We use cookies to enhance the usability of our website. If you continue, we'll assume that you are happy to receive all cookies. More information. Don't show this again.
SURF4
HPA
RESOURCES
  • TISSUE
  • BRAIN
  • SINGLE CELL
  • SUBCELLULAR
  • CANCER
  • BLOOD
  • CELL LINE
  • STRUCTURE & INTERACTION
ABOUT
  • INTRODUCTION
  • HISTORY
  • ORGANIZATION
  • PUBLICATIONS
  • ANTIBODY SUBMISSION
  • ANTIBODY AVAILABILITY
  • ACKNOWLEDGMENTS
  • CONTACT
NEWS
  • NEWS ARTICLES
  • PRESS ROOM
LEARN
  • DICTIONARY
  • PROTEIN CLASSES
  • PROTEIN EVIDENCE
  • METHODS
  • EDUCATIONAL VIDEOS
DATA
  • DOWNLOADABLE DATA
  • PUBLICATION DATA
  • RELEASE HISTORY
HELP
  • ANTIBODY VALIDATION
  • ASSAYS & ANNOTATION
  • DISCLAIMER
  • HELP & FAQ
  • PRIVACY STATEMENT
  • LICENCE & CITATION
Fields »
Search result

Field
Term
Gene name
Class
Subclass
Class
Keyword
Chromosome
External id
Tissue
Cell type
Expression
Antibody panel
Tissue
Main location
Patient ID
Annotation
Tissue
Category
Tau score
Cluster
Reliability
Brain region
Category
Tau score
Brain region
Category
Tau score
Brain region
Category
Tau score
Cluster
Reliability
Tissue
Cell type
Enrichment
Cell type
Category
Tau score
Cell type
Category
Tau score
Cell type
Category
Tau score
Cell lineage
Category
Tau score
Cluster
Cluster
Location
Searches
Location
Cell line
Class
Type
Phase
Reliability
Cancer
Prognosis
Cancer
Category
Cancer
Category
Tau score
Cluster
Variants
Interacting gene (ensg_id)
Type
Number of interactions
Pathway
Category
Score
Score
Score
Validation
Validation
Validation
Validation
Antibodies
Data type
Column


  • SUMMARY

  • TISSUE

  • BRAIN

  • SINGLE CELL

  • SUBCELL

  • CANCER

  • BLOOD

  • CELL LINE

  • STRUCT & INT

  • SURF4
TISSUE PRIMARY DATA PANCREAS Show tissue menu
ADIPOSE TISSUE ADRENAL GLAND AMYGDALA APPENDIX BASAL GANGLIA BONE MARROW BREAST BRONCHUS CEREBELLUM CEREBRAL CORTEX CERVIX CHOROID PLEXUS COLON DUODENUM
ENDOMETRIUM EPIDIDYMIS ESOPHAGUS FALLOPIAN TUBE GALLBLADDER HEART MUSCLE HIPPOCAMPAL FORMATION HYPOTHALAMUS KIDNEY LIVER LUNG LYMPH NODE MIDBRAIN NASOPHARYNX
ORAL MUCOSA OVARY PANCREAS PARATHYROID GLAND PITUITARY GLAND PLACENTA PROSTATE RECTUM RETINA SALIVARY GLAND SEMINAL VESICLE SKELETAL MUSCLE SKIN SMALL INTESTINE
SMOOTH MUSCLE SOFT TISSUE SPINAL CORD SPLEEN STOMACH TESTIS THYMUS THYROID GLAND TONGUE TONSIL URINARY BLADDER VAGINA
ANTIBODIES
AND
VALIDATION
Dictionary
Pancreas
Tissue proteome
Pancreas
PANCREAS - Expression summary
Protein expression
Pancreasi

On the top, protein expression in current human tissue, based on all annotated cell types, is reported with the units not detected (n), low (l), medium (m) and high (h). Underneath, protein expression in each annotated cell type are reported using the same units.

Protein expression data is based on knowledge-based annotation. For genes where more than one antibody has been used, a collective score is set.

If knowledge-based annotation could not be performed for a gene, no data is displayed here. View antibody staining data further down this page.

h
m
l
n
Exocrine glandular cells: Medium
RNA expressioni

A summary of mRNA expression data available for current tissue based on several datasets. The mRNA expression levels in human tissues are based on RNA-seq data generated by the Human Protein Atlas (HPA), Genotype-Tissue Expression (GTEx) portal and CAGE data generated by the FANTOM5 consortium. Consensus normalized expression levels for human tissues was created by combining the data from HPA and GTEx datasets.

The mRNA expression levels in pig are based on RNA-seq data generated by the Human Protein Atlas (HPA), and for mouse, HPA data and in situ hybridization generated by the Allen brain atlas are reported.

