We use cookies to enhance the usability of our website. If you continue, we'll assume that you are happy to receive all cookies. More information. Don't show this again.
LGI4
HPA
RESOURCES
  • TISSUE
  • BRAIN
  • SINGLE CELL
  • SUBCELLULAR
  • CANCER
  • BLOOD
  • CELL LINE
  • STRUCTURE & INTERACTION
ABOUT
  • INTRODUCTION
  • HISTORY
  • ORGANIZATION
  • PUBLICATIONS
  • ANTIBODY SUBMISSION
  • ANTIBODY AVAILABILITY
  • ACKNOWLEDGMENTS
  • CONTACT
NEWS
  • NEWS ARTICLES
  • PRESS ROOM
LEARN
  • DICTIONARY
  • PROTEIN CLASSES
  • PROTEIN EVIDENCE
  • METHODS
  • EDUCATIONAL VIDEOS
DATA
  • DOWNLOADABLE DATA
  • PUBLICATION DATA
  • RELEASE HISTORY
HELP
  • ANTIBODY VALIDATION
  • ASSAYS & ANNOTATION
  • DISCLAIMER
  • HELP & FAQ
  • PRIVACY STATEMENT
  • LICENCE & CITATION
Fields »
Search result

Field
Term
Gene name
Class
Subclass
Class
Keyword
Chromosome
External id
Tissue
Cell type
Expression
Antibody panel
Tissue
Main location
Patient ID
Annotation
Tissue
Category
Tau score
Cluster
Reliability
Brain region
Category
Tau score
Brain region
Category
Tau score
Brain region
Category
Tau score
Cluster
Reliability
Tissue
Cell type
Enrichment
Cell type
Category
Tau score
Cell type
Category
Tau score
Cell type
Category
Tau score
Cell lineage
Category
Tau score
Cluster
Cluster
Location
Searches
Location
Cell line
Class
Type
Phase
Reliability
Cancer
Prognosis
Cancer
Category
Cancer
Category
Tau score
Cluster
Variants
Interacting gene (ensg_id)
Type
Number of interactions
Pathway
Category
Score
Score
Score
Validation
Validation
Validation
Validation
Antibodies
Data type
Column


  • SUMMARY

  • TISSUE

  • BRAIN

  • SINGLE CELL

  • SUBCELL

  • CANCER

  • BLOOD

  • CELL LINE

  • STRUCT & INT

  • LGI4
BRAIN CEREBELLUM Show tissue menu
AMYGDALA BASAL GANGLIA CEREBELLUM CEREBRAL CORTEX CHOROID PLEXUS HIPPOCAMPAL FORMATION HYPOTHALAMUS MEDULLA OBLONGATA
MIDBRAIN OLFACTORY BULB PITUITARY GLAND PONS RETINA SPINAL CORD THALAMUS WHITE MATTER
ANTIBODIES
AND
VALIDATION
Brain proteome
Cerebellum
CEREBELLUM - Expression summary
Protein expression
Cerebellumi

On the top, protein expression in current human tissue, based on all annotated cell types, is reported with the units not detected (n), low (l), medium (m) and high (h). Underneath, protein expression in each annotated cell type are reported using the same units.

Protein expression data is based on knowledge-based annotation. For genes where more than one antibody has been used, a collective score is set.

If knowledge-based annotation could not be performed for a gene, no data is displayed here. View antibody staining data further down this page.

h
m
l
n
Cells in granular layer: Low
Cells in molecular layer: Not detected
Purkinje cells: Not detected
RNA expressioni

A summary of mRNA expression data available for current tissue based on several datasets. The mRNA expression levels in human tissues are based on RNA-seq data generated by the Human Protein Atlas (HPA), Genotype-Tissue Expression (GTEx) portal and CAGE data generated by the FANTOM5 consortium. Consensus normalized expression levels for human tissues was created by combining the data from HPA and GTEx datasets.

The mRNA expression levels in pig are based on RNA-seq data generated by the Human Protein Atlas (HPA), and for mouse, HPA data and in situ hybridization generated by the Allen brain atlas are reported.

Scroll down to view mRNA expression data in more detail.
Consensus:38.9 nTPM
HPA Brain:58.7 nTPM
GTEx:38.9 nTPM
FANTOM5:112.8 Scaled Tags Per Million
Pig:16.0 nTPM
Mouse:37.8 nTPM
Allen mouse:3.9 Expression energy

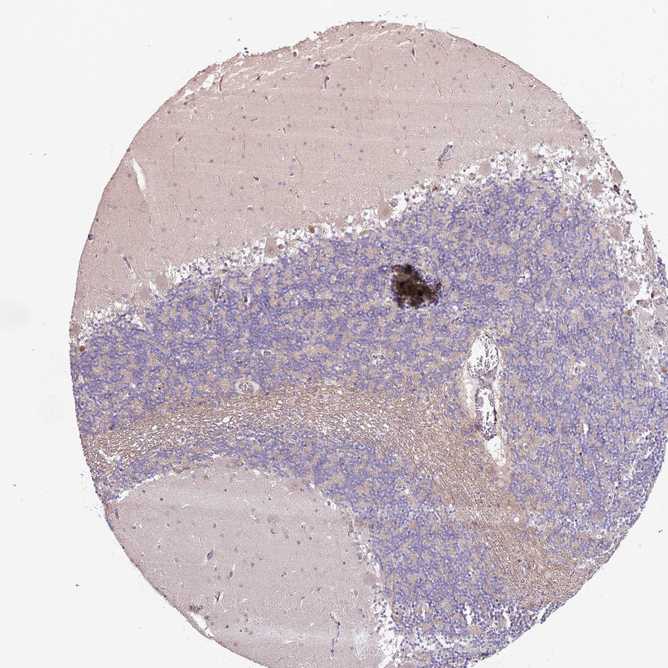
CEREBELLUM - Antibody stainingi

Antibody staining in the annotated cell types in the current human tissue is reported as not detected, low, medium, or high, based on conventional immunohistochemistry profiling in selected tissues. This score is based on the combination of the staining intensity and fraction of stained cells.

Each image is clickable and will lead to virtual microscopy that enables deeper exploration of all samples and also displays staining intensity scores, fraction scores and subcellular localization as well as patient and tissue information for each sample.

Antibody HPA042116Antibody HPA043556
Purkinje cells LowNot detected
Cells in granular layer LowLow
Cells in molecular layer Not detectedNot detected




CEREBELLUM - HPA Brain RNA-seq
Max subtype nTPMi

Max subtype nTPM is the value for the subtype with the largest average nTPM across the subtype samples.

