We use cookies to enhance the usability of our website. If you continue, we'll assume that you are happy to receive all cookies. More information. Don't show this again.
FCHO2
HPA
RESOURCES
  • TISSUE
  • BRAIN
  • SINGLE CELL
  • SUBCELLULAR
  • CANCER
  • BLOOD
  • CELL LINE
  • STRUCTURE & INTERACTION
ABOUT
  • INTRODUCTION
  • HISTORY
  • ORGANIZATION
  • PUBLICATIONS
  • ANTIBODY SUBMISSION
  • ANTIBODY AVAILABILITY
  • ACKNOWLEDGMENTS
  • CONTACT
NEWS
  • NEWS ARTICLES
  • PRESS ROOM
LEARN
  • DICTIONARY
  • PROTEIN CLASSES
  • PROTEIN EVIDENCE
  • METHODS
  • EDUCATIONAL VIDEOS
DATA
  • DOWNLOADABLE DATA
  • PUBLICATION DATA
  • RELEASE HISTORY
HELP
  • ANTIBODY VALIDATION
  • ASSAYS & ANNOTATION
  • DISCLAIMER
  • HELP & FAQ
  • PRIVACY STATEMENT
  • LICENCE & CITATION
Fields »
Search result

Field
Term
Gene name
Class
Subclass
Class
Keyword
Chromosome
External id
Tissue
Cell type
Expression
Antibody panel
Tissue
Main location
Patient ID
Annotation
Tissue
Category
Tau score
Cluster
Reliability
Brain region
Category
Tau score
Brain region
Category
Tau score
Brain region
Category
Tau score
Cluster
Reliability
Tissue
Cell type
Enrichment
Cell type
Category
Tau score
Cell type
Category
Tau score
Cell type
Category
Tau score
Cell lineage
Category
Tau score
Cluster
Cluster
Location
Searches
Location
Cell line
Class
Type
Phase
Reliability
Cancer
Prognosis
Cancer
Category
Cancer
Category
Tau score
Cluster
Variants
Interacting gene (ensg_id)
Type
Number of interactions
Pathway
Category
Score
Score
Score
Validation
Validation
Validation
Validation
Antibodies
Data type
Column


  • SUMMARY

  • TISSUE

  • BRAIN

  • SINGLE CELL

  • SUBCELL

  • CANCER

  • BLOOD

  • CELL LINE

  • STRUCT & INT

  • FCHO2
TISSUE PRIMARY DATA SKIN Show tissue menu
ADIPOSE TISSUE ADRENAL GLAND AMYGDALA APPENDIX BASAL GANGLIA BONE MARROW BREAST BRONCHUS CEREBELLUM CEREBRAL CORTEX CERVIX CHOROID PLEXUS COLON DUODENUM
ENDOMETRIUM EPIDIDYMIS ESOPHAGUS FALLOPIAN TUBE GALLBLADDER HEART MUSCLE HIPPOCAMPAL FORMATION HYPOTHALAMUS KIDNEY LIVER LUNG LYMPH NODE MIDBRAIN NASOPHARYNX
ORAL MUCOSA OVARY PANCREAS PARATHYROID GLAND PITUITARY GLAND PLACENTA PROSTATE RECTUM RETINA SALIVARY GLAND SEMINAL VESICLE SKELETAL MUSCLE SKIN SMALL INTESTINE
SMOOTH MUSCLE SOFT TISSUE SPINAL CORD SPLEEN STOMACH TESTIS THYMUS THYROID GLAND TONGUE TONSIL URINARY BLADDER VAGINA
ANTIBODIES
AND
VALIDATION
Dictionary
Skin
Tissue proteome
Skin
SKIN - Expression summary
Protein expression
Skini

On the top, protein expression in current human tissue, based on all annotated cell types, is reported with the units not detected (n), low (l), medium (m) and high (h). Underneath, protein expression in each annotated cell type are reported using the same units.

Protein expression data is based on knowledge-based annotation. For genes where more than one antibody has been used, a collective score is set.

If knowledge-based annotation could not be performed for a gene, no data is displayed here. View antibody staining data further down this page.

h
m
l
n
Epidermal cells: Low
Fibroblasts: Medium
Keratinocytes: Medium
Langerhans: Medium
Melanocytes: Medium
RNA expressioni

A summary of mRNA expression data available for current tissue based on several datasets. The mRNA expression levels in human tissues are based on RNA-seq data generated by the Human Protein Atlas (HPA), Genotype-Tissue Expression (GTEx) portal and CAGE data generated by the FANTOM5 consortium. Consensus normalized expression levels for human tissues was created by combining the data from HPA and GTEx datasets.

The mRNA expression levels in pig are based on RNA-seq data generated by the Human Protein Atlas (HPA), and for mouse, HPA data and in situ hybridization generated by the Allen brain atlas are reported.

Scroll down to view mRNA expression data in more detail.
Consensus:12.0 nTPM
HPA:12.0 nTPM
GTEx:10.7 nTPM

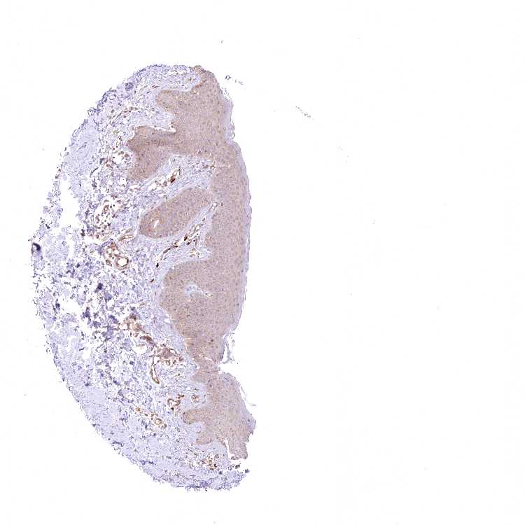
SKIN 1 - Antibody stainingi

Antibody staining in the annotated cell types in the current human tissue is reported as not detected, low, medium, or high, based on conventional immunohistochemistry profiling in selected tissues. This score is based on the combination of the staining intensity and fraction of stained cells.

Each image is clickable and will lead to virtual microscopy that enables deeper exploration of all samples and also displays staining intensity scores, fraction scores and subcellular localization as well as patient and tissue information for each sample.

Antibody HPA037685Antibody HPA037686
Langerhans MediumLow
Fibroblasts MediumLow
Keratinocytes MediumMedium
Melanocytes MediumMedium



SKIN 2 - Antibody stainingi

Antibody staining in the annotated cell types in the current human tissue is reported as not detected, low, medium, or high, based on conventional immunohistochemistry profiling in selected tissues. This score is based on the combination of the staining intensity and fraction of stained cells.

Each image is clickable and will lead to virtual microscopy that enables deeper exploration of all samples and also displays staining intensity scores, fraction scores and subcellular localization as well as patient and tissue information for each sample.

Antibody HPA037685Antibody HPA037686
Epidermal cells LowMedium
  
  
  


SKIN - HPA RNA-seqi

The RNA-seq details section shows detailed information about the individual samples used for the transcript profiling and results of the RNA-seq analysis.

Information about each individual sample is listed below, including gender, age, a tissue section image and estimated fractions of cell types. nTPM (normalized transcripts per million) values give a quantification of the gene abundance which is comparable between different genes and samples.
Average nTPMi

Max subtype nTPM is the value for the subtype with the largest average nTPM across the subtype samples.

12.0
overview
Female, age 34
Skin sample 225
nTPM: 12.3
Cell types%
Keratinocytes:
60

Other cell types:
40

overview
Female, age 30
Skin sample 226
nTPM: 14.7
Cell types%
Keratinocytes:
55

Other cell types:
45

N/A
Male, age 57
Skin sample 227
nTPM: 9.1

SKIN - GTEx RNA-seqi

RNA-Seq data generated by the Genotype-Tissue Expression (GTEx) project from human tissues is reported as mean nTPM. More information can be found on the GTEx portal.

Distribution across the dataset is visualized with box plots, shown as median and 25th and 75th percentiles. Points are displayed as outliers if they are above or below 1.5 times the interquartile range. nTPM values of the individual samples are presented next to the box plot.
Max subtype nTPMi

Max subtype nTPM is the value for the subtype with the largest average nTPM across the subtype samples.

