We use cookies to enhance the usability of our website. If you continue, we'll assume that you are happy to receive all cookies. More information. Don't show this again.
ITGB1
HPA
RESOURCES
  • TISSUE
  • BRAIN
  • SINGLE CELL
  • SUBCELLULAR
  • CANCER
  • BLOOD
  • CELL LINE
  • STRUCTURE & INTERACTION
ABOUT
  • INTRODUCTION
  • HISTORY
  • ORGANIZATION
  • PUBLICATIONS
  • ANTIBODY SUBMISSION
  • ANTIBODY AVAILABILITY
  • ACKNOWLEDGMENTS
  • CONTACT
NEWS
  • NEWS ARTICLES
  • PRESS ROOM
LEARN
  • DICTIONARY
  • PROTEIN CLASSES
  • PROTEIN EVIDENCE
  • METHODS
  • EDUCATIONAL VIDEOS
DATA
  • DOWNLOADABLE DATA
  • PUBLICATION DATA
  • RELEASE HISTORY
HELP
  • ANTIBODY VALIDATION
  • ASSAYS & ANNOTATION
  • DISCLAIMER
  • HELP & FAQ
  • PRIVACY STATEMENT
  • LICENCE & CITATION
Fields »
Search result

Field
Term
Gene name
Class
Subclass
Class
Keyword
Chromosome
External id
Tissue
Cell type
Expression
Antibody panel
Tissue
Main location
Patient ID
Annotation
Tissue
Category
Tau score
Cluster
Reliability
Brain region
Category
Tau score
Brain region
Category
Tau score
Brain region
Category
Tau score
Cluster
Reliability
Tissue
Cell type
Enrichment
Cell type
Category
Tau score
Cell type
Category
Tau score
Cell type
Category
Tau score
Cell lineage
Category
Tau score
Cluster
Cluster
Location
Searches
Location
Cell line
Class
Type
Phase
Reliability
Cancer
Prognosis
Cancer
Category
Cancer
Category
Tau score
Cluster
Variants
Interacting gene (ensg_id)
Type
Number of interactions
Pathway
Category
Score
Score
Score
Validation
Validation
Validation
Validation
Antibodies
Data type
Column


  • SUMMARY

  • TISSUE

  • BRAIN

  • SINGLE CELL

  • SUBCELL

  • CANCER

  • BLOOD

  • CELL LINE

  • STRUCT & INT

  • ITGB1
TISSUE PRIMARY DATA SKIN Show tissue menu
ADIPOSE TISSUE ADRENAL GLAND AMYGDALA APPENDIX BASAL GANGLIA BONE MARROW BREAST BRONCHUS CEREBELLUM CEREBRAL CORTEX CERVIX CHOROID PLEXUS COLON DUODENUM
ENDOMETRIUM EPIDIDYMIS ESOPHAGUS FALLOPIAN TUBE GALLBLADDER HEART MUSCLE HIPPOCAMPAL FORMATION HYPOTHALAMUS KIDNEY LIVER LUNG LYMPH NODE MIDBRAIN NASOPHARYNX
ORAL MUCOSA OVARY PANCREAS PARATHYROID GLAND PITUITARY GLAND PLACENTA PROSTATE RECTUM RETINA SALIVARY GLAND SEMINAL VESICLE SKELETAL MUSCLE SKIN SMALL INTESTINE
SMOOTH MUSCLE SOFT TISSUE SPINAL CORD SPLEEN STOMACH TESTIS THYMUS THYROID GLAND TONGUE TONSIL URINARY BLADDER VAGINA
ANTIBODIES
AND
VALIDATION
Dictionary
Skin
Tissue proteome
Skin
SKIN - Expression summary
Protein expression
Skini

On the top, protein expression in current human tissue, based on all annotated cell types, is reported with the units not detected (n), low (l), medium (m) and high (h). Underneath, protein expression in each annotated cell type are reported using the same units.

Protein expression data is based on knowledge-based annotation. For genes where more than one antibody has been used, a collective score is set.

If knowledge-based annotation could not be performed for a gene, no data is displayed here. View antibody staining data further down this page.

h
m
l
n
Arrector pili muscle cells: Low
Cells in basal layer: Medium
Cells in corneal layer: Not detected
Cells in granular layer: Not detected
Cells in spinous layer: Not detected
Endothelial cells: Low
Extracellular matrix: Not detected
Fibrohistiocytic cells: Not detected
Hair follicles: Not detected
Langerhans cells: Not detected
Lymphocytes: Not detected
Melanocytes: Not detected
Sebaceous glands: Not detected
Vascular mural cells: Not detected
RNA expressioni

A summary of mRNA expression data available for current tissue based on several datasets. The mRNA expression levels in human tissues are based on RNA-seq data generated by the Human Protein Atlas (HPA), Genotype-Tissue Expression (GTEx) portal and CAGE data generated by the FANTOM5 consortium. Consensus normalized expression levels for human tissues was created by combining the data from HPA and GTEx datasets.

The mRNA expression levels in pig are based on RNA-seq data generated by the Human Protein Atlas (HPA), and for mouse, HPA data and in situ hybridization generated by the Allen brain atlas are reported.

Scroll down to view mRNA expression data in more detail.
Consensus:89.7 nTPM
HPA:89.7 nTPM
GTEx:76.2 nTPM

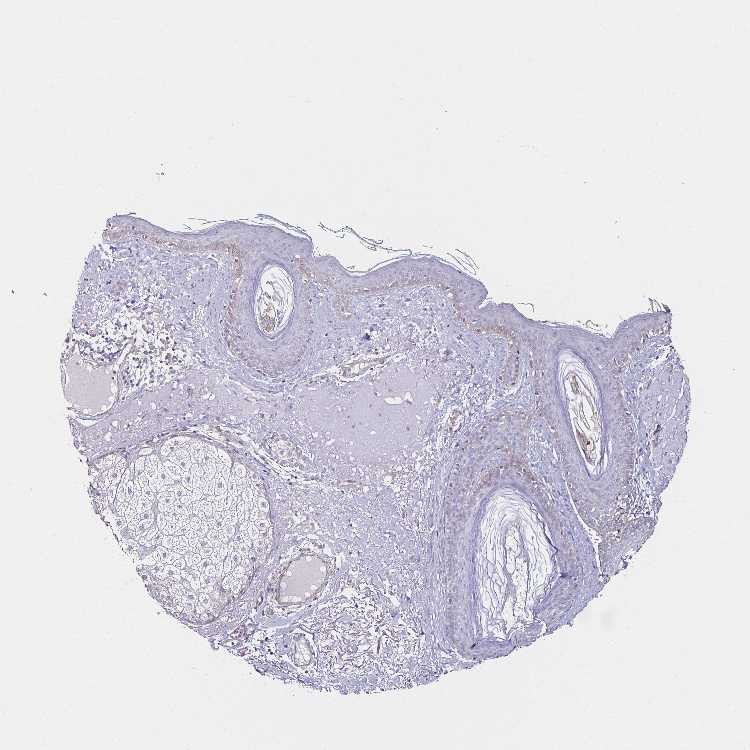
SKIN 1 - Antibody stainingi

Antibody staining in the annotated cell types in the current human tissue is reported as not detected, low, medium, or high, based on conventional immunohistochemistry profiling in selected tissues. This score is based on the combination of the staining intensity and fraction of stained cells.

Each image is clickable and will lead to virtual microscopy that enables deeper exploration of all samples and also displays staining intensity scores, fraction scores and subcellular localization as well as patient and tissue information for each sample.

Antibody HPA059297Antibody HPA069003Antibody CAB003434
Langerhans -Not detectedNot detected
Cells in basal layer Low--
Cells in corneal layer Not detected--
Cells in granular layer Not detected--
Cells in spinous layer Not detected--
Endothelial cells Low--
Extracellular matrix Not detected--
Fibroblasts -Not detectedHigh
Fibrohistiocytic cells Not detected--
Hair follicles Not detected--
Keratinocytes -LowHigh
Langerhans cells Not detected--
Lymphocytes Not detected--
Melanocytes Not detectedNot detectedHigh
Sebaceous glands Not detected--
Vascular mural cells Not detected--





SKIN 2 - Antibody stainingi

Antibody staining in the annotated cell types in the current human tissue is reported as not detected, low, medium, or high, based on conventional immunohistochemistry profiling in selected tissues. This score is based on the combination of the staining intensity and fraction of stained cells.

Each image is clickable and will lead to virtual microscopy that enables deeper exploration of all samples and also displays staining intensity scores, fraction scores and subcellular localization as well as patient and tissue information for each sample.

Antibody HPA059297Antibody HPA069003Antibody CAB003434
Arrector pili muscle cells Low--
Cells in basal layer Medium--
Cells in corneal layer Not detected--
Cells in granular layer Not detected--
Cells in spinous layer Not detected--
Endothelial cells Low--
Epidermal cells -LowHigh
Extracellular matrix Not detected--
Fibrohistiocytic cells Not detected--
Langerhans cells Not detected--
Lymphocytes Not detected--
Melanocytes Not detected--
Vascular mural cells Not detected--
   
   
   





SKIN - HPA RNA-seqi

The RNA-seq details section shows detailed information about the individual samples used for the transcript profiling and results of the RNA-seq analysis.

Information about each individual sample is listed below, including gender, age, a tissue section image and estimated fractions of cell types. nTPM (normalized transcripts per million) values give a quantification of the gene abundance which is comparable between different genes and samples.
Average nTPMi

Max subtype nTPM is the value for the subtype with the largest average nTPM across the subtype samples.

89.7
overview
Female, age 34
Skin sample 225
nTPM: 95.4
Cell types%
Keratinocytes:
60

Other cell types:
40

overview
Female, age 30
Skin sample 226
nTPM: 104.4
Cell types%
Keratinocytes:
55

Other cell types:
45

N/A
Male, age 57
Skin sample 227
nTPM: 69.3

SKIN - GTEx RNA-seqi

RNA-Seq data generated by the Genotype-Tissue Expression (GTEx) project from human tissues is reported as mean nTPM. More information can be found on the GTEx portal.

Distribution across the dataset is visualized with box plots, shown as median and 25th and 75th percentiles. Points are displayed as outliers if they are above or below 1.5 times the interquartile range. nTPM values of the individual samples are presented next to the box plot.
Max subtype nTPMi

Max subtype nTPM is the value for the subtype with the largest average nTPM across the subtype samples.

