We use cookies to enhance the usability of our website. If you continue, we'll assume that you are happy to receive all cookies. More information. Don't show this again.
ZNG1E
HPA
RESOURCES
  • TISSUE
  • BRAIN
  • SINGLE CELL
  • SUBCELLULAR
  • CANCER
  • BLOOD
  • CELL LINE
  • STRUCTURE & INTERACTION
ABOUT
  • INTRODUCTION
  • HISTORY
  • ORGANIZATION
  • PUBLICATIONS
  • ANTIBODY SUBMISSION
  • ANTIBODY AVAILABILITY
  • ACKNOWLEDGMENTS
  • CONTACT
NEWS
  • NEWS ARTICLES
  • PRESS ROOM
LEARN
  • DICTIONARY
  • PROTEIN CLASSES
  • PROTEIN EVIDENCE
  • METHODS
  • EDUCATIONAL VIDEOS
DATA
  • DOWNLOADABLE DATA
  • PUBLICATION DATA
  • RELEASE HISTORY
HELP
  • ANTIBODY VALIDATION
  • ASSAYS & ANNOTATION
  • DISCLAIMER
  • HELP & FAQ
  • PRIVACY STATEMENT
  • LICENCE & CITATION
Fields »
Search result

Field
Term
Gene name
Class
Subclass
Class
Keyword
Chromosome
External id
Tissue
Cell type
Expression
Antibody panel
Tissue
Main location
Patient ID
Annotation
Tissue
Category
Tau score
Cluster
Reliability
Brain region
Category
Tau score
Brain region
Category
Tau score
Brain region
Category
Tau score
Cluster
Reliability
Tissue
Cell type
Enrichment
Cell type
Category
Tau score
Cell type
Category
Tau score
Cell type
Category
Tau score
Cell lineage
Category
Tau score
Cluster
Cluster
Location
Searches
Location
Cell line
Class
Type
Phase
Reliability
Cancer
Prognosis
Cancer
Category
Cancer
Category
Tau score
Cluster
Variants
Interacting gene (ensg_id)
Type
Number of interactions
Pathway
Category
Score
Score
Score
Validation
Validation
Validation
Validation
Antibodies
Data type
Column


  • SUMMARY

  • TISSUE

  • BRAIN

  • SINGLE CELL

  • SUBCELL

  • CANCER

  • BLOOD

  • CELL LINE

  • STRUCT & INT

  • ZNG1E
TISSUE PRIMARY DATA CEREBELLUM Show tissue menu
ADIPOSE TISSUE ADRENAL GLAND AMYGDALA APPENDIX BASAL GANGLIA BONE MARROW BREAST BRONCHUS CEREBELLUM CEREBRAL CORTEX CERVIX CHOROID PLEXUS COLON DUODENUM
ENDOMETRIUM EPIDIDYMIS ESOPHAGUS FALLOPIAN TUBE GALLBLADDER HEART MUSCLE HIPPOCAMPAL FORMATION HYPOTHALAMUS KIDNEY LIVER LUNG LYMPH NODE MIDBRAIN NASOPHARYNX
ORAL MUCOSA OVARY PANCREAS PARATHYROID GLAND PITUITARY GLAND PLACENTA PROSTATE RECTUM RETINA SALIVARY GLAND SEMINAL VESICLE SKELETAL MUSCLE SKIN SMALL INTESTINE
SMOOTH MUSCLE SOFT TISSUE SPINAL CORD SPLEEN STOMACH TESTIS THYMUS THYROID GLAND TONGUE TONSIL URINARY BLADDER VAGINA
ANTIBODIES
AND
VALIDATION
Dictionary
Cerebellum
Tissue proteome
Cerebellum
CEREBELLUM - Expression summary
Protein expression
Cerebellumi

On the top, protein expression in current human tissue, based on all annotated cell types, is reported with the units not detected (n), low (l), medium (m) and high (h). Underneath, protein expression in each annotated cell type are reported using the same units.

Protein expression data is based on knowledge-based annotation. For genes where more than one antibody has been used, a collective score is set.

If knowledge-based annotation could not be performed for a gene, no data is displayed here. View antibody staining data further down this page.

h
m
l
n
Cells in granular layer: Low
Cells in molecular layer: Not detected
Purkinje cells: Low
RNA expressioni

A summary of mRNA expression data available for current tissue based on several datasets. The mRNA expression levels in human tissues are based on RNA-seq data generated by the Human Protein Atlas (HPA), Genotype-Tissue Expression (GTEx) portal and CAGE data generated by the FANTOM5 consortium. Consensus normalized expression levels for human tissues was created by combining the data from HPA and GTEx datasets.

The mRNA expression levels in pig are based on RNA-seq data generated by the Human Protein Atlas (HPA), and for mouse, HPA data and in situ hybridization generated by the Allen brain atlas are reported.

Scroll down to view mRNA expression data in more detail.
Consensus:28.9 nTPM
HPA Brain:5.7 nTPM
GTEx:28.9 nTPM

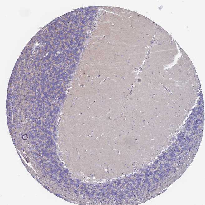
CEREBELLUM - Antibody stainingi

Antibody staining in the annotated cell types in the current human tissue is reported as not detected, low, medium, or high, based on conventional immunohistochemistry profiling in selected tissues. This score is based on the combination of the staining intensity and fraction of stained cells.

Each image is clickable and will lead to virtual microscopy that enables deeper exploration of all samples and also displays staining intensity scores, fraction scores and subcellular localization as well as patient and tissue information for each sample.

Antibody HPA042759Antibody HPA042813
Purkinje cells Not detectedLow
Cells in granular layer LowLow
Cells in molecular layer Not detectedNot detected





CEREBELLUM - HPA Brain RNA-seq
Max subtype nTPMi

Max subtype nTPM is the value for the subtype with the largest average nTPM across the subtype samples.

