59 years, male 10.6
GTEX-1QEPI-0126-SM-EWRMQ 60-69 years, female 10.6
GTEX-1399T-2826-SM-5KLYZ 60-69 years, male 10.5
GTEX-P4QT-0126-SM-2I3FL 50-59 years, female 10.5
GTEX-SJXC-0126-SM-2XCFF 60-69 years, male 10.5
GTEX-169BO-1326-SM-9MQK2 50-59 years, male 10.5
GTEX-1JMLX-0226-SM-CM2RO 50-59 years, male 10.5
GTEX-1C475-1826-SM-73KWA 40-49 years, female 10.4
GTEX-1GN73-0226-SM-9WG67 60-69 years, male 10.4
GTEX-17HG3-2226-SM-7938L 30-39 years, female 10.3
GTEX-X62O-0126-SM-4E3JN 50-59 years, male 10.3
GTEX-1C64N-0126-SM-793D7 50-59 years, male 10.2
GTEX-1F7RK-0126-SM-7PC2S 20-29 years, female 10.2
GTEX-1GN1V-0126-SM-9WPOS 60-69 years, male 10.2
GTEX-1GZ4H-1726-SM-7PBZJ 50-59 years, female 10.2
GTEX-1IDFM-0126-SM-COH2V 60-69 years, male 10.2
GTEX-1JKYN-1326-SM-CGQG9 30-39 years, male 10.2
GTEX-1KXAM-2226-SM-CYPTC 60-69 years, male 10.2
GTEX-11EM3-2426-SM-59861 20-29 years, female 10.1
GTEX-12WSN-5019-SM-79OM6 40-49 years, male 10.1
GTEX-13113-5016-SM-7EPIP 60-69 years, female 10.1
GTEX-1F6IF-0726-SM-7P8TW 60-69 years, male 10.1
GTEX-1JMPZ-0226-SM-CNPP1 30-39 years, male 10.1
GTEX-PWCY-1826-SM-DHXIZ 20-29 years, female 10.1
GTEX-111VG-2426-SM-5GZXD 60-69 years, male 10.0
GTEX-1212Z-2526-SM-5EGKP 60-69 years, male 10.0
GTEX-145ME-1826-SM-5SI9G 40-49 years, female 10.0
GTEX-14BMU-2226-SM-5TDE9 20-29 years, female 10.0
GTEX-14PJM-0226-SM-62LF1 50-59 years, female 10.0
GTEX-17HHY-0126-SM-7LG5D 50-59 years, male 10.0
GTEX-OXRO-0126-SM-2YUN4 60-69 years, female 10.0
GTEX-P4PP-0126-SM-3LK69 30-39 years, female 10.0
GTEX-Q2AG-0126-SM-33HBV 40-49 years, female 10.0
GTEX-VJWN-0126-SM-3GIK7 50-59 years, female 10.0
GTEX-XBED-2226-SM-47JYQ 60-69 years, male 10.0
GTEX-XXEK-2226-SM-4BRUM 50-59 years, male 10.0
GTEX-ZY6K-1826-SM-5GZXK 50-59 years, male 10.0
GTEX-1HSKV-0226-SM-A9SKJ 60-69 years, male 10.0
GTEX-1KWVE-1426-SM-E9TJO 30-39 years, male 10.0
GTEX-13FTX-1826-SM-5J1NX 20-29 years, female 9.9
GTEX-13NZA-0226-SM-5K7Z7 60-69 years, male 9.9
GTEX-14E7W-0126-SM-6LLJ9 70-79 years, male 9.9
GTEX-1B8SF-1426-SM-7DUGL 60-69 years, male 9.9
GTEX-1EMGI-0126-SM-9KNUE 60-69 years, male 9.9
GTEX-1HB9E-0226-SM-E9U4R 50-59 years, male 9.9
GTEX-1PWST-0226-SM-E76QJ 70-79 years, male 9.9
GTEX-1QAET-0926-SM-E76QM 50-59 years, male 9.9
GTEX-R45C-0126-SM-EAZ2R 60-69 years, female 9.9
GTEX-113JC-2326-SM-5EQ4E 50-59 years, female 9.8
GTEX-12WSD-0126-SM-59HKN 60-69 years, female 9.8
GTEX-13N2G-2626-SM-5J1OT 60-69 years, male 9.8
GTEX-17MFQ-1726-SM-793C7 20-29 years, male 9.8
GTEX-1B8KE-2126-SM-73KYX 50-59 years, male 9.8
GTEX-OXRK-0226-SM-3NB2G 50-59 years, female 9.8
GTEX-1JMQL-0226-SM-CNPP5 50-59 years, female 9.8
GTEX-13JUV-2726-SM-5LZZ8 40-49 years, female 9.7
GTEX-13NYB-2526-SM-5K7Z6 40-49 years, male 9.7
