We use cookies to enhance the usability of our website. If you continue, we'll assume that you are happy to receive all cookies. More information. Don't show this again.
KANSL1L
HPA
RESOURCES
  • TISSUE
  • BRAIN
  • SINGLE CELL
  • SUBCELLULAR
  • CANCER
  • BLOOD
  • CELL LINE
  • STRUCTURE & INTERACTION
ABOUT
  • INTRODUCTION
  • HISTORY
  • ORGANIZATION
  • PUBLICATIONS
  • ANTIBODY SUBMISSION
  • ANTIBODY AVAILABILITY
  • ACKNOWLEDGMENTS
  • CONTACT
NEWS
  • NEWS ARTICLES
  • PRESS ROOM
LEARN
  • DICTIONARY
  • PROTEIN CLASSES
  • PROTEIN EVIDENCE
  • METHODS
  • EDUCATIONAL VIDEOS
DATA
  • DOWNLOADABLE DATA
  • PUBLICATION DATA
  • RELEASE HISTORY
HELP
  • ANTIBODY VALIDATION
  • ASSAYS & ANNOTATION
  • DISCLAIMER
  • HELP & FAQ
  • PRIVACY STATEMENT
  • LICENCE & CITATION
Fields »
Search result

Field
Term
Gene name
Class
Subclass
Class
Keyword
Chromosome
External id
Tissue
Cell type
Expression
Antibody panel
Tissue
Main location
Patient ID
Annotation
Tissue
Category
Tau score
Cluster
Reliability
Brain region
Category
Tau score
Brain region
Category
Tau score
Brain region
Category
Tau score
Cluster
Reliability
Tissue
Cell type
Enrichment
Cell type
Category
Tau score
Cell type
Category
Tau score
Cell type
Category
Tau score
Cell lineage
Category
Tau score
Cluster
Cluster
Location
Searches
Location
Cell line
Class
Type
Phase
Reliability
Cancer
Prognosis
Cancer
Category
Cancer
Category
Tau score
Cluster
Variants
Interacting gene (ensg_id)
Type
Number of interactions
Pathway
Category
Score
Score
Score
Validation
Validation
Validation
Validation
Antibodies
Data type
Column


  • SUMMARY

  • TISSUE

  • BRAIN

  • SINGLE CELL

  • SUBCELL

  • CANCER

  • BLOOD

  • CELL LINE

  • STRUCT & INT

  • KANSL1L
TISSUE PRIMARY DATA ADIPOSE TISSUE Show tissue menu
ADIPOSE TISSUE ADRENAL GLAND AMYGDALA APPENDIX BASAL GANGLIA BONE MARROW BREAST BRONCHUS CEREBELLUM CEREBRAL CORTEX CERVIX CHOROID PLEXUS COLON DUODENUM
ENDOMETRIUM EPIDIDYMIS ESOPHAGUS FALLOPIAN TUBE GALLBLADDER HEART MUSCLE HIPPOCAMPAL FORMATION HYPOTHALAMUS KIDNEY LIVER LUNG LYMPH NODE MIDBRAIN NASOPHARYNX
ORAL MUCOSA OVARY PANCREAS PARATHYROID GLAND PITUITARY GLAND PLACENTA PROSTATE RECTUM RETINA SALIVARY GLAND SEMINAL VESICLE SKELETAL MUSCLE SKIN SMALL INTESTINE
SMOOTH MUSCLE SOFT TISSUE SPINAL CORD SPLEEN STOMACH TESTIS THYMUS THYROID GLAND TONGUE TONSIL URINARY BLADDER VAGINA
ANTIBODIES
AND
VALIDATION
Dictionary
Tissue proteome
Adipose tissue
ADIPOSE TISSUE - Expression summary
Protein expression
Adipose tissuei

On the top, protein expression in current human tissue, based on all annotated cell types, is reported with the units not detected (n), low (l), medium (m) and high (h). Underneath, protein expression in each annotated cell type are reported using the same units.

Protein expression data is based on knowledge-based annotation. For genes where more than one antibody has been used, a collective score is set.

If knowledge-based annotation could not be performed for a gene, no data is displayed here. View antibody staining data further down this page.

h
m
l
n
Adipocytes: Not detected
RNA expressioni

A summary of mRNA expression data available for current tissue based on several datasets. The mRNA expression levels in human tissues are based on RNA-seq data generated by the Human Protein Atlas (HPA), Genotype-Tissue Expression (GTEx) portal and CAGE data generated by the FANTOM5 consortium. Consensus normalized expression levels for human tissues was created by combining the data from HPA and GTEx datasets.

The mRNA expression levels in pig are based on RNA-seq data generated by the Human Protein Atlas (HPA), and for mouse, HPA data and in situ hybridization generated by the Allen brain atlas are reported.

Scroll down to view mRNA expression data in more detail.
Consensus:11.2 nTPM
HPA:8.7 nTPM
GTEx:11.2 nTPM
FANTOM5:21.0 Scaled Tags Per Million

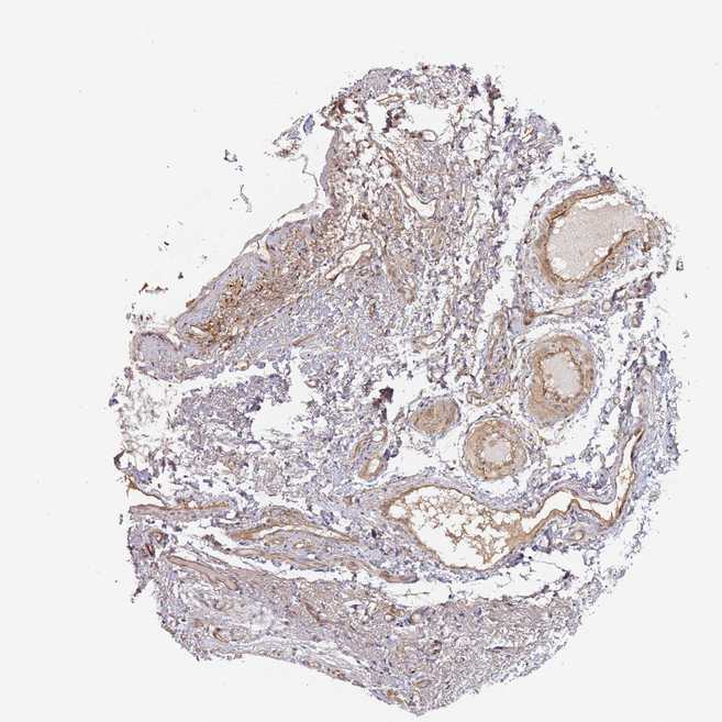
ADIPOSE TISSUE - Antibody stainingi

Antibody staining in the annotated cell types in the current human tissue is reported as not detected, low, medium, or high, based on conventional immunohistochemistry profiling in selected tissues. This score is based on the combination of the staining intensity and fraction of stained cells.

Each image is clickable and will lead to virtual microscopy that enables deeper exploration of all samples and also displays staining intensity scores, fraction scores and subcellular localization as well as patient and tissue information for each sample.

Antibody HPA043102Antibody HPA046790
Adipocytes Not detectedLow







ADIPOSE TISSUE - HPA RNA-seqi

The RNA-seq details section shows detailed information about the individual samples used for the transcript profiling and results of the RNA-seq analysis.

Information about each individual sample is listed below, including gender, age, a tissue section image and estimated fractions of cell types. nTPM (normalized transcripts per million) values give a quantification of the gene abundance which is comparable between different genes and samples.
Average nTPMi

Max subtype nTPM is the value for the subtype with the largest average nTPM across the subtype samples.

8.7
N/A
Female, age 80
Adipose tissue sample 86
nTPM: 6.7
Cell types%
Adipocytes:
95

Other cell types:
5

N/A
Female, age 45
Adipose tissue sample 115
nTPM: 10.6
N/A
Female, age 57
Adipose tissue sample 137
nTPM: 12.7
Cell types%
Adipocytes:
60

Fibroblasts:
20

Smooth muscle cells:
15

Other cell types:
5

overview
Female, age 74
Adipose tissue sample 329
nTPM: 5.6
Cell types%
Adipocytes:
50

Fibroblasts:
30

Smooth muscle cells:
15

Other cell types:
5

overview
Female, age 59
Adipose tissue sample 331
nTPM: 7.6
Cell types%
Adipocytes:
40

Fibroblasts:
40

Smooth muscle cells:
15

Other cell types:
5


ADIPOSE TISSUE - GTEx RNA-seqi

RNA-Seq data generated by the Genotype-Tissue Expression (GTEx) project from human tissues is reported as mean nTPM. More information can be found on the GTEx portal.

Distribution across the dataset is visualized with box plots, shown as median and 25th and 75th percentiles. Points are displayed as outliers if they are above or below 1.5 times the interquartile range. nTPM values of the individual samples are presented next to the box plot.
Max subtype nTPMi

Max subtype nTPM is the value for the subtype with the largest average nTPM across the subtype samples.

