We use cookies to enhance the usability of our website. If you continue, we'll assume that you are happy to receive all cookies. More information. Don't show this again.
MED19
HPA
RESOURCES
  • TISSUE
  • BRAIN
  • SINGLE CELL
  • SUBCELLULAR
  • CANCER
  • BLOOD
  • CELL LINE
  • STRUCTURE & INTERACTION
ABOUT
  • INTRODUCTION
  • HISTORY
  • ORGANIZATION
  • PUBLICATIONS
  • ANTIBODY SUBMISSION
  • ANTIBODY AVAILABILITY
  • ACKNOWLEDGMENTS
  • CONTACT
NEWS
  • NEWS ARTICLES
  • PRESS ROOM
LEARN
  • DICTIONARY
  • PROTEIN CLASSES
  • PROTEIN EVIDENCE
  • METHODS
  • EDUCATIONAL VIDEOS
DATA
  • DOWNLOADABLE DATA
  • PUBLICATION DATA
  • RELEASE HISTORY
HELP
  • ANTIBODY VALIDATION
  • ASSAYS & ANNOTATION
  • DISCLAIMER
  • HELP & FAQ
  • PRIVACY STATEMENT
  • LICENCE & CITATION
Fields »
Search result

Field
Term
Gene name
Class
Subclass
Class
Keyword
Chromosome
External id
Tissue
Cell type
Expression
Antibody panel
Tissue
Main location
Patient ID
Annotation
Tissue
Category
Tau score
Cluster
Reliability
Brain region
Category
Tau score
Brain region
Category
Tau score
Brain region
Category
Tau score
Cluster
Reliability
Tissue
Cell type
Enrichment
Cell type
Category
Tau score
Cell type
Category
Tau score
Cell type
Category
Tau score
Cell lineage
Category
Tau score
Cluster
Cluster
Location
Searches
Location
Cell line
Class
Type
Phase
Reliability
Cancer
Prognosis
Cancer
Category
Cancer
Category
Tau score
Cluster
Variants
Interacting gene (ensg_id)
Type
Number of interactions
Pathway
Category
Score
Score
Score
Validation
Validation
Validation
Validation
Antibodies
Data type
Column


  • SUMMARY

  • TISSUE

  • BRAIN

  • SINGLE CELL

  • SUBCELL

  • CANCER

  • BLOOD

  • CELL LINE

  • STRUCT & INT

  • MED19
TISSUE PRIMARY DATA HEART MUSCLE Show tissue menu
ADIPOSE TISSUE ADRENAL GLAND AMYGDALA APPENDIX BASAL GANGLIA BONE MARROW BREAST BRONCHUS CEREBELLUM CEREBRAL CORTEX CERVIX CHOROID PLEXUS COLON DUODENUM
ENDOMETRIUM EPIDIDYMIS ESOPHAGUS FALLOPIAN TUBE GALLBLADDER HEART MUSCLE HIPPOCAMPAL FORMATION HYPOTHALAMUS KIDNEY LIVER LUNG LYMPH NODE MIDBRAIN NASOPHARYNX
ORAL MUCOSA OVARY PANCREAS PARATHYROID GLAND PITUITARY GLAND PLACENTA PROSTATE RECTUM RETINA SALIVARY GLAND SEMINAL VESICLE SKELETAL MUSCLE SKIN SMALL INTESTINE
SMOOTH MUSCLE SOFT TISSUE SPINAL CORD SPLEEN STOMACH TESTIS THYMUS THYROID GLAND TONGUE TONSIL URINARY BLADDER VAGINA
ANTIBODIES
AND
VALIDATION
Dictionary
Heart muscle
Tissue proteome
Heart
HEART MUSCLE - Expression summary
Protein expression
Heart musclei

On the top, protein expression in current human tissue, based on all annotated cell types, is reported with the units not detected (n), low (l), medium (m) and high (h). Underneath, protein expression in each annotated cell type are reported using the same units.

Protein expression data is based on knowledge-based annotation. For genes where more than one antibody has been used, a collective score is set.

If knowledge-based annotation could not be performed for a gene, no data is displayed here. View antibody staining data further down this page.

h
m
l
n
Cardiomyocytes: Medium
RNA expressioni

A summary of mRNA expression data available for current tissue based on several datasets. The mRNA expression levels in human tissues are based on RNA-seq data generated by the Human Protein Atlas (HPA), Genotype-Tissue Expression (GTEx) portal and CAGE data generated by the FANTOM5 consortium. Consensus normalized expression levels for human tissues was created by combining the data from HPA and GTEx datasets.

The mRNA expression levels in pig are based on RNA-seq data generated by the Human Protein Atlas (HPA), and for mouse, HPA data and in situ hybridization generated by the Allen brain atlas are reported.

Scroll down to view mRNA expression data in more detail.
Consensus:10.9 nTPM
HPA:7.7 nTPM
GTEx:10.9 nTPM
FANTOM5:20.8 Scaled Tags Per Million

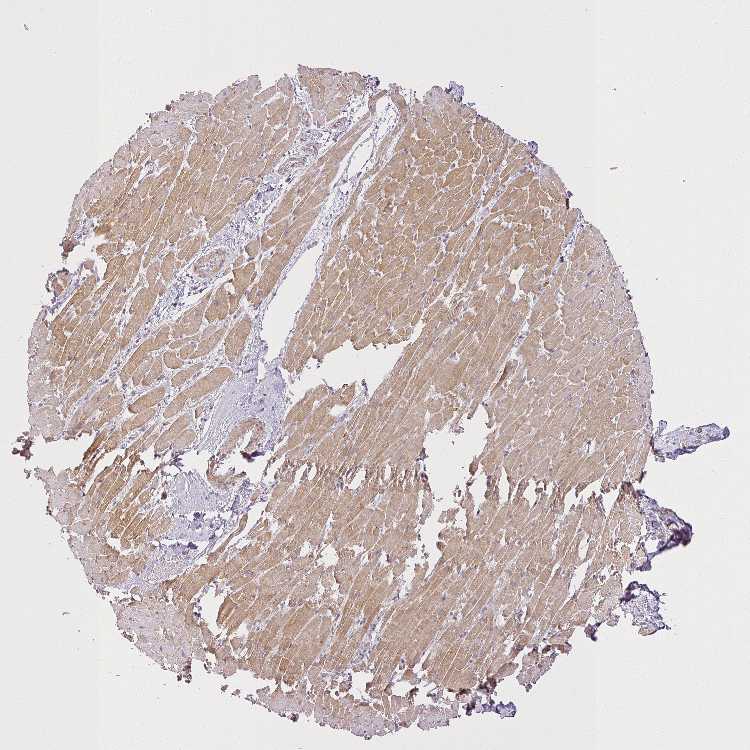
HEART MUSCLE - Antibody stainingi

Antibody staining in the annotated cell types in the current human tissue is reported as not detected, low, medium, or high, based on conventional immunohistochemistry profiling in selected tissues. This score is based on the combination of the staining intensity and fraction of stained cells.

Each image is clickable and will lead to virtual microscopy that enables deeper exploration of all samples and also displays staining intensity scores, fraction scores and subcellular localization as well as patient and tissue information for each sample.

Antibody HPA039912Antibody HPA040860
Cardiomyocytes MediumMedium




HEART MUSCLE - HPA RNA-seqi

The RNA-seq details section shows detailed information about the individual samples used for the transcript profiling and results of the RNA-seq analysis.

Information about each individual sample is listed below, including gender, age, a tissue section image and estimated fractions of cell types. nTPM (normalized transcripts per million) values give a quantification of the gene abundance which is comparable between different genes and samples.
Average nTPMi

Max subtype nTPM is the value for the subtype with the largest average nTPM across the subtype samples.

7.7
overview
Female, age 48
Heart muscle sample 149
nTPM: 9.5
Cell types%
Myocytes:
15

Fibroblasts:
55

Endothelial cells:
25

Other cell types:
5

overview
Female, age 42
Heart muscle sample 150
nTPM: 6.8
Cell types%
Myocytes:
20

Fibroblasts:
45

Endothelial cells:
30

Other cell types:
5

overview
Male, age 53
Heart muscle sample 151
nTPM: 7.3
Cell types%
Myocytes:
20

Fibroblasts:
45

Endothelial cells:
30

Other cell types:
5

overview
Female, age 69
Heart muscle sample 152
nTPM: 7.4
Cell types%
Myocytes:
20

Fibroblasts:
45

Endothelial cells:
30

Other cell types:
5


HEART MUSCLE - GTEx RNA-seqi

RNA-Seq data generated by the Genotype-Tissue Expression (GTEx) project from human tissues is reported as mean nTPM. More information can be found on the GTEx portal.

Distribution across the dataset is visualized with box plots, shown as median and 25th and 75th percentiles. Points are displayed as outliers if they are above or below 1.5 times the interquartile range. nTPM values of the individual samples are presented next to the box plot.
Max subtype nTPMi

Max subtype nTPM is the value for the subtype with the largest average nTPM across the subtype samples.