Scroll down to view mRNA expression data in more detail.
Consensus:146.0 nTPM
HPA:64.1 nTPM
GTEx:146.0 nTPM
FANTOM5:284.9 Scaled Tags Per Million

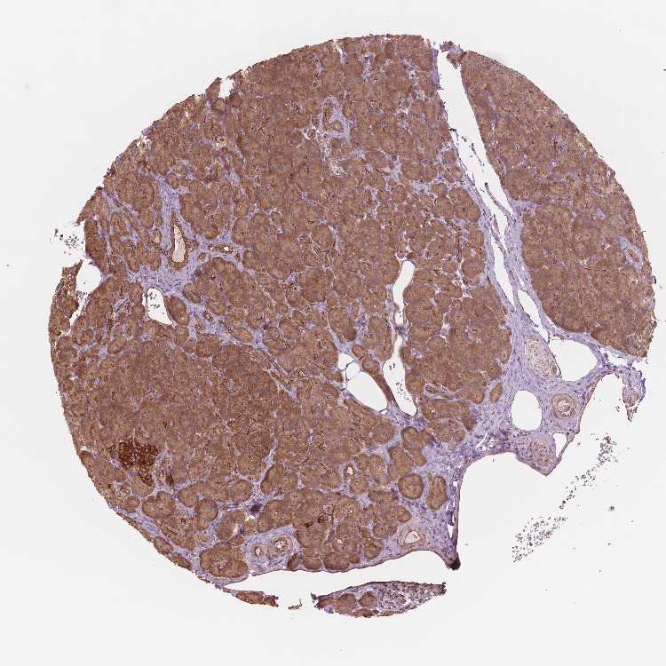
PANCREAS - Antibody stainingi

Antibody staining in the annotated cell types in the current human tissue is reported as not detected, low, medium, or high, based on conventional immunohistochemistry profiling in selected tissues. This score is based on the combination of the staining intensity and fraction of stained cells.

Each image is clickable and will lead to virtual microscopy that enables deeper exploration of all samples and also displays staining intensity scores, fraction scores and subcellular localization as well as patient and tissue information for each sample.

Antibody HPA064613
Exocrine glandular cells Medium


PANCREAS - HPA RNA-seqi

The RNA-seq details section shows detailed information about the individual samples used for the transcript profiling and results of the RNA-seq analysis.

Information about each individual sample is listed below, including gender, age, a tissue section image and estimated fractions of cell types. nTPM (normalized transcripts per million) values give a quantification of the gene abundance which is comparable between different genes and samples.
Average nTPMi

Max subtype nTPM is the value for the subtype with the largest average nTPM across the subtype samples.

64.1
overview
Female, age 59
Pancreas sample 194
nTPM: 65.9
Cell types%
Exocrine glandular cells:
75

Pancreatic endocrine cells:
10

Ductal cells:
5

Other cell types:
10

overview
Male, age 60
Pancreas sample 195
nTPM: 62.2
Cell types%
Exocrine glandular cells:
90

Pancreatic endocrine cells:
5

Ductal cells:
5


PANCREAS - GTEx RNA-seqi

RNA-Seq data generated by the Genotype-Tissue Expression (GTEx) project from human tissues is reported as mean nTPM. More information can be found on the GTEx portal.

Distribution across the dataset is visualized with box plots, shown as median and 25th and 75th percentiles. Points are displayed as outliers if they are above or below 1.5 times the interquartile range. nTPM values of the individual samples are presented next to the box plot.
Max subtype nTPMi

Max subtype nTPM is the value for the subtype with the largest average nTPM across the subtype samples.

