We use cookies to enhance the usability of our website. If you continue, we'll assume that you are happy to receive all cookies. More information. Don't show this again.
NODAL
HPA
RESOURCES
  • TISSUE
  • BRAIN
  • SINGLE CELL
  • SUBCELLULAR
  • CANCER
  • BLOOD
  • CELL LINE
  • STRUCTURE & INTERACTION
ABOUT
  • INTRODUCTION
  • HISTORY
  • ORGANIZATION
  • PUBLICATIONS
  • ANTIBODY SUBMISSION
  • ANTIBODY AVAILABILITY
  • ACKNOWLEDGMENTS
  • CONTACT
NEWS
  • NEWS ARTICLES
  • PRESS ROOM
LEARN
  • DICTIONARY
  • PROTEIN CLASSES
  • PROTEIN EVIDENCE
  • METHODS
  • EDUCATIONAL VIDEOS
DATA
  • DOWNLOADABLE DATA
  • PUBLICATION DATA
  • RELEASE HISTORY
HELP
  • ANTIBODY VALIDATION
  • ASSAYS & ANNOTATION
  • DISCLAIMER
  • HELP & FAQ
  • PRIVACY STATEMENT
  • LICENCE & CITATION
Fields »
Search result

Field
Term
Gene name
Class
Subclass
Class
Keyword
Chromosome
External id
Tissue
Cell type
Expression
Antibody panel
Tissue
Main location
Patient ID
Annotation
Tissue
Category
Tau score
Cluster
Reliability
Brain region
Category
Tau score
Brain region
Category
Tau score
Brain region
Category
Tau score
Cluster
Reliability
Tissue
Cell type
Enrichment
Cell type
Category
Tau score
Cell type
Category
Tau score
Cell type
Category
Tau score
Cell lineage
Category
Tau score
Cluster
Cluster
Location
Searches
Location
Cell line
Class
Type
Phase
Reliability
Cancer
Prognosis
Cancer
Category
Cancer
Category
Tau score
Cluster
Variants
Interacting gene (ensg_id)
Type
Number of interactions
Pathway
Category
Score
Score
Score
Validation
Validation
Validation
Validation
Antibodies
Data type
Column


  • SUMMARY

  • TISSUE

  • BRAIN

  • SINGLE CELL

  • SUBCELL

  • CANCER

  • BLOOD

  • CELL LINE

  • STRUCT & INT

  • NODAL
CANCER RENAL CANCER Show tissue menu
BREAST CANCER CARCINOID CERVICAL CANCER COLORECTAL CANCER ENDOMETRIAL CANCER GLIOMA HEAD AND NECK CANCER LIVER CANCER LUNG CANCER LYMPHOMA
MELANOMA OVARIAN CANCER PANCREATIC CANCER PROSTATE CANCER RENAL CANCER SKIN CANCER STOMACH CANCER TESTIS CANCER THYROID CANCER UROTHELIAL CANCER
KICH TCGA KIRC TCGA KIRC VALIDATION KIRP TCGA PROTEIN RCC CPTAC PROTEIN EXPRESSION
ANTIBODIES
AND
VALIDATION
Dictionary
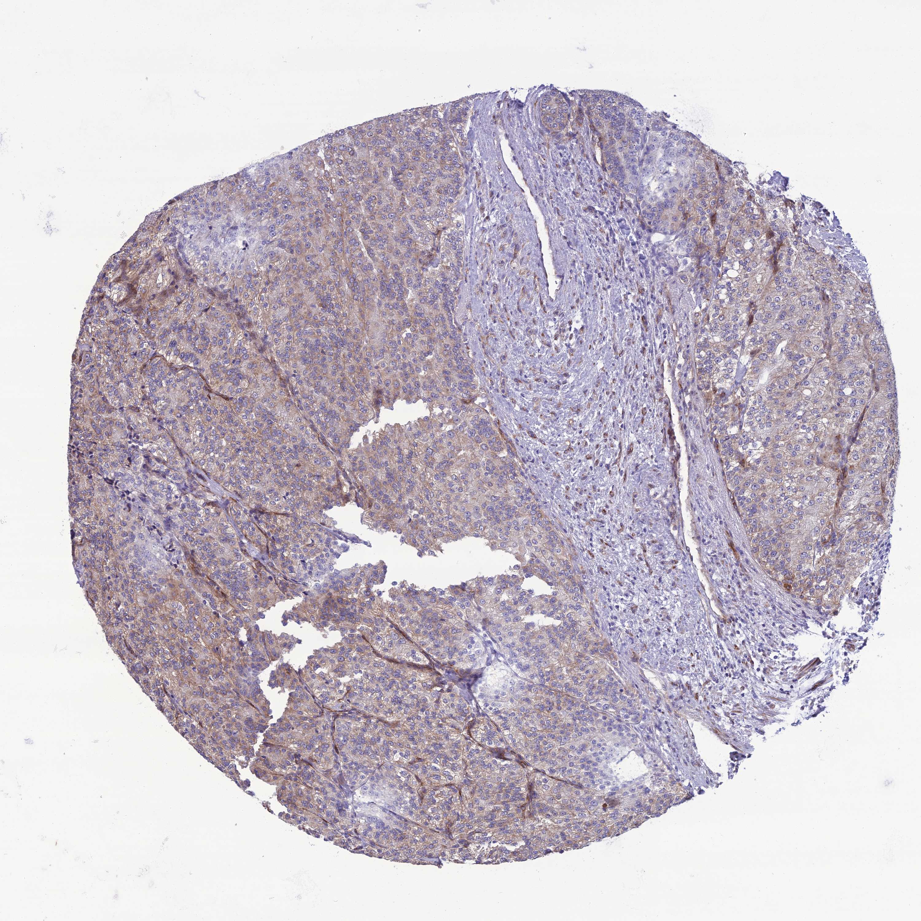
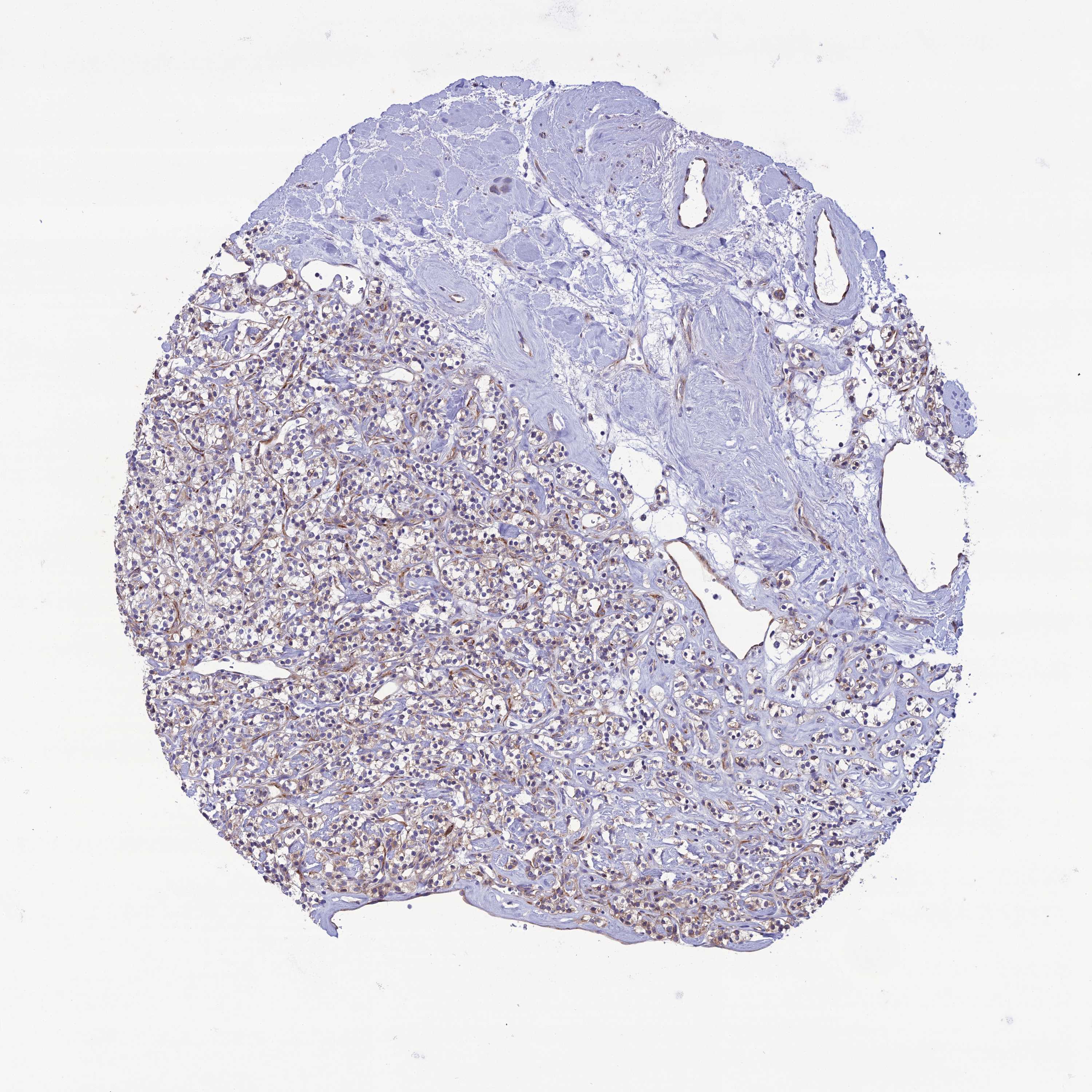
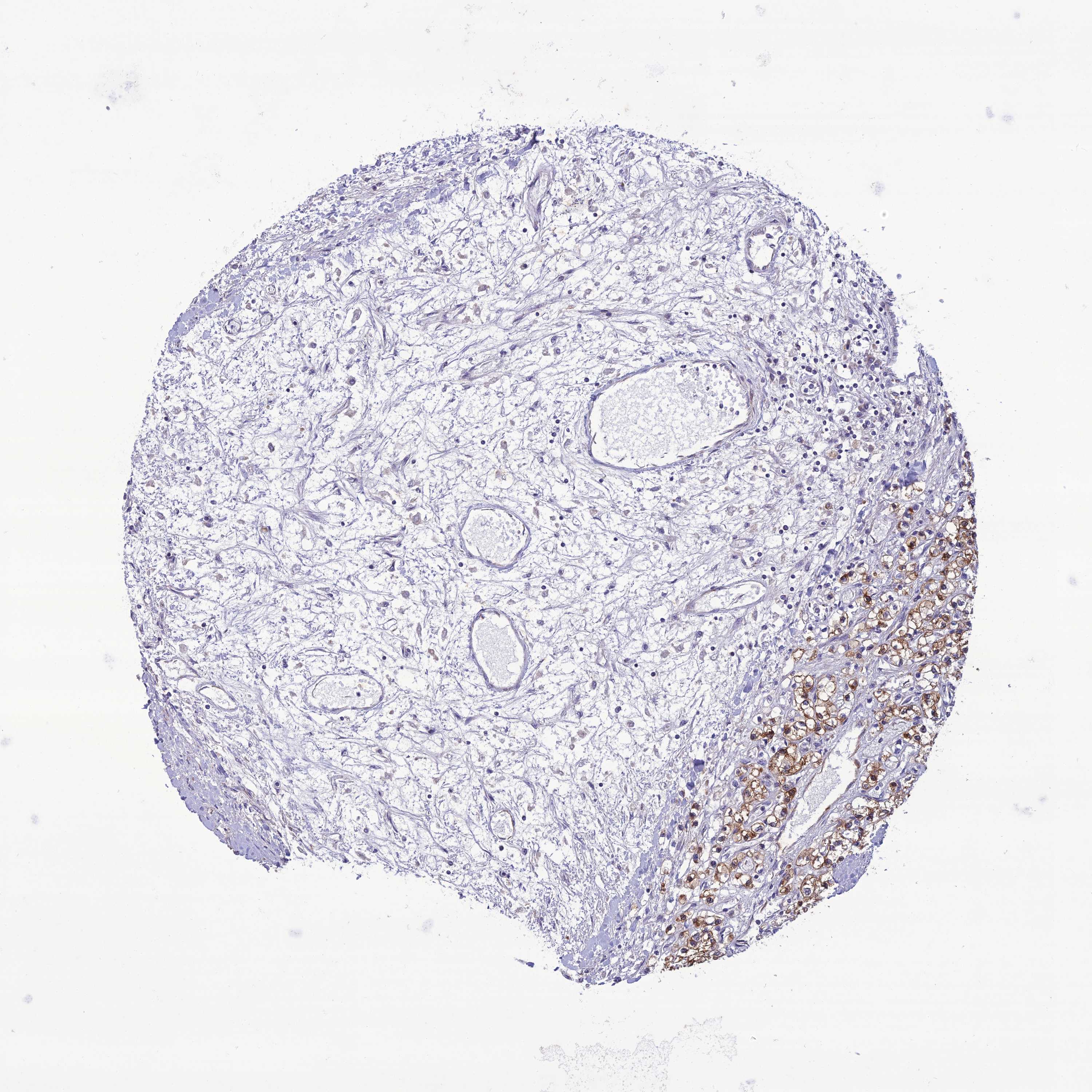
Renal cancer
Human cancer
Kidney chromophobe
Kidney renal clear cell carcinoma
Kidney renal papillary cell carcinoma
KIDNEY CHROMOPHOBE (TCGA) - Interactive survival scatter ploti

The Survival Scatter plot shows the clinical status (i.e. dead or alive) for all individuals in the patient cohort, based on the same data that underlies the corresponding Kaplan-Meier plots. Patients that are alive at last time for follow-up are shown in blue and patients who have died during the study are shown in red.

The x-axis shows the expression levels (FPKM) of the investigated gene in the tumor tissue at the time of diagnosis. The y-axis shows the follow-up time after diagnosis (years). Both axes are complimented with kernel density curves demonstrating the data density over the axes. The top density plot shows the expression levels (FPKM) distribution among dead (red) and alive patients (blue). The right density plot shows the data density of the survived years of dead patients with high and low expression levels respectively, stratified using the cutoff indicated by the vertical dashed line through the Survival Scatter plot. This cutoff is automatically defined based on the FPKM cutoff that minimizes the p-score. The cutoff can be changed by dragging the vertical line or by entering a cutoff value in the square labeled "Current cut-off".

Under the Survival Scatter plot the p-score landscape (black curve; left axis) is shown together with dead median separation (red curve; right axis). Dead median separation is the difference in median mRNA expression between patients who have died with high and low expression, respectively. It is calculated as follows: median FPKM expression of dead patients with high expression - median FPKM expression of dead patients with low expression. This is intended to aid the user in visually exploring custom cutoffs and the associated p-scores and dead median separation.

Individual patient data is displayed and can be filtered by clicking on one or more of the category buttons on the top of the page. Categories describing expression level and patient information include: high, low, alive, dead, female, male and tumor stages. The scale of the x-axis can be toggled between linear and log-scale by clicking on the "x log" button. Mouse-over function shows TCGA ID, patient information and mRNA expression (FPKM) for each patient.

& Survival analysisi

Kaplan-Meier plots summarize results from analysis of correlation between mRNA expression level and patient survival. Patients were divided based on level of expression into one of the two groups "low" (under cut off) or "high" (over cut off). X-axis shows time for survival (years) and y-axis shows the probability of survival, where 1.0 corresponds to 100 percent.

NODAL is not prognostic in Kidney Chromophobe (TCGA)


Stage:
Survival analysis
Current cut offi

Current cut-off shows the cut-off (FPKM) currently selected. It may be changed manually. When the current cut-off is changed, the vertical dashed line indicating cut-off, the interactive survival scatter plot and the Kaplan-Meier curve will be automatically adjusted to show results accordingly.

:
Best expression cut offi

Based on the FPKM value of each gene, patients were classified into two groups and association between prognosis (survival) and gene expression (FPKM) was examined. The best expression cut-off refers the FPKM value that yields maximal difference with regard to survival between the two groups at the lowest log-rank P-value. Best expression cut-off was selected based on survival analysis .

When clicking on this number, the vertical dashed line indicating cut-off, the interactive survival plot, and the Kaplan-Meier curve will be adjusted to show results based on the best expression cut-off.

: N/A
Median expressioni

Median expression refers to the median FPKM value calculated based on the gene expression (FPKM) data from all patients in this dataset. When clicking on this number, the vertical dashed line indicating cut-off, the interactive survival plot, and the Kaplan-Meier curve will be adjusted to show results based on the median expression.

: N/A
Median follow up timei

Median follow up time refers to the median time (years) after diagnosis with this type of cancer, based on clinical data from all patients in this dataset.

: N/A
P scorei

Log-rank P value for Kaplan-Meier plot showing results from analysis of correlation between mRNA expression level and patient survival.

N/A
5-year survival highi

5-year survival for patients with higher expression than the expression cutoff.

For melanoma and glioma, 3-year survival is shown.

N/A
5-year survival lowi

5-year survival for patients with lower expression than the expression cutoff.

For melanoma and glioma, 3-year survival is shown.

N/A
TCGA RNA samplesi

RNA-seq data is reported as average FPKM (number Fragments Per Kilobase of exon per Million reads), generated by the The Cancer Genome Atlas (TCGA) .

Normal distribution across the dataset is visualized with box plots, shown as median and 25th and 75th percentiles. Points are displayed as outliers if they are above or below 1.5 times the interquartile range. FPKM values of the individual samples are presented next to the box plot.

