We use cookies to enhance the usability of our website. If you continue, we'll assume that you are happy to receive all cookies. More information. Don't show this again.
ARMT1
HPA
RESOURCES
  • TISSUE
  • BRAIN
  • SINGLE CELL
  • SUBCELLULAR
  • CANCER
  • BLOOD
  • CELL LINE
  • STRUCTURE & INTERACTION
ABOUT
  • INTRODUCTION
  • HISTORY
  • ORGANIZATION
  • PUBLICATIONS
  • ANTIBODY SUBMISSION
  • ANTIBODY AVAILABILITY
  • ACKNOWLEDGMENTS
  • CONTACT
NEWS
  • NEWS ARTICLES
  • PRESS ROOM
LEARN
  • DICTIONARY
  • PROTEIN CLASSES
  • PROTEIN EVIDENCE
  • METHODS
  • EDUCATIONAL VIDEOS
DATA
  • DOWNLOADABLE DATA
  • PUBLICATION DATA
  • RELEASE HISTORY
HELP
  • ANTIBODY VALIDATION
  • ASSAYS & ANNOTATION
  • DISCLAIMER
  • HELP & FAQ
  • PRIVACY STATEMENT
  • LICENCE & CITATION
Fields »
Search result

Field
Term
Gene name
Class
Subclass
Class
Keyword
Chromosome
External id
Tissue
Cell type
Expression
Antibody panel
Tissue
Main location
Patient ID
Annotation
Tissue
Category
Tau score
Cluster
Reliability
Brain region
Category
Tau score
Brain region
Category
Tau score
Brain region
Category
Tau score
Cluster
Reliability
Tissue
Cell type
Enrichment
Cell type
Category
Tau score
Cell type
Category
Tau score
Cell type
Category
Tau score
Cell lineage
Category
Tau score
Cluster
Cluster
Location
Searches
Location
Cell line
Class
Type
Phase
Reliability
Cancer
Prognosis
Cancer
Category
Cancer
Category
Tau score
Cluster
Variants
Interacting gene (ensg_id)
Type
Number of interactions
Pathway
Category
Score
Score
Score
Validation
Validation
Validation
Validation
Antibodies
Data type
Column


  • SUMMARY

  • TISSUE

  • BRAIN

  • SINGLE CELL

  • SUBCELL

  • CANCER

  • BLOOD

  • CELL LINE

  • STRUCT & INT

  • ARMT1
TISSUE PRIMARY DATA SPLEEN Show tissue menu
ADIPOSE TISSUE ADRENAL GLAND AMYGDALA APPENDIX BASAL GANGLIA BONE MARROW BREAST BRONCHUS CEREBELLUM CEREBRAL CORTEX CERVIX CHOROID PLEXUS COLON DUODENUM
ENDOMETRIUM EPIDIDYMIS ESOPHAGUS FALLOPIAN TUBE GALLBLADDER HEART MUSCLE HIPPOCAMPAL FORMATION HYPOTHALAMUS KIDNEY LIVER LUNG LYMPH NODE MIDBRAIN NASOPHARYNX
ORAL MUCOSA OVARY PANCREAS PARATHYROID GLAND PITUITARY GLAND PLACENTA PROSTATE RECTUM RETINA SALIVARY GLAND SEMINAL VESICLE SKELETAL MUSCLE SKIN SMALL INTESTINE
SMOOTH MUSCLE SOFT TISSUE SPINAL CORD SPLEEN STOMACH TESTIS THYMUS THYROID GLAND TONGUE TONSIL URINARY BLADDER VAGINA
ANTIBODIES
AND
VALIDATION
Dictionary
Spleen
Tissue proteome
Lymphoid tissue
SPLEEN - Expression summary
Protein expression
Spleeni

On the top, protein expression in current human tissue, based on all annotated cell types, is reported with the units not detected (n), low (l), medium (m) and high (h). Underneath, protein expression in each annotated cell type are reported using the same units.

Protein expression data is based on knowledge-based annotation. For genes where more than one antibody has been used, a collective score is set.

