We use cookies to enhance the usability of our website. If you continue, we'll assume that you are happy to receive all cookies. More information. Don't show this again.
ACSS1
HPA
RESOURCES
  • TISSUE
  • BRAIN
  • SINGLE CELL
  • SUBCELLULAR
  • CANCER
  • BLOOD
  • CELL LINE
  • STRUCTURE & INTERACTION
ABOUT
  • INTRODUCTION
  • HISTORY
  • ORGANIZATION
  • PUBLICATIONS
  • ANTIBODY SUBMISSION
  • ANTIBODY AVAILABILITY
  • ACKNOWLEDGMENTS
  • CONTACT
NEWS
  • NEWS ARTICLES
  • PRESS ROOM
LEARN
  • DICTIONARY
  • PROTEIN CLASSES
  • PROTEIN EVIDENCE
  • METHODS
  • EDUCATIONAL VIDEOS
DATA
  • DOWNLOADABLE DATA
  • PUBLICATION DATA
  • RELEASE HISTORY
HELP
  • ANTIBODY VALIDATION
  • ASSAYS & ANNOTATION
  • DISCLAIMER
  • HELP & FAQ
  • PRIVACY STATEMENT
  • LICENCE & CITATION
Fields »
Search result

Field
Term
Gene name
Class
Subclass
Class
Keyword
Chromosome
External id
Tissue
Cell type
Expression
Antibody panel
Tissue
Main location
Patient ID
Annotation
Tissue
Category
Tau score
Cluster
Reliability
Brain region
Category
Tau score
Brain region
Category
Tau score
Brain region
Category
Tau score
Cluster
Reliability
Tissue
Cell type
Enrichment
Cell type
Category
Tau score
Cell type
Category
Tau score
Cell type
Category
Tau score
Cell lineage
Category
Tau score
Cluster
Cluster
Location
Searches
Location
Cell line
Class
Type
Phase
Reliability
Cancer
Prognosis
Cancer
Category
Cancer
Category
Tau score
Cluster
Variants
Interacting gene (ensg_id)
Type
Number of interactions
Pathway
Category
Score
Score
Score
Validation
Validation
Validation
Validation
Antibodies
Data type
Column


  • SUMMARY

  • TISSUE

  • BRAIN

  • SINGLE CELL

  • SUBCELL

  • CANCER

  • BLOOD

  • CELL LINE

  • STRUCT & INT

  • ACSS1
TISSUE PRIMARY DATA HEART MUSCLE Show tissue menu
ADIPOSE TISSUE ADRENAL GLAND AMYGDALA APPENDIX BASAL GANGLIA BONE MARROW BREAST BRONCHUS CEREBELLUM CEREBRAL CORTEX CERVIX CHOROID PLEXUS COLON DUODENUM
ENDOMETRIUM EPIDIDYMIS ESOPHAGUS FALLOPIAN TUBE GALLBLADDER HEART MUSCLE HIPPOCAMPAL FORMATION HYPOTHALAMUS KIDNEY LIVER LUNG LYMPH NODE MIDBRAIN NASOPHARYNX
ORAL MUCOSA OVARY PANCREAS PARATHYROID GLAND PITUITARY GLAND PLACENTA PROSTATE RECTUM RETINA SALIVARY GLAND SEMINAL VESICLE SKELETAL MUSCLE SKIN SMALL INTESTINE
SMOOTH MUSCLE SOFT TISSUE SPINAL CORD SPLEEN STOMACH TESTIS THYMUS THYROID GLAND TONGUE TONSIL URINARY BLADDER VAGINA
ANTIBODIES
AND
VALIDATION
Dictionary
Heart muscle
Tissue proteome
Heart
HEART MUSCLE - Expression summary
Protein expression
Heart musclei

On the top, protein expression in current human tissue, based on all annotated cell types, is reported with the units not detected (n), low (l), medium (m) and high (h). Underneath, protein expression in each annotated cell type are reported using the same units.

Protein expression data is based on knowledge-based annotation. For genes where more than one antibody has been used, a collective score is set.

If knowledge-based annotation could not be performed for a gene, no data is displayed here. View antibody staining data further down this page.

h
m
l
n
Cardiomyocytes: High
RNA expressioni

A summary of mRNA expression data available for current tissue based on several datasets. The mRNA expression levels in human tissues are based on RNA-seq data generated by the Human Protein Atlas (HPA), Genotype-Tissue Expression (GTEx) portal and CAGE data generated by the FANTOM5 consortium. Consensus normalized expression levels for human tissues was created by combining the data from HPA and GTEx datasets.

The mRNA expression levels in pig are based on RNA-seq data generated by the Human Protein Atlas (HPA), and for mouse, HPA data and in situ hybridization generated by the Allen brain atlas are reported.

Scroll down to view mRNA expression data in more detail.
Consensus:88.4 nTPM
HPA:55.4 nTPM
GTEx:88.4 nTPM
FANTOM5:113.1 Scaled Tags Per Million

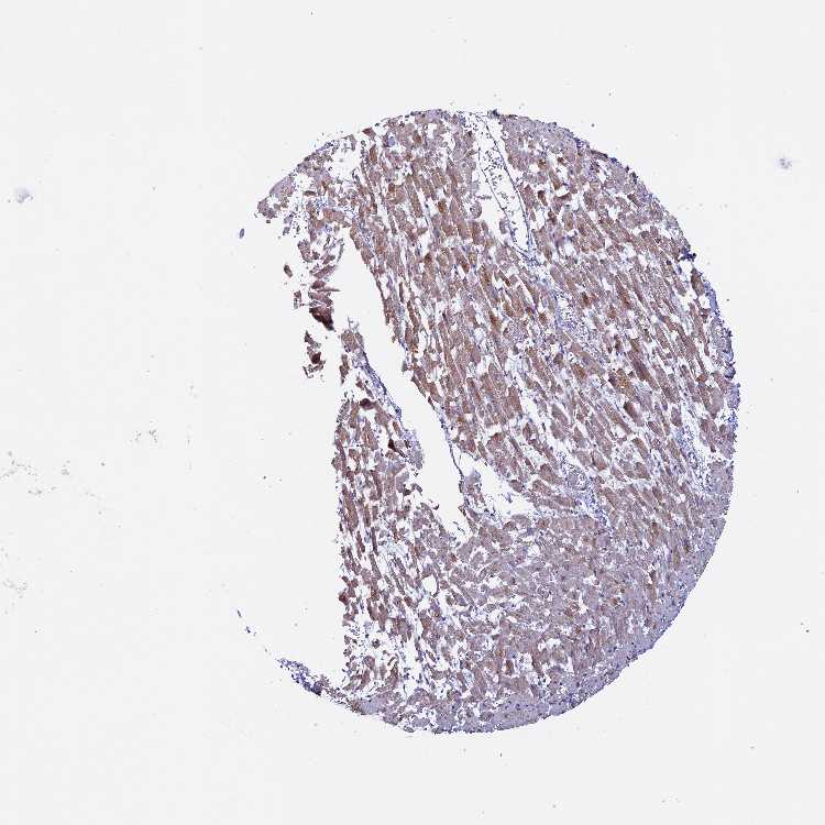
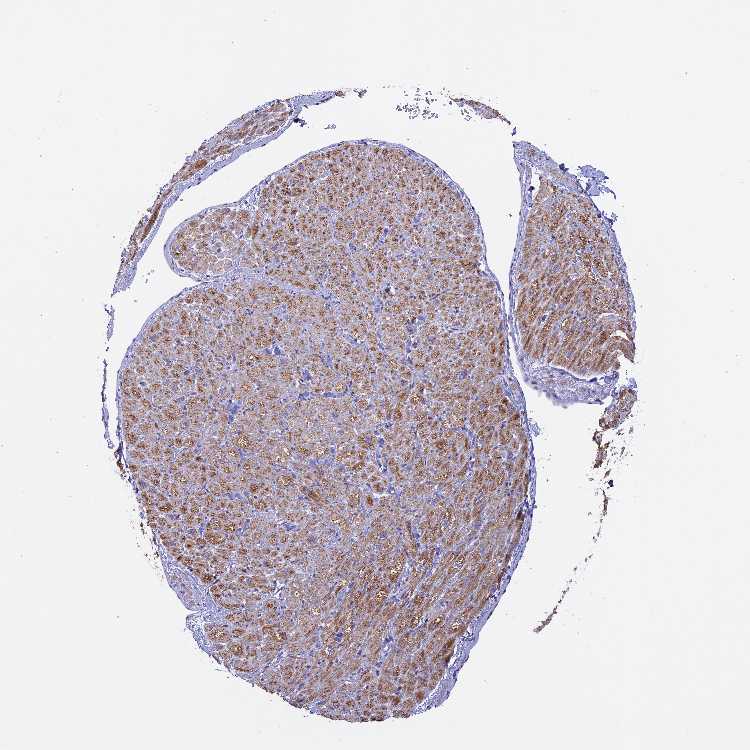
HEART MUSCLE - Antibody stainingi

Antibody staining in the annotated cell types in the current human tissue is reported as not detected, low, medium, or high, based on conventional immunohistochemistry profiling in selected tissues. This score is based on the combination of the staining intensity and fraction of stained cells.

Each image is clickable and will lead to virtual microscopy that enables deeper exploration of all samples and also displays staining intensity scores, fraction scores and subcellular localization as well as patient and tissue information for each sample.

Antibody HPA041014Antibody HPA043228
Cardiomyocytes MediumHigh





HEART MUSCLE - HPA RNA-seqi

The RNA-seq details section shows detailed information about the individual samples used for the transcript profiling and results of the RNA-seq analysis.

Information about each individual sample is listed below, including gender, age, a tissue section image and estimated fractions of cell types. nTPM (normalized transcripts per million) values give a quantification of the gene abundance which is comparable between different genes and samples.
Average nTPMi

Max subtype nTPM is the value for the subtype with the largest average nTPM across the subtype samples.

55.4
overview
Female, age 48
Heart muscle sample 149
nTPM: 72.8
Cell types%
Myocytes:
15

Fibroblasts:
55

Endothelial cells:
25

Other cell types:
5

overview
Female, age 42
Heart muscle sample 150
nTPM: 46.1
Cell types%
Myocytes:
20

Fibroblasts:
45

Endothelial cells:
30

Other cell types:
5

overview
Male, age 53
Heart muscle sample 151
nTPM: 43.1
Cell types%
Myocytes:
20

Fibroblasts:
45

Endothelial cells:
30

Other cell types:
5

overview
Female, age 69
Heart muscle sample 152
nTPM: 59.6
Cell types%
Myocytes:
20

Fibroblasts:
45

Endothelial cells:
30

Other cell types:
5


HEART MUSCLE - GTEx RNA-seqi

RNA-Seq data generated by the Genotype-Tissue Expression (GTEx) project from human tissues is reported as mean nTPM. More information can be found on the GTEx portal.

