We use cookies to enhance the usability of our website. If you continue, we'll assume that you are happy to receive all cookies. More information. Don't show this again.
NIFK
HPA
RESOURCES
  • TISSUE
  • BRAIN
  • SINGLE CELL
  • SUBCELLULAR
  • CANCER
  • BLOOD
  • CELL LINE
  • STRUCTURE & INTERACTION
ABOUT
  • INTRODUCTION
  • HISTORY
  • ORGANIZATION
  • PUBLICATIONS
  • ANTIBODY SUBMISSION
  • ANTIBODY AVAILABILITY
  • ACKNOWLEDGMENTS
  • CONTACT
NEWS
  • NEWS ARTICLES
  • PRESS ROOM
LEARN
  • DICTIONARY
  • PROTEIN CLASSES
  • PROTEIN EVIDENCE
  • METHODS
  • EDUCATIONAL VIDEOS
DATA
  • DOWNLOADABLE DATA
  • PUBLICATION DATA
  • RELEASE HISTORY
HELP
  • ANTIBODY VALIDATION
  • ASSAYS & ANNOTATION
  • DISCLAIMER
  • HELP & FAQ
  • PRIVACY STATEMENT
  • LICENCE & CITATION
Fields »
Search result

Field
Term
Gene name
Class
Subclass
Class
Keyword
Chromosome
External id
Tissue
Cell type
Expression
Antibody panel
Tissue
Main location
Patient ID
Annotation
Tissue
Category
Tau score
Cluster
Reliability
Brain region
Category
Tau score
Brain region
Category
Tau score
Brain region
Category
Tau score
Cluster
Reliability
Tissue
Cell type
Enrichment
Cell type
Category
Tau score
Cell type
Category
Tau score
Cell type
Category
Tau score
Cell lineage
Category
Tau score
Cluster
Cluster
Location
Searches
Location
Cell line
Class
Type
Phase
Reliability
Cancer
Prognosis
Cancer
Category
Cancer
Category
Tau score
Cluster
Variants
Interacting gene (ensg_id)
Type
Number of interactions
Pathway
Category
Score
Score
Score
Validation
Validation
Validation
Validation
Antibodies
Data type
Column


  • SUMMARY

  • TISSUE

  • BRAIN

  • SINGLE CELL

  • SUBCELL

  • CANCER

  • BLOOD

  • CELL LINE

  • STRUCT & INT

  • NIFK
TISSUE PRIMARY DATA COLON Show tissue menu
ADIPOSE TISSUE ADRENAL GLAND AMYGDALA APPENDIX BASAL GANGLIA BONE MARROW BREAST BRONCHUS CEREBELLUM CEREBRAL CORTEX CERVIX CHOROID PLEXUS COLON DUODENUM
ENDOMETRIUM EPIDIDYMIS ESOPHAGUS FALLOPIAN TUBE GALLBLADDER HEART MUSCLE HIPPOCAMPAL FORMATION HYPOTHALAMUS KIDNEY LIVER LUNG LYMPH NODE MIDBRAIN NASOPHARYNX
ORAL MUCOSA OVARY PANCREAS PARATHYROID GLAND PITUITARY GLAND PLACENTA PROSTATE RECTUM RETINA SALIVARY GLAND SEMINAL VESICLE SKELETAL MUSCLE SKIN SMALL INTESTINE
SMOOTH MUSCLE SOFT TISSUE SPINAL CORD SPLEEN STOMACH TESTIS THYMUS THYROID GLAND TONGUE TONSIL URINARY BLADDER VAGINA
ANTIBODIES
AND
VALIDATION
Dictionary
Colon
Tissue proteome
Intestine
COLON - Expression summary
Protein expression
Coloni

On the top, protein expression in current human tissue, based on all annotated cell types, is reported with the units not detected (n), low (l), medium (m) and high (h). Underneath, protein expression in each annotated cell type are reported using the same units.

Protein expression data is based on knowledge-based annotation. For genes where more than one antibody has been used, a collective score is set.

If knowledge-based annotation could not be performed for a gene, no data is displayed here. View antibody staining data further down this page.

h
m
l
n
Endothelial cells: Low
Glandular cells: High
Peripheral nerve/ganglion: Low
RNA expressioni

A summary of mRNA expression data available for current tissue based on several datasets. The mRNA expression levels in human tissues are based on RNA-seq data generated by the Human Protein Atlas (HPA), Genotype-Tissue Expression (GTEx) portal and CAGE data generated by the FANTOM5 consortium. Consensus normalized expression levels for human tissues was created by combining the data from HPA and GTEx datasets.

The mRNA expression levels in pig are based on RNA-seq data generated by the Human Protein Atlas (HPA), and for mouse, HPA data and in situ hybridization generated by the Allen brain atlas are reported.

Scroll down to view mRNA expression data in more detail.
Consensus:24.0 nTPM
HPA:24.0 nTPM
GTEx:19.6 nTPM
FANTOM5:28.6 Scaled Tags Per Million

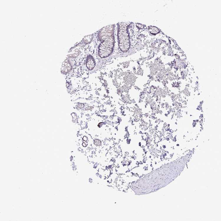
COLON - Antibody stainingi

Antibody staining in the annotated cell types in the current human tissue is reported as not detected, low, medium, or high, based on conventional immunohistochemistry profiling in selected tissues. This score is based on the combination of the staining intensity and fraction of stained cells.

Each image is clickable and will lead to virtual microscopy that enables deeper exploration of all samples and also displays staining intensity scores, fraction scores and subcellular localization as well as patient and tissue information for each sample.

Antibody HPA035735Antibody HPA035736Antibody CAB015382Antibody CAB075728Antibody CAB075729
Endothelial cells Not detectedMediumLowNot detectedNot detected
Glandular cells Not detectedMediumHighMediumMedium
Peripheral nerve/ganglion Not detected-LowNot detectedNot detected








COLON - HPA RNA-seqi

The RNA-seq details section shows detailed information about the individual samples used for the transcript profiling and results of the RNA-seq analysis.

Information about each individual sample is listed below, including gender, age, a tissue section image and estimated fractions of cell types. nTPM (normalized transcripts per million) values give a quantification of the gene abundance which is comparable between different genes and samples.
Average nTPMi

Max subtype nTPM is the value for the subtype with the largest average nTPM across the subtype samples.

24.0
overview
Male, age 54
Colon sample 67
nTPM: 19
Cell types%
Glandular cells:
65

Smooth muscle cells:
10

Other cell types:
25

overview
Female, age 57
Colon sample 68
nTPM: 25
Cell types%
Glandular cells:
40

Smooth muscle cells:
5

Other cell types:
55

overview
Male, age 80
Colon sample 69
nTPM: 32.8
Cell types%
Glandular cells:
55

Smooth muscle cells:
5

Other cell types:
40

overview
Male, age 68
Colon sample 70
nTPM: 16.8
Cell types%
Glandular cells:
35

Smooth muscle cells:
10

Other cell types:
55

overview
Female, age 68
Colon sample 76
nTPM: 29.6
Cell types%
Glandular cells:
25

Smooth muscle cells:
5

Other cell types:
70

overview
Female, age 61
Colon sample 299
nTPM: 25.9
Cell types%
Glandular cells:
5

Smooth muscle cells:
65

Other cell types:
30

overview
Male, age 80
Colon sample 300
nTPM: 26.5
Cell types%
Glandular cells:
15

Smooth muscle cells:
20

Other cell types:
65

overview
Female, age 78
Colon sample 368
nTPM: 25.3
Cell types%
Glandular cells:
45

Smooth muscle cells:
5

Other cell types:
50

overview
Male, age 84
Colon sample 381
nTPM: 18.9
Cell types%
Glandular cells:
50

Smooth muscle cells:
15

Other cell types:
35

overview
Male, age 80
Colon sample 384
nTPM: 28.4
Cell types%
Glandular cells:
20

Smooth muscle cells:
35

Other cell types:
45

overview
Female, age 78
Colon sample 389
nTPM: 19.4
Cell types%
Glandular cells:
35

Smooth muscle cells:
10

Other cell types:
55

overview
Female, age 69
Colon sample 391
nTPM: 23.2
Cell types%
Glandular cells:
10

Smooth muscle cells:
45

Other cell types:
45

overview
Female, age 72
Colon sample 403
nTPM: 21.4
Cell types%
Glandular cells:
20

Smooth muscle cells:
15

Other cell types:
65


COLON - GTEx RNA-seqi

RNA-Seq data generated by the Genotype-Tissue Expression (GTEx) project from human tissues is reported as mean nTPM. More information can be found on the GTEx portal.

Distribution across the dataset is visualized with box plots, shown as median and 25th and 75th percentiles. Points are displayed as outliers if they are above or below 1.5 times the interquartile range. nTPM values of the individual samples are presented next to the box plot.
Max subtype nTPMi

Max subtype nTPM is the value for the subtype with the largest average nTPM across the subtype samples.

