We use cookies to enhance the usability of our website. If you continue, we'll assume that you are happy to receive all cookies. More information. Don't show this again.
NPTN
HPA
RESOURCES
  • TISSUE
  • BRAIN
  • SINGLE CELL
  • SUBCELLULAR
  • CANCER
  • BLOOD
  • CELL LINE
  • STRUCTURE & INTERACTION
ABOUT
  • INTRODUCTION
  • HISTORY
  • ORGANIZATION
  • PUBLICATIONS
  • ANTIBODY SUBMISSION
  • ANTIBODY AVAILABILITY
  • ACKNOWLEDGMENTS
  • CONTACT
NEWS
  • NEWS ARTICLES
  • PRESS ROOM
LEARN
  • DICTIONARY
  • PROTEIN CLASSES
  • PROTEIN EVIDENCE
  • METHODS
  • EDUCATIONAL VIDEOS
DATA
  • DOWNLOADABLE DATA
  • PUBLICATION DATA
  • RELEASE HISTORY
HELP
  • ANTIBODY VALIDATION
  • ASSAYS & ANNOTATION
  • DISCLAIMER
  • HELP & FAQ
  • PRIVACY STATEMENT
  • LICENCE & CITATION
Fields »
Search result

Field
Term
Gene name
Class
Subclass
Class
Keyword
Chromosome
External id
Tissue
Cell type
Expression
Antibody panel
Tissue
Main location
Patient ID
Annotation
Tissue
Category
Tau score
Cluster
Reliability
Brain region
Category
Tau score
Brain region
Category
Tau score
Brain region
Category
Tau score
Cluster
Reliability
Tissue
Cell type
Enrichment
Cell type
Category
Tau score
Cell type
Category
Tau score
Cell type
Category
Tau score
Cell lineage
Category
Tau score
Cluster
Cluster
Location
Searches
Location
Cell line
Class
Type
Phase
Reliability
Cancer
Prognosis
Cancer
Category
Cancer
Category
Tau score
Cluster
Variants
Interacting gene (ensg_id)
Type
Number of interactions
Pathway
Category
Score
Score
Score
Validation
Validation
Validation
Validation
Antibodies
Data type
Column


  • SUMMARY

  • TISSUE

  • BRAIN

  • SINGLE CELL

  • SUBCELL

  • CANCER

  • BLOOD

  • CELL LINE

  • STRUCT & INT

  • NPTN
TISSUE PRIMARY DATA ESOPHAGUS Show tissue menu
ADIPOSE TISSUE ADRENAL GLAND AMYGDALA APPENDIX BASAL GANGLIA BONE MARROW BREAST BRONCHUS CEREBELLUM CEREBRAL CORTEX CERVIX CHOROID PLEXUS COLON DUODENUM
ENDOMETRIUM EPIDIDYMIS ESOPHAGUS FALLOPIAN TUBE GALLBLADDER HEART MUSCLE HIPPOCAMPAL FORMATION HYPOTHALAMUS KIDNEY LIVER LUNG LYMPH NODE MIDBRAIN NASOPHARYNX
ORAL MUCOSA OVARY PANCREAS PARATHYROID GLAND PITUITARY GLAND PLACENTA PROSTATE RECTUM RETINA SALIVARY GLAND SEMINAL VESICLE SKELETAL MUSCLE SKIN SMALL INTESTINE
SMOOTH MUSCLE SOFT TISSUE SPINAL CORD SPLEEN STOMACH TESTIS THYMUS THYROID GLAND TONGUE TONSIL URINARY BLADDER VAGINA
ANTIBODIES
AND
VALIDATION
Dictionary
Esophagus
Tissue proteome
Esophagus
ESOPHAGUS - Expression summary
Protein expression
Esophagusi

On the top, protein expression in current human tissue, based on all annotated cell types, is reported with the units not detected (n), low (l), medium (m) and high (h). Underneath, protein expression in each annotated cell type are reported using the same units.

Protein expression data is based on knowledge-based annotation. For genes where more than one antibody has been used, a collective score is set.

If knowledge-based annotation could not be performed for a gene, no data is displayed here. View antibody staining data further down this page.

h
m
l
n
Squamous epithelial cells: Medium
RNA expressioni

A summary of mRNA expression data available for current tissue based on several datasets. The mRNA expression levels in human tissues are based on RNA-seq data generated by the Human Protein Atlas (HPA), Genotype-Tissue Expression (GTEx) portal and CAGE data generated by the FANTOM5 consortium. Consensus normalized expression levels for human tissues was created by combining the data from HPA and GTEx datasets.

The mRNA expression levels in pig are based on RNA-seq data generated by the Human Protein Atlas (HPA), and for mouse, HPA data and in situ hybridization generated by the Allen brain atlas are reported.

Scroll down to view mRNA expression data in more detail.
Consensus:129.5 nTPM
HPA:129.5 nTPM
GTEx:78.0 nTPM
FANTOM5:158.5 Scaled Tags Per Million

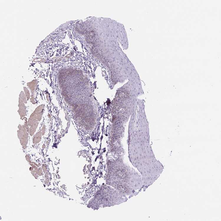
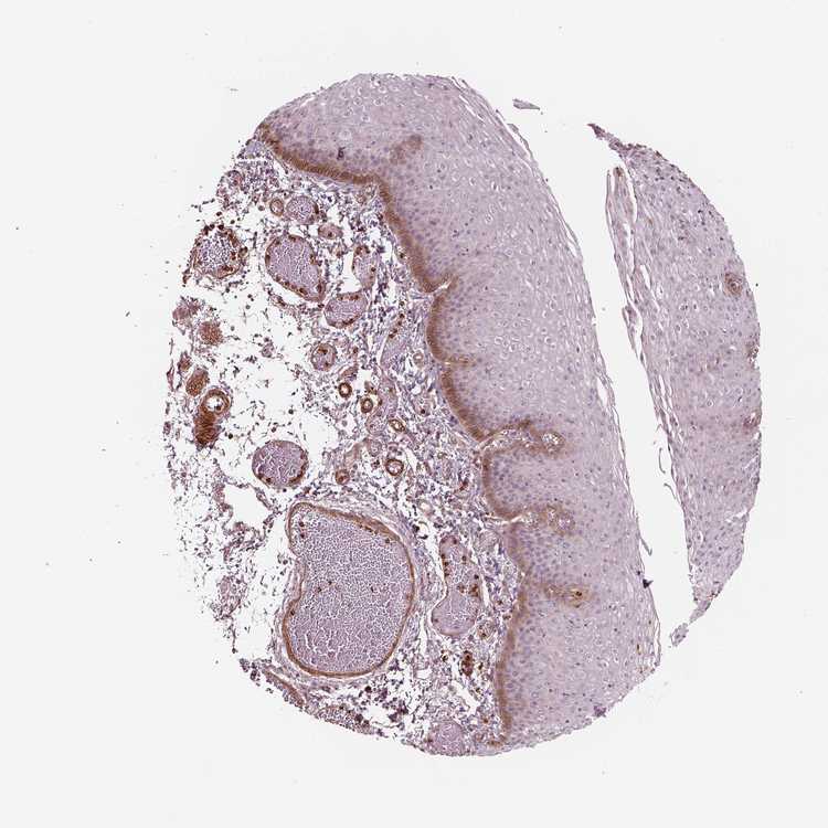
ESOPHAGUS - Antibody stainingi

Antibody staining in the annotated cell types in the current human tissue is reported as not detected, low, medium, or high, based on conventional immunohistochemistry profiling in selected tissues. This score is based on the combination of the staining intensity and fraction of stained cells.