Distribution across the dataset is visualized with box plots, shown as median and 25th and 75th percentiles. Points are displayed as outliers if they are above or below 1.5 times the interquartile range. nTPM values of the individual samples are presented next to the box plot.
Max subtype nTPMi

Max subtype nTPM is the value for the subtype with the largest average nTPM across the subtype samples.

88.4
GTEx sample id Sample description nTPM
Heart - Atrial Appendage
Average nTPM: 28.7
Samples: 429

Max nTPM: 107.9
Min nTPM: 6.3
Std nTPM: 12.2
Median nTPM: 26.4
GTEX-145MN-0726-SM-5NQBH 30-39 years, male 107.9
GTEX-1KANB-1126-SM-DHXJT 50-59 years, male 104.2
GTEX-16XZY-0526-SM-7DHKY 70-79 years, male 86.2
GTEX-U8XE-0926-SM-3DB8V 30-39 years, male 72.1
GTEX-Y3IK-1026-SM-51MR7 50-59 years, female 71.1
GTEX-14BMV-1026-SM-5SI6B 50-59 years, male 64.8
GTEX-1212Z-0726-SM-5EGI5 60-69 years, male 64.5
GTEX-1KD5A-0926-SM-D4P3U 50-59 years, male 64.5
GTEX-1CB4G-0726-SM-79OOJ 60-69 years, male 61.1
GTEX-1A32A-1326-SM-73KWW 50-59 years, female 60.9
GTEX-13JVG-1126-SM-5KM2M 60-69 years, male 60.7
GTEX-ZYFC-1026-SM-5GZX9 50-59 years, male 59.7
GTEX-1A8G6-1826-SM-73KY8 60-69 years, male 59.5
GTEX-1B933-0826-SM-79OMW 50-59 years, female 56.6
GTEX-1HFI7-0526-SM-A9SMA 50-59 years, female 56.2
GTEX-1GF9U-0526-SM-7P8SK 40-49 years, female 54.8
GTEX-13OW7-1626-SM-5IJDH 50-59 years, male 54.3
GTEX-1KANC-0226-SM-E9TIW 50-59 years, female 54.1
GTEX-W5X1-0826-SM-3GILN 40-49 years, female 53.7
GTEX-1JN6P-0826-SM-ARL97 60-69 years, male 50.5
GTEX-17F96-0826-SM-7DHLU 70-79 years, male 50.2
GTEX-ZDTS-1226-SM-4WKGL 60-69 years, male 50.0
GTEX-1EU9M-1926-SM-7RHH4 60-69 years, male 49.5
GTEX-1J8EW-0626-SM-CM2TY 60-69 years, female 49.4
GTEX-13SLX-0926-SM-5S2NM 50-59 years, female 49.0
GTEX-17JCI-0826-SM-7LT8W 60-69 years, female 48.2
GTEX-1C64O-0926-SM-79OLN 60-69 years, male 47.4
GTEX-1GN2E-1426-SM-7RHHI 60-69 years, male 47.3
GTEX-1H11D-1026-SM-9QEIU 40-49 years, male 47.0
GTEX-ZAK1-1126-SM-5PNXU 50-59 years, female 46.6
GTEX-18D9U-1426-SM-718BO 40-49 years, male 46.2
GTEX-1LVAO-0626-SM-EWRNT 60-69 years, male 45.5
GTEX-WYBS-1226-SM-3NM9N 60-69 years, female 45.3
GTEX-1AX9K-0426-SM-73KUG 50-59 years, male 44.2
GTEX-1HCU7-1226-SM-B2LX8 50-59 years, male 44.0
GTEX-14PJO-0826-SM-6ETZK 60-69 years, male 43.9
GTEX-1HC8U-0626-SM-B2LWB 40-49 years, female 43.5
GTEX-117YX-0626-SM-5EGJI 50-59 years, male 43.4
GTEX-12ZZX-0726-SM-5EGKA 40-49 years, female 43.2
GTEX-14PN4-0826-SM-69LON 50-59 years, male 43.2
GTEX-1HSGN-0926-SM-CNNQM 40-49 years, female 43.2
GTEX-1R9JW-0426-SM-E76QL 30-39 years, female 43.2
GTEX-1HBPH-0226-SM-9WYSM 40-49 years, female 42.8
GTEX-13NZA-0826-SM-5K7WS 60-69 years, male 42.3
GTEX-131XE-0526-SM-5K7YT 50-59 years, male 41.8
GTEX-1B932-1326-SM-79OM4 40-49 years, female 41.6
GTEX-X3Y1-0226-SM-3P5Z5 40-49 years, male 41.6
GTEX-ZF3C-1126-SM-57WEG 50-59 years, female 41.6
GTEX-144GL-1026-SM-5O99R 50-59 years, male 41.2
GTEX-16NPX-0826-SM-6M489 50-59 years, male 40.2
GTEX-1F88F-0326-SM-9KNV3 60-69 years, female 40.1
GTEX-1EX96-2626-SM-9MQJV 50-59 years, male 40.0
GTEX-WFG7-0826-SM-3GIKU 20-29 years, male 39.9
GTEX-111FC-0626-SM-5N9CU 60-69 years, male 39.7
GTEX-WK11-0626-SM-3NMAV 50-59 years, male 39.5
GTEX-XOT4-1126-SM-4B66E 60-69 years, female 39.5
GTEX-117XS-0726-SM-5H131 60-69 years, male 39.3
GTEX-1POEN-0726-SM-DTXDU 30-39 years, female 39.2
GTEX-Y3I4-0526-SM-4TT6X 50-59 years, male 39.0
GTEX-12WSC-1026-SM-5EQ5Y 50-59 years, male 38.9
GTEX-18A6Q-1526-SM-731CO 60-69 years, male 38.9
GTEX-11DYG-1026-SM-5A5JQ 60-69 years, male 38.8
GTEX-13NZB-0426-SM-5KM26 30-39 years, male 38.6
GTEX-13NYS-1926-SM-5IJCB 60-69 years, male 38.5
GTEX-1LB8K-0926-SM-D4P42 50-59 years, male 38.5
GTEX-14JG1-0826-SM-5ZZWR 40-49 years, male 38.3
GTEX-131XF-0426-SM-5HL7U 60-69 years, male 38.2
GTEX-1MJIX-0426-SM-DTXEN 40-49 years, male 38.1
GTEX-11P81-0526-SM-59873 30-39 years, female 37.9
GTEX-1IDJF-0826-SM-ARU7N 20-29 years, male 37.8
GTEX-14PJ2-1126-SM-69LOD 50-59 years, male 37.7
GTEX-139YR-0526-SM-5L3DG 50-59 years, male 37.3
GTEX-12WSA-1126-SM-5EGKU 60-69 years, male 37.2
GTEX-1HBPN-0926-SM-CGQEG 50-59 years, male 37.2
GTEX-WI4N-0726-SM-3TW93 40-49 years, female 37.1
GTEX-ZDTT-0326-SM-4WKF9 60-69 years, male 37.1
GTEX-ZYFD-2026-SM-5E459 50-59 years, male 37.1
GTEX-11DXY-1026-SM-5987V 60-69 years, male 36.9
GTEX-V955-0826-SM-CYPR5 60-69 years, male 36.5
GTEX-WL46-0726-SM-3LK5Z 50-59 years, male 36.4
GTEX-ZLFU-0326-SM-4WWBK 40-49 years, male 36.4
GTEX-1I1GQ-1226-SM-CL55J 50-59 years, male 36.4
GTEX-WZTO-1226-SM-3NMAZ 40-49 years, male 36.2
GTEX-XQ8I-0226-SM-4BOPM 50-59 years, male 36.2
GTEX-1CAMS-1126-SM-7MXUQ 40-49 years, female 35.9
GTEX-16YQH-0726-SM-7IGM1 30-39 years, male 35.8
GTEX-183WM-0926-SM-718AN 70-79 years, female 35.6
GTEX-1F75I-1326-SM-7PBZX 40-49 years, male 35.6
GTEX-XGQ4-0526-SM-4AT6C 50-59 years, male 35.5
GTEX-1GMR3-0426-SM-7PC17 40-49 years, male 35.5
GTEX-117YW-0426-SM-5GZZZ 50-59 years, male 35.4
GTEX-YJ8O-0826-SM-5CVM3 40-49 years, female 35.4
GTEX-1NHNU-0626-SM-E6CP1 50-59 years, male 35.3
GTEX-14ASI-0826-SM-5Q5EB 60-69 years, male 35.2
GTEX-1C64N-0826-SM-7RHGQ 50-59 years, male 35.2
GTEX-1GN1U-1426-SM-7P8TF 50-59 years, female 35.2
GTEX-11UD2-0926-SM-5CVL6 50-59 years, male 35.1
GTEX-12ZZY-1226-SM-5GCNK 60-69 years, male 35.0
GTEX-15DCE-0826-SM-7KULW 20-29 years, male 35.0
GTEX-WHSE-0826-SM-4SOJU 20-29 years, male 35.0
GTEX-12WSD-1226-SM-5HL9Q 60-69 years, female 34.9
GTEX-Z93S-0326-SM-5HL84 50-59 years, male 34.8
GTEX-1F75A-1026-SM-7PC3W 50-59 years, male 34.8
GTEX-12WSE-0926-SM-5S2VX 20-29 years, male 34.7
GTEX-15CHQ-1326-SM-6871Z 60-69 years, male 34.7
GTEX-14PK6-0726-SM-6LLIX 70-79 years, female 34.6
GTEX-XPT6-0226-SM-4B65L 20-29 years, male 34.6
GTEX-13112-0526-SM-5EQ4S 50-59 years, male 34.5
GTEX-ZZPT-0926-SM-5GICZ 50-59 years, male 34.4
GTEX-1I1GV-1426-SM-B2LXN 60-69 years, male 34.4
GTEX-ZVT2-0926-SM-5GICE 50-59 years, female 34.3
GTEX-145LV-0226-SM-5S2QG 50-59 years, male 34.1
GTEX-ZYT6-0926-SM-5GIEM 30-39 years, male 34.1
GTEX-1GF9V-1726-SM-9KNW4 60-69 years, male 34.0
GTEX-1HSKV-0726-SM-ACKWE 60-69 years, male 33.9
GTEX-14E1K-0826-SM-5ZZW9 50-59 years, male 33.8
GTEX-1AX8Z-1126-SM-731CS 60-69 years, male 33.8
GTEX-WOFL-1226-SM-4OOST 60-69 years, male 33.8
GTEX-11EMC-0826-SM-59862 60-69 years, female 33.5
GTEX-ZVT3-0826-SM-5GIC8 60-69 years, female 33.5
GTEX-WY7C-1126-SM-3NB3A 50-59 years, male 33.3
GTEX-1IDJH-1126-SM-COH3R 70-79 years, male 33.3
GTEX-11TT1-1426-SM-5EGIA 20-29 years, male 33.1
GTEX-1H3VY-1126-SM-A96TP 50-59 years, male 33.1
GTEX-YB5K-0226-SM-5IFJE 40-49 years, female 33.0
GTEX-XQ3S-0526-SM-4BOQA 20-29 years, male 32.9
GTEX-WHWD-0326-SM-3LK6L 50-59 years, male 32.8
GTEX-YFC4-0426-SM-4TT3J 40-49 years, female 32.8
GTEX-1E1VI-1426-SM-793CY 50-59 years, male 32.5
GTEX-1IDJD-0226-SM-CKZOA 30-39 years, male 32.5
GTEX-13O3P-1426-SM-5L3DT 50-59 years, male 32.4
GTEX-ZPCL-0526-SM-DO91R 60-69 years, female 32.3
GTEX-Y5V5-0726-SM-4VBPY 60-69 years, female 32.2
GTEX-X4EP-0326-SM-3P5Z6 60-69 years, female 32.1
GTEX-1J8Q2-1026-SM-ARU8I 60-69 years, male 32.0
GTEX-15EU6-1326-SM-6PANG 50-59 years, male 31.9
