We use cookies to enhance the usability of our website. If you continue, we'll assume that you are happy to receive all cookies. More information. Don't show this again.
ABI3BP
HPA
RESOURCES
  • TISSUE
  • BRAIN
  • SINGLE CELL
  • SUBCELLULAR
  • CANCER
  • BLOOD
  • CELL LINE
  • STRUCTURE & INTERACTION
ABOUT
  • INTRODUCTION
  • HISTORY
  • ORGANIZATION
  • PUBLICATIONS
  • ANTIBODY SUBMISSION
  • ANTIBODY AVAILABILITY
  • ACKNOWLEDGMENTS
  • CONTACT
NEWS
  • NEWS ARTICLES
  • PRESS ROOM
LEARN
  • DICTIONARY
  • PROTEIN CLASSES
  • PROTEIN EVIDENCE
  • METHODS
  • EDUCATIONAL VIDEOS
DATA
  • DOWNLOADABLE DATA
  • PUBLICATION DATA
  • RELEASE HISTORY
HELP
  • ANTIBODY VALIDATION
  • ASSAYS & ANNOTATION
  • DISCLAIMER
  • HELP & FAQ
  • PRIVACY STATEMENT
  • LICENCE & CITATION
Fields »
Search result

Field
Term
Gene name
Class
Subclass
Class
Keyword
Chromosome
External id
Tissue
Cell type
Expression
Antibody panel
Tissue
Main location
Patient ID
Annotation
Tissue
Category
Tau score
Cluster
Reliability
Brain region
Category
Tau score
Brain region
Category
Tau score
Brain region
Category
Tau score
Cluster
Reliability
Tissue
Cell type
Enrichment
Cell type
Category
Tau score
Cell type
Category
Tau score
Cell type
Category
Tau score
Cell lineage
Category
Tau score
Cluster
Cluster
Location
Searches
Location
Cell line
Class
Type
Phase
Reliability
Cancer
Prognosis
Cancer
Category
Cancer
Category
Tau score
Cluster
Variants
Interacting gene (ensg_id)
Type
Number of interactions
Pathway
Category
Score
Score
Score
Validation
Validation
Validation
Validation
Antibodies
Data type
Column


  • SUMMARY

  • TISSUE

  • BRAIN

  • SINGLE CELL

  • SUBCELL

  • CANCER

  • BLOOD

  • CELL LINE

  • STRUCT & INT

  • ABI3BP
TISSUE PRIMARY DATA BREAST Show tissue menu
ADIPOSE TISSUE ADRENAL GLAND AMYGDALA APPENDIX BASAL GANGLIA BONE MARROW BREAST CEREBELLUM CEREBRAL CORTEX CERVIX CHOROID PLEXUS COLON DUODENUM
ENDOMETRIUM EPIDIDYMIS ESOPHAGUS FALLOPIAN TUBE GALLBLADDER HEART MUSCLE HIPPOCAMPAL FORMATION HYPOTHALAMUS KIDNEY LIVER LUNG LYMPH NODE MIDBRAIN
OVARY PANCREAS PARATHYROID GLAND PITUITARY GLAND PLACENTA PROSTATE RECTUM RETINA SALIVARY GLAND SEMINAL VESICLE SKELETAL MUSCLE SKIN SMALL INTESTINE
SMOOTH MUSCLE SPINAL CORD SPLEEN STOMACH TESTIS THYMUS THYROID GLAND TONGUE TONSIL URINARY BLADDER VAGINA
ANTIBODIES
AND
VALIDATION
Dictionary
Breast
Tissue proteome
Breast
BREAST - Expression summary
Protein expressioni

On the top, protein expression in current human tissue, based on all annotated cell types, is reported with the units not detected (n), low (l), medium (m) and high (h). Underneath, protein expression in each annotated cell type are reported using the same units.

Protein expression data is based on knowledge-based annotation. For genes where more than one antibody has been used, a collective score is set.

If knowledge-based annotation could not be performed for a gene, no data is displayed here. View antibody staining data further down this page.

No data
RNA expressioni

A summary of mRNA expression data available for current tissue based on several datasets. The mRNA expression levels in human tissues are based on RNA-seq data generated by the Human Protein Atlas (HPA), Genotype-Tissue Expression (GTEx) portal and CAGE data generated by the FANTOM5 consortium. Consensus normalized expression levels for human tissues was created by combining the data from HPA and GTEx datasets.

The mRNA expression levels in pig are based on RNA-seq data generated by the Human Protein Atlas (HPA), and for mouse, HPA data and in situ hybridization generated by the Allen brain atlas are reported.

Scroll down to view mRNA expression data in more detail.
Consensus:22.3 nTPM
HPA:20.4 nTPM
GTEx:22.3 nTPM
FANTOM5:61.8 Scaled Tags Per Million

BREAST - Annotated protein expression
Pending normal tissue analysis

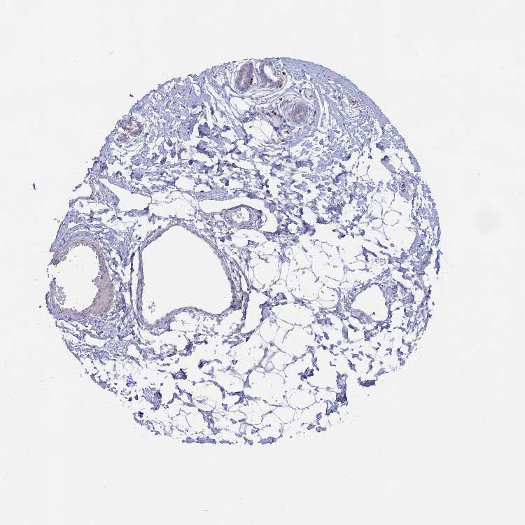
BREAST - Antibody stainingi

Antibody staining in the annotated cell types in the current human tissue is reported as not detected, low, medium, or high, based on conventional immunohistochemistry profiling in selected tissues. This score is based on the combination of the staining intensity and fraction of stained cells.

