We use cookies to enhance the usability of our website. If you continue, we'll assume that you are happy to receive all cookies. More information. Don't show this again.
PGM5
HPA
RESOURCES
  • TISSUE
  • BRAIN
  • SINGLE CELL
  • SUBCELLULAR
  • CANCER
  • BLOOD
  • CELL LINE
  • STRUCTURE & INTERACTION
ABOUT
  • INTRODUCTION
  • HISTORY
  • ORGANIZATION
  • PUBLICATIONS
  • ANTIBODY SUBMISSION
  • ANTIBODY AVAILABILITY
  • ACKNOWLEDGMENTS
  • CONTACT
NEWS
  • NEWS ARTICLES
  • PRESS ROOM
LEARN
  • DICTIONARY
  • PROTEIN CLASSES
  • PROTEIN EVIDENCE
  • METHODS
  • EDUCATIONAL VIDEOS
DATA
  • DOWNLOADABLE DATA
  • PUBLICATION DATA
  • RELEASE HISTORY
HELP
  • ANTIBODY VALIDATION
  • ASSAYS & ANNOTATION
  • DISCLAIMER
  • HELP & FAQ
  • PRIVACY STATEMENT
  • LICENCE & CITATION
Fields »
Search result

Field
Term
Gene name
Class
Subclass
Class
Keyword
Chromosome
External id
Tissue
Cell type
Expression
Antibody panel
Tissue
Main location
Patient ID
Annotation
Tissue
Category
Tau score
Cluster
Reliability
Brain region
Category
Tau score
Brain region
Category
Tau score
Brain region
Category
Tau score
Cluster
Reliability
Tissue
Cell type
Enrichment
Cell type
Category
Tau score
Cell type
Category
Tau score
Cell type
Category
Tau score
Cell lineage
Category
Tau score
Cluster
Cluster
Location
Searches
Location
Cell line
Class
Type
Phase
Reliability
Cancer
Prognosis
Cancer
Category
Cancer
Category
Tau score
Cluster
Variants
Interacting gene (ensg_id)
Type
Number of interactions
Pathway
Category
Score
Score
Score
Validation
Validation
Validation
Validation
Antibodies
Data type
Column


  • SUMMARY

  • TISSUE

  • BRAIN

  • SINGLE CELL

  • SUBCELL

  • CANCER

  • BLOOD

  • CELL LINE

  • STRUCT & INT

  • PGM5
TISSUE PRIMARY DATA STOMACH Show tissue menu
ADIPOSE TISSUE ADRENAL GLAND AMYGDALA APPENDIX BASAL GANGLIA BONE MARROW BREAST BRONCHUS CEREBELLUM CEREBRAL CORTEX CERVIX CHOROID PLEXUS COLON DUODENUM
ENDOMETRIUM EPIDIDYMIS ESOPHAGUS FALLOPIAN TUBE GALLBLADDER HEART MUSCLE HIPPOCAMPAL FORMATION HYPOTHALAMUS KIDNEY LIVER LUNG LYMPH NODE MIDBRAIN NASOPHARYNX
ORAL MUCOSA OVARY PANCREAS PARATHYROID GLAND PITUITARY GLAND PLACENTA PROSTATE RECTUM RETINA SALIVARY GLAND SEMINAL VESICLE SKELETAL MUSCLE SKIN SMALL INTESTINE
SMOOTH MUSCLE SOFT TISSUE SPINAL CORD SPLEEN STOMACH TESTIS THYMUS THYROID GLAND TONGUE TONSIL URINARY BLADDER VAGINA
ANTIBODIES
AND
VALIDATION
Dictionary
Tissue proteome
Stomach
STOMACH - Expression summary
Protein expression
Stomachi

On the top, protein expression in current human tissue, based on all annotated cell types, is reported with the units not detected (n), low (l), medium (m) and high (h). Underneath, protein expression in each annotated cell type are reported using the same units.

Protein expression data is based on knowledge-based annotation. For genes where more than one antibody has been used, a collective score is set.

If knowledge-based annotation could not be performed for a gene, no data is displayed here. View antibody staining data further down this page.

h
m
l
n
Glandular cells: Not detected
RNA expressioni

A summary of mRNA expression data available for current tissue based on several datasets. The mRNA expression levels in human tissues are based on RNA-seq data generated by the Human Protein Atlas (HPA), Genotype-Tissue Expression (GTEx) portal and CAGE data generated by the FANTOM5 consortium. Consensus normalized expression levels for human tissues was created by combining the data from HPA and GTEx datasets.

The mRNA expression levels in pig are based on RNA-seq data generated by the Human Protein Atlas (HPA), and for mouse, HPA data and in situ hybridization generated by the Allen brain atlas are reported.

