We use cookies to enhance the usability of our website. If you continue, we'll assume that you are happy to receive all cookies. More information. Don't show this again.
TMEM86A
HPA
RESOURCES
  • TISSUE
  • BRAIN
  • SINGLE CELL
  • SUBCELLULAR
  • CANCER
  • BLOOD
  • CELL LINE
  • STRUCTURE & INTERACTION
ABOUT
  • INTRODUCTION
  • HISTORY
  • ORGANIZATION
  • PUBLICATIONS
  • ANTIBODY SUBMISSION
  • ANTIBODY AVAILABILITY
  • ACKNOWLEDGMENTS
  • CONTACT
NEWS
  • NEWS ARTICLES
  • PRESS ROOM
LEARN
  • DICTIONARY
  • PROTEIN CLASSES
  • PROTEIN EVIDENCE
  • METHODS
  • EDUCATIONAL VIDEOS
DATA
  • DOWNLOADABLE DATA
  • PUBLICATION DATA
  • RELEASE HISTORY
HELP
  • ANTIBODY VALIDATION
  • ASSAYS & ANNOTATION
  • DISCLAIMER
  • HELP & FAQ
  • PRIVACY STATEMENT
  • LICENCE & CITATION
Fields »
Search result

Field
Term
Gene name
Class
Subclass
Class
Keyword
Chromosome
External id
Tissue
Cell type
Expression
Antibody panel
Tissue
Main location
Patient ID
Annotation
Tissue
Category
Tau score
Cluster
Reliability
Brain region
Category
Tau score
Brain region
Category
Tau score
Brain region
Category
Tau score
Cluster
Reliability
Tissue
Cell type
Enrichment
Cell type
Category
Tau score
Cell type
Category
Tau score
Cell type
Category
Tau score
Cell lineage
Category
Tau score
Cluster
Cluster
Location
Searches
Location
Cell line
Class
Type
Phase
Reliability
Cancer
Prognosis
Cancer
Category
Cancer
Category
Tau score
Cluster
Variants
Interacting gene (ensg_id)
Type
Number of interactions
Pathway
Category
Score
Score
Score
Validation
Validation
Validation
Validation
Antibodies
Data type
Column


  • SUMMARY

  • TISSUE

  • BRAIN

  • SINGLE CELL

  • SUBCELL

  • CANCER

  • BLOOD

  • CELL LINE

  • STRUCT & INT

  • TMEM86A
TISSUE PRIMARY DATA SKIN Show tissue menu
ADIPOSE TISSUE ADRENAL GLAND AMYGDALA APPENDIX BASAL GANGLIA BONE MARROW BREAST BRONCHUS CEREBELLUM CEREBRAL CORTEX CERVIX CHOROID PLEXUS COLON DUODENUM
ENDOMETRIUM EPIDIDYMIS ESOPHAGUS FALLOPIAN TUBE GALLBLADDER HEART MUSCLE HIPPOCAMPAL FORMATION HYPOTHALAMUS KIDNEY LIVER LUNG LYMPH NODE MIDBRAIN ORAL MUCOSA
OVARY PANCREAS PARATHYROID GLAND PITUITARY GLAND PLACENTA PROSTATE RECTUM RETINA SALIVARY GLAND SEMINAL VESICLE SKELETAL MUSCLE SKIN SMALL INTESTINE SMOOTH MUSCLE
SOFT TISSUE SPINAL CORD SPLEEN STOMACH TESTIS THYMUS THYROID GLAND TONGUE TONSIL URINARY BLADDER VAGINA
ANTIBODIES
AND
VALIDATION
Dictionary
Skin
Tissue proteome
Skin
SKIN - Expression summary
Protein expression
Skini

On the top, protein expression in current human tissue, based on all annotated cell types, is reported with the units not detected (n), low (l), medium (m) and high (h). Underneath, protein expression in each annotated cell type are reported using the same units.

Protein expression data is based on knowledge-based annotation. For genes where more than one antibody has been used, a collective score is set.

If knowledge-based annotation could not be performed for a gene, no data is displayed here. View antibody staining data further down this page.

h
m
l
n
Epidermal cells: Medium
Fibroblasts: Not detected
Keratinocytes: Medium
Langerhans: Not detected
Melanocytes: Not detected
RNA expressioni

A summary of mRNA expression data available for current tissue based on several datasets. The mRNA expression levels in human tissues are based on RNA-seq data generated by the Human Protein Atlas (HPA), Genotype-Tissue Expression (GTEx) portal and CAGE data generated by the FANTOM5 consortium. Consensus normalized expression levels for human tissues was created by combining the data from HPA and GTEx datasets.

The mRNA expression levels in pig are based on RNA-seq data generated by the Human Protein Atlas (HPA), and for mouse, HPA data and in situ hybridization generated by the Allen brain atlas are reported.

Scroll down to view mRNA expression data in more detail.
Consensus:17.1 nTPM
HPA:10.9 nTPM
GTEx:17.1 nTPM

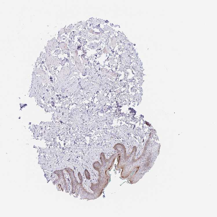
SKIN 1 - Antibody stainingi

Antibody staining in the annotated cell types in the current human tissue is reported as not detected, low, medium, or high, based on conventional immunohistochemistry profiling in selected tissues. This score is based on the combination of the staining intensity and fraction of stained cells.

Each image is clickable and will lead to virtual microscopy that enables deeper exploration of all samples and also displays staining intensity scores, fraction scores and subcellular localization as well as patient and tissue information for each sample.

Antibody HPA057119
Langerhans Not detected
Fibroblasts Not detected
Keratinocytes Medium
Melanocytes Not detected

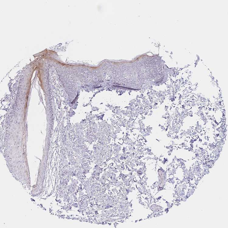
SKIN 2 - Antibody stainingi

Antibody staining in the annotated cell types in the current human tissue is reported as not detected, low, medium, or high, based on conventional immunohistochemistry profiling in selected tissues. This score is based on the combination of the staining intensity and fraction of stained cells.

Each image is clickable and will lead to virtual microscopy that enables deeper exploration of all samples and also displays staining intensity scores, fraction scores and subcellular localization as well as patient and tissue information for each sample.

Antibody HPA057119
Epidermal cells Medium
 
 
 



SKIN - HPA RNA-seqi

The RNA-seq details section shows detailed information about the individual samples used for the transcript profiling and results of the RNA-seq analysis.

Information about each individual sample is listed below, including gender, age, a tissue section image and estimated fractions of cell types. nTPM (normalized transcripts per million) values give a quantification of the gene abundance which is comparable between different genes and samples.
Average nTPMi

Max subtype nTPM is the value for the subtype with the largest average nTPM across the subtype samples.

10.9
overview
Female, age 34
Skin sample 225
nTPM: 13.2
Cell types%
Keratinocytes:
60

Other cell types:
40

overview
Female, age 30
Skin sample 226
nTPM: 11.7
Cell types%
Keratinocytes:
55

Other cell types:
45

N/A
Male, age 57
Skin sample 227
nTPM: 7.7

SKIN - GTEx RNA-seqi

RNA-Seq data generated by the Genotype-Tissue Expression (GTEx) project from human tissues is reported as mean nTPM. More information can be found on the GTEx portal.

Distribution across the dataset is visualized with box plots, shown as median and 25th and 75th percentiles. Points are displayed as outliers if they are above or below 1.5 times the interquartile range. nTPM values of the individual samples are presented next to the box plot.
Max subtype nTPMi

Max subtype nTPM is the value for the subtype with the largest average nTPM across the subtype samples.

