We use cookies to enhance the usability of our website. If you continue, we'll assume that you are happy to receive all cookies. More information. Don't show this again.
NHP2
HPA
RESOURCES
  • TISSUE
  • BRAIN
  • SINGLE CELL
  • SUBCELLULAR
  • CANCER
  • BLOOD
  • CELL LINE
  • STRUCTURE & INTERACTION
ABOUT
  • INTRODUCTION
  • HISTORY
  • ORGANIZATION
  • PUBLICATIONS
  • ANTIBODY SUBMISSION
  • ANTIBODY AVAILABILITY
  • ACKNOWLEDGMENTS
  • CONTACT
NEWS
  • NEWS ARTICLES
  • PRESS ROOM
LEARN
  • DICTIONARY
  • PROTEIN CLASSES
  • PROTEIN EVIDENCE
  • METHODS
  • EDUCATIONAL VIDEOS
DATA
  • DOWNLOADABLE DATA
  • PUBLICATION DATA
  • RELEASE HISTORY
HELP
  • ANTIBODY VALIDATION
  • ASSAYS & ANNOTATION
  • DISCLAIMER
  • HELP & FAQ
  • PRIVACY STATEMENT
  • LICENCE & CITATION
Fields »
Search result

Field
Term
Gene name
Class
Subclass
Class
Keyword
Chromosome
External id
Tissue
Cell type
Expression
Antibody panel
Tissue
Main location
Patient ID
Annotation
Tissue
Category
Tau score
Cluster
Reliability
Brain region
Category
Tau score
Brain region
Category
Tau score
Brain region
Category
Tau score
Cluster
Reliability
Tissue
Cell type
Enrichment
Cell type
Category
Tau score
Cell type
Category
Tau score
Cell type
Category
Tau score
Cell lineage
Category
Tau score
Cluster
Cluster
Location
Searches
Location
Cell line
Class
Type
Phase
Reliability
Cancer
Prognosis
Cancer
Category
Cancer
Category
Tau score
Cluster
Variants
Interacting gene (ensg_id)
Type
Number of interactions
Pathway
Category
Score
Score
Score
Validation
Validation
Validation
Validation
Antibodies
Data type
Column


  • SUMMARY

  • TISSUE

  • BRAIN

  • SINGLE CELL

  • SUBCELL

  • CANCER

  • BLOOD

  • CELL LINE

  • STRUCT & INT

  • NHP2
TISSUE PRIMARY DATA ESOPHAGUS Show tissue menu
ADIPOSE TISSUE ADRENAL GLAND AMYGDALA APPENDIX BASAL GANGLIA BONE MARROW BREAST BRONCHUS CEREBELLUM CEREBRAL CORTEX CERVIX CHOROID PLEXUS COLON DUODENUM
ENDOMETRIUM EPIDIDYMIS ESOPHAGUS FALLOPIAN TUBE GALLBLADDER HEART MUSCLE HIPPOCAMPAL FORMATION HYPOTHALAMUS KIDNEY LIVER LUNG LYMPH NODE MIDBRAIN NASOPHARYNX
ORAL MUCOSA OVARY PANCREAS PARATHYROID GLAND PITUITARY GLAND PLACENTA PROSTATE RECTUM RETINA SALIVARY GLAND SEMINAL VESICLE SKELETAL MUSCLE SKIN SMALL INTESTINE
SMOOTH MUSCLE SOFT TISSUE SPINAL CORD SPLEEN STOMACH TESTIS THYMUS THYROID GLAND TONGUE TONSIL URINARY BLADDER VAGINA
ANTIBODIES
AND
VALIDATION
Dictionary
Esophagus
Tissue proteome
Esophagus
ESOPHAGUS - Expression summary
Protein expression
Esophagusi

On the top, protein expression in current human tissue, based on all annotated cell types, is reported with the units not detected (n), low (l), medium (m) and high (h). Underneath, protein expression in each annotated cell type are reported using the same units.

Protein expression data is based on knowledge-based annotation. For genes where more than one antibody has been used, a collective score is set.

If knowledge-based annotation could not be performed for a gene, no data is displayed here. View antibody staining data further down this page.

h
m
l
n
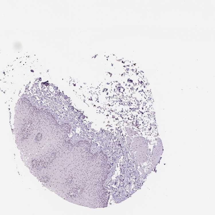
Squamous epithelial cells: Low
RNA expressioni

A summary of mRNA expression data available for current tissue based on several datasets. The mRNA expression levels in human tissues are based on RNA-seq data generated by the Human Protein Atlas (HPA), Genotype-Tissue Expression (GTEx) portal and CAGE data generated by the FANTOM5 consortium. Consensus normalized expression levels for human tissues was created by combining the data from HPA and GTEx datasets.

The mRNA expression levels in pig are based on RNA-seq data generated by the Human Protein Atlas (HPA), and for mouse, HPA data and in situ hybridization generated by the Allen brain atlas are reported.

Scroll down to view mRNA expression data in more detail.
Consensus:173.1 nTPM
HPA:109.5 nTPM
GTEx:173.1 nTPM
FANTOM5:127.8 Scaled Tags Per Million

ESOPHAGUS - Antibody stainingi

Antibody staining in the annotated cell types in the current human tissue is reported as not detected, low, medium, or high, based on conventional immunohistochemistry profiling in selected tissues. This score is based on the combination of the staining intensity and fraction of stained cells.

Each image is clickable and will lead to virtual microscopy that enables deeper exploration of all samples and also displays staining intensity scores, fraction scores and subcellular localization as well as patient and tissue information for each sample.

Antibody HPA044171Antibody HPA050400
Squamous epithelial cells LowLow



ESOPHAGUS - HPA RNA-seqi

The RNA-seq details section shows detailed information about the individual samples used for the transcript profiling and results of the RNA-seq analysis.

Information about each individual sample is listed below, including gender, age, a tissue section image and estimated fractions of cell types. nTPM (normalized transcripts per million) values give a quantification of the gene abundance which is comparable between different genes and samples.
Average nTPMi

Max subtype nTPM is the value for the subtype with the largest average nTPM across the subtype samples.

109.5
overview
Female, age 70
Esophagus sample 130
nTPM: 146.3
Cell types%
Squamous epithelial cells:
35

Smooth muscle cells:
15

Skeletal muscle cells:
5

Other cell types:
45

overview
Male, age 38
Esophagus sample 131
nTPM: 79.6
Cell types%
Squamous epithelial cells:
60

Smooth muscle cells:
20

Other cell types:
20

overview
Male, age 76
Esophagus sample 132
nTPM: 102.6
Cell types%
Squamous epithelial cells:
45

Smooth muscle cells:
15

Other cell types:
40


ESOPHAGUS - GTEx RNA-seqi

RNA-Seq data generated by the Genotype-Tissue Expression (GTEx) project from human tissues is reported as mean nTPM. More information can be found on the GTEx portal.