5.7
Sample id Sample description nTPM
Cerebellar cortex
nTPM: 4.9
2101 Male, age 74, right hemisphere 6.9
1768 Female, age 72, unknown 5.9
2006 Male, age 61, right hemisphere 5.6
1774 Male, age 80, left hemisphere 4.5
2003 Female, age 85, right hemisphere 4.4
2055 Female, age 91, right hemisphere 4.3
1769 Male, age 76, right hemisphere 4.0
1788 Male, age 55, unknown 3.5
Cerebellar nuclei
nTPM: 3.7
2318 Male, age 74, left hemisphere 5.1
1871 Male, age 74, unknown 4.4
2175 Male, age 61, right hemisphere 3.9
2783 Female, age 72, unknown 3.8
1879 Male, age 55, unknown 3.7
2005 Male, age 80, left hemisphere 3.5
2882 Male, age 76, left hemisphere 3.5
2177 Female, age 85, both hemispheres 3.0
1966 Female, age 91, left hemisphere 2.5
Flocculonodular lobe
nTPM: 4.9
1835 Female, age 85, right hemisphere 7.5
2176 Female, age 91, right hemisphere 5.2
2004 Male, age 61, right hemisphere 4.9
1765 Male, age 55, unknown 4.7
1767 Male, age 76, left hemisphere 4.6
1771 Male, age 80, left hemisphere 3.8
1792 Male, age 74, unknown 3.8
Vermis
nTPM: 5.7
1751 Male, age 74, right hemisphere 9.6
1928 Female, age 72, unknown 6.7
2460 Male, age 61, both hemispheres 6.5
2834 Male, age 80, left hemisphere 5.7
1988 Female, age 85, left hemisphere 5.2
1766 Male, age 55, unknown 5.0
1778 Female, age 91, left hemisphere 4.5
1825 Male, age 74, unknown 4.5
1770 Male, age 76, left hemisphere 3.9

CEREBELLUM - GTEx RNA-seqi

RNA-Seq data generated by the Genotype-Tissue Expression (GTEx) project from human tissues is reported as mean nTPM. More information can be found on the GTEx portal.

Distribution across the dataset is visualized with box plots, shown as median and 25th and 75th percentiles. Points are displayed as outliers if they are above or below 1.5 times the interquartile range. nTPM values of the individual samples are presented next to the box plot.
Max subtype nTPMi

Max subtype nTPM is the value for the subtype with the largest average nTPM across the subtype samples.