17.1
GTEx sample id Sample description nTPM
Skin - Not Sun Exposed (Suprapubic)
Average nTPM: 12.2
Samples: 604

Max nTPM: 45.0
Min nTPM: 0.4
Std nTPM: 8.6
Median nTPM: 10.2
GTEX-WFG7-2026-SM-5SI7P 20-29 years, male 45.0
GTEX-1RMOY-1326-SM-E9TIH 50-59 years, male 43.1
GTEX-1H2FU-0926-SM-9WPPT 60-69 years, female 42.8
GTEX-14PJ3-1126-SM-5ZZVX 50-59 years, male 41.1
GTEX-ZP4G-1426-SM-4WWCL 20-29 years, female 41.1
GTEX-1N2DV-1526-SM-DTXEP 40-49 years, male 39.9
GTEX-ZY6K-1426-SM-5GZX2 50-59 years, male 39.7
GTEX-1GF9X-1326-SM-7PC2Y 40-49 years, female 39.3
GTEX-ZTX8-1326-SM-4YCEL 20-29 years, male 38.7
GTEX-1IKOE-1426-SM-CE6T7 30-39 years, female 38.7
GTEX-1HBPN-0126-SM-CGQEF 50-59 years, male 38.3
GTEX-13O61-1426-SM-5KM3D 60-69 years, male 37.7
GTEX-11NSD-0626-SM-5A5LU 20-29 years, male 37.5
GTEX-1PIGE-1826-SM-E8VOU 20-29 years, male 36.6
GTEX-1QP2A-1726-SM-E76QC 50-59 years, male 35.8
GTEX-ZLV1-1526-SM-DO91J 60-69 years, female 35.7
GTEX-1GZ4H-0526-SM-9KNU9 50-59 years, female 34.7
GTEX-1QPFJ-1926-SM-EVYBD 30-39 years, female 33.8
GTEX-111CU-1126-SM-5EGIM 50-59 years, male 33.5
GTEX-11P7K-1126-SM-5HL4L 30-39 years, male 32.7
GTEX-11LCK-2226-SM-5HL4Q 30-39 years, male 32.1
GTEX-ZT9X-1526-SM-5DUXD 40-49 years, male 31.8
GTEX-Y114-2126-SM-4TT8B 50-59 years, female 31.3
GTEX-ZDTT-0426-SM-4WKFL 60-69 years, male 30.8
GTEX-ZPCL-1126-SM-4WWFE 60-69 years, female 30.4
GTEX-1OJC3-1226-SM-DTXER 20-29 years, male 30.4
GTEX-1QP9N-1226-SM-E76QN 30-39 years, male 30.0
GTEX-WHPG-2626-SM-3NMBR 50-59 years, male 29.8
GTEX-11DXX-2126-SM-5PNYR 60-69 years, female 29.7
GTEX-14DAR-1226-SM-73KYV 50-59 years, male 29.7
GTEX-14PJN-1826-SM-6AJ98 30-39 years, male 29.4
GTEX-1PPH8-0126-SM-EWRN8 20-29 years, male 29.3
GTEX-14C5O-0326-SM-5ZZUX 60-69 years, male 29.1
GTEX-17F98-1326-SM-7DUEP 40-49 years, female 29.1
GTEX-1QCLY-0226-SM-EWRNH 30-39 years, male 28.9
GTEX-131XG-0326-SM-5L3DX 50-59 years, female 28.6
GTEX-WHSB-1326-SM-3LK6W 50-59 years, male 28.6
GTEX-1HCVE-2726-SM-CL54F 50-59 years, male 28.5
GTEX-1MJK3-0726-SM-E6CJC 20-29 years, male 28.5
GTEX-ZZPU-0826-SM-5GZX5 50-59 years, female 28.2
GTEX-18A67-1626-SM-7LT9T 50-59 years, male 27.7
GTEX-1HSMQ-2626-SM-A9SML 50-59 years, male 27.4
GTEX-1S3DN-2126-SM-E9TIN 50-59 years, male 27.1
GTEX-1I1GT-1026-SM-ARZLV 60-69 years, female 27.0
GTEX-1JMPY-0226-SM-CKZOK 30-39 years, male 27.0
GTEX-13FTW-0326-SM-5K7UW 40-49 years, male 26.8
GTEX-1B8KE-1126-SM-7EPHI 50-59 years, male 26.7
GTEX-14PJ4-0226-SM-5YY92 60-69 years, male 26.6
GTEX-1399S-0126-SM-5IJCF 30-39 years, female 26.4
GTEX-14PJ5-1526-SM-6LLIL 60-69 years, female 26.4
GTEX-16NGA-0726-SM-731AO 40-49 years, female 26.4
GTEX-ZAB4-2126-SM-5HL8U 40-49 years, male 26.3
GTEX-1R7EU-1626-SM-DTXG3 60-69 years, male 25.9
GTEX-1QP29-1826-SM-DTX9S 50-59 years, male 25.7
GTEX-1HSGN-0826-SM-ACKW3 40-49 years, female 25.6
GTEX-1IDJU-1726-SM-CMKHU 60-69 years, female 25.6
GTEX-131XF-2626-SM-5EQ6K 60-69 years, male 25.3
GTEX-17HHE-1326-SM-7EWDZ 50-59 years, male 25.2
GTEX-14E1K-2026-SM-7DUEI 50-59 years, male 25.1
GTEX-1AMEY-0826-SM-72D65 30-39 years, female 24.5
GTEX-1GL5R-1326-SM-7RHHF 50-59 years, male 24.5
GTEX-1RLM8-2926-SM-E8VON 50-59 years, male 24.5
GTEX-15ER7-0626-SM-6PANF 20-29 years, female 24.0
GTEX-WXYG-2026-SM-4E3IY 50-59 years, female 24.0
GTEX-1GN1U-0626-SM-9MQL9 50-59 years, female 24.0
GTEX-145MN-1526-SM-5SI9T 30-39 years, male 23.9
GTEX-111VG-1626-SM-5EGIO 60-69 years, male 23.8
GTEX-ZPU1-1126-SM-4YCF3 40-49 years, male 23.8
GTEX-18QFQ-1826-SM-72D52 30-39 years, male 23.7
GTEX-1MCC2-1826-SM-DIPEX 30-39 years, female 23.7
GTEX-13PDP-0726-SM-5L3HP 60-69 years, male 23.6
GTEX-XPVG-2126-SM-4B667 50-59 years, male 23.5
GTEX-1LGRB-0926-SM-COH3K 50-59 years, female 23.3
GTEX-14PHY-1226-SM-5ZZWK 60-69 years, female 23.2
GTEX-1F5PK-2226-SM-7SB6N 50-59 years, male 22.9
GTEX-13OVK-1426-SM-6PAN7 40-49 years, male 22.7
GTEX-1LSNM-0826-SM-DIPG8 50-59 years, male 22.5
GTEX-139YR-1026-SM-5LZYN 50-59 years, male 22.4
GTEX-YFCO-1226-SM-5LUAT 40-49 years, male 22.4
GTEX-1PBJJ-1026-SM-E76OS 30-39 years, male 22.3
GTEX-1R9PM-1926-SM-EVR3O 20-29 years, male 22.2
GTEX-16AAH-0626-SM-793C9 50-59 years, male 21.8
GTEX-1122O-1026-SM-9WYSF 60-69 years, female 21.8
GTEX-15RIE-1926-SM-7KUKJ 60-69 years, male 21.7
GTEX-15RIG-0726-SM-7KUM7 40-49 years, male 21.5
GTEX-1HCUA-0826-SM-ADEHM 50-59 years, female 21.4
GTEX-13FHO-0426-SM-5L3F5 60-69 years, male 21.3
GTEX-1F75I-2226-SM-7SB8U 40-49 years, male 21.2
GTEX-1JN76-0626-SM-CKZOQ 20-29 years, female 21.2
GTEX-1S83E-1326-SM-E6CJM 40-49 years, male 21.2
GTEX-17KNJ-2126-SM-718AM 50-59 years, male 20.9
GTEX-13FTX-1526-SM-5K7VJ 20-29 years, female 20.7
GTEX-14AS3-1526-SM-5Q5ED 40-49 years, female 20.7
GTEX-1K2DA-1026-SM-CGQGF 50-59 years, male 20.7
GTEX-ZVZP-1226-SM-5GID7 50-59 years, male 20.6
GTEX-1KXAM-1626-SM-D3LAD 60-69 years, male 20.6
GTEX-14B4R-1326-SM-5Q5EZ 30-39 years, male 20.5
GTEX-111YS-1526-SM-5GZYW 60-69 years, male 20.4
GTEX-XBEW-1126-SM-4QARW 40-49 years, male 20.2
GTEX-1AMFI-1326-SM-7939R 50-59 years, female 20.0
GTEX-Y3IK-1626-SM-4YCF5 50-59 years, female 20.0
GTEX-1HCU7-0726-SM-A9SL1 50-59 years, male 20.0
GTEX-ZGAY-1826-SM-DO91Q 40-49 years, female 19.9
GTEX-ZVP2-0326-SM-57WBP 50-59 years, male 19.8
GTEX-15RJ7-2126-SM-6PAMD 40-49 years, male 19.7
GTEX-11ZTT-2126-SM-5CVLO 60-69 years, female 19.6
GTEX-15FZZ-0526-SM-7KUGD 30-39 years, female 19.6
GTEX-ZVT2-0126-SM-5GIDQ 50-59 years, female 19.5
GTEX-12C56-1526-SM-5FQUQ 20-29 years, male 19.3
GTEX-14PII-0726-SM-6EU2B 60-69 years, male 19.3
GTEX-17F9Y-0126-SM-79OKX 70-79 years, female 19.2
GTEX-1CAMS-2226-SM-7PBXQ 40-49 years, female 19.2
GTEX-Y8E4-2026-SM-5IFJB 40-49 years, male 19.0
GTEX-11WQC-1826-SM-5GU59 60-69 years, male 18.9
GTEX-1HC8U-1326-SM-9YFMJ 40-49 years, female 18.9
GTEX-12WSJ-1126-SM-5LZVJ 40-49 years, female 18.8
GTEX-1NSGN-0726-SM-DTXEF 50-59 years, male 18.8
GTEX-1CAMR-1326-SM-7PC1F 20-29 years, male 18.6
GTEX-16MTA-0926-SM-6M47Z 50-59 years, male 18.5
GTEX-WY7C-2126-SM-3NB2R 50-59 years, male 18.5
GTEX-14JG6-1426-SM-9WG7C 30-39 years, female 18.5
GTEX-17HII-1426-SM-7EPGG 50-59 years, male 18.4
GTEX-Y8LW-1526-SM-5IFHL 50-59 years, female 18.4
GTEX-18A66-0626-SM-7LT8Z 60-69 years, male 18.2
GTEX-X5EB-1926-SM-4E3IW 40-49 years, male 18.1
GTEX-Y3I4-1726-SM-4TT89 50-59 years, male 18.1
GTEX-13OW5-2326-SM-5L3HO 60-69 years, male 18.0
GTEX-X3Y1-2026-SM-3P5YM 40-49 years, male 18.0
GTEX-131YS-2826-SM-5EQ47 60-69 years, female 17.8
GTEX-1C2JI-1026-SM-73KY1 50-59 years, male 17.8
GTEX-UPJH-0226-SM-3GADV 50-59 years, male 17.7
GTEX-12WSH-1526-SM-5BC5W 50-59 years, male 17.6
GTEX-1LVAM-0726-SM-E6CIL 50-59 years, female 17.4
GTEX-13D11-0926-SM-5J2NC 50-59 years, female 17.3
GTEX-1497J-0226-SM-5QGPU 60-69 years, male 17.2
GTEX-14PKU-0126-SM-6LLHV 40-49 years, female 17.2
GTEX-1C64O-1326-SM-7MGWR 60-69 years, male 17.2
GTEX-11P81-2226-SM-5PNYI 30-39 years, female 17.1
GTEX-1IDJF-2026-SM-CL53V 20-29 years, male 17.1
GTEX-1F52S-2926-SM-7MKGA 60-69 years, female 17.0
GTEX-YEC4-1826-SM-4W1YP 40-49 years, male 17.0
GTEX-1QP28-1126-SM-EVYC4 50-59 years, female 17.0
GTEX-14PHX-2226-SM-6EU2P 50-59 years, male 16.8
GTEX-1K2DU-1226-SM-CYPT4 20-29 years, male 16.7
GTEX-1399U-1126-SM-5L3DB 50-59 years, female 16.6
GTEX-18D9A-1426-SM-7LT8M 30-39 years, female 16.5
GTEX-1KAFJ-0126-SM-DIPEK 50-59 years, male 16.5
GTEX-1LBAC-0826-SM-CY8IJ 20-29 years, male 16.5
GTEX-14C39-1726-SM-5RQIL 40-49 years, male 16.4
GTEX-18D9U-0126-SM-731BM 40-49 years, male 16.4
GTEX-ZZ64-1026-SM-5GZXG 20-29 years, male 16.4
GTEX-1H11D-1826-SM-9QEHM 40-49 years, male 16.4
GTEX-WYVS-1626-SM-3NM9R 40-49 years, female 16.3
GTEX-1HSKV-1226-SM-ADEI4 60-69 years, male 16.3
GTEX-17F96-0126-SM-7EWDU 70-79 years, male 16.2
GTEX-ZDYS-2426-SM-4WKGI 50-59 years, male 16.2
GTEX-1HFI7-2326-SM-CGQFS 50-59 years, female 16.2
GTEX-W5X1-2526-SM-3GILC 40-49 years, female 16.0
GTEX-WEY5-2326-SM-3GIKK 40-49 years, female 16.0
GTEX-1S82P-2126-SM-E6CI5 60-69 years, female 16.0
GTEX-11DZ1-2426-SM-5GZZX 50-59 years, male 15.9
GTEX-13N11-2326-SM-5IJBF 50-59 years, female 15.9
GTEX-14ICL-1626-SM-5YYAO 30-39 years, male 15.9
GTEX-1HSMP-0926-SM-A9SKX 70-79 years, male 15.9
GTEX-15CHC-1126-SM-6LLHQ 60-69 years, female 15.8
GTEX-XYKS-1426-SM-4BRUO 60-69 years, female 15.8
GTEX-1RAZS-2526-SM-E6CHT 50-59 years, male 15.8
GTEX-12ZZY-0726-SM-5EQ66 60-69 years, male 15.7
GTEX-13X6I-1826-SM-5SIAO 60-69 years, male 15.7
GTEX-XUW1-0926-SM-4BONX 50-59 years, female 15.7
GTEX-1JK1U-0226-SM-ARZMX 60-69 years, male 15.7
GTEX-178AV-1726-SM-7KUL8 40-49 years, male 15.6
GTEX-1EU9M-1426-SM-793AI 60-69 years, male 15.6
GTEX-13PVR-0426-SM-5RQK2 60-69 years, female 15.5
GTEX-12WSD-0626-SM-5GCMW 60-69 years, female 15.4
GTEX-1J1R8-2026-SM-CL53Y 40-49 years, male 15.4
GTEX-1RAZQ-1326-SM-E9TK6 30-39 years, male 15.4
GTEX-YEC3-1326-SM-DO92X 50-59 years, male 15.4
GTEX-ZTSS-1426-SM-5985P 40-49 years, male 15.3
GTEX-1F6RS-2026-SM-7RHHC 60-69 years, female 15.3
GTEX-1GMR2-0826-SM-7PC3V 50-59 years, male 15.3
GTEX-147F3-1726-SM-5SIAW 50-59 years, female 15.2
GTEX-1A3MV-1826-SM-731CD 30-39 years, male 15.2
GTEX-ZC5H-1526-SM-5HL9Y 40-49 years, female 15.2
GTEX-1RAZR-2126-SM-E9U6T 40-49 years, male 15.2
GTEX-14PJ6-2626-SM-6EU2T 60-69 years, female 14.8
GTEX-1CB4J-1326-SM-7P8RX 60-69 years, male 14.8
GTEX-1JMQJ-0826-SM-CNPP7 50-59 years, male 14.8
GTEX-11DXZ-2026-SM-5987S 50-59 years, male 14.7
GTEX-13IVO-0726-SM-5LZYV 70-79 years, male 14.7
GTEX-ZF29-0926-SM-4WKFZ 60-69 years, female 14.7
GTEX-183FY-1026-SM-7939A 20-29 years, male 14.6
GTEX-14PK6-0226-SM-62LF5 70-79 years, female 14.5
GTEX-1KANC-1226-SM-CYPT7 50-59 years, female 14.5
GTEX-144GM-0526-SM-79OJO 20-29 years, male 14.4
GTEX-11EQ9-1626-SM-5PNY8 30-39 years, male 14.3
GTEX-133LE-2326-SM-5K7W3 20-29 years, female 14.3