If knowledge-based annotation could not be performed for a gene, no data is displayed here. View antibody staining data further down this page.

h
m
l
n
Cells in red pulp: Low
Cells in white pulp: Low
RNA expressioni

A summary of mRNA expression data available for current tissue based on several datasets. The mRNA expression levels in human tissues are based on RNA-seq data generated by the Human Protein Atlas (HPA), Genotype-Tissue Expression (GTEx) portal and CAGE data generated by the FANTOM5 consortium. Consensus normalized expression levels for human tissues was created by combining the data from HPA and GTEx datasets.

The mRNA expression levels in pig are based on RNA-seq data generated by the Human Protein Atlas (HPA), and for mouse, HPA data and in situ hybridization generated by the Allen brain atlas are reported.

Scroll down to view mRNA expression data in more detail.
Consensus:12.5 nTPM
HPA:12.5 nTPM
GTEx:7.9 nTPM
FANTOM5:35.7 Scaled Tags Per Million

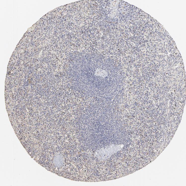
SPLEEN - Antibody stainingi

Antibody staining in the annotated cell types in the current human tissue is reported as not detected, low, medium, or high, based on conventional immunohistochemistry profiling in selected tissues. This score is based on the combination of the staining intensity and fraction of stained cells.

Each image is clickable and will lead to virtual microscopy that enables deeper exploration of all samples and also displays staining intensity scores, fraction scores and subcellular localization as well as patient and tissue information for each sample.

Antibody HPA003004Antibody HPA005819
Cells in red pulp Not detectedMedium
Cells in white pulp Not detectedMedium





SPLEEN - HPA RNA-seqi

The RNA-seq details section shows detailed information about the individual samples used for the transcript profiling and results of the RNA-seq analysis.

Information about each individual sample is listed below, including gender, age, a tissue section image and estimated fractions of cell types. nTPM (normalized transcripts per million) values give a quantification of the gene abundance which is comparable between different genes and samples.
Average nTPMi

Max subtype nTPM is the value for the subtype with the largest average nTPM across the subtype samples.

12.5
overview
Female, age 60
Spleen sample 236
nTPM: 10.5
Cell types%
Lymphocytes:
40

Macrophages:
30

Endothelial cells:
15

Fibroblasts:
5

Other cell types:
10

overview
Male, age 17
Spleen sample 237
nTPM: 10.2
Cell types%
Lymphocytes:
40

Macrophages:
35

Endothelial cells:
15

Fibroblasts:
5

Other cell types:
5

overview
Male, age 20
Spleen sample 238
nTPM: 12.6
Cell types%
Lymphocytes:
40

Macrophages:
30

Endothelial cells:
15

Fibroblasts:
5

Other cell types:
10

overview
Female, age 19
Spleen sample 239
nTPM: 10
Cell types%
Lymphocytes:
40

Macrophages:
30

Endothelial cells:
15

Fibroblasts:
10

Other cell types:
5

overview
Female, age 65
Spleen sample 378
nTPM: 18.9
Cell types%
Lymphocytes:
35

Macrophages:
30

Endothelial cells:
20

Fibroblasts:
10

Other cell types:
5


SPLEEN - GTEx RNA-seqi

RNA-Seq data generated by the Genotype-Tissue Expression (GTEx) project from human tissues is reported as mean nTPM. More information can be found on the GTEx portal.

Distribution across the dataset is visualized with box plots, shown as median and 25th and 75th percentiles. Points are displayed as outliers if they are above or below 1.5 times the interquartile range. nTPM values of the individual samples are presented next to the box plot.
Max subtype nTPMi

Max subtype nTPM is the value for the subtype with the largest average nTPM across the subtype samples.

