We use cookies to enhance the usability of our website. If you continue, we'll assume that you are happy to receive all cookies. More information. Don't show this again.
LPP
HPA
RESOURCES
  • TISSUE
  • BRAIN
  • SINGLE CELL
  • SUBCELLULAR
  • CANCER
  • BLOOD
  • CELL LINE
  • STRUCTURE & INTERACTION
ABOUT
  • INTRODUCTION
  • HISTORY
  • ORGANIZATION
  • PUBLICATIONS
  • ANTIBODY SUBMISSION
  • ANTIBODY AVAILABILITY
  • ACKNOWLEDGMENTS
  • CONTACT
NEWS
  • NEWS ARTICLES
  • PRESS ROOM
LEARN
  • DICTIONARY
  • PROTEIN CLASSES
  • PROTEIN EVIDENCE
  • METHODS
  • EDUCATIONAL VIDEOS
DATA
  • DOWNLOADABLE DATA
  • PUBLICATION DATA
  • RELEASE HISTORY
HELP
  • ANTIBODY VALIDATION
  • ASSAYS & ANNOTATION
  • DISCLAIMER
  • HELP & FAQ
  • PRIVACY STATEMENT
  • LICENCE & CITATION
Fields »
Search result

Field
Term
Gene name
Class
Subclass
Class
Keyword
Chromosome
External id
Tissue
Cell type
Expression
Antibody panel
Tissue
Main location
Patient ID
Annotation
Tissue
Category
Tau score
Cluster
Reliability
Brain region
Category
Tau score
Brain region
Category
Tau score
Brain region
Category
Tau score
Cluster
Reliability
Tissue
Cell type
Enrichment
Cell type
Category
Tau score
Cell type
Category
Tau score
Cell type
Category
Tau score
Cell lineage
Category
Tau score
Cluster
Cluster
Location
Searches
Location
Cell line
Class
Type
Phase
Reliability
Cancer
Prognosis
Cancer
Category
Cancer
Category
Tau score
Cluster
Variants
Interacting gene (ensg_id)
Type
Number of interactions
Pathway
Category
Score
Score
Score
Validation
Validation
Validation
Validation
Antibodies
Data type
Column


  • SUMMARY

  • TISSUE

  • BRAIN

  • SINGLE CELL

  • SUBCELL

  • CANCER

  • BLOOD

  • CELL LINE

  • STRUCT & INT

  • LPP
TISSUE PRIMARY DATA SKIN Show tissue menu
ADIPOSE TISSUE ADRENAL GLAND AMYGDALA APPENDIX BASAL GANGLIA BONE MARROW BREAST BRONCHUS CEREBELLUM CEREBRAL CORTEX CERVIX CHOROID PLEXUS COLON DUODENUM
ENDOMETRIUM EPIDIDYMIS ESOPHAGUS FALLOPIAN TUBE GALLBLADDER HEART MUSCLE HIPPOCAMPAL FORMATION HYPOTHALAMUS KIDNEY LIVER LUNG LYMPH NODE MIDBRAIN NASOPHARYNX
ORAL MUCOSA OVARY PANCREAS PARATHYROID GLAND PITUITARY GLAND PLACENTA PROSTATE RECTUM RETINA SALIVARY GLAND SEMINAL VESICLE SKELETAL MUSCLE SKIN SMALL INTESTINE
SMOOTH MUSCLE SOFT TISSUE SPINAL CORD SPLEEN STOMACH TESTIS THYMUS THYROID GLAND TONGUE TONSIL URINARY BLADDER VAGINA
ANTIBODIES
AND
VALIDATION
Dictionary
Skin
Tissue proteome
Skin
SKIN - Expression summary
Protein expression
Skini

On the top, protein expression in current human tissue, based on all annotated cell types, is reported with the units not detected (n), low (l), medium (m) and high (h). Underneath, protein expression in each annotated cell type are reported using the same units.

Protein expression data is based on knowledge-based annotation. For genes where more than one antibody has been used, a collective score is set.

If knowledge-based annotation could not be performed for a gene, no data is displayed here. View antibody staining data further down this page.

h
m
l
n
Arrector pili muscle cells: Medium
Cells in basal layer: Low
Cells in corneal layer: Low
Cells in granular layer: High
Cells in spinous layer: Not detected
Endothelial cells: High
Extracellular matrix: Not detected
Fibrohistiocytic cells: Medium
Langerhans cells: Not detected
Lymphocytes: Not detected
Melanocytes: Not detected
Sebaceous glands: Not detected
Vascular mural cells: Not detected
RNA expressioni

A summary of mRNA expression data available for current tissue based on several datasets. The mRNA expression levels in human tissues are based on RNA-seq data generated by the Human Protein Atlas (HPA), Genotype-Tissue Expression (GTEx) portal and CAGE data generated by the FANTOM5 consortium. Consensus normalized expression levels for human tissues was created by combining the data from HPA and GTEx datasets.

The mRNA expression levels in pig are based on RNA-seq data generated by the Human Protein Atlas (HPA), and for mouse, HPA data and in situ hybridization generated by the Allen brain atlas are reported.

Scroll down to view mRNA expression data in more detail.
Consensus:11.6 nTPM
HPA:6.1 nTPM
GTEx:11.6 nTPM

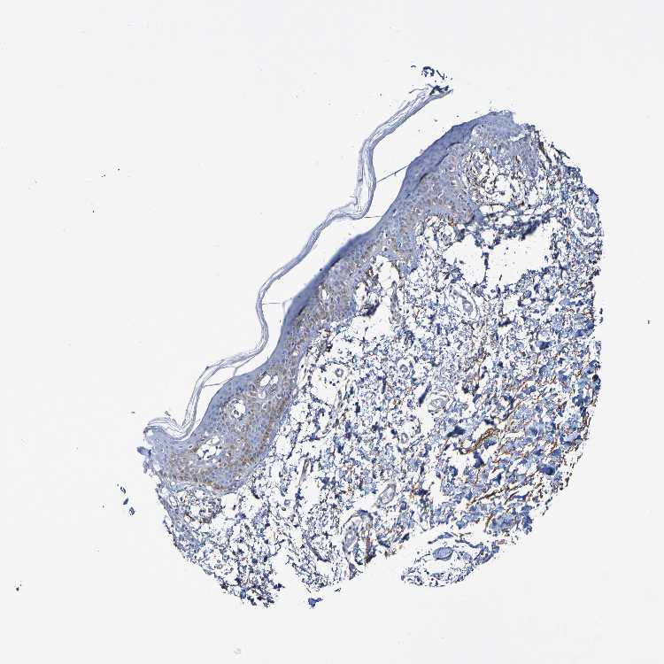
SKIN 1 - Antibody stainingi

Antibody staining in the annotated cell types in the current human tissue is reported as not detected, low, medium, or high, based on conventional immunohistochemistry profiling in selected tissues. This score is based on the combination of the staining intensity and fraction of stained cells.

Each image is clickable and will lead to virtual microscopy that enables deeper exploration of all samples and also displays staining intensity scores, fraction scores and subcellular localization as well as patient and tissue information for each sample.

Antibody HPA011133Antibody HPA017342
Langerhans Not detected-
Arrector pili muscle cells -Medium
Cells in basal layer -Low
Cells in corneal layer -Low
Cells in granular layer -High
Cells in spinous layer -Not detected
Endothelial cells -Medium
Extracellular matrix -Not detected
Fibroblasts Medium-
Fibrohistiocytic cells -Low
Keratinocytes Low-
Langerhans cells -Not detected
Lymphocytes -Not detected
Melanocytes MediumNot detected
Vascular mural cells -Not detected


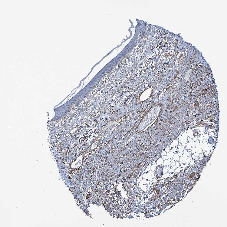
SKIN 2 - Antibody stainingi

Antibody staining in the annotated cell types in the current human tissue is reported as not detected, low, medium, or high, based on conventional immunohistochemistry profiling in selected tissues. This score is based on the combination of the staining intensity and fraction of stained cells.

Each image is clickable and will lead to virtual microscopy that enables deeper exploration of all samples and also displays staining intensity scores, fraction scores and subcellular localization as well as patient and tissue information for each sample.

Antibody HPA011133Antibody HPA017342
Cells in basal layer -Low
Cells in corneal layer -Low
Cells in granular layer -High
Cells in spinous layer -Not detected
Endothelial cells -High
Epidermal cells Not detected-
Extracellular matrix -Not detected
Fibrohistiocytic cells -Medium
Langerhans cells -Not detected
Lymphocytes -Not detected
Melanocytes -Not detected
Sebaceous glands -Not detected
Vascular mural cells -Not detected
  
  




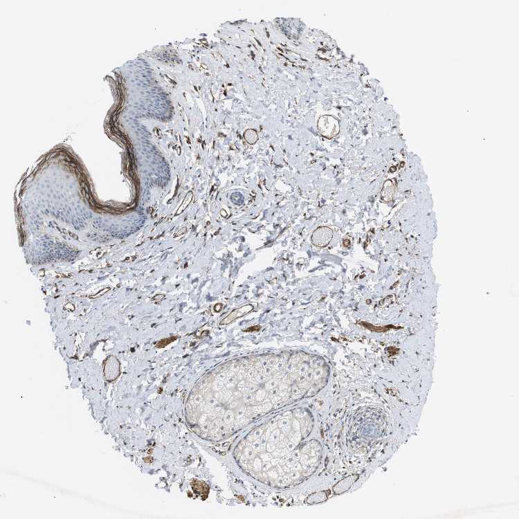
SKIN - HPA RNA-seqi

The RNA-seq details section shows detailed information about the individual samples used for the transcript profiling and results of the RNA-seq analysis.

Information about each individual sample is listed below, including gender, age, a tissue section image and estimated fractions of cell types. nTPM (normalized transcripts per million) values give a quantification of the gene abundance which is comparable between different genes and samples.
Average nTPMi

Max subtype nTPM is the value for the subtype with the largest average nTPM across the subtype samples.

6.1
overview
Female, age 34
Skin sample 225
nTPM: 7.4
Cell types%
Keratinocytes:
60

Other cell types:
40

overview
Female, age 30
Skin sample 226
nTPM: 6.4
Cell types%
Keratinocytes:
55

Other cell types:
45

N/A
Male, age 57
Skin sample 227
nTPM: 4.5

SKIN - GTEx RNA-seqi

RNA-Seq data generated by the Genotype-Tissue Expression (GTEx) project from human tissues is reported as mean nTPM. More information can be found on the GTEx portal.

Distribution across the dataset is visualized with box plots, shown as median and 25th and 75th percentiles. Points are displayed as outliers if they are above or below 1.5 times the interquartile range. nTPM values of the individual samples are presented next to the box plot.
Max subtype nTPMi

Max subtype nTPM is the value for the subtype with the largest average nTPM across the subtype samples.