Each image is clickable and will lead to virtual microscopy that enables deeper exploration of all samples and also displays staining intensity scores, fraction scores and subcellular localization as well as patient and tissue information for each sample.

Antibody HPA051497Antibody HPA072453
Squamous epithelial cells LowMedium




ESOPHAGUS - HPA RNA-seqi

The RNA-seq details section shows detailed information about the individual samples used for the transcript profiling and results of the RNA-seq analysis.

Information about each individual sample is listed below, including gender, age, a tissue section image and estimated fractions of cell types. nTPM (normalized transcripts per million) values give a quantification of the gene abundance which is comparable between different genes and samples.
Average nTPMi

Max subtype nTPM is the value for the subtype with the largest average nTPM across the subtype samples.

129.5
overview
Female, age 70
Esophagus sample 130
nTPM: 109.1
Cell types%
Squamous epithelial cells:
35

Smooth muscle cells:
15

Skeletal muscle cells:
5

Other cell types:
45

overview
Male, age 38
Esophagus sample 131
nTPM: 140.7
Cell types%
Squamous epithelial cells:
60

Smooth muscle cells:
20

Other cell types:
20

overview
Male, age 76
Esophagus sample 132
nTPM: 138.7
Cell types%
Squamous epithelial cells:
45

Smooth muscle cells:
15

Other cell types:
40


ESOPHAGUS - GTEx RNA-seqi

RNA-Seq data generated by the Genotype-Tissue Expression (GTEx) project from human tissues is reported as mean nTPM. More information can be found on the GTEx portal.

Distribution across the dataset is visualized with box plots, shown as median and 25th and 75th percentiles. Points are displayed as outliers if they are above or below 1.5 times the interquartile range. nTPM values of the individual samples are presented next to the box plot.
Max subtype nTPMi

Max subtype nTPM is the value for the subtype with the largest average nTPM across the subtype samples.