Each image is clickable and will lead to virtual microscopy that enables deeper exploration of all samples and also displays staining intensity scores, fraction scores and subcellular localization as well as patient and tissue information for each sample.

Antibody HPA044127
Adipocytes Not detected
Glandular cells Not detected
Myoepithelial cells Low



BREAST - HPA RNA-seqi

The RNA-seq details section shows detailed information about the individual samples used for the transcript profiling and results of the RNA-seq analysis.

Information about each individual sample is listed below, including gender, age, a tissue section image and estimated fractions of cell types. nTPM (normalized transcripts per million) values give a quantification of the gene abundance which is comparable between different genes and samples.
Average nTPMi

Max subtype nTPM is the value for the subtype with the largest average nTPM across the subtype samples.

20.4
overview
Female, age 52
Breast sample 373
nTPM: 30.5
Cell types%
Glandular cells:
15

Adipocytes:
5

Other cell types:
80

overview
Female, age 80
Breast sample 390
nTPM: 33.2
Cell types%
Glandular cells:
5

Adipocytes:
15

Other cell types:
80

overview
Female, age 47
Breast sample 405
nTPM: 1
Cell types%
Glandular cells:
5

Adipocytes:
5

Other cell types:
90

overview
Female, age 38
Breast sample 410
nTPM: 16.8
Cell types%
Glandular cells:
40

Adipocytes:
5

Other cell types:
55


BREAST - GTEx RNA-seqi

RNA-Seq data generated by the Genotype-Tissue Expression (GTEx) project from human tissues is reported as mean nTPM. More information can be found on the GTEx portal.

Distribution across the dataset is visualized with box plots, shown as median and 25th and 75th percentiles. Points are displayed as outliers if they are above or below 1.5 times the interquartile range. nTPM values of the individual samples are presented next to the box plot.
Max subtype nTPMi

Max subtype nTPM is the value for the subtype with the largest average nTPM across the subtype samples.