11.2
GTEx sample id Sample description nTPM
Adipose - Subcutaneous
Average nTPM: 11.2
Samples: 663

Max nTPM: 23.3
Min nTPM: 4.9
Std nTPM: 2.8
Median nTPM: 11.0
GTEX-1GZ4H-1826-SM-9MQLE 50-59 years, female 23.3
GTEX-1JMPY-1426-SM-ARL8Z 30-39 years, male 21.2
GTEX-NFK9-0326-SM-3MJGV 40-49 years, male 20.6
GTEX-TSE9-0226-SM-3DB84 60-69 years, female 19.9
GTEX-14H4A-1026-SM-62LDY 40-49 years, female 19.5
GTEX-PLZ6-1326-SM-3NB24 30-39 years, male 19.4
GTEX-1PDJ9-0426-SM-E9J3E 20-29 years, male 19.1
GTEX-1JMQI-2026-SM-CMKGP 50-59 years, male 19.0
GTEX-1J1R8-2226-SM-ARZMP 40-49 years, male 18.9
GTEX-18D9A-2026-SM-718BL 30-39 years, female 18.3
GTEX-1F88E-0526-SM-7SB8J 60-69 years, female 18.3
GTEX-1CB4I-0426-SM-7IGPR 50-59 years, male 18.2
GTEX-P44H-0326-SM-2XCES 40-49 years, male 18.2
GTEX-Y8LW-1926-SM-4WWFZ 50-59 years, female 18.1
GTEX-S32W-2226-SM-2XCAY 50-59 years, female 17.9
GTEX-1AYCT-2226-SM-7SB98 50-59 years, male 17.9
GTEX-POYW-0726-SM-2XCEO 60-69 years, male 17.7
GTEX-1JKYR-0226-SM-CNPOK 20-29 years, male 17.7
GTEX-WYJK-0226-SM-EYYV8 50-59 years, male 17.6
GTEX-11P7K-2026-SM-5GU74 30-39 years, male 17.3
GTEX-17F9Y-0326-SM-7IGLS 70-79 years, female 17.3
GTEX-13NZ9-0526-SM-5J1OX 50-59 years, male 17.2
GTEX-1EU9M-0326-SM-7RHGF 60-69 years, male 17.0
GTEX-13N2G-2726-SM-5J1MG 60-69 years, male 16.7
GTEX-OXRK-0326-SM-3NB3R 50-59 years, female 16.7
GTEX-1MGNQ-0226-SM-EVYCK 40-49 years, male 16.7
GTEX-139D8-0326-SM-5IJCJ 30-39 years, female 16.5
GTEX-ZVE2-0326-SM-57WFC 50-59 years, male 16.5
GTEX-U3ZN-2626-SM-3DB7T 30-39 years, female 16.3
GTEX-1MCC2-2326-SM-E9U5G 30-39 years, female 16.3
GTEX-X4LF-1726-SM-3NMBZ 50-59 years, male 16.2
GTEX-1KAFJ-2426-SM-D4P32 50-59 years, male 16.2
GTEX-UTHO-0426-SM-CE6QU 60-69 years, male 16.2
GTEX-131XF-2226-SM-5EQKG 60-69 years, male 16.1
GTEX-16XZZ-0226-SM-7MGVJ 60-69 years, male 16.1
GTEX-1HFI7-2026-SM-CGQFR 50-59 years, female 16.1
GTEX-1I19N-0426-SM-ACKVY 70-79 years, male 16.0
GTEX-1A3MV-2126-SM-718BV 30-39 years, male 15.9
GTEX-1PPH8-0626-SM-EWRN9 20-29 years, male 15.9
GTEX-11ZVC-2626-SM-5FQTA 50-59 years, female 15.8
GTEX-1CAMQ-0126-SM-7SB7S 40-49 years, male 15.8
GTEX-15CHQ-0226-SM-6EU2S 60-69 years, male 15.7
GTEX-1HBPM-0326-SM-CMKGR 60-69 years, female 15.7
GTEX-14C5O-0226-SM-5SI6O 60-69 years, male 15.6
GTEX-1HSEH-0226-SM-ACKVV 60-69 years, male 15.6
GTEX-1JMLX-0126-SM-CMKG9 50-59 years, male 15.6
GTEX-1LVAO-0226-SM-E9U6O 60-69 years, male 15.6
GTEX-1QP28-0226-SM-E9J2N 50-59 years, female 15.6
GTEX-1I6K6-0226-SM-ADEID 30-39 years, male 15.5
GTEX-1LGOU-2226-SM-E9U56 20-29 years, female 15.5
GTEX-13N11-2626-SM-5K7UQ 50-59 years, female 15.4
GTEX-PLZ5-1826-SM-3NB22 50-59 years, male 15.4
GTEX-11NUK-0326-SM-5HL5K 50-59 years, male 15.4
GTEX-1H1E6-2026-SM-9KNVK 30-39 years, male 15.4
GTEX-1IDFM-0226-SM-CMKFX 60-69 years, male 15.4
GTEX-17MF6-0226-SM-7LG4G 40-49 years, male 15.3
GTEX-X261-0226-SM-3NMD2 50-59 years, male 15.3
GTEX-XQ8I-0526-SM-4BOPS 50-59 years, male 15.3
GTEX-1KWVE-1326-SM-E6CJ1 30-39 years, male 15.3
GTEX-13OVI-1326-SM-5IJBO 60-69 years, female 15.2
GTEX-OXRO-0226-SM-3LK6F 60-69 years, female 15.2
GTEX-T8EM-1126-SM-3DB7D 40-49 years, male 15.2
GTEX-14753-0326-SM-5QGQB 60-69 years, male 15.1
GTEX-17EUY-0526-SM-7EWDE 20-29 years, male 15.1
GTEX-145MF-0526-SM-5LUA6 50-59 years, male 15.0
GTEX-OOBJ-0226-SM-2YUMM 60-69 years, male 15.0
GTEX-1C6VS-0426-SM-79OJV 60-69 years, male 14.9
GTEX-XBEW-0726-SM-4QARX 40-49 years, male 14.9
GTEX-1HCU7-0326-SM-CMKGI 50-59 years, male 14.9
GTEX-1QP2A-0226-SM-EVYBC 50-59 years, male 14.9
GTEX-13JUV-2826-SM-5LZWU 40-49 years, female 14.8
GTEX-13QJ3-0426-SM-5RQHP 50-59 years, male 14.8
GTEX-139TT-0226-SM-5K7YH 60-69 years, male 14.7
GTEX-1HSMQ-1426-SM-ADEHT 50-59 years, male 14.7
GTEX-1I1GV-0426-SM-ARZLX 60-69 years, male 14.7
GTEX-1S83E-0226-SM-EVYCW 40-49 years, male 14.6
GTEX-1211K-2226-SM-5FQU6 60-69 years, female 14.5
GTEX-1A8G7-0226-SM-731AS 60-69 years, male 14.5
GTEX-RM2N-1726-SM-2TF55 50-59 years, male 14.5
GTEX-1IDJU-2526-SM-CMKGF 60-69 years, female 14.5
GTEX-1QCLY-0526-SM-EAZ47 30-39 years, male 14.5
GTEX-1C2JI-2226-SM-7IGPJ 50-59 years, male 14.4
GTEX-Y8E4-0726-SM-4WWFN 40-49 years, male 14.4
GTEX-13D11-2326-SM-5IJCY 50-59 years, female 14.3
GTEX-13U4I-0226-SM-5SIB1 40-49 years, female 14.3
GTEX-1J8JJ-0326-SM-CMKG6 60-69 years, female 14.3
GTEX-1LG7Y-0426-SM-DKPQB 50-59 years, male 14.3
GTEX-111YS-2426-SM-5GZZQ 60-69 years, male 14.2
GTEX-14DAR-1926-SM-5S2NQ 50-59 years, male 14.2
GTEX-14ICL-2026-SM-62LDN 30-39 years, male 14.2
GTEX-1AX9J-0326-SM-73KXY 60-69 years, male 14.2
GTEX-SNMC-1326-SM-2XCFK 20-29 years, male 14.2
GTEX-1IKJJ-0226-SM-COH3T 60-69 years, male 14.2
GTEX-QEG4-0326-SM-DIPE3 30-39 years, male 14.2
GTEX-146FR-1826-SM-5QGPF 60-69 years, female 14.1
GTEX-RTLS-0226-SM-2TF5E 60-69 years, female 14.1
GTEX-TML8-2026-SM-32QOP 40-49 years, female 14.1
GTEX-11LCK-1126-SM-5A5KC 30-39 years, male 14.0
GTEX-13NZB-2426-SM-5K7UF 30-39 years, male 14.0
GTEX-1C6VQ-0226-SM-7P8S5 50-59 years, male 14.0
GTEX-1AX9I-0226-SM-7SB75 60-69 years, male 13.9
GTEX-148VI-1726-SM-5S2W9 60-69 years, female 13.8
GTEX-1B8SF-0526-SM-7939F 60-69 years, male 13.8
GTEX-QV31-1326-SM-2S1QE 30-39 years, male 13.8
GTEX-YEC3-1226-SM-5IFI8 50-59 years, male 13.8
GTEX-1CB4E-1826-SM-7RHG8 60-69 years, male 13.8
GTEX-1JJEA-0226-SM-COH2X 60-69 years, male 13.8
GTEX-1314G-1626-SM-5EQ67 30-39 years, male 13.7
GTEX-1A3MW-0226-SM-7939O 60-69 years, female 13.7
GTEX-OHPM-0226-SM-3LK61 50-59 years, male 13.7
GTEX-OIZI-0226-SM-2XCEE 40-49 years, male 13.7
GTEX-QDT8-0226-SM-32PL4 30-39 years, female 13.7
GTEX-1EMGI-0226-SM-9MQL1 60-69 years, male 13.7
GTEX-1IKK5-0526-SM-CMKGG 60-69 years, male 13.7
GTEX-14PJ3-1926-SM-62LEY 50-59 years, male 13.6
GTEX-15ER7-0426-SM-6PAM3 20-29 years, female 13.6
GTEX-15RIE-2326-SM-7KFSC 60-69 years, male 13.6
GTEX-17HGU-0326-SM-7DUER 50-59 years, male 13.6
GTEX-1BAJH-0426-SM-73KWY 70-79 years, male 13.6
GTEX-PSDG-0326-SM-48TCP 50-59 years, male 13.6
GTEX-ZF28-0226-SM-5S2OE 60-69 years, male 13.6
GTEX-18QFQ-0226-SM-731BQ 30-39 years, male 13.6
GTEX-1F52S-0226-SM-7SB7U 60-69 years, female 13.6
GTEX-1HCVE-0226-SM-CGQEV 50-59 years, male 13.6
GTEX-12WSA-0326-SM-5BC6I 60-69 years, male 13.5
GTEX-14JG6-2326-SM-6LLH3 30-39 years, female 13.5
GTEX-OHPK-0226-SM-3MJH6 50-59 years, female 13.5
GTEX-SN8G-0226-SM-4DM6B 50-59 years, female 13.5
GTEX-T6MO-1726-SM-33HB8 40-49 years, female 13.5
GTEX-WFJO-1926-SM-3GILA 30-39 years, male 13.5
GTEX-WI4N-1126-SM-3LK7Q 40-49 years, female 13.5
GTEX-117YX-2226-SM-5EGJJ 50-59 years, male 13.4
GTEX-14PJ4-2226-SM-6LLIS 60-69 years, male 13.4
GTEX-P4QS-0226-SM-3NB1U 60-69 years, male 13.4
GTEX-R55C-1626-SM-48FEG 40-49 years, male 13.4
GTEX-1E2YA-0226-SM-9MQLY 50-59 years, male 13.4
GTEX-1HSMO-0226-SM-CGQEZ 60-69 years, male 13.4
GTEX-1JMQK-0126-SM-CM2S3 60-69 years, male 13.4
GTEX-VJWN-0226-SM-EZ6LF 50-59 years, female 13.4
GTEX-145MO-0426-SM-5QGP6 60-69 years, male 13.3
GTEX-17F97-0426-SM-7LT9U 50-59 years, male 13.3
GTEX-OXRL-0226-SM-3NB18 50-59 years, male 13.3
GTEX-YB5K-2226-SM-4WWG1 40-49 years, female 13.3
GTEX-12ZZZ-0526-SM-5DUX6 60-69 years, male 13.2
GTEX-13FTW-2526-SM-5IJC8 40-49 years, male 13.2
GTEX-1H1CY-2626-SM-9MQKJ 60-69 years, female 13.2
GTEX-15DDE-0226-SM-6LLJ6 50-59 years, female 13.1
GTEX-16AAH-2026-SM-7LG5F 50-59 years, male 13.1
GTEX-1B97I-1726-SM-7939V 40-49 years, male 13.1
GTEX-1HUB1-0326-SM-A9SKQ 60-69 years, male 13.1
GTEX-1I1GT-0526-SM-CGQEQ 60-69 years, female 13.1
GTEX-111FC-0226-SM-5N9B8 60-69 years, male 13.0
GTEX-139T8-0226-SM-5L3EA 60-69 years, male 13.0
GTEX-15G19-0226-SM-6PAL2 60-69 years, male 13.0
GTEX-P78B-0226-SM-3NB1Z 40-49 years, female 13.0
GTEX-QEL4-0326-SM-3GAE5 50-59 years, male 13.0
GTEX-R55D-0326-SM-48FES 50-59 years, male 13.0
GTEX-1I6K7-0226-SM-CJI46 40-49 years, male 13.0
GTEX-1LGRB-2426-SM-CNPP3 50-59 years, female 13.0
GTEX-1A8G6-0526-SM-7PC1E 60-69 years, male 12.9
GTEX-1B996-0126-SM-7PBYF 60-69 years, male 12.9
GTEX-1GF9V-0226-SM-9MQKA 60-69 years, male 12.9
GTEX-ZLFU-2626-SM-DO91L 40-49 years, male 12.9