11.6
GTEx sample id Sample description nTPM
Skin - Not Sun Exposed (Suprapubic)
Average nTPM: 9.8
Samples: 604

Max nTPM: 27.5
Min nTPM: 3.0
Std nTPM: 3.4
Median nTPM: 9.1
GTEX-1JMQK-1226-SM-D4P2S 60-69 years, male 27.5
GTEX-14E6C-2426-SM-5S2NF 40-49 years, male 27.3
GTEX-1CAV2-0126-SM-7IGN7 40-49 years, female 23.8
GTEX-13OVJ-0826-SM-5J1OK 50-59 years, female 22.6
GTEX-WYBS-0626-SM-3NMAS 60-69 years, female 20.9
GTEX-1HSMO-0626-SM-ACKXC 60-69 years, male 20.4
GTEX-12WSL-2026-SM-5GCML 50-59 years, male 20.3
GTEX-YB5K-2026-SM-4VDT3 40-49 years, female 19.9
GTEX-XK95-0226-SM-4AT58 40-49 years, male 19.5
GTEX-ZVE2-2826-SM-5GU51 50-59 years, male 19.3
GTEX-1H23P-0626-SM-9WG6T 60-69 years, male 19.0
GTEX-1HUB1-1426-SM-CGQF5 60-69 years, male 19.0
GTEX-1S5ZU-2526-SM-E6CIF 20-29 years, female 19.0
GTEX-1F75B-0726-SM-7PC3R 50-59 years, male 18.4
GTEX-17EVQ-0126-SM-7IGLR 70-79 years, male 18.2
GTEX-1F75I-2226-SM-7SB8U 40-49 years, male 17.9
GTEX-18A7B-2726-SM-7LG56 70-79 years, male 17.5
GTEX-ZAB4-2126-SM-5HL8U 40-49 years, male 17.4
GTEX-1O9I2-0226-SM-EYYXD 50-59 years, male 17.3
GTEX-1JMOU-1026-SM-CYPSS 60-69 years, female 17.2
GTEX-1F75W-2726-SM-7SB8H 60-69 years, male 16.9
GTEX-1JMQL-2226-SM-CNPP4 50-59 years, female 16.8
GTEX-147F3-1726-SM-5SIAW 50-59 years, female 16.7
GTEX-14PJO-2526-SM-6AJBQ 60-69 years, male 16.7
GTEX-1L5NE-1126-SM-D3L9P 50-59 years, male 16.4
GTEX-1F88E-1626-SM-7SB8Z 60-69 years, female 16.3
GTEX-1HKZK-0726-SM-ACKW2 40-49 years, male 16.3
GTEX-13YAN-0226-SM-5TDC6 60-69 years, male 16.2
GTEX-13N1W-2426-SM-5IJD1 70-79 years, male 16.1
GTEX-17MF6-2626-SM-79OKQ 40-49 years, male 16.1
GTEX-1HCU8-2526-SM-CE6RX 60-69 years, female 16.1
GTEX-1IDFM-0326-SM-ARL7V 60-69 years, male 16.1
GTEX-1IDJF-2026-SM-CL53V 20-29 years, male 15.9
GTEX-15UF6-1926-SM-7KUDV 70-79 years, female 15.7
GTEX-ZLFU-1826-SM-4WWBV 40-49 years, male 15.7
GTEX-13RTJ-0126-SM-5S2NN 60-69 years, male 15.6
GTEX-1H3VE-0726-SM-9YFL5 40-49 years, male 15.6
GTEX-13QBU-1226-SM-5LU4G 40-49 years, female 15.5
GTEX-17F9Y-0126-SM-79OKX 70-79 years, female 15.5
GTEX-1J1OQ-0126-SM-D4P2N 40-49 years, female 15.5
GTEX-16MT8-2926-SM-7DUFO 60-69 years, female 15.3
GTEX-1K2DU-1226-SM-CYPT4 20-29 years, male 15.2
GTEX-WHSE-0126-SM-3NMBT 20-29 years, male 15.1
GTEX-ZLWG-0826-SM-59888 50-59 years, female 15.1
GTEX-14BMU-1226-SM-5S2OR 20-29 years, female 15.0
GTEX-1AX9J-1326-SM-731BJ 60-69 years, male 15.0
GTEX-13N2G-0226-SM-5K7VF 60-69 years, male 14.8
GTEX-1A3MX-2626-SM-7PC24 60-69 years, male 14.6
GTEX-1GF9W-1426-SM-7PBYM 60-69 years, male 14.6
GTEX-15D1Q-2826-SM-6LLH7 40-49 years, male 14.4
GTEX-1GTWX-2026-SM-9YFLM 60-69 years, male 14.4
GTEX-14LLW-2626-SM-62LDZ 70-79 years, female 14.3
GTEX-18A66-0626-SM-7LT8Z 60-69 years, male 14.3
GTEX-1GMR8-0626-SM-7RHI7 50-59 years, female 14.3
GTEX-1JMQI-1726-SM-ARL93 50-59 years, male 14.3
GTEX-1QP66-1226-SM-DTX7U 50-59 years, male 14.2
GTEX-1A3MW-0626-SM-731CB 60-69 years, female 14.1
GTEX-1LG7Z-1626-SM-CXKYR 30-39 years, male 14.1
GTEX-1QCLZ-2426-SM-EVYBW 60-69 years, female 14.1
GTEX-145MI-0626-SM-5SI8S 60-69 years, female 14.0
GTEX-17F98-1326-SM-7DUEP 40-49 years, female 14.0
GTEX-1LGOU-1326-SM-D3L8M 20-29 years, female 14.0
GTEX-12584-0726-SM-5FQTK 40-49 years, male 13.9
GTEX-13FH7-1126-SM-5K7UG 50-59 years, female 13.9
GTEX-145LS-0626-SM-7EPG7 60-69 years, female 13.9
GTEX-WFG8-2126-SM-3GIKQ 20-29 years, male 13.9
GTEX-XUW1-0926-SM-4BONX 50-59 years, female 13.9
GTEX-1F48J-0726-SM-7RHGS 50-59 years, female 13.9
GTEX-15EU6-2226-SM-6EU2L 50-59 years, male 13.8
GTEX-1EH9U-2826-SM-7DUGT 60-69 years, male 13.8
GTEX-WEY5-2326-SM-3GIKK 40-49 years, female 13.8
GTEX-XMD2-2126-SM-4YCF8 60-69 years, female 13.8
GTEX-1F6RS-2026-SM-7RHHC 60-69 years, female 13.8
GTEX-1H3NZ-2726-SM-9WYTQ 60-69 years, male 13.7
GTEX-1HCU9-0426-SM-9WYSD 20-29 years, male 13.7
GTEX-1CB4H-1126-SM-7MKGL 60-69 years, female 13.6
GTEX-12WSM-1926-SM-5BC65 60-69 years, male 13.5
GTEX-13JUV-2026-SM-5K7UA 40-49 years, female 13.5
GTEX-145MO-2826-SM-5LU96 60-69 years, male 13.5
GTEX-1F6IF-0926-SM-7SB7M 60-69 years, male 13.5
GTEX-14C5O-0326-SM-5ZZUX 60-69 years, male 13.4
GTEX-ZVE1-0726-SM-51MRN 50-59 years, female 13.4
GTEX-1HB9E-0126-SM-CM2S5 50-59 years, male 13.4
GTEX-13X6I-1826-SM-5SIAO 60-69 years, male 13.3
GTEX-1F52S-2926-SM-7MKGA 60-69 years, female 13.3
GTEX-1GZ4H-0526-SM-9KNU9 50-59 years, female 13.3
GTEX-1HCVE-2726-SM-CL54F 50-59 years, male 13.3
GTEX-148VJ-0626-SM-5LUAW 70-79 years, male 13.2
GTEX-15EO6-2426-SM-6PALZ 50-59 years, male 13.2
GTEX-X8HC-0626-SM-4E3HQ 50-59 years, female 13.2
GTEX-ZU9S-1826-SM-5NQ9E 30-39 years, male 13.2
GTEX-1GZ2Q-0126-SM-9WG6M 40-49 years, male 13.2
GTEX-1LVAN-0626-SM-CNPOQ 50-59 years, female 13.1
GTEX-1GMR2-0826-SM-7PC3V 50-59 years, male 12.9
GTEX-14PJ5-1526-SM-6LLIL 60-69 years, female 12.8
GTEX-14JG6-1426-SM-9WG7C 30-39 years, female 12.8
GTEX-1GN1W-2426-SM-9KNUU 50-59 years, female 12.8
GTEX-1IE54-1126-SM-A9G2Z 40-49 years, female 12.8
GTEX-1117F-2926-SM-5GZYI 60-69 years, female 12.7
GTEX-16XZZ-0726-SM-7KUF2 60-69 years, male 12.7
GTEX-1A8FM-0626-SM-7PC25 50-59 years, female 12.7
GTEX-1I19N-0126-SM-CYPSF 70-79 years, male 12.7
GTEX-1I1CD-0626-SM-CE6SW 60-69 years, female 12.7
GTEX-1I4MK-0126-SM-CY8G6 50-59 years, female 12.7
GTEX-1IDJC-1526-SM-B2LW4 50-59 years, male 12.7
GTEX-1JN6P-2926-SM-CL54D 60-69 years, male 12.7
GTEX-1314G-1326-SM-5BC6E 30-39 years, male 12.6
GTEX-139T8-0626-SM-5KLZX 60-69 years, male 12.6
GTEX-13VXT-1926-SM-5K7UO 20-29 years, female 12.6
GTEX-16AAH-0626-SM-793C9 50-59 years, male 12.6
GTEX-1A32A-0626-SM-731AQ 50-59 years, female 12.6
GTEX-1JJ6O-2726-SM-CNPOG 60-69 years, male 12.6
GTEX-12C56-1526-SM-5FQUQ 20-29 years, male 12.5
GTEX-1399U-1126-SM-5L3DB 50-59 years, female 12.5
GTEX-17JCI-2926-SM-7DUFF 60-69 years, female 12.5
GTEX-1RLM8-2926-SM-E8VON 50-59 years, male 12.5
GTEX-1C64O-1326-SM-7MGWR 60-69 years, male 12.4
GTEX-1J8Q2-2626-SM-ACKWQ 60-69 years, male 12.4
GTEX-1GF9U-2026-SM-7SB92 40-49 years, female 12.3
GTEX-1H1DF-1126-SM-9WG7G 40-49 years, female 12.3
GTEX-1HGF4-0126-SM-CNPPX 60-69 years, male 12.3
GTEX-1LSVX-2526-SM-DIPEU 60-69 years, male 12.3
GTEX-1HSMQ-2626-SM-A9SML 50-59 years, male 12.2
GTEX-18465-2826-SM-7LT9J 50-59 years, male 12.1
GTEX-18D9U-0126-SM-731BM 40-49 years, male 12.1
GTEX-1JKYN-0826-SM-ARU8S 30-39 years, male 12.1
GTEX-1JMPZ-0726-SM-CY8HZ 30-39 years, male 12.1
GTEX-1MCC2-1826-SM-DIPEX 30-39 years, female 12.1
GTEX-1PDJ9-1226-SM-EXUSX 20-29 years, male 12.1
GTEX-11EM3-1226-SM-5N9DD 20-29 years, female 12.0
GTEX-YF7O-1526-SM-5IFI6 50-59 years, male 12.0
GTEX-ZYFG-1526-SM-5GZYM 60-69 years, female 12.0
GTEX-1GPI7-1826-SM-9KNU1 20-29 years, male 12.0
GTEX-13X6K-0626-SM-5LU5D 60-69 years, female 11.9
GTEX-14DAQ-0626-SM-793DS 60-69 years, female 11.9
GTEX-1B97I-0626-SM-73KUZ 40-49 years, male 11.9
GTEX-ZT9W-1126-SM-57WDR 50-59 years, male 11.9
GTEX-1JJE9-2626-SM-ARZMT 70-79 years, male 11.9
GTEX-1JK1U-0226-SM-ARZMX 60-69 years, male 11.9
GTEX-1497J-0226-SM-5QGPU 60-69 years, male 11.8
GTEX-183FY-1026-SM-7939A 20-29 years, male 11.8
GTEX-1A3MV-1826-SM-731CD 30-39 years, male 11.8
GTEX-1HC8U-1326-SM-9YFMJ 40-49 years, female 11.8
GTEX-ZYW4-0626-SM-59HJR 60-69 years, male 11.7
GTEX-1IDJE-1426-SM-ADEIW 50-59 years, female 11.7
GTEX-13JVG-0726-SM-5KM16 60-69 years, male 11.6
GTEX-1HR9M-2226-SM-CNPPY 60-69 years, male 11.6
GTEX-1MJK3-0726-SM-E6CJC 20-29 years, male 11.6
GTEX-11EI6-2826-SM-5H11D 60-69 years, male 11.5
GTEX-1HBPM-0726-SM-9YFL7 60-69 years, female 11.5
GTEX-14PJ2-0626-SM-6LLII 50-59 years, male 11.4
GTEX-14PJ4-0226-SM-5YY92 60-69 years, male 11.4
GTEX-17F96-0126-SM-7EWDU 70-79 years, male 11.4
GTEX-1C6VQ-1226-SM-73KYD 50-59 years, male 11.4
GTEX-ZVT4-2426-SM-5GIEI 50-59 years, female 11.4
GTEX-1C475-1326-SM-7SB73 40-49 years, female 11.4
GTEX-1ICG6-1226-SM-A9SLN 70-79 years, female 11.4
GTEX-1211K-1526-SM-5FQU4 60-69 years, female 11.3
GTEX-139D8-1126-SM-5LU8W 30-39 years, female 11.3
GTEX-131XG-0326-SM-5L3DX 50-59 years, female 11.2
GTEX-ZAJG-1526-SM-5CVML 50-59 years, female 11.2
GTEX-ZYY3-2926-SM-5GIEB 60-69 years, female 11.2
GTEX-1CAMQ-1326-SM-7P8RV 40-49 years, male 11.2
GTEX-1CAMR-1326-SM-7PC1F 20-29 years, male 11.2
GTEX-1HR98-2226-SM-ADEI2 60-69 years, male 11.2
GTEX-1J8QM-2426-SM-A9SLS 60-69 years, female 11.2
GTEX-ZGAY-1826-SM-DO91Q 40-49 years, female 11.2
GTEX-12696-0126-SM-5EQ4L 60-69 years, male 11.1
GTEX-145ME-1726-SM-5Q5EU 40-49 years, female 11.1
GTEX-ZVP2-0326-SM-57WBP 50-59 years, male 11.1
GTEX-1CB4I-0126-SM-7RHGG 50-59 years, male 11.1
GTEX-1QP29-1826-SM-DTX9S 50-59 years, male 11.1
GTEX-111FC-2526-SM-5GZXU 60-69 years, male 11.0
GTEX-1CB4F-1026-SM-7DUH1 60-69 years, male 11.0
GTEX-ZDYS-2426-SM-4WKGI 50-59 years, male 11.0
GTEX-1R9K4-2826-SM-DTX8F 60-69 years, male 11.0
GTEX-11O72-0626-SM-5PNYE 40-49 years, male 10.9
GTEX-11WQK-1026-SM-5EQLX 50-59 years, male 10.9
GTEX-13N11-2326-SM-5IJBF 50-59 years, female 10.9
GTEX-15ER7-0626-SM-6PANF 20-29 years, female 10.9
GTEX-183WM-0326-SM-72D5V 70-79 years, female 10.9
GTEX-1CB4J-1326-SM-7P8RX 60-69 years, male 10.9
GTEX-12WSK-2126-SM-5CVNC 40-49 years, female 10.8
GTEX-145MN-1526-SM-5SI9T 30-39 years, male 10.8
GTEX-14753-0726-SM-5QGQO 60-69 years, male 10.8
GTEX-WY7C-2126-SM-3NB2R 50-59 years, male 10.8
GTEX-Y8LW-1526-SM-5IFHL 50-59 years, female 10.8
GTEX-ZUA1-2626-SM-5NQ92 40-49 years, male 10.8
GTEX-1J1R8-2026-SM-CL53Y 40-49 years, male 10.8
GTEX-1M4P7-0726-SM-E6CJ3 60-69 years, male 10.8
GTEX-12WSA-0426-SM-5EQ5X 60-69 years, male 10.7
GTEX-147JS-0226-SM-5S2U9 60-69 years, male 10.7
GTEX-1JN1M-2726-SM-CY8I4 60-69 years, female 10.7
GTEX-1LSNM-0826-SM-DIPG8 50-59 years, male 10.7
GTEX-1H1E6-0426-SM-9WYUS 30-39 years, male 10.6
GTEX-14E6E-0526-SM-793DN 30-39 years, male 10.5