Scroll down to view mRNA expression data in more detail.
Consensus:63.1 nTPM
HPA:9.4 nTPM
GTEx:63.1 nTPM

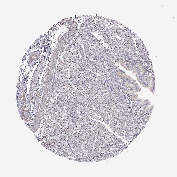
STOMACH 1 - Antibody stainingi

Antibody staining in the annotated cell types in the current human tissue is reported as not detected, low, medium, or high, based on conventional immunohistochemistry profiling in selected tissues. This score is based on the combination of the staining intensity and fraction of stained cells.

Each image is clickable and will lead to virtual microscopy that enables deeper exploration of all samples and also displays staining intensity scores, fraction scores and subcellular localization as well as patient and tissue information for each sample.

Antibody HPA046329Antibody HPA067102Antibody CAB034397
Glandular cells MediumNot detectedNot detected





STOMACH 2 - Antibody stainingi

Antibody staining in the annotated cell types in the current human tissue is reported as not detected, low, medium, or high, based on conventional immunohistochemistry profiling in selected tissues. This score is based on the combination of the staining intensity and fraction of stained cells.

Each image is clickable and will lead to virtual microscopy that enables deeper exploration of all samples and also displays staining intensity scores, fraction scores and subcellular localization as well as patient and tissue information for each sample.

Antibody HPA046329Antibody HPA067102Antibody CAB034397
Glandular cells LowNot detectedNot detected







STOMACH - HPA RNA-seqi

The RNA-seq details section shows detailed information about the individual samples used for the transcript profiling and results of the RNA-seq analysis.

Information about each individual sample is listed below, including gender, age, a tissue section image and estimated fractions of cell types. nTPM (normalized transcripts per million) values give a quantification of the gene abundance which is comparable between different genes and samples.
Average nTPMi

Max subtype nTPM is the value for the subtype with the largest average nTPM across the subtype samples.

9.4
overview
Female, age 33
Stomach sample 61
nTPM: 8.8
Cell types%
Glandular cells:
60

Smooth muscle cells:
5

Other cell types:
35

N/A
Male, age 82
Stomach sample 240
nTPM: 10.4
Cell types%
Glandular cells:
65

Smooth muscle cells:
5

Other cell types:
30

overview
Male, age 71
Stomach sample 241
nTPM: 4.6
Cell types%
Glandular cells:
50

Smooth muscle cells:
5

Other cell types:
45

overview
Female, age 66
Stomach sample 369
nTPM: 13.7
Cell types%
Glandular cells:
50

Smooth muscle cells:
10

Other cell types:
40


STOMACH - GTEx RNA-seqi

RNA-Seq data generated by the Genotype-Tissue Expression (GTEx) project from human tissues is reported as mean nTPM. More information can be found on the GTEx portal.

Distribution across the dataset is visualized with box plots, shown as median and 25th and 75th percentiles. Points are displayed as outliers if they are above or below 1.5 times the interquartile range. nTPM values of the individual samples are presented next to the box plot.
Max subtype nTPMi

Max subtype nTPM is the value for the subtype with the largest average nTPM across the subtype samples.

