We use cookies to enhance the usability of our website. If you continue, we'll assume that you are happy to receive all cookies. More information. Don't show this again.
FADS1
HPA
RESOURCES
  • TISSUE
  • BRAIN
  • SINGLE CELL
  • SUBCELLULAR
  • CANCER
  • BLOOD
  • CELL LINE
  • STRUCTURE & INTERACTION
ABOUT
  • INTRODUCTION
  • HISTORY
  • ORGANIZATION
  • PUBLICATIONS
  • ANTIBODY SUBMISSION
  • ANTIBODY AVAILABILITY
  • ACKNOWLEDGMENTS
  • CONTACT
NEWS
  • NEWS ARTICLES
  • PRESS ROOM
LEARN
  • DICTIONARY
  • PROTEIN CLASSES
  • PROTEIN EVIDENCE
  • METHODS
  • EDUCATIONAL VIDEOS
DATA
  • DOWNLOADABLE DATA
  • PUBLICATION DATA
  • RELEASE HISTORY
HELP
  • ANTIBODY VALIDATION
  • ASSAYS & ANNOTATION
  • DISCLAIMER
  • HELP & FAQ
  • PRIVACY STATEMENT
  • LICENCE & CITATION
Fields »
Search result

Field
Term
Gene name
Class
Subclass
Class
Keyword
Chromosome
External id
Tissue
Cell type
Expression
Antibody panel
Tissue
Main location
Patient ID
Annotation
Tissue
Category
Tau score
Cluster
Reliability
Brain region
Category
Tau score
Brain region
Category
Tau score
Brain region
Category
Tau score
Cluster
Reliability
Tissue
Cell type
Enrichment
Cell type
Category
Tau score
Cell type
Category
Tau score
Cell type
Category
Tau score
Cell lineage
Category
Tau score
Cluster
Cluster
Location
Searches
Location
Cell line
Class
Type
Phase
Reliability
Cancer
Prognosis
Cancer
Category
Cancer
Category
Tau score
Cluster
Variants
Interacting gene (ensg_id)
Type
Number of interactions
Pathway
Category
Score
Score
Score
Validation
Validation
Validation
Validation
Antibodies
Data type
Column


  • SUMMARY

  • TISSUE

  • BRAIN

  • SINGLE CELL

  • SUBCELL

  • CANCER

  • BLOOD

  • CELL LINE

  • STRUCT & INT

  • FADS1
TISSUE PRIMARY DATA SKIN Show tissue menu
ADIPOSE TISSUE ADRENAL GLAND AMYGDALA APPENDIX BASAL GANGLIA BONE MARROW BREAST BRONCHUS CEREBELLUM CEREBRAL CORTEX CERVIX CHOROID PLEXUS COLON DUODENUM
ENDOMETRIUM EPIDIDYMIS ESOPHAGUS FALLOPIAN TUBE GALLBLADDER HEART MUSCLE HIPPOCAMPAL FORMATION HYPOTHALAMUS KIDNEY LIVER LUNG LYMPH NODE MIDBRAIN NASOPHARYNX
ORAL MUCOSA OVARY PANCREAS PARATHYROID GLAND PITUITARY GLAND PLACENTA PROSTATE RECTUM RETINA SALIVARY GLAND SEMINAL VESICLE SKELETAL MUSCLE SKIN SMALL INTESTINE
SMOOTH MUSCLE SOFT TISSUE SPINAL CORD SPLEEN STOMACH TESTIS THYMUS THYROID GLAND TONGUE TONSIL URINARY BLADDER VAGINA
ANTIBODIES
AND
VALIDATION
Dictionary
Skin
Tissue proteome
Skin
SKIN - Expression summary
Protein expression
Skini

On the top, protein expression in current human tissue, based on all annotated cell types, is reported with the units not detected (n), low (l), medium (m) and high (h). Underneath, protein expression in each annotated cell type are reported using the same units.

Protein expression data is based on knowledge-based annotation. For genes where more than one antibody has been used, a collective score is set.

If knowledge-based annotation could not be performed for a gene, no data is displayed here. View antibody staining data further down this page.

h
m
l
n
Epidermal cells: Low
Fibroblasts: Low
Keratinocytes: Medium
Langerhans: Medium
Melanocytes: Medium
RNA expressioni

A summary of mRNA expression data available for current tissue based on several datasets. The mRNA expression levels in human tissues are based on RNA-seq data generated by the Human Protein Atlas (HPA), Genotype-Tissue Expression (GTEx) portal and CAGE data generated by the FANTOM5 consortium. Consensus normalized expression levels for human tissues was created by combining the data from HPA and GTEx datasets.

The mRNA expression levels in pig are based on RNA-seq data generated by the Human Protein Atlas (HPA), and for mouse, HPA data and in situ hybridization generated by the Allen brain atlas are reported.

Scroll down to view mRNA expression data in more detail.
Consensus:15.0 nTPM
HPA:4.0 nTPM
GTEx:15.0 nTPM

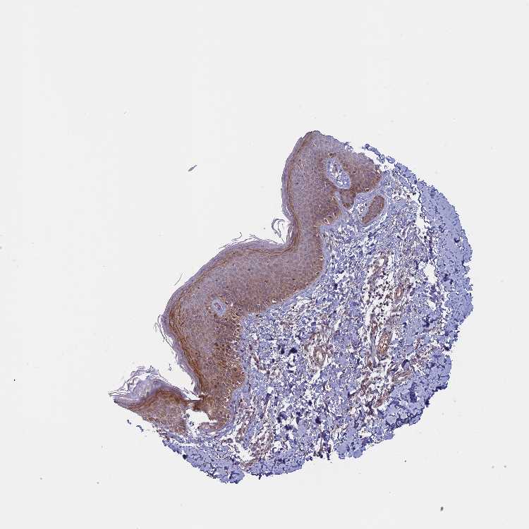
SKIN 1 - Antibody stainingi

Antibody staining in the annotated cell types in the current human tissue is reported as not detected, low, medium, or high, based on conventional immunohistochemistry profiling in selected tissues. This score is based on the combination of the staining intensity and fraction of stained cells.

Each image is clickable and will lead to virtual microscopy that enables deeper exploration of all samples and also displays staining intensity scores, fraction scores and subcellular localization as well as patient and tissue information for each sample.

Antibody HPA042705
Langerhans Medium
Fibroblasts Low
Keratinocytes Medium
Melanocytes Medium

SKIN 2 - Antibody stainingi

Antibody staining in the annotated cell types in the current human tissue is reported as not detected, low, medium, or high, based on conventional immunohistochemistry profiling in selected tissues. This score is based on the combination of the staining intensity and fraction of stained cells.

Each image is clickable and will lead to virtual microscopy that enables deeper exploration of all samples and also displays staining intensity scores, fraction scores and subcellular localization as well as patient and tissue information for each sample.

Antibody HPA042705
Epidermal cells Low
 
 
 


SKIN - HPA RNA-seqi

The RNA-seq details section shows detailed information about the individual samples used for the transcript profiling and results of the RNA-seq analysis.

Information about each individual sample is listed below, including gender, age, a tissue section image and estimated fractions of cell types. nTPM (normalized transcripts per million) values give a quantification of the gene abundance which is comparable between different genes and samples.
Average nTPMi

Max subtype nTPM is the value for the subtype with the largest average nTPM across the subtype samples.

4.0
overview
Female, age 34
Skin sample 225
nTPM: 2.8
Cell types%
Keratinocytes:
60

Other cell types:
40

overview
Female, age 30
Skin sample 226
nTPM: 6
Cell types%
Keratinocytes:
55

Other cell types:
45

N/A
Male, age 57
Skin sample 227
nTPM: 3.1

SKIN - GTEx RNA-seqi

RNA-Seq data generated by the Genotype-Tissue Expression (GTEx) project from human tissues is reported as mean nTPM. More information can be found on the GTEx portal.

Distribution across the dataset is visualized with box plots, shown as median and 25th and 75th percentiles. Points are displayed as outliers if they are above or below 1.5 times the interquartile range. nTPM values of the individual samples are presented next to the box plot.
Max subtype nTPMi

Max subtype nTPM is the value for the subtype with the largest average nTPM across the subtype samples.

