We use cookies to enhance the usability of our website. If you continue, we'll assume that you are happy to receive all cookies. More information. Don't show this again.
RPL32
HPA
RESOURCES
  • TISSUE
  • BRAIN
  • SINGLE CELL
  • SUBCELLULAR
  • CANCER
  • BLOOD
  • CELL LINE
  • STRUCTURE & INTERACTION
ABOUT
  • INTRODUCTION
  • HISTORY
  • ORGANIZATION
  • PUBLICATIONS
  • ANTIBODY SUBMISSION
  • ANTIBODY AVAILABILITY
  • ACKNOWLEDGMENTS
  • CONTACT
NEWS
  • NEWS ARTICLES
  • PRESS ROOM
LEARN
  • DICTIONARY
  • PROTEIN CLASSES
  • PROTEIN EVIDENCE
  • METHODS
  • EDUCATIONAL VIDEOS
DATA
  • DOWNLOADABLE DATA
  • PUBLICATION DATA
  • RELEASE HISTORY
HELP
  • ANTIBODY VALIDATION
  • ASSAYS & ANNOTATION
  • DISCLAIMER
  • HELP & FAQ
  • PRIVACY STATEMENT
  • LICENCE & CITATION
Fields »
Search result

Field
Term
Gene name
Class
Subclass
Class
Keyword
Chromosome
External id
Tissue
Cell type
Expression
Antibody panel
Tissue
Main location
Patient ID
Annotation
Tissue
Category
Tau score
Cluster
Reliability
Brain region
Category
Tau score
Brain region
Category
Tau score
Brain region
Category
Tau score
Cluster
Reliability
Tissue
Cell type
Enrichment
Cell type
Category
Tau score
Cell type
Category
Tau score
Cell type
Category
Tau score
Cell lineage
Category
Tau score
Cluster
Cluster
Location
Searches
Location
Cell line
Class
Type
Phase
Reliability
Cancer
Prognosis
Cancer
Category
Cancer
Category
Tau score
Cluster
Variants
Interacting gene (ensg_id)
Type
Number of interactions
Pathway
Category
Score
Score
Score
Validation
Validation
Validation
Validation
Antibodies
Data type
Column


  • SUMMARY

  • TISSUE

  • BRAIN

  • SINGLE CELL

  • SUBCELL

  • CANCER

  • BLOOD

  • CELL LINE

  • STRUCT & INT

  • RPL32
TISSUE PRIMARY DATA HEART MUSCLE Show tissue menu
ADIPOSE TISSUE ADRENAL GLAND AMYGDALA APPENDIX BASAL GANGLIA BONE MARROW BREAST BRONCHUS CEREBELLUM CEREBRAL CORTEX CERVIX CHOROID PLEXUS COLON DUODENUM
ENDOMETRIUM EPIDIDYMIS ESOPHAGUS FALLOPIAN TUBE GALLBLADDER HEART MUSCLE HIPPOCAMPAL FORMATION HYPOTHALAMUS KIDNEY LIVER LUNG LYMPH NODE MIDBRAIN NASOPHARYNX
ORAL MUCOSA OVARY PANCREAS PARATHYROID GLAND PITUITARY GLAND PLACENTA PROSTATE RECTUM RETINA SALIVARY GLAND SEMINAL VESICLE SKELETAL MUSCLE SKIN SMALL INTESTINE
SMOOTH MUSCLE SOFT TISSUE SPINAL CORD SPLEEN STOMACH TESTIS THYMUS THYROID GLAND TONGUE TONSIL URINARY BLADDER VAGINA
ANTIBODIES
AND
VALIDATION
Dictionary
Heart muscle
Tissue proteome
Heart
HEART MUSCLE - Expression summary
Protein expression
Heart musclei

On the top, protein expression in current human tissue, based on all annotated cell types, is reported with the units not detected (n), low (l), medium (m) and high (h). Underneath, protein expression in each annotated cell type are reported using the same units.

Protein expression data is based on knowledge-based annotation. For genes where more than one antibody has been used, a collective score is set.

If knowledge-based annotation could not be performed for a gene, no data is displayed here. View antibody staining data further down this page.

h
m
l
n
Cardiomyocytes: Low
RNA expressioni

A summary of mRNA expression data available for current tissue based on several datasets. The mRNA expression levels in human tissues are based on RNA-seq data generated by the Human Protein Atlas (HPA), Genotype-Tissue Expression (GTEx) portal and CAGE data generated by the FANTOM5 consortium. Consensus normalized expression levels for human tissues was created by combining the data from HPA and GTEx datasets.

The mRNA expression levels in pig are based on RNA-seq data generated by the Human Protein Atlas (HPA), and for mouse, HPA data and in situ hybridization generated by the Allen brain atlas are reported.

Scroll down to view mRNA expression data in more detail.
Consensus:1226.4 nTPM
HPA:988.6 nTPM
GTEx:1226.4 nTPM
FANTOM5:78.5 Scaled Tags Per Million

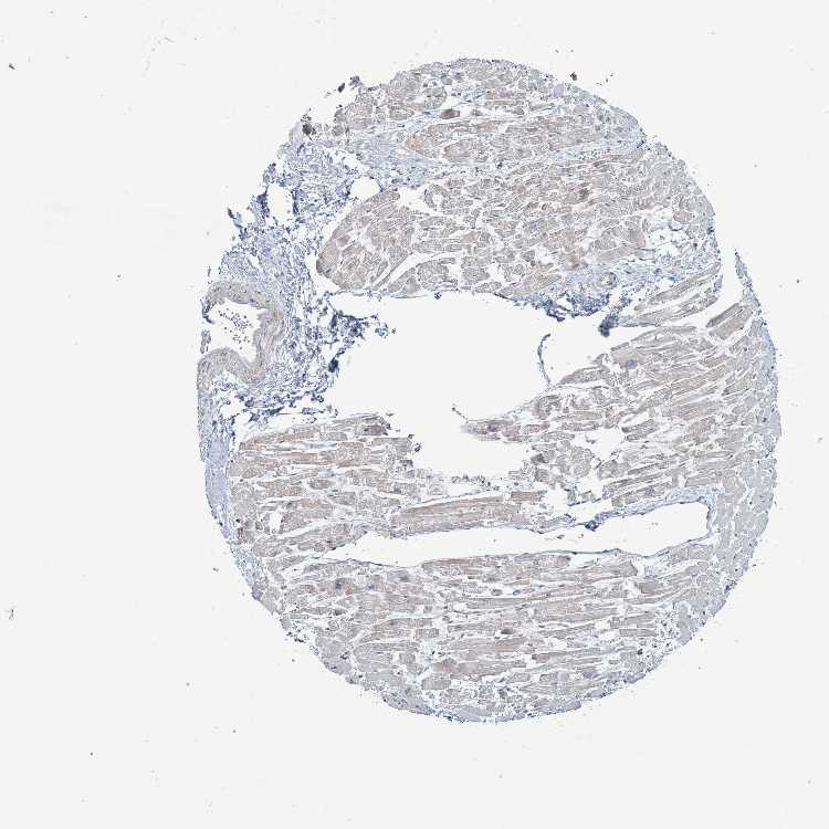
HEART MUSCLE - Antibody stainingi

Antibody staining in the annotated cell types in the current human tissue is reported as not detected, low, medium, or high, based on conventional immunohistochemistry profiling in selected tissues. This score is based on the combination of the staining intensity and fraction of stained cells.

Each image is clickable and will lead to virtual microscopy that enables deeper exploration of all samples and also displays staining intensity scores, fraction scores and subcellular localization as well as patient and tissue information for each sample.

Antibody HPA047501Antibody HPA051994
Cardiomyocytes Not detectedMedium




HEART MUSCLE - HPA RNA-seqi

The RNA-seq details section shows detailed information about the individual samples used for the transcript profiling and results of the RNA-seq analysis.

Information about each individual sample is listed below, including gender, age, a tissue section image and estimated fractions of cell types. nTPM (normalized transcripts per million) values give a quantification of the gene abundance which is comparable between different genes and samples.
Average nTPMi

Max subtype nTPM is the value for the subtype with the largest average nTPM across the subtype samples.

988.6
overview
Female, age 48
Heart muscle sample 149
nTPM: 1176.7
Cell types%
Myocytes:
15

Fibroblasts:
55

Endothelial cells:
25

Other cell types:
5

overview
Female, age 42
Heart muscle sample 150
nTPM: 1099.8
Cell types%
Myocytes:
20

Fibroblasts:
45

Endothelial cells:
30

Other cell types:
5

overview
Male, age 53
Heart muscle sample 151
nTPM: 860.4
Cell types%
Myocytes:
20

Fibroblasts:
45

Endothelial cells:
30

Other cell types:
5

overview
Female, age 69
Heart muscle sample 152
nTPM: 817.5
Cell types%
Myocytes:
20

Fibroblasts:
45

Endothelial cells:
30

Other cell types:
5


HEART MUSCLE - GTEx RNA-seqi

RNA-Seq data generated by the Genotype-Tissue Expression (GTEx) project from human tissues is reported as mean nTPM. More information can be found on the GTEx portal.

Distribution across the dataset is visualized with box plots, shown as median and 25th and 75th percentiles. Points are displayed as outliers if they are above or below 1.5 times the interquartile range. nTPM values of the individual samples are presented next to the box plot.
Max subtype nTPMi

Max subtype nTPM is the value for the subtype with the largest average nTPM across the subtype samples.