63.1
GTEx sample id Sample description nTPM
Stomach
Average nTPM: 63.1
Samples: 359

Max nTPM: 354.1
Min nTPM: 2.6
Std nTPM: 81.7
Median nTPM: 18.6
GTEX-1GPI7-1326-SM-9KNVA 20-29 years, male 354.1
GTEX-S4Z8-1226-SM-4AD6W 60-69 years, male 341.8
GTEX-1K2DA-0826-SM-CGQGD 50-59 years, male 328.6
GTEX-1CB4E-1326-SM-7DUGD 60-69 years, male 324.7
GTEX-15RIF-1126-SM-7KUG2 20-29 years, male 321.5
GTEX-TKQ2-0926-SM-4DXU5 50-59 years, male 307.0
GTEX-14PN3-1326-SM-6AJ9U 60-69 years, female 306.1
GTEX-OIZH-1526-SM-3NB1J 50-59 years, male 289.8
GTEX-1QW4Y-0726-SM-DTX8E 30-39 years, male 277.5
GTEX-TKQ1-0526-SM-4DXTG 30-39 years, male 274.2
GTEX-1LVAM-1426-SM-E9TJ4 50-59 years, female 272.0
GTEX-13111-1226-SM-5GCNC 50-59 years, male 269.9
GTEX-YEC3-1426-SM-D4P1S 50-59 years, male 261.0
GTEX-PLZ6-0826-SM-3P61K 30-39 years, male 260.8
GTEX-14E1K-1526-SM-664MN 50-59 years, male 256.7
GTEX-XPVG-1526-SM-4B66C 50-59 years, male 255.6
GTEX-RU1J-0526-SM-46MUT 20-29 years, female 253.2
GTEX-S7SF-0626-SM-4AD4V 20-29 years, female 248.8
GTEX-131XE-2226-SM-5PNYX 50-59 years, male 248.5
GTEX-R55D-1526-SM-48FEJ 50-59 years, male 242.7
GTEX-ZV6S-0926-SM-57WGB 40-49 years, female 242.6
GTEX-1N2DV-0926-SM-E9TJT 40-49 years, male 238.7
GTEX-13O61-1126-SM-5L3FI 60-69 years, male 238.6
GTEX-1PIGE-1126-SM-EWRMV 20-29 years, male 232.0
GTEX-1PPH8-1326-SM-DTXFO 20-29 years, male 230.3
GTEX-WFJO-1126-SM-4LVLZ 30-39 years, male 229.7
GTEX-1JN76-0926-SM-ARZNH 20-29 years, female 228.6
GTEX-1H1DE-1226-SM-9JGHH 20-29 years, male 225.3
GTEX-1399U-1626-SM-5P9J3 50-59 years, female 224.9
GTEX-1C64O-2226-SM-73KTV 60-69 years, male 223.4
GTEX-1B8L1-1526-SM-79OLK 60-69 years, male 216.4
GTEX-1S3DN-1526-SM-EVYCB 50-59 years, male 215.1
GTEX-1E2YA-2426-SM-7EPIG 50-59 years, male 214.0
GTEX-Y114-1226-SM-4TT88 50-59 years, female 210.6
GTEX-11P82-0726-SM-5PNYL 20-29 years, male 208.1
GTEX-S4P3-0726-SM-4AD57 50-59 years, female 207.0
GTEX-WH7G-1526-SM-4LVMX 40-49 years, male 199.8
GTEX-1QP28-2126-SM-DTX8B 50-59 years, female 194.3
GTEX-1IDJF-1426-SM-ACKWK 20-29 years, male 191.2
GTEX-1NSGN-1926-SM-E9J36 50-59 years, male 190.6
GTEX-1QP67-1026-SM-EVR47 40-49 years, female 190.2
GTEX-11P7K-1726-SM-5GU6F 30-39 years, male 188.8
GTEX-1211K-1426-SM-5FQTF 60-69 years, female 188.2
GTEX-14PKU-1126-SM-69LOU 40-49 years, female 187.7
GTEX-1HSMQ-2426-SM-CE6RY 50-59 years, male 187.2
GTEX-15EU6-2526-SM-7KUGB 50-59 years, male 184.2
GTEX-146FR-2026-SM-5NQAI 60-69 years, female 183.4
GTEX-1S82Z-1726-SM-E6CHZ 30-39 years, female 183.2
GTEX-UJHI-1026-SM-4IHJP 50-59 years, female 177.9
GTEX-1MCYP-1126-SM-E9J2P 20-29 years, female 177.3
GTEX-13O3Q-2126-SM-5KM4C 50-59 years, male 176.3
GTEX-11VI4-0326-SM-5EQ6L 40-49 years, female 175.4
GTEX-17KNJ-1526-SM-7LTA9 50-59 years, male 174.4
GTEX-ZTX8-0426-SM-59HLG 20-29 years, male 169.8
GTEX-11EQ9-1226-SM-5987E 30-39 years, male 168.9
GTEX-P4PQ-1526-SM-3NMCK 60-69 years, male 161.1
GTEX-1IL2V-2026-SM-ARZMA 70-79 years, male 160.2
