We use cookies to enhance the usability of our website. If you continue, we'll assume that you are happy to receive all cookies. More information. Don't show this again.
NADK2
HPA
RESOURCES
  • TISSUE
  • BRAIN
  • SINGLE CELL
  • SUBCELLULAR
  • CANCER
  • BLOOD
  • CELL LINE
  • STRUCTURE & INTERACTION
ABOUT
  • INTRODUCTION
  • HISTORY
  • ORGANIZATION
  • PUBLICATIONS
  • ANTIBODY SUBMISSION
  • ANTIBODY AVAILABILITY
  • ACKNOWLEDGMENTS
  • CONTACT
NEWS
  • NEWS ARTICLES
  • PRESS ROOM
LEARN
  • DICTIONARY
  • PROTEIN CLASSES
  • PROTEIN EVIDENCE
  • METHODS
  • EDUCATIONAL VIDEOS
DATA
  • DOWNLOADABLE DATA
  • PUBLICATION DATA
  • RELEASE HISTORY
HELP
  • ANTIBODY VALIDATION
  • ASSAYS & ANNOTATION
  • DISCLAIMER
  • HELP & FAQ
  • PRIVACY STATEMENT
  • LICENCE & CITATION
Fields »
Search result

Field
Term
Gene name
Class
Subclass
Class
Keyword
Chromosome
External id
Tissue
Cell type
Expression
Antibody panel
Tissue
Main location
Patient ID
Annotation
Tissue
Category
Tau score
Cluster
Reliability
Brain region
Category
Tau score
Brain region
Category
Tau score
Brain region
Category
Tau score
Cluster
Reliability
Tissue
Cell type
Enrichment
Cell type
Category
Tau score
Cell type
Category
Tau score
Cell type
Category
Tau score
Cell lineage
Category
Tau score
Cluster
Cluster
Location
Searches
Location
Cell line
Class
Type
Phase
Reliability
Cancer
Prognosis
Cancer
Category
Cancer
Category
Tau score
Cluster
Variants
Interacting gene (ensg_id)
Type
Number of interactions
Pathway
Category
Score
Score
Score
Validation
Validation
Validation
Validation
Antibodies
Data type
Column


  • SUMMARY

  • TISSUE

  • BRAIN

  • SINGLE CELL

  • SUBCELL

  • CANCER

  • BLOOD

  • CELL LINE

  • STRUCT & INT

  • NADK2
TISSUE PRIMARY DATA ADIPOSE TISSUE Show tissue menu
ADIPOSE TISSUE ADRENAL GLAND AMYGDALA APPENDIX BASAL GANGLIA BONE MARROW BREAST BRONCHUS CEREBELLUM CEREBRAL CORTEX CERVIX CHOROID PLEXUS COLON DUODENUM
ENDOMETRIUM EPIDIDYMIS ESOPHAGUS FALLOPIAN TUBE GALLBLADDER HEART MUSCLE HIPPOCAMPAL FORMATION HYPOTHALAMUS KIDNEY LIVER LUNG LYMPH NODE MIDBRAIN NASOPHARYNX
ORAL MUCOSA OVARY PANCREAS PARATHYROID GLAND PITUITARY GLAND PLACENTA PROSTATE RECTUM RETINA SALIVARY GLAND SEMINAL VESICLE SKELETAL MUSCLE SKIN SMALL INTESTINE
SMOOTH MUSCLE SOFT TISSUE SPINAL CORD SPLEEN STOMACH TESTIS THYMUS THYROID GLAND TONGUE TONSIL URINARY BLADDER VAGINA
ANTIBODIES
AND
VALIDATION
Dictionary
Tissue proteome
Adipose tissue
ADIPOSE TISSUE - Expression summary
Protein expression
Adipose tissuei

On the top, protein expression in current human tissue, based on all annotated cell types, is reported with the units not detected (n), low (l), medium (m) and high (h). Underneath, protein expression in each annotated cell type are reported using the same units.

Protein expression data is based on knowledge-based annotation. For genes where more than one antibody has been used, a collective score is set.

If knowledge-based annotation could not be performed for a gene, no data is displayed here. View antibody staining data further down this page.

h
m
l
n
Adipocytes: Low
RNA expressioni

A summary of mRNA expression data available for current tissue based on several datasets. The mRNA expression levels in human tissues are based on RNA-seq data generated by the Human Protein Atlas (HPA), Genotype-Tissue Expression (GTEx) portal and CAGE data generated by the FANTOM5 consortium. Consensus normalized expression levels for human tissues was created by combining the data from HPA and GTEx datasets.

The mRNA expression levels in pig are based on RNA-seq data generated by the Human Protein Atlas (HPA), and for mouse, HPA data and in situ hybridization generated by the Allen brain atlas are reported.

Scroll down to view mRNA expression data in more detail.
Consensus:13.2 nTPM
HPA:13.2 nTPM
GTEx:10.5 nTPM
FANTOM5:14.0 Scaled Tags Per Million

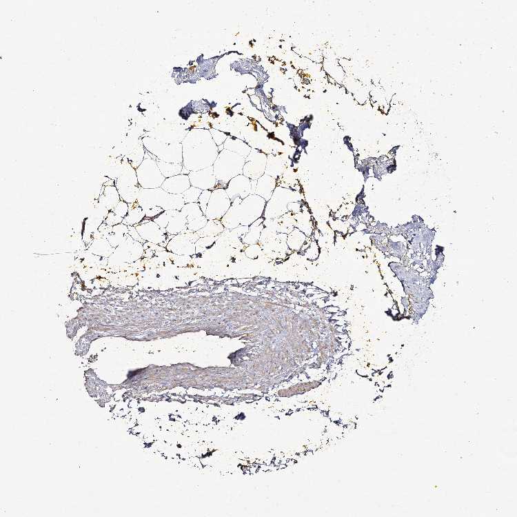
ADIPOSE TISSUE - Antibody stainingi

Antibody staining in the annotated cell types in the current human tissue is reported as not detected, low, medium, or high, based on conventional immunohistochemistry profiling in selected tissues. This score is based on the combination of the staining intensity and fraction of stained cells.

Each image is clickable and will lead to virtual microscopy that enables deeper exploration of all samples and also displays staining intensity scores, fraction scores and subcellular localization as well as patient and tissue information for each sample.

Antibody HPA038366Antibody HPA038367Antibody HPA061492
Adipocytes MediumLowNot detected














ADIPOSE TISSUE - HPA RNA-seqi

The RNA-seq details section shows detailed information about the individual samples used for the transcript profiling and results of the RNA-seq analysis.

Information about each individual sample is listed below, including gender, age, a tissue section image and estimated fractions of cell types. nTPM (normalized transcripts per million) values give a quantification of the gene abundance which is comparable between different genes and samples.
Average nTPMi

Max subtype nTPM is the value for the subtype with the largest average nTPM across the subtype samples.

13.2
N/A
Female, age 80
Adipose tissue sample 86
nTPM: 11.2
Cell types%
Adipocytes:
95

Other cell types:
5

N/A
Female, age 45
Adipose tissue sample 115
nTPM: 17.5
N/A
Female, age 57
Adipose tissue sample 137
nTPM: 14.2
Cell types%
Adipocytes:
60

Fibroblasts:
20

Smooth muscle cells:
15

Other cell types:
5

overview
Female, age 74
Adipose tissue sample 329
nTPM: 11
Cell types%
Adipocytes:
50

Fibroblasts:
30

Smooth muscle cells:
15

Other cell types:
5

overview
Female, age 59
Adipose tissue sample 331
nTPM: 12
Cell types%
Adipocytes:
40

Fibroblasts:
40

Smooth muscle cells:
15

Other cell types:
5


ADIPOSE TISSUE - GTEx RNA-seqi

RNA-Seq data generated by the Genotype-Tissue Expression (GTEx) project from human tissues is reported as mean nTPM. More information can be found on the GTEx portal.

Distribution across the dataset is visualized with box plots, shown as median and 25th and 75th percentiles. Points are displayed as outliers if they are above or below 1.5 times the interquartile range. nTPM values of the individual samples are presented next to the box plot.
Max subtype nTPMi

Max subtype nTPM is the value for the subtype with the largest average nTPM across the subtype samples.

