We use cookies to enhance the usability of our website. If you continue, we'll assume that you are happy to receive all cookies. More information. Don't show this again.
ZEB1
HPA
RESOURCES
  • TISSUE
  • BRAIN
  • SINGLE CELL
  • SUBCELLULAR
  • CANCER
  • BLOOD
  • CELL LINE
  • STRUCTURE & INTERACTION
ABOUT
  • INTRODUCTION
  • HISTORY
  • ORGANIZATION
  • PUBLICATIONS
  • ANTIBODY SUBMISSION
  • ANTIBODY AVAILABILITY
  • ACKNOWLEDGMENTS
  • CONTACT
NEWS
  • NEWS ARTICLES
  • PRESS ROOM
LEARN
  • DICTIONARY
  • PROTEIN CLASSES
  • PROTEIN EVIDENCE
  • METHODS
  • EDUCATIONAL VIDEOS
DATA
  • DOWNLOADABLE DATA
  • PUBLICATION DATA
  • RELEASE HISTORY
HELP
  • ANTIBODY VALIDATION
  • ASSAYS & ANNOTATION
  • DISCLAIMER
  • HELP & FAQ
  • PRIVACY STATEMENT
  • LICENCE & CITATION
Fields »
Search result

Field
Term
Gene name
Class
Subclass
Class
Keyword
Chromosome
External id
Tissue
Cell type
Expression
Antibody panel
Tissue
Main location
Patient ID
Annotation
Tissue
Category
Tau score
Cluster
Reliability
Brain region
Category
Tau score
Brain region
Category
Tau score
Brain region
Category
Tau score
Cluster
Reliability
Tissue
Cell type
Enrichment
Cell type
Category
Tau score
Cell type
Category
Tau score
Cell type
Category
Tau score
Cell lineage
Category
Tau score
Cluster
Cluster
Location
Searches
Location
Cell line
Class
Type
Phase
Reliability
Cancer
Prognosis
Cancer
Category
Cancer
Category
Tau score
Cluster
Variants
Interacting gene (ensg_id)
Type
Number of interactions
Pathway
Category
Score
Score
Score
Validation
Validation
Validation
Validation
Antibodies
Data type
Column


  • SUMMARY

  • TISSUE

  • BRAIN

  • SINGLE CELL

  • SUBCELL

  • CANCER

  • BLOOD

  • CELL LINE

  • STRUCT & INT

  • ZEB1
TISSUE PRIMARY DATA SKELETAL MUSCLE Show tissue menu
ADIPOSE TISSUE ADRENAL GLAND AMYGDALA APPENDIX BASAL GANGLIA BONE MARROW BREAST BRONCHUS CEREBELLUM CEREBRAL CORTEX CERVIX CHOROID PLEXUS COLON DUODENUM
ENDOMETRIUM EPIDIDYMIS ESOPHAGUS FALLOPIAN TUBE GALLBLADDER HEART MUSCLE HIPPOCAMPAL FORMATION HYPOTHALAMUS KIDNEY LIVER LUNG LYMPH NODE MIDBRAIN NASOPHARYNX
ORAL MUCOSA OVARY PANCREAS PARATHYROID GLAND PITUITARY GLAND PLACENTA PROSTATE RECTUM RETINA SALIVARY GLAND SEMINAL VESICLE SKELETAL MUSCLE SKIN SMALL INTESTINE
SMOOTH MUSCLE SOFT TISSUE SPINAL CORD SPLEEN STOMACH TESTIS THYMUS THYROID GLAND TONGUE TONSIL URINARY BLADDER VAGINA
ANTIBODIES
AND
VALIDATION
Dictionary
Skeletal muscle
Tissue proteome
Skeletal muscle
SKELETAL MUSCLE - Expression summary
Protein expression
Skeletal musclei

On the top, protein expression in current human tissue, based on all annotated cell types, is reported with the units not detected (n), low (l), medium (m) and high (h). Underneath, protein expression in each annotated cell type are reported using the same units.

Protein expression data is based on knowledge-based annotation. For genes where more than one antibody has been used, a collective score is set.

If knowledge-based annotation could not be performed for a gene, no data is displayed here. View antibody staining data further down this page.

h
m
l
n
Myocytes: High
RNA expressioni

A summary of mRNA expression data available for current tissue based on several datasets. The mRNA expression levels in human tissues are based on RNA-seq data generated by the Human Protein Atlas (HPA), Genotype-Tissue Expression (GTEx) portal and CAGE data generated by the FANTOM5 consortium. Consensus normalized expression levels for human tissues was created by combining the data from HPA and GTEx datasets.

The mRNA expression levels in pig are based on RNA-seq data generated by the Human Protein Atlas (HPA), and for mouse, HPA data and in situ hybridization generated by the Allen brain atlas are reported.

Scroll down to view mRNA expression data in more detail.
Consensus:52.5 nTPM
HPA:52.5 nTPM
GTEx:43.5 nTPM
FANTOM5:216.7 Scaled Tags Per Million

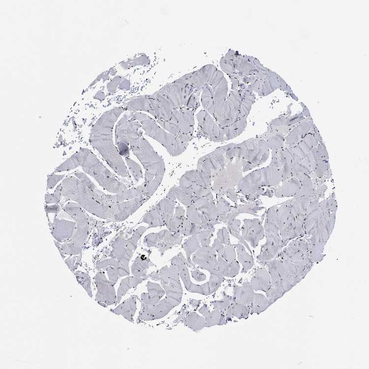
SKELETAL MUSCLE - Antibody stainingi

Antibody staining in the annotated cell types in the current human tissue is reported as not detected, low, medium, or high, based on conventional immunohistochemistry profiling in selected tissues. This score is based on the combination of the staining intensity and fraction of stained cells.

Each image is clickable and will lead to virtual microscopy that enables deeper exploration of all samples and also displays staining intensity scores, fraction scores and subcellular localization as well as patient and tissue information for each sample.

Antibody HPA027524Antibody CAB058686Antibody CAB079943
Myocytes MediumMediumHigh







SKELETAL MUSCLE - HPA RNA-seqi

The RNA-seq details section shows detailed information about the individual samples used for the transcript profiling and results of the RNA-seq analysis.

Information about each individual sample is listed below, including gender, age, a tissue section image and estimated fractions of cell types. nTPM (normalized transcripts per million) values give a quantification of the gene abundance which is comparable between different genes and samples.
Average nTPMi

Max subtype nTPM is the value for the subtype with the largest average nTPM across the subtype samples.

52.5
N/A
Male, age 23
Skeletal muscle sample 339
nTPM: 70.4
N/A
Female, age 25
Skeletal muscle sample 340
nTPM: 62.2
N/A
Female, age -
Skeletal muscle sample 341
nTPM: 50
N/A
Female, age 22
Skeletal muscle sample 342
nTPM: 61.3
N/A
Male, age 29
Skeletal muscle sample 343
nTPM: 18.4

SKELETAL MUSCLE - GTEx RNA-seqi

RNA-Seq data generated by the Genotype-Tissue Expression (GTEx) project from human tissues is reported as mean nTPM. More information can be found on the GTEx portal.

Distribution across the dataset is visualized with box plots, shown as median and 25th and 75th percentiles. Points are displayed as outliers if they are above or below 1.5 times the interquartile range. nTPM values of the individual samples are presented next to the box plot.
Max subtype nTPMi

Max subtype nTPM is the value for the subtype with the largest average nTPM across the subtype samples.