GTEX-145LS-0226-SM-5O9A5 60-69 years, female 12.8
GTEX-16NGA-1826-SM-7LG5L 40-49 years, female 12.8
GTEX-16YQH-0226-SM-6PALD 30-39 years, male 12.8
GTEX-183WM-0226-SM-7LT8T 70-79 years, female 12.8
GTEX-1AMFI-2126-SM-731BT 50-59 years, female 12.8
GTEX-1C4CL-0426-SM-7939N 30-39 years, male 12.8
GTEX-P4QT-0226-SM-3LK68 50-59 years, female 12.8
GTEX-S33H-1126-SM-2XCB6 30-39 years, male 12.8
GTEX-ZAJG-0226-SM-5HL81 50-59 years, female 12.8
GTEX-1GN73-0326-SM-9KNTW 60-69 years, male 12.8
GTEX-1IGQW-0226-SM-COH43 60-69 years, male 12.8
GTEX-1LSNM-2026-SM-E6CIJ 50-59 years, male 12.8
GTEX-1QP9N-1526-SM-DTXFK 30-39 years, male 12.8
GTEX-1CB4G-0326-SM-7SB8R 60-69 years, male 12.7
GTEX-1EH9U-0226-SM-7PBY8 60-69 years, male 12.7
GTEX-R45C-0226-SM-EVYAJ 60-69 years, female 12.7
GTEX-WVJS-0226-SM-4MVOU 50-59 years, male 12.6
GTEX-XK95-0426-SM-4AT4R 40-49 years, male 12.6
GTEX-XMK1-2226-SM-4B673 40-49 years, male 12.6
GTEX-1B8L1-2626-SM-7SB77 60-69 years, male 12.6
GTEX-U3ZM-1026-SM-EZ6LD 40-49 years, male 12.6
GTEX-12696-2526-SM-5EQLN 60-69 years, male 12.5
GTEX-13O3Q-2326-SM-5KM3G 50-59 years, male 12.5
GTEX-1E1VI-0226-SM-793CZ 50-59 years, male 12.5
GTEX-Y3I4-2226-SM-4TT7O 50-59 years, male 12.5
GTEX-145ME-1926-SM-5MR6T 40-49 years, female 12.5
GTEX-1F75I-0426-SM-7PC3S 40-49 years, male 12.5
GTEX-1JN6P-0226-SM-COH34 60-69 years, male 12.5
GTEX-1LG7Z-2026-SM-DLHBP 30-39 years, male 12.5
GTEX-1MUQO-0526-SM-E9J31 60-69 years, male 12.5
GTEX-11XUK-2126-SM-5EQLR 40-49 years, female 12.4
GTEX-1B8KZ-1926-SM-7DUG8 50-59 years, male 12.4
GTEX-1JJE9-1226-SM-CNPOI 70-79 years, male 12.4
GTEX-13O21-1526-SM-5K7W4 50-59 years, male 12.3
GTEX-13OVK-2126-SM-6PAN1 40-49 years, male 12.3
GTEX-14PII-0326-SM-6LLIQ 60-69 years, male 12.3
GTEX-1A3MX-0226-SM-731C4 60-69 years, male 12.3
GTEX-S95S-1326-SM-2XCDK 60-69 years, male 12.3
GTEX-UJHI-1626-SM-3DB9A 50-59 years, female 12.3
GTEX-X5EB-2426-SM-4E3HX 40-49 years, male 12.3
GTEX-ZXES-2026-SM-5NQ6R 30-39 years, female 12.3
GTEX-1H2FU-0226-SM-9YFKO 60-69 years, female 12.3
GTEX-1JKYN-1226-SM-CGQG8 30-39 years, male 12.3
GTEX-1C475-1926-SM-7DUFV 40-49 years, female 12.2
GTEX-R53T-1626-SM-3GAEW 50-59 years, female 12.2
GTEX-SJXC-0226-SM-2XCDU 60-69 years, male 12.2
GTEX-1I1HK-0226-SM-COH4A 60-69 years, male 12.2
GTEX-1ICLY-0226-SM-ARL7R 50-59 years, male 12.2
GTEX-1RQEC-0526-SM-E6CHV 60-69 years, male 12.2
GTEX-16BQI-0526-SM-6PAM8 30-39 years, female 12.1
GTEX-WFON-2226-SM-3TW8W 40-49 years, male 12.1
GTEX-Y114-2326-SM-4TT7X 50-59 years, female 12.1
GTEX-ZUA1-0226-SM-5NQ9Q 40-49 years, male 12.1
GTEX-1F88F-2626-SM-9WG5K 60-69 years, female 12.1
GTEX-1GN1U-0226-SM-9YFLQ 50-59 years, female 12.1
GTEX-1HGF4-2526-SM-ADEIZ 60-69 years, male 12.1
GTEX-1J8Q3-1526-SM-CMKGB 60-69 years, male 12.1
GTEX-1R7EU-0326-SM-EWRNJ 60-69 years, male 12.1
GTEX-PLZ4-0226-SM-CYPR1 50-59 years, female 12.1
GTEX-11EM3-2326-SM-5H12B 20-29 years, female 12.0
GTEX-11ZUS-0726-SM-59886 30-39 years, male 12.0
GTEX-14PHX-2426-SM-62LEN 50-59 years, male 12.0
GTEX-O5YT-0226-SM-32PK5 20-29 years, male 12.0
GTEX-S7SE-0226-SM-2XCD4 50-59 years, male 12.0
GTEX-ZDTS-0226-SM-5HL7Q 60-69 years, male 12.0
GTEX-ZTSS-2026-SM-5987K 40-49 years, male 12.0
GTEX-1H1ZS-0526-SM-9WG5L 70-79 years, male 12.0
GTEX-1PIGE-0526-SM-DTXFA 20-29 years, male 12.0
GTEX-1QP67-1726-SM-E8VOP 40-49 years, female 12.0
GTEX-11DXW-0326-SM-5H11W 40-49 years, male 11.9
GTEX-11EI6-0226-SM-5EQ64 60-69 years, male 11.9
GTEX-11TTK-0226-SM-5N9EC 60-69 years, female 11.9
GTEX-17F96-1726-SM-7IGMB 70-79 years, male 11.9
GTEX-18D9U-0726-SM-7LG5J 40-49 years, male 11.9
GTEX-RU72-1026-SM-46MUG 50-59 years, female 11.9
GTEX-XUW1-0526-SM-4BOP3 50-59 years, female 11.9
GTEX-YFCO-2026-SM-4W21Q 40-49 years, male 11.9
GTEX-ZAK1-0226-SM-5CVMX 50-59 years, female 11.9
GTEX-ZV68-0226-SM-59HJF 50-59 years, female 11.9
GTEX-1CB4F-0526-SM-9KNW2 60-69 years, male 11.9
GTEX-1H3VE-0226-SM-9WYST 40-49 years, male 11.9
GTEX-1IDJF-0226-SM-CMKGE 20-29 years, male 11.9
GTEX-13N1W-0226-SM-5K7W6 70-79 years, male 11.8
GTEX-Z93T-0226-SM-5HL5Z 50-59 years, male 11.8
GTEX-Z9EW-1826-SM-5CVMA 40-49 years, male 11.8
GTEX-ZVTK-0526-SM-5GZWT 20-29 years, male 11.8
GTEX-ZYW4-0226-SM-5E44M 60-69 years, male 11.8
GTEX-1F48J-0226-SM-7SB82 50-59 years, female 11.8
GTEX-1GN1V-0226-SM-9WYTN 60-69 years, male 11.8
GTEX-1LBAC-0226-SM-DHXJZ 20-29 years, male 11.8
GTEX-P44G-2326-SM-2XCCZ 30-39 years, male 11.7
GTEX-SIU8-0226-SM-2XCDS 50-59 years, male 11.7
GTEX-1F5PK-2526-SM-9MQKN 50-59 years, male 11.7
GTEX-1H4P4-0226-SM-9YFKT 50-59 years, male 11.7
GTEX-1HSGN-0126-SM-CGQFU 40-49 years, female 11.7
GTEX-1JMQL-0326-SM-CNPP6 50-59 years, female 11.7
GTEX-1LH75-2526-SM-E9U5A 50-59 years, female 11.7
GTEX-1QP29-0726-SM-DTXFM 50-59 years, male 11.7
GTEX-ZLV1-1826-SM-5FQU5 60-69 years, female 11.6
GTEX-ZXG5-0226-SM-59HJI 60-69 years, male 11.6
GTEX-ZZ64-1626-SM-5E43W 20-29 years, male 11.6
GTEX-1HBPI-1426-SM-B2LW7 50-59 years, male 11.6
GTEX-1HT8W-0226-SM-CMKGT 30-39 years, male 11.6
GTEX-1I1GS-0226-SM-B2LVX 60-69 years, male 11.6
GTEX-1IL2U-0326-SM-CE6T9 60-69 years, male 11.6
GTEX-1LSNL-0526-SM-DIPFI 50-59 years, male 11.6
GTEX-11ONC-2526-SM-5986W 60-69 years, male 11.5
GTEX-11ZU8-2426-SM-5EQMV 60-69 years, male 11.5
GTEX-12KS4-0426-SM-5EQMC 30-39 years, male 11.5
GTEX-13VXU-0226-SM-5SI9R 50-59 years, male 11.5
GTEX-1497J-2326-SM-5NQBK 60-69 years, male 11.5
GTEX-1AYD5-2326-SM-73KXF 50-59 years, male 11.5
GTEX-1C6WA-0226-SM-7IGPO 60-69 years, male 11.5
GTEX-QLQ7-1526-SM-2S1QA 60-69 years, male 11.5
GTEX-YEC4-2426-SM-57WFO 40-49 years, male 11.5
GTEX-1GMR3-2026-SM-9MQLG 40-49 years, male 11.5
GTEX-1GN1W-0626-SM-9MQK3 50-59 years, female 11.5
GTEX-1I1GP-2326-SM-CGQFL 50-59 years, male 11.5
GTEX-1JJ6O-0226-SM-E6CI9 60-69 years, male 11.5
GTEX-1QPFJ-0126-SM-E9J4B 30-39 years, female 11.5
GTEX-11P81-2426-SM-5GU65 30-39 years, female 11.4
GTEX-13PDP-0226-SM-5K7W9 60-69 years, male 11.4
GTEX-147F3-0626-SM-5NQ9I 50-59 years, female 11.4
GTEX-1AMEY-1426-SM-7939I 30-39 years, female 11.4
GTEX-1B8KE-2526-SM-73KYQ 50-59 years, male 11.4
GTEX-WEY5-1926-SM-3GIL8 40-49 years, female 11.4
GTEX-Y111-0226-SM-4SOIW 50-59 years, male 11.4
GTEX-ZEX8-2326-SM-5S2MN 50-59 years, male 11.4
GTEX-1HFI6-0326-SM-ADEI5 40-49 years, male 11.4
GTEX-1K2DA-2126-SM-CGQGL 50-59 years, male 11.4
GTEX-13111-1726-SM-5EGJZ 50-59 years, male 11.3
GTEX-13PVR-2426-SM-5RQHN 60-69 years, female 11.3
GTEX-13S7M-0226-SM-5S2UG 60-69 years, female 11.3
GTEX-13W3W-2526-SM-5SI9P 60-69 years, female 11.3
GTEX-13X6K-0226-SM-5QGPB 60-69 years, female 11.3
GTEX-14PJ2-0226-SM-6LLH4 50-59 years, male 11.3
GTEX-17EVP-0426-SM-79OKG 40-49 years, male 11.3
GTEX-O5YV-0226-SM-48TBY 60-69 years, female 11.3
GTEX-Q2AI-1426-SM-2S1P5 40-49 years, male 11.3
GTEX-U4B1-1726-SM-3DB9F 40-49 years, male 11.3
GTEX-YJ89-0226-SM-4TT3Y 60-69 years, male 11.3
GTEX-1A8FM-0126-SM-7SB7P 50-59 years, female 11.3
GTEX-1GMR2-2526-SM-9MQKW 50-59 years, male 11.3
GTEX-1GMR8-0226-SM-9YFL3 50-59 years, female 11.3
GTEX-1HSKV-0326-SM-ADEJC 60-69 years, male 11.3
GTEX-1PFEY-1626-SM-E9J3M 30-39 years, male 11.3
GTEX-1QW4Y-1626-SM-EAZ41 30-39 years, male 11.3
GTEX-1S5ZU-0226-SM-E6CHW 20-29 years, female 11.3
GTEX-ZGAY-0626-SM-DO92E 40-49 years, female 11.3
GTEX-11EQ8-0226-SM-5EQ5G 60-69 years, male 11.2
GTEX-15DCD-0226-SM-6LPKC 70-79 years, female 11.2
GTEX-ZVT2-2226-SM-5NQ6P 50-59 years, female 11.2
GTEX-1H1DE-2026-SM-9WG6Q 20-29 years, male 11.2
GTEX-12WSM-0226-SM-5LZV6 60-69 years, male 11.1
GTEX-144GL-0226-SM-5QGOX 50-59 years, male 11.1
GTEX-14BMU-2126-SM-5S2TS 20-29 years, female 11.1
GTEX-16GPK-0226-SM-7DUFI 60-69 years, male 11.1
GTEX-17HHY-0226-SM-793BQ 50-59 years, male 11.1
GTEX-OXRN-0226-SM-2I5EJ 50-59 years, male 11.1
GTEX-QDVN-2126-SM-33HBS 50-59 years, male 11.1
GTEX-XPVG-2726-SM-4B66W 50-59 years, male 11.1
GTEX-Z93S-0226-SM-5HL7R 50-59 years, male 11.1
GTEX-1EKGG-0126-SM-9YFLS 60-69 years, male 11.1
GTEX-1H3O1-0526-SM-9MQLS 60-69 years, male 11.1
GTEX-12WSC-0226-SM-5EQ52 50-59 years, male 11.0
GTEX-13PVQ-0226-SM-5SIBG 50-59 years, male 11.0
