We use cookies to enhance the usability of our website. If you continue, we'll assume that you are happy to receive all cookies. More information. Don't show this again.
HMCN2
HPA
RESOURCES
  • TISSUE
  • BRAIN
  • SINGLE CELL
  • SUBCELLULAR
  • CANCER
  • BLOOD
  • CELL LINE
  • STRUCTURE & INTERACTION
ABOUT
  • INTRODUCTION
  • HISTORY
  • ORGANIZATION
  • PUBLICATIONS
  • ANTIBODY SUBMISSION
  • ANTIBODY AVAILABILITY
  • ACKNOWLEDGMENTS
  • CONTACT
NEWS
  • NEWS ARTICLES
  • PRESS ROOM
LEARN
  • DICTIONARY
  • PROTEIN CLASSES
  • PROTEIN EVIDENCE
  • METHODS
  • EDUCATIONAL VIDEOS
DATA
  • DOWNLOADABLE DATA
  • PUBLICATION DATA
  • RELEASE HISTORY
HELP
  • ANTIBODY VALIDATION
  • ASSAYS & ANNOTATION
  • DISCLAIMER
  • HELP & FAQ
  • PRIVACY STATEMENT
  • LICENCE & CITATION
Fields »
Search result

Field
Term
Gene name
Class
Subclass
Class
Keyword
Chromosome
External id
Tissue
Cell type
Expression
Antibody panel
Tissue
Main location
Patient ID
Annotation
Tissue
Category
Tau score
Cluster
Reliability
Brain region
Category
Tau score
Brain region
Category
Tau score
Brain region
Category
Tau score
Cluster
Reliability
Tissue
Cell type
Enrichment
Cell type
Category
Tau score
Cell type
Category
Tau score
Cell type
Category
Tau score
Cell lineage
Category
Tau score
Cluster
Cluster
Location
Searches
Location
Cell line
Class
Type
Phase
Reliability
Cancer
Prognosis
Cancer
Category
Cancer
Category
Tau score
Cluster
Variants
Interacting gene (ensg_id)
Type
Number of interactions
Pathway
Category
Score
Score
Score
Validation
Validation
Validation
Validation
Antibodies
Data type
Column


  • SUMMARY

  • TISSUE

  • BRAIN

  • SINGLE CELL

  • SUBCELL

  • CANCER

  • BLOOD

  • CELL LINE

  • STRUCT & INT

  • HMCN2
TISSUE PRIMARY DATA HEART MUSCLE Show tissue menu
ADIPOSE TISSUE ADRENAL GLAND AMYGDALA APPENDIX BASAL GANGLIA BONE MARROW BREAST BRONCHUS CEREBELLUM CEREBRAL CORTEX CERVIX CHOROID PLEXUS COLON DUODENUM
ENDOMETRIUM EPIDIDYMIS ESOPHAGUS FALLOPIAN TUBE GALLBLADDER HEART MUSCLE HIPPOCAMPAL FORMATION HYPOTHALAMUS KIDNEY LIVER LUNG LYMPH NODE MIDBRAIN NASOPHARYNX
ORAL MUCOSA OVARY PANCREAS PARATHYROID GLAND PITUITARY GLAND PLACENTA PROSTATE RECTUM RETINA SALIVARY GLAND SEMINAL VESICLE SKELETAL MUSCLE SKIN SMALL INTESTINE
SMOOTH MUSCLE SOFT TISSUE SPINAL CORD SPLEEN STOMACH TESTIS THYMUS THYROID GLAND TONGUE TONSIL URINARY BLADDER VAGINA
ANTIBODIES
AND
VALIDATION
Dictionary
Heart muscle
Tissue proteome
Heart
HEART MUSCLE - Expression summary
Protein expression
Heart musclei

On the top, protein expression in current human tissue, based on all annotated cell types, is reported with the units not detected (n), low (l), medium (m) and high (h). Underneath, protein expression in each annotated cell type are reported using the same units.

Protein expression data is based on knowledge-based annotation. For genes where more than one antibody has been used, a collective score is set.

If knowledge-based annotation could not be performed for a gene, no data is displayed here. View antibody staining data further down this page.

h
m
l
n
Cardiomyocytes: Medium
RNA expressioni

A summary of mRNA expression data available for current tissue based on several datasets. The mRNA expression levels in human tissues are based on RNA-seq data generated by the Human Protein Atlas (HPA), Genotype-Tissue Expression (GTEx) portal and CAGE data generated by the FANTOM5 consortium. Consensus normalized expression levels for human tissues was created by combining the data from HPA and GTEx datasets.

The mRNA expression levels in pig are based on RNA-seq data generated by the Human Protein Atlas (HPA), and for mouse, HPA data and in situ hybridization generated by the Allen brain atlas are reported.

Scroll down to view mRNA expression data in more detail.
Consensus:12.0 nTPM
HPA:4.1 nTPM
GTEx:12.0 nTPM
FANTOM5:20.1 Scaled Tags Per Million

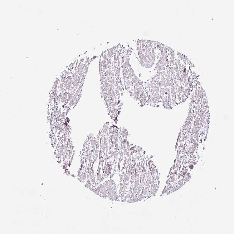
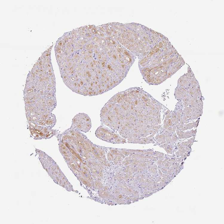
HEART MUSCLE - Antibody stainingi

Antibody staining in the annotated cell types in the current human tissue is reported as not detected, low, medium, or high, based on conventional immunohistochemistry profiling in selected tissues. This score is based on the combination of the staining intensity and fraction of stained cells.

Each image is clickable and will lead to virtual microscopy that enables deeper exploration of all samples and also displays staining intensity scores, fraction scores and subcellular localization as well as patient and tissue information for each sample.

Antibody HPA053903Antibody HPA070647
Cardiomyocytes MediumNot detected





HEART MUSCLE - HPA RNA-seqi

The RNA-seq details section shows detailed information about the individual samples used for the transcript profiling and results of the RNA-seq analysis.

Information about each individual sample is listed below, including gender, age, a tissue section image and estimated fractions of cell types. nTPM (normalized transcripts per million) values give a quantification of the gene abundance which is comparable between different genes and samples.
Average nTPMi

Max subtype nTPM is the value for the subtype with the largest average nTPM across the subtype samples.

4.1
overview
Female, age 48
Heart muscle sample 149
nTPM: 7.2
Cell types%
Myocytes:
15

Fibroblasts:
55

Endothelial cells:
25

Other cell types:
5

overview
Female, age 42
Heart muscle sample 150
nTPM: 2.3
Cell types%
Myocytes:
20

Fibroblasts:
45

Endothelial cells:
30

Other cell types:
5

overview
Male, age 53
Heart muscle sample 151
nTPM: 1
Cell types%
Myocytes:
20

Fibroblasts:
45

Endothelial cells:
30

Other cell types:
5

overview
Female, age 69
Heart muscle sample 152
nTPM: 5.7
Cell types%
Myocytes:
20

Fibroblasts:
45

Endothelial cells:
30

Other cell types:
5


HEART MUSCLE - GTEx RNA-seqi

RNA-Seq data generated by the Genotype-Tissue Expression (GTEx) project from human tissues is reported as mean nTPM. More information can be found on the GTEx portal.

Distribution across the dataset is visualized with box plots, shown as median and 25th and 75th percentiles. Points are displayed as outliers if they are above or below 1.5 times the interquartile range. nTPM values of the individual samples are presented next to the box plot.
Max subtype nTPMi

Max subtype nTPM is the value for the subtype with the largest average nTPM across the subtype samples.