Average pTPM 0.2
Number of samples 64
Samples
Sample Description pTPM
TCGA-KL-8333-01A 69 years, male, white, stage:Stage II, alive, 2991 days 3.1
TCGA-KN-8426-01A 50 years, male, white, stage:Stage IV, alive, 108 days 1.4
TCGA-KM-8438-01A 45 years, female, white, stage:Stage II, alive, 4622 days 1.1
TCGA-KN-8431-01A 35 years, female, stage:Stage II, alive, 588 days 0.9
TCGA-KL-8339-01A 67 years, male, white, stage:Stage IV, dead, 855 days 0.8
TCGA-KL-8330-01A 44 years, female, black or african american, stage:Stage II, alive, 3304 days 0.8
TCGA-KL-8337-01A 26 years, male, black or african american, stage:Stage II, alive, 1364 days 0.6
TCGA-KN-8418-01A 41 years, female, white, stage:Stage II, alive, 3935 days 0.5
TCGA-KL-8324-01A 67 years, female, white, stage:Stage II, alive, 4676 days 0.5
TCGA-KM-8442-01A 38 years, male, stage:Stage II, alive, 1437 days 0.5
TCGA-KM-8477-01A 56 years, male, white, stage:Stage I, alive, 1553 days 0.5
TCGA-KM-8476-01A 47 years, male, white, stage:Stage I, alive, 3745 days 0.5
TCGA-KO-8407-01A 42 years, male, white, stage:Stage II, alive, 2820 days 0.3
TCGA-KL-8325-01A 56 years, female, white, stage:Stage II, dead, 725 days 0.3
TCGA-KL-8332-01A 55 years, male, white, stage:Stage I, alive, 2582 days 0.3
TCGA-KN-8435-01A 59 years, male, white, stage:Stage II, alive, 3498 days 0.3
TCGA-KO-8414-01A 50 years, female, white, stage:Stage II, alive, 3212 days 0.3
TCGA-KO-8408-01A 47 years, male, white, stage:Stage III, dead, 507 days 0.2
TCGA-KO-8413-01A 46 years, male, white, stage:Stage I, alive, 3038 days 0.2
TCGA-KN-8425-01A 53 years, male, white, stage:Stage I, alive, 3179 days 0.2
TCGA-KL-8342-01A 45 years, female, white, stage:Stage II, alive, 2248 days 0.2
TCGA-KL-8334-01A 37 years, female, white, stage:Stage III, alive, 2949 days 0.2
TCGA-KO-8417-01A 30 years, female, white, stage:Stage I, alive, 2815 days 0.2
TCGA-KL-8346-01A 62 years, male, white, stage:Stage II, alive, 1897 days 0.2
TCGA-KO-8405-01A 29 years, male, white, stage:Stage III, alive, 3056 days 0.2
TCGA-KL-8340-01A 34 years, male, white, stage:Stage II, alive, 2024 days 0.2
TCGA-KO-8406-01A 17 years, female, white, stage:Stage I, alive, 3145 days 0.2
TCGA-KL-8341-01A 41 years, male, asian, stage:Stage IV, dead, 754 days 0.1
TCGA-KO-8403-01A 49 years, male, white, stage:Stage I, alive, 3208 days 0.1
TCGA-KM-8443-01A 57 years, male, white, stage:Stage II, alive, 1520 days 0.1
TCGA-KL-8328-01A 60 years, male, white, stage:Stage II, alive, 3127 days 0.1
TCGA-KO-8416-01A 41 years, male, white, stage:Stage III, alive, 2752 days 0.1
TCGA-KO-8410-01A 74 years, female, white, stage:Stage I, alive, 3136 days 0.1
TCGA-KL-8344-01A 51 years, male, white, stage:Stage III, alive, 876 days 0.1
TCGA-KM-8441-01A 61 years, female, white, stage:Stage I, alive, 876 days 0.1
TCGA-KM-8639-01A 67 years, male, white, stage:Stage I, alive, 953 days 0.1
TCGA-KO-8404-01A 78 years, male, white, stage:Stage IV, dead, 325 days 0.1
TCGA-KL-8345-01A 75 years, male, white, stage:Stage III, alive, 1665 days 0.1
TCGA-KL-8335-01A 67 years, male, white, stage:Stage III, alive, 2815 days 0.1
TCGA-KO-8415-01A 44 years, female, white, stage:Stage I, alive, 2939 days 0.0
TCGA-KN-8421-01A 47 years, female, white, stage:Stage II, alive, 2674 days 0.0
TCGA-KN-8437-01A 42 years, female, white, stage:Stage I, alive, 3068 days 0.0
TCGA-KN-8427-01A 54 years, male, white, stage:Stage IV, alive, 30 days 0.0
TCGA-KM-8439-01A 30 years, male, white, stage:Stage I, alive, 708 days 0.0
TCGA-KN-8419-01A 43 years, male, black or african american, stage:Stage II, alive, 714 days 0.0
TCGA-KN-8423-01A 44 years, male, white, stage:Stage I, alive, 788 days 0.0
TCGA-KL-8323-01A 57 years, female, white, stage:Stage III, dead, 1158 days 0.0
TCGA-KL-8327-01A 46 years, female, white, stage:Stage I, alive, 4169 days 0.0
TCGA-KO-8411-01A 58 years, male, white, stage:Stage I, alive, 3958 days 0.0
TCGA-KN-8433-01A 46 years, female, white, stage:Stage III, alive, 341 days 0.0
TCGA-KN-8436-01A 62 years, male, white, stage:Stage II, alive, 1288 days 0.0
TCGA-KM-8440-01A 37 years, male, black or african american, stage:Stage III, alive, 1366 days 0.0
TCGA-KL-8326-01A 69 years, male, white, stage:Stage III, alive, 3322 days 0.0
TCGA-KN-8428-01A 71 years, male, white, stage:Stage II, dead, 1590 days 0.0
TCGA-KL-8331-01A 48 years, female, white, stage:Stage II, alive, 3010 days 0.0
TCGA-KO-8409-01A 69 years, male, white, stage:Stage II, alive, 3180 days 0.0
TCGA-KN-8434-01A 65 years, female, white, stage:Stage II, alive, 1797 days 0.0
TCGA-KN-8424-01A 42 years, female, white, stage:Stage I, alive, 1983 days 0.0
TCGA-KL-8343-01A 72 years, male, white, stage:Stage III, dead, 2172 days 0.0
TCGA-KN-8432-01A 86 years, female, white, stage:Stage II, alive, 76 days 0.0
TCGA-KL-8338-01A 51 years, male, white, stage:Stage III, alive, 2633 days 0.0
TCGA-KN-8429-01A 38 years, female, white, stage:Stage III, alive, 2650 days 0.0
TCGA-KL-8329-01A 57 years, female, asian, stage:Stage I, alive, 2752 days 0.0
TCGA-KL-8336-01A 51 years, female, white, stage:Stage IV, dead, 920 days 0.0
Show allShow less
KIDNEY RENAL CLEAR CELL CARCINOMA (TCGA) - Interactive survival scatter ploti

The Survival Scatter plot shows the clinical status (i.e. dead or alive) for all individuals in the patient cohort, based on the same data that underlies the corresponding Kaplan-Meier plots. Patients that are alive at last time for follow-up are shown in blue and patients who have died during the study are shown in red.

The x-axis shows the expression levels (FPKM) of the investigated gene in the tumor tissue at the time of diagnosis. The y-axis shows the follow-up time after diagnosis (years). Both axes are complimented with kernel density curves demonstrating the data density over the axes. The top density plot shows the expression levels (FPKM) distribution among dead (red) and alive patients (blue). The right density plot shows the data density of the survived years of dead patients with high and low expression levels respectively, stratified using the cutoff indicated by the vertical dashed line through the Survival Scatter plot. This cutoff is automatically defined based on the FPKM cutoff that minimizes the p-score. The cutoff can be changed by dragging the vertical line or by entering a cutoff value in the square labeled "Current cut-off".

Under the Survival Scatter plot the p-score landscape (black curve; left axis) is shown together with dead median separation (red curve; right axis). Dead median separation is the difference in median mRNA expression between patients who have died with high and low expression, respectively. It is calculated as follows: median FPKM expression of dead patients with high expression - median FPKM expression of dead patients with low expression. This is intended to aid the user in visually exploring custom cutoffs and the associated p-scores and dead median separation.

Individual patient data is displayed and can be filtered by clicking on one or more of the category buttons on the top of the page. Categories describing expression level and patient information include: high, low, alive, dead, female, male and tumor stages. The scale of the x-axis can be toggled between linear and log-scale by clicking on the "x log" button. Mouse-over function shows TCGA ID, patient information and mRNA expression (FPKM) for each patient.

& Survival analysisi

Kaplan-Meier plots summarize results from analysis of correlation between mRNA expression level and patient survival. Patients were divided based on level of expression into one of the two groups "low" (under cut off) or "high" (over cut off). X-axis shows time for survival (years) and y-axis shows the probability of survival, where 1.0 corresponds to 100 percent.

NODAL is not prognostic in Kidney Renal Clear Cell Carcinoma (TCGA)


Stage:

Survival analysis
Current cut offi

Current cut-off shows the cut-off (FPKM) currently selected. It may be changed manually. When the current cut-off is changed, the vertical dashed line indicating cut-off, the interactive survival scatter plot and the Kaplan-Meier curve will be automatically adjusted to show results accordingly.

:
Best expression cut offi

Based on the FPKM value of each gene, patients were classified into two groups and association between prognosis (survival) and gene expression (FPKM) was examined. The best expression cut-off refers the FPKM value that yields maximal difference with regard to survival between the two groups at the lowest log-rank P-value. Best expression cut-off was selected based on survival analysis .

When clicking on this number, the vertical dashed line indicating cut-off, the interactive survival plot, and the Kaplan-Meier curve will be adjusted to show results based on the best expression cut-off.

: N/A
Median expressioni

Median expression refers to the median FPKM value calculated based on the gene expression (FPKM) data from all patients in this dataset. When clicking on this number, the vertical dashed line indicating cut-off, the interactive survival plot, and the Kaplan-Meier curve will be adjusted to show results based on the median expression.

: N/A
Median follow up timei

Median follow up time refers to the median time (years) after diagnosis with this type of cancer, based on clinical data from all patients in this dataset.

: N/A
P scorei

Log-rank P value for Kaplan-Meier plot showing results from analysis of correlation between mRNA expression level and patient survival.

N/A
5-year survival highi

5-year survival for patients with higher expression than the expression cutoff.

For melanoma and glioma, 3-year survival is shown.

N/A
5-year survival lowi

5-year survival for patients with lower expression than the expression cutoff.

For melanoma and glioma, 3-year survival is shown.

N/A
TCGA RNA samplesi

RNA-seq data is reported as average FPKM (number Fragments Per Kilobase of exon per Million reads), generated by the The Cancer Genome Atlas (TCGA) .

Normal distribution across the dataset is visualized with box plots, shown as median and 25th and 75th percentiles. Points are displayed as outliers if they are above or below 1.5 times the interquartile range. FPKM values of the individual samples are presented next to the box plot.