GTEX-14ABY-0326-SM-5TDDK 50-59 years, male 11.0
GTEX-14BIL-0226-SM-5SI9E 50-59 years, male 11.0
GTEX-1B932-0226-SM-7PBYH 40-49 years, female 11.0
GTEX-1HSMP-0226-SM-CGQFI 70-79 years, male 11.0
GTEX-1I1GR-0226-SM-CMKHQ 60-69 years, male 11.0
GTEX-1NHNU-1126-SM-E9J2C 50-59 years, male 11.0
GTEX-1R9PM-2126-SM-E8VOB 20-29 years, male 11.0
GTEX-139T4-0126-SM-5HL5G 50-59 years, female 10.9
GTEX-145LT-1826-SM-5QGP4 40-49 years, male 10.9
GTEX-145MN-2626-SM-5NQAH 30-39 years, male 10.9
GTEX-1EWIQ-0226-SM-793D3 70-79 years, female 10.9
GTEX-1JK1U-2126-SM-CNPOU 60-69 years, male 10.9
GTEX-1KANA-0826-SM-D3L9J 20-29 years, male 10.9
GTEX-ZDYS-2126-SM-5S2P2 50-59 years, male 10.9
GTEX-13OW7-0226-SM-5MR3N 50-59 years, male 10.8
GTEX-14AS3-2026-SM-5TDD9 40-49 years, female 10.8
GTEX-18A7A-0326-SM-731AT 50-59 years, female 10.8
GTEX-YECK-0226-SM-4W215 60-69 years, male 10.8
GTEX-1CB4J-1126-SM-7PBY1 60-69 years, male 10.8
GTEX-1OFPY-2326-SM-E8VNU 60-69 years, male 10.8
GTEX-OIZF-0226-SM-E9TI3 60-69 years, male 10.8
GTEX-R3RS-0226-SM-EYYVE 40-49 years, female 10.8
GTEX-11WQC-2426-SM-5EQKQ 60-69 years, male 10.7
GTEX-11ZTT-2526-SM-5EQM9 60-69 years, female 10.7
GTEX-13112-2726-SM-5DUW5 50-59 years, male 10.7
GTEX-14PN3-2526-SM-6EU15 60-69 years, female 10.7
GTEX-WL46-0326-SM-3LK6Y 50-59 years, male 10.7
GTEX-YJ8O-2426-SM-5HL7S 40-49 years, female 10.7
GTEX-13NYB-2626-SM-9YFMI 40-49 years, male 10.7
GTEX-1GPI7-0226-SM-9MQKB 20-29 years, male 10.7
GTEX-1HR9M-0226-SM-COH3E 60-69 years, male 10.7
GTEX-1ICLZ-0226-SM-CKZPP 60-69 years, male 10.7
GTEX-1LSVX-0126-SM-EVYCY 60-69 years, male 10.7
GTEX-1LVAN-0126-SM-COH4H 50-59 years, female 10.7
GTEX-1OJC4-1726-SM-EXUSV 50-59 years, female 10.7
GTEX-1R46S-0526-SM-EVYBZ 60-69 years, female 10.7
GTEX-XQ3S-1626-SM-4WAYN 20-29 years, male 10.6
GTEX-Y5V5-2426-SM-5IFJA 60-69 years, female 10.6
GTEX-ZF29-2226-SM-4WWB9 60-69 years, female 10.6
GTEX-ZZPU-2726-SM-5NQ8O 50-59 years, female 10.6
GTEX-1CB4H-0326-SM-9WG5G 60-69 years, female 10.6
GTEX-1F75A-0226-SM-7PC2K 50-59 years, male 10.6
GTEX-1IE54-0226-SM-CMKHX 40-49 years, female 10.6
GTEX-12WSD-0226-SM-59HKO 60-69 years, female 10.5
GTEX-131XW-0526-SM-5PNXZ 50-59 years, female 10.5
GTEX-131YS-0226-SM-5IJEH 60-69 years, female 10.5
GTEX-13O3P-0226-SM-5KM3Z 50-59 years, male 10.5
GTEX-144FL-0226-SM-5Q5D4 50-59 years, male 10.5
GTEX-18465-0226-SM-7LG5M 50-59 years, male 10.5
GTEX-QCQG-1826-SM-2S1P2 50-59 years, female 10.5
GTEX-W5WG-2526-SM-4SOJ2 50-59 years, female 10.5
GTEX-XGQ4-2226-SM-4AT4Y 50-59 years, male 10.5
GTEX-1HCU8-0726-SM-ADEIR 60-69 years, female 10.5
GTEX-11UD1-0226-SM-5EQKL 40-49 years, female 10.4
GTEX-13NZ8-0926-SM-5MR3U 60-69 years, female 10.4
GTEX-14BMV-0226-SM-5S2N2 50-59 years, male 10.4
GTEX-14PK6-2026-SM-6LLHP 70-79 years, female 10.4
GTEX-Q2AG-0226-SM-2S1P4 40-49 years, female 10.4
GTEX-YFC4-0226-SM-57WD2 40-49 years, female 10.4
GTEX-1F6I4-0226-SM-9MQMA 60-69 years, male 10.4
GTEX-1J8EW-0226-SM-CYPSW 60-69 years, female 10.4
GTEX-1QP66-1326-SM-DTXDQ 50-59 years, male 10.4
GTEX-1R9K5-0226-SM-EWRNF 50-59 years, male 10.4
GTEX-RNOR-0226-SM-EZ6MF 50-59 years, female 10.4
GTEX-S4P3-1526-SM-E9J3W 50-59 years, female 10.4
GTEX-11P82-1726-SM-5Q5AT 20-29 years, male 10.3
GTEX-17MFQ-1826-SM-7DHLS 20-29 years, male 10.3
GTEX-WH7G-2226-SM-3NMBN 40-49 years, male 10.3
GTEX-1ICG6-2626-SM-CGQG1 70-79 years, female 10.3
GTEX-1IDJD-1226-SM-CM2TP 30-39 years, male 10.3
GTEX-1MJK2-0526-SM-DTXE6 50-59 years, male 10.3
GTEX-11GS4-2626-SM-5A5LD 60-69 years, male 10.2
GTEX-13JVG-0226-SM-5J1MW 60-69 years, male 10.2
GTEX-13OW8-1226-SM-5K7XD 60-69 years, male 10.2
GTEX-14LLW-0226-SM-62LEL 70-79 years, female 10.2
GTEX-14PJ6-2226-SM-6LLIV 60-69 years, female 10.2
GTEX-16MTA-2126-SM-6PALC 50-59 years, male 10.2
GTEX-1A32A-0226-SM-718B2 50-59 years, female 10.2
GTEX-ZT9X-1926-SM-57WE7 40-49 years, male 10.2
GTEX-1JN76-0226-SM-CMKGO 20-29 years, female 10.2
GTEX-1M5QR-2126-SM-DKPQM 40-49 years, male 10.2
GTEX-139TU-0226-SM-5J1NM 60-69 years, male 10.1
GTEX-13CF2-2626-SM-5LZZA 60-69 years, male 10.1
GTEX-13OVL-0326-SM-5IJCS 50-59 years, male 10.1
GTEX-14E6C-0226-SM-5S2N3 40-49 years, male 10.1
GTEX-16MT8-0526-SM-6PAM6 60-69 years, female 10.1
GTEX-17HII-0326-SM-7LG4X 50-59 years, male 10.1
GTEX-QMRM-1726-SM-2S1QG 50-59 years, male 10.1
GTEX-WVLH-0226-SM-3MJG6 50-59 years, male 10.1
GTEX-1H3VY-0226-SM-9YFMF 50-59 years, male 10.1
GTEX-12C56-1626-SM-5FQUO 20-29 years, male 10.0
GTEX-12ZZY-0326-SM-5LZVQ 60-69 years, male 10.0
GTEX-REY6-0326-SM-2TF5A 60-69 years, male 10.0
GTEX-1HCUA-2226-SM-ADEHF 50-59 years, female 10.0
GTEX-1IOXB-0226-SM-CMKHY 50-59 years, male 10.0
GTEX-1RAZR-0226-SM-EVYC6 40-49 years, male 10.0
GTEX-1128S-2126-SM-5H12U 60-69 years, female 9.9
GTEX-11EQ9-2526-SM-5HL66 30-39 years, male 9.9
GTEX-1212Z-2426-SM-5EQ5D 60-69 years, male 9.9
GTEX-13OW6-0526-SM-5L3HY 50-59 years, male 9.9
GTEX-14DAQ-0226-SM-664MQ 60-69 years, female 9.9
GTEX-XMD2-0226-SM-4WWEE 60-69 years, female 9.9
GTEX-ZE7O-0226-SM-5S2N1 50-59 years, female 9.9
GTEX-ZF3C-0226-SM-4WWB3 50-59 years, female 9.9
GTEX-169BO-1426-SM-9MQJT 50-59 years, male 9.9
GTEX-13IVO-0226-SM-5LZXU 70-79 years, male 9.8
GTEX-147JS-0426-SM-5TDD2 60-69 years, male 9.8
GTEX-14JIY-0526-SM-62LFH 60-69 years, male 9.8
GTEX-17HG3-2326-SM-79OKH 30-39 years, female 9.8
GTEX-OIZH-0226-SM-2YUMH 50-59 years, male 9.8
GTEX-YF7O-2426-SM-5IFJL 50-59 years, male 9.8
GTEX-ZE9C-2826-SM-5S2MO 60-69 years, male 9.8
GTEX-ZYFC-0326-SM-5NQ7H 50-59 years, male 9.8
GTEX-1F6RS-0226-SM-9MQKO 60-69 years, female 9.8
GTEX-1FIGZ-1626-SM-7SB8L 40-49 years, male 9.8
GTEX-1KD5A-0326-SM-D5OVD 50-59 years, male 9.8
GTEX-1L5NE-2626-SM-E9U6P 50-59 years, male 9.8
GTEX-WFG7-2526-SM-EWRM5 20-29 years, male 9.8
GTEX-1117F-0226-SM-5GZZ7 60-69 years, female 9.7
GTEX-13FTY-0626-SM-5L3F8 40-49 years, female 9.7
GTEX-13O61-2426-SM-5J1NV 60-69 years, male 9.7
GTEX-13VXT-0226-SM-5LU9Q 20-29 years, female 9.7
GTEX-QV44-1825-SM-447CF 50-59 years, male 9.7
GTEX-W5X1-2626-SM-4LMI8 40-49 years, female 9.7
GTEX-XAJ8-0926-SM-47JXZ 40-49 years, male 9.7
GTEX-ZVZP-2326-SM-59HL4 50-59 years, male 9.7
GTEX-ZYY3-0226-SM-5E45M 60-69 years, female 9.7
GTEX-1GN2E-0326-SM-COH3C 60-69 years, male 9.7
GTEX-1IY9M-0226-SM-CMKHP 60-69 years, male 9.7
GTEX-1KXAM-2326-SM-CYPTD 60-69 years, male 9.7
GTEX-1LB8K-0326-SM-E9TJC 50-59 years, male 9.7
GTEX-1RAZA-0226-SM-E9U4W 20-29 years, male 9.7
GTEX-OIZG-0826-SM-E9TI4 50-59 years, male 9.7
GTEX-145MG-0126-SM-5TDDA 50-59 years, male 9.6
GTEX-14JG1-0526-SM-6LLHW 40-49 years, male 9.6
GTEX-15ETS-0426-SM-6PANI 40-49 years, female 9.6
GTEX-16NPX-0326-SM-7EWDI 50-59 years, male 9.6
GTEX-1C64O-0226-SM-73KXB 60-69 years, male 9.6
GTEX-SNOS-1426-SM-32PLY 40-49 years, male 9.6
GTEX-T5JC-0526-SM-32PM7 20-29 years, male 9.6
GTEX-1122O-2026-SM-9YFMG 60-69 years, female 9.6
GTEX-1C6VR-2626-SM-7MGX2 60-69 years, male 9.6
GTEX-1PPGY-0326-SM-DTXFD 60-69 years, male 9.6
GTEX-PX3G-0226-SM-DKPOF 20-29 years, female 9.6
GTEX-XOT4-0226-SM-4B66Z 60-69 years, female 9.6
GTEX-1B933-0526-SM-7EPHM 50-59 years, female 9.5
GTEX-TKQ1-1126-SM-4GIAZ 30-39 years, male 9.5
GTEX-X638-0226-SM-47JZ9 70-79 years, female 9.5
GTEX-1PBJI-0426-SM-E8VNM 20-29 years, female 9.5
GTEX-11O72-0226-SM-59869 40-49 years, male 9.4
GTEX-139YR-2426-SM-5J1OB 50-59 years, male 9.4
GTEX-13G51-2626-SM-5LZYW 60-69 years, male 9.4
GTEX-1CAMR-1826-SM-7MXUJ 20-29 years, male 9.4
GTEX-12126-0426-SM-5Q5AP 20-29 years, male 9.3
GTEX-14C39-2526-SM-5S2UH 40-49 years, male 9.3
GTEX-17HHE-1926-SM-7EPGW 50-59 years, male 9.3
GTEX-1AX9K-2426-SM-73KZ4 50-59 years, male 9.3
GTEX-SUCS-1826-SM-32PM1 70-79 years, male 9.3
GTEX-ZC5H-0126-SM-4WAYL 40-49 years, female 9.3
GTEX-ZYT6-0326-SM-7LG5R 30-39 years, male 9.3
GTEX-1I1GQ-0226-SM-COH3I 50-59 years, male 9.3
GTEX-1PIIG-0326-SM-EVYBV 30-39 years, male 9.3
GTEX-11UD2-0126-SM-5EQL2 50-59 years, male 9.2
GTEX-13FHP-0226-SM-5K7WD 50-59 years, male 9.2
GTEX-13SLW-0226-SM-5S2NA 70-79 years, male 9.2
GTEX-QEG5-0326-SM-2S1PB 20-29 years, male 9.2
GTEX-1GF9X-1926-SM-ADEIC 40-49 years, female 9.2
