We use cookies to enhance the usability of our website. If you continue, we'll assume that you are happy to receive all cookies. More information. Don't show this again.
FAM177A1
HPA
RESOURCES
  • TISSUE
  • BRAIN
  • SINGLE CELL
  • SUBCELLULAR
  • CANCER
  • BLOOD
  • CELL LINE
  • STRUCTURE & INTERACTION
ABOUT
  • INTRODUCTION
  • HISTORY
  • ORGANIZATION
  • PUBLICATIONS
  • ANTIBODY SUBMISSION
  • ANTIBODY AVAILABILITY
  • ACKNOWLEDGMENTS
  • CONTACT
NEWS
  • NEWS ARTICLES
  • PRESS ROOM
LEARN
  • DICTIONARY
  • PROTEIN CLASSES
  • PROTEIN EVIDENCE
  • METHODS
  • EDUCATIONAL VIDEOS
DATA
  • DOWNLOADABLE DATA
  • PUBLICATION DATA
  • RELEASE HISTORY
HELP
  • ANTIBODY VALIDATION
  • ASSAYS & ANNOTATION
  • DISCLAIMER
  • HELP & FAQ
  • PRIVACY STATEMENT
  • LICENCE & CITATION
Fields »
Search result

Field
Term
Gene name
Class
Subclass
Class
Keyword
Chromosome
External id
Tissue
Cell type
Expression
Antibody panel
Tissue
Main location
Patient ID
Annotation
Tissue
Category
Tau score
Cluster
Reliability
Brain region
Category
Tau score
Brain region
Category
Tau score
Brain region
Category
Tau score
Cluster
Reliability
Tissue
Cell type
Enrichment
Cell type
Category
Tau score
Cell type
Category
Tau score
Cell type
Category
Tau score
Cell lineage
Category
Tau score
Cluster
Cluster
Location
Searches
Location
Cell line
Class
Type
Phase
Reliability
Cancer
Prognosis
Cancer
Category
Cancer
Category
Tau score
Cluster
Variants
Interacting gene (ensg_id)
Type
Number of interactions
Pathway
Category
Score
Score
Score
Validation
Validation
Validation
Validation
Antibodies
Data type
Column


  • SUMMARY

  • TISSUE

  • BRAIN

  • SINGLE CELL

  • SUBCELL

  • CANCER

  • BLOOD

  • CELL LINE

  • STRUCT & INT

  • FAM177A1
TISSUE PRIMARY DATA COLON Show tissue menu
ADIPOSE TISSUE ADRENAL GLAND AMYGDALA APPENDIX BASAL GANGLIA BONE MARROW BREAST BRONCHUS CEREBELLUM CEREBRAL CORTEX CERVIX CHOROID PLEXUS COLON DUODENUM
ENDOMETRIUM EPIDIDYMIS ESOPHAGUS FALLOPIAN TUBE GALLBLADDER HEART MUSCLE HIPPOCAMPAL FORMATION HYPOTHALAMUS KIDNEY LIVER LUNG LYMPH NODE MIDBRAIN NASOPHARYNX
ORAL MUCOSA OVARY PANCREAS PARATHYROID GLAND PITUITARY GLAND PLACENTA PROSTATE RECTUM RETINA SALIVARY GLAND SEMINAL VESICLE SKELETAL MUSCLE SKIN SMALL INTESTINE
SMOOTH MUSCLE SOFT TISSUE SPINAL CORD SPLEEN STOMACH TESTIS THYMUS THYROID GLAND TONGUE TONSIL URINARY BLADDER VAGINA
ANTIBODIES
AND
VALIDATION
Dictionary
Colon
Tissue proteome
Intestine
COLON - Expression summary
Protein expression
Coloni

On the top, protein expression in current human tissue, based on all annotated cell types, is reported with the units not detected (n), low (l), medium (m) and high (h). Underneath, protein expression in each annotated cell type are reported using the same units.

Protein expression data is based on knowledge-based annotation. For genes where more than one antibody has been used, a collective score is set.

If knowledge-based annotation could not be performed for a gene, no data is displayed here. View antibody staining data further down this page.

h
m
l
n
Endothelial cells: Not detected
Glandular cells: High
Peripheral nerve/ganglion: Not detected
RNA expressioni

A summary of mRNA expression data available for current tissue based on several datasets. The mRNA expression levels in human tissues are based on RNA-seq data generated by the Human Protein Atlas (HPA), Genotype-Tissue Expression (GTEx) portal and CAGE data generated by the FANTOM5 consortium. Consensus normalized expression levels for human tissues was created by combining the data from HPA and GTEx datasets.

The mRNA expression levels in pig are based on RNA-seq data generated by the Human Protein Atlas (HPA), and for mouse, HPA data and in situ hybridization generated by the Allen brain atlas are reported.

Scroll down to view mRNA expression data in more detail.
Consensus:76.9 nTPM
HPA:76.9 nTPM
GTEx:69.5 nTPM
FANTOM5:114.5 Scaled Tags Per Million

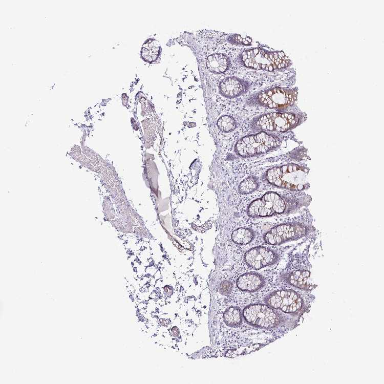
COLON - Antibody stainingi

Antibody staining in the annotated cell types in the current human tissue is reported as not detected, low, medium, or high, based on conventional immunohistochemistry profiling in selected tissues. This score is based on the combination of the staining intensity and fraction of stained cells.

Each image is clickable and will lead to virtual microscopy that enables deeper exploration of all samples and also displays staining intensity scores, fraction scores and subcellular localization as well as patient and tissue information for each sample.

Antibody HPA053222Antibody HPA055440
Endothelial cells Not detectedNot detected
Glandular cells MediumHigh
Peripheral nerve/ganglion Not detectedNot detected



COLON - HPA RNA-seqi

The RNA-seq details section shows detailed information about the individual samples used for the transcript profiling and results of the RNA-seq analysis.

Information about each individual sample is listed below, including gender, age, a tissue section image and estimated fractions of cell types. nTPM (normalized transcripts per million) values give a quantification of the gene abundance which is comparable between different genes and samples.
Average nTPMi

Max subtype nTPM is the value for the subtype with the largest average nTPM across the subtype samples.

76.9
overview
Male, age 54
Colon sample 67
nTPM: 78.5
Cell types%
Glandular cells:
65

Smooth muscle cells:
10

Other cell types:
25

overview
Female, age 57
Colon sample 68
nTPM: 97.2
Cell types%
Glandular cells:
40

Smooth muscle cells:
5

Other cell types:
55

overview
Male, age 80
Colon sample 69
nTPM: 110.7
Cell types%
Glandular cells:
55

Smooth muscle cells:
5

Other cell types:
40

overview
Male, age 68
Colon sample 70
nTPM: 99.3
Cell types%
Glandular cells:
35

Smooth muscle cells:
10

Other cell types:
55

overview
Female, age 68
Colon sample 76
nTPM: 65
Cell types%
Glandular cells:
25

Smooth muscle cells:
5

Other cell types:
70

overview
Female, age 61
Colon sample 299
nTPM: 68.8
Cell types%
Glandular cells:
5

Smooth muscle cells:
65

Other cell types:
30

overview
Male, age 80
Colon sample 300
nTPM: 70.6
Cell types%
Glandular cells:
15

Smooth muscle cells:
20

Other cell types:
65

overview
Female, age 78
Colon sample 368
nTPM: 81.5
Cell types%
Glandular cells:
45

Smooth muscle cells:
5

Other cell types:
50

overview
Male, age 84
Colon sample 381
nTPM: 51.4
Cell types%
Glandular cells:
50

Smooth muscle cells:
15

Other cell types:
35

overview
Male, age 80
Colon sample 384
nTPM: 85.4
Cell types%
Glandular cells:
20

Smooth muscle cells:
35

Other cell types:
45

overview
Female, age 78
Colon sample 389
nTPM: 63.2
Cell types%
Glandular cells:
35

Smooth muscle cells:
10

Other cell types:
55

overview
Female, age 69
Colon sample 391
nTPM: 55.7
Cell types%
Glandular cells:
10

Smooth muscle cells:
45

Other cell types:
45

overview
Female, age 72
Colon sample 403
nTPM: 71.7
Cell types%
Glandular cells:
20

Smooth muscle cells:
15

Other cell types:
65


COLON - GTEx RNA-seqi

RNA-Seq data generated by the Genotype-Tissue Expression (GTEx) project from human tissues is reported as mean nTPM. More information can be found on the GTEx portal.

Distribution across the dataset is visualized with box plots, shown as median and 25th and 75th percentiles. Points are displayed as outliers if they are above or below 1.5 times the interquartile range. nTPM values of the individual samples are presented next to the box plot.
Max subtype nTPMi

Max subtype nTPM is the value for the subtype with the largest average nTPM across the subtype samples.