GTEX-ZYFG-0526-SM-5GZXX 60-69 years, female 31.9
GTEX-147JS-1326-SM-5SI6D 60-69 years, male 31.5
GTEX-11ZUS-0326-SM-5EQ4W 30-39 years, male 31.3
GTEX-ZE7O-0626-SM-57WCD 50-59 years, female 31.1
GTEX-1F48J-1126-SM-9WYSY 50-59 years, female 31.1
GTEX-1399R-1726-SM-5K7YJ 30-39 years, male 31.0
GTEX-13OW6-0926-SM-5L3GM 50-59 years, male 31.0
GTEX-11NV4-0826-SM-5BC4S 60-69 years, male 30.9
GTEX-XPVG-0726-SM-4B658 50-59 years, male 30.9
GTEX-132AR-1926-SM-5EGK5 50-59 years, female 30.8
GTEX-WWYW-1126-SM-3NB2Q 50-59 years, female 30.8
GTEX-131YS-0826-SM-5PNYV 60-69 years, female 30.5
GTEX-1I1GP-0626-SM-ARL7H 50-59 years, male 30.5
GTEX-13JUV-0226-SM-5IJCC 40-49 years, female 30.3
GTEX-1A3MX-1226-SM-731B3 60-69 years, male 30.3
GTEX-11O72-1026-SM-5986B 40-49 years, male 30.2
GTEX-1NSGN-1226-SM-E76OL 50-59 years, male 30.1
GTEX-14PN3-0726-SM-6EU14 60-69 years, female 30.0
GTEX-XXEK-2026-SM-4BRVE 50-59 years, male 30.0
GTEX-1MJK2-1626-SM-EVYCQ 50-59 years, male 29.9
GTEX-11EM3-0426-SM-5N9BZ 20-29 years, female 29.8
GTEX-1BAJH-1026-SM-7EWEG 70-79 years, male 29.8
GTEX-1ICG6-0726-SM-B2LY5 70-79 years, female 29.8
GTEX-1445S-1226-SM-5O9BF 60-69 years, male 29.6
GTEX-13O1R-0926-SM-5L3DS 60-69 years, male 29.5
GTEX-1A8FM-1026-SM-7PC26 50-59 years, female 29.5
GTEX-1GN73-2326-SM-9MQKV 60-69 years, male 29.5
GTEX-14C38-1326-SM-62LDK 50-59 years, male 29.4
GTEX-1LG7Y-1426-SM-D4P31 50-59 years, male 29.4
GTEX-1QP6S-1026-SM-DTXFW 40-49 years, male 29.4
GTEX-13FXS-1026-SM-62LFQ 50-59 years, male 29.3
GTEX-1H1DG-0826-SM-9QEIW 70-79 years, male 29.3
GTEX-18465-0726-SM-7LG4L 50-59 years, male 29.2
GTEX-WHPG-1026-SM-3NMBA 50-59 years, male 29.2
GTEX-13X6K-1726-SM-7IGLG 60-69 years, female 29.1
GTEX-17GQL-0626-SM-731CN 60-69 years, male 29.1
GTEX-XV7Q-0726-SM-4BRV6 40-49 years, female 29.1
GTEX-13PDP-1326-SM-5K7U9 60-69 years, male 29.0
GTEX-YF7O-0526-SM-5P9IO 50-59 years, male 28.9
GTEX-1IY9M-0626-SM-D4P2L 60-69 years, male 28.9
GTEX-1HT8W-1326-SM-CGQEN 30-39 years, male 28.7
GTEX-13PL7-0726-SM-5KM1S 60-69 years, female 28.5
GTEX-1J1OQ-2226-SM-A96SS 40-49 years, female 28.5
GTEX-UPK5-0226-SM-3GAEV 40-49 years, male 28.4
GTEX-1I1CD-1326-SM-A9SMM 60-69 years, female 28.4
GTEX-1B97J-0326-SM-7939H 50-59 years, female 28.3
GTEX-1HR98-1026-SM-CKZOM 60-69 years, male 28.3
GTEX-1QCLZ-1126-SM-EWRNB 60-69 years, female 28.3
GTEX-WRHU-1026-SM-4E3ID 50-59 years, female 28.2
GTEX-1IKJJ-0626-SM-CY8GF 60-69 years, male 28.2
GTEX-111VG-0326-SM-5GZX7 60-69 years, male 28.0
GTEX-1313W-1126-SM-5EQ5U 50-59 years, female 28.0
GTEX-15CHR-0326-SM-7DHN3 50-59 years, male 28.0
GTEX-1F75B-1126-SM-7RHGP 50-59 years, male 28.0
GTEX-1EH9U-0626-SM-7PC33 60-69 years, male 27.9
GTEX-1I1GR-1026-SM-A9SLC 60-69 years, male 27.8
GTEX-13N1W-0926-SM-5MR36 70-79 years, male 27.5
GTEX-14C39-0726-SM-5RQIK 40-49 years, male 27.5
GTEX-1P4AB-0926-SM-E76PV 50-59 years, male 27.5
GTEX-1QP29-1426-SM-DTX9Q 50-59 years, male 27.5
GTEX-11TUW-1126-SM-5EQKJ 60-69 years, male 27.4
GTEX-13FHP-0826-SM-5K7V5 50-59 years, male 27.4
GTEX-ZAB5-0126-SM-5CVMT 50-59 years, male 27.3
GTEX-ZTPG-1326-SM-51MSQ 20-29 years, female 27.2
GTEX-1GMR8-1026-SM-9MQLA 50-59 years, female 27.2
GTEX-1GZ4I-0826-SM-9WG6O 50-59 years, male 27.2
GTEX-1EWIQ-1126-SM-7EPIK 70-79 years, female 27.1
GTEX-1H3O1-0226-SM-9WYSW 60-69 years, male 27.1
GTEX-11DXZ-0326-SM-5EGH1 50-59 years, male 27.0
GTEX-13CF2-0226-SM-5L3DV 60-69 years, male 27.0
GTEX-17F9Y-1226-SM-7EPGE 70-79 years, female 27.0
GTEX-WQUQ-1326-SM-3MJFF 60-69 years, male 26.9
GTEX-15RIE-1326-SM-6PAMM 60-69 years, male 26.8
GTEX-1C2JI-0626-SM-7DHM1 50-59 years, male 26.8
GTEX-18A7A-1226-SM-7LTAJ 50-59 years, female 26.7
GTEX-V1D1-0626-SM-4JBHN 50-59 years, male 26.7
GTEX-XBEC-1226-SM-4AT65 50-59 years, male 26.5
GTEX-11LCK-0826-SM-5PNYD 30-39 years, male 26.4
GTEX-13X6J-1226-SM-79OMF 50-59 years, male 26.4
GTEX-15UF7-1526-SM-6LPI7 40-49 years, male 26.4
GTEX-17KNJ-0626-SM-7LT9L 50-59 years, male 26.3
GTEX-13QBU-0226-SM-5LU48 40-49 years, female 26.2
GTEX-1B8L1-0426-SM-7SB76 60-69 years, male 26.2
GTEX-ZPU1-0726-SM-5HL6O 40-49 years, male 26.1
GTEX-15CHC-0326-SM-5ZZVP 60-69 years, female 25.9
GTEX-VJWN-1026-SM-4M1ZN 50-59 years, female 25.9
GTEX-ZF2S-0826-SM-4WWBI 50-59 years, female 25.9
GTEX-1K2DU-0226-SM-DIPF6 20-29 years, male 25.9
GTEX-1MCC2-0226-SM-EVYD5 30-39 years, female 25.9
GTEX-146FH-1126-SM-5NQAT 50-59 years, female 25.8
GTEX-15SDE-1826-SM-7KUFN 50-59 years, female 25.8
GTEX-14XAO-0926-SM-69LPZ 60-69 years, female 25.7
GTEX-16MT8-0826-SM-7KULO 60-69 years, female 25.7
GTEX-WH7G-0326-SM-3NMBH 40-49 years, male 25.6
GTEX-VUSG-0726-SM-3GIK1 50-59 years, male 25.5
GTEX-ZEX8-0326-SM-DO92C 50-59 years, male 25.5
GTEX-1399U-0726-SM-5KM1D 50-59 years, female 25.4
GTEX-1LSNM-0426-SM-E9TIZ 50-59 years, male 25.1
GTEX-1H2FU-0826-SM-9WYSU 60-69 years, female 25.0
GTEX-1IOXB-0726-SM-A9G32 50-59 years, male 25.0
GTEX-WFON-0226-SM-3GIKR 40-49 years, male 24.9
GTEX-11GSP-1226-SM-5985M 60-69 years, female 24.8
GTEX-1GMRU-1326-SM-9WYUI 50-59 years, male 24.8
GTEX-1HUB1-0726-SM-CGQF4 60-69 years, male 24.8
GTEX-11ONC-1026-SM-5GU64 60-69 years, male 24.7
GTEX-XLM4-2026-SM-4AT4X 60-69 years, male 24.6
GTEX-ZYVF-1826-SM-5E44F 50-59 years, female 24.6
GTEX-13PVR-0926-SM-5S2RB 60-69 years, female 24.5
GTEX-1EMGI-1126-SM-9KNUF 60-69 years, male 24.5
GTEX-13FH7-0826-SM-5J2NW 50-59 years, female 24.4
GTEX-1JMOU-0326-SM-ARL8X 60-69 years, female 24.2
GTEX-ZDXO-0426-SM-4WKF6 60-69 years, male 24.1
GTEX-1IKOE-0626-SM-A9G31 30-39 years, female 24.0
GTEX-1PPGY-0926-SM-DTXFF 60-69 years, male 24.0
GTEX-1JMQK-0926-SM-ARL96 60-69 years, male 23.9
GTEX-1H1CY-0426-SM-9KNVD 60-69 years, female 23.8
GTEX-1JMQL-1026-SM-CMKGV 50-59 years, female 23.8
GTEX-14PHX-0626-SM-5YY8Z 50-59 years, male 23.6
GTEX-15ER7-0826-SM-6PALW 20-29 years, female 23.6
GTEX-ZAJG-0926-SM-5Q5AB 50-59 years, female 23.6
GTEX-ZV7C-0526-SM-9WPNK 50-59 years, male 23.6
GTEX-1HCVE-0826-SM-CM2SF 50-59 years, male 23.5
GTEX-13RTJ-0526-SM-62LDP 60-69 years, male 23.4
GTEX-14BIM-2726-SM-5Q5EG 60-69 years, female 23.4
GTEX-1CB4E-0626-SM-7DHMW 60-69 years, male 23.4
GTEX-1399T-0726-SM-5J1MH 60-69 years, male 23.3
GTEX-13VXT-0726-SM-5SIAD 20-29 years, female 23.3
GTEX-12BJ1-0326-SM-5FQUB 60-69 years, male 23.2
GTEX-1192W-0226-SM-5EGGT 60-69 years, male 23.1
GTEX-ZVZQ-0726-SM-51MR3 60-69 years, female 23.1
GTEX-1QMI2-1026-SM-DTX7T 60-69 years, male 23.1
GTEX-13FHO-1226-SM-5L3EF 60-69 years, male 23.0
GTEX-17HGU-1126-SM-793BP 50-59 years, male 23.0
GTEX-1R9K4-1026-SM-EXUT1 60-69 years, male 23.0
GTEX-132NY-1426-SM-5J1MJ 60-69 years, male 22.9
GTEX-13NYB-0326-SM-5IJDP 40-49 years, male 22.9
GTEX-1AYCT-0526-SM-7RHHS 50-59 years, male 22.9
GTEX-1CAMQ-0726-SM-7P8SG 40-49 years, male 22.9
GTEX-1HFI6-0826-SM-9YFM2 40-49 years, male 22.9
GTEX-1GL5R-0426-SM-9WPOP 50-59 years, male 22.8
GTEX-12WSI-0426-SM-5EQ5J 50-59 years, male 22.7
GTEX-1117F-0726-SM-5GIEN 60-69 years, female 22.6
GTEX-YECK-1226-SM-4W21G 60-69 years, male 22.6
GTEX-1JMLX-1826-SM-CNPOX 50-59 years, male 22.6
GTEX-12584-1026-SM-59HK3 40-49 years, male 22.5
GTEX-12WSK-0526-SM-5CVNA 40-49 years, female 22.5
GTEX-11GS4-0426-SM-5N9CD 60-69 years, male 22.3