GTEX-ZA64-1026-SM-5HL8R 20-29 years, male 14.3
GTEX-1GF9V-0826-SM-9KNUV 60-69 years, male 14.3
GTEX-12ZZX-2426-SM-5GCOE 40-49 years, female 14.2
GTEX-145LT-0526-SM-5LUB2 40-49 years, male 14.2
GTEX-11VI4-1126-SM-5EQMD 40-49 years, female 14.1
GTEX-Y9LG-1126-SM-4VBQ7 30-39 years, male 14.1
GTEX-1MCYP-0526-SM-E9U6Q 20-29 years, female 14.1
GTEX-1192X-2726-SM-5N9DN 50-59 years, male 14.0
GTEX-1CB4F-1026-SM-7DUH1 60-69 years, male 14.0
GTEX-17F97-2626-SM-7IGM5 50-59 years, male 13.9
GTEX-1OJC4-2726-SM-E76PJ 50-59 years, female 13.9
GTEX-1PPGY-1626-SM-EVYBL 60-69 years, male 13.9
GTEX-1S831-1826-SM-EWROF 20-29 years, male 13.7
GTEX-15CHR-1126-SM-7EWF4 50-59 years, male 13.6
GTEX-ZLFU-1826-SM-4WWBV 40-49 years, male 13.6
GTEX-ZLWG-0826-SM-59888 50-59 years, female 13.5
GTEX-1R46S-2426-SM-E76QA 60-69 years, female 13.5
GTEX-XQ8I-0926-SM-4BOOF 50-59 years, male 13.4
GTEX-1HGF4-0126-SM-CNPPX 60-69 years, male 13.3
GTEX-1LVAN-0626-SM-CNPOQ 50-59 years, female 13.3
GTEX-ZPIC-0526-SM-DO91W 40-49 years, female 13.3
GTEX-ZF2S-1626-SM-57WES 50-59 years, female 13.2
GTEX-17F9E-2326-SM-79OKD 50-59 years, male 13.1
GTEX-1JJ6O-2726-SM-CNPOG 60-69 years, male 13.0
GTEX-YECK-0326-SM-4W1YS 60-69 years, male 12.8
GTEX-1HB9E-0126-SM-CM2S5 50-59 years, male 12.8
GTEX-11EQ8-0926-SM-5H12V 60-69 years, male 12.7
GTEX-VJYA-1526-SM-3GIJV 60-69 years, male 12.7
GTEX-WHWD-1826-SM-3LK6I 50-59 years, male 12.7
GTEX-XAJ8-1426-SM-47JYM 40-49 years, male 12.7
GTEX-144GL-0626-SM-5LU4D 50-59 years, male 12.6
GTEX-ZTTD-2826-SM-4YCFA 50-59 years, male 12.6
GTEX-11P82-1426-SM-DTXFY 20-29 years, male 12.6
GTEX-1CAMQ-1326-SM-7P8RV 40-49 years, male 12.5
GTEX-13PL6-1126-SM-5L3IE 40-49 years, female 12.4
GTEX-13X6H-0926-SM-5SIB2 50-59 years, female 12.4
GTEX-1GN1W-2426-SM-9KNUU 50-59 years, female 12.4
GTEX-WH7G-2026-SM-3NMBL 40-49 years, male 12.3
GTEX-1LB8K-0726-SM-D5OV2 50-59 years, male 12.3
GTEX-1HBPI-2126-SM-ARL9K 50-59 years, male 12.2
GTEX-1NV5F-0626-SM-DTXEG 60-69 years, female 12.2
GTEX-1H1E6-0426-SM-9WYUS 30-39 years, male 12.1
GTEX-WYJK-0526-SM-3NM8Z 50-59 years, male 12.0
GTEX-XXEK-1626-SM-4BRUZ 50-59 years, male 12.0
GTEX-ZE7O-2726-SM-51MT5 50-59 years, female 12.0
GTEX-ZVT4-2426-SM-5GIEI 50-59 years, female 12.0
GTEX-1KANB-2826-SM-CY8I6 50-59 years, male 12.0
GTEX-16BQI-1326-SM-6M486 30-39 years, female 11.9
GTEX-1AYD5-2626-SM-7PBXY 50-59 years, male 11.9
GTEX-V1D1-2026-SM-3GAF4 50-59 years, male 11.8
GTEX-1PPH7-1126-SM-DTX9A 40-49 years, male 11.8
GTEX-14PKV-1126-SM-6LLJ1 20-29 years, female 11.7
GTEX-15UF6-1926-SM-7KUDV 70-79 years, female 11.7
GTEX-XBED-1926-SM-47JYP 60-69 years, male 11.7
GTEX-1F5PL-0926-SM-7PC2W 40-49 years, female 11.7
GTEX-13QJC-0126-SM-5ZZWJ 60-69 years, female 11.6
GTEX-1S5ZU-2526-SM-E6CIF 20-29 years, female 11.6
GTEX-13OVJ-0826-SM-5J1OK 50-59 years, female 11.5
GTEX-13W3W-0726-SM-5IJDQ 60-69 years, female 11.5
GTEX-17MFQ-1526-SM-7KFRR 20-29 years, male 11.5
GTEX-1B97I-0626-SM-73KUZ 40-49 years, male 11.5
GTEX-1GTWX-2026-SM-9YFLM 60-69 years, male 11.5
GTEX-11GS4-0226-SM-5HL77 60-69 years, male 11.3
GTEX-1H1DE-1326-SM-9KNUG 20-29 years, male 11.3
GTEX-1JMOU-1026-SM-CYPSS 60-69 years, female 11.3
GTEX-13SLW-0626-SM-5Q5ER 70-79 years, male 11.2
GTEX-18A6Q-0626-SM-7KFRP 60-69 years, male 11.2
GTEX-1CB4E-0926-SM-7EPHT 60-69 years, male 11.2
GTEX-1JKYR-0626-SM-ARL8R 20-29 years, male 11.2
GTEX-1JMLX-0626-SM-ARL8T 50-59 years, male 11.2
GTEX-11GSP-2326-SM-5HL63 60-69 years, female 11.1
GTEX-147GR-2426-SM-5ZZWQ 60-69 years, male 11.1
GTEX-15SKB-2826-SM-6PAMH 60-69 years, male 11.1
GTEX-1B8SF-0126-SM-7DUG3 60-69 years, male 11.1
GTEX-1I6K7-1926-SM-B2LXR 40-49 years, male 11.1
GTEX-1R9PN-0426-SM-DTXDT 40-49 years, female 11.1
GTEX-1211K-1526-SM-5FQU4 60-69 years, female 11.0
GTEX-13VXT-1926-SM-5K7UO 20-29 years, female 11.0
GTEX-145MH-2826-SM-5RQJF 50-59 years, male 11.0
GTEX-1EWIQ-0326-SM-7DHMQ 70-79 years, female 11.0
GTEX-WFON-1926-SM-3LK7L 40-49 years, male 11.0
GTEX-13FTY-2126-SM-5IFFB 40-49 years, female 10.9
GTEX-1CB4H-1126-SM-7MKGL 60-69 years, female 10.9
GTEX-X4EP-0626-SM-3P621 60-69 years, female 10.9
GTEX-1PIIG-2326-SM-DTXFR 30-39 years, male 10.9
GTEX-1IKJJ-2226-SM-CJI4C 60-69 years, male 10.8
GTEX-12ZZZ-0726-SM-5GCNZ 60-69 years, male 10.7
GTEX-13113-1626-SM-5EQ4I 60-69 years, female 10.7
GTEX-145MG-1526-SM-5Q5EM 50-59 years, male 10.7
GTEX-ZXG5-2126-SM-59HKD 60-69 years, male 10.7
GTEX-1C475-1326-SM-7SB73 40-49 years, female 10.7
GTEX-1KD5A-0126-SM-E9U54 50-59 years, male 10.7
GTEX-13G51-1826-SM-5KLZH 60-69 years, male 10.6
GTEX-1IDJD-2326-SM-ACKWX 30-39 years, male 10.6
GTEX-1J8EW-2726-SM-CY8HR 60-69 years, female 10.6
GTEX-139TU-0726-SM-5L3EK 60-69 years, male 10.5
GTEX-1B8L1-2226-SM-7P8PT 60-69 years, male 10.5
GTEX-1ICG6-1226-SM-A9SLN 70-79 years, female 10.5
GTEX-12WSM-1926-SM-5BC65 60-69 years, male 10.4
GTEX-11ZU8-0126-SM-5EQ58 60-69 years, male 10.3
GTEX-1313W-0626-SM-5EQ4H 50-59 years, female 10.3
GTEX-Z93S-1626-SM-5CVMB 50-59 years, male 10.3
GTEX-1C6VR-0126-SM-7RHGB 60-69 years, male 10.2
GTEX-1GN2E-0226-SM-9WG6K 60-69 years, male 10.2
GTEX-1IE54-1126-SM-A9G2Z 40-49 years, female 10.2
GTEX-17HGU-2326-SM-7DUFE 50-59 years, male 10.1
GTEX-1I1GV-0626-SM-ARL7M 60-69 years, male 10.1
GTEX-1IY9M-2826-SM-ARU8H 60-69 years, male 10.1
GTEX-1KWVE-1026-SM-D3L9O 30-39 years, male 10.1
GTEX-12WSK-2126-SM-5CVNC 40-49 years, female 10.0
GTEX-1C6WA-2626-SM-7MKGM 60-69 years, male 10.0
GTEX-ZT9W-1126-SM-57WDR 50-59 years, male 10.0
GTEX-1JKYN-0826-SM-ARU8S 30-39 years, male 10.0
GTEX-146FQ-2126-SM-5RQHU 30-39 years, male 9.9
GTEX-14BMU-1226-SM-5S2OR 20-29 years, female 9.9
GTEX-ZWKS-0626-SM-5GIDV 30-39 years, male 9.9
GTEX-1GF9W-1426-SM-7PBYM 60-69 years, male 9.8
GTEX-1PDJ9-1226-SM-EXUSX 20-29 years, male 9.8
GTEX-13SLX-2226-SM-62LEP 50-59 years, female 9.7
GTEX-15RJE-2826-SM-7KUM9 40-49 years, male 9.7
GTEX-1I4MK-0126-SM-CY8G6 50-59 years, female 9.7
GTEX-1RAZA-2226-SM-E9U4X 20-29 years, male 9.7
GTEX-12BJ1-0926-SM-5EQ62 60-69 years, male 9.6
GTEX-1B8KZ-0326-SM-73KY4 50-59 years, male 9.5
GTEX-Y5V5-0126-SM-5S2NW 60-69 years, female 9.5
GTEX-1EMGI-2326-SM-7PBYA 60-69 years, male 9.5
GTEX-1GPI7-1826-SM-9KNU1 20-29 years, male 9.5
GTEX-1IDJE-1426-SM-ADEIW 50-59 years, female 9.5
GTEX-139T8-0626-SM-5KLZX 60-69 years, male 9.4
GTEX-1477Z-0326-SM-7IGLA 60-69 years, male 9.4
GTEX-XBEC-0726-SM-4QARZ 50-59 years, male 9.4
GTEX-1QCLZ-2426-SM-EVYBW 60-69 years, female 9.4
GTEX-11TUW-0626-SM-5LU9M 60-69 years, male 9.3
GTEX-139D8-1126-SM-5LU8W 30-39 years, female 9.3
GTEX-X4EO-2926-SM-4E3JH 60-69 years, female 9.3
GTEX-1GN73-0726-SM-7P8TJ 60-69 years, male 9.3
GTEX-13NZ9-2626-SM-5L3FK 50-59 years, male 9.2
GTEX-1AX9I-2226-SM-73KUO 60-69 years, male 9.2
GTEX-1F6I4-2326-SM-7RHGL 60-69 years, male 9.2
GTEX-1J8Q2-2626-SM-ACKWQ 60-69 years, male 9.2
GTEX-1LVAO-2726-SM-E9TJ8 60-69 years, male 9.2
GTEX-11EM3-1226-SM-5N9DD 20-29 years, female 9.1
GTEX-1F75A-0726-SM-7RHHD 50-59 years, male 9.1
GTEX-1H1ZS-2726-SM-9WG75 70-79 years, male 9.1
GTEX-1QEPI-2626-SM-DTXF4 60-69 years, female 9.1
GTEX-13OW6-2726-SM-5J2OE 50-59 years, male 8.9
GTEX-14753-0726-SM-5QGQO 60-69 years, male 8.9
GTEX-16NPX-0726-SM-7KULC 50-59 years, male 8.9
GTEX-Y111-0626-SM-4SOIT 50-59 years, male 8.9
GTEX-12WSC-2826-SM-5BC5Y 50-59 years, male 8.6
GTEX-13NYS-0626-SM-5L3F1 60-69 years, male 8.6
GTEX-ZDTS-0826-SM-4WKHL 60-69 years, male 8.6
GTEX-18D9B-0926-SM-7LG4U 60-69 years, male 8.5
GTEX-1AX9J-1326-SM-731BJ 60-69 years, male 8.5
GTEX-ZVE2-2826-SM-5GU51 50-59 years, male 8.5
GTEX-ZYFG-1526-SM-5GZYM 60-69 years, female 8.5
GTEX-1ICLZ-0326-SM-ARL82 60-69 years, male 8.5
GTEX-1KANA-1326-SM-DIPFA 20-29 years, male 8.5
GTEX-1N2EE-0626-SM-E76PW 60-69 years, male 8.5
GTEX-12WSL-2026-SM-5GCML 50-59 years, male 8.4
GTEX-1A8G7-1326-SM-73KVM 60-69 years, male 8.4
GTEX-1AX8Z-0726-SM-73KTS 60-69 years, male 8.4
GTEX-1I6K6-1726-SM-CGQFD 30-39 years, male 8.4
GTEX-15EO6-2426-SM-6PALZ 50-59 years, male 8.3
GTEX-1CB4I-0126-SM-7RHGG 50-59 years, male 8.3
GTEX-XV7Q-1826-SM-4BRUV 40-49 years, female 8.2
GTEX-ZE9C-2526-SM-5IJDR 60-69 years, male 8.2
GTEX-1H4P4-2126-SM-9WYSL 50-59 years, male 8.2
GTEX-1JMQK-1226-SM-D4P2S 60-69 years, male 8.2
GTEX-12KS4-2126-SM-5FQUT 30-39 years, male 8.1
GTEX-145ME-1726-SM-5Q5EU 40-49 years, female 8.1
GTEX-15SHW-0226-SM-7LTAT 60-69 years, male 8.1
GTEX-18A7A-0126-SM-731AH 50-59 years, female 8.1
GTEX-Y5LM-0926-SM-6LLJG 40-49 years, female 8.1
GTEX-ZAK1-0626-SM-5HL8E 50-59 years, female 8.1
GTEX-1HCU9-0426-SM-9WYSD 20-29 years, male 8.1
GTEX-1I1GS-2626-SM-B2LY3 60-69 years, male 8.1
GTEX-1J1OQ-0126-SM-D4P2N 40-49 years, female 8.0
GTEX-1QAET-0326-SM-EVR3U 50-59 years, male 8.0
GTEX-117YX-1926-SM-5GIEC 50-59 years, male 7.9
GTEX-1212Z-0126-SM-59HK4 60-69 years, male 7.9
GTEX-VUSG-2326-SM-4KL1U 50-59 years, male 7.9
GTEX-Y5V6-2326-SM-4VDSA 60-69 years, male 7.9
GTEX-1N5O9-0926-SM-E9J3C 60-69 years, male 7.9
GTEX-ZF3C-0626-SM-DO92O 50-59 years, female 7.9
GTEX-1117F-2926-SM-5GZYI 60-69 years, female 7.8
GTEX-1269C-0126-SM-5EQ5L 60-69 years, female 7.8
GTEX-13FH7-1126-SM-5K7UG 50-59 years, female 7.8
GTEX-14PJO-2526-SM-6AJBQ 60-69 years, male 7.8
GTEX-1F48J-0726-SM-7RHGS 50-59 years, female 7.8
GTEX-1K9T9-1526-SM-DIPFR 50-59 years, female 7.8
GTEX-131XW-0626-SM-5PNVD 50-59 years, female 7.7
GTEX-1EX96-1026-SM-7MKG2 50-59 years, male 7.7
GTEX-1R9K4-2826-SM-DTX8F 60-69 years, male 7.7
GTEX-12696-0126-SM-5EQ4L 60-69 years, male 7.6
GTEX-13OVG-1626-SM-5J1NF 60-69 years, male 7.6
GTEX-1C64N-2626-SM-7PC2N 50-59 years, male 7.6
GTEX-1F75B-0726-SM-7PC3R 50-59 years, male 7.6
GTEX-1QW4Y-1126-SM-DTXE3 30-39 years, male 7.6
GTEX-11O72-0626-SM-5PNYE 40-49 years, male 7.5
GTEX-147F4-0726-SM-5TDDD 50-59 years, male 7.5
GTEX-1GPI6-1926-SM-9KNV7 60-69 years, male 7.5
GTEX-1LKK1-2626-SM-DKPQE 50-59 years, female 7.5