69.5
GTEx sample id Sample description nTPM
Colon - Sigmoid
Average nTPM: 41.2
Samples: 373

Max nTPM: 162.1
Min nTPM: 23.8
Std nTPM: 15.8
Median nTPM: 37.1
GTEX-WOFM-1926-SM-4OOSP 20-29 years, male 162.1
GTEX-ZQUD-1026-SM-4YCEZ 30-39 years, male 136.9
GTEX-13113-1426-SM-5EGHU 60-69 years, female 126.1
GTEX-W5WG-2026-SM-4LMIB 50-59 years, female 119.1
GTEX-WH7G-1426-SM-4LVMU 40-49 years, male 110.2
GTEX-Y5V6-1626-SM-4VDT2 60-69 years, male 105.5
GTEX-ZYFD-2226-SM-5E43P 50-59 years, male 104.1
GTEX-WYJK-2326-SM-4ONDN 50-59 years, male 98.6
GTEX-X5EB-1126-SM-46MVV 40-49 years, male 87.1
GTEX-13W3W-2226-SM-5LU4M 60-69 years, female 85.4
GTEX-11VI4-1426-SM-5GU6O 40-49 years, female 79.4
GTEX-1AMEY-1826-SM-72D5L 30-39 years, female 79.2
GTEX-1OJC3-1826-SM-DTX93 20-29 years, male 75.4
GTEX-1PFEY-1726-SM-DPRZ4 30-39 years, male 75.1
GTEX-ZDTS-2726-SM-5L3E2 60-69 years, male 72.3
GTEX-1K9T9-2926-SM-E9TKD 50-59 years, female 72.3
GTEX-11EQ8-2626-SM-5N9BO 60-69 years, male 71.8
GTEX-1HBPH-2526-SM-ACKXK 40-49 years, female 68.4
GTEX-1C64O-2426-SM-7P8R3 60-69 years, male 68.0
GTEX-15FZZ-1826-SM-6LLJP 30-39 years, female 67.3
GTEX-1N2EF-1726-SM-EXUSI 60-69 years, male 64.9
GTEX-11I78-1326-SM-5PNY9 50-59 years, female 64.6
GTEX-11EM3-1626-SM-5N9CO 20-29 years, female 64.1
GTEX-VJYA-2126-SM-4KL1O 60-69 years, male 62.0
GTEX-17EUY-1726-SM-79OK4 20-29 years, male 59.6
GTEX-1S831-1726-SM-EWROJ 20-29 years, male 58.1
GTEX-11ZU8-1126-SM-5EQ5K 60-69 years, male 57.8
GTEX-ZF2S-1826-SM-4WKFF 50-59 years, female 57.7
GTEX-1A3MX-2326-SM-718B4 60-69 years, male 57.3
GTEX-1PBJJ-2026-SM-DTX8U 30-39 years, male 56.7
GTEX-14C5O-2626-SM-5RQI5 60-69 years, male 56.3
GTEX-13CF3-1326-SM-5LZXZ 60-69 years, female 56.2
GTEX-1HB9E-2526-SM-D4P35 50-59 years, male 56.2
GTEX-ZTSS-1226-SM-51MSZ 40-49 years, male 55.9
GTEX-1LVAO-2826-SM-E9TJH 60-69 years, male 55.9
GTEX-1PPH8-2226-SM-EWRN7 20-29 years, male 55.7
GTEX-144GM-1126-SM-79OJK 20-29 years, male 55.5
GTEX-14A5H-1626-SM-5SIAN 60-69 years, male 55.3
GTEX-XAJ8-0726-SM-47JY5 40-49 years, male 54.4
GTEX-1S5ZA-1426-SM-E6CJQ 20-29 years, male 54.0
GTEX-ZF29-1826-SM-4WKG8 60-69 years, female 53.9
GTEX-Y5LM-1426-SM-5RQJL 40-49 years, female 53.4
GTEX-183WM-2526-SM-731BP 70-79 years, female 52.7
GTEX-ZZ64-0826-SM-5E449 20-29 years, male 52.4
GTEX-1JK1U-1426-SM-CNPOW 60-69 years, male 52.3
GTEX-1L5NE-1926-SM-D3L9R 50-59 years, male 52.1
GTEX-1R9PO-2026-SM-E9J4N 60-69 years, female 51.2
GTEX-Y8E4-2326-SM-EAZAZ 40-49 years, male 51.2
GTEX-12ZZW-2426-SM-5DUWE 50-59 years, male 51.0
GTEX-11TUW-2326-SM-5EQMO 60-69 years, male 50.9
GTEX-XBED-1726-SM-47JYO 60-69 years, male 50.8
GTEX-YFCO-1526-SM-5YYB8 40-49 years, male 50.8
GTEX-13O61-1526-SM-5KM3P 60-69 years, male 50.6
GTEX-1JJE9-2526-SM-ARU8K 70-79 years, male 50.5
GTEX-1I1CD-2826-SM-A9SL4 60-69 years, female 50.4
GTEX-12WSJ-1426-SM-5GCON 40-49 years, female 49.7
GTEX-15G1A-1926-SM-7KUFF 30-39 years, male 49.6
GTEX-1RMOY-1726-SM-EVYC9 50-59 years, male 49.6
GTEX-ZAJG-2626-SM-5S2NU 50-59 years, female 49.2
GTEX-1J1OQ-2826-SM-D3L88 40-49 years, female 49.2
GTEX-15RJ7-1726-SM-6PAL3 40-49 years, male 49.1
GTEX-1JKYN-2226-SM-ARZNE 30-39 years, male 49.0
GTEX-ZG7Y-1826-SM-4WWD3 50-59 years, male 48.9
GTEX-ZA64-1426-SM-5CVMC 20-29 years, male 48.8
GTEX-1QPFJ-2426-SM-EVR3L 30-39 years, female 48.8
GTEX-1RLM8-1726-SM-E9TKF 50-59 years, male 48.8
GTEX-15DZA-1026-SM-6PAND 30-39 years, female 48.1
GTEX-Y3I4-1126-SM-4TT7Y 50-59 years, male 47.9
GTEX-1I1GP-2826-SM-A9SKZ 50-59 years, male 47.9
GTEX-1CAMR-1026-SM-7P8QI 20-29 years, male 47.4
GTEX-1QP2A-2226-SM-DTXF6 50-59 years, male 47.4
GTEX-1H3VE-2326-SM-9KNVU 40-49 years, male 47.3
GTEX-12WSL-1826-SM-5LZW9 50-59 years, male 47.2
GTEX-YF7O-1626-SM-5IFII 50-59 years, male 46.9
GTEX-1LVAN-2626-SM-CNPQF 50-59 years, female 46.8
GTEX-117YX-0526-SM-5EGJH 50-59 years, male 46.5
GTEX-11TT1-0926-SM-5GU5M 20-29 years, male 46.4
GTEX-12BJ1-2026-SM-5FQUH 60-69 years, male 46.4
GTEX-1LKK1-2426-SM-DIPES 50-59 years, female 46.4
GTEX-1C64N-2226-SM-7SB7C 50-59 years, male 45.9
GTEX-17F96-2126-SM-7KFSM 70-79 years, male 45.7
GTEX-1C475-1526-SM-7DHM3 40-49 years, female 45.7
GTEX-1GMR8-2926-SM-9KNW5 50-59 years, female 45.3
GTEX-13O1R-2426-SM-5KLZZ 60-69 years, male 45.1
GTEX-1A32A-2626-SM-73KX9 50-59 years, female 44.8
GTEX-1KANA-1726-SM-CY8IG 20-29 years, male 44.7
GTEX-1F5PL-1926-SM-7MXTP 40-49 years, female 44.6
GTEX-1JN6P-2126-SM-ARL98 60-69 years, male 44.6
GTEX-ZF28-2526-SM-57WFH 60-69 years, male 44.5
GTEX-132AR-2826-SM-5IJFV 50-59 years, female 44.4
GTEX-15RIF-1426-SM-7KUKQ 20-29 years, male 44.2
GTEX-1339X-1726-SM-5P9J9 40-49 years, male 44.0
GTEX-14JG6-1626-SM-5YYBC 30-39 years, female 44.0
GTEX-139T6-1426-SM-5P9J7 50-59 years, male 43.7
GTEX-15DYW-2426-SM-7KUG8 60-69 years, female 43.6
GTEX-1JMPY-1026-SM-ARZN1 30-39 years, male 43.5
GTEX-11P7K-1826-SM-5HL5A 30-39 years, male 43.4
GTEX-1IDJI-2226-SM-CKZPM 50-59 years, female 43.4
GTEX-16BQI-2026-SM-7KULQ 30-39 years, female 43.3
GTEX-1RDX4-1926-SM-E6CJJ 50-59 years, female 43.3
GTEX-ZQG8-2426-SM-57WEE 60-69 years, female 43.2
GTEX-1GL5R-1726-SM-9KNUX 50-59 years, male 43.2
GTEX-ZE9C-2126-SM-4WKGY 60-69 years, male 43.1
GTEX-1CAMS-2626-SM-7PBY3 40-49 years, female 43.0
GTEX-1MGNQ-2126-SM-EV7AC 40-49 years, male 42.9
GTEX-1OFPY-1226-SM-E76OM 60-69 years, male 42.9
GTEX-WRHK-1126-SM-4MVOJ 20-29 years, female 42.7
GTEX-11DXX-1926-SM-5EGJK 60-69 years, female 42.6
GTEX-13PL7-2426-SM-5J2N3 60-69 years, female 42.6
GTEX-15RIE-2026-SM-7KFRW 60-69 years, male 42.6
GTEX-ZLWG-1826-SM-DO11I 50-59 years, female 42.6
GTEX-ZTTD-2626-SM-57WEX 50-59 years, male 42.5
GTEX-ZY6K-1326-SM-5GZWP 50-59 years, male 42.5
GTEX-1J8EW-2426-SM-CE6T5 60-69 years, female 42.2
GTEX-14BMU-1326-SM-5RQIH 20-29 years, female 42.1
GTEX-131XG-1526-SM-5GCNQ 50-59 years, female 42.0
GTEX-13D11-0626-SM-5LZYY 50-59 years, female 42.0
GTEX-13OVK-1026-SM-7KFTC 40-49 years, male 42.0
GTEX-1QP29-2526-SM-E6CQ3 50-59 years, male 42.0
GTEX-1A3MV-1026-SM-72D5U 30-39 years, male 41.8
GTEX-13RTJ-1926-SM-5YYA2 60-69 years, male 41.7
GTEX-1EMGI-2626-SM-7IGNR 60-69 years, male 41.7
GTEX-14C39-1626-SM-5S2P4 40-49 years, male 41.6