GTEX-16MT8-0426-SM-7KUEY 60-69 years, female 9.7
GTEX-ZV6S-2326-SM-4YCEY 40-49 years, female 9.7
GTEX-11DYG-0126-SM-59883 60-69 years, male 9.6
GTEX-11ZU8-2526-SM-5EQKI 60-69 years, male 9.6
GTEX-14E6D-0126-SM-62LDV 50-59 years, male 9.6
GTEX-18A6Q-0126-SM-731BZ 60-69 years, male 9.6
GTEX-18D9B-0526-SM-7LTAS 60-69 years, male 9.6
GTEX-1CB4H-0226-SM-7PBXM 60-69 years, female 9.6
GTEX-1HBPM-0226-SM-ARL9F 60-69 years, female 9.6
GTEX-1J8Q2-0526-SM-CM2RW 60-69 years, male 9.6
GTEX-1JN6P-0126-SM-D3L98 60-69 years, male 9.6
GTEX-1OFPY-2426-SM-DTXEJ 60-69 years, male 9.6
GTEX-1QP66-1726-SM-E8VO1 50-59 years, male 9.6
GTEX-13N1W-0126-SM-5K7VT 70-79 years, male 9.5
GTEX-13OVI-1426-SM-5L3EY 60-69 years, female 9.5
GTEX-16NGA-1726-SM-731B4 40-49 years, female 9.5
GTEX-1C4CL-0526-SM-73KVK 30-39 years, male 9.5
GTEX-RWS6-2026-SM-2XCB5 60-69 years, female 9.5
GTEX-WFON-2126-SM-3LK7O 40-49 years, male 9.4
GTEX-15RIG-0226-SM-7KFTL 40-49 years, male 9.3
GTEX-16YQH-0126-SM-7DUFJ 30-39 years, male 9.3
GTEX-ZYFD-0126-SM-5GIDL 50-59 years, male 9.3
GTEX-1HCU7-0226-SM-CL545 50-59 years, male 9.3
GTEX-13RTJ-2426-SM-5S2Q2 60-69 years, male 9.2
GTEX-15UF6-0826-SM-6PALJ 70-79 years, female 9.2
GTEX-XUW1-0426-SM-4BOOT 50-59 years, female 9.2
GTEX-ZQUD-1426-SM-57WER 30-39 years, male 9.2
GTEX-1GF9W-0326-SM-9KNUN 60-69 years, male 9.2
GTEX-1H1E6-1726-SM-ACKVK 30-39 years, male 9.2
GTEX-1JMQK-0226-SM-CL543 60-69 years, male 9.2
GTEX-131YS-0126-SM-5KM1M 60-69 years, female 9.1
GTEX-139D8-0226-SM-5KLZO 30-39 years, female 9.1
GTEX-17MF6-0126-SM-7LG4F 40-49 years, male 9.1
GTEX-11TUW-2726-SM-E9J4M 60-69 years, male 9.1
GTEX-1A8FM-0226-SM-7SB7Q 50-59 years, female 9.1
GTEX-1GZHY-0326-SM-9QEHI 50-59 years, female 9.1
GTEX-1QP67-1626-SM-EAZ3X 40-49 years, female 9.1
GTEX-ZVT4-0126-SM-DTXFN 50-59 years, female 9.1
GTEX-1192W-2626-SM-5Q5AF 60-69 years, male 9.0
GTEX-13IVO-0126-SM-5J1NG 70-79 years, male 9.0
GTEX-Y5V5-2326-SM-4V6GA 60-69 years, female 9.0
GTEX-1GN1U-0126-SM-7PBZK 50-59 years, female 9.0
GTEX-1GN1W-0526-SM-9MQJQ 50-59 years, female 9.0
GTEX-14753-0426-SM-5NQAM 60-69 years, male 8.9
GTEX-14A5I-0126-SM-5TDEA 50-59 years, female 8.9
GTEX-1C6VS-0526-SM-7DUEN 60-69 years, male 8.9
GTEX-NPJ8-0126-SM-2YUNR 40-49 years, male 8.9
GTEX-1GTWX-0126-SM-9YFLK 60-69 years, male 8.9
GTEX-1LG7Z-1726-SM-D3LA4 30-39 years, male 8.9
GTEX-11DXX-2426-SM-5GZZW 60-69 years, female 8.8
GTEX-11EMC-2926-SM-5EQ4F 60-69 years, female 8.8
GTEX-11GS4-2726-SM-5A5LE 60-69 years, male 8.8
GTEX-1B97I-1626-SM-73KYO 40-49 years, male 8.8
GTEX-QDVJ-1726-SM-2I5FX 50-59 years, male 8.8
GTEX-RU72-0926-SM-2TF6B 50-59 years, female 8.8
GTEX-U3ZH-2026-SM-3DB78 30-39 years, male 8.8
GTEX-1AX9I-0126-SM-7SB74 60-69 years, male 8.8
