We use cookies to enhance the usability of our website. If you continue, we'll assume that you are happy to receive all cookies. More information. Don't show this again.
ZNF776
HPA
RESOURCES
  • TISSUE
  • BRAIN
  • SINGLE CELL
  • SUBCELLULAR
  • CANCER
  • BLOOD
  • CELL LINE
  • STRUCTURE & INTERACTION
ABOUT
  • INTRODUCTION
  • HISTORY
  • ORGANIZATION
  • PUBLICATIONS
  • ANTIBODY SUBMISSION
  • ANTIBODY AVAILABILITY
  • ACKNOWLEDGMENTS
  • CONTACT
NEWS
  • NEWS ARTICLES
  • PRESS ROOM
LEARN
  • DICTIONARY
  • PROTEIN CLASSES
  • PROTEIN EVIDENCE
  • METHODS
  • EDUCATIONAL VIDEOS
DATA
  • DOWNLOADABLE DATA
  • PUBLICATION DATA
  • RELEASE HISTORY
HELP
  • ANTIBODY VALIDATION
  • ASSAYS & ANNOTATION
  • DISCLAIMER
  • HELP & FAQ
  • PRIVACY STATEMENT
  • LICENCE & CITATION
Fields »
Search result

Field
Term
Gene name
Class
Subclass
Class
Keyword
Chromosome
External id
Tissue
Cell type
Expression
Antibody panel
Tissue
Main location
Patient ID
Annotation
Tissue
Category
Tau score
Cluster
Reliability
Brain region
Category
Tau score
Brain region
Category
Tau score
Brain region
Category
Tau score
Cluster
Reliability
Tissue
Cell type
Enrichment
Cell type
Category
Tau score
Cell type
Category
Tau score
Cell type
Category
Tau score
Cell lineage
Category
Tau score
Cluster
Cluster
Location
Searches
Location
Cell line
Class
Type
Phase
Reliability
Cancer
Prognosis
Cancer
Category
Cancer
Category
Tau score
Cluster
Variants
Interacting gene (ensg_id)
Type
Number of interactions
Pathway
Category
Score
Score
Score
Validation
Validation
Validation
Validation
Antibodies
Data type
Column


  • SUMMARY

  • TISSUE

  • BRAIN

  • SINGLE CELL

  • SUBCELL

  • CANCER

  • BLOOD

  • CELL LINE

  • STRUCT & INT

  • ZNF776
TISSUE PRIMARY DATA ADIPOSE TISSUE Show tissue menu
ADIPOSE TISSUE ADRENAL GLAND AMYGDALA APPENDIX BASAL GANGLIA BONE MARROW BREAST CEREBELLUM CEREBRAL CORTEX CERVIX CHOROID PLEXUS COLON DUODENUM
ENDOMETRIUM EPIDIDYMIS ESOPHAGUS FALLOPIAN TUBE GALLBLADDER HEART MUSCLE HIPPOCAMPAL FORMATION HYPOTHALAMUS KIDNEY LIVER LUNG LYMPH NODE MIDBRAIN
OVARY PANCREAS PARATHYROID GLAND PITUITARY GLAND PLACENTA PROSTATE RECTUM RETINA SALIVARY GLAND SEMINAL VESICLE SKELETAL MUSCLE SKIN SMALL INTESTINE
SMOOTH MUSCLE SPINAL CORD SPLEEN STOMACH TESTIS THYMUS THYROID GLAND TONGUE TONSIL URINARY BLADDER VAGINA
ANTIBODIES
AND
VALIDATION
Dictionary
Tissue proteome
Adipose tissue
ADIPOSE TISSUE - Expression summary
Protein expressioni

On the top, protein expression in current human tissue, based on all annotated cell types, is reported with the units not detected (n), low (l), medium (m) and high (h). Underneath, protein expression in each annotated cell type are reported using the same units.

Protein expression data is based on knowledge-based annotation. For genes where more than one antibody has been used, a collective score is set.

If knowledge-based annotation could not be performed for a gene, no data is displayed here. View antibody staining data further down this page.

No data
RNA expressioni

A summary of mRNA expression data available for current tissue based on several datasets. The mRNA expression levels in human tissues are based on RNA-seq data generated by the Human Protein Atlas (HPA), Genotype-Tissue Expression (GTEx) portal and CAGE data generated by the FANTOM5 consortium. Consensus normalized expression levels for human tissues was created by combining the data from HPA and GTEx datasets.

The mRNA expression levels in pig are based on RNA-seq data generated by the Human Protein Atlas (HPA), and for mouse, HPA data and in situ hybridization generated by the Allen brain atlas are reported.

Scroll down to view mRNA expression data in more detail.
Consensus:4.2 nTPM
HPA:4.2 nTPM
GTEx:3.8 nTPM
FANTOM5:14.2 Scaled Tags Per Million

ADIPOSE TISSUE - Annotated protein expression
Pending normal tissue analysis

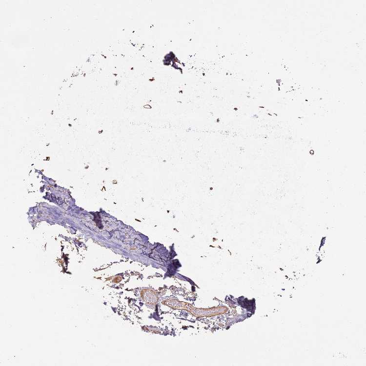
ADIPOSE TISSUE - Antibody stainingi

Antibody staining in the annotated cell types in the current human tissue is reported as not detected, low, medium, or high, based on conventional immunohistochemistry profiling in selected tissues. This score is based on the combination of the staining intensity and fraction of stained cells.

Each image is clickable and will lead to virtual microscopy that enables deeper exploration of all samples and also displays staining intensity scores, fraction scores and subcellular localization as well as patient and tissue information for each sample.

Antibody HPA046653
Adipocytes Medium





ADIPOSE TISSUE - HPA RNA-seqi

The RNA-seq details section shows detailed information about the individual samples used for the transcript profiling and results of the RNA-seq analysis.

Information about each individual sample is listed below, including gender, age, a tissue section image and estimated fractions of cell types. nTPM (normalized transcripts per million) values give a quantification of the gene abundance which is comparable between different genes and samples.
Average nTPMi

Max subtype nTPM is the value for the subtype with the largest average nTPM across the subtype samples.

4.2
N/A
Female, age 80
Adipose tissue sample 86
nTPM: 3.2
Cell types%
Adipocytes:
95

Other cell types:
5

N/A
Female, age 45
Adipose tissue sample 115
nTPM: 7.8
N/A
Female, age 57
Adipose tissue sample 137
nTPM: 4.2
Cell types%
Adipocytes:
60

Fibroblasts:
20

Smooth muscle cells:
15

Other cell types:
5

overview
Female, age 74
Adipose tissue sample 329
nTPM: 3.3
Cell types%
Adipocytes:
50

Fibroblasts:
30

Smooth muscle cells:
15

Other cell types:
5

overview
Female, age 59
Adipose tissue sample 331
nTPM: 2.5
Cell types%
Adipocytes:
40

Fibroblasts:
40

Smooth muscle cells:
15

Other cell types:
5


ADIPOSE TISSUE - GTEx RNA-seqi

RNA-Seq data generated by the Genotype-Tissue Expression (GTEx) project from human tissues is reported as mean nTPM. More information can be found on the GTEx portal.

Distribution across the dataset is visualized with box plots, shown as median and 25th and 75th percentiles. Points are displayed as outliers if they are above or below 1.5 times the interquartile range. nTPM values of the individual samples are presented next to the box plot.
Max subtype nTPMi

Max subtype nTPM is the value for the subtype with the largest average nTPM across the subtype samples.