19.6
GTEx sample id Sample description nTPM
Colon - Sigmoid
Average nTPM: 19.6
Samples: 373

Max nTPM: 55.3
Min nTPM: 10.2
Std nTPM: 5.6
Median nTPM: 18.7
GTEX-ZYFD-2226-SM-5E43P 50-59 years, male 55.3
GTEX-1K9T9-2926-SM-E9TKD 50-59 years, female 50.4
GTEX-13O1R-2426-SM-5KLZZ 60-69 years, male 46.1
GTEX-11TT1-0926-SM-5GU5M 20-29 years, male 43.0
GTEX-144GM-1126-SM-79OJK 20-29 years, male 41.2
GTEX-1N2EF-1726-SM-EXUSI 60-69 years, male 37.6
GTEX-11EM3-1626-SM-5N9CO 20-29 years, female 36.0
GTEX-17EUY-1726-SM-79OK4 20-29 years, male 36.0
GTEX-1AMEY-1826-SM-72D5L 30-39 years, female 34.9
GTEX-1S5ZA-1426-SM-E6CJQ 20-29 years, male 34.8
GTEX-15RJ7-1726-SM-6PAL3 40-49 years, male 33.4
GTEX-1399U-2226-SM-5KLZI 50-59 years, female 33.1
GTEX-ZTSS-1226-SM-51MSZ 40-49 years, male 33.0
GTEX-11I78-1326-SM-5PNY9 50-59 years, female 32.7
GTEX-1L5NE-1926-SM-D3L9R 50-59 years, male 32.7
GTEX-14C5O-2626-SM-5RQI5 60-69 years, male 32.5
GTEX-1HBPH-2526-SM-ACKXK 40-49 years, female 32.2
GTEX-12WSJ-1426-SM-5GCON 40-49 years, female 32.1
GTEX-1A3MX-2326-SM-718B4 60-69 years, male 31.1
GTEX-14C39-1626-SM-5S2P4 40-49 years, male 30.6
GTEX-15G1A-1926-SM-7KUFF 30-39 years, male 30.3
GTEX-ZPIC-2626-SM-57WE2 40-49 years, female 28.0
GTEX-14A5H-1626-SM-5SIAN 60-69 years, male 27.8
GTEX-1RLM8-1726-SM-E9TKF 50-59 years, male 27.3
GTEX-11TUW-2326-SM-5EQMO 60-69 years, male 27.2
GTEX-15F5U-1426-SM-7KUN2 40-49 years, male 26.9
GTEX-148VJ-2426-SM-5NQ9Y 70-79 years, male 26.4
GTEX-ZVZQ-2626-SM-59HLB 60-69 years, female 26.4
GTEX-15FZZ-1826-SM-6LLJP 30-39 years, female 26.3
GTEX-1JKYN-2226-SM-ARZNE 30-39 years, male 26.3
GTEX-Y9LG-1326-SM-4VBQB 30-39 years, male 25.5
GTEX-1CAMS-2626-SM-7PBY3 40-49 years, female 25.3
GTEX-12WSM-1426-SM-5GCPA 60-69 years, male 25.2
GTEX-ZT9W-1726-SM-51MS3 50-59 years, male 25.2
GTEX-1AMFI-1826-SM-73KWB 50-59 years, female 25.0
GTEX-11DXZ-1626-SM-5GIDI 50-59 years, male 24.9
GTEX-12WSL-1826-SM-5LZW9 50-59 years, male 24.9
GTEX-ZLV1-1326-SM-DO11Q 60-69 years, female 24.9
GTEX-1J1R8-1426-SM-CL55O 40-49 years, male 24.7
GTEX-14E1K-1626-SM-664MO 50-59 years, male 24.6
GTEX-1F5PL-1926-SM-7MXTP 40-49 years, female 24.5
GTEX-15RIE-2026-SM-7KFRW 60-69 years, male 24.4
GTEX-12BJ1-2026-SM-5FQUH 60-69 years, male 24.3
GTEX-ZA64-1426-SM-5CVMC 20-29 years, male 24.3
GTEX-1339X-1726-SM-5P9J9 40-49 years, male 24.2
GTEX-15ER7-2826-SM-6PAN2 20-29 years, female 24.1
GTEX-16BQI-2026-SM-7KULQ 30-39 years, female 24.1
GTEX-1QP28-2226-SM-DTX8C 50-59 years, female 24.1
GTEX-18D9A-1326-SM-7LT8P 30-39 years, female 24.0
GTEX-1A32A-2626-SM-73KX9 50-59 years, female 23.9
GTEX-1QP67-1426-SM-E8VOO 40-49 years, female 23.9
GTEX-Y3I4-1126-SM-4TT7Y 50-59 years, male 23.8
GTEX-ZY6K-1326-SM-5GZWP 50-59 years, male 23.7
GTEX-1PDJ9-2026-SM-E76PT 20-29 years, male 23.7
GTEX-1I1GP-2826-SM-A9SKZ 50-59 years, male 23.6
GTEX-ZXES-1726-SM-5E43G 30-39 years, female 23.5
GTEX-1LBAC-1726-SM-D3L9W 20-29 years, male 23.5
GTEX-ZAJG-2626-SM-5S2NU 50-59 years, female 23.3
GTEX-1LSNM-1426-SM-E6CIH 50-59 years, male 23.3
GTEX-WI4N-2226-SM-4OOS9 40-49 years, female 23.0
GTEX-ZPCL-1626-SM-57WGC 60-69 years, female 22.9
GTEX-1R9JW-2126-SM-E76QT 30-39 years, female 22.9
GTEX-15RJE-2226-SM-6M46A 40-49 years, male 22.8
GTEX-13VXT-2026-SM-5L3EW 20-29 years, female 22.7
GTEX-14BMU-1326-SM-5RQIH 20-29 years, female 22.7
GTEX-1S831-1726-SM-EWROJ 20-29 years, male 22.7
GTEX-16NGA-0926-SM-718AG 40-49 years, female 22.6
GTEX-1JJE9-2526-SM-ARU8K 70-79 years, male 22.6
GTEX-17F9Y-2626-SM-7IGN9 70-79 years, female 22.5
GTEX-183WM-2526-SM-731BP 70-79 years, female 22.5
GTEX-WRHK-1126-SM-4MVOJ 20-29 years, female 22.5
GTEX-XAJ8-0726-SM-47JY5 40-49 years, male 22.5
GTEX-1JMPY-1026-SM-ARZN1 30-39 years, male 22.5
GTEX-14E6E-1726-SM-5S2R6 30-39 years, male 22.3
GTEX-1LG7Z-1326-SM-DIPF3 30-39 years, male 22.3
GTEX-11P7K-1826-SM-5HL5A 30-39 years, male 22.2
GTEX-11ZU8-1126-SM-5EQ5K 60-69 years, male 22.2
GTEX-145ME-1126-SM-5SIAT 40-49 years, female 22.2
GTEX-15G19-2726-SM-6LPKG 60-69 years, male 22.2
GTEX-1PIEJ-1826-SM-EWRMN 20-29 years, female 22.2
GTEX-1QP2A-2226-SM-DTXF6 50-59 years, male 22.2
GTEX-13PVR-1726-SM-5Q5EC 60-69 years, female 22.1
GTEX-14PN3-1926-SM-6EU1Y 60-69 years, female 22.1
GTEX-ZF2S-1826-SM-4WKFF 50-59 years, female 22.1
GTEX-ZTTD-2626-SM-57WEX 50-59 years, male 22.0
GTEX-ZLWG-1826-SM-DO11I 50-59 years, female 22.0
GTEX-13QBU-2026-SM-5KLZB 40-49 years, female 21.9
GTEX-1R9PO-2026-SM-E9J4N 60-69 years, female 21.8
GTEX-Y8E4-2326-SM-EAZAZ 40-49 years, male 21.7
GTEX-1122O-1426-SM-5H11R 60-69 years, female 21.6
GTEX-15ETS-2326-SM-7KUGC 40-49 years, female 21.6
GTEX-1H1ZS-2626-SM-9QEIX 70-79 years, male 21.6
GTEX-1LSNL-1626-SM-E9TJY 50-59 years, male 21.6
GTEX-1MGNQ-2126-SM-EV7AC 40-49 years, male 21.6
GTEX-YJ8A-1726-SM-5P9IQ 20-29 years, male 21.5
GTEX-1211K-1826-SM-5EGJ2 60-69 years, female 21.4
GTEX-1IDJU-1926-SM-CL53W 60-69 years, female 21.4
GTEX-13CF3-1326-SM-5LZXZ 60-69 years, female 21.3
GTEX-ZVT2-1726-SM-51MRO 50-59 years, female 21.3
GTEX-1QPFJ-2426-SM-EVR3L 30-39 years, female 21.3
GTEX-1RDX4-1926-SM-E6CJJ 50-59 years, female 21.3
GTEX-13FH7-1626-SM-5J2O9 50-59 years, female 21.2
GTEX-1JMQK-2326-SM-ARZN4 60-69 years, male 21.2
GTEX-13OVJ-1826-SM-5KM2D 50-59 years, female 21.1
GTEX-17MFQ-1226-SM-7KFSA 20-29 years, male 21.1
GTEX-WFG7-1626-SM-4LVMF 20-29 years, male 21.1
GTEX-1HFI7-1626-SM-9WYTR 50-59 years, female 21.0
GTEX-1I1CD-2826-SM-A9SL4 60-69 years, female 21.0
GTEX-1LGRB-2026-SM-COH47 50-59 years, female 21.0
GTEX-1N2DV-1826-SM-E6CJ5 40-49 years, male 21.0
GTEX-13FHO-2726-SM-5K7VG 60-69 years, male 20.9
GTEX-Y5LM-1426-SM-5RQJL 40-49 years, female 20.9
GTEX-1J8Q3-2426-SM-CL53S 60-69 years, male 20.9
GTEX-15DZA-1026-SM-6PAND 30-39 years, female 20.8
GTEX-1J1OQ-2826-SM-D3L88 40-49 years, female 20.8
GTEX-1J8QM-1226-SM-CY8HI 60-69 years, female 20.8
GTEX-139UW-2326-SM-5KM1Y 60-69 years, male 20.7
GTEX-145LT-0826-SM-5S2QL 40-49 years, male 20.7
GTEX-14AS3-1026-SM-5TDD7 40-49 years, female 20.7
GTEX-WQUQ-2626-SM-4MVNP 60-69 years, male 20.7
GTEX-ZZ64-0826-SM-5E449 20-29 years, male 20.7
GTEX-1QW4Y-1426-SM-E76P3 30-39 years, male 20.6
