We use cookies to enhance the usability of our website. If you continue, we'll assume that you are happy to receive all cookies. More information. Don't show this again.
TNIP1
HPA
RESOURCES
  • TISSUE
  • BRAIN
  • SINGLE CELL
  • SUBCELLULAR
  • CANCER
  • BLOOD
  • CELL LINE
  • STRUCTURE & INTERACTION
ABOUT
  • INTRODUCTION
  • HISTORY
  • ORGANIZATION
  • PUBLICATIONS
  • ANTIBODY SUBMISSION
  • ANTIBODY AVAILABILITY
  • ACKNOWLEDGMENTS
  • CONTACT
NEWS
  • NEWS ARTICLES
  • PRESS ROOM
LEARN
  • DICTIONARY
  • PROTEIN CLASSES
  • PROTEIN EVIDENCE
  • METHODS
  • EDUCATIONAL VIDEOS
DATA
  • DOWNLOADABLE DATA
  • PUBLICATION DATA
  • RELEASE HISTORY
HELP
  • ANTIBODY VALIDATION
  • ASSAYS & ANNOTATION
  • DISCLAIMER
  • HELP & FAQ
  • PRIVACY STATEMENT
  • LICENCE & CITATION
Fields »
Search result

Field
Term
Gene name
Class
Subclass
Class
Keyword
Chromosome
External id
Tissue
Cell type
Expression
Antibody panel
Tissue
Main location
Patient ID
Annotation
Tissue
Category
Tau score
Cluster
Reliability
Brain region
Category
Tau score
Brain region
Category
Tau score
Brain region
Category
Tau score
Cluster
Reliability
Tissue
Cell type
Enrichment
Cell type
Category
Tau score
Cell type
Category
Tau score
Cell type
Category
Tau score
Cell lineage
Category
Tau score
Cluster
Cluster
Location
Searches
Location
Cell line
Class
Type
Phase
Reliability
Cancer
Prognosis
Cancer
Category
Cancer
Category
Tau score
Cluster
Variants
Interacting gene (ensg_id)
Type
Number of interactions
Pathway
Category
Score
Score
Score
Validation
Validation
Validation
Validation
Antibodies
Data type
Column


  • SUMMARY

  • TISSUE

  • BRAIN

  • SINGLE CELL

  • SUBCELL

  • CANCER

  • BLOOD

  • CELL LINE

  • STRUCT & INT

  • TNIP1
TISSUE PRIMARY DATA HEART MUSCLE Show tissue menu
ADIPOSE TISSUE ADRENAL GLAND AMYGDALA APPENDIX BASAL GANGLIA BONE MARROW BREAST BRONCHUS CEREBELLUM CEREBRAL CORTEX CERVIX CHOROID PLEXUS COLON DUODENUM
ENDOMETRIUM EPIDIDYMIS ESOPHAGUS FALLOPIAN TUBE GALLBLADDER HEART MUSCLE HIPPOCAMPAL FORMATION HYPOTHALAMUS KIDNEY LIVER LUNG LYMPH NODE MIDBRAIN NASOPHARYNX
ORAL MUCOSA OVARY PANCREAS PARATHYROID GLAND PITUITARY GLAND PLACENTA PROSTATE RECTUM RETINA SALIVARY GLAND SEMINAL VESICLE SKELETAL MUSCLE SKIN SMALL INTESTINE
SMOOTH MUSCLE SOFT TISSUE SPINAL CORD SPLEEN STOMACH TESTIS THYMUS THYROID GLAND TONGUE TONSIL URINARY BLADDER VAGINA
ANTIBODIES
AND
VALIDATION
Dictionary
Heart muscle
Tissue proteome
Heart
HEART MUSCLE - Expression summary
Protein expression
Heart musclei

On the top, protein expression in current human tissue, based on all annotated cell types, is reported with the units not detected (n), low (l), medium (m) and high (h). Underneath, protein expression in each annotated cell type are reported using the same units.

Protein expression data is based on knowledge-based annotation. For genes where more than one antibody has been used, a collective score is set.

If knowledge-based annotation could not be performed for a gene, no data is displayed here. View antibody staining data further down this page.

h
m
l
n
Cardiomyocytes: Medium
RNA expressioni

A summary of mRNA expression data available for current tissue based on several datasets. The mRNA expression levels in human tissues are based on RNA-seq data generated by the Human Protein Atlas (HPA), Genotype-Tissue Expression (GTEx) portal and CAGE data generated by the FANTOM5 consortium. Consensus normalized expression levels for human tissues was created by combining the data from HPA and GTEx datasets.

The mRNA expression levels in pig are based on RNA-seq data generated by the Human Protein Atlas (HPA), and for mouse, HPA data and in situ hybridization generated by the Allen brain atlas are reported.

Scroll down to view mRNA expression data in more detail.
Consensus:93.2 nTPM
HPA:72.9 nTPM
GTEx:93.2 nTPM
FANTOM5:110.2 Scaled Tags Per Million

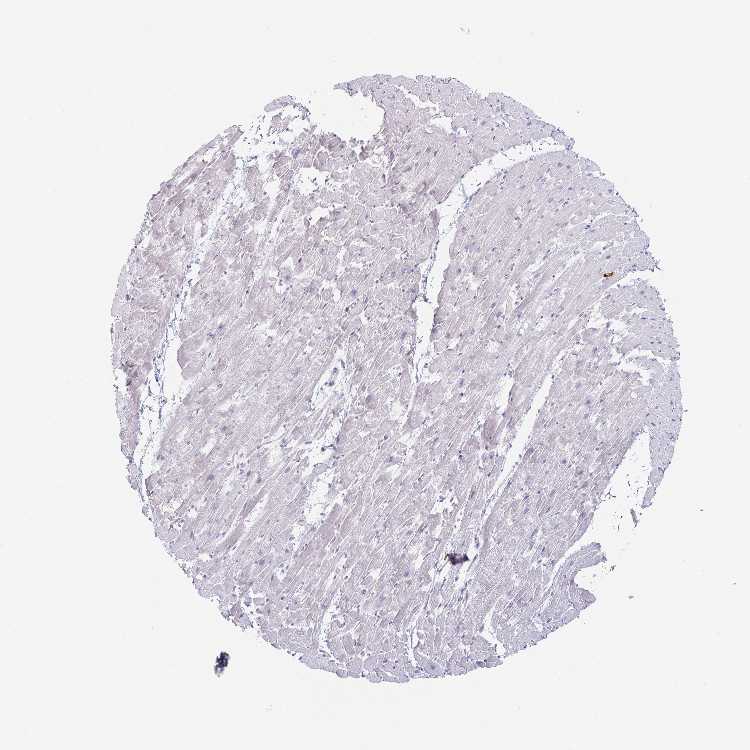
HEART MUSCLE - Antibody stainingi

Antibody staining in the annotated cell types in the current human tissue is reported as not detected, low, medium, or high, based on conventional immunohistochemistry profiling in selected tissues. This score is based on the combination of the staining intensity and fraction of stained cells.

Each image is clickable and will lead to virtual microscopy that enables deeper exploration of all samples and also displays staining intensity scores, fraction scores and subcellular localization as well as patient and tissue information for each sample.

Antibody HPA037893Antibody HPA037894
Cardiomyocytes HighNot detected




HEART MUSCLE - HPA RNA-seqi

The RNA-seq details section shows detailed information about the individual samples used for the transcript profiling and results of the RNA-seq analysis.

Information about each individual sample is listed below, including gender, age, a tissue section image and estimated fractions of cell types. nTPM (normalized transcripts per million) values give a quantification of the gene abundance which is comparable between different genes and samples.
Average nTPMi

Max subtype nTPM is the value for the subtype with the largest average nTPM across the subtype samples.

72.9
overview
Female, age 48
Heart muscle sample 149
nTPM: 93
Cell types%
Myocytes:
15

Fibroblasts:
55

Endothelial cells:
25

Other cell types:
5

overview
Female, age 42
Heart muscle sample 150
nTPM: 60.2
Cell types%
Myocytes:
20

Fibroblasts:
45

Endothelial cells:
30

Other cell types:
5

overview
Male, age 53
Heart muscle sample 151
nTPM: 68.2
Cell types%
Myocytes:
20

Fibroblasts:
45

Endothelial cells:
30

Other cell types:
5

overview
Female, age 69
Heart muscle sample 152
nTPM: 70.1
Cell types%
Myocytes:
20

Fibroblasts:
45

Endothelial cells:
30

Other cell types:
5


HEART MUSCLE - GTEx RNA-seqi

RNA-Seq data generated by the Genotype-Tissue Expression (GTEx) project from human tissues is reported as mean nTPM. More information can be found on the GTEx portal.

Distribution across the dataset is visualized with box plots, shown as median and 25th and 75th percentiles. Points are displayed as outliers if they are above or below 1.5 times the interquartile range. nTPM values of the individual samples are presented next to the box plot.
Max subtype nTPMi

Max subtype nTPM is the value for the subtype with the largest average nTPM across the subtype samples.