7.9
GTEx sample id Sample description nTPM
Spleen
Average nTPM: 7.9
Samples: 241

Max nTPM: 12.2
Min nTPM: 4.5
Std nTPM: 1.4
Median nTPM: 7.7
GTEX-15SB6-0126-SM-6LPJR 50-59 years, female 12.2
GTEX-13S86-0126-SM-5S2PI 40-49 years, male 11.8
GTEX-1IDJE-0126-SM-C1YQ6 50-59 years, female 11.2
GTEX-18A66-1826-SM-7KFSU 60-69 years, male 11.1
GTEX-ZZPU-0126-SM-5E446 50-59 years, female 11.0
GTEX-1HCU7-1426-SM-CNNQK 50-59 years, male 11.0
GTEX-1H3VY-1526-SM-9WG7S 50-59 years, male 10.8
GTEX-139YR-0426-SM-5IFFV 50-59 years, male 10.6
GTEX-13U4I-1626-SM-5IFFR 40-49 years, female 10.5
GTEX-1QP66-0126-SM-EAZ3N 50-59 years, male 10.5
GTEX-1R9JW-0126-SM-EAZ4P 30-39 years, female 10.5
GTEX-15DZA-0126-SM-6PAMV 30-39 years, female 10.3
GTEX-WY7C-0126-SM-4ONCO 50-59 years, male 10.3
GTEX-1GZ4H-0126-SM-9JGGI 50-59 years, female 10.3
GTEX-XV7Q-0126-SM-4BRVK 40-49 years, female 10.1
GTEX-11P81-1326-SM-5GU5S 30-39 years, female 10.0
GTEX-15RIG-0126-SM-6PAN4 40-49 years, male 10.0
GTEX-ZAB5-0526-SM-5CVMU 50-59 years, male 10.0
GTEX-1JK1U-0126-SM-C1YQY 60-69 years, male 10.0
GTEX-1JMPZ-0926-SM-CXZJR 30-39 years, male 10.0
GTEX-1B8KZ-0226-SM-7EWF6 50-59 years, male 9.9
GTEX-ZEX8-0726-SM-4WKH8 50-59 years, male 9.9
GTEX-1RAZA-1026-SM-E6CQ9 20-29 years, male 9.9
GTEX-QMRM-0226-SM-CL55S 50-59 years, male 9.9
GTEX-1HSMQ-0126-SM-D4P2I 50-59 years, male 9.8
GTEX-15SDE-0126-SM-793BA 50-59 years, female 9.7
GTEX-1C4CL-0626-SM-731DM 30-39 years, male 9.7
GTEX-WYVS-0126-SM-4ONDH 40-49 years, female 9.7
GTEX-Y5LM-0326-SM-4VBRN 40-49 years, female 9.7
GTEX-YEC4-0126-SM-4W21T 40-49 years, male 9.6
GTEX-1K2DA-0126-SM-CGQGV 50-59 years, male 9.6
GTEX-Y3I4-0126-SM-4TT26 50-59 years, male 9.5
GTEX-1RAZQ-0126-SM-EV7B1 30-39 years, male 9.5
GTEX-11P7K-0426-SM-5BC5H 30-39 years, male 9.4
GTEX-13OVK-0426-SM-7KFT8 40-49 years, male 9.4
GTEX-15RJ7-0126-SM-6LPJN 40-49 years, male 9.4
GTEX-VJYA-0126-SM-4KL1P 60-69 years, male 9.4
GTEX-17GQL-0126-SM-72D5Q 60-69 years, male 9.3
GTEX-Q734-0226-SM-48U1A 40-49 years, female 9.3
GTEX-ZPU1-1026-SM-4YCEQ 40-49 years, male 9.3
GTEX-111CU-0426-SM-5GZY1 50-59 years, male 9.2
GTEX-13N11-0126-SM-5KM2Z 50-59 years, female 9.2
GTEX-169BO-0126-SM-79OLS 50-59 years, male 9.2
GTEX-1B97J-1926-SM-7IGQB 50-59 years, female 9.2
GTEX-XPVG-0626-SM-4B65B 50-59 years, male 9.2
GTEX-ZDTT-1026-SM-5KM19 60-69 years, male 9.2
GTEX-1KD5A-1526-SM-D4P3W 50-59 years, male 9.2
GTEX-1L5NE-0926-SM-D4P3P 50-59 years, male 9.2
GTEX-13X6H-0726-SM-5Q5BX 50-59 years, female 9.1
