We use cookies to enhance the usability of our website. If you continue, we'll assume that you are happy to receive all cookies. More information. Don't show this again.
TRIP12
HPA
RESOURCES
  • TISSUE
  • BRAIN
  • SINGLE CELL
  • SUBCELLULAR
  • CANCER
  • BLOOD
  • CELL LINE
  • STRUCTURE & INTERACTION
ABOUT
  • INTRODUCTION
  • HISTORY
  • ORGANIZATION
  • PUBLICATIONS
  • ANTIBODY SUBMISSION
  • ANTIBODY AVAILABILITY
  • ACKNOWLEDGMENTS
  • CONTACT
NEWS
  • NEWS ARTICLES
  • PRESS ROOM
LEARN
  • DICTIONARY
  • PROTEIN CLASSES
  • PROTEIN EVIDENCE
  • METHODS
  • EDUCATIONAL VIDEOS
DATA
  • DOWNLOADABLE DATA
  • PUBLICATION DATA
  • RELEASE HISTORY
HELP
  • ANTIBODY VALIDATION
  • ASSAYS & ANNOTATION
  • DISCLAIMER
  • HELP & FAQ
  • PRIVACY STATEMENT
  • LICENCE & CITATION
Fields »
Search result

Field
Term
Gene name
Class
Subclass
Class
Keyword
Chromosome
External id
Tissue
Cell type
Expression
Antibody panel
Tissue
Main location
Patient ID
Annotation
Tissue
Category
Tau score
Cluster
Reliability
Brain region
Category
Tau score
Brain region
Category
Tau score
Brain region
Category
Tau score
Cluster
Reliability
Tissue
Cell type
Enrichment
Cell type
Category
Tau score
Cell type
Category
Tau score
Cell type
Category
Tau score
Cell lineage
Category
Tau score
Cluster
Cluster
Location
Searches
Location
Cell line
Class
Type
Phase
Reliability
Cancer
Prognosis
Cancer
Category
Cancer
Category
Tau score
Cluster
Variants
Interacting gene (ensg_id)
Type
Number of interactions
Pathway
Category
Score
Score
Score
Validation
Validation
Validation
Validation
Antibodies
Data type
Column


  • SUMMARY

  • TISSUE

  • BRAIN

  • SINGLE CELL

  • SUBCELL

  • CANCER

  • BLOOD

  • CELL LINE

  • STRUCT & INT

  • TRIP12
TISSUE PRIMARY DATA SKELETAL MUSCLE Show tissue menu
ADIPOSE TISSUE ADRENAL GLAND AMYGDALA APPENDIX BASAL GANGLIA BONE MARROW BREAST BRONCHUS CEREBELLUM CEREBRAL CORTEX CERVIX CHOROID PLEXUS COLON DUODENUM
ENDOMETRIUM EPIDIDYMIS ESOPHAGUS FALLOPIAN TUBE GALLBLADDER HEART MUSCLE HIPPOCAMPAL FORMATION HYPOTHALAMUS KIDNEY LIVER LUNG LYMPH NODE MIDBRAIN NASOPHARYNX
ORAL MUCOSA OVARY PANCREAS PARATHYROID GLAND PITUITARY GLAND PLACENTA PROSTATE RECTUM RETINA SALIVARY GLAND SEMINAL VESICLE SKELETAL MUSCLE SKIN SMALL INTESTINE
SMOOTH MUSCLE SOFT TISSUE SPINAL CORD SPLEEN STOMACH TESTIS THYMUS THYROID GLAND TONGUE TONSIL URINARY BLADDER VAGINA
ANTIBODIES
AND
VALIDATION
Dictionary
Skeletal muscle
Tissue proteome
Skeletal muscle
SKELETAL MUSCLE - Expression summary
Protein expression
Skeletal musclei

On the top, protein expression in current human tissue, based on all annotated cell types, is reported with the units not detected (n), low (l), medium (m) and high (h). Underneath, protein expression in each annotated cell type are reported using the same units.

Protein expression data is based on knowledge-based annotation. For genes where more than one antibody has been used, a collective score is set.

If knowledge-based annotation could not be performed for a gene, no data is displayed here. View antibody staining data further down this page.

h
m
l
n
Myocytes: Medium
RNA expressioni

A summary of mRNA expression data available for current tissue based on several datasets. The mRNA expression levels in human tissues are based on RNA-seq data generated by the Human Protein Atlas (HPA), Genotype-Tissue Expression (GTEx) portal and CAGE data generated by the FANTOM5 consortium. Consensus normalized expression levels for human tissues was created by combining the data from HPA and GTEx datasets.

The mRNA expression levels in pig are based on RNA-seq data generated by the Human Protein Atlas (HPA), and for mouse, HPA data and in situ hybridization generated by the Allen brain atlas are reported.

Scroll down to view mRNA expression data in more detail.
Consensus:78.8 nTPM
HPA:62.6 nTPM
GTEx:78.8 nTPM
FANTOM5:121.1 Scaled Tags Per Million

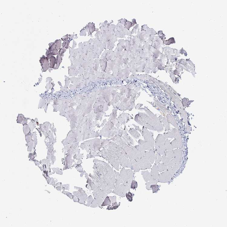
SKELETAL MUSCLE - Antibody stainingi

Antibody staining in the annotated cell types in the current human tissue is reported as not detected, low, medium, or high, based on conventional immunohistochemistry profiling in selected tissues. This score is based on the combination of the staining intensity and fraction of stained cells.

Each image is clickable and will lead to virtual microscopy that enables deeper exploration of all samples and also displays staining intensity scores, fraction scores and subcellular localization as well as patient and tissue information for each sample.

Antibody HPA036835Antibody HPA045893
Myocytes MediumMedium





SKELETAL MUSCLE - HPA RNA-seqi

The RNA-seq details section shows detailed information about the individual samples used for the transcript profiling and results of the RNA-seq analysis.

Information about each individual sample is listed below, including gender, age, a tissue section image and estimated fractions of cell types. nTPM (normalized transcripts per million) values give a quantification of the gene abundance which is comparable between different genes and samples.
Average nTPMi

Max subtype nTPM is the value for the subtype with the largest average nTPM across the subtype samples.

62.6
N/A
Male, age 23
Skeletal muscle sample 339
nTPM: 58.4
N/A
Female, age 25
Skeletal muscle sample 340
nTPM: 61.9
N/A
Female, age -
Skeletal muscle sample 341
nTPM: 67.1
N/A
Female, age 22
Skeletal muscle sample 342
nTPM: 59.1
N/A
Male, age 29
Skeletal muscle sample 343
nTPM: 66.3

SKELETAL MUSCLE - GTEx RNA-seqi

RNA-Seq data generated by the Genotype-Tissue Expression (GTEx) project from human tissues is reported as mean nTPM. More information can be found on the GTEx portal.

Distribution across the dataset is visualized with box plots, shown as median and 25th and 75th percentiles. Points are displayed as outliers if they are above or below 1.5 times the interquartile range. nTPM values of the individual samples are presented next to the box plot.
Max subtype nTPMi

Max subtype nTPM is the value for the subtype with the largest average nTPM across the subtype samples.