Average pTPM 0.5
Number of samples 521
Samples
Sample Description pTPM
TCGA-CJ-4638-01A 46 years, female, white, stage:Stage IV, dead, 431 days 4.7
TCGA-B0-5094-01A 62 years, male, white, stage:Stage IV, dead, 333 days 4.4
TCGA-BP-4971-01A 40 years, male, white, stage:Stage III, alive, 1487 days 2.9
TCGA-BP-4351-01A 51 years, female, white, stage:Stage III, alive, 970 days 2.8
TCGA-BP-4977-01A 57 years, male, white, stage:Stage I, alive, 454 days 2.6
TCGA-B8-A54G-01A 50 years, male, black or african american, stage:Stage I, alive, 53 days 2.4
TCGA-A3-3351-01A 42 years, male, white, stage:Stage II, alive, 910 days 2.3
TCGA-BP-4352-01A 74 years, female, white, stage:Stage IV, dead, 344 days 2.3
TCGA-AK-3445-01A 69 years, male, white, stage:Stage III, alive, 2392 days 2.2
TCGA-CJ-4881-01A 41 years, male, white, stage:Stage III, alive, 2014 days 2.1
TCGA-DV-A4W0-01A 55 years, male, black or african american, stage:Stage I, alive, 2470 days 2.0
TCGA-B0-5085-01A 76 years, female, white, stage:Stage III, dead, 770 days 1.9
TCGA-BP-4768-01A 72 years, female, white, stage:Stage I, alive, 400 days 1.9
TCGA-B0-4838-01A 69 years, female, white, stage:Stage I, dead, 834 days 1.9
TCGA-CJ-4641-01A 55 years, female, white, stage:Stage IV, dead, 1661 days 1.9
TCGA-A3-3382-01A 69 years, male, white, stage:Stage I, alive, 574 days 1.9
TCGA-BP-4963-01A 63 years, male, white, stage:Stage I, alive, 1834 days 1.9
TCGA-A3-3347-01A 76 years, female, white, stage:Stage III, dead, 1610 days 1.8
TCGA-G6-A8L6-01A 55 years, male, black or african american, stage:Stage IV, dead, 313 days 1.8
TCGA-B0-4691-01A 55 years, male, white, stage:Stage IV, dead, 139 days 1.8
TCGA-B8-A54K-01A 61 years, male, black or african american, stage:Stage I, alive, 469 days 1.7
TCGA-B0-5107-01A 65 years, female, white, stage:Stage IV, dead, 927 days 1.7
TCGA-B8-A54D-01A 69 years, male, black or african american, stage:Stage III, alive, 830 days 1.7
TCGA-BP-5199-01A 58 years, male, white, stage:Stage II, alive, 1355 days 1.6
TCGA-B0-5092-01A 53 years, female, white, stage:Stage IV, dead, 459 days 1.6
TCGA-B0-4849-01A 51 years, male, white, stage:Stage III, dead, 69 days 1.6
TCGA-A3-3320-01A 52 years, female, white, stage:Stage I, alive, 1508 days 1.6
TCGA-CJ-4873-01A 85 years, female, white, stage:Stage III, alive, 1776 days 1.6
TCGA-AK-3426-01A 37 years, male, white, stage:Stage III, dead, 885 days 1.6
TCGA-AK-3455-01A 71 years, female, white, stage:Stage III, dead, 683 days 1.6
TCGA-CZ-5985-01A 58 years, male, white, stage:Stage II, alive, 1997 days 1.5
TCGA-B8-A8YJ-01A 60 years, female, black or african american, stage:Stage I, alive, 431 days 1.5
TCGA-CJ-4916-01A 69 years, female, white, stage:Stage III, alive, 1373 days 1.5
TCGA-CJ-5677-01A 54 years, female, white, stage:Stage IV, dead, 782 days 1.5
TCGA-B0-4714-01A 81 years, male, white, stage:Stage IV, dead, 99 days 1.5
TCGA-B0-5075-01A 77 years, female, white, stage:Stage III, dead, 637 days 1.4
TCGA-A3-3359-01A 82 years, female, white, stage:Stage I, alive, 2504 days 1.4
TCGA-BP-4771-01A 62 years, male, white, stage:Stage IV, dead, 162 days 1.4
TCGA-BP-4973-01A 47 years, male, white, stage:Stage III, alive, 1384 days 1.4
TCGA-B8-4143-01A 66 years, female, white, stage:Stage IV, dead, 709 days 1.4
TCGA-BP-5183-01A 57 years, male, white, stage:Stage III, alive, 1291 days 1.4
TCGA-B0-5113-01A 69 years, female, white, stage:Stage III, alive, 1175 days 1.4
TCGA-CZ-5469-01A 41 years, male, white, stage:Stage II, dead, 946 days 1.4
TCGA-CW-5580-01A 73 years, female, white, stage:Stage IV, dead, 1964 days 1.4
TCGA-DV-5576-01A 55 years, female, black or african american, stage:Stage I, dead, 727 days 1.3
TCGA-BP-4330-01A 60 years, female, black or african american, stage:Stage III, alive, 1888 days 1.3
TCGA-BP-4332-01A 36 years, male, white, stage:Stage III, alive, 1133 days 1.3
TCGA-CJ-4892-01A 65 years, female, white, stage:Stage I, alive, 1521 days 1.3
TCGA-B0-4814-01A 58 years, male, white, stage:Stage IV, dead, 168 days 1.3
TCGA-B0-5110-01A 71 years, female, white, stage:Stage I, alive, 2009 days 1.3
TCGA-A3-A6NN-01A 78 years, male, black or african american, stage:Stage I, alive, 3 days 1.3
TCGA-CW-6088-01A 60 years, male, white, stage:Stage I, alive, 3222 days 1.3
TCGA-BP-4974-01A 58 years, male, white, stage:Stage IV, dead, 211 days 1.3
TCGA-A3-3349-01A 34 years, female, white, stage:Stage I, alive, 1385 days 1.2
TCGA-CJ-4636-01A 51 years, male, white, stage:Stage III, alive, 1924 days 1.2
TCGA-B0-5106-01A 64 years, male, white, stage:Stage I, dead, 1598 days 1.2
TCGA-CZ-4857-01A 56 years, male, white, stage:Stage IV, dead, 1432 days 1.2
TCGA-B0-5077-01A 77 years, male, white, stage:Stage I, dead, 1317 days 1.2
TCGA-G6-A5PC-01A 54 years, female, black or african american, stage:Stage IV, dead, 242 days 1.2
TCGA-B0-5711-01A 50 years, male, white, stage:Stage III, alive, 3989 days 1.2
TCGA-BP-4981-01A 75 years, female, white, stage:Stage III, dead, 1097 days 1.2
TCGA-B0-4710-01A 75 years, female, white, stage:Stage III, alive, 1755 days 1.1
TCGA-BP-4165-01A 64 years, female, white, stage:Stage I, alive, 3037 days 1.1
TCGA-CZ-4864-01A 86 years, male, white, stage:Stage II, dead, 1315 days 1.1
TCGA-CZ-5987-01A 60 years, male, white, stage:Stage IV, dead, 445 days 1.1
TCGA-BP-4991-01A 54 years, male, white, stage:Stage I, alive, 1413 days 1.1
TCGA-B0-4833-01A 82 years, female, white, stage:Stage I, dead, 2386 days 1.1
TCGA-B0-5081-01A 79 years, female, white, stage:Stage III, dead, 362 days 1.0
TCGA-B0-4821-01A 68 years, female, asian, stage:Stage III, dead, 1230 days 1.0
TCGA-B8-4622-01A 57 years, male, white, stage:Stage IV, alive, 1525 days 1.0
TCGA-CW-5583-01A 51 years, female, white, stage:Stage I, alive, 2489 days 1.0
TCGA-CJ-4894-01A 58 years, male, white, stage:Stage III, dead, 841 days 1.0
TCGA-B0-5095-01A 81 years, male, white, stage:Stage III, dead, 245 days 1.0
TCGA-B0-4707-01A 63 years, male, white, stage:Stage III, dead, 600 days 1.0
TCGA-B0-4945-01A 75 years, female, white, stage:Stage I, dead, 2145 days 1.0
TCGA-B0-4845-01A 70 years, male, white, stage:Stage IV, dead, 1986 days 1.0
TCGA-BP-4989-01A 58 years, male, white, stage:Stage III, alive, 118 days 1.0
TCGA-MM-A563-01A 41 years, male, black or african american, stage:'--, alive, 591 days 1.0
TCGA-BP-4760-01A 69 years, male, black or african american, stage:Stage I, alive, 2361 days 1.0
TCGA-B0-4817-01A 81 years, male, white, stage:Stage III, dead, 1019 days 1.0
TCGA-CJ-4875-01A 67 years, male, white, stage:Stage IV, dead, 3554 days 1.0
TCGA-BP-4349-01A 68 years, female, white, stage:Stage I, alive, 372 days 1.0
TCGA-CZ-4866-01A 79 years, female, white, stage:Stage I, alive, 3267 days 1.0
TCGA-BP-4345-01A 62 years, male, white, stage:Stage III, alive, 1516 days 1.0
TCGA-BP-4355-01A 59 years, female, white, stage:Stage III, dead, 953 days 0.9
TCGA-B0-5399-01A 46 years, male, white, stage:Stage I, alive, 1411 days 0.9
TCGA-CZ-4858-01A 39 years, male, white, stage:Stage II, dead, 2105 days 0.9
TCGA-BP-4340-01A 70 years, female, white, stage:Stage I, dead, 562 days 0.9
TCGA-BP-4346-01A 57 years, male, white, stage:Stage III, dead, 1493 days 0.9
TCGA-B0-5710-01A 57 years, male, white, stage:Stage I, alive, 2430 days 0.9
TCGA-A3-3387-01A 49 years, male, white, stage:Stage I, alive, 617 days 0.9
TCGA-AK-3453-01A 58 years, female, white, stage:Stage II, alive, 2531 days 0.9
TCGA-BP-4354-01A 40 years, male, white, stage:Stage IV, dead, 1034 days 0.9
TCGA-A3-3365-01A 46 years, male, white, stage:Stage I, alive, 873 days 0.9
TCGA-A3-A8OW-01A 37 years, male, black or african american, stage:Stage III, alive, 323 days 0.9
TCGA-B8-4148-01A 63 years, female, white, stage:Stage I, alive, 1520 days 0.9
TCGA-AK-3460-01A 58 years, male, white, stage:Stage I, alive, 2508 days 0.9
TCGA-A3-3319-01A 70 years, male, white, stage:Stage I, alive, 1130 days 0.9
TCGA-BP-4774-01A 57 years, female, white, stage:Stage I, alive, 1885 days 0.9
TCGA-BP-4327-01A 75 years, female, white, stage:Stage II, dead, 109 days 0.9
TCGA-BP-4987-01A 41 years, female, asian, stage:Stage I, alive, 1124 days 0.9
TCGA-A3-3357-01A 62 years, male, white, stage:Stage II, alive, 2688 days 0.9
TCGA-CJ-5680-01A 65 years, female, white, stage:Stage IV, dead, 768 days 0.9
TCGA-CJ-4891-01A 57 years, female, white, stage:Stage III, dead, 819 days 0.9
TCGA-CJ-4882-01A 57 years, male, black or african american, stage:Stage III, alive, 1883 days 0.9
TCGA-BP-4347-01A 74 years, male, white, stage:Stage III, alive, 1367 days 0.9
TCGA-AK-3461-01A 72 years, male, white, stage:Stage I, alive, 2217 days 0.9
TCGA-AK-3454-01A 84 years, male, white, stage:Stage I, alive, 874 days 0.8
TCGA-BP-4790-01A 76 years, male, white, stage:Stage I, dead, 1111 days 0.8
TCGA-CZ-5466-01A 67 years, male, stage:Stage III, alive, 685 days 0.8
TCGA-B0-4822-01A 78 years, male, white, stage:Stage II, dead, 1111 days 0.8
TCGA-BP-4781-01A 78 years, male, white, stage:Stage I, alive, 2080 days 0.8
TCGA-BP-4158-01A 69 years, male, white, stage:Stage I, alive, 3377 days 0.8
TCGA-B0-4824-01A 49 years, female, white, stage:Stage I, dead, 1657 days 0.8
TCGA-B4-5843-01A 45 years, male, white, stage:Stage I, alive, 11 days 0.8
TCGA-MM-A84U-01A 58 years, female, black or african american, stage:Stage I, alive, 700 days 0.8
TCGA-B0-4815-01A 65 years, male, white, stage:Stage III, dead, 1588 days 0.8
TCGA-AS-3778-01A 35 years, male, white, stage:Stage I, alive, 43 days 0.8
TCGA-B8-A54F-01A 49 years, female, black or african american, stage:Stage I, alive, 519 days 0.8
TCGA-B2-A4SR-01A 61 years, male, black or african american, stage:Stage II, alive, 507 days 0.8
TCGA-B0-5699-01A 53 years, male, white, stage:Stage I, alive, 3841 days 0.8
TCGA-6D-AA2E-01A 68 years, female, black or african american, stage:Stage I, alive, 362 days 0.8
TCGA-BP-4342-01A 79 years, male, white, stage:Stage II, dead, 2256 days 0.8
TCGA-BP-4999-01A 56 years, male, white, stage:Stage I, alive, 1266 days 0.8
TCGA-BP-4960-01A 46 years, male, white, stage:Stage II, alive, 2172 days 0.8
TCGA-CJ-4876-01A 57 years, male, white, stage:Stage II, alive, 1955 days 0.8
TCGA-CJ-4878-01A 71 years, female, white, stage:Stage III, alive, 2186 days 0.8
TCGA-BP-4986-01A 75 years, male, white, stage:Stage I, alive, 785 days 0.8
TCGA-BP-4344-01A 75 years, female, white, stage:Stage I, alive, 1666 days 0.8
TCGA-BP-4787-01A 59 years, female, white, stage:Stage IV, dead, 480 days 0.8
TCGA-B0-5709-01A 62 years, female, white, stage:Stage III, alive, 3974 days 0.8
TCGA-EU-5904-01A 47 years, female, white, stage:Stage I, alive, 551 days 0.8
TCGA-A3-3317-01A 67 years, male, stage:Stage II, alive, 1491 days 0.7
TCGA-BP-5001-01A 43 years, female, white, stage:Stage I, alive, 1177 days 0.7
TCGA-B0-4706-01A 61 years, male, white, stage:Stage III, dead, 65 days 0.7
TCGA-A3-A6NI-01A 47 years, male, black or african american, stage:Stage I, alive, 1018 days 0.7
TCGA-CJ-4920-01A 64 years, female, white, stage:Stage I, dead, 139 days 0.7
TCGA-BP-4337-01A 76 years, female, white, stage:Stage III, dead, 2 days 0.7
TCGA-CZ-5986-01A 61 years, male, white, stage:Stage I, alive, 373 days 0.7
TCGA-BP-4161-01A 74 years, male, white, stage:Stage I, alive, 2746 days 0.7
TCGA-A3-3311-01A 57 years, male, stage:Stage I, dead, 1191 days 0.7
TCGA-BP-4998-01A 49 years, male, asian, stage:Stage I, alive, 932 days 0.7
TCGA-BP-4776-01A 52 years, male, white, stage:Stage I, alive, 411 days 0.7
TCGA-CJ-4886-01A 42 years, female, white, stage:Stage I, alive, 1952 days 0.7
TCGA-BP-4969-01A 63 years, female, white, stage:Stage I, alive, 1794 days 0.7
TCGA-BP-4164-01A 51 years, female, white, stage:Stage III, dead, 992 days 0.7
TCGA-DV-5573-01A 41 years, male, white, stage:Stage I, alive, 1130 days 0.7
TCGA-B8-A54J-01A 60 years, male, black or african american, stage:Stage II, alive, 528 days 0.7
TCGA-CJ-4908-01A 38 years, male, white, stage:Stage I, alive, 1531 days 0.7
TCGA-CJ-4634-01A 60 years, female, white, stage:Stage I, alive, 3498 days 0.7
TCGA-BP-4335-01A 65 years, female, white, stage:Stage IV, dead, 475 days 0.7
TCGA-CJ-4902-01A 61 years, male, white, stage:Stage III, alive, 1520 days 0.7
TCGA-CW-5584-01A 74 years, male, white, stage:Stage III, dead, 164 days 0.7
TCGA-BP-4341-01A 67 years, male, white, stage:Stage III, dead, 1589 days 0.7
TCGA-B8-5164-01A 65 years, male, white, stage:Stage III, alive, 26 days 0.7
TCGA-CJ-5681-01A 44 years, female, white, stage:Stage IV, dead, 552 days 0.7
TCGA-BP-4803-01A 79 years, male, white, stage:Stage III, alive, 204 days 0.7
TCGA-BP-4795-01A 74 years, female, white, stage:Stage I, alive, 620 days 0.7
TCGA-CZ-5455-01A 63 years, male, white, stage:Stage IV, dead, 561 days 0.7
TCGA-B0-4846-01A 52 years, male, white, stage:Stage IV, dead, 1200 days 0.7
TCGA-B0-5116-01A 52 years, male, white, stage:Stage III, alive, 1274 days 0.7
TCGA-A3-3307-01A 66 years, male, stage:Stage III, alive, 1436 days 0.7
TCGA-BP-4775-01A 55 years, female, white, stage:Stage I, alive, 1843 days 0.7
TCGA-CJ-4643-01A 67 years, female, white, stage:Stage II, alive, 1793 days 0.7
TCGA-B0-4852-01A 78 years, female, white, stage:Stage II, dead, 1121 days 0.7
TCGA-B0-5100-01A 72 years, male, black or african american, stage:Stage III, dead, 1913 days 0.7
TCGA-A3-A6NJ-01A 57 years, female, black or african american, stage:Stage I, alive, 468 days 0.7
TCGA-B0-4818-01A 68 years, female, white, stage:Stage II, dead, 510 days 0.7
TCGA-B0-4810-01A 47 years, male, white, stage:Stage III, dead, 478 days 0.7
TCGA-CJ-4639-01A 49 years, female, white, stage:Stage II, alive, 3229 days 0.7
TCGA-BP-4769-01A 63 years, male, white, stage:Stage I, alive, 1876 days 0.6
TCGA-B0-4701-01A 66 years, female, white, stage:Stage IV, dead, 238 days 0.6
TCGA-B0-4713-01A 76 years, female, white, stage:Stage III, dead, 202 days 0.6
TCGA-A3-3352-01A 74 years, male, white, stage:Stage III, dead, 561 days 0.6
TCGA-B0-5098-01A 53 years, female, black or african american, stage:Stage I, dead, 1584 days 0.6
TCGA-A3-3322-01A 51 years, male, white, stage:Stage I, alive, 1478 days 0.6
TCGA-A3-3362-01A 60 years, female, white, stage:Stage I, alive, 1559 days 0.6
TCGA-B0-5099-01A 88 years, female, white, stage:Stage III, dead, 485 days 0.6
TCGA-B0-5690-01A 53 years, female, white, stage:Stage I, alive, 3392 days 0.6
TCGA-CJ-4637-01A 52 years, female, white, stage:Stage IV, dead, 2227 days 0.6
TCGA-A3-3323-01A 53 years, male, white, stage:Stage I, alive, 1106 days 0.6
TCGA-CW-5587-01A 62 years, female, white, stage:Stage III, alive, 2226 days 0.6
TCGA-B0-4703-01A 51 years, male, white, stage:Stage IV, dead, 182 days 0.6
TCGA-A3-3372-01A 64 years, male, white, stage:Stage III, alive, 735 days 0.6
TCGA-A3-3343-01A 79 years, male, white, stage:Stage II, alive, 945 days 0.6
TCGA-CJ-4872-01A 51 years, male, white, stage:Stage I, alive, 1435 days 0.6
TCGA-BP-5184-01A 54 years, male, white, stage:Stage I, alive, 1133 days 0.6
TCGA-A3-3326-01A 47 years, male, white, stage:Stage I, alive, 1137 days 0.6
TCGA-DV-5567-01A 40 years, female, black or african american, stage:Stage I, alive, 2004 days 0.6
TCGA-BP-5190-01A 61 years, male, white, stage:Stage I, alive, 1011 days 0.6
TCGA-B0-4847-01A 60 years, male, white, stage:Stage IV, dead, 793 days 0.6
TCGA-BP-4982-01A 42 years, male, white, stage:Stage I, alive, 1014 days 0.6
TCGA-BP-5189-01A 60 years, male, white, stage:Stage I, dead, 822 days 0.6
TCGA-BP-5010-01A 63 years, male, white, stage:Stage III, dead, 878 days 0.6
TCGA-BP-5008-01A 46 years, male, white, stage:Stage I, alive, 1071 days 0.6
TCGA-BP-5174-01A 45 years, female, white, stage:Stage I, alive, 2257 days 0.6
TCGA-BP-5177-01A 46 years, female, white, stage:Stage I, alive, 293 days 0.6
TCGA-BP-4338-01A 43 years, male, white, stage:Stage I, alive, 2859 days 0.6
TCGA-B0-4811-01A 48 years, male, white, stage:Stage III, dead, 1417 days 0.6
TCGA-B8-A54E-01A 62 years, female, black or african american, stage:Stage I, alive, 909 days 0.6
TCGA-CJ-4635-01A 48 years, male, white, stage:Stage I, alive, 1416 days 0.6
TCGA-CJ-4868-01A 42 years, male, white, stage:Stage IV, dead, 646 days 0.6
TCGA-CJ-4895-01A 62 years, male, white, stage:Stage IV, dead, 1200 days 0.6
TCGA-BP-4758-01A 40 years, male, white, stage:Stage I, alive, 2208 days 0.6
TCGA-B0-4696-01A 58 years, male, white, stage:Stage III, dead, 866 days 0.6
TCGA-B0-4690-01A 65 years, male, white, stage:Stage IV, dead, 43 days 0.6
TCGA-B0-4844-01A 60 years, male, white, stage:Stage IV, dead, 313 days 0.6
TCGA-BP-4169-01A 76 years, female, white, stage:Stage II, dead, 701 days 0.5
TCGA-CZ-5463-01A 76 years, male, white, stage:Stage II, alive, 662 days 0.5
TCGA-BP-4972-01A 43 years, female, white, stage:Stage III, alive, 1502 days 0.5
TCGA-B0-4697-01A 46 years, female, white, stage:Stage IV, dead, 578 days 0.5
TCGA-CZ-5468-01A 84 years, male, white, stage:Stage IV, dead, 59 days 0.5
TCGA-CW-5590-01A 51 years, male, white, stage:Stage IV, dead, 1075 days 0.5
TCGA-B2-4102-01A 61 years, male, white, stage:Stage I, alive, 952 days 0.5
TCGA-B8-5549-01A 53 years, male, white, stage:Stage I, alive, 194 days 0.5
TCGA-A3-3367-01A 72 years, male, white, stage:Stage I, alive, 2270 days 0.5
TCGA-BP-4765-01A 43 years, male, white, stage:Stage I, alive, 2184 days 0.5
TCGA-B0-5712-01A 68 years, female, black or african american, stage:Stage IV, alive, 2722 days 0.5
TCGA-A3-A8CQ-01A 59 years, female, black or african american, stage:Stage I, alive, 3 days 0.5
TCGA-BP-4162-01A 65 years, female, white, stage:Stage I, alive, 3074 days 0.5
TCGA-B0-4700-01A 60 years, male, white, stage:Stage IV, dead, 1980 days 0.5
TCGA-B0-5698-01A 77 years, male, black or african american, stage:Stage I, alive, 3631 days 0.5
TCGA-BP-4343-01A 64 years, male, white, stage:Stage III, dead, 1912 days 0.5
TCGA-GK-A6C7-01A 76 years, female, black or african american, stage:Stage I, alive, 61 days 0.5
TCGA-DV-A4VX-01A 59 years, male, black or african american, stage:Stage IV, dead, 1626 days 0.5
TCGA-AK-3450-01A 85 years, female, white, stage:Stage I, alive, 1508 days 0.5
TCGA-A3-3376-01A 51 years, male, black or african american, stage:Stage I, dead, 1696 days 0.5
TCGA-B0-4816-01A 49 years, male, white, stage:Stage II, dead, 1371 days 0.5
TCGA-BP-4993-01A 58 years, male, white, stage:Stage I, alive, 177 days 0.5
TCGA-CJ-4907-01A 58 years, male, white, stage:Stage III, alive, 1499 days 0.5
TCGA-BP-4325-01A 64 years, female, white, stage:Stage I, alive, 2964 days 0.5
TCGA-B0-5119-01A 61 years, female, white, stage:Stage I, alive, 1552 days 0.5
TCGA-B0-5812-01A 53 years, male, white, stage:Stage I, alive, 3834 days 0.5
TCGA-CW-6097-01A 32 years, male, white, stage:Stage III, dead, 571 days 0.5
TCGA-BP-5009-01A 52 years, male, white, stage:Stage I, dead, 1092 days 0.5
TCGA-B0-5694-01A 71 years, male, white, stage:Stage III, dead, 480 days 0.5
TCGA-CJ-4912-01A 61 years, male, white, stage:Stage II, alive, 1657 days 0.5
TCGA-3Z-A93Z-01A 69 years, male, black or african american, stage:Stage I, alive, 385 days 0.5
TCGA-BP-5187-01A 54 years, male, white, stage:Stage I, alive, 406 days 0.5
TCGA-CW-5589-01A 52 years, male, white, stage:Stage I, alive, 2378 days 0.5
TCGA-CJ-4869-01A 49 years, male, white, stage:Stage III, alive, 2554 days 0.5
TCGA-BP-4975-01A 40 years, male, white, stage:Stage I, alive, 1433 days 0.5
TCGA-BP-5007-01A 45 years, male, white, stage:Stage II, alive, 1140 days 0.5
TCGA-B0-4828-01A 79 years, male, white, stage:Stage IV, dead, 307 days 0.5
TCGA-CJ-4885-01A 64 years, male, white, stage:Stage IV, alive, 3451 days 0.5
TCGA-CJ-4899-01A 42 years, male, asian, stage:Stage I, alive, 1528 days 0.5
TCGA-A3-3380-01A 54 years, male, stage:Stage I, alive, 567 days 0.5
TCGA-B2-5639-01A 46 years, male, white, stage:Stage IV, dead, 1003 days 0.5
TCGA-B0-5705-01A 65 years, female, white, stage:Stage I, alive, 4537 days 0.5
TCGA-CZ-5451-01A 74 years, male, white, stage:Stage II, alive, 1929 days 0.5
TCGA-A3-3370-01A 48 years, female, white, stage:Stage I, alive, 2274 days 0.5
TCGA-BP-5201-01A 63 years, male, white, stage:Stage IV, alive, 951 days 0.5
TCGA-A3-3325-01A 52 years, male, white, stage:Stage I, dead, 1170 days 0.5
TCGA-CJ-4884-01A 72 years, female, white, stage:Stage III, alive, 1759 days 0.5
TCGA-B8-A7U6-01A 54 years, female, black or african american, stage:Stage I, alive, 495 days 0.5
TCGA-A3-3331-01A 86 years, female, white, stage:Stage I, alive, 1257 days 0.5
TCGA-BP-4766-01A 43 years, female, white, stage:Stage I, alive, 1462 days 0.5
TCGA-EU-5905-01A 67 years, female, white, stage:Stage I, alive, 119 days 0.5
TCGA-BP-4804-01A 59 years, male, white, stage:Stage I, alive, 1459 days 0.4