GTEX-1MCYP-0526-SM-E9U6Q 20-29 years, female 10.5
GTEX-1192X-2726-SM-5N9DN 50-59 years, male 10.4
GTEX-13O3O-2326-SM-5IJD6 60-69 years, female 10.4
GTEX-13O61-1426-SM-5KM3D 60-69 years, male 10.4
GTEX-1A8G7-1326-SM-73KVM 60-69 years, male 10.4
GTEX-1I6K6-1726-SM-CGQFD 30-39 years, male 10.4
GTEX-1IDJV-0126-SM-COH3Y 60-69 years, male 10.4
GTEX-111YS-1526-SM-5GZYW 60-69 years, male 10.3
GTEX-11DZ1-2426-SM-5GZZX 50-59 years, male 10.3
GTEX-131XF-2626-SM-5EQ6K 60-69 years, male 10.3
GTEX-13OVG-1626-SM-5J1NF 60-69 years, male 10.3
GTEX-1AX8Z-0726-SM-73KTS 60-69 years, male 10.3
GTEX-ZA64-1026-SM-5HL8R 20-29 years, male 10.3
GTEX-1H1ZS-2726-SM-9WG75 70-79 years, male 10.3
GTEX-1HCU7-0726-SM-A9SL1 50-59 years, male 10.3
GTEX-1KANC-1226-SM-CYPT7 50-59 years, female 10.3
GTEX-1KXAM-1626-SM-D3LAD 60-69 years, male 10.3
GTEX-117YX-1926-SM-5GIEC 50-59 years, male 10.2
GTEX-11GSP-2326-SM-5HL63 60-69 years, female 10.2
GTEX-13FHO-0426-SM-5L3F5 60-69 years, male 10.2
GTEX-1EWIQ-0326-SM-7DHMQ 70-79 years, female 10.2
GTEX-WI4N-2726-SM-3LK7Y 40-49 years, female 10.2
GTEX-Y5V6-2326-SM-4VDSA 60-69 years, male 10.2
GTEX-11P82-1426-SM-DTXFY 20-29 years, male 10.2
GTEX-1HFI7-2326-SM-CGQFS 50-59 years, female 10.2
GTEX-1I1GS-2626-SM-B2LY3 60-69 years, male 10.2
GTEX-1IL2V-1926-SM-B2LW8 70-79 years, male 10.2
GTEX-1J8JJ-0626-SM-ARZMQ 60-69 years, female 10.2
GTEX-1KANA-1326-SM-DIPFA 20-29 years, male 10.2
GTEX-1LGRB-0926-SM-COH3K 50-59 years, female 10.2
GTEX-1LVAO-2726-SM-E9TJ8 60-69 years, male 10.2
GTEX-132AR-0326-SM-5KM2C 50-59 years, female 10.1
GTEX-13X6H-0926-SM-5SIB2 50-59 years, female 10.1
GTEX-17EVP-2626-SM-7IGMA 40-49 years, male 10.1
GTEX-X4EP-0626-SM-3P621 60-69 years, female 10.1
GTEX-1H1DE-1326-SM-9KNUG 20-29 years, male 10.1
GTEX-1HSGN-0826-SM-ACKW3 40-49 years, female 10.1
GTEX-1IDJD-2326-SM-ACKWX 30-39 years, male 10.1
GTEX-1LSNL-2726-SM-E9TKJ 50-59 years, male 10.1
GTEX-11DXW-0826-SM-5H118 40-49 years, male 10.0
GTEX-11UD2-2526-SM-5CVNU 50-59 years, male 10.0
GTEX-12BJ1-0926-SM-5EQ62 60-69 years, male 10.0
GTEX-133LE-2326-SM-5K7W3 20-29 years, female 10.0
GTEX-XBED-1926-SM-47JYP 60-69 years, male 10.0
GTEX-XBEW-1126-SM-4QARW 40-49 years, male 10.0
GTEX-1GPI6-1926-SM-9KNV7 60-69 years, male 10.0
GTEX-13SLX-2226-SM-62LEP 50-59 years, female 9.9
GTEX-15DDE-2926-SM-6LLJ3 50-59 years, female 9.9
GTEX-17F9E-2326-SM-79OKD 50-59 years, male 9.9
GTEX-17HG3-2626-SM-7DUF2 30-39 years, female 9.9
GTEX-WXYG-2026-SM-4E3IY 50-59 years, female 9.9
GTEX-ZYFD-0626-SM-5E44E 50-59 years, male 9.9
GTEX-1HSMP-0926-SM-A9SKX 70-79 years, male 9.9
GTEX-1KWVE-1026-SM-D3L9O 30-39 years, male 9.9
GTEX-11EQ8-0926-SM-5H12V 60-69 years, male 9.8
GTEX-14DAR-1226-SM-73KYV 50-59 years, male 9.8
GTEX-16BQI-1326-SM-6M486 30-39 years, female 9.8
GTEX-ZVTK-0226-SM-51MRG 20-29 years, male 9.8
GTEX-1GMR3-0126-SM-A9SLW 40-49 years, male 9.8
GTEX-1I1GU-0926-SM-ACKVS 40-49 years, male 9.8
GTEX-1IDJI-0126-SM-CMKHS 50-59 years, female 9.8
GTEX-1JMLX-0626-SM-ARL8T 50-59 years, male 9.8
GTEX-1N2DV-1526-SM-DTXEP 40-49 years, male 9.8
GTEX-1RB15-1326-SM-E76Q9 60-69 years, male 9.8
GTEX-14BMV-2826-SM-5TDED 50-59 years, male 9.7
GTEX-ZDXO-3126-SM-5IJDF 60-69 years, male 9.7
GTEX-ZZ64-1026-SM-5GZXG 20-29 years, male 9.7
GTEX-14JFF-0626-SM-5ZZVT 60-69 years, male 9.7
GTEX-1HCUA-0826-SM-ADEHM 50-59 years, female 9.7
GTEX-13NYC-0126-SM-5L3F4 60-69 years, male 9.6
GTEX-1AMFI-1326-SM-7939R 50-59 years, female 9.6
GTEX-WYJK-0526-SM-3NM8Z 50-59 years, male 9.6
GTEX-1PPH7-1126-SM-DTX9A 40-49 years, male 9.6
GTEX-1QAET-0326-SM-EVR3U 50-59 years, male 9.6
GTEX-13OW8-1026-SM-5J1NQ 60-69 years, male 9.5
GTEX-14C39-1726-SM-5RQIL 40-49 years, male 9.5
GTEX-X4EO-2926-SM-4E3JH 60-69 years, female 9.5
GTEX-18D9A-1426-SM-7LT8M 30-39 years, female 9.5
GTEX-1F5PK-2226-SM-7SB6N 50-59 years, male 9.5
GTEX-1F5PL-0926-SM-7PC2W 40-49 years, female 9.5
GTEX-1LKK1-2626-SM-DKPQE 50-59 years, female 9.5
GTEX-12KS4-2126-SM-5FQUT 30-39 years, male 9.4
GTEX-139TU-0726-SM-5L3EK 60-69 years, male 9.4
GTEX-13NZ8-1226-SM-5KM4A 60-69 years, female 9.4
GTEX-14PJ3-1126-SM-5ZZVX 50-59 years, male 9.4
GTEX-14PKU-0126-SM-6LLHV 40-49 years, female 9.4
GTEX-16NGA-0726-SM-731AO 40-49 years, female 9.4
GTEX-17HII-1426-SM-7EPGG 50-59 years, male 9.4
GTEX-XBEC-0726-SM-4QARZ 50-59 years, male 9.4
GTEX-Y5V5-0126-SM-5S2NW 60-69 years, female 9.4
GTEX-1J8Q3-0526-SM-ARL8U 60-69 years, male 9.4
GTEX-1QP28-1126-SM-EVYC4 50-59 years, female 9.4
GTEX-YEC3-1326-SM-DO92X 50-59 years, male 9.4
GTEX-11TUW-0626-SM-5LU9M 60-69 years, male 9.3
GTEX-12ZZZ-0726-SM-5GCNZ 60-69 years, male 9.3
GTEX-14C38-0726-SM-5SI6M 50-59 years, male 9.3
GTEX-ZC5H-1526-SM-5HL9Y 40-49 years, female 9.3
GTEX-1ICLY-0826-SM-CMKG1 50-59 years, male 9.3
GTEX-12WSF-1626-SM-7KUG5 70-79 years, male 9.2
GTEX-144GO-2026-SM-5O99P 60-69 years, male 9.2
GTEX-1477Z-0326-SM-7IGLA 60-69 years, male 9.2
GTEX-14B4R-1326-SM-5Q5EZ 30-39 years, male 9.2
GTEX-WYVS-1626-SM-3NM9R 40-49 years, female 9.2
GTEX-X3Y1-2026-SM-3P5YM 40-49 years, male 9.2
GTEX-13PVQ-0626-SM-5LU47 50-59 years, male 9.1
GTEX-14BIN-1126-SM-5RQJZ 50-59 years, female 9.1
GTEX-1B933-2426-SM-7DHMD 50-59 years, female 9.1
GTEX-1E1VI-0326-SM-793D1 50-59 years, male 9.1
GTEX-Y3I4-1726-SM-4TT89 50-59 years, male 9.1
GTEX-ZE7O-2726-SM-51MT5 50-59 years, female 9.1
GTEX-1GL5R-1326-SM-7RHHF 50-59 years, male 9.1
GTEX-1H4P4-2126-SM-9WYSL 50-59 years, male 9.1
GTEX-1HCU6-2526-SM-ADEHL 60-69 years, female 9.1
GTEX-1I1GV-0626-SM-ARL7M 60-69 years, male 9.1
GTEX-1JMPY-0226-SM-CKZOK 30-39 years, male 9.1
GTEX-1LG7Y-2526-SM-EWRO7 50-59 years, male 9.1
GTEX-1N5O9-0926-SM-E9J3C 60-69 years, male 9.1
GTEX-11LCK-2226-SM-5HL4Q 30-39 years, male 9.0
GTEX-13NYS-0626-SM-5L3F1 60-69 years, male 9.0
GTEX-13OVH-0526-SM-5L3E6 70-79 years, male 9.0
GTEX-18D9B-0926-SM-7LG4U 60-69 years, male 9.0
GTEX-WFON-1926-SM-3LK7L 40-49 years, male 9.0
GTEX-XQ3S-1426-SM-4BOPR 20-29 years, male 9.0
GTEX-ZTSS-1426-SM-5985P 40-49 years, male 9.0
GTEX-1CAMS-2226-SM-7PBXQ 40-49 years, female 9.0
GTEX-1GZ4I-2626-SM-9KNU3 50-59 years, male 9.0
GTEX-1IY9M-2826-SM-ARU8H 60-69 years, male 9.0
GTEX-1NV5F-0626-SM-DTXEG 60-69 years, female 9.0
GTEX-11EQ9-1626-SM-5PNY8 30-39 years, male 8.9
GTEX-11P7K-1126-SM-5HL4L 30-39 years, male 8.9
GTEX-11VI4-1126-SM-5EQMD 40-49 years, female 8.9
GTEX-13FTW-0326-SM-5K7UW 40-49 years, male 8.9
GTEX-13PVR-0426-SM-5RQK2 60-69 years, female 8.9
GTEX-13W3W-0726-SM-5IJDQ 60-69 years, female 8.9
GTEX-1B996-0426-SM-7EWF8 60-69 years, male 8.9
GTEX-UPJH-0226-SM-3GADV 50-59 years, male 8.9
GTEX-ZXG5-2126-SM-59HKD 60-69 years, male 8.9
GTEX-1HSKV-1226-SM-ADEI4 60-69 years, male 8.9
GTEX-1R46S-2426-SM-E76QA 60-69 years, female 8.9
GTEX-1RAZR-2126-SM-E9U6T 40-49 years, male 8.9
GTEX-13113-1626-SM-5EQ4I 60-69 years, female 8.8
GTEX-17MFQ-1526-SM-7KFRR 20-29 years, male 8.8
GTEX-18A7A-0126-SM-731AH 50-59 years, female 8.8
GTEX-XPVG-2126-SM-4B667 50-59 years, male 8.8
GTEX-1H1DG-2426-SM-9QEHJ 70-79 years, male 8.8
GTEX-11ZTT-2126-SM-5CVLO 60-69 years, female 8.7
GTEX-13OVK-1426-SM-6PAN7 40-49 years, male 8.7
GTEX-13OW6-2726-SM-5J2OE 50-59 years, male 8.7
GTEX-145LT-0526-SM-5LUB2 40-49 years, male 8.7
GTEX-15CHC-1126-SM-6LLHQ 60-69 years, female 8.7
GTEX-16GPK-0626-SM-7KFSF 60-69 years, male 8.7
GTEX-ZDTS-0826-SM-4WKHL 60-69 years, male 8.7
GTEX-ZVT2-0126-SM-5GIDQ 50-59 years, female 8.7
GTEX-ZYVF-0926-SM-5E44J 50-59 years, female 8.7
GTEX-1122O-1026-SM-9WYSF 60-69 years, female 8.7
GTEX-1JMQJ-0826-SM-CNPP7 50-59 years, male 8.7
GTEX-1QPFJ-1926-SM-EVYBD 30-39 years, female 8.7
GTEX-144FL-0626-SM-5LU43 50-59 years, male 8.6
GTEX-14PHX-2226-SM-6EU2P 50-59 years, male 8.6
GTEX-14PJN-1826-SM-6AJ98 30-39 years, male 8.6
GTEX-1AMEY-0826-SM-72D65 30-39 years, female 8.6
GTEX-1B8KZ-0326-SM-73KY4 50-59 years, male 8.6
GTEX-1B932-2326-SM-79OL5 40-49 years, female 8.6
GTEX-Y114-2126-SM-4TT8B 50-59 years, female 8.6
GTEX-Y8E4-2026-SM-5IFJB 40-49 years, male 8.6
GTEX-Z93S-1626-SM-5CVMB 50-59 years, male 8.6
GTEX-1IKOE-1426-SM-CE6T7 30-39 years, female 8.6
GTEX-139UW-0326-SM-5J1ML 60-69 years, male 8.5
GTEX-13FTX-1526-SM-5K7VJ 20-29 years, female 8.5
GTEX-13OW5-2326-SM-5L3HO 60-69 years, male 8.5
GTEX-1AX9I-2226-SM-73KUO 60-69 years, male 8.5
GTEX-XAJ8-1426-SM-47JYM 40-49 years, male 8.5
GTEX-1H3O1-1326-SM-9MQLD 60-69 years, male 8.5
GTEX-1KANB-2826-SM-CY8I6 50-59 years, male 8.5
GTEX-1R9PN-0426-SM-DTXDT 40-49 years, female 8.5
GTEX-ZLV1-1526-SM-DO91J 60-69 years, female 8.5
GTEX-12ZZX-2426-SM-5GCOE 40-49 years, female 8.4
GTEX-14PKV-1126-SM-6LLJ1 20-29 years, female 8.4
GTEX-15G1A-1626-SM-7KUKN 30-39 years, male 8.4
GTEX-17HGU-2326-SM-7DUFE 50-59 years, male 8.4
GTEX-1GZHY-0626-SM-9KNVC 50-59 years, female 8.4
GTEX-1H1CY-0126-SM-9YFLY 60-69 years, female 8.4
GTEX-1I1GT-1026-SM-ARZLV 60-69 years, female 8.4
GTEX-1KD5A-0126-SM-E9U54 50-59 years, male 8.4
GTEX-1QP2A-1726-SM-E76QC 50-59 years, male 8.4
GTEX-1S3DN-2126-SM-E9TIN 50-59 years, male 8.4
GTEX-11NUK-2726-SM-5A5MC 50-59 years, male 8.3
GTEX-12WSD-0626-SM-5GCMW 60-69 years, female 8.3
GTEX-13FLV-0126-SM-5K7WT 50-59 years, male 8.3
GTEX-145MF-0926-SM-5Q5EA 50-59 years, male 8.3
GTEX-1CB4E-0926-SM-7EPHT 60-69 years, male 8.3
GTEX-ZDTT-0426-SM-4WKFL 60-69 years, male 8.3
GTEX-1I1GP-1326-SM-A9G28 50-59 years, male 8.3
GTEX-1K2DA-1026-SM-CGQGF 50-59 years, male 8.3
GTEX-1K9T9-1526-SM-DIPFR 50-59 years, female 8.3
GTEX-1QCLY-0226-SM-EWRNH 30-39 years, male 8.3
GTEX-1RAZA-2226-SM-E9U4X 20-29 years, male 8.3
GTEX-13PL6-1126-SM-5L3IE 40-49 years, female 8.2
GTEX-15CHQ-0326-SM-69LQD 60-69 years, male 8.2
GTEX-18QFQ-1826-SM-72D52 30-39 years, male 8.2
GTEX-1EN7A-2426-SM-793DB 40-49 years, male 8.2
GTEX-X5EB-1926-SM-4E3IW 40-49 years, male 8.2
GTEX-1S82U-1026-SM-E6CJK 30-39 years, female 8.2
GTEX-ZPIC-0526-SM-DO91W 40-49 years, female 8.2
