We use cookies to enhance the usability of our website. If you continue, we'll assume that you are happy to receive all cookies. More information. Don't show this again.
SPINK7
HPA
RESOURCES
  • TISSUE
  • BRAIN
  • SINGLE CELL
  • SUBCELLULAR
  • CANCER
  • BLOOD
  • CELL LINE
  • STRUCTURE & INTERACTION
ABOUT
  • INTRODUCTION
  • HISTORY
  • ORGANIZATION
  • PUBLICATIONS
  • ANTIBODY SUBMISSION
  • ANTIBODY AVAILABILITY
  • ACKNOWLEDGMENTS
  • CONTACT
NEWS
  • NEWS ARTICLES
  • PRESS ROOM
LEARN
  • DICTIONARY
  • PROTEIN CLASSES
  • PROTEIN EVIDENCE
  • METHODS
  • EDUCATIONAL VIDEOS
DATA
  • DOWNLOADABLE DATA
  • PUBLICATION DATA
  • RELEASE HISTORY
HELP
  • ANTIBODY VALIDATION
  • ASSAYS & ANNOTATION
  • DISCLAIMER
  • HELP & FAQ
  • PRIVACY STATEMENT
  • LICENCE & CITATION
Fields »
Search result

Field
Term
Gene name
Class
Subclass
Class
Keyword
Chromosome
External id
Tissue
Cell type
Expression
Antibody panel
Tissue
Main location
Patient ID
Annotation
Tissue
Category
Tau score
Cluster
Reliability
Brain region
Category
Tau score
Brain region
Category
Tau score
Brain region
Category
Tau score
Cluster
Reliability
Tissue
Cell type
Enrichment
Cell type
Category
Tau score
Cell type
Category
Tau score
Cell type
Category
Tau score
Cell lineage
Category
Tau score
Cluster
Cluster
Location
Searches
Location
Cell line
Class
Type
Phase
Reliability
Cancer
Prognosis
Cancer
Category
Cancer
Category
Tau score
Cluster
Variants
Interacting gene (ensg_id)
Type
Number of interactions
Pathway
Category
Score
Score
Score
Validation
Validation
Validation
Validation
Antibodies
Data type
Column


  • SUMMARY

  • TISSUE

  • BRAIN

  • SINGLE CELL

  • SUBCELL

  • CANCER

  • BLOOD

  • CELL LINE

  • STRUCT & INT

  • SPINK7
TISSUE PRIMARY DATA SKIN Show tissue menu
ADIPOSE TISSUE ADRENAL GLAND AMYGDALA APPENDIX BASAL GANGLIA BONE MARROW BREAST BRONCHUS CEREBELLUM CEREBRAL CORTEX CERVIX CHOROID PLEXUS COLON DUODENUM
ENDOMETRIUM EPIDIDYMIS ESOPHAGUS FALLOPIAN TUBE GALLBLADDER HEART MUSCLE HIPPOCAMPAL FORMATION HYPOTHALAMUS KIDNEY LIVER LUNG LYMPH NODE MIDBRAIN NASOPHARYNX
ORAL MUCOSA OVARY PANCREAS PARATHYROID GLAND PITUITARY GLAND PLACENTA PROSTATE RECTUM RETINA SALIVARY GLAND SEMINAL VESICLE SKELETAL MUSCLE SKIN SMALL INTESTINE
SMOOTH MUSCLE SOFT TISSUE SPINAL CORD SPLEEN STOMACH TESTIS THYMUS THYROID GLAND TONGUE TONSIL URINARY BLADDER VAGINA
ANTIBODIES
AND
VALIDATION
Dictionary
Skin
Tissue proteome
Skin
SKIN - Expression summary
Protein expression
Skini

On the top, protein expression in current human tissue, based on all annotated cell types, is reported with the units not detected (n), low (l), medium (m) and high (h). Underneath, protein expression in each annotated cell type are reported using the same units.

Protein expression data is based on knowledge-based annotation. For genes where more than one antibody has been used, a collective score is set.

If knowledge-based annotation could not be performed for a gene, no data is displayed here. View antibody staining data further down this page.

h
m
l
n
Epidermal cells: Medium
Fibroblasts: Not detected
Keratinocytes: Medium
Langerhans: Not detected
Melanocytes: Not detected
RNA expressioni

A summary of mRNA expression data available for current tissue based on several datasets. The mRNA expression levels in human tissues are based on RNA-seq data generated by the Human Protein Atlas (HPA), Genotype-Tissue Expression (GTEx) portal and CAGE data generated by the FANTOM5 consortium. Consensus normalized expression levels for human tissues was created by combining the data from HPA and GTEx datasets.

The mRNA expression levels in pig are based on RNA-seq data generated by the Human Protein Atlas (HPA), and for mouse, HPA data and in situ hybridization generated by the Allen brain atlas are reported.

Scroll down to view mRNA expression data in more detail.
Consensus:9.0 nTPM
HPA:3.6 nTPM
GTEx:9.0 nTPM

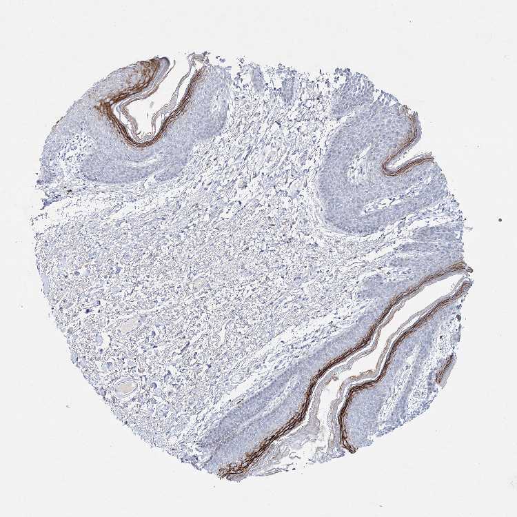
SKIN 1 - Antibody stainingi

Antibody staining in the annotated cell types in the current human tissue is reported as not detected, low, medium, or high, based on conventional immunohistochemistry profiling in selected tissues. This score is based on the combination of the staining intensity and fraction of stained cells.

Each image is clickable and will lead to virtual microscopy that enables deeper exploration of all samples and also displays staining intensity scores, fraction scores and subcellular localization as well as patient and tissue information for each sample.

Antibody HPA036294
Langerhans Not detected
Fibroblasts Not detected
Keratinocytes Medium
Melanocytes Not detected

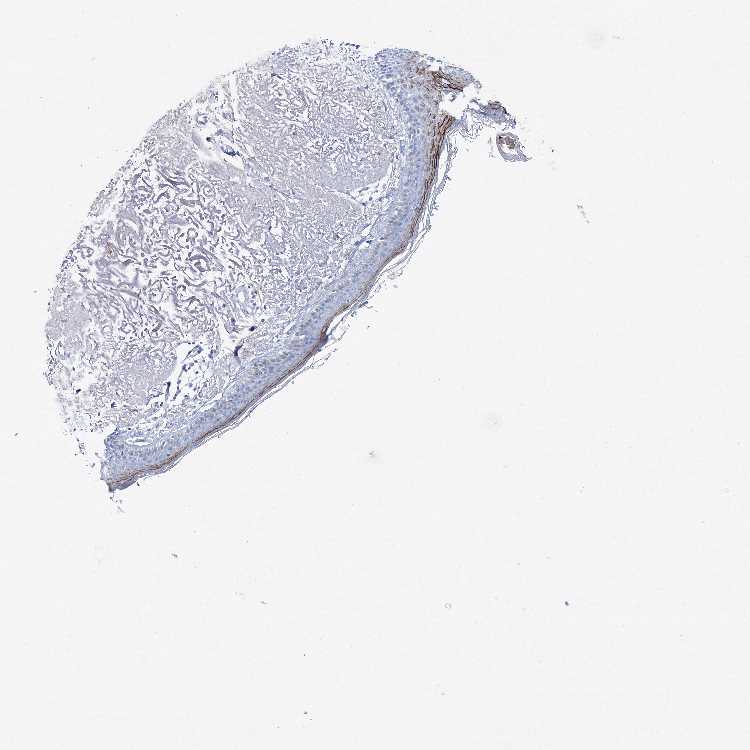
SKIN 2 - Antibody stainingi

Antibody staining in the annotated cell types in the current human tissue is reported as not detected, low, medium, or high, based on conventional immunohistochemistry profiling in selected tissues. This score is based on the combination of the staining intensity and fraction of stained cells.

Each image is clickable and will lead to virtual microscopy that enables deeper exploration of all samples and also displays staining intensity scores, fraction scores and subcellular localization as well as patient and tissue information for each sample.

Antibody HPA036294
Epidermal cells Medium
 
 
 



SKIN - HPA RNA-seqi

The RNA-seq details section shows detailed information about the individual samples used for the transcript profiling and results of the RNA-seq analysis.

Information about each individual sample is listed below, including gender, age, a tissue section image and estimated fractions of cell types. nTPM (normalized transcripts per million) values give a quantification of the gene abundance which is comparable between different genes and samples.
Average nTPMi

Max subtype nTPM is the value for the subtype with the largest average nTPM across the subtype samples.

3.6
overview
Female, age 34
Skin sample 225
nTPM: 2.5
Cell types%
Keratinocytes:
60

Other cell types:
40

overview
Female, age 30
Skin sample 226
nTPM: 1.6
Cell types%
Keratinocytes:
55

Other cell types:
45

N/A
Male, age 57
Skin sample 227
nTPM: 6.6

SKIN - GTEx RNA-seqi

RNA-Seq data generated by the Genotype-Tissue Expression (GTEx) project from human tissues is reported as mean nTPM. More information can be found on the GTEx portal.

Distribution across the dataset is visualized with box plots, shown as median and 25th and 75th percentiles. Points are displayed as outliers if they are above or below 1.5 times the interquartile range. nTPM values of the individual samples are presented next to the box plot.
Max subtype nTPMi

Max subtype nTPM is the value for the subtype with the largest average nTPM across the subtype samples.