3.8
GTEx sample id Sample description nTPM
Adipose - Subcutaneous
Average nTPM: 3.8
Samples: 663

Max nTPM: 7.0
Min nTPM: 1.4
Std nTPM: 0.9
Median nTPM: 3.7
GTEX-XMK1-2226-SM-4B673 40-49 years, male 7.0
GTEX-1JMLX-0126-SM-CMKG9 50-59 years, male 7.0
GTEX-XPVG-2726-SM-4B66W 50-59 years, male 6.8
GTEX-1PIIG-0326-SM-EVYBV 30-39 years, male 6.6
GTEX-146FH-0226-SM-5QGPQ 50-59 years, female 6.5
GTEX-S33H-1126-SM-2XCB6 30-39 years, male 6.5
GTEX-111YS-2426-SM-5GZZQ 60-69 years, male 6.4
GTEX-T2IS-0226-SM-32QPH 20-29 years, female 6.3
GTEX-WHPG-2126-SM-4M1ZM 50-59 years, male 6.3
GTEX-1JMQI-2026-SM-CMKGP 50-59 years, male 6.3
GTEX-13NYS-0226-SM-5MR49 60-69 years, male 6.2
GTEX-13O3Q-2326-SM-5KM3G 50-59 years, male 6.2
GTEX-1B8SG-0226-SM-7939Q 50-59 years, male 6.2
GTEX-1F75I-0426-SM-7PC3S 40-49 years, male 6.2
GTEX-1JJ6O-0226-SM-E6CI9 60-69 years, male 6.2
GTEX-1MA7W-1926-SM-E6CIO 20-29 years, female 6.2
GTEX-1JN76-0226-SM-CMKGO 20-29 years, female 6.0
GTEX-1AMEY-1426-SM-7939I 30-39 years, female 5.9
GTEX-1HBPI-1426-SM-B2LW7 50-59 years, male 5.8
GTEX-11OF3-2426-SM-5Q5AS 60-69 years, male 5.7
GTEX-QMRM-1726-SM-2S1QG 50-59 years, male 5.7
GTEX-SJXC-0226-SM-2XCDU 60-69 years, male 5.7
GTEX-T6MO-1726-SM-33HB8 40-49 years, female 5.7
GTEX-145MF-0526-SM-5LUA6 50-59 years, male 5.6
GTEX-WVJS-0226-SM-4MVOU 50-59 years, male 5.6
GTEX-YF7O-2426-SM-5IFJL 50-59 years, male 5.6
GTEX-ZF28-0226-SM-5S2OE 60-69 years, male 5.6
GTEX-1LGOU-2226-SM-E9U56 20-29 years, female 5.6
GTEX-1QW4Y-1626-SM-EAZ41 30-39 years, male 5.6
GTEX-1R9PM-2126-SM-E8VOB 20-29 years, male 5.6
GTEX-1314G-1626-SM-5EQ67 30-39 years, male 5.5
GTEX-139T8-0226-SM-5L3EA 60-69 years, male 5.5
GTEX-14H4A-1026-SM-62LDY 40-49 years, female 5.5
GTEX-14JG1-0526-SM-6LLHW 40-49 years, male 5.5
GTEX-17HHY-0226-SM-793BQ 50-59 years, male 5.5
GTEX-REY6-0326-SM-2TF5A 60-69 years, male 5.5
GTEX-TML8-2026-SM-32QOP 40-49 years, female 5.5
GTEX-1LSVX-0126-SM-EVYCY 60-69 years, male 5.5
GTEX-1269C-2726-SM-5EGJ4 60-69 years, female 5.4
GTEX-1497J-2326-SM-5NQBK 60-69 years, male 5.4
GTEX-SSA3-0226-SM-32QPN 60-69 years, male 5.4
GTEX-1MJK2-0526-SM-DTXE6 50-59 years, male 5.4
GTEX-1PPH8-0626-SM-EWRN9 20-29 years, male 5.4
GTEX-1S831-0326-SM-EVYD3 20-29 years, male 5.4
GTEX-12WSM-0226-SM-5LZV6 60-69 years, male 5.3
GTEX-15ER7-0426-SM-6PAM3 20-29 years, female 5.3
GTEX-17F96-1726-SM-7IGMB 70-79 years, male 5.3
GTEX-1C2JI-2226-SM-7IGPJ 50-59 years, male 5.3
GTEX-YJ8O-2426-SM-5HL7S 40-49 years, female 5.3
GTEX-1HBPM-0326-SM-CMKGR 60-69 years, female 5.3
GTEX-11P81-2426-SM-5GU65 30-39 years, female 5.2
GTEX-13RTJ-2526-SM-5S2Q3 60-69 years, male 5.2
GTEX-1AMFI-2126-SM-731BT 50-59 years, female 5.2
GTEX-OXRK-0326-SM-3NB3R 50-59 years, female 5.2
GTEX-1B8L1-2626-SM-7SB77 60-69 years, male 5.2
GTEX-1F6I4-0226-SM-9MQMA 60-69 years, male 5.2
GTEX-1F75W-0226-SM-9JGGP 60-69 years, male 5.2
GTEX-1F88F-2626-SM-9WG5K 60-69 years, female 5.2
GTEX-1HR9M-0226-SM-COH3E 60-69 years, male 5.2
GTEX-11XUK-2126-SM-5EQLR 40-49 years, female 5.1
GTEX-139D8-0326-SM-5IJCJ 30-39 years, female 5.1
GTEX-S95S-1326-SM-2XCDK 60-69 years, male 5.1
GTEX-U3ZN-2626-SM-3DB7T 30-39 years, female 5.1
GTEX-ZVT2-2226-SM-5NQ6P 50-59 years, female 5.1
GTEX-1HCVE-0226-SM-CGQEV 50-59 years, male 5.1
GTEX-1HFI6-0326-SM-ADEI5 40-49 years, male 5.1
GTEX-1HT8W-0226-SM-CMKGT 30-39 years, male 5.1
GTEX-1LG7Z-2026-SM-DLHBP 30-39 years, male 5.1
GTEX-1MGNQ-0226-SM-EVYCK 40-49 years, male 5.1
GTEX-1QCLY-0526-SM-EAZ47 30-39 years, male 5.1
GTEX-11ZVC-2626-SM-5FQTA 50-59 years, female 5.0
GTEX-14E6E-1926-SM-664N4 30-39 years, male 5.0
GTEX-14PJ3-1926-SM-62LEY 50-59 years, male 5.0
GTEX-14PJ6-2226-SM-6LLIV 60-69 years, female 5.0
GTEX-1B933-0526-SM-7EPHM 50-59 years, female 5.0
GTEX-1HCU6-0226-SM-CGQES 60-69 years, female 5.0
GTEX-1HCUA-2226-SM-ADEHF 50-59 years, female 5.0
GTEX-ZGAY-0626-SM-DO92E 40-49 years, female 5.0
GTEX-111FC-0226-SM-5N9B8 60-69 years, male 4.9
GTEX-13X6K-0226-SM-5QGPB 60-69 years, female 4.9
GTEX-1B8KZ-1926-SM-7DUG8 50-59 years, male 4.9
GTEX-P44H-0326-SM-2XCES 40-49 years, male 4.9
GTEX-QLQW-1226-SM-2S1Q9 30-39 years, male 4.9
GTEX-QV44-1825-SM-447CF 50-59 years, male 4.9
GTEX-SNMC-1326-SM-2XCFK 20-29 years, male 4.9
GTEX-Z93T-0226-SM-5HL5Z 50-59 years, male 4.9
GTEX-1EMGI-0226-SM-9MQL1 60-69 years, male 4.9
GTEX-1IDJF-0226-SM-CMKGE 20-29 years, male 4.9
GTEX-1J8Q3-1526-SM-CMKGB 60-69 years, male 4.9
GTEX-1RAZR-0226-SM-EVYC6 40-49 years, male 4.9
GTEX-13IVO-0226-SM-5LZXU 70-79 years, male 4.8
GTEX-13YAN-0426-SM-5O9DR 60-69 years, male 4.8
GTEX-14ABY-0326-SM-5TDDK 50-59 years, male 4.8
GTEX-14C39-2526-SM-5S2UH 40-49 years, male 4.8
GTEX-Q2AI-1426-SM-2S1P5 40-49 years, male 4.8
GTEX-S7SE-0226-SM-2XCD4 50-59 years, male 4.8
GTEX-XBED-2326-SM-47JYR 60-69 years, male 4.8
GTEX-XGQ4-2226-SM-4AT4Y 50-59 years, male 4.8
GTEX-11DXX-2326-SM-9YFKS 60-69 years, female 4.8
GTEX-1I1HK-0226-SM-COH4A 60-69 years, male 4.8
GTEX-1ICLZ-0226-SM-CKZPP 60-69 years, male 4.8
GTEX-1IE54-0226-SM-CMKHX 40-49 years, female 4.8
GTEX-1JKYN-1226-SM-CGQG8 30-39 years, male 4.8
GTEX-1PIGE-0526-SM-DTXFA 20-29 years, male 4.8
GTEX-1QP2A-0226-SM-EVYBC 50-59 years, male 4.8
GTEX-POMQ-2326-SM-DHXIS 20-29 years, female 4.8
GTEX-UTHO-0426-SM-CE6QU 60-69 years, male 4.8
GTEX-1128S-2126-SM-5H12U 60-69 years, female 4.7
GTEX-11ZTS-0226-SM-5EQKD 60-69 years, female 4.7
GTEX-139T6-2126-SM-5KM37 50-59 years, male 4.7
GTEX-13N2G-2726-SM-5J1MG 60-69 years, male 4.7
GTEX-13O21-1526-SM-5K7W4 50-59 years, male 4.7
GTEX-16BQI-0526-SM-6PAM8 30-39 years, female 4.7
GTEX-18A7A-0326-SM-731AT 50-59 years, female 4.7
GTEX-N7MS-0326-SM-4E3K2 60-69 years, male 4.7
GTEX-OHPN-0226-SM-48TBV 60-69 years, female 4.7
GTEX-QV31-1326-SM-2S1QE 30-39 years, male 4.7
GTEX-X638-0226-SM-47JZ9 70-79 years, female 4.7
GTEX-Y111-0226-SM-4SOIW 50-59 years, male 4.7
GTEX-Z93S-0226-SM-5HL7R 50-59 years, male 4.7
GTEX-1GN1U-0226-SM-9YFLQ 50-59 years, female 4.7
GTEX-1H1E6-2026-SM-9KNVK 30-39 years, male 4.7
GTEX-1JJE9-1226-SM-CNPOI 70-79 years, male 4.7
GTEX-PX3G-0226-SM-DKPOF 20-29 years, female 4.7
GTEX-11EM3-2326-SM-5H12B 20-29 years, female 4.6
GTEX-12KS4-0426-SM-5EQMC 30-39 years, male 4.6
GTEX-12WSC-0226-SM-5EQ52 50-59 years, male 4.6
GTEX-13O3P-0226-SM-5KM3Z 50-59 years, male 4.6
GTEX-15DCD-0226-SM-6LPKC 70-79 years, female 4.6
GTEX-15G19-0226-SM-6PAL2 60-69 years, male 4.6
GTEX-18D9A-2026-SM-718BL 30-39 years, female 4.6
GTEX-1AYD5-2326-SM-73KXF 50-59 years, male 4.6
GTEX-1C4CL-0426-SM-7939N 30-39 years, male 4.6
GTEX-PLZ6-1326-SM-3NB24 30-39 years, male 4.6
GTEX-1EU9M-0326-SM-7RHGF 60-69 years, male 4.6
GTEX-1GZ2Q-0326-SM-9WG6N 40-49 years, male 4.6
GTEX-1H2FU-0226-SM-9YFKO 60-69 years, female 4.6
GTEX-1QPFJ-0126-SM-E9J4B 30-39 years, female 4.6
GTEX-1RQEC-0526-SM-E6CHV 60-69 years, male 4.6
GTEX-OIZF-0226-SM-E9TI3 60-69 years, male 4.6
GTEX-Q2AH-1726-SM-DIPDV 40-49 years, male 4.6
GTEX-11P7K-2026-SM-5GU74 30-39 years, male 4.5
GTEX-11TUW-2626-SM-5EQKZ 60-69 years, male 4.5
GTEX-11WQC-2426-SM-5EQKQ 60-69 years, male 4.5
GTEX-12126-0426-SM-5Q5AP 20-29 years, male 4.5
GTEX-13JUV-2826-SM-5LZWU 40-49 years, female 4.5
GTEX-145MO-0426-SM-5QGP6 60-69 years, male 4.5
GTEX-146FQ-0226-SM-5NQAL 30-39 years, male 4.5
GTEX-14C5O-0226-SM-5SI6O 60-69 years, male 4.5
GTEX-14JIY-0526-SM-62LFH 60-69 years, male 4.5
GTEX-17HG3-2326-SM-79OKH 30-39 years, female 4.5
GTEX-1A3MW-0226-SM-7939O 60-69 years, female 4.5
GTEX-1B8SF-0526-SM-7939F 60-69 years, male 4.5
GTEX-OIZI-0226-SM-2XCEE 40-49 years, male 4.5
GTEX-P4QS-0226-SM-3NB1U 60-69 years, male 4.5
GTEX-QDT8-0226-SM-32PL4 30-39 years, female 4.5
GTEX-QDVN-2126-SM-33HBS 50-59 years, male 4.5
GTEX-ZTSS-2026-SM-5987K 40-49 years, male 4.5
GTEX-ZYFC-0326-SM-5NQ7H 50-59 years, male 4.5
GTEX-1B996-0126-SM-7PBYF 60-69 years, male 4.5
GTEX-1CB4E-1826-SM-7RHG8 60-69 years, male 4.5
GTEX-1HSGN-0126-SM-CGQFU 40-49 years, female 4.5
GTEX-1I4MK-2026-SM-B2LVR 50-59 years, female 4.5
GTEX-1J1OQ-0326-SM-CYPTJ 40-49 years, female 4.5