43.5
GTEx sample id Sample description nTPM
Muscle - Skeletal
Average nTPM: 43.5
Samples: 803

Max nTPM: 95.1
Min nTPM: 14.0
Std nTPM: 13.0
Median nTPM: 41.9
GTEX-1AX9J-0126-SM-73KY2 60-69 years, male 95.1
GTEX-12WSL-2726-SM-5CVNL 50-59 years, male 91.1
GTEX-TMMY-0426-SM-33HBB 40-49 years, female 90.9
GTEX-14PK6-2126-SM-6ETZV 70-79 years, female 90.3
GTEX-1B8KE-2226-SM-7939K 50-59 years, male 89.1
GTEX-1B97J-1226-SM-7PBZR 50-59 years, female 87.8
GTEX-1QP2A-0526-SM-E8VN5 50-59 years, male 86.2
GTEX-16BQI-0326-SM-6PAM4 30-39 years, female 82.6
GTEX-1GPI7-0426-SM-7RHHP 20-29 years, male 82.0
GTEX-1HSMQ-1326-SM-ADEHS 50-59 years, male 81.6
GTEX-ZPCL-2026-SM-57WFD 60-69 years, female 81.2
GTEX-1J8Q3-1426-SM-CKZPU 60-69 years, male 80.9
GTEX-18A67-0326-SM-7LG5X 50-59 years, male 79.5
GTEX-17F9E-0226-SM-79OKK 50-59 years, male 78.3
GTEX-ZF29-2426-SM-DO92G 60-69 years, female 77.9
GTEX-14C5O-0626-SM-664N2 60-69 years, male 77.8
GTEX-16MTA-2026-SM-7KUL3 50-59 years, male 77.2
GTEX-183FY-0226-SM-7LG54 20-29 years, male 76.7
GTEX-1C4CL-0326-SM-7DHMH 30-39 years, male 76.3
GTEX-OIZH-1626-SM-2HMKI 50-59 years, male 75.8
GTEX-1192X-0426-SM-5GIEE 50-59 years, male 75.3
GTEX-15F5U-1826-SM-6LLJF 40-49 years, male 75.0
GTEX-RM2N-1626-SM-2TF5N 50-59 years, male 74.9
GTEX-ZGAY-0726-SM-DO91O 40-49 years, female 73.4
GTEX-1C2JI-2126-SM-793CG 50-59 years, male 71.9
GTEX-RWS6-2126-SM-2XCAV 60-69 years, female 71.4
GTEX-17HHE-2126-SM-7DHLO 50-59 years, male 71.2
GTEX-15RIE-2426-SM-7KUDS 60-69 years, male 70.7
GTEX-11WQK-0726-SM-5GU71 50-59 years, male 70.6
GTEX-1I4MK-2326-SM-ADEHR 50-59 years, female 69.7
GTEX-1JN6P-0526-SM-COH33 60-69 years, male 68.8
GTEX-1HCUA-2326-SM-ACKVJ 50-59 years, female 67.9
GTEX-1KXAM-2426-SM-DIPFC 60-69 years, male 67.7
GTEX-11OC5-0326-SM-5PNW5 60-69 years, male 67.5
GTEX-18D9U-0626-SM-7LTA4 40-49 years, male 67.4
GTEX-1KANC-1626-SM-E6CIA 50-59 years, female 67.4
GTEX-1LGRB-2626-SM-CNPPR 50-59 years, female 67.4
GTEX-1LH75-2626-SM-E9TKL 50-59 years, female 67.3
GTEX-ZT9X-1826-SM-57WDU 40-49 years, male 67.1
GTEX-1I6K6-0326-SM-CJI4A 30-39 years, male 66.9
GTEX-1HSEH-0326-SM-A9G26 60-69 years, male 66.6
GTEX-14E6D-0326-SM-62LDX 50-59 years, male 66.5
GTEX-Y5V5-2526-SM-4VBQ4 60-69 years, female 66.1
GTEX-OIZG-1326-SM-2HMIQ 50-59 years, male 65.9
GTEX-QESD-1626-SM-2S1RB 20-29 years, male 65.9
GTEX-1JMPY-1226-SM-CJI3A 30-39 years, male 65.9
GTEX-SJXC-0526-SM-2XCFG 60-69 years, male 65.8
GTEX-ZV7C-2426-SM-5NQ7Q 50-59 years, male 65.8
GTEX-12C56-1926-SM-5FQUG 20-29 years, male 65.5
GTEX-1CB4G-0426-SM-7MXUN 60-69 years, male 65.5
GTEX-1IE54-0326-SM-ARZMD 40-49 years, female 65.4
GTEX-ZAB5-2126-SM-5K7UN 50-59 years, male 65.0
GTEX-15SDE-2326-SM-6PAL4 50-59 years, female 64.4
GTEX-11I78-2426-SM-5A5K9 50-59 years, female 64.2
GTEX-15RJ7-2426-SM-6M48L 40-49 years, male 64.2
GTEX-14753-0526-SM-5QGPR 60-69 years, male 64.1
GTEX-TKQ2-0826-SM-33HB6 50-59 years, male 64.1
GTEX-YEC3-2126-SM-4YCDB 50-59 years, male 63.8
GTEX-T8EM-1326-SM-3DB7G 40-49 years, male 63.6
GTEX-17MFQ-1926-SM-793A6 20-29 years, male 63.5
GTEX-QV44-2026-SM-2S1RD 50-59 years, male 63.5
GTEX-14A6H-5019-SM-793DH 30-39 years, male 63.1
GTEX-16NGA-1926-SM-7LTA6 40-49 years, female 63.1
GTEX-QDVJ-1926-SM-2S1PJ 50-59 years, male 63.1
GTEX-15ETS-0326-SM-6PANH 40-49 years, female 63.0
GTEX-YB5K-2326-SM-5IFHD 40-49 years, female 62.9
GTEX-17HHY-0326-SM-7938H 50-59 years, male 62.8
GTEX-1J1R8-2326-SM-CKZPS 40-49 years, male 62.7
GTEX-12WSN-2526-SM-5LZU8 40-49 years, male 62.4
GTEX-1IDJF-0326-SM-ADEIG 20-29 years, male 62.4
GTEX-1FIGZ-1726-SM-9MQKS 40-49 years, male 62.0
GTEX-1QCLY-0426-SM-E8VOH 30-39 years, male 61.9
GTEX-POMQ-1926-SM-3NB1Y 20-29 years, female 61.7
GTEX-1AMFI-2226-SM-731C6 50-59 years, female 61.5
GTEX-1IDJC-2026-SM-ADEIK 50-59 years, male 61.5
GTEX-Z9EW-1726-SM-5CVMO 40-49 years, male 61.4
GTEX-1JKYN-1826-SM-ARZMZ 30-39 years, male 61.4
GTEX-13OVI-1726-SM-5L3DW 60-69 years, female 61.2
GTEX-WYJK-1726-SM-3NM9U 50-59 years, male 61.2
GTEX-14ABY-0126-SM-62LDI 50-59 years, male 61.1
GTEX-R53T-1826-SM-3GIJX 50-59 years, female 61.1
GTEX-1PIIG-0126-SM-E9J46 30-39 years, male 61.1
GTEX-131XE-2726-SM-5P9G7 50-59 years, male 60.9
GTEX-U8XE-0726-SM-3DB8O 30-39 years, male 60.9
GTEX-1JN76-0326-SM-ARZNJ 20-29 years, female 60.8
GTEX-YEC4-2226-SM-5IFJT 40-49 years, male 60.3
GTEX-1GMRU-0326-SM-9WYT6 50-59 years, male 60.1
GTEX-ZVP2-2126-SM-5GU6E 50-59 years, male 59.6
GTEX-QCQG-2126-SM-DTXFV 50-59 years, female 59.6
GTEX-17HGU-0626-SM-7939Y 50-59 years, male 59.4
GTEX-P4QT-1626-SM-DHXIR 50-59 years, female 59.4
GTEX-14AS3-2126-SM-5S2MK 40-49 years, female 59.3
GTEX-VUSG-2626-SM-4KKZI 50-59 years, male 59.1
GTEX-111YS-2326-SM-5987L 60-69 years, male 59.0
GTEX-QLQ7-1726-SM-2S1QQ 60-69 years, male 59.0
GTEX-14PJ5-2026-SM-6LLIN 60-69 years, female 58.8
GTEX-U3ZM-1226-SM-3DB9G 40-49 years, male 58.8
GTEX-1NUQO-0726-SM-E9J3K 20-29 years, female 58.8
GTEX-18QFQ-0326-SM-731C3 30-39 years, male 58.7
GTEX-1CB4I-0326-SM-7DHMM 50-59 years, male 58.4
GTEX-11EQ8-0526-SM-5N9BC 60-69 years, male 58.3
GTEX-X5EB-2326-SM-46MW5 40-49 years, male 58.3
GTEX-13QJ3-0726-SM-5SI68 50-59 years, male 58.2
GTEX-146FR-1726-SM-5Q5DT 60-69 years, female 58.2
GTEX-1JK1U-2226-SM-CNNPL 60-69 years, male 58.2
GTEX-OIZI-0626-SM-2XCEH 40-49 years, male 58.1
GTEX-P78B-1626-SM-5SI85 40-49 years, female 58.0
GTEX-Q2AI-1526-SM-3GIJ3 40-49 years, male 57.9
GTEX-13O3P-0626-SM-5L3D5 50-59 years, male 57.8
GTEX-13OVK-1926-SM-6M48G 40-49 years, male 57.8
GTEX-17JCI-0326-SM-7LG5H 60-69 years, female 57.7
GTEX-1122O-2426-SM-5GIDN 60-69 years, female 57.6
GTEX-13NZ9-0626-SM-5IJCO 50-59 years, male 57.5
GTEX-13O61-2326-SM-5J1NJ 60-69 years, male 57.5
GTEX-13PVR-2526-SM-5RQIT 60-69 years, female 57.5
