We use cookies to enhance the usability of our website. If you continue, we'll assume that you are happy to receive all cookies. More information. Don't show this again.
KAT14
HPA
RESOURCES
  • TISSUE
  • BRAIN
  • SINGLE CELL
  • SUBCELLULAR
  • CANCER
  • BLOOD
  • CELL LINE
  • STRUCTURE & INTERACTION
ABOUT
  • INTRODUCTION
  • HISTORY
  • ORGANIZATION
  • PUBLICATIONS
  • ANTIBODY SUBMISSION
  • ANTIBODY AVAILABILITY
  • ACKNOWLEDGMENTS
  • CONTACT
NEWS
  • NEWS ARTICLES
  • PRESS ROOM
LEARN
  • DICTIONARY
  • PROTEIN CLASSES
  • PROTEIN EVIDENCE
  • METHODS
  • EDUCATIONAL VIDEOS
DATA
  • DOWNLOADABLE DATA
  • PUBLICATION DATA
  • RELEASE HISTORY
HELP
  • ANTIBODY VALIDATION
  • ASSAYS & ANNOTATION
  • DISCLAIMER
  • HELP & FAQ
  • PRIVACY STATEMENT
  • LICENCE & CITATION
Fields »
Search result

Field
Term
Gene name
Class
Subclass
Class
Keyword
Chromosome
External id
Tissue
Cell type
Expression
Antibody panel
Tissue
Main location
Patient ID
Annotation
Tissue
Category
Tau score
Cluster
Reliability
Brain region
Category
Tau score
Brain region
Category
Tau score
Brain region
Category
Tau score
Cluster
Reliability
Tissue
Cell type
Enrichment
Cell type
Category
Tau score
Cell type
Category
Tau score
Cell type
Category
Tau score
Cell lineage
Category
Tau score
Cluster
Cluster
Location
Searches
Location
Cell line
Class
Type
Phase
Reliability
Cancer
Prognosis
Cancer
Category
Cancer
Category
Tau score
Cluster
Variants
Interacting gene (ensg_id)
Type
Number of interactions
Pathway
Category
Score
Score
Score
Validation
Validation
Validation
Validation
Antibodies
Data type
Column


  • SUMMARY

  • TISSUE

  • BRAIN

  • SINGLE CELL

  • SUBCELL

  • CANCER

  • BLOOD

  • CELL LINE

  • STRUCT & INT

  • KAT14
TISSUE PRIMARY DATA SKIN Show tissue menu
ADIPOSE TISSUE ADRENAL GLAND AMYGDALA APPENDIX BASAL GANGLIA BONE MARROW BREAST BRONCHUS CEREBELLUM CEREBRAL CORTEX CERVIX CHOROID PLEXUS COLON DUODENUM
ENDOMETRIUM EPIDIDYMIS ESOPHAGUS FALLOPIAN TUBE GALLBLADDER HEART MUSCLE HIPPOCAMPAL FORMATION HYPOTHALAMUS KIDNEY LIVER LUNG LYMPH NODE MIDBRAIN NASOPHARYNX
ORAL MUCOSA OVARY PANCREAS PARATHYROID GLAND PITUITARY GLAND PLACENTA PROSTATE RECTUM RETINA SALIVARY GLAND SEMINAL VESICLE SKELETAL MUSCLE SKIN SMALL INTESTINE
SMOOTH MUSCLE SOFT TISSUE SPINAL CORD SPLEEN STOMACH TESTIS THYMUS THYROID GLAND TONGUE TONSIL URINARY BLADDER VAGINA
ANTIBODIES
AND
VALIDATION
Dictionary
Skin
Tissue proteome
Skin
SKIN - Expression summary
Protein expression
Skini

On the top, protein expression in current human tissue, based on all annotated cell types, is reported with the units not detected (n), low (l), medium (m) and high (h). Underneath, protein expression in each annotated cell type are reported using the same units.

Protein expression data is based on knowledge-based annotation. For genes where more than one antibody has been used, a collective score is set.

If knowledge-based annotation could not be performed for a gene, no data is displayed here. View antibody staining data further down this page.

h
m
l
n
Epidermal cells: Medium
Fibroblasts: Not detected
Keratinocytes: High
Langerhans: Not detected
Melanocytes: Not detected
RNA expressioni

A summary of mRNA expression data available for current tissue based on several datasets. The mRNA expression levels in human tissues are based on RNA-seq data generated by the Human Protein Atlas (HPA), Genotype-Tissue Expression (GTEx) portal and CAGE data generated by the FANTOM5 consortium. Consensus normalized expression levels for human tissues was created by combining the data from HPA and GTEx datasets.

The mRNA expression levels in pig are based on RNA-seq data generated by the Human Protein Atlas (HPA), and for mouse, HPA data and in situ hybridization generated by the Allen brain atlas are reported.

Scroll down to view mRNA expression data in more detail.
Consensus:9.7 nTPM
HPA:9.7 nTPM
GTEx:9.6 nTPM

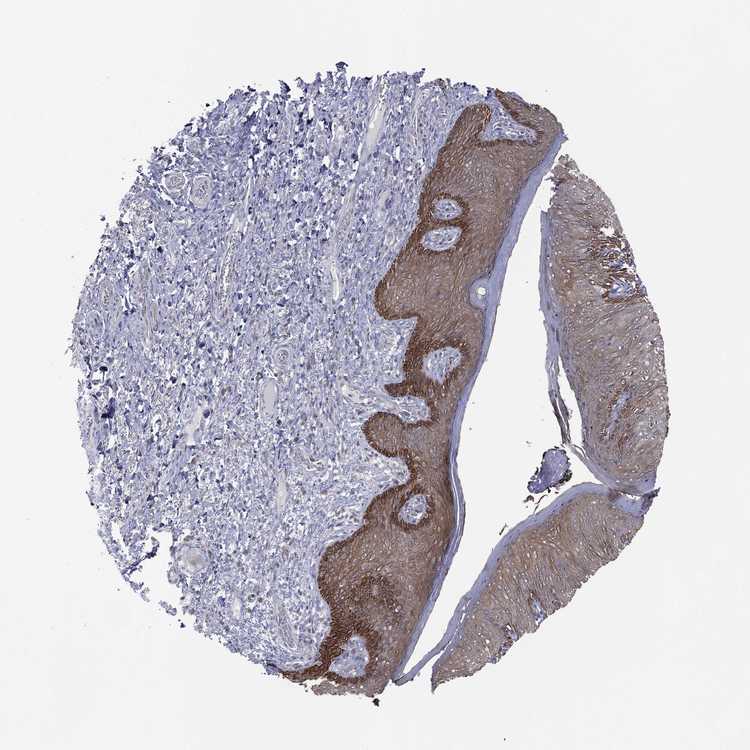
SKIN 1 - Antibody stainingi

Antibody staining in the annotated cell types in the current human tissue is reported as not detected, low, medium, or high, based on conventional immunohistochemistry profiling in selected tissues. This score is based on the combination of the staining intensity and fraction of stained cells.

Each image is clickable and will lead to virtual microscopy that enables deeper exploration of all samples and also displays staining intensity scores, fraction scores and subcellular localization as well as patient and tissue information for each sample.

Antibody HPA068443
Langerhans Not detected
Fibroblasts Not detected
Keratinocytes High
Melanocytes Not detected


SKIN 2 - Antibody stainingi

Antibody staining in the annotated cell types in the current human tissue is reported as not detected, low, medium, or high, based on conventional immunohistochemistry profiling in selected tissues. This score is based on the combination of the staining intensity and fraction of stained cells.

Each image is clickable and will lead to virtual microscopy that enables deeper exploration of all samples and also displays staining intensity scores, fraction scores and subcellular localization as well as patient and tissue information for each sample.

Antibody HPA068443
Epidermal cells Medium
 
 
 



SKIN - HPA RNA-seqi

The RNA-seq details section shows detailed information about the individual samples used for the transcript profiling and results of the RNA-seq analysis.

Information about each individual sample is listed below, including gender, age, a tissue section image and estimated fractions of cell types. nTPM (normalized transcripts per million) values give a quantification of the gene abundance which is comparable between different genes and samples.
Average nTPMi

Max subtype nTPM is the value for the subtype with the largest average nTPM across the subtype samples.

9.7
overview
Female, age 34
Skin sample 225
nTPM: 10.9
Cell types%
Keratinocytes:
60

Other cell types:
40

overview
Female, age 30
Skin sample 226
nTPM: 10
Cell types%
Keratinocytes:
55

Other cell types:
45

N/A
Male, age 57
Skin sample 227
nTPM: 8.1

SKIN - GTEx RNA-seqi

RNA-Seq data generated by the Genotype-Tissue Expression (GTEx) project from human tissues is reported as mean nTPM. More information can be found on the GTEx portal.

Distribution across the dataset is visualized with box plots, shown as median and 25th and 75th percentiles. Points are displayed as outliers if they are above or below 1.5 times the interquartile range. nTPM values of the individual samples are presented next to the box plot.
Max subtype nTPMi

Max subtype nTPM is the value for the subtype with the largest average nTPM across the subtype samples.