22.3
GTEx sample id Sample description nTPM
Breast - Mammary Tissue
Average nTPM: 22.3
Samples: 459

Max nTPM: 152.8
Min nTPM: 0.7
Std nTPM: 21.1
Median nTPM: 16.2
GTEX-1JKYR-0926-SM-CMKGJ 20-29 years, male 152.8
GTEX-17MFQ-0926-SM-7LG4S 20-29 years, male 136.3
GTEX-1N2EF-2226-SM-E9J33 60-69 years, male 124.8
GTEX-ZDXO-0126-SM-5S2ND 60-69 years, male 115.6
GTEX-17KNJ-2026-SM-7LG53 50-59 years, male 113.7
GTEX-13W46-0826-SM-5LU3H 50-59 years, male 112.4
GTEX-1GF9V-2526-SM-7SB8K 60-69 years, male 98.6
GTEX-1LSVX-2426-SM-E6CJX 60-69 years, male 96.0
GTEX-139T6-1626-SM-5PNYZ 50-59 years, male 90.2
GTEX-12WSK-2226-SM-5GCO5 40-49 years, female 81.4
GTEX-X4XY-0926-SM-4E3JD 60-69 years, male 81.4
GTEX-132NY-0826-SM-5K7Y7 60-69 years, male 78.7
GTEX-1AMEY-1026-SM-718AA 30-39 years, female 78.7
GTEX-11OF3-1926-SM-59889 60-69 years, male 78.5
GTEX-1JN1M-3026-SM-CMKGK 60-69 years, female 77.2
GTEX-1AX9I-0726-SM-73KWV 60-69 years, male 76.0
GTEX-1I1GP-0426-SM-COH3N 50-59 years, male 76.0
GTEX-1I6K6-0826-SM-ARL7Z 30-39 years, male 71.4
GTEX-1JMLX-2026-SM-CMKGN 50-59 years, male 71.2
GTEX-1NV8Z-2826-SM-E8VME 60-69 years, male 71.2
GTEX-1AX9J-1126-SM-731B7 60-69 years, male 70.9
GTEX-1IGQW-0926-SM-ADEH6 60-69 years, male 70.2
GTEX-1QMI2-0726-SM-E9J4F 60-69 years, male 68.6
GTEX-ZDTT-2126-SM-DKPOM 60-69 years, male 68.3
GTEX-13N1W-0626-SM-5MR4U 70-79 years, male 64.7
GTEX-1M4P7-2626-SM-E9U5F 60-69 years, male 63.0
GTEX-13QJ3-0826-SM-7DHKK 50-59 years, male 60.8
GTEX-14PJ4-2126-SM-6ETZJ 60-69 years, male 60.5
GTEX-ZA64-1526-SM-5CVMD 20-29 years, male 58.2
GTEX-13O3Q-2226-SM-5KM4O 50-59 years, male 56.4
GTEX-17EVQ-0426-SM-7LG57 70-79 years, male 54.3
GTEX-11DXZ-1926-SM-5GZZL 50-59 years, male 53.1
GTEX-1GN2E-2226-SM-9WG6J 60-69 years, male 51.7
GTEX-ZYW4-0826-SM-5GIDG 60-69 years, male 50.8
GTEX-11GSP-0926-SM-9WYSG 60-69 years, female 50.8
GTEX-1HR98-0426-SM-COH36 60-69 years, male 49.8
GTEX-14E7W-0826-SM-62LEJ 70-79 years, male 49.2
GTEX-14753-2426-SM-5LU8U 60-69 years, male 48.9
GTEX-1S82Z-0726-SM-E6CHX 30-39 years, female 48.8
GTEX-1I19N-2826-SM-CL55D 70-79 years, male 48.7
GTEX-1EN7A-1426-SM-7PBY4 40-49 years, male 47.7
GTEX-1OKEX-0826-SM-E9J2B 60-69 years, male 47.2
GTEX-12KS4-0126-SM-5Q5A5 30-39 years, male 47.0
GTEX-18A6Q-0926-SM-7LG4N 60-69 years, male 46.9
GTEX-1KXAM-1026-SM-CY8IA 60-69 years, male 46.1
GTEX-1EKGG-2626-SM-7IGPY 60-69 years, male 45.8
GTEX-183FY-1126-SM-7DHLJ 20-29 years, male 45.3
GTEX-1IDFM-0426-SM-B2LVV 60-69 years, male 45.1
GTEX-14BMV-0626-SM-793AU 50-59 years, male 44.0
GTEX-YFCO-1826-SM-4W1YH 40-49 years, male 44.0
GTEX-18A7A-0726-SM-7LTAI 50-59 years, female 43.9
GTEX-12BJ1-1826-SM-5HL9N 60-69 years, male 43.7
GTEX-1I6K7-1026-SM-A9SLK 40-49 years, male 43.7
GTEX-XBED-1626-SM-47JYN 60-69 years, male 43.6
GTEX-Y9LG-1426-SM-5IFJZ 30-39 years, male 43.6
GTEX-X62O-0526-SM-EWRMA 50-59 years, male 43.4
GTEX-13FTW-1426-SM-5LZWZ 40-49 years, male 43.2
GTEX-YJ8O-2226-SM-5IFHW 40-49 years, female 42.8
GTEX-1F75A-1826-SM-7SB8G 50-59 years, male 42.6
GTEX-1QW4Y-1026-SM-DTXE2 30-39 years, male 42.2
GTEX-11DXY-2326-SM-5GICW 60-69 years, male 41.5
GTEX-1J8QM-2026-SM-ARZMW 60-69 years, female 40.9
GTEX-13O3O-0826-SM-5K7WE 60-69 years, female 40.3
GTEX-11NSD-0926-SM-5N9DR 20-29 years, male 40.1
GTEX-11NV4-2026-SM-5N9DG 60-69 years, male 39.9
GTEX-13PVQ-1026-SM-5KM3M 50-59 years, male 39.8
GTEX-W5X1-2326-SM-3GIL6 40-49 years, female 39.5
GTEX-1IDJH-2226-SM-E6CJV 70-79 years, male 39.4
GTEX-WFON-1826-SM-3GILG 40-49 years, male 39.0
GTEX-ZVT4-1026-SM-57WC4 50-59 years, female 38.7
GTEX-U3ZN-1926-SM-4DXSG 30-39 years, female 38.4
GTEX-1B8L1-2426-SM-9WYTE 60-69 years, male 38.2
GTEX-11EI6-0626-SM-5985T 60-69 years, male 38.1
GTEX-U412-1826-SM-4DXTJ 60-69 years, male 37.8
GTEX-145MN-1926-SM-5SIAI 30-39 years, male 37.5
GTEX-1NHNU-0926-SM-E9J2T 50-59 years, male 37.3