GTEX-11P81-1426-SM-5P9JN 30-39 years, female 20.5
GTEX-13U4I-2626-SM-5SI9C 40-49 years, female 20.5
GTEX-ZYT6-2826-SM-5GICX 30-39 years, male 20.5
GTEX-1KANA-1726-SM-CY8IG 20-29 years, male 20.5
GTEX-1PFEY-1726-SM-DPRZ4 30-39 years, male 20.5
GTEX-11EQ8-2626-SM-5N9BO 60-69 years, male 20.4
GTEX-132AR-2826-SM-5IJFV 50-59 years, female 20.4
GTEX-15RIF-1426-SM-7KUKQ 20-29 years, male 20.4
GTEX-X5EB-1126-SM-46MVV 40-49 years, male 20.4
GTEX-1JKYR-2026-SM-CNPON 20-29 years, male 20.4
GTEX-1477Z-2126-SM-5Q5CM 60-69 years, male 20.3
GTEX-WHWD-1526-SM-4OORV 50-59 years, male 20.3
GTEX-1HSMQ-2526-SM-A9SMK 50-59 years, male 20.3
GTEX-1LKK1-2426-SM-DIPES 50-59 years, female 20.3
GTEX-145MO-2626-SM-5QGPD 60-69 years, male 20.2
GTEX-1A3MV-1026-SM-72D5U 30-39 years, male 20.0
GTEX-1B8KE-1526-SM-7DUG2 50-59 years, male 20.0
GTEX-1B97I-1526-SM-73KUK 40-49 years, male 20.0
GTEX-WXYG-1726-SM-4ONCU 50-59 years, female 20.0
GTEX-1EU9M-2726-SM-7P8QD 60-69 years, male 20.0
GTEX-1GZ4H-1326-SM-7P8TE 50-59 years, female 20.0
GTEX-1HB9E-2526-SM-D4P35 50-59 years, male 20.0
GTEX-1OFPY-1226-SM-E76OM 60-69 years, male 20.0
GTEX-1KXAM-1926-SM-D3LAG 60-69 years, male 19.9
GTEX-13O61-1526-SM-5KM3P 60-69 years, male 19.8
GTEX-15EO6-2326-SM-6LPKK 50-59 years, male 19.8
GTEX-16MTA-1626-SM-6M47N 50-59 years, male 19.8
GTEX-18A67-2226-SM-7LT9Z 50-59 years, male 19.8
GTEX-VJYA-2126-SM-4KL1O 60-69 years, male 19.8
GTEX-1B996-2726-SM-7DUGG 60-69 years, male 19.7
GTEX-ZLFU-1426-SM-4WWEU 40-49 years, male 19.7
GTEX-1CAMR-1026-SM-7P8QI 20-29 years, male 19.7
GTEX-1LVAO-2826-SM-E9TJH 60-69 years, male 19.7
GTEX-1QCLY-2026-SM-EVR4C 30-39 years, male 19.7
GTEX-146FH-2426-SM-5Q5EW 50-59 years, female 19.6
GTEX-14PK6-1826-SM-69LOM 70-79 years, female 19.6
GTEX-1AX9J-2526-SM-73KUY 60-69 years, male 19.6
GTEX-1JK1U-1426-SM-CNPOW 60-69 years, male 19.6
GTEX-WHSE-2726-SM-EZ6ML 20-29 years, male 19.6
GTEX-13W3W-2226-SM-5LU4M 60-69 years, female 19.5
GTEX-Y114-1626-SM-4TT7I 50-59 years, female 19.5
GTEX-1HBPN-2026-SM-B2LWA 50-59 years, male 19.5
GTEX-1QCLZ-2026-SM-EAZ4A 60-69 years, female 19.5
GTEX-131XE-1026-SM-5EGKE 50-59 years, male 19.4
GTEX-1I1GR-2226-SM-ARL7F 60-69 years, male 19.4
GTEX-W5WG-2026-SM-4LMIB 50-59 years, female 19.3
GTEX-XXEK-1826-SM-4BRVC 50-59 years, male 19.2
GTEX-ZF29-1826-SM-4WKG8 60-69 years, female 19.2
GTEX-1LSVX-2026-SM-E9TJD 60-69 years, male 19.2
GTEX-X4EO-2726-SM-4E3HS 60-69 years, female 19.1
GTEX-1GMR8-2926-SM-9KNW5 50-59 years, female 19.1
GTEX-1H23P-2626-SM-9KNVN 60-69 years, male 19.1
GTEX-1ICG6-2226-SM-B2LY7 70-79 years, female 19.1
GTEX-117YX-0526-SM-5EGJH 50-59 years, male 19.0
GTEX-12ZZX-2726-SM-5N9FT 40-49 years, female 19.0
GTEX-131XG-1526-SM-5GCNQ 50-59 years, female 19.0
GTEX-14PJ4-1826-SM-5YY97 60-69 years, male 18.9
GTEX-17HG3-1126-SM-7DUFC 30-39 years, female 18.9
GTEX-1HSMO-2526-SM-A9SKP 60-69 years, male 18.9
GTEX-1RMOY-1726-SM-EVYC9 50-59 years, male 18.9
GTEX-13X6K-2726-SM-5O9DG 60-69 years, female 18.8
GTEX-1AX9K-1626-SM-73KUS 50-59 years, male 18.8
GTEX-111YS-1826-SM-5GIEP 60-69 years, male 18.7
GTEX-1H1E6-1826-SM-A9G21 30-39 years, male 18.7
GTEX-1H3VY-2526-SM-9KNW1 50-59 years, male 18.7
GTEX-1PIIG-2126-SM-EXUSD 30-39 years, male 18.7
GTEX-1CB4F-1926-SM-7MKFN 60-69 years, male 18.6
GTEX-1GTWX-2626-SM-9WPOT 60-69 years, male 18.6
GTEX-1I1GT-2026-SM-CKZPK 60-69 years, female 18.6
GTEX-13OVK-1026-SM-7KFTC 40-49 years, male 18.5
GTEX-1H3VE-2326-SM-9KNVU 40-49 years, male 18.5
GTEX-WY7C-1926-SM-4ONCI 50-59 years, male 18.4
GTEX-WYJK-2326-SM-4ONDN 50-59 years, male 18.4
GTEX-YEC3-2026-SM-DKPOL 50-59 years, male 18.4
GTEX-13OVI-2126-SM-5KM3U 60-69 years, female 18.3
GTEX-1AYCT-1926-SM-793AE 50-59 years, male 18.3
GTEX-XUZC-1526-SM-4BRV4 30-39 years, female 18.3
GTEX-XV7Q-2226-SM-4BRVY 40-49 years, female 18.3
GTEX-1GL5R-1726-SM-9KNUX 50-59 years, male 18.3
GTEX-1K2DA-1626-SM-CGQGB 50-59 years, male 18.3
GTEX-1OJC3-1826-SM-DTX93 20-29 years, male 18.3
GTEX-11VI4-1426-SM-5GU6O 40-49 years, female 18.2
GTEX-13FTW-2126-SM-5K7YG 40-49 years, male 18.2
GTEX-13G51-2126-SM-5IJD9 60-69 years, male 18.2
GTEX-1GF9X-1426-SM-7RHGX 40-49 years, female 18.2
GTEX-12696-1926-SM-5EGJT 60-69 years, male 18.1
GTEX-139T6-1426-SM-5P9J7 50-59 years, male 18.1
GTEX-13X6J-2826-SM-7EPGA 50-59 years, male 18.1
GTEX-15CHQ-2626-SM-686YZ 60-69 years, male 18.1
GTEX-1C475-1526-SM-7DHM3 40-49 years, female 18.1
GTEX-1C6VQ-2626-SM-7IGMQ 50-59 years, male 18.1
GTEX-1HCU7-2726-SM-A9G3D 50-59 years, male 18.1
GTEX-145LS-2926-SM-5O99G 60-69 years, female 18.0
GTEX-YF7O-1626-SM-5IFII 50-59 years, male 18.0
GTEX-1PPH8-2226-SM-EWRN7 20-29 years, male 18.0
GTEX-14E6C-2226-SM-5QGQG 40-49 years, male 17.9
GTEX-13SLW-2826-SM-5Q5ES 70-79 years, male 17.8
GTEX-1F5PK-1726-SM-7RHHW 50-59 years, male 17.8
GTEX-1GMR2-1826-SM-9KNUP 50-59 years, male 17.8
GTEX-11EQ9-1526-SM-5PNY7 30-39 years, male 17.7
GTEX-1JJEA-2526-SM-CY8HJ 60-69 years, male 17.7
GTEX-1S82P-2026-SM-E9TIQ 60-69 years, female 17.7
GTEX-13RTJ-1926-SM-5YYA2 60-69 years, male 17.6
GTEX-132NY-2726-SM-5PNY2 60-69 years, male 17.5
GTEX-111CU-1226-SM-5EGIN 50-59 years, male 17.4
GTEX-12ZZY-2726-SM-5EQ45 60-69 years, male 17.4
GTEX-ZG7Y-1826-SM-4WWD3 50-59 years, male 17.4
GTEX-15UF7-1326-SM-7KUKV 40-49 years, male 17.3
GTEX-ZDTS-2726-SM-5L3E2 60-69 years, male 17.3
GTEX-ZE9C-2126-SM-4WKGY 60-69 years, male 17.3
GTEX-1HCUA-1926-SM-B2LWE 50-59 years, female 17.3
GTEX-1J8JJ-2426-SM-D4P4A 60-69 years, female 17.3
GTEX-1JMPZ-2626-SM-ARU8Z 30-39 years, male 17.3
GTEX-1LVAM-1726-SM-DHXKQ 50-59 years, female 17.3
GTEX-14JG6-1626-SM-5YYBC 30-39 years, female 17.2
GTEX-17KNJ-1826-SM-7LT9N 50-59 years, male 17.2
GTEX-1B8L1-1926-SM-7IGND 60-69 years, male 17.2
GTEX-XBED-1726-SM-47JYO 60-69 years, male 17.2
GTEX-ZYFG-1826-SM-5GZWX 60-69 years, female 17.2
GTEX-1PBJI-2526-SM-E6CP4 20-29 years, female 17.2
GTEX-1R7EU-1826-SM-DTX9L 60-69 years, male 17.2
GTEX-ZC5H-2426-SM-4WAZ6 40-49 years, female 17.1
GTEX-1JN76-1326-SM-ARU94 20-29 years, female 17.1
GTEX-11DXY-2026-SM-5N9CZ 60-69 years, male 17.0
GTEX-1PBJJ-2026-SM-DTX8U 30-39 years, male 17.0
GTEX-11ZTT-1626-SM-5EQKR 60-69 years, female 16.9
