We use cookies to enhance the usability of our website. If you continue, we'll assume that you are happy to receive all cookies. More information. Don't show this again.
TMEM263
HPA
RESOURCES
  • TISSUE
  • BRAIN
  • SINGLE CELL
  • SUBCELLULAR
  • CANCER
  • BLOOD
  • CELL LINE
  • STRUCTURE & INTERACTION
ABOUT
  • INTRODUCTION
  • HISTORY
  • ORGANIZATION
  • PUBLICATIONS
  • ANTIBODY SUBMISSION
  • ANTIBODY AVAILABILITY
  • ACKNOWLEDGMENTS
  • CONTACT
NEWS
  • NEWS ARTICLES
  • PRESS ROOM
LEARN
  • DICTIONARY
  • PROTEIN CLASSES
  • PROTEIN EVIDENCE
  • METHODS
  • EDUCATIONAL VIDEOS
DATA
  • DOWNLOADABLE DATA
  • PUBLICATION DATA
  • RELEASE HISTORY
HELP
  • ANTIBODY VALIDATION
  • ASSAYS & ANNOTATION
  • DISCLAIMER
  • HELP & FAQ
  • PRIVACY STATEMENT
  • LICENCE & CITATION
Fields »
Search result

Field
Term
Gene name
Class
Subclass
Class
Keyword
Chromosome
External id
Tissue
Cell type
Expression
Antibody panel
Tissue
Main location
Patient ID
Annotation
Tissue
Category
Tau score
Cluster
Reliability
Brain region
Category
Tau score
Brain region
Category
Tau score
Brain region
Category
Tau score
Cluster
Reliability
Tissue
Cell type
Enrichment
Cell type
Category
Tau score
Cell type
Category
Tau score
Cell type
Category
Tau score
Cell lineage
Category
Tau score
Cluster
Cluster
Location
Searches
Location
Cell line
Class
Type
Phase
Reliability
Cancer
Prognosis
Cancer
Category
Cancer
Category
Tau score
Cluster
Variants
Interacting gene (ensg_id)
Type
Number of interactions
Pathway
Category
Score
Score
Score
Validation
Validation
Validation
Validation
Antibodies
Data type
Column


  • SUMMARY

  • TISSUE

  • BRAIN

  • SINGLE CELL

  • SUBCELL

  • CANCER

  • BLOOD

  • CELL LINE

  • STRUCT & INT

  • TMEM263
TISSUE PRIMARY DATA ESOPHAGUS Show tissue menu
ADIPOSE TISSUE ADRENAL GLAND AMYGDALA APPENDIX BASAL GANGLIA BONE MARROW BREAST CEREBELLUM CEREBRAL CORTEX CERVIX CHOROID PLEXUS COLON DUODENUM ENDOMETRIUM
EPIDIDYMIS ESOPHAGUS FALLOPIAN TUBE GALLBLADDER HEART MUSCLE HIPPOCAMPAL FORMATION HYPOTHALAMUS KIDNEY LIVER LUNG LYMPH NODE MIDBRAIN NASOPHARYNX ORAL MUCOSA
OVARY PANCREAS PARATHYROID GLAND PITUITARY GLAND PLACENTA PROSTATE RECTUM RETINA SALIVARY GLAND SEMINAL VESICLE SKELETAL MUSCLE SKIN SMALL INTESTINE SMOOTH MUSCLE
SOFT TISSUE SPINAL CORD SPLEEN STOMACH TESTIS THYMUS THYROID GLAND TONGUE TONSIL URINARY BLADDER VAGINA
ANTIBODIES
AND
VALIDATION
Dictionary
Esophagus
Tissue proteome
Esophagus
ESOPHAGUS - Expression summary
Protein expression
Esophagusi

On the top, protein expression in current human tissue, based on all annotated cell types, is reported with the units not detected (n), low (l), medium (m) and high (h). Underneath, protein expression in each annotated cell type are reported using the same units.

Protein expression data is based on knowledge-based annotation. For genes where more than one antibody has been used, a collective score is set.

If knowledge-based annotation could not be performed for a gene, no data is displayed here. View antibody staining data further down this page.

h
m
l
n
Squamous epithelial cells: Medium
RNA expressioni

A summary of mRNA expression data available for current tissue based on several datasets. The mRNA expression levels in human tissues are based on RNA-seq data generated by the Human Protein Atlas (HPA), Genotype-Tissue Expression (GTEx) portal and CAGE data generated by the FANTOM5 consortium. Consensus normalized expression levels for human tissues was created by combining the data from HPA and GTEx datasets.

The mRNA expression levels in pig are based on RNA-seq data generated by the Human Protein Atlas (HPA), and for mouse, HPA data and in situ hybridization generated by the Allen brain atlas are reported.

Scroll down to view mRNA expression data in more detail.
Consensus:9.2 nTPM
HPA:9.2 nTPM
GTEx:5.4 nTPM
FANTOM5:48.7 Scaled Tags Per Million

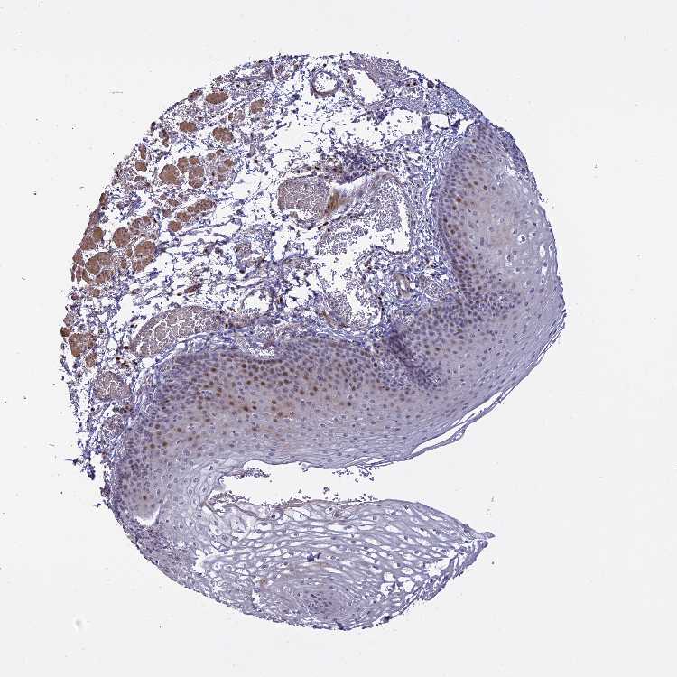
ESOPHAGUS - Antibody stainingi

Antibody staining in the annotated cell types in the current human tissue is reported as not detected, low, medium, or high, based on conventional immunohistochemistry profiling in selected tissues. This score is based on the combination of the staining intensity and fraction of stained cells.

Each image is clickable and will lead to virtual microscopy that enables deeper exploration of all samples and also displays staining intensity scores, fraction scores and subcellular localization as well as patient and tissue information for each sample.

Antibody HPA042339
Squamous epithelial cells Medium


ESOPHAGUS - HPA RNA-seqi

The RNA-seq details section shows detailed information about the individual samples used for the transcript profiling and results of the RNA-seq analysis.