12.0
GTEx sample id Sample description nTPM
Heart - Atrial Appendage
Average nTPM: 7.1
Samples: 429

Max nTPM: 54.6
Min nTPM: 0.5
Std nTPM: 6.4
Median nTPM: 5.1
GTEX-11DXY-1026-SM-5987V 60-69 years, male 54.6
GTEX-1H1CY-0426-SM-9KNVD 60-69 years, female 42.4
GTEX-1QP6S-1026-SM-DTXFW 40-49 years, male 40.1
GTEX-1LSNL-0626-SM-DIPFJ 50-59 years, male 32.3
GTEX-1IOXB-0726-SM-A9G32 50-59 years, male 32.1
GTEX-18A6Q-1526-SM-731CO 60-69 years, male 31.3
GTEX-1HUB1-0726-SM-CGQF4 60-69 years, male 31.0
GTEX-132QS-0526-SM-5IJC7 60-69 years, male 29.6
GTEX-WL46-0726-SM-3LK5Z 50-59 years, male 27.4
GTEX-1E1VI-1426-SM-793CY 50-59 years, male 25.5
GTEX-17EVP-0526-SM-7EPGY 40-49 years, male 24.9
GTEX-13FTZ-0326-SM-5J1O1 60-69 years, male 24.6
GTEX-1QEPI-1126-SM-E8VN7 60-69 years, female 23.3
GTEX-12584-1026-SM-59HK3 40-49 years, male 23.2
GTEX-14C38-1326-SM-62LDK 50-59 years, male 22.9
GTEX-1IL2V-1126-SM-CMKGH 70-79 years, male 22.7
GTEX-1B8SF-1326-SM-7IGQJ 60-69 years, male 22.6
GTEX-1B8L1-0426-SM-7SB76 60-69 years, male 22.6
GTEX-WOFL-1226-SM-4OOST 60-69 years, male 22.4
GTEX-1MJK2-1626-SM-EVYCQ 50-59 years, male 21.0
GTEX-117YW-0426-SM-5GZZZ 50-59 years, male 20.4
GTEX-1212Z-0726-SM-5EGI5 60-69 years, male 19.8
GTEX-13JUV-0226-SM-5IJCC 40-49 years, female 19.7
GTEX-13X6J-1226-SM-79OMF 50-59 years, male 18.9
GTEX-17HGU-1126-SM-793BP 50-59 years, male 18.7
GTEX-1A8G6-1826-SM-73KY8 60-69 years, male 18.5
GTEX-WRHU-1026-SM-4E3ID 50-59 years, female 18.4
GTEX-Y5V5-0726-SM-4VBPY 60-69 years, female 18.4
GTEX-XQ3S-0526-SM-4BOQA 20-29 years, male 17.8
GTEX-1HSMQ-0426-SM-ADEIM 50-59 years, male 17.1
GTEX-ZPCL-0526-SM-DO91R 60-69 years, female 16.8
GTEX-1H3O1-0226-SM-9WYSW 60-69 years, male 16.4
GTEX-1M5QR-1626-SM-E9U5O 40-49 years, male 16.3
GTEX-1HCU7-1226-SM-B2LX8 50-59 years, male 16.2
GTEX-1192W-0226-SM-5EGGT 60-69 years, male 16.1
GTEX-11TUW-1126-SM-5EQKJ 60-69 years, male 16.1
GTEX-14C39-0726-SM-5RQIK 40-49 years, male 16.1
GTEX-1IKOH-0926-SM-A9SLU 60-69 years, female 16.1
GTEX-1A32A-1326-SM-73KWW 50-59 years, female 16.0
GTEX-1GN1W-0226-SM-7P8QY 50-59 years, female 15.8
GTEX-11GS4-0426-SM-5N9CD 60-69 years, male 15.2
GTEX-1CB4G-0726-SM-79OOJ 60-69 years, male 15.2
GTEX-13FHP-0826-SM-5K7V5 50-59 years, male 15.1
GTEX-11GSP-1226-SM-5985M 60-69 years, female 15.0
GTEX-YFC4-0426-SM-4TT3J 40-49 years, female 15.0
GTEX-1KD5A-0926-SM-D4P3U 50-59 years, male 14.5
GTEX-1IY9M-0626-SM-D4P2L 60-69 years, male 14.2
GTEX-11NUK-0926-SM-5HL57 50-59 years, male 14.0
GTEX-1IKJJ-0626-SM-CY8GF 60-69 years, male 14.0
GTEX-1POEN-0726-SM-DTXDU 30-39 years, female 13.8
GTEX-1GZ2Q-0926-SM-7RHHN 40-49 years, male 13.7
GTEX-1QCLZ-1126-SM-EWRNB 60-69 years, female 13.6
GTEX-16GPK-1226-SM-7LTAU 60-69 years, male 12.9
GTEX-1HSKV-0726-SM-ACKWE 60-69 years, male 12.8
GTEX-1EU9M-1926-SM-7RHH4 60-69 years, male 12.7
GTEX-ZVT4-1326-SM-5NQ8E 50-59 years, female 12.5
GTEX-1I1CD-1326-SM-A9SMM 60-69 years, female 12.3
GTEX-13NZ9-0126-SM-5K7XV 50-59 years, male 12.0
GTEX-1LGOU-0326-SM-D3LAM 20-29 years, female 12.0
GTEX-1MJIX-0426-SM-DTXEN 40-49 years, male 12.0
GTEX-ZPIC-0426-SM-DO91V 40-49 years, female 12.0
GTEX-148VJ-1426-SM-5TDE3 70-79 years, male 11.5
GTEX-15CHQ-1326-SM-6871Z 60-69 years, male 11.5
GTEX-1HFI6-0826-SM-9YFM2 40-49 years, male 11.5
GTEX-YECK-1226-SM-4W21G 60-69 years, male 11.4
GTEX-1EMGI-1126-SM-9KNUF 60-69 years, male 11.3
GTEX-WHSE-0826-SM-4SOJU 20-29 years, male 11.1
GTEX-1C6WA-0826-SM-7PBXS 60-69 years, male 11.0
GTEX-16XZY-0526-SM-7DHKY 70-79 years, male 10.9
GTEX-13O3P-1426-SM-5L3DT 50-59 years, male 10.8
GTEX-1EX96-2626-SM-9MQJV 50-59 years, male 10.5
GTEX-1J8EW-0626-SM-CM2TY 60-69 years, female 10.5
GTEX-12WSI-0426-SM-5EQ5J 50-59 years, male 10.4
GTEX-13SLW-0826-SM-5QGP7 70-79 years, male 10.4
GTEX-YJ8O-0826-SM-5CVM3 40-49 years, female 10.4
GTEX-WWYW-1126-SM-3NB2Q 50-59 years, female 10.3
GTEX-1399T-0726-SM-5J1MH 60-69 years, male 10.2
GTEX-14DAQ-1026-SM-793B1 60-69 years, female 10.0
GTEX-V1D1-0626-SM-4JBHN 50-59 years, male 10.0
GTEX-15SHU-0926-SM-6PAMK 40-49 years, female 9.9
GTEX-1KANB-1126-SM-DHXJT 50-59 years, male 9.8
GTEX-Y3IK-1026-SM-51MR7 50-59 years, female 9.7
GTEX-1C64N-0826-SM-7RHGQ 50-59 years, male 9.7
GTEX-1HT8W-1326-SM-CGQEN 30-39 years, male 9.7
GTEX-ZVZQ-0726-SM-51MR3 60-69 years, female 9.6
GTEX-ZYFC-1026-SM-5GZX9 50-59 years, male 9.6
GTEX-1J8Q2-1026-SM-ARU8I 60-69 years, male 9.6
GTEX-13RTJ-0526-SM-62LDP 60-69 years, male 9.5
GTEX-1HC8U-0626-SM-B2LWB 40-49 years, female 9.5
GTEX-13O21-0326-SM-5J1N9 50-59 years, male 9.4
GTEX-1KANC-0226-SM-E9TIW 50-59 years, female 9.4
GTEX-11LCK-0826-SM-5PNYD 30-39 years, male 9.3
GTEX-13O1R-0926-SM-5L3DS 60-69 years, male 9.0
GTEX-1C64O-0926-SM-79OLN 60-69 years, male 8.9
GTEX-1GMR2-1326-SM-9KNUT 50-59 years, male 8.8
GTEX-1H11D-1026-SM-9QEIU 40-49 years, male 8.8
GTEX-1I1GR-1026-SM-A9SLC 60-69 years, male 8.8
GTEX-11EQ8-1326-SM-5EGJQ 60-69 years, male 8.7
GTEX-1CB4I-1526-SM-7DHMY 50-59 years, male 8.7
GTEX-1HFI7-0526-SM-A9SMA 50-59 years, female 8.7
GTEX-1B932-1326-SM-79OM4 40-49 years, female 8.6
GTEX-1IL2U-1226-SM-CL53P 60-69 years, male 8.6
GTEX-1313W-1126-SM-5EQ5U 50-59 years, female 8.5
GTEX-13FXS-1026-SM-62LFQ 50-59 years, male 8.5
GTEX-18A67-1026-SM-731CE 50-59 years, male 8.5
GTEX-1B8SG-0726-SM-79ONS 50-59 years, male 8.5
GTEX-WK11-0626-SM-3NMAV 50-59 years, male 8.5
GTEX-1GN73-2326-SM-9MQKV 60-69 years, male 8.5
GTEX-Z93S-0326-SM-5HL84 50-59 years, male 8.4
GTEX-1E2YA-0626-SM-7P8P4 50-59 years, male 8.4
GTEX-1F88F-0326-SM-9KNV3 60-69 years, female 8.4
GTEX-1HBPN-0926-SM-CGQEG 50-59 years, male 8.4
GTEX-15SKB-0926-SM-7KUFC 60-69 years, male 8.3
GTEX-13OVG-0426-SM-5KM2T 60-69 years, male 8.2
GTEX-14PJ4-0926-SM-5YY98 60-69 years, male 8.2
GTEX-17MF6-0926-SM-7LTAL 40-49 years, male 8.2
GTEX-1HSMO-1126-SM-CGQF2 60-69 years, male 8.2
GTEX-13CF2-0226-SM-5L3DV 60-69 years, male 8.1
GTEX-13SLX-0926-SM-5S2NM 50-59 years, female 8.1
GTEX-1445S-1226-SM-5O9BF 60-69 years, male 8.1
GTEX-1I1HK-0626-SM-CNPQM 60-69 years, male 8.1
GTEX-1JJ6O-2226-SM-AHZ3I 60-69 years, male 8.1
GTEX-1JMOU-0326-SM-ARL8X 60-69 years, female 8.0
GTEX-ZUA1-0726-SM-4YCD9 40-49 years, male 7.9
GTEX-1I19N-0626-SM-A9SKY 70-79 years, male 7.9
GTEX-11ZVC-0526-SM-5N9G1 50-59 years, female 7.8
GTEX-15RJE-0726-SM-7KUEG 40-49 years, male 7.8
GTEX-1B996-1026-SM-793CF 60-69 years, male 7.8
GTEX-1477Z-1126-SM-5P9GK 60-69 years, male 7.7
GTEX-14BIN-2126-SM-793AX 50-59 years, female 7.7
GTEX-14PII-1026-SM-5ZZVW 60-69 years, male 7.7
GTEX-15ER7-0826-SM-6PALW 20-29 years, female 7.7
GTEX-1A3MX-1226-SM-731B3 60-69 years, male 7.7
GTEX-11ZUS-0326-SM-5EQ4W 30-39 years, male 7.6
GTEX-18465-0726-SM-7LG4L 50-59 years, male 7.6
GTEX-XOT4-1126-SM-4B66E 60-69 years, female 7.6
GTEX-145LS-1326-SM-5Q5EP 60-69 years, female 7.5
GTEX-1LH75-0526-SM-DIPG2 50-59 years, female 7.5
GTEX-144GL-1026-SM-5O99R 50-59 years, male 7.4
GTEX-15D1Q-0426-SM-6AJ9G 40-49 years, male 7.4