146.0
GTEx sample id Sample description nTPM
Pancreas
Average nTPM: 146.0
Samples: 328

Max nTPM: 370.4
Min nTPM: 45.7
Std nTPM: 32.9
Median nTPM: 142.6
GTEX-QESD-0226-SM-447BH 20-29 years, male 370.4
GTEX-13O1R-1826-SM-5KM3B 60-69 years, male 255.2
GTEX-1339X-1026-SM-5IFH5 40-49 years, male 223.4
GTEX-1H1DG-1426-SM-9OSXP 70-79 years, male 222.7
GTEX-16Z82-1726-SM-7MGX3 60-69 years, male 222.4
GTEX-15ER7-1326-SM-6LPK9 20-29 years, female 220.9
GTEX-TML8-0526-SM-32QOQ 40-49 years, female 215.6
GTEX-XXEK-1726-SM-4BRVB 50-59 years, male 214.5
GTEX-13U4I-1526-SM-5IFFF 40-49 years, female 213.5
GTEX-14PJ4-0726-SM-6872E 60-69 years, male 208.0
GTEX-1PBJI-2126-SM-DPRYG 20-29 years, female 204.8
GTEX-13CF3-1026-SM-5LZWY 60-69 years, female 204.3
GTEX-U8XE-2026-SM-3DB8S 30-39 years, male 204.3
GTEX-1I1GQ-2226-SM-B2LX1 50-59 years, male 204.3
GTEX-XBED-0226-SM-47JY8 60-69 years, male 203.0
GTEX-1399S-0326-SM-5IFFS 30-39 years, female 202.8
GTEX-14PN3-0126-SM-6AJAU 60-69 years, female 200.9
GTEX-14C39-1026-SM-73KWG 40-49 years, male 199.3
GTEX-18A6Q-1726-SM-7LT9A 60-69 years, male 199.1
GTEX-144GM-0726-SM-79OJQ 20-29 years, male 195.3
GTEX-OOBK-1026-SM-48TC2 40-49 years, male 195.0
GTEX-11GSP-0426-SM-5A5KX 60-69 years, female 194.7
GTEX-1PFEY-1126-SM-DPRZ3 30-39 years, male 194.7
GTEX-WFG7-0426-SM-4LMK5 20-29 years, male 193.2
GTEX-S3XE-0526-SM-4AD4G 50-59 years, male 190.2
GTEX-148VI-0826-SM-5TDDI 60-69 years, female 189.8
GTEX-T8EM-0826-SM-4DM76 40-49 years, male 189.6
GTEX-15SHV-1526-SM-6LLIB 60-69 years, male 189.1
GTEX-17MF6-1426-SM-7IGOX 40-49 years, male 188.8
GTEX-14JG6-0426-SM-68715 30-39 years, female 187.7
GTEX-11XUK-0626-SM-5N9ES 40-49 years, female 187.4
GTEX-1N2EF-2126-SM-DPRYL 60-69 years, male 187.4
GTEX-15UKP-1326-SM-6LPI8 20-29 years, male 186.7
GTEX-1F5PL-0726-SM-7MKH8 40-49 years, female 186.1
GTEX-1I4MK-1026-SM-AHZ2H 50-59 years, female 186.0
GTEX-132QS-0926-SM-5P9GB 60-69 years, male 184.5
GTEX-11ONC-0526-SM-5BC57 60-69 years, male 184.1
GTEX-WH7G-0826-SM-4LVMR 40-49 years, male 184.1
GTEX-1H23P-2026-SM-9OSXY 60-69 years, male 183.7
GTEX-ZDTT-1126-SM-4WKFW 60-69 years, male 182.5
GTEX-13FLV-0626-SM-5IFEY 50-59 years, male 181.7
GTEX-ZV7C-0726-SM-59HKH 50-59 years, male 180.3
GTEX-ZEX8-1026-SM-4WKHE 50-59 years, male 180.1
GTEX-131XG-1426-SM-5GCMO 50-59 years, female 179.9
GTEX-ZT9W-0926-SM-57WFS 50-59 years, male 179.9
GTEX-UJHI-0626-SM-3DB8T 50-59 years, female 179.2
GTEX-PLZ6-0726-SM-3P619 30-39 years, male 178.5
GTEX-1CAMQ-1626-SM-7MGXG 40-49 years, male 178.5
GTEX-14PKV-0926-SM-6AJB4 20-29 years, female 177.7
GTEX-1A3MW-1926-SM-7IGM8 60-69 years, female 177.6
GTEX-Q734-0426-SM-48TZX 40-49 years, female 177.5
GTEX-WRHK-0226-SM-4MVOH 20-29 years, female 176.7
GTEX-111CU-0526-SM-5EGHK 50-59 years, male 176.0
GTEX-1MUQO-1426-SM-DPRYJ 60-69 years, male 175.9
GTEX-WFG8-0326-SM-4LVN4 20-29 years, male 175.5
