We use cookies to enhance the usability of our website. If you continue, we'll assume that you are happy to receive all cookies. More information. Don't show this again.
SLC25A37
HPA
RESOURCES
  • TISSUE
  • BRAIN
  • SINGLE CELL
  • SUBCELLULAR
  • CANCER
  • BLOOD
  • CELL LINE
  • STRUCTURE & INTERACTION
ABOUT
  • INTRODUCTION
  • HISTORY
  • ORGANIZATION
  • PUBLICATIONS
  • ANTIBODY SUBMISSION
  • ANTIBODY AVAILABILITY
  • ACKNOWLEDGMENTS
  • CONTACT
NEWS
  • NEWS ARTICLES
  • PRESS ROOM
LEARN
  • DICTIONARY
  • PROTEIN CLASSES
  • PROTEIN EVIDENCE
  • METHODS
  • EDUCATIONAL VIDEOS
DATA
  • DOWNLOADABLE DATA
  • PUBLICATION DATA
  • RELEASE HISTORY
HELP
  • ANTIBODY VALIDATION
  • ASSAYS & ANNOTATION
  • DISCLAIMER
  • HELP & FAQ
  • PRIVACY STATEMENT
  • LICENCE & CITATION
Fields »
Search result

Field
Term
Gene name
Class
Subclass
Class
Keyword
Chromosome
External id
Tissue
Cell type
Expression
Antibody panel
Tissue
Main location
Patient ID
Annotation
Tissue
Category
Tau score
Cluster
Reliability
Brain region
Category
Tau score
Brain region
Category
Tau score
Brain region
Category
Tau score
Cluster
Reliability
Tissue
Cell type
Enrichment
Cell type
Category
Tau score
Cell type
Category
Tau score
Cell type
Category
Tau score
Cell lineage
Category
Tau score
Cluster
Cluster
Location
Searches
Location
Cell line
Class
Type
Phase
Reliability
Cancer
Prognosis
Cancer
Category
Cancer
Category
Tau score
Cluster
Variants
Interacting gene (ensg_id)
Type
Number of interactions
Pathway
Category
Score
Score
Score
Validation
Validation
Validation
Validation
Antibodies
Data type
Column


  • SUMMARY

  • TISSUE

  • BRAIN

  • SINGLE CELL

  • SUBCELL

  • CANCER

  • BLOOD

  • CELL LINE

  • STRUCT & INT

  • SLC25A37
TISSUE PRIMARY DATA SKIN Show tissue menu
ADIPOSE TISSUE ADRENAL GLAND AMYGDALA APPENDIX BASAL GANGLIA BONE MARROW BREAST BRONCHUS CEREBELLUM CEREBRAL CORTEX CERVIX CHOROID PLEXUS COLON DUODENUM
ENDOMETRIUM EPIDIDYMIS ESOPHAGUS FALLOPIAN TUBE GALLBLADDER HEART MUSCLE HIPPOCAMPAL FORMATION HYPOTHALAMUS KIDNEY LIVER LUNG LYMPH NODE MIDBRAIN NASOPHARYNX
ORAL MUCOSA OVARY PANCREAS PARATHYROID GLAND PITUITARY GLAND PLACENTA PROSTATE RECTUM RETINA SALIVARY GLAND SEMINAL VESICLE SKELETAL MUSCLE SKIN SMALL INTESTINE
SMOOTH MUSCLE SOFT TISSUE SPINAL CORD SPLEEN STOMACH TESTIS THYMUS THYROID GLAND TONGUE TONSIL URINARY BLADDER VAGINA
ANTIBODIES
AND
VALIDATION
Dictionary
Skin
Tissue proteome
Skin
SKIN - Expression summary
Protein expression
Skini

On the top, protein expression in current human tissue, based on all annotated cell types, is reported with the units not detected (n), low (l), medium (m) and high (h). Underneath, protein expression in each annotated cell type are reported using the same units.

Protein expression data is based on knowledge-based annotation. For genes where more than one antibody has been used, a collective score is set.

If knowledge-based annotation could not be performed for a gene, no data is displayed here. View antibody staining data further down this page.

h
m
l
n
Epidermal cells: Low
Fibroblasts: Not detected
Keratinocytes: Low
Langerhans: Not detected
Melanocytes: Medium
RNA expressioni

A summary of mRNA expression data available for current tissue based on several datasets. The mRNA expression levels in human tissues are based on RNA-seq data generated by the Human Protein Atlas (HPA), Genotype-Tissue Expression (GTEx) portal and CAGE data generated by the FANTOM5 consortium. Consensus normalized expression levels for human tissues was created by combining the data from HPA and GTEx datasets.

The mRNA expression levels in pig are based on RNA-seq data generated by the Human Protein Atlas (HPA), and for mouse, HPA data and in situ hybridization generated by the Allen brain atlas are reported.

Scroll down to view mRNA expression data in more detail.
Consensus:9.8 nTPM
HPA:8.0 nTPM
GTEx:9.8 nTPM

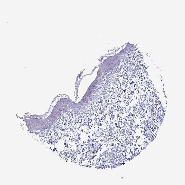
SKIN 1 - Antibody stainingi

Antibody staining in the annotated cell types in the current human tissue is reported as not detected, low, medium, or high, based on conventional immunohistochemistry profiling in selected tissues. This score is based on the combination of the staining intensity and fraction of stained cells.

Each image is clickable and will lead to virtual microscopy that enables deeper exploration of all samples and also displays staining intensity scores, fraction scores and subcellular localization as well as patient and tissue information for each sample.

Antibody HPA045680
Langerhans Not detected
Fibroblasts Not detected
Keratinocytes Low
Melanocytes Medium


SKIN 2 - Antibody stainingi

Antibody staining in the annotated cell types in the current human tissue is reported as not detected, low, medium, or high, based on conventional immunohistochemistry profiling in selected tissues. This score is based on the combination of the staining intensity and fraction of stained cells.

Each image is clickable and will lead to virtual microscopy that enables deeper exploration of all samples and also displays staining intensity scores, fraction scores and subcellular localization as well as patient and tissue information for each sample.

Antibody HPA045680
Epidermal cells Low
 
 
 

SKIN - HPA RNA-seqi

The RNA-seq details section shows detailed information about the individual samples used for the transcript profiling and results of the RNA-seq analysis.

Information about each individual sample is listed below, including gender, age, a tissue section image and estimated fractions of cell types. nTPM (normalized transcripts per million) values give a quantification of the gene abundance which is comparable between different genes and samples.
Average nTPMi

Max subtype nTPM is the value for the subtype with the largest average nTPM across the subtype samples.

8.0
overview
Female, age 34
Skin sample 225
nTPM: 6.7
Cell types%
Keratinocytes:
60

Other cell types:
40

overview
Female, age 30
Skin sample 226
nTPM: 7.1
Cell types%
Keratinocytes:
55

Other cell types:
45

N/A
Male, age 57
Skin sample 227
nTPM: 10.3

SKIN - GTEx RNA-seqi

RNA-Seq data generated by the Genotype-Tissue Expression (GTEx) project from human tissues is reported as mean nTPM. More information can be found on the GTEx portal.

Distribution across the dataset is visualized with box plots, shown as median and 25th and 75th percentiles. Points are displayed as outliers if they are above or below 1.5 times the interquartile range. nTPM values of the individual samples are presented next to the box plot.
Max subtype nTPMi

Max subtype nTPM is the value for the subtype with the largest average nTPM across the subtype samples.