Distribution across the dataset is visualized with box plots, shown as median and 25th and 75th percentiles. Points are displayed as outliers if they are above or below 1.5 times the interquartile range. nTPM values of the individual samples are presented next to the box plot.
Max subtype nTPMi

Max subtype nTPM is the value for the subtype with the largest average nTPM across the subtype samples.

173.1
GTEx sample id Sample description nTPM
Esophagus - Mucosa
Average nTPM: 173.1
Samples: 555

Max nTPM: 403.7
Min nTPM: 71.1
Std nTPM: 41.6
Median nTPM: 168.6
GTEX-1MCQQ-1026-SM-EV7AX 60-69 years, male 403.7
GTEX-14PJ5-0526-SM-664OE 60-69 years, female 400.7
GTEX-15RIF-0826-SM-6M47C 20-29 years, male 395.7
GTEX-1269C-1026-SM-5N9EY 60-69 years, female 319.0
GTEX-18465-1126-SM-7LG6E 50-59 years, male 318.2
GTEX-1GF9U-0826-SM-7MXTZ 40-49 years, female 313.2
GTEX-16A39-1026-SM-6LPJU 30-39 years, female 307.3
GTEX-XQ3S-1126-SM-4BOPK 20-29 years, male 298.1
GTEX-16Z82-1926-SM-6M47U 60-69 years, male 291.8
GTEX-ZTX8-0226-SM-5E44D 20-29 years, male 288.7
GTEX-148VI-1026-SM-5TDDJ 60-69 years, female 285.6
GTEX-ZV68-0926-SM-59HK7 50-59 years, female 277.4
GTEX-1N2EE-2426-SM-EXOIO 60-69 years, male 276.9
GTEX-1HCU6-1326-SM-A96TZ 60-69 years, female 269.2
GTEX-1KANB-1826-SM-DHXJU 50-59 years, male 263.9
GTEX-1RDX4-2126-SM-EV7B3 50-59 years, female 261.5
GTEX-18D9U-2126-SM-7LG4Y 40-49 years, male 259.2
GTEX-Q2AG-1326-SM-43V8K 40-49 years, female 258.8
GTEX-145ME-5004-SM-7MGXP 40-49 years, female 256.8
GTEX-14PKV-1726-SM-6871U 20-29 years, female 255.1
GTEX-15F5U-5010-SM-AHZ2D 40-49 years, male 254.2
GTEX-ZXES-1126-SM-5GZXN 30-39 years, female 253.6
GTEX-YEC3-2526-SM-CXZIH 50-59 years, male 253.6
GTEX-1CAMQ-2726-SM-7MKGD 40-49 years, male 250.5
GTEX-1NSGN-2026-SM-DPRYM 50-59 years, male 249.1
GTEX-XMK1-1326-SM-4B65Q 40-49 years, male 246.0
GTEX-1I1GS-2126-SM-ARU7G 60-69 years, male 245.9
GTEX-1QP2A-1926-SM-EXOJ9 50-59 years, male 245.4
GTEX-132QS-1426-SM-5P9GE 60-69 years, male 244.5
GTEX-POYW-1326-SM-48TCG 60-69 years, male 242.3
GTEX-13NYB-0926-SM-5IFFA 40-49 years, male 241.8
GTEX-11NUK-1326-SM-5P9GN 50-59 years, male 241.5
GTEX-13O1R-1326-SM-5IJF5 60-69 years, male 241.0
GTEX-1EX96-2226-SM-7MKGT 50-59 years, male 239.9
GTEX-1HBPH-1126-SM-A96TU 40-49 years, female 239.8
GTEX-1F88F-1126-SM-7MKHL 60-69 years, female 239.2
GTEX-YFC4-1226-SM-5LU9R 40-49 years, female 237.2
GTEX-1MCC2-1926-SM-DHXJR 30-39 years, female 237.2
GTEX-PVOW-1626-SM-48TC9 40-49 years, male 234.5
GTEX-18A6Q-1226-SM-7KFS9 60-69 years, male 234.4
GTEX-13NZB-1226-SM-5J2MW 30-39 years, male 234.3
GTEX-ZTPG-1626-SM-5DUX2 20-29 years, female 232.7
GTEX-14PJ6-1026-SM-686ZB 60-69 years, female 231.4
GTEX-1GPI7-1026-SM-7MGY2 20-29 years, male 230.9
GTEX-13X6H-1326-SM-5LU42 50-59 years, female 229.9
GTEX-148VJ-1026-SM-5LU98 70-79 years, male 229.2
GTEX-1L5NE-1426-SM-DHXKV 50-59 years, male 228.5
GTEX-1C6VQ-1826-SM-7EWEH 50-59 years, male 227.7
GTEX-Y3IK-1126-SM-51MSV 50-59 years, female 227.7
GTEX-11ZTS-2626-SM-5EGIC 60-69 years, female 227.3
GTEX-14C38-2126-SM-5RQJO 50-59 years, male 226.7
GTEX-11GSP-1826-SM-5N9DQ 60-69 years, female 224.5
GTEX-1JMQJ-1226-SM-D3L97 50-59 years, male 224.3
GTEX-117YW-1926-SM-5H121 50-59 years, male 222.5
GTEX-ZTSS-0626-SM-59867 40-49 years, male 222.3
GTEX-1EN7A-1226-SM-7MGX9 40-49 years, male 222.2
GTEX-17MFQ-0526-SM-7KFTX 20-29 years, male 221.6
GTEX-11ZU8-1526-SM-5EGHX 60-69 years, male 221.0
GTEX-14ICL-0526-SM-5RQJ6 30-39 years, male 218.1
GTEX-T5JW-1326-SM-4DM5G 20-29 years, female 218.1
GTEX-15RJE-0926-SM-6LLHZ 40-49 years, male 217.1
GTEX-Q2AH-0826-SM-48TZN 40-49 years, male 216.6
GTEX-13FHP-1526-SM-5IJGE 50-59 years, male 216.3
GTEX-15SB6-0726-SM-6M48F 50-59 years, female 215.8
GTEX-1PPH8-1626-SM-E6CQP 20-29 years, male 215.6
GTEX-1N2DV-2026-SM-EV7BL 40-49 years, male 215.5
GTEX-14PJN-0526-SM-68724 30-39 years, male 215.1
GTEX-1OKEX-1326-SM-E9J2U 60-69 years, male 214.9
GTEX-UPJH-1026-SM-EAZB2 50-59 years, male 214.5
GTEX-1F5PL-1726-SM-9QEGL 40-49 years, female 213.8
GTEX-1S82Y-1226-SM-EV7BD 40-49 years, male 213.8
GTEX-ZDYS-0826-SM-4WWCR 50-59 years, male 213.0