9.0
GTEx sample id Sample description nTPM
Skin - Not Sun Exposed (Suprapubic)
Average nTPM: 4.9
Samples: 604

Max nTPM: 115.2
Min nTPM: 0.0
Std nTPM: 9.5
Median nTPM: 1.9
GTEX-1PIGE-1826-SM-E8VOU 20-29 years, male 115.2
GTEX-WXYG-2026-SM-4E3IY 50-59 years, female 96.6
GTEX-1RB15-1326-SM-E76Q9 60-69 years, male 77.8
GTEX-1AX9J-1326-SM-731BJ 60-69 years, male 63.0
GTEX-ZLWG-0826-SM-59888 50-59 years, female 53.5
GTEX-11EQ9-1626-SM-5PNY8 30-39 years, male 41.5
GTEX-15RIE-1926-SM-7KUKJ 60-69 years, male 35.8
GTEX-1GF9X-1326-SM-7PC2Y 40-49 years, female 35.4
GTEX-WYJK-0526-SM-3NM8Z 50-59 years, male 34.7
GTEX-1GF9U-2026-SM-7SB92 40-49 years, female 34.4
GTEX-1GZ4H-0526-SM-9KNU9 50-59 years, female 31.0
GTEX-139D8-1126-SM-5LU8W 30-39 years, female 30.9
GTEX-1QP66-1226-SM-DTX7U 50-59 years, male 30.5
GTEX-1HSMQ-2626-SM-A9SML 50-59 years, male 30.0
GTEX-1N2DV-1526-SM-DTXEP 40-49 years, male 28.7
GTEX-ZP4G-1426-SM-4WWCL 20-29 years, female 28.2
GTEX-1NSGN-0726-SM-DTXEF 50-59 years, male 28.0
GTEX-17EVQ-0126-SM-7IGLR 70-79 years, male 27.0
GTEX-XAJ8-1426-SM-47JYM 40-49 years, male 25.3
GTEX-YF7O-1526-SM-5IFI6 50-59 years, male 24.0
GTEX-XQ8I-0926-SM-4BOOF 50-59 years, male 23.7
GTEX-17HHE-1326-SM-7EWDZ 50-59 years, male 22.5
GTEX-WH7G-2026-SM-3NMBL 40-49 years, male 22.5
GTEX-WRHU-2826-SM-3MJG8 50-59 years, female 22.3
GTEX-XK95-0226-SM-4AT58 40-49 years, male 22.2
GTEX-14E1K-2026-SM-7DUEI 50-59 years, male 21.9
GTEX-145MO-2826-SM-5LU96 60-69 years, male 20.4
GTEX-ZPCL-1126-SM-4WWFE 60-69 years, female 20.0
GTEX-1EMGI-2326-SM-7PBYA 60-69 years, male 18.9
GTEX-11WQC-1826-SM-5GU59 60-69 years, male 18.7
GTEX-VUSG-2326-SM-4KL1U 50-59 years, male 18.2
GTEX-1HCVE-2726-SM-CL54F 50-59 years, male 18.1
GTEX-1JK1U-0226-SM-ARZMX 60-69 years, male 18.1
GTEX-13FTX-1526-SM-5K7VJ 20-29 years, female 17.7
GTEX-ZUA1-2626-SM-5NQ92 40-49 years, male 17.6
GTEX-Y114-2126-SM-4TT8B 50-59 years, female 17.5
GTEX-111FC-2526-SM-5GZXU 60-69 years, male 17.4
GTEX-ZAJG-1526-SM-5CVML 50-59 years, female 17.3
GTEX-ZU9S-1826-SM-5NQ9E 30-39 years, male 17.3
GTEX-18D9A-1426-SM-7LT8M 30-39 years, female 17.3
GTEX-1F52S-2926-SM-7MKGA 60-69 years, female 17.2
GTEX-16AAH-0626-SM-793C9 50-59 years, male 17.0
GTEX-17F97-2626-SM-7IGM5 50-59 years, male 16.7
GTEX-1LVAN-0626-SM-CNPOQ 50-59 years, female 16.7
GTEX-1IDJD-2326-SM-ACKWX 30-39 years, male 16.6
GTEX-13NZ9-2626-SM-5L3FK 50-59 years, male 16.1
GTEX-11EI6-2826-SM-5H11D 60-69 years, male 16.0
GTEX-13FTW-0326-SM-5K7UW 40-49 years, male 14.8
GTEX-1AMEY-0826-SM-72D65 30-39 years, female 14.8
GTEX-YFCO-1226-SM-5LUAT 40-49 years, male 14.8
GTEX-ZZ64-1026-SM-5GZXG 20-29 years, male 14.5
GTEX-1KANB-2826-SM-CY8I6 50-59 years, male 14.3
GTEX-1IDJU-1726-SM-CMKHU 60-69 years, female 14.2
GTEX-1F6RS-2026-SM-7RHHC 60-69 years, female 14.0
GTEX-1KANC-1226-SM-CYPT7 50-59 years, female 13.4
GTEX-1PPH7-1126-SM-DTX9A 40-49 years, male 13.4
GTEX-1QCLY-0226-SM-EWRNH 30-39 years, male 12.7
GTEX-13NYS-0626-SM-5L3F1 60-69 years, male 12.4
GTEX-1R9PM-1926-SM-EVR3O 20-29 years, male 12.0
GTEX-VJYA-1526-SM-3GIJV 60-69 years, male 11.9
GTEX-14C5O-0326-SM-5ZZUX 60-69 years, male 11.8
GTEX-14AS3-1526-SM-5Q5ED 40-49 years, female 11.5
GTEX-14PJ3-1126-SM-5ZZVX 50-59 years, male 11.4
GTEX-1KD5A-0126-SM-E9U54 50-59 years, male 11.4
GTEX-1LBAC-0826-SM-CY8IJ 20-29 years, male 11.3
GTEX-1IDJF-2026-SM-CL53V 20-29 years, male 11.2
GTEX-11DXW-0826-SM-5H118 40-49 years, male 11.1
GTEX-ZLV1-1526-SM-DO91J 60-69 years, female 11.0
GTEX-1H1E6-0426-SM-9WYUS 30-39 years, male 10.9
GTEX-18QFQ-1826-SM-72D52 30-39 years, male 10.8
GTEX-1QP2A-1726-SM-E76QC 50-59 years, male 10.7
GTEX-1LVAM-0726-SM-E6CIL 50-59 years, female 10.6
GTEX-12KS4-2126-SM-5FQUT 30-39 years, male 10.2
GTEX-1QP9N-1226-SM-E76QN 30-39 years, male 10.1
GTEX-1HSGN-0826-SM-ACKW3 40-49 years, female 10.0
GTEX-146FQ-2126-SM-5RQHU 30-39 years, male 9.8
GTEX-14JG6-1426-SM-9WG7C 30-39 years, female 9.7
GTEX-11DZ1-2426-SM-5GZZX 50-59 years, male 9.6
GTEX-1399S-0126-SM-5IJCF 30-39 years, female 9.6
GTEX-111CU-1126-SM-5EGIM 50-59 years, male 9.2
GTEX-1IKOE-1426-SM-CE6T7 30-39 years, female 9.2
GTEX-11EQ8-0926-SM-5H12V 60-69 years, male 9.0
GTEX-11VI4-1126-SM-5EQMD 40-49 years, female 8.9
GTEX-14A6H-2026-SM-5Q5DD 30-39 years, male 8.9
GTEX-XPVG-2126-SM-4B667 50-59 years, male 8.8
GTEX-1A3MV-1826-SM-731CD 30-39 years, male 8.7
GTEX-1JJ6O-2726-SM-CNPOG 60-69 years, male 8.4
GTEX-1RAZS-2526-SM-E6CHT 50-59 years, male 8.4
GTEX-ZTX8-1326-SM-4YCEL 20-29 years, male 8.2
GTEX-1LSNM-0826-SM-DIPG8 50-59 years, male 8.1
GTEX-14ICL-1626-SM-5YYAO 30-39 years, male 8.0
GTEX-14PHX-2226-SM-6EU2P 50-59 years, male 8.0
GTEX-1PBJJ-1026-SM-E76OS 30-39 years, male 8.0
GTEX-14PHY-1226-SM-5ZZWK 60-69 years, female 7.8
GTEX-15G19-2426-SM-7KUMR 60-69 years, male 7.8
GTEX-17F9Y-0126-SM-79OKX 70-79 years, female 7.8
GTEX-1RAZQ-1326-SM-E9TK6 30-39 years, male 7.7
GTEX-1399U-1126-SM-5L3DB 50-59 years, female 7.6
GTEX-1B8KE-1126-SM-7EPHI 50-59 years, male 7.6
GTEX-1C2JI-1026-SM-73KY1 50-59 years, male 7.6
GTEX-1KAFJ-0126-SM-DIPEK 50-59 years, male 7.6
GTEX-1L5NE-1126-SM-D3L9P 50-59 years, male 7.4
GTEX-17HHY-0426-SM-7DHLC 50-59 years, male 7.1
GTEX-1KXAM-1626-SM-D3LAD 60-69 years, male 7.1
GTEX-XBEC-0726-SM-4QARZ 50-59 years, male 7.0
GTEX-Y8LW-1526-SM-5IFHL 50-59 years, female 7.0
GTEX-11O72-0626-SM-5PNYE 40-49 years, male 6.9
GTEX-1122O-1026-SM-9WYSF 60-69 years, female 6.9
GTEX-1JKYN-0826-SM-ARU8S 30-39 years, male 6.9
GTEX-ZXG5-2126-SM-59HKD 60-69 years, male 6.8
GTEX-139T8-0626-SM-5KLZX 60-69 years, male 6.7
GTEX-1HBPN-0126-SM-CGQEF 50-59 years, male 6.7
GTEX-1OJC4-2726-SM-E76PJ 50-59 years, female 6.7
GTEX-1KANA-1326-SM-DIPFA 20-29 years, male 6.6
GTEX-16BQI-1326-SM-6M486 30-39 years, female 6.5
GTEX-1HB9E-0126-SM-CM2S5 50-59 years, male 6.5
GTEX-139TT-2126-SM-5LZWC 60-69 years, male 6.4
GTEX-ZDTT-0426-SM-4WKFL 60-69 years, male 6.4
GTEX-139TU-0726-SM-5L3EK 60-69 years, male 6.3
GTEX-14PII-0726-SM-6EU2B 60-69 years, male 6.3
GTEX-1F5PK-2226-SM-7SB6N 50-59 years, male 6.3
GTEX-1IDJC-1526-SM-B2LW4 50-59 years, male 6.3
GTEX-147F3-1726-SM-5SIAW 50-59 years, female 6.2
GTEX-14DAR-1226-SM-73KYV 50-59 years, male 6.2
GTEX-YJ8O-2526-SM-5HL85 40-49 years, female 6.2
GTEX-15FZZ-0526-SM-7KUGD 30-39 years, female 6.1
GTEX-ZTSS-1426-SM-5985P 40-49 years, male 6.1
GTEX-1HCU9-0426-SM-9WYSD 20-29 years, male 6.1
GTEX-111YS-1526-SM-5GZYW 60-69 years, male 6.0
GTEX-13OW5-2326-SM-5L3HO 60-69 years, male 6.0
GTEX-13PDP-0726-SM-5L3HP 60-69 years, male 6.0
GTEX-1C6WA-2626-SM-7MKGM 60-69 years, male 6.0
GTEX-1RMOY-1326-SM-E9TIH 50-59 years, male 6.0
GTEX-12ZZX-2426-SM-5GCOE 40-49 years, female 5.9
GTEX-145MG-1526-SM-5Q5EM 50-59 years, male 5.8
GTEX-1C64O-1326-SM-7MGWR 60-69 years, male 5.8
GTEX-YECK-0326-SM-4W1YS 60-69 years, male 5.7
GTEX-13FLV-0126-SM-5K7WT 50-59 years, male 5.6
GTEX-13FTY-2126-SM-5IFFB 40-49 years, female 5.6
GTEX-11P82-1426-SM-DTXFY 20-29 years, male 5.6
GTEX-1MJK3-0726-SM-E6CJC 20-29 years, male 5.6
GTEX-1OJC3-1226-SM-DTXER 20-29 years, male 5.6
GTEX-11NUK-2726-SM-5A5MC 50-59 years, male 5.5
GTEX-1CB4H-1126-SM-7MKGL 60-69 years, female 5.5
GTEX-ZVZP-1226-SM-5GID7 50-59 years, male 5.5
GTEX-1HCUA-0826-SM-ADEHM 50-59 years, female 5.5
GTEX-1S831-1826-SM-EWROF 20-29 years, male 5.4
GTEX-15CHR-1126-SM-7EWF4 50-59 years, male 5.3
GTEX-14B4R-1326-SM-5Q5EZ 30-39 years, male 5.2
GTEX-1S3DN-2126-SM-E9TIN 50-59 years, male 5.2
GTEX-12584-0726-SM-5FQTK 40-49 years, male 5.1
GTEX-145MN-1526-SM-5SI9T 30-39 years, male 5.1
GTEX-14PJ4-0226-SM-5YY92 60-69 years, male 5.1
GTEX-14PJN-1826-SM-6AJ98 30-39 years, male 5.1
GTEX-1MCYP-0526-SM-E9U6Q 20-29 years, female 5.1
GTEX-1CAMQ-1326-SM-7P8RV 40-49 years, male 5.0
GTEX-1IKJJ-2226-SM-CJI4C 60-69 years, male 5.0
GTEX-145LT-0526-SM-5LUB2 40-49 years, male 4.9
GTEX-1J8EW-2726-SM-CY8HR 60-69 years, female 4.9
GTEX-1K2DA-1026-SM-CGQGF 50-59 years, male 4.9
GTEX-UPJH-0226-SM-3GADV 50-59 years, male 4.8
GTEX-ZDYS-2426-SM-4WKGI 50-59 years, male 4.8
GTEX-ZYFD-0626-SM-5E44E 50-59 years, male 4.8
GTEX-11DXY-0126-SM-5H11Q 60-69 years, male 4.7
GTEX-144GM-0526-SM-79OJO 20-29 years, male 4.7
GTEX-1E2YA-2126-SM-7MXUO 50-59 years, male 4.7
GTEX-1LG7Z-1626-SM-CXKYR 30-39 years, male 4.7
GTEX-14A5H-0826-SM-5QGPJ 60-69 years, male 4.6
GTEX-14PJ2-0626-SM-6LLII 50-59 years, male 4.6
GTEX-15RJ7-2126-SM-6PAMD 40-49 years, male 4.6
GTEX-16Z82-2626-SM-7KULU 60-69 years, male 4.6
GTEX-18A66-0626-SM-7LT8Z 60-69 years, male 4.6
GTEX-1JMQJ-0826-SM-CNPP7 50-59 years, male 4.6
GTEX-16GPK-0626-SM-7KFSF 60-69 years, male 4.5
GTEX-11DXZ-2026-SM-5987S 50-59 years, male 4.4
GTEX-13OVL-0126-SM-5L3GJ 50-59 years, male 4.4
GTEX-W5X1-2526-SM-3GILC 40-49 years, female 4.4
GTEX-1GL5R-1326-SM-7RHHF 50-59 years, male 4.4
GTEX-18A7B-2726-SM-7LG56 70-79 years, male 4.3
GTEX-1B933-2426-SM-7DHMD 50-59 years, female 4.3
GTEX-1PIIG-2326-SM-DTXFR 30-39 years, male 4.3
GTEX-1R9K4-2826-SM-DTX8F 60-69 years, male 4.3
GTEX-WFON-1926-SM-3LK7L 40-49 years, male 4.2
GTEX-1F75I-2226-SM-7SB8U 40-49 years, male 4.2
GTEX-13112-0126-SM-5P9IU 50-59 years, male 4.1
GTEX-15RIG-0726-SM-7KUM7 40-49 years, male 4.1
GTEX-ZPU1-1126-SM-4YCF3 40-49 years, male 4.1
GTEX-13O61-1426-SM-5KM3D 60-69 years, male 4.0
GTEX-ZF29-0926-SM-4WKFZ 60-69 years, female 4.0
GTEX-1IDJH-0126-SM-D3L92 70-79 years, male 4.0
GTEX-15CHQ-0326-SM-69LQD 60-69 years, male 3.9
GTEX-1GMRU-2126-SM-7P8RA 50-59 years, male 3.9
GTEX-1R7EU-1626-SM-DTXG3 60-69 years, male 3.9
GTEX-1S83E-1326-SM-E6CJM 40-49 years, male 3.9
GTEX-1AMFI-1326-SM-7939R 50-59 years, female 3.8
GTEX-ZVT4-2426-SM-5GIEI 50-59 years, female 3.8
GTEX-1314G-1326-SM-5BC6E 30-39 years, male 3.7
GTEX-1HCU6-2526-SM-ADEHL 60-69 years, female 3.7
GTEX-11P81-2226-SM-5PNYI 30-39 years, female 3.6
