We use cookies to enhance the usability of our website. If you continue, we'll assume that you are happy to receive all cookies. More information. Don't show this again.
HMCN2
HPA
RESOURCES
  • TISSUE
  • BRAIN
  • SINGLE CELL
  • SUBCELLULAR
  • CANCER
  • BLOOD
  • CELL LINE
  • STRUCTURE & INTERACTION
ABOUT
  • INTRODUCTION
  • HISTORY
  • ORGANIZATION
  • PUBLICATIONS
  • ANTIBODY SUBMISSION
  • ANTIBODY AVAILABILITY
  • ACKNOWLEDGMENTS
  • CONTACT
NEWS
  • NEWS ARTICLES
  • PRESS ROOM
LEARN
  • DICTIONARY
  • PROTEIN CLASSES
  • PROTEIN EVIDENCE
  • METHODS
  • EDUCATIONAL VIDEOS
DATA
  • DOWNLOADABLE DATA
  • PUBLICATION DATA
  • RELEASE HISTORY
HELP
  • ANTIBODY VALIDATION
  • ASSAYS & ANNOTATION
  • DISCLAIMER
  • HELP & FAQ
  • PRIVACY STATEMENT
  • LICENCE & CITATION
Fields »
Search result

Field
Term
Gene name
Class
Subclass
Class
Keyword
Chromosome
External id
Tissue
Cell type
Expression
Antibody panel
Tissue
Main location
Patient ID
Annotation
Tissue
Category
Tau score
Cluster
Reliability
Brain region
Category
Tau score
Brain region
Category
Tau score
Brain region
Category
Tau score
Cluster
Reliability
Tissue
Cell type
Enrichment
Cell type
Category
Tau score
Cell type
Category
Tau score
Cell type
Category
Tau score
Cell lineage
Category
Tau score
Cluster
Cluster
Location
Searches
Location
Cell line
Class
Type
Phase
Reliability
Cancer
Prognosis
Cancer
Category
Cancer
Category
Tau score
Cluster
Variants
Interacting gene (ensg_id)
Type
Number of interactions
Pathway
Category
Score
Score
Score
Validation
Validation
Validation
Validation
Antibodies
Data type
Column


  • SUMMARY

  • TISSUE

  • BRAIN

  • SINGLE CELL

  • SUBCELL

  • CANCER

  • BLOOD

  • CELL LINE

  • STRUCT & INT

  • HMCN2
BRAIN BASAL GANGLIA Show tissue menu
AMYGDALA BASAL GANGLIA CEREBELLUM CEREBRAL CORTEX CHOROID PLEXUS HIPPOCAMPAL FORMATION HYPOTHALAMUS MEDULLA OBLONGATA
MIDBRAIN OLFACTORY BULB PITUITARY GLAND PONS RETINA SPINAL CORD THALAMUS WHITE MATTER
ANTIBODIES
AND
VALIDATION
Brain proteome
Basal ganglia
BASAL GANGLIA - Expression summary
Protein expression
Caudatei

On the top, protein expression in current human tissue, based on all annotated cell types, is reported with the units not detected (n), low (l), medium (m) and high (h). Underneath, protein expression in each annotated cell type are reported using the same units.

Protein expression data is based on knowledge-based annotation. For genes where more than one antibody has been used, a collective score is set.

If knowledge-based annotation could not be performed for a gene, no data is displayed here. View antibody staining data further down this page.

h
m
l
n
Glial cells: Medium
RNA expressioni

A summary of mRNA expression data available for current tissue based on several datasets. The mRNA expression levels in human tissues are based on RNA-seq data generated by the Human Protein Atlas (HPA), Genotype-Tissue Expression (GTEx) portal and CAGE data generated by the FANTOM5 consortium. Consensus normalized expression levels for human tissues was created by combining the data from HPA and GTEx datasets.

The mRNA expression levels in pig are based on RNA-seq data generated by the Human Protein Atlas (HPA), and for mouse, HPA data and in situ hybridization generated by the Allen brain atlas are reported.

Scroll down to view mRNA expression data in more detail.
Consensus:0.3 nTPM
HPA Brain:1.1 nTPM
GTEx:0.3 nTPM
FANTOM5:0.4 Scaled Tags Per Million
Pig:0.0 nTPM
Mouse:0.0 nTPM
Allen mouse:0.0 Expression energy

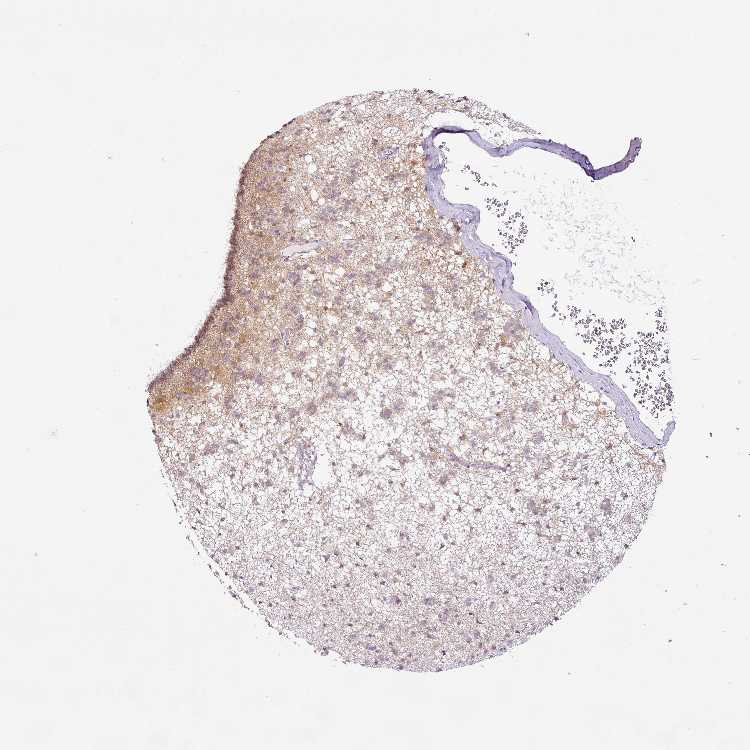
CAUDATE - Antibody stainingi

Antibody staining in the annotated cell types in the current human tissue is reported as not detected, low, medium, or high, based on conventional immunohistochemistry profiling in selected tissues. This score is based on the combination of the staining intensity and fraction of stained cells.

Each image is clickable and will lead to virtual microscopy that enables deeper exploration of all samples and also displays staining intensity scores, fraction scores and subcellular localization as well as patient and tissue information for each sample.

Antibody HPA053903Antibody HPA070647
Glial cells MediumNot detected
Neuronal cells -Not detected





BASAL GANGLIA - HPA Brain RNA-seq
Max subtype nTPMi

Max subtype nTPM is the value for the subtype with the largest average nTPM across the subtype samples.

1.1
Sample id Sample description nTPM
Caudate nucleus
nTPM: 0.3
1854 Male, age 80, left hemisphere 0.6
1781 Male, age 74, unknown 0.5
2288 Male, age 75, left hemisphere 0.5
2290 Female, age 72, unknown 0.4
1857 Female, age 85, left hemisphere 0.2
2289 Male, age 61, right hemisphere 0.2
2481 Female, age 94, left hemisphere 0.1
2846 Female, age 79, unknown 0.0
Globus pallidus, externus
nTPM: 0.3
2772 Female, age 79, unknown 0.6
2567 Female, age 72, unknown 0.4
1996 Male, age 80, right hemisphere 0.3
2646 Male, age 61, right hemisphere 0.2
2395 Male, age 75, both hemispheres 0.0
Globus pallidus, internus
nTPM: 0.2
1818 Male, age 74, unknown 0.4
2037 Male, age 80, right hemisphere 0.4
2566 Female, age 72, unknown 0.3
2778 Female, age 91, both hemispheres 0.2
2111 Female, age 85, right hemisphere 0.0
2287 Male, age 75, right hemisphere 0.0
2483 Female, age 94, right hemisphere 0.0
Nucleus accumbens
nTPM: 0.3
2732 Male, age 80, right hemisphere 0.6
1856 Female, age 91, right hemisphere 0.5
2824 Male, age 61, right hemisphere 0.4
1783 Male, age 74, unknown 0.2
1806 Female, age 85, left hemisphere 0.2
2286 Male, age 75, left hemisphere 0.2
2391 Female, age 94, left hemisphere 0.1
2698 Female, age 72, unknown 0.1
Nucleus basalis of Meynert
nTPM: 0.4
2821 Male, age 75, both hemispheres 0.7
2393 Male, age 80, right hemisphere 0.4
2484 Female, age 94, left hemisphere 0.4
2569 Male, age 61, both hemispheres 0.2
Nucleus of the diagonal band
nTPM: 0.7
1979 Male, age 74, unknown 1.5
2195 Female, age 85, both hemispheres 0.7
2029 Male, age 61, right hemisphere 0.5
2775 Male, age 80, right hemisphere 0.5
1812 Female, age 91, both hemispheres 0.4
Putamen
nTPM: 0.4
1838 Male, age 80, right hemisphere 0.7
2489 Female, age 72, unknown 0.7
1937 Female, age 91, right hemisphere 0.5
1829 Male, age 74, unknown 0.2
2466 Female, age 79, unknown 0.2
2647 Male, age 75, left hemisphere 0.2
2482 Female, age 94, left hemisphere 0.1
Septal nuclei
nTPM: 0.9
2199 Male, age 80, right hemisphere 1.6
2394 Male, age 61, left hemisphere 1.5
2059 Female, age 85, both hemispheres 1.2
2009 Female, age 91, both hemispheres 0.6
1960 Male, age 74, unknown 0.5
2629 Female, age 94, right hemisphere 0.4
2031 Female, age 72, unknown 0.3
Stria terminalis, bed nucleus
nTPM: 1.1
2201 Male, age 74, unknown 2.5
1974 Female, age 91, both hemispheres 0.5
2486 Female, age 94, both hemispheres 0.4

BASAL GANGLIA - GTEx RNA-seqi

RNA-Seq data generated by the Genotype-Tissue Expression (GTEx) project from human tissues is reported as mean nTPM. More information can be found on the GTEx portal.

