We use cookies to enhance the usability of our website. If you continue, we'll assume that you are happy to receive all cookies. More information. Don't show this again.
CXCL14
HPA
RESOURCES
  • TISSUE
  • BRAIN
  • SINGLE CELL
  • SUBCELLULAR
  • CANCER
  • BLOOD
  • CELL LINE
  • STRUCTURE & INTERACTION
ABOUT
  • INTRODUCTION
  • HISTORY
  • ORGANIZATION
  • PUBLICATIONS
  • ANTIBODY SUBMISSION
  • ANTIBODY AVAILABILITY
  • ACKNOWLEDGMENTS
  • CONTACT
NEWS
  • NEWS ARTICLES
  • PRESS ROOM
LEARN
  • DICTIONARY
  • PROTEIN CLASSES
  • PROTEIN EVIDENCE
  • METHODS
  • EDUCATIONAL VIDEOS
DATA
  • DOWNLOADABLE DATA
  • PUBLICATION DATA
  • RELEASE HISTORY
HELP
  • ANTIBODY VALIDATION
  • ASSAYS & ANNOTATION
  • DISCLAIMER
  • HELP & FAQ
  • PRIVACY STATEMENT
  • LICENCE & CITATION
Fields »
Search result

Field
Term
Gene name
Class
Subclass
Class
Keyword
Chromosome
External id
Tissue
Cell type
Expression
Antibody panel
Tissue
Main location
Patient ID
Annotation
Tissue
Category
Tau score
Cluster
Reliability
Brain region
Category
Tau score
Brain region
Category
Tau score
Brain region
Category
Tau score
Cluster
Reliability
Tissue
Cell type
Enrichment
Cell type
Category
Tau score
Cell type
Category
Tau score
Cell type
Category
Tau score
Cell lineage
Category
Tau score
Cluster
Cluster
Location
Searches
Location
Cell line
Class
Type
Phase
Reliability
Cancer
Prognosis
Cancer
Category
Cancer
Category
Tau score
Cluster
Variants
Interacting gene (ensg_id)
Type
Number of interactions
Pathway
Category
Score
Score
Score
Validation
Validation
Validation
Validation
Antibodies
Data type
Column


  • SUMMARY

  • TISSUE

  • BRAIN

  • SINGLE CELL

  • SUBCELL

  • CANCER

  • BLOOD

  • CELL LINE

  • STRUCT & INT

  • CXCL14
TISSUE PRIMARY DATA BREAST Show tissue menu
ADIPOSE TISSUE ADRENAL GLAND AMYGDALA APPENDIX BASAL GANGLIA BONE MARROW BREAST BRONCHUS CEREBELLUM CEREBRAL CORTEX CERVIX CHOROID PLEXUS COLON DUODENUM
ENDOMETRIUM EPIDIDYMIS ESOPHAGUS FALLOPIAN TUBE GALLBLADDER HEART MUSCLE HIPPOCAMPAL FORMATION HYPOTHALAMUS KIDNEY LIVER LUNG LYMPH NODE MIDBRAIN NASOPHARYNX
ORAL MUCOSA OVARY PANCREAS PARATHYROID GLAND PITUITARY GLAND PLACENTA PROSTATE RECTUM RETINA SALIVARY GLAND SEMINAL VESICLE SKELETAL MUSCLE SKIN SMALL INTESTINE
SMOOTH MUSCLE SOFT TISSUE SPINAL CORD SPLEEN STOMACH TESTIS THYMUS THYROID GLAND TONGUE TONSIL URINARY BLADDER VAGINA
ANTIBODIES
AND
VALIDATION
Dictionary
Breast
Tissue proteome
Breast
BREAST - Expression summary
Protein expression
Breasti

On the top, protein expression in current human tissue, based on all annotated cell types, is reported with the units not detected (n), low (l), medium (m) and high (h). Underneath, protein expression in each annotated cell type are reported using the same units.

Protein expression data is based on knowledge-based annotation. For genes where more than one antibody has been used, a collective score is set.

If knowledge-based annotation could not be performed for a gene, no data is displayed here. View antibody staining data further down this page.

h
m
l
n
Adipocytes: Not detected
Glandular cells: Low
Myoepithelial cells: Low
RNA expressioni

A summary of mRNA expression data available for current tissue based on several datasets. The mRNA expression levels in human tissues are based on RNA-seq data generated by the Human Protein Atlas (HPA), Genotype-Tissue Expression (GTEx) portal and CAGE data generated by the FANTOM5 consortium. Consensus normalized expression levels for human tissues was created by combining the data from HPA and GTEx datasets.

The mRNA expression levels in pig are based on RNA-seq data generated by the Human Protein Atlas (HPA), and for mouse, HPA data and in situ hybridization generated by the Allen brain atlas are reported.

Scroll down to view mRNA expression data in more detail.
Consensus:221.4 nTPM
HPA:221.4 nTPM
GTEx:216.4 nTPM
FANTOM5:42.2 Scaled Tags Per Million

BREAST - Antibody stainingi

Antibody staining in the annotated cell types in the current human tissue is reported as not detected, low, medium, or high, based on conventional immunohistochemistry profiling in selected tissues. This score is based on the combination of the staining intensity and fraction of stained cells.

Each image is clickable and will lead to virtual microscopy that enables deeper exploration of all samples and also displays staining intensity scores, fraction scores and subcellular localization as well as patient and tissue information for each sample.