GTEX-1F75I-1726-SM-7MKGW 40-49 years, male 212.9
GTEX-14ICK-2026-SM-6AJB2 40-49 years, male 212.6
GTEX-XGQ4-1526-SM-4AT6H 50-59 years, male 211.0
GTEX-1IKOE-1526-SM-C1YSD 30-39 years, female 210.6
GTEX-11I78-1526-SM-5A5K7 50-59 years, female 209.5
GTEX-144FL-2726-SM-5O98Z 50-59 years, male 209.2
GTEX-1LSVX-1226-SM-DHXJN 60-69 years, male 209.0
GTEX-YEC4-1026-SM-9WG7N 40-49 years, male 208.4
GTEX-1LNCM-0626-SM-EV7AI 50-59 years, female 208.2
GTEX-ZT9W-1326-SM-51MTB 50-59 years, male 207.6
GTEX-1I4MK-0426-SM-B2LWQ 50-59 years, female 207.4
GTEX-1399S-1326-SM-5P9GH 30-39 years, female 207.2
GTEX-1A8FM-1526-SM-7MXTA 50-59 years, female 207.1
GTEX-ZE9C-1126-SM-4WWBD 60-69 years, male 207.0
GTEX-14PK6-1326-SM-686ZE 70-79 years, female 206.8
GTEX-1JMPZ-2026-SM-C1YR8 30-39 years, male 206.4
GTEX-12ZZW-1726-SM-5DUVD 50-59 years, male 205.4
GTEX-1B996-1826-SM-7MGY6 60-69 years, male 205.4
GTEX-13PVQ-1726-SM-5IFF3 50-59 years, male 205.2
GTEX-14PJ4-1526-SM-664OA 60-69 years, male 205.2
GTEX-1MA7X-0726-SM-EV7AB 60-69 years, male 205.2
GTEX-WFG8-1226-SM-4V6EI 20-29 years, male 204.8
GTEX-11DXX-1126-SM-5GZZK 60-69 years, female 204.7
GTEX-1H1DG-1226-SM-9JGH3 70-79 years, male 204.6
GTEX-1HCU8-2226-SM-9WPOV 60-69 years, female 204.3
GTEX-1QP9N-0926-SM-E9U5S 30-39 years, male 204.2
GTEX-13PVR-1826-SM-5Q5CC 60-69 years, female 203.8
GTEX-17F9E-1926-SM-7IGQF 50-59 years, male 203.5
GTEX-ZY6K-0626-SM-59HJL 50-59 years, male 203.3
GTEX-11EM3-0826-SM-5N9CC 20-29 years, female 202.9
GTEX-Y5LM-1026-SM-4VDSQ 40-49 years, female 202.9
GTEX-ZVP2-1326-SM-57WCE 50-59 years, male 202.8
GTEX-1RAZA-1326-SM-DPS12 20-29 years, male 202.7
GTEX-14JIY-0926-SM-6871D 60-69 years, male 202.0
GTEX-1LVAM-1126-SM-DHXKP 50-59 years, female 201.9
GTEX-ZG7Y-1126-SM-4WWEZ 50-59 years, male 201.5
GTEX-1399Q-1126-SM-5P9JA 40-49 years, male 200.8
GTEX-ZGAY-1126-SM-4WWBS 40-49 years, female 200.8
GTEX-1IDJD-1626-SM-C1YRC 30-39 years, male 200.1
GTEX-S4P3-0426-SM-4AD56 50-59 years, female 199.8
GTEX-1KANA-0626-SM-D4P3I 20-29 years, male 199.5
GTEX-QEG4-0726-SM-CNNRF 30-39 years, male 198.8
GTEX-11DXY-1426-SM-5N9CN 60-69 years, male 198.4
GTEX-11ONC-1526-SM-5GU6S 60-69 years, male 198.4
GTEX-1PPGY-1726-SM-EVR3S 60-69 years, male 198.4
GTEX-TMMY-1126-SM-4DXSX 40-49 years, female 198.3
GTEX-15DCE-1326-SM-6LPJL 20-29 years, male 197.3
GTEX-QVUS-0626-SM-447CC 60-69 years, female 197.2
GTEX-ZYY3-1526-SM-5SIA9 60-69 years, female 197.2
GTEX-1JMQK-2026-SM-C1YQN 60-69 years, male 197.0
GTEX-11P82-0526-SM-5986P 20-29 years, male 196.9
GTEX-1C475-0926-SM-7MKFI 40-49 years, female 196.4
GTEX-ZLFU-1126-SM-DO11K 40-49 years, male 196.0
GTEX-1212Z-2126-SM-5FQTM 60-69 years, male 195.7
GTEX-16BQI-1526-SM-6LLIE 30-39 years, female 195.7
GTEX-ZYFG-1126-SM-5GICY 60-69 years, female 195.5
GTEX-ZYVF-2226-SM-5GIDD 50-59 years, female 195.0
GTEX-1QEPI-1826-SM-EAZ3J 60-69 years, female 194.6
GTEX-17EVQ-1926-SM-7IGOF 70-79 years, male 194.5
GTEX-Y9LG-0626-SM-4WWDH 30-39 years, male 194.1
GTEX-15DCD-1626-SM-6AJBH 70-79 years, female 193.8
GTEX-13W46-1926-SM-5J2MF 50-59 years, male 193.4
GTEX-1EKGG-1726-SM-7MXUP 60-69 years, male 192.9
GTEX-1122O-1726-SM-5GICM 60-69 years, female 192.3
GTEX-11TT1-0526-SM-5P9JO 20-29 years, male 192.3
GTEX-14B4R-0326-SM-5TDDP 30-39 years, male 192.3
GTEX-145MO-1426-SM-DTX9W 60-69 years, male 192.1
GTEX-ZVT2-1326-SM-5E45H 50-59 years, female 192.0
GTEX-1I1GQ-1726-SM-B2LWZ 50-59 years, male 191.5
GTEX-1K2DA-0626-SM-CGQGO 50-59 years, male 191.3
GTEX-15SHU-1426-SM-6LPIN 40-49 years, female 191.2
GTEX-11EI6-1526-SM-5P9GL 60-69 years, male 191.1
GTEX-1C2JI-1126-SM-731FH 50-59 years, male 191.1
GTEX-RN64-1026-SM-48FDX 50-59 years, male 191.1
GTEX-1HB9E-1526-SM-D3LA6 50-59 years, male 190.7
GTEX-ZLWG-1326-SM-DNZYZ 50-59 years, female 190.4
GTEX-1F5PK-1526-SM-7MKGV 50-59 years, male 190.1
GTEX-R55E-1326-SM-48FCR 20-29 years, male 190.1
GTEX-14BMU-0926-SM-5S2QB 20-29 years, female 190.0
GTEX-1H1DE-1026-SM-9JGH6 20-29 years, male 190.0
GTEX-1K2DU-1726-SM-EV79S 20-29 years, male 189.4
GTEX-S32W-0926-SM-4AD5X 50-59 years, female 189.2
GTEX-1J8EW-1326-SM-AHZ3S 60-69 years, female 189.0