10.5
GTEx sample id Sample description nTPM
Adipose - Subcutaneous
Average nTPM: 10.5
Samples: 663

Max nTPM: 17.8
Min nTPM: 5.5
Std nTPM: 2.0
Median nTPM: 10.3
GTEX-15RIE-2326-SM-7KFSC 60-69 years, male 17.8
GTEX-POYW-0726-SM-2XCEO 60-69 years, male 17.6
GTEX-1B8KE-2526-SM-73KYQ 50-59 years, male 17.5
GTEX-1JN76-0226-SM-CMKGO 20-29 years, female 17.5
GTEX-145ME-1926-SM-5MR6T 40-49 years, female 17.1
GTEX-QLQW-1226-SM-2S1Q9 30-39 years, male 16.9
GTEX-12WSL-2426-SM-5GCN7 50-59 years, male 16.7
GTEX-OOBJ-0226-SM-2YUMM 60-69 years, male 16.7
GTEX-14PK6-2026-SM-6LLHP 70-79 years, female 16.3
GTEX-S32W-2226-SM-2XCAY 50-59 years, female 16.2
GTEX-139D8-0326-SM-5IJCJ 30-39 years, female 16.1
GTEX-17EUY-0526-SM-7EWDE 20-29 years, male 15.6
GTEX-12696-2526-SM-5EQLN 60-69 years, male 15.5
GTEX-1H1ZS-0526-SM-9WG5L 70-79 years, male 15.4
GTEX-16MTA-2126-SM-6PALC 50-59 years, male 15.3
GTEX-XBEC-0326-SM-4AT4M 50-59 years, male 15.1
GTEX-1KAFJ-2426-SM-D4P32 50-59 years, male 15.1
GTEX-1QCLY-0526-SM-EAZ47 30-39 years, male 15.1
GTEX-13S7M-0226-SM-5S2UG 60-69 years, female 15.0
GTEX-S7SE-0226-SM-2XCD4 50-59 years, male 15.0
GTEX-REY6-0326-SM-2TF5A 60-69 years, male 14.9
GTEX-1I6K6-0226-SM-ADEID 30-39 years, male 14.9
GTEX-P44H-0326-SM-2XCES 40-49 years, male 14.7
GTEX-13NZ9-0526-SM-5J1OX 50-59 years, male 14.6
GTEX-14PJ4-2226-SM-6LLIS 60-69 years, male 14.6
GTEX-1PWST-0326-SM-EAZ42 70-79 years, male 14.6
GTEX-1A32A-0226-SM-718B2 50-59 years, female 14.4
GTEX-1B996-0126-SM-7PBYF 60-69 years, male 14.4
GTEX-ZDTT-2626-SM-5S2OP 60-69 years, male 14.3
GTEX-15UKP-0526-SM-7KFRO 20-29 years, male 14.1
GTEX-1CB4J-1126-SM-7PBY1 60-69 years, male 14.1
GTEX-1R9K5-0226-SM-EWRNF 50-59 years, male 14.1
GTEX-11TUW-2626-SM-5EQKZ 60-69 years, male 14.0
GTEX-1AX9J-0326-SM-73KXY 60-69 years, male 14.0
GTEX-NFK9-0326-SM-3MJGV 40-49 years, male 14.0
GTEX-WEY5-1926-SM-3GIL8 40-49 years, female 14.0
GTEX-1LGRB-2426-SM-CNPP3 50-59 years, female 14.0
GTEX-14BIL-0226-SM-5SI9E 50-59 years, male 13.9
GTEX-ZYW4-0226-SM-5E44M 60-69 years, male 13.9
GTEX-11H98-0226-SM-5NQ89 50-59 years, male 13.8
GTEX-PLZ6-1326-SM-3NB24 30-39 years, male 13.8
GTEX-ZP4G-2326-SM-57WEM 20-29 years, female 13.8
GTEX-1F75W-0226-SM-9JGGP 60-69 years, male 13.8
GTEX-1GZ4H-1826-SM-9MQLE 50-59 years, female 13.8
GTEX-13O1R-0226-SM-5K7U5 60-69 years, male 13.7
GTEX-144FL-0226-SM-5Q5D4 50-59 years, male 13.7
GTEX-15DDE-0226-SM-6LLJ6 50-59 years, female 13.7
GTEX-1GN73-0326-SM-9KNTW 60-69 years, male 13.7
GTEX-ZGAY-0626-SM-DO92E 40-49 years, female 13.7
GTEX-139TU-0226-SM-5J1NM 60-69 years, male 13.6
GTEX-OHPK-0226-SM-3MJH6 50-59 years, female 13.6
GTEX-X4XY-0326-SM-46MVZ 60-69 years, male 13.6
GTEX-P44G-2326-SM-2XCCZ 30-39 years, male 13.5
GTEX-1R7EU-0326-SM-EWRNJ 60-69 years, male 13.5
GTEX-WYJK-0226-SM-EYYV8 50-59 years, male 13.5
GTEX-1R7EV-1926-SM-EVYBF 40-49 years, male 13.4
GTEX-11XUK-2126-SM-5EQLR 40-49 years, female 13.3
GTEX-12WSA-0326-SM-5BC6I 60-69 years, male 13.3
GTEX-14BMU-2126-SM-5S2TS 20-29 years, female 13.3
GTEX-1B8SG-0226-SM-7939Q 50-59 years, male 13.3
GTEX-1CB4I-0426-SM-7IGPR 50-59 years, male 13.3
GTEX-YB5K-2226-SM-4WWG1 40-49 years, female 13.3
GTEX-ZPIC-1826-SM-57WFE 40-49 years, female 13.3
GTEX-ZVE2-0326-SM-57WFC 50-59 years, male 13.3
GTEX-1F5PK-2526-SM-9MQKN 50-59 years, male 13.3
GTEX-1HSEH-0226-SM-ACKVV 60-69 years, male 13.3
GTEX-11EQ9-2526-SM-5HL66 30-39 years, male 13.2
GTEX-13113-1826-SM-5LZW4 60-69 years, female 13.2
GTEX-ZVT2-2226-SM-5NQ6P 50-59 years, female 13.2
GTEX-U3ZM-1026-SM-EZ6LD 40-49 years, male 13.2
GTEX-ZLFU-2626-SM-DO91L 40-49 years, male 13.2
GTEX-117YX-2226-SM-5EGJJ 50-59 years, male 13.1
GTEX-14E6C-0226-SM-5S2N3 40-49 years, male 13.1
GTEX-14JG6-2326-SM-6LLH3 30-39 years, female 13.1
GTEX-O5YT-0226-SM-32PK5 20-29 years, male 13.1
GTEX-1A8FM-0126-SM-7SB7P 50-59 years, female 13.1
GTEX-ZZPU-2726-SM-5NQ8O 50-59 years, female 13.0
GTEX-1I4MK-2026-SM-B2LVR 50-59 years, female 13.0
GTEX-1K2DA-2126-SM-CGQGL 50-59 years, male 13.0
GTEX-1LVA9-0226-SM-E9U5N 50-59 years, male 13.0
GTEX-131XE-2426-SM-5EQ5V 50-59 years, male 12.9
GTEX-17HII-0326-SM-7LG4X 50-59 years, male 12.8
GTEX-1LGOU-2226-SM-E9U56 20-29 years, female 12.8
GTEX-1QP2A-0226-SM-EVYBC 50-59 years, male 12.8
GTEX-13W3W-2526-SM-5SI9P 60-69 years, female 12.7
GTEX-145MO-0426-SM-5QGP6 60-69 years, male 12.7
GTEX-TML8-2026-SM-32QOP 40-49 years, female 12.7
GTEX-X5EB-2426-SM-4E3HX 40-49 years, male 12.7
GTEX-XQ3S-1626-SM-4WAYN 20-29 years, male 12.7
GTEX-Z93T-0226-SM-5HL5Z 50-59 years, male 12.7
GTEX-1B8L1-2626-SM-7SB77 60-69 years, male 12.7
GTEX-1F75A-0226-SM-7PC2K 50-59 years, male 12.7
GTEX-XBED-2326-SM-47JYR 60-69 years, male 12.6
GTEX-1KXAM-2326-SM-CYPTD 60-69 years, male 12.6
GTEX-1R9PM-2126-SM-E8VOB 20-29 years, male 12.6
GTEX-ZDYS-2126-SM-5S2P2 50-59 years, male 12.6
GTEX-132AR-0226-SM-5IJBE 50-59 years, female 12.5
GTEX-146FR-1826-SM-5QGPF 60-69 years, female 12.5
GTEX-14PN3-2526-SM-6EU15 60-69 years, female 12.5
GTEX-T5JC-0526-SM-32PM7 20-29 years, male 12.5
GTEX-ZDXO-2426-SM-5S2NJ 60-69 years, male 12.5
GTEX-1AYCT-2226-SM-7SB98 50-59 years, male 12.5
GTEX-1GF9V-0226-SM-9MQKA 60-69 years, male 12.5
GTEX-1MCYP-1826-SM-E9J2Q 20-29 years, female 12.5
GTEX-111YS-2426-SM-5GZZQ 60-69 years, male 12.4
GTEX-145LT-1826-SM-5QGP4 40-49 years, male 12.4
GTEX-14C5O-0226-SM-5SI6O 60-69 years, male 12.4
GTEX-14H4A-1026-SM-62LDY 40-49 years, female 12.4
GTEX-11EM3-2326-SM-5H12B 20-29 years, female 12.3
GTEX-12C56-1626-SM-5FQUO 20-29 years, male 12.3
GTEX-1314G-1626-SM-5EQ67 30-39 years, male 12.3
GTEX-146FH-0226-SM-5QGPQ 50-59 years, female 12.3
GTEX-T8EM-1126-SM-3DB7D 40-49 years, male 12.3
GTEX-XMK1-2226-SM-4B673 40-49 years, male 12.3
GTEX-1I1GT-0526-SM-CGQEQ 60-69 years, female 12.3
GTEX-1IDJU-2526-SM-CMKGF 60-69 years, female 12.3
GTEX-1NHNU-1126-SM-E9J2C 50-59 years, male 12.3
GTEX-UTHO-0426-SM-CE6QU 60-69 years, male 12.3
GTEX-11ZTT-2526-SM-5EQM9 60-69 years, female 12.2
GTEX-17HHY-0226-SM-793BQ 50-59 years, male 12.2
GTEX-VJYA-1326-SM-3GIJC 60-69 years, male 12.2
GTEX-XUYS-0226-SM-47JX1 50-59 years, male 12.2
GTEX-YEC4-2426-SM-57WFO 40-49 years, male 12.2
GTEX-ZF29-2226-SM-4WWB9 60-69 years, female 12.2
GTEX-ZPCL-2126-SM-57WFZ 60-69 years, female 12.2
GTEX-ZXES-2026-SM-5NQ6R 30-39 years, female 12.2
GTEX-1H2FU-0226-SM-9YFKO 60-69 years, female 12.2
GTEX-1PDJ9-0426-SM-E9J3E 20-29 years, male 12.2
GTEX-13111-1726-SM-5EGJZ 50-59 years, male 12.1
GTEX-13PLJ-0126-SM-5L3HU 60-69 years, female 12.1
GTEX-18A66-0326-SM-718BE 60-69 years, male 12.1
GTEX-S33H-1126-SM-2XCB6 30-39 years, male 12.1
GTEX-ZLV1-1826-SM-5FQU5 60-69 years, female 12.1
GTEX-ZZ64-1626-SM-5E43W 20-29 years, male 12.1
GTEX-1C6VQ-0226-SM-7P8S5 50-59 years, male 12.1
GTEX-1F88E-0526-SM-7SB8J 60-69 years, female 12.1
GTEX-1LH75-2526-SM-E9U5A 50-59 years, female 12.1
GTEX-11I78-2626-SM-5Q5AI 50-59 years, female 12.0
GTEX-13FTW-2526-SM-5IJC8 40-49 years, male 12.0
GTEX-13X6J-0226-SM-7EPGC 50-59 years, male 12.0
GTEX-1A3MV-2126-SM-718BV 30-39 years, male 12.0
GTEX-OHPM-0226-SM-3LK61 50-59 years, male 12.0
GTEX-P4QS-0226-SM-3NB1U 60-69 years, male 12.0
GTEX-Q2AG-0226-SM-2S1P4 40-49 years, female 12.0
GTEX-X4EO-0426-SM-4QASA 60-69 years, female 12.0
GTEX-1JJ6O-0226-SM-E6CI9 60-69 years, male 12.0
GTEX-1313W-0226-SM-5LZV7 50-59 years, female 11.9
GTEX-145MI-0426-SM-5O99V 60-69 years, female 11.9
GTEX-14JIY-0526-SM-62LFH 60-69 years, male 11.9
GTEX-14PJM-0326-SM-62LF2 50-59 years, female 11.9
GTEX-PWCY-1926-SM-3NB25 20-29 years, female 11.9
GTEX-ZC5H-0126-SM-4WAYL 40-49 years, female 11.9
GTEX-ZYVF-0226-SM-5GIEG 50-59 years, female 11.9
GTEX-1HCU6-0226-SM-CGQES 60-69 years, female 11.9
GTEX-1I1GP-2326-SM-CGQFL 50-59 years, male 11.9
GTEX-1MCC2-2326-SM-E9U5G 30-39 years, female 11.9
GTEX-12WSC-0226-SM-5EQ52 50-59 years, male 11.8
GTEX-12ZZY-0326-SM-5LZVQ 60-69 years, male 11.8
GTEX-13FH7-2226-SM-5IJD4 50-59 years, female 11.8
GTEX-13PVQ-0226-SM-5SIBG 50-59 years, male 11.8
GTEX-13PVR-2426-SM-5RQHN 60-69 years, female 11.8
GTEX-1C6VS-0426-SM-79OJV 60-69 years, male 11.8