76.2
GTEx sample id Sample description nTPM
Skin - Not Sun Exposed (Suprapubic)
Average nTPM: 73.6
Samples: 604

Max nTPM: 223.4
Min nTPM: 30.5
Std nTPM: 20.7
Median nTPM: 70.1
GTEX-14E6C-2426-SM-5S2NF 40-49 years, male 223.4
GTEX-12WSL-2026-SM-5GCML 50-59 years, male 167.8
GTEX-1L5NE-1126-SM-D3L9P 50-59 years, male 156.7
GTEX-WHSE-0126-SM-3NMBT 20-29 years, male 142.5
GTEX-13QBU-1226-SM-5LU4G 40-49 years, female 140.5
GTEX-1F6RS-2026-SM-7RHHC 60-69 years, female 139.6
GTEX-YF7O-1526-SM-5IFI6 50-59 years, male 135.4
GTEX-YB5K-2026-SM-4VDT3 40-49 years, female 130.7
GTEX-12WSK-2126-SM-5CVNC 40-49 years, female 129.5
GTEX-1H1DF-1126-SM-9WG7G 40-49 years, female 129.2
GTEX-11EM3-1226-SM-5N9DD 20-29 years, female 128.0
GTEX-13OVJ-0826-SM-5J1OK 50-59 years, female 125.8
GTEX-11WQK-1026-SM-5EQLX 50-59 years, male 124.1
GTEX-1GF9U-2026-SM-7SB92 40-49 years, female 122.8
GTEX-1F48J-0726-SM-7RHGS 50-59 years, female 121.4
GTEX-131YS-2826-SM-5EQ47 60-69 years, female 121.3
GTEX-1CAV2-0126-SM-7IGN7 40-49 years, female 121.0
GTEX-1QP29-1826-SM-DTX9S 50-59 years, male 119.4
GTEX-WYBS-0626-SM-3NMAS 60-69 years, female 119.3
GTEX-ZT9W-1126-SM-57WDR 50-59 years, male 117.7
GTEX-WEY5-2326-SM-3GIKK 40-49 years, female 116.8
GTEX-14BMU-1226-SM-5S2OR 20-29 years, female 116.0
GTEX-11DZ1-2426-SM-5GZZX 50-59 years, male 114.4
GTEX-1JMQK-1226-SM-D4P2S 60-69 years, male 113.8
GTEX-1RAZR-2126-SM-E9U6T 40-49 years, male 113.6
GTEX-ZAJG-1526-SM-5CVML 50-59 years, female 113.2
GTEX-1QP66-1226-SM-DTX7U 50-59 years, male 111.5
GTEX-15UF6-1926-SM-7KUDV 70-79 years, female 111.1
GTEX-14PJ5-1526-SM-6LLIL 60-69 years, female 111.0
GTEX-1ICLZ-0326-SM-ARL82 60-69 years, male 110.2
GTEX-183FY-1026-SM-7939A 20-29 years, male 108.3
GTEX-1JMQL-2226-SM-CNPP4 50-59 years, female 108.1
GTEX-U8XE-0226-SM-4E3J3 30-39 years, male 107.9
GTEX-1AX9J-1326-SM-731BJ 60-69 years, male 107.6
GTEX-1HUB1-1426-SM-CGQF5 60-69 years, male 106.9
GTEX-1QCLZ-2426-SM-EVYBW 60-69 years, female 105.8
GTEX-1KANC-1226-SM-CYPT7 50-59 years, female 105.5
GTEX-1A32A-0626-SM-731AQ 50-59 years, female 105.2
GTEX-14A5H-0826-SM-5QGPJ 60-69 years, male 103.8
GTEX-17F98-1326-SM-7DUEP 40-49 years, female 103.8
GTEX-18A7B-2726-SM-7LG56 70-79 years, male 103.4
GTEX-ZLWG-0826-SM-59888 50-59 years, female 103.4
GTEX-12WSD-0626-SM-5GCMW 60-69 years, female 103.2
GTEX-13X6K-0626-SM-5LU5D 60-69 years, female 102.2
GTEX-WH7G-2026-SM-3NMBL 40-49 years, male 102.2
GTEX-13VXT-1926-SM-5K7UO 20-29 years, female 102.1
GTEX-1H1CY-0126-SM-9YFLY 60-69 years, female 101.8
GTEX-144GL-0626-SM-5LU4D 50-59 years, male 101.5
GTEX-1RAZA-2226-SM-E9U4X 20-29 years, male 101.2
GTEX-13O3O-2326-SM-5IJD6 60-69 years, female 101.0
GTEX-16BQI-1326-SM-6M486 30-39 years, female 101.0
GTEX-1A8FM-0626-SM-7PC25 50-59 years, female 101.0
GTEX-13N1W-2426-SM-5IJD1 70-79 years, male 100.6
GTEX-1117F-2926-SM-5GZYI 60-69 years, female 100.5
GTEX-WFG8-2126-SM-3GIKQ 20-29 years, male 99.7
GTEX-17EVQ-0126-SM-7IGLR 70-79 years, male 99.6
GTEX-17MFQ-1526-SM-7KFRR 20-29 years, male 99.6
GTEX-12C56-1526-SM-5FQUQ 20-29 years, male 99.3
GTEX-ZE7O-2726-SM-51MT5 50-59 years, female 99.2
GTEX-18A6Q-0626-SM-7KFRP 60-69 years, male 99.1
GTEX-11VI4-1126-SM-5EQMD 40-49 years, female 98.8
GTEX-1JN1M-2726-SM-CY8I4 60-69 years, female 98.8
GTEX-1J8Q3-0526-SM-ARL8U 60-69 years, male 98.6
GTEX-145MI-0626-SM-5SI8S 60-69 years, female 98.5
GTEX-147F3-1726-SM-5SIAW 50-59 years, female 98.5
GTEX-1IDJE-1426-SM-ADEIW 50-59 years, female 98.5
GTEX-XBED-1926-SM-47JYP 60-69 years, male 98.4
GTEX-13JUV-2026-SM-5K7UA 40-49 years, female 98.3
GTEX-VJYA-1526-SM-3GIJV 60-69 years, male 98.3
GTEX-1H2FU-0926-SM-9WPPT 60-69 years, female 98.0
GTEX-ZGAY-1826-SM-DO91Q 40-49 years, female 98.0
GTEX-1JMOU-1026-SM-CYPSS 60-69 years, female 97.6
GTEX-13NYC-0126-SM-5L3F4 60-69 years, male 97.4
GTEX-1KWVE-1026-SM-D3L9O 30-39 years, male 97.4
GTEX-117YX-1926-SM-5GIEC 50-59 years, male 97.3
GTEX-1I6K6-1726-SM-CGQFD 30-39 years, male 97.1
GTEX-1IDJF-2026-SM-CL53V 20-29 years, male 97.0
GTEX-15ER7-0626-SM-6PANF 20-29 years, female 96.3
GTEX-1HSMO-0626-SM-ACKXC 60-69 years, male 96.2
GTEX-1HR98-2226-SM-ADEI2 60-69 years, male 95.2
GTEX-133LE-2326-SM-5K7W3 20-29 years, female 95.1
GTEX-13X6H-0926-SM-5SIB2 50-59 years, female 95.1
GTEX-ZDYS-2426-SM-4WKGI 50-59 years, male 95.0
GTEX-11TT1-1826-SM-5EQLV 20-29 years, male 94.8
GTEX-18D9B-0926-SM-7LG4U 60-69 years, male 94.8
GTEX-WFON-1926-SM-3LK7L 40-49 years, male 94.8
GTEX-1F75W-2726-SM-7SB8H 60-69 years, male 94.4
GTEX-15SHW-0226-SM-7LTAT 60-69 years, male 94.3
GTEX-XMD2-2126-SM-4YCF8 60-69 years, female 94.0
GTEX-15SKB-2826-SM-6PAMH 60-69 years, male 93.5
GTEX-XAJ8-1426-SM-47JYM 40-49 years, male 93.3
GTEX-1F88E-1626-SM-7SB8Z 60-69 years, female 92.9
GTEX-1LGOU-1326-SM-D3L8M 20-29 years, female 92.4
GTEX-1IDJC-1526-SM-B2LW4 50-59 years, male 92.3
GTEX-14JG6-1426-SM-9WG7C 30-39 years, female 92.2
GTEX-11LCK-2226-SM-5HL4Q 30-39 years, male 92.0
GTEX-WY7C-2126-SM-3NB2R 50-59 years, male 91.8
GTEX-ZY6K-1426-SM-5GZX2 50-59 years, male 91.8
GTEX-1F75B-0726-SM-7PC3R 50-59 years, male 91.7
GTEX-13N11-2326-SM-5IJBF 50-59 years, female 91.1
GTEX-1RLM8-2926-SM-E8VON 50-59 years, male 91.1
GTEX-18A66-0626-SM-7LT8Z 60-69 years, male 91.0
GTEX-147JS-0226-SM-5S2U9 60-69 years, male 90.9
GTEX-15CHC-1126-SM-6LLHQ 60-69 years, female 90.6
GTEX-13FH7-1126-SM-5K7UG 50-59 years, female 90.5
GTEX-ZVT4-2426-SM-5GIEI 50-59 years, female 90.5
GTEX-1F6IF-0926-SM-7SB7M 60-69 years, male 90.5
GTEX-12584-0726-SM-5FQTK 40-49 years, male 90.0
GTEX-1KANA-1326-SM-DIPFA 20-29 years, male 89.7
GTEX-1HKZK-0726-SM-ACKW2 40-49 years, male 89.5
GTEX-13O61-1426-SM-5KM3D 60-69 years, male 89.4
GTEX-1HCU9-0426-SM-9WYSD 20-29 years, male 89.3
GTEX-14XAO-1226-SM-6EU1C 60-69 years, female 89.1
GTEX-13YAN-0226-SM-5TDC6 60-69 years, male 88.6
GTEX-WXYG-2026-SM-4E3IY 50-59 years, female 88.6
GTEX-13PVR-0426-SM-5RQK2 60-69 years, female 88.3
GTEX-1NSGN-0726-SM-DTXEF 50-59 years, male 88.3
GTEX-1I1GP-1326-SM-A9G28 50-59 years, male 88.2
GTEX-13113-1626-SM-5EQ4I 60-69 years, female 88.0
GTEX-1A3MW-0626-SM-731CB 60-69 years, female 87.8
GTEX-11EQ9-1626-SM-5PNY8 30-39 years, male 87.5
GTEX-ZVE2-2826-SM-5GU51 50-59 years, male 87.5
GTEX-14PKU-0126-SM-6LLHV 40-49 years, female 87.4
GTEX-X3Y1-2026-SM-3P5YM 40-49 years, male 87.4
GTEX-ZUA1-2626-SM-5NQ92 40-49 years, male 87.3
GTEX-1F75A-0726-SM-7RHHD 50-59 years, male 87.2
GTEX-ZYFD-0626-SM-5E44E 50-59 years, male 87.1
GTEX-1RB15-1326-SM-E76Q9 60-69 years, male 87.1
GTEX-1F75I-2226-SM-7SB8U 40-49 years, male 86.8
GTEX-X5EB-1926-SM-4E3IW 40-49 years, male 86.7
GTEX-13N2G-0226-SM-5K7VF 60-69 years, male 86.6
GTEX-148VJ-0626-SM-5LUAW 70-79 years, male 86.6
GTEX-1C64N-2626-SM-7PC2N 50-59 years, male 86.4
GTEX-15G1A-1626-SM-7KUKN 30-39 years, male 86.3
GTEX-16NGA-0726-SM-731AO 40-49 years, female 86.1
GTEX-ZYW4-0626-SM-59HJR 60-69 years, male 86.0
GTEX-1S5ZU-2526-SM-E6CIF 20-29 years, female 86.0
GTEX-1314G-1326-SM-5BC6E 30-39 years, male 85.8
GTEX-145MO-2826-SM-5LU96 60-69 years, male 85.8
GTEX-1E1VI-0326-SM-793D1 50-59 years, male 85.7
GTEX-1MCC2-1826-SM-DIPEX 30-39 years, female 85.7
GTEX-13X6J-0626-SM-5LU5F 50-59 years, male 85.3
GTEX-1497J-0226-SM-5QGPU 60-69 years, male 85.3
GTEX-14B4R-1326-SM-5Q5EZ 30-39 years, male 85.3
GTEX-1H3NZ-2726-SM-9WYTQ 60-69 years, male 85.2
GTEX-YEC4-1826-SM-4W1YP 40-49 years, male 84.7
GTEX-1HBPI-2126-SM-ARL9K 50-59 years, male 84.6
GTEX-1IDJU-1726-SM-CMKHU 60-69 years, female 84.6
GTEX-1A3MV-1826-SM-731CD 30-39 years, male 84.5
GTEX-1399R-1326-SM-5PNYS 30-39 years, male 84.4
GTEX-12KS4-2126-SM-5FQUT 30-39 years, male 84.3
GTEX-16NPX-0726-SM-7KULC 50-59 years, male 84.3
GTEX-1JJ6O-2726-SM-CNPOG 60-69 years, male 84.3
GTEX-1399U-1126-SM-5L3DB 50-59 years, female 84.2
GTEX-16GPK-0626-SM-7KFSF 60-69 years, male 84.1
GTEX-139UW-0326-SM-5J1ML 60-69 years, male 84.0
GTEX-13IVO-0726-SM-5LZYV 70-79 years, male 84.0
GTEX-1AX8Z-0726-SM-73KTS 60-69 years, male 83.9
GTEX-1F5PL-0926-SM-7PC2W 40-49 years, female 83.9
GTEX-ZYFC-0426-SM-5GICQ 50-59 years, male 83.7
GTEX-1J8QM-2426-SM-A9SLS 60-69 years, female 83.6
GTEX-ZLFU-1826-SM-4WWBV 40-49 years, male 83.4
GTEX-1GZHY-0626-SM-9KNVC 50-59 years, female 83.4
GTEX-1JKYR-0626-SM-ARL8R 20-29 years, male 83.4
GTEX-UPK5-0426-SM-3GAEK 40-49 years, male 83.3
GTEX-ZZ64-1026-SM-5GZXG 20-29 years, male 83.3
GTEX-1R7EU-1626-SM-DTXG3 60-69 years, male 83.3
GTEX-XK95-0226-SM-4AT58 40-49 years, male 83.1
GTEX-1GN1U-0626-SM-9MQL9 50-59 years, female 82.9
GTEX-1211K-1526-SM-5FQU4 60-69 years, female 82.8
GTEX-1F52S-2926-SM-7MKGA 60-69 years, female 82.8
GTEX-1QEPI-2626-SM-DTXF4 60-69 years, female 82.8
GTEX-139T8-0626-SM-5KLZX 60-69 years, male 82.7
GTEX-15RJ7-2126-SM-6PAMD 40-49 years, male 82.7
GTEX-1HC8U-1326-SM-9YFMJ 40-49 years, female 82.6
GTEX-1AX9I-2226-SM-73KUO 60-69 years, male 82.4
GTEX-13OVK-1426-SM-6PAN7 40-49 years, male 82.3
GTEX-1JKYN-0826-SM-ARU8S 30-39 years, male 82.3
GTEX-15CHQ-0326-SM-69LQD 60-69 years, male 82.2
GTEX-1AMFI-1326-SM-7939R 50-59 years, female 82.2
GTEX-ZVTK-0226-SM-51MRG 20-29 years, male 82.2
GTEX-13RTJ-0126-SM-5S2NN 60-69 years, male 81.8
GTEX-1HCU6-2526-SM-ADEHL 60-69 years, female 81.8
GTEX-1HCVE-2726-SM-CL54F 50-59 years, male 81.8
GTEX-1ICG6-1226-SM-A9SLN 70-79 years, female 81.7
GTEX-15EU6-2226-SM-6EU2L 50-59 years, male 81.6
GTEX-1IDJH-0126-SM-D3L92 70-79 years, male 81.6
GTEX-1EU9M-1426-SM-793AI 60-69 years, male 81.5
GTEX-1QMI2-2526-SM-E8VNZ 60-69 years, male 81.5
GTEX-1J8JJ-0626-SM-ARZMQ 60-69 years, female 81.4
GTEX-11DXW-0826-SM-5H118 40-49 years, male 81.1
GTEX-1LG7Z-1626-SM-CXKYR 30-39 years, male 80.9
GTEX-12WSM-1926-SM-5BC65 60-69 years, male 80.8
GTEX-ZLV1-1526-SM-DO91J 60-69 years, female 80.7
GTEX-1B8L1-2226-SM-7P8PT 60-69 years, male 80.6
GTEX-1N5O9-0926-SM-E9J3C 60-69 years, male 80.5
GTEX-12696-0126-SM-5EQ4L 60-69 years, male 80.3
GTEX-13NZ9-2626-SM-5L3FK 50-59 years, male 80.3