GTEX-13N1W-2026-SM-5K7YU 70-79 years, male 158.9
GTEX-XAJ8-0326-SM-47JYI 40-49 years, male 157.9
GTEX-1H3NZ-2226-SM-9WYUT 60-69 years, male 156.8
GTEX-1S831-1126-SM-EWROI 20-29 years, male 152.9
GTEX-T5JC-1926-SM-4DM6Q 20-29 years, male 147.4
GTEX-R55G-1126-SM-48FDG 40-49 years, female 145.8
GTEX-WZTO-2126-SM-4PQYW 40-49 years, male 144.0
GTEX-16NGA-1526-SM-72D56 40-49 years, female 134.5
GTEX-146FH-2126-SM-5SI9U 50-59 years, female 133.9
GTEX-13X6H-1626-SM-5Q5CT 50-59 years, female 133.8
GTEX-14PHY-0926-SM-5ZZWL 60-69 years, female 131.1
GTEX-1HR9M-2326-SM-CNPPZ 60-69 years, male 129.2
GTEX-P4QT-1526-SM-3NMCT 50-59 years, female 127.8
GTEX-13OVI-2426-SM-5KM4J 60-69 years, female 124.4
GTEX-WYVS-1326-SM-4ONCQ 40-49 years, female 123.8
GTEX-12C56-0526-SM-5FQST 20-29 years, male 120.0
GTEX-ZPIC-2026-SM-57WG3 40-49 years, female 119.8
GTEX-1J8EW-2226-SM-AHZ3T 60-69 years, female 114.9
GTEX-18D9B-2226-SM-718BM 60-69 years, male 110.0
GTEX-1KD5A-1426-SM-D4P3V 50-59 years, male 109.5
GTEX-Y8E4-1526-SM-4WWDI 40-49 years, male 104.6
GTEX-1H11D-2226-SM-9OSXN 40-49 years, male 103.6
GTEX-R55C-1026-SM-48FCM 40-49 years, male 103.5
GTEX-RUSQ-1126-SM-EAZAU 50-59 years, male 98.8
GTEX-PLZ5-1226-SM-EXOHA 50-59 years, male 96.2
GTEX-1339X-1426-SM-5K7YO 40-49 years, male 93.7
GTEX-17JCI-2226-SM-7LTA1 60-69 years, female 91.3
GTEX-QDT8-2026-SM-EZ6LS 30-39 years, female 91.3
GTEX-1CB4H-2426-SM-7PBYR 60-69 years, female 89.1
GTEX-12WSJ-0926-SM-5P9JD 40-49 years, female 83.9
GTEX-NFK9-1526-SM-3LK7B 40-49 years, male 83.8
GTEX-15SHW-2126-SM-6M46Y 60-69 years, male 83.6
GTEX-1EH9U-2226-SM-7PBXX 60-69 years, male 80.6
GTEX-1HT8W-2326-SM-A9SLA 30-39 years, male 79.4
GTEX-1AMEY-1226-SM-731DU 30-39 years, female 78.3
GTEX-17EUY-1526-SM-793CA 20-29 years, male 77.9
GTEX-1AX9J-2626-SM-731EK 60-69 years, male 76.7
GTEX-ZZPU-1426-SM-5GZZ6 50-59 years, female 76.1
GTEX-18A7A-2726-SM-7LG6U 50-59 years, female 73.6
GTEX-145MO-2226-SM-5Q5BN 60-69 years, male 73.4
GTEX-13QJ3-2726-SM-5SI6L 50-59 years, male 72.5
GTEX-XBEW-1826-SM-4RTWX 40-49 years, male 69.7
GTEX-14DAQ-2826-SM-664MU 60-69 years, female 68.9
GTEX-1I1GT-1726-SM-C1YS3 60-69 years, female 68.0
GTEX-ZEX8-1626-SM-4WKG7 50-59 years, male 67.4
GTEX-O5YW-1526-SM-3MJGL 50-59 years, male 67.1
GTEX-1LSNM-1026-SM-DHXL2 50-59 years, male 66.1
GTEX-12WSD-2326-SM-59HKQ 60-69 years, female 63.8
GTEX-UPK5-2126-SM-4JBJK 40-49 years, male 63.1
GTEX-11EI6-2426-SM-5PNVS 60-69 years, male 62.7
GTEX-1JMPY-0926-SM-ARL92 30-39 years, male 62.6
GTEX-145LT-1426-SM-5O9B3 40-49 years, male 61.5
GTEX-1HCUA-1626-SM-A9SMG 50-59 years, female 60.2
GTEX-1RQEC-2126-SM-DPS15 60-69 years, male 58.9
GTEX-11WQK-2626-SM-5EQ4K 50-59 years, male 57.4
GTEX-17MF6-2126-SM-7KFS7 40-49 years, male 57.1
GTEX-OIZF-1526-SM-2I5GR 60-69 years, male 55.7
GTEX-13X6J-2126-SM-5TDCV 50-59 years, male 55.3
GTEX-RTLS-2626-SM-46MUJ 60-69 years, female 54.8
GTEX-15G1A-1226-SM-7KUF3 30-39 years, male 53.2
GTEX-139D8-2326-SM-5IFGE 30-39 years, female 52.9
