We use cookies to enhance the usability of our website. If you continue, we'll assume that you are happy to receive all cookies. More information. Don't show this again.
PIGF
HPA
RESOURCES
  • TISSUE
  • BRAIN
  • SINGLE CELL
  • SUBCELLULAR
  • CANCER
  • BLOOD
  • CELL LINE
  • STRUCTURE & INTERACTION
ABOUT
  • INTRODUCTION
  • HISTORY
  • ORGANIZATION
  • PUBLICATIONS
  • ANTIBODY SUBMISSION
  • ANTIBODY AVAILABILITY
  • ACKNOWLEDGMENTS
  • CONTACT
NEWS
  • NEWS ARTICLES
  • PRESS ROOM
LEARN
  • DICTIONARY
  • PROTEIN CLASSES
  • PROTEIN EVIDENCE
  • METHODS
  • EDUCATIONAL VIDEOS
DATA
  • DOWNLOADABLE DATA
  • PUBLICATION DATA
  • RELEASE HISTORY
HELP
  • ANTIBODY VALIDATION
  • ASSAYS & ANNOTATION
  • DISCLAIMER
  • HELP & FAQ
  • PRIVACY STATEMENT
  • LICENCE & CITATION
Fields »
Search result

Field
Term
Gene name
Class
Subclass
Class
Keyword
Chromosome
External id
Tissue
Cell type
Expression
Antibody panel
Tissue
Main location
Patient ID
Annotation
Tissue
Category
Tau score
Cluster
Reliability
Brain region
Category
Tau score
Brain region
Category
Tau score
Brain region
Category
Tau score
Cluster
Reliability
Tissue
Cell type
Enrichment
Cell type
Category
Tau score
Cell type
Category
Tau score
Cell type
Category
Tau score
Cell lineage
Category
Tau score
Cluster
Cluster
Location
Searches
Location
Cell line
Class
Type
Phase
Reliability
Cancer
Prognosis
Cancer
Category
Cancer
Category
Tau score
Cluster
Variants
Interacting gene (ensg_id)
Type
Number of interactions
Pathway
Category
Score
Score
Score
Validation
Validation
Validation
Validation
Antibodies
Data type
Column


  • SUMMARY

  • TISSUE

  • BRAIN

  • SINGLE CELL

  • SUBCELL

  • CANCER

  • BLOOD

  • CELL LINE

  • STRUCT & INT

  • PIGF
TISSUE PRIMARY DATA SKIN Show tissue menu
ADIPOSE TISSUE ADRENAL GLAND AMYGDALA APPENDIX BASAL GANGLIA BONE MARROW BREAST CEREBELLUM CEREBRAL CORTEX CERVIX CHOROID PLEXUS COLON DUODENUM
ENDOMETRIUM EPIDIDYMIS ESOPHAGUS FALLOPIAN TUBE GALLBLADDER HEART MUSCLE HIPPOCAMPAL FORMATION HYPOTHALAMUS KIDNEY LIVER LUNG LYMPH NODE MIDBRAIN
OVARY PANCREAS PARATHYROID GLAND PITUITARY GLAND PLACENTA PROSTATE RECTUM RETINA SALIVARY GLAND SEMINAL VESICLE SKELETAL MUSCLE SKIN SMALL INTESTINE
SMOOTH MUSCLE SPINAL CORD SPLEEN STOMACH TESTIS THYMUS THYROID GLAND TONGUE TONSIL URINARY BLADDER VAGINA
ANTIBODIES
AND
VALIDATION
Dictionary
Skin
Tissue proteome
Skin
SKIN - Expression summary
Protein expressioni

On the top, protein expression in current human tissue, based on all annotated cell types, is reported with the units not detected (n), low (l), medium (m) and high (h). Underneath, protein expression in each annotated cell type are reported using the same units.

Protein expression data is based on knowledge-based annotation. For genes where more than one antibody has been used, a collective score is set.

If knowledge-based annotation could not be performed for a gene, no data is displayed here. View antibody staining data further down this page.

No data
RNA expressioni

A summary of mRNA expression data available for current tissue based on several datasets. The mRNA expression levels in human tissues are based on RNA-seq data generated by the Human Protein Atlas (HPA), Genotype-Tissue Expression (GTEx) portal and CAGE data generated by the FANTOM5 consortium. Consensus normalized expression levels for human tissues was created by combining the data from HPA and GTEx datasets.

The mRNA expression levels in pig are based on RNA-seq data generated by the Human Protein Atlas (HPA), and for mouse, HPA data and in situ hybridization generated by the Allen brain atlas are reported.

Scroll down to view mRNA expression data in more detail.
Consensus:11.9 nTPM
HPA:11.9 nTPM
GTEx:9.7 nTPM

SKIN - Annotated protein expression
Pending normal tissue analysis

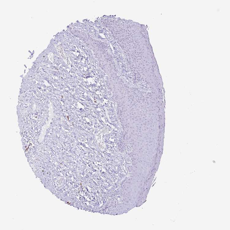
SKIN 1 - Antibody stainingi

Antibody staining in the annotated cell types in the current human tissue is reported as not detected, low, medium, or high, based on conventional immunohistochemistry profiling in selected tissues. This score is based on the combination of the staining intensity and fraction of stained cells.

Each image is clickable and will lead to virtual microscopy that enables deeper exploration of all samples and also displays staining intensity scores, fraction scores and subcellular localization as well as patient and tissue information for each sample.

Antibody HPA051389
Langerhans Not detected
Fibroblasts Not detected
Keratinocytes Not detected
Melanocytes Not detected
SKIN 2 - Antibody stainingi

Antibody staining in the annotated cell types in the current human tissue is reported as not detected, low, medium, or high, based on conventional immunohistochemistry profiling in selected tissues. This score is based on the combination of the staining intensity and fraction of stained cells.

Each image is clickable and will lead to virtual microscopy that enables deeper exploration of all samples and also displays staining intensity scores, fraction scores and subcellular localization as well as patient and tissue information for each sample.

Antibody HPA051389
Epidermal cells Not detected
 
 
 



SKIN - HPA RNA-seqi

The RNA-seq details section shows detailed information about the individual samples used for the transcript profiling and results of the RNA-seq analysis.

Information about each individual sample is listed below, including gender, age, a tissue section image and estimated fractions of cell types. nTPM (normalized transcripts per million) values give a quantification of the gene abundance which is comparable between different genes and samples.
Average nTPMi

Max subtype nTPM is the value for the subtype with the largest average nTPM across the subtype samples.

11.9
overview
Female, age 34
Skin sample 225
nTPM: 13.3
Cell types%
Keratinocytes:
60

Other cell types:
40

overview
Female, age 30
Skin sample 226
nTPM: 12.5
Cell types%
Keratinocytes:
55

Other cell types:
45

N/A
Male, age 57
Skin sample 227
nTPM: 9.9

SKIN - GTEx RNA-seqi

RNA-Seq data generated by the Genotype-Tissue Expression (GTEx) project from human tissues is reported as mean nTPM. More information can be found on the GTEx portal.

Distribution across the dataset is visualized with box plots, shown as median and 25th and 75th percentiles. Points are displayed as outliers if they are above or below 1.5 times the interquartile range. nTPM values of the individual samples are presented next to the box plot.
Max subtype nTPMi

Max subtype nTPM is the value for the subtype with the largest average nTPM across the subtype samples.