GTEX-14E6E-0526-SM-793DN 30-39 years, male 3.6
GTEX-18A6Q-0626-SM-7KFRP 60-69 years, male 3.6
GTEX-1LB8K-0726-SM-D5OV2 50-59 years, male 3.6
GTEX-XXEK-1626-SM-4BRUZ 50-59 years, male 3.5
GTEX-1GMR2-0826-SM-7PC3V 50-59 years, male 3.5
GTEX-117YX-1926-SM-5GIEC 50-59 years, male 3.4
GTEX-145ME-1726-SM-5Q5EU 40-49 years, female 3.4
GTEX-17F96-0126-SM-7EWDU 70-79 years, male 3.4
GTEX-14BIN-1126-SM-5RQJZ 50-59 years, female 3.3
GTEX-14C39-1726-SM-5RQIL 40-49 years, male 3.3
GTEX-X4EP-0626-SM-3P621 60-69 years, female 3.3
GTEX-ZLFU-1826-SM-4WWBV 40-49 years, male 3.3
GTEX-1J1R8-2026-SM-CL53Y 40-49 years, male 3.3
GTEX-1MCC2-1826-SM-DIPEX 30-39 years, female 3.3
GTEX-1313W-0626-SM-5EQ4H 50-59 years, female 3.2
GTEX-144GL-0626-SM-5LU4D 50-59 years, male 3.2
GTEX-14BMV-2826-SM-5TDED 50-59 years, male 3.2
GTEX-15SHW-0226-SM-7LTAT 60-69 years, male 3.2
GTEX-18A7A-0126-SM-731AH 50-59 years, female 3.2
GTEX-1GPI7-1826-SM-9KNU1 20-29 years, male 3.2
GTEX-1I1HK-2326-SM-CKZOH 60-69 years, male 3.2
GTEX-1LVAO-2726-SM-E9TJ8 60-69 years, male 3.2
GTEX-1N5O9-0926-SM-E9J3C 60-69 years, male 3.2
GTEX-1QP28-1126-SM-EVYC4 50-59 years, female 3.2
GTEX-13OW6-2726-SM-5J2OE 50-59 years, male 3.1
GTEX-13VXT-1926-SM-5K7UO 20-29 years, female 3.1
GTEX-16YQH-2226-SM-7IGM2 30-39 years, male 3.1
GTEX-17EVP-2626-SM-7IGMA 40-49 years, male 3.1
GTEX-17KNJ-2126-SM-718AM 50-59 years, male 3.1
GTEX-XYKS-1426-SM-4BRUO 60-69 years, female 3.1
GTEX-ZF2S-1626-SM-57WES 50-59 years, female 3.1
GTEX-1C475-1326-SM-7SB73 40-49 years, female 3.1
GTEX-145LS-0626-SM-7EPG7 60-69 years, female 3.0
GTEX-ZC5H-1526-SM-5HL9Y 40-49 years, female 3.0
GTEX-1ICG6-1226-SM-A9SLN 70-79 years, female 3.0
GTEX-1LGRB-0926-SM-COH3K 50-59 years, female 3.0
GTEX-1QP29-1826-SM-DTX9S 50-59 years, male 3.0
GTEX-11DXX-2126-SM-5PNYR 60-69 years, female 2.9
GTEX-13G51-1826-SM-5KLZH 60-69 years, male 2.9
GTEX-X5EB-1926-SM-4E3IW 40-49 years, male 2.9
GTEX-ZE7O-2726-SM-51MT5 50-59 years, female 2.9
GTEX-ZZPU-0826-SM-5GZX5 50-59 years, female 2.9
GTEX-1AYD5-2626-SM-7PBXY 50-59 years, male 2.9
GTEX-1I1GP-1326-SM-A9G28 50-59 years, male 2.9
GTEX-1IDFM-0326-SM-ARL7V 60-69 years, male 2.9
GTEX-1NV5F-0626-SM-DTXEG 60-69 years, female 2.9
GTEX-12126-0826-SM-5FQTZ 20-29 years, male 2.8
GTEX-131YS-2826-SM-5EQ47 60-69 years, female 2.8
GTEX-1I1GT-1026-SM-ARZLV 60-69 years, female 2.8
GTEX-1JMPZ-0726-SM-CY8HZ 30-39 years, male 2.8
GTEX-12WSF-1626-SM-7KUG5 70-79 years, male 2.7
GTEX-13OW7-0426-SM-5K7VK 50-59 years, male 2.7
GTEX-14JG1-1526-SM-5YY9X 40-49 years, male 2.7
GTEX-16MTA-0926-SM-6M47Z 50-59 years, male 2.7
GTEX-1B8SF-0126-SM-7DUG3 60-69 years, male 2.7
GTEX-ZY6K-1426-SM-5GZX2 50-59 years, male 2.7
GTEX-13N1W-2426-SM-5IJD1 70-79 years, male 2.6
GTEX-15UF6-1926-SM-7KUDV 70-79 years, female 2.6
GTEX-XBEW-1126-SM-4QARW 40-49 years, male 2.6
GTEX-1JN1M-2726-SM-CY8I4 60-69 years, female 2.6
GTEX-11P7K-1126-SM-5HL4L 30-39 years, male 2.5
GTEX-13113-1626-SM-5EQ4I 60-69 years, female 2.5
GTEX-15SKB-2826-SM-6PAMH 60-69 years, male 2.5
GTEX-WHSE-0126-SM-3NMBT 20-29 years, male 2.5
GTEX-XOT4-0626-SM-4B66L 60-69 years, female 2.5
GTEX-ZVP2-0326-SM-57WBP 50-59 years, male 2.5
GTEX-ZGAY-1826-SM-DO91Q 40-49 years, female 2.5
GTEX-183FY-1026-SM-7939A 20-29 years, male 2.4
GTEX-1GMR3-0126-SM-A9SLW 40-49 years, male 2.4
GTEX-1HSMO-0626-SM-ACKXC 60-69 years, male 2.4
GTEX-1I6K7-1926-SM-B2LXR 40-49 years, male 2.4
GTEX-11DYG-1526-SM-5A5JS 60-69 years, male 2.3
GTEX-12WSJ-1126-SM-5LZVJ 40-49 years, female 2.3
GTEX-12WSK-2126-SM-5CVNC 40-49 years, female 2.3
GTEX-13NYB-0126-SM-5J1MD 40-49 years, male 2.3
GTEX-17F98-1326-SM-7DUEP 40-49 years, female 2.3
GTEX-WHPG-2626-SM-3NMBR 50-59 years, male 2.3
GTEX-1HC8U-1326-SM-9YFMJ 40-49 years, female 2.3
GTEX-111VG-1626-SM-5EGIO 60-69 years, male 2.2
GTEX-1399R-1326-SM-5PNYS 30-39 years, male 2.2
GTEX-14PKV-1126-SM-6LLJ1 20-29 years, female 2.2
GTEX-18A67-1626-SM-7LT9T 50-59 years, male 2.2
GTEX-1F75A-0726-SM-7RHHD 50-59 years, male 2.2
GTEX-1GN1U-0626-SM-9MQL9 50-59 years, female 2.2
GTEX-1IOXB-2726-SM-CM2RI 50-59 years, male 2.2
GTEX-13PL6-1126-SM-5L3IE 40-49 years, female 2.1
GTEX-13SLX-2226-SM-62LEP 50-59 years, female 2.1
GTEX-15ER7-0626-SM-6PANF 20-29 years, female 2.1
GTEX-16NGA-0726-SM-731AO 40-49 years, female 2.1
GTEX-WHSB-1326-SM-3LK6W 50-59 years, male 2.1
GTEX-XUW1-0926-SM-4BONX 50-59 years, female 2.1
GTEX-1GMR8-0626-SM-7RHI7 50-59 years, female 2.1
GTEX-1RAZR-2126-SM-E9U6T 40-49 years, male 2.1
GTEX-12WSH-1526-SM-5BC5W 50-59 years, male 2.0
GTEX-13SLW-0626-SM-5Q5ER 70-79 years, male 2.0
GTEX-16XZZ-0726-SM-7KUF2 60-69 years, male 2.0
GTEX-1CB4F-1026-SM-7DUH1 60-69 years, male 2.0
GTEX-Y3IK-1626-SM-4YCF5 50-59 years, female 2.0
GTEX-1HCU7-0726-SM-A9SL1 50-59 years, male 2.0
GTEX-1I6K6-1726-SM-CGQFD 30-39 years, male 2.0
GTEX-1N2EE-0626-SM-E76PW 60-69 years, male 2.0
GTEX-ZF3C-0626-SM-DO92O 50-59 years, female 2.0
GTEX-131XG-0326-SM-5L3DX 50-59 years, female 1.9
GTEX-ZYY3-2926-SM-5GIEB 60-69 years, female 1.9
GTEX-1C6VR-0126-SM-7RHGB 60-69 years, male 1.9
GTEX-1IDJE-1426-SM-ADEIW 50-59 years, female 1.9
GTEX-1J8QM-2426-SM-A9SLS 60-69 years, female 1.9
GTEX-1RAZA-2226-SM-E9U4X 20-29 years, male 1.9
GTEX-11WQK-1026-SM-5EQLX 50-59 years, male 1.8
GTEX-14BMU-1226-SM-5S2OR 20-29 years, female 1.8
GTEX-14PJO-2526-SM-6AJBQ 60-69 years, male 1.8
GTEX-UPK5-0426-SM-3GAEK 40-49 years, male 1.8
GTEX-Y5V6-2326-SM-4VDSA 60-69 years, male 1.8
GTEX-1CAMS-2226-SM-7PBXQ 40-49 years, female 1.8
GTEX-1F6I4-2326-SM-7RHGL 60-69 years, male 1.8
GTEX-1LGOU-1326-SM-D3L8M 20-29 years, female 1.8
GTEX-11EM3-1226-SM-5N9DD 20-29 years, female 1.7
GTEX-1211K-1526-SM-5FQU4 60-69 years, female 1.7
GTEX-12ZZZ-0726-SM-5GCNZ 60-69 years, male 1.7
GTEX-13FHO-0426-SM-5L3F5 60-69 years, male 1.7
GTEX-13PVQ-0626-SM-5LU47 50-59 years, male 1.7
GTEX-17F9E-2326-SM-79OKD 50-59 years, male 1.7
GTEX-17HGU-2326-SM-7DUFE 50-59 years, male 1.7
GTEX-WK11-2726-SM-3NMAQ 50-59 years, male 1.7
GTEX-1CB4I-0126-SM-7RHGG 50-59 years, male 1.7
GTEX-1I4MK-0126-SM-CY8G6 50-59 years, female 1.7
GTEX-1J8JJ-0626-SM-ARZMQ 60-69 years, female 1.7
GTEX-1R9PN-0426-SM-DTXDT 40-49 years, female 1.7
GTEX-1S82P-2126-SM-E6CI5 60-69 years, female 1.7
GTEX-1192X-2726-SM-5N9DN 50-59 years, male 1.6
GTEX-11OF3-0126-SM-5PNYF 60-69 years, male 1.6
GTEX-1212Z-0126-SM-59HK4 60-69 years, male 1.5
GTEX-145MF-0926-SM-5Q5EA 50-59 years, male 1.5
GTEX-1497J-0226-SM-5QGPU 60-69 years, male 1.5
GTEX-14DAQ-0626-SM-793DS 60-69 years, female 1.5
GTEX-15DYW-2726-SM-6EU2I 60-69 years, female 1.5
GTEX-WEY5-2326-SM-3GIKK 40-49 years, female 1.5
GTEX-ZVE1-0726-SM-51MRN 50-59 years, female 1.5
GTEX-ZYFG-1526-SM-5GZYM 60-69 years, female 1.5
GTEX-ZYT6-2326-SM-5GZY3 30-39 years, male 1.5
GTEX-1GN2E-0226-SM-9WG6K 60-69 years, male 1.5
GTEX-1JJEA-1826-SM-ARU8P 60-69 years, male 1.5
GTEX-1JKYR-0626-SM-ARL8R 20-29 years, male 1.5
GTEX-11GS4-0226-SM-5HL77 60-69 years, male 1.4
GTEX-147JS-0226-SM-5S2U9 60-69 years, male 1.4
GTEX-17MFQ-1526-SM-7KFRR 20-29 years, male 1.4
GTEX-1BAJH-2426-SM-7IGP8 70-79 years, male 1.4
GTEX-1EN7A-2426-SM-793DB 40-49 years, male 1.4
GTEX-1HSKV-1226-SM-ADEI4 60-69 years, male 1.4
GTEX-1IDJI-0126-SM-CMKHS 50-59 years, female 1.4
GTEX-1JMLX-0626-SM-ARL8T 50-59 years, male 1.4
GTEX-1PDJ9-1226-SM-EXUSX 20-29 years, male 1.4
GTEX-11NSD-0626-SM-5A5LU 20-29 years, male 1.3
GTEX-12WSC-2826-SM-5BC5Y 50-59 years, male 1.3
GTEX-13YAN-0226-SM-5TDC6 60-69 years, male 1.3
GTEX-1477Z-0326-SM-7IGLA 60-69 years, male 1.3
GTEX-17HII-1426-SM-7EPGG 50-59 years, male 1.3
GTEX-1CB4E-0926-SM-7EPHT 60-69 years, male 1.3
GTEX-Y5LM-0926-SM-6LLJG 40-49 years, female 1.3
GTEX-ZT9X-1526-SM-5DUXD 40-49 years, male 1.3
GTEX-1F5PL-0926-SM-7PC2W 40-49 years, female 1.3
GTEX-1HGF4-0126-SM-CNPPX 60-69 years, male 1.3
GTEX-1IDJV-0126-SM-COH3Y 60-69 years, male 1.3
GTEX-1IE54-1126-SM-A9G2Z 40-49 years, female 1.3
GTEX-12WSM-1926-SM-5BC65 60-69 years, male 1.2
GTEX-1399Q-2326-SM-5KM2X 40-49 years, male 1.2
GTEX-14LZ3-0126-SM-69LPM 60-69 years, female 1.2
GTEX-14PJ6-2626-SM-6EU2T 60-69 years, female 1.2
GTEX-1AX9I-2226-SM-73KUO 60-69 years, male 1.2
GTEX-ZA64-1026-SM-5HL8R 20-29 years, male 1.2
GTEX-1GF9W-1426-SM-7PBYM 60-69 years, male 1.2
GTEX-1HBPI-2126-SM-ARL9K 50-59 years, male 1.2
GTEX-1I19N-0126-SM-CYPSF 70-79 years, male 1.2
GTEX-1KWVE-1026-SM-D3L9O 30-39 years, male 1.2
GTEX-1QCLZ-2426-SM-EVYBW 60-69 years, female 1.2
GTEX-1QW4Y-1126-SM-DTXE3 30-39 years, male 1.2
GTEX-12WSD-0626-SM-5GCMW 60-69 years, female 1.1
GTEX-13IVO-0726-SM-5LZYV 70-79 years, male 1.1
GTEX-13JVG-0726-SM-5KM16 60-69 years, male 1.1
GTEX-13OVK-1426-SM-6PAN7 40-49 years, male 1.1
GTEX-145LU-1926-SM-79OJN 50-59 years, male 1.1
GTEX-Y8E4-2026-SM-5IFJB 40-49 years, male 1.1
GTEX-Y9LG-1126-SM-4VBQ7 30-39 years, male 1.1
GTEX-ZVT2-0126-SM-5GIDQ 50-59 years, female 1.1
GTEX-1F75B-0726-SM-7PC3R 50-59 years, male 1.1
GTEX-1GZ4I-2626-SM-9KNU3 50-59 years, male 1.1
GTEX-1H11D-1826-SM-9QEHM 40-49 years, male 1.1
GTEX-1H1DE-1326-SM-9KNUG 20-29 years, male 1.1
GTEX-1HR9M-2226-SM-CNPPY 60-69 years, male 1.1
GTEX-1ICLZ-0326-SM-ARL82 60-69 years, male 1.1
GTEX-11GSP-2326-SM-5HL63 60-69 years, female 1.0
GTEX-131XF-2626-SM-5EQ6K 60-69 years, male 1.0
GTEX-139YR-1026-SM-5LZYN 50-59 years, male 1.0
GTEX-13QJC-0126-SM-5ZZWJ 60-69 years, female 1.0
GTEX-13W3W-0726-SM-5IJDQ 60-69 years, female 1.0
GTEX-18D9B-0926-SM-7LG4U 60-69 years, male 1.0
GTEX-Z93S-1626-SM-5CVMB 50-59 years, male 1.0
GTEX-1GN73-0726-SM-7P8TJ 60-69 years, male 1.0
GTEX-1H2FU-0926-SM-9WPPT 60-69 years, female 1.0
GTEX-1H4P4-2126-SM-9WYSL 50-59 years, male 1.0
GTEX-1K2DU-1226-SM-CYPT4 20-29 years, male 1.0
GTEX-1QPFJ-1926-SM-EVYBD 30-39 years, female 1.0
GTEX-12WSA-0426-SM-5EQ5X 60-69 years, male 0.9