Distribution across the dataset is visualized with box plots, shown as median and 25th and 75th percentiles. Points are displayed as outliers if they are above or below 1.5 times the interquartile range. nTPM values of the individual samples are presented next to the box plot.
Max subtype nTPMi

Max subtype nTPM is the value for the subtype with the largest average nTPM across the subtype samples.

0.3
GTEx sample id Sample description nTPM
Brain - Caudate (basal ganglia)
Average nTPM: 0.3
Samples: 246

Max nTPM: 1.5
Min nTPM: 0.0
Std nTPM: 0.2
Median nTPM: 0.2
GTEX-1B996-0011-R5a-SM-7P8PN 60-69 years, male 1.5
GTEX-1HCVE-0011-R5b-SM-CKZP7 50-59 years, male 1.4
GTEX-1HR98-0011-R5a-SM-A9G1V 60-69 years, male 1.2
GTEX-13FLV-0011-R5a-SM-5LZWT 50-59 years, male 1.0
GTEX-12ZZX-0011-R5a-SM-5HL89 40-49 years, female 0.9
GTEX-WL46-0011-R5A-SM-3LK6V 50-59 years, male 0.9
GTEX-1GMR8-0011-R5b-SM-9QEIH 50-59 years, female 0.9
GTEX-13OW8-0011-R5b-SM-5L3FQ 60-69 years, male 0.8
GTEX-YJ89-0011-R5a-SM-4V6GM 60-69 years, male 0.8
GTEX-1HBPI-0011-R5a-SM-CKZOW 50-59 years, male 0.8
GTEX-1HSKV-0011-R5b-SM-ARZLN 60-69 years, male 0.8
GTEX-11H98-0011-R5b-SM-57WCF 50-59 years, male 0.7
GTEX-13FXS-0011-R5b-SM-5LZYE 50-59 years, male 0.7
GTEX-13OW5-0011-R5b-SM-5L3FR 60-69 years, male 0.7
GTEX-145MG-0011-R5b-SM-5S2VU 50-59 years, male 0.7
GTEX-17HHY-0011-R5b-SM-79OMZ 50-59 years, male 0.7
GTEX-11DZ1-0011-R5a-SM-DO11J 50-59 years, male 0.7
GTEX-1GF9W-0011-R5a-SM-CKZO4 60-69 years, male 0.7
GTEX-1H3O1-0011-R5b-SM-ADEH8 60-69 years, male 0.7
GTEX-12WSD-0011-R5b-SM-5CVNG 60-69 years, female 0.6
GTEX-132Q8-0011-R5a-SM-5IJDM 60-69 years, male 0.6
GTEX-13CIG-0011-R5b-SM-5L3F2 50-59 years, male 0.6
GTEX-13FLW-0011-R5a-SM-5LZX6 50-59 years, male 0.6
GTEX-13NYS-0011-R5a-SM-5MR4D 60-69 years, male 0.6
GTEX-145MH-0011-R5a-SM-5P9JT 50-59 years, male 0.6
GTEX-14BMV-0011-R5b-SM-62LFT 50-59 years, male 0.6
GTEX-1B8SF-0011-R5a-SM-79OOO 60-69 years, male 0.6
GTEX-S7SE-0011-R5A-SM-2XCDA 50-59 years, male 0.6
GTEX-11DXW-0011-R5b-SM-DO11D 40-49 years, male 0.6
GTEX-1C6WA-0011-R5a-SM-9WG5X 60-69 years, male 0.6
GTEX-12WSF-0011-R5a-SM-5HL8K 70-79 years, male 0.5
GTEX-12ZZZ-0011-R5a-SM-5EQ4M 60-69 years, male 0.5
GTEX-131YS-0011-R5b-SM-5K7YB 60-69 years, female 0.5
GTEX-13FHP-0011-R5b-SM-5LZY2 50-59 years, male 0.5
GTEX-13O3O-0011-R5b-SM-5KM44 60-69 years, female 0.5
GTEX-13OVL-0011-R5b-SM-5L3FU 50-59 years, male 0.5
GTEX-14ABY-0011-R5b-SM-5SI7B 50-59 years, male 0.5
GTEX-14ASI-0011-R5b-SM-6EU2M 60-69 years, male 0.5
GTEX-18465-0011-R5a-SM-72D5J 50-59 years, male 0.5
GTEX-UTHO-0011-R5A-SM-3GIJD 60-69 years, male 0.5
GTEX-X585-0011-R5A-SM-46MVI 50-59 years, male 0.5
GTEX-11NUK-0011-R5a-SM-DO93N 50-59 years, male 0.5
GTEX-11TTK-0011-R5a-SM-DNZZV 60-69 years, female 0.5
GTEX-1F6I4-0011-R5b-SM-9QEHA 60-69 years, male 0.5
GTEX-1F75A-0011-R5a-SM-ARZMJ 50-59 years, male 0.5
GTEX-1GN73-0011-R5a-SM-9QEIM 60-69 years, male 0.5
GTEX-1HFI6-0011-R5a-SM-A9G1J 40-49 years, male 0.5
GTEX-1I1GR-0011-R5a-SM-CMKHD 60-69 years, male 0.5
GTEX-1IDJH-0011-R5a-SM-CE6SR 70-79 years, male 0.5
GTEX-11OF3-0011-R5a-SM-57WB4 60-69 years, male 0.4
GTEX-13FHO-0011-R5b-SM-5LZZ3 60-69 years, male 0.4
GTEX-13NZA-0011-R5b-SM-5KM4K 60-69 years, male 0.4
GTEX-13O3Q-0011-R5b-SM-5P9H4 50-59 years, male 0.4
GTEX-13OVH-0011-R5b-SM-5KM4L 70-79 years, male 0.4
GTEX-144GL-0011-R5b-SM-5PNUJ 50-59 years, male 0.4
GTEX-145LS-0011-R5a-SM-5SI65 60-69 years, female 0.4
GTEX-14BIM-0011-R5b-SM-5S2RM 60-69 years, female 0.4
GTEX-14E6D-0011-R5b-SM-69LQR 50-59 years, male 0.4
GTEX-17F97-0011-R5a-SM-7LG4Z 50-59 years, male 0.4
GTEX-1B8L1-0011-R5a-SM-7DHN5 60-69 years, male 0.4
GTEX-OXRN-0011-R5A-SM-2I5EF 50-59 years, male 0.4
GTEX-P44G-0011-R5A-SM-2I3FA 30-39 years, male 0.4
GTEX-PVOW-0011-R5A-SM-32PL7 40-49 years, male 0.4
GTEX-QMR6-0011-R5A-SM-32PKT 50-59 years, male 0.4
GTEX-R55E-0011-R5A-SM-2TC5N 20-29 years, male 0.4
GTEX-RNOR-0011-R5A-SM-2TF4J 50-59 years, female 0.4
GTEX-WVLH-0011-R5A-SM-3MJFW 50-59 years, male 0.4
GTEX-WWYW-0011-R5A-SM-3NB3E 50-59 years, female 0.4
GTEX-WZTO-0011-R5B-SM-3NMC5 40-49 years, male 0.4
GTEX-X261-0011-R5A-SM-3NMB4 50-59 years, male 0.4
GTEX-YFC4-0011-R5a-SM-4RGLR 40-49 years, female 0.4
GTEX-ZE7O-0011-R5a-SM-57WBO 50-59 years, female 0.4
GTEX-ZXG5-0011-R5b-SM-57WBN 60-69 years, male 0.4
GTEX-11PRG-0011-R5b-SM-DNZZS 50-59 years, male 0.4
GTEX-1B933-0011-R5b-SM-7P8SA 50-59 years, female 0.4
GTEX-1EKGG-0011-R5a-SM-9OSVQ 60-69 years, male 0.4
GTEX-1EX96-0011-R5a-SM-ARU83 50-59 years, male 0.4
GTEX-1F7RK-0011-R5b-SM-9WG5S 20-29 years, female 0.4
GTEX-1GF9V-0011-R5a-SM-9QEI8 60-69 years, male 0.4
GTEX-1HBPH-0011-R5b-SM-A9G1R 40-49 years, female 0.4
GTEX-1HT8W-0011-R5b-SM-CJI3P 30-39 years, male 0.4
GTEX-1HUB1-0011-R5a-SM-CKZOY 60-69 years, male 0.4
GTEX-1I1GS-0011-R5a-SM-CKZPC 60-69 years, male 0.4
GTEX-1J8Q2-0011-R5b-SM-A9SKH 60-69 years, male 0.4
GTEX-11NV4-0011-R5a-SM-5NQ88 60-69 years, male 0.3
GTEX-12ZZW-0011-R5a-SM-5DUVN 50-59 years, male 0.3
GTEX-1399T-0011-R5b-SM-5IJDK 60-69 years, male 0.3
GTEX-139TS-0011-R5b-SM-5J2MZ 60-69 years, male 0.3
GTEX-13N1W-0011-R5b-SM-5MR5Q 70-79 years, male 0.3
GTEX-13PVQ-0011-R5b-SM-5O9DI 50-59 years, male 0.3
GTEX-13S7M-0011-R5b-SM-5P9HS 60-69 years, female 0.3
GTEX-13VXU-0011-R5a-SM-5O9D7 50-59 years, male 0.3
GTEX-13X6K-0011-R5b-SM-5PNUE 60-69 years, female 0.3
GTEX-14753-0011-R5a-SM-5S2VW 60-69 years, male 0.3
GTEX-14PJO-0011-R5a-SM-6AJBZ 60-69 years, male 0.3
GTEX-15CHQ-0011-R5b-SM-6AJAN 60-69 years, male 0.3
GTEX-17EVP-0011-R5b-SM-7DHKW 40-49 years, male 0.3
GTEX-17EVQ-0011-R5a-SM-7LT92 70-79 years, male 0.3
GTEX-18464-0011-R5b-SM-718A6 50-59 years, male 0.3
GTEX-NL4W-0011-R5a-SM-2I3GD 50-59 years, male 0.3
GTEX-ZDXO-0011-R5a-SM-4WKG5 60-69 years, male 0.3
GTEX-ZF28-0011-R5a-SM-4WWCZ 60-69 years, male 0.3
GTEX-1192X-0011-R5a-SM-DNZZA 50-59 years, male 0.3
GTEX-1F52S-0011-R5a-SM-CJI22 60-69 years, female 0.3
GTEX-1GMRU-0011-R5a-SM-CKZNS 50-59 years, male 0.3
GTEX-1GN1U-0011-R5a-SM-9QEIS 50-59 years, female 0.3
GTEX-1GN2E-0011-R5b-SM-CJI2M 60-69 years, male 0.3
GTEX-1H1ZS-0011-R5b-SM-CL53L 70-79 years, male 0.3
GTEX-1H3NZ-0011-R5a-SM-CM2SP 60-69 years, male 0.3
GTEX-1HB9E-0011-R5b-SM-ARU78 50-59 years, male 0.3
GTEX-1HGF4-0011-R5b-SM-CM2ST 60-69 years, male 0.3
GTEX-1IKJJ-0011-R5b-SM-CE6SL 60-69 years, male 0.3
GTEX-1IKOH-0011-R5a-SM-ARU8C 60-69 years, female 0.3
GTEX-1JMQJ-0011-R5a-SM-EYYXO 50-59 years, male 0.3
GTEX-11WQC-0011-R5a-SM-5BC74 60-69 years, male 0.2
GTEX-12WSC-0011-R5b-SM-5CVNS 50-59 years, male 0.2
GTEX-139T8-0011-R5b-SM-5J1MO 60-69 years, male 0.2
GTEX-139TT-0011-R5b-SM-5K7W8 60-69 years, male 0.2
GTEX-13JUV-0011-R5a-SM-5LZY5 40-49 years, female 0.2