GTEX-14PJ4-1826-SM-5YY97 60-69 years, male 41.5
GTEX-ZYT6-2826-SM-5GICX 30-39 years, male 41.5
GTEX-1JMQK-2326-SM-ARZN4 60-69 years, male 41.5
GTEX-WI4N-2226-SM-4OOS9 40-49 years, female 41.2
GTEX-ZT9W-1726-SM-51MS3 50-59 years, male 41.2
GTEX-139D8-2926-SM-5IJBM 30-39 years, female 41.1
GTEX-16MTA-1626-SM-6M47N 50-59 years, male 41.1
GTEX-1CB4F-1926-SM-7MKFN 60-69 years, male 41.1
GTEX-1KXAM-1926-SM-D3LAG 60-69 years, male 41.1
GTEX-WHSE-2726-SM-EZ6ML 20-29 years, male 41.1
GTEX-15UF7-1326-SM-7KUKV 40-49 years, male 40.8
GTEX-1LGOU-1726-SM-D3L8P 20-29 years, female 40.8
GTEX-ZXES-1726-SM-5E43G 30-39 years, female 40.7
GTEX-15ER7-2826-SM-6PAN2 20-29 years, female 40.5
GTEX-WFG7-1626-SM-4LVMF 20-29 years, male 40.5
GTEX-1HBPN-2026-SM-B2LWA 50-59 years, male 40.4
GTEX-1IDJH-2826-SM-CJI49 70-79 years, male 40.4
GTEX-13OVJ-1826-SM-5KM2D 50-59 years, female 40.2
GTEX-1B996-2726-SM-7DUGG 60-69 years, male 40.2
GTEX-ZLV1-1326-SM-DO11Q 60-69 years, female 40.1
GTEX-1399U-2226-SM-5KLZI 50-59 years, female 39.9
GTEX-1LSVX-2026-SM-E9TJD 60-69 years, male 39.9
GTEX-12KS4-2326-SM-5EGJB 30-39 years, male 39.8
GTEX-139UW-2326-SM-5KM1Y 60-69 years, male 39.8
GTEX-1HFI7-1626-SM-9WYTR 50-59 years, female 39.8
GTEX-1IL2U-2526-SM-C1YQV 60-69 years, male 39.8
GTEX-11DXZ-1626-SM-5GIDI 50-59 years, male 39.7
GTEX-12WSG-2426-SM-5EQLZ 50-59 years, female 39.7
GTEX-1K2DA-1626-SM-CGQGB 50-59 years, male 39.7
GTEX-ZE7O-2626-SM-51MSS 50-59 years, female 39.6
GTEX-1RQEC-2626-SM-EVR3Z 60-69 years, male 39.6
GTEX-13FTW-2126-SM-5K7YG 40-49 years, male 39.5
GTEX-14PKV-1926-SM-686YU 20-29 years, female 39.5
GTEX-ZLFU-1426-SM-4WWEU 40-49 years, male 39.4
GTEX-XV7Q-2226-SM-4BRVY 40-49 years, female 39.3
GTEX-1J1R8-1426-SM-CL55O 40-49 years, male 39.2
GTEX-V955-1726-SM-4JBHF 60-69 years, male 38.9
GTEX-1QP67-1426-SM-E8VOO 40-49 years, female 38.9
GTEX-1LGRB-2026-SM-COH47 50-59 years, female 38.8
GTEX-1PDJ9-2026-SM-E76PT 20-29 years, male 38.8
GTEX-1LG7Z-1326-SM-DIPF3 30-39 years, male 38.7
GTEX-1LSNL-1626-SM-E9TJY 50-59 years, male 38.7
GTEX-1C6VQ-2626-SM-7IGMQ 50-59 years, male 38.4
GTEX-1HSMO-2526-SM-A9SKP 60-69 years, male 38.3
GTEX-111CU-1226-SM-5EGIN 50-59 years, male 38.2
GTEX-1122O-1426-SM-5H11R 60-69 years, female 38.1
GTEX-14PJ3-1226-SM-5ZZVY 50-59 years, male 38.1
GTEX-17KNJ-1826-SM-7LT9N 50-59 years, male 38.1
GTEX-17MFQ-1226-SM-7KFSA 20-29 years, male 38.1
GTEX-ZAB4-2426-SM-5HL8A 40-49 years, male 38.0
GTEX-13QBU-2026-SM-5KLZB 40-49 years, female 37.8
GTEX-ZPCL-1626-SM-57WGC 60-69 years, female 37.8
GTEX-18A6Q-2226-SM-7LG61 60-69 years, male 37.7
GTEX-ZPIC-2626-SM-57WE2 40-49 years, female 37.7
GTEX-1HCUA-1926-SM-B2LWE 50-59 years, female 37.7
GTEX-1PBJI-2526-SM-E6CP4 20-29 years, female 37.7
GTEX-ZVZQ-2626-SM-59HLB 60-69 years, female 37.4
GTEX-147GR-2826-SM-5RQK8 60-69 years, male 37.3
GTEX-17HHE-1626-SM-7DHLN 50-59 years, male 37.3
GTEX-18A66-2626-SM-72D67 60-69 years, male 37.3
GTEX-1RAZQ-2026-SM-E76P7 30-39 years, male 37.3
GTEX-15RJE-2226-SM-6M46A 40-49 years, male 37.2
GTEX-13FHO-2726-SM-5K7VG 60-69 years, male 37.1
GTEX-1B97I-1526-SM-73KUK 40-49 years, male 37.1
GTEX-X4EO-2726-SM-4E3HS 60-69 years, female 37.1
GTEX-15G19-2726-SM-6LPKG 60-69 years, male 37.0
GTEX-1B8KE-1526-SM-7DUG2 50-59 years, male 37.0
GTEX-1HKZK-2026-SM-9WYUF 40-49 years, male 37.0
GTEX-18A67-2226-SM-7LT9Z 50-59 years, male 36.9
GTEX-1HCU7-2726-SM-A9G3D 50-59 years, male 36.9
GTEX-15UF6-2726-SM-7KULY 70-79 years, female 36.8
GTEX-1RAZR-2026-SM-E9TKE 40-49 years, male 36.8
GTEX-13111-1926-SM-5GCOL 50-59 years, male 36.7
GTEX-ZV6S-1126-SM-57WE9 40-49 years, female 36.7
GTEX-YEC3-2026-SM-DKPOL 50-59 years, male 36.7
GTEX-11EMC-1426-SM-5N9E4 60-69 years, female 36.6
GTEX-13X6J-2826-SM-7EPGA 50-59 years, male 36.6
GTEX-14PN3-1926-SM-6EU1Y 60-69 years, female 36.6
GTEX-Y8LW-1126-SM-4VDS4 50-59 years, female 36.6
GTEX-Y9LG-1326-SM-4VBQB 30-39 years, male 36.6
GTEX-13X6I-2726-SM-5Q5ET 60-69 years, male 36.5
GTEX-16NGA-0926-SM-718AG 40-49 years, female 36.5
GTEX-1HBPI-2226-SM-9WYTY 50-59 years, male 36.5
GTEX-17F9Y-2626-SM-7IGN9 70-79 years, female 36.4
GTEX-ZVT3-2826-SM-5GU6A 60-69 years, female 36.2
GTEX-1GN73-2726-SM-9WYUB 60-69 years, male 36.2
GTEX-1H23P-2626-SM-9KNVN 60-69 years, male 36.2
GTEX-1LB8K-2526-SM-DIPEQ 50-59 years, male 36.2
GTEX-1R7EU-1826-SM-DTX9L 60-69 years, male 36.2
GTEX-11EI6-2626-SM-5PNVT 60-69 years, male 36.1
GTEX-12ZZX-2726-SM-5N9FT 40-49 years, female 36.1
GTEX-13U4I-2626-SM-5SI9C 40-49 years, female 36.1
GTEX-1E2YA-2526-SM-7IGOU 50-59 years, male 36.1
GTEX-12WSM-1426-SM-5GCPA 60-69 years, male 36.0
GTEX-1HBPM-2626-SM-9WYU5 60-69 years, female 36.0
GTEX-1I6K6-1926-SM-A96SN 30-39 years, male 36.0
GTEX-12696-1926-SM-5EGJT 60-69 years, male 35.9
GTEX-13PVR-1726-SM-5Q5EC 60-69 years, female 35.9
GTEX-17GQL-1626-SM-7LG69 60-69 years, male 35.9
GTEX-1F75W-2126-SM-7RHIA 60-69 years, male 35.9
GTEX-1ICG6-2226-SM-B2LY7 70-79 years, female 35.9
GTEX-XXEK-1826-SM-4BRVC 50-59 years, male 35.8
GTEX-1H1ZS-2626-SM-9QEIX 70-79 years, male 35.8
GTEX-1J8Q3-2426-SM-CL53S 60-69 years, male 35.8
GTEX-18D9A-1326-SM-7LT8P 30-39 years, female 35.6
GTEX-1B8L1-1926-SM-7IGND 60-69 years, male 35.6
GTEX-1EH9U-1926-SM-7P8QM 60-69 years, male 35.5
GTEX-1I1GT-2026-SM-CKZPK 60-69 years, female 35.5
GTEX-1LSNM-1426-SM-E6CIH 50-59 years, male 35.5
GTEX-1QCLY-2026-SM-EVR4C 30-39 years, male 35.5
GTEX-1HSMQ-2526-SM-A9SMK 50-59 years, male 35.4
GTEX-1PIEJ-1826-SM-EWRMN 20-29 years, female 35.4
GTEX-11ONC-1926-SM-5GU75 60-69 years, male 35.3
GTEX-17JCI-2826-SM-7IGNA 60-69 years, female 35.3
GTEX-1EU9M-2726-SM-7P8QD 60-69 years, male 35.2
GTEX-1HSGN-2226-SM-A9SL6 40-49 years, female 35.0
GTEX-1JN76-1326-SM-ARU94 20-29 years, female 35.0
GTEX-148VJ-2426-SM-5NQ9Y 70-79 years, male 34.8
GTEX-1H1DE-1626-SM-9KNU5 20-29 years, male 34.7
GTEX-1PIGE-1526-SM-DTXFC 20-29 years, male 34.7
GTEX-14PK6-1826-SM-69LOM 70-79 years, female 34.6
GTEX-YJ8A-1726-SM-5P9IQ 20-29 years, male 34.6
GTEX-14E6C-2226-SM-5QGQG 40-49 years, male 34.5
GTEX-1F5PK-1726-SM-7RHHW 50-59 years, male 34.5
GTEX-1JKYR-2026-SM-CNPON 20-29 years, male 34.5
GTEX-14BIN-2426-SM-5TDCF 50-59 years, female 34.3