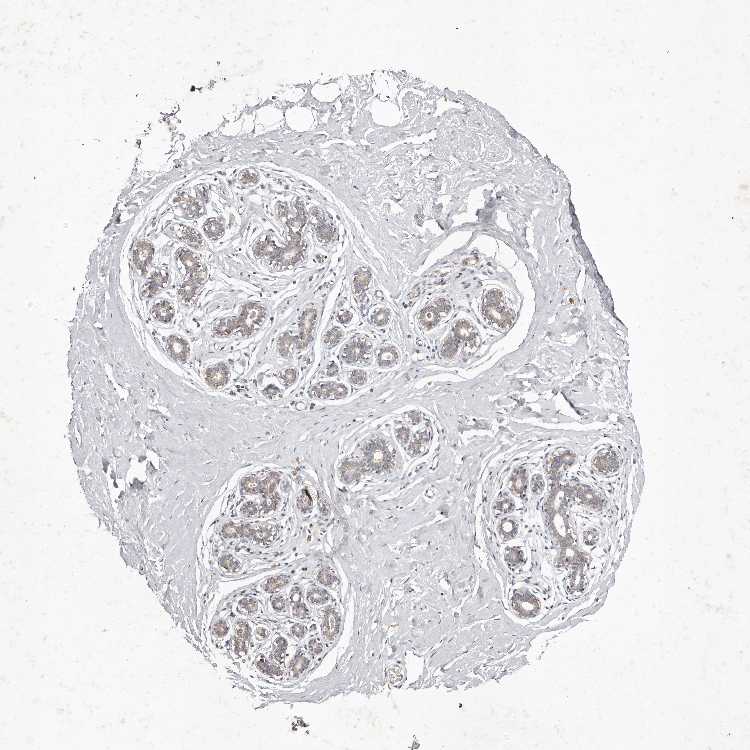
Antibody CAB029996
Adipocytes Not detected
Glandular cells Low
Myoepithelial cells Low



BREAST - HPA RNA-seqi

The RNA-seq details section shows detailed information about the individual samples used for the transcript profiling and results of the RNA-seq analysis.

Information about each individual sample is listed below, including gender, age, a tissue section image and estimated fractions of cell types. nTPM (normalized transcripts per million) values give a quantification of the gene abundance which is comparable between different genes and samples.
Average nTPMi

Max subtype nTPM is the value for the subtype with the largest average nTPM across the subtype samples.

221.4
overview
Female, age 52
Breast sample 373
nTPM: 248.7
Cell types%
Glandular cells:
15

Adipocytes:
5

Other cell types:
80

overview
Female, age 80
Breast sample 390
nTPM: 441.1
Cell types%
Glandular cells:
5

Adipocytes:
15

Other cell types:
80

overview
Female, age 47
Breast sample 405
nTPM: 92.5
Cell types%
Glandular cells:
5

Adipocytes:
5

Other cell types:
90

overview
Female, age 38
Breast sample 410
nTPM: 103.3
Cell types%
Glandular cells:
40

Adipocytes:
5

Other cell types:
55


BREAST - GTEx RNA-seqi

RNA-Seq data generated by the Genotype-Tissue Expression (GTEx) project from human tissues is reported as mean nTPM. More information can be found on the GTEx portal.

Distribution across the dataset is visualized with box plots, shown as median and 25th and 75th percentiles. Points are displayed as outliers if they are above or below 1.5 times the interquartile range. nTPM values of the individual samples are presented next to the box plot.
Max subtype nTPMi

Max subtype nTPM is the value for the subtype with the largest average nTPM across the subtype samples.