78.8
GTEx sample id Sample description nTPM
Muscle - Skeletal
Average nTPM: 78.8
Samples: 803

Max nTPM: 157.6
Min nTPM: 21.9
Std nTPM: 19.4
Median nTPM: 77.1
GTEX-13QBU-2426-SM-5LU4L 40-49 years, female 157.6
GTEX-1H1ZS-0626-SM-CNPPU 70-79 years, male 142.1
GTEX-VJYA-1926-SM-3GIJJ 60-69 years, male 141.2
GTEX-ZV6S-2126-SM-4YCEM 40-49 years, female 138.2
GTEX-1EH9U-0326-SM-7P8S2 60-69 years, male 137.3
GTEX-18A67-0326-SM-7LG5X 50-59 years, male 136.3
GTEX-1211K-2126-SM-59HJZ 60-69 years, female 128.9
GTEX-11DXX-2726-SM-5PNXO 60-69 years, female 127.9
GTEX-WFG7-2226-SM-3GIKP 20-29 years, male 127.1
GTEX-ZVP2-2126-SM-5GU6E 50-59 years, male 127.1
GTEX-1HSGN-0326-SM-ACKXQ 40-49 years, female 126.1
GTEX-17F98-1626-SM-7938R 40-49 years, female 123.8
GTEX-WFG8-2426-SM-3GILL 20-29 years, male 123.2
GTEX-1122O-2426-SM-5GIDN 60-69 years, female 122.5
GTEX-OIZH-1626-SM-2HMKI 50-59 years, male 122.3
GTEX-131XG-2326-SM-5HL8F 50-59 years, female 120.9
GTEX-ZYFG-2426-SM-5GIE8 60-69 years, female 120.4
GTEX-13OVI-1726-SM-5L3DW 60-69 years, female 120.0
GTEX-14PK6-2126-SM-6ETZV 70-79 years, female 120.0
GTEX-1MCYP-2026-SM-DTXE4 20-29 years, female 119.6
GTEX-14753-0526-SM-5QGPR 60-69 years, male 119.4
GTEX-111YS-2326-SM-5987L 60-69 years, male 119.3
GTEX-O5YT-1626-SM-32PK6 20-29 years, male 119.3
GTEX-P44H-0426-SM-2XCEZ 40-49 years, male 119.0
GTEX-R55G-2326-SM-2TC61 40-49 years, female 118.9
GTEX-1HSMO-0526-SM-ACKXB 60-69 years, male 118.9
GTEX-11I78-2426-SM-5A5K9 50-59 years, female 118.8
GTEX-1LGRB-2626-SM-CNPPR 50-59 years, female 118.4
GTEX-15UF7-2226-SM-6PAMQ 40-49 years, male 118.1
GTEX-RUSQ-1726-SM-2TF68 50-59 years, male 117.9
GTEX-18D9U-0626-SM-7LTA4 40-49 years, male 117.2
GTEX-1J8Q3-1426-SM-CKZPU 60-69 years, male 117.0
GTEX-Q2AI-1526-SM-3GIJ3 40-49 years, male 116.9
GTEX-1I19N-2026-SM-ACKXJ 70-79 years, male 116.8
GTEX-OIZF-1626-SM-2YUNE 60-69 years, male 116.7
GTEX-QV44-2026-SM-2S1RD 50-59 years, male 115.5
GTEX-YF7O-2526-SM-5IFJX 50-59 years, male 115.2
GTEX-1KANC-1626-SM-E6CIA 50-59 years, female 115.2
GTEX-1MCC2-2726-SM-EWRN3 30-39 years, female 115.0
GTEX-13PVR-2526-SM-5RQIT 60-69 years, female 114.8
GTEX-U3ZM-1226-SM-3DB9G 40-49 years, male 114.4
GTEX-ZV7C-2426-SM-5NQ7Q 50-59 years, male 114.4
GTEX-12WSL-2726-SM-5CVNL 50-59 years, male 113.5
GTEX-TMMY-0426-SM-33HBB 40-49 years, female 113.3
GTEX-15DZA-2026-SM-6PANE 30-39 years, female 113.0
GTEX-P4QS-1626-SM-2S1NH 60-69 years, male 112.9
GTEX-1HCUA-2326-SM-ACKVJ 50-59 years, female 112.8
GTEX-QLQW-1326-SM-2S1QS 30-39 years, male 112.7
GTEX-SNOS-1526-SM-32PLW 40-49 years, male 112.7
GTEX-12WSJ-1726-SM-5LZVV 40-49 years, female 112.4
GTEX-ZVT2-2426-SM-57WCQ 50-59 years, female 112.0
GTEX-1FIGZ-1726-SM-9MQKS 40-49 years, male 112.0
GTEX-146FR-1726-SM-5Q5DT 60-69 years, female 111.6
GTEX-RM2N-1626-SM-2TF5N 50-59 years, male 111.5
GTEX-16NGA-1926-SM-7LTA6 40-49 years, female 111.4
GTEX-ZZPU-2626-SM-5E45Y 50-59 years, female 111.3
GTEX-1MUQO-0226-SM-E9TJL 60-69 years, male 111.1
GTEX-1B8KE-2226-SM-7939K 50-59 years, male 111.0
GTEX-1C64O-0326-SM-73KVW 60-69 years, male 109.6
GTEX-14BMU-2026-SM-5S2W6 20-29 years, female 109.5
GTEX-15RIE-2426-SM-7KUDS 60-69 years, male 109.1
GTEX-TSE9-0526-SM-3DB7Z 60-69 years, female 109.0
GTEX-15F5U-1826-SM-6LLJF 40-49 years, male 108.4
GTEX-1CAMS-0126-SM-79396 40-49 years, female 108.3
GTEX-139T6-2026-SM-5IFFL 50-59 years, male 108.2
GTEX-1JKYR-0326-SM-CNPOL 20-29 years, male 108.2
GTEX-1K2DA-2226-SM-CGQGM 50-59 years, male 108.1
GTEX-15SHV-2526-SM-6PAMG 60-69 years, male 107.5
GTEX-ZLFU-2526-SM-DO91K 40-49 years, male 107.4
GTEX-17GQL-1926-SM-718B9 60-69 years, male 107.3
GTEX-14ICL-1926-SM-5RQIZ 30-39 years, male 107.0
GTEX-16MTA-2026-SM-7KUL3 50-59 years, male 107.0
GTEX-U3ZN-2226-SM-3DB88 30-39 years, female 107.0
GTEX-Y5V6-2626-SM-5IFIX 60-69 years, male 107.0
GTEX-1399R-2526-SM-5IFG2 30-39 years, male 106.9
GTEX-111CU-2026-SM-5GZZC 50-59 years, male 106.8
GTEX-1I1GU-2126-SM-CGQF9 40-49 years, male 106.1
GTEX-16BQI-0326-SM-6PAM4 30-39 years, female 106.0
GTEX-1C6VQ-0326-SM-7DHMS 50-59 years, male 106.0
GTEX-1HSEH-0326-SM-A9G26 60-69 years, male 105.7
GTEX-OOBK-1626-SM-2HMKG 40-49 years, male 105.6
GTEX-TKQ1-1426-SM-4GICK 30-39 years, male 105.5
GTEX-Y114-2526-SM-4TT8M 50-59 years, female 105.5
GTEX-ZC5H-0326-SM-5HL9F 40-49 years, female 104.5
GTEX-REY6-0826-SM-2TF4S 60-69 years, male 103.9
GTEX-13FHP-0526-SM-5K7UY 50-59 years, male 103.7
GTEX-1H1DG-0326-SM-9QEHK 70-79 years, male 103.5
GTEX-1JK1U-2226-SM-CNNPL 60-69 years, male 103.5
GTEX-13FTW-2326-SM-5K7YS 40-49 years, male 103.3
GTEX-OXRP-2326-SM-2S1NL 60-69 years, female 103.2
GTEX-1H1E6-2126-SM-9KNVM 30-39 years, male 103.2
GTEX-ZVZP-2526-SM-57WBR 50-59 years, male 103.0
GTEX-1B97J-1226-SM-7PBZR 50-59 years, female 102.9
GTEX-14PJ4-2426-SM-6EU1U 60-69 years, male 102.8
GTEX-1GZ4H-1626-SM-7PC3F 50-59 years, female 102.8
GTEX-13NYS-0326-SM-5MR4L 60-69 years, male 102.7
GTEX-QLQ7-1726-SM-2S1QQ 60-69 years, male 102.7
GTEX-14C5O-0626-SM-664N2 60-69 years, male 102.6
GTEX-1LVAN-0526-SM-CNNQ1 50-59 years, female 102.6
GTEX-1L5NE-2226-SM-CXZKS 50-59 years, male 102.2
GTEX-WHSB-1826-SM-3TW8M 50-59 years, male 101.7
GTEX-11P82-1826-SM-5PNYJ 20-29 years, male 101.5
GTEX-15RIF-2126-SM-7KUM8 20-29 years, male 101.5
GTEX-12WSN-2526-SM-5LZU8 40-49 years, male 101.4
GTEX-1K2DU-2526-SM-D3L8V 20-29 years, male 101.4
GTEX-U3ZH-1926-SM-4DXTR 30-39 years, male 101.3
GTEX-1HCU9-1926-SM-9WYSE 20-29 years, male 101.2
GTEX-11VI4-1926-SM-5CVLI 40-49 years, female 101.1
GTEX-YFCO-1926-SM-4W212 40-49 years, male 100.9
GTEX-UJMC-1826-SM-3GADT 50-59 years, male 100.8
GTEX-14A5I-0326-SM-5NQ9J 50-59 years, female 100.6
GTEX-1GMR2-2126-SM-7P8TX 50-59 years, male 100.2
GTEX-13JUV-2326-SM-5IJCE 40-49 years, female 100.1