GTEX-1AYCT-1926-SM-793AE 50-59 years, male 34.3
GTEX-YECK-2826-SM-5IFHF 60-69 years, male 34.3
GTEX-1P4AB-2626-SM-DTXEU 50-59 years, male 34.3
GTEX-11DXY-2026-SM-5N9CZ 60-69 years, male 34.2
GTEX-17HG3-1126-SM-7DUFC 30-39 years, female 34.2
GTEX-11EQ9-1526-SM-5PNY7 30-39 years, male 34.1
GTEX-1399R-2126-SM-5K7WZ 30-39 years, male 33.9
GTEX-1QP28-2226-SM-DTX8C 50-59 years, female 33.9
GTEX-13FH7-1626-SM-5J2O9 50-59 years, female 33.8
GTEX-XUZC-1526-SM-4BRV4 30-39 years, female 33.8
GTEX-Y114-1626-SM-4TT7I 50-59 years, female 33.8
GTEX-1GMR2-1826-SM-9KNUP 50-59 years, male 33.8
GTEX-1N2DV-1826-SM-E6CJ5 40-49 years, male 33.8
GTEX-15EO6-2326-SM-6LPKK 50-59 years, male 33.7
GTEX-ZAB5-1426-SM-5HL9D 50-59 years, male 33.7
GTEX-13OVI-2126-SM-5KM3U 60-69 years, female 33.6
GTEX-1R9JW-2126-SM-E76QT 30-39 years, female 33.6
GTEX-14PHX-1126-SM-5YYA5 50-59 years, male 33.5
GTEX-WFG8-1726-SM-4LVM6 20-29 years, male 33.5
GTEX-ZVT2-1726-SM-51MRO 50-59 years, female 33.5
GTEX-ZVT4-2626-SM-5N9GJ 50-59 years, female 33.4
GTEX-1211K-1826-SM-5EGJ2 60-69 years, female 33.3
GTEX-Z93S-2626-SM-57WBX 50-59 years, male 33.3
GTEX-ZYY3-2226-SM-5E45A 60-69 years, female 33.3
GTEX-15CHQ-2626-SM-686YZ 60-69 years, male 33.2
GTEX-1AX9K-1626-SM-73KUS 50-59 years, male 33.2
GTEX-1HSKV-2326-SM-A9SL9 60-69 years, male 33.1
GTEX-131XE-1026-SM-5EGKE 50-59 years, male 33.0
GTEX-145MO-2626-SM-5QGPD 60-69 years, male 33.0
GTEX-1HSEH-1926-SM-A96SB 60-69 years, male 33.0
GTEX-1JMPZ-2626-SM-ARU8Z 30-39 years, male 33.0
GTEX-145LS-2926-SM-5O99G 60-69 years, female 32.8
GTEX-13PVQ-2726-SM-5L3H7 50-59 years, male 32.7
GTEX-14AS3-1026-SM-5TDD7 40-49 years, female 32.7
GTEX-13N2G-2226-SM-5IJCU 60-69 years, male 32.6
GTEX-111YS-1826-SM-5GIEP 60-69 years, male 32.4
GTEX-ZP4G-1526-SM-57WE5 20-29 years, female 32.4
GTEX-13G51-2126-SM-5IJD9 60-69 years, male 32.3
GTEX-1LBAC-1726-SM-D3L9W 20-29 years, male 32.2
GTEX-132NY-2726-SM-5PNY2 60-69 years, male 32.0
GTEX-1BAJH-2726-SM-7IGNJ 70-79 years, male 32.0
GTEX-1J8QM-1226-SM-CY8HI 60-69 years, female 32.0
GTEX-1C2JI-1726-SM-73KUW 50-59 years, male 31.8
GTEX-11PRG-2026-SM-5GU5F 50-59 years, male 31.7
GTEX-1QP9N-0826-SM-DTX9O 30-39 years, male 31.7
GTEX-11GS4-1826-SM-5HL4T 60-69 years, male 31.6
GTEX-146FH-2426-SM-5Q5EW 50-59 years, female 31.6
GTEX-18465-2726-SM-7LT9I 50-59 years, male 31.6
GTEX-XQ8I-2326-SM-4BOQC 50-59 years, male 31.5
GTEX-11ZTT-1626-SM-5EQKR 60-69 years, female 31.4
GTEX-WHWD-1526-SM-4OORV 50-59 years, male 31.4
GTEX-1PIIG-2126-SM-EXUSD 30-39 years, male 31.3
GTEX-131YS-2926-SM-5EGKI 60-69 years, female 31.2
GTEX-139TS-2226-SM-5J2N1 60-69 years, male 31.2
GTEX-1IKOE-2126-SM-A96T5 30-39 years, female 31.2
GTEX-12WSD-2626-SM-5EGJE 60-69 years, female 31.1
GTEX-15ETS-2326-SM-7KUGC 40-49 years, female 31.1
GTEX-WQUQ-2626-SM-4MVNP 60-69 years, male 31.1
GTEX-11P81-1426-SM-5P9JN 30-39 years, female 31.0
GTEX-1477Z-2126-SM-5Q5CM 60-69 years, male 31.0
GTEX-1I1GR-2226-SM-ARL7F 60-69 years, male 30.9
GTEX-14E6E-1726-SM-5S2R6 30-39 years, male 30.8
GTEX-1GZ4H-1326-SM-7P8TE 50-59 years, female 30.8
GTEX-1S82P-2026-SM-E9TIQ 60-69 years, female 30.8
GTEX-1B932-2126-SM-7IGMU 40-49 years, female 30.7
GTEX-1GTWX-2626-SM-9WPOT 60-69 years, male 30.7
GTEX-1H3VY-2526-SM-9KNW1 50-59 years, male 30.7
GTEX-15F5U-1426-SM-7KUN2 40-49 years, male 30.5
GTEX-16XZZ-2726-SM-7EWDO 60-69 years, male 30.5
GTEX-1GMRU-2626-SM-9WPPM 50-59 years, male 30.5
GTEX-147JS-2626-SM-5S2UX 60-69 years, male 30.3
GTEX-1JJEA-2526-SM-CY8HJ 60-69 years, male 30.3
GTEX-1LVAM-1726-SM-DHXKQ 50-59 years, female 30.3
GTEX-1H1E6-1826-SM-A9G21 30-39 years, male 30.2
GTEX-1JMQJ-2626-SM-CY8HQ 50-59 years, male 30.2
GTEX-145ME-1126-SM-5SIAT 40-49 years, female 30.1
GTEX-14E1K-1626-SM-664MO 50-59 years, male 30.1
GTEX-183FY-1426-SM-7DHLM 20-29 years, male 29.9
GTEX-ZC5H-2426-SM-4WAZ6 40-49 years, female 29.9
GTEX-1HCVE-2326-SM-9WYUD 50-59 years, male 29.8
GTEX-1AMFI-1826-SM-73KWB 50-59 years, female 29.6
GTEX-1HCU6-2926-SM-B2LWV 60-69 years, female 29.5
GTEX-12ZZY-2726-SM-5EQ45 60-69 years, male 29.4
GTEX-1H3NZ-2526-SM-9KNVO 60-69 years, male 29.4
GTEX-13CF2-1826-SM-5N9GK 60-69 years, male 29.3
GTEX-145LT-0826-SM-5S2QL 40-49 years, male 29.3
GTEX-11ZTS-1526-SM-5N9G7 60-69 years, female 29.1
GTEX-13OW6-2226-SM-5N9FL 50-59 years, male 29.1
GTEX-13VXT-2026-SM-5L3EW 20-29 years, female 29.1
GTEX-14A5I-2426-SM-5Q5CP 50-59 years, female 28.9
GTEX-WXYG-1726-SM-4ONCU 50-59 years, female 28.8
GTEX-117XS-2226-SM-5GIE1 60-69 years, male 28.7
GTEX-13X6K-2726-SM-5O9DG 60-69 years, female 28.6
GTEX-1CB4G-2726-SM-79OO4 60-69 years, male 28.6
GTEX-WY7C-1926-SM-4ONCI 50-59 years, male 28.6
GTEX-1LG7Y-2226-SM-E9U5K 50-59 years, male 28.3
GTEX-13OW8-2726-SM-5L3FZ 60-69 years, male 28.2
GTEX-14DAQ-2926-SM-664MV 60-69 years, female 28.2
GTEX-1GMR3-2526-SM-7P8QS 40-49 years, male 28.2
GTEX-1R9K5-2226-SM-DTX9G 50-59 years, male 28.2
GTEX-16Z82-2426-SM-7KUMS 60-69 years, male 28.1
GTEX-1AX9J-2526-SM-73KUY 60-69 years, male 28.1
GTEX-XUW1-1826-SM-4BOQD 50-59 years, female 28.1
GTEX-13SLW-2826-SM-5Q5ES 70-79 years, male 27.7
GTEX-18QFQ-1726-SM-731C9 30-39 years, male 27.6
GTEX-ZYFG-1826-SM-5GZWX 60-69 years, female 27.2
GTEX-1IDJU-1926-SM-CL53W 60-69 years, female 27.0
GTEX-17HGU-2626-SM-79OKN 50-59 years, male 26.9
GTEX-1GF9X-1426-SM-7RHGX 40-49 years, female 26.8
GTEX-145MH-2726-SM-5QGQ6 50-59 years, male 26.4
GTEX-WFON-1326-SM-4LVMN 40-49 years, male 26.4
GTEX-13OW5-2826-SM-5KM1G 60-69 years, male 26.1
GTEX-ZPU1-1726-SM-4WWFV 40-49 years, male 26.1
GTEX-1212Z-1826-SM-5FQSH 60-69 years, male 25.8
GTEX-1C4CL-1626-SM-7DUF3 30-39 years, male 25.2
GTEX-1QCLZ-2026-SM-EAZ4A 60-69 years, female 25.2
GTEX-WHPG-1626-SM-4M1ZL 50-59 years, male 25.1
GTEX-1GPI7-1926-SM-9KNUH 20-29 years, male 24.8
GTEX-WYVS-1126-SM-4SOJX 40-49 years, female 24.5
GTEX-1J8JJ-2426-SM-D4P4A 60-69 years, female 24.5
GTEX-1JMLX-2526-SM-CY8HX 50-59 years, male 24.2
GTEX-1QW4Y-1426-SM-E76P3 30-39 years, male 24.2
GTEX-YJ8O-1426-SM-5PNV9 40-49 years, female 24.0
GTEX-X15G-1526-SM-4PQZM 50-59 years, female 23.8
Show allShow less
Colon - Transverse
Average nTPM: 69.5
Samples: 406