216.4
GTEx sample id Sample description nTPM
Breast - Mammary Tissue
Average nTPM: 216.4
Samples: 459

Max nTPM: 1104.6
Min nTPM: 9.4
Std nTPM: 190.0
Median nTPM: 155.9
GTEX-13N1W-0626-SM-5MR4U 70-79 years, male 1104.6
GTEX-1KD5A-1926-SM-DKPQA 50-59 years, male 947.7
GTEX-1HT8W-2226-SM-CGQEC 30-39 years, male 889.5
GTEX-1QMI2-0726-SM-E9J4F 60-69 years, male 830.5
GTEX-1M4P7-2626-SM-E9U5F 60-69 years, male 827.8
GTEX-1QEPI-0926-SM-DTXF3 60-69 years, female 826.0
GTEX-132NY-0826-SM-5K7Y7 60-69 years, male 815.9
GTEX-139TU-0626-SM-5KM3X 60-69 years, male 812.4
GTEX-1AX9I-0726-SM-73KWV 60-69 years, male 807.3
GTEX-X62O-0526-SM-EWRMA 50-59 years, male 791.6
GTEX-11ZUS-0826-SM-5FQUY 30-39 years, male 782.2
GTEX-1JKYR-0926-SM-CMKGJ 20-29 years, male 777.9
GTEX-ZA64-1526-SM-5CVMD 20-29 years, male 748.3
GTEX-1LSVX-2426-SM-E6CJX 60-69 years, male 747.0
GTEX-S7SE-0826-SM-4AT4D 50-59 years, male 739.3
GTEX-1I19N-2826-SM-CL55D 70-79 years, male 738.1
GTEX-11OF3-1926-SM-59889 60-69 years, male 733.1
GTEX-18465-2026-SM-718AP 50-59 years, male 732.5
GTEX-14BMV-0626-SM-793AU 50-59 years, male 716.7
GTEX-1EN7A-1426-SM-7PBY4 40-49 years, male 695.6
GTEX-11DXY-2326-SM-5GICW 60-69 years, male 665.6
GTEX-16YQH-2826-SM-6PAMY 30-39 years, male 644.9
GTEX-144GL-2026-SM-5LU3O 50-59 years, male 640.6
GTEX-11EI6-0626-SM-5985T 60-69 years, male 633.2
GTEX-1GN2E-2226-SM-9WG6J 60-69 years, male 609.4
GTEX-1F75A-1826-SM-7SB8G 50-59 years, male 591.9
GTEX-1I6K7-1026-SM-A9SLK 40-49 years, male 577.3
GTEX-13PVQ-1026-SM-5KM3M 50-59 years, male 574.1
GTEX-1JMLX-2026-SM-CMKGN 50-59 years, male 566.9
GTEX-1HR98-0426-SM-COH36 60-69 years, male 564.7
GTEX-XMK1-1126-SM-4IHJ8 40-49 years, male 561.3
GTEX-17MF6-0326-SM-7EPH5 40-49 years, male 560.9
GTEX-1I1GP-0426-SM-COH3N 50-59 years, male 558.6
GTEX-12KS4-0126-SM-5Q5A5 30-39 years, male 550.0
GTEX-14753-2426-SM-5LU8U 60-69 years, male 545.6
GTEX-TKQ2-1826-SM-33HB2 50-59 years, male 537.0
GTEX-ZUA1-1526-SM-59HLS 40-49 years, male 525.0
GTEX-11NV4-2026-SM-5N9DG 60-69 years, male 524.6
GTEX-1PPGY-1526-SM-EVYBK 60-69 years, male 521.1
GTEX-17MFQ-0926-SM-7LG4S 20-29 years, male 516.9
GTEX-1IDFM-0426-SM-B2LVV 60-69 years, male 508.8
GTEX-1I6K6-0826-SM-ARL7Z 30-39 years, male 506.0
GTEX-Y3I4-1526-SM-4TT7K 50-59 years, male 504.5
GTEX-1H1CY-2226-SM-9WG7E 60-69 years, female 502.7
GTEX-ZYT6-0126-SM-5E45J 30-39 years, male 501.2
GTEX-13O3Q-2226-SM-5KM4O 50-59 years, male 498.1
GTEX-13O61-1826-SM-5KM4I 60-69 years, male 496.7
GTEX-1H4P4-2226-SM-9MQKQ 50-59 years, male 489.2
GTEX-1NV8Z-2826-SM-E8VME 60-69 years, male 487.4
GTEX-17EVQ-0426-SM-7LG57 70-79 years, male 478.5
GTEX-1C6WA-2426-SM-7SB86 60-69 years, male 471.9
GTEX-12WSM-1726-SM-5BC6J 60-69 years, male 470.4
GTEX-1JN6P-2426-SM-ARL99 60-69 years, male 469.9
GTEX-1GF9V-2526-SM-7SB8K 60-69 years, male 469.5
GTEX-18A66-1726-SM-7LG5N 60-69 years, male 467.0
GTEX-11WQC-1726-SM-5GU4W 60-69 years, male 460.3
GTEX-18A6Q-0926-SM-7LG4N 60-69 years, male 455.6
GTEX-145MN-1926-SM-5SIAI 30-39 years, male 447.5
GTEX-X4XY-0926-SM-4E3JD 60-69 years, male 431.8
GTEX-11GS4-2126-SM-5A5KR 60-69 years, male 430.0
GTEX-14E7W-0826-SM-62LEJ 70-79 years, male 423.8
GTEX-S33H-0326-SM-4AD6N 30-39 years, male 413.4
GTEX-17HHE-1426-SM-7EPH4 50-59 years, male 401.5
GTEX-1269C-2426-SM-5FQSN 60-69 years, female 400.7
GTEX-ZQUD-1926-SM-51MSA 30-39 years, male 398.6
GTEX-1HCU7-1026-SM-ADEIP 50-59 years, male 395.2
GTEX-1QW4Y-1026-SM-DTXE2 30-39 years, male 387.1
GTEX-1IDJH-2226-SM-E6CJV 70-79 years, male 386.4
GTEX-1LSNL-2826-SM-E9U5L 50-59 years, male 386.0
GTEX-11DXZ-1926-SM-5GZZL 50-59 years, male 383.9
GTEX-18QFQ-0826-SM-718AX 30-39 years, male 381.1
GTEX-1GZHY-0726-SM-9WG6B 50-59 years, female 380.8
GTEX-1IKJJ-2326-SM-COH3U 60-69 years, male 374.0
GTEX-1MA7X-1626-SM-E9U5B 60-69 years, male 373.9
GTEX-17F9E-2526-SM-7MGW2 50-59 years, male 369.6
GTEX-13W46-0826-SM-5LU3H 50-59 years, male 369.1
GTEX-ZYFC-0826-SM-5E44K 50-59 years, male 369.0