Information about each individual sample is listed below, including gender, age, a tissue section image and estimated fractions of cell types. nTPM (normalized transcripts per million) values give a quantification of the gene abundance which is comparable between different genes and samples.
Average nTPMi

Max subtype nTPM is the value for the subtype with the largest average nTPM across the subtype samples.

9.2
overview
Female, age 70
Esophagus sample 130
nTPM: 7.9
Cell types%
Squamous epithelial cells:
35

Smooth muscle cells:
15

Skeletal muscle cells:
5

Other cell types:
45

overview
Male, age 38
Esophagus sample 131
nTPM: 11.1
Cell types%
Squamous epithelial cells:
60

Smooth muscle cells:
20

Other cell types:
20

overview
Male, age 76
Esophagus sample 132
nTPM: 8.5
Cell types%
Squamous epithelial cells:
45

Smooth muscle cells:
15

Other cell types:
40


ESOPHAGUS - GTEx RNA-seqi

RNA-Seq data generated by the Genotype-Tissue Expression (GTEx) project from human tissues is reported as mean nTPM. More information can be found on the GTEx portal.

Distribution across the dataset is visualized with box plots, shown as median and 25th and 75th percentiles. Points are displayed as outliers if they are above or below 1.5 times the interquartile range. nTPM values of the individual samples are presented next to the box plot.
Max subtype nTPMi

Max subtype nTPM is the value for the subtype with the largest average nTPM across the subtype samples.