TCGA-B0-4718-01A 57 years, male, white, stage:Stage III, alive, 1778 days 0.4
TCGA-CJ-4893-01A 76 years, female, white, stage:Stage I, alive, 750 days 0.4
TCGA-BP-5181-01A 58 years, female, white, stage:Stage I, alive, 1495 days 0.4
TCGA-BP-4992-01A 66 years, male, white, stage:Stage I, alive, 501 days 0.4
TCGA-CZ-4865-01A 70 years, female, white, stage:Stage I, dead, 166 days 0.4
TCGA-CJ-5684-01A 61 years, male, white, stage:Stage III, alive, 2231 days 0.4
TCGA-B0-5713-01A 75 years, female, white, stage:Stage III, alive, 2782 days 0.4
TCGA-CZ-5467-01A 86 years, female, white, stage:Stage III, dead, 73 days 0.4
TCGA-B0-5096-01A 72 years, female, white, stage:Stage III, dead, 68 days 0.4
TCGA-B2-5641-01A 79 years, male, white, stage:Stage I, alive, 656 days 0.4
TCGA-CJ-5675-01A 70 years, male, white, stage:Stage II, alive, 3936 days 0.4
TCGA-B0-5097-01A 59 years, female, white, stage:Stage III, alive, 665 days 0.4
TCGA-BP-5195-01A 75 years, male, white, stage:Stage I, alive, 749 days 0.4
TCGA-BP-4763-01A 79 years, female, white, stage:Stage I, dead, 1270 days 0.4
TCGA-B0-4848-01A 54 years, male, white, stage:Stage III, dead, 883 days 0.4
TCGA-B0-5088-01A 53 years, male, white, stage:Stage I, dead, 563 days 0.4
TCGA-BP-4995-01A 68 years, male, white, stage:Stage I, alive, 1371 days 0.4
TCGA-CJ-6030-01A 65 years, male, white, stage:Stage I, dead, 2299 days 0.4
TCGA-BP-4959-01A 49 years, male, white, stage:Stage I, alive, 2660 days 0.4
TCGA-BP-4798-01A 74 years, male, white, stage:'--, dead, 334 days 0.4
TCGA-CZ-4861-01A 63 years, male, white, stage:Stage II, dead, 446 days 0.4
TCGA-A3-3358-01A 57 years, female, white, stage:Stage I, alive, 1307 days 0.4
TCGA-BP-4985-01A 72 years, male, white, stage:Stage III, dead, 952 days 0.4
TCGA-BP-4965-01A 46 years, male, white, stage:Stage I, alive, 1871 days 0.4
TCGA-BP-4789-01A 48 years, male, white, stage:Stage I, alive, 1489 days 0.4
TCGA-BP-4970-01A 44 years, male, asian, stage:Stage III, alive, 433 days 0.4
TCGA-B0-4693-01A 72 years, female, white, stage:Stage III, dead, 77 days 0.4
TCGA-B4-5844-01A 61 years, female, white, stage:Stage II, alive, 7 days 0.4
TCGA-BP-4782-01A 55 years, female, white, stage:Stage I, alive, 354 days 0.4
TCGA-BP-5196-01A 53 years, male, white, stage:Stage I, alive, 1018 days 0.4
TCGA-B8-A54H-01A 69 years, female, black or african american, stage:Stage II, alive, 256 days 0.4
TCGA-BP-5000-01A 40 years, male, white, stage:Stage I, alive, 563 days 0.4
TCGA-MW-A4EC-01A 72 years, female, black or african american, stage:Stage I, alive, 498 days 0.4
TCGA-AK-3425-01A 68 years, male, white, stage:Stage I, alive, 3343 days 0.4
TCGA-CZ-5461-01A 52 years, male, white, stage:Stage IV, dead, 330 days 0.4
TCGA-CJ-5686-01A 59 years, female, white, stage:Stage I, alive, 2038 days 0.4
TCGA-B8-5553-01A 67 years, female, white, stage:Stage I, alive, 435 days 0.4
TCGA-BP-4807-01A 42 years, male, white, stage:Stage I, alive, 211 days 0.4
TCGA-A3-3324-01A 51 years, male, white, stage:Stage I, alive, 1186 days 0.4
TCGA-A3-3378-01A 60 years, male, white, stage:Stage I, alive, 630 days 0.4
TCGA-BP-5178-01A 71 years, male, white, stage:Stage IV, dead, 1912 days 0.4
TCGA-BP-5192-01A 59 years, male, white, stage:Stage I, alive, 714 days 0.4
TCGA-B0-5701-01A 65 years, male, white, stage:Stage III, alive, 2461 days 0.4
TCGA-BP-5006-01A 61 years, male, white, stage:Stage I, alive, 840 days 0.4
TCGA-BP-4962-01A 58 years, male, white, stage:Stage II, alive, 1785 days 0.4
TCGA-BP-4777-01A 46 years, male, white, stage:Stage I, alive, 1731 days 0.4
TCGA-B8-5545-01A 42 years, male, black or african american, stage:Stage I, alive, 1525 days 0.4
TCGA-CJ-5683-01A 78 years, male, white, stage:Stage I, alive, 1889 days 0.4
TCGA-B0-5120-01A 72 years, female, white, stage:Stage I, alive, 1169 days 0.4
TCGA-CJ-4890-01A 72 years, male, white, stage:Stage IV, alive, 3519 days 0.4
TCGA-BP-5182-01A 56 years, male, white, stage:Stage I, alive, 1165 days 0.4
TCGA-A3-3308-01A 77 years, female, white, stage:Stage III, alive, 16 days 0.4
TCGA-BP-4964-01A 54 years, female, white, stage:Stage I, alive, 1862 days 0.4
TCGA-CZ-4856-01A 62 years, female, white, stage:Stage I, alive, 18 days 0.4
TCGA-CZ-5988-01A 38 years, male, white, stage:Stage I, alive, 693 days 0.4
TCGA-BP-5170-01A 55 years, male, white, stage:Stage I, alive, 2412 days 0.4
TCGA-DV-A4VZ-01A 53 years, male, black or african american, stage:Stage I, alive, 365 days 0.4
TCGA-CZ-4853-01A 82 years, male, white, stage:Stage I, alive, 774 days 0.4
TCGA-CZ-5453-01A 67 years, male, white, stage:Stage II, dead, 2419 days 0.4
TCGA-A3-A8OV-01A 75 years, male, black or african american, stage:Stage I, alive, 340 days 0.4
TCGA-B0-5080-01A 63 years, male, white, stage:Stage IV, dead, 342 days 0.4
TCGA-CZ-5465-01A 76 years, female, stage:Stage III, dead, 2564 days 0.4
TCGA-BP-4759-01A 50 years, male, white, stage:Stage I, alive, 2372 days 0.4
TCGA-A3-3335-01A 41 years, male, white, stage:Stage II, alive, 1886 days 0.4
TCGA-B0-5693-01A 47 years, female, white, stage:Stage I, alive, 4074 days 0.4
TCGA-CJ-5682-01A 60 years, male, white, stage:Stage IV, alive, 3736 days 0.4
TCGA-CJ-4870-01A 58 years, female, black or african american, stage:Stage III, alive, 1498 days 0.4
TCGA-CZ-4854-01A 68 years, male, white, stage:Stage I, dead, 1404 days 0.4
TCGA-BP-5180-01A 53 years, male, white, stage:Stage I, alive, 2263 days 0.4
TCGA-BP-4801-01A 57 years, male, white, stage:Stage I, alive, 1124 days 0.4
TCGA-G6-A8L8-01A 62 years, female, black or african american, stage:Stage I, dead, 1091 days 0.4
TCGA-A3-3329-01A 75 years, male, white, stage:Stage I, alive, 1624 days 0.4
TCGA-DV-5566-01A 67 years, female, white, stage:Stage I, alive, 1398 days 0.4
TCGA-BP-4961-01A 47 years, male, white, stage:Stage I, alive, 1935 days 0.4
TCGA-CW-6090-01A 68 years, male, white, stage:Stage I, alive, 2552 days 0.4
TCGA-CJ-4888-01A 59 years, male, white, stage:Stage IV, dead, 1567 days 0.3
TCGA-CZ-4863-01A 51 years, female, white, stage:Stage III, alive, 1928 days 0.3
TCGA-BP-4994-01A 54 years, male, white, stage:Stage I, alive, 1308 days 0.3
TCGA-T7-A92I-01A 47 years, female, black or african american, stage:Stage I, alive, 356 days 0.3
TCGA-BP-4770-01A 73 years, female, white, stage:Stage IV, dead, 329 days 0.3
TCGA-A3-3316-01A 57 years, male, white, stage:Stage II, alive, 1493 days 0.3
TCGA-B0-5695-01A 61 years, female, white, stage:Stage I, alive, 2150 days 0.3
TCGA-BP-4331-01A 52 years, male, white, stage:Stage I, dead, 2454 days 0.3
TCGA-BP-4334-01A 56 years, male, white, stage:Stage III, dead, 645 days 0.3
TCGA-B0-4819-01A 60 years, female, white, stage:Stage IV, dead, 183 days 0.3
TCGA-BP-4756-01A 62 years, female, asian, stage:Stage I, alive, 374 days 0.3
TCGA-BP-4163-01A 60 years, female, white, stage:Stage III, alive, 2839 days 0.3
TCGA-BP-4353-01A 61 years, male, white, stage:Stage I, dead, 375 days 0.3
TCGA-CZ-4862-01A 46 years, male, white, stage:Stage I, alive, 3271 days 0.3
TCGA-BP-4176-01A 64 years, male, white, stage:Stage I, alive, 1955 days 0.3
TCGA-A3-3385-01A 46 years, female, white, stage:Stage I, alive, 1993 days 0.3
TCGA-B0-5692-01A 66 years, female, white, stage:Stage III, alive, 3944 days 0.3
TCGA-CW-6093-01A 73 years, male, white, stage:Stage I, alive, 3146 days 0.3
TCGA-BP-4173-01A 47 years, male, white, stage:Stage II, alive, 1893 days 0.3
TCGA-AK-3458-01A 48 years, male, white, stage:Stage I, alive, 1168 days 0.3
TCGA-BP-4329-01A 75 years, male, white, stage:Stage III, dead, 845 days 0.3
TCGA-EU-5906-01A 55 years, male, white, stage:Stage I, alive, 206 days 0.3
TCGA-BP-5191-01A 79 years, male, white, stage:Stage III, alive, 967 days 0.3
TCGA-CZ-5984-01A 51 years, male, white, stage:Stage I, alive, 2067 days 0.3
TCGA-CZ-5462-01A 83 years, male, white, stage:Stage IV, dead, 311 days 0.3
TCGA-CZ-5464-01A 69 years, male, white, stage:Stage IV, alive, 2128 days 0.3
TCGA-BP-5194-01A 39 years, male, white, stage:Stage I, alive, 408 days 0.3
TCGA-CJ-6031-01A 54 years, male, white, stage:Stage I, alive, 1906 days 0.3
TCGA-CJ-6027-01A 77 years, male, white, stage:Stage I, dead, 3615 days 0.3
TCGA-AK-3434-01A 72 years, male, white, stage:Stage I, alive, 2087 days 0.3
TCGA-CW-5585-01A 51 years, male, white, stage:Stage IV, alive, 2609 days 0.3
TCGA-BP-4797-01A 34 years, male, white, stage:Stage III, alive, 1107 days 0.3
TCGA-CJ-4900-01A 69 years, female, white, stage:Stage IV, dead, 1714 days 0.3
TCGA-B0-5108-01A 54 years, male, white, stage:Stage III, alive, 1782 days 0.3
TCGA-AK-3429-01A 54 years, female, white, stage:Stage II, alive, 3328 days 0.3
TCGA-B2-5636-01A 79 years, male, white, stage:Stage I, alive, 919 days 0.3
TCGA-B0-5700-01A 77 years, male, white, stage:Stage I, alive, 1790 days 0.3
TCGA-BP-4159-01A 70 years, male, white, stage:Stage I, dead, 2601 days 0.3
TCGA-DV-5575-01A 52 years, female, white, stage:Stage I, alive, 1729 days 0.3
TCGA-B0-4843-01A 57 years, male, white, stage:Stage III, dead, 320 days 0.3
TCGA-CZ-5452-01A 69 years, male, white, stage:Stage II, alive, 1789 days 0.3
TCGA-B4-5377-01A 68 years, female, white, stage:Stage IV, alive, 365 days 0.3
TCGA-B2-3924-01A 73 years, male, white, stage:Stage I, alive, 1092 days 0.3
TCGA-CJ-4918-01A 64 years, male, white, stage:Stage IV, dead, 93 days 0.3
TCGA-CW-5581-01A 44 years, male, white, stage:Stage I, alive, 2799 days 0.3
TCGA-CJ-4905-01A 62 years, female, white, stage:Stage I, alive, 1496 days 0.3
TCGA-B4-5836-01A 61 years, female, white, stage:Stage I, alive, 141 days 0.3
TCGA-CJ-4897-01A 79 years, female, white, stage:Stage III, alive, 3341 days 0.3
TCGA-B0-5697-01A 50 years, male, white, stage:Stage I, alive, 2630 days 0.3
TCGA-MM-A564-01A 68 years, male, black or african american, stage:Stage II, alive, 607 days 0.3
TCGA-B8-5165-01A 43 years, male, white, stage:Stage I, alive, 737 days 0.3
TCGA-BP-5168-01A 75 years, male, white, stage:Stage I, dead, 1463 days 0.3
TCGA-B0-4834-01A 49 years, male, white, stage:Stage I, dead, 2090 days 0.3
TCGA-CJ-5671-01A 51 years, male, white, stage:Stage I, alive, 3987 days 0.3
TCGA-CZ-5460-01A 55 years, male, white, stage:Stage IV, alive, 2873 days 0.3
TCGA-DV-5574-01A 37 years, male, white, stage:Stage I, alive, 2016 days 0.3
TCGA-CJ-6028-01A 58 years, male, white, stage:Stage IV, dead, 1625 days 0.3
TCGA-B8-4621-01A 63 years, male, black or african american, stage:Stage I, alive, 788 days 0.3
TCGA-BP-5202-01A 75 years, male, white, stage:Stage III, alive, 29 days 0.2
TCGA-B0-5706-01A 45 years, male, white, stage:Stage II, alive, 3205 days 0.2
TCGA-B4-5378-01A 62 years, male, white, stage:Stage I, alive, 175 days 0.2
TCGA-CZ-5456-01A 57 years, male, white, stage:Stage II, alive, 2422 days 0.2
TCGA-B0-4699-01A 74 years, male, white, stage:Stage IV, dead, 110 days 0.2
TCGA-B0-5121-01A 56 years, male, white, stage:Stage I, alive, 1485 days 0.2
TCGA-CJ-4889-01A 63 years, female, white, stage:Stage I, alive, 1946 days 0.2
TCGA-B2-5635-01A 74 years, male, white, stage:Stage I, alive, 755 days 0.2
TCGA-CJ-4644-01A 48 years, female, white, stage:Stage IV, dead, 336 days 0.2
TCGA-CZ-5989-01A 60 years, male, white, stage:Stage II, alive, 1905 days 0.2
TCGA-B2-4101-01A 52 years, male, white, stage:Stage II, alive, 648 days 0.2
TCGA-CZ-5458-01A 43 years, male, white, stage:Stage III, alive, 2789 days 0.2
TCGA-CJ-4887-01A 48 years, male, white, stage:Stage IV, dead, 932 days 0.2
TCGA-A3-A6NL-01A 49 years, female, black or african american, stage:Stage I, alive, 689 days 0.2
TCGA-BP-4174-01A 49 years, male, white, stage:Stage II, alive, 1879 days 0.2
TCGA-BP-4784-01A 67 years, female, white, stage:Stage I, alive, 1854 days 0.2
TCGA-AK-3433-01A 48 years, female, white, stage:Stage II, alive, 3409 days 0.2
TCGA-BP-5186-01A 50 years, female, white, stage:Stage I, alive, 693 days 0.2
TCGA-B0-4842-01A 73 years, female, white, stage:Stage III, dead, 1724 days 0.2
TCGA-B0-4694-01A 72 years, male, white, stage:Stage III, dead, 106 days 0.2
TCGA-AK-3440-01A 58 years, male, white, stage:Stage I, alive, 2865 days 0.2
TCGA-AS-3777-01A 63 years, male, white, stage:Stage I, alive, 1238 days 0.2
TCGA-BP-4976-01A 77 years, male, white, stage:Stage I, alive, 1632 days 0.2
TCGA-BP-5198-01A 72 years, male, white, stage:Stage III, alive, 603 days 0.2
TCGA-BP-4170-01A 72 years, female, white, stage:Stage I, dead, 2343 days 0.2
TCGA-B2-3923-01A 59 years, male, white, stage:Stage II, alive, 992 days 0.2
TCGA-B8-4154-01A 73 years, female, white, stage:Stage I, alive, 1380 days 0.2
TCGA-B4-5834-01A 59 years, male, white, stage:Stage I, alive, 38 days 0.2
TCGA-A3-3363-01A 50 years, male, asian, stage:Stage II, alive, 319 days 0.2
TCGA-BP-5004-01A 53 years, male, white, stage:Stage I, alive, 1126 days 0.2
TCGA-B0-5691-01A 66 years, female, white, stage:Stage I, alive, 3431 days 0.2
TCGA-B0-5696-01A 69 years, male, white, stage:Stage III, alive, 2609 days 0.2
TCGA-B0-4813-01A 68 years, male, white, stage:Stage III, dead, 18 days 0.2
TCGA-CJ-5678-01A 62 years, male, black or african american, stage:Stage IV, dead, 574 days 0.2
TCGA-CJ-6032-01A 63 years, female, white, stage:Stage II, alive, 3639 days 0.2
TCGA-A3-3313-01A 59 years, male, black or african american, stage:Stage I, dead, 735 days 0.2
TCGA-CJ-4903-01A 50 years, male, white, stage:Stage I, alive, 1560 days 0.2
TCGA-B8-5550-01A 71 years, male, white, stage:Stage III, alive, 1476 days 0.2
TCGA-AK-3428-01A 62 years, male, white, stage:Stage III, alive, 3728 days 0.2
TCGA-DV-5568-01A 26 years, male, white, stage:Stage I, alive, 370 days 0.2
TCGA-BP-5176-01A 78 years, female, white, stage:Stage I, dead, 1590 days 0.2
TCGA-B8-4620-01A 70 years, female, white, stage:Stage III, alive, 777 days 0.2
TCGA-BP-4326-01A 53 years, female, white, stage:Stage I, dead, 1625 days 0.2
TCGA-B0-5703-01A 73 years, male, white, stage:Stage I, alive, 2246 days 0.2
TCGA-B0-5084-01A 33 years, male, white, stage:Stage IV, dead, 222 days 0.2
TCGA-B8-4619-01A 58 years, male, white, stage:Stage I, alive, 523 days 0.2
TCGA-A3-3373-01A 54 years, female, white, stage:Stage I, alive, 1621 days 0.2
TCGA-B0-4823-01A 88 years, male, white, stage:Stage I, dead, 454 days 0.2
TCGA-B0-4836-01A 61 years, male, white, stage:Stage IV, dead, 1238 days 0.2
TCGA-CZ-5454-01A 63 years, male, white, stage:Stage IV, dead, 722 days 0.2
TCGA-CJ-5676-01A 47 years, male, white, stage:Stage III, alive, 4067 days 0.2
TCGA-B0-5400-01A 59 years, female, white, stage:Stage III, alive, 1733 days 0.2
TCGA-A3-3328-01A 79 years, male, white, stage:Stage I, alive, 1385 days 0.2
TCGA-B8-4151-01A 51 years, female, white, stage:Stage III, alive, 1299 days 0.2
TCGA-AK-3436-01A 40 years, male, white, stage:Stage IV, alive, 3331 days 0.2
TCGA-BP-4967-01A 76 years, male, white, stage:Stage III, alive, 205 days 0.2
TCGA-CJ-4871-01A 63 years, male, white, stage:Stage IV, alive, 2423 days 0.2
TCGA-B0-5102-01A 74 years, female, white, stage:Stage I, dead, 2764 days 0.2
TCGA-CZ-4859-01A 59 years, female, white, stage:Stage I, alive, 1787 days 0.2
TCGA-CW-5588-01A 78 years, female, white, stage:Stage I, alive, 2017 days 0.2
TCGA-B8-5162-01A 62 years, male, white, stage:Stage II, alive, 36 days 0.2
TCGA-CZ-5470-01A 72 years, female, stage:Stage II, alive, 386 days 0.2
TCGA-B8-5158-01A 56 years, male, white, stage:Stage III, alive, 1218 days 0.2
TCGA-BP-4968-01A 40 years, male, white, stage:Stage I, alive, 1746 days 0.2
TCGA-B0-4827-01A 77 years, female, white, stage:Stage III, dead, 885 days 0.2
TCGA-CZ-5982-01A 59 years, female, white, stage:Stage I, alive, 2439 days 0.2
TCGA-CJ-5679-01A 73 years, male, white, stage:Stage III, dead, 679 days 0.2
TCGA-DV-5569-01A 29 years, female, white, stage:Stage I, alive, 355 days 0.2
TCGA-BP-4166-01A 69 years, male, white, stage:Stage III, alive, 13 days 0.1
TCGA-AK-3456-01A 48 years, male, black or african american, stage:Stage II, alive, 1143 days 0.1
TCGA-B0-4839-01A 80 years, female, white, stage:Stage I, dead, 1639 days 0.1
TCGA-A3-3346-01A 68 years, male, white, stage:Stage I, dead, 137 days 0.1
TCGA-B8-5546-01A 38 years, female, black or african american, stage:Stage I, alive, 505 days 0.1
TCGA-B2-5633-01A 56 years, male, white, stage:Stage I, alive, 963 days 0.1
TCGA-B0-5402-01A 64 years, male, white, stage:Stage IV, alive, 1290 days 0.1
TCGA-B8-5159-01A 61 years, female, white, stage:Stage I, alive, 722 days 0.1
TCGA-BP-5200-01A 44 years, male, white, stage:Stage II, alive, 1063 days 0.1
TCGA-BP-5175-01A 60 years, male, white, stage:Stage I, alive, 932 days 0.1
TCGA-CJ-4874-01A 73 years, female, white, stage:Stage I, alive, 2283 days 0.1
TCGA-B4-5835-01A 64 years, female, white, stage:Stage I, alive, 16 days 0.1
TCGA-B0-5117-01A 40 years, male, white, stage:Stage I, alive, 1608 days 0.1
TCGA-B2-4099-01A 83 years, male, white, stage:Stage I, alive, 972 days 0.1
TCGA-A3-3374-01A 51 years, female, black or african american, stage:Stage I, alive, 1314 days 0.1
TCGA-BP-5185-01A 56 years, male, white, stage:Stage I, alive, 1132 days 0.1
TCGA-BP-4761-01A 57 years, male, white, stage:Stage III, alive, 182 days 0.1
TCGA-B0-4841-01A 63 years, male, white, stage:Stage IV, dead, 204 days 0.1
TCGA-BP-4983-01A 67 years, female, asian, stage:Stage III, alive, 1413 days 0.1
TCGA-G6-A8L7-01A 81 years, female, black or african american, stage:Stage I, alive, 2133 days 0.1
TCGA-B8-5163-01A 63 years, female, white, stage:Stage III, alive, 822 days 0.1
TCGA-B0-5083-01A 63 years, male, white, stage:Stage I, dead, 1045 days 0.1
TCGA-BP-4167-01A 59 years, male, white, stage:Stage III, alive, 2718 days 0.1
TCGA-B4-5832-01A 65 years, male, white, stage:Stage III, alive, 155 days 0.1
TCGA-CJ-6033-01A 54 years, female, white, stage:Stage IV, dead, 224 days 0.1
TCGA-CZ-5457-01A 62 years, male, white, stage:Stage III, alive, 2754 days 0.1
TCGA-CJ-4901-01A 47 years, male, white, stage:Stage III, alive, 1450 days 0.1
TCGA-CZ-4860-01A 60 years, male, white, stage:Stage IV, dead, 206 days 0.1
TCGA-CJ-4640-01A 49 years, male, white, stage:Stage III, alive, 3480 days 0.1
TCGA-CJ-5672-01A 84 years, male, white, stage:Stage I, dead, 1972 days 0.1
TCGA-DV-5565-01A 59 years, male, white, stage:Stage I, alive, 1329 days 0.1
TCGA-BP-4177-01A 65 years, male, white, stage:Stage I, alive, 1670 days 0.1
TCGA-B0-4837-01A 63 years, male, white, stage:Stage I, dead, 1378 days 0.1
TCGA-B0-4688-01A 46 years, male, white, stage:Stage IV, dead, 101 days 0.1
TCGA-CJ-4904-01A 60 years, female, white, stage:Stage IV, alive, 3302 days 0.1
TCGA-BP-4160-01A 67 years, male, white, stage:Stage III, alive, 2881 days 0.1
TCGA-BP-5173-01A 75 years, male, white, stage:Stage I, dead, 62 days 0.1
TCGA-B0-5109-01A 69 years, male, white, stage:Stage III, dead, 587 days 0.1
TCGA-B0-4712-01A 76 years, male, white, stage:Stage IV, dead, 1337 days 0.1
TCGA-BP-4762-01A 42 years, male, white, stage:Stage I, dead, 1343 days 0.1
TCGA-B8-A54I-01A 48 years, male, black or african american, stage:Stage I, alive, 150 days 0.1
TCGA-B0-4698-01A 75 years, male, white, stage:Stage IV, dead, 42 days 0.1
TCGA-CW-6087-01A 61 years, male, white, stage:Stage IV, dead, 41 days 0.1
TCGA-AK-3431-01A 62 years, female, white, stage:Stage II, dead, 2241 days 0.1
TCGA-B8-5551-01A 65 years, female, black or african american, stage:Stage I, alive, 16 days 0.1
TCGA-CZ-5459-01A 63 years, male, white, stage:Stage III, alive, 1683 days 0.1
TCGA-B4-5838-01A 52 years, male, white, stage:'--, alive, 166 days 0.0
TCGA-AK-3427-01A 65 years, male, white, stage:Stage I, alive, 3583 days 0.0
TCGA-A3-3306-01A 67 years, male, white, stage:Stage I, alive, 1120 days 0.0
TCGA-AK-3465-01A 71 years, female, black or african american, stage:Stage I, alive, 369 days 0.0
TCGA-BP-4799-01A 70 years, male, white, stage:Stage III, dead, 1133 days 0.0
TCGA-AK-3443-01A 45 years, male, white, stage:Stage II, alive, 1423 days 0.0
TCGA-EU-5907-01A 81 years, male, white, stage:Stage III, alive, 127 days 0.0
TCGA-BP-5169-01A 70 years, male, white, stage:Stage I, alive, 193 days 0.0
TCGA-CW-5591-01A 56 years, male, white, stage:Stage IV, alive, 2271 days 0.0
TCGA-B0-5707-01A 39 years, female, white, stage:Stage I, alive, 3744 days 0.0
TCGA-A3-3383-01A 52 years, male, white, stage:Stage I, alive, 861 days 0.0
TCGA-AK-3447-01A 83 years, male, white, stage:Stage II, alive, 1217 days 0.0
TCGA-B2-4098-01A 72 years, female, black or african american, stage:Stage I, dead, 51 days 0.0
TCGA-AK-3451-01A 48 years, male, white, stage:Stage II, alive, 2868 days 0.0
TCGA-B0-5702-01A 71 years, male, white, stage:Stage I, alive, 2172 days 0.0
Show allShow less
KIDNEY RENAL CLEAR CELL CARCINOMA (VALIDATION) - Interactive survival scatter ploti

