We use cookies to enhance the usability of our website. If you continue, we'll assume that you are happy to receive all cookies. More information. Don't show this again.
PNRC1
HPA
RESOURCES
  • TISSUE
  • BRAIN
  • SINGLE CELL
  • SUBCELLULAR
  • CANCER
  • BLOOD
  • CELL LINE
  • STRUCTURE & INTERACTION
ABOUT
  • INTRODUCTION
  • HISTORY
  • ORGANIZATION
  • PUBLICATIONS
  • ANTIBODY SUBMISSION
  • ANTIBODY AVAILABILITY
  • ACKNOWLEDGMENTS
  • CONTACT
NEWS
  • NEWS ARTICLES
  • PRESS ROOM
LEARN
  • DICTIONARY
  • PROTEIN CLASSES
  • PROTEIN EVIDENCE
  • METHODS
  • EDUCATIONAL VIDEOS
DATA
  • DOWNLOADABLE DATA
  • PUBLICATION DATA
  • RELEASE HISTORY
HELP
  • ANTIBODY VALIDATION
  • ASSAYS & ANNOTATION
  • DISCLAIMER
  • HELP & FAQ
  • PRIVACY STATEMENT
  • LICENCE & CITATION
Fields »
Search result

Field
Term
Gene name
Class
Subclass
Class
Keyword
Chromosome
External id
Tissue
Cell type
Expression
Antibody panel
Tissue
Main location
Patient ID
Annotation
Tissue
Category
Tau score
Cluster
Reliability
Brain region
Category
Tau score
Brain region
Category
Tau score
Brain region
Category
Tau score
Cluster
Reliability
Tissue
Cell type
Enrichment
Cell type
Category
Tau score
Cell type
Category
Tau score
Cell type
Category
Tau score
Cell lineage
Category
Tau score
Cluster
Cluster
Location
Searches
Location
Cell line
Class
Type
Phase
Reliability
Cancer
Prognosis
Cancer
Category
Cancer
Category
Tau score
Cluster
Variants
Interacting gene (ensg_id)
Type
Number of interactions
Pathway
Category
Score
Score
Score
Validation
Validation
Validation
Validation
Antibodies
Data type
Column


  • SUMMARY

  • TISSUE

  • BRAIN

  • SINGLE CELL

  • SUBCELL

  • CANCER

  • BLOOD

  • CELL LINE

  • STRUCT & INT

  • PNRC1
TISSUE PRIMARY DATA SKIN Show tissue menu
ADIPOSE TISSUE ADRENAL GLAND AMYGDALA APPENDIX BASAL GANGLIA BONE MARROW BREAST BRONCHUS CEREBELLUM CEREBRAL CORTEX CERVIX CHOROID PLEXUS COLON DUODENUM
ENDOMETRIUM EPIDIDYMIS ESOPHAGUS FALLOPIAN TUBE GALLBLADDER HEART MUSCLE HIPPOCAMPAL FORMATION HYPOTHALAMUS KIDNEY LIVER LUNG LYMPH NODE MIDBRAIN NASOPHARYNX
ORAL MUCOSA OVARY PANCREAS PARATHYROID GLAND PITUITARY GLAND PLACENTA PROSTATE RECTUM RETINA SALIVARY GLAND SEMINAL VESICLE SKELETAL MUSCLE SKIN SMALL INTESTINE
SMOOTH MUSCLE SOFT TISSUE SPINAL CORD SPLEEN STOMACH TESTIS THYMUS THYROID GLAND TONGUE TONSIL URINARY BLADDER VAGINA
ANTIBODIES
AND
VALIDATION
Dictionary
Skin
Tissue proteome
Skin
SKIN - Expression summary
Protein expression
Skini

On the top, protein expression in current human tissue, based on all annotated cell types, is reported with the units not detected (n), low (l), medium (m) and high (h). Underneath, protein expression in each annotated cell type are reported using the same units.

Protein expression data is based on knowledge-based annotation. For genes where more than one antibody has been used, a collective score is set.

If knowledge-based annotation could not be performed for a gene, no data is displayed here. View antibody staining data further down this page.

h
m
l
n
Epidermal cells: Low
Fibroblasts: Medium
Keratinocytes: Low
Langerhans: Low
Melanocytes: Low
RNA expressioni

A summary of mRNA expression data available for current tissue based on several datasets. The mRNA expression levels in human tissues are based on RNA-seq data generated by the Human Protein Atlas (HPA), Genotype-Tissue Expression (GTEx) portal and CAGE data generated by the FANTOM5 consortium. Consensus normalized expression levels for human tissues was created by combining the data from HPA and GTEx datasets.

The mRNA expression levels in pig are based on RNA-seq data generated by the Human Protein Atlas (HPA), and for mouse, HPA data and in situ hybridization generated by the Allen brain atlas are reported.

Scroll down to view mRNA expression data in more detail.
Consensus:142.9 nTPM
HPA:73.9 nTPM
GTEx:142.9 nTPM

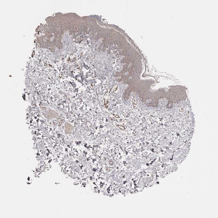
SKIN 1 - Antibody stainingi

Antibody staining in the annotated cell types in the current human tissue is reported as not detected, low, medium, or high, based on conventional immunohistochemistry profiling in selected tissues. This score is based on the combination of the staining intensity and fraction of stained cells.

Each image is clickable and will lead to virtual microscopy that enables deeper exploration of all samples and also displays staining intensity scores, fraction scores and subcellular localization as well as patient and tissue information for each sample.

Antibody HPA029839
Langerhans Low
Fibroblasts Medium
Keratinocytes Low
Melanocytes Low


SKIN 2 - Antibody stainingi

Antibody staining in the annotated cell types in the current human tissue is reported as not detected, low, medium, or high, based on conventional immunohistochemistry profiling in selected tissues. This score is based on the combination of the staining intensity and fraction of stained cells.

Each image is clickable and will lead to virtual microscopy that enables deeper exploration of all samples and also displays staining intensity scores, fraction scores and subcellular localization as well as patient and tissue information for each sample.

Antibody HPA029839
Epidermal cells Low
 
 
 



SKIN - HPA RNA-seqi

The RNA-seq details section shows detailed information about the individual samples used for the transcript profiling and results of the RNA-seq analysis.

Information about each individual sample is listed below, including gender, age, a tissue section image and estimated fractions of cell types. nTPM (normalized transcripts per million) values give a quantification of the gene abundance which is comparable between different genes and samples.
Average nTPMi

Max subtype nTPM is the value for the subtype with the largest average nTPM across the subtype samples.

73.9
overview
Female, age 34
Skin sample 225
nTPM: 78.3
Cell types%
Keratinocytes:
60

Other cell types:
40

overview
Female, age 30
Skin sample 226
nTPM: 82.1
Cell types%
Keratinocytes:
55

Other cell types:
45

N/A
Male, age 57
Skin sample 227
nTPM: 61.2

SKIN - GTEx RNA-seqi

RNA-Seq data generated by the Genotype-Tissue Expression (GTEx) project from human tissues is reported as mean nTPM. More information can be found on the GTEx portal.

Distribution across the dataset is visualized with box plots, shown as median and 25th and 75th percentiles. Points are displayed as outliers if they are above or below 1.5 times the interquartile range. nTPM values of the individual samples are presented next to the box plot.
Max subtype nTPMi

Max subtype nTPM is the value for the subtype with the largest average nTPM across the subtype samples.