93.2
GTEx sample id Sample description nTPM
Heart - Atrial Appendage
Average nTPM: 64.8
Samples: 429

Max nTPM: 152.5
Min nTPM: 33.0
Std nTPM: 14.6
Median nTPM: 62.2
GTEX-U8XE-0926-SM-3DB8V 30-39 years, male 152.5
GTEX-WI4N-0726-SM-3TW93 40-49 years, female 139.8
GTEX-13PDP-1326-SM-5K7U9 60-69 years, male 128.9
GTEX-WWYW-1126-SM-3NB2Q 50-59 years, female 128.4
GTEX-16MT8-0826-SM-7KULO 60-69 years, female 123.6
GTEX-13OW5-0926-SM-5L3GZ 60-69 years, male 120.7
GTEX-13O3Q-0326-SM-5L3FE 50-59 years, male 117.1
GTEX-131XE-0526-SM-5K7YT 50-59 years, male 113.8
GTEX-15SKB-0926-SM-7KUFC 60-69 years, male 110.8
GTEX-11WQK-0226-SM-5EQLI 50-59 years, male 109.1
GTEX-1A8FM-1026-SM-7PC26 50-59 years, female 107.6
GTEX-1R9K4-1026-SM-EXUT1 60-69 years, male 99.7
GTEX-11UD2-0926-SM-5CVL6 50-59 years, male 99.1
GTEX-1KANB-1126-SM-DHXJT 50-59 years, male 97.0
GTEX-1QMI2-1026-SM-DTX7T 60-69 years, male 93.7
GTEX-1LVAO-0626-SM-EWRNT 60-69 years, male 93.1
GTEX-13YAN-1426-SM-7EPG8 60-69 years, male 92.1
GTEX-1KD5A-0926-SM-D4P3U 50-59 years, male 91.5
GTEX-11DYG-1026-SM-5A5JQ 60-69 years, male 91.2
GTEX-ZYFD-2026-SM-5E459 50-59 years, male 90.8
GTEX-1GN1V-1026-SM-CNPPS 60-69 years, male 89.6
GTEX-183WM-0926-SM-718AN 70-79 years, female 89.5
GTEX-Y3IK-1026-SM-51MR7 50-59 years, female 88.8
GTEX-14C5O-1226-SM-664N3 60-69 years, male 88.3
GTEX-145MN-0726-SM-5NQBH 30-39 years, male 88.0
GTEX-17F96-0826-SM-7DHLU 70-79 years, male 88.0
GTEX-1H1DG-0826-SM-9QEIW 70-79 years, male 88.0
GTEX-15RIE-1326-SM-6PAMM 60-69 years, male 87.2
GTEX-1EH9U-0626-SM-7PC33 60-69 years, male 86.4
GTEX-1HUB1-0726-SM-CGQF4 60-69 years, male 85.7
GTEX-ZDTS-1226-SM-4WKGL 60-69 years, male 85.4
GTEX-ZLFU-0326-SM-4WWBK 40-49 years, male 85.0
GTEX-1J1OQ-2226-SM-A96SS 40-49 years, female 85.0
GTEX-X8HC-1026-SM-46MWH 50-59 years, female 84.3
GTEX-ZAK1-1126-SM-5PNXU 50-59 years, female 84.1
GTEX-1MJIX-0426-SM-DTXEN 40-49 years, male 84.0
GTEX-1EMGI-1126-SM-9KNUF 60-69 years, male 83.0
GTEX-13NYS-1926-SM-5IJCB 60-69 years, male 82.4
GTEX-14PJM-0826-SM-6LLIW 50-59 years, female 82.3
GTEX-13PVQ-1326-SM-5LU4J 50-59 years, male 82.2
GTEX-14BMV-1026-SM-5SI6B 50-59 years, male 81.9
GTEX-13NZB-0426-SM-5KM26 30-39 years, male 81.1
GTEX-ZZPT-0926-SM-5GICZ 50-59 years, male 81.0
GTEX-1JMQL-1026-SM-CMKGV 50-59 years, female 80.6
GTEX-13NZA-0826-SM-5K7WS 60-69 years, male 80.3
GTEX-1H11D-1026-SM-9QEIU 40-49 years, male 79.9
GTEX-11TUW-1126-SM-5EQKJ 60-69 years, male 79.8
GTEX-1GF9U-0526-SM-7P8SK 40-49 years, female 79.4
GTEX-11EQ8-1326-SM-5EGJQ 60-69 years, male 79.1
GTEX-13O1R-0926-SM-5L3DS 60-69 years, male 79.0
GTEX-12WSC-1026-SM-5EQ5Y 50-59 years, male 78.6
GTEX-148VJ-1426-SM-5TDE3 70-79 years, male 78.5
GTEX-1GN1U-1426-SM-7P8TF 50-59 years, female 78.5
GTEX-13OVI-0326-SM-5K7X1 60-69 years, female 78.0
GTEX-12WSD-1226-SM-5HL9Q 60-69 years, female 77.9
GTEX-1JMQK-0926-SM-ARL96 60-69 years, male 77.5
GTEX-ZYT6-0926-SM-5GIEM 30-39 years, male 77.4
GTEX-11GSP-1226-SM-5985M 60-69 years, female 77.3
GTEX-1192X-0726-SM-5987R 50-59 years, male 77.2
GTEX-14PK6-0726-SM-6LLIX 70-79 years, female 77.0
GTEX-1C2JI-0626-SM-7DHM1 50-59 years, male 77.0
GTEX-XLM4-2026-SM-4AT4X 60-69 years, male 76.9
GTEX-1GMR3-0426-SM-7PC17 40-49 years, male 76.9
GTEX-1GZ4I-0826-SM-9WG6O 50-59 years, male 76.6
GTEX-ZE7O-0626-SM-57WCD 50-59 years, female 76.5
GTEX-131YS-0826-SM-5PNYV 60-69 years, female 76.1
GTEX-17F9Y-1226-SM-7EPGE 70-79 years, female 75.9
GTEX-1H3O1-0226-SM-9WYSW 60-69 years, male 75.8
GTEX-1399T-0726-SM-5J1MH 60-69 years, male 75.5
GTEX-14JG1-0826-SM-5ZZWR 40-49 years, male 75.4
GTEX-14PN3-0726-SM-6EU14 60-69 years, female 75.4
GTEX-XBEC-1226-SM-4AT65 50-59 years, male 75.3
GTEX-ZYFC-1026-SM-5GZX9 50-59 years, male 75.1
GTEX-1H3VY-1126-SM-A96TP 50-59 years, male 74.9
GTEX-1117F-0726-SM-5GIEN 60-69 years, female 74.8
GTEX-ZAJG-0926-SM-5Q5AB 50-59 years, female 74.4
GTEX-1A8G6-1826-SM-73KY8 60-69 years, male 73.8
GTEX-1P4AB-0926-SM-E76PV 50-59 years, male 73.6
GTEX-X4EP-0326-SM-3P5Z6 60-69 years, female 73.5
GTEX-1E2YA-0626-SM-7P8P4 50-59 years, male 73.5
GTEX-1GN73-2326-SM-9MQKV 60-69 years, male 73.5
GTEX-139TU-1926-SM-5J2OC 60-69 years, male 73.4
GTEX-1GMR8-1026-SM-9MQLA 50-59 years, female 73.4
GTEX-13S86-0326-SM-5SI6K 40-49 years, male 73.0
GTEX-1F75A-1026-SM-7PC3W 50-59 years, male 73.0
GTEX-18A7A-1226-SM-7LTAJ 50-59 years, female 72.8
GTEX-14PII-1026-SM-5ZZVW 60-69 years, male 72.5
GTEX-VJWN-1026-SM-4M1ZN 50-59 years, female 72.4
GTEX-YFC4-0426-SM-4TT3J 40-49 years, female 72.3
GTEX-14PJO-0826-SM-6ETZK 60-69 years, male 72.2
GTEX-1OFPY-0926-SM-DTX8Q 60-69 years, male 72.2
GTEX-13OVG-0426-SM-5KM2T 60-69 years, male 72.0
GTEX-147JS-1326-SM-5SI6D 60-69 years, male 71.9
GTEX-ZV7C-0526-SM-9WPNK 50-59 years, male 71.7
GTEX-11EM3-0426-SM-5N9BZ 20-29 years, female 71.6
GTEX-1A3MX-1226-SM-731B3 60-69 years, male 71.2
GTEX-1I1GP-0626-SM-ARL7H 50-59 years, male 71.2
GTEX-11NV4-0826-SM-5BC4S 60-69 years, male 71.1
GTEX-14PJ2-1126-SM-69LOD 50-59 years, male 70.9
GTEX-13RTJ-0526-SM-62LDP 60-69 years, male 70.8
GTEX-1I1GQ-1226-SM-CL55J 50-59 years, male 70.8
GTEX-131XG-0526-SM-5DUWF 50-59 years, female 70.7
GTEX-13JUV-0226-SM-5IJCC 40-49 years, female 70.7
GTEX-14C39-0726-SM-5RQIK 40-49 years, male 70.7
GTEX-16YQH-0726-SM-7IGM1 30-39 years, male 70.6
GTEX-1GN2E-1426-SM-7RHHI 60-69 years, male 70.6
GTEX-1B97J-0326-SM-7939H 50-59 years, female 70.4
GTEX-11DXZ-0326-SM-5EGH1 50-59 years, male 70.0
GTEX-WYJK-1126-SM-3NM9Z 50-59 years, male 69.9
GTEX-1LGOU-0326-SM-D3LAM 20-29 years, female 69.7
GTEX-WK11-0626-SM-3NMAV 50-59 years, male 69.4
GTEX-1RLM8-0226-SM-E6CJY 50-59 years, male 69.4
GTEX-Z93S-0326-SM-5HL84 50-59 years, male 69.3
GTEX-12WSI-0426-SM-5EQ5J 50-59 years, male 69.2
GTEX-1AX9K-0426-SM-73KUG 50-59 years, male 69.2
GTEX-1399R-1726-SM-5K7YJ 30-39 years, male 69.0
GTEX-1C6VQ-0826-SM-7PBZT 50-59 years, male 69.0
GTEX-16XZY-0526-SM-7DHKY 70-79 years, male 68.9
GTEX-WQUQ-1326-SM-3MJFF 60-69 years, male 68.9
GTEX-12WSE-0926-SM-5S2VX 20-29 years, male 68.8
GTEX-15CHQ-1326-SM-6871Z 60-69 years, male 68.7
GTEX-13N1W-0926-SM-5MR36 70-79 years, male 68.6
GTEX-1GF9V-1726-SM-9KNW4 60-69 years, male 68.6
GTEX-1JN6P-0826-SM-ARL97 60-69 years, male 68.6
GTEX-14ASI-0826-SM-5Q5EB 60-69 years, male 68.4
GTEX-ZAB4-0926-SM-5CVN4 40-49 years, male 68.4
GTEX-X3Y1-0226-SM-3P5Z5 40-49 years, male 68.3
GTEX-1H2FU-0826-SM-9WYSU 60-69 years, female 68.3
GTEX-139YR-0526-SM-5L3DG 50-59 years, male 68.2
GTEX-1GZ2Q-0926-SM-7RHHN 40-49 years, male 68.2
GTEX-11DXY-1026-SM-5987V 60-69 years, male 67.9
GTEX-12WSA-1126-SM-5EGKU 60-69 years, male 67.8
GTEX-1399U-0726-SM-5KM1D 50-59 years, female 67.8
GTEX-1HT8W-1326-SM-CGQEN 30-39 years, male 67.7
GTEX-1212Z-0726-SM-5EGI5 60-69 years, male 67.6
GTEX-11ONC-1026-SM-5GU64 60-69 years, male 67.5
GTEX-ZF3C-1126-SM-57WEG 50-59 years, female 67.5
GTEX-1IKOE-0626-SM-A9G31 30-39 years, female 67.3
GTEX-12WSG-1226-SM-5EQ4C 50-59 years, female 67.2
GTEX-13NYB-0326-SM-5IJDP 40-49 years, male 67.2
GTEX-17KNJ-0626-SM-7LT9L 50-59 years, male 67.2