GTEX-16YQH-0726-SM-7IGM1 30-39 years, male 7.3
GTEX-17JCI-0826-SM-7LT8W 60-69 years, female 7.3
GTEX-1GMRU-1326-SM-9WYUI 50-59 years, male 7.3
GTEX-1HBPH-0226-SM-9WYSM 40-49 years, female 7.3
GTEX-WI4N-0726-SM-3TW93 40-49 years, female 7.2
GTEX-14BIL-0926-SM-7DHKN 50-59 years, male 7.0
GTEX-1HCVE-0826-SM-CM2SF 50-59 years, male 7.0
GTEX-1I1GQ-1226-SM-CL55J 50-59 years, male 7.0
GTEX-1BAJH-1026-SM-7EWEG 70-79 years, male 6.9
GTEX-W5X1-0826-SM-3GILN 40-49 years, female 6.9
GTEX-XXEK-2026-SM-4BRVE 50-59 years, male 6.9
GTEX-13NZA-0826-SM-5K7WS 60-69 years, male 6.8
GTEX-1I1GV-1426-SM-B2LXN 60-69 years, male 6.8
GTEX-11EMC-0826-SM-59862 60-69 years, female 6.7
GTEX-1399R-1726-SM-5K7YJ 30-39 years, male 6.7
GTEX-ZAK1-1126-SM-5PNXU 50-59 years, female 6.7
GTEX-1PPGY-0926-SM-DTXFF 60-69 years, male 6.7
GTEX-1192X-0726-SM-5987R 50-59 years, male 6.6
GTEX-11WQK-0226-SM-5EQLI 50-59 years, male 6.6
GTEX-13W3W-0526-SM-5LU3X 60-69 years, female 6.6
GTEX-1OFPY-0926-SM-DTX8Q 60-69 years, male 6.6
GTEX-131XG-0526-SM-5DUWF 50-59 years, female 6.5
GTEX-1GN2E-1426-SM-7RHHI 60-69 years, male 6.5
GTEX-111FC-0626-SM-5N9CU 60-69 years, male 6.4
GTEX-ZE7O-0626-SM-57WCD 50-59 years, female 6.4
GTEX-ZVT3-0826-SM-5GIC8 60-69 years, female 6.4
GTEX-1F75A-1026-SM-7PC3W 50-59 years, male 6.4
GTEX-1GL5R-0426-SM-9WPOP 50-59 years, male 6.4
GTEX-1GN1V-1026-SM-CNPPS 60-69 years, male 6.4
GTEX-1GZ4I-0826-SM-9WG6O 50-59 years, male 6.4
GTEX-11UD2-0926-SM-5CVL6 50-59 years, male 6.3
GTEX-13FH7-0826-SM-5J2NW 50-59 years, female 6.3
GTEX-ZAB5-0126-SM-5CVMT 50-59 years, male 6.3
GTEX-1CAMQ-0726-SM-7P8SG 40-49 years, male 6.3
GTEX-1LB8K-0926-SM-D4P42 50-59 years, male 6.3
GTEX-1399U-0726-SM-5KM1D 50-59 years, female 6.2
GTEX-14E7W-1126-SM-5ZZVS 70-79 years, male 6.2
GTEX-1P4AB-0926-SM-E76PV 50-59 years, male 6.2
GTEX-1AX9I-1026-SM-73KYF 60-69 years, male 6.1
GTEX-1H3VY-1126-SM-A96TP 50-59 years, male 6.0
GTEX-13PL6-0826-SM-5IJBI 40-49 years, female 5.9
GTEX-13QBU-0226-SM-5LU48 40-49 years, female 5.9
GTEX-1AX9J-0926-SM-73KXA 60-69 years, male 5.9
GTEX-1IDJF-0826-SM-ARU7N 20-29 years, male 5.9
GTEX-1JJEA-0926-SM-CYPSO 60-69 years, male 5.9
GTEX-11O72-1026-SM-5986B 40-49 years, male 5.8
GTEX-13N1W-0926-SM-5MR36 70-79 years, male 5.8
GTEX-ZAJG-0926-SM-5Q5AB 50-59 years, female 5.8
GTEX-1EH9U-0626-SM-7PC33 60-69 years, male 5.8
GTEX-111VG-0326-SM-5GZX7 60-69 years, male 5.7
GTEX-11P81-0526-SM-59873 30-39 years, female 5.7
GTEX-XBEC-1226-SM-4AT65 50-59 years, male 5.7
GTEX-1IKOE-0626-SM-A9G31 30-39 years, female 5.7
GTEX-1JN6P-0826-SM-ARL97 60-69 years, male 5.7
GTEX-1KXAM-1426-SM-D3LAC 60-69 years, male 5.7
GTEX-11EM3-0426-SM-5N9BZ 20-29 years, female 5.6
GTEX-11NV4-0826-SM-5BC4S 60-69 years, male 5.6
GTEX-Y3I4-0526-SM-4TT6X 50-59 years, male 5.6
GTEX-1F48J-1126-SM-9WYSY 50-59 years, female 5.6
GTEX-1JMQL-1026-SM-CMKGV 50-59 years, female 5.6
GTEX-WFG8-0726-SM-3GILP 20-29 years, male 5.5
GTEX-ZZPU-1126-SM-5N9CW 50-59 years, female 5.5
GTEX-11TT1-1426-SM-5EGIA 20-29 years, male 5.4
GTEX-1GF9U-0526-SM-7P8SK 40-49 years, female 5.4
GTEX-1HSGN-0926-SM-CNNQM 40-49 years, female 5.4
GTEX-VJWN-1026-SM-4M1ZN 50-59 years, female 5.3
GTEX-ZXG5-0626-SM-5NQ85 60-69 years, male 5.3
GTEX-ZYFG-0526-SM-5GZXX 60-69 years, female 5.3
GTEX-1HR98-1026-SM-CKZOM 60-69 years, male 5.3
GTEX-1RLM8-0226-SM-E6CJY 50-59 years, male 5.3
GTEX-11DYG-1026-SM-5A5JQ 60-69 years, male 5.2
GTEX-14E1K-0826-SM-5ZZW9 50-59 years, male 5.1
GTEX-18A7A-1226-SM-7LTAJ 50-59 years, female 5.1
GTEX-WZTO-1226-SM-3NMAZ 40-49 years, male 5.1
GTEX-Y8E4-0426-SM-4V6GB 40-49 years, male 5.1
GTEX-1LSNM-0426-SM-E9TIZ 50-59 years, male 5.1
GTEX-132NY-1426-SM-5J1MJ 60-69 years, male 5.0
GTEX-1CB4E-0626-SM-7DHMW 60-69 years, male 5.0
GTEX-ZG7Y-1426-SM-4WWBM 50-59 years, male 5.0
GTEX-1A8FM-1026-SM-7PC26 50-59 years, female 5.0
GTEX-1I1GP-0626-SM-ARL7H 50-59 years, male 5.0
GTEX-11DXZ-0326-SM-5EGH1 50-59 years, male 4.9
GTEX-131YS-0826-SM-5PNYV 60-69 years, female 4.9
GTEX-WYBS-1226-SM-3NM9N 60-69 years, female 4.9
GTEX-U8XE-0926-SM-3DB8V 30-39 years, male 4.8
GTEX-YEC4-0226-SM-4W1YG 40-49 years, male 4.8
GTEX-1H1ZS-1026-SM-9WG6E 70-79 years, male 4.8
GTEX-13OW7-1626-SM-5IJDH 50-59 years, male 4.7
GTEX-ZPU1-0726-SM-5HL6O 40-49 years, male 4.7
GTEX-1RB15-0426-SM-E9U4Y 60-69 years, male 4.7
GTEX-12ZZY-1226-SM-5GCNK 60-69 years, male 4.6
GTEX-13NYS-1926-SM-5IJCB 60-69 years, male 4.6
GTEX-14PK6-0726-SM-6LLIX 70-79 years, female 4.6
GTEX-15EU6-1326-SM-6PANG 50-59 years, male 4.6
GTEX-1B933-0826-SM-79OMW 50-59 years, female 4.6
GTEX-ZZPT-0926-SM-5GICZ 50-59 years, male 4.6
GTEX-1AYCT-0526-SM-7RHHS 50-59 years, male 4.6
GTEX-131XE-0526-SM-5K7YT 50-59 years, male 4.5
GTEX-13OW5-0926-SM-5L3GZ 60-69 years, male 4.5
GTEX-1IDJH-1126-SM-COH3R 70-79 years, male 4.5
GTEX-1J8Q3-1126-SM-ARU8N 60-69 years, male 4.5
GTEX-1R9K4-1026-SM-EXUT1 60-69 years, male 4.5
GTEX-12WSN-0226-SM-5DUXH 40-49 years, male 4.4
GTEX-13O3O-1426-SM-5KM2S 60-69 years, female 4.4
GTEX-1AX9K-0426-SM-73KUG 50-59 years, male 4.4
GTEX-117YX-0626-SM-5EGJI 50-59 years, male 4.3
GTEX-145MN-0726-SM-5NQBH 30-39 years, male 4.3
GTEX-15SHV-0526-SM-7KUEN 60-69 years, male 4.3
GTEX-WFG7-0826-SM-3GIKU 20-29 years, male 4.3
GTEX-ZDTT-0326-SM-4WKF9 60-69 years, male 4.3
GTEX-ZTTD-0626-SM-4YCCY 50-59 years, male 4.3
GTEX-13D11-1526-SM-5J2NA 50-59 years, female 4.2
GTEX-13FHO-1226-SM-5L3EF 60-69 years, male 4.2
GTEX-14XAO-0926-SM-69LPZ 60-69 years, female 4.2
GTEX-1C2JI-0626-SM-7DHM1 50-59 years, male 4.2
GTEX-1H2FU-0826-SM-9WYSU 60-69 years, female 4.2
GTEX-1LVAO-0626-SM-EWRNT 60-69 years, male 4.2
GTEX-1NSGN-1226-SM-E76OL 50-59 years, male 4.2
GTEX-1R9JW-0426-SM-E76QL 30-39 years, female 4.2
GTEX-ZV7C-0526-SM-9WPNK 50-59 years, male 4.2
GTEX-11ZTT-0526-SM-5EQLA 60-69 years, female 4.1
GTEX-12WSE-0926-SM-5S2VX 20-29 years, male 4.1
GTEX-13O61-0426-SM-5L3ET 60-69 years, male 4.1
GTEX-13PVQ-1326-SM-5LU4J 50-59 years, male 4.1
GTEX-13X6K-1726-SM-7IGLG 60-69 years, female 4.1
GTEX-16XZZ-1026-SM-7DHKS 60-69 years, male 4.1
GTEX-Y114-0126-SM-4TT8K 50-59 years, female 4.1
GTEX-1HBPM-1026-SM-ARL9D 60-69 years, female 4.1
GTEX-1IDJU-0626-SM-CKZOG 60-69 years, female 4.1
GTEX-1JMLX-1826-SM-CNPOX 50-59 years, male 4.1
GTEX-1LVAN-1526-SM-CNPQN 50-59 years, female 4.1
GTEX-132Q8-1126-SM-5K7XS 60-69 years, male 4.0
GTEX-14A5I-1026-SM-5Q5E3 50-59 years, female 4.0
GTEX-16MT8-0826-SM-7KULO 60-69 years, female 4.0
GTEX-1B97J-0326-SM-7939H 50-59 years, female 4.0
GTEX-WQUQ-1326-SM-3MJFF 60-69 years, male 4.0
GTEX-ZDYS-0326-SM-5HL4W 50-59 years, male 4.0
GTEX-ZYFD-2026-SM-5E459 50-59 years, male 4.0
GTEX-1GF9V-1726-SM-9KNW4 60-69 years, male 4.0
GTEX-1R7EV-0426-SM-DTX7Z 40-49 years, male 4.0
GTEX-12ZZX-0726-SM-5EGKA 40-49 years, female 3.9
GTEX-13U4I-0626-SM-5LU5L 40-49 years, female 3.9
GTEX-1C6VQ-0826-SM-7PBZT 50-59 years, male 3.9
GTEX-1H3NZ-1026-SM-A9SM5 60-69 years, male 3.9
GTEX-1CAMS-1126-SM-7MXUQ 40-49 years, female 3.8