GTEX-R3RS-1326-SM-48FE7 40-49 years, female 188.6
GTEX-1N2DW-1426-SM-EV7AZ 50-59 years, male 188.4
GTEX-1H23P-1426-SM-9JGH5 60-69 years, male 188.3
GTEX-YB5E-0926-SM-4WWDQ 40-49 years, male 188.2
GTEX-WOFM-0626-SM-4OOS3 20-29 years, male 188.1
GTEX-16NPX-1626-SM-6LLI5 50-59 years, male 188.0
GTEX-1CB4J-2426-SM-7MXVC 60-69 years, male 188.0
GTEX-1QCLZ-1626-SM-E9U5R 60-69 years, female 188.0
GTEX-1LVAN-2326-SM-CNNPY 50-59 years, female 187.9
GTEX-1A3MV-1326-SM-7LG6C 30-39 years, male 187.8
GTEX-1LVA9-2126-SM-DLHBY 50-59 years, male 187.7
GTEX-S341-0526-SM-4AD5U 40-49 years, female 187.6
GTEX-111YS-0926-SM-5EGGI 60-69 years, male 187.5
GTEX-12ZZY-1426-SM-5N9EI 60-69 years, male 187.5
GTEX-1IDJH-2026-SM-CNNQX 70-79 years, male 187.3
GTEX-1HSKV-2426-SM-A8N8K 60-69 years, male 187.1
GTEX-QEG5-1426-SM-447AS 20-29 years, male 186.7
GTEX-133LE-0626-SM-5IFFJ 20-29 years, female 185.7
GTEX-12696-1326-SM-5FQTJ 60-69 years, male 185.5
GTEX-X4EO-1226-SM-4QARR 60-69 years, female 184.9
GTEX-13W3W-1626-SM-5LU35 60-69 years, female 184.8
GTEX-Y5V6-1026-SM-4VBS2 60-69 years, male 184.4
GTEX-139UW-1126-SM-5IJEJ 60-69 years, male 184.3
GTEX-14E6E-0726-SM-5S2R3 30-39 years, male 184.3
GTEX-13FH7-0526-SM-5IJF8 50-59 years, female 184.0
GTEX-S95S-0426-SM-4B64I 60-69 years, male 183.6
GTEX-15RIE-0826-SM-6M47X 60-69 years, male 183.5
GTEX-1H1ZS-1526-SM-9OSXR 70-79 years, male 182.7
GTEX-1MGNQ-1626-SM-EAZ4Z 40-49 years, male 182.7
GTEX-1CB4G-1326-SM-7MKFP 60-69 years, male 182.6
GTEX-1RAZS-2626-SM-EV79C 50-59 years, male 182.5
GTEX-12WSN-5013-SM-7P8P9 40-49 years, male 182.4
GTEX-1GMR2-1526-SM-7MXV6 50-59 years, male 182.1
GTEX-XUZC-0426-SM-4BOPE 30-39 years, female 182.0
GTEX-ZAJG-1326-SM-5S2NV 50-59 years, female 182.0
GTEX-1MCYP-1026-SM-DPRYB 20-29 years, female 181.9
GTEX-1AMEY-0226-SM-7189Q 30-39 years, female 181.8
GTEX-1PFEY-0826-SM-E9U6A 30-39 years, male 181.5
GTEX-1F52S-1426-SM-7P8PU 60-69 years, female 180.9
GTEX-1LSNL-2226-SM-DHXKM 50-59 years, male 180.8
GTEX-1NUQO-1126-SM-DTX98 20-29 years, female 180.8
GTEX-T8EM-0526-SM-4DM64 40-49 years, male 180.5
GTEX-WVLH-1426-SM-4MVNX 50-59 years, male 180.1
GTEX-X4XY-1726-SM-46MVO 60-69 years, male 180.0
GTEX-PWN1-0626-SM-48TDT 40-49 years, female 179.9
GTEX-ZZ64-0226-SM-5E44X 20-29 years, male 179.7
GTEX-1AYD5-0926-SM-793AF 50-59 years, male 179.6
GTEX-1OJC3-0826-SM-DPRYU 20-29 years, male 179.6
GTEX-1M5QR-0726-SM-DHXK7 40-49 years, male 179.1
GTEX-ZPU1-1426-SM-4WWFU 40-49 years, male 179.0
GTEX-Y5V5-1626-SM-4VDSG 60-69 years, female 178.9
GTEX-1LG7Z-0926-SM-CXKYK 30-39 years, male 178.8
GTEX-18A66-1426-SM-7KFRT 60-69 years, male 178.7
GTEX-WHWD-0926-SM-4OORY 50-59 years, male 178.4
GTEX-WQUQ-1626-SM-4OOSH 60-69 years, male 178.3
GTEX-11P81-0826-SM-5P9GR 30-39 years, female 178.2
GTEX-12WSL-1526-SM-5GCP8 50-59 years, male 178.1
GTEX-SJXC-1426-SM-EYYVB 60-69 years, male 178.0
GTEX-1399U-1026-SM-5J1OC 50-59 years, female 177.3
GTEX-ZDTT-1326-SM-4WKFH 60-69 years, male 177.3
GTEX-1R7EU-0826-SM-DPRZL 60-69 years, male 177.2
GTEX-1HKZK-1426-SM-A96U1 40-49 years, male 176.5
GTEX-1LB8K-1326-SM-CXZKB 50-59 years, male 176.4
GTEX-13X6I-1026-SM-5LU4C 60-69 years, male 176.1
GTEX-11TUW-1326-SM-5EQKV 60-69 years, male 176.0
GTEX-1KD4Q-1126-SM-CXZKK 40-49 years, male 175.9
GTEX-11LCK-1726-SM-5S2OQ 30-39 years, male 175.8
GTEX-13111-0826-SM-5LZV3 50-59 years, male 175.4
GTEX-13CF3-1626-SM-5IFG9 60-69 years, female 175.3
GTEX-ZLV1-0526-SM-4WWD4 60-69 years, female 175.3
GTEX-14BIN-2726-SM-5RQIE 50-59 years, female 175.2
GTEX-XK95-1026-SM-4GIDV 40-49 years, male 175.2
GTEX-1HBPI-0626-SM-9WPP4 50-59 years, male 175.2
GTEX-1J1OQ-2526-SM-AHZ3Q 40-49 years, female 175.1
GTEX-14BIM-1326-SM-7EWD1 60-69 years, female 175.0
GTEX-SNMC-0526-SM-4DM69 20-29 years, male 175.0
GTEX-1AX8Z-5016-SM-AHZ2B 60-69 years, male 175.0
GTEX-XYKS-1526-SM-4BRUP 60-69 years, female 174.9
GTEX-U8XE-1726-SM-4E3IF 30-39 years, male 174.7
GTEX-NPJ8-1926-SM-3MJGB 40-49 years, male 174.5
GTEX-183WM-1726-SM-7KFT5 70-79 years, female 174.4
GTEX-Y3I4-1226-SM-4TT8N 50-59 years, male 174.4
GTEX-145MN-1026-SM-5NQ9G 30-39 years, male 174.3