GTEX-QMRM-0326-SM-CKZNB 50-59 years, male 175.0
GTEX-11NSD-0526-SM-5A5LT 20-29 years, male 174.8
GTEX-11DXX-0926-SM-5H112 60-69 years, female 174.4
GTEX-1211K-1126-SM-5EGGB 60-69 years, female 173.9
GTEX-1QPFJ-2226-SM-EXOJW 30-39 years, female 173.9
GTEX-14BMU-0726-SM-73KXS 20-29 years, female 173.1
GTEX-TMMY-1326-SM-4DXU9 40-49 years, female 172.0
GTEX-YF7O-1326-SM-4W1ZR 50-59 years, male 172.0
GTEX-YEC3-0626-SM-CMKFG 50-59 years, male 170.1
GTEX-YFCO-1026-SM-5LU9S 40-49 years, male 168.9
GTEX-1R46S-1426-SM-EXOJD 60-69 years, female 168.7
GTEX-1AMFI-0726-SM-731D9 50-59 years, female 168.5
GTEX-15RIF-0626-SM-6LLI3 20-29 years, male 166.8
GTEX-1I1GT-0926-SM-AHZ2G 60-69 years, female 166.3
GTEX-ZLWG-0326-SM-4WWC7 50-59 years, female 165.6
GTEX-P4PP-1026-SM-3NM9O 30-39 years, female 164.8
GTEX-R53T-0426-SM-48FEM 50-59 years, female 164.6
GTEX-OOBJ-1026-SM-3NB2L 60-69 years, male 164.3
GTEX-1B996-1326-SM-731EO 60-69 years, male 163.5
GTEX-1IDJD-0126-SM-C1YQZ 30-39 years, male 163.2
GTEX-11TT1-0326-SM-5LUAY 20-29 years, male 163.0
GTEX-11LCK-0226-SM-5A5M6 30-39 years, male 162.8
GTEX-ZP4G-0426-SM-4YCER 20-29 years, female 162.7
GTEX-13PVR-0726-SM-5S2PX 60-69 years, female 162.5
GTEX-17F98-0426-SM-79ONZ 40-49 years, female 162.2
GTEX-Y5LM-0526-SM-4V6G3 40-49 years, female 162.2
GTEX-1LSNM-0726-SM-DHXL1 50-59 years, male 162.2
GTEX-1QEPI-1626-SM-EAZ3I 60-69 years, female 162.1
GTEX-X4LF-0326-SM-4QAS9 50-59 years, male 161.8
GTEX-1H1E6-0826-SM-9WG83 30-39 years, male 161.8
GTEX-WHWD-0726-SM-4OORX 50-59 years, male 161.5
GTEX-ZAK1-2326-SM-5CVMY 50-59 years, female 161.3
GTEX-14PJO-1826-SM-69LPR 60-69 years, male 161.0
GTEX-RM2N-0326-SM-48FD8 50-59 years, male 160.9
GTEX-13D11-2226-SM-5IFEO 50-59 years, female 160.8
GTEX-1B932-1626-SM-731EA 40-49 years, female 160.8
GTEX-1GZ4H-0626-SM-9OSXJ 50-59 years, female 160.8
GTEX-1L5NE-0826-SM-DHXKU 50-59 years, male 160.8
GTEX-14PJ6-0926-SM-686ZA 60-69 years, female 160.7
GTEX-14PJN-1526-SM-6AJBP 30-39 years, male 160.2
GTEX-178AV-0226-SM-793B7 40-49 years, male 160.1
GTEX-WHPG-0326-SM-4M1XV 50-59 years, male 160.1
GTEX-1CAMS-1926-SM-7DUEU 40-49 years, female 159.9
GTEX-W5WG-0826-SM-4RGNE 50-59 years, female 159.9
GTEX-1CAMR-1126-SM-7MGXF 20-29 years, male 159.9
GTEX-1IDJU-0326-SM-CGQEE 60-69 years, female 159.1
GTEX-1R7EU-0726-SM-DPRZM 60-69 years, male 158.7
GTEX-13OVI-0526-SM-5IFFQ 60-69 years, female 158.3
GTEX-1C2JI-0926-SM-731F1 50-59 years, male 158.3
GTEX-1QP28-1026-SM-EAZ4K 50-59 years, female 158.3
GTEX-18A66-2126-SM-7189D 60-69 years, male 158.0
GTEX-1KANA-1526-SM-CXZKG 20-29 years, male 157.9
GTEX-ZYY3-0826-SM-5E44R 60-69 years, female 157.8
GTEX-13O61-2126-SM-5IJEO 60-69 years, male 157.5
GTEX-13VXT-1226-SM-5LU3M 20-29 years, female 157.5
GTEX-13SLX-1326-SM-5S2QS 50-59 years, female 157.4
GTEX-QV31-0226-SM-447BO 30-39 years, male 157.4