GTEX-13OW6-0011-R5a-SM-5O9BK 50-59 years, male 0.2
GTEX-13OW7-0011-R5b-SM-5O9DM 50-59 years, male 0.2
GTEX-13PLJ-0011-R5a-SM-5O9BG 60-69 years, female 0.2
GTEX-13RTJ-0011-R5a-SM-5P9HR 60-69 years, male 0.2
GTEX-13SLX-0011-R5a-SM-5O9BV 50-59 years, female 0.2
GTEX-13X6I-0011-R5a-SM-5PNWW 60-69 years, male 0.2
GTEX-13X6J-0011-R5b-SM-5PNWT 50-59 years, male 0.2
GTEX-14BIN-0011-R5b-SM-5SI78 50-59 years, female 0.2
GTEX-14DAQ-0011-R5b-SM-5YYAK 60-69 years, female 0.2
GTEX-14LZ3-0011-R5b-SM-5ZZV8 60-69 years, female 0.2
GTEX-14PQA-0011-R5b-SM-6AJC2 50-59 years, female 0.2
GTEX-15DYW-0011-R5a-SM-6M46W 60-69 years, female 0.2
GTEX-15EO6-0011-R5b-SM-7KUDZ 50-59 years, male 0.2
GTEX-15ER7-0011-R5b-SM-6M46T 20-29 years, female 0.2
GTEX-15SHU-0011-R5a-SM-7938Q 40-49 years, female 0.2
GTEX-17HG3-0011-R5a-SM-7DUEW 30-39 years, female 0.2
GTEX-17MF6-0011-R5a-SM-731BA 40-49 years, male 0.2
GTEX-1A3MX-0011-R5a-SM-79OM5 60-69 years, male 0.2
GTEX-1AX9I-0011-R5b-SM-793DI 60-69 years, male 0.2
GTEX-N7MS-0011-R5a-SM-2HMK8 60-69 years, male 0.2
GTEX-N7MT-0011-R5a-SM-2I3G6 60-69 years, female 0.2
GTEX-NL3H-0011-R5a-SM-2I3GB 60-69 years, male 0.2
GTEX-NPJ8-0011-R5a-SM-2HMJY 40-49 years, male 0.2
GTEX-PWO3-0011-R5A-SM-2I5EZ 60-69 years, female 0.2
GTEX-Q2AG-0011-R5A-SM-2HMJH 40-49 years, female 0.2
GTEX-QDT8-0011-R5A-SM-32PKN 30-39 years, female 0.2
GTEX-RVPV-0011-R5A-SM-2TF69 60-69 years, male 0.2
GTEX-T6MN-0011-R5A-SM-32QPD 50-59 years, male 0.2
GTEX-TSE9-0011-R5A-SM-3DB7J 60-69 years, female 0.2
GTEX-X4XX-0011-R5A-SM-46MWN 60-69 years, male 0.2
GTEX-XMD1-0011-R5A-SM-4AT47 60-69 years, male 0.2
GTEX-Y8DK-0011-R5B-SM-4RTW6 60-69 years, male 0.2
GTEX-ZE9C-0011-R5a-SM-5EGLO 60-69 years, male 0.2
GTEX-ZVZQ-0011-R5b-SM-57WDC 60-69 years, female 0.2
GTEX-11ONC-0011-R5b-SM-DO93I 60-69 years, male 0.2
GTEX-1CB4G-0011-R5a-SM-CKZNM 60-69 years, male 0.2
GTEX-1EMGI-0011-R5a-SM-CJI2E 60-69 years, male 0.2
GTEX-1F75W-0011-R5b-SM-9QEGV 60-69 years, male 0.2
GTEX-1GTWX-0011-R5b-SM-CKZO6 60-69 years, male 0.2
GTEX-1GZ2Q-0011-R5a-SM-A96RQ 40-49 years, male 0.2
GTEX-1GZ4I-0011-R5a-SM-9OSWQ 50-59 years, male 0.2
GTEX-1H23P-0011-R5a-SM-CKZOI 60-69 years, male 0.2
GTEX-1I1GQ-0011-R5a-SM-CMKHJ 50-59 years, male 0.2
GTEX-1J1OQ-0011-R5a-SM-D3L8K 40-49 years, female 0.2
GTEX-1J8JJ-0011-R5a-SM-D4P2G 60-69 years, female 0.2
GTEX-1JMPZ-0011-R5b-SM-EYYWY 30-39 years, male 0.2
GTEX-11GSP-0011-R5a-SM-57WBE 60-69 years, female 0.1
GTEX-12WSH-0011-R5b-SM-5P9F3 50-59 years, male 0.1
GTEX-12ZZY-0011-R5a-SM-5EGL9 60-69 years, male 0.1
GTEX-13112-0011-R5b-SM-5DUV8 50-59 years, male 0.1
GTEX-1313W-0011-R5b-SM-5L3EP 50-59 years, female 0.1
GTEX-13CF2-0011-R5a-SM-5LZWS 60-69 years, male 0.1
GTEX-13CZV-0011-R5a-SM-5K7XA 60-69 years, male 0.1
GTEX-13G51-0011-R5a-SM-5L3EB 60-69 years, male 0.1
GTEX-13NYB-0011-R5a-SM-5MR45 40-49 years, male 0.1
GTEX-13OVJ-0011-R5a-SM-5P9H7 50-59 years, female 0.1
GTEX-1477Z-0011-R5b-SM-5PNUO 60-69 years, male 0.1
GTEX-14C39-0011-R5b-SM-5ZZV1 40-49 years, male 0.1
GTEX-14JIY-0011-R5b-SM-62LE7 60-69 years, male 0.1
GTEX-14PN4-0011-R5a-SM-686ZV 50-59 years, male 0.1
GTEX-16NPV-0011-R5a-SM-7EPGK 50-59 years, female 0.1
GTEX-16Z82-0011-R5a-SM-7EPGB 60-69 years, male 0.1
GTEX-17HII-0011-R5a-SM-7LG51 50-59 years, male 0.1
GTEX-183WM-0011-R5a-SM-718A4 70-79 years, female 0.1
GTEX-NPJ7-0011-R5a-SM-33HBK 60-69 years, female 0.1
GTEX-OXRO-0011-R5A-SM-2I5EG 60-69 years, female 0.1
GTEX-QVJO-0011-R5A-SM-2S1QM 60-69 years, female 0.1
GTEX-RU72-0011-R5A-SM-2TF6U 50-59 years, female 0.1
GTEX-T5JC-0011-R5A-SM-32PLK 20-29 years, male 0.1
GTEX-Z93S-0011-R5b-SM-4RGNI 50-59 years, male 0.1
GTEX-ZAB4-0011-R5a-SM-4SOKC 40-49 years, male 0.1
GTEX-ZUA1-0011-R5b-SM-51MTG 40-49 years, male 0.1
GTEX-ZVT3-0011-R5a-SM-51MSI 60-69 years, female 0.1
GTEX-11DXY-0011-R5b-SM-DNZZL 60-69 years, male 0.1
GTEX-11O72-0011-R5a-SM-DO922 40-49 years, male 0.1
GTEX-1C6VR-0011-R5a-SM-9QEH1 60-69 years, male 0.1
GTEX-1CB4H-0011-R5b-SM-9QEGN 60-69 years, female 0.1
GTEX-1E2YA-0011-R5a-SM-9QEGT 50-59 years, male 0.1
GTEX-1F48J-0011-R5b-SM-9OSVZ 50-59 years, female 0.1
GTEX-1F6IF-0011-R5b-SM-CM2RH 60-69 years, male 0.1
GTEX-1H1CY-0011-R5a-SM-CM2SN 60-69 years, female 0.1
GTEX-1H1DG-0011-R5b-SM-CJI33 70-79 years, male 0.1
GTEX-1H2FU-0011-R5b-SM-CL552 60-69 years, female 0.1
GTEX-1H3VE-0011-R5a-SM-CKZOU 40-49 years, male 0.1
GTEX-1HCU6-0011-R5a-SM-ARU76 60-69 years, female 0.1
GTEX-1I19N-0011-R5b-SM-ARU6X 70-79 years, male 0.1
GTEX-1I1GV-0011-R5b-SM-CKZPD 60-69 years, male 0.1
GTEX-1I1HK-0011-R5b-SM-ARU6S 60-69 years, male 0.1
GTEX-1IGQW-0011-R5b-SM-CJI44 60-69 years, male 0.1
GTEX-1IL2U-0011-R5a-SM-CE6SN 60-69 years, male 0.1
GTEX-1IY9M-0011-R5a-SM-A9SLX 60-69 years, male 0.1
GTEX-1R9K4-0011-R5b-SM-EZ6N8 60-69 years, male 0.1
GTEX-11UD1-0011-R5b-SM-5P9FP 40-49 years, female 0.0
GTEX-12WSA-0011-R5b-SM-5GU5I 60-69 years, male 0.0
GTEX-12WSM-0011-R5a-SM-5EQ4Y 60-69 years, male 0.0
GTEX-139TU-0011-R5b-SM-5L3E1 60-69 years, male 0.0
GTEX-13JVG-0011-R5a-SM-5MR4O 60-69 years, male 0.0
GTEX-13PL6-0011-R5b-SM-5O9BI 40-49 years, female 0.0
GTEX-13SLW-0011-R5b-SM-5SI6Z 70-79 years, male 0.0
GTEX-1445S-0011-R5a-SM-5PNUS 60-69 years, male 0.0
GTEX-144GO-0011-R5a-SM-5PNUR 60-69 years, male 0.0
GTEX-14JG1-0011-R5a-SM-62LED 40-49 years, male 0.0
GTEX-14LLW-0011-R5b-SM-5ZZU6 70-79 years, female 0.0
GTEX-15G19-0011-R5b-SM-6M46P 60-69 years, male 0.0
GTEX-16YQH-0011-R5b-SM-7938U 30-39 years, male 0.0
GTEX-1A8G6-0011-R5b-SM-7IGQG 60-69 years, male 0.0
GTEX-P44H-0011-R5A-SM-2XCEX 40-49 years, male 0.0
GTEX-S7PM-0011-R5A-SM-3NM8G 60-69 years, male 0.0
GTEX-T2IS-0011-R5A-SM-32QP4 20-29 years, female 0.0
GTEX-ZV68-0011-R5a-SM-4YCDW 50-59 years, female 0.0
GTEX-11DYG-0011-R5a-SM-DO928 60-69 years, male 0.0
GTEX-15DCD-0011-R5a-SM-CXZKZ 70-79 years, female 0.0
GTEX-1C6VS-0011-R5a-SM-7MXU9 60-69 years, male 0.0
GTEX-1CAV2-0011-R5b-SM-9QEH4 40-49 years, female 0.0
GTEX-1E1VI-0011-R5b-SM-9WG5V 50-59 years, male 0.0
GTEX-1EH9U-0011-R5a-SM-CJI2K 60-69 years, male 0.0
GTEX-1EN7A-0011-R5a-SM-9QEH6 40-49 years, male 0.0
GTEX-1F75B-0011-R5a-SM-9QEHC 50-59 years, male 0.0
GTEX-1GPI6-0011-R5a-SM-CJI2W 60-69 years, male 0.0
GTEX-1HR9M-0011-R5a-SM-ARU72 60-69 years, male 0.0
GTEX-1IKK5-0011-R5b-SM-CL55B 60-69 years, male 0.0
GTEX-1IL2V-0011-R5a-SM-ARL78 70-79 years, male 0.0
GTEX-1J8EW-0011-R5b-SM-ARU8B 60-69 years, female 0.0
GTEX-1LG7Y-0011-R5a-SM-EZ6MU 50-59 years, male 0.0
GTEX-1N2DW-0011-R5a-SM-EYYX3 50-59 years, male 0.0
GTEX-1R9PO-0011-R5a-SM-EZ6NA 60-69 years, female 0.0
GTEX-1RNSC-0011-R5a-SM-EZ6N5 60-69 years, male 0.0
Show allShow less
Brain - Nucleus accumbens (basal ganglia)
Average nTPM: 0.3
Samples: 246