15.0
GTEx sample id Sample description nTPM
Skin - Not Sun Exposed (Suprapubic)
Average nTPM: 15.0
Samples: 604

Max nTPM: 246.5
Min nTPM: 0.5
Std nTPM: 29.4
Median nTPM: 4.1
GTEX-1QCLY-0226-SM-EWRNH 30-39 years, male 246.5
GTEX-1RAZA-2226-SM-E9U4X 20-29 years, male 221.2
GTEX-1HSMP-0926-SM-A9SKX 70-79 years, male 218.0
GTEX-178AV-1726-SM-7KUL8 40-49 years, male 216.7
GTEX-YEC3-1326-SM-DO92X 50-59 years, male 175.3
GTEX-14PJ3-1126-SM-5ZZVX 50-59 years, male 167.7
GTEX-1I6K7-1926-SM-B2LXR 40-49 years, male 148.9
GTEX-17KNJ-2126-SM-718AM 50-59 years, male 144.6
GTEX-1GMR3-0126-SM-A9SLW 40-49 years, male 135.1
GTEX-1PIGE-1826-SM-E8VOU 20-29 years, male 132.6
GTEX-1GN1W-2426-SM-9KNUU 50-59 years, female 131.9
GTEX-15RIE-1926-SM-7KUKJ 60-69 years, male 126.0
GTEX-1F5PK-2226-SM-7SB6N 50-59 years, male 121.5
GTEX-ZZ64-1026-SM-5GZXG 20-29 years, male 110.4
GTEX-WK11-2726-SM-3NMAQ 50-59 years, male 106.6
GTEX-ZPU1-1126-SM-4YCF3 40-49 years, male 103.9
GTEX-1JN76-0626-SM-CKZOQ 20-29 years, female 103.8
GTEX-YEC4-1826-SM-4W1YP 40-49 years, male 92.3
GTEX-1CB4I-0126-SM-7RHGG 50-59 years, male 89.7
GTEX-13OVG-1626-SM-5J1NF 60-69 years, male 89.6
GTEX-11DXX-2126-SM-5PNYR 60-69 years, female 88.1
GTEX-14B4R-1326-SM-5Q5EZ 30-39 years, male 88.0
GTEX-13PVR-0426-SM-5RQK2 60-69 years, female 85.2
GTEX-1B8KZ-0326-SM-73KY4 50-59 years, male 82.1
GTEX-1E1VI-0326-SM-793D1 50-59 years, male 78.3
GTEX-Y5V6-2326-SM-4VDSA 60-69 years, male 69.7
GTEX-12BJ1-0926-SM-5EQ62 60-69 years, male 68.2
GTEX-1N2DV-1526-SM-DTXEP 40-49 years, male 67.2
GTEX-145LT-0526-SM-5LUB2 40-49 years, male 67.0
GTEX-ZVT4-2426-SM-5GIEI 50-59 years, female 66.9
GTEX-16NGA-0726-SM-731AO 40-49 years, female 66.3
GTEX-1F6IF-0926-SM-7SB7M 60-69 years, male 57.8
GTEX-12WSD-0626-SM-5GCMW 60-69 years, female 56.8
GTEX-1IDJF-2026-SM-CL53V 20-29 years, male 56.6
GTEX-1AX8Z-0726-SM-73KTS 60-69 years, male 55.2
GTEX-14JFF-0626-SM-5ZZVT 60-69 years, male 55.2
GTEX-1S3DN-2126-SM-E9TIN 50-59 years, male 55.0
GTEX-1GF9V-0826-SM-9KNUV 60-69 years, male 54.8
GTEX-1GN1U-0626-SM-9MQL9 50-59 years, female 54.2
GTEX-145MN-1526-SM-5SI9T 30-39 years, male 54.0
GTEX-1AX9I-2226-SM-73KUO 60-69 years, male 53.8
GTEX-1IY9M-2826-SM-ARU8H 60-69 years, male 53.5
GTEX-13X6K-0626-SM-5LU5D 60-69 years, female 53.2
GTEX-ZPIC-0526-SM-DO91W 40-49 years, female 51.0
GTEX-ZDTS-0826-SM-4WKHL 60-69 years, male 50.9
GTEX-11P7K-1126-SM-5HL4L 30-39 years, male 50.1
GTEX-1I6K6-1726-SM-CGQFD 30-39 years, male 49.2
GTEX-V1D1-2026-SM-3GAF4 50-59 years, male 49.1
GTEX-X3Y1-2026-SM-3P5YM 40-49 years, male 48.8
GTEX-11TT1-1826-SM-5EQLV 20-29 years, male 48.6
GTEX-111YS-1526-SM-5GZYW 60-69 years, male 45.0
GTEX-VJYA-1526-SM-3GIJV 60-69 years, male 42.3
GTEX-12696-0126-SM-5EQ4L 60-69 years, male 41.7
GTEX-ZDTT-0426-SM-4WKFL 60-69 years, male 41.7
GTEX-16NPX-0726-SM-7KULC 50-59 years, male 41.1
GTEX-18A6Q-0626-SM-7KFRP 60-69 years, male 40.4
GTEX-18A66-0626-SM-7LT8Z 60-69 years, male 40.1
GTEX-1H1DG-2426-SM-9QEHJ 70-79 years, male 40.0
GTEX-WEY5-2326-SM-3GIKK 40-49 years, female 38.6
GTEX-1KD5A-0126-SM-E9U54 50-59 years, male 37.1
GTEX-1JMQK-1226-SM-D4P2S 60-69 years, male 36.4
GTEX-YJ8O-2526-SM-5HL85 40-49 years, female 36.1
GTEX-14PJN-1826-SM-6AJ98 30-39 years, male 35.4
GTEX-1B8L1-2226-SM-7P8PT 60-69 years, male 35.4
GTEX-1H1DE-1326-SM-9KNUG 20-29 years, male 35.1
GTEX-1IOXB-2726-SM-CM2RI 50-59 years, male 35.0
GTEX-13U4I-2226-SM-5LU5H 40-49 years, female 34.8
GTEX-12KS4-2126-SM-5FQUT 30-39 years, male 34.4
GTEX-1CB4F-1026-SM-7DUH1 60-69 years, male 34.2
GTEX-13PVQ-0626-SM-5LU47 50-59 years, male 34.1
GTEX-11VI4-1126-SM-5EQMD 40-49 years, female 34.0
GTEX-132AR-0326-SM-5KM2C 50-59 years, female 33.9
GTEX-14A5H-0826-SM-5QGPJ 60-69 years, male 33.9
GTEX-ZTTD-2826-SM-4YCFA 50-59 years, male 33.9
GTEX-12WSF-1626-SM-7KUG5 70-79 years, male 33.7
GTEX-1CB4E-0926-SM-7EPHT 60-69 years, male 33.5
GTEX-15CHR-1126-SM-7EWF4 50-59 years, male 33.4
GTEX-UPJH-0226-SM-3GADV 50-59 years, male 33.4
GTEX-14BMV-2826-SM-5TDED 50-59 years, male 33.3
GTEX-17F98-1326-SM-7DUEP 40-49 years, female 32.6
GTEX-131XG-0326-SM-5L3DX 50-59 years, female 31.5
GTEX-14ABY-2026-SM-62LDL 50-59 years, male 30.5
GTEX-XPVG-2126-SM-4B667 50-59 years, male 30.1
GTEX-13O3O-2326-SM-5IJD6 60-69 years, female 29.8
GTEX-Y5LM-0926-SM-6LLJG 40-49 years, female 29.7
GTEX-147F3-1726-SM-5SIAW 50-59 years, female 28.0
GTEX-1IDJE-1426-SM-ADEIW 50-59 years, female 27.8
GTEX-1I19N-0126-SM-CYPSF 70-79 years, male 27.3
GTEX-1QCLZ-2426-SM-EVYBW 60-69 years, female 27.1
GTEX-1A8G6-2726-SM-731AR 60-69 years, male 26.7
GTEX-1GPI7-1826-SM-9KNU1 20-29 years, male 26.5
GTEX-Y8E4-2026-SM-5IFJB 40-49 years, male 25.6
GTEX-1I1GP-1326-SM-A9G28 50-59 years, male 25.3
GTEX-XMD2-2126-SM-4YCF8 60-69 years, female 25.2
GTEX-1A8G7-1326-SM-73KVM 60-69 years, male 24.8
GTEX-1GF9U-2026-SM-7SB92 40-49 years, female 24.8
GTEX-1CAMQ-1326-SM-7P8RV 40-49 years, male 24.4
GTEX-1C6VR-0126-SM-7RHGB 60-69 years, male 24.3
GTEX-1B97I-0626-SM-73KUZ 40-49 years, male 23.9
GTEX-1B8KE-1126-SM-7EPHI 50-59 years, male 23.8
GTEX-ZUA1-2626-SM-5NQ92 40-49 years, male 23.8
GTEX-1C64O-1326-SM-7MGWR 60-69 years, male 23.7
GTEX-15RIG-0726-SM-7KUM7 40-49 years, male 23.1
GTEX-UPK5-0426-SM-3GAEK 40-49 years, male 22.9
GTEX-1JKYR-0626-SM-ARL8R 20-29 years, male 22.8
GTEX-1QW4Y-1126-SM-DTXE3 30-39 years, male 22.8
GTEX-YB5K-2026-SM-4VDT3 40-49 years, female 22.6
GTEX-14PJ6-2626-SM-6EU2T 60-69 years, female 22.3
GTEX-18A7A-0126-SM-731AH 50-59 years, female 21.3
GTEX-183FY-1026-SM-7939A 20-29 years, male 20.7
GTEX-13FLV-0126-SM-5K7WT 50-59 years, male 20.6
GTEX-15D1Q-2826-SM-6LLH7 40-49 years, male 19.9
GTEX-1399Q-2326-SM-5KM2X 40-49 years, male 19.8
GTEX-17F96-0126-SM-7EWDU 70-79 years, male 19.8
GTEX-1HFI6-0126-SM-CNPPI 40-49 years, male 19.8
GTEX-XXEK-1626-SM-4BRUZ 50-59 years, male 19.7
GTEX-ZDYS-2426-SM-4WKGI 50-59 years, male 19.7
GTEX-1K2DA-1026-SM-CGQGF 50-59 years, male 19.7
GTEX-ZA64-1026-SM-5HL8R 20-29 years, male 19.6
GTEX-1JN6P-2926-SM-CL54D 60-69 years, male 19.6
GTEX-14E6E-0526-SM-793DN 30-39 years, male 19.4
GTEX-WHWD-1826-SM-3LK6I 50-59 years, male 19.3
GTEX-13VXU-0626-SM-5L3F9 50-59 years, male 18.5
GTEX-WYJK-0526-SM-3NM8Z 50-59 years, male 18.3
GTEX-139UW-0326-SM-5J1ML 60-69 years, male 18.2
GTEX-1PPH7-1126-SM-DTX9A 40-49 years, male 17.8
GTEX-1LVAM-0726-SM-E6CIL 50-59 years, female 17.4
GTEX-1QP66-1226-SM-DTX7U 50-59 years, male 17.3
GTEX-1ICG6-1226-SM-A9SLN 70-79 years, female 17.2
GTEX-1KANC-1226-SM-CYPT7 50-59 years, female 16.9
GTEX-131YS-2826-SM-5EQ47 60-69 years, female 16.8
GTEX-11DXZ-2026-SM-5987S 50-59 years, male 16.7
GTEX-1HBPI-2126-SM-ARL9K 50-59 years, male 16.3
GTEX-16GPK-0626-SM-7KFSF 60-69 years, male 16.2
GTEX-15SHW-0226-SM-7LTAT 60-69 years, male 16.1
GTEX-WRHU-2826-SM-3MJG8 50-59 years, female 16.0
GTEX-X5EB-1926-SM-4E3IW 40-49 years, male 15.9
GTEX-1IDJH-0126-SM-D3L92 70-79 years, male 15.8
GTEX-14AS3-1526-SM-5Q5ED 40-49 years, female 15.5
GTEX-1LSVX-2526-SM-DIPEU 60-69 years, male 15.3
GTEX-1B996-0426-SM-7EWF8 60-69 years, male 15.2
GTEX-13N11-2326-SM-5IJBF 50-59 years, female 15.1
GTEX-XQ3S-1426-SM-4BOPR 20-29 years, male 15.0
GTEX-1LG7Y-2526-SM-EWRO7 50-59 years, male 14.9
GTEX-1314G-1326-SM-5BC6E 30-39 years, male 14.3
GTEX-1EN7A-2426-SM-793DB 40-49 years, male 14.1
GTEX-ZXG5-2126-SM-59HKD 60-69 years, male 14.1
GTEX-1F5PL-0926-SM-7PC2W 40-49 years, female 14.1
GTEX-111FC-2526-SM-5GZXU 60-69 years, male 14.0
GTEX-139TS-2126-SM-5K7XC 60-69 years, male 14.0
GTEX-13FTY-2126-SM-5IFFB 40-49 years, female 13.8
GTEX-1A3MX-2626-SM-7PC24 60-69 years, male 13.8
GTEX-1LVA9-2626-SM-EVYD4 50-59 years, male 13.3
GTEX-1211K-1526-SM-5FQU4 60-69 years, female 13.2
GTEX-1A3MV-1826-SM-731CD 30-39 years, male 13.2
GTEX-1AX9J-1326-SM-731BJ 60-69 years, male 13.1
GTEX-11EQ9-1626-SM-5PNY8 30-39 years, male 12.9
GTEX-144GM-0526-SM-79OJO 20-29 years, male 12.9
GTEX-15G19-2426-SM-7KUMR 60-69 years, male 12.9
GTEX-WFON-1926-SM-3LK7L 40-49 years, male 12.9
GTEX-1QAET-0326-SM-EVR3U 50-59 years, male 12.9
GTEX-11EI6-2826-SM-5H11D 60-69 years, male 12.7
GTEX-18D9A-1426-SM-7LT8M 30-39 years, female 12.5
GTEX-ZDXO-3126-SM-5IJDF 60-69 years, male 12.2
GTEX-ZF2S-1626-SM-57WES 50-59 years, female 12.2
GTEX-1CAMR-1326-SM-7PC1F 20-29 years, male 12.2
GTEX-1OJC4-2726-SM-E76PJ 50-59 years, female 11.9
GTEX-1MCYP-0526-SM-E9U6Q 20-29 years, female 11.8
GTEX-1N2EE-0626-SM-E76PW 60-69 years, male 11.6
GTEX-13NZ9-2626-SM-5L3FK 50-59 years, male 11.5
GTEX-WFG8-2126-SM-3GIKQ 20-29 years, male 11.5
GTEX-XK95-0226-SM-4AT58 40-49 years, male 11.4
GTEX-1I4MK-0126-SM-CY8G6 50-59 years, female 11.3
GTEX-1LG7Z-1626-SM-CXKYR 30-39 years, male 11.3
GTEX-1A8FM-0626-SM-7PC25 50-59 years, female 11.1
GTEX-139TT-2126-SM-5LZWC 60-69 years, male 11.0
GTEX-1H1E6-0426-SM-9WYUS 30-39 years, male 11.0
GTEX-17HGU-2326-SM-7DUFE 50-59 years, male 10.9
GTEX-15RJ7-2126-SM-6PAMD 40-49 years, male 10.3
GTEX-17MFQ-1526-SM-7KFRR 20-29 years, male 10.3
GTEX-1HCU9-0426-SM-9WYSD 20-29 years, male 10.2
GTEX-X8HC-0626-SM-4E3HQ 50-59 years, female 10.1
GTEX-1F48J-0726-SM-7RHGS 50-59 years, female 9.9
GTEX-131XW-0626-SM-5PNVD 50-59 years, female 9.8
GTEX-U8XE-0226-SM-4E3J3 30-39 years, male 9.8
GTEX-ZTSS-1426-SM-5985P 40-49 years, male 9.8
GTEX-11DXW-0826-SM-5H118 40-49 years, male 9.6
GTEX-1HCU7-0726-SM-A9SL1 50-59 years, male 9.5
GTEX-1QPFJ-1926-SM-EVYBD 30-39 years, female 9.4
GTEX-1IE54-1126-SM-A9G2Z 40-49 years, female 9.3
GTEX-Y114-2126-SM-4TT8B 50-59 years, female 9.2
GTEX-1GN73-0726-SM-7P8TJ 60-69 years, male 9.2
GTEX-WHSE-0126-SM-3NMBT 20-29 years, male 9.1
GTEX-ZVE2-2826-SM-5GU51 50-59 years, male 9.1
GTEX-ZVTK-0226-SM-51MRG 20-29 years, male 9.0
GTEX-14C5O-0326-SM-5ZZUX 60-69 years, male 8.9
GTEX-1KXAM-1626-SM-D3LAD 60-69 years, male 8.9