142.9
GTEx sample id Sample description nTPM
Skin - Not Sun Exposed (Suprapubic)
Average nTPM: 142.9
Samples: 604

Max nTPM: 653.1
Min nTPM: 49.9
Std nTPM: 67.6
Median nTPM: 125.3
GTEX-ZYFD-0626-SM-5E44E 50-59 years, male 653.1
GTEX-13YAN-0226-SM-5TDC6 60-69 years, male 500.2
GTEX-14C38-0726-SM-5SI6M 50-59 years, male 449.2
GTEX-U8XE-0226-SM-4E3J3 30-39 years, male 420.5
GTEX-1313W-0626-SM-5EQ4H 50-59 years, female 407.2
GTEX-X8HC-0626-SM-4E3HQ 50-59 years, female 406.0
GTEX-1I1GU-0926-SM-ACKVS 40-49 years, male 402.7
GTEX-139UW-0326-SM-5J1ML 60-69 years, male 401.6
GTEX-15UF6-1926-SM-7KUDV 70-79 years, female 382.5
GTEX-15G1A-1626-SM-7KUKN 30-39 years, male 380.0
GTEX-1JMQL-2226-SM-CNPP4 50-59 years, female 368.3
GTEX-1IDFM-0326-SM-ARL7V 60-69 years, male 365.8
GTEX-WHSE-0126-SM-3NMBT 20-29 years, male 350.0
GTEX-1C64N-2626-SM-7PC2N 50-59 years, male 342.1
GTEX-1IE54-1126-SM-A9G2Z 40-49 years, female 328.0
GTEX-1NV5F-0626-SM-DTXEG 60-69 years, female 327.4
GTEX-1F48J-0726-SM-7RHGS 50-59 years, female 326.8
GTEX-13QBU-1226-SM-5LU4G 40-49 years, female 325.0
GTEX-148VJ-0626-SM-5LUAW 70-79 years, male 318.8
GTEX-1F88E-1626-SM-7SB8Z 60-69 years, female 308.6
GTEX-15G19-2426-SM-7KUMR 60-69 years, male 305.7
GTEX-13PL6-1126-SM-5L3IE 40-49 years, female 295.2
GTEX-1R9K4-2826-SM-DTX8F 60-69 years, male 295.1
GTEX-1F6RS-2026-SM-7RHHC 60-69 years, female 291.1
GTEX-1PDJ9-1226-SM-EXUSX 20-29 years, male 287.2
GTEX-1F75B-0726-SM-7PC3R 50-59 years, male 282.5
GTEX-1H3VE-0726-SM-9YFL5 40-49 years, male 282.5
GTEX-1J8Q2-2626-SM-ACKWQ 60-69 years, male 277.6
GTEX-WYBS-0626-SM-3NMAS 60-69 years, female 277.5
GTEX-11TUW-0626-SM-5LU9M 60-69 years, male 276.2
GTEX-1F75I-2226-SM-7SB8U 40-49 years, male 273.4
GTEX-13NYC-0126-SM-5L3F4 60-69 years, male 269.4
GTEX-1PBJJ-1026-SM-E76OS 30-39 years, male 263.8
GTEX-1GN1V-2826-SM-9JGIA 60-69 years, male 262.0
GTEX-144GM-0526-SM-79OJO 20-29 years, male 261.0
GTEX-1A32A-0626-SM-731AQ 50-59 years, female 260.5
GTEX-13X6H-0926-SM-5SIB2 50-59 years, female 259.8
GTEX-ZA64-1026-SM-5HL8R 20-29 years, male 257.4
GTEX-1HSMO-0626-SM-ACKXC 60-69 years, male 256.4
GTEX-1EMGI-2326-SM-7PBYA 60-69 years, male 249.7
GTEX-13OW5-2326-SM-5L3HO 60-69 years, male 248.6
GTEX-ZAJG-1526-SM-5CVML 50-59 years, female 246.7
GTEX-1HCU6-2526-SM-ADEHL 60-69 years, female 246.4
GTEX-1HUB1-1426-SM-CGQF5 60-69 years, male 241.7
GTEX-147JS-0226-SM-5S2U9 60-69 years, male 241.1
GTEX-1HBPM-0726-SM-9YFL7 60-69 years, female 239.9
GTEX-XBED-1926-SM-47JYP 60-69 years, male 239.3
GTEX-1HCU7-0726-SM-A9SL1 50-59 years, male 239.1
GTEX-1HKZK-0726-SM-ACKW2 40-49 years, male 237.8
GTEX-ZVE1-0726-SM-51MRN 50-59 years, female 234.9
GTEX-ZYVF-0926-SM-5E44J 50-59 years, female 234.0
GTEX-ZYW4-0626-SM-59HJR 60-69 years, male 232.8
GTEX-1ICLY-0826-SM-CMKG1 50-59 years, male 232.4
GTEX-15SKB-2826-SM-6PAMH 60-69 years, male 231.6
GTEX-14A5H-0826-SM-5QGPJ 60-69 years, male 230.2
GTEX-1GF9W-1426-SM-7PBYM 60-69 years, male 230.1
GTEX-WI4N-2726-SM-3LK7Y 40-49 years, female 229.9
GTEX-15ER7-0626-SM-6PANF 20-29 years, female 226.2
GTEX-13PDP-0726-SM-5L3HP 60-69 years, male 225.6
GTEX-1L5NE-1126-SM-D3L9P 50-59 years, male 221.2
GTEX-14E6C-2426-SM-5S2NF 40-49 years, male 221.0
GTEX-1LVAN-0626-SM-CNPOQ 50-59 years, female 219.1
GTEX-1I1GS-2626-SM-B2LY3 60-69 years, male 219.0
GTEX-1H1DF-1126-SM-9WG7G 40-49 years, female 215.3
GTEX-XQ8I-0926-SM-4BOOF 50-59 years, male 214.4
GTEX-YECK-0326-SM-4W1YS 60-69 years, male 213.8
GTEX-18D9B-0926-SM-7LG4U 60-69 years, male 211.8
GTEX-1QAET-0326-SM-EVR3U 50-59 years, male 210.7
GTEX-1A3MW-0626-SM-731CB 60-69 years, female 209.2
GTEX-1LG7Y-2526-SM-EWRO7 50-59 years, male 208.9
GTEX-1M4P7-0726-SM-E6CJ3 60-69 years, male 208.7
GTEX-131XF-2626-SM-5EQ6K 60-69 years, male 205.6
GTEX-1H4P4-2126-SM-9WYSL 50-59 years, male 205.6
GTEX-11EQ8-0926-SM-5H12V 60-69 years, male 205.4
GTEX-13VXT-1926-SM-5K7UO 20-29 years, female 204.9
GTEX-ZYY3-2926-SM-5GIEB 60-69 years, female 204.3
GTEX-1GMRU-2126-SM-7P8RA 50-59 years, male 203.9
GTEX-1JJ6O-2726-SM-CNPOG 60-69 years, male 203.6
GTEX-1HSKV-1226-SM-ADEI4 60-69 years, male 202.9
GTEX-ZE7O-2726-SM-51MT5 50-59 years, female 202.4
GTEX-1F5PL-0926-SM-7PC2W 40-49 years, female 200.4
GTEX-1LKK1-2626-SM-DKPQE 50-59 years, female 200.0
GTEX-1CAMS-2226-SM-7PBXQ 40-49 years, female 199.3
GTEX-14PK6-0226-SM-62LF5 70-79 years, female 197.9
GTEX-1R46S-2426-SM-E76QA 60-69 years, female 196.2
GTEX-13IVO-0726-SM-5LZYV 70-79 years, male 195.6
GTEX-13NZ8-1226-SM-5KM4A 60-69 years, female 194.3
GTEX-17MF6-2626-SM-79OKQ 40-49 years, male 194.0
GTEX-ZLFU-1826-SM-4WWBV 40-49 years, male 194.0
GTEX-ZF3C-0626-SM-DO92O 50-59 years, female 192.5
GTEX-15DYW-2726-SM-6EU2I 60-69 years, female 192.4
GTEX-1EX96-1026-SM-7MKG2 50-59 years, male 192.4
GTEX-1GPI6-1926-SM-9KNV7 60-69 years, male 192.3
GTEX-1CAMR-1326-SM-7PC1F 20-29 years, male 192.2
GTEX-1HGF4-0126-SM-CNPPX 60-69 years, male 191.9
GTEX-1GN1U-0626-SM-9MQL9 50-59 years, female 191.6
GTEX-145LU-1926-SM-79OJN 50-59 years, male 190.7
GTEX-1IKJJ-2226-SM-CJI4C 60-69 years, male 190.6
GTEX-1269C-0126-SM-5EQ5L 60-69 years, female 190.5
GTEX-1KAFJ-0126-SM-DIPEK 50-59 years, male 189.4
GTEX-11ZU8-0126-SM-5EQ58 60-69 years, male 189.0
GTEX-ZVE2-2826-SM-5GU51 50-59 years, male 188.1
GTEX-1CB4J-1326-SM-7P8RX 60-69 years, male 186.9
GTEX-13RTJ-0126-SM-5S2NN 60-69 years, male 186.7
GTEX-1ICLZ-0326-SM-ARL82 60-69 years, male 186.7
GTEX-1QP29-1826-SM-DTX9S 50-59 years, male 186.1
GTEX-14ICL-1626-SM-5YYAO 30-39 years, male 184.9
GTEX-1GMR8-0626-SM-7RHI7 50-59 years, female 184.7
GTEX-1F52S-2926-SM-7MKGA 60-69 years, female 184.0
GTEX-1HSMQ-2626-SM-A9SML 50-59 years, male 182.4
GTEX-1JMPY-0226-SM-CKZOK 30-39 years, male 181.9
GTEX-1J8Q3-0526-SM-ARL8U 60-69 years, male 180.8
GTEX-15DDE-2926-SM-6LLJ3 50-59 years, female 180.1
GTEX-13N1W-2426-SM-5IJD1 70-79 years, male 179.8
GTEX-14XAO-1226-SM-6EU1C 60-69 years, female 179.4
GTEX-1IKOE-1426-SM-CE6T7 30-39 years, female 179.3
GTEX-16AAH-0626-SM-793C9 50-59 years, male 179.1
GTEX-13FTX-1526-SM-5K7VJ 20-29 years, female 178.8
GTEX-13FTY-2126-SM-5IFFB 40-49 years, female 178.4
GTEX-12WSL-2026-SM-5GCML 50-59 years, male 176.9
GTEX-11WQK-1026-SM-5EQLX 50-59 years, male 176.7
GTEX-13SLW-0626-SM-5Q5ER 70-79 years, male 176.7
GTEX-145MI-0626-SM-5SI8S 60-69 years, female 176.0
GTEX-1C2JI-1026-SM-73KY1 50-59 years, male 175.9
GTEX-1I1CD-0626-SM-CE6SW 60-69 years, female 174.9
GTEX-1JMQJ-0826-SM-CNPP7 50-59 years, male 174.2
GTEX-Y8LW-1526-SM-5IFHL 50-59 years, female 174.0
GTEX-1LVAO-2726-SM-E9TJ8 60-69 years, male 173.4
GTEX-1N2EE-0626-SM-E76PW 60-69 years, male 172.5
GTEX-1HT8W-0626-SM-A9G2H 30-39 years, male 172.2
GTEX-1A8FM-0626-SM-7PC25 50-59 years, female 171.2
GTEX-X585-2426-SM-46MW2 50-59 years, male 171.0
GTEX-1EN7A-2426-SM-793DB 40-49 years, male 170.3
GTEX-1CAV2-0126-SM-7IGN7 40-49 years, female 170.1
GTEX-1314G-1326-SM-5BC6E 30-39 years, male 170.0
GTEX-XMD2-2126-SM-4YCF8 60-69 years, female 170.0
GTEX-1F5PK-2226-SM-7SB6N 50-59 years, male 169.9
GTEX-12WSK-2126-SM-5CVNC 40-49 years, female 169.7
GTEX-1A8G7-1326-SM-73KVM 60-69 years, male 169.5
GTEX-1AYD5-2626-SM-7PBXY 50-59 years, male 169.1
GTEX-ZXG5-2126-SM-59HKD 60-69 years, male 168.8
GTEX-13OVH-0526-SM-5L3E6 70-79 years, male 167.3
GTEX-144GL-0626-SM-5LU4D 50-59 years, male 167.2
GTEX-1211K-1526-SM-5FQU4 60-69 years, female 167.0
GTEX-11ZUS-2626-SM-5FQUR 30-39 years, male 166.8
GTEX-13OVJ-0826-SM-5J1OK 50-59 years, female 166.6
GTEX-XK95-0226-SM-4AT58 40-49 years, male 166.6
GTEX-1HR9M-2226-SM-CNPPY 60-69 years, male 166.3
GTEX-1C6WA-2626-SM-7MKGM 60-69 years, male 165.9
GTEX-1NSGN-0726-SM-DTXEF 50-59 years, male 165.8
GTEX-WFG7-2026-SM-5SI7P 20-29 years, male 165.5
GTEX-14E1K-2026-SM-7DUEI 50-59 years, male 164.6
GTEX-144FL-0626-SM-5LU43 50-59 years, male 164.4
GTEX-ZLV1-1526-SM-DO91J 60-69 years, female 164.3
GTEX-1JJEA-1826-SM-ARU8P 60-69 years, male 164.1
GTEX-14PJ5-1526-SM-6LLIL 60-69 years, female 163.6
GTEX-13FHO-0426-SM-5L3F5 60-69 years, male 163.5
GTEX-1EH9U-2826-SM-7DUGT 60-69 years, male 163.1
GTEX-12ZZY-0726-SM-5EQ66 60-69 years, male 163.0
GTEX-1HCUA-0826-SM-ADEHM 50-59 years, female 163.0
GTEX-13O61-1426-SM-5KM3D 60-69 years, male 162.2
GTEX-1GZ4H-0526-SM-9KNU9 50-59 years, female 162.2
GTEX-12ZZZ-0726-SM-5GCNZ 60-69 years, male 162.0
GTEX-18D9A-1426-SM-7LT8M 30-39 years, female 161.4
GTEX-1GF9X-1326-SM-7PC2Y 40-49 years, female 161.4
GTEX-13JUV-2026-SM-5K7UA 40-49 years, female 161.3
GTEX-1JMPZ-0726-SM-CY8HZ 30-39 years, male 161.0
GTEX-17F97-2626-SM-7IGM5 50-59 years, male 160.7
GTEX-12WSH-1526-SM-5BC5W 50-59 years, male 160.4
GTEX-14BIN-1126-SM-5RQJZ 50-59 years, female 160.4
GTEX-1LSVX-2526-SM-DIPEU 60-69 years, male 160.2
GTEX-1AX9I-2226-SM-73KUO 60-69 years, male 160.0
GTEX-1OJC3-1226-SM-DTXER 20-29 years, male 159.8
GTEX-12584-0726-SM-5FQTK 40-49 years, male 159.6
GTEX-1B933-2426-SM-7DHMD 50-59 years, female 158.8
GTEX-ZVT4-2426-SM-5GIEI 50-59 years, female 158.3
GTEX-1497J-0226-SM-5QGPU 60-69 years, male 157.3
GTEX-1N2DV-1526-SM-DTXEP 40-49 years, male 157.3
GTEX-1LGRB-0926-SM-COH3K 50-59 years, female 157.0
GTEX-14A6H-2026-SM-5Q5DD 30-39 years, male 156.8
GTEX-17HII-1426-SM-7EPGG 50-59 years, male 156.4
GTEX-16YQH-2226-SM-7IGM2 30-39 years, male 156.2
GTEX-1GPI7-1826-SM-9KNU1 20-29 years, male 155.5
GTEX-12BJ1-0926-SM-5EQ62 60-69 years, male 155.3
GTEX-1JN6P-2926-SM-CL54D 60-69 years, male 155.2
GTEX-17F9Y-0126-SM-79OKX 70-79 years, female 155.0
GTEX-1GZ4I-2626-SM-9KNU3 50-59 years, male 154.2
GTEX-1CAMQ-1326-SM-7P8RV 40-49 years, male 153.8
GTEX-WK11-2726-SM-3NMAQ 50-59 years, male 153.2
GTEX-14DAR-1226-SM-73KYV 50-59 years, male 152.6
GTEX-13NYS-0626-SM-5L3F1 60-69 years, male 152.1
GTEX-ZGAY-1826-SM-DO91Q 40-49 years, female 152.1
GTEX-11DXW-0826-SM-5H118 40-49 years, male 151.1
GTEX-ZC5H-1526-SM-5HL9Y 40-49 years, female 151.1
GTEX-14PJ2-0626-SM-6LLII 50-59 years, male 150.5
GTEX-1PIIG-2326-SM-DTXFR 30-39 years, male 150.2
GTEX-ZDXO-3126-SM-5IJDF 60-69 years, male 150.1
GTEX-1399U-1126-SM-5L3DB 50-59 years, female 149.7
