We use cookies to enhance the usability of our website. If you continue, we'll assume that you are happy to receive all cookies. More information. Don't show this again.
TGOLN2
HPA
RESOURCES
  • TISSUE
  • BRAIN
  • SINGLE CELL
  • SUBCELLULAR
  • CANCER
  • BLOOD
  • CELL LINE
  • STRUCTURE & INTERACTION
ABOUT
  • INTRODUCTION
  • HISTORY
  • ORGANIZATION
  • PUBLICATIONS
  • ANTIBODY SUBMISSION
  • ANTIBODY AVAILABILITY
  • ACKNOWLEDGMENTS
  • CONTACT
NEWS
  • NEWS ARTICLES
  • PRESS ROOM
LEARN
  • DICTIONARY
  • PROTEIN CLASSES
  • PROTEIN EVIDENCE
  • METHODS
  • EDUCATIONAL VIDEOS
DATA
  • DOWNLOADABLE DATA
  • PUBLICATION DATA
  • RELEASE HISTORY
HELP
  • ANTIBODY VALIDATION
  • ASSAYS & ANNOTATION
  • DISCLAIMER
  • HELP & FAQ
  • PRIVACY STATEMENT
  • LICENCE & CITATION
Fields »
Search result

Field
Term
Gene name
Class
Subclass
Class
Keyword
Chromosome
External id
Tissue
Cell type
Expression
Antibody panel
Tissue
Main location
Patient ID
Annotation
Tissue
Category
Tau score
Cluster
Reliability
Brain region
Category
Tau score
Brain region
Category
Tau score
Brain region
Category
Tau score
Cluster
Reliability
Tissue
Cell type
Enrichment
Cell type
Category
Tau score
Cell type
Category
Tau score
Cell type
Category
Tau score
Cell lineage
Category
Tau score
Cluster
Cluster
Location
Searches
Location
Cell line
Class
Type
Phase
Reliability
Cancer
Prognosis
Cancer
Category
Cancer
Category
Tau score
Cluster
Variants
Interacting gene (ensg_id)
Type
Number of interactions
Pathway
Category
Score
Score
Score
Validation
Validation
Validation
Validation
Antibodies
Data type
Column


  • SUMMARY

  • TISSUE

  • BRAIN

  • SINGLE CELL

  • SUBCELL

  • CANCER

  • BLOOD

  • CELL LINE

  • STRUCT & INT

  • TGOLN2
TISSUE PRIMARY DATA COLON Show tissue menu
ADIPOSE TISSUE ADRENAL GLAND AMYGDALA APPENDIX BASAL GANGLIA BONE MARROW BREAST BRONCHUS CEREBELLUM CEREBRAL CORTEX CERVIX CHOROID PLEXUS COLON DUODENUM
ENDOMETRIUM EPIDIDYMIS ESOPHAGUS FALLOPIAN TUBE GALLBLADDER HEART MUSCLE HIPPOCAMPAL FORMATION HYPOTHALAMUS KIDNEY LIVER LUNG LYMPH NODE MIDBRAIN NASOPHARYNX
ORAL MUCOSA OVARY PANCREAS PARATHYROID GLAND PITUITARY GLAND PLACENTA PROSTATE RECTUM RETINA SALIVARY GLAND SEMINAL VESICLE SKELETAL MUSCLE SKIN SMALL INTESTINE
SMOOTH MUSCLE SOFT TISSUE SPINAL CORD SPLEEN STOMACH TESTIS THYMUS THYROID GLAND TONGUE TONSIL URINARY BLADDER VAGINA
ANTIBODIES
AND
VALIDATION
Dictionary
Colon
Tissue proteome
Intestine
COLON - Expression summary
Protein expression
Coloni

On the top, protein expression in current human tissue, based on all annotated cell types, is reported with the units not detected (n), low (l), medium (m) and high (h). Underneath, protein expression in each annotated cell type are reported using the same units.

Protein expression data is based on knowledge-based annotation. For genes where more than one antibody has been used, a collective score is set.

If knowledge-based annotation could not be performed for a gene, no data is displayed here. View antibody staining data further down this page.

h
m
l
n
Endothelial cells: Low
Glandular cells: High
Peripheral nerve/ganglion: Low
RNA expressioni

A summary of mRNA expression data available for current tissue based on several datasets. The mRNA expression levels in human tissues are based on RNA-seq data generated by the Human Protein Atlas (HPA), Genotype-Tissue Expression (GTEx) portal and CAGE data generated by the FANTOM5 consortium. Consensus normalized expression levels for human tissues was created by combining the data from HPA and GTEx datasets.

The mRNA expression levels in pig are based on RNA-seq data generated by the Human Protein Atlas (HPA), and for mouse, HPA data and in situ hybridization generated by the Allen brain atlas are reported.

Scroll down to view mRNA expression data in more detail.
Consensus:83.3 nTPM
HPA:83.3 nTPM
GTEx:44.6 nTPM
FANTOM5:275.9 Scaled Tags Per Million

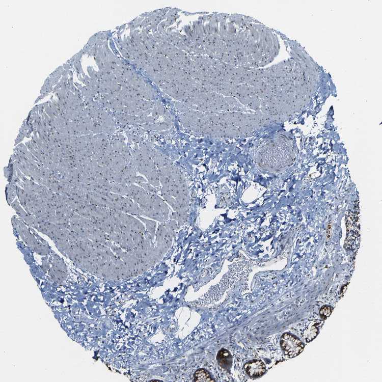
COLON - Antibody stainingi

Antibody staining in the annotated cell types in the current human tissue is reported as not detected, low, medium, or high, based on conventional immunohistochemistry profiling in selected tissues. This score is based on the combination of the staining intensity and fraction of stained cells.

Each image is clickable and will lead to virtual microscopy that enables deeper exploration of all samples and also displays staining intensity scores, fraction scores and subcellular localization as well as patient and tissue information for each sample.

Antibody HPA012609Antibody HPA012723Antibody CAB011489
Endothelial cells Not detectedMediumLow
Glandular cells HighHighHigh
Peripheral nerve/ganglion LowMediumNot detected





COLON - HPA RNA-seqi

The RNA-seq details section shows detailed information about the individual samples used for the transcript profiling and results of the RNA-seq analysis.

Information about each individual sample is listed below, including gender, age, a tissue section image and estimated fractions of cell types. nTPM (normalized transcripts per million) values give a quantification of the gene abundance which is comparable between different genes and samples.
Average nTPMi

Max subtype nTPM is the value for the subtype with the largest average nTPM across the subtype samples.

83.3
overview
Male, age 54
Colon sample 67
nTPM: 88.8
Cell types%
Glandular cells:
65

Smooth muscle cells:
10

Other cell types:
25

overview
Female, age 57
Colon sample 68
nTPM: 74.7
Cell types%
Glandular cells:
40

Smooth muscle cells:
5

Other cell types:
55

overview
Male, age 80
Colon sample 69
nTPM: 78.7
Cell types%
Glandular cells:
55

Smooth muscle cells:
5

Other cell types:
40

overview
Male, age 68
Colon sample 70
nTPM: 91.2
Cell types%
Glandular cells:
35

Smooth muscle cells:
10

Other cell types:
55

overview
Female, age 68
Colon sample 76
nTPM: 75.7
Cell types%
Glandular cells:
25

Smooth muscle cells:
5

Other cell types:
70

overview
Female, age 61
Colon sample 299
nTPM: 52.3
Cell types%
Glandular cells:
5

Smooth muscle cells:
65

Other cell types:
30

overview
Male, age 80
Colon sample 300
nTPM: 115.5
Cell types%
Glandular cells:
15

Smooth muscle cells:
20

Other cell types:
65

overview
Female, age 78
Colon sample 368
nTPM: 95.7
Cell types%
Glandular cells:
45

Smooth muscle cells:
5

Other cell types:
50

overview
Male, age 84
Colon sample 381
nTPM: 69.6
Cell types%
Glandular cells:
50

Smooth muscle cells:
15

Other cell types:
35

overview
Male, age 80
Colon sample 384
nTPM: 77.8
Cell types%
Glandular cells:
20

Smooth muscle cells:
35

Other cell types:
45

overview
Female, age 78
Colon sample 389
nTPM: 96.9
Cell types%
Glandular cells:
35

Smooth muscle cells:
10

Other cell types:
55

overview
Female, age 69
Colon sample 391
nTPM: 86
Cell types%
Glandular cells:
10

Smooth muscle cells:
45

Other cell types:
45

overview
Female, age 72
Colon sample 403
nTPM: 79.7
Cell types%
Glandular cells:
20

Smooth muscle cells:
15

Other cell types:
65


COLON - GTEx RNA-seqi

RNA-Seq data generated by the Genotype-Tissue Expression (GTEx) project from human tissues is reported as mean nTPM. More information can be found on the GTEx portal.

Distribution across the dataset is visualized with box plots, shown as median and 25th and 75th percentiles. Points are displayed as outliers if they are above or below 1.5 times the interquartile range. nTPM values of the individual samples are presented next to the box plot.
Max subtype nTPMi

Max subtype nTPM is the value for the subtype with the largest average nTPM across the subtype samples.