5.4
GTEx sample id Sample description nTPM
Esophagus - Mucosa
Average nTPM: 5.4
Samples: 555

Max nTPM: 17.6
Min nTPM: 2.0
Std nTPM: 2.3
Median nTPM: 4.8
GTEX-N7MS-1225-SM-3LK5G 60-69 years, male 17.6
GTEX-1IDFM-1126-SM-A96SY 60-69 years, male 16.9
GTEX-13SLX-1726-SM-5Q5E5 50-59 years, female 16.8
GTEX-13JVG-2026-SM-5KM1N 60-69 years, male 16.6
GTEX-1QEPI-1826-SM-EAZ3J 60-69 years, female 16.5
GTEX-12WSG-5007-SM-7DUGZ 50-59 years, female 15.4
GTEX-ZYFC-1626-SM-5N9EU 50-59 years, male 13.4
GTEX-1JMLX-2326-SM-CXZJP 50-59 years, male 13.4
GTEX-11DYG-1326-SM-5N9DO 60-69 years, male 13.2
GTEX-13O61-0926-SM-5IFFE 60-69 years, male 13.2
GTEX-1BAJH-2026-SM-7P8OZ 70-79 years, male 12.4
GTEX-1F7RK-1526-SM-7P8T6 20-29 years, female 12.4
GTEX-17KNJ-1326-SM-7KFTG 50-59 years, male 12.3
GTEX-144GO-2726-SM-5O9A2 60-69 years, male 11.9
GTEX-XMD2-1326-SM-4YCET 60-69 years, female 11.8
GTEX-1I1GV-2226-SM-ARU7E 60-69 years, male 11.7
GTEX-16Z82-1926-SM-6M47U 60-69 years, male 11.4
GTEX-12WSN-5013-SM-7P8P9 40-49 years, male 11.3
GTEX-UPJH-1026-SM-EAZB2 50-59 years, male 11.2
GTEX-ZV68-0926-SM-59HK7 50-59 years, female 11.1
GTEX-1HCU8-2226-SM-9WPOV 60-69 years, female 11.0
GTEX-1MCQQ-1026-SM-EV7AX 60-69 years, male 11.0
GTEX-145LS-1826-SM-5LUAZ 60-69 years, female 10.6
GTEX-XLM4-2326-SM-4AT5E 60-69 years, male 10.5
GTEX-11EI6-1526-SM-5P9GL 60-69 years, male 10.3
GTEX-1212Z-2126-SM-5FQTM 60-69 years, male 10.1
GTEX-1LSNL-2226-SM-DHXKM 50-59 years, male 10.1
GTEX-17F9E-1926-SM-7IGQF 50-59 years, male 9.9
GTEX-15EOM-5013-SM-7MKF9 20-29 years, female 9.8
GTEX-13G51-0926-SM-5IFFU 60-69 years, male 9.6
GTEX-15UF6-2326-SM-6M465 70-79 years, female 9.6
GTEX-15EO6-1026-SM-7KUG9 50-59 years, male 9.5
GTEX-1LVA9-2126-SM-DLHBY 50-59 years, male 9.5
GTEX-P4PP-0626-SM-3NM9X 30-39 years, female 9.4
GTEX-1H3NZ-1326-SM-9JGHI 60-69 years, male 9.4
GTEX-1H3VY-2026-SM-9JGHK 50-59 years, male 9.4
GTEX-SJXC-1426-SM-EYYVB 60-69 years, male 9.4
GTEX-1AX8Z-5016-SM-AHZ2B 60-69 years, male 9.3
GTEX-WEY5-0926-SM-4LMI4 40-49 years, female 9.2
GTEX-17F97-1326-SM-7MGVO 50-59 years, male 9.0
GTEX-11ONC-1526-SM-5GU6S 60-69 years, male 8.9
GTEX-13X6I-1026-SM-5LU4C 60-69 years, male 8.9
GTEX-14PJ6-1026-SM-686ZB 60-69 years, female 8.9
GTEX-R45C-1226-SM-48FEE 60-69 years, female 8.9
GTEX-1RAZS-2626-SM-EV79C 50-59 years, male 8.9
GTEX-117YW-1926-SM-5H121 50-59 years, male 8.8
GTEX-TSE9-1226-SM-4DXTM 60-69 years, female 8.8
GTEX-ZAK1-1526-SM-5S2OV 50-59 years, female 8.8
GTEX-15DYW-1826-SM-6LPIY 60-69 years, female 8.7
GTEX-18A6Q-1226-SM-7KFS9 60-69 years, male 8.7
GTEX-1GMR8-1826-SM-9WYUE 50-59 years, female 8.7
GTEX-1GN1U-1826-SM-9JGH2 50-59 years, female 8.7
GTEX-1IKK5-1326-SM-AHZ2X 60-69 years, male 8.6
GTEX-1PPGY-1726-SM-EVR3S 60-69 years, male 8.6
GTEX-WHWD-0926-SM-4OORY 50-59 years, male 8.5
GTEX-13OVJ-1226-SM-5L3HA 50-59 years, female 8.4
GTEX-1EU9M-2326-SM-7MKGS 60-69 years, male 8.4
GTEX-11GSP-1826-SM-5N9DQ 60-69 years, female 8.2
GTEX-14C5O-1626-SM-73KYH 60-69 years, male 8.2
GTEX-14JIY-0926-SM-6871D 60-69 years, male 8.2
GTEX-1QP29-2126-SM-E6CPZ 50-59 years, male 8.2
GTEX-P4QT-0626-SM-3NMCP 50-59 years, female 8.1
GTEX-PVOW-1626-SM-48TC9 40-49 years, male 8.1
GTEX-12ZZX-1326-SM-5DUWI 40-49 years, female 8.0
GTEX-1M5QR-0726-SM-DHXK7 40-49 years, male 8.0
GTEX-13QJ3-1726-SM-5RQK9 50-59 years, male 7.9
GTEX-X585-1226-SM-46MW7 50-59 years, male 7.9
GTEX-1F52S-1426-SM-7P8PU 60-69 years, female 7.9
GTEX-14DAQ-1426-SM-5RQJD 60-69 years, female 7.8
GTEX-14PJM-1526-SM-664NY 50-59 years, female 7.8
GTEX-1GTWX-1326-SM-9JGHU 60-69 years, male 7.8
GTEX-1RAZR-1226-SM-E6CRD 40-49 years, male 7.8
GTEX-ZAB5-0926-SM-5CVMV 50-59 years, male 7.7
GTEX-146FQ-1026-SM-5LU8I 30-39 years, male 7.6
GTEX-R53T-1126-SM-48FD4 50-59 years, female 7.6
GTEX-RTLS-1126-SM-46MUQ 60-69 years, female 7.6
GTEX-1JMQK-2026-SM-C1YQN 60-69 years, male 7.6
GTEX-14BIM-1326-SM-7EWD1 60-69 years, female 7.5
GTEX-18A66-1426-SM-7KFRT 60-69 years, male 7.5
GTEX-1E1VI-1526-SM-7IGQ2 50-59 years, male 7.5
GTEX-Q2AG-1326-SM-43V8K 40-49 years, female 7.5
GTEX-1GN73-1926-SM-9JGGS 60-69 years, male 7.5
GTEX-1LGOU-0526-SM-D3LAO 20-29 years, female 7.5
GTEX-YFC4-1226-SM-5LU9R 40-49 years, female 7.4
GTEX-ZF2S-1226-SM-4WWAX 50-59 years, female 7.4
GTEX-ZQUD-0426-SM-57WFR 30-39 years, male 7.4
GTEX-17HII-1526-SM-9OSVD 50-59 years, male 7.4
GTEX-1JMPZ-2026-SM-C1YR8 30-39 years, male 7.3
GTEX-13FLV-1126-SM-5J2NO 50-59 years, male 7.2
GTEX-13OW8-2326-SM-5L3I9 60-69 years, male 7.2
GTEX-16AAH-0726-SM-793A9 50-59 years, male 7.2
GTEX-1C6VQ-1826-SM-7EWEH 50-59 years, male 7.2