GTEX-1AX9K-2726-SM-7DHMA 50-59 years, male 100.0
GTEX-Q2AH-1826-SM-2S1Q2 40-49 years, male 99.9
GTEX-14C39-2426-SM-5S2U5 40-49 years, male 99.7
GTEX-1AX9J-0126-SM-73KY2 60-69 years, male 99.4
GTEX-17HGU-0626-SM-7939Y 50-59 years, male 99.2
GTEX-17HII-0426-SM-793A3 50-59 years, male 99.1
GTEX-1GN1W-0726-SM-9KNTV 50-59 years, female 99.1
GTEX-13VXT-0326-SM-5LU4U 20-29 years, female 99.0
GTEX-WRHK-1626-SM-3MJFH 20-29 years, female 98.8
GTEX-17F9E-0226-SM-79OKK 50-59 years, male 98.7
GTEX-WY7C-2526-SM-3NB2N 50-59 years, male 98.7
GTEX-11TT1-2326-SM-5GU6N 20-29 years, male 98.6
GTEX-1QP2A-0526-SM-E8VN5 50-59 years, male 98.6
GTEX-X261-0326-SM-3NMD4 50-59 years, male 98.4
GTEX-1LSNM-2326-SM-EWRO8 50-59 years, male 98.3
GTEX-1I4MK-2326-SM-ADEHR 50-59 years, female 98.2
GTEX-183FY-0226-SM-7LG54 20-29 years, male 98.1
GTEX-ZF29-2426-SM-DO92G 60-69 years, female 98.1
GTEX-14XAO-2226-SM-6LLHU 60-69 years, female 98.0
GTEX-PWN1-1626-SM-2S1OL 40-49 years, female 98.0
GTEX-OXRK-1826-SM-2HMJE 50-59 years, female 97.9
GTEX-1445S-0626-SM-5LU3C 60-69 years, male 97.8
GTEX-PSDG-0426-SM-5SI86 50-59 years, male 97.8
GTEX-1QCLZ-0326-SM-DTXG2 60-69 years, female 97.8
GTEX-ZAJG-0526-SM-5S2MT 50-59 years, female 97.6
GTEX-1CAMR-1726-SM-793CU 20-29 years, male 97.5
GTEX-OHPK-1626-SM-2YUN3 50-59 years, female 97.4
GTEX-1NUQO-0726-SM-E9J3K 20-29 years, female 97.4
GTEX-1B97I-2026-SM-7DHN2 40-49 years, male 97.3
GTEX-TML8-1826-SM-32QOR 40-49 years, female 97.3
GTEX-YB5K-2326-SM-5IFHD 40-49 years, female 97.3
GTEX-ZLWG-2126-SM-DO91M 50-59 years, female 97.3
GTEX-1HSMQ-1326-SM-ADEHS 50-59 years, male 97.2
GTEX-1F52S-0826-SM-7P8TQ 60-69 years, female 97.0
GTEX-1GF9W-0526-SM-9MQJP 60-69 years, male 96.7
GTEX-17EUY-0626-SM-793BE 20-29 years, male 96.6
GTEX-QESD-1626-SM-2S1RB 20-29 years, male 96.6
GTEX-QV31-1426-SM-2S1QD 30-39 years, male 96.5
GTEX-Y5V5-2526-SM-4VBQ4 60-69 years, female 96.4
GTEX-1JMPY-1226-SM-CJI3A 30-39 years, male 96.3
GTEX-14PJ6-2326-SM-6ETZR 60-69 years, female 96.1
GTEX-OIZI-0626-SM-2XCEH 40-49 years, male 96.1
GTEX-13W3W-2626-SM-5SIA2 60-69 years, female 95.8
GTEX-11P7K-1926-SM-5GU6R 30-39 years, male 95.7
GTEX-1JJ6O-0926-SM-CYPT1 60-69 years, male 95.7
GTEX-13O3P-0626-SM-5L3D5 50-59 years, male 95.6
GTEX-1C4CL-0326-SM-7DHMH 30-39 years, male 95.6
GTEX-ZLV1-2126-SM-4WWD2 60-69 years, female 95.5
GTEX-12WSG-5016-SM-7SB84 50-59 years, female 95.5
GTEX-14PJO-0526-SM-6EU2O 60-69 years, male 95.4
GTEX-P78B-1626-SM-5SI85 40-49 years, female 95.1
GTEX-14PJ5-2026-SM-6LLIN 60-69 years, female 95.0
GTEX-13FH7-2126-SM-5L3DJ 50-59 years, female 94.9
GTEX-14BIL-0326-SM-5SI9Q 50-59 years, male 94.8
GTEX-POYW-0526-SM-2XCEY 60-69 years, male 94.8
GTEX-Y3IK-2626-SM-4WWDK 50-59 years, female 94.6
GTEX-1NHNU-1226-SM-DTX8I 50-59 years, male 94.4
GTEX-11TTK-0326-SM-5BC5N 60-69 years, female 94.3
GTEX-13OVG-2126-SM-5KM1K 60-69 years, male 94.3
GTEX-SN8G-0326-SM-32PLG 50-59 years, female 94.3
GTEX-OOBJ-1626-SM-2I3F7 60-69 years, male 94.2
GTEX-1F75B-0526-SM-7P8T5 50-59 years, male 94.1
GTEX-1117F-0426-SM-5EGHI 60-69 years, female 94.0
GTEX-S32W-2326-SM-2XCAW 50-59 years, female 93.9
GTEX-11ZVC-2726-SM-5FQSZ 50-59 years, female 93.8
GTEX-QCQG-2126-SM-DTXFV 50-59 years, female 93.7
GTEX-13PL7-0626-SM-5IJCD 60-69 years, female 93.6
GTEX-1I6K6-0326-SM-CJI4A 30-39 years, male 93.6
GTEX-P44G-0526-SM-2XCD1 30-39 years, male 93.5
GTEX-OXRL-1626-SM-2YUMU 50-59 years, male 93.4
GTEX-11EQ9-2126-SM-5PNVW 30-39 years, male 93.2
GTEX-13OVJ-0226-SM-5L3GK 50-59 years, female 93.2
GTEX-SNMC-1426-SM-2XCFM 20-29 years, male 93.2
GTEX-14E6E-2026-SM-664N5 30-39 years, male 93.0
GTEX-13S86-2326-SM-5RQK1 40-49 years, male 92.8
GTEX-12BJ1-2526-SM-5FQUE 60-69 years, male 92.6
GTEX-QDVN-2426-SM-2S1Q4 50-59 years, male 92.6
GTEX-14H4A-0926-SM-5ZZUU 40-49 years, female 92.5
GTEX-1C2JI-2126-SM-793CG 50-59 years, male 92.4
GTEX-145MO-0726-SM-5NQB9 60-69 years, male 92.3
GTEX-ZGAY-0726-SM-DO91O 40-49 years, female 92.3
GTEX-1JMQI-2126-SM-CM2SC 50-59 years, male 92.2
GTEX-1399S-2726-SM-5KM22 30-39 years, female 91.8
GTEX-13111-2226-SM-5LZUE 50-59 years, male 91.6
GTEX-1CB4I-0326-SM-7DHMM 50-59 years, male 91.6
GTEX-145MN-2426-SM-5NQA5 30-39 years, male 91.4
GTEX-1LH75-2626-SM-E9TKL 50-59 years, female 91.3
GTEX-11TUW-2526-SM-5EQKN 60-69 years, male 91.2
GTEX-13U4I-1826-SM-5IJD2 40-49 years, female 91.1
GTEX-15UKP-0326-SM-7KUFP 20-29 years, male 91.1
GTEX-1JN76-0326-SM-ARZNJ 20-29 years, female 91.1
GTEX-1IKK5-0426-SM-CL53X 60-69 years, male 91.0
GTEX-VUSG-2626-SM-4KKZI 50-59 years, male 90.9
GTEX-Y5LM-2126-SM-4VDSY 40-49 years, female 90.7
GTEX-1LGOU-2126-SM-DIPFG 20-29 years, female 90.7
GTEX-U4B1-1626-SM-3DB8N 40-49 years, male 90.6
GTEX-1314G-1726-SM-5LZUX 30-39 years, male 90.5
GTEX-15CHC-2426-SM-6EU22 60-69 years, female 90.5
GTEX-1IDJV-0426-SM-COH3Z 60-69 years, male 90.4
GTEX-1M5QR-1326-SM-EWROC 40-49 years, male 90.4
GTEX-WOFM-1326-SM-3MJFR 20-29 years, male 90.3
GTEX-ZPIC-2526-SM-57WDP 40-49 years, female 90.3
GTEX-1HCU7-0426-SM-D3L8Q 50-59 years, male 90.2
GTEX-1339X-2426-SM-5KLYU 40-49 years, male 90.0
GTEX-1F5PK-2626-SM-7RHH6 50-59 years, male 90.0
GTEX-139TU-0526-SM-5J2M8 60-69 years, male 89.8
GTEX-14DAR-1826-SM-664N1 50-59 years, male 89.6
GTEX-15G1A-2026-SM-7KUFG 30-39 years, male 89.6
GTEX-W5WG-1926-SM-4KKZK 50-59 years, female 89.6
GTEX-1I1GP-2126-SM-CKZPJ 50-59 years, male 89.6
GTEX-15ETS-0326-SM-6PANH 40-49 years, female 89.5
GTEX-SJXC-0526-SM-2XCFG 60-69 years, male 89.4
GTEX-ZVT3-0526-SM-5GIE9 60-69 years, female 89.4
GTEX-ZYY3-0526-SM-5E45G 60-69 years, female 89.4
GTEX-ZPCL-2026-SM-57WFD 60-69 years, female 89.2
GTEX-144GM-2026-SM-5LU3D 20-29 years, male 89.0
GTEX-1AX8Z-5004-SM-ARZLD 60-69 years, male 89.0
GTEX-11ZTT-2626-SM-5EQKK 60-69 years, female 88.7