9.6
GTEx sample id Sample description nTPM
Skin - Not Sun Exposed (Suprapubic)
Average nTPM: 9.6
Samples: 604

Max nTPM: 19.6
Min nTPM: 2.8
Std nTPM: 2.2
Median nTPM: 9.5
GTEX-1B8L1-2226-SM-7P8PT 60-69 years, male 19.6
GTEX-1GN73-0726-SM-7P8TJ 60-69 years, male 18.6
GTEX-1IKJJ-2226-SM-CJI4C 60-69 years, male 17.4
GTEX-Y111-0626-SM-4SOIT 50-59 years, male 16.6
GTEX-ZTX8-1326-SM-4YCEL 20-29 years, male 15.5
GTEX-1JJEA-1826-SM-ARU8P 60-69 years, male 15.4
GTEX-13FTY-2126-SM-5IFFB 40-49 years, female 15.2
GTEX-1MCC2-1826-SM-DIPEX 30-39 years, female 14.8
GTEX-1HCUA-0826-SM-ADEHM 50-59 years, female 14.5
GTEX-1LSVX-2526-SM-DIPEU 60-69 years, male 14.5
GTEX-11WQC-1826-SM-5GU59 60-69 years, male 14.4
GTEX-13X6J-0626-SM-5LU5F 50-59 years, male 14.3
GTEX-11DXY-0126-SM-5H11Q 60-69 years, male 14.2
GTEX-ZTTD-2826-SM-4YCFA 50-59 years, male 14.2
GTEX-14PJN-1826-SM-6AJ98 30-39 years, male 14.1
GTEX-1HSKV-1226-SM-ADEI4 60-69 years, male 14.0
GTEX-12WSM-1926-SM-5BC65 60-69 years, male 13.8
GTEX-14C39-1726-SM-5RQIL 40-49 years, male 13.7
GTEX-13112-0126-SM-5P9IU 50-59 years, male 13.6
GTEX-12ZZY-0726-SM-5EQ66 60-69 years, male 13.5
GTEX-1BAJH-2426-SM-7IGP8 70-79 years, male 13.5
GTEX-1H3O1-1326-SM-9MQLD 60-69 years, male 13.5
GTEX-1I1GT-1026-SM-ARZLV 60-69 years, female 13.5
GTEX-1HB9E-0126-SM-CM2S5 50-59 years, male 13.4
GTEX-13OW6-2726-SM-5J2OE 50-59 years, male 13.3
GTEX-1EU9M-1426-SM-793AI 60-69 years, male 13.3
GTEX-XQ3S-1426-SM-4BOPR 20-29 years, male 13.3
GTEX-1HSMQ-2626-SM-A9SML 50-59 years, male 13.3
GTEX-12WSD-0626-SM-5GCMW 60-69 years, female 13.2
GTEX-1313W-0626-SM-5EQ4H 50-59 years, female 13.2
GTEX-15RIG-0726-SM-7KUM7 40-49 years, male 13.2
GTEX-1HR9M-2226-SM-CNPPY 60-69 years, male 13.2
GTEX-1IKOE-1426-SM-CE6T7 30-39 years, female 13.2
GTEX-1PDJ9-1226-SM-EXUSX 20-29 years, male 13.2
GTEX-131XF-2626-SM-5EQ6K 60-69 years, male 13.1
GTEX-13FLV-0126-SM-5K7WT 50-59 years, male 13.1
GTEX-17KNJ-2126-SM-718AM 50-59 years, male 13.1
GTEX-18D9U-0126-SM-731BM 40-49 years, male 13.1
GTEX-1HBPN-0126-SM-CGQEF 50-59 years, male 13.1
GTEX-1N2DV-1526-SM-DTXEP 40-49 years, male 13.1
GTEX-11NUK-2726-SM-5A5MC 50-59 years, male 13.0
GTEX-145MH-2826-SM-5RQJF 50-59 years, male 13.0
GTEX-17HHY-0426-SM-7DHLC 50-59 years, male 13.0
GTEX-1B8SF-0126-SM-7DUG3 60-69 years, male 13.0
GTEX-1GZ4I-2626-SM-9KNU3 50-59 years, male 13.0
GTEX-11PRG-0726-SM-5EGL1 50-59 years, male 12.9
GTEX-147GR-2426-SM-5ZZWQ 60-69 years, male 12.9
GTEX-1122O-1026-SM-9WYSF 60-69 years, female 12.9
GTEX-1PBJJ-1026-SM-E76OS 30-39 years, male 12.9
GTEX-111VG-1626-SM-5EGIO 60-69 years, male 12.8
GTEX-WHSB-1326-SM-3LK6W 50-59 years, male 12.8
GTEX-1EMGI-2326-SM-7PBYA 60-69 years, male 12.8
GTEX-1IDJH-0126-SM-D3L92 70-79 years, male 12.8
GTEX-1M4P7-0726-SM-E6CJ3 60-69 years, male 12.8
GTEX-1RAZS-2526-SM-E6CHT 50-59 years, male 12.8
GTEX-1EN7A-2426-SM-793DB 40-49 years, male 12.7
GTEX-WRHU-2826-SM-3MJG8 50-59 years, female 12.7
GTEX-1H11D-1826-SM-9QEHM 40-49 years, male 12.7
GTEX-1QMI2-2526-SM-E8VNZ 60-69 years, male 12.7
GTEX-131XH-0126-SM-5LZUY 50-59 years, male 12.6
GTEX-ZPCL-1126-SM-4WWFE 60-69 years, female 12.6
GTEX-ZYT6-2326-SM-5GZY3 30-39 years, male 12.6
GTEX-1J8EW-2726-SM-CY8HR 60-69 years, female 12.6
GTEX-1LB8K-0726-SM-D5OV2 50-59 years, male 12.6
GTEX-1212Z-0126-SM-59HK4 60-69 years, male 12.5
GTEX-1GF9V-0826-SM-9KNUV 60-69 years, male 12.5
GTEX-1C6VQ-1226-SM-73KYD 50-59 years, male 12.4
GTEX-UPK5-0426-SM-3GAEK 40-49 years, male 12.4
GTEX-ZVZP-1226-SM-5GID7 50-59 years, male 12.4
GTEX-1F88F-0126-SM-9WYSZ 60-69 years, female 12.4
GTEX-1JMQJ-0826-SM-CNPP7 50-59 years, male 12.4
GTEX-11DXZ-2026-SM-5987S 50-59 years, male 12.3
GTEX-1399Q-2326-SM-5KM2X 40-49 years, male 12.3
GTEX-1497J-0226-SM-5QGPU 60-69 years, male 12.3
GTEX-1QP28-1126-SM-EVYC4 50-59 years, female 12.3
GTEX-1EKGG-0626-SM-7DUGJ 60-69 years, male 12.2
GTEX-VJYA-1526-SM-3GIJV 60-69 years, male 12.2
GTEX-WY7C-2126-SM-3NB2R 50-59 years, male 12.2
GTEX-1E2YA-2126-SM-7MXUO 50-59 years, male 12.2
GTEX-1JMPY-0226-SM-CKZOK 30-39 years, male 12.2
GTEX-1399U-1126-SM-5L3DB 50-59 years, female 12.1
GTEX-13O3Q-0126-SM-5KM34 50-59 years, male 12.1
GTEX-YECK-0326-SM-4W1YS 60-69 years, male 12.1
GTEX-1GMRU-2126-SM-7P8RA 50-59 years, male 12.1
GTEX-1PPGY-1626-SM-EVYBL 60-69 years, male 12.1
GTEX-13FTX-1526-SM-5K7VJ 20-29 years, female 12.0
GTEX-1OJC3-1226-SM-DTXER 20-29 years, male 12.0
GTEX-1B97I-0626-SM-73KUZ 40-49 years, male 11.9
GTEX-XBEW-1126-SM-4QARW 40-49 years, male 11.9
GTEX-1GN2E-0226-SM-9WG6K 60-69 years, male 11.9
GTEX-1JMLX-0626-SM-ARL8T 50-59 years, male 11.9
GTEX-1JN1M-2726-SM-CY8I4 60-69 years, female 11.8
GTEX-1269C-0126-SM-5EQ5L 60-69 years, female 11.7
GTEX-13X6H-0926-SM-5SIB2 50-59 years, female 11.7
GTEX-17EVP-2626-SM-7IGMA 40-49 years, male 11.7
GTEX-X5EB-1926-SM-4E3IW 40-49 years, male 11.7
GTEX-Y3I4-1726-SM-4TT89 50-59 years, male 11.7
GTEX-1C64N-2626-SM-7PC2N 50-59 years, male 11.7
GTEX-1CAMQ-1326-SM-7P8RV 40-49 years, male 11.7
GTEX-1GPI6-1926-SM-9KNV7 60-69 years, male 11.7
GTEX-1GZ4H-0526-SM-9KNU9 50-59 years, female 11.7
GTEX-1KWVE-1026-SM-D3L9O 30-39 years, male 11.7
GTEX-1S82U-1026-SM-E6CJK 30-39 years, female 11.7
GTEX-14PHY-1226-SM-5ZZWK 60-69 years, female 11.6
GTEX-Y114-2126-SM-4TT8B 50-59 years, female 11.6
GTEX-1LG7Y-2526-SM-EWRO7 50-59 years, male 11.6
GTEX-1LSNL-2726-SM-E9TKJ 50-59 years, male 11.6
GTEX-1QCLY-0226-SM-EWRNH 30-39 years, male 11.6
GTEX-1QP2A-1726-SM-E76QC 50-59 years, male 11.6
GTEX-13SLW-0626-SM-5Q5ER 70-79 years, male 11.5
GTEX-14LLW-2626-SM-62LDZ 70-79 years, female 11.5
GTEX-1F75A-0726-SM-7RHHD 50-59 years, male 11.5
GTEX-1HCU6-2526-SM-ADEHL 60-69 years, female 11.5
GTEX-1RAZQ-1326-SM-E9TK6 30-39 years, male 11.5
GTEX-131XG-0326-SM-5L3DX 50-59 years, female 11.4
GTEX-13QJC-0126-SM-5ZZWJ 60-69 years, female 11.4
GTEX-147F4-0726-SM-5TDDD 50-59 years, male 11.4
GTEX-14PJ5-1526-SM-6LLIL 60-69 years, female 11.4
GTEX-18A67-1626-SM-7LT9T 50-59 years, male 11.4
GTEX-1B8KZ-0326-SM-73KY4 50-59 years, male 11.4
GTEX-1HSGN-0826-SM-ACKW3 40-49 years, female 11.4
GTEX-12C56-1526-SM-5FQUQ 20-29 years, male 11.3
GTEX-12ZZX-2426-SM-5GCOE 40-49 years, female 11.3
GTEX-13FHO-0426-SM-5L3F5 60-69 years, male 11.3
GTEX-145LU-1926-SM-79OJN 50-59 years, male 11.3
GTEX-1JK1U-0226-SM-ARZMX 60-69 years, male 11.3
GTEX-111YS-1526-SM-5GZYW 60-69 years, male 11.2
GTEX-13VXU-0626-SM-5L3F9 50-59 years, male 11.2
GTEX-18A6Q-0626-SM-7KFRP 60-69 years, male 11.2
GTEX-WEY5-2326-SM-3GIKK 40-49 years, female 11.2
GTEX-WXYG-2026-SM-4E3IY 50-59 years, female 11.2
GTEX-1KANB-2826-SM-CY8I6 50-59 years, male 11.2
GTEX-11OF3-0126-SM-5PNYF 60-69 years, male 11.1
GTEX-11ZUS-2626-SM-5FQUR 30-39 years, male 11.1
GTEX-13OW7-0426-SM-5K7VK 50-59 years, male 11.1
GTEX-14A6H-2026-SM-5Q5DD 30-39 years, male 11.1
GTEX-UPJH-0226-SM-3GADV 50-59 years, male 11.1
GTEX-1N2EE-0626-SM-E76PW 60-69 years, male 11.1
GTEX-131XW-0626-SM-5PNVD 50-59 years, female 11.0
GTEX-13NYB-0126-SM-5J1MD 40-49 years, male 11.0
GTEX-148VJ-0626-SM-5LUAW 70-79 years, male 11.0
GTEX-1IY9M-2826-SM-ARU8H 60-69 years, male 11.0
GTEX-1QW4Y-1126-SM-DTXE3 30-39 years, male 11.0
GTEX-11ZU8-0126-SM-5EQ58 60-69 years, male 10.9
GTEX-139TS-2126-SM-5K7XC 60-69 years, male 10.9
GTEX-1A3MV-1826-SM-731CD 30-39 years, male 10.9
GTEX-1CB4E-0926-SM-7EPHT 60-69 years, male 10.9
GTEX-XAJ8-1426-SM-47JYM 40-49 years, male 10.9
GTEX-XOT4-0626-SM-4B66L 60-69 years, female 10.9
GTEX-ZF29-0926-SM-4WKFZ 60-69 years, female 10.9
GTEX-ZWKS-0626-SM-5GIDV 30-39 years, male 10.9
GTEX-1HBPI-2126-SM-ARL9K 50-59 years, male 10.9
GTEX-1R9PN-0426-SM-DTXDT 40-49 years, female 10.9
GTEX-17F96-0126-SM-7EWDU 70-79 years, male 10.8
GTEX-1EWIQ-0326-SM-7DHMQ 70-79 years, female 10.8
GTEX-ZDTT-0426-SM-4WKFL 60-69 years, male 10.8
GTEX-1OJC4-2726-SM-E76PJ 50-59 years, female 10.8
GTEX-1R7EU-1626-SM-DTXG3 60-69 years, male 10.8
GTEX-1S83E-1326-SM-E6CJM 40-49 years, male 10.8
GTEX-ZF3C-0626-SM-DO92O 50-59 years, female 10.8
GTEX-13G51-1826-SM-5KLZH 60-69 years, male 10.7
GTEX-14E6E-0526-SM-793DN 30-39 years, male 10.7
GTEX-14JG1-1526-SM-5YY9X 40-49 years, male 10.7
GTEX-16YQH-2226-SM-7IGM2 30-39 years, male 10.7
GTEX-18A7A-0126-SM-731AH 50-59 years, female 10.7
GTEX-1C2JI-1026-SM-73KY1 50-59 years, male 10.7
GTEX-11P82-1426-SM-DTXFY 20-29 years, male 10.7
GTEX-1GL5R-1326-SM-7RHHF 50-59 years, male 10.7
GTEX-1I1HK-2326-SM-CKZOH 60-69 years, male 10.7
GTEX-1QPFJ-1926-SM-EVYBD 30-39 years, female 10.7
GTEX-12WSH-1526-SM-5BC5W 50-59 years, male 10.6
GTEX-15EU6-2226-SM-6EU2L 50-59 years, male 10.6
GTEX-16AAH-0626-SM-793C9 50-59 years, male 10.6
GTEX-18QFQ-1826-SM-72D52 30-39 years, male 10.6
GTEX-1CB4J-1326-SM-7P8RX 60-69 years, male 10.6
GTEX-1IOXB-2726-SM-CM2RI 50-59 years, male 10.6
GTEX-12126-0826-SM-5FQTZ 20-29 years, male 10.5
GTEX-13RTJ-0126-SM-5S2NN 60-69 years, male 10.5
GTEX-14PHX-2226-SM-6EU2P 50-59 years, male 10.5
GTEX-15RIE-1926-SM-7KUKJ 60-69 years, male 10.5
GTEX-1EX96-1026-SM-7MKG2 50-59 years, male 10.5
GTEX-WFG7-2026-SM-5SI7P 20-29 years, male 10.5
GTEX-XXEK-1626-SM-4BRUZ 50-59 years, male 10.5
GTEX-YFCO-1226-SM-5LUAT 40-49 years, male 10.5
GTEX-1AYD5-2626-SM-7PBXY 50-59 years, male 10.5
GTEX-1CAMS-2226-SM-7PBXQ 40-49 years, female 10.5
GTEX-1H1DE-1326-SM-9KNUG 20-29 years, male 10.5
GTEX-1KXAM-1626-SM-D3LAD 60-69 years, male 10.5
GTEX-1LVAM-0726-SM-E6CIL 50-59 years, female 10.5
GTEX-1MCYP-0526-SM-E9U6Q 20-29 years, female 10.5
GTEX-1PIIG-2326-SM-DTXFR 30-39 years, male 10.5
GTEX-11DYG-1526-SM-5A5JS 60-69 years, male 10.4
GTEX-13X6I-1826-SM-5SIAO 60-69 years, male 10.4
GTEX-17HII-1426-SM-7EPGG 50-59 years, male 10.4
GTEX-V1D1-2026-SM-3GAF4 50-59 years, male 10.4
GTEX-ZAK1-0626-SM-5HL8E 50-59 years, female 10.4
GTEX-14JFF-0626-SM-5ZZVT 60-69 years, male 10.4
GTEX-1GN1W-2426-SM-9KNUU 50-59 years, female 10.4