GTEX-18A6Q-1526-SM-731CO 60-69 years, male 67.2
GTEX-1EU9M-1926-SM-7RHH4 60-69 years, male 67.2
GTEX-ZT9W-0526-SM-57WFG 50-59 years, male 67.1
GTEX-13OW6-0926-SM-5L3GM 50-59 years, male 66.9
GTEX-144GL-1026-SM-5O99R 50-59 years, male 66.9
GTEX-1IY9M-0626-SM-D4P2L 60-69 years, male 66.7
GTEX-1R9JW-0426-SM-E76QL 30-39 years, female 66.6
GTEX-117YX-0626-SM-5EGJI 50-59 years, male 66.5
GTEX-1EX96-2626-SM-9MQJV 50-59 years, male 66.5
GTEX-1IKJJ-0626-SM-CY8GF 60-69 years, male 66.5
GTEX-1J8Q2-1026-SM-ARU8I 60-69 years, male 66.5
GTEX-13D11-1526-SM-5J2NA 50-59 years, female 66.4
GTEX-WYBS-1226-SM-3NM9N 60-69 years, female 66.4
GTEX-13FHP-0826-SM-5K7V5 50-59 years, male 66.3
GTEX-13JVG-1126-SM-5KM2M 60-69 years, male 66.3
GTEX-13O3P-1426-SM-5L3DT 50-59 years, male 66.2
GTEX-W5X1-0826-SM-3GILN 40-49 years, female 66.2
GTEX-12BJ1-0326-SM-5FQUB 60-69 years, male 66.1
GTEX-XOT4-1126-SM-4B66E 60-69 years, female 66.1
GTEX-18465-0726-SM-7LG4L 50-59 years, male 65.9
GTEX-1AYCT-0526-SM-7RHHS 50-59 years, male 65.9
GTEX-1BAJH-1026-SM-7EWEG 70-79 years, male 65.7
GTEX-1LSNM-0426-SM-E9TIZ 50-59 years, male 65.6
GTEX-1QCLZ-1126-SM-EWRNB 60-69 years, female 65.6
GTEX-13SLX-0926-SM-5S2NM 50-59 years, female 65.3
GTEX-1LB8K-0926-SM-D4P42 50-59 years, male 65.3
GTEX-ZPU1-0726-SM-5HL6O 40-49 years, male 65.2
GTEX-1B933-0826-SM-79OMW 50-59 years, female 65.1
GTEX-1CB4H-0626-SM-7IGN3 60-69 years, female 65.1
GTEX-111FC-0626-SM-5N9CU 60-69 years, male 65.0
GTEX-XQ8I-0226-SM-4BOPM 50-59 years, male 65.0
GTEX-117XS-0726-SM-5H131 60-69 years, male 64.9
GTEX-15ER7-0826-SM-6PALW 20-29 years, female 64.9
GTEX-ZAB5-0126-SM-5CVMT 50-59 years, male 64.9
GTEX-1B8KE-0326-SM-73KTY 50-59 years, male 64.8
GTEX-WL46-0726-SM-3LK5Z 50-59 years, male 64.8
GTEX-13FHO-1226-SM-5L3EF 60-69 years, male 64.6
GTEX-1445S-1226-SM-5O9BF 60-69 years, male 64.6
GTEX-13CF2-0226-SM-5L3DV 60-69 years, male 64.5
GTEX-1HC8U-0626-SM-B2LWB 40-49 years, female 64.5
GTEX-1K2DU-0226-SM-DIPF6 20-29 years, male 64.5
GTEX-WZTO-1226-SM-3NMAZ 40-49 years, male 64.4
GTEX-1KXAM-1426-SM-D3LAC 60-69 years, male 64.4
GTEX-1NHNU-0626-SM-E6CP1 50-59 years, male 64.4
GTEX-1GTWX-0926-SM-9MQKM 60-69 years, male 64.3
GTEX-1HSGN-0926-SM-CNNQM 40-49 years, female 64.2
GTEX-1HCU7-1226-SM-B2LX8 50-59 years, male 64.1
GTEX-14PJ4-0926-SM-5YY98 60-69 years, male 64.0
GTEX-1AX9J-0926-SM-73KXA 60-69 years, male 64.0
GTEX-ZVT2-0926-SM-5GICE 50-59 years, female 64.0
GTEX-13PVR-0926-SM-5S2RB 60-69 years, female 63.9
GTEX-1F88F-0326-SM-9KNV3 60-69 years, female 63.9
GTEX-1GMR2-1326-SM-9KNUT 50-59 years, male 63.8
GTEX-146FR-0926-SM-5QGPE 60-69 years, female 63.7
GTEX-1I1GV-1426-SM-B2LXN 60-69 years, male 63.7
GTEX-ZZPU-1126-SM-5N9CW 50-59 years, female 63.6
GTEX-ZVT3-0826-SM-5GIC8 60-69 years, female 63.5
GTEX-1IOXB-0726-SM-A9G32 50-59 years, male 63.5
GTEX-XGQ4-0526-SM-4AT6C 50-59 years, male 63.4
GTEX-1C64N-0826-SM-7RHGQ 50-59 years, male 63.4
GTEX-1J8EW-0626-SM-CM2TY 60-69 years, female 63.4
GTEX-14E1K-0826-SM-5ZZW9 50-59 years, male 63.3
GTEX-ZG7Y-1426-SM-4WWBM 50-59 years, male 63.3
GTEX-1E1VI-1426-SM-793CY 50-59 years, male 63.0
GTEX-16XZZ-1026-SM-7DHKS 60-69 years, male 62.9
GTEX-1477Z-1126-SM-5P9GK 60-69 years, male 62.7
GTEX-1IL2U-1226-SM-CL53P 60-69 years, male 62.4
GTEX-1J8Q3-1126-SM-ARU8N 60-69 years, male 62.4
GTEX-1PPGY-0926-SM-DTXFF 60-69 years, male 62.4
GTEX-13FXS-1026-SM-62LFQ 50-59 years, male 62.3
GTEX-1HBPH-0226-SM-9WYSM 40-49 years, female 62.3
GTEX-12ZZY-1226-SM-5GCNK 60-69 years, male 62.2
GTEX-Y8E4-0426-SM-4V6GB 40-49 years, male 62.2
GTEX-1L5NE-0526-SM-DIPG5 50-59 years, male 62.2
GTEX-15DCE-0826-SM-7KULW 20-29 years, male 62.1
GTEX-1CB4G-0726-SM-79OOJ 60-69 years, male 62.1
GTEX-132Q8-1126-SM-5K7XS 60-69 years, male 62.0
GTEX-1399S-0826-SM-5KM23 30-39 years, female 62.0
GTEX-X62O-0826-SM-46MW8 50-59 years, male 62.0
GTEX-1313W-1126-SM-5EQ5U 50-59 years, female 61.9
GTEX-14BIM-2726-SM-5Q5EG 60-69 years, female 61.8
GTEX-1CB4I-1526-SM-7DHMY 50-59 years, male 61.7
GTEX-1IL2V-1126-SM-CMKGH 70-79 years, male 61.6
GTEX-ZDYS-0326-SM-5HL4W 50-59 years, male 61.5
GTEX-1RB15-0426-SM-E9U4Y 60-69 years, male 61.5
GTEX-15CHR-0326-SM-7DHN3 50-59 years, male 61.4
GTEX-1HR98-1026-SM-CKZOM 60-69 years, male 61.4
GTEX-11NUK-0926-SM-5HL57 50-59 years, male 61.2
GTEX-13U4I-0626-SM-5LU5L 40-49 years, female 61.2
GTEX-ZYVF-1826-SM-5E44F 50-59 years, female 61.2
GTEX-12WSK-0526-SM-5CVNA 40-49 years, female 61.1
GTEX-1AX8Z-1126-SM-731CS 60-69 years, male 61.1
GTEX-1IDJD-0226-SM-CKZOA 30-39 years, male 61.0
GTEX-117YW-0426-SM-5GZZZ 50-59 years, male 60.9
GTEX-1HBPN-0926-SM-CGQEG 50-59 years, male 60.9
GTEX-15SDE-1826-SM-7KUFN 50-59 years, female 60.8
GTEX-1CAMQ-0726-SM-7P8SG 40-49 years, male 60.8
GTEX-132AR-1926-SM-5EGK5 50-59 years, female 60.7
GTEX-17JCI-0826-SM-7LT8W 60-69 years, female 60.7
GTEX-13N11-0726-SM-5L3DP 50-59 years, female 60.6
GTEX-V955-0826-SM-CYPR5 60-69 years, male 60.6
GTEX-12584-1026-SM-59HK3 40-49 years, male 60.4
GTEX-1B932-1326-SM-79OM4 40-49 years, female 60.4
GTEX-145LS-1326-SM-5Q5EP 60-69 years, female 60.3
GTEX-146FH-1126-SM-5NQAT 50-59 years, female 60.2
GTEX-11O72-1026-SM-5986B 40-49 years, male 60.1
GTEX-ZPIC-0426-SM-DO91V 40-49 years, female 60.1
GTEX-1AX9I-1026-SM-73KYF 60-69 years, male 60.0
GTEX-1HSKV-0726-SM-ACKWE 60-69 years, male 60.0
GTEX-1I1GR-1026-SM-A9SLC 60-69 years, male 60.0
GTEX-ZF29-0426-SM-4WKFN 60-69 years, female 59.9
GTEX-WHSE-0826-SM-4SOJU 20-29 years, male 59.8
GTEX-1KANC-0226-SM-E9TIW 50-59 years, female 59.8
GTEX-1R7EV-0426-SM-DTX7Z 40-49 years, male 59.8
GTEX-UTHO-1226-SM-3GAEE 60-69 years, male 59.7
GTEX-1C64O-0926-SM-79OLN 60-69 years, male 59.6
GTEX-1IKOH-0926-SM-A9SLU 60-69 years, female 59.6
GTEX-18D9U-1426-SM-718BO 40-49 years, male 59.5
GTEX-13SLW-0826-SM-5QGP7 70-79 years, male 59.4
GTEX-1GL5R-0426-SM-9WPOP 50-59 years, male 59.4
GTEX-132NY-1426-SM-5J1MJ 60-69 years, male 59.3
GTEX-15D1Q-0426-SM-6AJ9G 40-49 years, male 59.2
GTEX-Y3I4-0526-SM-4TT6X 50-59 years, male 59.2
GTEX-1CAMS-1126-SM-7MXUQ 40-49 years, female 59.2
GTEX-YF7O-0526-SM-5P9IO 50-59 years, male 59.1
GTEX-1HSMO-1126-SM-CGQF2 60-69 years, male 59.1
GTEX-1IDJF-0826-SM-ARU7N 20-29 years, male 59.1
GTEX-1NSGN-1226-SM-E76OL 50-59 years, male 59.1
GTEX-VUSG-0726-SM-3GIK1 50-59 years, male 58.9
GTEX-12ZZX-0726-SM-5EGKA 40-49 years, female 58.7
GTEX-13O3O-1426-SM-5KM2S 60-69 years, female 58.7
GTEX-1IDJH-1126-SM-COH3R 70-79 years, male 58.7
GTEX-145LV-0226-SM-5S2QG 50-59 years, male 58.5
GTEX-17MF6-0926-SM-7LTAL 40-49 years, male 58.4
GTEX-ZEX8-0326-SM-DO92C 50-59 years, male 58.4
GTEX-11LCK-0826-SM-5PNYD 30-39 years, male 58.3
GTEX-UPK5-0226-SM-3GAEV 40-49 years, male 58.3
GTEX-14PHX-0626-SM-5YY8Z 50-59 years, male 58.2
GTEX-17F9E-0726-SM-793A1 50-59 years, male 58.1
GTEX-1F75I-1326-SM-7PBZX 40-49 years, male 58.1
GTEX-111VG-0326-SM-5GZX7 60-69 years, male 58.0
GTEX-13PL7-0726-SM-5KM1S 60-69 years, female 58.0
GTEX-XQ3S-0526-SM-4BOQA 20-29 years, male 58.0
GTEX-1F75B-1126-SM-7RHGP 50-59 years, male 58.0
GTEX-1HCVE-0826-SM-CM2SF 50-59 years, male 58.0