GTEX-132AR-0326-SM-5KM2C 50-59 years, female 0.9
GTEX-133LE-2326-SM-5K7W3 20-29 years, female 0.9
GTEX-178AV-1726-SM-7KUL8 40-49 years, male 0.9
GTEX-X3Y1-2026-SM-3P5YM 40-49 years, male 0.9
GTEX-1B8L1-2226-SM-7P8PT 60-69 years, male 0.9
GTEX-1GN1V-2826-SM-9JGIA 60-69 years, male 0.9
GTEX-1HSMP-0926-SM-A9SKX 70-79 years, male 0.9
GTEX-1ICLY-0826-SM-CMKG1 50-59 years, male 0.9
GTEX-1O9I2-0226-SM-EYYXD 50-59 years, male 0.9
GTEX-13O3Q-0126-SM-5KM34 50-59 years, male 0.8
GTEX-14PKU-0126-SM-6LLHV 40-49 years, female 0.8
GTEX-16MT8-2926-SM-7DUFO 60-69 years, female 0.8
GTEX-1B97I-0626-SM-73KUZ 40-49 years, male 0.8
GTEX-1EU9M-1426-SM-793AI 60-69 years, male 0.8
GTEX-V1D1-2026-SM-3GAF4 50-59 years, male 0.8
GTEX-XV7Q-1826-SM-4BRUV 40-49 years, female 0.8
GTEX-1F88E-1626-SM-7SB8Z 60-69 years, female 0.8
GTEX-1GN1W-2426-SM-9KNUU 50-59 years, female 0.8
GTEX-1JN6P-2926-SM-CL54D 60-69 years, male 0.8
GTEX-1LKK1-2626-SM-DKPQE 50-59 years, female 0.8
GTEX-1PPGY-1626-SM-EVYBL 60-69 years, male 0.8
GTEX-1PPH8-0126-SM-EWRN8 20-29 years, male 0.8
GTEX-1R46S-2426-SM-E76QA 60-69 years, female 0.8
GTEX-131XW-0626-SM-5PNVD 50-59 years, female 0.7
GTEX-13X6H-0926-SM-5SIB2 50-59 years, female 0.7
GTEX-147GR-2426-SM-5ZZWQ 60-69 years, male 0.7
GTEX-15EO6-2426-SM-6PALZ 50-59 years, male 0.7
GTEX-1B932-2326-SM-79OL5 40-49 years, female 0.7
GTEX-U8XE-0226-SM-4E3J3 30-39 years, male 0.7
GTEX-Y111-0626-SM-4SOIT 50-59 years, male 0.7
GTEX-ZTTD-2826-SM-4YCFA 50-59 years, male 0.7
GTEX-ZWKS-0626-SM-5GIDV 30-39 years, male 0.7
GTEX-1CB4J-1326-SM-7P8RX 60-69 years, male 0.7
GTEX-1GPI6-1926-SM-9KNV7 60-69 years, male 0.7
GTEX-1K9T9-1526-SM-DIPFR 50-59 years, female 0.7
GTEX-1M4P7-0726-SM-E6CJ3 60-69 years, male 0.7
GTEX-1QAET-0326-SM-EVR3U 50-59 years, male 0.7
GTEX-11ZU8-0126-SM-5EQ58 60-69 years, male 0.6
GTEX-13N11-2326-SM-5IJBF 50-59 years, female 0.6
GTEX-13X6I-1826-SM-5SIAO 60-69 years, male 0.6
GTEX-14753-0726-SM-5QGQO 60-69 years, male 0.6
GTEX-14E6C-2426-SM-5S2NF 40-49 years, male 0.6
GTEX-16NPX-0726-SM-7KULC 50-59 years, male 0.6
GTEX-17JCI-2926-SM-7DUFF 60-69 years, female 0.6
GTEX-1C6VQ-1226-SM-73KYD 50-59 years, male 0.6
GTEX-WFG7-2026-SM-5SI7P 20-29 years, male 0.6
GTEX-XBED-1926-SM-47JYP 60-69 years, male 0.6
GTEX-YEC4-1826-SM-4W1YP 40-49 years, male 0.6
GTEX-ZAB4-2126-SM-5HL8U 40-49 years, male 0.6
GTEX-1C64N-2626-SM-7PC2N 50-59 years, male 0.6
GTEX-1HFI6-0126-SM-CNPPI 40-49 years, male 0.6
GTEX-1J8Q2-2626-SM-ACKWQ 60-69 years, male 0.6
GTEX-1JMPY-0226-SM-CKZOK 30-39 years, male 0.6
GTEX-1S5ZU-2526-SM-E6CIF 20-29 years, female 0.6
GTEX-1S82U-1026-SM-E6CJK 30-39 years, female 0.6
GTEX-11TUW-0626-SM-5LU9M 60-69 years, male 0.5
GTEX-13NYC-0126-SM-5L3F4 60-69 years, male 0.5
GTEX-13QBU-1226-SM-5LU4G 40-49 years, female 0.5
GTEX-145MI-0626-SM-5SI8S 60-69 years, female 0.5
GTEX-18D9U-0126-SM-731BM 40-49 years, male 0.5
GTEX-1EKGG-0626-SM-7DUGJ 60-69 years, male 0.5
GTEX-WI4N-2726-SM-3LK7Y 40-49 years, female 0.5
GTEX-XQ3S-1426-SM-4BOPR 20-29 years, male 0.5
GTEX-ZT9W-1126-SM-57WDR 50-59 years, male 0.5
GTEX-14JFF-0626-SM-5ZZVT 60-69 years, male 0.5
GTEX-1F48J-0726-SM-7RHGS 50-59 years, female 0.5
GTEX-1H3VE-0726-SM-9YFL5 40-49 years, male 0.5
GTEX-1HKZK-0726-SM-ACKW2 40-49 years, male 0.5
GTEX-1I1GV-0626-SM-ARL7M 60-69 years, male 0.5
GTEX-1IY9M-2826-SM-ARU8H 60-69 years, male 0.5
GTEX-11LCK-2226-SM-5HL4Q 30-39 years, male 0.4
GTEX-11TT1-1826-SM-5EQLV 20-29 years, male 0.4
GTEX-1269C-0126-SM-5EQ5L 60-69 years, female 0.4
GTEX-13JUV-2026-SM-5K7UA 40-49 years, female 0.4
GTEX-13OVG-1626-SM-5J1NF 60-69 years, male 0.4
GTEX-15CHC-1126-SM-6LLHQ 60-69 years, female 0.4
GTEX-1A8G6-2726-SM-731AR 60-69 years, male 0.4
GTEX-1B996-0426-SM-7EWF8 60-69 years, male 0.4
GTEX-XMD2-2126-SM-4YCF8 60-69 years, female 0.4
GTEX-Y3I4-1726-SM-4TT89 50-59 years, male 0.4
GTEX-YB5K-2026-SM-4VDT3 40-49 years, female 0.4
GTEX-ZE9C-2526-SM-5IJDR 60-69 years, male 0.4
GTEX-ZYW4-0626-SM-59HJR 60-69 years, male 0.4
GTEX-1A3MX-2626-SM-7PC24 60-69 years, male 0.4
GTEX-1GF9V-0826-SM-9KNUV 60-69 years, male 0.4
GTEX-1GTWX-2026-SM-9YFLM 60-69 years, male 0.4
GTEX-1H1CY-0126-SM-9YFLY 60-69 years, female 0.4
GTEX-1H3NZ-2726-SM-9WYTQ 60-69 years, male 0.4
GTEX-1HT8W-0626-SM-A9G2H 30-39 years, male 0.4
GTEX-1IL2V-1926-SM-B2LW8 70-79 years, male 0.4
GTEX-1JMQK-1226-SM-D4P2S 60-69 years, male 0.4
GTEX-1POEN-2326-SM-E9J2L 30-39 years, female 0.4
GTEX-1117F-2926-SM-5GZYI 60-69 years, female 0.3
GTEX-12696-0126-SM-5EQ4L 60-69 years, male 0.3
GTEX-12WSL-2026-SM-5GCML 50-59 years, male 0.3
GTEX-12ZZY-0726-SM-5EQ66 60-69 years, male 0.3
GTEX-13D11-0926-SM-5J2NC 50-59 years, female 0.3
GTEX-13N2G-0226-SM-5K7VF 60-69 years, male 0.3
GTEX-13OW8-1026-SM-5J1NQ 60-69 years, male 0.3
GTEX-145MH-2826-SM-5RQJF 50-59 years, male 0.3
GTEX-14C38-0726-SM-5SI6M 50-59 years, male 0.3
GTEX-14PK6-0226-SM-62LF5 70-79 years, female 0.3
GTEX-15G1A-1626-SM-7KUKN 30-39 years, male 0.3
GTEX-15RJE-2826-SM-7KUM9 40-49 years, male 0.3
GTEX-1EX96-1026-SM-7MKG2 50-59 years, male 0.3
GTEX-WHWD-1826-SM-3LK6I 50-59 years, male 0.3
GTEX-WYVS-1626-SM-3NM9R 40-49 years, female 0.3
GTEX-Y5V5-0126-SM-5S2NW 60-69 years, female 0.3
GTEX-ZVE2-2826-SM-5GU51 50-59 years, male 0.3
GTEX-ZYFC-0426-SM-5GICQ 50-59 years, male 0.3
GTEX-ZYVF-0926-SM-5E44J 50-59 years, female 0.3
GTEX-1CAMR-1326-SM-7PC1F 20-29 years, male 0.3
GTEX-1H1ZS-2726-SM-9WG75 70-79 years, male 0.3
GTEX-1HFI7-2326-SM-CGQFS 50-59 years, female 0.3
GTEX-1JN76-0626-SM-CKZOQ 20-29 years, female 0.3
GTEX-YEC3-1326-SM-DO92X 50-59 years, male 0.3
GTEX-12C56-1526-SM-5FQUQ 20-29 years, male 0.2
GTEX-13OVJ-0826-SM-5J1OK 50-59 years, female 0.2
GTEX-13PVR-0426-SM-5RQK2 60-69 years, female 0.2
GTEX-13U4I-2226-SM-5LU5H 40-49 years, female 0.2
GTEX-13X6K-0626-SM-5LU5D 60-69 years, female 0.2
GTEX-144GO-2026-SM-5O99P 60-69 years, male 0.2
GTEX-14LLW-2626-SM-62LDZ 70-79 years, female 0.2
GTEX-14XAO-1226-SM-6EU1C 60-69 years, female 0.2
GTEX-15EU6-2226-SM-6EU2L 50-59 years, male 0.2
GTEX-18465-2826-SM-7LT9J 50-59 years, male 0.2
GTEX-1A8G7-1326-SM-73KVM 60-69 years, male 0.2
GTEX-1EH9U-2826-SM-7DUGT 60-69 years, male 0.2
GTEX-1EWIQ-0326-SM-7DHMQ 70-79 years, female 0.2
GTEX-WY7C-2126-SM-3NB2R 50-59 years, male 0.2
GTEX-WYBS-0626-SM-3NMAS 60-69 years, female 0.2
GTEX-X8HC-0626-SM-4E3HQ 50-59 years, female 0.2
GTEX-ZAK1-0626-SM-5HL8E 50-59 years, female 0.2
GTEX-1GZHY-0626-SM-9KNVC 50-59 years, female 0.2
GTEX-1H23P-0626-SM-9WG6T 60-69 years, male 0.2
GTEX-1HBPM-0726-SM-9YFL7 60-69 years, female 0.2
GTEX-1I1GU-0926-SM-ACKVS 40-49 years, male 0.2
GTEX-1J8Q3-0526-SM-ARL8U 60-69 years, male 0.2
GTEX-1JMOU-1026-SM-CYPSS 60-69 years, female 0.2
GTEX-1JMQL-2226-SM-CNPP4 50-59 years, female 0.2
GTEX-1LSNL-2726-SM-E9TKJ 50-59 years, male 0.2
GTEX-1RLM8-2926-SM-E8VON 50-59 years, male 0.2
GTEX-11ZUS-2626-SM-5FQUR 30-39 years, male 0.1
GTEX-131XH-0126-SM-5LZUY 50-59 years, male 0.1
GTEX-13OVH-0526-SM-5L3E6 70-79 years, male 0.1
GTEX-13RTJ-0126-SM-5S2NN 60-69 years, male 0.1
GTEX-144FL-0626-SM-5LU43 50-59 years, male 0.1
GTEX-148VJ-0626-SM-5LUAW 70-79 years, male 0.1
GTEX-14ABY-2026-SM-62LDL 50-59 years, male 0.1
GTEX-14PJ5-1526-SM-6LLIL 60-69 years, female 0.1
GTEX-15D1Q-2826-SM-6LLH7 40-49 years, male 0.1
GTEX-1B8KZ-0326-SM-73KY4 50-59 years, male 0.1
GTEX-1E1VI-0326-SM-793D1 50-59 years, male 0.1
GTEX-ZDXO-3126-SM-5IJDF 60-69 years, male 0.1
GTEX-ZVTK-0226-SM-51MRG 20-29 years, male 0.1
GTEX-1H1DF-1126-SM-9WG7G 40-49 years, female 0.1
GTEX-1H1DG-2426-SM-9QEHJ 70-79 years, male 0.1
GTEX-1I1CD-0626-SM-CE6SW 60-69 years, female 0.1
GTEX-1LSVX-2526-SM-DIPEU 60-69 years, male 0.1
GTEX-1LVA9-2626-SM-EVYD4 50-59 years, male 0.1
GTEX-1QEPI-2626-SM-DTXF4 60-69 years, female 0.1
GTEX-ZPIC-0526-SM-DO91W 40-49 years, female 0.1
GTEX-11PRG-0726-SM-5EGL1 50-59 years, male 0.0
GTEX-11UD2-2526-SM-5CVNU 50-59 years, male 0.0
GTEX-11ZTT-2126-SM-5CVLO 60-69 years, female 0.0
GTEX-12BJ1-0926-SM-5EQ62 60-69 years, male 0.0
GTEX-139TS-2126-SM-5K7XC 60-69 years, male 0.0
GTEX-139UW-0326-SM-5J1ML 60-69 years, male 0.0
GTEX-13FH7-1126-SM-5K7UG 50-59 years, female 0.0
GTEX-13NZ8-1226-SM-5KM4A 60-69 years, female 0.0
GTEX-13O3O-2326-SM-5IJD6 60-69 years, female 0.0
GTEX-13VXU-0626-SM-5L3F9 50-59 years, male 0.0
GTEX-13X6J-0626-SM-5LU5F 50-59 years, male 0.0
GTEX-147F4-0726-SM-5TDDD 50-59 years, male 0.0
GTEX-15DDE-2926-SM-6LLJ3 50-59 years, female 0.0
GTEX-16MT9-0126-SM-7EPI8 60-69 years, female 0.0
GTEX-17HG3-2626-SM-7DUF2 30-39 years, female 0.0
GTEX-17MF6-2626-SM-79OKQ 40-49 years, male 0.0
GTEX-183WM-0326-SM-72D5V 70-79 years, female 0.0
GTEX-1A32A-0626-SM-731AQ 50-59 years, female 0.0
GTEX-1A3MW-0626-SM-731CB 60-69 years, female 0.0
GTEX-1AX8Z-0726-SM-73KTS 60-69 years, male 0.0
GTEX-1CAV2-0126-SM-7IGN7 40-49 years, female 0.0
GTEX-WFG8-2126-SM-3GIKQ 20-29 years, male 0.0
GTEX-X4EO-2926-SM-4E3JH 60-69 years, female 0.0
GTEX-X585-2426-SM-46MW2 50-59 years, male 0.0
GTEX-ZDTS-0826-SM-4WKHL 60-69 years, male 0.0
GTEX-1A8FM-0626-SM-7PC25 50-59 years, female 0.0
GTEX-1F6IF-0926-SM-7SB7M 60-69 years, male 0.0
GTEX-1F75W-2726-SM-7SB8H 60-69 years, male 0.0
GTEX-1F88F-0126-SM-9WYSZ 60-69 years, female 0.0
GTEX-1GZ2Q-0126-SM-9WG6M 40-49 years, male 0.0
GTEX-1H3O1-1326-SM-9MQLD 60-69 years, male 0.0
GTEX-1HCU8-2526-SM-CE6RX 60-69 years, female 0.0
GTEX-1HR98-2226-SM-ADEI2 60-69 years, male 0.0
GTEX-1HUB1-1426-SM-CGQF5 60-69 years, male 0.0
GTEX-1I1GS-2626-SM-B2LY3 60-69 years, male 0.0
GTEX-1J1OQ-0126-SM-D4P2N 40-49 years, female 0.0
GTEX-1JJE9-2626-SM-ARZMT 70-79 years, male 0.0
GTEX-1JMQI-1726-SM-ARL93 50-59 years, male 0.0
GTEX-1LG7Y-2526-SM-EWRO7 50-59 years, male 0.0
GTEX-1QMI2-2526-SM-E8VNZ 60-69 years, male 0.0
Show allShow less
Skin - Sun Exposed (Lower leg)
Average nTPM: 9.0
Samples: 701