28.9
GTEx sample id Sample description nTPM
Brain - Cerebellar Hemisphere
Average nTPM: 28.9
Samples: 215

Max nTPM: 107.7
Min nTPM: 4.1
Std nTPM: 19.4
Median nTPM: 25.2
GTEX-1CAV2-0011-R11a-SM-ARU8D 40-49 years, female 107.7
GTEX-1LKK1-0011-R11a-SM-EXOIG 50-59 years, female 105.0
GTEX-139UW-0011-R11a-SM-5IJGN 60-69 years, male 95.0
GTEX-13CZV-0011-R11b-SM-5N9FN 60-69 years, male 93.8
GTEX-1IOXB-0011-R11a-SM-A9G1X 50-59 years, male 85.4
GTEX-132Q8-0011-R11b-SM-5DUW9 60-69 years, male 85.3
GTEX-1J8Q2-0011-R11a-SM-A9SKI 60-69 years, male 81.8
GTEX-17EVQ-0011-R11a-SM-7LT9C 70-79 years, male 80.6
GTEX-1H4P4-0011-R11b-SM-CE6S8 50-59 years, male 80.4
GTEX-11EI6-0011-R11a-SM-DO11V 60-69 years, male 79.6
GTEX-1GMRU-0011-R11b-SM-C1YQ4 50-59 years, male 72.6
GTEX-11EMC-0011-R11b-SM-DNZZK 60-69 years, female 71.9
GTEX-131XW-0011-R11a-SM-5DUV9 50-59 years, female 70.6
GTEX-QMR6-0011-R11A-SM-32PKK 50-59 years, male 64.6
GTEX-1HUB1-0011-R11b-SM-CE6SC 60-69 years, male 59.6
GTEX-14C39-0011-R11b-SM-5YYAF 40-49 years, male 57.4
GTEX-1F75W-0011-R11b-SM-AHZ34 60-69 years, male 57.2
GTEX-1IKOH-0011-R11a-SM-AHZ38 60-69 years, female 57.1
GTEX-1GZHY-0011-R11a-SM-C1YRQ 50-59 years, female 55.7
GTEX-OHPN-0011-R11A-SM-2I5FM 60-69 years, female 54.4
GTEX-P44H-0011-R11A-SM-2XCER 40-49 years, male 53.2
GTEX-1C64N-0011-R11b-SM-7P8Q6 50-59 years, male 53.0
GTEX-16NPV-0011-R11a-SM-7IGMK 50-59 years, female 52.9
GTEX-13FLV-0011-R11a-SM-5LZZ7 50-59 years, male 52.7
GTEX-ZE9C-0011-R11a-SM-4WKGG 60-69 years, male 52.4
GTEX-12WSD-0011-R11a-SM-9OSVC 60-69 years, female 51.2
GTEX-ZE7O-0011-R11a-SM-57WBC 50-59 years, female 49.6
GTEX-UTHO-0011-R11A-SM-3GIJE 60-69 years, male 47.7
GTEX-16Z82-0011-R11a-SM-79OKJ 60-69 years, male 47.2
GTEX-1JJ6O-0011-R11b-SM-EXUS2 60-69 years, male 47.2
GTEX-X585-0011-R11B-SM-46MUZ 50-59 years, male 45.8
GTEX-16GPK-0011-R11b-SM-7MKFF 60-69 years, male 45.6
GTEX-14ASI-0011-R11b-SM-6AJBJ 60-69 years, male 45.3
GTEX-Z93S-0011-R11a-SM-4RGNN 50-59 years, male 44.8
GTEX-17JCI-0011-R11a-SM-7189Y 60-69 years, female 44.3
GTEX-1EKGG-0011-R11a-SM-9QEHZ 60-69 years, male 43.5
GTEX-14BIM-0011-R11b-SM-5S2RN 60-69 years, female 43.3
GTEX-16XZZ-0011-R11a-SM-7EPI3 60-69 years, male 42.7
GTEX-1M4P7-0011-R11b-SM-EXOIK 60-69 years, male 42.5
GTEX-YJ89-0011-R11a-SM-4SOKA 60-69 years, male 41.6
GTEX-1IL2U-0011-R11a-SM-CE6SO 60-69 years, male 41.6
GTEX-1GF9W-0011-R11b-SM-9OSXG 60-69 years, male 41.5
GTEX-18A6Q-0011-R11a-SM-72D6H 60-69 years, male 40.3
GTEX-1I1GQ-0011-R11b-SM-CKZPA 50-59 years, male 39.5
GTEX-13NZA-0011-R11b-SM-5KM4W 60-69 years, male 39.3
GTEX-12WSI-0011-R11b-SM-5P9EZ 50-59 years, male 38.9
GTEX-1B8SG-0011-R11a-SM-7P8PF 50-59 years, male 38.9
GTEX-1GZ4I-0011-R11b-SM-9OSWR 50-59 years, male 38.2
GTEX-1H3NZ-0011-R11b-SM-CE6SF 60-69 years, male 37.1
GTEX-11WQC-0011-R11b-SM-57WD6 60-69 years, male 37.0
GTEX-1F48J-0011-R11b-SM-9OSWV 50-59 years, female 36.9
GTEX-1HBPI-0011-R11b-SM-CE6SH 50-59 years, male 36.7
GTEX-16YQH-0011-R11b-SM-7LT98 30-39 years, male 36.6
GTEX-1H1ZS-0011-R11a-SM-C1YQM 70-79 years, male 35.9
GTEX-1I19N-0011-R11b-SM-ARU6Y 70-79 years, male 35.7
GTEX-14C5O-0011-R11b-SM-6872H 60-69 years, male 35.4
GTEX-15DCD-0011-R11a-SM-D4P1R 70-79 years, female 35.4
GTEX-11ZTS-0011-R11a-SM-DO113 60-69 years, female 34.9
GTEX-13RTJ-0011-R11a-SM-5O9CK 60-69 years, male 34.6
GTEX-1H3VE-0011-R11b-SM-C1YRP 40-49 years, male 34.0
GTEX-ZF28-0011-R11a-SM-4WWEI 60-69 years, male 33.7
GTEX-1F6I4-0011-R11b-SM-9OSWS 60-69 years, male 33.7
GTEX-13SLW-0011-R11a-SM-5SI8Q 70-79 years, male 33.4
GTEX-1F7RK-0011-R11b-SM-9QEI2 20-29 years, female 33.1
GTEX-1BAJH-0011-R11b-SM-7IGLM 70-79 years, male 33.0
GTEX-1F75A-0011-R11a-SM-AHZ35 50-59 years, male 32.7
GTEX-1GMR8-0011-R11b-SM-9OSX2 50-59 years, female 32.6
GTEX-1E1VI-0011-R11a-SM-9OSWI 50-59 years, male 32.1
GTEX-14E6D-0011-R11b-SM-664NP 50-59 years, male 31.1
GTEX-14ABY-0011-R11a-SM-5SI7C 50-59 years, male 31.0