GTEX-1AX9J-1126-SM-731B7 60-69 years, male 368.4
GTEX-WRHU-0326-SM-3MJFY 50-59 years, female 367.8
GTEX-YECK-0726-SM-EZ6LV 60-69 years, male 364.4
GTEX-1GPI6-0626-SM-7RHHJ 60-69 years, male 363.3
GTEX-1NHNU-0926-SM-E9J2T 50-59 years, male 358.7
GTEX-1HCUA-0726-SM-ACKVU 50-59 years, female 356.1
GTEX-17EVP-0226-SM-79OND 40-49 years, male 352.3
GTEX-1HUB1-1626-SM-CM2SL 60-69 years, male 350.3
GTEX-11O72-2126-SM-5N9FO 40-49 years, male 346.8
GTEX-15FZZ-0726-SM-7KUFZ 30-39 years, female 346.6
GTEX-13CF2-2026-SM-5K7VI 60-69 years, male 342.2
GTEX-1N2EE-2126-SM-E8VNN 60-69 years, male 340.3
GTEX-1MJK2-2226-SM-EVYCR 50-59 years, male 338.9
GTEX-1IOXB-1926-SM-ARL8E 50-59 years, male 338.1
GTEX-17HHY-0926-SM-793C1 50-59 years, male 334.8
GTEX-ZDXO-0126-SM-5S2ND 60-69 years, male 334.0
GTEX-WFON-1826-SM-3GILG 40-49 years, male 333.3
GTEX-1EKGG-2626-SM-7IGPY 60-69 years, male 332.4
GTEX-1E2YA-2726-SM-7IGPW 50-59 years, male 324.4
GTEX-131YS-0626-SM-5EGKL 60-69 years, female 324.3
GTEX-1JJEA-2726-SM-ARL8V 60-69 years, male 322.9
GTEX-145MF-2226-SM-7EPIR 50-59 years, male 321.6
GTEX-ZDYS-1126-SM-5K7UB 50-59 years, male 319.8
GTEX-1QP9N-1826-SM-E8VMP 30-39 years, male 319.6
GTEX-13PVR-2226-SM-7DHKP 60-69 years, female 317.9
GTEX-13NZ9-1026-SM-5MR5K 50-59 years, male 317.5
GTEX-T6MN-0726-SM-32PML 50-59 years, male 309.3
GTEX-1PPH7-0826-SM-E8VNX 40-49 years, male 308.7
GTEX-Y111-2026-SM-4SOJA 50-59 years, male 301.2
GTEX-1ICLY-1726-SM-B2LVT 50-59 years, male 297.2
GTEX-1I1GV-2426-SM-CGQFM 60-69 years, male 295.0
GTEX-117XS-1926-SM-5GICO 60-69 years, male 292.7
GTEX-1B933-2526-SM-7IGO5 50-59 years, female 292.0
GTEX-1H11D-1526-SM-9MQJY 40-49 years, male 290.2
GTEX-ZVTK-0326-SM-51MRR 20-29 years, male 289.9
GTEX-1CB4G-2326-SM-79OOI 60-69 years, male 289.2
GTEX-1GN1U-0526-SM-9KNTT 50-59 years, female 285.9
GTEX-QMRM-1626-SM-D4P1U 50-59 years, male 283.9
GTEX-1B97I-0426-SM-79OL7 40-49 years, male 278.0
GTEX-1IY9M-2726-SM-CMKG5 60-69 years, male 276.3
GTEX-1CAMR-1426-SM-793BO 20-29 years, male 274.5
GTEX-17KNJ-2026-SM-7LG53 50-59 years, male 273.2
GTEX-1HSKV-2026-SM-CMKGX 60-69 years, male 273.1
GTEX-UPK5-2326-SM-3P5Z8 40-49 years, male 272.0
GTEX-14AS3-1626-SM-5S2OY 40-49 years, female 266.0
GTEX-1KAFJ-0226-SM-DIPEL 50-59 years, male 265.9
GTEX-18A7A-0726-SM-7LTAI 50-59 years, female 264.7
GTEX-1RQEC-2026-SM-DTXDM 60-69 years, male 264.0
GTEX-Y8E4-1626-SM-5S2MW 40-49 years, male 263.8
GTEX-13S86-1226-SM-5S2OA 40-49 years, male 263.4
GTEX-YJ8O-2226-SM-5IFHW 40-49 years, female 261.6
GTEX-14ABY-2126-SM-5QGQZ 50-59 years, male 260.1
GTEX-1B8SG-1226-SM-7IGPF 50-59 years, male 259.0
GTEX-1J8EW-2626-SM-CL53E 60-69 years, female 257.0
GTEX-Y5V5-2126-SM-4WWFO 60-69 years, female 256.7
GTEX-1IGQW-0926-SM-ADEH6 60-69 years, male 254.0
GTEX-ZZPU-0626-SM-5E43T 50-59 years, female 252.3
GTEX-1313W-0826-SM-5EQ4T 50-59 years, female 251.8
GTEX-1PDJ9-1126-SM-EXUSW 20-29 years, male 251.6
GTEX-12ZZX-1126-SM-5EGKB 40-49 years, female 250.9
GTEX-Y5V6-2126-SM-4WWFX 60-69 years, male 249.2
GTEX-XMD2-0926-SM-4WWEF 60-69 years, female 248.8
GTEX-1GPI7-0926-SM-7PC3J 20-29 years, male 248.5
GTEX-VJWN-0726-SM-3GIJ8 50-59 years, female 247.6
GTEX-1KD4Q-2326-SM-D4P3M 40-49 years, male 247.0
GTEX-ZLV1-1426-SM-DO92Z 60-69 years, female 246.3
GTEX-11NSD-0926-SM-5N9DR 20-29 years, male 243.7
GTEX-1JJE9-2326-SM-ARL8Q 70-79 years, male 243.0
GTEX-1B8L1-2426-SM-9WYTE 60-69 years, male 242.7
GTEX-R3RS-0626-SM-48FE1 40-49 years, female 242.3
GTEX-ZYW4-0826-SM-5GIDG 60-69 years, male 240.2
GTEX-1N5O9-1126-SM-DTXEQ 60-69 years, male 239.1
GTEX-11DXW-0626-SM-5N9ER 40-49 years, male 238.1
GTEX-131XW-0726-SM-5EGK3 50-59 years, female 238.0
GTEX-17HGU-1326-SM-79OKB 50-59 years, male 237.6
GTEX-1KXAM-1026-SM-CY8IA 60-69 years, male 235.7
GTEX-YEC3-1026-SM-5IFI5 50-59 years, male 235.4
GTEX-1R9PM-1826-SM-EVYBH 20-29 years, male 234.4
GTEX-12BJ1-1826-SM-5HL9N 60-69 years, male 232.5