GTEX-1J1OQ-0326-SM-CYPTJ 40-49 years, female 9.2
GTEX-1LVA9-0226-SM-E9U5N 50-59 years, male 9.2
GTEX-1S82P-0226-SM-E6CI6 60-69 years, female 9.2
GTEX-11I78-2626-SM-5Q5AI 50-59 years, female 9.1
GTEX-11OF3-2426-SM-5Q5AS 60-69 years, male 9.1
GTEX-11PRG-0626-SM-5BC56 50-59 years, male 9.1
GTEX-1399R-2626-SM-5KLZ7 30-39 years, male 9.1
GTEX-144GO-1626-SM-7EPG5 60-69 years, male 9.1
GTEX-146FQ-0226-SM-5NQAL 30-39 years, male 9.1
GTEX-ZTX8-1526-SM-5N9GI 20-29 years, male 9.1
GTEX-1CAMS-0326-SM-7PC35 40-49 years, female 9.1
GTEX-1GZ2Q-0326-SM-9WG6N 40-49 years, male 9.1
GTEX-1GZ4I-0226-SM-7RHHO 50-59 years, male 9.1
GTEX-1MA7W-1926-SM-E6CIO 20-29 years, female 9.1
GTEX-111CU-1826-SM-5GZYN 50-59 years, male 9.0
GTEX-13FHO-0326-SM-5IJBH 60-69 years, male 9.0
GTEX-13RTJ-2526-SM-5S2Q3 60-69 years, male 9.0
GTEX-14ICK-0326-SM-6LLIZ 40-49 years, male 9.0
GTEX-N7MS-0326-SM-4E3K2 60-69 years, male 9.0
GTEX-ZPIC-1826-SM-57WFE 40-49 years, female 9.0
GTEX-1F75W-0226-SM-9JGGP 60-69 years, male 9.0
GTEX-1GMRU-0226-SM-9YFLW 50-59 years, male 9.0
GTEX-1QAET-1126-SM-E8VML 50-59 years, male 9.0
GTEX-12584-0226-SM-5EQL5 40-49 years, male 8.9
GTEX-18A66-0326-SM-718BE 60-69 years, male 8.9
GTEX-ZVZO-0226-SM-5A5LA 40-49 years, male 8.9
GTEX-1HB9E-0426-SM-CNPPV 50-59 years, male 8.9
GTEX-1QP6S-0126-SM-E9J4K 40-49 years, male 8.9
GTEX-111VG-2326-SM-5N9BK 60-69 years, male 8.8
GTEX-131XE-2426-SM-5EQ5V 50-59 years, male 8.8
GTEX-17F98-1126-SM-79OJS 40-49 years, female 8.8
GTEX-1QEPI-0226-SM-EWRMR 60-69 years, female 8.8
GTEX-RUSQ-1626-SM-EZ6L4 50-59 years, male 8.8
GTEX-WFG8-2326-SM-DIPDX 20-29 years, male 8.8
GTEX-ZLWG-2226-SM-DO92V 50-59 years, female 8.8
GTEX-13FH7-2226-SM-5IJD4 50-59 years, female 8.7
GTEX-13X6J-0226-SM-7EPGC 50-59 years, male 8.7
GTEX-XLM4-0226-SM-4AT4N 60-69 years, male 8.7
GTEX-XXEK-2426-SM-4BRUS 50-59 years, male 8.7
GTEX-XYKS-2726-SM-4E3IC 60-69 years, female 8.7
GTEX-ZP4G-2326-SM-57WEM 20-29 years, female 8.7
GTEX-ZPCL-2126-SM-57WFZ 60-69 years, female 8.7
GTEX-1HBPH-0526-SM-9YFMN 40-49 years, female 8.7
GTEX-1HCU6-0226-SM-CGQES 60-69 years, female 8.7
GTEX-1J8QM-2326-SM-CYPSL 60-69 years, female 8.7
GTEX-1MA7X-2126-SM-E6CIX 60-69 years, male 8.7
GTEX-PWN1-0226-SM-DKPO9 40-49 years, female 8.7
GTEX-11H98-0226-SM-5NQ89 50-59 years, male 8.6
GTEX-1313W-0226-SM-5LZV7 50-59 years, female 8.6
GTEX-133LE-1926-SM-5N9FV 20-29 years, female 8.6
GTEX-183FY-0326-SM-793BY 20-29 years, male 8.6
GTEX-1B8SG-0226-SM-7939Q 50-59 years, male 8.6
GTEX-WHPG-2126-SM-4M1ZM 50-59 years, male 8.6
GTEX-XBED-2326-SM-47JYR 60-69 years, male 8.6
GTEX-ZPU1-2426-SM-4WWFM 40-49 years, male 8.6
GTEX-1I1GU-2326-SM-CGQFB 40-49 years, male 8.6
GTEX-1399U-2426-SM-5K7XB 50-59 years, female 8.5
GTEX-13OVJ-0326-SM-5L3GL 50-59 years, female 8.5
GTEX-SSA3-0226-SM-32QPN 60-69 years, male 8.5
GTEX-XUYS-0226-SM-47JX1 50-59 years, male 8.5
GTEX-XV7Q-2626-SM-4BRVA 40-49 years, female 8.5
GTEX-1H1DF-0226-SM-ARL9A 40-49 years, female 8.5
GTEX-P4PP-0226-SM-D4P1Z 30-39 years, female 8.5
GTEX-12ZZX-0226-SM-5DUXU 40-49 years, female 8.4
GTEX-144GM-1926-SM-5LUAN 20-29 years, male 8.4
GTEX-1I4MK-2026-SM-B2LVR 50-59 years, female 8.4
GTEX-1S831-0326-SM-EVYD3 20-29 years, male 8.4
GTEX-1399T-2726-SM-5K7XK 60-69 years, male 8.3
GTEX-14BIN-0726-SM-793DQ 50-59 years, female 8.3
GTEX-14E1K-2126-SM-793DU 50-59 years, male 8.3
GTEX-16XZY-2526-SM-7DHL2 70-79 years, male 8.3
GTEX-18A6Q-0226-SM-718AS 60-69 years, male 8.3
GTEX-P4PQ-0226-SM-2S1NK 60-69 years, male 8.3
GTEX-VJYA-1326-SM-3GIJC 60-69 years, male 8.3
GTEX-11EMC-2826-SM-5PNY6 60-69 years, female 8.2
GTEX-14E6E-1926-SM-664N4 30-39 years, male 8.2
GTEX-OXRP-0226-SM-3NB14 60-69 years, female 8.2
GTEX-X8HC-0226-SM-4E3K1 50-59 years, female 8.2
GTEX-ZVP2-1826-SM-5GU62 50-59 years, male 8.2
GTEX-1HR98-0226-SM-CGQEK 60-69 years, male 8.2
GTEX-13QBU-2526-SM-5LU4X 40-49 years, female 8.1
GTEX-RWSA-0226-SM-2XCBA 40-49 years, male 8.1
GTEX-T6MN-0226-SM-32PMD 50-59 years, male 8.1
GTEX-WY7C-2426-SM-3NB2V 50-59 years, male 8.1
GTEX-ZDXO-2426-SM-5S2NJ 60-69 years, male 8.1
GTEX-1MCYP-1826-SM-E9J2Q 20-29 years, female 8.1
GTEX-13SLX-0426-SM-5QGRC 50-59 years, female 8.0
GTEX-15SDE-2426-SM-7KFRC 50-59 years, female 8.0
GTEX-PWCY-1926-SM-3NB25 20-29 years, female 8.0
GTEX-U412-0526-SM-3DB9I 60-69 years, male 8.0
GTEX-1RAZQ-0626-SM-E8VOR 30-39 years, male 8.0
GTEX-VUSH-0226-SM-EXUQV 30-39 years, male 8.0
GTEX-1269C-2726-SM-5EGJ4 60-69 years, female 7.9
GTEX-132AR-0226-SM-5IJBE 50-59 years, female 7.9
GTEX-139T6-2126-SM-5KM37 50-59 years, male 7.9
GTEX-147GR-0426-SM-5S2OL 60-69 years, male 7.9
GTEX-14E6D-0226-SM-62LDW 50-59 years, male 7.9
GTEX-14PJM-0326-SM-62LF2 50-59 years, female 7.9
GTEX-VUSG-2426-SM-4KKZG 50-59 years, male 7.9
GTEX-X88G-0226-SM-4GIE4 30-39 years, male 7.9
GTEX-1H23P-0226-SM-9YFLO 60-69 years, male 7.9
GTEX-1I1CD-0226-SM-CM2TL 60-69 years, female 7.9
GTEX-1K9T9-0226-SM-E9U6K 50-59 years, female 7.9
GTEX-11DZ1-0226-SM-5A5KF 50-59 years, male 7.8
GTEX-11GSO-2326-SM-5A5LX 60-69 years, male 7.8
GTEX-Q734-1826-SM-2I3EL 40-49 years, female 7.8
GTEX-YB5E-2126-SM-5IFI7 40-49 years, male 7.8
GTEX-17KNJ-2226-SM-DKPOU 50-59 years, male 7.8
GTEX-1N2DW-0326-SM-E9TK3 50-59 years, male 7.8
GTEX-1PWST-0326-SM-EAZ42 70-79 years, male 7.8
GTEX-RVPV-1526-SM-EXOHF 60-69 years, male 7.8
GTEX-ZVT4-0226-SM-51MSD 50-59 years, female 7.7
GTEX-1GTWX-0226-SM-9YFLL 60-69 years, male 7.7
GTEX-113IC-0226-SM-5HL5C 60-69 years, male 7.6
GTEX-13CF3-2326-SM-5IFGL 60-69 years, female 7.6
GTEX-1POEN-0226-SM-EYYXE 30-39 years, female 7.6
GTEX-T2IS-0226-SM-32QPH 20-29 years, female 7.5
GTEX-XBEC-0326-SM-4AT4M 50-59 years, male 7.5
GTEX-ZQG8-1526-SM-5HL65 60-69 years, female 7.5
GTEX-1EX96-1426-SM-7PBZ5 50-59 years, male 7.5
GTEX-13YAN-0426-SM-5O9DR 60-69 years, male 7.4
GTEX-XUZC-1826-SM-4BRVO 30-39 years, female 7.4
GTEX-Y9LG-2026-SM-62LFS 30-39 years, male 7.4
GTEX-ZTPG-0226-SM-5O99I 20-29 years, female 7.4
GTEX-11ZTS-0226-SM-5EQKD 60-69 years, female 7.3
GTEX-13113-1826-SM-5LZW4 60-69 years, female 7.3
GTEX-X15G-2326-SM-4PQZS 50-59 years, female 7.3
GTEX-Y5V6-2526-SM-5IFJV 60-69 years, male 7.3
GTEX-Y8E5-0226-SM-57WCM 60-69 years, male 7.3
GTEX-QDVJ-1826-SM-2S1P3 50-59 years, male 7.2
GTEX-R55G-2426-SM-2TC5I 40-49 years, female 7.2
GTEX-U8XE-0426-SM-3DB91 30-39 years, male 7.2
GTEX-Y3IK-2526-SM-4WWDM 50-59 years, female 7.2
GTEX-1JN1M-0126-SM-D4P23 60-69 years, female 7.1
GTEX-1RDX4-0226-SM-DTXG1 50-59 years, female 7.1
GTEX-13NZA-0126-SM-5K7UH 60-69 years, male 7.0
GTEX-13PLJ-0126-SM-5L3HU 60-69 years, female 7.0
GTEX-X4XY-0326-SM-46MVZ 60-69 years, male 7.0
GTEX-11TUW-2626-SM-5EQKZ 60-69 years, male 6.9
GTEX-146FH-0226-SM-5QGPQ 50-59 years, female 6.9
GTEX-1IL2V-0226-SM-CMKI2 70-79 years, male 6.8
GTEX-OHPN-0226-SM-48TBV 60-69 years, female 6.7
GTEX-YJ8A-0526-SM-5IFHT 20-29 years, male 6.7
GTEX-ZDTT-2626-SM-5S2OP 60-69 years, male 6.7
GTEX-132QS-2526-SM-62LFJ 60-69 years, male 6.6
GTEX-NPJ8-0226-SM-48TBN 40-49 years, male 6.6
GTEX-Q2AH-1726-SM-DIPDV 40-49 years, male 6.6
GTEX-13NYS-0226-SM-5MR49 60-69 years, male 6.5
GTEX-1R7EV-1926-SM-EVYBF 40-49 years, male 6.5
GTEX-QLQW-1226-SM-2S1Q9 30-39 years, male 6.4
GTEX-T5JW-1726-SM-3GADN 20-29 years, female 6.4
GTEX-X4EO-0426-SM-4QASA 60-69 years, female 6.4
GTEX-ZYFD-0226-SM-5NQ86 50-59 years, male 6.3
GTEX-14A5H-0526-SM-5TDCN 60-69 years, male 6.1
GTEX-TMZS-0226-SM-3DB9N 60-69 years, male 6.0
GTEX-145MI-0426-SM-5O99V 60-69 years, female 5.9
GTEX-QESD-1526-SM-2S1QT 20-29 years, male 5.9
GTEX-POMQ-2326-SM-DHXIS 20-29 years, female 5.9
GTEX-OOBK-0226-SM-2YUMF 40-49 years, male 5.8
GTEX-15UKP-0526-SM-7KFRO 20-29 years, male 5.6
GTEX-12WSL-2426-SM-5GCN7 50-59 years, male 5.5
GTEX-11DXX-2326-SM-9YFKS 60-69 years, female 5.4
GTEX-18A67-0226-SM-7LG67 50-59 years, male 5.2
GTEX-13O1R-0226-SM-5K7U5 60-69 years, male 5.1
GTEX-1N2EF-0626-SM-E9J32 60-69 years, male 5.1
GTEX-11TT1-2426-SM-5EQMK 20-29 years, male 5.0
GTEX-ZYVF-0226-SM-5GIEG 50-59 years, female 4.9
Show allShow less
Adipose - Visceral (Omentum)
Average nTPM: 7.9
Samples: 541