GTEX-X4EP-0011-R11B-SM-4QASK 60-69 years, female 30.8
GTEX-17F97-0011-R11b-SM-7KFRQ 50-59 years, male 30.7
GTEX-ZDXO-0011-R11a-SM-4WWD9 60-69 years, male 30.7
GTEX-11TTK-0011-R11b-SM-DO112 60-69 years, female 30.7
GTEX-13FTY-0011-R11a-SM-5IJEA 40-49 years, female 30.6
GTEX-ZAB4-0011-R11a-SM-4SOKI 40-49 years, male 30.6
GTEX-T5JC-0011-R11A-SM-32PMB 20-29 years, male 30.2
GTEX-1HCU6-0011-R11b-SM-AHZ2F 60-69 years, female 29.9
GTEX-15CHQ-0011-R11b-SM-686ZZ 60-69 years, male 29.7
GTEX-1I1GS-0011-R11a-SM-C1YRU 60-69 years, male 29.6
GTEX-1IGQW-0011-R11a-SM-C1YRV 60-69 years, male 29.6
GTEX-1ICLZ-0011-R11a-SM-CJI3N 60-69 years, male 28.9
GTEX-1J1OQ-0011-R11a-SM-A96S3 40-49 years, female 28.8
GTEX-1B933-0011-R11a-SM-7P8PM 50-59 years, female 28.5
GTEX-14BIN-0011-R11a-SM-5SI79 50-59 years, female 28.2
GTEX-1KD4Q-0011-R11b-SM-EXOIE 40-49 years, male 28.1
GTEX-1JJEA-0011-R11a-SM-EXUTE 60-69 years, male 28.0
GTEX-X261-0011-R11A-SM-4E3JY 50-59 years, male 27.9
GTEX-N7MS-0011-R11A-SM-2HMJS 60-69 years, male 27.8
GTEX-13QIC-0011-R11b-SM-5O9BU 60-69 years, female 27.7
GTEX-1I1GR-0011-R11a-SM-CM2T5 60-69 years, male 27.3
GTEX-NL3H-0011-R11A-SM-2I3E6 60-69 years, male 27.2
GTEX-RU72-0011-R11A-SM-CM2U1 50-59 years, female 27.1
GTEX-ZVT3-0011-R11b-SM-57WBI 60-69 years, female 27.0
GTEX-183WM-0011-R11a-SM-718A5 70-79 years, female 26.7
GTEX-1HGF4-0011-R11a-SM-C1YRR 60-69 years, male 26.6
GTEX-1HSKV-0011-R11b-SM-AHZ2E 60-69 years, male 26.1
GTEX-1LG7Y-0011-R11a-SM-EXOIH 50-59 years, male 26.1
GTEX-12WSF-0011-R11a-SM-5LZVT 70-79 years, male 26.0
GTEX-13PVQ-0011-R11a-SM-5O9DU 50-59 years, male 25.8
GTEX-1JMOU-0011-R11b-SM-EXUTA 60-69 years, female 25.7
GTEX-1H3O1-0011-R11a-SM-A96RV 60-69 years, male 25.6
GTEX-1N2DW-0011-R11b-SM-EXOIL 50-59 years, male 25.6
GTEX-13X6I-0011-R11a-SM-5P9HN 60-69 years, male 25.4
GTEX-XMD1-0011-R11A-SM-4AT5J 60-69 years, male 25.4
GTEX-145MI-0011-R11a-SM-5P9JZ 60-69 years, female 25.3
GTEX-17HII-0011-R11b-SM-7KFSX 50-59 years, male 25.3
GTEX-17HG3-0011-R11b-SM-7KFT4 30-39 years, female 25.2
GTEX-P44G-0011-R11A-SM-2I3FD 30-39 years, male 25.2
GTEX-11PRG-0011-R11b-SM-DNZZY 50-59 years, male 25.0
GTEX-18465-0011-R11a-SM-72D78 50-59 years, male 24.2
GTEX-13FHO-0011-R11b-SM-5LZYQ 60-69 years, male 24.1
GTEX-13G51-0011-R11b-SM-5J2NE 60-69 years, male 24.1
GTEX-13JVG-0011-R11a-SM-5KM53 60-69 years, male 24.1
GTEX-13PLJ-0011-R11b-SM-5O9BS 60-69 years, female 23.9
GTEX-12WSH-0011-R11a-SM-5LZVM 50-59 years, male 23.4
GTEX-1I1HK-0011-R11a-SM-B2LVN 60-69 years, male 23.4
GTEX-13JUV-0011-R11a-SM-5LZYH 40-49 years, female 22.9
GTEX-WWYW-0011-R11A-SM-3NB38 50-59 years, female 22.8
GTEX-11DXY-0011-R11a-SM-DNZZN 60-69 years, male 22.5
GTEX-1N2EE-0011-R11b-SM-EXOIJ 60-69 years, male 22.5
GTEX-1H1DG-0011-R11a-SM-C1YQK 70-79 years, male 22.1
GTEX-13X6J-0011-R11a-SM-5P9HE 50-59 years, male 21.9
GTEX-1LSVX-0011-R11b-SM-EXOIA 60-69 years, male 21.6
GTEX-14E7W-0011-R11a-SM-5ZZVA 70-79 years, male 21.5
GTEX-TSE9-0011-R11A-SM-3DB7N 60-69 years, female 21.5
GTEX-11DYG-0011-R11a-SM-DNZZP 60-69 years, male 21.2
GTEX-1CB4G-0011-R11a-SM-9OSWG 60-69 years, male 20.8
GTEX-1J8EW-0011-R11a-SM-AHZ37 60-69 years, female 20.6
GTEX-WL46-0011-R11A-SM-3MJFT 50-59 years, male 20.4
GTEX-NL4W-0011-R11A-SM-2I3DW 50-59 years, male 20.3
GTEX-13OW7-0011-R11a-SM-5O9DY 50-59 years, male 20.2
GTEX-QDT8-0011-R11A-SM-32PKD 30-39 years, female 20.0
GTEX-13OVJ-0011-R11a-SM-5P9H8 50-59 years, female 19.9
GTEX-NPJ7-0011-R11A-SM-2I3E8 60-69 years, female 19.9
GTEX-1R9K4-0011-R11a-SM-EZ6N9 60-69 years, male 19.3
GTEX-T2IS-0011-R11A-SM-32QPC 20-29 years, female 19.1
GTEX-1313W-0011-R11a-SM-5DUXN 50-59 years, female 18.8
GTEX-ZVZQ-0011-R11a-SM-51MS6 60-69 years, female 18.8
GTEX-13SLX-0011-R11b-SM-5O9C8 50-59 years, female 18.7
GTEX-S7SE-0011-R11A-SM-2XCDD 50-59 years, male 18.6
GTEX-1GTWX-0011-R11b-SM-C1YQJ 60-69 years, male 18.5
GTEX-1I1GV-0011-R11a-SM-CJI3Z 60-69 years, male 18.2