GTEX-1AMEY-1026-SM-718AA 30-39 years, female 232.5
GTEX-17JCI-0726-SM-7EPH1 60-69 years, female 229.8
GTEX-ZF3C-2326-SM-5S2NC 50-59 years, female 229.0
GTEX-1BAJH-0826-SM-7EWEF 70-79 years, male 228.7
GTEX-11P7K-0726-SM-5EGKX 30-39 years, male 228.6
GTEX-ZY6K-1626-SM-5GZWV 50-59 years, male 227.4
GTEX-WYJK-1326-SM-3NB2T 50-59 years, male 223.2
GTEX-1A8G7-2426-SM-731AK 60-69 years, male 223.1
GTEX-1JKYN-0726-SM-ARZMY 30-39 years, male 220.1
GTEX-1QP29-1726-SM-E8VMQ 50-59 years, male 220.0
GTEX-1A3MV-1626-SM-731C1 30-39 years, male 219.9
GTEX-ZGAY-1726-SM-DO91P 40-49 years, female 219.6
GTEX-1N2EF-2226-SM-E9J33 60-69 years, male 218.7
GTEX-1GZ4I-2826-SM-9MQK5 50-59 years, male 217.5
GTEX-XYKS-1326-SM-4BRUN 60-69 years, female 215.7
GTEX-XQ3S-1326-SM-4BOPQ 20-29 years, male 215.1
GTEX-ZDTT-2126-SM-DKPOM 60-69 years, male 213.7
GTEX-ZAJG-0626-SM-5HL8X 50-59 years, female 213.2
GTEX-1F6I4-2526-SM-7SB8F 60-69 years, male 212.0
GTEX-11TUW-1826-SM-5BC5D 60-69 years, male 211.1
GTEX-13QJ3-0826-SM-7DHKK 50-59 years, male 210.0
GTEX-11PRG-0826-SM-5EQ6A 50-59 years, male 204.9
GTEX-1IDJE-0826-SM-CKZNZ 50-59 years, female 198.8
GTEX-1HBPN-2326-SM-9WPPU 50-59 years, male 195.1
GTEX-U8XE-0826-SM-4E3J1 30-39 years, male 194.3
GTEX-YFCO-1826-SM-4W1YH 40-49 years, male 194.3
GTEX-1S82U-1126-SM-E9U6I 30-39 years, female 194.2
GTEX-1GMRU-0826-SM-9WYT7 50-59 years, male 193.1
GTEX-14B4R-1226-SM-5TDDT 30-39 years, male 191.8
GTEX-13NZB-2126-SM-5MR4Y 30-39 years, male 191.6
GTEX-11GSO-1926-SM-5A5K3 60-69 years, male 189.9
GTEX-1LBAC-0926-SM-CXKY9 20-29 years, male 189.0
GTEX-VUSG-2226-SM-4KKZO 50-59 years, male 188.7
GTEX-WYBS-0926-SM-3NM94 60-69 years, female 188.0
GTEX-18A7B-2626-SM-7LG55 70-79 years, male 187.7
GTEX-ZEX8-2226-SM-57WC6 50-59 years, male 185.9
GTEX-Y3IK-2326-SM-4WWDT 50-59 years, female 185.8
GTEX-1B8KZ-1526-SM-7DUG7 50-59 years, male 184.7
GTEX-QVJO-1826-SM-447C9 60-69 years, female 184.2
GTEX-ZTTD-1026-SM-51MRD 50-59 years, male 184.1
GTEX-WY7C-2726-SM-3NB3P 50-59 years, male 183.4
GTEX-1KANA-2026-SM-DIPFB 20-29 years, male 181.9
GTEX-U412-1826-SM-4DXTJ 60-69 years, male 181.6
GTEX-1QCLY-1626-SM-DTXDW 30-39 years, male 179.1
GTEX-V955-2026-SM-3GAFA 60-69 years, male 178.8
GTEX-13VXU-2826-SM-664MA 50-59 years, male 177.7
GTEX-11LCK-2426-SM-5HL5F 30-39 years, male 175.9
GTEX-13FTW-1426-SM-5LZWZ 40-49 years, male 175.8
GTEX-XOT4-0726-SM-4GIAW 60-69 years, female 171.0
GTEX-11TT1-2126-SM-5GU5Y 20-29 years, male 170.7
GTEX-13O3O-0826-SM-5K7WE 60-69 years, female 169.1
GTEX-1RAZS-1226-SM-E8VMT 50-59 years, male 168.1
GTEX-QDT8-0626-SM-48TYW 30-39 years, female 165.1
GTEX-117YX-1426-SM-5H12H 50-59 years, male 162.8
GTEX-1MA7W-1026-SM-DKPQK 20-29 years, female 161.8
GTEX-13OW8-0226-SM-5K7UP 60-69 years, male 161.7
GTEX-13FTY-2226-SM-5J1ND 40-49 years, female 161.4
GTEX-15SHW-1326-SM-6PAL8 60-69 years, male 161.1
GTEX-183FY-1126-SM-7DHLJ 20-29 years, male 160.7
GTEX-17F96-2426-SM-7IGLN 70-79 years, male 160.2
GTEX-13QIC-2326-SM-5LU5N 60-69 years, female 159.9
GTEX-1MCYP-0126-SM-E6CIS 20-29 years, female 159.9
GTEX-Q2AG-0326-SM-48U1O 40-49 years, female 159.7
GTEX-Y9LG-1426-SM-5IFJZ 30-39 years, male 159.5
GTEX-11ONC-2126-SM-5HL6E 60-69 years, male 159.4
GTEX-1C64O-0726-SM-7DUFU 60-69 years, male 158.6
GTEX-11P82-1326-SM-5HL62 20-29 years, male 158.3
GTEX-17GQL-0326-SM-7LG5U 60-69 years, male 158.1
GTEX-ZTPG-2826-SM-57WGA 20-29 years, female 158.0
GTEX-1POEN-0926-SM-DTX88 30-39 years, female 157.5
GTEX-14DAR-1326-SM-7DUEG 50-59 years, male 157.2
GTEX-1IKOH-2326-SM-CM2TW 60-69 years, female 157.0
GTEX-12WSK-2226-SM-5GCO5 40-49 years, female 156.6
GTEX-11ZTT-2326-SM-5EQLG 60-69 years, female 155.9
GTEX-1HCU9-0326-SM-9WYSC 20-29 years, male 155.2
GTEX-14ICK-2426-SM-6EU27 40-49 years, male 155.0
GTEX-145MO-0826-SM-5NQBL 60-69 years, male 154.9
GTEX-1HSGN-1526-SM-A9SMO 40-49 years, female 153.4
GTEX-1AX8Z-0926-SM-731AW 60-69 years, male 152.7
GTEX-1F5PK-2126-SM-7PC28 50-59 years, male 152.6