44.6
GTEx sample id Sample description nTPM
Colon - Sigmoid
Average nTPM: 38.3
Samples: 373

Max nTPM: 73.8
Min nTPM: 23.3
Std nTPM: 9.5
Median nTPM: 36.7
GTEX-ZQUD-1026-SM-4YCEZ 30-39 years, male 73.8
GTEX-14PN3-1926-SM-6EU1Y 60-69 years, female 65.9
GTEX-1LSNM-1426-SM-E6CIH 50-59 years, male 63.1
GTEX-1H1E6-1826-SM-A9G21 30-39 years, male 62.8
GTEX-1QP67-1426-SM-E8VOO 40-49 years, female 60.7
GTEX-1L5NE-1926-SM-D3L9R 50-59 years, male 60.5
GTEX-1JKYN-2226-SM-ARZNE 30-39 years, male 59.5
GTEX-1AYCT-1926-SM-793AE 50-59 years, male 59.3
GTEX-WOFM-1926-SM-4OOSP 20-29 years, male 59.1
GTEX-X5EB-1126-SM-46MVV 40-49 years, male 59.1
GTEX-13113-1426-SM-5EGHU 60-69 years, female 58.8
GTEX-1F5PL-1926-SM-7MXTP 40-49 years, female 58.5
GTEX-11I78-1326-SM-5PNY9 50-59 years, female 57.9
GTEX-13111-1926-SM-5GCOL 50-59 years, male 57.5
GTEX-1J8Q3-2426-SM-CL53S 60-69 years, male 57.4
GTEX-1OJC3-1826-SM-DTX93 20-29 years, male 56.6
GTEX-1C475-1526-SM-7DHM3 40-49 years, female 56.0
GTEX-WFG7-1626-SM-4LVMF 20-29 years, male 56.0
GTEX-ZXES-1726-SM-5E43G 30-39 years, female 55.9
GTEX-11P7K-1826-SM-5HL5A 30-39 years, male 55.7
GTEX-ZPIC-2626-SM-57WE2 40-49 years, female 55.6
GTEX-13FH7-1626-SM-5J2O9 50-59 years, female 55.5
GTEX-XAJ8-0726-SM-47JY5 40-49 years, male 55.4
GTEX-1AX9K-1626-SM-73KUS 50-59 years, male 55.0
GTEX-14E6E-1726-SM-5S2R6 30-39 years, male 54.1
GTEX-14PK6-1826-SM-69LOM 70-79 years, female 53.7
GTEX-1S5ZA-1426-SM-E6CJQ 20-29 years, male 53.6
GTEX-1RMOY-1726-SM-EVYC9 50-59 years, male 53.5
GTEX-1GL5R-1726-SM-9KNUX 50-59 years, male 53.2
GTEX-15FZZ-1826-SM-6LLJP 30-39 years, female 53.0
GTEX-1JN76-1326-SM-ARU94 20-29 years, female 52.9
GTEX-Y5V6-1626-SM-4VDT2 60-69 years, male 52.8
GTEX-139T6-1426-SM-5P9J7 50-59 years, male 52.5
GTEX-12BJ1-2026-SM-5FQUH 60-69 years, male 52.3
GTEX-14E1K-1626-SM-664MO 50-59 years, male 52.3
GTEX-11EM3-1626-SM-5N9CO 20-29 years, female 51.7
GTEX-1QP2A-2226-SM-DTXF6 50-59 years, male 51.6
GTEX-1QP9N-0826-SM-DTX9O 30-39 years, male 51.6
GTEX-1C2JI-1726-SM-73KUW 50-59 years, male 51.5
GTEX-1J8QM-1226-SM-CY8HI 60-69 years, female 51.4
GTEX-18D9A-1326-SM-7LT8P 30-39 years, female 51.3
GTEX-1B8KE-1526-SM-7DUG2 50-59 years, male 51.1
GTEX-1J1R8-1426-SM-CL55O 40-49 years, male 51.0
GTEX-1R9K5-2226-SM-DTX9G 50-59 years, male 51.0
GTEX-131XG-1526-SM-5GCNQ 50-59 years, female 50.9
GTEX-15RIF-1426-SM-7KUKQ 20-29 years, male 50.9
GTEX-145LT-0826-SM-5S2QL 40-49 years, male 50.7
GTEX-17KNJ-1826-SM-7LT9N 50-59 years, male 50.7
GTEX-117YX-0526-SM-5EGJH 50-59 years, male 50.4
GTEX-15G1A-1926-SM-7KUFF 30-39 years, male 50.3
GTEX-ZLV1-1326-SM-DO11Q 60-69 years, female 50.3
GTEX-1AMEY-1826-SM-72D5L 30-39 years, female 50.1
GTEX-YEC3-2026-SM-DKPOL 50-59 years, male 49.8
GTEX-1HFI7-1626-SM-9WYTR 50-59 years, female 49.7
GTEX-W5WG-2026-SM-4LMIB 50-59 years, female 49.6
GTEX-1PIGE-1526-SM-DTXFC 20-29 years, male 49.5
GTEX-1S831-1726-SM-EWROJ 20-29 years, male 49.5
GTEX-13OVI-2126-SM-5KM3U 60-69 years, female 49.4
GTEX-1JMPY-1026-SM-ARZN1 30-39 years, male 49.2
GTEX-WYVS-1126-SM-4SOJX 40-49 years, female 48.8
GTEX-14BMU-1326-SM-5RQIH 20-29 years, female 48.7
GTEX-13VXT-2026-SM-5L3EW 20-29 years, female 48.5
GTEX-15DZA-1026-SM-6PAND 30-39 years, female 48.4
GTEX-1AMFI-1826-SM-73KWB 50-59 years, female 48.3
GTEX-XBED-1726-SM-47JYO 60-69 years, male 48.3
GTEX-1B97I-1526-SM-73KUK 40-49 years, male 48.1
GTEX-1MGNQ-2126-SM-EV7AC 40-49 years, male 48.1
GTEX-1LG7Z-1326-SM-DIPF3 30-39 years, male 48.0
GTEX-1R9JW-2126-SM-E76QT 30-39 years, female 47.9
GTEX-13PVR-1726-SM-5Q5EC 60-69 years, female 47.8
GTEX-1R7EU-1826-SM-DTX9L 60-69 years, male 47.8
GTEX-1S82P-2026-SM-E9TIQ 60-69 years, female 47.8
GTEX-16MTA-1626-SM-6M47N 50-59 years, male 47.7
GTEX-1OFPY-1226-SM-E76OM 60-69 years, male 47.6
GTEX-14PJ4-1826-SM-5YY97 60-69 years, male 47.4
GTEX-15RIE-2026-SM-7KFRW 60-69 years, male 47.4
GTEX-183FY-1426-SM-7DHLM 20-29 years, male 47.3
GTEX-1I1GT-2026-SM-CKZPK 60-69 years, female 46.9
GTEX-1IDJU-1926-SM-CL53W 60-69 years, female 46.8
GTEX-1HBPN-2026-SM-B2LWA 50-59 years, male 46.4
GTEX-1HSMQ-2526-SM-A9SMK 50-59 years, male 46.4
GTEX-14PHX-1126-SM-5YYA5 50-59 years, male 46.3
GTEX-13D11-0626-SM-5LZYY 50-59 years, female 46.0
GTEX-WH7G-1426-SM-4LVMU 40-49 years, male 46.0
GTEX-1LBAC-1726-SM-D3L9W 20-29 years, male 45.8
GTEX-111YS-1826-SM-5GIEP 60-69 years, male 45.6
GTEX-1LGOU-1726-SM-D3L8P 20-29 years, female 45.5
GTEX-146FH-2426-SM-5Q5EW 50-59 years, female 45.2
GTEX-WHWD-1526-SM-4OORV 50-59 years, male 45.2
GTEX-11DXX-1926-SM-5EGJK 60-69 years, female 45.1
GTEX-16NGA-0926-SM-718AG 40-49 years, female 45.1
GTEX-17HGU-2626-SM-79OKN 50-59 years, male 45.1
GTEX-11ZTT-1626-SM-5EQKR 60-69 years, female 44.9
GTEX-13OVK-1026-SM-7KFTC 40-49 years, male 44.9
GTEX-WFG8-1726-SM-4LVM6 20-29 years, male 44.9
GTEX-1JK1U-1426-SM-CNPOW 60-69 years, male 44.7
GTEX-1H3VY-2526-SM-9KNW1 50-59 years, male 44.5
GTEX-1LVAM-1726-SM-DHXKQ 50-59 years, female 44.5
GTEX-11VI4-1426-SM-5GU6O 40-49 years, female 44.4
GTEX-1B996-2726-SM-7DUGG 60-69 years, male 44.4
GTEX-ZAB5-1426-SM-5HL9D 50-59 years, male 44.3
GTEX-ZLFU-1426-SM-4WWEU 40-49 years, male 44.2
GTEX-1I6K6-1926-SM-A96SN 30-39 years, male 44.2
GTEX-1211K-1826-SM-5EGJ2 60-69 years, female 44.0
GTEX-12WSJ-1426-SM-5GCON 40-49 years, female 44.0
GTEX-WFON-1326-SM-4LVMN 40-49 years, male 44.0
GTEX-131XE-1026-SM-5EGKE 50-59 years, male 43.9
GTEX-Y114-1626-SM-4TT7I 50-59 years, female 43.8
GTEX-1ICG6-2226-SM-B2LY7 70-79 years, female 43.8
GTEX-1LGRB-2026-SM-COH47 50-59 years, female 43.8
GTEX-ZPU1-1726-SM-4WWFV 40-49 years, male 43.6
GTEX-1RAZR-2026-SM-E9TKE 40-49 years, male 43.5
GTEX-1JKYR-2026-SM-CNPON 20-29 years, male 43.4
GTEX-1IKOE-2126-SM-A96T5 30-39 years, female 43.1
GTEX-ZP4G-1526-SM-57WE5 20-29 years, female 43.0
GTEX-Y8E4-2326-SM-EAZAZ 40-49 years, male 43.0
GTEX-15ETS-2326-SM-7KUGC 40-49 years, female 42.8
GTEX-17HHE-1626-SM-7DHLN 50-59 years, male 42.8
GTEX-Y3I4-1126-SM-4TT7Y 50-59 years, male 42.8
GTEX-ZA64-1426-SM-5CVMC 20-29 years, male 42.6
GTEX-13W3W-2226-SM-5LU4M 60-69 years, female 42.5
GTEX-1HCUA-1926-SM-B2LWE 50-59 years, female 42.5