10.7
GTEx sample id Sample description nTPM
Skin - Not Sun Exposed (Suprapubic)
Average nTPM: 9.9
Samples: 604

Max nTPM: 28.2
Min nTPM: 4.1
Std nTPM: 2.5
Median nTPM: 9.7
GTEX-1H3VE-0726-SM-9YFL5 40-49 years, male 28.2
GTEX-1F6RS-2026-SM-7RHHC 60-69 years, female 20.1
GTEX-1HBPM-0726-SM-9YFL7 60-69 years, female 20.1
GTEX-147F3-1726-SM-5SIAW 50-59 years, female 18.0
GTEX-1AMEY-0826-SM-72D65 30-39 years, female 18.0
GTEX-13NZ8-1226-SM-5KM4A 60-69 years, female 16.6
GTEX-1J8Q2-2626-SM-ACKWQ 60-69 years, male 16.5
GTEX-1GMR8-0626-SM-7RHI7 50-59 years, female 16.1
GTEX-13NYS-0626-SM-5L3F1 60-69 years, male 15.8
GTEX-13PDP-0726-SM-5L3HP 60-69 years, male 15.8
GTEX-1AMFI-1326-SM-7939R 50-59 years, female 15.7
GTEX-1F48J-0726-SM-7RHGS 50-59 years, female 15.5
GTEX-1I4MK-0126-SM-CY8G6 50-59 years, female 15.4
GTEX-11EQ8-0926-SM-5H12V 60-69 years, male 15.3
GTEX-13QBU-1226-SM-5LU4G 40-49 years, female 15.2
GTEX-13VXT-1926-SM-5K7UO 20-29 years, female 15.2
GTEX-1EH9U-2826-SM-7DUGT 60-69 years, male 15.1
GTEX-1CB4J-1326-SM-7P8RX 60-69 years, male 15.1
GTEX-1HSGN-0826-SM-ACKW3 40-49 years, female 15.1
GTEX-139T8-0626-SM-5KLZX 60-69 years, male 15.0
GTEX-13YAN-0226-SM-5TDC6 60-69 years, male 15.0
GTEX-12WSM-1926-SM-5BC65 60-69 years, male 14.7
GTEX-1GN1V-2826-SM-9JGIA 60-69 years, male 14.7
GTEX-1HSMO-0626-SM-ACKXC 60-69 years, male 14.7
GTEX-1I1GT-1026-SM-ARZLV 60-69 years, female 14.7
GTEX-11LCK-2226-SM-5HL4Q 30-39 years, male 14.6
GTEX-14PJ2-0626-SM-6LLII 50-59 years, male 14.6
GTEX-15EO6-2426-SM-6PALZ 50-59 years, male 14.6
GTEX-ZYY3-2926-SM-5GIEB 60-69 years, female 14.6
GTEX-1122O-1026-SM-9WYSF 60-69 years, female 14.6
GTEX-17MF6-2626-SM-79OKQ 40-49 years, male 14.4
GTEX-13IVO-0726-SM-5LZYV 70-79 years, male 14.3
GTEX-17F9Y-0126-SM-79OKX 70-79 years, female 14.3
GTEX-1314G-1326-SM-5BC6E 30-39 years, male 14.2
GTEX-148VJ-0626-SM-5LUAW 70-79 years, male 14.1
GTEX-14PJ4-0226-SM-5YY92 60-69 years, male 14.1
GTEX-1117F-2926-SM-5GZYI 60-69 years, female 14.0
GTEX-14PKU-0126-SM-6LLHV 40-49 years, female 13.9
GTEX-131XF-2626-SM-5EQ6K 60-69 years, male 13.7
GTEX-14PJ5-1526-SM-6LLIL 60-69 years, female 13.7
GTEX-ZVE2-2826-SM-5GU51 50-59 years, male 13.7
GTEX-1HCVE-2726-SM-CL54F 50-59 years, male 13.7
GTEX-1HFI7-2326-SM-CGQFS 50-59 years, female 13.7
GTEX-13OW8-1026-SM-5J1NQ 60-69 years, male 13.6
GTEX-14PJN-1826-SM-6AJ98 30-39 years, male 13.6
GTEX-13QJC-0126-SM-5ZZWJ 60-69 years, female 13.5
GTEX-ZVT2-0126-SM-5GIDQ 50-59 years, female 13.5
GTEX-1IDJI-0126-SM-CMKHS 50-59 years, female 13.5
GTEX-Y5V5-0126-SM-5S2NW 60-69 years, female 13.4
GTEX-ZVE1-0726-SM-51MRN 50-59 years, female 13.4
GTEX-145MI-0626-SM-5SI8S 60-69 years, female 13.3
GTEX-15SKB-2826-SM-6PAMH 60-69 years, male 13.3
GTEX-XUW1-0926-SM-4BONX 50-59 years, female 13.3
GTEX-1399U-1126-SM-5L3DB 50-59 years, female 13.2
GTEX-16BQI-1326-SM-6M486 30-39 years, female 13.2
GTEX-1QP2A-1726-SM-E76QC 50-59 years, male 13.2
GTEX-183WM-0326-SM-72D5V 70-79 years, female 13.1
GTEX-1I1GS-2626-SM-B2LY3 60-69 years, male 13.1
GTEX-147JS-0226-SM-5S2U9 60-69 years, male 13.0
GTEX-ZLWG-0826-SM-59888 50-59 years, female 13.0
GTEX-1O9I2-0226-SM-EYYXD 50-59 years, male 13.0
GTEX-1PPH7-1126-SM-DTX9A 40-49 years, male 13.0
GTEX-13113-1626-SM-5EQ4I 60-69 years, female 12.9
GTEX-13JVG-0726-SM-5KM16 60-69 years, male 12.9
GTEX-13N1W-2426-SM-5IJD1 70-79 years, male 12.9
GTEX-14E6C-2426-SM-5S2NF 40-49 years, male 12.9
GTEX-15FZZ-0526-SM-7KUGD 30-39 years, female 12.9
GTEX-XQ8I-0926-SM-4BOOF 50-59 years, male 12.9
GTEX-1HUB1-1426-SM-CGQF5 60-69 years, male 12.9
GTEX-12WSL-2026-SM-5GCML 50-59 years, male 12.8
GTEX-Y9LG-1126-SM-4VBQ7 30-39 years, male 12.8
GTEX-ZA64-1026-SM-5HL8R 20-29 years, male 12.8
GTEX-1GZ4H-0526-SM-9KNU9 50-59 years, female 12.8
GTEX-1KXAM-1626-SM-D3LAD 60-69 years, male 12.8
GTEX-11GSP-2326-SM-5HL63 60-69 years, female 12.7
GTEX-13SLW-0626-SM-5Q5ER 70-79 years, male 12.7
GTEX-14C5O-0326-SM-5ZZUX 60-69 years, male 12.7
GTEX-1J1OQ-0126-SM-D4P2N 40-49 years, female 12.7
GTEX-13X6H-0926-SM-5SIB2 50-59 years, female 12.6
GTEX-1497J-0226-SM-5QGPU 60-69 years, male 12.6
GTEX-1CAV2-0126-SM-7IGN7 40-49 years, female 12.6
GTEX-WYBS-0626-SM-3NMAS 60-69 years, female 12.6
GTEX-1QPFJ-1926-SM-EVYBD 30-39 years, female 12.6
GTEX-1477Z-0326-SM-7IGLA 60-69 years, male 12.5
GTEX-14BMU-1226-SM-5S2OR 20-29 years, female 12.5
GTEX-15DDE-2926-SM-6LLJ3 50-59 years, female 12.5
GTEX-1EMGI-2326-SM-7PBYA 60-69 years, male 12.4
GTEX-1F75W-2726-SM-7SB8H 60-69 years, male 12.4
GTEX-1GN1U-0626-SM-9MQL9 50-59 years, female 12.4
GTEX-1H23P-0626-SM-9WG6T 60-69 years, male 12.4
GTEX-1H3O1-1326-SM-9MQLD 60-69 years, male 12.4
GTEX-1JJ6O-2726-SM-CNPOG 60-69 years, male 12.4
GTEX-12WSA-0426-SM-5EQ5X 60-69 years, male 12.3
GTEX-139D8-1126-SM-5LU8W 30-39 years, female 12.3
GTEX-1F5PL-0926-SM-7PC2W 40-49 years, female 12.3
GTEX-1GF9U-2026-SM-7SB92 40-49 years, female 12.3
GTEX-1JJE9-2626-SM-ARZMT 70-79 years, male 12.3
GTEX-1RLM8-2926-SM-E8VON 50-59 years, male 12.3
GTEX-14C39-1726-SM-5RQIL 40-49 years, male 12.2
GTEX-1HCU7-0726-SM-A9SL1 50-59 years, male 12.2
GTEX-1LB8K-0726-SM-D5OV2 50-59 years, male 12.2
GTEX-1LGRB-0926-SM-COH3K 50-59 years, female 12.2
GTEX-15UF6-1926-SM-7KUDV 70-79 years, female 12.1
GTEX-XBED-1926-SM-47JYP 60-69 years, male 12.1
GTEX-1GF9W-1426-SM-7PBYM 60-69 years, male 12.1
GTEX-1GPI6-1926-SM-9KNV7 60-69 years, male 12.1
GTEX-1H1ZS-2726-SM-9WG75 70-79 years, male 12.1
GTEX-1LKK1-2626-SM-DKPQE 50-59 years, female 12.1
GTEX-ZGAY-1826-SM-DO91Q 40-49 years, female 12.1
GTEX-11TUW-0626-SM-5LU9M 60-69 years, male 12.0
GTEX-1269C-0126-SM-5EQ5L 60-69 years, female 12.0
GTEX-13O3O-2326-SM-5IJD6 60-69 years, female 12.0
GTEX-13PVR-0426-SM-5RQK2 60-69 years, female 12.0
GTEX-ZVZP-1226-SM-5GID7 50-59 years, male 12.0
GTEX-1H4P4-2126-SM-9WYSL 50-59 years, male 12.0
GTEX-1HSMQ-2626-SM-A9SML 50-59 years, male 12.0
GTEX-1A32A-0626-SM-731AQ 50-59 years, female 11.9
GTEX-1HSKV-1226-SM-ADEI4 60-69 years, male 11.9
GTEX-1QMI2-2526-SM-E8VNZ 60-69 years, male 11.9
GTEX-12WSK-2126-SM-5CVNC 40-49 years, female 11.8
GTEX-13OVJ-0826-SM-5J1OK 50-59 years, female 11.8
GTEX-1C6VQ-1226-SM-73KYD 50-59 years, male 11.8
GTEX-11UD2-2526-SM-5CVNU 50-59 years, male 11.7
GTEX-12C56-1526-SM-5FQUQ 20-29 years, male 11.7
GTEX-13N2G-0226-SM-5K7VF 60-69 years, male 11.7
GTEX-13O3Q-0126-SM-5KM34 50-59 years, male 11.7
GTEX-1A3MV-1826-SM-731CD 30-39 years, male 11.7
GTEX-1EKGG-0626-SM-7DUGJ 60-69 years, male 11.7
GTEX-1QCLZ-2426-SM-EVYBW 60-69 years, female 11.7
GTEX-13JUV-2026-SM-5K7UA 40-49 years, female 11.6
GTEX-14A6H-2026-SM-5Q5DD 30-39 years, male 11.6
GTEX-ZVT4-2426-SM-5GIEI 50-59 years, female 11.6
GTEX-18D9A-1426-SM-7LT8M 30-39 years, female 11.6
GTEX-1LG7Y-2526-SM-EWRO7 50-59 years, male 11.6
GTEX-144GL-0626-SM-5LU4D 50-59 years, male 11.5
GTEX-14LLW-2626-SM-62LDZ 70-79 years, female 11.5
GTEX-1B97I-0626-SM-73KUZ 40-49 years, male 11.5
GTEX-1B996-0426-SM-7EWF8 60-69 years, male 11.5
GTEX-ZE9C-2526-SM-5IJDR 60-69 years, male 11.5
GTEX-1F88E-1626-SM-7SB8Z 60-69 years, female 11.5
GTEX-11EI6-2826-SM-5H11D 60-69 years, male 11.4
GTEX-13FLV-0126-SM-5K7WT 50-59 years, male 11.4
GTEX-14DAR-1226-SM-73KYV 50-59 years, male 11.4
GTEX-1I1CD-0626-SM-CE6SW 60-69 years, female 11.4
GTEX-1IDJU-1726-SM-CMKHU 60-69 years, female 11.4
GTEX-117YX-1926-SM-5GIEC 50-59 years, male 11.3