GTEX-13YAN-1426-SM-7EPG8 60-69 years, male 22.3
GTEX-14DAQ-1026-SM-793B1 60-69 years, female 22.3
GTEX-15RJE-0726-SM-7KUEG 40-49 years, male 22.3
GTEX-ZDYS-0326-SM-5HL4W 50-59 years, male 22.3
GTEX-1HSMO-1126-SM-CGQF2 60-69 years, male 22.3
GTEX-ZPIC-0426-SM-DO91V 40-49 years, female 22.3
GTEX-1339X-0326-SM-5K7Z8 40-49 years, male 22.2
GTEX-13S86-0326-SM-5SI6K 40-49 years, male 22.2
GTEX-YEC3-0426-SM-CYPS8 50-59 years, male 22.2
GTEX-14PJM-0826-SM-6LLIW 50-59 years, female 22.1
GTEX-ZUA1-0726-SM-4YCD9 40-49 years, male 22.1
GTEX-1GTWX-0926-SM-9MQKM 60-69 years, male 22.1
GTEX-1IL2U-1226-SM-CL53P 60-69 years, male 22.1
GTEX-1L5NE-0526-SM-DIPG5 50-59 years, male 22.0
GTEX-14A6H-0326-SM-5NQAN 30-39 years, male 21.8
GTEX-X62O-0826-SM-46MW8 50-59 years, male 21.8
GTEX-1H3NZ-1026-SM-A9SM5 60-69 years, male 21.8
GTEX-11NUK-0926-SM-5HL57 50-59 years, male 21.7
GTEX-X4XX-1126-SM-3NMBY 60-69 years, male 21.7
GTEX-ZVT4-1326-SM-5NQ8E 50-59 years, female 21.7
GTEX-1JK1U-0626-SM-CKZOJ 60-69 years, male 21.6
GTEX-11EQ8-1326-SM-5EGJQ 60-69 years, male 21.5
GTEX-11ZTT-0526-SM-5EQLA 60-69 years, female 21.5
GTEX-13OVI-0326-SM-5K7X1 60-69 years, female 21.5
GTEX-1C6VQ-0826-SM-7PBZT 50-59 years, male 21.3
GTEX-11DXX-0526-SM-5PNVR 60-69 years, female 21.2
GTEX-13W3W-0526-SM-5LU3X 60-69 years, female 21.0
GTEX-WEY5-0226-SM-3GIKN 40-49 years, female 21.0
GTEX-15SHU-0926-SM-6PAMK 40-49 years, female 20.8
GTEX-1J8QM-0326-SM-CL53D 60-69 years, female 20.8
GTEX-13OW5-0926-SM-5L3GZ 60-69 years, male 20.7
GTEX-WYJK-1126-SM-3NM9Z 50-59 years, male 20.5
GTEX-1E2YA-0626-SM-7P8P4 50-59 years, male 20.5
GTEX-1I19N-0626-SM-A9SKY 70-79 years, male 20.5
GTEX-1IKOH-0926-SM-A9SLU 60-69 years, female 20.5
GTEX-13PVQ-1326-SM-5LU4J 50-59 years, male 20.4
GTEX-14PJ6-0626-SM-686Z6 60-69 years, female 20.4
GTEX-1LH75-0526-SM-DIPG2 50-59 years, female 20.4
GTEX-13D11-1526-SM-5J2NA 50-59 years, female 20.3
GTEX-17MF6-0926-SM-7LTAL 40-49 years, male 20.3
GTEX-1QPFJ-0926-SM-EVR3K 30-39 years, female 20.3
GTEX-1B8SG-0726-SM-79ONS 50-59 years, male 20.2
GTEX-1F6I4-0826-SM-7RHGK 60-69 years, male 20.2
GTEX-1LVAN-1526-SM-CNPQN 50-59 years, female 20.2
GTEX-1JJEA-0926-SM-CYPSO 60-69 years, male 20.1
GTEX-131XG-0526-SM-5DUWF 50-59 years, female 20.0
GTEX-1B8KE-0326-SM-73KTY 50-59 years, male 20.0
GTEX-ZXG5-0626-SM-5NQ85 60-69 years, male 20.0
GTEX-1IKK5-1726-SM-CM2RU 60-69 years, male 20.0
GTEX-145LS-1326-SM-5Q5EP 60-69 years, female 19.9
GTEX-14E7W-1126-SM-5ZZVS 70-79 years, male 19.9
GTEX-1B996-1026-SM-793CF 60-69 years, male 19.9
GTEX-ZZPU-1126-SM-5N9CW 50-59 years, female 19.9
GTEX-1I1HK-0626-SM-CNPQM 60-69 years, male 19.9
GTEX-17F9E-0726-SM-793A1 50-59 years, male 19.8
GTEX-148VJ-1426-SM-5TDE3 70-79 years, male 19.7
GTEX-13NZ9-0126-SM-5K7XV 50-59 years, male 19.5
GTEX-14C5O-1226-SM-664N3 60-69 years, male 19.4
GTEX-15SHV-0526-SM-7KUEN 60-69 years, male 19.3
GTEX-13O61-0426-SM-5L3ET 60-69 years, male 19.2
GTEX-1CB4J-0226-SM-7P8T4 60-69 years, male 19.2
GTEX-YEC4-0226-SM-4W1YG 40-49 years, male 19.1
GTEX-1GN1W-0226-SM-7P8QY 50-59 years, female 19.0
GTEX-1GZ2Q-0926-SM-7RHHN 40-49 years, male 19.0
GTEX-13O3O-1426-SM-5KM2S 60-69 years, female 18.9
GTEX-16GPK-1226-SM-7LTAU 60-69 years, male 18.9
GTEX-1AX9I-1026-SM-73KYF 60-69 years, male 18.9
GTEX-1IDJU-0626-SM-CKZOG 60-69 years, female 18.9
GTEX-1IL2V-1126-SM-CMKGH 70-79 years, male 18.9
GTEX-132QS-0526-SM-5IJC7 60-69 years, male 18.8
GTEX-14BIN-2126-SM-793AX 50-59 years, female 18.7
GTEX-14PJ4-0926-SM-5YY98 60-69 years, male 18.7
GTEX-111YS-0326-SM-5GZZ3 60-69 years, male 18.6
GTEX-11ZVC-0526-SM-5N9G1 50-59 years, female 18.6
GTEX-1399S-0826-SM-5KM23 30-39 years, female 18.6
GTEX-1QEPI-1126-SM-E8VN7 60-69 years, female 18.6
GTEX-14A5I-1026-SM-5Q5E3 50-59 years, female 18.5
GTEX-13FTW-0826-SM-5K7XR 40-49 years, male 18.4
GTEX-ZGAY-0226-SM-4WWAL 40-49 years, female 18.4
GTEX-1GN1V-1026-SM-CNPPS 60-69 years, male 18.4
GTEX-1122O-0626-SM-5N9B9 60-69 years, female 18.2
GTEX-13PL6-0826-SM-5IJBI 40-49 years, female 18.2
GTEX-13U4I-0626-SM-5LU5L 40-49 years, female 18.2
GTEX-1KXAM-1426-SM-D3LAC 60-69 years, male 18.2
GTEX-1CB4H-0626-SM-7IGN3 60-69 years, female 18.1
GTEX-1LSNL-0626-SM-DIPFJ 50-59 years, male 17.9
GTEX-1CB4I-1526-SM-7DHMY 50-59 years, male 17.8
GTEX-Y8E4-0426-SM-4V6GB 40-49 years, male 17.7
GTEX-11WQK-0226-SM-5EQLI 50-59 years, male 17.6
GTEX-14H4A-0426-SM-5ZZWO 40-49 years, female 17.6
GTEX-ZG7Y-1426-SM-4WWBM 50-59 years, male 17.6
GTEX-147F4-1126-SM-5TDDE 50-59 years, male 17.5
GTEX-1JJ6O-2226-SM-AHZ3I 60-69 years, male 17.5
GTEX-14PII-1026-SM-5ZZVW 60-69 years, male 17.4
GTEX-13O21-0326-SM-5J1N9 50-59 years, male 17.3
GTEX-14E6C-0326-SM-5Q5EE 40-49 years, male 17.3
GTEX-X261-0926-SM-3NMCY 50-59 years, male 17.3
GTEX-ZTTD-0626-SM-4YCCY 50-59 years, male 17.3
GTEX-1HSMQ-0426-SM-ADEIM 50-59 years, male 17.3
GTEX-1LGRB-1026-SM-CNPQD 50-59 years, female 17.3
GTEX-146FR-0926-SM-5QGPE 60-69 years, female 17.1
GTEX-1AX9J-0926-SM-73KXA 60-69 years, male 16.9
GTEX-1LGOU-0326-SM-D3LAM 20-29 years, female 16.9
GTEX-13N11-0726-SM-5L3DP 50-59 years, female 16.8
GTEX-16XZZ-1026-SM-7DHKS 60-69 years, male 16.7
GTEX-1RLM8-0226-SM-E6CJY 50-59 years, male 16.7
GTEX-1192X-0726-SM-5987R 50-59 years, male 16.5
GTEX-1B8SF-1326-SM-7IGQJ 60-69 years, male 16.5
GTEX-1M5QR-1626-SM-E9U5O 40-49 years, male 16.5
GTEX-12WSG-1226-SM-5EQ4C 50-59 years, female 16.2
GTEX-ZAB4-0926-SM-5CVN4 40-49 years, male 16.2
GTEX-13O3Q-0326-SM-5L3FE 50-59 years, male 15.9
GTEX-X8HC-1026-SM-46MWH 50-59 years, female 15.9
GTEX-15D1Q-0426-SM-6AJ9G 40-49 years, male 15.8
GTEX-ZF29-0426-SM-4WKFN 60-69 years, female 15.8
GTEX-18D9B-1126-SM-7KFSH 60-69 years, male 15.7
GTEX-XYKS-0226-SM-4BRW3 60-69 years, female 15.4
GTEX-1H1ZS-1026-SM-9WG6E 70-79 years, male 15.3
GTEX-18A66-1126-SM-731C5 60-69 years, male 14.9
GTEX-12696-1226-SM-5FQSM 60-69 years, male 14.7
GTEX-13FTZ-0326-SM-5J1O1 60-69 years, male 14.7
GTEX-1GMR2-1326-SM-9KNUT 50-59 years, male 14.6
GTEX-1477Z-1126-SM-5P9GK 60-69 years, male 14.3
GTEX-1HCUA-0626-SM-ACKVT 50-59 years, female 14.3
GTEX-15SKB-0926-SM-7KUFC 60-69 years, male 14.2
GTEX-1C6WA-0826-SM-7PBXS 60-69 years, male 14.2
GTEX-1OFPY-0926-SM-DTX8Q 60-69 years, male 14.2
GTEX-ZT9W-0526-SM-57WFG 50-59 years, male 14.0
GTEX-Y114-0126-SM-4TT8K 50-59 years, female 13.9
GTEX-14PHY-0326-SM-62LE3 60-69 years, female 13.8
GTEX-1HBPM-1026-SM-ARL9D 60-69 years, female 13.6
GTEX-12WSN-0226-SM-5DUXH 40-49 years, male 13.5
GTEX-UTHO-1226-SM-3GAEE 60-69 years, male 13.5
GTEX-17EVP-0526-SM-7EPGY 40-49 years, male 13.4
GTEX-14BIL-0926-SM-7DHKN 50-59 years, male 13.2
GTEX-139TU-1926-SM-5J2OC 60-69 years, male 13.1
GTEX-132Q8-1126-SM-5K7XS 60-69 years, male 13.0
GTEX-18A67-1026-SM-731CE 50-59 years, male 12.7
GTEX-1RB15-0426-SM-E9U4Y 60-69 years, male 12.6
GTEX-1R7EV-0426-SM-DTX7Z 40-49 years, male 11.8
GTEX-13OVG-0426-SM-5KM2T 60-69 years, male 11.7
GTEX-1211K-0226-SM-59HJY 60-69 years, female 11.5
GTEX-X5EB-0626-SM-46MVQ 40-49 years, male 11.2
GTEX-1J8Q3-1126-SM-ARU8N 60-69 years, male 10.6
GTEX-13SLW-0826-SM-5QGP7 70-79 years, male 10.5
GTEX-WFG8-0726-SM-3GILP 20-29 years, male 6.3
Show allShow less
Heart - Left Ventricle
Average nTPM: 88.4
Samples: 432