GTEX-1GMR3-2626-SM-7RHHG 40-49 years, male 152.4
GTEX-13PL6-2926-SM-5L3I2 40-49 years, female 151.9
GTEX-1J8QM-2026-SM-ARZMW 60-69 years, female 151.4
GTEX-17HG3-0126-SM-7IGNH 30-39 years, female 150.7
GTEX-1I1GT-1126-SM-ARL7J 60-69 years, female 149.6
GTEX-ZVZQ-0826-SM-51MRF 60-69 years, female 147.3
GTEX-1CB4E-0226-SM-79OLW 60-69 years, male 146.2
GTEX-14PJ4-2126-SM-6ETZJ 60-69 years, male 144.5
GTEX-W5X1-2326-SM-3GIL6 40-49 years, female 144.3
GTEX-1HSEH-2026-SM-ADEHN 60-69 years, male 141.5
GTEX-11P81-1926-SM-5BC53 30-39 years, female 141.3
GTEX-13D11-1026-SM-5IJFB 50-59 years, female 140.2
GTEX-14PHY-1926-SM-5YY95 60-69 years, female 140.2
GTEX-15UF7-0726-SM-6M46D 40-49 years, male 140.2
GTEX-U3ZN-1926-SM-4DXSG 30-39 years, female 139.6
GTEX-147F4-2826-SM-5NQBN 50-59 years, male 138.8
GTEX-1IE54-0626-SM-ARL8D 40-49 years, female 138.6
GTEX-1GMR2-1926-SM-9MQLZ 50-59 years, male 137.0
GTEX-145LT-0726-SM-5S2VM 40-49 years, male 136.8
GTEX-X15G-1626-SM-3NMB3 50-59 years, female 136.8
GTEX-XGQ4-0926-SM-4AT4U 50-59 years, male 136.2
GTEX-XBED-1626-SM-47JYN 60-69 years, male 136.0
GTEX-1K2DA-1726-SM-CGQGS 50-59 years, male 135.9
GTEX-1C6VS-0726-SM-7EPHF 60-69 years, male 135.2
GTEX-1QCLZ-2326-SM-DTXDO 60-69 years, female 134.8
GTEX-ZAK1-1326-SM-EVYAS 50-59 years, female 133.6
GTEX-ZU9S-1926-SM-5NQBP 30-39 years, male 133.4
GTEX-15ER7-1626-SM-6PAMZ 20-29 years, female 131.6
GTEX-15UF6-0126-SM-6PAMB 70-79 years, female 130.2
GTEX-13W3W-1226-SM-5LU4H 60-69 years, female 129.9
GTEX-1I1HK-2426-SM-ADEHX 60-69 years, male 128.4
GTEX-1JMPY-0526-SM-CL54O 30-39 years, male 127.3
GTEX-XUW1-2326-SM-4BOO5 50-59 years, female 127.2
GTEX-XQ8I-2426-SM-4WAXY 50-59 years, male 127.0
GTEX-1LSNM-1326-SM-E9TJ1 50-59 years, male 124.8
GTEX-R55D-0826-SM-48FEA 50-59 years, male 124.1
GTEX-YB5E-1726-SM-5IFJ3 40-49 years, male 123.6
GTEX-ZLFU-2126-SM-DO931 40-49 years, male 123.3
GTEX-WXYG-2226-SM-4E3IM 50-59 years, female 123.0
GTEX-17F97-2526-SM-7EWDV 50-59 years, male 119.3
GTEX-13SLX-2326-SM-5ZZWE 50-59 years, female 118.9
GTEX-13SLW-2526-SM-62LDQ 70-79 years, male 118.5
GTEX-16NGA-0826-SM-718AF 40-49 years, female 118.1
GTEX-1OKEX-0826-SM-E9J2B 60-69 years, male 118.0
GTEX-14A5I-0726-SM-5TDEB 50-59 years, female 117.9
GTEX-1B932-0826-SM-73KXG 40-49 years, female 117.9
GTEX-1LG7Z-0726-SM-CXKYD 30-39 years, male 116.5
GTEX-1EU9M-2826-SM-7EWFH 60-69 years, male 115.8
GTEX-1HCVE-2626-SM-ADEJ8 50-59 years, male 115.7
GTEX-ZVT2-1826-SM-5NQ8W 50-59 years, female 114.4
GTEX-WYVS-1726-SM-3NMAY 40-49 years, female 114.3
GTEX-13NZ8-0126-SM-5IJCT 60-69 years, female 111.9
GTEX-15G19-2126-SM-6M48J 60-69 years, male 111.7
GTEX-1R46S-2526-SM-E8VN2 60-69 years, female 111.6
GTEX-1R9PN-0326-SM-DTX85 40-49 years, female 111.5
GTEX-ZT9W-2026-SM-51MRA 50-59 years, male 110.6
GTEX-RU72-0626-SM-46MUI 50-59 years, female 110.5
GTEX-RWS6-1926-SM-47JXY 60-69 years, female 109.1
GTEX-WHSB-1926-SM-EXOHH 50-59 years, male 109.0
GTEX-T2IS-1526-SM-32QPR 20-29 years, female 108.9
GTEX-ZV7C-1826-SM-5NQ83 50-59 years, male 108.5
GTEX-17F98-0526-SM-79OK5 40-49 years, female 108.3
GTEX-1IDJF-2326-SM-ARL86 20-29 years, male 107.9
GTEX-ZC5H-2626-SM-5J2MG 40-49 years, female 107.0
GTEX-TML8-1226-SM-32QON 40-49 years, female 105.8
GTEX-1LVAM-0926-SM-E9TJ2 50-59 years, female 105.7
GTEX-PSDG-1626-SM-48TCQ 50-59 years, male 104.8
GTEX-1MCC2-2126-SM-EWRON 30-39 years, female 104.5
GTEX-UTHO-1026-SM-3GAF7 60-69 years, male 103.1
GTEX-Z9EW-1526-SM-EZ6LU 40-49 years, male 103.0
GTEX-1JMQK-2626-SM-COH2W 60-69 years, male 102.1
GTEX-1RAZQ-1226-SM-EWRNL 30-39 years, male 101.7
GTEX-1EWIQ-1726-SM-7SB7T 70-79 years, female 101.4
GTEX-1314G-1226-SM-5BC6D 30-39 years, male 101.1
GTEX-1NUQO-2226-SM-E9U68 20-29 years, female 100.8
GTEX-1B97J-0426-SM-79OLQ 50-59 years, female 100.3
GTEX-14E6E-1326-SM-5S2NR 30-39 years, male 99.7
GTEX-16BQI-1026-SM-7KUEA 30-39 years, female 98.6
GTEX-1HC8U-0826-SM-ADEIL 40-49 years, female 98.6