78.0
GTEx sample id Sample description nTPM
Esophagus - Mucosa
Average nTPM: 78.0
Samples: 555

Max nTPM: 159.1
Min nTPM: 32.2
Std nTPM: 18.0
Median nTPM: 77.8
GTEX-WEY5-0926-SM-4LMI4 40-49 years, female 159.1
GTEX-1A3MV-1326-SM-7LG6C 30-39 years, male 136.1
GTEX-18QFQ-1026-SM-7LG6B 30-39 years, male 129.1
GTEX-1LGOU-0526-SM-D3LAO 20-29 years, female 129.0
GTEX-1KANB-1826-SM-DHXJU 50-59 years, male 127.0
GTEX-ZF2S-1226-SM-4WWAX 50-59 years, female 122.3
GTEX-13NYB-0926-SM-5IFFA 40-49 years, male 120.3
GTEX-1B97J-1026-SM-7MXTE 50-59 years, female 118.9
GTEX-Y9LG-0626-SM-4WWDH 30-39 years, male 118.3
GTEX-17HHE-0926-SM-7938K 50-59 years, male 117.6
GTEX-1JKYN-1526-SM-CGQGA 30-39 years, male 114.9
GTEX-13QBU-1026-SM-5LU3R 40-49 years, female 113.8
GTEX-1MCYP-1026-SM-DPRYB 20-29 years, female 113.0
GTEX-ZF29-1326-SM-DNZYV 60-69 years, female 112.8
GTEX-12WSK-1126-SM-5LZV8 40-49 years, female 112.4
GTEX-14ICL-0526-SM-5RQJ6 30-39 years, male 111.3
GTEX-ZVT2-1326-SM-5E45H 50-59 years, female 111.1
GTEX-1HBPI-0626-SM-9WPP4 50-59 years, male 110.7
GTEX-15SB6-0726-SM-6M48F 50-59 years, female 109.9
GTEX-ZTSS-0626-SM-59867 40-49 years, male 109.9
GTEX-11I78-1526-SM-5A5K7 50-59 years, female 109.1
GTEX-1AMFI-0226-SM-731D5 50-59 years, female 109.1
GTEX-WH7G-0926-SM-4LVMJ 40-49 years, male 109.1
GTEX-X3Y1-1326-SM-4PQZB 40-49 years, male 108.4
GTEX-1R9JW-1526-SM-DPRZK 30-39 years, female 108.3
GTEX-T5JC-1726-SM-4DM6U 20-29 years, male 107.9
GTEX-ZLFU-1126-SM-DO11K 40-49 years, male 107.1
GTEX-11DXY-1426-SM-5N9CN 60-69 years, male 107.0
GTEX-R55G-1026-SM-48FDI 40-49 years, female 106.6
GTEX-13PVR-1826-SM-5Q5CC 60-69 years, female 105.8
GTEX-15EOM-5013-SM-7MKF9 20-29 years, female 105.4
GTEX-OIZI-1426-SM-3NB1T 40-49 years, male 105.4
GTEX-14H4A-1626-SM-5SI69 40-49 years, female 105.1
GTEX-ZDTT-1326-SM-4WKFH 60-69 years, male 105.0
GTEX-13FTX-0526-SM-5IFGS 20-29 years, female 104.8
GTEX-18D9A-0526-SM-7KFSW 30-39 years, female 104.8
GTEX-1AMEY-0226-SM-7189Q 30-39 years, female 104.6
GTEX-OIZF-0626-SM-7MKHG 60-69 years, male 104.6
GTEX-QCQG-0626-SM-48U21 50-59 years, female 103.8
GTEX-1C475-0926-SM-7MKFI 40-49 years, female 103.7
GTEX-1399S-1326-SM-5P9GH 30-39 years, female 103.6
GTEX-WYVS-0726-SM-4ONDO 40-49 years, female 103.6
GTEX-1MCC2-1926-SM-DHXJR 30-39 years, female 103.5
GTEX-ZPCL-1426-SM-57WEC 60-69 years, female 103.4
GTEX-13OVI-2626-SM-5KM4T 60-69 years, female 103.3
GTEX-ZDYS-0826-SM-4WWCR 50-59 years, male 103.2
GTEX-18D9B-2026-SM-7LT96 60-69 years, male 102.6
GTEX-1L5NE-1426-SM-DHXKV 50-59 years, male 102.6
GTEX-17MFQ-0526-SM-7KFTX 20-29 years, male 102.4
GTEX-ZT9W-1326-SM-51MTB 50-59 years, male 102.1
GTEX-WRHK-0526-SM-4MVOF 20-29 years, female 102.0
GTEX-PLZ6-0526-SM-3P61C 30-39 years, male 101.9
GTEX-U3ZM-0526-SM-4DXTB 40-49 years, male 101.9
GTEX-U4B1-0826-SM-4DXTW 40-49 years, male 101.9
GTEX-YB5E-0926-SM-4WWDQ 40-49 years, male 101.7
GTEX-14B4R-0326-SM-5TDDP 30-39 years, male 101.2
GTEX-1JMPY-0826-SM-AHZ4A 30-39 years, male 101.2
GTEX-1QP9N-0926-SM-E9U5S 30-39 years, male 101.1
GTEX-1122O-1726-SM-5GICM 60-69 years, female 101.0
GTEX-18A67-2426-SM-7LT95 50-59 years, male 100.8
GTEX-RU1J-0326-SM-46MUM 20-29 years, female 100.8
GTEX-13RTK-0526-SM-5S2QF 20-29 years, male 100.3
GTEX-1LG7Z-0926-SM-CXKYK 30-39 years, male 100.2
GTEX-1CB4I-1026-SM-7MKFZ 50-59 years, male 100.0
GTEX-1AX9J-1826-SM-731FM 60-69 years, male 99.8
GTEX-14PJM-1526-SM-664NY 50-59 years, female 99.2
GTEX-ZQUD-0426-SM-57WFR 30-39 years, male 99.0
GTEX-YB5K-0826-SM-5YYB7 40-49 years, female 98.9
GTEX-16BQI-1526-SM-6LLIE 30-39 years, female 98.8
GTEX-XUZC-0426-SM-4BOPE 30-39 years, female 98.8
GTEX-14PKV-1726-SM-6871U 20-29 years, female 98.5
GTEX-18D9U-2126-SM-7LG4Y 40-49 years, male 98.4
GTEX-12C56-1226-SM-5FQSU 20-29 years, male 98.0
GTEX-1AX9I-1426-SM-7DHM8 60-69 years, male 98.0
GTEX-1J1R8-0326-SM-AHZ3D 40-49 years, male 98.0
GTEX-16NGA-1426-SM-718AC 40-49 years, female 97.7
GTEX-11EM3-0826-SM-5N9CC 20-29 years, female 97.6
GTEX-1MA7W-0426-SM-E9TJ5 20-29 years, female 97.5
GTEX-WHSE-1526-SM-4M1XH 20-29 years, male 96.6
GTEX-1OJC3-0826-SM-DPRYU 20-29 years, male 96.5
GTEX-PWCY-0726-SM-48TCS 20-29 years, female 96.4
GTEX-1I4MK-0426-SM-B2LWQ 50-59 years, female 96.4
GTEX-1EMGI-1926-SM-7938Y 60-69 years, male 96.3
GTEX-111CU-0726-SM-5GZYD 50-59 years, male 96.2
GTEX-1CB4G-1326-SM-7MKFP 60-69 years, male 96.2
GTEX-16AAH-0726-SM-793A9 50-59 years, male 96.1
GTEX-P4PQ-0626-SM-3NMCU 60-69 years, male 96.1
GTEX-S4P3-0426-SM-4AD56 50-59 years, female 95.9
GTEX-18A7A-2326-SM-7KFRH 50-59 years, female 95.8
GTEX-Y8LW-0726-SM-5IFI1 50-59 years, female 95.8
GTEX-1KANA-0626-SM-D4P3I 20-29 years, male 95.8