9.8
GTEx sample id Sample description nTPM
Skin - Not Sun Exposed (Suprapubic)
Average nTPM: 9.8
Samples: 604

Max nTPM: 26.1
Min nTPM: 3.3
Std nTPM: 3.4
Median nTPM: 9.1
GTEX-1A3MX-2626-SM-7PC24 60-69 years, male 26.1
GTEX-1F88E-1626-SM-7SB8Z 60-69 years, female 25.3
GTEX-11WQK-1026-SM-5EQLX 50-59 years, male 25.1
GTEX-11TT1-1826-SM-5EQLV 20-29 years, male 23.9
GTEX-1H23P-0626-SM-9WG6T 60-69 years, male 22.2
GTEX-1LVAO-2726-SM-E9TJ8 60-69 years, male 22.0
GTEX-1R9PN-0426-SM-DTXDT 40-49 years, female 21.8
GTEX-14E6C-2426-SM-5S2NF 40-49 years, male 21.7
GTEX-132AR-0326-SM-5KM2C 50-59 years, female 21.4
GTEX-U8XE-0226-SM-4E3J3 30-39 years, male 20.0
GTEX-1ICG6-1226-SM-A9SLN 70-79 years, female 20.0
GTEX-WHSE-0126-SM-3NMBT 20-29 years, male 19.9
GTEX-16XZZ-0726-SM-7KUF2 60-69 years, male 19.6
GTEX-1JMQL-2226-SM-CNPP4 50-59 years, female 19.5
GTEX-17EVQ-0126-SM-7IGLR 70-79 years, male 19.2
GTEX-X4EP-0626-SM-3P621 60-69 years, female 19.1
GTEX-1A3MW-0626-SM-731CB 60-69 years, female 19.0
GTEX-Y5LM-0926-SM-6LLJG 40-49 years, female 19.0
GTEX-ZYFD-0626-SM-5E44E 50-59 years, male 19.0
GTEX-XK95-0226-SM-4AT58 40-49 years, male 18.7
GTEX-XBEC-0726-SM-4QARZ 50-59 years, male 18.6
GTEX-WI4N-2726-SM-3LK7Y 40-49 years, female 18.0
GTEX-ZWKS-0626-SM-5GIDV 30-39 years, male 17.7
GTEX-16GPK-0626-SM-7KFSF 60-69 years, male 17.4
GTEX-ZVE1-0726-SM-51MRN 50-59 years, female 17.0
GTEX-1GZ2Q-0126-SM-9WG6M 40-49 years, male 16.9
GTEX-13OVH-0526-SM-5L3E6 70-79 years, male 16.7
GTEX-1L5NE-1126-SM-D3L9P 50-59 years, male 16.7
GTEX-111FC-2526-SM-5GZXU 60-69 years, male 16.3
GTEX-1F75B-0726-SM-7PC3R 50-59 years, male 16.3
GTEX-1IDJV-0126-SM-COH3Y 60-69 years, male 16.3
GTEX-1J1OQ-0126-SM-D4P2N 40-49 years, female 16.2
GTEX-1LG7Z-1626-SM-CXKYR 30-39 years, male 16.2
GTEX-16MT9-0126-SM-7EPI8 60-69 years, female 16.0
GTEX-UPK5-0426-SM-3GAEK 40-49 years, male 15.9
GTEX-13NZ8-1226-SM-5KM4A 60-69 years, female 15.8
GTEX-XV7Q-1826-SM-4BRUV 40-49 years, female 15.7
GTEX-13U4I-2226-SM-5LU5H 40-49 years, female 15.6
GTEX-1H3VE-0726-SM-9YFL5 40-49 years, male 15.6
GTEX-13RTJ-0126-SM-5S2NN 60-69 years, male 15.5
GTEX-X8HC-0626-SM-4E3HQ 50-59 years, female 15.5
GTEX-13W3W-0726-SM-5IJDQ 60-69 years, female 15.3
GTEX-1399R-1326-SM-5PNYS 30-39 years, male 15.1
GTEX-1RMOY-1326-SM-E9TIH 50-59 years, male 15.1
GTEX-ZYY3-2926-SM-5GIEB 60-69 years, female 14.9
GTEX-1HCU8-2526-SM-CE6RX 60-69 years, female 14.9
GTEX-1I4MK-0126-SM-CY8G6 50-59 years, female 14.7
GTEX-WYJK-0526-SM-3NM8Z 50-59 years, male 14.6
GTEX-XPVG-2126-SM-4B667 50-59 years, male 14.6
GTEX-XUW1-0926-SM-4BONX 50-59 years, female 14.6
GTEX-ZVTK-0226-SM-51MRG 20-29 years, male 14.5
GTEX-1K2DU-1226-SM-CYPT4 20-29 years, male 14.5
GTEX-12WSA-0426-SM-5EQ5X 60-69 years, male 14.4
GTEX-ZYW4-0626-SM-59HJR 60-69 years, male 14.4
GTEX-XMD2-2126-SM-4YCF8 60-69 years, female 14.3
GTEX-1S82U-1026-SM-E6CJK 30-39 years, female 14.3
GTEX-13NYC-0126-SM-5L3F4 60-69 years, male 14.1
GTEX-1JMOU-1026-SM-CYPSS 60-69 years, female 14.1
GTEX-145LT-0526-SM-5LUB2 40-49 years, male 14.0
GTEX-12WSF-1626-SM-7KUG5 70-79 years, male 13.9
GTEX-13JUV-2026-SM-5K7UA 40-49 years, female 13.8
GTEX-14BMU-1226-SM-5S2OR 20-29 years, female 13.8
GTEX-1AX9J-1326-SM-731BJ 60-69 years, male 13.8
GTEX-1CB4I-0126-SM-7RHGG 50-59 years, male 13.8
GTEX-1JMQI-1726-SM-ARL93 50-59 years, male 13.8
GTEX-1S5ZU-2526-SM-E6CIF 20-29 years, female 13.8
GTEX-17JCI-2926-SM-7DUFF 60-69 years, female 13.7
GTEX-1F88F-0126-SM-9WYSZ 60-69 years, female 13.7
GTEX-14LLW-2626-SM-62LDZ 70-79 years, female 13.5
GTEX-VJYA-1526-SM-3GIJV 60-69 years, male 13.5
GTEX-1I19N-0126-SM-CYPSF 70-79 years, male 13.5
GTEX-13QBU-1226-SM-5LU4G 40-49 years, female 13.4
GTEX-ZU9S-1826-SM-5NQ9E 30-39 years, male 13.4
GTEX-14E6E-0526-SM-793DN 30-39 years, male 13.3
GTEX-WH7G-2026-SM-3NMBL 40-49 years, male 13.3
GTEX-11GSP-2326-SM-5HL63 60-69 years, female 13.2
GTEX-V1D1-2026-SM-3GAF4 50-59 years, male 13.2
GTEX-1J8QM-2426-SM-A9SLS 60-69 years, female 13.2
GTEX-13O3Q-0126-SM-5KM34 50-59 years, male 13.1
GTEX-1H1DF-1126-SM-9WG7G 40-49 years, female 13.1
GTEX-17MF6-2626-SM-79OKQ 40-49 years, male 13.0
GTEX-1K2DA-1026-SM-CGQGF 50-59 years, male 13.0
GTEX-1POEN-2326-SM-E9J2L 30-39 years, female 13.0
GTEX-1QP66-1226-SM-DTX7U 50-59 years, male 13.0
GTEX-1S82P-2126-SM-E6CI5 60-69 years, female 13.0
GTEX-14A5H-0826-SM-5QGPJ 60-69 years, male 12.9
GTEX-15CHC-1126-SM-6LLHQ 60-69 years, female 12.9
GTEX-1AX8Z-0726-SM-73KTS 60-69 years, male 12.9
GTEX-1CAV2-0126-SM-7IGN7 40-49 years, female 12.9
GTEX-ZLV1-1526-SM-DO91J 60-69 years, female 12.9
GTEX-13NZ9-2626-SM-5L3FK 50-59 years, male 12.8
GTEX-1B996-0426-SM-7EWF8 60-69 years, male 12.8
GTEX-VUSG-2326-SM-4KL1U 50-59 years, male 12.8
GTEX-1LSNM-0826-SM-DIPG8 50-59 years, male 12.8
GTEX-11EQ8-0926-SM-5H12V 60-69 years, male 12.7
GTEX-12WSC-2826-SM-5BC5Y 50-59 years, male 12.7
GTEX-14PK6-0226-SM-62LF5 70-79 years, female 12.7
GTEX-XYKS-1426-SM-4BRUO 60-69 years, female 12.7
GTEX-1IDJD-2326-SM-ACKWX 30-39 years, male 12.7
GTEX-11UD2-2526-SM-5CVNU 50-59 years, male 12.6
GTEX-13NYS-0626-SM-5L3F1 60-69 years, male 12.6
GTEX-144GO-2026-SM-5O99P 60-69 years, male 12.6
GTEX-ZAJG-1526-SM-5CVML 50-59 years, female 12.6
GTEX-1GF9U-2026-SM-7SB92 40-49 years, female 12.6
GTEX-1HBPM-0726-SM-9YFL7 60-69 years, female 12.6
GTEX-1JN1M-2726-SM-CY8I4 60-69 years, female 12.6
GTEX-1GF9X-1326-SM-7PC2Y 40-49 years, female 12.5
GTEX-1HSMO-0626-SM-ACKXC 60-69 years, male 12.5
GTEX-1ICLY-0826-SM-CMKG1 50-59 years, male 12.5
GTEX-1QAET-0326-SM-EVR3U 50-59 years, male 12.5
GTEX-15DDE-2926-SM-6LLJ3 50-59 years, female 12.3
GTEX-1GMR2-0826-SM-7PC3V 50-59 years, male 12.3
GTEX-1J8Q2-2626-SM-ACKWQ 60-69 years, male 12.3
GTEX-14PJ2-0626-SM-6LLII 50-59 years, male 12.2
GTEX-1IL2V-1926-SM-B2LW8 70-79 years, male 12.2
GTEX-1K9T9-1526-SM-DIPFR 50-59 years, female 12.2
GTEX-131YS-2826-SM-5EQ47 60-69 years, female 12.1
GTEX-16Z82-2626-SM-7KULU 60-69 years, male 12.1
GTEX-WYVS-1626-SM-3NM9R 40-49 years, female 12.1
GTEX-1GMR3-0126-SM-A9SLW 40-49 years, male 12.1
GTEX-1H1ZS-2726-SM-9WG75 70-79 years, male 12.1
GTEX-1HB9E-0126-SM-CM2S5 50-59 years, male 12.1
GTEX-1IDFM-0326-SM-ARL7V 60-69 years, male 12.1
GTEX-1JMQK-1226-SM-D4P2S 60-69 years, male 12.1
GTEX-13JVG-0726-SM-5KM16 60-69 years, male 12.0
GTEX-14AS3-1526-SM-5Q5ED 40-49 years, female 12.0
GTEX-1H2FU-0926-SM-9WPPT 60-69 years, female 12.0
GTEX-1J8JJ-0626-SM-ARZMQ 60-69 years, female 12.0
GTEX-1MCC2-1826-SM-DIPEX 30-39 years, female 12.0
GTEX-1117F-2926-SM-5GZYI 60-69 years, female 11.9
GTEX-11DXW-0826-SM-5H118 40-49 years, male 11.9
GTEX-11O72-0626-SM-5PNYE 40-49 years, male 11.9
GTEX-145LS-0626-SM-7EPG7 60-69 years, female 11.9
GTEX-14BMV-2826-SM-5TDED 50-59 years, male 11.9
GTEX-ZTSS-1426-SM-5985P 40-49 years, male 11.9
GTEX-1HCU9-0426-SM-9WYSD 20-29 years, male 11.9
GTEX-1JJE9-2626-SM-ARZMT 70-79 years, male 11.9
GTEX-1477Z-0326-SM-7IGLA 60-69 years, male 11.8
GTEX-ZDXO-3126-SM-5IJDF 60-69 years, male 11.8
GTEX-ZY6K-1426-SM-5GZX2 50-59 years, male 11.8
GTEX-1LVAM-0726-SM-E6CIL 50-59 years, female 11.8
GTEX-ZF3C-0626-SM-DO92O 50-59 years, female 11.8
GTEX-12584-0726-SM-5FQTK 40-49 years, male 11.7
GTEX-145MF-0926-SM-5Q5EA 50-59 years, male 11.7
GTEX-145MO-2826-SM-5LU96 60-69 years, male 11.7
GTEX-14DAQ-0626-SM-793DS 60-69 years, female 11.7
GTEX-1F6RS-2026-SM-7RHHC 60-69 years, female 11.7
GTEX-1H1DE-1326-SM-9KNUG 20-29 years, male 11.7
GTEX-1JN6P-2926-SM-CL54D 60-69 years, male 11.7
GTEX-1OJC4-2726-SM-E76PJ 50-59 years, female 11.7
GTEX-1RAZQ-1326-SM-E9TK6 30-39 years, male 11.7
GTEX-1AMEY-0826-SM-72D65 30-39 years, female 11.6
GTEX-ZUA1-2626-SM-5NQ92 40-49 years, male 11.6
GTEX-1212Z-0126-SM-59HK4 60-69 years, male 11.5
GTEX-145MI-0626-SM-5SI8S 60-69 years, female 11.5
GTEX-183WM-0326-SM-72D5V 70-79 years, female 11.5
GTEX-1CB4E-0926-SM-7EPHT 60-69 years, male 11.5
GTEX-XXEK-1626-SM-4BRUZ 50-59 years, male 11.5
GTEX-ZTTD-2826-SM-4YCFA 50-59 years, male 11.5
GTEX-1GMR8-0626-SM-7RHI7 50-59 years, female 11.5
GTEX-1B932-2326-SM-79OL5 40-49 years, female 11.4
GTEX-1HBPN-0126-SM-CGQEF 50-59 years, male 11.4
GTEX-1IDJC-1526-SM-B2LW4 50-59 years, male 11.4
GTEX-1LSNL-2726-SM-E9TKJ 50-59 years, male 11.4
GTEX-1S3DN-2126-SM-E9TIN 50-59 years, male 11.4
GTEX-15FZZ-0526-SM-7KUGD 30-39 years, female 11.3
GTEX-17F96-0126-SM-7EWDU 70-79 years, male 11.3
GTEX-1C64O-1326-SM-7MGWR 60-69 years, male 11.3
GTEX-1CAMR-1326-SM-7PC1F 20-29 years, male 11.3
GTEX-1RAZA-2226-SM-E9U4X 20-29 years, male 11.3
GTEX-139T8-0626-SM-5KLZX 60-69 years, male 11.2
GTEX-18465-2826-SM-7LT9J 50-59 years, male 11.2
GTEX-WFG8-2126-SM-3GIKQ 20-29 years, male 11.2
GTEX-1IDJI-0126-SM-CMKHS 50-59 years, female 11.2
GTEX-1QP28-1126-SM-EVYC4 50-59 years, female 11.2
GTEX-1314G-1326-SM-5BC6E 30-39 years, male 11.1
GTEX-133LE-2326-SM-5K7W3 20-29 years, female 11.1
GTEX-15CHR-1126-SM-7EWF4 50-59 years, male 11.1
GTEX-XQ3S-1426-SM-4BOPR 20-29 years, male 11.1
GTEX-1H1DG-2426-SM-9QEHJ 70-79 years, male 11.1
GTEX-1JJ6O-2726-SM-CNPOG 60-69 years, male 11.1
GTEX-1PPH7-1126-SM-DTX9A 40-49 years, male 11.1
GTEX-13FH7-1126-SM-5K7UG 50-59 years, female 11.0
GTEX-13O3O-2326-SM-5IJD6 60-69 years, female 11.0
GTEX-146FQ-2126-SM-5RQHU 30-39 years, male 11.0
GTEX-14C38-0726-SM-5SI6M 50-59 years, male 11.0
GTEX-14C5O-0326-SM-5ZZUX 60-69 years, male 11.0
GTEX-15D1Q-2826-SM-6LLH7 40-49 years, male 11.0
GTEX-YF7O-1526-SM-5IFI6 50-59 years, male 11.0
GTEX-ZT9W-1126-SM-57WDR 50-59 years, male 11.0
GTEX-ZYVF-0926-SM-5E44J 50-59 years, female 11.0
GTEX-1I1HK-2326-SM-CKZOH 60-69 years, male 11.0
GTEX-1IDJE-1426-SM-ADEIW 50-59 years, female 11.0
GTEX-1JMPZ-0726-SM-CY8HZ 30-39 years, male 11.0
GTEX-1QCLZ-2426-SM-EVYBW 60-69 years, female 11.0
GTEX-11DZ1-2426-SM-5GZZX 50-59 years, male 10.9
GTEX-13OW8-1026-SM-5J1NQ 60-69 years, male 10.9
