We use cookies to enhance the usability of our website. If you continue, we'll assume that you are happy to receive all cookies. More information. Don't show this again.
AKAP6
HPA
RESOURCES
  • TISSUE
  • BRAIN
  • SINGLE CELL
  • SUBCELLULAR
  • CANCER
  • BLOOD
  • CELL LINE
  • STRUCTURE & INTERACTION
ABOUT
  • INTRODUCTION
  • HISTORY
  • ORGANIZATION
  • PUBLICATIONS
  • ANTIBODY SUBMISSION
  • ANTIBODY AVAILABILITY
  • ACKNOWLEDGMENTS
  • CONTACT
NEWS
  • NEWS ARTICLES
  • PRESS ROOM
LEARN
  • DICTIONARY
  • PROTEIN CLASSES
  • PROTEIN EVIDENCE
  • METHODS
  • EDUCATIONAL VIDEOS
DATA
  • DOWNLOADABLE DATA
  • PUBLICATION DATA
  • RELEASE HISTORY
HELP
  • ANTIBODY VALIDATION
  • ASSAYS & ANNOTATION
  • DISCLAIMER
  • HELP & FAQ
  • PRIVACY STATEMENT
  • LICENCE & CITATION
Fields »
Search result

Field
Term
Gene name
Class
Subclass
Class
Keyword
Chromosome
External id
Tissue
Cell type
Expression
Antibody panel
Tissue
Main location
Patient ID
Annotation
Tissue
Category
Tau score
Cluster
Reliability
Brain region
Category
Tau score
Brain region
Category
Tau score
Brain region
Category
Tau score
Cluster
Reliability
Tissue
Cell type
Enrichment
Cell type
Category
Tau score
Cell type
Category
Tau score
Cell type
Category
Tau score
Cell lineage
Category
Tau score
Cluster
Cluster
Location
Searches
Location
Cell line
Class
Type
Phase
Reliability
Cancer
Prognosis
Cancer
Category
Cancer
Category
Tau score
Cluster
Variants
Interacting gene (ensg_id)
Type
Number of interactions
Pathway
Category
Score
Score
Score
Validation
Validation
Validation
Validation
Antibodies
Data type
Column


  • SUMMARY

  • TISSUE

  • BRAIN

  • SINGLE CELL

  • SUBCELL

  • CANCER

  • BLOOD

  • CELL LINE

  • STRUCT & INT

  • AKAP6
TISSUE PRIMARY DATA HEART MUSCLE Show tissue menu
ADIPOSE TISSUE ADRENAL GLAND AMYGDALA APPENDIX BASAL GANGLIA BONE MARROW BREAST BRONCHUS CEREBELLUM CEREBRAL CORTEX CERVIX CHOROID PLEXUS COLON DUODENUM
ENDOMETRIUM EPIDIDYMIS ESOPHAGUS FALLOPIAN TUBE GALLBLADDER HEART MUSCLE HIPPOCAMPAL FORMATION HYPOTHALAMUS KIDNEY LIVER LUNG LYMPH NODE MIDBRAIN NASOPHARYNX
ORAL MUCOSA OVARY PANCREAS PARATHYROID GLAND PITUITARY GLAND PLACENTA PROSTATE RECTUM RETINA SALIVARY GLAND SEMINAL VESICLE SKELETAL MUSCLE SKIN SMALL INTESTINE
SMOOTH MUSCLE SOFT TISSUE SPINAL CORD SPLEEN STOMACH TESTIS THYMUS THYROID GLAND TONGUE TONSIL URINARY BLADDER VAGINA
ANTIBODIES
AND
VALIDATION
Dictionary
Heart muscle
Tissue proteome
Heart
HEART MUSCLE - Expression summary
Protein expression
Heart musclei

On the top, protein expression in current human tissue, based on all annotated cell types, is reported with the units not detected (n), low (l), medium (m) and high (h). Underneath, protein expression in each annotated cell type are reported using the same units.

Protein expression data is based on knowledge-based annotation. For genes where more than one antibody has been used, a collective score is set.

If knowledge-based annotation could not be performed for a gene, no data is displayed here. View antibody staining data further down this page.

h
m
l
n
Cardiomyocytes: Medium
RNA expressioni

A summary of mRNA expression data available for current tissue based on several datasets. The mRNA expression levels in human tissues are based on RNA-seq data generated by the Human Protein Atlas (HPA), Genotype-Tissue Expression (GTEx) portal and CAGE data generated by the FANTOM5 consortium. Consensus normalized expression levels for human tissues was created by combining the data from HPA and GTEx datasets.

The mRNA expression levels in pig are based on RNA-seq data generated by the Human Protein Atlas (HPA), and for mouse, HPA data and in situ hybridization generated by the Allen brain atlas are reported.

Scroll down to view mRNA expression data in more detail.
Consensus:52.7 nTPM
HPA:52.7 nTPM
GTEx:26.3 nTPM
FANTOM5:68.7 Scaled Tags Per Million

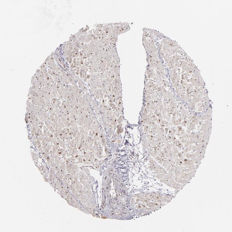
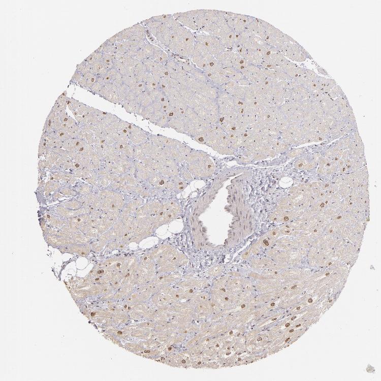
HEART MUSCLE - Antibody stainingi

Antibody staining in the annotated cell types in the current human tissue is reported as not detected, low, medium, or high, based on conventional immunohistochemistry profiling in selected tissues. This score is based on the combination of the staining intensity and fraction of stained cells.

Each image is clickable and will lead to virtual microscopy that enables deeper exploration of all samples and also displays staining intensity scores, fraction scores and subcellular localization as well as patient and tissue information for each sample.

Antibody HPA048741Antibody CAB001983
Cardiomyocytes MediumMedium




HEART MUSCLE - HPA RNA-seqi

The RNA-seq details section shows detailed information about the individual samples used for the transcript profiling and results of the RNA-seq analysis.

Information about each individual sample is listed below, including gender, age, a tissue section image and estimated fractions of cell types. nTPM (normalized transcripts per million) values give a quantification of the gene abundance which is comparable between different genes and samples.
Average nTPMi

Max subtype nTPM is the value for the subtype with the largest average nTPM across the subtype samples.

52.7
overview
Female, age 48
Heart muscle sample 149
nTPM: 47.4
Cell types%
Myocytes:
15

Fibroblasts:
55

Endothelial cells:
25

Other cell types:
5

overview
Female, age 42
Heart muscle sample 150
nTPM: 53.3
Cell types%
Myocytes:
20

Fibroblasts:
45

Endothelial cells:
30

Other cell types:
5

overview
Male, age 53
Heart muscle sample 151
nTPM: 50.2
Cell types%
Myocytes:
20

Fibroblasts:
45

Endothelial cells:
30

Other cell types:
5

overview
Female, age 69
Heart muscle sample 152
nTPM: 59.8
Cell types%
Myocytes:
20

Fibroblasts:
45

Endothelial cells:
30

Other cell types:
5


HEART MUSCLE - GTEx RNA-seqi

RNA-Seq data generated by the Genotype-Tissue Expression (GTEx) project from human tissues is reported as mean nTPM. More information can be found on the GTEx portal.

Distribution across the dataset is visualized with box plots, shown as median and 25th and 75th percentiles. Points are displayed as outliers if they are above or below 1.5 times the interquartile range. nTPM values of the individual samples are presented next to the box plot.
Max subtype nTPMi

Max subtype nTPM is the value for the subtype with the largest average nTPM across the subtype samples.