Max nTPM: 314.9
Min nTPM: 8.9
Std nTPM: 45.5
Median nTPM: 84.0
GTEX-1AX9K-0526-SM-73KV1 50-59 years, male 314.9
GTEX-1HCU7-1326-SM-CNPPW 50-59 years, male 283.7
GTEX-X3Y1-0426-SM-3P5Z4 40-49 years, male 266.0
GTEX-WYJK-1026-SM-3NM8W 50-59 years, male 244.9
GTEX-1AX9J-1026-SM-72D6E 60-69 years, male 238.6
GTEX-18D9U-1126-SM-72D5Y 40-49 years, male 234.5
GTEX-14PN3-0526-SM-69LQF 60-69 years, female 228.8
GTEX-1R9JW-0526-SM-EWRNK 30-39 years, female 200.9
GTEX-131XF-5001-SM-7DHLY 60-69 years, male 200.4
GTEX-PSDG-0926-SM-2I5FP 50-59 years, male 199.4
GTEX-16XZY-0426-SM-793BI 70-79 years, male 192.9
GTEX-OXRL-0326-SM-2I3F2 50-59 years, male 187.8
GTEX-1RMOY-0626-SM-E9TIE 50-59 years, male 186.4
GTEX-WHSE-0926-SM-3NMBS 20-29 years, male 185.7
GTEX-R55E-1026-SM-2TC5S 20-29 years, male 185.1
GTEX-13OVL-0526-SM-5KLZQ 50-59 years, male 180.9
GTEX-1RQEC-0926-SM-EWROG 60-69 years, male 180.3
GTEX-1399U-0526-SM-5K7YM 50-59 years, female 180.0
GTEX-1MUQO-1226-SM-E9TJK 60-69 years, male 173.3
GTEX-1AX9I-1126-SM-7EPHH 60-69 years, male 171.7
GTEX-ZDXO-0726-SM-57WBT 60-69 years, male 169.4
GTEX-14PJ6-0726-SM-69LOL 60-69 years, female 168.6
GTEX-145MO-1126-SM-5NQBX 60-69 years, male 163.4
GTEX-13O3O-1526-SM-5KM1C 60-69 years, female 161.4
GTEX-XQ8I-0126-SM-4BOPL 50-59 years, male 160.6
GTEX-WFON-0326-SM-3GIKX 40-49 years, male 160.5
GTEX-XQ3S-0626-SM-4BOOB 20-29 years, male 160.5
GTEX-13O61-0526-SM-5J2M1 60-69 years, male 160.1
GTEX-WZTO-1326-SM-3NM8X 40-49 years, male 158.5
GTEX-1POEN-0626-SM-EVR4B 30-39 years, female 157.3
GTEX-P4PQ-0326-SM-2HMJ8 60-69 years, male 155.8
GTEX-1HSGN-1126-SM-CJI4G 40-49 years, female 155.8
GTEX-QEL4-0926-SM-3GAD1 50-59 years, male 152.4
GTEX-11ZUS-0226-SM-5FQT8 30-39 years, male 152.2
GTEX-OOBJ-0326-SM-33HBO 60-69 years, male 151.5
GTEX-ZYFG-0426-SM-5E43M 60-69 years, female 150.8
GTEX-1GMR3-0326-SM-7P8QT 40-49 years, male 150.5
GTEX-UPK5-0326-SM-CYPR4 40-49 years, male 149.5
GTEX-R55C-0326-SM-3GAF1 40-49 years, male 148.4
GTEX-139YR-0826-SM-5LZXY 50-59 years, male 147.6
GTEX-OXRK-0826-SM-2HMK7 50-59 years, female 147.6
GTEX-13CF2-0426-SM-5KM1H 60-69 years, male 147.2
GTEX-NFK9-0926-SM-2HMJU 40-49 years, male 147.0
GTEX-1ICG6-0626-SM-ACKWS 70-79 years, female 145.0
GTEX-14PHX-2126-SM-6EU2U 50-59 years, male 144.2
GTEX-12WSN-5001-SM-7DHMK 40-49 years, male 143.4
GTEX-XPT6-0126-SM-4B65S 20-29 years, male 143.4
GTEX-117YX-1126-SM-5H128 50-59 years, male 140.0
GTEX-15CHR-0226-SM-7PC2Z 50-59 years, male 139.3
GTEX-1C2JI-0526-SM-7EWEQ 50-59 years, male 139.2
GTEX-1CAMS-1326-SM-79OJR 40-49 years, female 138.9
GTEX-1EU9M-1826-SM-7DUGU 60-69 years, male 138.5
GTEX-X8HC-1626-SM-46MWE 50-59 years, female 138.5
GTEX-11DXX-0326-SM-5PNWC 60-69 years, female 138.3
GTEX-POMQ-0326-SM-2I5FO 20-29 years, female 137.1
GTEX-ZG7Y-0926-SM-5EQ6O 50-59 years, male 136.8
GTEX-11DXZ-0626-SM-5GU77 50-59 years, male 136.3
GTEX-YFC4-0526-SM-5ZZVI 40-49 years, female 135.9
GTEX-Q2AH-0526-SM-2I3ED 40-49 years, male 134.8
GTEX-16YQH-0926-SM-793BC 30-39 years, male 133.7
GTEX-QEG4-0426-SM-33HC3 30-39 years, male 133.7
GTEX-15SHW-1226-SM-6M46C 60-69 years, male 133.6
GTEX-13RTJ-0726-SM-5QGQN 60-69 years, male 133.5
GTEX-WFG7-0726-SM-3GIKO 20-29 years, male 133.5
GTEX-ZDTS-1326-SM-6LLHE 60-69 years, male 133.5
GTEX-1JJ6O-2126-SM-CNNP6 60-69 years, male 133.5
GTEX-QEG5-0926-SM-2TC64 20-29 years, male 133.3
GTEX-1C64O-0826-SM-79OKZ 60-69 years, male 132.7
GTEX-OHPK-0326-SM-2HMJO 50-59 years, female 132.4
GTEX-U3ZH-0326-SM-3DB7A 30-39 years, male 131.9
GTEX-1KANC-0426-SM-CXZK5 50-59 years, female 131.9
GTEX-RNOR-0826-SM-2TF5C 50-59 years, female 131.7
GTEX-15CHC-0426-SM-6LLHI 60-69 years, female 131.2
GTEX-1HBPH-0126-SM-CNNQ7 40-49 years, female 131.1
GTEX-V1D1-0526-SM-4JBGW 50-59 years, male 130.6
GTEX-OHPM-0326-SM-33HCA 50-59 years, male 130.4
GTEX-14E1K-1026-SM-73KUR 50-59 years, male 129.5
GTEX-12WSD-1126-SM-5EGJD 60-69 years, female 129.2
GTEX-1F6I4-0726-SM-7PC2P 60-69 years, male 129.0
GTEX-12ZZY-1126-SM-5DUWQ 60-69 years, male 128.6
GTEX-ZVT2-1026-SM-5GU55 50-59 years, female 127.9
GTEX-WL46-0926-SM-3LK7T 50-59 years, male 125.8
GTEX-1QP29-1526-SM-EXUSY 50-59 years, male 123.8
GTEX-131XE-0626-SM-5HL98 50-59 years, male 123.2
GTEX-111YS-0426-SM-5987O 60-69 years, male 123.0
GTEX-145LV-0326-SM-5Q5BW 50-59 years, male 121.6
GTEX-13O21-2326-SM-5MR3X 50-59 years, male 121.5
GTEX-1KD5A-1026-SM-CY8I8 50-59 years, male 121.2
GTEX-RWS6-0326-SM-2XCAP 60-69 years, female 120.2
GTEX-132NY-1726-SM-5EGKK 60-69 years, male 119.9
GTEX-11LCK-0926-SM-5A5KA 30-39 years, male 119.4
GTEX-13PVR-1026-SM-5QGQW 60-69 years, female 119.1
GTEX-QV44-0526-SM-2S1RE 50-59 years, male 119.1
GTEX-1B8KE-0126-SM-793AM 50-59 years, male 119.0
GTEX-13SLX-1026-SM-5ZZUQ 50-59 years, female 118.5
GTEX-11O72-1126-SM-5N9E2 40-49 years, male 118.3
GTEX-ZAB5-0226-SM-5CVMH 50-59 years, male 118.3
GTEX-WHPG-0826-SM-3NMBF 50-59 years, male 118.2
GTEX-SNMC-0126-SM-2XCFO 20-29 years, male 117.1
GTEX-16NPX-0926-SM-7KUEZ 50-59 years, male 116.4
GTEX-1269C-0826-SM-5N9EM 60-69 years, female 116.2
GTEX-XGQ4-0326-SM-4GIEE 50-59 years, male 115.7
GTEX-ZF3C-1226-SM-4WWCB 50-59 years, female 115.2
GTEX-13VXT-1126-SM-5LU3A 20-29 years, female 114.6
GTEX-1GMR2-1426-SM-7RHHK 50-59 years, male 114.6
GTEX-1J8Q2-1226-SM-A9G2W 60-69 years, male 114.1
GTEX-15DYW-1126-SM-6LPK5 60-69 years, female 113.7
GTEX-QLQ7-0526-SM-2I5G3 60-69 years, male 113.2
GTEX-13PVQ-1226-SM-5IJDC 50-59 years, male 113.0
GTEX-PLZ5-0626-SM-2I5F8 50-59 years, male 112.7
GTEX-1HFI7-0826-SM-A9G23 50-59 years, female 112.6