GTEX-13FLV-0126-SM-5K7WT 50-59 years, male 7.4
GTEX-16YQH-2226-SM-7IGM2 30-39 years, male 7.4
GTEX-YB5K-2026-SM-4VDT3 40-49 years, female 7.4
GTEX-1LSNL-2726-SM-E9TKJ 50-59 years, male 7.4
GTEX-13YAN-0226-SM-5TDC6 60-69 years, male 7.3
GTEX-14E6E-0526-SM-793DN 30-39 years, male 7.3
GTEX-1J8QM-2426-SM-A9SLS 60-69 years, female 7.2
GTEX-1POEN-2326-SM-E9J2L 30-39 years, female 7.2
GTEX-1314G-1326-SM-5BC6E 30-39 years, male 7.1
GTEX-13N2G-0226-SM-5K7VF 60-69 years, male 7.1
GTEX-15CHQ-0326-SM-69LQD 60-69 years, male 7.1
GTEX-1HBPM-0726-SM-9YFL7 60-69 years, female 7.1
GTEX-17EVP-2626-SM-7IGMA 40-49 years, male 7.0
GTEX-ZYY3-2926-SM-5GIEB 60-69 years, female 7.0
GTEX-13OW7-0426-SM-5K7VK 50-59 years, male 6.9
GTEX-14A6H-2026-SM-5Q5DD 30-39 years, male 6.9
GTEX-WI4N-2726-SM-3LK7Y 40-49 years, female 6.9
GTEX-1I1GU-0926-SM-ACKVS 40-49 years, male 6.9
GTEX-1IDJI-0126-SM-CMKHS 50-59 years, female 6.9
GTEX-15DYW-2726-SM-6EU2I 60-69 years, female 6.8
GTEX-YJ8O-2526-SM-5HL85 40-49 years, female 6.7
GTEX-139TT-2126-SM-5LZWC 60-69 years, male 6.6
GTEX-16MT8-2926-SM-7DUFO 60-69 years, female 6.6
GTEX-13NYB-0126-SM-5J1MD 40-49 years, male 6.5
GTEX-13O3O-2326-SM-5IJD6 60-69 years, female 6.5
GTEX-1EKGG-0626-SM-7DUGJ 60-69 years, male 6.5
GTEX-1GZ4I-2626-SM-9KNU3 50-59 years, male 6.5
GTEX-1JJE9-2626-SM-ARZMT 70-79 years, male 6.5
GTEX-13U4I-2226-SM-5LU5H 40-49 years, female 6.4
GTEX-145LS-0626-SM-7EPG7 60-69 years, female 6.4
GTEX-ZAJG-1526-SM-5CVML 50-59 years, female 6.4
GTEX-13X6K-0626-SM-5LU5D 60-69 years, female 6.3
GTEX-14ABY-2026-SM-62LDL 50-59 years, male 6.3
GTEX-14BIN-1126-SM-5RQJZ 50-59 years, female 6.3
GTEX-WFG8-2126-SM-3GIKQ 20-29 years, male 6.3
GTEX-1LG7Z-1626-SM-CXKYR 30-39 years, male 6.3
GTEX-1LGOU-1326-SM-D3L8M 20-29 years, female 6.3
GTEX-13QBU-1226-SM-5LU4G 40-49 years, female 6.2
GTEX-15EU6-2226-SM-6EU2L 50-59 years, male 6.2
GTEX-1HKZK-0726-SM-ACKW2 40-49 years, male 6.2
GTEX-1IDJV-0126-SM-COH3Y 60-69 years, male 6.2
GTEX-11UD2-2526-SM-5CVNU 50-59 years, male 6.1
GTEX-18465-2826-SM-7LT9J 50-59 years, male 6.1
GTEX-13112-0126-SM-5P9IU 50-59 years, male 6.0
GTEX-15G1A-1626-SM-7KUKN 30-39 years, male 6.0
GTEX-1EH9U-2826-SM-7DUGT 60-69 years, male 6.0
GTEX-X8HC-0626-SM-4E3HQ 50-59 years, female 6.0
GTEX-YF7O-1526-SM-5IFI6 50-59 years, male 6.0
GTEX-1H23P-0626-SM-9WG6T 60-69 years, male 6.0
GTEX-1JMQI-1726-SM-ARL93 50-59 years, male 6.0
GTEX-1M4P7-0726-SM-E6CJ3 60-69 years, male 6.0
GTEX-14JFF-0626-SM-5ZZVT 60-69 years, male 5.9
GTEX-1GMR3-0126-SM-A9SLW 40-49 years, male 5.9
GTEX-11DXY-0126-SM-5H11Q 60-69 years, male 5.8
GTEX-12584-0726-SM-5FQTK 40-49 years, male 5.8
GTEX-1B996-0426-SM-7EWF8 60-69 years, male 5.8
GTEX-1F88F-0126-SM-9WYSZ 60-69 years, female 5.8
GTEX-1GMR8-0626-SM-7RHI7 50-59 years, female 5.8
GTEX-1H3NZ-2726-SM-9WYTQ 60-69 years, male 5.8
GTEX-1JJEA-1826-SM-ARU8P 60-69 years, male 5.8
GTEX-11EI6-2826-SM-5H11D 60-69 years, male 5.7
GTEX-13O3Q-0126-SM-5KM34 50-59 years, male 5.7
GTEX-13PVQ-0626-SM-5LU47 50-59 years, male 5.7
GTEX-1B932-2326-SM-79OL5 40-49 years, female 5.7
GTEX-1C6VQ-1226-SM-73KYD 50-59 years, male 5.7
GTEX-1GMRU-2126-SM-7P8RA 50-59 years, male 5.7
GTEX-11TT1-1826-SM-5EQLV 20-29 years, male 5.6
GTEX-1EN7A-2426-SM-793DB 40-49 years, male 5.6
GTEX-XOT4-0626-SM-4B66L 60-69 years, female 5.6
GTEX-1ICLY-0826-SM-CMKG1 50-59 years, male 5.6
GTEX-1J8Q3-0526-SM-ARL8U 60-69 years, male 5.6
GTEX-12WSA-0426-SM-5EQ5X 60-69 years, male 5.5
GTEX-XK95-0226-SM-4AT58 40-49 years, male 5.5
GTEX-1QMI2-2526-SM-E8VNZ 60-69 years, male 5.5
GTEX-16Z82-2626-SM-7KULU 60-69 years, male 5.4
GTEX-17HHY-0426-SM-7DHLC 50-59 years, male 5.4
GTEX-1RB15-1326-SM-E76Q9 60-69 years, male 5.4
GTEX-12WSF-1626-SM-7KUG5 70-79 years, male 5.3
GTEX-1B933-2426-SM-7DHMD 50-59 years, female 5.3
GTEX-11OF3-0126-SM-5PNYF 60-69 years, male 5.2
GTEX-14E6C-2426-SM-5S2NF 40-49 years, male 5.2
GTEX-UPK5-0426-SM-3GAEK 40-49 years, male 5.2
GTEX-1GZHY-0626-SM-9KNVC 50-59 years, female 5.2
GTEX-1HCU6-2526-SM-ADEHL 60-69 years, female 5.2
GTEX-14DAQ-0626-SM-793DS 60-69 years, female 5.0
GTEX-15D1Q-2826-SM-6LLH7 40-49 years, male 5.0
GTEX-1HR9M-2226-SM-CNPPY 60-69 years, male 5.0
GTEX-1JMPZ-0726-SM-CY8HZ 30-39 years, male 5.0
GTEX-1JN6P-2926-SM-CL54D 60-69 years, male 5.0
GTEX-1HCU8-2526-SM-CE6RX 60-69 years, female 4.9
GTEX-1I1HK-2326-SM-CKZOH 60-69 years, male 4.9
GTEX-13NZ8-1226-SM-5KM4A 60-69 years, female 4.8
GTEX-147JS-0226-SM-5S2U9 60-69 years, male 4.8
GTEX-17MF6-2626-SM-79OKQ 40-49 years, male 4.8
GTEX-1BAJH-2426-SM-7IGP8 70-79 years, male 4.8
GTEX-1S82U-1026-SM-E6CJK 30-39 years, female 4.8
GTEX-145LU-1926-SM-79OJN 50-59 years, male 4.7
GTEX-1IDJC-1526-SM-B2LW4 50-59 years, male 4.7
GTEX-12126-0826-SM-5FQTZ 20-29 years, male 4.6
GTEX-145MI-0626-SM-5SI8S 60-69 years, female 4.6
GTEX-WYBS-0626-SM-3NMAS 60-69 years, female 4.6
GTEX-ZYFC-0426-SM-5GICQ 50-59 years, male 4.6
GTEX-1I1GP-1326-SM-A9G28 50-59 years, male 4.5
GTEX-1399Q-2326-SM-5KM2X 40-49 years, male 4.4
GTEX-13OW8-1026-SM-5J1NQ 60-69 years, male 4.4
GTEX-18A7B-2726-SM-7LG56 70-79 years, male 4.4
GTEX-WHSE-0126-SM-3NMBT 20-29 years, male 4.4
GTEX-X585-2426-SM-46MW2 50-59 years, male 4.4
GTEX-1IOXB-2726-SM-CM2RI 50-59 years, male 4.4
GTEX-1JN1M-2726-SM-CY8I4 60-69 years, female 4.4
GTEX-14PJ2-0626-SM-6LLII 50-59 years, male 4.3
GTEX-1HT8W-0626-SM-A9G2H 30-39 years, male 4.3
GTEX-1O9I2-0226-SM-EYYXD 50-59 years, male 4.3
GTEX-17JCI-2926-SM-7DUFF 60-69 years, female 4.2
GTEX-11NUK-2726-SM-5A5MC 50-59 years, male 4.1
GTEX-1399R-1326-SM-5PNYS 30-39 years, male 4.1
GTEX-13N1W-2426-SM-5IJD1 70-79 years, male 4.1
GTEX-1A3MW-0626-SM-731CB 60-69 years, female 4.1
GTEX-XMD2-2126-SM-4YCF8 60-69 years, female 4.1
GTEX-1L5NE-1126-SM-D3L9P 50-59 years, male 4.1
GTEX-139UW-0326-SM-5J1ML 60-69 years, male 4.0
GTEX-13JUV-2026-SM-5K7UA 40-49 years, female 4.0
GTEX-WRHU-2826-SM-3MJG8 50-59 years, female 4.0
GTEX-1QP66-1226-SM-DTX7U 50-59 years, male 4.0
GTEX-132AR-0326-SM-5KM2C 50-59 years, female 3.9
GTEX-145MO-2826-SM-5LU96 60-69 years, male 3.9
GTEX-14BMV-2826-SM-5TDED 50-59 years, male 3.7
GTEX-U8XE-0226-SM-4E3J3 30-39 years, male 3.7
GTEX-1HUB1-1426-SM-CGQF5 60-69 years, male 3.6
GTEX-1IDJH-0126-SM-D3L92 70-79 years, male 3.6
GTEX-13OVH-0526-SM-5L3E6 70-79 years, male 3.5
GTEX-WK11-2726-SM-3NMAQ 50-59 years, male 3.5
GTEX-ZYW4-0626-SM-59HJR 60-69 years, male 3.5
GTEX-1I1CD-0626-SM-CE6SW 60-69 years, female 3.5
GTEX-1A3MX-2626-SM-7PC24 60-69 years, male 3.4
GTEX-15G19-2426-SM-7KUMR 60-69 years, male 3.3
GTEX-ZYFD-0626-SM-5E44E 50-59 years, male 3.3
GTEX-1LG7Y-2526-SM-EWRO7 50-59 years, male 3.3
GTEX-14XAO-1226-SM-6EU1C 60-69 years, female 3.2
GTEX-1H1DG-2426-SM-9QEHJ 70-79 years, male 3.2
GTEX-111FC-2526-SM-5GZXU 60-69 years, male 3.1
GTEX-14A5H-0826-SM-5QGPJ 60-69 years, male 3.1
GTEX-1A32A-0626-SM-731AQ 50-59 years, female 3.1
GTEX-14LZ3-0126-SM-69LPM 60-69 years, female 3.0
GTEX-16MT9-0126-SM-7EPI8 60-69 years, female 3.0
GTEX-ZU9S-1826-SM-5NQ9E 30-39 years, male 3.0
GTEX-139TS-2126-SM-5K7XC 60-69 years, male 2.9
GTEX-14LLW-2626-SM-62LDZ 70-79 years, female 2.9
GTEX-16GPK-0626-SM-7KFSF 60-69 years, male 2.9
GTEX-16XZZ-0726-SM-7KUF2 60-69 years, male 2.9
GTEX-1F88E-1626-SM-7SB8Z 60-69 years, female 2.9
GTEX-17EVQ-0126-SM-7IGLR 70-79 years, male 2.8
GTEX-1H3O1-1326-SM-9MQLD 60-69 years, male 2.8
GTEX-144FL-0626-SM-5LU43 50-59 years, male 2.7
GTEX-1CAV2-0126-SM-7IGN7 40-49 years, female 2.7
GTEX-ZDXO-3126-SM-5IJDF 60-69 years, male 2.7
GTEX-ZUA1-2626-SM-5NQ92 40-49 years, male 2.6
GTEX-11DXW-0826-SM-5H118 40-49 years, male 2.5
GTEX-11WQK-1026-SM-5EQLX 50-59 years, male 2.5
GTEX-14JG1-1526-SM-5YY9X 40-49 years, male 2.5
GTEX-XQ3S-1426-SM-4BOPR 20-29 years, male 2.5
GTEX-13OVL-0126-SM-5L3GJ 50-59 years, male 2.4
GTEX-13RTJ-0126-SM-5S2NN 60-69 years, male 2.4
GTEX-1GF9U-2026-SM-7SB92 40-49 years, female 2.4
GTEX-1JMQL-2226-SM-CNPP4 50-59 years, female 2.4
GTEX-1H1DF-1126-SM-9WG7G 40-49 years, female 2.3
GTEX-1I19N-0126-SM-CYPSF 70-79 years, male 2.3
GTEX-1LSVX-2526-SM-DIPEU 60-69 years, male 2.3
GTEX-1H1CY-0126-SM-9YFLY 60-69 years, female 2.2
GTEX-148VJ-0626-SM-5LUAW 70-79 years, male 2.1
GTEX-144GO-2026-SM-5O99P 60-69 years, male 2.0
GTEX-1E2YA-2126-SM-7MXUO 50-59 years, male 2.0
GTEX-1IDFM-0326-SM-ARL7V 60-69 years, male 2.0
GTEX-1HSMO-0626-SM-ACKXC 60-69 years, male 1.9
GTEX-1IL2V-1926-SM-B2LW8 70-79 years, male 1.9
GTEX-13NYC-0126-SM-5L3F4 60-69 years, male 1.8
GTEX-13X6J-0626-SM-5LU5F 50-59 years, male 1.8
GTEX-14C38-0726-SM-5SI6M 50-59 years, male 1.8
GTEX-15DDE-2926-SM-6LLJ3 50-59 years, female 1.8
GTEX-1A8G6-2726-SM-731AR 60-69 years, male 1.8
GTEX-1F6IF-0926-SM-7SB7M 60-69 years, male 1.8
GTEX-11DYG-1526-SM-5A5JS 60-69 years, male 1.7
GTEX-1GN1V-2826-SM-9JGIA 60-69 years, male 1.6
GTEX-11ZUS-2626-SM-5FQUR 30-39 years, male 1.5
GTEX-1E1VI-0326-SM-793D1 50-59 years, male 1.5
GTEX-1J8JJ-0626-SM-ARZMQ 60-69 years, female 1.5
GTEX-145MF-0926-SM-5Q5EA 50-59 years, male 1.4
GTEX-13JVG-0726-SM-5KM16 60-69 years, male 1.3
GTEX-1GZ2Q-0126-SM-9WG6M 40-49 years, male 1.1
GTEX-11PRG-0726-SM-5EGL1 50-59 years, male 1.0
GTEX-17HG3-2626-SM-7DUF2 30-39 years, female 1.0
GTEX-ZYT6-2326-SM-5GZY3 30-39 years, male 1.0
GTEX-131XH-0126-SM-5LZUY 50-59 years, male 0.9
GTEX-13VXU-0626-SM-5L3F9 50-59 years, male 0.9
GTEX-1F75W-2726-SM-7SB8H 60-69 years, male 0.9
GTEX-1A8FM-0626-SM-7PC25 50-59 years, female 0.8
GTEX-1HFI6-0126-SM-CNPPI 40-49 years, male 0.8
GTEX-183WM-0326-SM-72D5V 70-79 years, female 0.7
GTEX-ZVTK-0226-SM-51MRG 20-29 years, male 0.7
GTEX-ZYVF-0926-SM-5E44J 50-59 years, female 0.7
GTEX-1LVA9-2626-SM-EVYD4 50-59 years, male 0.7
GTEX-ZVE1-0726-SM-51MRN 50-59 years, female 0.6
GTEX-1H3VE-0726-SM-9YFL5 40-49 years, male 0.5
GTEX-1HR98-2226-SM-ADEI2 60-69 years, male 0.4
Show allShow less
Skin - Sun Exposed (Lower leg)
Average nTPM: 17.1
Samples: 701