GTEX-ZV6S-1126-SM-57WE9 40-49 years, female 42.4
GTEX-11TT1-0926-SM-5GU5M 20-29 years, male 42.3
GTEX-1K2DA-1626-SM-CGQGB 50-59 years, male 42.3
GTEX-18QFQ-1726-SM-731C9 30-39 years, male 42.1
GTEX-WY7C-1926-SM-4ONCI 50-59 years, male 42.1
GTEX-XUZC-1526-SM-4BRV4 30-39 years, female 42.1
GTEX-VJYA-2126-SM-4KL1O 60-69 years, male 42.0
GTEX-1N2DV-1826-SM-E6CJ5 40-49 years, male 41.8
GTEX-WHPG-1626-SM-4M1ZL 50-59 years, male 41.7
GTEX-XXEK-1826-SM-4BRVC 50-59 years, male 41.7
GTEX-1IDJI-2226-SM-CKZPM 50-59 years, female 41.5
GTEX-1AX9J-2526-SM-73KUY 60-69 years, male 41.4
GTEX-ZY6K-1326-SM-5GZWP 50-59 years, male 41.4
GTEX-1QPFJ-2426-SM-EVR3L 30-39 years, female 41.3
GTEX-1QW4Y-1426-SM-E76P3 30-39 years, male 41.1
GTEX-1QP28-2226-SM-DTX8C 50-59 years, female 41.0
GTEX-ZLWG-1826-SM-DO11I 50-59 years, female 41.0
GTEX-ZYFG-1826-SM-5GZWX 60-69 years, female 40.9
GTEX-1CAMS-2626-SM-7PBY3 40-49 years, female 40.6
GTEX-11P81-1426-SM-5P9JN 30-39 years, female 40.4
GTEX-YFCO-1526-SM-5YYB8 40-49 years, male 40.4
GTEX-1HCU7-2726-SM-A9G3D 50-59 years, male 40.4
GTEX-15UF7-1326-SM-7KUKV 40-49 years, male 39.7
GTEX-1399R-2126-SM-5K7WZ 30-39 years, male 39.6
GTEX-145ME-1126-SM-5SIAT 40-49 years, female 39.6
GTEX-15F5U-1426-SM-7KUN2 40-49 years, male 39.6
GTEX-1C4CL-1626-SM-7DUF3 30-39 years, male 39.6
GTEX-1KXAM-1926-SM-D3LAG 60-69 years, male 39.6
GTEX-12WSG-2426-SM-5EQLZ 50-59 years, female 39.5
GTEX-13O61-1526-SM-5KM3P 60-69 years, male 39.4
GTEX-Y9LG-1326-SM-4VBQB 30-39 years, male 39.4
GTEX-13SLW-2826-SM-5Q5ES 70-79 years, male 39.3
GTEX-ZPCL-1626-SM-57WGC 60-69 years, female 39.3
GTEX-ZQG8-2426-SM-57WEE 60-69 years, female 39.2
GTEX-1F5PK-1726-SM-7RHHW 50-59 years, male 39.2
GTEX-14AS3-1026-SM-5TDD7 40-49 years, female 39.1
GTEX-13FTW-2126-SM-5K7YG 40-49 years, male 39.0
GTEX-132AR-2826-SM-5IJFV 50-59 years, female 38.9
GTEX-13U4I-2626-SM-5SI9C 40-49 years, female 38.9
GTEX-14JG6-1626-SM-5YYBC 30-39 years, female 38.9
GTEX-WYJK-2326-SM-4ONDN 50-59 years, male 38.8
GTEX-1GMR2-1826-SM-9KNUP 50-59 years, male 38.8
GTEX-1RLM8-1726-SM-E9TKF 50-59 years, male 38.8
GTEX-ZZ64-0826-SM-5E449 20-29 years, male 38.7
GTEX-16BQI-2026-SM-7KULQ 30-39 years, female 38.6
GTEX-1QP29-2526-SM-E6CQ3 50-59 years, male 38.5
GTEX-13CF3-1326-SM-5LZXZ 60-69 years, female 38.3
GTEX-1B932-2126-SM-7IGMU 40-49 years, female 38.3
GTEX-1GPI7-1926-SM-9KNUH 20-29 years, male 38.2
GTEX-WHSE-2726-SM-EZ6ML 20-29 years, male 38.0
GTEX-1HB9E-2526-SM-D4P35 50-59 years, male 37.9
GTEX-1GN73-2726-SM-9WYUB 60-69 years, male 37.8
GTEX-1KANA-1726-SM-CY8IG 20-29 years, male 37.8
GTEX-Y5LM-1426-SM-5RQJL 40-49 years, female 37.6
GTEX-14PJ3-1226-SM-5ZZVY 50-59 years, male 37.5
GTEX-ZT9W-1726-SM-51MS3 50-59 years, male 37.3
GTEX-13OVJ-1826-SM-5KM2D 50-59 years, female 37.2
GTEX-144GM-1126-SM-79OJK 20-29 years, male 37.0
GTEX-111CU-1226-SM-5EGIN 50-59 years, male 36.9
GTEX-18A66-2626-SM-72D67 60-69 years, male 36.9
GTEX-ZVT2-1726-SM-51MRO 50-59 years, female 36.8
GTEX-1HKZK-2026-SM-9WYUF 40-49 years, male 36.8
GTEX-1PDJ9-2026-SM-E76PT 20-29 years, male 36.8
GTEX-13N2G-2226-SM-5IJCU 60-69 years, male 36.7
GTEX-WXYG-1726-SM-4ONCU 50-59 years, female 36.7
GTEX-1C64O-2426-SM-7P8R3 60-69 years, male 36.6
GTEX-1339X-1726-SM-5P9J9 40-49 years, male 36.5
GTEX-ZF29-1826-SM-4WKG8 60-69 years, female 36.4
GTEX-YJ8A-1726-SM-5P9IQ 20-29 years, male 36.2
GTEX-1HSGN-2226-SM-A9SL6 40-49 years, female 36.2
GTEX-ZAB4-2426-SM-5HL8A 40-49 years, male 36.1
GTEX-1QCLY-2026-SM-EVR4C 30-39 years, male 35.9
GTEX-1K9T9-2926-SM-E9TKD 50-59 years, female 35.8
GTEX-1RAZQ-2026-SM-E76P7 30-39 years, male 35.5
GTEX-18A6Q-2226-SM-7LG61 60-69 years, male 35.4
GTEX-1399U-2226-SM-5KLZI 50-59 years, female 35.3
GTEX-1PPH8-2226-SM-EWRN7 20-29 years, male 35.3
GTEX-XQ8I-2326-SM-4BOQC 50-59 years, male 35.0
GTEX-Y8LW-1126-SM-4VDS4 50-59 years, female 34.9
GTEX-1JMPZ-2626-SM-ARU8Z 30-39 years, male 34.9
GTEX-1PFEY-1726-SM-DPRZ4 30-39 years, male 34.9
GTEX-12ZZW-2426-SM-5DUWE 50-59 years, male 34.8
GTEX-1J1OQ-2826-SM-D3L88 40-49 years, female 34.7
GTEX-13PL7-2426-SM-5J2N3 60-69 years, female 34.5
GTEX-18A67-2226-SM-7LT9Z 50-59 years, male 34.5
GTEX-12KS4-2326-SM-5EGJB 30-39 years, male 34.4
GTEX-13FHO-2726-SM-5K7VG 60-69 years, male 34.4
GTEX-WI4N-2226-SM-4OOS9 40-49 years, female 34.1
GTEX-1GZ4H-1326-SM-7P8TE 50-59 years, female 34.1
GTEX-1I1GR-2226-SM-ARL7F 60-69 years, male 34.1
GTEX-17GQL-1626-SM-7LG69 60-69 years, male 34.0
GTEX-11DXZ-1626-SM-5GIDI 50-59 years, male 33.9
GTEX-1H1DE-1626-SM-9KNU5 20-29 years, male 33.9
GTEX-1PBJJ-2026-SM-DTX8U 30-39 years, male 33.9
GTEX-1122O-1426-SM-5H11R 60-69 years, female 33.7
GTEX-12WSL-1826-SM-5LZW9 50-59 years, male 33.7
GTEX-X15G-1526-SM-4PQZM 50-59 years, female 33.7
GTEX-XUW1-1826-SM-4BOQD 50-59 years, female 33.7
GTEX-ZTSS-1226-SM-51MSZ 40-49 years, male 33.7
GTEX-1CB4F-1926-SM-7MKFN 60-69 years, male 33.6
GTEX-XV7Q-2226-SM-4BRVY 40-49 years, female 33.6
GTEX-11EQ9-1526-SM-5PNY7 30-39 years, male 33.3
GTEX-13RTJ-1926-SM-5YYA2 60-69 years, male 33.3
GTEX-17MFQ-1226-SM-7KFSA 20-29 years, male 33.3
GTEX-13OW5-2826-SM-5KM1G 60-69 years, male 33.2
GTEX-1QCLZ-2026-SM-EAZ4A 60-69 years, female 33.2
GTEX-1GMR3-2526-SM-7P8QS 40-49 years, male 33.1
GTEX-17F96-2126-SM-7KFSM 70-79 years, male 32.9
GTEX-1JMQJ-2626-SM-CY8HQ 50-59 years, male 32.8
GTEX-17EUY-1726-SM-79OK4 20-29 years, male 32.7
GTEX-17JCI-2826-SM-7IGNA 60-69 years, female 32.7
GTEX-ZG7Y-1826-SM-4WWD3 50-59 years, male 32.7
GTEX-1CAMR-1026-SM-7P8QI 20-29 years, male 32.7
GTEX-1HSMO-2526-SM-A9SKP 60-69 years, male 32.5
GTEX-11ZU8-1126-SM-5EQ5K 60-69 years, male 32.4
GTEX-YF7O-1626-SM-5IFII 50-59 years, male 32.4
GTEX-13OW8-2726-SM-5L3FZ 60-69 years, male 32.3
GTEX-1H3NZ-2526-SM-9KNVO 60-69 years, male 32.3
GTEX-1EU9M-2726-SM-7P8QD 60-69 years, male 32.2
GTEX-1H23P-2626-SM-9KNVN 60-69 years, male 32.2
GTEX-132NY-2726-SM-5PNY2 60-69 years, male 32.1
GTEX-ZVT3-2826-SM-5GU6A 60-69 years, female 32.1
GTEX-1LVAN-2626-SM-CNPQF 50-59 years, female 32.1
GTEX-1A32A-2626-SM-73KX9 50-59 years, female 32.0
GTEX-WRHK-1126-SM-4MVOJ 20-29 years, female 32.0
GTEX-1I1GP-2826-SM-A9SKZ 50-59 years, male 32.0
GTEX-1JMQK-2326-SM-ARZN4 60-69 years, male 32.0