GTEX-1M5QR-2126-SM-DKPQM 40-49 years, male 4.5
GTEX-1PFEY-1626-SM-E9J3M 30-39 years, male 4.5
GTEX-1QP29-0726-SM-DTXFM 50-59 years, male 4.5
GTEX-1RAZQ-0626-SM-E8VOR 30-39 years, male 4.5
GTEX-1RDX4-0226-SM-DTXG1 50-59 years, female 4.5
GTEX-1S83E-0226-SM-EVYCW 40-49 years, male 4.5
GTEX-S4P3-1526-SM-E9J3W 50-59 years, female 4.5
GTEX-1399R-2626-SM-5KLZ7 30-39 years, male 4.4
GTEX-139TU-0226-SM-5J1NM 60-69 years, male 4.4
GTEX-13FHO-0326-SM-5IJBH 60-69 years, male 4.4
GTEX-13NZB-2426-SM-5K7UF 30-39 years, male 4.4
GTEX-13PLJ-0126-SM-5L3HU 60-69 years, female 4.4
GTEX-14LLW-0226-SM-62LEL 70-79 years, female 4.4
GTEX-16GPK-0226-SM-7DUFI 60-69 years, male 4.4
GTEX-QEL4-0326-SM-3GAE5 50-59 years, male 4.4
GTEX-T8EM-1126-SM-3DB7D 40-49 years, male 4.4
GTEX-X15G-2326-SM-4PQZS 50-59 years, female 4.4
GTEX-XMD2-0226-SM-4WWEE 60-69 years, female 4.4
GTEX-Y8E5-0226-SM-57WCM 60-69 years, male 4.4
GTEX-ZPCL-2126-SM-57WFZ 60-69 years, female 4.4
GTEX-ZYT6-0326-SM-7LG5R 30-39 years, male 4.4
GTEX-1GMR8-0226-SM-9YFL3 50-59 years, female 4.4
GTEX-1HSKV-0326-SM-ADEJC 60-69 years, male 4.4
GTEX-1I19N-0426-SM-ACKVY 70-79 years, male 4.4
GTEX-1K2DA-2126-SM-CGQGL 50-59 years, male 4.4
GTEX-1MCYP-1826-SM-E9J2Q 20-29 years, female 4.4
GTEX-13113-1826-SM-5LZW4 60-69 years, female 4.3
GTEX-14E6D-0226-SM-62LDW 50-59 years, male 4.3
GTEX-14PJM-0326-SM-62LF2 50-59 years, female 4.3
GTEX-17EVP-0426-SM-79OKG 40-49 years, male 4.3
GTEX-17F98-1126-SM-79OJS 40-49 years, female 4.3
GTEX-18D9U-0726-SM-7LG5J 40-49 years, male 4.3
GTEX-1C6WA-0226-SM-7IGPO 60-69 years, male 4.3
GTEX-1EWIQ-0226-SM-793D3 70-79 years, female 4.3
GTEX-PSDG-0326-SM-48TCP 50-59 years, male 4.3
GTEX-Q2AG-0226-SM-2S1P4 40-49 years, female 4.3
GTEX-SN8G-0226-SM-4DM6B 50-59 years, female 4.3
GTEX-X5EB-2426-SM-4E3HX 40-49 years, male 4.3
GTEX-Y9LG-2026-SM-62LFS 30-39 years, male 4.3
GTEX-ZYW4-0226-SM-5E44M 60-69 years, male 4.3
GTEX-18QFQ-0226-SM-731BQ 30-39 years, male 4.3
GTEX-1HSEH-0226-SM-ACKVV 60-69 years, male 4.3
GTEX-1LSNL-0526-SM-DIPFI 50-59 years, male 4.3
GTEX-1POEN-0226-SM-EYYXE 30-39 years, female 4.3
GTEX-1QAET-1126-SM-E8VML 50-59 years, male 4.3
GTEX-QEG4-0326-SM-DIPE3 30-39 years, male 4.3
GTEX-13OVK-2126-SM-6PAN1 40-49 years, male 4.2
GTEX-13S7M-0226-SM-5S2UG 60-69 years, female 4.2
GTEX-14BMU-2126-SM-5S2TS 20-29 years, female 4.2
GTEX-17F9Y-0326-SM-7IGLS 70-79 years, female 4.2
GTEX-183FY-0326-SM-793BY 20-29 years, male 4.2
GTEX-1A3MV-2126-SM-718BV 30-39 years, male 4.2
GTEX-1AX9K-2426-SM-73KZ4 50-59 years, male 4.2
GTEX-OXRL-0226-SM-3NB18 50-59 years, male 4.2
GTEX-OXRN-0226-SM-2I5EJ 50-59 years, male 4.2
GTEX-RTLS-0226-SM-2TF5E 60-69 years, female 4.2
GTEX-ZZPU-2726-SM-5NQ8O 50-59 years, female 4.2
GTEX-1CB4J-1126-SM-7PBY1 60-69 years, male 4.2
GTEX-1I1GV-0426-SM-ARZLX 60-69 years, male 4.2
GTEX-1IDJU-2526-SM-CMKGF 60-69 years, female 4.2
GTEX-1IKK5-0526-SM-CMKGG 60-69 years, male 4.2
GTEX-1KANA-0826-SM-D3L9J 20-29 years, male 4.2
GTEX-OIZG-0826-SM-E9TI4 50-59 years, male 4.2
GTEX-PWN1-0226-SM-DKPO9 40-49 years, female 4.2
GTEX-11LCK-1126-SM-5A5KC 30-39 years, male 4.1
GTEX-12696-2526-SM-5EQLN 60-69 years, male 4.1
GTEX-13FHP-0226-SM-5K7WD 50-59 years, male 4.1
GTEX-13PVR-2426-SM-5RQHN 60-69 years, female 4.1
GTEX-146FR-1826-SM-5QGPF 60-69 years, female 4.1
GTEX-14AS3-2026-SM-5TDD9 40-49 years, female 4.1
GTEX-18A6Q-0226-SM-718AS 60-69 years, male 4.1
GTEX-QCQG-1826-SM-2S1P2 50-59 years, female 4.1
GTEX-RU72-1026-SM-46MUG 50-59 years, female 4.1
GTEX-S32W-2226-SM-2XCAY 50-59 years, female 4.1
GTEX-XQ3S-1626-SM-4WAYN 20-29 years, male 4.1
GTEX-ZUA1-0226-SM-5NQ9Q 40-49 years, male 4.1
GTEX-ZV68-0226-SM-59HJF 50-59 years, female 4.1
GTEX-ZVTK-0526-SM-5GZWT 20-29 years, male 4.1
GTEX-169BO-1426-SM-9MQJT 50-59 years, male 4.1
GTEX-1CB4G-0326-SM-7SB8R 60-69 years, male 4.1
GTEX-1H1ZS-0526-SM-9WG5L 70-79 years, male 4.1
GTEX-1J8QM-2326-SM-CYPSL 60-69 years, female 4.1
GTEX-1JMQK-0126-SM-CM2S3 60-69 years, male 4.1
GTEX-1KWVE-1326-SM-E6CJ1 30-39 years, male 4.1
GTEX-1MCC2-2326-SM-E9U5G 30-39 years, female 4.1
GTEX-1PDJ9-0426-SM-E9J3E 20-29 years, male 4.1
GTEX-RVPV-1526-SM-EXOHF 60-69 years, male 4.1
GTEX-U3ZM-1026-SM-EZ6LD 40-49 years, male 4.1
GTEX-WFG7-2526-SM-EWRM5 20-29 years, male 4.1
GTEX-WYJK-0226-SM-EYYV8 50-59 years, male 4.1
GTEX-111CU-1826-SM-5GZYN 50-59 years, male 4.0
GTEX-11DXW-0326-SM-5H11W 40-49 years, male 4.0
GTEX-11GS4-2626-SM-5A5LD 60-69 years, male 4.0
GTEX-13VXU-0226-SM-5SI9R 50-59 years, male 4.0
GTEX-147F3-0626-SM-5NQ9I 50-59 years, female 4.0
GTEX-148VI-1726-SM-5S2W9 60-69 years, female 4.0
GTEX-16NGA-1826-SM-7LG5L 40-49 years, female 4.0
GTEX-XUYS-0226-SM-47JX1 50-59 years, male 4.0
GTEX-Y114-2326-SM-4TT7X 50-59 years, female 4.0
GTEX-Y3IK-2526-SM-4WWDM 50-59 years, female 4.0
GTEX-Y5V5-2426-SM-5IFJA 60-69 years, female 4.0
GTEX-ZVT4-0226-SM-51MSD 50-59 years, female 4.0
GTEX-ZVZO-0226-SM-5A5LA 40-49 years, male 4.0
GTEX-145ME-1926-SM-5MR6T 40-49 years, female 4.0
GTEX-1A8FM-0126-SM-7SB7P 50-59 years, female 4.0
GTEX-1CB4H-0326-SM-9WG5G 60-69 years, female 4.0
GTEX-1HFI7-2026-SM-CGQFR 50-59 years, female 4.0
GTEX-1IOXB-0226-SM-CMKHY 50-59 years, male 4.0
GTEX-1KAFJ-2426-SM-D4P32 50-59 years, male 4.0
GTEX-11DZ1-0226-SM-5A5KF 50-59 years, male 3.9
GTEX-14BIL-0226-SM-5SI9E 50-59 years, male 3.9
GTEX-16XZY-2526-SM-7DHL2 70-79 years, male 3.9
GTEX-1CB4I-0426-SM-7IGPR 50-59 years, male 3.9
GTEX-OHPM-0226-SM-3LK61 50-59 years, male 3.9
GTEX-PWCY-1926-SM-3NB25 20-29 years, female 3.9
GTEX-WH7G-2226-SM-3NMBN 40-49 years, male 3.9
GTEX-XLM4-0226-SM-4AT4N 60-69 years, male 3.9
GTEX-XUW1-0526-SM-4BOP3 50-59 years, female 3.9
GTEX-ZVP2-1826-SM-5GU62 50-59 years, male 3.9
GTEX-ZXES-2026-SM-5NQ6R 30-39 years, female 3.9
GTEX-1B932-0226-SM-7PBYH 40-49 years, female 3.9
GTEX-1GMRU-0226-SM-9YFLW 50-59 years, male 3.9
GTEX-1IDFM-0226-SM-CMKFX 60-69 years, male 3.9
GTEX-1K9T9-0226-SM-E9U6K 50-59 years, female 3.9
GTEX-1R9K5-0226-SM-EWRNF 50-59 years, male 3.9
GTEX-11H98-0226-SM-5NQ89 50-59 years, male 3.8
GTEX-11ZUS-0726-SM-59886 30-39 years, male 3.8
GTEX-13112-2726-SM-5DUW5 50-59 years, male 3.8
GTEX-13NZ9-0526-SM-5J1OX 50-59 years, male 3.8
GTEX-16MT8-0526-SM-6PAM6 60-69 years, female 3.8
GTEX-17HII-0326-SM-7LG4X 50-59 years, male 3.8
GTEX-1B8KE-2526-SM-73KYQ 50-59 years, male 3.8
GTEX-OIZH-0226-SM-2YUMH 50-59 years, male 3.8
GTEX-R55G-2426-SM-2TC5I 40-49 years, female 3.8
GTEX-TMZS-0226-SM-3DB9N 60-69 years, male 3.8
GTEX-WVLH-0226-SM-3MJG6 50-59 years, male 3.8
GTEX-ZZ64-1626-SM-5E43W 20-29 years, male 3.8
GTEX-1EKGG-0126-SM-9YFLS 60-69 years, male 3.8
GTEX-1I6K7-0226-SM-CJI46 40-49 years, male 3.8
GTEX-1IGQW-0226-SM-COH43 60-69 years, male 3.8
GTEX-1J1R8-2226-SM-ARZMP 40-49 years, male 3.8
GTEX-1J8JJ-0326-SM-CMKG6 60-69 years, female 3.8
GTEX-1LB8K-0326-SM-E9TJC 50-59 years, male 3.8
GTEX-1LH75-2526-SM-E9U5A 50-59 years, female 3.8
GTEX-1LVAO-0226-SM-E9U6O 60-69 years, male 3.8
GTEX-1MA7X-2126-SM-E6CIX 60-69 years, male 3.8
GTEX-1OFPY-2326-SM-E8VNU 60-69 years, male 3.8
GTEX-1OJC4-1726-SM-EXUSV 50-59 years, female 3.8
GTEX-R3RS-0226-SM-EYYVE 40-49 years, female 3.8
GTEX-RNOR-0226-SM-EZ6MF 50-59 years, female 3.8
GTEX-11EI6-0226-SM-5EQ64 60-69 years, male 3.7
GTEX-11EQ9-2526-SM-5HL66 30-39 years, male 3.7
GTEX-11PRG-0626-SM-5BC56 50-59 years, male 3.7
GTEX-12ZZY-0326-SM-5LZVQ 60-69 years, male 3.7
GTEX-139T4-0126-SM-5HL5G 50-59 years, female 3.7
GTEX-139TT-0226-SM-5K7YH 60-69 years, male 3.7
GTEX-13CF2-2626-SM-5LZZA 60-69 years, male 3.7
GTEX-17EUY-0526-SM-7EWDE 20-29 years, male 3.7
GTEX-17HHE-1926-SM-7EPGW 50-59 years, male 3.7
GTEX-1C6VS-0426-SM-79OJV 60-69 years, male 3.7
GTEX-1E1VI-0226-SM-793CZ 50-59 years, male 3.7
GTEX-O5YT-0226-SM-32PK5 20-29 years, male 3.7
GTEX-OHPK-0226-SM-3MJH6 50-59 years, female 3.7
GTEX-POYW-0726-SM-2XCEO 60-69 years, male 3.7
GTEX-R55C-1626-SM-48FEG 40-49 years, male 3.7
GTEX-WFON-2226-SM-3TW8W 40-49 years, male 3.7
GTEX-ZPIC-1826-SM-57WFE 40-49 years, female 3.7