GTEX-P4QS-0626-SM-3NMD1 60-69 years, male 7.2
GTEX-XYKS-1526-SM-4BRUP 60-69 years, female 7.2
GTEX-1KD4Q-1126-SM-CXZKK 40-49 years, male 7.2
GTEX-1QPFJ-1226-SM-EAZ3M 30-39 years, female 7.2
GTEX-15DCD-1626-SM-6AJBH 70-79 years, female 7.1
GTEX-OXRN-1726-SM-3NM9B 50-59 years, male 7.1
GTEX-1HB9E-1526-SM-D3LA6 50-59 years, male 7.1
GTEX-1JMQJ-1226-SM-D3L97 50-59 years, male 7.1
GTEX-13O21-0626-SM-5IJDI 50-59 years, male 7.0
GTEX-1GL5R-1526-SM-7MKHO 50-59 years, male 7.0
GTEX-Y111-1626-SM-57WCY 50-59 years, male 7.0
GTEX-1I6K7-1426-SM-B2LXP 40-49 years, male 7.0
GTEX-QEG4-0726-SM-CNNRF 30-39 years, male 7.0
GTEX-12WSD-1826-SM-5GCOA 60-69 years, female 6.9
GTEX-133LE-0626-SM-5IFFJ 20-29 years, female 6.9
GTEX-139TU-1226-SM-5J2NL 60-69 years, male 6.9
GTEX-1AX9I-1426-SM-7DHM8 60-69 years, male 6.9
GTEX-1F88F-1126-SM-7MKHL 60-69 years, female 6.9
GTEX-XMK1-1326-SM-4B65Q 40-49 years, male 6.9
GTEX-XV7Q-1126-SM-4BRVS 40-49 years, female 6.9
GTEX-ZT9X-0526-SM-5GCOP 40-49 years, male 6.9
GTEX-13O3Q-0826-SM-5IFGF 50-59 years, male 6.8
GTEX-1CB4G-1326-SM-7MKFP 60-69 years, male 6.8
GTEX-OXRK-1326-SM-3NB1A 50-59 years, female 6.8
GTEX-YJ89-1526-SM-5P9IR 60-69 years, male 6.8
GTEX-13X6K-2126-SM-5O9D4 60-69 years, female 6.7
GTEX-145MF-1426-SM-5O9B6 50-59 years, male 6.7
GTEX-ZZPT-1426-SM-5N9C5 50-59 years, male 6.7
GTEX-1QW4Y-0526-SM-EAZ3V 30-39 years, male 6.7
GTEX-13NYB-0926-SM-5IFFA 40-49 years, male 6.6
GTEX-14E1K-1226-SM-5S2PD 50-59 years, male 6.6
GTEX-14PHY-0626-SM-664NN 60-69 years, female 6.6
GTEX-15ER7-2126-SM-7939E 20-29 years, female 6.6
GTEX-WHSE-1526-SM-4M1XH 20-29 years, male 6.6
GTEX-1LG7Y-1726-SM-EV7AR 50-59 years, male 6.6
GTEX-15ETS-1926-SM-7KUN5 40-49 years, female 6.5
GTEX-16NGA-1426-SM-718AC 40-49 years, female 6.5
GTEX-P78B-1026-SM-3NMC4 40-49 years, female 6.5
GTEX-ZYVF-2226-SM-5GIDD 50-59 years, female 6.5
GTEX-1ICG6-1926-SM-ARU7L 70-79 years, female 6.5
GTEX-15DCE-1326-SM-6LPJL 20-29 years, male 6.4
GTEX-1EMGI-1926-SM-7938Y 60-69 years, male 6.4
GTEX-OXRL-0626-SM-3NM9C 50-59 years, male 6.4
GTEX-RUSQ-0826-SM-47JWW 50-59 years, male 6.4
GTEX-ZAJG-1326-SM-5S2NV 50-59 years, female 6.4
GTEX-1EKGG-1726-SM-7MXUP 60-69 years, male 6.4
GTEX-139YR-1726-SM-5IFFK 50-59 years, male 6.3
GTEX-1C475-0926-SM-7MKFI 40-49 years, female 6.3
GTEX-ZPU1-1426-SM-4WWFU 40-49 years, male 6.2
GTEX-1EN7A-1226-SM-7MGX9 40-49 years, male 6.2
GTEX-11DXY-1426-SM-5N9CN 60-69 years, male 6.1
GTEX-11DZ1-2026-SM-5A5KG 50-59 years, male 6.1
GTEX-12ZZY-1426-SM-5N9EI 60-69 years, male 6.1
GTEX-15EU6-1626-SM-6LPKF 50-59 years, male 6.1
GTEX-18A7A-2326-SM-7KFRH 50-59 years, female 6.1
GTEX-SNOS-0626-SM-4DM5F 40-49 years, male 6.1
GTEX-T5JW-1326-SM-4DM5G 20-29 years, female 6.1
GTEX-XK95-1026-SM-4GIDV 40-49 years, male 6.1
GTEX-Y5V5-1626-SM-4VDSG 60-69 years, female 6.1
GTEX-ZYW4-1326-SM-5E45N 60-69 years, male 6.1
GTEX-1HBPM-1426-SM-9WPPE 60-69 years, female 6.1
GTEX-1HCVE-1226-SM-9WPPH 50-59 years, male 6.1
GTEX-1R9K4-1926-SM-DPRZW 60-69 years, male 6.1
GTEX-12KS4-0926-SM-5BC5S 30-39 years, male 6.0
GTEX-132AR-2226-SM-5J2NT 50-59 years, female 6.0
GTEX-139UW-1126-SM-5IJEJ 60-69 years, male 6.0
GTEX-14A6H-1326-SM-5NQBC 30-39 years, male 6.0
GTEX-YECK-1626-SM-5IFHQ 60-69 years, male 6.0
GTEX-1K9T9-2026-SM-CXZK3 50-59 years, female 6.0
GTEX-17JCI-1226-SM-793D9 60-69 years, female 5.9
GTEX-WVLH-1426-SM-4MVNX 50-59 years, male 5.9
GTEX-Y9LG-0626-SM-4WWDH 30-39 years, male 5.9
GTEX-1HBPI-0626-SM-9WPP4 50-59 years, male 5.9
GTEX-1N2EE-2426-SM-EXOIO 60-69 years, male 5.9
GTEX-13PVQ-1726-SM-5IFF3 50-59 years, male 5.8
GTEX-13W46-1926-SM-5J2MF 50-59 years, male 5.8
GTEX-146FR-0426-SM-5SI97 60-69 years, female 5.8
GTEX-SE5C-1226-SM-4BRWV 40-49 years, female 5.8
GTEX-T2IS-0826-SM-4DM6L 20-29 years, female 5.8
GTEX-Y3IK-1126-SM-51MSV 50-59 years, female 5.8
GTEX-ZF3C-1626-SM-4WWB4 50-59 years, female 5.8
GTEX-1JMPY-0826-SM-AHZ4A 30-39 years, male 5.8
GTEX-15RJ7-0926-SM-6LPJO 40-49 years, male 5.7
GTEX-N7MT-0326-SM-48TDP 60-69 years, female 5.7
GTEX-RNOR-1226-SM-48FDQ 50-59 years, female 5.7
GTEX-T2YK-1326-SM-4DM6S 50-59 years, male 5.7
GTEX-ZTX8-0226-SM-5E44D 20-29 years, male 5.7
GTEX-ZYT6-1126-SM-5GZYR 30-39 years, male 5.7
GTEX-1I1GP-1026-SM-C1YRZ 50-59 years, male 5.7
GTEX-1LGRB-1626-SM-CNNR7 50-59 years, female 5.7
GTEX-11TUW-1326-SM-5EQKV 60-69 years, male 5.6
GTEX-11XUK-0826-SM-5GU6P 40-49 years, female 5.6
GTEX-145LT-1126-SM-5LUA1 40-49 years, male 5.6
GTEX-183WM-1726-SM-7KFT5 70-79 years, female 5.6
GTEX-1EWIQ-1526-SM-79OO7 70-79 years, female 5.6
GTEX-TMMY-1126-SM-4DXSX 40-49 years, female 5.6