GTEX-13OW5-2826-SM-5KM1G 60-69 years, male 16.9
GTEX-Y8LW-1126-SM-4VDS4 50-59 years, female 16.9
GTEX-1QP29-2526-SM-E6CQ3 50-59 years, male 16.9
GTEX-1EMGI-2626-SM-7IGNR 60-69 years, male 16.8
GTEX-1GN73-2726-SM-9WYUB 60-69 years, male 16.8
GTEX-1HBPI-2226-SM-9WYTY 50-59 years, male 16.8
GTEX-12ZZW-2426-SM-5DUWE 50-59 years, male 16.7
GTEX-147GR-2826-SM-5RQK8 60-69 years, male 16.7
GTEX-14PHX-1126-SM-5YYA5 50-59 years, male 16.7
GTEX-1B932-2126-SM-7IGMU 40-49 years, female 16.6
GTEX-13PVQ-2726-SM-5L3H7 50-59 years, male 16.5
GTEX-1JMLX-2526-SM-CY8HX 50-59 years, male 16.5
GTEX-12WSD-2626-SM-5EGJE 60-69 years, female 16.4
GTEX-13OW8-2726-SM-5L3FZ 60-69 years, male 16.4
GTEX-WOFM-1926-SM-4OOSP 20-29 years, male 16.4
GTEX-ZP4G-1526-SM-57WE5 20-29 years, female 16.4
GTEX-ZV6S-1126-SM-57WE9 40-49 years, female 16.4
GTEX-1IL2U-2526-SM-C1YQV 60-69 years, male 16.4
GTEX-18QFQ-1726-SM-731C9 30-39 years, male 16.3
GTEX-ZVT3-2826-SM-5GU6A 60-69 years, female 16.3
GTEX-14PKV-1926-SM-686YU 20-29 years, female 16.2
GTEX-183FY-1426-SM-7DHLM 20-29 years, male 16.2
GTEX-WHPG-1626-SM-4M1ZL 50-59 years, male 16.2
GTEX-Z93S-2626-SM-57WBX 50-59 years, male 16.2
GTEX-ZE7O-2626-SM-51MSS 50-59 years, female 16.2
GTEX-1EH9U-1926-SM-7P8QM 60-69 years, male 16.2
GTEX-1QP9N-0826-SM-DTX9O 30-39 years, male 16.2
GTEX-WFG8-1726-SM-4LVM6 20-29 years, male 16.1
GTEX-WH7G-1426-SM-4LVMU 40-49 years, male 16.1
GTEX-1LGOU-1726-SM-D3L8P 20-29 years, female 16.1
GTEX-1PIGE-1526-SM-DTXFC 20-29 years, male 16.1
GTEX-1212Z-1826-SM-5FQSH 60-69 years, male 16.0
GTEX-131YS-2926-SM-5EGKI 60-69 years, female 16.0
GTEX-1399R-2126-SM-5K7WZ 30-39 years, male 16.0
GTEX-14A5I-2426-SM-5Q5CP 50-59 years, female 16.0
GTEX-14BIN-2426-SM-5TDCF 50-59 years, female 16.0
GTEX-1BAJH-2726-SM-7IGNJ 70-79 years, male 16.0
GTEX-1JMQJ-2626-SM-CY8HQ 50-59 years, male 16.0
GTEX-13N2G-2226-SM-5IJCU 60-69 years, male 15.9
GTEX-1HKZK-2026-SM-9WYUF 40-49 years, male 15.9
GTEX-11DXX-1926-SM-5EGJK 60-69 years, female 15.8
GTEX-18A6Q-2226-SM-7LG61 60-69 years, male 15.8
GTEX-XQ8I-2326-SM-4BOQC 50-59 years, male 15.8
GTEX-XUW1-1826-SM-4BOQD 50-59 years, female 15.8
GTEX-17HHE-1626-SM-7DHLN 50-59 years, male 15.7
GTEX-ZVT4-2626-SM-5N9GJ 50-59 years, female 15.6
GTEX-1F75W-2126-SM-7RHIA 60-69 years, male 15.6
GTEX-1HBPM-2626-SM-9WYU5 60-69 years, female 15.6
GTEX-1HSKV-2326-SM-A9SL9 60-69 years, male 15.6
GTEX-1IDJI-2226-SM-CKZPM 50-59 years, female 15.6
GTEX-1HSGN-2226-SM-A9SL6 40-49 years, female 15.5
GTEX-1R9K5-2226-SM-DTX9G 50-59 years, male 15.5
GTEX-13111-1926-SM-5GCOL 50-59 years, male 15.4
GTEX-15DYW-2426-SM-7KUG8 60-69 years, female 15.4
GTEX-18A66-2626-SM-72D67 60-69 years, male 15.4
GTEX-ZQG8-2426-SM-57WEE 60-69 years, female 15.4
GTEX-YJ8O-1426-SM-5PNV9 40-49 years, female 15.3
GTEX-1GPI7-1926-SM-9KNUH 20-29 years, male 15.3
GTEX-1P4AB-2626-SM-DTXEU 50-59 years, male 15.3
GTEX-WYVS-1126-SM-4SOJX 40-49 years, female 15.2
GTEX-ZAB5-1426-SM-5HL9D 50-59 years, male 15.2
GTEX-1HSEH-1926-SM-A96SB 60-69 years, male 15.2
GTEX-12WSG-2426-SM-5EQLZ 50-59 years, female 15.1
GTEX-1C4CL-1626-SM-7DUF3 30-39 years, male 15.1
GTEX-13D11-0626-SM-5LZYY 50-59 years, female 15.0
GTEX-15UF6-2726-SM-7KULY 70-79 years, female 15.0
GTEX-ZPU1-1726-SM-4WWFV 40-49 years, male 15.0
GTEX-14PJ3-1226-SM-5ZZVY 50-59 years, male 14.9
GTEX-17GQL-1626-SM-7LG69 60-69 years, male 14.9
GTEX-18465-2726-SM-7LT9I 50-59 years, male 14.9
GTEX-1LVAN-2626-SM-CNPQF 50-59 years, female 14.9
GTEX-139D8-2926-SM-5IJBM 30-39 years, female 14.8
GTEX-WFON-1326-SM-4LVMN 40-49 years, male 14.8
GTEX-1RAZR-2026-SM-E9TKE 40-49 years, male 14.7
GTEX-1RQEC-2626-SM-EVR3Z 60-69 years, male 14.7
GTEX-13113-1426-SM-5EGHU 60-69 years, female 14.6
GTEX-13X6I-2726-SM-5Q5ET 60-69 years, male 14.5
GTEX-16Z82-2426-SM-7KUMS 60-69 years, male 14.5
GTEX-1C64O-2426-SM-7P8R3 60-69 years, male 14.5
GTEX-17F96-2126-SM-7KFSM 70-79 years, male 14.4
GTEX-ZQUD-1026-SM-4YCEZ 30-39 years, male 14.4
GTEX-1I6K6-1926-SM-A96SN 30-39 years, male 14.4
GTEX-117XS-2226-SM-5GIE1 60-69 years, male 14.2
GTEX-11ONC-1926-SM-5GU75 60-69 years, male 14.2
GTEX-13CF2-1826-SM-5N9GK 60-69 years, male 14.2
GTEX-1HCVE-2326-SM-9WYUD 50-59 years, male 14.2
GTEX-1IDJH-2826-SM-CJI49 70-79 years, male 14.1
GTEX-1LG7Y-2226-SM-E9U5K 50-59 years, male 14.1
GTEX-17JCI-2826-SM-7IGNA 60-69 years, female 14.0
GTEX-11EI6-2626-SM-5PNVT 60-69 years, male 13.9
GTEX-16XZZ-2726-SM-7EWDO 60-69 years, male 13.9
GTEX-1GMRU-2626-SM-9WPPM 50-59 years, male 13.9
GTEX-1IKOE-2126-SM-A96T5 30-39 years, female 13.9
GTEX-13PL7-2426-SM-5J2N3 60-69 years, female 13.8
GTEX-X15G-1526-SM-4PQZM 50-59 years, female 13.8
GTEX-ZYY3-2226-SM-5E45A 60-69 years, female 13.7
GTEX-145MH-2726-SM-5QGQ6 50-59 years, male 13.6
GTEX-14DAQ-2926-SM-664MV 60-69 years, female 13.6
GTEX-YFCO-1526-SM-5YYB8 40-49 years, male 13.5
GTEX-11EMC-1426-SM-5N9E4 60-69 years, female 13.4
GTEX-1C64N-2226-SM-7SB7C 50-59 years, male 13.4
GTEX-1JN6P-2126-SM-ARL98 60-69 years, male 13.4
GTEX-1C2JI-1726-SM-73KUW 50-59 years, male 13.3
GTEX-1CB4G-2726-SM-79OO4 60-69 years, male 13.3
GTEX-ZAB4-2426-SM-5HL8A 40-49 years, male 13.3
GTEX-1GMR3-2526-SM-7P8QS 40-49 years, male 13.3
GTEX-ZF28-2526-SM-57WFH 60-69 years, male 13.2
GTEX-YECK-2826-SM-5IFHF 60-69 years, male 12.9
GTEX-1H3NZ-2526-SM-9KNVO 60-69 years, male 12.9
GTEX-12KS4-2326-SM-5EGJB 30-39 years, male 12.8
GTEX-139TS-2226-SM-5J2N1 60-69 years, male 12.8
GTEX-13OW6-2226-SM-5N9FL 50-59 years, male 12.8
GTEX-1RAZQ-2026-SM-E76P7 30-39 years, male 12.8
GTEX-17HGU-2626-SM-79OKN 50-59 years, male 12.6
GTEX-1H1DE-1626-SM-9KNU5 20-29 years, male 12.5
GTEX-1HCU6-2926-SM-B2LWV 60-69 years, female 12.4
GTEX-147JS-2626-SM-5S2UX 60-69 years, male 12.3
GTEX-11GS4-1826-SM-5HL4T 60-69 years, male 12.2
GTEX-V955-1726-SM-4JBHF 60-69 years, male 12.2
GTEX-1LB8K-2526-SM-DIPEQ 50-59 years, male 11.9
GTEX-1E2YA-2526-SM-7IGOU 50-59 years, male 11.4
GTEX-11PRG-2026-SM-5GU5F 50-59 years, male 11.2
GTEX-Y5V6-1626-SM-4VDT2 60-69 years, male 11.1
GTEX-11ZTS-1526-SM-5N9G7 60-69 years, female 11.0
GTEX-1J8EW-2426-SM-CE6T5 60-69 years, female 10.2
Show allShow less
Colon - Transverse
Average nTPM: 19.6
Samples: 406