1226.4
GTEx sample id Sample description nTPM
Heart - Atrial Appendage
Average nTPM: 1214.4
Samples: 429

Max nTPM: 5810.5
Min nTPM: 639.5
Std nTPM: 365.1
Median nTPM: 1162.3
GTEX-14PJM-0826-SM-6LLIW 50-59 years, female 5810.5
GTEX-14C5O-1226-SM-664N3 60-69 years, male 2875.0
GTEX-12WSI-0426-SM-5EQ5J 50-59 years, male 2482.2
GTEX-14BIM-2726-SM-5Q5EG 60-69 years, female 2131.6
GTEX-1RLM8-0226-SM-E6CJY 50-59 years, male 2131.4
GTEX-148VJ-1426-SM-5TDE3 70-79 years, male 2112.4
GTEX-ZYVF-1826-SM-5E44F 50-59 years, female 2068.7
GTEX-1R9K4-1026-SM-EXUT1 60-69 years, male 2040.9
GTEX-ZYFC-1026-SM-5GZX9 50-59 years, male 2007.4
GTEX-13NYS-1926-SM-5IJCB 60-69 years, male 2006.0
GTEX-1117F-0726-SM-5GIEN 60-69 years, female 1963.1
GTEX-W5X1-0826-SM-3GILN 40-49 years, female 1908.8
GTEX-13SLW-0826-SM-5QGP7 70-79 years, male 1905.7
GTEX-ZZPT-0926-SM-5GICZ 50-59 years, male 1887.2
GTEX-15SKB-0926-SM-7KUFC 60-69 years, male 1835.5
GTEX-1GF9U-0526-SM-7P8SK 40-49 years, female 1803.5
GTEX-1JMQL-1026-SM-CMKGV 50-59 years, female 1789.0
GTEX-13OW5-0926-SM-5L3GZ 60-69 years, male 1788.3
GTEX-1J1OQ-2226-SM-A96SS 40-49 years, female 1787.6
GTEX-ZVT4-1326-SM-5NQ8E 50-59 years, female 1778.1
GTEX-17MF6-0926-SM-7LTAL 40-49 years, male 1769.1
GTEX-ZTPG-1326-SM-51MSQ 20-29 years, female 1765.2
GTEX-1H1ZS-1026-SM-9WG6E 70-79 years, male 1754.8
GTEX-1C6WA-0826-SM-7PBXS 60-69 years, male 1734.6
GTEX-14BIL-0926-SM-7DHKN 50-59 years, male 1722.0
GTEX-132Q8-1126-SM-5K7XS 60-69 years, male 1717.4
GTEX-1IKOH-0926-SM-A9SLU 60-69 years, female 1712.1
GTEX-11WQK-0226-SM-5EQLI 50-59 years, male 1678.4
GTEX-13O3Q-0326-SM-5L3FE 50-59 years, male 1673.3
GTEX-ZYFD-2026-SM-5E459 50-59 years, male 1652.2
GTEX-X8HC-1026-SM-46MWH 50-59 years, female 1649.7
GTEX-14PN4-0826-SM-69LON 50-59 years, male 1623.4
GTEX-139TU-1926-SM-5J2OC 60-69 years, male 1621.7
GTEX-12BJ1-0326-SM-5FQUB 60-69 years, male 1618.6
GTEX-13FHO-1226-SM-5L3EF 60-69 years, male 1613.7
GTEX-1JMQK-0926-SM-ARL96 60-69 years, male 1603.2
GTEX-145LS-1326-SM-5Q5EP 60-69 years, female 1594.4
GTEX-1A32A-1326-SM-73KWW 50-59 years, female 1594.1
GTEX-1CB4J-0226-SM-7P8T4 60-69 years, male 1579.1
GTEX-13RTJ-0526-SM-62LDP 60-69 years, male 1577.4
GTEX-13YAN-1426-SM-7EPG8 60-69 years, male 1572.5
GTEX-1H1DG-0826-SM-9QEIW 70-79 years, male 1569.6
GTEX-1K2DU-0226-SM-DIPF6 20-29 years, male 1569.0
GTEX-1AX8Z-1126-SM-731CS 60-69 years, male 1568.7
GTEX-ZE7O-0626-SM-57WCD 50-59 years, female 1568.6
GTEX-WHSE-0826-SM-4SOJU 20-29 years, male 1559.8
GTEX-1H2FU-0826-SM-9WYSU 60-69 years, female 1553.5
GTEX-11O72-1026-SM-5986B 40-49 years, male 1547.3
GTEX-11EQ8-1326-SM-5EGJQ 60-69 years, male 1533.4
GTEX-1KANB-1126-SM-DHXJT 50-59 years, male 1531.7
GTEX-Y3I4-0526-SM-4TT6X 50-59 years, male 1530.2
GTEX-UTHO-1226-SM-3GAEE 60-69 years, male 1528.7
GTEX-1LVAO-0626-SM-EWRNT 60-69 years, male 1524.3
GTEX-145LV-0226-SM-5S2QG 50-59 years, male 1516.0
GTEX-1CAMQ-0726-SM-7P8SG 40-49 years, male 1510.2
GTEX-1HUB1-0726-SM-CGQF4 60-69 years, male 1507.7
GTEX-15RJE-0726-SM-7KUEG 40-49 years, male 1493.4
GTEX-1EMGI-1126-SM-9KNUF 60-69 years, male 1489.5
GTEX-1PPGY-0926-SM-DTXFF 60-69 years, male 1483.6
GTEX-1HBPM-1026-SM-ARL9D 60-69 years, female 1483.0
GTEX-ZDXO-0426-SM-4WKF6 60-69 years, male 1482.3
GTEX-1RB15-0426-SM-E9U4Y 60-69 years, male 1480.3
GTEX-14JG1-0826-SM-5ZZWR 40-49 years, male 1463.5
GTEX-14PJ2-1126-SM-69LOD 50-59 years, male 1462.6
GTEX-13FXS-1026-SM-62LFQ 50-59 years, male 1457.2
GTEX-18D9B-1126-SM-7KFSH 60-69 years, male 1453.6
GTEX-1477Z-1126-SM-5P9GK 60-69 years, male 1452.1
GTEX-1QMI2-1026-SM-DTX7T 60-69 years, male 1451.8
GTEX-1445S-1226-SM-5O9BF 60-69 years, male 1447.9
GTEX-1CAMS-1126-SM-7MXUQ 40-49 years, female 1446.2
GTEX-WI4N-0726-SM-3TW93 40-49 years, female 1444.2
GTEX-14C38-1326-SM-62LDK 50-59 years, male 1444.1
GTEX-1C6VQ-0826-SM-7PBZT 50-59 years, male 1442.0
GTEX-12696-1226-SM-5FQSM 60-69 years, male 1437.6
GTEX-1192X-0726-SM-5987R 50-59 years, male 1436.7
GTEX-13PDP-1326-SM-5K7U9 60-69 years, male 1432.3
GTEX-ZVZQ-0726-SM-51MR3 60-69 years, female 1429.0
GTEX-1LH75-0526-SM-DIPG2 50-59 years, female 1428.7
GTEX-147F4-1126-SM-5TDDE 50-59 years, male 1424.1
GTEX-1EU9M-1926-SM-7RHH4 60-69 years, male 1421.3
GTEX-183WM-0926-SM-718AN 70-79 years, female 1421.1
GTEX-WOFL-1226-SM-4OOST 60-69 years, male 1417.3
GTEX-1GMR8-1026-SM-9MQLA 50-59 years, female 1414.9
GTEX-15CHQ-1326-SM-6871Z 60-69 years, male 1406.9
GTEX-1GZ2Q-0926-SM-7RHHN 40-49 years, male 1405.9
GTEX-13FTZ-0326-SM-5J1O1 60-69 years, male 1405.5
GTEX-13FHP-0826-SM-5K7V5 50-59 years, male 1402.5
GTEX-1313W-1126-SM-5EQ5U 50-59 years, female 1399.7
GTEX-13OW7-1626-SM-5IJDH 50-59 years, male 1393.4
GTEX-1GZ4I-0826-SM-9WG6O 50-59 years, male 1392.5
GTEX-14A5I-1026-SM-5Q5E3 50-59 years, female 1391.0
GTEX-13O3P-1426-SM-5L3DT 50-59 years, male 1390.4
GTEX-1B933-0826-SM-79OMW 50-59 years, female 1387.6
GTEX-1A8G6-1826-SM-73KY8 60-69 years, male 1385.6
GTEX-1J8Q2-1026-SM-ARU8I 60-69 years, male 1384.0
GTEX-14C39-0726-SM-5RQIK 40-49 years, male 1383.7
GTEX-14PJO-0826-SM-6ETZK 60-69 years, male 1383.7
GTEX-1I1GP-0626-SM-ARL7H 50-59 years, male 1382.1
GTEX-ZDTS-1226-SM-4WKGL 60-69 years, male 1381.5
GTEX-1212Z-0726-SM-5EGI5 60-69 years, male 1381.3
GTEX-13VXT-0726-SM-5SIAD 20-29 years, female 1381.3
GTEX-1F75B-1126-SM-7RHGP 50-59 years, male 1378.0
GTEX-1GTWX-0926-SM-9MQKM 60-69 years, male 1374.0
GTEX-ZV7C-0526-SM-9WPNK 50-59 years, male 1370.3
GTEX-12WSE-0926-SM-5S2VX 20-29 years, male 1369.1
GTEX-13X6K-1726-SM-7IGLG 60-69 years, female 1367.6
GTEX-XLM4-2026-SM-4AT4X 60-69 years, male 1363.3
GTEX-WYBS-1226-SM-3NM9N 60-69 years, female 1361.0
GTEX-VJWN-1026-SM-4M1ZN 50-59 years, female 1360.8
GTEX-ZXG5-0626-SM-5NQ85 60-69 years, male 1360.7
GTEX-1HSMO-1126-SM-CGQF2 60-69 years, male 1359.7
GTEX-1GN1U-1426-SM-7P8TF 50-59 years, female 1357.9
GTEX-Y114-0126-SM-4TT8K 50-59 years, female 1350.7
GTEX-12WSA-1126-SM-5EGKU 60-69 years, male 1349.8
GTEX-1JMLX-1826-SM-CNPOX 50-59 years, male 1349.0
GTEX-13NZA-0826-SM-5K7WS 60-69 years, male 1348.5
GTEX-13PVQ-1326-SM-5LU4J 50-59 years, male 1347.7
GTEX-1F6I4-0826-SM-7RHGK 60-69 years, male 1346.2
GTEX-131XE-0526-SM-5K7YT 50-59 years, male 1345.7
GTEX-14E6C-0326-SM-5Q5EE 40-49 years, male 1345.6
GTEX-1EH9U-0626-SM-7PC33 60-69 years, male 1342.1
GTEX-17JCI-0826-SM-7LT8W 60-69 years, female 1342.0
GTEX-13JVG-1126-SM-5KM2M 60-69 years, male 1340.0
GTEX-1LSNL-0626-SM-DIPFJ 50-59 years, male 1338.7
GTEX-11UD2-0926-SM-5CVL6 50-59 years, male 1337.3
GTEX-13O3O-1426-SM-5KM2S 60-69 years, female 1325.2
GTEX-1HC8U-0626-SM-B2LWB 40-49 years, female 1322.9
GTEX-146FH-1126-SM-5NQAT 50-59 years, female 1316.2
GTEX-13D11-1526-SM-5J2NA 50-59 years, female 1314.4
GTEX-12584-1026-SM-59HK3 40-49 years, male 1309.9
GTEX-145MN-0726-SM-5NQBH 30-39 years, male 1306.6
GTEX-1399T-0726-SM-5J1MH 60-69 years, male 1305.7
GTEX-13JUV-0226-SM-5IJCC 40-49 years, female 1305.7
GTEX-ZAJG-0926-SM-5Q5AB 50-59 years, female 1304.3
GTEX-11DYG-1026-SM-5A5JQ 60-69 years, male 1298.7
GTEX-XOT4-1126-SM-4B66E 60-69 years, female 1298.1
GTEX-1F48J-1126-SM-9WYSY 50-59 years, female 1298.0
GTEX-1P4AB-0926-SM-E76PV 50-59 years, male 1297.6
GTEX-13N1W-0926-SM-5MR36 70-79 years, male 1290.6
GTEX-117YW-0426-SM-5GZZZ 50-59 years, male 1289.0
GTEX-ZVT3-0826-SM-5GIC8 60-69 years, female 1278.5