GTEX-12ZZZ-0726-SM-5GCNZ 60-69 years, male 11.3
GTEX-15CHC-1126-SM-6LLHQ 60-69 years, female 11.3
GTEX-15D1Q-2826-SM-6LLH7 40-49 years, male 11.3
GTEX-1AX9J-1326-SM-731BJ 60-69 years, male 11.3
GTEX-XMD2-2126-SM-4YCF8 60-69 years, female 11.3
GTEX-1CAMQ-1326-SM-7P8RV 40-49 years, male 11.3
GTEX-1GN2E-0226-SM-9WG6K 60-69 years, male 11.3
GTEX-1JMPZ-0726-SM-CY8HZ 30-39 years, male 11.3
GTEX-1NV5F-0626-SM-DTXEG 60-69 years, female 11.3
GTEX-11P81-2226-SM-5PNYI 30-39 years, female 11.2
GTEX-145MO-2826-SM-5LU96 60-69 years, male 11.2
GTEX-14B4R-1326-SM-5Q5EZ 30-39 years, male 11.2
GTEX-17HHE-1326-SM-7EWDZ 50-59 years, male 11.2
GTEX-Y8LW-1526-SM-5IFHL 50-59 years, female 11.2
GTEX-1GTWX-2026-SM-9YFLM 60-69 years, male 11.2
GTEX-1HB9E-0126-SM-CM2S5 50-59 years, male 11.2
GTEX-1R46S-2426-SM-E76QA 60-69 years, female 11.2
GTEX-1399R-1326-SM-5PNYS 30-39 years, male 11.1
GTEX-13RTJ-0126-SM-5S2NN 60-69 years, male 11.1
GTEX-13VXU-0626-SM-5L3F9 50-59 years, male 11.1
GTEX-1B932-2326-SM-79OL5 40-49 years, female 11.1
GTEX-WYJK-0526-SM-3NM8Z 50-59 years, male 11.1
GTEX-1CAMS-2226-SM-7PBXQ 40-49 years, female 11.1
GTEX-1GZHY-0626-SM-9KNVC 50-59 years, female 11.1
GTEX-1IDJV-0126-SM-COH3Y 60-69 years, male 11.1
GTEX-1JMPY-0226-SM-CKZOK 30-39 years, male 11.1
GTEX-1RAZR-2126-SM-E9U6T 40-49 years, male 11.1
GTEX-11NUK-2726-SM-5A5MC 50-59 years, male 11.0
GTEX-13X6I-1826-SM-5SIAO 60-69 years, male 11.0
GTEX-14PJ6-2626-SM-6EU2T 60-69 years, female 11.0
GTEX-1CB4H-1126-SM-7MKGL 60-69 years, female 11.0
GTEX-XV7Q-1826-SM-4BRUV 40-49 years, female 11.0
GTEX-ZZPU-0826-SM-5GZX5 50-59 years, female 11.0
GTEX-1GF9V-0826-SM-9KNUV 60-69 years, male 11.0
GTEX-1GF9X-1326-SM-7PC2Y 40-49 years, female 11.0
GTEX-1ICLY-0826-SM-CMKG1 50-59 years, male 11.0
GTEX-1J1R8-2026-SM-CL53Y 40-49 years, male 11.0
GTEX-13FHO-0426-SM-5L3F5 60-69 years, male 10.9
GTEX-13FTY-2126-SM-5IFFB 40-49 years, female 10.9
GTEX-14AS3-1526-SM-5Q5ED 40-49 years, female 10.9
GTEX-14PII-0726-SM-6EU2B 60-69 years, male 10.9
GTEX-15DYW-2726-SM-6EU2I 60-69 years, female 10.9
GTEX-18QFQ-1826-SM-72D52 30-39 years, male 10.9
GTEX-ZAB4-2126-SM-5HL8U 40-49 years, male 10.9
GTEX-ZF29-0926-SM-4WKFZ 60-69 years, female 10.9
GTEX-1B8L1-2226-SM-7P8PT 60-69 years, male 10.9
GTEX-1GPI7-1826-SM-9KNU1 20-29 years, male 10.9
GTEX-12WSC-2826-SM-5BC5Y 50-59 years, male 10.8
GTEX-139UW-0326-SM-5J1ML 60-69 years, male 10.8
GTEX-13OVH-0526-SM-5L3E6 70-79 years, male 10.8
GTEX-16XZZ-0726-SM-7KUF2 60-69 years, male 10.8
GTEX-1EN7A-2426-SM-793DB 40-49 years, male 10.8
GTEX-1H3NZ-2726-SM-9WYTQ 60-69 years, male 10.8
GTEX-11EM3-1226-SM-5N9DD 20-29 years, female 10.7
GTEX-13D11-0926-SM-5J2NC 50-59 years, female 10.7
GTEX-13NYC-0126-SM-5L3F4 60-69 years, male 10.7
GTEX-13X6J-0626-SM-5LU5F 50-59 years, male 10.7
GTEX-144GO-2026-SM-5O99P 60-69 years, male 10.7
GTEX-145MH-2826-SM-5RQJF 50-59 years, male 10.7
GTEX-14PKV-1126-SM-6LLJ1 20-29 years, female 10.7
GTEX-UPJH-0226-SM-3GADV 50-59 years, male 10.7
GTEX-ZYT6-2326-SM-5GZY3 30-39 years, male 10.7
GTEX-1C6VR-0126-SM-7RHGB 60-69 years, male 10.7
GTEX-1F75I-2226-SM-7SB8U 40-49 years, male 10.7
GTEX-12584-0726-SM-5FQTK 40-49 years, male 10.6
GTEX-13FH7-1126-SM-5K7UG 50-59 years, female 10.6
GTEX-1C2JI-1026-SM-73KY1 50-59 years, male 10.6
GTEX-1F52S-2926-SM-7MKGA 60-69 years, female 10.6
GTEX-1HR9M-2226-SM-CNPPY 60-69 years, male 10.6
GTEX-1J8QM-2426-SM-A9SLS 60-69 years, female 10.6
GTEX-1L5NE-1126-SM-D3L9P 50-59 years, male 10.6
GTEX-11DZ1-2426-SM-5GZZX 50-59 years, male 10.5
GTEX-14C38-0726-SM-5SI6M 50-59 years, male 10.5
GTEX-15RJE-2826-SM-7KUM9 40-49 years, male 10.5
GTEX-16NGA-0726-SM-731AO 40-49 years, female 10.5
GTEX-1A8G7-1326-SM-73KVM 60-69 years, male 10.5
GTEX-XAJ8-1426-SM-47JYM 40-49 years, male 10.5
GTEX-ZT9W-1126-SM-57WDR 50-59 years, male 10.5
GTEX-1F5PK-2226-SM-7SB6N 50-59 years, male 10.5
GTEX-1IKJJ-2226-SM-CJI4C 60-69 years, male 10.5
GTEX-1JKYN-0826-SM-ARU8S 30-39 years, male 10.5
GTEX-1KD5A-0126-SM-E9U54 50-59 years, male 10.5
GTEX-1LGOU-1326-SM-D3L8M 20-29 years, female 10.5
GTEX-11ZU8-0126-SM-5EQ58 60-69 years, male 10.4
GTEX-12WSH-1526-SM-5BC5W 50-59 years, male 10.4
GTEX-131XW-0626-SM-5PNVD 50-59 years, female 10.4
GTEX-14BMV-2826-SM-5TDED 50-59 years, male 10.4
GTEX-14ICL-1626-SM-5YYAO 30-39 years, male 10.4
GTEX-16MTA-0926-SM-6M47Z 50-59 years, male 10.4
GTEX-1I1GU-0926-SM-ACKVS 40-49 years, male 10.4
GTEX-1I1GV-0626-SM-ARL7M 60-69 years, male 10.4
GTEX-1J8Q3-0526-SM-ARL8U 60-69 years, male 10.4
GTEX-1MCYP-0526-SM-E9U6Q 20-29 years, female 10.4
GTEX-1QP28-1126-SM-EVYC4 50-59 years, female 10.4
GTEX-111YS-1526-SM-5GZYW 60-69 years, male 10.3
GTEX-14BIN-1126-SM-5RQJZ 50-59 years, female 10.3
GTEX-1A8G6-2726-SM-731AR 60-69 years, male 10.3
GTEX-1B933-2426-SM-7DHMD 50-59 years, female 10.3
GTEX-ZLFU-1826-SM-4WWBV 40-49 years, male 10.3
GTEX-ZYW4-0626-SM-59HJR 60-69 years, male 10.3
GTEX-1GMR3-0126-SM-A9SLW 40-49 years, male 10.3
GTEX-1HKZK-0726-SM-ACKW2 40-49 years, male 10.3
GTEX-1I6K6-1726-SM-CGQFD 30-39 years, male 10.3
GTEX-111VG-1626-SM-5EGIO 60-69 years, male 10.2
GTEX-11EQ9-1626-SM-5PNY8 30-39 years, male 10.2
GTEX-13FTW-0326-SM-5K7UW 40-49 years, male 10.2
GTEX-178AV-1726-SM-7KUL8 40-49 years, male 10.2
GTEX-Y5LM-0926-SM-6LLJG 40-49 years, female 10.2
GTEX-1C475-1326-SM-7SB73 40-49 years, female 10.2
GTEX-1H1DE-1326-SM-9KNUG 20-29 years, male 10.2
GTEX-1IE54-1126-SM-A9G2Z 40-49 years, female 10.2
GTEX-1JMQI-1726-SM-ARL93 50-59 years, male 10.2
GTEX-1POEN-2326-SM-E9J2L 30-39 years, female 10.2
GTEX-1R7EU-1626-SM-DTXG3 60-69 years, male 10.2
GTEX-17EVQ-0126-SM-7IGLR 70-79 years, male 10.1
GTEX-V1D1-2026-SM-3GAF4 50-59 years, male 10.1
GTEX-WK11-2726-SM-3NMAQ 50-59 years, male 10.1
GTEX-ZTTD-2826-SM-4YCFA 50-59 years, male 10.1
GTEX-14JG6-1426-SM-9WG7C 30-39 years, female 10.1
GTEX-1F75B-0726-SM-7PC3R 50-59 years, male 10.1
GTEX-1GN1W-2426-SM-9KNUU 50-59 years, female 10.1
GTEX-1IDFM-0326-SM-ARL7V 60-69 years, male 10.1
GTEX-1JK1U-0226-SM-ARZMX 60-69 years, male 10.1
GTEX-12WSD-0626-SM-5GCMW 60-69 years, female 10.0
GTEX-144GM-0526-SM-79OJO 20-29 years, male 10.0
GTEX-145MF-0926-SM-5Q5EA 50-59 years, male 10.0
GTEX-17HII-1426-SM-7EPGG 50-59 years, male 10.0
GTEX-YECK-0326-SM-4W1YS 60-69 years, male 10.0
GTEX-1A3MX-2626-SM-7PC24 60-69 years, male 10.0
GTEX-12696-0126-SM-5EQ4L 60-69 years, male 9.9
GTEX-13OW7-0426-SM-5K7VK 50-59 years, male 9.9
GTEX-14JG1-1526-SM-5YY9X 40-49 years, male 9.9
GTEX-17EVP-2626-SM-7IGMA 40-49 years, male 9.9
GTEX-1A3MW-0626-SM-731CB 60-69 years, female 9.9
GTEX-1C6WA-2626-SM-7MKGM 60-69 years, male 9.9
GTEX-WHSB-1326-SM-3LK6W 50-59 years, male 9.9
GTEX-YF7O-1526-SM-5IFI6 50-59 years, male 9.9
GTEX-ZPCL-1126-SM-4WWFE 60-69 years, female 9.9
GTEX-1GN73-0726-SM-7P8TJ 60-69 years, male 9.9
GTEX-1I1GP-1326-SM-A9G28 50-59 years, male 9.9
GTEX-1JMQL-2226-SM-CNPP4 50-59 years, female 9.9
GTEX-1MCC2-1826-SM-DIPEX 30-39 years, female 9.9
GTEX-13OVG-1626-SM-5J1NF 60-69 years, male 9.8
GTEX-13OVL-0126-SM-5L3GJ 50-59 years, male 9.8
GTEX-13SLX-2226-SM-62LEP 50-59 years, female 9.8
GTEX-13W3W-0726-SM-5IJDQ 60-69 years, female 9.8
GTEX-144FL-0626-SM-5LU43 50-59 years, male 9.8
GTEX-145LU-1926-SM-79OJN 50-59 years, male 9.8
GTEX-17MFQ-1526-SM-7KFRR 20-29 years, male 9.8
GTEX-18D9U-0126-SM-731BM 40-49 years, male 9.8
GTEX-Y5V6-2326-SM-4VDSA 60-69 years, male 9.8