Max nTPM: 41.4
Min nTPM: 8.8
Std nTPM: 4.8
Median nTPM: 18.8
GTEX-11TT1-1026-SM-5PNW7 20-29 years, male 41.4
GTEX-144GM-1226-SM-5LU52 20-29 years, male 40.9
GTEX-WHSB-0926-SM-4M1XJ 50-59 years, male 39.9
GTEX-1IKOE-2026-SM-AHZ31 30-39 years, female 37.8
GTEX-1OKEX-1226-SM-DTXEC 60-69 years, male 35.7
GTEX-S4Q7-0826-SM-4AD5E 20-29 years, male 35.2
GTEX-13OVJ-1726-SM-5IJDZ 50-59 years, female 33.3
GTEX-14BMU-1526-SM-5TDE6 20-29 years, female 32.6
GTEX-1N2EF-1926-SM-DTX8M 60-69 years, male 32.1
GTEX-QMRM-1226-SM-447C6 50-59 years, male 30.9
GTEX-ZYVF-2826-SM-5GIDK 50-59 years, female 30.6
GTEX-1339X-1626-SM-5IJDN 40-49 years, male 30.4
GTEX-146FQ-1926-SM-5NQBY 30-39 years, male 30.2
GTEX-1JN1M-2626-SM-CY8I3 60-69 years, female 30.2
GTEX-OXRN-2026-SM-E6CHK 50-59 years, male 30.2
GTEX-1K9T9-2826-SM-D4P3F 50-59 years, female 30.1
GTEX-OOBJ-1426-SM-E6CHH 60-69 years, male 29.4
GTEX-15SB6-1226-SM-7KUMP 50-59 years, female 29.3
GTEX-R53T-1326-SM-48FCQ 50-59 years, female 29.3
GTEX-1CB4I-2226-SM-7P8SL 50-59 years, male 29.3
GTEX-ZY6K-1226-SM-5GZYL 50-59 years, male 28.5
GTEX-1PIEJ-2026-SM-E6CPA 20-29 years, female 28.4
GTEX-1JMPY-0426-SM-C1YQ3 30-39 years, male 28.3
GTEX-18D9U-1926-SM-7KFTM 40-49 years, male 28.2
GTEX-13W3W-2126-SM-5K7UX 60-69 years, female 28.0
GTEX-ZPU1-1926-SM-57WDT 40-49 years, male 27.9
GTEX-XV7Q-2126-SM-4BRVX 40-49 years, female 27.8
GTEX-15G1A-1826-SM-7KUKO 30-39 years, male 27.2
GTEX-14ICL-1226-SM-5S2RD 30-39 years, male 27.1
GTEX-1AX8Z-2726-SM-73KUC 60-69 years, male 27.0
GTEX-U4B1-1126-SM-4DXV3 40-49 years, male 27.0
GTEX-1C4CL-2126-SM-7IGQC 30-39 years, male 26.8
GTEX-1ICLZ-2426-SM-CKZOD 60-69 years, male 26.6
GTEX-1S5VW-2926-SM-E9U6H 60-69 years, male 26.6
GTEX-18D9A-1126-SM-7KFRJ 30-39 years, female 26.5
GTEX-1GF9X-1526-SM-7P8QP 40-49 years, female 26.5
GTEX-18A66-2426-SM-7KFSQ 60-69 years, male 26.4
GTEX-1QCLY-1726-SM-DPRXY 30-39 years, male 26.4
GTEX-15DCE-2026-SM-7KUFE 20-29 years, male 26.3
GTEX-14PJM-2626-SM-686ZD 50-59 years, female 26.2
GTEX-1RAZR-1926-SM-E6CRF 40-49 years, male 26.1
GTEX-11EQ9-1426-SM-5987G 30-39 years, male 25.9
GTEX-1H1DG-2226-SM-9WPPC 70-79 years, male 25.8
GTEX-X5EB-0926-SM-46MVT 40-49 years, male 25.6
GTEX-1HSMP-2326-SM-D3L8R 70-79 years, male 25.6
GTEX-1MJK3-0926-SM-EV7AY 20-29 years, male 25.6
GTEX-1AMEY-1926-SM-73KVT 30-39 years, female 25.5
GTEX-13CF3-1426-SM-5K7YY 60-69 years, female 25.4
GTEX-ZPIC-2226-SM-57WDX 40-49 years, female 25.4
GTEX-133LE-1526-SM-5IFEN 20-29 years, female 25.2
GTEX-1399R-2226-SM-5P9JB 30-39 years, male 25.2
GTEX-T5JW-1126-SM-4DM5V 20-29 years, female 25.2
GTEX-1128S-1626-SM-5H12O 60-69 years, female 25.0
GTEX-11TTK-2426-SM-5PNYO 60-69 years, female 25.0
GTEX-11TUW-2026-SM-5EQL8 60-69 years, male 25.0
GTEX-QDVN-1326-SM-48TZ3 50-59 years, male 25.0
GTEX-1PFEY-1426-SM-E9U6U 30-39 years, male 24.8
GTEX-1QCLZ-1926-SM-E6CR3 60-69 years, female 24.8
GTEX-17EUY-1826-SM-7DUEZ 20-29 years, male 24.7
GTEX-QV31-0826-SM-CKZNC 30-39 years, male 24.7
GTEX-WVJS-2426-SM-EZ6LI 50-59 years, male 24.7
GTEX-15DZA-0926-SM-69LQ3 30-39 years, female 24.5
GTEX-17HGU-2426-SM-7EWDP 50-59 years, male 24.5
GTEX-XMK1-1726-SM-4B64Z 40-49 years, male 24.3
GTEX-1HFI7-1726-SM-A9G22 50-59 years, female 24.3
GTEX-12WSJ-1526-SM-5GCNI 40-49 years, female 24.2
GTEX-1F5PL-2126-SM-7PC2O 40-49 years, female 24.1
GTEX-13O3P-2326-SM-5KM55 50-59 years, male 24.0
GTEX-14PJ5-0926-SM-6LLIK 60-69 years, female 24.0
GTEX-14H4A-1926-SM-5ZZWN 40-49 years, female 23.8
GTEX-148VJ-2626-SM-5QGPI 70-79 years, male 23.7
GTEX-1LH75-2126-SM-EVR5F 50-59 years, female 23.7
GTEX-13OVI-2026-SM-5J1MU 60-69 years, female 23.6
GTEX-YEC4-1926-SM-5IFHJ 40-49 years, male 23.6
GTEX-13FH7-1526-SM-5J2N6 50-59 years, female 23.4
GTEX-Y114-1526-SM-4TT79 50-59 years, female 23.4
GTEX-1NHNU-2326-SM-E6CQE 50-59 years, male 23.3
GTEX-OHPN-2026-SM-E9TIA 60-69 years, female 23.2
GTEX-11P81-1126-SM-5GU5G 30-39 years, female 23.1
GTEX-1PIGE-1426-SM-E9U61 20-29 years, male 23.1
GTEX-14E1K-1826-SM-793DT 50-59 years, male 23.0
GTEX-1JKYR-1926-SM-C1YR7 20-29 years, male 22.8
GTEX-16NGA-1026-SM-7KFS3 40-49 years, female 22.7
GTEX-17HHE-1826-SM-79OKE 50-59 years, male 22.6
GTEX-RWS6-1826-SM-47JXX 60-69 years, female 22.6
GTEX-QLQ7-1126-SM-CYPRB 60-69 years, male 22.6
GTEX-1B8KZ-1326-SM-7DUG6 50-59 years, male 22.5
GTEX-WYJK-2226-SM-4ONDJ 50-59 years, male 22.5
GTEX-XYKS-2226-SM-4E3IU 60-69 years, female 22.5
GTEX-1I1GT-1926-SM-ARU7D 60-69 years, female 22.4
GTEX-1PWST-2426-SM-EWRMP 70-79 years, male 22.4
GTEX-1S82U-0726-SM-E9TKI 30-39 years, female 22.4
GTEX-PWCY-1026-SM-48TD4 20-29 years, female 22.3
GTEX-Y8LW-1226-SM-4WWDP 50-59 years, female 22.2
GTEX-ZXES-1626-SM-5NQ7L 30-39 years, female 22.2
GTEX-13OW6-2126-SM-5N9GL 50-59 years, male 22.1
GTEX-OXRL-1426-SM-3NM9E 50-59 years, male 22.1
GTEX-1H3VY-2426-SM-9WPPD 50-59 years, male 22.1
GTEX-13X6H-1926-SM-7EWD3 50-59 years, female 22.0
GTEX-132AR-2726-SM-5PNVN 50-59 years, female 21.9
GTEX-13S86-1626-SM-5Q5C5 40-49 years, male 21.9
GTEX-OXRK-1726-SM-3NB16 50-59 years, female 21.8
GTEX-SNOS-1226-SM-4DM5H 40-49 years, male 21.8
GTEX-1RAZQ-2126-SM-DTX9V 30-39 years, male 21.8
GTEX-11DXZ-1726-SM-5H12M 50-59 years, male 21.7