GTEX-ZQG8-1526-SM-5HL65 60-69 years, female 3.7
GTEX-ZTX8-1526-SM-5N9GI 20-29 years, male 3.7
GTEX-1F75A-0226-SM-7PC2K 50-59 years, male 3.7
GTEX-1GF9V-0226-SM-9MQKA 60-69 years, male 3.7
GTEX-1GTWX-0226-SM-9YFLL 60-69 years, male 3.7
GTEX-1H1DE-2026-SM-9WG6Q 20-29 years, male 3.7
GTEX-1I1GQ-0226-SM-COH3I 50-59 years, male 3.7
GTEX-1ICG6-2626-SM-CGQG1 70-79 years, female 3.7
GTEX-1J8EW-0226-SM-CYPSW 60-69 years, female 3.7
GTEX-1R7EV-1926-SM-EVYBF 40-49 years, male 3.7
GTEX-P4PP-0226-SM-D4P1Z 30-39 years, female 3.7
GTEX-PLZ4-0226-SM-CYPR1 50-59 years, female 3.7
GTEX-11GSO-2326-SM-5A5LX 60-69 years, male 3.6
GTEX-11I78-2626-SM-5Q5AI 50-59 years, female 3.6
GTEX-11TT1-2426-SM-5EQMK 20-29 years, male 3.6
GTEX-13NZ8-0926-SM-5MR3U 60-69 years, female 3.6
GTEX-145MG-0126-SM-5TDDA 50-59 years, male 3.6
GTEX-14PHX-2426-SM-62LEN 50-59 years, male 3.6
GTEX-15SDE-2426-SM-7KFRC 50-59 years, female 3.6
GTEX-16NPX-0326-SM-7EWDI 50-59 years, male 3.6
GTEX-1C475-1926-SM-7DUFV 40-49 years, female 3.6
GTEX-Q734-1826-SM-2I3EL 40-49 years, female 3.6
GTEX-Y8LW-1926-SM-4WWFZ 50-59 years, female 3.6
GTEX-YFC4-0226-SM-57WD2 40-49 years, female 3.6
GTEX-Z9EW-1826-SM-5CVMA 40-49 years, male 3.6
GTEX-ZYY3-0226-SM-5E45M 60-69 years, female 3.6
GTEX-1AX9I-0226-SM-7SB75 60-69 years, male 3.6
GTEX-1E2YA-0226-SM-9MQLY 50-59 years, male 3.6
GTEX-1F52S-0226-SM-7SB7U 60-69 years, female 3.6
GTEX-1FIGZ-1626-SM-7SB8L 40-49 years, male 3.6
GTEX-1GMR3-2026-SM-9MQLG 40-49 years, male 3.6
GTEX-1GPI7-0226-SM-9MQKB 20-29 years, male 3.6
GTEX-1GZ4I-0226-SM-7RHHO 50-59 years, male 3.6
GTEX-1H1CY-2626-SM-9MQKJ 60-69 years, female 3.6
GTEX-1H3VE-0226-SM-9WYST 40-49 years, male 3.6
GTEX-1H3VY-0226-SM-9YFMF 50-59 years, male 3.6
GTEX-1R7EU-0326-SM-EWRNJ 60-69 years, male 3.6
GTEX-RUSQ-1626-SM-EZ6L4 50-59 years, male 3.6
GTEX-13OVL-0326-SM-5IJCS 50-59 years, male 3.5
GTEX-13QJ3-0426-SM-5RQHP 50-59 years, male 3.5
GTEX-13X6J-0226-SM-7EPGC 50-59 years, male 3.5
GTEX-144FL-0226-SM-5Q5D4 50-59 years, male 3.5
GTEX-145MN-2626-SM-5NQAH 30-39 years, male 3.5
GTEX-147JS-0426-SM-5TDD2 60-69 years, male 3.5
GTEX-15ETS-0426-SM-6PANI 40-49 years, female 3.5
GTEX-17MF6-0226-SM-7LG4G 40-49 years, male 3.5
GTEX-NFK9-0326-SM-3MJGV 40-49 years, male 3.5
GTEX-TKQ1-1126-SM-4GIAZ 30-39 years, male 3.5
GTEX-W5X1-2626-SM-4LMI8 40-49 years, female 3.5
GTEX-X4XY-0326-SM-46MVZ 60-69 years, male 3.5
GTEX-X8HC-0226-SM-4E3K1 50-59 years, female 3.5
GTEX-Y3I4-2226-SM-4TT7O 50-59 years, male 3.5
GTEX-YB5K-2226-SM-4WWG1 40-49 years, female 3.5
GTEX-YEC4-2426-SM-57WFO 40-49 years, male 3.5
GTEX-ZLV1-1826-SM-5FQU5 60-69 years, female 3.5
GTEX-ZYVF-0226-SM-5GIEG 50-59 years, female 3.5
GTEX-1AYCT-2226-SM-7SB98 50-59 years, male 3.5
GTEX-1C6VR-2626-SM-7MGX2 60-69 years, male 3.5
GTEX-1HSMQ-1426-SM-ADEHT 50-59 years, male 3.5
GTEX-1I1GR-0226-SM-CMKHQ 60-69 years, male 3.5
GTEX-1KD5A-0326-SM-D5OVD 50-59 years, male 3.5
GTEX-1S5ZU-0226-SM-E6CHW 20-29 years, female 3.5
GTEX-1S82P-0226-SM-E6CI6 60-69 years, female 3.5
GTEX-ZDYS-2126-SM-5S2P2 50-59 years, male 3.5
GTEX-12WSA-0326-SM-5BC6I 60-69 years, male 3.4
GTEX-13CF3-2326-SM-5IFGL 60-69 years, female 3.4
GTEX-13VXT-0226-SM-5LU9Q 20-29 years, female 3.4
GTEX-14BIN-0726-SM-793DQ 50-59 years, female 3.4
GTEX-14DAR-1926-SM-5S2NQ 50-59 years, male 3.4
GTEX-16YQH-0226-SM-6PALD 30-39 years, male 3.4
GTEX-17HGU-0326-SM-7DUER 50-59 years, male 3.4
GTEX-17MFQ-1826-SM-7DHLS 20-29 years, male 3.4
GTEX-1C64O-0226-SM-73KXB 60-69 years, male 3.4
GTEX-T5JC-0526-SM-32PM7 20-29 years, male 3.4
GTEX-WFJO-1926-SM-3GILA 30-39 years, male 3.4
GTEX-XAJ8-0926-SM-47JXZ 40-49 years, male 3.4
GTEX-XBEC-0326-SM-4AT4M 50-59 years, male 3.4
GTEX-XQ8I-0526-SM-4BOPS 50-59 years, male 3.4
GTEX-YJ89-0226-SM-4TT3Y 60-69 years, male 3.4
GTEX-ZAK1-0226-SM-5CVMX 50-59 years, female 3.4
GTEX-1122O-2026-SM-9YFMG 60-69 years, female 3.4
GTEX-1A8G6-0526-SM-7PC1E 60-69 years, male 3.4
GTEX-1CAMQ-0126-SM-7SB7S 40-49 years, male 3.4
GTEX-1F48J-0226-SM-7SB82 50-59 years, female 3.4
GTEX-1GN1W-0626-SM-9MQK3 50-59 years, female 3.4
GTEX-1HSMO-0226-SM-CGQEZ 60-69 years, male 3.4
GTEX-1I1GU-2326-SM-CGQFB 40-49 years, male 3.4
GTEX-1JJEA-0226-SM-COH2X 60-69 years, male 3.4
GTEX-1PWST-0326-SM-EAZ42 70-79 years, male 3.4
GTEX-1QP67-1726-SM-E8VOP 40-49 years, female 3.4
GTEX-1QP6S-0126-SM-E9J4K 40-49 years, male 3.4
GTEX-R45C-0226-SM-EVYAJ 60-69 years, female 3.4
GTEX-117YX-2226-SM-5EGJJ 50-59 years, male 3.3
GTEX-11EMC-2826-SM-5PNY6 60-69 years, female 3.3
GTEX-11ONC-2526-SM-5986W 60-69 years, male 3.3
GTEX-11P82-1726-SM-5Q5AT 20-29 years, male 3.3
GTEX-12584-0226-SM-5EQL5 40-49 years, male 3.3
GTEX-12WSD-0226-SM-59HKO 60-69 years, female 3.3
GTEX-13NZA-0126-SM-5K7UH 60-69 years, male 3.3
GTEX-13QBU-2526-SM-5LU4X 40-49 years, female 3.3
GTEX-14DAQ-0226-SM-664MQ 60-69 years, female 3.3
GTEX-14ICL-2026-SM-62LDN 30-39 years, male 3.3
GTEX-14PN3-2526-SM-6EU15 60-69 years, female 3.3
GTEX-15CHQ-0226-SM-6EU2S 60-69 years, male 3.3
GTEX-OOBJ-0226-SM-2YUMM 60-69 years, male 3.3
GTEX-XBEW-0726-SM-4QARX 40-49 years, male 3.3
GTEX-ZF3C-0226-SM-4WWB3 50-59 years, female 3.3
GTEX-ZTPG-0226-SM-5O99I 20-29 years, female 3.3
GTEX-ZVZP-2326-SM-59HL4 50-59 years, male 3.3
GTEX-1HSMP-0226-SM-CGQFI 70-79 years, male 3.3
GTEX-1I1CD-0226-SM-CM2TL 60-69 years, female 3.3
GTEX-1I1GT-0526-SM-CGQEQ 60-69 years, female 3.3
GTEX-1I6K6-0226-SM-ADEID 30-39 years, male 3.3
GTEX-1LGRB-2426-SM-CNPP3 50-59 years, female 3.3
GTEX-1LSNM-2026-SM-E6CIJ 50-59 years, male 3.3
GTEX-1N2DW-0326-SM-E9TK3 50-59 years, male 3.3
GTEX-1117F-0226-SM-5GZZ7 60-69 years, female 3.2
GTEX-11TTK-0226-SM-5N9EC 60-69 years, female 3.2
GTEX-12C56-1626-SM-5FQUO 20-29 years, male 3.2
GTEX-12ZZX-0226-SM-5DUXU 40-49 years, female 3.2
GTEX-133LE-1926-SM-5N9FV 20-29 years, female 3.2
GTEX-13D11-2326-SM-5IJCY 50-59 years, female 3.2
GTEX-13JVG-0226-SM-5J1MW 60-69 years, male 3.2
GTEX-13O61-2426-SM-5J1NV 60-69 years, male 3.2
GTEX-13W3W-2526-SM-5SI9P 60-69 years, female 3.2
GTEX-144GM-1926-SM-5LUAN 20-29 years, male 3.2
GTEX-P78B-0226-SM-3NB1Z 40-49 years, female 3.2
GTEX-T6MN-0226-SM-32PMD 50-59 years, male 3.2
GTEX-WEY5-1926-SM-3GIL8 40-49 years, female 3.2
GTEX-YB5E-2126-SM-5IFI7 40-49 years, male 3.2
GTEX-ZC5H-0126-SM-4WAYL 40-49 years, female 3.2
GTEX-ZF29-2226-SM-4WWB9 60-69 years, female 3.2
GTEX-ZXG5-0226-SM-59HJI 60-69 years, male 3.2
GTEX-1EX96-1426-SM-7PBZ5 50-59 years, male 3.2
GTEX-1F5PK-2526-SM-9MQKN 50-59 years, male 3.2
GTEX-1F6RS-0226-SM-9MQKO 60-69 years, female 3.2
GTEX-1F88E-0526-SM-7SB8J 60-69 years, female 3.2
GTEX-1GMR2-2526-SM-9MQKW 50-59 years, male 3.2
GTEX-1HCU7-0326-SM-CMKGI 50-59 years, male 3.2
GTEX-1HGF4-2526-SM-ADEIZ 60-69 years, male 3.2
GTEX-1HUB1-0326-SM-A9SKQ 60-69 years, male 3.2
GTEX-1ICLY-0226-SM-ARL7R 50-59 years, male 3.2
GTEX-1IY9M-0226-SM-CMKHP 60-69 years, male 3.2
GTEX-1KXAM-2326-SM-CYPTD 60-69 years, male 3.2
GTEX-1L5NE-2626-SM-E9U6P 50-59 years, male 3.2
GTEX-1MUQO-0526-SM-E9J31 60-69 years, male 3.2
GTEX-1QEPI-0226-SM-EWRMR 60-69 years, female 3.2
GTEX-11UD1-0226-SM-5EQKL 40-49 years, female 3.1
GTEX-1211K-2226-SM-5FQU6 60-69 years, female 3.1
GTEX-1313W-0226-SM-5LZV7 50-59 years, female 3.1
GTEX-131XF-2226-SM-5EQKG 60-69 years, male 3.1
GTEX-13N11-2626-SM-5K7UQ 50-59 years, female 3.1
GTEX-13SLW-0226-SM-5S2NA 70-79 years, male 3.1
GTEX-14BMV-0226-SM-5S2N2 50-59 years, male 3.1
GTEX-14JG6-2326-SM-6LLH3 30-39 years, female 3.1
GTEX-14PJ2-0226-SM-6LLH4 50-59 years, male 3.1
GTEX-R55D-0326-SM-48FES 50-59 years, male 3.1
GTEX-RM2N-1726-SM-2TF55 50-59 years, male 3.1
GTEX-U4B1-1726-SM-3DB9F 40-49 years, male 3.1
GTEX-X4EO-0426-SM-4QASA 60-69 years, female 3.1
GTEX-XV7Q-2626-SM-4BRVA 40-49 years, female 3.1
GTEX-ZDTT-2626-SM-5S2OP 60-69 years, male 3.1
GTEX-1CB4F-0526-SM-9KNW2 60-69 years, male 3.1
GTEX-1EH9U-0226-SM-7PBY8 60-69 years, male 3.1
GTEX-1LG7Y-0426-SM-DKPQB 50-59 years, male 3.1
GTEX-WFG8-2326-SM-DIPDX 20-29 years, male 3.1