GTEX-1QP6S-0426-SM-DTXG4 40-49 years, male 57.5
GTEX-139T6-2026-SM-5IFFL 50-59 years, male 57.4
GTEX-VJYA-1926-SM-3GIJJ 60-69 years, male 57.4
GTEX-1H3VY-0326-SM-9WYU6 50-59 years, male 57.3
GTEX-146FH-0526-SM-5QGQ3 50-59 years, female 57.2
GTEX-OHPL-1626-SM-2HMIR 60-69 years, female 57.2
GTEX-13X6J-0326-SM-7EPGD 50-59 years, male 57.0
GTEX-1F6IF-0226-SM-7PBZ6 60-69 years, male 56.8
GTEX-15DZA-2026-SM-6PANE 30-39 years, female 56.5
GTEX-16GPK-0526-SM-7KUER 60-69 years, male 56.3
GTEX-1F5PL-0426-SM-7P8PR 40-49 years, female 56.0
GTEX-11DXX-2726-SM-5PNXO 60-69 years, female 55.9
GTEX-11DXZ-2426-SM-5N9DT 50-59 years, male 55.9
GTEX-12BJ1-2526-SM-5FQUE 60-69 years, male 55.9
GTEX-WK11-2526-SM-3NM9Y 50-59 years, male 55.7
GTEX-XUYS-0326-SM-47JX2 50-59 years, male 55.7
GTEX-1HSGN-0326-SM-ACKXQ 40-49 years, female 55.7
GTEX-1AX9I-0326-SM-73KXQ 60-69 years, male 55.5
GTEX-11GSO-2526-SM-5PNVX 60-69 years, male 55.4
GTEX-1GZHY-0126-SM-9WYUQ 50-59 years, female 55.3
GTEX-1L5NE-2226-SM-CXZKS 50-59 years, male 55.3
GTEX-1399U-2526-SM-5L3DL 50-59 years, female 55.2
GTEX-17HII-0426-SM-793A3 50-59 years, male 55.2
GTEX-1GN73-0126-SM-CNPPT 60-69 years, male 55.2
GTEX-1PIGE-0226-SM-E76OT 20-29 years, male 55.2
GTEX-1MUQO-0226-SM-E9TJL 60-69 years, male 55.1
GTEX-1IKK5-0426-SM-CL53X 60-69 years, male 54.9
GTEX-1LG7Z-2126-SM-CXKYU 30-39 years, male 54.9
GTEX-131XW-0326-SM-5KM1J 50-59 years, female 54.8
GTEX-QLQW-1326-SM-2S1QS 30-39 years, male 54.8
GTEX-11LCK-1226-SM-5Q5AM 30-39 years, male 54.7
GTEX-UTHO-0726-SM-3GAEN 60-69 years, male 54.7
GTEX-1B932-0526-SM-73KU7 40-49 years, female 54.6
GTEX-Q734-2026-SM-3GADA 40-49 years, female 54.6
GTEX-1C64N-0326-SM-7P8QC 50-59 years, male 54.5
GTEX-1I6K7-0326-SM-B2LXO 40-49 years, male 54.5
GTEX-Y8DK-0326-SM-4TT3P 60-69 years, male 54.4
GTEX-13NYS-0326-SM-5MR4L 60-69 years, male 54.2
GTEX-17GQL-1926-SM-718B9 60-69 years, male 54.2
GTEX-131XG-2326-SM-5HL8F 50-59 years, female 54.1
GTEX-Y8LW-2026-SM-4V6G8 50-59 years, female 54.1
GTEX-15SB6-1826-SM-6PALN 50-59 years, female 53.9
GTEX-17F96-2726-SM-7LT9F 70-79 years, male 53.9
GTEX-PWN1-1626-SM-2S1OL 40-49 years, female 53.9
GTEX-1IKJJ-0326-SM-CL55L 60-69 years, male 53.9
GTEX-1LB8K-0126-SM-EVYCN 50-59 years, male 53.8
GTEX-133LE-2026-SM-5K7WM 20-29 years, female 53.5
GTEX-13S86-2326-SM-5RQK1 40-49 years, male 53.4
GTEX-OXRP-2326-SM-2S1NL 60-69 years, female 53.3
GTEX-1211K-2126-SM-59HJZ 60-69 years, female 53.2
GTEX-ZZ64-1526-SM-5E43K 20-29 years, male 53.2
GTEX-PW2O-1726-SM-2S1OO 20-29 years, male 53.1
GTEX-R55D-0626-SM-3GAD5 50-59 years, male 53.1
GTEX-14PJ4-2426-SM-6EU1U 60-69 years, male 52.8
GTEX-1RAZA-0526-SM-E76R2 20-29 years, male 52.8
GTEX-1GN1U-2226-SM-9MQK1 50-59 years, female 52.7
GTEX-U4B1-1626-SM-3DB8N 40-49 years, male 52.6
GTEX-17EVP-1326-SM-7DHMR 40-49 years, male 52.5
GTEX-Z93S-1326-SM-5CVMR 50-59 years, male 52.3
GTEX-145LT-1626-SM-5O992 40-49 years, male 52.2
GTEX-SNMC-1426-SM-2XCFM 20-29 years, male 52.1
GTEX-X8HC-0526-SM-4E3JA 50-59 years, female 52.1
GTEX-Y8E4-1026-SM-4VBQ5 40-49 years, male 52.0
GTEX-1IKOH-0126-SM-COH4D 60-69 years, female 52.0
GTEX-1JJ6O-0926-SM-CYPT1 60-69 years, male 52.0
GTEX-1C475-1726-SM-73KVX 40-49 years, female 51.9
GTEX-1B8L1-2726-SM-793AL 60-69 years, male 51.8
GTEX-144GN-2426-SM-5LU4R 50-59 years, male 51.7
GTEX-ZXG5-0326-SM-5GICH 60-69 years, male 51.7
GTEX-1E2YA-0526-SM-7P8RY 50-59 years, male 51.7
GTEX-ZA64-2026-SM-5PNXT 20-29 years, male 51.6
GTEX-12WSC-0326-SM-5EQ5E 50-59 years, male 51.5
GTEX-ZYT6-1626-SM-5E45R 30-39 years, male 51.5
GTEX-14E1K-2326-SM-664MP 50-59 years, male 51.4
GTEX-15ER7-0226-SM-7KUEU 20-29 years, female 51.4
GTEX-S7PM-0526-SM-3NM92 60-69 years, male 51.1
GTEX-WHSB-1826-SM-3TW8M 50-59 years, male 51.1
GTEX-ZTX8-1626-SM-51MRY 20-29 years, male 51.1
GTEX-1HBPN-0526-SM-A9SM6 50-59 years, male 51.1
GTEX-1R9PN-1826-SM-E8VO4 40-49 years, female 51.1
GTEX-1S82U-1426-SM-E6CJL 30-39 years, female 51.1
GTEX-YFCO-1926-SM-4W212 40-49 years, male 51.0
GTEX-14PJ6-2326-SM-6ETZR 60-69 years, female 50.8
GTEX-1B8SG-0326-SM-73KXW 50-59 years, male 50.8
GTEX-ZZPU-2626-SM-5E45Y 50-59 years, female 50.7
GTEX-O5YT-1626-SM-32PK6 20-29 years, male 50.6
GTEX-P4QS-1626-SM-2S1NH 60-69 years, male 50.6
GTEX-REY6-0826-SM-2TF4S 60-69 years, male 50.6
GTEX-ZVE2-0626-SM-5GU7I 50-59 years, male 50.6
GTEX-1H3NZ-0326-SM-9MQL6 60-69 years, male 50.6
GTEX-1IY9M-0326-SM-ARZMN 60-69 years, male 50.5
GTEX-1J8JJ-0126-SM-D3L93 60-69 years, female 50.5
GTEX-1F52S-0826-SM-7P8TQ 60-69 years, female 50.4
GTEX-13NZB-2626-SM-5J2M7 30-39 years, male 50.3
GTEX-13OVL-1426-SM-5IJC1 50-59 years, male 50.2
GTEX-ZVT4-0326-SM-51MS5 50-59 years, female 50.2
GTEX-1EWIQ-0626-SM-7PBYW 70-79 years, female 50.2
GTEX-1LBAC-0326-SM-DIPF1 20-29 years, male 50.2
GTEX-12ZZY-0626-SM-5EQ5T 60-69 years, male 50.0
GTEX-11ZTT-2626-SM-5EQKK 60-69 years, female 49.9
GTEX-16NPX-0626-SM-7KULB 50-59 years, male 49.9
GTEX-X4XX-0626-SM-3NMC1 60-69 years, male 49.9
GTEX-11NV4-0326-SM-5HL58 60-69 years, male 49.8
GTEX-V955-2426-SM-3GAEF 60-69 years, male 49.6
GTEX-WFG8-2426-SM-3GILL 20-29 years, male 49.6
GTEX-WRHK-1626-SM-3MJFH 20-29 years, female 49.6
GTEX-1MJIX-2126-SM-E9J3A 40-49 years, male 49.6
GTEX-13OVH-0626-SM-5L3EI 70-79 years, male 49.4
GTEX-18A6Q-0326-SM-718AT 60-69 years, male 49.3
GTEX-11DXW-0726-SM-5H12J 40-49 years, male 49.1
GTEX-1GZ4I-0526-SM-9YFLX 50-59 years, male 49.1
GTEX-13VXU-0326-SM-5LU36 50-59 years, male 49.0
GTEX-18D9A-1826-SM-718BK 30-39 years, female 49.0
GTEX-T6MN-0526-SM-32PMS 50-59 years, male 49.0
GTEX-XUW1-0826-SM-4BOP6 50-59 years, female 49.0
GTEX-PWCY-2026-SM-5SI8R 20-29 years, female 48.9
GTEX-1GMR3-2126-SM-9WYTZ 40-49 years, male 48.9
GTEX-15UF7-2226-SM-6PAMQ 40-49 years, male 48.8