58.7
Sample id Sample description nTPM
Cerebellar cortex
nTPM: 44.5
2003 Female, age 85, right hemisphere 71.0
1769 Male, age 76, right hemisphere 57.0
1768 Female, age 72, unknown 44.1
2055 Female, age 91, right hemisphere 43.2
1788 Male, age 55, unknown 42.6
2101 Male, age 74, right hemisphere 38.7
1774 Male, age 80, left hemisphere 32.8
2006 Male, age 61, right hemisphere 26.6
Cerebellar nuclei
nTPM: 58.7
2882 Male, age 76, left hemisphere 63.9
1871 Male, age 74, unknown 63.7
1966 Female, age 91, left hemisphere 63.6
2005 Male, age 80, left hemisphere 62.2
2783 Female, age 72, unknown 60.2
1879 Male, age 55, unknown 59.0
2175 Male, age 61, right hemisphere 57.7
2177 Female, age 85, both hemispheres 55.0
2318 Male, age 74, left hemisphere 43.0
Flocculonodular lobe
nTPM: 40.0
1792 Male, age 74, unknown 54.8
1765 Male, age 55, unknown 51.5
1767 Male, age 76, left hemisphere 48.2
2176 Female, age 91, right hemisphere 47.2
1835 Female, age 85, right hemisphere 28.8
1771 Male, age 80, left hemisphere 28.7
2004 Male, age 61, right hemisphere 20.9
Vermis
nTPM: 38.4
1778 Female, age 91, left hemisphere 51.6
1751 Male, age 74, right hemisphere 50.8
1770 Male, age 76, left hemisphere 49.7
2460 Male, age 61, both hemispheres 44.1
1825 Male, age 74, unknown 31.7
2834 Male, age 80, left hemisphere 31.5
1928 Female, age 72, unknown 29.8
1766 Male, age 55, unknown 29.1
1988 Female, age 85, left hemisphere 26.8

CEREBELLUM - GTEx RNA-seqi

RNA-Seq data generated by the Genotype-Tissue Expression (GTEx) project from human tissues is reported as mean nTPM. More information can be found on the GTEx portal.

Distribution across the dataset is visualized with box plots, shown as median and 25th and 75th percentiles. Points are displayed as outliers if they are above or below 1.5 times the interquartile range. nTPM values of the individual samples are presented next to the box plot.
Max subtype nTPMi

Max subtype nTPM is the value for the subtype with the largest average nTPM across the subtype samples.