GTEX-1MA7X-0726-SM-EV7AB 60-69 years, male 5.6
GTEX-15SB6-0726-SM-6M48F 50-59 years, female 5.5
GTEX-X4LF-0626-SM-4QASB 50-59 years, male 5.5
GTEX-1B97J-1026-SM-7MXTE 50-59 years, female 5.5
GTEX-1HCU7-2126-SM-A96SG 50-59 years, male 5.5
GTEX-1R9JW-1526-SM-DPRZK 30-39 years, female 5.5
GTEX-11VI4-0526-SM-5EQ48 40-49 years, female 5.4
GTEX-139T6-0626-SM-5IFF9 50-59 years, male 5.4
GTEX-16MT8-1326-SM-6M47R 60-69 years, female 5.4
GTEX-17HGU-1426-SM-7938G 50-59 years, male 5.4
GTEX-1B933-2026-SM-7EWFC 50-59 years, female 5.4
GTEX-NPJ8-1926-SM-3MJGB 40-49 years, male 5.4
GTEX-QCQG-0626-SM-48U21 50-59 years, female 5.4
GTEX-RU72-0726-SM-46MUW 50-59 years, female 5.4
GTEX-WK11-1026-SM-4OOS8 50-59 years, male 5.4
GTEX-XQ8I-1526-SM-4BOOH 50-59 years, male 5.4
GTEX-XUZC-0426-SM-4BOPE 30-39 years, female 5.4
GTEX-1HCUA-1426-SM-9WPP7 50-59 years, female 5.4
GTEX-1HSGN-1626-SM-A96U2 40-49 years, female 5.4
GTEX-OHPN-1026-SM-E9TI8 60-69 years, female 5.4
GTEX-12WSL-1526-SM-5GCP8 50-59 years, male 5.3
GTEX-12ZZW-1726-SM-5DUVD 50-59 years, male 5.3
GTEX-13PL7-0226-SM-731DT 60-69 years, female 5.3
GTEX-1AMFI-0226-SM-731D5 50-59 years, female 5.3
GTEX-1AX9K-1126-SM-731DQ 50-59 years, male 5.3
GTEX-R55D-1126-SM-48FEB 50-59 years, male 5.3
GTEX-R55G-1026-SM-48FDI 40-49 years, female 5.3
GTEX-RU1J-0326-SM-46MUM 20-29 years, female 5.3
GTEX-YB5K-0826-SM-5YYB7 40-49 years, female 5.3
GTEX-1A8FM-1526-SM-7MXTA 50-59 years, female 5.3
GTEX-1F5PL-1726-SM-9QEGL 40-49 years, female 5.3
GTEX-1GMR3-1526-SM-9JGGL 40-49 years, male 5.3
GTEX-1HBPH-1126-SM-A96TU 40-49 years, female 5.3
GTEX-1KAFJ-0626-SM-D3L8X 50-59 years, male 5.3
GTEX-ZF29-1326-SM-DNZYV 60-69 years, female 5.3
GTEX-13RTK-0526-SM-5S2QF 20-29 years, male 5.2
GTEX-145LU-0926-SM-79OJL 50-59 years, male 5.2
GTEX-14PK6-1326-SM-686ZE 70-79 years, female 5.2
GTEX-15UF7-0926-SM-6M46F 40-49 years, male 5.2
GTEX-169BO-0526-SM-793AK 50-59 years, male 5.2
GTEX-17F96-2526-SM-7DHL3 70-79 years, male 5.2
GTEX-17F98-1726-SM-7938O 40-49 years, female 5.2
GTEX-1CB4F-1526-SM-7MKFM 60-69 years, male 5.2
GTEX-RVPV-0526-SM-47JYL 60-69 years, male 5.2
GTEX-UJMC-0926-SM-4IHLK 50-59 years, male 5.2
GTEX-WH7G-0926-SM-4LVMJ 40-49 years, male 5.2
GTEX-ZZ64-0226-SM-5E44X 20-29 years, male 5.2
GTEX-1HSKV-2426-SM-A8N8K 60-69 years, male 5.2
GTEX-1I1CD-1726-SM-A9G3P 60-69 years, female 5.2
GTEX-1269C-1026-SM-5N9EY 60-69 years, female 5.1
GTEX-13OVK-1126-SM-6PAMR 40-49 years, male 5.1
GTEX-13U4I-1126-SM-5LU3S 40-49 years, female 5.1
GTEX-147F3-0826-SM-5NQA7 50-59 years, female 5.1
GTEX-16MTA-0826-SM-6LLIC 50-59 years, male 5.1
GTEX-18A67-2426-SM-7LT95 50-59 years, male 5.1
GTEX-1EH9U-2426-SM-7EWFG 60-69 years, male 5.1
GTEX-REY6-1326-SM-48FDO 60-69 years, male 5.1
GTEX-X4EO-1226-SM-4QARR 60-69 years, female 5.1
GTEX-ZVE2-1326-SM-5NQ94 50-59 years, male 5.1
GTEX-14PJ3-0626-SM-6UGC5 50-59 years, male 5.1
GTEX-1JK1U-1726-SM-CNNPM 60-69 years, male 5.1
GTEX-OIZF-0626-SM-7MKHG 60-69 years, male 5.1
GTEX-12696-1326-SM-5FQTJ 60-69 years, male 5.0
GTEX-1399Q-1126-SM-5P9JA 40-49 years, male 5.0
GTEX-RM2N-0726-SM-48FD5 50-59 years, male 5.0
GTEX-TKQ1-0326-SM-4DXSM 30-39 years, male 5.0
GTEX-U8XE-1726-SM-4E3IF 30-39 years, male 5.0
GTEX-WFG7-1126-SM-4LMK3 20-29 years, male 5.0
GTEX-Y114-0926-SM-4TT7J 50-59 years, female 5.0
GTEX-1H1DG-1226-SM-9JGH3 70-79 years, male 5.0
GTEX-1HC8U-1526-SM-9WPO4 40-49 years, female 5.0
GTEX-1JKYR-2126-SM-CNNPC 20-29 years, male 5.0
GTEX-11P82-0526-SM-5986P 20-29 years, male 4.9
GTEX-17MFQ-0526-SM-7KFTX 20-29 years, male 4.9
GTEX-OIZH-0626-SM-3NB1L 50-59 years, male 4.9
GTEX-R55C-0826-SM-48FCL 40-49 years, male 4.9
GTEX-U3ZH-1026-SM-4DXUZ 30-39 years, male 4.9
GTEX-WHSB-0426-SM-4M1XI 50-59 years, male 4.9
GTEX-X15G-0826-SM-4PQZD 50-59 years, female 4.9
GTEX-X62O-2226-SM-46MW3 50-59 years, male 4.9
GTEX-YF7O-0926-SM-5IFIF 50-59 years, male 4.9
GTEX-ZEX8-1426-SM-4WKHQ 50-59 years, male 4.9
GTEX-ZT9W-1326-SM-51MTB 50-59 years, male 4.9
GTEX-1LG7Z-0926-SM-CXKYK 30-39 years, male 4.9
GTEX-1MA7W-0426-SM-E9TJ5 20-29 years, female 4.9
GTEX-12WSA-1426-SM-5EGJU 60-69 years, male 4.8
GTEX-132Q8-1826-SM-5EGIY 60-69 years, male 4.8
GTEX-QLQ7-0926-SM-447BC 60-69 years, male 4.8
GTEX-S3XE-0926-SM-4AD4S 50-59 years, male 4.8
GTEX-ZUA1-1226-SM-5NQ6O 40-49 years, male 4.8
GTEX-13FHO-1726-SM-DPRZX 60-69 years, male 4.8
GTEX-1KANB-1826-SM-DHXJU 50-59 years, male 4.8
GTEX-1QP67-0726-SM-DPRY1 40-49 years, female 4.8
GTEX-111CU-0726-SM-5GZYD 50-59 years, male 4.7
GTEX-11EQ9-0726-SM-5A5K2 30-39 years, male 4.7
GTEX-131XF-0826-SM-5GICG 60-69 years, male 4.7