GTEX-1269C-0126-SM-5EQ5L 60-69 years, female 8.1
GTEX-139TS-2126-SM-5K7XC 60-69 years, male 8.1
GTEX-15SHW-0226-SM-7LTAT 60-69 years, male 8.1
GTEX-16Z82-2626-SM-7KULU 60-69 years, male 8.1
GTEX-VJYA-1526-SM-3GIJV 60-69 years, male 8.1
GTEX-1GN2E-0226-SM-9WG6K 60-69 years, male 8.1
GTEX-1H2FU-0926-SM-9WPPT 60-69 years, female 8.1
GTEX-12WSJ-1126-SM-5LZVJ 40-49 years, female 8.0
GTEX-131YS-2826-SM-5EQ47 60-69 years, female 8.0
GTEX-13PDP-0726-SM-5L3HP 60-69 years, male 8.0
GTEX-146FQ-2126-SM-5RQHU 30-39 years, male 8.0
GTEX-15CHR-1126-SM-7EWF4 50-59 years, male 8.0
GTEX-15SKB-2826-SM-6PAMH 60-69 years, male 8.0
GTEX-16NPX-0726-SM-7KULC 50-59 years, male 8.0
GTEX-XQ8I-0926-SM-4BOOF 50-59 years, male 8.0
GTEX-XYKS-1426-SM-4BRUO 60-69 years, female 8.0
GTEX-1F88F-0126-SM-9WYSZ 60-69 years, female 8.0
GTEX-1S82P-2126-SM-E6CI5 60-69 years, female 8.0
GTEX-11TT1-1826-SM-5EQLV 20-29 years, male 7.9
GTEX-13QJC-0126-SM-5ZZWJ 60-69 years, female 7.9
GTEX-WRHU-2826-SM-3MJG8 50-59 years, female 7.9
GTEX-1GN1U-0626-SM-9MQL9 50-59 years, female 7.9
GTEX-111CU-1126-SM-5EGIM 50-59 years, male 7.8
GTEX-12WSH-1526-SM-5BC5W 50-59 years, male 7.8
GTEX-15DYW-2726-SM-6EU2I 60-69 years, female 7.8
GTEX-16MT9-0126-SM-7EPI8 60-69 years, female 7.8
GTEX-WHPG-2626-SM-3NMBR 50-59 years, male 7.8
GTEX-ZWKS-0626-SM-5GIDV 30-39 years, male 7.8
GTEX-1GMRU-2126-SM-7P8RA 50-59 years, male 7.8
GTEX-1HBPN-0126-SM-CGQEF 50-59 years, male 7.8
GTEX-1IDJU-1726-SM-CMKHU 60-69 years, female 7.8
GTEX-1J8EW-2726-SM-CY8HR 60-69 years, female 7.8
GTEX-139YR-1026-SM-5LZYN 50-59 years, male 7.7
GTEX-13G51-1826-SM-5KLZH 60-69 years, male 7.7
GTEX-1EX96-1026-SM-7MKG2 50-59 years, male 7.7
GTEX-YEC4-1826-SM-4W1YP 40-49 years, male 7.7
GTEX-YJ8O-2526-SM-5HL85 40-49 years, female 7.7
GTEX-1I1HK-2326-SM-CKZOH 60-69 years, male 7.7
GTEX-1IDJH-0126-SM-D3L92 70-79 years, male 7.7
GTEX-14A5H-0826-SM-5QGPJ 60-69 years, male 7.6
GTEX-1A8G6-2726-SM-731AR 60-69 years, male 7.6
GTEX-V1D1-2026-SM-3GAF4 50-59 years, male 7.6
GTEX-XXEK-1626-SM-4BRUZ 50-59 years, male 7.6
GTEX-Y3IK-1626-SM-4YCF5 50-59 years, female 7.6
GTEX-1R7EU-1626-SM-DTXG3 60-69 years, male 7.6
GTEX-11NSD-0626-SM-5A5LU 20-29 years, male 7.5
GTEX-131XW-0626-SM-5PNVD 50-59 years, female 7.5
GTEX-145LU-1926-SM-79OJN 50-59 years, male 7.5
GTEX-UPK5-0426-SM-3GAEK 40-49 years, male 7.5
GTEX-ZP4G-1426-SM-4WWCL 20-29 years, female 7.5
GTEX-1QMI2-2526-SM-E8VNZ 60-69 years, male 7.5
GTEX-1S831-1826-SM-EWROF 20-29 years, male 7.5
GTEX-11ZU8-0126-SM-5EQ58 60-69 years, male 7.4
GTEX-13NZ9-2626-SM-5L3FK 50-59 years, male 7.4
GTEX-14ICL-1626-SM-5YYAO 30-39 years, male 7.4
GTEX-1B8KE-1126-SM-7EPHI 50-59 years, male 7.4
GTEX-1C6WA-2626-SM-7MKGM 60-69 years, male 7.4
GTEX-XOT4-0626-SM-4B66L 60-69 years, female 7.4
GTEX-1C64N-2626-SM-7PC2N 50-59 years, male 7.4
GTEX-1LVA9-2626-SM-EVYD4 50-59 years, male 7.4
GTEX-12WSC-2826-SM-5BC5Y 50-59 years, male 7.3
GTEX-13D11-0926-SM-5J2NC 50-59 years, female 7.3
GTEX-13OW7-0426-SM-5K7VK 50-59 years, male 7.3
GTEX-15RJE-2826-SM-7KUM9 40-49 years, male 7.3
GTEX-16MTA-0926-SM-6M47Z 50-59 years, male 7.3
GTEX-1EKGG-0626-SM-7DUGJ 60-69 years, male 7.3
GTEX-ZTTD-2826-SM-4YCFA 50-59 years, male 7.3
GTEX-ZYFC-0426-SM-5GICQ 50-59 years, male 7.3
GTEX-1B8L1-2226-SM-7P8PT 60-69 years, male 7.3
GTEX-1I6K7-1926-SM-B2LXR 40-49 years, male 7.3
GTEX-1KAFJ-0126-SM-DIPEK 50-59 years, male 7.3
GTEX-1PPH8-0126-SM-EWRN8 20-29 years, male 7.3
GTEX-1399R-1326-SM-5PNYS 30-39 years, male 7.2
GTEX-13VXU-0626-SM-5L3F9 50-59 years, male 7.2
GTEX-14LZ3-0126-SM-69LPM 60-69 years, female 7.2
GTEX-1F75A-0726-SM-7RHHD 50-59 years, male 7.2
GTEX-1IKJJ-2226-SM-CJI4C 60-69 years, male 7.2
GTEX-1POEN-2326-SM-E9J2L 30-39 years, female 7.2
GTEX-11DXY-0126-SM-5H11Q 60-69 years, male 7.1
GTEX-11DXZ-2026-SM-5987S 50-59 years, male 7.1
GTEX-13OVL-0126-SM-5L3GJ 50-59 years, male 7.1
GTEX-14PJ6-2626-SM-6EU2T 60-69 years, female 7.1
GTEX-ZZPU-0826-SM-5GZX5 50-59 years, female 7.1
GTEX-1AYD5-2626-SM-7PBXY 50-59 years, male 7.1
GTEX-1HFI6-0126-SM-CNPPI 40-49 years, male 7.1
GTEX-1JKYR-0626-SM-ARL8R 20-29 years, male 7.1
GTEX-11P81-2226-SM-5PNYI 30-39 years, female 7.0
GTEX-13U4I-2226-SM-5LU5H 40-49 years, female 7.0
GTEX-18A67-1626-SM-7LT9T 50-59 years, male 7.0
GTEX-WH7G-2026-SM-3NMBL 40-49 years, male 7.0
GTEX-Y9LG-1126-SM-4VBQ7 30-39 years, male 7.0
GTEX-YFCO-1226-SM-5LUAT 40-49 years, male 7.0
GTEX-11PRG-0726-SM-5EGL1 50-59 years, male 6.9
GTEX-VUSG-2326-SM-4KL1U 50-59 years, male 6.9
GTEX-1QP9N-1226-SM-E76QN 30-39 years, male 6.9
GTEX-13SLW-0626-SM-5Q5ER 70-79 years, male 6.8
GTEX-17F97-2626-SM-7IGM5 50-59 years, male 6.8
GTEX-17KNJ-2126-SM-718AM 50-59 years, male 6.8
GTEX-U8XE-0226-SM-4E3J3 30-39 years, male 6.8
GTEX-WHWD-1826-SM-3LK6I 50-59 years, male 6.8
GTEX-XV7Q-1826-SM-4BRUV 40-49 years, female 6.8
GTEX-ZTX8-1326-SM-4YCEL 20-29 years, male 6.8
GTEX-ZY6K-1426-SM-5GZX2 50-59 years, male 6.8
GTEX-1IOXB-2726-SM-CM2RI 50-59 years, male 6.8
GTEX-1JN76-0626-SM-CKZOQ 20-29 years, female 6.8
GTEX-1399S-0126-SM-5IJCF 30-39 years, female 6.7
GTEX-14PII-0726-SM-6EU2B 60-69 years, male 6.7
GTEX-WK11-2726-SM-3NMAQ 50-59 years, male 6.7
GTEX-1GN73-0726-SM-7P8TJ 60-69 years, male 6.7
GTEX-11GS4-0226-SM-5HL77 60-69 years, male 6.6
GTEX-13X6J-0626-SM-5LU5F 50-59 years, male 6.6
GTEX-14AS3-1526-SM-5Q5ED 40-49 years, female 6.6
GTEX-1GN1V-2826-SM-9JGIA 60-69 years, male 6.6
GTEX-1JJEA-1826-SM-ARU8P 60-69 years, male 6.6
GTEX-11DXX-2126-SM-5PNYR 60-69 years, female 6.5
GTEX-131XH-0126-SM-5LZUY 50-59 years, male 6.5
GTEX-14JG1-1526-SM-5YY9X 40-49 years, male 6.5
GTEX-W5X1-2526-SM-3GILC 40-49 years, female 6.5
GTEX-1EMGI-2326-SM-7PBYA 60-69 years, male 6.5
GTEX-1ICLZ-0326-SM-ARL82 60-69 years, male 6.5
GTEX-147F4-0726-SM-5TDDD 50-59 years, male 6.4
GTEX-17HHY-0426-SM-7DHLC 50-59 years, male 6.4
GTEX-ZAK1-0626-SM-5HL8E 50-59 years, female 6.4
GTEX-1HBPI-2126-SM-ARL9K 50-59 years, male 6.4
GTEX-12ZZY-0726-SM-5EQ66 60-69 years, male 6.3
GTEX-13O3Q-0126-SM-5KM34 50-59 years, male 6.3
GTEX-178AV-1726-SM-7KUL8 40-49 years, male 6.3
GTEX-1C2JI-1026-SM-73KY1 50-59 years, male 6.3
GTEX-1QW4Y-1126-SM-DTXE3 30-39 years, male 6.3
GTEX-1RMOY-1326-SM-E9TIH 50-59 years, male 6.3
GTEX-139TT-2126-SM-5LZWC 60-69 years, male 6.2
GTEX-13NYB-0126-SM-5J1MD 40-49 years, male 6.2
GTEX-14PK6-0226-SM-62LF5 70-79 years, female 6.2
GTEX-15RIG-0726-SM-7KUM7 40-49 years, male 6.2
GTEX-1EU9M-1426-SM-793AI 60-69 years, male 6.2
GTEX-1GF9V-0826-SM-9KNUV 60-69 years, male 6.2
GTEX-Y5LM-0926-SM-6LLJG 40-49 years, female 6.1
GTEX-1PPGY-1626-SM-EVYBL 60-69 years, male 6.1
GTEX-11WQC-1826-SM-5GU59 60-69 years, male 6.0
GTEX-12126-0826-SM-5FQTZ 20-29 years, male 6.0
GTEX-1N2EE-0626-SM-E76PW 60-69 years, male 6.0
GTEX-11ZUS-2626-SM-5FQUR 30-39 years, male 5.9
GTEX-15FZZ-0526-SM-7KUGD 30-39 years, female 5.9
GTEX-1PIIG-2326-SM-DTXFR 30-39 years, male 5.9
GTEX-144GM-0526-SM-79OJO 20-29 years, male 5.8
GTEX-145MH-2826-SM-5RQJF 50-59 years, male 5.8
GTEX-14A6H-2026-SM-5Q5DD 30-39 years, male 5.8
GTEX-14PHY-1226-SM-5ZZWK 60-69 years, female 5.8
GTEX-15G19-2426-SM-7KUMR 60-69 years, male 5.8
GTEX-X585-2426-SM-46MW2 50-59 years, male 5.8
GTEX-ZF29-0926-SM-4WKFZ 60-69 years, female 5.8
GTEX-11DYG-1526-SM-5A5JS 60-69 years, male 5.7
GTEX-WFG7-2026-SM-5SI7P 20-29 years, male 5.7
GTEX-ZE9C-2526-SM-5IJDR 60-69 years, male 5.7
GTEX-ZF2S-1626-SM-57WES 50-59 years, female 5.7
GTEX-1F6I4-2326-SM-7RHGL 60-69 years, male 5.7
GTEX-1GF9X-1326-SM-7PC2Y 40-49 years, female 5.7
GTEX-1LBAC-0826-SM-CY8IJ 20-29 years, male 5.7
GTEX-1NSGN-0726-SM-DTXEF 50-59 years, male 5.7
GTEX-1OJC3-1226-SM-DTXER 20-29 years, male 5.7
GTEX-13IVO-0726-SM-5LZYV 70-79 years, male 5.6
GTEX-1BAJH-2426-SM-7IGP8 70-79 years, male 5.6
GTEX-1QEPI-2626-SM-DTXF4 60-69 years, female 5.6
GTEX-13112-0126-SM-5P9IU 50-59 years, male 5.5
GTEX-15RJ7-2126-SM-6PAMD 40-49 years, male 5.5
GTEX-17HHE-1326-SM-7EWDZ 50-59 years, male 5.5
GTEX-18A6Q-0626-SM-7KFRP 60-69 years, male 5.5
GTEX-1HT8W-0626-SM-A9G2H 30-39 years, male 5.5
GTEX-ZF3C-0626-SM-DO92O 50-59 years, female 5.5
GTEX-WHSB-1326-SM-3LK6W 50-59 years, male 5.4
GTEX-Y111-0626-SM-4SOIT 50-59 years, male 5.4
GTEX-1PBJJ-1026-SM-E76OS 30-39 years, male 5.4
GTEX-14ABY-2026-SM-62LDL 50-59 years, male 5.3
GTEX-1B8SF-0126-SM-7DUG3 60-69 years, male 5.3
GTEX-ZVZP-1226-SM-5GID7 50-59 years, male 5.3
GTEX-1RAZQ-1326-SM-E9TK6 30-39 years, male 5.3
GTEX-1313W-0626-SM-5EQ4H 50-59 years, female 5.2
GTEX-13FTY-2126-SM-5IFFB 40-49 years, female 5.2
GTEX-14XAO-1226-SM-6EU1C 60-69 years, female 5.2
GTEX-1OJC4-2726-SM-E76PJ 50-59 years, female 5.2
GTEX-1E2YA-2126-SM-7MXUO 50-59 years, male 5.1
GTEX-11OF3-0126-SM-5PNYF 60-69 years, male 5.0
GTEX-1212Z-0126-SM-59HK4 60-69 years, male 5.0
GTEX-1LB8K-0726-SM-D5OV2 50-59 years, male 5.0
GTEX-1RAZS-2526-SM-E6CHT 50-59 years, male 4.9
GTEX-147GR-2426-SM-5ZZWQ 60-69 years, male 4.8
GTEX-ZT9X-1526-SM-5DUXD 40-49 years, male 4.8
GTEX-ZYT6-2326-SM-5GZY3 30-39 years, male 4.8
GTEX-1R9PM-1926-SM-EVR3O 20-29 years, male 4.8
GTEX-145MG-1526-SM-5Q5EM 50-59 years, male 4.7
GTEX-1C6VR-0126-SM-7RHGB 60-69 years, male 4.7
GTEX-1LVAM-0726-SM-E6CIL 50-59 years, female 4.7
GTEX-1PIGE-1826-SM-E8VOU 20-29 years, male 4.4
GTEX-1S83E-1326-SM-E6CJM 40-49 years, male 4.3
GTEX-14E1K-2026-SM-7DUEI 50-59 years, male 4.2
GTEX-15RIE-1926-SM-7KUKJ 60-69 years, male 4.2
GTEX-YECK-0326-SM-4W1YS 60-69 years, male 4.2
GTEX-ZPU1-1126-SM-4YCF3 40-49 years, male 4.2
GTEX-111VG-1626-SM-5EGIO 60-69 years, male 4.1
GTEX-16YQH-2226-SM-7IGM2 30-39 years, male 4.0
GTEX-1H11D-1826-SM-9QEHM 40-49 years, male 4.0
GTEX-144GL-0626-SM-5LU4D 50-59 years, male 3.9
GTEX-ZPCL-1126-SM-4WWFE 60-69 years, female 3.7
GTEX-1399Q-2326-SM-5KM2X 40-49 years, male 3.0
Show allShow less
Skin - Sun Exposed (Lower leg)
Average nTPM: 11.6
Samples: 701