GTEX-XOT4-0226-SM-4B66Z 60-69 years, female 3.1
GTEX-131YS-0226-SM-5IJEH 60-69 years, female 3.0
GTEX-13FTW-2526-SM-5IJC8 40-49 years, male 3.0
GTEX-13OW8-1226-SM-5K7XD 60-69 years, male 3.0
GTEX-13PVQ-0226-SM-5SIBG 50-59 years, male 3.0
GTEX-13U4I-0226-SM-5SIB1 40-49 years, female 3.0
GTEX-16MTA-2126-SM-6PALC 50-59 years, male 3.0
GTEX-17F97-0426-SM-7LT9U 50-59 years, male 3.0
GTEX-18A67-0226-SM-7LG67 50-59 years, male 3.0
GTEX-1B97I-1726-SM-7939V 40-49 years, male 3.0
GTEX-NPJ8-0226-SM-48TBN 40-49 years, male 3.0
GTEX-QESD-1526-SM-2S1QT 20-29 years, male 3.0
GTEX-X4LF-1726-SM-3NMBZ 50-59 years, male 3.0
GTEX-X88G-0226-SM-4GIE4 30-39 years, male 3.0
GTEX-YEC3-1226-SM-5IFI8 50-59 years, male 3.0
GTEX-ZP4G-2326-SM-57WEM 20-29 years, female 3.0
GTEX-17KNJ-2226-SM-DKPOU 50-59 years, male 3.0
GTEX-1CAMS-0326-SM-7PC35 40-49 years, female 3.0
GTEX-1H23P-0226-SM-9YFLO 60-69 years, male 3.0
GTEX-1I1GP-2326-SM-CGQFL 50-59 years, male 3.0
GTEX-1JN6P-0226-SM-COH34 60-69 years, male 3.0
GTEX-1LVA9-0226-SM-E9U5N 50-59 years, male 3.0
GTEX-1R46S-0526-SM-EVYBZ 60-69 years, female 3.0
GTEX-11UD2-0126-SM-5EQL2 50-59 years, male 2.9
GTEX-131XW-0526-SM-5PNXZ 50-59 years, female 2.9
GTEX-132QS-2526-SM-62LFJ 60-69 years, male 2.9
GTEX-139YR-2426-SM-5J1OB 50-59 years, male 2.9
GTEX-13OVI-1326-SM-5IJBO 60-69 years, female 2.9
GTEX-144GL-0226-SM-5QGOX 50-59 years, male 2.9
GTEX-14PJ4-2226-SM-6LLIS 60-69 years, male 2.9
GTEX-16AAH-2026-SM-7LG5F 50-59 years, male 2.9
GTEX-1A32A-0226-SM-718B2 50-59 years, female 2.9
GTEX-SNOS-1426-SM-32PLY 40-49 years, male 2.9
GTEX-VUSG-2426-SM-4KKZG 50-59 years, male 2.9
GTEX-WY7C-2426-SM-3NB2V 50-59 years, male 2.9
GTEX-X261-0226-SM-3NMD2 50-59 years, male 2.9
GTEX-XYKS-2726-SM-4E3IC 60-69 years, female 2.9
GTEX-ZDXO-2426-SM-5S2NJ 60-69 years, male 2.9
GTEX-11NUK-0326-SM-5HL5K 50-59 years, male 2.9
GTEX-13NYB-2626-SM-9YFMI 40-49 years, male 2.9
GTEX-1C6VQ-0226-SM-7P8S5 50-59 years, male 2.9
GTEX-1H4P4-0226-SM-9YFKT 50-59 years, male 2.9
GTEX-1IKJJ-0226-SM-COH3T 60-69 years, male 2.9
GTEX-1PPGY-0326-SM-DTXFD 60-69 years, male 2.9
GTEX-1QP9N-1526-SM-DTXFK 30-39 years, male 2.9
GTEX-ZLFU-2626-SM-DO91L 40-49 years, male 2.9
GTEX-ZLWG-2226-SM-DO92V 50-59 years, female 2.9
GTEX-11ZTT-2526-SM-5EQM9 60-69 years, female 2.8
GTEX-13FTY-0626-SM-5L3F8 40-49 years, female 2.8
GTEX-13OW7-0226-SM-5MR3N 50-59 years, male 2.8
GTEX-13PDP-0226-SM-5K7W9 60-69 years, male 2.8
GTEX-147GR-0426-SM-5S2OL 60-69 years, male 2.8
GTEX-14PII-0326-SM-6LLIQ 60-69 years, male 2.8
GTEX-15UKP-0526-SM-7KFRO 20-29 years, male 2.8
GTEX-1AX9J-0326-SM-73KXY 60-69 years, male 2.8
GTEX-OOBK-0226-SM-2YUMF 40-49 years, male 2.8
GTEX-QDVJ-1826-SM-2S1P3 50-59 years, male 2.8
GTEX-1GN73-0326-SM-9KNTW 60-69 years, male 2.8
GTEX-1H1DF-0226-SM-ARL9A 40-49 years, female 2.8
GTEX-1HB9E-0426-SM-CNPPV 50-59 years, male 2.8
GTEX-1I1GS-0226-SM-B2LVX 60-69 years, male 2.8
GTEX-1LBAC-0226-SM-DHXJZ 20-29 years, male 2.8
GTEX-1NHNU-1126-SM-E9J2C 50-59 years, male 2.8
GTEX-1PBJI-0426-SM-E8VNM 20-29 years, female 2.8
GTEX-111VG-2326-SM-5N9BK 60-69 years, male 2.7
GTEX-11O72-0226-SM-59869 40-49 years, male 2.7
GTEX-15DDE-0226-SM-6LLJ6 50-59 years, female 2.7
GTEX-15RIE-2326-SM-7KFSC 60-69 years, male 2.7
GTEX-18A66-0326-SM-718BE 60-69 years, male 2.7
GTEX-PLZ5-1826-SM-3NB22 50-59 years, male 2.7
GTEX-QEG5-0326-SM-2S1PB 20-29 years, male 2.7
GTEX-QLQ7-1526-SM-2S1QA 60-69 years, male 2.7
GTEX-RWSA-0226-SM-2XCBA 40-49 years, male 2.7
GTEX-W5WG-2526-SM-4SOJ2 50-59 years, female 2.7
GTEX-1H3O1-0526-SM-9MQLS 60-69 years, male 2.7
GTEX-1HCU8-0726-SM-ADEIR 60-69 years, female 2.7
GTEX-1IDJD-1226-SM-CM2TP 30-39 years, male 2.7
GTEX-1JMPY-1426-SM-ARL8Z 30-39 years, male 2.7
GTEX-1QP66-1326-SM-DTXDQ 50-59 years, male 2.7
GTEX-11EQ8-0226-SM-5EQ5G 60-69 years, male 2.6
GTEX-13111-1726-SM-5EGJZ 50-59 years, male 2.6
GTEX-131XE-2426-SM-5EQ5V 50-59 years, male 2.6
GTEX-132AR-0226-SM-5IJBE 50-59 years, female 2.6
GTEX-13FH7-2226-SM-5IJD4 50-59 years, female 2.6
GTEX-13G51-2626-SM-5LZYW 60-69 years, male 2.6
GTEX-145LT-1826-SM-5QGP4 40-49 years, male 2.6
GTEX-183WM-0226-SM-7LT8T 70-79 years, female 2.6
GTEX-R53T-1626-SM-3GAEW 50-59 years, female 2.6
GTEX-SUCS-1826-SM-32PM1 70-79 years, male 2.6
GTEX-T5JW-1726-SM-3GADN 20-29 years, female 2.6
GTEX-TSE9-0226-SM-3DB84 60-69 years, female 2.6
GTEX-UJHI-1626-SM-3DB9A 50-59 years, female 2.6
GTEX-Y5V6-2526-SM-5IFJV 60-69 years, male 2.6
GTEX-ZE9C-2826-SM-5S2MO 60-69 years, male 2.6
GTEX-ZVE2-0326-SM-57WFC 50-59 years, male 2.6
GTEX-1IL2V-0226-SM-CMKI2 70-79 years, male 2.6
GTEX-1JKYR-0226-SM-CNPOK 20-29 years, male 2.6
GTEX-1LVAN-0126-SM-COH4H 50-59 years, female 2.6
GTEX-1RAZA-0226-SM-E9U4W 20-29 years, male 2.6
GTEX-1399U-2426-SM-5K7XB 50-59 years, female 2.5
GTEX-13O1R-0226-SM-5K7U5 60-69 years, male 2.5
GTEX-145MI-0426-SM-5O99V 60-69 years, female 2.5
GTEX-14A5H-0526-SM-5TDCN 60-69 years, male 2.5
GTEX-18465-0226-SM-7LG5M 50-59 years, male 2.5
GTEX-WI4N-1126-SM-3LK7Q 40-49 years, female 2.5
GTEX-WL46-0326-SM-3LK6Y 50-59 years, male 2.5
GTEX-XXEK-2426-SM-4BRUS 50-59 years, male 2.5
GTEX-ZAJG-0226-SM-5HL81 50-59 years, female 2.5
GTEX-1CAMR-1826-SM-7MXUJ 20-29 years, male 2.5
GTEX-1GZ4H-1826-SM-9MQLE 50-59 years, female 2.5
GTEX-1JN1M-0126-SM-D4P23 60-69 years, female 2.5
GTEX-1QP28-0226-SM-E9J2N 50-59 years, female 2.5
GTEX-113IC-0226-SM-5HL5C 60-69 years, male 2.4
GTEX-12WSL-2426-SM-5GCN7 50-59 years, male 2.4
GTEX-145LS-0226-SM-5O9A5 60-69 years, female 2.4
GTEX-O5YV-0226-SM-48TBY 60-69 years, female 2.4
GTEX-OXRP-0226-SM-3NB14 60-69 years, female 2.4
GTEX-P4PQ-0226-SM-2S1NK 60-69 years, male 2.4
GTEX-U412-0526-SM-3DB9I 60-69 years, male 2.4
GTEX-Y8E4-0726-SM-4WWFN 40-49 years, male 2.4
GTEX-YJ8A-0526-SM-5IFHT 20-29 years, male 2.4
GTEX-ZPU1-2426-SM-4WWFM 40-49 years, male 2.4
GTEX-1HBPH-0526-SM-9YFMN 40-49 years, female 2.4
GTEX-1IL2U-0326-SM-CE6T9 60-69 years, male 2.4
GTEX-1N2EF-0626-SM-E9J32 60-69 years, male 2.4
GTEX-1212Z-2426-SM-5EQ5D 60-69 years, male 2.3
GTEX-1399T-2726-SM-5K7XK 60-69 years, male 2.3
GTEX-144GO-1626-SM-7EPG5 60-69 years, male 2.3
GTEX-U8XE-0426-SM-3DB91 30-39 years, male 2.3
GTEX-XK95-0426-SM-4AT4R 40-49 years, male 2.3
GTEX-ZDTS-0226-SM-5HL7Q 60-69 years, male 2.3
GTEX-ZEX8-2326-SM-5S2MN 50-59 years, male 2.3
GTEX-1GF9X-1926-SM-ADEIC 40-49 years, female 2.3
GTEX-1HR98-0226-SM-CGQEK 60-69 years, male 2.3
GTEX-13OVJ-0326-SM-5L3GL 50-59 years, female 2.2
GTEX-14E1K-2126-SM-793DU 50-59 years, male 2.2
GTEX-14ICK-0326-SM-6LLIZ 40-49 years, male 2.2
GTEX-14PK6-2026-SM-6LLHP 70-79 years, female 2.2
GTEX-OXRO-0226-SM-3LK6F 60-69 years, female 2.2
GTEX-SIU8-0226-SM-2XCDS 50-59 years, male 2.2
GTEX-YFCO-2026-SM-4W21Q 40-49 years, male 2.2
GTEX-11ZU8-2426-SM-5EQMV 60-69 years, male 2.1
GTEX-1A3MX-0226-SM-731C4 60-69 years, male 2.1
GTEX-XUZC-1826-SM-4BRVO 30-39 years, female 2.1
GTEX-ZT9X-1926-SM-57WE7 40-49 years, male 2.1
GTEX-VUSH-0226-SM-EXUQV 30-39 years, male 2.1
GTEX-12ZZZ-0526-SM-5DUX6 60-69 years, male 2.0
GTEX-13OW6-0526-SM-5L3HY 50-59 years, male 2.0
GTEX-1A8G7-0226-SM-731AS 60-69 years, male 2.0
GTEX-P44G-2326-SM-2XCCZ 30-39 years, male 2.0
GTEX-VJYA-1326-SM-3GIJC 60-69 years, male 2.0
GTEX-ZE7O-0226-SM-5S2N1 50-59 years, female 2.0
GTEX-16XZZ-0226-SM-7MGVJ 60-69 years, male 2.0
GTEX-1GN1V-0226-SM-9WYTN 60-69 years, male 2.0
GTEX-1JK1U-2126-SM-CNPOU 60-69 years, male 2.0
GTEX-1JMQL-0326-SM-CNPP6 50-59 years, female 2.0
GTEX-1BAJH-0426-SM-73KWY 70-79 years, male 1.9
GTEX-13N1W-0226-SM-5K7W6 70-79 years, male 1.8
GTEX-13SLX-0426-SM-5QGRC 50-59 years, female 1.8
GTEX-P4QT-0226-SM-3LK68 50-59 years, female 1.8
GTEX-1GN2E-0326-SM-COH3C 60-69 years, male 1.8
GTEX-14E6C-0226-SM-5S2N3 40-49 years, male 1.7
GTEX-YECK-0226-SM-4W215 60-69 years, male 1.7
GTEX-14753-0326-SM-5QGQB 60-69 years, male 1.6
GTEX-VJWN-0226-SM-EZ6LF 50-59 years, female 1.6
GTEX-ZYFD-0226-SM-5NQ86 50-59 years, male 1.4
Show allShow less
Adipose - Visceral (Omentum)
Average nTPM: 3.7
Samples: 541