GTEX-1EMGI-2626-SM-7IGNR 60-69 years, male 31.8
GTEX-ZC5H-2426-SM-4WAZ6 40-49 years, female 31.8
GTEX-1LSVX-2026-SM-E9TJD 60-69 years, male 31.8
GTEX-12WSM-1426-SM-5GCPA 60-69 years, male 31.7
GTEX-13QBU-2026-SM-5KLZB 40-49 years, female 31.6
GTEX-13X6K-2726-SM-5O9DG 60-69 years, female 31.5
GTEX-1HBPM-2626-SM-9WYU5 60-69 years, female 31.5
GTEX-11GS4-1826-SM-5HL4T 60-69 years, male 31.4
GTEX-13G51-2126-SM-5IJD9 60-69 years, male 31.4
GTEX-X4EO-2726-SM-4E3HS 60-69 years, female 31.4
GTEX-ZF2S-1826-SM-4WKFF 50-59 years, female 31.4
GTEX-Z93S-2626-SM-57WBX 50-59 years, male 31.3
GTEX-1C64N-2226-SM-7SB7C 50-59 years, male 31.3
GTEX-1HBPI-2226-SM-9WYTY 50-59 years, male 31.3
GTEX-1N2EF-1726-SM-EXUSI 60-69 years, male 31.2
GTEX-16XZZ-2726-SM-7EWDO 60-69 years, male 31.1
GTEX-1HBPH-2526-SM-ACKXK 40-49 years, female 31.1
GTEX-1LG7Y-2226-SM-E9U5K 50-59 years, male 31.1
GTEX-YECK-2826-SM-5IFHF 60-69 years, male 31.0
GTEX-ZF28-2526-SM-57WFH 60-69 years, male 31.0
GTEX-145LS-2926-SM-5O99G 60-69 years, female 30.9
GTEX-1E2YA-2526-SM-7IGOU 50-59 years, male 30.9
GTEX-1LB8K-2526-SM-DIPEQ 50-59 years, male 30.9
GTEX-1LKK1-2426-SM-DIPES 50-59 years, female 30.9
GTEX-1RDX4-1926-SM-E6CJJ 50-59 years, female 30.9
GTEX-18465-2726-SM-7LT9I 50-59 years, male 30.8
GTEX-1A3MV-1026-SM-72D5U 30-39 years, male 30.8
GTEX-1CB4G-2726-SM-79OO4 60-69 years, male 30.8
GTEX-139UW-2326-SM-5KM1Y 60-69 years, male 30.7
GTEX-14PKV-1926-SM-686YU 20-29 years, female 30.7
GTEX-16Z82-2426-SM-7KUMS 60-69 years, male 30.7
GTEX-1GF9X-1426-SM-7RHGX 40-49 years, female 30.7
GTEX-148VJ-2426-SM-5NQ9Y 70-79 years, male 30.6
GTEX-14C5O-2626-SM-5RQI5 60-69 years, male 30.6
GTEX-ZYT6-2826-SM-5GICX 30-39 years, male 30.6
GTEX-1HSEH-1926-SM-A96SB 60-69 years, male 30.6
GTEX-1F75W-2126-SM-7RHIA 60-69 years, male 30.4
GTEX-1I1CD-2826-SM-A9SL4 60-69 years, female 30.4
GTEX-147GR-2826-SM-5RQK8 60-69 years, male 30.3
GTEX-1A3MX-2326-SM-718B4 60-69 years, male 30.3
GTEX-145MO-2626-SM-5QGPD 60-69 years, male 30.1
GTEX-12696-1926-SM-5EGJT 60-69 years, male 29.9
GTEX-1BAJH-2726-SM-7IGNJ 70-79 years, male 29.9
GTEX-117XS-2226-SM-5GIE1 60-69 years, male 29.8
GTEX-15DYW-2426-SM-7KUG8 60-69 years, female 29.8
GTEX-11EMC-1426-SM-5N9E4 60-69 years, female 29.6
GTEX-ZTTD-2626-SM-57WEX 50-59 years, male 29.6
GTEX-17F9Y-2626-SM-7IGN9 70-79 years, female 29.5
GTEX-12ZZX-2726-SM-5N9FT 40-49 years, female 29.4
GTEX-YJ8O-1426-SM-5PNV9 40-49 years, female 29.4
GTEX-15EO6-2326-SM-6LPKK 50-59 years, male 29.3
GTEX-11EQ8-2626-SM-5N9BO 60-69 years, male 29.2
GTEX-11TUW-2326-SM-5EQMO 60-69 years, male 29.2
GTEX-14DAQ-2926-SM-664MV 60-69 years, female 29.2
GTEX-131YS-2926-SM-5EGKI 60-69 years, female 29.1
GTEX-1H3VE-2326-SM-9KNVU 40-49 years, male 29.1
GTEX-14A5I-2426-SM-5Q5CP 50-59 years, female 29.0
GTEX-1IL2U-2526-SM-C1YQV 60-69 years, male 29.0
GTEX-1PIEJ-1826-SM-EWRMN 20-29 years, female 29.0
GTEX-1GMR8-2926-SM-9KNW5 50-59 years, female 28.9
GTEX-13O1R-2426-SM-5KLZZ 60-69 years, male 28.8
GTEX-147JS-2626-SM-5S2UX 60-69 years, male 28.8
GTEX-14C39-1626-SM-5S2P4 40-49 years, male 28.8
GTEX-15CHQ-2626-SM-686YZ 60-69 years, male 28.7
GTEX-ZDTS-2726-SM-5L3E2 60-69 years, male 28.7
GTEX-1J8JJ-2426-SM-D4P4A 60-69 years, female 28.7
GTEX-11EI6-2626-SM-5PNVT 60-69 years, male 28.6
GTEX-12WSD-2626-SM-5EGJE 60-69 years, female 28.5
GTEX-12ZZY-2726-SM-5EQ45 60-69 years, male 28.5
GTEX-ZYY3-2226-SM-5E45A 60-69 years, female 28.4
GTEX-1HCVE-2326-SM-9WYUD 50-59 years, male 28.4
GTEX-V955-1726-SM-4JBHF 60-69 years, male 28.3
GTEX-1477Z-2126-SM-5Q5CM 60-69 years, male 28.2
GTEX-1LSNL-1626-SM-E9TJY 50-59 years, male 28.1
GTEX-1R9PO-2026-SM-E9J4N 60-69 years, female 28.1
GTEX-1RQEC-2626-SM-EVR3Z 60-69 years, male 28.1
GTEX-14BIN-2426-SM-5TDCF 50-59 years, female 27.9
GTEX-WQUQ-2626-SM-4MVNP 60-69 years, male 27.9
GTEX-13CF2-1826-SM-5N9GK 60-69 years, male 27.8
GTEX-15ER7-2826-SM-6PAN2 20-29 years, female 27.8
GTEX-1H1ZS-2626-SM-9QEIX 70-79 years, male 27.8
GTEX-13X6I-2726-SM-5Q5ET 60-69 years, male 27.6
GTEX-1EH9U-1926-SM-7P8QM 60-69 years, male 27.6
GTEX-1GTWX-2626-SM-9WPOT 60-69 years, male 27.6
GTEX-139D8-2926-SM-5IJBM 30-39 years, female 27.2
GTEX-1JJEA-2526-SM-CY8HJ 60-69 years, male 27.2
GTEX-ZVZQ-2626-SM-59HLB 60-69 years, female 27.1
GTEX-1GMRU-2626-SM-9WPPM 50-59 years, male 27.0
GTEX-11ONC-1926-SM-5GU75 60-69 years, male 26.9
GTEX-183WM-2526-SM-731BP 70-79 years, female 26.9
GTEX-1B8L1-1926-SM-7IGND 60-69 years, male 26.9
GTEX-1JN6P-2126-SM-ARL98 60-69 years, male 26.9
GTEX-1HCU6-2926-SM-B2LWV 60-69 years, female 26.8
GTEX-1212Z-1826-SM-5FQSH 60-69 years, male 26.7
GTEX-ZVT4-2626-SM-5N9GJ 50-59 years, female 26.7
GTEX-11PRG-2026-SM-5GU5F 50-59 years, male 26.6
GTEX-15UF6-2726-SM-7KULY 70-79 years, female 26.6
GTEX-11ZTS-1526-SM-5N9G7 60-69 years, female 26.4
GTEX-1LVAO-2826-SM-E9TJH 60-69 years, male 26.3
GTEX-1JJE9-2526-SM-ARU8K 70-79 years, male 26.2
GTEX-1PIIG-2126-SM-EXUSD 30-39 years, male 26.2
GTEX-14A5H-1626-SM-5SIAN 60-69 years, male 26.1
GTEX-17HG3-1126-SM-7DUFC 30-39 years, female 25.9
GTEX-1PBJI-2526-SM-E6CP4 20-29 years, female 25.9
GTEX-15G19-2726-SM-6LPKG 60-69 years, male 25.8
GTEX-15RJ7-1726-SM-6PAL3 40-49 years, male 25.8
GTEX-ZAJG-2626-SM-5S2NU 50-59 years, female 25.7
GTEX-ZYFD-2226-SM-5E43P 50-59 years, male 25.7
GTEX-1JMLX-2526-SM-CY8HX 50-59 years, male 25.7
GTEX-ZE7O-2626-SM-51MSS 50-59 years, female 25.5
GTEX-1C6VQ-2626-SM-7IGMQ 50-59 years, male 25.4
GTEX-ZE9C-2126-SM-4WKGY 60-69 years, male 25.4
GTEX-1J8EW-2426-SM-CE6T5 60-69 years, female 25.4
GTEX-13OW6-2226-SM-5N9FL 50-59 years, male 25.3
GTEX-145MH-2726-SM-5QGQ6 50-59 years, male 25.1
GTEX-1HSKV-2326-SM-A9SL9 60-69 years, male 25.1
GTEX-1IDJH-2826-SM-CJI49 70-79 years, male 25.0
GTEX-15RJE-2226-SM-6M46A 40-49 years, male 24.8
GTEX-13X6J-2826-SM-7EPGA 50-59 years, male 24.2
GTEX-14E6C-2226-SM-5QGQG 40-49 years, male 24.2
GTEX-1P4AB-2626-SM-DTXEU 50-59 years, male 24.2
GTEX-11DXY-2026-SM-5N9CZ 60-69 years, male 23.5
GTEX-139TS-2226-SM-5J2N1 60-69 years, male 23.3
GTEX-13PVQ-2726-SM-5L3H7 50-59 years, male 23.3
Show allShow less
Colon - Transverse
Average nTPM: 44.6
Samples: 406