Max nTPM: 152.2
Min nTPM: 0.6
Std nTPM: 11.9
Median nTPM: 14.7
GTEX-ZXES-1826-SM-5E43S 30-39 years, female 152.2
GTEX-1K2DA-1826-SM-CGQGT 50-59 years, male 93.9
GTEX-ZGAY-0526-SM-4WWBB 40-49 years, female 85.2
GTEX-YB5E-2026-SM-5IFIS 40-49 years, male 67.9
GTEX-1KANC-1526-SM-D3LAB 50-59 years, female 64.8
GTEX-OOBJ-0126-SM-E6CJW 60-69 years, male 56.3
GTEX-OIZH-0126-SM-2HMIS 50-59 years, male 53.8
GTEX-1R9PM-2026-SM-E76OY 20-29 years, male 52.1
GTEX-NFK9-0226-SM-2HMKQ 40-49 years, male 49.1
GTEX-X88G-0126-SM-47JZ3 30-39 years, male 49.1
GTEX-1122O-2126-SM-5EGIR 60-69 years, female 47.1
GTEX-ZVT2-2526-SM-51MT1 50-59 years, female 46.4
GTEX-1OJC3-0126-SM-E76QX 20-29 years, male 46.2
GTEX-1QCLY-0326-SM-E8VOG 30-39 years, male 45.4
GTEX-13FTW-2626-SM-5K7WL 40-49 years, male 43.9
GTEX-17JCI-0126-SM-7LG5G 60-69 years, female 43.1
GTEX-P4QT-0126-SM-2I3FL 50-59 years, female 43.1
GTEX-PSDG-0226-SM-DKPOZ 50-59 years, male 42.9
GTEX-1LBAC-0126-SM-DIPEZ 20-29 years, male 42.6
GTEX-UJHI-1526-SM-3DB99 50-59 years, female 42.5
GTEX-1QP9N-1426-SM-DTXFL 30-39 years, male 42.4
GTEX-145MN-2226-SM-5SIAU 30-39 years, male 41.9
GTEX-WQUQ-0426-SM-3MJFU 60-69 years, male 41.9
GTEX-1S83E-0126-SM-EWRO4 40-49 years, male 41.8
GTEX-1MA7W-2026-SM-E9TJ6 20-29 years, female 41.4
GTEX-1S3DN-2226-SM-EVYCD 50-59 years, male 41.2
GTEX-ZF2S-2326-SM-4WWCE 50-59 years, female 41.1
GTEX-1LSNM-1926-SM-E6CII 50-59 years, male 41.1
GTEX-Y3IK-2426-SM-4WWDU 50-59 years, female 40.6
GTEX-1I4MK-2226-SM-ACKWD 50-59 years, female 40.6
GTEX-XUZC-1726-SM-4BRWS 30-39 years, female 39.1
GTEX-1J8QM-2126-SM-CYPSJ 60-69 years, female 38.8
GTEX-WYJK-0126-SM-3NMAB 50-59 years, male 38.2
GTEX-17F96-1626-SM-7DUFL 70-79 years, male 38.0
GTEX-1KXAM-2226-SM-CYPTC 60-69 years, male 37.9
GTEX-13JUV-2726-SM-5LZZ8 40-49 years, female 37.1
GTEX-1H2FU-0126-SM-9WYSI 60-69 years, female 36.4
GTEX-1JJ6O-0126-SM-E6CI8 60-69 years, male 36.2
GTEX-13NZB-2526-SM-5J1OM 30-39 years, male 35.8
GTEX-11NSD-2226-SM-5986V 20-29 years, male 35.5
GTEX-1PIGE-0126-SM-EVYBJ 20-29 years, male 35.5
GTEX-T5JW-1626-SM-3GADZ 20-29 years, female 35.4
GTEX-13111-1626-SM-5EGJY 50-59 years, male 34.9
GTEX-1LVAN-0226-SM-COH3S 50-59 years, female 34.9
GTEX-1AX9J-0226-SM-73KXM 60-69 years, male 34.8
GTEX-1JMLX-0226-SM-CM2RO 50-59 years, male 34.3
GTEX-16NGA-1726-SM-731B4 40-49 years, female 34.1
GTEX-1I1GT-0626-SM-CGQER 60-69 years, female 34.1
GTEX-1C475-1826-SM-73KWA 40-49 years, female 34.0
GTEX-YB5K-2126-SM-4WWDJ 40-49 years, female 34.0
GTEX-1L5NE-2526-SM-E6CIE 50-59 years, male 33.8
GTEX-TML8-1926-SM-32QOS 40-49 years, female 33.6
GTEX-12WSJ-1826-SM-5GCNY 40-49 years, female 33.4
GTEX-O5YW-0126-SM-3LK6D 50-59 years, male 33.3
GTEX-1LG7Z-1726-SM-D3LA4 30-39 years, male 33.3
GTEX-18D9U-0226-SM-718BP 40-49 years, male 33.0
GTEX-ZDTT-2726-SM-4WKF8 60-69 years, male 32.9
GTEX-XBEW-0626-SM-4QASP 40-49 years, male 32.8
GTEX-14PHX-2326-SM-62LEM 50-59 years, male 32.7
GTEX-T6MO-1626-SM-32QOM 40-49 years, female 32.7
GTEX-17GQL-2026-SM-718BA 60-69 years, male 32.6
GTEX-1HSGN-0226-SM-CGQFV 40-49 years, female 32.6
GTEX-ZQG8-1626-SM-DHXIT 60-69 years, female 32.6
GTEX-11DXX-2426-SM-5GZZW 60-69 years, female 32.3
GTEX-1S5ZA-0126-SM-EVYCV 20-29 years, male 32.0
GTEX-ZV6S-2326-SM-4YCEY 40-49 years, female 31.8
GTEX-1LGRB-2526-SM-CNPPQ 50-59 years, female 31.7
GTEX-18D9A-1926-SM-7LG6P 30-39 years, female 31.6
GTEX-1CB4I-0226-SM-79OLH 50-59 years, male 31.5
GTEX-WRHK-1426-SM-3MJF9 20-29 years, female 31.5
GTEX-1S82Z-0826-SM-E6CHY 30-39 years, female 31.5
GTEX-1EWIQ-0126-SM-7RHH2 70-79 years, female 31.4
GTEX-1H11D-0226-SM-9WG6Z 40-49 years, male 30.7
GTEX-1OFPY-2426-SM-DTXEJ 60-69 years, male 30.4
GTEX-PX3G-0126-SM-2I3EN 20-29 years, female 30.2
GTEX-1R7EU-0226-SM-EVR4G 60-69 years, male 30.1
GTEX-139D8-0226-SM-5KLZO 30-39 years, female 29.6
GTEX-OHPM-0126-SM-2YUN9 50-59 years, male 29.6
GTEX-TMMY-0226-SM-33HBA 40-49 years, female 29.6
GTEX-Y8E4-0626-SM-4WWDL 40-49 years, male 29.6
GTEX-1GF9X-2026-SM-7PC3A 40-49 years, female 29.6
GTEX-11DXZ-2326-SM-5EGGV 50-59 years, male 29.5
GTEX-ZF3C-0126-SM-DO92D 50-59 years, female 29.4
GTEX-14PII-0226-SM-6EU1T 60-69 years, male 29.2
GTEX-ZVZP-2426-SM-59HKJ 50-59 years, male 29.1
GTEX-117XS-2726-SM-5N9BL 60-69 years, male 29.0
GTEX-15F5U-1526-SM-6PANO 40-49 years, male 28.9
GTEX-13D11-2426-SM-5KM1V 50-59 years, female 28.4
GTEX-RM2N-1426-SM-2TF4H 50-59 years, male 28.4
GTEX-ZTSS-1926-SM-57WEW 40-49 years, male 28.4
GTEX-ZVTK-0426-SM-51MRS 20-29 years, male 28.3
GTEX-111FC-0126-SM-5N9DL 60-69 years, male 28.2
GTEX-POMQ-2226-SM-2I5FK 20-29 years, female 28.0
GTEX-PLZ6-1426-SM-DKPOT 30-39 years, male 28.0
GTEX-ZTX8-1426-SM-5DUVO 20-29 years, male 27.7
GTEX-ZYT6-0226-SM-5NQ6T 30-39 years, male 27.7
GTEX-1GF9V-0326-SM-7RHI5 60-69 years, male 27.6
GTEX-13FXS-0226-SM-5IJCK 50-59 years, male 27.5
GTEX-16AAH-1726-SM-7939C 50-59 years, male 27.5
GTEX-1399U-2326-SM-5K7WY 50-59 years, female 27.2
GTEX-1GL5R-1826-SM-9KNUY 50-59 years, male 27.1
GTEX-ZF29-2326-SM-DO92K 60-69 years, female 27.0
GTEX-ZPIC-1726-SM-DHXIU 40-49 years, female 27.0
GTEX-Y114-2426-SM-4TT8A 50-59 years, female 26.9
GTEX-1399R-2726-SM-5IJBA 30-39 years, male 26.8
GTEX-XUW1-0426-SM-4BOOT 50-59 years, female 26.7
GTEX-145LV-2126-SM-5LU8N 50-59 years, male 26.5
GTEX-18QFQ-0126-SM-731BE 30-39 years, male 26.5
GTEX-1IDJU-2626-SM-CM2RT 60-69 years, female 26.5
GTEX-13FHP-0126-SM-5IJBG 50-59 years, male 26.4
GTEX-14DAR-2026-SM-5S2O3 50-59 years, male 26.4
GTEX-S95S-1226-SM-4GICG 60-69 years, male 26.4
GTEX-1GN1U-0126-SM-7PBZK 50-59 years, female 26.3
GTEX-1HSMQ-1226-SM-CGQFX 50-59 years, male 26.1
GTEX-1QPFJ-0226-SM-E76PB 30-39 years, female 26.1
GTEX-17F98-0626-SM-79OMX 40-49 years, female 25.7
GTEX-1B8KE-2126-SM-73KYX 50-59 years, male 25.7
GTEX-1B8L1-2526-SM-9WYTF 60-69 years, male 25.7
GTEX-1PPH8-0226-SM-E8VND 20-29 years, male 25.7
GTEX-131YS-0126-SM-5KM1M 60-69 years, female 25.6
GTEX-13PDP-0126-SM-5L3HD 60-69 years, male 25.4
GTEX-15ETS-0126-SM-7KUMW 40-49 years, female 25.4
GTEX-1PIIG-0226-SM-EWRN6 30-39 years, male 25.3
GTEX-14C5O-0126-SM-5SI6N 60-69 years, male 25.2
GTEX-13PVR-2326-SM-5QGR1 60-69 years, female 25.0
GTEX-1F52S-0126-SM-9MQJU 60-69 years, female 25.0
GTEX-1J1OQ-0226-SM-CYPSH 40-49 years, female 25.0
GTEX-1JMPY-1326-SM-ARL8Y 30-39 years, male 25.0
GTEX-1KANA-0726-SM-D3L9I 20-29 years, male 24.9
GTEX-15SHU-0126-SM-7KUEH 40-49 years, female 24.6
GTEX-T6MN-0126-SM-32PLP 50-59 years, male 24.6
GTEX-15ER7-0326-SM-7KUEV 20-29 years, female 24.3
GTEX-SNMC-1226-SM-2XCFP 20-29 years, male 24.2
GTEX-1F5PK-2426-SM-7RHHY 50-59 years, male 24.2
GTEX-1KANB-0526-SM-E6CJH 50-59 years, male 24.2
GTEX-Z9EW-1626-SM-5CVMN 40-49 years, male 23.9
GTEX-1IL2U-0226-SM-CE6T8 60-69 years, male 23.9
GTEX-1J8EW-0126-SM-CJI4F 60-69 years, female 23.9
GTEX-1JMQI-2226-SM-CM2SD 50-59 years, male 23.8
GTEX-1LB8K-0226-SM-EWRNW 50-59 years, male 23.8
GTEX-1MUQO-0126-SM-EAZ58 60-69 years, male 23.7
GTEX-ZYFC-0226-SM-5NQ75 50-59 years, male 23.5
GTEX-1EN7A-0126-SM-7SB81 40-49 years, male 23.5
GTEX-1HSKV-0226-SM-A9SKJ 60-69 years, male 23.5
GTEX-XUYS-0126-SM-47JWZ 50-59 years, male 22.9
GTEX-1JKYN-1326-SM-CGQG9 30-39 years, male 22.9
GTEX-Q2AH-1626-SM-3GAF8 40-49 years, male 22.8
GTEX-14ICK-0226-SM-6EU25 40-49 years, male 22.7
GTEX-1B8SF-1426-SM-7DUGL 60-69 years, male 22.6
GTEX-12ZZY-0226-SM-5LZVE 60-69 years, male 22.5
GTEX-U8T8-0126-SM-3DB94 60-69 years, male 22.5
GTEX-Y5V5-2326-SM-4V6GA 60-69 years, female 22.5
GTEX-11EQ9-2426-SM-5HL5T 30-39 years, male 22.3
GTEX-11P7K-2126-SM-5GU7G 30-39 years, male 22.3
GTEX-PLZ5-2026-SM-2S1O4 50-59 years, male 22.3
GTEX-1I1GV-0526-SM-A9G29 60-69 years, male 22.3
GTEX-1JMPZ-0226-SM-CNPP1 30-39 years, male 22.3
GTEX-14LZ3-0226-SM-62LET 60-69 years, female 22.2
GTEX-14PJ6-2126-SM-6EU1V 60-69 years, female 22.1
GTEX-12696-2426-SM-5EQ6H 60-69 years, male 22.0
GTEX-17EUY-0426-SM-793BD 20-29 years, male 22.0
GTEX-YEC4-2126-SM-5IFJH 40-49 years, male 21.9
GTEX-13OW5-0126-SM-DTXFS 60-69 years, male 21.9
GTEX-1J1R8-1726-SM-ARL8M 40-49 years, male 21.9
GTEX-13W46-0226-SM-5SIAG 50-59 years, male 21.8
GTEX-1F5PL-0326-SM-7P8PQ 40-49 years, female 21.7
GTEX-ZAB5-1826-SM-5HL7C 50-59 years, male 21.6
GTEX-16BQI-0226-SM-7KUEX 30-39 years, female 21.5
GTEX-1CB4E-2226-SM-793DC 60-69 years, male 21.4
GTEX-1RAZA-0126-SM-E6CI3 20-29 years, male 21.4
GTEX-12ZZX-0126-SM-5EGK9 40-49 years, female 21.3
GTEX-WFON-2126-SM-3LK7O 40-49 years, male 21.3
GTEX-1HFI7-1826-SM-ACKXH 50-59 years, female 21.3
GTEX-1HSEH-0126-SM-ACKXN 60-69 years, male 21.3
GTEX-1M5QR-1226-SM-EWROB 40-49 years, male 21.3