GTEX-1MJK3-0726-SM-E6CJC 20-29 years, male 10.4
GTEX-13OVH-0526-SM-5L3E6 70-79 years, male 10.3
GTEX-147F3-1726-SM-5SIAW 50-59 years, female 10.3
GTEX-15G19-2426-SM-7KUMR 60-69 years, male 10.3
GTEX-17MFQ-1526-SM-7KFRR 20-29 years, male 10.3
GTEX-ZDYS-2426-SM-4WKGI 50-59 years, male 10.3
GTEX-ZVT2-0126-SM-5GIDQ 50-59 years, female 10.3
GTEX-ZYVF-0926-SM-5E44J 50-59 years, female 10.3
GTEX-1GN1V-2826-SM-9JGIA 60-69 years, male 10.3
GTEX-1LVAN-0626-SM-CNPOQ 50-59 years, female 10.3
GTEX-13OW8-1026-SM-5J1NQ 60-69 years, male 10.2
GTEX-14BIN-1126-SM-5RQJZ 50-59 years, female 10.2
GTEX-14PII-0726-SM-6EU2B 60-69 years, male 10.2
GTEX-15DYW-2726-SM-6EU2I 60-69 years, female 10.2
GTEX-W5X1-2526-SM-3GILC 40-49 years, female 10.2
GTEX-X585-2426-SM-46MW2 50-59 years, male 10.2
GTEX-ZVT4-2426-SM-5GIEI 50-59 years, female 10.2
GTEX-1A8FM-0626-SM-7PC25 50-59 years, female 10.2
GTEX-1K9T9-1526-SM-DIPFR 50-59 years, female 10.2
GTEX-1KD5A-0126-SM-E9U54 50-59 years, male 10.2
GTEX-1S82P-2126-SM-E6CI5 60-69 years, female 10.2
GTEX-11GS4-0226-SM-5HL77 60-69 years, male 10.1
GTEX-11GSP-2326-SM-5HL63 60-69 years, female 10.1
GTEX-11P81-2226-SM-5PNYI 30-39 years, female 10.1
GTEX-13FTW-0326-SM-5K7UW 40-49 years, male 10.1
GTEX-13SLX-2226-SM-62LEP 50-59 years, female 10.1
GTEX-145MN-1526-SM-5SI9T 30-39 years, male 10.1
GTEX-14C5O-0326-SM-5ZZUX 60-69 years, male 10.1
GTEX-14PJ3-1126-SM-5ZZVX 50-59 years, male 10.1
GTEX-14PKU-0126-SM-6LLHV 40-49 years, female 10.1
GTEX-1A8G6-2726-SM-731AR 60-69 years, male 10.1
GTEX-X4EO-2926-SM-4E3JH 60-69 years, female 10.1
GTEX-XBED-1926-SM-47JYP 60-69 years, male 10.1
GTEX-ZA64-1026-SM-5HL8R 20-29 years, male 10.1
GTEX-ZE9C-2526-SM-5IJDR 60-69 years, male 10.1
GTEX-1C6VR-0126-SM-7RHGB 60-69 years, male 10.1
GTEX-1JKYR-0626-SM-ARL8R 20-29 years, male 10.1
GTEX-1R9PM-1926-SM-EVR3O 20-29 years, male 10.1
GTEX-133LE-2326-SM-5K7W3 20-29 years, female 10.0
GTEX-14753-0726-SM-5QGQO 60-69 years, male 10.0
GTEX-15SKB-2826-SM-6PAMH 60-69 years, male 10.0
GTEX-18D9B-0926-SM-7LG4U 60-69 years, male 10.0
GTEX-ZT9X-1526-SM-5DUXD 40-49 years, male 10.0
GTEX-1F5PL-0926-SM-7PC2W 40-49 years, female 10.0
GTEX-1GTWX-2026-SM-9YFLM 60-69 years, male 10.0
GTEX-1IDJV-0126-SM-COH3Y 60-69 years, male 10.0
GTEX-139UW-0326-SM-5J1ML 60-69 years, male 9.9
GTEX-13VXT-1926-SM-5K7UO 20-29 years, female 9.9
GTEX-16BQI-1326-SM-6M486 30-39 years, female 9.9
GTEX-17HGU-2326-SM-7DUFE 50-59 years, male 9.9
GTEX-Y8E4-2026-SM-5IFJB 40-49 years, male 9.9
GTEX-ZXG5-2126-SM-59HKD 60-69 years, male 9.9
GTEX-1C475-1326-SM-7SB73 40-49 years, female 9.9
GTEX-1CB4I-0126-SM-7RHGG 50-59 years, male 9.9
GTEX-1GF9X-1326-SM-7PC2Y 40-49 years, female 9.9
GTEX-1HFI6-0126-SM-CNPPI 40-49 years, male 9.9
GTEX-1I1CD-0626-SM-CE6SW 60-69 years, female 9.9
GTEX-1IL2V-1926-SM-B2LW8 70-79 years, male 9.9
GTEX-1POEN-2326-SM-E9J2L 30-39 years, female 9.9
GTEX-1QP9N-1226-SM-E76QN 30-39 years, male 9.9
GTEX-1S3DN-2126-SM-E9TIN 50-59 years, male 9.9
GTEX-12WSC-2826-SM-5BC5Y 50-59 years, male 9.8
GTEX-15EO6-2426-SM-6PALZ 50-59 years, male 9.8
GTEX-16Z82-2626-SM-7KULU 60-69 years, male 9.8
GTEX-1B8KE-1126-SM-7EPHI 50-59 years, male 9.8
GTEX-Y5V6-2326-SM-4VDSA 60-69 years, male 9.8
GTEX-ZP4G-1426-SM-4WWCL 20-29 years, female 9.8
GTEX-ZPU1-1126-SM-4YCF3 40-49 years, male 9.8
GTEX-1CAMR-1326-SM-7PC1F 20-29 years, male 9.8
GTEX-1H1DF-1126-SM-9WG7G 40-49 years, female 9.8
GTEX-1H4P4-2126-SM-9WYSL 50-59 years, male 9.8
GTEX-1LKK1-2626-SM-DKPQE 50-59 years, female 9.8
GTEX-1RMOY-1326-SM-E9TIH 50-59 years, male 9.8
GTEX-1S5ZU-2526-SM-E6CIF 20-29 years, female 9.8
GTEX-YEC3-1326-SM-DO92X 50-59 years, male 9.8
GTEX-11P7K-1126-SM-5HL4L 30-39 years, male 9.7
GTEX-12ZZZ-0726-SM-5GCNZ 60-69 years, male 9.7
GTEX-13O61-1426-SM-5KM3D 60-69 years, male 9.7
GTEX-13X6K-0626-SM-5LU5D 60-69 years, female 9.7
GTEX-15CHC-1126-SM-6LLHQ 60-69 years, female 9.7
GTEX-17F9Y-0126-SM-79OKX 70-79 years, female 9.7
GTEX-1F52S-2926-SM-7MKGA 60-69 years, female 9.7
GTEX-Y5V5-0126-SM-5S2NW 60-69 years, female 9.7
GTEX-1H1DG-2426-SM-9QEHJ 70-79 years, male 9.7
GTEX-1IDJF-2026-SM-CL53V 20-29 years, male 9.7
GTEX-1J1R8-2026-SM-CL53Y 40-49 years, male 9.7
GTEX-1J8Q2-2626-SM-ACKWQ 60-69 years, male 9.7
GTEX-1JJ6O-2726-SM-CNPOG 60-69 years, male 9.7
GTEX-1PPH8-0126-SM-EWRN8 20-29 years, male 9.7
GTEX-139TU-0726-SM-5L3EK 60-69 years, male 9.6
GTEX-14PJ4-0226-SM-5YY92 60-69 years, male 9.6
GTEX-15CHR-1126-SM-7EWF4 50-59 years, male 9.6
GTEX-15RJE-2826-SM-7KUM9 40-49 years, male 9.6
GTEX-18465-2826-SM-7LT9J 50-59 years, male 9.6
GTEX-1AX9I-2226-SM-73KUO 60-69 years, male 9.6
GTEX-XYKS-1426-SM-4BRUO 60-69 years, female 9.6
GTEX-ZVP2-0326-SM-57WBP 50-59 years, male 9.6
GTEX-1HCU7-0726-SM-A9SL1 50-59 years, male 9.6
GTEX-1JMQK-1226-SM-D4P2S 60-69 years, male 9.6
GTEX-1R46S-2426-SM-E76QA 60-69 years, female 9.6
GTEX-ZPIC-0526-SM-DO91W 40-49 years, female 9.6
GTEX-11LCK-2226-SM-5HL4Q 30-39 years, male 9.5
GTEX-13OVL-0126-SM-5L3GJ 50-59 years, male 9.5
GTEX-14ABY-2026-SM-62LDL 50-59 years, male 9.5
GTEX-15G1A-1626-SM-7KUKN 30-39 years, male 9.5
GTEX-ZF2S-1626-SM-57WES 50-59 years, female 9.5
GTEX-1ICLY-0826-SM-CMKG1 50-59 years, male 9.5
GTEX-1K2DA-1026-SM-CGQGF 50-59 years, male 9.5
GTEX-1PIGE-1826-SM-E8VOU 20-29 years, male 9.5
GTEX-12KS4-2126-SM-5FQUT 30-39 years, male 9.4
GTEX-1399S-0126-SM-5IJCF 30-39 years, female 9.4
GTEX-13N11-2326-SM-5IJBF 50-59 years, female 9.4
GTEX-145ME-1726-SM-5Q5EU 40-49 years, female 9.4
GTEX-183WM-0326-SM-72D5V 70-79 years, female 9.4
GTEX-1AMEY-0826-SM-72D65 30-39 years, female 9.4
GTEX-1AMFI-1326-SM-7939R 50-59 years, female 9.4
GTEX-1H1ZS-2726-SM-9WG75 70-79 years, male 9.4
GTEX-1HC8U-1326-SM-9YFMJ 40-49 years, female 9.4
GTEX-1QEPI-2626-SM-DTXF4 60-69 years, female 9.4
GTEX-1R9K4-2826-SM-DTX8F 60-69 years, male 9.4
GTEX-144FL-0626-SM-5LU43 50-59 years, male 9.3
GTEX-17HHE-1326-SM-7EWDZ 50-59 years, male 9.3
GTEX-1B933-2426-SM-7DHMD 50-59 years, female 9.3
GTEX-YJ8O-2526-SM-5HL85 40-49 years, female 9.3
GTEX-ZC5H-1526-SM-5HL9Y 40-49 years, female 9.3
GTEX-1F6I4-2326-SM-7RHGL 60-69 years, male 9.3
GTEX-1HSMO-0626-SM-ACKXC 60-69 years, male 9.3
GTEX-1HSMP-0926-SM-A9SKX 70-79 years, male 9.3
GTEX-1J8QM-2426-SM-A9SLS 60-69 years, female 9.3
GTEX-1KAFJ-0126-SM-DIPEK 50-59 years, male 9.3
GTEX-13N2G-0226-SM-5K7VF 60-69 years, male 9.2
GTEX-144GO-2026-SM-5O99P 60-69 years, male 9.2
GTEX-16MTA-0926-SM-6M47Z 50-59 years, male 9.2
GTEX-WYJK-0526-SM-3NM8Z 50-59 years, male 9.2
GTEX-11ZTT-2126-SM-5CVLO 60-69 years, female 9.1
GTEX-12BJ1-0926-SM-5EQ62 60-69 years, male 9.1
GTEX-14C38-0726-SM-5SI6M 50-59 years, male 9.1
GTEX-17F97-2626-SM-7IGM5 50-59 years, male 9.1
GTEX-1A8G7-1326-SM-73KVM 60-69 years, male 9.1
GTEX-1B932-2326-SM-79OL5 40-49 years, female 9.1
GTEX-1B996-0426-SM-7EWF8 60-69 years, male 9.1
GTEX-WHWD-1826-SM-3LK6I 50-59 years, male 9.1
GTEX-ZLWG-0826-SM-59888 50-59 years, female 9.1
GTEX-ZZ64-1026-SM-5GZXG 20-29 years, male 9.1
GTEX-1HCU9-0426-SM-9WYSD 20-29 years, male 9.1
GTEX-1HCVE-2726-SM-CL54F 50-59 years, male 9.1
GTEX-1HFI7-2326-SM-CGQFS 50-59 years, female 9.1
GTEX-1HT8W-0626-SM-A9G2H 30-39 years, male 9.1
GTEX-1IDJU-1726-SM-CMKHU 60-69 years, female 9.1
GTEX-1LBAC-0826-SM-CY8IJ 20-29 years, male 9.1
GTEX-1LSNM-0826-SM-DIPG8 50-59 years, male 9.1
GTEX-1QAET-0326-SM-EVR3U 50-59 years, male 9.1
GTEX-12696-0126-SM-5EQ4L 60-69 years, male 9.0
GTEX-12WSJ-1126-SM-5LZVJ 40-49 years, female 9.0
GTEX-12WSL-2026-SM-5GCML 50-59 years, male 9.0
GTEX-13JVG-0726-SM-5KM16 60-69 years, male 9.0
GTEX-145MF-0926-SM-5Q5EA 50-59 years, male 9.0
GTEX-14BMV-2826-SM-5TDED 50-59 years, male 9.0
GTEX-14DAQ-0626-SM-793DS 60-69 years, female 9.0
GTEX-16NGA-0726-SM-731AO 40-49 years, female 9.0
GTEX-178AV-1726-SM-7KUL8 40-49 years, male 9.0
GTEX-VUSG-2326-SM-4KL1U 50-59 years, male 9.0
GTEX-Y9LG-1126-SM-4VBQ7 30-39 years, male 9.0
GTEX-1F75I-2226-SM-7SB8U 40-49 years, male 9.0
GTEX-1J8Q3-0526-SM-ARL8U 60-69 years, male 9.0
GTEX-1PPH7-1126-SM-DTX9A 40-49 years, male 9.0
GTEX-11DXX-2126-SM-5PNYR 60-69 years, female 8.9
GTEX-13PL6-1126-SM-5L3IE 40-49 years, female 8.9
GTEX-145MG-1526-SM-5Q5EM 50-59 years, male 8.9
GTEX-15SHW-0226-SM-7LTAT 60-69 years, male 8.9
GTEX-1C6WA-2626-SM-7MKGM 60-69 years, male 8.9
GTEX-WK11-2726-SM-3NMAQ 50-59 years, male 8.9
GTEX-X3Y1-2026-SM-3P5YM 40-49 years, male 8.9
GTEX-XMD2-2126-SM-4YCF8 60-69 years, female 8.9
GTEX-1GMR8-0626-SM-7RHI7 50-59 years, female 8.9
GTEX-1JMPZ-0726-SM-CY8HZ 30-39 years, male 8.9
GTEX-1JMQI-1726-SM-ARL93 50-59 years, male 8.9
GTEX-1LVA9-2626-SM-EVYD4 50-59 years, male 8.9
GTEX-145MI-0626-SM-5SI8S 60-69 years, female 8.8
GTEX-14PJ6-2626-SM-6EU2T 60-69 years, female 8.8
GTEX-16MT9-0126-SM-7EPI8 60-69 years, female 8.8
GTEX-1CB4H-1126-SM-7MKGL 60-69 years, female 8.8
GTEX-XQ8I-0926-SM-4BOOF 50-59 years, male 8.8
GTEX-1I6K6-1726-SM-CGQFD 30-39 years, male 8.8
GTEX-1IDJD-2326-SM-ACKWX 30-39 years, male 8.8
GTEX-1JN76-0626-SM-CKZOQ 20-29 years, female 8.8
GTEX-1RAZR-2126-SM-E9U6T 40-49 years, male 8.8
GTEX-ZGAY-1826-SM-DO91Q 40-49 years, female 8.8
GTEX-11EQ8-0926-SM-5H12V 60-69 years, male 8.7
GTEX-139TT-2126-SM-5LZWC 60-69 years, male 8.7
GTEX-15DDE-2926-SM-6LLJ3 50-59 years, female 8.7
GTEX-15ER7-0626-SM-6PANF 20-29 years, female 8.7
GTEX-XUW1-0926-SM-4BONX 50-59 years, female 8.7
GTEX-Y3IK-1626-SM-4YCF5 50-59 years, female 8.7
GTEX-YEC4-1826-SM-4W1YP 40-49 years, male 8.7
GTEX-ZVTK-0226-SM-51MRG 20-29 years, male 8.7
GTEX-1HR98-2226-SM-ADEI2 60-69 years, male 8.7
GTEX-1I1GV-0626-SM-ARL7M 60-69 years, male 8.7
GTEX-1J1OQ-0126-SM-D4P2N 40-49 years, female 8.7
GTEX-1QCLZ-2426-SM-EVYBW 60-69 years, female 8.7
GTEX-1192X-2726-SM-5N9DN 50-59 years, male 8.6
GTEX-11EQ9-1626-SM-5PNY8 30-39 years, male 8.6
GTEX-11UD2-2526-SM-5CVNU 50-59 years, male 8.6