GTEX-1B996-1026-SM-793CF 60-69 years, male 1278.2
GTEX-1HBPH-0226-SM-9WYSM 40-49 years, female 1278.1
GTEX-1A8FM-1026-SM-7PC26 50-59 years, female 1278.0
GTEX-1MJK2-1626-SM-EVYCQ 50-59 years, male 1270.8
GTEX-Z93S-0326-SM-5HL84 50-59 years, male 1270.5
GTEX-1E1VI-1426-SM-793CY 50-59 years, male 1267.9
GTEX-11NUK-0926-SM-5HL57 50-59 years, male 1267.4
GTEX-1OFPY-0926-SM-DTX8Q 60-69 years, male 1264.9
GTEX-11DXY-1026-SM-5987V 60-69 years, male 1262.6
GTEX-13QBU-0226-SM-5LU48 40-49 years, female 1261.3
GTEX-11TUW-1126-SM-5EQKJ 60-69 years, male 1261.1
GTEX-1HT8W-1326-SM-CGQEN 30-39 years, male 1259.2
GTEX-11GSP-1226-SM-5985M 60-69 years, female 1258.1
GTEX-14ASI-0826-SM-5Q5EB 60-69 years, male 1256.0
GTEX-117XS-0726-SM-5H131 60-69 years, male 1255.9
GTEX-1JMOU-0326-SM-ARL8X 60-69 years, female 1250.2
GTEX-YFC4-0426-SM-4TT3J 40-49 years, female 1249.7
GTEX-1HFI6-0826-SM-9YFM2 40-49 years, male 1248.0
GTEX-1GF9V-1726-SM-9KNW4 60-69 years, male 1247.0
GTEX-17EVP-0526-SM-7EPGY 40-49 years, male 1245.7
GTEX-15D1Q-0426-SM-6AJ9G 40-49 years, male 1244.3
GTEX-13SLX-0926-SM-5S2NM 50-59 years, female 1241.0
GTEX-14BMV-1026-SM-5SI6B 50-59 years, male 1237.2
GTEX-14PII-1026-SM-5ZZVW 60-69 years, male 1235.4
GTEX-14XAO-0926-SM-69LPZ 60-69 years, female 1235.0
GTEX-1IY9M-0626-SM-D4P2L 60-69 years, male 1234.9
GTEX-13NYB-0326-SM-5IJDP 40-49 years, male 1233.5
GTEX-1HR98-1026-SM-CKZOM 60-69 years, male 1228.8
GTEX-14E7W-1126-SM-5ZZVS 70-79 years, male 1226.1
GTEX-17F9Y-1226-SM-7EPGE 70-79 years, female 1223.6
GTEX-11EMC-0826-SM-59862 60-69 years, female 1223.3
GTEX-13PL6-0826-SM-5IJBI 40-49 years, female 1221.7
GTEX-16GPK-1226-SM-7LTAU 60-69 years, male 1221.3
GTEX-111VG-0326-SM-5GZX7 60-69 years, male 1221.2
GTEX-15DCE-0826-SM-7KULW 20-29 years, male 1220.7
GTEX-18A7A-1226-SM-7LTAJ 50-59 years, female 1219.5
GTEX-VUSG-0726-SM-3GIK1 50-59 years, male 1219.2
GTEX-ZF3C-1126-SM-57WEG 50-59 years, female 1210.6
GTEX-1EX96-2626-SM-9MQJV 50-59 years, male 1209.3
GTEX-XPVG-0726-SM-4B658 50-59 years, male 1207.4
GTEX-16MT8-0826-SM-7KULO 60-69 years, female 1202.7
GTEX-13112-0526-SM-5EQ4S 50-59 years, male 1201.7
GTEX-ZDTT-0326-SM-4WKF9 60-69 years, male 1200.6
GTEX-14PK6-0726-SM-6LLIX 70-79 years, female 1199.8
GTEX-1QP6S-1026-SM-DTXFW 40-49 years, male 1199.6
GTEX-XBEC-1226-SM-4AT65 50-59 years, male 1198.6
GTEX-132NY-1426-SM-5J1MJ 60-69 years, male 1197.6
GTEX-1C64N-0826-SM-7RHGQ 50-59 years, male 1197.6
GTEX-1JJEA-0926-SM-CYPSO 60-69 years, male 1197.3
GTEX-1POEN-0726-SM-DTXDU 30-39 years, female 1197.3
GTEX-ZAK1-1126-SM-5PNXU 50-59 years, female 1196.5
GTEX-13PVR-0926-SM-5S2RB 60-69 years, female 1189.1
GTEX-UPK5-0226-SM-3GAEV 40-49 years, male 1187.2
GTEX-1H3NZ-1026-SM-A9SM5 60-69 years, male 1184.8
GTEX-111FC-0626-SM-5N9CU 60-69 years, male 1184.6
GTEX-1GMR3-0426-SM-7PC17 40-49 years, male 1183.6
GTEX-1GN1W-0226-SM-7P8QY 50-59 years, female 1181.1
GTEX-1R7EV-0426-SM-DTX7Z 40-49 years, male 1179.9
GTEX-11GS4-0426-SM-5N9CD 60-69 years, male 1179.6
GTEX-X261-0926-SM-3NMCY 50-59 years, male 1177.1
GTEX-Y5V5-0726-SM-4VBPY 60-69 years, female 1176.4
GTEX-1IKK5-1726-SM-CM2RU 60-69 years, male 1176.3
GTEX-YF7O-0526-SM-5P9IO 50-59 years, male 1175.8
GTEX-1QEPI-1126-SM-E8VN7 60-69 years, female 1175.0
GTEX-1IL2V-1126-SM-CMKGH 70-79 years, male 1170.6
GTEX-1E2YA-0626-SM-7P8P4 50-59 years, male 1169.8
GTEX-147JS-1326-SM-5SI6D 60-69 years, male 1169.4
GTEX-YECK-1226-SM-4W21G 60-69 years, male 1168.9
GTEX-144GL-1026-SM-5O99R 50-59 years, male 1167.3
GTEX-YJ8O-0826-SM-5CVM3 40-49 years, female 1166.9
GTEX-13OVG-0426-SM-5KM2T 60-69 years, male 1166.0
GTEX-1F75I-1326-SM-7PBZX 40-49 years, male 1164.8
GTEX-1QP29-1426-SM-DTX9Q 50-59 years, male 1164.6
GTEX-16NPX-0826-SM-6M489 50-59 years, male 1162.3
GTEX-1QPFJ-0926-SM-EVR3K 30-39 years, female 1162.0
GTEX-1CB4H-0626-SM-7IGN3 60-69 years, female 1161.9
GTEX-U8XE-0926-SM-3DB8V 30-39 years, male 1158.9
GTEX-1F75A-1026-SM-7PC3W 50-59 years, male 1157.5
GTEX-1IDJH-1126-SM-COH3R 70-79 years, male 1156.1
GTEX-1M5QR-1626-SM-E9U5O 40-49 years, male 1155.1
GTEX-1339X-0326-SM-5K7Z8 40-49 years, male 1152.8
GTEX-1J8EW-0626-SM-CM2TY 60-69 years, female 1149.5
GTEX-12WSC-1026-SM-5EQ5Y 50-59 years, male 1149.3
GTEX-1LG7Y-1426-SM-D4P31 50-59 years, male 1147.5
GTEX-XYKS-0226-SM-4BRW3 60-69 years, female 1146.7
GTEX-12ZZY-1226-SM-5GCNK 60-69 years, male 1146.5
GTEX-ZAB4-0926-SM-5CVN4 40-49 years, male 1141.7
GTEX-1I19N-0626-SM-A9SKY 70-79 years, male 1141.0
GTEX-13O1R-0926-SM-5L3DS 60-69 years, male 1138.9
GTEX-12WSD-1226-SM-5HL9Q 60-69 years, female 1138.0
GTEX-V1D1-0626-SM-4JBHN 50-59 years, male 1136.6
GTEX-13CF2-0226-SM-5L3DV 60-69 years, male 1133.4
GTEX-WFG8-0726-SM-3GILP 20-29 years, male 1131.8
GTEX-1IKJJ-0626-SM-CY8GF 60-69 years, male 1130.5
GTEX-1GN73-2326-SM-9MQKV 60-69 years, male 1130.4
GTEX-11EM3-0426-SM-5N9BZ 20-29 years, female 1129.4
GTEX-16YQH-0726-SM-7IGM1 30-39 years, male 1128.0
GTEX-XGQ4-0526-SM-4AT6C 50-59 years, male 1126.3
GTEX-1JJ6O-2226-SM-AHZ3I 60-69 years, male 1125.6
GTEX-18465-0726-SM-7LG4L 50-59 years, male 1124.7
GTEX-1HSKV-0726-SM-ACKWE 60-69 years, male 1123.7
GTEX-1I1GV-1426-SM-B2LXN 60-69 years, male 1123.2
GTEX-15UF7-1526-SM-6LPI7 40-49 years, male 1120.9
GTEX-13W3W-0526-SM-5LU3X 60-69 years, female 1119.8
GTEX-1GMRU-1326-SM-9WYUI 50-59 years, male 1119.8
GTEX-ZLFU-0326-SM-4WWBK 40-49 years, male 1117.9
GTEX-13X6J-1226-SM-79OMF 50-59 years, male 1115.5
GTEX-13OW6-0926-SM-5L3GM 50-59 years, male 1113.9
GTEX-1EWIQ-1126-SM-7EPIK 70-79 years, female 1109.1
GTEX-13NZB-0426-SM-5KM26 30-39 years, male 1106.3
GTEX-YEC4-0226-SM-4W1YG 40-49 years, male 1105.9
GTEX-132QS-0526-SM-5IJC7 60-69 years, male 1100.6
GTEX-13N11-0726-SM-5L3DP 50-59 years, female 1099.1
GTEX-15SHU-0926-SM-6PAMK 40-49 years, female 1098.0
GTEX-18A6Q-1526-SM-731CO 60-69 years, male 1097.9
GTEX-131XG-0526-SM-5DUWF 50-59 years, female 1097.6
GTEX-XQ3S-0526-SM-4BOQA 20-29 years, male 1097.1
GTEX-1KD5A-0926-SM-D4P3U 50-59 years, male 1094.4
GTEX-1GN1V-1026-SM-CNPPS 60-69 years, male 1094.1
GTEX-1C64O-0926-SM-79OLN 60-69 years, male 1090.5
GTEX-1NHNU-0626-SM-E6CP1 50-59 years, male 1089.1
GTEX-XQ8I-0226-SM-4BOPM 50-59 years, male 1089.0
GTEX-13FH7-0826-SM-5J2NW 50-59 years, female 1088.6
GTEX-11ZUS-0326-SM-5EQ4W 30-39 years, male 1087.1
GTEX-1HCU7-1226-SM-B2LX8 50-59 years, male 1085.3
GTEX-1IOXB-0726-SM-A9G32 50-59 years, male 1084.9
GTEX-15CHC-0326-SM-5ZZVP 60-69 years, female 1083.7
GTEX-1IDJF-0826-SM-ARU7N 20-29 years, male 1082.6
GTEX-13O61-0426-SM-5L3ET 60-69 years, male 1081.7
GTEX-1GN2E-1426-SM-7RHHI 60-69 years, male 1081.4
GTEX-1H3VY-1126-SM-A96TP 50-59 years, male 1078.8
GTEX-12ZZX-0726-SM-5EGKA 40-49 years, female 1078.6
GTEX-11NV4-0826-SM-5BC4S 60-69 years, male 1078.1
GTEX-1B8L1-0426-SM-7SB76 60-69 years, male 1078.0
GTEX-1NSGN-1226-SM-E76OL 50-59 years, male 1074.3
GTEX-14PHX-0626-SM-5YY8Z 50-59 years, male 1074.2
GTEX-X62O-0826-SM-46MW8 50-59 years, male 1068.1
GTEX-YB5K-0226-SM-5IFJE 40-49 years, female 1066.6
GTEX-11P81-0526-SM-59873 30-39 years, female 1066.4
GTEX-131YS-0826-SM-5PNYV 60-69 years, female 1066.1
GTEX-WWYW-1126-SM-3NB2Q 50-59 years, female 1063.7
GTEX-1JN6P-0826-SM-ARL97 60-69 years, male 1063.3
GTEX-ZPIC-0426-SM-DO91V 40-49 years, female 1060.8
GTEX-1H3O1-0226-SM-9WYSW 60-69 years, male 1059.8