GTEX-117YX-1426-SM-5H12H 50-59 years, male 37.1
GTEX-1C6WA-2426-SM-7SB86 60-69 years, male 36.7
GTEX-1HFI7-0126-SM-CGQFQ 50-59 years, female 36.0
GTEX-TKQ2-1826-SM-33HB2 50-59 years, male 35.7
GTEX-1A3MV-1626-SM-731C1 30-39 years, male 35.6
GTEX-1AX8Z-0926-SM-731AW 60-69 years, male 35.6
GTEX-WYJK-1326-SM-3NB2T 50-59 years, male 35.6
GTEX-1B8KZ-1526-SM-7DUG7 50-59 years, male 35.1
GTEX-1H11D-1526-SM-9MQJY 40-49 years, male 34.8
GTEX-1HT8W-2226-SM-CGQEC 30-39 years, male 34.6
GTEX-17HGU-1326-SM-79OKB 50-59 years, male 34.3
GTEX-11EQ9-1826-SM-5Q5AJ 30-39 years, male 34.2
GTEX-11WQC-1726-SM-5GU4W 60-69 years, male 33.9
GTEX-1122O-1226-SM-5H113 60-69 years, female 33.7
GTEX-17F98-0526-SM-79OK5 40-49 years, female 33.2
GTEX-14DAR-1326-SM-7DUEG 50-59 years, male 32.7
GTEX-17HHE-1426-SM-7EPH4 50-59 years, male 32.5
GTEX-14E6C-1326-SM-62LEQ 40-49 years, male 32.2
GTEX-1LBAC-0926-SM-CXKY9 20-29 years, male 31.9
GTEX-147F4-2826-SM-5NQBN 50-59 years, male 31.5
GTEX-17HHY-0926-SM-793C1 50-59 years, male 31.1
GTEX-1MJK2-2226-SM-EVYCR 50-59 years, male 30.7
GTEX-S33H-0326-SM-4AD6N 30-39 years, male 30.5
GTEX-1F6I4-2526-SM-7SB8F 60-69 years, male 29.8
GTEX-18A66-1726-SM-7LG5N 60-69 years, male 29.7
GTEX-1H4P4-2226-SM-9MQKQ 50-59 years, male 29.7
GTEX-1B933-2526-SM-7IGO5 50-59 years, female 29.2
GTEX-T6MN-0726-SM-32PML 50-59 years, male 29.2
GTEX-ZF29-1926-SM-5S2P1 60-69 years, female 29.1
GTEX-1E2YA-2726-SM-7IGPW 50-59 years, male 29.0
GTEX-1KD4Q-2326-SM-D4P3M 40-49 years, male 28.9
GTEX-1KD5A-1926-SM-DKPQA 50-59 years, male 28.8
GTEX-WY7C-2726-SM-3NB3P 50-59 years, male 28.6
GTEX-YFC4-1426-SM-5IFJG 40-49 years, female 28.3
GTEX-1HCUA-0726-SM-ACKVU 50-59 years, female 28.3
GTEX-144GL-2026-SM-5LU3O 50-59 years, male 28.0
GTEX-1HUB1-1626-SM-CM2SL 60-69 years, male 27.8
GTEX-R55D-0826-SM-48FEA 50-59 years, male 27.6
GTEX-13O3P-0826-SM-5L3DH 50-59 years, male 27.5
GTEX-1CB4G-2326-SM-79OOI 60-69 years, male 26.9
GTEX-ZZPU-0626-SM-5E43T 50-59 years, female 26.9
GTEX-11P7K-0726-SM-5EGKX 30-39 years, male 26.6
GTEX-13CF3-2126-SM-5IFJP 60-69 years, female 26.5
GTEX-1GZ4H-0326-SM-7P8QX 50-59 years, female 26.1
GTEX-1K2DA-1726-SM-CGQGS 50-59 years, male 26.1
GTEX-1LG7Z-0726-SM-CXKYD 30-39 years, male 26.0
GTEX-S341-1526-SM-4AD6K 40-49 years, female 25.9
GTEX-1JMPY-0526-SM-CL54O 30-39 years, male 25.9
GTEX-Y5V6-2126-SM-4WWFX 60-69 years, male 25.8
GTEX-1PDJ9-1126-SM-EXUSW 20-29 years, male 25.7
GTEX-ZPIC-1126-SM-5BC7F 40-49 years, female 25.5
GTEX-UJHI-1426-SM-3DB9C 50-59 years, female 25.4
GTEX-1B97I-0426-SM-79OL7 40-49 years, male 25.3
GTEX-11LCK-2426-SM-5HL5F 30-39 years, male 25.1
GTEX-11DXW-0626-SM-5N9ER 40-49 years, male 25.0
GTEX-VJWN-0726-SM-3GIJ8 50-59 years, female 24.9
GTEX-1QEPI-0926-SM-DTXF3 60-69 years, female 24.7
GTEX-1J8Q3-1326-SM-CMKI1 60-69 years, male 24.4
GTEX-ZEX8-2226-SM-57WC6 50-59 years, male 24.3
GTEX-1GZHY-0726-SM-9WG6B 50-59 years, female 24.2
GTEX-1KAFJ-0226-SM-DIPEL 50-59 years, male 24.1
GTEX-15UF7-0726-SM-6M46D 40-49 years, male 24.0
GTEX-Y3I4-1526-SM-4TT7K 50-59 years, male 24.0
GTEX-1GMR3-2626-SM-7RHHG 40-49 years, male 24.0
GTEX-11EM3-1326-SM-5N9C6 20-29 years, female 23.9
GTEX-ZU9S-1926-SM-5NQBP 30-39 years, male 23.7
GTEX-ZF2S-2026-SM-5E461 50-59 years, female 23.5
GTEX-169BO-1126-SM-7MGWN 50-59 years, male 23.5
GTEX-1MCYP-0126-SM-E6CIS 20-29 years, female 23.5
GTEX-14B4R-1226-SM-5TDDT 30-39 years, male 23.4
GTEX-1C64O-0726-SM-7DUFU 60-69 years, male 23.3
GTEX-1GMRU-0826-SM-9WYT7 50-59 years, male 23.2
GTEX-TMMY-0726-SM-33HBE 40-49 years, female 22.9
GTEX-17MF6-0326-SM-7EPH5 40-49 years, male 22.8
GTEX-1QCLY-1626-SM-DTXDW 30-39 years, male 22.8
GTEX-11ONC-2126-SM-5HL6E 60-69 years, male 22.6
GTEX-1H3VY-0926-SM-ACKXE 50-59 years, male 22.5
GTEX-13PVR-2226-SM-7DHKP 60-69 years, female 22.4
GTEX-15ER7-1626-SM-6PAMZ 20-29 years, female 22.4
GTEX-ZDYS-1126-SM-5K7UB 50-59 years, male 22.4