GTEX-1F75B-1126-SM-7RHGP 50-59 years, male 3.8
GTEX-1GN1U-1426-SM-7P8TF 50-59 years, female 3.8
GTEX-ZEX8-0326-SM-DO92C 50-59 years, male 3.8
GTEX-111YS-0326-SM-5GZZ3 60-69 years, male 3.7
GTEX-13112-0526-SM-5EQ4S 50-59 years, male 3.7
GTEX-13O3Q-0326-SM-5L3FE 50-59 years, male 3.7
GTEX-14PHX-0626-SM-5YY8Z 50-59 years, male 3.7
GTEX-X261-0926-SM-3NMCY 50-59 years, male 3.7
GTEX-X8HC-1026-SM-46MWH 50-59 years, female 3.7
GTEX-ZDTS-1226-SM-4WKGL 60-69 years, male 3.7
GTEX-12WSC-1026-SM-5EQ5Y 50-59 years, male 3.6
GTEX-13PVR-0926-SM-5S2RB 60-69 years, female 3.6
GTEX-13YAN-1426-SM-7EPG8 60-69 years, male 3.6
GTEX-17F9E-0726-SM-793A1 50-59 years, male 3.6
GTEX-1AX8Z-1126-SM-731CS 60-69 years, male 3.6
GTEX-V955-0826-SM-CYPR5 60-69 years, male 3.6
GTEX-14C5O-1226-SM-664N3 60-69 years, male 3.5
GTEX-14PN3-0726-SM-6EU14 60-69 years, female 3.5
GTEX-UTHO-1226-SM-3GAEE 60-69 years, male 3.5
GTEX-X3Y1-0226-SM-3P5Z5 40-49 years, male 3.5
GTEX-X4XX-1126-SM-3NMBY 60-69 years, male 3.5
GTEX-XPT6-0226-SM-4B65L 20-29 years, male 3.5
GTEX-1J1OQ-2226-SM-A96SS 40-49 years, female 3.5
GTEX-1QMI2-1026-SM-DTX7T 60-69 years, male 3.5
GTEX-1QPFJ-0926-SM-EVR3K 30-39 years, female 3.5
GTEX-YEC3-0426-SM-CYPS8 50-59 years, male 3.5
GTEX-12BJ1-0326-SM-5FQUB 60-69 years, male 3.4
GTEX-131XF-0426-SM-5HL7U 60-69 years, male 3.4
GTEX-13NYB-0326-SM-5IJDP 40-49 years, male 3.4
GTEX-YB5K-0226-SM-5IFJE 40-49 years, female 3.4
GTEX-1GMR3-0426-SM-7PC17 40-49 years, male 3.4
GTEX-14E6C-0326-SM-5Q5EE 40-49 years, male 3.3
GTEX-18D9U-1426-SM-718BO 40-49 years, male 3.3
GTEX-WHPG-1026-SM-3NMBA 50-59 years, male 3.3
GTEX-ZYVF-1826-SM-5E44F 50-59 years, female 3.3
GTEX-1F6I4-0826-SM-7RHGK 60-69 years, male 3.3
GTEX-1IKK5-1726-SM-CM2RU 60-69 years, male 3.3
GTEX-1LG7Y-1426-SM-D4P31 50-59 years, male 3.3
GTEX-1211K-0226-SM-59HJY 60-69 years, female 3.2
GTEX-146FR-0926-SM-5QGPE 60-69 years, female 3.2
GTEX-1117F-0726-SM-5GIEN 60-69 years, female 3.1
GTEX-12696-1226-SM-5FQSM 60-69 years, male 3.1
GTEX-13OVI-0326-SM-5K7X1 60-69 years, female 3.1
GTEX-146FH-1126-SM-5NQAT 50-59 years, female 3.1
GTEX-X62O-0826-SM-46MW8 50-59 years, male 3.1
GTEX-1GMR8-1026-SM-9MQLA 50-59 years, female 3.1
GTEX-1ICG6-0726-SM-B2LY5 70-79 years, female 3.1
GTEX-12WSG-1226-SM-5EQ4C 50-59 years, female 3.0
GTEX-139TU-1926-SM-5J2OC 60-69 years, male 3.0
GTEX-14BMV-1026-SM-5SI6B 50-59 years, male 3.0
GTEX-17KNJ-0626-SM-7LT9L 50-59 years, male 3.0
GTEX-1CB4H-0626-SM-7IGN3 60-69 years, female 3.0
GTEX-UPK5-0226-SM-3GAEV 40-49 years, male 3.0
GTEX-XLM4-2026-SM-4AT4X 60-69 years, male 3.0
GTEX-1JMQK-0926-SM-ARL96 60-69 years, male 3.0
GTEX-132AR-1926-SM-5EGK5 50-59 years, female 2.9
GTEX-15SDE-1826-SM-7KUFN 50-59 years, female 2.9
GTEX-ZDXO-0426-SM-4WKF6 60-69 years, male 2.9
GTEX-ZYT6-0926-SM-5GIEM 30-39 years, male 2.9
GTEX-1HCUA-0626-SM-ACKVT 50-59 years, female 2.9
GTEX-13OW6-0926-SM-5L3GM 50-59 years, male 2.8
GTEX-14ASI-0826-SM-5Q5EB 60-69 years, male 2.8
GTEX-14PJM-0826-SM-6LLIW 50-59 years, female 2.8
GTEX-ZVT2-0926-SM-5GICE 50-59 years, female 2.8
GTEX-12WSA-1126-SM-5EGKU 60-69 years, male 2.7
GTEX-1339X-0326-SM-5K7Z8 40-49 years, male 2.7
GTEX-YF7O-0526-SM-5P9IO 50-59 years, male 2.7
GTEX-ZF29-0426-SM-4WKFN 60-69 years, female 2.7
GTEX-ZTPG-1326-SM-51MSQ 20-29 years, female 2.7
GTEX-1QP29-1426-SM-DTX9Q 50-59 years, male 2.7
GTEX-13VXT-0726-SM-5SIAD 20-29 years, female 2.6
GTEX-145LV-0226-SM-5S2QG 50-59 years, male 2.6
GTEX-147F4-1126-SM-5TDDE 50-59 years, male 2.6
GTEX-147JS-1326-SM-5SI6D 60-69 years, male 2.6
GTEX-15DCE-0826-SM-7KULW 20-29 years, male 2.6
GTEX-XQ8I-0226-SM-4BOPM 50-59 years, male 2.6
GTEX-1F75I-1326-SM-7PBZX 40-49 years, male 2.6
GTEX-15CHC-0326-SM-5ZZVP 60-69 years, female 2.5
GTEX-XYKS-0226-SM-4BRW3 60-69 years, female 2.5
GTEX-ZT9W-0526-SM-57WFG 50-59 years, male 2.5
GTEX-139YR-0526-SM-5L3DG 50-59 years, male 2.4
GTEX-13JVG-1126-SM-5KM2M 60-69 years, male 2.4
GTEX-14A6H-0326-SM-5NQAN 30-39 years, male 2.4
GTEX-15UF7-1526-SM-6LPI7 40-49 years, male 2.4
GTEX-1B8KE-0326-SM-73KTY 50-59 years, male 2.4
GTEX-WFON-0226-SM-3GIKR 40-49 years, male 2.4
GTEX-WY7C-1126-SM-3NB3A 50-59 years, male 2.4
GTEX-X5EB-0626-SM-46MVQ 40-49 years, male 2.4
GTEX-ZLFU-0326-SM-4WWBK 40-49 years, male 2.4
GTEX-1NHNU-0626-SM-E6CP1 50-59 years, male 2.4
GTEX-13NZB-0426-SM-5KM26 30-39 years, male 2.3
GTEX-17F9Y-1226-SM-7EPGE 70-79 years, female 2.3
GTEX-18A66-1126-SM-731C5 60-69 years, male 2.3
GTEX-16NPX-0826-SM-6M489 50-59 years, male 2.2
GTEX-18D9B-1126-SM-7KFSH 60-69 years, male 2.2
GTEX-1IDJD-0226-SM-CKZOA 30-39 years, male 2.2
GTEX-1122O-0626-SM-5N9B9 60-69 years, female 2.1
GTEX-11ONC-1026-SM-5GU64 60-69 years, male 2.1
GTEX-12WSD-1226-SM-5HL9Q 60-69 years, female 2.1
GTEX-13FTW-0826-SM-5K7XR 40-49 years, male 2.1
GTEX-XGQ4-0526-SM-4AT6C 50-59 years, male 2.1
GTEX-1H1DG-0826-SM-9QEIW 70-79 years, male 2.1
GTEX-11DXX-0526-SM-5PNVR 60-69 years, female 2.0
GTEX-14BIM-2726-SM-5Q5EG 60-69 years, female 2.0
GTEX-14PHY-0326-SM-62LE3 60-69 years, female 2.0
GTEX-183WM-0926-SM-718AN 70-79 years, female 2.0
GTEX-1EWIQ-1126-SM-7EPIK 70-79 years, female 2.0
GTEX-WHWD-0326-SM-3LK6L 50-59 years, male 2.0
GTEX-XPVG-0726-SM-4B658 50-59 years, male 2.0
GTEX-ZF3C-1126-SM-57WEG 50-59 years, female 2.0
GTEX-1MCC2-0226-SM-EVYD5 30-39 years, female 2.0
GTEX-1J8QM-0326-SM-CL53D 60-69 years, female 1.9
GTEX-1L5NE-0526-SM-DIPG5 50-59 years, male 1.9
GTEX-1399S-0826-SM-5KM23 30-39 years, female 1.8
GTEX-13S86-0326-SM-5SI6K 40-49 years, male 1.8
GTEX-XV7Q-0726-SM-4BRV6 40-49 years, female 1.8
GTEX-ZF2S-0826-SM-4WWBI 50-59 years, female 1.8
GTEX-VUSG-0726-SM-3GIK1 50-59 years, male 1.7
GTEX-WH7G-0326-SM-3NMBH 40-49 years, male 1.7
GTEX-ZGAY-0226-SM-4WWAL 40-49 years, female 1.7
GTEX-14PJ2-1126-SM-69LOD 50-59 years, male 1.6
GTEX-14PN4-0826-SM-69LON 50-59 years, male 1.6
GTEX-12WSK-0526-SM-5CVNA 40-49 years, female 1.5
GTEX-13PL7-0726-SM-5KM1S 60-69 years, female 1.5
GTEX-17F96-0826-SM-7DHLU 70-79 years, male 1.5
GTEX-WYJK-1126-SM-3NM9Z 50-59 years, male 1.5
GTEX-ZAB4-0926-SM-5CVN4 40-49 years, male 1.5
GTEX-1CB4J-0226-SM-7P8T4 60-69 years, male 1.5
GTEX-14PJ6-0626-SM-686Z6 60-69 years, female 1.4
GTEX-14PJO-0826-SM-6ETZK 60-69 years, male 1.3
GTEX-15CHR-0326-SM-7DHN3 50-59 years, male 1.3
GTEX-17GQL-0626-SM-731CN 60-69 years, male 1.3
GTEX-1K2DU-0226-SM-DIPF6 20-29 years, male 1.3
GTEX-117XS-0726-SM-5H131 60-69 years, male 1.2
GTEX-15RIE-1326-SM-6PAMM 60-69 years, male 1.2
GTEX-13N11-0726-SM-5L3DP 50-59 years, female 1.1
GTEX-14JG1-0826-SM-5ZZWR 40-49 years, male 0.9
GTEX-WEY5-0226-SM-3GIKN 40-49 years, female 0.8
GTEX-1LGRB-1026-SM-CNPQD 50-59 years, female 0.8
GTEX-14H4A-0426-SM-5ZZWO 40-49 years, female 0.7
GTEX-1GTWX-0926-SM-9MQKM 60-69 years, male 0.7
GTEX-X4EP-0326-SM-3P5Z6 60-69 years, female 0.6
GTEX-13PDP-1326-SM-5K7U9 60-69 years, male 0.5
GTEX-1JK1U-0626-SM-CKZOJ 60-69 years, male 0.5
Show allShow less
Heart - Left Ventricle
Average nTPM: 12.0
Samples: 432