GTEX-13PVQ-0626-SM-5LU47 50-59 years, male 8.6
GTEX-16NPX-0726-SM-7KULC 50-59 years, male 8.6
GTEX-1I1GU-0926-SM-ACKVS 40-49 years, male 8.6
GTEX-1NV5F-0626-SM-DTXEG 60-69 years, female 8.6
GTEX-1S831-1826-SM-EWROF 20-29 years, male 8.6
GTEX-11NSD-0626-SM-5A5LU 20-29 years, male 8.5
GTEX-139D8-1126-SM-5LU8W 30-39 years, female 8.5
GTEX-13OVG-1626-SM-5J1NF 60-69 years, male 8.5
GTEX-147JS-0226-SM-5S2U9 60-69 years, male 8.5
GTEX-14B4R-1326-SM-5Q5EZ 30-39 years, male 8.5
GTEX-14E1K-2026-SM-7DUEI 50-59 years, male 8.5
GTEX-14ICL-1626-SM-5YYAO 30-39 years, male 8.5
GTEX-14LZ3-0126-SM-69LPM 60-69 years, female 8.5
GTEX-17F98-1326-SM-7DUEP 40-49 years, female 8.5
GTEX-ZE7O-2726-SM-51MT5 50-59 years, female 8.5
GTEX-1HGF4-0126-SM-CNPPX 60-69 years, male 8.5
GTEX-1IDJI-0126-SM-CMKHS 50-59 years, female 8.5
GTEX-1IE54-1126-SM-A9G2Z 40-49 years, female 8.5
GTEX-1N5O9-0926-SM-E9J3C 60-69 years, male 8.5
GTEX-1NSGN-0726-SM-DTXEF 50-59 years, male 8.5
GTEX-13N1W-2426-SM-5IJD1 70-79 years, male 8.4
GTEX-WHPG-2626-SM-3NMBR 50-59 years, male 8.4
GTEX-XBEC-0726-SM-4QARZ 50-59 years, male 8.4
GTEX-ZYFC-0426-SM-5GICQ 50-59 years, male 8.4
GTEX-1H1E6-0426-SM-9WYUS 30-39 years, male 8.4
GTEX-1H2FU-0926-SM-9WPPT 60-69 years, female 8.4
GTEX-1LGOU-1326-SM-D3L8M 20-29 years, female 8.4
GTEX-12WSA-0426-SM-5EQ5X 60-69 years, male 8.3
GTEX-13O3O-2326-SM-5IJD6 60-69 years, female 8.3
GTEX-13PVR-0426-SM-5RQK2 60-69 years, female 8.3
GTEX-14XAO-1226-SM-6EU1C 60-69 years, female 8.3
GTEX-17MF6-2626-SM-79OKQ 40-49 years, male 8.3
GTEX-1EH9U-2826-SM-7DUGT 60-69 years, male 8.3
GTEX-1A3MX-2626-SM-7PC24 60-69 years, male 8.3
GTEX-1I1GS-2626-SM-B2LY3 60-69 years, male 8.3
GTEX-1I6K7-1926-SM-B2LXR 40-49 years, male 8.3
GTEX-1KANA-1326-SM-DIPFA 20-29 years, male 8.3
GTEX-13113-1626-SM-5EQ4I 60-69 years, female 8.2
GTEX-139YR-1026-SM-5LZYN 50-59 years, male 8.2
GTEX-1GZ2Q-0126-SM-9WG6M 40-49 years, male 8.2
GTEX-1LG7Z-1626-SM-CXKYR 30-39 years, male 8.2
GTEX-ZLV1-1526-SM-DO91J 60-69 years, female 8.2
GTEX-11VI4-1126-SM-5EQMD 40-49 years, female 8.1
GTEX-13QBU-1226-SM-5LU4G 40-49 years, female 8.1
GTEX-18A7B-2726-SM-7LG56 70-79 years, male 8.1
GTEX-YB5K-2026-SM-4VDT3 40-49 years, female 8.1
GTEX-1F5PK-2226-SM-7SB6N 50-59 years, male 8.1
GTEX-1GPI7-1826-SM-9KNU1 20-29 years, male 8.1
GTEX-1JKYN-0826-SM-ARU8S 30-39 years, male 8.1
GTEX-132AR-0326-SM-5KM2C 50-59 years, female 8.0
GTEX-13NYS-0626-SM-5L3F1 60-69 years, male 8.0
GTEX-14DAR-1226-SM-73KYV 50-59 years, male 8.0
GTEX-15RJ7-2126-SM-6PAMD 40-49 years, male 8.0
GTEX-16MT8-2926-SM-7DUFO 60-69 years, female 8.0
GTEX-XV7Q-1826-SM-4BRUV 40-49 years, female 8.0
GTEX-ZAB4-2126-SM-5HL8U 40-49 years, male 8.0
GTEX-1LGRB-0926-SM-COH3K 50-59 years, female 8.0
GTEX-1RB15-1326-SM-E76Q9 60-69 years, male 8.0
GTEX-1314G-1326-SM-5BC6E 30-39 years, male 7.9
GTEX-13NZ8-1226-SM-5KM4A 60-69 years, female 7.9
GTEX-ZU9S-1826-SM-5NQ9E 30-39 years, male 7.9
GTEX-ZYFG-1526-SM-5GZYM 60-69 years, female 7.9
GTEX-ZZPU-0826-SM-5GZX5 50-59 years, female 7.9
GTEX-1C64O-1326-SM-7MGWR 60-69 years, male 7.9
GTEX-1GZHY-0626-SM-9KNVC 50-59 years, female 7.9
GTEX-1I19N-0126-SM-CYPSF 70-79 years, male 7.9
GTEX-1K2DU-1226-SM-CYPT4 20-29 years, male 7.9
GTEX-1KANC-1226-SM-CYPT7 50-59 years, female 7.9
GTEX-12584-0726-SM-5FQTK 40-49 years, male 7.8
GTEX-13OW5-2326-SM-5L3HO 60-69 years, male 7.8
GTEX-13PDP-0726-SM-5L3HP 60-69 years, male 7.8
GTEX-13W3W-0726-SM-5IJDQ 60-69 years, female 7.8
GTEX-145LT-0526-SM-5LUB2 40-49 years, male 7.8
GTEX-14BMU-1226-SM-5S2OR 20-29 years, female 7.8
GTEX-14PJ2-0626-SM-6LLII 50-59 years, male 7.8
GTEX-14PKV-1126-SM-6LLJ1 20-29 years, female 7.8
GTEX-1CAV2-0126-SM-7IGN7 40-49 years, female 7.8
GTEX-WYVS-1626-SM-3NM9R 40-49 years, female 7.8
GTEX-1GMR2-0826-SM-7PC3V 50-59 years, male 7.8
GTEX-1H3NZ-2726-SM-9WYTQ 60-69 years, male 7.8
GTEX-111CU-1126-SM-5EGIM 50-59 years, male 7.7
GTEX-11DXW-0826-SM-5H118 40-49 years, male 7.7
GTEX-13U4I-2226-SM-5LU5H 40-49 years, female 7.7
GTEX-14AS3-1526-SM-5Q5ED 40-49 years, female 7.7
GTEX-17F9E-2326-SM-79OKD 50-59 years, male 7.7
GTEX-1AX8Z-0726-SM-73KTS 60-69 years, male 7.7
GTEX-Y5LM-0926-SM-6LLJG 40-49 years, female 7.7
GTEX-Y8LW-1526-SM-5IFHL 50-59 years, female 7.7
GTEX-ZY6K-1426-SM-5GZX2 50-59 years, male 7.7
GTEX-ZYY3-2926-SM-5GIEB 60-69 years, female 7.7
GTEX-1F75B-0726-SM-7PC3R 50-59 years, male 7.7
GTEX-11EI6-2826-SM-5H11D 60-69 years, male 7.6
GTEX-12WSK-2126-SM-5CVNC 40-49 years, female 7.6
GTEX-1399R-1326-SM-5PNYS 30-39 years, male 7.6
GTEX-U8XE-0226-SM-4E3J3 30-39 years, male 7.6
GTEX-1211K-1526-SM-5FQU4 60-69 years, female 7.5
GTEX-144GL-0626-SM-5LU4D 50-59 years, male 7.5
GTEX-146FQ-2126-SM-5RQHU 30-39 years, male 7.5
GTEX-14JG6-1426-SM-9WG7C 30-39 years, female 7.5
GTEX-18D9A-1426-SM-7LT8M 30-39 years, female 7.5
GTEX-1F6IF-0926-SM-7SB7M 60-69 years, male 7.5
GTEX-1JJE9-2626-SM-ARZMT 70-79 years, male 7.5
GTEX-111FC-2526-SM-5GZXU 60-69 years, male 7.4
GTEX-14PK6-0226-SM-62LF5 70-79 years, female 7.4
GTEX-WH7G-2026-SM-3NMBL 40-49 years, male 7.4
GTEX-ZLFU-1826-SM-4WWBV 40-49 years, male 7.4
GTEX-1RAZA-2226-SM-E9U4X 20-29 years, male 7.4
GTEX-13D11-0926-SM-5J2NC 50-59 years, female 7.3
GTEX-1477Z-0326-SM-7IGLA 60-69 years, male 7.3
GTEX-1A3MW-0626-SM-731CB 60-69 years, female 7.3
GTEX-1E1VI-0326-SM-793D1 50-59 years, male 7.3
GTEX-Z93S-1626-SM-5CVMB 50-59 years, male 7.3
GTEX-ZTSS-1426-SM-5985P 40-49 years, male 7.3
GTEX-ZVE1-0726-SM-51MRN 50-59 years, female 7.3
GTEX-1HBPM-0726-SM-9YFL7 60-69 years, female 7.3
GTEX-1I1GP-1326-SM-A9G28 50-59 years, male 7.3
GTEX-1ICG6-1226-SM-A9SLN 70-79 years, female 7.3
GTEX-11TUW-0626-SM-5LU9M 60-69 years, male 7.2
GTEX-16GPK-0626-SM-7KFSF 60-69 years, male 7.2
GTEX-183FY-1026-SM-7939A 20-29 years, male 7.2
GTEX-18A66-0626-SM-7LT8Z 60-69 years, male 7.2
GTEX-ZDXO-3126-SM-5IJDF 60-69 years, male 7.2
GTEX-1HCU8-2526-SM-CE6RX 60-69 years, female 7.2
GTEX-1IDJC-1526-SM-B2LW4 50-59 years, male 7.2
GTEX-17HG3-2626-SM-7DUF2 30-39 years, female 7.1
GTEX-XPVG-2126-SM-4B667 50-59 years, male 7.1
GTEX-ZYW4-0626-SM-59HJR 60-69 years, male 7.1
GTEX-1GF9U-2026-SM-7SB92 40-49 years, female 7.1
GTEX-1GN1U-0626-SM-9MQL9 50-59 years, female 7.1
GTEX-1H1CY-0126-SM-9YFLY 60-69 years, female 7.1
GTEX-1I4MK-0126-SM-CY8G6 50-59 years, female 7.1
GTEX-1L5NE-1126-SM-D3L9P 50-59 years, male 7.1
GTEX-1H23P-0626-SM-9WG6T 60-69 years, male 7.0
GTEX-1H3VE-0726-SM-9YFL5 40-49 years, male 7.0
GTEX-1HUB1-1426-SM-CGQF5 60-69 years, male 7.0
GTEX-145MO-2826-SM-5LU96 60-69 years, male 6.9
GTEX-WFON-1926-SM-3LK7L 40-49 years, male 6.9
GTEX-1IDJE-1426-SM-ADEIW 50-59 years, female 6.9
GTEX-13NZ9-2626-SM-5L3FK 50-59 years, male 6.8
GTEX-17JCI-2926-SM-7DUFF 60-69 years, female 6.8
GTEX-1HKZK-0726-SM-ACKW2 40-49 years, male 6.8
GTEX-1JMQL-2226-SM-CNPP4 50-59 years, female 6.8
GTEX-117YX-1926-SM-5GIEC 50-59 years, male 6.7
GTEX-11WQK-1026-SM-5EQLX 50-59 years, male 6.7
GTEX-13FH7-1126-SM-5K7UG 50-59 years, female 6.7
GTEX-15FZZ-0526-SM-7KUGD 30-39 years, female 6.7
GTEX-ZUA1-2626-SM-5NQ92 40-49 years, male 6.7
GTEX-1F75W-2726-SM-7SB8H 60-69 years, male 6.7
GTEX-WYBS-0626-SM-3NMAS 60-69 years, female 6.6
GTEX-ZDTS-0826-SM-4WKHL 60-69 years, male 6.6
GTEX-145LS-0626-SM-7EPG7 60-69 years, female 6.5
GTEX-14A5H-0826-SM-5QGPJ 60-69 years, male 6.5
GTEX-1O9I2-0226-SM-EYYXD 50-59 years, male 6.5
GTEX-1QP66-1226-SM-DTX7U 50-59 years, male 6.5
GTEX-X4EP-0626-SM-3P621 60-69 years, female 6.4
GTEX-XK95-0226-SM-4AT58 40-49 years, male 6.4
GTEX-1GMR3-0126-SM-A9SLW 40-49 years, male 6.4
GTEX-1JMOU-1026-SM-CYPSS 60-69 years, female 6.4
GTEX-1RLM8-2926-SM-E8VON 50-59 years, male 6.4
GTEX-ZT9W-1126-SM-57WDR 50-59 years, male 6.3
GTEX-1GF9W-1426-SM-7PBYM 60-69 years, male 6.3
GTEX-16XZZ-0726-SM-7KUF2 60-69 years, male 6.2
GTEX-1LVAO-2726-SM-E9TJ8 60-69 years, male 6.2
GTEX-13JUV-2026-SM-5K7UA 40-49 years, female 6.1
GTEX-13NYC-0126-SM-5L3F4 60-69 years, male 6.1
GTEX-17EVQ-0126-SM-7IGLR 70-79 years, male 6.1
GTEX-WFG8-2126-SM-3GIKQ 20-29 years, male 6.1
GTEX-1IDFM-0326-SM-ARL7V 60-69 years, male 6.1
GTEX-1QP29-1826-SM-DTX9S 50-59 years, male 6.1
GTEX-11O72-0626-SM-5PNYE 40-49 years, male 6.0
GTEX-131YS-2826-SM-5EQ47 60-69 years, female 6.0
GTEX-144GM-0526-SM-79OJO 20-29 years, male 6.0
GTEX-15D1Q-2826-SM-6LLH7 40-49 years, male 6.0
GTEX-YF7O-1526-SM-5IFI6 50-59 years, male 6.0
GTEX-1J8JJ-0626-SM-ARZMQ 60-69 years, female 6.0
GTEX-12WSF-1626-SM-7KUG5 70-79 years, male 5.9
GTEX-139T8-0626-SM-5KLZX 60-69 years, male 5.9
GTEX-13IVO-0726-SM-5LZYV 70-79 years, male 5.9
GTEX-1AX9J-1326-SM-731BJ 60-69 years, male 5.9
GTEX-1F88E-1626-SM-7SB8Z 60-69 years, female 5.8
GTEX-1JN6P-2926-SM-CL54D 60-69 years, male 5.8
GTEX-14PJO-2526-SM-6AJBQ 60-69 years, male 5.6
GTEX-1CB4F-1026-SM-7DUH1 60-69 years, male 5.6
GTEX-1F6RS-2026-SM-7RHHC 60-69 years, female 5.6
GTEX-1117F-2926-SM-5GZYI 60-69 years, female 5.5
GTEX-11EM3-1226-SM-5N9DD 20-29 years, female 5.5
GTEX-11TT1-1826-SM-5EQLV 20-29 years, male 5.5
GTEX-15CHQ-0326-SM-69LQD 60-69 years, male 5.5
GTEX-ZVE2-2826-SM-5GU51 50-59 years, male 5.5
GTEX-1F48J-0726-SM-7RHGS 50-59 years, female 5.4
GTEX-13OVK-1426-SM-6PAN7 40-49 years, male 5.3
GTEX-X8HC-0626-SM-4E3HQ 50-59 years, female 5.3
GTEX-14E6C-2426-SM-5S2NF 40-49 years, male 5.0
GTEX-13OVJ-0826-SM-5J1OK 50-59 years, female 4.9
GTEX-1A32A-0626-SM-731AQ 50-59 years, female 4.9
GTEX-WHSE-0126-SM-3NMBT 20-29 years, male 4.9
GTEX-13YAN-0226-SM-5TDC6 60-69 years, male 4.6
GTEX-ZAJG-1526-SM-5CVML 50-59 years, female 4.5
GTEX-11DZ1-2426-SM-5GZZX 50-59 years, male 4.4
GTEX-15UF6-1926-SM-7KUDV 70-79 years, female 4.1
GTEX-WI4N-2726-SM-3LK7Y 40-49 years, female 4.1
GTEX-ZYFD-0626-SM-5E44E 50-59 years, male 3.6
GTEX-1ICLZ-0326-SM-ARL82 60-69 years, male 2.8
Show allShow less
Skin - Sun Exposed (Lower leg)
Average nTPM: 9.5
Samples: 701