GTEX-1R9PN-0326-SM-DTX85 40-49 years, female 22.3
GTEX-1211K-1926-SM-5EQLB 60-69 years, female 22.2
GTEX-1H1CY-2226-SM-9WG7E 60-69 years, female 22.2
GTEX-1I1GU-1026-SM-ADEHJ 40-49 years, male 22.2
GTEX-1QP9N-1826-SM-E8VMP 30-39 years, male 22.2
GTEX-XYKS-1326-SM-4BRUN 60-69 years, female 21.9
GTEX-RWS6-1926-SM-47JXY 60-69 years, female 21.8
GTEX-X261-0626-SM-3NMD9 50-59 years, male 21.6
GTEX-16NGA-0826-SM-718AF 40-49 years, female 21.5
GTEX-14E6E-1326-SM-5S2NR 30-39 years, male 21.4
GTEX-QMRM-1626-SM-D4P1U 50-59 years, male 21.3
GTEX-1F5PK-2126-SM-7PC28 50-59 years, male 21.1
GTEX-11TUW-1826-SM-5BC5D 60-69 years, male 21.0
GTEX-S4P3-1326-SM-4AD6V 50-59 years, female 21.0
GTEX-Y5V5-2126-SM-4WWFO 60-69 years, female 20.9
GTEX-S7SE-0826-SM-4AT4D 50-59 years, male 20.8
GTEX-V955-2026-SM-3GAFA 60-69 years, male 20.7
GTEX-ZYFC-0826-SM-5E44K 50-59 years, male 20.6
GTEX-11WQK-2426-SM-5GU5C 50-59 years, male 20.5
GTEX-WXYG-2226-SM-4E3IM 50-59 years, female 20.5
GTEX-13O61-1826-SM-5KM4I 60-69 years, male 20.2
GTEX-ZV6S-1826-SM-5NQ8D 40-49 years, female 20.2
GTEX-1EWIQ-1726-SM-7SB7T 70-79 years, female 20.2
GTEX-1I1HK-2426-SM-ADEHX 60-69 years, male 20.2
GTEX-18465-2026-SM-718AP 50-59 years, male 19.9
GTEX-1HC8U-0826-SM-ADEIL 40-49 years, female 19.7
GTEX-145MF-2226-SM-7EPIR 50-59 years, male 19.6
GTEX-QVJO-1826-SM-447C9 60-69 years, female 19.6
GTEX-1CAMR-1426-SM-793BO 20-29 years, male 19.5
GTEX-ZQUD-1926-SM-51MSA 30-39 years, male 19.5
GTEX-1314G-1226-SM-5BC6D 30-39 years, male 19.4
GTEX-T5JC-2126-SM-32PMO 20-29 years, male 19.4
GTEX-WYBS-0926-SM-3NM94 60-69 years, female 19.3
GTEX-1JKYN-0726-SM-ARZMY 30-39 years, male 19.3
GTEX-Y114-2026-SM-4TT7L 50-59 years, female 19.2
GTEX-17JCI-0726-SM-7EPH1 60-69 years, female 19.1
GTEX-YB5K-1626-SM-5IFIN 40-49 years, female 19.1
GTEX-15EOM-5019-SM-793DK 20-29 years, female 18.9
GTEX-WI4N-1426-SM-3LK7H 40-49 years, female 18.9
GTEX-1313W-0826-SM-5EQ4T 50-59 years, female 18.8
GTEX-132AR-0826-SM-5EGK6 50-59 years, female 18.8
GTEX-1C475-1226-SM-7SB72 40-49 years, female 18.6
GTEX-1N2EE-2126-SM-E8VNN 60-69 years, male 18.6
GTEX-1GPI6-0626-SM-7RHHJ 60-69 years, male 18.5
GTEX-ZAB4-2526-SM-5HL8M 40-49 years, male 18.4
GTEX-13FTX-1126-SM-5N9EN 20-29 years, female 18.3
GTEX-146FH-0826-SM-5SI8T 50-59 years, female 18.3
GTEX-ZV7C-1826-SM-5NQ83 50-59 years, male 18.3
GTEX-145LT-0726-SM-5S2VM 40-49 years, male 18.2
GTEX-17F96-2426-SM-7IGLN 70-79 years, male 18.2
GTEX-1R46S-2526-SM-E8VN2 60-69 years, female 18.2
GTEX-14PKU-0426-SM-6EU1P 40-49 years, female 18.1
GTEX-1IY9M-2726-SM-CMKG5 60-69 years, male 18.1
GTEX-ZYT6-0126-SM-5E45J 30-39 years, male 17.9
GTEX-1IDJF-2326-SM-ARL86 20-29 years, male 17.9
GTEX-ZLFU-2126-SM-DO931 40-49 years, male 17.9
GTEX-1PPH7-0826-SM-E8VNX 40-49 years, male 17.5
GTEX-1IE54-0626-SM-ARL8D 40-49 years, female 17.3
GTEX-1HR9M-2426-SM-ACKXI 60-69 years, male 17.2
GTEX-11ZUS-0826-SM-5FQUY 30-39 years, male 17.1
GTEX-16BQI-1026-SM-7KUEA 30-39 years, female 17.1
GTEX-18A7B-2626-SM-7LG55 70-79 years, male 17.0
GTEX-1QCLZ-2326-SM-DTXDO 60-69 years, female 17.0
GTEX-15FZZ-0726-SM-7KUFZ 30-39 years, female 16.8
GTEX-1HCU7-1026-SM-ADEIP 50-59 years, male 16.8
GTEX-11GS4-2126-SM-5A5KR 60-69 years, male 16.7
GTEX-1GZ4I-2826-SM-9MQK5 50-59 years, male 16.7
GTEX-12WSM-1726-SM-5BC6J 60-69 years, male 16.6
GTEX-ZC5H-2626-SM-5J2MG 40-49 years, female 16.6
GTEX-1H1ZS-0126-SM-9YFKQ 70-79 years, male 16.4
GTEX-1IKJJ-2326-SM-COH3U 60-69 years, male 16.4
GTEX-1QPFJ-2026-SM-EVYBE 30-39 years, female 16.4
GTEX-1B97J-0426-SM-79OLQ 50-59 years, female 16.3
GTEX-13NZ8-0126-SM-5IJCT 60-69 years, female 16.2
GTEX-1I1GV-2426-SM-CGQFM 60-69 years, male 16.2
GTEX-1ICLY-1726-SM-B2LVT 50-59 years, male 16.2
GTEX-R53T-1526-SM-48FEK 50-59 years, female 16.1
GTEX-1PPGY-1526-SM-EVYBK 60-69 years, male 16.1
GTEX-1GF9X-1026-SM-ACKX2 40-49 years, female 16.0