GTEX-131YS-1426-SM-5IJF7 60-69 years, female 4.7
GTEX-14JG6-0926-SM-6871Y 30-39 years, female 4.7
GTEX-17HHE-0926-SM-7938K 50-59 years, male 4.7
GTEX-183FY-1526-SM-7IGOW 20-29 years, male 4.7
GTEX-1A32A-1826-SM-72D5G 50-59 years, female 4.7
GTEX-1B8KZ-0726-SM-7938W 50-59 years, male 4.7
GTEX-T5JC-1726-SM-4DM6U 20-29 years, male 4.7
GTEX-Y5V6-1026-SM-4VBS2 60-69 years, male 4.7
GTEX-1CB4J-2426-SM-7MXVC 60-69 years, male 4.7
GTEX-1HFI6-1226-SM-A96SK 40-49 years, male 4.7
GTEX-1QCLZ-1626-SM-E9U5R 60-69 years, female 4.7
GTEX-1497J-2726-SM-5SI9W 60-69 years, male 4.6
GTEX-14E6E-0726-SM-5S2R3 30-39 years, male 4.6
GTEX-15SHU-1426-SM-6LPIN 40-49 years, female 4.6
GTEX-OIZI-1426-SM-3NB1T 40-49 years, male 4.6
GTEX-S7SF-0926-SM-4AD4M 20-29 years, female 4.6
GTEX-S95S-0426-SM-4B64I 60-69 years, male 4.6
GTEX-V955-1126-SM-4JBH3 60-69 years, male 4.6
GTEX-WOFM-0626-SM-4OOS3 20-29 years, male 4.6
GTEX-Y3I4-1226-SM-4TT8N 50-59 years, male 4.6
GTEX-ZAB4-1126-SM-5HL86 40-49 years, male 4.6
GTEX-1PFEY-0826-SM-E9U6A 30-39 years, male 4.6
GTEX-11DXX-1126-SM-5GZZK 60-69 years, female 4.5
GTEX-131XG-1026-SM-5GCMX 50-59 years, female 4.5
GTEX-1399R-0826-SM-5IJEL 30-39 years, male 4.5
GTEX-13OVG-0626-SM-5IFEP 60-69 years, male 4.5
GTEX-144GM-1426-SM-5LU31 20-29 years, male 4.5
GTEX-178AV-0526-SM-6LPJH 40-49 years, male 4.5
GTEX-17EVQ-1926-SM-7IGOF 70-79 years, male 4.5
GTEX-1CB4I-1026-SM-7MKFZ 50-59 years, male 4.5
GTEX-QDVN-1026-SM-48TZA 50-59 years, male 4.5
GTEX-QLQW-0526-SM-4R1KS 30-39 years, male 4.5
GTEX-T6MO-0526-SM-4DM6R 40-49 years, female 4.5
GTEX-TML8-1526-SM-4DXUX 40-49 years, female 4.5
GTEX-WRHK-0526-SM-4MVOF 20-29 years, female 4.5
GTEX-WYJK-1926-SM-4ONDP 50-59 years, male 4.5
GTEX-Y5LM-1026-SM-4VDSQ 40-49 years, female 4.5
GTEX-Y8LW-0726-SM-5IFI1 50-59 years, female 4.5
GTEX-ZE9C-1126-SM-4WWBD 60-69 years, male 4.5
GTEX-ZPCL-1426-SM-57WEC 60-69 years, female 4.5
GTEX-1GMR2-1526-SM-7MXV6 50-59 years, male 4.5
GTEX-1I1GR-1326-SM-ARU7B 60-69 years, male 4.5
GTEX-1JKYN-1526-SM-CGQGA 30-39 years, male 4.5
GTEX-111YS-0926-SM-5EGGI 60-69 years, male 4.4
GTEX-11EMC-2226-SM-5A5JW 60-69 years, female 4.4
GTEX-132QS-1426-SM-5P9GE 60-69 years, male 4.4
GTEX-13FHP-1526-SM-5IJGE 50-59 years, male 4.4
GTEX-13FTW-1626-SM-5KM4N 40-49 years, male 4.4
GTEX-13NZB-1226-SM-5J2MW 30-39 years, male 4.4
GTEX-13S86-0826-SM-5SI6J 40-49 years, male 4.4
GTEX-144GN-0626-SM-5O9B2 50-59 years, male 4.4
GTEX-145LV-1326-SM-5S2QI 50-59 years, male 4.4
GTEX-14BMU-0926-SM-5S2QB 20-29 years, female 4.4
GTEX-1B8KE-1826-SM-731FD 50-59 years, male 4.4
GTEX-P4PQ-0626-SM-3NMCU 60-69 years, male 4.4
GTEX-PLZ5-0926-SM-3TW8L 50-59 years, male 4.4
GTEX-PSDG-1326-SM-48TD2 50-59 years, male 4.4
GTEX-XBED-1026-SM-48TCB 60-69 years, male 4.4
GTEX-ZVT2-1326-SM-5E45H 50-59 years, female 4.4
GTEX-ZXES-1126-SM-5GZXN 30-39 years, female 4.4
GTEX-1CAMQ-2726-SM-7MKGD 40-49 years, male 4.4
GTEX-1CB4H-1526-SM-7MXU4 60-69 years, female 4.4
GTEX-1H11D-2126-SM-9OSXM 40-49 years, male 4.4
GTEX-1I1GQ-1726-SM-B2LWZ 50-59 years, male 4.4
GTEX-1J8QM-1926-SM-AHZ3Z 60-69 years, female 4.4
GTEX-1399U-1026-SM-5J1OC 50-59 years, female 4.3
GTEX-13CF3-1626-SM-5IFG9 60-69 years, female 4.3
GTEX-144FL-2726-SM-5O98Z 50-59 years, male 4.3
GTEX-OXRP-0926-SM-48TC1 60-69 years, female 4.3
GTEX-PLZ6-0526-SM-3P61C 30-39 years, male 4.3
GTEX-POYW-1326-SM-48TCG 60-69 years, male 4.3
GTEX-PWN1-0626-SM-48TDT 40-49 years, female 4.3
GTEX-S4P3-0426-SM-4AD56 50-59 years, female 4.3
GTEX-U3ZM-0526-SM-4DXTB 40-49 years, male 4.3
GTEX-1GN1W-2226-SM-9JGI5 50-59 years, female 4.3
GTEX-1LNCM-0626-SM-EV7AI 50-59 years, female 4.3
GTEX-1QCLY-1526-SM-DPRXX 30-39 years, male 4.3
GTEX-1R9K5-1526-SM-DPRZA 50-59 years, male 4.3
GTEX-ZLFU-1126-SM-DO11K 40-49 years, male 4.3
GTEX-11NSD-1126-SM-5N9BQ 20-29 years, male 4.2
GTEX-1211K-0926-SM-5FQTL 60-69 years, female 4.2
GTEX-148VJ-1026-SM-5LU98 70-79 years, male 4.2
GTEX-14BIN-2726-SM-5RQIE 50-59 years, female 4.2
GTEX-16NPX-1626-SM-6LLI5 50-59 years, male 4.2
GTEX-18465-1126-SM-7LG6E 50-59 years, male 4.2
GTEX-Y8E4-1726-SM-5LU9G 40-49 years, male 4.2
GTEX-Z9EW-0526-SM-5HL8S 40-49 years, male 4.2
GTEX-ZYY3-1526-SM-5SIA9 60-69 years, female 4.2
GTEX-1IDJF-1226-SM-C1YPX 20-29 years, male 4.2
GTEX-1J8EW-1326-SM-AHZ3S 60-69 years, female 4.2
GTEX-1QP28-1826-SM-EAZ4L 50-59 years, female 4.2
GTEX-1QP9N-0926-SM-E9U5S 30-39 years, male 4.2
GTEX-1RLM8-0726-SM-E6CRH 50-59 years, male 4.2
GTEX-12WSK-1126-SM-5LZV8 40-49 years, female 4.1
GTEX-131XE-1426-SM-5HL7V 50-59 years, male 4.1
GTEX-13D11-1926-SM-5IFGB 50-59 years, female 4.1