26.3
GTEx sample id Sample description nTPM
Heart - Atrial Appendage
Average nTPM: 17.3
Samples: 429

Max nTPM: 85.9
Min nTPM: 2.0
Std nTPM: 10.4
Median nTPM: 15.2
GTEX-13PVQ-1326-SM-5LU4J 50-59 years, male 85.9
GTEX-1HBPH-0226-SM-9WYSM 40-49 years, female 71.3
GTEX-14DAQ-1026-SM-793B1 60-69 years, female 66.0
GTEX-11WQK-0226-SM-5EQLI 50-59 years, male 64.7
GTEX-1JJEA-0926-SM-CYPSO 60-69 years, male 55.7
GTEX-1B996-1026-SM-793CF 60-69 years, male 54.6
GTEX-14BMV-1026-SM-5SI6B 50-59 years, male 53.6
GTEX-15SKB-0926-SM-7KUFC 60-69 years, male 53.0
GTEX-1GMR3-0426-SM-7PC17 40-49 years, male 51.3
GTEX-ZYFD-2026-SM-5E459 50-59 years, male 49.4
GTEX-1GZ4I-0826-SM-9WG6O 50-59 years, male 44.6
GTEX-1LGRB-1026-SM-CNPQD 50-59 years, female 44.0
GTEX-13NYB-0326-SM-5IJDP 40-49 years, male 43.3
GTEX-13NZB-0426-SM-5KM26 30-39 years, male 43.3
GTEX-1HBPM-1026-SM-ARL9D 60-69 years, female 41.7
GTEX-1A32A-1326-SM-73KWW 50-59 years, female 41.2
GTEX-1J8EW-0626-SM-CM2TY 60-69 years, female 41.2
GTEX-17JCI-0826-SM-7LT8W 60-69 years, female 38.9
GTEX-1GN73-2326-SM-9MQKV 60-69 years, male 38.1
GTEX-1PPGY-0926-SM-DTXFF 60-69 years, male 37.8
GTEX-1IDJH-1126-SM-COH3R 70-79 years, male 35.5
GTEX-ZDTS-1226-SM-4WKGL 60-69 years, male 35.4
GTEX-145MN-0726-SM-5NQBH 30-39 years, male 34.6
GTEX-144GL-1026-SM-5O99R 50-59 years, male 34.5
GTEX-ZVT3-0826-SM-5GIC8 60-69 years, female 34.5
GTEX-17MF6-0926-SM-7LTAL 40-49 years, male 33.7
GTEX-1GN1U-1426-SM-7P8TF 50-59 years, female 33.2
GTEX-U8XE-0926-SM-3DB8V 30-39 years, male 33.1
GTEX-13O3P-1426-SM-5L3DT 50-59 years, male 32.8
GTEX-1IKK5-1726-SM-CM2RU 60-69 years, male 32.8
GTEX-147JS-1326-SM-5SI6D 60-69 years, male 32.2
GTEX-1MCC2-0226-SM-EVYD5 30-39 years, female 31.6
GTEX-1IL2U-1226-SM-CL53P 60-69 years, male 31.3
GTEX-1399T-0726-SM-5J1MH 60-69 years, male 31.1
GTEX-14ASI-0826-SM-5Q5EB 60-69 years, male 30.6
GTEX-ZAK1-1126-SM-5PNXU 50-59 years, female 30.4
GTEX-YF7O-0526-SM-5P9IO 50-59 years, male 30.2
GTEX-11UD2-0926-SM-5CVL6 50-59 years, male 29.7
GTEX-XXEK-2026-SM-4BRVE 50-59 years, male 29.6
GTEX-1LB8K-0926-SM-D4P42 50-59 years, male 29.2
GTEX-1QMI2-1026-SM-DTX7T 60-69 years, male 29.0
GTEX-131YS-0826-SM-5PNYV 60-69 years, female 28.7
GTEX-13O1R-0926-SM-5L3DS 60-69 years, male 28.7
GTEX-12WSD-1226-SM-5HL9Q 60-69 years, female 28.3
GTEX-11DYG-1026-SM-5A5JQ 60-69 years, male 28.2
GTEX-XQ3S-0526-SM-4BOQA 20-29 years, male 28.2
GTEX-1GN2E-1426-SM-7RHHI 60-69 years, male 28.1
GTEX-14PJ2-1126-SM-69LOD 50-59 years, male 27.4
GTEX-WI4N-0726-SM-3TW93 40-49 years, female 27.0
GTEX-ZDXO-0426-SM-4WKF6 60-69 years, male 27.0
GTEX-148VJ-1426-SM-5TDE3 70-79 years, male 26.9
GTEX-XOT4-1126-SM-4B66E 60-69 years, female 26.6
GTEX-13OW7-1626-SM-5IJDH 50-59 years, male 26.5
GTEX-13OVI-0326-SM-5K7X1 60-69 years, female 26.4
GTEX-1B8L1-0426-SM-7SB76 60-69 years, male 26.4
GTEX-1E1VI-1426-SM-793CY 50-59 years, male 26.2
GTEX-14E1K-0826-SM-5ZZW9 50-59 years, male 25.5
GTEX-1JMLX-1826-SM-CNPOX 50-59 years, male 25.5
GTEX-1KXAM-1426-SM-D3LAC 60-69 years, male 25.5
GTEX-1NHNU-0626-SM-E6CP1 50-59 years, male 25.5
GTEX-15EU6-1326-SM-6PANG 50-59 years, male 24.9
GTEX-ZEX8-0326-SM-DO92C 50-59 years, male 24.8
GTEX-111YS-0326-SM-5GZZ3 60-69 years, male 24.6
GTEX-13S86-0326-SM-5SI6K 40-49 years, male 24.6
GTEX-16XZY-0526-SM-7DHKY 70-79 years, male 24.5
GTEX-ZAB4-0926-SM-5CVN4 40-49 years, male 24.1
GTEX-1JN6P-0826-SM-ARL97 60-69 years, male 24.1
GTEX-12ZZX-0726-SM-5EGKA 40-49 years, female 24.0
GTEX-15ER7-0826-SM-6PALW 20-29 years, female 24.0
GTEX-1F88F-0326-SM-9KNV3 60-69 years, female 23.9
GTEX-WHSE-0826-SM-4SOJU 20-29 years, male 23.8
GTEX-Y3IK-1026-SM-51MR7 50-59 years, female 23.8
GTEX-ZPCL-0526-SM-DO91R 60-69 years, female 23.7
GTEX-1MJIX-0426-SM-DTXEN 40-49 years, male 23.4
GTEX-1R9JW-0426-SM-E76QL 30-39 years, female 23.3
GTEX-1EX96-2626-SM-9MQJV 50-59 years, male 23.2
GTEX-13CF2-0226-SM-5L3DV 60-69 years, male 23.1
GTEX-WRHU-1026-SM-4E3ID 50-59 years, female 23.0
GTEX-1GN1W-0226-SM-7P8QY 50-59 years, female 23.0
GTEX-1EU9M-1926-SM-7RHH4 60-69 years, male 22.8
GTEX-11TT1-1426-SM-5EGIA 20-29 years, male 22.7
GTEX-13X6K-1726-SM-7IGLG 60-69 years, female 22.7
GTEX-1B8KE-0326-SM-73KTY 50-59 years, male 22.7
GTEX-11GSP-1226-SM-5985M 60-69 years, female 22.6
GTEX-ZVZQ-0726-SM-51MR3 60-69 years, female 22.6
GTEX-14PK6-0726-SM-6LLIX 70-79 years, female 22.4
GTEX-1IKOE-0626-SM-A9G31 30-39 years, female 22.4
GTEX-117YX-0626-SM-5EGJI 50-59 years, male 22.3
GTEX-132AR-1926-SM-5EGK5 50-59 years, female 22.3
GTEX-W5X1-0826-SM-3GILN 40-49 years, female 22.3
GTEX-1477Z-1126-SM-5P9GK 60-69 years, male 22.2
GTEX-18A66-1126-SM-731C5 60-69 years, male 22.2
GTEX-WYBS-1226-SM-3NM9N 60-69 years, female 22.1
GTEX-X8HC-1026-SM-46MWH 50-59 years, female 22.0
GTEX-13OW6-0926-SM-5L3GM 50-59 years, male 21.9
GTEX-13X6J-1226-SM-79OMF 50-59 years, male 21.9
GTEX-15CHQ-1326-SM-6871Z 60-69 years, male 21.8
GTEX-1HBPN-0926-SM-CGQEG 50-59 years, male 21.8
GTEX-15SHU-0926-SM-6PAMK 40-49 years, female 21.7
GTEX-WZTO-1226-SM-3NMAZ 40-49 years, male 21.6
GTEX-1IDJF-0826-SM-ARU7N 20-29 years, male 21.3
GTEX-1KANB-1126-SM-DHXJT 50-59 years, male 21.2
GTEX-131XE-0526-SM-5K7YT 50-59 years, male 21.0
GTEX-ZAB5-0126-SM-5CVMT 50-59 years, male 21.0
GTEX-WHWD-0326-SM-3LK6L 50-59 years, male 20.9
GTEX-1I1GP-0626-SM-ARL7H 50-59 years, male 20.9
GTEX-13NZ9-0126-SM-5K7XV 50-59 years, male 20.8
GTEX-1IDJU-0626-SM-CKZOG 60-69 years, female 20.8
GTEX-11DXX-0526-SM-5PNVR 60-69 years, female 20.7
GTEX-1A8G6-1826-SM-73KY8 60-69 years, male 20.7
GTEX-139YR-0526-SM-5L3DG 50-59 years, male 20.3
GTEX-13JVG-1126-SM-5KM2M 60-69 years, male 20.2
GTEX-1B8SF-1326-SM-7IGQJ 60-69 years, male 20.1
GTEX-ZF3C-1126-SM-57WEG 50-59 years, female 20.1
GTEX-ZTTD-0626-SM-4YCCY 50-59 years, male 20.0
GTEX-1GMR2-1326-SM-9KNUT 50-59 years, male 20.0
GTEX-1HCUA-0626-SM-ACKVT 50-59 years, female 20.0
GTEX-17F96-0826-SM-7DHLU 70-79 years, male 19.9
GTEX-12WSI-0426-SM-5EQ5J 50-59 years, male 19.8
GTEX-1AYCT-0526-SM-7RHHS 50-59 years, male 19.8
GTEX-13FTW-0826-SM-5K7XR 40-49 years, male 19.7
GTEX-1BAJH-1026-SM-7EWEG 70-79 years, male 19.7
GTEX-1445S-1226-SM-5O9BF 60-69 years, male 19.6
GTEX-ZF2S-0826-SM-4WWBI 50-59 years, female 19.5
GTEX-12WSG-1226-SM-5EQ4C 50-59 years, female 19.4
GTEX-1J8QM-0326-SM-CL53D 60-69 years, female 19.4
GTEX-12WSK-0526-SM-5CVNA 40-49 years, female 19.3
GTEX-WWYW-1126-SM-3NB2Q 50-59 years, female 19.3
GTEX-11NUK-0926-SM-5HL57 50-59 years, male 19.2
GTEX-16MT8-0826-SM-7KULO 60-69 years, female 19.2
GTEX-ZYFG-0526-SM-5GZXX 60-69 years, female 19.2
GTEX-14JG1-0826-SM-5ZZWR 40-49 years, male 19.1
GTEX-1IY9M-0626-SM-D4P2L 60-69 years, male 19.1
GTEX-YEC3-0426-SM-CYPS8 50-59 years, male 19.1
GTEX-13N1W-0926-SM-5MR36 70-79 years, male 19.0
GTEX-14PN3-0726-SM-6EU14 60-69 years, female 19.0
GTEX-WFON-0226-SM-3GIKR 40-49 years, male 19.0
GTEX-1LSNM-0426-SM-E9TIZ 50-59 years, male 19.0
GTEX-111FC-0626-SM-5N9CU 60-69 years, male 18.9
GTEX-18465-0726-SM-7LG4L 50-59 years, male 18.9
GTEX-WEY5-0226-SM-3GIKN 40-49 years, female 18.9