38.9
GTEx sample id Sample description nTPM
Brain - Cerebellar Hemisphere
Average nTPM: 26.6
Samples: 215

Max nTPM: 213.6
Min nTPM: 4.7
Std nTPM: 21.4
Median nTPM: 22.0
GTEX-1LKK1-0011-R11a-SM-EXOIG 50-59 years, female 213.6
GTEX-14C39-0011-R11b-SM-5YYAF 40-49 years, male 156.5
GTEX-16NPV-0011-R11a-SM-7IGMK 50-59 years, female 103.5
GTEX-14C5O-0011-R11b-SM-6872H 60-69 years, male 73.3
GTEX-1CAV2-0011-R11a-SM-ARU8D 40-49 years, female 72.2
GTEX-N7MT-0011-R11A-SM-2I3DZ 60-69 years, female 71.2
GTEX-16XZZ-0011-R11a-SM-7EPI3 60-69 years, male 66.6
GTEX-1JJ6O-0011-R11b-SM-EXUS2 60-69 years, male 65.7
GTEX-139UW-0011-R11a-SM-5IJGN 60-69 years, male 63.0
GTEX-1GTWX-0011-R11b-SM-C1YQJ 60-69 years, male 60.0
GTEX-1J8Q2-0011-R11a-SM-A9SKI 60-69 years, male 57.7
GTEX-1IL2U-0011-R11a-SM-CE6SO 60-69 years, male 57.3
GTEX-13CZV-0011-R11b-SM-5N9FN 60-69 years, male 56.7
GTEX-132Q8-0011-R11b-SM-5DUW9 60-69 years, male 55.5
GTEX-13PLJ-0011-R11b-SM-5O9BS 60-69 years, female 51.6
GTEX-1HUB1-0011-R11b-SM-CE6SC 60-69 years, male 49.3
GTEX-13X6K-0011-R11a-SM-5P9F5 60-69 years, female 48.8
GTEX-1H3VE-0011-R11b-SM-C1YRP 40-49 years, male 47.6
GTEX-RU72-0011-R11A-SM-CM2U1 50-59 years, female 46.9
GTEX-1F48J-0011-R11b-SM-9OSWV 50-59 years, female 45.9
GTEX-13FLV-0011-R11a-SM-5LZZ7 50-59 years, male 45.1
GTEX-13NYS-0011-R11b-SM-5MR4P 60-69 years, male 45.0
GTEX-1GF9W-0011-R11b-SM-9OSXG 60-69 years, male 43.8
GTEX-1JMOU-0011-R11b-SM-EXUTA 60-69 years, female 42.9
GTEX-11WQC-0011-R11b-SM-57WD6 60-69 years, male 42.6
GTEX-14BIN-0011-R11a-SM-5SI79 50-59 years, female 42.0
GTEX-1GMR8-0011-R11b-SM-9OSX2 50-59 years, female 41.5
GTEX-13OVJ-0011-R11a-SM-5P9H8 50-59 years, female 41.0
GTEX-18A6Q-0011-R11a-SM-72D6H 60-69 years, male 41.0
GTEX-131XW-0011-R11a-SM-5DUV9 50-59 years, female 40.4
GTEX-15CHQ-0011-R11b-SM-686ZZ 60-69 years, male 40.4
GTEX-1A3MX-0011-R11b-SM-7DUGP 60-69 years, male 40.1
GTEX-13FHO-0011-R11b-SM-5LZYQ 60-69 years, male 38.9
GTEX-1H1DG-0011-R11a-SM-C1YQK 70-79 years, male 38.5
GTEX-14ASI-0011-R11b-SM-6AJBJ 60-69 years, male 38.4
GTEX-16Z82-0011-R11a-SM-79OKJ 60-69 years, male 38.1
GTEX-17EVP-0011-R11a-SM-7EWDL 40-49 years, male 37.7
GTEX-13JVG-0011-R11a-SM-5KM53 60-69 years, male 37.2
GTEX-OHPN-0011-R11A-SM-2I5FM 60-69 years, female 36.7
GTEX-13N2G-0011-R11a-SM-5MR3F 60-69 years, male 35.8
GTEX-1HBPI-0011-R11b-SM-CE6SH 50-59 years, male 35.8
GTEX-NPJ7-0011-R11A-SM-2I3E8 60-69 years, female 35.6
GTEX-1IY9M-0011-R11b-SM-A96TI 60-69 years, male 35.6
GTEX-1HSKV-0011-R11b-SM-AHZ2E 60-69 years, male 34.5
GTEX-1I1GQ-0011-R11b-SM-CKZPA 50-59 years, male 34.1
GTEX-1HGF4-0011-R11a-SM-C1YRR 60-69 years, male 34.0
GTEX-13OW5-0011-R11b-SM-5L3GG 60-69 years, male 33.9
GTEX-YFC4-0011-R11a-SM-4SOK6 40-49 years, female 33.1
GTEX-WHSE-0011-R11A-SM-3P5YY 20-29 years, male 32.5
GTEX-11TTK-0011-R11b-SM-DO112 60-69 years, female 32.5
GTEX-1GN73-0011-R11b-SM-9OSX4 60-69 years, male 32.5
GTEX-13JUV-0011-R11a-SM-5LZYH 40-49 years, female 31.6
GTEX-14DAQ-0011-R11a-SM-664NO 60-69 years, female 31.3
GTEX-13G51-0011-R11b-SM-5J2NE 60-69 years, male 30.9
GTEX-13O3O-0011-R11b-SM-5KM4G 60-69 years, female 30.8
GTEX-13X6I-0011-R11a-SM-5P9HN 60-69 years, male 30.7
GTEX-ZF28-0011-R11a-SM-4WWEI 60-69 years, male 30.7
GTEX-1JJEA-0011-R11a-SM-EXUTE 60-69 years, male 30.4
GTEX-1I1GV-0011-R11a-SM-CJI3Z 60-69 years, male 30.0
GTEX-14E7W-0011-R11a-SM-5ZZVA 70-79 years, male 29.8
GTEX-X585-0011-R11B-SM-46MUZ 50-59 years, male 29.7
GTEX-16GPK-0011-R11b-SM-7MKFF 60-69 years, male 29.3
GTEX-11ZTS-0011-R11a-SM-DO113 60-69 years, female 29.3
GTEX-1EKGG-0011-R11a-SM-9QEHZ 60-69 years, male 28.9
GTEX-1IOXB-0011-R11a-SM-A9G1X 50-59 years, male 28.9
GTEX-11DXY-0011-R11a-SM-DNZZN 60-69 years, male 28.8
GTEX-1AX9I-0011-R11b-SM-7DHN4 60-69 years, male 28.4
GTEX-1I19N-0011-R11b-SM-ARU6Y 70-79 years, male 28.4
GTEX-1J8EW-0011-R11a-SM-AHZ37 60-69 years, female 28.3
GTEX-15DCD-0011-R11a-SM-D4P1R 70-79 years, female 28.1