GTEX-16AAH-0626-SM-793C9 50-59 years, male 80.3
GTEX-17JCI-2926-SM-7DUFF 60-69 years, female 80.3
GTEX-1A8G6-2726-SM-731AR 60-69 years, male 80.3
GTEX-XYKS-1426-SM-4BRUO 60-69 years, female 80.3
GTEX-145ME-1726-SM-5Q5EU 40-49 years, female 79.6
GTEX-1122O-1026-SM-9WYSF 60-69 years, female 79.5
GTEX-1A3MX-2626-SM-7PC24 60-69 years, male 79.5
GTEX-1H1E6-0426-SM-9WYUS 30-39 years, male 79.5
GTEX-13FLV-0126-SM-5K7WT 50-59 years, male 79.4
GTEX-1LSNL-2726-SM-E9TKJ 50-59 years, male 79.4
GTEX-1LSVX-2526-SM-DIPEU 60-69 years, male 79.3
GTEX-146FQ-2126-SM-5RQHU 30-39 years, male 79.2
GTEX-YJ8O-2526-SM-5HL85 40-49 years, female 79.2
GTEX-1H23P-0626-SM-9WG6T 60-69 years, male 79.2
GTEX-X8HC-0626-SM-4E3HQ 50-59 years, female 79.1
GTEX-XUW1-0926-SM-4BONX 50-59 years, female 79.1
GTEX-14C5O-0326-SM-5ZZUX 60-69 years, male 78.6
GTEX-WYJK-0526-SM-3NM8Z 50-59 years, male 78.6
GTEX-1EH9U-2826-SM-7DUGT 60-69 years, male 78.4
GTEX-ZF2S-1626-SM-57WES 50-59 years, female 78.4
GTEX-1LVA9-2626-SM-EVYD4 50-59 years, male 78.3
GTEX-1GF9W-1426-SM-7PBYM 60-69 years, male 78.0
GTEX-1F5PK-2226-SM-7SB6N 50-59 years, male 77.9
GTEX-ZYFG-1526-SM-5GZYM 60-69 years, female 77.8
GTEX-1R9PN-0426-SM-DTXDT 40-49 years, female 77.8
GTEX-1B8KZ-0326-SM-73KY4 50-59 years, male 77.6
GTEX-1QPFJ-1926-SM-EVYBD 30-39 years, female 77.6
GTEX-14PJ2-0626-SM-6LLII 50-59 years, male 77.5
GTEX-17HHY-0426-SM-7DHLC 50-59 years, male 77.5
GTEX-WK11-2726-SM-3NMAQ 50-59 years, male 77.3
GTEX-1GN1W-2426-SM-9KNUU 50-59 years, female 77.3
GTEX-11ZTT-2126-SM-5CVLO 60-69 years, female 77.2
GTEX-145LT-0526-SM-5LUB2 40-49 years, male 77.2
GTEX-14C38-0726-SM-5SI6M 50-59 years, male 77.1
GTEX-1B932-2326-SM-79OL5 40-49 years, female 77.0
GTEX-1HSMP-0926-SM-A9SKX 70-79 years, male 77.0
GTEX-1I19N-0126-SM-CYPSF 70-79 years, male 76.8
GTEX-11WQC-1826-SM-5GU59 60-69 years, male 76.7
GTEX-1I1GV-0626-SM-ARL7M 60-69 years, male 76.6
GTEX-1QCLY-0226-SM-EWRNH 30-39 years, male 76.6
GTEX-1PBJJ-1026-SM-E76OS 30-39 years, male 76.4
GTEX-145MH-2826-SM-5RQJF 50-59 years, male 76.2
GTEX-Y5LM-0926-SM-6LLJG 40-49 years, female 75.9
GTEX-1GMR2-0826-SM-7PC3V 50-59 years, male 75.5
GTEX-13X6I-1826-SM-5SIAO 60-69 years, male 75.4
GTEX-11EI6-2826-SM-5H11D 60-69 years, male 75.3
GTEX-1JMPZ-0726-SM-CY8HZ 30-39 years, male 75.3
GTEX-VUSG-2326-SM-4KL1U 50-59 years, male 75.2
GTEX-1IDJI-0126-SM-CMKHS 50-59 years, female 75.0
GTEX-11P7K-1126-SM-5HL4L 30-39 years, male 74.9
GTEX-12BJ1-0926-SM-5EQ62 60-69 years, male 74.9
GTEX-15RIE-1926-SM-7KUKJ 60-69 years, male 74.9
GTEX-1I1CD-0626-SM-CE6SW 60-69 years, female 74.9
GTEX-1LGRB-0926-SM-COH3K 50-59 years, female 74.9
GTEX-12ZZX-2426-SM-5GCOE 40-49 years, female 74.6
GTEX-14PJ6-2626-SM-6EU2T 60-69 years, female 74.6
GTEX-11O72-0626-SM-5PNYE 40-49 years, male 74.4
GTEX-14AS3-1526-SM-5Q5ED 40-49 years, female 74.3
GTEX-17HG3-2626-SM-7DUF2 30-39 years, female 74.1
GTEX-1I4MK-0126-SM-CY8G6 50-59 years, female 74.1
GTEX-13OVG-1626-SM-5J1NF 60-69 years, male 74.0
GTEX-ZXG5-2126-SM-59HKD 60-69 years, male 73.9
GTEX-131XF-2626-SM-5EQ6K 60-69 years, male 73.8
GTEX-1KXAM-1626-SM-D3LAD 60-69 years, male 73.8
GTEX-15DYW-2726-SM-6EU2I 60-69 years, female 73.5
GTEX-139YR-1026-SM-5LZYN 50-59 years, male 73.4
GTEX-1I6K7-1926-SM-B2LXR 40-49 years, male 73.4
GTEX-13FTX-1526-SM-5K7VJ 20-29 years, female 73.3
GTEX-XQ8I-0926-SM-4BOOF 50-59 years, male 73.3
GTEX-1H1DG-2426-SM-9QEHJ 70-79 years, male 73.2
GTEX-13OVH-0526-SM-5L3E6 70-79 years, male 73.1
GTEX-1O9I2-0226-SM-EYYXD 50-59 years, male 72.9
GTEX-1H3O1-1326-SM-9MQLD 60-69 years, male 72.7
GTEX-1PPH7-1126-SM-DTX9A 40-49 years, male 72.7
GTEX-WRHU-2826-SM-3MJG8 50-59 years, female 72.6
GTEX-13PVQ-0626-SM-5LU47 50-59 years, male 72.5
GTEX-18A7A-0126-SM-731AH 50-59 years, female 72.5
GTEX-11P82-1426-SM-DTXFY 20-29 years, male 72.5
GTEX-YEC3-1326-SM-DO92X 50-59 years, male 72.5
GTEX-11EQ8-0926-SM-5H12V 60-69 years, male 72.4
GTEX-13VXU-0626-SM-5L3F9 50-59 years, male 72.4
GTEX-1CB4F-1026-SM-7DUH1 60-69 years, male 72.4
GTEX-12126-0826-SM-5FQTZ 20-29 years, male 72.3
GTEX-13NZ8-1226-SM-5KM4A 60-69 years, female 72.3
GTEX-144GO-2026-SM-5O99P 60-69 years, male 71.9
GTEX-XXEK-1626-SM-4BRUZ 50-59 years, male 71.7
GTEX-13FTY-2126-SM-5IFFB 40-49 years, female 71.6
GTEX-1J1R8-2026-SM-CL53Y 40-49 years, male 71.6
GTEX-1IDFM-0326-SM-ARL7V 60-69 years, male 71.5
GTEX-1LKK1-2626-SM-DKPQE 50-59 years, female 71.5
GTEX-13OVL-0126-SM-5L3GJ 50-59 years, male 71.4
GTEX-1GN73-0726-SM-7P8TJ 60-69 years, male 71.4
GTEX-144GM-0526-SM-79OJO 20-29 years, male 71.2
GTEX-11P81-2226-SM-5PNYI 30-39 years, female 71.0
GTEX-1HBPM-0726-SM-9YFL7 60-69 years, female 71.0
GTEX-1QP2A-1726-SM-E76QC 50-59 years, male 71.0
GTEX-ZF29-0926-SM-4WKFZ 60-69 years, female 70.9
GTEX-13NYS-0626-SM-5L3F1 60-69 years, male 70.6
GTEX-18D9U-0126-SM-731BM 40-49 years, male 70.6
GTEX-132AR-0326-SM-5KM2C 50-59 years, female 70.5
GTEX-1EWIQ-0326-SM-7DHMQ 70-79 years, female 70.4
GTEX-WHWD-1826-SM-3LK6I 50-59 years, male 70.2
GTEX-1PIGE-1826-SM-E8VOU 20-29 years, male 70.2
GTEX-13QJC-0126-SM-5ZZWJ 60-69 years, female 70.1
GTEX-14BMV-2826-SM-5TDED 50-59 years, male 70.1
GTEX-14PKV-1126-SM-6LLJ1 20-29 years, female 70.0
GTEX-12WSC-2826-SM-5BC5Y 50-59 years, male 69.9
GTEX-1ICLY-0826-SM-CMKG1 50-59 years, male 69.9
GTEX-16XZZ-0726-SM-7KUF2 60-69 years, male 69.8
GTEX-1B933-2426-SM-7DHMD 50-59 years, female 69.8
GTEX-14ICL-1626-SM-5YYAO 30-39 years, male 69.7
GTEX-ZA64-1026-SM-5HL8R 20-29 years, male 69.7
GTEX-ZTX8-1326-SM-4YCEL 20-29 years, male 69.6
GTEX-ZVP2-0326-SM-57WBP 50-59 years, male 69.6
GTEX-1C475-1326-SM-7SB73 40-49 years, female 69.6
GTEX-18A67-1626-SM-7LT9T 50-59 years, male 69.5
GTEX-145MG-1526-SM-5Q5EM 50-59 years, male 69.3
GTEX-1GZ4H-0526-SM-9KNU9 50-59 years, female 69.3
GTEX-139TS-2126-SM-5K7XC 60-69 years, male 69.2
GTEX-145MN-1526-SM-5SI9T 30-39 years, male 69.2
GTEX-14LLW-2626-SM-62LDZ 70-79 years, female 69.2
GTEX-1HT8W-0626-SM-A9G2H 30-39 years, male 69.2
GTEX-WYVS-1626-SM-3NM9R 40-49 years, female 69.1
GTEX-Y8E4-2026-SM-5IFJB 40-49 years, male 69.1
GTEX-Z93S-1626-SM-5CVMB 50-59 years, male 69.0
GTEX-18QFQ-1826-SM-72D52 30-39 years, male 68.9
GTEX-1CB4J-1326-SM-7P8RX 60-69 years, male 68.9
GTEX-1IDJV-0126-SM-COH3Y 60-69 years, male 68.9
GTEX-14DAR-1226-SM-73KYV 50-59 years, male 68.8
GTEX-1IY9M-2826-SM-ARU8H 60-69 years, male 68.7
GTEX-1JN76-0626-SM-CKZOQ 20-29 years, female 68.7
GTEX-1KD5A-0126-SM-E9U54 50-59 years, male 68.7
GTEX-1LVAN-0626-SM-CNPOQ 50-59 years, female 68.7
GTEX-Y3IK-1626-SM-4YCF5 50-59 years, female 68.6
GTEX-1HSGN-0826-SM-ACKW3 40-49 years, female 68.6
GTEX-1IL2V-1926-SM-B2LW8 70-79 years, male 68.6
GTEX-11NSD-0626-SM-5A5LU 20-29 years, male 68.3
GTEX-ZVT2-0126-SM-5GIDQ 50-59 years, female 68.3
GTEX-14PJN-1826-SM-6AJ98 30-39 years, male 68.2
GTEX-1BAJH-2426-SM-7IGP8 70-79 years, male 68.2
GTEX-1QP28-1126-SM-EVYC4 50-59 years, female 68.2
GTEX-1I1GT-1026-SM-ARZLV 60-69 years, female 68.0
GTEX-13FTW-0326-SM-5K7UW 40-49 years, male 67.8
GTEX-1C6VQ-1226-SM-73KYD 50-59 years, male 67.5
GTEX-1IDJD-2326-SM-ACKWX 30-39 years, male 67.4
GTEX-1269C-0126-SM-5EQ5L 60-69 years, female 67.3
GTEX-1C64O-1326-SM-7MGWR 60-69 years, male 67.2
GTEX-1HSMQ-2626-SM-A9SML 50-59 years, male 67.2
GTEX-Y3I4-1726-SM-4TT89 50-59 years, male 67.1
GTEX-18D9A-1426-SM-7LT8M 30-39 years, female 67.1
GTEX-18465-2826-SM-7LT9J 50-59 years, male 67.0
GTEX-1H1ZS-2726-SM-9WG75 70-79 years, male 67.0
GTEX-131XW-0626-SM-5PNVD 50-59 years, female 66.8
GTEX-13PDP-0726-SM-5L3HP 60-69 years, male 66.7
GTEX-1AMEY-0826-SM-72D65 30-39 years, female 66.7
GTEX-X4EP-0626-SM-3P621 60-69 years, female 66.7
GTEX-1GL5R-1326-SM-7RHHF 50-59 years, male 66.7
GTEX-1GPI7-1826-SM-9KNU1 20-29 years, male 66.7
GTEX-1HFI6-0126-SM-CNPPI 40-49 years, male 66.7
GTEX-131XG-0326-SM-5L3DX 50-59 years, female 66.6
GTEX-1C2JI-1026-SM-73KY1 50-59 years, male 66.5
GTEX-13FHO-0426-SM-5L3F5 60-69 years, male 66.4
GTEX-ZYVF-0926-SM-5E44J 50-59 years, female 66.4
GTEX-1GMR3-0126-SM-A9SLW 40-49 years, male 66.4
GTEX-178AV-1726-SM-7KUL8 40-49 years, male 66.3
GTEX-XOT4-0626-SM-4B66L 60-69 years, female 66.3
GTEX-XPVG-2126-SM-4B667 50-59 years, male 66.2
GTEX-1HFI7-2326-SM-CGQFS 50-59 years, female 66.2
GTEX-111YS-1526-SM-5GZYW 60-69 years, male 66.1
GTEX-12WSF-1626-SM-7KUG5 70-79 years, male 66.1
GTEX-17F9Y-0126-SM-79OKX 70-79 years, female 66.1
GTEX-1CB4H-1126-SM-7MKGL 60-69 years, female 66.1
GTEX-YFCO-1226-SM-5LUAT 40-49 years, male 66.1
GTEX-1IE54-1126-SM-A9G2Z 40-49 years, female 65.9
GTEX-1S831-1826-SM-EWROF 20-29 years, male 65.9
GTEX-145MF-0926-SM-5Q5EA 50-59 years, male 65.8
GTEX-1JMQI-1726-SM-ARL93 50-59 years, male 65.8
GTEX-1JN6P-2926-SM-CL54D 60-69 years, male 65.7
GTEX-14E6E-0526-SM-793DN 30-39 years, male 65.5
GTEX-11DXY-0126-SM-5H11Q 60-69 years, male 65.4
GTEX-14A6H-2026-SM-5Q5DD 30-39 years, male 65.3
GTEX-15EO6-2426-SM-6PALZ 50-59 years, male 65.3
GTEX-1HR9M-2226-SM-CNPPY 60-69 years, male 65.3
GTEX-1QAET-0326-SM-EVR3U 50-59 years, male 65.3
GTEX-ZTTD-2826-SM-4YCFA 50-59 years, male 65.0
GTEX-1CAMR-1326-SM-7PC1F 20-29 years, male 65.0
GTEX-1F6I4-2326-SM-7RHGL 60-69 years, male 65.0
GTEX-16MT8-2926-SM-7DUFO 60-69 years, female 64.9
GTEX-ZVZP-1226-SM-5GID7 50-59 years, male 64.8
GTEX-16YQH-2226-SM-7IGM2 30-39 years, male 64.6
GTEX-14753-0726-SM-5QGQO 60-69 years, male 64.5
GTEX-1EN7A-2426-SM-793DB 40-49 years, male 64.5
GTEX-13SLW-0626-SM-5Q5ER 70-79 years, male 64.3
GTEX-1GN2E-0226-SM-9WG6K 60-69 years, male 64.1
GTEX-1GMRU-2126-SM-7P8RA 50-59 years, male 64.0
GTEX-1EX96-1026-SM-7MKG2 50-59 years, male 63.9
GTEX-1B8KE-1126-SM-7EPHI 50-59 years, male 63.8
GTEX-1E2YA-2126-SM-7MXUO 50-59 years, male 63.7
GTEX-13112-0126-SM-5P9IU 50-59 years, male 63.6
GTEX-14PJO-2526-SM-6AJBQ 60-69 years, male 63.6
GTEX-X4EO-2926-SM-4E3JH 60-69 years, female 63.5
GTEX-WHPG-2626-SM-3NMBR 50-59 years, male 63.4
GTEX-13SLX-2226-SM-62LEP 50-59 years, female 63.3
GTEX-ZVE1-0726-SM-51MRN 50-59 years, female 63.3