GTEX-1GPI7-0926-SM-7PC3J 20-29 years, male 16.0
GTEX-Q2AG-0326-SM-48U1O 40-49 years, female 15.9
GTEX-1HSMO-0826-SM-ADEIV 60-69 years, male 15.9
GTEX-11P81-1926-SM-5BC53 30-39 years, female 15.7
GTEX-18QFQ-0826-SM-718AX 30-39 years, male 15.7
GTEX-ZVTK-0326-SM-51MRR 20-29 years, male 15.7
GTEX-ZXES-0826-SM-5E43C 30-39 years, female 15.7
GTEX-1HBPN-2326-SM-9WPPU 50-59 years, male 15.6
GTEX-1B932-0826-SM-73KXG 40-49 years, female 15.5
GTEX-1BAJH-0826-SM-7EWEF 70-79 years, male 15.5
GTEX-QDT8-0626-SM-48TYW 30-39 years, female 15.5
GTEX-17F97-2526-SM-7EWDV 50-59 years, male 15.4
GTEX-WYVS-1726-SM-3NMAY 40-49 years, female 15.4
GTEX-UPK5-2326-SM-3P5Z8 40-49 years, male 15.2
GTEX-WRHU-0326-SM-3MJFY 50-59 years, female 15.0
GTEX-1L5NE-2126-SM-CY8IH 50-59 years, male 15.0
GTEX-Z9EW-1526-SM-EZ6LU 40-49 years, male 15.0
GTEX-ZLV1-1426-SM-DO92Z 60-69 years, female 15.0
GTEX-Y8E4-1626-SM-5S2MW 40-49 years, male 14.5
GTEX-Y8LW-1626-SM-5IFHX 50-59 years, female 14.5
GTEX-13SLW-2526-SM-62LDQ 70-79 years, male 14.2
GTEX-XUW1-2326-SM-4BOO5 50-59 years, female 14.2
GTEX-1N5O9-1126-SM-DTXEQ 60-69 years, male 14.0
GTEX-1F75B-0626-SM-7SB8A 50-59 years, male 13.8
GTEX-13S86-1226-SM-5S2OA 40-49 years, male 13.7
GTEX-YEC3-1026-SM-5IFI5 50-59 years, male 13.7
GTEX-131YS-0626-SM-5EGKL 60-69 years, female 13.5
GTEX-13NZB-2126-SM-5MR4Y 30-39 years, male 13.5
GTEX-17HG3-0126-SM-7IGNH 30-39 years, female 13.5
GTEX-139T8-0826-SM-5L3DE 60-69 years, male 13.4
GTEX-1C6VQ-0426-SM-79OOX 50-59 years, male 13.3
GTEX-1C6VS-0726-SM-7EPHF 60-69 years, male 13.3
GTEX-ZY6K-1626-SM-5GZWV 50-59 years, male 13.3
GTEX-1GN1W-1926-SM-7P8TH 50-59 years, female 13.1
GTEX-1LSNM-1326-SM-E9TJ1 50-59 years, male 13.1
GTEX-1QP28-1226-SM-E9J2M 50-59 years, female 13.1
GTEX-11TT1-2126-SM-5GU5Y 20-29 years, male 13.0
GTEX-1R9PM-1826-SM-EVYBH 20-29 years, male 12.9
GTEX-131XW-0726-SM-5EGK3 50-59 years, female 12.8
GTEX-VUSG-2226-SM-4KKZO 50-59 years, male 12.8
GTEX-1HCU8-0126-SM-ADEHH 60-69 years, female 12.8
GTEX-1IOXB-1926-SM-ARL8E 50-59 years, male 12.8
GTEX-13N11-1726-SM-5J1OJ 50-59 years, female 12.7
GTEX-13NZ9-1026-SM-5MR5K 50-59 years, male 12.6
GTEX-RUSQ-2026-SM-4GIAK 50-59 years, male 12.6
GTEX-14BMU-1626-SM-5TDE7 20-29 years, female 12.5
GTEX-U3ZH-1426-SM-4DXSR 30-39 years, male 12.5
GTEX-ZUA1-1526-SM-59HLS 40-49 years, male 12.3
GTEX-ZAK1-1326-SM-EVYAS 50-59 years, female 12.3
GTEX-XQ3S-1326-SM-4BOPQ 20-29 years, male 12.1
GTEX-1GF9U-1726-SM-7MGY5 40-49 years, female 12.1
GTEX-1CB4E-0226-SM-79OLW 60-69 years, male 11.9
GTEX-15UF6-0126-SM-6PAMB 70-79 years, female 11.8
GTEX-14A5I-0726-SM-5TDEB 50-59 years, female 11.7
GTEX-1J8Q2-2726-SM-A9G2X 60-69 years, male 11.7
GTEX-1HSKV-2026-SM-CMKGX 60-69 years, male 11.6
GTEX-13VXU-2826-SM-664MA 50-59 years, male 11.5
GTEX-1A8G7-2426-SM-731AK 60-69 years, male 11.5
GTEX-1R9JW-0326-SM-EAZ45 30-39 years, female 11.3
GTEX-1GZ2Q-2626-SM-7MXV9 40-49 years, male 11.1
GTEX-RU72-0626-SM-46MUI 50-59 years, female 11.0
GTEX-1B8SG-1226-SM-7IGPF 50-59 years, male 10.9
GTEX-Y111-2026-SM-4SOJA 50-59 years, male 10.8
GTEX-11GSO-1926-SM-5A5K3 60-69 years, male 10.7
GTEX-13D11-1026-SM-5IJFB 50-59 years, female 10.7
GTEX-TML8-1226-SM-32QON 40-49 years, female 10.7
GTEX-1IDJE-0826-SM-CKZNZ 50-59 years, female 10.7
GTEX-1MCC2-2126-SM-EWRON 30-39 years, female 10.7
GTEX-1R7EU-1226-SM-E8VMR 60-69 years, male 10.6
GTEX-ZTX8-1226-SM-4YCE9 20-29 years, male 10.5
GTEX-1JMOU-2026-SM-CMKGU 60-69 years, female 10.5
GTEX-1MJK3-1126-SM-E9J3F 20-29 years, male 10.5
GTEX-1JJE9-2326-SM-ARL8Q 70-79 years, male 10.4
GTEX-11ZTT-2326-SM-5EQLG 60-69 years, female 10.3
GTEX-ZAJG-0626-SM-5HL8X 50-59 years, female 10.2
GTEX-18D9A-1526-SM-7LG4J 30-39 years, female 10.1
GTEX-X4EP-2926-SM-3P5YQ 60-69 years, female 10.1
GTEX-XV7Q-2326-SM-4BRVZ 40-49 years, female 10.1
GTEX-17GQL-0326-SM-7LG5U 60-69 years, male 10.0
GTEX-1ICLZ-0426-SM-B2LW2 60-69 years, male 10.0