GTEX-RNOR-0526-SM-2TF4O 50-59 years, female 48.8
GTEX-ZAKK-0326-SM-5EGHA 70-79 years, male 48.8
GTEX-S33H-2226-SM-DKPOP 30-39 years, male 48.8
GTEX-1LVAN-0526-SM-CNNQ1 50-59 years, female 48.7
GTEX-PX3G-1626-SM-2S1PT 20-29 years, female 48.6
GTEX-1EMGI-0326-SM-9MQM5 60-69 years, male 48.6
GTEX-1AX9K-2726-SM-7DHMA 50-59 years, male 48.5
GTEX-1E1VI-0426-SM-7DHN1 50-59 years, male 48.5
GTEX-1GF9V-0126-SM-9WYT2 60-69 years, male 48.5
GTEX-1HCU6-0526-SM-A9SKU 60-69 years, female 48.5
GTEX-1I1GP-2126-SM-CKZPJ 50-59 years, male 48.4
GTEX-1I1GU-2126-SM-CGQF9 40-49 years, male 48.3
GTEX-13OW7-0326-SM-5J1MP 50-59 years, male 48.1
GTEX-14PJM-0426-SM-5ZZVN 50-59 years, female 48.0
GTEX-1AMEY-1526-SM-73KYW 30-39 years, female 48.0
GTEX-ZF2S-2126-SM-4WWAY 50-59 years, female 48.0
GTEX-1F75A-0626-SM-7PBYI 50-59 years, male 48.0
GTEX-13FXS-0326-SM-5K7TV 50-59 years, male 47.9
GTEX-1KANA-0926-SM-D3L9K 20-29 years, male 47.9
GTEX-1N2DV-0526-SM-DTX8W 40-49 years, male 47.9
GTEX-144GM-2026-SM-5LU3D 20-29 years, male 47.8
GTEX-OXRK-1826-SM-2HMJE 50-59 years, female 47.8
GTEX-TSE9-0526-SM-3DB7Z 60-69 years, female 47.7
GTEX-13OVG-2126-SM-5KM1K 60-69 years, male 47.6
GTEX-1MJK3-1426-SM-E9TK1 20-29 years, male 47.6
GTEX-1RAZQ-0426-SM-DTXFQ 30-39 years, male 47.6
GTEX-13112-2626-SM-5BC66 50-59 years, male 47.5
GTEX-131XF-2326-SM-5BC6B 60-69 years, male 47.5
GTEX-13O3O-0526-SM-5J1NL 60-69 years, female 47.5
GTEX-1GN2E-0726-SM-9MQLU 60-69 years, male 47.5
GTEX-11EQ9-2126-SM-5PNVW 30-39 years, male 47.4
GTEX-13RTK-1626-SM-5QGQS 20-29 years, male 47.4
GTEX-1A32A-0526-SM-731B9 50-59 years, female 47.4
GTEX-1C6VR-2526-SM-7DHMT 60-69 years, male 47.4
GTEX-SIU8-0526-SM-2XCDP 50-59 years, male 47.4
GTEX-1A8FM-0526-SM-7P8SF 50-59 years, female 47.4
GTEX-1AYD5-2226-SM-73KX3 50-59 years, male 47.1
GTEX-1IOXB-0326-SM-CL55M 50-59 years, male 47.1
GTEX-1J8Q2-0126-SM-E9J2G 60-69 years, male 47.1
GTEX-1A8G7-0326-SM-72D5B 60-69 years, male 47.0
GTEX-1K2DA-2226-SM-CGQGM 50-59 years, male 47.0
GTEX-Y3I4-2326-SM-4TT81 50-59 years, male 46.9
GTEX-ZDTS-0526-SM-4WKH9 60-69 years, male 46.9
GTEX-14ICL-1926-SM-5RQIZ 30-39 years, male 46.8
GTEX-1H1DE-1726-SM-A9G3G 20-29 years, male 46.7
GTEX-1PPGY-0426-SM-DTXFE 60-69 years, male 46.7
GTEX-1B8SF-0426-SM-79OL4 60-69 years, male 46.6
GTEX-OOBJ-1626-SM-2I3F7 60-69 years, male 46.6
GTEX-RWSA-0726-SM-2XCBE 40-49 years, male 46.6
GTEX-ZUA1-0326-SM-5NQA3 40-49 years, male 46.6
GTEX-1GF9U-2326-SM-7RHH9 40-49 years, female 46.6
GTEX-15RIG-0426-SM-7KUF4 40-49 years, male 46.5
GTEX-1CAMR-1726-SM-793CU 20-29 years, male 46.5
GTEX-1399R-2526-SM-5IFG2 30-39 years, male 46.4
GTEX-14LLW-0526-SM-62LFB 70-79 years, female 46.4
GTEX-15D79-0526-SM-6ETZP 50-59 years, male 46.3
GTEX-17HG3-2726-SM-7DHL5 30-39 years, female 46.3
GTEX-11VI4-1926-SM-5CVLI 40-49 years, female 46.2
GTEX-13O21-1726-SM-5MR5A 50-59 years, male 46.2
GTEX-1C64O-0326-SM-73KVW 60-69 years, male 46.1
GTEX-11NUK-0226-SM-5A5L4 50-59 years, male 45.9
GTEX-1H1DG-0326-SM-9QEHK 70-79 years, male 45.9
GTEX-1J8QM-2226-SM-CYPSK 60-69 years, female 45.9
GTEX-1S5VW-0526-SM-E6CHL 60-69 years, male 45.9
GTEX-ZLFU-2526-SM-DO91K 40-49 years, male 45.9
GTEX-11EI6-0326-SM-5EQ6G 60-69 years, male 45.7
GTEX-1S83E-2126-SM-EWRO6 40-49 years, male 45.6
GTEX-12126-0526-SM-5PNW4 20-29 years, male 45.5
GTEX-1A3MV-2026-SM-718BU 30-39 years, male 45.5
GTEX-1HCU7-0426-SM-D3L8Q 50-59 years, male 45.5
GTEX-1I1HK-0326-SM-ACKW5 60-69 years, male 45.5
GTEX-1KAFJ-2326-SM-D3L8Z 50-59 years, male 45.5
GTEX-13D11-2526-SM-5KM28 50-59 years, female 45.2
GTEX-145LS-0526-SM-5LU8Y 60-69 years, female 45.2
GTEX-WHPG-2226-SM-3NMBO 50-59 years, male 45.2
GTEX-1JKYR-0326-SM-CNPOL 20-29 years, male 45.2
GTEX-1B8KZ-2126-SM-73KYG 50-59 years, male 45.1
GTEX-11XUK-2226-SM-5CVLL 40-49 years, female 45.0
GTEX-Y9LG-1926-SM-5IFHY 30-39 years, male 45.0
GTEX-145LU-2026-SM-5Q5E8 50-59 years, male 44.9
GTEX-18A66-0126-SM-731CQ 60-69 years, male 44.9
GTEX-1GZ4H-1626-SM-7PC3F 50-59 years, female 44.9
GTEX-1H1CY-2726-SM-9MQLR 60-69 years, female 44.9
GTEX-1M5QR-1326-SM-EWROC 40-49 years, male 44.9
GTEX-13111-2226-SM-5LZUE 50-59 years, male 44.8
GTEX-145MG-0226-SM-5TDDB 50-59 years, male 44.8
GTEX-R55E-0526-SM-2TC6B 20-29 years, male 44.8
GTEX-13OW5-0326-SM-5L3HK 60-69 years, male 44.7
GTEX-1EN7A-0326-SM-7P8T1 40-49 years, male 44.7
GTEX-1LSNL-0126-SM-EWRNR 50-59 years, male 44.7
GTEX-1H11D-0326-SM-9WG71 40-49 years, male 44.6
GTEX-1MCC2-2726-SM-EWRN3 30-39 years, female 44.6
GTEX-145MH-0326-SM-5LU8H 50-59 years, male 44.5
GTEX-SNOS-1526-SM-32PLW 40-49 years, male 44.5
GTEX-V1D1-2426-SM-3GAER 50-59 years, male 44.4
GTEX-XBED-2626-SM-4E3J5 60-69 years, male 44.4
GTEX-14E6C-1526-SM-664ND 40-49 years, male 44.3
GTEX-XOT4-0526-SM-4B66O 60-69 years, female 44.3
GTEX-P44G-0526-SM-2XCD1 30-39 years, male 44.2
GTEX-VJWN-0426-SM-3GIJI 50-59 years, female 44.2
GTEX-YF7O-2526-SM-5IFJX 50-59 years, male 44.2
GTEX-1QP28-0526-SM-E8VNR 50-59 years, female 44.2
GTEX-1RB15-2226-SM-DTXFZ 60-69 years, male 44.2
GTEX-ZQUD-1726-SM-7P8ON 30-39 years, male 44.2
GTEX-14JIY-0426-SM-62LF7 60-69 years, male 44.1
GTEX-OHPK-1626-SM-2YUN3 50-59 years, female 44.1
GTEX-UJMC-1826-SM-3GADT 50-59 years, male 44.1
GTEX-ZVTK-0626-SM-5GU6Y 20-29 years, male 44.1
GTEX-145MN-2426-SM-5NQA5 30-39 years, male 44.0
GTEX-14DAQ-0326-SM-664MR 60-69 years, female 44.0
GTEX-WFON-2326-SM-3LK7M 40-49 years, male 44.0
GTEX-1LVAM-0326-SM-DIPFL 50-59 years, female 44.0
GTEX-13W46-0726-SM-5LU3Z 50-59 years, male 43.9
GTEX-17KNJ-2426-SM-7DHLR 50-59 years, male 43.9
GTEX-1GF9X-2126-SM-7PBXN 40-49 years, female 43.9
GTEX-111CU-2026-SM-5GZZC 50-59 years, male 43.8
GTEX-1212Z-2626-SM-5YY8P 60-69 years, male 43.8
GTEX-139T8-0526-SM-5KLZL 60-69 years, male 43.8