GTEX-1MCC2-0326-SM-EV7AK 30-39 years, female 111.9
GTEX-1CB4G-0826-SM-7DUGF 60-69 years, male 111.7
GTEX-11EMC-0726-SM-5EGJO 60-69 years, female 111.0
GTEX-15RJ7-0226-SM-7KUMN 40-49 years, male 110.5
GTEX-12WSG-0526-SM-5FQTH 50-59 years, female 110.3
GTEX-14JG1-1026-SM-6ETZY 40-49 years, male 110.1
GTEX-1BAJH-1626-SM-73KUV 70-79 years, male 110.0
GTEX-1GZ4I-1026-SM-9KNV5 50-59 years, male 110.0
GTEX-14DAQ-1126-SM-664MT 60-69 years, female 109.9
GTEX-YEC3-0726-SM-CMKFH 50-59 years, male 109.9
GTEX-15ER7-1726-SM-6PAMX 20-29 years, female 109.6
GTEX-1I1GQ-1426-SM-B2LWY 50-59 years, male 109.6
GTEX-WEY5-0426-SM-3GIKT 40-49 years, female 109.3
GTEX-X15G-0426-SM-4PQZ6 50-59 years, female 107.0
GTEX-1GL5R-0326-SM-9WYTJ 50-59 years, male 107.0
GTEX-XXEK-0926-SM-4BRWH 50-59 years, male 106.5
GTEX-146FR-0626-SM-5RQJ1 60-69 years, female 105.7
GTEX-OIZG-1126-SM-2HMIU 50-59 years, male 105.6
GTEX-OHPL-0326-SM-33HC8 60-69 years, female 105.5
GTEX-O5YW-0326-SM-2I5EI 50-59 years, male 105.3
GTEX-1JMQK-0626-SM-D4P2R 60-69 years, male 105.3
GTEX-14H4A-0626-SM-5ZZUT 40-49 years, female 104.8
GTEX-1CB4E-0526-SM-7MXTK 60-69 years, male 104.5
GTEX-1I1HK-0726-SM-B2LY4 60-69 years, male 103.9
GTEX-1LVAN-1726-SM-CNNR1 50-59 years, female 103.7
GTEX-QESD-0526-SM-2I5G5 20-29 years, male 103.6
GTEX-1HC8U-0726-SM-ACKXL 40-49 years, female 103.5
GTEX-14PK6-0826-SM-5ZZVO 70-79 years, female 102.6
GTEX-1212Z-0626-SM-5FQTB 60-69 years, male 102.4
GTEX-P78B-0426-SM-2I5F5 40-49 years, female 102.2
GTEX-1LGOU-0726-SM-E9TIY 20-29 years, female 102.2
GTEX-13NZB-0226-SM-5KM1T 30-39 years, male 100.9
GTEX-18465-0926-SM-731AY 50-59 years, male 100.4
GTEX-U8XE-1126-SM-3DB8W 30-39 years, male 100.2
GTEX-11DXY-0826-SM-5EGGR 60-69 years, male 100.1
GTEX-14A6H-0226-SM-5Q5DX 30-39 years, male 99.4
GTEX-18A67-1226-SM-7KFRS 50-59 years, male 98.6
GTEX-R53T-0926-SM-3GADH 50-59 years, female 98.5
GTEX-Y3IK-0826-SM-51MT8 50-59 years, female 98.5
GTEX-1F75I-1126-SM-9WYUO 40-49 years, male 98.2
GTEX-RWSA-0626-SM-2XCBD 40-49 years, male 97.5
GTEX-ZYW4-0926-SM-59HJS 60-69 years, male 97.1
GTEX-13N11-0426-SM-5KM3O 50-59 years, female 96.9
GTEX-1ICLY-1326-SM-CJI47 50-59 years, male 96.9
GTEX-V955-0726-SM-3GAFG 60-69 years, male 96.8
GTEX-1F5PK-0326-SM-9KNUD 50-59 years, male 96.5
GTEX-15SHU-1126-SM-7KUMB 40-49 years, female 96.2
GTEX-XPVG-0826-SM-4B654 50-59 years, male 96.2
GTEX-ZPU1-0626-SM-4YCDM 40-49 years, male 96.2
GTEX-UJMC-0526-SM-3GAE3 50-59 years, male 96.1
GTEX-XBED-0526-SM-47JY3 60-69 years, male 95.4
GTEX-13X6K-1826-SM-5O9CR 60-69 years, female 95.2
GTEX-148VI-0326-SM-5RQK7 60-69 years, female 94.9
GTEX-1JJEA-0826-SM-CL53T 60-69 years, male 94.9
GTEX-ZYFC-1126-SM-5E44W 50-59 years, male 94.6
GTEX-1OKEX-0726-SM-DPRYE 60-69 years, male 94.5
GTEX-P44G-0826-SM-2I5ES 30-39 years, male 94.1
GTEX-QMRM-0526-SM-2I5GA 50-59 years, male 94.0
GTEX-1M5QR-1026-SM-DHXK9 40-49 years, male 93.9
GTEX-1QCLZ-0926-SM-E6CQZ 60-69 years, female 93.9
GTEX-OIZH-0326-SM-2HMKC 50-59 years, male 93.7
GTEX-S32W-0626-SM-2XCBG 50-59 years, female 93.7
GTEX-1339X-0426-SM-5KLZY 40-49 years, male 93.6
GTEX-1GN73-2426-SM-7RHFQ 60-69 years, male 93.5
GTEX-SUCS-0326-SM-32PLL 70-79 years, male 92.5
GTEX-P4PP-0326-SM-33HC4 30-39 years, female 91.8
GTEX-WWYW-1326-SM-3NB2S 50-59 years, female 91.8
GTEX-1L5NE-0426-SM-E9TIX 50-59 years, male 91.7
GTEX-1IDJI-1026-SM-A96TE 50-59 years, female 91.5
GTEX-1J8EW-0926-SM-A9G33 60-69 years, female 91.5
GTEX-ZLFU-0226-SM-4WWFH 40-49 years, male 91.4
GTEX-11ZVC-0426-SM-5CVLD 50-59 years, female 91.0
GTEX-1AYCT-0426-SM-73KVZ 50-59 years, male 90.5
GTEX-ZVZP-0226-SM-5NQ73 50-59 years, male 89.6
GTEX-PX3G-0326-SM-2I3EO 20-29 years, female 89.4
GTEX-O5YT-0326-SM-32PKA 20-29 years, male 89.3
GTEX-WQUQ-1426-SM-3MJFD 60-69 years, male 88.9
GTEX-QDVN-0326-SM-2I3FS 50-59 years, male 88.8
GTEX-YEC4-0326-SM-4W216 40-49 years, male 88.7
GTEX-1IL2U-1326-SM-A9G2O 60-69 years, male 88.5
GTEX-1399S-1026-SM-5KLZ9 30-39 years, female 88.4
GTEX-1O9I2-1126-SM-DTXEA 50-59 years, male 87.9
GTEX-131XH-0226-SM-5LZVB 50-59 years, male 87.7
GTEX-1CB4I-1626-SM-7RHGV 50-59 years, male 87.7
GTEX-1399R-1926-SM-5K7X8 30-39 years, male 87.4
GTEX-1313W-1426-SM-5KLZU 50-59 years, female 87.3
GTEX-ZDTT-0726-SM-4WKFK 60-69 years, male 87.2
GTEX-13X6H-0426-SM-5LU4E 50-59 years, female 86.5
GTEX-1R7EV-0326-SM-E76PA 40-49 years, male 86.5
GTEX-YJ8O-0926-SM-EAZ2Z 40-49 years, female 86.2
GTEX-12BJ1-0226-SM-5LUA2 60-69 years, male 86.1
GTEX-RUSQ-0526-SM-2TF72 50-59 years, male 85.8
GTEX-U3ZN-1426-SM-3DB87 30-39 years, female 85.8
GTEX-WK11-0826-SM-EZ6LH 50-59 years, male 85.4
GTEX-1314G-0126-SM-5LZUL 30-39 years, male 85.3
GTEX-12WSC-1126-SM-5EQ4G 50-59 years, male 85.1
GTEX-ZQUD-1526-SM-7IGO2 30-39 years, male 85.0
GTEX-1JMPZ-1426-SM-CJI3C 30-39 years, male 84.9
GTEX-NPJ8-0426-SM-2HMK6 40-49 years, male 84.7
GTEX-1B97J-0726-SM-7RHG3 50-59 years, female 84.7
GTEX-14C38-1426-SM-5RQHZ 50-59 years, male 84.6
GTEX-Y5V5-0626-SM-4VBPX 60-69 years, female 84.6
GTEX-132AR-2026-SM-5IJG4 50-59 years, female 84.5
GTEX-1LSNM-0526-SM-DIPG6 50-59 years, male 84.4
GTEX-ZV7C-0326-SM-57WB1 50-59 years, male 84.0
GTEX-15DDE-1126-SM-6LLHN 50-59 years, female 83.9
GTEX-ZF2S-1026-SM-9QEGK 50-59 years, female 83.6
GTEX-1E1VI-1326-SM-7IGQD 50-59 years, male 83.5
GTEX-17HGU-1026-SM-79OKL 50-59 years, male 83.2
GTEX-1HCUA-0526-SM-A9SMH 50-59 years, female 82.8
GTEX-ZPCL-0426-SM-DNZZ4 60-69 years, female 82.3
GTEX-T6MN-0926-SM-32PLX 50-59 years, male 82.1
GTEX-13OW6-1126-SM-5L3HL 50-59 years, male 82.0
GTEX-17KNJ-0826-SM-793A4 50-59 years, male 81.1