GTEX-11NSD-0626-SM-5A5LU 20-29 years, male 8.8
GTEX-1KANA-1326-SM-DIPFA 20-29 years, male 8.5
GTEX-1GTWX-2026-SM-9YFLM 60-69 years, male 8.4
GTEX-1H23P-0626-SM-9WG6T 60-69 years, male 8.4
GTEX-15CHC-1126-SM-6LLHQ 60-69 years, female 8.3
GTEX-XYKS-1426-SM-4BRUO 60-69 years, female 8.3
GTEX-ZT9X-1526-SM-5DUXD 40-49 years, male 8.3
GTEX-1I1GS-2626-SM-B2LY3 60-69 years, male 8.3
GTEX-1E2YA-2126-SM-7MXUO 50-59 years, male 7.9
GTEX-1IKOE-1426-SM-CE6T7 30-39 years, female 7.8
GTEX-1L5NE-1126-SM-D3L9P 50-59 years, male 7.8
GTEX-13OW6-2726-SM-5J2OE 50-59 years, male 7.7
GTEX-145MO-2826-SM-5LU96 60-69 years, male 7.7
GTEX-1JMPY-0226-SM-CKZOK 30-39 years, male 7.7
GTEX-13112-0126-SM-5P9IU 50-59 years, male 7.6
GTEX-Z93S-1626-SM-5CVMB 50-59 years, male 7.6
GTEX-12584-0726-SM-5FQTK 40-49 years, male 7.5
GTEX-139TU-0726-SM-5L3EK 60-69 years, male 7.5
GTEX-WY7C-2126-SM-3NB2R 50-59 years, male 7.4
GTEX-1GZ4H-0526-SM-9KNU9 50-59 years, female 7.4
GTEX-11DZ1-2426-SM-5GZZX 50-59 years, male 7.3
GTEX-11ZTT-2126-SM-5CVLO 60-69 years, female 7.3
GTEX-1F75W-2726-SM-7SB8H 60-69 years, male 7.2
GTEX-1HC8U-1326-SM-9YFMJ 40-49 years, female 7.2
GTEX-1IDJC-1526-SM-B2LW4 50-59 years, male 7.2
GTEX-13G51-1826-SM-5KLZH 60-69 years, male 7.1
GTEX-13QJC-0126-SM-5ZZWJ 60-69 years, female 7.0
GTEX-17EVP-2626-SM-7IGMA 40-49 years, male 7.0
GTEX-ZAK1-0626-SM-5HL8E 50-59 years, female 7.0
GTEX-1LSNL-2726-SM-E9TKJ 50-59 years, male 7.0
GTEX-14PJO-2526-SM-6AJBQ 60-69 years, male 6.9
GTEX-ZY6K-1426-SM-5GZX2 50-59 years, male 6.9
GTEX-14E6C-2426-SM-5S2NF 40-49 years, male 6.8
GTEX-VUSG-2326-SM-4KL1U 50-59 years, male 6.8
GTEX-WI4N-2726-SM-3LK7Y 40-49 years, female 6.8
GTEX-1PDJ9-1226-SM-EXUSX 20-29 years, male 6.8
GTEX-14PKV-1126-SM-6LLJ1 20-29 years, female 6.7
GTEX-ZT9W-1126-SM-57WDR 50-59 years, male 6.6
GTEX-X4EO-2926-SM-4E3JH 60-69 years, female 6.4
GTEX-1JKYN-0826-SM-ARU8S 30-39 years, male 6.4
GTEX-12WSC-2826-SM-5BC5Y 50-59 years, male 6.2
GTEX-14BIN-1126-SM-5RQJZ 50-59 years, female 6.1
GTEX-12WSH-1526-SM-5BC5W 50-59 years, male 6.0
GTEX-14PII-0726-SM-6EU2B 60-69 years, male 5.9
GTEX-16XZZ-0726-SM-7KUF2 60-69 years, male 5.9
GTEX-XBED-1926-SM-47JYP 60-69 years, male 5.9
GTEX-1GMR2-0826-SM-7PC3V 50-59 years, male 5.9
GTEX-1H3NZ-2726-SM-9WYTQ 60-69 years, male 5.9
GTEX-12ZZY-0726-SM-5EQ66 60-69 years, male 5.8
GTEX-13W3W-0726-SM-5IJDQ 60-69 years, female 5.8
GTEX-13X6J-0626-SM-5LU5F 50-59 years, male 5.8
GTEX-14DAR-1226-SM-73KYV 50-59 years, male 5.8
GTEX-1IDFM-0326-SM-ARL7V 60-69 years, male 5.7
GTEX-14ICL-1626-SM-5YYAO 30-39 years, male 5.5
GTEX-17F9E-2326-SM-79OKD 50-59 years, male 5.5
GTEX-1A3MW-0626-SM-731CB 60-69 years, female 5.5
GTEX-1B8SF-0126-SM-7DUG3 60-69 years, male 5.5
GTEX-1JMOU-1026-SM-CYPSS 60-69 years, female 5.5
GTEX-1PBJJ-1026-SM-E76OS 30-39 years, male 5.5
GTEX-1HCVE-2726-SM-CL54F 50-59 years, male 5.4
GTEX-11EM3-1226-SM-5N9DD 20-29 years, female 5.3
GTEX-13FH7-1126-SM-5K7UG 50-59 years, female 5.3
GTEX-1477Z-0326-SM-7IGLA 60-69 years, male 5.2
GTEX-15ER7-0626-SM-6PANF 20-29 years, female 5.2
GTEX-1O9I2-0226-SM-EYYXD 50-59 years, male 5.2
GTEX-1S5ZU-2526-SM-E6CIF 20-29 years, female 5.2
GTEX-13NYB-0126-SM-5J1MD 40-49 years, male 5.1
GTEX-14PHY-1226-SM-5ZZWK 60-69 years, female 5.1
GTEX-18A67-1626-SM-7LT9T 50-59 years, male 5.1
GTEX-11DYG-1526-SM-5A5JS 60-69 years, male 5.0
GTEX-12WSM-1926-SM-5BC65 60-69 years, male 5.0
GTEX-1269C-0126-SM-5EQ5L 60-69 years, female 4.9
GTEX-14E1K-2026-SM-7DUEI 50-59 years, male 4.9
GTEX-17HHY-0426-SM-7DHLC 50-59 years, male 4.9
GTEX-1H4P4-2126-SM-9WYSL 50-59 years, male 4.9
GTEX-WHPG-2626-SM-3NMBR 50-59 years, male 4.8
GTEX-Y8LW-1526-SM-5IFHL 50-59 years, female 4.8
GTEX-1H1ZS-2726-SM-9WG75 70-79 years, male 4.8
GTEX-1HUB1-1426-SM-CGQF5 60-69 years, male 4.8
GTEX-11ZUS-2626-SM-5FQUR 30-39 years, male 4.7
GTEX-139D8-1126-SM-5LU8W 30-39 years, female 4.7
GTEX-1LVAO-2726-SM-E9TJ8 60-69 years, male 4.7
GTEX-144GL-0626-SM-5LU4D 50-59 years, male 4.6
GTEX-ZLFU-1826-SM-4WWBV 40-49 years, male 4.6
GTEX-ZU9S-1826-SM-5NQ9E 30-39 years, male 4.6
GTEX-1IDJD-2326-SM-ACKWX 30-39 years, male 4.6
GTEX-1IKJJ-2226-SM-CJI4C 60-69 years, male 4.6
GTEX-1J8Q3-0526-SM-ARL8U 60-69 years, male 4.6
GTEX-1K2DU-1226-SM-CYPT4 20-29 years, male 4.5
GTEX-1PIIG-2326-SM-DTXFR 30-39 years, male 4.5
GTEX-14PK6-0226-SM-62LF5 70-79 years, female 4.4
GTEX-16Z82-2626-SM-7KULU 60-69 years, male 4.4
GTEX-WH7G-2026-SM-3NMBL 40-49 years, male 4.4
GTEX-1HT8W-0626-SM-A9G2H 30-39 years, male 4.4
GTEX-11TUW-0626-SM-5LU9M 60-69 years, male 4.3
GTEX-1399R-1326-SM-5PNYS 30-39 years, male 4.3
GTEX-1JK1U-0226-SM-ARZMX 60-69 years, male 4.3
GTEX-1192X-2726-SM-5N9DN 50-59 years, male 4.2
GTEX-146FQ-2126-SM-5RQHU 30-39 years, male 4.2
GTEX-15EO6-2426-SM-6PALZ 50-59 years, male 4.2
GTEX-1F88E-1626-SM-7SB8Z 60-69 years, female 4.2
GTEX-1GF9W-1426-SM-7PBYM 60-69 years, male 4.2
GTEX-144GO-2026-SM-5O99P 60-69 years, male 4.1
GTEX-15DYW-2726-SM-6EU2I 60-69 years, female 4.1
GTEX-1EU9M-1426-SM-793AI 60-69 years, male 4.1
GTEX-1GMRU-2126-SM-7P8RA 50-59 years, male 4.1
GTEX-1JMPZ-0726-SM-CY8HZ 30-39 years, male 4.1
GTEX-16MT8-2926-SM-7DUFO 60-69 years, female 4.0
GTEX-1J1R8-2026-SM-CL53Y 40-49 years, male 4.0
GTEX-11NUK-2726-SM-5A5MC 50-59 years, male 3.9
GTEX-14PKU-0126-SM-6LLHV 40-49 years, female 3.9
GTEX-WFG7-2026-SM-5SI7P 20-29 years, male 3.9
GTEX-1I1CD-0626-SM-CE6SW 60-69 years, female 3.9
GTEX-11UD2-2526-SM-5CVNU 50-59 years, male 3.8
GTEX-X4EP-0626-SM-3P621 60-69 years, female 3.8
GTEX-ZWKS-0626-SM-5GIDV 30-39 years, male 3.8
GTEX-1JMQL-2226-SM-CNPP4 50-59 years, female 3.8
GTEX-1KWVE-1026-SM-D3L9O 30-39 years, male 3.8
GTEX-1QP29-1826-SM-DTX9S 50-59 years, male 3.8
GTEX-1RB15-1326-SM-E76Q9 60-69 years, male 3.8
GTEX-14PHX-2226-SM-6EU2P 50-59 years, male 3.7
GTEX-17HG3-2626-SM-7DUF2 30-39 years, female 3.7
GTEX-18465-2826-SM-7LT9J 50-59 years, male 3.7
GTEX-1AMEY-0826-SM-72D65 30-39 years, female 3.7
GTEX-1CAV2-0126-SM-7IGN7 40-49 years, female 3.7
GTEX-1EH9U-2826-SM-7DUGT 60-69 years, male 3.7
GTEX-1GZ4I-2626-SM-9KNU3 50-59 years, male 3.7
GTEX-13OW5-2326-SM-5L3HO 60-69 years, male 3.6
GTEX-16BQI-1326-SM-6M486 30-39 years, female 3.6
GTEX-17JCI-2926-SM-7DUFF 60-69 years, female 3.6
GTEX-W5X1-2526-SM-3GILC 40-49 years, female 3.6
GTEX-ZYFG-1526-SM-5GZYM 60-69 years, female 3.6
GTEX-ZYW4-0626-SM-59HJR 60-69 years, male 3.6
GTEX-1GN2E-0226-SM-9WG6K 60-69 years, male 3.6
GTEX-13113-1626-SM-5EQ4I 60-69 years, female 3.5
GTEX-133LE-2326-SM-5K7W3 20-29 years, female 3.5
GTEX-1GZ2Q-0126-SM-9WG6M 40-49 years, male 3.5
GTEX-1I1HK-2326-SM-CKZOH 60-69 years, male 3.5
GTEX-11WQK-1026-SM-5EQLX 50-59 years, male 3.4
GTEX-12WSA-0426-SM-5EQ5X 60-69 years, male 3.4
GTEX-1GL5R-1326-SM-7RHHF 50-59 years, male 3.4
GTEX-117YX-1926-SM-5GIEC 50-59 years, male 3.3
GTEX-14PJ2-0626-SM-6LLII 50-59 years, male 3.3
GTEX-ZYT6-2326-SM-5GZY3 30-39 years, male 3.3
GTEX-1S831-1826-SM-EWROF 20-29 years, male 3.3
GTEX-13D11-0926-SM-5J2NC 50-59 years, female 3.2
GTEX-13IVO-0726-SM-5LZYV 70-79 years, male 3.2
GTEX-145LS-0626-SM-7EPG7 60-69 years, female 3.2
GTEX-12C56-1526-SM-5FQUQ 20-29 years, male 3.1
GTEX-145MG-1526-SM-5Q5EM 50-59 years, male 3.1
GTEX-1497J-0226-SM-5QGPU 60-69 years, male 3.1
GTEX-14BMU-1226-SM-5S2OR 20-29 years, female 3.1
GTEX-1EWIQ-0326-SM-7DHMQ 70-79 years, female 3.1
GTEX-ZLWG-0826-SM-59888 50-59 years, female 3.1
GTEX-13OVH-0526-SM-5L3E6 70-79 years, male 3.0
GTEX-13PDP-0726-SM-5L3HP 60-69 years, male 3.0
GTEX-14A6H-2026-SM-5Q5DD 30-39 years, male 3.0
GTEX-1C475-1326-SM-7SB73 40-49 years, female 3.0
GTEX-1F75B-0726-SM-7PC3R 50-59 years, male 3.0
GTEX-1GZHY-0626-SM-9KNVC 50-59 years, female 3.0
GTEX-1IL2V-1926-SM-B2LW8 70-79 years, male 3.0
GTEX-1M4P7-0726-SM-E6CJ3 60-69 years, male 3.0
GTEX-13OVJ-0826-SM-5J1OK 50-59 years, female 2.9
GTEX-17EVQ-0126-SM-7IGLR 70-79 years, male 2.9
GTEX-WYBS-0626-SM-3NMAS 60-69 years, female 2.9
GTEX-X585-2426-SM-46MW2 50-59 years, male 2.9
GTEX-ZVE1-0726-SM-51MRN 50-59 years, female 2.9
GTEX-1AYD5-2626-SM-7PBXY 50-59 years, male 2.9
GTEX-1HSMO-0626-SM-ACKXC 60-69 years, male 2.9
GTEX-1J8JJ-0626-SM-ARZMQ 60-69 years, female 2.9
GTEX-12WSJ-1126-SM-5LZVJ 40-49 years, female 2.8
GTEX-13X6H-0926-SM-5SIB2 50-59 years, female 2.8
GTEX-14753-0726-SM-5QGQO 60-69 years, male 2.8
GTEX-15UF6-1926-SM-7KUDV 70-79 years, female 2.8
GTEX-17MF6-2626-SM-79OKQ 40-49 years, male 2.8
GTEX-18D9B-0926-SM-7LG4U 60-69 years, male 2.8
GTEX-YF7O-1526-SM-5IFI6 50-59 years, male 2.8
GTEX-ZAJG-1526-SM-5CVML 50-59 years, female 2.8
GTEX-1H11D-1826-SM-9QEHM 40-49 years, male 2.8
GTEX-1HKZK-0726-SM-ACKW2 40-49 years, male 2.8
GTEX-1QP9N-1226-SM-E76QN 30-39 years, male 2.8
GTEX-1117F-2926-SM-5GZYI 60-69 years, female 2.7
GTEX-16MT9-0126-SM-7EPI8 60-69 years, female 2.7
GTEX-1CB4H-1126-SM-7MKGL 60-69 years, female 2.7
GTEX-1F6I4-2326-SM-7RHGL 60-69 years, male 2.7
GTEX-1JN1M-2726-SM-CY8I4 60-69 years, female 2.7
GTEX-13N1W-2426-SM-5IJD1 70-79 years, male 2.6
GTEX-13OVK-1426-SM-6PAN7 40-49 years, male 2.6
GTEX-13SLX-2226-SM-62LEP 50-59 years, female 2.6
GTEX-145MH-2826-SM-5RQJF 50-59 years, male 2.6
GTEX-147F4-0726-SM-5TDDD 50-59 years, male 2.6
GTEX-15EU6-2226-SM-6EU2L 50-59 years, male 2.6
GTEX-XAJ8-1426-SM-47JYM 40-49 years, male 2.6
GTEX-ZVP2-0326-SM-57WBP 50-59 years, male 2.6
GTEX-ZYVF-0926-SM-5E44J 50-59 years, female 2.6
GTEX-14JG6-1426-SM-9WG7C 30-39 years, female 2.6
GTEX-1F6RS-2026-SM-7RHHC 60-69 years, female 2.6
GTEX-1HCUA-0826-SM-ADEHM 50-59 years, female 2.6
GTEX-1LSNM-0826-SM-DIPG8 50-59 years, male 2.6
GTEX-1R9K4-2826-SM-DTX8F 60-69 years, male 2.6
GTEX-1RLM8-2926-SM-E8VON 50-59 years, male 2.6
GTEX-11WQC-1826-SM-5GU59 60-69 years, male 2.5
GTEX-13FHO-0426-SM-5L3F5 60-69 years, male 2.5
GTEX-13JUV-2026-SM-5K7UA 40-49 years, female 2.5
GTEX-13RTJ-0126-SM-5S2NN 60-69 years, male 2.5