GTEX-YB5K-2026-SM-4VDT3 40-49 years, female 9.8
GTEX-1JMOU-1026-SM-CYPSS 60-69 years, female 9.8
GTEX-147F4-0726-SM-5TDDD 50-59 years, male 9.7
GTEX-147GR-2426-SM-5ZZWQ 60-69 years, male 9.7
GTEX-14A5H-0826-SM-5QGPJ 60-69 years, male 9.7
GTEX-ZDTT-0426-SM-4WKFL 60-69 years, male 9.7
GTEX-1H1DF-1126-SM-9WG7G 40-49 years, female 9.7
GTEX-1N5O9-0926-SM-E9J3C 60-69 years, male 9.7
GTEX-1211K-1526-SM-5FQU4 60-69 years, female 9.6
GTEX-1313W-0626-SM-5EQ4H 50-59 years, female 9.6
GTEX-17JCI-2926-SM-7DUFF 60-69 years, female 9.6
GTEX-1CB4E-0926-SM-7EPHT 60-69 years, male 9.6
GTEX-YFCO-1226-SM-5LUAT 40-49 years, male 9.6
GTEX-ZYFG-1526-SM-5GZYM 60-69 years, female 9.6
GTEX-1IDJD-2326-SM-ACKWX 30-39 years, male 9.6
GTEX-1IL2V-1926-SM-B2LW8 70-79 years, male 9.6
GTEX-1JN6P-2926-SM-CL54D 60-69 years, male 9.6
GTEX-1K9T9-1526-SM-DIPFR 50-59 years, female 9.6
GTEX-1RAZA-2226-SM-E9U4X 20-29 years, male 9.6
GTEX-1S5ZU-2526-SM-E6CIF 20-29 years, female 9.6
GTEX-133LE-2326-SM-5K7W3 20-29 years, female 9.5
GTEX-14E6E-0526-SM-793DN 30-39 years, male 9.5
GTEX-14PJO-2526-SM-6AJBQ 60-69 years, male 9.5
GTEX-15G19-2426-SM-7KUMR 60-69 years, male 9.5
GTEX-18A7A-0126-SM-731AH 50-59 years, female 9.5
GTEX-1B8KE-1126-SM-7EPHI 50-59 years, male 9.5
GTEX-VJYA-1526-SM-3GIJV 60-69 years, male 9.5
GTEX-14JFF-0626-SM-5ZZVT 60-69 years, male 9.5
GTEX-1GMRU-2126-SM-7P8RA 50-59 years, male 9.5
GTEX-1H2FU-0926-SM-9WPPT 60-69 years, female 9.5
GTEX-1HCU8-2526-SM-CE6RX 60-69 years, female 9.5
GTEX-1192X-2726-SM-5N9DN 50-59 years, male 9.4
GTEX-11GS4-0226-SM-5HL77 60-69 years, male 9.4
GTEX-13N11-2326-SM-5IJBF 50-59 years, female 9.4
GTEX-13X6K-0626-SM-5LU5D 60-69 years, female 9.4
GTEX-1B8SF-0126-SM-7DUG3 60-69 years, male 9.4
GTEX-ZY6K-1426-SM-5GZX2 50-59 years, male 9.4
GTEX-1IDJH-0126-SM-D3L92 70-79 years, male 9.4
GTEX-1KWVE-1026-SM-D3L9O 30-39 years, male 9.4
GTEX-1S82P-2126-SM-E6CI5 60-69 years, female 9.4
GTEX-14753-0726-SM-5QGQO 60-69 years, male 9.3
GTEX-15EU6-2226-SM-6EU2L 50-59 years, male 9.3
GTEX-16MT8-2926-SM-7DUFO 60-69 years, female 9.3
GTEX-1BAJH-2426-SM-7IGP8 70-79 years, male 9.3
GTEX-WYVS-1626-SM-3NM9R 40-49 years, female 9.3
GTEX-1HCU9-0426-SM-9WYSD 20-29 years, male 9.3
GTEX-1R9K4-2826-SM-DTX8F 60-69 years, male 9.3
GTEX-111CU-1126-SM-5EGIM 50-59 years, male 9.2
GTEX-13112-0126-SM-5P9IU 50-59 years, male 9.2
GTEX-13PL6-1126-SM-5L3IE 40-49 years, female 9.2
GTEX-X4EP-0626-SM-3P621 60-69 years, female 9.2
GTEX-Z93S-1626-SM-5CVMB 50-59 years, male 9.2
GTEX-ZC5H-1526-SM-5HL9Y 40-49 years, female 9.2
GTEX-ZTSS-1426-SM-5985P 40-49 years, male 9.2
GTEX-1F75A-0726-SM-7RHHD 50-59 years, male 9.2
GTEX-1GL5R-1326-SM-7RHHF 50-59 years, male 9.2
GTEX-1LVAO-2726-SM-E9TJ8 60-69 years, male 9.2
GTEX-11O72-0626-SM-5PNYE 40-49 years, male 9.1
GTEX-11ZTT-2126-SM-5CVLO 60-69 years, female 9.1
GTEX-1212Z-0126-SM-59HK4 60-69 years, male 9.1
GTEX-12BJ1-0926-SM-5EQ62 60-69 years, male 9.1
GTEX-13OW5-2326-SM-5L3HO 60-69 years, male 9.1
GTEX-14LZ3-0126-SM-69LPM 60-69 years, female 9.1
GTEX-15ER7-0626-SM-6PANF 20-29 years, female 9.1
GTEX-17HHY-0426-SM-7DHLC 50-59 years, male 9.1
GTEX-1EU9M-1426-SM-793AI 60-69 years, male 9.1
GTEX-WRHU-2826-SM-3MJG8 50-59 years, female 9.1
GTEX-ZE7O-2726-SM-51MT5 50-59 years, female 9.1
GTEX-1JKYR-0626-SM-ARL8R 20-29 years, male 9.1
GTEX-1QEPI-2626-SM-DTXF4 60-69 years, female 9.1
GTEX-11VI4-1126-SM-5EQMD 40-49 years, female 9.0
GTEX-145LT-0526-SM-5LUB2 40-49 years, male 9.0
GTEX-Y3I4-1726-SM-4TT89 50-59 years, male 9.0
GTEX-ZXG5-2126-SM-59HKD 60-69 years, male 9.0
GTEX-ZYFC-0426-SM-5GICQ 50-59 years, male 9.0
GTEX-1LVA9-2626-SM-EVYD4 50-59 years, male 9.0
GTEX-ZLV1-1526-SM-DO91J 60-69 years, female 9.0
GTEX-13O61-1426-SM-5KM3D 60-69 years, male 8.9
GTEX-14DAQ-0626-SM-793DS 60-69 years, female 8.9
GTEX-15CHQ-0326-SM-69LQD 60-69 years, male 8.9
GTEX-1CB4F-1026-SM-7DUH1 60-69 years, male 8.9
GTEX-ZDYS-2426-SM-4WKGI 50-59 years, male 8.9
GTEX-1A8FM-0626-SM-7PC25 50-59 years, female 8.9
GTEX-1K2DU-1226-SM-CYPT4 20-29 years, male 8.9
GTEX-1M4P7-0726-SM-E6CJ3 60-69 years, male 8.9
GTEX-1PPGY-1626-SM-EVYBL 60-69 years, male 8.9
GTEX-1QCLY-0226-SM-EWRNH 30-39 years, male 8.9
GTEX-131YS-2826-SM-5EQ47 60-69 years, female 8.8
GTEX-139TU-0726-SM-5L3EK 60-69 years, male 8.8
GTEX-145LS-0626-SM-7EPG7 60-69 years, female 8.8
GTEX-16GPK-0626-SM-7KFSF 60-69 years, male 8.8
GTEX-16YQH-2226-SM-7IGM2 30-39 years, male 8.8
GTEX-17F96-0126-SM-7EWDU 70-79 years, male 8.8
GTEX-18A7B-2726-SM-7LG56 70-79 years, male 8.8
GTEX-WY7C-2126-SM-3NB2R 50-59 years, male 8.8
GTEX-YEC4-1826-SM-4W1YP 40-49 years, male 8.8
GTEX-1IOXB-2726-SM-CM2RI 50-59 years, male 8.8
GTEX-1LG7Z-1626-SM-CXKYR 30-39 years, male 8.8
GTEX-1LVAM-0726-SM-E6CIL 50-59 years, female 8.8
GTEX-11DXY-0126-SM-5H11Q 60-69 years, male 8.7
GTEX-12ZZX-2426-SM-5GCOE 40-49 years, female 8.7
GTEX-145ME-1726-SM-5Q5EU 40-49 years, female 8.7
GTEX-14PJ3-1126-SM-5ZZVX 50-59 years, male 8.7
GTEX-16Z82-2626-SM-7KULU 60-69 years, male 8.7
GTEX-18465-2826-SM-7LT9J 50-59 years, male 8.7
GTEX-VUSG-2326-SM-4KL1U 50-59 years, male 8.7
GTEX-XBEC-0726-SM-4QARZ 50-59 years, male 8.7
GTEX-ZU9S-1826-SM-5NQ9E 30-39 years, male 8.7
GTEX-1F6IF-0926-SM-7SB7M 60-69 years, male 8.7
GTEX-1GZ2Q-0126-SM-9WG6M 40-49 years, male 8.7
GTEX-1HT8W-0626-SM-A9G2H 30-39 years, male 8.7
GTEX-1ICG6-1226-SM-A9SLN 70-79 years, female 8.7
GTEX-1QAET-0326-SM-EVR3U 50-59 years, male 8.7
GTEX-1399S-0126-SM-5IJCF 30-39 years, female 8.6
GTEX-13NYB-0126-SM-5J1MD 40-49 years, male 8.6
GTEX-13PVQ-0626-SM-5LU47 50-59 years, male 8.6
GTEX-16NPX-0726-SM-7KULC 50-59 years, male 8.6
GTEX-18D9B-0926-SM-7LG4U 60-69 years, male 8.6
GTEX-1CB4I-0126-SM-7RHGG 50-59 years, male 8.6
GTEX-1HBPN-0126-SM-CGQEF 50-59 years, male 8.6
GTEX-1HGF4-0126-SM-CNPPX 60-69 years, male 8.6
GTEX-1K2DA-1026-SM-CGQGF 50-59 years, male 8.6
GTEX-1KANC-1226-SM-CYPT7 50-59 years, female 8.6
GTEX-1QP29-1826-SM-DTX9S 50-59 years, male 8.6
GTEX-1R9PM-1926-SM-EVR3O 20-29 years, male 8.6
GTEX-11PRG-0726-SM-5EGL1 50-59 years, male 8.5
GTEX-183FY-1026-SM-7939A 20-29 years, male 8.5
GTEX-1AX9I-2226-SM-73KUO 60-69 years, male 8.5
GTEX-ZF2S-1626-SM-57WES 50-59 years, female 8.5
GTEX-ZP4G-1426-SM-4WWCL 20-29 years, female 8.5
GTEX-ZUA1-2626-SM-5NQ92 40-49 years, male 8.5
GTEX-ZZ64-1026-SM-5GZXG 20-29 years, male 8.5
GTEX-1C64N-2626-SM-7PC2N 50-59 years, male 8.5
GTEX-1N2EE-0626-SM-E76PW 60-69 years, male 8.5
GTEX-139TT-2126-SM-5LZWC 60-69 years, male 8.4
GTEX-XPVG-2126-SM-4B667 50-59 years, male 8.4
GTEX-YJ8O-2526-SM-5HL85 40-49 years, female 8.4
GTEX-1PPH8-0126-SM-EWRN8 20-29 years, male 8.4
GTEX-12KS4-2126-SM-5FQUT 30-39 years, male 8.3
GTEX-12WSF-1626-SM-7KUG5 70-79 years, male 8.3
GTEX-13NZ9-2626-SM-5L3FK 50-59 years, male 8.3
GTEX-13U4I-2226-SM-5LU5H 40-49 years, female 8.3
GTEX-16AAH-0626-SM-793C9 50-59 years, male 8.3
GTEX-1S83E-1326-SM-E6CJM 40-49 years, male 8.3
GTEX-139TS-2126-SM-5K7XC 60-69 years, male 8.2
GTEX-139YR-1026-SM-5LZYN 50-59 years, male 8.2
GTEX-16MT9-0126-SM-7EPI8 60-69 years, female 8.2
GTEX-18A67-1626-SM-7LT9T 50-59 years, male 8.2
GTEX-1B8KZ-0326-SM-73KY4 50-59 years, male 8.2
GTEX-1EWIQ-0326-SM-7DHMQ 70-79 years, female 8.2
GTEX-ZTX8-1326-SM-4YCEL 20-29 years, male 8.2
GTEX-ZWKS-0626-SM-5GIDV 30-39 years, male 8.2
GTEX-ZYVF-0926-SM-5E44J 50-59 years, female 8.2
GTEX-1GZ4I-2626-SM-9KNU3 50-59 years, male 8.2