GTEX-1A8G7-1326-SM-73KVM 60-69 years, male 10.9
GTEX-WFON-1926-SM-3LK7L 40-49 years, male 10.9
GTEX-XBEW-1126-SM-4QARW 40-49 years, male 10.9
GTEX-1JKYN-0826-SM-ARU8S 30-39 years, male 10.9
GTEX-11VI4-1126-SM-5EQMD 40-49 years, female 10.8
GTEX-15G19-2426-SM-7KUMR 60-69 years, male 10.8
GTEX-XOT4-0626-SM-4B66L 60-69 years, female 10.8
GTEX-ZAB4-2126-SM-5HL8U 40-49 years, male 10.8
GTEX-147JS-0226-SM-5S2U9 60-69 years, male 10.7
GTEX-XQ8I-0926-SM-4BOOF 50-59 years, male 10.7
GTEX-12696-0126-SM-5EQ4L 60-69 years, male 10.6
GTEX-14PKV-1126-SM-6LLJ1 20-29 years, female 10.6
GTEX-1CB4H-1126-SM-7MKGL 60-69 years, female 10.6
GTEX-1HFI6-0126-SM-CNPPI 40-49 years, male 10.6
GTEX-1LKK1-2626-SM-DKPQE 50-59 years, female 10.6
GTEX-1F75W-2726-SM-7SB8H 60-69 years, male 10.5
GTEX-1H1E6-0426-SM-9WYUS 30-39 years, male 10.5
GTEX-1H3NZ-2726-SM-9WYTQ 60-69 years, male 10.5
GTEX-1LG7Y-2526-SM-EWRO7 50-59 years, male 10.5
GTEX-ZPIC-0526-SM-DO91W 40-49 years, female 10.5
GTEX-117YX-1926-SM-5GIEC 50-59 years, male 10.4
GTEX-13PVQ-0626-SM-5LU47 50-59 years, male 10.4
GTEX-16MT8-2926-SM-7DUFO 60-69 years, female 10.4
GTEX-XBED-1926-SM-47JYP 60-69 years, male 10.4
GTEX-12BJ1-0926-SM-5EQ62 60-69 years, male 10.3
GTEX-139TU-0726-SM-5L3EK 60-69 years, male 10.3
GTEX-14PHY-1226-SM-5ZZWK 60-69 years, female 10.3
GTEX-14XAO-1226-SM-6EU1C 60-69 years, female 10.3
GTEX-16NPX-0726-SM-7KULC 50-59 years, male 10.3
GTEX-1GZHY-0626-SM-9KNVC 50-59 years, female 10.3
GTEX-1KD5A-0126-SM-E9U54 50-59 years, male 10.3
GTEX-11DXY-0126-SM-5H11Q 60-69 years, male 10.2
GTEX-ZE9C-2526-SM-5IJDR 60-69 years, male 10.2
GTEX-1N5O9-0926-SM-E9J3C 60-69 years, male 10.2
GTEX-12WSJ-1126-SM-5LZVJ 40-49 years, female 10.1
GTEX-13X6I-1826-SM-5SIAO 60-69 years, male 10.1
GTEX-14JG1-1526-SM-5YY9X 40-49 years, male 10.1
GTEX-WK11-2726-SM-3NMAQ 50-59 years, male 10.1
GTEX-1HC8U-1326-SM-9YFMJ 40-49 years, female 10.1
GTEX-1O9I2-0226-SM-EYYXD 50-59 years, male 10.1
GTEX-16NGA-0726-SM-731AO 40-49 years, female 10.0
GTEX-18A7B-2726-SM-7LG56 70-79 years, male 10.0
GTEX-ZVE2-2826-SM-5GU51 50-59 years, male 10.0
GTEX-1IDJU-1726-SM-CMKHU 60-69 years, female 10.0
GTEX-1J8Q3-0526-SM-ARL8U 60-69 years, male 10.0
GTEX-1JKYR-0626-SM-ARL8R 20-29 years, male 10.0
GTEX-1LVAN-0626-SM-CNPOQ 50-59 years, female 10.0
GTEX-14C39-1726-SM-5RQIL 40-49 years, male 9.9
GTEX-1AMFI-1326-SM-7939R 50-59 years, female 9.9
GTEX-1F48J-0726-SM-7RHGS 50-59 years, female 9.9
GTEX-1H1CY-0126-SM-9YFLY 60-69 years, female 9.9
GTEX-1399Q-2326-SM-5KM2X 40-49 years, male 9.8
GTEX-15RJE-2826-SM-7KUM9 40-49 years, male 9.8
GTEX-17F9Y-0126-SM-79OKX 70-79 years, female 9.8
GTEX-1EWIQ-0326-SM-7DHMQ 70-79 years, female 9.8
GTEX-1CB4J-1326-SM-7P8RX 60-69 years, male 9.8
GTEX-1GZ4H-0526-SM-9KNU9 50-59 years, female 9.8
GTEX-1QCLY-0226-SM-EWRNH 30-39 years, male 9.8
GTEX-11EQ9-1626-SM-5PNY8 30-39 years, male 9.7
GTEX-144GM-0526-SM-79OJO 20-29 years, male 9.7
GTEX-YB5K-2026-SM-4VDT3 40-49 years, female 9.7
GTEX-ZLWG-0826-SM-59888 50-59 years, female 9.7
GTEX-ZPU1-1126-SM-4YCF3 40-49 years, male 9.6
GTEX-14JFF-0626-SM-5ZZVT 60-69 years, male 9.6
GTEX-1HFI7-2326-SM-CGQFS 50-59 years, female 9.6
GTEX-1HSGN-0826-SM-ACKW3 40-49 years, female 9.6
GTEX-1R46S-2426-SM-E76QA 60-69 years, female 9.6
GTEX-1R9PM-1926-SM-EVR3O 20-29 years, male 9.6
GTEX-11ZUS-2626-SM-5FQUR 30-39 years, male 9.5
GTEX-12WSK-2126-SM-5CVNC 40-49 years, female 9.5
GTEX-13113-1626-SM-5EQ4I 60-69 years, female 9.5
GTEX-13OVK-1426-SM-6PAN7 40-49 years, male 9.5
GTEX-183FY-1026-SM-7939A 20-29 years, male 9.5
GTEX-1HGF4-0126-SM-CNPPX 60-69 years, male 9.5
GTEX-11DXX-2126-SM-5PNYR 60-69 years, female 9.4
GTEX-11ZTT-2126-SM-5CVLO 60-69 years, female 9.4
GTEX-1211K-1526-SM-5FQU4 60-69 years, female 9.4
GTEX-13FTX-1526-SM-5K7VJ 20-29 years, female 9.4
GTEX-13PVR-0426-SM-5RQK2 60-69 years, female 9.4
GTEX-147GR-2426-SM-5ZZWQ 60-69 years, male 9.4
GTEX-WHWD-1826-SM-3LK6I 50-59 years, male 9.4
GTEX-WRHU-2826-SM-3MJG8 50-59 years, female 9.4
GTEX-ZC5H-1526-SM-5HL9Y 40-49 years, female 9.4
GTEX-ZYFG-1526-SM-5GZYM 60-69 years, female 9.4
GTEX-18D9A-1426-SM-7LT8M 30-39 years, female 9.4
GTEX-1I1GP-1326-SM-A9G28 50-59 years, male 9.4
GTEX-1KANC-1226-SM-CYPT7 50-59 years, female 9.4
GTEX-14PJO-2526-SM-6AJBQ 60-69 years, male 9.3
GTEX-15UF6-1926-SM-7KUDV 70-79 years, female 9.3
GTEX-ZVP2-0326-SM-57WBP 50-59 years, male 9.3
GTEX-1C6VR-0126-SM-7RHGB 60-69 years, male 9.3
GTEX-1HKZK-0726-SM-ACKW2 40-49 years, male 9.3
GTEX-1I1GU-0926-SM-ACKVS 40-49 years, male 9.3
GTEX-1I6K6-1726-SM-CGQFD 30-39 years, male 9.3
GTEX-1KWVE-1026-SM-D3L9O 30-39 years, male 9.3
GTEX-11EI6-2826-SM-5H11D 60-69 years, male 9.2
GTEX-UPJH-0226-SM-3GADV 50-59 years, male 9.2
GTEX-X3Y1-2026-SM-3P5YM 40-49 years, male 9.2
GTEX-ZVZP-1226-SM-5GID7 50-59 years, male 9.2
GTEX-1ICLZ-0326-SM-ARL82 60-69 years, male 9.2
GTEX-1J1R8-2026-SM-CL53Y 40-49 years, male 9.2
GTEX-1192X-2726-SM-5N9DN 50-59 years, male 9.1
GTEX-13FLV-0126-SM-5K7WT 50-59 years, male 9.1
GTEX-13OVJ-0826-SM-5J1OK 50-59 years, female 9.1
GTEX-14LZ3-0126-SM-69LPM 60-69 years, female 9.1
GTEX-1C2JI-1026-SM-73KY1 50-59 years, male 9.1
GTEX-X4EO-2926-SM-4E3JH 60-69 years, female 9.1
GTEX-1HR98-2226-SM-ADEI2 60-69 years, male 9.1
GTEX-1LSVX-2526-SM-DIPEU 60-69 years, male 9.1
GTEX-1PPH8-0126-SM-EWRN8 20-29 years, male 9.1
GTEX-11LCK-2226-SM-5HL4Q 30-39 years, male 9.0
GTEX-13VXT-1926-SM-5K7UO 20-29 years, female 9.0
GTEX-145MN-1526-SM-5SI9T 30-39 years, male 9.0
GTEX-1GL5R-1326-SM-7RHHF 50-59 years, male 9.0
GTEX-1I1GT-1026-SM-ARZLV 60-69 years, female 9.0
GTEX-1KANA-1326-SM-DIPFA 20-29 years, male 9.0
GTEX-1S83E-1326-SM-E6CJM 40-49 years, male 9.0
GTEX-11P81-2226-SM-5PNYI 30-39 years, female 8.9
GTEX-13N2G-0226-SM-5K7VF 60-69 years, male 8.9
GTEX-17EVP-2626-SM-7IGMA 40-49 years, male 8.9
GTEX-1HSMP-0926-SM-A9SKX 70-79 years, male 8.9
GTEX-YEC3-1326-SM-DO92X 50-59 years, male 8.9
GTEX-139TS-2126-SM-5K7XC 60-69 years, male 8.8
GTEX-14PJ3-1126-SM-5ZZVX 50-59 years, male 8.8
GTEX-ZP4G-1426-SM-4WWCL 20-29 years, female 8.8
GTEX-1CAMQ-1326-SM-7P8RV 40-49 years, male 8.8
GTEX-1F5PK-2226-SM-7SB6N 50-59 years, male 8.8
GTEX-1J8EW-2726-SM-CY8HR 60-69 years, female 8.8
GTEX-13OVG-1626-SM-5J1NF 60-69 years, male 8.7
GTEX-14BIN-1126-SM-5RQJZ 50-59 years, female 8.7
GTEX-15CHQ-0326-SM-69LQD 60-69 years, male 8.7
GTEX-15EO6-2426-SM-6PALZ 50-59 years, male 8.7
GTEX-15G1A-1626-SM-7KUKN 30-39 years, male 8.7
GTEX-WEY5-2326-SM-3GIKK 40-49 years, female 8.7
GTEX-Y8LW-1526-SM-5IFHL 50-59 years, female 8.7
GTEX-Z93S-1626-SM-5CVMB 50-59 years, male 8.7
GTEX-ZT9X-1526-SM-5DUXD 40-49 years, male 8.7
GTEX-1F6IF-0926-SM-7SB7M 60-69 years, male 8.7
GTEX-1HCVE-2726-SM-CL54F 50-59 years, male 8.7
GTEX-1LGRB-0926-SM-COH3K 50-59 years, female 8.7
GTEX-1NSGN-0726-SM-DTXEF 50-59 years, male 8.7
GTEX-1QEPI-2626-SM-DTXF4 60-69 years, female 8.7
GTEX-1RB15-1326-SM-E76Q9 60-69 years, male 8.7
GTEX-11OF3-0126-SM-5PNYF 60-69 years, male 8.6
GTEX-12ZZX-2426-SM-5GCOE 40-49 years, female 8.6
GTEX-13IVO-0726-SM-5LZYV 70-79 years, male 8.6
GTEX-13N1W-2426-SM-5IJD1 70-79 years, male 8.6
GTEX-1A32A-0626-SM-731AQ 50-59 years, female 8.6
GTEX-1EKGG-0626-SM-7DUGJ 60-69 years, male 8.6
GTEX-XAJ8-1426-SM-47JYM 40-49 years, male 8.6
GTEX-Y5V5-0126-SM-5S2NW 60-69 years, female 8.6
GTEX-Y5V6-2326-SM-4VDSA 60-69 years, male 8.6
GTEX-1HCU7-0726-SM-A9SL1 50-59 years, male 8.6
GTEX-1I1CD-0626-SM-CE6SW 60-69 years, female 8.6
GTEX-1IDJF-2026-SM-CL53V 20-29 years, male 8.6
GTEX-11DXZ-2026-SM-5987S 50-59 years, male 8.5
GTEX-13D11-0926-SM-5J2NC 50-59 years, female 8.5
GTEX-13FTW-0326-SM-5K7UW 40-49 years, male 8.5
GTEX-13O61-1426-SM-5KM3D 60-69 years, male 8.5
GTEX-14B4R-1326-SM-5Q5EZ 30-39 years, male 8.5
GTEX-14PHX-2226-SM-6EU2P 50-59 years, male 8.5
GTEX-Y111-0626-SM-4SOIT 50-59 years, male 8.5
GTEX-ZF2S-1626-SM-57WES 50-59 years, female 8.5
GTEX-1I6K7-1926-SM-B2LXR 40-49 years, male 8.5
GTEX-1MCYP-0526-SM-E9U6Q 20-29 years, female 8.5
GTEX-12WSH-1526-SM-5BC5W 50-59 years, male 8.4
GTEX-12WSL-2026-SM-5GCML 50-59 years, male 8.4
GTEX-144FL-0626-SM-5LU43 50-59 years, male 8.4
GTEX-147F3-1726-SM-5SIAW 50-59 years, female 8.4
GTEX-1A8G6-2726-SM-731AR 60-69 years, male 8.4
GTEX-1EN7A-2426-SM-793DB 40-49 years, male 8.4
GTEX-YEC4-1826-SM-4W1YP 40-49 years, male 8.4
GTEX-1KAFJ-0126-SM-DIPEK 50-59 years, male 8.4
GTEX-1LGOU-1326-SM-D3L8M 20-29 years, female 8.4
GTEX-1MJK3-0726-SM-E6CJC 20-29 years, male 8.4
GTEX-1PDJ9-1226-SM-EXUSX 20-29 years, male 8.4
GTEX-1QW4Y-1126-SM-DTXE3 30-39 years, male 8.4
GTEX-1269C-0126-SM-5EQ5L 60-69 years, female 8.3
GTEX-13OVL-0126-SM-5L3GJ 50-59 years, male 8.3
GTEX-17HGU-2326-SM-7DUFE 50-59 years, male 8.3
GTEX-YFCO-1226-SM-5LUAT 40-49 years, male 8.3
GTEX-1CAMS-2226-SM-7PBXQ 40-49 years, female 8.3
GTEX-1GN1V-2826-SM-9JGIA 60-69 years, male 8.3
GTEX-1I1GS-2626-SM-B2LY3 60-69 years, male 8.3
GTEX-11EM3-1226-SM-5N9DD 20-29 years, female 8.2
GTEX-11NSD-0626-SM-5A5LU 20-29 years, male 8.2
GTEX-11TUW-0626-SM-5LU9M 60-69 years, male 8.2
GTEX-12KS4-2126-SM-5FQUT 30-39 years, male 8.2
GTEX-13OW6-2726-SM-5J2OE 50-59 years, male 8.2
GTEX-14A6H-2026-SM-5Q5DD 30-39 years, male 8.2
GTEX-17KNJ-2126-SM-718AM 50-59 years, male 8.2
GTEX-ZAK1-0626-SM-5HL8E 50-59 years, female 8.2
GTEX-1GN1W-2426-SM-9KNUU 50-59 years, female 8.2
GTEX-1GPI7-1826-SM-9KNU1 20-29 years, male 8.2
GTEX-1JN76-0626-SM-CKZOQ 20-29 years, female 8.2
GTEX-1PIGE-1826-SM-E8VOU 20-29 years, male 8.2
GTEX-11NUK-2726-SM-5A5MC 50-59 years, male 8.1
GTEX-13SLW-0626-SM-5Q5ER 70-79 years, male 8.1
GTEX-145ME-1726-SM-5Q5EU 40-49 years, female 8.1
GTEX-16MTA-0926-SM-6M47Z 50-59 years, male 8.1
GTEX-17HHE-1326-SM-7EWDZ 50-59 years, male 8.1
GTEX-ZA64-1026-SM-5HL8R 20-29 years, male 8.1
GTEX-1EMGI-2326-SM-7PBYA 60-69 years, male 8.1