GTEX-X4XX-0011-R11A-SM-46MWQ 60-69 years, male 18.1
GTEX-1LVAO-0011-R11b-SM-EXOI8 60-69 years, male 18.1
GTEX-13OW6-0011-R11a-SM-5L3H2 50-59 years, male 17.9
GTEX-1399T-0011-R11a-SM-5J2O1 60-69 years, male 17.6
GTEX-1B8SF-0011-R11a-SM-79OOP 60-69 years, male 17.6
GTEX-13NYS-0011-R11b-SM-5MR4P 60-69 years, male 17.5
GTEX-15ER7-0011-R11a-SM-6LPIL 20-29 years, female 17.4
GTEX-WZTO-0011-R11A-SM-4E3K9 40-49 years, male 17.4
GTEX-1IDJH-0011-R11b-SM-C1YRT 70-79 years, male 16.9
GTEX-12WSM-0011-R11a-SM-5DUX8 60-69 years, male 16.5
GTEX-11ZUS-0011-R11b-SM-5BC7B 30-39 years, male 16.4
GTEX-1IL2V-0011-R11a-SM-ARU6T 70-79 years, male 16.3
GTEX-1R9PO-0011-R11b-SM-EZ6NB 60-69 years, female 16.2
GTEX-1A3MX-0011-R11b-SM-7DUGP 60-69 years, male 15.9
GTEX-13FXS-0011-R11a-SM-5L3DM 50-59 years, male 15.8
GTEX-13N2G-0011-R11a-SM-5MR3F 60-69 years, male 15.8
GTEX-13NYB-0011-R11a-SM-5KM3Q 40-49 years, male 15.8
GTEX-13X6K-0011-R11a-SM-5P9F5 60-69 years, female 15.8
GTEX-18464-0011-R11a-SM-72D76 50-59 years, male 15.8
GTEX-T6MN-0011-R11A-SM-32QOX 50-59 years, male 15.7
GTEX-1JMQJ-0011-R11a-SM-EXOJY 50-59 years, male 15.6
GTEX-11GSP-0011-R11b-SM-5NQ7V 60-69 years, female 15.1
GTEX-1F52S-0011-R11a-SM-CJI23 60-69 years, female 14.9
GTEX-145MH-0011-R11a-SM-5P9HQ 50-59 years, male 14.7
GTEX-Q2AG-0011-R11A-SM-2HMKZ 40-49 years, female 14.6
GTEX-ZUA1-0011-R11b-SM-51MTI 40-49 years, male 14.2
GTEX-12126-0011-R11a-SM-5BC6X 20-29 years, male 14.1
GTEX-13FHP-0011-R11b-SM-5LZXP 50-59 years, male 14.0
GTEX-11DZ1-0011-R11b-SM-DO11W 50-59 years, male 13.8
GTEX-13OW8-0011-R11a-SM-5L3GT 60-69 years, male 13.7
GTEX-1IY9M-0011-R11b-SM-A96TI 60-69 years, male 13.6
GTEX-14DAQ-0011-R11a-SM-664NO 60-69 years, female 13.2
GTEX-YFC4-0011-R11a-SM-4SOK6 40-49 years, female 13.1
GTEX-NPJ8-0011-R11A-SM-2YUMS 40-49 years, male 12.9
GTEX-12ZZZ-0011-R11a-SM-5EGLC 60-69 years, male 12.8
GTEX-15DYW-0011-R11a-SM-6LPIT 60-69 years, female 12.2
GTEX-13OVL-0011-R11b-SM-5L3G7 50-59 years, male 12.0
GTEX-145LU-0011-R11b-SM-5P9JX 50-59 years, male 12.0
GTEX-N7MT-0011-R11A-SM-2I3DZ 60-69 years, female 11.9
GTEX-15EO6-0011-R11b-SM-6M47M 50-59 years, male 11.7
GTEX-13OVH-0011-R11b-SM-5KM4X 70-79 years, male 11.3
GTEX-13O3Q-0011-R11b-SM-5KM2W 50-59 years, male 11.2
GTEX-131YS-0011-R11b-SM-5EGLM 60-69 years, female 11.0
GTEX-WVLH-0011-R11A-SM-3MJFO 50-59 years, male 10.6
GTEX-WHSE-0011-R11A-SM-3P5YY 20-29 years, male 10.5
GTEX-14PN4-0011-R11a-SM-686ZW 50-59 years, male 10.3
GTEX-1AX9I-0011-R11b-SM-7DHN4 60-69 years, male 10.2
GTEX-1B8L1-0011-R11b-SM-793DJ 60-69 years, male 10.2
GTEX-1EMGI-0011-R11b-SM-9OSWX 60-69 years, male 10.2
GTEX-12WSC-0011-R11a-SM-5GU5J 50-59 years, male 10.0
GTEX-12WSE-0011-R11b-SM-5P9JW 20-29 years, male 9.9
GTEX-17EVP-0011-R11a-SM-7EWDL 40-49 years, male 9.4
GTEX-139TT-0011-R11b-SM-5LZV1 60-69 years, male 9.3
GTEX-13CF2-0011-R11b-SM-5LZXO 60-69 years, male 9.1
GTEX-R55E-0011-R11A-SM-2TC6I 20-29 years, male 9.0
GTEX-1GN73-0011-R11b-SM-9OSX4 60-69 years, male 9.0
GTEX-15G19-0011-R11b-SM-6LPIH 60-69 years, male 8.9
GTEX-RVPV-0011-R11A-SM-2TF6F 60-69 years, male 8.4
GTEX-13O3O-0011-R11b-SM-5KM4G 60-69 years, female 8.0
GTEX-11OF3-0011-R11a-SM-57WCR 60-69 years, male 7.8
GTEX-1HB9E-0011-R11b-SM-ARU79 50-59 years, male 7.8
GTEX-13VXU-0011-R11b-SM-5O9DJ 50-59 years, male 7.4
GTEX-144GL-0011-R11b-SM-5P9F6 50-59 years, male 7.1
GTEX-12ZZX-0011-R11a-SM-5DUVJ 40-49 years, female 6.6
GTEX-1H1CY-0011-R11a-SM-C1YQR 60-69 years, female 6.6
GTEX-11H98-0011-R11b-SM-5NQ6U 50-59 years, male 6.4
GTEX-Y8DK-0011-R11A-SM-4SOK2 60-69 years, male 6.2
GTEX-1HFI6-0011-R11b-SM-A96RU 40-49 years, male 6.1
GTEX-13OW5-0011-R11b-SM-5L3GG 60-69 years, male 5.7
GTEX-1IKK5-0011-R11a-SM-C1YRX 60-69 years, male 5.6
GTEX-13S7M-0011-R11b-SM-5P9HU 60-69 years, female 4.8
GTEX-131XH-0011-R11a-SM-5EGLN 50-59 years, male 4.1
Show allShow less
Brain - Cerebellum
Average nTPM: 19.2
Samples: 241