GTEX-Y9LG-1126-SM-4VBQ7 30-39 years, male 2.5
GTEX-1F75A-0726-SM-7RHHD 50-59 years, male 2.5
GTEX-1JMQI-1726-SM-ARL93 50-59 years, male 2.5
GTEX-1KANB-2826-SM-CY8I6 50-59 years, male 2.5
GTEX-1R9PN-0426-SM-DTXDT 40-49 years, female 2.5
GTEX-111CU-1126-SM-5EGIM 50-59 years, male 2.4
GTEX-11O72-0626-SM-5PNYE 40-49 years, male 2.4
GTEX-15CHQ-0326-SM-69LQD 60-69 years, male 2.4
GTEX-16AAH-0626-SM-793C9 50-59 years, male 2.4
GTEX-18A7B-2726-SM-7LG56 70-79 years, male 2.4
GTEX-18D9U-0126-SM-731BM 40-49 years, male 2.4
GTEX-1A32A-0626-SM-731AQ 50-59 years, female 2.4
GTEX-1B933-2426-SM-7DHMD 50-59 years, female 2.4
GTEX-1EX96-1026-SM-7MKG2 50-59 years, male 2.4
GTEX-XBEC-0726-SM-4QARZ 50-59 years, male 2.4
GTEX-1LGOU-1326-SM-D3L8M 20-29 years, female 2.4
GTEX-1LVAN-0626-SM-CNPOQ 50-59 years, female 2.4
GTEX-1RMOY-1326-SM-E9TIH 50-59 years, male 2.4
GTEX-12WSL-2026-SM-5GCML 50-59 years, male 2.3
GTEX-13QBU-1226-SM-5LU4G 40-49 years, female 2.3
GTEX-144FL-0626-SM-5LU43 50-59 years, male 2.3
GTEX-147JS-0226-SM-5S2U9 60-69 years, male 2.3
GTEX-1B932-2326-SM-79OL5 40-49 years, female 2.3
GTEX-ZYFD-0626-SM-5E44E 50-59 years, male 2.3
GTEX-1C64N-2626-SM-7PC2N 50-59 years, male 2.3
GTEX-1H1CY-0126-SM-9YFLY 60-69 years, female 2.3
GTEX-1JJE9-2626-SM-ARZMT 70-79 years, male 2.3
GTEX-1QEPI-2626-SM-DTXF4 60-69 years, female 2.3
GTEX-1QP28-1126-SM-EVYC4 50-59 years, female 2.3
GTEX-11GSP-2326-SM-5HL63 60-69 years, female 2.2
GTEX-12126-0826-SM-5FQTZ 20-29 years, male 2.2
GTEX-12ZZX-2426-SM-5GCOE 40-49 years, female 2.2
GTEX-13JVG-0726-SM-5KM16 60-69 years, male 2.2
GTEX-13YAN-0226-SM-5TDC6 60-69 years, male 2.2
GTEX-15FZZ-0526-SM-7KUGD 30-39 years, female 2.2
GTEX-1C6WA-2626-SM-7MKGM 60-69 years, male 2.2
GTEX-XUW1-0926-SM-4BONX 50-59 years, female 2.2
GTEX-1F75I-2226-SM-7SB8U 40-49 years, male 2.2
GTEX-1HR98-2226-SM-ADEI2 60-69 years, male 2.2
GTEX-1LBAC-0826-SM-CY8IJ 20-29 years, male 2.2
GTEX-1LKK1-2626-SM-DKPQE 50-59 years, female 2.2
GTEX-1MJK3-0726-SM-E6CJC 20-29 years, male 2.2
GTEX-11LCK-2226-SM-5HL4Q 30-39 years, male 2.1
GTEX-11PRG-0726-SM-5EGL1 50-59 years, male 2.1
GTEX-145MF-0926-SM-5Q5EA 50-59 years, male 2.1
GTEX-17F9Y-0126-SM-79OKX 70-79 years, female 2.1
GTEX-1EKGG-0626-SM-7DUGJ 60-69 years, male 2.1
GTEX-WXYG-2026-SM-4E3IY 50-59 years, female 2.1
GTEX-WYVS-1626-SM-3NM9R 40-49 years, female 2.1
GTEX-Y3IK-1626-SM-4YCF5 50-59 years, female 2.1
GTEX-11P82-1426-SM-DTXFY 20-29 years, male 2.1
GTEX-1CB4J-1326-SM-7P8RX 60-69 years, male 2.1
GTEX-1H1DF-1126-SM-9WG7G 40-49 years, female 2.1
GTEX-1ICLZ-0326-SM-ARL82 60-69 years, male 2.1
GTEX-1IDJV-0126-SM-COH3Y 60-69 years, male 2.1
GTEX-1JJ6O-2726-SM-CNPOG 60-69 years, male 2.1
GTEX-1MCC2-1826-SM-DIPEX 30-39 years, female 2.1
GTEX-1PPH8-0126-SM-EWRN8 20-29 years, male 2.1
GTEX-139YR-1026-SM-5LZYN 50-59 years, male 2.0
GTEX-13FTX-1526-SM-5K7VJ 20-29 years, female 2.0
GTEX-13OW8-1026-SM-5J1NQ 60-69 years, male 2.0
GTEX-13VXT-1926-SM-5K7UO 20-29 years, female 2.0
GTEX-16MTA-0926-SM-6M47Z 50-59 years, male 2.0
GTEX-16YQH-2226-SM-7IGM2 30-39 years, male 2.0
GTEX-1F52S-2926-SM-7MKGA 60-69 years, female 2.0
GTEX-XQ8I-0926-SM-4BOOF 50-59 years, male 2.0
GTEX-ZAB4-2126-SM-5HL8U 40-49 years, male 2.0
GTEX-1GMR8-0626-SM-7RHI7 50-59 years, female 2.0
GTEX-1H2FU-0926-SM-9WPPT 60-69 years, female 2.0
GTEX-1HCU6-2526-SM-ADEHL 60-69 years, female 2.0
GTEX-1K9T9-1526-SM-DIPFR 50-59 years, female 2.0
GTEX-1LB8K-0726-SM-D5OV2 50-59 years, male 2.0
GTEX-1N5O9-0926-SM-E9J3C 60-69 years, male 2.0
GTEX-1QMI2-2526-SM-E8VNZ 60-69 years, male 2.0
GTEX-ZGAY-1826-SM-DO91Q 40-49 years, female 2.0
GTEX-11DXY-0126-SM-5H11Q 60-69 years, male 1.9
GTEX-11GS4-0226-SM-5HL77 60-69 years, male 1.9
GTEX-12WSK-2126-SM-5CVNC 40-49 years, female 1.9
GTEX-13NYC-0126-SM-5L3F4 60-69 years, male 1.9
GTEX-13NZ8-1226-SM-5KM4A 60-69 years, female 1.9
GTEX-13OW7-0426-SM-5K7VK 50-59 years, male 1.9
GTEX-13PL6-1126-SM-5L3IE 40-49 years, female 1.9
GTEX-145LU-1926-SM-79OJN 50-59 years, male 1.9
GTEX-14LLW-2626-SM-62LDZ 70-79 years, female 1.9
GTEX-14LZ3-0126-SM-69LPM 60-69 years, female 1.9
GTEX-183WM-0326-SM-72D5V 70-79 years, female 1.9
GTEX-XV7Q-1826-SM-4BRUV 40-49 years, female 1.9
GTEX-Y5V5-0126-SM-5S2NW 60-69 years, female 1.9
GTEX-YECK-0326-SM-4W1YS 60-69 years, male 1.9
GTEX-ZC5H-1526-SM-5HL9Y 40-49 years, female 1.9
GTEX-1HCU8-2526-SM-CE6RX 60-69 years, female 1.9
GTEX-1HFI7-2326-SM-CGQFS 50-59 years, female 1.9
GTEX-1POEN-2326-SM-E9J2L 30-39 years, female 1.9
GTEX-1R9PM-1926-SM-EVR3O 20-29 years, male 1.9
GTEX-1RAZQ-1326-SM-E9TK6 30-39 years, male 1.9
GTEX-1RAZR-2126-SM-E9U6T 40-49 years, male 1.9
GTEX-1S82P-2126-SM-E6CI5 60-69 years, female 1.9
GTEX-1S82U-1026-SM-E6CJK 30-39 years, female 1.9
GTEX-ZF3C-0626-SM-DO92O 50-59 years, female 1.9
GTEX-1212Z-0126-SM-59HK4 60-69 years, male 1.8
GTEX-13FTW-0326-SM-5K7UW 40-49 years, male 1.8
GTEX-14C38-0726-SM-5SI6M 50-59 years, male 1.8
GTEX-14DAQ-0626-SM-793DS 60-69 years, female 1.8
GTEX-14JG1-1526-SM-5YY9X 40-49 years, male 1.8
GTEX-17HHE-1326-SM-7EWDZ 50-59 years, male 1.8
GTEX-XOT4-0626-SM-4B66L 60-69 years, female 1.8
GTEX-ZE7O-2726-SM-51MT5 50-59 years, female 1.8
GTEX-ZYFC-0426-SM-5GICQ 50-59 years, male 1.8
GTEX-1EMGI-2326-SM-7PBYA 60-69 years, male 1.8
GTEX-1H3O1-1326-SM-9MQLD 60-69 years, male 1.8
GTEX-1HSMQ-2626-SM-A9SML 50-59 years, male 1.8
GTEX-1IDJU-1726-SM-CMKHU 60-69 years, female 1.8
GTEX-1JMLX-0626-SM-ARL8T 50-59 years, male 1.8
GTEX-13N2G-0226-SM-5K7VF 60-69 years, male 1.7
GTEX-13NYS-0626-SM-5L3F1 60-69 years, male 1.7
GTEX-13X6I-1826-SM-5SIAO 60-69 years, male 1.7
GTEX-14PJ5-1526-SM-6LLIL 60-69 years, female 1.7
GTEX-15G1A-1626-SM-7KUKN 30-39 years, male 1.7
GTEX-15RJE-2826-SM-7KUM9 40-49 years, male 1.7
GTEX-1AMFI-1326-SM-7939R 50-59 years, female 1.7
GTEX-Y3I4-1726-SM-4TT89 50-59 years, male 1.7
GTEX-1HGF4-0126-SM-CNPPX 60-69 years, male 1.7
GTEX-1JMQJ-0826-SM-CNPP7 50-59 years, male 1.7
GTEX-ZLV1-1526-SM-DO91J 60-69 years, female 1.7
GTEX-12ZZZ-0726-SM-5GCNZ 60-69 years, male 1.6
GTEX-131XF-2626-SM-5EQ6K 60-69 years, male 1.6
GTEX-139T8-0626-SM-5KLZX 60-69 years, male 1.6
GTEX-13SLW-0626-SM-5Q5ER 70-79 years, male 1.6
GTEX-145ME-1726-SM-5Q5EU 40-49 years, female 1.6
GTEX-14XAO-1226-SM-6EU1C 60-69 years, female 1.6
GTEX-1HSGN-0826-SM-ACKW3 40-49 years, female 1.6
GTEX-11OF3-0126-SM-5PNYF 60-69 years, male 1.5
GTEX-17F97-2626-SM-7IGM5 50-59 years, male 1.5
GTEX-1BAJH-2426-SM-7IGP8 70-79 years, male 1.5
GTEX-ZP4G-1426-SM-4WWCL 20-29 years, female 1.5
GTEX-ZYY3-2926-SM-5GIEB 60-69 years, female 1.5
GTEX-ZZPU-0826-SM-5GZX5 50-59 years, female 1.5
GTEX-1GPI6-1926-SM-9KNV7 60-69 years, male 1.5
GTEX-1HBPM-0726-SM-9YFL7 60-69 years, female 1.5
GTEX-1HSKV-1226-SM-ADEI4 60-69 years, male 1.5
GTEX-1I1GV-0626-SM-ARL7M 60-69 years, male 1.5
GTEX-1J8QM-2426-SM-A9SLS 60-69 years, female 1.5
GTEX-1JJEA-1826-SM-ARU8P 60-69 years, male 1.5
GTEX-1NSGN-0726-SM-DTXEF 50-59 years, male 1.5
GTEX-1OJC3-1226-SM-DTXER 20-29 years, male 1.5
GTEX-11ZU8-0126-SM-5EQ58 60-69 years, male 1.4
GTEX-13O3Q-0126-SM-5KM34 50-59 years, male 1.4
GTEX-13OVL-0126-SM-5L3GJ 50-59 years, male 1.4
GTEX-15DDE-2926-SM-6LLJ3 50-59 years, female 1.4
GTEX-XBEW-1126-SM-4QARW 40-49 years, male 1.4
GTEX-YFCO-1226-SM-5LUAT 40-49 years, male 1.4
GTEX-ZTX8-1326-SM-4YCEL 20-29 years, male 1.4
GTEX-1HB9E-0126-SM-CM2S5 50-59 years, male 1.4
GTEX-1ICLY-0826-SM-CMKG1 50-59 years, male 1.4
GTEX-1J8EW-2726-SM-CY8HR 60-69 years, female 1.4
GTEX-1R7EU-1626-SM-DTXG3 60-69 years, male 1.4
GTEX-1RAZS-2526-SM-E6CHT 50-59 years, male 1.4
GTEX-11P81-2226-SM-5PNYI 30-39 years, female 1.3
GTEX-1C2JI-1026-SM-73KY1 50-59 years, male 1.3
GTEX-ZVT2-0126-SM-5GIDQ 50-59 years, female 1.3
GTEX-ZVZP-1226-SM-5GID7 50-59 years, male 1.3
GTEX-1F88F-0126-SM-9WYSZ 60-69 years, female 1.3
GTEX-1H3VE-0726-SM-9YFL5 40-49 years, male 1.3
GTEX-1IDJI-0126-SM-CMKHS 50-59 years, female 1.3
GTEX-1J1OQ-0126-SM-D4P2N 40-49 years, female 1.3
GTEX-1J8Q2-2626-SM-ACKWQ 60-69 years, male 1.3
GTEX-1LGRB-0926-SM-COH3K 50-59 years, female 1.3
GTEX-13O61-1426-SM-5KM3D 60-69 years, male 1.2
GTEX-14C39-1726-SM-5RQIL 40-49 years, male 1.2
GTEX-14PJ4-0226-SM-5YY92 60-69 years, male 1.2
GTEX-15SKB-2826-SM-6PAMH 60-69 years, male 1.2
GTEX-18QFQ-1826-SM-72D52 30-39 years, male 1.2
GTEX-1C6VQ-1226-SM-73KYD 50-59 years, male 1.2
GTEX-WHSB-1326-SM-3LK6W 50-59 years, male 1.2
GTEX-1CAMS-2226-SM-7PBXQ 40-49 years, female 1.2
GTEX-1I1GT-1026-SM-ARZLV 60-69 years, female 1.2
GTEX-1I1GU-0926-SM-ACKVS 40-49 years, male 1.2
GTEX-1KAFJ-0126-SM-DIPEK 50-59 years, male 1.2
GTEX-1PPGY-1626-SM-EVYBL 60-69 years, male 1.2
GTEX-1R46S-2426-SM-E76QA 60-69 years, female 1.2
GTEX-1S83E-1326-SM-E6CJM 40-49 years, male 1.2
GTEX-111VG-1626-SM-5EGIO 60-69 years, male 1.1
GTEX-11EQ8-0926-SM-5H12V 60-69 years, male 1.1
GTEX-1399U-1126-SM-5L3DB 50-59 years, female 1.1
GTEX-ZF29-0926-SM-4WKFZ 60-69 years, female 1.1
GTEX-1HBPN-0126-SM-CGQEF 50-59 years, male 1.1
GTEX-1313W-0626-SM-5EQ4H 50-59 years, female 1.0
GTEX-131XH-0126-SM-5LZUY 50-59 years, male 1.0
GTEX-148VJ-0626-SM-5LUAW 70-79 years, male 1.0
GTEX-17HII-1426-SM-7EPGG 50-59 years, male 1.0
GTEX-1122O-1026-SM-9WYSF 60-69 years, female 1.0
GTEX-1HR9M-2226-SM-CNPPY 60-69 years, male 1.0
GTEX-1399S-0126-SM-5IJCF 30-39 years, female 0.9
GTEX-145MI-0626-SM-5SI8S 60-69 years, female 0.9
GTEX-1QP2A-1726-SM-E76QC 50-59 years, male 0.9
GTEX-ZE9C-2526-SM-5IJDR 60-69 years, male 0.8
GTEX-1GF9X-1326-SM-7PC2Y 40-49 years, female 0.8
GTEX-ZPCL-1126-SM-4WWFE 60-69 years, female 0.7
GTEX-1GN1V-2826-SM-9JGIA 60-69 years, male 0.7
GTEX-147GR-2426-SM-5ZZWQ 60-69 years, male 0.5
GTEX-Y111-0626-SM-4SOIT 50-59 years, male 0.5
GTEX-1NV5F-0626-SM-DTXEG 60-69 years, female 0.5
Show allShow less
Skin - Sun Exposed (Lower leg)
Average nTPM: 6.0
Samples: 701