GTEX-1QP66-1226-SM-DTX7U 50-59 years, male 8.2
GTEX-1RAZQ-1326-SM-E9TK6 30-39 years, male 8.2
GTEX-145MN-1526-SM-5SI9T 30-39 years, male 8.1
GTEX-15G1A-1626-SM-7KUKN 30-39 years, male 8.1
GTEX-Y111-0626-SM-4SOIT 50-59 years, male 8.1
GTEX-1J8JJ-0626-SM-ARZMQ 60-69 years, female 8.1
GTEX-1S831-1826-SM-EWROF 20-29 years, male 8.1
GTEX-12ZZY-0726-SM-5EQ66 60-69 years, male 8.0
GTEX-1399Q-2326-SM-5KM2X 40-49 years, male 8.0
GTEX-13FTX-1526-SM-5K7VJ 20-29 years, female 8.0
GTEX-14PK6-0226-SM-62LF5 70-79 years, female 8.0
GTEX-15CHR-1126-SM-7EWF4 50-59 years, male 8.0
GTEX-1EX96-1026-SM-7MKG2 50-59 years, male 8.0
GTEX-1AYD5-2626-SM-7PBXY 50-59 years, male 8.0
GTEX-1H1E6-0426-SM-9WYUS 30-39 years, male 8.0
GTEX-1HR98-2226-SM-ADEI2 60-69 years, male 8.0
GTEX-1I6K7-1926-SM-B2LXR 40-49 years, male 8.0
GTEX-1RMOY-1326-SM-E9TIH 50-59 years, male 8.0
GTEX-11TT1-1826-SM-5EQLV 20-29 years, male 7.9
GTEX-11ZUS-2626-SM-5FQUR 30-39 years, male 7.9
GTEX-146FQ-2126-SM-5RQHU 30-39 years, male 7.9
GTEX-Y8E4-2026-SM-5IFJB 40-49 years, male 7.9
GTEX-ZAK1-0626-SM-5HL8E 50-59 years, female 7.9
GTEX-1C64O-1326-SM-7MGWR 60-69 years, male 7.9
GTEX-1J8EW-2726-SM-CY8HR 60-69 years, female 7.9
GTEX-1JMQJ-0826-SM-CNPP7 50-59 years, male 7.9
GTEX-1LSNL-2726-SM-E9TKJ 50-59 years, male 7.9
GTEX-1OJC4-2726-SM-E76PJ 50-59 years, female 7.9
GTEX-1PDJ9-1226-SM-EXUSX 20-29 years, male 7.9
GTEX-WFG7-2026-SM-5SI7P 20-29 years, male 7.8
GTEX-WHPG-2626-SM-3NMBR 50-59 years, male 7.8
GTEX-X4EO-2926-SM-4E3JH 60-69 years, female 7.8
GTEX-1IDJE-1426-SM-ADEIW 50-59 years, female 7.8
GTEX-1KANB-2826-SM-CY8I6 50-59 years, male 7.8
GTEX-11WQC-1826-SM-5GU59 60-69 years, male 7.7
GTEX-13OW6-2726-SM-5J2OE 50-59 years, male 7.7
GTEX-18A6Q-0626-SM-7KFRP 60-69 years, male 7.7
GTEX-X8HC-0626-SM-4E3HQ 50-59 years, female 7.7
GTEX-1HC8U-1326-SM-9YFMJ 40-49 years, female 7.7
GTEX-1KAFJ-0126-SM-DIPEK 50-59 years, male 7.7
GTEX-11DXZ-2026-SM-5987S 50-59 years, male 7.6
GTEX-14ABY-2026-SM-62LDL 50-59 years, male 7.6
GTEX-U8XE-0226-SM-4E3J3 30-39 years, male 7.6
GTEX-XOT4-0626-SM-4B66L 60-69 years, female 7.6
GTEX-ZVTK-0226-SM-51MRG 20-29 years, male 7.6
GTEX-1GMR2-0826-SM-7PC3V 50-59 years, male 7.6
GTEX-1H1DG-2426-SM-9QEHJ 70-79 years, male 7.6
GTEX-1IDJF-2026-SM-CL53V 20-29 years, male 7.6
GTEX-1IKOE-1426-SM-CE6T7 30-39 years, female 7.6
GTEX-1KANA-1326-SM-DIPFA 20-29 years, male 7.6
GTEX-1RAZS-2526-SM-E6CHT 50-59 years, male 7.6
GTEX-14PHX-2226-SM-6EU2P 50-59 years, male 7.5
GTEX-1E1VI-0326-SM-793D1 50-59 years, male 7.5
GTEX-UPK5-0426-SM-3GAEK 40-49 years, male 7.5
GTEX-XBEW-1126-SM-4QARW 40-49 years, male 7.5
GTEX-ZAJG-1526-SM-5CVML 50-59 years, female 7.5
GTEX-ZT9X-1526-SM-5DUXD 40-49 years, male 7.5
GTEX-1HBPI-2126-SM-ARL9K 50-59 years, male 7.5
GTEX-1ICLZ-0326-SM-ARL82 60-69 years, male 7.5
GTEX-11DXW-0826-SM-5H118 40-49 years, male 7.4
GTEX-17HGU-2326-SM-7DUFE 50-59 years, male 7.4
GTEX-WFON-1926-SM-3LK7L 40-49 years, male 7.4
GTEX-1H1CY-0126-SM-9YFLY 60-69 years, female 7.4
GTEX-1PBJJ-1026-SM-E76OS 30-39 years, male 7.4
GTEX-13OVK-1426-SM-6PAN7 40-49 years, male 7.3
GTEX-17F98-1326-SM-7DUEP 40-49 years, female 7.3
GTEX-17F9E-2326-SM-79OKD 50-59 years, male 7.3
GTEX-ZVP2-0326-SM-57WBP 50-59 years, male 7.3
GTEX-1HCU6-2526-SM-ADEHL 60-69 years, female 7.3
GTEX-1RB15-1326-SM-E76Q9 60-69 years, male 7.3
GTEX-ZF3C-0626-SM-DO92O 50-59 years, female 7.3
GTEX-11P7K-1126-SM-5HL4L 30-39 years, male 7.2
GTEX-15RIG-0726-SM-7KUM7 40-49 years, male 7.2
GTEX-1I1HK-2326-SM-CKZOH 60-69 years, male 7.2
GTEX-1LSVX-2526-SM-DIPEU 60-69 years, male 7.2
GTEX-W5X1-2526-SM-3GILC 40-49 years, female 7.1
GTEX-1I19N-0126-SM-CYPSF 70-79 years, male 7.1
GTEX-1LVAN-0626-SM-CNPOQ 50-59 years, female 7.1
GTEX-1N2DV-1526-SM-DTXEP 40-49 years, male 7.1
GTEX-YEC3-1326-SM-DO92X 50-59 years, male 7.1
GTEX-ZPIC-0526-SM-DO91W 40-49 years, female 7.1
GTEX-Y3IK-1626-SM-4YCF5 50-59 years, female 7.0
GTEX-111FC-2526-SM-5GZXU 60-69 years, male 6.9
GTEX-13G51-1826-SM-5KLZH 60-69 years, male 6.9
GTEX-14XAO-1226-SM-6EU1C 60-69 years, female 6.9
GTEX-X3Y1-2026-SM-3P5YM 40-49 years, male 6.9
GTEX-11P82-1426-SM-DTXFY 20-29 years, male 6.9
GTEX-1CAMR-1326-SM-7PC1F 20-29 years, male 6.9
GTEX-1JJEA-1826-SM-ARU8P 60-69 years, male 6.9
GTEX-1NSGN-0726-SM-DTXEF 50-59 years, male 6.9
GTEX-11OF3-0126-SM-5PNYF 60-69 years, male 6.8
GTEX-132AR-0326-SM-5KM2C 50-59 years, female 6.8
GTEX-17HG3-2626-SM-7DUF2 30-39 years, female 6.8
GTEX-18A66-0626-SM-7LT8Z 60-69 years, male 6.8
GTEX-ZDTS-0826-SM-4WKHL 60-69 years, male 6.8
GTEX-1HFI6-0126-SM-CNPPI 40-49 years, male 6.8
GTEX-1LSNM-0826-SM-DIPG8 50-59 years, male 6.8
GTEX-1MJK3-0726-SM-E6CJC 20-29 years, male 6.8
GTEX-1QW4Y-1126-SM-DTXE3 30-39 years, male 6.8
GTEX-17F97-2626-SM-7IGM5 50-59 years, male 6.7
GTEX-17KNJ-2126-SM-718AM 50-59 years, male 6.7
GTEX-X5EB-1926-SM-4E3IW 40-49 years, male 6.7
GTEX-XK95-0226-SM-4AT58 40-49 years, male 6.7
GTEX-1IDJC-1526-SM-B2LW4 50-59 years, male 6.7
GTEX-1JMLX-0626-SM-ARL8T 50-59 years, male 6.7
GTEX-1S3DN-2126-SM-E9TIN 50-59 years, male 6.7
GTEX-131XG-0326-SM-5L3DX 50-59 years, female 6.6
GTEX-145MG-1526-SM-5Q5EM 50-59 years, male 6.6
GTEX-1AX8Z-0726-SM-73KTS 60-69 years, male 6.6
GTEX-1E2YA-2126-SM-7MXUO 50-59 years, male 6.6
GTEX-1PIIG-2326-SM-DTXFR 30-39 years, male 6.6
GTEX-WI4N-2726-SM-3LK7Y 40-49 years, female 6.5
GTEX-ZYFD-0626-SM-5E44E 50-59 years, male 6.5
GTEX-1IY9M-2826-SM-ARU8H 60-69 years, male 6.5
GTEX-1JN1M-2726-SM-CY8I4 60-69 years, female 6.5
GTEX-WFG8-2126-SM-3GIKQ 20-29 years, male 6.4
GTEX-1F88F-0126-SM-9WYSZ 60-69 years, female 6.4
GTEX-1HCUA-0826-SM-ADEHM 50-59 years, female 6.4
GTEX-131XH-0126-SM-5LZUY 50-59 years, male 6.3
GTEX-15RJ7-2126-SM-6PAMD 40-49 years, male 6.3
GTEX-WHSE-0126-SM-3NMBT 20-29 years, male 6.3
GTEX-WXYG-2026-SM-4E3IY 50-59 years, female 6.3
GTEX-1H11D-1826-SM-9QEHM 40-49 years, male 6.3
GTEX-1JMQK-1226-SM-D4P2S 60-69 years, male 6.3
GTEX-11NSD-0626-SM-5A5LU 20-29 years, male 6.2
GTEX-15RIE-1926-SM-7KUKJ 60-69 years, male 6.2
GTEX-WHWD-1826-SM-3LK6I 50-59 years, male 6.2
GTEX-11DXX-2126-SM-5PNYR 60-69 years, female 6.1
GTEX-Y114-2126-SM-4TT8B 50-59 years, female 6.1
GTEX-1F6I4-2326-SM-7RHGL 60-69 years, male 6.1
GTEX-1LBAC-0826-SM-CY8IJ 20-29 years, male 6.1
GTEX-12126-0826-SM-5FQTZ 20-29 years, male 6.0
GTEX-XXEK-1626-SM-4BRUZ 50-59 years, male 6.0
GTEX-ZDXO-3126-SM-5IJDF 60-69 years, male 6.0
GTEX-11WQK-1026-SM-5EQLX 50-59 years, male 5.9
GTEX-WEY5-2326-SM-3GIKK 40-49 years, female 5.8
GTEX-XYKS-1426-SM-4BRUO 60-69 years, female 5.8
GTEX-1QP9N-1226-SM-E76QN 30-39 years, male 5.8
GTEX-14PHY-1226-SM-5ZZWK 60-69 years, female 5.6
GTEX-1JN76-0626-SM-CKZOQ 20-29 years, female 5.6
GTEX-ZPU1-1126-SM-4YCF3 40-49 years, male 5.5
GTEX-1HSMP-0926-SM-A9SKX 70-79 years, male 5.4
GTEX-14E1K-2026-SM-7DUEI 50-59 years, male 5.3
GTEX-XQ3S-1426-SM-4BOPR 20-29 years, male 5.3
GTEX-1PIGE-1826-SM-E8VOU 20-29 years, male 5.2
GTEX-15SHW-0226-SM-7LTAT 60-69 years, male 5.1
GTEX-WH7G-2026-SM-3NMBL 40-49 years, male 5.1
GTEX-11DYG-1526-SM-5A5JS 60-69 years, male 5.0
GTEX-1S82U-1026-SM-E6CJK 30-39 years, female 4.9
GTEX-12WSJ-1126-SM-5LZVJ 40-49 years, female 4.8
GTEX-1OJC3-1226-SM-DTXER 20-29 years, male 4.8
GTEX-X585-2426-SM-46MW2 50-59 years, male 4.2
GTEX-1R9PN-0426-SM-DTXDT 40-49 years, female 4.1
Show allShow less
Skin - Sun Exposed (Lower leg)
Average nTPM: 10.7
Samples: 701