Max nTPM: 17.6
Min nTPM: 3.8
Std nTPM: 2.1
Median nTPM: 9.5
GTEX-SE5C-1626-SM-2XCE3 40-49 years, female 17.6
GTEX-ZV68-0126-SM-59HKS 50-59 years, female 16.1
GTEX-1IKJJ-0126-SM-CNPQB 60-69 years, male 16.0
GTEX-1212Z-2526-SM-5EGKP 60-69 years, male 15.6
GTEX-1MJK2-0426-SM-DTXE5 50-59 years, male 15.5
GTEX-XBEW-0626-SM-4QASP 40-49 years, male 14.7
GTEX-1OFPY-2426-SM-DTXEJ 60-69 years, male 14.6
GTEX-1122O-2126-SM-5EGIR 60-69 years, female 14.5
GTEX-145MF-0626-SM-5LUAI 50-59 years, male 14.5
GTEX-Y8DK-0126-SM-4TT3L 60-69 years, male 14.4
GTEX-11DYG-0126-SM-59883 60-69 years, male 14.3
GTEX-OIZH-0126-SM-2HMIS 50-59 years, male 14.3
GTEX-1IDJH-0326-SM-A9SLQ 70-79 years, male 14.2
GTEX-1LG7Z-1726-SM-D3LA4 30-39 years, male 14.0
GTEX-1PIIG-0226-SM-EWRN6 30-39 years, male 14.0
GTEX-WFON-2126-SM-3LK7O 40-49 years, male 13.9
GTEX-1O97I-0326-SM-EYYX7 60-69 years, male 13.8
GTEX-1B97I-1626-SM-73KYO 40-49 years, male 13.7
GTEX-RVPV-0126-SM-EAZAW 60-69 years, male 13.6
GTEX-18D9A-1926-SM-7LG6P 30-39 years, female 13.5
GTEX-P4PP-0126-SM-3LK69 30-39 years, female 13.5
GTEX-1EWIQ-0126-SM-7RHH2 70-79 years, female 13.5
GTEX-12WSE-0526-SM-793B2 20-29 years, male 13.4
GTEX-1HSGN-0226-SM-CGQFV 40-49 years, female 13.4
GTEX-111FC-0126-SM-5N9DL 60-69 years, male 13.2
GTEX-13112-2826-SM-5DUWH 50-59 years, male 13.2
GTEX-Y5V5-2326-SM-4V6GA 60-69 years, female 13.2
GTEX-1L5NE-2526-SM-E6CIE 50-59 years, male 13.2
GTEX-145MN-2226-SM-5SIAU 30-39 years, male 13.1
GTEX-S7SE-0126-SM-2XCD5 50-59 years, male 13.1
GTEX-ZVZP-2426-SM-59HKJ 50-59 years, male 13.1
GTEX-1GL5R-1826-SM-9KNUY 50-59 years, male 13.1
GTEX-1HFI6-0226-SM-ADEHZ 40-49 years, male 13.1
GTEX-12ZZY-0226-SM-5LZVE 60-69 years, male 13.0
GTEX-Y114-2426-SM-4TT8A 50-59 years, female 13.0
GTEX-11UD2-0226-SM-5EQKY 50-59 years, male 12.9
GTEX-YJ89-0126-SM-4TT3X 60-69 years, male 12.9
GTEX-1S3DN-2226-SM-EVYCD 50-59 years, male 12.9
GTEX-117XS-2726-SM-5N9BL 60-69 years, male 12.8
GTEX-OIZG-0726-SM-33HBL 50-59 years, male 12.8
GTEX-T6MN-0126-SM-32PLP 50-59 years, male 12.8
GTEX-1IL2U-0226-SM-CE6T8 60-69 years, male 12.8
GTEX-1JJEA-0326-SM-CNPOT 60-69 years, male 12.8
GTEX-1S83E-0126-SM-EWRO4 40-49 years, male 12.8
GTEX-1B8SF-1426-SM-7DUGL 60-69 years, male 12.7
GTEX-ZVTK-0426-SM-51MRS 20-29 years, male 12.7
GTEX-12696-2426-SM-5EQ6H 60-69 years, male 12.6
GTEX-145ME-1826-SM-5SI9G 40-49 years, female 12.6
GTEX-14JG1-0426-SM-6ETZZ 40-49 years, male 12.6
GTEX-ZDTT-2726-SM-4WKF8 60-69 years, male 12.6
GTEX-1F5PL-0326-SM-7P8PQ 40-49 years, female 12.6
GTEX-1GN2E-0426-SM-9MQKX 60-69 years, male 12.6
GTEX-TML8-1926-SM-32QOS 40-49 years, female 12.5
GTEX-1GF9V-0326-SM-7RHI5 60-69 years, male 12.5
GTEX-13PVR-2326-SM-5QGR1 60-69 years, female 12.4
GTEX-1AX9J-0226-SM-73KXM 60-69 years, male 12.4
GTEX-1CB4G-0226-SM-7PC3O 60-69 years, male 12.4
GTEX-13OVL-0226-SM-5L3E9 50-59 years, male 12.3
GTEX-WXYG-2326-SM-4E3I6 50-59 years, female 12.3
GTEX-Z9EW-1626-SM-5CVMN 40-49 years, male 12.3
GTEX-1H1DG-0126-SM-9WYU2 70-79 years, male 12.3
GTEX-ZYT6-0226-SM-5NQ6T 30-39 years, male 12.2
GTEX-1KANC-1526-SM-D3LAB 50-59 years, female 12.2
GTEX-12WSK-2326-SM-5GCOH 40-49 years, female 12.1
GTEX-13S7M-0126-SM-5SI6A 60-69 years, female 12.1
GTEX-14BIN-0626-SM-793DP 50-59 years, female 12.1
GTEX-16AAH-1726-SM-7939C 50-59 years, male 12.1
GTEX-WYJK-0126-SM-3NMAB 50-59 years, male 12.1
GTEX-12126-0326-SM-5PNW3 20-29 years, male 12.0
GTEX-1399T-2826-SM-5KLYZ 60-69 years, male 12.0
GTEX-O5YT-0126-SM-48TBW 20-29 years, male 12.0
GTEX-QCQG-1726-SM-3GIJ9 50-59 years, female 12.0
GTEX-1KXAM-2226-SM-CYPTC 60-69 years, male 12.0
GTEX-13O3P-0126-SM-5KM4S 50-59 years, male 11.9
GTEX-13RTK-1426-SM-5QGQJ 20-29 years, male 11.9
GTEX-17JCI-0126-SM-7LG5G 60-69 years, female 11.9
GTEX-18D9U-0226-SM-718BP 40-49 years, male 11.9
GTEX-PX3G-0126-SM-2I3EN 20-29 years, female 11.9
GTEX-SIU8-0126-SM-2XCDT 50-59 years, male 11.9
GTEX-SUCS-1926-SM-32PM3 70-79 years, male 11.9
GTEX-XQ3S-1526-SM-4BOOC 20-29 years, male 11.9
GTEX-ZTX8-1426-SM-5DUVO 20-29 years, male 11.9
GTEX-1B8L1-2526-SM-9WYTF 60-69 years, male 11.9
GTEX-1JMQL-0226-SM-CNPP5 50-59 years, female 11.9
GTEX-1KWVE-1426-SM-E9TJO 30-39 years, male 11.9
GTEX-1PDJ9-0326-SM-DTX95 20-29 years, male 11.9
GTEX-1R7EU-0226-SM-EVR4G 60-69 years, male 11.9
GTEX-P44H-0226-SM-2XCEU 40-49 years, male 11.8
GTEX-SJXC-0126-SM-2XCFF 60-69 years, male 11.8
GTEX-1IOXB-0126-SM-ARL8G 50-59 years, male 11.8
GTEX-1S82Z-0826-SM-E6CHY 30-39 years, female 11.8
GTEX-131XH-2226-SM-5DUXJ 50-59 years, male 11.7
GTEX-18A67-0126-SM-7LG5P 50-59 years, male 11.7
GTEX-1CAMQ-0226-SM-7IGPK 40-49 years, male 11.7
GTEX-1CB4E-2226-SM-793DC 60-69 years, male 11.7
GTEX-Q2AH-1626-SM-3GAF8 40-49 years, male 11.7
GTEX-UJHI-1526-SM-3DB99 50-59 years, female 11.7
GTEX-1GZ4H-1726-SM-7PBZJ 50-59 years, female 11.7
GTEX-1I1GQ-0126-SM-COH3H 50-59 years, male 11.7
GTEX-1I4MK-2226-SM-ACKWD 50-59 years, female 11.7
GTEX-1LB8K-0226-SM-EWRNW 50-59 years, male 11.7
GTEX-14PII-0226-SM-6EU1T 60-69 years, male 11.6
GTEX-ZDTS-0126-SM-4WAY5 60-69 years, male 11.6
GTEX-1F5PK-2426-SM-7RHHY 50-59 years, male 11.6
GTEX-1I1GV-0526-SM-A9G29 60-69 years, male 11.6
GTEX-1NV5F-0226-SM-E8VNY 60-69 years, female 11.6
GTEX-11DXW-0226-SM-5H122 40-49 years, male 11.5
GTEX-13FXS-0226-SM-5IJCK 50-59 years, male 11.5
GTEX-15SB6-1726-SM-6PAME 50-59 years, female 11.5
GTEX-1KANB-0526-SM-E6CJH 50-59 years, male 11.5
GTEX-12WSC-0126-SM-5EQ4P 50-59 years, male 11.4
GTEX-13OW6-0426-SM-5L3HM 50-59 years, male 11.4
GTEX-13SLW-0126-SM-5SI6C 70-79 years, male 11.4
GTEX-1CB4I-0226-SM-79OLH 50-59 years, male 11.4
GTEX-PVOW-0126-SM-2XCFA 40-49 years, male 11.4
GTEX-1F7RK-0126-SM-7PC2S 20-29 years, female 11.4
GTEX-1H1CY-2826-SM-9MQM3 60-69 years, female 11.4
GTEX-1JJ6O-0126-SM-E6CI8 60-69 years, male 11.4
GTEX-1JMLX-0226-SM-CM2RO 50-59 years, male 11.4
GTEX-1JMQJ-0526-SM-CYPSU 50-59 years, male 11.4
GTEX-1PFEY-1526-SM-E76PP 30-39 years, male 11.4
GTEX-11DXZ-2326-SM-5EGGV 50-59 years, male 11.3
GTEX-11EQ9-2426-SM-5HL5T 30-39 years, male 11.3
GTEX-1399R-2726-SM-5IJBA 30-39 years, male 11.3
GTEX-1399U-2326-SM-5K7WY 50-59 years, female 11.3
GTEX-13O3Q-2426-SM-5IJBR 50-59 years, male 11.3
GTEX-13X6H-2126-SM-7EWD5 50-59 years, female 11.3
GTEX-16GPK-0126-SM-7DHLE 60-69 years, male 11.3
GTEX-17KNJ-2326-SM-7DHLQ 50-59 years, male 11.3
GTEX-XMD2-0126-SM-4YCDU 60-69 years, female 11.3
GTEX-Y5V6-2426-SM-4VDSB 60-69 years, male 11.3
GTEX-ZF2S-2326-SM-4WWCE 50-59 years, female 11.3
GTEX-1HCUA-2426-SM-ADEIS 50-59 years, female 11.3
GTEX-1HSKV-0226-SM-A9SKJ 60-69 years, male 11.3
GTEX-1IDJF-0126-SM-CM2RS 20-29 years, male 11.3
GTEX-1RAZA-0126-SM-E6CI3 20-29 years, male 11.3
GTEX-OOBJ-0126-SM-E6CJW 60-69 years, male 11.3
GTEX-14PJM-0226-SM-62LF1 50-59 years, female 11.2
GTEX-X4XX-0126-SM-3NMC2 60-69 years, male 11.2
GTEX-YFC4-0126-SM-5CVLY 40-49 years, female 11.2
GTEX-ZZ64-1726-SM-5GZYB 20-29 years, male 11.2
GTEX-1LGOU-2026-SM-DIPFF 20-29 years, female 11.2
GTEX-1M5QR-1226-SM-EWROB 40-49 years, male 11.2
GTEX-11DXY-2626-SM-5GIE7 60-69 years, male 11.1
GTEX-139TT-0126-SM-5K7Y5 60-69 years, male 11.1
GTEX-13JUV-2726-SM-5LZZ8 40-49 years, female 11.1
GTEX-13W3W-2426-SM-5LU5B 60-69 years, female 11.1
GTEX-18D9B-0526-SM-7LTAS 60-69 years, male 11.1
GTEX-XAJ8-0826-SM-47JY6 40-49 years, male 11.1
GTEX-1HCU9-1526-SM-A9SL7 20-29 years, male 11.1
GTEX-1MA7W-2026-SM-E9TJ6 20-29 years, female 11.1
GTEX-PSDG-0226-SM-DKPOZ 50-59 years, male 11.1
GTEX-1269C-2526-SM-5EGJ3 60-69 years, female 11.0
GTEX-13D11-2426-SM-5KM1V 50-59 years, female 11.0
GTEX-17HGU-0226-SM-7DHKV 50-59 years, male 11.0
GTEX-QV44-1926-SM-2S1RF 50-59 years, male 11.0
GTEX-XYKS-2126-SM-4E3IB 60-69 years, female 11.0
GTEX-1JMPZ-0226-SM-CNPP1 30-39 years, male 11.0
GTEX-1KD4Q-0226-SM-E9TJ9 40-49 years, male 11.0
GTEX-131XG-2626-SM-5KM17 50-59 years, female 10.9
GTEX-131YS-0126-SM-5KM1M 60-69 years, female 10.9
GTEX-13FTW-2626-SM-5K7WL 40-49 years, male 10.9
GTEX-14E6D-0126-SM-62LDV 50-59 years, male 10.9
GTEX-14PJ6-2126-SM-6EU1V 60-69 years, female 10.9
GTEX-16NGA-1726-SM-731B4 40-49 years, female 10.9
GTEX-17HHY-0126-SM-7LG5D 50-59 years, male 10.9
GTEX-1C6VR-2426-SM-79OLD 60-69 years, male 10.9
GTEX-S32W-2126-SM-2XCB1 50-59 years, female 10.9
GTEX-U412-0426-SM-3DB9O 60-69 years, male 10.9
GTEX-XUZC-1726-SM-4BRWS 30-39 years, female 10.9
GTEX-YB5E-2026-SM-5IFIS 40-49 years, male 10.9
GTEX-1F6IF-0726-SM-7P8TW 60-69 years, male 10.9
GTEX-1PPH8-0226-SM-E8VND 20-29 years, male 10.9
GTEX-12ZZZ-0626-SM-5DUXI 60-69 years, male 10.8