Max nTPM: 79.8
Min nTPM: 0.6
Std nTPM: 7.7
Median nTPM: 3.3
GTEX-11TT1-2526-SM-5EGIB 20-29 years, male 79.8
GTEX-SJXC-0126-SM-2XCFF 60-69 years, male 60.3
GTEX-T8EM-1026-SM-3DB7M 40-49 years, male 48.3
GTEX-11NUK-0126-SM-5A5L3 50-59 years, male 47.3
GTEX-14PJ3-1826-SM-62LEX 50-59 years, male 45.2
GTEX-15UKP-0426-SM-7KUFQ 20-29 years, male 42.1
GTEX-WZTO-0126-SM-3NM95 40-49 years, male 40.9
GTEX-1B8KZ-2026-SM-7DHMB 50-59 years, male 40.4
GTEX-QLQW-1126-SM-2S1Q8 30-39 years, male 40.3
GTEX-1I19N-0326-SM-ACKVX 70-79 years, male 37.0
GTEX-1A3MX-0126-SM-731BR 60-69 years, male 36.6
GTEX-131XF-5016-SM-7MGWE 60-69 years, male 36.2
GTEX-S33H-1026-SM-EZ6L6 30-39 years, male 33.3
GTEX-1AX9J-0226-SM-73KXM 60-69 years, male 33.1
GTEX-12696-2426-SM-5EQ6H 60-69 years, male 32.1
GTEX-1R7EU-0226-SM-EVR4G 60-69 years, male 31.7
GTEX-Y5V6-2426-SM-4VDSB 60-69 years, male 31.2
GTEX-1NHNU-1026-SM-E9J2A 50-59 years, male 31.1
GTEX-1KD4Q-0226-SM-E9TJ9 40-49 years, male 29.9
GTEX-SNMC-1226-SM-2XCFP 20-29 years, male 29.2
GTEX-YJ8A-0426-SM-5IFID 20-29 years, male 28.5
GTEX-S7PM-0126-SM-4AD6S 60-69 years, male 27.7
GTEX-1RAZQ-0726-SM-EAZ43 30-39 years, male 27.0
GTEX-13OVL-0226-SM-5L3E9 50-59 years, male 26.6
GTEX-1JKYR-0126-SM-CNPOJ 20-29 years, male 25.2
GTEX-145LT-1726-SM-5QGP3 40-49 years, male 24.2
GTEX-11O72-0126-SM-59887 40-49 years, male 24.0
GTEX-1B8SF-1426-SM-7DUGL 60-69 years, male 23.8
GTEX-139TT-0126-SM-5K7Y5 60-69 years, male 23.2
GTEX-17MFQ-1726-SM-793C7 20-29 years, male 23.2
GTEX-1F5PK-2426-SM-7RHHY 50-59 years, male 23.0
GTEX-SE5C-1626-SM-2XCE3 40-49 years, female 22.2
GTEX-Y3I4-2126-SM-4TT7C 50-59 years, male 21.6
GTEX-U3ZH-2026-SM-3DB78 30-39 years, male 21.5
GTEX-Y8LW-1826-SM-5S2MV 50-59 years, female 21.0
GTEX-ZVT4-0126-SM-DTXFN 50-59 years, female 20.4
GTEX-1RQEC-0426-SM-E6CHU 60-69 years, male 20.3
GTEX-11EM3-2426-SM-59861 20-29 years, female 20.1
GTEX-1KANA-0726-SM-D3L9I 20-29 years, male 19.7
GTEX-145LU-0126-SM-5TDCB 50-59 years, male 19.6
GTEX-1A3MV-1926-SM-718BT 30-39 years, male 19.6
GTEX-PWCY-1826-SM-DHXIZ 20-29 years, female 19.3
GTEX-ZU9S-0226-SM-5E441 30-39 years, male 19.1
GTEX-14XAO-2326-SM-6EU1B 60-69 years, female 19.0
GTEX-1IY9M-0126-SM-D3L8S 60-69 years, male 19.0
GTEX-WY7C-2326-SM-3NB2U 50-59 years, male 18.8
GTEX-1C2JI-1826-SM-73KXC 50-59 years, male 18.6
GTEX-11ZUS-0626-SM-59885 30-39 years, male 17.8
GTEX-RWSA-0126-SM-2XCBB 40-49 years, male 17.3
GTEX-17GQL-2026-SM-718BA 60-69 years, male 16.5
GTEX-1EU9M-0226-SM-7P8SP 60-69 years, male 16.1
GTEX-13W46-0226-SM-5SIAG 50-59 years, male 15.8
GTEX-1KANC-1526-SM-D3LAB 50-59 years, female 15.4
GTEX-183FY-0126-SM-7LT9P 20-29 years, male 15.1
GTEX-PLZ6-1426-SM-DKPOT 30-39 years, male 15.0
GTEX-R55G-2526-SM-2TC6D 40-49 years, female 14.9
GTEX-1HSMP-0126-SM-E6CJS 70-79 years, male 14.7
GTEX-Q734-1926-SM-2I5EV 40-49 years, female 14.5
GTEX-11TUW-2726-SM-E9J4M 60-69 years, male 14.5
GTEX-14DAR-2026-SM-5S2O3 50-59 years, male 14.4
GTEX-ZDYS-2026-SM-5HL5L 50-59 years, male 14.2
GTEX-1399T-2826-SM-5KLYZ 60-69 years, male 14.1
GTEX-XQ3S-1526-SM-4BOOC 20-29 years, male 14.0
GTEX-1J8Q3-1626-SM-CMKGC 60-69 years, male 13.4
GTEX-1C6VR-2426-SM-79OLD 60-69 years, male 13.3
GTEX-17EUY-0426-SM-793BD 20-29 years, male 13.1
GTEX-1EX96-1626-SM-7PBXR 50-59 years, male 13.1
GTEX-11DXX-2426-SM-5GZZW 60-69 years, female 12.9
GTEX-VJYA-1126-SM-3GIJU 60-69 years, male 12.9
GTEX-17F98-0626-SM-79OMX 40-49 years, female 12.6
GTEX-14LLW-0126-SM-6LLIO 70-79 years, female 12.5
GTEX-1GL5R-1826-SM-9KNUY 50-59 years, male 12.5
GTEX-15CHC-2126-SM-6EU21 60-69 years, female 12.3
GTEX-Y8E4-0626-SM-4WWDL 40-49 years, male 12.3
GTEX-11LCK-1026-SM-5A5KB 30-39 years, male 12.2
GTEX-1CB4I-0226-SM-79OLH 50-59 years, male 12.2
GTEX-1POEN-0126-SM-EYYXJ 30-39 years, female 11.7
GTEX-14BMU-2226-SM-5TDE9 20-29 years, female 11.5
GTEX-ZVT3-0126-SM-5GU6I 60-69 years, female 11.5
GTEX-15D1Q-0126-SM-7KUG6 40-49 years, male 11.3
GTEX-Q2AG-0126-SM-33HBV 40-49 years, female 11.3
GTEX-1J1R8-1726-SM-ARL8M 40-49 years, male 11.1
GTEX-11XUK-2026-SM-5EQLF 40-49 years, female 10.9
GTEX-1F48J-0126-SM-7P8TT 50-59 years, female 10.7
GTEX-15EOM-0126-SM-7KUGG 20-29 years, female 10.6
GTEX-1HR98-0126-SM-B2LWI 60-69 years, male 10.6
GTEX-1I1GU-2226-SM-CGQFA 40-49 years, male 10.6
GTEX-X4XY-0226-SM-4E3IZ 60-69 years, male 10.5
GTEX-ZZPT-0226-SM-5E43X 50-59 years, male 10.5
GTEX-R55E-0126-SM-2TC5Y 20-29 years, male 10.4
GTEX-16AAH-1726-SM-7939C 50-59 years, male 10.1
GTEX-12ZZY-0226-SM-5LZVE 60-69 years, male 9.9
GTEX-QLQ7-1626-SM-2S1R8 60-69 years, male 9.9
GTEX-SIU8-0126-SM-2XCDT 50-59 years, male 9.9
GTEX-XAJ8-0826-SM-47JY6 40-49 years, male 9.8
GTEX-1N2EF-0226-SM-EYYXB 60-69 years, male 9.8
GTEX-QDVJ-1726-SM-2I5FX 50-59 years, male 9.7
GTEX-ZDTS-0126-SM-4WAY5 60-69 years, male 9.7
GTEX-U8T8-0126-SM-3DB94 60-69 years, male 9.4
GTEX-1N2DV-0226-SM-E6CJ6 40-49 years, male 9.3
GTEX-Q2AI-1326-SM-2S1PL 40-49 years, male 9.2
GTEX-1ICG6-2526-SM-CGQFZ 70-79 years, female 9.2
GTEX-1F88F-2726-SM-7PBZZ 60-69 years, female 9.1
GTEX-1KD5A-0226-SM-D5OV3 50-59 years, male 9.1
GTEX-1QP9N-1426-SM-DTXFL 30-39 years, male 9.1
GTEX-OIZG-0726-SM-33HBL 50-59 years, male 9.0
GTEX-13X6H-2126-SM-7EWD5 50-59 years, female 8.9
GTEX-144GN-2326-SM-5LU4F 50-59 years, male 8.9
GTEX-X5EB-2226-SM-46MW4 40-49 years, male 8.9
GTEX-13NZA-0226-SM-5K7Z7 60-69 years, male 8.8
GTEX-13O1R-0126-SM-5L3EH 60-69 years, male 8.8
GTEX-14C5O-0126-SM-5SI6N 60-69 years, male 8.8
GTEX-17EVP-0326-SM-7DHLG 40-49 years, male 8.8
GTEX-TKQ1-1026-SM-4GICL 30-39 years, male 8.6
GTEX-1HGF4-2426-SM-ACKXM 60-69 years, male 8.6
GTEX-14JIY-0126-SM-6LLH6 60-69 years, male 8.5
GTEX-QCQG-1726-SM-3GIJ9 50-59 years, female 8.5
GTEX-V1D1-2226-SM-3NMAX 50-59 years, male 8.5
GTEX-1GMR3-1926-SM-9KNUZ 40-49 years, male 8.5
GTEX-1I1GP-2226-SM-CGQFK 50-59 years, male 8.5
GTEX-1QMI2-0226-SM-EVYBX 60-69 years, male 8.5
GTEX-15SHW-0326-SM-6PAML 60-69 years, male 8.4
GTEX-RVPV-0126-SM-EAZAW 60-69 years, male 8.4
GTEX-1H23P-0126-SM-ADEJ3 60-69 years, male 8.3
GTEX-U8XE-0326-SM-3DB8P 30-39 years, male 8.2
GTEX-1AX9I-0126-SM-7SB74 60-69 years, male 8.2
GTEX-OIZH-0126-SM-2HMIS 50-59 years, male 8.1
GTEX-RUSQ-1526-SM-2TF62 50-59 years, male 8.1
GTEX-1I1GR-0126-SM-CL55F 60-69 years, male 8.1
GTEX-1R9K4-0126-SM-DTX9X 60-69 years, male 8.1
GTEX-ZTPG-0326-SM-5O9AX 20-29 years, female 7.9
GTEX-146FR-1326-SM-E9J48 60-69 years, female 7.9
GTEX-1AYD5-2426-SM-73KXR 50-59 years, male 7.8
GTEX-1ICLZ-0126-SM-CKZPO 60-69 years, male 7.8
GTEX-147F4-0226-SM-5QGPW 50-59 years, male 7.7
GTEX-17HGU-0226-SM-7DHKV 50-59 years, male 7.7
GTEX-13FHO-0226-SM-5IFGY 60-69 years, male 7.6
GTEX-17HG3-2226-SM-7938L 30-39 years, female 7.6
GTEX-17KNJ-2326-SM-7DHLQ 50-59 years, male 7.6
GTEX-OIZF-0126-SM-7SB8I 60-69 years, male 7.6
GTEX-13G51-2526-SM-5LZYK 60-69 years, male 7.5
GTEX-1H1E6-1726-SM-ACKVK 30-39 years, male 7.5
GTEX-QEG4-0226-SM-2S1PY 30-39 years, male 7.4
GTEX-1JK1U-2026-SM-CM2RZ 60-69 years, male 7.4
GTEX-ZPIC-1726-SM-DHXIU 40-49 years, female 7.4
GTEX-1314G-1526-SM-5EGK2 30-39 years, male 7.3
GTEX-131XG-2626-SM-5KM17 50-59 years, female 7.3
GTEX-1B8SG-0126-SM-73KZ3 50-59 years, male 7.3
GTEX-RM2N-1426-SM-2TF4H 50-59 years, male 7.3
GTEX-13O3O-0126-SM-E9J49 60-69 years, female 7.3
GTEX-S7SE-0126-SM-2XCD5 50-59 years, male 7.1
GTEX-XUW1-0426-SM-4BOOT 50-59 years, female 7.1
GTEX-1QW4Y-1526-SM-EAZ3Z 30-39 years, male 7.1
GTEX-ZQUD-1426-SM-57WER 30-39 years, male 7.0
GTEX-1GF9V-0326-SM-7RHI5 60-69 years, male 7.0
GTEX-1JN76-0126-SM-CNPPE 20-29 years, female 7.0
GTEX-14A5H-0426-SM-5QGQF 60-69 years, male 6.9
GTEX-13N1W-0126-SM-5K7VT 70-79 years, male 6.8
GTEX-1C6VS-0526-SM-7DUEN 60-69 years, male 6.8
GTEX-PLZ5-2026-SM-2S1O4 50-59 years, male 6.8
GTEX-1JMQK-0226-SM-CL543 60-69 years, male 6.8
GTEX-13SLW-0126-SM-5SI6C 70-79 years, male 6.7
GTEX-1BAJH-0526-SM-793CQ 70-79 years, male 6.7
GTEX-1IDJF-0126-SM-CM2RS 20-29 years, male 6.7
GTEX-1AX8Z-0126-SM-7DHM6 60-69 years, male 6.6
GTEX-WFON-2126-SM-3LK7O 40-49 years, male 6.6
GTEX-WYJK-0126-SM-3NMAB 50-59 years, male 6.6
GTEX-1I1HK-0126-SM-COH49 60-69 years, male 6.6
GTEX-1QP67-1626-SM-EAZ3X 40-49 years, female 6.6
GTEX-X88G-0126-SM-47JZ3 30-39 years, male 6.4
GTEX-14PN4-0126-SM-6EU2V 50-59 years, male 6.3
GTEX-1E1VI-0126-SM-7DHMZ 50-59 years, male 6.3
GTEX-1HSMO-0126-SM-CL547 60-69 years, male 6.2
GTEX-12WSN-5019-SM-79OM6 40-49 years, male 6.1
GTEX-XQ8I-0426-SM-4BOPO 50-59 years, male 6.1
GTEX-169BO-1326-SM-9MQK2 50-59 years, male 6.1