Max nTPM: 16.5
Min nTPM: 0.3
Std nTPM: 2.4
Median nTPM: 7.7
GTEX-1HCU8-1126-SM-CM2SA 60-69 years, female 16.5
GTEX-WFJO-1026-SM-3GIKL 30-39 years, male 15.9
GTEX-VUSG-1426-SM-3GIJN 50-59 years, male 15.5
GTEX-1HUB1-1526-SM-CGQF6 60-69 years, male 15.4
GTEX-1AX9I-1726-SM-731BX 60-69 years, male 14.9
GTEX-13IVO-2426-SM-5K7V9 70-79 years, male 14.0
GTEX-14BMV-1626-SM-73KVQ 50-59 years, male 13.6
GTEX-XQ8I-1426-SM-4BOPW 50-59 years, male 13.6
GTEX-1HCU7-2026-SM-A9G2B 50-59 years, male 13.6
GTEX-1EKGG-1426-SM-7PBY2 60-69 years, male 13.5
GTEX-1J8Q2-2226-SM-CM2TZ 60-69 years, male 13.4
GTEX-13OW7-1126-SM-5K7V6 50-59 years, male 13.3
GTEX-1H1CY-0826-SM-9WYTU 60-69 years, female 13.3
GTEX-1A8G7-1226-SM-73KYP 60-69 years, male 13.2
GTEX-ZDXO-2326-SM-5LU9W 60-69 years, male 13.2
GTEX-1AX9K-0926-SM-7939G 50-59 years, male 13.0
GTEX-13PDP-1226-SM-5K7TW 60-69 years, male 12.9
GTEX-1CAMQ-1226-SM-7SB7E 40-49 years, male 12.9
GTEX-1F52S-1326-SM-7SB6Q 60-69 years, female 12.7
GTEX-1NV5F-2526-SM-EXUSK 60-69 years, female 12.7
GTEX-1JMLX-1026-SM-D3L8U 50-59 years, male 12.6
GTEX-11ZTS-1326-SM-5EQMA 60-69 years, female 12.5
GTEX-1445S-2426-SM-79ON2 60-69 years, male 12.5
GTEX-18A7A-0926-SM-7LT8H 50-59 years, female 12.5
GTEX-1CB4F-1126-SM-79OLG 60-69 years, male 12.5
GTEX-1GTWX-1526-SM-9MQLF 60-69 years, male 12.5
GTEX-13X6K-0726-SM-5LU2Z 60-69 years, female 12.4
GTEX-14DAQ-2526-SM-5RQIO 60-69 years, female 12.4
GTEX-1AX9J-2226-SM-731CW 60-69 years, male 12.4
GTEX-WYBS-1026-SM-4ONCY 60-69 years, female 12.4
GTEX-1HGF4-0226-SM-CNNQL 60-69 years, male 12.3
GTEX-1IDJI-0926-SM-ACKWZ 50-59 years, female 12.2
GTEX-113JC-0726-SM-5GZZR 50-59 years, female 12.1
GTEX-ZF28-1426-SM-5S2OG 60-69 years, male 12.1
GTEX-13O21-3126-SM-5J1OI 50-59 years, male 12.0
GTEX-1F48J-1826-SM-7SB8T 50-59 years, female 12.0
GTEX-1H1DE-0826-SM-ARU8V 20-29 years, male 12.0
GTEX-1C6VQ-1526-SM-73KU9 50-59 years, male 11.9
GTEX-1H1DF-1426-SM-9YFMC 40-49 years, female 11.9
GTEX-16XZZ-1626-SM-7KUEC 60-69 years, male 11.8
GTEX-1EH9U-1326-SM-79OM3 60-69 years, male 11.8
GTEX-13W46-1226-SM-5SIAS 50-59 years, male 11.7
GTEX-17MF6-1326-SM-79ONE 40-49 years, male 11.7
GTEX-12ZZW-2326-SM-5DUW2 50-59 years, male 11.6
GTEX-14E7W-2326-SM-69LQC 70-79 years, male 11.6
GTEX-UPK5-1826-SM-3GAEB 40-49 years, male 11.6
GTEX-1JKYR-1226-SM-CM2S7 20-29 years, male 11.6
GTEX-1399T-1326-SM-5PNVH 60-69 years, male 11.5
GTEX-15SHU-2326-SM-7KUMC 40-49 years, female 11.5
GTEX-11GSP-1026-SM-9WYSH 60-69 years, female 11.4
GTEX-1H2FU-1426-SM-9WPO6 60-69 years, female 11.4
GTEX-1I1CD-1026-SM-COH3G 60-69 years, female 11.4
GTEX-1EN7A-1626-SM-79OLV 40-49 years, male 11.2
GTEX-X585-2526-SM-4QAS1 50-59 years, male 11.2
GTEX-1F6IF-2026-SM-7P8SE 60-69 years, male 11.2
GTEX-1I1GS-0926-SM-A9SL5 60-69 years, male 11.2
GTEX-1IE54-1426-SM-CL53C 40-49 years, female 11.2
GTEX-16NGA-0526-SM-731AJ 40-49 years, female 11.1
GTEX-17F96-0726-SM-793CB 70-79 years, male 11.1
GTEX-1A8G6-2026-SM-73KYC 60-69 years, male 11.1
GTEX-13YAN-1126-SM-5TDC7 60-69 years, male 11.0
GTEX-14753-2526-SM-5LU97 60-69 years, male 11.0
GTEX-UTHO-1826-SM-3GAFE 60-69 years, male 11.0
GTEX-1I6K6-1526-SM-CGQFC 30-39 years, male 11.0
GTEX-1A3MX-0826-SM-72D64 60-69 years, male 10.9
GTEX-1QMI2-1626-SM-EYYXK 60-69 years, male 10.9
GTEX-14PJM-1226-SM-686Z7 50-59 years, female 10.8
GTEX-1QEPI-2226-SM-E8VN6 60-69 years, female 10.8
GTEX-13NZB-0826-SM-5K7X5 30-39 years, male 10.7
GTEX-14BIN-1226-SM-5S2OM 50-59 years, female 10.7
GTEX-15ER7-1026-SM-7KUMD 20-29 years, female 10.7
GTEX-1BAJH-2126-SM-7EWFB 70-79 years, male 10.7
GTEX-1A8FM-2126-SM-7PC27 50-59 years, female 10.7
GTEX-1QP9N-0426-SM-DTXFT 30-39 years, male 10.7
GTEX-13OVJ-0926-SM-5K7U1 50-59 years, female 10.6
GTEX-145LU-1226-SM-5LU9B 50-59 years, male 10.6
GTEX-17F9Y-0726-SM-7LT9G 70-79 years, female 10.6
GTEX-1C6VS-1826-SM-73KXN 60-69 years, male 10.6
GTEX-Y8E4-1226-SM-5IFIM 40-49 years, male 10.6
GTEX-1KANB-2426-SM-EV7BE 50-59 years, male 10.6
GTEX-1QP66-0626-SM-E76PD 50-59 years, male 10.6
GTEX-131YS-1726-SM-5HL7G 60-69 years, female 10.5
GTEX-13G51-0526-SM-5IJCQ 60-69 years, male 10.5
GTEX-13N2G-1926-SM-5J1O3 60-69 years, male 10.4
GTEX-1RMOY-0826-SM-E9TIF 50-59 years, male 10.4
GTEX-18A7B-1226-SM-718AU 70-79 years, male 10.3
GTEX-1GZ4H-0926-SM-9WG6Y 50-59 years, female 10.3
GTEX-12WSM-0626-SM-5GCOK 60-69 years, male 10.2
GTEX-139YR-0326-SM-5J1MC 50-59 years, male 10.2
GTEX-16NPX-1026-SM-6PAM7 50-59 years, male 10.2
GTEX-18465-1826-SM-731BB 50-59 years, male 10.2
GTEX-X3Y1-0926-SM-3P5YT 40-49 years, male 10.2
GTEX-YECK-1426-SM-5IFHE 60-69 years, male 10.2
GTEX-1HBPI-1826-SM-ADEHE 50-59 years, male 10.2
GTEX-1HSKV-1926-SM-CNPPN 60-69 years, male 10.2
GTEX-1JN6P-1626-SM-CYPSV 60-69 years, male 10.2
GTEX-1RAZR-1026-SM-E8VOJ 40-49 years, male 10.2
GTEX-146FR-0226-SM-5Q5F6 60-69 years, female 10.1
GTEX-1B8SF-1726-SM-73KZ5 60-69 years, male 10.1
GTEX-1GF9X-0926-SM-7PC2X 40-49 years, female 10.1
GTEX-1JJE9-1526-SM-CM2RR 70-79 years, male 10.1
GTEX-1KAFJ-0826-SM-CYPTF 50-59 years, male 10.1
GTEX-11DXZ-1426-SM-5H12A 50-59 years, male 10.0
GTEX-13X6I-1526-SM-5SIAC 60-69 years, male 10.0
GTEX-145ME-0726-SM-5O9A3 40-49 years, female 10.0
GTEX-18A66-1926-SM-7LTAG 60-69 years, male 10.0
GTEX-Y5V5-0226-SM-5S2N8 60-69 years, female 10.0
GTEX-1HBPH-2226-SM-9WYSO 40-49 years, female 10.0
GTEX-1KD5A-1326-SM-CYPTB 50-59 years, male 10.0
GTEX-145MF-1026-SM-5Q5EQ 50-59 years, male 9.9
GTEX-WOFM-0726-SM-3MJF8 20-29 years, male 9.9
GTEX-WYJK-1426-SM-3NM8V 50-59 years, male 9.9
GTEX-WYVS-0626-SM-4SOJY 40-49 years, female 9.9
GTEX-1C64N-1326-SM-7SB7D 50-59 years, male 9.9
GTEX-1HBPN-1526-SM-9WYSB 50-59 years, male 9.9
GTEX-1IDJH-1626-SM-A9SLP 70-79 years, male 9.9
GTEX-WXYG-0926-SM-3NB2O 50-59 years, female 9.8
GTEX-1S3DN-1626-SM-EVYCC 50-59 years, male 9.8
GTEX-139TU-1426-SM-5LZY9 60-69 years, male 9.7
GTEX-13VXU-1026-SM-5KLZE 50-59 years, male 9.7
GTEX-1E1VI-1826-SM-9WG5J 50-59 years, male 9.7
GTEX-1N2DV-0626-SM-E9U5H 40-49 years, male 9.7
GTEX-1R9K4-1426-SM-DPRY4 60-69 years, male 9.7
GTEX-11NUK-2026-SM-5PNVZ 50-59 years, male 9.6
GTEX-13NZ9-2026-SM-5KM1U 50-59 years, male 9.6
GTEX-13OVL-0826-SM-5L3GV 50-59 years, male 9.6
GTEX-1CAV2-0226-SM-7IGPQ 40-49 years, female 9.6
GTEX-1K2DA-1126-SM-CGQGG 50-59 years, male 9.6
GTEX-15DYW-1526-SM-7KUEP 60-69 years, female 9.5
GTEX-1I1GT-1326-SM-ACKWB 60-69 years, female 9.5
GTEX-1IDJU-0926-SM-ARL88 60-69 years, female 9.5
GTEX-1RQEC-2526-SM-EVYD2 60-69 years, male 9.5
GTEX-11ZUS-1826-SM-5FQTR 30-39 years, male 9.4
GTEX-13JUV-0626-SM-5J1MQ 40-49 years, female 9.4
GTEX-14ICK-1726-SM-6AJA5 40-49 years, male 9.4
GTEX-15D1Q-1326-SM-69LOA 40-49 years, male 9.4
GTEX-ZUA1-2126-SM-57YRB 40-49 years, male 9.4
GTEX-1B8L1-0126-SM-9KNVS 60-69 years, male 9.4
GTEX-1HR9M-1426-SM-A9SMB 60-69 years, male 9.4
GTEX-1IDJD-0926-SM-ACKWW 30-39 years, male 9.4
GTEX-1IKK5-0826-SM-ACKWN 60-69 years, male 9.4
GTEX-1IY9M-1226-SM-ACKX1 60-69 years, male 9.4
GTEX-1QP67-1126-SM-EAZ4C 40-49 years, female 9.4
GTEX-1CAMS-0926-SM-7SB7F 40-49 years, female 9.3
GTEX-1L5NE-1726-SM-DHXKX 50-59 years, male 9.3
GTEX-14E6C-1226-SM-5ZZUN 40-49 years, male 9.2
GTEX-178AV-0626-SM-6PAM1 40-49 years, male 9.2
GTEX-17JCI-1626-SM-7EPGZ 60-69 years, female 9.2
GTEX-1B932-1726-SM-793A5 40-49 years, female 9.2
GTEX-1HB9E-0526-SM-ARZNM 50-59 years, male 9.2
GTEX-1HFI6-1726-SM-CGQFH 40-49 years, male 9.2
GTEX-1HSGN-1926-SM-CMKGS 40-49 years, female 9.2
GTEX-1I1GR-1726-SM-COH39 60-69 years, male 9.2
GTEX-1J8EW-1526-SM-CMKFZ 60-69 years, female 9.2
GTEX-17HHE-1526-SM-793AS 50-59 years, male 9.1
GTEX-18D9U-0426-SM-731AN 40-49 years, male 9.1
GTEX-1GN1W-1226-SM-9MQLW 50-59 years, female 9.1
GTEX-1I1GQ-1026-SM-CNNQS 50-59 years, male 9.1
GTEX-1KWVE-0226-SM-E9TKK 30-39 years, male 9.1
GTEX-13PL6-0926-SM-5KLYY 40-49 years, female 9.0
GTEX-147JS-1026-SM-5S2MP 60-69 years, male 9.0
GTEX-Y8LW-0926-SM-4VBQ8 50-59 years, female 9.0
GTEX-ZAB5-1126-SM-5Q5AD 50-59 years, male 9.0
GTEX-1JMQI-1026-SM-COH2U 50-59 years, male 9.0
GTEX-11VI4-1226-SM-5EQMP 40-49 years, female 8.9
GTEX-1C6VR-1126-SM-7EPHD 60-69 years, male 8.9
GTEX-ZC5H-1626-SM-5HL7L 40-49 years, female 8.9
GTEX-ZDTS-1826-SM-5S2N6 60-69 years, male 8.9
GTEX-1HSMO-1426-SM-CNNQN 60-69 years, male 8.9
GTEX-132NY-1126-SM-5PNVE 60-69 years, male 8.8
GTEX-13S7M-0826-SM-5QGQX 60-69 years, female 8.8
GTEX-145MI-0826-SM-5SI95 60-69 years, female 8.8
GTEX-ZXG5-1626-SM-59HJK 60-69 years, male 8.8
GTEX-1F5PL-1326-SM-7SB83 40-49 years, female 8.8
GTEX-1HKZK-1726-SM-ADEJ9 40-49 years, male 8.8
GTEX-1R9PO-0926-SM-E9U4Q 60-69 years, female 8.8
GTEX-12WSA-1626-SM-5EGJV 60-69 years, male 8.7
GTEX-15CHQ-1126-SM-686YY 60-69 years, male 8.7
GTEX-16NPV-0626-SM-7IGOR 50-59 years, female 8.7
GTEX-XQ3S-2426-SM-4WAYB 20-29 years, male 8.7
GTEX-ZG7Y-1626-SM-5S2NO 50-59 years, male 8.7
GTEX-ZYT6-2126-SM-5GZZ4 30-39 years, male 8.7
GTEX-1GZ4I-2326-SM-9YFMO 50-59 years, male 8.7
GTEX-1HT8W-0726-SM-A9SLB 30-39 years, male 8.7