GTEX-1HSGN-0926-SM-CNNQM 40-49 years, female 1059.1
GTEX-1A3MX-1226-SM-731B3 60-69 years, male 1059.0
GTEX-1I1GR-1026-SM-A9SLC 60-69 years, male 1057.6
GTEX-WK11-0626-SM-3NMAV 50-59 years, male 1056.5
GTEX-1AX9I-1026-SM-73KYF 60-69 years, male 1056.4
GTEX-11ONC-1026-SM-5GU64 60-69 years, male 1055.8
GTEX-ZG7Y-1426-SM-4WWBM 50-59 years, male 1052.6
GTEX-146FR-0926-SM-5QGPE 60-69 years, female 1051.4
GTEX-1LB8K-0926-SM-D4P42 50-59 years, male 1050.0
GTEX-1HFI7-0526-SM-A9SMA 50-59 years, female 1048.9
GTEX-1CB4G-0726-SM-79OOJ 60-69 years, male 1047.3
GTEX-13OVI-0326-SM-5K7X1 60-69 years, female 1045.3
GTEX-1AX9K-0426-SM-73KUG 50-59 years, male 1043.9
GTEX-132AR-1926-SM-5EGK5 50-59 years, female 1043.2
GTEX-ZDYS-0326-SM-5HL4W 50-59 years, male 1042.6
GTEX-11ZVC-0526-SM-5N9G1 50-59 years, female 1042.5
GTEX-13S86-0326-SM-5SI6K 40-49 years, male 1042.4
GTEX-1BAJH-1026-SM-7EWEG 70-79 years, male 1041.0
GTEX-ZUA1-0726-SM-4YCD9 40-49 years, male 1038.0
GTEX-14H4A-0426-SM-5ZZWO 40-49 years, female 1035.0
GTEX-14PN3-0726-SM-6EU14 60-69 years, female 1029.8
GTEX-13FTW-0826-SM-5K7XR 40-49 years, male 1028.9
GTEX-1KXAM-1426-SM-D3LAC 60-69 years, male 1028.9
GTEX-1H1CY-0426-SM-9KNVD 60-69 years, female 1028.8
GTEX-14E1K-0826-SM-5ZZW9 50-59 years, male 1025.5
GTEX-139YR-0526-SM-5L3DG 50-59 years, male 1023.9
GTEX-1KANC-0226-SM-E9TIW 50-59 years, female 1023.2
GTEX-13U4I-0626-SM-5LU5L 40-49 years, female 1022.8
GTEX-1B932-1326-SM-79OM4 40-49 years, female 1020.9
GTEX-1AX9J-0926-SM-73KXA 60-69 years, male 1019.1
GTEX-1B97J-0326-SM-7939H 50-59 years, female 1013.0
GTEX-ZTTD-0626-SM-4YCCY 50-59 years, male 1009.1
GTEX-13PL7-0726-SM-5KM1S 60-69 years, female 1004.5
GTEX-1399U-0726-SM-5KM1D 50-59 years, female 1004.2
GTEX-1399S-0826-SM-5KM23 30-39 years, female 1003.9
GTEX-ZYT6-0926-SM-5GIEM 30-39 years, male 1003.6
GTEX-11LCK-0826-SM-5PNYD 30-39 years, male 1003.5
GTEX-WQUQ-1326-SM-3MJFF 60-69 years, male 1002.4
GTEX-11TT1-1426-SM-5EGIA 20-29 years, male 1002.2
GTEX-1R9JW-0426-SM-E76QL 30-39 years, female 1000.2
GTEX-14A6H-0326-SM-5NQAN 30-39 years, male 999.6
GTEX-15RIE-1326-SM-6PAMM 60-69 years, male 996.7
GTEX-15EU6-1326-SM-6PANG 50-59 years, male 992.1
GTEX-1QCLZ-1126-SM-EWRNB 60-69 years, female 991.6
GTEX-1B8SF-1326-SM-7IGQJ 60-69 years, male 990.6
GTEX-17KNJ-0626-SM-7LT9L 50-59 years, male 988.6
GTEX-1C2JI-0626-SM-7DHM1 50-59 years, male 984.5
GTEX-1LSNM-0426-SM-E9TIZ 50-59 years, male 984.0
GTEX-12WSN-0226-SM-5DUXH 40-49 years, male 982.9
GTEX-1HCVE-0826-SM-CM2SF 50-59 years, male 980.5
GTEX-18D9U-1426-SM-718BO 40-49 years, male 978.6
GTEX-1211K-0226-SM-59HJY 60-69 years, female 976.8
GTEX-1192W-0226-SM-5EGGT 60-69 years, male 975.9
GTEX-14PJ6-0626-SM-686Z6 60-69 years, female 975.9
GTEX-1IL2U-1226-SM-CL53P 60-69 years, male 975.8
GTEX-1MJIX-0426-SM-DTXEN 40-49 years, male 974.8
GTEX-XPT6-0226-SM-4B65L 20-29 years, male 974.5
GTEX-1I1GQ-1226-SM-CL55J 50-59 years, male 973.2
GTEX-14PHY-0326-SM-62LE3 60-69 years, female 972.1
GTEX-1HBPN-0926-SM-CGQEG 50-59 years, male 971.3
GTEX-X3Y1-0226-SM-3P5Z5 40-49 years, male 969.9
GTEX-15ER7-0826-SM-6PALW 20-29 years, female 968.7
GTEX-ZVT2-0926-SM-5GICE 50-59 years, female 966.0
GTEX-WRHU-1026-SM-4E3ID 50-59 years, female 963.8
GTEX-111YS-0326-SM-5GZZ3 60-69 years, male 960.4
GTEX-14DAQ-1026-SM-793B1 60-69 years, female 960.1
GTEX-1I1CD-1326-SM-A9SMM 60-69 years, female 959.4
GTEX-11DXX-0526-SM-5PNVR 60-69 years, female 958.0
GTEX-17F96-0826-SM-7DHLU 70-79 years, male 950.3
GTEX-XV7Q-0726-SM-4BRV6 40-49 years, female 947.6
GTEX-1CB4I-1526-SM-7DHMY 50-59 years, male 946.9
GTEX-14PJ4-0926-SM-5YY98 60-69 years, male 946.1
GTEX-1B8SG-0726-SM-79ONS 50-59 years, male 945.5
GTEX-Y3IK-1026-SM-51MR7 50-59 years, female 943.2
GTEX-117YX-0626-SM-5EGJI 50-59 years, male 941.9
GTEX-12WSG-1226-SM-5EQ4C 50-59 years, female 940.6
GTEX-1I1HK-0626-SM-CNPQM 60-69 years, male 937.6
GTEX-14BIN-2126-SM-793AX 50-59 years, female 936.9
GTEX-WFG7-0826-SM-3GIKU 20-29 years, male 936.8
GTEX-11DXZ-0326-SM-5EGH1 50-59 years, male 935.5
GTEX-1CB4E-0626-SM-7DHMW 60-69 years, male 934.0
GTEX-1399R-1726-SM-5K7YJ 30-39 years, male 930.1
GTEX-1J8Q3-1126-SM-ARU8N 60-69 years, male 929.5
GTEX-17HGU-1126-SM-793BP 50-59 years, male 929.1
GTEX-12WSK-0526-SM-5CVNA 40-49 years, female 928.2
GTEX-WYJK-1126-SM-3NM9Z 50-59 years, male 927.0
GTEX-V955-0826-SM-CYPR5 60-69 years, male 924.9
GTEX-WY7C-1126-SM-3NB3A 50-59 years, male 921.0
GTEX-11ZTT-0526-SM-5EQLA 60-69 years, female 919.9
GTEX-1F88F-0326-SM-9KNV3 60-69 years, female 919.5
GTEX-ZZPU-1126-SM-5N9CW 50-59 years, female 917.2
GTEX-16XZZ-1026-SM-7DHKS 60-69 years, male 912.9
GTEX-XXEK-2026-SM-4BRVE 50-59 years, male 910.8
GTEX-131XF-0426-SM-5HL7U 60-69 years, male 907.3
GTEX-1GL5R-0426-SM-9WPOP 50-59 years, male 907.3
GTEX-ZT9W-0526-SM-57WFG 50-59 years, male 906.2
GTEX-13NZ9-0126-SM-5K7XV 50-59 years, male 900.4
GTEX-1ICG6-0726-SM-B2LY5 70-79 years, female 899.0
GTEX-16XZY-0526-SM-7DHKY 70-79 years, male 898.2
GTEX-1IKOE-0626-SM-A9G31 30-39 years, female 898.0
GTEX-1122O-0626-SM-5N9B9 60-69 years, female 895.0
GTEX-WL46-0726-SM-3LK5Z 50-59 years, male 892.9
GTEX-15SHV-0526-SM-7KUEN 60-69 years, male 889.6
GTEX-1H11D-1026-SM-9QEIU 40-49 years, male 889.6
GTEX-1B8KE-0326-SM-73KTY 50-59 years, male 889.3
GTEX-17GQL-0626-SM-731CN 60-69 years, male 881.6
GTEX-Y8E4-0426-SM-4V6GB 40-49 years, male 863.2
GTEX-WH7G-0326-SM-3NMBH 40-49 years, male 862.8
GTEX-X4XX-1126-SM-3NMBY 60-69 years, male 861.3
GTEX-17F9E-0726-SM-793A1 50-59 years, male 859.2
GTEX-ZPU1-0726-SM-5HL6O 40-49 years, male 857.7
GTEX-18A67-1026-SM-731CE 50-59 years, male 856.8
GTEX-1L5NE-0526-SM-DIPG5 50-59 years, male 856.8
GTEX-ZGAY-0226-SM-4WWAL 40-49 years, female 852.9
GTEX-ZF29-0426-SM-4WKFN 60-69 years, female 851.6
GTEX-ZF2S-0826-SM-4WWBI 50-59 years, female 846.5
GTEX-WEY5-0226-SM-3GIKN 40-49 years, female 843.8
GTEX-WHPG-1026-SM-3NMBA 50-59 years, male 839.4
GTEX-1LGOU-0326-SM-D3LAM 20-29 years, female 836.2
GTEX-1GMR2-1326-SM-9KNUT 50-59 years, male 828.7
GTEX-1MCC2-0226-SM-EVYD5 30-39 years, female 825.7
GTEX-1HCUA-0626-SM-ACKVT 50-59 years, female 822.3
GTEX-ZPCL-0526-SM-DO91R 60-69 years, female 817.6
GTEX-1AYCT-0526-SM-7RHHS 50-59 years, male 811.1
GTEX-15SDE-1826-SM-7KUFN 50-59 years, female 807.6
GTEX-1IDJD-0226-SM-CKZOA 30-39 years, male 806.3
GTEX-1LVAN-1526-SM-CNPQN 50-59 years, female 804.0
GTEX-ZEX8-0326-SM-DO92C 50-59 years, male 792.3
GTEX-1HSMQ-0426-SM-ADEIM 50-59 years, male 791.8
GTEX-13O21-0326-SM-5J1N9 50-59 years, male 789.1
GTEX-ZYFG-0526-SM-5GZXX 60-69 years, female 786.8
GTEX-WFON-0226-SM-3GIKR 40-49 years, male 786.1
GTEX-WZTO-1226-SM-3NMAZ 40-49 years, male 779.3
GTEX-X4EP-0326-SM-3P5Z6 60-69 years, female 761.4
GTEX-1IDJU-0626-SM-CKZOG 60-69 years, female 751.8
GTEX-18A66-1126-SM-731C5 60-69 years, male 742.6
GTEX-X5EB-0626-SM-46MVQ 40-49 years, male 729.5
GTEX-1LGRB-1026-SM-CNPQD 50-59 years, female 722.0
GTEX-15CHR-0326-SM-7DHN3 50-59 years, male 702.5
GTEX-1JK1U-0626-SM-CKZOJ 60-69 years, male 701.4
GTEX-YEC3-0426-SM-CYPS8 50-59 years, male 697.3
GTEX-1J8QM-0326-SM-CL53D 60-69 years, female 682.1
GTEX-ZAB5-0126-SM-5CVMT 50-59 years, male 677.6
GTEX-WHWD-0326-SM-3LK6L 50-59 years, male 639.5
Show allShow less
Heart - Left Ventricle
Average nTPM: 1226.4
Samples: 432