GTEX-ZF29-1326-SM-DNZYV 60-69 years, female 174.3
GTEX-139T6-0626-SM-5IFF9 50-59 years, male 174.1
GTEX-13O3Q-0826-SM-5IFGF 50-59 years, male 174.1
GTEX-1E1VI-1526-SM-7IGQ2 50-59 years, male 174.1
GTEX-1I1GR-1326-SM-ARU7B 60-69 years, male 174.0
GTEX-OIZH-0626-SM-3NB1L 50-59 years, male 173.8
GTEX-ZUA1-1226-SM-5NQ6O 40-49 years, male 173.7
GTEX-14H4A-1626-SM-5SI69 40-49 years, female 173.6
GTEX-PLZ6-0526-SM-3P61C 30-39 years, male 173.6
GTEX-W5WG-1626-SM-4LMKG 50-59 years, female 173.6
GTEX-Z9EW-0526-SM-5HL8S 40-49 years, male 173.6
GTEX-Q2AI-0626-SM-48TZU 40-49 years, male 173.5
GTEX-WK11-1026-SM-4OOS8 50-59 years, male 173.5
GTEX-WXYG-1226-SM-4ONCJ 50-59 years, female 173.2
GTEX-13FLV-1126-SM-5J2NO 50-59 years, male 173.1
GTEX-146FH-1726-SM-5QGQ2 50-59 years, female 173.1
GTEX-WFG7-1126-SM-4LMK3 20-29 years, male 173.1
GTEX-VJYA-0726-SM-4KL1T 60-69 years, male 172.9
GTEX-ZC5H-1326-SM-5HL7E 40-49 years, female 172.9
GTEX-1497J-2726-SM-5SI9W 60-69 years, male 172.8
GTEX-13FHO-1726-SM-DPRZX 60-69 years, male 172.8
GTEX-P4PQ-0626-SM-3NMCU 60-69 years, male 172.7
GTEX-QDVJ-0726-SM-48U1W 50-59 years, male 172.7
GTEX-1I1GU-1426-SM-B2LX3 40-49 years, male 172.2
GTEX-18QFQ-1026-SM-7LG6B 30-39 years, male 172.1
GTEX-1CB4E-1026-SM-793AB 60-69 years, male 171.6
GTEX-1QP67-0726-SM-DPRY1 40-49 years, female 171.5
GTEX-11EMC-2226-SM-5A5JW 60-69 years, female 171.3
GTEX-14A6H-1326-SM-5NQBC 30-39 years, male 170.7
GTEX-1HGF4-0926-SM-9WPP8 60-69 years, male 170.3
GTEX-18A7A-2326-SM-7KFRH 50-59 years, female 170.2
GTEX-QESD-0826-SM-47J4G 20-29 years, male 170.2
GTEX-RM2N-0726-SM-48FD5 50-59 years, male 169.7
GTEX-Y114-0926-SM-4TT7J 50-59 years, female 169.7
GTEX-1EH9U-2426-SM-7EWFG 60-69 years, male 169.6
GTEX-Y8LW-0726-SM-5IFI1 50-59 years, female 169.5
GTEX-TKQ1-0326-SM-4DXSM 30-39 years, male 169.3
GTEX-139YR-1726-SM-5IFFK 50-59 years, male 169.2
GTEX-X15G-0826-SM-4PQZD 50-59 years, female 168.7
GTEX-131YS-1426-SM-5IJF7 60-69 years, female 168.6
GTEX-132AR-2226-SM-5J2NT 50-59 years, female 168.6
GTEX-REY6-1326-SM-48FDO 60-69 years, male 168.6
GTEX-T6MO-0526-SM-4DM6R 40-49 years, female 168.6
GTEX-OOBK-0625-SM-3LK5P 40-49 years, male 168.3
GTEX-U3ZH-1026-SM-4DXUZ 30-39 years, male 168.3
GTEX-1J1R8-0326-SM-AHZ3D 40-49 years, male 168.0
GTEX-RUSQ-0826-SM-47JWW 50-59 years, male 167.8
GTEX-1J8QM-1926-SM-AHZ3Z 60-69 years, female 167.4
GTEX-144GO-2726-SM-5O9A2 60-69 years, male 167.3
GTEX-16NGA-1426-SM-718AC 40-49 years, female 167.2
GTEX-14AS3-0626-SM-5QGQD 40-49 years, female 167.1
GTEX-13OW8-2326-SM-5L3I9 60-69 years, male 166.9
GTEX-1B933-2026-SM-7EWFC 50-59 years, female 166.5
GTEX-18D9A-0526-SM-7KFSW 30-39 years, female 166.1
GTEX-ZA64-0626-SM-5HL9O 20-29 years, male 166.1
GTEX-1IKK5-1326-SM-AHZ2X 60-69 years, male 166.1
GTEX-11NSD-1126-SM-5N9BQ 20-29 years, male 165.9
GTEX-18D9B-2026-SM-7LT96 60-69 years, male 165.9
GTEX-X3Y1-1326-SM-4PQZB 40-49 years, male 165.8
GTEX-15DYW-1826-SM-6LPIY 60-69 years, female 165.4
GTEX-1EWIQ-1526-SM-79OO7 70-79 years, female 165.3
GTEX-13OVG-0626-SM-5IFEP 60-69 years, male 164.9
GTEX-S7SF-0926-SM-4AD4M 20-29 years, female 164.7
GTEX-145LV-1326-SM-5S2QI 50-59 years, male 164.3
GTEX-14JG6-0926-SM-6871Y 30-39 years, female 164.3
GTEX-1I1GP-1026-SM-C1YRZ 50-59 years, male 164.2
GTEX-OXRN-1726-SM-3NM9B 50-59 years, male 164.0
GTEX-U3ZM-0526-SM-4DXTB 40-49 years, male 164.0
GTEX-1JKYN-1526-SM-CGQGA 30-39 years, male 164.0
GTEX-OXRP-0926-SM-48TC1 60-69 years, female 163.9
GTEX-TSE9-1226-SM-4DXTM 60-69 years, female 163.9
GTEX-R55C-0826-SM-48FCL 40-49 years, male 163.8
GTEX-1HCVE-1226-SM-9WPPH 50-59 years, male 163.6
GTEX-1HFI6-1226-SM-A96SK 40-49 years, male 163.6
GTEX-1B97I-0926-SM-731DZ 40-49 years, male 163.5
GTEX-12WSA-1426-SM-5EGJU 60-69 years, male 163.4
GTEX-16XZY-0926-SM-7938M 70-79 years, male 163.2
GTEX-RVPV-0526-SM-47JYL 60-69 years, male 162.9
GTEX-S3XE-0926-SM-4AD4S 50-59 years, male 162.7
GTEX-U4B1-0826-SM-4DXTW 40-49 years, male 162.5
GTEX-Y8E4-1726-SM-5LU9G 40-49 years, male 162.2
GTEX-13FTW-1626-SM-5KM4N 40-49 years, male 162.1
GTEX-RNOR-1226-SM-48FDQ 50-59 years, female 162.1
GTEX-145MF-1426-SM-5O9B6 50-59 years, male 161.9