GTEX-18D9U-1626-SM-7KFTW 40-49 years, male 157.3
GTEX-XBEW-1626-SM-4SOJP 40-49 years, male 156.6
GTEX-S4P3-0626-SM-4AD59 50-59 years, female 156.4
GTEX-ZLFU-0726-SM-57WF6 40-49 years, male 156.2
GTEX-1GN1W-1126-SM-9OSW3 50-59 years, female 155.4
GTEX-WI4N-1826-SM-4OOSF 40-49 years, female 155.1
GTEX-1122O-0726-SM-5GIEV 60-69 years, female 154.5
GTEX-S95S-0726-SM-4B64H 60-69 years, male 154.5
GTEX-1RAZQ-1426-SM-EV7B2 30-39 years, male 154.3
GTEX-Q2AH-0926-SM-48TZK 40-49 years, male 153.3
GTEX-WHSB-0726-SM-4M1XQ 50-59 years, male 153.2
GTEX-131XF-1426-SM-5BC68 60-69 years, male 153.1
GTEX-12BJ1-1126-SM-5EGGG 60-69 years, male 153.0
GTEX-14PKU-0626-SM-6EU1Q 40-49 years, female 152.7
GTEX-1IDJC-0526-SM-AHZ2Q 50-59 years, male 152.5
GTEX-Y8LW-1026-SM-5IFJY 50-59 years, female 152.4
GTEX-1OFPY-0626-SM-EXOJ4 60-69 years, male 152.1
GTEX-15UF7-0826-SM-6M46E 40-49 years, male 151.6
GTEX-1B8KE-0726-SM-72D7G 50-59 years, male 151.5
GTEX-1O97I-1726-SM-EXOIP 60-69 years, male 151.1
GTEX-YEC4-1326-SM-5IFHG 40-49 years, male 150.5
GTEX-ZG7Y-0326-SM-4WWEY 50-59 years, male 150.3
GTEX-1A8FM-1826-SM-7MGXO 50-59 years, female 150.1
GTEX-ZVZP-0626-SM-59HL5 50-59 years, male 149.5
GTEX-1OKEX-1726-SM-E9U4F 60-69 years, male 149.5
GTEX-1C4CL-0926-SM-79OL2 30-39 years, male 149.4
GTEX-OXRK-1526-SM-E6CHJ 50-59 years, female 149.2
GTEX-13FH7-1426-SM-5IFIC 50-59 years, female 148.6
GTEX-14PJ3-0426-SM-6LLHF 50-59 years, male 148.6
GTEX-144GN-0826-SM-5LU5G 50-59 years, male 148.5
GTEX-1B8KZ-0926-SM-731D7 50-59 years, male 148.5
GTEX-13FTX-1226-SM-5IFGN 20-29 years, female 148.4
GTEX-OIZF-1026-SM-2HML5 60-69 years, male 148.4
GTEX-QLQ7-0626-SM-CE6QX 60-69 years, male 148.2
GTEX-O5YT-1026-SM-3MJGF 20-29 years, male 147.8
GTEX-1NUQO-0826-SM-DPS16 20-29 years, female 147.7
GTEX-1JK1U-1026-SM-AHZ44 60-69 years, male 147.0
GTEX-14E6E-1426-SM-5RQI2 30-39 years, male 146.7
GTEX-Q2AI-0426-SM-48U13 40-49 years, male 145.8
GTEX-1QP29-1926-SM-DPRZO 50-59 years, male 145.2
GTEX-ZDYS-2526-SM-4WKGU 50-59 years, male 144.7
GTEX-SE5C-0326-SM-4BRWX 40-49 years, female 144.1
GTEX-ZYFG-0826-SM-5BC5T 60-69 years, female 144.0
GTEX-PSDG-1526-SM-48TCY 50-59 years, male 143.8
GTEX-U4B1-0726-SM-4DXUA 40-49 years, male 143.7
GTEX-146FR-0126-SM-5Q5F3 60-69 years, female 143.3
GTEX-17HGU-2026-SM-79OKS 50-59 years, male 143.3
GTEX-15FZZ-0626-SM-7KFTO 30-39 years, female 142.9
GTEX-QV44-0426-SM-4R1KF 50-59 years, male 142.8
GTEX-T5JW-0226-SM-4DM7I 20-29 years, female 142.8
GTEX-SNOS-0926-SM-4DM7A 40-49 years, male 142.7
GTEX-13FTW-0526-SM-5IFIP 40-49 years, male 142.6
GTEX-S32W-0826-SM-4AD5Z 50-59 years, female 142.6
GTEX-1KXAM-0226-SM-EV7AP 60-69 years, male 142.5
GTEX-1PPH8-2326-SM-EAZ48 20-29 years, male 142.4
GTEX-18A67-1726-SM-7KFT9 50-59 years, male 142.3
GTEX-XPVG-0326-SM-4B653 50-59 years, male 142.1
GTEX-1128S-0826-SM-5GZZI 60-69 years, female 141.8
GTEX-1RAZA-1626-SM-EV79I 20-29 years, male 141.8