Max nTPM: 88.2
Min nTPM: 16.8
Std nTPM: 12.0
Median nTPM: 43.8
GTEX-R55G-1226-SM-48FDC 40-49 years, female 88.2
GTEX-1122O-1526-SM-5N9CL 60-69 years, female 84.6
GTEX-1B8KE-1926-SM-731EE 50-59 years, male 82.3
GTEX-15RIF-1326-SM-6LPKO 20-29 years, male 81.8
GTEX-14E6E-1526-SM-5RQIG 30-39 years, male 81.1
GTEX-1C475-1626-SM-731FP 40-49 years, female 76.6
GTEX-14XAO-2026-SM-69LOI 60-69 years, female 76.3
GTEX-117YW-1826-SM-5PNY5 50-59 years, male 74.8
GTEX-ZVT2-1926-SM-5GU5T 50-59 years, female 74.5
GTEX-11P82-1026-SM-5BC5J 20-29 years, male 74.4
GTEX-1LG7Z-1426-SM-CXKYV 30-39 years, male 73.5
GTEX-1H11D-2626-SM-9JGH4 40-49 years, male 71.4
GTEX-1KANC-0926-SM-D3LA9 50-59 years, female 69.6
GTEX-ZLWG-1726-SM-DNZZ2 50-59 years, female 69.2
GTEX-U4B1-1126-SM-4DXV3 40-49 years, male 68.3
GTEX-132AR-2726-SM-5PNVN 50-59 years, female 67.6
GTEX-1H1E6-1926-SM-9OSWD 30-39 years, male 67.4
GTEX-1AMFI-1726-SM-7189L 50-59 years, female 67.1
GTEX-1JKYN-2326-SM-CGQG7 30-39 years, male 66.5
GTEX-12BJ1-2126-SM-5BC5O 60-69 years, male 66.3
GTEX-14PHX-1526-SM-68717 50-59 years, male 65.4
GTEX-14PJ4-1926-SM-6LLHG 60-69 years, male 65.1
GTEX-1K2DA-2026-SM-CGQGK 50-59 years, male 65.0
GTEX-ZLV1-1226-SM-4WWBX 60-69 years, female 64.8
GTEX-RM2N-0926-SM-48FD1 50-59 years, male 64.2
GTEX-11DXZ-1726-SM-5H12M 50-59 years, male 63.5
GTEX-1CAMR-0926-SM-7MXTD 20-29 years, male 62.9
GTEX-1N2DV-1426-SM-DPRYQ 40-49 years, male 62.6
GTEX-ZG7Y-2126-SM-DO117 50-59 years, male 62.6
GTEX-13PVR-1626-SM-73KVF 60-69 years, female 62.2
GTEX-144GM-1226-SM-5LU52 20-29 years, male 62.2
GTEX-ZF2S-1926-SM-4WWAN 50-59 years, female 62.2
GTEX-1RAZR-1926-SM-E6CRF 40-49 years, male 62.2
GTEX-R55D-1826-SM-48FEF 50-59 years, male 61.8
GTEX-1QP67-1326-SM-EAZ4D 40-49 years, female 61.7
GTEX-17HHE-1826-SM-79OKE 50-59 years, male 61.1
GTEX-14PKV-2126-SM-664O3 20-29 years, female 61.0
GTEX-1J1R8-1126-SM-CNPQ3 40-49 years, male 60.8
GTEX-14E1K-1826-SM-793DT 50-59 years, male 60.2
GTEX-131XG-1826-SM-5LZV4 50-59 years, female 60.1
GTEX-ZDYS-2326-SM-4WKG6 50-59 years, male 60.0
GTEX-15RIE-1826-SM-6M48P 60-69 years, male 59.7
GTEX-1QPFJ-2326-SM-E6CR7 30-39 years, female 59.7
GTEX-S4UY-0826-SM-4AD4Z 40-49 years, female 59.1
GTEX-1KANA-1926-SM-DHXKF 20-29 years, male 59.0
GTEX-1399S-1926-SM-5J2M5 30-39 years, female 58.8
GTEX-YB5E-1626-SM-5IFIQ 40-49 years, male 58.7
GTEX-16AAH-1326-SM-7KFRG 50-59 years, male 58.4
GTEX-S3XE-1126-SM-4AD4N 50-59 years, male 58.4
GTEX-S4Q7-0826-SM-4AD5E 20-29 years, male 58.4
GTEX-1LGOU-1626-SM-D3LAK 20-29 years, female 58.4
GTEX-ZDTT-1926-SM-5HL5W 60-69 years, male 58.4
GTEX-Y5LM-1526-SM-4VDTA 40-49 years, female 58.3
GTEX-1NHNU-2326-SM-E6CQE 50-59 years, male 58.2
GTEX-ZV7C-1526-SM-5NQ72 50-59 years, male 58.0
GTEX-1JN76-1226-SM-C1YRM 20-29 years, female 58.0
GTEX-145MN-1726-SM-5SIA6 30-39 years, male 57.4
GTEX-13FTW-1826-SM-5IJEN 40-49 years, male 57.2
GTEX-14PK6-1726-SM-6871J 70-79 years, female 57.2
GTEX-ZTSS-1126-SM-5985O 40-49 years, male 57.0
GTEX-1IDJU-2026-SM-A9SLM 60-69 years, female 56.2
GTEX-Q2AI-0926-SM-48U1F 40-49 years, male 55.9
GTEX-WFG7-1526-SM-4LVMG 20-29 years, male 55.7
GTEX-11EM3-1526-SM-5A5KN 20-29 years, female 55.6
GTEX-14JIY-3326-SM-6871E 60-69 years, male 55.6
GTEX-1QP9N-1026-SM-E6CPX 30-39 years, male 55.5
GTEX-ZV6S-1226-SM-59HLH 40-49 years, female 55.4
GTEX-133LE-1526-SM-5IFEN 20-29 years, female 55.3
GTEX-O5YT-1426-SM-3MJHC 20-29 years, male 55.3
GTEX-P4PP-1426-SM-3NM9L 30-39 years, female 55.3
GTEX-WFON-1426-SM-4LVMT 40-49 years, male 55.3
GTEX-14DAR-1526-SM-5RQIX 50-59 years, male 55.2
GTEX-XUZC-1326-SM-4BRV2 30-39 years, female 55.2
GTEX-1MA7W-0626-SM-EV79Z 20-29 years, female 55.1
GTEX-ZEX8-1926-SM-4WKFR 50-59 years, male 55.0
GTEX-ZT9W-1826-SM-51MQX 50-59 years, male 55.0
GTEX-1B932-2826-SM-73KUD 40-49 years, female 54.9
GTEX-1S82U-0726-SM-E9TKI 30-39 years, female 54.9
GTEX-18QFQ-1526-SM-72D57 30-39 years, male 54.8
GTEX-111CU-1426-SM-5GZYP 50-59 years, male 54.7
GTEX-U3ZN-2126-SM-4DXU1 30-39 years, female 54.5
GTEX-11TT1-1026-SM-5PNW7 20-29 years, male 54.3
GTEX-13QBU-1826-SM-5IJG3 40-49 years, female 54.2
GTEX-1211K-1726-SM-5FQUJ 60-69 years, female 54.1
GTEX-1399U-1926-SM-5IFH7 50-59 years, female 53.8
GTEX-XAJ8-0426-SM-47JYJ 40-49 years, male 53.6
GTEX-ZPCL-1826-SM-57WF1 60-69 years, female 53.6
GTEX-Q2AH-1226-SM-48TZL 40-49 years, male 53.4
GTEX-1MGNQ-2026-SM-EAZ51 40-49 years, male 53.4
GTEX-TML8-1326-SM-4DXTO 40-49 years, female 52.9
GTEX-1F75I-2426-SM-9WPOY 40-49 years, male 52.9
GTEX-11P7K-1526-SM-5EGI7 30-39 years, male 52.5
GTEX-1399R-2226-SM-5P9JB 30-39 years, male 52.4
GTEX-ZGAY-2126-SM-4YCFB 40-49 years, female 52.4
GTEX-139T6-1326-SM-5IFFO 50-59 years, male 52.2
GTEX-14H4A-1926-SM-5ZZWN 40-49 years, female 52.2
GTEX-UJHI-1126-SM-4IHLN 50-59 years, female 52.2
GTEX-WHWD-1226-SM-4OOS1 50-59 years, male 52.2
GTEX-13PL7-2526-SM-5IFGR 60-69 years, female 52.1
GTEX-OXRK-1726-SM-3NB16 50-59 years, female 52.0
GTEX-XMK1-1726-SM-4B64Z 40-49 years, male 52.0
GTEX-1I6K6-1826-SM-B2LX5 30-39 years, male 52.0
GTEX-1OKEX-1226-SM-DTXEC 60-69 years, male 52.0
GTEX-TKQ1-0626-SM-4DXTS 30-39 years, male 51.9
GTEX-1GZ4H-1226-SM-9KNUA 50-59 years, female 51.9