GTEX-TML8-1526-SM-4DXUX 40-49 years, female 95.6
GTEX-1LGRB-1626-SM-CNNR7 50-59 years, female 95.5
GTEX-1RAZA-1326-SM-DPS12 20-29 years, male 95.4
GTEX-XV7Q-1126-SM-4BRVS 40-49 years, female 95.3
GTEX-ZYFG-1126-SM-5GICY 60-69 years, female 95.2
GTEX-ZLWG-1326-SM-DNZYZ 50-59 years, female 95.2
GTEX-12ZZX-1326-SM-5DUWI 40-49 years, female 95.1
GTEX-147F3-0826-SM-5NQA7 50-59 years, female 95.1
GTEX-Y5LM-1026-SM-4VDSQ 40-49 years, female 95.1
GTEX-1399R-0826-SM-5IJEL 30-39 years, male 94.9
GTEX-OXRK-1326-SM-3NB1A 50-59 years, female 94.9
GTEX-1S83E-0826-SM-EV7B7 40-49 years, male 94.9
GTEX-ZG7Y-1126-SM-4WWEZ 50-59 years, male 94.6
GTEX-14DAR-0826-SM-73KYJ 50-59 years, male 94.5
GTEX-15UF7-0926-SM-6M46F 40-49 years, male 94.5
GTEX-131XG-1026-SM-5GCMX 50-59 years, female 94.3
GTEX-1I1GU-1426-SM-B2LX3 40-49 years, male 94.3
GTEX-1B8KE-1826-SM-731FD 50-59 years, male 94.1
GTEX-111YS-0926-SM-5EGGI 60-69 years, male 93.9
GTEX-12BJ1-1626-SM-5HL8Y 60-69 years, male 93.9
GTEX-11VI4-0526-SM-5EQ48 40-49 years, female 93.8
GTEX-S95S-0426-SM-4B64I 60-69 years, male 93.8
GTEX-U3ZH-1026-SM-4DXUZ 30-39 years, male 93.8
GTEX-1KXAM-0826-SM-CXZK9 60-69 years, male 93.7
GTEX-13D11-1926-SM-5IFGB 50-59 years, female 93.3
GTEX-ZLV1-0526-SM-4WWD4 60-69 years, female 93.3
GTEX-WFG7-1126-SM-4LMK3 20-29 years, male 93.2
GTEX-ZVP2-1326-SM-57WCE 50-59 years, male 92.8
GTEX-1GMR3-1526-SM-9JGGL 40-49 years, male 92.7
GTEX-1LVAN-2326-SM-CNNPY 50-59 years, female 92.4
GTEX-139YR-1726-SM-5IFFK 50-59 years, male 92.3
GTEX-W5WG-1626-SM-4LMKG 50-59 years, female 92.0
GTEX-1K2DA-0626-SM-CGQGO 50-59 years, male 92.0
GTEX-1QPFJ-1226-SM-EAZ3M 30-39 years, female 92.0
GTEX-1GL5R-1526-SM-7MKHO 50-59 years, male 91.9
GTEX-RWS6-0826-SM-47JXF 60-69 years, female 91.9
GTEX-WOFM-0626-SM-4OOS3 20-29 years, male 91.9
GTEX-1MJIX-0826-SM-DTXEO 40-49 years, male 91.9
GTEX-14PJ4-1526-SM-664OA 60-69 years, male 91.7
GTEX-1R7EU-0826-SM-DPRZL 60-69 years, male 91.7
GTEX-SNMC-0526-SM-4DM69 20-29 years, male 91.6
GTEX-R55C-0826-SM-48FCL 40-49 years, male 91.5
GTEX-Z9EW-0526-SM-5HL8S 40-49 years, male 91.5
GTEX-OIZH-0626-SM-3NB1L 50-59 years, male 91.4
GTEX-11P82-0526-SM-5986P 20-29 years, male 91.3
GTEX-Y114-0926-SM-4TT7J 50-59 years, female 91.3
GTEX-1QP67-0726-SM-DPRY1 40-49 years, female 91.3
GTEX-1LBAC-1226-SM-DHXK1 20-29 years, male 90.9
GTEX-RTLS-1126-SM-46MUQ 60-69 years, female 90.8
GTEX-SNOS-0626-SM-4DM5F 40-49 years, male 90.8
GTEX-13FLV-1126-SM-5J2NO 50-59 years, male 90.7
GTEX-WFON-0826-SM-4LVMI 40-49 years, male 90.3
GTEX-1269C-1026-SM-5N9EY 60-69 years, female 90.2
GTEX-145LT-1126-SM-5LUA1 40-49 years, male 90.1
GTEX-QESD-0826-SM-47J4G 20-29 years, male 90.1
GTEX-TKQ1-0326-SM-4DXSM 30-39 years, male 90.1
GTEX-1CAMQ-2726-SM-7MKGD 40-49 years, male 90.1
GTEX-1F5PL-1726-SM-9QEGL 40-49 years, female 89.9
GTEX-R53T-1126-SM-48FD4 50-59 years, female 89.6
GTEX-T6MO-0526-SM-4DM6R 40-49 years, female 89.5
GTEX-1GN73-1926-SM-9JGGS 60-69 years, male 89.3
GTEX-14E6E-0726-SM-5S2R3 30-39 years, male 89.2
GTEX-13O1R-1326-SM-5IJF5 60-69 years, male 88.9
GTEX-WFJO-0826-SM-4LVM5 30-39 years, male 88.8
GTEX-T5JW-1326-SM-4DM5G 20-29 years, female 88.7
GTEX-1HB9E-1526-SM-D3LA6 50-59 years, male 88.7
GTEX-1QP28-1826-SM-EAZ4L 50-59 years, female 88.7
GTEX-17F98-1726-SM-7938O 40-49 years, female 88.6
GTEX-12KS4-0926-SM-5BC5S 30-39 years, male 88.5
GTEX-1CB4E-1026-SM-793AB 60-69 years, male 88.3
GTEX-1211K-0926-SM-5FQTL 60-69 years, female 88.2
GTEX-11P7K-1326-SM-5BC5G 30-39 years, male 88.1
GTEX-PWN1-0626-SM-48TDT 40-49 years, female 88.1
GTEX-ZA64-0626-SM-5HL9O 20-29 years, male 88.0
GTEX-17JCI-1226-SM-793D9 60-69 years, female 87.8
GTEX-1C2JI-1126-SM-731FH 50-59 years, male 87.8
GTEX-T8EM-0526-SM-4DM64 40-49 years, male 87.3
GTEX-1OKEX-1326-SM-E9J2U 60-69 years, male 87.3
GTEX-11EQ9-0726-SM-5A5K2 30-39 years, male 87.2
GTEX-13PL7-0226-SM-731DT 60-69 years, female 87.1
GTEX-13X6H-1326-SM-5LU42 50-59 years, female 87.1
GTEX-131XF-0826-SM-5GICG 60-69 years, male 87.0
GTEX-O5YV-1026-SM-3LK72 60-69 years, female 87.0
GTEX-1NSGN-2026-SM-DPRYM 50-59 years, male 86.9
GTEX-13O21-0626-SM-5IJDI 50-59 years, male 86.8
GTEX-1JMQJ-1226-SM-D3L97 50-59 years, male 86.7
GTEX-1NUQO-1126-SM-DTX98 20-29 years, female 86.7
GTEX-S4Q7-0626-SM-4AD5M 20-29 years, male 86.5
GTEX-1J8QM-1926-SM-AHZ3Z 60-69 years, female 86.5
GTEX-Y5V5-1626-SM-4VDSG 60-69 years, female 86.2
GTEX-YF7O-0926-SM-5IFIF 50-59 years, male 86.1
GTEX-132QS-1426-SM-5P9GE 60-69 years, male 86.0
GTEX-QDVN-1026-SM-48TZA 50-59 years, male 86.0
GTEX-11TT1-0526-SM-5P9JO 20-29 years, male 85.9
GTEX-1CB4F-1526-SM-7MKFM 60-69 years, male 85.8
GTEX-ZY6K-0626-SM-59HJL 50-59 years, male 85.8