GTEX-16XZZ-0726-SM-7KUF2 60-69 years, male 149.4
GTEX-1JKYN-0826-SM-ARU8S 30-39 years, male 149.4
GTEX-13QJC-0126-SM-5ZZWJ 60-69 years, female 149.1
GTEX-1GL5R-1326-SM-7RHHF 50-59 years, male 149.1
GTEX-Y5LM-0926-SM-6LLJG 40-49 years, female 148.7
GTEX-1H1DE-1326-SM-9KNUG 20-29 years, male 148.2
GTEX-1HR98-2226-SM-ADEI2 60-69 years, male 148.2
GTEX-1JJE9-2626-SM-ARZMT 70-79 years, male 148.0
GTEX-1I1GV-0626-SM-ARL7M 60-69 years, male 147.5
GTEX-11NUK-2726-SM-5A5MC 50-59 years, male 146.8
GTEX-1MJK3-0726-SM-E6CJC 20-29 years, male 146.7
GTEX-146FQ-2126-SM-5RQHU 30-39 years, male 146.4
GTEX-16NPX-0726-SM-7KULC 50-59 years, male 146.4
GTEX-WEY5-2326-SM-3GIKK 40-49 years, female 146.0
GTEX-13FTW-0326-SM-5K7UW 40-49 years, male 145.6
GTEX-13D11-0926-SM-5J2NC 50-59 years, female 145.0
GTEX-ZTX8-1326-SM-4YCEL 20-29 years, male 144.9
GTEX-1MCYP-0526-SM-E9U6Q 20-29 years, female 144.8
GTEX-15EO6-2426-SM-6PALZ 50-59 years, male 144.3
GTEX-1H1DG-2426-SM-9QEHJ 70-79 years, male 144.2
GTEX-1192X-2726-SM-5N9DN 50-59 years, male 144.1
GTEX-15SHW-0226-SM-7LTAT 60-69 years, male 144.0
GTEX-1RLM8-2926-SM-E8VON 50-59 years, male 143.6
GTEX-145ME-1726-SM-5Q5EU 40-49 years, female 142.9
GTEX-1IY9M-2826-SM-ARU8H 60-69 years, male 142.8
GTEX-16BQI-1326-SM-6M486 30-39 years, female 142.7
GTEX-17EVP-2626-SM-7IGMA 40-49 years, male 142.4
GTEX-1GZHY-0626-SM-9KNVC 50-59 years, female 142.3
GTEX-11GS4-0226-SM-5HL77 60-69 years, male 142.2
GTEX-11DZ1-2426-SM-5GZZX 50-59 years, male 142.1
GTEX-1122O-1026-SM-9WYSF 60-69 years, female 142.0
GTEX-1IL2V-1926-SM-B2LW8 70-79 years, male 141.8
GTEX-12KS4-2126-SM-5FQUT 30-39 years, male 141.7
GTEX-14LZ3-0126-SM-69LPM 60-69 years, female 141.5
GTEX-X4EP-0626-SM-3P621 60-69 years, female 141.5
GTEX-1HBPI-2126-SM-ARL9K 50-59 years, male 141.0
GTEX-1JKYR-0626-SM-ARL8R 20-29 years, male 140.7
GTEX-1RB15-1326-SM-E76Q9 60-69 years, male 140.7
GTEX-17F9E-2326-SM-79OKD 50-59 years, male 140.5
GTEX-1CB4H-1126-SM-7MKGL 60-69 years, female 140.4
GTEX-14PII-0726-SM-6EU2B 60-69 years, male 140.1
GTEX-11EI6-2826-SM-5H11D 60-69 years, male 139.9
GTEX-ZU9S-1826-SM-5NQ9E 30-39 years, male 139.5
GTEX-YJ8O-2526-SM-5HL85 40-49 years, female 138.6
GTEX-14BMU-1226-SM-5S2OR 20-29 years, female 138.3
GTEX-1QPFJ-1926-SM-EVYBD 30-39 years, female 138.3
GTEX-X5EB-1926-SM-4E3IW 40-49 years, male 138.2
GTEX-147F3-1726-SM-5SIAW 50-59 years, female 138.0
GTEX-1J8JJ-0626-SM-ARZMQ 60-69 years, female 137.8
GTEX-WHSB-1326-SM-3LK6W 50-59 years, male 137.7
GTEX-13113-1626-SM-5EQ4I 60-69 years, female 137.6
GTEX-1JK1U-0226-SM-ARZMX 60-69 years, male 137.5
GTEX-16MT8-2926-SM-7DUFO 60-69 years, female 137.4
GTEX-11WQC-1826-SM-5GU59 60-69 years, male 137.1
GTEX-12WSM-1926-SM-5BC65 60-69 years, male 137.0
GTEX-Y114-2126-SM-4TT8B 50-59 years, female 137.0
GTEX-13OVK-1426-SM-6PAN7 40-49 years, male 135.8
GTEX-15EU6-2226-SM-6EU2L 50-59 years, male 135.7
GTEX-1R7EU-1626-SM-DTXG3 60-69 years, male 135.6
GTEX-1PPH7-1126-SM-DTX9A 40-49 years, male 135.4
GTEX-1HFI7-2326-SM-CGQFS 50-59 years, female 134.7
GTEX-1KXAM-1626-SM-D3LAD 60-69 years, male 134.7
GTEX-YB5K-2026-SM-4VDT3 40-49 years, female 134.6
GTEX-13112-0126-SM-5P9IU 50-59 years, male 133.6
GTEX-1K2DU-1226-SM-CYPT4 20-29 years, male 133.5
GTEX-ZZ64-1026-SM-5GZXG 20-29 years, male 133.4
GTEX-11DXY-0126-SM-5H11Q 60-69 years, male 133.0
GTEX-ZY6K-1426-SM-5GZX2 50-59 years, male 133.0
GTEX-144GO-2026-SM-5O99P 60-69 years, male 132.9
GTEX-1H3NZ-2726-SM-9WYTQ 60-69 years, male 132.8
GTEX-1HC8U-1326-SM-9YFMJ 40-49 years, female 132.8
GTEX-1JN1M-2726-SM-CY8I4 60-69 years, female 132.5
GTEX-1B8KZ-0326-SM-73KY4 50-59 years, male 132.3
GTEX-14PJ4-0226-SM-5YY92 60-69 years, male 132.2
GTEX-131XW-0626-SM-5PNVD 50-59 years, female 131.7
GTEX-14C39-1726-SM-5RQIL 40-49 years, male 131.6
GTEX-15RJE-2826-SM-7KUM9 40-49 years, male 131.5
GTEX-18D9U-0126-SM-731BM 40-49 years, male 131.2
GTEX-1117F-2926-SM-5GZYI 60-69 years, female 130.9
GTEX-13PVQ-0626-SM-5LU47 50-59 years, male 130.8
GTEX-145LS-0626-SM-7EPG7 60-69 years, female 130.7
GTEX-1C475-1326-SM-7SB73 40-49 years, female 130.7
GTEX-1IDJH-0126-SM-D3L92 70-79 years, male 130.5
GTEX-1GTWX-2026-SM-9YFLM 60-69 years, male 130.4
GTEX-11ZTT-2126-SM-5CVLO 60-69 years, female 130.1
GTEX-1F6I4-2326-SM-7RHGL 60-69 years, male 129.8
GTEX-1HFI6-0126-SM-CNPPI 40-49 years, male 129.8
GTEX-17HGU-2326-SM-7DUFE 50-59 years, male 129.7
GTEX-1B932-2326-SM-79OL5 40-49 years, female 129.6
GTEX-13FH7-1126-SM-5K7UG 50-59 years, female 129.3
GTEX-13OW7-0426-SM-5K7VK 50-59 years, male 129.2
GTEX-1C6VQ-1226-SM-73KYD 50-59 years, male 128.6
GTEX-11P81-2226-SM-5PNYI 30-39 years, female 128.5
GTEX-131XG-0326-SM-5L3DX 50-59 years, female 128.1
GTEX-ZYFG-1526-SM-5GZYM 60-69 years, female 127.7
GTEX-WH7G-2026-SM-3NMBL 40-49 years, male 127.6
GTEX-11EM3-1226-SM-5N9DD 20-29 years, female 127.4
GTEX-117YX-1926-SM-5GIEC 50-59 years, male 127.1
GTEX-1B996-0426-SM-7EWF8 60-69 years, male 126.6
GTEX-1I6K6-1726-SM-CGQFD 30-39 years, male 126.6
GTEX-133LE-2326-SM-5K7W3 20-29 years, female 126.3
GTEX-13OW6-2726-SM-5J2OE 50-59 years, male 125.7
GTEX-1JMQI-1726-SM-ARL93 50-59 years, male 125.7
GTEX-WY7C-2126-SM-3NB2R 50-59 years, male 125.4
GTEX-ZAB4-2126-SM-5HL8U 40-49 years, male 125.3
GTEX-12WSF-1626-SM-7KUG5 70-79 years, male 125.1
GTEX-145MF-0926-SM-5Q5EA 50-59 years, male 124.7
GTEX-1HCVE-2726-SM-CL54F 50-59 years, male 124.5
GTEX-13OW8-1026-SM-5J1NQ 60-69 years, male 124.3
GTEX-1S5ZU-2526-SM-E6CIF 20-29 years, female 124.2
GTEX-1H2FU-0926-SM-9WPPT 60-69 years, female 123.8
GTEX-17HG3-2626-SM-7DUF2 30-39 years, female 123.4
GTEX-139YR-1026-SM-5LZYN 50-59 years, male 123.3
GTEX-12WSJ-1126-SM-5LZVJ 40-49 years, female 123.1
GTEX-1BAJH-2426-SM-7IGP8 70-79 years, male 123.1
GTEX-1CB4E-0926-SM-7EPHT 60-69 years, male 123.1
GTEX-139T8-0626-SM-5KLZX 60-69 years, male 123.0
GTEX-1LB8K-0726-SM-D5OV2 50-59 years, male 123.0
GTEX-1H3O1-1326-SM-9MQLD 60-69 years, male 122.2
GTEX-1S82U-1026-SM-E6CJK 30-39 years, female 122.2
GTEX-1I1GT-1026-SM-ARZLV 60-69 years, female 122.1
GTEX-14PHY-1226-SM-5ZZWK 60-69 years, female 122.0
GTEX-1A3MX-2626-SM-7PC24 60-69 years, male 121.8
GTEX-11LCK-2226-SM-5HL4Q 30-39 years, male 121.5
GTEX-14BMV-2826-SM-5TDED 50-59 years, male 121.5
GTEX-ZVP2-0326-SM-57WBP 50-59 years, male 121.5
GTEX-1PPGY-1626-SM-EVYBL 60-69 years, male 121.5
GTEX-1477Z-0326-SM-7IGLA 60-69 years, male 121.4
GTEX-1PPH8-0126-SM-EWRN8 20-29 years, male 121.1
GTEX-1CB4F-1026-SM-7DUH1 60-69 years, male 120.6
GTEX-1QP9N-1226-SM-E76QN 30-39 years, male 120.6
GTEX-WHPG-2626-SM-3NMBR 50-59 years, male 120.4
GTEX-ZF29-0926-SM-4WKFZ 60-69 years, female 120.4
GTEX-WHWD-1826-SM-3LK6I 50-59 years, male 120.3
GTEX-YFCO-1226-SM-5LUAT 40-49 years, male 120.2
GTEX-13OVG-1626-SM-5J1NF 60-69 years, male 120.1
GTEX-1ICG6-1226-SM-A9SLN 70-79 years, female 119.9
GTEX-12126-0826-SM-5FQTZ 20-29 years, male 119.8
GTEX-1IDJI-0126-SM-CMKHS 50-59 years, female 119.8
GTEX-1JMQK-1226-SM-D4P2S 60-69 years, male 119.8
GTEX-1RAZR-2126-SM-E9U6T 40-49 years, male 119.8
GTEX-1R9PN-0426-SM-DTXDT 40-49 years, female 119.7
GTEX-1AMFI-1326-SM-7939R 50-59 years, female 119.5
GTEX-ZLWG-0826-SM-59888 50-59 years, female 119.4
GTEX-17F98-1326-SM-7DUEP 40-49 years, female 119.1
GTEX-1QW4Y-1126-SM-DTXE3 30-39 years, male 119.0
GTEX-1F88F-0126-SM-9WYSZ 60-69 years, female 118.5
GTEX-1H11D-1826-SM-9QEHM 40-49 years, male 118.4
GTEX-12WSC-2826-SM-5BC5Y 50-59 years, male 118.2
GTEX-14JG6-1426-SM-9WG7C 30-39 years, female 118.2
GTEX-15RJ7-2126-SM-6PAMD 40-49 years, male 118.0
GTEX-13O3O-2326-SM-5IJD6 60-69 years, female 117.9
GTEX-139D8-1126-SM-5LU8W 30-39 years, female 117.8
GTEX-14C5O-0326-SM-5ZZUX 60-69 years, male 117.8
GTEX-1O9I2-0226-SM-EYYXD 50-59 years, male 117.8
GTEX-12ZZX-2426-SM-5GCOE 40-49 years, female 117.2
GTEX-11UD2-2526-SM-5CVNU 50-59 years, male 117.1
GTEX-14753-0726-SM-5QGQO 60-69 years, male 117.0
GTEX-11PRG-0726-SM-5EGL1 50-59 years, male 116.8
GTEX-XBEW-1126-SM-4QARW 40-49 years, male 116.8
GTEX-1GMR3-0126-SM-A9SLW 40-49 years, male 116.7
GTEX-1C64O-1326-SM-7MGWR 60-69 years, male 116.4
GTEX-1E2YA-2126-SM-7MXUO 50-59 years, male 116.3
GTEX-1HCU9-0426-SM-9WYSD 20-29 years, male 116.3
GTEX-139TS-2126-SM-5K7XC 60-69 years, male 116.2
GTEX-14PHX-2226-SM-6EU2P 50-59 years, male 116.2
GTEX-Y9LG-1126-SM-4VBQ7 30-39 years, male 116.1
GTEX-1GN1W-2426-SM-9KNUU 50-59 years, female 116.1
GTEX-1GN2E-0226-SM-9WG6K 60-69 years, male 115.6
GTEX-1A8G6-2726-SM-731AR 60-69 years, male 115.4
GTEX-Y111-0626-SM-4SOIT 50-59 years, male 115.3
GTEX-11O72-0626-SM-5PNYE 40-49 years, male 115.1
GTEX-1IDJV-0126-SM-COH3Y 60-69 years, male 114.7
GTEX-15FZZ-0526-SM-7KUGD 30-39 years, female 114.6
GTEX-1IDJC-1526-SM-B2LW4 50-59 years, male 114.6
GTEX-12696-0126-SM-5EQ4L 60-69 years, male 114.5
GTEX-1EKGG-0626-SM-7DUGJ 60-69 years, male 114.4
GTEX-1RAZQ-1326-SM-E9TK6 30-39 years, male 114.3
GTEX-1K9T9-1526-SM-DIPFR 50-59 years, female 114.2
GTEX-XXEK-1626-SM-4BRUZ 50-59 years, male 114.1
GTEX-1JMOU-1026-SM-CYPSS 60-69 years, female 113.9
GTEX-1S831-1826-SM-EWROF 20-29 years, male 113.7
GTEX-14PJN-1826-SM-6AJ98 30-39 years, male 113.5
GTEX-13X6I-1826-SM-5SIAO 60-69 years, male 113.3
GTEX-X4EO-2926-SM-4E3JH 60-69 years, female 113.2
GTEX-1B8L1-2226-SM-7P8PT 60-69 years, male 113.1
GTEX-1JMLX-0626-SM-ARL8T 50-59 years, male 113.1
GTEX-1GF9V-0826-SM-9KNUV 60-69 years, male 112.2
GTEX-11P82-1426-SM-DTXFY 20-29 years, male 112.0
GTEX-13X6K-0626-SM-5LU5D 60-69 years, female 111.8
GTEX-13FLV-0126-SM-5K7WT 50-59 years, male 111.7
GTEX-1LBAC-0826-SM-CY8IJ 20-29 years, male 111.7
GTEX-1GMR2-0826-SM-7PC3V 50-59 years, male 111.6
GTEX-1F6IF-0926-SM-7SB7M 60-69 years, male 111.3
GTEX-1J8QM-2426-SM-A9SLS 60-69 years, female 111.3
GTEX-ZDTS-0826-SM-4WKHL 60-69 years, male 111.1
GTEX-1GN73-0726-SM-7P8TJ 60-69 years, male 111.0
GTEX-16Z82-2626-SM-7KULU 60-69 years, male 110.7
GTEX-V1D1-2026-SM-3GAF4 50-59 years, male 110.7
GTEX-WXYG-2026-SM-4E3IY 50-59 years, female 110.5
GTEX-1J8EW-2726-SM-CY8HR 60-69 years, female 110.4
GTEX-ZWKS-0626-SM-5GIDV 30-39 years, male 110.1