Max nTPM: 64.9
Min nTPM: 0.4
Std nTPM: 11.9
Median nTPM: 7.2
GTEX-11DXY-0826-SM-5EGGR 60-69 years, male 64.9
GTEX-1IKJJ-0826-SM-A96SP 60-69 years, male 64.5
GTEX-1NV8Z-1526-SM-DTX8X 60-69 years, male 63.1
GTEX-1LB8K-1026-SM-DHXJJ 50-59 years, male 54.6
GTEX-11ONC-0126-SM-5PNW6 60-69 years, male 54.0
GTEX-14PJM-1126-SM-6LLHK 50-59 years, female 53.6
GTEX-ZYFC-1126-SM-5E44W 50-59 years, male 51.8
GTEX-147JS-1526-SM-5ZZWF 60-69 years, male 50.8
GTEX-1H1CY-0326-SM-9QEIZ 60-69 years, female 50.2
GTEX-1EX96-2526-SM-7RHGW 50-59 years, male 49.4
GTEX-17JCI-1126-SM-7IGMM 60-69 years, female 48.6
GTEX-17HHY-1426-SM-7EWDQ 50-59 years, male 45.2
GTEX-1IDJH-1026-SM-E9TKH 70-79 years, male 45.2
GTEX-117YW-0326-SM-5N9CY 50-59 years, male 44.6
GTEX-1399T-0426-SM-5PNVJ 60-69 years, male 41.8
GTEX-14E7W-1226-SM-5RQIU 70-79 years, male 39.8
GTEX-15CHQ-1526-SM-69LPW 60-69 years, male 39.4
GTEX-1KD4Q-0726-SM-DIPGE 40-49 years, male 37.5
GTEX-WWYW-1326-SM-3NB2S 50-59 years, female 37.3
GTEX-14C39-0926-SM-5TDDV 40-49 years, male 36.2
GTEX-1LG7Y-1226-SM-CXZKD 50-59 years, male 36.2
GTEX-1EWIQ-1426-SM-7IGOS 70-79 years, female 36.1
GTEX-1I1GV-1326-SM-A96SE 60-69 years, male 35.9
GTEX-1PPGY-1126-SM-E76OU 60-69 years, male 35.7
GTEX-RN64-0826-SM-2TC62 50-59 years, male 35.2
GTEX-13NYB-0226-SM-5N9G4 40-49 years, male 35.1
GTEX-1O97I-0826-SM-E8VNE 60-69 years, male 35.1
GTEX-ZYT6-1726-SM-5E44P 30-39 years, male 35.0
GTEX-1GN2E-1326-SM-9KNVG 60-69 years, male 34.9
GTEX-1LVA9-0926-SM-EVR5G 50-59 years, male 34.6
GTEX-1313W-1426-SM-5KLZU 50-59 years, female 34.0
GTEX-11GS4-0526-SM-5A5KQ 60-69 years, male 33.6
GTEX-1JMLX-1626-SM-ARZMV 50-59 years, male 32.6
GTEX-1I1GP-0826-SM-A96SD 50-59 years, male 32.5
GTEX-11O72-1126-SM-5N9E2 40-49 years, male 32.1
GTEX-13O3P-1626-SM-5K7X3 50-59 years, male 31.5
GTEX-18465-0926-SM-731AY 50-59 years, male 31.2
GTEX-P44G-0826-SM-2I5ES 30-39 years, male 31.1
GTEX-1B8SG-0826-SM-7EWF7 50-59 years, male 30.7
GTEX-1EN7A-0726-SM-7PBXT 40-49 years, male 30.3
GTEX-13N1W-1026-SM-5IJC5 70-79 years, male 30.2
GTEX-1GN1V-0826-SM-9KNU6 60-69 years, male 30.0
GTEX-14BIL-1126-SM-79OMC 50-59 years, male 29.7
GTEX-13OW8-2126-SM-5J1OS 60-69 years, male 29.5
GTEX-ZUA1-0826-SM-4YCDL 40-49 years, male 28.3
GTEX-WI4N-0626-SM-3TW8Z 40-49 years, female 27.6
GTEX-1HT8W-1726-SM-CNNQB 30-39 years, male 27.2
GTEX-12ZZY-1126-SM-5DUWQ 60-69 years, male 27.1
GTEX-14E6D-0926-SM-5S2QV 50-59 years, male 27.0
GTEX-1212Z-0626-SM-5FQTB 60-69 years, male 26.8
GTEX-13FHP-1026-SM-5K7Y2 50-59 years, male 26.6
GTEX-1I1HK-0726-SM-B2LY4 60-69 years, male 26.6
GTEX-18A6Q-1626-SM-7KFTA 60-69 years, male 26.5
GTEX-13FTZ-0226-SM-5K7X6 60-69 years, male 26.0
GTEX-YJ8O-0926-SM-EAZ2Z 40-49 years, female 26.0
GTEX-X8HC-1626-SM-46MWE 50-59 years, female 25.8
GTEX-1EKGG-1126-SM-7MGXB 60-69 years, male 25.4
GTEX-1I1GQ-1426-SM-B2LWY 50-59 years, male 24.8
GTEX-1H23P-1226-SM-9QEJ2 60-69 years, male 24.7
GTEX-1H3NZ-1126-SM-9WYT9 60-69 years, male 24.7
GTEX-1BAJH-1626-SM-73KUV 70-79 years, male 24.5
GTEX-14BIN-2226-SM-5YYA1 50-59 years, female 24.2
GTEX-WL46-0926-SM-3LK7T 50-59 years, male 24.2
GTEX-1E1VI-1326-SM-7IGQD 50-59 years, male 24.1
GTEX-WK11-0826-SM-EZ6LH 50-59 years, male 24.1
GTEX-T6MN-0926-SM-32PLX 50-59 years, male 23.9
GTEX-14DAQ-1126-SM-664MT 60-69 years, female 23.3
GTEX-PVOW-0426-SM-5MR5R 40-49 years, male 23.0
GTEX-13112-0426-SM-5PNVC 50-59 years, male 22.9
GTEX-145MO-1126-SM-5NQBX 60-69 years, male 22.9
GTEX-148VJ-1526-SM-5Q5DU 70-79 years, male 22.9
GTEX-WHSE-0926-SM-3NMBS 20-29 years, male 22.6
GTEX-15DYW-1126-SM-6LPK5 60-69 years, female 22.5
GTEX-17F9Y-1326-SM-7MGW9 70-79 years, female 22.3
GTEX-1F6IF-2526-SM-7P8TV 60-69 years, male 22.3
GTEX-OXRO-2026-SM-2YUMZ 60-69 years, female 22.1
GTEX-1POEN-0626-SM-EVR4B 30-39 years, female 22.0
GTEX-11GSP-1326-SM-5A5KY 60-69 years, female 21.8
GTEX-148VI-0326-SM-5RQK7 60-69 years, female 21.7
GTEX-WRHU-1226-SM-4E3IJ 50-59 years, female 21.7
GTEX-17HII-1326-SM-7IGOB 50-59 years, male 21.6
GTEX-16YQH-0926-SM-793BC 30-39 years, male 21.4
GTEX-14A5I-1226-SM-5NQBW 50-59 years, female 21.3
GTEX-1C6VQ-1126-SM-7EWET 50-59 years, male 21.3
GTEX-1M5QR-1026-SM-DHXK9 40-49 years, male 21.3
GTEX-1GMRU-1526-SM-9WYT5 50-59 years, male 21.0
GTEX-12584-0926-SM-5FQTN 40-49 years, male 20.7
GTEX-X261-1426-SM-4PQZ1 50-59 years, male 20.3
GTEX-13X6K-1826-SM-5O9CR 60-69 years, female 20.0
GTEX-ZF3C-1226-SM-4WWCB 50-59 years, female 20.0
GTEX-13OW6-1126-SM-5L3HL 50-59 years, male 19.8
GTEX-1B8L1-0526-SM-79ONX 60-69 years, male 19.8
GTEX-1IL2U-1326-SM-A9G2O 60-69 years, male 19.8
GTEX-RNOR-0826-SM-2TF5C 50-59 years, female 19.6
GTEX-14C5O-1326-SM-5S2UW 60-69 years, male 19.1
GTEX-15SHU-1126-SM-7KUMB 40-49 years, female 19.0
GTEX-1J8EW-0926-SM-A9G33 60-69 years, female 18.8
GTEX-14JIY-1126-SM-6EU28 60-69 years, male 18.4
GTEX-13CF2-0426-SM-5KM1H 60-69 years, male 17.5
GTEX-13JVG-1326-SM-5N9F8 60-69 years, male 17.5
GTEX-147F4-1226-SM-5NQAY 50-59 years, male 17.5
GTEX-1ICLZ-1026-SM-A9SLF 60-69 years, male 17.1
GTEX-OIZG-1126-SM-2HMIU 50-59 years, male 17.0
GTEX-13OW5-1126-SM-5J1NR 60-69 years, male 16.8
GTEX-XBEC-1326-SM-4AT69 50-59 years, male 16.4
GTEX-REY6-1026-SM-2TF4Y 60-69 years, male 16.1
GTEX-1JN1M-1026-SM-CNPOS 60-69 years, female 16.1
GTEX-1CB4G-0826-SM-7DUGF 60-69 years, male 15.8
GTEX-S33H-0526-SM-COH1W 30-39 years, male 15.8
GTEX-YFC4-0526-SM-5ZZVI 40-49 years, female 15.7
GTEX-1GTWX-1026-SM-7P8QW 60-69 years, male 15.5