Max nTPM: 3290.3
Min nTPM: 611.1
Std nTPM: 323.5
Median nTPM: 1183.3
GTEX-11ONC-0126-SM-5PNW6 60-69 years, male 3290.3
GTEX-1O9I2-1126-SM-DTXEA 50-59 years, male 2820.9
GTEX-1POEN-0626-SM-EVR4B 30-39 years, female 2411.0
GTEX-1PWST-1026-SM-DTXF2 70-79 years, male 2352.9
GTEX-13O3O-1526-SM-5KM1C 60-69 years, female 2250.1
GTEX-ZPIC-0826-SM-4WWFJ 40-49 years, female 2246.6
GTEX-R45C-0926-SM-3GAD4 60-69 years, female 2061.0
GTEX-17HII-1326-SM-7IGOB 50-59 years, male 2029.1
GTEX-YB5K-0126-SM-5IFJ2 40-49 years, female 2013.2
GTEX-1JMOU-0226-SM-CNNPD 60-69 years, female 1925.6
GTEX-1F6I4-0726-SM-7PC2P 60-69 years, male 1909.0
GTEX-13RTJ-0726-SM-5QGQN 60-69 years, male 1873.1
GTEX-17MF6-0726-SM-7LT8E 40-49 years, male 1871.6
GTEX-1313W-1426-SM-5KLZU 50-59 years, female 1864.4
GTEX-12ZZW-1026-SM-5GCMM 50-59 years, male 1859.6
GTEX-1LVA9-0926-SM-EVR5G 50-59 years, male 1845.8
GTEX-1F48J-1026-SM-7P8SO 50-59 years, female 1819.9
GTEX-1HCU6-1026-SM-A9G25 60-69 years, female 1818.4
GTEX-O5YV-0326-SM-2I5H2 60-69 years, female 1813.3
GTEX-1R9K4-1326-SM-DTX8G 60-69 years, male 1806.8
GTEX-11EM3-0626-SM-5H12Z 20-29 years, female 1799.7
GTEX-1N2EF-2826-SM-E6CQF 60-69 years, male 1798.6
GTEX-1RAZS-0826-SM-E76QP 50-59 years, male 1796.7
GTEX-1H1ZS-1126-SM-9MQLJ 70-79 years, male 1786.8
GTEX-13YAN-1326-SM-5Q5F1 60-69 years, male 1773.1
GTEX-1M5QR-1026-SM-DHXK9 40-49 years, male 1772.3
GTEX-1JJE9-1426-SM-ARL8P 70-79 years, male 1764.0
GTEX-YFC4-0526-SM-5ZZVI 40-49 years, female 1755.9
GTEX-13112-0426-SM-5PNVC 50-59 years, male 1743.8
GTEX-13CF2-0426-SM-5KM1H 60-69 years, male 1713.0
GTEX-1PPH7-2026-SM-E9J3N 40-49 years, male 1712.2
GTEX-1HBPM-1226-SM-A9SM8 60-69 years, female 1706.3
GTEX-148VI-0326-SM-5RQK7 60-69 years, female 1700.2
GTEX-1RQEC-0926-SM-EWROG 60-69 years, male 1698.7
GTEX-1K9T9-1126-SM-D3L9E 50-59 years, female 1687.4
GTEX-13O1R-1226-SM-5J1NU 60-69 years, male 1686.2
GTEX-1LH75-0426-SM-E9TJF 50-59 years, female 1679.2
GTEX-14A6H-0226-SM-5Q5DX 30-39 years, male 1678.6
GTEX-14XAO-1126-SM-6EU11 60-69 years, female 1677.7
GTEX-1JMPZ-1426-SM-CJI3C 30-39 years, male 1669.2
GTEX-12ZZY-1126-SM-5DUWQ 60-69 years, male 1649.2
GTEX-145LV-0326-SM-5Q5BW 50-59 years, male 1646.9
GTEX-14JG1-1026-SM-6ETZY 40-49 years, male 1637.8
GTEX-1A8G6-1626-SM-7MGWO 60-69 years, male 1635.8
GTEX-13W3W-0426-SM-5SI9D 60-69 years, female 1627.8
GTEX-1HSMO-1226-SM-CL548 60-69 years, male 1623.4
GTEX-14E6C-0426-SM-5YYA8 40-49 years, male 1615.8
GTEX-13X6K-1826-SM-5O9CR 60-69 years, female 1614.9
GTEX-ZYFC-1126-SM-5E44W 50-59 years, male 1613.4
GTEX-14A5I-1226-SM-5NQBW 50-59 years, female 1604.1
GTEX-1HBPH-0126-SM-CNNQ7 40-49 years, female 1597.2
GTEX-ZDXO-0726-SM-57WBT 60-69 years, male 1597.0
GTEX-15CHQ-1526-SM-69LPW 60-69 years, male 1596.0
GTEX-ZDTS-1326-SM-6LLHE 60-69 years, male 1589.3
GTEX-1I6K7-0626-SM-ARL7Q 40-49 years, male 1586.8
GTEX-1LC47-1026-SM-D3LAH 60-69 years, male 1579.3
GTEX-11DXY-0826-SM-5EGGR 60-69 years, male 1570.5
GTEX-OIZI-0926-SM-E6CHF 40-49 years, male 1563.3
GTEX-14C38-1426-SM-5RQHZ 50-59 years, male 1561.5
GTEX-1ICLZ-1026-SM-A9SLF 60-69 years, male 1554.0
GTEX-1R9PO-0326-SM-DTXA1 60-69 years, female 1553.2
GTEX-P78B-0426-SM-2I5F5 40-49 years, female 1550.6
GTEX-1IDJU-0726-SM-CNPQ9 60-69 years, female 1545.8
GTEX-PWCY-0526-SM-5P9HG 20-29 years, female 1543.9
GTEX-16MT8-0926-SM-6M487 60-69 years, female 1538.6
GTEX-12ZZZ-1726-SM-59HK5 60-69 years, male 1537.3
GTEX-XV7Q-0826-SM-4BRV7 40-49 years, female 1534.6
GTEX-17GQL-0526-SM-72D5N 60-69 years, male 1531.7
GTEX-1497J-1226-SM-5Q5BL 60-69 years, male 1530.4
GTEX-1LGOU-0726-SM-E9TIY 20-29 years, female 1529.9
GTEX-15DDE-1126-SM-6LLHN 50-59 years, female 1527.8
GTEX-14DAQ-1126-SM-664MT 60-69 years, female 1526.5
GTEX-12584-0926-SM-5FQTN 40-49 years, male 1522.4
GTEX-1314G-0126-SM-5LZUL 30-39 years, male 1514.8
GTEX-145MO-1126-SM-5NQBX 60-69 years, male 1507.6
GTEX-1E1VI-1326-SM-7IGQD 50-59 years, male 1504.4
GTEX-1NV8Z-1526-SM-DTX8X 60-69 years, male 1501.9
GTEX-NPJ8-0426-SM-2HMK6 40-49 years, male 1501.2
GTEX-XQ3S-0626-SM-4BOOB 20-29 years, male 1488.4
GTEX-1OKEX-0726-SM-DPRYE 60-69 years, male 1479.1
GTEX-13X6H-0426-SM-5LU4E 50-59 years, female 1476.6
GTEX-Y3I4-0626-SM-4TT7A 50-59 years, male 1473.2
GTEX-P44G-0826-SM-2I5ES 30-39 years, male 1469.0
GTEX-R55E-1026-SM-2TC5S 20-29 years, male 1468.0
GTEX-11EMC-0726-SM-5EGJO 60-69 years, female 1463.9
GTEX-13SLX-1026-SM-5ZZUQ 50-59 years, female 1462.5
GTEX-WH7G-0426-SM-3NMBJ 40-49 years, male 1457.0
GTEX-148VJ-1526-SM-5Q5DU 70-79 years, male 1455.1
GTEX-13VXT-1126-SM-5LU3A 20-29 years, female 1450.4
GTEX-17JCI-1126-SM-7IGMM 60-69 years, female 1449.3
GTEX-SIU8-0826-SM-2XCDQ 50-59 years, male 1447.5
GTEX-131XE-0626-SM-5HL98 50-59 years, male 1442.6
GTEX-1EH9U-0826-SM-7IGPT 60-69 years, male 1441.2
GTEX-1I1GP-0826-SM-A96SD 50-59 years, male 1440.8
GTEX-N7MS-0826-SM-2HML4 60-69 years, male 1437.5
GTEX-ZAJG-0826-SM-5PNVA 50-59 years, female 1425.7
GTEX-14JIY-1126-SM-6EU28 60-69 years, male 1421.9
GTEX-1C64O-0826-SM-79OKZ 60-69 years, male 1416.8
GTEX-1AX9I-1126-SM-7EPHH 60-69 years, male 1414.9
GTEX-13NZB-0226-SM-5KM1T 30-39 years, male 1413.1
GTEX-145MN-0626-SM-5QGRH 30-39 years, male 1410.3
GTEX-T2IS-0426-SM-32QPE 20-29 years, female 1404.2
GTEX-14PJ2-1026-SM-6EU1M 50-59 years, male 1398.6
GTEX-17F9E-0926-SM-7IGMG 50-59 years, male 1396.6
GTEX-1JMQK-0626-SM-D4P2R 60-69 years, male 1393.2
GTEX-OXRO-2026-SM-2YUMZ 60-69 years, female 1389.7
GTEX-14E6D-0926-SM-5S2QV 50-59 years, male 1382.8
GTEX-RWSA-0626-SM-2XCBD 40-49 years, male 1380.7
GTEX-1IDJF-0726-SM-CJI1U 20-29 years, male 1380.7
GTEX-15DYW-1126-SM-6LPK5 60-69 years, female 1380.2
GTEX-13PVQ-1226-SM-5IJDC 50-59 years, male 1379.9