9.7
GTEx sample id Sample description nTPM
Skin - Not Sun Exposed (Suprapubic)
Average nTPM: 9.7
Samples: 604

Max nTPM: 19.6
Min nTPM: 4.4
Std nTPM: 2.5
Median nTPM: 9.5
GTEX-13IVO-0726-SM-5LZYV 70-79 years, male 19.6
GTEX-15G19-2426-SM-7KUMR 60-69 years, male 19.5
GTEX-13NZ8-1226-SM-5KM4A 60-69 years, female 18.6
GTEX-1F6RS-2026-SM-7RHHC 60-69 years, female 18.4
GTEX-1PIGE-1826-SM-E8VOU 20-29 years, male 18.4
GTEX-ZVE1-0726-SM-51MRN 50-59 years, female 18.1
GTEX-1399Q-2326-SM-5KM2X 40-49 years, male 18.0
GTEX-XYKS-1426-SM-4BRUO 60-69 years, female 17.7
GTEX-13PDP-0726-SM-5L3HP 60-69 years, male 17.5
GTEX-1H3VE-0726-SM-9YFL5 40-49 years, male 17.2
GTEX-14LZ3-0126-SM-69LPM 60-69 years, female 16.7
GTEX-13PL6-1126-SM-5L3IE 40-49 years, female 16.3
GTEX-144GL-0626-SM-5LU4D 50-59 years, male 16.2
GTEX-1HR98-2226-SM-ADEI2 60-69 years, male 16.2
GTEX-1IDFM-0326-SM-ARL7V 60-69 years, male 16.1
GTEX-14C38-0726-SM-5SI6M 50-59 years, male 15.9
GTEX-14A6H-2026-SM-5Q5DD 30-39 years, male 15.8
GTEX-11EQ8-0926-SM-5H12V 60-69 years, male 15.4
GTEX-1F5PL-0926-SM-7PC2W 40-49 years, female 15.4
GTEX-1LKK1-2626-SM-DKPQE 50-59 years, female 15.1
GTEX-16MT9-0126-SM-7EPI8 60-69 years, female 15.0
GTEX-1F52S-2926-SM-7MKGA 60-69 years, female 15.0
GTEX-1GN1V-2826-SM-9JGIA 60-69 years, male 15.0
GTEX-YECK-0326-SM-4W1YS 60-69 years, male 14.8
GTEX-15UF6-1926-SM-7KUDV 70-79 years, female 14.7
GTEX-1117F-2926-SM-5GZYI 60-69 years, female 14.6
GTEX-1313W-0626-SM-5EQ4H 50-59 years, female 14.4
GTEX-15CHC-1126-SM-6LLHQ 60-69 years, female 14.4
GTEX-15RIE-1926-SM-7KUKJ 60-69 years, male 14.3
GTEX-1GF9X-1326-SM-7PC2Y 40-49 years, female 14.2
GTEX-Y5V6-2326-SM-4VDSA 60-69 years, male 14.1
GTEX-ZWKS-0626-SM-5GIDV 30-39 years, male 14.1
GTEX-1HT8W-0626-SM-A9G2H 30-39 years, male 14.0
GTEX-1JMQL-2226-SM-CNPP4 50-59 years, female 13.9
GTEX-139D8-1126-SM-5LU8W 30-39 years, female 13.8
GTEX-1C6VQ-1226-SM-73KYD 50-59 years, male 13.8
GTEX-UPK5-0426-SM-3GAEK 40-49 years, male 13.8
GTEX-ZE9C-2526-SM-5IJDR 60-69 years, male 13.8
GTEX-1KANB-2826-SM-CY8I6 50-59 years, male 13.8
GTEX-1LG7Y-2526-SM-EWRO7 50-59 years, male 13.8
GTEX-11WQK-1026-SM-5EQLX 50-59 years, male 13.7
GTEX-15DDE-2926-SM-6LLJ3 50-59 years, female 13.7
GTEX-1AYD5-2626-SM-7PBXY 50-59 years, male 13.7
GTEX-1HR9M-2226-SM-CNPPY 60-69 years, male 13.7
GTEX-13JVG-0726-SM-5KM16 60-69 years, male 13.6
GTEX-1H3O1-1326-SM-9MQLD 60-69 years, male 13.6
GTEX-16YQH-2226-SM-7IGM2 30-39 years, male 13.5
GTEX-1E2YA-2126-SM-7MXUO 50-59 years, male 13.5
GTEX-1H11D-1826-SM-9QEHM 40-49 years, male 13.5
GTEX-1CB4H-1126-SM-7MKGL 60-69 years, female 13.4
GTEX-WK11-2726-SM-3NMAQ 50-59 years, male 13.2
GTEX-1H1DG-2426-SM-9QEHJ 70-79 years, male 13.2
GTEX-13SLW-0626-SM-5Q5ER 70-79 years, male 13.1
GTEX-17F9Y-0126-SM-79OKX 70-79 years, female 13.1
GTEX-W5X1-2526-SM-3GILC 40-49 years, female 13.1
GTEX-14XAO-1226-SM-6EU1C 60-69 years, female 13.0
GTEX-13W3W-0726-SM-5IJDQ 60-69 years, female 12.9
GTEX-14PII-0726-SM-6EU2B 60-69 years, male 12.9
GTEX-ZPCL-1126-SM-4WWFE 60-69 years, female 12.9
GTEX-1GL5R-1326-SM-7RHHF 50-59 years, male 12.9
GTEX-1KD5A-0126-SM-E9U54 50-59 years, male 12.9
GTEX-XK95-0226-SM-4AT58 40-49 years, male 12.8
GTEX-15SHW-0226-SM-7LTAT 60-69 years, male 12.7
GTEX-XBED-1926-SM-47JYP 60-69 years, male 12.7
GTEX-ZYVF-0926-SM-5E44J 50-59 years, female 12.7
GTEX-1HB9E-0126-SM-CM2S5 50-59 years, male 12.7
GTEX-1IL2V-1926-SM-B2LW8 70-79 years, male 12.7
GTEX-145MF-0926-SM-5Q5EA 50-59 years, male 12.6
GTEX-X585-2426-SM-46MW2 50-59 years, male 12.6
GTEX-ZYT6-2326-SM-5GZY3 30-39 years, male 12.6
GTEX-13NYB-0126-SM-5J1MD 40-49 years, male 12.5
GTEX-144FL-0626-SM-5LU43 50-59 years, male 12.5
GTEX-18A6Q-0626-SM-7KFRP 60-69 years, male 12.5
GTEX-1IDJI-0126-SM-CMKHS 50-59 years, female 12.5
GTEX-1BAJH-2426-SM-7IGP8 70-79 years, male 12.4
GTEX-1F88E-1626-SM-7SB8Z 60-69 years, female 12.4
GTEX-ZYFG-1526-SM-5GZYM 60-69 years, female 12.3
GTEX-1HFI6-0126-SM-CNPPI 40-49 years, male 12.3
GTEX-1J8EW-2726-SM-CY8HR 60-69 years, female 12.3
GTEX-1J8QM-2426-SM-A9SLS 60-69 years, female 12.3
GTEX-1LGRB-0926-SM-COH3K 50-59 years, female 12.3
GTEX-1314G-1326-SM-5BC6E 30-39 years, male 12.2
GTEX-1A8FM-0626-SM-7PC25 50-59 years, female 12.2
GTEX-1EMGI-2326-SM-7PBYA 60-69 years, male 12.2
GTEX-1L5NE-1126-SM-D3L9P 50-59 years, male 12.2
GTEX-13N1W-2426-SM-5IJD1 70-79 years, male 12.1
GTEX-145LS-0626-SM-7EPG7 60-69 years, female 12.1
GTEX-VUSG-2326-SM-4KL1U 50-59 years, male 12.1
GTEX-WEY5-2326-SM-3GIKK 40-49 years, female 12.1
GTEX-XMD2-2126-SM-4YCF8 60-69 years, female 12.1
GTEX-1H1CY-0126-SM-9YFLY 60-69 years, female 12.1
GTEX-1HCU7-0726-SM-A9SL1 50-59 years, male 12.1
GTEX-13FTX-1526-SM-5K7VJ 20-29 years, female 12.0
GTEX-16GPK-0626-SM-7KFSF 60-69 years, male 12.0
GTEX-178AV-1726-SM-7KUL8 40-49 years, male 12.0
GTEX-1A8G6-2726-SM-731AR 60-69 years, male 12.0
GTEX-1B8L1-2226-SM-7P8PT 60-69 years, male 12.0
GTEX-145LU-1926-SM-79OJN 50-59 years, male 11.9
GTEX-14C39-1726-SM-5RQIL 40-49 years, male 11.9
GTEX-1B932-2326-SM-79OL5 40-49 years, female 11.9
GTEX-WH7G-2026-SM-3NMBL 40-49 years, male 11.9
GTEX-XQ8I-0926-SM-4BOOF 50-59 years, male 11.9
GTEX-ZXG5-2126-SM-59HKD 60-69 years, male 11.9
GTEX-1J1OQ-0126-SM-D4P2N 40-49 years, female 11.9
GTEX-1K2DU-1226-SM-CYPT4 20-29 years, male 11.9
GTEX-146FQ-2126-SM-5RQHU 30-39 years, male 11.8
GTEX-147GR-2426-SM-5ZZWQ 60-69 years, male 11.8
GTEX-15ER7-0626-SM-6PANF 20-29 years, female 11.8
GTEX-YF7O-1526-SM-5IFI6 50-59 years, male 11.8
GTEX-ZZPU-0826-SM-5GZX5 50-59 years, female 11.8
GTEX-1GMR3-0126-SM-A9SLW 40-49 years, male 11.8
GTEX-1IOXB-2726-SM-CM2RI 50-59 years, male 11.8
GTEX-17F97-2626-SM-7IGM5 50-59 years, male 11.7
GTEX-1AMFI-1326-SM-7939R 50-59 years, female 11.7
GTEX-1HSMO-0626-SM-ACKXC 60-69 years, male 11.7
GTEX-1JMPZ-0726-SM-CY8HZ 30-39 years, male 11.7
GTEX-1KANC-1226-SM-CYPT7 50-59 years, female 11.7
GTEX-1QAET-0326-SM-EVR3U 50-59 years, male 11.7
GTEX-12KS4-2126-SM-5FQUT 30-39 years, male 11.6
GTEX-13G51-1826-SM-5KLZH 60-69 years, male 11.6
GTEX-145MO-2826-SM-5LU96 60-69 years, male 11.6
GTEX-17KNJ-2126-SM-718AM 50-59 years, male 11.6
GTEX-17MFQ-1526-SM-7KFRR 20-29 years, male 11.6
GTEX-WHSB-1326-SM-3LK6W 50-59 years, male 11.6
GTEX-14JFF-0626-SM-5ZZVT 60-69 years, male 11.6
GTEX-1I1CD-0626-SM-CE6SW 60-69 years, female 11.6
GTEX-1IDJC-1526-SM-B2LW4 50-59 years, male 11.6
GTEX-1IDJH-0126-SM-D3L92 70-79 years, male 11.6
GTEX-1JN76-0626-SM-CKZOQ 20-29 years, female 11.6
GTEX-1POEN-2326-SM-E9J2L 30-39 years, female 11.6
GTEX-12ZZX-2426-SM-5GCOE 40-49 years, female 11.5
GTEX-13OVL-0126-SM-5L3GJ 50-59 years, male 11.5
GTEX-13YAN-0226-SM-5TDC6 60-69 years, male 11.5
GTEX-16Z82-2626-SM-7KULU 60-69 years, male 11.5
GTEX-1F88F-0126-SM-9WYSZ 60-69 years, female 11.5
GTEX-1GMR8-0626-SM-7RHI7 50-59 years, female 11.5
GTEX-1ICG6-1226-SM-A9SLN 70-79 years, female 11.5
GTEX-1KXAM-1626-SM-D3LAD 60-69 years, male 11.5
GTEX-1R7EU-1626-SM-DTXG3 60-69 years, male 11.5
GTEX-1A3MW-0626-SM-731CB 60-69 years, female 11.4
GTEX-ZYY3-2926-SM-5GIEB 60-69 years, female 11.4
GTEX-1CAMR-1326-SM-7PC1F 20-29 years, male 11.4
GTEX-1H1DF-1126-SM-9WG7G 40-49 years, female 11.4
GTEX-12WSC-2826-SM-5BC5Y 50-59 years, male 11.3
GTEX-14BMV-2826-SM-5TDED 50-59 years, male 11.3
GTEX-14JG1-1526-SM-5YY9X 40-49 years, male 11.3
GTEX-XV7Q-1826-SM-4BRUV 40-49 years, female 11.3
GTEX-YFCO-1226-SM-5LUAT 40-49 years, male 11.3
GTEX-ZAK1-0626-SM-5HL8E 50-59 years, female 11.3
GTEX-1HBPM-0726-SM-9YFL7 60-69 years, female 11.3
GTEX-1IDJF-2026-SM-CL53V 20-29 years, male 11.3
GTEX-1IDJV-0126-SM-COH3Y 60-69 years, male 11.3
GTEX-1O9I2-0226-SM-EYYXD 50-59 years, male 11.3
GTEX-11DXY-0126-SM-5H11Q 60-69 years, male 11.2
GTEX-11ZTT-2126-SM-5CVLO 60-69 years, female 11.2
GTEX-12126-0826-SM-5FQTZ 20-29 years, male 11.2
GTEX-ZT9X-1526-SM-5DUXD 40-49 years, male 11.2
GTEX-1ICLY-0826-SM-CMKG1 50-59 years, male 11.2
GTEX-1JJEA-1826-SM-ARU8P 60-69 years, male 11.2
GTEX-YEC3-1326-SM-DO92X 50-59 years, male 11.2
GTEX-11P81-2226-SM-5PNYI 30-39 years, female 11.1
GTEX-15SKB-2826-SM-6PAMH 60-69 years, male 11.1
GTEX-1I19N-0126-SM-CYPSF 70-79 years, male 11.1
GTEX-1OJC4-2726-SM-E76PJ 50-59 years, female 11.1
GTEX-1RAZA-2226-SM-E9U4X 20-29 years, male 11.1
GTEX-1RB15-1326-SM-E76Q9 60-69 years, male 11.1
GTEX-ZF3C-0626-SM-DO92O 50-59 years, female 11.1
GTEX-117YX-1926-SM-5GIEC 50-59 years, male 11.0
GTEX-1269C-0126-SM-5EQ5L 60-69 years, female 11.0
GTEX-1477Z-0326-SM-7IGLA 60-69 years, male 11.0
GTEX-ZLWG-0826-SM-59888 50-59 years, female 11.0
GTEX-ZVZP-1226-SM-5GID7 50-59 years, male 11.0
GTEX-1HSMP-0926-SM-A9SKX 70-79 years, male 11.0
GTEX-1I1HK-2326-SM-CKZOH 60-69 years, male 11.0
GTEX-1QP2A-1726-SM-E76QC 50-59 years, male 11.0
GTEX-1QPFJ-1926-SM-EVYBD 30-39 years, female 11.0
GTEX-145MH-2826-SM-5RQJF 50-59 years, male 10.9
GTEX-WXYG-2026-SM-4E3IY 50-59 years, female 10.9
GTEX-ZYFD-0626-SM-5E44E 50-59 years, male 10.9
GTEX-1I1GP-1326-SM-A9G28 50-59 years, male 10.9
GTEX-1QP28-1126-SM-EVYC4 50-59 years, female 10.9
GTEX-14753-0726-SM-5QGQO 60-69 years, male 10.8
GTEX-14A5H-0826-SM-5QGPJ 60-69 years, male 10.8
GTEX-14DAQ-0626-SM-793DS 60-69 years, female 10.8
GTEX-1IKOE-1426-SM-CE6T7 30-39 years, female 10.8
GTEX-1KAFJ-0126-SM-DIPEK 50-59 years, male 10.8
GTEX-1LB8K-0726-SM-D5OV2 50-59 years, male 10.8
GTEX-1LSNL-2726-SM-E9TKJ 50-59 years, male 10.8
GTEX-1QMI2-2526-SM-E8VNZ 60-69 years, male 10.8
GTEX-1R9PM-1926-SM-EVR3O 20-29 years, male 10.8
GTEX-ZLV1-1526-SM-DO91J 60-69 years, female 10.8
GTEX-1192X-2726-SM-5N9DN 50-59 years, male 10.7
GTEX-131XH-0126-SM-5LZUY 50-59 years, male 10.7
GTEX-13FTW-0326-SM-5K7UW 40-49 years, male 10.7
GTEX-13N2G-0226-SM-5K7VF 60-69 years, male 10.7
GTEX-14E1K-2026-SM-7DUEI 50-59 years, male 10.7
GTEX-14PJ2-0626-SM-6LLII 50-59 years, male 10.7