GTEX-1AX9I-1126-SM-7EPHH 60-69 years, male 15.4
GTEX-16NPX-0926-SM-7KUEZ 50-59 years, male 15.3
GTEX-1B996-1126-SM-73KWN 60-69 years, male 15.3
GTEX-1JN6P-1126-SM-CKZON 60-69 years, male 15.2
GTEX-SIU8-0826-SM-2XCDQ 50-59 years, male 14.8
GTEX-15RJE-0626-SM-7KUKR 40-49 years, male 14.7
GTEX-XQ3S-0626-SM-4BOOB 20-29 years, male 14.7
GTEX-1J8Q2-1226-SM-A9G2W 60-69 years, male 14.7
GTEX-1B932-1026-SM-793CL 40-49 years, female 14.5
GTEX-1JJE9-1426-SM-ARL8P 70-79 years, male 14.3
GTEX-111FC-0826-SM-5GZWO 60-69 years, male 14.2
GTEX-1EU9M-1826-SM-7DUGU 60-69 years, male 14.2
GTEX-1F6I4-0726-SM-7PC2P 60-69 years, male 14.0
GTEX-1HBPM-1226-SM-A9SM8 60-69 years, female 14.0
GTEX-1GN73-2426-SM-7RHFQ 60-69 years, male 13.8
GTEX-RU72-0326-SM-2TF5T 50-59 years, female 13.7
GTEX-13SLX-1026-SM-5ZZUQ 50-59 years, female 13.6
GTEX-RTLS-0826-SM-2TF5Q 60-69 years, female 13.6
GTEX-1EH9U-0826-SM-7IGPT 60-69 years, male 13.5
GTEX-T2IS-0426-SM-32QPE 20-29 years, female 13.5
GTEX-1HC8U-0726-SM-ACKXL 40-49 years, female 13.4
GTEX-11EMC-0726-SM-5EGJO 60-69 years, female 13.3
GTEX-1JMPZ-1426-SM-CJI3C 30-39 years, male 13.1
GTEX-16MT8-0926-SM-6M487 60-69 years, female 13.0
GTEX-1RAZS-0826-SM-E76QP 50-59 years, male 13.0
GTEX-1A3MX-1326-SM-72D58 60-69 years, male 12.9
GTEX-11ZUS-0226-SM-5FQT8 30-39 years, male 12.8
GTEX-131XH-0226-SM-5LZVB 50-59 years, male 12.7
GTEX-13OVG-0526-SM-5K7YD 60-69 years, male 12.7
GTEX-1497J-1226-SM-5Q5BL 60-69 years, male 12.7
GTEX-15RJ7-0226-SM-7KUMN 40-49 years, male 12.7
GTEX-RUSQ-0526-SM-2TF72 50-59 years, male 12.5
GTEX-ZAJG-0826-SM-5PNVA 50-59 years, female 12.4
GTEX-ZDXO-0726-SM-57WBT 60-69 years, male 12.4
GTEX-1IDJF-0726-SM-CJI1U 20-29 years, male 12.4
GTEX-14PJ2-1026-SM-6EU1M 50-59 years, male 12.3
GTEX-1MJIX-0326-SM-EVR42 40-49 years, male 12.0
GTEX-12WSC-1126-SM-5EQ4G 50-59 years, male 11.8
GTEX-Y5V5-0626-SM-4VBPX 60-69 years, female 11.8
GTEX-1LH75-0426-SM-E9TJF 50-59 years, female 11.8
GTEX-13OVL-0526-SM-5KLZQ 50-59 years, male 11.7
GTEX-12ZZW-1026-SM-5GCMM 50-59 years, male 11.6
GTEX-1314G-0126-SM-5LZUL 30-39 years, male 11.6
GTEX-Y114-0226-SM-4TT8W 50-59 years, female 11.5
GTEX-15DDE-1126-SM-6LLHN 50-59 years, female 11.3
GTEX-15ER7-1726-SM-6PAMX 20-29 years, female 11.3
GTEX-1PPH7-2026-SM-E9J3N 40-49 years, male 11.1
GTEX-11TUW-1026-SM-5GU7D 60-69 years, male 11.0
GTEX-12696-1126-SM-5FQTI 60-69 years, male 11.0
GTEX-1R9K4-1326-SM-DTX8G 60-69 years, male 10.9
GTEX-1ICLY-1326-SM-CJI47 50-59 years, male 10.8
GTEX-1GZ4I-1026-SM-9KNV5 50-59 years, male 10.7
GTEX-QESD-0526-SM-2I5G5 20-29 years, male 10.6
GTEX-1JJ6O-2126-SM-CNNP6 60-69 years, male 10.6
GTEX-1A3MW-1326-SM-7189P 60-69 years, female 10.2
GTEX-1C64O-0826-SM-79OKZ 60-69 years, male 10.0
GTEX-N7MS-0826-SM-2HML4 60-69 years, male 10.0
GTEX-1CB4J-0326-SM-7PBZO 60-69 years, male 10.0
GTEX-1H11D-1226-SM-9WPQ2 40-49 years, male 9.9
GTEX-NFK9-0926-SM-2HMJU 40-49 years, male 9.8
GTEX-PX3G-0326-SM-2I3EO 20-29 years, female 9.8
GTEX-11ZVC-0426-SM-5CVLD 50-59 years, female 9.7
GTEX-14E6C-0426-SM-5YYA8 40-49 years, male 9.6
GTEX-13PVQ-1226-SM-5IJDC 50-59 years, male 9.5
GTEX-ZF29-0226-SM-4WKHO 60-69 years, female 9.5
GTEX-1RQEC-0926-SM-EWROG 60-69 years, male 9.5
GTEX-1A8G6-1626-SM-7MGWO 60-69 years, male 9.4
GTEX-1JMQK-0626-SM-D4P2R 60-69 years, male 9.4
GTEX-ZYFG-0426-SM-5E43M 60-69 years, female 9.3
GTEX-1269C-0826-SM-5N9EM 60-69 years, female 9.2
GTEX-OHPK-0326-SM-2HMJO 50-59 years, female 9.2
GTEX-ZYW4-0926-SM-59HJS 60-69 years, male 9.2
GTEX-12ZZZ-1726-SM-59HK5 60-69 years, male 9.1
GTEX-1F48J-1026-SM-7P8SO 50-59 years, female 9.1
GTEX-1HCVE-1126-SM-9WPPG 50-59 years, male 9.1
GTEX-OXRL-0326-SM-2I3F2 50-59 years, male 9.0
GTEX-1O9I2-1126-SM-DTXEA 50-59 years, male 9.0
GTEX-132QS-0426-SM-5KLZ6 60-69 years, male 8.9
GTEX-13O3O-1526-SM-5KM1C 60-69 years, female 8.9
GTEX-132NY-1726-SM-5EGKK 60-69 years, male 8.7
GTEX-QEG5-0926-SM-2TC64 20-29 years, male 8.7
GTEX-1HBPH-0126-SM-CNNQ7 40-49 years, female 8.6
GTEX-16XZY-0426-SM-793BI 70-79 years, male 8.5
GTEX-17HGU-1026-SM-79OKL 50-59 years, male 8.3
GTEX-1R9K5-1326-SM-E6CPR 50-59 years, male 8.3
GTEX-Q2AH-0526-SM-2I3ED 40-49 years, male 8.2
GTEX-UPK5-0326-SM-CYPR4 40-49 years, male 8.2
GTEX-14JG1-1026-SM-6ETZY 40-49 years, male 8.1
GTEX-R55E-1026-SM-2TC5S 20-29 years, male 8.0
GTEX-P78B-0426-SM-2I5F5 40-49 years, female 7.9
GTEX-1JJEA-0826-SM-CL53T 60-69 years, male 7.9
GTEX-13X6I-1426-SM-5SI9Z 60-69 years, male 7.7
GTEX-14C38-1426-SM-5RQHZ 50-59 years, male 7.7
GTEX-P44H-0726-SM-48TBT 40-49 years, male 7.6
GTEX-12WSD-1126-SM-5EGJD 60-69 years, female 7.5
GTEX-16BQI-0926-SM-6M485 30-39 years, female 7.5
GTEX-WQUQ-1426-SM-3MJFD 60-69 years, male 7.5
GTEX-13NZB-0226-SM-5KM1T 30-39 years, male 7.4
GTEX-V1D1-0526-SM-4JBGW 50-59 years, male 7.4
GTEX-1IKK5-1526-SM-CKZPW 60-69 years, male 7.4
GTEX-1GF9V-1626-SM-7PBXL 60-69 years, male 7.3
GTEX-145LV-0326-SM-5Q5BW 50-59 years, male 7.2
GTEX-1AYCT-0426-SM-73KVZ 50-59 years, male 7.2
GTEX-QEG4-0426-SM-33HC3 30-39 years, male 7.2
GTEX-ZDYS-0226-SM-5HL4K 50-59 years, male 7.2
GTEX-1KXAM-1326-SM-E9TJW 60-69 years, male 7.2
GTEX-14PJ6-0726-SM-69LOL 60-69 years, female 7.1
GTEX-1QP2A-1126-SM-EVR3H 50-59 years, male 7.1
GTEX-14PJ4-1126-SM-5YY91 60-69 years, male 7.0
GTEX-WH7G-0426-SM-3NMBJ 40-49 years, male 7.0
GTEX-146FH-1026-SM-5RQIF 50-59 years, female 6.9
GTEX-QLQ7-0526-SM-2I5G3 60-69 years, male 6.8
GTEX-PSDG-0926-SM-2I5FP 50-59 years, male 6.7