GTEX-WL46-0726-SM-3LK5Z 50-59 years, male 18.9
GTEX-132NY-1426-SM-5J1MJ 60-69 years, male 18.8
GTEX-11NV4-0826-SM-5BC4S 60-69 years, male 18.6
GTEX-13SLX-0926-SM-5S2NM 50-59 years, female 18.6
GTEX-1122O-0626-SM-5N9B9 60-69 years, female 18.5
GTEX-1211K-0226-SM-59HJY 60-69 years, female 18.5
GTEX-13OW5-0926-SM-5L3GZ 60-69 years, male 18.5
GTEX-ZPU1-0726-SM-5HL6O 40-49 years, male 18.5
GTEX-1F75A-1026-SM-7PC3W 50-59 years, male 18.5
GTEX-1B97J-0326-SM-7939H 50-59 years, female 18.4
GTEX-1J8Q2-1026-SM-ARU8I 60-69 years, male 18.4
GTEX-XLM4-2026-SM-4AT4X 60-69 years, male 18.3
GTEX-ZYFC-1026-SM-5GZX9 50-59 years, male 18.2
GTEX-1CB4G-0726-SM-79OOJ 60-69 years, male 18.1
GTEX-12WSC-1026-SM-5EQ5Y 50-59 years, male 18.0
GTEX-13QBU-0226-SM-5LU48 40-49 years, female 18.0
GTEX-WY7C-1126-SM-3NB3A 50-59 years, male 18.0
GTEX-131XF-0426-SM-5HL7U 60-69 years, male 17.8
GTEX-18D9U-1426-SM-718BO 40-49 years, male 17.8
GTEX-13JUV-0226-SM-5IJCC 40-49 years, female 17.7
GTEX-1EH9U-0626-SM-7PC33 60-69 years, male 17.7
GTEX-1192X-0726-SM-5987R 50-59 years, male 17.6
GTEX-X4EP-0326-SM-3P5Z6 60-69 years, female 17.6
GTEX-1399R-1726-SM-5K7YJ 30-39 years, male 17.5
GTEX-14PJ4-0926-SM-5YY98 60-69 years, male 17.4
GTEX-18A7A-1226-SM-7LTAJ 50-59 years, female 17.4
GTEX-1HFI6-0826-SM-9YFM2 40-49 years, male 17.3
GTEX-ZT9W-0526-SM-57WFG 50-59 years, male 17.2
GTEX-1JMQL-1026-SM-CMKGV 50-59 years, female 17.2
GTEX-1HSKV-0726-SM-ACKWE 60-69 years, male 17.0
GTEX-146FR-0926-SM-5QGPE 60-69 years, female 16.9
GTEX-13PL6-0826-SM-5IJBI 40-49 years, female 16.8
GTEX-WFG8-0726-SM-3GILP 20-29 years, male 16.8
GTEX-1RLM8-0226-SM-E6CJY 50-59 years, male 16.8
GTEX-13YAN-1426-SM-7EPG8 60-69 years, male 16.7
GTEX-1I1HK-0626-SM-CNPQM 60-69 years, male 16.7
GTEX-1LGOU-0326-SM-D3LAM 20-29 years, female 16.7
GTEX-1212Z-0726-SM-5EGI5 60-69 years, male 16.6
GTEX-14PJO-0826-SM-6ETZK 60-69 years, male 16.6
GTEX-16GPK-1226-SM-7LTAU 60-69 years, male 16.6
GTEX-ZPIC-0426-SM-DO91V 40-49 years, female 16.6
GTEX-WH7G-0326-SM-3NMBH 40-49 years, male 16.5
GTEX-1JK1U-0626-SM-CKZOJ 60-69 years, male 16.5
GTEX-1LG7Y-1426-SM-D4P31 50-59 years, male 16.5
GTEX-ZZPU-1126-SM-5N9CW 50-59 years, female 16.4
GTEX-1GMR8-1026-SM-9MQLA 50-59 years, female 16.4
GTEX-132QS-0526-SM-5IJC7 60-69 years, male 16.3
GTEX-13SLW-0826-SM-5QGP7 70-79 years, male 16.3
GTEX-Y8E4-0426-SM-4V6GB 40-49 years, male 16.3
GTEX-ZLFU-0326-SM-4WWBK 40-49 years, male 16.3
GTEX-1HSMQ-0426-SM-ADEIM 50-59 years, male 16.2
GTEX-1L5NE-0526-SM-DIPG5 50-59 years, male 16.2
GTEX-11DXY-1026-SM-5987V 60-69 years, male 16.0
GTEX-13D11-1526-SM-5J2NA 50-59 years, female 15.9
GTEX-13112-0526-SM-5EQ4S 50-59 years, male 15.8
GTEX-XBEC-1226-SM-4AT65 50-59 years, male 15.8
GTEX-117XS-0726-SM-5H131 60-69 years, male 15.6
GTEX-1192W-0226-SM-5EGGT 60-69 years, male 15.6
GTEX-17HGU-1126-SM-793BP 50-59 years, male 15.6
GTEX-1C64O-0926-SM-79OLN 60-69 years, male 15.6
GTEX-1HCVE-0826-SM-CM2SF 50-59 years, male 15.6
GTEX-12ZZY-1226-SM-5GCNK 60-69 years, male 15.5
GTEX-139TU-1926-SM-5J2OC 60-69 years, male 15.5
GTEX-14H4A-0426-SM-5ZZWO 40-49 years, female 15.5
GTEX-1CB4E-0626-SM-7DHMW 60-69 years, male 15.5
GTEX-11ZTT-0526-SM-5EQLA 60-69 years, female 15.4
GTEX-1QCLZ-1126-SM-EWRNB 60-69 years, female 15.4
GTEX-11P81-0526-SM-59873 30-39 years, female 15.3
GTEX-131XG-0526-SM-5DUWF 50-59 years, female 15.3
GTEX-VJWN-1026-SM-4M1ZN 50-59 years, female 15.3
GTEX-1GF9U-0526-SM-7P8SK 40-49 years, female 15.3
GTEX-1I1GQ-1226-SM-CL55J 50-59 years, male 15.3
GTEX-15SHV-0526-SM-7KUEN 60-69 years, male 15.2
GTEX-1F6I4-0826-SM-7RHGK 60-69 years, male 15.2
GTEX-1F75I-1326-SM-7PBZX 40-49 years, male 15.2
GTEX-1QEPI-1126-SM-E8VN7 60-69 years, female 15.2
GTEX-15CHR-0326-SM-7DHN3 50-59 years, male 15.1
GTEX-16XZZ-1026-SM-7DHKS 60-69 years, male 15.1
GTEX-ZF29-0426-SM-4WKFN 60-69 years, female 15.1
GTEX-13PL7-0726-SM-5KM1S 60-69 years, female 15.0
GTEX-1I1CD-1326-SM-A9SMM 60-69 years, female 15.0
GTEX-17KNJ-0626-SM-7LT9L 50-59 years, male 14.9
GTEX-1GF9V-1726-SM-9KNW4 60-69 years, male 14.9
GTEX-1HSGN-0926-SM-CNNQM 40-49 years, female 14.9
GTEX-1KANC-0226-SM-E9TIW 50-59 years, female 14.9
GTEX-XPT6-0226-SM-4B65L 20-29 years, male 14.7
GTEX-1339X-0326-SM-5K7Z8 40-49 years, male 14.6
GTEX-UPK5-0226-SM-3GAEV 40-49 years, male 14.6
GTEX-WK11-0626-SM-3NMAV 50-59 years, male 14.6
GTEX-14PHX-0626-SM-5YY8Z 50-59 years, male 14.5
GTEX-1J8Q3-1126-SM-ARU8N 60-69 years, male 14.5
GTEX-1QPFJ-0926-SM-EVR3K 30-39 years, female 14.5
GTEX-1R9K4-1026-SM-EXUT1 60-69 years, male 14.5
GTEX-1399U-0726-SM-5KM1D 50-59 years, female 14.4
GTEX-14A6H-0326-SM-5NQAN 30-39 years, male 14.4
GTEX-1E2YA-0626-SM-7P8P4 50-59 years, male 14.4
GTEX-1HFI7-0526-SM-A9SMA 50-59 years, female 14.4
GTEX-1GL5R-0426-SM-9WPOP 50-59 years, male 14.3
GTEX-1H2FU-0826-SM-9WYSU 60-69 years, female 14.3
GTEX-13O21-0326-SM-5J1N9 50-59 years, male 14.2
GTEX-16NPX-0826-SM-6M489 50-59 years, male 14.2
GTEX-147F4-1126-SM-5TDDE 50-59 years, male 14.1
GTEX-183WM-0926-SM-718AN 70-79 years, female 14.1
GTEX-11DXZ-0326-SM-5EGH1 50-59 years, male 14.0
GTEX-WFG7-0826-SM-3GIKU 20-29 years, male 14.0
GTEX-1H11D-1026-SM-9QEIU 40-49 years, male 14.0
GTEX-1I19N-0626-SM-A9SKY 70-79 years, male 14.0
GTEX-1IDJD-0226-SM-CKZOA 30-39 years, male 14.0
GTEX-1OFPY-0926-SM-DTX8Q 60-69 years, male 14.0
GTEX-1R7EV-0426-SM-DTX7Z 40-49 years, male 13.9
GTEX-11O72-1026-SM-5986B 40-49 years, male 13.8
GTEX-15RIE-1326-SM-6PAMM 60-69 years, male 13.8
GTEX-Y5V5-0726-SM-4VBPY 60-69 years, female 13.7
GTEX-1C6VQ-0826-SM-7PBZT 50-59 years, male 13.7
GTEX-1K2DU-0226-SM-DIPF6 20-29 years, male 13.6
GTEX-11ONC-1026-SM-5GU64 60-69 years, male 13.5
GTEX-15SDE-1826-SM-7KUFN 50-59 years, female 13.5
GTEX-1HT8W-1326-SM-CGQEN 30-39 years, male 13.5
GTEX-XGQ4-0526-SM-4AT6C 50-59 years, male 13.4
GTEX-1GMRU-1326-SM-9WYUI 50-59 years, male 13.4
GTEX-1H3O1-0226-SM-9WYSW 60-69 years, male 13.4
GTEX-XYKS-0226-SM-4BRW3 60-69 years, female 13.3
GTEX-YFC4-0426-SM-4TT3J 40-49 years, female 13.3
GTEX-13NZA-0826-SM-5K7WS 60-69 years, male 13.2
GTEX-12584-1026-SM-59HK3 40-49 years, male 13.1
GTEX-1399S-0826-SM-5KM23 30-39 years, female 13.1
GTEX-X5EB-0626-SM-46MVQ 40-49 years, male 13.1
GTEX-1JJ6O-2226-SM-AHZ3I 60-69 years, male 13.1
GTEX-XQ8I-0226-SM-4BOPM 50-59 years, male 13.0
GTEX-ZDYS-0326-SM-5HL4W 50-59 years, male 13.0
GTEX-1H3NZ-1026-SM-A9SM5 60-69 years, male 13.0
GTEX-13O3O-1426-SM-5KM2S 60-69 years, female 12.9
GTEX-13O61-0426-SM-5L3ET 60-69 years, male 12.9
GTEX-18A6Q-1526-SM-731CO 60-69 years, male 12.9
GTEX-1AX8Z-1126-SM-731CS 60-69 years, male 12.9
GTEX-Y114-0126-SM-4TT8K 50-59 years, female 12.9
GTEX-13PDP-1326-SM-5K7U9 60-69 years, male 12.8
GTEX-1B932-1326-SM-79OM4 40-49 years, female 12.8
GTEX-1CB4H-0626-SM-7IGN3 60-69 years, female 12.8
GTEX-1I1GR-1026-SM-A9SLC 60-69 years, male 12.8
GTEX-13U4I-0626-SM-5LU5L 40-49 years, female 12.7
GTEX-14PJ6-0626-SM-686Z6 60-69 years, female 12.6
GTEX-15CHC-0326-SM-5ZZVP 60-69 years, female 12.6