GTEX-Z9EW-1726-SM-5CVMO 40-49 years, male 88.7
GTEX-WXYG-2526-SM-3NB3F 50-59 years, female 88.6
GTEX-ZQG8-1226-SM-51MRX 60-69 years, female 88.6
GTEX-1QP28-0526-SM-E8VNR 50-59 years, female 88.5
GTEX-X5EB-2326-SM-46MW5 40-49 years, male 88.4
GTEX-1CB4J-1226-SM-7P8P3 60-69 years, male 88.4
GTEX-1MJK3-1426-SM-E9TK1 20-29 years, male 88.4
GTEX-WEY5-2026-SM-CYPRC 40-49 years, female 88.3
GTEX-V955-2426-SM-3GAEF 60-69 years, male 88.0
GTEX-1ICG6-2726-SM-CKZPN 70-79 years, female 88.0
GTEX-16AAH-1826-SM-7939D 50-59 years, male 87.9
GTEX-18465-0326-SM-7LTAD 50-59 years, male 87.9
GTEX-1IDJD-1326-SM-CM2TQ 30-39 years, male 87.8
GTEX-1HSMP-0326-SM-A9SMC 70-79 years, male 87.7
GTEX-12WSA-0726-SM-5FQU2 60-69 years, male 87.6
GTEX-OHPL-1626-SM-2HMIR 60-69 years, female 87.6
GTEX-145LT-1626-SM-5O992 40-49 years, male 87.5
GTEX-1I6K7-0326-SM-B2LXO 40-49 years, male 87.5
GTEX-1RQEC-0126-SM-E9J2H 60-69 years, male 87.5
GTEX-1GTWX-0326-SM-9WYTP 60-69 years, male 87.4
GTEX-13RTK-1626-SM-5QGQS 20-29 years, male 87.0
GTEX-1J8Q2-0126-SM-E9J2G 60-69 years, male 87.0
GTEX-11EM3-2126-SM-5H11M 20-29 years, female 86.8
GTEX-XYKS-2426-SM-4AT43 60-69 years, female 86.8
GTEX-1F5PL-0426-SM-7P8PR 40-49 years, female 86.8
GTEX-13X6H-2326-SM-7EWEB 50-59 years, female 86.7
GTEX-XUW1-0826-SM-4BOP6 50-59 years, female 86.7
GTEX-XPT6-2026-SM-4B64V 20-29 years, male 86.6
GTEX-1F75I-0526-SM-7RHI3 40-49 years, male 86.5
GTEX-1R9JW-2426-SM-DTXFI 30-39 years, female 86.5
GTEX-13O61-2326-SM-5J1NJ 60-69 years, male 86.2
GTEX-1H1DE-1726-SM-A9G3G 20-29 years, male 86.2
GTEX-131XF-2326-SM-5BC6B 60-69 years, male 86.0
GTEX-13JVG-0126-SM-5L3D3 60-69 years, male 86.0
GTEX-XUZC-2126-SM-4BRW8 30-39 years, female 86.0
GTEX-ZZ64-1526-SM-5E43K 20-29 years, male 86.0
GTEX-1PDJ9-0526-SM-DTXDL 20-29 years, male 85.8
GTEX-1B996-0326-SM-7DHMU 60-69 years, male 85.7
GTEX-133LE-2026-SM-5K7WM 20-29 years, female 85.6
GTEX-1C475-1726-SM-73KVX 40-49 years, female 85.6
GTEX-1HR9M-0326-SM-CL549 60-69 years, male 85.3
GTEX-1J8QM-2226-SM-CYPSK 60-69 years, female 85.3
GTEX-PLZ6-1526-SM-2S1OC 30-39 years, male 85.2
GTEX-WHPG-2226-SM-3NMBO 50-59 years, male 85.2
GTEX-1E2YA-0526-SM-7P8RY 50-59 years, male 85.0
GTEX-1HBPM-0426-SM-CKZOO 60-69 years, female 85.0
GTEX-1OFPY-2526-SM-DTXEK 60-69 years, male 84.9
GTEX-146FH-0526-SM-5QGQ3 50-59 years, female 84.8
GTEX-UJHI-1726-SM-3DB9B 50-59 years, female 84.8
GTEX-14AS3-2126-SM-5S2MK 40-49 years, female 84.7
GTEX-16MT8-0326-SM-6PAM5 60-69 years, female 84.7
GTEX-1I1GS-0326-SM-ARL7X 60-69 years, male 84.6
GTEX-XAJ8-1026-SM-47JY9 40-49 years, male 84.5
GTEX-14E1K-2326-SM-664MP 50-59 years, male 84.3
GTEX-1GMRU-0326-SM-9WYT6 50-59 years, male 84.3
GTEX-ZA64-2026-SM-5PNXT 20-29 years, male 84.2
GTEX-1IE54-0326-SM-ARZMD 40-49 years, female 84.1
GTEX-17EVP-1326-SM-7DHMR 40-49 years, male 84.0
GTEX-PWCY-2026-SM-5SI8R 20-29 years, female 84.0
GTEX-14C38-0426-SM-5TDDZ 50-59 years, male 83.9
GTEX-NFK9-0626-SM-2HMIV 40-49 years, male 83.9
GTEX-1212Z-2626-SM-5YY8P 60-69 years, male 83.5
GTEX-1A3MV-2026-SM-718BU 30-39 years, male 83.5
GTEX-X8HC-0526-SM-4E3JA 50-59 years, female 83.5
GTEX-14JG6-2126-SM-6EU2F 30-39 years, female 83.4
GTEX-1QP9N-1926-SM-E6CPY 30-39 years, male 83.3
GTEX-1CAMQ-0326-SM-7MXUI 40-49 years, male 83.2
GTEX-1PPH8-0326-SM-E76PR 20-29 years, male 83.2
GTEX-13OW5-0326-SM-5L3HK 60-69 years, male 83.1
GTEX-ZXG5-0326-SM-5GICH 60-69 years, male 83.1
GTEX-1GMR3-2126-SM-9WYTZ 40-49 years, male 83.1
GTEX-Y3I4-2326-SM-4TT81 50-59 years, male 83.0
GTEX-13VXU-0326-SM-5LU36 50-59 years, male 82.9
GTEX-Y9LG-1926-SM-5IFHY 30-39 years, male 82.9
GTEX-P4PQ-1626-SM-2HMKK 60-69 years, male 82.8
GTEX-PX3G-1626-SM-2S1PT 20-29 years, female 82.8
GTEX-ZAB4-0426-SM-5HL7N 40-49 years, male 82.8
GTEX-1I1GT-0726-SM-B2LWN 60-69 years, female 82.8
GTEX-117XS-2526-SM-5H11G 60-69 years, male 82.7
GTEX-1A3MW-0526-SM-731BY 60-69 years, female 82.6
GTEX-XUYS-0326-SM-47JX2 50-59 years, male 82.6
GTEX-11EI6-0326-SM-5EQ6G 60-69 years, male 82.5
GTEX-YEC4-2226-SM-5IFJT 40-49 years, male 82.5
GTEX-1PPH7-2526-SM-E76OJ 40-49 years, male 82.5
GTEX-XBEW-1026-SM-4QARV 40-49 years, male 82.4
GTEX-ZF3C-0326-SM-4WWBF 50-59 years, female 82.4
GTEX-14JG1-0126-SM-5ZZUP 40-49 years, male 82.2
GTEX-12C56-1926-SM-5FQUG 20-29 years, male 82.1
GTEX-13D11-2526-SM-5KM28 50-59 years, female 82.1
GTEX-13OVH-0626-SM-5L3EI 70-79 years, male 82.1
GTEX-15UF6-1026-SM-7KUF7 70-79 years, female 82.1
GTEX-1JN6P-0526-SM-COH33 60-69 years, male 82.0
GTEX-1PWST-0426-SM-E76QV 70-79 years, male 81.9
GTEX-ZEX8-2526-SM-DO92M 50-59 years, male 81.9
GTEX-1H2FU-0526-SM-ACKXO 60-69 years, female 81.8
GTEX-ZTX8-1626-SM-51MRY 20-29 years, male 81.6
GTEX-1KXAM-2426-SM-DIPFC 60-69 years, male 81.6
GTEX-1497J-2626-SM-5SI9K 60-69 years, male 81.5
GTEX-1CB4E-2126-SM-793AP 60-69 years, male 81.5
GTEX-T8EM-1326-SM-3DB7G 40-49 years, male 81.5
GTEX-16XZZ-0526-SM-7KUF1 60-69 years, male 81.3
GTEX-117YW-2426-SM-5Q5AE 50-59 years, male 81.2
GTEX-PLZ5-1726-SM-2I5F6 50-59 years, male 81.2
GTEX-R55D-0626-SM-3GAD5 50-59 years, male 81.2
GTEX-17MF6-2026-SM-7LG5I 40-49 years, male 81.1
GTEX-RTLS-0526-SM-2TF64 60-69 years, female 81.1
GTEX-ZTPG-0126-SM-5O9AL 20-29 years, female 81.1
GTEX-1QCLY-0426-SM-E8VOH 30-39 years, male 81.1
GTEX-XPVG-2526-SM-4B66D 50-59 years, male 81.0
GTEX-117YX-2526-SM-5EQ4Q 50-59 years, male 80.9
GTEX-11H98-0326-SM-5HL4S 50-59 years, male 80.9
GTEX-RN64-0326-SM-2TC5J 50-59 years, male 80.9
GTEX-1CAV2-2426-SM-7P8QF 40-49 years, female 80.8
GTEX-11NSD-2026-SM-5HL5U 20-29 years, male 80.7
GTEX-12696-2826-SM-5FQTY 60-69 years, male 80.7
GTEX-1128S-2426-SM-5H11B 60-69 years, female 80.6
GTEX-15SHU-0626-SM-7KUFH 40-49 years, female 80.6
GTEX-ZYT6-1626-SM-5E45R 30-39 years, male 80.6