GTEX-15EO6-0011-R11b-SM-6M47M 50-59 years, male 27.9
GTEX-X4EP-0011-R11B-SM-4QASK 60-69 years, female 27.7
GTEX-12WSF-0011-R11a-SM-5LZVT 70-79 years, male 27.5
GTEX-ZE7O-0011-R11a-SM-57WBC 50-59 years, female 27.4
GTEX-1IGQW-0011-R11a-SM-C1YRV 60-69 years, male 27.4
GTEX-12ZZX-0011-R11a-SM-5DUVJ 40-49 years, female 27.3
GTEX-17JCI-0011-R11a-SM-7189Y 60-69 years, female 27.1
GTEX-WWYW-0011-R11A-SM-3NB38 50-59 years, female 27.1
GTEX-14BIM-0011-R11b-SM-5S2RN 60-69 years, female 27.0
GTEX-13OVH-0011-R11b-SM-5KM4X 70-79 years, male 26.9
GTEX-1J1OQ-0011-R11a-SM-A96S3 40-49 years, female 26.9
GTEX-NPJ8-0011-R11A-SM-2YUMS 40-49 years, male 26.3
GTEX-12WSM-0011-R11a-SM-5DUX8 60-69 years, male 25.8
GTEX-1LVAO-0011-R11b-SM-EXOI8 60-69 years, male 25.3
GTEX-QMR6-0011-R11A-SM-32PKK 50-59 years, male 25.0
GTEX-XMD1-0011-R11A-SM-4AT5J 60-69 years, male 25.0
GTEX-1R9PO-0011-R11b-SM-EZ6NB 60-69 years, female 24.9
GTEX-1R9K4-0011-R11a-SM-EZ6N9 60-69 years, male 24.8
GTEX-P44G-0011-R11A-SM-2I3FD 30-39 years, male 24.7
GTEX-15ER7-0011-R11a-SM-6LPIL 20-29 years, female 24.2
GTEX-1CB4G-0011-R11a-SM-9OSWG 60-69 years, male 24.1
GTEX-1EMGI-0011-R11b-SM-9OSWX 60-69 years, male 24.1
GTEX-13FXS-0011-R11a-SM-5L3DM 50-59 years, male 24.0
GTEX-NL4W-0011-R11A-SM-2I3DW 50-59 years, male 23.9
GTEX-12126-0011-R11a-SM-5BC6X 20-29 years, male 23.7
GTEX-ZAB4-0011-R11a-SM-4SOKI 40-49 years, male 23.7
GTEX-X261-0011-R11A-SM-4E3JY 50-59 years, male 23.3
GTEX-1IDJH-0011-R11b-SM-C1YRT 70-79 years, male 23.3
GTEX-1IL2V-0011-R11a-SM-ARU6T 70-79 years, male 23.3
GTEX-15G19-0011-R11b-SM-6LPIH 60-69 years, male 23.2
GTEX-144GL-0011-R11b-SM-5P9F6 50-59 years, male 23.1
GTEX-139TT-0011-R11b-SM-5LZV1 60-69 years, male 23.0
GTEX-131XH-0011-R11a-SM-5EGLN 50-59 years, male 22.9
GTEX-1LG7Y-0011-R11a-SM-EXOIH 50-59 years, male 22.9
GTEX-11GSP-0011-R11b-SM-5NQ7V 60-69 years, female 22.7
GTEX-1B933-0011-R11a-SM-7P8PM 50-59 years, female 22.2
GTEX-1GZ4I-0011-R11b-SM-9OSWR 50-59 years, male 22.1
GTEX-S7SE-0011-R11A-SM-2XCDD 50-59 years, male 22.0
GTEX-17EVQ-0011-R11a-SM-7LT9C 70-79 years, male 21.8
GTEX-13FHP-0011-R11b-SM-5LZXP 50-59 years, male 21.6
GTEX-WZTO-0011-R11A-SM-4E3K9 40-49 years, male 21.6
GTEX-13SLW-0011-R11a-SM-5SI8Q 70-79 years, male 21.5
GTEX-ZUA1-0011-R11b-SM-51MTI 40-49 years, male 21.5
GTEX-14E6D-0011-R11b-SM-664NP 50-59 years, male 21.4
GTEX-14PN4-0011-R11a-SM-686ZW 50-59 years, male 21.2
GTEX-1HB9E-0011-R11b-SM-ARU79 50-59 years, male 21.0
GTEX-1I1GS-0011-R11a-SM-C1YRU 60-69 years, male 21.0
GTEX-131YS-0011-R11b-SM-5EGLM 60-69 years, female 20.9
GTEX-TSE9-0011-R11A-SM-3DB7N 60-69 years, female 20.9
GTEX-13RTJ-0011-R11a-SM-5O9CK 60-69 years, male 20.6
GTEX-1KD4Q-0011-R11b-SM-EXOIE 40-49 years, male 20.3
GTEX-183WM-0011-R11a-SM-718A5 70-79 years, female 20.0
GTEX-13OW8-0011-R11a-SM-5L3GT 60-69 years, male 19.8
GTEX-13X6J-0011-R11a-SM-5P9HE 50-59 years, male 19.7
GTEX-13FTY-0011-R11a-SM-5IJEA 40-49 years, female 19.5
GTEX-1N2EE-0011-R11b-SM-EXOIJ 60-69 years, male 19.5
GTEX-13CF2-0011-R11b-SM-5LZXO 60-69 years, male 19.3
GTEX-13S7M-0011-R11b-SM-5P9HU 60-69 years, female 19.3
GTEX-11EI6-0011-R11a-SM-DO11V 60-69 years, male 19.3
GTEX-15DYW-0011-R11a-SM-6LPIT 60-69 years, female 19.2
GTEX-Y8DK-0011-R11A-SM-4SOK2 60-69 years, male 19.2
GTEX-11EMC-0011-R11b-SM-DNZZK 60-69 years, female 19.2
GTEX-12WSD-0011-R11a-SM-9OSVC 60-69 years, female 19.2
GTEX-11H98-0011-R11b-SM-5NQ6U 50-59 years, male 19.1
GTEX-11DZ1-0011-R11b-SM-DO11W 50-59 years, male 18.9
GTEX-1IKK5-0011-R11a-SM-C1YRX 60-69 years, male 18.9
GTEX-14ABY-0011-R11a-SM-5SI7C 50-59 years, male 18.6
GTEX-1F52S-0011-R11a-SM-CJI23 60-69 years, female 18.6
GTEX-18465-0011-R11a-SM-72D78 50-59 years, male 18.1
GTEX-1H3NZ-0011-R11b-SM-CE6SF 60-69 years, male 18.1
GTEX-16YQH-0011-R11b-SM-7LT98 30-39 years, male 17.8
GTEX-11PRG-0011-R11b-SM-DNZZY 50-59 years, male 17.8
GTEX-X4XX-0011-R11A-SM-46MWQ 60-69 years, male 17.6