GTEX-ZDTT-0326-SM-4WKF9 60-69 years, male 12.6
GTEX-1ICG6-0726-SM-B2LY5 70-79 years, female 12.6
GTEX-ZV7C-0526-SM-9WPNK 50-59 years, male 12.6
GTEX-XV7Q-0726-SM-4BRV6 40-49 years, female 12.5
GTEX-1IKOH-0926-SM-A9SLU 60-69 years, female 12.5
GTEX-145LS-1326-SM-5Q5EP 60-69 years, female 12.4
GTEX-11EMC-0826-SM-59862 60-69 years, female 12.3
GTEX-13N11-0726-SM-5L3DP 50-59 years, female 12.2
GTEX-13PVR-0926-SM-5S2RB 60-69 years, female 12.2
GTEX-V1D1-0626-SM-4JBHN 50-59 years, male 12.2
GTEX-1C64N-0826-SM-7RHGQ 50-59 years, male 12.1
GTEX-1CB4J-0226-SM-7P8T4 60-69 years, male 12.0
GTEX-1LVAO-0626-SM-EWRNT 60-69 years, male 11.9
GTEX-13FH7-0826-SM-5J2NW 50-59 years, female 11.8
GTEX-17F9Y-1226-SM-7EPGE 70-79 years, female 11.8
GTEX-1AX9I-1026-SM-73KYF 60-69 years, male 11.8
GTEX-YB5K-0226-SM-5IFJE 40-49 years, female 11.8
GTEX-ZVT4-1326-SM-5NQ8E 50-59 years, female 11.8
GTEX-13FHP-0826-SM-5K7V5 50-59 years, male 11.7
GTEX-1HSMO-1126-SM-CGQF2 60-69 years, male 11.7
GTEX-12WSE-0926-SM-5S2VX 20-29 years, male 11.6
GTEX-YJ8O-0826-SM-5CVM3 40-49 years, female 11.5
GTEX-1I1GV-1426-SM-B2LXN 60-69 years, male 11.5
GTEX-132Q8-1126-SM-5K7XS 60-69 years, male 11.4
GTEX-1B933-0826-SM-79OMW 50-59 years, female 11.4
GTEX-VUSG-0726-SM-3GIK1 50-59 years, male 11.4
GTEX-13FHO-1226-SM-5L3EF 60-69 years, male 11.3
GTEX-13FXS-1026-SM-62LFQ 50-59 years, male 11.2
GTEX-1CAMQ-0726-SM-7P8SG 40-49 years, male 11.2
GTEX-11TUW-1126-SM-5EQKJ 60-69 years, male 11.1
GTEX-12BJ1-0326-SM-5FQUB 60-69 years, male 11.1
GTEX-XPVG-0726-SM-4B658 50-59 years, male 11.1
GTEX-1H1DG-0826-SM-9QEIW 70-79 years, male 11.1
GTEX-X62O-0826-SM-46MW8 50-59 years, male 11.0
GTEX-1IKJJ-0626-SM-CY8GF 60-69 years, male 11.0
GTEX-1313W-1126-SM-5EQ5U 50-59 years, female 10.8
GTEX-13OVG-0426-SM-5KM2T 60-69 years, male 10.8
GTEX-ZE7O-0626-SM-57WCD 50-59 years, female 10.7
GTEX-117YW-0426-SM-5GZZZ 50-59 years, male 10.6
GTEX-13W3W-0526-SM-5LU3X 60-69 years, female 10.6
GTEX-YEC4-0226-SM-4W1YG 40-49 years, male 10.5
GTEX-1LVAN-1526-SM-CNPQN 50-59 years, female 10.5
GTEX-11ZUS-0326-SM-5EQ4W 30-39 years, male 10.4
GTEX-14PII-1026-SM-5ZZVW 60-69 years, male 10.4
GTEX-UTHO-1226-SM-3GAEE 60-69 years, male 10.4
GTEX-ZTPG-1326-SM-51MSQ 20-29 years, female 10.4
GTEX-1JMQK-0926-SM-ARL96 60-69 years, male 10.4
GTEX-13VXT-0726-SM-5SIAD 20-29 years, female 10.3
GTEX-18A67-1026-SM-731CE 50-59 years, male 10.2
GTEX-X3Y1-0226-SM-3P5Z5 40-49 years, male 10.2
GTEX-ZVT2-0926-SM-5GICE 50-59 years, female 10.2
GTEX-1A8FM-1026-SM-7PC26 50-59 years, female 10.2
GTEX-18D9B-1126-SM-7KFSH 60-69 years, male 10.0
GTEX-1POEN-0726-SM-DTXDU 30-39 years, female 10.0
GTEX-14PJM-0826-SM-6LLIW 50-59 years, female 9.9
GTEX-14E7W-1126-SM-5ZZVS 70-79 years, male 9.8
GTEX-ZGAY-0226-SM-4WWAL 40-49 years, female 9.8
GTEX-11EM3-0426-SM-5N9BZ 20-29 years, female 9.7
GTEX-11LCK-0826-SM-5PNYD 30-39 years, male 9.7
GTEX-14PN4-0826-SM-69LON 50-59 years, male 9.7
GTEX-1AX9K-0426-SM-73KUG 50-59 years, male 9.6
GTEX-14BIM-2726-SM-5Q5EG 60-69 years, female 9.5
GTEX-17F9E-0726-SM-793A1 50-59 years, male 9.5
GTEX-1EWIQ-1126-SM-7EPIK 70-79 years, female 9.5
GTEX-ZG7Y-1426-SM-4WWBM 50-59 years, male 9.5
GTEX-ZYT6-0926-SM-5GIEM 30-39 years, male 9.5
GTEX-1GTWX-0926-SM-9MQKM 60-69 years, male 9.5
GTEX-1HR98-1026-SM-CKZOM 60-69 years, male 9.5
GTEX-111VG-0326-SM-5GZX7 60-69 years, male 9.4
GTEX-WHPG-1026-SM-3NMBA 50-59 years, male 9.4
GTEX-1NSGN-1226-SM-E76OL 50-59 years, male 9.4
GTEX-1P4AB-0926-SM-E76PV 50-59 years, male 9.4
GTEX-14C5O-1226-SM-664N3 60-69 years, male 9.3
GTEX-1C2JI-0626-SM-7DHM1 50-59 years, male 9.3
GTEX-14A5I-1026-SM-5Q5E3 50-59 years, female 9.2
GTEX-16YQH-0726-SM-7IGM1 30-39 years, male 9.2
GTEX-YECK-1226-SM-4W21G 60-69 years, male 9.2
GTEX-17GQL-0626-SM-731CN 60-69 years, male 9.0
GTEX-1LH75-0526-SM-DIPG2 50-59 years, female 9.0
GTEX-1J1OQ-2226-SM-A96SS 40-49 years, female 8.9
GTEX-12WSN-0226-SM-5DUXH 40-49 years, male 8.8
GTEX-1CAMS-1126-SM-7MXUQ 40-49 years, female 8.8
GTEX-12696-1226-SM-5FQSM 60-69 years, male 8.7
GTEX-WOFL-1226-SM-4OOST 60-69 years, male 8.7
GTEX-Y3I4-0526-SM-4TT6X 50-59 years, male 8.7
GTEX-ZZPT-0926-SM-5GICZ 50-59 years, male 8.7
GTEX-1HUB1-0726-SM-CGQF4 60-69 years, male 8.6
GTEX-1CB4I-1526-SM-7DHMY 50-59 years, male 8.4
GTEX-WQUQ-1326-SM-3MJFF 60-69 years, male 8.3
GTEX-ZUA1-0726-SM-4YCD9 40-49 years, male 8.3
GTEX-1GZ2Q-0926-SM-7RHHN 40-49 years, male 8.3
GTEX-15DCE-0826-SM-7KULW 20-29 years, male 8.2
GTEX-17EVP-0526-SM-7EPGY 40-49 years, male 8.1
GTEX-1QP29-1426-SM-DTX9Q 50-59 years, male 8.0
GTEX-145LV-0226-SM-5S2QG 50-59 years, male 7.9
GTEX-13RTJ-0526-SM-62LDP 60-69 years, male 7.8
GTEX-1H1CY-0426-SM-9KNVD 60-69 years, female 7.8
GTEX-12WSA-1126-SM-5EGKU 60-69 years, male 7.6
GTEX-15UF7-1526-SM-6LPI7 40-49 years, male 7.6
GTEX-14E6C-0326-SM-5Q5EE 40-49 years, male 7.5
GTEX-1EMGI-1126-SM-9KNUF 60-69 years, male 7.5
GTEX-1H1ZS-1026-SM-9WG6E 70-79 years, male 7.5
GTEX-V955-0826-SM-CYPR5 60-69 years, male 7.5
GTEX-13O3Q-0326-SM-5L3FE 50-59 years, male 7.4
GTEX-1B8SG-0726-SM-79ONS 50-59 years, male 7.3
GTEX-1AX9J-0926-SM-73KXA 60-69 years, male 7.1
GTEX-11GS4-0426-SM-5N9CD 60-69 years, male 6.9
GTEX-X4XX-1126-SM-3NMBY 60-69 years, male 6.9
GTEX-1H3VY-1126-SM-A96TP 50-59 years, male 6.9
GTEX-13FTZ-0326-SM-5J1O1 60-69 years, male 6.8
GTEX-Z93S-0326-SM-5HL84 50-59 years, male 6.8
GTEX-1HC8U-0626-SM-B2LWB 40-49 years, female 6.8
GTEX-14XAO-0926-SM-69LPZ 60-69 years, female 6.6
GTEX-WYJK-1126-SM-3NM9Z 50-59 years, male 6.6
GTEX-15RJE-0726-SM-7KUEG 40-49 years, male 6.5
GTEX-13NYS-1926-SM-5IJCB 60-69 years, male 6.4
GTEX-14C38-1326-SM-62LDK 50-59 years, male 6.4
GTEX-1117F-0726-SM-5GIEN 60-69 years, female 6.0
GTEX-11EQ8-1326-SM-5EGJQ 60-69 years, male 6.0
GTEX-14BIL-0926-SM-7DHKN 50-59 years, male 5.9
GTEX-ZAJG-0926-SM-5Q5AB 50-59 years, female 5.9
GTEX-1QP6S-1026-SM-DTXFW 40-49 years, male 5.9
GTEX-1RB15-0426-SM-E9U4Y 60-69 years, male 5.9
GTEX-146FH-1126-SM-5NQAT 50-59 years, female 5.7
GTEX-1A3MX-1226-SM-731B3 60-69 years, male 5.7
GTEX-1F48J-1126-SM-9WYSY 50-59 years, female 5.6
GTEX-ZYVF-1826-SM-5E44F 50-59 years, female 5.1
GTEX-14C39-0726-SM-5RQIK 40-49 years, male 5.0
GTEX-14PHY-0326-SM-62LE3 60-69 years, female 4.8
GTEX-1HCU7-1226-SM-B2LX8 50-59 years, male 4.8
GTEX-1KD5A-0926-SM-D4P3U 50-59 years, male 4.7
GTEX-15D1Q-0426-SM-6AJ9G 40-49 years, male 4.6
GTEX-1MJK2-1626-SM-EVYCQ 50-59 years, male 4.6
GTEX-X261-0926-SM-3NMCY 50-59 years, male 4.2
GTEX-14BIN-2126-SM-793AX 50-59 years, female 4.0
GTEX-ZXG5-0626-SM-5NQ85 60-69 years, male 3.9
GTEX-1JMOU-0326-SM-ARL8X 60-69 years, female 3.9
GTEX-1IOXB-0726-SM-A9G32 50-59 years, male 3.6
GTEX-1M5QR-1626-SM-E9U5O 40-49 years, male 3.5
GTEX-1IL2V-1126-SM-CMKGH 70-79 years, male 3.3
GTEX-1F75B-1126-SM-7RHGP 50-59 years, male 3.2
GTEX-11ZVC-0526-SM-5N9G1 50-59 years, female 3.0
GTEX-1LSNL-0626-SM-DIPFJ 50-59 years, male 3.0
GTEX-1C6WA-0826-SM-7PBXS 60-69 years, male 2.7
GTEX-1GN1V-1026-SM-CNPPS 60-69 years, male 2.0
Show allShow less
Heart - Left Ventricle
Average nTPM: 26.3
Samples: 432