Max nTPM: 75.5
Min nTPM: 2.0
Std nTPM: 13.0
Median nTPM: 16.4
GTEX-16Z82-2926-SM-6LPJJ 60-69 years, male 75.5
GTEX-1QEPI-3026-SM-EXOIW 60-69 years, female 66.6
GTEX-1RNSC-3126-SM-EVR4V 60-69 years, male 66.3
GTEX-1E2YA-2926-SM-7MGWX 50-59 years, male 64.6
GTEX-QMR6-1326-SM-32PLB 50-59 years, male 63.9
GTEX-1A8G7-3026-SM-73KTT 60-69 years, male 58.4
GTEX-1RDX4-3226-SM-DPS14 50-59 years, female 50.6
GTEX-1B8SG-1926-SM-73KUB 50-59 years, male 48.8
GTEX-1H3NZ-2926-SM-9WPQ8 60-69 years, male 48.3
GTEX-1EKGG-3126-SM-9WPO5 60-69 years, male 46.9
GTEX-1BAJH-3126-SM-7MGXY 70-79 years, male 46.6
GTEX-OHPN-2626-SM-2I5H1 60-69 years, female 46.3
GTEX-14A5I-2826-SM-5SIBF 50-59 years, female 46.0
GTEX-18A6Q-2826-SM-7LTAO 60-69 years, male 46.0
GTEX-1JJE9-3026-SM-CNNPA 70-79 years, male 41.9
GTEX-1GTWX-2926-SM-7MXV4 60-69 years, male 40.3
GTEX-11EI6-2926-SM-5985U 60-69 years, male 40.2
GTEX-1E1VI-2926-SM-7IGLT 50-59 years, male 39.9
GTEX-1A8G6-3126-SM-731D8 60-69 years, male 39.1
GTEX-1EWIQ-3026-SM-7IGOJ 70-79 years, female 38.7
GTEX-1KD4Q-3026-SM-EV7A7 40-49 years, male 37.6
GTEX-1RQEC-3026-SM-DPRXM 60-69 years, male 37.6
GTEX-1H3VE-2826-SM-9WPOL 40-49 years, male 37.3
GTEX-1CB4H-3026-SM-79OLX 60-69 years, female 36.9
GTEX-1IL2V-3026-SM-CYPSA 70-79 years, male 35.9
GTEX-1F75W-3126-SM-7P8SJ 60-69 years, male 35.7
GTEX-14PJO-2926-SM-686ZI 60-69 years, male 34.4
GTEX-1GF9W-2726-SM-9JGGW 60-69 years, male 33.2
GTEX-1HSMO-2926-SM-C1YR5 60-69 years, male 33.0
GTEX-16XZZ-2926-SM-6LPK4 60-69 years, male 32.7
GTEX-1HCVE-2926-SM-9WPPJ 50-59 years, male 32.7
GTEX-12WSM-2126-SM-5GCOC 60-69 years, male 32.6
GTEX-1GF9V-3026-SM-7P8R8 60-69 years, male 32.5
GTEX-1JMLX-3026-SM-EV79Q 50-59 years, male 32.4
GTEX-11ZTS-3226-SM-5EGID 60-69 years, female 30.9
GTEX-1H1ZS-2926-SM-9WPP2 70-79 years, male 30.8
GTEX-183WM-2726-SM-7KFRF 70-79 years, female 30.6
GTEX-1KANB-3226-SM-D4P3G 50-59 years, male 30.4
GTEX-145LU-2626-SM-5LU9Z 50-59 years, male 30.1
GTEX-1R46S-3126-SM-DPRZ9 60-69 years, female 30.1
GTEX-15EO6-2926-SM-6M48D 50-59 years, male 29.7
GTEX-14E6D-2926-SM-664OP 50-59 years, male 29.5
GTEX-1R9PO-2826-SM-E6CPV 60-69 years, female 29.5
GTEX-1QP6S-3026-SM-EAZ4N 40-49 years, male 29.4
GTEX-14BIM-3126-SM-5Q5C7 60-69 years, female 29.2
GTEX-1IKOH-2826-SM-CNNRC 60-69 years, female 28.2
GTEX-1JMQJ-3126-SM-EV79G 50-59 years, male 28.1
GTEX-1H1DG-2826-SM-9JGHB 70-79 years, male 28.0
GTEX-1PWST-3026-SM-EAZ3H 70-79 years, male 27.4
GTEX-TSE9-2926-SM-3DB77 60-69 years, female 27.3
GTEX-1J1OQ-3126-SM-D4P2O 40-49 years, female 27.2
GTEX-1JJ6O-3026-SM-C1YQH 60-69 years, male 26.4
GTEX-N7MT-1226-SM-DKPOK 60-69 years, female 26.4
GTEX-11TTK-2826-SM-5GU5K 60-69 years, female 26.2
GTEX-13RTJ-3126-SM-5S2Q4 60-69 years, male 25.9
GTEX-P44H-2426-SM-2XCEJ 40-49 years, male 25.7
GTEX-X261-3126-SM-4PQZC 50-59 years, male 25.7
GTEX-13PVQ-2926-SM-5L3HJ 50-59 years, male 25.6
GTEX-147F4-3026-SM-5Q5BJ 50-59 years, male 25.5
GTEX-1F6I4-3026-SM-7P8SI 60-69 years, male 25.3
GTEX-PWO3-1026-SM-2I5F2 60-69 years, female 25.2
GTEX-11EMC-3326-SM-5P9JH 60-69 years, female 25.1
GTEX-1269C-3126-SM-5EGI6 60-69 years, female 25.1
GTEX-1EH9U-3126-SM-7MXU5 60-69 years, male 24.5
GTEX-1KWVE-2226-SM-CXZKN 30-39 years, male 24.5
GTEX-ZYY3-3026-SM-5GIEJ 60-69 years, female 24.2
GTEX-ZVT3-2926-SM-5GU6M 60-69 years, female 24.1
GTEX-T5JC-2326-SM-32PMR 20-29 years, male 23.9
GTEX-1P4AB-3026-SM-EXOJS 50-59 years, male 23.5
GTEX-13SLX-3226-SM-5YYA6 50-59 years, female 23.4
GTEX-1H4P4-2726-SM-9JGGB 50-59 years, male 23.4
GTEX-Z93S-2826-SM-57WBL 50-59 years, male 23.1
GTEX-PVOW-2626-SM-32PL8 40-49 years, male 22.8
GTEX-1JMQK-2926-SM-D4P2T 60-69 years, male 22.7
GTEX-17HHY-2926-SM-79OJW 50-59 years, male 22.6
GTEX-1EX96-3126-SM-9JGGC 50-59 years, male 22.4
GTEX-1MJK2-3026-SM-EV7A5 50-59 years, male 22.4
GTEX-132Q8-2926-SM-5IFFP 60-69 years, male 21.7
GTEX-S7SE-2526-SM-2XCDL 50-59 years, male 21.7
GTEX-1F52S-3026-SM-7P8PV 60-69 years, female 21.6
GTEX-11ZVC-3026-SM-59HJM 50-59 years, female 21.5