The Survival Scatter plot shows the clinical status (i.e. dead or alive) for all individuals in the patient cohort, based on the same data that underlies the corresponding Kaplan-Meier plots. Patients that are alive at last time for follow-up are shown in blue and patients who have died during the study are shown in red.

The x-axis shows the expression levels (FPKM) of the investigated gene in the tumor tissue at the time of diagnosis. The y-axis shows the follow-up time after diagnosis (years). Both axes are complimented with kernel density curves demonstrating the data density over the axes. The top density plot shows the expression levels (FPKM) distribution among dead (red) and alive patients (blue). The right density plot shows the data density of the survived years of dead patients with high and low expression levels respectively, stratified using the cutoff indicated by the vertical dashed line through the Survival Scatter plot. This cutoff is automatically defined based on the FPKM cutoff that minimizes the p-score. The cutoff can be changed by dragging the vertical line or by entering a cutoff value in the square labeled "Current cut-off".

Under the Survival Scatter plot the p-score landscape (black curve; left axis) is shown together with dead median separation (red curve; right axis). Dead median separation is the difference in median mRNA expression between patients who have died with high and low expression, respectively. It is calculated as follows: median FPKM expression of dead patients with high expression - median FPKM expression of dead patients with low expression. This is intended to aid the user in visually exploring custom cutoffs and the associated p-scores and dead median separation.

Individual patient data is displayed and can be filtered by clicking on one or more of the category buttons on the top of the page. Categories describing expression level and patient information include: high, low, alive, dead, female, male and tumor stages. The scale of the x-axis can be toggled between linear and log-scale by clicking on the "x log" button. Mouse-over function shows TCGA ID, patient information and mRNA expression (FPKM) for each patient.

& Survival analysisi

Kaplan-Meier plots summarize results from analysis of correlation between mRNA expression level and patient survival. Patients were divided based on level of expression into one of the two groups "low" (under cut off) or "high" (over cut off). X-axis shows time for survival (years) and y-axis shows the probability of survival, where 1.0 corresponds to 100 percent.

NODAL is not prognostic in Kidney Renal Clear Cell Carcinoma (validation)


Stage:



Survival analysis
Current cut offi

Current cut-off shows the cut-off (FPKM) currently selected. It may be changed manually. When the current cut-off is changed, the vertical dashed line indicating cut-off, the interactive survival scatter plot and the Kaplan-Meier curve will be automatically adjusted to show results accordingly.

:
Best expression cut offi

Based on the FPKM value of each gene, patients were classified into two groups and association between prognosis (survival) and gene expression (FPKM) was examined. The best expression cut-off refers the FPKM value that yields maximal difference with regard to survival between the two groups at the lowest log-rank P-value. Best expression cut-off was selected based on survival analysis .

When clicking on this number, the vertical dashed line indicating cut-off, the interactive survival plot, and the Kaplan-Meier curve will be adjusted to show results based on the best expression cut-off.

: N/A
Median expressioni

Median expression refers to the median FPKM value calculated based on the gene expression (FPKM) data from all patients in this dataset. When clicking on this number, the vertical dashed line indicating cut-off, the interactive survival plot, and the Kaplan-Meier curve will be adjusted to show results based on the median expression.

: N/A
Median follow up timei

Median follow up time refers to the median time (years) after diagnosis with this type of cancer, based on clinical data from all patients in this dataset.

: N/A
P scorei

Log-rank P value for Kaplan-Meier plot showing results from analysis of correlation between mRNA expression level and patient survival.

N/A
5-year survival highi

5-year survival for patients with higher expression than the expression cutoff.

For melanoma and glioma, 3-year survival is shown.

N/A
5-year survival lowi

5-year survival for patients with lower expression than the expression cutoff.

For melanoma and glioma, 3-year survival is shown.

N/A
TCGA RNA samplesi

RNA-seq data is reported as average FPKM (number Fragments Per Kilobase of exon per Million reads), generated by the The Cancer Genome Atlas (TCGA) .

Normal distribution across the dataset is visualized with box plots, shown as median and 25th and 75th percentiles. Points are displayed as outliers if they are above or below 1.5 times the interquartile range. FPKM values of the individual samples are presented next to the box plot.