GTEX-14BMU-0426-SM-73KYT 20-29 years, female 9.1
GTEX-Y8LW-0126-SM-4VBS1 50-59 years, female 9.1
GTEX-ZV6S-0826-SM-5NQ6Z 40-49 years, female 9.1
GTEX-11DXX-0726-SM-5H12X 60-69 years, female 9.0
GTEX-15RIF-0526-SM-6LLI2 20-29 years, male 9.0
GTEX-1AMFI-0926-SM-731E4 50-59 years, female 9.0
GTEX-YB5E-0426-SM-5IFHR 40-49 years, male 9.0
GTEX-12WSN-0126-SM-5DUX5 40-49 years, male 8.9
GTEX-144GN-2126-SM-5O99D 50-59 years, male 8.9
GTEX-P4QS-0926-SM-48TBS 60-69 years, male 8.9
GTEX-U4B1-0526-SM-4DXTK 40-49 years, male 8.9
GTEX-111FC-1326-SM-5N9D9 60-69 years, male 8.8
GTEX-145MN-0126-SM-5RQHY 30-39 years, male 8.8
GTEX-16XZY-0126-SM-7IGQ9 70-79 years, male 8.8
GTEX-1CB4E-0126-SM-7DHMX 60-69 years, male 8.8
GTEX-1GF9U-0126-SM-AHZ4G 40-49 years, female 8.8
GTEX-1JMQK-1126-SM-CXZJW 60-69 years, male 8.8
GTEX-14PJ4-0526-SM-6871G 60-69 years, male 8.7
GTEX-14PJ6-0226-SM-6AJ9K 60-69 years, female 8.7
GTEX-ZTTD-1726-SM-57WEL 50-59 years, male 8.7
GTEX-1J8Q3-0126-SM-C1YSI 60-69 years, male 8.7
GTEX-1JKYN-0326-SM-AHZ4D 30-39 years, male 8.7
GTEX-OOBJ-0926-SM-48TDO 60-69 years, male 8.6
GTEX-PW2O-0126-SM-48TC8 20-29 years, male 8.6
GTEX-Y3IK-0126-SM-4WWE9 50-59 years, female 8.6
GTEX-11VI4-0126-SM-5GU6Z 40-49 years, female 8.5
GTEX-132QS-0226-SM-5IFFZ 60-69 years, male 8.5
GTEX-14DAR-0326-SM-5S2PS 50-59 years, male 8.5
GTEX-15F5U-0126-SM-6LPKA 40-49 years, male 8.5
GTEX-1A3MV-0126-SM-731FQ 30-39 years, male 8.5
GTEX-1AX9K-0226-SM-793CM 50-59 years, male 8.5
GTEX-1RMOY-0726-SM-EV79D 50-59 years, male 8.5
GTEX-11XUK-0426-SM-5EQML 40-49 years, female 8.4
GTEX-13PL7-1126-SM-5MR5O 60-69 years, female 8.4
GTEX-13VXT-1326-SM-5LU3Y 20-29 years, female 8.4
GTEX-15UF7-1926-SM-6LPJT 40-49 years, male 8.4
GTEX-16MT9-1726-SM-6M47P 60-69 years, female 8.4
GTEX-1J8QM-0926-SM-C1YQ9 60-69 years, female 8.4
GTEX-14E6E-1226-SM-5S2R5 30-39 years, male 8.3
GTEX-YFCO-0926-SM-5LUA5 40-49 years, male 8.3
GTEX-1OFPY-0126-SM-EXOJ3 60-69 years, male 8.3
GTEX-11NSD-0426-SM-5N9CR 20-29 years, male 8.2
GTEX-131XE-1126-SM-5EGHW 50-59 years, male 8.2
GTEX-146FQ-0626-SM-5LU9U 30-39 years, male 8.2
GTEX-15ER7-1526-SM-6LLHO 20-29 years, female 8.2
GTEX-U3ZN-0126-SM-4DXUM 30-39 years, female 8.2
GTEX-OIZF-0926-SM-7MKH7 60-69 years, male 8.2
GTEX-POMQ-0126-SM-48TD6 20-29 years, female 8.1
GTEX-R55G-0226-SM-48FEI 40-49 years, female 8.1
GTEX-UPK5-1626-SM-4JBHI 40-49 years, male 8.1
GTEX-WHWD-0126-SM-4OORS 50-59 years, male 8.1
GTEX-ZF2S-0326-SM-4WKGD 50-59 years, female 8.1