GTEX-1H1DE-2126-SM-9WG6R 20-29 years, male 6.1
GTEX-113IC-0126-SM-5HL6T 60-69 years, male 6.0
GTEX-183WM-0126-SM-7LTAB 70-79 years, female 6.0
GTEX-18D9B-0526-SM-7LTAS 60-69 years, male 5.9
GTEX-U3ZN-2326-SM-3DB7W 30-39 years, female 5.9
GTEX-X62O-0126-SM-4E3JN 50-59 years, male 5.9
GTEX-1N2DW-0226-SM-E9TK2 50-59 years, male 5.9
GTEX-117YX-2326-SM-5H12W 50-59 years, male 5.8
GTEX-1I6K6-0126-SM-A9SLE 30-39 years, male 5.8
GTEX-113JC-2326-SM-5EQ4E 50-59 years, female 5.7
GTEX-11OC5-0126-SM-5HL6A 60-69 years, male 5.7
GTEX-11P82-1626-SM-59879 20-29 years, male 5.7
GTEX-POMQ-2226-SM-2I5FK 20-29 years, female 5.7
GTEX-UPJH-0326-SM-3GADU 50-59 years, male 5.7
GTEX-11DZ1-0126-SM-5985Q 50-59 years, male 5.6
GTEX-13RTK-1426-SM-5QGQJ 20-29 years, male 5.6
GTEX-16XZY-2126-SM-79OK1 70-79 years, male 5.6
GTEX-1HUB1-0426-SM-E9U4U 60-69 years, male 5.6
GTEX-11ZVC-2526-SM-5FQTE 50-59 years, female 5.5
GTEX-12WSE-0526-SM-793B2 20-29 years, male 5.5
GTEX-1GN1W-0526-SM-9MQJQ 50-59 years, female 5.5
GTEX-1GN73-0226-SM-9WG67 60-69 years, male 5.5
GTEX-1QP29-0626-SM-EWRMX 50-59 years, male 5.5
GTEX-11WQK-0526-SM-5EQLD 50-59 years, male 5.4
GTEX-13OW5-0126-SM-DTXFS 60-69 years, male 5.4
GTEX-1IKJJ-0126-SM-CNPQB 60-69 years, male 5.4
GTEX-13OVG-1926-SM-5L3DK 60-69 years, male 5.3
GTEX-14753-0426-SM-5NQAM 60-69 years, male 5.3
GTEX-18A66-0226-SM-718BD 60-69 years, male 5.3
GTEX-SSA3-0126-SM-32QPU 60-69 years, male 5.3
GTEX-XYKS-2126-SM-4E3IB 60-69 years, female 5.3
GTEX-1M4P7-0226-SM-DIPEV 60-69 years, male 5.3
GTEX-1OJC4-0126-SM-E9J2E 50-59 years, female 5.3
GTEX-1EKGG-0226-SM-9WYTH 60-69 years, male 5.2
GTEX-1LNCM-1126-SM-E9U5E 50-59 years, female 5.2
GTEX-1S3DN-2226-SM-EVYCD 50-59 years, male 5.2
GTEX-117YW-2626-SM-5GZZH 50-59 years, male 5.1
GTEX-14ABY-0226-SM-5TDCQ 50-59 years, male 5.1
GTEX-1AYCT-2426-SM-7IGQ3 50-59 years, male 5.1
GTEX-ZZ64-1726-SM-5GZYB 20-29 years, male 5.1
GTEX-1HBPI-1526-SM-C1YQ1 50-59 years, male 5.1
GTEX-1K2DA-1826-SM-CGQGT 50-59 years, male 5.1
GTEX-111VG-2426-SM-5GZXD 60-69 years, male 5.0
GTEX-11GSP-2526-SM-5N9BP 60-69 years, female 5.0
GTEX-11NSD-2226-SM-5986V 20-29 years, male 5.0
GTEX-11TTK-0126-SM-5987B 60-69 years, female 5.0
GTEX-15DYW-0126-SM-7KULE 60-69 years, female 5.0
GTEX-1GZ2Q-0226-SM-7P8TL 40-49 years, male 5.0
GTEX-1MGNQ-0126-SM-EVYCJ 40-49 years, male 5.0
GTEX-18A7A-0226-SM-718BH 50-59 years, female 4.9
GTEX-OOBK-0126-SM-2YUND 40-49 years, male 4.9
GTEX-OXRN-0126-SM-48TDM 50-59 years, male 4.9
GTEX-ZAB4-0226-SM-5N9F5 40-49 years, male 4.9
GTEX-1F6I4-0126-SM-9MQL2 60-69 years, male 4.9
GTEX-11VI4-1726-SM-5CVLH 40-49 years, female 4.8
GTEX-13OVJ-0126-SM-5KM36 50-59 years, female 4.8
GTEX-WH7G-2326-SM-3NMBC 40-49 years, male 4.8
GTEX-ZEX8-2426-SM-4WKG4 50-59 years, male 4.8
GTEX-11GS4-2726-SM-5A5LE 60-69 years, male 4.7
GTEX-12584-0126-SM-5EGKQ 40-49 years, male 4.7
GTEX-1497J-2426-SM-7IGNX 60-69 years, male 4.7
GTEX-14A6H-0126-SM-5QGPK 30-39 years, male 4.7
GTEX-17EVQ-0226-SM-7LG4P 70-79 years, male 4.7
GTEX-1AMEY-1326-SM-73KYK 30-39 years, female 4.7
GTEX-PW2O-1526-SM-7RHHB 20-29 years, male 4.7
GTEX-18A67-0126-SM-7LG5P 50-59 years, male 4.6
GTEX-YEC4-2126-SM-5IFJH 40-49 years, male 4.6
GTEX-1C6WA-0126-SM-7PC2B 60-69 years, male 4.6
GTEX-1I1GS-0126-SM-B2LVW 60-69 years, male 4.6
GTEX-1IGQW-0126-SM-COH42 60-69 years, male 4.6
GTEX-1RLM8-2326-SM-EWRN4 50-59 years, male 4.6
GTEX-17F96-1626-SM-7DUFL 70-79 years, male 4.5
GTEX-1A32A-0126-SM-718B1 50-59 years, female 4.5
GTEX-XBED-2226-SM-47JYQ 60-69 years, male 4.5
GTEX-1PWST-0226-SM-E76QJ 70-79 years, male 4.5
GTEX-13N11-2526-SM-5K7UE 50-59 years, female 4.4
GTEX-13QJ3-0326-SM-5S2RA 50-59 years, male 4.4
GTEX-S95S-1226-SM-4GICG 60-69 years, male 4.4
GTEX-T5JC-0426-SM-32PLO 20-29 years, male 4.4
GTEX-1EN7A-0126-SM-7SB81 40-49 years, male 4.4
GTEX-1I4MK-2226-SM-ACKWD 50-59 years, female 4.4
GTEX-1QCLY-0326-SM-E8VOG 30-39 years, male 4.4
GTEX-13RTL-0126-SM-7LG5S 40-49 years, male 4.3
GTEX-16NGA-1726-SM-731B4 40-49 years, female 4.3
GTEX-16YQH-0126-SM-7DUFJ 30-39 years, male 4.3
GTEX-1GTWX-0126-SM-9YFLK 60-69 years, male 4.3
GTEX-O5YW-0126-SM-3LK6D 50-59 years, male 4.2
GTEX-1A8FM-0226-SM-7SB7Q 50-59 years, female 4.2
GTEX-1CB4F-0426-SM-9KNV4 60-69 years, male 4.2
GTEX-1JMOU-1526-SM-CL54I 60-69 years, female 4.2
GTEX-1JMPY-1326-SM-ARL8Y 30-39 years, male 4.2
GTEX-13CF3-2426-SM-5IFGX 60-69 years, female 4.1
GTEX-148VJ-0126-SM-5TDDN 70-79 years, male 4.1
GTEX-14PN3-2426-SM-6LLHS 60-69 years, female 4.1
GTEX-NPJ8-0126-SM-2YUNR 40-49 years, male 4.1
GTEX-PLZ4-0126-SM-5SI8O 50-59 years, female 4.1
GTEX-ZC5H-0226-SM-4WAY9 40-49 years, female 4.1
GTEX-1IKK5-0626-SM-ARL8A 60-69 years, male 4.1
GTEX-12ZZX-0126-SM-5EGK9 40-49 years, female 4.0
GTEX-13X6J-0126-SM-5QGOU 50-59 years, male 4.0
GTEX-14BIL-0126-SM-5SI92 50-59 years, male 4.0
GTEX-OHPL-0126-SM-2HMJ7 60-69 years, female 4.0
GTEX-ZE7O-0126-SM-57WC1 50-59 years, female 4.0
GTEX-1HBPH-0426-SM-B2LW5 40-49 years, female 4.0
GTEX-1LH75-2426-SM-E9TJE 50-59 years, female 4.0
GTEX-11GSO-2426-SM-5A5LY 60-69 years, male 3.9
GTEX-13D11-2426-SM-5KM1V 50-59 years, female 3.9
GTEX-13OVI-1426-SM-5L3EY 60-69 years, female 3.9
GTEX-13OW7-0126-SM-5MR3B 50-59 years, male 3.9
GTEX-P4PQ-0126-SM-2S1NM 60-69 years, male 3.9
GTEX-QDT8-0126-SM-48TZ1 30-39 years, female 3.9
GTEX-X4EO-0326-SM-3P5YO 60-69 years, female 3.9
GTEX-ZYFD-0126-SM-5GIDL 50-59 years, male 3.9
GTEX-1GF9U-2126-SM-7SB7L 40-49 years, female 3.9
GTEX-1NV5F-0226-SM-E8VNY 60-69 years, female 3.9
GTEX-ZQG8-1626-SM-DHXIT 60-69 years, female 3.9
GTEX-13U4I-0126-SM-5LU38 40-49 years, female 3.8
GTEX-16XZZ-0126-SM-793DV 60-69 years, male 3.8
GTEX-1C4CL-0526-SM-73KVK 30-39 years, male 3.8
GTEX-1F6IF-0726-SM-7P8TW 60-69 years, male 3.8
GTEX-1GZHY-0326-SM-9QEHI 50-59 years, female 3.8
GTEX-1LGRB-2526-SM-CNPPQ 50-59 years, female 3.8
GTEX-1PBJI-0526-SM-E8VNK 20-29 years, female 3.8
GTEX-R45C-0126-SM-EAZ2R 60-69 years, female 3.8
GTEX-11DXY-2626-SM-5GIE7 60-69 years, male 3.7
GTEX-139D8-0226-SM-5KLZO 30-39 years, female 3.7
GTEX-13X6I-0626-SM-5QGP9 60-69 years, male 3.7
GTEX-146FH-0126-SM-5QGPP 50-59 years, female 3.7
GTEX-14PHW-0126-SM-6LLJI 60-69 years, female 3.7
GTEX-17F97-0326-SM-7LG5B 50-59 years, male 3.7
GTEX-1A3MW-0126-SM-73KXX 60-69 years, female 3.7
GTEX-OXRL-0126-SM-2YUMP 50-59 years, male 3.7
GTEX-SN8G-0126-SM-32PLI 50-59 years, female 3.7
GTEX-ZUA1-0126-SM-5GU76 40-49 years, male 3.7
GTEX-1H3O1-0426-SM-9YFKY 60-69 years, male 3.7
GTEX-1HCVE-0126-SM-CGQEU 50-59 years, male 3.7
GTEX-1LBAC-0126-SM-DIPEZ 20-29 years, male 3.7
GTEX-1QP66-1726-SM-E8VO1 50-59 years, male 3.7
GTEX-1QPFJ-0226-SM-E76PB 30-39 years, female 3.7
GTEX-111FC-0126-SM-5N9DL 60-69 years, male 3.6
GTEX-13PVR-2326-SM-5QGR1 60-69 years, female 3.6
GTEX-144GL-0126-SM-5TDE2 50-59 years, male 3.6
GTEX-OXRO-0126-SM-2YUN4 60-69 years, female 3.6
GTEX-QESD-1426-SM-2S1R9 20-29 years, male 3.6
GTEX-UJHI-1526-SM-3DB99 50-59 years, female 3.6
GTEX-1H1ZS-0426-SM-9WG6G 70-79 years, male 3.6
GTEX-1H2FU-0126-SM-9WYSI 60-69 years, female 3.6
GTEX-1S82Z-0826-SM-E6CHY 30-39 years, female 3.6
GTEX-145LV-2126-SM-5LU8N 50-59 years, male 3.5
GTEX-14E7W-0126-SM-6LLJ9 70-79 years, male 3.5
GTEX-14ICK-0226-SM-6EU25 40-49 years, male 3.5
GTEX-Q2AH-1626-SM-3GAF8 40-49 years, male 3.5
GTEX-1GN1U-0126-SM-7PBZK 50-59 years, female 3.5
GTEX-1GN1V-0126-SM-9WPOS 60-69 years, male 3.5
GTEX-1HKZK-0326-SM-9WYUH 40-49 years, male 3.5
GTEX-1HSMQ-1226-SM-CGQFX 50-59 years, male 3.5
GTEX-1IDFM-0126-SM-COH2V 60-69 years, male 3.5
GTEX-1MCYP-1926-SM-E9J2R 20-29 years, female 3.5
GTEX-ZF29-2326-SM-DO92K 60-69 years, female 3.5
GTEX-11DXZ-2326-SM-5EGGV 50-59 years, male 3.4
GTEX-11P7K-2126-SM-5GU7G 30-39 years, male 3.4
GTEX-14E6C-0126-SM-5RQIP 40-49 years, male 3.4
GTEX-15DDE-0126-SM-6LPKH 50-59 years, female 3.4
GTEX-15SB6-1726-SM-6PAME 50-59 years, female 3.4
GTEX-15SDE-2226-SM-7IGLO 50-59 years, female 3.4
GTEX-QV44-1926-SM-2S1RF 50-59 years, male 3.4
GTEX-T6MO-1626-SM-32QOM 40-49 years, female 3.4
GTEX-ZE9C-2726-SM-57WB5 60-69 years, male 3.4
GTEX-12WSG-2826-SM-E9J4H 50-59 years, female 3.4
GTEX-1H3VY-0126-SM-ACKXD 50-59 years, male 3.4
GTEX-1HSEH-0126-SM-ACKXN 60-69 years, male 3.4
GTEX-1PPH7-2326-SM-EVYB8 40-49 years, male 3.4
GTEX-1R9PO-2126-SM-E9J4O 60-69 years, female 3.4
GTEX-11DYG-0126-SM-59883 60-69 years, male 3.3
GTEX-13NYS-0126-SM-5MR3W 60-69 years, male 3.3
GTEX-13RTJ-2426-SM-5S2Q2 60-69 years, male 3.3
GTEX-18465-0126-SM-731BN 50-59 years, male 3.3