Max nTPM: 3.5
Min nTPM: 0.0
Std nTPM: 0.3
Median nTPM: 0.2
GTEX-16Z82-0011-R6a-SM-7IGLV 60-69 years, male 3.5
GTEX-X4EP-0011-R6A-SM-3P629 60-69 years, female 2.6
GTEX-12WSD-0011-R6b-SM-5P9JU 60-69 years, female 1.9
GTEX-13FHO-0011-R6b-SM-5LZX1 60-69 years, male 1.0
GTEX-12WSC-0011-R6b-SM-5LU99 50-59 years, male 0.8
GTEX-13N1W-0011-R6a-SM-5MR43 70-79 years, male 0.8
GTEX-18A6Q-0011-R6a-SM-7LG6R 60-69 years, male 0.8
GTEX-1B996-0011-R6b-SM-793AQ 60-69 years, male 0.7
GTEX-WVLH-0011-R6A-SM-3MJFZ 50-59 years, male 0.7
GTEX-ZE7O-0011-R6a-SM-57WCI 50-59 years, female 0.7
GTEX-11TTK-0011-R6b-SM-DNZZW 60-69 years, female 0.7
GTEX-11OF3-0011-R6b-SM-57WBG 60-69 years, male 0.6
GTEX-139TT-0011-R6b-SM-5J2ON 60-69 years, male 0.6
GTEX-147GR-0011-R6b-SM-5S2RO 60-69 years, male 0.6
GTEX-14ABY-0011-R6a-SM-5PNWR 50-59 years, male 0.6
GTEX-11DXW-0011-R6a-SM-DO11N 40-49 years, male 0.6
GTEX-1AX9I-0011-R6a-SM-7P8PK 60-69 years, male 0.6
GTEX-1LH75-0011-R6a-SM-EXURS 50-59 years, female 0.6
GTEX-1OJC4-0011-R6a-SM-EXOIM 50-59 years, female 0.6
GTEX-12WSE-0011-R6b-SM-5LZV5 20-29 years, male 0.5
GTEX-12ZZX-0011-R6a-SM-5HL8L 40-49 years, female 0.5
GTEX-13JVG-0011-R6a-SM-5MR3E 60-69 years, male 0.5
GTEX-13OW6-0011-R6b-SM-5L3GR 50-59 years, male 0.5
GTEX-14C5O-0011-R6a-SM-5YYB6 60-69 years, male 0.5
GTEX-17JCI-0011-R6a-SM-72D6D 60-69 years, female 0.5
GTEX-18465-0011-R6a-SM-7LG6M 50-59 years, male 0.5
GTEX-WZTO-0011-R6B-SM-4E3J6 40-49 years, male 0.5
GTEX-ZVZQ-0011-R6b-SM-57WAY 60-69 years, female 0.5
GTEX-11PRG-0011-R6b-SM-DO923 50-59 years, male 0.5
GTEX-1EH9U-0011-R6a-SM-CJI2C 60-69 years, male 0.5
GTEX-11GSP-0011-R6b-SM-57WBQ 60-69 years, female 0.4
GTEX-11NV4-0011-R6a-SM-57WD5 60-69 years, male 0.4
GTEX-12WSM-0011-R6b-SM-5EQ6N 60-69 years, male 0.4
GTEX-12ZZZ-0011-R6b-SM-5EQ5B 60-69 years, male 0.4
GTEX-13FHP-0011-R6b-SM-5LZY6 50-59 years, male 0.4
GTEX-13FLV-0011-R6a-SM-5KLZ4 50-59 years, male 0.4
GTEX-13FXS-0011-R6b-SM-5L3F7 50-59 years, male 0.4
GTEX-13NYB-0011-R6b-SM-5MR51 40-49 years, male 0.4
GTEX-13OVH-0011-R6b-SM-5LUAX 70-79 years, male 0.4
GTEX-13OVL-0011-R6a-SM-5L3G4 50-59 years, male 0.4
GTEX-13X6K-0011-R6a-SM-5P9K6 60-69 years, female 0.4
GTEX-1445S-0011-R6b-SM-5PNUF 60-69 years, male 0.4
GTEX-14BMV-0011-R6b-SM-5YY9I 50-59 years, male 0.4
GTEX-14PN4-0011-R6b-SM-69LQU 50-59 years, male 0.4
GTEX-15ER7-0011-R6a-SM-6M46M 20-29 years, female 0.4
GTEX-15RJE-0011-R6a-SM-7DHL8 40-49 years, male 0.4
GTEX-17HHY-0011-R6b-SM-7189Z 50-59 years, male 0.4
GTEX-XMD1-0011-R6A-SM-4AT5K 60-69 years, male 0.4
GTEX-ZDXO-0011-R6a-SM-4WWCT 60-69 years, male 0.4
GTEX-ZF28-0011-R6a-SM-4WKHI 60-69 years, male 0.4
GTEX-11NUK-0011-R6a-SM-DO93O 50-59 years, male 0.4
GTEX-1BAJH-0011-R6b-SM-7MXT2 70-79 years, male 0.4
GTEX-1F6I4-0011-R6a-SM-CE6R4 60-69 years, male 0.4
GTEX-1GF9W-0011-R6b-SM-9QEIE 60-69 years, male 0.4
GTEX-1GMRU-0011-R6b-SM-A9G3B 50-59 years, male 0.4
GTEX-1H3NZ-0011-R6b-SM-A9G1N 60-69 years, male 0.4
GTEX-1HGF4-0011-R6a-SM-A96S1 60-69 years, male 0.4
GTEX-139TS-0011-R6a-SM-5J2OB 60-69 years, male 0.3
GTEX-13G51-0011-R6b-SM-5LZX4 60-69 years, male 0.3
GTEX-13IVO-0011-R6b-SM-5K7X9 70-79 years, male 0.3
GTEX-13N2G-0011-R6b-SM-5MR3P 60-69 years, male 0.3
GTEX-13NYS-0011-R6b-SM-5MR3R 60-69 years, male 0.3
GTEX-13QJC-0011-R6a-SM-5S2VI 60-69 years, female 0.3
GTEX-13SLX-0011-R6a-SM-5PNX4 50-59 years, female 0.3
GTEX-144GL-0011-R6a-SM-5P9HW 50-59 years, male 0.3
GTEX-147F4-0011-R6b-SM-5S2UP 50-59 years, male 0.3
GTEX-14ASI-0011-R6a-SM-5S2UZ 60-69 years, male 0.3
GTEX-14PQA-0011-R6b-SM-6AJAM 50-59 years, female 0.3
GTEX-15CHQ-0011-R6b-SM-69LOX 60-69 years, male 0.3
GTEX-15G19-0011-R6b-SM-7KUM3 60-69 years, male 0.3
GTEX-17EVP-0011-R6b-SM-7LT99 40-49 years, male 0.3
GTEX-17EVQ-0011-R6a-SM-7189U 70-79 years, male 0.3
GTEX-NPJ7-0011-R6a-SM-2I3G7 60-69 years, female 0.3
GTEX-PWO3-0011-R6A-SM-2I5F3 60-69 years, female 0.3
GTEX-Q2AG-0011-R6A-SM-2HML7 40-49 years, female 0.3
GTEX-T2IS-0011-R6A-SM-32QP2 20-29 years, female 0.3
GTEX-WL46-0011-R6A-SM-3LK6X 50-59 years, male 0.3
GTEX-X4XY-0011-R6B-SM-46MVB 60-69 years, male 0.3
GTEX-YJ89-0011-R6a-SM-4V6GN 60-69 years, male 0.3
GTEX-ZAB4-0011-R6a-SM-4SOKD 40-49 years, male 0.3
GTEX-11ONC-0011-R6a-SM-DO12A 60-69 years, male 0.3
GTEX-1E1VI-0011-R6a-SM-9OSVJ 50-59 years, male 0.3
GTEX-1EWIQ-0011-R6a-SM-ARU8G 70-79 years, female 0.3
GTEX-1F75W-0011-R6a-SM-9QEI5 60-69 years, male 0.3
GTEX-1GMR8-0011-R6b-SM-CE6RC 50-59 years, female 0.3
GTEX-1GZ4I-0011-R6b-SM-9WG77 50-59 years, male 0.3
GTEX-1HBPI-0011-R6b-SM-A9G1T 50-59 years, male 0.3
GTEX-1I1CD-0011-R6b-SM-CJI3Y 60-69 years, female 0.3
GTEX-1IDJH-0011-R6a-SM-A9SLZ 70-79 years, male 0.3
GTEX-1MJK2-0011-R6a-SM-EXUS3 50-59 years, male 0.3
GTEX-1N2DW-0011-R6a-SM-EZ6MW 50-59 years, male 0.3
GTEX-12584-0011-R6a-SM-5NQ7C 40-49 years, male 0.2
GTEX-12WSF-0011-R6b-SM-5HL8W 70-79 years, male 0.2
GTEX-12ZZY-0011-R6b-SM-5EGLA 60-69 years, male 0.2
GTEX-13112-0011-R6b-SM-5DUVK 50-59 years, male 0.2
GTEX-131XH-0011-R6a-SM-5KM2G 50-59 years, male 0.2
GTEX-1399T-0011-R6b-SM-5K7YL 60-69 years, male 0.2
GTEX-13FLW-0011-R6b-SM-5L3EN 50-59 years, male 0.2
GTEX-13O3O-0011-R6b-SM-5P9GY 60-69 years, female 0.2
GTEX-13OW8-0011-R6b-SM-5L3I3 60-69 years, male 0.2
GTEX-13PDP-0011-R6b-SM-5O9D5 60-69 years, male 0.2
GTEX-13RTJ-0011-R6a-SM-5SI74 60-69 years, male 0.2
GTEX-13SLW-0011-R6a-SM-5O9BH 70-79 years, male 0.2
GTEX-145LS-0011-R6b-SM-5PNWL 60-69 years, female 0.2
GTEX-145LU-0011-R6a-SM-5S2V6 50-59 years, male 0.2
GTEX-14BIM-0011-R6b-SM-5S2VB 60-69 years, female 0.2
GTEX-14JG1-0011-R6b-SM-5YYAU 40-49 years, male 0.2
GTEX-17MF6-0011-R6b-SM-7LG6G 40-49 years, male 0.2
GTEX-N7MT-0011-R6a-SM-2I3G3 60-69 years, female 0.2
GTEX-NL3H-0011-R6a-SM-2I3G8 60-69 years, male 0.2
GTEX-NL4W-0011-R6a-SM-2I3GA 50-59 years, male 0.2
GTEX-NPJ8-0011-R6a-SM-2HMKB 40-49 years, male 0.2
GTEX-OHPN-0011-R6A-SM-2I5FH 60-69 years, female 0.2
GTEX-P44G-0011-R6A-SM-2XCD3 30-39 years, male 0.2
GTEX-S7SE-0011-R6A-SM-2XCD9 50-59 years, male 0.2
GTEX-UTHO-0011-R6A-SM-3GIJW 60-69 years, male 0.2
GTEX-X4XX-0011-R6B-SM-46MWP 60-69 years, male 0.2
GTEX-X585-0011-R6A-SM-46MVJ 50-59 years, male 0.2
GTEX-Y8DK-0011-R6A-SM-4V6EG 60-69 years, male 0.2
GTEX-Z93S-0011-R6b-SM-4RGNJ 50-59 years, male 0.2
GTEX-ZV68-0011-R6a-SM-51MSR 50-59 years, female 0.2
GTEX-ZXG5-0011-R6a-SM-57WBZ 60-69 years, male 0.2
GTEX-11DXY-0011-R6a-SM-DNZZF 60-69 years, male 0.2