GTEX-131XW-0426-SM-5LZWP 50-59 years, female 10.8
GTEX-13NYB-2526-SM-5K7Z6 40-49 years, male 10.8
GTEX-13SLX-0526-SM-5S2ON 50-59 years, female 10.8
GTEX-14PHX-2326-SM-62LEM 50-59 years, male 10.8
GTEX-15F5U-1526-SM-6PANO 40-49 years, male 10.8
GTEX-17HG3-2226-SM-7938L 30-39 years, female 10.8
GTEX-1C475-1826-SM-73KWA 40-49 years, female 10.8
GTEX-1C4CL-0526-SM-73KVK 30-39 years, male 10.8
GTEX-NFK9-0226-SM-2HMKQ 40-49 years, male 10.8
GTEX-SSA3-0126-SM-32QPU 60-69 years, male 10.8
GTEX-XUW1-0426-SM-4BOOT 50-59 years, female 10.8
GTEX-1B933-0126-SM-7PC29 50-59 years, female 10.8
GTEX-1CAMS-0426-SM-7P8T2 40-49 years, female 10.8
GTEX-1GN73-0226-SM-9WG67 60-69 years, male 10.8
GTEX-1GZ2Q-0226-SM-7P8TL 40-49 years, male 10.8
GTEX-1HT8W-0126-SM-CNPPP 30-39 years, male 10.8
GTEX-1J8Q3-1626-SM-CMKGC 60-69 years, male 10.8
GTEX-1KANA-0726-SM-D3L9I 20-29 years, male 10.8
GTEX-1LSNM-1926-SM-E6CII 50-59 years, male 10.8
GTEX-11OC5-0126-SM-5HL6A 60-69 years, male 10.7
GTEX-139TS-2826-SM-5J1OO 60-69 years, male 10.7
GTEX-1BAJH-0526-SM-793CQ 70-79 years, male 10.7
GTEX-ZWKS-0126-SM-5SIAA 30-39 years, male 10.7
GTEX-1AX9I-0126-SM-7SB74 60-69 years, male 10.7
GTEX-1J1OQ-0226-SM-CYPSH 40-49 years, female 10.7
GTEX-1OJC3-0126-SM-E76QX 20-29 years, male 10.7
GTEX-11GSO-2426-SM-5A5LY 60-69 years, male 10.6
GTEX-14DAQ-0126-SM-5S2MQ 60-69 years, female 10.6
GTEX-15ETS-0126-SM-7KUMW 40-49 years, female 10.6
GTEX-15EU6-0426-SM-6PAN5 50-59 years, male 10.6
GTEX-RM2N-1426-SM-2TF4H 50-59 years, male 10.6
GTEX-WY7C-2326-SM-3NB2U 50-59 years, male 10.6
GTEX-X5EB-2226-SM-46MW4 40-49 years, male 10.6
GTEX-1EX96-1626-SM-7PBXR 50-59 years, male 10.6
GTEX-1H3O1-0426-SM-9YFKY 60-69 years, male 10.6
GTEX-1LVAN-0226-SM-COH3S 50-59 years, female 10.6
GTEX-1MCQQ-0826-SM-DLHC2 60-69 years, male 10.6
GTEX-13FHP-0126-SM-5IJBG 50-59 years, male 10.5
GTEX-147F3-0526-SM-5SI98 50-59 years, female 10.5
GTEX-15RIG-0226-SM-7KFTL 40-49 years, male 10.5
GTEX-17EVP-0326-SM-7DHLG 40-49 years, male 10.5
GTEX-1B8SG-0126-SM-73KZ3 50-59 years, male 10.5
GTEX-QDVN-2026-SM-3GAEP 50-59 years, male 10.5
GTEX-QEG4-0226-SM-2S1PY 30-39 years, male 10.5
GTEX-RU72-0926-SM-2TF6B 50-59 years, female 10.5
GTEX-X261-0126-SM-3NMD6 50-59 years, male 10.5
GTEX-1EU9M-0226-SM-7P8SP 60-69 years, male 10.5
GTEX-14PN3-2426-SM-6LLHS 60-69 years, female 10.4
GTEX-17F96-1626-SM-7DUFL 70-79 years, male 10.4
GTEX-W5WG-1826-SM-4KL2Y 50-59 years, female 10.4
GTEX-1H4P4-0726-SM-9YFLR 50-59 years, male 10.4
GTEX-1HBPI-1526-SM-C1YQ1 50-59 years, male 10.4
GTEX-1N2DV-0226-SM-E6CJ6 40-49 years, male 10.4
GTEX-S33H-1026-SM-EZ6L6 30-39 years, male 10.4
GTEX-ZVT4-0126-SM-DTXFN 50-59 years, female 10.4
GTEX-11P81-2326-SM-59875 30-39 years, female 10.3
GTEX-139TU-0126-SM-5K7WH 60-69 years, male 10.3
GTEX-13N11-2526-SM-5K7UE 50-59 years, female 10.3
GTEX-15DYW-0126-SM-7KULE 60-69 years, female 10.3
GTEX-1C64N-0126-SM-793D7 50-59 years, male 10.3
GTEX-1E1VI-0126-SM-7DHMZ 50-59 years, male 10.3
GTEX-P4QT-0126-SM-2I3FL 50-59 years, female 10.3
GTEX-WZTO-0126-SM-3NM95 40-49 years, male 10.3
GTEX-XPVG-2626-SM-4B669 50-59 years, male 10.3
GTEX-ZAK1-0126-SM-5IJD3 50-59 years, female 10.3
GTEX-ZC5H-0226-SM-4WAY9 40-49 years, female 10.3
GTEX-1EMGI-0126-SM-9KNUE 60-69 years, male 10.3
GTEX-1GF9U-2126-SM-7SB7L 40-49 years, female 10.3
GTEX-1GN1U-0126-SM-7PBZK 50-59 years, female 10.3
GTEX-1QCLY-0326-SM-E8VOG 30-39 years, male 10.3
GTEX-11XUK-2026-SM-5EQLF 40-49 years, female 10.2
GTEX-13X6J-0126-SM-5QGOU 50-59 years, male 10.2
GTEX-145LU-0126-SM-5TDCB 50-59 years, male 10.2
GTEX-18A6Q-0126-SM-731BZ 60-69 years, male 10.2
GTEX-1CB4J-0626-SM-7DHMP 60-69 years, male 10.2
GTEX-T2IS-0126-SM-4DM6O 20-29 years, female 10.2
GTEX-WVJS-0126-SM-4MVOT 50-59 years, male 10.2
GTEX-ZGAY-0526-SM-4WWBB 40-49 years, female 10.2
GTEX-ZXG5-0126-SM-5GIEU 60-69 years, male 10.2
GTEX-1E2YA-0126-SM-9KNUC 50-59 years, male 10.2
GTEX-1F6I4-0126-SM-9MQL2 60-69 years, male 10.2
GTEX-1HBPN-0226-SM-9YFM1 50-59 years, male 10.2
GTEX-1JKYN-1326-SM-CGQG9 30-39 years, male 10.2
GTEX-1K2DA-1826-SM-CGQGT 50-59 years, male 10.2
GTEX-1RDX4-0126-SM-E9J4P 50-59 years, female 10.2
GTEX-11OF3-2626-SM-5GU7F 60-69 years, male 10.1
GTEX-12ZZX-0126-SM-5EGK9 40-49 years, female 10.1
GTEX-1313W-0126-SM-5LZUN 50-59 years, female 10.1
GTEX-1314G-1526-SM-5EGK2 30-39 years, male 10.1
GTEX-13G51-2526-SM-5LZYK 60-69 years, male 10.1
GTEX-145LT-1726-SM-5QGP3 40-49 years, male 10.1
GTEX-15ER7-0326-SM-7KUEV 20-29 years, female 10.1
GTEX-1AMFI-2026-SM-731BH 50-59 years, female 10.1
GTEX-OXRP-0126-SM-3NB32 60-69 years, female 10.1
GTEX-RN64-0126-SM-2TC68 50-59 years, male 10.1
GTEX-TMZS-0126-SM-3DB9Q 60-69 years, male 10.1
GTEX-1GMRU-0126-SM-9YFLV 50-59 years, male 10.1
GTEX-1H1E6-1726-SM-ACKVK 30-39 years, male 10.1
GTEX-1IDJU-2626-SM-CM2RT 60-69 years, female 10.1
GTEX-1JKYR-0126-SM-CNPOJ 20-29 years, male 10.1
GTEX-1NHNU-1026-SM-E9J2A 50-59 years, male 10.1
GTEX-12WSL-2526-SM-5GCNJ 50-59 years, male 10.0
GTEX-13VXU-0126-SM-5SI9F 50-59 years, male 10.0
GTEX-14BMV-0126-SM-5S2PO 50-59 years, male 10.0
GTEX-17GQL-2026-SM-718BA 60-69 years, male 10.0
GTEX-QVJO-1626-SM-2S1QW 60-69 years, female 10.0
GTEX-RWSA-0126-SM-2XCBB 40-49 years, male 10.0
GTEX-U8T8-0126-SM-3DB94 60-69 years, male 10.0
GTEX-ZYFC-0226-SM-5NQ75 50-59 years, male 10.0
GTEX-1LGRB-2526-SM-CNPPQ 50-59 years, female 10.0
GTEX-14BMU-2226-SM-5TDE9 20-29 years, female 9.9
GTEX-OXRK-0226-SM-3NB2G 50-59 years, female 9.9
GTEX-P4PQ-0126-SM-2S1NM 60-69 years, male 9.9
GTEX-POMQ-2226-SM-2I5FK 20-29 years, female 9.9
GTEX-T8EM-1026-SM-3DB7M 40-49 years, male 9.9
GTEX-Y8E4-0626-SM-4WWDL 40-49 years, male 9.9
GTEX-ZAB5-1826-SM-5HL7C 50-59 years, male 9.9
GTEX-ZTSS-1926-SM-57WEW 40-49 years, male 9.9
GTEX-1H3VE-0326-SM-9YFLH 40-49 years, male 9.9
GTEX-ZPIC-1726-SM-DHXIU 40-49 years, female 9.9
GTEX-11WQC-2526-SM-5CVLE 60-69 years, male 9.8
GTEX-133LE-1826-SM-5J1MV 20-29 years, female 9.8
GTEX-139UW-2826-SM-5L3E7 60-69 years, male 9.8
GTEX-13OVK-2026-SM-7KUEO 40-49 years, male 9.8
GTEX-13U4I-0126-SM-5LU38 40-49 years, female 9.8
GTEX-15DCD-0126-SM-7KUEK 70-79 years, female 9.8
GTEX-OHPL-0126-SM-2HMJ7 60-69 years, female 9.8
GTEX-XQ8I-0426-SM-4BOPO 50-59 years, male 9.8
GTEX-ZDYS-2026-SM-5HL5L 50-59 years, male 9.8
GTEX-ZVZO-0126-SM-5A5L9 40-49 years, male 9.8
GTEX-1A8FM-0226-SM-7SB7Q 50-59 years, female 9.8
GTEX-1GPI7-0126-SM-9MQL8 20-29 years, male 9.8
GTEX-1I1GR-0126-SM-CL55F 60-69 years, male 9.8
GTEX-1J8JJ-0226-SM-CL53I 60-69 years, female 9.8
GTEX-1JK1U-2026-SM-CM2RZ 60-69 years, male 9.8
GTEX-1LG7Y-0526-SM-DKPQC 50-59 years, male 9.8
GTEX-1MUQO-0126-SM-EAZ58 60-69 years, male 9.8
GTEX-1RQEC-0426-SM-E6CHU 60-69 years, male 9.8
GTEX-11EI6-0126-SM-5985R 60-69 years, male 9.7
GTEX-13FHO-0226-SM-5IFGY 60-69 years, male 9.7
GTEX-14JG6-2226-SM-6EU2G 30-39 years, female 9.7
GTEX-15CHC-2126-SM-6EU21 60-69 years, female 9.7
GTEX-1AX9K-2326-SM-73KWU 50-59 years, male 9.7
GTEX-1B8KE-2126-SM-73KYX 50-59 years, male 9.7
GTEX-VJYA-1126-SM-3GIJU 60-69 years, male 9.7
GTEX-X4EO-0326-SM-3P5YO 60-69 years, female 9.7
GTEX-1C6VQ-0126-SM-7P8RI 50-59 years, male 9.7
GTEX-1ICG6-2526-SM-CGQFZ 70-79 years, female 9.7
GTEX-1JN76-0126-SM-CNPPE 20-29 years, female 9.7
GTEX-1K9T9-0126-SM-EVYCF 50-59 years, female 9.7
GTEX-1KAFJ-2026-SM-CY8ID 50-59 years, male 9.7
GTEX-1MA7X-2226-SM-E6CIY 60-69 years, male 9.7
GTEX-1R9PM-2026-SM-E76OY 20-29 years, male 9.7
GTEX-RNOR-0126-SM-E9J4R 50-59 years, female 9.7
GTEX-11GSP-2526-SM-5N9BP 60-69 years, female 9.6
GTEX-11UD1-0126-SM-5PNYG 40-49 years, female 9.6
GTEX-144GL-0126-SM-5TDE2 50-59 years, male 9.6
GTEX-14A5H-0426-SM-5QGQF 60-69 years, male 9.6
GTEX-18465-0126-SM-731BN 50-59 years, male 9.6
GTEX-18A7A-0226-SM-718BH 50-59 years, female 9.6
GTEX-1CAMR-1926-SM-7EPI2 20-29 years, male 9.6
GTEX-XXEK-2226-SM-4BRUM 50-59 years, male 9.6
GTEX-ZE9C-2726-SM-57WB5 60-69 years, male 9.6
GTEX-1JMQK-0226-SM-CL543 60-69 years, male 9.6
GTEX-1LBAC-0126-SM-DIPEZ 20-29 years, male 9.6
GTEX-1N2DW-0226-SM-E9TK2 50-59 years, male 9.6
GTEX-1QPFJ-0226-SM-E76PB 30-39 years, female 9.6
GTEX-11NUK-0126-SM-5A5L3 50-59 years, male 9.5
GTEX-11ZTS-0126-SM-5EQ6M 60-69 years, female 9.5
GTEX-11ZTT-2426-SM-5EQLS 60-69 years, female 9.5
GTEX-13OVI-1426-SM-5L3EY 60-69 years, female 9.5
GTEX-QLQ7-1626-SM-2S1R8 60-69 years, male 9.5
GTEX-T5JW-1626-SM-3GADZ 20-29 years, female 9.5
GTEX-Y111-0126-SM-4SOIV 50-59 years, male 9.5
GTEX-ZU9S-0226-SM-5E441 30-39 years, male 9.5
GTEX-1CAV2-2226-SM-7P8P2 40-49 years, female 9.5
GTEX-1F52S-0126-SM-9MQJU 60-69 years, female 9.5