GTEX-Z9EW-1826-SM-5CVMA 40-49 years, male 11.8
GTEX-1CAMQ-0126-SM-7SB7S 40-49 years, male 11.8
GTEX-1I1GU-2326-SM-CGQFB 40-49 years, male 11.8
GTEX-11LCK-1126-SM-5A5KC 30-39 years, male 11.7
GTEX-12ZZX-0226-SM-5DUXU 40-49 years, female 11.7
GTEX-14ICL-2026-SM-62LDN 30-39 years, male 11.7
GTEX-1C475-1926-SM-7DUFV 40-49 years, female 11.7
GTEX-Y8LW-1926-SM-4WWFZ 50-59 years, female 11.7
GTEX-1CAMR-1826-SM-7MXUJ 20-29 years, male 11.7
GTEX-1I1CD-0226-SM-CM2TL 60-69 years, female 11.7
GTEX-1IKK5-0526-SM-CMKGG 60-69 years, male 11.7
GTEX-1RAZA-0226-SM-E9U4W 20-29 years, male 11.7
GTEX-1S83E-0226-SM-EVYCW 40-49 years, male 11.7
GTEX-S4P3-1526-SM-E9J3W 50-59 years, female 11.7
GTEX-11P82-1726-SM-5Q5AT 20-29 years, male 11.6
GTEX-13JUV-2826-SM-5LZWU 40-49 years, female 11.6
GTEX-13NZA-0126-SM-5K7UH 60-69 years, male 11.6
GTEX-13OW7-0226-SM-5MR3N 50-59 years, male 11.6
GTEX-144GL-0226-SM-5QGOX 50-59 years, male 11.6
GTEX-17HHE-1926-SM-7EPGW 50-59 years, male 11.6
GTEX-OIZH-0226-SM-2YUMH 50-59 years, male 11.6
GTEX-R55C-1626-SM-48FEG 40-49 years, male 11.6
GTEX-Y8E4-0726-SM-4WWFN 40-49 years, male 11.6
GTEX-1122O-2026-SM-9YFMG 60-69 years, female 11.6
GTEX-1HSMQ-1426-SM-ADEHT 50-59 years, male 11.6
GTEX-1JJEA-0226-SM-COH2X 60-69 years, male 11.6
GTEX-1128S-2126-SM-5H12U 60-69 years, female 11.5
GTEX-11TT1-2426-SM-5EQMK 20-29 years, male 11.5
GTEX-13OVI-1326-SM-5IJBO 60-69 years, female 11.5
GTEX-14753-0326-SM-5QGQB 60-69 years, male 11.5
GTEX-QV31-1326-SM-2S1QE 30-39 years, male 11.5
GTEX-WY7C-2426-SM-3NB2V 50-59 years, male 11.5
GTEX-YJ8A-0526-SM-5IFHT 20-29 years, male 11.5
GTEX-ZPU1-2426-SM-4WWFM 40-49 years, male 11.5
GTEX-1HCU8-0726-SM-ADEIR 60-69 years, female 11.5
GTEX-1MGNQ-0226-SM-EVYCK 40-49 years, male 11.5
GTEX-13YAN-0426-SM-5O9DR 60-69 years, male 11.4
GTEX-148VI-1726-SM-5S2W9 60-69 years, female 11.4
GTEX-17HGU-0326-SM-7DUER 50-59 years, male 11.4
GTEX-1H1E6-2026-SM-9KNVK 30-39 years, male 11.4
GTEX-1IKJJ-0226-SM-COH3T 60-69 years, male 11.4
GTEX-1LB8K-0326-SM-E9TJC 50-59 years, male 11.4
GTEX-1QP67-1726-SM-E8VOP 40-49 years, female 11.4
GTEX-1RAZR-0226-SM-EVYC6 40-49 years, male 11.4
GTEX-13FHO-0326-SM-5IJBH 60-69 years, male 11.3
GTEX-14PHX-2426-SM-62LEN 50-59 years, male 11.3
GTEX-Y114-2326-SM-4TT7X 50-59 years, female 11.3
GTEX-Y3IK-2526-SM-4WWDM 50-59 years, female 11.3
GTEX-ZE9C-2826-SM-5S2MO 60-69 years, male 11.3
GTEX-ZTX8-1526-SM-5N9GI 20-29 years, male 11.3
GTEX-1H1DE-2026-SM-9WG6Q 20-29 years, male 11.3
GTEX-1HCUA-2226-SM-ADEHF 50-59 years, female 11.3
GTEX-1HSKV-0326-SM-ADEJC 60-69 years, male 11.3
GTEX-13CF3-2326-SM-5IFGL 60-69 years, female 11.2
GTEX-QDVJ-1826-SM-2S1P3 50-59 years, male 11.2
GTEX-1H4P4-0226-SM-9YFKT 50-59 years, male 11.2
GTEX-1JMQI-2026-SM-CMKGP 50-59 years, male 11.2
GTEX-PWN1-0226-SM-DKPO9 40-49 years, female 11.2
GTEX-RUSQ-1626-SM-EZ6L4 50-59 years, male 11.2
GTEX-11WQC-2426-SM-5EQKQ 60-69 years, male 11.1
GTEX-13112-2726-SM-5DUW5 50-59 years, male 11.1
GTEX-13X6K-0226-SM-5QGPB 60-69 years, female 11.1
GTEX-14ICK-0326-SM-6LLIZ 40-49 years, male 11.1
GTEX-15G19-0226-SM-6PAL2 60-69 years, male 11.1
GTEX-R55G-2426-SM-2TC5I 40-49 years, female 11.1
GTEX-Y5V6-2526-SM-5IFJV 60-69 years, male 11.1
GTEX-ZTSS-2026-SM-5987K 40-49 years, male 11.1
GTEX-1F6I4-0226-SM-9MQMA 60-69 years, male 11.1
GTEX-1F88F-2626-SM-9WG5K 60-69 years, female 11.1
GTEX-1LG7Y-0426-SM-DKPQB 50-59 years, male 11.1
GTEX-1LVAO-0226-SM-E9U6O 60-69 years, male 11.1
GTEX-1PBJI-0426-SM-E8VNM 20-29 years, female 11.1
GTEX-VJWN-0226-SM-EZ6LF 50-59 years, female 11.1
GTEX-13OW8-1226-SM-5K7XD 60-69 years, male 11.0
GTEX-16AAH-2026-SM-7LG5F 50-59 years, male 11.0
GTEX-QEG5-0326-SM-2S1PB 20-29 years, male 11.0
GTEX-T5JW-1726-SM-3GADN 20-29 years, female 11.0
GTEX-TKQ1-1126-SM-4GIAZ 30-39 years, male 11.0
GTEX-W5X1-2626-SM-4LMI8 40-49 years, female 11.0
GTEX-ZYFC-0326-SM-5NQ7H 50-59 years, male 11.0
GTEX-1H3O1-0526-SM-9MQLS 60-69 years, male 11.0
GTEX-1HCVE-0226-SM-CGQEV 50-59 years, male 11.0
GTEX-1HSMP-0226-SM-CGQFI 70-79 years, male 11.0
GTEX-1LG7Z-2026-SM-DLHBP 30-39 years, male 11.0
GTEX-1211K-2226-SM-5FQU6 60-69 years, female 10.9
GTEX-13D11-2326-SM-5IJCY 50-59 years, female 10.9
GTEX-13QBU-2526-SM-5LU4X 40-49 years, female 10.9
GTEX-13QJ3-0426-SM-5RQHP 50-59 years, male 10.9
GTEX-PSDG-0326-SM-48TCP 50-59 years, male 10.9
GTEX-QMRM-1726-SM-2S1QG 50-59 years, male 10.9
GTEX-U412-0526-SM-3DB9I 60-69 years, male 10.9
GTEX-ZYY3-0226-SM-5E45M 60-69 years, female 10.9
GTEX-1HBPH-0526-SM-9YFMN 40-49 years, female 10.9
GTEX-1ICLY-0226-SM-ARL7R 50-59 years, male 10.9
GTEX-1RAZQ-0626-SM-E8VOR 30-39 years, male 10.9
GTEX-1S831-0326-SM-EVYD3 20-29 years, male 10.9
GTEX-P4PP-0226-SM-D4P1Z 30-39 years, female 10.9
GTEX-13OVJ-0326-SM-5L3GL 50-59 years, female 10.8
GTEX-1C2JI-2226-SM-7IGPJ 50-59 years, male 10.8
GTEX-ZXG5-0226-SM-59HJI 60-69 years, male 10.8
GTEX-1EKGG-0126-SM-9YFLS 60-69 years, male 10.8
GTEX-1GZ4I-0226-SM-7RHHO 50-59 years, male 10.8
GTEX-1MJK2-0526-SM-DTXE6 50-59 years, male 10.8
GTEX-R45C-0226-SM-EVYAJ 60-69 years, female 10.8
GTEX-WFG7-2526-SM-EWRM5 20-29 years, male 10.8
GTEX-11ONC-2526-SM-5986W 60-69 years, male 10.7
GTEX-12WSM-0226-SM-5LZV6 60-69 years, male 10.7
GTEX-139YR-2426-SM-5J1OB 50-59 years, male 10.7
GTEX-13NZB-2426-SM-5K7UF 30-39 years, male 10.7
GTEX-14PII-0326-SM-6LLIQ 60-69 years, male 10.7
GTEX-17MF6-0226-SM-7LG4G 40-49 years, male 10.7
GTEX-18465-0226-SM-7LG5M 50-59 years, male 10.7
GTEX-P4QT-0226-SM-3LK68 50-59 years, female 10.7
GTEX-QLQ7-1526-SM-2S1QA 60-69 years, male 10.7
GTEX-Y111-0226-SM-4SOIW 50-59 years, male 10.7
GTEX-ZT9X-1926-SM-57WE7 40-49 years, male 10.7
GTEX-11NUK-0326-SM-5HL5K 50-59 years, male 10.7
GTEX-1KANA-0826-SM-D3L9J 20-29 years, male 10.7
GTEX-1L5NE-2626-SM-E9U6P 50-59 years, male 10.7
GTEX-11TTK-0226-SM-5N9EC 60-69 years, female 10.6
GTEX-13O3P-0226-SM-5KM3Z 50-59 years, male 10.6
GTEX-14LLW-0226-SM-62LEL 70-79 years, female 10.6
GTEX-QESD-1526-SM-2S1QT 20-29 years, male 10.6
GTEX-Y3I4-2226-SM-4TT7O 50-59 years, male 10.6
GTEX-ZTPG-0226-SM-5O99I 20-29 years, female 10.6
GTEX-169BO-1426-SM-9MQJT 50-59 years, male 10.6
GTEX-1QW4Y-1626-SM-EAZ41 30-39 years, male 10.6
GTEX-11ZTS-0226-SM-5EQKD 60-69 years, female 10.5
GTEX-14ABY-0326-SM-5TDDK 50-59 years, male 10.5
GTEX-16BQI-0526-SM-6PAM8 30-39 years, female 10.5
GTEX-17F98-1126-SM-79OJS 40-49 years, female 10.5
GTEX-1A8G7-0226-SM-731AS 60-69 years, male 10.5
GTEX-OXRK-0326-SM-3NB3R 50-59 years, female 10.5
GTEX-Q734-1826-SM-2I3EL 40-49 years, female 10.5
GTEX-QCQG-1826-SM-2S1P2 50-59 years, female 10.5
GTEX-Z93S-0226-SM-5HL7R 50-59 years, male 10.5
GTEX-1AX9I-0226-SM-7SB75 60-69 years, male 10.5
GTEX-1CAMS-0326-SM-7PC35 40-49 years, female 10.5
GTEX-1GN1W-0626-SM-9MQK3 50-59 years, female 10.5
GTEX-1HSGN-0126-SM-CGQFU 40-49 years, female 10.5
GTEX-1PPH8-0626-SM-EWRN9 20-29 years, male 10.5
GTEX-1QEPI-0226-SM-EWRMR 60-69 years, female 10.5
GTEX-1QP28-0226-SM-E9J2N 50-59 years, female 10.5
GTEX-11GSO-2326-SM-5A5LX 60-69 years, male 10.4
GTEX-12WSD-0226-SM-59HKO 60-69 years, female 10.4
GTEX-12ZZZ-0526-SM-5DUX6 60-69 years, male 10.4
GTEX-144GO-1626-SM-7EPG5 60-69 years, male 10.4
GTEX-146FQ-0226-SM-5NQAL 30-39 years, male 10.4
GTEX-PLZ5-1826-SM-3NB22 50-59 years, male 10.4
GTEX-VUSG-2426-SM-4KKZG 50-59 years, male 10.4
GTEX-WFON-2226-SM-3TW8W 40-49 years, male 10.4
GTEX-XYKS-2726-SM-4E3IC 60-69 years, female 10.4
GTEX-ZAK1-0226-SM-5CVMX 50-59 years, female 10.4
GTEX-1A8G6-0526-SM-7PC1E 60-69 years, male 10.4
GTEX-1EMGI-0226-SM-9MQL1 60-69 years, male 10.4
GTEX-1IY9M-0226-SM-CMKHP 60-69 years, male 10.4
GTEX-1J8Q3-1526-SM-CMKGB 60-69 years, male 10.4
GTEX-11UD2-0126-SM-5EQL2 50-59 years, male 10.3
GTEX-11ZUS-0726-SM-59886 30-39 years, male 10.3
GTEX-11ZVC-2626-SM-5FQTA 50-59 years, female 10.3
GTEX-13N1W-0226-SM-5K7W6 70-79 years, male 10.3
GTEX-13OVK-2126-SM-6PAN1 40-49 years, male 10.3
GTEX-1497J-2326-SM-5NQBK 60-69 years, male 10.3
GTEX-18A7A-0326-SM-731AT 50-59 years, female 10.3
GTEX-1AMFI-2126-SM-731BT 50-59 years, female 10.3
GTEX-QDT8-0226-SM-32PL4 30-39 years, female 10.3