10.9
GTEx sample id Sample description nTPM
Heart - Atrial Appendage
Average nTPM: 9.3
Samples: 429

Max nTPM: 24.8
Min nTPM: 4.5
Std nTPM: 2.3
Median nTPM: 9.0
GTEX-11WQK-0226-SM-5EQLI 50-59 years, male 24.8
GTEX-14PJM-0826-SM-6LLIW 50-59 years, female 21.0
GTEX-1GN1V-1026-SM-CNPPS 60-69 years, male 18.6
GTEX-1RLM8-0226-SM-E6CJY 50-59 years, male 18.5
GTEX-14C5O-1226-SM-664N3 60-69 years, male 17.8
GTEX-13O3Q-0326-SM-5L3FE 50-59 years, male 15.7
GTEX-XYKS-0226-SM-4BRW3 60-69 years, female 15.5
GTEX-ZTPG-1326-SM-51MSQ 20-29 years, female 15.2
GTEX-13RTJ-0526-SM-62LDP 60-69 years, male 15.1
GTEX-WHSE-0826-SM-4SOJU 20-29 years, male 14.7
GTEX-13S86-0326-SM-5SI6K 40-49 years, male 13.9
GTEX-ZLFU-0326-SM-4WWBK 40-49 years, male 13.6
GTEX-12BJ1-0326-SM-5FQUB 60-69 years, male 13.5
GTEX-WWYW-1126-SM-3NB2Q 50-59 years, female 13.4
GTEX-1GF9U-0526-SM-7P8SK 40-49 years, female 13.4
GTEX-ZDTS-1226-SM-4WKGL 60-69 years, male 13.3
GTEX-ZYVF-1826-SM-5E44F 50-59 years, female 13.2
GTEX-1QP29-1426-SM-DTX9Q 50-59 years, male 13.2
GTEX-13VXT-0726-SM-5SIAD 20-29 years, female 13.1
GTEX-15RIE-1326-SM-6PAMM 60-69 years, male 13.1
GTEX-17F9Y-1226-SM-7EPGE 70-79 years, female 13.1
GTEX-1M5QR-1626-SM-E9U5O 40-49 years, male 13.1
GTEX-15SKB-0926-SM-7KUFC 60-69 years, male 13.0
GTEX-14PJ2-1126-SM-69LOD 50-59 years, male 12.8
GTEX-XQ3S-0526-SM-4BOQA 20-29 years, male 12.7
GTEX-1H1DG-0826-SM-9QEIW 70-79 years, male 12.7
GTEX-11UD2-0926-SM-5CVL6 50-59 years, male 12.6
GTEX-13D11-1526-SM-5J2NA 50-59 years, female 12.6
GTEX-13FXS-1026-SM-62LFQ 50-59 years, male 12.6
GTEX-1CB4J-0226-SM-7P8T4 60-69 years, male 12.6
GTEX-1KD5A-0926-SM-D4P3U 50-59 years, male 12.6
GTEX-1LH75-0526-SM-DIPG2 50-59 years, female 12.6
GTEX-YEC4-0226-SM-4W1YG 40-49 years, male 12.5
GTEX-ZYFD-2026-SM-5E459 50-59 years, male 12.5
GTEX-1H3VY-1126-SM-A96TP 50-59 years, male 12.5
GTEX-139YR-0526-SM-5L3DG 50-59 years, male 12.4
GTEX-14BIL-0926-SM-7DHKN 50-59 years, male 12.3
GTEX-1OFPY-0926-SM-DTX8Q 60-69 years, male 12.3
GTEX-1ICG6-0726-SM-B2LY5 70-79 years, female 12.2
GTEX-13YAN-1426-SM-7EPG8 60-69 years, male 12.1
GTEX-1IL2V-1126-SM-CMKGH 70-79 years, male 12.1
GTEX-11TT1-1426-SM-5EGIA 20-29 years, male 12.0
GTEX-14C38-1326-SM-62LDK 50-59 years, male 12.0
GTEX-YECK-1226-SM-4W21G 60-69 years, male 12.0
GTEX-1C64O-0926-SM-79OLN 60-69 years, male 11.9
GTEX-WH7G-0326-SM-3NMBH 40-49 years, male 11.9
GTEX-1HC8U-0626-SM-B2LWB 40-49 years, female 11.9
GTEX-1I1GP-0626-SM-ARL7H 50-59 years, male 11.9
GTEX-12WSK-0526-SM-5CVNA 40-49 years, female 11.8
GTEX-1399R-1726-SM-5K7YJ 30-39 years, male 11.8
GTEX-U8XE-0926-SM-3DB8V 30-39 years, male 11.8
GTEX-13FTW-0826-SM-5K7XR 40-49 years, male 11.6
GTEX-13W3W-0526-SM-5LU3X 60-69 years, female 11.6
GTEX-146FH-1126-SM-5NQAT 50-59 years, female 11.6
GTEX-1GMR8-1026-SM-9MQLA 50-59 years, female 11.6
GTEX-1MJK2-1626-SM-EVYCQ 50-59 years, male 11.6
GTEX-14BIM-2726-SM-5Q5EG 60-69 years, female 11.5
GTEX-17KNJ-0626-SM-7LT9L 50-59 years, male 11.5
GTEX-XPVG-0726-SM-4B658 50-59 years, male 11.5
GTEX-XQ8I-0226-SM-4BOPM 50-59 years, male 11.5
GTEX-YF7O-0526-SM-5P9IO 50-59 years, male 11.5
GTEX-11TUW-1126-SM-5EQKJ 60-69 years, male 11.4
GTEX-132QS-0526-SM-5IJC7 60-69 years, male 11.4
GTEX-13O3O-1426-SM-5KM2S 60-69 years, female 11.4
GTEX-15SHV-0526-SM-7KUEN 60-69 years, male 11.4
GTEX-1AX9J-0926-SM-73KXA 60-69 years, male 11.4
GTEX-Y3I4-0526-SM-4TT6X 50-59 years, male 11.4
GTEX-1C6WA-0826-SM-7PBXS 60-69 years, male 11.4
GTEX-11DXY-1026-SM-5987V 60-69 years, male 11.3
GTEX-132AR-1926-SM-5EGK5 50-59 years, female 11.3
GTEX-16MT8-0826-SM-7KULO 60-69 years, female 11.3
GTEX-ZVT4-1326-SM-5NQ8E 50-59 years, female 11.3
GTEX-1C6VQ-0826-SM-7PBZT 50-59 years, male 11.3
GTEX-1KANB-1126-SM-DHXJT 50-59 years, male 11.3
GTEX-14E1K-0826-SM-5ZZW9 50-59 years, male 11.2
GTEX-14PN4-0826-SM-69LON 50-59 years, male 11.2
GTEX-117YW-0426-SM-5GZZZ 50-59 years, male 11.1
GTEX-13PVR-0926-SM-5S2RB 60-69 years, female 11.1
GTEX-145LV-0226-SM-5S2QG 50-59 years, male 11.1
GTEX-YEC3-0426-SM-CYPS8 50-59 years, male 11.1
GTEX-14PJO-0826-SM-6ETZK 60-69 years, male 11.0
GTEX-1AX9K-0426-SM-73KUG 50-59 years, male 11.0
GTEX-1CB4I-1526-SM-7DHMY 50-59 years, male 11.0
GTEX-UPK5-0226-SM-3GAEV 40-49 years, male 11.0
GTEX-1POEN-0726-SM-DTXDU 30-39 years, female 10.9
GTEX-11P81-0526-SM-59873 30-39 years, female 10.8
GTEX-12WSI-0426-SM-5EQ5J 50-59 years, male 10.8
GTEX-13FHP-0826-SM-5K7V5 50-59 years, male 10.8
GTEX-13PVQ-1326-SM-5LU4J 50-59 years, male 10.8
GTEX-14XAO-0926-SM-69LPZ 60-69 years, female 10.8
GTEX-1HFI7-0526-SM-A9SMA 50-59 years, female 10.8
GTEX-1399S-0826-SM-5KM23 30-39 years, female 10.7
GTEX-14PJ4-0926-SM-5YY98 60-69 years, male 10.7
GTEX-16XZY-0526-SM-7DHKY 70-79 years, male 10.7
GTEX-18A6Q-1526-SM-731CO 60-69 years, male 10.7
GTEX-XGQ4-0526-SM-4AT6C 50-59 years, male 10.7
GTEX-1CAMS-1126-SM-7MXUQ 40-49 years, female 10.7
GTEX-13O21-0326-SM-5J1N9 50-59 years, male 10.6
GTEX-13O3P-1426-SM-5L3DT 50-59 years, male 10.6
GTEX-1B996-1026-SM-793CF 60-69 years, male 10.6
GTEX-YB5K-0226-SM-5IFJE 40-49 years, female 10.6
GTEX-1K2DU-0226-SM-DIPF6 20-29 years, male 10.6
GTEX-1NHNU-0626-SM-E6CP1 50-59 years, male 10.6
GTEX-1NSGN-1226-SM-E76OL 50-59 years, male 10.6
GTEX-145MN-0726-SM-5NQBH 30-39 years, male 10.5
GTEX-1C2JI-0626-SM-7DHM1 50-59 years, male 10.5
GTEX-1H11D-1026-SM-9QEIU 40-49 years, male 10.5
GTEX-1HSGN-0926-SM-CNNQM 40-49 years, female 10.5
GTEX-1IY9M-0626-SM-D4P2L 60-69 years, male 10.5
GTEX-1LVAN-1526-SM-CNPQN 50-59 years, female 10.5
GTEX-11ZUS-0326-SM-5EQ4W 30-39 years, male 10.4
GTEX-12696-1226-SM-5FQSM 60-69 years, male 10.4
GTEX-13112-0526-SM-5EQ4S 50-59 years, male 10.4
GTEX-1399U-0726-SM-5KM1D 50-59 years, female 10.4
GTEX-13JVG-1126-SM-5KM2M 60-69 years, male 10.4
GTEX-ZG7Y-1426-SM-4WWBM 50-59 years, male 10.4
GTEX-1122O-0626-SM-5N9B9 60-69 years, female 10.3
GTEX-11DXX-0526-SM-5PNVR 60-69 years, female 10.3
GTEX-14C39-0726-SM-5RQIK 40-49 years, male 10.3
GTEX-1B932-1326-SM-79OM4 40-49 years, female 10.3
GTEX-1CB4H-0626-SM-7IGN3 60-69 years, female 10.3
GTEX-WY7C-1126-SM-3NB3A 50-59 years, male 10.3
GTEX-ZDYS-0326-SM-5HL4W 50-59 years, male 10.3
GTEX-ZUA1-0726-SM-4YCD9 40-49 years, male 10.3
GTEX-1L5NE-0526-SM-DIPG5 50-59 years, male 10.3
GTEX-1QCLZ-1126-SM-EWRNB 60-69 years, female 10.3
GTEX-12WSC-1026-SM-5EQ5Y 50-59 years, male 10.2
GTEX-13CF2-0226-SM-5L3DV 60-69 years, male 10.2
GTEX-14A6H-0326-SM-5NQAN 30-39 years, male 10.2
GTEX-14PN3-0726-SM-6EU14 60-69 years, female 10.2
GTEX-1A8FM-1026-SM-7PC26 50-59 years, female 10.2
GTEX-1HSMO-1126-SM-CGQF2 60-69 years, male 10.2
GTEX-1I1GR-1026-SM-A9SLC 60-69 years, male 10.2
GTEX-1IDJU-0626-SM-CKZOG 60-69 years, female 10.2
GTEX-1KANC-0226-SM-E9TIW 50-59 years, female 10.2
GTEX-11EM3-0426-SM-5N9BZ 20-29 years, female 10.1
GTEX-131XE-0526-SM-5K7YT 50-59 years, male 10.1
GTEX-V1D1-0626-SM-4JBHN 50-59 years, male 10.1
GTEX-XPT6-0226-SM-4B65L 20-29 years, male 10.1