GTEX-1M4P7-0726-SM-E6CJ3 60-69 years, male 63.3
GTEX-ZZPU-0826-SM-5GZX5 50-59 years, female 63.2
GTEX-1RAZS-2526-SM-E6CHT 50-59 years, male 63.2
GTEX-11UD2-2526-SM-5CVNU 50-59 years, male 63.1
GTEX-12WSH-1526-SM-5BC5W 50-59 years, male 63.1
GTEX-XV7Q-1826-SM-4BRUV 40-49 years, female 63.1
GTEX-Y8LW-1526-SM-5IFHL 50-59 years, female 63.1
GTEX-139TU-0726-SM-5L3EK 60-69 years, male 62.9
GTEX-1A8G7-1326-SM-73KVM 60-69 years, male 62.9
GTEX-Y5V5-0126-SM-5S2NW 60-69 years, female 62.9
GTEX-1GZ4I-2626-SM-9KNU3 50-59 years, male 62.9
GTEX-1H1DE-1326-SM-9KNUG 20-29 years, male 62.8
GTEX-1IKJJ-2226-SM-CJI4C 60-69 years, male 62.8
GTEX-1JMLX-0626-SM-ARL8T 50-59 years, male 62.8
GTEX-1LBAC-0826-SM-CY8IJ 20-29 years, male 62.8
GTEX-1R9K4-2826-SM-DTX8F 60-69 years, male 62.8
GTEX-11DYG-1526-SM-5A5JS 60-69 years, male 62.7
GTEX-ZYY3-2926-SM-5GIEB 60-69 years, female 62.7
GTEX-1POEN-2326-SM-E9J2L 30-39 years, female 62.7
GTEX-147GR-2426-SM-5ZZWQ 60-69 years, male 62.6
GTEX-17F9E-2326-SM-79OKD 50-59 years, male 62.6
GTEX-1GMR8-0626-SM-7RHI7 50-59 years, female 62.6
GTEX-1PDJ9-1226-SM-EXUSX 20-29 years, male 62.4
GTEX-139D8-1126-SM-5LU8W 30-39 years, female 62.3
GTEX-13OW7-0426-SM-5K7VK 50-59 years, male 62.3
GTEX-1MJK3-0726-SM-E6CJC 20-29 years, male 62.1
GTEX-1I1HK-2326-SM-CKZOH 60-69 years, male 62.0
GTEX-1HBPN-0126-SM-CGQEF 50-59 years, male 61.9
GTEX-13OW5-2326-SM-5L3HO 60-69 years, male 61.7
GTEX-ZDTT-0426-SM-4WKFL 60-69 years, male 61.7
GTEX-1JJE9-2626-SM-ARZMT 70-79 years, male 61.6
GTEX-1S83E-1326-SM-E6CJM 40-49 years, male 61.6
GTEX-14DAQ-0626-SM-793DS 60-69 years, female 61.5
GTEX-14PHX-2226-SM-6EU2P 50-59 years, male 61.5
GTEX-W5X1-2526-SM-3GILC 40-49 years, female 61.5
GTEX-15DDE-2926-SM-6LLJ3 50-59 years, female 61.4
GTEX-13OW8-1026-SM-5J1NQ 60-69 years, male 61.2
GTEX-ZAB4-2126-SM-5HL8U 40-49 years, male 61.2
GTEX-1I1GS-2626-SM-B2LY3 60-69 years, male 61.1
GTEX-17KNJ-2126-SM-718AM 50-59 years, male 60.7
GTEX-1J8Q2-2626-SM-ACKWQ 60-69 years, male 60.7
GTEX-1LG7Y-2526-SM-EWRO7 50-59 years, male 60.6
GTEX-13NYB-0126-SM-5J1MD 40-49 years, male 60.5
GTEX-1JK1U-0226-SM-ARZMX 60-69 years, male 60.5
GTEX-1N2DV-1526-SM-DTXEP 40-49 years, male 60.5
GTEX-1HB9E-0126-SM-CM2S5 50-59 years, male 60.4
GTEX-1K2DU-1226-SM-CYPT4 20-29 years, male 60.4
GTEX-13O3Q-0126-SM-5KM34 50-59 years, male 60.2
GTEX-WI4N-2726-SM-3LK7Y 40-49 years, female 60.1
GTEX-ZDTS-0826-SM-4WKHL 60-69 years, male 60.1
GTEX-1HSKV-1226-SM-ADEI4 60-69 years, male 60.1
GTEX-1B8SF-0126-SM-7DUG3 60-69 years, male 60.0
GTEX-1GF9V-0826-SM-9KNUV 60-69 years, male 60.0
GTEX-1B97I-0626-SM-73KUZ 40-49 years, male 59.9
GTEX-1NV5F-0626-SM-DTXEG 60-69 years, female 59.9
GTEX-145LU-1926-SM-79OJN 50-59 years, male 59.8
GTEX-145LS-0626-SM-7EPG7 60-69 years, female 59.7
GTEX-1477Z-0326-SM-7IGLA 60-69 years, male 59.7
GTEX-ZDXO-3126-SM-5IJDF 60-69 years, male 59.7
GTEX-17F96-0126-SM-7EWDU 70-79 years, male 59.5
GTEX-12ZZY-0726-SM-5EQ66 60-69 years, male 59.2
GTEX-17HHE-1326-SM-7EWDZ 50-59 years, male 59.2
GTEX-14JFF-0626-SM-5ZZVT 60-69 years, male 59.2
GTEX-144FL-0626-SM-5LU43 50-59 years, male 59.1
GTEX-111FC-2526-SM-5GZXU 60-69 years, male 59.0
GTEX-139TT-2126-SM-5LZWC 60-69 years, male 59.0
GTEX-14JG1-1526-SM-5YY9X 40-49 years, male 59.0
GTEX-15RJE-2826-SM-7KUM9 40-49 years, male 58.9
GTEX-1GF9X-1326-SM-7PC2Y 40-49 years, female 58.8
GTEX-11ZUS-2626-SM-5FQUR 30-39 years, male 58.6
GTEX-12ZZZ-0726-SM-5GCNZ 60-69 years, male 58.6
GTEX-14BIN-1126-SM-5RQJZ 50-59 years, female 58.6
GTEX-1HCU7-0726-SM-A9SL1 50-59 years, male 58.6
GTEX-1LVAM-0726-SM-E6CIL 50-59 years, female 58.6
GTEX-ZAK1-0626-SM-5HL8E 50-59 years, female 58.5
GTEX-1J8EW-2726-SM-CY8HR 60-69 years, female 58.5
GTEX-13PL6-1126-SM-5L3IE 40-49 years, female 58.4
GTEX-15G19-2426-SM-7KUMR 60-69 years, male 58.4
GTEX-Y9LG-1126-SM-4VBQ7 30-39 years, male 58.2
GTEX-1IOXB-2726-SM-CM2RI 50-59 years, male 58.0
GTEX-14C39-1726-SM-5RQIL 40-49 years, male 57.7
GTEX-1B996-0426-SM-7EWF8 60-69 years, male 57.7
GTEX-13D11-0926-SM-5J2NC 50-59 years, female 57.6
GTEX-ZPU1-1126-SM-4YCF3 40-49 years, male 57.5
GTEX-ZE9C-2526-SM-5IJDR 60-69 years, male 57.3
GTEX-XBEW-1126-SM-4QARW 40-49 years, male 57.1
GTEX-1IKOE-1426-SM-CE6T7 30-39 years, female 57.1
GTEX-14PJ3-1126-SM-5ZZVX 50-59 years, male 56.8
GTEX-14PK6-0226-SM-62LF5 70-79 years, female 56.8
GTEX-ZU9S-1826-SM-5NQ9E 30-39 years, male 56.8
GTEX-131XH-0126-SM-5LZUY 50-59 years, male 56.7
GTEX-17HGU-2326-SM-7DUFE 50-59 years, male 56.4
GTEX-1S82P-2126-SM-E6CI5 60-69 years, female 56.3
GTEX-14LZ3-0126-SM-69LPM 60-69 years, female 56.2
GTEX-14PHY-1226-SM-5ZZWK 60-69 years, female 56.2
GTEX-14PJ4-0226-SM-5YY92 60-69 years, male 56.0
GTEX-1GTWX-2026-SM-9YFLM 60-69 years, male 55.8
GTEX-1N2EE-0626-SM-E76PW 60-69 years, male 55.7
GTEX-1EKGG-0626-SM-7DUGJ 60-69 years, male 55.6
GTEX-ZC5H-1526-SM-5HL9Y 40-49 years, female 55.6
GTEX-1GPI6-1926-SM-9KNV7 60-69 years, male 55.6
GTEX-1QP9N-1226-SM-E76QN 30-39 years, male 55.6
GTEX-1GZ2Q-0126-SM-9WG6M 40-49 years, male 55.5
GTEX-1313W-0626-SM-5EQ4H 50-59 years, female 55.4
GTEX-17MF6-2626-SM-79OKQ 40-49 years, male 55.1
GTEX-11ZU8-0126-SM-5EQ58 60-69 years, male 55.0
GTEX-1C6VR-0126-SM-7RHGB 60-69 years, male 54.7
GTEX-ZPIC-0526-SM-DO91W 40-49 years, female 54.3
GTEX-111VG-1626-SM-5EGIO 60-69 years, male 54.2
GTEX-1H4P4-2126-SM-9WYSL 50-59 years, male 54.0
GTEX-1S82U-1026-SM-E6CJK 30-39 years, female 54.0
GTEX-15D1Q-2826-SM-6LLH7 40-49 years, male 53.9
GTEX-1HGF4-0126-SM-CNPPX 60-69 years, male 53.7
GTEX-WFG7-2026-SM-5SI7P 20-29 years, male 53.6
GTEX-Y114-2126-SM-4TT8B 50-59 years, female 53.6
GTEX-1LSNM-0826-SM-DIPG8 50-59 years, male 53.3
GTEX-V1D1-2026-SM-3GAF4 50-59 years, male 53.2
GTEX-14E1K-2026-SM-7DUEI 50-59 years, male 53.1
GTEX-1JMQJ-0826-SM-CNPP7 50-59 years, male 53.0
GTEX-11DXX-2126-SM-5PNYR 60-69 years, female 52.9
GTEX-14PII-0726-SM-6EU2B 60-69 years, male 52.9
GTEX-1CB4I-0126-SM-7RHGG 50-59 years, male 52.9
GTEX-1LVAO-2726-SM-E9TJ8 60-69 years, male 52.9
GTEX-1PIIG-2326-SM-DTXFR 30-39 years, male 52.8
GTEX-1I1GU-0926-SM-ACKVS 40-49 years, male 52.7
GTEX-111CU-1126-SM-5EGIM 50-59 years, male 52.5
GTEX-1PPGY-1626-SM-EVYBL 60-69 years, male 52.5
GTEX-13U4I-2226-SM-5LU5H 40-49 years, female 52.4
GTEX-1PPH8-0126-SM-EWRN8 20-29 years, male 52.4
GTEX-ZT9X-1526-SM-5DUXD 40-49 years, male 52.1
GTEX-1MCYP-0526-SM-E9U6Q 20-29 years, female 51.7
GTEX-1CAMQ-1326-SM-7P8RV 40-49 years, male 51.6
GTEX-1192X-2726-SM-5N9DN 50-59 years, male 51.4
GTEX-11GS4-0226-SM-5HL77 60-69 years, male 51.3
GTEX-YECK-0326-SM-4W1YS 60-69 years, male 51.2
GTEX-1JMPY-0226-SM-CKZOK 30-39 years, male 51.2
GTEX-11TUW-0626-SM-5LU9M 60-69 years, male 51.0
GTEX-15FZZ-0526-SM-7KUGD 30-39 years, female 51.0
GTEX-UPJH-0226-SM-3GADV 50-59 years, male 51.0
GTEX-1LB8K-0726-SM-D5OV2 50-59 years, male 51.0
GTEX-1KANB-2826-SM-CY8I6 50-59 years, male 50.7
GTEX-1S3DN-2126-SM-E9TIN 50-59 years, male 50.6
GTEX-1R9PM-1926-SM-EVR3O 20-29 years, male 50.2
GTEX-1212Z-0126-SM-59HK4 60-69 years, male 50.0
GTEX-13JVG-0726-SM-5KM16 60-69 years, male 49.8
GTEX-WHSB-1326-SM-3LK6W 50-59 years, male 49.8
GTEX-16Z82-2626-SM-7KULU 60-69 years, male 49.5
GTEX-1RAZQ-1326-SM-E9TK6 30-39 years, male 49.5
GTEX-1C6WA-2626-SM-7MKGM 60-69 years, male 49.4
GTEX-Y5V6-2326-SM-4VDSA 60-69 years, male 49.4
GTEX-13W3W-0726-SM-5IJDQ 60-69 years, female 49.3
GTEX-1QW4Y-1126-SM-DTXE3 30-39 years, male 49.2
GTEX-ZF3C-0626-SM-DO92O 50-59 years, female 48.8
GTEX-ZYT6-2326-SM-5GZY3 30-39 years, male 48.7
GTEX-1EMGI-2326-SM-7PBYA 60-69 years, male 48.6
GTEX-11GSP-2326-SM-5HL63 60-69 years, female 48.5
GTEX-1HCUA-0826-SM-ADEHM 50-59 years, female 47.9
GTEX-1JJEA-1826-SM-ARU8P 60-69 years, male 47.8
GTEX-ZTSS-1426-SM-5985P 40-49 years, male 47.6
GTEX-17EVP-2626-SM-7IGMA 40-49 years, male 47.5
GTEX-13OW6-2726-SM-5J2OE 50-59 years, male 47.4
GTEX-11NUK-2726-SM-5A5MC 50-59 years, male 47.3
GTEX-1CB4E-0926-SM-7EPHT 60-69 years, male 47.2
GTEX-13G51-1826-SM-5KLZH 60-69 years, male 47.0
GTEX-15RIG-0726-SM-7KUM7 40-49 years, male 47.0
GTEX-1AYD5-2626-SM-7PBXY 50-59 years, male 47.0
GTEX-147F4-0726-SM-5TDDD 50-59 years, male 46.9
GTEX-ZP4G-1426-SM-4WWCL 20-29 years, female 46.9
GTEX-1K9T9-1526-SM-DIPFR 50-59 years, female 46.9
GTEX-ZWKS-0626-SM-5GIDV 30-39 years, male 46.8
GTEX-11OF3-0126-SM-5PNYF 60-69 years, male 46.5
GTEX-1H11D-1826-SM-9QEHM 40-49 years, male 46.4
GTEX-1R46S-2426-SM-E76QA 60-69 years, female 46.2
GTEX-1CAMS-2226-SM-7PBXQ 40-49 years, female 45.6
GTEX-183WM-0326-SM-72D5V 70-79 years, female 45.5
GTEX-XBEC-0726-SM-4QARZ 50-59 years, male 45.3
GTEX-1GN1V-2826-SM-9JGIA 60-69 years, male 45.2
GTEX-1K2DA-1026-SM-CGQGF 50-59 years, male 44.8
GTEX-1HCU8-2526-SM-CE6RX 60-69 years, female 44.6
GTEX-14ABY-2026-SM-62LDL 50-59 years, male 44.5
GTEX-1J1OQ-0126-SM-D4P2N 40-49 years, female 44.3
GTEX-ZPCL-1126-SM-4WWFE 60-69 years, female 43.7
GTEX-11DXZ-2026-SM-5987S 50-59 years, male 43.4
GTEX-XQ3S-1426-SM-4BOPR 20-29 years, male 43.4
GTEX-12WSA-0426-SM-5EQ5X 60-69 years, male 43.3
GTEX-1KAFJ-0126-SM-DIPEK 50-59 years, male 42.5
GTEX-16MTA-0926-SM-6M47Z 50-59 years, male 41.9
GTEX-1399Q-2326-SM-5KM2X 40-49 years, male 41.7
GTEX-1H3VE-0726-SM-9YFL5 40-49 years, male 41.1
GTEX-17HII-1426-SM-7EPGG 50-59 years, male 40.6
GTEX-1OJC4-2726-SM-E76PJ 50-59 years, female 40.1
GTEX-1RMOY-1326-SM-E9TIH 50-59 years, male 39.2
GTEX-1OJC3-1226-SM-DTXER 20-29 years, male 38.8
GTEX-17F97-2626-SM-7IGM5 50-59 years, male 37.6
GTEX-1399S-0126-SM-5IJCF 30-39 years, female 36.6
GTEX-15CHR-1126-SM-7EWF4 50-59 years, male 36.4
GTEX-Y111-0626-SM-4SOIT 50-59 years, male 35.9
GTEX-1F88F-0126-SM-9WYSZ 60-69 years, female 35.6
GTEX-12WSJ-1126-SM-5LZVJ 40-49 years, female 34.5
GTEX-16MT9-0126-SM-7EPI8 60-69 years, female 33.6
GTEX-X585-2426-SM-46MW2 50-59 years, male 32.8
GTEX-11PRG-0726-SM-5EGL1 50-59 years, male 30.5
Show allShow less
Skin - Sun Exposed (Lower leg)
Average nTPM: 76.2
Samples: 701