GTEX-11OF3-0826-SM-5BC51 60-69 years, male 8.6
GTEX-139D8-1626-SM-5IJFZ 30-39 years, female 8.6
GTEX-13O3Q-1126-SM-5K7YK 50-59 years, male 8.6
GTEX-17HGU-1726-SM-79OKM 50-59 years, male 8.6
GTEX-XBEC-1826-SM-4QASN 50-59 years, male 8.6
GTEX-ZE9C-1326-SM-5S2OW 60-69 years, male 8.6
GTEX-1HSMQ-1026-SM-ADEHU 50-59 years, male 8.6
GTEX-1JJ6O-2826-SM-CNNP7 60-69 years, male 8.6
GTEX-1LG7Y-1126-SM-CYPTE 50-59 years, male 8.6
GTEX-1MA7X-1026-SM-DKPQ8 60-69 years, male 8.6
GTEX-WI4N-1526-SM-EZ6LG 40-49 years, female 8.6
GTEX-117YW-0826-SM-5H11O 50-59 years, male 8.5
GTEX-1192X-1526-SM-5H11I 50-59 years, male 8.5
GTEX-11GS4-1026-SM-5N9DE 60-69 years, male 8.5
GTEX-12WSL-1126-SM-5CVNK 50-59 years, male 8.5
GTEX-18QFQ-1326-SM-731CF 30-39 years, male 8.5
GTEX-1B996-1226-SM-73KWZ 60-69 years, male 8.5
GTEX-1EMGI-0726-SM-7PBZ4 60-69 years, male 8.5
GTEX-1GMR2-0226-SM-9JGHO 50-59 years, male 8.5
GTEX-1JMQJ-1926-SM-D4P3A 50-59 years, male 8.5
GTEX-1K9T9-1626-SM-DIPFS 50-59 years, female 8.5
GTEX-1LVAM-1026-SM-DIPFK 50-59 years, female 8.5
GTEX-11NV4-1426-SM-5BC4W 60-69 years, male 8.4
GTEX-13X6J-1926-SM-5TDCU 50-59 years, male 8.4
GTEX-14AS3-0426-SM-5QGQK 40-49 years, female 8.4
GTEX-18A6Q-1026-SM-7LT9S 60-69 years, male 8.4
GTEX-W5X1-1426-SM-3GIKH 40-49 years, female 8.4
GTEX-XGQ4-1026-SM-4AT4L 50-59 years, male 8.4
GTEX-1GF9V-1126-SM-9MQM7 60-69 years, male 8.4
GTEX-1JMQK-1326-SM-CNPOR 60-69 years, male 8.4
GTEX-1MCQQ-1426-SM-E6CJA 60-69 years, male 8.4
GTEX-1QP6S-1626-SM-EVYC5 40-49 years, male 8.4
GTEX-ZF29-0826-SM-5S2O2 60-69 years, female 8.4
GTEX-11DXY-0326-SM-5H12F 60-69 years, male 8.3
GTEX-131XH-0826-SM-5GCN8 50-59 years, male 8.3
GTEX-13N11-1826-SM-5IJDS 50-59 years, female 8.3
GTEX-Y111-0926-SM-4SOIU 50-59 years, male 8.3
GTEX-ZVP2-0226-SM-57WBD 50-59 years, male 8.3
GTEX-1B97J-1126-SM-7SB79 50-59 years, female 8.3
GTEX-1GMRU-0726-SM-7PBZH 50-59 years, male 8.3
GTEX-12584-2126-SM-5FQUM 40-49 years, male 8.2
GTEX-1313W-1626-SM-5J1OE 50-59 years, female 8.2
GTEX-132AR-0526-SM-5J2MJ 50-59 years, female 8.2
GTEX-13OW6-2426-SM-5K7WO 50-59 years, male 8.2
GTEX-XOT4-0826-SM-4B66Y 60-69 years, female 8.2
GTEX-1H11D-1126-SM-9YFM5 40-49 years, male 8.2
GTEX-12WSF-1526-SM-6PAN6 70-79 years, male 8.1
GTEX-14JIY-1426-SM-6EU29 60-69 years, male 8.1
GTEX-17EVP-1426-SM-79OMN 40-49 years, male 8.1
GTEX-17KNJ-0426-SM-718AK 50-59 years, male 8.1
GTEX-WHPG-0626-SM-3NMBD 50-59 years, male 8.1
GTEX-YFCO-1126-SM-5S2N9 40-49 years, male 8.1
GTEX-ZF2S-1526-SM-5S2OO 50-59 years, female 8.1
GTEX-ZQUD-0526-SM-57WG4 30-39 years, male 8.1
GTEX-13OVK-0326-SM-7KUEJ 40-49 years, male 8.0
GTEX-1C2JI-0826-SM-7EPHB 50-59 years, male 8.0
GTEX-1CB4G-2126-SM-7IGQ8 60-69 years, male 8.0
GTEX-WL46-2026-SM-3LK7U 50-59 years, male 8.0
GTEX-1QCLY-1226-SM-EVYC3 30-39 years, male 8.0
GTEX-12ZZX-1726-SM-5BC63 40-49 years, female 7.9
GTEX-13112-1126-SM-5GCMY 50-59 years, male 7.9
GTEX-14C5O-0926-SM-793DM 60-69 years, male 7.9
GTEX-15UKP-1426-SM-7KUDX 20-29 years, male 7.9
GTEX-17HHY-1026-SM-7LG5E 50-59 years, male 7.9
GTEX-1EWIQ-2526-SM-7EPIJ 70-79 years, female 7.9
GTEX-WY7C-0926-SM-3NB34 50-59 years, male 7.9
GTEX-ZAJG-1626-SM-5HL7I 50-59 years, female 7.9
GTEX-ZDYS-2226-SM-5S2MI 50-59 years, male 7.9
GTEX-ZTPG-2326-SM-57WFL 20-29 years, female 7.9
GTEX-12696-1826-SM-5EGJS 60-69 years, male 7.8
GTEX-13NYS-0726-SM-5J1OR 60-69 years, male 7.8
GTEX-14PJ2-1426-SM-62LFF 50-59 years, male 7.8
GTEX-17EVQ-0626-SM-7KFTB 70-79 years, male 7.8
GTEX-17F9E-1326-SM-7DHL4 50-59 years, male 7.8
GTEX-1A32A-0926-SM-718AB 50-59 years, female 7.8
GTEX-1F6I4-2126-SM-7PC2J 60-69 years, male 7.8
GTEX-1GF9U-1226-SM-ARL9I 40-49 years, female 7.8
GTEX-1GN1U-0726-SM-9MQKL 50-59 years, female 7.8
GTEX-1H23P-1726-SM-A9SMN 60-69 years, male 7.8
GTEX-1KANA-1426-SM-CY8IF 20-29 years, male 7.8
GTEX-11XUK-1726-SM-5GU61 40-49 years, female 7.7
GTEX-14ICL-0926-SM-5S2TU 30-39 years, male 7.7
GTEX-16GPK-1326-SM-7KUE4 60-69 years, male 7.7
GTEX-1A3MV-0626-SM-731CH 30-39 years, male 7.7
GTEX-1F75B-1226-SM-7MXTW 50-59 years, male 7.7
GTEX-1H1ZS-1326-SM-9WG74 70-79 years, male 7.7
GTEX-1HCUA-0926-SM-ADEIX 50-59 years, female 7.7
GTEX-1IL2U-2726-SM-C1YSG 60-69 years, male 7.7
GTEX-1KANC-0526-SM-D4P3T 50-59 years, female 7.7
GTEX-1LVAO-2126-SM-DIPGA 60-69 years, male 7.7
GTEX-1O9I2-1326-SM-E6CQD 50-59 years, male 7.7
GTEX-1OJC3-1326-SM-E9J3D 20-29 years, male 7.7
GTEX-13113-1126-SM-5LZU9 60-69 years, female 7.6
GTEX-13PVR-0526-SM-5S2OB 60-69 years, female 7.6
GTEX-15SKB-1626-SM-6PAL6 60-69 years, male 7.6
GTEX-1AMFI-1026-SM-73KYM 50-59 years, female 7.6
GTEX-1B8KZ-1026-SM-73KYN 50-59 years, male 7.6
GTEX-XV7Q-1726-SM-4BRUU 40-49 years, female 7.6
GTEX-1IDJF-1726-SM-A9SLL 20-29 years, male 7.6
GTEX-WVLH-1626-SM-EXURN 50-59 years, male 7.6
GTEX-1117F-1326-SM-5EGHH 60-69 years, female 7.5
GTEX-12KS4-1526-SM-5EQ6E 30-39 years, male 7.5
GTEX-13VXT-0926-SM-5LU5K 20-29 years, female 7.5
GTEX-14BIM-1626-SM-7EWD2 60-69 years, female 7.5
GTEX-ZYFC-1826-SM-5GZZA 50-59 years, male 7.5
GTEX-1ICG6-1726-SM-ARU7K 70-79 years, female 7.5
GTEX-1KD4Q-1426-SM-D4P3K 40-49 years, male 7.5
GTEX-1MA7W-0526-SM-E6CIN 20-29 years, female 7.5
GTEX-VJWN-2326-SM-EVYAP 50-59 years, female 7.5
GTEX-11DYG-2026-SM-5EGGX 60-69 years, male 7.4
GTEX-12WSC-1726-SM-5GCN3 50-59 years, male 7.4
GTEX-14PHW-1626-SM-6EU2H 60-69 years, female 7.4
GTEX-15CHC-0826-SM-686YW 60-69 years, female 7.4
GTEX-18D9A-0726-SM-7LTA7 30-39 years, female 7.4
GTEX-ZE7O-1526-SM-5J1NH 50-59 years, female 7.4
GTEX-ZYVF-1026-SM-5E44V 50-59 years, female 7.4
GTEX-1I6K7-1826-SM-CGQFO 40-49 years, male 7.4
GTEX-1P4AB-1226-SM-DTXET 50-59 years, male 7.4
GTEX-11GSO-0226-SM-5A5LV 60-69 years, male 7.3
GTEX-ZF3C-1026-SM-5S2OC 50-59 years, female 7.3
GTEX-ZT9X-0926-SM-5O9C4 40-49 years, male 7.3
GTEX-1MUQO-0826-SM-EVYCZ 60-69 years, male 7.3
GTEX-1N2EE-1526-SM-DTXE9 60-69 years, male 7.3
GTEX-14E1K-0426-SM-5S2PF 50-59 years, male 7.2
GTEX-1GN73-0626-SM-7PC3I 60-69 years, male 7.2
GTEX-1H4P4-0326-SM-9WYTD 50-59 years, male 7.2
GTEX-1KXAM-0526-SM-DKPQN 60-69 years, male 7.2
GTEX-1MCC2-0626-SM-DKPQI 30-39 years, female 7.2
GTEX-1QPFJ-2126-SM-EXOJV 30-39 years, female 7.2
GTEX-1RAZA-0926-SM-E6CQ8 20-29 years, male 7.2
GTEX-1S82P-0926-SM-EWRNP 60-69 years, female 7.2
GTEX-11DXX-2026-SM-5EGJL 60-69 years, female 7.1
GTEX-11P7K-0826-SM-5BC5F 30-39 years, male 7.1
GTEX-139T6-0526-SM-5IJC9 50-59 years, male 7.1
GTEX-15EOM-2326-SM-7KUMV 20-29 years, female 7.1
GTEX-17HII-0826-SM-7DUFH 50-59 years, male 7.1
GTEX-183FY-1226-SM-7DHLK 20-29 years, male 7.1
GTEX-WK11-2426-SM-3NMAA 50-59 years, male 7.1
GTEX-WWTW-1326-SM-4MVNT 50-59 years, male 7.1
GTEX-ZYFG-1426-SM-5GICS 60-69 years, female 7.1
GTEX-1H1DG-2026-SM-9QEIV 70-79 years, male 7.1
GTEX-1LKK1-1526-SM-EVYCO 50-59 years, female 7.1
GTEX-1N2DW-0726-SM-DTX97 50-59 years, male 7.1
GTEX-1QAET-1226-SM-DTX9I 50-59 years, male 7.1
GTEX-1QP28-0926-SM-EVR4D 50-59 years, female 7.1
GTEX-1S5VW-2426-SM-EAZ52 60-69 years, male 7.1
GTEX-13D11-0526-SM-5LZYM 50-59 years, female 7.0
GTEX-13S86-0926-SM-5SI6I 40-49 years, male 7.0
GTEX-15G19-1126-SM-7KUEL 60-69 years, male 7.0
GTEX-WH7G-1126-SM-3NMBK 40-49 years, male 7.0
GTEX-WHWD-0826-SM-3LK6R 50-59 years, male 7.0
GTEX-ZT9W-1026-SM-57WG5 50-59 years, male 7.0
GTEX-11EM3-1126-SM-5A5KM 20-29 years, female 6.9
GTEX-12WSG-0426-SM-5FQSE 50-59 years, female 6.9
GTEX-132Q8-1726-SM-5EGK8 60-69 years, male 6.9
GTEX-13FHO-2026-SM-5J1OA 60-69 years, male 6.9
GTEX-13O3P-0926-SM-5IFFI 50-59 years, male 6.9
GTEX-14E6E-0226-SM-7DUEF 30-39 years, male 6.9
GTEX-XLM4-1026-SM-4AT51 60-69 years, male 6.9
GTEX-XMK1-0926-SM-4B66X 40-49 years, male 6.9
GTEX-ZQG8-1026-SM-51MR9 60-69 years, female 6.9
GTEX-1F75I-1026-SM-7SB8B 40-49 years, male 6.9
GTEX-1LG7Z-0226-SM-E6CIG 30-39 years, male 6.9
GTEX-1S831-1926-SM-EV79P 20-29 years, male 6.9
GTEX-11PRG-1526-SM-5HL6Z 50-59 years, male 6.8
GTEX-13W3W-1126-SM-5L3DO 60-69 years, female 6.8
GTEX-146FH-2026-SM-5SI9I 50-59 years, female 6.8
GTEX-14ABY-1926-SM-62LDJ 50-59 years, male 6.8
GTEX-14PKU-0226-SM-6EU16 40-49 years, female 6.8
GTEX-WRHK-0826-SM-3MJFG 20-29 years, female 6.8
GTEX-Y5V6-0626-SM-4WWFY 60-69 years, male 6.8
GTEX-YJ89-1926-SM-5IFJ6 60-69 years, male 6.8
GTEX-ZAB4-1426-SM-5CVN6 40-49 years, male 6.8
GTEX-1J1R8-0526-SM-ACKWO 40-49 years, male 6.8
GTEX-1PPH8-1026-SM-DPRXN 20-29 years, male 6.8
GTEX-Y3I4-0726-SM-E9J3Y 50-59 years, male 6.8
GTEX-13PVQ-2226-SM-5L3G9 50-59 years, male 6.7
GTEX-XYKS-1826-SM-4E3JV 60-69 years, female 6.7
GTEX-Z9EW-0826-SM-5HL9T 40-49 years, male 6.7
GTEX-ZPCL-1026-SM-5GCOX 60-69 years, female 6.7
GTEX-ZVE2-1826-SM-51MRZ 50-59 years, male 6.7
GTEX-1C475-0326-SM-7SB8O 40-49 years, female 6.7
GTEX-1GMR3-0826-SM-9WYT4 40-49 years, male 6.7
GTEX-1JMPY-0326-SM-CM2S2 30-39 years, male 6.7
GTEX-1LSVX-1326-SM-DIPET 60-69 years, male 6.7
GTEX-14PJO-1626-SM-69LPQ 60-69 years, male 6.6
GTEX-17F97-1226-SM-79OJT 50-59 years, male 6.6
GTEX-1HCU9-0626-SM-ACKW6 20-29 years, male 6.6