GTEX-1F5PK-1526-SM-7MKGV 50-59 years, male 85.7
GTEX-ZPU1-1426-SM-4WWFU 40-49 years, male 85.7
GTEX-11P81-0826-SM-5P9GR 30-39 years, female 85.5
GTEX-17KNJ-1326-SM-7KFTG 50-59 years, male 85.5
GTEX-1KAFJ-0626-SM-D3L8X 50-59 years, male 85.5
GTEX-1PPH8-1626-SM-E6CQP 20-29 years, male 85.4
GTEX-1N2DV-2026-SM-EV7BL 40-49 years, male 85.0
GTEX-1EX96-2226-SM-7MKGT 50-59 years, male 84.8
GTEX-13JVG-2026-SM-5KM1N 60-69 years, male 84.5
GTEX-18A66-1426-SM-7KFRT 60-69 years, male 84.5
GTEX-QLQ7-0926-SM-447BC 60-69 years, male 84.5
GTEX-145MO-1426-SM-DTX9W 60-69 years, male 84.5
GTEX-12WSN-5013-SM-7P8P9 40-49 years, male 84.4
GTEX-Y5V6-1026-SM-4VBS2 60-69 years, male 84.3
GTEX-1GN1W-2226-SM-9JGI5 50-59 years, female 84.3
GTEX-1IDJF-1226-SM-C1YPX 20-29 years, male 84.2
GTEX-14JG6-0926-SM-6871Y 30-39 years, female 84.1
GTEX-RM2N-0726-SM-48FD5 50-59 years, male 83.9
GTEX-1RAZQ-1726-SM-EAZ4T 30-39 years, male 83.9
GTEX-14ICK-2026-SM-6AJB2 40-49 years, male 83.6
GTEX-WXYG-1226-SM-4ONCJ 50-59 years, female 83.6
GTEX-ZT9X-0526-SM-5GCOP 40-49 years, male 83.5
GTEX-14C38-2126-SM-5RQJO 50-59 years, male 83.4
GTEX-1LVAM-1126-SM-DHXKP 50-59 years, female 83.3
GTEX-1JK1U-1726-SM-CNNPM 60-69 years, male 83.1
GTEX-14PJN-0526-SM-68724 30-39 years, male 83.0
GTEX-144GN-0626-SM-5O9B2 50-59 years, male 82.9
GTEX-ZC5H-1326-SM-5HL7E 40-49 years, female 82.9
GTEX-1HCU8-2226-SM-9WPOV 60-69 years, female 82.9
GTEX-1HKZK-1426-SM-A96U1 40-49 years, male 82.9
GTEX-11DXZ-1226-SM-5H11L 50-59 years, male 82.8
GTEX-SE5C-1226-SM-4BRWV 40-49 years, female 82.6
GTEX-1I6K7-1426-SM-B2LXP 40-49 years, male 82.6
GTEX-ZZ64-0226-SM-5E44X 20-29 years, male 82.4
GTEX-15RJE-0926-SM-6LLHZ 40-49 years, male 82.3
GTEX-1HSGN-1626-SM-A96U2 40-49 years, female 82.3
GTEX-ZEX8-1426-SM-4WKHQ 50-59 years, male 82.2
GTEX-15EU6-1626-SM-6LPKF 50-59 years, male 82.0
GTEX-V1D1-1026-SM-4JBHE 50-59 years, male 82.0
GTEX-131XE-1426-SM-5HL7V 50-59 years, male 81.9
GTEX-Q2AH-0826-SM-48TZN 40-49 years, male 81.9
GTEX-16A39-1026-SM-6LPJU 30-39 years, female 81.8
GTEX-QV44-1126-SM-CL55C 50-59 years, male 81.8
GTEX-YEC3-2526-SM-CXZIH 50-59 years, male 81.4
GTEX-139T6-0626-SM-5IFF9 50-59 years, male 81.3
GTEX-1IKOE-1526-SM-C1YSD 30-39 years, female 81.3
GTEX-11XUK-0826-SM-5GU6P 40-49 years, female 81.1
GTEX-13111-0826-SM-5LZV3 50-59 years, male 81.0
GTEX-1B97I-0926-SM-731DZ 40-49 years, male 81.0
GTEX-1H23P-1426-SM-9JGH5 60-69 years, male 81.0
GTEX-1HSMQ-2026-SM-B2LY1 50-59 years, male 81.0
GTEX-1JKYR-2126-SM-CNNPC 20-29 years, male 81.0
GTEX-1JMPZ-2026-SM-C1YR8 30-39 years, male 80.9
GTEX-QLQW-0526-SM-4R1KS 30-39 years, male 80.8
GTEX-XQ8I-1526-SM-4BOOH 50-59 years, male 80.7
GTEX-1399U-1026-SM-5J1OC 50-59 years, female 80.6
GTEX-13O61-0926-SM-5IFFE 60-69 years, male 80.6
GTEX-RUSQ-0826-SM-47JWW 50-59 years, male 80.6
GTEX-13G51-0926-SM-5IFFU 60-69 years, male 80.5
GTEX-13W3W-1626-SM-5LU35 60-69 years, female 80.4
GTEX-1QCLZ-1626-SM-E9U5R 60-69 years, female 80.3
GTEX-14PHY-0626-SM-664NN 60-69 years, female 80.2
GTEX-1MGNQ-1626-SM-EAZ4Z 40-49 years, male 80.2
GTEX-ZXES-1126-SM-5GZXN 30-39 years, female 80.1
GTEX-14BMU-0926-SM-5S2QB 20-29 years, female 80.0
GTEX-13OVK-1126-SM-6PAMR 40-49 years, male 79.9
GTEX-14PJ3-0626-SM-6UGC5 50-59 years, male 79.9
GTEX-1212Z-2126-SM-5FQTM 60-69 years, male 79.8
GTEX-1C64O-1826-SM-7DHM4 60-69 years, male 79.6
GTEX-TMMY-1126-SM-4DXSX 40-49 years, female 79.6
GTEX-13FH7-0526-SM-5IJF8 50-59 years, female 79.4
GTEX-SUCS-0726-SM-4DM7J 70-79 years, male 79.4
GTEX-WYJK-1926-SM-4ONDP 50-59 years, male 79.4
GTEX-12696-1326-SM-5FQTJ 60-69 years, male 79.1
GTEX-YEC4-1026-SM-9WG7N 40-49 years, male 79.1
GTEX-13CF3-1626-SM-5IFG9 60-69 years, female 78.9
GTEX-17EUY-1426-SM-7938X 20-29 years, male 78.9
GTEX-15DYW-1826-SM-6LPIY 60-69 years, female 78.8
GTEX-XYKS-1526-SM-4BRUP 60-69 years, female 78.7
GTEX-ZYVF-2226-SM-5GIDD 50-59 years, female 78.5
GTEX-XXEK-0326-SM-4BRVV 50-59 years, male 78.4
GTEX-15ETS-1926-SM-7KUN5 40-49 years, female 78.3
GTEX-WHSB-0426-SM-4M1XI 50-59 years, male 78.3
GTEX-1QP2A-1926-SM-EXOJ9 50-59 years, male 78.2
GTEX-13OW8-2326-SM-5L3I9 60-69 years, male 78.1
GTEX-13FHP-1526-SM-5IJGE 50-59 years, male 78.0
GTEX-146FR-0426-SM-5SI97 60-69 years, female 78.0
GTEX-14PJ6-1026-SM-686ZB 60-69 years, female 78.0
GTEX-183FY-1526-SM-7IGOW 20-29 years, male 78.0
GTEX-NFK9-1126-SM-3LK78 40-49 years, male 77.8
GTEX-U3ZN-1726-SM-4DXUQ 30-39 years, female 77.8
GTEX-1R9K5-1526-SM-DPRZA 50-59 years, male 77.8
GTEX-P4PP-0626-SM-3NM9X 30-39 years, female 77.7
GTEX-1GPI7-1026-SM-7MGY2 20-29 years, male 77.7
GTEX-14AS3-0626-SM-5QGQD 40-49 years, female 77.5
GTEX-QDVJ-0726-SM-48U1W 50-59 years, male 77.4