GTEX-12WSL-1626-SM-5GCMU 50-59 years, male 21.7
GTEX-1HCU7-2626-SM-C1YQO 50-59 years, male 21.7
GTEX-1QP9N-1026-SM-E6CPX 30-39 years, male 21.7
GTEX-1AYCT-1826-SM-731EG 50-59 years, male 21.6
GTEX-YF7O-1726-SM-5IFJ9 50-59 years, male 21.6
GTEX-145LT-0926-SM-5LU9C 40-49 years, male 21.5
GTEX-O5YT-1426-SM-3MJHC 20-29 years, male 21.5
GTEX-1J1OQ-2726-SM-AHZ3R 40-49 years, female 21.5
GTEX-U3ZN-2126-SM-4DXU1 30-39 years, female 21.4
GTEX-1QP67-1326-SM-EAZ4D 40-49 years, female 21.4
GTEX-1S83E-1626-SM-EV7B9 40-49 years, male 21.4
GTEX-1B932-2826-SM-73KUD 40-49 years, female 21.3
GTEX-1LSVX-1726-SM-DHXJP 60-69 years, male 21.3
GTEX-14PHX-1526-SM-68717 50-59 years, male 21.2
GTEX-17F98-1026-SM-7IGO8 40-49 years, female 21.2
GTEX-1QW4Y-1326-SM-EWRMZ 30-39 years, male 21.2
GTEX-13OVG-1426-SM-5K7VP 60-69 years, male 21.1
GTEX-1HSEH-1726-SM-B2LXH 60-69 years, male 21.1
GTEX-1JJE9-2426-SM-D3L8T 70-79 years, male 21.1
GTEX-111CU-1426-SM-5GZYP 50-59 years, male 21.0
GTEX-Q2AI-0926-SM-48U1F 40-49 years, male 21.0
GTEX-1MUQO-2626-SM-EWRO3 60-69 years, male 21.0
GTEX-147F3-1926-SM-5SIB9 50-59 years, female 20.9
GTEX-14PK6-1726-SM-6871J 70-79 years, female 20.9
GTEX-1NSGN-2326-SM-E9U5X 50-59 years, male 20.9
GTEX-WQUQ-2526-SM-4MVNO 60-69 years, male 20.8
GTEX-XAJ8-0426-SM-47JYJ 40-49 years, male 20.8
GTEX-15DYW-2326-SM-6PAMU 60-69 years, female 20.7
GTEX-1A3MV-1126-SM-718BS 30-39 years, male 20.7
GTEX-1F75I-2426-SM-9WPOY 40-49 years, male 20.7
GTEX-1HCU6-2726-SM-A9SKV 60-69 years, female 20.7
GTEX-18D9B-2526-SM-718BN 60-69 years, male 20.6
GTEX-1IDJC-1326-SM-CL53H 50-59 years, male 20.6
GTEX-1B8KE-1926-SM-731EE 50-59 years, male 20.5
GTEX-XBED-1526-SM-4AT5W 60-69 years, male 20.5
GTEX-1NV5F-2226-SM-DTX8O 60-69 years, female 20.5
GTEX-147GR-2726-SM-664OO 60-69 years, male 20.4
GTEX-XBEW-1926-SM-4SOJO 40-49 years, male 20.4
GTEX-VJYA-2026-SM-4KL1K 60-69 years, male 20.2
GTEX-14XAO-2026-SM-69LOI 60-69 years, female 20.1
GTEX-QCQG-1626-SM-48U26 50-59 years, female 20.1
GTEX-V955-1626-SM-4JBHJ 60-69 years, male 20.1
GTEX-XPVG-1826-SM-4B64X 50-59 years, male 20.1
GTEX-ZF2S-1926-SM-4WWAN 50-59 years, female 20.1
GTEX-ZT9W-1826-SM-51MQX 50-59 years, male 20.1
GTEX-18QFQ-1526-SM-72D57 30-39 years, male 20.0
GTEX-1AX9I-2626-SM-73KU5 60-69 years, male 20.0
GTEX-11ZVC-2126-SM-5EGJ1 50-59 years, female 19.9
GTEX-145ME-0826-SM-5O9AF 40-49 years, female 19.9
GTEX-13U4I-2426-SM-5LU34 40-49 years, female 19.8
GTEX-14DAR-1526-SM-5RQIX 50-59 years, male 19.8
GTEX-11P82-1026-SM-5BC5J 20-29 years, male 19.7
GTEX-15CHR-1426-SM-7DUGV 50-59 years, male 19.7
GTEX-ZVP2-1526-SM-5NQ82 50-59 years, male 19.7
GTEX-1IDJF-1826-SM-CKZOE 20-29 years, male 19.7
GTEX-1LGRB-1426-SM-CNNPT 50-59 years, female 19.7
GTEX-12C56-0626-SM-5EGGC 20-29 years, male 19.6
GTEX-WEY5-1426-SM-4LMJ3 40-49 years, female 19.6
GTEX-X15G-1326-SM-4PQZJ 50-59 years, female 19.6
GTEX-1GZ4H-1226-SM-9KNUA 50-59 years, female 19.6
GTEX-X4EO-2526-SM-EWRM8 60-69 years, female 19.6
GTEX-12BJ1-2126-SM-5BC5O 60-69 years, male 19.5
GTEX-13O61-1626-SM-5KM3T 60-69 years, male 19.5
GTEX-13QBU-1826-SM-5IJG3 40-49 years, female 19.5
GTEX-1R9JW-2026-SM-EAZ4O 30-39 years, female 19.5
GTEX-14ICK-1026-SM-6AJA4 40-49 years, male 19.4
GTEX-15SHU-2526-SM-6M47D 40-49 years, female 19.4
GTEX-Q2AH-1226-SM-48TZL 40-49 years, male 19.4
GTEX-1GPI7-1726-SM-7P8R1 20-29 years, male 19.4
GTEX-P4PP-1426-SM-3NM9L 30-39 years, female 19.3
GTEX-1I4MK-1126-SM-B2LWS 50-59 years, female 19.3
GTEX-13O21-2426-SM-5MR4A 50-59 years, male 19.2
GTEX-U3ZM-1126-SM-4DXUB 40-49 years, male 19.2
GTEX-XXEK-1926-SM-4BRVD 50-59 years, male 19.2
GTEX-1GL5R-2426-SM-7MXV1 50-59 years, male 19.2
GTEX-117YW-1826-SM-5PNY5 50-59 years, male 19.1
GTEX-13PL7-2526-SM-5IFGR 60-69 years, female 19.1
GTEX-WFG7-1526-SM-4LVMG 20-29 years, male 19.1
GTEX-1EH9U-2026-SM-7PBYS 60-69 years, male 19.1
GTEX-1H11D-2626-SM-9JGH4 40-49 years, male 19.1
GTEX-1RAZA-1726-SM-DPS13 20-29 years, male 19.1
GTEX-14AS3-1126-SM-5Q5CR 40-49 years, female 19.0
GTEX-15RIE-1826-SM-6M48P 60-69 years, male 19.0
GTEX-1C6VQ-2726-SM-73KUL 50-59 years, male 19.0
GTEX-R55D-1826-SM-48FEF 50-59 years, male 19.0
GTEX-T6MO-0826-SM-4DM51 40-49 years, female 19.0
GTEX-Y3I4-1426-SM-4TT9C 50-59 years, male 19.0
GTEX-1J1R8-1126-SM-CNPQ3 40-49 years, male 19.0
GTEX-ZDTT-1926-SM-5HL5W 60-69 years, male 19.0
GTEX-1CB4F-2026-SM-79OLU 60-69 years, male 18.9
GTEX-W5WG-2426-SM-4LMI6 50-59 years, female 18.9
GTEX-Y3IK-1826-SM-4WWDS 50-59 years, female 18.9
GTEX-144GN-1126-SM-5LU33 50-59 years, male 18.8
GTEX-145LS-2726-SM-5Q5D8 60-69 years, female 18.8
GTEX-15CHQ-2526-SM-6EU24 60-69 years, male 18.8
GTEX-1PPH8-2026-SM-DTX7P 20-29 years, male 18.8
GTEX-1QPFJ-2326-SM-E6CR7 30-39 years, female 18.8
GTEX-R45C-2126-SM-EZ6KZ 60-69 years, female 18.8
GTEX-1JN76-1226-SM-C1YRM 20-29 years, female 18.7
GTEX-1LVAN-2526-SM-CNPPC 50-59 years, female 18.7
GTEX-ZLWG-1726-SM-DNZZ2 50-59 years, female 18.7
GTEX-QLQW-0426-SM-447A7 30-39 years, male 18.6
GTEX-TML8-1326-SM-4DXTO 40-49 years, female 18.6
GTEX-ZEX8-1926-SM-4WKFR 50-59 years, male 18.6
GTEX-1KANB-1526-SM-CXZK4 50-59 years, male 18.6
GTEX-1L5NE-2026-SM-CXZKR 50-59 years, male 18.6