GTEX-1IOXB-2626-SM-CJI2N 50-59 years, male 51.9
GTEX-11I78-1226-SM-5A5K6 50-59 years, female 51.8
GTEX-18D9A-1126-SM-7KFRJ 30-39 years, female 51.7
GTEX-PLZ5-1126-SM-3P613 50-59 years, male 51.7
GTEX-1IDJF-1826-SM-CKZOE 20-29 years, male 51.5
GTEX-1LVAM-1626-SM-EV79Y 50-59 years, female 51.5
GTEX-1RAZA-1726-SM-DPS13 20-29 years, male 51.5
GTEX-UJMC-1326-SM-4IHLS 50-59 years, male 51.4
GTEX-13FH7-1526-SM-5J2N6 50-59 years, female 51.3
GTEX-1AMEY-1926-SM-73KVT 30-39 years, female 51.3
GTEX-13D11-0826-SM-5KLZJ 50-59 years, female 51.2
GTEX-OIZH-1426-SM-3NB1O 50-59 years, male 51.2
GTEX-14BMU-1526-SM-5TDE6 20-29 years, female 51.1
GTEX-139YR-2126-SM-5KM11 50-59 years, male 50.9
GTEX-1AYCT-1826-SM-731EG 50-59 years, male 50.9
GTEX-11P81-1126-SM-5GU5G 30-39 years, female 50.8
GTEX-W5WG-2426-SM-4LMI6 50-59 years, female 50.8
GTEX-1JKYR-1926-SM-C1YR7 20-29 years, male 50.8
GTEX-11VI4-1526-SM-5EQKC 40-49 years, female 50.7
GTEX-ZZ64-0726-SM-5GZX4 20-29 years, male 50.4
GTEX-1F5PK-1926-SM-7MXT7 50-59 years, male 50.4
GTEX-13O21-2426-SM-5MR4A 50-59 years, male 50.3
GTEX-P4QT-1426-SM-3NMCX 50-59 years, female 50.3
GTEX-1PFEY-1426-SM-E9U6U 30-39 years, male 50.3
GTEX-OIZF-1426-SM-2HML2 60-69 years, male 50.1
GTEX-13111-0726-SM-5DUVE 50-59 years, male 50.0
GTEX-O5YW-1426-SM-3MJHF 50-59 years, male 50.0
GTEX-R55C-1126-SM-48FCJ 40-49 years, male 50.0
GTEX-S7SF-1926-SM-4AT5B 20-29 years, female 50.0
GTEX-WEY5-1426-SM-4LMJ3 40-49 years, female 49.9
GTEX-14PJ3-0926-SM-69LQG 50-59 years, male 49.8
GTEX-ZP4G-1726-SM-4WWCM 20-29 years, female 49.7
GTEX-WOFM-2026-SM-4OOSQ 20-29 years, male 49.6
GTEX-WHSB-0926-SM-4M1XJ 50-59 years, male 49.5
GTEX-U3ZM-1126-SM-4DXUB 40-49 years, male 49.4
GTEX-ZXES-1626-SM-5NQ7L 30-39 years, female 49.4
GTEX-QV31-0826-SM-CKZNC 30-39 years, male 49.4
GTEX-ZPIC-2226-SM-57WDX 40-49 years, female 49.3
GTEX-1H3VY-2426-SM-9WPPD 50-59 years, male 49.3
GTEX-1L5NE-2026-SM-CXZKR 50-59 years, male 49.3
GTEX-1LGRB-1426-SM-CNNPT 50-59 years, female 49.3
GTEX-17KNJ-1726-SM-7LG6A 50-59 years, male 49.2
GTEX-PWN1-1426-SM-48TDF 40-49 years, female 49.1
GTEX-ZYFG-1926-SM-5GID5 60-69 years, female 49.1
GTEX-ZPU1-1926-SM-57WDT 40-49 years, male 48.9
GTEX-15CHR-1426-SM-7DUGV 50-59 years, male 48.8
GTEX-13U4I-2426-SM-5LU34 40-49 years, female 48.6
GTEX-1KXAM-2126-SM-CY8I9 60-69 years, male 48.5
GTEX-117YX-0826-SM-5H11J 50-59 years, male 48.4
GTEX-ZVP2-1526-SM-5NQ82 50-59 years, male 48.4
GTEX-1GMR2-1726-SM-9JGI2 50-59 years, male 48.4
GTEX-1HSMP-2326-SM-D3L8R 70-79 years, male 48.4
GTEX-15CHC-1626-SM-5ZZWS 60-69 years, female 48.3
GTEX-1R9JW-2026-SM-EAZ4O 30-39 years, female 48.3
GTEX-1MCC2-1626-SM-DIPEW 30-39 years, female 48.2
GTEX-17F98-1026-SM-7IGO8 40-49 years, female 47.6
GTEX-145ME-0826-SM-5O9AF 40-49 years, female 47.5
GTEX-11DXX-1826-SM-5H126 60-69 years, female 47.3
GTEX-XQ8I-2126-SM-4BOOM 50-59 years, male 47.3
GTEX-1LBAC-1626-SM-CXZKV 20-29 years, male 47.1
GTEX-16NGA-1026-SM-7KFS3 40-49 years, female 47.0
GTEX-12C56-0626-SM-5EGGC 20-29 years, male 46.8
GTEX-14PJ5-0926-SM-6LLIK 60-69 years, female 46.8
GTEX-Y9LG-1526-SM-4WWDR 30-39 years, male 46.8
GTEX-QLQ7-1126-SM-CYPRB 60-69 years, male 46.8
GTEX-QCQG-1626-SM-48U26 50-59 years, female 46.6
GTEX-1HSEH-1726-SM-B2LXH 60-69 years, male 46.6
GTEX-QLQW-0426-SM-447A7 30-39 years, male 46.5
GTEX-14AS3-1126-SM-5Q5CR 40-49 years, female 46.3
GTEX-14JG6-1726-SM-69LPL 30-39 years, female 46.2
GTEX-S341-1426-SM-4AD6U 40-49 years, female 46.2
GTEX-WY7C-1626-SM-4ONC8 50-59 years, male 46.2
GTEX-PWCY-1026-SM-48TD4 20-29 years, female 45.8
GTEX-1QW4Y-1326-SM-EWRMZ 30-39 years, male 45.7
GTEX-SE5C-1526-SM-4BRWU 40-49 years, female 45.6
GTEX-1R7EU-1926-SM-E9U62 60-69 years, male 45.5
GTEX-1A3MV-1126-SM-718BS 30-39 years, male 45.4
GTEX-OHPM-1426-SM-3TW8Y 50-59 years, male 45.4
GTEX-XBED-1526-SM-4AT5W 60-69 years, male 45.3
GTEX-131XE-0826-SM-5HL9W 50-59 years, male 45.2
GTEX-1S83E-1626-SM-EV7B9 40-49 years, male 45.1
GTEX-1IDJC-1326-SM-CL53H 50-59 years, male 45.0
GTEX-15G1A-1826-SM-7KUKO 30-39 years, male 44.9
GTEX-13CF3-1426-SM-5K7YY 60-69 years, female 44.8
GTEX-T6MO-0826-SM-4DM51 40-49 years, female 44.8
GTEX-178AV-1326-SM-6LPJX 40-49 years, male 44.6
GTEX-1339X-1626-SM-5IJDN 40-49 years, male 44.5
GTEX-PX3G-1426-SM-48U1J 20-29 years, female 44.5
GTEX-13X6H-1926-SM-7EWD3 50-59 years, female 44.4
GTEX-12WSL-1626-SM-5GCMU 50-59 years, male 44.3
GTEX-PLZ6-0926-SM-3P5ZQ 30-39 years, male 44.3
GTEX-144GN-1126-SM-5LU33 50-59 years, male 44.2
GTEX-S4P3-1226-SM-4AD4Y 50-59 years, female 44.1
GTEX-XUW1-1926-SM-4BOP1 50-59 years, female 44.1
GTEX-1C64O-2326-SM-73KU8 60-69 years, male 44.0
GTEX-1F5PL-2126-SM-7PC2O 40-49 years, female 43.9
GTEX-11LCK-2026-SM-5A5MA 30-39 years, male 43.8
GTEX-XGQ4-1226-SM-4AT67 50-59 years, male 43.8
GTEX-1HSGN-2626-SM-CE6S1 40-49 years, female 43.8
GTEX-TKQ2-1326-SM-4DXT9 50-59 years, male 43.7
GTEX-1JK1U-1526-SM-AHZ46 60-69 years, male 43.7
GTEX-1MUQO-2626-SM-EWRO3 60-69 years, male 43.7
GTEX-1I4MK-1126-SM-B2LWS 50-59 years, female 43.6
GTEX-13O61-1626-SM-5KM3T 60-69 years, male 43.5
GTEX-Y8LW-1226-SM-4WWDP 50-59 years, female 43.4
GTEX-R53T-1326-SM-48FCQ 50-59 years, female 43.3