GTEX-16BQI-1326-SM-6M486 30-39 years, female 10.7
GTEX-1B8KZ-0326-SM-73KY4 50-59 years, male 10.7
GTEX-WYBS-0626-SM-3NMAS 60-69 years, female 10.7
GTEX-ZE7O-2726-SM-51MT5 50-59 years, female 10.7
GTEX-1CAMQ-1326-SM-7P8RV 40-49 years, male 10.7
GTEX-1F5PK-2226-SM-7SB6N 50-59 years, male 10.7
GTEX-1GZ4I-2626-SM-9KNU3 50-59 years, male 10.7
GTEX-1HSMQ-2626-SM-A9SML 50-59 years, male 10.7
GTEX-1I6K6-1726-SM-CGQFD 30-39 years, male 10.7
GTEX-1RLM8-2926-SM-E8VON 50-59 years, male 10.7
GTEX-11DXX-2126-SM-5PNYR 60-69 years, female 10.6
GTEX-13FTY-2126-SM-5IFFB 40-49 years, female 10.6
GTEX-13NZ9-2626-SM-5L3FK 50-59 years, male 10.6
GTEX-WYJK-0526-SM-3NM8Z 50-59 years, male 10.6
GTEX-XBEC-0726-SM-4QARZ 50-59 years, male 10.6
GTEX-YB5K-2026-SM-4VDT3 40-49 years, female 10.6
GTEX-ZP4G-1426-SM-4WWCL 20-29 years, female 10.6
GTEX-1GF9U-2026-SM-7SB92 40-49 years, female 10.6
GTEX-1399R-1326-SM-5PNYS 30-39 years, male 10.5
GTEX-13FLV-0126-SM-5K7WT 50-59 years, male 10.5
GTEX-14AS3-1526-SM-5Q5ED 40-49 years, female 10.5
GTEX-14PHY-1226-SM-5ZZWK 60-69 years, female 10.5
GTEX-18D9A-1426-SM-7LT8M 30-39 years, female 10.5
GTEX-1F48J-0726-SM-7RHGS 50-59 years, female 10.5
GTEX-11DXW-0826-SM-5H118 40-49 years, male 10.4
GTEX-144GO-2026-SM-5O99P 60-69 years, male 10.4
GTEX-14E6E-0526-SM-793DN 30-39 years, male 10.4
GTEX-14PJN-1826-SM-6AJ98 30-39 years, male 10.4
GTEX-15EO6-2426-SM-6PALZ 50-59 years, male 10.4
GTEX-15RIG-0726-SM-7KUM7 40-49 years, male 10.4
GTEX-17EVQ-0126-SM-7IGLR 70-79 years, male 10.4
GTEX-183WM-0326-SM-72D5V 70-79 years, female 10.4
GTEX-1F75A-0726-SM-7RHHD 50-59 years, male 10.4
GTEX-1HCVE-2726-SM-CL54F 50-59 years, male 10.4
GTEX-1I1GU-0926-SM-ACKVS 40-49 years, male 10.4
GTEX-ZGAY-1826-SM-DO91Q 40-49 years, female 10.4
GTEX-111VG-1626-SM-5EGIO 60-69 years, male 10.3
GTEX-13QBU-1226-SM-5LU4G 40-49 years, female 10.3
GTEX-14BMU-1226-SM-5S2OR 20-29 years, female 10.3
GTEX-18A66-0626-SM-7LT8Z 60-69 years, male 10.3
GTEX-1CAMS-2226-SM-7PBXQ 40-49 years, female 10.3
GTEX-12WSM-1926-SM-5BC65 60-69 years, male 10.2
GTEX-13NYC-0126-SM-5L3F4 60-69 years, male 10.2
GTEX-13PVR-0426-SM-5RQK2 60-69 years, female 10.2
GTEX-16XZZ-0726-SM-7KUF2 60-69 years, male 10.2
GTEX-17HG3-2626-SM-7DUF2 30-39 years, female 10.2
GTEX-WRHU-2826-SM-3MJG8 50-59 years, female 10.2
GTEX-ZF2S-1626-SM-57WES 50-59 years, female 10.2
GTEX-ZLFU-1826-SM-4WWBV 40-49 years, male 10.2
GTEX-11ZUS-2626-SM-5FQUR 30-39 years, male 10.1
GTEX-14BIN-1126-SM-5RQJZ 50-59 years, female 10.1
GTEX-14PJ4-0226-SM-5YY92 60-69 years, male 10.1
GTEX-17EVP-2626-SM-7IGMA 40-49 years, male 10.1
GTEX-U8XE-0226-SM-4E3J3 30-39 years, male 10.1
GTEX-ZC5H-1526-SM-5HL9Y 40-49 years, female 10.1
GTEX-1HCU9-0426-SM-9WYSD 20-29 years, male 10.1
GTEX-1MCC2-1826-SM-DIPEX 30-39 years, female 10.1
GTEX-1NV5F-0626-SM-DTXEG 60-69 years, female 10.1
GTEX-139UW-0326-SM-5J1ML 60-69 years, male 10.0
GTEX-18QFQ-1826-SM-72D52 30-39 years, male 10.0
GTEX-1A8G7-1326-SM-73KVM 60-69 years, male 10.0
GTEX-Y5V5-0126-SM-5S2NW 60-69 years, female 10.0
GTEX-1K2DA-1026-SM-CGQGF 50-59 years, male 10.0
GTEX-1RAZR-2126-SM-E9U6T 40-49 years, male 10.0
GTEX-12WSK-2126-SM-5CVNC 40-49 years, female 9.9
GTEX-139YR-1026-SM-5LZYN 50-59 years, male 9.9
GTEX-13OW8-1026-SM-5J1NQ 60-69 years, male 9.9
GTEX-13X6I-1826-SM-5SIAO 60-69 years, male 9.9
GTEX-144GM-0526-SM-79OJO 20-29 years, male 9.9
GTEX-14PJ3-1126-SM-5ZZVX 50-59 years, male 9.9
GTEX-16NPX-0726-SM-7KULC 50-59 years, male 9.9
GTEX-ZTTD-2826-SM-4YCFA 50-59 years, male 9.9
GTEX-ZVE2-2826-SM-5GU51 50-59 years, male 9.9
GTEX-1C64N-2626-SM-7PC2N 50-59 years, male 9.9
GTEX-1I6K7-1926-SM-B2LXR 40-49 years, male 9.9
GTEX-1JJ6O-2726-SM-CNPOG 60-69 years, male 9.9
GTEX-1LVAO-2726-SM-E9TJ8 60-69 years, male 9.9
GTEX-11PRG-0726-SM-5EGL1 50-59 years, male 9.8
GTEX-12BJ1-0926-SM-5EQ62 60-69 years, male 9.8
GTEX-13OW5-2326-SM-5L3HO 60-69 years, male 9.8
GTEX-1LSVX-2526-SM-DIPEU 60-69 years, male 9.8
GTEX-1PPH8-0126-SM-EWRN8 20-29 years, male 9.8
GTEX-1R9PN-0426-SM-DTXDT 40-49 years, female 9.8
GTEX-111YS-1526-SM-5GZYW 60-69 years, male 9.7
GTEX-11TT1-1826-SM-5EQLV 20-29 years, male 9.7
GTEX-139TU-0726-SM-5L3EK 60-69 years, male 9.7
GTEX-15G1A-1626-SM-7KUKN 30-39 years, male 9.7
GTEX-17HGU-2326-SM-7DUFE 50-59 years, male 9.7
GTEX-ZUA1-2626-SM-5NQ92 40-49 years, male 9.7
GTEX-1IDJE-1426-SM-ADEIW 50-59 years, female 9.7
GTEX-11EM3-1226-SM-5N9DD 20-29 years, female 9.6
GTEX-11GS4-0226-SM-5HL77 60-69 years, male 9.6
GTEX-11NUK-2726-SM-5A5MC 50-59 years, male 9.6
GTEX-12WSL-2026-SM-5GCML 50-59 years, male 9.6
GTEX-1CB4E-0926-SM-7EPHT 60-69 years, male 9.6
GTEX-1EU9M-1426-SM-793AI 60-69 years, male 9.6
GTEX-1EX96-1026-SM-7MKG2 50-59 years, male 9.6
GTEX-1IDJU-1726-SM-CMKHU 60-69 years, female 9.6
GTEX-1R9K4-2826-SM-DTX8F 60-69 years, male 9.6
GTEX-132AR-0326-SM-5KM2C 50-59 years, female 9.5
GTEX-13OW6-2726-SM-5J2OE 50-59 years, male 9.5
GTEX-13QJC-0126-SM-5ZZWJ 60-69 years, female 9.5
GTEX-183FY-1026-SM-7939A 20-29 years, male 9.5
GTEX-XXEK-1626-SM-4BRUZ 50-59 years, male 9.5
GTEX-ZDTT-0426-SM-4WKFL 60-69 years, male 9.5
GTEX-1122O-1026-SM-9WYSF 60-69 years, female 9.5
GTEX-1PPGY-1626-SM-EVYBL 60-69 years, male 9.5
GTEX-1QCLZ-2426-SM-EVYBW 60-69 years, female 9.5
GTEX-11OF3-0126-SM-5PNYF 60-69 years, male 9.4
GTEX-11P7K-1126-SM-5HL4L 30-39 years, male 9.4
GTEX-13X6H-0926-SM-5SIB2 50-59 years, female 9.4
GTEX-145LT-0526-SM-5LUB2 40-49 years, male 9.4
GTEX-14PJ5-1526-SM-6LLIL 60-69 years, female 9.4
GTEX-14PKU-0126-SM-6LLHV 40-49 years, female 9.4
GTEX-WY7C-2126-SM-3NB2R 50-59 years, male 9.4
GTEX-ZZ64-1026-SM-5GZXG 20-29 years, male 9.4
GTEX-1GZ2Q-0126-SM-9WG6M 40-49 years, male 9.4
GTEX-1LGOU-1326-SM-D3L8M 20-29 years, female 9.4
GTEX-1NSGN-0726-SM-DTXEF 50-59 years, male 9.4
GTEX-145MI-0626-SM-5SI8S 60-69 years, female 9.3
GTEX-15FZZ-0526-SM-7KUGD 30-39 years, female 9.3
GTEX-WFON-1926-SM-3LK7L 40-49 years, male 9.3
GTEX-X3Y1-2026-SM-3P5YM 40-49 years, male 9.3
GTEX-1F6I4-2326-SM-7RHGL 60-69 years, male 9.3
GTEX-1H1ZS-2726-SM-9WG75 70-79 years, male 9.3
GTEX-1HSKV-1226-SM-ADEI4 60-69 years, male 9.3
GTEX-1JMQK-1226-SM-D4P2S 60-69 years, male 9.3
GTEX-1PPH7-1126-SM-DTX9A 40-49 years, male 9.3
GTEX-11GSP-2326-SM-5HL63 60-69 years, female 9.2
GTEX-12584-0726-SM-5FQTK 40-49 years, male 9.2
GTEX-13D11-0926-SM-5J2NC 50-59 years, female 9.2
GTEX-14PK6-0226-SM-62LF5 70-79 years, female 9.2
GTEX-17HHY-0426-SM-7DHLC 50-59 years, male 9.2
GTEX-WYVS-1626-SM-3NM9R 40-49 years, female 9.2
GTEX-Y3IK-1626-SM-4YCF5 50-59 years, female 9.2
GTEX-YJ8O-2526-SM-5HL85 40-49 years, female 9.2
GTEX-1HGF4-0126-SM-CNPPX 60-69 years, male 9.2
GTEX-1JKYR-0626-SM-ARL8R 20-29 years, male 9.2
GTEX-147F4-0726-SM-5TDDD 50-59 years, male 9.1
GTEX-18A7A-0126-SM-731AH 50-59 years, female 9.1
GTEX-1EN7A-2426-SM-793DB 40-49 years, male 9.1
GTEX-1C64O-1326-SM-7MGWR 60-69 years, male 9.1
GTEX-1C6VR-0126-SM-7RHGB 60-69 years, male 9.1
GTEX-1H1DE-1326-SM-9KNUG 20-29 years, male 9.1
GTEX-1JMQJ-0826-SM-CNPP7 50-59 years, male 9.1
GTEX-1RAZQ-1326-SM-E9TK6 30-39 years, male 9.1
GTEX-111FC-2526-SM-5GZXU 60-69 years, male 9.0
GTEX-1399U-1126-SM-5L3DB 50-59 years, female 9.0
GTEX-14B4R-1326-SM-5Q5EZ 30-39 years, male 9.0
GTEX-17F96-0126-SM-7EWDU 70-79 years, male 9.0
GTEX-1C2JI-1026-SM-73KY1 50-59 years, male 9.0
GTEX-ZVP2-0326-SM-57WBP 50-59 years, male 9.0
GTEX-1GN1W-2426-SM-9KNUU 50-59 years, female 9.0
GTEX-1HBPN-0126-SM-CGQEF 50-59 years, male 9.0
GTEX-1J8JJ-0626-SM-ARZMQ 60-69 years, female 9.0
GTEX-1212Z-0126-SM-59HK4 60-69 years, male 8.9
GTEX-139T8-0626-SM-5KLZX 60-69 years, male 8.9
GTEX-139TS-2126-SM-5K7XC 60-69 years, male 8.9
GTEX-13O3Q-0126-SM-5KM34 50-59 years, male 8.9
GTEX-13SLX-2226-SM-62LEP 50-59 years, female 8.9
GTEX-14LLW-2626-SM-62LDZ 70-79 years, female 8.9
GTEX-17JCI-2926-SM-7DUFF 60-69 years, female 8.9
GTEX-VJYA-1526-SM-3GIJV 60-69 years, male 8.9
GTEX-X4EO-2926-SM-4E3JH 60-69 years, female 8.9
GTEX-ZVT2-0126-SM-5GIDQ 50-59 years, female 8.9
GTEX-1I1GT-1026-SM-ARZLV 60-69 years, female 8.9
GTEX-1J8Q2-2626-SM-ACKWQ 60-69 years, male 8.9
GTEX-1LVA9-2626-SM-EVYD4 50-59 years, male 8.9
GTEX-13NYS-0626-SM-5L3F1 60-69 years, male 8.8
GTEX-13O61-1426-SM-5KM3D 60-69 years, male 8.8
GTEX-13OVG-1626-SM-5J1NF 60-69 years, male 8.8
GTEX-15CHR-1126-SM-7EWF4 50-59 years, male 8.8
GTEX-1AX9J-1326-SM-731BJ 60-69 years, male 8.8
GTEX-1HBPI-2126-SM-ARL9K 50-59 years, male 8.8
GTEX-1LVAM-0726-SM-E6CIL 50-59 years, female 8.8
GTEX-1QP9N-1226-SM-E76QN 30-39 years, male 8.8
GTEX-11LCK-2226-SM-5HL4Q 30-39 years, male 8.7
GTEX-12C56-1526-SM-5FQUQ 20-29 years, male 8.7
GTEX-13FH7-1126-SM-5K7UG 50-59 years, female 8.7
GTEX-13X6K-0626-SM-5LU5D 60-69 years, female 8.7
GTEX-148VJ-0626-SM-5LUAW 70-79 years, male 8.7
GTEX-18D9B-0926-SM-7LG4U 60-69 years, male 8.7
GTEX-WFG7-2026-SM-5SI7P 20-29 years, male 8.7
GTEX-X4EP-0626-SM-3P621 60-69 years, female 8.7
GTEX-1GN1U-0626-SM-9MQL9 50-59 years, female 8.7
GTEX-1IE54-1126-SM-A9G2Z 40-49 years, female 8.7
GTEX-1JKYN-0826-SM-ARU8S 30-39 years, male 8.7
GTEX-ZPIC-0526-SM-DO91W 40-49 years, female 8.7
GTEX-11DXZ-2026-SM-5987S 50-59 years, male 8.6
GTEX-11VI4-1126-SM-5EQMD 40-49 years, female 8.6
GTEX-133LE-2326-SM-5K7W3 20-29 years, female 8.6
GTEX-139TT-2126-SM-5LZWC 60-69 years, male 8.6
GTEX-13VXU-0626-SM-5L3F9 50-59 years, male 8.6
GTEX-ZDYS-2426-SM-4WKGI 50-59 years, male 8.6
GTEX-ZF29-0926-SM-4WKFZ 60-69 years, female 8.6
GTEX-ZVT4-2426-SM-5GIEI 50-59 years, female 8.6
GTEX-1GN73-0726-SM-7P8TJ 60-69 years, male 8.6
GTEX-1QP29-1826-SM-DTX9S 50-59 years, male 8.6
GTEX-111CU-1126-SM-5EGIM 50-59 years, male 8.5
GTEX-13FHO-0426-SM-5L3F5 60-69 years, male 8.5
GTEX-145MN-1526-SM-5SI9T 30-39 years, male 8.5
GTEX-ZA64-1026-SM-5HL8R 20-29 years, male 8.5
GTEX-1F75B-0726-SM-7PC3R 50-59 years, male 8.5