GTEX-13SLX-0011-R11b-SM-5O9C8 50-59 years, female 17.5
GTEX-1F6I4-0011-R11b-SM-9OSWS 60-69 years, male 17.2
GTEX-Q2AG-0011-R11A-SM-2HMKZ 40-49 years, female 17.0
GTEX-1LSVX-0011-R11b-SM-EXOIA 60-69 years, male 17.0
GTEX-1I1GR-0011-R11a-SM-CM2T5 60-69 years, male 16.9
GTEX-13O3Q-0011-R11b-SM-5KM2W 50-59 years, male 16.7
GTEX-17F97-0011-R11b-SM-7KFRQ 50-59 years, male 16.7
GTEX-17HII-0011-R11b-SM-7KFSX 50-59 years, male 16.5
GTEX-R55E-0011-R11A-SM-2TC6I 20-29 years, male 16.5
GTEX-12WSH-0011-R11a-SM-5LZVM 50-59 years, male 16.0
GTEX-1E1VI-0011-R11a-SM-9OSWI 50-59 years, male 16.0
GTEX-1M4P7-0011-R11b-SM-EXOIK 60-69 years, male 15.9
GTEX-13OW7-0011-R11a-SM-5O9DY 50-59 years, male 15.7
GTEX-13OW6-0011-R11a-SM-5L3H2 50-59 years, male 15.6
GTEX-145MI-0011-R11a-SM-5P9JZ 60-69 years, female 15.3
GTEX-17HG3-0011-R11b-SM-7KFT4 30-39 years, female 15.0
GTEX-1GZHY-0011-R11a-SM-C1YRQ 50-59 years, female 15.0
GTEX-1399T-0011-R11a-SM-5J2O1 60-69 years, male 14.9
GTEX-1313W-0011-R11a-SM-5DUXN 50-59 years, female 14.8
GTEX-13PVQ-0011-R11a-SM-5O9DU 50-59 years, male 14.8
GTEX-1C64N-0011-R11b-SM-7P8Q6 50-59 years, male 14.4
GTEX-13NZA-0011-R11b-SM-5KM4W 60-69 years, male 14.3
GTEX-QDT8-0011-R11A-SM-32PKD 30-39 years, female 14.2
GTEX-1F75W-0011-R11b-SM-AHZ34 60-69 years, male 14.2
GTEX-ZE9C-0011-R11a-SM-4WKGG 60-69 years, male 14.1
GTEX-1I1HK-0011-R11a-SM-B2LVN 60-69 years, male 13.8
GTEX-13OVL-0011-R11b-SM-5L3G7 50-59 years, male 13.7
GTEX-1GMRU-0011-R11b-SM-C1YQ4 50-59 years, male 13.7
GTEX-145LU-0011-R11b-SM-5P9JX 50-59 years, male 13.6
GTEX-1BAJH-0011-R11b-SM-7IGLM 70-79 years, male 13.6
GTEX-1B8SG-0011-R11a-SM-7P8PF 50-59 years, male 13.6
GTEX-T6MN-0011-R11A-SM-32QOX 50-59 years, male 13.5
GTEX-ZVZQ-0011-R11a-SM-51MS6 60-69 years, female 13.5
GTEX-1N2DW-0011-R11b-SM-EXOIL 50-59 years, male 13.5
GTEX-1H1CY-0011-R11a-SM-C1YQR 60-69 years, female 13.1
GTEX-1HFI6-0011-R11b-SM-A96RU 40-49 years, male 12.9
GTEX-13NYB-0011-R11a-SM-5KM3Q 40-49 years, male 12.8
GTEX-T5JC-0011-R11A-SM-32PMB 20-29 years, male 12.6
GTEX-1H1ZS-0011-R11a-SM-C1YQM 70-79 years, male 12.5
GTEX-1IKOH-0011-R11a-SM-AHZ38 60-69 years, female 12.3
GTEX-11DYG-0011-R11a-SM-DNZZP 60-69 years, male 12.0
GTEX-13VXU-0011-R11b-SM-5O9DJ 50-59 years, male 11.9
GTEX-13QIC-0011-R11b-SM-5O9BU 60-69 years, female 11.2
GTEX-YJ89-0011-R11a-SM-4SOKA 60-69 years, male 11.1
GTEX-RVPV-0011-R11A-SM-2TF6F 60-69 years, male 11.0
GTEX-ZVT3-0011-R11b-SM-57WBI 60-69 years, female 10.9
GTEX-12ZZZ-0011-R11a-SM-5EGLC 60-69 years, male 10.6
GTEX-WL46-0011-R11A-SM-3MJFT 50-59 years, male 10.6
GTEX-WVLH-0011-R11A-SM-3MJFO 50-59 years, male 10.6
GTEX-12WSI-0011-R11b-SM-5P9EZ 50-59 years, male 10.1
GTEX-1H3O1-0011-R11a-SM-A96RV 60-69 years, male 10.1
GTEX-1B8L1-0011-R11b-SM-793DJ 60-69 years, male 10.0
GTEX-1F75A-0011-R11a-SM-AHZ35 50-59 years, male 9.0
GTEX-P44H-0011-R11A-SM-2XCER 40-49 years, male 8.8
GTEX-1ICLZ-0011-R11a-SM-CJI3N 60-69 years, male 8.6
GTEX-12WSE-0011-R11b-SM-5P9JW 20-29 years, male 8.4
GTEX-ZDXO-0011-R11a-SM-4WWD9 60-69 years, male 8.4
GTEX-1B8SF-0011-R11a-SM-79OOP 60-69 years, male 8.2
GTEX-11OF3-0011-R11a-SM-57WCR 60-69 years, male 8.1
GTEX-NL3H-0011-R11A-SM-2I3E6 60-69 years, male 8.0
GTEX-1JMQJ-0011-R11a-SM-EXOJY 50-59 years, male 8.0
GTEX-Z93S-0011-R11a-SM-4RGNN 50-59 years, male 7.9
GTEX-1HCU6-0011-R11b-SM-AHZ2F 60-69 years, female 7.7
GTEX-N7MS-0011-R11A-SM-2HMJS 60-69 years, male 7.3
GTEX-11ZUS-0011-R11b-SM-5BC7B 30-39 years, male 7.1
GTEX-18464-0011-R11a-SM-72D76 50-59 years, male 6.7
GTEX-T2IS-0011-R11A-SM-32QPC 20-29 years, female 6.4
GTEX-12WSC-0011-R11a-SM-5GU5J 50-59 years, male 6.0
GTEX-145MH-0011-R11a-SM-5P9HQ 50-59 years, male 5.8
GTEX-UTHO-0011-R11A-SM-3GIJE 60-69 years, male 5.0
GTEX-1F7RK-0011-R11b-SM-9QEI2 20-29 years, female 4.9
GTEX-1H4P4-0011-R11b-SM-CE6S8 50-59 years, male 4.7
Show allShow less
Brain - Cerebellum
Average nTPM: 38.9
Samples: 241