GTEX-1I1GU-0626-SM-CMKHR 40-49 years, male 6.6
GTEX-1ICLY-1426-SM-CJI48 50-59 years, male 6.6
GTEX-1J1OQ-1526-SM-CJI4E 40-49 years, female 6.6
GTEX-13111-0626-SM-5LZVR 50-59 years, male 6.5
GTEX-13OVG-1326-SM-5K7Y3 60-69 years, male 6.5
GTEX-14PK6-0926-SM-62LF4 70-79 years, female 6.5
GTEX-15RIE-0126-SM-7KUF8 60-69 years, male 6.5
GTEX-16AAH-1526-SM-7LT9W 50-59 years, male 6.5
GTEX-18D9B-1726-SM-7LTAP 60-69 years, male 6.5
GTEX-ZYW4-2226-SM-5GZYG 60-69 years, male 6.5
GTEX-1QP29-1626-SM-EXUSZ 50-59 years, male 6.5
GTEX-13CF3-1126-SM-5LZXB 60-69 years, female 6.4
GTEX-144GN-0726-SM-5O98O 50-59 years, male 6.4
GTEX-1B8SG-1426-SM-7EWEM 50-59 years, male 6.4
GTEX-Y9LG-1226-SM-4VBQA 30-39 years, male 6.4
GTEX-ZP4G-1326-SM-5EGIW 20-29 years, female 6.4
GTEX-ZTX8-0726-SM-59HL9 20-29 years, male 6.4
GTEX-11P81-0726-SM-5PNYH 30-39 years, female 6.3
GTEX-ZDTT-0526-SM-5HL4M 60-69 years, male 6.3
GTEX-1H1E6-1126-SM-9JGGV 30-39 years, male 6.3
GTEX-1POEN-1626-SM-EVYC2 30-39 years, female 6.3
GTEX-1128S-0926-SM-5GZZU 60-69 years, female 6.2
GTEX-12C56-0826-SM-5EGJ5 20-29 years, male 6.2
GTEX-13U4I-1726-SM-5J1MF 40-49 years, female 6.2
GTEX-14B4R-0526-SM-5QGQT 30-39 years, male 6.2
GTEX-14BIL-2426-SM-5QGQR 50-59 years, male 6.2
GTEX-1B8KE-0826-SM-72D6S 50-59 years, male 6.2
GTEX-ZPU1-1226-SM-5HL71 40-49 years, male 6.2
GTEX-1GZ2Q-1226-SM-9MQM8 40-49 years, male 6.2
GTEX-1I19N-1026-SM-A96TT 70-79 years, male 6.2
GTEX-1IKOE-1726-SM-CNNQ6 30-39 years, female 6.2
GTEX-VJYA-1626-SM-EXOHL 60-69 years, male 6.2
GTEX-1211K-1226-SM-5EQ4N 60-69 years, female 6.1
GTEX-131XE-2026-SM-5LZW1 50-59 years, male 6.1
GTEX-131XG-0126-SM-5K7UJ 50-59 years, female 6.1
GTEX-16MTA-1326-SM-6PALX 50-59 years, male 6.1
GTEX-1GL5R-0726-SM-9MQL5 50-59 years, male 6.1
GTEX-1ICLZ-1626-SM-CE6SS 60-69 years, male 6.1
GTEX-1LSNL-1426-SM-E6CJ9 50-59 years, male 6.1
GTEX-1QW4Y-0826-SM-DTXE1 30-39 years, male 6.1
GTEX-1RLM8-1026-SM-EWROE 50-59 years, male 6.1
GTEX-13FXS-1326-SM-62LFR 50-59 years, male 6.0
GTEX-ZGAY-1326-SM-5S2NS 40-49 years, female 6.0
GTEX-ZVT2-0226-SM-5GIE3 50-59 years, female 6.0
GTEX-1HC8U-0926-SM-A9G3L 40-49 years, female 6.0
GTEX-1JN76-1026-SM-ARZNI 20-29 years, female 6.0
GTEX-1LSNM-0626-SM-DIPG7 50-59 years, male 6.0
GTEX-11P82-0326-SM-5HL51 20-29 years, male 5.9
GTEX-13N1W-1226-SM-5K7UM 70-79 years, male 5.9
GTEX-XBEW-1726-SM-4RGMA 40-49 years, male 5.9
GTEX-XUZC-1126-SM-4BOPZ 30-39 years, female 5.9
GTEX-13OW8-0326-SM-5L3FB 60-69 years, male 5.8
GTEX-145LV-1026-SM-5O9AE 50-59 years, male 5.8
GTEX-14DAR-0426-SM-664MW 50-59 years, male 5.8
GTEX-14PJ5-0426-SM-5ZZW2 60-69 years, female 5.8
GTEX-15DZA-0626-SM-6PANC 30-39 years, female 5.8
GTEX-1GF9W-1026-SM-7SB8X 60-69 years, male 5.8
GTEX-1IDJC-0226-SM-CMKG2 50-59 years, male 5.8
GTEX-1PIGE-1226-SM-EVR3Q 20-29 years, male 5.8
GTEX-17F98-0326-SM-7DHLH 40-49 years, female 5.7
GTEX-1AYD5-0126-SM-7DUG5 50-59 years, male 5.7
GTEX-X8HC-2326-SM-4QAS4 50-59 years, female 5.7
GTEX-1LGOU-0826-SM-DHXKL 20-29 years, female 5.7
GTEX-1LH75-1026-SM-EWROK 50-59 years, female 5.7
GTEX-1LVAN-0926-SM-CNNQ2 50-59 years, female 5.7
GTEX-117YX-0726-SM-5GIET 50-59 years, male 5.6
GTEX-11LCK-0326-SM-5A5M7 30-39 years, male 5.6
GTEX-14PHY-1026-SM-62LEV 60-69 years, female 5.6
GTEX-15EU6-1726-SM-6M48H 50-59 years, male 5.6
GTEX-1AX8Z-1626-SM-73KWD 60-69 years, male 5.6
GTEX-1B933-1326-SM-7939U 50-59 years, female 5.6
GTEX-XAJ8-0226-SM-4GIB2 40-49 years, male 5.6
GTEX-ZPIC-0726-SM-57WFM 40-49 years, female 5.6
GTEX-1122O-0926-SM-9YFLC 60-69 years, female 5.6
GTEX-1HCU6-1626-SM-CMKGW 60-69 years, female 5.6
GTEX-1HSMP-1126-SM-B2LXJ 70-79 years, male 5.6
GTEX-1PBJI-1326-SM-E9J2V 20-29 years, female 5.6
GTEX-12WSI-1526-SM-5GCNM 50-59 years, male 5.5
GTEX-14PJN-0626-SM-6EU13 30-39 years, male 5.5
GTEX-1AMEY-0526-SM-72D62 30-39 years, female 5.5
GTEX-1B97I-0526-SM-73KXE 40-49 years, male 5.5
GTEX-1GPI7-0826-SM-9JGG7 20-29 years, male 5.5
GTEX-1HFI7-0726-SM-ACKVN 50-59 years, female 5.5
GTEX-14E6D-1326-SM-62LES 50-59 years, male 5.4
GTEX-WEY5-1326-SM-3GILS 40-49 years, female 5.4
GTEX-ZV6S-1626-SM-5NQ81 40-49 years, female 5.4
GTEX-ZXES-0926-SM-5E43O 30-39 years, female 5.4
GTEX-1I1GP-1426-SM-ACKVZ 50-59 years, male 5.4
GTEX-1OKEX-0926-SM-E8VNJ 60-69 years, male 5.4
GTEX-1PFEY-0726-SM-E76PO 30-39 years, male 5.4
GTEX-1R7EV-1026-SM-DTX81 40-49 years, male 5.4
GTEX-13FTX-0626-SM-5J2NS 20-29 years, female 5.3
GTEX-13PL7-1226-SM-5SIAR 60-69 years, female 5.3
GTEX-144GM-0626-SM-79OKY 20-29 years, male 5.3
GTEX-14C38-1026-SM-73KY7 50-59 years, male 5.3
GTEX-14JG6-0526-SM-6LLIH 30-39 years, female 5.3
GTEX-14PJ3-0726-SM-69LQE 50-59 years, male 5.3
GTEX-1HSEH-1326-SM-ADEI1 60-69 years, male 5.3
GTEX-1I4MK-0726-SM-ACKWC 50-59 years, female 5.3
GTEX-1LBAC-1026-SM-CXKYA 20-29 years, male 5.3
GTEX-1MJK3-0626-SM-E6CJB 20-29 years, male 5.3
GTEX-11WQK-1526-SM-5EGKN 50-59 years, male 5.2
GTEX-13O61-1926-SM-5KM1R 60-69 years, male 5.2
GTEX-169BO-0426-SM-7EPI1 50-59 years, male 5.2
GTEX-WFON-1226-SM-3TW8F 40-49 years, male 5.2
GTEX-XBED-1326-SM-4AT4F 60-69 years, male 5.2
GTEX-YEC3-0926-SM-5Q5AC 50-59 years, male 5.2
GTEX-ZA64-0926-SM-5HL7H 20-29 years, male 5.2
GTEX-ZEX8-1226-SM-5S2OK 50-59 years, male 5.2
GTEX-1RNTQ-0826-SM-E9TK8 20-29 years, female 5.2
GTEX-1212Z-0526-SM-5FQSQ 60-69 years, male 5.1
GTEX-13RTK-0726-SM-5Q5EN 20-29 years, male 5.1
GTEX-14PHX-1626-SM-69LQB 50-59 years, male 5.1
GTEX-1N2EF-0926-SM-E8VNW 60-69 years, male 5.1
GTEX-13FH7-1926-SM-5J2OL 50-59 years, female 5.0
GTEX-1CB4E-0826-SM-793CS 60-69 years, male 5.0
GTEX-1H3VE-1926-SM-9YFL4 40-49 years, male 5.0
GTEX-1S5ZA-1026-SM-EWRO2 20-29 years, male 5.0
GTEX-XPVG-1626-SM-EYYVK 50-59 years, male 5.0
GTEX-ZLWG-0726-SM-5S2N4 50-59 years, female 5.0
GTEX-17MFQ-1126-SM-7LT9O 20-29 years, male 4.9
GTEX-XXEK-1426-SM-4BRW1 50-59 years, male 4.9
GTEX-1CB4I-0826-SM-7MGX1 50-59 years, male 4.9
GTEX-11TT1-1926-SM-5PNYN 20-29 years, male 4.8
GTEX-13FTW-0426-SM-5K7X2 40-49 years, male 4.8
GTEX-16BQI-1126-SM-7KULF 30-39 years, female 4.8
GTEX-1EU9M-1126-SM-793DE 60-69 years, male 4.8
GTEX-ZZ64-0626-SM-5GZWR 20-29 years, male 4.8
GTEX-1LGRB-0526-SM-COH3A 50-59 years, female 4.8
GTEX-111YS-1326-SM-5EGGK 60-69 years, male 4.7
GTEX-12WSK-1026-SM-5CVNR 40-49 years, female 4.7
GTEX-1399U-2026-SM-9WPNN 50-59 years, female 4.7
GTEX-11I78-0226-SM-5HL6R 50-59 years, female 4.6
GTEX-1K2DU-0726-SM-DIPF7 20-29 years, male 4.6
GTEX-1RAZQ-1526-SM-E6CJI 30-39 years, male 4.6
GTEX-12BJ1-0826-SM-5EQ5P 60-69 years, male 4.5
GTEX-131XF-0726-SM-5GIE5 60-69 years, male 4.5
GTEX-14BMU-0626-SM-73KZ6 20-29 years, female 4.5
GTEX-18A67-1326-SM-7LT8V 50-59 years, male 4.5
GTEX-1OFPY-0826-SM-DTX8P 60-69 years, male 4.5
GTEX-145LT-1526-SM-5O98P 40-49 years, male 4.3
GTEX-ZVZP-1126-SM-5GICU 50-59 years, male 4.3
GTEX-ZZPU-0326-SM-5N9BJ 50-59 years, female 4.3
GTEX-13OVH-1126-SM-5K7YP 70-79 years, male 4.1
GTEX-14C39-0826-SM-5TDDU 40-49 years, male 4.1
GTEX-YEC4-0926-SM-5PNXY 40-49 years, male 4.1
GTEX-ZLV1-0926-SM-5S2MR 60-69 years, female 4.1
GTEX-ZV7C-0826-SM-59HK8 50-59 years, male 4.1
GTEX-17GQL-0826-SM-731AM 60-69 years, male 4.0
GTEX-1CAMR-0326-SM-793AH 20-29 years, male 4.0
GTEX-Y5LM-0826-SM-4VDSW 40-49 years, female 4.0
GTEX-ZTSS-1026-SM-5985N 40-49 years, male 4.0
GTEX-111CU-1026-SM-5EGIL 50-59 years, male 3.9
GTEX-YJ8A-1926-SM-EZ6LQ 20-29 years, male 3.9
GTEX-11EQ9-1126-SM-5987I 30-39 years, male 3.7
GTEX-1339X-0726-SM-5L3FF 40-49 years, male 3.7
GTEX-1JKYN-0526-SM-CGQG3 30-39 years, male 3.7
GTEX-132QS-0826-SM-5K7WV 60-69 years, male 3.6
GTEX-14PJ4-0126-SM-62LEZ 60-69 years, male 3.6
GTEX-1AYCT-1126-SM-79OO8 50-59 years, male 3.5
GTEX-13QBU-1326-SM-5LU4K 40-49 years, female 3.4
GTEX-14PN3-0326-SM-6EU1X 60-69 years, female 3.4
GTEX-1399S-1426-SM-5PNYQ 30-39 years, female 3.3
GTEX-14PN4-1426-SM-6LLJ4 50-59 years, male 3.3
GTEX-U8XE-1926-SM-3DB98 30-39 years, male 3.1
GTEX-Y114-1326-SM-4TT9A 50-59 years, female 2.8
GTEX-133LE-0926-SM-5P9J1 20-29 years, female 2.7
GTEX-13X6H-1726-SM-5Q5EH 50-59 years, female 2.7
GTEX-1RB15-1126-SM-E8VMX 60-69 years, male 0.3
Show allShow less

ADIPOSE TISSUE - FANTOM5 CAGEi

RNA expression in human tissues obtained through Cap Analysis of Gene Expression (CAGE) generated by the FANTOM5 project are reported as Scaled Tags Per Million.

Max subtype Scaled Tags Per Millioni

Max subtype Scaled Tags Per Million is the value for the subtype with the largest average Scaled Tags Per Million across the subtype samples.

21.0
FANTOM5 sample id Sample description Scaled Tags Per Million
Adipose tissue
Scaled Tags Per Million: 21.0
FF:10010-101C1 65,65,76 years, mixed 21.0

Contact

  • NEWS ARTICLES
  • PRESS ROOM

The Project

  • INTRODUCTION
  • ORGANIZATION
  • PUBLICATIONS

The Human Protein Atlas

  • DOWNLOADABLE DATA
  • LICENCE & CITATION
  • HELP & FAQ
The Human Protein Atlas project is funded
by the Knut & Alice Wallenberg Foundation.


contact@proteinatlas.org