Max nTPM: 231.2
Min nTPM: 30.1
Std nTPM: 25.2
Median nTPM: 72.2
GTEX-RUSQ-1526-SM-2TF62 50-59 years, male 231.2
GTEX-146FR-1326-SM-E9J48 60-69 years, female 225.6
GTEX-X4XY-0226-SM-4E3IZ 60-69 years, male 223.0
GTEX-15EOM-0126-SM-7KUGG 20-29 years, female 218.4
GTEX-1RAZQ-0726-SM-EAZ43 30-39 years, male 207.7
GTEX-14JIY-0126-SM-6LLH6 60-69 years, male 188.9
GTEX-12WSN-5019-SM-79OM6 40-49 years, male 173.3
GTEX-1QP67-1626-SM-EAZ3X 40-49 years, female 172.4
GTEX-14E6C-0126-SM-5RQIP 40-49 years, male 164.1
GTEX-SE5C-1626-SM-2XCE3 40-49 years, female 153.2
GTEX-1F48J-0126-SM-7P8TT 50-59 years, female 147.5
GTEX-ZTPG-0326-SM-5O9AX 20-29 years, female 143.8
GTEX-14XAO-2326-SM-6EU1B 60-69 years, female 143.2
GTEX-1AYD5-2426-SM-73KXR 50-59 years, male 142.9
GTEX-1GN1W-0526-SM-9MQJQ 50-59 years, female 138.7
GTEX-1I1HK-0126-SM-COH49 60-69 years, male 137.9
GTEX-12584-0126-SM-5EGKQ 40-49 years, male 135.2
GTEX-1F6I4-0126-SM-9MQL2 60-69 years, male 135.0
GTEX-1HUB1-0426-SM-E9U4U 60-69 years, male 134.2
GTEX-1R9PO-2126-SM-E9J4O 60-69 years, female 132.9
GTEX-1QW4Y-1526-SM-EAZ3Z 30-39 years, male 132.5
GTEX-1KD5A-0226-SM-D5OV3 50-59 years, male 130.0
GTEX-11ZUS-0626-SM-59885 30-39 years, male 125.9
GTEX-144GN-2326-SM-5LU4F 50-59 years, male 125.1
GTEX-145LT-1726-SM-5QGP3 40-49 years, male 123.3
GTEX-1RLM8-2326-SM-EWRN4 50-59 years, male 122.3
GTEX-13N1W-0126-SM-5K7VT 70-79 years, male 121.6
GTEX-1AX9K-2326-SM-73KWU 50-59 years, male 120.8
GTEX-15SHW-0326-SM-6PAML 60-69 years, male 120.7
GTEX-1HBPH-0426-SM-B2LW5 40-49 years, female 120.6
GTEX-Y3I4-2126-SM-4TT7C 50-59 years, male 119.5
GTEX-1I1GU-2226-SM-CGQFA 40-49 years, male 116.7
GTEX-1M4P7-0226-SM-DIPEV 60-69 years, male 116.6
GTEX-ZZPT-0226-SM-5E43X 50-59 years, male 116.3
GTEX-1JMOU-1526-SM-CL54I 60-69 years, female 116.3
GTEX-14A5I-0126-SM-5TDEA 50-59 years, female 116.2
GTEX-146FH-0126-SM-5QGPP 50-59 years, female 116.1
GTEX-YJ8A-0426-SM-5IFID 20-29 years, male 115.7
GTEX-131XW-0426-SM-5LZWP 50-59 years, female 115.5
GTEX-1HSMO-0126-SM-CL547 60-69 years, male 113.1
GTEX-1AMEY-1326-SM-73KYK 30-39 years, female 112.7
GTEX-15UKP-0426-SM-7KUFQ 20-29 years, male 112.3
GTEX-1JKYN-1326-SM-CGQG9 30-39 years, male 112.0
GTEX-13O1R-0126-SM-5L3EH 60-69 years, male 111.3
GTEX-PLZ4-0126-SM-5SI8O 50-59 years, female 110.5
GTEX-147F4-0226-SM-5QGPW 50-59 years, male 110.4
GTEX-OXRP-0126-SM-3NB32 60-69 years, female 109.3
GTEX-1MCYP-1926-SM-E9J2R 20-29 years, female 109.3
GTEX-1N2DW-0226-SM-E9TK2 50-59 years, male 109.1
GTEX-13VXT-0126-SM-5LU4I 20-29 years, female 108.5
GTEX-1HSMQ-1226-SM-CGQFX 50-59 years, male 108.0
GTEX-ZYW4-0126-SM-5E44A 60-69 years, male 107.8
GTEX-113IC-0126-SM-5HL6T 60-69 years, male 107.7
GTEX-1C6WA-0126-SM-7PC2B 60-69 years, male 107.6
GTEX-11DXZ-2326-SM-5EGGV 50-59 years, male 107.4
GTEX-11OF3-2626-SM-5GU7F 60-69 years, male 107.4
GTEX-1POEN-0126-SM-EYYXJ 30-39 years, female 107.4
GTEX-13FTX-1826-SM-5J1NX 20-29 years, female 107.2
GTEX-V1D1-2226-SM-3NMAX 50-59 years, male 106.9
GTEX-1QCLY-0326-SM-E8VOG 30-39 years, male 106.8
GTEX-11DZ1-0126-SM-5985Q 50-59 years, male 106.7
GTEX-1AX8Z-0126-SM-7DHM6 60-69 years, male 106.7
GTEX-1PPH7-2326-SM-EVYB8 40-49 years, male 106.5
GTEX-1A8FM-0226-SM-7SB7Q 50-59 years, female 106.4
GTEX-13N2G-2626-SM-5J1OT 60-69 years, male 106.3
GTEX-12WSL-2526-SM-5GCNJ 50-59 years, male 106.1
GTEX-X638-0126-SM-47JZ8 70-79 years, female 106.1
GTEX-148VJ-0126-SM-5TDDN 70-79 years, male 106.0
GTEX-U4B1-1826-SM-4DXSU 40-49 years, male 105.9
GTEX-1AYCT-2426-SM-7IGQ3 50-59 years, male 105.5
GTEX-ZF29-2326-SM-DO92K 60-69 years, female 105.3
GTEX-17EUY-0426-SM-793BD 20-29 years, male 105.0
GTEX-1HCUA-2426-SM-ADEIS 50-59 years, female 104.8
GTEX-OOBK-0126-SM-2YUND 40-49 years, male 104.4
GTEX-1A3MV-1926-SM-718BT 30-39 years, male 104.2
GTEX-11TT1-2526-SM-5EGIB 20-29 years, male 104.0
GTEX-1IY9M-0126-SM-D3L8S 60-69 years, male 104.0
GTEX-1PIGE-0126-SM-EVYBJ 20-29 years, male 103.9
GTEX-1A3MW-0126-SM-73KXX 60-69 years, female 103.4
GTEX-13N11-2526-SM-5K7UE 50-59 years, female 103.3
GTEX-1PBJI-0526-SM-E8VNK 20-29 years, female 103.1
GTEX-13CF2-2526-SM-5LZYX 60-69 years, male 103.0
GTEX-183FY-0126-SM-7LT9P 20-29 years, male 102.8
GTEX-13OVJ-0126-SM-5KM36 50-59 years, female 102.7
GTEX-1F75I-0326-SM-9YFLU 40-49 years, male 102.7
GTEX-QCQG-1726-SM-3GIJ9 50-59 years, female 102.4
GTEX-1QP2A-0126-SM-E9J43 50-59 years, male 102.3
GTEX-OXRK-0226-SM-3NB2G 50-59 years, female 102.1
GTEX-1C6VQ-0126-SM-7P8RI 50-59 years, male 102.1
GTEX-WRHK-1426-SM-3MJF9 20-29 years, female 101.8
GTEX-14LLW-0126-SM-6LLIO 70-79 years, female 101.2
GTEX-16AAH-1726-SM-7939C 50-59 years, male 101.2
GTEX-1H23P-0126-SM-ADEJ3 60-69 years, male 101.2
GTEX-P44H-0226-SM-2XCEU 40-49 years, male 100.5
GTEX-T8EM-1026-SM-3DB7M 40-49 years, male 100.4
GTEX-1CB4J-0626-SM-7DHMP 60-69 years, male 100.3
GTEX-11TUW-2726-SM-E9J4M 60-69 years, male 99.8
GTEX-SJXC-0126-SM-2XCFF 60-69 years, male 99.7
GTEX-ZVT4-0126-SM-DTXFN 50-59 years, female 99.6
GTEX-1H3O1-0426-SM-9YFKY 60-69 years, male 99.3
GTEX-1N2EF-0226-SM-EYYXB 60-69 years, male 99.3
GTEX-13NYS-0126-SM-5MR3W 60-69 years, male 99.0
GTEX-WH7G-2326-SM-3NMBC 40-49 years, male 98.9
GTEX-1LNCM-1126-SM-E9U5E 50-59 years, female 98.6
GTEX-VJYA-1126-SM-3GIJU 60-69 years, male 98.4
GTEX-1MGNQ-0126-SM-EVYCJ 40-49 years, male 98.3
GTEX-1NHNU-1026-SM-E9J2A 50-59 years, male 98.0
GTEX-14A6H-0126-SM-5QGPK 30-39 years, male 97.9
GTEX-1OJC4-0126-SM-E9J2E 50-59 years, female 97.9
GTEX-14ABY-0226-SM-5TDCQ 50-59 years, male 97.7
GTEX-QDVJ-1726-SM-2I5FX 50-59 years, male 97.4
GTEX-11DXW-0226-SM-5H122 40-49 years, male 96.8
GTEX-145MI-0526-SM-5O9A8 60-69 years, female 96.7
GTEX-14ICK-0226-SM-6EU25 40-49 years, male 96.5
GTEX-139TT-0126-SM-5K7Y5 60-69 years, male 96.3
GTEX-13NZ8-0826-SM-5MR3I 60-69 years, female 96.3
GTEX-1B996-0226-SM-7RHGO 60-69 years, male 96.3
GTEX-Q734-1926-SM-2I5EV 40-49 years, female 96.2
GTEX-11ZTT-2426-SM-5EQLS 60-69 years, female 96.0
GTEX-13FHO-0226-SM-5IFGY 60-69 years, male 95.8
GTEX-YEC4-2126-SM-5IFJH 40-49 years, male 95.7
GTEX-11EM3-2426-SM-59861 20-29 years, female 95.6
GTEX-1H1E6-1726-SM-ACKVK 30-39 years, male 95.5
GTEX-1I4MK-2226-SM-ACKWD 50-59 years, female 95.2
GTEX-ZEX8-2426-SM-4WKG4 50-59 years, male 94.9
GTEX-1R46S-0626-SM-E9J41 60-69 years, female 94.9
GTEX-14PN3-2426-SM-6LLHS 60-69 years, female 94.6
GTEX-11H98-0126-SM-5EGHG 50-59 years, male 94.4
GTEX-11WQK-0526-SM-5EQLD 50-59 years, male 94.4
GTEX-18A66-0226-SM-718BD 60-69 years, male 94.4
GTEX-XYKS-2126-SM-4E3IB 60-69 years, female 94.4
GTEX-RWS6-2026-SM-2XCB5 60-69 years, female 93.6
GTEX-11VI4-1726-SM-5CVLH 40-49 years, female 93.4
GTEX-13NYC-0326-SM-E9J4S 60-69 years, male 93.2
GTEX-ZUA1-0126-SM-5GU76 40-49 years, male 92.6
GTEX-113JC-2326-SM-5EQ4E 50-59 years, female 91.9
GTEX-131XG-2626-SM-5KM17 50-59 years, female 91.8
GTEX-15DYW-0126-SM-7KULE 60-69 years, female 91.8
GTEX-18A6Q-0126-SM-731BZ 60-69 years, male 91.8
GTEX-14BIL-0126-SM-5SI92 50-59 years, male 91.7
GTEX-1C2JI-1826-SM-73KXC 50-59 years, male 91.7
GTEX-15SHU-0126-SM-7KUEH 40-49 years, female 91.5
GTEX-ZDTT-2726-SM-4WKF8 60-69 years, male 91.5
GTEX-1HBPN-0226-SM-9YFM1 50-59 years, male 91.5
GTEX-11GS4-2726-SM-5A5LE 60-69 years, male 91.4
GTEX-15ETS-0126-SM-7KUMW 40-49 years, female 91.3
GTEX-11GSP-2526-SM-5N9BP 60-69 years, female 91.2
GTEX-15D1Q-0126-SM-7KUG6 40-49 years, male 91.1
GTEX-XAJ8-0826-SM-47JY6 40-49 years, male 91.0
GTEX-13W46-0226-SM-5SIAG 50-59 years, male 90.8
GTEX-ZVT2-2526-SM-51MT1 50-59 years, female 90.7
GTEX-16XZY-2126-SM-79OK1 70-79 years, male 90.6
GTEX-1GPI7-0126-SM-9MQL8 20-29 years, male 90.4
GTEX-13NZA-0226-SM-5K7Z7 60-69 years, male 90.3
GTEX-1CB4G-0226-SM-7PC3O 60-69 years, male 90.2
GTEX-1H1DG-0126-SM-9WYU2 70-79 years, male 90.2
GTEX-11P7K-2126-SM-5GU7G 30-39 years, male 89.8
GTEX-1R7EV-2426-SM-EVYBG 40-49 years, male 89.7
GTEX-117YW-2626-SM-5GZZH 50-59 years, male 89.4
GTEX-11TTK-0126-SM-5987B 60-69 years, female 89.3
GTEX-XUW1-0426-SM-4BOOT 50-59 years, female 89.1
GTEX-111VG-2426-SM-5GZXD 60-69 years, male 88.9
GTEX-14C5O-0126-SM-5SI6N 60-69 years, male 88.9
GTEX-1J1R8-1726-SM-ARL8M 40-49 years, male 88.9
GTEX-1MUQO-0126-SM-EAZ58 60-69 years, male 88.9
GTEX-1HFI6-0226-SM-ADEHZ 40-49 years, male 88.7
GTEX-11WQC-2526-SM-5CVLE 60-69 years, male 88.5
GTEX-13YAN-0326-SM-5O9DF 60-69 years, male 88.5
GTEX-16YQH-0126-SM-7DUFJ 30-39 years, male 88.5
GTEX-ZYFD-0126-SM-5GIDL 50-59 years, male 88.5
GTEX-Q2AG-0126-SM-33HBV 40-49 years, female 88.3
GTEX-WXYG-2326-SM-4E3I6 50-59 years, female 88.3
GTEX-1A3MX-0126-SM-731BR 60-69 years, male 88.2
GTEX-ZDYS-2026-SM-5HL5L 50-59 years, male 88.1