GTEX-ZP4G-0326-SM-4YCEF 20-29 years, female 8.1
GTEX-1LSNM-0126-SM-EAZ57 50-59 years, male 8.1
GTEX-131XG-0426-SM-5IFGD 50-59 years, female 8.0
GTEX-14PK6-0526-SM-69LOF 70-79 years, female 8.0
GTEX-15DYW-1426-SM-6LPIW 60-69 years, female 8.0
GTEX-RUSQ-0126-SM-47JWV 50-59 years, male 8.0
GTEX-W5WG-0626-SM-4SOID 50-59 years, female 8.0
GTEX-1IDJC-0126-SM-C1YQC 50-59 years, male 8.0
GTEX-1K9T9-0626-SM-CXZKY 50-59 years, female 8.0
GTEX-1CB4I-1426-SM-79OLZ 50-59 years, male 7.9
GTEX-1LGRB-0126-SM-CNNR6 50-59 years, female 7.9
GTEX-14E1K-0126-SM-664NL 50-59 years, male 7.8
GTEX-QDVN-0526-SM-48TZ4 50-59 years, male 7.8
GTEX-X585-1826-SM-4QAS3 50-59 years, male 7.8
GTEX-1R9PM-0126-SM-DPRY6 20-29 years, male 7.8
GTEX-1S831-0726-SM-EV79O 20-29 years, male 7.8
GTEX-P78B-1226-SM-EZ6KP 40-49 years, female 7.8
GTEX-147F3-0126-SM-5NQBJ 50-59 years, female 7.7
GTEX-15CHQ-1226-SM-6ETZL 60-69 years, male 7.7
GTEX-15ETS-3126-SM-6LPKN 40-49 years, female 7.7
GTEX-17F9E-1126-SM-79OMO 50-59 years, male 7.7
GTEX-1CB4F-0226-SM-7EPHS 60-69 years, male 7.7
GTEX-U3ZH-0126-SM-4DXUK 30-39 years, male 7.7
GTEX-YB5K-1926-SM-4VDT4 40-49 years, female 7.7
GTEX-ZYFG-0726-SM-5GIDX 60-69 years, female 7.7
GTEX-1MCYP-0226-SM-EV7A3 20-29 years, female 7.7
GTEX-1QP29-0126-SM-EAZ3S 50-59 years, male 7.7
GTEX-1R9K5-1126-SM-EAZ4G 50-59 years, male 7.7
GTEX-12WSG-0926-SM-5EGIH 50-59 years, female 7.6
GTEX-15CHC-0726-SM-6AJ9D 60-69 years, female 7.6
GTEX-17F96-1426-SM-7IGQA 70-79 years, male 7.6
GTEX-1B97I-0126-SM-731DH 40-49 years, male 7.6
GTEX-PLZ6-0126-SM-48TC6 30-39 years, male 7.6
GTEX-UJHI-0126-SM-4IHLP 50-59 years, female 7.6
GTEX-XMK1-0126-SM-4B65F 40-49 years, male 7.6
GTEX-1122O-0526-SM-5N9DM 60-69 years, female 7.5
GTEX-1211K-0426-SM-5FQTP 60-69 years, female 7.5
GTEX-1399R-0226-SM-5IJGG 30-39 years, male 7.5
GTEX-17HHE-0326-SM-793BH 50-59 years, male 7.5
GTEX-S4Z8-0226-SM-4AD5K 60-69 years, male 7.5
GTEX-X3Y1-0126-SM-4PQZA 40-49 years, male 7.5
GTEX-1R7EV-0126-SM-EAZ3O 40-49 years, male 7.5
GTEX-ZPCL-0626-SM-DNZZ6 60-69 years, female 7.5
GTEX-13CF3-0226-SM-5J1NW 60-69 years, female 7.4
GTEX-ZVZP-0726-SM-59HKA 50-59 years, male 7.4
GTEX-1RAZR-1626-SM-EAZ4V 40-49 years, male 7.4
GTEX-1RNTQ-1026-SM-EV7B4 20-29 years, female 7.4
GTEX-P4QT-0926-SM-EZ6KQ 50-59 years, female 7.4
GTEX-12WSK-0126-SM-5GCO7 40-49 years, female 7.3
GTEX-14PJ5-0326-SM-664OD 60-69 years, female 7.3
GTEX-14PKU-0526-SM-6871A 40-49 years, female 7.3
GTEX-17F97-1626-SM-72D6W 50-59 years, male 7.3
GTEX-1C6VQ-2126-SM-7IGNL 50-59 years, male 7.3