Max nTPM: 9.7
Min nTPM: 1.2
Std nTPM: 1.3
Median nTPM: 3.5
GTEX-1ICLZ-1626-SM-CE6SS 60-69 years, male 9.7
GTEX-Y8E4-1226-SM-5IFIM 40-49 years, male 9.4
GTEX-13G51-0526-SM-5IJCQ 60-69 years, male 8.1
GTEX-13O3P-0926-SM-5IFFI 50-59 years, male 7.4
GTEX-XQ8I-1426-SM-4BOPW 50-59 years, male 7.2
GTEX-1I1GQ-1026-SM-CNNQS 50-59 years, male 7.0
GTEX-17F96-0726-SM-793CB 70-79 years, male 6.8
GTEX-1B932-1726-SM-793A5 40-49 years, female 6.8
GTEX-1I19N-1026-SM-A96TT 70-79 years, male 6.8
GTEX-132NY-1126-SM-5PNVE 60-69 years, male 6.6
GTEX-131YS-1726-SM-5HL7G 60-69 years, female 6.5
GTEX-15SHU-2326-SM-7KUMC 40-49 years, female 6.5
GTEX-1B8L1-0126-SM-9KNVS 60-69 years, male 6.5
GTEX-17HHE-1526-SM-793AS 50-59 years, male 6.3
GTEX-1H2FU-1426-SM-9WPO6 60-69 years, female 6.3
GTEX-11DXY-0326-SM-5H12F 60-69 years, male 6.2
GTEX-11NV4-1426-SM-5BC4W 60-69 years, male 6.2
GTEX-17EVQ-0626-SM-7KFTB 70-79 years, male 6.2
GTEX-17HHY-1026-SM-7LG5E 50-59 years, male 6.2
GTEX-17KNJ-0426-SM-718AK 50-59 years, male 6.2
GTEX-WYVS-0626-SM-4SOJY 40-49 years, female 6.2
GTEX-1IE54-1426-SM-CL53C 40-49 years, female 6.2
GTEX-13FHO-2026-SM-5J1OA 60-69 years, male 6.1
GTEX-13NZB-0826-SM-5K7X5 30-39 years, male 6.1
GTEX-14C5O-0926-SM-793DM 60-69 years, male 6.1
GTEX-1RLM8-1026-SM-EWROE 50-59 years, male 6.1
GTEX-13X6J-1926-SM-5TDCU 50-59 years, male 6.0
GTEX-14E6E-0226-SM-7DUEF 30-39 years, male 6.0
GTEX-WWTW-1326-SM-4MVNT 50-59 years, male 6.0
GTEX-ZAB5-1126-SM-5Q5AD 50-59 years, male 6.0
GTEX-1H1DE-0826-SM-ARU8V 20-29 years, male 6.0
GTEX-14DAQ-2526-SM-5RQIO 60-69 years, female 5.9
GTEX-Y5V5-0226-SM-5S2N8 60-69 years, female 5.9
GTEX-1KANB-2426-SM-EV7BE 50-59 years, male 5.9
GTEX-1RB15-1126-SM-E8VMX 60-69 years, male 5.9
GTEX-ZC5H-1626-SM-5HL7L 40-49 years, female 5.8
GTEX-1I1GR-1726-SM-COH39 60-69 years, male 5.8
GTEX-1K2DA-1126-SM-CGQGG 50-59 years, male 5.8
GTEX-1MA7X-1026-SM-DKPQ8 60-69 years, male 5.8
GTEX-1P4AB-1226-SM-DTXET 50-59 years, male 5.8
GTEX-12WSA-1626-SM-5EGJV 60-69 years, male 5.7
GTEX-132Q8-1726-SM-5EGK8 60-69 years, male 5.7
GTEX-15D1Q-1326-SM-69LOA 40-49 years, male 5.7
GTEX-XQ3S-2426-SM-4WAYB 20-29 years, male 5.7
GTEX-1GF9U-1226-SM-ARL9I 40-49 years, female 5.7
GTEX-1HBPH-2226-SM-9WYSO 40-49 years, female 5.7
GTEX-1HFI6-1726-SM-CGQFH 40-49 years, male 5.7
GTEX-1RMOY-0826-SM-E9TIF 50-59 years, male 5.7
GTEX-13NYS-0726-SM-5J1OR 60-69 years, male 5.6
GTEX-15ER7-1026-SM-7KUMD 20-29 years, female 5.6
GTEX-1HR9M-1426-SM-A9SMB 60-69 years, male 5.6
GTEX-1JJE9-1526-SM-CM2RR 70-79 years, male 5.6
GTEX-1R7EV-1026-SM-DTX81 40-49 years, male 5.6
GTEX-11P81-0726-SM-5PNYH 30-39 years, female 5.5
GTEX-12WSC-1726-SM-5GCN3 50-59 years, male 5.5
GTEX-13IVO-2426-SM-5K7V9 70-79 years, male 5.5
GTEX-1C6VS-1826-SM-73KXN 60-69 years, male 5.5
GTEX-1CB4F-1126-SM-79OLG 60-69 years, male 5.5
GTEX-13OW6-2426-SM-5K7WO 50-59 years, male 5.4
GTEX-13PL6-0926-SM-5KLYY 40-49 years, female 5.4
GTEX-14BIN-1226-SM-5S2OM 50-59 years, female 5.4
GTEX-1EN7A-1626-SM-79OLV 40-49 years, male 5.4
GTEX-WL46-2026-SM-3LK7U 50-59 years, male 5.4
GTEX-XBEC-1826-SM-4QASN 50-59 years, male 5.4
GTEX-1JJ6O-2826-SM-CNNP7 60-69 years, male 5.4
GTEX-1MCQQ-1426-SM-E6CJA 60-69 years, male 5.4
GTEX-13N11-1826-SM-5IJDS 50-59 years, female 5.3
GTEX-13S7M-0826-SM-5QGQX 60-69 years, female 5.3
GTEX-15DYW-1526-SM-7KUEP 60-69 years, female 5.3
GTEX-W5X1-1426-SM-3GIKH 40-49 years, female 5.3
GTEX-ZYT6-2126-SM-5GZZ4 30-39 years, male 5.3
GTEX-1F75B-1226-SM-7MXTW 50-59 years, male 5.3
GTEX-1GMRU-0726-SM-7PBZH 50-59 years, male 5.3
GTEX-1H1ZS-1326-SM-9WG74 70-79 years, male 5.3
GTEX-1IDJI-0926-SM-ACKWZ 50-59 years, female 5.3
GTEX-1IDJU-0926-SM-ARL88 60-69 years, female 5.3
GTEX-1POEN-1626-SM-EVYC2 30-39 years, female 5.3
GTEX-145ME-0726-SM-5O9A3 40-49 years, female 5.2
GTEX-17MF6-1326-SM-79ONE 40-49 years, male 5.2
GTEX-18465-1826-SM-731BB 50-59 years, male 5.2
GTEX-UTHO-1826-SM-3GAFE 60-69 years, male 5.2
GTEX-ZDTS-1826-SM-5S2N6 60-69 years, male 5.2
GTEX-ZDXO-2326-SM-5LU9W 60-69 years, male 5.2
GTEX-ZE9C-1326-SM-5S2OW 60-69 years, male 5.2
GTEX-1RAZR-1026-SM-E8VOJ 40-49 years, male 5.2
GTEX-11OF3-0826-SM-5BC51 60-69 years, male 5.1
GTEX-145LU-1226-SM-5LU9B 50-59 years, male 5.1
GTEX-1B8SF-1726-SM-73KZ5 60-69 years, male 5.1
GTEX-UPK5-1826-SM-3GAEB 40-49 years, male 5.1
GTEX-WHWD-0826-SM-3LK6R 50-59 years, male 5.1
GTEX-ZF28-1426-SM-5S2OG 60-69 years, male 5.1
GTEX-ZUA1-2126-SM-57YRB 40-49 years, male 5.1
GTEX-1HGF4-0226-SM-CNNQL 60-69 years, male 5.1
GTEX-1HT8W-0726-SM-A9SLB 30-39 years, male 5.1
GTEX-1JMQJ-1926-SM-D4P3A 50-59 years, male 5.1
GTEX-1KD4Q-1426-SM-D4P3K 40-49 years, male 5.1
GTEX-14BMV-1626-SM-73KVQ 50-59 years, male 5.0
GTEX-ZTX8-0726-SM-59HL9 20-29 years, male 5.0
GTEX-17JCI-1626-SM-7EPGZ 60-69 years, female 4.9
GTEX-1GF9X-0926-SM-7PC2X 40-49 years, female 4.9
GTEX-1GZ4I-2326-SM-9YFMO 50-59 years, male 4.9
GTEX-1HSKV-1926-SM-CNPPN 60-69 years, male 4.9
GTEX-1KWVE-0226-SM-E9TKK 30-39 years, male 4.9
GTEX-13X6K-0726-SM-5LU2Z 60-69 years, female 4.8
GTEX-14AS3-0426-SM-5QGQK 40-49 years, female 4.8
GTEX-1AX9I-1726-SM-731BX 60-69 years, male 4.8
GTEX-1C6VR-1126-SM-7EPHD 60-69 years, male 4.8
GTEX-1EWIQ-2526-SM-7EPIJ 70-79 years, female 4.8
GTEX-XOT4-0826-SM-4B66Y 60-69 years, female 4.8
GTEX-ZAB4-1426-SM-5CVN6 40-49 years, male 4.8
GTEX-ZYFC-1826-SM-5GZZA 50-59 years, male 4.8
GTEX-1I6K7-1826-SM-CGQFO 40-49 years, male 4.8
GTEX-1LVAO-2126-SM-DIPGA 60-69 years, male 4.8
GTEX-13X6I-1526-SM-5SIAC 60-69 years, male 4.7
GTEX-14PJM-1226-SM-686Z7 50-59 years, female 4.7
GTEX-15G19-1126-SM-7KUEL 60-69 years, male 4.7
GTEX-18A6Q-1026-SM-7LT9S 60-69 years, male 4.7
GTEX-1AYD5-0126-SM-7DUG5 50-59 years, male 4.7
GTEX-1E1VI-1826-SM-9WG5J 50-59 years, male 4.7
GTEX-1H4P4-0326-SM-9WYTD 50-59 years, male 4.7
GTEX-1HBPI-1826-SM-ADEHE 50-59 years, male 4.7
GTEX-1JMQK-1326-SM-CNPOR 60-69 years, male 4.7
GTEX-1KD5A-1326-SM-CYPTB 50-59 years, male 4.7
GTEX-1QP9N-0426-SM-DTXFT 30-39 years, male 4.7
GTEX-11DYG-2026-SM-5EGGX 60-69 years, male 4.6
GTEX-11PRG-1526-SM-5HL6Z 50-59 years, male 4.6
GTEX-12ZZW-2326-SM-5DUW2 50-59 years, male 4.6
GTEX-139D8-1626-SM-5IJFZ 30-39 years, female 4.6
GTEX-13JUV-0626-SM-5J1MQ 40-49 years, female 4.6
GTEX-VUSG-1426-SM-3GIJN 50-59 years, male 4.6
GTEX-1F6I4-2126-SM-7PC2J 60-69 years, male 4.6
GTEX-1IY9M-1226-SM-ACKX1 60-69 years, male 4.6
GTEX-11P7K-0826-SM-5BC5F 30-39 years, male 4.5
GTEX-139T6-0526-SM-5IJC9 50-59 years, male 4.5
GTEX-13NZ9-2026-SM-5KM1U 50-59 years, male 4.5
GTEX-13S86-0926-SM-5SI6I 40-49 years, male 4.5
GTEX-13W46-1226-SM-5SIAS 50-59 years, male 4.5
GTEX-145MF-1026-SM-5Q5EQ 50-59 years, male 4.5
GTEX-14PJ3-0726-SM-69LQE 50-59 years, male 4.5
GTEX-15SKB-1626-SM-6PAL6 60-69 years, male 4.5
GTEX-178AV-0626-SM-6PAM1 40-49 years, male 4.5
GTEX-1C6VQ-1526-SM-73KU9 50-59 years, male 4.5
GTEX-1EH9U-1326-SM-79OM3 60-69 years, male 4.5
GTEX-ZPCL-1026-SM-5GCOX 60-69 years, female 4.5
GTEX-1HSMO-1426-SM-CNNQN 60-69 years, male 4.5
GTEX-1IDJD-0926-SM-ACKWW 30-39 years, male 4.5
GTEX-1J8EW-1526-SM-CMKFZ 60-69 years, female 4.5
GTEX-1LSNL-1426-SM-E6CJ9 50-59 years, male 4.5
GTEX-11NUK-2026-SM-5PNVZ 50-59 years, male 4.4
GTEX-12WSG-0426-SM-5FQSE 50-59 years, female 4.4
GTEX-131XH-0826-SM-5GCN8 50-59 years, male 4.4
GTEX-1399T-1326-SM-5PNVH 60-69 years, male 4.4
GTEX-13OVL-0826-SM-5L3GV 50-59 years, male 4.4
GTEX-145MI-0826-SM-5SI95 60-69 years, female 4.4
GTEX-14B4R-0526-SM-5QGQT 30-39 years, male 4.4
GTEX-17F9Y-0726-SM-7LT9G 70-79 years, female 4.4
GTEX-1BAJH-2126-SM-7EWFB 70-79 years, male 4.4
GTEX-YECK-1426-SM-5IFHE 60-69 years, male 4.4
GTEX-ZVE2-1826-SM-51MRZ 50-59 years, male 4.4
GTEX-1EKGG-1426-SM-7PBY2 60-69 years, male 4.4
GTEX-1K9T9-1626-SM-DIPFS 50-59 years, female 4.4
GTEX-1LBAC-1026-SM-CXKYA 20-29 years, male 4.4
GTEX-1LG7Y-1126-SM-CYPTE 50-59 years, male 4.4
GTEX-1QW4Y-0826-SM-DTXE1 30-39 years, male 4.4
GTEX-13112-1126-SM-5GCMY 50-59 years, male 4.3
GTEX-1313W-1626-SM-5J1OE 50-59 years, female 4.3
GTEX-13N2G-1926-SM-5J1O3 60-69 years, male 4.3
GTEX-13U4I-1726-SM-5J1MF 40-49 years, female 4.3
GTEX-14ABY-1926-SM-62LDJ 50-59 years, male 4.3
GTEX-17HII-0826-SM-7DUFH 50-59 years, male 4.3
GTEX-18A66-1926-SM-7LTAG 60-69 years, male 4.3
GTEX-1A32A-0926-SM-718AB 50-59 years, female 4.3
GTEX-1A8G6-2026-SM-73KYC 60-69 years, male 4.3
GTEX-1B8SG-1426-SM-7EWEM 50-59 years, male 4.3
GTEX-WK11-2426-SM-3NMAA 50-59 years, male 4.3
GTEX-ZYW4-2226-SM-5GZYG 60-69 years, male 4.3
GTEX-1F48J-1826-SM-7SB8T 50-59 years, female 4.3
GTEX-1H1DG-2026-SM-9QEIV 70-79 years, male 4.3
GTEX-1IDJH-1626-SM-A9SLP 70-79 years, male 4.3
GTEX-1JN6P-1626-SM-CYPSV 60-69 years, male 4.3
GTEX-1LKK1-1526-SM-EVYCO 50-59 years, female 4.3
GTEX-1OKEX-0926-SM-E8VNJ 60-69 years, male 4.3
GTEX-12WSM-0626-SM-5GCOK 60-69 years, male 4.2
GTEX-13VXU-1026-SM-5KLZE 50-59 years, male 4.2
GTEX-144GN-0726-SM-5O98O 50-59 years, male 4.2
GTEX-169BO-0426-SM-7EPI1 50-59 years, male 4.2