GTEX-13CF2-3026-SM-5IFFX 60-69 years, male 21.5
GTEX-1LG7Y-3126-SM-EV7AS 50-59 years, male 21.5
GTEX-1HBPH-3026-SM-9WPNY 40-49 years, female 21.4
GTEX-1128S-2826-SM-5N9DI 60-69 years, female 21.3
GTEX-T6MN-2526-SM-32PMN 50-59 years, male 21.3
GTEX-11DXW-1026-SM-5H11K 40-49 years, male 21.1
GTEX-1F48J-2726-SM-7P8PW 50-59 years, female 20.9
GTEX-1JJEA-2926-SM-C1YSK 60-69 years, male 20.9
GTEX-1JMPZ-2826-SM-C1YRA 30-39 years, male 20.9
GTEX-14ASI-2926-SM-5Q5DG 60-69 years, male 20.6
GTEX-1EU9M-2926-SM-793DF 60-69 years, male 20.5
GTEX-P44G-2526-SM-2I5EK 30-39 years, male 20.5
GTEX-ZAK1-2926-SM-5HL9S 50-59 years, female 20.5
GTEX-ZF28-2926-SM-4WKG1 60-69 years, male 20.3
GTEX-145MG-3126-SM-5Q5D3 50-59 years, male 20.1
GTEX-11DYG-2926-SM-5H132 60-69 years, male 20.0
GTEX-17HG3-2826-SM-7EPGO 30-39 years, female 19.6
GTEX-14JIY-2326-SM-6AJAJ 60-69 years, male 19.4
GTEX-14ABY-3026-SM-664NE 50-59 years, male 19.2
GTEX-18465-2926-SM-7KFSE 50-59 years, male 19.0
GTEX-1HBPI-2726-SM-9WPPF 50-59 years, male 19.0
GTEX-1GZ4I-2926-SM-9JGGO 50-59 years, male 18.8
GTEX-15SHU-3026-SM-6LPIB 40-49 years, female 18.7
GTEX-1PIIG-2826-SM-DTX7O 30-39 years, male 18.7
GTEX-14C5O-2926-SM-5RQI1 60-69 years, male 18.5
GTEX-QDT8-3026-SM-32PKB 30-39 years, female 18.5
GTEX-12WSE-2926-SM-5RQJ9 20-29 years, male 18.4
GTEX-Y111-2826-SM-4TT3O 50-59 years, male 18.4
GTEX-13OW8-2926-SM-5L3FV 60-69 years, male 17.9
GTEX-Y8DK-0726-SM-4TT3S 60-69 years, male 17.8
GTEX-1C6VR-3026-SM-7IGLW 60-69 years, male 17.6
GTEX-16YQH-2926-SM-6LPJE 30-39 years, male 17.3
GTEX-1B8SF-3026-SM-731DX 60-69 years, male 17.2
GTEX-17JCI-3026-SM-7EWDR 60-69 years, female 17.1
GTEX-WWYW-3026-SM-3NB36 50-59 years, female 17.1
GTEX-1JMOU-2826-SM-EV79R 60-69 years, female 17.1
GTEX-1I1HK-2726-SM-AHZ2M 60-69 years, male 16.6
GTEX-17HII-2926-SM-79OMK 50-59 years, male 16.5
GTEX-YJ89-2926-SM-5P9IT 60-69 years, male 16.5
GTEX-WVLH-2926-SM-3MJG5 50-59 years, male 16.4
GTEX-X4EP-3026-SM-3P5YP 60-69 years, female 16.2
GTEX-QVJO-1325-SM-2S1QX 60-69 years, female 16.1
GTEX-1C64N-3126-SM-79OO3 50-59 years, male 15.6
GTEX-XLM4-2926-SM-4AT59 60-69 years, male 15.5
GTEX-1B8L1-3226-SM-7P8OX 60-69 years, male 15.3
GTEX-ZDXO-2926-SM-4WKFM 60-69 years, male 15.0
GTEX-1HSKV-2926-SM-B2LWJ 60-69 years, male 15.0
GTEX-14JFF-2826-SM-6871Q 60-69 years, male 14.7
GTEX-1GZ2Q-3026-SM-9JGG3 40-49 years, male 14.7
GTEX-1NV8Z-3026-SM-DTX8Z 60-69 years, male 14.7
GTEX-13X6I-2926-SM-5Q5C3 60-69 years, male 14.5
GTEX-NPJ7-2826-SM-2I3FU 60-69 years, female 14.2
GTEX-13JVG-3226-SM-5IJGJ 60-69 years, male 14.0
GTEX-1CB4G-2926-SM-7MKFQ 60-69 years, male 14.0
GTEX-WL46-2826-SM-3LK81 50-59 years, male 14.0
GTEX-1HB9E-3126-SM-AHZ4M 50-59 years, male 13.9
GTEX-15DYW-3026-SM-7KFRM 60-69 years, female 13.8
GTEX-11GSO-3026-SM-5Q5AL 60-69 years, male 13.6
GTEX-XMD1-2826-SM-4AT5F 60-69 years, male 13.5
GTEX-1399T-3126-SM-5IJFS 60-69 years, male 13.4
GTEX-145LS-3026-SM-5O99S 60-69 years, female 13.4
GTEX-17F97-2926-SM-7DUEQ 50-59 years, male 13.4
GTEX-WHSE-2926-SM-3NMBG 20-29 years, male 13.2
GTEX-14E7W-2926-SM-5S2R8 70-79 years, male 13.1
GTEX-1F75A-2926-SM-7MXVN 50-59 years, male 12.7
GTEX-13N2G-3126-SM-5IJGL 60-69 years, male 12.6
GTEX-T2IS-2926-SM-32QPO 20-29 years, female 12.5
GTEX-111FC-3326-SM-5GZYV 60-69 years, male 12.4
GTEX-13FHO-2926-SM-5L3ES 60-69 years, male 12.3
GTEX-13NYB-3226-SM-5J2ND 40-49 years, male 12.2
GTEX-13OVH-2926-SM-5IJFH 70-79 years, male 12.1
GTEX-QVUS-2926-SM-3GIJB 60-69 years, female 12.1
GTEX-12ZZY-2926-SM-5DUXO 60-69 years, male 12.0
GTEX-131YS-3026-SM-5EGHY 60-69 years, female 12.0
GTEX-ZAB4-2926-SM-57WCV 40-49 years, male 11.9
GTEX-1GZHY-3026-SM-7MXVA 50-59 years, female 11.9
GTEX-12WSD-3026-SM-5LZU7 60-69 years, female 11.6
GTEX-UTHO-2926-SM-3P5Z9 60-69 years, male 11.6
GTEX-1JN1M-3126-SM-AHZ4E 60-69 years, female 11.6
GTEX-13O3Q-3026-SM-5IJGD 50-59 years, male 11.0
GTEX-13OVJ-2726-SM-5IJG6 50-59 years, female 11.0
GTEX-14PJM-3026-SM-6LLHM 50-59 years, female 11.0
GTEX-1IY9M-3126-SM-AHZ3A 60-69 years, male 10.9