GTEX-1HC8U-1326-SM-9YFMJ 40-49 years, female 8.5
GTEX-1I4MK-0126-SM-CY8G6 50-59 years, female 8.5
GTEX-11WQC-1826-SM-5GU59 60-69 years, male 8.4
GTEX-12WSD-0626-SM-5GCMW 60-69 years, female 8.4
GTEX-12WSF-1626-SM-7KUG5 70-79 years, male 8.4
GTEX-12WSH-1526-SM-5BC5W 50-59 years, male 8.4
GTEX-13VXT-1926-SM-5K7UO 20-29 years, female 8.4
GTEX-18D9U-0126-SM-731BM 40-49 years, male 8.4
GTEX-YEC4-1826-SM-4W1YP 40-49 years, male 8.4
GTEX-ZPU1-1126-SM-4YCF3 40-49 years, male 8.4
GTEX-1QP66-1226-SM-DTX7U 50-59 years, male 8.4
GTEX-11DYG-1526-SM-5A5JS 60-69 years, male 8.3
GTEX-11EQ9-1626-SM-5PNY8 30-39 years, male 8.3
GTEX-14PJ6-2626-SM-6EU2T 60-69 years, female 8.3
GTEX-16NGA-0726-SM-731AO 40-49 years, female 8.3
GTEX-1AX9I-2226-SM-73KUO 60-69 years, male 8.3
GTEX-X8HC-0626-SM-4E3HQ 50-59 years, female 8.3
GTEX-1C475-1326-SM-7SB73 40-49 years, female 8.3
GTEX-1GZ4H-0526-SM-9KNU9 50-59 years, female 8.3
GTEX-1H1E6-0426-SM-9WYUS 30-39 years, male 8.3
GTEX-1IDJD-2326-SM-ACKWX 30-39 years, male 8.3
GTEX-1JMLX-0626-SM-ARL8T 50-59 years, male 8.3
GTEX-1PBJJ-1026-SM-E76OS 30-39 years, male 8.3
GTEX-11NSD-0626-SM-5A5LU 20-29 years, male 8.2
GTEX-11UD2-2526-SM-5CVNU 50-59 years, male 8.2
GTEX-13OVK-1426-SM-6PAN7 40-49 years, male 8.2
GTEX-145ME-1726-SM-5Q5EU 40-49 years, female 8.2
GTEX-15EU6-2226-SM-6EU2L 50-59 years, male 8.2
GTEX-18A7B-2726-SM-7LG56 70-79 years, male 8.2
GTEX-1AMEY-0826-SM-72D65 30-39 years, female 8.2
GTEX-1AX8Z-0726-SM-73KTS 60-69 years, male 8.2
GTEX-1CAV2-0126-SM-7IGN7 40-49 years, female 8.2
GTEX-XBEW-1126-SM-4QARW 40-49 years, male 8.2
GTEX-XQ3S-1426-SM-4BOPR 20-29 years, male 8.2
GTEX-ZAJG-1526-SM-5CVML 50-59 years, female 8.2
GTEX-ZDTS-0826-SM-4WKHL 60-69 years, male 8.2
GTEX-1F6IF-0926-SM-7SB7M 60-69 years, male 8.2
GTEX-1GMR2-0826-SM-7PC3V 50-59 years, male 8.2
GTEX-1GN2E-0226-SM-9WG6K 60-69 years, male 8.2
GTEX-1I1GS-2626-SM-B2LY3 60-69 years, male 8.2
GTEX-13OW7-0426-SM-5K7VK 50-59 years, male 8.1
GTEX-145MG-1526-SM-5Q5EM 50-59 years, male 8.1
GTEX-15RJ7-2126-SM-6PAMD 40-49 years, male 8.1
GTEX-16MTA-0926-SM-6M47Z 50-59 years, male 8.1
GTEX-18465-2826-SM-7LT9J 50-59 years, male 8.1
GTEX-WHSE-0126-SM-3NMBT 20-29 years, male 8.1
GTEX-XOT4-0626-SM-4B66L 60-69 years, female 8.1
GTEX-1A3MX-2626-SM-7PC24 60-69 years, male 8.1
GTEX-1F75W-2726-SM-7SB8H 60-69 years, male 8.1
GTEX-1JMOU-1026-SM-CYPSS 60-69 years, female 8.1
GTEX-1JMPY-0226-SM-CKZOK 30-39 years, male 8.1
GTEX-1B8SF-0126-SM-7DUG3 60-69 years, male 8.0
GTEX-1EKGG-0626-SM-7DUGJ 60-69 years, male 8.0
GTEX-X5EB-1926-SM-4E3IW 40-49 years, male 8.0
GTEX-Y9LG-1126-SM-4VBQ7 30-39 years, male 8.0
GTEX-1K9T9-1526-SM-DIPFR 50-59 years, female 8.0
GTEX-1QCLY-0226-SM-EWRNH 30-39 years, male 8.0
GTEX-13JUV-2026-SM-5K7UA 40-49 years, female 7.9
GTEX-13PVQ-0626-SM-5LU47 50-59 years, male 7.9
GTEX-14PJO-2526-SM-6AJBQ 60-69 years, male 7.9
GTEX-15D1Q-2826-SM-6LLH7 40-49 years, male 7.9
GTEX-16AAH-0626-SM-793C9 50-59 years, male 7.9
GTEX-18A67-1626-SM-7LT9T 50-59 years, male 7.9
GTEX-UPJH-0226-SM-3GADV 50-59 years, male 7.9
GTEX-V1D1-2026-SM-3GAF4 50-59 years, male 7.9
GTEX-1JMQI-1726-SM-ARL93 50-59 years, male 7.9
GTEX-1KWVE-1026-SM-D3L9O 30-39 years, male 7.9
GTEX-1RMOY-1326-SM-E9TIH 50-59 years, male 7.9
GTEX-12WSJ-1126-SM-5LZVJ 40-49 years, female 7.8
GTEX-12ZZZ-0726-SM-5GCNZ 60-69 years, male 7.8
GTEX-131YS-2826-SM-5EQ47 60-69 years, female 7.8
GTEX-1E1VI-0326-SM-793D1 50-59 years, male 7.8
GTEX-1EWIQ-0326-SM-7DHMQ 70-79 years, female 7.8
GTEX-WHWD-1826-SM-3LK6I 50-59 years, male 7.8
GTEX-11P82-1426-SM-DTXFY 20-29 years, male 7.8
GTEX-1HFI7-2326-SM-CGQFS 50-59 years, female 7.8
GTEX-1QEPI-2626-SM-DTXF4 60-69 years, female 7.8
GTEX-14ABY-2026-SM-62LDL 50-59 years, male 7.7
GTEX-14ICL-1626-SM-5YYAO 30-39 years, male 7.7
GTEX-14PKV-1126-SM-6LLJ1 20-29 years, female 7.7
GTEX-XAJ8-1426-SM-47JYM 40-49 years, male 7.7
GTEX-XUW1-0926-SM-4BONX 50-59 years, female 7.7
GTEX-Y111-0626-SM-4SOIT 50-59 years, male 7.7
GTEX-1H23P-0626-SM-9WG6T 60-69 years, male 7.7
GTEX-11ZU8-0126-SM-5EQ58 60-69 years, male 7.6
GTEX-13N11-2326-SM-5IJBF 50-59 years, female 7.6
GTEX-13OVH-0526-SM-5L3E6 70-79 years, male 7.6
GTEX-15DYW-2726-SM-6EU2I 60-69 years, female 7.6
GTEX-14JG6-1426-SM-9WG7C 30-39 years, female 7.6
GTEX-1I1GV-0626-SM-ARL7M 60-69 years, male 7.6
GTEX-1JJE9-2626-SM-ARZMT 70-79 years, male 7.6
GTEX-1JN1M-2726-SM-CY8I4 60-69 years, female 7.6
GTEX-1KANA-1326-SM-DIPFA 20-29 years, male 7.6
GTEX-1R46S-2426-SM-E76QA 60-69 years, female 7.6
GTEX-13O3O-2326-SM-5IJD6 60-69 years, female 7.5
GTEX-13X6J-0626-SM-5LU5F 50-59 years, male 7.5
GTEX-147F3-1726-SM-5SIAW 50-59 years, female 7.5
GTEX-ZDXO-3126-SM-5IJDF 60-69 years, male 7.5
GTEX-ZTX8-1326-SM-4YCEL 20-29 years, male 7.5
GTEX-1GPI6-1926-SM-9KNV7 60-69 years, male 7.5
GTEX-1HSGN-0826-SM-ACKW3 40-49 years, female 7.5
GTEX-11EI6-2826-SM-5H11D 60-69 years, male 7.4
GTEX-1211K-1526-SM-5FQU4 60-69 years, female 7.4
GTEX-12WSA-0426-SM-5EQ5X 60-69 years, male 7.4
GTEX-147JS-0226-SM-5S2U9 60-69 years, male 7.4
GTEX-15RJE-2826-SM-7KUM9 40-49 years, male 7.4
GTEX-17F9E-2326-SM-79OKD 50-59 years, male 7.4
GTEX-17MF6-2626-SM-79OKQ 40-49 years, male 7.4
GTEX-Y3I4-1726-SM-4TT89 50-59 years, male 7.4
GTEX-ZVTK-0226-SM-51MRG 20-29 years, male 7.4
GTEX-1CB4I-0126-SM-7RHGG 50-59 years, male 7.4
GTEX-1GF9W-1426-SM-7PBYM 60-69 years, male 7.4
GTEX-1PIIG-2326-SM-DTXFR 30-39 years, male 7.4
GTEX-1S5ZU-2526-SM-E6CIF 20-29 years, female 7.4
GTEX-1S831-1826-SM-EWROF 20-29 years, male 7.4
GTEX-11DZ1-2426-SM-5GZZX 50-59 years, male 7.3
GTEX-1399S-0126-SM-5IJCF 30-39 years, female 7.3
GTEX-13OVJ-0826-SM-5J1OK 50-59 years, female 7.3
GTEX-ZAB4-2126-SM-5HL8U 40-49 years, male 7.3
GTEX-1LSNM-0826-SM-DIPG8 50-59 years, male 7.3
GTEX-1MCYP-0526-SM-E9U6Q 20-29 years, female 7.3
GTEX-1B8KE-1126-SM-7EPHI 50-59 years, male 7.2
GTEX-1JN6P-2926-SM-CL54D 60-69 years, male 7.2
GTEX-1N5O9-0926-SM-E9J3C 60-69 years, male 7.2
GTEX-1H3NZ-2726-SM-9WYTQ 60-69 years, male 7.1
GTEX-1IY9M-2826-SM-ARU8H 60-69 years, male 7.1
GTEX-1LG7Z-1626-SM-CXKYR 30-39 years, male 7.1
GTEX-1LVAN-0626-SM-CNPOQ 50-59 years, female 7.1
GTEX-11TUW-0626-SM-5LU9M 60-69 years, male 7.0
GTEX-131XW-0626-SM-5PNVD 50-59 years, female 7.0
GTEX-WHPG-2626-SM-3NMBR 50-59 years, male 7.0
GTEX-ZYFC-0426-SM-5GICQ 50-59 years, male 7.0
GTEX-ZYW4-0626-SM-59HJR 60-69 years, male 7.0
GTEX-1HCU6-2526-SM-ADEHL 60-69 years, female 7.0
GTEX-1OJC3-1226-SM-DTXER 20-29 years, male 7.0
GTEX-13RTJ-0126-SM-5S2NN 60-69 years, male 6.9
GTEX-1H4P4-2126-SM-9WYSL 50-59 years, male 6.9
GTEX-1J1R8-2026-SM-CL53Y 40-49 years, male 6.9
GTEX-1J8Q3-0526-SM-ARL8U 60-69 years, male 6.9
GTEX-11O72-0626-SM-5PNYE 40-49 years, male 6.8
GTEX-1B933-2426-SM-7DHMD 50-59 years, female 6.8
GTEX-Z93S-1626-SM-5CVMB 50-59 years, male 6.8
GTEX-1JK1U-0226-SM-ARZMX 60-69 years, male 6.8
GTEX-1LBAC-0826-SM-CY8IJ 20-29 years, male 6.7
GTEX-1M4P7-0726-SM-E6CJ3 60-69 years, male 6.7
GTEX-WFG8-2126-SM-3GIKQ 20-29 years, male 6.6
GTEX-1F75I-2226-SM-7SB8U 40-49 years, male 6.6
GTEX-1GPI7-1826-SM-9KNU1 20-29 years, male 6.6
GTEX-1N2EE-0626-SM-E76PW 60-69 years, male 6.6
GTEX-12ZZY-0726-SM-5EQ66 60-69 years, male 6.5
GTEX-13113-1626-SM-5EQ4I 60-69 years, female 6.5
GTEX-1CB4F-1026-SM-7DUH1 60-69 years, male 6.5
GTEX-1HKZK-0726-SM-ACKW2 40-49 years, male 6.5
GTEX-1S3DN-2126-SM-E9TIN 50-59 years, male 6.5
GTEX-12696-0126-SM-5EQ4L 60-69 years, male 6.3
GTEX-Y114-2126-SM-4TT8B 50-59 years, female 6.3
GTEX-1HCU8-2526-SM-CE6RX 60-69 years, female 6.3
GTEX-1S83E-1326-SM-E6CJM 40-49 years, male 6.3
GTEX-13112-0126-SM-5P9IU 50-59 years, male 6.2
GTEX-1EH9U-2826-SM-7DUGT 60-69 years, male 6.2
GTEX-XPVG-2126-SM-4B667 50-59 years, male 6.2
GTEX-Y8E4-2026-SM-5IFJB 40-49 years, male 6.2
GTEX-1GMRU-2126-SM-7P8RA 50-59 years, male 6.2
GTEX-1S82P-2126-SM-E6CI5 60-69 years, female 6.2
GTEX-WI4N-2726-SM-3LK7Y 40-49 years, female 6.1
GTEX-14PHX-2226-SM-6EU2P 50-59 years, male 6.0
GTEX-1HCUA-0826-SM-ADEHM 50-59 years, female 6.0
GTEX-ZT9W-1126-SM-57WDR 50-59 years, male 5.9
GTEX-1B97I-0626-SM-73KUZ 40-49 years, male 5.8
GTEX-Y8LW-1526-SM-5IFHL 50-59 years, female 5.8
GTEX-1GZHY-0626-SM-9KNVC 50-59 years, female 5.8
GTEX-1HUB1-1426-SM-CGQF5 60-69 years, male 5.8
GTEX-13U4I-2226-SM-5LU5H 40-49 years, female 5.7
GTEX-15CHQ-0326-SM-69LQD 60-69 years, male 5.7
GTEX-17HII-1426-SM-7EPGG 50-59 years, male 5.7
GTEX-1C6WA-2626-SM-7MKGM 60-69 years, male 5.7
GTEX-ZY6K-1426-SM-5GZX2 50-59 years, male 5.6
GTEX-1GF9V-0826-SM-9KNUV 60-69 years, male 5.6
GTEX-1S82U-1026-SM-E6CJK 30-39 years, female 5.6
GTEX-131XF-2626-SM-5EQ6K 60-69 years, male 5.5
GTEX-131XG-0326-SM-5L3DX 50-59 years, female 5.5
GTEX-16MT8-2926-SM-7DUFO 60-69 years, female 5.4
GTEX-1N2DV-1526-SM-DTXEP 40-49 years, male 5.4
GTEX-1QW4Y-1126-SM-DTXE3 30-39 years, male 5.4
GTEX-17HHE-1326-SM-7EWDZ 50-59 years, male 5.3
GTEX-ZTSS-1426-SM-5985P 40-49 years, male 5.3
GTEX-1GTWX-2026-SM-9YFLM 60-69 years, male 5.3
GTEX-1RAZS-2526-SM-E6CHT 50-59 years, male 5.3
GTEX-14DAR-1226-SM-73KYV 50-59 years, male 5.2
GTEX-1B996-0426-SM-7EWF8 60-69 years, male 5.2
GTEX-1PDJ9-1226-SM-EXUSX 20-29 years, male 5.2
GTEX-1A32A-0626-SM-731AQ 50-59 years, female 5.1
GTEX-ZU9S-1826-SM-5NQ9E 30-39 years, male 5.1
GTEX-1H2FU-0926-SM-9WPPT 60-69 years, female 5.1
GTEX-Y5LM-0926-SM-6LLJG 40-49 years, female 5.0
GTEX-1CB4J-1326-SM-7P8RX 60-69 years, male 5.0
GTEX-1IKJJ-2226-SM-CJI4C 60-69 years, male 5.0
GTEX-1MJK3-0726-SM-E6CJC 20-29 years, male 5.0
GTEX-1497J-0226-SM-5QGPU 60-69 years, male 4.8
GTEX-14C5O-0326-SM-5ZZUX 60-69 years, male 4.7
GTEX-14E6C-2426-SM-5S2NF 40-49 years, male 4.6
GTEX-17F98-1326-SM-7DUEP 40-49 years, female 4.6
GTEX-1A3MV-1826-SM-731CD 30-39 years, male 4.6
GTEX-1ICLZ-0326-SM-ARL82 60-69 years, male 4.4
Show allShow less
Skin - Sun Exposed (Lower leg)
Average nTPM: 8.4
Samples: 701