GTEX-ZYFG-0526-SM-5GZXX 60-69 years, female 10.1
GTEX-1I1GV-1426-SM-B2LXN 60-69 years, male 10.1
GTEX-12WSN-0226-SM-5DUXH 40-49 years, male 10.0
GTEX-13FH7-0826-SM-5J2NW 50-59 years, female 10.0
GTEX-WYJK-1126-SM-3NM9Z 50-59 years, male 10.0
GTEX-X4XX-1126-SM-3NMBY 60-69 years, male 10.0
GTEX-ZXG5-0626-SM-5NQ85 60-69 years, male 10.0
GTEX-1HBPN-0926-SM-CGQEG 50-59 years, male 10.0
GTEX-111YS-0326-SM-5GZZ3 60-69 years, male 9.9
GTEX-14BIN-2126-SM-793AX 50-59 years, female 9.9
GTEX-15DCE-0826-SM-7KULW 20-29 years, male 9.9
GTEX-17GQL-0626-SM-731CN 60-69 years, male 9.9
GTEX-Y114-0126-SM-4TT8K 50-59 years, female 9.9
GTEX-1MJIX-0426-SM-DTXEN 40-49 years, male 9.9
GTEX-117YX-0626-SM-5EGJI 50-59 years, male 9.8
GTEX-18465-0726-SM-7LG4L 50-59 years, male 9.8
GTEX-1B933-0826-SM-79OMW 50-59 years, female 9.8
GTEX-XXEK-2026-SM-4BRVE 50-59 years, male 9.8
GTEX-11ONC-1026-SM-5GU64 60-69 years, male 9.7
GTEX-1B8SF-1326-SM-7IGQJ 60-69 years, male 9.7
GTEX-WHPG-1026-SM-3NMBA 50-59 years, male 9.7
GTEX-XOT4-1126-SM-4B66E 60-69 years, female 9.7
GTEX-ZDTT-0326-SM-4WKF9 60-69 years, male 9.7
GTEX-ZE7O-0626-SM-57WCD 50-59 years, female 9.7
GTEX-ZT9W-0526-SM-57WFG 50-59 years, male 9.7
GTEX-ZVT2-0926-SM-5GICE 50-59 years, female 9.7
GTEX-1F75I-1326-SM-7PBZX 40-49 years, male 9.7
GTEX-1HCU7-1226-SM-B2LX8 50-59 years, male 9.7
GTEX-13O61-0426-SM-5L3ET 60-69 years, male 9.6
GTEX-13PDP-1326-SM-5K7U9 60-69 years, male 9.6
GTEX-15CHC-0326-SM-5ZZVP 60-69 years, female 9.6
GTEX-15SDE-1826-SM-7KUFN 50-59 years, female 9.6
GTEX-15SHU-0926-SM-6PAMK 40-49 years, female 9.6
GTEX-1E2YA-0626-SM-7P8P4 50-59 years, male 9.6
GTEX-11LCK-0826-SM-5PNYD 30-39 years, male 9.5
GTEX-131XF-0426-SM-5HL7U 60-69 years, male 9.5
GTEX-145LS-1326-SM-5Q5EP 60-69 years, female 9.5
GTEX-147F4-1126-SM-5TDDE 50-59 years, male 9.5
GTEX-X3Y1-0226-SM-3P5Z5 40-49 years, male 9.5
GTEX-ZYT6-0926-SM-5GIEM 30-39 years, male 9.5
GTEX-1H2FU-0826-SM-9WYSU 60-69 years, female 9.5
GTEX-1I1HK-0626-SM-CNPQM 60-69 years, male 9.5
GTEX-1LGRB-1026-SM-CNPQD 50-59 years, female 9.5
GTEX-1LSNM-0426-SM-E9TIZ 50-59 years, male 9.5
GTEX-ZEX8-0326-SM-DO92C 50-59 years, male 9.5
GTEX-ZV7C-0526-SM-9WPNK 50-59 years, male 9.5
GTEX-11NV4-0826-SM-5BC4S 60-69 years, male 9.4
GTEX-131XG-0526-SM-5DUWF 50-59 years, female 9.4
GTEX-16GPK-1226-SM-7LTAU 60-69 years, male 9.4
GTEX-183WM-0926-SM-718AN 70-79 years, female 9.4
GTEX-11EMC-0826-SM-59862 60-69 years, female 9.3
GTEX-13OVG-0426-SM-5KM2T 60-69 years, male 9.3
GTEX-13PL7-0726-SM-5KM1S 60-69 years, female 9.3
GTEX-14E6C-0326-SM-5Q5EE 40-49 years, male 9.3
GTEX-14E7W-1126-SM-5ZZVS 70-79 years, male 9.3
GTEX-12ZZY-1226-SM-5GCNK 60-69 years, male 9.2
GTEX-13JUV-0226-SM-5IJCC 40-49 years, female 9.2
GTEX-13QBU-0226-SM-5LU48 40-49 years, female 9.2
GTEX-WQUQ-1326-SM-3MJFF 60-69 years, male 9.2
GTEX-Y3IK-1026-SM-51MR7 50-59 years, female 9.2
GTEX-ZVT3-0826-SM-5GIC8 60-69 years, female 9.2
GTEX-ZZPU-1126-SM-5N9CW 50-59 years, female 9.2
GTEX-1F75B-1126-SM-7RHGP 50-59 years, male 9.2
GTEX-1HR98-1026-SM-CKZOM 60-69 years, male 9.2
GTEX-11GS4-0426-SM-5N9CD 60-69 years, male 9.1
GTEX-12WSE-0926-SM-5S2VX 20-29 years, male 9.1
GTEX-1339X-0326-SM-5K7Z8 40-49 years, male 9.1
GTEX-17HGU-1126-SM-793BP 50-59 years, male 9.1
GTEX-ZAJG-0926-SM-5Q5AB 50-59 years, female 9.1
GTEX-ZPU1-0726-SM-5HL6O 40-49 years, male 9.1
GTEX-1GF9V-1726-SM-9KNW4 60-69 years, male 9.1
GTEX-111FC-0626-SM-5N9CU 60-69 years, male 9.0
GTEX-1212Z-0726-SM-5EGI5 60-69 years, male 9.0
GTEX-18D9U-1426-SM-718BO 40-49 years, male 9.0
GTEX-1HBPM-1026-SM-ARL9D 60-69 years, female 9.0
GTEX-1MCC2-0226-SM-EVYD5 30-39 years, female 9.0
GTEX-117XS-0726-SM-5H131 60-69 years, male 8.9
GTEX-12WSD-1226-SM-5HL9Q 60-69 years, female 8.9
GTEX-15CHQ-1326-SM-6871Z 60-69 years, male 8.9
GTEX-1A8G6-1826-SM-73KY8 60-69 years, male 8.9
GTEX-WI4N-0726-SM-3TW93 40-49 years, female 8.9
GTEX-1CAMQ-0726-SM-7P8SG 40-49 years, male 8.9
GTEX-1J1OQ-2226-SM-A96SS 40-49 years, female 8.9
GTEX-1P4AB-0926-SM-E76PV 50-59 years, male 8.9
GTEX-1QP6S-1026-SM-DTXFW 40-49 years, male 8.9
GTEX-13NZA-0826-SM-5K7WS 60-69 years, male 8.8
GTEX-1445S-1226-SM-5O9BF 60-69 years, male 8.8
GTEX-15UF7-1526-SM-6LPI7 40-49 years, male 8.8
GTEX-X62O-0826-SM-46MW8 50-59 years, male 8.8
GTEX-ZZPT-0926-SM-5GICZ 50-59 years, male 8.8
GTEX-1GL5R-0426-SM-9WPOP 50-59 years, male 8.8
GTEX-1HUB1-0726-SM-CGQF4 60-69 years, male 8.8
GTEX-1JMLX-1826-SM-CNPOX 50-59 years, male 8.8
GTEX-1399T-0726-SM-5J1MH 60-69 years, male 8.7
GTEX-14PK6-0726-SM-6LLIX 70-79 years, female 8.7
GTEX-1AX8Z-1126-SM-731CS 60-69 years, male 8.7
GTEX-ZAB5-0126-SM-5CVMT 50-59 years, male 8.7
GTEX-1F88F-0326-SM-9KNV3 60-69 years, female 8.7
GTEX-1R7EV-0426-SM-DTX7Z 40-49 years, male 8.7
GTEX-13NZ9-0126-SM-5K7XV 50-59 years, male 8.6
GTEX-18D9B-1126-SM-7KFSH 60-69 years, male 8.6
GTEX-1H3O1-0226-SM-9WYSW 60-69 years, male 8.6
GTEX-1IKJJ-0626-SM-CY8GF 60-69 years, male 8.6
GTEX-1192X-0726-SM-5987R 50-59 years, male 8.5
GTEX-11DXZ-0326-SM-5EGH1 50-59 years, male 8.5
GTEX-1211K-0226-SM-59HJY 60-69 years, female 8.5
GTEX-146FR-0926-SM-5QGPE 60-69 years, female 8.5
GTEX-14H4A-0426-SM-5ZZWO 40-49 years, female 8.5
GTEX-XBEC-1226-SM-4AT65 50-59 years, male 8.5
GTEX-1GN1W-0226-SM-7P8QY 50-59 years, female 8.5
GTEX-1JMQL-1026-SM-CMKGV 50-59 years, female 8.5
GTEX-1QPFJ-0926-SM-EVR3K 30-39 years, female 8.5
GTEX-12WSA-1126-SM-5EGKU 60-69 years, male 8.4
GTEX-132Q8-1126-SM-5K7XS 60-69 years, male 8.4
GTEX-13O1R-0926-SM-5L3DS 60-69 years, male 8.4
GTEX-14A5I-1026-SM-5Q5E3 50-59 years, female 8.4
GTEX-14PHY-0326-SM-62LE3 60-69 years, female 8.4
GTEX-16YQH-0726-SM-7IGM1 30-39 years, male 8.4
GTEX-WZTO-1226-SM-3NMAZ 40-49 years, male 8.4
GTEX-Y5V5-0726-SM-4VBPY 60-69 years, female 8.4
GTEX-ZTTD-0626-SM-4YCCY 50-59 years, male 8.4
GTEX-1C64N-0826-SM-7RHGQ 50-59 years, male 8.4
GTEX-1EH9U-0626-SM-7PC33 60-69 years, male 8.4
GTEX-1EMGI-1126-SM-9KNUF 60-69 years, male 8.4
GTEX-1GMRU-1326-SM-9WYUI 50-59 years, male 8.4
GTEX-1H1ZS-1026-SM-9WG6E 70-79 years, male 8.4
GTEX-1HSMQ-0426-SM-ADEIM 50-59 years, male 8.4
GTEX-13FTZ-0326-SM-5J1O1 60-69 years, male 8.3
GTEX-13PL6-0826-SM-5IJBI 40-49 years, female 8.3
GTEX-13SLX-0926-SM-5S2NM 50-59 years, female 8.3
GTEX-15CHR-0326-SM-7DHN3 50-59 years, male 8.3
GTEX-VJWN-1026-SM-4M1ZN 50-59 years, female 8.3
GTEX-X4EP-0326-SM-3P5Z6 60-69 years, female 8.3
GTEX-XLM4-2026-SM-4AT4X 60-69 years, male 8.3
GTEX-ZGAY-0226-SM-4WWAL 40-49 years, female 8.3
GTEX-1GMR2-1326-SM-9KNUT 50-59 years, male 8.3
GTEX-1H1CY-0426-SM-9KNVD 60-69 years, female 8.3
GTEX-1IDJH-1126-SM-COH3R 70-79 years, male 8.3
GTEX-1IOXB-0726-SM-A9G32 50-59 years, male 8.3
GTEX-1KXAM-1426-SM-D3LAC 60-69 years, male 8.3
GTEX-1LVAO-0626-SM-EWRNT 60-69 years, male 8.3
GTEX-1R9JW-0426-SM-E76QL 30-39 years, female 8.3
GTEX-V955-0826-SM-CYPR5 60-69 years, male 8.3
GTEX-11O72-1026-SM-5986B 40-49 years, male 8.2
GTEX-14JG1-0826-SM-5ZZWR 40-49 years, male 8.2
GTEX-14PHX-0626-SM-5YY8Z 50-59 years, male 8.2