GTEX-12WSC-2926-SM-5BC5Z 50-59 years, male 10.7
GTEX-13OW6-2926-SM-5KM29 50-59 years, male 10.7
GTEX-13VXU-3026-SM-5LU3K 50-59 years, male 10.7
GTEX-13X6K-2826-SM-5O9DS 60-69 years, female 10.6
GTEX-13FXS-3026-SM-5LZYO 50-59 years, male 10.5
GTEX-1POEN-2726-SM-E9U6B 30-39 years, female 10.5
GTEX-11NV4-2226-SM-5BC4T 60-69 years, male 10.4
GTEX-12ZZX-2826-SM-5BC6K 40-49 years, female 10.4
GTEX-12ZZZ-3126-SM-5LZU6 60-69 years, male 10.4
GTEX-145MH-2926-SM-5Q5D2 50-59 years, male 10.3
GTEX-14BIN-3326-SM-5Q5E6 50-59 years, female 10.2
GTEX-14C39-3026-SM-5S2QE 40-49 years, male 10.2
GTEX-NPJ8-2626-SM-2D7W2 40-49 years, male 10.0
GTEX-1B933-3026-SM-731DB 50-59 years, female 9.9
GTEX-14BMV-2926-SM-5TDEE 50-59 years, male 9.8
GTEX-1C6WA-3326-SM-7MKGN 60-69 years, male 9.8
GTEX-1I1CD-2926-SM-A96SJ 60-69 years, female 9.6
GTEX-144GL-2926-SM-5O99F 50-59 years, male 9.4
GTEX-17EVQ-2726-SM-7EWDT 70-79 years, male 9.3
GTEX-YFC4-3026-SM-5IFJK 40-49 years, female 9.3
GTEX-13S7M-3026-SM-5S2QQ 60-69 years, female 9.2
GTEX-12126-0926-SM-5FQTW 20-29 years, male 9.1
GTEX-12WSH-3126-SM-5LZW8 50-59 years, male 9.0
GTEX-13FHP-2926-SM-5IJG9 50-59 years, male 9.0
GTEX-WZTO-2826-SM-3NM8P 40-49 years, male 9.0
GTEX-11GSP-3126-SM-5A5LL 60-69 years, female 8.9
GTEX-1H1CY-3026-SM-9OSW7 60-69 years, female 8.8
GTEX-13X6J-2926-SM-7EPGP 50-59 years, male 8.7
GTEX-ZZPT-2926-SM-5EQ5S 50-59 years, male 8.7
GTEX-11ONC-3026-SM-5985W 60-69 years, male 8.6
GTEX-13112-2926-SM-5DUWT 50-59 years, male 8.6
GTEX-147GR-3126-SM-5S2PM 60-69 years, male 8.6
GTEX-139TS-3126-SM-5LZWX 60-69 years, male 8.3
GTEX-ZAJG-3026-SM-5HL92 50-59 years, female 8.2
GTEX-1F6IF-3026-SM-7P8QN 60-69 years, male 8.2
GTEX-11DZ1-2926-SM-5A5KI 50-59 years, male 8.0
GTEX-1B996-2926-SM-7MXUH 60-69 years, male 7.8
GTEX-11DXY-3126-SM-5N9BT 60-69 years, male 7.5
GTEX-11O72-2826-SM-5HL6W 40-49 years, male 7.5
GTEX-14DAQ-3026-SM-5S2QZ 60-69 years, female 7.5
GTEX-RU72-2926-SM-2TF66 50-59 years, female 7.5
GTEX-1IDJH-3126-SM-C1YQS 70-79 years, male 7.4
GTEX-13OW7-2926-SM-5MR3Z 50-59 years, male 7.3
GTEX-Q2AG-2826-SM-2HMJQ 40-49 years, female 7.3
GTEX-13G51-3126-SM-5IJG7 60-69 years, male 7.2
GTEX-1LSVX-2826-SM-EVR58 60-69 years, male 7.2
GTEX-17EVP-2926-SM-793BU 40-49 years, male 7.0
GTEX-14JG1-2926-SM-686ZK 40-49 years, male 6.9
GTEX-131XH-2926-SM-5LZU4 50-59 years, male 6.7
GTEX-13QIC-3026-SM-5LU58 60-69 years, female 6.7
GTEX-11OC5-0626-SM-5HL6M 60-69 years, male 6.6
GTEX-13JUV-3026-SM-5K7WX 40-49 years, female 6.6
GTEX-X4XX-2926-SM-3NMB1 60-69 years, male 6.5
GTEX-1192X-3226-SM-5987D 50-59 years, male 6.4
GTEX-1A3MX-2926-SM-718B7 60-69 years, male 6.4
GTEX-13OVL-3026-SM-5IJF1 50-59 years, male 6.2
GTEX-15ER7-3026-SM-6M47W 20-29 years, female 6.1
GTEX-13OW5-3126-SM-5MR3Y 60-69 years, male 5.9
GTEX-1H3O1-1826-SM-A96TO 60-69 years, male 5.9
GTEX-N7MS-2526-SM-2D7W3 60-69 years, male 5.8
GTEX-1I1GV-3026-SM-CNNR9 60-69 years, male 5.2
GTEX-15G19-2826-SM-6M48K 60-69 years, male 4.7
GTEX-RNOR-2226-SM-2TF5O 50-59 years, female 4.7
GTEX-11PRG-2826-SM-5BC54 50-59 years, male 4.6
GTEX-1EMGI-3126-SM-7MXUR 60-69 years, male 4.5
GTEX-14PN4-3026-SM-664O4 50-59 years, male 4.3
GTEX-11ZUS-2826-SM-5EQKW 30-39 years, male 4.1
GTEX-1313W-3026-SM-5LZUZ 50-59 years, female 3.9
GTEX-13O3O-3026-SM-5KM42 60-69 years, female 3.9
GTEX-139TT-2626-SM-5LZUB 60-69 years, male 3.8
GTEX-117XS-3126-SM-5GIDP 60-69 years, male 3.7
GTEX-145MF-2826-SM-7EPGU 50-59 years, male 3.3
GTEX-1GN73-3026-SM-7MXV8 60-69 years, male 3.2
GTEX-11NUK-3026-SM-5986K 50-59 years, male 2.8
GTEX-ZYFD-2926-SM-5GID9 50-59 years, male 2.6
GTEX-R55E-2526-SM-2TC6H 20-29 years, male 2.1
GTEX-ZUA1-2926-SM-59HL3 40-49 years, male 2.0
Show allShow less

Contact

  • NEWS ARTICLES
  • PRESS ROOM

The Project

  • INTRODUCTION
  • ORGANIZATION
  • PUBLICATIONS

The Human Protein Atlas

  • DOWNLOADABLE DATA
  • LICENCE & CITATION
  • HELP & FAQ
The Human Protein Atlas project is funded
by the Knut & Alice Wallenberg Foundation.


contact@proteinatlas.org