GTEX-1EWIQ-1526-SM-79OO7 70-79 years, female 77.3
GTEX-1QCLY-1526-SM-DPRXX 30-39 years, male 77.3
GTEX-1AYD5-0926-SM-793AF 50-59 years, male 77.2
GTEX-13FTW-1626-SM-5KM4N 40-49 years, male 77.1
GTEX-ZAK1-1526-SM-5S2OV 50-59 years, female 77.1
GTEX-ZE9C-1126-SM-4WWBD 60-69 years, male 77.0
GTEX-1F88F-1126-SM-7MKHL 60-69 years, female 76.9
GTEX-14DAQ-1426-SM-5RQJD 60-69 years, female 76.8
GTEX-S341-0526-SM-4AD5U 40-49 years, female 76.7
GTEX-13O3Q-0826-SM-5IFGF 50-59 years, male 76.5
GTEX-14E1K-1226-SM-5S2PD 50-59 years, male 76.5
GTEX-1I1CD-1726-SM-A9G3P 60-69 years, female 76.5
GTEX-UJHI-0826-SM-4IHLM 50-59 years, female 76.3
GTEX-1A32A-1826-SM-72D5G 50-59 years, female 76.2
GTEX-1GN1U-1826-SM-9JGH2 50-59 years, female 76.0
GTEX-11DXX-1126-SM-5GZZK 60-69 years, female 75.9
GTEX-U8XE-1726-SM-4E3IF 30-39 years, male 75.8
GTEX-1GMR2-1526-SM-7MXV6 50-59 years, male 75.8
GTEX-13U4I-1126-SM-5LU3S 40-49 years, female 75.7
GTEX-1RAZR-1226-SM-E6CRD 40-49 years, male 75.7
GTEX-13OVG-0626-SM-5IFEP 60-69 years, male 75.4
GTEX-PLZ4-1626-SM-3P618 50-59 years, female 75.3
GTEX-Q2AG-1326-SM-43V8K 40-49 years, female 75.3
GTEX-1ICG6-1926-SM-ARU7L 70-79 years, female 75.3
GTEX-11ZTS-2626-SM-5EGIC 60-69 years, female 75.1
GTEX-Q2AI-0626-SM-48TZU 40-49 years, male 75.0
GTEX-OOBK-0625-SM-3LK5P 40-49 years, male 74.9
GTEX-1HCUA-1426-SM-9WPP7 50-59 years, female 74.9
GTEX-17F96-2526-SM-7DHL3 70-79 years, male 74.8
GTEX-XBEW-1326-SM-4AT63 40-49 years, male 74.7
GTEX-1H3VY-2026-SM-9JGHK 50-59 years, male 74.5
GTEX-1F75I-1726-SM-7MKGW 40-49 years, male 74.4
GTEX-PLZ5-0926-SM-3TW8L 50-59 years, male 74.4
GTEX-11EMC-2226-SM-5A5JW 60-69 years, female 74.3
GTEX-14C5O-1626-SM-73KYH 60-69 years, male 74.3
GTEX-1LG7Y-1726-SM-EV7AR 50-59 years, male 74.1
GTEX-12WSL-1526-SM-5GCP8 50-59 years, male 74.0
GTEX-QEL4-1426-SM-447AC 50-59 years, male 73.9
GTEX-131YS-1426-SM-5IJF7 60-69 years, female 73.8
GTEX-11ONC-1526-SM-5GU6S 60-69 years, male 73.7
GTEX-14PK6-1326-SM-686ZE 70-79 years, female 73.7
GTEX-XBED-1026-SM-48TCB 60-69 years, male 73.7
GTEX-1IDFM-1126-SM-A96SY 60-69 years, male 73.5
GTEX-178AV-0526-SM-6LPJH 40-49 years, male 73.3
GTEX-1EKGG-1726-SM-7MXUP 60-69 years, male 73.3
GTEX-ZAB4-1126-SM-5HL86 40-49 years, male 73.1
GTEX-145LU-0926-SM-79OJL 50-59 years, male 72.9
GTEX-ZTX8-0226-SM-5E44D 20-29 years, male 72.9
GTEX-11NSD-1126-SM-5N9BQ 20-29 years, male 72.8
GTEX-13X6K-2126-SM-5O9D4 60-69 years, female 72.8
GTEX-RN64-1026-SM-48FDX 50-59 years, male 72.7
GTEX-ZF3C-1626-SM-4WWB4 50-59 years, female 72.6
GTEX-1RAZS-2626-SM-EV79C 50-59 years, male 72.6
GTEX-1IDJH-2026-SM-CNNQX 70-79 years, male 72.2
GTEX-ZGAY-1126-SM-4WWBS 40-49 years, female 72.1
GTEX-T2YK-1326-SM-4DM6S 50-59 years, male 71.9
GTEX-133LE-0626-SM-5IFFJ 20-29 years, female 71.7
GTEX-1MCQQ-1026-SM-EV7AX 60-69 years, male 71.7
GTEX-1IKK5-1326-SM-AHZ2X 60-69 years, male 71.5
GTEX-ZAB5-0926-SM-5CVMV 50-59 years, male 71.3
GTEX-1I1GV-2226-SM-ARU7E 60-69 years, male 71.2
GTEX-Y3IK-1126-SM-51MSV 50-59 years, female 71.1
GTEX-15RJ7-0926-SM-6LPJO 40-49 years, male 71.0
GTEX-16MTA-0826-SM-6LLIC 50-59 years, male 71.0
GTEX-13YAN-1926-SM-7EPH9 60-69 years, male 70.9
GTEX-1IDJD-1626-SM-C1YRC 30-39 years, male 70.9
GTEX-169BO-0526-SM-793AK 50-59 years, male 70.8
GTEX-V955-1126-SM-4JBH3 60-69 years, male 70.8
GTEX-15F5U-5010-SM-AHZ2D 40-49 years, male 70.8
GTEX-1H1DE-1026-SM-9JGH6 20-29 years, male 70.8
GTEX-1LB8K-1326-SM-CXZKB 50-59 years, male 70.8
GTEX-11DYG-1326-SM-5N9DO 60-69 years, male 70.7
GTEX-14JIY-0926-SM-6871D 60-69 years, male 70.4
GTEX-OIZG-1026-SM-3LK5X 50-59 years, male 70.4
GTEX-P4QT-0626-SM-3NMCP 50-59 years, female 70.4
GTEX-OXRL-0626-SM-3NM9C 50-59 years, male 70.3
GTEX-WFG8-1226-SM-4V6EI 20-29 years, male 70.3
GTEX-S3XE-0926-SM-4AD4S 50-59 years, male 69.9
GTEX-POYW-1326-SM-48TCG 60-69 years, male 69.8
GTEX-WVLH-1426-SM-4MVNX 50-59 years, male 69.8
GTEX-ZUA1-1226-SM-5NQ6O 40-49 years, male 69.8
GTEX-1PIGE-0926-SM-E9U5Z 20-29 years, male 69.8
GTEX-X15G-0826-SM-4PQZD 50-59 years, female 69.6
GTEX-YECK-1626-SM-5IFHQ 60-69 years, male 69.6
GTEX-T2IS-0826-SM-4DM6L 20-29 years, female 69.4
GTEX-WHWD-0926-SM-4OORY 50-59 years, male 69.4
GTEX-144GM-1426-SM-5LU31 20-29 years, male 69.3
GTEX-1K2DU-1726-SM-EV79S 20-29 years, male 69.3
GTEX-1HSKV-2426-SM-A8N8K 60-69 years, male 69.2
GTEX-12WSD-1826-SM-5GCOA 60-69 years, female 69.1
GTEX-VJYA-0726-SM-4KL1T 60-69 years, male 69.0
GTEX-18A6Q-1226-SM-7KFS9 60-69 years, male 68.8
GTEX-1GF9U-0826-SM-7MXTZ 40-49 years, female 68.8
GTEX-Y8E4-1726-SM-5LU9G 40-49 years, male 68.6
GTEX-13FHO-1726-SM-DPRZX 60-69 years, male 68.6
GTEX-14A6H-1326-SM-5NQBC 30-39 years, male 68.4
GTEX-REY6-1326-SM-48FDO 60-69 years, male 68.4