GTEX-1LVAN-1226-SM-CNNQY 50-59 years, female 141.7
GTEX-1JKYR-1026-SM-CGQGI 20-29 years, male 141.6
GTEX-1S831-0626-SM-EV79N 20-29 years, male 141.5
GTEX-12WSG-1026-SM-5EGII 50-59 years, female 141.4
GTEX-1HKZK-1126-SM-9WG82 40-49 years, male 141.4
GTEX-Y8E4-1326-SM-5IFIY 40-49 years, male 141.3
GTEX-145MO-2126-SM-5Q5CZ 60-69 years, male 140.3
GTEX-XQ8I-1926-SM-4BOOK 50-59 years, male 140.2
GTEX-P4QS-1026-SM-3NMCW 60-69 years, male 140.1
GTEX-YB5E-0526-SM-4VDSD 40-49 years, male 140.1
GTEX-R55G-0326-SM-48FDM 40-49 years, female 140.0
GTEX-1R7EV-1126-SM-DPRXU 40-49 years, male 139.9
GTEX-11VI4-0426-SM-5EGHZ 40-49 years, female 139.7
GTEX-XGQ4-0226-SM-4GIDS 50-59 years, male 139.4
GTEX-15DYW-1626-SM-6LLI1 60-69 years, female 139.3
GTEX-ZAB5-0826-SM-5P9FU 50-59 years, male 139.1
GTEX-14DAR-0526-SM-664MX 50-59 years, male 138.5
GTEX-1C6VQ-1726-SM-7IGLQ 50-59 years, male 138.3
GTEX-XYKS-1226-SM-4BRVI 60-69 years, female 138.2
GTEX-11I78-0626-SM-5A5LZ 50-59 years, female 138.0
GTEX-Y114-0826-SM-4TT77 50-59 years, female 137.9
GTEX-ZPU1-0226-SM-4WWC9 40-49 years, male 137.8
GTEX-15UF6-1826-SM-6LLI9 70-79 years, female 137.6
GTEX-1K2DA-0326-SM-CGQGX 50-59 years, male 137.5
GTEX-12WSL-0426-SM-5GCNX 50-59 years, male 137.4
GTEX-1497J-0426-SM-5Q5CO 60-69 years, male 137.3
GTEX-1HSMO-2026-SM-CNNQO 60-69 years, male 137.3
GTEX-1S83E-1426-SM-EV7B8 40-49 years, male 137.0
GTEX-117YX-0226-SM-5EGH6 50-59 years, male 136.6
GTEX-QLQW-0326-SM-447A8 30-39 years, male 136.6
GTEX-TKQ2-0426-SM-4DXUO 50-59 years, male 136.6
GTEX-139YR-1526-SM-5IFJ1 50-59 years, male 136.3
GTEX-YB5K-1826-SM-5IFJC 40-49 years, female 136.2
GTEX-RWS6-1126-SM-47JXC 60-69 years, female 135.8
GTEX-1S82P-1026-SM-EAZ4W 60-69 years, female 135.8
GTEX-12WSD-1626-SM-5GCNR 60-69 years, female 135.6
GTEX-1NSGN-1726-SM-EXOJG 50-59 years, male 135.6
GTEX-11EQ9-1026-SM-5H134 30-39 years, male 135.1
GTEX-1N2DV-1726-SM-DPRYR 40-49 years, male 135.1
GTEX-PX3G-1026-SM-48TZW 20-29 years, female 134.4
GTEX-1HSGN-1426-SM-A8NAA 40-49 years, female 134.2
GTEX-14PHY-1126-SM-664OR 60-69 years, female 134.1
GTEX-XUW1-1726-SM-4BOOZ 50-59 years, female 133.9
GTEX-1IL2U-2326-SM-CNNQV 60-69 years, male 133.6
GTEX-ZVT2-2026-SM-5NQ8Q 50-59 years, female 133.1
GTEX-1GMR3-1226-SM-7MGY1 40-49 years, male 133.1
GTEX-1AX9K-2026-SM-731D1 50-59 years, male 133.0
GTEX-111YS-1226-SM-5EGGJ 60-69 years, male 132.5
GTEX-S33H-1226-SM-4AD69 30-39 years, male 132.4
GTEX-Y9LG-0726-SM-4VDS3 30-39 years, male 132.3
GTEX-QDVN-0926-SM-2I5GL 50-59 years, male 132.1
GTEX-ZPIC-0926-SM-4WWFK 40-49 years, female 131.4
GTEX-WY7C-1026-SM-4OND3 50-59 years, male 131.3
GTEX-18A7A-1726-SM-7LT93 50-59 years, female 131.0
GTEX-Y3I4-0826-SM-4TT2A 50-59 years, male 130.9
GTEX-NFK9-1626-SM-3LK5J 40-49 years, male 130.7
GTEX-15SB6-0226-SM-6LLIA 50-59 years, female 130.6
GTEX-14ICL-1126-SM-5S2RE 30-39 years, male 130.5