Max nTPM: 172.8
Min nTPM: 4.7
Std nTPM: 22.7
Median nTPM: 35.3
GTEX-1EH9U-3126-SM-7MXU5 60-69 years, male 172.8
GTEX-14PJO-2926-SM-686ZI 60-69 years, male 147.7
GTEX-1H3VE-2826-SM-9WPOL 40-49 years, male 126.0
GTEX-132Q8-2926-SM-5IFFP 60-69 years, male 119.0
GTEX-RU72-2926-SM-2TF66 50-59 years, female 117.2
GTEX-14A5I-2826-SM-5SIBF 50-59 years, female 105.8
GTEX-ZF28-2926-SM-4WKG1 60-69 years, male 96.9
GTEX-1GTWX-2926-SM-7MXV4 60-69 years, male 95.0
GTEX-14C5O-2926-SM-5RQI1 60-69 years, male 91.2
GTEX-ZZPT-2926-SM-5EQ5S 50-59 years, male 87.5
GTEX-1JJ6O-3026-SM-C1YQH 60-69 years, male 83.2
GTEX-16XZZ-2926-SM-6LPK4 60-69 years, male 82.5
GTEX-11TTK-2826-SM-5GU5K 60-69 years, female 80.3
GTEX-1JJE9-3026-SM-CNNPA 70-79 years, male 75.6
GTEX-1269C-3126-SM-5EGI6 60-69 years, female 75.0
GTEX-1JMOU-2826-SM-EV79R 60-69 years, female 74.8
GTEX-1H1DG-2826-SM-9JGHB 70-79 years, male 74.6
GTEX-X4EP-3026-SM-3P5YP 60-69 years, female 74.1
GTEX-11EMC-3326-SM-5P9JH 60-69 years, female 73.8
GTEX-XMD1-2826-SM-4AT5F 60-69 years, male 73.6
GTEX-14C39-3026-SM-5S2QE 40-49 years, male 71.6
GTEX-13FHO-2926-SM-5L3ES 60-69 years, male 71.1
GTEX-1R46S-3126-SM-DPRZ9 60-69 years, female 69.4
GTEX-1E2YA-2926-SM-7MGWX 50-59 years, male 64.9
GTEX-1HB9E-3126-SM-AHZ4M 50-59 years, male 63.5
GTEX-13OVJ-2726-SM-5IJG6 50-59 years, female 62.2
GTEX-YFC4-3026-SM-5IFJK 40-49 years, female 62.2
GTEX-OHPN-2626-SM-2I5H1 60-69 years, female 61.5
GTEX-1F48J-2726-SM-7P8PW 50-59 years, female 59.4
GTEX-N7MT-1226-SM-DKPOK 60-69 years, female 59.2
GTEX-1CB4H-3026-SM-79OLX 60-69 years, female 58.6
GTEX-1A3MX-2926-SM-718B7 60-69 years, male 57.6
GTEX-13OVL-3026-SM-5IJF1 50-59 years, male 57.5
GTEX-13JVG-3226-SM-5IJGJ 60-69 years, male 55.6
GTEX-PWO3-1026-SM-2I5F2 60-69 years, female 55.2
GTEX-1A8G7-3026-SM-73KTT 60-69 years, male 55.1
GTEX-1RNSC-3126-SM-EVR4V 60-69 years, male 54.7
GTEX-ZYY3-3026-SM-5GIEJ 60-69 years, female 54.4
GTEX-11DXY-3126-SM-5N9BT 60-69 years, male 54.3
GTEX-17HII-2926-SM-79OMK 50-59 years, male 54.1
GTEX-1EWIQ-3026-SM-7IGOJ 70-79 years, female 51.2
GTEX-144GL-2926-SM-5O99F 50-59 years, male 51.1
GTEX-XLM4-2926-SM-4AT59 60-69 years, male 50.5
GTEX-13X6I-2926-SM-5Q5C3 60-69 years, male 49.9
GTEX-ZAB4-2926-SM-57WCV 40-49 years, male 49.1
GTEX-13OVH-2926-SM-5IJFH 70-79 years, male 49.0
GTEX-WHSE-2926-SM-3NMBG 20-29 years, male 48.9
GTEX-12WSM-2126-SM-5GCOC 60-69 years, male 48.6
GTEX-13X6K-2826-SM-5O9DS 60-69 years, female 48.5
GTEX-13O3Q-3026-SM-5IJGD 50-59 years, male 48.1
GTEX-1RDX4-3226-SM-DPS14 50-59 years, female 47.3
GTEX-1KD4Q-3026-SM-EV7A7 40-49 years, male 47.2
GTEX-NPJ7-2826-SM-2I3FU 60-69 years, female 47.1
GTEX-WWYW-3026-SM-3NB36 50-59 years, female 47.1
GTEX-RNOR-2226-SM-2TF5O 50-59 years, female 46.9
GTEX-13OW5-3126-SM-5MR3Y 60-69 years, male 45.7
GTEX-13G51-3126-SM-5IJG7 60-69 years, male 45.5
GTEX-1JN1M-3126-SM-AHZ4E 60-69 years, female 45.3
GTEX-11ONC-3026-SM-5985W 60-69 years, male 45.1
GTEX-1GF9W-2726-SM-9JGGW 60-69 years, male 45.0
GTEX-15SHU-3026-SM-6LPIB 40-49 years, female 44.6
GTEX-111FC-3326-SM-5GZYV 60-69 years, male 44.4
GTEX-Y8DK-0726-SM-4TT3S 60-69 years, male 44.4
GTEX-1HSKV-2926-SM-B2LWJ 60-69 years, male 44.3
GTEX-11OC5-0626-SM-5HL6M 60-69 years, male 43.9
GTEX-ZVT3-2926-SM-5GU6M 60-69 years, female 43.8
GTEX-15ER7-3026-SM-6M47W 20-29 years, female 43.6
GTEX-1HCVE-2926-SM-9WPPJ 50-59 years, male 43.5
GTEX-11DXW-1026-SM-5H11K 40-49 years, male 43.1
GTEX-1PWST-3026-SM-EAZ3H 70-79 years, male 43.0
GTEX-18A6Q-2826-SM-7LTAO 60-69 years, male 42.7
GTEX-13RTJ-3126-SM-5S2Q4 60-69 years, male 42.2
GTEX-1GF9V-3026-SM-7P8R8 60-69 years, male 42.2
GTEX-147GR-3126-SM-5S2PM 60-69 years, male 42.1
GTEX-13CF2-3026-SM-5IFFX 60-69 years, male 41.9
GTEX-13N2G-3126-SM-5IJGL 60-69 years, male 41.6
GTEX-1KANB-3226-SM-D4P3G 50-59 years, male 41.3
GTEX-NPJ8-2626-SM-2D7W2 40-49 years, male 41.0
GTEX-183WM-2726-SM-7KFRF 70-79 years, female 40.9
GTEX-11GSP-3126-SM-5A5LL 60-69 years, female 40.8
GTEX-1C6VR-3026-SM-7IGLW 60-69 years, male 39.9
GTEX-1QEPI-3026-SM-EXOIW 60-69 years, female 39.8
GTEX-14JG1-2926-SM-686ZK 40-49 years, male 39.4
GTEX-14BIN-3326-SM-5Q5E6 50-59 years, female 39.2
GTEX-1GN73-3026-SM-7MXV8 60-69 years, male 39.2
GTEX-145MF-2826-SM-7EPGU 50-59 years, male 38.9
GTEX-14BIM-3126-SM-5Q5C7 60-69 years, female 38.9
GTEX-15DYW-3026-SM-7KFRM 60-69 years, female 38.8
GTEX-1HBPH-3026-SM-9WPNY 40-49 years, female 38.8
GTEX-11ZVC-3026-SM-59HJM 50-59 years, female 38.6
GTEX-17HG3-2826-SM-7EPGO 30-39 years, female 38.6
GTEX-17F97-2926-SM-7DUEQ 50-59 years, male 38.5
GTEX-X261-3126-SM-4PQZC 50-59 years, male 38.4
GTEX-13FHP-2926-SM-5IJG9 50-59 years, male 38.2
GTEX-13O3O-3026-SM-5KM42 60-69 years, female 38.1
GTEX-11EI6-2926-SM-5985U 60-69 years, male 38.0
GTEX-15G19-2826-SM-6M48K 60-69 years, male 38.0
GTEX-1F6IF-3026-SM-7P8QN 60-69 years, male 38.0
GTEX-T6MN-2526-SM-32PMN 50-59 years, male 37.9
GTEX-S7SE-2526-SM-2XCDL 50-59 years, male 37.7
GTEX-1PIIG-2826-SM-DTX7O 30-39 years, male 37.7
GTEX-12WSD-3026-SM-5LZU7 60-69 years, female 37.6
GTEX-ZAJG-3026-SM-5HL92 50-59 years, female 37.6
GTEX-14BMV-2926-SM-5TDEE 50-59 years, male 37.4
GTEX-13OW7-2926-SM-5MR3Z 50-59 years, male 37.2
GTEX-1H3O1-1826-SM-A96TO 60-69 years, male 36.9
GTEX-1HBPI-2726-SM-9WPPF 50-59 years, male 36.8
GTEX-13JUV-3026-SM-5K7WX 40-49 years, female 36.7
GTEX-14DAQ-3026-SM-5S2QZ 60-69 years, female 36.6
GTEX-1128S-2826-SM-5N9DI 60-69 years, female 36.5
GTEX-17EVQ-2726-SM-7EWDT 70-79 years, male 36.4
GTEX-11ZTS-3226-SM-5EGID 60-69 years, female 36.3
GTEX-139TT-2626-SM-5LZUB 60-69 years, male 36.0
GTEX-13OW6-2926-SM-5KM29 50-59 years, male 35.8
GTEX-139TS-3126-SM-5LZWX 60-69 years, male 35.7
GTEX-17JCI-3026-SM-7EWDR 60-69 years, female 35.6
GTEX-11DZ1-2926-SM-5A5KI 50-59 years, male 35.5
GTEX-14PN4-3026-SM-664O4 50-59 years, male 35.5
GTEX-1BAJH-3126-SM-7MGXY 70-79 years, male 35.5
GTEX-1HSMO-2926-SM-C1YR5 60-69 years, male 35.4