GTEX-13O21-1726-SM-5MR5A 50-59 years, male 80.5
GTEX-16NPX-0626-SM-7KULB 50-59 years, male 80.5
GTEX-1GPI7-0426-SM-7RHHP 20-29 years, male 80.4
GTEX-1AMEY-1526-SM-73KYW 30-39 years, female 80.2
GTEX-YB5E-2226-SM-5IFJ5 40-49 years, male 80.2
GTEX-S7PM-0526-SM-3NM92 60-69 years, male 80.1
GTEX-1JMQJ-0126-SM-E6CI2 50-59 years, male 80.1
GTEX-145ME-2026-SM-5SIA5 40-49 years, female 80.0
GTEX-1QP6S-0426-SM-DTXG4 40-49 years, male 79.9
GTEX-YEC3-2126-SM-4YCDB 50-59 years, male 79.8
GTEX-132AR-1026-SM-5PNVL 50-59 years, female 79.7
GTEX-145LV-2326-SM-5LU8Z 50-59 years, male 79.7
GTEX-ZP4G-2026-SM-57WEH 20-29 years, female 79.7
GTEX-1192X-0426-SM-5GIEE 50-59 years, male 79.6
GTEX-17MFQ-1926-SM-793A6 20-29 years, male 79.5
GTEX-1AMFI-2226-SM-731C6 50-59 years, female 79.5
GTEX-1HBPN-0526-SM-A9SM6 50-59 years, male 79.4
GTEX-1CB4G-0426-SM-7MXUN 60-69 years, male 79.3
GTEX-1399U-2526-SM-5L3DL 50-59 years, female 79.2
GTEX-QDVJ-1926-SM-2S1PJ 50-59 years, male 79.2
GTEX-11DXW-0726-SM-5H12J 40-49 years, male 79.0
GTEX-15ER7-0226-SM-7KUEU 20-29 years, female 79.0
GTEX-1F6I4-0326-SM-7P8T8 60-69 years, male 79.0
GTEX-1H3VE-0126-SM-9WYTW 40-49 years, male 79.0
GTEX-17HHE-2126-SM-7DHLO 50-59 years, male 78.9
GTEX-1C6VS-0126-SM-7PC2H 60-69 years, male 78.9
GTEX-1HCVE-0326-SM-CGQEW 50-59 years, male 78.9
GTEX-RWS6-2126-SM-2XCAV 60-69 years, female 78.6
GTEX-1H11D-0326-SM-9WG71 40-49 years, male 78.6
GTEX-12126-0526-SM-5PNW4 20-29 years, male 78.4
GTEX-15G19-0526-SM-6PAMT 60-69 years, male 78.4
GTEX-O5YV-2026-SM-2D7VS 60-69 years, female 78.3
GTEX-QEG4-0626-SM-2S1OY 30-39 years, male 78.3
GTEX-XQ8I-0626-SM-4BOPT 50-59 years, male 78.3
GTEX-11NUK-0226-SM-5A5L4 50-59 years, male 78.1
GTEX-11OC5-0326-SM-5PNW5 60-69 years, male 78.1
GTEX-17JCI-0326-SM-7LG5H 60-69 years, female 78.1
GTEX-111VG-2626-SM-5GZY2 60-69 years, male 78.0
GTEX-144GO-1326-SM-5Q5EL 60-69 years, male 77.9
GTEX-OXRN-1326-SM-3LK5V 50-59 years, male 77.9
GTEX-ZDXO-0326-SM-4WKHJ 60-69 years, male 77.7
GTEX-1HGF4-2626-SM-CM2SJ 60-69 years, male 77.7
GTEX-11ONC-2426-SM-5GU7H 60-69 years, male 77.5
GTEX-15RIG-0426-SM-7KUF4 40-49 years, male 77.5
GTEX-1N2DV-0526-SM-DTX8W 40-49 years, male 77.5
GTEX-147F4-0326-SM-5TDCK 50-59 years, male 77.4
GTEX-13PL6-0326-SM-5IJCP 40-49 years, female 77.3
GTEX-14E6D-0326-SM-62LDX 50-59 years, male 77.3
GTEX-13O3O-0526-SM-5J1NL 60-69 years, female 77.2
GTEX-1A8G7-0326-SM-72D5B 60-69 years, male 77.2
GTEX-ZVE1-0526-SM-5NQ71 50-59 years, female 77.2
GTEX-13N11-2726-SM-5L3ER 50-59 years, female 77.1
GTEX-14ABY-0126-SM-62LDI 50-59 years, male 77.1
GTEX-14LLW-0526-SM-62LFB 70-79 years, female 77.1
GTEX-13SLX-0326-SM-5Q5E4 50-59 years, female 76.9
GTEX-17F96-2726-SM-7LT9F 70-79 years, male 76.8
GTEX-1HFI7-1926-SM-A96TQ 50-59 years, female 76.7
GTEX-18D9A-1826-SM-718BK 30-39 years, female 76.4
GTEX-Y8LW-2026-SM-4V6G8 50-59 years, female 76.4
GTEX-UPJH-0526-SM-4IHK8 50-59 years, male 76.2
GTEX-1JKYN-1826-SM-ARZMZ 30-39 years, male 76.2
GTEX-ZDTS-0526-SM-4WKH9 60-69 years, male 76.1
GTEX-1HKZK-0226-SM-9WYUG 40-49 years, male 76.1
GTEX-1H1CY-2726-SM-9MQLR 60-69 years, female 76.0
GTEX-11O72-0326-SM-5986D 40-49 years, male 75.9
GTEX-1B8SG-0326-SM-73KXW 50-59 years, male 75.9
GTEX-13N2G-2326-SM-5J1ON 60-69 years, male 75.5
GTEX-1R7EV-2026-SM-DTX83 40-49 years, male 75.5
GTEX-1H3NZ-0326-SM-9MQL6 60-69 years, male 75.3
GTEX-11GSP-2726-SM-5A5LJ 60-69 years, female 74.8
GTEX-12KS4-0826-SM-5BC5R 30-39 years, male 74.8
GTEX-RU1J-1726-SM-2TF5S 20-29 years, female 74.8
GTEX-1JN1M-0526-SM-CJI3D 60-69 years, female 74.8
GTEX-U8XE-0726-SM-3DB8O 30-39 years, male 74.7
GTEX-SIU8-0526-SM-2XCDP 50-59 years, male 74.6
GTEX-1JMLX-0326-SM-CM2RP 50-59 years, male 74.6
GTEX-P4QT-1626-SM-DHXIR 50-59 years, female 74.6
GTEX-13OW6-0626-SM-5L3IB 50-59 years, male 74.4
GTEX-13OW8-1426-SM-5IJDT 60-69 years, male 74.4
GTEX-14PJN-2126-SM-6AJBM 30-39 years, male 74.3
GTEX-ZT9X-1826-SM-57WDU 40-49 years, male 74.3
GTEX-ZV68-0526-SM-59HKI 50-59 years, female 74.3
GTEX-POMQ-1926-SM-3NB1Y 20-29 years, female 74.2
GTEX-1E1VI-0426-SM-7DHN1 50-59 years, male 74.0
GTEX-ZAB5-2126-SM-5K7UN 50-59 years, male 74.0
GTEX-11P81-2526-SM-5GU6H 30-39 years, female 73.9
GTEX-1IDJC-2026-SM-ADEIK 50-59 years, male 73.9
GTEX-1RB15-2226-SM-DTXFZ 60-69 years, male 73.9
GTEX-18A66-0126-SM-731CQ 60-69 years, male 73.8
GTEX-13112-2626-SM-5BC66 50-59 years, male 73.7
GTEX-1R9PN-1826-SM-E8VO4 40-49 years, female 73.7
GTEX-13QJ3-0726-SM-5SI68 50-59 years, male 73.6
GTEX-ZF28-0526-SM-4WKGW 60-69 years, male 73.6
GTEX-1HUB1-0526-SM-CL54N 60-69 years, male 73.6
GTEX-1IDJH-0226-SM-CYPSB 70-79 years, male 73.6
GTEX-1S5ZA-0526-SM-EWRO1 20-29 years, male 73.6
GTEX-13X6K-0326-SM-5Q5D6 60-69 years, female 73.4
GTEX-1IKOH-0126-SM-COH4D 60-69 years, female 73.4
GTEX-1LB8K-0126-SM-EVYCN 50-59 years, male 73.4
GTEX-1HB9E-0326-SM-D3LA5 50-59 years, male 73.3
GTEX-131XE-2726-SM-5P9G7 50-59 years, male 73.2
GTEX-1RQED-0426-SM-E6CJP 60-69 years, male 73.2
GTEX-1H23P-0526-SM-9WG6S 60-69 years, male 73.1
GTEX-144GN-2426-SM-5LU4R 50-59 years, male 73.0
GTEX-14DAQ-0326-SM-664MR 60-69 years, female 73.0
GTEX-16XZY-2226-SM-7938N 70-79 years, male 73.0
GTEX-18QFQ-0326-SM-731C3 30-39 years, male 73.0
GTEX-18D9B-0426-SM-7LTAR 60-69 years, male 72.9
GTEX-S33H-2226-SM-DKPOP 30-39 years, male 72.8
GTEX-ZVZO-0326-SM-5HL4N 40-49 years, male 72.6
GTEX-1S5VW-0526-SM-E6CHL 60-69 years, male 72.6
GTEX-1GMR8-0326-SM-9KNUO 50-59 years, female 72.5
GTEX-1I1HK-0326-SM-ACKW5 60-69 years, male 72.4
GTEX-SUCS-1626-SM-32PLS 70-79 years, male 72.3
GTEX-1O9I2-0526-SM-EYYXI 50-59 years, male 72.3
GTEX-1QAET-2026-SM-E9J3S 50-59 years, male 72.3
GTEX-1R46S-0326-SM-EWRNE 60-69 years, female 72.3
GTEX-13RTJ-2726-SM-73KVG 60-69 years, male 72.2
GTEX-1A3MX-0526-SM-718A9 60-69 years, male 72.2