GTEX-1GL5R-1826-SM-9KNUY 50-59 years, male 8.8
GTEX-1KD4Q-0226-SM-E9TJ9 40-49 years, male 8.8
GTEX-1PIGE-0126-SM-EVYBJ 20-29 years, male 8.8
GTEX-15CHC-2126-SM-6EU21 60-69 years, female 8.7
GTEX-1F6RS-0126-SM-9MQKZ 60-69 years, female 8.7
GTEX-1R9K4-0126-SM-DTX9X 60-69 years, male 8.7
GTEX-OHPM-0126-SM-2YUN9 50-59 years, male 8.6
GTEX-PLZ4-0126-SM-5SI8O 50-59 years, female 8.6
GTEX-1HFI6-0226-SM-ADEHZ 40-49 years, male 8.6
GTEX-1HR98-0126-SM-B2LWI 60-69 years, male 8.6
GTEX-1JJ6O-0126-SM-E6CI8 60-69 years, male 8.6
GTEX-1R9PM-2026-SM-E76OY 20-29 years, male 8.6
GTEX-12ZZY-0226-SM-5LZVE 60-69 years, male 8.5
GTEX-13OVL-0226-SM-5L3E9 50-59 years, male 8.5
GTEX-17GQL-2026-SM-718BA 60-69 years, male 8.5
GTEX-T5JC-0426-SM-32PLO 20-29 years, male 8.5
GTEX-ZVE2-0226-SM-59HJB 50-59 years, male 8.5
GTEX-12WSG-2826-SM-E9J4H 50-59 years, female 8.5
GTEX-1JMPY-1326-SM-ARL8Y 30-39 years, male 8.5
GTEX-18D9A-1926-SM-7LG6P 30-39 years, female 8.4
GTEX-11ZTS-0126-SM-5EQ6M 60-69 years, female 8.3
GTEX-15DDE-0126-SM-6LPKH 50-59 years, female 8.3
GTEX-16BQI-0226-SM-7KUEX 30-39 years, female 8.3
GTEX-ZTSS-1926-SM-57WEW 40-49 years, male 8.3
GTEX-1IL2V-0126-SM-CM2TX 70-79 years, male 8.3
GTEX-1PDJ9-0326-SM-DTX95 20-29 years, male 8.3
GTEX-13OVH-0126-SM-5MR4B 70-79 years, male 8.2
GTEX-14DAQ-0126-SM-5S2MQ 60-69 years, female 8.2
GTEX-183FY-0126-SM-7LT9P 20-29 years, male 8.2
GTEX-ZF28-0126-SM-4WKGK 60-69 years, male 8.2
GTEX-1S5ZA-0126-SM-EVYCV 20-29 years, male 8.2
GTEX-1269C-2526-SM-5EGJ3 60-69 years, female 8.1
GTEX-14LZ3-0226-SM-62LET 60-69 years, female 8.1
GTEX-17HII-0226-SM-7LG4E 50-59 years, male 8.0
GTEX-1AYD5-2426-SM-73KXR 50-59 years, male 8.0
GTEX-11UD2-0226-SM-5EQKY 50-59 years, male 7.9
GTEX-14PJ6-2126-SM-6EU1V 60-69 years, female 7.9
GTEX-15DCD-0126-SM-7KUEK 70-79 years, female 7.9
GTEX-17F97-0326-SM-7LG5B 50-59 years, male 7.9
GTEX-1C2JI-1826-SM-73KXC 50-59 years, male 7.9
GTEX-QDVN-2026-SM-3GAEP 50-59 years, male 7.9
GTEX-1H23P-0126-SM-ADEJ3 60-69 years, male 7.9
GTEX-1IOXB-0126-SM-ARL8G 50-59 years, male 7.9
GTEX-ZQG8-1626-SM-DHXIT 60-69 years, female 7.9
GTEX-13FHO-0226-SM-5IFGY 60-69 years, male 7.8
GTEX-13S7M-0126-SM-5SI6A 60-69 years, female 7.8
GTEX-ZAK1-0126-SM-5IJD3 50-59 years, female 7.8
GTEX-1F5PK-2426-SM-7RHHY 50-59 years, male 7.8
GTEX-ZF29-2326-SM-DO92K 60-69 years, female 7.8
GTEX-VJYA-1126-SM-3GIJU 60-69 years, male 7.7
GTEX-XQ8I-0426-SM-4BOPO 50-59 years, male 7.7
GTEX-OOBK-0126-SM-2YUND 40-49 years, male 7.6
GTEX-X4XY-0226-SM-4E3IZ 60-69 years, male 7.6
GTEX-ZTX8-1426-SM-5DUVO 20-29 years, male 7.6
GTEX-1HSMQ-1226-SM-CGQFX 50-59 years, male 7.6
GTEX-1HUB1-0426-SM-E9U4U 60-69 years, male 7.6
GTEX-1128S-2326-SM-5GZZY 60-69 years, female 7.5