GTEX-ZE7O-3026-SM-51MS4 50-59 years, female 51.2
GTEX-13QBU-1126-SM-5LU44 40-49 years, female 49.6
GTEX-QXCU-1926-SM-48FE4 50-59 years, male 49.4
GTEX-WEY5-1226-SM-4LMIQ 40-49 years, female 48.0
GTEX-1JMQJ-1326-SM-D4P3B 50-59 years, male 46.2
GTEX-1HSEH-1526-SM-B2LXG 60-69 years, male 45.7
GTEX-O5YV-1926-SM-EV797 60-69 years, female 45.4
GTEX-WHWD-1426-SM-4OORU 50-59 years, male 45.3
GTEX-14BMV-2226-SM-5RQHX 50-59 years, male 44.9
GTEX-14JG6-1226-SM-664O6 30-39 years, female 44.7
GTEX-R53T-1226-SM-48FCT 50-59 years, female 44.2
GTEX-1A3MX-1926-SM-72D7F 60-69 years, male 43.8
GTEX-13FH7-1026-SM-5IJGF 50-59 years, female 41.4
GTEX-QMRM-1126-SM-447BN 50-59 years, male 41.1
GTEX-1E1VI-2826-SM-7MGWU 50-59 years, male 40.7
GTEX-1I4MK-0926-SM-A9SLD 50-59 years, female 40.6
GTEX-1L5NE-1526-SM-DIPFW 50-59 years, male 39.0
GTEX-SNOS-0826-SM-4DM5N 40-49 years, male 38.7
GTEX-SUCS-0926-SM-4DM4Z 70-79 years, male 37.4
GTEX-1JMPZ-1826-SM-CXZJT 30-39 years, male 36.9
GTEX-T8EM-1226-SM-4DM5J 40-49 years, male 34.4
GTEX-1QP29-2326-SM-EXOJO 50-59 years, male 34.3
GTEX-18D9A-0626-SM-7KFTY 30-39 years, female 33.7
GTEX-139YR-1926-SM-5LZXM 50-59 years, male 33.6
GTEX-1QCLZ-1826-SM-DPRXP 60-69 years, female 33.3
GTEX-YJ8A-1526-SM-5P9FT 20-29 years, male 32.1
GTEX-13S7M-1826-SM-5RQK6 60-69 years, female 31.5
GTEX-111YS-1126-SM-5GZYQ 60-69 years, male 30.7
GTEX-1F5PK-1826-SM-7RHHX 50-59 years, male 30.3
GTEX-ZGAY-1626-SM-DNZZ3 40-49 years, female 29.8
GTEX-ZYVF-2726-SM-5GID4 50-59 years, female 29.6
GTEX-1GMRU-2526-SM-9WG7T 50-59 years, male 29.6
GTEX-XMK1-1526-SM-EYYVO 40-49 years, male 29.6
GTEX-1H1E6-1626-SM-9OSWC 30-39 years, male 29.2
GTEX-1B8KE-1326-SM-73KVI 50-59 years, male 29.0
GTEX-Y3I4-1626-SM-4TT7W 50-59 years, male 28.9
GTEX-18A66-2226-SM-7189E 60-69 years, male 28.8
GTEX-ZF2S-1426-SM-57WET 50-59 years, female 27.5
GTEX-1RAZR-1526-SM-EAZ4U 40-49 years, male 26.6
GTEX-1JK1U-1326-SM-AHZ45 60-69 years, male 25.9
GTEX-132AR-2426-SM-5IFFD 50-59 years, female 25.3
GTEX-YB5E-1126-SM-664NU 40-49 years, male 23.9
GTEX-17HHE-1026-SM-79ON6 50-59 years, male 23.8
GTEX-14DAR-0926-SM-73KUQ 50-59 years, male 23.1
GTEX-WRHK-0626-SM-4MVOE 20-29 years, female 23.1
GTEX-14ICL-0826-SM-5YY9W 30-39 years, male 23.0
GTEX-145ME-1026-SM-5O9B4 40-49 years, female 22.9
GTEX-13RTK-0226-SM-5RQHR 20-29 years, male 22.3
GTEX-1LVAN-2426-SM-CNNPZ 50-59 years, female 21.8
GTEX-Q734-1026-SM-48U16 40-49 years, female 21.4
GTEX-Y5V6-1326-SM-4VDTF 60-69 years, male 21.2
GTEX-ZVT3-2126-SM-59HL2 60-69 years, female 21.2
GTEX-1HCU8-1326-SM-C1YQQ 60-69 years, female 21.1
GTEX-1JMLX-2426-SM-CXZJQ 50-59 years, male 21.1
GTEX-PW2O-1226-SM-48TCH 20-29 years, male 20.1
GTEX-1J8JJ-1726-SM-C1YQG 60-69 years, female 19.6
GTEX-OXRK-1626-SM-3NB17 50-59 years, female 19.5
GTEX-1GN1W-2126-SM-9JGI7 50-59 years, female 19.3
GTEX-117YW-2226-SM-5N9DB 50-59 years, male 19.2
GTEX-133LE-1326-SM-5IFGO 20-29 years, female 18.8
GTEX-OHPM-1526-SM-EV796 50-59 years, male 18.7
GTEX-ZXES-1426-SM-5NQ8S 30-39 years, female 18.6