GTEX-Y8E4-1026-SM-4VBQ5 40-49 years, male 72.2
GTEX-ZF2S-2126-SM-4WWAY 50-59 years, female 72.2
GTEX-1RAZQ-0426-SM-DTXFQ 30-39 years, male 72.1
GTEX-13NZA-0526-SM-5L3D7 60-69 years, male 72.0
GTEX-1JMPZ-0126-SM-CNPOZ 30-39 years, male 71.9
GTEX-V1D1-2426-SM-3GAER 50-59 years, male 71.8
GTEX-1J1R8-2326-SM-CKZPS 40-49 years, male 71.8
GTEX-X638-0326-SM-47JY1 70-79 years, female 71.7
GTEX-1EU9M-0126-SM-7P8P8 60-69 years, male 71.7
GTEX-11EMC-2626-SM-59864 60-69 years, female 71.6
GTEX-13CF3-1826-SM-5J1NK 60-69 years, female 71.6
GTEX-13OVK-1926-SM-6M48G 40-49 years, male 71.6
GTEX-1PIIG-0126-SM-E9J46 30-39 years, male 71.6
GTEX-1GN73-0126-SM-CNPPT 60-69 years, male 71.5
GTEX-1MCQQ-0626-SM-E9U5Q 60-69 years, male 71.4
GTEX-11ZU8-2326-SM-5EQMJ 60-69 years, male 71.2
GTEX-RNOR-0526-SM-2TF4O 50-59 years, female 71.2
GTEX-1IDJU-2426-SM-ARZM9 60-69 years, female 71.2
GTEX-1KANA-0926-SM-D3L9K 20-29 years, male 71.2
GTEX-15DDE-0526-SM-6ETZQ 50-59 years, female 71.1
GTEX-15SHW-0726-SM-7KUEI 60-69 years, male 71.1
GTEX-1F48J-0526-SM-9WYSX 50-59 years, female 71.1
GTEX-XBED-2626-SM-4E3J5 60-69 years, male 71.0
GTEX-T6MN-0526-SM-32PMS 50-59 years, male 70.9
GTEX-1R9PM-2226-SM-E8VOC 20-29 years, male 70.9
GTEX-11PRG-0326-SM-5GU53 50-59 years, male 70.8
GTEX-Y8DK-0326-SM-4TT3P 60-69 years, male 70.8
GTEX-1IDJF-0326-SM-ADEIG 20-29 years, male 70.8
GTEX-1N2DW-0426-SM-E9TK4 50-59 years, male 70.8
GTEX-14PJ3-2026-SM-5ZZVK 50-59 years, male 70.7
GTEX-13O1R-0526-SM-5K7XU 60-69 years, male 70.5
GTEX-1BAJH-0126-SM-7DHMF 70-79 years, male 70.5
GTEX-132Q8-0626-SM-5L3F3 60-69 years, male 70.3
GTEX-18A7B-0326-SM-7LG65 70-79 years, male 70.3
GTEX-11WQK-0726-SM-5GU71 50-59 years, male 70.2
GTEX-12ZZX-0326-SM-5DUVH 40-49 years, female 70.2
GTEX-145MH-0326-SM-5LU8H 50-59 years, male 70.2
GTEX-17HHY-0326-SM-7938H 50-59 years, male 70.2
GTEX-1HCU6-0526-SM-A9SKU 60-69 years, female 70.2
GTEX-OIZG-1326-SM-2HMIQ 50-59 years, male 70.1
GTEX-Q734-2026-SM-3GADA 40-49 years, female 70.0
GTEX-WK11-2526-SM-3NM9Y 50-59 years, male 70.0
GTEX-1S83E-2126-SM-EWRO6 40-49 years, male 70.0
GTEX-SE5C-1826-SM-2XCE4 40-49 years, female 69.9
GTEX-1EN7A-0326-SM-7P8T1 40-49 years, male 69.9
GTEX-ZDYS-1726-SM-5HL4Y 50-59 years, male 69.8
GTEX-13NZ9-0626-SM-5IJCO 50-59 years, male 69.7
GTEX-P4PP-1626-SM-2HMJF 30-39 years, female 69.7
GTEX-VJWN-0426-SM-3GIJI 50-59 years, female 69.7
GTEX-14PJM-0426-SM-5ZZVN 50-59 years, female 69.6
GTEX-1QPFJ-0326-SM-E8VO2 30-39 years, female 69.6
GTEX-R55C-1726-SM-3GADJ 40-49 years, male 69.5
GTEX-QEG5-0426-SM-2I5GJ 20-29 years, male 69.4
GTEX-T5JW-1826-SM-3GAE1 20-29 years, female 69.2
GTEX-11EQ8-0526-SM-5N9BC 60-69 years, male 69.1
GTEX-14LZ3-0626-SM-5ZZWP 60-69 years, female 69.1
GTEX-ZUA1-0326-SM-5NQA3 40-49 years, male 69.0
GTEX-1N2EF-0526-SM-E76OK 60-69 years, male 69.0
GTEX-11ZUS-1426-SM-5FQSP 30-39 years, male 68.9
GTEX-13OW7-0326-SM-5J1MP 50-59 years, male 68.9
GTEX-14PQA-0526-SM-7KUFS 50-59 years, female 68.9
GTEX-11OF3-2526-SM-5P9JL 60-69 years, male 68.7
GTEX-144GL-0326-SM-5QGOY 50-59 years, male 68.7
GTEX-15SB6-1826-SM-6PALN 50-59 years, female 68.7
GTEX-Z93S-1326-SM-5CVMR 50-59 years, male 68.6
GTEX-1GZ2Q-0426-SM-9WPOU 40-49 years, male 68.6
GTEX-131XW-0326-SM-5KM1J 50-59 years, female 68.5
GTEX-14E6C-1526-SM-664ND 40-49 years, male 68.5
GTEX-XGQ4-2326-SM-4AT53 50-59 years, male 68.5
GTEX-XMD1-0626-SM-EZ6MC 60-69 years, male 68.5
GTEX-13N1W-0526-SM-5MR4I 70-79 years, male 68.4
GTEX-1C64N-0326-SM-7P8QC 50-59 years, male 68.4
GTEX-1S82P-0326-SM-E9TIR 60-69 years, female 68.4
GTEX-1B932-0526-SM-73KU7 40-49 years, female 68.3
GTEX-U412-0326-SM-3DB9L 60-69 years, male 68.3
GTEX-UTHO-0726-SM-3GAEN 60-69 years, male 68.3
GTEX-WFON-2326-SM-3LK7M 40-49 years, male 68.3
GTEX-11DXY-2726-SM-5GID2 60-69 years, male 68.2
GTEX-13PVQ-0326-SM-5K7YF 50-59 years, male 68.2
GTEX-X4XX-0626-SM-3NMC1 60-69 years, male 68.2
GTEX-1B8SF-0426-SM-79OL4 60-69 years, male 68.0
GTEX-17KNJ-2426-SM-7DHLR 50-59 years, male 67.9
GTEX-1AYD5-2226-SM-73KX3 50-59 years, male 67.9
GTEX-QVUS-0226-SM-3GIJY 60-69 years, female 67.9
GTEX-ZVT4-0326-SM-51MS5 50-59 years, female 67.9
GTEX-YFC4-1026-SM-5RQJM 40-49 years, female 67.8
GTEX-1P4AB-0326-SM-EXUT3 50-59 years, male 67.8
GTEX-11XUK-2226-SM-5CVLL 40-49 years, female 67.7
GTEX-15DCD-0626-SM-7KUG7 70-79 years, female 67.7
GTEX-14PJ2-0326-SM-6EU2Q 50-59 years, male 67.5
GTEX-ZAKK-0326-SM-5EGHA 70-79 years, male 67.5
GTEX-1I1GR-0326-SM-CKZPI 60-69 years, male 67.4
GTEX-12584-0526-SM-5FQTS 40-49 years, male 67.3
GTEX-12WSD-0526-SM-5EQ6F 60-69 years, female 67.3
GTEX-1MA7W-1826-SM-DIPFP 20-29 years, female 67.3
GTEX-1313W-0526-SM-5P9FZ 50-59 years, female 67.2
GTEX-1S82U-1426-SM-E6CJL 30-39 years, female 67.2
GTEX-QVJO-0126-SM-3GIK4 60-69 years, female 67.1
GTEX-RU72-1326-SM-2TF6T 50-59 years, female 67.1
GTEX-12WSH-2526-SM-5CVNH 50-59 years, male 67.0
GTEX-13QIC-1226-SM-5K7YR 60-69 years, female 67.0
GTEX-1LC47-0626-SM-DIPFE 60-69 years, male 67.0
GTEX-R55E-0526-SM-2TC6B 20-29 years, male 66.9
GTEX-1R9K4-0626-SM-E76OZ 60-69 years, male 66.9
GTEX-1GF9U-2326-SM-7RHH9 40-49 years, female 66.8
GTEX-1GPI6-0326-SM-9MQM6 60-69 years, male 66.8
GTEX-1H3VY-0326-SM-9WYU6 50-59 years, male 66.8
GTEX-1IL2U-0726-SM-EAZ2Y 60-69 years, male 66.8
GTEX-WWYW-0526-SM-3NB2W 50-59 years, female 66.7
GTEX-12WSC-0326-SM-5EQ5E 50-59 years, male 66.6
GTEX-131YS-0526-SM-5EGKJ 60-69 years, female 66.5
GTEX-13NZB-2626-SM-5J2M7 30-39 years, male 66.5
GTEX-145LS-0526-SM-5LU8Y 60-69 years, female 66.5
GTEX-XOT4-0526-SM-4B66O 60-69 years, female 66.5
GTEX-ZYW4-0526-SM-5GZZ5 60-69 years, male 66.5
GTEX-1A8FM-0526-SM-7P8SF 50-59 years, female 66.5
GTEX-1QP66-1626-SM-E76PC 50-59 years, male 66.5
GTEX-11UD2-0326-SM-5EQLE 50-59 years, male 66.3