GTEX-14PJM-0226-SM-62LF1 50-59 years, female 88.0
GTEX-VJWN-0126-SM-3GIK7 50-59 years, female 88.0
GTEX-1IDFM-0126-SM-COH2V 60-69 years, male 87.6
GTEX-1J8Q3-1626-SM-CMKGC 60-69 years, male 87.6
GTEX-XUYS-0126-SM-47JWZ 50-59 years, male 87.5
GTEX-T6MO-1626-SM-32QOM 40-49 years, female 87.0
GTEX-1F88F-2726-SM-7PBZZ 60-69 years, female 86.8
GTEX-WFG8-2226-SM-3GIL9 20-29 years, male 86.6
GTEX-17EVQ-0226-SM-7LG4P 70-79 years, male 86.2
GTEX-1HBPI-1526-SM-C1YQ1 50-59 years, male 86.2
GTEX-ZQG8-1626-SM-DHXIT 60-69 years, female 86.2
GTEX-139T8-0126-SM-5K7XZ 60-69 years, male 86.1
GTEX-1AX9I-0126-SM-7SB74 60-69 years, male 86.1
GTEX-SNMC-1226-SM-2XCFP 20-29 years, male 85.9
GTEX-1GPI6-0126-SM-9WG69 60-69 years, male 85.7
GTEX-1ICG6-2526-SM-CGQFZ 70-79 years, female 85.7
GTEX-139T4-0226-SM-5HL5S 50-59 years, female 85.5
GTEX-SSA3-0126-SM-32QPU 60-69 years, male 85.5
GTEX-1GZ4H-1726-SM-7PBZJ 50-59 years, female 85.4
GTEX-1HCU6-0126-SM-CL54K 60-69 years, female 85.2
GTEX-1GF9X-2026-SM-7PC3A 40-49 years, female 85.1
GTEX-1H2FU-0126-SM-9WYSI 60-69 years, female 85.1
GTEX-11ZVC-2526-SM-5FQTE 50-59 years, female 84.8
GTEX-R55E-0126-SM-2TC5Y 20-29 years, male 84.6
GTEX-TMMY-0226-SM-33HBA 40-49 years, female 84.5
GTEX-X4EO-0326-SM-3P5YO 60-69 years, female 84.5
GTEX-1F7RK-0126-SM-7PC2S 20-29 years, female 84.5
GTEX-13U4I-0126-SM-5LU38 40-49 years, female 84.3
GTEX-12KS4-0326-SM-5EQ41 30-39 years, male 84.2
GTEX-1IE54-0126-SM-CMKHW 40-49 years, female 84.1
GTEX-145MO-0326-SM-5Q5B3 60-69 years, male 84.0
GTEX-ZE7O-0126-SM-57WC1 50-59 years, female 84.0
GTEX-1A32A-0126-SM-718B1 50-59 years, female 83.9
GTEX-XBEW-0626-SM-4QASP 40-49 years, male 83.7
GTEX-1R9K4-0126-SM-DTX9X 60-69 years, male 83.7
GTEX-1B8L1-2526-SM-9WYTF 60-69 years, male 83.6
GTEX-17HHE-2026-SM-79OKF 50-59 years, male 83.5
GTEX-13SLX-0526-SM-5S2ON 50-59 years, female 83.3
GTEX-1CAV2-2226-SM-7P8P2 40-49 years, female 83.3
GTEX-1I1GR-0126-SM-CL55F 60-69 years, male 83.2
GTEX-1J8QM-2126-SM-CYPSJ 60-69 years, female 83.2
GTEX-1LBAC-0126-SM-DIPEZ 20-29 years, male 83.2
GTEX-1269C-2526-SM-5EGJ3 60-69 years, female 83.1
GTEX-14BIM-0226-SM-7IGLD 60-69 years, female 83.1
GTEX-PVOW-0126-SM-2XCFA 40-49 years, male 83.1
GTEX-Y5LM-1926-SM-5RQJH 40-49 years, female 83.1
GTEX-1H3VE-0326-SM-9YFLH 40-49 years, male 83.0
GTEX-15G19-0126-SM-6PANQ 60-69 years, male 82.9
GTEX-11O72-0126-SM-59887 40-49 years, male 82.8
GTEX-15DDE-0126-SM-6LPKH 50-59 years, female 82.8
GTEX-117YX-2326-SM-5H12W 50-59 years, male 82.6
GTEX-14BIN-0626-SM-793DP 50-59 years, female 82.6
GTEX-1GMR8-0126-SM-9WYTM 50-59 years, female 82.5
GTEX-1I1CD-0126-SM-CM2TK 60-69 years, female 82.5
GTEX-X62O-0126-SM-4E3JN 50-59 years, male 82.4
GTEX-ZU9S-0226-SM-5E441 30-39 years, male 82.4
GTEX-1J8JJ-0226-SM-CL53I 60-69 years, female 82.4
GTEX-PWCY-1826-SM-DHXIZ 20-29 years, female 82.4
GTEX-13OVL-0226-SM-5L3E9 50-59 years, male 82.3
GTEX-XV7Q-2526-SM-4BRV9 40-49 years, female 82.3
GTEX-P4PQ-0126-SM-2S1NM 60-69 years, male 82.2
GTEX-11ZU8-2526-SM-5EQKI 60-69 years, male 82.0
GTEX-13OVI-1426-SM-5L3EY 60-69 years, female 82.0
GTEX-144FL-0126-SM-5TDC8 50-59 years, male 82.0
GTEX-18A7A-0226-SM-718BH 50-59 years, female 81.4
GTEX-XBED-2226-SM-47JYQ 60-69 years, male 81.4
GTEX-1F6IF-0726-SM-7P8TW 60-69 years, male 81.4
GTEX-13G51-2526-SM-5LZYK 60-69 years, male 81.2
GTEX-14DAQ-0126-SM-5S2MQ 60-69 years, female 81.0
GTEX-11P82-1626-SM-59879 20-29 years, male 80.9
GTEX-1F5PK-2426-SM-7RHHY 50-59 years, male 80.8
GTEX-1HCU7-0226-SM-CL545 50-59 years, male 80.8
GTEX-1JK1U-2026-SM-CM2RZ 60-69 years, male 80.3
GTEX-18465-0126-SM-731BN 50-59 years, male 80.1
GTEX-1KANC-1526-SM-D3LAB 50-59 years, female 79.9
GTEX-11XUK-2026-SM-5EQLF 40-49 years, female 79.8
GTEX-Q2AH-1626-SM-3GAF8 40-49 years, male 79.7
GTEX-ZXG5-0126-SM-5GIEU 60-69 years, male 79.7
GTEX-1JMQK-0226-SM-CL543 60-69 years, male 79.6
GTEX-1F6RS-0126-SM-9MQKZ 60-69 years, female 79.4
GTEX-1QP29-0626-SM-EWRMX 50-59 years, male 79.3
GTEX-12WSG-2826-SM-E9J4H 50-59 years, female 79.1
GTEX-139TU-0126-SM-5K7WH 60-69 years, male 79.0
GTEX-1497J-2426-SM-7IGNX 60-69 years, male 79.0
GTEX-12WSD-0126-SM-59HKN 60-69 years, female 78.9
GTEX-145LV-2126-SM-5LU8N 50-59 years, male 78.8
GTEX-147F3-0526-SM-5SI98 50-59 years, female 78.8
GTEX-OHPL-0126-SM-2HMJ7 60-69 years, female 78.8
GTEX-1MA7X-2226-SM-E6CIY 60-69 years, male 78.8
GTEX-1QEPI-0126-SM-EWRMQ 60-69 years, female 78.8
GTEX-WY7C-2326-SM-3NB2U 50-59 years, male 78.7
GTEX-13OW7-0126-SM-5MR3B 50-59 years, male 78.5
GTEX-POMQ-2226-SM-2I5FK 20-29 years, female 78.5
GTEX-15UF6-0826-SM-6PALJ 70-79 years, female 78.4
GTEX-ZTX8-1426-SM-5DUVO 20-29 years, male 78.4
GTEX-ZZ64-1726-SM-5GZYB 20-29 years, male 78.4
GTEX-12WSK-2326-SM-5GCOH 40-49 years, female 78.3
GTEX-1F75A-0126-SM-7RHGM 50-59 years, male 78.3
GTEX-ZE9C-2726-SM-57WB5 60-69 years, male 78.2
GTEX-13QJ3-0326-SM-5S2RA 50-59 years, male 78.1
GTEX-13X6I-0626-SM-5QGP9 60-69 years, male 78.1
GTEX-PLZ6-1426-SM-DKPOT 30-39 years, male 77.9
GTEX-S7PM-0126-SM-4AD6S 60-69 years, male 77.8
GTEX-1IDJF-0126-SM-CM2RS 20-29 years, male 77.8
GTEX-11P81-2326-SM-59875 30-39 years, female 77.7
GTEX-RN64-0126-SM-2TC68 50-59 years, male 77.6
GTEX-ZVE2-0226-SM-59HJB 50-59 years, male 77.6
GTEX-131YS-0126-SM-5KM1M 60-69 years, female 77.5
GTEX-Y8LW-1826-SM-5S2MV 50-59 years, female 77.5
GTEX-1H3VY-0126-SM-ACKXD 50-59 years, male 77.5
GTEX-13PVR-2326-SM-5QGR1 60-69 years, female 77.4
GTEX-11DXX-2426-SM-5GZZW 60-69 years, female 77.3
GTEX-QLQW-1126-SM-2S1Q8 30-39 years, male 77.3
GTEX-Z9EW-1626-SM-5CVMN 40-49 years, male 77.3
GTEX-1LC47-0326-SM-E9TJP 60-69 years, male 77.3
GTEX-RTLS-0126-SM-447CA 60-69 years, female 77.0
GTEX-13X6J-0126-SM-5QGOU 50-59 years, male 76.9
GTEX-1IGQW-0126-SM-COH42 60-69 years, male 76.9
GTEX-12ZZX-0126-SM-5EGK9 40-49 years, female 76.8
GTEX-1B8KZ-2026-SM-7DHMB 50-59 years, male 76.8
GTEX-T2YK-0526-SM-32QPJ 50-59 years, male 76.7
GTEX-OHPM-0126-SM-2YUN9 50-59 years, male 76.6
GTEX-14DAR-2026-SM-5S2O3 50-59 years, male 76.4
GTEX-R55G-2526-SM-2TC6D 40-49 years, female 76.4
GTEX-1N2DV-0226-SM-E6CJ6 40-49 years, male 76.3
GTEX-W5WG-1826-SM-4KL2Y 50-59 years, female 76.2
GTEX-1RDX4-0126-SM-E9J4P 50-59 years, female 76.2
GTEX-1QMI2-0226-SM-EVYBX 60-69 years, male 76.1
GTEX-15EU6-0426-SM-6PAN5 50-59 years, male 75.9
GTEX-ZVT3-0126-SM-5GU6I 60-69 years, female 75.9
GTEX-13W3W-2426-SM-5LU5B 60-69 years, female 75.8
GTEX-U3ZH-2026-SM-3DB78 30-39 years, male 75.8
GTEX-1399T-2826-SM-5KLYZ 60-69 years, male 75.7
GTEX-1I6K6-0126-SM-A9SLE 30-39 years, male 75.6
GTEX-17MFQ-1726-SM-793C7 20-29 years, male 75.3
GTEX-1I1GP-2226-SM-CGQFK 50-59 years, male 75.0
GTEX-1S3DN-2226-SM-EVYCD 50-59 years, male 75.0
GTEX-1GN73-0226-SM-9WG67 60-69 years, male 74.9
GTEX-1H4P4-0726-SM-9YFLR 50-59 years, male 74.9
GTEX-14PHW-0126-SM-6LLJI 60-69 years, female 74.8
GTEX-1I1GT-0626-SM-CGQER 60-69 years, female 74.8
GTEX-1BAJH-0526-SM-793CQ 70-79 years, male 74.7
GTEX-X261-0126-SM-3NMD6 50-59 years, male 74.5
GTEX-1GN1U-0126-SM-7PBZK 50-59 years, female 74.5
GTEX-1EWIQ-0126-SM-7RHH2 70-79 years, female 74.4
GTEX-ZV6S-2326-SM-4YCEY 40-49 years, female 74.2
GTEX-11LCK-1026-SM-5A5KB 30-39 years, male 74.1
GTEX-1QP66-1726-SM-E8VO1 50-59 years, male 74.1
GTEX-ZGAY-0526-SM-4WWBB 40-49 years, female 74.0
GTEX-OIZF-0126-SM-7SB8I 60-69 years, male 74.0
GTEX-14E6E-1826-SM-5S2R7 30-39 years, male 73.9
GTEX-15SDE-2226-SM-7IGLO 50-59 years, female 73.8
GTEX-1EX96-1626-SM-7PBXR 50-59 years, male 73.8
GTEX-1I19N-0326-SM-ACKVX 70-79 years, male 73.8
GTEX-13D11-2426-SM-5KM1V 50-59 years, female 73.6
GTEX-1K9T9-0126-SM-EVYCF 50-59 years, female 73.6
GTEX-1C475-1826-SM-73KWA 40-49 years, female 73.5
GTEX-1JMPZ-0226-SM-CNPP1 30-39 years, male 73.4
GTEX-1S82Z-0826-SM-E6CHY 30-39 years, female 73.4
GTEX-1H1CY-2826-SM-9MQM3 60-69 years, female 73.3
GTEX-1H1DE-2126-SM-9WG6R 20-29 years, male 73.3
GTEX-WOFL-0126-SM-3MJG2 60-69 years, male 73.2
GTEX-1HFI7-1826-SM-ACKXH 50-59 years, female 73.2
GTEX-WYJK-0126-SM-3NMAB 50-59 years, male 73.1
GTEX-1ICLZ-0126-SM-CKZPO 60-69 years, male 73.0
GTEX-139D8-0226-SM-5KLZO 30-39 years, female 72.9
GTEX-1B8KE-2126-SM-73KYX 50-59 years, male 72.9
GTEX-OXRO-0126-SM-2YUN4 60-69 years, female 72.9
GTEX-13IVO-0126-SM-5J1NG 70-79 years, male 72.6
GTEX-13RTK-1426-SM-5QGQJ 20-29 years, male 72.5
GTEX-1HSGN-0226-SM-CGQFV 40-49 years, female 72.5
GTEX-17F96-1626-SM-7DUFL 70-79 years, male 72.3
GTEX-RWSA-0126-SM-2XCBB 40-49 years, male 72.3
GTEX-TKQ1-1026-SM-4GICL 30-39 years, male 72.3
GTEX-WQUQ-0426-SM-3MJFU 60-69 years, male 72.3
GTEX-1JMQI-2226-SM-CM2SD 50-59 years, male 72.3
GTEX-1I1GS-0126-SM-B2LVW 60-69 years, male 72.2