GTEX-X15G-0426-SM-4PQZ6 50-59 years, female 1379.9
GTEX-13FLV-0926-SM-5L3DZ 50-59 years, male 1374.2
GTEX-13OVL-0526-SM-5KLZQ 50-59 years, male 1371.7
GTEX-QEG4-0426-SM-33HC3 30-39 years, male 1371.5
GTEX-U3ZN-1426-SM-3DB87 30-39 years, female 1368.4
GTEX-13O3P-1626-SM-5K7X3 50-59 years, male 1365.3
GTEX-YEC4-0326-SM-4W216 40-49 years, male 1360.3
GTEX-WY7C-0526-SM-3NB3D 50-59 years, male 1360.1
GTEX-132NY-1726-SM-5EGKK 60-69 years, male 1352.6
GTEX-11O72-1126-SM-5N9E2 40-49 years, male 1348.6
GTEX-1CB4J-0326-SM-7PBZO 60-69 years, male 1344.9
GTEX-17F9Y-1326-SM-7MGW9 70-79 years, female 1343.0
GTEX-1A3MW-1326-SM-7189P 60-69 years, female 1340.9
GTEX-15SHW-1226-SM-6M46C 60-69 years, male 1340.8
GTEX-1EX96-2526-SM-7RHGW 50-59 years, male 1336.4
GTEX-13X6I-1426-SM-5SI9Z 60-69 years, male 1335.5
GTEX-16BQI-0926-SM-6M485 30-39 years, female 1335.0
GTEX-147F4-1226-SM-5NQAY 50-59 years, male 1333.9
GTEX-SUCS-0326-SM-32PLL 70-79 years, male 1333.9
GTEX-1ICLY-1326-SM-CJI47 50-59 years, male 1332.6
GTEX-S33H-0526-SM-COH1W 30-39 years, male 1329.3
GTEX-1GN1W-0326-SM-9JGHF 50-59 years, female 1328.8
GTEX-1HSMQ-0226-SM-C1YQL 50-59 years, male 1327.2
GTEX-1399T-0426-SM-5PNVJ 60-69 years, male 1326.2
GTEX-YF7O-0426-SM-5P9FS 50-59 years, male 1325.8
GTEX-13CF3-0726-SM-5J2MY 60-69 years, female 1323.8
GTEX-1JJEA-0826-SM-CL53T 60-69 years, male 1321.3
GTEX-11ZVC-0426-SM-5CVLD 50-59 years, female 1317.8
GTEX-1J8Q2-1226-SM-A9G2W 60-69 years, male 1312.8
GTEX-18D9B-1226-SM-72D6V 60-69 years, male 1310.1
GTEX-1269C-0826-SM-5N9EM 60-69 years, female 1308.2
GTEX-1HCVE-1126-SM-9WPPG 50-59 years, male 1305.9
GTEX-13JVG-1326-SM-5N9F8 60-69 years, male 1302.6
GTEX-16NPX-0926-SM-7KUEZ 50-59 years, male 1302.5
GTEX-12WSC-1126-SM-5EQ4G 50-59 years, male 1293.9
GTEX-1QP29-1526-SM-EXUSY 50-59 years, male 1293.3
GTEX-1QP2A-1126-SM-EVR3H 50-59 years, male 1293.0
GTEX-1CB4I-1626-SM-7RHGV 50-59 years, male 1291.4
GTEX-1CB4E-0526-SM-7MXTK 60-69 years, male 1287.8
GTEX-REY6-1026-SM-2TF4Y 60-69 years, male 1287.2
GTEX-1R7EV-0326-SM-E76PA 40-49 years, male 1286.4
GTEX-14E7W-1226-SM-5RQIU 70-79 years, male 1283.8
GTEX-WRHU-1226-SM-4E3IJ 50-59 years, female 1282.4
GTEX-1HCU7-1326-SM-CNPPW 50-59 years, male 1282.3
GTEX-13OW8-2126-SM-5J1OS 60-69 years, male 1282.2
GTEX-WZTO-1326-SM-3NM8X 40-49 years, male 1282.0
GTEX-1LB8K-1026-SM-DHXJJ 50-59 years, male 1280.0
GTEX-P4PP-0326-SM-33HC4 30-39 years, female 1278.7
GTEX-Y5V5-0626-SM-4VBPX 60-69 years, female 1277.9
GTEX-ZYW4-0926-SM-59HJS 60-69 years, male 1276.9
GTEX-1JMLX-1626-SM-ARZMV 50-59 years, male 1276.8
GTEX-1F6IF-2526-SM-7P8TV 60-69 years, male 1270.9
GTEX-1I1GV-1326-SM-A96SE 60-69 years, male 1270.5
GTEX-111FC-0826-SM-5GZWO 60-69 years, male 1267.6
GTEX-14C39-0926-SM-5TDDV 40-49 years, male 1261.1
GTEX-1H3NZ-1126-SM-9WYT9 60-69 years, male 1261.1
GTEX-ZAB4-1026-SM-5HL7T 40-49 years, male 1260.1
GTEX-ZQUD-1526-SM-7IGO2 30-39 years, male 1259.6
GTEX-1J8QM-0426-SM-AHZ3X 60-69 years, female 1258.8
GTEX-1BAJH-1626-SM-73KUV 70-79 years, male 1255.4
GTEX-WFG8-0626-SM-3GILJ 20-29 years, male 1255.1
GTEX-ZYT6-1726-SM-5E44P 30-39 years, male 1251.7
GTEX-13N1W-1026-SM-5IJC5 70-79 years, male 1249.7
GTEX-1R9JW-0526-SM-EWRNK 30-39 years, female 1249.1
GTEX-1B8SG-0826-SM-7EWF7 50-59 years, male 1248.9
GTEX-1B996-1126-SM-73KWN 60-69 years, male 1245.8
GTEX-1EU9M-1826-SM-7DUGU 60-69 years, male 1245.7
GTEX-WHSE-0926-SM-3NMBS 20-29 years, male 1242.8
GTEX-1QPFJ-1026-SM-E6CR6 30-39 years, female 1241.5
GTEX-P4QS-0326-SM-2I3EU 60-69 years, male 1238.9
GTEX-1KD5A-1026-SM-CY8I8 50-59 years, male 1236.6
GTEX-1IKK5-1526-SM-CKZPW 60-69 years, male 1235.7
GTEX-11ZUS-0226-SM-5FQT8 30-39 years, male 1234.5
GTEX-1JJ6O-2126-SM-CNNP6 60-69 years, male 1228.4
GTEX-1AX9K-0526-SM-73KV1 50-59 years, male 1227.8
GTEX-WYJK-1026-SM-3NM8W 50-59 years, male 1227.7
GTEX-1F5PK-0326-SM-9KNUD 50-59 years, male 1226.8
GTEX-15SHU-1126-SM-7KUMB 40-49 years, female 1226.4
GTEX-13QBU-0426-SM-5J2O4 40-49 years, female 1224.3
GTEX-1KD4Q-0726-SM-DIPGE 40-49 years, male 1221.4
GTEX-O5YW-0326-SM-2I5EI 50-59 years, male 1215.3
GTEX-131XH-0226-SM-5LZVB 50-59 years, male 1215.1
GTEX-1I1GQ-1426-SM-B2LWY 50-59 years, male 1213.0
GTEX-QEG5-0926-SM-2TC64 20-29 years, male 1212.4
GTEX-1EWIQ-1426-SM-7IGOS 70-79 years, female 1210.1
GTEX-1HC8U-0726-SM-ACKXL 40-49 years, female 1209.5
GTEX-11TUW-1026-SM-5GU7D 60-69 years, male 1208.3
GTEX-ZTPG-1226-SM-4YCDO 20-29 years, female 1207.8
GTEX-1MJIX-0326-SM-EVR42 40-49 years, male 1206.3
GTEX-15ER7-1726-SM-6PAMX 20-29 years, female 1202.6
GTEX-13FH7-0926-SM-5J2MR 50-59 years, female 1201.9
GTEX-1GMR3-0326-SM-7P8QT 40-49 years, male 1201.9
GTEX-1PPGY-1126-SM-E76OU 60-69 years, male 1200.2
GTEX-ZDTT-0726-SM-4WKFK 60-69 years, male 1198.4
GTEX-13OW6-1126-SM-5L3HL 50-59 years, male 1198.0
GTEX-1IDJH-1026-SM-E9TKH 70-79 years, male 1191.8
GTEX-P44H-0726-SM-48TBT 40-49 years, male 1191.0
GTEX-1EN7A-0726-SM-7PBXT 40-49 years, male 1190.6
GTEX-WK11-0826-SM-EZ6LH 50-59 years, male 1189.4
GTEX-U8XE-1126-SM-3DB8W 30-39 years, male 1189.1
GTEX-1O97I-0826-SM-E8VNE 60-69 years, male 1189.1
GTEX-RWS6-0326-SM-2XCAP 60-69 years, female 1187.5
GTEX-Y114-0226-SM-4TT8W 50-59 years, female 1187.5
GTEX-13FHP-1026-SM-5K7Y2 50-59 years, male 1187.4
GTEX-15EOM-5007-SM-793DG 20-29 years, female 1186.6
GTEX-1HSGN-1126-SM-CJI4G 40-49 years, female 1180.1
GTEX-1GF9V-1626-SM-7PBXL 60-69 years, male 1179.0
GTEX-XBEC-1326-SM-4AT69 50-59 years, male 1178.3
GTEX-1JN6P-1126-SM-CKZON 60-69 years, male 1176.2
GTEX-132AR-2026-SM-5IJG4 50-59 years, female 1176.1
GTEX-12WSK-0626-SM-5LZUJ 40-49 years, female 1175.8
GTEX-13OW5-1126-SM-5J1NR 60-69 years, male 1173.4
GTEX-146FH-1026-SM-5RQIF 50-59 years, female 1173.3