GTEX-X261-0926-SM-3NMCY 50-59 years, male 8.2
GTEX-1H3NZ-1026-SM-A9SM5 60-69 years, male 8.2
GTEX-1JMOU-0326-SM-ARL8X 60-69 years, female 8.2
GTEX-ZPIC-0426-SM-DO91V 40-49 years, female 8.2
GTEX-11NUK-0926-SM-5HL57 50-59 years, male 8.1
GTEX-11ZVC-0526-SM-5N9G1 50-59 years, female 8.1
GTEX-13FHO-1226-SM-5L3EF 60-69 years, male 8.1
GTEX-144GL-1026-SM-5O99R 50-59 years, male 8.1
GTEX-147JS-1326-SM-5SI6D 60-69 years, male 8.1
GTEX-1BAJH-1026-SM-7EWEG 70-79 years, male 8.1
GTEX-1EWIQ-1126-SM-7EPIK 70-79 years, female 8.1
GTEX-WEY5-0226-SM-3GIKN 40-49 years, female 8.1
GTEX-WOFL-1226-SM-4OOST 60-69 years, male 8.1
GTEX-YFC4-0426-SM-4TT3J 40-49 years, female 8.1
GTEX-1AYCT-0526-SM-7RHHS 50-59 years, male 8.1
GTEX-1IDJD-0226-SM-CKZOA 30-39 years, male 8.1
GTEX-1117F-0726-SM-5GIEN 60-69 years, female 8.0
GTEX-13N11-0726-SM-5L3DP 50-59 years, female 8.0
GTEX-13OVI-0326-SM-5K7X1 60-69 years, female 8.0
GTEX-14PJ6-0626-SM-686Z6 60-69 years, female 8.0
GTEX-17F96-0826-SM-7DHLU 70-79 years, male 8.0
GTEX-1CB4E-0626-SM-7DHMW 60-69 years, male 8.0
GTEX-1LGOU-0326-SM-D3LAM 20-29 years, female 8.0
GTEX-15ER7-0826-SM-6PALW 20-29 years, female 7.9
GTEX-ZDXO-0426-SM-4WKF6 60-69 years, male 7.9
GTEX-1GZ2Q-0926-SM-7RHHN 40-49 years, male 7.9
GTEX-1JJ6O-2226-SM-AHZ3I 60-69 years, male 7.9
GTEX-1JMQK-0926-SM-ARL96 60-69 years, male 7.9
GTEX-111VG-0326-SM-5GZX7 60-69 years, male 7.8
GTEX-15D1Q-0426-SM-6AJ9G 40-49 years, male 7.8
GTEX-16XZZ-1026-SM-7DHKS 60-69 years, male 7.8
GTEX-Y8E4-0426-SM-4V6GB 40-49 years, male 7.8
GTEX-ZF29-0426-SM-4WKFN 60-69 years, female 7.8
GTEX-1EX96-2626-SM-9MQJV 50-59 years, male 7.8
GTEX-1HCUA-0626-SM-ACKVT 50-59 years, female 7.8
GTEX-1J8QM-0326-SM-CL53D 60-69 years, female 7.8
GTEX-1192W-0226-SM-5EGGT 60-69 years, male 7.7
GTEX-15EU6-1326-SM-6PANG 50-59 years, male 7.7
GTEX-1A3MX-1226-SM-731B3 60-69 years, male 7.7
GTEX-X8HC-1026-SM-46MWH 50-59 years, female 7.7
GTEX-XV7Q-0726-SM-4BRV6 40-49 years, female 7.7
GTEX-ZAB4-0926-SM-5CVN4 40-49 years, male 7.7
GTEX-ZYFC-1026-SM-5GZX9 50-59 years, male 7.7
GTEX-1IDJF-0826-SM-ARU7N 20-29 years, male 7.7
GTEX-1JK1U-0626-SM-CKZOJ 60-69 years, male 7.7
GTEX-1PPGY-0926-SM-DTXFF 60-69 years, male 7.7
GTEX-ZPCL-0526-SM-DO91R 60-69 years, female 7.7
GTEX-11DYG-1026-SM-5A5JQ 60-69 years, male 7.6
GTEX-11ZTT-0526-SM-5EQLA 60-69 years, female 7.6
GTEX-1477Z-1126-SM-5P9GK 60-69 years, male 7.6
GTEX-1B97J-0326-SM-7939H 50-59 years, female 7.6
GTEX-WFG7-0826-SM-3GIKU 20-29 years, male 7.6
GTEX-WL46-0726-SM-3LK5Z 50-59 years, male 7.6
GTEX-WRHU-1026-SM-4E3ID 50-59 years, female 7.6
GTEX-1F48J-1126-SM-9WYSY 50-59 years, female 7.6
GTEX-1HSKV-0726-SM-ACKWE 60-69 years, male 7.6
GTEX-1I1GQ-1226-SM-CL55J 50-59 years, male 7.6
GTEX-1R9K4-1026-SM-EXUT1 60-69 years, male 7.6
GTEX-132NY-1426-SM-5J1MJ 60-69 years, male 7.5
GTEX-13NYS-1926-SM-5IJCB 60-69 years, male 7.5
GTEX-1B8KE-0326-SM-73KTY 50-59 years, male 7.5
GTEX-X5EB-0626-SM-46MVQ 40-49 years, male 7.5
GTEX-1IKK5-1726-SM-CM2RU 60-69 years, male 7.5
GTEX-1IKOE-0626-SM-A9G31 30-39 years, female 7.5
GTEX-1JN6P-0826-SM-ARL97 60-69 years, male 7.5
GTEX-1LSNL-0626-SM-DIPFJ 50-59 years, male 7.5
GTEX-1QMI2-1026-SM-DTX7T 60-69 years, male 7.5
GTEX-13X6K-1726-SM-7IGLG 60-69 years, female 7.4
GTEX-18A67-1026-SM-731CE 50-59 years, male 7.4
GTEX-1GN1U-1426-SM-7P8TF 50-59 years, female 7.4
GTEX-1J8Q3-1126-SM-ARU8N 60-69 years, male 7.4
GTEX-13NZB-0426-SM-5KM26 30-39 years, male 7.3
GTEX-17F9E-0726-SM-793A1 50-59 years, male 7.3
GTEX-1AX9I-1026-SM-73KYF 60-69 years, male 7.3
GTEX-WFG8-0726-SM-3GILP 20-29 years, male 7.3
GTEX-WFON-0226-SM-3GIKR 40-49 years, male 7.3
GTEX-1LB8K-0926-SM-D4P42 50-59 years, male 7.3
GTEX-12WSG-1226-SM-5EQ4C 50-59 years, female 7.2
GTEX-12ZZX-0726-SM-5EGKA 40-49 years, female 7.2
GTEX-1B8SG-0726-SM-79ONS 50-59 years, male 7.2
GTEX-WHWD-0326-SM-3LK6L 50-59 years, male 7.2
GTEX-ZVZQ-0726-SM-51MR3 60-69 years, female 7.2
GTEX-1HT8W-1326-SM-CGQEN 30-39 years, male 7.2
GTEX-148VJ-1426-SM-5TDE3 70-79 years, male 7.1
GTEX-1F75A-1026-SM-7PC3W 50-59 years, male 7.1
GTEX-1HBPH-0226-SM-9WYSM 40-49 years, female 7.1
GTEX-1J8EW-0626-SM-CM2TY 60-69 years, female 7.1
GTEX-1RB15-0426-SM-E9U4Y 60-69 years, male 7.1
GTEX-14ASI-0826-SM-5Q5EB 60-69 years, male 7.0
GTEX-16NPX-0826-SM-6M489 50-59 years, male 7.0
GTEX-WYBS-1226-SM-3NM9N 60-69 years, female 7.0
GTEX-1GN73-2326-SM-9MQKV 60-69 years, male 7.0
GTEX-11EQ8-1326-SM-5EGJQ 60-69 years, male 6.9
GTEX-131YS-0826-SM-5PNYV 60-69 years, female 6.9
GTEX-139TU-1926-SM-5J2OC 60-69 years, male 6.9
GTEX-17EVP-0526-SM-7EPGY 40-49 years, male 6.9
GTEX-13N1W-0926-SM-5MR36 70-79 years, male 6.8
GTEX-13OW7-1626-SM-5IJDH 50-59 years, male 6.8
GTEX-13SLW-0826-SM-5QGP7 70-79 years, male 6.8
GTEX-W5X1-0826-SM-3GILN 40-49 years, female 6.8
GTEX-ZF2S-0826-SM-4WWBI 50-59 years, female 6.8
GTEX-11GSP-1226-SM-5985M 60-69 years, female 6.7
GTEX-13U4I-0626-SM-5LU5L 40-49 years, female 6.7
GTEX-1CB4G-0726-SM-79OOJ 60-69 years, male 6.7
GTEX-ZF3C-1126-SM-57WEG 50-59 years, female 6.7
GTEX-1313W-1126-SM-5EQ5U 50-59 years, female 6.6
GTEX-1HFI6-0826-SM-9YFM2 40-49 years, male 6.6
GTEX-12584-1026-SM-59HK3 40-49 years, male 6.5
GTEX-13X6J-1226-SM-79OMF 50-59 years, male 6.5
GTEX-18A66-1126-SM-731C5 60-69 years, male 6.5
GTEX-18A7A-1226-SM-7LTAJ 50-59 years, female 6.5
GTEX-1B8L1-0426-SM-7SB76 60-69 years, male 6.5
GTEX-1GMR3-0426-SM-7PC17 40-49 years, male 6.5
GTEX-1I19N-0626-SM-A9SKY 70-79 years, male 6.5
GTEX-1IL2U-1226-SM-CL53P 60-69 years, male 6.5
GTEX-VUSG-0726-SM-3GIK1 50-59 years, male 6.4
GTEX-13NYB-0326-SM-5IJDP 40-49 years, male 6.3
GTEX-14DAQ-1026-SM-793B1 60-69 years, female 6.3
GTEX-14PII-1026-SM-5ZZVW 60-69 years, male 6.3
GTEX-1E1VI-1426-SM-793CY 50-59 years, male 6.3
GTEX-UTHO-1226-SM-3GAEE 60-69 years, male 6.3
GTEX-1HCVE-0826-SM-CM2SF 50-59 years, male 6.3
GTEX-13OW5-0926-SM-5L3GZ 60-69 years, male 6.2
GTEX-1F6I4-0826-SM-7RHGK 60-69 years, male 6.2
GTEX-1J8Q2-1026-SM-ARU8I 60-69 years, male 6.2
GTEX-15RJE-0726-SM-7KUEG 40-49 years, male 6.1
GTEX-WK11-0626-SM-3NMAV 50-59 years, male 6.1
GTEX-1LG7Y-1426-SM-D4P31 50-59 years, male 6.1
GTEX-1QEPI-1126-SM-E8VN7 60-69 years, female 6.1
GTEX-1GTWX-0926-SM-9MQKM 60-69 years, male 5.8
GTEX-1JJEA-0926-SM-CYPSO 60-69 years, male 5.8
GTEX-ZAK1-1126-SM-5PNXU 50-59 years, female 5.6
GTEX-1GN2E-1426-SM-7RHHI 60-69 years, male 5.6
GTEX-1I1CD-1326-SM-A9SMM 60-69 years, female 5.6
GTEX-17JCI-0826-SM-7LT8W 60-69 years, female 5.5
GTEX-YJ8O-0826-SM-5CVM3 40-49 years, female 5.5
GTEX-Z93S-0326-SM-5HL84 50-59 years, male 5.4
GTEX-1IKOH-0926-SM-A9SLU 60-69 years, female 5.4
GTEX-1GZ4I-0826-SM-9WG6O 50-59 years, male 5.3
GTEX-1EU9M-1926-SM-7RHH4 60-69 years, male 4.9
GTEX-17MF6-0926-SM-7LTAL 40-49 years, male 4.8
GTEX-1A32A-1326-SM-73KWW 50-59 years, female 4.8
GTEX-14BMV-1026-SM-5SI6B 50-59 years, male 4.7
GTEX-13OW6-0926-SM-5L3GM 50-59 years, male 4.5
Show allShow less
Heart - Left Ventricle
Average nTPM: 10.9
Samples: 432