GTEX-13FH7-0526-SM-5IJF8 50-59 years, female 4.1
GTEX-13FTX-0526-SM-5IFGS 20-29 years, female 4.1
GTEX-13W3W-1626-SM-5LU35 60-69 years, female 4.1
GTEX-14H4A-1626-SM-5SI69 40-49 years, female 4.1
GTEX-14ICL-0526-SM-5RQJ6 30-39 years, male 4.1
GTEX-1C2JI-1126-SM-731FH 50-59 years, male 4.1
GTEX-WYVS-0726-SM-4ONDO 40-49 years, female 4.1
GTEX-ZC5H-1326-SM-5HL7E 40-49 years, female 4.1
GTEX-ZTPG-1626-SM-5DUX2 20-29 years, female 4.1
GTEX-1H1ZS-1526-SM-9OSXR 70-79 years, male 4.1
GTEX-1IY9M-1626-SM-AHZ39 60-69 years, male 4.1
GTEX-1KXAM-0826-SM-CXZK9 60-69 years, male 4.1
GTEX-1LBAC-1226-SM-DHXK1 20-29 years, male 4.1
GTEX-1LVAN-2326-SM-CNNPY 50-59 years, female 4.1
GTEX-1RDX4-2126-SM-EV7B3 50-59 years, female 4.1
GTEX-11TT1-0526-SM-5P9JO 20-29 years, male 4.0
GTEX-11ZU8-1526-SM-5EGHX 60-69 years, male 4.0
GTEX-13PVR-1826-SM-5Q5CC 60-69 years, female 4.0
GTEX-14B4R-0326-SM-5TDDP 30-39 years, male 4.0
GTEX-18D9B-2026-SM-7LT96 60-69 years, male 4.0
GTEX-1EX96-2226-SM-7MKGT 50-59 years, male 4.0
GTEX-1F5PK-1526-SM-7MKGV 50-59 years, male 4.0
GTEX-QVUS-0626-SM-447CC 60-69 years, female 4.0
GTEX-RWS6-0826-SM-47JXF 60-69 years, female 4.0
GTEX-S341-0526-SM-4AD5U 40-49 years, female 4.0
GTEX-WFG8-1226-SM-4V6EI 20-29 years, male 4.0
GTEX-WFON-0826-SM-4LVMI 40-49 years, male 4.0
GTEX-1H1DE-1026-SM-9JGH6 20-29 years, male 4.0
GTEX-1QP2A-1926-SM-EXOJ9 50-59 years, male 4.0
GTEX-1S82Y-1226-SM-EV7BD 40-49 years, male 4.0
GTEX-12C56-1226-SM-5FQSU 20-29 years, male 3.9
GTEX-15RIE-0826-SM-6M47X 60-69 years, male 3.9
GTEX-SNMC-0526-SM-4DM69 20-29 years, male 3.9
GTEX-WFJO-0826-SM-4LVM5 30-39 years, male 3.9
GTEX-XQ3S-1126-SM-4BOPK 20-29 years, male 3.9
GTEX-15F5U-5010-SM-AHZ2D 40-49 years, male 3.9
GTEX-18QFQ-1026-SM-7LG6B 30-39 years, male 3.9
GTEX-1LVAM-1126-SM-DHXKP 50-59 years, female 3.9
GTEX-1N2DW-1426-SM-EV7AZ 50-59 years, male 3.9
GTEX-1OJC3-0826-SM-DPRYU 20-29 years, male 3.9
GTEX-1R7EU-0826-SM-DPRZL 60-69 years, male 3.9
GTEX-11DXZ-1226-SM-5H11L 50-59 years, male 3.8
GTEX-11LCK-1726-SM-5S2OQ 30-39 years, male 3.8
GTEX-11ZTS-2626-SM-5EGIC 60-69 years, female 3.8
GTEX-12BJ1-1626-SM-5HL8Y 60-69 years, male 3.8
GTEX-13QBU-1026-SM-5LU3R 40-49 years, female 3.8
GTEX-14PJ4-1526-SM-664OA 60-69 years, male 3.8
GTEX-14PJN-0526-SM-68724 30-39 years, male 3.8
GTEX-QEL4-1426-SM-447AC 50-59 years, male 3.8
GTEX-UPK5-1226-SM-4IHL8 40-49 years, male 3.8
GTEX-VUSG-1226-SM-4KKZF 50-59 years, male 3.8
GTEX-WHPG-1126-SM-4M1XT 50-59 years, male 3.8
GTEX-X4EP-1626-SM-4QAS6 60-69 years, female 3.8
GTEX-ZVP2-1326-SM-57WCE 50-59 years, male 3.8
GTEX-1HCU6-1326-SM-A96TZ 60-69 years, female 3.8
GTEX-1HKZK-1426-SM-A96U1 40-49 years, male 3.8
GTEX-1MJIX-0826-SM-DTXEO 40-49 years, male 3.8
GTEX-1R9PM-0926-SM-DPRYA 20-29 years, male 3.8
GTEX-QV44-1126-SM-CL55C 50-59 years, male 3.8
GTEX-11I78-1526-SM-5A5K7 50-59 years, female 3.7
GTEX-13YAN-1926-SM-7EPH9 60-69 years, male 3.7
GTEX-148VI-1026-SM-5TDDJ 60-69 years, female 3.7
GTEX-16A39-1026-SM-6LPJU 30-39 years, female 3.7
GTEX-1A3MV-1326-SM-7LG6C 30-39 years, male 3.7
GTEX-1AX9J-1826-SM-731FM 60-69 years, male 3.7
GTEX-T8EM-0526-SM-4DM64 40-49 years, male 3.7
GTEX-ZYFG-1126-SM-5GICY 60-69 years, female 3.7
GTEX-145MO-1426-SM-DTX9W 60-69 years, male 3.7
GTEX-1N2DV-2026-SM-EV7BL 40-49 years, male 3.7
GTEX-1OKEX-1326-SM-E9J2U 60-69 years, male 3.7
GTEX-11EM3-0826-SM-5N9CC 20-29 years, female 3.6
GTEX-1C64O-1826-SM-7DHM4 60-69 years, male 3.6
GTEX-1F75I-1726-SM-7MKGW 40-49 years, male 3.6
GTEX-O5YV-1026-SM-3LK72 60-69 years, female 3.6
GTEX-R3RS-1326-SM-48FE7 40-49 years, female 3.6
GTEX-SUCS-0726-SM-4DM7J 70-79 years, male 3.6
GTEX-WQUQ-1626-SM-4OOSH 60-69 years, male 3.6
GTEX-XGQ4-1526-SM-4AT6H 50-59 years, male 3.6
GTEX-ZY6K-0626-SM-59HJL 50-59 years, male 3.6
GTEX-1B996-1826-SM-7MGY6 60-69 years, male 3.6
GTEX-1GPI7-1026-SM-7MGY2 20-29 years, male 3.6
GTEX-1J1OQ-2526-SM-AHZ3Q 40-49 years, female 3.6
GTEX-1J1R8-0326-SM-AHZ3D 40-49 years, male 3.6
GTEX-1K2DA-0626-SM-CGQGO 50-59 years, male 3.6
GTEX-1PIGE-0926-SM-E9U5Z 20-29 years, male 3.6
GTEX-YEC4-1026-SM-9WG7N 40-49 years, male 3.6
GTEX-14ICK-2026-SM-6AJB2 40-49 years, male 3.5
GTEX-PLZ4-1626-SM-3P618 50-59 years, female 3.5
GTEX-S4Q7-0626-SM-4AD5M 20-29 years, male 3.5
GTEX-U3ZN-1726-SM-4DXUQ 30-39 years, female 3.5
GTEX-1GF9U-0826-SM-7MXTZ 40-49 years, female 3.5
GTEX-1HSMQ-2026-SM-B2LY1 50-59 years, male 3.5
GTEX-1LB8K-1326-SM-CXZKB 50-59 years, male 3.5
GTEX-YEC3-2526-SM-CXZIH 50-59 years, male 3.5
GTEX-145MN-1026-SM-5NQ9G 30-39 years, male 3.4
GTEX-146FH-1726-SM-5QGQ2 50-59 years, female 3.4
GTEX-PWCY-0726-SM-48TCS 20-29 years, female 3.4