GTEX-1IKOH-2326-SM-CM2TW 60-69 years, female 10.0
GTEX-XOT4-0726-SM-4GIAW 60-69 years, female 9.9
GTEX-1KANA-2026-SM-DIPFB 20-29 years, male 9.9
GTEX-12ZZX-1126-SM-5EGKB 40-49 years, female 9.8
GTEX-13W3W-1226-SM-5LU4H 60-69 years, female 9.8
GTEX-1MA7X-1626-SM-E9U5B 60-69 years, male 9.8
GTEX-12WSN-1326-SM-5GCNT 40-49 years, male 9.7
GTEX-1CB4J-1826-SM-7EWF9 60-69 years, male 9.7
GTEX-ZVZQ-0826-SM-51MRF 60-69 years, female 9.7
GTEX-1F5PL-1026-SM-7RHI1 40-49 years, female 9.7
GTEX-117XS-1926-SM-5GICO 60-69 years, male 9.6
GTEX-11I78-2226-SM-5PNYA 50-59 years, female 9.6
GTEX-WOFL-0826-SM-3MJG1 60-69 years, male 9.6
GTEX-1RAZQ-1226-SM-EWRNL 30-39 years, male 9.5
GTEX-1LNCM-0226-SM-DIPF4 50-59 years, female 9.4
GTEX-15G19-2126-SM-6M48J 60-69 years, male 9.3
GTEX-T2IS-1526-SM-32QPR 20-29 years, female 9.3
GTEX-17F9E-2526-SM-7MGW2 50-59 years, male 9.3
GTEX-1JMPZ-1626-SM-COH31 30-39 years, male 9.2
GTEX-1CAMS-1426-SM-7IGPM 40-49 years, female 9.1
GTEX-1H1E6-0926-SM-9YFLT 30-39 years, male 9.1
GTEX-S4UY-0726-SM-4AD6X 40-49 years, female 9.0
GTEX-1JJEA-2726-SM-ARL8V 60-69 years, male 9.0
GTEX-13OW8-0226-SM-5K7UP 60-69 years, male 8.9
GTEX-13QIC-2326-SM-5LU5N 60-69 years, female 8.9
GTEX-1LVAN-1326-SM-CNPQE 50-59 years, female 8.9
GTEX-ZLWG-1926-SM-DO92J 50-59 years, female 8.9
GTEX-13FHO-0826-SM-5L3E8 60-69 years, male 8.8
GTEX-REY6-2426-SM-48FF5 60-69 years, male 8.8
GTEX-13113-5013-SM-7SB7G 60-69 years, female 8.8
GTEX-16YQH-2826-SM-6PAMY 30-39 years, male 8.7
GTEX-S4Q7-1126-SM-4AD6R 20-29 years, male 8.6
GTEX-1JN6P-2426-SM-ARL99 60-69 years, male 8.6
GTEX-QEG5-0726-SM-D4P1T 20-29 years, male 8.6
GTEX-YECK-0726-SM-EZ6LV 60-69 years, male 8.6
GTEX-ZGAY-1726-SM-DO91P 40-49 years, female 8.5
GTEX-1R7EV-1526-SM-E8VOD 40-49 years, male 8.4
GTEX-1MA7W-1026-SM-DKPQK 20-29 years, female 8.3
GTEX-1GMR8-0726-SM-9KNVI 50-59 years, female 8.2
GTEX-1LVAM-0926-SM-E9TJ2 50-59 years, female 8.2
GTEX-11O72-2126-SM-5N9FO 40-49 years, male 8.1
GTEX-111YS-1926-SM-5GICC 60-69 years, male 8.0
GTEX-14AS3-1626-SM-5S2OY 40-49 years, female 8.0
GTEX-XMD1-0826-SM-4AT52 60-69 years, male 7.9
GTEX-ZTPG-2826-SM-57WGA 20-29 years, female 7.9
GTEX-1269C-2426-SM-5FQSN 60-69 years, female 7.8
GTEX-U8XE-0826-SM-4E3J1 30-39 years, male 7.8
GTEX-XGQ4-0926-SM-4AT4U 50-59 years, male 7.8
GTEX-1IDJU-1826-SM-CMKHV 60-69 years, female 7.8
GTEX-R3RS-0626-SM-48FE1 40-49 years, female 7.7
GTEX-X15G-1626-SM-3NMB3 50-59 years, female 7.6
GTEX-Y3IK-2326-SM-4WWDT 50-59 years, female 7.6
GTEX-1GN1U-0526-SM-9KNTT 50-59 years, female 7.5
GTEX-1LC47-1226-SM-D4P44 60-69 years, male 7.5
GTEX-XMK1-1126-SM-4IHJ8 40-49 years, male 7.4
GTEX-11PRG-0826-SM-5EQ6A 50-59 years, male 7.3
GTEX-13CF2-2026-SM-5K7VI 60-69 years, male 7.3
GTEX-XMD2-0926-SM-4WWEF 60-69 years, female 7.3
GTEX-1HCVE-2626-SM-ADEJ8 50-59 years, male 7.3
GTEX-1K9T9-1426-SM-DIPFQ 50-59 years, female 7.3
GTEX-1POEN-0926-SM-DTX88 30-39 years, female 7.3
GTEX-RU1J-0626-SM-4WAWY 20-29 years, female 7.2
GTEX-ZWKS-2826-SM-5NQ74 30-39 years, male 7.2
GTEX-13OW5-2226-SM-5L3HC 60-69 years, male 7.0
GTEX-145MO-0826-SM-5NQBL 60-69 years, male 6.9
GTEX-14ICK-2426-SM-6EU27 40-49 years, male 6.9
GTEX-17EUY-1926-SM-7DUF6 20-29 years, male 6.9
GTEX-1I1GT-1126-SM-ARL7J 60-69 years, female 6.9
GTEX-1HBPM-0126-SM-ARL9E 60-69 years, female 6.7
GTEX-WFG8-2026-SM-EXOHO 20-29 years, male 6.7
GTEX-ZF3C-2326-SM-5S2NC 50-59 years, female 6.6
GTEX-15SHW-1326-SM-6PAL8 60-69 years, male 6.5
GTEX-17EVP-0226-SM-79OND 40-49 years, male 6.5
GTEX-T5JW-2026-SM-4DM63 20-29 years, female 6.5
GTEX-1LSNL-2826-SM-E9U5L 50-59 years, male 6.5
GTEX-YB5E-1726-SM-5IFJ3 40-49 years, male 6.4
GTEX-1H23P-0726-SM-9WG7K 60-69 years, male 6.4
GTEX-1M5QR-2526-SM-E9U5P 40-49 years, male 6.2
GTEX-1192X-2326-SM-5987X 50-59 years, male 6.1
GTEX-1399U-1826-SM-5PNZ1 50-59 years, female 6.1
GTEX-1J8EW-2626-SM-CL53E 60-69 years, female 6.1