GTEX-1GMR3-2826-SM-9WPOG 40-49 years, male 43.3
GTEX-16XZZ-2626-SM-6M47S 60-69 years, male 43.1
GTEX-1CB4F-2026-SM-79OLU 60-69 years, male 43.1
GTEX-1HKZK-2126-SM-A9SL3 40-49 years, male 43.1
GTEX-1RMOY-1626-SM-EVYC8 50-59 years, male 43.1
GTEX-YEC3-2426-SM-DO11A 50-59 years, male 43.1
GTEX-QEL4-1926-SM-D3L8D 50-59 years, male 43.0
GTEX-1GL5R-2426-SM-7MXV1 50-59 years, male 42.9
GTEX-OXRN-2026-SM-E6CHK 50-59 years, male 42.5
GTEX-18A66-2426-SM-7KFSQ 60-69 years, male 42.4
GTEX-XXEK-1926-SM-4BRVD 50-59 years, male 42.4
GTEX-1RAZQ-2126-SM-DTX9V 30-39 years, male 42.3
GTEX-WH7G-1326-SM-4LVMS 40-49 years, male 42.2
GTEX-13OVG-1426-SM-5K7VP 60-69 years, male 42.1
GTEX-17HGU-2426-SM-7EWDP 50-59 years, male 42.1
GTEX-1QCLZ-1926-SM-E6CR3 60-69 years, female 42.1
GTEX-111YS-1626-SM-5GZZ9 60-69 years, male 41.9
GTEX-145LT-0926-SM-5LU9C 40-49 years, male 41.9
GTEX-1JMPY-0426-SM-C1YQ3 30-39 years, male 41.9
GTEX-1B8KZ-1326-SM-7DUG6 50-59 years, male 41.8
GTEX-1PIEJ-2026-SM-E6CPA 20-29 years, female 41.8
GTEX-OXRL-1426-SM-3NM9E 50-59 years, male 41.5
GTEX-YF7O-1726-SM-5IFJ9 50-59 years, male 41.5
GTEX-1CAMS-2526-SM-7EPH7 40-49 years, female 41.3
GTEX-13VXT-2426-SM-5LU46 20-29 years, female 41.1
GTEX-147F3-1926-SM-5SIB9 50-59 years, female 41.1
GTEX-RU1J-1326-SM-46MUL 20-29 years, female 41.1
GTEX-1R9K5-2126-SM-E8VN1 50-59 years, male 41.1
GTEX-1C4CL-2126-SM-7IGQC 30-39 years, male 41.0
GTEX-YEC4-1926-SM-5IFHJ 40-49 years, male 40.8
GTEX-147GR-2726-SM-664OO 60-69 years, male 40.7
GTEX-WYVS-1826-SM-4OND6 40-49 years, female 40.5
GTEX-1IKOE-2026-SM-AHZ31 30-39 years, female 40.3
GTEX-1JJ6O-2426-SM-ARU8J 60-69 years, male 40.3
GTEX-RWS6-1826-SM-47JXX 60-69 years, female 40.2
GTEX-ZF29-1726-SM-4WKFV 60-69 years, female 40.1
GTEX-1C2JI-1626-SM-7EPHC 50-59 years, male 40.0
GTEX-11NSD-1626-SM-5986U 20-29 years, male 39.8
GTEX-Y8E4-2426-SM-4WWDN 40-49 years, male 39.8
GTEX-12ZZZ-2426-SM-5GCNN 60-69 years, male 39.5
GTEX-17JCI-2626-SM-7EWE6 60-69 years, female 39.5
GTEX-XPVG-1826-SM-4B64X 50-59 years, male 39.5
GTEX-1GF9U-1526-SM-7MXUW 40-49 years, female 39.5
GTEX-Y3IK-1826-SM-4WWDS 50-59 years, female 39.3
GTEX-1CB4I-2226-SM-7P8SL 50-59 years, male 39.3
GTEX-1S3DN-1826-SM-EV79K 50-59 years, male 39.0
GTEX-11EQ9-1426-SM-5987G 30-39 years, male 38.6
GTEX-12WSJ-1526-SM-5GCNI 40-49 years, female 38.5
GTEX-14ICK-1026-SM-6AJA4 40-49 years, male 38.4
GTEX-T5JW-1126-SM-4DM5V 20-29 years, female 38.4
GTEX-1B996-2626-SM-73KZ1 60-69 years, male 38.3
GTEX-U3ZH-1326-SM-4DXSF 30-39 years, male 38.3
GTEX-1HCU9-1326-SM-B2LXT 20-29 years, male 38.2
GTEX-1HFI7-1726-SM-A9G22 50-59 years, female 38.2
GTEX-WYJK-2226-SM-4ONDJ 50-59 years, male 38.0
GTEX-ZY6K-1226-SM-5GZYL 50-59 years, male 38.0
GTEX-VJYA-2026-SM-4KL1K 60-69 years, male 37.9
GTEX-13O3P-2326-SM-5KM55 50-59 years, male 37.7
GTEX-1N2EF-1926-SM-DTX8M 60-69 years, male 37.5
GTEX-OOBJ-1426-SM-E6CHH 60-69 years, male 37.4
GTEX-13S86-1626-SM-5Q5C5 40-49 years, male 37.3
GTEX-14ICL-1226-SM-5S2RD 30-39 years, male 37.3
GTEX-1QCLY-1726-SM-DPRXY 30-39 years, male 37.3
GTEX-1IKK5-2726-SM-CNPQ6 60-69 years, male 37.0
GTEX-1PWST-2426-SM-EWRMP 70-79 years, male 37.0
GTEX-1AX8Z-2726-SM-73KUC 60-69 years, male 36.9
GTEX-QDVN-1326-SM-48TZ3 50-59 years, male 36.9
GTEX-139TS-1926-SM-5IJFO 60-69 years, male 36.8
GTEX-146FQ-1926-SM-5NQBY 30-39 years, male 36.8
GTEX-14DAQ-2726-SM-5S2QY 60-69 years, female 36.8
GTEX-13W3W-2126-SM-5K7UX 60-69 years, female 36.7
GTEX-15SHU-2526-SM-6M47D 40-49 years, female 36.7
GTEX-18D9B-2526-SM-718BN 60-69 years, male 36.7
GTEX-QMRM-1226-SM-447C6 50-59 years, male 36.6
GTEX-X3Y1-1726-SM-4PQZL 40-49 years, male 36.6
GTEX-11O72-2226-SM-5PNW2 40-49 years, male 36.4
GTEX-SNOS-1226-SM-4DM5H 40-49 years, male 36.3
GTEX-X15G-1326-SM-4PQZJ 50-59 years, female 36.3
GTEX-11ONC-2026-SM-5HL61 60-69 years, male 36.2
GTEX-XV7Q-2126-SM-4BRVX 40-49 years, female 36.2
GTEX-1PIGE-1426-SM-E9U61 20-29 years, male 36.2
GTEX-QDVJ-1326-SM-48U1X 50-59 years, male 36.1
GTEX-1HSMQ-2726-SM-C1YRE 50-59 years, male 36.1
GTEX-1PPH8-2026-SM-DTX7P 20-29 years, male 36.1
GTEX-13QJ3-2626-SM-9OSXQ 50-59 years, male 35.9
GTEX-1J1OQ-2726-SM-AHZ3R 40-49 years, female 35.9
GTEX-X5EB-0926-SM-46MVT 40-49 years, male 35.8
GTEX-XYKS-2226-SM-4E3IU 60-69 years, female 35.7
GTEX-Q734-1126-SM-48TZY 40-49 years, female 35.6
GTEX-17EUY-1826-SM-7DUEZ 20-29 years, male 35.5
GTEX-1NSGN-2326-SM-E9U5X 50-59 years, male 35.5
GTEX-13O3O-2526-SM-5L3DR 60-69 years, female 35.4
GTEX-XBEW-1926-SM-4SOJO 40-49 years, male 35.3
GTEX-144GL-2526-SM-5TDDL 50-59 years, male 34.9
GTEX-1H1DE-1526-SM-ARL9B 20-29 years, male 34.9
GTEX-WVJS-2426-SM-EZ6LI 50-59 years, male 34.9
GTEX-18D9U-1926-SM-7KFTM 40-49 years, male 34.8
GTEX-Y3I4-1426-SM-4TT9C 50-59 years, male 34.8
GTEX-R45C-2126-SM-EZ6KZ 60-69 years, female 34.8
GTEX-1JMPZ-2426-SM-C1YQP 30-39 years, male 34.5
GTEX-ZYVF-2826-SM-5GIDK 50-59 years, female 34.2
GTEX-13OVJ-1726-SM-5IJDZ 50-59 years, female 34.0
GTEX-145LS-2726-SM-5Q5D8 60-69 years, female 34.0
GTEX-PSDG-1826-SM-EAZ2S 50-59 years, male 34.0
GTEX-16MT8-2726-SM-7IGLJ 60-69 years, female 33.8
GTEX-ZAB4-2226-SM-5HL97 40-49 years, male 33.8