GTEX-WI4N-1126-SM-3LK7Q 40-49 years, female 10.3
GTEX-XLM4-0226-SM-4AT4N 60-69 years, male 10.3
GTEX-YJ89-0226-SM-4TT3Y 60-69 years, male 10.3
GTEX-ZEX8-2326-SM-5S2MN 50-59 years, male 10.3
GTEX-ZF28-0226-SM-5S2OE 60-69 years, male 10.3
GTEX-ZQG8-1526-SM-5HL65 60-69 years, female 10.3
GTEX-1CB4F-0526-SM-9KNW2 60-69 years, male 10.3
GTEX-1GF9X-1926-SM-ADEIC 40-49 years, female 10.3
GTEX-1GZ2Q-0326-SM-9WG6N 40-49 years, male 10.3
GTEX-1H3VE-0226-SM-9WYST 40-49 years, male 10.3
GTEX-1HGF4-2526-SM-ADEIZ 60-69 years, male 10.3
GTEX-11PRG-0626-SM-5BC56 50-59 years, male 10.2
GTEX-13RTJ-2526-SM-5S2Q3 60-69 years, male 10.2
GTEX-15ETS-0426-SM-6PANI 40-49 years, female 10.2
GTEX-18A6Q-0226-SM-718AS 60-69 years, male 10.2
GTEX-OIZI-0226-SM-2XCEE 40-49 years, male 10.2
GTEX-P78B-0226-SM-3NB1Z 40-49 years, female 10.2
GTEX-WHPG-2126-SM-4M1ZM 50-59 years, male 10.2
GTEX-XPVG-2726-SM-4B66W 50-59 years, male 10.2
GTEX-Y9LG-2026-SM-62LFS 30-39 years, male 10.2
GTEX-1F75I-0426-SM-7PC3S 40-49 years, male 10.2
GTEX-1FIGZ-1626-SM-7SB8L 40-49 years, male 10.2
GTEX-1GPI7-0226-SM-9MQKB 20-29 years, male 10.2
GTEX-1HB9E-0426-SM-CNPPV 50-59 years, male 10.2
GTEX-1ICG6-2626-SM-CGQG1 70-79 years, female 10.2
GTEX-1IDFM-0226-SM-CMKFX 60-69 years, male 10.2
GTEX-1IOXB-0226-SM-CMKHY 50-59 years, male 10.2
GTEX-1LBAC-0226-SM-DHXJZ 20-29 years, male 10.2
GTEX-1LSNM-2026-SM-E6CIJ 50-59 years, male 10.2
GTEX-1PFEY-1626-SM-E9J3M 30-39 years, male 10.2
GTEX-1QP9N-1526-SM-DTXFK 30-39 years, male 10.2
GTEX-Q2AH-1726-SM-DIPDV 40-49 years, male 10.2
GTEX-139T8-0226-SM-5L3EA 60-69 years, male 10.1
GTEX-14PJ2-0226-SM-6LLH4 50-59 years, male 10.1
GTEX-15ER7-0426-SM-6PAM3 20-29 years, female 10.1
GTEX-1C4CL-0426-SM-7939N 30-39 years, male 10.1
GTEX-SNOS-1426-SM-32PLY 40-49 years, male 10.1
GTEX-SSA3-0226-SM-32QPN 60-69 years, male 10.1
GTEX-SUCS-1826-SM-32PM1 70-79 years, male 10.1
GTEX-11DXX-2326-SM-9YFKS 60-69 years, female 10.1
GTEX-1GN1U-0226-SM-9YFLQ 50-59 years, female 10.1
GTEX-1HCU7-0326-SM-CMKGI 50-59 years, male 10.1
GTEX-1HFI7-2026-SM-CGQFR 50-59 years, female 10.1
GTEX-1I1GR-0226-SM-CMKHQ 60-69 years, male 10.1
GTEX-1J1R8-2226-SM-ARZMP 40-49 years, male 10.1
GTEX-1JMPY-1426-SM-ARL8Z 30-39 years, male 10.1
GTEX-1JN1M-0126-SM-D4P23 60-69 years, female 10.1
GTEX-1LVAN-0126-SM-COH4H 50-59 years, female 10.1
GTEX-11GS4-2626-SM-5A5LD 60-69 years, male 10.0
GTEX-11UD1-0226-SM-5EQKL 40-49 years, female 10.0
GTEX-1212Z-2426-SM-5EQ5D 60-69 years, male 10.0
GTEX-13OVL-0326-SM-5IJCS 50-59 years, male 10.0
GTEX-147F3-0626-SM-5NQ9I 50-59 years, female 10.0
GTEX-14E6E-1926-SM-664N4 30-39 years, male 10.0
GTEX-17EVP-0426-SM-79OKG 40-49 years, male 10.0
GTEX-17F96-1726-SM-7IGMB 70-79 years, male 10.0
GTEX-17F97-0426-SM-7LT9U 50-59 years, male 10.0
GTEX-18D9A-2026-SM-718BL 30-39 years, female 10.0
GTEX-P4PQ-0226-SM-2S1NK 60-69 years, male 10.0
GTEX-SNMC-1326-SM-2XCFK 20-29 years, male 10.0
GTEX-WVJS-0226-SM-4MVOU 50-59 years, male 10.0
GTEX-YEC3-1226-SM-5IFI8 50-59 years, male 10.0
GTEX-ZE7O-0226-SM-5S2N1 50-59 years, female 10.0
GTEX-16XZZ-0226-SM-7MGVJ 60-69 years, male 10.0
GTEX-1F48J-0226-SM-7SB82 50-59 years, female 10.0
GTEX-1HR9M-0226-SM-COH3E 60-69 years, male 10.0
GTEX-1HUB1-0326-SM-A9SKQ 60-69 years, male 10.0
GTEX-PLZ4-0226-SM-CYPR1 50-59 years, female 10.0
GTEX-131XW-0526-SM-5PNXZ 50-59 years, female 9.9
GTEX-139T4-0126-SM-5HL5G 50-59 years, female 9.9
GTEX-14A5H-0526-SM-5TDCN 60-69 years, male 9.9
GTEX-O5YV-0226-SM-48TBY 60-69 years, female 9.9
GTEX-OXRP-0226-SM-3NB14 60-69 years, female 9.9
GTEX-RWSA-0226-SM-2XCBA 40-49 years, male 9.9
GTEX-S95S-1326-SM-2XCDK 60-69 years, male 9.9
GTEX-1GMR8-0226-SM-9YFL3 50-59 years, female 9.9
GTEX-1J8EW-0226-SM-CYPSW 60-69 years, female 9.9
GTEX-1S5ZU-0226-SM-E6CHW 20-29 years, female 9.9
GTEX-11EI6-0226-SM-5EQ64 60-69 years, male 9.8
GTEX-12126-0426-SM-5Q5AP 20-29 years, male 9.8
GTEX-131XF-2226-SM-5EQKG 60-69 years, male 9.8
GTEX-145LS-0226-SM-5O9A5 60-69 years, female 9.8
GTEX-145MF-0526-SM-5LUA6 50-59 years, male 9.8
GTEX-16MT8-0526-SM-6PAM6 60-69 years, female 9.8
GTEX-183FY-0326-SM-793BY 20-29 years, male 9.8
GTEX-1AX9K-2426-SM-73KZ4 50-59 years, male 9.8
GTEX-R53T-1626-SM-3GAEW 50-59 years, female 9.8
GTEX-ZVZP-2326-SM-59HL4 50-59 years, male 9.8
GTEX-1IGQW-0226-SM-COH43 60-69 years, male 9.8
GTEX-1M5QR-2126-SM-DKPQM 40-49 years, male 9.8
GTEX-OOBK-0226-SM-2YUMF 40-49 years, male 9.7
GTEX-OXRN-0226-SM-2I5EJ 50-59 years, male 9.7
GTEX-RU72-1026-SM-46MUG 50-59 years, female 9.7
GTEX-T6MO-1726-SM-33HB8 40-49 years, female 9.7
GTEX-TMZS-0226-SM-3DB9N 60-69 years, male 9.7
GTEX-U3ZN-2626-SM-3DB7T 30-39 years, female 9.7
GTEX-X261-0226-SM-3NMD2 50-59 years, male 9.7
GTEX-X8HC-0226-SM-4E3K1 50-59 years, female 9.7
GTEX-XMD2-0226-SM-4WWEE 60-69 years, female 9.7
GTEX-YECK-0226-SM-4W215 60-69 years, male 9.7
GTEX-ZVTK-0526-SM-5GZWT 20-29 years, male 9.7
GTEX-18QFQ-0226-SM-731BQ 30-39 years, male 9.7
GTEX-1E2YA-0226-SM-9MQLY 50-59 years, male 9.7
GTEX-1I1GQ-0226-SM-COH3I 50-59 years, male 9.7
GTEX-1JMLX-0126-SM-CMKG9 50-59 years, male 9.7
GTEX-1POEN-0226-SM-EYYXE 30-39 years, female 9.7
GTEX-RNOR-0226-SM-EZ6MF 50-59 years, female 9.7
GTEX-1117F-0226-SM-5GZZ7 60-69 years, female 9.6
GTEX-111FC-0226-SM-5N9B8 60-69 years, male 9.6
GTEX-13N11-2626-SM-5K7UQ 50-59 years, female 9.6
GTEX-145MN-2626-SM-5NQAH 30-39 years, male 9.6
GTEX-147GR-0426-SM-5S2OL 60-69 years, male 9.6
GTEX-14AS3-2026-SM-5TDD9 40-49 years, female 9.6
GTEX-15DCD-0226-SM-6LPKC 70-79 years, female 9.6
GTEX-17MFQ-1826-SM-7DHLS 20-29 years, male 9.6
GTEX-SIU8-0226-SM-2XCDS 50-59 years, male 9.6
GTEX-TSE9-0226-SM-3DB84 60-69 years, female 9.6
GTEX-ZVT4-0226-SM-51MSD 50-59 years, female 9.6
GTEX-13NYB-2626-SM-9YFMI 40-49 years, male 9.6
GTEX-1CB4E-1826-SM-7RHG8 60-69 years, male 9.6
GTEX-1H1DF-0226-SM-ARL9A 40-49 years, female 9.6
GTEX-1I19N-0426-SM-ACKVY 70-79 years, male 9.6
GTEX-1R46S-0526-SM-EVYBZ 60-69 years, female 9.6
GTEX-11P7K-2026-SM-5GU74 30-39 years, male 9.5
GTEX-1399U-2426-SM-5K7XB 50-59 years, female 9.5
GTEX-139T6-2126-SM-5KM37 50-59 years, male 9.5
GTEX-144GM-1926-SM-5LUAN 20-29 years, male 9.5
GTEX-QV44-1825-SM-447CF 50-59 years, male 9.5
GTEX-1EH9U-0226-SM-7PBY8 60-69 years, male 9.5
GTEX-1HFI6-0326-SM-ADEI5 40-49 years, male 9.5
GTEX-1IL2U-0326-SM-CE6T9 60-69 years, male 9.5
GTEX-1LSVX-0126-SM-EVYCY 60-69 years, male 9.5
GTEX-1OFPY-2326-SM-E8VNU 60-69 years, male 9.5
GTEX-13FHP-0226-SM-5K7WD 50-59 years, male 9.4
GTEX-14DAR-1926-SM-5S2NQ 50-59 years, male 9.4
GTEX-18A67-0226-SM-7LG67 50-59 years, male 9.4
GTEX-1BAJH-0426-SM-73KWY 70-79 years, male 9.4
GTEX-Q2AI-1426-SM-2S1P5 40-49 years, male 9.4
GTEX-T6MN-0226-SM-32PMD 50-59 years, male 9.4
GTEX-XBEW-0726-SM-4QARX 40-49 years, male 9.4
GTEX-1CB4H-0326-SM-9WG5G 60-69 years, female 9.4
GTEX-1HR98-0226-SM-CGQEK 60-69 years, male 9.4
GTEX-1HSMO-0226-SM-CGQEZ 60-69 years, male 9.4
GTEX-1QP29-0726-SM-DTXFM 50-59 years, male 9.4
GTEX-11EQ8-0226-SM-5EQ5G 60-69 years, male 9.3
GTEX-1269C-2726-SM-5EGJ4 60-69 years, female 9.3
GTEX-133LE-1926-SM-5N9FV 20-29 years, female 9.3
GTEX-13U4I-0226-SM-5SIB1 40-49 years, female 9.3
GTEX-13VXU-0226-SM-5SI9R 50-59 years, male 9.3
GTEX-16NPX-0326-SM-7EWDI 50-59 years, male 9.3
GTEX-OHPN-0226-SM-48TBV 60-69 years, female 9.3
GTEX-XAJ8-0926-SM-47JXZ 40-49 years, male 9.3
GTEX-1EU9M-0326-SM-7RHGF 60-69 years, male 9.3
GTEX-1IDJF-0226-SM-CMKGE 20-29 years, male 9.3
GTEX-XOT4-0226-SM-4B66Z 60-69 years, female 9.3
GTEX-13IVO-0226-SM-5LZXU 70-79 years, male 9.2
GTEX-13OW6-0526-SM-5L3HY 50-59 years, male 9.2
GTEX-13PDP-0226-SM-5K7W9 60-69 years, male 9.2
GTEX-13VXT-0226-SM-5LU9Q 20-29 years, female 9.2
GTEX-15CHQ-0226-SM-6EU2S 60-69 years, male 9.2
GTEX-15SDE-2426-SM-7KFRC 50-59 years, female 9.2
GTEX-16NGA-1826-SM-7LG5L 40-49 years, female 9.2
GTEX-1B8KZ-1926-SM-7DUG8 50-59 years, male 9.2
GTEX-U4B1-1726-SM-3DB9F 40-49 years, male 9.2
GTEX-ZVP2-1826-SM-5GU62 50-59 years, male 9.2
GTEX-1GMR2-2526-SM-9MQKW 50-59 years, male 9.2
GTEX-1H1CY-2626-SM-9MQKJ 60-69 years, female 9.2