GTEX-1KANB-2826-SM-CY8I6 50-59 years, male 8.1
GTEX-15EU6-2226-SM-6EU2L 50-59 years, male 8.0
GTEX-18D9B-0926-SM-7LG4U 60-69 years, male 8.0
GTEX-1F52S-2926-SM-7MKGA 60-69 years, female 8.0
GTEX-111CU-1126-SM-5EGIM 50-59 years, male 7.9
GTEX-13OW7-0426-SM-5K7VK 50-59 years, male 7.9
GTEX-13QJC-0126-SM-5ZZWJ 60-69 years, female 7.9
GTEX-145MG-1526-SM-5Q5EM 50-59 years, male 7.9
GTEX-1F75I-2226-SM-7SB8U 40-49 years, male 7.9
GTEX-1H11D-1826-SM-9QEHM 40-49 years, male 7.9
GTEX-1QP29-1826-SM-DTX9S 50-59 years, male 7.9
GTEX-14PJ6-2626-SM-6EU2T 60-69 years, female 7.8
GTEX-14PKU-0126-SM-6LLHV 40-49 years, female 7.8
GTEX-Y3I4-1726-SM-4TT89 50-59 years, male 7.8
GTEX-Y3IK-1626-SM-4YCF5 50-59 years, female 7.8
GTEX-14JG6-1426-SM-9WG7C 30-39 years, female 7.8
GTEX-1A8FM-0626-SM-7PC25 50-59 years, female 7.8
GTEX-11GS4-0226-SM-5HL77 60-69 years, male 7.7
GTEX-11ZU8-0126-SM-5EQ58 60-69 years, male 7.7
GTEX-178AV-1726-SM-7KUL8 40-49 years, male 7.7
GTEX-18D9U-0126-SM-731BM 40-49 years, male 7.7
GTEX-1A3MV-1826-SM-731CD 30-39 years, male 7.7
GTEX-1B8KE-1126-SM-7EPHI 50-59 years, male 7.7
GTEX-1CB4F-1026-SM-7DUH1 60-69 years, male 7.7
GTEX-ZYT6-2326-SM-5GZY3 30-39 years, male 7.7
GTEX-ZZPU-0826-SM-5GZX5 50-59 years, female 7.7
GTEX-1122O-1026-SM-9WYSF 60-69 years, female 7.7
GTEX-11P82-1426-SM-DTXFY 20-29 years, male 7.7
GTEX-1GN73-0726-SM-7P8TJ 60-69 years, male 7.7
GTEX-111VG-1626-SM-5EGIO 60-69 years, male 7.6
GTEX-11PRG-0726-SM-5EGL1 50-59 years, male 7.6
GTEX-12126-0826-SM-5FQTZ 20-29 years, male 7.6
GTEX-139YR-1026-SM-5LZYN 50-59 years, male 7.6
GTEX-13FTY-2126-SM-5IFFB 40-49 years, female 7.6
GTEX-148VJ-0626-SM-5LUAW 70-79 years, male 7.6
GTEX-Y9LG-1126-SM-4VBQ7 30-39 years, male 7.6
GTEX-1AYD5-2626-SM-7PBXY 50-59 years, male 7.6
GTEX-1HUB1-1426-SM-CGQF5 60-69 years, male 7.6
GTEX-111YS-1526-SM-5GZYW 60-69 years, male 7.5
GTEX-14PJ5-1526-SM-6LLIL 60-69 years, female 7.5
GTEX-16BQI-1326-SM-6M486 30-39 years, female 7.5
GTEX-17HG3-2626-SM-7DUF2 30-39 years, female 7.5
GTEX-1B97I-0626-SM-73KUZ 40-49 years, male 7.5
GTEX-13SLX-2226-SM-62LEP 50-59 years, female 7.4
GTEX-13X6H-0926-SM-5SIB2 50-59 years, female 7.4
GTEX-17F9E-2326-SM-79OKD 50-59 years, male 7.4
GTEX-1E1VI-0326-SM-793D1 50-59 years, male 7.4
GTEX-ZDTS-0826-SM-4WKHL 60-69 years, male 7.4
GTEX-ZF29-0926-SM-4WKFZ 60-69 years, female 7.4
GTEX-ZYFC-0426-SM-5GICQ 50-59 years, male 7.4
GTEX-1HT8W-0626-SM-A9G2H 30-39 years, male 7.4
GTEX-1LBAC-0826-SM-CY8IJ 20-29 years, male 7.4
GTEX-1M4P7-0726-SM-E6CJ3 60-69 years, male 7.4
GTEX-1N2EE-0626-SM-E76PW 60-69 years, male 7.4
GTEX-1RAZS-2526-SM-E6CHT 50-59 years, male 7.4
GTEX-1399S-0126-SM-5IJCF 30-39 years, female 7.3
GTEX-14753-0726-SM-5QGQO 60-69 years, male 7.3
GTEX-14ABY-2026-SM-62LDL 50-59 years, male 7.3
GTEX-15SHW-0226-SM-7LTAT 60-69 years, male 7.3
GTEX-18QFQ-1826-SM-72D52 30-39 years, male 7.3
GTEX-1B8KZ-0326-SM-73KY4 50-59 years, male 7.3
GTEX-1EH9U-2826-SM-7DUGT 60-69 years, male 7.3
GTEX-W5X1-2526-SM-3GILC 40-49 years, female 7.3
GTEX-ZDTT-0426-SM-4WKFL 60-69 years, male 7.3
GTEX-1B8L1-2226-SM-7P8PT 60-69 years, male 7.3
GTEX-1JMQJ-0826-SM-CNPP7 50-59 years, male 7.3
GTEX-1LVA9-2626-SM-EVYD4 50-59 years, male 7.3
GTEX-131XG-0326-SM-5L3DX 50-59 years, female 7.2
GTEX-131XW-0626-SM-5PNVD 50-59 years, female 7.2
GTEX-13X6K-0626-SM-5LU5D 60-69 years, female 7.2
GTEX-15RIG-0726-SM-7KUM7 40-49 years, male 7.2
GTEX-1B933-2426-SM-7DHMD 50-59 years, female 7.2
GTEX-1HR9M-2226-SM-CNPPY 60-69 years, male 7.2
GTEX-1QP2A-1726-SM-E76QC 50-59 years, male 7.2
GTEX-1RLM8-2926-SM-E8VON 50-59 years, male 7.2
GTEX-139D8-1126-SM-5LU8W 30-39 years, female 7.1
GTEX-139TT-2126-SM-5LZWC 60-69 years, male 7.1
GTEX-13VXU-0626-SM-5L3F9 50-59 years, male 7.1
GTEX-ZZ64-1026-SM-5GZXG 20-29 years, male 7.1
GTEX-1GF9V-0826-SM-9KNUV 60-69 years, male 7.1
GTEX-1GTWX-2026-SM-9YFLM 60-69 years, male 7.1
GTEX-1GZ4I-2626-SM-9KNU3 50-59 years, male 7.1
GTEX-1QPFJ-1926-SM-EVYBD 30-39 years, female 7.1
GTEX-12WSD-0626-SM-5GCMW 60-69 years, female 7.0
GTEX-13112-0126-SM-5P9IU 50-59 years, male 7.0
GTEX-13G51-1826-SM-5KLZH 60-69 years, male 7.0
GTEX-14PJN-1826-SM-6AJ98 30-39 years, male 7.0
GTEX-WHPG-2626-SM-3NMBR 50-59 years, male 7.0
GTEX-WY7C-2126-SM-3NB2R 50-59 years, male 7.0
GTEX-1GF9W-1426-SM-7PBYM 60-69 years, male 7.0
GTEX-13FHO-0426-SM-5L3F5 60-69 years, male 6.9
GTEX-15DYW-2726-SM-6EU2I 60-69 years, female 6.9
GTEX-15ER7-0626-SM-6PANF 20-29 years, female 6.9
GTEX-18A66-0626-SM-7LT8Z 60-69 years, male 6.9
GTEX-WYBS-0626-SM-3NMAS 60-69 years, female 6.9
GTEX-X585-2426-SM-46MW2 50-59 years, male 6.9
GTEX-YECK-0326-SM-4W1YS 60-69 years, male 6.9
GTEX-YJ8O-2526-SM-5HL85 40-49 years, female 6.9
GTEX-ZPCL-1126-SM-4WWFE 60-69 years, female 6.9
GTEX-1313W-0626-SM-5EQ4H 50-59 years, female 6.8
GTEX-13PDP-0726-SM-5L3HP 60-69 years, male 6.8
GTEX-14PII-0726-SM-6EU2B 60-69 years, male 6.8
GTEX-17HII-1426-SM-7EPGG 50-59 years, male 6.8
GTEX-ZDYS-2426-SM-4WKGI 50-59 years, male 6.8
GTEX-1IDJH-0126-SM-D3L92 70-79 years, male 6.8
GTEX-1LB8K-0726-SM-D5OV2 50-59 years, male 6.8
GTEX-1PPGY-1626-SM-EVYBL 60-69 years, male 6.8
GTEX-WHSB-1326-SM-3LK6W 50-59 years, male 6.7
GTEX-1HCU6-2526-SM-ADEHL 60-69 years, female 6.7
GTEX-1IOXB-2726-SM-CM2RI 50-59 years, male 6.7
GTEX-1JK1U-0226-SM-ARZMX 60-69 years, male 6.7
GTEX-1399U-1126-SM-5L3DB 50-59 years, female 6.6
GTEX-13N11-2326-SM-5IJBF 50-59 years, female 6.6
GTEX-13X6J-0626-SM-5LU5F 50-59 years, male 6.6
GTEX-14DAR-1226-SM-73KYV 50-59 years, male 6.6
GTEX-X5EB-1926-SM-4E3IW 40-49 years, male 6.6
GTEX-1F5PL-0926-SM-7PC2W 40-49 years, female 6.6
GTEX-1N2DV-1526-SM-DTXEP 40-49 years, male 6.6
GTEX-1QMI2-2526-SM-E8VNZ 60-69 years, male 6.6
GTEX-1R9K4-2826-SM-DTX8F 60-69 years, male 6.6
GTEX-144GL-0626-SM-5LU4D 50-59 years, male 6.5
GTEX-145LU-1926-SM-79OJN 50-59 years, male 6.5
GTEX-18A67-1626-SM-7LT9T 50-59 years, male 6.5
GTEX-ZE7O-2726-SM-51MT5 50-59 years, female 6.5
GTEX-1GN1U-0626-SM-9MQL9 50-59 years, female 6.5
GTEX-1JMLX-0626-SM-ARL8T 50-59 years, male 6.5
GTEX-1R7EU-1626-SM-DTXG3 60-69 years, male 6.5
GTEX-ZGAY-1826-SM-DO91Q 40-49 years, female 6.5
GTEX-16AAH-0626-SM-793C9 50-59 years, male 6.4
GTEX-17F98-1326-SM-7DUEP 40-49 years, female 6.4
GTEX-18A7A-0126-SM-731AH 50-59 years, female 6.4
GTEX-ZVT2-0126-SM-5GIDQ 50-59 years, female 6.4
GTEX-ZVT4-2426-SM-5GIEI 50-59 years, female 6.4
GTEX-1C475-1326-SM-7SB73 40-49 years, female 6.4
GTEX-1H3O1-1326-SM-9MQLD 60-69 years, male 6.4
GTEX-1QP9N-1226-SM-E76QN 30-39 years, male 6.4
GTEX-16YQH-2226-SM-7IGM2 30-39 years, male 6.3
GTEX-17F97-2626-SM-7IGM5 50-59 years, male 6.3
GTEX-WXYG-2026-SM-4E3IY 50-59 years, female 6.3
GTEX-1HCUA-0826-SM-ADEHM 50-59 years, female 6.3
GTEX-1IKOE-1426-SM-CE6T7 30-39 years, female 6.3
GTEX-131XH-0126-SM-5LZUY 50-59 years, male 6.2
GTEX-145MH-2826-SM-5RQJF 50-59 years, male 6.2
GTEX-15RIE-1926-SM-7KUKJ 60-69 years, male 6.2
GTEX-1E2YA-2126-SM-7MXUO 50-59 years, male 6.2
GTEX-17HHY-0426-SM-7DHLC 50-59 years, male 6.1
GTEX-1GMRU-2126-SM-7P8RA 50-59 years, male 6.1
GTEX-1GPI6-1926-SM-9KNV7 60-69 years, male 6.1
GTEX-1IE54-1126-SM-A9G2Z 40-49 years, female 6.1
GTEX-1KXAM-1626-SM-D3LAD 60-69 years, male 6.1
GTEX-1NV5F-0626-SM-DTXEG 60-69 years, female 6.1
GTEX-ZXG5-2126-SM-59HKD 60-69 years, male 6.0
GTEX-1F6I4-2326-SM-7RHGL 60-69 years, male 6.0
GTEX-1GN2E-0226-SM-9WG6K 60-69 years, male 6.0
GTEX-1PIIG-2326-SM-DTXFR 30-39 years, male 6.0
GTEX-12ZZY-0726-SM-5EQ66 60-69 years, male 5.9
GTEX-14PJ4-0226-SM-5YY92 60-69 years, male 5.9
GTEX-18A6Q-0626-SM-7KFRP 60-69 years, male 5.9
GTEX-1AX9I-2226-SM-73KUO 60-69 years, male 5.9
GTEX-1H4P4-2126-SM-9WYSL 50-59 years, male 5.9
GTEX-1PBJJ-1026-SM-E76OS 30-39 years, male 5.9
GTEX-1RAZR-2126-SM-E9U6T 40-49 years, male 5.9
GTEX-14ICL-1626-SM-5YYAO 30-39 years, male 5.8
GTEX-Y8E4-2026-SM-5IFJB 40-49 years, male 5.8
GTEX-ZLFU-1826-SM-4WWBV 40-49 years, male 5.8
GTEX-1IY9M-2826-SM-ARU8H 60-69 years, male 5.8
GTEX-12C56-1526-SM-5FQUQ 20-29 years, male 5.7
GTEX-1C6WA-2626-SM-7MKGM 60-69 years, male 5.7
GTEX-1JMPY-0226-SM-CKZOK 30-39 years, male 5.7
GTEX-13OW5-2326-SM-5L3HO 60-69 years, male 5.6
GTEX-13PL6-1126-SM-5L3IE 40-49 years, female 5.6
GTEX-Y114-2126-SM-4TT8B 50-59 years, female 5.6
GTEX-1JJEA-1826-SM-ARU8P 60-69 years, male 5.6
GTEX-15SKB-2826-SM-6PAMH 60-69 years, male 5.5
GTEX-1B8SF-0126-SM-7DUG3 60-69 years, male 5.5
GTEX-1BAJH-2426-SM-7IGP8 70-79 years, male 5.5
GTEX-1C64N-2626-SM-7PC2N 50-59 years, male 5.5
GTEX-1F75A-0726-SM-7RHHD 50-59 years, male 5.5
GTEX-1HSKV-1226-SM-ADEI4 60-69 years, male 5.5
GTEX-12ZZZ-0726-SM-5GCNZ 60-69 years, male 5.4
GTEX-13NYB-0126-SM-5J1MD 40-49 years, male 5.4
GTEX-1C6VQ-1226-SM-73KYD 50-59 years, male 5.4
GTEX-147F4-0726-SM-5TDDD 50-59 years, male 5.3
GTEX-17MFQ-1526-SM-7KFRR 20-29 years, male 5.3
GTEX-1S831-1826-SM-EWROF 20-29 years, male 5.3
GTEX-1EU9M-1426-SM-793AI 60-69 years, male 5.2
GTEX-1EX96-1026-SM-7MKG2 50-59 years, male 5.2
GTEX-1HSMQ-2626-SM-A9SML 50-59 years, male 5.2
GTEX-1I1GV-0626-SM-ARL7M 60-69 years, male 5.2
GTEX-12WSM-1926-SM-5BC65 60-69 years, male 5.0
GTEX-1OJC3-1226-SM-DTXER 20-29 years, male 5.0
GTEX-131XF-2626-SM-5EQ6K 60-69 years, male 4.9
GTEX-13YAN-0226-SM-5TDC6 60-69 years, male 4.8
GTEX-15RJ7-2126-SM-6PAMD 40-49 years, male 4.8
GTEX-11P7K-1126-SM-5HL4L 30-39 years, male 4.6
GTEX-14E1K-2026-SM-7DUEI 50-59 years, male 4.6
GTEX-1IKJJ-2226-SM-CJI4C 60-69 years, male 4.4
GTEX-WFG7-2026-SM-5SI7P 20-29 years, male 4.3
GTEX-11DYG-1526-SM-5A5JS 60-69 years, male 4.1
GTEX-11WQC-1826-SM-5GU59 60-69 years, male 4.1
GTEX-139UW-0326-SM-5J1ML 60-69 years, male 4.1
GTEX-ZTX8-1326-SM-4YCEL 20-29 years, male 3.9
GTEX-1HBPI-2126-SM-ARL9K 50-59 years, male 3.7
GTEX-1497J-0226-SM-5QGPU 60-69 years, male 3.3
Show allShow less
Skin - Sun Exposed (Lower leg)
Average nTPM: 8.6
Samples: 701