GTEX-11GSP-1626-SM-5986N 60-69 years, female 33.7
GTEX-14C39-1926-SM-5ZZW5 40-49 years, male 33.7
GTEX-NFK9-2026-SM-3LK5K 40-49 years, male 33.7
GTEX-1I1GT-1926-SM-ARU7D 60-69 years, female 33.5
GTEX-15DZA-0926-SM-69LQ3 30-39 years, female 33.4
GTEX-17F96-2026-SM-79ON4 70-79 years, male 33.4
GTEX-17MF6-2426-SM-7LTAM 40-49 years, male 33.4
GTEX-Y114-1526-SM-4TT79 50-59 years, female 33.4
GTEX-Z93S-2426-SM-5HL8N 50-59 years, male 33.3
GTEX-11TTK-2426-SM-5PNYO 60-69 years, female 33.1
GTEX-15UF6-2626-SM-6M466 70-79 years, female 33.0
GTEX-15DCE-2026-SM-7KUFE 20-29 years, male 32.9
GTEX-18A7A-2226-SM-7LT8K 50-59 years, female 32.8
GTEX-15CHQ-2526-SM-6EU24 60-69 years, male 32.7
GTEX-145MO-2426-SM-5NQ9W 60-69 years, male 32.6
GTEX-15SB6-1226-SM-7KUMP 50-59 years, female 32.6
GTEX-OXRO-0726-SM-E9U4C 60-69 years, female 32.6
GTEX-1AYD5-1726-SM-7RHFW 50-59 years, male 32.5
GTEX-1RDX4-1826-SM-EVR54 50-59 years, female 32.5
GTEX-1GZ4I-2426-SM-9WPPP 50-59 years, male 32.4
GTEX-12KS4-2426-SM-5LU8P 30-39 years, male 32.3
GTEX-14PJM-2626-SM-686ZD 50-59 years, female 32.2
GTEX-1EH9U-2026-SM-7PBYS 60-69 years, male 32.1
GTEX-1HCU7-2626-SM-C1YQO 50-59 years, male 32.1
GTEX-1GF9X-1526-SM-7P8QP 40-49 years, female 32.0
GTEX-1NV5F-2226-SM-DTX8O 60-69 years, female 32.0
GTEX-13OVK-0826-SM-7KULZ 40-49 years, male 31.8
GTEX-18A7B-2026-SM-72D71 70-79 years, male 31.7
GTEX-148VJ-2626-SM-5QGPI 70-79 years, male 31.6
GTEX-1EMGI-2726-SM-7P8S4 60-69 years, male 31.5
GTEX-1JN1M-2626-SM-CY8I3 60-69 years, female 31.5
GTEX-1128S-1626-SM-5H12O 60-69 years, female 31.4
GTEX-1MJK3-0926-SM-EV7AY 20-29 years, male 31.4
GTEX-1POEN-2026-SM-E6CRL 30-39 years, female 31.3
GTEX-14C5O-2526-SM-73KU2 60-69 years, male 31.2
GTEX-1I1GR-2526-SM-CNNQF 60-69 years, male 31.2
GTEX-17EVQ-1826-SM-7IGPH 70-79 years, male 31.1
GTEX-1ICLZ-2426-SM-CKZOD 60-69 years, male 31.0
GTEX-15DYW-2326-SM-6PAMU 60-69 years, female 30.8
GTEX-1C6VQ-2726-SM-73KUL 50-59 years, male 30.8
GTEX-SNMC-1126-SM-4DM5M 20-29 years, male 30.8
GTEX-1HCVE-2526-SM-A9G2G 50-59 years, male 30.8
GTEX-17GQL-1526-SM-7LTAC 60-69 years, male 30.7
GTEX-11TUW-2026-SM-5EQL8 60-69 years, male 30.6
GTEX-1JJE9-2426-SM-D3L8T 70-79 years, male 30.6
GTEX-U412-1726-SM-EZ6KX 60-69 years, male 30.5
GTEX-111VG-2226-SM-5N9DU 60-69 years, male 30.4
GTEX-13OW5-2626-SM-5MR3M 60-69 years, male 30.4
GTEX-1GPI7-1726-SM-7P8R1 20-29 years, male 30.3
GTEX-1LSVX-1726-SM-DHXJP 60-69 years, male 30.3
GTEX-ZYFC-2626-SM-5NQ6S 50-59 years, male 30.2
GTEX-13OW6-2126-SM-5N9GL 50-59 years, male 30.1
GTEX-13OVI-2026-SM-5J1MU 60-69 years, female 29.8
GTEX-1LH75-2126-SM-EVR5F 50-59 years, female 29.8
GTEX-1AX9I-2626-SM-73KU5 60-69 years, male 29.7
GTEX-1IDJD-2226-SM-A96TD 30-39 years, male 29.5
GTEX-1K9T9-2826-SM-D4P3F 50-59 years, female 29.5
GTEX-16NPV-2626-SM-6M484 50-59 years, female 29.4
GTEX-V955-1626-SM-4JBHJ 60-69 years, male 29.4
GTEX-X4EO-2526-SM-EWRM8 60-69 years, female 29.4
GTEX-11ZVC-2126-SM-5EGJ1 50-59 years, female 29.3
GTEX-WQUQ-2526-SM-4MVNO 60-69 years, male 29.3
GTEX-15ER7-2926-SM-7KUFK 20-29 years, female 29.2
GTEX-14BMV-2426-SM-5S2PP 50-59 years, male 28.7
GTEX-P78B-1726-SM-3P5ZV 40-49 years, female 28.0
GTEX-1JMLX-2726-SM-CM2SB 50-59 years, male 27.7
GTEX-1KANB-1526-SM-CXZK4 50-59 years, male 27.7
GTEX-OHPN-2026-SM-E9TIA 60-69 years, female 27.6
GTEX-1LVAN-2526-SM-CNPPC 50-59 years, female 27.5
GTEX-1H1DG-2226-SM-9WPPC 70-79 years, male 27.4
GTEX-1GN73-2626-SM-9KNUQ 60-69 years, male 27.3
GTEX-1F75B-2726-SM-7P8QO 50-59 years, male 27.2
GTEX-1R9PM-1526-SM-DPRY8 20-29 years, male 26.8
GTEX-1BAJH-2326-SM-7IGMO 70-79 years, male 26.7
GTEX-17HII-2726-SM-7MGVM 50-59 years, male 26.7
GTEX-1N5O9-2726-SM-E76QH 60-69 years, male 26.7
GTEX-1IGQW-2326-SM-CE6RV 60-69 years, male 26.5
GTEX-1PPGY-2826-SM-DTX9H 60-69 years, male 26.5
GTEX-1HCU6-2726-SM-A9SKV 60-69 years, female 26.4
GTEX-147JS-2526-SM-5S2Q8 60-69 years, male 26.3
GTEX-17F9E-1826-SM-7IGMC 50-59 years, male 26.3
GTEX-1LG7Y-2126-SM-DIPER 50-59 years, male 26.2
GTEX-13FHP-2426-SM-5KLZ5 50-59 years, male 26.1
GTEX-1E2YA-2626-SM-7MGWW 50-59 years, male 25.6
GTEX-16Z82-2226-SM-6LPJ7 60-69 years, male 24.4
GTEX-1S5VW-2926-SM-E9U6H 60-69 years, male 23.9
GTEX-14BIN-3026-SM-5ZZUS 50-59 years, female 23.8
GTEX-1QMI2-2626-SM-E6CR4 60-69 years, male 23.4
GTEX-SJXC-2226-SM-EVYAK 60-69 years, male 16.8
Show allShow less

COLON - FANTOM5 CAGEi

RNA expression in human tissues obtained through Cap Analysis of Gene Expression (CAGE) generated by the FANTOM5 project are reported as Scaled Tags Per Million.

Max subtype Scaled Tags Per Millioni

Max subtype Scaled Tags Per Million is the value for the subtype with the largest average Scaled Tags Per Million across the subtype samples.

275.9
FANTOM5 sample id Sample description Scaled Tags Per Million
Colon
Scaled Tags Per Million: 275.9
FF:10014-101C5 62,83,84 years, mixed 275.9

Contact

  • NEWS ARTICLES
  • PRESS ROOM

The Project

  • INTRODUCTION
  • ORGANIZATION
  • PUBLICATIONS

The Human Protein Atlas

  • DOWNLOADABLE DATA
  • LICENCE & CITATION
  • HELP & FAQ
The Human Protein Atlas project is funded
by the Knut & Alice Wallenberg Foundation.


contact@proteinatlas.org