GTEX-XMK1-0926-SM-4B66X 40-49 years, male 4.2
GTEX-1GTWX-1526-SM-9MQLF 60-69 years, male 4.2
GTEX-1GZ2Q-1226-SM-9MQM8 40-49 years, male 4.2
GTEX-1IDJF-1726-SM-A9SLL 20-29 years, male 4.2
GTEX-1QP67-1126-SM-EAZ4C 40-49 years, female 4.2
GTEX-14E7W-2326-SM-69LQC 70-79 years, male 4.1
GTEX-18A7B-1226-SM-718AU 70-79 years, male 4.1
GTEX-ZE7O-1526-SM-5J1NH 50-59 years, female 4.1
GTEX-1LGOU-0826-SM-DHXKL 20-29 years, female 4.1
GTEX-1MJK3-0626-SM-E6CJB 20-29 years, male 4.1
GTEX-1QP6S-1626-SM-EVYC5 40-49 years, male 4.1
GTEX-11DXZ-1426-SM-5H12A 50-59 years, male 4.0
GTEX-11GS4-1026-SM-5N9DE 60-69 years, male 4.0
GTEX-12WSF-1526-SM-6PAN6 70-79 years, male 4.0
GTEX-132AR-0526-SM-5J2MJ 50-59 years, female 4.0
GTEX-139TU-1426-SM-5LZY9 60-69 years, male 4.0
GTEX-13PDP-1226-SM-5K7TW 60-69 years, male 4.0
GTEX-1445S-2426-SM-79ON2 60-69 years, male 4.0
GTEX-14PJ2-1426-SM-62LFF 50-59 years, male 4.0
GTEX-15CHQ-1126-SM-686YY 60-69 years, male 4.0
GTEX-16XZZ-1626-SM-7KUEC 60-69 years, male 4.0
GTEX-1B996-1226-SM-73KWZ 60-69 years, male 4.0
GTEX-1CAV2-0226-SM-7IGPQ 40-49 years, female 4.0
GTEX-ZT9X-0926-SM-5O9C4 40-49 years, male 4.0
GTEX-ZVT2-0226-SM-5GIE3 50-59 years, female 4.0
GTEX-ZVZP-1126-SM-5GICU 50-59 years, male 4.0
GTEX-1C64N-1326-SM-7SB7D 50-59 years, male 4.0
GTEX-1JMQI-1026-SM-COH2U 50-59 years, male 4.0
GTEX-144GM-0626-SM-79OKY 20-29 years, male 3.9
GTEX-14E6D-1326-SM-62LES 50-59 years, male 3.9
GTEX-16GPK-1326-SM-7KUE4 60-69 years, male 3.9
GTEX-ZDYS-2226-SM-5S2MI 50-59 years, male 3.9
GTEX-1122O-0926-SM-9YFLC 60-69 years, female 3.9
GTEX-1F52S-1326-SM-7SB6Q 60-69 years, female 3.9
GTEX-1I6K6-1526-SM-CGQFC 30-39 years, male 3.9
GTEX-1QAET-1226-SM-DTX9I 50-59 years, male 3.9
GTEX-1S3DN-1626-SM-EVYCC 50-59 years, male 3.9
GTEX-VJWN-2326-SM-EVYAP 50-59 years, female 3.9
GTEX-YJ8A-1926-SM-EZ6LQ 20-29 years, male 3.9
GTEX-11EM3-1126-SM-5A5KM 20-29 years, female 3.8
GTEX-11ZTS-1326-SM-5EQMA 60-69 years, female 3.8
GTEX-147JS-1026-SM-5S2MP 60-69 years, male 3.8
GTEX-18A7A-0926-SM-7LT8H 50-59 years, female 3.8
GTEX-XGQ4-1026-SM-4AT4L 50-59 years, male 3.8
GTEX-XLM4-1026-SM-4AT51 60-69 years, male 3.8
GTEX-Y111-0926-SM-4SOIU 50-59 years, male 3.8
GTEX-ZAJG-1626-SM-5HL7I 50-59 years, female 3.8
GTEX-ZPIC-0726-SM-57WFM 40-49 years, female 3.8
GTEX-ZV7C-0826-SM-59HK8 50-59 years, male 3.8
GTEX-1CAMQ-1226-SM-7SB7E 40-49 years, male 3.8
GTEX-1HSMQ-1026-SM-ADEHU 50-59 years, male 3.8
GTEX-ZF29-0826-SM-5S2O2 60-69 years, female 3.8
GTEX-11LCK-0326-SM-5A5M7 30-39 years, male 3.7
GTEX-13111-0626-SM-5LZVR 50-59 years, male 3.7
GTEX-13O3Q-1126-SM-5K7YK 50-59 years, male 3.7
GTEX-14E1K-0426-SM-5S2PF 50-59 years, male 3.7
GTEX-17EVP-1426-SM-79OMN 40-49 years, male 3.7
GTEX-1AMFI-1026-SM-73KYM 50-59 years, female 3.7
GTEX-1B8KE-0826-SM-72D6S 50-59 years, male 3.7
GTEX-ZVP2-0226-SM-57WBD 50-59 years, male 3.7
GTEX-1I1GP-1426-SM-ACKVZ 50-59 years, male 3.7
GTEX-1J8Q2-2226-SM-CM2TZ 60-69 years, male 3.7
GTEX-1JMLX-1026-SM-D3L8U 50-59 years, male 3.7
GTEX-1O9I2-1326-SM-E6CQD 50-59 years, male 3.7
GTEX-1PFEY-0726-SM-E76PO 30-39 years, male 3.7
GTEX-1S5VW-2426-SM-EAZ52 60-69 years, male 3.7
GTEX-VJYA-1626-SM-EXOHL 60-69 years, male 3.7
GTEX-131XE-2026-SM-5LZW1 50-59 years, male 3.6
GTEX-13OVK-0326-SM-7KUEJ 40-49 years, male 3.6
GTEX-14ICK-1726-SM-6AJA5 40-49 years, male 3.6
GTEX-14JIY-1426-SM-6EU29 60-69 years, male 3.6
GTEX-15DZA-0626-SM-6PANC 30-39 years, female 3.6
GTEX-1B8KZ-1026-SM-73KYN 50-59 years, male 3.6
GTEX-WFJO-1026-SM-3GIKL 30-39 years, male 3.6
GTEX-WOFM-0726-SM-3MJF8 20-29 years, male 3.6
GTEX-1GF9W-1026-SM-7SB8X 60-69 years, male 3.6
GTEX-1I1GS-0926-SM-A9SL5 60-69 years, male 3.6
GTEX-1KAFJ-0826-SM-CYPTF 50-59 years, male 3.6
GTEX-12696-1826-SM-5EGJS 60-69 years, male 3.5
GTEX-146FH-2026-SM-5SI9I 50-59 years, female 3.5
GTEX-146FR-0226-SM-5Q5F6 60-69 years, female 3.5
GTEX-14753-2526-SM-5LU97 60-69 years, male 3.5
GTEX-14DAR-0426-SM-664MW 50-59 years, male 3.5
GTEX-1B933-1326-SM-7939U 50-59 years, female 3.5
GTEX-1CB4G-2126-SM-7IGQ8 60-69 years, male 3.5
GTEX-XXEK-1426-SM-4BRW1 50-59 years, male 3.5
GTEX-Y9LG-1226-SM-4VBQA 30-39 years, male 3.5
GTEX-ZF2S-1526-SM-5S2OO 50-59 years, female 3.5
GTEX-1GMR3-0826-SM-9WYT4 40-49 years, male 3.5
GTEX-1I1GT-1326-SM-ACKWB 60-69 years, female 3.5
GTEX-1JKYR-1226-SM-CM2S7 20-29 years, male 3.5
GTEX-1KANA-1426-SM-CY8IF 20-29 years, male 3.5
GTEX-1LVAM-1026-SM-DIPFK 50-59 years, female 3.5
GTEX-Y3I4-0726-SM-E9J3Y 50-59 years, male 3.5
GTEX-11VI4-1226-SM-5EQMP 40-49 years, female 3.4
GTEX-131XG-0126-SM-5K7UJ 50-59 years, female 3.4
GTEX-139YR-0326-SM-5J1MC 50-59 years, male 3.4
GTEX-13FXS-1326-SM-62LFR 50-59 years, male 3.4
GTEX-14PJO-1626-SM-69LPQ 60-69 years, male 3.4
GTEX-15RIE-0126-SM-7KUF8 60-69 years, male 3.4
GTEX-18D9B-1726-SM-7LTAP 60-69 years, male 3.4
GTEX-1A3MX-0826-SM-72D64 60-69 years, male 3.4
GTEX-1CB4E-0826-SM-793CS 60-69 years, male 3.4
GTEX-X3Y1-0926-SM-3P5YT 40-49 years, male 3.4
GTEX-XAJ8-0226-SM-4GIB2 40-49 years, male 3.4
GTEX-Y5LM-0826-SM-4VDSW 40-49 years, female 3.4
GTEX-ZF3C-1026-SM-5S2OC 50-59 years, female 3.4
GTEX-11GSP-1026-SM-9WYSH 60-69 years, female 3.4
GTEX-1GL5R-0726-SM-9MQL5 50-59 years, male 3.4
GTEX-1GN73-0626-SM-7PC3I 60-69 years, male 3.4
GTEX-1HC8U-0926-SM-A9G3L 40-49 years, female 3.4
GTEX-1JMPY-0326-SM-CM2S2 30-39 years, male 3.4
GTEX-1LG7Z-0226-SM-E6CIG 30-39 years, male 3.4
GTEX-1MUQO-0826-SM-EVYCZ 60-69 years, male 3.4
GTEX-1QCLY-1226-SM-EVYC3 30-39 years, male 3.4
GTEX-WI4N-1526-SM-EZ6LG 40-49 years, female 3.4
GTEX-11XUK-1726-SM-5GU61 40-49 years, female 3.3
GTEX-14PJ5-0426-SM-5ZZW2 60-69 years, female 3.3
GTEX-14PKU-0226-SM-6EU16 40-49 years, female 3.3
GTEX-17HGU-1726-SM-79OKM 50-59 years, male 3.3
GTEX-1A8G7-1226-SM-73KYP 60-69 years, male 3.3
GTEX-WY7C-0926-SM-3NB34 50-59 years, male 3.3
GTEX-ZXG5-1626-SM-59HJK 60-69 years, male 3.3
GTEX-1A8FM-2126-SM-7PC27 50-59 years, female 3.3
GTEX-1F6IF-2026-SM-7P8SE 60-69 years, male 3.3
GTEX-1GN1W-1226-SM-9MQLW 50-59 years, female 3.3
GTEX-1H1DF-1426-SM-9YFMC 40-49 years, female 3.3
GTEX-1JKYN-0526-SM-CGQG3 30-39 years, male 3.3
GTEX-1QP29-1626-SM-EXUSZ 50-59 years, male 3.3
GTEX-1QP66-0626-SM-E76PD 50-59 years, male 3.3
GTEX-1QPFJ-2126-SM-EXOJV 30-39 years, female 3.3
GTEX-117YW-0826-SM-5H11O 50-59 years, male 3.2
GTEX-11GSO-0226-SM-5A5LV 60-69 years, male 3.2
GTEX-131XF-0726-SM-5GIE5 60-69 years, male 3.2
GTEX-13FH7-1926-SM-5J2OL 50-59 years, female 3.2
GTEX-13OW7-1126-SM-5K7V6 50-59 years, male 3.2
GTEX-13YAN-1126-SM-5TDC7 60-69 years, male 3.2
GTEX-16NPV-0626-SM-7IGOR 50-59 years, female 3.2
GTEX-ZDTT-0526-SM-5HL4M 60-69 years, male 3.2
GTEX-ZG7Y-1626-SM-5S2NO 50-59 years, male 3.2
GTEX-ZTPG-2326-SM-57WFL 20-29 years, female 3.2
GTEX-1B97J-1126-SM-7SB79 50-59 years, female 3.2
GTEX-1GN1U-0726-SM-9MQKL 50-59 years, female 3.2
GTEX-1H11D-1126-SM-9YFM5 40-49 years, male 3.2
GTEX-1HB9E-0526-SM-ARZNM 50-59 years, male 3.2
GTEX-1HBPN-1526-SM-9WYSB 50-59 years, male 3.2
GTEX-1HCU6-1626-SM-CMKGW 60-69 years, female 3.2
GTEX-1HCU8-1126-SM-CM2SA 60-69 years, female 3.2
GTEX-1HUB1-1526-SM-CGQF6 60-69 years, male 3.2
GTEX-1LH75-1026-SM-EWROK 50-59 years, female 3.2
GTEX-1N2DV-0626-SM-E9U5H 40-49 years, male 3.2
GTEX-1S5ZA-1026-SM-EWRO2 20-29 years, male 3.2
GTEX-1192X-1526-SM-5H11I 50-59 years, male 3.1
GTEX-15EOM-2326-SM-7KUMV 20-29 years, female 3.1
GTEX-1A3MV-0626-SM-731CH 30-39 years, male 3.1
GTEX-1AMEY-0526-SM-72D62 30-39 years, female 3.1
GTEX-WHPG-0626-SM-3NMBD 50-59 years, male 3.1
GTEX-Z9EW-0826-SM-5HL9T 40-49 years, male 3.1
GTEX-ZEX8-1226-SM-5S2OK 50-59 years, male 3.1
GTEX-1IL2U-2726-SM-C1YSG 60-69 years, male 3.1
GTEX-1QMI2-1626-SM-EYYXK 60-69 years, male 3.1
GTEX-WVLH-1626-SM-EXURN 50-59 years, male 3.1
GTEX-183FY-1226-SM-7DHLK 20-29 years, male 3.0
GTEX-18QFQ-1326-SM-731CF 30-39 years, male 3.0
GTEX-WXYG-0926-SM-3NB2O 50-59 years, female 3.0
GTEX-XYKS-1826-SM-4E3JV 60-69 years, female 3.0
GTEX-YFCO-1126-SM-5S2N9 40-49 years, male 3.0
GTEX-ZYFG-1426-SM-5GICS 60-69 years, female 3.0
GTEX-1CAMS-0926-SM-7SB7F 40-49 years, female 3.0
GTEX-1EMGI-0726-SM-7PBZ4 60-69 years, male 3.0
GTEX-1H3VE-1926-SM-9YFL4 40-49 years, male 3.0
GTEX-1I4MK-0726-SM-ACKWC 50-59 years, female 3.0
GTEX-1LSVX-1326-SM-DIPET 60-69 years, male 3.0
GTEX-1MA7W-0526-SM-E6CIN 20-29 years, female 3.0
GTEX-1NV5F-2526-SM-EXUSK 60-69 years, female 3.0
GTEX-1S831-1926-SM-EV79P 20-29 years, male 3.0
GTEX-1211K-1226-SM-5EQ4N 60-69 years, female 2.9
GTEX-1212Z-0526-SM-5FQSQ 60-69 years, male 2.9
GTEX-12C56-0826-SM-5EGJ5 20-29 years, male 2.9
GTEX-13QBU-1326-SM-5LU4K 40-49 years, female 2.9
GTEX-17GQL-0826-SM-731AM 60-69 years, male 2.9
GTEX-1AX9K-0926-SM-7939G 50-59 years, male 2.9
GTEX-1B97I-0526-SM-73KXE 40-49 years, male 2.9
GTEX-1CAMR-0326-SM-793AH 20-29 years, male 2.9
GTEX-WFON-1226-SM-3TW8F 40-49 years, male 2.9
GTEX-WYBS-1026-SM-4ONCY 60-69 years, female 2.9
GTEX-X8HC-2326-SM-4QAS4 50-59 years, female 2.9