Max nTPM: 214.3
Min nTPM: 0.0
Std nTPM: 17.5
Median nTPM: 3.4
GTEX-1LVAN-0226-SM-COH3S 50-59 years, female 214.3
GTEX-POMQ-2226-SM-2I5FK 20-29 years, female 207.8
GTEX-1LBAC-0126-SM-DIPEZ 20-29 years, male 126.4
GTEX-1KANC-1526-SM-D3LAB 50-59 years, female 104.9
GTEX-1PIGE-0126-SM-EVYBJ 20-29 years, male 104.2
GTEX-1KANB-0526-SM-E6CJH 50-59 years, male 91.3
GTEX-1HSMQ-1226-SM-CGQFX 50-59 years, male 83.7
GTEX-1GZ4H-1726-SM-7PBZJ 50-59 years, female 80.3
GTEX-ZXES-1826-SM-5E43S 30-39 years, female 79.5
GTEX-1122O-2126-SM-5EGIR 60-69 years, female 70.2
GTEX-13FTX-1826-SM-5J1NX 20-29 years, female 68.7
GTEX-1F52S-0126-SM-9MQJU 60-69 years, female 64.2
GTEX-18D9A-1926-SM-7LG6P 30-39 years, female 62.1
GTEX-OIZH-0126-SM-2HMIS 50-59 years, male 56.9
GTEX-139D8-0226-SM-5KLZO 30-39 years, female 53.5
GTEX-Z9EW-1626-SM-5CVMN 40-49 years, male 50.8
GTEX-15SB6-1726-SM-6PAME 50-59 years, female 50.6
GTEX-XBEW-0626-SM-4QASP 40-49 years, male 50.2
GTEX-PLZ4-0126-SM-5SI8O 50-59 years, female 49.9
GTEX-1I4MK-2226-SM-ACKWD 50-59 years, female 49.5
GTEX-WXYG-2326-SM-4E3I6 50-59 years, female 47.8
GTEX-T6MO-1626-SM-32QOM 40-49 years, female 47.3
GTEX-1QCLY-0326-SM-E8VOG 30-39 years, male 45.3
GTEX-1GF9X-2026-SM-7PC3A 40-49 years, female 45.0
GTEX-1IDJU-2626-SM-CM2RT 60-69 years, female 43.7
GTEX-1JJ6O-0126-SM-E6CI8 60-69 years, male 42.3
GTEX-ZQUD-1426-SM-57WER 30-39 years, male 41.7
GTEX-QCQG-1726-SM-3GIJ9 50-59 years, female 40.9
GTEX-T5JW-1626-SM-3GADZ 20-29 years, female 39.6
GTEX-1497J-2426-SM-7IGNX 60-69 years, male 38.8
GTEX-17JCI-0126-SM-7LG5G 60-69 years, female 36.5
GTEX-1HSGN-0226-SM-CGQFV 40-49 years, female 35.6
GTEX-1MGNQ-0126-SM-EVYCJ 40-49 years, male 35.4
GTEX-1K2DA-1826-SM-CGQGT 50-59 years, male 35.3
GTEX-1S83E-0126-SM-EWRO4 40-49 years, male 35.3
GTEX-1R9PM-2026-SM-E76OY 20-29 years, male 34.5
GTEX-NFK9-0226-SM-2HMKQ 40-49 years, male 34.4
GTEX-ZQG8-1626-SM-DHXIT 60-69 years, female 34.4
GTEX-T2YK-0526-SM-32QPJ 50-59 years, male 33.3
GTEX-16AAH-1726-SM-7939C 50-59 years, male 32.8
GTEX-13OVK-2026-SM-7KUEO 40-49 years, male 31.8
GTEX-1J8EW-0126-SM-CJI4F 60-69 years, female 31.3
GTEX-16BQI-0226-SM-7KUEX 30-39 years, female 30.8
GTEX-17F97-0326-SM-7LG5B 50-59 years, male 30.8
GTEX-145MN-2226-SM-5SIAU 30-39 years, male 30.2
GTEX-Y114-2426-SM-4TT8A 50-59 years, female 29.9
GTEX-1IL2V-0126-SM-CM2TX 70-79 years, male 29.9
GTEX-1C475-1826-SM-73KWA 40-49 years, female 29.5
GTEX-15G19-0126-SM-6PANQ 60-69 years, male 29.1
GTEX-SNMC-1226-SM-2XCFP 20-29 years, male 28.6
GTEX-17F96-1626-SM-7DUFL 70-79 years, male 28.4
GTEX-1J1OQ-0226-SM-CYPSH 40-49 years, female 26.7
GTEX-1LSNM-1926-SM-E6CII 50-59 years, male 25.5
GTEX-14PHX-2326-SM-62LEM 50-59 years, male 25.0
GTEX-145LV-2126-SM-5LU8N 50-59 years, male 24.8
GTEX-13O21-1426-SM-5K7XI 50-59 years, male 24.5
GTEX-1A3MV-1926-SM-718BT 30-39 years, male 24.2
GTEX-VJYA-1126-SM-3GIJU 60-69 years, male 23.5
GTEX-OIZG-0726-SM-33HBL 50-59 years, male 22.7
GTEX-12126-0326-SM-5PNW3 20-29 years, male 22.5
GTEX-131XH-2226-SM-5DUXJ 50-59 years, male 22.5
GTEX-U3ZM-1526-SM-3DB9D 40-49 years, male 22.4
GTEX-ZAB5-1826-SM-5HL7C 50-59 years, male 22.4
GTEX-1HCUA-2426-SM-ADEIS 50-59 years, female 22.3
GTEX-Y3IK-2426-SM-4WWDU 50-59 years, female 22.2
GTEX-TML8-1926-SM-32QOS 40-49 years, female 22.1
GTEX-1N2DV-0226-SM-E6CJ6 40-49 years, male 22.1
GTEX-PWCY-1826-SM-DHXIZ 20-29 years, female 21.9
GTEX-XQ8I-0426-SM-4BOPO 50-59 years, male 21.6
GTEX-OOBJ-0126-SM-E6CJW 60-69 years, male 21.6
GTEX-1IDFM-0126-SM-COH2V 60-69 years, male 21.5
GTEX-1F5PL-0326-SM-7P8PQ 40-49 years, female 21.1
GTEX-13113-5016-SM-7EPIP 60-69 years, female 21.0
GTEX-1MUQO-0126-SM-EAZ58 60-69 years, male 21.0
GTEX-1RAZA-0126-SM-E6CI3 20-29 years, male 20.9
GTEX-1H1CY-2826-SM-9MQM3 60-69 years, female 20.8
GTEX-1ICG6-2526-SM-CGQFZ 70-79 years, female 20.8
GTEX-16NGA-1726-SM-731B4 40-49 years, female 20.4
GTEX-1C2JI-1826-SM-73KXC 50-59 years, male 20.2
GTEX-RM2N-1426-SM-2TF4H 50-59 years, male 20.1
GTEX-1PFEY-1526-SM-E76PP 30-39 years, male 20.0
GTEX-WVJS-0126-SM-4MVOT 50-59 years, male 19.8
GTEX-12ZZX-0126-SM-5EGK9 40-49 years, female 19.5
GTEX-13OW5-0126-SM-DTXFS 60-69 years, male 19.5
GTEX-1LG7Z-1726-SM-D3LA4 30-39 years, male 19.5
GTEX-1211K-2026-SM-5EQ4Z 60-69 years, female 19.3
GTEX-W5WG-1826-SM-4KL2Y 50-59 years, female 19.1
GTEX-1J8QM-2126-SM-CYPSJ 60-69 years, female 18.4
GTEX-1JKYN-1326-SM-CGQG9 30-39 years, male 18.0
GTEX-1PDJ9-0326-SM-DTX95 20-29 years, male 18.0
GTEX-1S5ZA-0126-SM-EVYCV 20-29 years, male 17.9
GTEX-1JK1U-2026-SM-CM2RZ 60-69 years, male 17.8
GTEX-145LU-0126-SM-5TDCB 50-59 years, male 17.6
GTEX-ZF2S-2326-SM-4WWCE 50-59 years, female 17.6
GTEX-VUSG-2526-SM-4KL1V 50-59 years, male 17.4
GTEX-WQUQ-0426-SM-3MJFU 60-69 years, male 17.2
GTEX-ZEX8-2426-SM-4WKG4 50-59 years, male 17.1
GTEX-T2IS-0126-SM-4DM6O 20-29 years, female 17.0
GTEX-13FXS-0226-SM-5IJCK 50-59 years, male 16.8
GTEX-18QFQ-0126-SM-731BE 30-39 years, male 16.8
GTEX-1F6RS-0126-SM-9MQKZ 60-69 years, female 16.7
GTEX-SUCS-1926-SM-32PM3 70-79 years, male 16.5
GTEX-11XUK-2026-SM-5EQLF 40-49 years, female 16.1
GTEX-1I1GT-0626-SM-CGQER 60-69 years, female 16.1
GTEX-17HG3-2226-SM-7938L 30-39 years, female 16.0
GTEX-XUW1-0426-SM-4BOOT 50-59 years, female 16.0
GTEX-17HHE-2026-SM-79OKF 50-59 years, male 15.8
GTEX-11DXZ-2326-SM-5EGGV 50-59 years, male 15.5
GTEX-13112-2826-SM-5DUWH 50-59 years, male 15.5
GTEX-UJHI-1526-SM-3DB99 50-59 years, female 15.5
GTEX-1GF9U-2126-SM-7SB7L 40-49 years, female 15.5
GTEX-XUZC-1726-SM-4BRWS 30-39 years, female 15.4
GTEX-YB5K-2126-SM-4WWDJ 40-49 years, female 15.4
GTEX-1JMLX-0226-SM-CM2RO 50-59 years, male 15.1
GTEX-14BMV-0126-SM-5S2PO 50-59 years, male 15.0
GTEX-1EMGI-0126-SM-9KNUE 60-69 years, male 15.0
GTEX-ZZ64-1726-SM-5GZYB 20-29 years, male 14.9
GTEX-1HCU6-0126-SM-CL54K 60-69 years, female 14.7
GTEX-1QPFJ-0226-SM-E76PB 30-39 years, female 14.6
GTEX-TKQ1-1026-SM-4GICL 30-39 years, male 14.4
GTEX-13FHP-0126-SM-5IJBG 50-59 years, male 14.1
GTEX-1GN1W-0526-SM-9MQJQ 50-59 years, female 14.0
GTEX-ZF29-2326-SM-DO92K 60-69 years, female 13.9
GTEX-145ME-1826-SM-5SI9G 40-49 years, female 13.8
GTEX-14A5H-0426-SM-5QGQF 60-69 years, male 13.8
GTEX-1GMR3-1926-SM-9KNUZ 40-49 years, male 13.8
GTEX-13111-1626-SM-5EGJY 50-59 years, male 13.7
GTEX-1399R-2726-SM-5IJBA 30-39 years, male 13.4
GTEX-PLZ5-2026-SM-2S1O4 50-59 years, male 13.4
GTEX-ZVT2-2526-SM-51MT1 50-59 years, female 13.4
GTEX-ZYT6-0226-SM-5NQ6T 30-39 years, male 13.4
GTEX-1S82Z-0826-SM-E6CHY 30-39 years, female 13.4
GTEX-11P82-1626-SM-59879 20-29 years, male 13.3
GTEX-1GMR8-0126-SM-9WYTM 50-59 years, female 13.3
GTEX-13RTK-1426-SM-5QGQJ 20-29 years, male 13.2
GTEX-Q2AG-0126-SM-33HBV 40-49 years, female 13.2
GTEX-SJXC-0126-SM-2XCFF 60-69 years, male 13.2
GTEX-1MCYP-1926-SM-E9J2R 20-29 years, female 13.1
GTEX-1PBJI-0526-SM-E8VNK 20-29 years, female 12.8
GTEX-TMMY-0226-SM-33HBA 40-49 years, female 12.6
GTEX-WRHK-1426-SM-3MJF9 20-29 years, female 12.6
GTEX-ZGAY-0526-SM-4WWBB 40-49 years, female 12.5
GTEX-1QP9N-1426-SM-DTXFL 30-39 years, male 12.5
GTEX-15SHU-0126-SM-7KUEH 40-49 years, female 12.4
GTEX-14C5O-0126-SM-5SI6N 60-69 years, male 12.3
GTEX-1CB4I-0226-SM-79OLH 50-59 years, male 12.2
GTEX-1HCU9-1526-SM-A9SL7 20-29 years, male 12.0
GTEX-1JMPZ-0226-SM-CNPP1 30-39 years, male 11.7
GTEX-XAJ8-0826-SM-47JY6 40-49 years, male 11.6
GTEX-1S3DN-2226-SM-EVYCD 50-59 years, male 11.5
GTEX-1KXAM-2226-SM-CYPTC 60-69 years, male 11.4
GTEX-1I1GR-0126-SM-CL55F 60-69 years, male 11.3
GTEX-ZWKS-0126-SM-5SIAA 30-39 years, male 11.2
GTEX-1GPI7-0126-SM-9MQL8 20-29 years, male 11.2
GTEX-ZAJG-0126-SM-5HL94 50-59 years, female 11.1
GTEX-139TT-0126-SM-5K7Y5 60-69 years, male 11.0
GTEX-1IDJH-0326-SM-A9SLQ 70-79 years, male 11.0
GTEX-12WSE-0526-SM-793B2 20-29 years, male 10.9
GTEX-1HSEH-0126-SM-ACKXN 60-69 years, male 10.9
GTEX-13G51-2526-SM-5LZYK 60-69 years, male 10.8
GTEX-XXEK-2226-SM-4BRUM 50-59 years, male 10.8
GTEX-U412-0426-SM-3DB9O 60-69 years, male 10.7
GTEX-1LGOU-2026-SM-DIPFF 20-29 years, female 10.7
GTEX-13VXT-0126-SM-5LU4I 20-29 years, female 10.6
GTEX-16GPK-0126-SM-7DHLE 60-69 years, male 10.6
GTEX-11O72-0126-SM-59887 40-49 years, male 10.4
GTEX-1MA7W-2026-SM-E9TJ6 20-29 years, female 10.4
GTEX-1PIIG-0226-SM-EWRN6 30-39 years, male 10.4
GTEX-1KAFJ-2026-SM-CY8ID 50-59 years, male 10.3
GTEX-145LS-0126-SM-5QGP1 60-69 years, female 10.2
GTEX-1H1E6-1726-SM-ACKVK 30-39 years, male 10.2
GTEX-146FQ-0126-SM-5NQA9 30-39 years, male 10.1
GTEX-ZXG5-0126-SM-5GIEU 60-69 years, male 10.1