Max nTPM: 23.5
Min nTPM: 3.8
Std nTPM: 2.7
Median nTPM: 10.3
GTEX-147F3-0526-SM-5SI98 50-59 years, female 23.5
GTEX-14A5I-0126-SM-5TDEA 50-59 years, female 21.2
GTEX-U3ZN-2326-SM-3DB7W 30-39 years, female 21.2
GTEX-148VJ-0126-SM-5TDDN 70-79 years, male 20.6
GTEX-1F5PK-2426-SM-7RHHY 50-59 years, male 19.8
GTEX-17HII-0226-SM-7LG4E 50-59 years, male 18.4
GTEX-146FR-1326-SM-E9J48 60-69 years, female 18.4
GTEX-14PHW-0126-SM-6LLJI 60-69 years, female 18.2
GTEX-1F52S-0126-SM-9MQJU 60-69 years, female 18.0
GTEX-1CAMQ-0226-SM-7IGPK 40-49 years, male 17.8
GTEX-1I1GT-0626-SM-CGQER 60-69 years, female 17.8
GTEX-14BIL-0126-SM-5SI92 50-59 years, male 17.5
GTEX-1I4MK-2226-SM-ACKWD 50-59 years, female 17.5
GTEX-1B97I-1626-SM-73KYO 40-49 years, male 17.4
GTEX-15ETS-0126-SM-7KUMW 40-49 years, female 17.3
GTEX-1HCU7-0226-SM-CL545 50-59 years, male 17.3
GTEX-17F96-1626-SM-7DUFL 70-79 years, male 16.9
GTEX-Y8LW-1826-SM-5S2MV 50-59 years, female 16.8
GTEX-1HFI7-1826-SM-ACKXH 50-59 years, female 16.8
GTEX-1JMOU-1526-SM-CL54I 60-69 years, female 16.5
GTEX-12WSN-5019-SM-79OM6 40-49 years, male 16.3
GTEX-13OW8-1326-SM-5J1OW 60-69 years, male 16.3
GTEX-1H4P4-0726-SM-9YFLR 50-59 years, male 16.2
GTEX-P44H-0226-SM-2XCEU 40-49 years, male 16.1
GTEX-12WSA-0226-SM-5BC5V 60-69 years, male 16.0
GTEX-131XE-2326-SM-5PNZ2 50-59 years, male 16.0
GTEX-15F5U-1526-SM-6PANO 40-49 years, male 16.0
GTEX-1CB4J-0626-SM-7DHMP 60-69 years, male 16.0
GTEX-ZF28-0126-SM-4WKGK 60-69 years, male 16.0
GTEX-ZYY3-0126-SM-5GZY5 60-69 years, female 15.9
GTEX-1LH75-2426-SM-E9TJE 50-59 years, female 15.8
GTEX-13N2G-2626-SM-5J1OT 60-69 years, male 15.7
GTEX-145LS-0126-SM-5QGP1 60-69 years, female 15.7
GTEX-15RIG-0226-SM-7KFTL 40-49 years, male 15.7
GTEX-ZXG5-0126-SM-5GIEU 60-69 years, male 15.7
GTEX-14JG6-2226-SM-6EU2G 30-39 years, female 15.6
GTEX-S32W-2126-SM-2XCB1 50-59 years, female 15.6
GTEX-1H3VE-0326-SM-9YFLH 40-49 years, male 15.5
GTEX-13PDP-0126-SM-5L3HD 60-69 years, male 15.4
GTEX-1E2YA-0126-SM-9KNUC 50-59 years, male 15.4
GTEX-1R7EV-2426-SM-EVYBG 40-49 years, male 15.4
GTEX-1CB4H-0226-SM-7PBXM 60-69 years, female 15.3
GTEX-11VI4-1726-SM-5CVLH 40-49 years, female 15.2
GTEX-14PN3-2426-SM-6LLHS 60-69 years, female 15.2
GTEX-1C475-1826-SM-73KWA 40-49 years, female 15.2
GTEX-ZAB5-1826-SM-5HL7C 50-59 years, male 15.1
GTEX-1R9PO-2126-SM-E9J4O 60-69 years, female 15.1
GTEX-13QJ3-0326-SM-5S2RA 50-59 years, male 15.0
GTEX-1IDJU-2626-SM-CM2RT 60-69 years, female 15.0
GTEX-1JK1U-2026-SM-CM2RZ 60-69 years, male 15.0
GTEX-11H98-0126-SM-5EGHG 50-59 years, male 14.9
GTEX-14LLW-0126-SM-6LLIO 70-79 years, female 14.9
GTEX-1QP67-1626-SM-EAZ3X 40-49 years, female 14.9
GTEX-13OVJ-0126-SM-5KM36 50-59 years, female 14.8
GTEX-16NGA-1726-SM-731B4 40-49 years, female 14.8
GTEX-1A3MW-0126-SM-73KXX 60-69 years, female 14.8
GTEX-VJWN-0126-SM-3GIK7 50-59 years, female 14.8
GTEX-WFG8-2226-SM-3GIL9 20-29 years, male 14.8
GTEX-1F75I-0326-SM-9YFLU 40-49 years, male 14.8
GTEX-1GPI7-0126-SM-9MQL8 20-29 years, male 14.8
GTEX-1HSGN-0226-SM-CGQFV 40-49 years, female 14.8
GTEX-15EU6-0426-SM-6PAN5 50-59 years, male 14.7
GTEX-13CF3-2426-SM-5IFGX 60-69 years, female 14.6
GTEX-T6MO-1626-SM-32QOM 40-49 years, female 14.4
GTEX-ZV6S-2326-SM-4YCEY 40-49 years, female 14.4
GTEX-1RAZQ-0726-SM-EAZ43 30-39 years, male 14.4
GTEX-13IVO-0126-SM-5J1NG 70-79 years, male 14.3
GTEX-13OVG-1926-SM-5L3DK 60-69 years, male 14.3
GTEX-1F48J-0126-SM-7P8TT 50-59 years, female 14.3
GTEX-T8EM-1026-SM-3DB7M 40-49 years, male 14.2
GTEX-13FTX-1826-SM-5J1NX 20-29 years, female 14.1
GTEX-13NYC-0326-SM-E9J4S 60-69 years, male 14.1
GTEX-1AMEY-1326-SM-73KYK 30-39 years, female 14.0
GTEX-ZZPT-0226-SM-5E43X 50-59 years, male 14.0
GTEX-11NSD-2226-SM-5986V 20-29 years, male 13.9
GTEX-13OVI-1426-SM-5L3EY 60-69 years, female 13.9
GTEX-1AMFI-2026-SM-731BH 50-59 years, female 13.9
GTEX-RWS6-2026-SM-2XCB5 60-69 years, female 13.9
GTEX-1J8QM-2126-SM-CYPSJ 60-69 years, female 13.9
GTEX-11TTK-0126-SM-5987B 60-69 years, female 13.8
GTEX-14E7W-0126-SM-6LLJ9 70-79 years, male 13.8
GTEX-16XZZ-0126-SM-793DV 60-69 years, male 13.8
GTEX-1B8KE-2126-SM-73KYX 50-59 years, male 13.8
GTEX-12WSG-2826-SM-E9J4H 50-59 years, female 13.8
GTEX-1H2FU-0126-SM-9WYSI 60-69 years, female 13.8
GTEX-1H3NZ-0126-SM-ACKX7 60-69 years, male 13.8
GTEX-1122O-2126-SM-5EGIR 60-69 years, female 13.7
GTEX-11EQ9-2426-SM-5HL5T 30-39 years, male 13.7
GTEX-1GN1W-0526-SM-9MQJQ 50-59 years, female 13.7
GTEX-11EI6-0126-SM-5985R 60-69 years, male 13.6
GTEX-14LZ3-0226-SM-62LET 60-69 years, female 13.6
GTEX-ZAB4-0226-SM-5N9F5 40-49 years, male 13.6
GTEX-11GSO-2426-SM-5A5LY 60-69 years, male 13.5
GTEX-11XUK-2026-SM-5EQLF 40-49 years, female 13.5
GTEX-14PJ6-2126-SM-6EU1V 60-69 years, female 13.5
GTEX-15EOM-0126-SM-7KUGG 20-29 years, female 13.5
GTEX-RWSA-0126-SM-2XCBB 40-49 years, male 13.5
GTEX-TSE9-0126-SM-3DB83 60-69 years, female 13.5
GTEX-X261-0126-SM-3NMD6 50-59 years, male 13.5
GTEX-139D8-0226-SM-5KLZO 30-39 years, female 13.4
GTEX-ZYW4-0126-SM-5E44A 60-69 years, male 13.4
GTEX-1JJE9-0326-SM-CL53Z 70-79 years, male 13.4
GTEX-11LCK-1026-SM-5A5KB 30-39 years, male 13.3
GTEX-13X6H-2126-SM-7EWD5 50-59 years, female 13.3
GTEX-13YAN-0326-SM-5O9DF 60-69 years, male 13.3
GTEX-1EN7A-0126-SM-7SB81 40-49 years, male 13.3
GTEX-1GMR8-0126-SM-9WYTM 50-59 years, female 13.3
GTEX-1HUB1-0426-SM-E9U4U 60-69 years, male 13.3
GTEX-1N2EF-0226-SM-EYYXB 60-69 years, male 13.3
GTEX-13JUV-2726-SM-5LZZ8 40-49 years, female 13.2
GTEX-13W46-0226-SM-5SIAG 50-59 years, male 13.2
GTEX-14PJ3-1826-SM-62LEX 50-59 years, male 13.2
GTEX-17HHE-2026-SM-79OKF 50-59 years, male 13.2
GTEX-11ZU8-2526-SM-5EQKI 60-69 years, male 13.1
GTEX-14DAR-2026-SM-5S2O3 50-59 years, male 13.1
GTEX-16AAH-1726-SM-7939C 50-59 years, male 13.1
GTEX-ZVE2-0226-SM-59HJB 50-59 years, male 13.1
GTEX-1HBPH-0426-SM-B2LW5 40-49 years, female 13.1
GTEX-1PPH7-2326-SM-EVYB8 40-49 years, male 13.1
GTEX-1QP29-0626-SM-EWRMX 50-59 years, male 13.1
GTEX-1212Z-2526-SM-5EGKP 60-69 years, male 13.0
GTEX-13VXT-0126-SM-5LU4I 20-29 years, female 13.0
GTEX-145LV-2126-SM-5LU8N 50-59 years, male 13.0
GTEX-14C5O-0126-SM-5SI6N 60-69 years, male 13.0
GTEX-TMMY-0226-SM-33HBA 40-49 years, female 13.0
GTEX-1F75B-0126-SM-9KNVL 50-59 years, male 13.0
GTEX-1HCU8-0626-SM-A9SM9 60-69 years, female 13.0
GTEX-1K9T9-0126-SM-EVYCF 50-59 years, female 13.0
GTEX-144GL-0126-SM-5TDE2 50-59 years, male 12.9
GTEX-ZDTT-2726-SM-4WKF8 60-69 years, male 12.9
GTEX-ZY6K-1826-SM-5GZXK 50-59 years, male 12.9
GTEX-1H23P-0126-SM-ADEJ3 60-69 years, male 12.9
GTEX-13RTJ-2426-SM-5S2Q2 60-69 years, male 12.8
GTEX-1A8FM-0226-SM-7SB7Q 50-59 years, female 12.8
GTEX-1GL5R-1826-SM-9KNUY 50-59 years, male 12.8
GTEX-1IKJJ-0126-SM-CNPQB 60-69 years, male 12.8
GTEX-1OJC4-0126-SM-E9J2E 50-59 years, female 12.8
GTEX-13N1W-0126-SM-5K7VT 70-79 years, male 12.7
GTEX-13X6I-0626-SM-5QGP9 60-69 years, male 12.7
GTEX-Q2AG-0126-SM-33HBV 40-49 years, female 12.7
GTEX-SNMC-1226-SM-2XCFP 20-29 years, male 12.7
GTEX-Y5V5-2326-SM-4V6GA 60-69 years, female 12.7
GTEX-113IC-0126-SM-5HL6T 60-69 years, male 12.6
GTEX-15UF6-0826-SM-6PALJ 70-79 years, female 12.6
GTEX-1A3MV-1926-SM-718BT 30-39 years, male 12.6
GTEX-1B8SG-0126-SM-73KZ3 50-59 years, male 12.6
GTEX-1C64O-0126-SM-7SB8P 60-69 years, male 12.6
GTEX-1GZ4H-1726-SM-7PBZJ 50-59 years, female 12.6
GTEX-1I1GR-0126-SM-CL55F 60-69 years, male 12.6
GTEX-1JKYN-1326-SM-CGQG9 30-39 years, male 12.6
GTEX-13W3W-2426-SM-5LU5B 60-69 years, female 12.5
GTEX-145MO-0326-SM-5Q5B3 60-69 years, male 12.5
GTEX-1H1DG-0126-SM-9WYU2 70-79 years, male 12.5
GTEX-RNOR-0126-SM-E9J4R 50-59 years, female 12.5
GTEX-13SLW-0126-SM-5SI6C 70-79 years, male 12.4
GTEX-148VI-1626-SM-5SI6E 60-69 years, female 12.4
GTEX-15G19-0126-SM-6PANQ 60-69 years, male 12.4
GTEX-16BQI-0226-SM-7KUEX 30-39 years, female 12.4
GTEX-18D9B-0526-SM-7LTAS 60-69 years, male 12.4
GTEX-1E1VI-0126-SM-7DHMZ 50-59 years, male 12.4
GTEX-PVOW-0126-SM-2XCFA 40-49 years, male 12.4
GTEX-UPJH-0326-SM-3GADU 50-59 years, male 12.4
GTEX-ZUA1-0126-SM-5GU76 40-49 years, male 12.4
GTEX-13NYB-2526-SM-5K7Z6 40-49 years, male 12.3
GTEX-QDT8-0126-SM-48TZ1 30-39 years, female 12.3
GTEX-ZTX8-1426-SM-5DUVO 20-29 years, male 12.3
GTEX-ZWKS-0126-SM-5SIAA 30-39 years, male 12.3
GTEX-1HCU9-1526-SM-A9SL7 20-29 years, male 12.3
GTEX-1J8Q2-0526-SM-CM2RW 60-69 years, male 12.3
GTEX-1JJ6O-0126-SM-E6CI8 60-69 years, male 12.3
GTEX-1MCYP-1926-SM-E9J2R 20-29 years, female 12.3
GTEX-1QP2A-0126-SM-E9J43 50-59 years, male 12.3
GTEX-1R46S-0626-SM-E9J41 60-69 years, female 12.3
GTEX-13111-1626-SM-5EGJY 50-59 years, male 12.2
GTEX-13FTY-0526-SM-5L3EV 40-49 years, female 12.2
GTEX-SN8G-0126-SM-32PLI 50-59 years, female 12.2
GTEX-13FH7-2026-SM-E9J4I 50-59 years, female 12.2
GTEX-1GF9V-0326-SM-7RHI5 60-69 years, male 12.2
GTEX-1HBPN-0226-SM-9YFM1 50-59 years, male 12.2
GTEX-1RLM8-2326-SM-EWRN4 50-59 years, male 12.2
GTEX-139T4-0226-SM-5HL5S 50-59 years, female 12.1
GTEX-13NYS-0126-SM-5MR3W 60-69 years, male 12.1
GTEX-14A6H-0126-SM-5QGPK 30-39 years, male 12.1
GTEX-15DYW-0126-SM-7KULE 60-69 years, female 12.1
GTEX-V1D1-2226-SM-3NMAX 50-59 years, male 12.1
GTEX-ZVZP-2426-SM-59HKJ 50-59 years, male 12.1
GTEX-ZYFG-2326-SM-5E44B 60-69 years, female 12.1
GTEX-1HSMQ-1226-SM-CGQFX 50-59 years, male 12.1
GTEX-1IDFM-0126-SM-COH2V 60-69 years, male 12.1
GTEX-1LVAN-0226-SM-COH3S 50-59 years, female 12.1
GTEX-R45C-0126-SM-EAZ2R 60-69 years, female 12.1
GTEX-13113-5016-SM-7EPIP 60-69 years, female 12.0