GTEX-ZQUD-0526-SM-57WG4 30-39 years, male 2.9
GTEX-1GMR2-0226-SM-9JGHO 50-59 years, male 2.9
GTEX-1HCU7-2026-SM-A9G2B 50-59 years, male 2.9
GTEX-1HCUA-0926-SM-ADEIX 50-59 years, female 2.9
GTEX-1RQEC-2526-SM-EVYD2 60-69 years, male 2.9
GTEX-XPVG-1626-SM-EYYVK 50-59 years, male 2.9
GTEX-11WQK-1526-SM-5EGKN 50-59 years, male 2.8
GTEX-11ZUS-1826-SM-5FQTR 30-39 years, male 2.8
GTEX-12584-2126-SM-5FQUM 40-49 years, male 2.8
GTEX-12WSI-1526-SM-5GCNM 50-59 years, male 2.8
GTEX-13OVJ-0926-SM-5K7U1 50-59 years, female 2.8
GTEX-14ICL-0926-SM-5S2TU 30-39 years, male 2.8
GTEX-16BQI-1126-SM-7KULF 30-39 years, female 2.8
GTEX-16NPX-1026-SM-6PAM7 50-59 years, male 2.8
GTEX-X585-2526-SM-4QAS1 50-59 years, male 2.8
GTEX-XBEW-1726-SM-4RGMA 40-49 years, male 2.8
GTEX-ZPU1-1226-SM-5HL71 40-49 years, male 2.8
GTEX-1H1CY-0826-SM-9WYTU 60-69 years, female 2.8
GTEX-1JN76-1026-SM-ARZNI 20-29 years, female 2.8
GTEX-1N2EE-1526-SM-DTXE9 60-69 years, male 2.8
GTEX-111CU-1026-SM-5EGIL 50-59 years, male 2.7
GTEX-12BJ1-0826-SM-5EQ5P 60-69 years, male 2.7
GTEX-12WSK-1026-SM-5CVNR 40-49 years, female 2.7
GTEX-13O21-3126-SM-5J1OI 50-59 years, male 2.7
GTEX-13O61-1926-SM-5KM1R 60-69 years, male 2.7
GTEX-14C39-0826-SM-5TDDU 40-49 years, male 2.7
GTEX-18D9U-0426-SM-731AN 40-49 years, male 2.7
GTEX-XV7Q-1726-SM-4BRUU 40-49 years, female 2.7
GTEX-YJ89-1926-SM-5IFJ6 60-69 years, male 2.7
GTEX-ZQG8-1026-SM-51MR9 60-69 years, female 2.7
GTEX-ZT9W-1026-SM-57WG5 50-59 years, male 2.7
GTEX-1F5PL-1326-SM-7SB83 40-49 years, female 2.7
GTEX-1HFI7-0726-SM-ACKVN 50-59 years, female 2.7
GTEX-1LSNM-0626-SM-DIPG7 50-59 years, male 2.7
GTEX-1LVAN-0926-SM-CNNQ2 50-59 years, female 2.7
GTEX-1N2DW-0726-SM-DTX97 50-59 years, male 2.7
GTEX-1RAZA-0926-SM-E6CQ8 20-29 years, male 2.7
GTEX-113JC-0726-SM-5GZZR 50-59 years, female 2.6
GTEX-11TT1-1926-SM-5PNYN 20-29 years, male 2.6
GTEX-12ZZX-1726-SM-5BC63 40-49 years, female 2.6
GTEX-14BIL-2426-SM-5QGQR 50-59 years, male 2.6
GTEX-14PHW-1626-SM-6EU2H 60-69 years, female 2.6
GTEX-15EU6-1726-SM-6M48H 50-59 years, male 2.6
GTEX-18A67-1326-SM-7LT8V 50-59 years, male 2.6
GTEX-1C2JI-0826-SM-7EPHB 50-59 years, male 2.6
GTEX-WH7G-1126-SM-3NMBK 40-49 years, male 2.6
GTEX-ZGAY-1326-SM-5S2NS 40-49 years, female 2.6
GTEX-1J1R8-0526-SM-ACKWO 40-49 years, male 2.6
GTEX-1KANC-0526-SM-D4P3T 50-59 years, female 2.6
GTEX-1KXAM-0526-SM-DKPQN 60-69 years, male 2.6
GTEX-1L5NE-1726-SM-DHXKX 50-59 years, male 2.6
GTEX-1R9PO-0926-SM-E9U4Q 60-69 years, female 2.6
GTEX-111YS-1326-SM-5EGGK 60-69 years, male 2.5
GTEX-14BIM-1626-SM-7EWD2 60-69 years, female 2.5
GTEX-14E6C-1226-SM-5ZZUN 40-49 years, male 2.5
GTEX-17F97-1226-SM-79OJT 50-59 years, male 2.5
GTEX-17F98-0326-SM-7DHLH 40-49 years, female 2.5
GTEX-1AX9J-2226-SM-731CW 60-69 years, male 2.5
GTEX-ZZPU-0326-SM-5N9BJ 50-59 years, female 2.5
GTEX-1CB4I-0826-SM-7MGX1 50-59 years, male 2.5
GTEX-1GF9V-1126-SM-9MQM7 60-69 years, male 2.5
GTEX-1HSMP-1126-SM-B2LXJ 70-79 years, male 2.5
GTEX-1I1CD-1026-SM-COH3G 60-69 years, female 2.5
GTEX-1I1GU-0626-SM-CMKHR 40-49 years, male 2.5
GTEX-1LGRB-0526-SM-COH3A 50-59 years, female 2.5
GTEX-1117F-1326-SM-5EGHH 60-69 years, female 2.4
GTEX-12KS4-1526-SM-5EQ6E 30-39 years, male 2.4
GTEX-12WSL-1126-SM-5CVNK 50-59 years, male 2.4
GTEX-13CF3-1126-SM-5LZXB 60-69 years, female 2.4
GTEX-14JG6-0526-SM-6LLIH 30-39 years, female 2.4
GTEX-14PHY-1026-SM-62LEV 60-69 years, female 2.4
GTEX-14PJN-0626-SM-6EU13 30-39 years, male 2.4
GTEX-WYJK-1426-SM-3NM8V 50-59 years, male 2.4
GTEX-XBED-1326-SM-4AT4F 60-69 years, male 2.4
GTEX-Y5V6-0626-SM-4WWFY 60-69 years, male 2.4
GTEX-ZA64-0926-SM-5HL7H 20-29 years, male 2.4
GTEX-1OFPY-0826-SM-DTX8P 60-69 years, male 2.4
GTEX-1S82P-0926-SM-EWRNP 60-69 years, female 2.4
GTEX-1339X-0726-SM-5L3FF 40-49 years, male 2.3
GTEX-13OW8-0326-SM-5L3FB 60-69 years, male 2.3
GTEX-13PL7-1226-SM-5SIAR 60-69 years, female 2.3
GTEX-13PVR-0526-SM-5S2OB 60-69 years, female 2.3
GTEX-13RTK-0726-SM-5Q5EN 20-29 years, male 2.3
GTEX-13W3W-1126-SM-5L3DO 60-69 years, female 2.3
GTEX-145LT-1526-SM-5O98P 40-49 years, male 2.3
GTEX-14PN4-1426-SM-6LLJ4 50-59 years, male 2.3
GTEX-YEC3-0926-SM-5Q5AC 50-59 years, male 2.3
GTEX-YEC4-0926-SM-5PNXY 40-49 years, male 2.3
GTEX-ZXES-0926-SM-5E43O 30-39 years, female 2.3
GTEX-1HSEH-1326-SM-ADEI1 60-69 years, male 2.3
GTEX-1IDJC-0226-SM-CMKG2 50-59 years, male 2.3
GTEX-1J1OQ-1526-SM-CJI4E 40-49 years, female 2.3
GTEX-1QEPI-2226-SM-E8VN6 60-69 years, female 2.3
GTEX-11EQ9-1126-SM-5987I 30-39 years, male 2.2
GTEX-133LE-0926-SM-5P9J1 20-29 years, female 2.2
GTEX-13D11-0526-SM-5LZYM 50-59 years, female 2.2
GTEX-13OVH-1126-SM-5K7YP 70-79 years, male 2.2
GTEX-14BMU-0626-SM-73KZ6 20-29 years, female 2.2
GTEX-U8XE-1926-SM-3DB98 30-39 years, male 2.2
GTEX-WRHK-0826-SM-3MJFG 20-29 years, female 2.2
GTEX-Y114-1326-SM-4TT9A 50-59 years, female 2.2
GTEX-1F75I-1026-SM-7SB8B 40-49 years, male 2.2
GTEX-1H1E6-1126-SM-9JGGV 30-39 years, male 2.2
GTEX-1ICG6-1726-SM-ARU7K 70-79 years, female 2.2
GTEX-1K2DU-0726-SM-DIPF7 20-29 years, male 2.2
GTEX-11DXX-2026-SM-5EGJL 60-69 years, female 2.1
GTEX-13OVG-1326-SM-5K7Y3 60-69 years, male 2.1
GTEX-14C38-1026-SM-73KY7 50-59 years, male 2.1
GTEX-14PJ4-0126-SM-62LEZ 60-69 years, male 2.1
GTEX-15UKP-1426-SM-7KUDX 20-29 years, male 2.1
GTEX-16NGA-0526-SM-731AJ 40-49 years, female 2.1
GTEX-XUZC-1126-SM-4BOPZ 30-39 years, female 2.1
GTEX-ZP4G-1326-SM-5EGIW 20-29 years, female 2.1
GTEX-ZTSS-1026-SM-5985N 40-49 years, male 2.1
GTEX-1C475-0326-SM-7SB8O 40-49 years, female 2.1
GTEX-1H23P-1726-SM-A9SMN 60-69 years, male 2.1
GTEX-1ICLY-1426-SM-CJI48 50-59 years, male 2.1
GTEX-1N2EF-0926-SM-E8VNW 60-69 years, male 2.1
GTEX-1PPH8-1026-SM-DPRXN 20-29 years, male 2.1
GTEX-1QP28-0926-SM-EVR4D 50-59 years, female 2.1
GTEX-1128S-0926-SM-5GZZU 60-69 years, female 2.0
GTEX-117YX-0726-SM-5GIET 50-59 years, male 2.0
GTEX-13113-1126-SM-5LZU9 60-69 years, female 2.0
GTEX-13PVQ-2226-SM-5L3G9 50-59 years, male 2.0
GTEX-13VXT-0926-SM-5LU5K 20-29 years, female 2.0
GTEX-14PHX-1626-SM-69LQB 50-59 years, male 2.0
GTEX-18D9A-0726-SM-7LTA7 30-39 years, female 2.0
GTEX-Y8LW-0926-SM-4VBQ8 50-59 years, female 2.0
GTEX-1GZ4H-0926-SM-9WG6Y 50-59 years, female 2.0
GTEX-1R9K4-1426-SM-DPRY4 60-69 years, male 2.0
GTEX-13FTW-0426-SM-5K7X2 40-49 years, male 1.9
GTEX-13N1W-1226-SM-5K7UM 70-79 years, male 1.9
GTEX-145LV-1026-SM-5O9AE 50-59 years, male 1.9
GTEX-16MTA-1326-SM-6PALX 50-59 years, male 1.9
GTEX-17F9E-1326-SM-7DHL4 50-59 years, male 1.9
GTEX-1AX8Z-1626-SM-73KWD 60-69 years, male 1.9
GTEX-WEY5-1326-SM-3GILS 40-49 years, female 1.9
GTEX-1HKZK-1726-SM-ADEJ9 40-49 years, male 1.9
GTEX-1RAZQ-1526-SM-E6CJI 30-39 years, male 1.9
GTEX-ZLWG-0726-SM-5S2N4 50-59 years, female 1.9
GTEX-11I78-0226-SM-5HL6R 50-59 years, female 1.8
GTEX-14PN3-0326-SM-6EU1X 60-69 years, female 1.8
GTEX-16AAH-1526-SM-7LT9W 50-59 years, male 1.8
GTEX-17MFQ-1126-SM-7LT9O 20-29 years, male 1.8
GTEX-1EU9M-1126-SM-793DE 60-69 years, male 1.8
GTEX-ZYVF-1026-SM-5E44V 50-59 years, female 1.8
GTEX-1GPI7-0826-SM-9JGG7 20-29 years, male 1.8
GTEX-1HSGN-1926-SM-CMKGS 40-49 years, female 1.8
GTEX-1IKOE-1726-SM-CNNQ6 30-39 years, female 1.8
GTEX-13FTX-0626-SM-5J2NS 20-29 years, female 1.7
GTEX-14PK6-0926-SM-62LF4 70-79 years, female 1.7
GTEX-1AYCT-1126-SM-79OO8 50-59 years, male 1.7
GTEX-ZZ64-0626-SM-5GZWR 20-29 years, male 1.7
GTEX-1399U-2026-SM-9WPNN 50-59 years, female 1.7
GTEX-1IKK5-0826-SM-ACKWN 60-69 years, male 1.7
GTEX-1MCC2-0626-SM-DKPQI 30-39 years, female 1.7
GTEX-1PBJI-1326-SM-E9J2V 20-29 years, female 1.7
GTEX-1RNTQ-0826-SM-E9TK8 20-29 years, female 1.7
GTEX-132QS-0826-SM-5K7WV 60-69 years, male 1.6
GTEX-ZV6S-1626-SM-5NQ81 40-49 years, female 1.6
GTEX-1HCU9-0626-SM-ACKW6 20-29 years, male 1.6
GTEX-11P82-0326-SM-5HL51 20-29 years, male 1.5
GTEX-15CHC-0826-SM-686YW 60-69 years, female 1.5
GTEX-ZLV1-0926-SM-5S2MR 60-69 years, female 1.5
GTEX-1399S-1426-SM-5PNYQ 30-39 years, female 1.4
GTEX-1OJC3-1326-SM-E9J3D 20-29 years, male 1.4
GTEX-13X6H-1726-SM-5Q5EH 50-59 years, female 1.3
GTEX-1PIGE-1226-SM-EVR3Q 20-29 years, male 1.2
Show allShow less

ADIPOSE TISSUE - FANTOM5 CAGEi

RNA expression in human tissues obtained through Cap Analysis of Gene Expression (CAGE) generated by the FANTOM5 project are reported as Scaled Tags Per Million.

Max subtype Scaled Tags Per Millioni

Max subtype Scaled Tags Per Million is the value for the subtype with the largest average Scaled Tags Per Million across the subtype samples.

14.2
FANTOM5 sample id Sample description Scaled Tags Per Million
Adipose tissue
Scaled Tags Per Million: 14.2
FF:10010-101C1 65,65,76 years, mixed 14.2

Contact

  • NEWS ARTICLES
  • PRESS ROOM

The Project

  • INTRODUCTION
  • ORGANIZATION
  • PUBLICATIONS

The Human Protein Atlas

  • DOWNLOADABLE DATA
  • LICENCE & CITATION
  • HELP & FAQ
The Human Protein Atlas project is funded
by the Knut & Alice Wallenberg Foundation.


contact@proteinatlas.org