GTEX-1GF9W-0326-SM-9KNUN 60-69 years, male 9.5
GTEX-ZQG8-1626-SM-DHXIT 60-69 years, female 9.5
GTEX-11LCK-1026-SM-5A5KB 30-39 years, male 9.4
GTEX-12584-0126-SM-5EGKQ 40-49 years, male 9.4
GTEX-13111-1626-SM-5EGJY 50-59 years, male 9.4
GTEX-15DDE-0126-SM-6LPKH 50-59 years, female 9.4
GTEX-15G19-0126-SM-6PANQ 60-69 years, male 9.4
GTEX-15SHU-0126-SM-7KUEH 40-49 years, female 9.4
GTEX-16NPX-0226-SM-79OMT 50-59 years, male 9.4
GTEX-XBED-2226-SM-47JYQ 60-69 years, male 9.4
GTEX-ZYFG-2326-SM-5E44B 60-69 years, female 9.4
GTEX-1HB9E-0226-SM-E9U4R 50-59 years, male 9.4
GTEX-1HCU7-0226-SM-CL545 50-59 years, male 9.4
GTEX-1I19N-0326-SM-ACKVX 70-79 years, male 9.4
GTEX-1I1CD-0126-SM-CM2TK 60-69 years, female 9.4
GTEX-1I1GP-2226-SM-CGQFK 50-59 years, male 9.4
GTEX-1J8EW-0126-SM-CJI4F 60-69 years, female 9.4
GTEX-1QP2A-0126-SM-E9J43 50-59 years, male 9.4
GTEX-1128S-2326-SM-5GZZY 60-69 years, female 9.3
GTEX-13VXT-0126-SM-5LU4I 20-29 years, female 9.3
GTEX-17EUY-0426-SM-793BD 20-29 years, male 9.3
GTEX-ZVT2-2526-SM-51MT1 50-59 years, female 9.3
GTEX-1C64O-0126-SM-7SB8P 60-69 years, male 9.3
GTEX-1CB4F-0426-SM-9KNV4 60-69 years, male 9.3
GTEX-1H1DE-2126-SM-9WG6R 20-29 years, male 9.3
GTEX-1I6K6-0126-SM-A9SLE 30-39 years, male 9.3
GTEX-1IE54-0126-SM-CMKHW 40-49 years, female 9.3
GTEX-1MGNQ-0126-SM-EVYCJ 40-49 years, male 9.3
GTEX-1PIGE-0126-SM-EVYBJ 20-29 years, male 9.3
GTEX-1R7EV-2426-SM-EVYBG 40-49 years, male 9.3
GTEX-14DAR-2026-SM-5S2O3 50-59 years, male 9.2
GTEX-18A7B-0126-SM-7LG64 70-79 years, male 9.2
GTEX-R55G-2526-SM-2TC6D 40-49 years, female 9.2
GTEX-T6MO-1626-SM-32QOM 40-49 years, female 9.2
GTEX-Z93S-0126-SM-5HL7M 50-59 years, male 9.2
GTEX-ZVT3-0126-SM-5GU6I 60-69 years, female 9.2
GTEX-1HKZK-0326-SM-9WYUH 40-49 years, male 9.2
GTEX-1HR98-0126-SM-B2LWI 60-69 years, male 9.2
GTEX-1IKK5-0626-SM-ARL8A 60-69 years, male 9.2
GTEX-1J1R8-1726-SM-ARL8M 40-49 years, male 9.2
GTEX-1QAET-0926-SM-E76QM 50-59 years, male 9.2
GTEX-PLZ6-1426-SM-DKPOT 30-39 years, male 9.2
GTEX-PW2O-1526-SM-7RHHB 20-29 years, male 9.2
GTEX-12WSD-0126-SM-59HKN 60-69 years, female 9.1
GTEX-147GR-0526-SM-5S2MY 60-69 years, male 9.1
GTEX-148VI-1626-SM-5SI6E 60-69 years, female 9.1
GTEX-14E6E-1826-SM-5S2R7 30-39 years, male 9.1
GTEX-17HHE-2026-SM-79OKF 50-59 years, male 9.1
GTEX-1B8KZ-2026-SM-7DHMB 50-59 years, male 9.1
GTEX-QDVJ-1726-SM-2I5FX 50-59 years, male 9.1
GTEX-RWS6-2026-SM-2XCB5 60-69 years, female 9.1
GTEX-U3ZH-2026-SM-3DB78 30-39 years, male 9.1
GTEX-1EN7A-0126-SM-7SB81 40-49 years, male 9.1
GTEX-1F88F-2726-SM-7PBZZ 60-69 years, female 9.1
GTEX-1HFI7-1826-SM-ACKXH 50-59 years, female 9.1
GTEX-1HSMP-0126-SM-E6CJS 70-79 years, male 9.1
GTEX-1HSMQ-1226-SM-CGQFX 50-59 years, male 9.1
GTEX-1IL2V-0126-SM-CM2TX 70-79 years, male 9.1
GTEX-1MCYP-1926-SM-E9J2R 20-29 years, female 9.1
GTEX-11DXX-2426-SM-5GZZW 60-69 years, female 9.0
GTEX-11ZVC-2526-SM-5FQTE 50-59 years, female 9.0
GTEX-12KS4-0326-SM-5EQ41 30-39 years, male 9.0
GTEX-132NY-0326-SM-5IJBL 60-69 years, male 9.0
GTEX-13X6I-0626-SM-5QGP9 60-69 years, male 9.0
GTEX-14LZ3-0226-SM-62LET 60-69 years, female 9.0
GTEX-14XAO-2326-SM-6EU1B 60-69 years, female 9.0
GTEX-18A66-0226-SM-718BD 60-69 years, male 9.0
GTEX-S7PM-0126-SM-4AD6S 60-69 years, male 9.0
GTEX-13OW5-0126-SM-DTXFS 60-69 years, male 9.0
GTEX-1I1GS-0126-SM-B2LVW 60-69 years, male 9.0
GTEX-1I1GT-0626-SM-CGQER 60-69 years, female 9.0
GTEX-1J8Q2-0526-SM-CM2RW 60-69 years, male 9.0
GTEX-1S82Y-2026-SM-EVYCM 40-49 years, male 9.0
GTEX-11VI4-1726-SM-5CVLH 40-49 years, female 8.9
GTEX-11WQK-0526-SM-5EQLD 50-59 years, male 8.9
GTEX-131XE-2326-SM-5PNZ2 50-59 years, male 8.9
GTEX-13O21-1426-SM-5K7XI 50-59 years, male 8.9
GTEX-145MO-0326-SM-5Q5B3 60-69 years, male 8.9
GTEX-14PN4-0126-SM-6EU2V 50-59 years, male 8.9
GTEX-1GTWX-0126-SM-9YFLK 60-69 years, male 8.9
GTEX-1HCU6-0126-SM-CL54K 60-69 years, female 8.9
GTEX-1QEPI-0126-SM-EWRMQ 60-69 years, female 8.9
GTEX-1R9K4-0126-SM-DTX9X 60-69 years, male 8.9
GTEX-1RB15-2126-SM-E9TIM 60-69 years, male 8.9
GTEX-1192X-0226-SM-5H12D 50-59 years, male 8.8
GTEX-13N2G-2626-SM-5J1OT 60-69 years, male 8.8
GTEX-14753-0426-SM-5NQAM 60-69 years, male 8.8
GTEX-14PK6-1926-SM-6ETZU 70-79 years, female 8.8
GTEX-17F98-0626-SM-79OMX 40-49 years, female 8.8
GTEX-18QFQ-0126-SM-731BE 30-39 years, male 8.8
GTEX-Q2AG-0126-SM-33HBV 40-49 years, female 8.8
GTEX-TKQ1-1026-SM-4GICL 30-39 years, male 8.8
GTEX-UPJH-0326-SM-3GADU 50-59 years, male 8.8
GTEX-1IKOH-0226-SM-COH4E 60-69 years, female 8.8
GTEX-117YX-2326-SM-5H12W 50-59 years, male 8.7
GTEX-12WSJ-1826-SM-5GCNY 40-49 years, female 8.7
GTEX-13NZA-0226-SM-5K7Z7 60-69 years, male 8.7
GTEX-13OVH-0126-SM-5MR4B 70-79 years, male 8.7
GTEX-14PJ3-1826-SM-62LEX 50-59 years, male 8.7
GTEX-16BQI-0226-SM-7KUEX 30-39 years, female 8.7
GTEX-WYVS-2126-SM-3NMA3 40-49 years, female 8.7
GTEX-XUYS-0126-SM-47JWZ 50-59 years, male 8.7
GTEX-YB5K-2126-SM-4WWDJ 40-49 years, female 8.7
GTEX-ZV6S-2326-SM-4YCEY 40-49 years, female 8.7
GTEX-1EKGG-0226-SM-9WYTH 60-69 years, male 8.7
GTEX-1QW4Y-1526-SM-EAZ3Z 30-39 years, male 8.7
GTEX-1192W-2626-SM-5Q5AF 60-69 years, male 8.6
GTEX-13CF3-2426-SM-5IFGX 60-69 years, female 8.6
GTEX-13OVG-1926-SM-5L3DK 60-69 years, male 8.6
GTEX-TSE9-0126-SM-3DB83 60-69 years, female 8.6
GTEX-131XF-5016-SM-7MGWE 60-69 years, male 8.6
GTEX-1B996-0226-SM-7RHGO 60-69 years, male 8.6
GTEX-1H3NZ-0126-SM-ACKX7 60-69 years, male 8.6
GTEX-1JMQI-2226-SM-CM2SD 50-59 years, male 8.6
GTEX-W5X1-3026-SM-EAZAX 40-49 years, female 8.6
GTEX-1211K-2026-SM-5EQ4Z 60-69 years, female 8.5
GTEX-17EVQ-0226-SM-7LG4P 70-79 years, male 8.5
GTEX-183FY-0126-SM-7LT9P 20-29 years, male 8.5
GTEX-Y8LW-1826-SM-5S2MV 50-59 years, female 8.5
GTEX-ZY6K-1826-SM-5GZXK 50-59 years, male 8.5
GTEX-1F75I-0326-SM-9YFLU 40-49 years, male 8.5
GTEX-1IY9M-0126-SM-D3L8S 60-69 years, male 8.5
GTEX-1S5ZA-0126-SM-EVYCV 20-29 years, male 8.5
GTEX-OIZF-0126-SM-7SB8I 60-69 years, male 8.5
GTEX-11GS4-2726-SM-5A5LE 60-69 years, male 8.4
GTEX-13OW7-0126-SM-5MR3B 50-59 years, male 8.4
GTEX-15SDE-2226-SM-7IGLO 50-59 years, female 8.4
GTEX-X88G-0126-SM-47JZ3 30-39 years, male 8.4
GTEX-ZYY3-0126-SM-5GZY5 60-69 years, female 8.4
GTEX-13NYC-0326-SM-E9J4S 60-69 years, male 8.4
GTEX-1GN1W-0526-SM-9MQJQ 50-59 years, female 8.4
GTEX-1H11D-0226-SM-9WG6Z 40-49 years, male 8.4
GTEX-1H23P-0126-SM-ADEJ3 60-69 years, male 8.4
GTEX-1QMI2-0226-SM-EVYBX 60-69 years, male 8.4
GTEX-PWCY-1826-SM-DHXIZ 20-29 years, female 8.4
GTEX-13FTX-1826-SM-5J1NX 20-29 years, female 8.3
GTEX-1497J-2426-SM-7IGNX 60-69 years, male 8.3
GTEX-14E7W-0126-SM-6LLJ9 70-79 years, male 8.3
GTEX-1AYCT-2426-SM-7IGQ3 50-59 years, male 8.3
GTEX-VJWN-0126-SM-3GIK7 50-59 years, female 8.3
GTEX-X4EP-0126-SM-3P5YV 60-69 years, female 8.3
GTEX-Y3I4-2126-SM-4TT7C 50-59 years, male 8.3
GTEX-ZQUD-1426-SM-57WER 30-39 years, male 8.3
GTEX-1F48J-0126-SM-7P8TT 50-59 years, female 8.3
GTEX-1H3VY-0126-SM-ACKXD 50-59 years, male 8.3
GTEX-1KD5A-0226-SM-D5OV3 50-59 years, male 8.3
GTEX-145MI-0526-SM-5O9A8 60-69 years, female 8.2
GTEX-14A5I-0126-SM-5TDEA 50-59 years, female 8.2
GTEX-1AYD5-2426-SM-73KXR 50-59 years, male 8.2
GTEX-PLZ5-2026-SM-2S1O4 50-59 years, male 8.2
GTEX-R3RS-0126-SM-3GIJL 40-49 years, female 8.2
GTEX-SNMC-1226-SM-2XCFP 20-29 years, male 8.2
GTEX-V1D1-2226-SM-3NMAX 50-59 years, male 8.2
GTEX-ZXES-1826-SM-5E43S 30-39 years, female 8.2
GTEX-13O3O-0126-SM-E9J49 60-69 years, female 8.2
GTEX-169BO-1326-SM-9MQK2 50-59 years, male 8.2
GTEX-1F75A-0126-SM-7RHGM 50-59 years, male 8.2
GTEX-11EMC-2926-SM-5EQ4F 60-69 years, female 8.1
GTEX-147F4-0226-SM-5QGPW 50-59 years, male 8.1
GTEX-14BIM-0226-SM-7IGLD 60-69 years, female 8.1
GTEX-R55E-0126-SM-2TC5Y 20-29 years, male 8.1
GTEX-VUSG-2526-SM-4KL1V 50-59 years, male 8.1
GTEX-ZVE2-0226-SM-59HJB 50-59 years, male 8.1
GTEX-1GMR8-0126-SM-9WYTM 50-59 years, female 8.1
GTEX-1GN1V-0126-SM-9WPOS 60-69 years, male 8.1
GTEX-1GPI6-0126-SM-9WG69 60-69 years, male 8.1
GTEX-1HCU8-0626-SM-A9SM9 60-69 years, female 8.1
GTEX-1J8QM-2126-SM-CYPSJ 60-69 years, female 8.1
GTEX-1QP67-1626-SM-EAZ3X 40-49 years, female 8.1
GTEX-11NSD-2226-SM-5986V 20-29 years, male 8.0
GTEX-11P7K-2126-SM-5GU7G 30-39 years, male 8.0
GTEX-13OW8-1326-SM-5J1OW 60-69 years, male 8.0
GTEX-14PHW-0126-SM-6LLJI 60-69 years, female 8.0
GTEX-17F97-0326-SM-7LG5B 50-59 years, male 8.0
GTEX-17MFQ-1726-SM-793C7 20-29 years, male 8.0
GTEX-OOBK-0126-SM-2YUND 40-49 years, male 8.0
GTEX-T5JC-0426-SM-32PLO 20-29 years, male 8.0
GTEX-TMMY-0226-SM-33HBA 40-49 years, female 8.0