GTEX-1GN1U-0126-SM-7PBZK 50-59 years, female 10.1
GTEX-14PJ3-1826-SM-62LEX 50-59 years, male 9.9
GTEX-ZYFG-2326-SM-5E44B 60-69 years, female 9.9
GTEX-RWS6-2026-SM-2XCB5 60-69 years, female 9.6
GTEX-1OJC3-0126-SM-E76QX 20-29 years, male 9.6
GTEX-1C64O-0126-SM-7SB8P 60-69 years, male 9.4
GTEX-17EUY-0426-SM-793BD 20-29 years, male 9.3
GTEX-17HHY-0126-SM-7LG5D 50-59 years, male 9.3
GTEX-1JKYR-0126-SM-CNPOJ 20-29 years, male 9.2
GTEX-1E1VI-0126-SM-7DHMZ 50-59 years, male 9.1
GTEX-15ER7-0326-SM-7KUEV 20-29 years, female 9.0
GTEX-147F3-0526-SM-5SI98 50-59 years, female 8.7
GTEX-PSDG-0226-SM-DKPOZ 50-59 years, male 8.7
GTEX-13JUV-2726-SM-5LZZ8 40-49 years, female 8.6
GTEX-13QJ3-0326-SM-5S2RA 50-59 years, male 8.6
GTEX-14DAQ-0126-SM-5S2MQ 60-69 years, female 8.6
GTEX-13FHO-0226-SM-5IFGY 60-69 years, male 8.5
GTEX-X88G-0126-SM-47JZ3 30-39 years, male 8.5
GTEX-11DXX-2426-SM-5GZZW 60-69 years, female 8.4
GTEX-S95S-1226-SM-4GICG 60-69 years, male 8.4
GTEX-11OF3-2626-SM-5GU7F 60-69 years, male 8.3
GTEX-OXRK-0226-SM-3NB2G 50-59 years, female 8.3
GTEX-11EM3-2426-SM-59861 20-29 years, female 8.2
GTEX-131YS-0126-SM-5KM1M 60-69 years, female 8.1
GTEX-1R7EU-0226-SM-EVR4G 60-69 years, male 8.1
GTEX-1GL5R-1826-SM-9KNUY 50-59 years, male 8.0
GTEX-13O3Q-2426-SM-5IJBR 50-59 years, male 7.8
GTEX-1IKJJ-0126-SM-CNPQB 60-69 years, male 7.8
GTEX-1QP66-1726-SM-E8VO1 50-59 years, male 7.8
GTEX-111FC-0126-SM-5N9DL 60-69 years, male 7.7
GTEX-11VI4-1726-SM-5CVLH 40-49 years, female 7.7
GTEX-ZVZP-2426-SM-59HKJ 50-59 years, male 7.7
GTEX-ZVTK-0426-SM-51MRS 20-29 years, male 7.6
GTEX-1KANA-0726-SM-D3L9I 20-29 years, male 7.6
GTEX-13NZB-2526-SM-5J1OM 30-39 years, male 7.5
GTEX-1B8SF-1426-SM-7DUGL 60-69 years, male 7.5
GTEX-1LNCM-1126-SM-E9U5E 50-59 years, female 7.5
GTEX-W5X1-3026-SM-EAZAX 40-49 years, female 7.5
GTEX-18D9B-0526-SM-7LTAS 60-69 years, male 7.4
GTEX-RN64-0126-SM-2TC68 50-59 years, male 7.4
GTEX-1CAV2-2226-SM-7P8P2 40-49 years, female 7.3
GTEX-1H11D-0226-SM-9WG6Z 40-49 years, male 7.2
GTEX-QESD-1426-SM-2S1R9 20-29 years, male 7.1
GTEX-UPJH-0326-SM-3GADU 50-59 years, male 7.1
GTEX-WYJK-0126-SM-3NMAB 50-59 years, male 7.1
GTEX-131XF-5016-SM-7MGWE 60-69 years, male 7.1
GTEX-1HCVE-0126-SM-CGQEU 50-59 years, male 7.1
GTEX-11EQ9-2426-SM-5HL5T 30-39 years, male 7.0
GTEX-13D11-2426-SM-5KM1V 50-59 years, female 7.0
GTEX-YB5E-2026-SM-5IFIS 40-49 years, male 7.0
GTEX-1313W-0126-SM-5LZUN 50-59 years, female 6.9
GTEX-14BIN-0626-SM-793DP 50-59 years, female 6.9
GTEX-1314G-1526-SM-5EGK2 30-39 years, male 6.8
GTEX-1399U-2326-SM-5K7WY 50-59 years, female 6.8
GTEX-P4PQ-0126-SM-2S1NM 60-69 years, male 6.8
GTEX-139T8-0126-SM-5K7XZ 60-69 years, male 6.7
GTEX-ZV68-0126-SM-59HKS 50-59 years, female 6.7
GTEX-117YX-2326-SM-5H12W 50-59 years, male 6.6
GTEX-13CF2-2526-SM-5LZYX 60-69 years, male 6.6
GTEX-XYKS-2126-SM-4E3IB 60-69 years, female 6.6
GTEX-ZVE2-0226-SM-59HJB 50-59 years, male 6.6
GTEX-1IOXB-0126-SM-ARL8G 50-59 years, male 6.6
GTEX-111VG-2426-SM-5GZXD 60-69 years, male 6.5
GTEX-1212Z-2526-SM-5EGKP 60-69 years, male 6.5
GTEX-14ICK-0226-SM-6EU25 40-49 years, male 6.5
GTEX-15DDE-0126-SM-6LPKH 50-59 years, female 6.5
GTEX-14PN3-2426-SM-6LLHS 60-69 years, female 6.4
GTEX-QV44-1926-SM-2S1RF 50-59 years, male 6.3
GTEX-Z93S-0126-SM-5HL7M 50-59 years, male 6.3
GTEX-1IL2U-0226-SM-CE6T8 60-69 years, male 6.3
GTEX-14PJM-0226-SM-62LF1 50-59 years, female 6.2
GTEX-1LGRB-2526-SM-CNPPQ 50-59 years, female 6.2
GTEX-1HT8W-0126-SM-CNPPP 30-39 years, male 6.1
GTEX-18A66-0226-SM-718BD 60-69 years, male 6.0
GTEX-OHPM-0126-SM-2YUN9 50-59 years, male 6.0
GTEX-1399T-2826-SM-5KLYZ 60-69 years, male 5.9
GTEX-13SLX-0526-SM-5S2ON 50-59 years, female 5.9
GTEX-11WQC-2526-SM-5CVLE 60-69 years, male 5.8
GTEX-ZTX8-1426-SM-5DUVO 20-29 years, male 5.8
GTEX-1KD5A-0226-SM-D5OV3 50-59 years, male 5.8
GTEX-QLQW-1126-SM-2S1Q8 30-39 years, male 5.7
GTEX-Y8DK-0126-SM-4TT3L 60-69 years, male 5.7
GTEX-RVPV-0126-SM-EAZAW 60-69 years, male 5.7
GTEX-144GL-0126-SM-5TDE2 50-59 years, male 5.6
GTEX-1AMEY-1326-SM-73KYK 30-39 years, female 5.6
GTEX-1J8Q2-0526-SM-CM2RW 60-69 years, male 5.6
GTEX-11ZTS-0126-SM-5EQ6M 60-69 years, female 5.5
GTEX-1J1R8-1726-SM-ARL8M 40-49 years, male 5.5
GTEX-1B8SG-0126-SM-73KZ3 50-59 years, male 5.4
GTEX-R3RS-0126-SM-3GIJL 40-49 years, female 5.4
GTEX-T8EM-1026-SM-3DB7M 40-49 years, male 5.4
GTEX-1CB4H-0226-SM-7PBXM 60-69 years, female 5.4
GTEX-17GQL-2026-SM-718BA 60-69 years, male 5.3
GTEX-1LB8K-0226-SM-EWRNW 50-59 years, male 5.3
GTEX-14JG1-0426-SM-6ETZZ 40-49 years, male 5.2
GTEX-1CB4E-2226-SM-793DC 60-69 years, male 5.2
GTEX-YEC4-2126-SM-5IFJH 40-49 years, male 5.2
GTEX-1RB15-2126-SM-E9TIM 60-69 years, male 5.2
GTEX-15RIG-0226-SM-7KFTL 40-49 years, male 5.1
GTEX-18D9U-0226-SM-718BP 40-49 years, male 5.1
GTEX-X4EP-0126-SM-3P5YV 60-69 years, female 5.1
GTEX-1JN6P-0126-SM-D3L98 60-69 years, male 5.1
GTEX-1AX9I-0126-SM-7SB74 60-69 years, male 5.0
GTEX-1CB4F-0426-SM-9KNV4 60-69 years, male 5.0
GTEX-1HKZK-0326-SM-9WYUH 40-49 years, male 5.0
GTEX-14LLW-0126-SM-6LLIO 70-79 years, female 4.9
GTEX-18A67-0126-SM-7LG5P 50-59 years, male 4.9
GTEX-1F5PK-2426-SM-7RHHY 50-59 years, male 4.9
GTEX-1F6I4-0126-SM-9MQL2 60-69 years, male 4.9
GTEX-1PPH7-2326-SM-EVYB8 40-49 years, male 4.9
GTEX-1S82Y-2026-SM-EVYCM 40-49 years, male 4.9
GTEX-17MFQ-1726-SM-793C7 20-29 years, male 4.8
GTEX-1CAMR-1926-SM-7EPI2 20-29 years, male 4.8
GTEX-1GN2E-0426-SM-9MQKX 60-69 years, male 4.8
GTEX-1QP2A-0126-SM-E9J43 50-59 years, male 4.8
GTEX-P4QT-0126-SM-2I3FL 50-59 years, female 4.7
GTEX-1F75A-0126-SM-7RHGM 50-59 years, male 4.7
GTEX-145LT-1726-SM-5QGP3 40-49 years, male 4.6
GTEX-OOBK-0126-SM-2YUND 40-49 years, male 4.5
GTEX-X8HC-0126-SM-4E3JW 50-59 years, female 4.5
GTEX-1I1GQ-0126-SM-COH3H 50-59 years, male 4.5
GTEX-11NSD-2226-SM-5986V 20-29 years, male 4.4
GTEX-14753-0426-SM-5NQAM 60-69 years, male 4.4
GTEX-14BMU-2226-SM-5TDE9 20-29 years, female 4.4
GTEX-1C6WA-0126-SM-7PC2B 60-69 years, male 4.4
GTEX-1GZHY-0326-SM-9QEHI 50-59 years, female 4.4
GTEX-133LE-1826-SM-5J1MV 20-29 years, female 4.3
GTEX-13OW6-0426-SM-5L3HM 50-59 years, male 4.3
GTEX-14E6D-0126-SM-62LDV 50-59 years, male 4.3
GTEX-14PII-0226-SM-6EU1T 60-69 years, male 4.3
GTEX-15F5U-1526-SM-6PANO 40-49 years, male 4.3
GTEX-1MA7X-2226-SM-E6CIY 60-69 years, male 4.3
GTEX-16XZZ-0126-SM-793DV 60-69 years, male 4.2
GTEX-Y5V6-2426-SM-4VDSB 60-69 years, male 4.2
GTEX-ZV6S-2326-SM-4YCEY 40-49 years, female 4.2
GTEX-11DXW-0226-SM-5H122 40-49 years, male 4.1
GTEX-16NPX-0226-SM-79OMT 50-59 years, male 4.1
GTEX-1AMFI-2026-SM-731BH 50-59 years, female 4.1
GTEX-13FTW-2626-SM-5K7WL 40-49 years, male 4.0
GTEX-13N1W-0126-SM-5K7VT 70-79 years, male 4.0
GTEX-14A6H-0126-SM-5QGPK 30-39 years, male 4.0
GTEX-OXRP-0126-SM-3NB32 60-69 years, female 4.0
GTEX-1EN7A-0126-SM-7SB81 40-49 years, male 4.0
GTEX-1HR98-0126-SM-B2LWI 60-69 years, male 4.0
GTEX-1IGQW-0126-SM-COH42 60-69 years, male 4.0
GTEX-11DZ1-0126-SM-5985Q 50-59 years, male 3.9
GTEX-14DAR-2026-SM-5S2O3 50-59 years, male 3.9
GTEX-X4XX-0126-SM-3NMC2 60-69 years, male 3.9
GTEX-1IKK5-0626-SM-ARL8A 60-69 years, male 3.9
GTEX-11DYG-0126-SM-59883 60-69 years, male 3.8
GTEX-17EVP-0326-SM-7DHLG 40-49 years, male 3.8
GTEX-QLQ7-1626-SM-2S1R8 60-69 years, male 3.8
GTEX-T6MN-0126-SM-32PLP 50-59 years, male 3.8
GTEX-WI4N-1026-SM-3LK7N 40-49 years, female 3.8
GTEX-14PK6-1926-SM-6ETZU 70-79 years, female 3.7
GTEX-U3ZH-2026-SM-3DB78 30-39 years, male 3.7
GTEX-ZVT4-0126-SM-DTXFN 50-59 years, female 3.7
GTEX-11GS4-2726-SM-5A5LE 60-69 years, male 3.6
GTEX-13IVO-0126-SM-5J1NG 70-79 years, male 3.6
GTEX-13N2G-2626-SM-5J1OT 60-69 years, male 3.6
GTEX-U8T8-0126-SM-3DB94 60-69 years, male 3.6
GTEX-ZVZO-0126-SM-5A5L9 40-49 years, male 3.6
GTEX-1CB4G-0226-SM-7PC3O 60-69 years, male 3.6
GTEX-S33H-1026-SM-EZ6L6 30-39 years, male 3.6
GTEX-1CAMQ-0226-SM-7IGPK 40-49 years, male 3.5
GTEX-ZAK1-0126-SM-5IJD3 50-59 years, female 3.5
GTEX-1B933-0126-SM-7PC29 50-59 years, female 3.5
GTEX-1CAMS-0426-SM-7P8T2 40-49 years, female 3.5
GTEX-1GF9V-0326-SM-7RHI5 60-69 years, male 3.5
GTEX-1HBPI-1526-SM-C1YQ1 50-59 years, male 3.5
GTEX-1K2DU-2326-SM-E9TIV 20-29 years, male 3.5
GTEX-13NZ8-0826-SM-5MR3I 60-69 years, female 3.4
GTEX-14LZ3-0226-SM-62LET 60-69 years, female 3.4
GTEX-S7SE-0126-SM-2XCD5 50-59 years, male 3.4
GTEX-WFON-2126-SM-3LK7O 40-49 years, male 3.4
GTEX-X4XY-0226-SM-4E3IZ 60-69 years, male 3.4
GTEX-XQ3S-1526-SM-4BOOC 20-29 years, male 3.4
GTEX-ZE7O-0126-SM-57WC1 50-59 years, female 3.4