GTEX-WY7C-0526-SM-3NB3D 50-59 years, male 80.9
GTEX-13S86-0226-SM-5S2PJ 40-49 years, male 80.5
GTEX-XBEC-1326-SM-4AT69 50-59 years, male 80.5
GTEX-1A8G6-1626-SM-7MGWO 60-69 years, male 80.5
GTEX-S33H-0526-SM-COH1W 30-39 years, male 80.5
GTEX-1LB8K-1026-SM-DHXJJ 50-59 years, male 80.3
GTEX-ZEX8-0426-SM-DO92Y 50-59 years, male 80.2
GTEX-1B932-1026-SM-793CL 40-49 years, female 80.0
GTEX-WRHU-1226-SM-4E3IJ 50-59 years, female 80.0
GTEX-1QP2A-1126-SM-EVR3H 50-59 years, male 79.4
GTEX-1S3DN-0726-SM-E9TIO 50-59 years, male 79.1
GTEX-1JK1U-0526-SM-CYPSQ 60-69 years, male 78.6
GTEX-13FTW-1026-SM-5L3E3 40-49 years, male 78.0
GTEX-ZDYS-0226-SM-5HL4K 50-59 years, male 77.5
GTEX-1QPFJ-1026-SM-E6CR6 30-39 years, female 77.2
GTEX-1R9K4-1326-SM-DTX8G 60-69 years, male 76.7
GTEX-1B996-1126-SM-73KWN 60-69 years, male 76.5
GTEX-UJHI-0426-SM-3DB8Y 50-59 years, female 76.0
GTEX-1PPGY-1126-SM-E76OU 60-69 years, male 75.9
GTEX-1R9PO-0326-SM-DTXA1 60-69 years, female 75.8
GTEX-16BQI-0926-SM-6M485 30-39 years, female 75.6
GTEX-1N2EF-2826-SM-E6CQF 60-69 years, male 75.6
GTEX-1LGRB-1126-SM-CNPP2 50-59 years, female 75.1
GTEX-ZF29-0226-SM-4WKHO 60-69 years, female 74.3
GTEX-PVOW-0426-SM-5MR5R 40-49 years, male 73.8
GTEX-13OVG-0526-SM-5K7YD 60-69 years, male 73.6
GTEX-13O3P-1626-SM-5K7X3 50-59 years, male 73.4
GTEX-1IKOE-1026-SM-ARZMF 30-39 years, female 72.8
GTEX-1R9K5-1326-SM-E6CPR 50-59 years, male 72.8
GTEX-17JCI-1126-SM-7IGMM 60-69 years, female 72.4
GTEX-ZZPU-0926-SM-5GZYT 50-59 years, female 72.1
GTEX-1IKK5-1526-SM-CKZPW 60-69 years, male 71.9
GTEX-RTLS-0826-SM-2TF5Q 60-69 years, female 71.8
GTEX-RN64-0826-SM-2TC62 50-59 years, male 71.6
GTEX-17MF6-0726-SM-7LT8E 40-49 years, male 71.4
GTEX-12584-0926-SM-5FQTN 40-49 years, male 71.3
GTEX-14PJ4-1126-SM-5YY91 60-69 years, male 71.3
GTEX-Y5V6-0826-SM-4VBRU 60-69 years, male 71.3
GTEX-1IDJE-0326-SM-CM2TD 50-59 years, female 71.1
GTEX-1GN1V-0826-SM-9KNU6 60-69 years, male 70.9
GTEX-12ZZZ-1726-SM-59HK5 60-69 years, male 70.7
GTEX-13112-0426-SM-5PNVC 50-59 years, male 70.5
GTEX-11ONC-0126-SM-5PNW6 60-69 years, male 70.0
GTEX-WI4N-0626-SM-3TW8Z 40-49 years, female 70.0
GTEX-REY6-1026-SM-2TF4Y 60-69 years, male 69.8
GTEX-13FTZ-0226-SM-5K7X6 60-69 years, male 69.6
GTEX-1GF9V-1626-SM-7PBXL 60-69 years, male 69.6
GTEX-13FLV-0926-SM-5L3DZ 50-59 years, male 69.4
GTEX-1KD4Q-0726-SM-DIPGE 40-49 years, male 69.1
GTEX-13FH7-0926-SM-5J2MR 50-59 years, female 69.0
GTEX-147F4-1226-SM-5NQAY 50-59 years, male 68.5
GTEX-1B8L1-0526-SM-79ONX 60-69 years, male 68.2
GTEX-ZAJG-0826-SM-5PNVA 50-59 years, female 68.1
GTEX-OIZF-0326-SM-3MJGY 60-69 years, male 68.0
GTEX-ZGAY-0326-SM-57WF5 40-49 years, female 67.9
GTEX-1497J-1226-SM-5Q5BL 60-69 years, male 65.5
GTEX-11GSP-1326-SM-5A5KY 60-69 years, female 65.2
GTEX-14C5O-1326-SM-5S2UW 60-69 years, male 64.9
GTEX-1EN7A-0726-SM-7PBXT 40-49 years, male 64.6
GTEX-T2IS-0426-SM-32QPE 20-29 years, female 64.4
GTEX-13U4I-0826-SM-5SIBD 40-49 years, female 64.1
GTEX-14A5I-1226-SM-5NQBW 50-59 years, female 64.1
GTEX-RU72-0326-SM-2TF5T 50-59 years, female 64.1
GTEX-ZYT6-1726-SM-5E44P 30-39 years, male 64.0
GTEX-1LH75-0426-SM-E9TJF 50-59 years, female 62.9
GTEX-1HCU6-1026-SM-A9G25 60-69 years, female 62.8
GTEX-14BIN-2226-SM-5YYA1 50-59 years, female 62.1
GTEX-1OFPY-1026-SM-EXUSO 60-69 years, male 62.0
GTEX-1A3MX-1326-SM-72D58 60-69 years, male 61.6
GTEX-ZAB4-1026-SM-5HL7T 40-49 years, male 61.5
GTEX-N7MS-0826-SM-2HML4 60-69 years, male 61.3
GTEX-1EMGI-1226-SM-793DD 60-69 years, male 61.2
GTEX-15RJE-0626-SM-7KUKR 40-49 years, male 60.7
GTEX-ZTPG-1226-SM-4YCDO 20-29 years, female 60.7
GTEX-145MN-0626-SM-5QGRH 30-39 years, male 60.6
GTEX-13D11-1726-SM-5IFGQ 50-59 years, female 59.9
GTEX-13QBU-0426-SM-5J2O4 40-49 years, female 59.8
GTEX-1GF9U-0426-SM-7RHHA 40-49 years, female 59.6
GTEX-13CF3-0726-SM-5J2MY 60-69 years, female 59.4
GTEX-1IDJF-0726-SM-CJI1U 20-29 years, male 59.2
GTEX-1F48J-1026-SM-7P8SO 50-59 years, female 58.9
GTEX-Y8E4-0326-SM-4VBRR 40-49 years, male 58.5
GTEX-1F6IF-2526-SM-7P8TV 60-69 years, male 58.3
GTEX-1PWST-1026-SM-DTXF2 70-79 years, male 58.2
GTEX-1I1GV-1326-SM-A96SE 60-69 years, male 58.1
GTEX-111FC-0826-SM-5GZWO 60-69 years, male 57.8
GTEX-17HHY-1426-SM-7EWDQ 50-59 years, male 57.8
GTEX-1AX8Z-5007-SM-AHZ36 60-69 years, male 57.7
GTEX-1HSMQ-0226-SM-C1YQL 50-59 years, male 57.3
GTEX-146FH-1026-SM-5RQIF 50-59 years, female 57.2
GTEX-1RAZS-0826-SM-E76QP 50-59 years, male 57.2
GTEX-13X6I-1426-SM-5SI9Z 60-69 years, male 57.1
GTEX-117YW-0326-SM-5N9CY 50-59 years, male 56.9
GTEX-1JMLX-1626-SM-ARZMV 50-59 years, male 56.8
GTEX-13YAN-1326-SM-5Q5F1 60-69 years, male 56.6
GTEX-14C39-0926-SM-5TDDV 40-49 years, male 56.4
GTEX-1H11D-1226-SM-9WPQ2 40-49 years, male 56.2
GTEX-SE5C-0626-SM-2XCDV 40-49 years, female 55.9
GTEX-1EH9U-0826-SM-7IGPT 60-69 years, male 55.8
GTEX-Y3I4-0626-SM-4TT7A 50-59 years, male 55.4
GTEX-1HT8W-1726-SM-CNNQB 30-39 years, male 55.3
GTEX-O5YV-0326-SM-2I5H2 60-69 years, female 54.7
GTEX-14E7W-1226-SM-5RQIU 70-79 years, male 54.6
GTEX-11GS4-0526-SM-5A5KQ 60-69 years, male 54.5
GTEX-WHWD-0426-SM-3LK83 50-59 years, male 54.5
GTEX-OXRO-2026-SM-2YUMZ 60-69 years, female 54.1
GTEX-Y114-0226-SM-4TT8W 50-59 years, female 54.1
GTEX-1O97I-0826-SM-E8VNE 60-69 years, male 54.1
GTEX-1HBPM-1226-SM-A9SM8 60-69 years, female 54.0
GTEX-1JN6P-1126-SM-CKZON 60-69 years, male 53.9
GTEX-13OW5-1126-SM-5J1NR 60-69 years, male 53.5
GTEX-1JN1M-1026-SM-CNPOS 60-69 years, female 53.4
GTEX-11TUW-1026-SM-5GU7D 60-69 years, male 53.2
GTEX-147JS-1526-SM-5ZZWF 60-69 years, male 52.8