Max nTPM: 21.5
Min nTPM: 5.6
Std nTPM: 2.4
Median nTPM: 10.7
GTEX-1K9T9-1126-SM-D3L9E 50-59 years, female 21.5
GTEX-1JMOU-0226-SM-CNNPD 60-69 years, female 19.8
GTEX-YB5K-0126-SM-5IFJ2 40-49 years, female 19.5
GTEX-13O1R-1226-SM-5J1NU 60-69 years, male 18.7
GTEX-14BIL-1126-SM-79OMC 50-59 years, male 18.1
GTEX-1JN6P-1126-SM-CKZON 60-69 years, male 17.9
GTEX-1LH75-0426-SM-E9TJF 50-59 years, female 17.5
GTEX-14XAO-1126-SM-6EU11 60-69 years, female 17.4
GTEX-15DDE-1126-SM-6LLHN 50-59 years, female 17.1
GTEX-15SHU-1126-SM-7KUMB 40-49 years, female 16.8
GTEX-15CHQ-1526-SM-69LPW 60-69 years, male 16.7
GTEX-1I1GP-0826-SM-A96SD 50-59 years, male 16.6
GTEX-17GQL-0526-SM-72D5N 60-69 years, male 16.3
GTEX-17HHY-1426-SM-7EWDQ 50-59 years, male 16.2
GTEX-1N2EF-2826-SM-E6CQF 60-69 years, male 16.2
GTEX-17JCI-1126-SM-7IGMM 60-69 years, female 16.1
GTEX-X261-1426-SM-4PQZ1 50-59 years, male 16.0
GTEX-11TUW-1026-SM-5GU7D 60-69 years, male 15.7
GTEX-131XE-0626-SM-5HL98 50-59 years, male 15.6
GTEX-Y3I4-0626-SM-4TT7A 50-59 years, male 15.6
GTEX-147JS-1526-SM-5ZZWF 60-69 years, male 15.5
GTEX-1LC47-1026-SM-D3LAH 60-69 years, male 15.5
GTEX-1RAZS-0826-SM-E76QP 50-59 years, male 15.4
GTEX-11TT1-1326-SM-5PNYM 20-29 years, male 15.3
GTEX-13NYB-0226-SM-5N9G4 40-49 years, male 15.3
GTEX-146FH-1026-SM-5RQIF 50-59 years, female 15.2
GTEX-1L5NE-0426-SM-E9TIX 50-59 years, male 15.2
GTEX-WK11-0826-SM-EZ6LH 50-59 years, male 15.2
GTEX-P44G-0826-SM-2I5ES 30-39 years, male 15.0
GTEX-ZPIC-0826-SM-4WWFJ 40-49 years, female 15.0
GTEX-11EM3-0626-SM-5H12Z 20-29 years, female 14.9
GTEX-11DXY-0826-SM-5EGGR 60-69 years, male 14.8
GTEX-XV7Q-0826-SM-4BRV7 40-49 years, female 14.6
GTEX-1NV8Z-1526-SM-DTX8X 60-69 years, male 14.6
GTEX-13O3O-1526-SM-5KM1C 60-69 years, female 14.5
GTEX-X15G-0426-SM-4PQZ6 50-59 years, female 14.5
GTEX-1M5QR-1026-SM-DHXK9 40-49 years, male 14.4
GTEX-11ONC-0126-SM-5PNW6 60-69 years, male 14.3
GTEX-13W3W-0426-SM-5SI9D 60-69 years, female 14.3
GTEX-1JN1M-1026-SM-CNPOS 60-69 years, female 14.3
GTEX-18465-0926-SM-731AY 50-59 years, male 14.1
GTEX-U4B1-0326-SM-3DB8K 40-49 years, male 14.1
GTEX-Y8E4-0326-SM-4VBRR 40-49 years, male 14.1
GTEX-1MUQO-1226-SM-E9TJK 60-69 years, male 14.1
GTEX-OIZI-0926-SM-E6CHF 40-49 years, male 14.1
GTEX-1399T-0426-SM-5PNVJ 60-69 years, male 14.0
GTEX-1PWST-1026-SM-DTXF2 70-79 years, male 14.0
GTEX-YEC4-0326-SM-4W216 40-49 years, male 13.9
GTEX-1H1CY-0326-SM-9QEIZ 60-69 years, female 13.9
GTEX-1IDJF-0726-SM-CJI1U 20-29 years, male 13.9
GTEX-11GSP-1326-SM-5A5KY 60-69 years, female 13.8
GTEX-17F9Y-1326-SM-7MGW9 70-79 years, female 13.8
GTEX-ZUA1-0826-SM-4YCDL 40-49 years, male 13.7
GTEX-1A8G6-1626-SM-7MGWO 60-69 years, male 13.7
GTEX-1O97I-0826-SM-E8VNE 60-69 years, male 13.7
GTEX-1212Z-0626-SM-5FQTB 60-69 years, male 13.6
GTEX-13JVG-1326-SM-5N9F8 60-69 years, male 13.6
GTEX-ZLFU-0226-SM-4WWFH 40-49 years, male 13.6
GTEX-14E6C-0426-SM-5YYA8 40-49 years, male 13.5
GTEX-QVJO-1926-SM-2S1QZ 60-69 years, female 13.5
GTEX-1EKGG-1126-SM-7MGXB 60-69 years, male 13.5
GTEX-1H23P-1226-SM-9QEJ2 60-69 years, male 13.5
GTEX-1HCU7-1326-SM-CNPPW 50-59 years, male 13.5
GTEX-1ICG6-0626-SM-ACKWS 70-79 years, female 13.5
GTEX-13CF2-0426-SM-5KM1H 60-69 years, male 13.4
GTEX-1KD4Q-0726-SM-DIPGE 40-49 years, male 13.4
GTEX-13N1W-1026-SM-5IJC5 70-79 years, male 13.2
GTEX-13PVQ-1226-SM-5IJDC 50-59 years, male 13.2
GTEX-147F4-1226-SM-5NQAY 50-59 years, male 13.1
GTEX-14JIY-1126-SM-6EU28 60-69 years, male 13.1
GTEX-WHSE-0926-SM-3NMBS 20-29 years, male 13.1
GTEX-1HCU6-1026-SM-A9G25 60-69 years, female 13.1
GTEX-13FH7-0926-SM-5J2MR 50-59 years, female 13.0
GTEX-13FHP-1026-SM-5K7Y2 50-59 years, male 13.0
GTEX-145MO-1126-SM-5NQBX 60-69 years, male 13.0
GTEX-1497J-1226-SM-5Q5BL 60-69 years, male 13.0
GTEX-1EWIQ-1426-SM-7IGOS 70-79 years, female 12.9
GTEX-12ZZW-1026-SM-5GCMM 50-59 years, male 12.8
GTEX-15EOM-5007-SM-793DG 20-29 years, female 12.8
GTEX-S33H-0526-SM-COH1W 30-39 years, male 12.8
GTEX-XQ8I-0126-SM-4BOPL 50-59 years, male 12.7
GTEX-132AR-2026-SM-5IJG4 50-59 years, female 12.6
GTEX-132QS-0426-SM-5KLZ6 60-69 years, male 12.6
GTEX-13O3P-1626-SM-5K7X3 50-59 years, male 12.6
GTEX-14PJ2-1026-SM-6EU1M 50-59 years, male 12.6
GTEX-132NY-1726-SM-5EGKK 60-69 years, male 12.5
GTEX-14C39-0926-SM-5TDDV 40-49 years, male 12.5
GTEX-14E7W-1226-SM-5RQIU 70-79 years, male 12.5
GTEX-1C64O-0826-SM-79OKZ 60-69 years, male 12.5
GTEX-QDVJ-0426-SM-2I5FW 50-59 years, male 12.5
GTEX-SIU8-0826-SM-2XCDQ 50-59 years, male 12.5
GTEX-1ICLY-1326-SM-CJI47 50-59 years, male 12.5
GTEX-1QP2A-1126-SM-EVR3H 50-59 years, male 12.5
GTEX-13OW6-1126-SM-5L3HL 50-59 years, male 12.4
GTEX-XBEC-1326-SM-4AT69 50-59 years, male 12.4
GTEX-1399S-1026-SM-5KLZ9 30-39 years, female 12.3
GTEX-13OVG-0526-SM-5K7YD 60-69 years, male 12.3
GTEX-1GN2E-1326-SM-9KNVG 60-69 years, male 12.3
GTEX-1HCVE-1126-SM-9WPPG 50-59 years, male 12.3
GTEX-1KD5A-1026-SM-CY8I8 50-59 years, male 12.3
GTEX-1OKEX-0726-SM-DPRYE 60-69 years, male 12.3
GTEX-YEC3-0726-SM-CMKFH 50-59 years, male 12.3
GTEX-131XG-0626-SM-5GCMP 50-59 years, female 12.2
GTEX-14C38-1426-SM-5RQHZ 50-59 years, male 12.2
GTEX-14DAQ-1126-SM-664MT 60-69 years, female 12.2
GTEX-17HII-1326-SM-7IGOB 50-59 years, male 12.2
GTEX-1GN1W-0326-SM-9JGHF 50-59 years, female 12.2
GTEX-13OW8-2126-SM-5J1OS 60-69 years, male 12.1
GTEX-13VXT-1126-SM-5LU3A 20-29 years, female 12.1
GTEX-13YAN-1326-SM-5Q5F1 60-69 years, male 12.1
GTEX-14C5O-1326-SM-5S2UW 60-69 years, male 12.1