GTEX-1JJEA-0326-SM-CNPOT 60-69 years, male 3.4
GTEX-13OVL-0226-SM-5L3E9 50-59 years, male 3.3
GTEX-14JG6-2226-SM-6EU2G 30-39 years, female 3.3
GTEX-ZYFC-0226-SM-5NQ75 50-59 years, male 3.3
GTEX-1MJK2-0426-SM-DTXE5 50-59 years, male 3.3
GTEX-PLZ6-1426-SM-DKPOT 30-39 years, male 3.3
GTEX-PW2O-1526-SM-7RHHB 20-29 years, male 3.3
GTEX-11ZVC-2526-SM-5FQTE 50-59 years, female 3.2
GTEX-Q2AI-1326-SM-2S1PL 40-49 years, male 3.2
GTEX-1EKGG-0226-SM-9WYTH 60-69 years, male 3.2
GTEX-1F7RK-0126-SM-7PC2S 20-29 years, female 3.2
GTEX-131XG-2626-SM-5KM17 50-59 years, female 3.1
GTEX-145MO-0326-SM-5Q5B3 60-69 years, male 3.1
GTEX-15EU6-0426-SM-6PAN5 50-59 years, male 3.1
GTEX-15SDE-2226-SM-7IGLO 50-59 years, female 3.1
GTEX-S32W-2126-SM-2XCB1 50-59 years, female 3.1
GTEX-1I19N-0326-SM-ACKVX 70-79 years, male 3.1
GTEX-12WSC-0126-SM-5EQ4P 50-59 years, male 3.0
GTEX-1B8KE-2126-SM-73KYX 50-59 years, male 3.0
GTEX-PVOW-0126-SM-2XCFA 40-49 years, male 3.0
GTEX-U3ZN-2326-SM-3DB7W 30-39 years, female 3.0
GTEX-12WSG-2826-SM-E9J4H 50-59 years, female 3.0
GTEX-1GMRU-0126-SM-9YFLV 50-59 years, male 3.0
GTEX-12ZZZ-0626-SM-5DUXI 60-69 years, male 2.9
GTEX-145MI-0526-SM-5O9A8 60-69 years, female 2.9
GTEX-P4PP-0126-SM-3LK69 30-39 years, female 2.9
GTEX-1GZ2Q-0226-SM-7P8TL 40-49 years, male 2.9
GTEX-11P81-2326-SM-59875 30-39 years, female 2.8
GTEX-13NYB-2526-SM-5K7Z6 40-49 years, male 2.8
GTEX-15DYW-0126-SM-7KULE 60-69 years, female 2.8
GTEX-17HGU-0226-SM-7DHKV 50-59 years, male 2.8
GTEX-1AX9K-2326-SM-73KWU 50-59 years, male 2.8
GTEX-S7PM-0126-SM-4AD6S 60-69 years, male 2.8
GTEX-Z93T-0126-SM-5HL5N 50-59 years, male 2.8
GTEX-1B8L1-2526-SM-9WYTF 60-69 years, male 2.8
GTEX-1LG7Y-0526-SM-DKPQC 50-59 years, male 2.8
GTEX-13YAN-0326-SM-5O9DF 60-69 years, male 2.7
GTEX-14A5I-0126-SM-5TDEA 50-59 years, female 2.7
GTEX-16MT8-0426-SM-7KUEY 60-69 years, female 2.7
GTEX-U8XE-0326-SM-3DB8P 30-39 years, male 2.7
GTEX-ZC5H-0226-SM-4WAY9 40-49 years, female 2.7
GTEX-ZTSS-1926-SM-57WEW 40-49 years, male 2.7
GTEX-ZY6K-1826-SM-5GZXK 50-59 years, male 2.7
GTEX-1I1GV-0526-SM-A9G29 60-69 years, male 2.7
GTEX-ZF3C-0126-SM-DO92D 50-59 years, female 2.7
GTEX-11DXY-2626-SM-5GIE7 60-69 years, male 2.6
GTEX-12WSD-0126-SM-59HKN 60-69 years, female 2.6
GTEX-RWSA-0126-SM-2XCBB 40-49 years, male 2.6
GTEX-XUYS-0126-SM-47JWZ 50-59 years, male 2.6
GTEX-YJ8A-0426-SM-5IFID 20-29 years, male 2.6
GTEX-1HCU8-0626-SM-A9SM9 60-69 years, female 2.6
GTEX-12WSJ-1826-SM-5GCNY 40-49 years, female 2.5
GTEX-131XE-2326-SM-5PNZ2 50-59 years, male 2.5
GTEX-13CF3-2426-SM-5IFGX 60-69 years, female 2.5
GTEX-O5YT-0126-SM-48TBW 20-29 years, male 2.5
GTEX-O5YW-0126-SM-3LK6D 50-59 years, male 2.5
GTEX-Y8E4-0626-SM-4WWDL 40-49 years, male 2.5
GTEX-1L5NE-2526-SM-E6CIE 50-59 years, male 2.5
GTEX-1M5QR-1226-SM-EWROB 40-49 years, male 2.5
GTEX-13PDP-0126-SM-5L3HD 60-69 years, male 2.4
GTEX-14ABY-0226-SM-5TDCQ 50-59 years, male 2.4
GTEX-14E7W-0126-SM-6LLJ9 70-79 years, male 2.4
GTEX-18A6Q-0126-SM-731BZ 60-69 years, male 2.4
GTEX-1B97I-1626-SM-73KYO 40-49 years, male 2.4
GTEX-SSA3-0126-SM-32QPU 60-69 years, male 2.4
GTEX-ZDYS-2026-SM-5HL5L 50-59 years, male 2.4
GTEX-1R7EV-2426-SM-EVYBG 40-49 years, male 2.4
GTEX-1192X-0226-SM-5H12D 50-59 years, male 2.3
GTEX-11EI6-0126-SM-5985R 60-69 years, male 2.3
GTEX-11UD1-0126-SM-5PNYG 40-49 years, female 2.3
GTEX-12WSK-2326-SM-5GCOH 40-49 years, female 2.3
GTEX-1BAJH-0526-SM-793CQ 70-79 years, male 2.3
GTEX-T5JC-0426-SM-32PLO 20-29 years, male 2.3
GTEX-V1D1-2226-SM-3NMAX 50-59 years, male 2.3
GTEX-13PVR-2326-SM-5QGR1 60-69 years, female 2.2
GTEX-14PJ6-2126-SM-6EU1V 60-69 years, female 2.2
GTEX-1C6VR-2426-SM-79OLD 60-69 years, male 2.2
GTEX-OXRN-0126-SM-48TDM 50-59 years, male 2.2
GTEX-WH7G-2326-SM-3NMBC 40-49 years, male 2.2
GTEX-X585-0226-SM-4QAS2 50-59 years, male 2.2
GTEX-Y5V5-2326-SM-4V6GA 60-69 years, female 2.2
GTEX-1H1DG-0126-SM-9WYU2 70-79 years, male 2.2
GTEX-1QP29-0626-SM-EWRMX 50-59 years, male 2.2
GTEX-12WSL-2526-SM-5GCNJ 50-59 years, male 2.1
GTEX-144FL-0126-SM-5TDC8 50-59 years, male 2.1
GTEX-183FY-0126-SM-7LT9P 20-29 years, male 2.1
GTEX-ZE9C-2726-SM-57WB5 60-69 years, male 2.1
GTEX-ZF28-0126-SM-4WKGK 60-69 years, male 2.1
GTEX-1JMQI-2226-SM-CM2SD 50-59 years, male 2.1
GTEX-1OJC4-0126-SM-E9J2E 50-59 years, female 2.1
GTEX-11OC5-0126-SM-5HL6A 60-69 years, male 2.0
GTEX-12ZZY-0226-SM-5LZVE 60-69 years, male 2.0
GTEX-13FTY-0526-SM-5L3EV 40-49 years, female 2.0
GTEX-13OVG-1926-SM-5L3DK 60-69 years, male 2.0
GTEX-13X6J-0126-SM-5QGOU 50-59 years, male 2.0
GTEX-14BIL-0126-SM-5SI92 50-59 years, male 2.0
GTEX-17KNJ-2326-SM-7DHLQ 50-59 years, male 2.0
GTEX-RUSQ-1526-SM-2TF62 50-59 years, male 2.0
GTEX-ZDXO-3026-SM-5J1N5 60-69 years, male 2.0
GTEX-ZVT3-0126-SM-5GU6I 60-69 years, female 2.0
GTEX-1E2YA-0126-SM-9KNUC 50-59 years, male 2.0
GTEX-1F75I-0326-SM-9YFLU 40-49 years, male 2.0
GTEX-1GF9W-0326-SM-9KNUN 60-69 years, male 2.0
GTEX-1ICLY-0126-SM-D4P36 50-59 years, male 2.0
GTEX-11GSO-2426-SM-5A5LY 60-69 years, male 1.9
GTEX-11GSP-2526-SM-5N9BP 60-69 years, female 1.9
GTEX-11ZU8-2526-SM-5EQKI 60-69 years, male 1.9
GTEX-XV7Q-2526-SM-4BRV9 40-49 years, female 1.9
GTEX-Y5LM-1926-SM-5RQJH 40-49 years, female 1.9
GTEX-ZZPT-0226-SM-5E43X 50-59 years, male 1.9
GTEX-1EU9M-0226-SM-7P8SP 60-69 years, male 1.9
GTEX-1IDJF-0126-SM-CM2RS 20-29 years, male 1.9
GTEX-1NHNU-1026-SM-E9J2A 50-59 years, male 1.9
GTEX-1OFPY-2426-SM-DTXEJ 60-69 years, male 1.9
GTEX-1POEN-0126-SM-EYYXJ 30-39 years, female 1.9
GTEX-1128S-2326-SM-5GZZY 60-69 years, female 1.8
GTEX-12KS4-0326-SM-5EQ41 30-39 years, male 1.8
GTEX-1AX9J-0226-SM-73KXM 60-69 years, male 1.8
GTEX-1C64N-0126-SM-793D7 50-59 years, male 1.8
GTEX-X62O-0126-SM-4E3JN 50-59 years, male 1.8
GTEX-13NYC-0326-SM-E9J4S 60-69 years, male 1.8
GTEX-1HBPN-0226-SM-9YFM1 50-59 years, male 1.8
GTEX-1HSKV-0226-SM-A9SKJ 60-69 years, male 1.8
GTEX-1K9T9-0126-SM-EVYCF 50-59 years, female 1.8
GTEX-18A7A-0226-SM-718BH 50-59 years, female 1.7
GTEX-X5EB-2226-SM-46MW4 40-49 years, male 1.7
GTEX-Y111-0126-SM-4SOIV 50-59 years, male 1.7
GTEX-11TT1-2526-SM-5EGIB 20-29 years, male 1.6
GTEX-13N11-2526-SM-5K7UE 50-59 years, female 1.6
GTEX-13S7M-0126-SM-5SI6A 60-69 years, female 1.6
GTEX-14PN4-0126-SM-6EU2V 50-59 years, male 1.6
GTEX-15UKP-0426-SM-7KUFQ 20-29 years, male 1.6
GTEX-17EVQ-0226-SM-7LG4P 70-79 years, male 1.6
GTEX-1AYCT-2426-SM-7IGQ3 50-59 years, male 1.6
GTEX-1C4CL-0526-SM-73KVK 30-39 years, male 1.6
GTEX-NPJ8-0126-SM-2YUNR 40-49 years, male 1.6
GTEX-OHPL-0126-SM-2HMJ7 60-69 years, female 1.6
GTEX-RU72-0926-SM-2TF6B 50-59 years, female 1.6
GTEX-XMD2-0126-SM-4YCDU 60-69 years, female 1.6
GTEX-ZDTT-2726-SM-4WKF8 60-69 years, male 1.6
GTEX-1KWVE-1426-SM-E9TJO 30-39 years, male 1.6
GTEX-1N2EF-0226-SM-EYYXB 60-69 years, male 1.6
GTEX-11P7K-2126-SM-5GU7G 30-39 years, male 1.5
GTEX-13NYS-0126-SM-5MR3W 60-69 years, male 1.5
GTEX-13W46-0226-SM-5SIAG 50-59 years, male 1.5
GTEX-144GN-2326-SM-5LU4F 50-59 years, male 1.5
GTEX-14BIM-0226-SM-7IGLD 60-69 years, female 1.5
GTEX-1A32A-0126-SM-718B1 50-59 years, female 1.5
GTEX-1CB4J-0626-SM-7DHMP 60-69 years, male 1.5
GTEX-OXRL-0126-SM-2YUMP 50-59 years, male 1.5
GTEX-R55E-0126-SM-2TC5Y 20-29 years, male 1.5
GTEX-WY7C-2326-SM-3NB2U 50-59 years, male 1.5
GTEX-XPVG-2626-SM-4B669 50-59 years, male 1.5
GTEX-1GN73-0226-SM-9WG67 60-69 years, male 1.5
GTEX-1PPH8-0226-SM-E8VND 20-29 years, male 1.5
GTEX-113JC-2326-SM-5EQ4E 50-59 years, female 1.4
GTEX-117XS-2726-SM-5N9BL 60-69 years, male 1.4
GTEX-12WSN-5019-SM-79OM6 40-49 years, male 1.4
GTEX-15DCD-0126-SM-7KUEK 70-79 years, female 1.4
GTEX-15SHW-0326-SM-6PAML 60-69 years, male 1.4
GTEX-17F98-0626-SM-79OMX 40-49 years, female 1.4
GTEX-18465-0126-SM-731BN 50-59 years, male 1.4
GTEX-PX3G-0126-SM-2I3EN 20-29 years, female 1.4
GTEX-QEG4-0226-SM-2S1PY 30-39 years, male 1.4
GTEX-11TUW-2726-SM-E9J4M 60-69 years, male 1.4
GTEX-1EWIQ-0126-SM-7RHH2 70-79 years, female 1.4
GTEX-1H2FU-0126-SM-9WYSI 60-69 years, female 1.4
GTEX-1J8JJ-0226-SM-CL53I 60-69 years, female 1.4
GTEX-1JJE9-0326-SM-CL53Z 70-79 years, male 1.4
GTEX-1NV5F-0226-SM-E8VNY 60-69 years, female 1.4
GTEX-15CHC-2126-SM-6EU21 60-69 years, female 1.3
GTEX-QDVJ-1726-SM-2I5FX 50-59 years, male 1.3
GTEX-WYVS-2126-SM-3NMA3 40-49 years, female 1.3
GTEX-WZTO-0126-SM-3NM95 40-49 years, male 1.3
GTEX-169BO-1326-SM-9MQK2 50-59 years, male 1.3
GTEX-1F75B-0126-SM-9KNVL 50-59 years, male 1.3
GTEX-1HGF4-2426-SM-ACKXM 60-69 years, male 1.3
GTEX-1I1GP-2226-SM-CGQFK 50-59 years, male 1.3
GTEX-1I6K6-0126-SM-A9SLE 30-39 years, male 1.3