GTEX-11DZ1-0011-R6b-SM-DNZZG 50-59 years, male 0.2
GTEX-1B8L1-0011-R6b-SM-7P8SU 60-69 years, male 0.2
GTEX-1C6VR-0011-R6a-SM-7MXU8 60-69 years, male 0.2
GTEX-1CB4G-0011-R6b-SM-9QEGO 60-69 years, male 0.2
GTEX-1CB4H-0011-R6b-SM-CKZNK 60-69 years, female 0.2
GTEX-1EKGG-0011-R6a-SM-CL538 60-69 years, male 0.2
GTEX-1EX96-0011-R6a-SM-9OSVV 50-59 years, male 0.2
GTEX-1F6IF-0011-R6a-SM-9QEIO 60-69 years, male 0.2
GTEX-1F88E-0011-R6a-SM-CKZNW 60-69 years, female 0.2
GTEX-1GF9V-0011-R6b-SM-CJI2Q 60-69 years, male 0.2
GTEX-1GN1U-0011-R6a-SM-CKZNO 50-59 years, female 0.2
GTEX-1GN2E-0011-R6b-SM-9QEII 60-69 years, male 0.2
GTEX-1GN73-0011-R6b-SM-CJI2T 60-69 years, male 0.2
GTEX-1GTWX-0011-R6a-SM-A96RN 60-69 years, male 0.2
GTEX-1H1CY-0011-R6b-SM-CE6RP 60-69 years, female 0.2
GTEX-1H1DG-0011-R6a-SM-A9SK8 70-79 years, male 0.2
GTEX-1H1ZS-0011-R6b-SM-A9G1F 70-79 years, male 0.2
GTEX-1H23P-0011-R6b-SM-A9G1H 60-69 years, male 0.2
GTEX-1H3O1-0011-R6b-SM-CL54U 60-69 years, male 0.2
GTEX-1H4P4-0011-R6a-SM-ARZLR 50-59 years, male 0.2
GTEX-1HB9E-0011-R6b-SM-A9G1P 50-59 years, male 0.2
GTEX-1HBPH-0011-R6a-SM-CKZOV 40-49 years, female 0.2
GTEX-1HR9M-0011-R6a-SM-ARU6Z 60-69 years, male 0.2
GTEX-1I1GS-0011-R6b-SM-CMKHE 60-69 years, male 0.2
GTEX-1I1GV-0011-R6b-SM-ARU6Q 60-69 years, male 0.2
GTEX-1ICLZ-0011-R6b-SM-A9G3A 60-69 years, male 0.2
GTEX-1IGQW-0011-R6a-SM-CM2TC 60-69 years, male 0.2
GTEX-1IKK5-0011-R6b-SM-A9SLY 60-69 years, male 0.2
GTEX-1IL2U-0011-R6a-SM-ARZLG 60-69 years, male 0.2
GTEX-1IY9M-0011-R6a-SM-D4P28 60-69 years, male 0.2
GTEX-1J8Q2-0011-R6a-SM-CKZPG 60-69 years, male 0.2
GTEX-1LB8K-0011-R6a-SM-EXURT 50-59 years, male 0.2
GTEX-T5JC-0011-R6A-SM-D3L87 20-29 years, male 0.2
GTEX-11WQC-0011-R6a-SM-5BC77 60-69 years, male 0.1
GTEX-12ZZW-0011-R6a-SM-5DUVZ 50-59 years, male 0.1
GTEX-131XW-0011-R6b-SM-5K7XY 50-59 years, female 0.1
GTEX-132Q8-0011-R6a-SM-5K7YN 60-69 years, male 0.1
GTEX-13JUV-0011-R6b-SM-5LZYG 40-49 years, female 0.1
GTEX-13O3Q-0011-R6a-SM-5KM2V 50-59 years, male 0.1
GTEX-13OVJ-0011-R6b-SM-5L3GH 50-59 years, female 0.1
GTEX-13S7M-0011-R6b-SM-5O9D8 60-69 years, female 0.1
GTEX-13VXU-0011-R6a-SM-5SI71 50-59 years, male 0.1
GTEX-145MH-0011-R6a-SM-5PNZ7 50-59 years, male 0.1
GTEX-14BIN-0011-R6a-SM-5S2RH 50-59 years, female 0.1
GTEX-14JIY-0011-R6b-SM-68714 60-69 years, male 0.1
GTEX-14PJM-0011-R6a-SM-6872G 50-59 years, female 0.1
GTEX-15DYW-0011-R6b-SM-6PALA 60-69 years, female 0.1
GTEX-17F97-0011-R6a-SM-7EPGS 50-59 years, male 0.1
GTEX-17HG3-0011-R6b-SM-79OK8 30-39 years, female 0.1
GTEX-183WM-0011-R6b-SM-72D66 70-79 years, female 0.1
GTEX-18464-0011-R6a-SM-731CA 50-59 years, male 0.1
GTEX-N7MS-0011-R6a-SM-2HMJ4 60-69 years, male 0.1
GTEX-P44H-0011-R6A-SM-2XCF3 40-49 years, male 0.1
GTEX-QMR6-0011-R6A-SM-32PKP 50-59 years, male 0.1
GTEX-QVJO-0011-R6A-SM-2S1QN 60-69 years, female 0.1
GTEX-R55E-0011-R6A-SM-2TC5T 20-29 years, male 0.1
GTEX-S7PM-0011-R6A-SM-3NM8F 60-69 years, male 0.1
GTEX-T6MN-0011-R6A-SM-32QP8 50-59 years, male 0.1
GTEX-TSE9-0011-R6A-SM-3DB7L 60-69 years, female 0.1
GTEX-WHSE-0011-R6A-SM-3P5ZP 20-29 years, male 0.1
GTEX-WWYW-0011-R6A-SM-3NB3G 50-59 years, female 0.1
GTEX-X261-0011-R6B-SM-4E3J8 50-59 years, male 0.1
GTEX-XLM4-0011-R6A-SM-4AT4B 60-69 years, male 0.1
GTEX-YFC4-0011-R6b-SM-4V6E1 40-49 years, female 0.1
GTEX-ZE9C-0011-R6a-SM-4WWCW 60-69 years, male 0.1
GTEX-ZUA1-0011-R6b-SM-4YCDD 40-49 years, male 0.1
GTEX-ZVT3-0011-R6a-SM-51MSU 60-69 years, female 0.1
GTEX-11O72-0011-R6a-SM-DNZZQ 40-49 years, male 0.1
GTEX-14LZ3-0011-R6a-SM-D3L8C 60-69 years, female 0.1
GTEX-1A3MX-0011-R6a-SM-7P8S9 60-69 years, male 0.1
GTEX-1A8G6-0011-R6b-SM-7P8PE 60-69 years, male 0.1
GTEX-1B8SF-0011-R6b-SM-7MXUD 60-69 years, male 0.1
GTEX-1C6WA-0011-R6a-SM-7PBYP 60-69 years, male 0.1
GTEX-1CB4J-0011-R6b-SM-9WG7B 60-69 years, male 0.1
GTEX-1F48J-0011-R6a-SM-CJI2F 50-59 years, female 0.1
GTEX-1F75A-0011-R6b-SM-9QEHD 50-59 years, male 0.1
GTEX-1F75B-0011-R6a-SM-ARZMI 50-59 years, male 0.1
GTEX-1F7RK-0011-R6b-SM-ARZMG 20-29 years, female 0.1
GTEX-1GZ2Q-0011-R6a-SM-9OSWM 40-49 years, male 0.1
GTEX-1HT8W-0011-R6a-SM-CM2SY 30-39 years, male 0.1
GTEX-1HUB1-0011-R6b-SM-ARU6W 60-69 years, male 0.1
GTEX-1I19N-0011-R6b-SM-CY8GC 70-79 years, male 0.1
GTEX-1IKOH-0011-R6b-SM-A9G1W 60-69 years, female 0.1
GTEX-1MA7X-0011-R6a-SM-EYYWR 60-69 years, male 0.1
GTEX-1R46S-0011-R6a-SM-EZ6N6 60-69 years, female 0.1
GTEX-12WSH-0011-R6b-SM-5P9F4 50-59 years, male 0.0
GTEX-1313W-0011-R6a-SM-5K7XO 50-59 years, female 0.0
GTEX-13OW5-0011-R6b-SM-5O9BW 60-69 years, male 0.0
GTEX-13PL6-0011-R6a-SM-5O9C5 40-49 years, female 0.0
GTEX-13X6J-0011-R6a-SM-5PNUB 50-59 years, male 0.0
GTEX-144GO-0011-R6b-SM-5S2V7 60-69 years, male 0.0
GTEX-145MI-0011-R6a-SM-5PNZA 60-69 years, female 0.0
GTEX-14753-0011-R6b-SM-5S2UD 60-69 years, male 0.0
GTEX-14E7W-0011-R6b-SM-5ZZV3 70-79 years, male 0.0
GTEX-14PHW-0011-R6b-SM-5YYAR 60-69 years, female 0.0
GTEX-15DCD-0011-R6b-SM-6M46L 70-79 years, female 0.0
GTEX-15EO6-0011-R6a-SM-7KULK 50-59 years, male 0.0
GTEX-16XZZ-0011-R6a-SM-7IGNE 60-69 years, male 0.0
GTEX-16YQH-0011-R6b-SM-7938T 30-39 years, male 0.0
GTEX-1B933-0011-R6b-SM-79OOQ 50-59 years, female 0.0
GTEX-1C64N-0011-R6a-SM-7IGO9 50-59 years, male 0.0
GTEX-QDT8-0011-R6A-SM-32PKI 30-39 years, female 0.0
GTEX-QVUS-0011-R6A-SM-3GACX 60-69 years, female 0.0
GTEX-RU72-0011-R6A-SM-2TF71 50-59 years, female 0.0
GTEX-1192X-0011-R6a-SM-DNZZB 50-59 years, male 0.0
GTEX-11DYG-0011-R6a-SM-DO936 60-69 years, male 0.0
GTEX-1E2YA-0011-R6b-SM-CE6R2 50-59 years, male 0.0
GTEX-1EMGI-0011-R6a-SM-9OSVR 60-69 years, male 0.0
GTEX-1EN7A-0011-R6b-SM-9QEHW 40-49 years, male 0.0
GTEX-1GZHY-0011-R6a-SM-9OSWL 50-59 years, female 0.0
GTEX-1H3VE-0011-R6b-SM-A9G1M 40-49 years, male 0.0
GTEX-1HBPM-0011-R6b-SM-ARU73 60-69 years, female 0.0
GTEX-1HFI6-0011-R6b-SM-CM2SR 40-49 years, male 0.0
GTEX-1I1GQ-0011-R6b-SM-CE6SE 50-59 years, male 0.0
GTEX-1I1GR-0011-R6a-SM-CMKHI 60-69 years, male 0.0
GTEX-1I1HK-0011-R6b-SM-CM2T9 60-69 years, male 0.0
GTEX-1J1OQ-0011-R6a-SM-ARU86 40-49 years, female 0.0
GTEX-1JJEA-0011-R6a-SM-EXUS1 60-69 years, male 0.0
GTEX-1JMLX-0011-R6b-SM-EXUT9 50-59 years, male 0.0
GTEX-1LC47-0011-R6b-SM-EZ6MI 60-69 years, male 0.0
GTEX-1LVA9-0011-R6a-SM-EYYWH 50-59 years, male 0.0
GTEX-1LVAO-0011-R6b-SM-EZ6MX 60-69 years, male 0.0
GTEX-1RLM8-0011-R6a-SM-EYYXS 50-59 years, male 0.0
Show allShow less
Brain - Putamen (basal ganglia)
Average nTPM: 0.2
Samples: 205