GTEX-QV44-1226-SM-CJI1S 50-59 years, male 18.6
GTEX-ZLV1-0826-SM-DO11P 60-69 years, female 18.4
GTEX-OXRL-1526-SM-E6CHQ 50-59 years, male 18.3
GTEX-P78B-1826-SM-3P5YX 40-49 years, female 18.2
GTEX-13U4I-2526-SM-5SI8Z 40-49 years, female 18.1
GTEX-1HFI7-1526-SM-9WG7W 50-59 years, female 17.7
GTEX-1A3MV-1226-SM-718BW 30-39 years, male 17.4
GTEX-1MUQO-1926-SM-EAZ59 60-69 years, male 17.4
GTEX-14PJ3-1426-SM-664O8 50-59 years, male 17.1
GTEX-1HKZK-1526-SM-B2LWG 40-49 years, male 17.1
GTEX-1B97I-1226-SM-7MGWQ 40-49 years, male 17.0
GTEX-V1D1-1726-SM-4JBHB 50-59 years, male 16.9
GTEX-XV7Q-1326-SM-4BRWM 40-49 years, female 16.6
GTEX-18QFQ-1226-SM-718AE 30-39 years, male 16.5
GTEX-1IDJU-1526-SM-CNNR3 60-69 years, female 16.3
GTEX-1QMI2-2126-SM-DPRXQ 60-69 years, male 16.2
GTEX-XQ8I-2026-SM-4BOOL 50-59 years, male 15.9
GTEX-17HII-2426-SM-7KFTT 50-59 years, male 14.7
GTEX-PX3G-1526-SM-48U11 20-29 years, female 14.6
GTEX-1GZ4H-1026-SM-9OSXL 50-59 years, female 14.6
GTEX-1JKYN-1726-SM-AHZ48 30-39 years, male 14.6
GTEX-ZVZP-1726-SM-5GZWY 50-59 years, male 14.5
GTEX-144GN-1226-SM-5O991 50-59 years, male 14.4
GTEX-1AYCT-1326-SM-7MKHB 50-59 years, male 14.4
GTEX-1MJIX-1126-SM-EV7AO 40-49 years, male 14.4
GTEX-15DZA-1126-SM-6LPK8 30-39 years, female 14.3
GTEX-OOBJ-1526-SM-3NB1Q 60-69 years, male 14.2
GTEX-ZP4G-1226-SM-4WWCJ 20-29 years, female 14.2
GTEX-1IDJD-2426-SM-C1YS6 30-39 years, male 14.2
GTEX-1J8QM-1126-SM-C1YQB 60-69 years, female 14.1
GTEX-1RMOY-1126-SM-EV79E 50-59 years, male 14.1
GTEX-14BMU-1126-SM-5RQJ8 20-29 years, female 14.0
GTEX-U3ZN-2026-SM-4DXUC 30-39 years, female 14.0
GTEX-WYJK-2526-SM-4ONDF 50-59 years, male 14.0
GTEX-15G19-1526-SM-6LPKP 60-69 years, male 13.8
GTEX-15UF7-1226-SM-6M46G 40-49 years, male 13.8
GTEX-1HBPI-0726-SM-9WG7Z 50-59 years, male 13.8
GTEX-WHPG-0426-SM-4M1XW 50-59 years, male 13.5
GTEX-ZV7C-1626-SM-5NQ7E 50-59 years, male 13.5
GTEX-1JN1M-2926-SM-CNNPJ 60-69 years, female 13.3
GTEX-WHSB-1226-SM-4M1XR 50-59 years, male 13.2
GTEX-1LGRB-1726-SM-CNNRA 50-59 years, female 13.2
GTEX-1J8Q3-1926-SM-C1YSJ 60-69 years, male 13.1
GTEX-1GF9U-1126-SM-AHZ4H 40-49 years, female 13.0
GTEX-1H1DG-2126-SM-9WPPB 70-79 years, male 13.0
GTEX-11NSD-1426-SM-5HL67 20-29 years, male 12.9
GTEX-13OVK-0926-SM-7KUFX 40-49 years, male 12.9
GTEX-1QCLY-1126-SM-EAZ4J 30-39 years, male 12.9
GTEX-POMQ-0826-SM-3P61H 20-29 years, female 12.8
GTEX-XUZC-0726-SM-4BOPH 30-39 years, female 12.8
GTEX-1I1HK-2026-SM-CNNRB 60-69 years, male 12.8
GTEX-1399R-1126-SM-5IFIO 30-39 years, male 12.7
GTEX-1MGNQ-1826-SM-DPRYI 40-49 years, male 12.7
GTEX-14PJ4-1626-SM-664OB 60-69 years, male 12.6
GTEX-17F98-1526-SM-7EWD8 40-49 years, female 12.5
GTEX-ZT9W-1526-SM-4YCDE 50-59 years, male 12.4
GTEX-1H23P-2726-SM-9JGHN 60-69 years, male 12.4
GTEX-11DXX-1326-SM-5GIDZ 60-69 years, female 12.3
GTEX-1LBAC-1426-SM-CXZKT 20-29 years, male 12.2
GTEX-1LG7Z-1226-SM-DHXK4 30-39 years, male 12.2
GTEX-16AAH-1226-SM-79OO9 50-59 years, male 12.1