GTEX-11P81-2326-SM-59875 30-39 years, female 7.5
GTEX-146FQ-0126-SM-5NQA9 30-39 years, male 7.5
GTEX-RM2N-1426-SM-2TF4H 50-59 years, male 7.5
GTEX-WXYG-2326-SM-4E3I6 50-59 years, female 7.5
GTEX-1H1DG-0126-SM-9WYU2 70-79 years, male 7.5
GTEX-1MA7W-2026-SM-E9TJ6 20-29 years, female 7.5
GTEX-13PDP-0126-SM-5L3HD 60-69 years, male 7.4
GTEX-18A66-0226-SM-718BD 60-69 years, male 7.4
GTEX-1C6VR-2426-SM-79OLD 60-69 years, male 7.4
GTEX-Y5LM-1926-SM-5RQJH 40-49 years, female 7.4
GTEX-131XG-2626-SM-5KM17 50-59 years, female 7.3
GTEX-145LS-0126-SM-5QGP1 60-69 years, female 7.3
GTEX-148VJ-0126-SM-5TDDN 70-79 years, male 7.3
GTEX-14PII-0226-SM-6EU1T 60-69 years, male 7.3
GTEX-O5YT-0126-SM-48TBW 20-29 years, male 7.3
GTEX-1HBPI-1526-SM-C1YQ1 50-59 years, male 7.3
GTEX-1MCYP-1926-SM-E9J2R 20-29 years, female 7.3
GTEX-139UW-2826-SM-5L3E7 60-69 years, male 7.2
GTEX-V1D1-2226-SM-3NMAX 50-59 years, male 7.2
GTEX-1EU9M-0226-SM-7P8SP 60-69 years, male 7.2
GTEX-13SLW-0126-SM-5SI6C 70-79 years, male 7.1
GTEX-1HBPN-0226-SM-9YFM1 50-59 years, male 7.1
GTEX-15SB6-1726-SM-6PAME 50-59 years, female 7.0
GTEX-PVOW-0126-SM-2XCFA 40-49 years, male 7.0
GTEX-1GMRU-0126-SM-9YFLV 50-59 years, male 7.0
GTEX-1I1GQ-0126-SM-COH3H 50-59 years, male 7.0
GTEX-1ICLZ-0126-SM-CKZPO 60-69 years, male 7.0
GTEX-11DXW-0226-SM-5H122 40-49 years, male 6.9
GTEX-16AAH-1726-SM-7939C 50-59 years, male 6.9
GTEX-WYVS-2126-SM-3NMA3 40-49 years, female 6.9
GTEX-13OW5-0126-SM-DTXFS 60-69 years, male 6.9
GTEX-1H3VY-0126-SM-ACKXD 50-59 years, male 6.9
GTEX-1I1GT-0626-SM-CGQER 60-69 years, female 6.9
GTEX-PLZ6-1426-SM-DKPOT 30-39 years, male 6.9
GTEX-SNMC-1226-SM-2XCFP 20-29 years, male 6.8
GTEX-ZVTK-0426-SM-51MRS 20-29 years, male 6.8
GTEX-P44H-0226-SM-2XCEU 40-49 years, male 6.7
GTEX-1H3NZ-0126-SM-ACKX7 60-69 years, male 6.7
GTEX-1HSMO-0126-SM-CL547 60-69 years, male 6.7
GTEX-18QFQ-0126-SM-731BE 30-39 years, male 6.6
GTEX-U3ZN-2326-SM-3DB7W 30-39 years, female 6.6
GTEX-1B933-0126-SM-7PC29 50-59 years, female 6.6
GTEX-1H3VE-0326-SM-9YFLH 40-49 years, male 6.6
GTEX-1HGF4-2426-SM-ACKXM 60-69 years, male 6.6
GTEX-1LC47-0326-SM-E9TJP 60-69 years, male 6.6
GTEX-1R7EV-2426-SM-EVYBG 40-49 years, male 6.6
GTEX-11NSD-2226-SM-5986V 20-29 years, male 6.5
GTEX-15SHU-0126-SM-7KUEH 40-49 years, female 6.5
GTEX-17KNJ-2326-SM-7DHLQ 50-59 years, male 6.5
GTEX-QESD-1426-SM-2S1R9 20-29 years, male 6.5
GTEX-WOFL-0126-SM-3MJG2 60-69 years, male 6.5
GTEX-1MCQQ-0826-SM-DLHC2 60-69 years, male 6.5
GTEX-1PIIG-0226-SM-EWRN6 30-39 years, male 6.5
GTEX-147GR-0526-SM-5S2MY 60-69 years, male 6.4
GTEX-183WM-0126-SM-7LTAB 70-79 years, female 6.4
GTEX-1B8KZ-2026-SM-7DHMB 50-59 years, male 6.4
GTEX-WI4N-1026-SM-3LK7N 40-49 years, female 6.4