GTEX-15EU6-1126-SM-68721 50-59 years, male 130.4
GTEX-WYJK-2426-SM-4ONDQ 50-59 years, male 130.0
GTEX-15CHR-2026-SM-7MXU2 50-59 years, male 129.0
GTEX-WQUQ-2126-SM-4OOSO 60-69 years, male 128.4
GTEX-1J8Q3-0626-SM-AHZ3V 60-69 years, male 128.3
GTEX-1JKYN-0426-SM-CGQG2 30-39 years, male 128.2
GTEX-17F9E-1426-SM-793BG 50-59 years, male 127.9
GTEX-14PJM-2126-SM-6AJAS 50-59 years, female 127.3
GTEX-1I1GU-0326-SM-AHZ2K 40-49 years, male 127.3
GTEX-13W3W-1026-SM-5IFG4 60-69 years, female 127.2
GTEX-1CB4F-1226-SM-7DHKU 60-69 years, male 127.2
GTEX-146FQ-1526-SM-5Q5CX 30-39 years, male 127.0
GTEX-OHPM-1026-SM-3LK74 50-59 years, male 126.2
GTEX-145ME-0326-SM-5S2QO 40-49 years, female 126.1
GTEX-QDVJ-1226-SM-48U1V 50-59 years, male 126.1
GTEX-OIZI-1526-SM-E6CHI 40-49 years, male 125.9
GTEX-1CB4I-1326-SM-79OLY 50-59 years, male 125.8
GTEX-ZZPU-0726-SM-5N9C8 50-59 years, female 125.8
GTEX-1J8EW-1926-SM-CGQGR 60-69 years, female 125.7
GTEX-NPJ8-2126-SM-3MJGK 40-49 years, male 125.3
GTEX-1PWST-1526-SM-EXOIT 70-79 years, male 124.9
GTEX-X3Y1-0726-SM-3P5YU 40-49 years, male 124.6
GTEX-ZPCL-0726-SM-DO91S 60-69 years, female 124.6
GTEX-144FL-1526-SM-5Q5CA 50-59 years, male 124.2
GTEX-1C64O-1426-SM-7EWER 60-69 years, male 124.2
GTEX-1QW4Y-0926-SM-DPRY2 30-39 years, male 124.2
GTEX-11P7K-0526-SM-5BC5I 30-39 years, male 123.9
GTEX-1B97J-1526-SM-79ONI 50-59 years, female 123.9
GTEX-1AYCT-1226-SM-7EPGH 50-59 years, male 123.6
GTEX-131XE-1926-SM-5IFER 50-59 years, male 123.3
GTEX-1LGRB-0426-SM-CNNRD 50-59 years, female 123.2
GTEX-13X6H-0626-SM-5LU53 50-59 years, female 122.8
GTEX-1AX9J-1726-SM-731FF 60-69 years, male 122.8
GTEX-X15G-0726-SM-4PQZ5 50-59 years, female 122.5
GTEX-OHPL-1026-SM-3MJGI 60-69 years, female 122.4
GTEX-1K2DU-1026-SM-DHXKC 20-29 years, male 121.5
GTEX-12WSK-0226-SM-5BC62 40-49 years, female 121.0
GTEX-17HHE-0526-SM-7DUGR 50-59 years, male 120.9
GTEX-1CB4G-1826-SM-7MKGO 60-69 years, male 120.7
GTEX-1K9T9-1726-SM-CXZK1 50-59 years, female 120.7
GTEX-15RJ7-0826-SM-6LLI8 40-49 years, male 120.3
GTEX-1H11D-0926-SM-9OSXO 40-49 years, male 120.2
GTEX-ZAB4-1726-SM-5HL8C 40-49 years, male 120.1
GTEX-1GN1U-1126-SM-9WPPZ 50-59 years, female 119.9
GTEX-1399U-0926-SM-5IFHA 50-59 years, female 118.0
GTEX-XV7Q-0926-SM-4BRVQ 40-49 years, female 117.7
GTEX-ZTPG-1026-SM-5DUWP 20-29 years, female 117.5
GTEX-132AR-1826-SM-5EGHR 50-59 years, female 117.3
GTEX-ZF29-1126-SM-4WKGO 60-69 years, female 117.2
GTEX-1B933-1726-SM-731FC 50-59 years, female 116.9
GTEX-WFON-0626-SM-4LVLX 40-49 years, male 116.8
GTEX-13YAN-2126-SM-5Q5C4 60-69 years, male 116.7
GTEX-WFJO-0626-SM-4LVMC 30-39 years, male 116.4
GTEX-1AX8Z-1726-SM-731DE 60-69 years, male 116.2
GTEX-WYVS-0926-SM-4SOJV 40-49 years, female 115.4
GTEX-12WSN-0826-SM-5GCOF 40-49 years, male 115.1
GTEX-R55D-1426-SM-48FEN 50-59 years, male 114.6