Max nTPM: 66.3
Min nTPM: 2.6
Std nTPM: 5.7
Median nTPM: 10.2
GTEX-146FR-1326-SM-E9J48 60-69 years, female 66.3
GTEX-15EOM-0126-SM-7KUGG 20-29 years, female 45.7
GTEX-ZZPT-0226-SM-5E43X 50-59 years, male 44.3
GTEX-1GN1W-0526-SM-9MQJQ 50-59 years, female 41.4
GTEX-1RAZQ-0726-SM-EAZ43 30-39 years, male 38.6
GTEX-RUSQ-1526-SM-2TF62 50-59 years, male 33.7
GTEX-WH7G-2326-SM-3NMBC 40-49 years, male 33.7
GTEX-1AYD5-2426-SM-73KXR 50-59 years, male 31.8
GTEX-1A3MW-0126-SM-73KXX 60-69 years, female 31.5
GTEX-1AYCT-2426-SM-7IGQ3 50-59 years, male 29.0
GTEX-131XG-2626-SM-5KM17 50-59 years, female 28.8
GTEX-1QP67-1626-SM-EAZ3X 40-49 years, female 28.7
GTEX-1HUB1-0426-SM-E9U4U 60-69 years, male 27.8
GTEX-1OJC4-0126-SM-E9J2E 50-59 years, female 26.5
GTEX-1RLM8-2326-SM-EWRN4 50-59 years, male 25.7
GTEX-V1D1-2226-SM-3NMAX 50-59 years, male 24.5
GTEX-1HSMO-0126-SM-CL547 60-69 years, male 24.1
GTEX-1AMEY-1326-SM-73KYK 30-39 years, female 24.0
GTEX-1H1ZS-0426-SM-9WG6G 70-79 years, male 24.0
GTEX-1I1HK-0126-SM-COH49 60-69 years, male 23.9
GTEX-1MGNQ-0126-SM-EVYCJ 40-49 years, male 23.8
GTEX-1F75I-0326-SM-9YFLU 40-49 years, male 23.6
GTEX-1QCLY-0326-SM-E8VOG 30-39 years, male 23.6
GTEX-1I19N-0326-SM-ACKVX 70-79 years, male 23.5
GTEX-14PN3-2426-SM-6LLHS 60-69 years, female 23.2
GTEX-XUW1-0426-SM-4BOOT 50-59 years, female 23.0
GTEX-14PHW-0126-SM-6LLJI 60-69 years, female 22.7
GTEX-ZTPG-0326-SM-5O9AX 20-29 years, female 22.5
GTEX-14E6C-0126-SM-5RQIP 40-49 years, male 22.4
GTEX-1F6I4-0126-SM-9MQL2 60-69 years, male 22.1
GTEX-1JMOU-1526-SM-CL54I 60-69 years, female 22.1
GTEX-1IDFM-0126-SM-COH2V 60-69 years, male 21.7
GTEX-R45C-0126-SM-EAZ2R 60-69 years, female 21.7
GTEX-1AX9K-2326-SM-73KWU 50-59 years, male 21.6
GTEX-X62O-0126-SM-4E3JN 50-59 years, male 21.6
GTEX-1QP29-0626-SM-EWRMX 50-59 years, male 21.5
GTEX-11P7K-2126-SM-5GU7G 30-39 years, male 21.3
GTEX-144GN-2326-SM-5LU4F 50-59 years, male 21.1
GTEX-1HBPH-0426-SM-B2LW5 40-49 years, female 21.0
GTEX-1LC47-0326-SM-E9TJP 60-69 years, male 20.8
GTEX-147F4-0226-SM-5QGPW 50-59 years, male 20.7
GTEX-13OVI-1426-SM-5L3EY 60-69 years, female 20.6
GTEX-SNMC-1226-SM-2XCFP 20-29 years, male 20.4
GTEX-14JIY-0126-SM-6LLH6 60-69 years, male 20.1
GTEX-1HCUA-2426-SM-ADEIS 50-59 years, female 20.0
GTEX-1I1GU-2226-SM-CGQFA 40-49 years, male 20.0
GTEX-1R7EV-2426-SM-EVYBG 40-49 years, male 19.9
GTEX-11H98-0126-SM-5EGHG 50-59 years, male 19.8
GTEX-T8EM-1026-SM-3DB7M 40-49 years, male 19.8
GTEX-1HKZK-0326-SM-9WYUH 40-49 years, male 19.8
GTEX-1C64O-0126-SM-7SB8P 60-69 years, male 19.5
GTEX-1HBPM-0226-SM-ARL9F 60-69 years, female 19.5
GTEX-148VJ-0126-SM-5TDDN 70-79 years, male 19.3
GTEX-11P82-1626-SM-59879 20-29 years, male 19.2
GTEX-P44H-0226-SM-2XCEU 40-49 years, male 19.2
GTEX-13W46-0226-SM-5SIAG 50-59 years, male 18.9
GTEX-OHPM-0126-SM-2YUN9 50-59 years, male 18.9
GTEX-13OVJ-0126-SM-5KM36 50-59 years, female 18.8
GTEX-ZF28-0126-SM-4WKGK 60-69 years, male 18.8
GTEX-1I1GS-0126-SM-B2LVW 60-69 years, male 18.8
GTEX-13FTX-1826-SM-5J1NX 20-29 years, female 18.6
GTEX-1M4P7-0226-SM-DIPEV 60-69 years, male 18.5
GTEX-1MCYP-1926-SM-E9J2R 20-29 years, female 18.5
GTEX-17EUY-0426-SM-793BD 20-29 years, male 18.3
GTEX-U4B1-1826-SM-4DXSU 40-49 years, male 18.3
GTEX-14BIM-0226-SM-7IGLD 60-69 years, female 18.2
GTEX-WFG8-2226-SM-3GIL9 20-29 years, male 18.2
GTEX-145LV-2126-SM-5LU8N 50-59 years, male 18.1
GTEX-14C5O-0126-SM-5SI6N 60-69 years, male 18.0
GTEX-1A3MV-1926-SM-718BT 30-39 years, male 18.0
GTEX-ZEX8-2426-SM-4WKG4 50-59 years, male 18.0
GTEX-1PIGE-0126-SM-EVYBJ 20-29 years, male 18.0
GTEX-1LSNM-1926-SM-E6CII 50-59 years, male 17.9
GTEX-OOBK-0126-SM-2YUND 40-49 years, male 17.8
GTEX-1C2JI-1826-SM-73KXC 50-59 years, male 17.7
GTEX-Q2AI-1326-SM-2S1PL 40-49 years, male 17.7
GTEX-1H1E6-1726-SM-ACKVK 30-39 years, male 17.6
GTEX-14ICK-0226-SM-6EU25 40-49 years, male 17.5
GTEX-Y3I4-2126-SM-4TT7C 50-59 years, male 17.5
GTEX-1H2FU-0126-SM-9WYSI 60-69 years, female 17.4
GTEX-1N2DV-0226-SM-E6CJ6 40-49 years, male 17.4
GTEX-11DZ1-0126-SM-5985Q 50-59 years, male 17.3
GTEX-16XZZ-0126-SM-793DV 60-69 years, male 17.3
GTEX-11GSP-2526-SM-5N9BP 60-69 years, female 17.2
GTEX-1J1R8-1726-SM-ARL8M 40-49 years, male 17.2
GTEX-1GTWX-0126-SM-9YFLK 60-69 years, male 17.1
GTEX-17MF6-0126-SM-7LG4F 40-49 years, male 17.0
GTEX-Q734-1926-SM-2I5EV 40-49 years, female 17.0
GTEX-SUCS-1926-SM-32PM3 70-79 years, male 17.0
GTEX-1F48J-0126-SM-7P8TT 50-59 years, female 17.0
GTEX-14DAR-2026-SM-5S2O3 50-59 years, male 16.9
GTEX-1HSEH-0126-SM-ACKXN 60-69 years, male 16.9
GTEX-14LLW-0126-SM-6LLIO 70-79 years, female 16.8
GTEX-1R9PO-2126-SM-E9J4O 60-69 years, female 16.8
GTEX-12WSK-2326-SM-5GCOH 40-49 years, female 16.7
GTEX-14PJ3-1826-SM-62LEX 50-59 years, male 16.4
GTEX-OXRL-0126-SM-2YUMP 50-59 years, male 16.4
GTEX-1GZ4H-1726-SM-7PBZJ 50-59 years, female 16.4
GTEX-QLQ7-1626-SM-2S1R8 60-69 years, male 16.3
GTEX-1LNCM-1126-SM-E9U5E 50-59 years, female 16.2
GTEX-139T4-0226-SM-5HL5S 50-59 years, female 16.1
GTEX-145LT-1726-SM-5QGP3 40-49 years, male 16.1
GTEX-11VI4-1726-SM-5CVLH 40-49 years, female 16.0
GTEX-1H23P-0126-SM-ADEJ3 60-69 years, male 16.0
GTEX-12C56-1726-SM-5EQ61 20-29 years, male 15.9
GTEX-WRHK-1426-SM-3MJF9 20-29 years, female 15.9
GTEX-1GPI7-0126-SM-9MQL8 20-29 years, male 15.9
GTEX-11ZUS-0626-SM-59885 30-39 years, male 15.7
GTEX-18A67-0126-SM-7LG5P 50-59 years, male 15.7
GTEX-QDT8-0126-SM-48TZ1 30-39 years, female 15.7
GTEX-R55G-2526-SM-2TC6D 40-49 years, female 15.7
GTEX-13FH7-2026-SM-E9J4I 50-59 years, female 15.7
GTEX-1JJE9-0326-SM-CL53Z 70-79 years, male 15.7
GTEX-NPJ8-0126-SM-2YUNR 40-49 years, male 15.6
GTEX-ZAB4-0226-SM-5N9F5 40-49 years, male 15.6
GTEX-1K2DU-2326-SM-E9TIV 20-29 years, male 15.6
GTEX-1R46S-0626-SM-E9J41 60-69 years, female 15.6
GTEX-14JG6-2226-SM-6EU2G 30-39 years, female 15.5
GTEX-T6MO-1626-SM-32QOM 40-49 years, female 15.5
GTEX-1QW4Y-1526-SM-EAZ3Z 30-39 years, male 15.5
GTEX-139TT-0126-SM-5K7Y5 60-69 years, male 15.4
GTEX-RM2N-1426-SM-2TF4H 50-59 years, male 15.4
GTEX-1IE54-0126-SM-CMKHW 40-49 years, female 15.4
GTEX-1JK1U-2026-SM-CM2RZ 60-69 years, male 15.4
GTEX-11WQK-0526-SM-5EQLD 50-59 years, male 15.3
GTEX-1HSMQ-1226-SM-CGQFX 50-59 years, male 15.3
GTEX-14BIL-0126-SM-5SI92 50-59 years, male 15.2
GTEX-15ETS-0126-SM-7KUMW 40-49 years, female 15.2
GTEX-16NGA-1726-SM-731B4 40-49 years, female 15.2
GTEX-ZYW4-0126-SM-5E44A 60-69 years, male 15.2
GTEX-1F5PK-2426-SM-7RHHY 50-59 years, male 15.1
GTEX-1HGF4-2426-SM-ACKXM 60-69 years, male 15.1
GTEX-1JMQK-0226-SM-CL543 60-69 years, male 15.1
GTEX-13O3P-0126-SM-5KM4S 50-59 years, male 15.0
GTEX-1QP2A-0126-SM-E9J43 50-59 years, male 15.0
GTEX-PLZ6-1426-SM-DKPOT 30-39 years, male 15.0
GTEX-ZF29-2326-SM-DO92K 60-69 years, female 15.0
GTEX-15UF6-0826-SM-6PALJ 70-79 years, female 14.9
GTEX-13N1W-0126-SM-5K7VT 70-79 years, male 14.8
GTEX-16MT8-0426-SM-7KUEY 60-69 years, female 14.8
GTEX-1CB4J-0626-SM-7DHMP 60-69 years, male 14.8
GTEX-1NHNU-1026-SM-E9J2A 50-59 years, male 14.8
GTEX-1MUQO-0126-SM-EAZ58 60-69 years, male 14.7
GTEX-13W3W-2426-SM-5LU5B 60-69 years, female 14.6
GTEX-15D1Q-0126-SM-7KUG6 40-49 years, male 14.6
GTEX-12WSJ-1826-SM-5GCNY 40-49 years, female 14.5
GTEX-1AX8Z-0126-SM-7DHM6 60-69 years, male 14.5
GTEX-PLZ4-0126-SM-5SI8O 50-59 years, female 14.5
GTEX-ZDYS-2026-SM-5HL5L 50-59 years, male 14.5
GTEX-11TT1-2526-SM-5EGIB 20-29 years, male 14.4
GTEX-11TTK-0126-SM-5987B 60-69 years, female 14.4
GTEX-OXRK-0226-SM-3NB2G 50-59 years, female 14.4
GTEX-X4XY-0226-SM-4E3IZ 60-69 years, male 14.4
GTEX-1I4MK-2226-SM-ACKWD 50-59 years, female 14.4
GTEX-1S3DN-2226-SM-EVYCD 50-59 years, male 14.4
GTEX-13NZ8-0826-SM-5MR3I 60-69 years, female 14.3
GTEX-16AAH-1726-SM-7939C 50-59 years, male 14.3
GTEX-QDVJ-1726-SM-2I5FX 50-59 years, male 14.3
GTEX-TKQ1-1026-SM-4GICL 30-39 years, male 14.3
GTEX-WOFL-0126-SM-3MJG2 60-69 years, male 14.3
GTEX-1H1DE-2126-SM-9WG6R 20-29 years, male 14.3
GTEX-12WSN-5019-SM-79OM6 40-49 years, male 14.2
GTEX-13VXT-0126-SM-5LU4I 20-29 years, female 14.2
GTEX-13YAN-0326-SM-5O9DF 60-69 years, male 14.2
GTEX-1IDJF-0126-SM-CM2RS 20-29 years, male 14.2
GTEX-13X6I-0626-SM-5QGP9 60-69 years, male 14.1
GTEX-RWS6-2026-SM-2XCB5 60-69 years, female 14.1
GTEX-X261-0126-SM-3NMD6 50-59 years, male 14.1
GTEX-YEC4-2126-SM-5IFJH 40-49 years, male 14.1
GTEX-ZV6S-2326-SM-4YCEY 40-49 years, female 14.1
GTEX-OIZF-0126-SM-7SB8I 60-69 years, male 14.1
GTEX-1LH75-2426-SM-E9TJE 50-59 years, female 14.0
GTEX-1AX9I-0126-SM-7SB74 60-69 years, male 13.9
GTEX-11ZU8-2526-SM-5EQKI 60-69 years, male 13.8