GTEX-139TU-0526-SM-5J2M8 60-69 years, male 43.8
GTEX-X4EO-0526-SM-3P5Z3 60-69 years, female 43.8
GTEX-13FTX-2026-SM-5L3D6 20-29 years, female 43.7
GTEX-1CB4E-2126-SM-793AP 60-69 years, male 43.7
GTEX-Q2AH-1826-SM-2S1Q2 40-49 years, male 43.7
GTEX-11NSD-2026-SM-5HL5U 20-29 years, male 43.6
GTEX-12KS4-0826-SM-5BC5R 30-39 years, male 43.6
GTEX-WRHU-0826-SM-3MJFN 50-59 years, female 43.6
GTEX-11ZVC-2726-SM-5FQSZ 50-59 years, female 43.5
GTEX-13N11-2726-SM-5L3ER 50-59 years, female 43.5
GTEX-14LZ3-0626-SM-5ZZWP 60-69 years, female 43.5
GTEX-14PJN-2126-SM-6AJBM 30-39 years, male 43.5
GTEX-PLZ5-1726-SM-2I5F6 50-59 years, male 43.5
GTEX-1IDJH-0226-SM-CYPSB 70-79 years, male 43.5
GTEX-16XZZ-0526-SM-7KUF1 60-69 years, male 43.4
GTEX-1I19N-2026-SM-ACKXJ 70-79 years, male 43.4
GTEX-1PIEJ-0326-SM-EVYB5 20-29 years, female 43.4
GTEX-SN8G-0326-SM-32PLG 50-59 years, female 43.3
GTEX-U8T8-1426-SM-3DB9H 60-69 years, male 43.2
GTEX-ZYFG-2426-SM-5GIE8 60-69 years, female 43.2
GTEX-1HUB1-0526-SM-CL54N 60-69 years, male 43.2
GTEX-1KD4Q-0326-SM-E9TJA 40-49 years, male 43.1
GTEX-13CF3-1826-SM-5J1NK 60-69 years, female 43.0
GTEX-147JS-0526-SM-5TDD3 60-69 years, male 43.0
GTEX-1HSMP-0326-SM-A9SMC 70-79 years, male 43.0
GTEX-12WSD-0526-SM-5EQ6F 60-69 years, female 42.9
GTEX-ZVT2-2426-SM-57WCQ 50-59 years, female 42.9
GTEX-18A7A-0626-SM-718BJ 50-59 years, female 42.8
GTEX-13N2G-2326-SM-5J1ON 60-69 years, male 42.7
GTEX-13OW8-1426-SM-5IJDT 60-69 years, male 42.7
GTEX-145ME-2026-SM-5SIA5 40-49 years, female 42.7
GTEX-1HSKV-0126-SM-E6CI1 60-69 years, male 42.7
GTEX-1I1GQ-0326-SM-A9SKS 50-59 years, male 42.7
GTEX-13PVQ-0326-SM-5K7YF 50-59 years, male 42.6
GTEX-ZVE1-0526-SM-5NQ71 50-59 years, female 42.6
GTEX-117XS-2526-SM-5H11G 60-69 years, male 42.5
GTEX-1QP9N-1926-SM-E6CPY 30-39 years, male 42.5
GTEX-111VG-2626-SM-5GZY2 60-69 years, male 42.4
GTEX-12ZZX-0326-SM-5DUVH 40-49 years, female 42.4
GTEX-14A5I-0326-SM-5NQ9J 50-59 years, female 42.4
GTEX-XBEC-0626-SM-4QARY 50-59 years, male 42.4
GTEX-13OW6-0626-SM-5L3IB 50-59 years, male 42.2
GTEX-1R9PM-2226-SM-E8VOC 20-29 years, male 42.2
GTEX-1S5ZA-0526-SM-EWRO1 20-29 years, male 42.2
GTEX-WFG7-2226-SM-3GIKP 20-29 years, male 42.1
GTEX-ZAK1-0526-SM-5K7X4 50-59 years, female 42.1
GTEX-13FTZ-2226-SM-5LZXI 60-69 years, male 42.0
GTEX-14E6E-2026-SM-664N5 30-39 years, male 42.0
GTEX-1GPI6-0326-SM-9MQM6 60-69 years, male 42.0
GTEX-QEG4-0626-SM-2S1OY 30-39 years, male 41.9
GTEX-1IL2U-0726-SM-EAZ2Y 60-69 years, male 41.9
GTEX-XGQ4-2326-SM-4AT53 50-59 years, male 41.8
GTEX-147F4-0326-SM-5TDCK 50-59 years, male 41.7
GTEX-U3ZN-2226-SM-3DB88 30-39 years, female 41.7
GTEX-X261-0326-SM-3NMD4 50-59 years, male 41.7
GTEX-16YQH-0426-SM-7KUL7 30-39 years, male 41.6
GTEX-1MCQQ-0626-SM-E9U5Q 60-69 years, male 41.6
GTEX-144GO-1326-SM-5Q5EL 60-69 years, male 41.5
GTEX-145MO-0726-SM-5NQB9 60-69 years, male 41.5
GTEX-TML8-1826-SM-32QOR 40-49 years, female 41.5
GTEX-11TUW-2526-SM-5EQKN 60-69 years, male 41.4
GTEX-139TT-0426-SM-5IJFA 60-69 years, male 41.4
GTEX-13NZA-0526-SM-5L3D7 60-69 years, male 41.4
GTEX-1A3MW-0526-SM-731BY 60-69 years, female 41.4
GTEX-ZF28-0526-SM-4WKGW 60-69 years, male 41.4
GTEX-ZF3C-0326-SM-4WWBF 50-59 years, female 41.4
GTEX-1R7EU-0626-SM-DTX9N 60-69 years, male 41.4
GTEX-13N1W-0526-SM-5MR4I 70-79 years, male 41.3
GTEX-14JG1-0126-SM-5ZZUP 40-49 years, male 41.3
GTEX-NFK9-0626-SM-2HMIV 40-49 years, male 41.3
GTEX-15SHW-0726-SM-7KUEI 60-69 years, male 41.2
GTEX-Y114-2526-SM-4TT8M 50-59 years, female 41.2
GTEX-ZVT3-0526-SM-5GIE9 60-69 years, female 41.2
GTEX-1GZ2Q-0426-SM-9WPOU 40-49 years, male 41.2
GTEX-1H3O1-0626-SM-9MQM4 60-69 years, male 41.0
GTEX-PLZ6-1526-SM-2S1OC 30-39 years, male 40.9
GTEX-QEG5-0426-SM-2I5GJ 20-29 years, male 40.9
GTEX-11EM3-2126-SM-5H11M 20-29 years, female 40.8
GTEX-13JUV-2326-SM-5IJCE 40-49 years, female 40.8
GTEX-1CAMS-0126-SM-79396 40-49 years, female 40.6
GTEX-1F75B-0526-SM-7P8T5 50-59 years, male 40.6
GTEX-1HKZK-0226-SM-9WYUG 40-49 years, male 40.6
GTEX-117YW-2426-SM-5Q5AE 50-59 years, male 40.5
GTEX-15SHV-2526-SM-6PAMG 60-69 years, male 40.5
GTEX-UPJH-0526-SM-4IHK8 50-59 years, male 40.5
GTEX-ZDXO-0326-SM-4WKHJ 60-69 years, male 40.5
GTEX-1I1GV-0126-SM-CL55G 60-69 years, male 40.5
GTEX-1LNCM-1226-SM-E9U5C 50-59 years, female 40.5
GTEX-13FH7-2126-SM-5L3DJ 50-59 years, female 40.4
GTEX-1GN1W-0726-SM-9KNTV 50-59 years, female 40.4
GTEX-1QEPI-0526-SM-E76QF 60-69 years, female 40.4
GTEX-11OF3-2526-SM-5P9JL 60-69 years, male 40.3
GTEX-1QCLZ-0326-SM-DTXG2 60-69 years, female 40.3
GTEX-11O72-0326-SM-5986D 40-49 years, male 40.2
GTEX-14PQA-0526-SM-7KUFS 50-59 years, female 40.2
GTEX-YJ8O-2826-SM-5CVM4 40-49 years, female 40.2
GTEX-RU72-1326-SM-2TF6T 50-59 years, female 40.1
GTEX-1JMQJ-0126-SM-E6CI2 50-59 years, male 40.1
GTEX-WOFM-1326-SM-3MJFR 20-29 years, male 40.0
GTEX-ZAJG-0526-SM-5S2MT 50-59 years, female 40.0
GTEX-1EX96-1526-SM-7PBXK 50-59 years, male 39.9
GTEX-1F7RK-0326-SM-7RHH7 20-29 years, female 39.9
GTEX-1HGF4-2626-SM-CM2SJ 60-69 years, male 39.9
GTEX-1OFPY-2526-SM-DTXEK 60-69 years, male 39.9
GTEX-16AAH-1826-SM-7939D 50-59 years, male 39.8
GTEX-ZDYS-1726-SM-5HL4Y 50-59 years, male 39.8
GTEX-1AX8Z-5004-SM-ARZLD 60-69 years, male 39.8
GTEX-1F48J-0526-SM-9WYSX 50-59 years, female 39.8
GTEX-1HCU9-1926-SM-9WYSE 20-29 years, male 39.8
GTEX-1QW4Y-1726-SM-EWRN1 30-39 years, male 39.8
GTEX-1BAJH-0126-SM-7DHMF 70-79 years, male 39.7
GTEX-13U4I-1826-SM-5IJD2 40-49 years, female 39.6
GTEX-1GMR2-2126-SM-7P8TX 50-59 years, male 39.6
GTEX-OIZF-1626-SM-2YUNE 60-69 years, male 39.6
GTEX-1IDJU-2426-SM-ARZM9 60-69 years, female 39.5
GTEX-11GS4-2526-SM-5A5KT 60-69 years, male 39.4
GTEX-15SKB-2526-SM-6PALP 60-69 years, male 39.4
GTEX-Q2AG-0426-SM-2S1PU 40-49 years, female 39.4