Max nTPM: 210.8
Min nTPM: 23.2
Std nTPM: 36.6
Median nTPM: 59.6
GTEX-1K2DA-2026-SM-CGQGK 50-59 years, male 210.8
GTEX-14E6E-1526-SM-5RQIG 30-39 years, male 192.1
GTEX-1CAMR-0926-SM-7MXTD 20-29 years, male 187.3
GTEX-1B8KE-1926-SM-731EE 50-59 years, male 174.9
GTEX-14JIY-3326-SM-6871E 60-69 years, male 164.2
GTEX-1JKYN-2326-SM-CGQG7 30-39 years, male 162.4
GTEX-16AAH-1326-SM-7KFRG 50-59 years, male 160.4
GTEX-WOFM-2026-SM-4OOSQ 20-29 years, male 157.9
GTEX-Y5LM-1526-SM-4VDTA 40-49 years, female 157.5
GTEX-12BJ1-2126-SM-5BC5O 60-69 years, male 153.6
GTEX-ZT9W-1826-SM-51MQX 50-59 years, male 152.2
GTEX-14DAR-1526-SM-5RQIX 50-59 years, male 148.6
GTEX-1AMFI-1726-SM-7189L 50-59 years, female 146.4
GTEX-14PK6-1726-SM-6871J 70-79 years, female 145.0
GTEX-ZPIC-2226-SM-57WDX 40-49 years, female 143.7
GTEX-14PHX-1526-SM-68717 50-59 years, male 143.4
GTEX-YB5E-1626-SM-5IFIQ 40-49 years, male 142.2
GTEX-Y9LG-1526-SM-4WWDR 30-39 years, male 140.6
GTEX-1122O-1526-SM-5N9CL 60-69 years, female 140.5
GTEX-ZLWG-1726-SM-DNZZ2 50-59 years, female 140.3
GTEX-13D11-0826-SM-5KLZJ 50-59 years, female 137.2
GTEX-1LGRB-1426-SM-CNNPT 50-59 years, female 136.3
GTEX-13O21-2426-SM-5MR4A 50-59 years, male 135.8
GTEX-14PKV-2126-SM-664O3 20-29 years, female 135.7
GTEX-1F5PK-1926-SM-7MXT7 50-59 years, male 135.0
GTEX-1JN76-1226-SM-C1YRM 20-29 years, female 134.8
GTEX-13QBU-1826-SM-5IJG3 40-49 years, female 134.7
GTEX-11P82-1026-SM-5BC5J 20-29 years, male 134.4
GTEX-14PJ4-1926-SM-6LLHG 60-69 years, male 134.3
GTEX-131XG-1826-SM-5LZV4 50-59 years, female 131.9
GTEX-1LG7Z-1426-SM-CXKYV 30-39 years, male 131.9
GTEX-1399R-2226-SM-5P9JB 30-39 years, male 131.0
GTEX-11I78-1226-SM-5A5K6 50-59 years, female 129.4
GTEX-1H1E6-1926-SM-9OSWD 30-39 years, male 128.5
GTEX-15RIF-1326-SM-6LPKO 20-29 years, male 128.4
GTEX-1N2DV-1426-SM-DPRYQ 40-49 years, male 128.1
GTEX-145MN-1726-SM-5SIA6 30-39 years, male 126.2
GTEX-111CU-1426-SM-5GZYP 50-59 years, male 124.7
GTEX-ZVT2-1926-SM-5GU5T 50-59 years, female 124.7
GTEX-11DXX-1826-SM-5H126 60-69 years, female 124.2
GTEX-T5JW-1126-SM-4DM5V 20-29 years, female 123.9
GTEX-117YW-1826-SM-5PNY5 50-59 years, male 123.8
GTEX-11EM3-1526-SM-5A5KN 20-29 years, female 123.7
GTEX-1RAZA-1726-SM-DPS13 20-29 years, male 123.2
GTEX-WFON-1426-SM-4LVMT 40-49 years, male 122.7
GTEX-13FTW-1826-SM-5IJEN 40-49 years, male 122.2
GTEX-R55G-1226-SM-48FDC 40-49 years, female 121.0
GTEX-1399U-1926-SM-5IFH7 50-59 years, female 120.0
GTEX-1KANC-0926-SM-D3LA9 50-59 years, female 118.4
GTEX-13PVR-1626-SM-73KVF 60-69 years, female 118.0
GTEX-S4UY-0826-SM-4AD4Z 40-49 years, female 117.9
GTEX-139T6-1326-SM-5IFFO 50-59 years, male 117.2
GTEX-ZLV1-1226-SM-4WWBX 60-69 years, female 116.7
GTEX-P4QT-1426-SM-3NMCX 50-59 years, female 115.5
GTEX-YF7O-1726-SM-5IFJ9 50-59 years, male 115.0
GTEX-XPVG-1826-SM-4B64X 50-59 years, male 114.6
GTEX-1399S-1926-SM-5J2M5 30-39 years, female 114.5
GTEX-1H11D-2626-SM-9JGH4 40-49 years, male 112.5
GTEX-P4PP-1426-SM-3NM9L 30-39 years, female 111.9
GTEX-ZDTT-1926-SM-5HL5W 60-69 years, male 111.5
GTEX-Y3IK-1826-SM-4WWDS 50-59 years, female 111.1
GTEX-1IDJU-2026-SM-A9SLM 60-69 years, female 110.2
GTEX-1I4MK-1126-SM-B2LWS 50-59 years, female 110.0
GTEX-1F5PL-2126-SM-7PC2O 40-49 years, female 109.6
GTEX-145LT-0926-SM-5LU9C 40-49 years, male 109.4
GTEX-1J1R8-1126-SM-CNPQ3 40-49 years, male 108.9
GTEX-PWN1-1426-SM-48TDF 40-49 years, female 108.2
GTEX-13PL7-2526-SM-5IFGR 60-69 years, female 107.9
GTEX-PLZ5-1126-SM-3P613 50-59 years, male 107.0
GTEX-ZV7C-1526-SM-5NQ72 50-59 years, male 106.9
GTEX-14BMU-1526-SM-5TDE6 20-29 years, female 105.5
GTEX-1KANA-1926-SM-DHXKF 20-29 years, male 105.5
GTEX-XUZC-1326-SM-4BRV2 30-39 years, female 105.2
GTEX-OHPM-1426-SM-3TW8Y 50-59 years, male 105.0
GTEX-UJMC-1326-SM-4IHLS 50-59 years, male 105.0
GTEX-1211K-1726-SM-5FQUJ 60-69 years, female 104.2
GTEX-1RAZR-1926-SM-E6CRF 40-49 years, male 103.5
GTEX-Q2AI-0926-SM-48U1F 40-49 years, male 103.4
GTEX-WFG7-1526-SM-4LVMG 20-29 years, male 103.1
GTEX-133LE-1526-SM-5IFEN 20-29 years, female 102.0
GTEX-1C475-1626-SM-731FP 40-49 years, female 101.8
GTEX-11DXZ-1726-SM-5H12M 50-59 years, male 101.3
GTEX-YEC3-2426-SM-DO11A 50-59 years, male 100.7
GTEX-RM2N-0926-SM-48FD1 50-59 years, male 100.5
GTEX-S4Q7-0826-SM-4AD5E 20-29 years, male 100.4
GTEX-TML8-1326-SM-4DXTO 40-49 years, female 100.4
GTEX-R55D-1826-SM-48FEF 50-59 years, male 100.3
GTEX-14XAO-2026-SM-69LOI 60-69 years, female 99.9
GTEX-W5WG-2426-SM-4LMI6 50-59 years, female 99.8
GTEX-11P7K-1526-SM-5EGI7 30-39 years, male 99.6
GTEX-11VI4-1526-SM-5EQKC 40-49 years, female 99.6
GTEX-1MA7W-0626-SM-EV79Z 20-29 years, female 98.9
GTEX-ZEX8-1926-SM-4WKFR 50-59 years, male 98.3
GTEX-QLQW-0426-SM-447A7 30-39 years, male 97.4
GTEX-U3ZN-2126-SM-4DXU1 30-39 years, female 97.0
GTEX-UJHI-1126-SM-4IHLN 50-59 years, female 96.9
GTEX-PLZ6-0926-SM-3P5ZQ 30-39 years, male 96.3
GTEX-1QP9N-1026-SM-E6CPX 30-39 years, male 96.2
GTEX-ZG7Y-2126-SM-DO117 50-59 years, male 95.1
GTEX-1JMPY-0426-SM-C1YQ3 30-39 years, male 94.2
GTEX-1PIEJ-2026-SM-E6CPA 20-29 years, female 94.2
GTEX-U4B1-1126-SM-4DXV3 40-49 years, male 94.0
GTEX-1QCLY-1726-SM-DPRXY 30-39 years, male 94.0