Max nTPM: 20.8
Min nTPM: 2.8
Std nTPM: 2.4
Median nTPM: 8.2
GTEX-183WM-0126-SM-7LTAB 70-79 years, female 20.8
GTEX-15G19-0126-SM-6PANQ 60-69 years, male 18.0
GTEX-POMQ-2226-SM-2I5FK 20-29 years, female 17.8
GTEX-SJXC-0126-SM-2XCFF 60-69 years, male 17.3
GTEX-XYKS-2126-SM-4E3IB 60-69 years, female 17.2
GTEX-15SB6-1726-SM-6PAME 50-59 years, female 16.8
GTEX-O5YT-0126-SM-48TBW 20-29 years, male 16.0
GTEX-ZE9C-2726-SM-57WB5 60-69 years, male 16.0
GTEX-QDVN-2026-SM-3GAEP 50-59 years, male 15.5
GTEX-13N2G-2626-SM-5J1OT 60-69 years, male 15.3
GTEX-14LZ3-0226-SM-62LET 60-69 years, female 15.2
GTEX-1122O-2126-SM-5EGIR 60-69 years, female 14.5
GTEX-VJYA-1126-SM-3GIJU 60-69 years, male 14.2
GTEX-13NYC-0326-SM-E9J4S 60-69 years, male 14.0
GTEX-1F5PL-0326-SM-7P8PQ 40-49 years, female 14.0
GTEX-145LT-1726-SM-5QGP3 40-49 years, male 13.9
GTEX-15EOM-0126-SM-7KUGG 20-29 years, female 13.8
GTEX-1M4P7-0226-SM-DIPEV 60-69 years, male 13.8
GTEX-144FL-0126-SM-5TDC8 50-59 years, male 13.5
GTEX-1K2DA-1826-SM-CGQGT 50-59 years, male 13.5
GTEX-11WQK-0526-SM-5EQLD 50-59 years, male 13.3
GTEX-WVJS-0126-SM-4MVOT 50-59 years, male 13.2
GTEX-ZV6S-2326-SM-4YCEY 40-49 years, female 13.2
GTEX-ZVZO-0126-SM-5A5L9 40-49 years, male 13.2
GTEX-1EX96-1626-SM-7PBXR 50-59 years, male 13.2
GTEX-1GMR3-1926-SM-9KNUZ 40-49 years, male 13.2
GTEX-1M5QR-1226-SM-EWROB 40-49 years, male 13.2
GTEX-1R9PM-2026-SM-E76OY 20-29 years, male 13.2
GTEX-14BIN-0626-SM-793DP 50-59 years, female 13.1
GTEX-1GZ2Q-0226-SM-7P8TL 40-49 years, male 13.0
GTEX-13FHP-0126-SM-5IJBG 50-59 years, male 12.9
GTEX-13OVK-2026-SM-7KUEO 40-49 years, male 12.9
GTEX-OIZG-0726-SM-33HBL 50-59 years, male 12.7
GTEX-XMD2-0126-SM-4YCDU 60-69 years, female 12.7
GTEX-14E6E-1826-SM-5S2R7 30-39 years, male 12.6
GTEX-1H1E6-1726-SM-ACKVK 30-39 years, male 12.6
GTEX-1HCU7-0226-SM-CL545 50-59 years, male 12.6
GTEX-1HR98-0126-SM-B2LWI 60-69 years, male 12.5
GTEX-XBEW-0626-SM-4QASP 40-49 years, male 12.4
GTEX-1LBAC-0126-SM-DIPEZ 20-29 years, male 12.4
GTEX-14753-0426-SM-5NQAM 60-69 years, male 12.3
GTEX-145LS-0126-SM-5QGP1 60-69 years, female 12.1
GTEX-1497J-2426-SM-7IGNX 60-69 years, male 12.1
GTEX-ZYT6-0226-SM-5NQ6T 30-39 years, male 12.1
GTEX-1HB9E-0226-SM-E9U4R 50-59 years, male 12.1
GTEX-15ETS-0126-SM-7KUMW 40-49 years, female 12.0
GTEX-OXRK-0226-SM-3NB2G 50-59 years, female 12.0
GTEX-1F6RS-0126-SM-9MQKZ 60-69 years, female 11.9
GTEX-12ZZX-0126-SM-5EGK9 40-49 years, female 11.8
GTEX-R3RS-0126-SM-3GIJL 40-49 years, female 11.8
GTEX-SNMC-1226-SM-2XCFP 20-29 years, male 11.8
GTEX-1IL2V-0126-SM-CM2TX 70-79 years, male 11.8
GTEX-1KD4Q-0226-SM-E9TJ9 40-49 years, male 11.8
GTEX-1LGOU-2026-SM-DIPFF 20-29 years, female 11.7
GTEX-11O72-0126-SM-59887 40-49 years, male 11.6
GTEX-ZY6K-1826-SM-5GZXK 50-59 years, male 11.6
GTEX-13OW5-0126-SM-DTXFS 60-69 years, male 11.6
GTEX-1F75A-0126-SM-7RHGM 50-59 years, male 11.6
GTEX-1HBPH-0426-SM-B2LW5 40-49 years, female 11.6
GTEX-111FC-0126-SM-5N9DL 60-69 years, male 11.5
GTEX-133LE-1826-SM-5J1MV 20-29 years, female 11.5
GTEX-15UF6-0826-SM-6PALJ 70-79 years, female 11.5
GTEX-NPJ8-0126-SM-2YUNR 40-49 years, male 11.5
GTEX-Q734-1926-SM-2I5EV 40-49 years, female 11.5
GTEX-X88G-0126-SM-47JZ3 30-39 years, male 11.5
GTEX-1ICG6-2526-SM-CGQFZ 70-79 years, female 11.5
GTEX-1IDFM-0126-SM-COH2V 60-69 years, male 11.5
GTEX-RVPV-0126-SM-EAZAW 60-69 years, male 11.5
GTEX-11OF3-2626-SM-5GU7F 60-69 years, male 11.4
GTEX-Y5LM-1926-SM-5RQJH 40-49 years, female 11.4
GTEX-17JCI-0126-SM-7LG5G 60-69 years, female 11.3
GTEX-1JMQL-0226-SM-CNPP5 50-59 years, female 11.3
GTEX-Z93T-0126-SM-5HL5N 50-59 years, male 11.2
GTEX-1H4P4-0726-SM-9YFLR 50-59 years, male 11.2
GTEX-1JJEA-0326-SM-CNPOT 60-69 years, male 11.2
GTEX-139D8-0226-SM-5KLZO 30-39 years, female 11.1
GTEX-13FTX-1826-SM-5J1NX 20-29 years, female 11.1
GTEX-18D9A-1926-SM-7LG6P 30-39 years, female 11.1
GTEX-1CB4H-0226-SM-7PBXM 60-69 years, female 11.1
GTEX-1F52S-0126-SM-9MQJU 60-69 years, female 11.1
GTEX-1KANA-0726-SM-D3L9I 20-29 years, male 11.1
GTEX-1NV5F-0226-SM-E8VNY 60-69 years, female 11.1
GTEX-1R9K4-0126-SM-DTX9X 60-69 years, male 11.1
GTEX-14PHW-0126-SM-6LLJI 60-69 years, female 11.0
GTEX-1C6VQ-0126-SM-7P8RI 50-59 years, male 11.0
GTEX-1EMGI-0126-SM-9KNUE 60-69 years, male 11.0
GTEX-1F7RK-0126-SM-7PC2S 20-29 years, female 11.0
GTEX-QV44-1926-SM-2S1RF 50-59 years, male 10.9
GTEX-S7SE-0126-SM-2XCD5 50-59 years, male 10.9
GTEX-X638-0126-SM-47JZ8 70-79 years, female 10.9
GTEX-Y5V6-2426-SM-4VDSB 60-69 years, male 10.9
GTEX-1KD5A-0226-SM-D5OV3 50-59 years, male 10.9
GTEX-W5X1-3026-SM-EAZAX 40-49 years, female 10.9
GTEX-11NSD-2226-SM-5986V 20-29 years, male 10.8
GTEX-WOFL-0126-SM-3MJG2 60-69 years, male 10.8
GTEX-1F88F-2726-SM-7PBZZ 60-69 years, female 10.8
GTEX-1H3VE-0326-SM-9YFLH 40-49 years, male 10.8
GTEX-1IE54-0126-SM-CMKHW 40-49 years, female 10.8
GTEX-1JJE9-0326-SM-CL53Z 70-79 years, male 10.8
GTEX-1QMI2-0226-SM-EVYBX 60-69 years, male 10.8
GTEX-14BIM-0226-SM-7IGLD 60-69 years, female 10.7
GTEX-1KANC-1526-SM-D3LAB 50-59 years, female 10.7
GTEX-1O97I-0326-SM-EYYX7 60-69 years, male 10.7
GTEX-15EU6-0426-SM-6PAN5 50-59 years, male 10.6
GTEX-SSA3-0126-SM-32QPU 60-69 years, male 10.6
GTEX-XV7Q-2526-SM-4BRV9 40-49 years, female 10.6
GTEX-ZAB5-1826-SM-5HL7C 50-59 years, male 10.6
GTEX-1LC47-0326-SM-E9TJP 60-69 years, male 10.6
GTEX-117YX-2326-SM-5H12W 50-59 years, male 10.5
GTEX-12126-0326-SM-5PNW3 20-29 years, male 10.5
GTEX-12WSN-5019-SM-79OM6 40-49 years, male 10.5
GTEX-14PN3-2426-SM-6LLHS 60-69 years, female 10.5
GTEX-XAJ8-0826-SM-47JY6 40-49 years, male 10.5
GTEX-Y5V5-2326-SM-4V6GA 60-69 years, female 10.5
GTEX-1I1GT-0626-SM-CGQER 60-69 years, female 10.5
GTEX-1MJK2-0426-SM-DTXE5 50-59 years, male 10.5
GTEX-139T8-0126-SM-5K7XZ 60-69 years, male 10.4
GTEX-14BMU-2226-SM-5TDE9 20-29 years, female 10.4
GTEX-14JG6-2226-SM-6EU2G 30-39 years, female 10.4
GTEX-16AAH-1726-SM-7939C 50-59 years, male 10.4
GTEX-17F97-0326-SM-7LG5B 50-59 years, male 10.4
GTEX-1A3MX-0126-SM-731BR 60-69 years, male 10.4
GTEX-PVOW-0126-SM-2XCFA 40-49 years, male 10.4
GTEX-QDVJ-1726-SM-2I5FX 50-59 years, male 10.4
GTEX-ZTX8-1426-SM-5DUVO 20-29 years, male 10.4
GTEX-1CAMS-0426-SM-7P8T2 40-49 years, female 10.4
GTEX-1ICLZ-0126-SM-CKZPO 60-69 years, male 10.4
GTEX-1IGQW-0126-SM-COH42 60-69 years, male 10.4
GTEX-13G51-2526-SM-5LZYK 60-69 years, male 10.3
GTEX-16NGA-1726-SM-731B4 40-49 years, female 10.3
GTEX-1AMFI-2026-SM-731BH 50-59 years, female 10.3
GTEX-1B8SF-1426-SM-7DUGL 60-69 years, male 10.3
GTEX-OIZH-0126-SM-2HMIS 50-59 years, male 10.3
GTEX-1J8QM-2126-SM-CYPSJ 60-69 years, female 10.3
GTEX-1MUQO-0126-SM-EAZ58 60-69 years, male 10.3
GTEX-13FHO-0226-SM-5IFGY 60-69 years, male 10.2
GTEX-146FQ-0126-SM-5NQA9 30-39 years, male 10.2
GTEX-1C6VR-2426-SM-79OLD 60-69 years, male 10.2
GTEX-RM2N-1426-SM-2TF4H 50-59 years, male 10.2
GTEX-ZF2S-2326-SM-4WWCE 50-59 years, female 10.2
GTEX-ZWKS-0126-SM-5SIAA 30-39 years, male 10.2
GTEX-1GF9U-2126-SM-7SB7L 40-49 years, female 10.2
GTEX-1LGRB-2526-SM-CNPPQ 50-59 years, female 10.2
GTEX-1S83E-0126-SM-EWRO4 40-49 years, male 10.2
GTEX-16BQI-0226-SM-7KUEX 30-39 years, female 10.1
GTEX-ZXG5-0126-SM-5GIEU 60-69 years, male 10.1
GTEX-1H3NZ-0126-SM-ACKX7 60-69 years, male 10.1
GTEX-1HSMQ-1226-SM-CGQFX 50-59 years, male 10.1
GTEX-1I1GU-2226-SM-CGQFA 40-49 years, male 10.1
GTEX-13CF2-2526-SM-5LZYX 60-69 years, male 10.0
GTEX-1C64N-0126-SM-793D7 50-59 years, male 10.0
GTEX-UJHI-1526-SM-3DB99 50-59 years, female 10.0
GTEX-XQ8I-0426-SM-4BOPO 50-59 years, male 10.0
GTEX-ZAK1-0126-SM-5IJD3 50-59 years, female 10.0
GTEX-ZF28-0126-SM-4WKGK 60-69 years, male 10.0
GTEX-1JMQI-2226-SM-CM2SD 50-59 years, male 10.0
GTEX-1LG7Z-1726-SM-D3LA4 30-39 years, male 10.0
GTEX-11XUK-2026-SM-5EQLF 40-49 years, female 9.9
GTEX-1399T-2826-SM-5KLYZ 60-69 years, male 9.9
GTEX-16MT8-0426-SM-7KUEY 60-69 years, female 9.9
GTEX-P4PP-0126-SM-3LK69 30-39 years, female 9.9
GTEX-Z9EW-1626-SM-5CVMN 40-49 years, male 9.9
GTEX-ZXES-1826-SM-5E43S 30-39 years, female 9.9
GTEX-1GL5R-1826-SM-9KNUY 50-59 years, male 9.9
GTEX-1IOXB-0126-SM-ARL8G 50-59 years, male 9.9
GTEX-1J8EW-0126-SM-CJI4F 60-69 years, female 9.9
GTEX-1KAFJ-2026-SM-CY8ID 50-59 years, male 9.9
GTEX-1PDJ9-0326-SM-DTX95 20-29 years, male 9.9
GTEX-OIZF-0126-SM-7SB8I 60-69 years, male 9.9
GTEX-13NZ8-0826-SM-5MR3I 60-69 years, female 9.8
GTEX-13SLW-0126-SM-5SI6C 70-79 years, male 9.8
GTEX-13SLX-0526-SM-5S2ON 50-59 years, female 9.8
GTEX-145MN-2226-SM-5SIAU 30-39 years, male 9.8