GTEX-Y114-0126-SM-4TT8K 50-59 years, female 57.9
GTEX-1I1CD-1326-SM-A9SMM 60-69 years, female 57.9
GTEX-1B8SF-1326-SM-7IGQJ 60-69 years, male 57.8
GTEX-ZXG5-0626-SM-5NQ85 60-69 years, male 57.8
GTEX-1MJK2-1626-SM-EVYCQ 50-59 years, male 57.7
GTEX-11P81-0526-SM-59873 30-39 years, female 57.5
GTEX-11ZUS-0326-SM-5EQ4W 30-39 years, male 57.5
GTEX-1B996-1026-SM-793CF 60-69 years, male 57.5
GTEX-YEC4-0226-SM-4W1YG 40-49 years, male 57.4
GTEX-1JMLX-1826-SM-CNPOX 50-59 years, male 57.4
GTEX-XPVG-0726-SM-4B658 50-59 years, male 57.3
GTEX-1LH75-0526-SM-DIPG2 50-59 years, female 57.3
GTEX-14C38-1326-SM-62LDK 50-59 years, male 57.2
GTEX-X4XX-1126-SM-3NMBY 60-69 years, male 57.1
GTEX-15CHC-0326-SM-5ZZVP 60-69 years, female 57.0
GTEX-1EWIQ-1126-SM-7EPIK 70-79 years, female 57.0
GTEX-1192W-0226-SM-5EGGT 60-69 years, male 56.9
GTEX-1QP6S-1026-SM-DTXFW 40-49 years, male 56.9
GTEX-13X6J-1226-SM-79OMF 50-59 years, male 56.8
GTEX-WHWD-0326-SM-3LK6L 50-59 years, male 56.8
GTEX-ZTPG-1326-SM-51MSQ 20-29 years, female 56.8
GTEX-ZYFG-0526-SM-5GZXX 60-69 years, female 56.7
GTEX-1GMRU-1326-SM-9WYUI 50-59 years, male 56.7
GTEX-1LG7Y-1426-SM-D4P31 50-59 years, male 56.5
GTEX-13OW7-1626-SM-5IJDH 50-59 years, male 56.4
GTEX-15SHU-0926-SM-6PAMK 40-49 years, female 56.4
GTEX-17HGU-1126-SM-793BP 50-59 years, male 56.3
GTEX-WY7C-1126-SM-3NB3A 50-59 years, male 56.3
GTEX-1QP29-1426-SM-DTX9Q 50-59 years, male 56.3
GTEX-1JK1U-0626-SM-CKZOJ 60-69 years, male 56.2
GTEX-1JMOU-0326-SM-ARL8X 60-69 years, female 56.2
GTEX-13X6K-1726-SM-7IGLG 60-69 years, female 56.1
GTEX-1HFI7-0526-SM-A9SMA 50-59 years, female 56.1
GTEX-1LVAN-1526-SM-CNPQN 50-59 years, female 56.1
GTEX-15RJE-0726-SM-7KUEG 40-49 years, male 55.9
GTEX-1A32A-1326-SM-73KWW 50-59 years, female 55.9
GTEX-111YS-0326-SM-5GZZ3 60-69 years, male 55.8
GTEX-1IKK5-1726-SM-CM2RU 60-69 years, male 55.8
GTEX-11DXX-0526-SM-5PNVR 60-69 years, female 55.7
GTEX-14A6H-0326-SM-5NQAN 30-39 years, male 55.7
GTEX-WH7G-0326-SM-3NMBH 40-49 years, male 55.7
GTEX-1H3NZ-1026-SM-A9SM5 60-69 years, male 55.6
GTEX-YEC3-0426-SM-CYPS8 50-59 years, male 55.6
GTEX-13NZ9-0126-SM-5K7XV 50-59 years, male 55.5
GTEX-YECK-1226-SM-4W21G 60-69 years, male 55.5
GTEX-131XF-0426-SM-5HL7U 60-69 years, male 55.4
GTEX-13W3W-0526-SM-5LU3X 60-69 years, female 55.4
GTEX-ZVT4-1326-SM-5NQ8E 50-59 years, female 55.4
GTEX-17GQL-0626-SM-731CN 60-69 years, male 55.3
GTEX-1JJEA-0926-SM-CYPSO 60-69 years, male 55.3
GTEX-1QEPI-1126-SM-E8VN7 60-69 years, female 55.2
GTEX-1339X-0326-SM-5K7Z8 40-49 years, male 55.1
GTEX-YJ8O-0826-SM-5CVM3 40-49 years, female 54.9
GTEX-11EMC-0826-SM-59862 60-69 years, female 54.8
GTEX-1211K-0226-SM-59HJY 60-69 years, female 54.8
GTEX-14PN4-0826-SM-69LON 50-59 years, male 54.8
GTEX-11ZTT-0526-SM-5EQLA 60-69 years, female 54.7
GTEX-16NPX-0826-SM-6M489 50-59 years, male 54.7
GTEX-V1D1-0626-SM-4JBHN 50-59 years, male 54.6
GTEX-11GS4-0426-SM-5N9CD 60-69 years, male 54.5
GTEX-1IDJU-0626-SM-CKZOG 60-69 years, female 54.5
GTEX-ZGAY-0226-SM-4WWAL 40-49 years, female 54.3
GTEX-14BIL-0926-SM-7DHKN 50-59 years, male 54.2
GTEX-13112-0526-SM-5EQ4S 50-59 years, male 54.1
GTEX-1B8L1-0426-SM-7SB76 60-69 years, male 54.1
GTEX-1JJ6O-2226-SM-AHZ3I 60-69 years, male 54.1
GTEX-ZVZQ-0726-SM-51MR3 60-69 years, female 53.9
GTEX-WOFL-1226-SM-4OOST 60-69 years, male 53.7
GTEX-1HFI6-0826-SM-9YFM2 40-49 years, male 53.6
GTEX-14A5I-1026-SM-5Q5E3 50-59 years, female 53.5
GTEX-1LSNL-0626-SM-DIPFJ 50-59 years, male 53.5
GTEX-WEY5-0226-SM-3GIKN 40-49 years, female 53.2
GTEX-1F48J-1126-SM-9WYSY 50-59 years, female 53.2
GTEX-1ICG6-0726-SM-B2LY5 70-79 years, female 53.2
GTEX-1LGRB-1026-SM-CNPQD 50-59 years, female 52.8
GTEX-ZTTD-0626-SM-4YCCY 50-59 years, male 52.7
GTEX-11TT1-1426-SM-5EGIA 20-29 years, male 52.6
GTEX-1GN1W-0226-SM-7P8QY 50-59 years, female 52.6
GTEX-13QBU-0226-SM-5LU48 40-49 years, female 52.5
GTEX-XV7Q-0726-SM-4BRV6 40-49 years, female 52.3
GTEX-ZDTT-0326-SM-4WKF9 60-69 years, male 52.3
GTEX-1HCUA-0626-SM-ACKVT 50-59 years, female 52.3
GTEX-13FH7-0826-SM-5J2NW 50-59 years, female 52.2
GTEX-14PHY-0326-SM-62LE3 60-69 years, female 52.2
GTEX-ZPCL-0526-SM-DO91R 60-69 years, female 52.2
GTEX-14DAQ-1026-SM-793B1 60-69 years, female 52.1
GTEX-ZUA1-0726-SM-4YCD9 40-49 years, male 52.1
GTEX-ZF2S-0826-SM-4WWBI 50-59 years, female 51.9
GTEX-1CB4E-0626-SM-7DHMW 60-69 years, male 51.7
GTEX-1QPFJ-0926-SM-EVR3K 30-39 years, female 51.7
GTEX-14E6C-0326-SM-5Q5EE 40-49 years, male 51.5
GTEX-18A67-1026-SM-731CE 50-59 years, male 51.3
GTEX-15EU6-1326-SM-6PANG 50-59 years, male 51.2
GTEX-11ZVC-0526-SM-5N9G1 50-59 years, female 51.1
GTEX-15UF7-1526-SM-6LPI7 40-49 years, male 51.1
GTEX-1H1CY-0426-SM-9KNVD 60-69 years, female 50.9
GTEX-15SHV-0526-SM-7KUEN 60-69 years, male 50.7
GTEX-1J8QM-0326-SM-CL53D 60-69 years, female 50.7
GTEX-147F4-1126-SM-5TDDE 50-59 years, male 50.5
GTEX-ZDXO-0426-SM-4WKF6 60-69 years, male 50.5
GTEX-17EVP-0526-SM-7EPGY 40-49 years, male 50.1
GTEX-14E7W-1126-SM-5ZZVS 70-79 years, male 49.5
GTEX-WRHU-1026-SM-4E3ID 50-59 years, female 49.4
GTEX-1POEN-0726-SM-DTXDU 30-39 years, female 49.4
GTEX-14PJ6-0626-SM-686Z6 60-69 years, female 49.3
GTEX-X261-0926-SM-3NMCY 50-59 years, male 49.2
GTEX-13VXT-0726-SM-5SIAD 20-29 years, female 49.1
GTEX-1B8SG-0726-SM-79ONS 50-59 years, male 49.0
GTEX-1C6WA-0826-SM-7PBXS 60-69 years, male 49.0
GTEX-X5EB-0626-SM-46MVQ 40-49 years, male 48.9
GTEX-1F6I4-0826-SM-7RHGK 60-69 years, male 48.8
GTEX-13O21-0326-SM-5J1N9 50-59 years, male 48.6
GTEX-1H1ZS-1026-SM-9WG6E 70-79 years, male 48.6
GTEX-XPT6-0226-SM-4B65L 20-29 years, male 48.4
GTEX-1I1HK-0626-SM-CNPQM 60-69 years, male 48.1
GTEX-WFON-0226-SM-3GIKR 40-49 years, male 48.0
GTEX-1CB4J-0226-SM-7P8T4 60-69 years, male 47.4
GTEX-13FTZ-0326-SM-5J1O1 60-69 years, male 47.3
GTEX-1HBPM-1026-SM-ARL9D 60-69 years, female 47.3
GTEX-13FTW-0826-SM-5K7XR 40-49 years, male 47.2
GTEX-1I19N-0626-SM-A9SKY 70-79 years, male 47.2
GTEX-1MCC2-0226-SM-EVYD5 30-39 years, female 47.0
GTEX-XXEK-2026-SM-4BRVE 50-59 years, male 46.8
GTEX-1HSMQ-0426-SM-ADEIM 50-59 years, male 46.8
GTEX-13PL6-0826-SM-5IJBI 40-49 years, female 46.6
GTEX-18A66-1126-SM-731C5 60-69 years, male 46.6
GTEX-132QS-0526-SM-5IJC7 60-69 years, male 46.5
GTEX-1122O-0626-SM-5N9B9 60-69 years, female 46.4
GTEX-Y5V5-0726-SM-4VBPY 60-69 years, female 46.1
GTEX-12WSN-0226-SM-5DUXH 40-49 years, male 45.7
GTEX-14H4A-0426-SM-5ZZWO 40-49 years, female 45.6
GTEX-14XAO-0926-SM-69LPZ 60-69 years, female 45.5
GTEX-13O61-0426-SM-5L3ET 60-69 years, male 45.4
GTEX-14BIN-2126-SM-793AX 50-59 years, female 45.2
GTEX-YB5K-0226-SM-5IFJE 40-49 years, female 45.1
GTEX-12696-1226-SM-5FQSM 60-69 years, male 44.8
GTEX-18D9B-1126-SM-7KFSH 60-69 years, male 44.8
GTEX-16GPK-1226-SM-7LTAU 60-69 years, male 44.7
GTEX-WFG7-0826-SM-3GIKU 20-29 years, male 43.5
GTEX-1M5QR-1626-SM-E9U5O 40-49 years, male 43.5
GTEX-WHPG-1026-SM-3NMBA 50-59 years, male 37.3
GTEX-XYKS-0226-SM-4BRW3 60-69 years, female 34.9
GTEX-WFG8-0726-SM-3GILP 20-29 years, male 33.0
Show allShow less
Heart - Left Ventricle
Average nTPM: 93.2
Samples: 432