GTEX-PWCY-0526-SM-5P9HG 20-29 years, female 6.7
GTEX-U8XE-1126-SM-3DB8W 30-39 years, male 6.7
GTEX-1B97J-0726-SM-7RHG3 50-59 years, female 6.7
GTEX-1RB15-0326-SM-E6CQB 60-69 years, male 6.7
GTEX-QDVN-0326-SM-2I3FS 50-59 years, male 6.6
GTEX-WHPG-0826-SM-3NMBF 50-59 years, male 6.6
GTEX-QVJO-1926-SM-2S1QZ 60-69 years, female 6.5
GTEX-ZPU1-0626-SM-4YCDM 40-49 years, male 6.5
GTEX-13FLV-0926-SM-5L3DZ 50-59 years, male 6.4
GTEX-ZDTT-0726-SM-4WKFK 60-69 years, male 6.4
GTEX-111YS-0426-SM-5987O 60-69 years, male 6.3
GTEX-1GF9U-0426-SM-7RHHA 40-49 years, female 6.3
GTEX-1IDJU-0726-SM-CNPQ9 60-69 years, female 6.3
GTEX-13O1R-1226-SM-5J1NU 60-69 years, male 6.2
GTEX-N7MT-1326-SM-2I3FV 60-69 years, female 6.2
GTEX-1EMGI-1226-SM-793DD 60-69 years, male 6.1
GTEX-O5YV-0326-SM-2I5H2 60-69 years, female 6.1
GTEX-SUCS-0326-SM-32PLL 70-79 years, male 6.1
GTEX-XBED-0526-SM-47JY3 60-69 years, male 6.1
GTEX-1MUQO-1226-SM-E9TJK 60-69 years, male 6.1
GTEX-R45C-0926-SM-3GAD4 60-69 years, female 6.0
GTEX-WZTO-1326-SM-3NM8X 40-49 years, male 6.0
GTEX-YEC4-0326-SM-4W216 40-49 years, male 6.0
GTEX-1LSNM-0526-SM-DIPG6 50-59 years, male 6.0
GTEX-14H4A-0626-SM-5ZZUT 40-49 years, female 5.9
GTEX-1AX9J-1026-SM-72D6E 60-69 years, male 5.9
GTEX-OHPL-0326-SM-33HC8 60-69 years, female 5.9
GTEX-1GMR3-0326-SM-7P8QT 40-49 years, male 5.9
GTEX-ZPCL-0426-SM-DNZZ4 60-69 years, female 5.9
GTEX-13RTJ-0726-SM-5QGQN 60-69 years, male 5.8
GTEX-ZAB5-0226-SM-5CVMH 50-59 years, male 5.8
GTEX-1HCU6-1026-SM-A9G25 60-69 years, female 5.8
GTEX-1CAMS-1326-SM-79OJR 40-49 years, female 5.7
GTEX-ZEX8-0426-SM-DO92Y 50-59 years, male 5.7
GTEX-OIZH-0326-SM-2HMKC 50-59 years, male 5.6
GTEX-1IDJE-0326-SM-CM2TD 50-59 years, female 5.6
GTEX-OIZF-0326-SM-3MJGY 60-69 years, male 5.6
GTEX-YEC3-0726-SM-CMKFH 50-59 years, male 5.4
GTEX-1211K-0626-SM-5FQUZ 60-69 years, female 5.3
GTEX-15EOM-5007-SM-793DG 20-29 years, female 5.3
GTEX-17MF6-0726-SM-7LT8E 40-49 years, male 5.3
GTEX-XPT6-0126-SM-4B65S 20-29 years, male 5.3
GTEX-11DXX-0326-SM-5PNWC 60-69 years, female 5.2
GTEX-U3ZH-0326-SM-3DB7A 30-39 years, male 5.2
GTEX-WHWD-0426-SM-3LK83 50-59 years, male 5.2
GTEX-131XF-5001-SM-7DHLY 60-69 years, male 5.1
GTEX-13D11-1726-SM-5IFGQ 50-59 years, female 5.1
GTEX-14E1K-1026-SM-73KUR 50-59 years, male 5.1
GTEX-R55G-0526-SM-2TC5O 40-49 years, female 5.1
GTEX-1IKOE-1026-SM-ARZMF 30-39 years, female 5.1
GTEX-1J8QM-0426-SM-AHZ3X 60-69 years, female 5.1
GTEX-1R9PO-0326-SM-DTXA1 60-69 years, female 5.1
GTEX-1RMOY-0626-SM-E9TIE 50-59 years, male 5.1
GTEX-131XE-0626-SM-5HL98 50-59 years, male 5.0
GTEX-17F9E-0926-SM-7IGMG 50-59 years, male 5.0
GTEX-R53T-0926-SM-3GADH 50-59 years, female 5.0
GTEX-1HFI7-0826-SM-A9G23 50-59 years, female 5.0
GTEX-1OFPY-1026-SM-EXUSO 60-69 years, male 5.0
GTEX-13VXT-1126-SM-5LU3A 20-29 years, female 4.9
GTEX-RWS6-0326-SM-2XCAP 60-69 years, female 4.9
GTEX-1CB4E-0526-SM-7MXTK 60-69 years, male 4.9
GTEX-1HCU7-1326-SM-CNPPW 50-59 years, male 4.9
GTEX-1KANC-0426-SM-CXZK5 50-59 years, female 4.9
GTEX-1AX9K-0526-SM-73KV1 50-59 years, male 4.8
GTEX-ZTPG-1226-SM-4YCDO 20-29 years, female 4.8
GTEX-1JMOU-0226-SM-CNNPD 60-69 years, female 4.8
GTEX-18A67-1226-SM-7KFRS 50-59 years, male 4.7
GTEX-18D9B-1226-SM-72D6V 60-69 years, male 4.7
GTEX-WFG7-0726-SM-3GIKO 20-29 years, male 4.7
GTEX-1CB4I-1626-SM-7RHGV 50-59 years, male 4.6
GTEX-1LGOU-0726-SM-E9TIY 20-29 years, female 4.6
GTEX-11I78-0826-SM-5A5K4 50-59 years, female 4.5
GTEX-1B8KE-0126-SM-793AM 50-59 years, male 4.5
GTEX-RWSA-0626-SM-2XCBD 40-49 years, male 4.5
GTEX-X3Y1-0426-SM-3P5Z4 40-49 years, male 4.5
GTEX-ZDTS-1326-SM-6LLHE 60-69 years, male 4.5
GTEX-1HSMQ-0226-SM-C1YQL 50-59 years, male 4.5
GTEX-1I6K7-0626-SM-ARL7Q 40-49 years, male 4.5
GTEX-1ICG6-0626-SM-ACKWS 70-79 years, female 4.5
GTEX-1S3DN-0726-SM-E9TIO 50-59 years, male 4.5
GTEX-139YR-0826-SM-5LZXY 50-59 years, male 4.4
GTEX-1C2JI-0526-SM-7EWEQ 50-59 years, male 4.4
GTEX-1PWST-1026-SM-DTXF2 70-79 years, male 4.4
GTEX-1LVAN-1726-SM-CNNR1 50-59 years, female 4.3
GTEX-ZF2S-1026-SM-9QEGK 50-59 years, female 4.3
GTEX-XXEK-0926-SM-4BRWH 50-59 years, male 4.2
GTEX-1GL5R-0326-SM-9WYTJ 50-59 years, male 4.2
GTEX-WFG8-0626-SM-3GILJ 20-29 years, male 4.1
GTEX-1HSGN-1126-SM-CJI4G 40-49 years, female 4.1
GTEX-1JK1U-0526-SM-CYPSQ 60-69 years, male 4.1
GTEX-13PVR-1026-SM-5QGQW 60-69 years, female 4.0
GTEX-P4PQ-0326-SM-2HMJ8 60-69 years, male 4.0
GTEX-QV44-0526-SM-2S1RE 50-59 years, male 4.0
GTEX-11DXZ-0626-SM-5GU77 50-59 years, male 3.9
GTEX-PLZ5-0626-SM-2I5F8 50-59 years, male 3.9
GTEX-UJMC-0526-SM-3GAE3 50-59 years, male 3.9
GTEX-Y3IK-0826-SM-51MT8 50-59 years, female 3.9
GTEX-ZPIC-0826-SM-4WWFJ 40-49 years, female 3.9
GTEX-1AX8Z-5007-SM-AHZ36 60-69 years, male 3.9
GTEX-OIZI-0926-SM-E6CHF 40-49 years, male 3.9
GTEX-12WSG-0526-SM-5FQTH 50-59 years, female 3.8
GTEX-146FR-0626-SM-5RQJ1 60-69 years, female 3.8
GTEX-14PHY-0226-SM-5ZZWM 60-69 years, female 3.8
GTEX-WY7C-0526-SM-3NB3D 50-59 years, male 3.8
GTEX-1H1ZS-1126-SM-9MQLJ 70-79 years, male 3.8
GTEX-1HSMO-1226-SM-CL548 60-69 years, male 3.8
GTEX-11LCK-0926-SM-5A5KA 30-39 years, male 3.7
GTEX-13FTW-1026-SM-5L3E3 40-49 years, male 3.7
GTEX-13YAN-1326-SM-5Q5F1 60-69 years, male 3.7
GTEX-XPVG-0826-SM-4B654 50-59 years, male 3.7
GTEX-15CHR-0226-SM-7PC2Z 50-59 years, male 3.7
GTEX-1122O-0826-SM-5GICV 60-69 years, female 3.6
GTEX-13CF3-0726-SM-5J2MY 60-69 years, female 3.6
GTEX-ZVT2-1026-SM-5GU55 50-59 years, female 3.6
GTEX-14PK6-0826-SM-5ZZVO 70-79 years, female 3.5