GTEX-1H3VY-2326-SM-9WG81 50-59 years, male 12.1
GTEX-1HBPN-1626-SM-9WPNP 50-59 years, male 12.1
GTEX-TMMY-1626-SM-4DXTY 40-49 years, female 12.0
GTEX-V955-1326-SM-4JBHR 60-69 years, male 12.0
GTEX-1B97J-1826-SM-7IGPP 50-59 years, female 11.9
GTEX-1QP2A-2126-SM-DPRZ7 50-59 years, male 11.9
GTEX-13PVR-2126-SM-73KVR 60-69 years, female 11.8
GTEX-W5WG-1726-SM-4LMI5 50-59 years, female 11.8
GTEX-ZVT2-1626-SM-51MRC 50-59 years, female 11.8
GTEX-S4UY-1626-SM-4AD55 40-49 years, female 11.7
GTEX-13113-0726-SM-5LZUF 60-69 years, female 11.6
GTEX-RM2N-0826-SM-48FD3 50-59 years, male 11.6
GTEX-13D11-2126-SM-5IFH2 50-59 years, female 11.5
GTEX-1CAMR-0726-SM-7EPIE 20-29 years, male 11.5
GTEX-X15G-1126-SM-4PQZG 50-59 years, female 11.3
GTEX-XBED-1226-SM-4AT5V 60-69 years, male 11.3
GTEX-15CHR-1326-SM-79OLT 50-59 years, male 11.2
GTEX-15RIE-1026-SM-6LPJQ 60-69 years, male 11.2
GTEX-S4Q7-0726-SM-4AD5F 20-29 years, male 11.1
GTEX-WY7C-1726-SM-4ONCC 50-59 years, male 11.1
GTEX-S95S-0826-SM-4B64N 60-69 years, male 11.0
GTEX-15DCE-1626-SM-6LPJM 20-29 years, male 10.9
GTEX-1AMFI-1226-SM-731CZ 50-59 years, female 10.9
GTEX-P4PP-1526-SM-3P61M 30-39 years, female 10.9
GTEX-1R9K5-1026-SM-EAZ4F 50-59 years, male 10.9
GTEX-ZAB4-1526-SM-5CVN7 40-49 years, male 10.8
GTEX-WFG7-1326-SM-4LMK1 20-29 years, male 10.7
GTEX-ZYFG-1326-SM-5GICJ 60-69 years, female 10.7
GTEX-WFON-1126-SM-4LVMA 40-49 years, male 10.6
GTEX-14E6E-0926-SM-664N8 30-39 years, male 10.5
GTEX-17GQL-1226-SM-7KFTS 60-69 years, male 10.5
GTEX-UJMC-1226-SM-4IHLI 50-59 years, male 10.5
GTEX-ZLWG-1526-SM-DO12F 50-59 years, female 10.5
GTEX-13FTW-1726-SM-5KM2B 40-49 years, male 10.3
GTEX-ZF29-1526-SM-4WKF7 60-69 years, female 10.3
GTEX-1ICG6-1826-SM-AHZ2O 70-79 years, female 10.3
GTEX-12WSG-2026-SM-5FQUU 50-59 years, female 10.2
GTEX-11GSP-2126-SM-5HL5E 60-69 years, female 10.1
GTEX-13OW6-2526-SM-5IJEC 50-59 years, male 10.0
GTEX-VJYA-1026-SM-4KL21 60-69 years, male 9.9
GTEX-1R7EU-1126-SM-EAZ4M 60-69 years, male 9.9
GTEX-1KXAM-0926-SM-CXZKA 60-69 years, male 9.7
GTEX-117YX-1026-SM-5H11V 50-59 years, male 9.6
GTEX-14PJ6-0826-SM-686Z9 60-69 years, female 9.6
GTEX-Y8LW-0826-SM-4WWDO 50-59 years, female 9.6
GTEX-1I6K7-1726-SM-B2LXQ 40-49 years, male 9.6
GTEX-131XF-1226-SM-5HL8V 60-69 years, male 9.4
GTEX-17F9E-2226-SM-7IGNC 50-59 years, male 9.4
GTEX-1A8G6-1426-SM-731EZ 60-69 years, male 9.4
GTEX-XXEK-0826-SM-4BRWG 50-59 years, male 9.4
GTEX-Y3IK-1426-SM-4YCES 50-59 years, female 9.4
GTEX-17HGU-2126-SM-7IGOV 50-59 years, male 9.3
GTEX-T6MO-0726-SM-4DM58 40-49 years, female 9.2
GTEX-Y9LG-1026-SM-5IFJN 30-39 years, male 9.1
GTEX-1122O-1926-SM-5EGIQ 60-69 years, female 9.0
GTEX-14BIL-1926-SM-73KYI 50-59 years, male 9.0
GTEX-PWCY-0926-SM-48TD7 20-29 years, female 9.0
GTEX-11EM3-1026-SM-5A5KL 20-29 years, female 8.9
GTEX-T5JW-0926-SM-4DM5K 20-29 years, female 8.9
GTEX-14B4R-0726-SM-5TDDR 30-39 years, male 8.8
GTEX-14PKV-1826-SM-69LO9 20-29 years, female 8.7
GTEX-QV31-0626-SM-447C5 30-39 years, male 8.7