GTEX-1C64N-3126-SM-79OO3 50-59 years, male 35.3
GTEX-QVUS-2926-SM-3GIJB 60-69 years, female 35.3
GTEX-1NV8Z-3026-SM-DTX8Z 60-69 years, male 35.0
GTEX-131YS-3026-SM-5EGHY 60-69 years, female 34.8
GTEX-1GZ4I-2926-SM-9JGGO 50-59 years, male 34.8
GTEX-12126-0926-SM-5FQTW 20-29 years, male 34.4
GTEX-1399T-3126-SM-5IJFS 60-69 years, male 34.4
GTEX-1RQEC-3026-SM-DPRXM 60-69 years, male 34.2
GTEX-145MG-3126-SM-5Q5D3 50-59 years, male 34.1
GTEX-1JMLX-3026-SM-EV79Q 50-59 years, male 33.6
GTEX-1IL2V-3026-SM-CYPSA 70-79 years, male 33.5
GTEX-1192X-3226-SM-5987D 50-59 years, male 33.4
GTEX-11DYG-2926-SM-5H132 60-69 years, male 33.2
GTEX-1I1GV-3026-SM-CNNR9 60-69 years, male 33.2
GTEX-14PJM-3026-SM-6LLHM 50-59 years, female 33.1
GTEX-1CB4G-2926-SM-7MKFQ 60-69 years, male 33.1
GTEX-1H3NZ-2926-SM-9WPQ8 60-69 years, male 32.9
GTEX-1I1CD-2926-SM-A96SJ 60-69 years, female 32.7
GTEX-1F6I4-3026-SM-7P8SI 60-69 years, male 32.5
GTEX-1H1CY-3026-SM-9OSW7 60-69 years, female 32.4
GTEX-1IDJH-3126-SM-C1YQS 70-79 years, male 32.2
GTEX-17HHY-2926-SM-79OJW 50-59 years, male 32.1
GTEX-QMR6-1326-SM-32PLB 50-59 years, male 32.1
GTEX-1GZHY-3026-SM-7MXVA 50-59 years, female 32.0
GTEX-1POEN-2726-SM-E9U6B 30-39 years, female 31.5
GTEX-14E7W-2926-SM-5S2R8 70-79 years, male 30.7
GTEX-14JFF-2826-SM-6871Q 60-69 years, male 30.6
GTEX-1EMGI-3126-SM-7MXUR 60-69 years, male 30.5
GTEX-1JMQK-2926-SM-D4P2T 60-69 years, male 30.5
GTEX-UTHO-2926-SM-3P5Z9 60-69 years, male 30.3
GTEX-1GZ2Q-3026-SM-9JGG3 40-49 years, male 30.3
GTEX-QVJO-1325-SM-2S1QX 60-69 years, female 30.2
GTEX-Y111-2826-SM-4TT3O 50-59 years, male 30.2
GTEX-ZAK1-2926-SM-5HL9S 50-59 years, female 30.2
GTEX-YJ89-2926-SM-5P9IT 60-69 years, male 30.1
GTEX-11NUK-3026-SM-5986K 50-59 years, male 29.7
GTEX-12ZZY-2926-SM-5DUXO 60-69 years, male 29.5
GTEX-ZYFD-2926-SM-5GID9 50-59 years, male 29.4
GTEX-14ASI-2926-SM-5Q5DG 60-69 years, male 29.3
GTEX-1A8G6-3126-SM-731D8 60-69 years, male 29.3
GTEX-1EU9M-2926-SM-793DF 60-69 years, male 29.1
GTEX-1JJEA-2926-SM-C1YSK 60-69 years, male 29.0
GTEX-12ZZX-2826-SM-5BC6K 40-49 years, female 28.9
GTEX-WVLH-2926-SM-3MJG5 50-59 years, male 28.7
GTEX-13FXS-3026-SM-5LZYO 50-59 years, male 28.6
GTEX-1KWVE-2226-SM-CXZKN 30-39 years, male 28.2
GTEX-11GSO-3026-SM-5Q5AL 60-69 years, male 27.9
GTEX-13112-2926-SM-5DUWT 50-59 years, male 27.9
GTEX-13QIC-3026-SM-5LU58 60-69 years, female 27.9
GTEX-1JMPZ-2826-SM-C1YRA 30-39 years, male 27.9
GTEX-TSE9-2926-SM-3DB77 60-69 years, female 27.2
GTEX-117XS-3126-SM-5GIDP 60-69 years, male 26.5
GTEX-18465-2926-SM-7KFSE 50-59 years, male 26.0
GTEX-1LSVX-2826-SM-EVR58 60-69 years, male 25.8
GTEX-1EKGG-3126-SM-9WPO5 60-69 years, male 25.5
GTEX-1J1OQ-3126-SM-D4P2O 40-49 years, female 25.4
GTEX-1E1VI-2926-SM-7IGLT 50-59 years, male 25.2
GTEX-1B996-2926-SM-7MXUH 60-69 years, male 25.2
GTEX-13OW8-2926-SM-5L3FV 60-69 years, male 25.0
GTEX-11O72-2826-SM-5HL6W 40-49 years, male 24.7
GTEX-14JIY-2326-SM-6AJAJ 60-69 years, male 24.7
GTEX-11PRG-2826-SM-5BC54 50-59 years, male 24.6
GTEX-147F4-3026-SM-5Q5BJ 50-59 years, male 24.5
GTEX-14E6D-2926-SM-664OP 50-59 years, male 24.5
GTEX-1I1HK-2726-SM-AHZ2M 60-69 years, male 24.5
GTEX-16Z82-2926-SM-6LPJJ 60-69 years, male 23.9
GTEX-R55E-2526-SM-2TC6H 20-29 years, male 23.9
GTEX-13VXU-3026-SM-5LU3K 50-59 years, male 23.8
GTEX-1IY9M-3126-SM-AHZ3A 60-69 years, male 23.3
GTEX-1R9PO-2826-SM-E6CPV 60-69 years, female 23.3
GTEX-Q2AG-2826-SM-2HMJQ 40-49 years, female 23.1
GTEX-1EX96-3126-SM-9JGGC 50-59 years, male 23.0
GTEX-145LS-3026-SM-5O99S 60-69 years, female 22.9
GTEX-X4XX-2926-SM-3NMB1 60-69 years, male 22.8
GTEX-1IKOH-2826-SM-CNNRC 60-69 years, female 22.8
GTEX-P44G-2526-SM-2I5EK 30-39 years, male 22.7
GTEX-1H1ZS-2926-SM-9WPP2 70-79 years, male 22.4
GTEX-PVOW-2626-SM-32PL8 40-49 years, male 22.1
GTEX-1P4AB-3026-SM-EXOJS 50-59 years, male 21.8
GTEX-15EO6-2926-SM-6M48D 50-59 years, male 21.7
GTEX-ZDXO-2926-SM-4WKFM 60-69 years, male 21.4
GTEX-12WSH-3126-SM-5LZW8 50-59 years, male 21.2
GTEX-1B933-3026-SM-731DB 50-59 years, female 21.2
GTEX-WZTO-2826-SM-3NM8P 40-49 years, male 21.1
GTEX-16YQH-2926-SM-6LPJE 30-39 years, male 21.0
GTEX-P44H-2426-SM-2XCEJ 40-49 years, male 20.5
GTEX-145LU-2626-SM-5LU9Z 50-59 years, male 20.4
GTEX-17EVP-2926-SM-793BU 40-49 years, male 20.4
GTEX-1JMQJ-3126-SM-EV79G 50-59 years, male 20.4
GTEX-14ABY-3026-SM-664NE 50-59 years, male 20.1
GTEX-1B8L1-3226-SM-7P8OX 60-69 years, male 19.9
GTEX-1LG7Y-3126-SM-EV7AS 50-59 years, male 19.8
GTEX-11ZUS-2826-SM-5EQKW 30-39 years, male 19.5
GTEX-1QP6S-3026-SM-EAZ4N 40-49 years, male 19.5
GTEX-131XH-2926-SM-5LZU4 50-59 years, male 19.3
GTEX-13S7M-3026-SM-5S2QQ 60-69 years, female 19.2
GTEX-1B8SF-3026-SM-731DX 60-69 years, male 19.1
GTEX-N7MS-2526-SM-2D7W3 60-69 years, male 17.6
GTEX-13PVQ-2926-SM-5L3HJ 50-59 years, male 17.1
GTEX-T5JC-2326-SM-32PMR 20-29 years, male 16.1
GTEX-1F75W-3126-SM-7P8SJ 60-69 years, male 15.6
GTEX-13SLX-3226-SM-5YYA6 50-59 years, female 15.3
GTEX-Z93S-2826-SM-57WBL 50-59 years, male 15.1
GTEX-13X6J-2926-SM-7EPGP 50-59 years, male 14.7
GTEX-1F52S-3026-SM-7P8PV 60-69 years, female 14.0
GTEX-ZUA1-2926-SM-59HL3 40-49 years, male 13.8
GTEX-1313W-3026-SM-5LZUZ 50-59 years, female 13.3
GTEX-1B8SG-1926-SM-73KUB 50-59 years, male 13.0
GTEX-QDT8-3026-SM-32PKB 30-39 years, female 12.7
GTEX-WL46-2826-SM-3LK81 50-59 years, male 12.4
GTEX-1H4P4-2726-SM-9JGGB 50-59 years, male 12.1
GTEX-145MH-2926-SM-5Q5D2 50-59 years, male 11.8
GTEX-13NYB-3226-SM-5J2ND 40-49 years, male 11.3
GTEX-1MJK2-3026-SM-EV7A5 50-59 years, male 11.3
GTEX-11NV4-2226-SM-5BC4T 60-69 years, male 11.2
GTEX-T2IS-2926-SM-32QPO 20-29 years, female 10.3
GTEX-12ZZZ-3126-SM-5LZU6 60-69 years, male 9.7
GTEX-12WSC-2926-SM-5BC5Z 50-59 years, male 8.8
GTEX-12WSE-2926-SM-5RQJ9 20-29 years, male 8.6
GTEX-1F75A-2926-SM-7MXVN 50-59 years, male 8.6
GTEX-1C6WA-3326-SM-7MKGN 60-69 years, male 4.7
Show allShow less