Max nTPM: 233.4
Min nTPM: 43.1
Std nTPM: 22.5
Median nTPM: 91.2
GTEX-U8XE-1126-SM-3DB8W 30-39 years, male 233.4
GTEX-13PVQ-1226-SM-5IJDC 50-59 years, male 194.4
GTEX-OOBJ-0326-SM-33HBO 60-69 years, male 164.8
GTEX-X8HC-1626-SM-46MWE 50-59 years, female 164.8
GTEX-12WSG-0526-SM-5FQTH 50-59 years, female 158.9
GTEX-1PWST-1026-SM-DTXF2 70-79 years, male 150.9
GTEX-QESD-0526-SM-2I5G5 20-29 years, male 148.0
GTEX-1HCU7-1326-SM-CNPPW 50-59 years, male 147.9
GTEX-14PN3-0526-SM-69LQF 60-69 years, female 145.5
GTEX-NFK9-0926-SM-2HMJU 40-49 years, male 145.5
GTEX-1N2EF-2826-SM-E6CQF 60-69 years, male 142.2
GTEX-1GMR3-0326-SM-7P8QT 40-49 years, male 141.2
GTEX-12WSD-1126-SM-5EGJD 60-69 years, female 138.6
GTEX-13YAN-1326-SM-5Q5F1 60-69 years, male 138.5
GTEX-1RMOY-0626-SM-E9TIE 50-59 years, male 138.3
GTEX-11ONC-0126-SM-5PNW6 60-69 years, male 135.9
GTEX-ZAJG-0826-SM-5PNVA 50-59 years, female 135.5
GTEX-ZLFU-0226-SM-4WWFH 40-49 years, male 135.2
GTEX-13S86-0226-SM-5S2PJ 40-49 years, male 133.7
GTEX-1RQEC-0926-SM-EWROG 60-69 years, male 132.5
GTEX-1L5NE-0426-SM-E9TIX 50-59 years, male 132.1
GTEX-1AX9J-1026-SM-72D6E 60-69 years, male 131.8
GTEX-11DXZ-0626-SM-5GU77 50-59 years, male 131.6
GTEX-1GMR2-1426-SM-7RHHK 50-59 years, male 129.9
GTEX-1AYCT-0426-SM-73KVZ 50-59 years, male 129.4
GTEX-131XE-0626-SM-5HL98 50-59 years, male 128.4
GTEX-15SHW-1226-SM-6M46C 60-69 years, male 127.5
GTEX-1C2JI-0526-SM-7EWEQ 50-59 years, male 127.3
GTEX-ZAB5-0226-SM-5CVMH 50-59 years, male 127.1
GTEX-11O72-1126-SM-5N9E2 40-49 years, male 126.3
GTEX-15RJ7-0226-SM-7KUMN 40-49 years, male 126.0
GTEX-13NZB-0226-SM-5KM1T 30-39 years, male 125.4
GTEX-UPK5-0326-SM-CYPR4 40-49 years, male 125.2
GTEX-1IDJI-1026-SM-A96TE 50-59 years, female 125.1
GTEX-OHPM-0326-SM-33HCA 50-59 years, male 124.7
GTEX-ZPU1-0626-SM-4YCDM 40-49 years, male 123.9
GTEX-13O61-0526-SM-5J2M1 60-69 years, male 123.1
GTEX-1R9PO-0326-SM-DTXA1 60-69 years, female 122.0
GTEX-1AX9I-1126-SM-7EPHH 60-69 years, male 121.5
GTEX-1IDJF-0726-SM-CJI1U 20-29 years, male 121.0
GTEX-WI4N-0626-SM-3TW8Z 40-49 years, female 120.4
GTEX-13OVL-0526-SM-5KLZQ 50-59 years, male 120.3
GTEX-P44G-0826-SM-2I5ES 30-39 years, male 120.3
GTEX-13O3O-1526-SM-5KM1C 60-69 years, female 119.8
GTEX-PSDG-0926-SM-2I5FP 50-59 years, male 119.8
GTEX-11ZUS-0226-SM-5FQT8 30-39 years, male 119.4
GTEX-1EU9M-1826-SM-7DUGU 60-69 years, male 119.4
GTEX-RNOR-0826-SM-2TF5C 50-59 years, female 119.4
GTEX-13CF2-0426-SM-5KM1H 60-69 years, male 119.3
GTEX-SUCS-0326-SM-32PLL 70-79 years, male 119.3
GTEX-146FR-0626-SM-5RQJ1 60-69 years, female 119.2
GTEX-1O9I2-1126-SM-DTXEA 50-59 years, male 119.1
GTEX-R55E-1026-SM-2TC5S 20-29 years, male 118.7
GTEX-14PJ4-1126-SM-5YY91 60-69 years, male 118.5
GTEX-QEG5-0926-SM-2TC64 20-29 years, male 118.4
GTEX-Y8E4-0326-SM-4VBRR 40-49 years, male 118.2
GTEX-WHSE-0926-SM-3NMBS 20-29 years, male 118.0
GTEX-P78B-0426-SM-2I5F5 40-49 years, female 117.8
GTEX-132NY-1726-SM-5EGKK 60-69 years, male 117.7
GTEX-11TUW-1026-SM-5GU7D 60-69 years, male 117.4
GTEX-WQUQ-1426-SM-3MJFD 60-69 years, male 117.3
GTEX-WYJK-1026-SM-3NM8W 50-59 years, male 117.3
GTEX-WZTO-1326-SM-3NM8X 40-49 years, male 116.6
GTEX-YEC3-0726-SM-CMKFH 50-59 years, male 116.2
GTEX-XQ8I-0126-SM-4BOPL 50-59 years, male 115.1
GTEX-1CB4I-1626-SM-7RHGV 50-59 years, male 114.9
GTEX-1HCU6-1026-SM-A9G25 60-69 years, female 114.9
GTEX-1I1GP-0826-SM-A96SD 50-59 years, male 114.3
GTEX-OIZF-0326-SM-3MJGY 60-69 years, male 114.2
GTEX-Q2AH-0526-SM-2I3ED 40-49 years, male 113.6
GTEX-16XZY-0426-SM-793BI 70-79 years, male 113.4
GTEX-1KD5A-1026-SM-CY8I8 50-59 years, male 113.4
GTEX-13RTJ-0726-SM-5QGQN 60-69 years, male 113.3
GTEX-1B97J-0726-SM-7RHG3 50-59 years, female 113.3
GTEX-OIZG-1126-SM-2HMIU 50-59 years, male 112.7
GTEX-139YR-0826-SM-5LZXY 50-59 years, male 112.3
GTEX-1HC8U-0726-SM-ACKXL 40-49 years, female 112.1
GTEX-PLZ5-0626-SM-2I5F8 50-59 years, male 111.7
GTEX-ZVT2-1026-SM-5GU55 50-59 years, female 111.3
GTEX-13O21-2326-SM-5MR3X 50-59 years, male 110.4
GTEX-117YX-1126-SM-5H128 50-59 years, male 110.2
GTEX-T6MN-0926-SM-32PLX 50-59 years, male 110.1
GTEX-1R9K5-1326-SM-E6CPR 50-59 years, male 109.9
GTEX-18A67-1226-SM-7KFRS 50-59 years, male 109.7
GTEX-145MO-1126-SM-5NQBX 60-69 years, male 109.6
GTEX-1JMLX-1626-SM-ARZMV 50-59 years, male 109.6
GTEX-POMQ-0326-SM-2I5FO 20-29 years, female 109.5
GTEX-131XF-5001-SM-7DHLY 60-69 years, male 108.7
GTEX-ZF3C-1226-SM-4WWCB 50-59 years, female 108.4
GTEX-1QP29-1526-SM-EXUSY 50-59 years, male 108.3
GTEX-13FTW-1026-SM-5L3E3 40-49 years, male 107.9
GTEX-13O1R-1226-SM-5J1NU 60-69 years, male 107.9
GTEX-ZV7C-0326-SM-57WB1 50-59 years, male 107.9
GTEX-13X6H-0426-SM-5LU4E 50-59 years, female 107.8
GTEX-18465-0926-SM-731AY 50-59 years, male 107.7
GTEX-1B8KE-0126-SM-793AM 50-59 years, male 107.6
GTEX-ZDXO-0726-SM-57WBT 60-69 years, male 107.5
GTEX-15RIE-1726-SM-7KUMU 60-69 years, male 107.5
GTEX-1HSGN-1126-SM-CJI4G 40-49 years, female 107.5
GTEX-PX3G-0326-SM-2I3EO 20-29 years, female 107.4
GTEX-146FH-1026-SM-5RQIF 50-59 years, female 106.5
GTEX-OXRL-0326-SM-2I3F2 50-59 years, male 106.4
GTEX-QLQ7-0526-SM-2I5G3 60-69 years, male 106.4
GTEX-XQ3S-0626-SM-4BOOB 20-29 years, male 106.2
GTEX-1IL2U-1326-SM-A9G2O 60-69 years, male 106.0
GTEX-RUSQ-0526-SM-2TF72 50-59 years, male 105.8
GTEX-OHPK-0326-SM-2HMJO 50-59 years, female 105.7
GTEX-1GZ4I-1026-SM-9KNV5 50-59 years, male 105.6
GTEX-WL46-0926-SM-3LK7T 50-59 years, male 105.4
GTEX-11DXX-0326-SM-5PNWC 60-69 years, female 105.3
GTEX-1AX9K-0526-SM-73KV1 50-59 years, male 105.1