GTEX-1B8KE-1126-SM-7EPHI 50-59 years, male 109.7
GTEX-ZTSS-1426-SM-5985P 40-49 years, male 109.6
GTEX-1QP2A-1726-SM-E76QC 50-59 years, male 109.6
GTEX-1S82P-2126-SM-E6CI5 60-69 years, female 109.5
GTEX-1LGOU-1326-SM-D3L8M 20-29 years, female 109.3
GTEX-18QFQ-1826-SM-72D52 30-39 years, male 109.2
GTEX-ZT9W-1126-SM-57WDR 50-59 years, male 109.2
GTEX-18A7B-2726-SM-7LG56 70-79 years, male 109.1
GTEX-Y8E4-2026-SM-5IFJB 40-49 years, male 108.9
GTEX-1KWVE-1026-SM-D3L9O 30-39 years, male 108.8
GTEX-XUW1-0926-SM-4BONX 50-59 years, female 108.5
GTEX-1IOXB-2726-SM-CM2RI 50-59 years, male 108.3
GTEX-1QP28-1126-SM-EVYC4 50-59 years, female 108.2
GTEX-1B97I-0626-SM-73KUZ 40-49 years, male 108.0
GTEX-15RIG-0726-SM-7KUM7 40-49 years, male 107.9
GTEX-1RAZA-2226-SM-E9U4X 20-29 years, male 107.9
GTEX-VUSG-2326-SM-4KL1U 50-59 years, male 107.6
GTEX-1B8SF-0126-SM-7DUG3 60-69 years, male 107.4
GTEX-178AV-1726-SM-7KUL8 40-49 years, male 106.8
GTEX-11DYG-1526-SM-5A5JS 60-69 years, male 106.7
GTEX-1J1OQ-0126-SM-D4P2N 40-49 years, female 106.7
GTEX-1QEPI-2626-SM-DTXF4 60-69 years, female 106.3
GTEX-18A6Q-0626-SM-7KFRP 60-69 years, male 105.9
GTEX-ZTTD-2826-SM-4YCFA 50-59 years, male 105.9
GTEX-1A3MV-1826-SM-731CD 30-39 years, male 105.6
GTEX-1IDJE-1426-SM-ADEIW 50-59 years, female 105.4
GTEX-1EU9M-1426-SM-793AI 60-69 years, male 105.3
GTEX-1I1HK-2326-SM-CKZOH 60-69 years, male 105.3
GTEX-147F4-0726-SM-5TDDD 50-59 years, male 105.1
GTEX-1F75W-2726-SM-7SB8H 60-69 years, male 105.1
GTEX-14LLW-2626-SM-62LDZ 70-79 years, female 104.9
GTEX-14PKU-0126-SM-6LLHV 40-49 years, female 104.5
GTEX-1I1GP-1326-SM-A9G28 50-59 years, male 104.2
GTEX-15D1Q-2826-SM-6LLH7 40-49 years, male 103.8
GTEX-14JFF-0626-SM-5ZZVT 60-69 years, male 103.5
GTEX-1H1ZS-2726-SM-9WG75 70-79 years, male 102.9
GTEX-12C56-1526-SM-5FQUQ 20-29 years, male 102.6
GTEX-183WM-0326-SM-72D5V 70-79 years, female 102.5
GTEX-1HSGN-0826-SM-ACKW3 40-49 years, female 102.4
GTEX-11DXZ-2026-SM-5987S 50-59 years, male 102.3
GTEX-145MO-2826-SM-5LU96 60-69 years, male 102.3
GTEX-14PJO-2526-SM-6AJBQ 60-69 years, male 102.2
GTEX-13PVR-0426-SM-5RQK2 60-69 years, female 102.1
GTEX-1N5O9-0926-SM-E9J3C 60-69 years, male 102.1
GTEX-1HBPN-0126-SM-CGQEF 50-59 years, male 101.9
GTEX-13VXU-0626-SM-5L3F9 50-59 years, male 101.7
GTEX-145MH-2826-SM-5RQJF 50-59 years, male 101.6
GTEX-18465-2826-SM-7LT9J 50-59 years, male 101.5
GTEX-ZDYS-2426-SM-4WKGI 50-59 years, male 100.8
GTEX-18A67-1626-SM-7LT9T 50-59 years, male 100.7
GTEX-ZVT2-0126-SM-5GIDQ 50-59 years, female 100.5
GTEX-16MTA-0926-SM-6M47Z 50-59 years, male 100.4
GTEX-UPJH-0226-SM-3GADV 50-59 years, male 100.4
GTEX-13U4I-2226-SM-5LU5H 40-49 years, female 100.1
GTEX-14B4R-1326-SM-5Q5EZ 30-39 years, male 99.8
GTEX-1I4MK-0126-SM-CY8G6 50-59 years, female 99.7
GTEX-1H1CY-0126-SM-9YFLY 60-69 years, female 99.6
GTEX-131YS-2826-SM-5EQ47 60-69 years, female 99.2
GTEX-1LVA9-2626-SM-EVYD4 50-59 years, male 99.2
GTEX-WYVS-1626-SM-3NM9R 40-49 years, female 99.1
GTEX-Z93S-1626-SM-5CVMB 50-59 years, male 99.1
GTEX-ZYFC-0426-SM-5GICQ 50-59 years, male 98.8
GTEX-XOT4-0626-SM-4B66L 60-69 years, female 98.4
GTEX-1QP66-1226-SM-DTX7U 50-59 years, male 98.3
GTEX-14PKV-1126-SM-6LLJ1 20-29 years, female 98.2
GTEX-1MCC2-1826-SM-DIPEX 30-39 years, female 98.2
GTEX-17KNJ-2126-SM-718AM 50-59 years, male 98.1
GTEX-14DAQ-0626-SM-793DS 60-69 years, female 98.0
GTEX-15CHR-1126-SM-7EWF4 50-59 years, male 97.6
GTEX-1H23P-0626-SM-9WG6T 60-69 years, male 97.6
GTEX-1IDJF-2026-SM-CL53V 20-29 years, male 97.4
GTEX-1GF9U-2026-SM-7SB92 40-49 years, female 97.1
GTEX-1J1R8-2026-SM-CL53Y 40-49 years, male 97.1
GTEX-1IDJD-2326-SM-ACKWX 30-39 years, male 97.0
GTEX-1I19N-0126-SM-CYPSF 70-79 years, male 96.8
GTEX-12WSD-0626-SM-5GCMW 60-69 years, female 96.7
GTEX-W5X1-2526-SM-3GILC 40-49 years, female 96.6
GTEX-11GSP-2326-SM-5HL63 60-69 years, female 96.2
GTEX-14JG1-1526-SM-5YY9X 40-49 years, male 96.0
GTEX-ZF2S-1626-SM-57WES 50-59 years, female 96.0
GTEX-14E6E-0526-SM-793DN 30-39 years, male 95.8
GTEX-1HB9E-0126-SM-CM2S5 50-59 years, male 95.4
GTEX-11EQ9-1626-SM-5PNY8 30-39 years, male 95.3
GTEX-1399Q-2326-SM-5KM2X 40-49 years, male 94.9
GTEX-17MFQ-1526-SM-7KFRR 20-29 years, male 94.6
GTEX-1S3DN-2126-SM-E9TIN 50-59 years, male 94.4
GTEX-VJYA-1526-SM-3GIJV 60-69 years, male 94.3
GTEX-1IDJU-1726-SM-CMKHU 60-69 years, female 93.8
GTEX-YEC4-1826-SM-4W1YP 40-49 years, male 93.2
GTEX-1LSNM-0826-SM-DIPG8 50-59 years, male 93.2
GTEX-1LSNL-2726-SM-E9TKJ 50-59 years, male 93.0
GTEX-Y3I4-1726-SM-4TT89 50-59 years, male 92.2
GTEX-1E1VI-0326-SM-793D1 50-59 years, male 91.9
GTEX-ZVZP-1226-SM-5GID7 50-59 years, male 91.8
GTEX-ZE9C-2526-SM-5IJDR 60-69 years, male 91.6
GTEX-1QCLZ-2426-SM-EVYBW 60-69 years, female 91.4
GTEX-1GZ2Q-0126-SM-9WG6M 40-49 years, male 91.3
GTEX-13NYB-0126-SM-5J1MD 40-49 years, male 91.1
GTEX-1KANA-1326-SM-DIPFA 20-29 years, male 91.1
GTEX-11P7K-1126-SM-5HL4L 30-39 years, male 91.0
GTEX-12WSA-0426-SM-5EQ5X 60-69 years, male 91.0
GTEX-13OVL-0126-SM-5L3GJ 50-59 years, male 90.0
GTEX-13JVG-0726-SM-5KM16 60-69 years, male 89.8
GTEX-XAJ8-1426-SM-47JYM 40-49 years, male 89.7
GTEX-ZZPU-0826-SM-5GZX5 50-59 years, female 89.4
GTEX-131XH-0126-SM-5LZUY 50-59 years, male 89.1
GTEX-1KD5A-0126-SM-E9U54 50-59 years, male 89.1
GTEX-18A7A-0126-SM-731AH 50-59 years, female 88.6
GTEX-Y5V5-0126-SM-5S2NW 60-69 years, female 88.6
GTEX-14PJ3-1126-SM-5ZZVX 50-59 years, male 88.4
GTEX-147GR-2426-SM-5ZZWQ 60-69 years, male 88.3
GTEX-1C6VR-0126-SM-7RHGB 60-69 years, male 88.3
GTEX-Y3IK-1626-SM-4YCF5 50-59 years, female 87.4
GTEX-ZDTT-0426-SM-4WKFL 60-69 years, male 87.2
GTEX-13SLX-2226-SM-62LEP 50-59 years, female 87.0
GTEX-ZYT6-2326-SM-5GZY3 30-39 years, male 86.9
GTEX-1HCU8-2526-SM-CE6RX 60-69 years, female 86.9
GTEX-14AS3-1526-SM-5Q5ED 40-49 years, female 86.8
GTEX-16NGA-0726-SM-731AO 40-49 years, female 86.6
GTEX-XQ3S-1426-SM-4BOPR 20-29 years, male 86.5
GTEX-139TT-2126-SM-5LZWC 60-69 years, male 86.3
GTEX-1S83E-1326-SM-E6CJM 40-49 years, male 85.8
GTEX-111CU-1126-SM-5EGIM 50-59 years, male 85.6
GTEX-13X6J-0626-SM-5LU5F 50-59 years, male 85.6
GTEX-ZT9X-1526-SM-5DUXD 40-49 years, male 85.6
GTEX-1RAZS-2526-SM-E6CHT 50-59 years, male 85.5
GTEX-183FY-1026-SM-7939A 20-29 years, male 85.4
GTEX-1POEN-2326-SM-E9J2L 30-39 years, female 85.3
GTEX-139TU-0726-SM-5L3EK 60-69 years, male 85.1
GTEX-16MT9-0126-SM-7EPI8 60-69 years, female 85.1
GTEX-XV7Q-1826-SM-4BRUV 40-49 years, female 85.0
GTEX-1KANC-1226-SM-CYPT7 50-59 years, female 83.7
GTEX-17HHE-1326-SM-7EWDZ 50-59 years, male 83.6
GTEX-UPK5-0426-SM-3GAEK 40-49 years, male 83.0
GTEX-13N2G-0226-SM-5K7VF 60-69 years, male 82.6
GTEX-Y5V6-2326-SM-4VDSA 60-69 years, male 82.6
GTEX-13W3W-0726-SM-5IJDQ 60-69 years, female 82.5
GTEX-1LG7Z-1626-SM-CXKYR 30-39 years, male 82.5
GTEX-WFG8-2126-SM-3GIKQ 20-29 years, male 82.4
GTEX-17EVQ-0126-SM-7IGLR 70-79 years, male 82.3
GTEX-1JN76-0626-SM-CKZOQ 20-29 years, female 82.1
GTEX-111YS-1526-SM-5GZYW 60-69 years, male 81.0
GTEX-145MG-1526-SM-5Q5EM 50-59 years, male 81.0
GTEX-1RMOY-1326-SM-E9TIH 50-59 years, male 80.7
GTEX-1LVAM-0726-SM-E6CIL 50-59 years, female 80.4
GTEX-1HSMP-0926-SM-A9SKX 70-79 years, male 80.2
GTEX-11TT1-1826-SM-5EQLV 20-29 years, male 79.7
GTEX-1AMEY-0826-SM-72D65 30-39 years, female 79.7
GTEX-1EWIQ-0326-SM-7DHMQ 70-79 years, female 79.7
GTEX-WFON-1926-SM-3LK7L 40-49 years, male 79.7
GTEX-1F75A-0726-SM-7RHHD 50-59 years, male 79.4
GTEX-18A66-0626-SM-7LT8Z 60-69 years, male 78.6
GTEX-13G51-1826-SM-5KLZH 60-69 years, male 78.4
GTEX-X3Y1-2026-SM-3P5YM 40-49 years, male 78.4
GTEX-XYKS-1426-SM-4BRUO 60-69 years, female 78.0
GTEX-15RIE-1926-SM-7KUKJ 60-69 years, male 77.9
GTEX-13NZ9-2626-SM-5L3FK 50-59 years, male 77.6
GTEX-YF7O-1526-SM-5IFI6 50-59 years, male 77.3
GTEX-1OJC4-2726-SM-E76PJ 50-59 years, female 77.3
GTEX-17F96-0126-SM-7EWDU 70-79 years, male 77.1
GTEX-17HHY-0426-SM-7DHLC 50-59 years, male 77.0
GTEX-15CHQ-0326-SM-69LQD 60-69 years, male 76.5
GTEX-14PJ6-2626-SM-6EU2T 60-69 years, female 76.1
GTEX-1AX9J-1326-SM-731BJ 60-69 years, male 76.1
GTEX-13O3Q-0126-SM-5KM34 50-59 years, male 76.0
GTEX-145LT-0526-SM-5LUB2 40-49 years, male 75.9
GTEX-1AX8Z-0726-SM-73KTS 60-69 years, male 75.7
GTEX-XBEC-0726-SM-4QARZ 50-59 years, male 75.4
GTEX-1QCLY-0226-SM-EWRNH 30-39 years, male 74.7
GTEX-WRHU-2826-SM-3MJG8 50-59 years, female 74.6
GTEX-1KANB-2826-SM-CY8I6 50-59 years, male 74.5
GTEX-1399R-1326-SM-5PNYS 30-39 years, male 73.8
GTEX-XPVG-2126-SM-4B667 50-59 years, male 73.5
GTEX-145MN-1526-SM-5SI9T 30-39 years, male 72.9
GTEX-ZUA1-2626-SM-5NQ92 40-49 years, male 72.9
GTEX-ZPU1-1126-SM-4YCF3 40-49 years, male 72.6
GTEX-ZP4G-1426-SM-4WWCL 20-29 years, female 71.9
GTEX-14ABY-2026-SM-62LDL 50-59 years, male 71.6
GTEX-1QMI2-2526-SM-E8VNZ 60-69 years, male 71.1
GTEX-11NSD-0626-SM-5A5LU 20-29 years, male 70.9
GTEX-ZPCL-1126-SM-4WWFE 60-69 years, female 70.3
GTEX-15CHC-1126-SM-6LLHQ 60-69 years, female 70.1
GTEX-1K2DA-1026-SM-CGQGF 50-59 years, male 69.9
GTEX-1I6K7-1926-SM-B2LXR 40-49 years, male 69.4
GTEX-1H1E6-0426-SM-9WYUS 30-39 years, male 69.1
GTEX-132AR-0326-SM-5KM2C 50-59 years, female 69.0
GTEX-YEC3-1326-SM-DO92X 50-59 years, male 69.0
GTEX-17JCI-2926-SM-7DUFF 60-69 years, female 68.7
GTEX-1399S-0126-SM-5IJCF 30-39 years, female 68.5
GTEX-1212Z-0126-SM-59HK4 60-69 years, male 67.3
GTEX-WYJK-0526-SM-3NM8Z 50-59 years, male 67.3
GTEX-13N11-2326-SM-5IJBF 50-59 years, female 67.1
GTEX-ZAK1-0626-SM-5HL8E 50-59 years, female 64.2
GTEX-11OF3-0126-SM-5PNYF 60-69 years, male 63.8
GTEX-ZPIC-0526-SM-DO91W 40-49 years, female 62.3
GTEX-1CB4I-0126-SM-7RHGG 50-59 years, male 62.1
GTEX-11VI4-1126-SM-5EQMD 40-49 years, female 62.0
GTEX-16GPK-0626-SM-7KFSF 60-69 years, male 61.4
GTEX-1PIGE-1826-SM-E8VOU 20-29 years, male 60.5
GTEX-1R9PM-1926-SM-EVR3O 20-29 years, male 58.8
GTEX-ZVTK-0226-SM-51MRG 20-29 years, male 56.6
GTEX-111VG-1626-SM-5EGIO 60-69 years, male 56.2
GTEX-11DXX-2126-SM-5PNYR 60-69 years, female 52.7
GTEX-111FC-2526-SM-5GZXU 60-69 years, male 49.9
Show allShow less
Skin - Sun Exposed (Lower leg)
Average nTPM: 136.2
Samples: 701