Max nTPM: 115.8
Min nTPM: 0.4
Std nTPM: 18.0
Median nTPM: 24.2
GTEX-13S86-0226-SM-5S2PJ 40-49 years, male 115.8
GTEX-RUSQ-0526-SM-2TF72 50-59 years, male 96.2
GTEX-QESD-0526-SM-2I5G5 20-29 years, male 90.5
GTEX-WHSE-0926-SM-3NMBS 20-29 years, male 90.4
GTEX-U8XE-1126-SM-3DB8W 30-39 years, male 83.3
GTEX-1GZ4I-1026-SM-9KNV5 50-59 years, male 80.8
GTEX-14H4A-0626-SM-5ZZUT 40-49 years, female 79.9
GTEX-XXEK-0926-SM-4BRWH 50-59 years, male 71.5
GTEX-PX3G-0326-SM-2I3EO 20-29 years, female 65.8
GTEX-ZTPG-1226-SM-4YCDO 20-29 years, female 65.6
GTEX-ZEX8-0426-SM-DO92Y 50-59 years, male 64.2
GTEX-14PK6-0826-SM-5ZZVO 70-79 years, female 63.7
GTEX-QDVN-0326-SM-2I3FS 50-59 years, male 61.4
GTEX-17KNJ-0826-SM-793A4 50-59 years, male 61.0
GTEX-P4PP-0326-SM-33HC4 30-39 years, female 58.9
GTEX-ZPCL-0426-SM-DNZZ4 60-69 years, female 58.7
GTEX-1RB15-0326-SM-E6CQB 60-69 years, male 58.3
GTEX-QLQ7-0526-SM-2I5G3 60-69 years, male 57.4
GTEX-1JK1U-0526-SM-CYPSQ 60-69 years, male 57.0
GTEX-13U4I-0826-SM-5SIBD 40-49 years, female 56.9
GTEX-WFG7-0726-SM-3GIKO 20-29 years, male 56.7
GTEX-YF7O-0426-SM-5P9FS 50-59 years, male 56.6
GTEX-Q2AH-0526-SM-2I3ED 40-49 years, male 55.7
GTEX-OXRK-0826-SM-2HMK7 50-59 years, female 55.2
GTEX-WHWD-0426-SM-3LK83 50-59 years, male 55.1
GTEX-1LGRB-1126-SM-CNPP2 50-59 years, female 54.7
GTEX-11TT1-1326-SM-5PNYM 20-29 years, male 53.9
GTEX-1LSNM-0526-SM-DIPG6 50-59 years, male 53.8
GTEX-13FH7-0926-SM-5J2MR 50-59 years, female 53.2
GTEX-1B8KE-0126-SM-793AM 50-59 years, male 52.6
GTEX-ZVZP-0226-SM-5NQ73 50-59 years, male 52.5
GTEX-ZG7Y-0926-SM-5EQ6O 50-59 years, male 52.1
GTEX-11EM3-0626-SM-5H12Z 20-29 years, female 51.9
GTEX-117YX-1126-SM-5H128 50-59 years, male 51.7
GTEX-1L5NE-0426-SM-E9TIX 50-59 years, male 51.7
GTEX-POMQ-0326-SM-2I5FO 20-29 years, female 51.5
GTEX-Y114-0226-SM-4TT8W 50-59 years, female 51.2
GTEX-131XF-5001-SM-7DHLY 60-69 years, male 50.9
GTEX-13FTW-1026-SM-5L3E3 40-49 years, male 50.7
GTEX-132QS-0426-SM-5KLZ6 60-69 years, male 50.5
GTEX-15EOM-5007-SM-793DG 20-29 years, female 50.5
GTEX-1B97J-0726-SM-7RHG3 50-59 years, female 50.4
GTEX-1AX8Z-5007-SM-AHZ36 60-69 years, male 49.9
GTEX-1KANC-0426-SM-CXZK5 50-59 years, female 49.8
GTEX-15RJ7-0226-SM-7KUMN 40-49 years, male 49.1
GTEX-13QBU-0426-SM-5J2O4 40-49 years, female 47.8
GTEX-QMRM-0526-SM-2I5GA 50-59 years, male 47.5
GTEX-132AR-2026-SM-5IJG4 50-59 years, female 47.3
GTEX-SNMC-0126-SM-2XCFO 20-29 years, male 47.2
GTEX-1HFI7-0826-SM-A9G23 50-59 years, female 46.9
GTEX-ZLFU-0226-SM-4WWFH 40-49 years, male 46.1
GTEX-1IDJU-0726-SM-CNPQ9 60-69 years, female 46.1
GTEX-1GN73-2426-SM-7RHFQ 60-69 years, male 46.0
GTEX-1J8Q3-1226-SM-CKZPT 60-69 years, male 46.0
GTEX-14E1K-1026-SM-73KUR 50-59 years, male 45.4
GTEX-WHPG-0826-SM-3NMBF 50-59 years, male 45.4
GTEX-1RMOY-0626-SM-E9TIE 50-59 years, male 45.3
GTEX-ZPU1-0626-SM-4YCDM 40-49 years, male 45.1
GTEX-ZDTT-0726-SM-4WKFK 60-69 years, male 44.4
GTEX-131XG-0626-SM-5GCMP 50-59 years, female 44.2
GTEX-1339X-0426-SM-5KLZY 40-49 years, male 43.7
GTEX-1QPFJ-1026-SM-E6CR6 30-39 years, female 43.7
GTEX-ZZPU-0926-SM-5GZYT 50-59 years, female 43.6
GTEX-1IDJI-1026-SM-A96TE 50-59 years, female 43.6
GTEX-1J8QM-0426-SM-AHZ3X 60-69 years, female 43.6
GTEX-OHPL-0326-SM-33HC8 60-69 years, female 43.5
GTEX-1GMR2-1426-SM-7RHHK 50-59 years, male 43.4
GTEX-1IKK5-1526-SM-CKZPW 60-69 years, male 43.4
GTEX-QV44-0526-SM-2S1RE 50-59 years, male 43.2
GTEX-PWCY-0526-SM-5P9HG 20-29 years, female 42.8
GTEX-RU72-0326-SM-2TF5T 50-59 years, female 42.6
GTEX-1MCC2-0326-SM-EV7AK 30-39 years, female 42.6
GTEX-13D11-1726-SM-5IFGQ 50-59 years, female 42.5
GTEX-1F5PK-0326-SM-9KNUD 50-59 years, male 42.3
GTEX-11I78-0826-SM-5A5K4 50-59 years, female 42.2
GTEX-ZVT2-1026-SM-5GU55 50-59 years, female 42.1
GTEX-15RIE-1726-SM-7KUMU 60-69 years, male 42.1
GTEX-1H11D-1226-SM-9WPQ2 40-49 years, male 42.0
GTEX-13VXT-1126-SM-5LU3A 20-29 years, female 41.9
GTEX-1HCUA-0526-SM-A9SMH 50-59 years, female 41.9
GTEX-1AYCT-0426-SM-73KVZ 50-59 years, male 41.6
GTEX-16XZY-0426-SM-793BI 70-79 years, male 41.3
GTEX-SE5C-0626-SM-2XCDV 40-49 years, female 41.3
GTEX-12WSK-0626-SM-5LZUJ 40-49 years, female 41.2
GTEX-R53T-0926-SM-3GADH 50-59 years, female 41.2
GTEX-1GN1W-0326-SM-9JGHF 50-59 years, female 41.2
GTEX-14PJ6-0726-SM-69LOL 60-69 years, female 41.1
GTEX-1399R-1926-SM-5K7X8 30-39 years, male 41.0
GTEX-14PN3-0526-SM-69LQF 60-69 years, female 40.9
GTEX-15CHC-0426-SM-6LLHI 60-69 years, female 40.8
GTEX-1CB4E-0526-SM-7MXTK 60-69 years, male 40.7
GTEX-ZGAY-0326-SM-57WF5 40-49 years, female 40.6
GTEX-ZDYS-0226-SM-5HL4K 50-59 years, male 40.3
GTEX-1J8EW-0926-SM-A9G33 60-69 years, female 40.1
GTEX-O5YW-0326-SM-2I5EI 50-59 years, male 40.0
GTEX-YEC3-0726-SM-CMKFH 50-59 years, male 39.9
GTEX-WH7G-0426-SM-3NMBJ 40-49 years, male 39.6
GTEX-18D9U-1126-SM-72D5Y 40-49 years, male 39.3
GTEX-1122O-0826-SM-5GICV 60-69 years, female 39.1
GTEX-ZF2S-1026-SM-9QEGK 50-59 years, female 39.1
GTEX-YB5K-0126-SM-5IFJ2 40-49 years, female 39.0
GTEX-ZF29-0226-SM-4WKHO 60-69 years, female 39.0
GTEX-OIZF-0326-SM-3MJGY 60-69 years, male 39.0
GTEX-13PVR-1026-SM-5QGQW 60-69 years, female 38.9
GTEX-OHPK-0326-SM-2HMJO 50-59 years, female 38.8
GTEX-145MN-0626-SM-5QGRH 30-39 years, male 38.0
GTEX-PLZ5-0626-SM-2I5F8 50-59 years, male 37.9
GTEX-U3ZH-0326-SM-3DB7A 30-39 years, male 37.8
GTEX-Y3IK-0826-SM-51MT8 50-59 years, female 37.7
GTEX-O5YT-0326-SM-32PKA 20-29 years, male 37.4
GTEX-13O21-2326-SM-5MR3X 50-59 years, male 37.3