GTEX-18A6Q-1626-SM-7KFTA 60-69 years, male 52.4
GTEX-14JIY-1126-SM-6EU28 60-69 years, male 52.1
GTEX-1LG7Y-1226-SM-CXZKD 50-59 years, male 52.1
GTEX-17F9E-0926-SM-7IGMG 50-59 years, male 52.0
GTEX-1MJIX-0326-SM-EVR42 40-49 years, male 51.9
GTEX-12696-1126-SM-5FQTI 60-69 years, male 51.6
GTEX-QDVJ-0426-SM-2I5FW 50-59 years, male 51.4
GTEX-1NV8Z-1526-SM-DTX8X 60-69 years, male 51.2
GTEX-1H3NZ-1126-SM-9WYT9 60-69 years, male 50.9
GTEX-14PJ2-1026-SM-6EU1M 50-59 years, male 50.5
GTEX-1KXAM-1326-SM-E9TJW 60-69 years, male 50.1
GTEX-1EKGG-1126-SM-7MGXB 60-69 years, male 49.7
GTEX-1J8Q3-1226-SM-CKZPT 60-69 years, male 49.6
GTEX-1ICLZ-1026-SM-A9SLF 60-69 years, male 49.3
GTEX-1IDJH-1026-SM-E9TKH 70-79 years, male 48.7
GTEX-1211K-0626-SM-5FQUZ 60-69 years, female 48.2
GTEX-1122O-0826-SM-5GICV 60-69 years, female 47.6
GTEX-16MT8-0926-SM-6M487 60-69 years, female 47.6
GTEX-1I1GP-0826-SM-A96SD 50-59 years, male 46.8
GTEX-13JVG-1326-SM-5N9F8 60-69 years, male 46.4
GTEX-13N1W-1026-SM-5IJC5 70-79 years, male 46.1
GTEX-U4B1-0326-SM-3DB8K 40-49 years, male 46.1
GTEX-1CB4J-0326-SM-7PBZO 60-69 years, male 46.0
GTEX-1LVA9-0926-SM-EVR5G 50-59 years, male 45.6
GTEX-P44H-0726-SM-48TBT 40-49 years, male 45.4
GTEX-1IKJJ-0826-SM-A96SP 60-69 years, male 45.4
GTEX-13NYB-0226-SM-5N9G4 40-49 years, male 44.5
GTEX-17F9Y-1326-SM-7MGW9 70-79 years, female 44.3
GTEX-11I78-0826-SM-5A5K4 50-59 years, female 44.2
GTEX-13FHP-1026-SM-5K7Y2 50-59 years, male 44.1
GTEX-QVJO-1926-SM-2S1QZ 60-69 years, female 44.1
GTEX-12WSK-0626-SM-5LZUJ 40-49 years, female 43.8
GTEX-1EWIQ-1426-SM-7IGOS 70-79 years, female 43.7
GTEX-1H23P-1226-SM-9QEJ2 60-69 years, male 43.4
GTEX-132QS-0426-SM-5KLZ6 60-69 years, male 43.3
GTEX-14PHY-0226-SM-5ZZWM 60-69 years, female 43.0
GTEX-13OW8-2126-SM-5J1OS 60-69 years, male 42.7
GTEX-11TT1-1326-SM-5PNYM 20-29 years, male 42.3
GTEX-1A3MW-1326-SM-7189P 60-69 years, female 42.3
GTEX-R45C-0926-SM-3GAD4 60-69 years, female 41.6
GTEX-1IDJU-0726-SM-CNPQ9 60-69 years, female 41.2
GTEX-ZUA1-0826-SM-4YCDL 40-49 years, male 41.0
GTEX-1H1ZS-1126-SM-9MQLJ 70-79 years, male 40.4
GTEX-SIU8-0826-SM-2XCDQ 50-59 years, male 39.3
GTEX-18D9B-1226-SM-72D6V 60-69 years, male 38.6
GTEX-X261-1426-SM-4PQZ1 50-59 years, male 38.5
GTEX-PWCY-0526-SM-5P9HG 20-29 years, female 38.2
GTEX-1EX96-2526-SM-7RHGW 50-59 years, male 38.2
GTEX-WFG8-0626-SM-3GILJ 20-29 years, male 38.0
GTEX-R55G-0526-SM-2TC5O 40-49 years, female 37.0
GTEX-15RIE-1726-SM-7KUMU 60-69 years, male 36.9
GTEX-1B8SG-0826-SM-7EWF7 50-59 years, male 36.5
GTEX-1HCVE-1126-SM-9WPPG 50-59 years, male 35.4
GTEX-1GN2E-1326-SM-9KNVG 60-69 years, male 33.8
GTEX-OIZI-0926-SM-E6CHF 40-49 years, male 33.3
GTEX-17GQL-0526-SM-72D5N 60-69 years, male 33.2
GTEX-1GMRU-1526-SM-9WYT5 50-59 years, male 33.2
GTEX-1H1CY-0326-SM-9QEIZ 60-69 years, female 32.7
GTEX-14E6D-0926-SM-5S2QV 50-59 years, male 32.6
GTEX-15EOM-5007-SM-793DG 20-29 years, female 32.5
GTEX-15CHQ-1526-SM-69LPW 60-69 years, male 31.5
GTEX-131XG-0626-SM-5GCMP 50-59 years, female 30.7
GTEX-1J8QM-0426-SM-AHZ3X 60-69 years, female 30.7
GTEX-1GTWX-1026-SM-7P8QW 60-69 years, male 30.3
GTEX-1399T-0426-SM-5PNVJ 60-69 years, male 30.1
GTEX-14E6C-0426-SM-5YYA8 40-49 years, male 29.8
GTEX-1LC47-1026-SM-D3LAH 60-69 years, male 29.8
GTEX-1C6VQ-1126-SM-7EWET 50-59 years, male 29.5
GTEX-WH7G-0426-SM-3NMBJ 40-49 years, male 28.0
GTEX-148VJ-1526-SM-5Q5DU 70-79 years, male 27.4
GTEX-14BIL-1126-SM-79OMC 50-59 years, male 26.1
GTEX-XV7Q-0826-SM-4BRV7 40-49 years, female 24.9
GTEX-1JJE9-1426-SM-ARL8P 70-79 years, male 24.7
GTEX-13O1R-1226-SM-5J1NU 60-69 years, male 24.3
GTEX-1PPH7-2026-SM-E9J3N 40-49 years, male 24.2
GTEX-1I6K7-0626-SM-ARL7Q 40-49 years, male 24.0
GTEX-12ZZW-1026-SM-5GCMM 50-59 years, male 23.9
GTEX-YF7O-0426-SM-5P9FS 50-59 years, male 23.3
GTEX-11EM3-0626-SM-5H12Z 20-29 years, female 23.1
GTEX-N7MT-1326-SM-2I3FV 60-69 years, female 22.9
GTEX-1JMOU-0226-SM-CNNPD 60-69 years, female 22.1
GTEX-P4QS-0326-SM-2I3EU 60-69 years, male 20.6
GTEX-1RB15-0326-SM-E6CQB 60-69 years, male 20.6
GTEX-14PJM-1126-SM-6LLHK 50-59 years, female 19.7
GTEX-ZPIC-0826-SM-4WWFJ 40-49 years, female 19.0
GTEX-YB5K-0126-SM-5IFJ2 40-49 years, female 18.1
GTEX-13W3W-0426-SM-5SI9D 60-69 years, female 16.1
GTEX-1HSMO-1226-SM-CL548 60-69 years, male 15.4
GTEX-17HII-1326-SM-7IGOB 50-59 years, male 14.5
GTEX-1GN1W-0326-SM-9JGHF 50-59 years, female 13.9
GTEX-18A66-1226-SM-7LT8G 60-69 years, male 13.7
GTEX-1K9T9-1126-SM-D3L9E 50-59 years, female 13.4
GTEX-14XAO-1126-SM-6EU11 60-69 years, female 8.9
Show allShow less

HEART MUSCLE - FANTOM5 CAGEi

RNA expression in human tissues obtained through Cap Analysis of Gene Expression (CAGE) generated by the FANTOM5 project are reported as Scaled Tags Per Million.

Max subtype Scaled Tags Per Millioni

Max subtype Scaled Tags Per Million is the value for the subtype with the largest average Scaled Tags Per Million across the subtype samples.

113.1
FANTOM5 sample id Sample description Scaled Tags Per Million
Heart
Scaled Tags Per Million: 106.9
FF:10016-101C7 70,73,74 years, mixed 106.9
Left atrium
Scaled Tags Per Million: 70.5
FF:10079-102A7 40 years, male 70.5
Left ventricle
Scaled Tags Per Million: 113.1
FF:10078-102A6 73 years, female 113.1

Contact

  • NEWS ARTICLES
  • PRESS ROOM

The Project

  • INTRODUCTION
  • ORGANIZATION
  • PUBLICATIONS

The Human Protein Atlas

  • DOWNLOADABLE DATA
  • LICENCE & CITATION
  • HELP & FAQ
The Human Protein Atlas project is funded
by the Knut & Alice Wallenberg Foundation.


contact@proteinatlas.org