GTEX-18A66-1226-SM-7LT8G 60-69 years, male 1168.9
GTEX-R55C-0326-SM-3GAF1 40-49 years, male 1167.2
GTEX-1OFPY-1026-SM-EXUSO 60-69 years, male 1166.0
GTEX-V955-0726-SM-3GAFG 60-69 years, male 1164.1
GTEX-1J8EW-0926-SM-A9G33 60-69 years, female 1161.3
GTEX-15RIE-1726-SM-7KUMU 60-69 years, male 1160.0
GTEX-1GZ4I-1026-SM-9KNV5 50-59 years, male 1158.4
GTEX-14BIN-2226-SM-5YYA1 50-59 years, female 1157.5
GTEX-1B8L1-0526-SM-79ONX 60-69 years, male 1156.7
GTEX-1I1HK-0726-SM-B2LY4 60-69 years, male 1156.1
GTEX-1GMR2-1426-SM-7RHHK 50-59 years, male 1155.7
GTEX-12WSG-0526-SM-5FQTH 50-59 years, female 1155.0
GTEX-14BIL-1126-SM-79OMC 50-59 years, male 1153.7
GTEX-RNOR-0826-SM-2TF5C 50-59 years, female 1153.4
GTEX-WL46-0926-SM-3LK7T 50-59 years, male 1150.0
GTEX-OIZG-1126-SM-2HMIU 50-59 years, male 1148.6
GTEX-18A6Q-1626-SM-7KFTA 60-69 years, male 1147.3
GTEX-12WSD-1126-SM-5EGJD 60-69 years, female 1145.5
GTEX-QEL4-0926-SM-3GAD1 50-59 years, male 1145.3
GTEX-1IKOE-1026-SM-ARZMF 30-39 years, female 1144.1
GTEX-18465-0926-SM-731AY 50-59 years, male 1143.8
GTEX-UPK5-0326-SM-CYPR4 40-49 years, male 1138.5
GTEX-117YW-0326-SM-5N9CY 50-59 years, male 1138.2
GTEX-1HT8W-1726-SM-CNNQB 30-39 years, male 1138.2
GTEX-1GTWX-1026-SM-7P8QW 60-69 years, male 1133.3
GTEX-1IDJE-0326-SM-CM2TD 50-59 years, female 1132.9
GTEX-111YS-0426-SM-5987O 60-69 years, male 1130.2
GTEX-12696-1126-SM-5FQTI 60-69 years, male 1128.9
GTEX-N7MT-1326-SM-2I3FV 60-69 years, female 1127.9
GTEX-12WSN-5001-SM-7DHMK 40-49 years, male 1126.6
GTEX-1GN1V-0826-SM-9KNU6 60-69 years, male 1121.4
GTEX-XQ8I-0126-SM-4BOPL 50-59 years, male 1119.5
GTEX-Y5V6-0826-SM-4VBRU 60-69 years, male 1118.2
GTEX-1GN73-2426-SM-7RHFQ 60-69 years, male 1117.8
GTEX-14PJ6-0726-SM-69LOL 60-69 years, female 1116.4
GTEX-11DXZ-0626-SM-5GU77 50-59 years, male 1114.0
GTEX-14PK6-0826-SM-5ZZVO 70-79 years, female 1112.4
GTEX-13FTZ-0226-SM-5K7X6 60-69 years, male 1111.1
GTEX-X261-1426-SM-4PQZ1 50-59 years, male 1106.9
GTEX-14PN3-0526-SM-69LQF 60-69 years, female 1105.8
GTEX-1H23P-1226-SM-9QEJ2 60-69 years, male 1105.6
GTEX-11TT1-1326-SM-5PNYM 20-29 years, male 1105.2
GTEX-ZUA1-0826-SM-4YCDL 40-49 years, male 1103.9
GTEX-1CB4G-0826-SM-7DUGF 60-69 years, male 1102.7
GTEX-V1D1-0526-SM-4JBGW 50-59 years, male 1102.5
GTEX-SE5C-0626-SM-2XCDV 40-49 years, female 1094.3
GTEX-OXRL-0326-SM-2I3F2 50-59 years, male 1092.7
GTEX-U4B1-0326-SM-3DB8K 40-49 years, male 1092.4
GTEX-Y3IK-0826-SM-51MT8 50-59 years, female 1091.8
GTEX-1EMGI-1226-SM-793DD 60-69 years, male 1090.7
GTEX-11GS4-0526-SM-5A5KQ 60-69 years, male 1079.1
GTEX-1399S-1026-SM-5KLZ9 30-39 years, female 1076.3
GTEX-OOBJ-0326-SM-33HBO 60-69 years, male 1071.2
GTEX-13NYB-0226-SM-5N9G4 40-49 years, male 1071.1
GTEX-OIZH-0326-SM-2HMKC 50-59 years, male 1067.8
GTEX-1B932-1026-SM-793CL 40-49 years, female 1067.2
GTEX-1JN1M-1026-SM-CNPOS 60-69 years, female 1062.0
GTEX-17HHY-1426-SM-7EWDQ 50-59 years, male 1061.8
GTEX-XPVG-0826-SM-4B654 50-59 years, male 1061.5
GTEX-16YQH-0926-SM-793BC 30-39 years, male 1060.8
GTEX-R55G-0526-SM-2TC5O 40-49 years, female 1059.4
GTEX-13U4I-0826-SM-5SIBD 40-49 years, female 1058.5
GTEX-14PHY-0226-SM-5ZZWM 60-69 years, female 1058.1
GTEX-14H4A-0626-SM-5ZZUT 40-49 years, female 1055.6
GTEX-1IKJJ-0826-SM-A96SP 60-69 years, male 1055.3
GTEX-PSDG-0926-SM-2I5FP 50-59 years, male 1054.9
GTEX-1AX9J-1026-SM-72D6E 60-69 years, male 1054.2
GTEX-ZF2S-1026-SM-9QEGK 50-59 years, female 1041.4
GTEX-WI4N-0626-SM-3TW8Z 40-49 years, female 1033.0
GTEX-WQUQ-1426-SM-3MJFD 60-69 years, male 1032.9
GTEX-RTLS-0826-SM-2TF5Q 60-69 years, female 1029.5
GTEX-XXEK-0926-SM-4BRWH 50-59 years, male 1028.7
GTEX-13N11-0426-SM-5KM3O 50-59 years, female 1025.8
GTEX-1MUQO-1226-SM-E9TJK 60-69 years, male 1025.2
GTEX-XPT6-0126-SM-4B65S 20-29 years, male 1024.3
GTEX-1GF9U-0426-SM-7RHHA 40-49 years, female 1023.9
GTEX-1399R-1926-SM-5K7X8 30-39 years, male 1023.3
GTEX-S32W-0626-SM-2XCBG 50-59 years, female 1020.7
GTEX-ZF3C-1226-SM-4WWCB 50-59 years, female 1020.2
GTEX-ZYFG-0426-SM-5E43M 60-69 years, female 1019.9
GTEX-U3ZH-0326-SM-3DB7A 30-39 years, male 1018.6
GTEX-1QCLZ-0926-SM-E6CQZ 60-69 years, female 1018.6
GTEX-14PHX-2126-SM-6EU2U 50-59 years, male 1018.2
GTEX-15CHC-0426-SM-6LLHI 60-69 years, female 1017.3
GTEX-14C5O-1326-SM-5S2UW 60-69 years, male 1016.7
GTEX-15CHR-0226-SM-7PC2Z 50-59 years, male 1016.3
GTEX-1LSNM-0526-SM-DIPG6 50-59 years, male 1016.2
GTEX-1MCC2-0326-SM-EV7AK 30-39 years, female 1015.1
GTEX-11GSP-1326-SM-5A5KY 60-69 years, female 1014.5
GTEX-1S3DN-0726-SM-E9TIO 50-59 years, male 1014.1
GTEX-1LG7Y-1226-SM-CXZKD 50-59 years, male 1013.0
GTEX-1211K-0626-SM-5FQUZ 60-69 years, female 1010.7
GTEX-13PVR-1026-SM-5QGQW 60-69 years, female 1010.7
GTEX-PVOW-0426-SM-5MR5R 40-49 years, male 1009.8
GTEX-OIZF-0326-SM-3MJGY 60-69 years, male 1008.8
GTEX-1C6VQ-1126-SM-7EWET 50-59 years, male 1006.9
GTEX-T6MN-0926-SM-32PLX 50-59 years, male 1004.4
GTEX-1122O-0826-SM-5GICV 60-69 years, female 1004.3
GTEX-1R9K5-1326-SM-E6CPR 50-59 years, male 1002.3
GTEX-1212Z-0626-SM-5FQTB 60-69 years, male 1001.7
GTEX-1A3MX-1326-SM-72D58 60-69 years, male 999.8
GTEX-1IDJI-1026-SM-A96TE 50-59 years, female 999.6
GTEX-1EKGG-1126-SM-7MGXB 60-69 years, male 999.3
GTEX-1AX8Z-5007-SM-AHZ36 60-69 years, male 998.0
GTEX-1H1CY-0326-SM-9QEIZ 60-69 years, female 996.4
GTEX-13OVG-0526-SM-5K7YD 60-69 years, male 995.2
GTEX-16XZY-0426-SM-793BI 70-79 years, male 993.3
GTEX-WEY5-0426-SM-3GIKT 40-49 years, female 993.2
GTEX-QDVN-0326-SM-2I3FS 50-59 years, male 992.4
GTEX-ZGAY-0326-SM-57WF5 40-49 years, female 992.2
GTEX-PLZ5-0626-SM-2I5F8 50-59 years, male 991.4
GTEX-13FTW-1026-SM-5L3E3 40-49 years, male 990.1
GTEX-1B97J-0726-SM-7RHG3 50-59 years, female 989.3