Average pTPM 0.5
Number of samples 100
Samples
Sample Description pTPM
ccRCC-68 69 years, male, NA, stage:pT1bN0M0, alive, 2640 days 2.2
ccRCC-56 78 years, male, NA, stage:pT1aN0M0, alive, 1950 days 1.7
ccRCC-21 70 years, male, NA, stage:pT1bN0M0, alive, 1080 days 1.6
ccRCC-7 87 years, female, NA, stage:pT2N0M0, alive, 330 days 1.2
ccRCC-61 56 years, male, NA, stage:pT1aN0M0, alive, 1470 days 1.2
ccRCC-46 61 years, male, NA, stage:pT1bN0M0, alive, 990 days 1.1
ccRCC-5 77 years, male, NA, stage:pT1aN0M0, alive, 2940 days 1.1
ccRCC-50 68 years, male, NA, stage:pT3bN0M0, alive, 900 days 1.1
ccRCC-35 67 years, male, NA, stage:pT1aN0M0, alive, 1380 days 1.0
ccRCC-96 52 years, male, NA, stage:pT1aN0M0, alive, 3930 days 1.0
ccRCC-55 58 years, female, NA, stage:pT3bN0M0, alive, 1260 days 0.9
ccRCC-45 61 years, male, NA, stage:pT1aN0M0, alive, 1020 days 0.9
ccRCC-99 60 years, female, NA, stage:pT2N0M0, alive, 3330 days 0.8
ccRCC-72 35 years, male, NA, stage:pT1bN0M0, alive, 2760 days 0.8
ccRCC-84 69 years, male, NA, stage:pT1bN0M0, alive, 2010 days 0.8
ccRCC-66 73 years, female, NA, stage:pT3bN0M1, alive, 2520 days 0.8
ccRCC-92 59 years, male, NA, stage:pT1aN0M0, alive, 3660 days 0.8
ccRCC-4 82 years, male, NA, stage:pT1bN0M0, dead, 270 days 0.8
ccRCC-19 39 years, female, NA, stage:pT2N0M0, alive, 2100 days 0.8
ccRCC-9 75 years, male, NA, stage:pT2N1M1, dead, 360 days 0.8
ccRCC-6 75 years, male, NA, stage:pT1bN0M0, alive, 2820 days 0.8
ccRCC-16 48 years, male, NA, stage:pT2N0M0, alive, 2190 days 0.8
ccRCC-8 73 years, male, NA, stage:pT1bN0M0, alive, 2400 days 0.8
ccRCC-29 73 years, female, NA, stage:pT1aN0M0, alive, 1710 days 0.8
ccRCC-73 56 years, male, NA, stage:pT1aN0M0, alive, 2640 days 0.8
ccRCC-44 56 years, female, NA, stage:pT1bN0M0, alive, 1050 days 0.7
ccRCC-94 69 years, male, NA, stage:pT1bN0M0, dead, 480 days 0.7
ccRCC-15 65 years, female, NA, stage:pT2N0M0, dead, 2070 days 0.7
ccRCC-13 44 years, female, NA, stage:pT3aN2M0, dead, 540 days 0.7
ccRCC-23 72 years, male, NA, stage:pT1bN0M0, alive, 1170 days 0.7
ccRCC-100 65 years, male, NA, stage:pT1aN0M0, alive, 4260 days 0.6
ccRCC-39 73 years, male, NA, stage:pT2N0M0, alive, 900 days 0.6
ccRCC-95 59 years, male, NA, stage:pT1bN0M0, alive, 3960 days 0.6
ccRCC-17 54 years, female, NA, stage:pT1bN0M0, alive, 2220 days 0.6
ccRCC-1 58 years, female, NA, stage:pT1bN0M0, alive, 3330 days 0.6
ccRCC-89 59 years, male, NA, stage:pT1aN0M0, alive, 3510 days 0.6
ccRCC-42 73 years, male, NA, stage:pT3aN0M0, alive, 1170 days 0.6
ccRCC-67 59 years, male, NA, stage:pT1aN0M0, dead, 1260 days 0.6
ccRCC-69 80 years, male, NA, stage:pT1aN0M0, alive, 2670 days 0.6
ccRCC-22 64 years, male, NA, stage:pT3bN0M0, dead, 330 days 0.5
ccRCC-75 58 years, male, NA, stage:pT3aN1M1, dead, 180 days 0.5
ccRCC-20 56 years, female, NA, stage:pT3aN0M1, alive, 930 days 0.5
ccRCC-80 70 years, male, NA, stage:pT2N0M0, alive, 3000 days 0.5
ccRCC-48 42 years, male, NA, stage:pT1bN0M0, alive, 990 days 0.5
ccRCC-60 78 years, female, NA, stage:pT1aN0M0, alive, 1470 days 0.5
ccRCC-87 40 years, male, NA, stage:pT1bN0M0, alive, 2370 days 0.5
ccRCC-38 60 years, male, NA, stage:pT1aN0M0, alive, 1380 days 0.5
ccRCC-3 71 years, male, NA, stage:pT3bN1M0, dead, 240 days 0.5
ccRCC-82 53 years, male, NA, stage:pT1aN0M0, alive, 3090 days 0.5
ccRCC-10 76 years, male, NA, stage:pT3aN2M1, dead, 90 days 0.5
ccRCC-91 67 years, male, NA, stage:pT1aN0M0, dead, 1890 days 0.5
ccRCC-88 64 years, male, NA, stage:pT1aN0M0, alive, 2880 days 0.4
ccRCC-102 53 years, male, NA, stage:pT1bN0M0, alive, 4260 days 0.4
ccRCC-58 62 years, male, NA, stage:pT1aN0M0, alive, 1110 days 0.4
ccRCC-52 66 years, female, NA, stage:pT3bN0M1, alive, 1350 days 0.4
ccRCC-90 72 years, male, NA, stage:pT1aN0M0, dead, 1170 days 0.4
ccRCC-79 35 years, male, NA, stage:pT1bN0M0, alive, 2670 days 0.4
ccRCC-103 55 years, female, NA, stage:pT1aN0M0, alive, 4350 days 0.4
ccRCC-54 57 years, male, NA, stage:pT1bN0M0, alive, 1200 days 0.4
ccRCC-49 64 years, male, NA, stage:pT3bN0M0, alive, 1290 days 0.4
ccRCC-11 76 years, male, NA, stage:pT1aN0M0, alive, 2370 days 0.4
ccRCC-27 56 years, male, NA, stage:pT1aN0M0, alive, 1590 days 0.4
ccRCC-32 55 years, male, NA, stage:pT2N0M0, dead, 1320 days 0.4
ccRCC-26 51 years, male, NA, stage:pT1bN0M0, alive, 1800 days 0.4
ccRCC-62 78 years, male, NA, stage:pT1bN0M0, alive, 1620 days 0.4
ccRCC-53 69 years, male, NA, stage:pT1aN0M0, alive, 1260 days 0.4
ccRCC-86 74 years, female, NA, stage:pT1bN0M0, alive, 3390 days 0.4
ccRCC-97 40 years, male, NA, stage:pT1aN2M1, dead, 990 days 0.4
ccRCC-12 80 years, male, NA, stage:pT1aN0M0, alive, 900 days 0.3
ccRCC-31 75 years, male, NA, stage:pT1aN0M0, alive, 1560 days 0.3
ccRCC-40 65 years, male, NA, stage:pT1aN0M0, alive, 1020 days 0.3
ccRCC-70 70 years, male, NA, stage:pT4N0M1, dead, 540 days 0.3
ccRCC-104 52 years, female, NA, stage:pT1aN0M0, alive, 3480 days 0.3
ccRCC-14 58 years, male, NA, stage:pT3cN0M0, alive, 2280 days 0.3
ccRCC-43 55 years, female, NA, stage:pT1bN0M0, alive, 1050 days 0.3
ccRCC-64 58 years, male, NA, stage:pT3aN0M0, alive, 2430 days 0.3
ccRCC-76 81 years, female, NA, stage:pT3aN0M1, dead, 960 days 0.3
ccRCC-25 65 years, male, NA, stage:pT1aN0M0, alive, 1350 days 0.3
ccRCC-85 73 years, female, NA, stage:pT1bN0M0, alive, 3330 days 0.3
ccRCC-36 59 years, male, NA, stage:pT2N0M0, alive, 1410 days 0.2
ccRCC-105 59 years, male, NA, stage:pT1aN0M0, alive, 2190 days 0.2
ccRCC-77 41 years, male, NA, stage:pT1bN0M0, alive, 1860 days 0.2
ccRCC-81 73 years, male, NA, stage:pT3aN2M0, dead, 1290 days 0.2
ccRCC-98 54 years, male, NA, stage:pT1aN0M0, alive, 30 days 0.2
ccRCC-65 63 years, male, NA, stage:pT3bN0M1, dead, 300 days 0.2
ccRCC-28 59 years, male, NA, stage:pT1bN0M0, alive, 1530 days 0.2
ccRCC-30 64 years, male, NA, stage:pT2N0M0, dead, 420 days 0.2
ccRCC-83 72 years, male, NA, stage:pT1aN0M0, alive, 300 days 0.2
ccRCC-34 65 years, male, NA, stage:pT3bN0M1, alive, 1530 days 0.2
ccRCC-71 72 years, male, NA, stage:pT1bN0M0, alive, 2160 days 0.2
ccRCC-93 60 years, male, NA, stage:pT1bN0M0, alive, 3660 days 0.2
ccRCC-18 56 years, female, NA, stage:pT1aN0M0, alive, 2130 days 0.2
ccRCC-41 82 years, male, NA, stage:pT3bN0M0, dead, 540 days 0.2
ccRCC-78 70 years, female, NA, stage:pT1aN0M0, alive, 2610 days 0.2
ccRCC-51 70 years, male, NA, stage:pT3aN0M0, alive, 1410 days 0.1
ccRCC-106 58 years, male, NA, stage:pT1aN0M0, dead, 1890 days 0.1
ccRCC-59 56 years, male, NA, stage:pT1bN0M0, alive, 930 days 0.1
ccRCC-37 73 years, female, NA, stage:pT1aN0M0, alive, 1500 days 0.1
ccRCC-2 71 years, male, NA, stage:pT1aN0M1, dead, 2190 days 0.1
ccRCC-24 91 years, male, NA, stage:pT3bN0M0, dead, 750 days 0.0
Show allShow less
KIDNEY RENAL PAPILLARY CELL CARCINOMA (TCGA) - Interactive survival scatter ploti

The Survival Scatter plot shows the clinical status (i.e. dead or alive) for all individuals in the patient cohort, based on the same data that underlies the corresponding Kaplan-Meier plots. Patients that are alive at last time for follow-up are shown in blue and patients who have died during the study are shown in red.

The x-axis shows the expression levels (FPKM) of the investigated gene in the tumor tissue at the time of diagnosis. The y-axis shows the follow-up time after diagnosis (years). Both axes are complimented with kernel density curves demonstrating the data density over the axes. The top density plot shows the expression levels (FPKM) distribution among dead (red) and alive patients (blue). The right density plot shows the data density of the survived years of dead patients with high and low expression levels respectively, stratified using the cutoff indicated by the vertical dashed line through the Survival Scatter plot. This cutoff is automatically defined based on the FPKM cutoff that minimizes the p-score. The cutoff can be changed by dragging the vertical line or by entering a cutoff value in the square labeled "Current cut-off".

Under the Survival Scatter plot the p-score landscape (black curve; left axis) is shown together with dead median separation (red curve; right axis). Dead median separation is the difference in median mRNA expression between patients who have died with high and low expression, respectively. It is calculated as follows: median FPKM expression of dead patients with high expression - median FPKM expression of dead patients with low expression. This is intended to aid the user in visually exploring custom cutoffs and the associated p-scores and dead median separation.

Individual patient data is displayed and can be filtered by clicking on one or more of the category buttons on the top of the page. Categories describing expression level and patient information include: high, low, alive, dead, female, male and tumor stages. The scale of the x-axis can be toggled between linear and log-scale by clicking on the "x log" button. Mouse-over function shows TCGA ID, patient information and mRNA expression (FPKM) for each patient.

& Survival analysisi

Kaplan-Meier plots summarize results from analysis of correlation between mRNA expression level and patient survival. Patients were divided based on level of expression into one of the two groups "low" (under cut off) or "high" (over cut off). X-axis shows time for survival (years) and y-axis shows the probability of survival, where 1.0 corresponds to 100 percent.

NODAL is not prognostic in Kidney Renal Papillary Cell Carcinoma (TCGA)


Stage:

Survival analysis
Current cut offi

Current cut-off shows the cut-off (FPKM) currently selected. It may be changed manually. When the current cut-off is changed, the vertical dashed line indicating cut-off, the interactive survival scatter plot and the Kaplan-Meier curve will be automatically adjusted to show results accordingly.

:
Best expression cut offi

Based on the FPKM value of each gene, patients were classified into two groups and association between prognosis (survival) and gene expression (FPKM) was examined. The best expression cut-off refers the FPKM value that yields maximal difference with regard to survival between the two groups at the lowest log-rank P-value. Best expression cut-off was selected based on survival analysis .

When clicking on this number, the vertical dashed line indicating cut-off, the interactive survival plot, and the Kaplan-Meier curve will be adjusted to show results based on the best expression cut-off.

: N/A
Median expressioni

Median expression refers to the median FPKM value calculated based on the gene expression (FPKM) data from all patients in this dataset. When clicking on this number, the vertical dashed line indicating cut-off, the interactive survival plot, and the Kaplan-Meier curve will be adjusted to show results based on the median expression.

: N/A
Median follow up timei

Median follow up time refers to the median time (years) after diagnosis with this type of cancer, based on clinical data from all patients in this dataset.

: N/A
P scorei

Log-rank P value for Kaplan-Meier plot showing results from analysis of correlation between mRNA expression level and patient survival.

N/A
5-year survival highi

5-year survival for patients with higher expression than the expression cutoff.

For melanoma and glioma, 3-year survival is shown.

N/A
5-year survival lowi

5-year survival for patients with lower expression than the expression cutoff.

For melanoma and glioma, 3-year survival is shown.

N/A
TCGA RNA samplesi

RNA-seq data is reported as average FPKM (number Fragments Per Kilobase of exon per Million reads), generated by the The Cancer Genome Atlas (TCGA) .

Normal distribution across the dataset is visualized with box plots, shown as median and 25th and 75th percentiles. Points are displayed as outliers if they are above or below 1.5 times the interquartile range. FPKM values of the individual samples are presented next to the box plot.