GTEX-1MA7W-0626-SM-EV79Z 20-29 years, female 18.6
GTEX-1H1E6-1926-SM-9OSWD 30-39 years, male 18.5
GTEX-17JCI-2626-SM-7EWE6 60-69 years, female 18.4
GTEX-17MF6-2426-SM-7LTAM 40-49 years, male 18.4
GTEX-13FHP-2426-SM-5KLZ5 50-59 years, male 18.3
GTEX-14JG6-1726-SM-69LPL 30-39 years, female 18.3
GTEX-14PJ4-1926-SM-6LLHG 60-69 years, male 18.3
GTEX-PX3G-1426-SM-48U1J 20-29 years, female 18.3
GTEX-14JIY-3326-SM-6871E 60-69 years, male 18.2
GTEX-QDVJ-1326-SM-48U1X 50-59 years, male 18.2
GTEX-Y8E4-2426-SM-4WWDN 40-49 years, male 18.2
GTEX-1HSGN-2626-SM-CE6S1 40-49 years, female 18.2
GTEX-1I1GR-2526-SM-CNNQF 60-69 years, male 18.2
GTEX-1LGOU-1626-SM-D3LAK 20-29 years, female 18.2
GTEX-139TS-1926-SM-5IJFO 60-69 years, male 18.1
GTEX-TKQ1-0626-SM-4DXTS 30-39 years, male 18.1
GTEX-WOFM-2026-SM-4OOSQ 20-29 years, male 18.0
GTEX-ZF29-1726-SM-4WKFV 60-69 years, female 18.0
GTEX-1IDJD-2226-SM-A96TD 30-39 years, male 18.0
GTEX-1RMOY-1626-SM-EVYC8 50-59 years, male 18.0
GTEX-13111-0726-SM-5DUVE 50-59 years, male 17.9
GTEX-13D11-0826-SM-5KLZJ 50-59 years, female 17.9
GTEX-1B996-2626-SM-73KZ1 60-69 years, male 17.9
GTEX-1C475-1626-SM-731FP 40-49 years, female 17.9
GTEX-WY7C-1626-SM-4ONC8 50-59 years, male 17.9
GTEX-ZYFC-2626-SM-5NQ6S 50-59 years, male 17.9
GTEX-SJXC-2226-SM-EVYAK 60-69 years, male 17.9
GTEX-139YR-2126-SM-5KM11 50-59 years, male 17.8
GTEX-ZZ64-0726-SM-5GZX4 20-29 years, male 17.8
GTEX-11O72-2226-SM-5PNW2 40-49 years, male 17.7
GTEX-14BMV-2426-SM-5S2PP 50-59 years, male 17.7
GTEX-WHWD-1226-SM-4OOS1 50-59 years, male 17.7
GTEX-ZPCL-1826-SM-57WF1 60-69 years, female 17.7
GTEX-1LBAC-1626-SM-CXZKV 20-29 years, male 17.7
GTEX-1MGNQ-2026-SM-EAZ51 40-49 years, male 17.7
GTEX-YEC3-2426-SM-DO11A 50-59 years, male 17.7
GTEX-11LCK-2026-SM-5A5MA 30-39 years, male 17.6
GTEX-11NSD-1626-SM-5986U 20-29 years, male 17.6
GTEX-15UF6-2626-SM-6M466 70-79 years, female 17.6
GTEX-16NPV-2626-SM-6M484 50-59 years, female 17.6
GTEX-SNMC-1126-SM-4DM5M 20-29 years, male 17.6
GTEX-ZV6S-1226-SM-59HLH 40-49 years, female 17.6
GTEX-1GN73-2626-SM-9KNUQ 60-69 years, male 17.6
GTEX-1KXAM-2126-SM-CY8I9 60-69 years, male 17.6
GTEX-PSDG-1826-SM-EAZ2S 50-59 years, male 17.6
GTEX-1C64O-2326-SM-73KU8 60-69 years, male 17.5
GTEX-XUW1-1926-SM-4BOP1 50-59 years, female 17.5
GTEX-1K2DA-2026-SM-CGQGK 50-59 years, male 17.5
GTEX-R55G-1226-SM-48FDC 40-49 years, female 17.4
GTEX-1IKK5-2726-SM-CNPQ6 60-69 years, male 17.4
GTEX-14C5O-2526-SM-73KU2 60-69 years, male 17.3
GTEX-17F9E-1826-SM-7IGMC 50-59 years, male 17.3
GTEX-18A7B-2026-SM-72D71 70-79 years, male 17.3
GTEX-1F5PK-1926-SM-7MXT7 50-59 years, male 17.3
GTEX-1GMR2-1726-SM-9JGI2 50-59 years, male 17.3
GTEX-1S3DN-1826-SM-EV79K 50-59 years, male 17.3
GTEX-17EVQ-1826-SM-7IGPH 70-79 years, male 17.2
GTEX-1R9PM-1526-SM-DPRY8 20-29 years, male 17.2
GTEX-12ZZZ-2426-SM-5GCNN 60-69 years, male 17.1
GTEX-139T6-1326-SM-5IFFO 50-59 years, male 17.1
GTEX-1AMFI-1726-SM-7189L 50-59 years, female 17.1
GTEX-UJHI-1126-SM-4IHLN 50-59 years, female 17.1
GTEX-WFON-1426-SM-4LVMT 40-49 years, male 17.1
GTEX-111YS-1626-SM-5GZZ9 60-69 years, male 17.0
GTEX-131XG-1826-SM-5LZV4 50-59 years, female 17.0
GTEX-144GL-2526-SM-5TDDL 50-59 years, male 17.0
GTEX-S7SF-1926-SM-4AT5B 20-29 years, female 16.9
GTEX-ZTSS-1126-SM-5985O 40-49 years, male 16.9
GTEX-1JK1U-1526-SM-AHZ46 60-69 years, male 16.9
GTEX-U412-1726-SM-EZ6KX 60-69 years, male 16.9
GTEX-11EM3-1526-SM-5A5KN 20-29 years, female 16.8
GTEX-14PJ3-0926-SM-69LQG 50-59 years, male 16.8
GTEX-16AAH-1326-SM-7KFRG 50-59 years, male 16.8
GTEX-OIZH-1426-SM-3NB1O 50-59 years, male 16.8
GTEX-P4QT-1426-SM-3NMCX 50-59 years, female 16.8
GTEX-PLZ5-1126-SM-3P613 50-59 years, male 16.8
GTEX-U3ZH-1326-SM-4DXSF 30-39 years, male 16.8
GTEX-11DXX-1826-SM-5H126 60-69 years, female 16.7
GTEX-13PVR-1626-SM-73KVF 60-69 years, female 16.7
GTEX-13VXT-2426-SM-5LU46 20-29 years, female 16.7
GTEX-X3Y1-1726-SM-4PQZL 40-49 years, male 16.7
GTEX-Y5LM-1526-SM-4VDTA 40-49 years, female 16.7
GTEX-SE5C-1526-SM-4BRWU 40-49 years, female 16.6
GTEX-Y9LG-1526-SM-4WWDR 30-39 years, male 16.6
GTEX-1R7EU-1926-SM-E9U62 60-69 years, male 16.6
GTEX-13O3O-2526-SM-5L3DR 60-69 years, female 16.5
GTEX-ZGAY-2126-SM-4YCFB 40-49 years, female 16.5
GTEX-1JMPZ-2426-SM-C1YQP 30-39 years, male 16.5
GTEX-14C39-1926-SM-5ZZW5 40-49 years, male 16.4
GTEX-15ER7-2926-SM-7KUFK 20-29 years, female 16.4
GTEX-Z93S-2426-SM-5HL8N 50-59 years, male 16.4
GTEX-RM2N-0926-SM-48FD1 50-59 years, male 16.3
GTEX-1H1DE-1526-SM-ARL9B 20-29 years, male 16.3
GTEX-1IDJU-2026-SM-A9SLM 60-69 years, female 16.3
GTEX-1CAMS-2526-SM-7EPH7 40-49 years, female 16.2
GTEX-UJMC-1326-SM-4IHLS 50-59 years, male 16.2
GTEX-11VI4-1526-SM-5EQKC 40-49 years, female 16.1
GTEX-S341-1426-SM-4AD6U 40-49 years, female 16.1
GTEX-WYVS-1826-SM-4OND6 40-49 years, female 16.1
GTEX-1EMGI-2726-SM-7P8S4 60-69 years, male 16.1
GTEX-1LVAM-1626-SM-EV79Y 50-59 years, female 16.1
GTEX-14PKV-2126-SM-664O3 20-29 years, female 16.0
GTEX-ZYFG-1926-SM-5GID5 60-69 years, female 16.0
GTEX-145MN-1726-SM-5SIA6 30-39 years, male 15.9
GTEX-ZAB4-2226-SM-5HL97 40-49 years, male 15.9
GTEX-ZP4G-1726-SM-4WWCM 20-29 years, female 15.9