GTEX-Q2AH-0226-SM-48U1I 40-49 years, male 7.3
GTEX-1F75I-0226-SM-7MKHQ 40-49 years, male 7.3
GTEX-1LG7Z-0126-SM-EV79V 30-39 years, male 7.3
GTEX-11LCK-0126-SM-5A5M5 30-39 years, male 7.2
GTEX-1399S-0226-SM-5IFFG 30-39 years, female 7.2
GTEX-14PN3-0226-SM-6871K 60-69 years, female 7.2
GTEX-15SHV-0126-SM-6LPIS 60-69 years, male 7.2
GTEX-OIZH-0926-SM-48TBR 50-59 years, male 7.2
GTEX-1MGNQ-1126-SM-EAZ4Y 40-49 years, male 7.2
GTEX-11EQ9-0426-SM-5A5JY 30-39 years, male 7.1
GTEX-139T6-0226-SM-5IFGZ 50-59 years, male 7.1
GTEX-146FR-1926-SM-5NQA6 60-69 years, female 7.1
GTEX-XAJ8-0126-SM-47JYG 40-49 years, male 7.1
GTEX-ZF29-0626-SM-4WKHD 60-69 years, female 7.1
GTEX-1JKYR-1126-SM-CGQGJ 20-29 years, male 7.1
GTEX-1LVAN-1026-SM-CNNQZ 50-59 years, female 7.1
GTEX-1QCLZ-1026-SM-E6CR1 60-69 years, female 7.1
GTEX-14JG6-0226-SM-6872A 30-39 years, female 7.0
GTEX-Z9EW-0726-SM-5HL9H 40-49 years, male 7.0
GTEX-ZLWG-0426-SM-4WWFA 50-59 years, female 7.0
GTEX-ZVP2-0526-SM-51MSC 50-59 years, male 7.0
GTEX-1QP2A-2526-SM-EXOJB 50-59 years, male 7.0
GTEX-1AYD5-0226-SM-79ONV 50-59 years, male 6.9
GTEX-QLQW-0126-SM-447BK 30-39 years, male 6.9
GTEX-WFON-0126-SM-4LVM9 40-49 years, male 6.9
GTEX-XQ8I-1726-SM-4BOQB 50-59 years, male 6.9
GTEX-1QMI2-1526-SM-EXOJT 60-69 years, male 6.9
GTEX-117YX-2126-SM-5GIEL 50-59 years, male 6.8
GTEX-12WSJ-0526-SM-5GCOZ 40-49 years, female 6.8
GTEX-14ICL-0126-SM-664NG 30-39 years, male 6.8
GTEX-P4PP-0926-SM-48TBZ 30-39 years, female 6.8
GTEX-PX3G-0926-SM-48U12 20-29 years, female 6.8
GTEX-QCQG-0226-SM-48U28 50-59 years, female 6.8
GTEX-T5JW-0126-SM-4DM6K 20-29 years, female 6.8
GTEX-ZLFU-0526-SM-4WWBN 40-49 years, male 6.8
GTEX-1MCC2-0826-SM-EV7AM 30-39 years, female 6.8
GTEX-QV44-0126-SM-CJI1X 50-59 years, male 6.8
GTEX-12BJ1-0726-SM-5EGGF 60-69 years, male 6.7
GTEX-13111-0126-SM-5EGHO 50-59 years, male 6.7
GTEX-1C475-1126-SM-7MGY7 40-49 years, female 6.7
GTEX-1KAFJ-1026-SM-D4P2Z 50-59 years, male 6.7
GTEX-1PPH7-0126-SM-E6CPB 40-49 years, male 6.7
GTEX-ZG7Y-2026-SM-DO91N 50-59 years, male 6.7
GTEX-13FH7-1326-SM-5IFG8 50-59 years, female 6.6
GTEX-13PVR-0326-SM-5RQJY 60-69 years, female 6.6
GTEX-XGQ4-0126-SM-4AT4H 50-59 years, male 6.6
GTEX-Y114-0726-SM-4TT6U 50-59 years, female 6.6
GTEX-1R7EU-2026-SM-E9U63 60-69 years, male 6.6
GTEX-12WSD-1726-SM-5GCN4 60-69 years, female 6.5
GTEX-16MT8-1826-SM-7EWE8 60-69 years, female 6.5
GTEX-O5YT-0926-SM-48TDG 20-29 years, male 6.5
GTEX-WXYG-0126-SM-4OND7 50-59 years, female 6.5