GTEX-ZG7Y-0926-SM-5EQ6O 50-59 years, male 987.5
GTEX-1C2JI-0526-SM-7EWEQ 50-59 years, male 983.8
GTEX-131XG-0626-SM-5GCMP 50-59 years, female 982.7
GTEX-OHPK-0326-SM-2HMJO 50-59 years, female 982.0
GTEX-YJ8O-0926-SM-EAZ2Z 40-49 years, female 981.0
GTEX-1ICG6-0626-SM-ACKWS 70-79 years, female 980.8
GTEX-14PJM-1126-SM-6LLHK 50-59 years, female 978.3
GTEX-132QS-0426-SM-5KLZ6 60-69 years, male 977.8
GTEX-RN64-0826-SM-2TC62 50-59 years, male 974.8
GTEX-13O61-0526-SM-5J2M1 60-69 years, male 972.6
GTEX-13S86-0226-SM-5S2PJ 40-49 years, male 971.7
GTEX-QESD-0526-SM-2I5G5 20-29 years, male 967.2
GTEX-1F75I-1126-SM-9WYUO 40-49 years, male 960.2
GTEX-1IL2U-1326-SM-A9G2O 60-69 years, male 960.0
GTEX-ZAB5-0226-SM-5CVMH 50-59 years, male 959.0
GTEX-WFG7-0726-SM-3GIKO 20-29 years, male 958.2
GTEX-11LCK-0926-SM-5A5KA 30-39 years, male 957.9
GTEX-XGQ4-0326-SM-4GIEE 50-59 years, male 954.3
GTEX-15RJE-0626-SM-7KUKR 40-49 years, male 952.6
GTEX-147JS-1526-SM-5ZZWF 60-69 years, male 940.6
GTEX-1H11D-1226-SM-9WPQ2 40-49 years, male 937.2
GTEX-11DXX-0326-SM-5PNWC 60-69 years, female 931.7
GTEX-UJHI-0426-SM-3DB8Y 50-59 years, female 927.5
GTEX-QDVJ-0426-SM-2I5FW 50-59 years, male 923.5
GTEX-1RB15-0326-SM-E6CQB 60-69 years, male 923.5
GTEX-146FR-0626-SM-5RQJ1 60-69 years, female 920.8
GTEX-ZVZP-0226-SM-5NQ73 50-59 years, male 920.0
GTEX-14E1K-1026-SM-73KUR 50-59 years, male 918.2
GTEX-OHPL-0326-SM-33HC8 60-69 years, female 916.8
GTEX-ZDYS-0226-SM-5HL4K 50-59 years, male 916.7
GTEX-P4PQ-0326-SM-2HMJ8 60-69 years, male 916.3
GTEX-1339X-0426-SM-5KLZY 40-49 years, male 914.5
GTEX-Y8E4-0326-SM-4VBRR 40-49 years, male 911.8
GTEX-XBED-0526-SM-47JY3 60-69 years, male 900.9
GTEX-1KXAM-1326-SM-E9TJW 60-69 years, male 900.8
GTEX-1JK1U-0526-SM-CYPSQ 60-69 years, male 894.7
GTEX-OHPM-0326-SM-33HCA 50-59 years, male 889.1
GTEX-X3Y1-0426-SM-3P5Z4 40-49 years, male 888.1
GTEX-POMQ-0326-SM-2I5FO 20-29 years, female 886.8
GTEX-11I78-0826-SM-5A5K4 50-59 years, female 886.5
GTEX-18A67-1226-SM-7KFRS 50-59 years, male 876.8
GTEX-YEC3-0726-SM-CMKFH 50-59 years, male 875.5
GTEX-1LGRB-1126-SM-CNPP2 50-59 years, female 870.1
GTEX-QV44-0526-SM-2S1RE 50-59 years, male 869.4
GTEX-1J8Q3-1226-SM-CKZPT 60-69 years, male 869.0
GTEX-OXRK-0826-SM-2HMK7 50-59 years, female 867.5
GTEX-18D9U-1126-SM-72D5Y 40-49 years, male 866.9
GTEX-1HFI7-0826-SM-A9G23 50-59 years, female 866.8
GTEX-1KANC-0426-SM-CXZK5 50-59 years, female 866.3
GTEX-117YX-1126-SM-5H128 50-59 years, male 866.1
GTEX-WWYW-1326-SM-3NB2S 50-59 years, female 865.5
GTEX-X8HC-1626-SM-46MWE 50-59 years, female 864.3
GTEX-RUSQ-0526-SM-2TF72 50-59 years, male 861.8
GTEX-1RMOY-0626-SM-E9TIE 50-59 years, male 860.9
GTEX-ZEX8-0426-SM-DO92Y 50-59 years, male 860.9
GTEX-13O21-2326-SM-5MR3X 50-59 years, male 859.9
GTEX-17HGU-1026-SM-79OKL 50-59 years, male 859.9
GTEX-ZF29-0226-SM-4WKHO 60-69 years, female 857.5
GTEX-QVJO-1926-SM-2S1QZ 60-69 years, female 855.8
GTEX-ZZPU-0926-SM-5GZYT 50-59 years, female 855.4
GTEX-1AYCT-0426-SM-73KVZ 50-59 years, male 854.8
GTEX-1CAMS-1326-SM-79OJR 40-49 years, female 853.2
GTEX-ZPCL-0426-SM-DNZZ4 60-69 years, female 848.5
GTEX-O5YT-0326-SM-32PKA 20-29 years, male 846.3
GTEX-1GN2E-1326-SM-9KNVG 60-69 years, male 840.1
GTEX-12BJ1-0226-SM-5LUA2 60-69 years, male 836.0
GTEX-WHPG-0826-SM-3NMBF 50-59 years, male 832.5
GTEX-UJMC-0526-SM-3GAE3 50-59 years, male 830.8
GTEX-R53T-0926-SM-3GADH 50-59 years, female 830.5
GTEX-139YR-0826-SM-5LZXY 50-59 years, male 829.5
GTEX-RU72-0326-SM-2TF5T 50-59 years, female 824.4
GTEX-ZPU1-0626-SM-4YCDM 40-49 years, male 824.4
GTEX-1LVAN-1726-SM-CNNR1 50-59 years, female 821.4
GTEX-13D11-1726-SM-5IFGQ 50-59 years, female 818.6
GTEX-QLQ7-0526-SM-2I5G3 60-69 years, male 808.1
GTEX-SNMC-0126-SM-2XCFO 20-29 years, male 808.1
GTEX-1GL5R-0326-SM-9WYTJ 50-59 years, male 804.0
GTEX-QMRM-0526-SM-2I5GA 50-59 years, male 799.7
GTEX-NFK9-0926-SM-2HMJU 40-49 years, male 796.3
GTEX-1GMRU-1526-SM-9WYT5 50-59 years, male 795.9
GTEX-14PJ4-1126-SM-5YY91 60-69 years, male 792.3
GTEX-1399U-0526-SM-5K7YM 50-59 years, female 785.1
GTEX-1HCUA-0526-SM-A9SMH 50-59 years, female 785.0
GTEX-1L5NE-0426-SM-E9TIX 50-59 years, male 774.0
GTEX-PX3G-0326-SM-2I3EO 20-29 years, female 773.2
GTEX-15RJ7-0226-SM-7KUMN 40-49 years, male 771.9
GTEX-ZV7C-0326-SM-57WB1 50-59 years, male 768.4
GTEX-WFON-0326-SM-3GIKX 40-49 years, male 766.5
GTEX-1B8KE-0126-SM-793AM 50-59 years, male 762.6
GTEX-ZLFU-0226-SM-4WWFH 40-49 years, male 755.6
GTEX-WHWD-0426-SM-3LK83 50-59 years, male 753.7
GTEX-ZVT2-1026-SM-5GU55 50-59 years, female 717.2
GTEX-131XF-5001-SM-7DHLY 60-69 years, male 680.4
GTEX-Q2AH-0526-SM-2I3ED 40-49 years, male 659.6
GTEX-17KNJ-0826-SM-793A4 50-59 years, male 611.1
Show allShow less

HEART MUSCLE - FANTOM5 CAGEi

RNA expression in human tissues obtained through Cap Analysis of Gene Expression (CAGE) generated by the FANTOM5 project are reported as Scaled Tags Per Million.

Max subtype Scaled Tags Per Millioni

Max subtype Scaled Tags Per Million is the value for the subtype with the largest average Scaled Tags Per Million across the subtype samples.

78.5
FANTOM5 sample id Sample description Scaled Tags Per Million
Heart
Scaled Tags Per Million: 54.5
FF:10016-101C7 70,73,74 years, mixed 54.5
Left atrium
Scaled Tags Per Million: 78.5
FF:10079-102A7 40 years, male 78.5
Left ventricle
Scaled Tags Per Million: 53.9
FF:10078-102A6 73 years, female 53.9

Contact

  • NEWS ARTICLES
  • PRESS ROOM

The Project

  • INTRODUCTION
  • ORGANIZATION
  • PUBLICATIONS

The Human Protein Atlas

  • DOWNLOADABLE DATA
  • LICENCE & CITATION
  • HELP & FAQ
The Human Protein Atlas project is funded
by the Knut & Alice Wallenberg Foundation.


contact@proteinatlas.org