GTEX-14JG6-1726-SM-69LPL 30-39 years, female 93.4
GTEX-U3ZM-1126-SM-4DXUB 40-49 years, male 93.2
GTEX-SNOS-1226-SM-4DM5H 40-49 years, male 93.1
GTEX-1S83E-1626-SM-EV7B9 40-49 years, male 93.1
GTEX-132AR-2726-SM-5PNVN 50-59 years, female 93.0
GTEX-QCQG-1626-SM-48U26 50-59 years, female 92.9
GTEX-1LVAM-1626-SM-EV79Y 50-59 years, female 92.9
GTEX-1S3DN-1826-SM-EV79K 50-59 years, male 92.9
GTEX-ZF2S-1926-SM-4WWAN 50-59 years, female 92.4
GTEX-QV31-0826-SM-CKZNC 30-39 years, male 92.0
GTEX-1R7EU-1926-SM-E9U62 60-69 years, male 91.9
GTEX-S7SF-1926-SM-4AT5B 20-29 years, female 90.5
GTEX-XQ8I-2126-SM-4BOOM 50-59 years, male 90.5
GTEX-ZDYS-2326-SM-4WKG6 50-59 years, male 90.1
GTEX-XBED-1526-SM-4AT5W 60-69 years, male 89.9
GTEX-1HSEH-1726-SM-B2LXH 60-69 years, male 89.8
GTEX-1QPFJ-2326-SM-E6CR7 30-39 years, female 89.7
GTEX-ZPCL-1826-SM-57WF1 60-69 years, female 89.4
GTEX-1PFEY-1426-SM-E9U6U 30-39 years, male 89.2
GTEX-139YR-2126-SM-5KM11 50-59 years, male 87.6
GTEX-147F3-1926-SM-5SIB9 50-59 years, female 87.5
GTEX-1MGNQ-2026-SM-EAZ51 40-49 years, male 86.3
GTEX-13111-0726-SM-5DUVE 50-59 years, male 86.1
GTEX-12C56-0626-SM-5EGGC 20-29 years, male 86.0
GTEX-1B8KZ-1326-SM-7DUG6 50-59 years, male 85.9
GTEX-1JK1U-1526-SM-AHZ46 60-69 years, male 85.9
GTEX-ZVP2-1526-SM-5NQ82 50-59 years, male 85.8
GTEX-ZPU1-1926-SM-57WDT 40-49 years, male 84.2
GTEX-WH7G-1326-SM-4LVMS 40-49 years, male 84.0
GTEX-15CHR-1426-SM-7DUGV 50-59 years, male 83.7
GTEX-1AYCT-1826-SM-731EG 50-59 years, male 83.3
GTEX-13OVJ-1726-SM-5IJDZ 50-59 years, female 83.1
GTEX-144GM-1226-SM-5LU52 20-29 years, male 83.0
GTEX-17HHE-1826-SM-79OKE 50-59 years, male 82.3
GTEX-ZTSS-1126-SM-5985O 40-49 years, male 81.7
GTEX-ZP4G-1726-SM-4WWCM 20-29 years, female 81.3
GTEX-XV7Q-2126-SM-4BRVX 40-49 years, female 81.1
GTEX-18D9A-1126-SM-7KFRJ 30-39 years, female 80.9
GTEX-18A66-2426-SM-7KFSQ 60-69 years, male 79.0
GTEX-1H3VY-2426-SM-9WPPD 50-59 years, male 78.8
GTEX-1L5NE-2026-SM-CXZKR 50-59 years, male 78.8
GTEX-OIZF-1426-SM-2HML2 60-69 years, male 78.7
GTEX-1QP67-1326-SM-EAZ4D 40-49 years, female 77.6
GTEX-Q734-1126-SM-48TZY 40-49 years, female 77.2
GTEX-147GR-2726-SM-664OO 60-69 years, male 77.0
GTEX-OOBJ-1426-SM-E6CHH 60-69 years, male 76.9
GTEX-WHWD-1226-SM-4OOS1 50-59 years, male 76.5
GTEX-18D9U-1926-SM-7KFTM 40-49 years, male 76.3
GTEX-146FQ-1926-SM-5NQBY 30-39 years, male 76.0
GTEX-OIZH-1426-SM-3NB1O 50-59 years, male 75.5
GTEX-1F75I-2426-SM-9WPOY 40-49 years, male 74.7
GTEX-1IKOE-2026-SM-AHZ31 30-39 years, female 74.7
GTEX-SE5C-1526-SM-4BRWU 40-49 years, female 74.2
GTEX-1NHNU-2326-SM-E6CQE 50-59 years, male 74.1
GTEX-11LCK-2026-SM-5A5MA 30-39 years, male 73.2
GTEX-X15G-1326-SM-4PQZJ 50-59 years, female 72.6
GTEX-1LVAN-2526-SM-CNPPC 50-59 years, female 72.3
GTEX-PWCY-1026-SM-48TD4 20-29 years, female 72.2
GTEX-Q2AH-1226-SM-48TZL 40-49 years, male 72.0
GTEX-1IOXB-2626-SM-CJI2N 50-59 years, male 71.9
GTEX-QMRM-1226-SM-447C6 50-59 years, male 71.8
GTEX-WHSB-0926-SM-4M1XJ 50-59 years, male 71.7
GTEX-ZGAY-2126-SM-4YCFB 40-49 years, female 71.6
GTEX-XMK1-1726-SM-4B64Z 40-49 years, male 71.2
GTEX-1JKYR-1926-SM-C1YR7 20-29 years, male 71.2
GTEX-QEL4-1926-SM-D3L8D 50-59 years, male 71.2
GTEX-16NGA-1026-SM-7KFS3 40-49 years, female 70.9
GTEX-OXRK-1726-SM-3NB16 50-59 years, female 70.8
GTEX-1C4CL-2126-SM-7IGQC 30-39 years, male 70.7
GTEX-R55C-1126-SM-48FCJ 40-49 years, male 70.4
GTEX-S4P3-1226-SM-4AD4Y 50-59 years, female 70.3
GTEX-O5YT-1426-SM-3MJHC 20-29 years, male 70.1
GTEX-1HCU9-1326-SM-B2LXT 20-29 years, male 69.0
GTEX-139TS-1926-SM-5IJFO 60-69 years, male 68.9
GTEX-178AV-1326-SM-6LPJX 40-49 years, male 67.5
GTEX-14ICK-1026-SM-6AJA4 40-49 years, male 67.2
GTEX-O5YW-1426-SM-3MJHF 50-59 years, male 66.2
GTEX-13X6H-1926-SM-7EWD3 50-59 years, female 66.1
GTEX-WYJK-2226-SM-4ONDJ 50-59 years, male 65.8
GTEX-17EUY-1826-SM-7DUEZ 20-29 years, male 65.7
GTEX-131XE-0826-SM-5HL9W 50-59 years, male 65.5
GTEX-1ICLZ-2426-SM-CKZOD 60-69 years, male 65.3
GTEX-13CF3-1426-SM-5K7YY 60-69 years, female 64.9
GTEX-ZY6K-1226-SM-5GZYL 50-59 years, male 64.9
GTEX-1NSGN-2326-SM-E9U5X 50-59 years, male 64.7
GTEX-1128S-1626-SM-5H12O 60-69 years, female 64.5
GTEX-1CAMS-2526-SM-7EPH7 40-49 years, female 64.5
GTEX-144GN-1126-SM-5LU33 50-59 years, male 64.1
GTEX-1RDX4-1826-SM-EVR54 50-59 years, female 63.8
GTEX-ZZ64-0726-SM-5GZX4 20-29 years, male 63.6
GTEX-13S86-1626-SM-5Q5C5 40-49 years, male 62.6
GTEX-15RIE-1826-SM-6M48P 60-69 years, male 62.2
GTEX-ZYVF-2826-SM-5GIDK 50-59 years, female 61.8
GTEX-17HGU-2426-SM-7EWDP 50-59 years, male 61.5
GTEX-17KNJ-1726-SM-7LG6A 50-59 years, male 61.4
GTEX-X3Y1-1726-SM-4PQZL 40-49 years, male 61.4
GTEX-R53T-1326-SM-48FCQ 50-59 years, female 61.2
GTEX-1N2EF-1926-SM-DTX8M 60-69 years, male 60.7
GTEX-14ICL-1226-SM-5S2RD 30-39 years, male 60.5
GTEX-XBEW-1926-SM-4SOJO 40-49 years, male 59.7
GTEX-Y8E4-2426-SM-4WWDN 40-49 years, male 59.5
GTEX-1CB4I-2226-SM-7P8SL 50-59 years, male 59.4
GTEX-11TT1-1026-SM-5PNW7 20-29 years, male 59.2
GTEX-1KXAM-2126-SM-CY8I9 60-69 years, male 58.7
GTEX-XUW1-1926-SM-4BOP1 50-59 years, female 58.1
GTEX-QDVN-1326-SM-48TZ3 50-59 years, male 56.9
GTEX-1B932-2826-SM-73KUD 40-49 years, female 56.4