GTEX-1LG7Z-0326-SM-DHXK3 30-39 years, male 114.3
GTEX-V955-0326-SM-4JBGV 60-69 years, male 114.1
GTEX-1QAET-1326-SM-E9U64 50-59 years, male 114.1
GTEX-XMK1-0326-SM-4B652 40-49 years, male 114.0
GTEX-1MGNQ-1226-SM-EV7BM 40-49 years, male 113.5
GTEX-UJMC-1126-SM-3GADP 50-59 years, male 112.5
GTEX-145MN-1426-SM-5SI9H 30-39 years, male 112.4
GTEX-1QP2A-1326-SM-EAZ3K 50-59 years, male 111.5
GTEX-14PN4-1626-SM-6AJB5 50-59 years, male 111.0
GTEX-X5EB-0526-SM-46MVP 40-49 years, male 110.3
GTEX-1GL5R-0926-SM-9JGFO 50-59 years, male 109.7
GTEX-17KNJ-1926-SM-7KFRV 50-59 years, male 109.0
GTEX-ZYW4-2126-SM-59HJ9 60-69 years, male 107.9
GTEX-Y3IK-0426-SM-4WWE2 50-59 years, female 107.1
GTEX-PW2O-0826-SM-48TC5 20-29 years, male 106.8
GTEX-15SDE-0826-SM-6M463 50-59 years, female 106.7
GTEX-13N11-0226-SM-5KM3C 50-59 years, female 106.1
GTEX-P4PQ-1026-SM-3NMCN 60-69 years, male 106.1
GTEX-VUSG-0326-SM-3GIJ7 50-59 years, male 104.7
GTEX-13PL7-2226-SM-5L3IC 60-69 years, female 103.7
GTEX-14PHX-2026-SM-6872C 50-59 years, male 101.9
GTEX-VJYA-0826-SM-4KL1M 60-69 years, male 101.4
GTEX-14AS3-0326-SM-5Q5DB 40-49 years, female 98.8
GTEX-14PJ2-1526-SM-686Z4 50-59 years, male 98.8
GTEX-1399R-0426-SM-5IJE3 30-39 years, male 97.6
GTEX-14PK6-1026-SM-664NZ 70-79 years, female 97.0
GTEX-ZVP2-0726-SM-59HKY 50-59 years, male 95.6
GTEX-V1D1-0726-SM-4JBH7 50-59 years, male 93.6
GTEX-QCQG-0426-SM-48U29 50-59 years, female 93.2
GTEX-WXYG-0826-SM-4ONC7 50-59 years, female 92.5
GTEX-1GF9X-1126-SM-7MKHC 40-49 years, female 92.1
GTEX-1M5QR-0926-SM-DHXK8 40-49 years, male 92.1
GTEX-QEL4-1326-SM-447AD 50-59 years, male 90.3
GTEX-1R9K5-1226-SM-E6CPQ 50-59 years, male 88.1
GTEX-ZC5H-0826-SM-5N9FH 40-49 years, female 87.7
GTEX-SUCS-1426-SM-4DM5W 70-79 years, male 87.3
GTEX-1AYD5-0326-SM-7EWEO 50-59 years, male 80.8
GTEX-16MT8-1726-SM-7EWE7 60-69 years, female 75.8
GTEX-ZF3C-2026-SM-4WWB5 50-59 years, female 61.2
GTEX-N7MT-1626-SM-3LK71 60-69 years, female 57.0
GTEX-ZYT6-1326-SM-5E453 30-39 years, male 55.5
GTEX-1JMPZ-1026-SM-CXZJS 30-39 years, male 45.7
Show allShow less

PANCREAS - FANTOM5 CAGEi

RNA expression in human tissues obtained through Cap Analysis of Gene Expression (CAGE) generated by the FANTOM5 project are reported as Scaled Tags Per Million.

Max subtype Scaled Tags Per Millioni

Max subtype Scaled Tags Per Million is the value for the subtype with the largest average Scaled Tags Per Million across the subtype samples.

284.9
FANTOM5 sample id Sample description Scaled Tags Per Million
Pancreas
Scaled Tags Per Million: 284.9
FF:10049-101G4 52 years, male 284.9

Contact

  • NEWS ARTICLES
  • PRESS ROOM

The Project

  • INTRODUCTION
  • ORGANIZATION
  • PUBLICATIONS

The Human Protein Atlas

  • DOWNLOADABLE DATA
  • LICENCE & CITATION
  • HELP & FAQ
The Human Protein Atlas project is funded
by the Knut & Alice Wallenberg Foundation.


contact@proteinatlas.org