GTEX-1KANA-0726-SM-D3L9I 20-29 years, male 6.4
GTEX-12WSC-0126-SM-5EQ4P 50-59 years, male 6.3
GTEX-RN64-0126-SM-2TC68 50-59 years, male 6.3
GTEX-1GF9U-2126-SM-7SB7L 40-49 years, female 6.3
GTEX-1GMR3-1926-SM-9KNUZ 40-49 years, male 6.3
GTEX-1IDJF-0126-SM-CM2RS 20-29 years, male 6.3
GTEX-13W3W-2426-SM-5LU5B 60-69 years, female 6.2
GTEX-1S82Z-0826-SM-E6CHY 30-39 years, female 6.2
GTEX-ZAJG-0126-SM-5HL94 50-59 years, female 6.1
GTEX-1C6VQ-0126-SM-7P8RI 50-59 years, male 6.1
GTEX-1GF9X-2026-SM-7PC3A 40-49 years, female 6.1
GTEX-1J1R8-1726-SM-ARL8M 40-49 years, male 6.1
GTEX-1N2EF-0226-SM-EYYXB 60-69 years, male 6.1
GTEX-13G51-2526-SM-5LZYK 60-69 years, male 6.0
GTEX-ZGAY-0526-SM-4WWBB 40-49 years, female 6.0
GTEX-1I1GS-0126-SM-B2LVW 60-69 years, male 6.0
GTEX-1J8QM-2126-SM-CYPSJ 60-69 years, female 6.0
GTEX-13CF3-2426-SM-5IFGX 60-69 years, female 5.9
GTEX-13NZB-2526-SM-5J1OM 30-39 years, male 5.9
GTEX-14PHX-2326-SM-62LEM 50-59 years, male 5.9
GTEX-1I1GU-2226-SM-CGQFA 40-49 years, male 5.9
GTEX-1JJE9-0326-SM-CL53Z 70-79 years, male 5.9
GTEX-1LG7Y-0526-SM-DKPQC 50-59 years, male 5.9
GTEX-11OF3-2626-SM-5GU7F 60-69 years, male 5.8
GTEX-14ABY-0226-SM-5TDCQ 50-59 years, male 5.8
GTEX-14PHW-0126-SM-6LLJI 60-69 years, female 5.8
GTEX-1A3MW-0126-SM-73KXX 60-69 years, female 5.8
GTEX-Z9EW-1626-SM-5CVMN 40-49 years, male 5.8
GTEX-1GMR8-0126-SM-9WYTM 50-59 years, female 5.8
GTEX-1I1HK-0126-SM-COH49 60-69 years, male 5.8
GTEX-1OJC4-0126-SM-E9J2E 50-59 years, female 5.8
GTEX-1QP9N-1426-SM-DTXFL 30-39 years, male 5.8
GTEX-1S82Y-2026-SM-EVYCM 40-49 years, male 5.8
GTEX-147F3-0526-SM-5SI98 50-59 years, female 5.7
GTEX-17EVQ-0226-SM-7LG4P 70-79 years, male 5.7
GTEX-1AYCT-2426-SM-7IGQ3 50-59 years, male 5.7
GTEX-WYJK-0126-SM-3NMAB 50-59 years, male 5.7
GTEX-YB5K-2126-SM-4WWDJ 40-49 years, female 5.7
GTEX-1F48J-0126-SM-7P8TT 50-59 years, female 5.7
GTEX-1F75B-0126-SM-9KNVL 50-59 years, male 5.7
GTEX-1HFI7-1826-SM-ACKXH 50-59 years, female 5.7
GTEX-1N2DW-0226-SM-E9TK2 50-59 years, male 5.7
GTEX-15ETS-0126-SM-7KUMW 40-49 years, female 5.6
GTEX-XAJ8-0826-SM-47JY6 40-49 years, male 5.6
GTEX-ZDYS-2026-SM-5HL5L 50-59 years, male 5.6
GTEX-1F75A-0126-SM-7RHGM 50-59 years, male 5.6
GTEX-1IY9M-0126-SM-D3L8S 60-69 years, male 5.6
GTEX-1L5NE-2526-SM-E6CIE 50-59 years, male 5.6
GTEX-1LH75-2426-SM-E9TJE 50-59 years, female 5.6
GTEX-13NYS-0126-SM-5MR3W 60-69 years, male 5.5
GTEX-X88G-0126-SM-47JZ3 30-39 years, male 5.5
GTEX-ZC5H-0226-SM-4WAY9 40-49 years, female 5.5
GTEX-ZU9S-0226-SM-5E441 30-39 years, male 5.5
GTEX-1IKJJ-0126-SM-CNPQB 60-69 years, male 5.5
GTEX-1MUQO-0126-SM-EAZ58 60-69 years, male 5.5
GTEX-NFK9-0226-SM-2HMKQ 40-49 years, male 5.4
GTEX-S7SE-0126-SM-2XCD5 50-59 years, male 5.4