GTEX-WH7G-2326-SM-3NMBC 40-49 years, male 8.0
GTEX-WQUQ-0426-SM-3MJFU 60-69 years, male 8.0
GTEX-Z93T-0126-SM-5HL5N 50-59 years, male 8.0
GTEX-ZZPT-0226-SM-5E43X 50-59 years, male 8.0
GTEX-1GZHY-0326-SM-9QEHI 50-59 years, female 8.0
GTEX-1HSEH-0126-SM-ACKXN 60-69 years, male 8.0
GTEX-1JJE9-0326-SM-CL53Z 70-79 years, male 8.0
GTEX-1OJC4-0126-SM-E9J2E 50-59 years, female 8.0
GTEX-139T8-0126-SM-5K7XZ 60-69 years, male 7.9
GTEX-13QJ3-0326-SM-5S2RA 50-59 years, male 7.9
GTEX-146FQ-0126-SM-5NQA9 30-39 years, male 7.9
GTEX-O5YW-0126-SM-3LK6D 50-59 years, male 7.9
GTEX-OXRL-0126-SM-2YUMP 50-59 years, male 7.9
GTEX-U8XE-0326-SM-3DB8P 30-39 years, male 7.9
GTEX-WFG8-2226-SM-3GIL9 20-29 years, male 7.9
GTEX-1F6RS-0126-SM-9MQKZ 60-69 years, female 7.9
GTEX-1H1ZS-0426-SM-9WG6G 70-79 years, male 7.9
GTEX-1JMPY-1326-SM-ARL8Y 30-39 years, male 7.9
GTEX-1QP29-0626-SM-EWRMX 50-59 years, male 7.9
GTEX-1QP9N-1426-SM-DTXFL 30-39 years, male 7.9
GTEX-12C56-1726-SM-5EQ61 20-29 years, male 7.8
GTEX-12WSA-0226-SM-5BC5V 60-69 years, male 7.8
GTEX-13113-5016-SM-7EPIP 60-69 years, female 7.8
GTEX-145LS-0126-SM-5QGP1 60-69 years, female 7.8
GTEX-14ABY-0226-SM-5TDCQ 50-59 years, male 7.8
GTEX-16MT8-0426-SM-7KUEY 60-69 years, female 7.8
GTEX-1A3MV-1926-SM-718BT 30-39 years, male 7.8
GTEX-WRHK-1426-SM-3MJF9 20-29 years, female 7.8
GTEX-1F75B-0126-SM-9KNVL 50-59 years, male 7.8
GTEX-1HCVE-0126-SM-CGQEU 50-59 years, male 7.8
GTEX-1I1HK-0126-SM-COH49 60-69 years, male 7.8
GTEX-1LNCM-1126-SM-E9U5E 50-59 years, female 7.8
GTEX-1POEN-0126-SM-EYYXJ 30-39 years, female 7.8
GTEX-111VG-2426-SM-5GZXD 60-69 years, male 7.7
GTEX-16XZY-2126-SM-79OK1 70-79 years, male 7.7
GTEX-17HII-0226-SM-7LG4E 50-59 years, male 7.7
GTEX-1A32A-0126-SM-718B1 50-59 years, female 7.7
GTEX-1A3MX-0126-SM-731BR 60-69 years, male 7.7
GTEX-Y3IK-2426-SM-4WWDU 50-59 years, female 7.7
GTEX-ZDXO-3026-SM-5J1N5 60-69 years, male 7.7
GTEX-1C6WA-0126-SM-7PC2B 60-69 years, male 7.7
GTEX-1PWST-0226-SM-E76QJ 70-79 years, male 7.7
GTEX-ZF29-2326-SM-DO92K 60-69 years, female 7.7
GTEX-11ZU8-2526-SM-5EQKI 60-69 years, male 7.6
GTEX-11ZUS-0626-SM-59885 30-39 years, male 7.6
GTEX-13RTJ-2426-SM-5S2Q2 60-69 years, male 7.6
GTEX-145LV-2126-SM-5LU8N 50-59 years, male 7.6
GTEX-14LLW-0126-SM-6LLIO 70-79 years, female 7.6
GTEX-17MF6-0126-SM-7LG4F 40-49 years, male 7.6
GTEX-1C6VS-0526-SM-7DUEN 60-69 years, male 7.6
GTEX-ZUA1-0126-SM-5GU76 40-49 years, male 7.6
GTEX-13FH7-2026-SM-E9J4I 50-59 years, female 7.6
GTEX-117YW-2626-SM-5GZZH 50-59 years, male 7.5
GTEX-11P82-1626-SM-59879 20-29 years, male 7.5
GTEX-139T4-0226-SM-5HL5S 50-59 years, female 7.5
GTEX-OXRN-0126-SM-48TDM 50-59 years, male 7.5
GTEX-146FR-1326-SM-E9J48 60-69 years, female 7.5
GTEX-1I1GU-2226-SM-CGQFA 40-49 years, male 7.5
GTEX-13N1W-0126-SM-5K7VT 70-79 years, male 7.4
GTEX-13RTL-0126-SM-7LG5S 40-49 years, male 7.4
GTEX-OXRO-0126-SM-2YUN4 60-69 years, female 7.4
GTEX-S95S-1226-SM-4GICG 60-69 years, male 7.4
GTEX-1ICLZ-0126-SM-CKZPO 60-69 years, male 7.4
GTEX-15D1Q-0126-SM-7KUG6 40-49 years, male 7.3
GTEX-1AX8Z-0126-SM-7DHM6 60-69 years, male 7.3
GTEX-QDT8-0126-SM-48TZ1 30-39 years, female 7.3
GTEX-RUSQ-1526-SM-2TF62 50-59 years, male 7.3
GTEX-U3ZM-1526-SM-3DB9D 40-49 years, male 7.3
GTEX-U3ZN-2326-SM-3DB7W 30-39 years, female 7.3
GTEX-R45C-0126-SM-EAZ2R 60-69 years, female 7.3
GTEX-113JC-2326-SM-5EQ4E 50-59 years, female 7.2
GTEX-NPJ8-0126-SM-2YUNR 40-49 years, male 7.2
GTEX-QESD-1426-SM-2S1R9 20-29 years, male 7.2
GTEX-X638-0126-SM-47JZ8 70-79 years, female 7.2
GTEX-XV7Q-2526-SM-4BRV9 40-49 years, female 7.2
GTEX-Y5LM-1926-SM-5RQJH 40-49 years, female 7.2
GTEX-139D8-0226-SM-5KLZO 30-39 years, female 7.1
GTEX-13NZB-2526-SM-5J1OM 30-39 years, male 7.1
GTEX-14ICK-0226-SM-6EU25 40-49 years, male 7.1
GTEX-OHPM-0126-SM-2YUN9 50-59 years, male 7.1
GTEX-1HBPM-0226-SM-ARL9F 60-69 years, female 7.1
GTEX-1ICLY-0126-SM-D4P36 50-59 years, male 7.1
GTEX-11O72-0126-SM-59887 40-49 years, male 7.0
GTEX-13FTY-0526-SM-5L3EV 40-49 years, female 7.0
GTEX-13NYS-0126-SM-5MR3W 60-69 years, male 7.0
GTEX-14C5O-0126-SM-5SI6N 60-69 years, male 7.0
GTEX-1C2JI-1826-SM-73KXC 50-59 years, male 7.0
GTEX-1GF9X-2026-SM-7PC3A 40-49 years, female 7.0
GTEX-1HGF4-2426-SM-ACKXM 60-69 years, male 7.0
GTEX-144FL-0126-SM-5TDC8 50-59 years, male 6.9
GTEX-16XZZ-0126-SM-793DV 60-69 years, male 6.9
GTEX-1AMEY-1326-SM-73KYK 30-39 years, female 6.9
GTEX-1CB4H-0226-SM-7PBXM 60-69 years, female 6.9
GTEX-1GMR3-1926-SM-9KNUZ 40-49 years, male 6.9
GTEX-1JMOU-1526-SM-CL54I 60-69 years, female 6.9
GTEX-1K2DU-2326-SM-E9TIV 20-29 years, male 6.9
GTEX-PLZ4-0126-SM-5SI8O 50-59 years, female 6.8
GTEX-RTLS-0126-SM-447CA 60-69 years, female 6.8
GTEX-X585-0226-SM-4QAS2 50-59 years, male 6.8
GTEX-YEC4-2126-SM-5IFJH 40-49 years, male 6.8
GTEX-ZE7O-0126-SM-57WC1 50-59 years, female 6.8
GTEX-11TUW-2726-SM-E9J4M 60-69 years, male 6.8
GTEX-1IGQW-0126-SM-COH42 60-69 years, male 6.8
GTEX-1QP66-1726-SM-E8VO1 50-59 years, male 6.8
GTEX-1RLM8-2326-SM-EWRN4 50-59 years, male 6.8
GTEX-14BIL-0126-SM-5SI92 50-59 years, male 6.7
GTEX-PWO3-1526-SM-48TCM 60-69 years, female 6.7
GTEX-YJ8A-0426-SM-5IFID 20-29 years, male 6.7
GTEX-12WSG-2826-SM-E9J4H 50-59 years, female 6.7
GTEX-144GN-2326-SM-5LU4F 50-59 years, male 6.6
GTEX-146FH-0126-SM-5QGPP 50-59 years, female 6.6
GTEX-14JIY-0126-SM-6LLH6 60-69 years, male 6.6
GTEX-ZEX8-2426-SM-4WKG4 50-59 years, male 6.6
GTEX-1JN6P-0126-SM-D3L98 60-69 years, male 6.6
GTEX-1M4P7-0226-SM-DIPEV 60-69 years, male 6.6
GTEX-1PBJI-0526-SM-E8VNK 20-29 years, female 6.6
GTEX-13W46-0226-SM-5SIAG 50-59 years, male 6.5
GTEX-QLQW-1126-SM-2S1Q8 30-39 years, male 6.5
GTEX-12WSN-5019-SM-79OM6 40-49 years, male 6.4
GTEX-13IVO-0126-SM-5J1NG 70-79 years, male 6.4
GTEX-ZAB4-0226-SM-5N9F5 40-49 years, male 6.4
GTEX-13YAN-0326-SM-5O9DF 60-69 years, male 6.3
GTEX-1HUB1-0426-SM-E9U4U 60-69 years, male 6.3
GTEX-1PPH7-2326-SM-EVYB8 40-49 years, male 6.3
GTEX-1R9PO-2126-SM-E9J4O 60-69 years, female 6.3
GTEX-11TT1-2526-SM-5EGIB 20-29 years, male 6.2
GTEX-13O1R-0126-SM-5L3EH 60-69 years, male 6.2
GTEX-15SHW-0326-SM-6PAML 60-69 years, male 6.2
GTEX-U4B1-1826-SM-4DXSU 40-49 years, male 6.2
GTEX-ZTPG-0326-SM-5O9AX 20-29 years, female 6.2
GTEX-ZYW4-0126-SM-5E44A 60-69 years, male 6.2
GTEX-1LC47-0326-SM-E9TJP 60-69 years, male 6.2
GTEX-11EM3-2426-SM-59861 20-29 years, female 6.1
GTEX-13NZ8-0826-SM-5MR3I 60-69 years, female 6.1
GTEX-1R46S-0626-SM-E9J41 60-69 years, female 6.0
GTEX-15EOM-0126-SM-7KUGG 20-29 years, female 5.9
GTEX-15UKP-0426-SM-7KUFQ 20-29 years, male 5.9
GTEX-Q2AI-1326-SM-2S1PL 40-49 years, male 5.9
GTEX-T2YK-0526-SM-32QPJ 50-59 years, male 5.9
GTEX-ZF28-0126-SM-4WKGK 60-69 years, male 5.9
GTEX-1H2FU-0126-SM-9WYSI 60-69 years, female 5.9
GTEX-1IDFM-0126-SM-COH2V 60-69 years, male 5.9
GTEX-16YQH-0126-SM-7DUFJ 30-39 years, male 5.8
GTEX-X62O-0126-SM-4E3JN 50-59 years, male 5.8
GTEX-113IC-0126-SM-5HL6T 60-69 years, male 5.7
GTEX-14A6H-0126-SM-5QGPK 30-39 years, male 5.7
GTEX-X8HC-0126-SM-4E3JW 50-59 years, female 5.7
GTEX-1LH75-2426-SM-E9TJE 50-59 years, female 5.7
GTEX-13CF2-2526-SM-5LZYX 60-69 years, male 5.6
GTEX-SN8G-0126-SM-32PLI 50-59 years, female 5.6
GTEX-1RAZQ-0726-SM-EAZ43 30-39 years, male 5.6
GTEX-11H98-0126-SM-5EGHG 50-59 years, male 5.5
GTEX-1A3MW-0126-SM-73KXX 60-69 years, female 5.4
GTEX-Q734-1926-SM-2I5EV 40-49 years, female 5.4
GTEX-ZAJG-0126-SM-5HL94 50-59 years, female 5.4
GTEX-ZYFD-0126-SM-5GIDL 50-59 years, male 5.3
GTEX-11DZ1-0126-SM-5985Q 50-59 years, male 5.2
GTEX-11TTK-0126-SM-5987B 60-69 years, female 5.2
GTEX-1HBPH-0426-SM-B2LW5 40-49 years, female 5.2
GTEX-ZF3C-0126-SM-DO92D 50-59 years, female 5.1
GTEX-148VJ-0126-SM-5TDDN 70-79 years, male 5.0
GTEX-X4XY-0226-SM-4E3IZ 60-69 years, male 5.0
GTEX-WI4N-1026-SM-3LK7N 40-49 years, female 4.8
GTEX-13PDP-0126-SM-5L3HD 60-69 years, male 4.7
GTEX-1N2EF-0226-SM-EYYXB 60-69 years, male 4.7
GTEX-13OVJ-0126-SM-5KM36 50-59 years, female 4.6
GTEX-183WM-0126-SM-7LTAB 70-79 years, female 4.6
GTEX-1HSMO-0126-SM-CL547 60-69 years, male 4.6
GTEX-WOFL-0126-SM-3MJG2 60-69 years, male 4.5
GTEX-15UF6-0826-SM-6PALJ 70-79 years, female 4.2
GTEX-1JN1M-0326-SM-CYPT3 60-69 years, female 4.1
GTEX-14E6C-0126-SM-5RQIP 40-49 years, male 3.8
Show allShow less

Contact

  • NEWS ARTICLES
  • PRESS ROOM

The Project

  • INTRODUCTION
  • ORGANIZATION
  • PUBLICATIONS

The Human Protein Atlas

  • DOWNLOADABLE DATA
  • LICENCE & CITATION
  • HELP & FAQ
The Human Protein Atlas project is funded
by the Knut & Alice Wallenberg Foundation.


contact@proteinatlas.org