GTEX-WYVS-2326-SM-3NMAI 40-49 years, female 39.4
GTEX-1F6I4-0326-SM-7P8T8 60-69 years, male 39.4
GTEX-1314G-1726-SM-5LZUX 30-39 years, male 39.3
GTEX-R55C-1726-SM-3GADJ 40-49 years, male 39.3
GTEX-TKQ1-1426-SM-4GICK 30-39 years, male 39.3
GTEX-113JC-2726-SM-5EGIS 50-59 years, female 39.2
GTEX-131YS-0526-SM-5EGKJ 60-69 years, female 39.2
GTEX-13FTW-2326-SM-5K7YS 40-49 years, male 39.2
GTEX-14PII-0626-SM-69LPY 60-69 years, male 39.2
GTEX-1HCVE-0326-SM-CGQEW 50-59 years, male 39.2
GTEX-1QP67-1826-SM-DTX8D 40-49 years, female 39.2
GTEX-1EU9M-0126-SM-7P8P8 60-69 years, male 39.1
GTEX-ZLWG-2126-SM-DO91M 50-59 years, female 39.1
GTEX-1399T-2426-SM-5L3FJ 60-69 years, male 39.0
GTEX-13PL7-0626-SM-5IJCD 60-69 years, female 39.0
GTEX-1497J-2626-SM-5SI9K 60-69 years, male 38.9
GTEX-1HFI7-1926-SM-A96TQ 50-59 years, female 38.9
GTEX-1I1GR-0326-SM-CKZPI 60-69 years, male 38.8
GTEX-15EO6-2826-SM-6PANB 50-59 years, male 38.7
GTEX-W5WG-1926-SM-4KKZK 50-59 years, female 38.7
GTEX-1JMQL-0126-SM-CY8HN 50-59 years, female 38.7
GTEX-Y5V6-2626-SM-5IFIX 60-69 years, male 38.6
GTEX-12696-2826-SM-5FQTY 60-69 years, male 38.4
GTEX-14DAR-1826-SM-664N1 50-59 years, male 38.3
GTEX-XPVG-2526-SM-4B66D 50-59 years, male 38.2
GTEX-1CB4F-0326-SM-9MQKD 60-69 years, male 38.2
GTEX-1HT8W-0326-SM-CM2SG 30-39 years, male 38.2
GTEX-1KWVE-0926-SM-CXZKP 30-39 years, male 38.2
GTEX-11DXY-2726-SM-5GID2 60-69 years, male 38.1
GTEX-13QBU-2426-SM-5LU4L 40-49 years, female 38.1
GTEX-144GL-0326-SM-5QGOY 50-59 years, male 38.1
GTEX-O5YV-2026-SM-2D7VS 60-69 years, female 38.1
GTEX-P44H-0426-SM-2XCEZ 40-49 years, male 38.1
GTEX-QEL4-0626-SM-3GIJM 50-59 years, male 38.1
GTEX-1C6VS-0126-SM-7PC2H 60-69 years, male 38.1
GTEX-1GF9W-0526-SM-9MQJP 60-69 years, male 38.1
GTEX-1269C-2626-SM-5EQ5C 60-69 years, female 38.0
GTEX-14BIM-0326-SM-5SI9B 60-69 years, female 38.0
GTEX-ZC5H-0326-SM-5HL9F 40-49 years, female 38.0
GTEX-ZLV1-2126-SM-4WWD2 60-69 years, female 38.0
GTEX-1QMI2-0526-SM-DTXFU 60-69 years, male 38.0
GTEX-1A8G6-0126-SM-7DUFY 60-69 years, male 37.9
GTEX-OXRL-1626-SM-2YUMU 50-59 years, male 37.9
GTEX-XPT6-2026-SM-4B64V 20-29 years, male 37.9
GTEX-11PRG-0326-SM-5GU53 50-59 years, male 37.8
GTEX-11TTK-0326-SM-5BC5N 60-69 years, female 37.8
GTEX-1B996-0326-SM-7DHMU 60-69 years, male 37.8
GTEX-WZTO-0826-SM-3NM8Q 40-49 years, male 37.8
GTEX-1HBPH-0826-SM-ARZNB 40-49 years, female 37.8
GTEX-11ZUS-1426-SM-5FQSP 30-39 years, male 37.7
GTEX-148VJ-0326-SM-5QGQE 70-79 years, male 37.7
GTEX-U3ZH-1926-SM-4DXTR 30-39 years, male 37.7
GTEX-XBEW-1026-SM-4QARV 40-49 years, male 37.7
GTEX-1HR9M-0326-SM-CL549 60-69 years, male 37.7
GTEX-11TT1-2326-SM-5GU6N 20-29 years, male 37.6
GTEX-17F98-1626-SM-7938R 40-49 years, female 37.6
GTEX-18465-0326-SM-7LTAD 50-59 years, male 37.6
GTEX-1B933-0426-SM-7DHMC 50-59 years, female 37.6
GTEX-SSA3-0326-SM-32QPS 60-69 years, male 37.6
GTEX-1H3VE-0126-SM-9WYTW 40-49 years, male 37.6
GTEX-117YX-2526-SM-5EQ4Q 50-59 years, male 37.5
GTEX-1A3MX-0526-SM-718A9 60-69 years, male 37.5
GTEX-1CB4J-1226-SM-7P8P3 60-69 years, male 37.5
GTEX-1NHNU-1226-SM-DTX8I 50-59 years, male 37.5
GTEX-1H1E6-2126-SM-9KNVM 30-39 years, male 37.4
GTEX-1MCYP-2026-SM-DTXE4 20-29 years, female 37.4
GTEX-13RTL-0326-SM-7LT89 40-49 years, male 37.3
GTEX-TMZS-0326-SM-3DB9P 60-69 years, male 37.3
GTEX-X638-0326-SM-47JY1 70-79 years, female 37.3
GTEX-13CF2-2726-SM-5LZWW 60-69 years, male 37.2
GTEX-16Z82-0126-SM-7DHLF 60-69 years, male 37.2
GTEX-1JJEA-0126-SM-D3L8A 60-69 years, male 37.2
GTEX-15DCD-0626-SM-7KUG7 70-79 years, female 37.1
GTEX-1B97I-2026-SM-7DHN2 40-49 years, male 37.1
GTEX-14JG6-2126-SM-6EU2F 30-39 years, female 37.0
GTEX-1399Q-2426-SM-5J2MO 40-49 years, male 36.9
GTEX-ZYFC-0526-SM-5GIDF 50-59 years, male 36.9
GTEX-1313W-0526-SM-5P9FZ 50-59 years, female 36.8
GTEX-1445S-0626-SM-5LU3C 60-69 years, male 36.8
GTEX-QVJO-0126-SM-3GIK4 60-69 years, female 36.8
GTEX-11ZTS-0526-SM-5CVL9 60-69 years, female 36.7
GTEX-139UW-2626-SM-5K7W1 60-69 years, male 36.7
GTEX-14BMV-0326-SM-5RQHW 50-59 years, male 36.7
GTEX-S95S-1426-SM-2XCDM 60-69 years, male 36.7
GTEX-1P4AB-0326-SM-EXUT3 50-59 years, male 36.7
GTEX-13PDP-0326-SM-5K7XP 60-69 years, male 36.5
GTEX-1PBJJ-0326-SM-E8VNT 30-39 years, male 36.5
GTEX-1S82P-0326-SM-E9TIR 60-69 years, female 36.5
GTEX-11GSP-2726-SM-5A5LJ 60-69 years, female 36.4
GTEX-12WSJ-1726-SM-5LZVV 40-49 years, female 36.3
GTEX-18A7B-0326-SM-7LG65 70-79 years, male 36.3
GTEX-1ICLY-0326-SM-ARL7S 50-59 years, male 36.3
GTEX-1IDJE-2426-SM-ACKWF 50-59 years, female 36.3
GTEX-12584-0526-SM-5FQTS 40-49 years, male 36.2
GTEX-17MF6-2026-SM-7LG5I 40-49 years, male 36.2
GTEX-WY7C-2526-SM-3NB2N 50-59 years, male 36.2
GTEX-1HBPI-0226-SM-ADEJ7 50-59 years, male 36.2
GTEX-1HFI6-0426-SM-B2LXB 40-49 years, male 36.2
GTEX-ZEX8-2526-SM-DO92M 50-59 years, male 36.2
GTEX-15DDE-0526-SM-6ETZQ 50-59 years, female 36.1
GTEX-1F88F-2526-SM-7PC2R 60-69 years, female 36.1
GTEX-1GMR8-0326-SM-9KNUO 50-59 years, female 36.1
GTEX-12WSH-2526-SM-5CVNH 50-59 years, male 35.9
GTEX-SUCS-1626-SM-32PLS 70-79 years, male 35.8
GTEX-15CHQ-0726-SM-6EU18 60-69 years, male 35.6
GTEX-1JMLX-0326-SM-CM2RP 50-59 years, male 35.6
GTEX-S32W-2326-SM-2XCAW 50-59 years, female 35.5
GTEX-1IDJD-1326-SM-CM2TQ 30-39 years, male 35.5
GTEX-11P81-2526-SM-5GU6H 30-39 years, female 35.4
GTEX-14BIL-0326-SM-5SI9Q 50-59 years, male 35.4
GTEX-15CHC-2426-SM-6EU22 60-69 years, female 35.4
GTEX-11DZ1-0926-SM-5EQ5R 50-59 years, male 35.2
GTEX-N7MS-0426-SM-2YUN6 60-69 years, male 35.2
GTEX-13FHP-0526-SM-5K7UY 50-59 years, male 35.1
GTEX-13X6H-2326-SM-7EWEB 50-59 years, female 35.1
GTEX-YECK-0626-SM-4W1ZE 60-69 years, male 35.1
GTEX-1JMQI-2126-SM-CM2SC 50-59 years, male 35.1
GTEX-11ONC-2426-SM-5GU7H 60-69 years, male 35.0