GTEX-1JK1U-1726-SM-CNNPM 60-69 years, male 161.9
GTEX-131XF-0826-SM-5GICG 60-69 years, male 161.4
GTEX-1I1CD-1726-SM-A9G3P 60-69 years, female 161.4
GTEX-1KXAM-0826-SM-CXZK9 60-69 years, male 161.4
GTEX-12ZZX-1326-SM-5DUWI 40-49 years, female 161.3
GTEX-1KAFJ-0626-SM-D3L8X 50-59 years, male 161.2
GTEX-OIZG-1026-SM-3LK5X 50-59 years, male 161.0
GTEX-YB5K-0826-SM-5YYB7 40-49 years, female 160.9
GTEX-RU1J-0326-SM-46MUM 20-29 years, female 160.8
GTEX-RU72-0726-SM-46MUW 50-59 years, female 160.4
GTEX-12WSK-1126-SM-5LZV8 40-49 years, female 160.2
GTEX-1QPFJ-1226-SM-EAZ3M 30-39 years, female 160.2
GTEX-11DZ1-2026-SM-5A5KG 50-59 years, male 160.1
GTEX-12C56-1226-SM-5FQSU 20-29 years, male 160.0
GTEX-1CB4I-1026-SM-7MKFZ 50-59 years, male 159.8
GTEX-13QBU-1026-SM-5LU3R 40-49 years, female 159.6
GTEX-1S83E-0826-SM-EV7B7 40-49 years, male 159.6
GTEX-QCQG-0626-SM-48U21 50-59 years, female 159.4
GTEX-WRHK-0526-SM-4MVOF 20-29 years, female 159.4
GTEX-144GN-0626-SM-5O9B2 50-59 years, male 159.3
GTEX-ZF3C-1626-SM-4WWB4 50-59 years, female 159.2
GTEX-1HSMQ-2026-SM-B2LY1 50-59 years, male 159.2
GTEX-1AX9J-1826-SM-731FM 60-69 years, male 159.1
GTEX-15EU6-1626-SM-6LPKF 50-59 years, male 158.9
GTEX-1HC8U-1526-SM-9WPO4 40-49 years, female 158.9
GTEX-13OVI-2626-SM-5KM4T 60-69 years, female 158.8
GTEX-QDVN-1026-SM-48TZA 50-59 years, male 158.8
GTEX-UJHI-0826-SM-4IHLM 50-59 years, female 158.8
GTEX-11P7K-1326-SM-5BC5G 30-39 years, male 158.6
GTEX-1CB4H-1526-SM-7MXU4 60-69 years, female 158.6
GTEX-145LU-0926-SM-79OJL 50-59 years, male 158.5
GTEX-132Q8-1826-SM-5EGIY 60-69 years, male 158.3
GTEX-OHPN-1026-SM-E9TI8 60-69 years, female 157.9
GTEX-1QP28-1826-SM-EAZ4L 50-59 years, female 157.8
GTEX-WHSE-1526-SM-4M1XH 20-29 years, male 157.5
GTEX-QLQ7-0926-SM-447BC 60-69 years, male 157.3
GTEX-YF7O-0926-SM-5IFIF 50-59 years, male 157.1
GTEX-O5YV-1026-SM-3LK72 60-69 years, female 157.0
GTEX-14DAR-0826-SM-73KYJ 50-59 years, male 156.8
GTEX-XBEW-1326-SM-4AT63 40-49 years, male 156.7
GTEX-12WSD-1826-SM-5GCOA 60-69 years, female 156.6
GTEX-ZYW4-1326-SM-5E45N 60-69 years, male 156.4
GTEX-OXRK-1326-SM-3NB1A 50-59 years, female 156.3
GTEX-1QCLY-1526-SM-DPRXX 30-39 years, male 156.2
GTEX-1GN1W-2226-SM-9JGI5 50-59 years, female 156.0
GTEX-147F3-0826-SM-5NQA7 50-59 years, female 155.7
GTEX-14E1K-1226-SM-5S2PD 50-59 years, male 155.4
GTEX-1LG7Y-1726-SM-EV7AR 50-59 years, male 155.1
GTEX-S33H-0826-SM-4AD5Y 30-39 years, male 155.0
GTEX-XXEK-0326-SM-4BRVV 50-59 years, male 154.9
GTEX-13U4I-1126-SM-5LU3S 40-49 years, female 154.8
GTEX-17HII-1526-SM-9OSVD 50-59 years, male 154.8
GTEX-ZEX8-1426-SM-4WKHQ 50-59 years, male 154.6
GTEX-14PJM-1526-SM-664NY 50-59 years, female 154.5
GTEX-14PJ3-0626-SM-6UGC5 50-59 years, male 154.0
GTEX-11DXZ-1226-SM-5H11L 50-59 years, male 153.8
GTEX-131XE-1426-SM-5HL7V 50-59 years, male 153.7
GTEX-PWCY-0726-SM-48TCS 20-29 years, female 153.6
GTEX-13YAN-1926-SM-7EPH9 60-69 years, male 153.1
GTEX-WFJO-0826-SM-4LVM5 30-39 years, male 152.8
GTEX-1JKYR-2126-SM-CNNPC 20-29 years, male 152.6
GTEX-1EU9M-2326-SM-7MKGS 60-69 years, male 152.5
GTEX-X4LF-0626-SM-4QASB 50-59 years, male 152.0
GTEX-SUCS-0726-SM-4DM7J 70-79 years, male 151.8
GTEX-1RAZR-1226-SM-E6CRD 40-49 years, male 151.8
GTEX-13SLX-1726-SM-5Q5E5 50-59 years, female 151.7
GTEX-1I6K7-1426-SM-B2LXP 40-49 years, male 151.6
GTEX-1IY9M-1626-SM-AHZ39 60-69 years, male 151.5
GTEX-1R9JW-1526-SM-DPRZK 30-39 years, female 151.4
GTEX-146FR-0426-SM-5SI97 60-69 years, female 151.3
GTEX-1IDJF-1226-SM-C1YPX 20-29 years, male 151.2
GTEX-YJ89-1526-SM-5P9IR 60-69 years, male 150.9
GTEX-15RJ7-0926-SM-6LPJO 40-49 years, male 150.8
GTEX-139TU-1226-SM-5J2NL 60-69 years, male 150.6
GTEX-S4Q7-0626-SM-4AD5M 20-29 years, male 150.4
GTEX-13FTX-0526-SM-5IFGS 20-29 years, female 150.0
GTEX-ZF2S-1226-SM-4WWAX 50-59 years, female 150.0
GTEX-144GM-1426-SM-5LU31 20-29 years, male 149.7
GTEX-17JCI-1226-SM-793D9 60-69 years, female 149.6
GTEX-R55D-1126-SM-48FEB 50-59 years, male 149.5
GTEX-1MA7W-0426-SM-E9TJ5 20-29 years, female 149.5
GTEX-11XUK-0826-SM-5GU6P 40-49 years, female 149.4
GTEX-WYVS-0726-SM-4ONDO 40-49 years, female 149.3