CEREBELLUM - FANTOM5 CAGEi

RNA expression in human tissues obtained through Cap Analysis of Gene Expression (CAGE) generated by the FANTOM5 project are reported as Scaled Tags Per Million.

Max subtype Scaled Tags Per Millioni

Max subtype Scaled Tags Per Million is the value for the subtype with the largest average Scaled Tags Per Million across the subtype samples.

112.8
FANTOM5 sample id Sample description Scaled Tags Per Million
Cerebellum
Scaled Tags Per Million: 112.8
FF:10166-103B4 76 years, female 122.4
FF:10083-102B2 22-68 years, mixed 103.2

CEREBELLUM - Pig RNA-seqi

RNA-seq data obtained from pig brain is reported as nTPM .

Normal distribution across the dataset is visualized with box plots, shown as median and 25th and 75th percentiles. Points are displayed as outliers if they are above or below 1.5 times the interquartile range. nTPM values of the individual samples are presented next to the box plot.
Max subtype nTPMi

Max subtype nTPM is the value for the subtype with the largest average nTPM across the subtype samples.

16.0
Pig sample Sample description nTPM
Cerebellum
nTPM: 16.1
Samples: 4

Max nTPM: 27.9
Min nTPM: 10.3
Sample A Female 27.9
Sample B Female 14.4
Sample C Male 10.3
Sample D Male 11.6

CEREBELLUM - Mouse RNA-seqi

RNA-seq data obtained from mouse brain is reported as nTPM .

Normal distribution across the dataset is visualized with box plots, shown as median and 25th and 75th percentiles. Points are displayed as outliers if they are above or below 1.5 times the interquartile range. nTPM values of the individual samples are presented next to the box plot.
Max subtype nTPMi

Max subtype nTPM is the value for the subtype with the largest average nTPM across the subtype samples.

37.8
Mouse sample Sample description nTPM
Cerebellum
nTPM: 37.9
Samples: 4

Max nTPM: 41.1
Min nTPM: 33.3
Sample A Male 41.1
Sample B Male 39.7
Sample C Female 37.3
Sample D Female 33.3

CEREBELLUM - Allen Mouse ISHi

In situ hybridization (ISH) data generated by the Allen brain atlas from mouse brain is reported as expression energy. For more details about a particular experiment, click on the corresponding Allen experiment ID.

Max subtype Expression energyi

Max subtype Expression energy is the value for the subtype with the largest average Expression energy across the subtype samples.

3.9
Allen experiment id Experiment description Expression energy
Cerebellum
Expression energy: 3.9
69736112 Antisense, RP_050503_04_C01, Mouse strain C57BL/6J (56 days, male) 3.9

Contact

  • NEWS ARTICLES
  • PRESS ROOM

The Project

  • INTRODUCTION
  • ORGANIZATION
  • PUBLICATIONS

The Human Protein Atlas

  • DOWNLOADABLE DATA
  • LICENCE & CITATION
  • HELP & FAQ
The Human Protein Atlas project is funded
by the Knut & Alice Wallenberg Foundation.


contact@proteinatlas.org