GTEX-1QCLZ-0926-SM-E6CQZ 60-69 years, female 37.3
GTEX-U3ZN-1426-SM-3DB87 30-39 years, female 37.1
GTEX-ZAB5-0226-SM-5CVMH 50-59 years, male 36.9
GTEX-11ZVC-0426-SM-5CVLD 50-59 years, female 36.8
GTEX-18A67-1226-SM-7KFRS 50-59 years, male 36.6
GTEX-ZV7C-0326-SM-57WB1 50-59 years, male 36.6
GTEX-12WSG-0526-SM-5FQTH 50-59 years, female 36.5
GTEX-1KXAM-1326-SM-E9TJW 60-69 years, male 36.5
GTEX-11DXX-0326-SM-5PNWC 60-69 years, female 36.1
GTEX-1EU9M-1826-SM-7DUGU 60-69 years, male 36.0
GTEX-1GL5R-0326-SM-9WYTJ 50-59 years, male 36.0
GTEX-ZPIC-0826-SM-4WWFJ 40-49 years, female 35.9
GTEX-15CHR-0226-SM-7PC2Z 50-59 years, male 35.9
GTEX-13CF3-0726-SM-5J2MY 60-69 years, female 35.8
GTEX-13FLV-0926-SM-5L3DZ 50-59 years, male 35.8
GTEX-ZYFG-0426-SM-5E43M 60-69 years, female 35.7
GTEX-146FR-0626-SM-5RQJ1 60-69 years, female 35.5
GTEX-1A3MX-1326-SM-72D58 60-69 years, male 35.5
GTEX-OHPM-0326-SM-33HCA 50-59 years, male 35.2
GTEX-111YS-0426-SM-5987O 60-69 years, male 35.1
GTEX-XPT6-0126-SM-4B65S 20-29 years, male 35.1
GTEX-X15G-0426-SM-4PQZ6 50-59 years, female 35.0
GTEX-1211K-0626-SM-5FQUZ 60-69 years, female 34.9
GTEX-QDVJ-0426-SM-2I5FW 50-59 years, male 34.7
GTEX-UJHI-0426-SM-3DB8Y 50-59 years, female 34.7
GTEX-12696-1126-SM-5FQTI 60-69 years, male 34.6
GTEX-OOBJ-0326-SM-33HBO 60-69 years, male 34.3
GTEX-P4PQ-0326-SM-2HMJ8 60-69 years, male 34.3
GTEX-1MUQO-1226-SM-E9TJK 60-69 years, male 34.2
GTEX-1I6K7-0626-SM-ARL7Q 40-49 years, male 34.0
GTEX-14XAO-1126-SM-6EU11 60-69 years, female 33.9
GTEX-18A66-1226-SM-7LT8G 60-69 years, male 33.8
GTEX-QEG4-0426-SM-33HC3 30-39 years, male 33.8
GTEX-WEY5-0426-SM-3GIKT 40-49 years, female 33.5
GTEX-XGQ4-0326-SM-4GIEE 50-59 years, male 33.5
GTEX-139YR-0826-SM-5LZXY 50-59 years, male 33.4
GTEX-1N2EF-2826-SM-E6CQF 60-69 years, male 33.3
GTEX-1GMRU-1526-SM-9WYT5 50-59 years, male 33.0
GTEX-13PVQ-1226-SM-5IJDC 50-59 years, male 32.1
GTEX-1JJEA-0826-SM-CL53T 60-69 years, male 31.8
GTEX-12BJ1-0226-SM-5LUA2 60-69 years, male 31.7
GTEX-13X6H-0426-SM-5LU4E 50-59 years, female 31.7
GTEX-OIZH-0326-SM-2HMKC 50-59 years, male 31.4
GTEX-1PPGY-1126-SM-E76OU 60-69 years, male 31.4
GTEX-1R9K5-1326-SM-E6CPR 50-59 years, male 31.4
GTEX-1GMR3-0326-SM-7P8QT 40-49 years, male 31.3
GTEX-SUCS-0326-SM-32PLL 70-79 years, male 31.1
GTEX-1OFPY-1026-SM-EXUSO 60-69 years, male 31.1
GTEX-1S3DN-0726-SM-E9TIO 50-59 years, male 31.1
GTEX-16YQH-0926-SM-793BC 30-39 years, male 31.0
GTEX-1CB4I-1626-SM-7RHGV 50-59 years, male 31.0
GTEX-S32W-0626-SM-2XCBG 50-59 years, female 30.7
GTEX-Y8E4-0326-SM-4VBRR 40-49 years, male 30.7
GTEX-14PJ4-1126-SM-5YY91 60-69 years, male 30.6
GTEX-ZDXO-0726-SM-57WBT 60-69 years, male 30.6
GTEX-1LGOU-0726-SM-E9TIY 20-29 years, female 30.2
GTEX-13OVL-0526-SM-5KLZQ 50-59 years, male 30.1
GTEX-XQ3S-0626-SM-4BOOB 20-29 years, male 29.8
GTEX-1HBPH-0126-SM-CNNQ7 40-49 years, female 29.8
GTEX-R55C-0326-SM-3GAF1 40-49 years, male 29.7
GTEX-Y5V6-0826-SM-4VBRU 60-69 years, male 29.6
GTEX-14A6H-0226-SM-5Q5DX 30-39 years, male 29.5
GTEX-1R9JW-0526-SM-EWRNK 30-39 years, female 29.5
GTEX-WFON-0326-SM-3GIKX 40-49 years, male 29.4
GTEX-1CAMS-1326-SM-79OJR 40-49 years, female 29.3
GTEX-12WSN-5001-SM-7DHMK 40-49 years, male 29.1
GTEX-1399S-1026-SM-5KLZ9 30-39 years, female 29.1
GTEX-UJMC-0526-SM-3GAE3 50-59 years, male 29.1
GTEX-1LVAN-1726-SM-CNNR1 50-59 years, female 29.1
GTEX-11O72-1126-SM-5N9E2 40-49 years, male 28.7
GTEX-1399U-0526-SM-5K7YM 50-59 years, female 28.4
GTEX-17GQL-0526-SM-72D5N 60-69 years, male 28.4
GTEX-1GF9V-1626-SM-7PBXL 60-69 years, male 28.3
GTEX-1B932-1026-SM-793CL 40-49 years, female 28.1
GTEX-13W3W-0426-SM-5SI9D 60-69 years, female 27.3
GTEX-1KD5A-1026-SM-CY8I8 50-59 years, male 27.2
GTEX-1313W-1426-SM-5KLZU 50-59 years, female 27.0
GTEX-11ZUS-0226-SM-5FQT8 30-39 years, male 26.9
GTEX-XPVG-0826-SM-4B654 50-59 years, male 26.9
GTEX-1HSGN-1126-SM-CJI4G 40-49 years, female 26.9
GTEX-R55G-0526-SM-2TC5O 40-49 years, female 26.7
GTEX-Y3I4-0626-SM-4TT7A 50-59 years, male 26.7
GTEX-V1D1-0526-SM-4JBGW 50-59 years, male 26.6
GTEX-1HSMQ-0226-SM-C1YQL 50-59 years, male 26.6
GTEX-1IKOE-1026-SM-ARZMF 30-39 years, female 26.6
GTEX-15ER7-1726-SM-6PAMX 20-29 years, female 26.5
GTEX-QEG5-0926-SM-2TC64 20-29 years, male 26.4
GTEX-1LH75-0426-SM-E9TJF 50-59 years, female 26.4
GTEX-XBED-0526-SM-47JY3 60-69 years, male 26.3
GTEX-ZDTS-1326-SM-6LLHE 60-69 years, male 26.1
GTEX-XV7Q-0826-SM-4BRV7 40-49 years, female 25.9
GTEX-1POEN-0626-SM-EVR4B 30-39 years, female 25.9
GTEX-11LCK-0926-SM-5A5KA 30-39 years, male 25.8
GTEX-1JMQK-0626-SM-D4P2R 60-69 years, male 25.7
GTEX-WFG8-0626-SM-3GILJ 20-29 years, male 25.5
GTEX-1IL2U-1326-SM-A9G2O 60-69 years, male 25.5
GTEX-13SLX-1026-SM-5ZZUQ 50-59 years, female 25.4
GTEX-NFK9-0926-SM-2HMJU 40-49 years, male 25.1
GTEX-1QP2A-1126-SM-EVR3H 50-59 years, male 25.0
GTEX-WY7C-0526-SM-3NB3D 50-59 years, male 24.7
GTEX-1AX9J-1026-SM-72D6E 60-69 years, male 24.6
GTEX-1RQEC-0926-SM-EWROG 60-69 years, male 24.6
GTEX-13O61-0526-SM-5J2M1 60-69 years, male 24.4
GTEX-WZTO-1326-SM-3NM8X 40-49 years, male 24.4
GTEX-RNOR-0826-SM-2TF5C 50-59 years, female 24.3
GTEX-11DXZ-0626-SM-5GU77 50-59 years, male 24.2
GTEX-18D9B-1226-SM-72D6V 60-69 years, male 23.9
GTEX-V955-0726-SM-3GAFG 60-69 years, male 23.9
GTEX-WI4N-0626-SM-3TW8Z 40-49 years, female 23.9
GTEX-1F75I-1126-SM-9WYUO 40-49 years, male 23.9
GTEX-T6MN-0926-SM-32PLX 50-59 years, male 23.8
GTEX-X3Y1-0426-SM-3P5Z4 40-49 years, male 23.8
GTEX-1R7EV-0326-SM-E76PA 40-49 years, male 23.6
GTEX-14PHX-2126-SM-6EU2U 50-59 years, male 23.5