GTEX-1GF9X-1526-SM-7P8QP 40-49 years, female 55.9
GTEX-QDVJ-1326-SM-48U1X 50-59 years, male 55.4
GTEX-1HSMP-2326-SM-D3L8R 70-79 years, male 55.2
GTEX-11NSD-1626-SM-5986U 20-29 years, male 55.0
GTEX-15DCE-2026-SM-7KUFE 20-29 years, male 54.9
GTEX-1AX8Z-2726-SM-73KUC 60-69 years, male 54.5
GTEX-17F96-2026-SM-79ON4 70-79 years, male 54.3
GTEX-1LGOU-1626-SM-D3LAK 20-29 years, female 53.8
GTEX-XYKS-2226-SM-4E3IU 60-69 years, female 52.7
GTEX-17F9E-1826-SM-7IGMC 50-59 years, male 52.5
GTEX-13OVG-1426-SM-5K7VP 60-69 years, male 52.0
GTEX-1HFI7-1726-SM-A9G22 50-59 years, female 52.0
GTEX-15SB6-1226-SM-7KUMP 50-59 years, female 51.5
GTEX-SNMC-1126-SM-4DM5M 20-29 years, male 51.1
GTEX-1HSGN-2626-SM-CE6S1 40-49 years, female 50.9
GTEX-XGQ4-1226-SM-4AT67 50-59 years, male 50.7
GTEX-1GPI7-1726-SM-7P8R1 20-29 years, male 50.6
GTEX-1GF9U-1526-SM-7MXUW 40-49 years, female 49.9
GTEX-11O72-2226-SM-5PNW2 40-49 years, male 49.4
GTEX-1PIGE-1426-SM-E9U61 20-29 years, male 49.4
GTEX-1I1GT-1926-SM-ARU7D 60-69 years, female 49.3
GTEX-OXRN-2026-SM-E6CHK 50-59 years, male 49.3
GTEX-13FH7-1526-SM-5J2N6 50-59 years, female 49.2
GTEX-S3XE-1126-SM-4AD4N 50-59 years, male 49.2
GTEX-WYVS-1826-SM-4OND6 40-49 years, female 48.2
GTEX-14C5O-2526-SM-73KU2 60-69 years, male 48.0
GTEX-14PJM-2626-SM-686ZD 50-59 years, female 48.0
GTEX-15UF6-2626-SM-6M466 70-79 years, female 47.8
GTEX-1RAZQ-2126-SM-DTX9V 30-39 years, male 47.5
GTEX-TKQ2-1326-SM-4DXT9 50-59 years, male 47.4
GTEX-1GMR3-2826-SM-9WPOG 40-49 years, male 46.8
GTEX-1F75B-2726-SM-7P8QO 50-59 years, male 46.6
GTEX-1H1DG-2226-SM-9WPPC 70-79 years, male 46.5
GTEX-1HSMQ-2726-SM-C1YRE 50-59 years, male 46.5
GTEX-12WSJ-1526-SM-5GCNI 40-49 years, female 46.4
GTEX-1OKEX-1226-SM-DTXEC 60-69 years, male 45.9
GTEX-1MJK3-0926-SM-EV7AY 20-29 years, male 45.6
GTEX-145LS-2726-SM-5Q5D8 60-69 years, female 45.5
GTEX-1R9JW-2026-SM-EAZ4O 30-39 years, female 45.0
GTEX-11TUW-2026-SM-5EQL8 60-69 years, male 44.8
GTEX-1JJE9-2426-SM-D3L8T 70-79 years, male 44.8
GTEX-17EVQ-1826-SM-7IGPH 70-79 years, male 44.7
GTEX-15DZA-0926-SM-69LQ3 30-39 years, female 44.2
GTEX-111YS-1626-SM-5GZZ9 60-69 years, male 43.9
GTEX-NFK9-2026-SM-3LK5K 40-49 years, male 43.9
GTEX-Y8LW-1226-SM-4WWDP 50-59 years, female 43.9
GTEX-1NV5F-2226-SM-DTX8O 60-69 years, female 43.8
GTEX-XAJ8-0426-SM-47JYJ 40-49 years, male 43.5
GTEX-1EH9U-2026-SM-7PBYS 60-69 years, male 43.5
GTEX-R45C-2126-SM-EZ6KZ 60-69 years, female 43.5
GTEX-Y114-1526-SM-4TT79 50-59 years, female 43.3
GTEX-1PPH8-2026-SM-DTX7P 20-29 years, male 43.2
GTEX-13O61-1626-SM-5KM3T 60-69 years, male 43.0
GTEX-1LH75-2126-SM-EVR5F 50-59 years, female 42.7
GTEX-13FHP-2426-SM-5KLZ5 50-59 years, male 42.6
GTEX-1GN73-2626-SM-9KNUQ 60-69 years, male 42.5
GTEX-1J1OQ-2726-SM-AHZ3R 40-49 years, female 42.3
GTEX-1K9T9-2826-SM-D4P3F 50-59 years, female 42.3
GTEX-12KS4-2426-SM-5LU8P 30-39 years, male 41.9
GTEX-ZAB4-2226-SM-5HL97 40-49 years, male 41.7
GTEX-1HKZK-2126-SM-A9SL3 40-49 years, male 41.7
GTEX-1LSVX-1726-SM-DHXJP 60-69 years, male 41.7
GTEX-13OW6-2126-SM-5N9GL 50-59 years, male 41.6
GTEX-14C39-1926-SM-5ZZW5 40-49 years, male 41.6
GTEX-15ER7-2926-SM-7KUFK 20-29 years, female 41.6
GTEX-1JJ6O-2426-SM-ARU8J 60-69 years, male 41.3
GTEX-1IGQW-2326-SM-CE6RV 60-69 years, male 41.1
GTEX-11ZVC-2126-SM-5EGJ1 50-59 years, female 40.7
GTEX-14PJ5-0926-SM-6LLIK 60-69 years, female 40.7
GTEX-15DYW-2326-SM-6PAMU 60-69 years, female 40.7
GTEX-1GL5R-2426-SM-7MXV1 50-59 years, male 40.7
GTEX-1HCU7-2626-SM-C1YQO 50-59 years, male 40.7
GTEX-WVJS-2426-SM-EZ6LI 50-59 years, male 40.7
GTEX-16XZZ-2626-SM-6M47S 60-69 years, male 40.5
GTEX-1JN1M-2626-SM-CY8I3 60-69 years, female 40.4
GTEX-PX3G-1426-SM-48U1J 20-29 years, female 39.9
GTEX-VJYA-2026-SM-4KL1K 60-69 years, male 39.8
GTEX-14AS3-1126-SM-5Q5CR 40-49 years, female 39.6
GTEX-17F98-1026-SM-7IGO8 40-49 years, female 39.6
GTEX-12WSL-1626-SM-5GCMU 50-59 years, male 39.4
GTEX-14BIN-3026-SM-5ZZUS 50-59 years, female 39.4
GTEX-Y3I4-1426-SM-4TT9C 50-59 years, male 39.4
GTEX-ZF29-1726-SM-4WKFV 60-69 years, female 39.2
GTEX-15CHC-1626-SM-5ZZWS 60-69 years, female 39.1
GTEX-1N5O9-2726-SM-E76QH 60-69 years, male 39.1
GTEX-PSDG-1826-SM-EAZ2S 50-59 years, male 39.1
GTEX-18QFQ-1526-SM-72D57 30-39 years, male 38.9
GTEX-1AMEY-1926-SM-73KVT 30-39 years, female 38.8
GTEX-1IKK5-2726-SM-CNPQ6 60-69 years, male 38.7
GTEX-16MT8-2726-SM-7IGLJ 60-69 years, female 38.6
GTEX-1PWST-2426-SM-EWRMP 70-79 years, male 38.6
GTEX-WEY5-1426-SM-4LMJ3 40-49 years, female 38.5
GTEX-14PJ3-0926-SM-69LQG 50-59 years, male 38.4
GTEX-13VXT-2426-SM-5LU46 20-29 years, female 38.3
GTEX-17MF6-2426-SM-7LTAM 40-49 years, male 38.3
GTEX-QLQ7-1126-SM-CYPRB 60-69 years, male 38.3
GTEX-SJXC-2226-SM-EVYAK 60-69 years, male 38.3
GTEX-1MUQO-2626-SM-EWRO3 60-69 years, male 38.2
GTEX-13W3W-2126-SM-5K7UX 60-69 years, female 38.0
GTEX-1C6VQ-2726-SM-73KUL 50-59 years, male 38.0
GTEX-117YX-0826-SM-5H11J 50-59 years, male 37.9
GTEX-17HII-2726-SM-7MGVM 50-59 years, male 37.9
GTEX-1IDJF-1826-SM-CKZOE 20-29 years, male 37.9
GTEX-1339X-1626-SM-5IJDN 40-49 years, male 37.7
GTEX-18D9B-2526-SM-718BN 60-69 years, male 37.7
GTEX-RU1J-1326-SM-46MUL 20-29 years, female 37.7
GTEX-ZXES-1626-SM-5NQ7L 30-39 years, female 37.7