GTEX-18A66-0226-SM-718BD 60-69 years, male 21.2
GTEX-12WSC-0126-SM-5EQ4P 50-59 years, male 21.0
GTEX-ZY6K-1826-SM-5GZXK 50-59 years, male 21.0
GTEX-1F6RS-0126-SM-9MQKZ 60-69 years, female 21.0
GTEX-1211K-2026-SM-5EQ4Z 60-69 years, female 20.9
GTEX-13OVK-2026-SM-7KUEO 40-49 years, male 20.9
GTEX-1IL2V-0126-SM-CM2TX 70-79 years, male 20.9
GTEX-111VG-2426-SM-5GZXD 60-69 years, male 20.8
GTEX-13SLW-0126-SM-5SI6C 70-79 years, male 20.8
GTEX-Y5LM-1926-SM-5RQJH 40-49 years, female 20.8
GTEX-1E2YA-0126-SM-9KNUC 50-59 years, male 20.7
GTEX-S32W-2126-SM-2XCB1 50-59 years, female 20.6
GTEX-X5EB-2226-SM-46MW4 40-49 years, male 20.6
GTEX-XQ8I-0426-SM-4BOPO 50-59 years, male 20.6
GTEX-1N2DV-0226-SM-E6CJ6 40-49 years, male 20.6
GTEX-1R7EV-2426-SM-EVYBG 40-49 years, male 20.6
GTEX-X4EP-0126-SM-3P5YV 60-69 years, female 20.5
GTEX-13O3P-0126-SM-5KM4S 50-59 years, male 20.2
GTEX-ZV68-0126-SM-59HKS 50-59 years, female 20.2
GTEX-1LGOU-2026-SM-DIPFF 20-29 years, female 20.1
GTEX-12C56-1726-SM-5EQ61 20-29 years, male 20.0
GTEX-XAJ8-0826-SM-47JY6 40-49 years, male 20.0
GTEX-1MJK2-0426-SM-DTXE5 50-59 years, male 20.0
GTEX-14JG6-2226-SM-6EU2G 30-39 years, female 19.9
GTEX-17F97-0326-SM-7LG5B 50-59 years, male 19.9
GTEX-1GZ4H-1726-SM-7PBZJ 50-59 years, female 19.9
GTEX-13O21-1426-SM-5K7XI 50-59 years, male 19.8
GTEX-1HCUA-2426-SM-ADEIS 50-59 years, female 19.8
GTEX-1QEPI-0126-SM-EWRMQ 60-69 years, female 19.8
GTEX-15RIG-0226-SM-7KFTL 40-49 years, male 19.7
GTEX-11P81-2326-SM-59875 30-39 years, female 19.6
GTEX-13IVO-0126-SM-5J1NG 70-79 years, male 19.6
GTEX-13QJ3-0326-SM-5S2RA 50-59 years, male 19.5
GTEX-OXRK-0226-SM-3NB2G 50-59 years, female 19.5
GTEX-1EU9M-0226-SM-7P8SP 60-69 years, male 19.5
GTEX-13FTX-1826-SM-5J1NX 20-29 years, female 19.4
GTEX-13OVI-1426-SM-5L3EY 60-69 years, female 19.4
GTEX-13X6J-0126-SM-5QGOU 50-59 years, male 19.4
GTEX-QCQG-1726-SM-3GIJ9 50-59 years, female 19.4
GTEX-ZQUD-1426-SM-57WER 30-39 years, male 19.4
GTEX-1EMGI-0126-SM-9KNUE 60-69 years, male 19.4
GTEX-1PDJ9-0326-SM-DTX95 20-29 years, male 19.4
GTEX-1QP2A-0126-SM-E9J43 50-59 years, male 19.4
GTEX-14PJM-0226-SM-62LF1 50-59 years, female 19.3
GTEX-RWS6-2026-SM-2XCB5 60-69 years, female 19.3
GTEX-1269C-2526-SM-5EGJ3 60-69 years, female 19.2
GTEX-12WSK-2326-SM-5GCOH 40-49 years, female 19.2
GTEX-1JN6P-0126-SM-D3L98 60-69 years, male 19.2
GTEX-131XG-2626-SM-5KM17 50-59 years, female 19.1
GTEX-18D9B-0526-SM-7LTAS 60-69 years, male 19.0
GTEX-SUCS-1926-SM-32PM3 70-79 years, male 19.0
GTEX-11EM3-2426-SM-59861 20-29 years, female 18.8
GTEX-11VI4-1726-SM-5CVLH 40-49 years, female 18.8
GTEX-1JMQK-0226-SM-CL543 60-69 years, male 18.8
GTEX-1K9T9-0126-SM-EVYCF 50-59 years, female 18.8
GTEX-1I1GQ-0126-SM-COH3H 50-59 years, male 18.7
GTEX-1B97I-1626-SM-73KYO 40-49 years, male 18.6
GTEX-169BO-1326-SM-9MQK2 50-59 years, male 18.6
GTEX-1ICG6-2526-SM-CGQFZ 70-79 years, female 18.6
GTEX-1JK1U-2026-SM-CM2RZ 60-69 years, male 18.6
GTEX-17KNJ-2326-SM-7DHLQ 50-59 years, male 18.5
GTEX-1CAMR-1926-SM-7EPI2 20-29 years, male 18.5
GTEX-Z93T-0126-SM-5HL5N 50-59 years, male 18.5
GTEX-14BMU-2226-SM-5TDE9 20-29 years, female 18.4
GTEX-1RQEC-0426-SM-E6CHU 60-69 years, male 18.3
GTEX-13OW8-1326-SM-5J1OW 60-69 years, male 18.2
GTEX-15EU6-0426-SM-6PAN5 50-59 years, male 18.2
GTEX-131XE-2326-SM-5PNZ2 50-59 years, male 18.1
GTEX-145ME-1826-SM-5SI9G 40-49 years, female 18.1
GTEX-17EVP-0326-SM-7DHLG 40-49 years, male 18.0
GTEX-17MFQ-1726-SM-793C7 20-29 years, male 18.0
GTEX-QVJO-1626-SM-2S1QW 60-69 years, female 18.0
GTEX-WXYG-2326-SM-4E3I6 50-59 years, female 18.0
GTEX-ZWKS-0126-SM-5SIAA 30-39 years, male 18.0
GTEX-UPJH-0326-SM-3GADU 50-59 years, male 17.9
GTEX-ZAB4-0226-SM-5N9F5 40-49 years, male 17.9
GTEX-1PFEY-1526-SM-E76PP 30-39 years, male 17.9
GTEX-W5WG-1826-SM-4KL2Y 50-59 years, female 17.8
GTEX-17HII-0226-SM-7LG4E 50-59 years, male 17.7
GTEX-1MGNQ-0126-SM-EVYCJ 40-49 years, male 17.7
GTEX-ZYFG-2326-SM-5E44B 60-69 years, female 17.6
GTEX-13OW6-0426-SM-5L3HM 50-59 years, male 17.5
GTEX-SN8G-0126-SM-32PLI 50-59 years, female 17.5
GTEX-U412-0426-SM-3DB9O 60-69 years, male 17.5
GTEX-1CAV2-2226-SM-7P8P2 40-49 years, female 17.5
GTEX-148VI-1626-SM-5SI6E 60-69 years, female 17.4
GTEX-15DYW-0126-SM-7KULE 60-69 years, female 17.4
GTEX-P4PQ-0126-SM-2S1NM 60-69 years, male 17.4
GTEX-T2IS-0126-SM-4DM6O 20-29 years, female 17.4
GTEX-1CB4H-0226-SM-7PBXM 60-69 years, female 17.4
GTEX-13OVJ-0126-SM-5KM36 50-59 years, female 17.3
GTEX-QDVJ-1726-SM-2I5FX 50-59 years, male 17.3
GTEX-ZXG5-0126-SM-5GIEU 60-69 years, male 17.3
GTEX-1KD5A-0226-SM-D5OV3 50-59 years, male 17.3
GTEX-139TU-0126-SM-5K7WH 60-69 years, male 17.2
GTEX-1HBPN-0226-SM-9YFM1 50-59 years, male 17.2
GTEX-1QMI2-0226-SM-EVYBX 60-69 years, male 17.2
GTEX-WYVS-2126-SM-3NMA3 40-49 years, female 17.1
GTEX-1MCQQ-0826-SM-DLHC2 60-69 years, male 17.1
GTEX-13CF2-2526-SM-5LZYX 60-69 years, male 17.0
GTEX-R3RS-0126-SM-3GIJL 40-49 years, female 17.0
GTEX-11GSO-2426-SM-5A5LY 60-69 years, male 16.9
GTEX-17HG3-2226-SM-7938L 30-39 years, female 16.9
GTEX-P4PP-0126-SM-3LK69 30-39 years, female 16.9
GTEX-1GF9W-0326-SM-9KNUN 60-69 years, male 16.9
GTEX-1JN76-0126-SM-CNPPE 20-29 years, female 16.9
GTEX-PWCY-1826-SM-DHXIZ 20-29 years, female 16.9
GTEX-17HHE-2026-SM-79OKF 50-59 years, male 16.8
GTEX-11DYG-0126-SM-59883 60-69 years, male 16.6
GTEX-18A67-0126-SM-7LG5P 50-59 years, male 16.6
GTEX-1R46S-0626-SM-E9J41 60-69 years, female 16.6
GTEX-1313W-0126-SM-5LZUN 50-59 years, female 16.5
GTEX-1C2JI-1826-SM-73KXC 50-59 years, male 16.5
GTEX-1314G-1526-SM-5EGK2 30-39 years, male 16.4
GTEX-14LLW-0126-SM-6LLIO 70-79 years, female 16.4
GTEX-15DCD-0126-SM-7KUEK 70-79 years, female 16.4
GTEX-U3ZM-1526-SM-3DB9D 40-49 years, male 16.4
GTEX-XYKS-2126-SM-4E3IB 60-69 years, female 16.4
GTEX-ZAJG-0126-SM-5HL94 50-59 years, female 16.4
GTEX-13SLX-0526-SM-5S2ON 50-59 years, female 16.3
GTEX-1H4P4-0726-SM-9YFLR 50-59 years, male 16.3
GTEX-117YX-2326-SM-5H12W 50-59 years, male 16.2
GTEX-131XH-2226-SM-5DUXJ 50-59 years, male 16.2
GTEX-X585-0226-SM-4QAS2 50-59 years, male 16.2
GTEX-13G51-2526-SM-5LZYK 60-69 years, male 16.1
GTEX-1GPI7-0126-SM-9MQL8 20-29 years, male 16.1
GTEX-145LT-1726-SM-5QGP3 40-49 years, male 16.0
GTEX-18A6Q-0126-SM-731BZ 60-69 years, male 16.0
GTEX-PVOW-0126-SM-2XCFA 40-49 years, male 16.0
GTEX-T2YK-0526-SM-32QPJ 50-59 years, male 16.0
GTEX-YJ89-0126-SM-4TT3X 60-69 years, male 16.0
GTEX-1HCU9-1526-SM-A9SL7 20-29 years, male 16.0
GTEX-1HCVE-0126-SM-CGQEU 50-59 years, male 16.0
GTEX-1KAFJ-2026-SM-CY8ID 50-59 years, male 16.0
GTEX-1NHNU-1026-SM-E9J2A 50-59 years, male 15.9
GTEX-132NY-0326-SM-5IJBL 60-69 years, male 15.8
GTEX-145MO-0326-SM-5Q5B3 60-69 years, male 15.8
GTEX-14753-0426-SM-5NQAM 60-69 years, male 15.8
GTEX-U3ZN-2326-SM-3DB7W 30-39 years, female 15.8
GTEX-1O97I-0326-SM-EYYX7 60-69 years, male 15.8
GTEX-OIZG-0726-SM-33HBL 50-59 years, male 15.7
GTEX-ZZ64-1726-SM-5GZYB 20-29 years, male 15.7
GTEX-1GMR8-0126-SM-9WYTM 50-59 years, female 15.7
GTEX-13FHO-0226-SM-5IFGY 60-69 years, male 15.6
GTEX-15SB6-1726-SM-6PAME 50-59 years, female 15.6
GTEX-ZEX8-2426-SM-4WKG4 50-59 years, male 15.6
GTEX-1B996-0226-SM-7RHGO 60-69 years, male 15.6
GTEX-1QP66-1726-SM-E8VO1 50-59 years, male 15.6
GTEX-Q2AI-1326-SM-2S1PL 40-49 years, male 15.5
GTEX-X4XX-0126-SM-3NMC2 60-69 years, male 15.4
GTEX-XBED-2226-SM-47JYQ 60-69 years, male 15.4
GTEX-ZAK1-0126-SM-5IJD3 50-59 years, female 15.4
GTEX-14JG1-0426-SM-6ETZZ 40-49 years, male 15.3
GTEX-ZDTS-0126-SM-4WAY5 60-69 years, male 15.2
GTEX-1HSMP-0126-SM-E6CJS 70-79 years, male 15.2
GTEX-1I6K6-0126-SM-A9SLE 30-39 years, male 15.2
GTEX-13VXU-0126-SM-5SI9F 50-59 years, male 15.1
GTEX-T8EM-1026-SM-3DB7M 40-49 years, male 15.1
GTEX-Y3I4-2126-SM-4TT7C 50-59 years, male 15.1
GTEX-Y8LW-1826-SM-5S2MV 50-59 years, female 15.1
GTEX-1IDJF-0126-SM-CM2RS 20-29 years, male 15.1
GTEX-133LE-1826-SM-5J1MV 20-29 years, female 15.0
GTEX-15SDE-2226-SM-7IGLO 50-59 years, female 15.0
GTEX-TKQ1-1026-SM-4GICL 30-39 years, male 15.0
GTEX-11XUK-2026-SM-5EQLF 40-49 years, female 14.9
GTEX-13YAN-0326-SM-5O9DF 60-69 years, male 14.9
GTEX-1BAJH-0526-SM-793CQ 70-79 years, male 14.9
GTEX-OXRN-0126-SM-48TDM 50-59 years, male 14.9
GTEX-QLQ7-1626-SM-2S1R8 60-69 years, male 14.9
GTEX-R55G-2526-SM-2TC6D 40-49 years, female 14.9
GTEX-1RB15-2126-SM-E9TIM 60-69 years, male 14.9
GTEX-1128S-2326-SM-5GZZY 60-69 years, female 14.8
GTEX-11UD2-0226-SM-5EQKY 50-59 years, male 14.8
GTEX-WY7C-2326-SM-3NB2U 50-59 years, male 14.8
GTEX-1H1CY-2826-SM-9MQM3 60-69 years, female 14.8
GTEX-RTLS-0126-SM-447CA 60-69 years, female 14.7