GTEX-17F9E-0926-SM-7IGMG 50-59 years, male 104.9
GTEX-1KANC-0426-SM-CXZK5 50-59 years, female 104.9
GTEX-1497J-1226-SM-5Q5BL 60-69 years, male 104.8
GTEX-X3Y1-0426-SM-3P5Z4 40-49 years, male 104.8
GTEX-1JN6P-1126-SM-CKZON 60-69 years, male 104.8
GTEX-12BJ1-0226-SM-5LUA2 60-69 years, male 104.7
GTEX-1399S-1026-SM-5KLZ9 30-39 years, female 104.7
GTEX-WHWD-0426-SM-3LK83 50-59 years, male 104.7
GTEX-1399R-1926-SM-5K7X8 30-39 years, male 104.6
GTEX-1A3MX-1326-SM-72D58 60-69 years, male 104.6
GTEX-V1D1-0526-SM-4JBGW 50-59 years, male 104.6
GTEX-18D9B-1226-SM-72D6V 60-69 years, male 104.3
GTEX-1F6I4-0726-SM-7PC2P 60-69 years, male 104.3
GTEX-17HII-1326-SM-7IGOB 50-59 years, male 103.5
GTEX-ZVZP-0226-SM-5NQ73 50-59 years, male 102.9
GTEX-13U4I-0826-SM-5SIBD 40-49 years, female 102.8
GTEX-QV44-0526-SM-2S1RE 50-59 years, male 102.7
GTEX-15SHU-1126-SM-7KUMB 40-49 years, female 102.6
GTEX-12584-0926-SM-5FQTN 40-49 years, male 102.1
GTEX-1R9JW-0526-SM-EWRNK 30-39 years, female 102.1
GTEX-XBED-0526-SM-47JY3 60-69 years, male 102.0
GTEX-1399U-0526-SM-5K7YM 50-59 years, female 101.9
GTEX-13N11-0426-SM-5KM3O 50-59 years, female 101.6
GTEX-14A5I-1226-SM-5NQBW 50-59 years, female 101.5
GTEX-N7MS-0826-SM-2HML4 60-69 years, male 101.4
GTEX-QEL4-0926-SM-3GAD1 50-59 years, male 101.2
GTEX-1R7EV-0326-SM-E76PA 40-49 years, male 101.2
GTEX-14PJ6-0726-SM-69LOL 60-69 years, female 101.1
GTEX-ZG7Y-0926-SM-5EQ6O 50-59 years, male 101.1
GTEX-OIZH-0326-SM-2HMKC 50-59 years, male 101.0
GTEX-1339X-0426-SM-5KLZY 40-49 years, male 100.9
GTEX-13SLX-1026-SM-5ZZUQ 50-59 years, female 100.7
GTEX-1HCUA-0526-SM-A9SMH 50-59 years, female 100.6
GTEX-131XH-0226-SM-5LZVB 50-59 years, male 100.5
GTEX-QMRM-0526-SM-2I5GA 50-59 years, male 100.3
GTEX-1IKOE-1026-SM-ARZMF 30-39 years, female 100.3
GTEX-R55C-0326-SM-3GAF1 40-49 years, male 99.7
GTEX-14JG1-1026-SM-6ETZY 40-49 years, male 99.6
GTEX-16YQH-0926-SM-793BC 30-39 years, male 99.6
GTEX-OXRK-0826-SM-2HMK7 50-59 years, female 99.6
GTEX-14E1K-1026-SM-73KUR 50-59 years, male 99.5
GTEX-18D9U-1126-SM-72D5Y 40-49 years, male 99.5
GTEX-ZQUD-1526-SM-7IGO2 30-39 years, male 98.9
GTEX-14C5O-1326-SM-5S2UW 60-69 years, male 98.8
GTEX-ZYFG-0426-SM-5E43M 60-69 years, female 98.3
GTEX-1POEN-0626-SM-EVR4B 30-39 years, female 98.1
GTEX-ZAB4-1026-SM-5HL7T 40-49 years, male 98.0
GTEX-1ICLY-1326-SM-CJI47 50-59 years, male 97.8
GTEX-1J8EW-0926-SM-A9G33 60-69 years, female 97.8
GTEX-17JCI-1126-SM-7IGMM 60-69 years, female 97.7
GTEX-11ZVC-0426-SM-5CVLD 50-59 years, female 97.4
GTEX-1314G-0126-SM-5LZUL 30-39 years, male 97.4
GTEX-WH7G-0426-SM-3NMBJ 40-49 years, male 97.4
GTEX-1HBPH-0126-SM-CNNQ7 40-49 years, female 97.3
GTEX-1LB8K-1026-SM-DHXJJ 50-59 years, male 97.3
GTEX-1R9K4-1326-SM-DTX8G 60-69 years, male 97.3
GTEX-U4B1-0326-SM-3DB8K 40-49 years, male 97.2
GTEX-NPJ8-0426-SM-2HMK6 40-49 years, male 97.0
GTEX-S33H-0526-SM-COH1W 30-39 years, male 97.0
GTEX-13FLV-0926-SM-5L3DZ 50-59 years, male 96.9
GTEX-14PHX-2126-SM-6EU2U 50-59 years, male 96.9
GTEX-15DYW-1126-SM-6LPK5 60-69 years, female 96.9
GTEX-1OKEX-0726-SM-DPRYE 60-69 years, male 96.9
GTEX-UJMC-0526-SM-3GAE3 50-59 years, male 96.8
GTEX-1JK1U-0526-SM-CYPSQ 60-69 years, male 96.7
GTEX-13VXT-1126-SM-5LU3A 20-29 years, female 96.6
GTEX-O5YV-0326-SM-2I5H2 60-69 years, female 96.6
GTEX-P4PQ-0326-SM-2HMJ8 60-69 years, male 96.4
GTEX-12WSK-0626-SM-5LZUJ 40-49 years, female 96.3
GTEX-11EMC-0726-SM-5EGJO 60-69 years, female 96.1
GTEX-17HHY-1426-SM-7EWDQ 50-59 years, male 96.0
GTEX-17HGU-1026-SM-79OKL 50-59 years, male 95.9
GTEX-ZDTT-0726-SM-4WKFK 60-69 years, male 95.9
GTEX-1I1HK-0726-SM-B2LY4 60-69 years, male 95.8
GTEX-1LSNM-0526-SM-DIPG6 50-59 years, male 95.8
GTEX-1J8Q2-1226-SM-A9G2W 60-69 years, male 95.2
GTEX-13OW5-1126-SM-5J1NR 60-69 years, male 94.9
GTEX-1EMGI-1226-SM-793DD 60-69 years, male 94.7
GTEX-1AX8Z-5007-SM-AHZ36 60-69 years, male 94.6
GTEX-13NYB-0226-SM-5N9G4 40-49 years, male 94.5
GTEX-1CAMS-1326-SM-79OJR 40-49 years, female 94.4
GTEX-1IKJJ-0826-SM-A96SP 60-69 years, male 94.4
GTEX-1MUQO-1226-SM-E9TJK 60-69 years, male 94.3
GTEX-1CB4G-0826-SM-7DUGF 60-69 years, male 93.8
GTEX-WWYW-1326-SM-3NB2S 50-59 years, female 93.8
GTEX-13OW6-1126-SM-5L3HL 50-59 years, male 93.7
GTEX-17KNJ-0826-SM-793A4 50-59 years, male 93.5
GTEX-XPVG-0826-SM-4B654 50-59 years, male 93.4
GTEX-ZDTS-1326-SM-6LLHE 60-69 years, male 93.3
GTEX-1JJEA-0826-SM-CL53T 60-69 years, male 93.2
GTEX-Y3I4-0626-SM-4TT7A 50-59 years, male 93.1
GTEX-ZF29-0226-SM-4WKHO 60-69 years, female 93.1
GTEX-145MN-0626-SM-5QGRH 30-39 years, male 93.0
GTEX-1LGRB-1126-SM-CNPP2 50-59 years, female 93.0
GTEX-16MT8-0926-SM-6M487 60-69 years, female 92.6
GTEX-1BAJH-1626-SM-73KUV 70-79 years, male 92.6
GTEX-15CHR-0226-SM-7PC2Z 50-59 years, male 92.5
GTEX-15DDE-1126-SM-6LLHN 50-59 years, female 92.4
GTEX-YEC4-0326-SM-4W216 40-49 years, male 92.4
GTEX-13N1W-1026-SM-5IJC5 70-79 years, male 91.8
GTEX-14E7W-1226-SM-5RQIU 70-79 years, male 91.8
GTEX-1OFPY-1026-SM-EXUSO 60-69 years, male 91.8
GTEX-1JMQK-0626-SM-D4P2R 60-69 years, male 91.7
GTEX-1B8L1-0526-SM-79ONX 60-69 years, male 91.5
GTEX-11GSP-1326-SM-5A5KY 60-69 years, female 91.4
GTEX-14A6H-0226-SM-5Q5DX 30-39 years, male 91.1
GTEX-QDVN-0326-SM-2I3FS 50-59 years, male 90.8
GTEX-1EN7A-0726-SM-7PBXT 40-49 years, male 90.8
GTEX-1F75I-1126-SM-9WYUO 40-49 years, male 90.8
GTEX-1LGOU-0726-SM-E9TIY 20-29 years, female 90.8
GTEX-12WSC-1126-SM-5EQ4G 50-59 years, male 90.7
GTEX-QEG4-0426-SM-33HC3 30-39 years, male 90.0
GTEX-13PVR-1026-SM-5QGQW 60-69 years, female 89.9
GTEX-1H23P-1226-SM-9QEJ2 60-69 years, male 89.9