GTEX-1K2DA-1826-SM-CGQGT 50-59 years, male 72.1
GTEX-1MA7W-2026-SM-E9TJ6 20-29 years, female 72.1
GTEX-1GTWX-0126-SM-9YFLK 60-69 years, male 71.8
GTEX-1ICLY-0126-SM-D4P36 50-59 years, male 71.8
GTEX-1211K-2026-SM-5EQ4Z 60-69 years, female 71.7
GTEX-U8XE-0326-SM-3DB8P 30-39 years, male 71.7
GTEX-1S82Y-2026-SM-EVYCM 40-49 years, male 71.7
GTEX-R45C-0126-SM-EAZ2R 60-69 years, female 71.5
GTEX-14PJ3-1826-SM-62LEX 50-59 years, male 71.4
GTEX-1GF9V-0326-SM-7RHI5 60-69 years, male 71.4
GTEX-145ME-1826-SM-5SI9G 40-49 years, female 71.3
GTEX-1H3NZ-0126-SM-ACKX7 60-69 years, male 71.3
GTEX-1R7EU-0226-SM-EVR4G 60-69 years, male 71.3
GTEX-1B8SG-0126-SM-73KZ3 50-59 years, male 71.2
GTEX-SUCS-1926-SM-32PM3 70-79 years, male 71.2
GTEX-1313W-0126-SM-5LZUN 50-59 years, female 71.1
GTEX-16XZZ-0126-SM-793DV 60-69 years, male 71.1
GTEX-1C6VS-0526-SM-7DUEN 60-69 years, male 71.1
GTEX-16NGA-1726-SM-731B4 40-49 years, female 70.9
GTEX-U8T8-0126-SM-3DB94 60-69 years, male 70.9
GTEX-QESD-1426-SM-2S1R9 20-29 years, male 70.8
GTEX-ZQUD-1426-SM-57WER 30-39 years, male 70.6
GTEX-183WM-0126-SM-7LTAB 70-79 years, female 70.5
GTEX-ZY6K-1826-SM-5GZXK 50-59 years, male 70.5
GTEX-1AMFI-2026-SM-731BH 50-59 years, female 70.4
GTEX-14E7W-0126-SM-6LLJ9 70-79 years, male 70.3
GTEX-1HSEH-0126-SM-ACKXN 60-69 years, male 70.1
GTEX-17F97-0326-SM-7LG5B 50-59 years, male 69.9
GTEX-Q2AI-1326-SM-2S1PL 40-49 years, male 69.9
GTEX-14PK6-1926-SM-6ETZU 70-79 years, female 69.8
GTEX-17HG3-2226-SM-7938L 30-39 years, female 69.6
GTEX-1J8EW-0126-SM-CJI4F 60-69 years, female 69.6
GTEX-1CAMR-1926-SM-7EPI2 20-29 years, male 69.4
GTEX-13OVG-1926-SM-5L3DK 60-69 years, male 69.3
GTEX-13RTJ-2426-SM-5S2Q2 60-69 years, male 69.3
GTEX-18A67-0126-SM-7LG5P 50-59 years, male 69.3
GTEX-TML8-1926-SM-32QOS 40-49 years, female 69.3
GTEX-16GPK-0126-SM-7DHLE 60-69 years, male 69.2
GTEX-1EMGI-0126-SM-9KNUE 60-69 years, male 69.1
GTEX-1HGF4-2426-SM-ACKXM 60-69 years, male 69.1
GTEX-1GZHY-0326-SM-9QEHI 50-59 years, female 68.8
GTEX-OIZG-0726-SM-33HBL 50-59 years, male 68.7
GTEX-17GQL-2026-SM-718BA 60-69 years, male 68.5
GTEX-18D9B-0526-SM-7LTAS 60-69 years, male 68.5
GTEX-13O3O-0126-SM-E9J49 60-69 years, female 68.5
GTEX-17F98-0626-SM-79OMX 40-49 years, female 68.4
GTEX-12C56-1726-SM-5EQ61 20-29 years, male 68.3
GTEX-UPJH-0326-SM-3GADU 50-59 years, male 68.3
GTEX-1LSNM-1926-SM-E6CII 50-59 years, male 68.3
GTEX-OXRN-0126-SM-48TDM 50-59 years, male 68.2
GTEX-QDVN-2026-SM-3GAEP 50-59 years, male 68.1
GTEX-ZDXO-3026-SM-5J1N5 60-69 years, male 68.0
GTEX-QLQ7-1626-SM-2S1R8 60-69 years, male 67.9
GTEX-S33H-1026-SM-EZ6L6 30-39 years, male 67.9
GTEX-1GMRU-0126-SM-9YFLV 50-59 years, male 67.8
GTEX-O5YT-0126-SM-48TBW 20-29 years, male 67.7
GTEX-147GR-0526-SM-5S2MY 60-69 years, male 67.6
GTEX-RM2N-1426-SM-2TF4H 50-59 years, male 67.6
GTEX-T2IS-0126-SM-4DM6O 20-29 years, female 67.6
GTEX-ZF28-0126-SM-4WKGK 60-69 years, male 67.6
GTEX-ZF2S-2326-SM-4WWCE 50-59 years, female 67.6
GTEX-1HT8W-0126-SM-CNPPP 30-39 years, male 67.6
GTEX-1C64N-0126-SM-793D7 50-59 years, male 67.5
GTEX-ZAK1-0126-SM-5IJD3 50-59 years, female 67.5
GTEX-RNOR-0126-SM-E9J4R 50-59 years, female 67.5
GTEX-1C64O-0126-SM-7SB8P 60-69 years, male 67.4
GTEX-131XE-2326-SM-5PNZ2 50-59 years, male 67.3
GTEX-13VXU-0126-SM-5SI9F 50-59 years, male 67.3
GTEX-11NSD-2226-SM-5986V 20-29 years, male 67.2
GTEX-13112-2826-SM-5DUWH 50-59 years, male 67.2
GTEX-S7SE-0126-SM-2XCD5 50-59 years, male 67.2
GTEX-ZAB5-1826-SM-5HL7C 50-59 years, male 67.2
GTEX-P4PP-0126-SM-3LK69 30-39 years, female 67.1
GTEX-1122O-2126-SM-5EGIR 60-69 years, female 67.0
GTEX-1EU9M-0226-SM-7P8SP 60-69 years, male 67.0
GTEX-YB5K-2126-SM-4WWDJ 40-49 years, female 66.6
GTEX-13FH7-2026-SM-E9J4I 50-59 years, female 66.6
GTEX-X8HC-0126-SM-4E3JW 50-59 years, female 66.3
GTEX-13CF3-2426-SM-5IFGX 60-69 years, female 66.2
GTEX-1C4CL-0526-SM-73KVK 30-39 years, male 66.1
GTEX-WVJS-0126-SM-4MVOT 50-59 years, male 66.1
GTEX-11NUK-0126-SM-5A5L3 50-59 years, male 66.0
GTEX-ZC5H-0226-SM-4WAY9 40-49 years, female 66.0
GTEX-1GL5R-1826-SM-9KNUY 50-59 years, male 66.0
GTEX-T5JC-0426-SM-32PLO 20-29 years, male 65.9
GTEX-1B8SF-1426-SM-7DUGL 60-69 years, male 65.6
GTEX-1K2DU-2326-SM-E9TIV 20-29 years, male 65.6
GTEX-1LG7Y-0526-SM-DKPQC 50-59 years, male 65.6
GTEX-15F5U-1526-SM-6PANO 40-49 years, male 65.5
GTEX-1AX9J-0226-SM-73KXM 60-69 years, male 65.5
GTEX-SN8G-0126-SM-32PLI 50-59 years, female 65.5
GTEX-1H1ZS-0426-SM-9WG6G 70-79 years, male 65.5
GTEX-WI4N-1026-SM-3LK7N 40-49 years, female 65.4
GTEX-1PWST-0226-SM-E76QJ 70-79 years, male 65.4
GTEX-13S7M-0126-SM-5SI6A 60-69 years, female 65.3
GTEX-1IDJU-2626-SM-CM2RT 60-69 years, female 65.3
GTEX-13JUV-2726-SM-5LZZ8 40-49 years, female 65.2
GTEX-148VI-1626-SM-5SI6E 60-69 years, female 65.2
GTEX-X585-0226-SM-4QAS2 50-59 years, male 65.2
GTEX-1HSMP-0126-SM-E6CJS 70-79 years, male 65.0
GTEX-11UD1-0126-SM-5PNYG 40-49 years, female 64.9
GTEX-14PII-0226-SM-6EU1T 60-69 years, male 64.6
GTEX-1HB9E-0226-SM-E9U4R 50-59 years, male 64.6
GTEX-1LGRB-2526-SM-CNPPQ 50-59 years, female 64.5
GTEX-QEG4-0226-SM-2S1PY 30-39 years, male 64.4
GTEX-18QFQ-0126-SM-731BE 30-39 years, male 64.3
GTEX-131XH-2226-SM-5DUXJ 50-59 years, male 64.2
GTEX-14JG6-2226-SM-6EU2G 30-39 years, female 64.2
GTEX-TSE9-0126-SM-3DB83 60-69 years, female 64.2
GTEX-OIZH-0126-SM-2HMIS 50-59 years, male 64.0
GTEX-13OW5-0126-SM-DTXFS 60-69 years, male 64.0
GTEX-14BMU-2226-SM-5TDE9 20-29 years, female 63.9
GTEX-13FXS-0226-SM-5IJCK 50-59 years, male 63.8
GTEX-1HBPM-0226-SM-ARL9F 60-69 years, female 63.8
GTEX-1MCQQ-0826-SM-DLHC2 60-69 years, male 63.8
GTEX-QVJO-1626-SM-2S1QW 60-69 years, female 63.6
GTEX-13OVK-2026-SM-7KUEO 40-49 years, male 63.2
GTEX-XMD2-0126-SM-4YCDU 60-69 years, female 63.2
GTEX-1E1VI-0126-SM-7DHMZ 50-59 years, male 63.1
GTEX-ZDTS-0126-SM-4WAY5 60-69 years, male 63.0
GTEX-1B933-0126-SM-7PC29 50-59 years, female 63.0
GTEX-1GN1V-0126-SM-9WPOS 60-69 years, male 63.0
GTEX-1KD4Q-0226-SM-E9TJ9 40-49 years, male 63.0
GTEX-1S5ZA-0126-SM-EVYCV 20-29 years, male 63.0
GTEX-VUSG-2526-SM-4KL1V 50-59 years, male 62.8
GTEX-1IKK5-0626-SM-ARL8A 60-69 years, male 62.6
GTEX-17HII-0226-SM-7LG4E 50-59 years, male 62.5
GTEX-XQ8I-0426-SM-4BOPO 50-59 years, male 62.5
GTEX-ZVZP-2426-SM-59HKJ 50-59 years, male 62.5
GTEX-PSDG-0226-SM-DKPOZ 50-59 years, male 62.5
GTEX-13113-5016-SM-7EPIP 60-69 years, female 62.4
GTEX-15ER7-0326-SM-7KUEV 20-29 years, female 62.4
GTEX-1MJK2-0426-SM-DTXE5 50-59 years, male 62.4
GTEX-13O3P-0126-SM-5KM4S 50-59 years, male 62.3
GTEX-OXRL-0126-SM-2YUMP 50-59 years, male 62.3
GTEX-QDT8-0126-SM-48TZ1 30-39 years, female 62.1
GTEX-1OFPY-2426-SM-DTXEJ 60-69 years, male 62.1
GTEX-1192W-2626-SM-5Q5AF 60-69 years, male 61.9
GTEX-11ZTS-0126-SM-5EQ6M 60-69 years, female 61.9
GTEX-13OW6-0426-SM-5L3HM 50-59 years, male 61.9
GTEX-U3ZM-1526-SM-3DB9D 40-49 years, male 61.9
GTEX-PW2O-1526-SM-7RHHB 20-29 years, male 61.9
GTEX-1PPH8-0226-SM-E8VND 20-29 years, male 61.8
GTEX-18A7B-0126-SM-7LG64 70-79 years, male 61.7
GTEX-1HKZK-0326-SM-9WYUH 40-49 years, male 61.7
GTEX-NFK9-0226-SM-2HMKQ 40-49 years, male 61.5
GTEX-17HGU-0226-SM-7DHKV 50-59 years, male 61.4
GTEX-WYVS-2126-SM-3NMA3 40-49 years, female 61.4
GTEX-1EN7A-0126-SM-7SB81 40-49 years, male 61.0
GTEX-1HCU8-0626-SM-A9SM9 60-69 years, female 61.0
GTEX-132NY-0326-SM-5IJBL 60-69 years, male 60.9
GTEX-1C6VR-2426-SM-79OLD 60-69 years, male 60.9
GTEX-13OW8-1326-SM-5J1OW 60-69 years, male 60.7
GTEX-1192X-0226-SM-5H12D 50-59 years, male 60.6
GTEX-11EI6-0126-SM-5985R 60-69 years, male 60.6
GTEX-1F52S-0126-SM-9MQJU 60-69 years, female 60.5
GTEX-145LU-0126-SM-5TDCB 50-59 years, male 60.4
GTEX-14PJ6-2126-SM-6EU1V 60-69 years, female 60.3
GTEX-S95S-1226-SM-4GICG 60-69 years, male 60.3
GTEX-X5EB-2226-SM-46MW4 40-49 years, male 60.3
GTEX-1JMQJ-0526-SM-CYPSU 50-59 years, male 60.3
GTEX-Z93T-0126-SM-5HL5N 50-59 years, male 60.1
GTEX-1GMR3-1926-SM-9KNUZ 40-49 years, male 60.1
GTEX-15CHC-2126-SM-6EU21 60-69 years, female 60.0
GTEX-1JN1M-0326-SM-CYPT3 60-69 years, female 60.0
GTEX-1GN2E-0426-SM-9MQKX 60-69 years, male 59.9
GTEX-RVPV-0126-SM-EAZAW 60-69 years, male 59.9
GTEX-145LS-0126-SM-5QGP1 60-69 years, female 59.7
GTEX-1EKGG-0226-SM-9WYTH 60-69 years, male 59.6
GTEX-13O21-1426-SM-5K7XI 50-59 years, male 59.4
GTEX-Y114-2426-SM-4TT8A 50-59 years, female 59.4
GTEX-139UW-2826-SM-5L3E7 60-69 years, male 59.2
GTEX-1128S-2326-SM-5GZZY 60-69 years, female 59.0
GTEX-1JN76-0126-SM-CNPPE 20-29 years, female 58.9
GTEX-13SLW-0126-SM-5SI6C 70-79 years, male 58.8
GTEX-1E2YA-0126-SM-9KNUC 50-59 years, male 58.8
GTEX-16BQI-0226-SM-7KUEX 30-39 years, female 58.6
GTEX-SIU8-0126-SM-2XCDT 50-59 years, male 58.6