GTEX-YEC4-0326-SM-4W216 40-49 years, male 23.4
GTEX-1GF9U-0426-SM-7RHHA 40-49 years, female 23.3
GTEX-1HC8U-0726-SM-ACKXL 40-49 years, female 23.2
GTEX-1IDJF-0726-SM-CJI1U 20-29 years, male 23.2
GTEX-14PHY-0226-SM-5ZZWM 60-69 years, female 23.1
GTEX-U4B1-0326-SM-3DB8K 40-49 years, male 23.0
GTEX-12WSD-1126-SM-5EGJD 60-69 years, female 22.8
GTEX-P78B-0426-SM-2I5F5 40-49 years, female 22.7
GTEX-RWSA-0626-SM-2XCBD 40-49 years, male 22.7
GTEX-16BQI-0926-SM-6M485 30-39 years, female 22.3
GTEX-145LV-0326-SM-5Q5BW 50-59 years, male 22.2
GTEX-1H23P-1226-SM-9QEJ2 60-69 years, male 22.2
GTEX-13NZB-0226-SM-5KM1T 30-39 years, male 22.1
GTEX-131XE-0626-SM-5HL98 50-59 years, male 21.9
GTEX-13112-0426-SM-5PNVC 50-59 years, male 21.8
GTEX-1HCU6-1026-SM-A9G25 60-69 years, female 21.8
GTEX-132NY-1726-SM-5EGKK 60-69 years, male 21.6
GTEX-1F6I4-0726-SM-7PC2P 60-69 years, male 21.4
GTEX-1C64O-0826-SM-79OKZ 60-69 years, male 21.2
GTEX-OXRL-0326-SM-2I3F2 50-59 years, male 21.2
GTEX-13OVG-0526-SM-5K7YD 60-69 years, male 21.1
GTEX-17F9E-0926-SM-7IGMG 50-59 years, male 21.1
GTEX-O5YV-0326-SM-2I5H2 60-69 years, female 21.1
GTEX-1CB4J-0326-SM-7PBZO 60-69 years, male 21.1
GTEX-1314G-0126-SM-5LZUL 30-39 years, male 21.0
GTEX-1LC47-1026-SM-D3LAH 60-69 years, male 21.0
GTEX-1EMGI-1226-SM-793DD 60-69 years, male 20.9
GTEX-P4QS-0326-SM-2I3EU 60-69 years, male 20.8
GTEX-XQ8I-0126-SM-4BOPL 50-59 years, male 20.8
GTEX-1IDJE-0326-SM-CM2TD 50-59 years, female 20.8
GTEX-14C38-1426-SM-5RQHZ 50-59 years, male 20.6
GTEX-13O3O-1526-SM-5KM1C 60-69 years, female 20.3
GTEX-146FH-1026-SM-5RQIF 50-59 years, female 20.2
GTEX-RWS6-0326-SM-2XCAP 60-69 years, female 20.2
GTEX-X8HC-1626-SM-46MWE 50-59 years, female 20.1
GTEX-13N11-0426-SM-5KM3O 50-59 years, female 20.0
GTEX-111FC-0826-SM-5GZWO 60-69 years, male 19.9
GTEX-14JG1-1026-SM-6ETZY 40-49 years, male 19.9
GTEX-OIZI-0926-SM-E6CHF 40-49 years, male 19.9
GTEX-14DAQ-1126-SM-664MT 60-69 years, female 19.8
GTEX-17HGU-1026-SM-79OKL 50-59 years, male 19.5
GTEX-18A6Q-1626-SM-7KFTA 60-69 years, male 19.4
GTEX-1CB4G-0826-SM-7DUGF 60-69 years, male 19.3
GTEX-1E1VI-1326-SM-7IGQD 50-59 years, male 19.3
GTEX-PVOW-0426-SM-5MR5R 40-49 years, male 19.3
GTEX-ZYW4-0926-SM-59HJS 60-69 years, male 19.3
GTEX-1C2JI-0526-SM-7EWEQ 50-59 years, male 19.1
GTEX-R55E-1026-SM-2TC5S 20-29 years, male 18.8
GTEX-SIU8-0826-SM-2XCDQ 50-59 years, male 18.5
GTEX-ZYFC-1126-SM-5E44W 50-59 years, male 18.4
GTEX-ZQUD-1526-SM-7IGO2 30-39 years, male 18.3
GTEX-1QP29-1526-SM-EXUSY 50-59 years, male 18.2
GTEX-11EMC-0726-SM-5EGJO 60-69 years, female 17.9
GTEX-P44G-0826-SM-2I5ES 30-39 years, male 17.9
GTEX-1HBPM-1226-SM-A9SM8 60-69 years, female 17.8
GTEX-YFC4-0526-SM-5ZZVI 40-49 years, female 17.6
GTEX-15DDE-1126-SM-6LLHN 50-59 years, female 17.2
GTEX-UPK5-0326-SM-CYPR4 40-49 years, male 17.2
GTEX-1AX9K-0526-SM-73KV1 50-59 years, male 17.1
GTEX-WQUQ-1426-SM-3MJFD 60-69 years, male 17.0
GTEX-1OKEX-0726-SM-DPRYE 60-69 years, male 16.8
GTEX-P44H-0726-SM-48TBT 40-49 years, male 16.7
GTEX-13FTZ-0226-SM-5K7X6 60-69 years, male 16.6
GTEX-R45C-0926-SM-3GAD4 60-69 years, female 16.6
GTEX-1ICG6-0626-SM-ACKWS 70-79 years, female 16.4
GTEX-1R9PO-0326-SM-DTXA1 60-69 years, female 16.4
GTEX-WL46-0926-SM-3LK7T 50-59 years, male 16.3
GTEX-Y5V5-0626-SM-4VBPX 60-69 years, female 16.3
GTEX-1B8SG-0826-SM-7EWF7 50-59 years, male 16.1
GTEX-1I1GQ-1426-SM-B2LWY 50-59 years, male 16.0
GTEX-1O9I2-1126-SM-DTXEA 50-59 years, male 16.0
GTEX-12ZZZ-1726-SM-59HK5 60-69 years, male 15.9
GTEX-1MJIX-0326-SM-EVR42 40-49 years, male 15.8
GTEX-WYJK-1026-SM-3NM8W 50-59 years, male 15.7
GTEX-1BAJH-1626-SM-73KUV 70-79 years, male 15.6
GTEX-11TUW-1026-SM-5GU7D 60-69 years, male 15.4
GTEX-145MO-1126-SM-5NQBX 60-69 years, male 15.4
GTEX-PSDG-0926-SM-2I5FP 50-59 years, male 15.3
GTEX-12WSC-1126-SM-5EQ4G 50-59 years, male 15.2
GTEX-1PWST-1026-SM-DTXF2 70-79 years, male 15.1
GTEX-148VI-0326-SM-5RQK7 60-69 years, female 14.9
GTEX-NPJ8-0426-SM-2HMK6 40-49 years, male 14.9
GTEX-ZAJG-0826-SM-5PNVA 50-59 years, female 14.8
GTEX-13OW6-1126-SM-5L3HL 50-59 years, male 14.6
GTEX-13O3P-1626-SM-5K7X3 50-59 years, male 14.3
GTEX-1A3MW-1326-SM-7189P 60-69 years, female 14.3
GTEX-REY6-1026-SM-2TF4Y 60-69 years, male 14.3
GTEX-RTLS-0826-SM-2TF5Q 60-69 years, female 14.3
GTEX-17MF6-0726-SM-7LT8E 40-49 years, male 14.1
GTEX-12584-0926-SM-5FQTN 40-49 years, male 14.0
GTEX-1JJ6O-2126-SM-CNNP6 60-69 years, male 14.0
GTEX-1JMLX-1626-SM-ARZMV 50-59 years, male 14.0
GTEX-13CF2-0426-SM-5KM1H 60-69 years, male 13.9
GTEX-1F6IF-2526-SM-7P8TV 60-69 years, male 13.8
GTEX-1GN1V-0826-SM-9KNU6 60-69 years, male 13.7
GTEX-14PJM-1126-SM-6LLHK 50-59 years, female 13.3
GTEX-ZAB4-1026-SM-5HL7T 40-49 years, male 13.3
GTEX-N7MS-0826-SM-2HML4 60-69 years, male 13.1
GTEX-OIZG-1126-SM-2HMIU 50-59 years, male 13.0
GTEX-1B8L1-0526-SM-79ONX 60-69 years, male 12.9
GTEX-QEL4-0926-SM-3GAD1 50-59 years, male 12.9
GTEX-16NPX-0926-SM-7KUEZ 50-59 years, male 12.6
GTEX-11GS4-0526-SM-5A5KQ 60-69 years, male 12.4
GTEX-1B996-1126-SM-73KWN 60-69 years, male 12.4
GTEX-1212Z-0626-SM-5FQTB 60-69 years, male 12.3
GTEX-1F48J-1026-SM-7P8SO 50-59 years, female 12.3
GTEX-1H1ZS-1126-SM-9MQLJ 70-79 years, male 12.2
GTEX-1I1HK-0726-SM-B2LY4 60-69 years, male 12.2
GTEX-131XH-0226-SM-5LZVB 50-59 years, male 12.1
GTEX-13N1W-1026-SM-5IJC5 70-79 years, male 11.9
GTEX-WWYW-1326-SM-3NB2S 50-59 years, female 11.8
GTEX-1ICLY-1326-SM-CJI47 50-59 years, male 11.8
GTEX-14E6C-0426-SM-5YYA8 40-49 years, male 11.7