GTEX-1IDJD-1226-SM-CM2TP 30-39 years, male 9.2
GTEX-1QPFJ-0126-SM-E9J4B 30-39 years, female 9.2
GTEX-111CU-1826-SM-5GZYN 50-59 years, male 9.1
GTEX-13G51-2626-SM-5LZYW 60-69 years, male 9.1
GTEX-1AMEY-1426-SM-7939I 30-39 years, female 9.1
GTEX-R55D-0326-SM-48FES 50-59 years, male 9.1
GTEX-U8XE-0426-SM-3DB91 30-39 years, male 9.1
GTEX-XXEK-2426-SM-4BRUS 50-59 years, male 9.1
GTEX-ZUA1-0226-SM-5NQ9Q 40-49 years, male 9.1
GTEX-ZV68-0226-SM-59HJF 50-59 years, female 9.1
GTEX-ZYT6-0326-SM-7LG5R 30-39 years, male 9.1
GTEX-1EX96-1426-SM-7PBZ5 50-59 years, male 9.1
GTEX-1GMR3-2026-SM-9MQLG 40-49 years, male 9.1
GTEX-1GMRU-0226-SM-9YFLW 50-59 years, male 9.1
GTEX-1K9T9-0226-SM-E9U6K 50-59 years, female 9.1
GTEX-11DZ1-0226-SM-5A5KF 50-59 years, male 9.0
GTEX-12KS4-0426-SM-5EQMC 30-39 years, male 9.0
GTEX-1399T-2726-SM-5K7XK 60-69 years, male 9.0
GTEX-14PJ6-2226-SM-6LLIV 60-69 years, female 9.0
GTEX-WFJO-1926-SM-3GILA 30-39 years, male 9.0
GTEX-WVLH-0226-SM-3MJG6 50-59 years, male 9.0
GTEX-1C6VR-2626-SM-7MGX2 60-69 years, male 9.0
GTEX-1CB4G-0326-SM-7SB8R 60-69 years, male 9.0
GTEX-1LSNL-0526-SM-DIPFI 50-59 years, male 9.0
GTEX-1MA7X-2126-SM-E6CIX 60-69 years, male 9.0
GTEX-11O72-0226-SM-59869 40-49 years, male 8.9
GTEX-147JS-0426-SM-5TDD2 60-69 years, male 8.9
GTEX-14E1K-2126-SM-793DU 50-59 years, male 8.9
GTEX-XUW1-0526-SM-4BOP3 50-59 years, female 8.9
GTEX-Y5V5-2426-SM-5IFJA 60-69 years, female 8.9
GTEX-ZAJG-0226-SM-5HL81 50-59 years, female 8.9
GTEX-1H23P-0226-SM-9YFLO 60-69 years, male 8.9
GTEX-1H3VY-0226-SM-9YFMF 50-59 years, male 8.9
GTEX-1I1GV-0426-SM-ARZLX 60-69 years, male 8.9
GTEX-1I1HK-0226-SM-COH4A 60-69 years, male 8.9
GTEX-1J8QM-2326-SM-CYPSL 60-69 years, female 8.9
GTEX-1QAET-1126-SM-E8VML 50-59 years, male 8.9
GTEX-QEG4-0326-SM-DIPE3 30-39 years, male 8.9
GTEX-RVPV-1526-SM-EXOHF 60-69 years, male 8.9
GTEX-113IC-0226-SM-5HL5C 60-69 years, male 8.8
GTEX-132QS-2526-SM-62LFJ 60-69 years, male 8.8
GTEX-13NZ8-0926-SM-5MR3U 60-69 years, female 8.8
GTEX-13O3Q-2326-SM-5KM3G 50-59 years, male 8.8
GTEX-14E6D-0226-SM-62LDW 50-59 years, male 8.8
GTEX-1E1VI-0226-SM-793CZ 50-59 years, male 8.8
GTEX-X4LF-1726-SM-3NMBZ 50-59 years, male 8.8
GTEX-1I1GS-0226-SM-B2LVX 60-69 years, male 8.8
GTEX-1I6K7-0226-SM-CJI46 40-49 years, male 8.8
GTEX-1N2EF-0626-SM-E9J32 60-69 years, male 8.8
GTEX-1QP6S-0126-SM-E9J4K 40-49 years, male 8.8
GTEX-OIZG-0826-SM-E9TI4 50-59 years, male 8.8
GTEX-13CF2-2626-SM-5LZZA 60-69 years, male 8.7
GTEX-OXRO-0226-SM-3LK6F 60-69 years, female 8.7
GTEX-YFC4-0226-SM-57WD2 40-49 years, female 8.7
GTEX-1B932-0226-SM-7PBYH 40-49 years, female 8.7
GTEX-1J8JJ-0326-SM-CMKG6 60-69 years, female 8.7
GTEX-VUSH-0226-SM-EXUQV 30-39 years, male 8.7
GTEX-11ZU8-2426-SM-5EQMV 60-69 years, male 8.6
GTEX-12584-0226-SM-5EQL5 40-49 years, male 8.6
GTEX-1C6WA-0226-SM-7IGPO 60-69 years, male 8.6
GTEX-OXRL-0226-SM-3NB18 50-59 years, male 8.6
GTEX-QEL4-0326-SM-3GAE5 50-59 years, male 8.6
GTEX-WL46-0326-SM-3LK6Y 50-59 years, male 8.6
GTEX-ZDTS-0226-SM-5HL7Q 60-69 years, male 8.6
GTEX-1IL2V-0226-SM-CMKI2 70-79 years, male 8.6
GTEX-1MA7W-1926-SM-E6CIO 20-29 years, female 8.6
GTEX-1OJC4-1726-SM-EXUSV 50-59 years, female 8.6
GTEX-14JG1-0526-SM-6LLHW 40-49 years, male 8.5
GTEX-1B933-0526-SM-7EPHM 50-59 years, female 8.5
GTEX-N7MS-0326-SM-4E3K2 60-69 years, male 8.5
GTEX-XUZC-1826-SM-4BRVO 30-39 years, female 8.5
GTEX-ZF3C-0226-SM-4WWB3 50-59 years, female 8.5
GTEX-1HT8W-0226-SM-CMKGT 30-39 years, male 8.5
GTEX-1JN6P-0226-SM-COH34 60-69 years, male 8.5
GTEX-1PIGE-0526-SM-DTXFA 20-29 years, male 8.5
GTEX-1PIIG-0326-SM-EVYBV 30-39 years, male 8.5
GTEX-POMQ-2326-SM-DHXIS 20-29 years, female 8.5
GTEX-13O21-1526-SM-5K7W4 50-59 years, male 8.4
GTEX-1AYD5-2326-SM-73KXF 50-59 years, male 8.4
GTEX-1C64O-0226-SM-73KXB 60-69 years, male 8.4
GTEX-SJXC-0226-SM-2XCDU 60-69 years, male 8.4
GTEX-SN8G-0226-SM-4DM6B 50-59 years, female 8.4
GTEX-YFCO-2026-SM-4W21Q 40-49 years, male 8.4
GTEX-YJ8O-2426-SM-5HL7S 40-49 years, female 8.4
GTEX-1HBPI-1426-SM-B2LW7 50-59 years, male 8.4
GTEX-1S82P-0226-SM-E6CI6 60-69 years, female 8.4
GTEX-131YS-0226-SM-5IJEH 60-69 years, female 8.3
GTEX-145MG-0126-SM-5TDDA 50-59 years, male 8.3
GTEX-16GPK-0226-SM-7DUFI 60-69 years, male 8.3
GTEX-UJHI-1626-SM-3DB9A 50-59 years, female 8.3
GTEX-1JKYR-0226-SM-CNPOK 20-29 years, male 8.3
GTEX-1JMQK-0126-SM-CM2S3 60-69 years, male 8.3
GTEX-ZLWG-2226-SM-DO92V 50-59 years, female 8.3
GTEX-1399R-2626-SM-5KLZ7 30-39 years, male 8.2
GTEX-13SLX-0426-SM-5QGRC 50-59 years, female 8.2
GTEX-14C39-2526-SM-5S2UH 40-49 years, male 8.2
GTEX-16XZY-2526-SM-7DHL2 70-79 years, male 8.2
GTEX-18D9U-0726-SM-7LG5J 40-49 years, male 8.2
GTEX-YB5E-2126-SM-5IFI7 40-49 years, male 8.2
GTEX-17KNJ-2226-SM-DKPOU 50-59 years, male 8.2
GTEX-1IE54-0226-SM-CMKHX 40-49 years, female 8.2
GTEX-1J1OQ-0326-SM-CYPTJ 40-49 years, female 8.2
GTEX-1N2DW-0326-SM-E9TK3 50-59 years, male 8.2
GTEX-1PPGY-0326-SM-DTXFD 60-69 years, male 8.2
GTEX-T2IS-0226-SM-32QPH 20-29 years, female 8.1
GTEX-YF7O-2426-SM-5IFJL 50-59 years, male 8.1
GTEX-1JK1U-2126-SM-CNPOU 60-69 years, male 8.1
GTEX-1JKYN-1226-SM-CGQG8 30-39 years, male 8.1
GTEX-1MUQO-0526-SM-E9J31 60-69 years, male 8.1
GTEX-1QP66-1326-SM-DTXDQ 50-59 years, male 8.1
GTEX-1RQEC-0526-SM-E6CHV 60-69 years, male 8.1
GTEX-X15G-2326-SM-4PQZS 50-59 years, female 8.0
GTEX-X638-0226-SM-47JZ9 70-79 years, female 8.0
GTEX-XQ8I-0526-SM-4BOPS 50-59 years, male 8.0
GTEX-1RDX4-0226-SM-DTXG1 50-59 years, female 8.0
GTEX-11DXW-0326-SM-5H11W 40-49 years, male 7.9
GTEX-14BIN-0726-SM-793DQ 50-59 years, female 7.9
GTEX-1A3MX-0226-SM-731C4 60-69 years, male 7.9
GTEX-QDVN-2126-SM-33HBS 50-59 years, male 7.9
GTEX-1F52S-0226-SM-7SB7U 60-69 years, female 7.9
GTEX-WFG8-2326-SM-DIPDX 20-29 years, male 7.9
GTEX-X88G-0226-SM-4GIE4 30-39 years, male 7.8
GTEX-Y8E5-0226-SM-57WCM 60-69 years, male 7.8
GTEX-1KD5A-0326-SM-D5OVD 50-59 years, male 7.8
GTEX-139TT-0226-SM-5K7YH 60-69 years, male 7.7
GTEX-13JVG-0226-SM-5J1MW 60-69 years, male 7.7
GTEX-14PJ3-1926-SM-62LEY 50-59 years, male 7.7
GTEX-1EWIQ-0226-SM-793D3 70-79 years, female 7.7
GTEX-XGQ4-2226-SM-4AT4Y 50-59 years, male 7.7
GTEX-1JJE9-1226-SM-CNPOI 70-79 years, male 7.6
GTEX-OIZF-0226-SM-E9TI3 60-69 years, male 7.6
GTEX-111VG-2326-SM-5N9BK 60-69 years, male 7.5
GTEX-11EMC-2826-SM-5PNY6 60-69 years, female 7.5
GTEX-13O61-2426-SM-5J1NV 60-69 years, male 7.5
GTEX-17F9Y-0326-SM-7IGLS 70-79 years, female 7.5
GTEX-17HG3-2326-SM-79OKH 30-39 years, female 7.5
GTEX-1B97I-1726-SM-7939V 40-49 years, male 7.5
GTEX-XV7Q-2626-SM-4BRVA 40-49 years, female 7.5
GTEX-1F6RS-0226-SM-9MQKO 60-69 years, female 7.5
GTEX-1GN1V-0226-SM-9WYTN 60-69 years, male 7.5
GTEX-1KWVE-1326-SM-E6CJ1 30-39 years, male 7.5
GTEX-WH7G-2226-SM-3NMBN 40-49 years, male 7.4
GTEX-11P81-2426-SM-5GU65 30-39 years, female 7.3
GTEX-W5WG-2526-SM-4SOJ2 50-59 years, female 7.3
GTEX-PX3G-0226-SM-DKPOF 20-29 years, female 7.3
GTEX-13FTY-0626-SM-5L3F8 40-49 years, female 7.2
GTEX-13SLW-0226-SM-5S2NA 70-79 years, male 7.2
GTEX-183WM-0226-SM-7LT8T 70-79 years, female 7.2
GTEX-ZVZO-0226-SM-5A5LA 40-49 years, male 7.1
GTEX-1A3MW-0226-SM-7939O 60-69 years, female 7.0
GTEX-1ICLZ-0226-SM-CKZPP 60-69 years, male 7.0
GTEX-1B8SF-0526-SM-7939F 60-69 years, male 6.9
GTEX-1HBPM-0326-SM-CMKGR 60-69 years, female 6.9
GTEX-XK95-0426-SM-4AT4R 40-49 years, male 6.8
GTEX-1JMQL-0326-SM-CNPP6 50-59 years, female 6.8
GTEX-13N2G-2726-SM-5J1MG 60-69 years, male 6.5
GTEX-RTLS-0226-SM-2TF5E 60-69 years, female 6.5
GTEX-14DAQ-0226-SM-664MQ 60-69 years, female 6.4
GTEX-16YQH-0226-SM-6PALD 30-39 years, male 6.4
GTEX-1GN2E-0326-SM-COH3C 60-69 years, male 6.4
GTEX-14BMV-0226-SM-5S2N2 50-59 years, male 6.3
GTEX-RM2N-1726-SM-2TF55 50-59 years, male 6.2
GTEX-11OF3-2426-SM-5Q5AS 60-69 years, male 6.1
GTEX-1GTWX-0226-SM-9YFLL 60-69 years, male 6.1
GTEX-ZYFD-0226-SM-5NQ86 50-59 years, male 6.0
GTEX-13NYS-0226-SM-5MR49 60-69 years, male 5.9
GTEX-R3RS-0226-SM-EYYVE 40-49 years, female 5.8
GTEX-NPJ8-0226-SM-48TBN 40-49 years, male 5.5
Show allShow less
Adipose - Visceral (Omentum)
Average nTPM: 8.6
Samples: 541