GTEX-14LLW-0626-SM-62LFC 70-79 years, female 98.5
GTEX-S4Q7-1126-SM-4AD6R 20-29 years, male 98.5
GTEX-1LNCM-0226-SM-DIPF4 50-59 years, female 98.5
GTEX-14PN4-0626-SM-62LFP 50-59 years, male 98.2
GTEX-14H4A-2526-SM-5YYAY 40-49 years, female 98.0
GTEX-ZPIC-1126-SM-5BC7F 40-49 years, female 96.9
GTEX-1H3VY-0926-SM-ACKXE 50-59 years, male 96.5
GTEX-ZF29-1926-SM-5S2P1 60-69 years, female 96.4
GTEX-ZF2S-2026-SM-5E461 50-59 years, female 96.3
GTEX-169BO-1126-SM-7MGWN 50-59 years, male 96.2
GTEX-1L5NE-2126-SM-CY8IH 50-59 years, male 95.9
GTEX-1HCU8-0126-SM-ADEHH 60-69 years, female 95.5
GTEX-139T6-1626-SM-5PNYZ 50-59 years, male 95.4
GTEX-146FH-0826-SM-5SI8T 50-59 years, female 95.3
GTEX-Y5LM-1726-SM-4VDSX 40-49 years, female 95.3
GTEX-15ETS-0626-SM-7KUMX 40-49 years, female 92.6
GTEX-ZVT4-1026-SM-57WC4 50-59 years, female 92.2
GTEX-1F75I-2026-SM-7SB7N 40-49 years, male 91.3
GTEX-1F5PL-1026-SM-7RHI1 40-49 years, female 90.9
GTEX-11GSP-0926-SM-9WYSG 60-69 years, female 90.4
GTEX-1S82Z-0726-SM-E6CHX 30-39 years, female 90.1
GTEX-13FHO-0826-SM-5L3E8 60-69 years, male 89.9
GTEX-1F75B-0626-SM-7SB8A 50-59 years, male 89.5
GTEX-1HFI7-0126-SM-CGQFQ 50-59 years, female 88.4
GTEX-XUZC-1626-SM-4BRVP 30-39 years, female 87.7
GTEX-1R7EU-1226-SM-E8VMR 60-69 years, male 87.4
GTEX-1122O-1226-SM-5H113 60-69 years, female 86.1
GTEX-1H1ZS-0126-SM-9YFKQ 70-79 years, male 86.1
GTEX-X4EP-2926-SM-3P5YQ 60-69 years, female 82.5
GTEX-145ME-1526-SM-5Q5F2 40-49 years, female 82.0
GTEX-WI4N-1426-SM-3LK7H 40-49 years, female 80.9
GTEX-11WQK-2426-SM-5GU5C 50-59 years, male 80.5
GTEX-1GF9U-1726-SM-7MGY5 40-49 years, female 80.4
GTEX-1QP28-1226-SM-E9J2M 50-59 years, female 79.9
GTEX-1J8Q2-2726-SM-A9G2X 60-69 years, male 79.3
GTEX-1HR9M-2426-SM-ACKXI 60-69 years, male 78.5
GTEX-1399U-1826-SM-5PNZ1 50-59 years, female 77.8
GTEX-S4P3-1326-SM-4AD6V 50-59 years, female 77.2
GTEX-1MJK3-1126-SM-E9J3F 20-29 years, male 77.1
GTEX-ZXES-0826-SM-5E43C 30-39 years, female 75.7
GTEX-Y8LW-1626-SM-5IFHX 50-59 years, female 75.0
GTEX-15EOM-5019-SM-793DK 20-29 years, female 74.8
GTEX-1CB4J-1826-SM-7EWF9 60-69 years, male 74.0
GTEX-U3ZH-1426-SM-4DXSR 30-39 years, male 73.4
GTEX-T5JC-2126-SM-32PMO 20-29 years, male 72.5
GTEX-1R7EV-1526-SM-E8VOD 40-49 years, male 72.3
GTEX-13FTX-1126-SM-5N9EN 20-29 years, female 72.0
GTEX-1A3MX-2726-SM-718B6 60-69 years, male 71.2
GTEX-1GN1W-1926-SM-7P8TH 50-59 years, female 71.1
GTEX-ZAB4-2526-SM-5HL8M 40-49 years, male 70.8
GTEX-REY6-2426-SM-48FF5 60-69 years, male 69.8
GTEX-12WSN-1326-SM-5GCNT 40-49 years, male 69.4
GTEX-ZZ64-1226-SM-5E43R 20-29 years, male 67.4
GTEX-1C6VQ-0426-SM-79OOX 50-59 years, male 66.7
GTEX-TKQ1-0226-SM-33HB5 30-39 years, male 66.0
GTEX-RUSQ-2026-SM-4GIAK 50-59 years, male 64.6
GTEX-1GF9X-1026-SM-ACKX2 40-49 years, female 64.1
GTEX-S32W-2026-SM-4AD6E 50-59 years, female 64.0
GTEX-T2YK-2226-SM-32QPT 50-59 years, male 64.0
GTEX-R53T-1526-SM-48FEK 50-59 years, female 63.8
GTEX-X261-0626-SM-3NMD9 50-59 years, male 63.6
GTEX-ZTX8-1226-SM-4YCE9 20-29 years, male 63.6
GTEX-UJHI-1426-SM-3DB9C 50-59 years, female 63.2
GTEX-13CF3-2126-SM-5IFJP 60-69 years, female 63.1
GTEX-14PJO-0726-SM-69LO8 60-69 years, male 63.0
GTEX-RU1J-0626-SM-4WAWY 20-29 years, female 63.0
GTEX-SE5C-2126-SM-4BRUJ 40-49 years, female 62.9
GTEX-14BMU-1626-SM-5TDE7 20-29 years, female 62.7
GTEX-1KANC-1426-SM-CYPT9 50-59 years, female 62.4
GTEX-S341-1526-SM-4AD6K 40-49 years, female 61.7
GTEX-14E6C-1326-SM-62LEQ 40-49 years, male 60.9
GTEX-YFC4-1426-SM-5IFJG 40-49 years, female 60.4
GTEX-11EMC-2026-SM-5A5JV 60-69 years, female 60.2
GTEX-139T8-0826-SM-5L3DE 60-69 years, male 58.5
GTEX-1J8Q3-1326-SM-CMKI1 60-69 years, male 58.5
GTEX-1ICLZ-0426-SM-B2LW2 60-69 years, male 58.3
GTEX-13N11-1726-SM-5J1OJ 50-59 years, female 58.2
GTEX-1QPFJ-2026-SM-EVYBE 30-39 years, female 57.6
GTEX-T6MO-0326-SM-32QOK 40-49 years, female 57.5
GTEX-133LE-1726-SM-5K7VQ 20-29 years, female 57.4
GTEX-ZWKS-2826-SM-5NQ74 30-39 years, male 57.1