GTEX-1AX9K-2326-SM-73KWU 50-59 years, male 3.3
GTEX-WFG8-2226-SM-3GIL9 20-29 years, male 3.3
GTEX-X261-0126-SM-3NMD6 50-59 years, male 3.3
GTEX-1F75I-0326-SM-9YFLU 40-49 years, male 3.3
GTEX-1GZ4H-1726-SM-7PBZJ 50-59 years, female 3.3
GTEX-1HCUA-2426-SM-ADEIS 50-59 years, female 3.3
GTEX-1I1CD-0126-SM-CM2TK 60-69 years, female 3.3
GTEX-139T4-0226-SM-5HL5S 50-59 years, female 3.2
GTEX-144FL-0126-SM-5TDC8 50-59 years, male 3.2
GTEX-145MF-0626-SM-5LUAI 50-59 years, male 3.2
GTEX-14A5I-0126-SM-5TDEA 50-59 years, female 3.2
GTEX-17HHY-0126-SM-7LG5D 50-59 years, male 3.2
GTEX-18A6Q-0126-SM-731BZ 60-69 years, male 3.2
GTEX-1CAMR-1926-SM-7EPI2 20-29 years, male 3.2
GTEX-QVJO-1626-SM-2S1QW 60-69 years, female 3.2
GTEX-WYVS-2126-SM-3NMA3 40-49 years, female 3.2
GTEX-ZAB5-1826-SM-5HL7C 50-59 years, male 3.2
GTEX-1GF9X-2026-SM-7PC3A 40-49 years, female 3.2
GTEX-1H11D-0226-SM-9WG6Z 40-49 years, male 3.2
GTEX-1HB9E-0226-SM-E9U4R 50-59 years, male 3.2
GTEX-1LB8K-0226-SM-EWRNW 50-59 years, male 3.2
GTEX-1QP2A-0126-SM-E9J43 50-59 years, male 3.2
GTEX-11EMC-2926-SM-5EQ4F 60-69 years, female 3.1
GTEX-12WSK-2326-SM-5GCOH 40-49 years, female 3.1
GTEX-139UW-2826-SM-5L3E7 60-69 years, male 3.1
GTEX-13CF2-2526-SM-5LZYX 60-69 years, male 3.1
GTEX-13FTY-0526-SM-5L3EV 40-49 years, female 3.1
GTEX-13NZB-2526-SM-5J1OM 30-39 years, male 3.1
GTEX-13O21-1426-SM-5K7XI 50-59 years, male 3.1
GTEX-13O3P-0126-SM-5KM4S 50-59 years, male 3.1
GTEX-146FQ-0126-SM-5NQA9 30-39 years, male 3.1
GTEX-14BIM-0226-SM-7IGLD 60-69 years, female 3.1
GTEX-15G19-0126-SM-6PANQ 60-69 years, male 3.1
GTEX-VUSG-2526-SM-4KL1V 50-59 years, male 3.1
GTEX-WOFL-0126-SM-3MJG2 60-69 years, male 3.1
GTEX-XV7Q-2526-SM-4BRV9 40-49 years, female 3.1
GTEX-ZDXO-3026-SM-5J1N5 60-69 years, male 3.1
GTEX-1F7RK-0126-SM-7PC2S 20-29 years, female 3.1
GTEX-1K9T9-0126-SM-EVYCF 50-59 years, female 3.1
GTEX-1LC47-0326-SM-E9TJP 60-69 years, male 3.1
GTEX-1R7EV-2426-SM-EVYBG 40-49 years, male 3.1
GTEX-1RAZA-0126-SM-E6CI3 20-29 years, male 3.1
GTEX-11EI6-0126-SM-5985R 60-69 years, male 3.0
GTEX-13OW6-0426-SM-5L3HM 50-59 years, male 3.0
GTEX-13VXU-0126-SM-5SI9F 50-59 years, male 3.0
GTEX-15SHU-0126-SM-7KUEH 40-49 years, female 3.0
GTEX-PVOW-0126-SM-2XCFA 40-49 years, male 3.0
GTEX-SUCS-1926-SM-32PM3 70-79 years, male 3.0
GTEX-TMZS-0126-SM-3DB9Q 60-69 years, male 3.0
GTEX-U4B1-1826-SM-4DXSU 40-49 years, male 3.0
GTEX-WI4N-1026-SM-3LK7N 40-49 years, female 3.0
GTEX-X4EP-0126-SM-3P5YV 60-69 years, female 3.0
GTEX-XUYS-0126-SM-47JWZ 50-59 years, male 3.0
GTEX-XXEK-2226-SM-4BRUM 50-59 years, male 3.0
GTEX-1B8L1-2526-SM-9WYTF 60-69 years, male 3.0
GTEX-1GN2E-0426-SM-9MQKX 60-69 years, male 3.0
GTEX-1HCU6-0126-SM-CL54K 60-69 years, female 3.0
GTEX-1HT8W-0126-SM-CNPPP 30-39 years, male 3.0
GTEX-1ICLY-0126-SM-D4P36 50-59 years, male 3.0
GTEX-1JKYN-1326-SM-CGQG9 30-39 years, male 3.0
GTEX-1KWVE-1426-SM-E9TJO 30-39 years, male 3.0
GTEX-1192W-2626-SM-5Q5AF 60-69 years, male 2.9
GTEX-11OF3-2626-SM-5GU7F 60-69 years, male 2.9
GTEX-12C56-1726-SM-5EQ61 20-29 years, male 2.9
GTEX-12KS4-0326-SM-5EQ41 30-39 years, male 2.9
GTEX-12WSL-2526-SM-5GCNJ 50-59 years, male 2.9
GTEX-1313W-0126-SM-5LZUN 50-59 years, female 2.9
GTEX-13N2G-2626-SM-5J1OT 60-69 years, male 2.9
GTEX-17HII-0226-SM-7LG4E 50-59 years, male 2.9
GTEX-17MF6-0126-SM-7LG4F 40-49 years, male 2.9
GTEX-T6MN-0126-SM-32PLP 50-59 years, male 2.9
GTEX-X585-0226-SM-4QAS2 50-59 years, male 2.9
GTEX-ZF28-0126-SM-4WKGK 60-69 years, male 2.9
GTEX-ZVTK-0426-SM-51MRS 20-29 years, male 2.9
GTEX-13FH7-2026-SM-E9J4I 50-59 years, female 2.9
GTEX-1LSNM-1926-SM-E6CII 50-59 years, male 2.9
GTEX-11UD1-0126-SM-5PNYG 40-49 years, female 2.8
GTEX-12WSJ-1826-SM-5GCNY 40-49 years, female 2.8
GTEX-139T8-0126-SM-5K7XZ 60-69 years, male 2.8
GTEX-13FTX-1826-SM-5J1NX 20-29 years, female 2.8
GTEX-13VXT-0126-SM-5LU4I 20-29 years, female 2.8
GTEX-14PHX-2326-SM-62LEM 50-59 years, male 2.8
GTEX-15F5U-1526-SM-6PANO 40-49 years, male 2.8
GTEX-18D9U-0226-SM-718BP 40-49 years, male 2.8
GTEX-OXRK-0226-SM-3NB2G 50-59 years, female 2.8
GTEX-TSE9-0126-SM-3DB83 60-69 years, female 2.8
GTEX-U3ZM-1526-SM-3DB9D 40-49 years, male 2.8
GTEX-XBEW-0626-SM-4QASP 40-49 years, male 2.8
GTEX-XUZC-1726-SM-4BRWS 30-39 years, female 2.8
GTEX-Y3IK-2426-SM-4WWDU 50-59 years, female 2.8
GTEX-ZYW4-0126-SM-5E44A 60-69 years, male 2.8
GTEX-1CB4G-0226-SM-7PC3O 60-69 years, male 2.8
GTEX-1GPI6-0126-SM-9WG69 60-69 years, male 2.8
GTEX-1GPI7-0126-SM-9MQL8 20-29 years, male 2.8
GTEX-1H3NZ-0126-SM-ACKX7 60-69 years, male 2.8
GTEX-1JMQJ-0526-SM-CYPSU 50-59 years, male 2.8
GTEX-1MUQO-0126-SM-EAZ58 60-69 years, male 2.8
GTEX-1QEPI-0126-SM-EWRMQ 60-69 years, female 2.8
GTEX-1S5ZA-0126-SM-EVYCV 20-29 years, male 2.8
GTEX-11H98-0126-SM-5EGHG 50-59 years, male 2.7
GTEX-13W3W-2426-SM-5LU5B 60-69 years, female 2.7
GTEX-14PK6-1926-SM-6ETZU 70-79 years, female 2.7
GTEX-16MT8-0426-SM-7KUEY 60-69 years, female 2.7
GTEX-RTLS-0126-SM-447CA 60-69 years, female 2.7
GTEX-TMMY-0226-SM-33HBA 40-49 years, female 2.7
GTEX-WQUQ-0426-SM-3MJFU 60-69 years, male 2.7
GTEX-WRHK-1426-SM-3MJF9 20-29 years, female 2.7
GTEX-YB5K-2126-SM-4WWDJ 40-49 years, female 2.7
GTEX-ZYFC-0226-SM-5NQ75 50-59 years, male 2.7
GTEX-ZYY3-0126-SM-5GZY5 60-69 years, female 2.7
GTEX-1B996-0226-SM-7RHGO 60-69 years, male 2.7
GTEX-1CAMS-0426-SM-7P8T2 40-49 years, female 2.7
GTEX-1E2YA-0126-SM-9KNUC 50-59 years, male 2.7
GTEX-1IKOH-0226-SM-COH4E 60-69 years, female 2.7
GTEX-1J8EW-0126-SM-CJI4F 60-69 years, female 2.7
GTEX-1JJE9-0326-SM-CL53Z 70-79 years, male 2.7
GTEX-1JMPZ-0226-SM-CNPP1 30-39 years, male 2.7
GTEX-1PIGE-0126-SM-EVYBJ 20-29 years, male 2.7
GTEX-1S82Y-2026-SM-EVYCM 40-49 years, male 2.7
GTEX-13112-2826-SM-5DUWH 50-59 years, male 2.6
GTEX-132NY-0326-SM-5IJBL 60-69 years, male 2.6
GTEX-13OW8-1326-SM-5J1OW 60-69 years, male 2.6
GTEX-18A7B-0126-SM-7LG64 70-79 years, male 2.6
GTEX-P44H-0226-SM-2XCEU 40-49 years, male 2.6
GTEX-PX3G-0126-SM-2I3EN 20-29 years, female 2.6
GTEX-U412-0426-SM-3DB9O 60-69 years, male 2.6
GTEX-1GMRU-0126-SM-9YFLV 50-59 years, male 2.6
GTEX-1H1DG-0126-SM-9WYU2 70-79 years, male 2.6
GTEX-1HBPM-0226-SM-ARL9F 60-69 years, female 2.6
GTEX-1K2DU-2326-SM-E9TIV 20-29 years, male 2.6
GTEX-1LG7Y-0526-SM-DKPQC 50-59 years, male 2.6
GTEX-1MA7X-2226-SM-E6CIY 60-69 years, male 2.6
GTEX-1PDJ9-0326-SM-DTX95 20-29 years, male 2.6
GTEX-PSDG-0226-SM-DKPOZ 50-59 years, male 2.6
GTEX-11ZTT-2426-SM-5EQLS 60-69 years, female 2.5
GTEX-1269C-2526-SM-5EGJ3 60-69 years, female 2.5
GTEX-12WSC-0126-SM-5EQ4P 50-59 years, male 2.5
GTEX-139TU-0126-SM-5K7WH 60-69 years, male 2.5
GTEX-14E6E-1826-SM-5S2R7 30-39 years, male 2.5
GTEX-14PJM-0226-SM-62LF1 50-59 years, female 2.5
GTEX-16BQI-0226-SM-7KUEX 30-39 years, female 2.5
GTEX-17HHE-2026-SM-79OKF 50-59 years, male 2.5
GTEX-18QFQ-0126-SM-731BE 30-39 years, male 2.5
GTEX-RN64-0126-SM-2TC68 50-59 years, male 2.5
GTEX-RWS6-2026-SM-2XCB5 60-69 years, female 2.5
GTEX-S32W-2126-SM-2XCB1 50-59 years, female 2.5
GTEX-T2IS-0126-SM-4DM6O 20-29 years, female 2.5
GTEX-X638-0126-SM-47JZ8 70-79 years, female 2.5
GTEX-Z93T-0126-SM-5HL5N 50-59 years, male 2.5
GTEX-ZVE2-0226-SM-59HJB 50-59 years, male 2.5
GTEX-1F75A-0126-SM-7RHGM 50-59 years, male 2.5
GTEX-1JN1M-0326-SM-CYPT3 60-69 years, female 2.5
GTEX-1MCQQ-0826-SM-DLHC2 60-69 years, male 2.5
GTEX-RNOR-0126-SM-E9J4R 50-59 years, female 2.5
GTEX-11UD2-0226-SM-5EQKY 50-59 years, male 2.4
GTEX-11ZTS-0126-SM-5EQ6M 60-69 years, female 2.4
GTEX-1211K-2026-SM-5EQ4Z 60-69 years, female 2.4
GTEX-13IVO-0126-SM-5J1NG 70-79 years, male 2.4
GTEX-13S7M-0126-SM-5SI6A 60-69 years, female 2.4
GTEX-145MI-0526-SM-5O9A8 60-69 years, female 2.4
GTEX-14BIN-0626-SM-793DP 50-59 years, female 2.4
GTEX-1AMFI-2026-SM-731BH 50-59 years, female 2.4
GTEX-QDVN-2026-SM-3GAEP 50-59 years, male 2.4
GTEX-X8HC-0126-SM-4E3JW 50-59 years, female 2.4
GTEX-Y111-0126-SM-4SOIV 50-59 years, male 2.4
GTEX-Y114-2426-SM-4TT8A 50-59 years, female 2.4
GTEX-Y5LM-1926-SM-5RQJH 40-49 years, female 2.4
GTEX-ZTSS-1926-SM-57WEW 40-49 years, male 2.4
GTEX-ZVZO-0126-SM-5A5L9 40-49 years, male 2.4
GTEX-1B933-0126-SM-7PC29 50-59 years, female 2.4
GTEX-1F75B-0126-SM-9KNVL 50-59 years, male 2.4
GTEX-1J8JJ-0226-SM-CL53I 60-69 years, female 2.4
GTEX-1MJK2-0426-SM-DTXE5 50-59 years, male 2.4
GTEX-1R46S-0626-SM-E9J41 60-69 years, female 2.4
GTEX-W5X1-3026-SM-EAZAX 40-49 years, female 2.4
GTEX-13113-5016-SM-7EPIP 60-69 years, female 2.3
GTEX-13O3Q-2426-SM-5IJBR 50-59 years, male 2.3
GTEX-147F3-0526-SM-5SI98 50-59 years, female 2.3