GTEX-13X6I-1426-SM-5SI9Z 60-69 years, male 89.8
GTEX-1A8G6-1626-SM-7MGWO 60-69 years, male 89.8
GTEX-QDVJ-0426-SM-2I5FW 50-59 years, male 89.5
GTEX-1212Z-0626-SM-5FQTB 60-69 years, male 89.3
GTEX-YFC4-0526-SM-5ZZVI 40-49 years, female 88.9
GTEX-1CB4E-0526-SM-7MXTK 60-69 years, male 88.6
GTEX-12ZZY-1126-SM-5DUWQ 60-69 years, male 88.4
GTEX-15CHQ-1526-SM-69LPW 60-69 years, male 88.4
GTEX-1CB4J-0326-SM-7PBZO 60-69 years, male 88.3
GTEX-R53T-0926-SM-3GADH 50-59 years, female 88.2
GTEX-11LCK-0926-SM-5A5KA 30-39 years, male 88.1
GTEX-14DAQ-1126-SM-664MT 60-69 years, female 88.0
GTEX-15CHC-0426-SM-6LLHI 60-69 years, female 88.0
GTEX-148VI-0326-SM-5RQK7 60-69 years, female 87.8
GTEX-1I1GQ-1426-SM-B2LWY 50-59 years, male 87.8
GTEX-OIZI-0926-SM-E6CHF 40-49 years, male 87.7
GTEX-R45C-0926-SM-3GAD4 60-69 years, female 87.6
GTEX-147JS-1526-SM-5ZZWF 60-69 years, male 87.5
GTEX-16BQI-0926-SM-6M485 30-39 years, female 87.5
GTEX-REY6-1026-SM-2TF4Y 60-69 years, male 87.5
GTEX-1GN73-2426-SM-7RHFQ 60-69 years, male 87.5
GTEX-1JJ6O-2126-SM-CNNP6 60-69 years, male 87.5
GTEX-UJHI-0426-SM-3DB8Y 50-59 years, female 87.3
GTEX-XBEC-1326-SM-4AT69 50-59 years, male 87.3
GTEX-1KXAM-1326-SM-E9TJW 60-69 years, male 87.1
GTEX-ZDYS-0226-SM-5HL4K 50-59 years, male 87.0
GTEX-14PHY-0226-SM-5ZZWM 60-69 years, female 86.9
GTEX-1IDJE-0326-SM-CM2TD 50-59 years, female 86.9
GTEX-1KD4Q-0726-SM-DIPGE 40-49 years, male 86.9
GTEX-XPT6-0126-SM-4B65S 20-29 years, male 86.6
GTEX-1F5PK-0326-SM-9KNUD 50-59 years, male 86.6
GTEX-1M5QR-1026-SM-DHXK9 40-49 years, male 86.6
GTEX-12WSN-5001-SM-7DHMK 40-49 years, male 86.5
GTEX-14BIL-1126-SM-79OMC 50-59 years, male 86.1
GTEX-XXEK-0926-SM-4BRWH 50-59 years, male 86.1
GTEX-Y3IK-0826-SM-51MT8 50-59 years, female 86.1
GTEX-1IDJU-0726-SM-CNPQ9 60-69 years, female 86.1
GTEX-1MCC2-0326-SM-EV7AK 30-39 years, female 86.0
GTEX-13OVG-0526-SM-5K7YD 60-69 years, male 85.8
GTEX-147F4-1226-SM-5NQAY 50-59 years, male 85.6
GTEX-ZEX8-0426-SM-DO92Y 50-59 years, male 85.5
GTEX-XGQ4-0326-SM-4GIEE 50-59 years, male 85.4
GTEX-1GMRU-1526-SM-9WYT5 50-59 years, male 85.2
GTEX-131XG-0626-SM-5GCMP 50-59 years, female 85.1
GTEX-14PK6-0826-SM-5ZZVO 70-79 years, female 84.7
GTEX-1GL5R-0326-SM-9WYTJ 50-59 years, male 84.6
GTEX-PWCY-0526-SM-5P9HG 20-29 years, female 84.5
GTEX-1F48J-1026-SM-7P8SO 50-59 years, female 84.5
GTEX-1H3NZ-1126-SM-9WYT9 60-69 years, male 84.5
GTEX-WK11-0826-SM-EZ6LH 50-59 years, male 84.5
GTEX-O5YW-0326-SM-2I5EI 50-59 years, male 84.0
GTEX-111YS-0426-SM-5987O 60-69 years, male 83.6
GTEX-1J8Q3-1226-SM-CKZPT 60-69 years, male 83.6
GTEX-1O97I-0826-SM-E8VNE 60-69 years, male 83.6
GTEX-17GQL-0526-SM-72D5N 60-69 years, male 83.5
GTEX-WRHU-1226-SM-4E3IJ 50-59 years, female 83.4
GTEX-11DXY-0826-SM-5EGGR 60-69 years, male 83.2
GTEX-1E1VI-1326-SM-7IGQD 50-59 years, male 83.2
GTEX-ZF2S-1026-SM-9QEGK 50-59 years, female 83.1
GTEX-1J8QM-0426-SM-AHZ3X 60-69 years, female 82.9
GTEX-1QCLZ-0926-SM-E6CQZ 60-69 years, female 82.9
GTEX-ZYT6-1726-SM-5E44P 30-39 years, male 82.7
GTEX-1RB15-0326-SM-E6CQB 60-69 years, male 82.6
GTEX-X15G-0426-SM-4PQZ6 50-59 years, female 82.3
GTEX-132QS-0426-SM-5KLZ6 60-69 years, male 82.2
GTEX-145LV-0326-SM-5Q5BW 50-59 years, male 82.2
GTEX-RN64-0826-SM-2TC62 50-59 years, male 82.2
GTEX-1GF9V-1626-SM-7PBXL 60-69 years, male 81.8
GTEX-13112-0426-SM-5PNVC 50-59 years, male 81.7
GTEX-14C38-1426-SM-5RQHZ 50-59 years, male 81.7
GTEX-RWSA-0626-SM-2XCBD 40-49 years, male 81.3
GTEX-YF7O-0426-SM-5P9FS 50-59 years, male 81.2
GTEX-U3ZH-0326-SM-3DB7A 30-39 years, male 81.1
GTEX-1269C-0826-SM-5N9EM 60-69 years, female 81.0
GTEX-12ZZZ-1726-SM-59HK5 60-69 years, male 80.6
GTEX-1C64O-0826-SM-79OKZ 60-69 years, male 80.5
GTEX-1HSMQ-0226-SM-C1YQL 50-59 years, male 80.3
GTEX-11TT1-1326-SM-5PNYM 20-29 years, male 80.2
GTEX-15ER7-1726-SM-6PAMX 20-29 years, female 79.7
GTEX-13FTZ-0226-SM-5K7X6 60-69 years, male 79.5
GTEX-14BIN-2226-SM-5YYA1 50-59 years, female 79.5
GTEX-1H11D-1226-SM-9WPQ2 40-49 years, male 79.5
GTEX-ZPCL-0426-SM-DNZZ4 60-69 years, female 79.1
GTEX-17MF6-0726-SM-7LT8E 40-49 years, male 79.0
GTEX-WY7C-0526-SM-3NB3D 50-59 years, male 79.0
GTEX-14C39-0926-SM-5TDDV 40-49 years, male 78.9
GTEX-1HCVE-1126-SM-9WPPG 50-59 years, male 78.8
GTEX-P4QS-0326-SM-2I3EU 60-69 years, male 78.7
GTEX-U3ZN-1426-SM-3DB87 30-39 years, female 78.7
GTEX-12ZZW-1026-SM-5GCMM 50-59 years, male 78.1
GTEX-WHPG-0826-SM-3NMBF 50-59 years, male 78.0
GTEX-1RAZS-0826-SM-E76QP 50-59 years, male 78.0
GTEX-1I1GV-1326-SM-A96SE 60-69 years, male 77.9
GTEX-1A3MW-1326-SM-7189P 60-69 years, female 77.8
GTEX-1GN1V-0826-SM-9KNU6 60-69 years, male 77.8
GTEX-RWS6-0326-SM-2XCAP 60-69 years, female 77.6
GTEX-1I6K7-0626-SM-ARL7Q 40-49 years, male 77.6
GTEX-1EX96-2526-SM-7RHGW 50-59 years, male 77.3
GTEX-1B996-1126-SM-73KWN 60-69 years, male 77.1
GTEX-13FH7-0926-SM-5J2MR 50-59 years, female 76.9
GTEX-WFON-0326-SM-3GIKX 40-49 years, male 76.9
GTEX-1LH75-0426-SM-E9TJF 50-59 years, female 76.9
GTEX-Y5V6-0826-SM-4VBRU 60-69 years, male 76.8
GTEX-1H1ZS-1126-SM-9MQLJ 70-79 years, male 76.8
GTEX-12696-1126-SM-5FQTI 60-69 years, male 76.5
GTEX-17F9Y-1326-SM-7MGW9 70-79 years, female 76.5
GTEX-111FC-0826-SM-5GZWO 60-69 years, male 76.4
GTEX-1EH9U-0826-SM-7IGPT 60-69 years, male 76.0
GTEX-1IDJH-1026-SM-E9TKH 70-79 years, male 76.0
GTEX-11EM3-0626-SM-5H12Z 20-29 years, female 75.8
GTEX-132AR-2026-SM-5IJG4 50-59 years, female 75.8
GTEX-PVOW-0426-SM-5MR5R 40-49 years, male 75.8
GTEX-ZPIC-0826-SM-4WWFJ 40-49 years, female 75.7
GTEX-Y5V5-0626-SM-4VBPX 60-69 years, female 75.6