GTEX-139TT-0126-SM-5K7Y5 60-69 years, male 14.6
GTEX-15DDE-0126-SM-6LPKH 50-59 years, female 14.6
GTEX-XPVG-2626-SM-4B669 50-59 years, male 14.6
GTEX-ZU9S-0226-SM-5E441 30-39 years, male 14.6
GTEX-1H1E6-1726-SM-ACKVK 30-39 years, male 14.5
GTEX-1HFI6-0226-SM-ADEHZ 40-49 years, male 14.5
GTEX-144GL-0126-SM-5TDE2 50-59 years, male 14.4
GTEX-ZYY3-0126-SM-5GZY5 60-69 years, female 14.4
GTEX-1HGF4-2426-SM-ACKXM 60-69 years, male 14.4
GTEX-146FQ-0126-SM-5NQA9 30-39 years, male 14.3
GTEX-18A7B-0126-SM-7LG64 70-79 years, male 14.3
GTEX-RWSA-0126-SM-2XCBB 40-49 years, male 14.2
GTEX-1CB4F-0426-SM-9KNV4 60-69 years, male 14.2
GTEX-1212Z-2526-SM-5EGKP 60-69 years, male 14.1
GTEX-13RTK-1426-SM-5QGQJ 20-29 years, male 14.1
GTEX-QV44-1926-SM-2S1RF 50-59 years, male 14.1
GTEX-U8XE-0326-SM-3DB8P 30-39 years, male 14.1
GTEX-Y8DK-0126-SM-4TT3L 60-69 years, male 14.1
GTEX-11ZTS-0126-SM-5EQ6M 60-69 years, female 14.0
GTEX-144FL-0126-SM-5TDC8 50-59 years, male 14.0
GTEX-14PJ3-1826-SM-62LEX 50-59 years, male 14.0
GTEX-16NPX-0226-SM-79OMT 50-59 years, male 14.0
GTEX-13FH7-2026-SM-E9J4I 50-59 years, female 14.0
GTEX-1QP29-0626-SM-EWRMX 50-59 years, male 14.0
GTEX-S33H-1026-SM-EZ6L6 30-39 years, male 14.0
GTEX-13X6I-0626-SM-5QGP9 60-69 years, male 13.9
GTEX-147F3-0526-SM-5SI98 50-59 years, female 13.9
GTEX-ZF28-0126-SM-4WKGK 60-69 years, male 13.9
GTEX-1GMR3-1926-SM-9KNUZ 40-49 years, male 13.9
GTEX-W5X1-3026-SM-EAZAX 40-49 years, female 13.9
GTEX-12WSD-0126-SM-59HKN 60-69 years, female 13.8
GTEX-13OVH-0126-SM-5MR4B 70-79 years, male 13.8
GTEX-145MI-0526-SM-5O9A8 60-69 years, female 13.8
GTEX-QESD-1426-SM-2S1R9 20-29 years, male 13.8
GTEX-1PWST-0226-SM-E76QJ 70-79 years, male 13.8
GTEX-Q2AG-0126-SM-33HBV 40-49 years, female 13.7
GTEX-1192X-0226-SM-5H12D 50-59 years, male 13.6
GTEX-11GSP-2526-SM-5N9BP 60-69 years, female 13.6
GTEX-13NZ8-0826-SM-5MR3I 60-69 years, female 13.6
GTEX-QEG4-0226-SM-2S1PY 30-39 years, male 13.6
GTEX-QLQW-1126-SM-2S1Q8 30-39 years, male 13.6
GTEX-U3ZH-2026-SM-3DB78 30-39 years, male 13.6
GTEX-11UD1-0126-SM-5PNYG 40-49 years, female 13.5
GTEX-12WSE-0526-SM-793B2 20-29 years, male 13.5
GTEX-1J8JJ-0226-SM-CL53I 60-69 years, female 13.5
GTEX-13NYB-2526-SM-5K7Z6 40-49 years, male 13.4
GTEX-13X6H-2126-SM-7EWD5 50-59 years, female 13.4
GTEX-1A3MV-1926-SM-718BT 30-39 years, male 13.4
GTEX-1AMFI-2026-SM-731BH 50-59 years, female 13.4
GTEX-Y111-0126-SM-4SOIV 50-59 years, male 13.4
GTEX-1IKK5-0626-SM-ARL8A 60-69 years, male 13.4
GTEX-14PN3-2426-SM-6LLHS 60-69 years, female 13.3
GTEX-14XAO-2326-SM-6EU1B 60-69 years, female 13.3
GTEX-1IY9M-0126-SM-D3L8S 60-69 years, male 13.3
GTEX-12KS4-0326-SM-5EQ41 30-39 years, male 13.2
GTEX-13FTY-0526-SM-5L3EV 40-49 years, female 13.2
GTEX-14A5H-0426-SM-5QGQF 60-69 years, male 13.2
GTEX-1MCYP-1926-SM-E9J2R 20-29 years, female 13.2
GTEX-11EI6-0126-SM-5985R 60-69 years, male 13.1
GTEX-ZVE2-0226-SM-59HJB 50-59 years, male 13.1
GTEX-1GZHY-0326-SM-9QEHI 50-59 years, female 13.1
GTEX-PW2O-1526-SM-7RHHB 20-29 years, male 13.1
GTEX-13N2G-2626-SM-5J1OT 60-69 years, male 13.0
GTEX-1CB4G-0226-SM-7PC3O 60-69 years, male 13.0
GTEX-1K2DU-2326-SM-E9TIV 20-29 years, male 13.0
GTEX-14A5I-0126-SM-5TDEA 50-59 years, female 12.9
GTEX-S7SE-0126-SM-2XCD5 50-59 years, male 12.9
GTEX-11TUW-2726-SM-E9J4M 60-69 years, male 12.9
GTEX-1ICLY-0126-SM-D4P36 50-59 years, male 12.9
GTEX-1LH75-2426-SM-E9TJE 50-59 years, female 12.9
GTEX-13O3O-0126-SM-E9J49 60-69 years, female 12.8
GTEX-1HBPM-0226-SM-ARL9F 60-69 years, female 12.7
GTEX-1JMQJ-0526-SM-CYPSU 50-59 years, male 12.7
GTEX-1NV5F-0226-SM-E8VNY 60-69 years, female 12.7
GTEX-14BMV-0126-SM-5S2PO 50-59 years, male 12.6
GTEX-14PK6-1926-SM-6ETZU 70-79 years, female 12.6
GTEX-131XF-5016-SM-7MGWE 60-69 years, male 12.6
GTEX-1HT8W-0126-SM-CNPPP 30-39 years, male 12.6
GTEX-RNOR-0126-SM-E9J4R 50-59 years, female 12.6
GTEX-11LCK-1026-SM-5A5KB 30-39 years, male 12.5
GTEX-13VXT-0126-SM-5LU4I 20-29 years, female 12.5
GTEX-1497J-2426-SM-7IGNX 60-69 years, male 12.5
GTEX-X8HC-0126-SM-4E3JW 50-59 years, female 12.5
GTEX-1C6VR-2426-SM-79OLD 60-69 years, male 12.4
GTEX-16YQH-0126-SM-7DUFJ 30-39 years, male 12.3
GTEX-1CAMQ-0226-SM-7IGPK 40-49 years, male 12.3
GTEX-WFG8-2226-SM-3GIL9 20-29 years, male 12.3
GTEX-1H3VY-0126-SM-ACKXD 50-59 years, male 12.3
GTEX-14E6D-0126-SM-62LDV 50-59 years, male 12.2
GTEX-1C4CL-0526-SM-73KVK 30-39 years, male 12.2
GTEX-1H3VE-0326-SM-9YFLH 40-49 years, male 12.2
GTEX-1I1GR-0126-SM-CL55F 60-69 years, male 12.2
GTEX-113JC-2326-SM-5EQ4E 50-59 years, female 12.1
GTEX-WI4N-1026-SM-3LK7N 40-49 years, female 12.1
GTEX-1HCU7-0226-SM-CL545 50-59 years, male 12.1
GTEX-11DZ1-0126-SM-5985Q 50-59 years, male 12.0
GTEX-X4EO-0326-SM-3P5YO 60-69 years, female 12.0
GTEX-XXEK-2226-SM-4BRUM 50-59 years, male 12.0
GTEX-1EX96-1626-SM-7PBXR 50-59 years, male 12.0
GTEX-16XZZ-0126-SM-793DV 60-69 years, male 11.9
GTEX-145LS-0126-SM-5QGP1 60-69 years, female 11.8
GTEX-18A7A-0226-SM-718BH 50-59 years, female 11.8
GTEX-1E1VI-0126-SM-7DHMZ 50-59 years, male 11.8
GTEX-1H1DG-0126-SM-9WYU2 70-79 years, male 11.8
GTEX-1JJEA-0326-SM-CNPOT 60-69 years, male 11.8
GTEX-YFC4-0126-SM-5CVLY 40-49 years, female 11.7
GTEX-Z93S-0126-SM-5HL7M 50-59 years, male 11.7
GTEX-1CAMS-0426-SM-7P8T2 40-49 years, female 11.7
GTEX-ZDYS-2026-SM-5HL5L 50-59 years, male 11.5
GTEX-13113-5016-SM-7EPIP 60-69 years, female 11.4
GTEX-16GPK-0126-SM-7DHLE 60-69 years, male 11.4
GTEX-Y5V6-2426-SM-4VDSB 60-69 years, male 11.4
GTEX-ZTPG-0326-SM-5O9AX 20-29 years, female 11.4
GTEX-1H1ZS-0426-SM-9WG6G 70-79 years, male 11.4
GTEX-1I1CD-0126-SM-CM2TK 60-69 years, female 11.4
GTEX-1JKYR-0126-SM-CNPOJ 20-29 years, male 11.4
GTEX-1399T-2826-SM-5KLYZ 60-69 years, male 11.3
GTEX-17HGU-0226-SM-7DHKV 50-59 years, male 11.3
GTEX-1F6I4-0126-SM-9MQL2 60-69 years, male 11.3
GTEX-1J8Q3-1626-SM-CMKGC 60-69 years, male 11.3
GTEX-13OVG-1926-SM-5L3DK 60-69 years, male 11.2
GTEX-18465-0126-SM-731BN 50-59 years, male 11.2
GTEX-VJYA-1126-SM-3GIJU 60-69 years, male 11.2
GTEX-XQ3S-1526-SM-4BOOC 20-29 years, male 11.2
GTEX-ZC5H-0226-SM-4WAY9 40-49 years, female 11.2
GTEX-1JJE9-0326-SM-CL53Z 70-79 years, male 11.2
GTEX-13CF3-2426-SM-5IFGX 60-69 years, female 11.1
GTEX-1C64N-0126-SM-793D7 50-59 years, male 11.1
GTEX-1C64O-0126-SM-7SB8P 60-69 years, male 11.1
GTEX-1H3NZ-0126-SM-ACKX7 60-69 years, male 11.1
GTEX-1IKJJ-0126-SM-CNPQB 60-69 years, male 11.1
GTEX-1S82Y-2026-SM-EVYCM 40-49 years, male 11.0
GTEX-TSE9-0126-SM-3DB83 60-69 years, female 10.9
GTEX-147GR-0526-SM-5S2MY 60-69 years, male 10.8
GTEX-17EVQ-0226-SM-7LG4P 70-79 years, male 10.8
GTEX-RU72-0926-SM-2TF6B 50-59 years, female 10.8
GTEX-XV7Q-2526-SM-4BRV9 40-49 years, female 10.8
GTEX-1JN1M-0326-SM-CYPT3 60-69 years, female 10.8
GTEX-R45C-0126-SM-EAZ2R 60-69 years, female 10.8
GTEX-12126-0326-SM-5PNW3 20-29 years, male 10.7
GTEX-VUSG-2526-SM-4KL1V 50-59 years, male 10.7
GTEX-1KWVE-1426-SM-E9TJO 30-39 years, male 10.7
GTEX-1GN1W-0526-SM-9MQJQ 50-59 years, female 10.6
GTEX-1GN73-0226-SM-9WG67 60-69 years, male 10.6
GTEX-1RDX4-0126-SM-E9J4P 50-59 years, female 10.6
GTEX-SJXC-0126-SM-2XCFF 60-69 years, male 10.5
GTEX-SSA3-0126-SM-32QPU 60-69 years, male 10.5
GTEX-T5JC-0426-SM-32PLO 20-29 years, male 10.5
GTEX-WZTO-0126-SM-3NM95 40-49 years, male 10.5
GTEX-ZE7O-0126-SM-57WC1 50-59 years, female 10.5
GTEX-1H23P-0126-SM-ADEJ3 60-69 years, male 10.5
GTEX-1AMEY-1326-SM-73KYK 30-39 years, female 10.4
GTEX-PLZ4-0126-SM-5SI8O 50-59 years, female 10.4
GTEX-12WSG-2826-SM-E9J4H 50-59 years, female 10.4
GTEX-1GN2E-0426-SM-9MQKX 60-69 years, male 10.4
GTEX-1HCU6-0126-SM-CL54K 60-69 years, female 10.4
GTEX-ZVT4-0126-SM-DTXFN 50-59 years, female 10.4
GTEX-11P82-1626-SM-59879 20-29 years, male 10.3
GTEX-R55E-0126-SM-2TC5Y 20-29 years, male 10.3
GTEX-ZE9C-2726-SM-57WB5 60-69 years, male 10.2
GTEX-139T8-0126-SM-5K7XZ 60-69 years, male 10.1
GTEX-1B8SG-0126-SM-73KZ3 50-59 years, male 10.1
GTEX-15G19-0126-SM-6PANQ 60-69 years, male 10.0
GTEX-16MT8-0426-SM-7KUEY 60-69 years, female 10.0
GTEX-1AX9I-0126-SM-7SB74 60-69 years, male 10.0
GTEX-1GMRU-0126-SM-9YFLV 50-59 years, male 10.0
GTEX-WH7G-2326-SM-3NMBC 40-49 years, male 9.9
GTEX-11WQC-2526-SM-5CVLE 60-69 years, male 9.8
GTEX-14PHW-0126-SM-6LLJI 60-69 years, female 9.8
GTEX-X638-0126-SM-47JZ8 70-79 years, female 9.8
GTEX-1F88F-2726-SM-7PBZZ 60-69 years, female 9.8
GTEX-1HB9E-0226-SM-E9U4R 50-59 years, male 9.8
GTEX-13OVL-0226-SM-5L3E9 50-59 years, male 9.7
GTEX-12ZZZ-0626-SM-5DUXI 60-69 years, male 9.6
GTEX-13N11-2526-SM-5K7UE 50-59 years, female 9.6
GTEX-183FY-0126-SM-7LT9P 20-29 years, male 9.5
GTEX-OXRO-0126-SM-2YUN4 60-69 years, female 9.5