GTEX-13113-5013-SM-7SB7G 60-69 years, female 55.0
GTEX-1LVAN-1326-SM-CNPQE 50-59 years, female 54.2
GTEX-1P4AB-1826-SM-E76PU 50-59 years, male 52.8
GTEX-11EM3-1326-SM-5N9C6 20-29 years, female 52.7
GTEX-1R9JW-0326-SM-EAZ45 30-39 years, female 52.3
GTEX-TMMY-0726-SM-33HBE 40-49 years, female 51.9
GTEX-Y114-2026-SM-4TT7L 50-59 years, female 51.7
GTEX-13OW5-2226-SM-5L3HC 60-69 years, male 50.4
GTEX-18D9A-1526-SM-7LG4J 30-39 years, female 50.4
GTEX-ZV6S-1826-SM-5NQ8D 40-49 years, female 50.2
GTEX-ZQG8-0726-SM-5P9H9 60-69 years, female 49.6
GTEX-ZVE2-1226-SM-5NQ8R 50-59 years, male 49.6
GTEX-11I78-2226-SM-5PNYA 50-59 years, female 49.2
GTEX-1C475-1226-SM-7SB72 40-49 years, female 49.1
GTEX-1K9T9-1426-SM-DIPFQ 50-59 years, female 48.9
GTEX-1JK1U-1826-SM-ARL8W 60-69 years, male 48.3
GTEX-1B8KE-1226-SM-73KWK 50-59 years, male 46.5
GTEX-13O3P-0826-SM-5L3DH 50-59 years, male 43.7
GTEX-1M5QR-2526-SM-E9U5P 40-49 years, male 42.8
GTEX-11DZ1-0326-SM-5N9BN 50-59 years, male 42.0
GTEX-1GZ4H-0326-SM-7P8QX 50-59 years, female 41.8
GTEX-1ICG6-1326-SM-ACKWR 70-79 years, female 41.5
GTEX-17EUY-1926-SM-7DUF6 20-29 years, male 41.3
GTEX-1H1DG-0526-SM-9YFLN 70-79 years, male 39.6
GTEX-1JN1M-3026-SM-CMKGK 60-69 years, female 39.2
GTEX-WOFL-0826-SM-3MJG1 60-69 years, male 38.3
GTEX-144GM-0926-SM-5O994 20-29 years, male 37.7
GTEX-YB5K-1626-SM-5IFIN 40-49 years, female 37.4
GTEX-1GMR8-0726-SM-9KNVI 50-59 years, female 36.7
GTEX-1IKOE-1326-SM-CE6T6 30-39 years, female 36.5
GTEX-14PKU-0426-SM-6EU1P 40-49 years, female 36.2
GTEX-XMD1-0826-SM-4AT52 60-69 years, male 35.7
GTEX-15RJE-2626-SM-7KFT1 40-49 years, male 35.5
GTEX-1117F-2826-SM-5GZXL 60-69 years, female 34.0
GTEX-S4UY-0726-SM-4AD6X 40-49 years, female 33.6
GTEX-1HKZK-1826-SM-ADEJ2 40-49 years, male 32.2
GTEX-1H23P-0726-SM-9WG7K 60-69 years, male 31.8
GTEX-11EQ9-1826-SM-5Q5AJ 30-39 years, male 31.7
GTEX-1JMOU-2026-SM-CMKGU 60-69 years, female 31.2
GTEX-1I4MK-1626-SM-CM2TJ 50-59 years, female 29.4
GTEX-QEL4-2126-SM-447AE 50-59 years, male 28.6
GTEX-WFG8-2026-SM-EXOHO 20-29 years, male 27.9
GTEX-T5JW-2026-SM-4DM63 20-29 years, female 27.3
GTEX-1I1GU-1026-SM-ADEHJ 40-49 years, male 26.8
GTEX-ZLWG-1926-SM-DO92J 50-59 years, female 26.1
GTEX-1192X-2326-SM-5987X 50-59 years, male 25.2
GTEX-111YS-1926-SM-5GICC 60-69 years, male 23.5
GTEX-132AR-0826-SM-5EGK6 50-59 years, female 23.2
GTEX-1HBPM-0126-SM-ARL9E 60-69 years, female 22.8
GTEX-1211K-1926-SM-5EQLB 60-69 years, female 22.3
GTEX-1CAMS-1426-SM-7IGPM 40-49 years, female 21.0
GTEX-1RLM8-2226-SM-EVYD1 50-59 years, male 20.4
GTEX-1H1E6-0926-SM-9YFLT 30-39 years, male 19.5
GTEX-QEG5-0726-SM-D4P1T 20-29 years, male 19.3
GTEX-1IDJU-1826-SM-CMKHV 60-69 years, female 19.1
GTEX-1LC47-1226-SM-D4P44 60-69 years, male 17.9
GTEX-1GZ2Q-2626-SM-7MXV9 40-49 years, male 17.1
GTEX-183WM-0726-SM-7LTAA 70-79 years, female 16.4
GTEX-1LGRB-1826-SM-CNPQL 50-59 years, female 15.7
GTEX-1HSMO-0826-SM-ADEIV 60-69 years, male 15.5
GTEX-XV7Q-2326-SM-4BRVZ 40-49 years, female 13.2
GTEX-132Q8-1426-SM-5EGK7 60-69 years, male 11.0
GTEX-1JMPZ-1626-SM-COH31 30-39 years, male 9.4
Show allShow less

BREAST - FANTOM5 CAGEi

RNA expression in human tissues obtained through Cap Analysis of Gene Expression (CAGE) generated by the FANTOM5 project are reported as Scaled Tags Per Million.

Max subtype Scaled Tags Per Millioni

Max subtype Scaled Tags Per Million is the value for the subtype with the largest average Scaled Tags Per Million across the subtype samples.

42.2
FANTOM5 sample id Sample description Scaled Tags Per Million
Breast
Scaled Tags Per Million: 42.2
FF:10080-102A8 77 years, female 42.2

Contact

  • NEWS ARTICLES
  • PRESS ROOM

The Project

  • INTRODUCTION
  • ORGANIZATION
  • PUBLICATIONS

The Human Protein Atlas

  • DOWNLOADABLE DATA
  • LICENCE & CITATION
  • HELP & FAQ
The Human Protein Atlas project is funded
by the Knut & Alice Wallenberg Foundation.


contact@proteinatlas.org