GTEX-1A3MV-1126-SM-718BS 30-39 years, male 37.6
GTEX-15SHU-2526-SM-6M47D 40-49 years, female 37.5
GTEX-15CHQ-2526-SM-6EU24 60-69 years, male 37.3
GTEX-17GQL-1526-SM-7LTAC 60-69 years, male 37.3
GTEX-Z93S-2426-SM-5HL8N 50-59 years, male 37.2
GTEX-15G1A-1826-SM-7KUKO 30-39 years, male 37.1
GTEX-OXRL-1426-SM-3NM9E 50-59 years, male 37.1
GTEX-1C64O-2326-SM-73KU8 60-69 years, male 37.0
GTEX-11EQ9-1426-SM-5987G 30-39 years, male 36.9
GTEX-148VJ-2626-SM-5QGPI 70-79 years, male 36.9
GTEX-11TTK-2426-SM-5PNYO 60-69 years, female 36.8
GTEX-111VG-2226-SM-5N9DU 60-69 years, male 36.7
GTEX-1MCC2-1626-SM-DIPEW 30-39 years, female 36.7
GTEX-V955-1626-SM-4JBHJ 60-69 years, male 36.3
GTEX-1R9PM-1526-SM-DPRY8 20-29 years, male 36.3
GTEX-U412-1726-SM-EZ6KX 60-69 years, male 36.2
GTEX-17JCI-2626-SM-7EWE6 60-69 years, female 36.1
GTEX-OXRO-0726-SM-E9U4C 60-69 years, female 36.1
GTEX-18A7B-2026-SM-72D71 70-79 years, male 35.8
GTEX-14H4A-1926-SM-5ZZWN 40-49 years, female 35.6
GTEX-TKQ1-0626-SM-4DXTS 30-39 years, male 35.6
GTEX-1I1GR-2526-SM-CNNQF 60-69 years, male 35.5
GTEX-1GZ4I-2426-SM-9WPPP 50-59 years, male 35.4
GTEX-ZV6S-1226-SM-59HLH 40-49 years, female 35.3
GTEX-1EMGI-2726-SM-7P8S4 60-69 years, male 35.3
GTEX-1IDJC-1326-SM-CL53H 50-59 years, male 35.3
GTEX-11ONC-2026-SM-5HL61 60-69 years, male 35.2
GTEX-1AX9I-2626-SM-73KU5 60-69 years, male 35.2
GTEX-13O3P-2326-SM-5KM55 50-59 years, male 35.1
GTEX-RWS6-1826-SM-47JXX 60-69 years, female 35.0
GTEX-1KANB-1526-SM-CXZK4 50-59 years, male 34.6
GTEX-1JMPZ-2426-SM-C1YQP 30-39 years, male 34.4
GTEX-14E1K-1826-SM-793DT 50-59 years, male 34.2
GTEX-145MO-2426-SM-5NQ9W 60-69 years, male 34.1
GTEX-18A7A-2226-SM-7LT8K 50-59 years, female 34.1
GTEX-1C2JI-1626-SM-7EPHC 50-59 years, male 34.1
GTEX-1E2YA-2626-SM-7MGWW 50-59 years, male 34.1
GTEX-16NPV-2626-SM-6M484 50-59 years, female 33.9
GTEX-1I6K6-1826-SM-B2LX5 30-39 years, male 33.9
GTEX-1CB4F-2026-SM-79OLU 60-69 years, male 33.8
GTEX-P78B-1726-SM-3P5ZV 40-49 years, female 33.7
GTEX-1S5VW-2926-SM-E9U6H 60-69 years, male 33.6
GTEX-WY7C-1626-SM-4ONC8 50-59 years, male 33.4
GTEX-1BAJH-2326-SM-7IGMO 70-79 years, male 33.3
GTEX-1LG7Y-2126-SM-DIPER 50-59 years, male 33.3
GTEX-1AYD5-1726-SM-7RHFW 50-59 years, male 33.2
GTEX-1HCVE-2526-SM-A9G2G 50-59 years, male 33.2
GTEX-144GL-2526-SM-5TDDL 50-59 years, male 33.1
GTEX-1S82U-0726-SM-E9TKI 30-39 years, female 33.0
GTEX-ZYFC-2626-SM-5NQ6S 50-59 years, male 32.9
GTEX-1H1DE-1526-SM-ARL9B 20-29 years, male 32.9
GTEX-11GSP-1626-SM-5986N 60-69 years, female 32.8
GTEX-13OW5-2626-SM-5MR3M 60-69 years, male 32.8
GTEX-1POEN-2026-SM-E6CRL 30-39 years, female 32.6
GTEX-1QCLZ-1926-SM-E6CR3 60-69 years, female 32.6
GTEX-WQUQ-2526-SM-4MVNO 60-69 years, male 32.5
GTEX-1IDJD-2226-SM-A96TD 30-39 years, male 32.1
GTEX-OHPN-2026-SM-E9TIA 60-69 years, female 31.8
GTEX-12ZZZ-2426-SM-5GCNN 60-69 years, male 31.5
GTEX-13U4I-2426-SM-5LU34 40-49 years, female 31.3
GTEX-T6MO-0826-SM-4DM51 40-49 years, female 31.3
GTEX-1GZ4H-1226-SM-9KNUA 50-59 years, female 31.3
GTEX-14BMV-2426-SM-5S2PP 50-59 years, male 31.1
GTEX-13QJ3-2626-SM-9OSXQ 50-59 years, male 31.1
GTEX-16Z82-2226-SM-6LPJ7 60-69 years, male 31.0
GTEX-13OVI-2026-SM-5J1MU 60-69 years, female 30.8
GTEX-145ME-0826-SM-5O9AF 40-49 years, female 30.8
GTEX-1PPGY-2826-SM-DTX9H 60-69 years, male 30.8
GTEX-ZYFG-1926-SM-5GID5 60-69 years, female 30.6
GTEX-1RMOY-1626-SM-EVYC8 50-59 years, male 30.1
GTEX-YEC4-1926-SM-5IFHJ 40-49 years, male 30.0
GTEX-XXEK-1926-SM-4BRVD 50-59 years, male 29.6
GTEX-13OVK-0826-SM-7KULZ 40-49 years, male 29.3
GTEX-S341-1426-SM-4AD6U 40-49 years, female 29.0
GTEX-147JS-2526-SM-5S2Q8 60-69 years, male 28.9
GTEX-1GMR2-1726-SM-9JGI2 50-59 years, male 28.5
GTEX-13O3O-2526-SM-5L3DR 60-69 years, female 28.3
GTEX-14DAQ-2726-SM-5S2QY 60-69 years, female 28.3
GTEX-1B996-2626-SM-73KZ1 60-69 years, male 28.3
GTEX-1HCU6-2726-SM-A9SKV 60-69 years, female 28.3
GTEX-1LBAC-1626-SM-CXZKV 20-29 years, male 28.1
GTEX-1R9K5-2126-SM-E8VN1 50-59 years, male 27.3
GTEX-1QW4Y-1326-SM-EWRMZ 30-39 years, male 26.4
GTEX-X4EO-2526-SM-EWRM8 60-69 years, female 25.1
GTEX-1QMI2-2626-SM-E6CR4 60-69 years, male 24.6
GTEX-11P81-1126-SM-5GU5G 30-39 years, female 23.7
GTEX-U3ZH-1326-SM-4DXSF 30-39 years, male 23.5
GTEX-X5EB-0926-SM-46MVT 40-49 years, male 23.3
GTEX-1JMLX-2726-SM-CM2SB 50-59 years, male 23.2
Show allShow less

COLON - FANTOM5 CAGEi

RNA expression in human tissues obtained through Cap Analysis of Gene Expression (CAGE) generated by the FANTOM5 project are reported as Scaled Tags Per Million.

Max subtype Scaled Tags Per Millioni

Max subtype Scaled Tags Per Million is the value for the subtype with the largest average Scaled Tags Per Million across the subtype samples.

114.5
FANTOM5 sample id Sample description Scaled Tags Per Million
Colon
Scaled Tags Per Million: 114.5
FF:10014-101C5 62,83,84 years, mixed 114.5

Contact

  • NEWS ARTICLES
  • PRESS ROOM

The Project

  • INTRODUCTION
  • ORGANIZATION
  • PUBLICATIONS

The Human Protein Atlas

  • DOWNLOADABLE DATA
  • LICENCE & CITATION
  • HELP & FAQ
The Human Protein Atlas project is funded
by the Knut & Alice Wallenberg Foundation.


contact@proteinatlas.org