GTEX-R55E-1326-SM-48FCR 20-29 years, male 3.4
GTEX-RN64-1026-SM-48FDX 50-59 years, male 3.4
GTEX-VJYA-0726-SM-4KL1T 60-69 years, male 3.4
GTEX-ZA64-0626-SM-5HL9O 20-29 years, male 3.4
GTEX-ZG7Y-1126-SM-4WWEZ 50-59 years, male 3.4
GTEX-1I1GU-1426-SM-B2LX3 40-49 years, male 3.4
GTEX-1I4MK-0426-SM-B2LWQ 50-59 years, female 3.4
GTEX-1IDJH-2026-SM-CNNQX 70-79 years, male 3.4
GTEX-1IKOE-1526-SM-C1YSD 30-39 years, female 3.4
GTEX-1RAZA-1326-SM-DPS12 20-29 years, male 3.4
GTEX-1122O-1726-SM-5GICM 60-69 years, female 3.3
GTEX-13111-0826-SM-5LZV3 50-59 years, male 3.3
GTEX-14PKV-1726-SM-6871U 20-29 years, female 3.3
GTEX-16XZY-0926-SM-7938M 70-79 years, male 3.3
GTEX-OOBK-0625-SM-3LK5P 40-49 years, male 3.3
GTEX-QDVJ-0726-SM-48U1W 50-59 years, male 3.3
GTEX-QEG5-1426-SM-447AS 20-29 years, male 3.3
GTEX-UJHI-0826-SM-4IHLM 50-59 years, female 3.3
GTEX-V1D1-1026-SM-4JBHE 50-59 years, male 3.3
GTEX-W5WG-1626-SM-4LMKG 50-59 years, female 3.3
GTEX-WXYG-1226-SM-4ONCJ 50-59 years, female 3.3
GTEX-ZDTT-1326-SM-4WKFH 60-69 years, male 3.3
GTEX-1K2DU-1726-SM-EV79S 20-29 years, male 3.3
GTEX-1MGNQ-1626-SM-EAZ4Z 40-49 years, male 3.3
GTEX-11NUK-1326-SM-5P9GN 50-59 years, male 3.2
GTEX-11P81-0826-SM-5P9GR 30-39 years, female 3.2
GTEX-13X6H-1326-SM-5LU42 50-59 years, female 3.2
GTEX-16BQI-1526-SM-6LLIE 30-39 years, female 3.2
GTEX-18D9A-0526-SM-7KFSW 30-39 years, female 3.2
GTEX-OIZG-1026-SM-3LK5X 50-59 years, male 3.2
GTEX-XBEW-1326-SM-4AT63 40-49 years, male 3.2
GTEX-1S83E-0826-SM-EV7B7 40-49 years, male 3.2
GTEX-ZLWG-1326-SM-DNZYZ 50-59 years, female 3.2
GTEX-14DAR-0826-SM-73KYJ 50-59 years, male 3.1
GTEX-17EUY-1426-SM-7938X 20-29 years, male 3.1
GTEX-1AMEY-0226-SM-7189Q 30-39 years, female 3.1
GTEX-1B97I-0926-SM-731DZ 40-49 years, male 3.1
GTEX-NFK9-1126-SM-3LK78 40-49 years, male 3.1
GTEX-S32W-0926-SM-4AD5X 50-59 years, female 3.1
GTEX-S33H-0826-SM-4AD5Y 30-39 years, male 3.1
GTEX-U4B1-0826-SM-4DXTW 40-49 years, male 3.1
GTEX-ZGAY-1126-SM-4WWBS 40-49 years, female 3.1
GTEX-1H23P-1426-SM-9JGH5 60-69 years, male 3.1
GTEX-1HGF4-0926-SM-9WPP8 60-69 years, male 3.1
GTEX-1RAZQ-1726-SM-EAZ4T 30-39 years, male 3.1
GTEX-1399S-1326-SM-5P9GH 30-39 years, female 3.0
GTEX-14PJ5-0526-SM-664OE 60-69 years, female 3.0
GTEX-15RJE-0926-SM-6LLHZ 40-49 years, male 3.0
GTEX-QESD-0826-SM-47J4G 20-29 years, male 3.0
GTEX-XXEK-0326-SM-4BRVV 50-59 years, male 3.0
GTEX-1LSVX-1226-SM-DHXJN 60-69 years, male 3.0
GTEX-1PPH8-1626-SM-E6CQP 20-29 years, male 3.0
GTEX-1CB4E-1026-SM-793AB 60-69 years, male 2.9
GTEX-X4XY-1726-SM-46MVO 60-69 years, male 2.9
GTEX-145ME-5004-SM-7MGXP 40-49 years, female 2.9
GTEX-1KANA-0626-SM-D4P3I 20-29 years, male 2.9
GTEX-18D9U-2126-SM-7LG4Y 40-49 years, male 2.8
GTEX-Q2AI-0626-SM-48TZU 40-49 years, male 2.8
GTEX-YB5E-0926-SM-4WWDQ 40-49 years, male 2.8
GTEX-ZLV1-0526-SM-4WWD4 60-69 years, female 2.8
GTEX-1MCC2-1926-SM-DHXJR 30-39 years, female 2.8
GTEX-11P7K-1326-SM-5BC5G 30-39 years, male 2.7
GTEX-13OVI-2626-SM-5KM4T 60-69 years, female 2.7
GTEX-Q2AH-0826-SM-48TZN 40-49 years, male 2.7
GTEX-1L5NE-1426-SM-DHXKV 50-59 years, male 2.7
GTEX-1MCYP-1026-SM-DPRYB 20-29 years, female 2.7
GTEX-1NUQO-1126-SM-DTX98 20-29 years, female 2.7
GTEX-14AS3-0626-SM-5QGQD 40-49 years, female 2.6
GTEX-X3Y1-1326-SM-4PQZB 40-49 years, male 2.6
GTEX-1AYD5-0926-SM-793AF 50-59 years, male 2.5
GTEX-ZDYS-0826-SM-4WWCR 50-59 years, male 2.5
GTEX-ZTSS-0626-SM-59867 40-49 years, male 2.5
GTEX-1NSGN-2026-SM-DPRYM 50-59 years, male 2.5
GTEX-1I1GS-2126-SM-ARU7G 60-69 years, male 2.4
GTEX-1IDJD-1626-SM-C1YRC 30-39 years, male 2.4
GTEX-13O1R-1326-SM-5IJF5 60-69 years, male 2.3
GTEX-15RIF-0826-SM-6M47C 20-29 years, male 2.1
GTEX-14C38-2126-SM-5RQJO 50-59 years, male 2.0
Show allShow less

ESOPHAGUS - FANTOM5 CAGEi

RNA expression in human tissues obtained through Cap Analysis of Gene Expression (CAGE) generated by the FANTOM5 project are reported as Scaled Tags Per Million.

Max subtype Scaled Tags Per Millioni

Max subtype Scaled Tags Per Million is the value for the subtype with the largest average Scaled Tags Per Million across the subtype samples.

48.7
FANTOM5 sample id Sample description Scaled Tags Per Million
Esophagus
Scaled Tags Per Million: 48.7
FF:10015-101C6 68,74,75 years, mixed 48.7

Contact

  • NEWS ARTICLES
  • PRESS ROOM

The Project

  • INTRODUCTION
  • ORGANIZATION
  • PUBLICATIONS

The Human Protein Atlas

  • DOWNLOADABLE DATA
  • LICENCE & CITATION
  • HELP & FAQ
The Human Protein Atlas project is funded
by the Knut & Alice Wallenberg Foundation.


contact@proteinatlas.org