GTEX-1GF9V-0326-SM-7RHI5 60-69 years, male 5.4
GTEX-1H1ZS-0426-SM-9WG6G 70-79 years, male 5.4
GTEX-1J8Q3-1626-SM-CMKGC 60-69 years, male 5.4
GTEX-17F96-1626-SM-7DUFL 70-79 years, male 5.3
GTEX-ZV68-0126-SM-59HKS 50-59 years, female 5.3
GTEX-ZYFC-0226-SM-5NQ75 50-59 years, male 5.3
GTEX-1HBPH-0426-SM-B2LW5 40-49 years, female 5.3
GTEX-1MGNQ-0126-SM-EVYCJ 40-49 years, male 5.3
GTEX-1S83E-0126-SM-EWRO4 40-49 years, male 5.3
GTEX-ZYY3-0126-SM-5GZY5 60-69 years, female 5.2
GTEX-1H2FU-0126-SM-9WYSI 60-69 years, female 5.2
GTEX-11OC5-0126-SM-5HL6A 60-69 years, male 5.1
GTEX-13D11-2426-SM-5KM1V 50-59 years, female 5.1
GTEX-R55E-0126-SM-2TC5Y 20-29 years, male 5.1
GTEX-1I1GP-2226-SM-CGQFK 50-59 years, male 5.1
GTEX-1IE54-0126-SM-CMKHW 40-49 years, female 5.1
GTEX-1JKYR-0126-SM-CNPOJ 20-29 years, male 5.1
GTEX-1RB15-2126-SM-E9TIM 60-69 years, male 5.1
GTEX-OIZF-0126-SM-7SB8I 60-69 years, male 5.1
GTEX-14E6C-0126-SM-5RQIP 40-49 years, male 5.0
GTEX-15F5U-1526-SM-6PANO 40-49 years, male 5.0
GTEX-1CB4E-2226-SM-793DC 60-69 years, male 5.0
GTEX-13NYC-0326-SM-E9J4S 60-69 years, male 5.0
GTEX-1J1OQ-0226-SM-CYPSH 40-49 years, female 5.0
GTEX-1MJK2-0426-SM-DTXE5 50-59 years, male 5.0
GTEX-11ZVC-2526-SM-5FQTE 50-59 years, female 4.9
GTEX-S32W-2126-SM-2XCB1 50-59 years, female 4.9
GTEX-T2YK-0526-SM-32QPJ 50-59 years, male 4.9
GTEX-WQUQ-0426-SM-3MJFU 60-69 years, male 4.9
GTEX-YB5E-2026-SM-5IFIS 40-49 years, male 4.9
GTEX-ZPIC-1726-SM-DHXIU 40-49 years, female 4.9
GTEX-11EI6-0126-SM-5985R 60-69 years, male 4.8
GTEX-11TTK-0126-SM-5987B 60-69 years, female 4.8
GTEX-13PVR-2326-SM-5QGR1 60-69 years, female 4.8
GTEX-14E6E-1826-SM-5S2R7 30-39 years, male 4.8
GTEX-XYKS-2126-SM-4E3IB 60-69 years, female 4.8
GTEX-ZYT6-0226-SM-5NQ6T 30-39 years, male 4.8
GTEX-1HT8W-0126-SM-CNPPP 30-39 years, male 4.8
GTEX-11EQ9-2426-SM-5HL5T 30-39 years, male 4.7
GTEX-13O3P-0126-SM-5KM4S 50-59 years, male 4.7
GTEX-16XZZ-0126-SM-793DV 60-69 years, male 4.7
GTEX-XPVG-2626-SM-4B669 50-59 years, male 4.7
GTEX-1C6WA-0126-SM-7PC2B 60-69 years, male 4.7
GTEX-1EX96-1626-SM-7PBXR 50-59 years, male 4.7
GTEX-1HCU9-1526-SM-A9SL7 20-29 years, male 4.7
GTEX-1ICLY-0126-SM-D4P36 50-59 years, male 4.7
GTEX-ZF3C-0126-SM-DO92D 50-59 years, female 4.7
GTEX-12696-2426-SM-5EQ6H 60-69 years, male 4.6
GTEX-131XE-2326-SM-5PNZ2 50-59 years, male 4.6
GTEX-139TT-0126-SM-5K7Y5 60-69 years, male 4.6
GTEX-13FTY-0526-SM-5L3EV 40-49 years, female 4.6
GTEX-14A5H-0426-SM-5QGQF 60-69 years, male 4.6
GTEX-1AMEY-1326-SM-73KYK 30-39 years, female 4.6
GTEX-146FR-1326-SM-E9J48 60-69 years, female 4.6
GTEX-12584-0126-SM-5EGKQ 40-49 years, male 4.5
GTEX-145LV-2126-SM-5LU8N 50-59 years, male 4.5
GTEX-1AX9K-2326-SM-73KWU 50-59 years, male 4.5
GTEX-14BMV-0126-SM-5S2PO 50-59 years, male 4.4