GTEX-14A6H-0126-SM-5QGPK 30-39 years, male 13.8
GTEX-18A66-0226-SM-718BD 60-69 years, male 13.8
GTEX-ZVE2-0226-SM-59HJB 50-59 years, male 13.8
GTEX-1HFI7-1826-SM-ACKXH 50-59 years, female 13.8
GTEX-1CAMQ-0226-SM-7IGPK 40-49 years, male 13.7
GTEX-P4PQ-0126-SM-2S1NM 60-69 years, male 13.7
GTEX-1A8FM-0226-SM-7SB7Q 50-59 years, female 13.7
GTEX-1J8Q3-1626-SM-CMKGC 60-69 years, male 13.7
GTEX-1L5NE-2526-SM-E6CIE 50-59 years, male 13.7
GTEX-12WSL-2526-SM-5GCNJ 50-59 years, male 13.6
GTEX-XAJ8-0826-SM-47JY6 40-49 years, male 13.6
GTEX-1H3VE-0326-SM-9YFLH 40-49 years, male 13.6
GTEX-1LBAC-0126-SM-DIPEZ 20-29 years, male 13.6
GTEX-1PPH8-0226-SM-E8VND 20-29 years, male 13.6
GTEX-1HCU8-0626-SM-A9SM9 60-69 years, female 13.5
GTEX-139T8-0126-SM-5K7XZ 60-69 years, male 13.4
GTEX-RNOR-0126-SM-E9J4R 50-59 years, female 13.4
GTEX-11EM3-2426-SM-59861 20-29 years, female 13.3
GTEX-183FY-0126-SM-7LT9P 20-29 years, male 13.3
GTEX-XYKS-2126-SM-4E3IB 60-69 years, female 13.3
GTEX-1F75B-0126-SM-9KNVL 50-59 years, male 13.3
GTEX-1JMQL-0226-SM-CNPP5 50-59 years, female 13.3
GTEX-113IC-0126-SM-5HL6T 60-69 years, male 13.2
GTEX-14PN4-0126-SM-6EU2V 50-59 years, male 13.2
GTEX-1CAMR-1926-SM-7EPI2 20-29 years, male 13.2
GTEX-1HSMP-0126-SM-E6CJS 70-79 years, male 13.2
GTEX-1J1OQ-0226-SM-CYPSH 40-49 years, female 13.2
GTEX-1QP66-1726-SM-E8VO1 50-59 years, male 13.2
GTEX-X585-0226-SM-4QAS2 50-59 years, male 13.1
GTEX-1H1DG-0126-SM-9WYU2 70-79 years, male 13.1
GTEX-13N11-2526-SM-5K7UE 50-59 years, female 13.0
GTEX-17HHE-2026-SM-79OKF 50-59 years, male 13.0
GTEX-1B8KE-2126-SM-73KYX 50-59 years, male 13.0
GTEX-13O1R-0126-SM-5L3EH 60-69 years, male 12.9
GTEX-15SDE-2226-SM-7IGLO 50-59 years, female 12.9
GTEX-15SHU-0126-SM-7KUEH 40-49 years, female 12.9
GTEX-16XZY-2126-SM-79OK1 70-79 years, male 12.9
GTEX-Y5LM-1926-SM-5RQJH 40-49 years, female 12.9
GTEX-ZE7O-0126-SM-57WC1 50-59 years, female 12.9
GTEX-1J8QM-2126-SM-CYPSJ 60-69 years, female 12.9
GTEX-1LGRB-2526-SM-CNPPQ 50-59 years, female 12.9
GTEX-11ZTT-2426-SM-5EQLS 60-69 years, female 12.8
GTEX-13FHO-0226-SM-5IFGY 60-69 years, male 12.8
GTEX-13NYS-0126-SM-5MR3W 60-69 years, male 12.8
GTEX-OXRO-0126-SM-2YUN4 60-69 years, female 12.8
GTEX-XBED-2226-SM-47JYQ 60-69 years, male 12.8
GTEX-Y5V6-2426-SM-4VDSB 60-69 years, male 12.8
GTEX-1GMR8-0126-SM-9WYTM 50-59 years, female 12.8
GTEX-14A5I-0126-SM-5TDEA 50-59 years, female 12.7
GTEX-14E6E-1826-SM-5S2R7 30-39 years, male 12.7
GTEX-14E7W-0126-SM-6LLJ9 70-79 years, male 12.7
GTEX-YJ8A-0426-SM-5IFID 20-29 years, male 12.7
GTEX-1H3O1-0426-SM-9YFKY 60-69 years, male 12.7
GTEX-WXYG-2326-SM-4E3I6 50-59 years, female 12.6
GTEX-1GF9U-2126-SM-7SB7L 40-49 years, female 12.6
GTEX-117YX-2326-SM-5H12W 50-59 years, male 12.5
GTEX-RTLS-0126-SM-447CA 60-69 years, female 12.5
GTEX-VJWN-0126-SM-3GIK7 50-59 years, female 12.5
GTEX-13RTJ-2426-SM-5S2Q2 60-69 years, male 12.4
GTEX-PWO3-1526-SM-48TCM 60-69 years, female 12.4
GTEX-11DXX-2426-SM-5GZZW 60-69 years, female 12.3
GTEX-1GZ2Q-0226-SM-7P8TL 40-49 years, male 12.3
GTEX-1RAZA-0126-SM-E6CI3 20-29 years, male 12.3
GTEX-13OVG-1926-SM-5L3DK 60-69 years, male 12.2
GTEX-145ME-1826-SM-5SI9G 40-49 years, female 12.2
GTEX-146FH-0126-SM-5QGPP 50-59 years, female 12.2
GTEX-17EVQ-0226-SM-7LG4P 70-79 years, male 12.2
GTEX-183WM-0126-SM-7LTAB 70-79 years, female 12.2
GTEX-1AMFI-2026-SM-731BH 50-59 years, female 12.2
GTEX-ZDTT-2726-SM-4WKF8 60-69 years, male 12.2
GTEX-1S82Y-2026-SM-EVYCM 40-49 years, male 12.2
GTEX-12584-0126-SM-5EGKQ 40-49 years, male 12.1
GTEX-13O21-1426-SM-5K7XI 50-59 years, male 12.1
GTEX-147F3-0526-SM-5SI98 50-59 years, female 12.1
GTEX-14DAQ-0126-SM-5S2MQ 60-69 years, female 12.1
GTEX-1B8KZ-2026-SM-7DHMB 50-59 years, male 12.1
GTEX-YB5E-2026-SM-5IFIS 40-49 years, male 12.1
GTEX-ZY6K-1826-SM-5GZXK 50-59 years, male 12.1
GTEX-13O3O-0126-SM-E9J49 60-69 years, female 12.1
GTEX-1HBPN-0226-SM-9YFM1 50-59 years, male 12.1
GTEX-1PPH7-2326-SM-EVYB8 40-49 years, male 12.1
GTEX-17F97-0326-SM-7LG5B 50-59 years, male 12.0
GTEX-Q2AH-1626-SM-3GAF8 40-49 years, male 12.0
GTEX-UPJH-0326-SM-3GADU 50-59 years, male 12.0
GTEX-TSE9-0126-SM-3DB83 60-69 years, female 11.9
GTEX-1ICLY-0126-SM-D4P36 50-59 years, male 11.9
GTEX-1KD5A-0226-SM-D5OV3 50-59 years, male 11.9
GTEX-13QJ3-0326-SM-5S2RA 50-59 years, male 11.8
GTEX-15CHC-2126-SM-6EU21 60-69 years, female 11.8
GTEX-ZUA1-0126-SM-5GU76 40-49 years, male 11.8
GTEX-1I1GP-2226-SM-CGQFK 50-59 years, male 11.8
GTEX-17MFQ-1726-SM-793C7 20-29 years, male 11.7
GTEX-1S5ZA-0126-SM-EVYCV 20-29 years, male 11.7
GTEX-13RTK-1426-SM-5QGQJ 20-29 years, male 11.6
GTEX-15RIG-0226-SM-7KFTL 40-49 years, male 11.6
GTEX-1F52S-0126-SM-9MQJU 60-69 years, female 11.6
GTEX-1H3VY-0126-SM-ACKXD 50-59 years, male 11.6
GTEX-1HCU7-0226-SM-CL545 50-59 years, male 11.6
GTEX-1N2EF-0226-SM-EYYXB 60-69 years, male 11.6
GTEX-13N2G-2626-SM-5J1OT 60-69 years, male 11.5
GTEX-14BMU-2226-SM-5TDE9 20-29 years, female 11.5
GTEX-17GQL-2026-SM-718BA 60-69 years, male 11.5
GTEX-1IGQW-0126-SM-COH42 60-69 years, male 11.5
GTEX-13NZA-0226-SM-5K7Z7 60-69 years, male 11.4
GTEX-T5JC-0426-SM-32PLO 20-29 years, male 11.4
GTEX-YB5K-2126-SM-4WWDJ 40-49 years, female 11.4
GTEX-Z9EW-1626-SM-5CVMN 40-49 years, male 11.4
GTEX-13NYC-0326-SM-E9J4S 60-69 years, male 11.4
GTEX-1F6IF-0726-SM-7P8TW 60-69 years, male 11.4
GTEX-1JN76-0126-SM-CNPPE 20-29 years, female 11.4
GTEX-1LG7Y-0526-SM-DKPQC 50-59 years, male 11.4
GTEX-13PDP-0126-SM-5L3HD 60-69 years, male 11.3
GTEX-14PJ6-2126-SM-6EU1V 60-69 years, female 11.3
GTEX-18QFQ-0126-SM-731BE 30-39 years, male 11.3
GTEX-ZZ64-1726-SM-5GZYB 20-29 years, male 11.3
GTEX-1H3NZ-0126-SM-ACKX7 60-69 years, male 11.3
GTEX-1HCU9-1526-SM-A9SL7 20-29 years, male 11.3
GTEX-1JMPY-1326-SM-ARL8Y 30-39 years, male 11.3
GTEX-1PBJI-0526-SM-E8VNK 20-29 years, female 11.3
GTEX-1S82Z-0826-SM-E6CHY 30-39 years, female 11.3
GTEX-11LCK-1026-SM-5A5KB 30-39 years, male 11.2
GTEX-1211K-2026-SM-5EQ4Z 60-69 years, female 11.2
GTEX-13CF3-2426-SM-5IFGX 60-69 years, female 11.2
GTEX-18A7B-0126-SM-7LG64 70-79 years, male 11.2
GTEX-1B97I-1626-SM-73KYO 40-49 years, male 11.2
GTEX-Y8LW-1826-SM-5S2MV 50-59 years, female 11.2
GTEX-17F98-0626-SM-79OMX 40-49 years, female 11.1
GTEX-QEG4-0226-SM-2S1PY 30-39 years, male 11.1
GTEX-133LE-1826-SM-5J1MV 20-29 years, female 11.0
GTEX-139TU-0126-SM-5K7WH 60-69 years, male 11.0
GTEX-15F5U-1526-SM-6PANO 40-49 years, male 11.0
GTEX-15SHW-0326-SM-6PAML 60-69 years, male 11.0
GTEX-15UKP-0426-SM-7KUFQ 20-29 years, male 11.0
GTEX-PLZ5-2026-SM-2S1O4 50-59 years, male 11.0
GTEX-QDVN-2026-SM-3GAEP 50-59 years, male 11.0
GTEX-ZGAY-0526-SM-4WWBB 40-49 years, female 11.0
GTEX-1I6K6-0126-SM-A9SLE 30-39 years, male 11.0
GTEX-1JKYN-1326-SM-CGQG9 30-39 years, male 11.0
GTEX-1LVAN-0226-SM-COH3S 50-59 years, female 11.0
GTEX-11XUK-2026-SM-5EQLF 40-49 years, female 10.9
GTEX-U3ZM-1526-SM-3DB9D 40-49 years, male 10.9
GTEX-WI4N-1026-SM-3LK7N 40-49 years, female 10.9
GTEX-WY7C-2326-SM-3NB2U 50-59 years, male 10.9
GTEX-1GPI6-0126-SM-9WG69 60-69 years, male 10.9
GTEX-11GS4-2726-SM-5A5LE 60-69 years, male 10.8
GTEX-QCQG-1726-SM-3GIJ9 50-59 years, female 10.8
GTEX-XV7Q-2526-SM-4BRV9 40-49 years, female 10.8
GTEX-ZAB5-1826-SM-5HL7C 50-59 years, male 10.8
GTEX-1GF9W-0326-SM-9KNUN 60-69 years, male 10.8
GTEX-1JMPZ-0226-SM-CNPP1 30-39 years, male 10.8
GTEX-139D8-0226-SM-5KLZO 30-39 years, female 10.7
GTEX-XBEW-0626-SM-4QASP 40-49 years, male 10.7
GTEX-1J8Q2-0526-SM-CM2RW 60-69 years, male 10.7
GTEX-11WQC-2526-SM-5CVLE 60-69 years, male 10.6
GTEX-17HGU-0226-SM-7DHKV 50-59 years, male 10.6
GTEX-1A3MX-0126-SM-731BR 60-69 years, male 10.6
GTEX-1CB4H-0226-SM-7PBXM 60-69 years, female 10.6
GTEX-12ZZX-0126-SM-5EGK9 40-49 years, female 10.5
GTEX-1C6VS-0526-SM-7DUEN 60-69 years, male 10.5
GTEX-1CB4E-2226-SM-793DC 60-69 years, male 10.5
GTEX-W5WG-1826-SM-4KL2Y 50-59 years, female 10.5
GTEX-WQUQ-0426-SM-3MJFU 60-69 years, male 10.5
GTEX-ZQUD-1426-SM-57WER 30-39 years, male 10.5
GTEX-113JC-2326-SM-5EQ4E 50-59 years, female 10.4
GTEX-13SLW-0126-SM-5SI6C 70-79 years, male 10.4
GTEX-144FL-0126-SM-5TDC8 50-59 years, male 10.4
GTEX-NFK9-0226-SM-2HMKQ 40-49 years, male 10.4
GTEX-U3ZN-2326-SM-3DB7W 30-39 years, female 10.4
GTEX-1ICG6-2526-SM-CGQFZ 70-79 years, female 10.4
GTEX-1NV5F-0226-SM-E8VNY 60-69 years, female 10.4
GTEX-ZVT4-0126-SM-DTXFN 50-59 years, female 10.4
GTEX-11NSD-2226-SM-5986V 20-29 years, male 10.3
GTEX-13S7M-0126-SM-5SI6A 60-69 years, female 10.3
GTEX-1CAMS-0426-SM-7P8T2 40-49 years, female 10.3
GTEX-PSDG-0226-SM-DKPOZ 50-59 years, male 10.3
GTEX-1192X-0226-SM-5H12D 50-59 years, male 10.2