GTEX-139TT-0426-SM-5IJFA 60-69 years, male 66.3
GTEX-1IKJJ-0326-SM-CL55L 60-69 years, male 66.3
GTEX-WYJK-1726-SM-3NM9U 50-59 years, male 66.2
GTEX-1PIGE-0226-SM-E76OT 20-29 years, male 66.2
GTEX-17F97-0526-SM-7DUF8 50-59 years, male 66.1
GTEX-11LCK-1226-SM-5Q5AM 30-39 years, male 66.0
GTEX-R53T-1826-SM-3GIJX 50-59 years, female 66.0
GTEX-15RJ7-2426-SM-6M48L 40-49 years, male 65.9
GTEX-1CB4F-0326-SM-9MQKD 60-69 years, male 65.9
GTEX-1F75W-0326-SM-7PC2Q 60-69 years, male 65.9
GTEX-11GSO-2526-SM-5PNVX 60-69 years, male 65.8
GTEX-11ZTS-0526-SM-5CVL9 60-69 years, female 65.8
GTEX-1QMI2-0526-SM-DTXFU 60-69 years, male 65.7
GTEX-1AX9I-0326-SM-73KXQ 60-69 years, male 65.5
GTEX-1I1GQ-0326-SM-A9SKS 50-59 years, male 65.5
GTEX-1399T-2426-SM-5L3FJ 60-69 years, male 65.4
GTEX-148VJ-0326-SM-5QGQE 70-79 years, male 65.4
GTEX-1EMGI-0326-SM-9MQM5 60-69 years, male 65.4
GTEX-11DXZ-2426-SM-5N9DT 50-59 years, male 65.3
GTEX-PW2O-1726-SM-2S1OO 20-29 years, male 65.0
GTEX-1GZHY-0126-SM-9WYUQ 50-59 years, female 65.0
GTEX-1PPGY-0426-SM-DTXFE 60-69 years, male 65.0
GTEX-1RAZR-0326-SM-EWRNM 40-49 years, male 65.0
GTEX-X4EO-0526-SM-3P5Z3 60-69 years, female 64.9
GTEX-1LBAC-0326-SM-DIPF1 20-29 years, male 64.9
GTEX-11UD1-0326-SM-5EQKX 40-49 years, female 64.7
GTEX-145MG-0226-SM-5TDDB 50-59 years, male 64.7
GTEX-ZAK1-0526-SM-5K7X4 50-59 years, female 64.7
GTEX-11DZ1-0926-SM-5EQ5R 50-59 years, male 64.5
GTEX-139YR-2526-SM-5IJC6 50-59 years, male 64.5
GTEX-144FL-0326-SM-5O99O 50-59 years, male 64.5
GTEX-1GZ4I-0526-SM-9YFLX 50-59 years, male 64.5
GTEX-1KD5A-0726-SM-DIPEO 50-59 years, male 64.4
GTEX-13S7M-0326-SM-5S2PH 60-69 years, female 64.1
GTEX-QEL4-0626-SM-3GIJM 50-59 years, male 64.1
GTEX-1GN1V-0326-SM-9WYTO 60-69 years, male 64.0
GTEX-1JMQL-0126-SM-CY8HN 50-59 years, female 64.0
GTEX-1EX96-1526-SM-7PBXK 50-59 years, male 63.9
GTEX-1F6IF-0226-SM-7PBZ6 60-69 years, male 63.9
GTEX-147JS-0526-SM-5TDD3 60-69 years, male 63.8
GTEX-Y111-0326-SM-4SOIX 50-59 years, male 63.8
GTEX-15D79-0526-SM-6ETZP 50-59 years, male 63.7
GTEX-1GF9V-0126-SM-9WYT2 60-69 years, male 63.7
GTEX-139T8-0526-SM-5KLZL 60-69 years, male 63.6
GTEX-14PII-0626-SM-69LPY 60-69 years, male 63.4
GTEX-X88G-0326-SM-47JZ4 30-39 years, male 63.4
GTEX-1HBPI-0226-SM-ADEJ7 50-59 years, male 63.4
GTEX-1LVAM-0326-SM-DIPFL 50-59 years, female 63.4
GTEX-14A5H-0326-SM-5RQIB 60-69 years, male 63.3
GTEX-11NV4-0326-SM-5HL58 60-69 years, male 63.1
GTEX-13113-5019-SM-7EPH2 60-69 years, female 63.1
GTEX-1RAZA-0526-SM-E76R2 20-29 years, male 63.1
GTEX-1IOXB-0326-SM-CL55M 50-59 years, male 63.0
GTEX-1JMQK-0326-SM-ARZN5 60-69 years, male 63.0
GTEX-1PBJJ-0326-SM-E8VNT 30-39 years, male 63.0
GTEX-13FHO-0726-SM-5IJDG 60-69 years, male 62.9
GTEX-1477Z-1626-SM-5SIA8 60-69 years, male 62.9
GTEX-1PIEJ-0326-SM-EVYB5 20-29 years, female 62.8
GTEX-1LVA9-0326-SM-DLHBU 50-59 years, male 62.7
GTEX-1A32A-0526-SM-731B9 50-59 years, female 62.6
GTEX-15EO6-2826-SM-6PANB 50-59 years, male 62.0
GTEX-1HSKV-0126-SM-E6CI1 60-69 years, male 62.0
GTEX-13CF2-2726-SM-5LZWW 60-69 years, male 61.9
GTEX-1GN1U-2226-SM-9MQK1 50-59 years, female 61.9
GTEX-1LG7Y-0126-SM-E6CJ8 50-59 years, male 61.9
GTEX-1F75A-0626-SM-7PBYI 50-59 years, male 61.8
GTEX-1J1OQ-0426-SM-A9SLI 40-49 years, female 61.7
GTEX-1R9PO-2426-SM-EVYBS 60-69 years, female 61.7
GTEX-16GPK-0526-SM-7KUER 60-69 years, male 61.5
GTEX-RWSA-0726-SM-2XCBE 40-49 years, male 61.5
GTEX-12WSF-0926-SM-6PALU 70-79 years, male 61.4
GTEX-TKQ2-0826-SM-33HB6 50-59 years, male 61.4
GTEX-139TS-2626-SM-5J1MT 60-69 years, male 61.2
GTEX-169BO-1526-SM-9KNVR 50-59 years, male 61.2
GTEX-1IDJE-2426-SM-ACKWF 50-59 years, female 61.2
GTEX-14JIY-0426-SM-62LF7 60-69 years, male 61.1
GTEX-1KD4Q-0326-SM-E9TJA 40-49 years, male 61.1
GTEX-15SDE-2326-SM-6PAL4 50-59 years, female 61.0
GTEX-12WSM-0326-SM-5LZVI 60-69 years, male 60.9
GTEX-Q2AG-0426-SM-2S1PU 40-49 years, female 60.9
GTEX-1KAFJ-2326-SM-D3L8Z 50-59 years, male 60.9
GTEX-1A8G6-0126-SM-7DUFY 60-69 years, male 60.8
GTEX-TMZS-0326-SM-3DB9P 60-69 years, male 60.8
GTEX-1QW4Y-1726-SM-EWRN1 30-39 years, male 60.8
GTEX-12ZZY-0626-SM-5EQ5T 60-69 years, male 60.6
GTEX-ZYFD-0326-SM-5NQ8I 50-59 years, male 60.6
GTEX-1IL2V-0526-SM-ARL8B 70-79 years, male 60.6
GTEX-WYVS-2326-SM-3NMAI 40-49 years, female 60.5
GTEX-18A6Q-0326-SM-718AT 60-69 years, male 60.3
GTEX-1HT8W-0326-SM-CM2SG 30-39 years, male 60.2
GTEX-1J8JJ-0126-SM-D3L93 60-69 years, female 60.2
GTEX-15CHQ-0726-SM-6EU18 60-69 years, male 60.1
GTEX-15SKB-2526-SM-6PALP 60-69 years, male 60.1
GTEX-13FTZ-2226-SM-5LZXI 60-69 years, male 59.8
GTEX-139UW-2626-SM-5K7W1 60-69 years, male 59.6
GTEX-14PN4-0326-SM-6EU2N 50-59 years, male 59.5
GTEX-WHSE-0526-SM-5GZZD 20-29 years, male 59.5
GTEX-17HG3-2726-SM-7DHL5 30-39 years, female 59.4
GTEX-1LG7Z-2126-SM-CXKYU 30-39 years, male 59.4
GTEX-1LNCM-1226-SM-E9U5C 50-59 years, female 59.4
GTEX-XQ3S-0426-SM-4BOOA 20-29 years, male 59.3
GTEX-ZY6K-2026-SM-5GZXQ 50-59 years, male 59.3
GTEX-13FTX-2026-SM-5L3D6 20-29 years, female 59.0
GTEX-13W46-0726-SM-5LU3Z 50-59 years, male 59.0
GTEX-1MJIX-2126-SM-E9J3A 40-49 years, male 59.0
GTEX-1S82Y-2226-SM-EWRNV 40-49 years, male 58.9
GTEX-14BMV-0326-SM-5RQHW 50-59 years, male 58.8
GTEX-1IY9M-0326-SM-ARZMN 60-69 years, male 58.8
GTEX-XMD2-0526-SM-4YCDI 60-69 years, female 58.7
GTEX-YBZK-0326-SM-59HLN 50-59 years, female 58.6
GTEX-145MI-0326-SM-5Q5EV 60-69 years, female 58.5
GTEX-SSA3-0326-SM-32QPS 60-69 years, male 58.5
GTEX-1EWIQ-0626-SM-7PBYW 70-79 years, female 58.5
GTEX-1K9T9-0326-SM-EWRNQ 50-59 years, female 58.4
GTEX-1QP67-1826-SM-DTX8D 40-49 years, female 58.4
GTEX-16YQH-0426-SM-7KUL7 30-39 years, male 58.2
GTEX-ZVE2-0626-SM-5GU7I 50-59 years, male 58.1
GTEX-147F3-0226-SM-5NQBV 50-59 years, female 57.8