Max nTPM: 31.7
Min nTPM: 3.4
Std nTPM: 3.0
Median nTPM: 8.0
GTEX-X4XY-0226-SM-4E3IZ 60-69 years, male 31.7
GTEX-RUSQ-1526-SM-2TF62 50-59 years, male 30.9
GTEX-1JMQL-0226-SM-CNPP5 50-59 years, female 22.5
GTEX-1A3MW-0126-SM-73KXX 60-69 years, female 21.8
GTEX-139T4-0226-SM-5HL5S 50-59 years, female 19.3
GTEX-11WQK-0526-SM-5EQLD 50-59 years, male 19.0
GTEX-1F75I-0326-SM-9YFLU 40-49 years, male 18.7
GTEX-Q2AH-1626-SM-3GAF8 40-49 years, male 18.4
GTEX-WI4N-1026-SM-3LK7N 40-49 years, female 18.2
GTEX-1H23P-0126-SM-ADEJ3 60-69 years, male 17.0
GTEX-13NYS-0126-SM-5MR3W 60-69 years, male 16.6
GTEX-1RLM8-2326-SM-EWRN4 50-59 years, male 16.6
GTEX-15EOM-0126-SM-7KUGG 20-29 years, female 16.5
GTEX-16XZY-2126-SM-79OK1 70-79 years, male 16.4
GTEX-XXEK-2226-SM-4BRUM 50-59 years, male 16.0
GTEX-U4B1-1826-SM-4DXSU 40-49 years, male 15.9
GTEX-14PK6-1926-SM-6ETZU 70-79 years, female 15.8
GTEX-WOFL-0126-SM-3MJG2 60-69 years, male 15.6
GTEX-11TT1-2526-SM-5EGIB 20-29 years, male 15.1
GTEX-1LH75-2426-SM-E9TJE 50-59 years, female 15.1
GTEX-NPJ8-0126-SM-2YUNR 40-49 years, male 15.0
GTEX-R45C-0126-SM-EAZ2R 60-69 years, female 15.0
GTEX-XV7Q-2526-SM-4BRV9 40-49 years, female 14.9
GTEX-X62O-0126-SM-4E3JN 50-59 years, male 14.7
GTEX-WVJS-0126-SM-4MVOT 50-59 years, male 14.6
GTEX-1I1GU-2226-SM-CGQFA 40-49 years, male 14.5
GTEX-13W3W-2426-SM-5LU5B 60-69 years, female 14.4
GTEX-13NYC-0326-SM-E9J4S 60-69 years, male 14.4
GTEX-169BO-1326-SM-9MQK2 50-59 years, male 14.4
GTEX-1H1ZS-0426-SM-9WG6G 70-79 years, male 14.4
GTEX-TMZS-0126-SM-3DB9Q 60-69 years, male 14.3
GTEX-183WM-0126-SM-7LTAB 70-79 years, female 14.1
GTEX-1K2DU-2326-SM-E9TIV 20-29 years, male 14.1
GTEX-1A3MX-0126-SM-731BR 60-69 years, male 13.9
GTEX-1JN1M-0326-SM-CYPT3 60-69 years, female 13.8
GTEX-13RTJ-2426-SM-5S2Q2 60-69 years, male 13.7
GTEX-13O1R-0126-SM-5L3EH 60-69 years, male 13.6
GTEX-OXRL-0126-SM-2YUMP 50-59 years, male 13.6
GTEX-X4EP-0126-SM-3P5YV 60-69 years, female 13.6
GTEX-1GN1V-0126-SM-9WPOS 60-69 years, male 13.6
GTEX-15CHC-2126-SM-6EU21 60-69 years, female 13.5
GTEX-QDVN-2026-SM-3GAEP 50-59 years, male 13.5
GTEX-1R9PO-2126-SM-E9J4O 60-69 years, female 13.5
GTEX-1128S-2326-SM-5GZZY 60-69 years, female 13.4
GTEX-OOBK-0126-SM-2YUND 40-49 years, male 13.4
GTEX-QDT8-0126-SM-48TZ1 30-39 years, female 13.4
GTEX-1HBPM-0226-SM-ARL9F 60-69 years, female 13.4
GTEX-Q734-1926-SM-2I5EV 40-49 years, female 13.3
GTEX-14BIM-0226-SM-7IGLD 60-69 years, female 13.2
GTEX-1JJE9-0326-SM-CL53Z 70-79 years, male 13.2
GTEX-1HSMP-0126-SM-E6CJS 70-79 years, male 13.1
GTEX-T5JC-0426-SM-32PLO 20-29 years, male 13.0
GTEX-11DXY-2626-SM-5GIE7 60-69 years, male 12.9
GTEX-ZEX8-2426-SM-4WKG4 50-59 years, male 12.9
GTEX-U8XE-0326-SM-3DB8P 30-39 years, male 12.8
GTEX-XQ8I-0426-SM-4BOPO 50-59 years, male 12.6
GTEX-ZF28-0126-SM-4WKGK 60-69 years, male 12.6
GTEX-ZTPG-0326-SM-5O9AX 20-29 years, female 12.6
GTEX-1GZ2Q-0226-SM-7P8TL 40-49 years, male 12.6
GTEX-ZAB5-1826-SM-5HL7C 50-59 years, male 12.4
GTEX-PW2O-1526-SM-7RHHB 20-29 years, male 12.4
GTEX-PLZ4-0126-SM-5SI8O 50-59 years, female 12.3
GTEX-1RQEC-0426-SM-E6CHU 60-69 years, male 12.3
GTEX-13FTY-0526-SM-5L3EV 40-49 years, female 12.2
GTEX-14LZ3-0226-SM-62LET 60-69 years, female 12.2
GTEX-1R46S-0626-SM-E9J41 60-69 years, female 12.2
GTEX-13RTL-0126-SM-7LG5S 40-49 years, male 12.1
GTEX-14A5H-0426-SM-5QGQF 60-69 years, male 12.1
GTEX-17MF6-0126-SM-7LG4F 40-49 years, male 12.1
GTEX-SN8G-0126-SM-32PLI 50-59 years, female 12.1
GTEX-X8HC-0126-SM-4E3JW 50-59 years, female 12.1
GTEX-1EKGG-0226-SM-9WYTH 60-69 years, male 12.1
GTEX-1HCVE-0126-SM-CGQEU 50-59 years, male 12.1
GTEX-1ICLY-0126-SM-D4P36 50-59 years, male 12.1
GTEX-144FL-0126-SM-5TDC8 50-59 years, male 12.0
GTEX-14C5O-0126-SM-5SI6N 60-69 years, male 12.0
GTEX-15UKP-0426-SM-7KUFQ 20-29 years, male 12.0
GTEX-QVJO-1626-SM-2S1QW 60-69 years, female 12.0
GTEX-VUSG-2526-SM-4KL1V 50-59 years, male 12.0
GTEX-1ICG6-2526-SM-CGQFZ 70-79 years, female 12.0
GTEX-QESD-1426-SM-2S1R9 20-29 years, male 11.9
GTEX-1N2DV-0226-SM-E6CJ6 40-49 years, male 11.9
GTEX-11O72-0126-SM-59887 40-49 years, male 11.8
GTEX-PWO3-1526-SM-48TCM 60-69 years, female 11.8
GTEX-RTLS-0126-SM-447CA 60-69 years, female 11.8
GTEX-14LLW-0126-SM-6LLIO 70-79 years, female 11.7
GTEX-14XAO-2326-SM-6EU1B 60-69 years, female 11.7
GTEX-16XZZ-0126-SM-793DV 60-69 years, male 11.7
GTEX-1HBPH-0426-SM-B2LW5 40-49 years, female 11.7
GTEX-13O3Q-2426-SM-5IJBR 50-59 years, male 11.6
GTEX-16NPX-0226-SM-79OMT 50-59 years, male 11.6
GTEX-XUZC-1726-SM-4BRWS 30-39 years, female 11.6
GTEX-ZDXO-3026-SM-5J1N5 60-69 years, male 11.6
GTEX-1HCU9-1526-SM-A9SL7 20-29 years, male 11.6
GTEX-117XS-2726-SM-5N9BL 60-69 years, male 11.5
GTEX-13NZ8-0826-SM-5MR3I 60-69 years, female 11.5
GTEX-13OVH-0126-SM-5MR4B 70-79 years, male 11.5
GTEX-XMD2-0126-SM-4YCDU 60-69 years, female 11.5
GTEX-1J8Q2-0526-SM-CM2RW 60-69 years, male 11.5
GTEX-13NZB-2526-SM-5J1OM 30-39 years, male 11.4
GTEX-14A6H-0126-SM-5QGPK 30-39 years, male 11.4
GTEX-15D1Q-0126-SM-7KUG6 40-49 years, male 11.4
GTEX-R3RS-0126-SM-3GIJL 40-49 years, female 11.4
GTEX-ZQUD-1426-SM-57WER 30-39 years, male 11.4
GTEX-1HKZK-0326-SM-9WYUH 40-49 years, male 11.4
GTEX-1KANB-0526-SM-E6CJH 50-59 years, male 11.4
GTEX-1PPH7-2326-SM-EVYB8 40-49 years, male 11.4
GTEX-1LG7Y-0526-SM-DKPQC 50-59 years, male 11.3
GTEX-1NHNU-1026-SM-E9J2A 50-59 years, male 11.3
GTEX-1AX8Z-0126-SM-7DHM6 60-69 years, male 11.2
GTEX-QLQ7-1626-SM-2S1R8 60-69 years, male 11.2
GTEX-R55G-2526-SM-2TC6D 40-49 years, female 11.2
GTEX-X638-0126-SM-47JZ8 70-79 years, female 11.2
GTEX-1HCU8-0626-SM-A9SM9 60-69 years, female 11.2
GTEX-1I19N-0326-SM-ACKVX 70-79 years, male 11.2
GTEX-1IGQW-0126-SM-COH42 60-69 years, male 11.2
GTEX-1JKYR-0126-SM-CNPOJ 20-29 years, male 11.2
GTEX-1LC47-0326-SM-E9TJP 60-69 years, male 11.2
GTEX-146FQ-0126-SM-5NQA9 30-39 years, male 11.1
GTEX-1HSEH-0126-SM-ACKXN 60-69 years, male 11.1
GTEX-1JMQI-2226-SM-CM2SD 50-59 years, male 11.1
GTEX-1PBJI-0526-SM-E8VNK 20-29 years, female 11.1
GTEX-16MT8-0426-SM-7KUEY 60-69 years, female 11.0
GTEX-1I1GP-2226-SM-CGQFK 50-59 years, male 11.0
GTEX-1JJ6O-0126-SM-E6CI8 60-69 years, male 11.0
GTEX-ZVT3-0126-SM-5GU6I 60-69 years, female 10.9
GTEX-1K9T9-0126-SM-EVYCF 50-59 years, female 10.9
GTEX-1QP66-1726-SM-E8VO1 50-59 years, male 10.9
GTEX-11DXX-2426-SM-5GZZW 60-69 years, female 10.8
GTEX-11OC5-0126-SM-5HL6A 60-69 years, male 10.8
GTEX-OHPM-0126-SM-2YUN9 50-59 years, male 10.8
GTEX-1KWVE-1426-SM-E9TJO 30-39 years, male 10.8
GTEX-1CAMR-1926-SM-7EPI2 20-29 years, male 10.7
GTEX-SIU8-0126-SM-2XCDT 50-59 years, male 10.7
GTEX-ZAJG-0126-SM-5HL94 50-59 years, female 10.7
GTEX-1H1E6-1726-SM-ACKVK 30-39 years, male 10.7
GTEX-13113-5016-SM-7EPIP 60-69 years, female 10.6
GTEX-13NZA-0226-SM-5K7Z7 60-69 years, male 10.6
GTEX-144GN-2326-SM-5LU4F 50-59 years, male 10.6
GTEX-147GR-0526-SM-5S2MY 60-69 years, male 10.6
GTEX-1AMEY-1326-SM-73KYK 30-39 years, female 10.6
GTEX-Q2AG-0126-SM-33HBV 40-49 years, female 10.6
GTEX-13O3O-0126-SM-E9J49 60-69 years, female 10.6
GTEX-1IE54-0126-SM-CMKHW 40-49 years, female 10.6
GTEX-1RAZQ-0726-SM-EAZ43 30-39 years, male 10.6
GTEX-SE5C-1626-SM-2XCE3 40-49 years, female 10.6
GTEX-QV44-1926-SM-2S1RF 50-59 years, male 10.5
GTEX-WYVS-2126-SM-3NMA3 40-49 years, female 10.5
GTEX-1PFEY-1526-SM-E76PP 30-39 years, male 10.5
GTEX-11ZUS-0626-SM-59885 30-39 years, male 10.4
GTEX-U3ZM-1526-SM-3DB9D 40-49 years, male 10.4
GTEX-1N2EF-0226-SM-EYYXB 60-69 years, male 10.4
GTEX-OOBJ-0126-SM-E6CJW 60-69 years, male 10.4
GTEX-11TTK-0126-SM-5987B 60-69 years, female 10.3
GTEX-15UF6-0826-SM-6PALJ 70-79 years, female 10.3
GTEX-U3ZN-2326-SM-3DB7W 30-39 years, female 10.3
GTEX-1H1DG-0126-SM-9WYU2 70-79 years, male 10.3
GTEX-1J1OQ-0226-SM-CYPSH 40-49 years, female 10.3
GTEX-1OJC4-0126-SM-E9J2E 50-59 years, female 10.3
GTEX-13N2G-2626-SM-5J1OT 60-69 years, male 10.2
GTEX-OHPL-0126-SM-2HMJ7 60-69 years, female 10.2
GTEX-X585-0226-SM-4QAS2 50-59 years, male 10.2
GTEX-XYKS-2126-SM-4E3IB 60-69 years, female 10.2
GTEX-ZZPT-0226-SM-5E43X 50-59 years, male 10.2
GTEX-13FH7-2026-SM-E9J4I 50-59 years, female 10.2
GTEX-1HBPN-0226-SM-9YFM1 50-59 years, male 10.2
GTEX-12WSA-0226-SM-5BC5V 60-69 years, male 10.1
GTEX-13VXT-0126-SM-5LU4I 20-29 years, female 10.1
GTEX-15DCD-0126-SM-7KUEK 70-79 years, female 10.1
GTEX-1AMFI-2026-SM-731BH 50-59 years, female 10.1
GTEX-1AYCT-2426-SM-7IGQ3 50-59 years, male 10.1
GTEX-ZYY3-0126-SM-5GZY5 60-69 years, female 10.1
GTEX-1GPI6-0126-SM-9WG69 60-69 years, male 10.1