GTEX-17F96-1626-SM-7DUFL 70-79 years, male 9.8
GTEX-1AX9K-2326-SM-73KWU 50-59 years, male 9.8
GTEX-PWO3-1526-SM-48TCM 60-69 years, female 9.8
GTEX-1HKZK-0326-SM-9WYUH 40-49 years, male 9.8
GTEX-1HSGN-0226-SM-CGQFV 40-49 years, female 9.8
GTEX-1IDJU-2626-SM-CM2RT 60-69 years, female 9.8
GTEX-111VG-2426-SM-5GZXD 60-69 years, male 9.7
GTEX-11DXY-2626-SM-5GIE7 60-69 years, male 9.7
GTEX-12KS4-0326-SM-5EQ41 30-39 years, male 9.7
GTEX-14ABY-0226-SM-5TDCQ 50-59 years, male 9.7
GTEX-14BMV-0126-SM-5S2PO 50-59 years, male 9.7
GTEX-T6MN-0126-SM-32PLP 50-59 years, male 9.7
GTEX-ZZ64-1726-SM-5GZYB 20-29 years, male 9.7
GTEX-1GMR8-0126-SM-9WYTM 50-59 years, female 9.7
GTEX-1GZ4H-1726-SM-7PBZJ 50-59 years, female 9.7
GTEX-1JKYN-1326-SM-CGQG9 30-39 years, male 9.7
GTEX-11P82-1626-SM-59879 20-29 years, male 9.6
GTEX-13O3P-0126-SM-5KM4S 50-59 years, male 9.6
GTEX-13OW6-0426-SM-5L3HM 50-59 years, male 9.6
GTEX-145LU-0126-SM-5TDCB 50-59 years, male 9.6
GTEX-14DAQ-0126-SM-5S2MQ 60-69 years, female 9.6
GTEX-14ICK-0226-SM-6EU25 40-49 years, male 9.6
GTEX-15SHU-0126-SM-7KUEH 40-49 years, female 9.6
GTEX-Q2AG-0126-SM-33HBV 40-49 years, female 9.6
GTEX-1JK1U-2026-SM-CM2RZ 60-69 years, male 9.6
GTEX-15DCD-0126-SM-7KUEK 70-79 years, female 9.5
GTEX-18D9B-0526-SM-7LTAS 60-69 years, male 9.5
GTEX-TMMY-0226-SM-33HBA 40-49 years, female 9.5
GTEX-Y8E4-0626-SM-4WWDL 40-49 years, male 9.5
GTEX-1B8L1-2526-SM-9WYTF 60-69 years, male 9.5
GTEX-1GF9X-2026-SM-7PC3A 40-49 years, female 9.5
GTEX-1H23P-0126-SM-ADEJ3 60-69 years, male 9.5
GTEX-1H2FU-0126-SM-9WYSI 60-69 years, female 9.5
GTEX-1HCU8-0626-SM-A9SM9 60-69 years, female 9.5
GTEX-1IDJF-0126-SM-CM2RS 20-29 years, male 9.5
GTEX-1RLM8-2326-SM-EWRN4 50-59 years, male 9.5
GTEX-1192X-0226-SM-5H12D 50-59 years, male 9.4
GTEX-11EQ9-2426-SM-5HL5T 30-39 years, male 9.4
GTEX-1212Z-2526-SM-5EGKP 60-69 years, male 9.4
GTEX-12ZZY-0226-SM-5LZVE 60-69 years, male 9.4
GTEX-RWS6-2026-SM-2XCB5 60-69 years, female 9.4
GTEX-T6MO-1626-SM-32QOM 40-49 years, female 9.4
GTEX-U8XE-0326-SM-3DB8P 30-39 years, male 9.4
GTEX-WY7C-2326-SM-3NB2U 50-59 years, male 9.4
GTEX-ZC5H-0226-SM-4WAY9 40-49 years, female 9.4
GTEX-1K2DU-2326-SM-E9TIV 20-29 years, male 9.4
GTEX-1LVAN-0226-SM-COH3S 50-59 years, female 9.4
GTEX-139TS-2826-SM-5J1OO 60-69 years, male 9.3
GTEX-13N11-2526-SM-5K7UE 50-59 years, female 9.3
GTEX-13NZB-2526-SM-5J1OM 30-39 years, male 9.3
GTEX-147F3-0526-SM-5SI98 50-59 years, female 9.3
GTEX-183FY-0126-SM-7LT9P 20-29 years, male 9.3
GTEX-1A32A-0126-SM-718B1 50-59 years, female 9.3
GTEX-1CB4I-0226-SM-79OLH 50-59 years, male 9.3
GTEX-1HT8W-0126-SM-CNPPP 30-39 years, male 9.3
GTEX-1QPFJ-0226-SM-E76PB 30-39 years, female 9.3
GTEX-ZQG8-1626-SM-DHXIT 60-69 years, female 9.3
GTEX-1192W-2626-SM-5Q5AF 60-69 years, male 9.2
GTEX-11ZTT-2426-SM-5EQLS 60-69 years, female 9.2
GTEX-17F98-0626-SM-79OMX 40-49 years, female 9.2
GTEX-U3ZH-2026-SM-3DB78 30-39 years, male 9.2
GTEX-X261-0126-SM-3NMD6 50-59 years, male 9.2
GTEX-1GZHY-0326-SM-9QEHI 50-59 years, female 9.2
GTEX-1IDJH-0326-SM-A9SLQ 70-79 years, male 9.2
GTEX-1J8Q3-1626-SM-CMKGC 60-69 years, male 9.2
GTEX-1R7EU-0226-SM-EVR4G 60-69 years, male 9.2
GTEX-139UW-2826-SM-5L3E7 60-69 years, male 9.1
GTEX-13D11-2426-SM-5KM1V 50-59 years, female 9.1
GTEX-13W46-0226-SM-5SIAG 50-59 years, male 9.1
GTEX-147GR-0526-SM-5S2MY 60-69 years, male 9.1
GTEX-14PJ6-2126-SM-6EU1V 60-69 years, female 9.1
GTEX-14PK6-1926-SM-6ETZU 70-79 years, female 9.1
GTEX-15D1Q-0126-SM-7KUG6 40-49 years, male 9.1
GTEX-18QFQ-0126-SM-731BE 30-39 years, male 9.1
GTEX-1B97I-1626-SM-73KYO 40-49 years, male 9.1
GTEX-U412-0426-SM-3DB9O 60-69 years, male 9.1
GTEX-1H11D-0226-SM-9WG6Z 40-49 years, male 9.1
GTEX-1H1CY-2826-SM-9MQM3 60-69 years, female 9.1
GTEX-1ICLY-0126-SM-D4P36 50-59 years, male 9.1
GTEX-1JMPZ-0226-SM-CNPP1 30-39 years, male 9.1
GTEX-1QP29-0626-SM-EWRMX 50-59 years, male 9.1
GTEX-S33H-1026-SM-EZ6L6 30-39 years, male 9.1
GTEX-11DXX-2426-SM-5GZZW 60-69 years, female 9.0
GTEX-13PDP-0126-SM-5L3HD 60-69 years, male 9.0
GTEX-13PVR-2326-SM-5QGR1 60-69 years, female 9.0
GTEX-14E6C-0126-SM-5RQIP 40-49 years, male 9.0
GTEX-1C6VS-0526-SM-7DUEN 60-69 years, male 9.0
GTEX-1CAMR-1926-SM-7EPI2 20-29 years, male 9.0
GTEX-OOBK-0126-SM-2YUND 40-49 years, male 9.0
GTEX-P4PQ-0126-SM-2S1NM 60-69 years, male 9.0
GTEX-PX3G-0126-SM-2I3EN 20-29 years, female 9.0
GTEX-XUYS-0126-SM-47JWZ 50-59 years, male 9.0
GTEX-ZYFG-2326-SM-5E44B 60-69 years, female 9.0
GTEX-1MA7W-2026-SM-E9TJ6 20-29 years, female 9.0
GTEX-11EI6-0126-SM-5985R 60-69 years, male 8.9
GTEX-13FTW-2626-SM-5K7WL 40-49 years, male 8.9
GTEX-14PII-0226-SM-6EU1T 60-69 years, male 8.9
GTEX-XXEK-2226-SM-4BRUM 50-59 years, male 8.9
GTEX-1GF9V-0326-SM-7RHI5 60-69 years, male 8.9
GTEX-1GN2E-0426-SM-9MQKX 60-69 years, male 8.9
GTEX-1IY9M-0126-SM-D3L8S 60-69 years, male 8.9
GTEX-1MCQQ-0826-SM-DLHC2 60-69 years, male 8.9
GTEX-1RAZQ-0726-SM-EAZ43 30-39 years, male 8.9
GTEX-PSDG-0226-SM-DKPOZ 50-59 years, male 8.9
GTEX-12ZZZ-0626-SM-5DUXI 60-69 years, male 8.8
GTEX-131XE-2326-SM-5PNZ2 50-59 years, male 8.8
GTEX-13N1W-0126-SM-5K7VT 70-79 years, male 8.8
GTEX-13OVL-0226-SM-5L3E9 50-59 years, male 8.8
GTEX-15CHC-2126-SM-6EU21 60-69 years, female 8.8
GTEX-U3ZN-2326-SM-3DB7W 30-39 years, female 8.8
GTEX-U4B1-1826-SM-4DXSU 40-49 years, male 8.8
GTEX-X62O-0126-SM-4E3JN 50-59 years, male 8.8
GTEX-Y8DK-0126-SM-4TT3L 60-69 years, male 8.8
GTEX-ZV68-0126-SM-59HKS 50-59 years, female 8.8
GTEX-1JKYR-0126-SM-CNPOJ 20-29 years, male 8.8
GTEX-1QEPI-0126-SM-EWRMQ 60-69 years, female 8.8
GTEX-11VI4-1726-SM-5CVLH 40-49 years, female 8.7
GTEX-11WQC-2526-SM-5CVLE 60-69 years, male 8.7
GTEX-13113-5016-SM-7EPIP 60-69 years, female 8.7
GTEX-139T4-0226-SM-5HL5S 50-59 years, female 8.7
GTEX-13RTK-1426-SM-5QGQJ 20-29 years, male 8.7
GTEX-17KNJ-2326-SM-7DHLQ 50-59 years, male 8.7
GTEX-YJ89-0126-SM-4TT3X 60-69 years, male 8.7
GTEX-131XF-5016-SM-7MGWE 60-69 years, male 8.7
GTEX-1F75B-0126-SM-9KNVL 50-59 years, male 8.7
GTEX-1PPH7-2326-SM-EVYB8 40-49 years, male 8.7
GTEX-1QW4Y-1526-SM-EAZ3Z 30-39 years, male 8.7
GTEX-1R7EV-2426-SM-EVYBG 40-49 years, male 8.7
GTEX-14E6D-0126-SM-62LDV 50-59 years, male 8.6
GTEX-18A66-0226-SM-718BD 60-69 years, male 8.6
GTEX-TML8-1926-SM-32QOS 40-49 years, female 8.6
GTEX-1EKGG-0226-SM-9WYTH 60-69 years, male 8.6
GTEX-1EU9M-0226-SM-7P8SP 60-69 years, male 8.6
GTEX-1F75I-0326-SM-9YFLU 40-49 years, male 8.6
GTEX-1HBPI-1526-SM-C1YQ1 50-59 years, male 8.6
GTEX-1NHNU-1026-SM-E9J2A 50-59 years, male 8.6
GTEX-1S3DN-2226-SM-EVYCD 50-59 years, male 8.6
GTEX-1S5ZA-0126-SM-EVYCV 20-29 years, male 8.6
GTEX-PWCY-1826-SM-DHXIZ 20-29 years, female 8.6
GTEX-13FXS-0226-SM-5IJCK 50-59 years, male 8.5
GTEX-13NYS-0126-SM-5MR3W 60-69 years, male 8.5
GTEX-14PJ3-1826-SM-62LEX 50-59 years, male 8.5
GTEX-15RIG-0226-SM-7KFTL 40-49 years, male 8.5
GTEX-15UKP-0426-SM-7KUFQ 20-29 years, male 8.5
GTEX-17EVQ-0226-SM-7LG4P 70-79 years, male 8.5
GTEX-WFG8-2226-SM-3GIL9 20-29 years, male 8.5
GTEX-WRHK-1426-SM-3MJF9 20-29 years, female 8.5
GTEX-ZVE2-0226-SM-59HJB 50-59 years, male 8.5
GTEX-1QCLY-0326-SM-E8VOG 30-39 years, male 8.5
GTEX-145MF-0626-SM-5LUAI 50-59 years, male 8.4
GTEX-14JG1-0426-SM-6ETZZ 40-49 years, male 8.4
GTEX-1BAJH-0526-SM-793CQ 70-79 years, male 8.4
GTEX-QDT8-0126-SM-48TZ1 30-39 years, female 8.4
GTEX-T5JC-0426-SM-32PLO 20-29 years, male 8.4
GTEX-T8EM-1026-SM-3DB7M 40-49 years, male 8.4
GTEX-VJWN-0126-SM-3GIK7 50-59 years, female 8.4
GTEX-W5WG-1826-SM-4KL2Y 50-59 years, female 8.4
GTEX-WXYG-2326-SM-4E3I6 50-59 years, female 8.4
GTEX-ZDTT-2726-SM-4WKF8 60-69 years, male 8.4
GTEX-1C64O-0126-SM-7SB8P 60-69 years, male 8.4
GTEX-1F5PK-2426-SM-7RHHY 50-59 years, male 8.4
GTEX-1J1R8-1726-SM-ARL8M 40-49 years, male 8.4
GTEX-1J8Q2-0526-SM-CM2RW 60-69 years, male 8.4
GTEX-1K9T9-0126-SM-EVYCF 50-59 years, female 8.4
GTEX-13W3W-2426-SM-5LU5B 60-69 years, female 8.3
GTEX-WQUQ-0426-SM-3MJFU 60-69 years, male 8.3
GTEX-ZZPT-0226-SM-5E43X 50-59 years, male 8.3
GTEX-1HCUA-2426-SM-ADEIS 50-59 years, female 8.3
GTEX-1QAET-0926-SM-E76QM 50-59 years, male 8.3
GTEX-12WSE-0526-SM-793B2 20-29 years, male 8.2
GTEX-13IVO-0126-SM-5J1NG 70-79 years, male 8.2
GTEX-13NZA-0226-SM-5K7Z7 60-69 years, male 8.2
GTEX-13RTL-0126-SM-7LG5S 40-49 years, male 8.2
GTEX-13VXU-0126-SM-5SI9F 50-59 years, male 8.2
GTEX-18A7A-0226-SM-718BH 50-59 years, female 8.2
GTEX-18A7B-0126-SM-7LG64 70-79 years, male 8.2
GTEX-RN64-0126-SM-2TC68 50-59 years, male 8.2
GTEX-T5JW-1626-SM-3GADZ 20-29 years, female 8.2
GTEX-X4XX-0126-SM-3NMC2 60-69 years, male 8.2