GTEX-13X6I-1426-SM-5SI9Z 60-69 years, male 11.5
GTEX-117YW-0326-SM-5N9CY 50-59 years, male 11.2
GTEX-1497J-1226-SM-5Q5BL 60-69 years, male 11.0
GTEX-13O1R-1226-SM-5J1NU 60-69 years, male 10.6
GTEX-1J8Q2-1226-SM-A9G2W 60-69 years, male 10.6
GTEX-1HSMO-1226-SM-CL548 60-69 years, male 10.5
GTEX-1R9K4-1326-SM-DTX8G 60-69 years, male 10.4
GTEX-12ZZY-1126-SM-5DUWQ 60-69 years, male 9.9
GTEX-1K9T9-1126-SM-D3L9E 50-59 years, female 9.9
GTEX-18465-0926-SM-731AY 50-59 years, male 8.9
GTEX-1M5QR-1026-SM-DHXK9 40-49 years, male 8.9
GTEX-13RTJ-0726-SM-5QGQN 60-69 years, male 8.8
GTEX-13X6K-1826-SM-5O9CR 60-69 years, female 8.8
GTEX-1JMPZ-1426-SM-CJI3C 30-39 years, male 8.8
GTEX-1AX9I-1126-SM-7EPHH 60-69 years, male 8.6
GTEX-1269C-0826-SM-5N9EM 60-69 years, female 7.9
GTEX-15RJE-0626-SM-7KUKR 40-49 years, male 7.5
GTEX-11GSP-1326-SM-5A5KY 60-69 years, female 7.1
GTEX-17JCI-1126-SM-7IGMM 60-69 years, female 7.1
GTEX-S33H-0526-SM-COH1W 30-39 years, male 7.1
GTEX-15DYW-1126-SM-6LPK5 60-69 years, female 6.8
GTEX-1I1GV-1326-SM-A96SE 60-69 years, male 6.8
GTEX-11ONC-0126-SM-5PNW6 60-69 years, male 6.6
GTEX-15SHU-1126-SM-7KUMB 40-49 years, female 6.4
GTEX-RN64-0826-SM-2TC62 50-59 years, male 6.2
GTEX-1HCU7-1326-SM-CNPPW 50-59 years, male 6.2
GTEX-17HII-1326-SM-7IGOB 50-59 years, male 5.9
GTEX-1JN1M-1026-SM-CNPOS 60-69 years, female 5.9
GTEX-T2IS-0426-SM-32QPE 20-29 years, female 5.8
GTEX-1LB8K-1026-SM-DHXJJ 50-59 years, male 5.7
GTEX-1ICLZ-1026-SM-A9SLF 60-69 years, male 5.6
GTEX-13OW8-2126-SM-5J1OS 60-69 years, male 5.5
GTEX-13YAN-1326-SM-5Q5F1 60-69 years, male 5.4
GTEX-17F9Y-1326-SM-7MGW9 70-79 years, female 5.4
GTEX-11DXY-0826-SM-5EGGR 60-69 years, male 5.3
GTEX-1EH9U-0826-SM-7IGPT 60-69 years, male 5.1
GTEX-1IDJH-1026-SM-E9TKH 70-79 years, male 5.1
GTEX-14PJ2-1026-SM-6EU1M 50-59 years, male 5.0
GTEX-1JMOU-0226-SM-CNNPD 60-69 years, female 5.0
GTEX-YJ8O-0926-SM-EAZ2Z 40-49 years, female 4.9
GTEX-147JS-1526-SM-5ZZWF 60-69 years, male 4.7
GTEX-147F4-1226-SM-5NQAY 50-59 years, male 4.6
GTEX-1JJE9-1426-SM-ARL8P 70-79 years, male 4.3
GTEX-OXRO-2026-SM-2YUMZ 60-69 years, female 4.2
GTEX-16MT8-0926-SM-6M487 60-69 years, female 3.9
GTEX-17HHY-1426-SM-7EWDQ 50-59 years, male 3.9
GTEX-14C5O-1326-SM-5S2UW 60-69 years, male 3.8
GTEX-1HT8W-1726-SM-CNNQB 30-39 years, male 3.8
GTEX-WRHU-1226-SM-4E3IJ 50-59 years, female 3.6
GTEX-1GTWX-1026-SM-7P8QW 60-69 years, male 3.5
GTEX-1O97I-0826-SM-E8VNE 60-69 years, male 3.5
GTEX-15SHW-1226-SM-6M46C 60-69 years, male 3.4
GTEX-1EN7A-0726-SM-7PBXT 40-49 years, male 3.2
GTEX-XBEC-1326-SM-4AT69 50-59 years, male 3.1
GTEX-QVJO-1926-SM-2S1QZ 60-69 years, female 3.0
GTEX-N7MT-1326-SM-2I3FV 60-69 years, female 2.8
GTEX-1A8G6-1626-SM-7MGWO 60-69 years, male 2.8
GTEX-148VJ-1526-SM-5Q5DU 70-79 years, male 2.6
GTEX-14C39-0926-SM-5TDDV 40-49 years, male 2.6
GTEX-1LG7Y-1226-SM-CXZKD 50-59 years, male 2.6
GTEX-1LVA9-0926-SM-EVR5G 50-59 years, male 2.6
GTEX-1EKGG-1126-SM-7MGXB 60-69 years, male 2.5
GTEX-1EWIQ-1426-SM-7IGOS 70-79 years, female 2.3
GTEX-14E7W-1226-SM-5RQIU 70-79 years, male 2.2
GTEX-1H1CY-0326-SM-9QEIZ 60-69 years, female 2.1
GTEX-1H3NZ-1126-SM-9WYT9 60-69 years, male 2.1
GTEX-13OW5-1126-SM-5J1NR 60-69 years, male 2.0
GTEX-14E6D-0926-SM-5S2QV 50-59 years, male 2.0
GTEX-14JIY-1126-SM-6EU28 60-69 years, male 2.0
GTEX-1I1GP-0826-SM-A96SD 50-59 years, male 2.0
GTEX-ZF3C-1226-SM-4WWCB 50-59 years, female 1.9
GTEX-14BIN-2226-SM-5YYA1 50-59 years, female 1.8
GTEX-ZYT6-1726-SM-5E44P 30-39 years, male 1.8
GTEX-1GN2E-1326-SM-9KNVG 60-69 years, male 1.8
GTEX-WK11-0826-SM-EZ6LH 50-59 years, male 1.7
GTEX-13FHP-1026-SM-5K7Y2 50-59 years, male 1.5
GTEX-13JVG-1326-SM-5N9F8 60-69 years, male 1.5
GTEX-14A5I-1226-SM-5NQBW 50-59 years, female 1.3
GTEX-1RAZS-0826-SM-E76QP 50-59 years, male 1.2
GTEX-1EX96-2526-SM-7RHGW 50-59 years, male 1.1
GTEX-1IKJJ-0826-SM-A96SP 60-69 years, male 1.1
GTEX-1JN6P-1126-SM-CKZON 60-69 years, male 1.1
GTEX-1PPH7-2026-SM-E9J3N 40-49 years, male 1.0
GTEX-1399T-0426-SM-5PNVJ 60-69 years, male 0.9
GTEX-1C6VQ-1126-SM-7EWET 50-59 years, male 0.9
GTEX-1HCVE-1126-SM-9WPPG 50-59 years, male 0.9
GTEX-1KD4Q-0726-SM-DIPGE 40-49 years, male 0.9
GTEX-12ZZW-1026-SM-5GCMM 50-59 years, male 0.8
GTEX-X261-1426-SM-4PQZ1 50-59 years, male 0.8
GTEX-ZUA1-0826-SM-4YCDL 40-49 years, male 0.8
GTEX-14BIL-1126-SM-79OMC 50-59 years, male 0.6
GTEX-1NV8Z-1526-SM-DTX8X 60-69 years, male 0.6
GTEX-15CHQ-1526-SM-69LPW 60-69 years, male 0.5
GTEX-13NYB-0226-SM-5N9G4 40-49 years, male 0.4
Show allShow less

HEART MUSCLE - FANTOM5 CAGEi

RNA expression in human tissues obtained through Cap Analysis of Gene Expression (CAGE) generated by the FANTOM5 project are reported as Scaled Tags Per Million.

Max subtype Scaled Tags Per Millioni

Max subtype Scaled Tags Per Million is the value for the subtype with the largest average Scaled Tags Per Million across the subtype samples.

68.7
FANTOM5 sample id Sample description Scaled Tags Per Million
Heart
Scaled Tags Per Million: 64.1
FF:10016-101C7 70,73,74 years, mixed 64.1
Left atrium
Scaled Tags Per Million: 47.3
FF:10079-102A7 40 years, male 47.3
Left ventricle
Scaled Tags Per Million: 68.7
FF:10078-102A6 73 years, female 68.7

Contact

  • NEWS ARTICLES
  • PRESS ROOM

The Project

  • INTRODUCTION
  • ORGANIZATION
  • PUBLICATIONS

The Human Protein Atlas

  • DOWNLOADABLE DATA
  • LICENCE & CITATION
  • HELP & FAQ
The Human Protein Atlas project is funded
by the Knut & Alice Wallenberg Foundation.


contact@proteinatlas.org