GTEX-1MA7X-0726-SM-EV7AB 60-69 years, male 68.4
GTEX-145MF-1426-SM-5O9B6 50-59 years, male 68.3
GTEX-148VJ-1026-SM-5LU98 70-79 years, male 68.3
GTEX-ZTPG-1626-SM-5DUX2 20-29 years, female 68.3
GTEX-WHPG-1126-SM-4M1XT 50-59 years, male 68.2
GTEX-1N2DW-1426-SM-EV7AZ 50-59 years, male 68.1
GTEX-P4QS-0626-SM-3NMD1 60-69 years, male 68.0
GTEX-Y3I4-1226-SM-4TT8N 50-59 years, male 67.7
GTEX-13S86-0826-SM-5SI6J 40-49 years, male 67.5
GTEX-15ER7-2126-SM-7939E 20-29 years, female 67.5
GTEX-1B996-1826-SM-7MGY6 60-69 years, male 67.5
GTEX-1HC8U-1526-SM-9WPO4 40-49 years, female 67.5
GTEX-139UW-1126-SM-5IJEJ 60-69 years, male 67.4
GTEX-1EH9U-2426-SM-7EWFG 60-69 years, male 67.4
GTEX-OXRN-1726-SM-3NM9B 50-59 years, male 67.4
GTEX-1IY9M-1626-SM-AHZ39 60-69 years, male 67.2
GTEX-13NZB-1226-SM-5J2MW 30-39 years, male 67.1
GTEX-RU72-0726-SM-46MUW 50-59 years, female 67.1
GTEX-1S82Y-1226-SM-EV7BD 40-49 years, male 66.7
GTEX-11NUK-1326-SM-5P9GN 50-59 years, male 66.3
GTEX-17HII-1526-SM-9OSVD 50-59 years, male 66.2
GTEX-VUSG-1226-SM-4KKZF 50-59 years, male 65.9
GTEX-1CB4H-1526-SM-7MXU4 60-69 years, female 65.9
GTEX-1RDX4-2126-SM-EV7B3 50-59 years, female 65.8
GTEX-S7SF-0926-SM-4AD4M 20-29 years, female 65.6
GTEX-UJMC-0926-SM-4IHLK 50-59 years, male 65.5
GTEX-1HCVE-1226-SM-9WPPH 50-59 years, male 65.5
GTEX-12WSG-5007-SM-7DUGZ 50-59 years, female 65.4
GTEX-1N2EE-2426-SM-EXOIO 60-69 years, male 65.4
GTEX-1HBPH-1126-SM-A96TU 40-49 years, female 65.3
GTEX-148VI-1026-SM-5TDDJ 60-69 years, female 65.2
GTEX-XGQ4-1526-SM-4AT6H 50-59 years, male 65.1
GTEX-12ZZY-1426-SM-5N9EI 60-69 years, male 64.9
GTEX-YFC4-1226-SM-5LU9R 40-49 years, female 64.9
GTEX-1HFI6-1226-SM-A96SK 40-49 years, male 64.8
GTEX-15RIE-0826-SM-6M47X 60-69 years, male 64.5
GTEX-XMK1-1326-SM-4B65Q 40-49 years, male 64.4
GTEX-X4XY-1726-SM-46MVO 60-69 years, male 64.3
GTEX-11TUW-1326-SM-5EQKV 60-69 years, male 64.1
GTEX-146FQ-1026-SM-5LU8I 30-39 years, male 63.7
GTEX-S32W-0926-SM-4AD5X 50-59 years, female 63.6
GTEX-11EI6-1526-SM-5P9GL 60-69 years, male 63.5
GTEX-11ZU8-1526-SM-5EGHX 60-69 years, male 63.5
GTEX-1J8EW-1326-SM-AHZ3S 60-69 years, female 63.4
GTEX-145MN-1026-SM-5NQ9G 30-39 years, male 63.2
GTEX-N7MT-0326-SM-48TDP 60-69 years, female 63.2
GTEX-PVOW-1626-SM-48TC9 40-49 years, male 63.2
GTEX-1JMLX-2326-SM-CXZJP 50-59 years, male 63.2
GTEX-N7MS-1225-SM-3LK5G 60-69 years, male 63.1
GTEX-X4EO-1226-SM-4QARR 60-69 years, female 63.1
GTEX-1B8KZ-0726-SM-7938W 50-59 years, male 63.0
GTEX-17HGU-1426-SM-7938G 50-59 years, male 62.8
GTEX-1I1GQ-1726-SM-B2LWZ 50-59 years, male 62.8
GTEX-16Z82-1926-SM-6M47U 60-69 years, male 62.7
GTEX-16XZY-0926-SM-7938M 70-79 years, male 62.2
GTEX-OXRP-0926-SM-48TC1 60-69 years, female 62.2
GTEX-XMD2-1326-SM-4YCET 60-69 years, female 62.1
GTEX-RNOR-1226-SM-48FDQ 50-59 years, female 61.9
GTEX-1AX9K-1126-SM-731DQ 50-59 years, male 61.7
GTEX-1CB4J-2426-SM-7MXVC 60-69 years, male 61.6
GTEX-15DCE-1326-SM-6LPJL 20-29 years, male 61.4
GTEX-15RIF-0826-SM-6M47C 20-29 years, male 61.3
GTEX-1KD4Q-1126-SM-CXZKK 40-49 years, male 61.3
GTEX-XLM4-2326-SM-4AT5E 60-69 years, male 61.3
GTEX-XK95-1026-SM-4GIDV 40-49 years, male 61.2
GTEX-ZYY3-1526-SM-5SIA9 60-69 years, female 61.2
GTEX-13X6I-1026-SM-5LU4C 60-69 years, male 61.1
GTEX-15SHU-1426-SM-6LPIN 40-49 years, female 61.0
GTEX-1PFEY-0826-SM-E9U6A 30-39 years, male 60.9
GTEX-1497J-2726-SM-5SI9W 60-69 years, male 60.8
GTEX-RVPV-0526-SM-47JYL 60-69 years, male 60.8
GTEX-1H3NZ-1326-SM-9JGHI 60-69 years, male 60.8
GTEX-1LSVX-1226-SM-DHXJN 60-69 years, male 60.8
GTEX-13W46-1926-SM-5J2MF 50-59 years, male 60.7
GTEX-1A8FM-1526-SM-7MXTA 50-59 years, female 60.4
GTEX-1HCU7-2126-SM-A96SG 50-59 years, male 60.4
GTEX-132AR-2226-SM-5J2NT 50-59 years, female 60.2
GTEX-13QJ3-1726-SM-5RQK9 50-59 years, male 60.2
GTEX-12WSA-1426-SM-5EGJU 60-69 years, male 59.9
GTEX-WK11-1026-SM-4OOS8 50-59 years, male 59.8
GTEX-13PVQ-1726-SM-5IFF3 50-59 years, male 59.6
GTEX-S33H-0826-SM-4AD5Y 30-39 years, male 59.5
GTEX-1R9K4-1926-SM-DPRZW 60-69 years, male 59.4
GTEX-SJXC-1426-SM-EYYVB 60-69 years, male 59.4
GTEX-1B933-2026-SM-7EWFC 50-59 years, female 59.2
GTEX-X62O-2226-SM-46MW3 50-59 years, male 59.1
GTEX-1LNCM-0626-SM-EV7AI 50-59 years, female 59.1
GTEX-1QP29-2126-SM-E6CPZ 50-59 years, male 59.1
GTEX-17F9E-1926-SM-7IGQF 50-59 years, male 59.0
GTEX-1HCU6-1326-SM-A96TZ 60-69 years, female 59.0
GTEX-TSE9-1226-SM-4DXTM 60-69 years, female 58.9
GTEX-PSDG-1326-SM-48TD2 50-59 years, male 58.7
GTEX-17EVQ-1926-SM-7IGOF 70-79 years, male 58.6
GTEX-XQ3S-1126-SM-4BOPK 20-29 years, male 58.5
GTEX-1PPGY-1726-SM-EVR3S 60-69 years, male 57.9
GTEX-13SLX-1726-SM-5Q5E5 50-59 years, female 57.8