GTEX-11GS4-2526-SM-5A5KT 60-69 years, male 57.5
GTEX-S95S-1426-SM-2XCDM 60-69 years, male 57.3
GTEX-1GF9X-2126-SM-7PBXN 40-49 years, female 57.2
GTEX-13O3Q-2726-SM-5KM51 50-59 years, male 57.0
GTEX-13X6J-0326-SM-7EPGD 50-59 years, male 57.0
GTEX-QDT8-0526-SM-3NMD8 30-39 years, female 57.0
GTEX-WWTW-0626-SM-4MVNS 50-59 years, male 56.9
GTEX-YJ8O-2826-SM-5CVM4 40-49 years, female 56.8
GTEX-13YAN-0526-SM-5O9BE 60-69 years, male 56.7
GTEX-1B8KZ-2126-SM-73KYG 50-59 years, male 56.7
GTEX-1I1GV-0126-SM-CL55G 60-69 years, male 56.7
GTEX-1269C-2626-SM-5EQ5C 60-69 years, female 56.5
GTEX-PLZ4-0926-SM-2S1OI 50-59 years, female 56.5
GTEX-147GR-0126-SM-62LER 60-69 years, male 56.3
GTEX-QXCU-1726-SM-2TC6L 50-59 years, male 56.3
GTEX-ZWKS-0326-SM-5NQ7G 30-39 years, male 56.3
GTEX-17EVQ-1226-SM-7LG59 70-79 years, male 56.2
GTEX-1KWVE-0926-SM-CXZKP 30-39 years, male 56.2
GTEX-1LSNL-0126-SM-EWRNR 50-59 years, male 56.1
GTEX-13IVO-0626-SM-5LZYJ 70-79 years, male 55.9
GTEX-13OVL-1426-SM-5IJC1 50-59 years, male 55.9
GTEX-1C6VR-2526-SM-7DHMT 60-69 years, male 55.8
GTEX-1B8L1-2726-SM-793AL 60-69 years, male 55.6
GTEX-1HC8U-2626-SM-CNPPH 40-49 years, female 55.6
GTEX-14BIM-0326-SM-5SI9B 60-69 years, female 55.5
GTEX-1HFI6-0426-SM-B2LXB 40-49 years, male 55.5
GTEX-111FC-0326-SM-5GZZ1 60-69 years, male 55.4
GTEX-145LU-2026-SM-5Q5E8 50-59 years, male 55.4
GTEX-XBEC-0626-SM-4QARY 50-59 years, male 55.4
GTEX-13FXS-0326-SM-5K7TV 50-59 years, male 55.1
GTEX-13RTL-0326-SM-7LT89 40-49 years, male 55.1
GTEX-U8T8-1426-SM-3DB9H 60-69 years, male 55.1
GTEX-1J8EW-0326-SM-CYPSX 60-69 years, female 55.1
GTEX-18A7A-0626-SM-718BJ 50-59 years, female 55.0
GTEX-1B933-0426-SM-7DHMC 50-59 years, female 54.9
GTEX-ZVTK-0626-SM-5GU6Y 20-29 years, male 54.9
GTEX-1H3O1-0626-SM-9MQM4 60-69 years, male 54.9
GTEX-1R7EU-0626-SM-DTX9N 60-69 years, male 54.8
GTEX-16Z82-0126-SM-7DHLF 60-69 years, male 54.3
GTEX-14A6H-5019-SM-793DH 30-39 years, male 54.1
GTEX-1R9K5-0326-SM-EWRNG 50-59 years, male 54.1
GTEX-1F7RK-0326-SM-7RHH7 20-29 years, female 53.7
GTEX-132NY-0726-SM-5KLZM 60-69 years, male 53.6
GTEX-ZYFC-0526-SM-5GIDF 50-59 years, male 53.5
GTEX-12ZZZ-0226-SM-59HKU 60-69 years, male 53.3
GTEX-R3RS-0526-SM-3GADG 40-49 years, female 53.2
GTEX-1ICLY-0326-SM-ARL7S 50-59 years, male 53.0
GTEX-1CB4H-0426-SM-7MXTL 60-69 years, female 52.6
GTEX-1QEPI-0526-SM-E76QF 60-69 years, female 52.2
GTEX-WZTO-0826-SM-3NM8Q 40-49 years, male 52.0
GTEX-131XH-2726-SM-5GCO2 50-59 years, male 51.6
GTEX-113JC-2726-SM-5EGIS 50-59 years, female 51.5
GTEX-13G51-2726-SM-5LZZ9 60-69 years, male 51.5
GTEX-13X6I-0526-SM-5QGP8 60-69 years, male 51.2
GTEX-XV7Q-2926-SM-4BRUL 40-49 years, female 51.2
GTEX-Y8E5-0326-SM-57WBM 60-69 years, male 51.1
GTEX-11WQC-2626-SM-5CVLF 60-69 years, male 51.0
GTEX-T5JC-0626-SM-3NMA6 20-29 years, male 50.9
GTEX-WRHU-0826-SM-3MJFN 50-59 years, female 50.4
GTEX-OXRO-1726-SM-3LK6C 60-69 years, female 50.1
GTEX-13FTY-0226-SM-5IJBW 40-49 years, female 49.9
GTEX-WL46-0626-SM-3LK7R 50-59 years, male 49.8
GTEX-1GN2E-0726-SM-9MQLU 60-69 years, male 49.5
GTEX-YECK-0626-SM-4W1ZE 60-69 years, male 49.2
GTEX-1JJEA-0126-SM-D3L8A 60-69 years, male 49.2
GTEX-N7MS-0426-SM-2YUN6 60-69 years, male 48.4
GTEX-1C6WA-0326-SM-7DUGE 60-69 years, male 48.3
GTEX-139D8-0726-SM-5P9GJ 30-39 years, female 48.1
GTEX-T2IS-2626-SM-32QPP 20-29 years, female 48.1
GTEX-ZQUD-1726-SM-7P8ON 30-39 years, male 48.0
GTEX-1HBPH-0826-SM-ARZNB 40-49 years, female 47.9
GTEX-1KANB-0126-SM-E6CJT 50-59 years, male 47.6
GTEX-13NYB-2726-SM-5J2MT 40-49 years, male 47.1
GTEX-ZZPT-0626-SM-5GZXT 50-59 years, male 46.9
GTEX-1F88F-2526-SM-7PC2R 60-69 years, female 46.8
GTEX-146FQ-0326-SM-5NQAX 30-39 years, male 46.6
GTEX-13SLW-0326-SM-5RQK5 70-79 years, male 45.2
GTEX-15CHR-2426-SM-7DUFX 50-59 years, male 45.2
GTEX-X4XY-0626-SM-4E3IN 60-69 years, male 44.6
GTEX-13PDP-0326-SM-5K7XP 60-69 years, male 44.5
GTEX-1H4P4-0626-SM-9YFKZ 50-59 years, male 44.5
GTEX-13PLJ-0326-SM-5L3I7 60-69 years, female 44.0
GTEX-1IDFM-1526-SM-ARL7U 60-69 years, male 43.7
GTEX-1IGQW-0526-SM-CKZO3 60-69 years, male 43.7
GTEX-ZE9C-2326-SM-5J1NT 60-69 years, male 43.6
GTEX-1M4P7-0126-SM-DKPQF 60-69 years, male 43.3
GTEX-WOFL-0626-SM-3MJG3 60-69 years, male 43.2
GTEX-OHPN-2726-SM-2I5H4 60-69 years, female 42.5
GTEX-13NYC-0726-SM-5J2NQ 60-69 years, male 41.8
GTEX-16NPV-2426-SM-6M482 50-59 years, female 40.4
GTEX-ZE7O-0326-SM-51MTH 50-59 years, female 39.1
GTEX-1F88E-1826-SM-9MQLV 60-69 years, female 38.5
GTEX-U3ZG-0326-SM-47JXN 50-59 years, male 37.1
GTEX-14ASI-0526-SM-5QGQP 60-69 years, male 36.5
GTEX-1LVAO-0526-SM-EWRNS 60-69 years, male 35.4
GTEX-183WM-0426-SM-731B1 70-79 years, female 34.3
GTEX-139T4-0326-SM-5K7XN 50-59 years, female 33.7
GTEX-1ICLZ-0626-SM-ARL83 60-69 years, male 28.5
GTEX-1399Q-2426-SM-5J2MO 40-49 years, male 21.9
Show allShow less

SKELETAL MUSCLE - FANTOM5 CAGEi

RNA expression in human tissues obtained through Cap Analysis of Gene Expression (CAGE) generated by the FANTOM5 project are reported as Scaled Tags Per Million.

Max subtype Scaled Tags Per Millioni

Max subtype Scaled Tags Per Million is the value for the subtype with the largest average Scaled Tags Per Million across the subtype samples.

121.1
FANTOM5 sample id Sample description Scaled Tags Per Million
Skeletal muscle
Scaled Tags Per Million: 121.1
FF:10023-101D5 55,79,79 years, mixed 121.1
Skeletal muscle - soleus muscle
Scaled Tags Per Million: 114.9
FF:10282-104F3 male 114.9

Contact

  • NEWS ARTICLES
  • PRESS ROOM

The Project

  • INTRODUCTION
  • ORGANIZATION
  • PUBLICATIONS

The Human Protein Atlas

  • DOWNLOADABLE DATA
  • LICENCE & CITATION
  • HELP & FAQ
The Human Protein Atlas project is funded
by the Knut & Alice Wallenberg Foundation.


contact@proteinatlas.org