Average pTPM 0.4
Number of samples 282
Samples
Sample Description pTPM
TCGA-B3-4104-01A 75 years, male, white, stage:Stage II, alive, 1049 days 6.8
TCGA-SX-A7SS-01A 67 years, male, white, stage:Stage I, alive, 1615 days 5.8
TCGA-B3-A6W5-01A 43 years, male, black or african american, stage:Stage I, alive, 309 days 5.4
TCGA-UZ-A9PV-01A 65 years, male, white, stage:Stage I, alive, 1444 days 5.0
TCGA-G7-A8LC-01A 61 years, male, white, stage:Stage I, alive, 702 days 4.9
TCGA-A4-8515-01A 47 years, male, american indian or alaska native, stage:Stage I, alive, 709 days 4.6
TCGA-DW-5560-01A 38 years, female, white, stage:Stage I, alive, 1486 days 3.7
TCGA-UZ-A9PM-01A 62 years, male, white, stage:Stage II, alive, 3811 days 3.6
TCGA-KV-A6GE-01A 65 years, male, white, stage:Stage I, alive, 885 days 3.5
TCGA-B9-A8YH-01A 52 years, male, black or african american, stage:Stage I, alive, 532 days 2.4
TCGA-HE-A5NJ-01A 58 years, male, stage:'--, alive, 1726 days 2.2
TCGA-A4-8098-01A 73 years, male, black or african american, stage:Stage I, alive, 896 days 2.1
TCGA-P4-A5E8-01A 57 years, male, white, stage:Stage III, dead, 1306 days 1.6
TCGA-UZ-A9PR-01A 84 years, male, white, stage:Stage I, alive, 2191 days 1.6
TCGA-HE-7130-01A female, stage:Stage III, alive, 1770 days 1.3
TCGA-UZ-A9PZ-01A 65 years, male, white, stage:Stage III, alive, 657 days 1.3
TCGA-B9-4113-01A 64 years, male, black or african american, stage:Stage I, dead, 1536 days 1.2
TCGA-A4-A5Y1-01A 75 years, male, white, stage:Stage III, dead, 395 days 1.2
TCGA-G7-A8LE-01A 62 years, male, white, stage:Stage I, alive, 2453 days 1.2
TCGA-BQ-5884-01A 59 years, female, black or african american, stage:Stage I, alive, 792 days 1.2
TCGA-SX-A7SU-01A 47 years, male, stage:Stage I, alive, 1331 days 1.0
TCGA-5P-A9JV-01A 49 years, male, white, stage:'--, alive, 2043 days 0.9
TCGA-BQ-7056-01A 75 years, female, white, stage:Stage III, alive, 612 days 0.9
TCGA-SX-A71R-01A 51 years, male, white, stage:Stage I, alive, 1457 days 0.9
TCGA-SX-A71S-01A 66 years, female, white, stage:Stage I, alive, 1504 days 0.9
TCGA-IA-A40Y-01A 60 years, female, white, stage:Stage III, alive, 62 days 0.9
TCGA-DW-7842-01A 52 years, male, white, stage:Stage I, alive, 92 days 0.9
TCGA-2Z-A9J9-01A 77 years, male, black or african american, stage:Stage I, alive, 2294 days 0.9
TCGA-5P-A9KF-01A 53 years, male, white, stage:'--, alive, 845 days 0.9
TCGA-MH-A856-01A 54 years, male, white, stage:Stage I, alive, 947 days 0.9
TCGA-F9-A8NY-01A 38 years, female, asian, stage:Stage IV, alive, 36 days 0.8
TCGA-B9-4617-01A 41 years, male, black or african american, stage:'--, alive, 35 days 0.8
TCGA-SX-A7SR-01A 66 years, male, white, stage:Stage II, alive, 805 days 0.8
TCGA-GL-A59R-01A 79 years, male, white, stage:Stage III, alive, 378 days 0.8
TCGA-Y8-A894-01A 57 years, female, white, stage:Stage I, alive, 567 days 0.7
TCGA-Y8-A895-01A 74 years, male, white, stage:Stage I, alive, 484 days 0.7
TCGA-F9-A4JJ-01A 35 years, female, black or african american, stage:Stage III, dead, 325 days 0.7
TCGA-BQ-5877-01A 60 years, male, black or african american, stage:Stage IV, dead, 270 days 0.7
TCGA-WN-A9G9-01A 55 years, male, white, stage:Stage I, alive, 791 days 0.7
TCGA-SX-A7SM-01A 60 years, male, black or african american, stage:Stage IV, dead, 363 days 0.7
TCGA-Y8-A8RY-01A 63 years, male, white, stage:Stage I, alive, 769 days 0.7
TCGA-UZ-A9PQ-01A 59 years, male, black or african american, stage:Stage III, dead, 2624 days 0.6
TCGA-2Z-A9JL-01A 47 years, male, black or african american, stage:Stage I, alive, 1006 days 0.6
TCGA-2Z-A9JR-01A 57 years, male, white, stage:Stage I, alive, 161 days 0.6
TCGA-5P-A9KA-01A 61 years, male, white, stage:'--, alive, 395 days 0.6
TCGA-UZ-A9PU-01A 77 years, male, white, stage:Stage I, dead, 933 days 0.6
TCGA-DW-5561-01A 51 years, male, black or african american, stage:Stage I, alive, 414 days 0.6
TCGA-SX-A7SO-01A 64 years, male, white, stage:Stage I, alive, 1257 days 0.6
TCGA-DW-7841-01A 61 years, male, black or african american, stage:Stage I, alive, 445 days 0.6
TCGA-A4-7997-01A 67 years, male, white, stage:Stage I, alive, 927 days 0.5
TCGA-2Z-A9J6-01A 60 years, male, white, stage:Stage I, alive, 1731 days 0.5
TCGA-HE-7129-01A male, stage:Stage II, alive, 2492 days 0.5
TCGA-UZ-A9PJ-01A 78 years, male, white, stage:Stage I, dead, 797 days 0.5
TCGA-DZ-6131-01A 31 years, male, white, stage:Stage III, alive, 2429 days 0.5
TCGA-A4-7583-01A 60 years, male, black or african american, stage:Stage I, alive, 3 days 0.5
TCGA-5P-A9KC-01A 51 years, female, white, stage:'--, alive, 377 days 0.5
TCGA-B9-4116-01A 75 years, female, black or african american, stage:'--, alive, 627 days 0.5
TCGA-P4-A5E7-01A 74 years, female, white, stage:Stage I, alive, 2649 days 0.5
TCGA-GL-A9DE-01A 74 years, male, black or african american, stage:Stage I, alive, 496 days 0.5
TCGA-IA-A83W-01A 70 years, male, white, stage:Stage I, dead, 2043 days 0.4
TCGA-UZ-A9PK-01A 71 years, male, white, stage:Stage I, alive, 3571 days 0.4
TCGA-Y8-A8S0-01A 58 years, male, white, stage:Stage I, alive, 183 days 0.4
TCGA-BQ-5888-01A 74 years, female, white, stage:Stage I, alive, 403 days 0.4
TCGA-G7-6797-01A 46 years, male, white, stage:Stage III, alive, 765 days 0.4
TCGA-SX-A7SP-01A 66 years, female, white, stage:Stage I, dead, 496 days 0.4
TCGA-UZ-A9PS-01A 62 years, female, black or african american, stage:Stage II, alive, 2167 days 0.4
TCGA-BQ-7061-01A 83 years, female, white, stage:Stage I, alive, 218 days 0.4
TCGA-AT-A5NU-01A 77 years, male, white, stage:Stage I, alive, 67 days 0.4
TCGA-5P-A9JY-01A 79 years, male, white, stage:'--, dead, 1508 days 0.4
TCGA-P4-A5ED-01A 51 years, male, white, stage:Stage I, alive, 2816 days 0.4
TCGA-A4-7585-01A 67 years, male, white, stage:Stage III, dead, 1070 days 0.4
TCGA-BQ-5878-01A 79 years, female, white, stage:Stage III, alive, 1938 days 0.4
TCGA-GL-A9DD-01A 69 years, male, white, stage:Stage I, alive, 341 days 0.4
TCGA-J7-A8I2-01A 75 years, male, asian, stage:Stage I, alive, 307 days 0.4
TCGA-B9-A44B-01A 70 years, male, black or african american, stage:Stage III, alive, 361 days 0.4
TCGA-AL-3472-01A 57 years, male, black or african american, stage:'--, alive, 2029 days 0.4
TCGA-B9-4115-01A 53 years, male, black or african american, stage:Stage I, alive, 803 days 0.3
TCGA-B9-4117-01A 48 years, female, black or african american, stage:'--, alive, 14 days 0.3
TCGA-SX-A71U-01A 57 years, male, white, stage:Stage I, alive, 1357 days 0.3
TCGA-B1-A47M-01A 79 years, male, black or african american, stage:Stage III, alive, 659 days 0.3
TCGA-BQ-7058-01A 81 years, male, white, stage:Stage III, dead, 343 days 0.3
TCGA-P4-A5E6-01A 67 years, male, black or african american, stage:Stage III, alive, 3035 days 0.3
TCGA-G7-A8LB-01A 70 years, male, white, stage:Stage IV, alive, 547 days 0.3
TCGA-MH-A561-01A 66 years, male, white, stage:Stage I, alive, 841 days 0.3
TCGA-DW-7838-01A 66 years, male, white, stage:Stage I, alive, 744 days 0.3
TCGA-AL-3467-01A 54 years, female, white, stage:'--, alive, 2135 days 0.3
TCGA-5P-A9K0-01A 75 years, male, white, stage:'--, alive, 677 days 0.3
TCGA-SX-A71W-01A 66 years, male, white, stage:Stage I, alive, 1076 days 0.3
TCGA-BQ-7062-01A 64 years, male, black or african american, stage:Stage I, alive, 116 days 0.3
TCGA-DZ-6135-01A 45 years, male, stage:Stage I, alive, 2269 days 0.3
TCGA-SX-A7SQ-01A 48 years, male, white, stage:Stage I, alive, 1266 days 0.3
TCGA-A4-A5DU-01A 45 years, female, white, stage:Stage I, alive, 496 days 0.3
TCGA-2Z-A9J5-01A 80 years, male, white, stage:Stage II, alive, 3050 days 0.3
TCGA-MH-A854-01A 62 years, female, black or african american, stage:Stage I, alive, 536 days 0.3
TCGA-HE-A5NL-01A 51 years, male, stage:Stage I, alive, 767 days 0.3
TCGA-IZ-A6M9-01A 63 years, male, white, stage:Stage I, alive, 376 days 0.3
TCGA-BQ-5879-01A 32 years, female, white, stage:Stage III, dead, 697 days 0.3
TCGA-EV-5901-01A 47 years, female, white, stage:Stage I, alive, 1040 days 0.3
TCGA-2Z-A9J7-01A 63 years, male, white, stage:Stage IV, dead, 139 days 0.2
TCGA-A4-7288-01A 71 years, female, white, stage:'--, alive, 1857 days 0.2
TCGA-DW-7840-01A 60 years, male, black or african american, stage:Stage I, alive, 114 days 0.2
TCGA-2Z-A9J1-01A 71 years, male, white, stage:Stage I, alive, 2298 days 0.2
TCGA-B1-A654-01A 43 years, female, black or african american, stage:Stage I, alive, 616 days 0.2
TCGA-G7-6789-01A 53 years, female, white, stage:Stage IV, dead, 122 days 0.2
TCGA-UZ-A9PL-01A 59 years, male, white, stage:Stage II, alive, 3152 days 0.2
TCGA-AL-3466-01A 41 years, male, white, stage:Stage IV, dead, 293 days 0.2
TCGA-BQ-5893-01A 61 years, male, white, stage:Stage IV, dead, 241 days 0.2
TCGA-G7-6793-01A 60 years, female, white, stage:Stage IV, dead, 336 days 0.2
TCGA-MH-A55Z-01A 65 years, male, black or african american, stage:Stage I, alive, 845 days 0.2
TCGA-BQ-7059-01A 71 years, male, white, stage:Stage I, alive, 232 days 0.2
TCGA-UN-AAZ9-01A 76 years, female, black or african american, stage:Stage I, alive, 548 days 0.2
TCGA-A4-7287-01A 75 years, female, white, stage:Stage I, dead, 597 days 0.2
TCGA-BQ-5889-01A 63 years, male, white, stage:Stage IV, dead, 329 days 0.2
TCGA-2Z-A9JG-01A 64 years, male, white, stage:Stage I, alive, 1662 days 0.2
TCGA-SX-A7SN-01A 52 years, male, white, stage:Stage I, alive, 578 days 0.2
TCGA-HE-A5NK-01A 82 years, male, stage:'--, alive, 2228 days 0.2
TCGA-B9-A5W9-01A 40 years, male, white, stage:Stage I, alive, 5 days 0.2
TCGA-UZ-A9PO-01A 80 years, male, white, stage:Stage I, alive, 1911 days 0.2
TCGA-A4-7828-01A 74 years, female, black or african american, stage:Stage I, alive, 238 days 0.2
TCGA-A4-A5XZ-01A 65 years, female, white, stage:Stage II, alive, 479 days 0.2
TCGA-BQ-5885-01A 63 years, male, white, stage:Stage III, alive, 921 days 0.2
TCGA-A4-8311-01A 60 years, male, white, stage:Stage I, alive, 729 days 0.2
TCGA-5P-A9K4-01A 54 years, male, white, stage:'--, alive, 2184 days 0.2
TCGA-WN-AB4C-01A 60 years, female, white, stage:Stage I, alive, 1188 days 0.2
TCGA-DZ-6132-01A 69 years, male, stage:Stage I, alive, 2460 days 0.2
TCGA-UZ-A9PN-01A 54 years, male, white, stage:Stage III, dead, 1136 days 0.2
TCGA-HE-A5NI-01A 73 years, male, stage:Stage I, alive, 360 days 0.2
TCGA-BQ-5894-01A 42 years, male, stage:Stage IV, alive, 84 days 0.2
TCGA-AL-3468-01A 74 years, male, white, stage:Stage II, dead, 2331 days 0.2
TCGA-2Z-A9JD-01A 66 years, male, white, stage:Stage I, alive, 1060 days 0.2
TCGA-5P-A9KH-01A 77 years, male, white, stage:'--, alive, 2051 days 0.2
TCGA-4A-A93X-01A 58 years, male, white, stage:Stage IV, alive, 390 days 0.2
TCGA-B3-8121-01A 48 years, female, black or african american, stage:Stage I, alive, 379 days 0.2
TCGA-A4-A4ZT-01A 71 years, female, white, stage:Stage I, alive, 516 days 0.2
TCGA-Y8-A897-01A 68 years, female, white, stage:Stage I, alive, 549 days 0.2
TCGA-A4-8516-01A 62 years, male, white, stage:Stage III, alive, 23 days 0.2
TCGA-BQ-5875-01A 66 years, female, white, stage:Stage III, alive, 2639 days 0.2
TCGA-GL-7966-01A 28 years, female, white, stage:Stage III, alive, 112 days 0.2
TCGA-Y8-A898-01A 69 years, male, white, stage:Stage I, alive, 475 days 0.2
TCGA-UZ-A9PX-01A 73 years, male, white, stage:Stage I, alive, 1981 days 0.2
TCGA-DW-7839-01A 58 years, female, white, stage:Stage I, alive, 419 days 0.2
TCGA-DW-7837-01A 43 years, male, black or african american, stage:Stage I, alive, 1142 days 0.1
TCGA-2Z-A9JJ-01A 69 years, female, white, stage:Stage I, alive, 1213 days 0.1
TCGA-F9-A7VF-01A 75 years, female, white, stage:Stage I, alive, 73 days 0.1
TCGA-B9-A69E-01A 71 years, male, white, stage:Stage III, alive, 452 days 0.1
TCGA-2Z-A9JP-01A 63 years, male, white, stage:Stage I, alive, 893 days 0.1
TCGA-HE-A5NF-01A 58 years, male, stage:Stage I, alive, 2582 days 0.1
TCGA-B3-3925-01A 52 years, male, white, stage:Stage III, alive, 1029 days 0.1
TCGA-PJ-A5Z8-01A 60 years, female, white, stage:Stage I, alive, 600 days 0.1
TCGA-DW-7836-01A 55 years, male, white, stage:Stage I, alive, 1093 days 0.1
TCGA-2Z-A9J3-01A 67 years, male, white, stage:Stage II, dead, 1771 days 0.1
TCGA-KV-A6GD-01A 85 years, male, white, stage:Stage I, alive, 560 days 0.1
TCGA-B1-A657-01A 54 years, male, white, stage:Stage I, alive, 641 days 0.1
TCGA-A4-7732-01A 55 years, male, black or african american, stage:'--, alive, 582 days 0.1
TCGA-BQ-7053-01A 57 years, female, black or african american, stage:Stage III, alive, 1516 days 0.1
TCGA-BQ-7060-01A 53 years, male, american indian or alaska native, stage:Stage I, alive, 214 days 0.1
TCGA-5P-A9JW-01A 64 years, male, white, stage:'--, alive, 3241 days 0.1
TCGA-A4-8312-01A 60 years, male, black or african american, stage:Stage I, alive, 708 days 0.1
TCGA-GL-A9DC-01A 66 years, female, white, stage:Stage I, alive, 392 days 0.1
TCGA-B1-5398-01A 73 years, male, white, stage:Stage III, alive, 1251 days 0.1
TCGA-5P-A9K9-01A 59 years, female, white, stage:'--, dead, 589 days 0.1
TCGA-2K-A9WE-01A 53 years, male, white, stage:Stage II, alive, 214 days 0.1
TCGA-HE-A5NH-01A 62 years, male, stage:Stage I, alive, 791 days 0.1
TCGA-A4-7915-01A 35 years, female, black or african american, stage:Stage II, alive, 7 days 0.1
TCGA-P4-A5EA-01A 54 years, female, white, stage:Stage III, dead, 201 days 0.1
TCGA-B1-7332-01A 60 years, female, black or african american, stage:Stage II, alive, 1141 days 0.1
TCGA-UZ-A9Q1-01A 88 years, female, white, stage:Stage I, alive, 730 days 0.1
TCGA-B9-5156-01A 51 years, male, white, stage:'--, alive, 1338 days 0.1
TCGA-2Z-A9JQ-01A 66 years, male, white, stage:Stage I, alive, 778 days 0.1
TCGA-BQ-7046-01A 61 years, male, white, stage:Stage I, alive, 2948 days 0.1
TCGA-G7-6792-01A 40 years, male, black or african american, stage:Stage I, alive, 2765 days 0.1
TCGA-2Z-A9JM-01A 28 years, male, white, stage:Stage I, alive, 934 days 0.1
TCGA-BQ-7051-01A 74 years, male, white, stage:Stage II, alive, 1533 days 0.1
TCGA-GL-A59T-01A 46 years, male, white, stage:Stage I, alive, 546 days 0.1
TCGA-BQ-7048-01A 64 years, male, white, stage:Stage III, alive, 2839 days 0.1
TCGA-BQ-5882-01A 54 years, male, stage:Stage III, dead, 658 days 0.1
TCGA-IA-A40U-01A 56 years, male, white, stage:Stage III, alive, 511 days 0.1
TCGA-EV-5903-01A 57 years, male, white, stage:Stage I, alive, 757 days 0.1
TCGA-P4-AAVM-01A 69 years, male, white, stage:Stage I, alive, 1539 days 0.1
TCGA-BQ-7049-01A 45 years, female, white, stage:Stage I, dead, 1364 days 0.1
TCGA-A4-7286-01A 42 years, male, white, stage:'--, alive, 554 days 0.1
TCGA-2Z-A9JO-01A 56 years, female, black or african american, stage:Stage I, alive, 949 days 0.1
TCGA-IA-A83T-01A 80 years, male, white, stage:'--, dead, 2684 days 0.1
TCGA-5P-A9JZ-01A 51 years, female, white, stage:'--, alive, 2744 days 0.1
TCGA-B1-A656-01A 64 years, male, white, stage:Stage I, alive, 618 days 0.1
TCGA-MH-A55W-01A 50 years, male, black or african american, stage:Stage I, alive, 1043 days 0.1
TCGA-5P-A9K3-01A 59 years, male, white, stage:'--, dead, 471 days 0.1
TCGA-4A-A93W-01A 66 years, female, white, stage:Stage I, alive, 4 days 0.1
TCGA-B3-3926-01A 59 years, female, white, stage:Stage I, alive, 883 days 0.1
TCGA-BQ-5892-01A 51 years, male, white, stage:Stage I, alive, 364 days 0.1
TCGA-B1-A47O-01A 54 years, female, white, stage:Stage I, alive, 842 days 0.1
TCGA-MH-A562-01A 57 years, male, black or african american, stage:Stage I, alive, 616 days 0.1
TCGA-A4-8517-01A 71 years, male, white, stage:Stage I, alive, 597 days 0.1
TCGA-2Z-A9JE-01A 59 years, male, white, stage:Stage I, alive, 1728 days 0.1
TCGA-P4-A5EB-01A 83 years, male, white, stage:Stage I, alive, 2477 days 0.1
TCGA-IZ-8195-01A 82 years, male, white, stage:Stage II, alive, 677 days 0.1
TCGA-BQ-5880-01A 79 years, male, white, stage:Stage III, dead, 1314 days 0.1
TCGA-IZ-8196-01A 50 years, male, white, stage:Stage I, alive, 649 days 0.0
TCGA-GL-7773-01A 63 years, male, white, stage:Stage I, alive, 393 days 0.0
TCGA-PJ-A5Z9-01A 80 years, female, white, stage:Stage I, alive, 540 days 0.0
TCGA-B1-A47N-01A 62 years, male, white, stage:Stage I, alive, 1110 days 0.0
TCGA-2Z-A9JT-01A 71 years, male, white, stage:Stage I, alive, 684 days 0.0
TCGA-Q2-A5QZ-01A 61 years, female, black or african american, stage:Stage III, alive, 428 days 0.0
TCGA-IA-A83V-01A 63 years, male, white, stage:Stage I, dead, 2941 days 0.0
TCGA-G7-6795-01A 56 years, male, white, stage:Stage I, alive, 1194 days 0.0
TCGA-4A-A93Y-01A 63 years, female, black or african american, stage:Stage II, alive, 352 days 0.0
TCGA-BQ-7044-01A 73 years, male, white, stage:Stage III, alive, 3760 days 0.0
TCGA-BQ-5887-01A 54 years, male, white, stage:Stage III, alive, 771 days 0.0
TCGA-B9-4114-01A 49 years, male, black or african american, stage:'--, alive, 857 days 0.0
TCGA-IA-A83S-01A 81 years, male, white, stage:'--, dead, 2609 days 0.0
TCGA-AL-A5DJ-01A 54 years, female, white, stage:Stage III, dead, 1498 days 0.0
TCGA-IZ-A6M8-01A 69 years, male, black or african american, stage:Stage I, alive, 497 days 0.0
TCGA-2Z-A9J8-01A 50 years, male, white, stage:Stage I, alive, 2790 days 0.0
TCGA-2Z-A9JN-01A 50 years, female, black or african american, stage:Stage I, alive, 740 days 0.0
TCGA-A4-8630-01A 59 years, female, white, stage:Stage I, alive, 436 days 0.0
TCGA-BQ-5886-01A 75 years, male, white, stage:Stage III, alive, 792 days 0.0
TCGA-DW-7834-01A 53 years, male, white, stage:Stage I, alive, 3950 days 0.0
TCGA-UZ-A9Q0-01A 60 years, male, white, stage:Stage I, alive, 3368 days 0.0
TCGA-UZ-A9PP-01A 60 years, male, white, stage:Stage I, alive, 3010 days 0.0
TCGA-GL-A4EM-01A 61 years, male, white, stage:Stage I, alive, 32 days 0.0
TCGA-F9-A97G-01A 79 years, male, asian, stage:Stage III, alive, 13 days 0.0
TCGA-5P-A9K6-01A 64 years, male, white, stage:'--, alive, 1914 days 0.0
TCGA-P4-AAVO-01A 69 years, male, white, stage:Stage I, alive, 2400 days 0.0
TCGA-5P-A9K2-01A 62 years, male, white, stage:'--, alive, 2392 days 0.0
TCGA-A4-7734-01A 53 years, female, white, stage:Stage I, alive, 27 days 0.0
TCGA-BQ-5891-01A 57 years, female, white, stage:Stage III, alive, 29 days 0.0
TCGA-G7-6796-01A 58 years, male, white, stage:Stage I, alive, 2173 days 0.0
TCGA-AL-7173-01A 72 years, female, white, stage:Stage IV, alive, 2060 days 0.0
TCGA-AL-3473-01A 55 years, male, white, stage:Stage II, alive, 1906 days 0.0
TCGA-MH-A560-01A 62 years, male, white, stage:Stage I, alive, 924 days 0.0
TCGA-BQ-7050-01A 53 years, female, white, stage:Stage I, alive, 1864 days 0.0
TCGA-B1-A655-01A 77 years, female, white, stage:Stage I, alive, 510 days 0.0
TCGA-G7-7501-01A 55 years, female, black or african american, stage:Stage III, dead, 624 days 0.0
TCGA-KV-A74V-01A 40 years, male, white, stage:Stage I, alive, 347 days 0.0
TCGA-IA-A40X-01A 49 years, female, black or african american, stage:Stage I, alive, 608 days 0.0
TCGA-A4-8518-01A 48 years, male, white, stage:Stage I, alive, 600 days 0.0
TCGA-BQ-5876-01A 75 years, male, white, stage:Stage I, alive, 586 days 0.0
TCGA-B9-A5W7-01A 47 years, male, black or african american, stage:Stage I, alive, 585 days 0.0
TCGA-EV-5902-01A 58 years, male, white, stage:Stage I, alive, 578 days 0.0
TCGA-Y8-A896-01A 62 years, male, white, stage:Stage III, alive, 567 days 0.0
TCGA-B9-A5W8-01A 50 years, male, black or african american, stage:Stage II, alive, 524 days 0.0
TCGA-G7-A8LD-01A 71 years, male, white, stage:Stage III, dead, 514 days 0.0
TCGA-2Z-A9JS-01A 74 years, male, white, stage:Stage I, dead, 492 days 0.0
TCGA-B9-5155-01A 71 years, male, white, stage:Stage III, alive, 665 days 0.0
TCGA-P4-AAVL-01A 85 years, male, white, stage:Stage III, dead, 487 days 0.0
TCGA-O9-A75Z-01A 44 years, male, white, stage:Stage I, alive, 471 days 0.0
TCGA-MH-A855-01A 52 years, female, black or african american, stage:Stage II, alive, 369 days 0.0
TCGA-Y8-A8S1-01A 61 years, male, white, stage:Stage I, alive, 404 days 0.0
TCGA-F9-A7Q0-01A 37 years, female, asian, stage:Stage I, alive, 398 days 0.0
TCGA-5P-A9JU-01A 81 years, male, white, stage:Stage III, alive, 373 days 0.0
TCGA-B9-A8YI-01A 79 years, male, black or african american, stage:Stage I, alive, 374 days 0.0
TCGA-J7-6720-01A 42 years, male, asian, stage:Stage I, alive, 388 days 0.0
TCGA-A4-A6HP-01A 66 years, male, white, stage:Stage I, alive, 379 days 0.0
TCGA-A4-A48D-01A 84 years, male, black or african american, stage:Stage I, alive, 379 days 0.0
TCGA-A4-7584-01A 59 years, male, black or african american, stage:Stage I, alive, 650 days 0.0
TCGA-G7-A4TM-01A 40 years, male, black or african american, stage:Stage I, alive, 768 days 0.0
TCGA-DZ-6134-01A 69 years, male, white, stage:Stage I, alive, 1856 days 0.0
TCGA-2Z-A9JK-01A 50 years, male, white, stage:Stage III, alive, 1186 days 0.0
TCGA-2Z-A9J2-01A 71 years, female, white, stage:Stage I, alive, 1795 days 0.0
TCGA-P4-AAVK-01A 74 years, male, white, stage:Stage III, alive, 1590 days 0.0
TCGA-2Z-A9JI-01A 38 years, male, white, stage:Stage III, alive, 1567 days 0.0
TCGA-DZ-6133-01A 66 years, female, white, stage:Stage I, dead, 1557 days 0.0
TCGA-AL-3471-01A 74 years, male, white, stage:Stage I, dead, 1500 days 0.0
TCGA-BQ-7045-01A 78 years, male, black or african american, stage:Stage I, dead, 1468 days 0.0
TCGA-BQ-5881-01A 69 years, male, white, stage:Stage I, alive, 1454 days 0.0
TCGA-5P-A9K8-01A 51 years, female, white, stage:'--, alive, 1309 days 0.0
TCGA-Y8-A8RZ-01A 55 years, male, white, stage:Stage I, alive, 205 days 0.0
TCGA-BQ-5883-01A 79 years, female, black or african american, stage:Stage I, alive, 1242 days 0.0
TCGA-V9-A7HT-01A 67 years, male, black or african american, stage:Stage II, alive, 965 days 0.0
TCGA-A4-8310-01A 58 years, male, white, stage:Stage III, alive, 780 days 0.0
TCGA-BQ-5890-01A 69 years, male, white, stage:Stage III, alive, 233 days 0.0
TCGA-B3-4103-01A 56 years, male, white, stage:Stage I, alive, 930 days 0.0
TCGA-MH-A857-01A 63 years, male, black or african american, stage:Stage I, alive, 890 days 0.0
TCGA-A4-A5Y0-01A 61 years, female, white, stage:Stage I, alive, 252 days 0.0
TCGA-SX-A71V-01A 80 years, male, white, stage:Stage I, alive, 876 days 0.0
TCGA-A4-A57E-01A 59 years, male, white, stage:Stage IV, dead, 258 days 0.0
TCGA-GL-8500-01A 63 years, male, white, stage:Stage I, alive, 841 days 0.0
TCGA-5P-A9KE-01A 70 years, male, white, stage:'--, alive, 824 days 0.0
TCGA-SX-A7SL-01A 74 years, male, stage:Stage I, alive, 823 days 0.0
TCGA-BQ-7055-01A 73 years, male, white, stage:Stage I, alive, 799 days 0.0
TCGA-J7-8537-01A 37 years, female, asian, stage:Stage III, dead, 321 days 0.0
TCGA-GL-6846-01A 52 years, male, white, stage:Stage IV, alive, 5925 days 0.0
Show allShow less
RENAL CELL CARCINOMA - Protein relative expression (CPTAC)
Number of samples 194
Samples
Sample ID Sample type nRPX
CPT0026410003 Tumor N/A
CPT0002370001 Normal N/A
CPT0000790001 Normal N/A
CPT0019130003 Tumor N/A
CPT0088570001 Normal N/A
CPT0065820001 Normal N/A
CPT0025880003 Tumor N/A
CPT0076330003 Tumor N/A
CPT0001180009 Tumor N/A
CPT0078800003 Tumor N/A
CPT0078660003 Tumor N/A
CPT0065690003 Tumor N/A
CPT0078930003 Tumor N/A
CPT0011240003 Tumor N/A
CPT0084560003 Tumor N/A
CPT0012670003 Tumor N/A
CPT0002350011 Tumor N/A
CPT0012920003 Normal N/A
CPT0064370003 Tumor N/A
CPT0088900003 Tumor N/A
CPT0006730001 Normal N/A
CPT0007870001 Normal N/A
CPT0087040003 Tumor N/A
CPT0079380003 Tumor N/A
CPT0025170003 Tumor N/A
CPT0024670003 Tumor N/A
CPT0012640003 Normal N/A
CPT0078830003 Tumor N/A
CPT0021240003 Tumor N/A
CPT0071150004 Tumor N/A
CPT0089020003 Tumor N/A
CPT0088970003 Tumor N/A
CPT0066480003 Tumor N/A
CPT0000870016 Tumor N/A
CPT0092790003 Tumor N/A
CPT0025610001 Normal N/A
CPT0063330001 Normal N/A
CPT0001350001 Normal N/A
CPT0078940001 Normal N/A
CPT0086830003 Normal N/A
CPT0088760003 Tumor N/A
CPT0092190003 Normal N/A
CPT0002270011 Tumor N/A
CPT0088550004 Tumor N/A
CPT0023710001 Normal N/A
CPT0077140001 Normal N/A
CPT0025230003 Tumor N/A
CPT0025050003 Tumor N/A
CPT0075720003 Tumor N/A
CPT0012570003 Normal N/A
CPT0089040001 Normal N/A
CPT0017850003 Tumor N/A
CPT0019990003 Tumor N/A
CPT0012900004 Tumor N/A
CPT0000780007 Tumor N/A
CPT0023360001 Normal N/A
CPT0001510001 Normal N/A
CPT0078840001 Normal N/A
CPT0010110003 Tumor N/A
CPT0086890003 Normal N/A
CPT0092290003 Tumor N/A
CPT0020120003 Tumor N/A
CPT0088640003 Normal N/A
CPT0088500001 Normal N/A
CPT0069010001 Normal N/A
CPT0006440003 Tumor N/A
CPT0063630003 Tumor N/A
CPT0001550001 Normal N/A
CPT0086950003 Tumor N/A
CPT0014350001 Normal N/A
CPT0014470001 Normal N/A
CPT0086360003 Tumor N/A
CPT0069160003 Tumor N/A
CPT0006950001 Normal N/A
CPT0007860003 Tumor N/A
CPT0082010001 Normal N/A
CPT0079230003 Tumor N/A
CPT0001340003 Tumor N/A
CPT0011410003 Tumor N/A
CPT0079180003 Tumor N/A
CPT0012080003 Tumor N/A
CPT0084590001 Normal N/A
CPT0063640001 Normal N/A
CPT0009000003 Tumor N/A
CPT0010170001 Normal N/A
CPT0079270003 Tumor N/A
CPT0069190001 Normal N/A
CPT0001270001 Normal N/A
CPT0015810003 Tumor N/A
CPT0025110003 Tumor N/A
CPT0024680001 Normal N/A
CPT0012090003 Normal N/A
CPT0009020003 Normal N/A
CPT0077310003 Tumor N/A
CPT0077490003 Tumor N/A
CPT0014160003 Tumor N/A
CPT0078530001 Normal N/A
CPT0020020001 Normal N/A
CPT0066520001 Normal N/A
CPT0014370004 Tumor N/A
CPT0001500009 Tumor N/A
CPT0081600003 Tumor N/A
CPT0001190001 Normal N/A
CPT0088630003 Tumor N/A
CPT0069000003 Tumor N/A
CPT0088710001 Normal N/A
CPT0092160003 Tumor N/A
CPT0006630003 Tumor N/A
CPT0001260009 Tumor N/A
CPT0065750003 Tumor N/A
CPT0065930003 Tumor N/A
CPT0012770003 Normal N/A
CPT0012180003 Tumor N/A
CPT0017410003 Tumor N/A
CPT0023350003 Tumor N/A
CPT0075570001 Normal N/A
CPT0014130001 Normal N/A
CPT0078510003 Tumor N/A
CPT0066470004 Tumor N/A
CPT0065450001 Normal N/A
CPT0079000001 Normal N/A
CPT0092800003 Normal N/A
CPT0006900003 Tumor N/A
CPT0015910003 Tumor N/A
CPT0020130001 Normal N/A
CPT0089480003 Normal N/A
CPT0007470001 Normal N/A
CPT0064400001 Normal N/A
CPT0088920001 Normal N/A
CPT0092730003 Tumor N/A
CPT0077110003 Tumor N/A
CPT0086030003 Tumor N/A
CPT0025290003 Tumor N/A
CPT0012550003 Tumor N/A
CPT0018250001 Normal N/A
CPT0017450001 Normal N/A
CPT0077320001 Normal N/A
CPT0077500001 Normal N/A
CPT0092310003 Normal N/A
CPT0079480003 Tumor N/A
CPT0006530001 Normal N/A
CPT0065430003 Tumor N/A
CPT0019160001 Normal N/A
CPT0081620001 Normal N/A
CPT0063320003 Tumor N/A
CPT0078670001 Normal N/A
CPT0089460004 Tumor N/A
CPT0007320003 Tumor N/A
CPT0088690003 Tumor N/A
CPT0010160003 Tumor N/A
CPT0014450004 Tumor N/A
CPT0025920001 Normal N/A
CPT0076350001 Normal N/A
CPT0015730003 Tumor N/A
CPT0025350003 Tumor N/A
CPT0012370003 Tumor N/A
CPT0012280003 Tumor N/A
CPT0009080003 Normal N/A
CPT0079410003 Tumor N/A
CPT0075560003 Tumor N/A
CPT0001230001 Normal N/A
CPT0079510001 Normal N/A
CPT0066430001 Normal N/A
CPT0001540009 Tumor N/A
CPT0078990003 Tumor N/A
CPT0065810003 Tumor N/A
CPT0010120001 Normal N/A
CPT0086870003 Tumor N/A
CPT0075170001 Normal N/A
CPT0000640003 Tumor N/A
CPT0065870003 Tumor N/A
CPT0088780001 Normal N/A
CPT0086970003 Normal N/A
CPT0079300001 Normal N/A
CPT0092740003 Normal N/A
CPT0085670003 Tumor N/A
CPT0081880003 Tumor N/A
CPT0013790003 Normal N/A
CPT0012290003 Normal N/A
CPT0087050003 Normal N/A
CPT0009060003 Tumor N/A
CPT0023690003 Tumor N/A
CPT0001220008 Tumor N/A
CPT0088480003 Tumor N/A
CPT0026420001 Normal N/A
CPT0079430001 Normal N/A
CPT0000890001 Normal N/A
CPT0086370003 Normal N/A
CPT0025580004 Tumor N/A
CPT0081990003 Tumor N/A
CPT0025060001 Normal N/A
CPT0075130003 Tumor N/A
CPT0000660001 Normal N/A
CPT0086820003 Tumor N/A
Show allShow less
RENAL CANCER - Protein expressioni