Max nTPM: 17.5
Min nTPM: 2.6
Std nTPM: 2.0
Median nTPM: 8.4
GTEX-VUSG-1426-SM-3GIJN 50-59 years, male 17.5
GTEX-1B933-1326-SM-7939U 50-59 years, female 15.0
GTEX-1HC8U-0926-SM-A9G3L 40-49 years, female 14.6
GTEX-1CAV2-0226-SM-7IGPQ 40-49 years, female 14.0
GTEX-ZF2S-1526-SM-5S2OO 50-59 years, female 13.8
GTEX-ZP4G-1326-SM-5EGIW 20-29 years, female 13.7
GTEX-WFJO-1026-SM-3GIKL 30-39 years, male 13.6
GTEX-XAJ8-0226-SM-4GIB2 40-49 years, male 13.4
GTEX-ZQUD-0526-SM-57WG4 30-39 years, male 13.3
GTEX-Z9EW-0826-SM-5HL9T 40-49 years, male 13.2
GTEX-1AX9J-2226-SM-731CW 60-69 years, male 13.1
GTEX-W5X1-1426-SM-3GIKH 40-49 years, female 13.1
GTEX-Y8LW-0926-SM-4VBQ8 50-59 years, female 13.0
GTEX-12WSL-1126-SM-5CVNK 50-59 years, male 12.9
GTEX-ZPU1-1226-SM-5HL71 40-49 years, male 12.9
GTEX-1117F-1326-SM-5EGHH 60-69 years, female 12.8
GTEX-15RIE-0126-SM-7KUF8 60-69 years, male 12.8
GTEX-17HHE-1526-SM-793AS 50-59 years, male 12.7
GTEX-11TT1-1926-SM-5PNYN 20-29 years, male 12.6
GTEX-WY7C-0926-SM-3NB34 50-59 years, male 12.6
GTEX-146FH-2026-SM-5SI9I 50-59 years, female 12.5
GTEX-Y5LM-0826-SM-4VDSW 40-49 years, female 12.5
GTEX-1B8KZ-1026-SM-73KYN 50-59 years, male 12.4
GTEX-ZF29-0826-SM-5S2O2 60-69 years, female 12.3
GTEX-14AS3-0426-SM-5QGQK 40-49 years, female 12.2
GTEX-14JIY-1426-SM-6EU29 60-69 years, male 12.2
GTEX-ZAB5-1126-SM-5Q5AD 50-59 years, male 12.2
GTEX-1LGOU-0826-SM-DHXKL 20-29 years, female 12.2
GTEX-13FH7-1926-SM-5J2OL 50-59 years, female 12.1
GTEX-14753-2526-SM-5LU97 60-69 years, male 12.1
GTEX-1I6K6-1526-SM-CGQFC 30-39 years, male 12.1
GTEX-113JC-0726-SM-5GZZR 50-59 years, female 12.0
GTEX-12696-1826-SM-5EGJS 60-69 years, male 12.0
GTEX-13U4I-1726-SM-5J1MF 40-49 years, female 12.0
GTEX-1A32A-0926-SM-718AB 50-59 years, female 12.0
GTEX-UTHO-1826-SM-3GAFE 60-69 years, male 12.0
GTEX-1PFEY-0726-SM-E76PO 30-39 years, male 12.0
GTEX-ZYFG-1426-SM-5GICS 60-69 years, female 11.9
GTEX-ZZ64-0626-SM-5GZWR 20-29 years, male 11.9
GTEX-1F6IF-2026-SM-7P8SE 60-69 years, male 11.9
GTEX-1I1GT-1326-SM-ACKWB 60-69 years, female 11.9
GTEX-1211K-1226-SM-5EQ4N 60-69 years, female 11.8
GTEX-1IKK5-0826-SM-ACKWN 60-69 years, male 11.8
GTEX-16MTA-1326-SM-6PALX 50-59 years, male 11.7
GTEX-ZVT2-0226-SM-5GIE3 50-59 years, female 11.7
GTEX-1H1ZS-1326-SM-9WG74 70-79 years, male 11.7
GTEX-WHWD-0826-SM-3LK6R 50-59 years, male 11.6
GTEX-1K2DA-1126-SM-CGQGG 50-59 years, male 11.6
GTEX-131XG-0126-SM-5K7UJ 50-59 years, female 11.5
GTEX-145LV-1026-SM-5O9AE 50-59 years, male 11.5
GTEX-18A66-1926-SM-7LTAG 60-69 years, male 11.5
GTEX-1GN73-0626-SM-7PC3I 60-69 years, male 11.5
GTEX-11DXX-2026-SM-5EGJL 60-69 years, female 11.4
GTEX-13S86-0926-SM-5SI6I 40-49 years, male 11.4
GTEX-16NGA-0526-SM-731AJ 40-49 years, female 11.4
GTEX-UPK5-1826-SM-3GAEB 40-49 years, male 11.4
GTEX-WRHK-0826-SM-3MJFG 20-29 years, female 11.4
GTEX-XMK1-0926-SM-4B66X 40-49 years, male 11.4
GTEX-1POEN-1626-SM-EVYC2 30-39 years, female 11.4
GTEX-14BMU-0626-SM-73KZ6 20-29 years, female 11.3
GTEX-14ICK-1726-SM-6AJA5 40-49 years, male 11.1
GTEX-1GF9W-1026-SM-7SB8X 60-69 years, male 11.1
GTEX-1JN76-1026-SM-ARZNI 20-29 years, female 11.1
GTEX-15CHC-0826-SM-686YW 60-69 years, female 11.0
GTEX-ZT9X-0926-SM-5O9C4 40-49 years, male 11.0
GTEX-1QPFJ-2126-SM-EXOJV 30-39 years, female 11.0
GTEX-1R7EV-1026-SM-DTX81 40-49 years, male 11.0
GTEX-13OVL-0826-SM-5L3GV 50-59 years, male 10.9
GTEX-1QW4Y-0826-SM-DTXE1 30-39 years, male 10.9
GTEX-11EQ9-1126-SM-5987I 30-39 years, male 10.8
GTEX-13OW7-1126-SM-5K7V6 50-59 years, male 10.8
GTEX-XV7Q-1726-SM-4BRUU 40-49 years, female 10.8
GTEX-1H1DE-0826-SM-ARU8V 20-29 years, male 10.8
GTEX-11DXZ-1426-SM-5H12A 50-59 years, male 10.7
GTEX-1CB4F-1126-SM-79OLG 60-69 years, male 10.7
GTEX-WOFM-0726-SM-3MJF8 20-29 years, male 10.7
GTEX-11XUK-1726-SM-5GU61 40-49 years, female 10.6
GTEX-1A3MV-0626-SM-731CH 30-39 years, male 10.6
GTEX-XYKS-1826-SM-4E3JV 60-69 years, female 10.6
GTEX-1399U-2026-SM-9WPNN 50-59 years, female 10.6
GTEX-1ICG6-1726-SM-ARU7K 70-79 years, female 10.6
GTEX-1OFPY-0826-SM-DTX8P 60-69 years, male 10.6
GTEX-11ZTS-1326-SM-5EQMA 60-69 years, female 10.5
GTEX-14E6E-0226-SM-7DUEF 30-39 years, male 10.5
GTEX-14PJM-1226-SM-686Z7 50-59 years, female 10.5
GTEX-WHPG-0626-SM-3NMBD 50-59 years, male 10.5
GTEX-X3Y1-0926-SM-3P5YT 40-49 years, male 10.5
GTEX-1RQEC-2526-SM-EVYD2 60-69 years, male 10.5
GTEX-1S3DN-1626-SM-EVYCC 50-59 years, male 10.5
GTEX-13W46-1226-SM-5SIAS 50-59 years, male 10.4
GTEX-14B4R-0526-SM-5QGQT 30-39 years, male 10.4
GTEX-17HII-0826-SM-7DUFH 50-59 years, male 10.4
GTEX-1CB4E-0826-SM-793CS 60-69 years, male 10.4
GTEX-Y5V5-0226-SM-5S2N8 60-69 years, female 10.4
GTEX-1122O-0926-SM-9YFLC 60-69 years, female 10.4
GTEX-1IY9M-1226-SM-ACKX1 60-69 years, male 10.4
GTEX-1KXAM-0526-SM-DKPQN 60-69 years, male 10.4
GTEX-15EOM-2326-SM-7KUMV 20-29 years, female 10.3
GTEX-ZDYS-2226-SM-5S2MI 50-59 years, male 10.3
GTEX-ZT9W-1026-SM-57WG5 50-59 years, male 10.3
GTEX-1HBPN-1526-SM-9WYSB 50-59 years, male 10.3
GTEX-139YR-0326-SM-5J1MC 50-59 years, male 10.2
GTEX-18A7A-0926-SM-7LT8H 50-59 years, female 10.2
GTEX-ZGAY-1326-SM-5S2NS 40-49 years, female 10.2
GTEX-1GMR2-0226-SM-9JGHO 50-59 years, male 10.2
GTEX-1H2FU-1426-SM-9WPO6 60-69 years, female 10.2
GTEX-1HCUA-0926-SM-ADEIX 50-59 years, female 10.2
GTEX-1P4AB-1226-SM-DTXET 50-59 years, male 10.2
GTEX-12WSF-1526-SM-6PAN6 70-79 years, male 10.1
GTEX-1C2JI-0826-SM-7EPHB 50-59 years, male 10.1
GTEX-1IL2U-2726-SM-C1YSG 60-69 years, male 10.1
GTEX-1JKYR-1226-SM-CM2S7 20-29 years, male 10.1
GTEX-13113-1126-SM-5LZU9 60-69 years, female 10.0
GTEX-132AR-0526-SM-5J2MJ 50-59 years, female 10.0
GTEX-14PKU-0226-SM-6EU16 40-49 years, female 10.0
GTEX-15DZA-0626-SM-6PANC 30-39 years, female 10.0
GTEX-17F96-0726-SM-793CB 70-79 years, male 10.0
GTEX-U8XE-1926-SM-3DB98 30-39 years, male 10.0
GTEX-1HSKV-1926-SM-CNPPN 60-69 years, male 10.0
GTEX-1J1R8-0526-SM-ACKWO 40-49 years, male 10.0
GTEX-1L5NE-1726-SM-DHXKX 50-59 years, male 10.0
GTEX-1QP9N-0426-SM-DTXFT 30-39 years, male 10.0
GTEX-12WSK-1026-SM-5CVNR 40-49 years, female 9.9
GTEX-131XE-2026-SM-5LZW1 50-59 years, male 9.9
GTEX-144GM-0626-SM-79OKY 20-29 years, male 9.9
GTEX-145ME-0726-SM-5O9A3 40-49 years, female 9.9
GTEX-17GQL-0826-SM-731AM 60-69 years, male 9.9
GTEX-1EKGG-1426-SM-7PBY2 60-69 years, male 9.9
GTEX-1EMGI-0726-SM-7PBZ4 60-69 years, male 9.9
GTEX-1F6I4-2126-SM-7PC2J 60-69 years, male 9.9
GTEX-1HCU7-2026-SM-A9G2B 50-59 years, male 9.9
GTEX-1OJC3-1326-SM-E9J3D 20-29 years, male 9.9
GTEX-117YX-0726-SM-5GIET 50-59 years, male 9.8
GTEX-11P7K-0826-SM-5BC5F 30-39 years, male 9.8
GTEX-11P82-0326-SM-5HL51 20-29 years, male 9.8
GTEX-12BJ1-0826-SM-5EQ5P 60-69 years, male 9.8
GTEX-1C6VR-1126-SM-7EPHD 60-69 years, male 9.8
GTEX-WH7G-1126-SM-3NMBK 40-49 years, male 9.8
GTEX-WYJK-1426-SM-3NM8V 50-59 years, male 9.8
GTEX-ZYW4-2226-SM-5GZYG 60-69 years, male 9.8
GTEX-1I4MK-0726-SM-ACKWC 50-59 years, female 9.8
GTEX-1JMPY-0326-SM-CM2S2 30-39 years, male 9.8
GTEX-1MUQO-0826-SM-EVYCZ 60-69 years, male 9.8
GTEX-1RMOY-0826-SM-E9TIF 50-59 years, male 9.8
GTEX-WVLH-1626-SM-EXURN 50-59 years, male 9.8
GTEX-11DYG-2026-SM-5EGGX 60-69 years, male 9.7
GTEX-12C56-0826-SM-5EGJ5 20-29 years, male 9.7
GTEX-13OVJ-0926-SM-5K7U1 50-59 years, female 9.7
GTEX-1CAMS-0926-SM-7SB7F 40-49 years, female 9.7
GTEX-1GTWX-1526-SM-9MQLF 60-69 years, male 9.7
GTEX-1JMQI-1026-SM-COH2U 50-59 years, male 9.7
GTEX-11P81-0726-SM-5PNYH 30-39 years, female 9.6
GTEX-14E1K-0426-SM-5S2PF 50-59 years, male 9.6
GTEX-15ER7-1026-SM-7KUMD 20-29 years, female 9.6
GTEX-ZZPU-0326-SM-5N9BJ 50-59 years, female 9.6
GTEX-1HFI7-0726-SM-ACKVN 50-59 years, female 9.6
GTEX-1HKZK-1726-SM-ADEJ9 40-49 years, male 9.6
GTEX-1IDJF-1726-SM-A9SLL 20-29 years, male 9.6
GTEX-13NZB-0826-SM-5K7X5 30-39 years, male 9.5
GTEX-14PJ5-0426-SM-5ZZW2 60-69 years, female 9.5
GTEX-15EU6-1726-SM-6M48H 50-59 years, male 9.5
GTEX-WEY5-1326-SM-3GILS 40-49 years, female 9.5
GTEX-ZPIC-0726-SM-57WFM 40-49 years, female 9.5
GTEX-1B8L1-0126-SM-9KNVS 60-69 years, male 9.5
GTEX-1IDJC-0226-SM-CMKG2 50-59 years, male 9.5
GTEX-1IKOE-1726-SM-CNNQ6 30-39 years, female 9.5
GTEX-1S82P-0926-SM-EWRNP 60-69 years, female 9.5
GTEX-111YS-1326-SM-5EGGK 60-69 years, male 9.4
GTEX-11VI4-1226-SM-5EQMP 40-49 years, female 9.4
GTEX-13NZ9-2026-SM-5KM1U 50-59 years, male 9.4
GTEX-13OVK-0326-SM-7KUEJ 40-49 years, male 9.4
GTEX-14BIM-1626-SM-7EWD2 60-69 years, female 9.4
GTEX-15UKP-1426-SM-7KUDX 20-29 years, male 9.4
GTEX-17F98-0326-SM-7DHLH 40-49 years, female 9.4
GTEX-ZDTT-0526-SM-5HL4M 60-69 years, male 9.4
GTEX-1GZ4H-0926-SM-9WG6Y 50-59 years, female 9.4
GTEX-1KD5A-1326-SM-CYPTB 50-59 years, male 9.4
GTEX-1MA7W-0526-SM-E6CIN 20-29 years, female 9.4
GTEX-13OVH-1126-SM-5K7YP 70-79 years, male 9.3
GTEX-ZC5H-1626-SM-5HL7L 40-49 years, female 9.3
GTEX-ZG7Y-1626-SM-5S2NO 50-59 years, male 9.3
GTEX-13PL7-1226-SM-5SIAR 60-69 years, female 9.2
GTEX-13VXT-0926-SM-5LU5K 20-29 years, female 9.2