GTEX-133LE-1826-SM-5J1MV 20-29 years, female 12.0
GTEX-14BMV-0126-SM-5S2PO 50-59 years, male 12.0
GTEX-17EVP-0326-SM-7DHLG 40-49 years, male 12.0
GTEX-WOFL-0126-SM-3MJG2 60-69 years, male 12.0
GTEX-1H1DE-2126-SM-9WG6R 20-29 years, male 12.0
GTEX-1K2DU-2326-SM-E9TIV 20-29 years, male 12.0
GTEX-1MGNQ-0126-SM-EVYCJ 40-49 years, male 12.0
GTEX-1S82Z-0826-SM-E6CHY 30-39 years, female 12.0
GTEX-117YX-2326-SM-5H12W 50-59 years, male 11.9
GTEX-Y5LM-1926-SM-5RQJH 40-49 years, female 11.9
GTEX-ZEX8-2426-SM-4WKG4 50-59 years, male 11.9
GTEX-ZYT6-0226-SM-5NQ6T 30-39 years, male 11.9
GTEX-1GF9U-2126-SM-7SB7L 40-49 years, female 11.9
GTEX-1HBPI-1526-SM-C1YQ1 50-59 years, male 11.9
GTEX-1I1GP-2226-SM-CGQFK 50-59 years, male 11.9
GTEX-1IE54-0126-SM-CMKHW 40-49 years, female 11.9
GTEX-1R7EU-0226-SM-EVR4G 60-69 years, male 11.9
GTEX-11EMC-2926-SM-5EQ4F 60-69 years, female 11.8
GTEX-144FL-0126-SM-5TDC8 50-59 years, male 11.8
GTEX-Z9EW-1626-SM-5CVMN 40-49 years, male 11.8
GTEX-1GMR3-1926-SM-9KNUZ 40-49 years, male 11.8
GTEX-1H11D-0226-SM-9WG6Z 40-49 years, male 11.8
GTEX-1HKZK-0326-SM-9WYUH 40-49 years, male 11.8
GTEX-1MUQO-0126-SM-EAZ58 60-69 years, male 11.8
GTEX-145MI-0526-SM-5O9A8 60-69 years, female 11.7
GTEX-147GR-0526-SM-5S2MY 60-69 years, male 11.7
GTEX-14DAQ-0126-SM-5S2MQ 60-69 years, female 11.7
GTEX-16XZY-2126-SM-79OK1 70-79 years, male 11.7
GTEX-17MF6-0126-SM-7LG4F 40-49 years, male 11.7
GTEX-18A66-0226-SM-718BD 60-69 years, male 11.7
GTEX-1GMRU-0126-SM-9YFLV 50-59 years, male 11.7
GTEX-1I1GU-2226-SM-CGQFA 40-49 years, male 11.7
GTEX-1S3DN-2226-SM-EVYCD 50-59 years, male 11.7
GTEX-1S82Y-2026-SM-EVYCM 40-49 years, male 11.7
GTEX-PW2O-1526-SM-7RHHB 20-29 years, male 11.7
GTEX-14E6E-1826-SM-5S2R7 30-39 years, male 11.6
GTEX-15DDE-0126-SM-6LPKH 50-59 years, female 11.6
GTEX-169BO-1326-SM-9MQK2 50-59 years, male 11.6
GTEX-1JN76-0126-SM-CNPPE 20-29 years, female 11.6
GTEX-11WQC-2526-SM-5CVLE 60-69 years, male 11.5
GTEX-139T8-0126-SM-5K7XZ 60-69 years, male 11.5
GTEX-15CHC-2126-SM-6EU21 60-69 years, female 11.5
GTEX-16YQH-0126-SM-7DUFJ 30-39 years, male 11.5
GTEX-1C6VR-2426-SM-79OLD 60-69 years, male 11.5
GTEX-PWO3-1526-SM-48TCM 60-69 years, female 11.5
GTEX-1H3VY-0126-SM-ACKXD 50-59 years, male 11.5
GTEX-1NV5F-0226-SM-E8VNY 60-69 years, female 11.5
GTEX-1S83E-0126-SM-EWRO4 40-49 years, male 11.5
GTEX-13NZ8-0826-SM-5MR3I 60-69 years, female 11.4
GTEX-13OVH-0126-SM-5MR4B 70-79 years, male 11.4
GTEX-PLZ4-0126-SM-5SI8O 50-59 years, female 11.4
GTEX-WRHK-1426-SM-3MJF9 20-29 years, female 11.4
GTEX-1F6RS-0126-SM-9MQKZ 60-69 years, female 11.4
GTEX-1H1ZS-0426-SM-9WG6G 70-79 years, male 11.4
GTEX-1NHNU-1026-SM-E9J2A 50-59 years, male 11.4
GTEX-1PPH8-0226-SM-E8VND 20-29 years, male 11.4
GTEX-131XW-0426-SM-5LZWP 50-59 years, female 11.3
GTEX-14753-0426-SM-5NQAM 60-69 years, male 11.3
GTEX-14BIM-0226-SM-7IGLD 60-69 years, female 11.3
GTEX-14BIN-0626-SM-793DP 50-59 years, female 11.3
GTEX-15D1Q-0126-SM-7KUG6 40-49 years, male 11.3
GTEX-15ER7-0326-SM-7KUEV 20-29 years, female 11.3
GTEX-1B8SF-1426-SM-7DUGL 60-69 years, male 11.3
GTEX-U4B1-1826-SM-4DXSU 40-49 years, male 11.3
GTEX-1J1R8-1726-SM-ARL8M 40-49 years, male 11.3
GTEX-1128S-2326-SM-5GZZY 60-69 years, female 11.2
GTEX-1192X-0226-SM-5H12D 50-59 years, male 11.2
GTEX-139TU-0126-SM-5K7WH 60-69 years, male 11.2
GTEX-13NZA-0226-SM-5K7Z7 60-69 years, male 11.2
GTEX-145ME-1826-SM-5SI9G 40-49 years, female 11.2
GTEX-17GQL-2026-SM-718BA 60-69 years, male 11.2
GTEX-1AX9J-0226-SM-73KXM 60-69 years, male 11.2
GTEX-1HSKV-0226-SM-A9SKJ 60-69 years, male 11.2
GTEX-1I1HK-0126-SM-COH49 60-69 years, male 11.2
GTEX-1I6K6-0126-SM-A9SLE 30-39 years, male 11.2
GTEX-1J1OQ-0226-SM-CYPSH 40-49 years, female 11.2
GTEX-1LGRB-2526-SM-CNPPQ 50-59 years, female 11.2
GTEX-13SLX-0526-SM-5S2ON 50-59 years, female 11.1
GTEX-14JIY-0126-SM-6LLH6 60-69 years, male 11.1
GTEX-15SHU-0126-SM-7KUEH 40-49 years, female 11.1
GTEX-16MT8-0426-SM-7KUEY 60-69 years, female 11.1
GTEX-17HGU-0226-SM-7DHKV 50-59 years, male 11.1
GTEX-P4QT-0126-SM-2I3FL 50-59 years, female 11.1
GTEX-1B996-0226-SM-7RHGO 60-69 years, male 11.1
GTEX-1I1GQ-0126-SM-COH3H 50-59 years, male 11.1
GTEX-1I1GS-0126-SM-B2LVW 60-69 years, male 11.1
GTEX-1JMQL-0226-SM-CNPP5 50-59 years, female 11.1
GTEX-11ZVC-2526-SM-5FQTE 50-59 years, female 11.0
GTEX-14PK6-1926-SM-6ETZU 70-79 years, female 11.0
GTEX-17EUY-0426-SM-793BD 20-29 years, male 11.0
GTEX-18QFQ-0126-SM-731BE 30-39 years, male 11.0
GTEX-1AX9K-2326-SM-73KWU 50-59 years, male 11.0
GTEX-RM2N-1426-SM-2TF4H 50-59 years, male 11.0
GTEX-1C6VQ-0126-SM-7P8RI 50-59 years, male 11.0
GTEX-1GN1U-0126-SM-7PBZK 50-59 years, female 11.0
GTEX-1H1E6-1726-SM-ACKVK 30-39 years, male 11.0
GTEX-OIZF-0126-SM-7SB8I 60-69 years, male 11.0
GTEX-11ZTT-2426-SM-5EQLS 60-69 years, female 10.9
GTEX-14E6C-0126-SM-5RQIP 40-49 years, male 10.9
GTEX-15SDE-2226-SM-7IGLO 50-59 years, female 10.9
GTEX-1CB4I-0226-SM-79OLH 50-59 years, male 10.9
GTEX-ZZ64-1726-SM-5GZYB 20-29 years, male 10.9
GTEX-1F88F-2726-SM-7PBZZ 60-69 years, female 10.9
GTEX-1ICLY-0126-SM-D4P36 50-59 years, male 10.9
GTEX-1M5QR-1226-SM-EWROB 40-49 years, male 10.9
GTEX-1PIGE-0126-SM-EVYBJ 20-29 years, male 10.9
GTEX-1RDX4-0126-SM-E9J4P 50-59 years, female 10.9
GTEX-1S5ZA-0126-SM-EVYCV 20-29 years, male 10.9
GTEX-11DXY-2626-SM-5GIE7 60-69 years, male 10.8
GTEX-11EM3-2426-SM-59861 20-29 years, female 10.8
GTEX-11P7K-2126-SM-5GU7G 30-39 years, male 10.7
GTEX-12C56-1726-SM-5EQ61 20-29 years, male 10.7
GTEX-1399T-2826-SM-5KLYZ 60-69 years, male 10.7
GTEX-146FH-0126-SM-5QGPP 50-59 years, female 10.7
GTEX-QDVJ-1726-SM-2I5FX 50-59 years, male 10.7
GTEX-XUW1-0426-SM-4BOOT 50-59 years, female 10.7
GTEX-YB5E-2026-SM-5IFIS 40-49 years, male 10.7
GTEX-YEC4-2126-SM-5IFJH 40-49 years, male 10.7
GTEX-YJ89-0126-SM-4TT3X 60-69 years, male 10.7
GTEX-Z93S-0126-SM-5HL7M 50-59 years, male 10.7
GTEX-13O3O-0126-SM-E9J49 60-69 years, female 10.7
GTEX-1KD5A-0226-SM-D5OV3 50-59 years, male 10.7
GTEX-1QW4Y-1526-SM-EAZ3Z 30-39 years, male 10.7
GTEX-11DZ1-0126-SM-5985Q 50-59 years, male 10.6
GTEX-15UKP-0426-SM-7KUFQ 20-29 years, male 10.6
GTEX-18D9U-0226-SM-718BP 40-49 years, male 10.6
GTEX-1C6VS-0526-SM-7DUEN 60-69 years, male 10.6
GTEX-XMD2-0126-SM-4YCDU 60-69 years, female 10.6
GTEX-XV7Q-2526-SM-4BRV9 40-49 years, female 10.6
GTEX-Y5V6-2426-SM-4VDSB 60-69 years, male 10.6
GTEX-ZTSS-1926-SM-57WEW 40-49 years, male 10.6
GTEX-1HCVE-0126-SM-CGQEU 50-59 years, male 10.6
GTEX-1HSMO-0126-SM-CL547 60-69 years, male 10.6
GTEX-1IL2V-0126-SM-CM2TX 70-79 years, male 10.6
GTEX-1JMLX-0226-SM-CM2RO 50-59 years, male 10.6
GTEX-1KANC-1526-SM-D3LAB 50-59 years, female 10.6
GTEX-1O97I-0326-SM-EYYX7 60-69 years, male 10.6
GTEX-1RB15-2126-SM-E9TIM 60-69 years, male 10.6
GTEX-ZVT4-0126-SM-DTXFN 50-59 years, female 10.6
GTEX-111VG-2426-SM-5GZXD 60-69 years, male 10.5
GTEX-11GSP-2526-SM-5N9BP 60-69 years, female 10.5
GTEX-1399R-2726-SM-5IJBA 30-39 years, male 10.5
GTEX-13O3Q-2426-SM-5IJBR 50-59 years, male 10.5
GTEX-14PHX-2326-SM-62LEM 50-59 years, male 10.5
GTEX-ZVT3-0126-SM-5GU6I 60-69 years, female 10.5
GTEX-1I1CD-0126-SM-CM2TK 60-69 years, female 10.5
GTEX-1QCLY-0326-SM-E8VOG 30-39 years, male 10.5
GTEX-PLZ6-1426-SM-DKPOT 30-39 years, male 10.5
GTEX-12WSC-0126-SM-5EQ4P 50-59 years, male 10.4
GTEX-13FHO-0226-SM-5IFGY 60-69 years, male 10.4
GTEX-145LT-1726-SM-5QGP3 40-49 years, male 10.4
GTEX-14BMU-2226-SM-5TDE9 20-29 years, female 10.4
GTEX-ZAJG-0126-SM-5HL94 50-59 years, female 10.4
GTEX-ZV68-0126-SM-59HKS 50-59 years, female 10.4
GTEX-1H3O1-0426-SM-9YFKY 60-69 years, male 10.4
GTEX-1KANA-0726-SM-D3L9I 20-29 years, male 10.4
GTEX-1LC47-0326-SM-E9TJP 60-69 years, male 10.4
GTEX-1POEN-0126-SM-EYYXJ 30-39 years, female 10.4
GTEX-13U4I-0126-SM-5LU38 40-49 years, female 10.3
GTEX-17MFQ-1726-SM-793C7 20-29 years, male 10.3
GTEX-1CB4E-2226-SM-793DC 60-69 years, male 10.3
GTEX-OXRN-0126-SM-48TDM 50-59 years, male 10.3
GTEX-VJYA-1126-SM-3GIJU 60-69 years, male 10.3
GTEX-XPVG-2626-SM-4B669 50-59 years, male 10.3
GTEX-1GTWX-0126-SM-9YFLK 60-69 years, male 10.3
GTEX-1HB9E-0226-SM-E9U4R 50-59 years, male 10.3
GTEX-1LGOU-2026-SM-DIPFF 20-29 years, female 10.3
GTEX-1QMI2-0226-SM-EVYBX 60-69 years, male 10.3
GTEX-ZF29-2326-SM-DO92K 60-69 years, female 10.3
GTEX-11NUK-0126-SM-5A5L3 50-59 years, male 10.2
GTEX-12KS4-0326-SM-5EQ41 30-39 years, male 10.2
GTEX-12ZZZ-0626-SM-5DUXI 60-69 years, male 10.2
GTEX-13112-2826-SM-5DUWH 50-59 years, male 10.2
GTEX-13FTW-2626-SM-5K7WL 40-49 years, male 10.2
GTEX-13FXS-0226-SM-5IJCK 50-59 years, male 10.2
GTEX-13NZB-2526-SM-5J1OM 30-39 years, male 10.2
GTEX-13S7M-0126-SM-5SI6A 60-69 years, female 10.2
GTEX-14PN4-0126-SM-6EU2V 50-59 years, male 10.2
GTEX-16GPK-0126-SM-7DHLE 60-69 years, male 10.2
GTEX-OXRK-0226-SM-3NB2G 50-59 years, female 10.2
GTEX-OXRP-0126-SM-3NB32 60-69 years, female 10.2
GTEX-S7SE-0126-SM-2XCD5 50-59 years, male 10.2
GTEX-WH7G-2326-SM-3NMBC 40-49 years, male 10.2
GTEX-ZGAY-0526-SM-4WWBB 40-49 years, female 10.2
GTEX-ZQUD-1426-SM-57WER 30-39 years, male 10.2
GTEX-1JMPZ-0226-SM-CNPP1 30-39 years, male 10.2
GTEX-1LG7Z-1726-SM-D3LA4 30-39 years, male 10.2
GTEX-11P81-2326-SM-59875 30-39 years, female 10.1
GTEX-11P82-1626-SM-59879 20-29 years, male 10.1
GTEX-1314G-1526-SM-5EGK2 30-39 years, male 10.1
GTEX-13D11-2426-SM-5KM1V 50-59 years, female 10.1
GTEX-17EVQ-0226-SM-7LG4P 70-79 years, male 10.1
GTEX-ZF2S-2326-SM-4WWCE 50-59 years, female 10.1