GTEX-ZZPU-0926-SM-5GZYT 50-59 years, female 75.3
GTEX-1QP2A-1126-SM-EVR3H 50-59 years, male 75.3
GTEX-1313W-1426-SM-5KLZU 50-59 years, female 75.2
GTEX-XV7Q-0826-SM-4BRV7 40-49 years, female 75.2
GTEX-1JMPZ-1426-SM-CJI3C 30-39 years, male 75.2
GTEX-1HFI7-0826-SM-A9G23 50-59 years, female 75.0
GTEX-O5YT-0326-SM-32PKA 20-29 years, male 74.9
GTEX-ZGAY-0326-SM-57WF5 40-49 years, female 74.5
GTEX-1EKGG-1126-SM-7MGXB 60-69 years, male 74.3
GTEX-QVJO-1926-SM-2S1QZ 60-69 years, female 73.8
GTEX-1B932-1026-SM-793CL 40-49 years, female 73.7
GTEX-16NPX-0926-SM-7KUEZ 50-59 years, male 73.6
GTEX-S32W-0626-SM-2XCBG 50-59 years, female 73.6
GTEX-1JMOU-0226-SM-CNNPD 60-69 years, female 73.6
GTEX-1MJIX-0326-SM-EVR42 40-49 years, male 72.9
GTEX-1PPGY-1126-SM-E76OU 60-69 years, male 72.9
GTEX-1ICLZ-1026-SM-A9SLF 60-69 years, male 72.7
GTEX-N7MT-1326-SM-2I3FV 60-69 years, female 72.5
GTEX-1S3DN-0726-SM-E9TIO 50-59 years, male 72.5
GTEX-11I78-0826-SM-5A5K4 50-59 years, female 72.2
GTEX-1IKK5-1526-SM-CKZPW 60-69 years, male 72.2
GTEX-1399T-0426-SM-5PNVJ 60-69 years, male 71.9
GTEX-18A6Q-1626-SM-7KFTA 60-69 years, male 71.9
GTEX-OHPL-0326-SM-33HC8 60-69 years, female 71.9
GTEX-ZYFC-1126-SM-5E44W 50-59 years, male 71.8
GTEX-1ICG6-0626-SM-ACKWS 70-79 years, female 71.7
GTEX-1QPFJ-1026-SM-E6CR6 30-39 years, female 71.4
GTEX-1211K-0626-SM-5FQUZ 60-69 years, female 71.3
GTEX-1C6VQ-1126-SM-7EWET 50-59 years, male 71.2
GTEX-14E6C-0426-SM-5YYA8 40-49 years, male 71.1
GTEX-11GS4-0526-SM-5A5KQ 60-69 years, male 71.0
GTEX-13FHP-1026-SM-5K7Y2 50-59 years, male 70.8
GTEX-ZTPG-1226-SM-4YCDO 20-29 years, female 70.8
GTEX-13QBU-0426-SM-5J2O4 40-49 years, female 70.7
GTEX-RTLS-0826-SM-2TF5Q 60-69 years, female 70.7
GTEX-YB5K-0126-SM-5IFJ2 40-49 years, female 70.7
GTEX-1LVAN-1726-SM-CNNR1 50-59 years, female 70.7
GTEX-SE5C-0626-SM-2XCDV 40-49 years, female 70.5
GTEX-117YW-0326-SM-5N9CY 50-59 years, male 70.4
GTEX-1EWIQ-1426-SM-7IGOS 70-79 years, female 70.4
GTEX-RU72-0326-SM-2TF5T 50-59 years, female 70.4
GTEX-14PJ2-1026-SM-6EU1M 50-59 years, male 70.2
GTEX-OXRO-2026-SM-2YUMZ 60-69 years, female 69.9
GTEX-1GN2E-1326-SM-9KNVG 60-69 years, male 69.6
GTEX-1HBPM-1226-SM-A9SM8 60-69 years, female 69.4
GTEX-1NV8Z-1526-SM-DTX8X 60-69 years, male 69.3
GTEX-1LG7Y-1226-SM-CXZKD 50-59 years, male 69.2
GTEX-WEY5-0426-SM-3GIKT 40-49 years, female 68.9
GTEX-15RJE-0626-SM-7KUKR 40-49 years, male 68.6
GTEX-SIU8-0826-SM-2XCDQ 50-59 years, male 68.4
GTEX-13D11-1726-SM-5IFGQ 50-59 years, female 68.0
GTEX-ZUA1-0826-SM-4YCDL 40-49 years, male 68.0
GTEX-X261-1426-SM-4PQZ1 50-59 years, male 67.6
GTEX-13X6K-1826-SM-5O9CR 60-69 years, female 67.4
GTEX-1F6IF-2526-SM-7P8TV 60-69 years, male 67.0
GTEX-13JVG-1326-SM-5N9F8 60-69 years, male 66.9
GTEX-14JIY-1126-SM-6EU28 60-69 years, male 66.4
GTEX-V955-0726-SM-3GAFG 60-69 years, male 65.7
GTEX-18A66-1226-SM-7LT8G 60-69 years, male 65.6
GTEX-13CF3-0726-SM-5J2MY 60-69 years, female 64.4
GTEX-ZYW4-0926-SM-59HJS 60-69 years, male 64.3
GTEX-1LC47-1026-SM-D3LAH 60-69 years, male 64.1
GTEX-1B8SG-0826-SM-7EWF7 50-59 years, male 64.0
GTEX-1LVA9-0926-SM-EVR5G 50-59 years, male 63.9
GTEX-1GN1W-0326-SM-9JGHF 50-59 years, female 63.6
GTEX-YJ8O-0926-SM-EAZ2Z 40-49 years, female 63.6
GTEX-13OW8-2126-SM-5J1OS 60-69 years, male 62.8
GTEX-1JN1M-1026-SM-CNPOS 60-69 years, female 62.8
GTEX-13O3P-1626-SM-5K7X3 50-59 years, male 62.5
GTEX-1122O-0826-SM-5GICV 60-69 years, female 62.0
GTEX-1GF9U-0426-SM-7RHHA 40-49 years, female 61.8
GTEX-WFG8-0626-SM-3GILJ 20-29 years, male 61.7
GTEX-1H1CY-0326-SM-9QEIZ 60-69 years, female 61.6
GTEX-1K9T9-1126-SM-D3L9E 50-59 years, female 60.4
GTEX-14H4A-0626-SM-5ZZUT 40-49 years, female 59.9
GTEX-14E6D-0926-SM-5S2QV 50-59 years, male 59.8
GTEX-SNMC-0126-SM-2XCFO 20-29 years, male 59.6
GTEX-Y114-0226-SM-4TT8W 50-59 years, female 59.2
GTEX-148VJ-1526-SM-5Q5DU 70-79 years, male 57.8
GTEX-13W3W-0426-SM-5SI9D 60-69 years, female 56.7
GTEX-1HT8W-1726-SM-CNNQB 30-39 years, male 56.7
GTEX-15EOM-5007-SM-793DG 20-29 years, female 56.3
GTEX-P44H-0726-SM-48TBT 40-49 years, male 56.3
GTEX-P4PP-0326-SM-33HC4 30-39 years, female 56.3
GTEX-T2IS-0426-SM-32QPE 20-29 years, female 55.5
GTEX-R55G-0526-SM-2TC5O 40-49 years, female 55.3
GTEX-1JJE9-1426-SM-ARL8P 70-79 years, male 54.0
GTEX-WFG7-0726-SM-3GIKO 20-29 years, male 52.7
GTEX-1GTWX-1026-SM-7P8QW 60-69 years, male 50.7
GTEX-14PJM-1126-SM-6LLHK 50-59 years, female 49.2
GTEX-14XAO-1126-SM-6EU11 60-69 years, female 49.0
GTEX-1HSMO-1226-SM-CL548 60-69 years, male 45.3
GTEX-1PPH7-2026-SM-E9J3N 40-49 years, male 43.1
Show allShow less

HEART MUSCLE - FANTOM5 CAGEi

RNA expression in human tissues obtained through Cap Analysis of Gene Expression (CAGE) generated by the FANTOM5 project are reported as Scaled Tags Per Million.

Max subtype Scaled Tags Per Millioni

Max subtype Scaled Tags Per Million is the value for the subtype with the largest average Scaled Tags Per Million across the subtype samples.

110.2
FANTOM5 sample id Sample description Scaled Tags Per Million
Heart
Scaled Tags Per Million: 110.2
FF:10016-101C7 70,73,74 years, mixed 110.2
Left atrium
Scaled Tags Per Million: 73.5
FF:10079-102A7 40 years, male 73.5
Left ventricle
Scaled Tags Per Million: 92.0
FF:10078-102A6 73 years, female 92.0

Contact

  • NEWS ARTICLES
  • PRESS ROOM

The Project

  • INTRODUCTION
  • ORGANIZATION
  • PUBLICATIONS

The Human Protein Atlas

  • DOWNLOADABLE DATA
  • LICENCE & CITATION
  • HELP & FAQ
The Human Protein Atlas project is funded
by the Knut & Alice Wallenberg Foundation.


contact@proteinatlas.org