Max nTPM: 752.7
Min nTPM: 56.2
Std nTPM: 66.9
Median nTPM: 120.6
GTEX-ZYFD-0126-SM-5GIDL 50-59 years, male 752.7
GTEX-15UF6-0826-SM-6PALJ 70-79 years, female 607.6
GTEX-183WM-0126-SM-7LTAB 70-79 years, female 541.9
GTEX-14E6C-0126-SM-5RQIP 40-49 years, male 484.5
GTEX-14E6E-1826-SM-5S2R7 30-39 years, male 449.2
GTEX-15EOM-0126-SM-7KUGG 20-29 years, female 421.0
GTEX-13NYC-0326-SM-E9J4S 60-69 years, male 407.8
GTEX-WI4N-1026-SM-3LK7N 40-49 years, female 405.1
GTEX-13O1R-0126-SM-5L3EH 60-69 years, male 397.7
GTEX-16XZZ-0126-SM-793DV 60-69 years, male 394.6
GTEX-S32W-2126-SM-2XCB1 50-59 years, female 379.0
GTEX-X4XY-0226-SM-4E3IZ 60-69 years, male 377.4
GTEX-148VJ-0126-SM-5TDDN 70-79 years, male 370.5
GTEX-X8HC-0126-SM-4E3JW 50-59 years, female 362.9
GTEX-U8XE-0326-SM-3DB8P 30-39 years, male 356.1
GTEX-1A3MW-0126-SM-73KXX 60-69 years, female 350.1
GTEX-ZF3C-0126-SM-DO92D 50-59 years, female 347.0
GTEX-15UKP-0426-SM-7KUFQ 20-29 years, male 331.2
GTEX-14A5I-0126-SM-5TDEA 50-59 years, female 327.6
GTEX-RUSQ-1526-SM-2TF62 50-59 years, male 327.3
GTEX-1JMQL-0226-SM-CNPP5 50-59 years, female 309.0
GTEX-ZTX8-1426-SM-5DUVO 20-29 years, male 299.6
GTEX-17GQL-2026-SM-718BA 60-69 years, male 293.2
GTEX-13YAN-0326-SM-5O9DF 60-69 years, male 292.2
GTEX-SE5C-1626-SM-2XCE3 40-49 years, female 287.4
GTEX-1N2EF-0226-SM-EYYXB 60-69 years, male 283.9
GTEX-1ICLZ-0126-SM-CKZPO 60-69 years, male 277.7
GTEX-1JN6P-0126-SM-D3L98 60-69 years, male 275.1
GTEX-1PWST-0226-SM-E76QJ 70-79 years, male 274.4
GTEX-1JMOU-1526-SM-CL54I 60-69 years, female 266.9
GTEX-1I1GU-2226-SM-CGQFA 40-49 years, male 264.6
GTEX-15G19-0126-SM-6PANQ 60-69 years, male 262.9
GTEX-13OVH-0126-SM-5MR4B 70-79 years, male 260.2
GTEX-14PN4-0126-SM-6EU2V 50-59 years, male 254.4
GTEX-OXRO-0126-SM-2YUN4 60-69 years, female 242.3
GTEX-WFG8-2226-SM-3GIL9 20-29 years, male 242.3
GTEX-17KNJ-2326-SM-7DHLQ 50-59 years, male 241.7
GTEX-1PDJ9-0326-SM-DTX95 20-29 years, male 240.3
GTEX-11TT1-2526-SM-5EGIB 20-29 years, male 238.4
GTEX-14LLW-0126-SM-6LLIO 70-79 years, female 235.8
GTEX-1HCU6-0126-SM-CL54K 60-69 years, female 233.3
GTEX-1A3MX-0126-SM-731BR 60-69 years, male 233.0
GTEX-1R46S-0626-SM-E9J41 60-69 years, female 232.6
GTEX-145LS-0126-SM-5QGP1 60-69 years, female 232.4
GTEX-12WSL-2526-SM-5GCNJ 50-59 years, male 230.3
GTEX-OXRP-0126-SM-3NB32 60-69 years, female 228.6
GTEX-1F6RS-0126-SM-9MQKZ 60-69 years, female 228.3
GTEX-146FH-0126-SM-5QGPP 50-59 years, female 227.6
GTEX-14XAO-2326-SM-6EU1B 60-69 years, female 226.3
GTEX-11TUW-2726-SM-E9J4M 60-69 years, male 224.2
GTEX-1ICLY-0126-SM-D4P36 50-59 years, male 222.2
GTEX-1GF9X-2026-SM-7PC3A 40-49 years, female 220.7
GTEX-1RB15-2126-SM-E9TIM 60-69 years, male 219.6
GTEX-ZAJG-0126-SM-5HL94 50-59 years, female 216.6
GTEX-139TS-2826-SM-5J1OO 60-69 years, male 216.3
GTEX-17HII-0226-SM-7LG4E 50-59 years, male 212.7
GTEX-1E2YA-0126-SM-9KNUC 50-59 years, male 211.1
GTEX-11DZ1-0126-SM-5985Q 50-59 years, male 208.4
GTEX-1JN1M-0326-SM-CYPT3 60-69 years, female 207.1
GTEX-1F48J-0126-SM-7P8TT 50-59 years, female 207.0
GTEX-1QMI2-0226-SM-EVYBX 60-69 years, male 205.4
GTEX-1128S-2326-SM-5GZZY 60-69 years, female 205.0
GTEX-P4QT-0126-SM-2I3FL 50-59 years, female 203.4
GTEX-11H98-0126-SM-5EGHG 50-59 years, male 202.4
GTEX-XPVG-2626-SM-4B669 50-59 years, male 202.4
GTEX-13FTX-1826-SM-5J1NX 20-29 years, female 202.0
GTEX-ZV68-0126-SM-59HKS 50-59 years, female 201.9
GTEX-13OW5-0126-SM-DTXFS 60-69 years, male 201.8
GTEX-1H2FU-0126-SM-9WYSI 60-69 years, female 201.5
GTEX-1B8KE-2126-SM-73KYX 50-59 years, male 199.9
GTEX-1JN76-0126-SM-CNPPE 20-29 years, female 199.3
GTEX-13OVJ-0126-SM-5KM36 50-59 years, female 197.9
GTEX-1QAET-0926-SM-E76QM 50-59 years, male 196.3
GTEX-ZVZO-0126-SM-5A5L9 40-49 years, male 196.0
GTEX-P44H-0226-SM-2XCEU 40-49 years, male 195.6
GTEX-1GN1U-0126-SM-7PBZK 50-59 years, female 195.4
GTEX-1LC47-0326-SM-E9TJP 60-69 years, male 195.3
GTEX-1I4MK-2226-SM-ACKWD 50-59 years, female 194.6
GTEX-1HBPM-0226-SM-ARL9F 60-69 years, female 194.5
GTEX-1HT8W-0126-SM-CNPPP 30-39 years, male 192.7
GTEX-1B97I-1626-SM-73KYO 40-49 years, male 192.2
GTEX-1CB4F-0426-SM-9KNV4 60-69 years, male 191.8
GTEX-1211K-2026-SM-5EQ4Z 60-69 years, female 190.3
GTEX-13PDP-0126-SM-5L3HD 60-69 years, male 190.1
GTEX-1HCU7-0226-SM-CL545 50-59 years, male 189.3
GTEX-S7PM-0126-SM-4AD6S 60-69 years, male 189.2
GTEX-14ICK-0226-SM-6EU25 40-49 years, male 189.0
GTEX-1HSMO-0126-SM-CL547 60-69 years, male 189.0
GTEX-U8T8-0126-SM-3DB94 60-69 years, male 188.4
GTEX-1LH75-2426-SM-E9TJE 50-59 years, female 187.6
GTEX-1KAFJ-2026-SM-CY8ID 50-59 years, male 185.3
GTEX-13X6H-2126-SM-7EWD5 50-59 years, female 184.6
GTEX-T8EM-1026-SM-3DB7M 40-49 years, male 184.5
GTEX-12WSA-0226-SM-5BC5V 60-69 years, male 184.1
GTEX-1HGF4-2426-SM-ACKXM 60-69 years, male 183.9
GTEX-1LVAN-0226-SM-COH3S 50-59 years, female 183.2
GTEX-SN8G-0126-SM-32PLI 50-59 years, female 182.9
GTEX-139UW-2826-SM-5L3E7 60-69 years, male 182.3
GTEX-1GN1V-0126-SM-9WPOS 60-69 years, male 181.0
GTEX-1R9K4-0126-SM-DTX9X 60-69 years, male 180.5
GTEX-1192W-2626-SM-5Q5AF 60-69 years, male 179.6
GTEX-1F75B-0126-SM-9KNVL 50-59 years, male 179.6
GTEX-14BIL-0126-SM-5SI92 50-59 years, male 179.1
GTEX-1NV5F-0226-SM-E8VNY 60-69 years, female 178.9
GTEX-14PK6-1926-SM-6ETZU 70-79 years, female 177.6
GTEX-1GMR3-1926-SM-9KNUZ 40-49 years, male 176.9
GTEX-1399U-2326-SM-5K7WY 50-59 years, female 175.7
GTEX-131XW-0426-SM-5LZWP 50-59 years, female 174.9
GTEX-1LGOU-2026-SM-DIPFF 20-29 years, female 174.4
GTEX-1GN2E-0426-SM-9MQKX 60-69 years, male 173.9
GTEX-ZWKS-0126-SM-5SIAA 30-39 years, male 173.5
GTEX-VJWN-0126-SM-3GIK7 50-59 years, female 173.1
GTEX-1AYD5-2426-SM-73KXR 50-59 years, male 172.6
GTEX-1H3O1-0426-SM-9YFKY 60-69 years, male 172.2
GTEX-11O72-0126-SM-59887 40-49 years, male 171.4
GTEX-1GZHY-0326-SM-9QEHI 50-59 years, female 170.6
GTEX-131XG-2626-SM-5KM17 50-59 years, female 169.3
GTEX-13D11-2426-SM-5KM1V 50-59 years, female 169.1
GTEX-1L5NE-2526-SM-E6CIE 50-59 years, male 169.0
GTEX-QDVN-2026-SM-3GAEP 50-59 years, male 168.6
GTEX-1J8QM-2126-SM-CYPSJ 60-69 years, female 168.2
GTEX-144FL-0126-SM-5TDC8 50-59 years, male 168.1
GTEX-14BIN-0626-SM-793DP 50-59 years, female 168.1
GTEX-17MF6-0126-SM-7LG4F 40-49 years, male 167.2
GTEX-1GMR8-0126-SM-9WYTM 50-59 years, female 167.2
GTEX-16MT8-0426-SM-7KUEY 60-69 years, female 166.8
GTEX-YJ8A-0426-SM-5IFID 20-29 years, male 165.8
GTEX-1M5QR-1226-SM-EWROB 40-49 years, male 165.6
GTEX-ZYW4-0126-SM-5E44A 60-69 years, male 165.5
GTEX-1CAV2-2226-SM-7P8P2 40-49 years, female 165.3
GTEX-1122O-2126-SM-5EGIR 60-69 years, female 164.6
GTEX-X261-0126-SM-3NMD6 50-59 years, male 163.8
GTEX-17EUY-0426-SM-793BD 20-29 years, male 162.9
GTEX-11WQK-0526-SM-5EQLD 50-59 years, male 162.8
GTEX-1HCU8-0626-SM-A9SM9 60-69 years, female 162.6
GTEX-TSE9-0126-SM-3DB83 60-69 years, female 162.5
GTEX-ZTPG-0326-SM-5O9AX 20-29 years, female 161.4
GTEX-1HFI7-1826-SM-ACKXH 50-59 years, female 161.2
GTEX-ZE7O-0126-SM-57WC1 50-59 years, female 160.3
GTEX-1R7EV-2426-SM-EVYBG 40-49 years, male 159.7
GTEX-1F5PK-2426-SM-7RHHY 50-59 years, male 159.2
GTEX-1C2JI-1826-SM-73KXC 50-59 years, male 159.0
GTEX-1H1CY-2826-SM-9MQM3 60-69 years, female 158.4
GTEX-WRHK-1426-SM-3MJF9 20-29 years, female 158.3
GTEX-1JMQI-2226-SM-CM2SD 50-59 years, male 157.9
GTEX-1HUB1-0426-SM-E9U4U 60-69 years, male 157.6
GTEX-1H3VE-0326-SM-9YFLH 40-49 years, male 157.5
GTEX-1CAMS-0426-SM-7P8T2 40-49 years, female 157.2
GTEX-PX3G-0126-SM-2I3EN 20-29 years, female 156.7
GTEX-13NYS-0126-SM-5MR3W 60-69 years, male 156.5
GTEX-14PN3-2426-SM-6LLHS 60-69 years, female 156.3
GTEX-RVPV-0126-SM-EAZAW 60-69 years, male 156.3
GTEX-PSDG-0226-SM-DKPOZ 50-59 years, male 155.8
GTEX-12WSN-5019-SM-79OM6 40-49 years, male 155.7
GTEX-15ETS-0126-SM-7KUMW 40-49 years, female 155.1
GTEX-ZZPT-0226-SM-5E43X 50-59 years, male 155.0
GTEX-15DDE-0126-SM-6LPKH 50-59 years, female 154.5
GTEX-1H4P4-0726-SM-9YFLR 50-59 years, male 154.5
GTEX-PLZ6-1426-SM-DKPOT 30-39 years, male 154.5
GTEX-1399R-2726-SM-5IJBA 30-39 years, male 154.1
GTEX-145ME-1826-SM-5SI9G 40-49 years, female 154.0
GTEX-145MO-0326-SM-5Q5B3 60-69 years, male 153.9
GTEX-1JMPZ-0226-SM-CNPP1 30-39 years, male 153.9
GTEX-OIZH-0126-SM-2HMIS 50-59 years, male 153.4
GTEX-ZF2S-2326-SM-4WWCE 50-59 years, female 153.1
GTEX-1C6VS-0526-SM-7DUEN 60-69 years, male 152.7
GTEX-1I1CD-0126-SM-CM2TK 60-69 years, female 152.2
GTEX-XXEK-2226-SM-4BRUM 50-59 years, male 152.0
GTEX-13111-1626-SM-5EGJY 50-59 years, male 151.8
GTEX-18D9A-1926-SM-7LG6P 30-39 years, female 151.1
GTEX-1IDFM-0126-SM-COH2V 60-69 years, male 151.0
GTEX-145MI-0526-SM-5O9A8 60-69 years, female 150.9
GTEX-11TTK-0126-SM-5987B 60-69 years, female 150.6
GTEX-15ER7-0326-SM-7KUEV 20-29 years, female 150.5