GTEX-14PN4-0126-SM-6EU2V 50-59 years, male 4.4
GTEX-1E1VI-0126-SM-7DHMZ 50-59 years, male 4.3
GTEX-OXRP-0126-SM-3NB32 60-69 years, female 4.3
GTEX-RWSA-0126-SM-2XCBB 40-49 years, male 4.3
GTEX-Y8E4-0626-SM-4WWDL 40-49 years, male 4.3
GTEX-1HCVE-0126-SM-CGQEU 50-59 years, male 4.3
GTEX-1JK1U-2026-SM-CM2RZ 60-69 years, male 4.3
GTEX-14BIM-0226-SM-7IGLD 60-69 years, female 4.2
GTEX-16XZY-2126-SM-79OK1 70-79 years, male 4.2
GTEX-QLQW-1126-SM-2S1Q8 30-39 years, male 4.2
GTEX-1EKGG-0226-SM-9WYTH 60-69 years, male 4.2
GTEX-1F5PL-0326-SM-7P8PQ 40-49 years, female 4.2
GTEX-XV7Q-2526-SM-4BRV9 40-49 years, female 4.1
GTEX-1IDJU-2626-SM-CM2RT 60-69 years, female 4.1
GTEX-13X6J-0126-SM-5QGOU 50-59 years, male 4.0
GTEX-RUSQ-1526-SM-2TF62 50-59 years, male 4.0
GTEX-ZAB5-1826-SM-5HL7C 50-59 years, male 4.0
GTEX-131XW-0426-SM-5LZWP 50-59 years, female 3.9
GTEX-139T8-0126-SM-5K7XZ 60-69 years, male 3.9
GTEX-146FH-0126-SM-5QGPP 50-59 years, female 3.9
GTEX-UPJH-0326-SM-3GADU 50-59 years, male 3.9
GTEX-1JJEA-0326-SM-CNPOT 60-69 years, male 3.9
GTEX-11DZ1-0126-SM-5985Q 50-59 years, male 3.8
GTEX-145MI-0526-SM-5O9A8 60-69 years, female 3.8
GTEX-1B8SG-0126-SM-73KZ3 50-59 years, male 3.8
GTEX-12WSL-2526-SM-5GCNJ 50-59 years, male 3.6
GTEX-13OVK-2026-SM-7KUEO 40-49 years, male 3.6
GTEX-15G19-0126-SM-6PANQ 60-69 years, male 3.6
GTEX-OXRN-0126-SM-48TDM 50-59 years, male 3.6
GTEX-1HSGN-0226-SM-CGQFV 40-49 years, female 3.6
GTEX-12ZZZ-0626-SM-5DUXI 60-69 years, male 3.5
GTEX-15ER7-0326-SM-7KUEV 20-29 years, female 3.5
GTEX-15UKP-0426-SM-7KUFQ 20-29 years, male 3.5
GTEX-1E2YA-0126-SM-9KNUC 50-59 years, male 3.5
GTEX-1POEN-0126-SM-EYYXJ 30-39 years, female 3.5
GTEX-13NZ8-0826-SM-5MR3I 60-69 years, female 3.4
GTEX-1H11D-0226-SM-9WG6Z 40-49 years, male 3.4
GTEX-14C5O-0126-SM-5SI6N 60-69 years, male 3.3
GTEX-ZXG5-0126-SM-5GIEU 60-69 years, male 3.3
GTEX-13112-2826-SM-5DUWH 50-59 years, male 3.2
GTEX-14XAO-2326-SM-6EU1B 60-69 years, female 3.2
GTEX-ZTPG-0326-SM-5O9AX 20-29 years, female 3.2
GTEX-1LGOU-2026-SM-DIPFF 20-29 years, female 3.2
GTEX-1M5QR-1226-SM-EWROB 40-49 years, male 3.2
GTEX-1QPFJ-0226-SM-E76PB 30-39 years, female 3.2
GTEX-13O1R-0126-SM-5L3EH 60-69 years, male 3.1
GTEX-1F52S-0126-SM-9MQJU 60-69 years, female 3.1
GTEX-12WSK-2326-SM-5GCOH 40-49 years, female 3.0
GTEX-13OW8-1326-SM-5J1OW 60-69 years, male 3.0
GTEX-1R46S-0626-SM-E9J41 60-69 years, female 3.0
GTEX-13U4I-0126-SM-5LU38 40-49 years, female 2.8
GTEX-14BIN-0626-SM-793DP 50-59 years, female 2.8
GTEX-148VI-1626-SM-5SI6E 60-69 years, female 2.4
GTEX-13SLX-0526-SM-5S2ON 50-59 years, female 2.1
GTEX-1JN76-0126-SM-CNPPE 20-29 years, female 1.9
GTEX-1K2DA-1826-SM-CGQGT 50-59 years, male 1.9
GTEX-11P82-1626-SM-59879 20-29 years, male 1.8