GTEX-1AX8Z-5016-SM-AHZ2B 60-69 years, male 57.8
GTEX-ZVE2-1326-SM-5NQ94 50-59 years, male 57.5
GTEX-ZYW4-1326-SM-5E45N 60-69 years, male 57.4
GTEX-1BAJH-2026-SM-7P8OZ 70-79 years, male 57.2
GTEX-1I1GR-1326-SM-ARU7B 60-69 years, male 57.2
GTEX-14PJ5-0526-SM-664OE 60-69 years, female 57.1
GTEX-R55E-1326-SM-48FCR 20-29 years, male 57.1
GTEX-UPK5-1226-SM-4IHL8 40-49 years, male 57.0
GTEX-1HGF4-0926-SM-9WPP8 60-69 years, male 57.0
GTEX-1QW4Y-0526-SM-EAZ3V 30-39 years, male 57.0
GTEX-X4LF-0626-SM-4QASB 50-59 years, male 56.9
GTEX-1I1GP-1026-SM-C1YRZ 50-59 years, male 56.9
GTEX-X4EP-1626-SM-4QAS6 60-69 years, female 56.7
GTEX-QEG4-0726-SM-CNNRF 30-39 years, male 56.7
GTEX-WQUQ-1626-SM-4OOSH 60-69 years, male 56.3
GTEX-117YW-1926-SM-5H121 50-59 years, male 56.2
GTEX-145LV-1326-SM-5S2QI 50-59 years, male 56.1
GTEX-1E1VI-1526-SM-7IGQ2 50-59 years, male 55.5
GTEX-11LCK-1726-SM-5S2OQ 30-39 years, male 55.3
GTEX-13OVJ-1226-SM-5L3HA 50-59 years, female 55.3
GTEX-1GMR8-1826-SM-9WYUE 50-59 years, female 55.3
GTEX-R3RS-1326-SM-48FE7 40-49 years, female 55.0
GTEX-UPJH-1026-SM-EAZB2 50-59 years, male 54.3
GTEX-ZYT6-1126-SM-5GZYR 30-39 years, male 54.2
GTEX-183WM-1726-SM-7KFT5 70-79 years, female 54.0
GTEX-NPJ8-1926-SM-3MJGB 40-49 years, male 54.0
GTEX-132Q8-1826-SM-5EGIY 60-69 years, male 53.8
GTEX-146FH-1726-SM-5QGQ2 50-59 years, female 53.7
GTEX-1H11D-2126-SM-9OSXM 40-49 years, male 53.7
GTEX-1H1DG-1226-SM-9JGH3 70-79 years, male 53.7
GTEX-1J1OQ-2526-SM-AHZ3Q 40-49 years, female 53.7
GTEX-1EN7A-1226-SM-7MGX9 40-49 years, male 53.5
GTEX-1I1GS-2126-SM-ARU7G 60-69 years, male 53.4
GTEX-139TU-1226-SM-5J2NL 60-69 years, male 53.3
GTEX-ZYFC-1626-SM-5N9EU 50-59 years, male 53.2
GTEX-1R9PM-0926-SM-DPRYA 20-29 years, male 53.2
GTEX-YJ89-1526-SM-5P9IR 60-69 years, male 52.6
GTEX-14BIN-2726-SM-5RQIE 50-59 years, female 52.5
GTEX-1LSNL-2226-SM-DHXKM 50-59 years, male 52.5
GTEX-144GO-2726-SM-5O9A2 60-69 years, male 52.3
GTEX-1F7RK-1526-SM-7P8T6 20-29 years, female 52.2
GTEX-R55D-1126-SM-48FEB 50-59 years, male 51.9
GTEX-15UF6-2326-SM-6M465 70-79 years, female 51.8
GTEX-144FL-2726-SM-5O98Z 50-59 years, male 51.7
GTEX-QEG5-1426-SM-447AS 20-29 years, male 51.4
GTEX-1399Q-1126-SM-5P9JA 40-49 years, male 51.3
GTEX-X585-1226-SM-46MW7 50-59 years, male 50.9
GTEX-Y111-1626-SM-57WCY 50-59 years, male 50.8
GTEX-11GSP-1826-SM-5N9DQ 60-69 years, female 50.5
GTEX-P78B-1026-SM-3NMC4 40-49 years, female 50.5
GTEX-ZAJG-1326-SM-5S2NV 50-59 years, female 50.1
GTEX-145LS-1826-SM-5LUAZ 60-69 years, female 50.0
GTEX-16NPX-1626-SM-6LLI5 50-59 years, male 49.5
GTEX-145ME-5004-SM-7MGXP 40-49 years, female 49.5
GTEX-12ZZW-1726-SM-5DUVD 50-59 years, male 48.9
GTEX-1K9T9-2026-SM-CXZK3 50-59 years, female 48.9
GTEX-OHPN-1026-SM-E9TI8 60-69 years, female 48.7
GTEX-1GTWX-1326-SM-9JGHU 60-69 years, male 48.5
GTEX-16MT8-1326-SM-6M47R 60-69 years, female 48.3
GTEX-11DZ1-2026-SM-5A5KG 50-59 years, male 48.1
GTEX-1QEPI-1826-SM-EAZ3J 60-69 years, female 48.0
GTEX-ZV68-0926-SM-59HK7 50-59 years, female 47.3
GTEX-14BIM-1326-SM-7EWD1 60-69 years, female 47.2
GTEX-1HBPM-1426-SM-9WPPE 60-69 years, female 47.1
GTEX-15EO6-1026-SM-7KUG9 50-59 years, male 47.0
GTEX-QVUS-0626-SM-447CC 60-69 years, female 46.8
GTEX-1H1ZS-1526-SM-9OSXR 70-79 years, male 46.8
GTEX-1EU9M-2326-SM-7MKGS 60-69 years, male 46.3
GTEX-1JMQK-2026-SM-C1YQN 60-69 years, male 44.9
GTEX-R45C-1226-SM-48FEE 60-69 years, female 44.8
GTEX-18465-1126-SM-7LG6E 50-59 years, male 44.0
GTEX-1F52S-1426-SM-7P8PU 60-69 years, female 44.0
GTEX-15DCD-1626-SM-6AJBH 70-79 years, female 43.7
GTEX-17F97-1326-SM-7MGVO 50-59 years, male 43.2
GTEX-1C6VQ-1826-SM-7EWEH 50-59 years, male 43.0
GTEX-1M5QR-0726-SM-DHXK7 40-49 years, male 39.3
GTEX-1RLM8-0726-SM-E6CRH 50-59 years, male 38.4
GTEX-ZZPT-1426-SM-5N9C5 50-59 years, male 32.5
GTEX-1LVA9-2126-SM-DLHBY 50-59 years, male 32.2
Show allShow less

ESOPHAGUS - FANTOM5 CAGEi

RNA expression in human tissues obtained through Cap Analysis of Gene Expression (CAGE) generated by the FANTOM5 project are reported as Scaled Tags Per Million.

Max subtype Scaled Tags Per Millioni

Max subtype Scaled Tags Per Million is the value for the subtype with the largest average Scaled Tags Per Million across the subtype samples.

158.5
FANTOM5 sample id Sample description Scaled Tags Per Million
Esophagus
Scaled Tags Per Million: 158.5
FF:10015-101C6 68,74,75 years, mixed 158.5

Contact

  • NEWS ARTICLES
  • PRESS ROOM

The Project

  • INTRODUCTION
  • ORGANIZATION
  • PUBLICATIONS

The Human Protein Atlas

  • DOWNLOADABLE DATA
  • LICENCE & CITATION
  • HELP & FAQ
The Human Protein Atlas project is funded
by the Knut & Alice Wallenberg Foundation.


contact@proteinatlas.org