GTEX-11DYG-0126-SM-59883 60-69 years, male 150.2
GTEX-1N2DW-0226-SM-E9TK2 50-59 years, male 149.8
GTEX-145LT-1726-SM-5QGP3 40-49 years, male 149.3
GTEX-X4EO-0326-SM-3P5YO 60-69 years, female 149.3
GTEX-1IE54-0126-SM-CMKHW 40-49 years, female 149.3
GTEX-W5X1-3026-SM-EAZAX 40-49 years, female 149.1
GTEX-13CF3-2426-SM-5IFGX 60-69 years, female 149.0
GTEX-Q2AI-1326-SM-2S1PL 40-49 years, male 148.9
GTEX-T6MO-1626-SM-32QOM 40-49 years, female 148.9
GTEX-ZF29-2326-SM-DO92K 60-69 years, female 148.7
GTEX-1EMGI-0126-SM-9KNUE 60-69 years, male 147.7
GTEX-1JJEA-0326-SM-CNPOT 60-69 years, male 147.6
GTEX-11DXZ-2326-SM-5EGGV 50-59 years, male 147.5
GTEX-131YS-0126-SM-5KM1M 60-69 years, female 147.3
GTEX-U412-0426-SM-3DB9O 60-69 years, male 147.2
GTEX-1OJC3-0126-SM-E76QX 20-29 years, male 147.0
GTEX-PVOW-0126-SM-2XCFA 40-49 years, male 146.8
GTEX-146FR-1326-SM-E9J48 60-69 years, female 146.3
GTEX-U4B1-1826-SM-4DXSU 40-49 years, male 146.0
GTEX-1QPFJ-0226-SM-E76PB 30-39 years, female 146.0
GTEX-13PVR-2326-SM-5QGR1 60-69 years, female 145.7
GTEX-1MUQO-0126-SM-EAZ58 60-69 years, male 145.6
GTEX-1K2DU-2326-SM-E9TIV 20-29 years, male 145.3
GTEX-QESD-1426-SM-2S1R9 20-29 years, male 144.7
GTEX-1QP66-1726-SM-E8VO1 50-59 years, male 144.6
GTEX-131XF-5016-SM-7MGWE 60-69 years, male 144.3
GTEX-12584-0126-SM-5EGKQ 40-49 years, male 144.0
GTEX-131XE-2326-SM-5PNZ2 50-59 years, male 143.7
GTEX-13RTJ-2426-SM-5S2Q2 60-69 years, male 143.4
GTEX-1PPH7-2326-SM-EVYB8 40-49 years, male 143.3
GTEX-Y3IK-2426-SM-4WWDU 50-59 years, female 143.2
GTEX-TMMY-0226-SM-33HBA 40-49 years, female 143.0
GTEX-1IGQW-0126-SM-COH42 60-69 years, male 143.0
GTEX-14DAR-2026-SM-5S2O3 50-59 years, male 142.6
GTEX-ZVE2-0226-SM-59HJB 50-59 years, male 142.5
GTEX-1497J-2426-SM-7IGNX 60-69 years, male 142.3
GTEX-16GPK-0126-SM-7DHLE 60-69 years, male 142.2
GTEX-1EX96-1626-SM-7PBXR 50-59 years, male 142.2
GTEX-18A6Q-0126-SM-731BZ 60-69 years, male 142.1
GTEX-11DXW-0226-SM-5H122 40-49 years, male 142.0
GTEX-1KANC-1526-SM-D3LAB 50-59 years, female 141.9
GTEX-14BIM-0226-SM-7IGLD 60-69 years, female 141.8
GTEX-OOBK-0126-SM-2YUND 40-49 years, male 141.7
GTEX-ZAB4-0226-SM-5N9F5 40-49 years, male 141.7
GTEX-13OVI-1426-SM-5L3EY 60-69 years, female 141.2
GTEX-11ZU8-2526-SM-5EQKI 60-69 years, male 140.2
GTEX-NFK9-0226-SM-2HMKQ 40-49 years, male 140.1
GTEX-1JMQK-0226-SM-CL543 60-69 years, male 140.0
GTEX-1C6VQ-0126-SM-7P8RI 50-59 years, male 139.5
GTEX-1HB9E-0226-SM-E9U4R 50-59 years, male 139.2
GTEX-1H1DE-2126-SM-9WG6R 20-29 years, male 138.9
GTEX-12ZZZ-0626-SM-5DUXI 60-69 years, male 138.5
GTEX-OXRN-0126-SM-48TDM 50-59 years, male 138.1
GTEX-14PHW-0126-SM-6LLJI 60-69 years, female 137.9
GTEX-ZV6S-2326-SM-4YCEY 40-49 years, female 137.6
GTEX-18A66-0226-SM-718BD 60-69 years, male 137.5
GTEX-16AAH-1726-SM-7939C 50-59 years, male 137.4
GTEX-13112-2826-SM-5DUWH 50-59 years, male 136.8
GTEX-1IKJJ-0126-SM-CNPQB 60-69 years, male 136.8
GTEX-13113-5016-SM-7EPIP 60-69 years, female 136.7
GTEX-1A3MV-1926-SM-718BT 30-39 years, male 136.6
GTEX-TKQ1-1026-SM-4GICL 30-39 years, male 136.5
GTEX-ZYFG-2326-SM-5E44B 60-69 years, female 136.3
GTEX-17EVP-0326-SM-7DHLG 40-49 years, male 136.2
GTEX-1POEN-0126-SM-EYYXJ 30-39 years, female 136.1
GTEX-13CF2-2526-SM-5LZYX 60-69 years, male 135.7
GTEX-ZDTS-0126-SM-4WAY5 60-69 years, male 135.7
GTEX-ZVT2-2526-SM-51MT1 50-59 years, female 135.7
GTEX-1313W-0126-SM-5LZUN 50-59 years, female 135.3
GTEX-15SHU-0126-SM-7KUEH 40-49 years, female 135.3
GTEX-1JJE9-0326-SM-CL53Z 70-79 years, male 135.2
GTEX-13N1W-0126-SM-5K7VT 70-79 years, male 135.1
GTEX-RU72-0926-SM-2TF6B 50-59 years, female 135.1
GTEX-13NZ8-0826-SM-5MR3I 60-69 years, female 134.9
GTEX-13OVK-2026-SM-7KUEO 40-49 years, male 134.8
GTEX-1IL2U-0226-SM-CE6T8 60-69 years, male 134.8
GTEX-14753-0426-SM-5NQAM 60-69 years, male 134.7
GTEX-1CB4G-0226-SM-7PC3O 60-69 years, male 134.6
GTEX-12WSG-2826-SM-E9J4H 50-59 years, female 134.5
GTEX-1IDJF-0126-SM-CM2RS 20-29 years, male 134.3
GTEX-VUSG-2526-SM-4KL1V 50-59 years, male 134.2
GTEX-1CAMQ-0226-SM-7IGPK 40-49 years, male 134.1
GTEX-ZVT4-0126-SM-DTXFN 50-59 years, female 134.0
GTEX-1B8KZ-2026-SM-7DHMB 50-59 years, male 133.9
GTEX-13JUV-2726-SM-5LZZ8 40-49 years, female 133.8
GTEX-OHPL-0126-SM-2HMJ7 60-69 years, female 133.7
GTEX-Y5LM-1926-SM-5RQJH 40-49 years, female 133.3
GTEX-1J8Q2-0526-SM-CM2RW 60-69 years, male 133.3
GTEX-R45C-0126-SM-EAZ2R 60-69 years, female 133.3
GTEX-1M4P7-0226-SM-DIPEV 60-69 years, male 133.2
GTEX-14JG6-2226-SM-6EU2G 30-39 years, female 133.0
GTEX-16XZY-2126-SM-79OK1 70-79 years, male 132.8
GTEX-1GZ4H-1726-SM-7PBZJ 50-59 years, female 132.6
GTEX-12WSK-2326-SM-5GCOH 40-49 years, female 132.1
GTEX-1PIIG-0226-SM-EWRN6 30-39 years, male 131.8
GTEX-13FH7-2026-SM-E9J4I 50-59 years, female 131.5
GTEX-1AX9I-0126-SM-7SB74 60-69 years, male 131.4
GTEX-1H1DG-0126-SM-9WYU2 70-79 years, male 131.4
GTEX-12696-2426-SM-5EQ6H 60-69 years, male 131.1
GTEX-1LBAC-0126-SM-DIPEZ 20-29 years, male 131.1
GTEX-1R7EU-0226-SM-EVR4G 60-69 years, male 131.1
GTEX-TML8-1926-SM-32QOS 40-49 years, female 131.0
GTEX-1A32A-0126-SM-718B1 50-59 years, female 130.9
GTEX-15SB6-1726-SM-6PAME 50-59 years, female 130.8
GTEX-1JJ6O-0126-SM-E6CI8 60-69 years, male 130.8
GTEX-17HGU-0226-SM-7DHKV 50-59 years, male 130.6
GTEX-1F75I-0326-SM-9YFLU 40-49 years, male 130.3
GTEX-X62O-0126-SM-4E3JN 50-59 years, male 130.0
GTEX-Y3I4-2126-SM-4TT7C 50-59 years, male 130.0
GTEX-ZXG5-0126-SM-5GIEU 60-69 years, male 130.0
GTEX-1QP9N-1426-SM-DTXFL 30-39 years, male 130.0
GTEX-YJ89-0126-SM-4TT3X 60-69 years, male 129.9
GTEX-11UD2-0226-SM-5EQKY 50-59 years, male 129.7
GTEX-13FHP-0126-SM-5IJBG 50-59 years, male 129.7
GTEX-1GL5R-1826-SM-9KNUY 50-59 years, male 129.6
GTEX-1CB4E-2226-SM-793DC 60-69 years, male 129.5
GTEX-WVJS-0126-SM-4MVOT 50-59 years, male 129.3
GTEX-1B8SF-1426-SM-7DUGL 60-69 years, male 129.1
GTEX-1J8Q3-1626-SM-CMKGC 60-69 years, male 129.1
GTEX-11LCK-1026-SM-5A5KB 30-39 years, male 128.8
GTEX-1269C-2526-SM-5EGJ3 60-69 years, female 128.8
GTEX-133LE-1826-SM-5J1MV 20-29 years, female 128.8
GTEX-1F88F-2726-SM-7PBZZ 60-69 years, female 128.8
GTEX-13W46-0226-SM-5SIAG 50-59 years, male 128.6
GTEX-14A5H-0426-SM-5QGQF 60-69 years, male 128.5
GTEX-11P82-1626-SM-59879 20-29 years, male 128.1
GTEX-1AX9J-0226-SM-73KXM 60-69 years, male 128.0
GTEX-UJHI-1526-SM-3DB99 50-59 years, female 127.5
GTEX-1B996-0226-SM-7RHGO 60-69 years, male 127.5
GTEX-1LGRB-2526-SM-CNPPQ 50-59 years, female 127.5
GTEX-Y114-2426-SM-4TT8A 50-59 years, female 127.2
GTEX-1PBJI-0526-SM-E8VNK 20-29 years, female 127.2
GTEX-1RDX4-0126-SM-E9J4P 50-59 years, female 127.2
GTEX-QDVJ-1726-SM-2I5FX 50-59 years, male 127.1
GTEX-12KS4-0326-SM-5EQ41 30-39 years, male 126.6
GTEX-X585-0226-SM-4QAS2 50-59 years, male 126.6
GTEX-XUW1-0426-SM-4BOOT 50-59 years, female 126.6
GTEX-12WSJ-1826-SM-5GCNY 40-49 years, female 126.5
GTEX-W5WG-1826-SM-4KL2Y 50-59 years, female 126.4
GTEX-PLZ4-0126-SM-5SI8O 50-59 years, female 126.3
GTEX-XBED-2226-SM-47JYQ 60-69 years, male 126.0
GTEX-1HCU9-1526-SM-A9SL7 20-29 years, male 126.0
GTEX-WOFL-0126-SM-3MJG2 60-69 years, male 125.5
GTEX-ZE9C-2726-SM-57WB5 60-69 years, male 125.2
GTEX-Q734-1926-SM-2I5EV 40-49 years, female 124.8
GTEX-T5JC-0426-SM-32PLO 20-29 years, male 124.8
GTEX-11ZVC-2526-SM-5FQTE 50-59 years, female 124.5
GTEX-NPJ8-0126-SM-2YUNR 40-49 years, male 124.2
GTEX-1IKOH-0226-SM-COH4E 60-69 years, female 124.1
GTEX-1B8SG-0126-SM-73KZ3 50-59 years, male 123.8
GTEX-1C6WA-0126-SM-7PC2B 60-69 years, male 123.8
GTEX-1AX8Z-0126-SM-7DHM6 60-69 years, male 123.6
GTEX-SNMC-1226-SM-2XCFP 20-29 years, male 123.5
GTEX-15D1Q-0126-SM-7KUG6 40-49 years, male 123.2
GTEX-1GPI6-0126-SM-9WG69 60-69 years, male 123.2
GTEX-13IVO-0126-SM-5J1NG 70-79 years, male 122.9
GTEX-1H1E6-1726-SM-ACKVK 30-39 years, male 122.9
GTEX-15F5U-1526-SM-6PANO 40-49 years, male 122.7
GTEX-RTLS-0126-SM-447CA 60-69 years, female 122.7
GTEX-1I19N-0326-SM-ACKVX 70-79 years, male 122.6
GTEX-1I1GP-2226-SM-CGQFK 50-59 years, male 122.6
GTEX-1KXAM-2226-SM-CYPTC 60-69 years, male 122.6
GTEX-1QP67-1626-SM-EAZ3X 40-49 years, female 122.5
GTEX-139T8-0126-SM-5K7XZ 60-69 years, male 121.9
GTEX-U3ZH-2026-SM-3DB78 30-39 years, male 121.9
GTEX-1MGNQ-0126-SM-EVYCJ 40-49 years, male 121.9
GTEX-13RTK-1426-SM-5QGQJ 20-29 years, male 121.4
GTEX-V1D1-2226-SM-3NMAX 50-59 years, male 121.3
GTEX-1H11D-0226-SM-9WG6Z 40-49 years, male 121.2
GTEX-1I1GR-0126-SM-CL55F 60-69 years, male 121.1
GTEX-13NZB-2526-SM-5J1OM 30-39 years, male 121.0
GTEX-14C5O-0126-SM-5SI6N 60-69 years, male 120.9
GTEX-1AX9K-2326-SM-73KWU 50-59 years, male 120.8
GTEX-T2YK-0526-SM-32QPJ 50-59 years, male 120.8
GTEX-13FHO-0226-SM-5IFGY 60-69 years, male 120.7
GTEX-YB5K-2126-SM-4WWDJ 40-49 years, female 120.6
GTEX-ZY6K-1826-SM-5GZXK 50-59 years, male 120.6