GTEX-16MT8-0326-SM-6PAM5 60-69 years, female 35.0
GTEX-OOBK-1626-SM-2HMKG 40-49 years, male 35.0
GTEX-RTLS-0526-SM-2TF64 60-69 years, female 35.0
GTEX-XAJ8-1026-SM-47JY9 40-49 years, male 35.0
GTEX-Y111-0326-SM-4SOIX 50-59 years, male 35.0
GTEX-ZAB4-0426-SM-5HL7N 40-49 years, male 35.0
GTEX-1K9T9-0326-SM-EWRNQ 50-59 years, female 35.0
GTEX-1MA7W-1826-SM-DIPFP 20-29 years, female 35.0
GTEX-1117F-0426-SM-5EGHI 60-69 years, female 34.9
GTEX-13SLX-0326-SM-5Q5E4 50-59 years, female 34.9
GTEX-UJHI-1726-SM-3DB9B 50-59 years, female 34.9
GTEX-1R9PO-2426-SM-EVYBS 60-69 years, female 34.9
GTEX-13S7M-0326-SM-5S2PH 60-69 years, female 34.8
GTEX-145MI-0326-SM-5Q5EV 60-69 years, female 34.8
GTEX-ZWKS-0326-SM-5NQ7G 30-39 years, male 34.8
GTEX-1J8EW-0326-SM-CYPSX 60-69 years, female 34.8
GTEX-139D8-0726-SM-5P9GJ 30-39 years, female 34.7
GTEX-13G51-2726-SM-5LZZ9 60-69 years, male 34.7
GTEX-1LG7Y-0126-SM-E6CJ8 50-59 years, male 34.7
GTEX-WEY5-2026-SM-CYPRC 40-49 years, female 34.7
GTEX-132Q8-0626-SM-5L3F3 60-69 years, male 34.6
GTEX-15G1A-2026-SM-7KUFG 30-39 years, male 34.6
GTEX-OHPN-2726-SM-2I5H4 60-69 years, female 34.6
GTEX-RUSQ-1726-SM-2TF68 50-59 years, male 34.6
GTEX-1C6WA-0326-SM-7DUGE 60-69 years, male 34.5
GTEX-POYW-0526-SM-2XCEY 60-69 years, male 34.5
GTEX-1I1GT-0726-SM-B2LWN 60-69 years, female 34.5
GTEX-1R9JW-2426-SM-DTXFI 30-39 years, female 34.5
GTEX-1RAZR-0326-SM-EWRNM 40-49 years, male 34.3
GTEX-1F75I-0526-SM-7RHI3 40-49 years, male 34.1
GTEX-1S82Y-2226-SM-EWRNV 40-49 years, male 34.1
GTEX-131XH-2726-SM-5GCO2 50-59 years, male 34.0
GTEX-14BMU-2026-SM-5S2W6 20-29 years, female 34.0
GTEX-1KD5A-0726-SM-DIPEO 50-59 years, male 34.0
GTEX-11UD2-0326-SM-5EQLE 50-59 years, male 33.9
GTEX-132NY-0726-SM-5KLZM 60-69 years, male 33.9
GTEX-PSDG-0426-SM-5SI86 50-59 years, male 33.9
GTEX-11P7K-1926-SM-5GU6R 30-39 years, male 33.8
GTEX-QV31-1426-SM-2S1QD 30-39 years, male 33.8
GTEX-1F75W-0326-SM-7PC2Q 60-69 years, male 33.8
GTEX-1N2EF-0526-SM-E76OK 60-69 years, male 33.8
GTEX-XQ3S-0426-SM-4BOOA 20-29 years, male 33.7
GTEX-ZV6S-2126-SM-4YCEM 40-49 years, female 33.7
GTEX-1RQEC-0126-SM-E9J2H 60-69 years, male 33.7
GTEX-XYKS-2426-SM-4AT43 60-69 years, female 33.6
GTEX-12ZZZ-0226-SM-59HKU 60-69 years, male 33.5
GTEX-1399S-2726-SM-5KM22 30-39 years, female 33.5
GTEX-Y3IK-2626-SM-4WWDK 50-59 years, female 33.5
GTEX-ZV68-0526-SM-59HKI 50-59 years, female 33.5
GTEX-1GN1V-0326-SM-9WYTO 60-69 years, male 33.5
GTEX-ZPIC-2526-SM-57WDP 40-49 years, female 33.4
GTEX-1QAET-2026-SM-E9J3S 50-59 years, male 33.4
GTEX-RU1J-1726-SM-2TF5S 20-29 years, female 33.3
GTEX-X4XY-0626-SM-4E3IN 60-69 years, male 33.3
GTEX-16NPV-2426-SM-6M482 50-59 years, female 33.2
GTEX-ZVZP-2526-SM-57WBR 50-59 years, male 33.1
GTEX-12WSG-5016-SM-7SB84 50-59 years, female 33.1
GTEX-1R9K5-0326-SM-EWRNG 50-59 years, male 33.1
GTEX-14C38-0426-SM-5TDDZ 50-59 years, male 33.0
GTEX-11EMC-2626-SM-59864 60-69 years, female 32.9
GTEX-14PN4-0326-SM-6EU2N 50-59 years, male 32.9
GTEX-1GTWX-0326-SM-9WYTP 60-69 years, male 32.9
GTEX-XV7Q-2926-SM-4BRUL 40-49 years, female 32.8
GTEX-15CHR-2426-SM-7DUFX 50-59 years, male 32.7
GTEX-17EUY-0626-SM-793BE 20-29 years, male 32.7
GTEX-1I1GS-0326-SM-ARL7X 60-69 years, male 32.7
GTEX-14PJ2-0326-SM-6EU2Q 50-59 years, male 32.6
GTEX-12WSM-0326-SM-5LZVI 60-69 years, male 32.5
GTEX-18D9B-0426-SM-7LTAR 60-69 years, male 32.5
GTEX-1HB9E-0326-SM-D3LA5 50-59 years, male 32.5
GTEX-1LVA9-0326-SM-DLHBU 50-59 years, male 32.5
GTEX-147F3-0226-SM-5NQBV 50-59 years, female 32.4
GTEX-YBZK-0326-SM-59HLN 50-59 years, female 32.4
GTEX-ZE7O-0326-SM-51MTH 50-59 years, female 32.4
GTEX-QXCU-1726-SM-2TC6L 50-59 years, male 32.3
GTEX-11WQC-2626-SM-5CVLF 60-69 years, male 32.2
GTEX-16XZY-2226-SM-7938N 70-79 years, male 32.2
GTEX-1LGOU-2126-SM-DIPFG 20-29 years, female 32.2
GTEX-1R46S-0326-SM-EWRNE 60-69 years, female 32.1
GTEX-14H4A-0926-SM-5ZZUU 40-49 years, female 32.0
GTEX-15UF6-1026-SM-7KUF7 70-79 years, female 32.0
GTEX-PLZ4-0926-SM-2S1OI 50-59 years, female 32.0
GTEX-ZVZO-0326-SM-5HL4N 40-49 years, male 32.0
GTEX-13JVG-0126-SM-5L3D3 60-69 years, male 31.8
GTEX-14ASI-0526-SM-5QGQP 60-69 years, male 31.6
GTEX-132AR-1026-SM-5PNVL 50-59 years, female 31.5
GTEX-13YAN-0526-SM-5O9BE 60-69 years, male 31.5
GTEX-15UKP-0326-SM-7KUFP 20-29 years, male 31.5
GTEX-1CB4H-0426-SM-7MXTL 60-69 years, female 31.5
GTEX-T5JW-1826-SM-3GAE1 20-29 years, female 31.4
GTEX-1ICG6-2726-SM-CKZPN 70-79 years, female 31.4
GTEX-1PDJ9-0526-SM-DTXDL 20-29 years, male 31.3
GTEX-WWYW-0526-SM-3NB2W 50-59 years, female 31.2
GTEX-1PPH7-2526-SM-E76OJ 40-49 years, male 31.2
GTEX-13QIC-1226-SM-5K7YR 60-69 years, female 31.1
GTEX-WHSE-0526-SM-5GZZD 20-29 years, male 31.0
GTEX-ZTPG-0126-SM-5O9AL 20-29 years, female 31.0
GTEX-1J1OQ-0426-SM-A9SLI 40-49 years, female 31.0
GTEX-T2IS-2626-SM-32QPP 20-29 years, female 30.9
GTEX-14C39-2426-SM-5S2U5 40-49 years, male 30.6
GTEX-13O1R-0526-SM-5K7XU 60-69 years, male 30.5
GTEX-13VXT-0326-SM-5LU4U 20-29 years, female 30.5
GTEX-13FTY-0226-SM-5IJBW 40-49 years, female 30.4
GTEX-13X6I-0526-SM-5QGP8 60-69 years, male 30.4
GTEX-169BO-1526-SM-9KNVR 50-59 years, male 30.4
GTEX-1RQED-0426-SM-E6CJP 60-69 years, male 30.4
GTEX-12WSF-0926-SM-6PALU 70-79 years, male 30.2
GTEX-1HBPM-0426-SM-CKZOO 60-69 years, female 30.2
GTEX-13OVJ-0226-SM-5L3GK 50-59 years, female 30.1
GTEX-WL46-0626-SM-3LK7R 50-59 years, male 30.1
GTEX-1H2FU-0526-SM-ACKXO 60-69 years, female 30.1
GTEX-11P82-1826-SM-5PNYJ 20-29 years, male 30.0
GTEX-15RIF-2126-SM-7KUM8 20-29 years, male 30.0
GTEX-1IGQW-0526-SM-CKZO3 60-69 years, male 29.9
GTEX-YFC4-1026-SM-5RQJM 40-49 years, female 29.8
GTEX-ZY6K-2026-SM-5GZXQ 50-59 years, male 29.8
GTEX-1F88E-1826-SM-9MQLV 60-69 years, female 29.8