GTEX-1LNCM-1126-SM-E9U5E 50-59 years, female 10.1
GTEX-ZF3C-0126-SM-DO92D 50-59 years, female 10.1
GTEX-113IC-0126-SM-5HL6T 60-69 years, male 10.0
GTEX-11ZU8-2526-SM-5EQKI 60-69 years, male 10.0
GTEX-13X6I-0626-SM-5QGP9 60-69 years, male 10.0
GTEX-183FY-0126-SM-7LT9P 20-29 years, male 10.0
GTEX-RN64-0126-SM-2TC68 50-59 years, male 10.0
GTEX-1MA7X-2226-SM-E6CIY 60-69 years, male 10.0
GTEX-13FHO-0226-SM-5IFGY 60-69 years, male 9.9
GTEX-145MI-0526-SM-5O9A8 60-69 years, female 9.9
GTEX-18A67-0126-SM-7LG5P 50-59 years, male 9.9
GTEX-SUCS-1926-SM-32PM3 70-79 years, male 9.9
GTEX-ZYFG-2326-SM-5E44B 60-69 years, female 9.9
GTEX-1JMOU-1526-SM-CL54I 60-69 years, female 9.9
GTEX-1QP67-1626-SM-EAZ3X 40-49 years, female 9.9
GTEX-11ZTT-2426-SM-5EQLS 60-69 years, female 9.8
GTEX-P4PP-0126-SM-3LK69 30-39 years, female 9.8
GTEX-TMMY-0226-SM-33HBA 40-49 years, female 9.8
GTEX-1F88F-2726-SM-7PBZZ 60-69 years, female 9.8
GTEX-1GMR8-0126-SM-9WYTM 50-59 years, female 9.8
GTEX-1ICLZ-0126-SM-CKZPO 60-69 years, male 9.8
GTEX-1LSNM-1926-SM-E6CII 50-59 years, male 9.8
GTEX-13U4I-0126-SM-5LU38 40-49 years, female 9.7
GTEX-145MF-0626-SM-5LUAI 50-59 years, male 9.7
GTEX-146FH-0126-SM-5QGPP 50-59 years, female 9.7
GTEX-PLZ5-2026-SM-2S1O4 50-59 years, male 9.7
GTEX-U3ZH-2026-SM-3DB78 30-39 years, male 9.7
GTEX-1I1HK-0126-SM-COH49 60-69 years, male 9.7
GTEX-1IL2V-0126-SM-CM2TX 70-79 years, male 9.7
GTEX-1QP2A-0126-SM-E9J43 50-59 years, male 9.7
GTEX-111VG-2426-SM-5GZXD 60-69 years, male 9.6
GTEX-11P82-1626-SM-59879 20-29 years, male 9.6
GTEX-14PHW-0126-SM-6LLJI 60-69 years, female 9.6
GTEX-1CAMQ-0226-SM-7IGPK 40-49 years, male 9.6
GTEX-1CB4I-0226-SM-79OLH 50-59 years, male 9.6
GTEX-QEG4-0226-SM-2S1PY 30-39 years, male 9.6
GTEX-TKQ1-1026-SM-4GICL 30-39 years, male 9.6
GTEX-WZTO-0126-SM-3NM95 40-49 years, male 9.6
GTEX-1QAET-0926-SM-E76QM 50-59 years, male 9.6
GTEX-1QCLY-0326-SM-E8VOG 30-39 years, male 9.6
GTEX-13OVJ-0126-SM-5KM36 50-59 years, female 9.5
GTEX-14JG6-2226-SM-6EU2G 30-39 years, female 9.5
GTEX-1C6VR-2426-SM-79OLD 60-69 years, male 9.5
GTEX-VJWN-0126-SM-3GIK7 50-59 years, female 9.5
GTEX-1CB4H-0226-SM-7PBXM 60-69 years, female 9.5
GTEX-1HGF4-2426-SM-ACKXM 60-69 years, male 9.5
GTEX-15F5U-1526-SM-6PANO 40-49 years, male 9.4
GTEX-131XF-5016-SM-7MGWE 60-69 years, male 9.4
GTEX-146FR-1326-SM-E9J48 60-69 years, female 9.4
GTEX-1F48J-0126-SM-7P8TT 50-59 years, female 9.4
GTEX-1IDJU-2626-SM-CM2RT 60-69 years, female 9.4
GTEX-1JMQK-0226-SM-CL543 60-69 years, male 9.4
GTEX-1QW4Y-1526-SM-EAZ3Z 30-39 years, male 9.4
GTEX-1RAZA-0126-SM-E6CI3 20-29 years, male 9.4
GTEX-147F4-0226-SM-5QGPW 50-59 years, male 9.3
GTEX-V1D1-2226-SM-3NMAX 50-59 years, male 9.3
GTEX-ZYW4-0126-SM-5E44A 60-69 years, male 9.3
GTEX-1C6WA-0126-SM-7PC2B 60-69 years, male 9.3
GTEX-PLZ6-1426-SM-DKPOT 30-39 years, male 9.3
GTEX-139T8-0126-SM-5K7XZ 60-69 years, male 9.2
GTEX-13OW7-0126-SM-5MR3B 50-59 years, male 9.2
GTEX-14E6C-0126-SM-5RQIP 40-49 years, male 9.2
GTEX-14ICK-0226-SM-6EU25 40-49 years, male 9.2
GTEX-1C2JI-1826-SM-73KXC 50-59 years, male 9.2
GTEX-WY7C-2326-SM-3NB2U 50-59 years, male 9.2
GTEX-1H3NZ-0126-SM-ACKX7 60-69 years, male 9.2
GTEX-OXRK-0226-SM-3NB2G 50-59 years, female 9.1
GTEX-P4PQ-0126-SM-2S1NM 60-69 years, male 9.1
GTEX-SSA3-0126-SM-32QPU 60-69 years, male 9.1
GTEX-Y111-0126-SM-4SOIV 50-59 years, male 9.1
GTEX-1H1DE-2126-SM-9WG6R 20-29 years, male 9.1
GTEX-1I1GS-0126-SM-B2LVW 60-69 years, male 9.1
GTEX-W5X1-3026-SM-EAZAX 40-49 years, female 9.1
GTEX-13O3P-0126-SM-5KM4S 50-59 years, male 9.0
GTEX-14PJ3-1826-SM-62LEX 50-59 years, male 9.0
GTEX-14PN4-0126-SM-6EU2V 50-59 years, male 9.0
GTEX-Q2AI-1326-SM-2S1PL 40-49 years, male 9.0
GTEX-S7SE-0126-SM-2XCD5 50-59 years, male 9.0
GTEX-YEC4-2126-SM-5IFJH 40-49 years, male 9.0
GTEX-1C64O-0126-SM-7SB8P 60-69 years, male 9.0
GTEX-1EX96-1626-SM-7PBXR 50-59 years, male 9.0
GTEX-1F75B-0126-SM-9KNVL 50-59 years, male 9.0
GTEX-1F7RK-0126-SM-7PC2S 20-29 years, female 9.0
GTEX-1GF9W-0326-SM-9KNUN 60-69 years, male 9.0
GTEX-1KD5A-0226-SM-D5OV3 50-59 years, male 9.0
GTEX-1QEPI-0126-SM-EWRMQ 60-69 years, female 9.0
GTEX-11NUK-0126-SM-5A5L3 50-59 years, male 8.9
GTEX-12C56-1726-SM-5EQ61 20-29 years, male 8.9
GTEX-133LE-1826-SM-5J1MV 20-29 years, female 8.9
GTEX-147F3-0526-SM-5SI98 50-59 years, female 8.9
GTEX-18D9B-0526-SM-7LTAS 60-69 years, male 8.9
GTEX-RM2N-1426-SM-2TF4H 50-59 years, male 8.9
GTEX-Y5LM-1926-SM-5RQJH 40-49 years, female 8.9
GTEX-ZC5H-0226-SM-4WAY9 40-49 years, female 8.9
GTEX-ZYFC-0226-SM-5NQ75 50-59 years, male 8.9
GTEX-1IDFM-0126-SM-COH2V 60-69 years, male 8.9
GTEX-1S82Z-0826-SM-E6CHY 30-39 years, female 8.9
GTEX-11NSD-2226-SM-5986V 20-29 years, male 8.8
GTEX-13OVI-1426-SM-5L3EY 60-69 years, female 8.8
GTEX-13QJ3-0326-SM-5S2RA 50-59 years, male 8.8
GTEX-145LV-2126-SM-5LU8N 50-59 years, male 8.8
GTEX-15SDE-2226-SM-7IGLO 50-59 years, female 8.8
GTEX-ZUA1-0126-SM-5GU76 40-49 years, male 8.8
GTEX-ZXG5-0126-SM-5GIEU 60-69 years, male 8.8
GTEX-1RDX4-0126-SM-E9J4P 50-59 years, female 8.8
GTEX-1S82Y-2026-SM-EVYCM 40-49 years, male 8.8
GTEX-11EMC-2926-SM-5EQ4F 60-69 years, female 8.7
GTEX-13OW8-1326-SM-5J1OW 60-69 years, male 8.7
GTEX-16YQH-0126-SM-7DUFJ 30-39 years, male 8.7
GTEX-17EUY-0426-SM-793BD 20-29 years, male 8.7
GTEX-S32W-2126-SM-2XCB1 50-59 years, female 8.7
GTEX-TSE9-0126-SM-3DB83 60-69 years, female 8.7
GTEX-ZWKS-0126-SM-5SIAA 30-39 years, male 8.7
GTEX-1F52S-0126-SM-9MQJU 60-69 years, female 8.7
GTEX-1IKOH-0226-SM-COH4E 60-69 years, female 8.7
GTEX-1M4P7-0226-SM-DIPEV 60-69 years, male 8.7
GTEX-1314G-1526-SM-5EGK2 30-39 years, male 8.6
GTEX-145MN-2226-SM-5SIAU 30-39 years, male 8.6
GTEX-OXRO-0126-SM-2YUN4 60-69 years, female 8.6
GTEX-RU72-0926-SM-2TF6B 50-59 years, female 8.6
GTEX-T2YK-0526-SM-32QPJ 50-59 years, male 8.6
GTEX-T8EM-1026-SM-3DB7M 40-49 years, male 8.6
GTEX-X4EO-0326-SM-3P5YO 60-69 years, female 8.6
GTEX-ZAB4-0226-SM-5N9F5 40-49 years, male 8.6
GTEX-1HUB1-0426-SM-E9U4U 60-69 years, male 8.6
GTEX-1J8EW-0126-SM-CJI4F 60-69 years, female 8.6
GTEX-1KAFJ-2026-SM-CY8ID 50-59 years, male 8.6
GTEX-1MCYP-1926-SM-E9J2R 20-29 years, female 8.6
GTEX-1QP29-0626-SM-EWRMX 50-59 years, male 8.6
GTEX-1399T-2826-SM-5KLYZ 60-69 years, male 8.5
GTEX-13W46-0226-SM-5SIAG 50-59 years, male 8.5
GTEX-OXRN-0126-SM-48TDM 50-59 years, male 8.5
GTEX-RWS6-2026-SM-2XCB5 60-69 years, female 8.5
GTEX-XBED-2226-SM-47JYQ 60-69 years, male 8.5
GTEX-ZVE2-0226-SM-59HJB 50-59 years, male 8.5
GTEX-1HR98-0126-SM-B2LWI 60-69 years, male 8.5
GTEX-1I1GT-0626-SM-CGQER 60-69 years, female 8.5
GTEX-11DZ1-0126-SM-5985Q 50-59 years, male 8.4
GTEX-11EQ9-2426-SM-5HL5T 30-39 years, male 8.4
GTEX-12WSN-5019-SM-79OM6 40-49 years, male 8.4
GTEX-13PDP-0126-SM-5L3HD 60-69 years, male 8.4
GTEX-QLQW-1126-SM-2S1Q8 30-39 years, male 8.4
GTEX-ZVZP-2426-SM-59HKJ 50-59 years, male 8.4
GTEX-1NV5F-0226-SM-E8VNY 60-69 years, female 8.4
GTEX-RNOR-0126-SM-E9J4R 50-59 years, female 8.4
GTEX-11GSO-2426-SM-5A5LY 60-69 years, male 8.3
GTEX-11ZVC-2526-SM-5FQTE 50-59 years, female 8.3
GTEX-12126-0326-SM-5PNW3 20-29 years, male 8.3
GTEX-1399R-2726-SM-5IJBA 30-39 years, male 8.3
GTEX-139D8-0226-SM-5KLZO 30-39 years, female 8.3
GTEX-13FTX-1826-SM-5J1NX 20-29 years, female 8.3
GTEX-15G19-0126-SM-6PANQ 60-69 years, male 8.3
GTEX-R55E-0126-SM-2TC5Y 20-29 years, male 8.3
GTEX-X4XX-0126-SM-3NMC2 60-69 years, male 8.3
GTEX-XUW1-0426-SM-4BOOT 50-59 years, female 8.3
GTEX-1F6RS-0126-SM-9MQKZ 60-69 years, female 8.3
GTEX-132NY-0326-SM-5IJBL 60-69 years, male 8.2
GTEX-14E7W-0126-SM-6LLJ9 70-79 years, male 8.2
GTEX-17HHE-2026-SM-79OKF 50-59 years, male 8.2
GTEX-18D9U-0226-SM-718BP 40-49 years, male 8.2
GTEX-NFK9-0226-SM-2HMKQ 40-49 years, male 8.2
GTEX-WH7G-2326-SM-3NMBC 40-49 years, male 8.2
GTEX-WRHK-1426-SM-3MJF9 20-29 years, female 8.2
GTEX-ZV6S-2326-SM-4YCEY 40-49 years, female 8.2
GTEX-1H11D-0226-SM-9WG6Z 40-49 years, male 8.2
GTEX-11UD2-0226-SM-5EQKY 50-59 years, male 8.1
GTEX-131XE-2326-SM-5PNZ2 50-59 years, male 8.1
GTEX-131XW-0426-SM-5LZWP 50-59 years, female 8.1
GTEX-145LS-0126-SM-5QGP1 60-69 years, female 8.1
GTEX-17MFQ-1726-SM-793C7 20-29 years, male 8.1
GTEX-1QPFJ-0226-SM-E76PB 30-39 years, female 8.1
GTEX-111FC-0126-SM-5N9DL 60-69 years, male 8.0
GTEX-117YW-2626-SM-5GZZH 50-59 years, male 8.0
GTEX-13IVO-0126-SM-5J1NG 70-79 years, male 8.0
GTEX-13OVK-2026-SM-7KUEO 40-49 years, male 8.0
GTEX-14BMU-2226-SM-5TDE9 20-29 years, female 8.0
GTEX-14E6E-1826-SM-5S2R7 30-39 years, male 8.0
GTEX-16BQI-0226-SM-7KUEX 30-39 years, female 8.0