Max nTPM: 1.0
Min nTPM: 0.0
Std nTPM: 0.2
Median nTPM: 0.2
GTEX-147GR-0011-R7a-SM-5S2RP 60-69 years, male 1.0
GTEX-16Z82-0011-R7a-SM-7MKGJ 60-69 years, male 1.0
GTEX-13FHP-0011-R7b-SM-5LZYI 50-59 years, male 0.9
GTEX-1B996-0011-R7b-SM-7IGNT 60-69 years, male 0.8
GTEX-WL46-0011-R7A-SM-3LK7X 50-59 years, male 0.8
GTEX-1MA7X-0011-R7b-SM-EYYWS 60-69 years, male 0.8
GTEX-12ZZW-0011-R7a-SM-5DUWC 50-59 years, male 0.7
GTEX-13S7M-0011-R7a-SM-5O9DK 60-69 years, female 0.7
GTEX-18464-0011-R7b-SM-731CM 50-59 years, male 0.7
GTEX-QVJO-0011-R7A-SM-2S1QO 60-69 years, female 0.7
GTEX-OHPN-0011-R7A-SM-2I5FI 60-69 years, female 0.6
GTEX-17F97-0011-R7b-SM-7MGVY 50-59 years, male 0.6
GTEX-1LH75-0011-R7a-SM-EXOIF 50-59 years, female 0.6
GTEX-11OF3-0011-R7a-SM-57WCG 60-69 years, male 0.5
GTEX-12WSD-0011-R7b-SM-5PNWE 60-69 years, female 0.5
GTEX-12WSF-0011-R7b-SM-5HL99 70-79 years, male 0.5
GTEX-13112-0011-R7b-SM-5DUVW 50-59 years, male 0.5
GTEX-13O3Q-0011-R7a-SM-5KM38 50-59 years, male 0.5
GTEX-13X6K-0011-R7b-SM-5P9K7 60-69 years, female 0.5
GTEX-14ABY-0011-R7b-SM-5PNWS 50-59 years, male 0.5
GTEX-14ASI-0011-R7b-SM-5YY9G 60-69 years, male 0.5
GTEX-WVLH-0011-R7A-SM-3MJFB 50-59 years, male 0.5
GTEX-1B8SF-0011-R7b-SM-9OSVM 60-69 years, male 0.5
GTEX-1GN73-0011-R7a-SM-CJI2U 60-69 years, male 0.5
GTEX-1H3NZ-0011-R7a-SM-A9SKD 60-69 years, male 0.5
GTEX-1HCU6-0011-R7b-SM-ARL77 60-69 years, female 0.5
GTEX-1HGF4-0011-R7a-SM-A96S2 60-69 years, male 0.5
GTEX-1I1GQ-0011-R7a-SM-CJI41 50-59 years, male 0.5
GTEX-11NV4-0011-R7a-SM-57WDH 60-69 years, male 0.4
GTEX-12ZZZ-0011-R7b-SM-5EGLE 60-69 years, male 0.4
GTEX-13JUV-0011-R7b-SM-5LZZG 40-49 years, female 0.4
GTEX-13NYB-0011-R7a-SM-5MR5D 40-49 years, male 0.4
GTEX-13X6I-0011-R7b-SM-5PNWP 60-69 years, male 0.4
GTEX-145LS-0011-R7a-SM-5PNWM 60-69 years, female 0.4
GTEX-14BMV-0011-R7b-SM-5YY9J 50-59 years, male 0.4
GTEX-17EVP-0011-R7a-SM-7LTAN 40-49 years, male 0.4
GTEX-18465-0011-R7b-SM-7LG6V 50-59 years, male 0.4
GTEX-N7MS-0011-R7a-SM-2HMKN 60-69 years, male 0.4
GTEX-N7MT-0011-R7a-SM-2I3FZ 60-69 years, female 0.4
GTEX-RNOR-0011-R7A-SM-2TF4V 50-59 years, female 0.4
GTEX-ZXG5-0011-R7b-SM-57WCC 60-69 years, male 0.4
GTEX-11DXW-0011-R7b-SM-DO119 40-49 years, male 0.4
GTEX-11TTK-0011-R7b-SM-DNZZZ 60-69 years, female 0.4
GTEX-1H3O1-0011-R7a-SM-CE6SJ 60-69 years, male 0.4
GTEX-1IY9M-0011-R7a-SM-D4P49 60-69 years, male 0.4
GTEX-1J1OQ-0011-R7b-SM-ARU87 40-49 years, female 0.4
GTEX-1J8Q2-0011-R7a-SM-CKZPF 60-69 years, male 0.4
GTEX-1OJC4-0011-R7a-SM-EYYX4 50-59 years, female 0.4
GTEX-12WSM-0011-R7b-SM-5EGLD 60-69 years, male 0.3
GTEX-12ZZX-0011-R7b-SM-5DUVV 40-49 years, female 0.3
GTEX-12ZZY-0011-R7a-SM-5EGLB 60-69 years, male 0.3
GTEX-1313W-0011-R7b-SM-5DUWL 50-59 years, female 0.3
GTEX-132Q8-0011-R7b-SM-5N9F1 60-69 years, male 0.3
GTEX-139TT-0011-R7b-SM-5J2MN 60-69 years, male 0.3
GTEX-13FXS-0011-R7a-SM-5L3FC 50-59 years, male 0.3
GTEX-144GO-0011-R7b-SM-5S2TT 60-69 years, male 0.3
GTEX-14JG1-0011-R7b-SM-5YYAV 40-49 years, male 0.3
GTEX-17HII-0011-R7a-SM-79OMS 50-59 years, male 0.3
GTEX-1A3MX-0011-R7a-SM-7DUEM 60-69 years, male 0.3
GTEX-T5JC-0011-R7A-SM-32PME 20-29 years, male 0.3
GTEX-Y8DK-0011-R7A-SM-4SOJZ 60-69 years, male 0.3
GTEX-YFC4-0011-R7b-SM-4V6E2 40-49 years, female 0.3
GTEX-ZV68-0011-R7a-SM-51MT4 50-59 years, female 0.3
GTEX-11NUK-0011-R7a-SM-DO93P 50-59 years, male 0.3
GTEX-1C6WA-0011-R7b-SM-7P8S8 60-69 years, male 0.3
GTEX-1F75A-0011-R7b-SM-9QEHE 50-59 years, male 0.3
GTEX-1GF9V-0011-R7a-SM-CJI2R 60-69 years, male 0.3
GTEX-1HT8W-0011-R7b-SM-CMKH8 30-39 years, male 0.3
GTEX-1IDJH-0011-R7a-SM-A9SM1 70-79 years, male 0.3
GTEX-1IKJJ-0011-R7a-SM-ARZLH 60-69 years, male 0.3
GTEX-1IOXB-0011-R7b-SM-CE6SM 50-59 years, male 0.3
GTEX-1LVAO-0011-R7a-SM-EYYWZ 60-69 years, male 0.3
GTEX-1MJK2-0011-R7a-SM-EXUS4 50-59 years, male 0.3
GTEX-12WSI-0011-R7b-SM-5GU78 50-59 years, male 0.2
GTEX-131YS-0011-R7a-SM-5IJDA 60-69 years, female 0.2
GTEX-139TS-0011-R7a-SM-5K7X7 60-69 years, male 0.2
GTEX-13FHO-0011-R7b-SM-5LZXD 60-69 years, male 0.2
GTEX-13FLV-0011-R7b-SM-5K7WW 50-59 years, male 0.2
GTEX-13OW5-0011-R7a-SM-5O9C9 60-69 years, male 0.2
GTEX-13OW6-0011-R7b-SM-5L3H4 50-59 years, male 0.2
GTEX-13OW8-0011-R7a-SM-5L3FP 60-69 years, male 0.2
GTEX-13RTJ-0011-R7b-SM-5P9JS 60-69 years, male 0.2
GTEX-145MG-0011-R7b-SM-5P9JY 50-59 years, male 0.2
GTEX-145MH-0011-R7a-SM-5PNWH 50-59 years, male 0.2
GTEX-14C5O-0011-R7b-SM-5YYAH 60-69 years, male 0.2
GTEX-14PJM-0011-R7a-SM-6AJBX 50-59 years, female 0.2
GTEX-14PJO-0011-R7a-SM-664NR 60-69 years, male 0.2
GTEX-14PN4-0011-R7b-SM-69LQQ 50-59 years, male 0.2
GTEX-17EVQ-0011-R7a-SM-7EWDA 70-79 years, male 0.2
GTEX-17MF6-0011-R7b-SM-7LG6J 40-49 years, male 0.2
GTEX-1B933-0011-R7a-SM-7DUGX 50-59 years, female 0.2
GTEX-NL3H-0011-R7a-SM-2I3G5 60-69 years, male 0.2
GTEX-Q2AG-0011-R7A-SM-2HMJP 40-49 years, female 0.2
GTEX-QDT8-0011-R7A-SM-32PKF 30-39 years, female 0.2
GTEX-RU72-0011-R7A-SM-2TF5U 50-59 years, female 0.2
GTEX-TSE9-0011-R7A-SM-3DB7P 60-69 years, female 0.2
GTEX-WHSE-0011-R7A-SM-3P5YZ 20-29 years, male 0.2
GTEX-WZTO-0011-R7B-SM-4E3IS 40-49 years, male 0.2
GTEX-XLM4-0011-R7A-SM-4AT5L 60-69 years, male 0.2
GTEX-ZE9C-0011-R7a-SM-4WWCX 60-69 years, male 0.2
GTEX-ZF28-0011-R7a-SM-4WKF5 60-69 years, male 0.2
GTEX-ZUA1-0011-R7b-SM-4YCDP 40-49 years, male 0.2