GTEX-1A3MW-1326-SM-7189P 60-69 years, female 12.1
GTEX-NPJ8-0426-SM-2HMK6 40-49 years, male 12.1
GTEX-1JMQK-0626-SM-D4P2R 60-69 years, male 12.1
GTEX-UPK5-0326-SM-CYPR4 40-49 years, male 12.1
GTEX-139YR-0826-SM-5LZXY 50-59 years, male 12.0
GTEX-13SLX-1026-SM-5ZZUQ 50-59 years, female 12.0
GTEX-13X6K-1826-SM-5O9CR 60-69 years, female 12.0
GTEX-15SHW-1226-SM-6M46C 60-69 years, male 12.0
GTEX-ZDTT-0726-SM-4WKFK 60-69 years, male 12.0
GTEX-1H11D-1226-SM-9WPQ2 40-49 years, male 12.0
GTEX-1R9K5-1326-SM-E6CPR 50-59 years, male 12.0
GTEX-1269C-0826-SM-5N9EM 60-69 years, female 11.9
GTEX-12ZZY-1126-SM-5DUWQ 60-69 years, male 11.9
GTEX-18D9B-1226-SM-72D6V 60-69 years, male 11.9
GTEX-WH7G-0426-SM-3NMBJ 40-49 years, male 11.9
GTEX-Y5V6-0826-SM-4VBRU 60-69 years, male 11.9
GTEX-YF7O-0426-SM-5P9FS 50-59 years, male 11.9
GTEX-1IKJJ-0826-SM-A96SP 60-69 years, male 11.9
GTEX-14BIN-2226-SM-5YYA1 50-59 years, female 11.8
GTEX-14JG1-1026-SM-6ETZY 40-49 years, male 11.8
GTEX-1AX9J-1026-SM-72D6E 60-69 years, male 11.8
GTEX-P4QS-0326-SM-2I3EU 60-69 years, male 11.8
GTEX-SE5C-0626-SM-2XCDV 40-49 years, female 11.8
GTEX-SUCS-0326-SM-32PLL 70-79 years, male 11.8
GTEX-1HSMO-1226-SM-CL548 60-69 years, male 11.8
GTEX-1POEN-0626-SM-EVR4B 30-39 years, female 11.8
GTEX-V1D1-0526-SM-4JBGW 50-59 years, male 11.7
GTEX-WRHU-1226-SM-4E3IJ 50-59 years, female 11.7
GTEX-XPT6-0126-SM-4B65S 20-29 years, male 11.7
GTEX-ZAB5-0226-SM-5CVMH 50-59 years, male 11.7
GTEX-ZV7C-0326-SM-57WB1 50-59 years, male 11.7
GTEX-1CB4J-0326-SM-7PBZO 60-69 years, male 11.7
GTEX-1F6I4-0726-SM-7PC2P 60-69 years, male 11.7
GTEX-1IDJH-1026-SM-E9TKH 70-79 years, male 11.7
GTEX-1O9I2-1126-SM-DTXEA 50-59 years, male 11.7
GTEX-13O21-2326-SM-5MR3X 50-59 years, male 11.6
GTEX-13PVR-1026-SM-5QGQW 60-69 years, female 11.6
GTEX-QEG5-0926-SM-2TC64 20-29 years, male 11.6
GTEX-U8XE-1126-SM-3DB8W 30-39 years, male 11.6
GTEX-ZAB4-1026-SM-5HL7T 40-49 years, male 11.6
GTEX-ZF3C-1226-SM-4WWCB 50-59 years, female 11.6
GTEX-1JJ6O-2126-SM-CNNP6 60-69 years, male 11.6
GTEX-145MN-0626-SM-5QGRH 30-39 years, male 11.5
GTEX-15DYW-1126-SM-6LPK5 60-69 years, female 11.5
GTEX-1C6VQ-1126-SM-7EWET 50-59 years, male 11.5
GTEX-OIZG-1126-SM-2HMIU 50-59 years, male 11.5
GTEX-1F75I-1126-SM-9WYUO 40-49 years, male 11.5
GTEX-1ICLZ-1026-SM-A9SLF 60-69 years, male 11.5
GTEX-11EMC-0726-SM-5EGJO 60-69 years, female 11.4
GTEX-1399R-1926-SM-5K7X8 30-39 years, male 11.4
GTEX-13CF3-0726-SM-5J2MY 60-69 years, female 11.4
GTEX-14E6D-0926-SM-5S2QV 50-59 years, male 11.4
GTEX-17F9E-0926-SM-7IGMG 50-59 years, male 11.4
GTEX-1B996-1126-SM-73KWN 60-69 years, male 11.4
GTEX-O5YV-0326-SM-2I5H2 60-69 years, female 11.4
GTEX-PWCY-0526-SM-5P9HG 20-29 years, female 11.4
GTEX-R55E-1026-SM-2TC5S 20-29 years, male 11.4
GTEX-XPVG-0826-SM-4B654 50-59 years, male 11.4
GTEX-1QCLZ-0926-SM-E6CQZ 60-69 years, female 11.4
GTEX-18A66-1226-SM-7LT8G 60-69 years, male 11.3
GTEX-R45C-0926-SM-3GAD4 60-69 years, female 11.3
GTEX-X8HC-1626-SM-46MWE 50-59 years, female 11.3
GTEX-1IKOE-1026-SM-ARZMF 30-39 years, female 11.3
GTEX-1IL2U-1326-SM-A9G2O 60-69 years, male 11.3
GTEX-13N11-0426-SM-5KM3O 50-59 years, female 11.2
GTEX-14A5I-1226-SM-5NQBW 50-59 years, female 11.2
GTEX-16BQI-0926-SM-6M485 30-39 years, female 11.2
GTEX-1HSMQ-0226-SM-C1YQL 50-59 years, male 11.2
GTEX-1LG7Y-1226-SM-CXZKD 50-59 years, male 11.2
GTEX-11DXX-0326-SM-5PNWC 60-69 years, female 11.1
GTEX-12WSN-5001-SM-7DHMK 40-49 years, male 11.1
GTEX-1B8SG-0826-SM-7EWF7 50-59 years, male 11.1
GTEX-P4PQ-0326-SM-2HMJ8 60-69 years, male 11.1
GTEX-PSDG-0926-SM-2I5FP 50-59 years, male 11.1
GTEX-PVOW-0426-SM-5MR5R 40-49 years, male 11.1
GTEX-ZAJG-0826-SM-5PNVA 50-59 years, female 11.1
GTEX-1I6K7-0626-SM-ARL7Q 40-49 years, male 11.1
GTEX-11I78-0826-SM-5A5K4 50-59 years, female 11.0
GTEX-11ZUS-0226-SM-5FQT8 30-39 years, male 11.0
GTEX-13RTJ-0726-SM-5QGQN 60-69 years, male 11.0
GTEX-14PJ6-0726-SM-69LOL 60-69 years, female 11.0
GTEX-1AX9K-0526-SM-73KV1 50-59 years, male 11.0
GTEX-QEG4-0426-SM-33HC3 30-39 years, male 11.0
GTEX-WY7C-0526-SM-3NB3D 50-59 years, male 11.0
GTEX-ZPU1-0626-SM-4YCDM 40-49 years, male 11.0
GTEX-15RIE-1726-SM-7KUMU 60-69 years, male 11.0
GTEX-1HC8U-0726-SM-ACKXL 40-49 years, female 11.0
GTEX-1LB8K-1026-SM-DHXJJ 50-59 years, male 11.0
GTEX-1MJIX-0326-SM-EVR42 40-49 years, male 11.0
GTEX-1RQEC-0926-SM-EWROG 60-69 years, male 11.0
GTEX-117YX-1126-SM-5H128 50-59 years, male 10.9
GTEX-13112-0426-SM-5PNVC 50-59 years, male 10.9
GTEX-13NZB-0226-SM-5KM1T 30-39 years, male 10.9
GTEX-15ER7-1726-SM-6PAMX 20-29 years, female 10.9
GTEX-17HGU-1026-SM-79OKL 50-59 years, male 10.9
GTEX-REY6-1026-SM-2TF4Y 60-69 years, male 10.9
GTEX-WYJK-1026-SM-3NM8W 50-59 years, male 10.9
GTEX-ZZPU-0926-SM-5GZYT 50-59 years, female 10.9
GTEX-1F5PK-0326-SM-9KNUD 50-59 years, male 10.9
GTEX-146FR-0626-SM-5RQJ1 60-69 years, female 10.8
GTEX-1AX9I-1126-SM-7EPHH 60-69 years, male 10.8
GTEX-N7MT-1326-SM-2I3FV 60-69 years, female 10.8
GTEX-U3ZH-0326-SM-3DB7A 30-39 years, male 10.8
GTEX-1LGRB-1126-SM-CNPP2 50-59 years, female 10.8
GTEX-1EN7A-0726-SM-7PBXT 40-49 years, male 10.7
GTEX-1F6IF-2526-SM-7P8TV 60-69 years, male 10.7
GTEX-1H1ZS-1126-SM-9MQLJ 70-79 years, male 10.7
GTEX-1LSNM-0526-SM-DIPG6 50-59 years, male 10.7
GTEX-1MCC2-0326-SM-EV7AK 30-39 years, female 10.7
GTEX-1R9K4-1326-SM-DTX8G 60-69 years, male 10.7
GTEX-13FTW-1026-SM-5L3E3 40-49 years, male 10.6
GTEX-13S86-0226-SM-5S2PJ 40-49 years, male 10.6
GTEX-1A3MX-1326-SM-72D58 60-69 years, male 10.6