GTEX-YFC4-0126-SM-5CVLY 40-49 years, female 8.2
GTEX-ZE7O-0126-SM-57WC1 50-59 years, female 8.2
GTEX-1E2YA-0126-SM-9KNUC 50-59 years, male 8.2
GTEX-1J8JJ-0226-SM-CL53I 60-69 years, female 8.2
GTEX-13X6I-0626-SM-5QGP9 60-69 years, male 8.1
GTEX-15F5U-1526-SM-6PANO 40-49 years, male 8.1
GTEX-OXRN-0126-SM-48TDM 50-59 years, male 8.1
GTEX-ZVTK-0426-SM-51MRS 20-29 years, male 8.1
GTEX-1GPI7-0126-SM-9MQL8 20-29 years, male 8.1
GTEX-1HFI6-0226-SM-ADEHZ 40-49 years, male 8.1
GTEX-1I6K6-0126-SM-A9SLE 30-39 years, male 8.1
GTEX-1PBJI-0526-SM-E8VNK 20-29 years, female 8.1
GTEX-1QP2A-0126-SM-E9J43 50-59 years, male 8.1
GTEX-1R46S-0626-SM-E9J41 60-69 years, female 8.1
GTEX-11P7K-2126-SM-5GU7G 30-39 years, male 8.0
GTEX-131YS-0126-SM-5KM1M 60-69 years, female 8.0
GTEX-13NYB-2526-SM-5K7Z6 40-49 years, male 8.0
GTEX-14LLW-0126-SM-6LLIO 70-79 years, female 8.0
GTEX-RWSA-0126-SM-2XCBB 40-49 years, male 8.0
GTEX-ZVZP-2426-SM-59HKJ 50-59 years, male 8.0
GTEX-1C6WA-0126-SM-7PC2B 60-69 years, male 8.0
GTEX-1I4MK-2226-SM-ACKWD 50-59 years, female 8.0
GTEX-1IKOH-0226-SM-COH4E 60-69 years, female 8.0
GTEX-1KXAM-2226-SM-CYPTC 60-69 years, male 8.0
GTEX-1LNCM-1126-SM-E9U5E 50-59 years, female 8.0
GTEX-1OFPY-2426-SM-DTXEJ 60-69 years, male 8.0
GTEX-11P81-2326-SM-59875 30-39 years, female 7.9
GTEX-1211K-2026-SM-5EQ4Z 60-69 years, female 7.9
GTEX-13CF3-2426-SM-5IFGX 60-69 years, female 7.9
GTEX-13O3Q-2426-SM-5IJBR 50-59 years, male 7.9
GTEX-1A3MW-0126-SM-73KXX 60-69 years, female 7.9
GTEX-PLZ4-0126-SM-5SI8O 50-59 years, female 7.9
GTEX-WFON-2126-SM-3LK7O 40-49 years, male 7.9
GTEX-11TUW-2726-SM-E9J4M 60-69 years, male 7.9
GTEX-1GN1W-0526-SM-9MQJQ 50-59 years, female 7.9
GTEX-1H1DG-0126-SM-9WYU2 70-79 years, male 7.9
GTEX-1PFEY-1526-SM-E76PP 30-39 years, male 7.9
GTEX-1PIIG-0226-SM-EWRN6 30-39 years, male 7.9
GTEX-1POEN-0126-SM-EYYXJ 30-39 years, female 7.9
GTEX-1313W-0126-SM-5LZUN 50-59 years, female 7.8
GTEX-17HHY-0126-SM-7LG5D 50-59 years, male 7.8
GTEX-OXRP-0126-SM-3NB32 60-69 years, female 7.8
GTEX-P44H-0226-SM-2XCEU 40-49 years, male 7.8
GTEX-SUCS-1926-SM-32PM3 70-79 years, male 7.8
GTEX-ZDXO-3026-SM-5J1N5 60-69 years, male 7.8
GTEX-146FR-1326-SM-E9J48 60-69 years, female 7.8
GTEX-1A8FM-0226-SM-7SB7Q 50-59 years, female 7.8
GTEX-1B996-0226-SM-7RHGO 60-69 years, male 7.8
GTEX-1EWIQ-0126-SM-7RHH2 70-79 years, female 7.8
GTEX-1F6I4-0126-SM-9MQL2 60-69 years, male 7.8
GTEX-1GN1V-0126-SM-9WPOS 60-69 years, male 7.8
GTEX-1L5NE-2526-SM-E6CIE 50-59 years, male 7.8
GTEX-1PPH8-0226-SM-E8VND 20-29 years, male 7.8
GTEX-1RB15-2126-SM-E9TIM 60-69 years, male 7.8
GTEX-1128S-2326-SM-5GZZY 60-69 years, female 7.7
GTEX-145MI-0526-SM-5O9A8 60-69 years, female 7.7
GTEX-14PJM-0226-SM-62LF1 50-59 years, female 7.7
GTEX-18D9U-0226-SM-718BP 40-49 years, male 7.7
GTEX-NFK9-0226-SM-2HMKQ 40-49 years, male 7.7
GTEX-ZTPG-0326-SM-5O9AX 20-29 years, female 7.7
GTEX-13O3O-0126-SM-E9J49 60-69 years, female 7.7
GTEX-11OC5-0126-SM-5HL6A 60-69 years, male 7.6
GTEX-11ZU8-2526-SM-5EQKI 60-69 years, male 7.6
GTEX-131XH-2226-SM-5DUXJ 50-59 years, male 7.6
GTEX-1399U-2326-SM-5K7WY 50-59 years, female 7.6
GTEX-139TU-0126-SM-5K7WH 60-69 years, male 7.6
GTEX-148VJ-0126-SM-5TDDN 70-79 years, male 7.6
GTEX-15SDE-2226-SM-7IGLO 50-59 years, female 7.6
GTEX-16GPK-0126-SM-7DHLE 60-69 years, male 7.6
GTEX-17EUY-0426-SM-793BD 20-29 years, male 7.6
GTEX-18A6Q-0126-SM-731BZ 60-69 years, male 7.6
GTEX-OHPL-0126-SM-2HMJ7 60-69 years, female 7.6
GTEX-ZDTS-0126-SM-4WAY5 60-69 years, male 7.6
GTEX-1IL2U-0226-SM-CE6T8 60-69 years, male 7.6
GTEX-1J1OQ-0226-SM-CYPSH 40-49 years, female 7.6
GTEX-1LH75-2426-SM-E9TJE 50-59 years, female 7.6
GTEX-1OJC3-0126-SM-E76QX 20-29 years, male 7.6
GTEX-1R9PO-2126-SM-E9J4O 60-69 years, female 7.6
GTEX-11DZ1-0126-SM-5985Q 50-59 years, male 7.5
GTEX-11GS4-2726-SM-5A5LE 60-69 years, male 7.5
GTEX-11ZUS-0626-SM-59885 30-39 years, male 7.5
GTEX-13JUV-2726-SM-5LZZ8 40-49 years, female 7.5
GTEX-15DDE-0126-SM-6LPKH 50-59 years, female 7.5
GTEX-18A67-0126-SM-7LG5P 50-59 years, male 7.5
GTEX-1B8KZ-2026-SM-7DHMB 50-59 years, male 7.5
GTEX-WYJK-0126-SM-3NMAB 50-59 years, male 7.5
GTEX-WZTO-0126-SM-3NM95 40-49 years, male 7.5
GTEX-X8HC-0126-SM-4E3JW 50-59 years, female 7.5
GTEX-YEC4-2126-SM-5IFJH 40-49 years, male 7.5
GTEX-YJ8A-0426-SM-5IFID 20-29 years, male 7.5
GTEX-ZDYS-2026-SM-5HL5L 50-59 years, male 7.5
GTEX-ZVT3-0126-SM-5GU6I 60-69 years, female 7.5
GTEX-1IKJJ-0126-SM-CNPQB 60-69 years, male 7.5
GTEX-PW2O-1526-SM-7RHHB 20-29 years, male 7.5
GTEX-11NUK-0126-SM-5A5L3 50-59 years, male 7.4
GTEX-11ZVC-2526-SM-5FQTE 50-59 years, female 7.4
GTEX-12WSA-0226-SM-5BC5V 60-69 years, male 7.4
GTEX-13VXT-0126-SM-5LU4I 20-29 years, female 7.4
GTEX-17HGU-0226-SM-7DHKV 50-59 years, male 7.4
GTEX-18465-0126-SM-731BN 50-59 years, male 7.4
GTEX-1C475-1826-SM-73KWA 40-49 years, female 7.4
GTEX-SIU8-0126-SM-2XCDT 50-59 years, male 7.4
GTEX-T2YK-0526-SM-32QPJ 50-59 years, male 7.4
GTEX-TMZS-0126-SM-3DB9Q 60-69 years, male 7.4
GTEX-XBED-2226-SM-47JYQ 60-69 years, male 7.4
GTEX-ZTSS-1926-SM-57WEW 40-49 years, male 7.4
GTEX-ZUA1-0126-SM-5GU76 40-49 years, male 7.4
GTEX-1HBPN-0226-SM-9YFM1 50-59 years, male 7.4
GTEX-1I19N-0326-SM-ACKVX 70-79 years, male 7.4
GTEX-1LB8K-0226-SM-EWRNW 50-59 years, male 7.4
GTEX-1LG7Y-0526-SM-DKPQC 50-59 years, male 7.4
GTEX-14A5H-0426-SM-5QGQF 60-69 years, male 7.3
GTEX-15SHW-0326-SM-6PAML 60-69 years, male 7.3
GTEX-1AX9J-0226-SM-73KXM 60-69 years, male 7.3
GTEX-1E1VI-0126-SM-7DHMZ 50-59 years, male 7.3
GTEX-T2IS-0126-SM-4DM6O 20-29 years, female 7.3
GTEX-1GPI6-0126-SM-9WG69 60-69 years, male 7.3
GTEX-1I1GV-0526-SM-A9G29 60-69 years, male 7.3
GTEX-1N2EF-0226-SM-EYYXB 60-69 years, male 7.3
GTEX-1PWST-0226-SM-E76QJ 70-79 years, male 7.3
GTEX-X4XY-0226-SM-4E3IZ 60-69 years, male 7.2
GTEX-1F48J-0126-SM-7P8TT 50-59 years, female 7.2
GTEX-1HCU9-1526-SM-A9SL7 20-29 years, male 7.2
GTEX-1I1GQ-0126-SM-COH3H 50-59 years, male 7.2
GTEX-11TTK-0126-SM-5987B 60-69 years, female 7.1
GTEX-11UD1-0126-SM-5PNYG 40-49 years, female 7.1
GTEX-1269C-2526-SM-5EGJ3 60-69 years, female 7.1
GTEX-131XW-0426-SM-5LZWP 50-59 years, female 7.1
GTEX-145LV-2126-SM-5LU8N 50-59 years, male 7.1
GTEX-QLQW-1126-SM-2S1Q8 30-39 years, male 7.1
GTEX-TKQ1-1026-SM-4GICL 30-39 years, male 7.1
GTEX-VUSG-2526-SM-4KL1V 50-59 years, male 7.1
GTEX-1B933-0126-SM-7PC29 50-59 years, female 7.1
GTEX-1HBPM-0226-SM-ARL9F 60-69 years, female 7.1
GTEX-1I1GR-0126-SM-CL55F 60-69 years, male 7.1
GTEX-1PIGE-0126-SM-EVYBJ 20-29 years, male 7.1
GTEX-11DXZ-2326-SM-5EGGV 50-59 years, male 7.0
GTEX-132NY-0326-SM-5IJBL 60-69 years, male 7.0
GTEX-14PHX-2326-SM-62LEM 50-59 years, male 7.0
GTEX-14XAO-2326-SM-6EU1B 60-69 years, female 7.0
GTEX-16NPX-0226-SM-79OMT 50-59 years, male 7.0
GTEX-RUSQ-1526-SM-2TF62 50-59 years, male 7.0
GTEX-ZYFC-0226-SM-5NQ75 50-59 years, male 7.0
GTEX-13FH7-2026-SM-E9J4I 50-59 years, female 7.0
GTEX-1H3VY-0126-SM-ACKXD 50-59 years, male 7.0
GTEX-1HGF4-2426-SM-ACKXM 60-69 years, male 7.0
GTEX-1HSEH-0126-SM-ACKXN 60-69 years, male 7.0
GTEX-1MCYP-1926-SM-E9J2R 20-29 years, female 7.0
GTEX-PLZ6-1426-SM-DKPOT 30-39 years, male 7.0
GTEX-SE5C-1626-SM-2XCE3 40-49 years, female 7.0
GTEX-11EMC-2926-SM-5EQ4F 60-69 years, female 6.9
GTEX-13112-2826-SM-5DUWH 50-59 years, male 6.9
GTEX-17EVP-0326-SM-7DHLG 40-49 years, male 6.9
GTEX-1C2JI-1826-SM-73KXC 50-59 years, male 6.9
GTEX-XPVG-2626-SM-4B669 50-59 years, male 6.9
GTEX-XUW1-0426-SM-4BOOT 50-59 years, female 6.9
GTEX-XUZC-1726-SM-4BRWS 30-39 years, female 6.9
GTEX-Y8LW-1826-SM-5S2MV 50-59 years, female 6.9
GTEX-YB5E-2026-SM-5IFIS 40-49 years, male 6.9
GTEX-YB5K-2126-SM-4WWDJ 40-49 years, female 6.9
GTEX-ZEX8-2426-SM-4WKG4 50-59 years, male 6.9
GTEX-1EN7A-0126-SM-7SB81 40-49 years, male 6.9
GTEX-1HSKV-0226-SM-A9SKJ 60-69 years, male 6.9
GTEX-1QP67-1626-SM-EAZ3X 40-49 years, female 6.9
GTEX-113IC-0126-SM-5HL6T 60-69 years, male 6.8
GTEX-144GN-2326-SM-5LU4F 50-59 years, male 6.8
GTEX-1AYD5-2426-SM-73KXR 50-59 years, male 6.8
GTEX-S95S-1226-SM-4GICG 60-69 years, male 6.8
GTEX-X4EP-0126-SM-3P5YV 60-69 years, female 6.8
GTEX-ZQUD-1426-SM-57WER 30-39 years, male 6.8
GTEX-1GMRU-0126-SM-9YFLV 50-59 years, male 6.8
GTEX-1HCVE-0126-SM-CGQEU 50-59 years, male 6.8
GTEX-1I1HK-0126-SM-COH49 60-69 years, male 6.8
GTEX-1399R-2726-SM-5IJBA 30-39 years, male 6.7
GTEX-QVJO-1626-SM-2S1QW 60-69 years, female 6.7
GTEX-XQ3S-1526-SM-4BOOC 20-29 years, male 6.7
GTEX-169BO-1326-SM-9MQK2 50-59 years, male 6.7
GTEX-1I1GS-0126-SM-B2LVW 60-69 years, male 6.7