GTEX-11DYG-0011-R7b-SM-EXUS6 60-69 years, male 0.2
GTEX-11DZ1-0011-R7a-SM-DNZZH 50-59 years, male 0.2
GTEX-11PRG-0011-R7a-SM-DNZZT 50-59 years, male 0.2
GTEX-15CHQ-0011-R7b-SM-D4P1Q 60-69 years, male 0.2
GTEX-1CB4H-0011-R7b-SM-CJI27 60-69 years, female 0.2
GTEX-1EMGI-0011-R7b-SM-9QEH5 60-69 years, male 0.2
GTEX-1EX96-0011-R7a-SM-9OSVW 50-59 years, male 0.2
GTEX-1GN2E-0011-R7b-SM-9QEIJ 60-69 years, male 0.2
GTEX-1GTWX-0011-R7a-SM-A96RO 60-69 years, male 0.2
GTEX-1H1CY-0011-R7a-SM-CJI32 60-69 years, female 0.2
GTEX-1H1DG-0011-R7b-SM-A96RR 70-79 years, male 0.2
GTEX-1H1ZS-0011-R7a-SM-CL54P 70-79 years, male 0.2
GTEX-1H4P4-0011-R7b-SM-ARU77 50-59 years, male 0.2
GTEX-1HB9E-0011-R7b-SM-A9G1Q 50-59 years, male 0.2
GTEX-1ICLZ-0011-R7a-SM-ARZLU 60-69 years, male 0.2
GTEX-1IKOH-0011-R7b-SM-CKZPH 60-69 years, female 0.2
GTEX-1JJ6O-0011-R7b-SM-EXUTB 60-69 years, male 0.2
GTEX-11GSP-0011-R7b-SM-57WC3 60-69 years, female 0.1
GTEX-12WSA-0011-R7b-SM-5GU5U 60-69 years, male 0.1
GTEX-12WSE-0011-R7a-SM-5PNWF 20-29 years, male 0.1
GTEX-13CF2-0011-R7b-SM-5K7UV 60-69 years, male 0.1
GTEX-13G51-0011-R7b-SM-5LZXG 60-69 years, male 0.1
GTEX-13N2G-0011-R7a-SM-5MR42 60-69 years, male 0.1
GTEX-13O3O-0011-R7b-SM-5P9GZ 60-69 years, female 0.1
GTEX-13OVL-0011-R7a-SM-5P9GW 50-59 years, male 0.1
GTEX-13PVQ-0011-R7a-SM-5L3G3 50-59 years, male 0.1
GTEX-13VXU-0011-R7b-SM-5SI72 50-59 years, male 0.1
GTEX-144GL-0011-R7b-SM-5P9HX 50-59 years, male 0.1
GTEX-14BIN-0011-R7b-SM-5S2RI 50-59 years, female 0.1
GTEX-14E7W-0011-R7b-SM-5ZZV4 70-79 years, male 0.1
GTEX-15EO6-0011-R7a-SM-6M46Q 50-59 years, male 0.1
GTEX-15ER7-0011-R7a-SM-6M46N 20-29 years, female 0.1
GTEX-15G19-0011-R7b-SM-6M479 60-69 years, male 0.1
GTEX-15RJE-0011-R7a-SM-7DHL9 40-49 years, male 0.1
GTEX-17HG3-0011-R7b-SM-7EPGR 30-39 years, female 0.1
GTEX-17HHY-0011-R7a-SM-718A1 50-59 years, male 0.1
GTEX-NPJ8-0011-R7a-SM-2HMJV 40-49 years, male 0.1
GTEX-P44G-0011-R7A-SM-2I3F9 30-39 years, male 0.1
GTEX-QMR6-0011-R7A-SM-32PKL 50-59 years, male 0.1
GTEX-R55E-0011-R7A-SM-2TC5Z 20-29 years, male 0.1
GTEX-S7SE-0011-R7A-SM-2XCDI 50-59 years, male 0.1
GTEX-YJ89-0011-R7a-SM-4V6GO 60-69 years, male 0.1
GTEX-Z93S-0011-R7b-SM-4RGNK 50-59 years, male 0.1
GTEX-11DXY-0011-R7a-SM-DO11L 60-69 years, male 0.1
GTEX-11ONC-0011-R7b-SM-DO93J 60-69 years, male 0.1
GTEX-1AX9I-0011-R7b-SM-7P8Q3 60-69 years, male 0.1
GTEX-1B8L1-0011-R7b-SM-9OSVK 60-69 years, male 0.1
GTEX-1E1VI-0011-R7b-SM-9QEGR 50-59 years, male 0.1
GTEX-1EH9U-0011-R7a-SM-9QEGU 60-69 years, male 0.1
GTEX-1EKGG-0011-R7a-SM-CKZNN 60-69 years, male 0.1
GTEX-1F52S-0011-R7b-SM-9QEH8 60-69 years, female 0.1
GTEX-1GMR8-0011-R7b-SM-CJI2I 50-59 years, female 0.1
GTEX-1GMRU-0011-R7b-SM-A96TJ 50-59 years, male 0.1
GTEX-1GZ2Q-0011-R7b-SM-9OSWN 40-49 years, male 0.1
GTEX-1GZ4I-0011-R7b-SM-ARU71 50-59 years, male 0.1
GTEX-1HFI6-0011-R7b-SM-CM2SS 40-49 years, male 0.1
GTEX-1I1GV-0011-R7a-SM-ARU6R 60-69 years, male 0.1
GTEX-1IKK5-0011-R7b-SM-A9G39 60-69 years, male 0.1
GTEX-1R46S-0011-R7b-SM-EXUTH 60-69 years, female 0.1
GTEX-11WQC-0011-R7b-SM-5BC7A 60-69 years, male 0.0
GTEX-12WSC-0011-R7b-SM-5LU9L 50-59 years, male 0.0
GTEX-13CZV-0011-R7b-SM-5LZXH 60-69 years, male 0.0
GTEX-13FLW-0011-R7b-SM-5L3EZ 50-59 years, male 0.0
GTEX-13JVG-0011-R7b-SM-5MR3Q 60-69 years, male 0.0
GTEX-13N1W-0011-R7b-SM-5MR4F 70-79 years, male 0.0
GTEX-13OVJ-0011-R7a-SM-5L3G1 50-59 years, female 0.0
GTEX-13QJC-0011-R7b-SM-5PNUM 60-69 years, female 0.0
GTEX-13X6J-0011-R7b-SM-5PNUC 50-59 years, male 0.0
GTEX-1445S-0011-R7b-SM-5PNUG 60-69 years, male 0.0
GTEX-14LZ3-0011-R7a-SM-69LQN 60-69 years, female 0.0
GTEX-15DCD-0011-R7b-SM-6LPID 70-79 years, female 0.0
GTEX-15DYW-0011-R7a-SM-7KULG 60-69 years, female 0.0
GTEX-16YQH-0011-R7a-SM-79ON1 30-39 years, male 0.0
GTEX-183WM-0011-R7b-SM-731AX 70-79 years, female 0.0
GTEX-1C64N-0011-R7a-SM-7IGOI 50-59 years, male 0.0
GTEX-T6MN-0011-R7A-SM-32QP5 50-59 years, male 0.0
GTEX-WWYW-0011-R7A-SM-3NB3H 50-59 years, female 0.0
GTEX-X261-0011-R7A-SM-4E3JJ 50-59 years, male 0.0
GTEX-ZAB4-0011-R7a-SM-4SOKE 40-49 years, male 0.0
GTEX-ZDXO-0011-R7a-SM-4WWCU 60-69 years, male 0.0
GTEX-ZE7O-0011-R7a-SM-57WCU 50-59 years, female 0.0
GTEX-ZVT3-0011-R7a-SM-57WCO 60-69 years, female 0.0
GTEX-ZVZQ-0011-R7b-SM-57WBB 60-69 years, female 0.0
GTEX-1192X-0011-R7b-SM-DNZZC 50-59 years, male 0.0
GTEX-1A8G6-0011-R7b-SM-7MXTV 60-69 years, male 0.0
GTEX-1CB4G-0011-R7b-SM-9QEGP 60-69 years, male 0.0
GTEX-1E2YA-0011-R7a-SM-CJI1Z 50-59 years, male 0.0
GTEX-1EN7A-0011-R7b-SM-9QEHX 40-49 years, male 0.0
GTEX-1EU9M-0011-R7b-SM-9OSVU 60-69 years, male 0.0
GTEX-1F48J-0011-R7a-SM-CJI2G 50-59 years, female 0.0
GTEX-1F6I4-0011-R7a-SM-CJI24 60-69 years, male 0.0
GTEX-1F75B-0011-R7a-SM-ARU84 50-59 years, male 0.0
GTEX-1F75W-0011-R7a-SM-9QEI6 60-69 years, male 0.0
GTEX-1GF9W-0011-R7b-SM-9QEIF 60-69 years, male 0.0
GTEX-1H23P-0011-R7b-SM-CKZP2 60-69 years, male 0.0
GTEX-1H3VE-0011-R7b-SM-CE6S9 40-49 years, male 0.0
GTEX-1HCVE-0011-R7b-SM-A9G1I 50-59 years, male 0.0
GTEX-1I1CD-0011-R7a-SM-CMKHA 60-69 years, female 0.0
GTEX-1I1GS-0011-R7a-SM-CM2T6 60-69 years, male 0.0
GTEX-1JMQK-0011-R7b-SM-EXUTF 60-69 years, male 0.0
GTEX-1LSNL-0011-R7a-SM-EYYWI 50-59 years, male 0.0
GTEX-1LVA9-0011-R7a-SM-EYYWG 50-59 years, male 0.0
GTEX-NPJ7-0011-R7a-SM-EV79B 60-69 years, female 0.0
Show allShow less