GTEX-11GS4-2726-SM-5A5LE 60-69 years, male 119.8
GTEX-13U4I-0126-SM-5LU38 40-49 years, female 119.8
GTEX-14PII-0226-SM-6EU1T 60-69 years, male 119.8
GTEX-1HSKV-0226-SM-A9SKJ 60-69 years, male 119.7
GTEX-14BMU-2226-SM-5TDE9 20-29 years, female 119.6
GTEX-1HCUA-2426-SM-ADEIS 50-59 years, female 119.4
GTEX-WXYG-2326-SM-4E3I6 50-59 years, female 119.3
GTEX-1CB4H-0226-SM-7PBXM 60-69 years, female 119.3
GTEX-15RIG-0226-SM-7KFTL 40-49 years, male 119.2
GTEX-ZU9S-0226-SM-5E441 30-39 years, male 119.1
GTEX-PWCY-1826-SM-DHXIZ 20-29 years, female 119.1
GTEX-11UD1-0126-SM-5PNYG 40-49 years, female 119.0
GTEX-13FXS-0226-SM-5IJCK 50-59 years, male 119.0
GTEX-117YX-2326-SM-5H12W 50-59 years, male 118.8
GTEX-1LNCM-1126-SM-E9U5E 50-59 years, female 118.8
GTEX-OHPM-0126-SM-2YUN9 50-59 years, male 118.7
GTEX-1GMRU-0126-SM-9YFLV 50-59 years, male 118.3
GTEX-1C4CL-0526-SM-73KVK 30-39 years, male 118.0
GTEX-1PPH8-0226-SM-E8VND 20-29 years, male 118.0
GTEX-1C475-1826-SM-73KWA 40-49 years, female 117.8
GTEX-QLQ7-1626-SM-2S1R8 60-69 years, male 117.8
GTEX-117XS-2726-SM-5N9BL 60-69 years, male 117.7
GTEX-1R9PO-2126-SM-E9J4O 60-69 years, female 117.6
GTEX-11EQ9-2426-SM-5HL5T 30-39 years, male 117.4
GTEX-144GN-2326-SM-5LU4F 50-59 years, male 117.2
GTEX-1CB4J-0626-SM-7DHMP 60-69 years, male 117.1
GTEX-1JMQJ-0526-SM-CYPSU 50-59 years, male 117.1
GTEX-1RAZQ-0726-SM-EAZ43 30-39 years, male 117.1
GTEX-O5YW-0126-SM-3LK6D 50-59 years, male 116.6
GTEX-145MN-2226-SM-5SIAU 30-39 years, male 116.4
GTEX-ZGAY-0526-SM-4WWBB 40-49 years, female 116.4
GTEX-1GN73-0226-SM-9WG67 60-69 years, male 116.3
GTEX-16YQH-0126-SM-7DUFJ 30-39 years, male 116.1
GTEX-S33H-1026-SM-EZ6L6 30-39 years, male 116.1
GTEX-14A6H-0126-SM-5QGPK 30-39 years, male 116.0
GTEX-1F5PL-0326-SM-7P8PQ 40-49 years, female 116.0
GTEX-15EU6-0426-SM-6PAN5 50-59 years, male 115.5
GTEX-1GF9W-0326-SM-9KNUN 60-69 years, male 115.5
GTEX-14PJM-0226-SM-62LF1 50-59 years, female 115.3
GTEX-UPJH-0326-SM-3GADU 50-59 years, male 115.3
GTEX-13O3P-0126-SM-5KM4S 50-59 years, male 115.2
GTEX-1MA7W-2026-SM-E9TJ6 20-29 years, female 115.2
GTEX-ZVTK-0426-SM-51MRS 20-29 years, male 115.1
GTEX-1EWIQ-0126-SM-7RHH2 70-79 years, female 115.1
GTEX-1H3VY-0126-SM-ACKXD 50-59 years, male 114.8
GTEX-1IKK5-0626-SM-ARL8A 60-69 years, male 114.8
GTEX-113IC-0126-SM-5HL6T 60-69 years, male 114.7
GTEX-13O3O-0126-SM-E9J49 60-69 years, female 114.5
GTEX-ZC5H-0226-SM-4WAY9 40-49 years, female 114.4
GTEX-1RLM8-2326-SM-EWRN4 50-59 years, male 114.4
GTEX-1IDJU-2626-SM-CM2RT 60-69 years, female 114.1
GTEX-17HHE-2026-SM-79OKF 50-59 years, male 113.8
GTEX-1F52S-0126-SM-9MQJU 60-69 years, female 113.7
GTEX-145LV-2126-SM-5LU8N 50-59 years, male 113.6
GTEX-1LG7Z-1726-SM-D3LA4 30-39 years, male 113.6
GTEX-1AYCT-2426-SM-7IGQ3 50-59 years, male 113.2
GTEX-ZTSS-1926-SM-57WEW 40-49 years, male 113.2
GTEX-1J8JJ-0226-SM-CL53I 60-69 years, female 113.1
GTEX-148VI-1626-SM-5SI6E 60-69 years, female 113.0
GTEX-1HSGN-0226-SM-CGQFV 40-49 years, female 112.8
GTEX-1HBPI-1526-SM-C1YQ1 50-59 years, male 112.7
GTEX-17EVQ-0226-SM-7LG4P 70-79 years, male 112.4
GTEX-WFON-2126-SM-3LK7O 40-49 years, male 112.3
GTEX-1A8FM-0226-SM-7SB7Q 50-59 years, female 112.0
GTEX-12WSE-0526-SM-793B2 20-29 years, male 111.9
GTEX-O5YT-0126-SM-48TBW 20-29 years, male 111.8
GTEX-T2IS-0126-SM-4DM6O 20-29 years, female 111.8
GTEX-18A7B-0126-SM-7LG64 70-79 years, male 111.6
GTEX-1HSMQ-1226-SM-CGQFX 50-59 years, male 111.6
GTEX-13RTL-0126-SM-7LG5S 40-49 years, male 111.5
GTEX-1OFPY-2426-SM-DTXEJ 60-69 years, male 111.5
GTEX-1I6K6-0126-SM-A9SLE 30-39 years, male 111.2
GTEX-18A7A-0226-SM-718BH 50-59 years, female 111.1
GTEX-1BAJH-0526-SM-793CQ 70-79 years, male 110.9
GTEX-14PHX-2326-SM-62LEM 50-59 years, male 110.4
GTEX-T5JW-1626-SM-3GADZ 20-29 years, female 110.4
GTEX-ZVZP-2426-SM-59HKJ 50-59 years, male 110.4
GTEX-SUCS-1926-SM-32PM3 70-79 years, male 109.8
GTEX-13N2G-2626-SM-5J1OT 60-69 years, male 109.6
GTEX-X5EB-2226-SM-46MW4 40-49 years, male 109.6
GTEX-XMD2-0126-SM-4YCDU 60-69 years, female 109.6
GTEX-1GN1W-0526-SM-9MQJQ 50-59 years, female 109.6
GTEX-1S3DN-2226-SM-EVYCD 50-59 years, male 109.6
GTEX-13OW8-1326-SM-5J1OW 60-69 years, male 109.5
GTEX-1KD5A-0226-SM-D5OV3 50-59 years, male 109.4
GTEX-146FQ-0126-SM-5NQA9 30-39 years, male 108.8
GTEX-1IDJH-0326-SM-A9SLQ 70-79 years, male 108.7
GTEX-139D8-0226-SM-5KLZO 30-39 years, female 108.6
GTEX-Z93T-0126-SM-5HL5N 50-59 years, male 108.6
GTEX-1JKYR-0126-SM-CNPOJ 20-29 years, male 108.6
GTEX-WH7G-2326-SM-3NMBC 40-49 years, male 108.5
GTEX-13FTW-2626-SM-5K7WL 40-49 years, male 108.4
GTEX-1GF9V-0326-SM-7RHI5 60-69 years, male 108.3
GTEX-1J1R8-1726-SM-ARL8M 40-49 years, male 108.1
GTEX-Y5V6-2426-SM-4VDSB 60-69 years, male 108.0
GTEX-1JMPY-1326-SM-ARL8Y 30-39 years, male 108.0
GTEX-ZDYS-2026-SM-5HL5L 50-59 years, male 107.9
GTEX-SSA3-0126-SM-32QPU 60-69 years, male 107.8
GTEX-1F6IF-0726-SM-7P8TW 60-69 years, male 107.7
GTEX-ZAK1-0126-SM-5IJD3 50-59 years, female 107.5
GTEX-1I1GT-0626-SM-CGQER 60-69 years, female 107.5
GTEX-PWO3-1526-SM-48TCM 60-69 years, female 107.4
GTEX-11EM3-2426-SM-59861 20-29 years, female 107.3
GTEX-OXRK-0226-SM-3NB2G 50-59 years, female 107.2
GTEX-11WQC-2526-SM-5CVLE 60-69 years, male 107.0
GTEX-WYJK-0126-SM-3NMAB 50-59 years, male 106.9
GTEX-Y111-0126-SM-4SOIV 50-59 years, male 106.8
GTEX-1PFEY-1526-SM-E76PP 30-39 years, male 106.8
GTEX-11P81-2326-SM-59875 30-39 years, female 106.6
GTEX-1RAZA-0126-SM-E6CI3 20-29 years, male 106.6
GTEX-1JK1U-2026-SM-CM2RZ 60-69 years, male 106.5
GTEX-13X6J-0126-SM-5QGOU 50-59 years, male 106.3
GTEX-1F7RK-0126-SM-7PC2S 20-29 years, female 106.3
GTEX-1K9T9-0126-SM-EVYCF 50-59 years, female 106.3
GTEX-113JC-2326-SM-5EQ4E 50-59 years, female 106.2
GTEX-1HSEH-0126-SM-ACKXN 60-69 years, male 106.1
GTEX-1GPI7-0126-SM-9MQL8 20-29 years, male 106.0
GTEX-Q2AH-1626-SM-3GAF8 40-49 years, male 105.9
GTEX-1GF9U-2126-SM-7SB7L 40-49 years, female 105.9
GTEX-1LSNM-1926-SM-E6CII 50-59 years, male 105.7
GTEX-11ZTT-2426-SM-5EQLS 60-69 years, female 105.6
GTEX-1JMLX-0226-SM-CM2RO 50-59 years, male 105.4
GTEX-13S7M-0126-SM-5SI6A 60-69 years, female 105.3
GTEX-YB5E-2026-SM-5IFIS 40-49 years, male 105.3
GTEX-1HBPH-0426-SM-B2LW5 40-49 years, female 105.2
GTEX-1I1GS-0126-SM-B2LVW 60-69 years, male 105.2
GTEX-1I1GV-0526-SM-A9G29 60-69 years, male 104.7
GTEX-15SHW-0326-SM-6PAML 60-69 years, male 104.6
GTEX-13NZA-0226-SM-5K7Z7 60-69 years, male 104.4
GTEX-17MFQ-1726-SM-793C7 20-29 years, male 104.4
GTEX-RM2N-1426-SM-2TF4H 50-59 years, male 104.3
GTEX-1212Z-2526-SM-5EGKP 60-69 years, male 104.1
GTEX-11GSO-2426-SM-5A5LY 60-69 years, male 103.8
GTEX-X88G-0126-SM-47JZ3 30-39 years, male 103.8
GTEX-YEC4-2126-SM-5IFJH 40-49 years, male 103.7
GTEX-11OC5-0126-SM-5HL6A 60-69 years, male 103.5
GTEX-139TU-0126-SM-5K7WH 60-69 years, male 103.3
GTEX-1E1VI-0126-SM-7DHMZ 50-59 years, male 103.2
GTEX-1O97I-0326-SM-EYYX7 60-69 years, male 103.2
GTEX-P4PP-0126-SM-3LK69 30-39 years, female 102.9
GTEX-ZDTT-2726-SM-4WKF8 60-69 years, male 102.9
GTEX-ZF28-0126-SM-4WKGK 60-69 years, male 102.9
GTEX-1QP29-0626-SM-EWRMX 50-59 years, male 102.9
GTEX-1S82Y-2026-SM-EVYCM 40-49 years, male 102.9
GTEX-13QJ3-0326-SM-5S2RA 50-59 years, male 102.1
GTEX-POMQ-2226-SM-2I5FK 20-29 years, female 102.1
GTEX-11EI6-0126-SM-5985R 60-69 years, male 102.0
GTEX-14ABY-0226-SM-5TDCQ 50-59 years, male 102.0
GTEX-YFC4-0126-SM-5CVLY 40-49 years, female 102.0
GTEX-1AMFI-2026-SM-731BH 50-59 years, female 101.5
GTEX-ZDXO-3026-SM-5J1N5 60-69 years, male 101.3
GTEX-14BMV-0126-SM-5S2PO 50-59 years, male 101.0
GTEX-1AMEY-1326-SM-73KYK 30-39 years, female 101.0
GTEX-131XH-2226-SM-5DUXJ 50-59 years, male 100.9
GTEX-145MF-0626-SM-5LUAI 50-59 years, male 100.9
GTEX-1QW4Y-1526-SM-EAZ3Z 30-39 years, male 100.9
GTEX-P4PQ-0126-SM-2S1NM 60-69 years, male 100.8
GTEX-PLZ5-2026-SM-2S1O4 50-59 years, male 100.8
GTEX-132NY-0326-SM-5IJBL 60-69 years, male 100.5
GTEX-13O21-1426-SM-5K7XI 50-59 years, male 100.5
GTEX-WQUQ-0426-SM-3MJFU 60-69 years, male 100.5
GTEX-1IOXB-0126-SM-ARL8G 50-59 years, male 100.5
GTEX-XBEW-0626-SM-4QASP 40-49 years, male 100.2
GTEX-1192X-0226-SM-5H12D 50-59 years, male 100.1
GTEX-1HFI6-0226-SM-ADEHZ 40-49 years, male 99.9
GTEX-1OJC4-0126-SM-E9J2E 50-59 years, female 99.8
GTEX-1GZ2Q-0226-SM-7P8TL 40-49 years, male 99.5
GTEX-183FY-0126-SM-7LT9P 20-29 years, male 99.4
GTEX-147GR-0526-SM-5S2MY 60-69 years, male 99.3
GTEX-1KWVE-1426-SM-E9TJO 30-39 years, male 99.1
GTEX-Y8LW-1826-SM-5S2MV 50-59 years, female 98.9
GTEX-OIZG-0726-SM-33HBL 50-59 years, male 98.6
GTEX-RWSA-0126-SM-2XCBB 40-49 years, male 98.3
GTEX-X638-0126-SM-47JZ8 70-79 years, female 98.0
GTEX-1GTWX-0126-SM-9YFLK 60-69 years, male 98.0
GTEX-PW2O-1526-SM-7RHHB 20-29 years, male 97.9