GTEX-12696-2426-SM-5EQ6H 60-69 years, male 58.5
GTEX-13X6H-2126-SM-7EWD5 50-59 years, female 58.5
GTEX-R3RS-0126-SM-3GIJL 40-49 years, female 58.5
GTEX-1RAZA-0126-SM-E6CI3 20-29 years, male 58.5
GTEX-P4QT-0126-SM-2I3FL 50-59 years, female 58.4
GTEX-1JKYR-0126-SM-CNPOJ 20-29 years, male 58.4
GTEX-1KXAM-2226-SM-CYPTC 60-69 years, male 58.4
GTEX-Y111-0126-SM-4SOIV 50-59 years, male 58.2
GTEX-1314G-1526-SM-5EGK2 30-39 years, male 58.1
GTEX-1LVAN-0226-SM-COH3S 50-59 years, female 58.1
GTEX-1NV5F-0226-SM-E8VNY 60-69 years, female 58.1
GTEX-1GF9U-2126-SM-7SB7L 40-49 years, female 58.0
GTEX-1IKOH-0226-SM-COH4E 60-69 years, female 58.0
GTEX-1QPFJ-0226-SM-E76PB 30-39 years, female 57.8
GTEX-WFON-2126-SM-3LK7O 40-49 years, male 57.7
GTEX-13RTL-0126-SM-7LG5S 40-49 years, male 57.6
GTEX-WZTO-0126-SM-3NM95 40-49 years, male 57.6
GTEX-14753-0426-SM-5NQAM 60-69 years, male 57.5
GTEX-1GZ2Q-0226-SM-7P8TL 40-49 years, male 57.5
GTEX-1HR98-0126-SM-B2LWI 60-69 years, male 57.5
GTEX-1LGOU-2026-SM-DIPFF 20-29 years, female 57.5
GTEX-13NZB-2526-SM-5J1OM 30-39 years, male 57.4
GTEX-Y8DK-0126-SM-4TT3L 60-69 years, male 57.4
GTEX-1F75B-0126-SM-9KNVL 50-59 years, male 57.3
GTEX-12WSC-0126-SM-5EQ4P 50-59 years, male 57.2
GTEX-12ZZZ-0626-SM-5DUXI 60-69 years, male 57.2
GTEX-17HHY-0126-SM-7LG5D 50-59 years, male 57.2
GTEX-XPVG-2626-SM-4B669 50-59 years, male 57.2
GTEX-1IL2V-0126-SM-CM2TX 70-79 years, male 57.2
GTEX-1LH75-2426-SM-E9TJE 50-59 years, female 57.1
GTEX-1CB4E-2226-SM-793DC 60-69 years, male 56.8
GTEX-PLZ5-2026-SM-2S1O4 50-59 years, male 56.8
GTEX-OOBJ-0126-SM-E6CJW 60-69 years, male 56.8
GTEX-12ZZY-0226-SM-5LZVE 60-69 years, male 56.7
GTEX-146FQ-0126-SM-5NQA9 30-39 years, male 56.7
GTEX-1IDJH-0326-SM-A9SLQ 70-79 years, male 56.6
GTEX-1J8Q2-0526-SM-CM2RW 60-69 years, male 56.4
GTEX-12126-0326-SM-5PNW3 20-29 years, male 56.0
GTEX-15SB6-1726-SM-6PAME 50-59 years, female 56.0
GTEX-1JN6P-0126-SM-D3L98 60-69 years, male 56.0
GTEX-13OVH-0126-SM-5MR4B 70-79 years, male 55.9
GTEX-17EVP-0326-SM-7DHLG 40-49 years, male 55.8
GTEX-1J1OQ-0226-SM-CYPSH 40-49 years, female 55.8
GTEX-139TS-2826-SM-5J1OO 60-69 years, male 55.7
GTEX-14BMV-0126-SM-5S2PO 50-59 years, male 55.6
GTEX-1IKJJ-0126-SM-CNPQB 60-69 years, male 55.6
GTEX-11EMC-2926-SM-5EQ4F 60-69 years, female 55.5
GTEX-1PIIG-0226-SM-EWRN6 30-39 years, male 55.5
GTEX-QV44-1926-SM-2S1RF 50-59 years, male 55.4
GTEX-1JJE9-0326-SM-CL53Z 70-79 years, male 55.4
GTEX-11UD2-0226-SM-5EQKY 50-59 years, male 55.3
GTEX-14PHX-2326-SM-62LEM 50-59 years, male 55.3
GTEX-1JMPY-1326-SM-ARL8Y 30-39 years, male 55.3
GTEX-11EQ9-2426-SM-5HL5T 30-39 years, male 55.2
GTEX-15DCD-0126-SM-7KUEK 70-79 years, female 55.2
GTEX-16MT8-0426-SM-7KUEY 60-69 years, female 55.1
GTEX-U3ZN-2326-SM-3DB7W 30-39 years, female 54.9
GTEX-1RB15-2126-SM-E9TIM 60-69 years, male 54.8
GTEX-O5YW-0126-SM-3LK6D 50-59 years, male 54.7
GTEX-Y3IK-2426-SM-4WWDU 50-59 years, female 54.7
GTEX-ZPIC-1726-SM-DHXIU 40-49 years, female 54.7
GTEX-RU72-0926-SM-2TF6B 50-59 years, female 54.6
GTEX-XXEK-2226-SM-4BRUM 50-59 years, male 54.6
GTEX-ZAB4-0226-SM-5N9F5 40-49 years, male 54.6
GTEX-11OC5-0126-SM-5HL6A 60-69 years, male 54.4
GTEX-U412-0426-SM-3DB9O 60-69 years, male 54.4
GTEX-ZF3C-0126-SM-DO92D 50-59 years, female 54.4
GTEX-1O97I-0326-SM-EYYX7 60-69 years, male 54.3
GTEX-11DXY-2626-SM-5GIE7 60-69 years, male 54.2
GTEX-16NPX-0226-SM-79OMT 50-59 years, male 54.1
GTEX-1CB4F-0426-SM-9KNV4 60-69 years, male 54.1
GTEX-1QAET-0926-SM-E76QM 50-59 years, male 54.0
GTEX-14A5H-0426-SM-5QGQF 60-69 years, male 53.9
GTEX-1PDJ9-0326-SM-DTX95 20-29 years, male 53.9
GTEX-XQ3S-1526-SM-4BOOC 20-29 years, male 53.7
GTEX-ZTSS-1926-SM-57WEW 40-49 years, male 53.6
GTEX-X4EP-0126-SM-3P5YV 60-69 years, female 53.4
GTEX-13FHP-0126-SM-5IJBG 50-59 years, male 53.3
GTEX-1CB4I-0226-SM-79OLH 50-59 years, male 53.3
GTEX-133LE-1826-SM-5J1MV 20-29 years, female 53.2
GTEX-1JMQL-0226-SM-CNPP5 50-59 years, female 53.2
GTEX-ZXES-1826-SM-5E43S 30-39 years, female 53.1
GTEX-1H11D-0226-SM-9WG6Z 40-49 years, male 53.1
GTEX-1LB8K-0226-SM-EWRNW 50-59 years, male 53.1
GTEX-1399R-2726-SM-5IJBA 30-39 years, male 53.0
GTEX-1KANA-0726-SM-D3L9I 20-29 years, male 53.0
GTEX-1B97I-1626-SM-73KYO 40-49 years, male 52.6
GTEX-144GL-0126-SM-5TDE2 50-59 years, male 52.3
GTEX-X88G-0126-SM-47JZ3 30-39 years, male 52.3
GTEX-1KAFJ-2026-SM-CY8ID 50-59 years, male 52.3
GTEX-W5X1-3026-SM-EAZAX 40-49 years, female 52.3
GTEX-14PN4-0126-SM-6EU2V 50-59 years, male 52.1
GTEX-Y8E4-0626-SM-4WWDL 40-49 years, male 52.1
GTEX-18D9U-0226-SM-718BP 40-49 years, male 51.9
GTEX-S32W-2126-SM-2XCB1 50-59 years, female 51.8
GTEX-UJHI-1526-SM-3DB99 50-59 years, female 51.8
GTEX-13PDP-0126-SM-5L3HD 60-69 years, male 51.7
GTEX-ZAJG-0126-SM-5HL94 50-59 years, female 51.5
GTEX-1I1GQ-0126-SM-COH3H 50-59 years, male 51.5
GTEX-TMZS-0126-SM-3DB9Q 60-69 years, male 51.4
GTEX-13FTW-2626-SM-5K7WL 40-49 years, male 51.3
GTEX-17MF6-0126-SM-7LG4F 40-49 years, male 51.0
GTEX-11DYG-0126-SM-59883 60-69 years, male 50.9
GTEX-NPJ8-0126-SM-2YUNR 40-49 years, male 50.9
GTEX-ZYY3-0126-SM-5GZY5 60-69 years, female 50.7
GTEX-1JJEA-0326-SM-CNPOT 60-69 years, male 50.7
GTEX-ZYT6-0226-SM-5NQ6T 30-39 years, male 50.5
GTEX-ZWKS-0126-SM-5SIAA 30-39 years, male 50.3
GTEX-13111-1626-SM-5EGJY 50-59 years, male 50.0
GTEX-Y5V5-2326-SM-4V6GA 60-69 years, female 49.9
GTEX-Z93S-0126-SM-5HL7M 50-59 years, male 49.9
GTEX-1IL2U-0226-SM-CE6T8 60-69 years, male 49.6
GTEX-13O3Q-2426-SM-5IJBR 50-59 years, male 49.2
GTEX-1CAMS-0426-SM-7P8T2 40-49 years, female 49.2
GTEX-14E6D-0126-SM-62LDV 50-59 years, male 49.1
GTEX-1CB4H-0226-SM-7PBXM 60-69 years, female 49.0
GTEX-PX3G-0126-SM-2I3EN 20-29 years, female 48.9
GTEX-1HSKV-0226-SM-A9SKJ 60-69 years, male 48.9
GTEX-1212Z-2526-SM-5EGKP 60-69 years, male 48.7
GTEX-ZVTK-0426-SM-51MRS 20-29 years, male 48.7
GTEX-1KWVE-1426-SM-E9TJO 30-39 years, male 48.7
GTEX-12WSJ-1826-SM-5GCNY 40-49 years, female 48.5
GTEX-145MN-2226-SM-5SIAU 30-39 years, male 48.5
GTEX-15RIG-0226-SM-7KFTL 40-49 years, male 48.3
GTEX-12WSA-0226-SM-5BC5V 60-69 years, male 48.0
GTEX-YJ89-0126-SM-4TT3X 60-69 years, male 48.0
GTEX-1IOXB-0126-SM-ARL8G 50-59 years, male 48.0
GTEX-14LZ3-0226-SM-62LET 60-69 years, female 47.8
GTEX-145MF-0626-SM-5LUAI 50-59 years, male 47.6
GTEX-1HCVE-0126-SM-CGQEU 50-59 years, male 47.6
GTEX-T5JW-1626-SM-3GADZ 20-29 years, female 47.3
GTEX-1I1GV-0526-SM-A9G29 60-69 years, male 47.3
GTEX-1OJC3-0126-SM-E76QX 20-29 years, male 47.1
GTEX-Y5V6-2426-SM-4VDSB 60-69 years, male 47.0
GTEX-1GF9W-0326-SM-9KNUN 60-69 years, male 46.6
GTEX-YFC4-0126-SM-5CVLY 40-49 years, female 46.5
GTEX-169BO-1326-SM-9MQK2 50-59 years, male 46.4
GTEX-PWO3-1526-SM-48TCM 60-69 years, female 46.2
GTEX-1HCU9-1526-SM-A9SL7 20-29 years, male 45.8
GTEX-18D9A-1926-SM-7LG6P 30-39 years, female 45.7
GTEX-1QP9N-1426-SM-DTXFL 30-39 years, male 45.3
GTEX-X4XX-0126-SM-3NMC2 60-69 years, male 45.2
GTEX-1S83E-0126-SM-EWRO4 40-49 years, male 45.2
GTEX-T6MN-0126-SM-32PLP 50-59 years, male 45.1
GTEX-1PFEY-1526-SM-E76PP 30-39 years, male 44.7
GTEX-131XF-5016-SM-7MGWE 60-69 years, male 44.4
GTEX-1M5QR-1226-SM-EWROB 40-49 years, male 44.3
GTEX-YB5E-2026-SM-5IFIS 40-49 years, male 44.1
GTEX-13FTY-0526-SM-5L3EV 40-49 years, female 43.9
GTEX-11GSO-2426-SM-5A5LY 60-69 years, male 43.4
GTEX-1JJ6O-0126-SM-E6CI8 60-69 years, male 43.4
GTEX-1RQEC-0426-SM-E6CHU 60-69 years, male 43.4
GTEX-1CAMQ-0226-SM-7IGPK 40-49 years, male 43.0
GTEX-1R9PM-2026-SM-E76OY 20-29 years, male 43.0
GTEX-12WSE-0526-SM-793B2 20-29 years, male 42.6
GTEX-ZVZO-0126-SM-5A5L9 40-49 years, male 42.1
GTEX-1F5PL-0326-SM-7P8PQ 40-49 years, female 41.9
GTEX-1KANB-0526-SM-E6CJH 50-59 years, male 41.8
GTEX-1399U-2326-SM-5K7WY 50-59 years, female 41.6
GTEX-17JCI-0126-SM-7LG5G 60-69 years, female 41.2
GTEX-1LG7Z-1726-SM-D3LA4 30-39 years, male 41.2
GTEX-17KNJ-2326-SM-7DHLQ 50-59 years, male 41.0
GTEX-111FC-0126-SM-5N9DL 60-69 years, male 40.7
GTEX-ZYFC-0226-SM-5NQ75 50-59 years, male 40.7
GTEX-14JG1-0426-SM-6ETZZ 40-49 years, male 39.1
GTEX-ZV68-0126-SM-59HKS 50-59 years, female 39.1
GTEX-13NYB-2526-SM-5K7Z6 40-49 years, male 37.2
GTEX-XUZC-1726-SM-4BRWS 30-39 years, female 35.5
GTEX-117XS-2726-SM-5N9BL 60-69 years, male 34.2
GTEX-ZYFG-2326-SM-5E44B 60-69 years, female 32.5
GTEX-1JMLX-0226-SM-CM2RO 50-59 years, male 31.3
GTEX-1L5NE-2526-SM-E6CIE 50-59 years, male 30.1
Show allShow less

Contact

  • NEWS ARTICLES
  • PRESS ROOM

The Project

  • INTRODUCTION
  • ORGANIZATION
  • PUBLICATIONS

The Human Protein Atlas

  • DOWNLOADABLE DATA
  • LICENCE & CITATION
  • HELP & FAQ
The Human Protein Atlas project is funded
by the Knut & Alice Wallenberg Foundation.


contact@proteinatlas.org