GTEX-1445S-2426-SM-79ON2 60-69 years, male 9.2
GTEX-14C39-0826-SM-5TDDU 40-49 years, male 9.2
GTEX-14PK6-0926-SM-62LF4 70-79 years, female 9.2
GTEX-17JCI-1626-SM-7EPGZ 60-69 years, female 9.2
GTEX-17KNJ-0426-SM-718AK 50-59 years, male 9.2
GTEX-1CAMR-0326-SM-793AH 20-29 years, male 9.2
GTEX-XBED-1326-SM-4AT4F 60-69 years, male 9.2
GTEX-Y5V6-0626-SM-4WWFY 60-69 years, male 9.2
GTEX-1HSEH-1326-SM-ADEI1 60-69 years, male 9.2
GTEX-1HSGN-1926-SM-CMKGS 40-49 years, female 9.2
GTEX-1HUB1-1526-SM-CGQF6 60-69 years, male 9.2
GTEX-1IDJD-0926-SM-ACKWW 30-39 years, male 9.2
GTEX-1N2EE-1526-SM-DTXE9 60-69 years, male 9.2
GTEX-111CU-1026-SM-5EGIL 50-59 years, male 9.1
GTEX-12WSC-1726-SM-5GCN3 50-59 years, male 9.1
GTEX-178AV-0626-SM-6PAM1 40-49 years, male 9.1
GTEX-ZPCL-1026-SM-5GCOX 60-69 years, female 9.1
GTEX-1GL5R-0726-SM-9MQL5 50-59 years, male 9.1
GTEX-12ZZX-1726-SM-5BC63 40-49 years, female 9.0
GTEX-1399S-1426-SM-5PNYQ 30-39 years, female 9.0
GTEX-13O21-3126-SM-5J1OI 50-59 years, male 9.0
GTEX-13X6J-1926-SM-5TDCU 50-59 years, male 9.0
GTEX-1B932-1726-SM-793A5 40-49 years, female 9.0
GTEX-XGQ4-1026-SM-4AT4L 50-59 years, male 9.0
GTEX-ZTPG-2326-SM-57WFL 20-29 years, female 9.0
GTEX-1HT8W-0726-SM-A9SLB 30-39 years, male 9.0
GTEX-1J8Q2-2226-SM-CM2TZ 60-69 years, male 9.0
GTEX-1NV5F-2526-SM-EXUSK 60-69 years, female 9.0
GTEX-YJ8A-1926-SM-EZ6LQ 20-29 years, male 9.0
GTEX-11ZUS-1826-SM-5FQTR 30-39 years, male 8.9
GTEX-1339X-0726-SM-5L3FF 40-49 years, male 8.9
GTEX-15SHU-2326-SM-7KUMC 40-49 years, female 8.9
GTEX-Y8E4-1226-SM-5IFIM 40-49 years, male 8.9
GTEX-1CAMQ-1226-SM-7SB7E 40-49 years, male 8.9
GTEX-1F52S-1326-SM-7SB6Q 60-69 years, female 8.9
GTEX-1GF9X-0926-SM-7PC2X 40-49 years, female 8.9
GTEX-1I1GP-1426-SM-ACKVZ 50-59 years, male 8.9
GTEX-1JN6P-1626-SM-CYPSV 60-69 years, male 8.9
GTEX-1MCC2-0626-SM-DKPQI 30-39 years, female 8.9
GTEX-13FTX-0626-SM-5J2NS 20-29 years, female 8.8
GTEX-13JUV-0626-SM-5J1MQ 40-49 years, female 8.8
GTEX-13QBU-1326-SM-5LU4K 40-49 years, female 8.8
GTEX-14E6D-1326-SM-62LES 50-59 years, male 8.8
GTEX-1EH9U-1326-SM-79OM3 60-69 years, male 8.8
GTEX-1KANC-0526-SM-D4P3T 50-59 years, female 8.8
GTEX-1LH75-1026-SM-EWROK 50-59 years, female 8.8
GTEX-1QP66-0626-SM-E76PD 50-59 years, male 8.8
GTEX-13FXS-1326-SM-62LFR 50-59 years, male 8.7
GTEX-13X6I-1526-SM-5SIAC 60-69 years, male 8.7
GTEX-145LU-1226-SM-5LU9B 50-59 years, male 8.7
GTEX-14PHY-1026-SM-62LEV 60-69 years, female 8.7
GTEX-16NPV-0626-SM-7IGOR 50-59 years, female 8.7
GTEX-18A67-1326-SM-7LT8V 50-59 years, male 8.7
GTEX-1A3MX-0826-SM-72D64 60-69 years, male 8.7
GTEX-1A8G7-1226-SM-73KYP 60-69 years, male 8.7
GTEX-1C6VQ-1526-SM-73KU9 50-59 years, male 8.7
GTEX-1C6VS-1826-SM-73KXN 60-69 years, male 8.7
GTEX-WXYG-0926-SM-3NB2O 50-59 years, female 8.7
GTEX-WYVS-0626-SM-4SOJY 40-49 years, female 8.7
GTEX-ZUA1-2126-SM-57YRB 40-49 years, male 8.7
GTEX-1IDJU-0926-SM-ARL88 60-69 years, female 8.7
GTEX-1J8EW-1526-SM-CMKFZ 60-69 years, female 8.7
GTEX-1JMLX-1026-SM-D3L8U 50-59 years, male 8.7
GTEX-1QP28-0926-SM-EVR4D 50-59 years, female 8.7
GTEX-1QP67-1126-SM-EAZ4C 40-49 years, female 8.7
GTEX-17EVP-1426-SM-79OMN 40-49 years, male 8.6
GTEX-17HGU-1726-SM-79OKM 50-59 years, male 8.6
GTEX-18D9B-1726-SM-7LTAP 60-69 years, male 8.6
GTEX-1AX8Z-1626-SM-73KWD 60-69 years, male 8.6
GTEX-XQ3S-2426-SM-4WAYB 20-29 years, male 8.6
GTEX-1IDJI-0926-SM-ACKWZ 50-59 years, female 8.6
GTEX-145LT-1526-SM-5O98P 40-49 years, male 8.5
GTEX-14JG6-0526-SM-6LLIH 30-39 years, female 8.5
GTEX-16AAH-1526-SM-7LT9W 50-59 years, male 8.5
GTEX-ZYVF-1026-SM-5E44V 50-59 years, female 8.5
GTEX-1GN1U-0726-SM-9MQKL 50-59 years, female 8.5
GTEX-1I1GU-0626-SM-CMKHR 40-49 years, male 8.5
GTEX-12WSM-0626-SM-5GCOK 60-69 years, male 8.4
GTEX-132NY-1126-SM-5PNVE 60-69 years, male 8.4
GTEX-13CF3-1126-SM-5LZXB 60-69 years, female 8.4
GTEX-147JS-1026-SM-5S2MP 60-69 years, male 8.4
GTEX-14BMV-1626-SM-73KVQ 50-59 years, male 8.4
GTEX-15DYW-1526-SM-7KUEP 60-69 years, female 8.4
GTEX-1AMFI-1026-SM-73KYM 50-59 years, female 8.4
GTEX-1B8KE-0826-SM-72D6S 50-59 years, male 8.4
GTEX-XUZC-1126-SM-4BOPZ 30-39 years, female 8.4
GTEX-ZYFC-1826-SM-5GZZA 50-59 years, male 8.4
GTEX-1JMQJ-1926-SM-D4P3A 50-59 years, male 8.4
GTEX-12WSA-1626-SM-5EGJV 60-69 years, male 8.3
GTEX-133LE-0926-SM-5P9J1 20-29 years, female 8.3
GTEX-14ICL-0926-SM-5S2TU 30-39 years, male 8.3
GTEX-14PJO-1626-SM-69LPQ 60-69 years, male 8.3
GTEX-17MFQ-1126-SM-7LT9O 20-29 years, male 8.3
GTEX-ZEX8-1226-SM-5S2OK 50-59 years, male 8.3
GTEX-ZF28-1426-SM-5S2OG 60-69 years, male 8.3
GTEX-1E1VI-1826-SM-9WG5J 50-59 years, male 8.3
GTEX-1GMR3-0826-SM-9WYT4 40-49 years, male 8.3
GTEX-1HBPH-2226-SM-9WYSO 40-49 years, female 8.3
GTEX-1HGF4-0226-SM-CNNQL 60-69 years, male 8.3
GTEX-1LVAN-0926-SM-CNNQ2 50-59 years, female 8.3
GTEX-1PIGE-1226-SM-EVR3Q 20-29 years, male 8.3
GTEX-11I78-0226-SM-5HL6R 50-59 years, female 8.2
GTEX-13111-0626-SM-5LZVR 50-59 years, male 8.2
GTEX-1313W-1626-SM-5J1OE 50-59 years, female 8.2
GTEX-132QS-0826-SM-5K7WV 60-69 years, male 8.2
GTEX-13O61-1926-SM-5KM1R 60-69 years, male 8.2
GTEX-13PVR-0526-SM-5S2OB 60-69 years, female 8.2
GTEX-144GN-0726-SM-5O98O 50-59 years, male 8.2
GTEX-14ABY-1926-SM-62LDJ 50-59 years, male 8.2
GTEX-1AX9K-0926-SM-7939G 50-59 years, male 8.2
GTEX-1AYCT-1126-SM-79OO8 50-59 years, male 8.2
GTEX-XOT4-0826-SM-4B66Y 60-69 years, female 8.2
GTEX-ZXES-0926-SM-5E43O 30-39 years, female 8.2
GTEX-1GN1W-1226-SM-9MQLW 50-59 years, female 8.2
GTEX-1LGRB-0526-SM-COH3A 50-59 years, female 8.2
GTEX-1QEPI-2226-SM-E8VN6 60-69 years, female 8.2
GTEX-13N1W-1226-SM-5K7UM 70-79 years, male 8.1
GTEX-13OVG-1326-SM-5K7Y3 60-69 years, male 8.1
GTEX-13OW6-2426-SM-5K7WO 50-59 years, male 8.1
GTEX-13PVQ-2226-SM-5L3G9 50-59 years, male 8.1
GTEX-18465-1826-SM-731BB 50-59 years, male 8.1
GTEX-1AMEY-0526-SM-72D62 30-39 years, female 8.1
GTEX-1AYD5-0126-SM-7DUG5 50-59 years, male 8.1
GTEX-1EU9M-1126-SM-793DE 60-69 years, male 8.1
GTEX-XLM4-1026-SM-4AT51 60-69 years, male 8.1
GTEX-XXEK-1426-SM-4BRW1 50-59 years, male 8.1
GTEX-ZF3C-1026-SM-5S2OC 50-59 years, female 8.1
GTEX-ZQG8-1026-SM-51MR9 60-69 years, female 8.1
GTEX-1GF9U-1226-SM-ARL9I 40-49 years, female 8.1
GTEX-1JJ6O-2826-SM-CNNP7 60-69 years, male 8.1
GTEX-1KAFJ-0826-SM-CYPTF 50-59 years, male 8.1
GTEX-117YW-0826-SM-5H11O 50-59 years, male 8.0
GTEX-14PJ4-0126-SM-62LEZ 60-69 years, male 8.0
GTEX-XBEC-1826-SM-4QASN 50-59 years, male 8.0
GTEX-YEC3-0926-SM-5Q5AC 50-59 years, male 8.0
GTEX-ZV6S-1626-SM-5NQ81 40-49 years, female 8.0
GTEX-ZV7C-0826-SM-59HK8 50-59 years, male 8.0
GTEX-1B97J-1126-SM-7SB79 50-59 years, female 8.0
GTEX-1GPI7-0826-SM-9JGG7 20-29 years, male 8.0
GTEX-1H1CY-0826-SM-9WYTU 60-69 years, female 8.0
GTEX-1LSNM-0626-SM-DIPG7 50-59 years, male 8.0
GTEX-13W3W-1126-SM-5L3DO 60-69 years, female 7.9
GTEX-14PJ2-1426-SM-62LFF 50-59 years, male 7.9
GTEX-1KWVE-0226-SM-E9TKK 30-39 years, male 7.9
GTEX-1LKK1-1526-SM-EVYCO 50-59 years, female 7.9
GTEX-1N2DV-0626-SM-E9U5H 40-49 years, male 7.9
GTEX-1RNTQ-0826-SM-E9TK8 20-29 years, female 7.9
GTEX-12WSG-0426-SM-5FQSE 50-59 years, female 7.8
GTEX-139TU-1426-SM-5LZY9 60-69 years, male 7.8
GTEX-13D11-0526-SM-5LZYM 50-59 years, female 7.8
GTEX-14PJN-0626-SM-6EU13 30-39 years, male 7.8
GTEX-17F9E-1326-SM-7DHL4 50-59 years, male 7.8
GTEX-ZVP2-0226-SM-57WBD 50-59 years, male 7.8
GTEX-1F75I-1026-SM-7SB8B 40-49 years, male 7.8
GTEX-1GMRU-0726-SM-7PBZH 50-59 years, male 7.8
GTEX-1ICLY-1426-SM-CJI48 50-59 years, male 7.8
GTEX-1K9T9-1626-SM-DIPFS 50-59 years, female 7.8
GTEX-1LBAC-1026-SM-CXKYA 20-29 years, male 7.8
GTEX-1O9I2-1326-SM-E6CQD 50-59 years, male 7.8
GTEX-XPVG-1626-SM-EYYVK 50-59 years, male 7.8
GTEX-Y3I4-0726-SM-E9J3Y 50-59 years, male 7.8
GTEX-13RTK-0726-SM-5Q5EN 20-29 years, male 7.7
GTEX-14PN4-1426-SM-6LLJ4 50-59 years, male 7.7
GTEX-16NPX-1026-SM-6PAM7 50-59 years, male 7.7
GTEX-16XZZ-1626-SM-7KUEC 60-69 years, male 7.7
GTEX-17HHY-1026-SM-7LG5E 50-59 years, male 7.7
GTEX-18QFQ-1326-SM-731CF 30-39 years, male 7.7
GTEX-1B97I-0526-SM-73KXE 40-49 years, male 7.7
GTEX-1EN7A-1626-SM-79OLV 40-49 years, male 7.7
GTEX-WL46-2026-SM-3LK7U 50-59 years, male 7.7
GTEX-YFCO-1126-SM-5S2N9 40-49 years, male 7.7
GTEX-1HSMO-1426-SM-CNNQN 60-69 years, male 7.7
GTEX-1PPH8-1026-SM-DPRXN 20-29 years, male 7.7
GTEX-13IVO-2426-SM-5K7V9 70-79 years, male 7.6
GTEX-1AX9I-1726-SM-731BX 60-69 years, male 7.6
GTEX-1GZ2Q-1226-SM-9MQM8 40-49 years, male 7.6
GTEX-1K2DU-0726-SM-DIPF7 20-29 years, male 7.6
GTEX-1R9PO-0926-SM-E9U4Q 60-69 years, female 7.6
GTEX-1RAZA-0926-SM-E6CQ8 20-29 years, male 7.6
GTEX-131YS-1726-SM-5HL7G 60-69 years, female 7.5
GTEX-13N2G-1926-SM-5J1O3 60-69 years, male 7.5
GTEX-14BIL-2426-SM-5QGQR 50-59 years, male 7.5
GTEX-14E7W-2326-SM-69LQC 70-79 years, male 7.5
GTEX-14PHW-1626-SM-6EU2H 60-69 years, female 7.5
GTEX-16GPK-1326-SM-7KUE4 60-69 years, male 7.5
GTEX-11GSP-1026-SM-9WYSH 60-69 years, female 7.5
GTEX-1HSMQ-1026-SM-ADEHU 50-59 years, male 7.5
GTEX-1I1GQ-1026-SM-CNNQS 50-59 years, male 7.5