GTEX-14A6H-0226-SM-5Q5DX 30-39 years, male 3.4
GTEX-12WSN-5001-SM-7DHMK 40-49 years, male 3.3
GTEX-1399R-1926-SM-5K7X8 30-39 years, male 3.3
GTEX-POMQ-0326-SM-2I5FO 20-29 years, female 3.3
GTEX-ZV7C-0326-SM-57WB1 50-59 years, male 3.3
GTEX-1GN1W-0326-SM-9JGHF 50-59 years, female 3.3
GTEX-15SHW-1226-SM-6M46C 60-69 years, male 3.2
GTEX-18D9U-1126-SM-72D5Y 40-49 years, male 3.2
GTEX-U4B1-0326-SM-3DB8K 40-49 years, male 3.2
GTEX-WEY5-0426-SM-3GIKT 40-49 years, female 3.2
GTEX-ZAB4-1026-SM-5HL7T 40-49 years, male 3.2
GTEX-ZGAY-0326-SM-57WF5 40-49 years, female 3.2
GTEX-132AR-2026-SM-5IJG4 50-59 years, female 3.1
GTEX-OHPM-0326-SM-33HCA 50-59 years, male 3.1
GTEX-Y8E4-0326-SM-4VBRR 40-49 years, male 3.1
GTEX-ZVZP-0226-SM-5NQ73 50-59 years, male 3.1
GTEX-13O61-0526-SM-5J2M1 60-69 years, male 2.9
GTEX-13W3W-0426-SM-5SI9D 60-69 years, female 2.9
GTEX-1QCLZ-0926-SM-E6CQZ 60-69 years, female 2.9
GTEX-1QP29-1526-SM-EXUSY 50-59 years, male 2.9
GTEX-117YX-1126-SM-5H128 50-59 years, male 2.8
GTEX-NPJ8-0426-SM-2HMK6 40-49 years, male 2.8
GTEX-QEL4-0926-SM-3GAD1 50-59 years, male 2.8
GTEX-1F5PK-0326-SM-9KNUD 50-59 years, male 2.8
GTEX-1LC47-1026-SM-D3LAH 60-69 years, male 2.8
GTEX-UJHI-0426-SM-3DB8Y 50-59 years, female 2.7
GTEX-Y5V6-0826-SM-4VBRU 60-69 years, male 2.7
GTEX-1KD5A-1026-SM-CY8I8 50-59 years, male 2.7
GTEX-1R7EV-0326-SM-E76PA 40-49 years, male 2.7
GTEX-12WSK-0626-SM-5LZUJ 40-49 years, female 2.6
GTEX-13O21-2326-SM-5MR3X 50-59 years, male 2.6
GTEX-13S86-0226-SM-5S2PJ 40-49 years, male 2.6
GTEX-O5YW-0326-SM-2I5EI 50-59 years, male 2.6
GTEX-OXRK-0826-SM-2HMK7 50-59 years, female 2.6
GTEX-R55C-0326-SM-3GAF1 40-49 years, male 2.6
GTEX-1F75I-1126-SM-9WYUO 40-49 years, male 2.6
GTEX-1IDJI-1026-SM-A96TE 50-59 years, female 2.6
GTEX-1OKEX-0726-SM-DPRYE 60-69 years, male 2.6
GTEX-QMRM-0526-SM-2I5GA 50-59 years, male 2.5
GTEX-1N2EF-2826-SM-E6CQF 60-69 years, male 2.5
GTEX-1QPFJ-1026-SM-E6CR6 30-39 years, female 2.5
GTEX-12BJ1-0226-SM-5LUA2 60-69 years, male 2.4
GTEX-SNMC-0126-SM-2XCFO 20-29 years, male 2.4
GTEX-1399U-0526-SM-5K7YM 50-59 years, female 2.3
GTEX-13FH7-0926-SM-5J2MR 50-59 years, female 2.3
GTEX-145MN-0626-SM-5QGRH 30-39 years, male 2.3
GTEX-14PN3-0526-SM-69LQF 60-69 years, female 2.3
GTEX-XGQ4-0326-SM-4GIEE 50-59 years, male 2.3
GTEX-131XG-0626-SM-5GCMP 50-59 years, female 2.2
GTEX-14PHX-2126-SM-6EU2U 50-59 years, male 2.2
GTEX-14XAO-1126-SM-6EU11 60-69 years, female 2.2
GTEX-1GMR2-1426-SM-7RHHK 50-59 years, male 2.2
GTEX-ZLFU-0226-SM-4WWFH 40-49 years, male 2.1
GTEX-1K9T9-1126-SM-D3L9E 50-59 years, female 2.1
GTEX-1R9JW-0526-SM-EWRNK 30-39 years, female 2.1
GTEX-15CHC-0426-SM-6LLHI 60-69 years, female 2.0
GTEX-O5YT-0326-SM-32PKA 20-29 years, male 2.0
GTEX-P4PP-0326-SM-33HC4 30-39 years, female 2.0
GTEX-V955-0726-SM-3GAFG 60-69 years, male 2.0
GTEX-XQ8I-0126-SM-4BOPL 50-59 years, male 2.0
GTEX-ZG7Y-0926-SM-5EQ6O 50-59 years, male 2.0
GTEX-ZZPU-0926-SM-5GZYT 50-59 years, female 2.0
GTEX-1HCUA-0526-SM-A9SMH 50-59 years, female 2.0
GTEX-X15G-0426-SM-4PQZ6 50-59 years, female 1.9
GTEX-Y3I4-0626-SM-4TT7A 50-59 years, male 1.9
GTEX-YB5K-0126-SM-5IFJ2 40-49 years, female 1.9
GTEX-15RIE-1726-SM-7KUMU 60-69 years, male 1.9
GTEX-1L5NE-0426-SM-E9TIX 50-59 years, male 1.9
GTEX-1339X-0426-SM-5KLZY 40-49 years, male 1.8
GTEX-WYJK-1026-SM-3NM8W 50-59 years, male 1.8
GTEX-1J8Q3-1226-SM-CKZPT 60-69 years, male 1.8
GTEX-ZQUD-1526-SM-7IGO2 30-39 years, male 1.7
GTEX-1MCC2-0326-SM-EV7AK 30-39 years, female 1.7
GTEX-13X6H-0426-SM-5LU4E 50-59 years, female 1.6
GTEX-17KNJ-0826-SM-793A4 50-59 years, male 1.6
GTEX-13U4I-0826-SM-5SIBD 40-49 years, female 1.5
GTEX-S32W-0626-SM-2XCBG 50-59 years, female 1.5
GTEX-17GQL-0526-SM-72D5N 60-69 years, male 1.4
GTEX-SE5C-0626-SM-2XCDV 40-49 years, female 1.4
GTEX-QDVJ-0426-SM-2I5FW 50-59 years, male 1.3
GTEX-1399S-1026-SM-5KLZ9 30-39 years, female 1.2
GTEX-U3ZN-1426-SM-3DB87 30-39 years, female 1.2
GTEX-YF7O-0426-SM-5P9FS 50-59 years, male 1.1
GTEX-1LGRB-1126-SM-CNPP2 50-59 years, female 1.1
GTEX-13QBU-0426-SM-5J2O4 40-49 years, female 0.9
GTEX-11TT1-1326-SM-5PNYM 20-29 years, male 0.8
GTEX-XV7Q-0826-SM-4BRV7 40-49 years, female 0.8
GTEX-13N11-0426-SM-5KM3O 50-59 years, female 0.7
GTEX-OOBJ-0326-SM-33HBO 60-69 years, male 0.7
GTEX-P4QS-0326-SM-2I3EU 60-69 years, male 0.6
GTEX-WFON-0326-SM-3GIKX 40-49 years, male 0.5
GTEX-11EM3-0626-SM-5H12Z 20-29 years, female 0.4
GTEX-18A66-1226-SM-7LT8G 60-69 years, male 0.4
Show allShow less

HEART MUSCLE - FANTOM5 CAGEi

RNA expression in human tissues obtained through Cap Analysis of Gene Expression (CAGE) generated by the FANTOM5 project are reported as Scaled Tags Per Million.

Max subtype Scaled Tags Per Millioni

Max subtype Scaled Tags Per Million is the value for the subtype with the largest average Scaled Tags Per Million across the subtype samples.

20.1
FANTOM5 sample id Sample description Scaled Tags Per Million
Heart
Scaled Tags Per Million: 6.9
FF:10016-101C7 70,73,74 years, mixed 6.9
Left atrium
Scaled Tags Per Million: 20.1
FF:10079-102A7 40 years, male 20.1
Left ventricle
Scaled Tags Per Million: 2.1
FF:10078-102A6 73 years, female 2.1

Contact

  • NEWS ARTICLES
  • PRESS ROOM

The Project

  • INTRODUCTION
  • ORGANIZATION
  • PUBLICATIONS

The Human Protein Atlas

  • DOWNLOADABLE DATA
  • LICENCE & CITATION
  • HELP & FAQ
The Human Protein Atlas project is funded
by the Knut & Alice Wallenberg Foundation.


contact@proteinatlas.org