GTEX-14E6D-0126-SM-62LDV 50-59 years, male 97.7
GTEX-1N2DV-0226-SM-E6CJ6 40-49 years, male 97.4
GTEX-R55G-2526-SM-2TC6D 40-49 years, female 97.3
GTEX-11NSD-2226-SM-5986V 20-29 years, male 97.2
GTEX-OIZF-0126-SM-7SB8I 60-69 years, male 97.1
GTEX-1C64O-0126-SM-7SB8P 60-69 years, male 96.9
GTEX-1JKYN-1326-SM-CGQG9 30-39 years, male 96.9
GTEX-VJYA-1126-SM-3GIJU 60-69 years, male 96.8
GTEX-14PJ6-2126-SM-6EU1V 60-69 years, female 96.6
GTEX-1QCLY-0326-SM-E8VOG 30-39 years, male 96.5
GTEX-11GSP-2526-SM-5N9BP 60-69 years, female 96.1
GTEX-X4EP-0126-SM-3P5YV 60-69 years, female 96.1
GTEX-Y8E4-0626-SM-4WWDL 40-49 years, male 96.0
GTEX-1399T-2826-SM-5KLYZ 60-69 years, male 95.6
GTEX-1LB8K-0226-SM-EWRNW 50-59 years, male 95.5
GTEX-1S83E-0126-SM-EWRO4 40-49 years, male 95.3
GTEX-111VG-2426-SM-5GZXD 60-69 years, male 95.0
GTEX-12C56-1726-SM-5EQ61 20-29 years, male 95.0
GTEX-18D9U-0226-SM-718BP 40-49 years, male 94.7
GTEX-13VXT-0126-SM-5LU4I 20-29 years, female 94.5
GTEX-R55E-0126-SM-2TC5Y 20-29 years, male 94.4
GTEX-SJXC-0126-SM-2XCFF 60-69 years, male 94.3
GTEX-117YW-2626-SM-5GZZH 50-59 years, male 94.2
GTEX-14JIY-0126-SM-6LLH6 60-69 years, male 94.2
GTEX-17HG3-2226-SM-7938L 30-39 years, female 94.2
GTEX-11DXX-2426-SM-5GZZW 60-69 years, female 93.8
GTEX-14DAQ-0126-SM-5S2MQ 60-69 years, female 93.7
GTEX-139TT-0126-SM-5K7Y5 60-69 years, male 93.6
GTEX-QCQG-1726-SM-3GIJ9 50-59 years, female 93.4
GTEX-1HCVE-0126-SM-CGQEU 50-59 years, male 93.2
GTEX-1CAMR-1926-SM-7EPI2 20-29 years, male 93.1
GTEX-147F3-0526-SM-5SI98 50-59 years, female 93.0
GTEX-Q2AG-0126-SM-33HBV 40-49 years, female 93.0
GTEX-ZYY3-0126-SM-5GZY5 60-69 years, female 93.0
GTEX-1F75A-0126-SM-7RHGM 50-59 years, male 93.0
GTEX-RNOR-0126-SM-E9J4R 50-59 years, female 93.0
GTEX-1CB4I-0226-SM-79OLH 50-59 years, male 92.9
GTEX-1B8L1-2526-SM-9WYTF 60-69 years, male 92.9
GTEX-QVJO-1626-SM-2S1QW 60-69 years, female 92.8
GTEX-1KANA-0726-SM-D3L9I 20-29 years, male 92.8
GTEX-RWS6-2026-SM-2XCB5 60-69 years, female 92.7
GTEX-1MCQQ-0826-SM-DLHC2 60-69 years, male 92.7
GTEX-QEG4-0226-SM-2S1PY 30-39 years, male 92.5
GTEX-1PIGE-0126-SM-EVYBJ 20-29 years, male 92.5
GTEX-ZYT6-0226-SM-5NQ6T 30-39 years, male 92.4
GTEX-1I1GQ-0126-SM-COH3H 50-59 years, male 92.4
GTEX-X4XX-0126-SM-3NMC2 60-69 years, male 92.3
GTEX-S95S-1226-SM-4GICG 60-69 years, male 91.9
GTEX-144GL-0126-SM-5TDE2 50-59 years, male 91.8
GTEX-1K2DA-1826-SM-CGQGT 50-59 years, male 91.8
GTEX-1KD4Q-0226-SM-E9TJ9 40-49 years, male 91.8
GTEX-1LG7Y-0526-SM-DKPQC 50-59 years, male 91.3
GTEX-OOBJ-0126-SM-E6CJW 60-69 years, male 91.1
GTEX-13FTY-0526-SM-5L3EV 40-49 years, female 91.0
GTEX-QV44-1926-SM-2S1RF 50-59 years, male 90.9
GTEX-1H23P-0126-SM-ADEJ3 60-69 years, male 90.8
GTEX-Y5V5-2326-SM-4V6GA 60-69 years, female 90.6
GTEX-13OVG-1926-SM-5L3DK 60-69 years, male 90.3
GTEX-12WSD-0126-SM-59HKN 60-69 years, female 90.2
GTEX-18QFQ-0126-SM-731BE 30-39 years, male 90.0
GTEX-R3RS-0126-SM-3GIJL 40-49 years, female 89.8
GTEX-1B933-0126-SM-7PC29 50-59 years, female 89.7
GTEX-1314G-1526-SM-5EGK2 30-39 years, male 89.4
GTEX-1NHNU-1026-SM-E9J2A 50-59 years, male 88.9
GTEX-11XUK-2026-SM-5EQLF 40-49 years, female 88.8
GTEX-13OW7-0126-SM-5MR3B 50-59 years, male 88.8
GTEX-13SLX-0526-SM-5S2ON 50-59 years, female 88.8
GTEX-15DCD-0126-SM-7KUEK 70-79 years, female 88.8
GTEX-ZQG8-1626-SM-DHXIT 60-69 years, female 88.8
GTEX-1HR98-0126-SM-B2LWI 60-69 years, male 88.5
GTEX-11OF3-2626-SM-5GU7F 60-69 years, male 88.2
GTEX-1C6VR-2426-SM-79OLD 60-69 years, male 87.8
GTEX-XQ3S-1526-SM-4BOOC 20-29 years, male 87.8
GTEX-ZZ64-1726-SM-5GZYB 20-29 years, male 87.8
GTEX-1R9PM-2026-SM-E76OY 20-29 years, male 87.8
GTEX-18465-0126-SM-731BN 50-59 years, male 87.7
GTEX-17JCI-0126-SM-7LG5G 60-69 years, female 87.5
GTEX-SIU8-0126-SM-2XCDT 50-59 years, male 87.5
GTEX-13X6I-0626-SM-5QGP9 60-69 years, male 87.4
GTEX-14LZ3-0226-SM-62LET 60-69 years, female 87.4
GTEX-17F96-1626-SM-7DUFL 70-79 years, male 87.4
GTEX-1EN7A-0126-SM-7SB81 40-49 years, male 87.3
GTEX-1H3NZ-0126-SM-ACKX7 60-69 years, male 87.0
GTEX-ZXES-1826-SM-5E43S 30-39 years, female 86.8
GTEX-1S5ZA-0126-SM-EVYCV 20-29 years, male 86.5
GTEX-12WSC-0126-SM-5EQ4P 50-59 years, male 86.4
GTEX-13NYB-2526-SM-5K7Z6 40-49 years, male 86.3
GTEX-1C64N-0126-SM-793D7 50-59 years, male 86.2
GTEX-U3ZM-1526-SM-3DB9D 40-49 years, male 86.2
GTEX-1IL2V-0126-SM-CM2TX 70-79 years, male 86.0
GTEX-1HBPN-0226-SM-9YFM1 50-59 years, male 85.6
GTEX-14E7W-0126-SM-6LLJ9 70-79 years, male 85.3
GTEX-17HHY-0126-SM-7LG5D 50-59 years, male 85.2
GTEX-T6MN-0126-SM-32PLP 50-59 years, male 85.1
GTEX-13SLW-0126-SM-5SI6C 70-79 years, male 85.0
GTEX-1EU9M-0226-SM-7P8SP 60-69 years, male 84.9
GTEX-15DYW-0126-SM-7KULE 60-69 years, female 84.8
GTEX-12ZZY-0226-SM-5LZVE 60-69 years, male 84.7
GTEX-18D9B-0526-SM-7LTAS 60-69 years, male 84.7
GTEX-ZPIC-1726-SM-DHXIU 40-49 years, female 84.4
GTEX-147F4-0226-SM-5QGPW 50-59 years, male 84.1
GTEX-1IY9M-0126-SM-D3L8S 60-69 years, male 84.1
GTEX-XQ8I-0426-SM-4BOPO 50-59 years, male 83.4
GTEX-QDT8-0126-SM-48TZ1 30-39 years, female 83.3
GTEX-Y8DK-0126-SM-4TT3L 60-69 years, male 83.2
GTEX-1MA7X-2226-SM-E6CIY 60-69 years, male 83.2
GTEX-1HKZK-0326-SM-9WYUH 40-49 years, male 83.1
GTEX-13N11-2526-SM-5K7UE 50-59 years, female 83.0
GTEX-XAJ8-0826-SM-47JY6 40-49 years, male 82.8
GTEX-13VXU-0126-SM-5SI9F 50-59 years, male 82.2
GTEX-17F97-0326-SM-7LG5B 50-59 years, male 82.2
GTEX-17F98-0626-SM-79OMX 40-49 years, female 82.2
GTEX-16BQI-0226-SM-7KUEX 30-39 years, female 81.9
GTEX-18A67-0126-SM-7LG5P 50-59 years, male 81.6
GTEX-1QP2A-0126-SM-E9J43 50-59 years, male 81.6
GTEX-XV7Q-2526-SM-4BRV9 40-49 years, female 81.4
GTEX-1J1OQ-0226-SM-CYPSH 40-49 years, female 81.4
GTEX-1F6I4-0126-SM-9MQL2 60-69 years, male 81.3
GTEX-13OVL-0226-SM-5L3E9 50-59 years, male 81.0
GTEX-1S82Z-0826-SM-E6CHY 30-39 years, female 81.0
GTEX-ZUA1-0126-SM-5GU76 40-49 years, male 80.7
GTEX-11P7K-2126-SM-5GU7G 30-39 years, male 80.5
GTEX-13W3W-2426-SM-5LU5B 60-69 years, female 80.4
GTEX-145LU-0126-SM-5TDCB 50-59 years, male 79.7
GTEX-1H1ZS-0426-SM-9WG6G 70-79 years, male 79.2
GTEX-11ZTS-0126-SM-5EQ6M 60-69 years, female 79.1
GTEX-ZQUD-1426-SM-57WER 30-39 years, male 79.1
GTEX-1MCYP-1926-SM-E9J2R 20-29 years, female 79.1
GTEX-1QEPI-0126-SM-EWRMQ 60-69 years, female 79.0
GTEX-16NPX-0226-SM-79OMT 50-59 years, male 78.8
GTEX-12ZZX-0126-SM-5EGK9 40-49 years, female 78.7
GTEX-1J8EW-0126-SM-CJI4F 60-69 years, female 78.3
GTEX-15SDE-2226-SM-7IGLO 50-59 years, female 78.2
GTEX-WYVS-2126-SM-3NMA3 40-49 years, female 78.1
GTEX-TMZS-0126-SM-3DB9Q 60-69 years, male 78.0
GTEX-WZTO-0126-SM-3NM95 40-49 years, male 77.9
GTEX-Z93S-0126-SM-5HL7M 50-59 years, male 77.8
GTEX-16NGA-1726-SM-731B4 40-49 years, female 77.7
GTEX-1MJK2-0426-SM-DTXE5 50-59 years, male 76.8
GTEX-XUZC-1726-SM-4BRWS 30-39 years, female 76.4
GTEX-11VI4-1726-SM-5CVLH 40-49 years, female 76.0
GTEX-11ZUS-0626-SM-59885 30-39 years, male 76.0
GTEX-15CHC-2126-SM-6EU21 60-69 years, female 75.2
GTEX-QLQW-1126-SM-2S1Q8 30-39 years, male 73.9
GTEX-ZAB5-1826-SM-5HL7C 50-59 years, male 73.7
GTEX-XUYS-0126-SM-47JWZ 50-59 years, male 73.6
GTEX-ZEX8-2426-SM-4WKG4 50-59 years, male 73.6
GTEX-1I1HK-0126-SM-COH49 60-69 years, male 73.6
GTEX-13O3Q-2426-SM-5IJBR 50-59 years, male 73.4
GTEX-1HSMP-0126-SM-E6CJS 70-79 years, male 72.9
GTEX-12126-0326-SM-5PNW3 20-29 years, male 72.8
GTEX-WY7C-2326-SM-3NB2U 50-59 years, male 71.5
GTEX-11EMC-2926-SM-5EQ4F 60-69 years, female 71.3
GTEX-14PJ3-1826-SM-62LEX 50-59 years, male 71.2
GTEX-S7SE-0126-SM-2XCD5 50-59 years, male 71.1
GTEX-139T4-0226-SM-5HL5S 50-59 years, female 70.8
GTEX-XYKS-2126-SM-4E3IB 60-69 years, female 70.8
GTEX-Z9EW-1626-SM-5CVMN 40-49 years, male 70.5
GTEX-11NUK-0126-SM-5A5L3 50-59 years, male 70.0
GTEX-RN64-0126-SM-2TC68 50-59 years, male 70.0
GTEX-1EKGG-0226-SM-9WYTH 60-69 years, male 70.0
GTEX-111FC-0126-SM-5N9DL 60-69 years, male 69.9
GTEX-ZYFC-0226-SM-5NQ75 50-59 years, male 69.8
GTEX-ZVT3-0126-SM-5GU6I 60-69 years, female 68.3
GTEX-14JG1-0426-SM-6ETZZ 40-49 years, male 67.5
GTEX-13G51-2526-SM-5LZYK 60-69 years, male 64.2
GTEX-1ICG6-2526-SM-CGQFZ 70-79 years, female 63.2
GTEX-U3ZN-2326-SM-3DB7W 30-39 years, female 61.3
GTEX-11DXY-2626-SM-5GIE7 60-69 years, male 61.2
GTEX-OXRL-0126-SM-2YUMP 50-59 years, male 61.0
GTEX-1RQEC-0426-SM-E6CHU 60-69 years, male 61.0
GTEX-13OW6-0426-SM-5L3HM 50-59 years, male 58.2
GTEX-1KANB-0526-SM-E6CJH 50-59 years, male 56.5
GTEX-169BO-1326-SM-9MQK2 50-59 years, male 56.2
Show allShow less

Contact

  • NEWS ARTICLES
  • PRESS ROOM

The Project

  • INTRODUCTION
  • ORGANIZATION
  • PUBLICATIONS

The Human Protein Atlas

  • DOWNLOADABLE DATA
  • LICENCE & CITATION
  • HELP & FAQ
The Human Protein Atlas project is funded
by the Knut & Alice Wallenberg Foundation.


contact@proteinatlas.org