GTEX-1LSNM-1926-SM-E6CII 50-59 years, male 6.7
GTEX-1RDX4-0126-SM-E9J4P 50-59 years, female 6.7
GTEX-117YW-2626-SM-5GZZH 50-59 years, male 6.6
GTEX-11DXW-0226-SM-5H122 40-49 years, male 6.6
GTEX-1314G-1526-SM-5EGK2 30-39 years, male 6.6
GTEX-17MF6-0126-SM-7LG4F 40-49 years, male 6.6
GTEX-17MFQ-1726-SM-793C7 20-29 years, male 6.6
GTEX-1CAMQ-0226-SM-7IGPK 40-49 years, male 6.6
GTEX-V1D1-2226-SM-3NMAX 50-59 years, male 6.6
GTEX-ZGAY-0526-SM-4WWBB 40-49 years, female 6.6
GTEX-ZVT2-2526-SM-51MT1 50-59 years, female 6.6
GTEX-1CB4F-0426-SM-9KNV4 60-69 years, male 6.6
GTEX-1GN1U-0126-SM-7PBZK 50-59 years, female 6.6
GTEX-1KWVE-1426-SM-E9TJO 30-39 years, male 6.6
GTEX-R45C-0126-SM-EAZ2R 60-69 years, female 6.6
GTEX-117XS-2726-SM-5N9BL 60-69 years, male 6.5
GTEX-13QJ3-0326-SM-5S2RA 50-59 years, male 6.5
GTEX-R55E-0126-SM-2TC5Y 20-29 years, male 6.5
GTEX-1CB4G-0226-SM-7PC3O 60-69 years, male 6.5
GTEX-1I1GP-2226-SM-CGQFK 50-59 years, male 6.5
GTEX-1JMQK-0226-SM-CL543 60-69 years, male 6.5
GTEX-1S82Z-0826-SM-E6CHY 30-39 years, female 6.5
GTEX-11LCK-1026-SM-5A5KB 30-39 years, male 6.4
GTEX-11UD2-0226-SM-5EQKY 50-59 years, male 6.4
GTEX-12WSC-0126-SM-5EQ4P 50-59 years, male 6.4
GTEX-12WSJ-1826-SM-5GCNY 40-49 years, female 6.4
GTEX-13OVG-1926-SM-5L3DK 60-69 years, male 6.4
GTEX-13OVH-0126-SM-5MR4B 70-79 years, male 6.4
GTEX-13OVJ-0126-SM-5KM36 50-59 years, female 6.4
GTEX-16XZY-2126-SM-79OK1 70-79 years, male 6.4
GTEX-1A3MV-1926-SM-718BT 30-39 years, male 6.4
GTEX-QLQ7-1626-SM-2S1R8 60-69 years, male 6.4
GTEX-TSE9-0126-SM-3DB83 60-69 years, female 6.4
GTEX-ZVT4-0126-SM-DTXFN 50-59 years, female 6.4
GTEX-113JC-2326-SM-5EQ4E 50-59 years, female 6.3
GTEX-11GSO-2426-SM-5A5LY 60-69 years, male 6.3
GTEX-13111-1626-SM-5EGJY 50-59 years, male 6.3
GTEX-147F4-0226-SM-5QGPW 50-59 years, male 6.3
GTEX-14A5I-0126-SM-5TDEA 50-59 years, female 6.3
GTEX-14A6H-0126-SM-5QGPK 30-39 years, male 6.3
GTEX-Q2AI-1326-SM-2S1PL 40-49 years, male 6.3
GTEX-R55G-2526-SM-2TC6D 40-49 years, female 6.3
GTEX-Y114-2426-SM-4TT8A 50-59 years, female 6.3
GTEX-1CAV2-2226-SM-7P8P2 40-49 years, female 6.3
GTEX-1F6IF-0726-SM-7P8TW 60-69 years, male 6.3
GTEX-1GN73-0226-SM-9WG67 60-69 years, male 6.3
GTEX-1H3O1-0426-SM-9YFKY 60-69 years, male 6.3
GTEX-1QP9N-1426-SM-DTXFL 30-39 years, male 6.3
GTEX-11GSP-2526-SM-5N9BP 60-69 years, female 6.2
GTEX-13FTY-0526-SM-5L3EV 40-49 years, female 6.2
GTEX-13O21-1426-SM-5K7XI 50-59 years, male 6.2
GTEX-145ME-1826-SM-5SI9G 40-49 years, female 6.2
GTEX-14DAR-2026-SM-5S2O3 50-59 years, male 6.2
GTEX-1JMLX-0226-SM-CM2RO 50-59 years, male 6.2
GTEX-RNOR-0126-SM-E9J4R 50-59 years, female 6.2
GTEX-11ZTS-0126-SM-5EQ6M 60-69 years, female 6.1
GTEX-14JIY-0126-SM-6LLH6 60-69 years, male 6.1
GTEX-15DYW-0126-SM-7KULE 60-69 years, female 6.1
GTEX-17HG3-2226-SM-7938L 30-39 years, female 6.1
GTEX-ZYW4-0126-SM-5E44A 60-69 years, male 6.1
GTEX-1I1CD-0126-SM-CM2TK 60-69 years, female 6.1
GTEX-OOBJ-0126-SM-E6CJW 60-69 years, male 6.1
GTEX-1AX8Z-0126-SM-7DHM6 60-69 years, male 6.0
GTEX-QEG4-0226-SM-2S1PY 30-39 years, male 6.0
GTEX-U8T8-0126-SM-3DB94 60-69 years, male 6.0
GTEX-ZYFD-0126-SM-5GIDL 50-59 years, male 6.0
GTEX-1JMQJ-0526-SM-CYPSU 50-59 years, male 6.0
GTEX-1N2DW-0226-SM-E9TK2 50-59 years, male 6.0
GTEX-1OJC4-0126-SM-E9J2E 50-59 years, female 6.0
GTEX-12584-0126-SM-5EGKQ 40-49 years, male 5.9
GTEX-16XZZ-0126-SM-793DV 60-69 years, male 5.9
GTEX-P4QT-0126-SM-2I3FL 50-59 years, female 5.9
GTEX-ZU9S-0226-SM-5E441 30-39 years, male 5.9
GTEX-ZYY3-0126-SM-5GZY5 60-69 years, female 5.9
GTEX-1GF9W-0326-SM-9KNUN 60-69 years, male 5.9
GTEX-1IKK5-0626-SM-ARL8A 60-69 years, male 5.9
GTEX-1JJ6O-0126-SM-E6CI8 60-69 years, male 5.9
GTEX-1JN6P-0126-SM-D3L98 60-69 years, male 5.9
GTEX-11EM3-2426-SM-59861 20-29 years, female 5.8
GTEX-11H98-0126-SM-5EGHG 50-59 years, male 5.8
GTEX-12C56-1726-SM-5EQ61 20-29 years, male 5.8
GTEX-145MO-0326-SM-5Q5B3 60-69 years, male 5.8
GTEX-1CB4E-2226-SM-793DC 60-69 years, male 5.8
GTEX-RTLS-0126-SM-447CA 60-69 years, female 5.8
GTEX-U3ZM-1526-SM-3DB9D 40-49 years, male 5.8
GTEX-X585-0226-SM-4QAS2 50-59 years, male 5.8
GTEX-1HFI7-1826-SM-ACKXH 50-59 years, female 5.8
GTEX-ZF3C-0126-SM-DO92D 50-59 years, female 5.8
GTEX-139TT-0126-SM-5K7Y5 60-69 years, male 5.7
GTEX-13S7M-0126-SM-5SI6A 60-69 years, female 5.7
GTEX-OHPM-0126-SM-2YUN9 50-59 years, male 5.7
GTEX-X4EO-0326-SM-3P5YO 60-69 years, female 5.7
GTEX-1H1ZS-0426-SM-9WG6G 70-79 years, male 5.7
GTEX-1RAZA-0126-SM-E6CI3 20-29 years, male 5.7
GTEX-13OW7-0126-SM-5MR3B 50-59 years, male 5.6
GTEX-13YAN-0326-SM-5O9DF 60-69 years, male 5.6
GTEX-144GL-0126-SM-5TDE2 50-59 years, male 5.6
GTEX-Z93S-0126-SM-5HL7M 50-59 years, male 5.6
GTEX-1N2DV-0226-SM-E6CJ6 40-49 years, male 5.6
GTEX-13U4I-0126-SM-5LU38 40-49 years, female 5.5
GTEX-1JMPY-1326-SM-ARL8Y 30-39 years, male 5.5
GTEX-1KANB-0526-SM-E6CJH 50-59 years, male 5.5
GTEX-12WSK-2326-SM-5GCOH 40-49 years, female 5.4
GTEX-14C5O-0126-SM-5SI6N 60-69 years, male 5.4
GTEX-16YQH-0126-SM-7DUFJ 30-39 years, male 5.4
GTEX-1AMEY-1326-SM-73KYK 30-39 years, female 5.4
GTEX-RU72-0926-SM-2TF6B 50-59 years, female 5.4
GTEX-1HUB1-0426-SM-E9U4U 60-69 years, male 5.4
GTEX-1JN1M-0326-SM-CYPT3 60-69 years, female 5.4
GTEX-ZF29-2326-SM-DO92K 60-69 years, female 5.4
GTEX-1MA7X-2226-SM-E6CIY 60-69 years, male 5.3
GTEX-1QP66-1726-SM-E8VO1 50-59 years, male 5.3
GTEX-11DYG-0126-SM-59883 60-69 years, male 5.2
GTEX-12696-2426-SM-5EQ6H 60-69 years, male 5.2
GTEX-QCQG-1726-SM-3GIJ9 50-59 years, female 5.2
GTEX-Y111-0126-SM-4SOIV 50-59 years, male 5.2
GTEX-Y3IK-2426-SM-4WWDU 50-59 years, female 5.2
GTEX-1S82Y-2026-SM-EVYCM 40-49 years, male 5.2
GTEX-14PN4-0126-SM-6EU2V 50-59 years, male 5.1
GTEX-ZAB4-0226-SM-5N9F5 40-49 years, male 5.1
GTEX-17GQL-2026-SM-718BA 60-69 years, male 5.0
GTEX-17HHE-2026-SM-79OKF 50-59 years, male 5.0
GTEX-ZAJG-0126-SM-5HL94 50-59 years, female 5.0
GTEX-1HCU6-0126-SM-CL54K 60-69 years, female 5.0
GTEX-13OW8-1326-SM-5J1OW 60-69 years, male 4.9
GTEX-14BIL-0126-SM-5SI92 50-59 years, male 4.9
GTEX-1C4CL-0526-SM-73KVK 30-39 years, male 4.9
GTEX-1JN76-0126-SM-CNPPE 20-29 years, female 4.9
GTEX-SN8G-0126-SM-32PLI 50-59 years, female 4.8
GTEX-Y3I4-2126-SM-4TT7C 50-59 years, male 4.8
GTEX-ZPIC-1726-SM-DHXIU 40-49 years, female 4.8
GTEX-11TT1-2526-SM-5EGIB 20-29 years, male 4.7
GTEX-13RTJ-2426-SM-5S2Q2 60-69 years, male 4.7
GTEX-13X6J-0126-SM-5QGOU 50-59 years, male 4.7
GTEX-14E7W-0126-SM-6LLJ9 70-79 years, male 4.7
GTEX-12WSG-2826-SM-E9J4H 50-59 years, female 4.7
GTEX-1RQEC-0426-SM-E6CHU 60-69 years, male 4.7
GTEX-WH7G-2326-SM-3NMBC 40-49 years, male 4.6
GTEX-X5EB-2226-SM-46MW4 40-49 years, male 4.6
GTEX-1MGNQ-0126-SM-EVYCJ 40-49 years, male 4.6
GTEX-OXRL-0126-SM-2YUMP 50-59 years, male 4.5
GTEX-WYVS-2126-SM-3NMA3 40-49 years, female 4.5
GTEX-148VI-1626-SM-5SI6E 60-69 years, female 4.4
GTEX-S7PM-0126-SM-4AD6S 60-69 years, male 4.4
GTEX-1AX9I-0126-SM-7SB74 60-69 years, male 4.4
GTEX-12WSD-0126-SM-59HKN 60-69 years, female 4.3
GTEX-15ER7-0326-SM-7KUEV 20-29 years, female 4.3
GTEX-QESD-1426-SM-2S1R9 20-29 years, male 4.3
GTEX-1JMOU-1526-SM-CL54I 60-69 years, female 4.3
GTEX-PLZ5-2026-SM-2S1O4 50-59 years, male 4.2
GTEX-1AYCT-2426-SM-7IGQ3 50-59 years, male 4.1
GTEX-13X6H-2126-SM-7EWD5 50-59 years, female 4.0
GTEX-O5YW-0126-SM-3LK6D 50-59 years, male 4.0
GTEX-1B8KE-2126-SM-73KYX 50-59 years, male 3.9
GTEX-1GTWX-0126-SM-9YFLK 60-69 years, male 3.9
GTEX-13OVI-1426-SM-5L3EY 60-69 years, female 3.8
GTEX-1CB4J-0626-SM-7DHMP 60-69 years, male 3.8
GTEX-S32W-2126-SM-2XCB1 50-59 years, female 3.8
GTEX-WI4N-1026-SM-3LK7N 40-49 years, female 3.8
GTEX-1B8SG-0126-SM-73KZ3 50-59 years, male 3.7
GTEX-1H1DE-2126-SM-9WG6R 20-29 years, male 3.7
GTEX-1HSMO-0126-SM-CL547 60-69 years, male 3.7
GTEX-131XG-2626-SM-5KM17 50-59 years, female 3.5
GTEX-UPJH-0326-SM-3GADU 50-59 years, male 3.5
GTEX-12WSL-2526-SM-5GCNJ 50-59 years, male 3.2
GTEX-13O1R-0126-SM-5L3EH 60-69 years, male 3.2
GTEX-146FH-0126-SM-5QGPP 50-59 years, female 3.2
GTEX-OXRO-0126-SM-2YUN4 60-69 years, female 3.2
GTEX-1HSMP-0126-SM-E6CJS 70-79 years, male 3.2
GTEX-17HII-0226-SM-7LG4E 50-59 years, male 3.1
GTEX-Q2AH-1626-SM-3GAF8 40-49 years, male 2.8
Show allShow less

Contact

  • NEWS ARTICLES
  • PRESS ROOM

The Project

  • INTRODUCTION
  • ORGANIZATION
  • PUBLICATIONS

The Human Protein Atlas

  • DOWNLOADABLE DATA
  • LICENCE & CITATION
  • HELP & FAQ
The Human Protein Atlas project is funded
by the Knut & Alice Wallenberg Foundation.


contact@proteinatlas.org