GTEX-1IE54-0126-SM-CMKHW 40-49 years, female 1.3
GTEX-1R46S-0626-SM-E9J41 60-69 years, female 1.3
GTEX-11EMC-2926-SM-5EQ4F 60-69 years, female 1.2
GTEX-11NUK-0126-SM-5A5L3 50-59 years, male 1.2
GTEX-15UF6-0826-SM-6PALJ 70-79 years, female 1.2
GTEX-16XZY-2126-SM-79OK1 70-79 years, male 1.2
GTEX-X4EO-0326-SM-3P5YO 60-69 years, female 1.2
GTEX-RNOR-0126-SM-E9J4R 50-59 years, female 1.2
GTEX-SE5C-1626-SM-2XCE3 40-49 years, female 1.2
GTEX-ZPIC-1726-SM-DHXIU 40-49 years, female 1.2
GTEX-132NY-0326-SM-5IJBL 60-69 years, male 1.1
GTEX-14E6C-0126-SM-5RQIP 40-49 years, male 1.1
GTEX-14E6E-1826-SM-5S2R7 30-39 years, male 1.1
GTEX-QDT8-0126-SM-48TZ1 30-39 years, female 1.1
GTEX-Y3I4-2126-SM-4TT7C 50-59 years, male 1.1
GTEX-YJ89-0126-SM-4TT3X 60-69 years, male 1.1
GTEX-13FH7-2026-SM-E9J4I 50-59 years, female 1.1
GTEX-1H4P4-0726-SM-9YFLR 50-59 years, male 1.1
GTEX-1J8Q3-1626-SM-CMKGC 60-69 years, male 1.1
GTEX-1JMOU-1526-SM-CL54I 60-69 years, female 1.1
GTEX-P44H-0226-SM-2XCEU 40-49 years, male 1.0
GTEX-YFC4-0126-SM-5CVLY 40-49 years, female 1.0
GTEX-117YW-2626-SM-5GZZH 50-59 years, male 0.9
GTEX-12WSA-0226-SM-5BC5V 60-69 years, male 0.9
GTEX-13NZA-0226-SM-5K7Z7 60-69 years, male 0.9
GTEX-13OVI-1426-SM-5L3EY 60-69 years, female 0.9
GTEX-13X6I-0626-SM-5QGP9 60-69 years, male 0.9
GTEX-146FH-0126-SM-5QGPP 50-59 years, female 0.9
GTEX-TSE9-0126-SM-3DB83 60-69 years, female 0.9
GTEX-X261-0126-SM-3NMD6 50-59 years, male 0.9
GTEX-X638-0126-SM-47JZ8 70-79 years, female 0.9
GTEX-ZU9S-0226-SM-5E441 30-39 years, male 0.9
GTEX-1F88F-2726-SM-7PBZZ 60-69 years, female 0.9
GTEX-1H3O1-0426-SM-9YFKY 60-69 years, male 0.9
GTEX-OIZF-0126-SM-7SB8I 60-69 years, male 0.9
GTEX-11LCK-1026-SM-5A5KB 30-39 years, male 0.8
GTEX-131XW-0426-SM-5LZWP 50-59 years, female 0.8
GTEX-13O1R-0126-SM-5L3EH 60-69 years, male 0.8
GTEX-13OVJ-0126-SM-5KM36 50-59 years, female 0.8
GTEX-13W3W-2426-SM-5LU5B 60-69 years, female 0.8
GTEX-147GR-0526-SM-5S2MY 60-69 years, male 0.8
GTEX-15ETS-0126-SM-7KUMW 40-49 years, female 0.8
GTEX-17HII-0226-SM-7LG4E 50-59 years, male 0.8
GTEX-Q734-1926-SM-2I5EV 40-49 years, female 0.8
GTEX-SIU8-0126-SM-2XCDT 50-59 years, male 0.8
GTEX-ZUA1-0126-SM-5GU76 40-49 years, male 0.8
GTEX-ZYFD-0126-SM-5GIDL 50-59 years, male 0.8
GTEX-1JMPY-1326-SM-ARL8Y 30-39 years, male 0.8
GTEX-1O97I-0326-SM-EYYX7 60-69 years, male 0.8
GTEX-1QP67-1626-SM-EAZ3X 40-49 years, female 0.8
GTEX-R45C-0126-SM-EAZ2R 60-69 years, female 0.8
GTEX-11TTK-0126-SM-5987B 60-69 years, female 0.7
GTEX-13OW8-1326-SM-5J1OW 60-69 years, male 0.7
GTEX-13SLW-0126-SM-5SI6C 70-79 years, male 0.7
GTEX-13VXU-0126-SM-5SI9F 50-59 years, male 0.7
GTEX-16YQH-0126-SM-7DUFJ 30-39 years, male 0.7
GTEX-1C6VS-0526-SM-7DUEN 60-69 years, male 0.7
GTEX-ZTPG-0326-SM-5O9AX 20-29 years, female 0.7
GTEX-1H3NZ-0126-SM-ACKX7 60-69 years, male 0.7
GTEX-1H3VY-0126-SM-ACKXD 50-59 years, male 0.7
GTEX-1HSMP-0126-SM-E6CJS 70-79 years, male 0.7
GTEX-1LH75-2426-SM-E9TJE 50-59 years, female 0.7
GTEX-11ZTT-2426-SM-5EQLS 60-69 years, female 0.6
GTEX-139TU-0126-SM-5K7WH 60-69 years, male 0.6
GTEX-13X6H-2126-SM-7EWD5 50-59 years, female 0.6
GTEX-148VI-1626-SM-5SI6E 60-69 years, female 0.6
GTEX-18A7B-0126-SM-7LG64 70-79 years, male 0.6
GTEX-RTLS-0126-SM-447CA 60-69 years, female 0.6
GTEX-1GN1V-0126-SM-9WPOS 60-69 years, male 0.6
GTEX-1HFI7-1826-SM-ACKXH 50-59 years, female 0.6
GTEX-1IKOH-0226-SM-COH4E 60-69 years, female 0.6
GTEX-1JMQK-0226-SM-CL543 60-69 years, male 0.6
GTEX-1QAET-0926-SM-E76QM 50-59 years, male 0.6
GTEX-1QEPI-0126-SM-EWRMQ 60-69 years, female 0.6
GTEX-113IC-0126-SM-5HL6T 60-69 years, male 0.5
GTEX-12584-0126-SM-5EGKQ 40-49 years, male 0.5
GTEX-13O3P-0126-SM-5KM4S 50-59 years, male 0.5
GTEX-13U4I-0126-SM-5LU38 40-49 years, female 0.5
GTEX-147F4-0226-SM-5QGPW 50-59 years, male 0.5
GTEX-17MF6-0126-SM-7LG4F 40-49 years, male 0.5
GTEX-1AX8Z-0126-SM-7DHM6 60-69 years, male 0.5
GTEX-Q2AH-1626-SM-3GAF8 40-49 years, male 0.5
GTEX-ZDTS-0126-SM-4WAY5 60-69 years, male 0.5
GTEX-1B996-0226-SM-7RHGO 60-69 years, male 0.5
GTEX-1H1DE-2126-SM-9WG6R 20-29 years, male 0.5
GTEX-1H23P-0126-SM-ADEJ3 60-69 years, male 0.5
GTEX-1HB9E-0226-SM-E9U4R 50-59 years, male 0.5
GTEX-1HCU7-0226-SM-CL545 50-59 years, male 0.5
GTEX-1HFI6-0226-SM-ADEHZ 40-49 years, male 0.5
GTEX-1I1CD-0126-SM-CM2TK 60-69 years, female 0.5
GTEX-1IY9M-0126-SM-D3L8S 60-69 years, male 0.5
GTEX-1JMQJ-0526-SM-CYPSU 50-59 years, male 0.5
GTEX-1RDX4-0126-SM-E9J4P 50-59 years, female 0.5
GTEX-1RQEC-0426-SM-E6CHU 60-69 years, male 0.5
GTEX-11UD2-0226-SM-5EQKY 50-59 years, male 0.4
GTEX-11WQK-0526-SM-5EQLD 50-59 years, male 0.4
GTEX-12696-2426-SM-5EQ6H 60-69 years, male 0.4
GTEX-1269C-2526-SM-5EGJ3 60-69 years, female 0.4
GTEX-13RTL-0126-SM-7LG5S 40-49 years, male 0.4
GTEX-1AYD5-2426-SM-73KXR 50-59 years, male 0.4
GTEX-QVJO-1626-SM-2S1QW 60-69 years, female 0.4
GTEX-TMZS-0126-SM-3DB9Q 60-69 years, male 0.4
GTEX-Y8LW-1826-SM-5S2MV 50-59 years, female 0.4
GTEX-ZAB4-0226-SM-5N9F5 40-49 years, male 0.4
GTEX-ZYY3-0126-SM-5GZY5 60-69 years, female 0.4
GTEX-1C6VQ-0126-SM-7P8RI 50-59 years, male 0.4
GTEX-1F48J-0126-SM-7P8TT 50-59 years, female 0.4
GTEX-1PWST-0226-SM-E76QJ 70-79 years, male 0.4
GTEX-1R9K4-0126-SM-DTX9X 60-69 years, male 0.4
GTEX-12C56-1726-SM-5EQ61 20-29 years, male 0.3
GTEX-13OW7-0126-SM-5MR3B 50-59 years, male 0.3
GTEX-14XAO-2326-SM-6EU1B 60-69 years, female 0.3
GTEX-ZYW4-0126-SM-5E44A 60-69 years, male 0.3
GTEX-1EX96-1626-SM-7PBXR 50-59 years, male 0.3
GTEX-1GPI6-0126-SM-9WG69 60-69 years, male 0.3
GTEX-1GTWX-0126-SM-9YFLK 60-69 years, male 0.3
GTEX-1HSMO-0126-SM-CL547 60-69 years, male 0.3
GTEX-1HUB1-0426-SM-E9U4U 60-69 years, male 0.3
GTEX-1I1HK-0126-SM-COH49 60-69 years, male 0.3
GTEX-1JN76-0126-SM-CNPPE 20-29 years, female 0.3
GTEX-1KD4Q-0226-SM-E9TJ9 40-49 years, male 0.3
GTEX-1LC47-0326-SM-E9TJP 60-69 years, male 0.3
GTEX-11H98-0126-SM-5EGHG 50-59 years, male 0.2
GTEX-14PHW-0126-SM-6LLJI 60-69 years, female 0.2
GTEX-15D1Q-0126-SM-7KUG6 40-49 years, male 0.2
GTEX-183WM-0126-SM-7LTAB 70-79 years, female 0.2
GTEX-1B8KZ-2026-SM-7DHMB 50-59 years, male 0.2
GTEX-R55G-2526-SM-2TC6D 40-49 years, female 0.2
GTEX-XBED-2226-SM-47JYQ 60-69 years, male 0.2
GTEX-13O3O-0126-SM-E9J49 60-69 years, female 0.2
GTEX-1A8FM-0226-SM-7SB7Q 50-59 years, female 0.2
GTEX-1F6IF-0726-SM-7P8TW 60-69 years, male 0.2
GTEX-1H3VE-0326-SM-9YFLH 40-49 years, male 0.2
GTEX-1I1GU-2226-SM-CGQFA 40-49 years, male 0.2
GTEX-1MCQQ-0826-SM-DLHC2 60-69 years, male 0.2
GTEX-1QMI2-0226-SM-EVYBX 60-69 years, male 0.2
GTEX-1192W-2626-SM-5Q5AF 60-69 years, male 0.1
GTEX-139TS-2826-SM-5J1OO 60-69 years, male 0.1
GTEX-13OVH-0126-SM-5MR4B 70-79 years, male 0.1
GTEX-145MF-0626-SM-5LUAI 50-59 years, male 0.1
GTEX-15EOM-0126-SM-7KUGG 20-29 years, female 0.1
GTEX-WFG8-2226-SM-3GIL9 20-29 years, male 0.1
GTEX-1I1GS-0126-SM-B2LVW 60-69 years, male 0.1
GTEX-1ICLZ-0126-SM-CKZPO 60-69 years, male 0.1
GTEX-1JMQL-0226-SM-CNPP5 50-59 years, female 0.1
GTEX-1R9PO-2126-SM-E9J4O 60-69 years, female 0.1
GTEX-11ZUS-0626-SM-59885 30-39 years, male 0.0
GTEX-139T4-0226-SM-5HL5S 50-59 years, female 0.0
GTEX-139UW-2826-SM-5L3E7 60-69 years, male 0.0
GTEX-13RTJ-2426-SM-5S2Q2 60-69 years, male 0.0
GTEX-148VJ-0126-SM-5TDDN 70-79 years, male 0.0
GTEX-14JIY-0126-SM-6LLH6 60-69 years, male 0.0
GTEX-1A3MW-0126-SM-73KXX 60-69 years, female 0.0
GTEX-1A3MX-0126-SM-731BR 60-69 years, male 0.0
GTEX-OXRO-0126-SM-2YUN4 60-69 years, female 0.0
GTEX-PWO3-1526-SM-48TCM 60-69 years, female 0.0
GTEX-QDVN-2026-SM-3GAEP 50-59 years, male 0.0
GTEX-SN8G-0126-SM-32PLI 50-59 years, female 0.0
GTEX-U4B1-1826-SM-4DXSU 40-49 years, male 0.0
GTEX-VJWN-0126-SM-3GIK7 50-59 years, female 0.0
GTEX-WOFL-0126-SM-3MJG2 60-69 years, male 0.0
GTEX-146FR-1326-SM-E9J48 60-69 years, female 0.0
GTEX-1H1ZS-0426-SM-9WG6G 70-79 years, male 0.0
GTEX-1HBPH-0426-SM-B2LW5 40-49 years, female 0.0
GTEX-1HBPM-0226-SM-ARL9F 60-69 years, female 0.0
GTEX-1JN1M-0326-SM-CYPT3 60-69 years, female 0.0
GTEX-1M4P7-0226-SM-DIPEV 60-69 years, male 0.0
GTEX-1N2DW-0226-SM-E9TK2 50-59 years, male 0.0
GTEX-1QW4Y-1526-SM-EAZ3Z 30-39 years, male 0.0
GTEX-1RAZQ-0726-SM-EAZ43 30-39 years, male 0.0
GTEX-1RLM8-2326-SM-EWRN4 50-59 years, male 0.0
Show allShow less

Contact

  • NEWS ARTICLES
  • PRESS ROOM

The Project

  • INTRODUCTION
  • ORGANIZATION
  • PUBLICATIONS

The Human Protein Atlas

  • DOWNLOADABLE DATA
  • LICENCE & CITATION
  • HELP & FAQ
The Human Protein Atlas project is funded
by the Knut & Alice Wallenberg Foundation.


contact@proteinatlas.org