GTEX-1HCU9-0126-SM-9WG7M 20-29 years, male 6.5
GTEX-1QCLY-0126-SM-DPRZV 30-39 years, male 6.4
GTEX-ZPIC-0126-SM-DNZZ9 40-49 years, female 6.4
GTEX-X4LF-0226-SM-4QAS8 50-59 years, male 6.3
GTEX-1F5PK-0726-SM-7MGXN 50-59 years, male 6.3
GTEX-1FIGZ-0126-SM-7MKGZ 40-49 years, male 6.2
GTEX-1H3O1-1126-SM-9WPO9 60-69 years, male 6.2
GTEX-1MUQO-1326-SM-EV7AE 60-69 years, male 6.2
GTEX-1PIIG-1226-SM-EXOIQ 30-39 years, male 6.2
GTEX-R55C-0126-SM-48FEQ 40-49 years, male 6.2
GTEX-18A67-1526-SM-7LG6F 50-59 years, male 6.1
GTEX-1JMLX-1426-SM-CNNPO 50-59 years, male 6.1
GTEX-1N2EF-1526-SM-EXOIY 60-69 years, male 6.1
GTEX-1PDJ9-0226-SM-DPRYX 20-29 years, male 6.1
GTEX-WYJK-0726-SM-4ONC9 50-59 years, male 6.0
GTEX-1QAET-2326-SM-EXOJ1 50-59 years, male 6.0
GTEX-1R9K4-1526-SM-DPRY5 60-69 years, male 6.0
GTEX-P4PQ-0926-SM-E9U4D 60-69 years, male 6.0
GTEX-QESD-0126-SM-EXOHG 20-29 years, male 6.0
GTEX-QV31-0126-SM-447BP 30-39 years, male 5.9
GTEX-XXEK-0126-SM-4BRVU 50-59 years, male 5.9
GTEX-QDT8-1526-SM-EXOHP 30-39 years, female 5.9
GTEX-1C64O-1626-SM-731EN 60-69 years, male 5.7
GTEX-ZDYS-1026-SM-4WKHC 50-59 years, male 5.7
GTEX-NFK9-1426-SM-43ISG 40-49 years, male 5.7
GTEX-1PWST-1626-SM-EXOIU 70-79 years, male 5.5
GTEX-1F5PL-2226-SM-7MKHE 40-49 years, female 5.4
GTEX-1MJK3-0126-SM-DPRYY 20-29 years, male 5.4
GTEX-Y5V5-1126-SM-EVYAR 60-69 years, female 5.4
GTEX-17F98-0126-SM-7MGW3 40-49 years, female 5.3
GTEX-1LSVX-1426-SM-DHXJO 60-69 years, male 4.9
GTEX-S3XE-0626-SM-4AD6B 50-59 years, male 4.7
GTEX-1KANA-1226-SM-DHXKE 20-29 years, male 4.6
GTEX-1LNCM-0426-SM-DHXK6 50-59 years, female 4.6
GTEX-1QW4Y-0126-SM-DPRZQ 30-39 years, male 4.5
Show allShow less

SPLEEN - FANTOM5 CAGEi

RNA expression in human tissues obtained through Cap Analysis of Gene Expression (CAGE) generated by the FANTOM5 project are reported as Scaled Tags Per Million.

Max subtype Scaled Tags Per Millioni

Max subtype Scaled Tags Per Million is the value for the subtype with the largest average Scaled Tags Per Million across the subtype samples.

35.7
FANTOM5 sample id Sample description Scaled Tags Per Million
Spleen
Scaled Tags Per Million: 35.7
FF:10025-101D7 39,50,70 years, male 35.7

Contact

  • NEWS ARTICLES
  • PRESS ROOM

The Project

  • INTRODUCTION
  • ORGANIZATION
  • PUBLICATIONS

The Human Protein Atlas

  • DOWNLOADABLE DATA
  • LICENCE & CITATION
  • HELP & FAQ
The Human Protein Atlas project is funded
by the Knut & Alice Wallenberg Foundation.


contact@proteinatlas.org