GTEX-145MN-1326-SM-5NQ9S 30-39 years, male 8.6
GTEX-14PHX-1026-SM-664OL 50-59 years, male 8.6
GTEX-Q2AI-0826-SM-48TZO 40-49 years, male 8.6
GTEX-QLQ7-0826-SM-447B3 60-69 years, male 8.5
GTEX-QCQG-0526-SM-48U2A 50-59 years, female 8.3
GTEX-11I78-1726-SM-5A5M3 50-59 years, female 8.0
GTEX-1QPFJ-1526-SM-DPRXT 30-39 years, female 7.9
GTEX-ZLFU-1326-SM-DO11R 40-49 years, male 7.9
GTEX-132QS-1826-SM-5IFFN 60-69 years, male 7.8
GTEX-1F5PL-1426-SM-7MKFH 40-49 years, female 7.8
GTEX-1B8KZ-1226-SM-793CP 50-59 years, male 7.7
GTEX-13O21-0926-SM-5IFGT 50-59 years, male 7.6
GTEX-YFCO-0826-SM-5LUAG 40-49 years, male 7.6
GTEX-1C475-1026-SM-7MKFJ 40-49 years, female 7.5
GTEX-SNMC-0626-SM-4DM6H 20-29 years, male 7.5
GTEX-11NUK-2426-SM-5BC4U 50-59 years, male 7.4
GTEX-12696-1726-SM-5EQLH 60-69 years, male 7.3
GTEX-ZQUD-0826-SM-57WDQ 30-39 years, male 7.3
GTEX-1F75I-1826-SM-7MKGX 40-49 years, male 7.2
GTEX-QDVN-1226-SM-48TZ5 50-59 years, male 7.2
GTEX-111CU-0926-SM-5EGIK 50-59 years, male 7.1
GTEX-ZZ64-0426-SM-5E43F 20-29 years, male 7.1
GTEX-1LGOU-1526-SM-D3LAJ 20-29 years, female 7.1
GTEX-131XG-1226-SM-5EGH9 50-59 years, female 7.0
GTEX-OHPK-1526-SM-3MJGM 50-59 years, female 7.0
GTEX-12WSK-1426-SM-5CVNN 40-49 years, female 6.9
GTEX-1399S-1626-SM-5P9GI 30-39 years, female 6.9
GTEX-13CF3-1926-SM-5K7WF 60-69 years, female 6.9
GTEX-ZPU1-1626-SM-4WWB2 40-49 years, male 6.7
GTEX-QDVJ-1426-SM-48U1Y 50-59 years, male 6.6
GTEX-14PJ5-0826-SM-6AJAR 60-69 years, female 6.5
GTEX-ZY6K-0726-SM-5A5L8 50-59 years, male 6.2
GTEX-S3XE-1026-SM-4AD4O 50-59 years, male 6.0
GTEX-S341-0626-SM-4AD5T 40-49 years, female 5.9
GTEX-ZA64-0826-SM-5HL9U 20-29 years, male 5.9
GTEX-ZYY3-1726-SM-5EGH3 60-69 years, female 5.8
GTEX-1GL5R-1926-SM-9WG7U 50-59 years, male 5.8
GTEX-11TT1-0726-SM-5GU5A 20-29 years, male 5.6
GTEX-RWS6-0926-SM-47JXE 60-69 years, female 5.6
GTEX-ZVP2-1626-SM-5GU5D 50-59 years, male 5.6
GTEX-QLQW-0726-SM-447AA 30-39 years, male 5.4
GTEX-1RB15-1026-SM-E9U6V 60-69 years, male 5.4
GTEX-WFG8-1326-SM-4LVN3 20-29 years, male 5.3
GTEX-18A67-2626-SM-718AD 50-59 years, male 5.2
GTEX-WXYG-1626-SM-4ONCR 50-59 years, female 5.1
GTEX-YEC4-1426-SM-5IFHS 40-49 years, male 5.1
GTEX-PWN1-1526-SM-48TDA 40-49 years, female 4.9
GTEX-13PVQ-2126-SM-5L3FW 50-59 years, male 4.6
GTEX-Y5LM-1326-SM-5RQIS 40-49 years, female 4.4
GTEX-12BJ1-1726-SM-5HL9B 60-69 years, male 4.3
GTEX-U4B1-1026-SM-4DXT1 40-49 years, male 4.3
GTEX-ZDYS-1926-SM-5HL59 50-59 years, male 4.3
GTEX-1KANA-1126-SM-D3L9M 20-29 years, male 4.3
GTEX-13FTX-0726-SM-5N9BI 20-29 years, female 3.8
GTEX-Q2AH-1126-SM-48TZM 40-49 years, male 3.6
GTEX-144GM-1726-SM-5O9AS 20-29 years, male 2.6
Show allShow less

Contact

  • NEWS ARTICLES
  • PRESS ROOM

The Project

  • INTRODUCTION
  • ORGANIZATION
  • PUBLICATIONS

The Human Protein Atlas

  • DOWNLOADABLE DATA
  • LICENCE & CITATION
  • HELP & FAQ
The Human Protein Atlas project is funded
by the Knut & Alice Wallenberg Foundation.


contact@proteinatlas.org