GTEX-1OKEX-0926-SM-E8VNJ 60-69 years, male 7.5
GTEX-ZLWG-0726-SM-5S2N4 50-59 years, female 7.5
GTEX-11LCK-0326-SM-5A5M7 30-39 years, male 7.4
GTEX-11PRG-1526-SM-5HL6Z 50-59 years, male 7.4
GTEX-139T6-0526-SM-5IJC9 50-59 years, male 7.4
GTEX-13NYS-0726-SM-5J1OR 60-69 years, male 7.4
GTEX-13PDP-1226-SM-5K7TW 60-69 years, male 7.4
GTEX-13X6H-1726-SM-5Q5EH 50-59 years, female 7.4
GTEX-1H4P4-0326-SM-9WYTD 50-59 years, male 7.4
GTEX-1HB9E-0526-SM-ARZNM 50-59 years, male 7.4
GTEX-1I1CD-1026-SM-COH3G 60-69 years, female 7.4
GTEX-1MJK3-0626-SM-E6CJB 20-29 years, male 7.4
GTEX-13FTW-0426-SM-5K7X2 40-49 years, male 7.3
GTEX-13YAN-1126-SM-5TDC7 60-69 years, male 7.3
GTEX-16BQI-1126-SM-7KULF 30-39 years, female 7.3
GTEX-18D9A-0726-SM-7LTA7 30-39 years, female 7.3
GTEX-1CB4G-2126-SM-7IGQ8 60-69 years, male 7.3
GTEX-ZA64-0926-SM-5HL7H 20-29 years, male 7.3
GTEX-ZTSS-1026-SM-5985N 40-49 years, male 7.3
GTEX-1A8FM-2126-SM-7PC27 50-59 years, female 7.3
GTEX-1HBPI-1826-SM-ADEHE 50-59 years, male 7.3
GTEX-1I6K7-1826-SM-CGQFO 40-49 years, male 7.3
GTEX-1JMQK-1326-SM-CNPOR 60-69 years, male 7.3
GTEX-139D8-1626-SM-5IJFZ 30-39 years, female 7.2
GTEX-13OW8-0326-SM-5L3FB 60-69 years, male 7.2
GTEX-18D9U-0426-SM-731AN 40-49 years, male 7.2
GTEX-WK11-2426-SM-3NMAA 50-59 years, male 7.2
GTEX-XBEW-1726-SM-4RGMA 40-49 years, male 7.2
GTEX-1H1E6-1126-SM-9JGGV 30-39 years, male 7.2
GTEX-1KD4Q-1426-SM-D4P3K 40-49 years, male 7.2
GTEX-1LG7Y-1126-SM-CYPTE 50-59 years, male 7.2
GTEX-1S5ZA-1026-SM-EWRO2 20-29 years, male 7.2
GTEX-14PJ3-0726-SM-69LQE 50-59 years, male 7.1
GTEX-14PN3-0326-SM-6EU1X 60-69 years, female 7.1
GTEX-ZAJG-1626-SM-5HL7I 50-59 years, female 7.1
GTEX-1GF9V-1126-SM-9MQM7 60-69 years, male 7.1
GTEX-1H23P-1726-SM-A9SMN 60-69 years, male 7.1
GTEX-1I1GS-0926-SM-A9SL5 60-69 years, male 7.1
GTEX-1IDJH-1626-SM-A9SLP 70-79 years, male 7.1
GTEX-1MA7X-1026-SM-DKPQ8 60-69 years, male 7.1
GTEX-1QP6S-1626-SM-EVYC5 40-49 years, male 7.1
GTEX-11OF3-0826-SM-5BC51 60-69 years, male 7.0
GTEX-14DAQ-2526-SM-5RQIO 60-69 years, female 7.0
GTEX-14PHX-1626-SM-69LQB 50-59 years, male 7.0
GTEX-WYBS-1026-SM-4ONCY 60-69 years, female 7.0
GTEX-ZE9C-1326-SM-5S2OW 60-69 years, male 7.0
GTEX-1H1DG-2026-SM-9QEIV 70-79 years, male 7.0
GTEX-1HCU8-1126-SM-CM2SA 60-69 years, female 7.0
GTEX-1QCLY-1226-SM-EVYC3 30-39 years, male 7.0
GTEX-1R9K4-1426-SM-DPRY4 60-69 years, male 7.0
GTEX-131XF-0726-SM-5GIE5 60-69 years, male 6.9
GTEX-131XH-0826-SM-5GCN8 50-59 years, male 6.9
GTEX-13VXU-1026-SM-5KLZE 50-59 years, male 6.9
GTEX-13X6K-0726-SM-5LU2Z 60-69 years, female 6.9
GTEX-15D1Q-1326-SM-69LOA 40-49 years, male 6.9
GTEX-ZLV1-0926-SM-5S2MR 60-69 years, female 6.9
GTEX-1HFI6-1726-SM-CGQFH 40-49 years, male 6.9
GTEX-1KANA-1426-SM-CY8IF 20-29 years, male 6.9
GTEX-1N2EF-0926-SM-E8VNW 60-69 years, male 6.9
GTEX-1212Z-0526-SM-5FQSQ 60-69 years, male 6.8
GTEX-ZDTS-1826-SM-5S2N6 60-69 years, male 6.8
GTEX-1CB4I-0826-SM-7MGX1 50-59 years, male 6.8
GTEX-12584-2126-SM-5FQUM 40-49 years, male 6.7
GTEX-146FR-0226-SM-5Q5F6 60-69 years, female 6.7
GTEX-14BIN-1226-SM-5S2OM 50-59 years, female 6.7
GTEX-15SKB-1626-SM-6PAL6 60-69 years, male 6.7
GTEX-WFON-1226-SM-3TW8F 40-49 years, male 6.7
GTEX-1F5PL-1326-SM-7SB83 40-49 years, female 6.7
GTEX-1RLM8-1026-SM-EWROE 50-59 years, male 6.7
GTEX-1192X-1526-SM-5H11I 50-59 years, male 6.6
GTEX-13PL6-0926-SM-5KLYY 40-49 years, female 6.6
GTEX-14C5O-0926-SM-793DM 60-69 years, male 6.6
GTEX-17F97-1226-SM-79OJT 50-59 years, male 6.6
GTEX-17F9Y-0726-SM-7LT9G 70-79 years, female 6.6
GTEX-1A8G6-2026-SM-73KYC 60-69 years, male 6.6
GTEX-1HCU6-1626-SM-CMKGW 60-69 years, female 6.6
GTEX-1HSMP-1126-SM-B2LXJ 70-79 years, male 6.6
GTEX-1LSVX-1326-SM-DIPET 60-69 years, male 6.6
GTEX-11GSO-0226-SM-5A5LV 60-69 years, male 6.5
GTEX-12WSI-1526-SM-5GCNM 50-59 years, male 6.5
GTEX-13N11-1826-SM-5IJDS 50-59 years, female 6.5
GTEX-14DAR-0426-SM-664MW 50-59 years, male 6.5
GTEX-183FY-1226-SM-7DHLK 20-29 years, male 6.5
GTEX-1C475-0326-SM-7SB8O 40-49 years, female 6.5
GTEX-1H1DF-1426-SM-9YFMC 40-49 years, female 6.5
GTEX-1H3VE-1926-SM-9YFL4 40-49 years, male 6.5
GTEX-1I19N-1026-SM-A96TT 70-79 years, male 6.5
GTEX-1RAZR-1026-SM-E8VOJ 40-49 years, male 6.5
GTEX-11NUK-2026-SM-5PNVZ 50-59 years, male 6.4
GTEX-12KS4-1526-SM-5EQ6E 30-39 years, male 6.4
GTEX-132Q8-1726-SM-5EGK8 60-69 years, male 6.4
GTEX-1399T-1326-SM-5PNVH 60-69 years, male 6.4
GTEX-15G19-1126-SM-7KUEL 60-69 years, male 6.4
GTEX-18A6Q-1026-SM-7LT9S 60-69 years, male 6.4
GTEX-1B8SF-1726-SM-73KZ5 60-69 years, male 6.4
GTEX-1BAJH-2126-SM-7EWFB 70-79 years, male 6.4
GTEX-Y114-1326-SM-4TT9A 50-59 years, female 6.4
GTEX-1H11D-1126-SM-9YFM5 40-49 years, male 6.4
GTEX-1IE54-1426-SM-CL53C 40-49 years, female 6.4
GTEX-VJWN-2326-SM-EVYAP 50-59 years, female 6.4
GTEX-1128S-0926-SM-5GZZU 60-69 years, female 6.3
GTEX-1B996-1226-SM-73KWZ 60-69 years, male 6.3
GTEX-1LVAM-1026-SM-DIPFK 50-59 years, female 6.3
GTEX-1N2DW-0726-SM-DTX97 50-59 years, male 6.3
GTEX-1RAZQ-1526-SM-E6CJI 30-39 years, male 6.3
GTEX-XQ8I-1426-SM-4BOPW 50-59 years, male 6.2
GTEX-YECK-1426-SM-5IFHE 60-69 years, male 6.2
GTEX-1GZ4I-2326-SM-9YFMO 50-59 years, male 6.2
GTEX-1JJE9-1526-SM-CM2RR 70-79 years, male 6.2
GTEX-1KANB-2426-SM-EV7BE 50-59 years, male 6.2
GTEX-VJYA-1626-SM-EXOHL 60-69 years, male 6.2
GTEX-169BO-0426-SM-7EPI1 50-59 years, male 6.1
GTEX-ZAB4-1426-SM-5CVN6 40-49 years, male 6.1
GTEX-1QP29-1626-SM-EXUSZ 50-59 years, male 6.1
GTEX-11WQK-1526-SM-5EGKN 50-59 years, male 6.0
GTEX-13G51-0526-SM-5IJCQ 60-69 years, male 6.0
GTEX-13O3P-0926-SM-5IFFI 50-59 years, male 6.0
GTEX-17MF6-1326-SM-79ONE 40-49 years, male 6.0
GTEX-ZVZP-1126-SM-5GICU 50-59 years, male 6.0
GTEX-1HR9M-1426-SM-A9SMB 60-69 years, male 6.0
GTEX-13FHO-2026-SM-5J1OA 60-69 years, male 5.9
GTEX-18A7B-1226-SM-718AU 70-79 years, male 5.9
GTEX-YEC4-0926-SM-5PNXY 40-49 years, male 5.9
GTEX-1HCU9-0626-SM-ACKW6 20-29 years, male 5.9
GTEX-11EM3-1126-SM-5A5KM 20-29 years, female 5.8
GTEX-11GS4-1026-SM-5N9DE 60-69 years, male 5.8
GTEX-12ZZW-2326-SM-5DUW2 50-59 years, male 5.8
GTEX-145MF-1026-SM-5Q5EQ 50-59 years, male 5.8
GTEX-Y111-0926-SM-4SOIU 50-59 years, male 5.8
GTEX-1LSNL-1426-SM-E6CJ9 50-59 years, male 5.8
GTEX-WI4N-1526-SM-EZ6LG 40-49 years, female 5.8
GTEX-14C38-1026-SM-73KY7 50-59 years, male 5.7
GTEX-1EWIQ-2526-SM-7EPIJ 70-79 years, female 5.7
GTEX-ZVE2-1826-SM-51MRZ 50-59 years, male 5.7
GTEX-1PBJI-1326-SM-E9J2V 20-29 years, female 5.7
GTEX-1QMI2-1626-SM-EYYXK 60-69 years, male 5.7
GTEX-WWTW-1326-SM-4MVNT 50-59 years, male 5.6
GTEX-X8HC-2326-SM-4QAS4 50-59 years, female 5.6
GTEX-ZTX8-0726-SM-59HL9 20-29 years, male 5.6
GTEX-13S7M-0826-SM-5QGQX 60-69 years, female 5.5
GTEX-1B8SG-1426-SM-7EWEM 50-59 years, male 5.5
GTEX-YJ89-1926-SM-5IFJ6 60-69 years, male 5.5
GTEX-1C64N-1326-SM-7SB7D 50-59 years, male 5.5
GTEX-1J1OQ-1526-SM-CJI4E 40-49 years, female 5.5
GTEX-X585-2526-SM-4QAS1 50-59 years, male 5.4
GTEX-1ICLZ-1626-SM-CE6SS 60-69 years, male 5.4
GTEX-1LG7Z-0226-SM-E6CIG 30-39 years, male 5.4
GTEX-145MI-0826-SM-5SI95 60-69 years, female 5.3
GTEX-14E6C-1226-SM-5ZZUN 40-49 years, male 5.3
GTEX-1JKYN-0526-SM-CGQG3 30-39 years, male 5.3
GTEX-13112-1126-SM-5GCMY 50-59 years, male 5.2
GTEX-15CHQ-1126-SM-686YY 60-69 years, male 5.2
GTEX-ZDXO-2326-SM-5LU9W 60-69 years, male 5.2
GTEX-ZXG5-1626-SM-59HJK 60-69 years, male 5.2
GTEX-ZYT6-2126-SM-5GZZ4 30-39 years, male 5.2
GTEX-1LVAO-2126-SM-DIPGA 60-69 years, male 5.2
GTEX-1S831-1926-SM-EV79P 20-29 years, male 5.2
GTEX-11NV4-1426-SM-5BC4W 60-69 years, male 5.0
GTEX-1I1GR-1726-SM-COH39 60-69 years, male 5.0
GTEX-1S5VW-2426-SM-EAZ52 60-69 years, male 5.0
GTEX-11DXY-0326-SM-5H12F 60-69 years, male 4.9
GTEX-13O3Q-1126-SM-5K7YK 50-59 years, male 4.9
GTEX-1MCQQ-1426-SM-E6CJA 60-69 years, male 4.9
GTEX-Y9LG-1226-SM-4VBQA 30-39 years, male 4.8
GTEX-1F48J-1826-SM-7SB8T 50-59 years, female 4.5
GTEX-1RB15-1126-SM-E8VMX 60-69 years, male 4.4
GTEX-1F75B-1226-SM-7MXTW 50-59 years, male 4.1
GTEX-17EVQ-0626-SM-7KFTB 70-79 years, male 4.0
GTEX-1QAET-1226-SM-DTX9I 50-59 years, male 3.7
GTEX-ZE7O-1526-SM-5J1NH 50-59 years, female 2.6
Show allShow less

ADIPOSE TISSUE - FANTOM5 CAGEi

RNA expression in human tissues obtained through Cap Analysis of Gene Expression (CAGE) generated by the FANTOM5 project are reported as Scaled Tags Per Million.

Max subtype Scaled Tags Per Millioni

Max subtype Scaled Tags Per Million is the value for the subtype with the largest average Scaled Tags Per Million across the subtype samples.

14.0
FANTOM5 sample id Sample description Scaled Tags Per Million
Adipose tissue
Scaled Tags Per Million: 14.0
FF:10010-101C1 65,65,76 years, mixed 14.0

Contact

  • NEWS ARTICLES
  • PRESS ROOM

The Project

  • INTRODUCTION
  • ORGANIZATION
  • PUBLICATIONS

The Human Protein Atlas

  • DOWNLOADABLE DATA
  • LICENCE & CITATION
  • HELP & FAQ
The Human Protein Atlas project is funded
by the Knut & Alice Wallenberg Foundation.


contact@proteinatlas.org