GTEX-13NYC-0326-SM-E9J4S 60-69 years, male 9.5
GTEX-1IKOH-0226-SM-COH4E 60-69 years, female 9.5
GTEX-11ZTT-2426-SM-5EQLS 60-69 years, female 9.4
GTEX-12WSA-0226-SM-5BC5V 60-69 years, male 9.4
GTEX-1N2EF-0226-SM-EYYXB 60-69 years, male 9.4
GTEX-1GTWX-0126-SM-9YFLK 60-69 years, male 9.3
GTEX-1HCU8-0626-SM-A9SM9 60-69 years, female 9.3
GTEX-14BIN-0626-SM-793DP 50-59 years, female 9.2
GTEX-1C6VS-0526-SM-7DUEN 60-69 years, male 9.2
GTEX-1HBPI-1526-SM-C1YQ1 50-59 years, male 9.2
GTEX-1I19N-0326-SM-ACKVX 70-79 years, male 9.2
GTEX-1CB4J-0626-SM-7DHMP 60-69 years, male 9.1
GTEX-TMZS-0126-SM-3DB9Q 60-69 years, male 9.1
GTEX-ZYFD-0126-SM-5GIDL 50-59 years, male 9.1
GTEX-113IC-0126-SM-5HL6T 60-69 years, male 9.0
GTEX-13RTL-0126-SM-7LG5S 40-49 years, male 9.0
GTEX-13S7M-0126-SM-5SI6A 60-69 years, female 9.0
GTEX-1C6WA-0126-SM-7PC2B 60-69 years, male 9.0
GTEX-1EKGG-0226-SM-9WYTH 60-69 years, male 9.0
GTEX-1GF9U-2126-SM-7SB7L 40-49 years, female 9.0
GTEX-OIZF-0126-SM-7SB8I 60-69 years, male 9.0
GTEX-14E6C-0126-SM-5RQIP 40-49 years, male 8.9
GTEX-13112-2826-SM-5DUWH 50-59 years, male 8.8
GTEX-1MA7X-2226-SM-E6CIY 60-69 years, male 8.8
GTEX-1POEN-0126-SM-EYYXJ 30-39 years, female 8.8
GTEX-1QAET-0926-SM-E76QM 50-59 years, male 8.8
GTEX-139TS-2826-SM-5J1OO 60-69 years, male 8.7
GTEX-1LC47-0326-SM-E9TJP 60-69 years, male 8.7
GTEX-11GS4-2726-SM-5A5LE 60-69 years, male 8.6
GTEX-14DAQ-0126-SM-5S2MQ 60-69 years, female 8.6
GTEX-1B8KZ-2026-SM-7DHMB 50-59 years, male 8.6
GTEX-1I1HK-0126-SM-COH49 60-69 years, male 8.6
GTEX-11ZVC-2526-SM-5FQTE 50-59 years, female 8.5
GTEX-13O1R-0126-SM-5L3EH 60-69 years, male 8.5
GTEX-14BIL-0126-SM-5SI92 50-59 years, male 8.5
GTEX-1A32A-0126-SM-718B1 50-59 years, female 8.5
GTEX-WVJS-0126-SM-4MVOT 50-59 years, male 8.5
GTEX-1HKZK-0326-SM-9WYUH 40-49 years, male 8.5
GTEX-1IDJH-0326-SM-A9SLQ 70-79 years, male 8.5
GTEX-12WSN-5019-SM-79OM6 40-49 years, male 8.4
GTEX-ZZPT-0226-SM-5E43X 50-59 years, male 8.4
GTEX-1A8FM-0226-SM-7SB7Q 50-59 years, female 8.4
GTEX-1GZ2Q-0226-SM-7P8TL 40-49 years, male 8.4
GTEX-S7PM-0126-SM-4AD6S 60-69 years, male 8.3
GTEX-WOFL-0126-SM-3MJG2 60-69 years, male 8.2
GTEX-OOBK-0126-SM-2YUND 40-49 years, male 8.1
GTEX-1JMOU-1526-SM-CL54I 60-69 years, female 8.1
GTEX-14A6H-0126-SM-5QGPK 30-39 years, male 8.0
GTEX-17HHY-0126-SM-7LG5D 50-59 years, male 8.0
GTEX-13NZA-0226-SM-5K7Z7 60-69 years, male 7.8
GTEX-1H3O1-0426-SM-9YFKY 60-69 years, male 7.8
GTEX-1HR98-0126-SM-B2LWI 60-69 years, male 7.8
GTEX-1IOXB-0126-SM-ARL8G 50-59 years, male 7.8
GTEX-1J8Q2-0526-SM-CM2RW 60-69 years, male 7.8
GTEX-1LNCM-1126-SM-E9U5E 50-59 years, female 7.8
GTEX-14E7W-0126-SM-6LLJ9 70-79 years, male 7.7
GTEX-14PN4-0126-SM-6EU2V 50-59 years, male 7.7
GTEX-OHPL-0126-SM-2HMJ7 60-69 years, female 7.7
GTEX-ZDXO-3026-SM-5J1N5 60-69 years, male 7.7
GTEX-1F75A-0126-SM-7RHGM 50-59 years, male 7.7
GTEX-1F75B-0126-SM-9KNVL 50-59 years, male 7.7
GTEX-11DXW-0226-SM-5H122 40-49 years, male 7.6
GTEX-14ABY-0226-SM-5TDCQ 50-59 years, male 7.6
GTEX-X261-0126-SM-3NMD6 50-59 years, male 7.6
GTEX-1B933-0126-SM-7PC29 50-59 years, female 7.6
GTEX-1F48J-0126-SM-7P8TT 50-59 years, female 7.6
GTEX-1I1GS-0126-SM-B2LVW 60-69 years, male 7.6
GTEX-1IDFM-0126-SM-COH2V 60-69 years, male 7.6
GTEX-145LU-0126-SM-5TDCB 50-59 years, male 7.5
GTEX-1PPH7-2326-SM-EVYB8 40-49 years, male 7.5
GTEX-OXRL-0126-SM-2YUMP 50-59 years, male 7.4
GTEX-YJ8A-0426-SM-5IFID 20-29 years, male 7.3
GTEX-ZVZO-0126-SM-5A5L9 40-49 years, male 7.3
GTEX-ZYW4-0126-SM-5E44A 60-69 years, male 7.3
GTEX-11EMC-2926-SM-5EQ4F 60-69 years, female 7.2
GTEX-146FH-0126-SM-5QGPP 50-59 years, female 7.2
GTEX-QDVN-2026-SM-3GAEP 50-59 years, male 7.2
GTEX-XMD2-0126-SM-4YCDU 60-69 years, female 7.2
GTEX-ZVT3-0126-SM-5GU6I 60-69 years, female 7.2
GTEX-11OF3-2626-SM-5GU7F 60-69 years, male 7.1
GTEX-15SHW-0326-SM-6PAML 60-69 years, male 7.1
GTEX-131XW-0426-SM-5LZWP 50-59 years, female 7.0
GTEX-144GN-2326-SM-5LU4F 50-59 years, male 7.0
GTEX-OXRP-0126-SM-3NB32 60-69 years, female 7.0
GTEX-1LG7Y-0526-SM-DKPQC 50-59 years, male 7.0
GTEX-11H98-0126-SM-5EGHG 50-59 years, male 6.9
GTEX-RN64-0126-SM-2TC68 50-59 years, male 6.9
GTEX-117YW-2626-SM-5GZZH 50-59 years, male 6.8
GTEX-VJWN-0126-SM-3GIK7 50-59 years, female 6.8
GTEX-RVPV-0126-SM-EAZAW 60-69 years, male 6.7
GTEX-P44H-0226-SM-2XCEU 40-49 years, male 6.6
GTEX-1192W-2626-SM-5Q5AF 60-69 years, male 6.5
GTEX-1AX9K-2326-SM-73KWU 50-59 years, male 6.5
GTEX-13RTJ-2426-SM-5S2Q2 60-69 years, male 6.4
GTEX-15UKP-0426-SM-7KUFQ 20-29 years, male 6.4
GTEX-1F6IF-0726-SM-7P8TW 60-69 years, male 6.4
GTEX-SE5C-1626-SM-2XCE3 40-49 years, female 6.4
GTEX-13U4I-0126-SM-5LU38 40-49 years, female 6.3
GTEX-13W3W-2426-SM-5LU5B 60-69 years, female 6.3
GTEX-147F4-0226-SM-5QGPW 50-59 years, male 6.3
GTEX-1AX8Z-0126-SM-7DHM6 60-69 years, male 6.3
GTEX-SIU8-0126-SM-2XCDT 50-59 years, male 6.3
GTEX-1IE54-0126-SM-CMKHW 40-49 years, female 6.3
GTEX-NPJ8-0126-SM-2YUNR 40-49 years, male 6.2
GTEX-ZUA1-0126-SM-5GU76 40-49 years, male 6.2
GTEX-1I1GP-2226-SM-CGQFK 50-59 years, male 6.2
GTEX-12584-0126-SM-5EGKQ 40-49 years, male 6.0
GTEX-13N1W-0126-SM-5K7VT 70-79 years, male 6.0
GTEX-1A3MX-0126-SM-731BR 60-69 years, male 6.0
GTEX-1ICLZ-0126-SM-CKZPO 60-69 years, male 6.0
GTEX-1IGQW-0126-SM-COH42 60-69 years, male 6.0
GTEX-1OJC4-0126-SM-E9J2E 50-59 years, female 6.0
GTEX-11OC5-0126-SM-5HL6A 60-69 years, male 5.9
GTEX-11ZU8-2526-SM-5EQKI 60-69 years, male 5.8
GTEX-1H1DE-2126-SM-9WG6R 20-29 years, male 5.8
GTEX-15CHC-2126-SM-6EU21 60-69 years, female 5.7
GTEX-11DXY-2626-SM-5GIE7 60-69 years, male 5.5
GTEX-13OW7-0126-SM-5MR3B 50-59 years, male 5.4
GTEX-16XZY-2126-SM-79OK1 70-79 years, male 5.4
GTEX-11O72-0126-SM-59887 40-49 years, male 5.3
GTEX-11TT1-2526-SM-5EGIB 20-29 years, male 5.3
GTEX-13O3Q-2426-SM-5IJBR 50-59 years, male 5.3
GTEX-1F75I-0326-SM-9YFLU 40-49 years, male 5.3
GTEX-1I1GU-2226-SM-CGQFA 40-49 years, male 5.3
GTEX-139UW-2826-SM-5L3E7 60-69 years, male 5.2
GTEX-15UF6-0826-SM-6PALJ 70-79 years, female 5.1
GTEX-1GPI6-0126-SM-9WG69 60-69 years, male 5.1
GTEX-11WQK-0526-SM-5EQLD 50-59 years, male 5.0
GTEX-12WSL-2526-SM-5GCNJ 50-59 years, male 5.0
GTEX-QDT8-0126-SM-48TZ1 30-39 years, female 5.0
GTEX-1GN1V-0126-SM-9WPOS 60-69 years, male 4.9
GTEX-146FR-1326-SM-E9J48 60-69 years, female 4.8
GTEX-148VJ-0126-SM-5TDDN 70-79 years, male 4.7
GTEX-14E6E-1826-SM-5S2R7 30-39 years, male 4.7
GTEX-17MF6-0126-SM-7LG4F 40-49 years, male 4.7
GTEX-O5YT-0126-SM-48TBW 20-29 years, male 4.7
GTEX-1KD4Q-0226-SM-E9TJ9 40-49 years, male 4.6
GTEX-11NUK-0126-SM-5A5L3 50-59 years, male 4.4
GTEX-RUSQ-1526-SM-2TF62 50-59 years, male 4.4
GTEX-1HUB1-0426-SM-E9U4U 60-69 years, male 4.3
GTEX-V1D1-2226-SM-3NMAX 50-59 years, male 4.2
GTEX-1F7RK-0126-SM-7PC2S 20-29 years, female 4.2
GTEX-Q734-1926-SM-2I5EV 40-49 years, female 4.0
GTEX-1AYD5-2426-SM-73KXR 50-59 years, male 3.9
GTEX-1QP67-1626-SM-EAZ3X 40-49 years, female 3.9
GTEX-11TTK-0126-SM-5987B 60-69 years, female 3.8
GTEX-13NYS-0126-SM-5MR3W 60-69 years, male 3.8
GTEX-X62O-0126-SM-4E3JN 50-59 years, male 3.8
GTEX-1AYCT-2426-SM-7IGQ3 50-59 years, male 3.6
GTEX-1C6VQ-0126-SM-7P8RI 50-59 years, male 3.6
GTEX-PWO3-1526-SM-48TCM 60-69 years, female 3.0
GTEX-U4B1-1826-SM-4DXSU 40-49 years, male 3.0
GTEX-1R9PO-2126-SM-E9J4O 60-69 years, female 2.9
GTEX-1PBJI-0526-SM-E8VNK 20-29 years, female 2.6
GTEX-15D1Q-0126-SM-7KUG6 40-49 years, male 2.5
GTEX-1A3MW-0126-SM-73KXX 60-69 years, female 2.5
GTEX-14BIM-0226-SM-7IGLD 60-69 years, female 2.4
GTEX-139T4-0226-SM-5HL5S 50-59 years, female 2.3
GTEX-183WM-0126-SM-7LTAB 70-79 years, female 2.2
GTEX-X4XY-0226-SM-4E3IZ 60-69 years, male 2.2
GTEX-1RLM8-2326-SM-EWRN4 50-59 years, male 2.1
GTEX-1JMQL-0226-SM-CNPP5 50-59 years, female 2.0
GTEX-1RAZQ-0726-SM-EAZ43 30-39 years, male 2.0
GTEX-15EOM-0126-SM-7KUGG 20-29 years, female 1.9
GTEX-1R9K4-0126-SM-DTX9X 60-69 years, male 1.9
GTEX-145MF-0626-SM-5LUAI 50-59 years, male 1.7
GTEX-14JIY-0126-SM-6LLH6 60-69 years, male 1.7
GTEX-1HSMO-0126-SM-CL547 60-69 years, male 1.6
GTEX-1N2DW-0226-SM-E9TK2 50-59 years, male 1.5
GTEX-11ZUS-0626-SM-59885 30-39 years, male 1.3
GTEX-1M4P7-0226-SM-DIPEV 60-69 years, male 1.1
GTEX-1QW4Y-1526-SM-EAZ3Z 30-39 years, male 0.9
GTEX-1HBPH-0426-SM-B2LW5 40-49 years, female 0.6
Show allShow less

Contact

  • NEWS ARTICLES
  • PRESS ROOM

The Project

  • INTRODUCTION
  • ORGANIZATION
  • PUBLICATIONS

The Human Protein Atlas

  • DOWNLOADABLE DATA
  • LICENCE & CITATION
  • HELP & FAQ
The Human Protein Atlas project is funded
by the Knut & Alice Wallenberg Foundation.


contact@proteinatlas.org