GTEX-OXRO-2026-SM-2YUMZ 60-69 years, female 10.6
GTEX-Y114-0226-SM-4TT8W 50-59 years, female 10.6
GTEX-111YS-0426-SM-5987O 60-69 years, male 10.5
GTEX-1B932-1026-SM-793CL 40-49 years, female 10.5
GTEX-RN64-0826-SM-2TC62 50-59 years, male 10.5
GTEX-XQ3S-0626-SM-4BOOB 20-29 years, male 10.5
GTEX-ZVT2-1026-SM-5GU55 50-59 years, female 10.5
GTEX-1EX96-2526-SM-7RHGW 50-59 years, male 10.5
GTEX-1LVAN-1726-SM-CNNR1 50-59 years, female 10.5
GTEX-ZEX8-0426-SM-DO92Y 50-59 years, male 10.5
GTEX-11O72-1126-SM-5N9E2 40-49 years, male 10.4
GTEX-12WSC-1126-SM-5EQ4G 50-59 years, male 10.4
GTEX-12WSD-1126-SM-5EGJD 60-69 years, female 10.4
GTEX-12WSK-0626-SM-5LZUJ 40-49 years, female 10.4
GTEX-1BAJH-1626-SM-73KUV 70-79 years, male 10.4
GTEX-NFK9-0926-SM-2HMJU 40-49 years, male 10.4
GTEX-ZGAY-0326-SM-57WF5 40-49 years, female 10.4
GTEX-1F48J-1026-SM-7P8SO 50-59 years, female 10.4
GTEX-1I1HK-0726-SM-B2LY4 60-69 years, male 10.4
GTEX-1J8QM-0426-SM-AHZ3X 60-69 years, female 10.4
GTEX-1JK1U-0526-SM-CYPSQ 60-69 years, male 10.4
GTEX-12WSG-0526-SM-5FQTH 50-59 years, female 10.3
GTEX-1339X-0426-SM-5KLZY 40-49 years, male 10.3
GTEX-13D11-1726-SM-5IFGQ 50-59 years, female 10.3
GTEX-14PHY-0226-SM-5ZZWM 60-69 years, female 10.3
GTEX-16MT8-0926-SM-6M487 60-69 years, female 10.3
GTEX-N7MS-0826-SM-2HML4 60-69 years, male 10.3
GTEX-1CB4E-0526-SM-7MXTK 60-69 years, male 10.3
GTEX-1HFI7-0826-SM-A9G23 50-59 years, female 10.3
GTEX-12ZZZ-1726-SM-59HK5 60-69 years, male 10.2
GTEX-14H4A-0626-SM-5ZZUT 40-49 years, female 10.2
GTEX-18A6Q-1626-SM-7KFTA 60-69 years, male 10.2
GTEX-O5YT-0326-SM-32PKA 20-29 years, male 10.2
GTEX-O5YW-0326-SM-2I5EI 50-59 years, male 10.2
GTEX-R55G-0526-SM-2TC5O 40-49 years, female 10.2
GTEX-1H3NZ-1126-SM-9WYT9 60-69 years, male 10.2
GTEX-1R7EV-0326-SM-E76PA 40-49 years, male 10.2
GTEX-12584-0926-SM-5FQTN 40-49 years, male 10.1
GTEX-14PJM-1126-SM-6LLHK 50-59 years, female 10.1
GTEX-1EMGI-1226-SM-793DD 60-69 years, male 10.1
GTEX-OHPM-0326-SM-33HCA 50-59 years, male 10.1
GTEX-P78B-0426-SM-2I5F5 40-49 years, female 10.1
GTEX-1LVA9-0926-SM-EVR5G 50-59 years, male 10.1
GTEX-1S3DN-0726-SM-E9TIO 50-59 years, male 10.1
GTEX-13QBU-0426-SM-5J2O4 40-49 years, female 10.0
GTEX-18A67-1226-SM-7KFRS 50-59 years, male 10.0
GTEX-U3ZN-1426-SM-3DB87 30-39 years, female 10.0
GTEX-1JMLX-1626-SM-ARZMV 50-59 years, male 10.0
GTEX-1399U-0526-SM-5K7YM 50-59 years, female 9.9
GTEX-13X6I-1426-SM-5SI9Z 60-69 years, male 9.9
GTEX-WHPG-0826-SM-3NMBF 50-59 years, male 9.9
GTEX-ZYW4-0926-SM-59HJS 60-69 years, male 9.9
GTEX-1HT8W-1726-SM-CNNQB 30-39 years, male 9.9
GTEX-1KXAM-1326-SM-E9TJW 60-69 years, male 9.9
GTEX-ZPCL-0426-SM-DNZZ4 60-69 years, female 9.9
GTEX-117YW-0326-SM-5N9CY 50-59 years, male 9.8
GTEX-131XH-0226-SM-5LZVB 50-59 years, male 9.8
GTEX-13U4I-0826-SM-5SIBD 40-49 years, female 9.8
GTEX-QEL4-0926-SM-3GAD1 50-59 years, male 9.8
GTEX-X3Y1-0426-SM-3P5Z4 40-49 years, male 9.8
GTEX-Y3IK-0826-SM-51MT8 50-59 years, female 9.8
GTEX-ZG7Y-0926-SM-5EQ6O 50-59 years, male 9.8
GTEX-1HBPH-0126-SM-CNNQ7 40-49 years, female 9.8
GTEX-1RMOY-0626-SM-E9TIE 50-59 years, male 9.8
GTEX-13OVL-0526-SM-5KLZQ 50-59 years, male 9.7
GTEX-13OW5-1126-SM-5J1NR 60-69 years, male 9.7
GTEX-XBED-0526-SM-47JY3 60-69 years, male 9.7
GTEX-ZF2S-1026-SM-9QEGK 50-59 years, female 9.7
GTEX-16NPX-0926-SM-7KUEZ 50-59 years, male 9.6
GTEX-1C2JI-0526-SM-7EWEQ 50-59 years, male 9.6
GTEX-OOBJ-0326-SM-33HBO 60-69 years, male 9.6
GTEX-T2IS-0426-SM-32QPE 20-29 years, female 9.6
GTEX-UJMC-0526-SM-3GAE3 50-59 years, male 9.6
GTEX-YFC4-0526-SM-5ZZVI 40-49 years, female 9.6
GTEX-ZDXO-0726-SM-57WBT 60-69 years, male 9.6
GTEX-1GTWX-1026-SM-7P8QW 60-69 years, male 9.6
GTEX-1IDJU-0726-SM-CNPQ9 60-69 years, female 9.6
GTEX-1JJEA-0826-SM-CL53T 60-69 years, male 9.6
GTEX-1QP29-1526-SM-EXUSY 50-59 years, male 9.6
GTEX-YJ8O-0926-SM-EAZ2Z 40-49 years, female 9.6
GTEX-148VJ-1526-SM-5Q5DU 70-79 years, male 9.5
GTEX-S32W-0626-SM-2XCBG 50-59 years, female 9.5
GTEX-WQUQ-1426-SM-3MJFD 60-69 years, male 9.5
GTEX-XGQ4-0326-SM-4GIEE 50-59 years, male 9.5
GTEX-ZYFG-0426-SM-5E43M 60-69 years, female 9.5
GTEX-1IDJE-0326-SM-CM2TD 50-59 years, female 9.5
GTEX-1PPH7-2026-SM-E9J3N 40-49 years, male 9.5
GTEX-16XZY-0426-SM-793BI 70-79 years, male 9.4
GTEX-1CAMS-1326-SM-79OJR 40-49 years, female 9.4
GTEX-OHPL-0326-SM-33HC8 60-69 years, female 9.4
GTEX-OXRL-0326-SM-2I3F2 50-59 years, male 9.4
GTEX-QESD-0526-SM-2I5G5 20-29 years, male 9.4
GTEX-Y5V5-0626-SM-4VBPX 60-69 years, female 9.4
GTEX-1I1GQ-1426-SM-B2LWY 50-59 years, male 9.4
GTEX-1LGOU-0726-SM-E9TIY 20-29 years, female 9.4
GTEX-13FLV-0926-SM-5L3DZ 50-59 years, male 9.3
GTEX-1AYCT-0426-SM-73KVZ 50-59 years, male 9.3
GTEX-1OFPY-1026-SM-EXUSO 60-69 years, male 9.3
GTEX-1PPGY-1126-SM-E76OU 60-69 years, male 9.3
GTEX-1122O-0826-SM-5GICV 60-69 years, female 9.2
GTEX-1211K-0626-SM-5FQUZ 60-69 years, female 9.2
GTEX-12BJ1-0226-SM-5LUA2 60-69 years, male 9.2
GTEX-148VI-0326-SM-5RQK7 60-69 years, female 9.2
GTEX-15RJ7-0226-SM-7KUMN 40-49 years, male 9.2
GTEX-OIZH-0326-SM-2HMKC 50-59 years, male 9.2
GTEX-1GF9U-0426-SM-7RHHA 40-49 years, female 9.2
GTEX-1GMRU-1526-SM-9WYT5 50-59 years, male 9.2
GTEX-1GN1V-0826-SM-9KNU6 60-69 years, male 9.2
GTEX-1KANC-0426-SM-CXZK5 50-59 years, female 9.2
GTEX-14PJ4-1126-SM-5YY91 60-69 years, male 9.1
GTEX-16YQH-0926-SM-793BC 30-39 years, male 9.1
GTEX-PLZ5-0626-SM-2I5F8 50-59 years, male 9.1
GTEX-WFG7-0726-SM-3GIKO 20-29 years, male 9.1
GTEX-WZTO-1326-SM-3NM8X 40-49 years, male 9.1