GTEX-1MCC2-1626-SM-DIPEW 30-39 years, female 15.9
GTEX-15RIF-1326-SM-6LPKO 20-29 years, male 15.8
GTEX-O5YW-1426-SM-3MJHF 50-59 years, male 15.8
GTEX-Q734-1126-SM-48TZY 40-49 years, female 15.8
GTEX-ZLV1-1226-SM-4WWBX 60-69 years, female 15.8
GTEX-ZG7Y-2126-SM-DO117 50-59 years, male 15.8
GTEX-117YX-0826-SM-5H11J 50-59 years, male 15.7
GTEX-S4UY-0826-SM-4AD4Z 40-49 years, female 15.7
GTEX-XGQ4-1226-SM-4AT67 50-59 years, male 15.7
GTEX-1PPGY-2826-SM-DTX9H 60-69 years, male 15.7
GTEX-1HSMQ-2726-SM-C1YRE 50-59 years, male 15.6
GTEX-1R9K5-2126-SM-E8VN1 50-59 years, male 15.6
GTEX-P78B-1726-SM-3P5ZV 40-49 years, female 15.5
GTEX-1CAMR-0926-SM-7MXTD 20-29 years, male 15.5
GTEX-1F75B-2726-SM-7P8QO 50-59 years, male 15.5
GTEX-1GZ4I-2426-SM-9WPPP 50-59 years, male 15.5
GTEX-1N5O9-2726-SM-E76QH 60-69 years, male 15.5
GTEX-OIZF-1426-SM-2HML2 60-69 years, male 15.5
GTEX-13OVK-0826-SM-7KULZ 40-49 years, male 15.4
GTEX-RU1J-1326-SM-46MUL 20-29 years, female 15.4
GTEX-1HCU9-1326-SM-B2LXT 20-29 years, male 15.4
GTEX-1I6K6-1826-SM-B2LX5 30-39 years, male 15.4
GTEX-1KANC-0926-SM-D3LA9 50-59 years, female 15.4
GTEX-PLZ6-0926-SM-3P5ZQ 30-39 years, male 15.3
GTEX-QEL4-1926-SM-D3L8D 50-59 years, male 15.3
GTEX-NFK9-2026-SM-3LK5K 40-49 years, male 15.2
GTEX-1JJ6O-2426-SM-ARU8J 60-69 years, male 15.2
GTEX-1211K-1726-SM-5FQUJ 60-69 years, female 15.1
GTEX-131XE-0826-SM-5HL9W 50-59 years, male 15.1
GTEX-14DAQ-2726-SM-5S2QY 60-69 years, female 15.1
GTEX-XQ8I-2126-SM-4BOOM 50-59 years, male 15.1
GTEX-1LG7Y-2126-SM-DIPER 50-59 years, male 15.1
GTEX-16MT8-2726-SM-7IGLJ 60-69 years, female 14.8
GTEX-ZVT2-1926-SM-5GU5T 50-59 years, female 14.8
GTEX-12KS4-2426-SM-5LU8P 30-39 years, male 14.7
GTEX-1399U-1926-SM-5IFH7 50-59 years, female 14.7
GTEX-13OW5-2626-SM-5MR3M 60-69 years, male 14.7
GTEX-1AYD5-1726-SM-7RHFW 50-59 years, male 14.7
GTEX-1BAJH-2326-SM-7IGMO 70-79 years, male 14.6
GTEX-1HKZK-2126-SM-A9SL3 40-49 years, male 14.6
GTEX-1N2DV-1426-SM-DPRYQ 40-49 years, male 14.6
GTEX-111VG-2226-SM-5N9DU 60-69 years, male 14.5
GTEX-15CHC-1626-SM-5ZZWS 60-69 years, female 14.5
GTEX-R55C-1126-SM-48FCJ 40-49 years, male 14.4
GTEX-ZV7C-1526-SM-5NQ72 50-59 years, male 14.3
GTEX-11I78-1226-SM-5A5K6 50-59 years, female 14.2
GTEX-14BIN-3026-SM-5ZZUS 50-59 years, female 14.2
GTEX-18A7A-2226-SM-7LT8K 50-59 years, female 14.2
GTEX-XUZC-1326-SM-4BRV2 30-39 years, female 14.2
GTEX-YB5E-1626-SM-5IFIQ 40-49 years, male 14.2
GTEX-1KANA-1926-SM-DHXKF 20-29 years, male 14.2
GTEX-1QMI2-2626-SM-E6CR4 60-69 years, male 14.2
GTEX-1JKYN-2326-SM-CGQG7 30-39 years, male 14.1
GTEX-1JMLX-2726-SM-CM2SB 50-59 years, male 14.1
GTEX-1122O-1526-SM-5N9CL 60-69 years, female 14.0
GTEX-OHPM-1426-SM-3TW8Y 50-59 years, male 14.0
GTEX-OXRO-0726-SM-E9U4C 60-69 years, female 14.0
GTEX-17F96-2026-SM-79ON4 70-79 years, male 13.9
GTEX-13QJ3-2626-SM-9OSXQ 50-59 years, male 13.9
GTEX-1E2YA-2626-SM-7MGWW 50-59 years, male 13.9
GTEX-1LG7Z-1426-SM-CXKYV 30-39 years, male 13.9
GTEX-1RDX4-1826-SM-EVR54 50-59 years, female 13.9
GTEX-13FTW-1826-SM-5IJEN 40-49 years, male 13.8
GTEX-PWN1-1426-SM-48TDF 40-49 years, female 13.8
GTEX-ZDYS-2326-SM-4WKG6 50-59 years, male 13.8
GTEX-S3XE-1126-SM-4AD4N 50-59 years, male 13.7
GTEX-TKQ2-1326-SM-4DXT9 50-59 years, male 13.6
GTEX-1399S-1926-SM-5J2M5 30-39 years, female 13.5
GTEX-17GQL-1526-SM-7LTAC 60-69 years, male 13.5
GTEX-16XZZ-2626-SM-6M47S 60-69 years, male 13.4
GTEX-16Z82-2226-SM-6LPJ7 60-69 years, male 13.4
GTEX-17KNJ-1726-SM-7LG6A 50-59 years, male 13.4
GTEX-1GF9U-1526-SM-7MXUW 40-49 years, female 13.4
GTEX-145MO-2426-SM-5NQ9W 60-69 years, male 13.3
GTEX-1IGQW-2326-SM-CE6RV 60-69 years, male 13.3
GTEX-WH7G-1326-SM-4LVMS 40-49 years, male 13.2
GTEX-147JS-2526-SM-5S2Q8 60-69 years, male 12.9
GTEX-178AV-1326-SM-6LPJX 40-49 years, male 12.9
GTEX-1C2JI-1626-SM-7EPHC 50-59 years, male 12.8
GTEX-1HCVE-2526-SM-A9G2G 50-59 years, male 12.8
GTEX-1GMR3-2826-SM-9WPOG 40-49 years, male 12.6
GTEX-1IOXB-2626-SM-CJI2N 50-59 years, male 12.5
GTEX-11ONC-2026-SM-5HL61 60-69 years, male 12.4
GTEX-14E6E-1526-SM-5RQIG 30-39 years, male 12.4
GTEX-S4P3-1226-SM-4AD4Y 50-59 years, female 11.5
GTEX-11P7K-1526-SM-5EGI7 30-39 years, male 11.3
GTEX-17HII-2726-SM-7MGVM 50-59 years, male 10.6
GTEX-1POEN-2026-SM-E6CRL 30-39 years, female 10.4
GTEX-11GSP-1626-SM-5986N 60-69 years, female 8.8
Show allShow less

COLON - FANTOM5 CAGEi

RNA expression in human tissues obtained through Cap Analysis of Gene Expression (CAGE) generated by the FANTOM5 project are reported as Scaled Tags Per Million.

Max subtype Scaled Tags Per Millioni

Max subtype Scaled Tags Per Million is the value for the subtype with the largest average Scaled Tags Per Million across the subtype samples.

28.6
FANTOM5 sample id Sample description Scaled Tags Per Million
Colon
Scaled Tags Per Million: 28.6
FF:10014-101C5 62,83,84 years, mixed 28.6

Contact

  • NEWS ARTICLES
  • PRESS ROOM

The Project

  • INTRODUCTION
  • ORGANIZATION
  • PUBLICATIONS

The Human Protein Atlas

  • DOWNLOADABLE DATA
  • LICENCE & CITATION
  • HELP & FAQ
The Human Protein Atlas project is funded
by the Knut & Alice Wallenberg Foundation.


contact@proteinatlas.org