GTEX-11EMC-2926-SM-5EQ4F 60-69 years, female 10.2
GTEX-1314G-1526-SM-5EGK2 30-39 years, male 10.2
GTEX-15EU6-0426-SM-6PAN5 50-59 years, male 10.2
GTEX-15G19-0126-SM-6PANQ 60-69 years, male 10.2
GTEX-OXRN-0126-SM-48TDM 50-59 years, male 10.2
GTEX-SN8G-0126-SM-32PLI 50-59 years, female 10.2
GTEX-XMD2-0126-SM-4YCDU 60-69 years, female 10.2
GTEX-XXEK-2226-SM-4BRUM 50-59 years, male 10.2
GTEX-1E2YA-0126-SM-9KNUC 50-59 years, male 10.2
GTEX-1PWST-0226-SM-E76QJ 70-79 years, male 10.2
GTEX-1QPFJ-0226-SM-E76PB 30-39 years, female 10.2
GTEX-12KS4-0326-SM-5EQ41 30-39 years, male 10.1
GTEX-1GF9X-2026-SM-7PC3A 40-49 years, female 10.1
GTEX-1GMR3-1926-SM-9KNUZ 40-49 years, male 10.1
GTEX-1GN73-0226-SM-9WG67 60-69 years, male 10.1
GTEX-1H11D-0226-SM-9WG6Z 40-49 years, male 10.1
GTEX-131XW-0426-SM-5LZWP 50-59 years, female 10.0
GTEX-13IVO-0126-SM-5J1NG 70-79 years, male 10.0
GTEX-13NZB-2526-SM-5J1OM 30-39 years, male 10.0
GTEX-U3ZH-2026-SM-3DB78 30-39 years, male 10.0
GTEX-XQ8I-0426-SM-4BOPO 50-59 years, male 10.0
GTEX-1B996-0226-SM-7RHGO 60-69 years, male 10.0
GTEX-1EX96-1626-SM-7PBXR 50-59 years, male 10.0
GTEX-1HB9E-0226-SM-E9U4R 50-59 years, male 10.0
GTEX-1HCU6-0126-SM-CL54K 60-69 years, female 10.0
GTEX-1IDJU-2626-SM-CM2RT 60-69 years, female 10.0
GTEX-145MI-0526-SM-5O9A8 60-69 years, female 9.9
GTEX-18D9U-0226-SM-718BP 40-49 years, male 9.9
GTEX-PVOW-0126-SM-2XCFA 40-49 years, male 9.9
GTEX-ZE9C-2726-SM-57WB5 60-69 years, male 9.9
GTEX-ZTX8-1426-SM-5DUVO 20-29 years, male 9.9
GTEX-1F6RS-0126-SM-9MQKZ 60-69 years, female 9.9
GTEX-1KXAM-2226-SM-CYPTC 60-69 years, male 9.9
GTEX-1RB15-2126-SM-E9TIM 60-69 years, male 9.9
GTEX-PWCY-1826-SM-DHXIZ 20-29 years, female 9.9
GTEX-ZQG8-1626-SM-DHXIT 60-69 years, female 9.9
GTEX-145MN-2226-SM-5SIAU 30-39 years, male 9.8
GTEX-14PHX-2326-SM-62LEM 50-59 years, male 9.8
GTEX-17HII-0226-SM-7LG4E 50-59 years, male 9.8
GTEX-R55E-0126-SM-2TC5Y 20-29 years, male 9.8
GTEX-1C6WA-0126-SM-7PC2B 60-69 years, male 9.8
GTEX-1CB4F-0426-SM-9KNV4 60-69 years, male 9.8
GTEX-1GN1V-0126-SM-9WPOS 60-69 years, male 9.8
GTEX-11ZVC-2526-SM-5FQTE 50-59 years, female 9.7
GTEX-QESD-1426-SM-2S1R9 20-29 years, male 9.7
GTEX-ZVT2-2526-SM-51MT1 50-59 years, female 9.7
GTEX-ZWKS-0126-SM-5SIAA 30-39 years, male 9.7
GTEX-1M5QR-1226-SM-EWROB 40-49 years, male 9.7
GTEX-1MA7W-2026-SM-E9TJ6 20-29 years, female 9.7
GTEX-1PFEY-1526-SM-E76PP 30-39 years, male 9.7
GTEX-12696-2426-SM-5EQ6H 60-69 years, male 9.6
GTEX-13FTW-2626-SM-5K7WL 40-49 years, male 9.6
GTEX-148VI-1626-SM-5SI6E 60-69 years, female 9.6
GTEX-18465-0126-SM-731BN 50-59 years, male 9.6
GTEX-18D9B-0526-SM-7LTAS 60-69 years, male 9.6
GTEX-OXRP-0126-SM-3NB32 60-69 years, female 9.6
GTEX-RU72-0926-SM-2TF6B 50-59 years, female 9.6
GTEX-S7PM-0126-SM-4AD6S 60-69 years, male 9.6
GTEX-1GL5R-1826-SM-9KNUY 50-59 years, male 9.6
GTEX-1HFI6-0226-SM-ADEHZ 40-49 years, male 9.6
GTEX-11GSO-2426-SM-5A5LY 60-69 years, male 9.5
GTEX-13OW7-0126-SM-5MR3B 50-59 years, male 9.5
GTEX-13RTL-0126-SM-7LG5S 40-49 years, male 9.5
GTEX-RN64-0126-SM-2TC68 50-59 years, male 9.5
GTEX-VUSG-2526-SM-4KL1V 50-59 years, male 9.5
GTEX-ZXG5-0126-SM-5GIEU 60-69 years, male 9.5
GTEX-1JKYR-0126-SM-CNPOJ 20-29 years, male 9.5
GTEX-1KAFJ-2026-SM-CY8ID 50-59 years, male 9.5
GTEX-1LG7Z-1726-SM-D3LA4 30-39 years, male 9.5
GTEX-145MO-0326-SM-5Q5B3 60-69 years, male 9.4
GTEX-1AX9J-0226-SM-73KXM 60-69 years, male 9.4
GTEX-1CB4I-0226-SM-79OLH 50-59 years, male 9.4
GTEX-TMMY-0226-SM-33HBA 40-49 years, female 9.4
GTEX-1B8L1-2526-SM-9WYTF 60-69 years, male 9.4
GTEX-1HSGN-0226-SM-CGQFV 40-49 years, female 9.4
GTEX-1IKK5-0626-SM-ARL8A 60-69 years, male 9.4
GTEX-13CF2-2526-SM-5LZYX 60-69 years, male 9.3
GTEX-16YQH-0126-SM-7DUFJ 30-39 years, male 9.3
GTEX-QLQW-1126-SM-2S1Q8 30-39 years, male 9.3
GTEX-S95S-1226-SM-4GICG 60-69 years, male 9.3
GTEX-11O72-0126-SM-59887 40-49 years, male 9.2
GTEX-12WSA-0226-SM-5BC5V 60-69 years, male 9.2
GTEX-147GR-0526-SM-5S2MY 60-69 years, male 9.2
GTEX-1C475-1826-SM-73KWA 40-49 years, female 9.2
GTEX-QVJO-1626-SM-2S1QW 60-69 years, female 9.2
GTEX-S32W-2126-SM-2XCB1 50-59 years, female 9.2
GTEX-XPVG-2626-SM-4B669 50-59 years, male 9.2
GTEX-12WSG-2826-SM-E9J4H 50-59 years, female 9.2
GTEX-1HCVE-0126-SM-CGQEU 50-59 years, male 9.2
GTEX-1I1CD-0126-SM-CM2TK 60-69 years, female 9.2
GTEX-1IKOH-0226-SM-COH4E 60-69 years, female 9.2
GTEX-1OFPY-2426-SM-DTXEJ 60-69 years, male 9.2
GTEX-14XAO-2326-SM-6EU1B 60-69 years, female 9.1
GTEX-15DDE-0126-SM-6LPKH 50-59 years, female 9.1
GTEX-17F96-1626-SM-7DUFL 70-79 years, male 9.1
GTEX-WYVS-2126-SM-3NMA3 40-49 years, female 9.1
GTEX-ZDXO-3026-SM-5J1N5 60-69 years, male 9.1
GTEX-1LGOU-2026-SM-DIPFF 20-29 years, female 9.1
GTEX-131YS-0126-SM-5KM1M 60-69 years, female 9.0
GTEX-13D11-2426-SM-5KM1V 50-59 years, female 9.0
GTEX-O5YW-0126-SM-3LK6D 50-59 years, male 9.0
GTEX-VJYA-1126-SM-3GIJU 60-69 years, male 9.0
GTEX-ZAJG-0126-SM-5HL94 50-59 years, female 9.0
GTEX-ZYY3-0126-SM-5GZY5 60-69 years, female 9.0
GTEX-1EKGG-0226-SM-9WYTH 60-69 years, male 9.0
GTEX-1K2DA-1826-SM-CGQGT 50-59 years, male 9.0
GTEX-1PDJ9-0326-SM-DTX95 20-29 years, male 9.0
GTEX-1R7EU-0226-SM-EVR4G 60-69 years, male 9.0
GTEX-ZPIC-1726-SM-DHXIU 40-49 years, female 9.0
GTEX-1128S-2326-SM-5GZZY 60-69 years, female 8.9
GTEX-13FTY-0526-SM-5L3EV 40-49 years, female 8.9
GTEX-16NPX-0226-SM-79OMT 50-59 years, male 8.9
GTEX-QV44-1926-SM-2S1RF 50-59 years, male 8.9
GTEX-X8HC-0126-SM-4E3JW 50-59 years, female 8.9
GTEX-Y114-2426-SM-4TT8A 50-59 years, female 8.9
GTEX-ZC5H-0226-SM-4WAY9 40-49 years, female 8.9
GTEX-11OC5-0126-SM-5HL6A 60-69 years, male 8.8
GTEX-14PII-0226-SM-6EU1T 60-69 years, male 8.8
GTEX-OHPL-0126-SM-2HMJ7 60-69 years, female 8.8
GTEX-132NY-0326-SM-5IJBL 60-69 years, male 8.7
GTEX-13O3Q-2426-SM-5IJBR 50-59 years, male 8.7
GTEX-13OW8-1326-SM-5J1OW 60-69 years, male 8.7
GTEX-15DYW-0126-SM-7KULE 60-69 years, female 8.7
GTEX-18A7A-0226-SM-718BH 50-59 years, female 8.7
GTEX-X5EB-2226-SM-46MW4 40-49 years, male 8.7
GTEX-ZTSS-1926-SM-57WEW 40-49 years, male 8.7
GTEX-1B933-0126-SM-7PC29 50-59 years, female 8.7
GTEX-1C6VQ-0126-SM-7P8RI 50-59 years, male 8.7
GTEX-1ICLZ-0126-SM-CKZPO 60-69 years, male 8.7
GTEX-1IY9M-0126-SM-D3L8S 60-69 years, male 8.7
GTEX-1KANA-0726-SM-D3L9I 20-29 years, male 8.7
GTEX-PW2O-1526-SM-7RHHB 20-29 years, male 8.7
GTEX-11DXY-2626-SM-5GIE7 60-69 years, male 8.6
GTEX-1399U-2326-SM-5K7WY 50-59 years, female 8.6
GTEX-13OVL-0226-SM-5L3E9 50-59 years, male 8.6
GTEX-Q2AG-0126-SM-33HBV 40-49 years, female 8.6
GTEX-1GMRU-0126-SM-9YFLV 50-59 years, male 8.6
GTEX-1I1GT-0626-SM-CGQER 60-69 years, female 8.6
GTEX-1JN6P-0126-SM-D3L98 60-69 years, male 8.6
GTEX-117YW-2626-SM-5GZZH 50-59 years, male 8.5
GTEX-11EQ9-2426-SM-5HL5T 30-39 years, male 8.5
GTEX-11UD2-0226-SM-5EQKY 50-59 years, male 8.5
GTEX-14BMV-0126-SM-5S2PO 50-59 years, male 8.5
GTEX-SJXC-0126-SM-2XCFF 60-69 years, male 8.5
GTEX-ZDTS-0126-SM-4WAY5 60-69 years, male 8.5
GTEX-169BO-1326-SM-9MQK2 50-59 years, male 8.5
GTEX-1CAV2-2226-SM-7P8P2 40-49 years, female 8.5
GTEX-1I1GR-0126-SM-CL55F 60-69 years, male 8.5
GTEX-1N2DW-0226-SM-E9TK2 50-59 years, male 8.5
GTEX-1POEN-0126-SM-EYYXJ 30-39 years, female 8.5
GTEX-111VG-2426-SM-5GZXD 60-69 years, male 8.4
GTEX-14BIN-0626-SM-793DP 50-59 years, female 8.4
GTEX-1A32A-0126-SM-718B1 50-59 years, female 8.4
GTEX-WYJK-0126-SM-3NMAB 50-59 years, male 8.4
GTEX-Z93S-0126-SM-5HL7M 50-59 years, male 8.4
GTEX-1CB4G-0226-SM-7PC3O 60-69 years, male 8.4
GTEX-1F88F-2726-SM-7PBZZ 60-69 years, female 8.4
GTEX-1IKJJ-0126-SM-CNPQB 60-69 years, male 8.4
GTEX-1MCQQ-0826-SM-DLHC2 60-69 years, male 8.4
GTEX-11DXW-0226-SM-5H122 40-49 years, male 8.3
GTEX-13PVR-2326-SM-5QGR1 60-69 years, female 8.3
GTEX-17HG3-2226-SM-7938L 30-39 years, female 8.3
GTEX-P4QT-0126-SM-2I3FL 50-59 years, female 8.3
GTEX-X4EO-0326-SM-3P5YO 60-69 years, female 8.3
GTEX-11TUW-2726-SM-E9J4M 60-69 years, male 8.3
GTEX-1EU9M-0226-SM-7P8SP 60-69 years, male 8.3
GTEX-1HR98-0126-SM-B2LWI 60-69 years, male 8.3
GTEX-1JN1M-0326-SM-CYPT3 60-69 years, female 8.3
GTEX-11P81-2326-SM-59875 30-39 years, female 8.2
GTEX-16BQI-0226-SM-7KUEX 30-39 years, female 8.2
GTEX-ZYFG-2326-SM-5E44B 60-69 years, female 8.2
GTEX-1JMQI-2226-SM-CM2SD 50-59 years, male 8.2
GTEX-1QP9N-1426-SM-DTXFL 30-39 years, male 8.2
GTEX-13SLX-0526-SM-5S2ON 50-59 years, female 8.1
GTEX-13U4I-0126-SM-5LU38 40-49 years, female 8.1
GTEX-13X6H-2126-SM-7EWD5 50-59 years, female 8.1
GTEX-14PJM-0226-SM-62LF1 50-59 years, female 8.1
GTEX-1C4CL-0526-SM-73KVK 30-39 years, male 8.1