GTEX-17F96-1626-SM-7DUFL 70-79 years, male 8.0
GTEX-P44H-0226-SM-2XCEU 40-49 years, male 8.0
GTEX-QDVJ-1726-SM-2I5FX 50-59 years, male 8.0
GTEX-T5JW-1626-SM-3GADZ 20-29 years, female 8.0
GTEX-ZE7O-0126-SM-57WC1 50-59 years, female 8.0
GTEX-1B996-0226-SM-7RHGO 60-69 years, male 8.0
GTEX-1IKK5-0626-SM-ARL8A 60-69 years, male 8.0
GTEX-1J8JJ-0226-SM-CL53I 60-69 years, female 8.0
GTEX-1M5QR-1226-SM-EWROB 40-49 years, male 8.0
GTEX-13N1W-0126-SM-5K7VT 70-79 years, male 7.9
GTEX-13SLW-0126-SM-5SI6C 70-79 years, male 7.9
GTEX-17F98-0626-SM-79OMX 40-49 years, female 7.9
GTEX-SJXC-0126-SM-2XCFF 60-69 years, male 7.9
GTEX-1I1GQ-0126-SM-COH3H 50-59 years, male 7.9
GTEX-1IY9M-0126-SM-D3L8S 60-69 years, male 7.9
GTEX-1JKYN-1326-SM-CGQG9 30-39 years, male 7.9
GTEX-1KANA-0726-SM-D3L9I 20-29 years, male 7.9
GTEX-ZPIC-1726-SM-DHXIU 40-49 years, female 7.9
GTEX-113JC-2326-SM-5EQ4E 50-59 years, female 7.8
GTEX-12WSL-2526-SM-5GCNJ 50-59 years, male 7.8
GTEX-1497J-2426-SM-7IGNX 60-69 years, male 7.8
GTEX-18A7B-0126-SM-7LG64 70-79 years, male 7.8
GTEX-1B8KZ-2026-SM-7DHMB 50-59 years, male 7.8
GTEX-1CB4J-0626-SM-7DHMP 60-69 years, male 7.8
GTEX-S95S-1226-SM-4GICG 60-69 years, male 7.8
GTEX-ZE9C-2726-SM-57WB5 60-69 years, male 7.8
GTEX-1GF9U-2126-SM-7SB7L 40-49 years, female 7.8
GTEX-1L5NE-2526-SM-E6CIE 50-59 years, male 7.8
GTEX-13RTK-1426-SM-5QGQJ 20-29 years, male 7.7
GTEX-14PJ6-2126-SM-6EU1V 60-69 years, female 7.7
GTEX-16NGA-1726-SM-731B4 40-49 years, female 7.7
GTEX-18QFQ-0126-SM-731BE 30-39 years, male 7.7
GTEX-W5WG-1826-SM-4KL2Y 50-59 years, female 7.7
GTEX-Y3I4-2126-SM-4TT7C 50-59 years, male 7.7
GTEX-YJ8A-0426-SM-5IFID 20-29 years, male 7.7
GTEX-1IDJF-0126-SM-CM2RS 20-29 years, male 7.7
GTEX-1JMPZ-0226-SM-CNPP1 30-39 years, male 7.7
GTEX-OIZF-0126-SM-7SB8I 60-69 years, male 7.7
GTEX-11ZTS-0126-SM-5EQ6M 60-69 years, female 7.6
GTEX-13G51-2526-SM-5LZYK 60-69 years, male 7.6
GTEX-13OW6-0426-SM-5L3HM 50-59 years, male 7.6
GTEX-17EVQ-0226-SM-7LG4P 70-79 years, male 7.6
GTEX-1A3MV-1926-SM-718BT 30-39 years, male 7.6
GTEX-Y5V6-2426-SM-4VDSB 60-69 years, male 7.6
GTEX-YFC4-0126-SM-5CVLY 40-49 years, female 7.6
GTEX-ZXES-1826-SM-5E43S 30-39 years, female 7.6
GTEX-1F75A-0126-SM-7RHGM 50-59 years, male 7.6
GTEX-1H2FU-0126-SM-9WYSI 60-69 years, female 7.6
GTEX-PWCY-1826-SM-DHXIZ 20-29 years, female 7.6
GTEX-ZQG8-1626-SM-DHXIT 60-69 years, female 7.6
GTEX-12WSK-2326-SM-5GCOH 40-49 years, female 7.5
GTEX-13CF3-2426-SM-5IFGX 60-69 years, female 7.5
GTEX-148VI-1626-SM-5SI6E 60-69 years, female 7.5
GTEX-14BIL-0126-SM-5SI92 50-59 years, male 7.5
GTEX-O5YW-0126-SM-3LK6D 50-59 years, male 7.5
GTEX-RWSA-0126-SM-2XCBB 40-49 years, male 7.5
GTEX-XAJ8-0826-SM-47JY6 40-49 years, male 7.5
GTEX-XQ3S-1526-SM-4BOOC 20-29 years, male 7.5
GTEX-Z93S-0126-SM-5HL7M 50-59 years, male 7.5
GTEX-11DXW-0226-SM-5H122 40-49 years, male 7.4
GTEX-11OF3-2626-SM-5GU7F 60-69 years, male 7.4
GTEX-1C64N-0126-SM-793D7 50-59 years, male 7.4
GTEX-T6MO-1626-SM-32QOM 40-49 years, female 7.4
GTEX-WQUQ-0426-SM-3MJFU 60-69 years, male 7.4
GTEX-WYJK-0126-SM-3NMAB 50-59 years, male 7.4
GTEX-X261-0126-SM-3NMD6 50-59 years, male 7.4
GTEX-Y8LW-1826-SM-5S2MV 50-59 years, female 7.4
GTEX-11TUW-2726-SM-E9J4M 60-69 years, male 7.4
GTEX-1JK1U-2026-SM-CM2RZ 60-69 years, male 7.4
GTEX-1OJC3-0126-SM-E76QX 20-29 years, male 7.4
GTEX-11GSP-2526-SM-5N9BP 60-69 years, female 7.3
GTEX-13O21-1426-SM-5K7XI 50-59 years, male 7.3
GTEX-15RIG-0226-SM-7KFTL 40-49 years, male 7.3
GTEX-18A66-0226-SM-718BD 60-69 years, male 7.3
GTEX-PVOW-0126-SM-2XCFA 40-49 years, male 7.3
GTEX-ZU9S-0226-SM-5E441 30-39 years, male 7.3
GTEX-1B933-0126-SM-7PC29 50-59 years, female 7.3
GTEX-1C6VQ-0126-SM-7P8RI 50-59 years, male 7.3
GTEX-1POEN-0126-SM-EYYXJ 30-39 years, female 7.3
GTEX-14DAQ-0126-SM-5S2MQ 60-69 years, female 7.2
GTEX-14JIY-0126-SM-6LLH6 60-69 years, male 7.2
GTEX-1C6VS-0526-SM-7DUEN 60-69 years, male 7.2
GTEX-SNMC-1226-SM-2XCFP 20-29 years, male 7.2
GTEX-XPVG-2626-SM-4B669 50-59 years, male 7.2
GTEX-1H3O1-0426-SM-9YFKY 60-69 years, male 7.2
GTEX-1HSMO-0126-SM-CL547 60-69 years, male 7.2
GTEX-1LG7Z-1726-SM-D3LA4 30-39 years, male 7.2
GTEX-117YX-2326-SM-5H12W 50-59 years, male 7.1
GTEX-12WSD-0126-SM-59HKN 60-69 years, female 7.1
GTEX-14753-0426-SM-5NQAM 60-69 years, male 7.1
GTEX-14DAR-2026-SM-5S2O3 50-59 years, male 7.1
GTEX-17HGU-0226-SM-7DHKV 50-59 years, male 7.1
GTEX-17KNJ-2326-SM-7DHLQ 50-59 years, male 7.1
GTEX-OXRP-0126-SM-3NB32 60-69 years, female 7.1
GTEX-POMQ-2226-SM-2I5FK 20-29 years, female 7.1
GTEX-UPJH-0326-SM-3GADU 50-59 years, male 7.1
GTEX-VJYA-1126-SM-3GIJU 60-69 years, male 7.1
GTEX-1EU9M-0226-SM-7P8SP 60-69 years, male 7.1
GTEX-1F6I4-0126-SM-9MQL2 60-69 years, male 7.1
GTEX-1IDJH-0326-SM-A9SLQ 70-79 years, male 7.1
GTEX-T2IS-0126-SM-4DM6O 20-29 years, female 7.0
GTEX-ZAK1-0126-SM-5IJD3 50-59 years, female 7.0
GTEX-ZV68-0126-SM-59HKS 50-59 years, female 7.0
GTEX-12WSG-2826-SM-E9J4H 50-59 years, female 7.0
GTEX-1CB4F-0426-SM-9KNV4 60-69 years, male 7.0
GTEX-1GN73-0226-SM-9WG67 60-69 years, male 7.0
GTEX-1GZ4H-1726-SM-7PBZJ 50-59 years, female 7.0
GTEX-1GZHY-0326-SM-9QEHI 50-59 years, female 7.0
GTEX-1I1CD-0126-SM-CM2TK 60-69 years, female 7.0
GTEX-1LGRB-2526-SM-CNPPQ 50-59 years, female 7.0
GTEX-11UD1-0126-SM-5PNYG 40-49 years, female 6.9
GTEX-1212Z-2526-SM-5EGKP 60-69 years, male 6.9
GTEX-12WSJ-1826-SM-5GCNY 40-49 years, female 6.9
GTEX-18465-0126-SM-731BN 50-59 years, male 6.9
GTEX-WFG8-2226-SM-3GIL9 20-29 years, male 6.9
GTEX-Z93T-0126-SM-5HL5N 50-59 years, male 6.9
GTEX-1GL5R-1826-SM-9KNUY 50-59 years, male 6.9
GTEX-1GPI7-0126-SM-9MQL8 20-29 years, male 6.9
GTEX-1HCU7-0226-SM-CL545 50-59 years, male 6.9
GTEX-1I1GR-0126-SM-CL55F 60-69 years, male 6.9
GTEX-1RB15-2126-SM-E9TIM 60-69 years, male 6.9
GTEX-ZF29-2326-SM-DO92K 60-69 years, female 6.9
GTEX-14PN3-2426-SM-6LLHS 60-69 years, female 6.8
GTEX-15DDE-0126-SM-6LPKH 50-59 years, female 6.8
GTEX-1CB4E-2226-SM-793DC 60-69 years, male 6.8
GTEX-O5YT-0126-SM-48TBW 20-29 years, male 6.8
GTEX-U8T8-0126-SM-3DB94 60-69 years, male 6.8
GTEX-XBEW-0626-SM-4QASP 40-49 years, male 6.8
GTEX-1GN1W-0526-SM-9MQJQ 50-59 years, female 6.8
GTEX-1J8Q3-1626-SM-CMKGC 60-69 years, male 6.8
GTEX-1JN76-0126-SM-CNPPE 20-29 years, female 6.8
GTEX-1192W-2626-SM-5Q5AF 60-69 years, male 6.7
GTEX-11EI6-0126-SM-5985R 60-69 years, male 6.7
GTEX-11LCK-1026-SM-5A5KB 30-39 years, male 6.7
GTEX-12WSC-0126-SM-5EQ4P 50-59 years, male 6.7
GTEX-144GL-0126-SM-5TDE2 50-59 years, male 6.7
GTEX-145ME-1826-SM-5SI9G 40-49 years, female 6.7
GTEX-14E6D-0126-SM-62LDV 50-59 years, male 6.7
GTEX-16GPK-0126-SM-7DHLE 60-69 years, male 6.7
GTEX-17GQL-2026-SM-718BA 60-69 years, male 6.7
GTEX-QCQG-1726-SM-3GIJ9 50-59 years, female 6.7
GTEX-ZVTK-0426-SM-51MRS 20-29 years, male 6.7
GTEX-ZVZO-0126-SM-5A5L9 40-49 years, male 6.7
GTEX-1J8QM-2126-SM-CYPSJ 60-69 years, female 6.7
GTEX-1PPH8-0226-SM-E8VND 20-29 years, male 6.7
GTEX-13NYB-2526-SM-5K7Z6 40-49 years, male 6.6
GTEX-14PHX-2326-SM-62LEM 50-59 years, male 6.6
GTEX-1B8SG-0126-SM-73KZ3 50-59 years, male 6.6
GTEX-UJHI-1526-SM-3DB99 50-59 years, female 6.6
GTEX-X88G-0126-SM-47JZ3 30-39 years, male 6.6
GTEX-Z9EW-1626-SM-5CVMN 40-49 years, male 6.6
GTEX-ZY6K-1826-SM-5GZXK 50-59 years, male 6.6
GTEX-1A8FM-0226-SM-7SB7Q 50-59 years, female 6.6
GTEX-1CAV2-2226-SM-7P8P2 40-49 years, female 6.6
GTEX-1I6K6-0126-SM-A9SLE 30-39 years, male 6.6
GTEX-1IL2U-0226-SM-CE6T8 60-69 years, male 6.6
GTEX-1IOXB-0126-SM-ARL8G 50-59 years, male 6.6
GTEX-1JMQJ-0526-SM-CYPSU 50-59 years, male 6.6
GTEX-1MA7W-2026-SM-E9TJ6 20-29 years, female 6.6
GTEX-1PWST-0226-SM-E76QJ 70-79 years, male 6.6
GTEX-RVPV-0126-SM-EAZAW 60-69 years, male 6.6
GTEX-14BIN-0626-SM-793DP 50-59 years, female 6.5
GTEX-1H3VY-0126-SM-ACKXD 50-59 years, male 6.5
GTEX-1JMPY-1326-SM-ARL8Y 30-39 years, male 6.5
GTEX-1S83E-0126-SM-EWRO4 40-49 years, male 6.5
GTEX-S33H-1026-SM-EZ6L6 30-39 years, male 6.5
GTEX-ZVT4-0126-SM-DTXFN 50-59 years, female 6.5
GTEX-1192X-0226-SM-5H12D 50-59 years, male 6.4
GTEX-11VI4-1726-SM-5CVLH 40-49 years, female 6.4
GTEX-131YS-0126-SM-5KM1M 60-69 years, female 6.4
GTEX-13D11-2426-SM-5KM1V 50-59 years, female 6.4
GTEX-13JUV-2726-SM-5LZZ8 40-49 years, female 6.4
GTEX-14A5I-0126-SM-5TDEA 50-59 years, female 6.4
GTEX-17F97-0326-SM-7LG5B 50-59 years, male 6.4
GTEX-1AYD5-2426-SM-73KXR 50-59 years, male 6.4
GTEX-U412-0426-SM-3DB9O 60-69 years, male 6.4
GTEX-Y5V5-2326-SM-4V6GA 60-69 years, female 6.4
GTEX-YB5E-2026-SM-5IFIS 40-49 years, male 6.4
GTEX-1H1CY-2826-SM-9MQM3 60-69 years, female 6.4