GTEX-16MTA-0826-SM-6LLIC 50-59 years, male 149.2
GTEX-Y111-1626-SM-57WCY 50-59 years, male 149.2
GTEX-SE5C-1226-SM-4BRWV 40-49 years, female 149.1
GTEX-T2YK-1326-SM-4DM6S 50-59 years, male 149.1
GTEX-U3ZN-1726-SM-4DXUQ 30-39 years, female 149.0
GTEX-YECK-1626-SM-5IFHQ 60-69 years, male 148.9
GTEX-13O21-0626-SM-5IJDI 50-59 years, male 148.6
GTEX-17F98-1726-SM-7938O 40-49 years, female 148.6
GTEX-OXRL-0626-SM-3NM9C 50-59 years, male 148.2
GTEX-1RAZQ-1726-SM-EAZ4T 30-39 years, male 148.2
GTEX-OIZI-1426-SM-3NB1T 40-49 years, male 147.9
GTEX-1GL5R-1526-SM-7MKHO 50-59 years, male 147.4
GTEX-1I1GV-2226-SM-ARU7E 60-69 years, male 147.3
GTEX-11EQ9-0726-SM-5A5K2 30-39 years, male 147.1
GTEX-12BJ1-1626-SM-5HL8Y 60-69 years, male 146.9
GTEX-183FY-1526-SM-7IGOW 20-29 years, male 146.7
GTEX-18A67-2426-SM-7LT95 50-59 years, male 146.4
GTEX-1CB4F-1526-SM-7MKFM 60-69 years, male 146.3
GTEX-1H11D-2126-SM-9OSXM 40-49 years, male 146.2
GTEX-1K9T9-2026-SM-CXZK3 50-59 years, female 146.2
GTEX-XQ8I-1526-SM-4BOOH 50-59 years, male 145.6
GTEX-1A32A-1826-SM-72D5G 50-59 years, female 145.2
GTEX-1AMFI-0226-SM-731D5 50-59 years, female 145.1
GTEX-1LBAC-1226-SM-DHXK1 20-29 years, male 144.8
GTEX-WYJK-1926-SM-4ONDP 50-59 years, male 144.7
GTEX-15UF7-0926-SM-6M46F 40-49 years, male 144.3
GTEX-146FQ-1026-SM-5LU8I 30-39 years, male 144.2
GTEX-17EUY-1426-SM-7938X 20-29 years, male 144.2
GTEX-VUSG-1226-SM-4KKZF 50-59 years, male 144.1
GTEX-17HHE-0926-SM-7938K 50-59 years, male 143.9
GTEX-1B97J-1026-SM-7MXTE 50-59 years, female 143.5
GTEX-1ICG6-1926-SM-ARU7L 70-79 years, female 143.4
GTEX-OIZF-0626-SM-7MKHG 60-69 years, male 143.4
GTEX-1MJIX-0826-SM-DTXEO 40-49 years, male 143.1
GTEX-1HCU7-2126-SM-A96SG 50-59 years, male 142.9
GTEX-17F96-2526-SM-7DHL3 70-79 years, male 142.6
GTEX-13G51-0926-SM-5IFFU 60-69 years, male 142.5
GTEX-PLZ4-1626-SM-3P618 50-59 years, female 142.2
GTEX-R55G-1026-SM-48FDI 40-49 years, female 141.9
GTEX-WHPG-1126-SM-4M1XT 50-59 years, male 141.9
GTEX-11VI4-0526-SM-5EQ48 40-49 years, female 141.8
GTEX-RWS6-0826-SM-47JXF 60-69 years, female 141.8
GTEX-V1D1-1026-SM-4JBHE 50-59 years, male 141.6
GTEX-WFON-0826-SM-4LVMI 40-49 years, male 141.6
GTEX-1AX9K-1126-SM-731DQ 50-59 years, male 141.5
GTEX-13OVJ-1226-SM-5L3HA 50-59 years, female 141.4
GTEX-NFK9-1126-SM-3LK78 40-49 years, male 141.3
GTEX-1GTWX-1326-SM-9JGHU 60-69 years, male 141.3
GTEX-XLM4-2326-SM-4AT5E 60-69 years, male 141.2
GTEX-13OVK-1126-SM-6PAMR 40-49 years, male 141.0
GTEX-17HGU-1426-SM-7938G 50-59 years, male 141.0
GTEX-145LT-1126-SM-5LUA1 40-49 years, male 140.6
GTEX-X62O-2226-SM-46MW3 50-59 years, male 140.2
GTEX-1211K-0926-SM-5FQTL 60-69 years, female 140.1
GTEX-13S86-0826-SM-5SI6J 40-49 years, male 139.3
GTEX-12KS4-0926-SM-5BC5S 30-39 years, male 138.9
GTEX-XBED-1026-SM-48TCB 60-69 years, male 138.9
GTEX-111CU-0726-SM-5GZYD 50-59 years, male 138.5
GTEX-QV44-1126-SM-CL55C 50-59 years, male 138.4
GTEX-T2IS-0826-SM-4DM6L 20-29 years, female 138.3
GTEX-15ER7-2126-SM-7939E 20-29 years, female 137.9
GTEX-1R9PM-0926-SM-DPRYA 20-29 years, male 137.8
GTEX-1H3VY-2026-SM-9JGHK 50-59 years, male 137.6
GTEX-1GN1U-1826-SM-9JGH2 50-59 years, female 137.0
GTEX-ZAB4-1126-SM-5HL86 40-49 years, male 136.5
GTEX-1HBPM-1426-SM-9WPPE 60-69 years, female 136.5
GTEX-UJMC-0926-SM-4IHLK 50-59 years, male 135.8
GTEX-13X6K-2126-SM-5O9D4 60-69 years, female 135.6
GTEX-13RTK-0526-SM-5S2QF 20-29 years, male 135.2
GTEX-1F7RK-1526-SM-7P8T6 20-29 years, female 135.0
GTEX-1EMGI-1926-SM-7938Y 60-69 years, male 134.9
GTEX-12WSG-5007-SM-7DUGZ 50-59 years, female 134.8
GTEX-1R9K4-1926-SM-DPRZW 60-69 years, male 134.6
GTEX-V955-1126-SM-4JBH3 60-69 years, male 134.5
GTEX-1RLM8-0726-SM-E6CRH 50-59 years, male 134.4
GTEX-XV7Q-1126-SM-4BRVS 40-49 years, female 133.6
GTEX-15UF6-2326-SM-6M465 70-79 years, female 133.5
GTEX-13D11-1926-SM-5IFGB 50-59 years, female 133.2
GTEX-1GN73-1926-SM-9JGGS 60-69 years, male 133.1
GTEX-145LS-1826-SM-5LUAZ 60-69 years, female 133.0
GTEX-1JMLX-2326-SM-CXZJP 50-59 years, male 133.0
GTEX-1399R-0826-SM-5IJEL 30-39 years, male 132.8
GTEX-ZPCL-1426-SM-57WEC 60-69 years, female 131.7
GTEX-1HCUA-1426-SM-9WPP7 50-59 years, female 131.0