GTEX-XUYS-0126-SM-47JWZ 50-59 years, male 8.1
GTEX-ZVT3-0126-SM-5GU6I 60-69 years, female 8.1
GTEX-145MF-0626-SM-5LUAI 50-59 years, male 8.0
GTEX-1F75A-0126-SM-7RHGM 50-59 years, male 8.0
GTEX-1GN1U-0126-SM-7PBZK 50-59 years, female 8.0
GTEX-17EVP-0326-SM-7DHLG 40-49 years, male 7.9
GTEX-13OW5-0126-SM-DTXFS 60-69 years, male 7.9
GTEX-1JMQJ-0526-SM-CYPSU 50-59 years, male 7.9
GTEX-11UD1-0126-SM-5PNYG 40-49 years, female 7.8
GTEX-13X6J-0126-SM-5QGOU 50-59 years, male 7.8
GTEX-1E1VI-0126-SM-7DHMZ 50-59 years, male 7.8
GTEX-1HBPI-1526-SM-C1YQ1 50-59 years, male 7.8
GTEX-ZF3C-0126-SM-DO92D 50-59 years, female 7.8
GTEX-14LZ3-0226-SM-62LET 60-69 years, female 7.7
GTEX-1B8SG-0126-SM-73KZ3 50-59 years, male 7.7
GTEX-1MA7X-2226-SM-E6CIY 60-69 years, male 7.7
GTEX-11ZTS-0126-SM-5EQ6M 60-69 years, female 7.6
GTEX-146FQ-0126-SM-5NQA9 30-39 years, male 7.6
GTEX-TML8-1926-SM-32QOS 40-49 years, female 7.6
GTEX-U8XE-0326-SM-3DB8P 30-39 years, male 7.6
GTEX-1J8JJ-0226-SM-CL53I 60-69 years, female 7.6
GTEX-1KWVE-1426-SM-E9TJO 30-39 years, male 7.6
GTEX-12WSD-0126-SM-59HKN 60-69 years, female 7.5
GTEX-14ABY-0226-SM-5TDCQ 50-59 years, male 7.5
GTEX-14PK6-1926-SM-6ETZU 70-79 years, female 7.5
GTEX-T5JW-1626-SM-3GADZ 20-29 years, female 7.5
GTEX-WZTO-0126-SM-3NM95 40-49 years, male 7.5
GTEX-ZYFD-0126-SM-5GIDL 50-59 years, male 7.5
GTEX-1EN7A-0126-SM-7SB81 40-49 years, male 7.5
GTEX-1KANC-1526-SM-D3LAB 50-59 years, female 7.5
GTEX-1192W-2626-SM-5Q5AF 60-69 years, male 7.4
GTEX-1313W-0126-SM-5LZUN 50-59 years, female 7.4
GTEX-14E6D-0126-SM-62LDV 50-59 years, male 7.4
GTEX-U412-0426-SM-3DB9O 60-69 years, male 7.4
GTEX-WVJS-0126-SM-4MVOT 50-59 years, male 7.4
GTEX-ZAK1-0126-SM-5IJD3 50-59 years, female 7.4
GTEX-ZU9S-0226-SM-5E441 30-39 years, male 7.4
GTEX-ZVZP-2426-SM-59HKJ 50-59 years, male 7.4
GTEX-1EWIQ-0126-SM-7RHH2 70-79 years, female 7.4
GTEX-1F5PL-0326-SM-7P8PQ 40-49 years, female 7.4
GTEX-1GZHY-0326-SM-9QEHI 50-59 years, female 7.4
GTEX-13111-1626-SM-5EGJY 50-59 years, male 7.3
GTEX-1497J-2426-SM-7IGNX 60-69 years, male 7.3
GTEX-18D9A-1926-SM-7LG6P 30-39 years, female 7.3
GTEX-X4EP-0126-SM-3P5YV 60-69 years, female 7.3
GTEX-1K9T9-0126-SM-EVYCF 50-59 years, female 7.3
GTEX-1RQEC-0426-SM-E6CHU 60-69 years, male 7.3
GTEX-12ZZZ-0626-SM-5DUXI 60-69 years, male 7.2
GTEX-13VXU-0126-SM-5SI9F 50-59 years, male 7.2
GTEX-TMZS-0126-SM-3DB9Q 60-69 years, male 7.2
GTEX-OOBJ-0126-SM-E6CJW 60-69 years, male 7.2
GTEX-S33H-1026-SM-EZ6L6 30-39 years, male 7.2
GTEX-U8T8-0126-SM-3DB94 60-69 years, male 7.1
GTEX-X638-0126-SM-47JZ8 70-79 years, female 7.1
GTEX-1399R-2726-SM-5IJBA 30-39 years, male 7.0
GTEX-139TS-2826-SM-5J1OO 60-69 years, male 7.0
GTEX-13OVK-2026-SM-7KUEO 40-49 years, male 7.0
GTEX-WFON-2126-SM-3LK7O 40-49 years, male 7.0
GTEX-1RDX4-0126-SM-E9J4P 50-59 years, female 7.0
GTEX-11DXZ-2326-SM-5EGGV 50-59 years, male 6.9
GTEX-13OW6-0426-SM-5L3HM 50-59 years, male 6.9
GTEX-14753-0426-SM-5NQAM 60-69 years, male 6.9
GTEX-16GPK-0126-SM-7DHLE 60-69 years, male 6.9
GTEX-17KNJ-2326-SM-7DHLQ 50-59 years, male 6.9
GTEX-RWSA-0126-SM-2XCBB 40-49 years, male 6.9
GTEX-Y5V5-2326-SM-4V6GA 60-69 years, female 6.9
GTEX-1JJ6O-0126-SM-E6CI8 60-69 years, male 6.9
GTEX-11NUK-0126-SM-5A5L3 50-59 years, male 6.8
GTEX-13G51-2526-SM-5LZYK 60-69 years, male 6.8
GTEX-13OVH-0126-SM-5MR4B 70-79 years, male 6.8
GTEX-145LS-0126-SM-5QGP1 60-69 years, female 6.8
GTEX-R3RS-0126-SM-3GIJL 40-49 years, female 6.8
GTEX-T2YK-0526-SM-32QPJ 50-59 years, male 6.8
GTEX-XUZC-1726-SM-4BRWS 30-39 years, female 6.8
GTEX-YFC4-0126-SM-5CVLY 40-49 years, female 6.8
GTEX-1I1GV-0526-SM-A9G29 60-69 years, male 6.8
GTEX-1IDJH-0326-SM-A9SLQ 70-79 years, male 6.8
GTEX-13112-2826-SM-5DUWH 50-59 years, male 6.7
GTEX-1399T-2826-SM-5KLYZ 60-69 years, male 6.7
GTEX-145LU-0126-SM-5TDCB 50-59 years, male 6.7
GTEX-1BAJH-0526-SM-793CQ 70-79 years, male 6.7
GTEX-PX3G-0126-SM-2I3EN 20-29 years, female 6.7
GTEX-SIU8-0126-SM-2XCDT 50-59 years, male 6.7
GTEX-1EMGI-0126-SM-9KNUE 60-69 years, male 6.7
GTEX-1F7RK-0126-SM-7PC2S 20-29 years, female 6.7
GTEX-1HT8W-0126-SM-CNPPP 30-39 years, male 6.7
GTEX-SE5C-1626-SM-2XCE3 40-49 years, female 6.7
GTEX-Y111-0126-SM-4SOIV 50-59 years, male 6.6
GTEX-Z93T-0126-SM-5HL5N 50-59 years, male 6.6
GTEX-1HSKV-0226-SM-A9SKJ 60-69 years, male 6.6
GTEX-1I1GQ-0126-SM-COH3H 50-59 years, male 6.6
GTEX-1IL2U-0226-SM-CE6T8 60-69 years, male 6.6
GTEX-15DCD-0126-SM-7KUEK 70-79 years, female 6.5
GTEX-17HHY-0126-SM-7LG5D 50-59 years, male 6.5
GTEX-ZVTK-0426-SM-51MRS 20-29 years, male 6.5
GTEX-1R9K4-0126-SM-DTX9X 60-69 years, male 6.5
GTEX-18A6Q-0126-SM-731BZ 60-69 years, male 6.4
GTEX-P4PP-0126-SM-3LK69 30-39 years, female 6.4
GTEX-12WSC-0126-SM-5EQ4P 50-59 years, male 6.3
GTEX-1OJC3-0126-SM-E76QX 20-29 years, male 6.3
GTEX-1QAET-0926-SM-E76QM 50-59 years, male 6.3
GTEX-O5YT-0126-SM-48TBW 20-29 years, male 6.2
GTEX-X4XX-0126-SM-3NMC2 60-69 years, male 6.2
GTEX-1IL2V-0126-SM-CM2TX 70-79 years, male 6.2
GTEX-1JMLX-0226-SM-CM2RO 50-59 years, male 6.2
GTEX-12WSE-0526-SM-793B2 20-29 years, male 6.1
GTEX-131XH-2226-SM-5DUXJ 50-59 years, male 6.1
GTEX-144GL-0126-SM-5TDE2 50-59 years, male 6.1
GTEX-15ER7-0326-SM-7KUEV 20-29 years, female 6.1
GTEX-T2IS-0126-SM-4DM6O 20-29 years, female 6.1
GTEX-Y8E4-0626-SM-4WWDL 40-49 years, male 6.1
GTEX-ZYT6-0226-SM-5NQ6T 30-39 years, male 6.1
GTEX-1GN2E-0426-SM-9MQKX 60-69 years, male 6.1
GTEX-1H4P4-0726-SM-9YFLR 50-59 years, male 6.1
GTEX-111FC-0126-SM-5N9DL 60-69 years, male 6.0
GTEX-13FXS-0226-SM-5IJCK 50-59 years, male 6.0
GTEX-ZVZO-0126-SM-5A5L9 40-49 years, male 6.0
GTEX-1KD4Q-0226-SM-E9TJ9 40-49 years, male 6.0
GTEX-1QEPI-0126-SM-EWRMQ 60-69 years, female 6.0
GTEX-14A5H-0426-SM-5QGQF 60-69 years, male 5.9
GTEX-SSA3-0126-SM-32QPU 60-69 years, male 5.9
GTEX-UJHI-1526-SM-3DB99 50-59 years, female 5.9
GTEX-XQ3S-1526-SM-4BOOC 20-29 years, male 5.9
GTEX-ZYFC-0226-SM-5NQ75 50-59 years, male 5.9
GTEX-11EI6-0126-SM-5985R 60-69 years, male 5.8
GTEX-1S83E-0126-SM-EWRO4 40-49 years, male 5.8
GTEX-13113-5016-SM-7EPIP 60-69 years, female 5.7
GTEX-ZV68-0126-SM-59HKS 50-59 years, female 5.7
GTEX-1IOXB-0126-SM-ARL8G 50-59 years, male 5.7
GTEX-1QMI2-0226-SM-EVYBX 60-69 years, male 5.7
GTEX-13JUV-2726-SM-5LZZ8 40-49 years, female 5.6
GTEX-13NYB-2526-SM-5K7Z6 40-49 years, male 5.6
GTEX-T6MN-0126-SM-32PLP 50-59 years, male 5.6
GTEX-1122O-2126-SM-5EGIR 60-69 years, female 5.5
GTEX-13FHP-0126-SM-5IJBG 50-59 years, male 5.5
GTEX-14JG1-0426-SM-6ETZZ 40-49 years, male 5.5
GTEX-ZXES-1826-SM-5E43S 30-39 years, female 5.5
GTEX-131XF-5016-SM-7MGWE 60-69 years, male 5.5
GTEX-1H1CY-2826-SM-9MQM3 60-69 years, female 5.5
GTEX-1KANB-0526-SM-E6CJH 50-59 years, male 5.5
GTEX-1LB8K-0226-SM-EWRNW 50-59 years, male 5.5
GTEX-12126-0326-SM-5PNW3 20-29 years, male 5.4
GTEX-YJ89-0126-SM-4TT3X 60-69 years, male 5.4
GTEX-117XS-2726-SM-5N9BL 60-69 years, male 5.3
GTEX-ZF2S-2326-SM-4WWCE 50-59 years, female 5.3
GTEX-1JJEA-0326-SM-CNPOT 60-69 years, male 5.3
GTEX-11OF3-2626-SM-5GU7F 60-69 years, male 5.2
GTEX-1C6VR-2426-SM-79OLD 60-69 years, male 5.2
GTEX-1269C-2526-SM-5EGJ3 60-69 years, female 5.1
GTEX-139UW-2826-SM-5L3E7 60-69 years, male 5.1
GTEX-1GF9V-0326-SM-7RHI5 60-69 years, male 5.0
GTEX-1J8EW-0126-SM-CJI4F 60-69 years, female 5.0
GTEX-1212Z-2526-SM-5EGKP 60-69 years, male 4.9
GTEX-131XE-2326-SM-5PNZ2 50-59 years, male 4.9
GTEX-OIZH-0126-SM-2HMIS 50-59 years, male 4.9
GTEX-1PIIG-0226-SM-EWRN6 30-39 years, male 4.9
GTEX-S7SE-0126-SM-2XCD5 50-59 years, male 4.8
GTEX-1O97I-0326-SM-EYYX7 60-69 years, male 4.7
GTEX-W5X1-3026-SM-EAZAX 40-49 years, female 4.7
GTEX-12ZZY-0226-SM-5LZVE 60-69 years, male 4.6
GTEX-1R9PM-2026-SM-E76OY 20-29 years, male 4.5
GTEX-11DYG-0126-SM-59883 60-69 years, male 4.4
GTEX-15SB6-1726-SM-6PAME 50-59 years, female 4.2
GTEX-X88G-0126-SM-47JZ3 30-39 years, male 4.2
GTEX-Y8DK-0126-SM-4TT3L 60-69 years, male 4.2
GTEX-RVPV-0126-SM-EAZAW 60-69 years, male 4.2
GTEX-Y3IK-2426-SM-4WWDU 50-59 years, female 4.1
GTEX-OIZG-0726-SM-33HBL 50-59 years, male 3.9
GTEX-1MJK2-0426-SM-DTXE5 50-59 years, male 3.8
GTEX-POMQ-2226-SM-2I5FK 20-29 years, female 3.6
GTEX-1C64N-0126-SM-793D7 50-59 years, male 3.4
GTEX-1B8SF-1426-SM-7DUGL 60-69 years, male 2.9
GTEX-17JCI-0126-SM-7LG5G 60-69 years, female 2.6
Show allShow less

Contact

  • NEWS ARTICLES
  • PRESS ROOM

The Project

  • INTRODUCTION
  • ORGANIZATION
  • PUBLICATIONS

The Human Protein Atlas

  • DOWNLOADABLE DATA
  • LICENCE & CITATION
  • HELP & FAQ
The Human Protein Atlas project is funded
by the Knut & Alice Wallenberg Foundation.


contact@proteinatlas.org