GTEX-11P82-1326-SM-5HL62 20-29 years, male 6.0
GTEX-QEL4-2126-SM-447AE 50-59 years, male 6.0
GTEX-1HKZK-1826-SM-ADEJ2 40-49 years, male 5.9
GTEX-1ICG6-1326-SM-ACKWR 70-79 years, female 5.8
GTEX-UTHO-1026-SM-3GAF7 60-69 years, male 5.7
GTEX-ZVE2-1226-SM-5NQ8R 50-59 years, male 5.7
GTEX-ZZ64-1226-SM-5E43R 20-29 years, male 5.6
GTEX-13FTY-2226-SM-5J1ND 40-49 years, female 5.5
GTEX-144GM-0926-SM-5O994 20-29 years, male 5.5
GTEX-1P4AB-1826-SM-E76PU 50-59 years, male 5.5
GTEX-WHSB-1926-SM-EXOHH 50-59 years, male 5.5
GTEX-1EU9M-2826-SM-7EWFH 60-69 years, male 5.4
GTEX-1QP29-1726-SM-E8VMQ 50-59 years, male 5.4
GTEX-S32W-2026-SM-4AD6E 50-59 years, female 5.3
GTEX-TKQ1-0226-SM-33HB5 30-39 years, male 5.3
GTEX-133LE-1726-SM-5K7VQ 20-29 years, female 5.2
GTEX-13SLX-2326-SM-5ZZWE 50-59 years, female 5.2
GTEX-T6MO-0326-SM-32QOK 40-49 years, female 5.2
GTEX-1RAZS-1226-SM-E8VMT 50-59 years, male 5.2
GTEX-1IKOE-1326-SM-CE6T6 30-39 years, female 5.1
GTEX-13PL6-2926-SM-5L3I2 40-49 years, female 5.0
GTEX-139TU-0626-SM-5KM3X 60-69 years, male 4.9
GTEX-1A3MX-2726-SM-718B6 60-69 years, male 4.9
GTEX-1117F-2826-SM-5GZXL 60-69 years, female 4.8
GTEX-T2YK-2226-SM-32QPT 50-59 years, male 4.8
GTEX-XQ8I-2426-SM-4WAXY 50-59 years, male 4.8
GTEX-14ABY-2126-SM-5QGQZ 50-59 years, male 4.6
GTEX-14LLW-0626-SM-62LFC 70-79 years, female 4.6
GTEX-1HSEH-2026-SM-ADEHN 60-69 years, male 4.5
GTEX-1RQEC-2026-SM-DTXDM 60-69 years, male 4.5
GTEX-1GMR2-1926-SM-9MQLZ 50-59 years, male 4.4
GTEX-1H1DG-0526-SM-9YFLN 70-79 years, male 4.3
GTEX-1B8KE-1226-SM-73KWK 50-59 years, male 4.2
GTEX-ZQG8-0726-SM-5P9H9 60-69 years, female 4.2
GTEX-1HCU9-0326-SM-9WYSC 20-29 years, male 4.2
GTEX-1HSGN-1526-SM-A9SMO 40-49 years, female 4.1
GTEX-1S82U-1126-SM-E9U6I 30-39 years, female 4.1
GTEX-ZTTD-1026-SM-51MRD 50-59 years, male 4.0
GTEX-132Q8-1426-SM-5EGK7 60-69 years, male 3.9
GTEX-15ETS-0626-SM-7KUMX 40-49 years, female 3.9
GTEX-ZT9W-2026-SM-51MRA 50-59 years, male 3.9
GTEX-14PN4-0626-SM-62LFP 50-59 years, male 3.8
GTEX-SE5C-2126-SM-4BRUJ 40-49 years, female 3.8
GTEX-XUZC-1626-SM-4BRVP 30-39 years, female 3.7
GTEX-1RLM8-2226-SM-EVYD1 50-59 years, male 3.7
GTEX-1JMQK-2626-SM-COH2W 60-69 years, male 3.6
GTEX-14H4A-2526-SM-5YYAY 40-49 years, female 3.3
GTEX-1I4MK-1626-SM-CM2TJ 50-59 years, female 3.3
GTEX-Y5LM-1726-SM-4VDSX 40-49 years, female 3.1
GTEX-1LGRB-1826-SM-CNPQL 50-59 years, female 3.0
GTEX-1JK1U-1826-SM-ARL8W 60-69 years, male 2.9
GTEX-11EMC-2026-SM-5A5JV 60-69 years, female 2.5
GTEX-1KANC-1426-SM-CYPT9 50-59 years, female 2.5
GTEX-145ME-1526-SM-5Q5F2 40-49 years, female 2.4
GTEX-14PHY-1926-SM-5YY95 60-69 years, female 2.4
GTEX-ZVT2-1826-SM-5NQ8W 50-59 years, female 2.4
GTEX-1F75I-2026-SM-7SB7N 40-49 years, male 2.3
GTEX-15RJE-2626-SM-7KFT1 40-49 years, male 2.2
GTEX-14PJO-0726-SM-69LO8 60-69 years, male 1.8
GTEX-11DZ1-0326-SM-5N9BN 50-59 years, male 1.7
GTEX-1NUQO-2226-SM-E9U68 20-29 years, female 1.5
GTEX-PSDG-1626-SM-48TCQ 50-59 years, male 0.9
GTEX-183WM-0726-SM-7LTAA 70-79 years, female 0.7
Show allShow less

BREAST - FANTOM5 CAGEi

RNA expression in human tissues obtained through Cap Analysis of Gene Expression (CAGE) generated by the FANTOM5 project are reported as Scaled Tags Per Million.

Max subtype Scaled Tags Per Millioni

Max subtype Scaled Tags Per Million is the value for the subtype with the largest average Scaled Tags Per Million across the subtype samples.

61.8
FANTOM5 sample id Sample description Scaled Tags Per Million
Breast
Scaled Tags Per Million: 61.8
FF:10080-102A8 77 years, female 61.8

Contact

  • NEWS ARTICLES
  • PRESS ROOM

The Project

  • INTRODUCTION
  • ORGANIZATION
  • PUBLICATIONS

The Human Protein Atlas

  • DOWNLOADABLE DATA
  • LICENCE & CITATION
  • HELP & FAQ
The Human Protein Atlas project is funded
by the Knut & Alice Wallenberg Foundation.


contact@proteinatlas.org