GTEX-1GMR3-1526-SM-9JGGL 40-49 years, male 130.3
GTEX-RTLS-1126-SM-46MUQ 60-69 years, female 130.1
GTEX-UPK5-1226-SM-4IHL8 40-49 years, male 129.9
GTEX-14PHY-0626-SM-664NN 60-69 years, female 129.6
GTEX-QLQW-0526-SM-4R1KS 30-39 years, male 128.3
GTEX-WH7G-0926-SM-4LVMJ 40-49 years, male 128.3
GTEX-ZAB5-0926-SM-5CVMV 50-59 years, male 128.2
GTEX-16MT8-1326-SM-6M47R 60-69 years, female 128.1
GTEX-T5JC-1726-SM-4DM6U 20-29 years, male 128.0
GTEX-WEY5-0926-SM-4LMI4 40-49 years, female 127.9
GTEX-ZAK1-1526-SM-5S2OV 50-59 years, female 127.9
GTEX-N7MT-0326-SM-48TDP 60-69 years, female 127.8
GTEX-131XG-1026-SM-5GCMX 50-59 years, female 127.3
GTEX-ZYFC-1626-SM-5N9EU 50-59 years, male 127.2
GTEX-14DAQ-1426-SM-5RQJD 60-69 years, female 126.3
GTEX-15EOM-5013-SM-7MKF9 20-29 years, female 125.6
GTEX-169BO-0526-SM-793AK 50-59 years, male 125.2
GTEX-QEL4-1426-SM-447AC 50-59 years, male 125.0
GTEX-1LGOU-0526-SM-D3LAO 20-29 years, female 124.6
GTEX-1JMPY-0826-SM-AHZ4A 30-39 years, male 124.2
GTEX-1R9K5-1526-SM-DPRZA 50-59 years, male 124.1
GTEX-15ETS-1926-SM-7KUN5 40-49 years, female 123.6
GTEX-ZVE2-1326-SM-5NQ94 50-59 years, male 122.5
GTEX-1C64O-1826-SM-7DHM4 60-69 years, male 122.4
GTEX-13QJ3-1726-SM-5RQK9 50-59 years, male 121.7
GTEX-1QW4Y-0526-SM-EAZ3V 30-39 years, male 121.3
GTEX-P4QS-0626-SM-3NMD1 60-69 years, male 121.2
GTEX-1B8KE-1826-SM-731FD 50-59 years, male 120.8
GTEX-1PIGE-0926-SM-E9U5Z 20-29 years, male 120.8
GTEX-XMD2-1326-SM-4YCET 60-69 years, female 120.4
GTEX-1BAJH-2026-SM-7P8OZ 70-79 years, male 120.0
GTEX-178AV-0526-SM-6LPJH 40-49 years, male 119.8
GTEX-ZQUD-0426-SM-57WFR 30-39 years, male 118.5
GTEX-PLZ5-0926-SM-3TW8L 50-59 years, male 118.0
GTEX-TML8-1526-SM-4DXUX 40-49 years, female 117.4
GTEX-P4QT-0626-SM-3NMCP 50-59 years, female 116.6
GTEX-ZYT6-1126-SM-5GZYR 30-39 years, male 116.4
GTEX-R53T-1126-SM-48FD4 50-59 years, female 116.0
GTEX-WHSB-0426-SM-4M1XI 50-59 years, male 116.0
GTEX-1IDFM-1126-SM-A96SY 60-69 years, male 115.3
GTEX-R45C-1226-SM-48FEE 60-69 years, female 115.1
GTEX-1LGRB-1626-SM-CNNR7 50-59 years, female 112.7
GTEX-PSDG-1326-SM-48TD2 50-59 years, male 112.6
GTEX-13JVG-2026-SM-5KM1N 60-69 years, male 112.0
GTEX-ZZPT-1426-SM-5N9C5 50-59 years, male 111.9
GTEX-1B8KZ-0726-SM-7938W 50-59 years, male 111.1
GTEX-SNOS-0626-SM-4DM5F 40-49 years, male 110.8
GTEX-ZT9X-0526-SM-5GCOP 40-49 years, male 110.6
GTEX-1AX9I-1426-SM-7DHM8 60-69 years, male 110.4
GTEX-17KNJ-1326-SM-7KFTG 50-59 years, male 109.0
GTEX-1QP29-2126-SM-E6CPZ 50-59 years, male 107.7
GTEX-1HSGN-1626-SM-A96U2 40-49 years, female 107.6
GTEX-1GMR8-1826-SM-9WYUE 50-59 years, female 106.2
GTEX-15EO6-1026-SM-7KUG9 50-59 years, male 106.1
GTEX-P78B-1026-SM-3NMC4 40-49 years, female 105.0
GTEX-13PL7-0226-SM-731DT 60-69 years, female 103.5
GTEX-11DYG-1326-SM-5N9DO 60-69 years, male 102.4
GTEX-17F97-1326-SM-7MGVO 50-59 years, male 102.3
GTEX-X4EP-1626-SM-4QAS6 60-69 years, female 98.8
GTEX-16AAH-0726-SM-793A9 50-59 years, male 98.0
GTEX-N7MS-1225-SM-3LK5G 60-69 years, male 98.0
GTEX-X585-1226-SM-46MW7 50-59 years, male 91.8
GTEX-1H3NZ-1326-SM-9JGHI 60-69 years, male 79.7
GTEX-P4PP-0626-SM-3NM9X 30-39 years, female 79.1
GTEX-13O61-0926-SM-5IFFE 60-69 years, male 74.4
GTEX-14C5O-1626-SM-73KYH 60-69 years, male 71.1
Show allShow less

ESOPHAGUS - FANTOM5 CAGEi

RNA expression in human tissues obtained through Cap Analysis of Gene Expression (CAGE) generated by the FANTOM5 project are reported as Scaled Tags Per Million.

Max subtype Scaled Tags Per Millioni

Max subtype Scaled Tags Per Million is the value for the subtype with the largest average Scaled Tags Per Million across the subtype samples.

127.8
FANTOM5 sample id Sample description Scaled Tags Per Million
Esophagus
Scaled Tags Per Million: 127.8
FF:10015-101C6 68,74,75 years, mixed 127.8

Contact

  • NEWS ARTICLES
  • PRESS ROOM

The Project

  • INTRODUCTION
  • ORGANIZATION
  • PUBLICATIONS

The Human Protein Atlas

  • DOWNLOADABLE DATA
  • LICENCE & CITATION
  • HELP & FAQ
The Human Protein Atlas project is funded
by the Knut & Alice Wallenberg Foundation.


contact@proteinatlas.org