GTEX-1IKK5-1526-SM-CKZPW 60-69 years, male 9.1
GTEX-1314G-0126-SM-5LZUL 30-39 years, male 9.0
GTEX-ZDYS-0226-SM-5HL4K 50-59 years, male 9.0
GTEX-ZYT6-1726-SM-5E44P 30-39 years, male 9.0
GTEX-1I1GV-1326-SM-A96SE 60-69 years, male 9.0
GTEX-1JJE9-1426-SM-ARL8P 70-79 years, male 9.0
GTEX-12696-1126-SM-5FQTI 60-69 years, male 8.9
GTEX-P44H-0726-SM-48TBT 40-49 years, male 8.9
GTEX-11ZVC-0426-SM-5CVLD 50-59 years, female 8.8
GTEX-13O61-0526-SM-5J2M1 60-69 years, male 8.8
GTEX-RUSQ-0526-SM-2TF72 50-59 years, male 8.8
GTEX-WWYW-1326-SM-3NB2S 50-59 years, female 8.8
GTEX-ZDTS-1326-SM-6LLHE 60-69 years, male 8.8
GTEX-ZTPG-1226-SM-4YCDO 20-29 years, female 8.8
GTEX-11GS4-0526-SM-5A5KQ 60-69 years, male 8.7
GTEX-11LCK-0926-SM-5A5KA 30-39 years, male 8.7
GTEX-Q2AH-0526-SM-2I3ED 40-49 years, male 8.7
GTEX-ZYFC-1126-SM-5E44W 50-59 years, male 8.7
GTEX-1B97J-0726-SM-7RHG3 50-59 years, female 8.7
GTEX-1CB4I-1626-SM-7RHGV 50-59 years, male 8.7
GTEX-145LV-0326-SM-5Q5BW 50-59 years, male 8.6
GTEX-1GF9V-1626-SM-7PBXL 60-69 years, male 8.6
GTEX-1GMR3-0326-SM-7P8QT 40-49 years, male 8.6
GTEX-1JMPZ-1426-SM-CJI3C 30-39 years, male 8.6
GTEX-14PN3-0526-SM-69LQF 60-69 years, female 8.5
GTEX-17KNJ-0826-SM-793A4 50-59 years, male 8.5
GTEX-1B8L1-0526-SM-79ONX 60-69 years, male 8.5
GTEX-OHPK-0326-SM-2HMJO 50-59 years, female 8.5
GTEX-RU72-0326-SM-2TF5T 50-59 years, female 8.5
GTEX-WL46-0926-SM-3LK7T 50-59 years, male 8.5
GTEX-1GMR2-1426-SM-7RHHK 50-59 years, male 8.4
GTEX-1J8Q2-1226-SM-A9G2W 60-69 years, male 8.4
GTEX-14E1K-1026-SM-73KUR 50-59 years, male 8.3
GTEX-1EH9U-0826-SM-7IGPT 60-69 years, male 8.3
GTEX-ZQUD-1526-SM-7IGO2 30-39 years, male 8.3
GTEX-1HBPM-1226-SM-A9SM8 60-69 years, female 8.3
GTEX-1J8EW-0926-SM-A9G33 60-69 years, female 8.3
GTEX-1R9PO-0326-SM-DTXA1 60-69 years, female 8.3
GTEX-RTLS-0826-SM-2TF5Q 60-69 years, female 8.2
GTEX-RWSA-0626-SM-2XCBD 40-49 years, male 8.2
GTEX-UJHI-0426-SM-3DB8Y 50-59 years, female 8.2
GTEX-XXEK-0926-SM-4BRWH 50-59 years, male 8.2
GTEX-11DXZ-0626-SM-5GU77 50-59 years, male 8.1
GTEX-14PHX-2126-SM-6EU2U 50-59 years, male 8.1
GTEX-1CB4G-0826-SM-7DUGF 60-69 years, male 8.1
GTEX-T6MN-0926-SM-32PLX 50-59 years, male 8.1
GTEX-15CHR-0226-SM-7PC2Z 50-59 years, male 8.1
GTEX-1HSGN-1126-SM-CJI4G 40-49 years, female 8.1
GTEX-13FTZ-0226-SM-5K7X6 60-69 years, male 8.0
GTEX-15CHC-0426-SM-6LLHI 60-69 years, female 8.0
GTEX-RWS6-0326-SM-2XCAP 60-69 years, female 8.0
GTEX-1IDJI-1026-SM-A96TE 50-59 years, female 8.0
GTEX-WHWD-0426-SM-3LK83 50-59 years, male 7.9
GTEX-1HCUA-0526-SM-A9SMH 50-59 years, female 7.9
GTEX-1J8Q3-1226-SM-CKZPT 60-69 years, male 7.9
GTEX-1R9JW-0526-SM-EWRNK 30-39 years, female 7.9
GTEX-111FC-0826-SM-5GZWO 60-69 years, male 7.8
GTEX-1313W-1426-SM-5KLZU 50-59 years, female 7.8
GTEX-131XF-5001-SM-7DHLY 60-69 years, male 7.8
GTEX-18D9U-1126-SM-72D5Y 40-49 years, male 7.8
GTEX-1EU9M-1826-SM-7DUGU 60-69 years, male 7.8
GTEX-OXRK-0826-SM-2HMK7 50-59 years, female 7.8
GTEX-PX3G-0326-SM-2I3EO 20-29 years, female 7.8
GTEX-QDVN-0326-SM-2I3FS 50-59 years, male 7.8
GTEX-R55C-0326-SM-3GAF1 40-49 years, male 7.8
GTEX-1QPFJ-1026-SM-E6CR6 30-39 years, female 7.8
GTEX-14A6H-0226-SM-5Q5DX 30-39 years, male 7.7
GTEX-1GZ4I-1026-SM-9KNV5 50-59 years, male 7.7
GTEX-14PK6-0826-SM-5ZZVO 70-79 years, female 7.6
GTEX-17MF6-0726-SM-7LT8E 40-49 years, male 7.6
GTEX-SNMC-0126-SM-2XCFO 20-29 years, male 7.6
GTEX-1RB15-0326-SM-E6CQB 60-69 years, male 7.6
GTEX-15RJE-0626-SM-7KUKR 40-49 years, male 7.5
GTEX-POMQ-0326-SM-2I5FO 20-29 years, female 7.5
GTEX-QV44-0526-SM-2S1RE 50-59 years, male 7.5
GTEX-1E1VI-1326-SM-7IGQD 50-59 years, male 7.4
GTEX-P4PP-0326-SM-33HC4 30-39 years, female 7.4
GTEX-R53T-0926-SM-3GADH 50-59 years, female 7.3
GTEX-WEY5-0426-SM-3GIKT 40-49 years, female 7.3
GTEX-1GL5R-0326-SM-9WYTJ 50-59 years, male 7.3
GTEX-WI4N-0626-SM-3TW8Z 40-49 years, female 7.2
GTEX-1AX8Z-5007-SM-AHZ36 60-69 years, male 7.2
GTEX-1B8KE-0126-SM-793AM 50-59 years, male 6.9
GTEX-WFG8-0626-SM-3GILJ 20-29 years, male 6.9
GTEX-ZVZP-0226-SM-5NQ73 50-59 years, male 6.9
GTEX-13X6H-0426-SM-5LU4E 50-59 years, female 6.7
GTEX-QLQ7-0526-SM-2I5G3 60-69 years, male 6.7
GTEX-ZF29-0226-SM-4WKHO 60-69 years, female 6.6
GTEX-RNOR-0826-SM-2TF5C 50-59 years, female 6.5
GTEX-OIZF-0326-SM-3MJGY 60-69 years, male 6.4
GTEX-WFON-0326-SM-3GIKX 40-49 years, male 5.9
GTEX-V955-0726-SM-3GAFG 60-69 years, male 5.8
GTEX-QMRM-0526-SM-2I5GA 50-59 years, male 5.6
GTEX-1GN73-2426-SM-7RHFQ 60-69 years, male 5.6
Show allShow less

HEART MUSCLE - FANTOM5 CAGEi

RNA expression in human tissues obtained through Cap Analysis of Gene Expression (CAGE) generated by the FANTOM5 project are reported as Scaled Tags Per Million.

Max subtype Scaled Tags Per Millioni

Max subtype Scaled Tags Per Million is the value for the subtype with the largest average Scaled Tags Per Million across the subtype samples.

20.8
FANTOM5 sample id Sample description Scaled Tags Per Million
Heart
Scaled Tags Per Million: 20.8
FF:10016-101C7 70,73,74 years, mixed 20.8
Left atrium
Scaled Tags Per Million: 9.0
FF:10079-102A7 40 years, male 9.0
Left ventricle
Scaled Tags Per Million: 11.6
FF:10078-102A6 73 years, female 11.6

Contact

  • NEWS ARTICLES
  • PRESS ROOM

The Project

  • INTRODUCTION
  • ORGANIZATION
  • PUBLICATIONS

The Human Protein Atlas

  • DOWNLOADABLE DATA
  • LICENCE & CITATION
  • HELP & FAQ
The Human Protein Atlas project is funded
by the Knut & Alice Wallenberg Foundation.


contact@proteinatlas.org