BASAL GANGLIA - FANTOM5 CAGEi

RNA expression in human tissues obtained through Cap Analysis of Gene Expression (CAGE) generated by the FANTOM5 project are reported as Scaled Tags Per Million.

Max subtype Scaled Tags Per Millioni

Max subtype Scaled Tags Per Million is the value for the subtype with the largest average Scaled Tags Per Million across the subtype samples.

0.4
FANTOM5 sample id Sample description Scaled Tags Per Million
Caudate nucleus
Scaled Tags Per Million: 0.4
FF:10164-103B2 76 years, female 0.4
Nucleus accumbens
Scaled Tags Per Million: 0.1
FF:10037-101F1 23-56 years, mixed 0.1
Putamen
Scaled Tags Per Million: 0.0
FF:10176-103C5 60 years, female 0.0
Globus pallidus
Scaled Tags Per Million: 0.0
FF:10175-103C4 60 years, female 0.0
FF:10161-103A8 76 years, female 0.0

BASAL GANGLIA - Pig RNA-seqi

RNA-seq data obtained from pig brain is reported as nTPM .

Normal distribution across the dataset is visualized with box plots, shown as median and 25th and 75th percentiles. Points are displayed as outliers if they are above or below 1.5 times the interquartile range. nTPM values of the individual samples are presented next to the box plot.
Max subtype nTPMi

Max subtype nTPM is the value for the subtype with the largest average nTPM across the subtype samples.

0.0
Pig sample Sample description nTPM
Caudate
nTPM: 0.0
Samples: 4

Max nTPM: 0.0
Min nTPM: 0.0
Sample A Female 0.0
Sample B Female 0.0
Sample C Male 0.0
Sample D Male 0.0
Putamen
nTPM: 0.0
Samples: 4

Max nTPM: 0.0
Min nTPM: 0.0
Sample A Female 0.0
Sample B Female 0.0
Sample C Male 0.0
Sample D Male 0.0
Septum
nTPM: 0.0
Samples: 4

Max nTPM: 0.1
Min nTPM: 0.0
Sample A Female 0.0
Sample B Female 0.0
Sample C Male 0.0
Sample D Male 0.1
Ventral pallidum
nTPM: 0.0
Samples: 4

Max nTPM: 0.0
Min nTPM: 0.0
Sample A Female 0.0
Sample B Female 0.0
Sample C Male 0.0
Sample D Male 0.0

BASAL GANGLIA - Mouse RNA-seqi

RNA-seq data obtained from mouse brain is reported as nTPM .

Normal distribution across the dataset is visualized with box plots, shown as median and 25th and 75th percentiles. Points are displayed as outliers if they are above or below 1.5 times the interquartile range. nTPM values of the individual samples are presented next to the box plot.
Max subtype nTPMi

Max subtype nTPM is the value for the subtype with the largest average nTPM across the subtype samples.

0.0
Mouse sample Sample description nTPM
Caudate putamen
nTPM: 0.1
Samples: 4

Max nTPM: 0.1
Min nTPM: 0.0
Sample A Male 0.1
Sample B Male 0.0
Sample C Female 0.1
Sample D Female 0.0
Septum
nTPM: 0.0
Samples: 4

Max nTPM: 0.0
Min nTPM: 0.0
Sample A Male 0.0
Sample B Male 0.0
Sample C Female 0.0
Sample D Female 0.0
Ventral forebrain
nTPM: 0.0
Samples: 4

Max nTPM: 0.1
Min nTPM: 0.0
Sample A Male 0.0
Sample B Male 0.0
Sample C Female 0.0
Sample D Female 0.1

BASAL GANGLIA - Allen Mouse ISHi

In situ hybridization (ISH) data generated by the Allen brain atlas from mouse brain is reported as expression energy. For more details about a particular experiment, click on the corresponding Allen experiment ID.

Max subtype Expression energyi

Max subtype Expression energy is the value for the subtype with the largest average Expression energy across the subtype samples.

0.0
Allen experiment id Experiment description Expression energy
Striatum
Expression energy: 0.0
71836848 Antisense, RP_051017_02_C11, Mouse strain C57BL/6J (56 days, male) 0.1
68191120 Antisense, RP_041122_02_G10, Mouse strain C57BL/6J (56 days, male) 0.0
Pallidum
Expression energy: 0.0
71836848 Antisense, RP_051017_02_C11, Mouse strain C57BL/6J (56 days, male) 0.1
68191120 Antisense, RP_041122_02_G10, Mouse strain C57BL/6J (56 days, male) 0.0

Contact

  • NEWS ARTICLES
  • PRESS ROOM

The Project

  • INTRODUCTION
  • ORGANIZATION
  • PUBLICATIONS

The Human Protein Atlas

  • DOWNLOADABLE DATA
  • LICENCE & CITATION
  • HELP & FAQ
The Human Protein Atlas project is funded
by the Knut & Alice Wallenberg Foundation.


contact@proteinatlas.org