A mouse-over function shows sample information and annotation data. Click on an image to view it in a full screen mode. Samples can be filtered based on level of antibody staining by selecting one or several of the following categories: high, medium, low and not detected. The assay and annotation is described here.

Note that samples used for immunohistochemistry by the Human Protein Atlas do not correspond to samples in the TCGA dataset.

 

Antibody stainingi

Antibody staining in the annotated cell types in the current human tissue is reported as not detected, low, medium, or high, based on conventional immunohistochemistry profiling in selected tissues. This score is based on the combination of the staining intensity and fraction of stained cells.

Each image is clickable and will lead to virtual microscopy that enables deeper exploration of all samples and also displays staining intensity scores, fraction scores and subcellular localization as well as patient and tissue information for each sample.


Antibody HPA045201
 Staining
  High
  Medium
  Low
  Not detected
 Intensity
  Strong
  Moderate
  Weak
  Negative
 Quantity
  >75%
  75%-25%
  <25%
  None
 Location
  Nuclear
  Cytoplasmic/membranous
  Cytoplasmic/membranous,nuclear
  None
Adenocarcinoma, NOS

Contact

  • NEWS ARTICLES
  • PRESS ROOM

The Project

  • INTRODUCTION
  • ORGANIZATION
  • PUBLICATIONS

The Human Protein Atlas

  • DOWNLOADABLE DATA
  • LICENCE & CITATION
  • HELP & FAQ
The Human Protein Atlas project is funded
by the Knut & Alice Wallenberg Foundation.


contact@proteinatlas.org