GTEX-13PL6-0326-SM-5IJCP 40-49 years, female 29.7
GTEX-WXYG-2526-SM-3NB3F 50-59 years, female 29.6
GTEX-15SHU-0626-SM-7KUFH 40-49 years, female 29.5
GTEX-1QP66-1626-SM-E76PC 50-59 years, male 29.5
GTEX-139TS-2626-SM-5J1MT 60-69 years, male 29.4
GTEX-RN64-0326-SM-2TC5J 50-59 years, male 29.2
GTEX-13FHO-0726-SM-5IJDG 60-69 years, male 29.0
GTEX-XUZC-2126-SM-4BRW8 30-39 years, female 28.9
GTEX-ZYY3-0526-SM-5E45G 60-69 years, female 28.9
GTEX-1IL2V-0526-SM-ARL8B 70-79 years, male 28.9
GTEX-R3RS-0526-SM-3GADG 40-49 years, female 28.8
GTEX-YB5E-2226-SM-5IFJ5 40-49 years, male 28.8
GTEX-139YR-2526-SM-5IJC6 50-59 years, male 28.6
GTEX-14PJ3-2026-SM-5ZZVK 50-59 years, male 28.6
GTEX-1339X-2426-SM-5KLYU 40-49 years, male 28.5
GTEX-13O3Q-2726-SM-5KM51 50-59 years, male 28.5
GTEX-ZYFD-0326-SM-5NQ8I 50-59 years, male 28.5
GTEX-13IVO-0626-SM-5LZYJ 70-79 years, male 28.3
GTEX-1LSNM-2326-SM-EWRO8 50-59 years, male 28.3
GTEX-13SLW-0326-SM-5RQK5 70-79 years, male 28.0
GTEX-1JN1M-0526-SM-CJI3D 60-69 years, female 28.0
GTEX-WOFL-0626-SM-3MJG3 60-69 years, male 27.6
GTEX-1F5PK-2626-SM-7RHH6 50-59 years, male 27.6
GTEX-1128S-2426-SM-5H11B 60-69 years, female 27.5
GTEX-1M4P7-0126-SM-DKPQF 60-69 years, male 27.5
GTEX-13X6K-0326-SM-5Q5D6 60-69 years, female 27.2
GTEX-U412-0326-SM-3DB9L 60-69 years, male 27.2
GTEX-Y5LM-2126-SM-4VDSY 40-49 years, female 27.2
GTEX-1LVAO-0526-SM-EWRNS 60-69 years, male 27.2
GTEX-1PWST-0426-SM-E76QV 70-79 years, male 27.1
GTEX-13NYB-2726-SM-5J2MT 40-49 years, male 27.0
GTEX-1CAMQ-0326-SM-7MXUI 40-49 years, male 27.0
GTEX-1IDJV-0426-SM-COH3Z 60-69 years, male 27.0
GTEX-1PPH8-0326-SM-E76PR 20-29 years, male 27.0
GTEX-111FC-0326-SM-5GZZ1 60-69 years, male 26.8
GTEX-12WSA-0726-SM-5FQU2 60-69 years, male 26.6
GTEX-15G19-0526-SM-6PAMT 60-69 years, male 26.5
GTEX-13W3W-2626-SM-5SIA2 60-69 years, female 26.4
GTEX-QDVN-2426-SM-2S1Q4 50-59 years, male 26.4
GTEX-17F97-0526-SM-7DUF8 50-59 years, male 26.3
GTEX-1R7EV-2026-SM-DTX83 40-49 years, male 26.3
GTEX-146FQ-0326-SM-5NQAX 30-39 years, male 26.2
GTEX-1CAV2-2426-SM-7P8QF 40-49 years, female 26.2
GTEX-11ZU8-2326-SM-5EQMJ 60-69 years, male 26.1
GTEX-13RTJ-2726-SM-73KVG 60-69 years, male 26.1
GTEX-14A5H-0326-SM-5RQIB 60-69 years, male 26.1
GTEX-ZQG8-1226-SM-51MRX 60-69 years, female 26.1
GTEX-ZP4G-2026-SM-57WEH 20-29 years, female 25.8
GTEX-1K2DU-2526-SM-D3L8V 20-29 years, male 25.8
GTEX-1JMPZ-0126-SM-CNPOZ 30-39 years, male 25.7
GTEX-1N2DW-0426-SM-E9TK4 50-59 years, male 25.7
GTEX-XQ8I-0626-SM-4BOPT 50-59 years, male 25.6
GTEX-1477Z-1626-SM-5SIA8 60-69 years, male 25.5
GTEX-X88G-0326-SM-47JZ4 30-39 years, male 25.4
GTEX-1H23P-0526-SM-9WG6S 60-69 years, male 25.4
GTEX-1C6VQ-0326-SM-7DHMS 50-59 years, male 25.3
GTEX-R55G-2326-SM-2TC61 40-49 years, female 25.2
GTEX-1LC47-0626-SM-DIPFE 60-69 years, male 24.9
GTEX-T5JC-0626-SM-3NMA6 20-29 years, male 24.8
GTEX-XMD2-0526-SM-4YCDI 60-69 years, female 24.8
GTEX-ZYW4-0526-SM-5GZZ5 60-69 years, male 24.8
GTEX-1EH9U-0326-SM-7P8S2 60-69 years, male 24.8
GTEX-SE5C-1826-SM-2XCE4 40-49 years, female 24.7
GTEX-XMD1-0626-SM-EZ6MC 60-69 years, male 24.6
GTEX-1KANB-0126-SM-E6CJT 50-59 years, male 24.4
GTEX-QDT8-0526-SM-3NMD8 30-39 years, female 24.3
GTEX-OXRO-1726-SM-3LK6C 60-69 years, female 24.2
GTEX-1HSMO-0526-SM-ACKXB 60-69 years, male 24.2
GTEX-11UD1-0326-SM-5EQKX 40-49 years, female 24.1
GTEX-1IDFM-1526-SM-ARL7U 60-69 years, male 24.0
GTEX-139T4-0326-SM-5K7XN 50-59 years, female 23.9
GTEX-11H98-0326-SM-5HL4S 50-59 years, male 23.8
GTEX-OXRN-1326-SM-3LK5V 50-59 years, male 23.8
GTEX-P4PP-1626-SM-2HMJF 30-39 years, female 23.8
GTEX-ZE9C-2326-SM-5J1NT 60-69 years, male 23.8
GTEX-147GR-0126-SM-62LER 60-69 years, male 23.4
GTEX-1H1ZS-0626-SM-CNPPU 70-79 years, male 23.1
GTEX-1O9I2-0526-SM-EYYXI 50-59 years, male 23.0
GTEX-17EVQ-1226-SM-7LG59 70-79 years, male 22.7
GTEX-183WM-0426-SM-731B1 70-79 years, female 22.7
GTEX-ZZPT-0626-SM-5GZXT 50-59 years, male 22.5
GTEX-WWTW-0626-SM-4MVNS 50-59 years, male 22.3
GTEX-1JMQK-0326-SM-ARZN5 60-69 years, male 22.2
GTEX-1R9K4-0626-SM-E76OZ 60-69 years, male 22.2
GTEX-14PJO-0526-SM-6EU2O 60-69 years, male 21.9
GTEX-144FL-0326-SM-5O99O 50-59 years, male 21.8
GTEX-U3ZG-0326-SM-47JXN 50-59 years, male 21.6
GTEX-1ICLZ-0626-SM-ARL83 60-69 years, male 21.4
GTEX-13113-5019-SM-7EPH2 60-69 years, female 21.0
GTEX-13PLJ-0326-SM-5L3I7 60-69 years, female 20.9
GTEX-P4PQ-1626-SM-2HMKK 60-69 years, male 19.2
GTEX-145LV-2326-SM-5LU8Z 50-59 years, male 18.3
GTEX-13NYC-0726-SM-5J2NQ 60-69 years, male 18.0
GTEX-1QPFJ-0326-SM-E8VO2 30-39 years, female 17.5
GTEX-Y8E5-0326-SM-57WBM 60-69 years, male 17.1
GTEX-1H4P4-0626-SM-9YFKZ 50-59 years, male 17.0
GTEX-QVUS-0226-SM-3GIJY 60-69 years, female 15.9
GTEX-14XAO-2226-SM-6LLHU 60-69 years, female 14.5
GTEX-1HC8U-2626-SM-CNPPH 40-49 years, female 14.0
Show allShow less

SKELETAL MUSCLE - FANTOM5 CAGEi

RNA expression in human tissues obtained through Cap Analysis of Gene Expression (CAGE) generated by the FANTOM5 project are reported as Scaled Tags Per Million.

Max subtype Scaled Tags Per Millioni

Max subtype Scaled Tags Per Million is the value for the subtype with the largest average Scaled Tags Per Million across the subtype samples.

216.7
FANTOM5 sample id Sample description Scaled Tags Per Million
Skeletal muscle
Scaled Tags Per Million: 168.7
FF:10023-101D5 55,79,79 years, mixed 168.7
Skeletal muscle - soleus muscle
Scaled Tags Per Million: 216.7
FF:10282-104F3 male 216.7

Contact

  • NEWS ARTICLES
  • PRESS ROOM

The Project

  • INTRODUCTION
  • ORGANIZATION
  • PUBLICATIONS

The Human Protein Atlas

  • DOWNLOADABLE DATA
  • LICENCE & CITATION
  • HELP & FAQ
The Human Protein Atlas project is funded
by the Knut & Alice Wallenberg Foundation.


contact@proteinatlas.org