GTEX-14DAQ-0126-SM-5S2MQ 60-69 years, female 2.3
GTEX-1CAMQ-0226-SM-7IGPK 40-49 years, male 2.3
GTEX-PWO3-1526-SM-48TCM 60-69 years, female 2.3
GTEX-YB5E-2026-SM-5IFIS 40-49 years, male 2.3
GTEX-Z93S-0126-SM-5HL7M 50-59 years, male 2.3
GTEX-ZXG5-0126-SM-5GIEU 60-69 years, male 2.3
GTEX-ZY6K-1826-SM-5GZXK 50-59 years, male 2.3
GTEX-1C64O-0126-SM-7SB8P 60-69 years, male 2.3
GTEX-1J8Q2-0526-SM-CM2RW 60-69 years, male 2.3
GTEX-1JN6P-0126-SM-D3L98 60-69 years, male 2.3
GTEX-1192X-0226-SM-5H12D 50-59 years, male 2.2
GTEX-11WQC-2526-SM-5CVLE 60-69 years, male 2.2
GTEX-11ZU8-2526-SM-5EQKI 60-69 years, male 2.2
GTEX-1399U-2326-SM-5K7WY 50-59 years, female 2.2
GTEX-145MO-0326-SM-5Q5B3 60-69 years, male 2.2
GTEX-147GR-0526-SM-5S2MY 60-69 years, male 2.2
GTEX-16GPK-0126-SM-7DHLE 60-69 years, male 2.2
GTEX-1CB4J-0626-SM-7DHMP 60-69 years, male 2.2
GTEX-NFK9-0226-SM-2HMKQ 40-49 years, male 2.2
GTEX-OHPM-0126-SM-2YUN9 50-59 years, male 2.2
GTEX-OXRP-0126-SM-3NB32 60-69 years, female 2.2
GTEX-Y8DK-0126-SM-4TT3L 60-69 years, male 2.2
GTEX-Z9EW-1626-SM-5CVMN 40-49 years, male 2.2
GTEX-ZAJG-0126-SM-5HL94 50-59 years, female 2.2
GTEX-ZGAY-0526-SM-4WWBB 40-49 years, female 2.2
GTEX-ZTX8-1426-SM-5DUVO 20-29 years, male 2.2
GTEX-ZXES-1826-SM-5E43S 30-39 years, female 2.2
GTEX-1CAV2-2226-SM-7P8P2 40-49 years, female 2.2
GTEX-1HSKV-0226-SM-A9SKJ 60-69 years, male 2.2
GTEX-1I1GQ-0126-SM-COH3H 50-59 years, male 2.2
GTEX-12126-0326-SM-5PNW3 20-29 years, male 2.1
GTEX-13OVH-0126-SM-5MR4B 70-79 years, male 2.1
GTEX-13YAN-0326-SM-5O9DF 60-69 years, male 2.1
GTEX-14PJ6-2126-SM-6EU1V 60-69 years, female 2.1
GTEX-15DCD-0126-SM-7KUEK 70-79 years, female 2.1
GTEX-15ETS-0126-SM-7KUMW 40-49 years, female 2.1
GTEX-15UF6-0826-SM-6PALJ 70-79 years, female 2.1
GTEX-O5YT-0126-SM-48TBW 20-29 years, male 2.1
GTEX-1C6VQ-0126-SM-7P8RI 50-59 years, male 2.1
GTEX-1GF9W-0326-SM-9KNUN 60-69 years, male 2.1
GTEX-1IE54-0126-SM-CMKHW 40-49 years, female 2.1
GTEX-1J1OQ-0226-SM-CYPSH 40-49 years, female 2.1
GTEX-1JMLX-0226-SM-CM2RO 50-59 years, male 2.1
GTEX-OOBJ-0126-SM-E6CJW 60-69 years, male 2.1
GTEX-131YS-0126-SM-5KM1M 60-69 years, female 2.0
GTEX-13NZ8-0826-SM-5MR3I 60-69 years, female 2.0
GTEX-13OVK-2026-SM-7KUEO 40-49 years, male 2.0
GTEX-145LS-0126-SM-5QGP1 60-69 years, female 2.0
GTEX-145ME-1826-SM-5SI9G 40-49 years, female 2.0
GTEX-14E6D-0126-SM-62LDV 50-59 years, male 2.0
GTEX-P4QT-0126-SM-2I3FL 50-59 years, female 2.0
GTEX-T5JW-1626-SM-3GADZ 20-29 years, female 2.0
GTEX-XMD2-0126-SM-4YCDU 60-69 years, female 2.0
GTEX-1EWIQ-0126-SM-7RHH2 70-79 years, female 2.0
GTEX-1GMR8-0126-SM-9WYTM 50-59 years, female 2.0
GTEX-1H4P4-0726-SM-9YFLR 50-59 years, male 2.0
GTEX-1HFI7-1826-SM-ACKXH 50-59 years, female 2.0
GTEX-1IDJH-0326-SM-A9SLQ 70-79 years, male 2.0
GTEX-1IL2V-0126-SM-CM2TX 70-79 years, male 2.0
GTEX-1JMQI-2226-SM-CM2SD 50-59 years, male 2.0
GTEX-1KAFJ-2026-SM-CY8ID 50-59 years, male 2.0
GTEX-1LGOU-2026-SM-DIPFF 20-29 years, female 2.0
GTEX-11P81-2326-SM-59875 30-39 years, female 1.9
GTEX-12WSA-0226-SM-5BC5V 60-69 years, male 1.9
GTEX-12ZZZ-0626-SM-5DUXI 60-69 years, male 1.9
GTEX-131XW-0426-SM-5LZWP 50-59 years, female 1.9
GTEX-1399R-2726-SM-5IJBA 30-39 years, male 1.9
GTEX-148VI-1626-SM-5SI6E 60-69 years, female 1.9
GTEX-16NPX-0226-SM-79OMT 50-59 years, male 1.9
GTEX-1C64N-0126-SM-793D7 50-59 years, male 1.9
GTEX-R3RS-0126-SM-3GIJL 40-49 years, female 1.9
GTEX-VJWN-0126-SM-3GIK7 50-59 years, female 1.9
GTEX-X4XX-0126-SM-3NMC2 60-69 years, male 1.9
GTEX-ZVT2-2526-SM-51MT1 50-59 years, female 1.9
GTEX-1EMGI-0126-SM-9KNUE 60-69 years, male 1.9
GTEX-1HCU9-1526-SM-A9SL7 20-29 years, male 1.9
GTEX-1HFI6-0226-SM-ADEHZ 40-49 years, male 1.9
GTEX-1MA7W-2026-SM-E9TJ6 20-29 years, female 1.9
GTEX-1RDX4-0126-SM-E9J4P 50-59 years, female 1.9
GTEX-11DXW-0226-SM-5H122 40-49 years, male 1.8
GTEX-11EQ9-2426-SM-5HL5T 30-39 years, male 1.8
GTEX-12WSD-0126-SM-59HKN 60-69 years, female 1.8
GTEX-13111-1626-SM-5EGJY 50-59 years, male 1.8
GTEX-13NYB-2526-SM-5K7Z6 40-49 years, male 1.8
GTEX-145MN-2226-SM-5SIAU 30-39 years, male 1.8
GTEX-14BMV-0126-SM-5S2PO 50-59 years, male 1.8
GTEX-P4PP-0126-SM-3LK69 30-39 years, female 1.8
GTEX-RU72-0926-SM-2TF6B 50-59 years, female 1.8
GTEX-YFC4-0126-SM-5CVLY 40-49 years, female 1.8
GTEX-1CB4H-0226-SM-7PBXM 60-69 years, female 1.8
GTEX-1F52S-0126-SM-9MQJU 60-69 years, female 1.8
GTEX-1H3VE-0326-SM-9YFLH 40-49 years, male 1.8
GTEX-1HCU8-0626-SM-A9SM9 60-69 years, female 1.8
GTEX-1KANB-0526-SM-E6CJH 50-59 years, male 1.8
GTEX-1RB15-2126-SM-E9TIM 60-69 years, male 1.8
GTEX-1S83E-0126-SM-EWRO4 40-49 years, male 1.8
GTEX-ZF3C-0126-SM-DO92D 50-59 years, female 1.8
GTEX-14JG6-2226-SM-6EU2G 30-39 years, female 1.7
GTEX-15ER7-0326-SM-7KUEV 20-29 years, female 1.7
GTEX-15RIG-0226-SM-7KFTL 40-49 years, male 1.7
GTEX-WVJS-0126-SM-4MVOT 50-59 years, male 1.7
GTEX-WXYG-2326-SM-4E3I6 50-59 years, female 1.7
GTEX-ZAK1-0126-SM-5IJD3 50-59 years, female 1.7
GTEX-ZV6S-2326-SM-4YCEY 40-49 years, female 1.7
GTEX-1IL2U-0226-SM-CE6T8 60-69 years, male 1.7
GTEX-1IOXB-0126-SM-ARL8G 50-59 years, male 1.7
GTEX-1J8QM-2126-SM-CYPSJ 60-69 years, female 1.7
GTEX-1JJ6O-0126-SM-E6CI8 60-69 years, male 1.7
GTEX-1KXAM-2226-SM-CYPTC 60-69 years, male 1.7
GTEX-117XS-2726-SM-5N9BL 60-69 years, male 1.6
GTEX-131XH-2226-SM-5DUXJ 50-59 years, male 1.6
GTEX-139TS-2826-SM-5J1OO 60-69 years, male 1.6
GTEX-13FHP-0126-SM-5IJBG 50-59 years, male 1.6
GTEX-13FTW-2626-SM-5K7WL 40-49 years, male 1.6
GTEX-13PDP-0126-SM-5L3HD 60-69 years, male 1.6
GTEX-14PII-0226-SM-6EU1T 60-69 years, male 1.6
GTEX-T2YK-0526-SM-32QPJ 50-59 years, male 1.6
GTEX-W5WG-1826-SM-4KL2Y 50-59 years, female 1.6
GTEX-ZDTT-2726-SM-4WKF8 60-69 years, male 1.6
GTEX-1HBPN-0226-SM-9YFM1 50-59 years, male 1.6
GTEX-1HCU7-0226-SM-CL545 50-59 years, male 1.6
GTEX-13FXS-0226-SM-5IJCK 50-59 years, male 1.5
GTEX-18D9A-1926-SM-7LG6P 30-39 years, female 1.5
GTEX-1B8KE-2126-SM-73KYX 50-59 years, male 1.5
GTEX-1C475-1826-SM-73KWA 40-49 years, female 1.5
GTEX-1CB4E-2226-SM-793DC 60-69 years, male 1.5
GTEX-XPVG-2626-SM-4B669 50-59 years, male 1.5
GTEX-ZVZP-2426-SM-59HKJ 50-59 years, male 1.5
GTEX-ZWKS-0126-SM-5SIAA 30-39 years, male 1.5
GTEX-1PIIG-0226-SM-EWRN6 30-39 years, male 1.5
GTEX-131XE-2326-SM-5PNZ2 50-59 years, male 1.4
GTEX-133LE-1826-SM-5J1MV 20-29 years, female 1.4
GTEX-14JG1-0426-SM-6ETZZ 40-49 years, male 1.4
GTEX-15EU6-0426-SM-6PAN5 50-59 years, male 1.4
GTEX-1B97I-1626-SM-73KYO 40-49 years, male 1.4
GTEX-YJ89-0126-SM-4TT3X 60-69 years, male 1.4
GTEX-ZF2S-2326-SM-4WWCE 50-59 years, female 1.4
GTEX-ZYFG-2326-SM-5E44B 60-69 years, female 1.4
GTEX-ZYT6-0226-SM-5NQ6T 30-39 years, male 1.4
GTEX-1IDJU-2626-SM-CM2RT 60-69 years, female 1.4
GTEX-1PFEY-1526-SM-E76PP 30-39 years, male 1.4
GTEX-1128S-2326-SM-5GZZY 60-69 years, female 1.3
GTEX-13JUV-2726-SM-5LZZ8 40-49 years, female 1.3
GTEX-13SLX-0526-SM-5S2ON 50-59 years, female 1.3
GTEX-13NYC-0326-SM-E9J4S 60-69 years, male 1.3
GTEX-1I1GT-0626-SM-CGQER 60-69 years, female 1.3
GTEX-1M5QR-1226-SM-EWROB 40-49 years, male 1.3
GTEX-1O97I-0326-SM-EYYX7 60-69 years, male 1.3
GTEX-1OFPY-2426-SM-DTXEJ 60-69 years, male 1.3
GTEX-1R9PM-2026-SM-E76OY 20-29 years, male 1.3
GTEX-TML8-1926-SM-32QOS 40-49 years, female 1.2
GTEX-1F6RS-0126-SM-9MQKZ 60-69 years, female 1.2
GTEX-1JJEA-0326-SM-CNPOT 60-69 years, male 1.2
GTEX-1PPH8-0226-SM-E8VND 20-29 years, male 1.2
GTEX-14LZ3-0226-SM-62LET 60-69 years, female 1.1
GTEX-ZV68-0126-SM-59HKS 50-59 years, female 1.1
GTEX-1F5PL-0326-SM-7P8PQ 40-49 years, female 1.1
GTEX-1QAET-0926-SM-E76QM 50-59 years, male 1.1
GTEX-1212Z-2526-SM-5EGKP 60-69 years, male 1.0
GTEX-17JCI-0126-SM-7LG5G 60-69 years, female 1.0
GTEX-1HSGN-0226-SM-CGQFV 40-49 years, female 1.0
GTEX-1JMQL-0226-SM-CNPP5 50-59 years, female 1.0
GTEX-1LG7Z-1726-SM-D3LA4 30-39 years, male 1.0
GTEX-1OJC3-0126-SM-E76QX 20-29 years, male 1.0
GTEX-1122O-2126-SM-5EGIR 60-69 years, female 0.9
GTEX-Y5V5-2326-SM-4V6GA 60-69 years, female 0.9
GTEX-1H1CY-2826-SM-9MQM3 60-69 years, female 0.9
GTEX-1I1GV-0526-SM-A9G29 60-69 years, male 0.9
GTEX-1LVAN-0226-SM-COH3S 50-59 years, female 0.9
GTEX-1L5NE-2526-SM-E6CIE 50-59 years, male 0.6
Show allShow less

Contact

  • NEWS ARTICLES
  • PRESS ROOM

The Project

  • INTRODUCTION
  • ORGANIZATION
  • PUBLICATIONS

The Human Protein Atlas

  • DOWNLOADABLE DATA
  • LICENCE & CITATION
  • HELP & FAQ
The Human Protein Atlas project is funded
by the Knut & Alice Wallenberg Foundation.


contact@proteinatlas.org