GTEX-QLQ7-1626-SM-2S1R8 60-69 years, male 1.7
GTEX-15EOM-0126-SM-7KUGG 20-29 years, female 1.5
GTEX-SN8G-0126-SM-32PLI 50-59 years, female 1.5
GTEX-1OJC3-0126-SM-E76QX 20-29 years, male 1.4
GTEX-T6MN-0126-SM-32PLP 50-59 years, male 1.3
GTEX-TMMY-0226-SM-33HBA 40-49 years, female 1.3
GTEX-1I1GR-0126-SM-CL55F 60-69 years, male 1.3
GTEX-1J8JJ-0226-SM-CL53I 60-69 years, female 1.3
GTEX-1PPH8-0226-SM-E8VND 20-29 years, male 1.3
GTEX-16NPX-0226-SM-79OMT 50-59 years, male 1.2
GTEX-1CB4I-0226-SM-79OLH 50-59 years, male 1.2
GTEX-144GL-0126-SM-5TDE2 50-59 years, male 1.1
GTEX-X585-0226-SM-4QAS2 50-59 years, male 1.1
GTEX-1GPI7-0126-SM-9MQL8 20-29 years, male 1.1
GTEX-1IGQW-0126-SM-COH42 60-69 years, male 1.1
GTEX-11WQK-0526-SM-5EQLD 50-59 years, male 1.0
GTEX-13OVJ-0126-SM-5KM36 50-59 years, female 1.0
GTEX-111FC-0126-SM-5N9DL 60-69 years, male 0.9
GTEX-15SHW-0326-SM-6PAML 60-69 years, male 0.9
GTEX-X638-0126-SM-47JZ8 70-79 years, female 0.9
GTEX-1M4P7-0226-SM-DIPEV 60-69 years, male 0.9
GTEX-1S3DN-2226-SM-EVYCD 50-59 years, male 0.9
GTEX-14ICK-0226-SM-6EU25 40-49 years, male 0.8
GTEX-14LLW-0126-SM-6LLIO 70-79 years, female 0.8
GTEX-SSA3-0126-SM-32QPU 60-69 years, male 0.8
GTEX-TSE9-0126-SM-3DB83 60-69 years, female 0.8
GTEX-1B996-0226-SM-7RHGO 60-69 years, male 0.8
GTEX-PSDG-0226-SM-DKPOZ 50-59 years, male 0.8
GTEX-11O72-0126-SM-59887 40-49 years, male 0.7
GTEX-13W46-0226-SM-5SIAG 50-59 years, male 0.7
GTEX-ZZPT-0226-SM-5E43X 50-59 years, male 0.7
GTEX-1K9T9-0126-SM-EVYCF 50-59 years, female 0.7
GTEX-1LNCM-1126-SM-E9U5E 50-59 years, female 0.7
GTEX-13OW6-0426-SM-5L3HM 50-59 years, male 0.6
GTEX-17HGU-0226-SM-7DHKV 50-59 years, male 0.6
GTEX-18A67-0126-SM-7LG5P 50-59 years, male 0.6
GTEX-OHPL-0126-SM-2HMJ7 60-69 years, female 0.6
GTEX-VUSG-2526-SM-4KL1V 50-59 years, male 0.6
GTEX-ZDTT-2726-SM-4WKF8 60-69 years, male 0.6
GTEX-1I6K6-0126-SM-A9SLE 30-39 years, male 0.6
GTEX-1IDJH-0326-SM-A9SLQ 70-79 years, male 0.6
GTEX-1RDX4-0126-SM-E9J4P 50-59 years, female 0.6
GTEX-12ZZX-0126-SM-5EGK9 40-49 years, female 0.4
GTEX-17JCI-0126-SM-7LG5G 60-69 years, female 0.4
GTEX-Y3IK-2426-SM-4WWDU 50-59 years, female 0.4
GTEX-1HCUA-2426-SM-ADEIS 50-59 years, female 0.4
GTEX-1192X-0226-SM-5H12D 50-59 years, male 0.3
GTEX-YJ8A-0426-SM-5IFID 20-29 years, male 0.3
GTEX-ZWKS-0126-SM-5SIAA 30-39 years, male 0.3
GTEX-1LBAC-0126-SM-DIPEZ 20-29 years, male 0.3
Show allShow less

Contact

  • NEWS ARTICLES
  • PRESS ROOM

The Project

  • INTRODUCTION
  • ORGANIZATION
  • PUBLICATIONS

The Human Protein Atlas

  • DOWNLOADABLE DATA
  • LICENCE & CITATION
  • HELP & FAQ
The Human Protein Atlas project is funded
by the Knut & Alice Wallenberg Foundation.


contact@proteinatlas.org