GTEX-1LBAC-0126-SM-DIPEZ 20-29 years, male 6.4
GTEX-1MGNQ-0126-SM-EVYCJ 40-49 years, male 6.4
GTEX-13OVL-0226-SM-5L3E9 50-59 years, male 6.3
GTEX-148VJ-0126-SM-5TDDN 70-79 years, male 6.3
GTEX-1A32A-0126-SM-718B1 50-59 years, female 6.3
GTEX-S7PM-0126-SM-4AD6S 60-69 years, male 6.3
GTEX-ZDTS-0126-SM-4WAY5 60-69 years, male 6.3
GTEX-1EN7A-0126-SM-7SB81 40-49 years, male 6.3
GTEX-1GF9V-0326-SM-7RHI5 60-69 years, male 6.3
GTEX-1GF9X-2026-SM-7PC3A 40-49 years, female 6.3
GTEX-1GN2E-0426-SM-9MQKX 60-69 years, male 6.3
GTEX-1GTWX-0126-SM-9YFLK 60-69 years, male 6.3
GTEX-1PIGE-0126-SM-EVYBJ 20-29 years, male 6.3
GTEX-1R7EV-2426-SM-EVYBG 40-49 years, male 6.3
GTEX-11P81-2326-SM-59875 30-39 years, female 6.2
GTEX-12WSE-0526-SM-793B2 20-29 years, male 6.2
GTEX-13VXU-0126-SM-5SI9F 50-59 years, male 6.2
GTEX-14BMV-0126-SM-5S2PO 50-59 years, male 6.2
GTEX-14JG1-0426-SM-6ETZZ 40-49 years, male 6.2
GTEX-15ETS-0126-SM-7KUMW 40-49 years, female 6.2
GTEX-1BAJH-0526-SM-793CQ 70-79 years, male 6.2
GTEX-ZDTT-2726-SM-4WKF8 60-69 years, male 6.2
GTEX-ZTSS-1926-SM-57WEW 40-49 years, male 6.2
GTEX-13OW5-0126-SM-DTXFS 60-69 years, male 6.2
GTEX-1CAMS-0426-SM-7P8T2 40-49 years, female 6.2
GTEX-1F5PK-2426-SM-7RHHY 50-59 years, male 6.2
GTEX-1LB8K-0226-SM-EWRNW 50-59 years, male 6.2
GTEX-1MCQQ-0826-SM-DLHC2 60-69 years, male 6.2
GTEX-1S5ZA-0126-SM-EVYCV 20-29 years, male 6.2
GTEX-11P7K-2126-SM-5GU7G 30-39 years, male 6.1
GTEX-1211K-2026-SM-5EQ4Z 60-69 years, female 6.1
GTEX-1269C-2526-SM-5EGJ3 60-69 years, female 6.1
GTEX-145LU-0126-SM-5TDCB 50-59 years, male 6.1
GTEX-1AX9K-2326-SM-73KWU 50-59 years, male 6.1
GTEX-P4QT-0126-SM-2I3FL 50-59 years, female 6.1
GTEX-TML8-1926-SM-32QOS 40-49 years, female 6.1
GTEX-1B8L1-2526-SM-9WYTF 60-69 years, male 6.1
GTEX-1HB9E-0226-SM-E9U4R 50-59 years, male 6.1
GTEX-1J1R8-1726-SM-ARL8M 40-49 years, male 6.1
GTEX-11H98-0126-SM-5EGHG 50-59 years, male 6.0
GTEX-11WQC-2526-SM-5CVLE 60-69 years, male 6.0
GTEX-12KS4-0326-SM-5EQ41 30-39 years, male 6.0
GTEX-12ZZZ-0626-SM-5DUXI 60-69 years, male 6.0
GTEX-131XG-2626-SM-5KM17 50-59 years, female 6.0
GTEX-14ABY-0226-SM-5TDCQ 50-59 years, male 6.0
GTEX-18A6Q-0126-SM-731BZ 60-69 years, male 6.0
GTEX-XUYS-0126-SM-47JWZ 50-59 years, male 6.0
GTEX-ZZ64-1726-SM-5GZYB 20-29 years, male 6.0
GTEX-1KXAM-2226-SM-CYPTC 60-69 years, male 6.0
GTEX-1R9K4-0126-SM-DTX9X 60-69 years, male 6.0
GTEX-1313W-0126-SM-5LZUN 50-59 years, female 5.9
GTEX-13PVR-2326-SM-5QGR1 60-69 years, female 5.9
GTEX-15SHW-0326-SM-6PAML 60-69 years, male 5.9
GTEX-1B8SF-1426-SM-7DUGL 60-69 years, male 5.9
GTEX-PX3G-0126-SM-2I3EN 20-29 years, female 5.9
GTEX-1EWIQ-0126-SM-7RHH2 70-79 years, female 5.9
GTEX-1H3VE-0326-SM-9YFLH 40-49 years, male 5.9
GTEX-1N2DW-0226-SM-E9TK2 50-59 years, male 5.9
GTEX-1O97I-0326-SM-EYYX7 60-69 years, male 5.9
GTEX-1122O-2126-SM-5EGIR 60-69 years, female 5.8
GTEX-1E1VI-0126-SM-7DHMZ 50-59 years, male 5.8
GTEX-OIZG-0726-SM-33HBL 50-59 years, male 5.8
GTEX-X5EB-2226-SM-46MW4 40-49 years, male 5.8
GTEX-YB5K-2126-SM-4WWDJ 40-49 years, female 5.8
GTEX-ZVT2-2526-SM-51MT1 50-59 years, female 5.8
GTEX-1F5PL-0326-SM-7P8PQ 40-49 years, female 5.8
GTEX-1GMR3-1926-SM-9KNUZ 40-49 years, male 5.8
GTEX-1GMRU-0126-SM-9YFLV 50-59 years, male 5.8
GTEX-1I1GV-0526-SM-A9G29 60-69 years, male 5.8
GTEX-11EM3-2426-SM-59861 20-29 years, female 5.7
GTEX-11GS4-2726-SM-5A5LE 60-69 years, male 5.7
GTEX-12584-0126-SM-5EGKQ 40-49 years, male 5.7
GTEX-13OVG-1926-SM-5L3DK 60-69 years, male 5.7
GTEX-13S7M-0126-SM-5SI6A 60-69 years, female 5.7
GTEX-15DYW-0126-SM-7KULE 60-69 years, female 5.7
GTEX-16AAH-1726-SM-7939C 50-59 years, male 5.7
GTEX-T6MN-0126-SM-32PLP 50-59 years, male 5.7
GTEX-YJ89-0126-SM-4TT3X 60-69 years, male 5.7
GTEX-1E2YA-0126-SM-9KNUC 50-59 years, male 5.7
GTEX-1HFI7-1826-SM-ACKXH 50-59 years, female 5.7
GTEX-1I4MK-2226-SM-ACKWD 50-59 years, female 5.7
GTEX-1MUQO-0126-SM-EAZ58 60-69 years, male 5.7
GTEX-1OFPY-2426-SM-DTXEJ 60-69 years, male 5.7
GTEX-145LT-1726-SM-5QGP3 40-49 years, male 5.6
GTEX-17JCI-0126-SM-7LG5G 60-69 years, female 5.6
GTEX-1F6IF-0726-SM-7P8TW 60-69 years, male 5.6
GTEX-1GN1U-0126-SM-7PBZK 50-59 years, female 5.6
GTEX-1HT8W-0126-SM-CNPPP 30-39 years, male 5.6
GTEX-1JJEA-0326-SM-CNPOT 60-69 years, male 5.6
GTEX-1PDJ9-0326-SM-DTX95 20-29 years, male 5.6
GTEX-13N11-2526-SM-5K7UE 50-59 years, female 5.5
GTEX-17EVP-0326-SM-7DHLG 40-49 years, male 5.5
GTEX-18A7A-0226-SM-718BH 50-59 years, female 5.5
GTEX-1C4CL-0526-SM-73KVK 30-39 years, male 5.5
GTEX-Y8E4-0626-SM-4WWDL 40-49 years, male 5.5
GTEX-11XUK-2026-SM-5EQLF 40-49 years, female 5.4
GTEX-12ZZX-0126-SM-5EGK9 40-49 years, female 5.4
GTEX-WFON-2126-SM-3LK7O 40-49 years, male 5.4
GTEX-1H4P4-0726-SM-9YFLR 50-59 years, male 5.4
GTEX-1HFI6-0226-SM-ADEHZ 40-49 years, male 5.4
GTEX-1HSKV-0226-SM-A9SKJ 60-69 years, male 5.4
GTEX-1IKJJ-0126-SM-CNPQB 60-69 years, male 5.4
GTEX-1K2DA-1826-SM-CGQGT 50-59 years, male 5.4
GTEX-1LGOU-2026-SM-DIPFF 20-29 years, female 5.4
GTEX-1LVAN-0226-SM-COH3S 50-59 years, female 5.4
GTEX-PSDG-0226-SM-DKPOZ 50-59 years, male 5.4
GTEX-12696-2426-SM-5EQ6H 60-69 years, male 5.3
GTEX-139TS-2826-SM-5J1OO 60-69 years, male 5.3
GTEX-13CF2-2526-SM-5LZYX 60-69 years, male 5.3
GTEX-15EU6-0426-SM-6PAN5 50-59 years, male 5.3
GTEX-1MJK2-0426-SM-DTXE5 50-59 years, male 5.3
GTEX-1QMI2-0226-SM-EVYBX 60-69 years, male 5.3
GTEX-1R9PM-2026-SM-E76OY 20-29 years, male 5.3
GTEX-1S3DN-2226-SM-EVYCD 50-59 years, male 5.3
GTEX-139TT-0126-SM-5K7Y5 60-69 years, male 5.2
GTEX-13X6J-0126-SM-5QGOU 50-59 years, male 5.2
GTEX-145MO-0326-SM-5Q5B3 60-69 years, male 5.2
GTEX-ZDYS-2026-SM-5HL5L 50-59 years, male 5.2
GTEX-ZF2S-2326-SM-4WWCE 50-59 years, female 5.2
GTEX-1HSGN-0226-SM-CGQFV 40-49 years, female 5.2
GTEX-13112-2826-SM-5DUWH 50-59 years, male 5.1
GTEX-13SLX-0526-SM-5S2ON 50-59 years, female 5.1
GTEX-15SB6-1726-SM-6PAME 50-59 years, female 5.1
GTEX-15SHU-0126-SM-7KUEH 40-49 years, female 5.1
GTEX-17HHY-0126-SM-7LG5D 50-59 years, male 5.1
GTEX-17HII-0226-SM-7LG4E 50-59 years, male 5.1
GTEX-1CB4G-0226-SM-7PC3O 60-69 years, male 5.1
GTEX-1EMGI-0126-SM-9KNUE 60-69 years, male 5.1
GTEX-1KD4Q-0226-SM-E9TJ9 40-49 years, male 5.1
GTEX-12ZZY-0226-SM-5LZVE 60-69 years, male 5.0
GTEX-13111-1626-SM-5EGJY 50-59 years, male 5.0
GTEX-139TU-0126-SM-5K7WH 60-69 years, male 5.0
GTEX-14PII-0226-SM-6EU1T 60-69 years, male 5.0
GTEX-1AX9I-0126-SM-7SB74 60-69 years, male 5.0
GTEX-1HSMQ-1226-SM-CGQFX 50-59 years, male 5.0
GTEX-139UW-2826-SM-5L3E7 60-69 years, male 4.9
GTEX-13FTW-2626-SM-5K7WL 40-49 years, male 4.9
GTEX-13YAN-0326-SM-5O9DF 60-69 years, male 4.9
GTEX-Y8DK-0126-SM-4TT3L 60-69 years, male 4.9
GTEX-1JN6P-0126-SM-D3L98 60-69 years, male 4.9
GTEX-14PJM-0226-SM-62LF1 50-59 years, female 4.8
GTEX-1HCUA-2426-SM-ADEIS 50-59 years, female 4.8
GTEX-1QP9N-1426-SM-DTXFL 30-39 years, male 4.8
GTEX-11DXZ-2326-SM-5EGGV 50-59 years, male 4.7
GTEX-131XH-2226-SM-5DUXJ 50-59 years, male 4.7
GTEX-17HG3-2226-SM-7938L 30-39 years, female 4.7
GTEX-ZYFD-0126-SM-5GIDL 50-59 years, male 4.7
GTEX-1KANC-1526-SM-D3LAB 50-59 years, female 4.7
GTEX-1PIIG-0226-SM-EWRN6 30-39 years, male 4.7
GTEX-1R7EU-0226-SM-EVR4G 60-69 years, male 4.7
GTEX-13FHP-0126-SM-5IJBG 50-59 years, male 4.6
GTEX-1B97I-1626-SM-73KYO 40-49 years, male 4.6
GTEX-Y3IK-2426-SM-4WWDU 50-59 years, female 4.6
GTEX-13X6H-2126-SM-7EWD5 50-59 years, female 4.5
GTEX-1AX9J-0226-SM-73KXM 60-69 years, male 4.5
GTEX-1JMLX-0226-SM-CM2RO 50-59 years, male 4.5
GTEX-1C475-1826-SM-73KWA 40-49 years, female 4.4
GTEX-ZTX8-1426-SM-5DUVO 20-29 years, male 4.4
GTEX-1HCU6-0126-SM-CL54K 60-69 years, female 4.4
GTEX-15ER7-0326-SM-7KUEV 20-29 years, female 4.3
GTEX-18D9A-1926-SM-7LG6P 30-39 years, female 4.3
GTEX-ZYT6-0226-SM-5NQ6T 30-39 years, male 4.3
GTEX-1HBPI-1526-SM-C1YQ1 50-59 years, male 4.3
GTEX-11DYG-0126-SM-59883 60-69 years, male 4.2
GTEX-WXYG-2326-SM-4E3I6 50-59 years, female 4.2
GTEX-ZGAY-0526-SM-4WWBB 40-49 years, female 4.1
GTEX-13FXS-0226-SM-5IJCK 50-59 years, male 3.9
GTEX-1B8KE-2126-SM-73KYX 50-59 years, male 3.9
GTEX-1399U-2326-SM-5K7WY 50-59 years, female 3.7
GTEX-Y114-2426-SM-4TT8A 50-59 years, female 3.6
GTEX-OIZH-0126-SM-2HMIS 50-59 years, male 3.4
Show allShow less

Contact

  • NEWS ARTICLES
  • PRESS ROOM

The Project

  • INTRODUCTION
  • ORGANIZATION
  • PUBLICATIONS

The Human Protein Atlas

  • DOWNLOADABLE DATA
  • LICENCE & CITATION
  • HELP & FAQ
The Human Protein Atlas project is funded
by the Knut & Alice Wallenberg Foundation.


contact@proteinatlas.org