GTEX-ZXES-1826-SM-5E43S 30-39 years, female 10.1
GTEX-11TUW-2726-SM-E9J4M 60-69 years, male 10.1
GTEX-1L5NE-2526-SM-E6CIE 50-59 years, male 10.1
GTEX-1LBAC-0126-SM-DIPEZ 20-29 years, male 10.1
GTEX-11DXW-0226-SM-5H122 40-49 years, male 10.0
GTEX-11ZUS-0626-SM-59885 30-39 years, male 10.0
GTEX-12WSK-2326-SM-5GCOH 40-49 years, female 10.0
GTEX-14ICK-0226-SM-6EU25 40-49 years, male 10.0
GTEX-183WM-0126-SM-7LTAB 70-79 years, female 10.0
GTEX-18465-0126-SM-731BN 50-59 years, male 10.0
GTEX-OIZG-0726-SM-33HBL 50-59 years, male 10.0
GTEX-SSA3-0126-SM-32QPU 60-69 years, male 10.0
GTEX-T5JW-1626-SM-3GADZ 20-29 years, female 10.0
GTEX-ZVT2-2526-SM-51MT1 50-59 years, female 10.0
GTEX-1GPI6-0126-SM-9WG69 60-69 years, male 10.0
GTEX-1HBPM-0226-SM-ARL9F 60-69 years, female 10.0
GTEX-1IKOH-0226-SM-COH4E 60-69 years, female 10.0
GTEX-1LB8K-0226-SM-EWRNW 50-59 years, male 10.0
GTEX-117XS-2726-SM-5N9BL 60-69 years, male 9.9
GTEX-11OF3-2626-SM-5GU7F 60-69 years, male 9.9
GTEX-1269C-2526-SM-5EGJ3 60-69 years, female 9.9
GTEX-139TT-0126-SM-5K7Y5 60-69 years, male 9.9
GTEX-13O1R-0126-SM-5L3EH 60-69 years, male 9.9
GTEX-147F4-0226-SM-5QGPW 50-59 years, male 9.9
GTEX-17KNJ-2326-SM-7DHLQ 50-59 years, male 9.9
GTEX-VUSG-2526-SM-4KL1V 50-59 years, male 9.9
GTEX-ZTPG-0326-SM-5O9AX 20-29 years, female 9.9
GTEX-1IDJH-0326-SM-A9SLQ 70-79 years, male 9.9
GTEX-1JJEA-0326-SM-CNPOT 60-69 years, male 9.9
GTEX-1PBJI-0526-SM-E8VNK 20-29 years, female 9.9
GTEX-12WSL-2526-SM-5GCNJ 50-59 years, male 9.8
GTEX-U3ZM-1526-SM-3DB9D 40-49 years, male 9.8
GTEX-WQUQ-0426-SM-3MJFU 60-69 years, male 9.8
GTEX-1H1CY-2826-SM-9MQM3 60-69 years, female 9.8
GTEX-1HSEH-0126-SM-ACKXN 60-69 years, male 9.8
GTEX-1JKYR-0126-SM-CNPOJ 20-29 years, male 9.8
GTEX-1JN1M-0326-SM-CYPT3 60-69 years, female 9.8
GTEX-1KXAM-2226-SM-CYPTC 60-69 years, male 9.8
GTEX-1QP66-1726-SM-E8VO1 50-59 years, male 9.8
GTEX-1211K-2026-SM-5EQ4Z 60-69 years, female 9.7
GTEX-12696-2426-SM-5EQ6H 60-69 years, male 9.7
GTEX-131XG-2626-SM-5KM17 50-59 years, female 9.7
GTEX-18D9A-1926-SM-7LG6P 30-39 years, female 9.7
GTEX-OHPM-0126-SM-2YUN9 50-59 years, male 9.7
GTEX-QCQG-1726-SM-3GIJ9 50-59 years, female 9.7
GTEX-QDVN-2026-SM-3GAEP 50-59 years, male 9.7
GTEX-RTLS-0126-SM-447CA 60-69 years, female 9.7
GTEX-YB5K-2126-SM-4WWDJ 40-49 years, female 9.7
GTEX-ZAK1-0126-SM-5IJD3 50-59 years, female 9.7
GTEX-ZVTK-0426-SM-51MRS 20-29 years, male 9.7
GTEX-1EX96-1626-SM-7PBXR 50-59 years, male 9.7
GTEX-1IGQW-0126-SM-COH42 60-69 years, male 9.7
GTEX-1J8Q3-1626-SM-CMKGC 60-69 years, male 9.7
GTEX-1KAFJ-2026-SM-CY8ID 50-59 years, male 9.7
GTEX-1LSNM-1926-SM-E6CII 50-59 years, male 9.7
GTEX-113JC-2326-SM-5EQ4E 50-59 years, female 9.6
GTEX-131XH-2226-SM-5DUXJ 50-59 years, male 9.6
GTEX-15SHW-0326-SM-6PAML 60-69 years, male 9.6
GTEX-1C2JI-1826-SM-73KXC 50-59 years, male 9.6
GTEX-RU72-0926-SM-2TF6B 50-59 years, female 9.6
GTEX-WFON-2126-SM-3LK7O 40-49 years, male 9.6
GTEX-1IY9M-0126-SM-D3L8S 60-69 years, male 9.6
GTEX-1MA7W-2026-SM-E9TJ6 20-29 years, female 9.6
GTEX-139TS-2826-SM-5J1OO 60-69 years, male 9.5
GTEX-14PII-0226-SM-6EU1T 60-69 years, male 9.5
GTEX-16NPX-0226-SM-79OMT 50-59 years, male 9.5
GTEX-1C4CL-0526-SM-73KVK 30-39 years, male 9.5
GTEX-P4PP-0126-SM-3LK69 30-39 years, female 9.5
GTEX-R3RS-0126-SM-3GIJL 40-49 years, female 9.5
GTEX-SJXC-0126-SM-2XCFF 60-69 years, male 9.5
GTEX-TKQ1-1026-SM-4GICL 30-39 years, male 9.5
GTEX-WVJS-0126-SM-4MVOT 50-59 years, male 9.5
GTEX-WYVS-2126-SM-3NMA3 40-49 years, female 9.5
GTEX-XBED-2226-SM-47JYQ 60-69 years, male 9.5
GTEX-Y8E4-0626-SM-4WWDL 40-49 years, male 9.5
GTEX-Z93T-0126-SM-5HL5N 50-59 years, male 9.5
GTEX-1F75A-0126-SM-7RHGM 50-59 years, male 9.5
GTEX-1I19N-0326-SM-ACKVX 70-79 years, male 9.5
GTEX-PSDG-0226-SM-DKPOZ 50-59 years, male 9.5
GTEX-ZQG8-1626-SM-DHXIT 60-69 years, female 9.5
GTEX-1192W-2626-SM-5Q5AF 60-69 years, male 9.4
GTEX-14JG1-0426-SM-6ETZZ 40-49 years, male 9.4
GTEX-PLZ5-2026-SM-2S1O4 50-59 years, male 9.4
GTEX-R55G-2526-SM-2TC6D 40-49 years, female 9.4
GTEX-TML8-1926-SM-32QOS 40-49 years, female 9.4
GTEX-U3ZH-2026-SM-3DB78 30-39 years, male 9.4
GTEX-UJHI-1526-SM-3DB99 50-59 years, female 9.4
GTEX-W5WG-1826-SM-4KL2Y 50-59 years, female 9.4
GTEX-WYJK-0126-SM-3NMAB 50-59 years, male 9.4
GTEX-X62O-0126-SM-4E3JN 50-59 years, male 9.4
GTEX-1IL2U-0226-SM-CE6T8 60-69 years, male 9.4
GTEX-1K2DA-1826-SM-CGQGT 50-59 years, male 9.4
GTEX-1QEPI-0126-SM-EWRMQ 60-69 years, female 9.4
GTEX-131YS-0126-SM-5KM1M 60-69 years, female 9.3
GTEX-13O21-1426-SM-5K7XI 50-59 years, male 9.3
GTEX-145LU-0126-SM-5TDCB 50-59 years, male 9.3
GTEX-15DCD-0126-SM-7KUEK 70-79 years, female 9.3
GTEX-1AYD5-2426-SM-73KXR 50-59 years, male 9.3
GTEX-ZC5H-0226-SM-4WAY9 40-49 years, female 9.3
GTEX-1PFEY-1526-SM-E76PP 30-39 years, male 9.3
GTEX-1PIIG-0226-SM-EWRN6 30-39 years, male 9.3
GTEX-ZPIC-1726-SM-DHXIU 40-49 years, female 9.3
GTEX-13RTK-1426-SM-5QGQJ 20-29 years, male 9.2
GTEX-18A7B-0126-SM-7LG64 70-79 years, male 9.2
GTEX-T2YK-0526-SM-32QPJ 50-59 years, male 9.2
GTEX-X5EB-2226-SM-46MW4 40-49 years, male 9.2
GTEX-ZE9C-2726-SM-57WB5 60-69 years, male 9.2
GTEX-1GF9W-0326-SM-9KNUN 60-69 years, male 9.2
GTEX-1JN6P-0126-SM-D3L98 60-69 years, male 9.2
GTEX-1LG7Y-0526-SM-DKPQC 50-59 years, male 9.2
GTEX-139UW-2826-SM-5L3E7 60-69 years, male 9.1
GTEX-13N11-2526-SM-5K7UE 50-59 years, female 9.1
GTEX-1AX8Z-0126-SM-7DHM6 60-69 years, male 9.1
GTEX-OXRO-0126-SM-2YUN4 60-69 years, female 9.1
GTEX-X4XY-0226-SM-4E3IZ 60-69 years, male 9.1
GTEX-1QPFJ-0226-SM-E76PB 30-39 years, female 9.1
GTEX-11GS4-2726-SM-5A5LE 60-69 years, male 9.0
GTEX-11O72-0126-SM-59887 40-49 years, male 9.0
GTEX-11UD2-0226-SM-5EQKY 50-59 years, male 9.0
GTEX-12WSJ-1826-SM-5GCNY 40-49 years, female 9.0
GTEX-145MF-0626-SM-5LUAI 50-59 years, male 9.0
GTEX-14E6D-0126-SM-62LDV 50-59 years, male 9.0
GTEX-1A32A-0126-SM-718B1 50-59 years, female 9.0
GTEX-1C64N-0126-SM-793D7 50-59 years, male 9.0
GTEX-T2IS-0126-SM-4DM6O 20-29 years, female 9.0
GTEX-Y3I4-2126-SM-4TT7C 50-59 years, male 9.0
GTEX-1F5PL-0326-SM-7P8PQ 40-49 years, female 9.0
GTEX-1IDJF-0126-SM-CM2RS 20-29 years, male 9.0
GTEX-13X6J-0126-SM-5QGOU 50-59 years, male 8.9
GTEX-14PJM-0226-SM-62LF1 50-59 years, female 8.9
GTEX-NFK9-0226-SM-2HMKQ 40-49 years, male 8.9
GTEX-1HCU6-0126-SM-CL54K 60-69 years, female 8.9
GTEX-1HGF4-2426-SM-ACKXM 60-69 years, male 8.9
GTEX-12ZZX-0126-SM-5EGK9 40-49 years, female 8.8
GTEX-13O3P-0126-SM-5KM4S 50-59 years, male 8.8
GTEX-1AYCT-2426-SM-7IGQ3 50-59 years, male 8.8
GTEX-X4EO-0326-SM-3P5YO 60-69 years, female 8.8
GTEX-X4EP-0126-SM-3P5YV 60-69 years, female 8.8
GTEX-13OW5-0126-SM-DTXFS 60-69 years, male 8.8
GTEX-1EU9M-0226-SM-7P8SP 60-69 years, male 8.8
GTEX-1RAZA-0126-SM-E6CI3 20-29 years, male 8.8
GTEX-12WSD-0126-SM-59HKN 60-69 years, female 8.7
GTEX-12ZZY-0226-SM-5LZVE 60-69 years, male 8.7
GTEX-1B8KZ-2026-SM-7DHMB 50-59 years, male 8.7
GTEX-X585-0226-SM-4QAS2 50-59 years, male 8.7
GTEX-Y114-2426-SM-4TT8A 50-59 years, female 8.7
GTEX-ZDTS-0126-SM-4WAY5 60-69 years, male 8.7
GTEX-1F6I4-0126-SM-9MQL2 60-69 years, male 8.7
GTEX-1GN1V-0126-SM-9WPOS 60-69 years, male 8.7
GTEX-11TT1-2526-SM-5EGIB 20-29 years, male 8.6
GTEX-13FHP-0126-SM-5IJBG 50-59 years, male 8.6
GTEX-14XAO-2326-SM-6EU1B 60-69 years, female 8.6
GTEX-1CAMR-1926-SM-7EPI2 20-29 years, male 8.6
GTEX-O5YW-0126-SM-3LK6D 50-59 years, male 8.6
GTEX-ZYFC-0226-SM-5NQ75 50-59 years, male 8.6
GTEX-1M4P7-0226-SM-DIPEV 60-69 years, male 8.6
GTEX-111FC-0126-SM-5N9DL 60-69 years, male 8.5
GTEX-11DXX-2426-SM-5GZZW 60-69 years, female 8.5
GTEX-14A5H-0426-SM-5QGQF 60-69 years, male 8.5
GTEX-17HG3-2226-SM-7938L 30-39 years, female 8.5
GTEX-X638-0126-SM-47JZ8 70-79 years, female 8.5
GTEX-1AX9I-0126-SM-7SB74 60-69 years, male 8.5
GTEX-1EWIQ-0126-SM-7RHH2 70-79 years, female 8.5
GTEX-1HT8W-0126-SM-CNPPP 30-39 years, male 8.5
GTEX-1JMQJ-0526-SM-CYPSU 50-59 years, male 8.5
GTEX-1PDJ9-0326-SM-DTX95 20-29 years, male 8.5
GTEX-12WSE-0526-SM-793B2 20-29 years, male 8.4
GTEX-146FQ-0126-SM-5NQA9 30-39 years, male 8.4
GTEX-QLQ7-1626-SM-2S1R8 60-69 years, male 8.4
GTEX-1CAMS-0426-SM-7P8T2 40-49 years, female 8.4
GTEX-1JMQI-2226-SM-CM2SD 50-59 years, male 8.4
GTEX-1JMQK-0226-SM-CL543 60-69 years, male 8.4
GTEX-1N2DV-0226-SM-E6CJ6 40-49 years, male 8.4
GTEX-11UD1-0126-SM-5PNYG 40-49 years, female 8.3
GTEX-11WQK-0526-SM-5EQLD 50-59 years, male 8.3
GTEX-13VXU-0126-SM-5SI9F 50-59 years, male 8.3
GTEX-R55E-0126-SM-2TC5Y 20-29 years, male 8.3
GTEX-WY7C-2326-SM-3NB2U 50-59 years, male 8.3
GTEX-ZYFD-0126-SM-5GIDL 50-59 years, male 8.3
GTEX-1CB4G-0226-SM-7PC3O 60-69 years, male 8.3
GTEX-1EMGI-0126-SM-9KNUE 60-69 years, male 8.3
GTEX-1ICLZ-0126-SM-CKZPO 60-69 years, male 8.3
GTEX-12584-0126-SM-5EGKQ 40-49 years, male 8.2
GTEX-13RTL-0126-SM-7LG5S 40-49 years, male 8.2
GTEX-Q2AH-1626-SM-3GAF8 40-49 years, male 8.2
GTEX-QV44-1926-SM-2S1RF 50-59 years, male 8.2
GTEX-XQ8I-0426-SM-4BOPO 50-59 years, male 8.2
GTEX-1F6IF-0726-SM-7P8TW 60-69 years, male 8.2
GTEX-1F7RK-0126-SM-7PC2S 20-29 years, female 8.2
GTEX-1I1GV-0526-SM-A9G29 60-69 years, male 8.2
GTEX-11DXZ-2326-SM-5EGGV 50-59 years, male 8.1
GTEX-13OW7-0126-SM-5MR3B 50-59 years, male 8.1
GTEX-14ABY-0226-SM-5TDCQ 50-59 years, male 8.1
GTEX-1BAJH-0526-SM-793CQ 70-79 years, male 8.1
GTEX-WXYG-2326-SM-4E3I6 50-59 years, female 8.1
GTEX-XBEW-0626-SM-4QASP 40-49 years, male 8.1
GTEX-1GN73-0226-SM-9WG67 60-69 years, male 8.1
GTEX-1LNCM-1126-SM-E9U5E 50-59 years, female 8.1
GTEX-11ZTS-0126-SM-5EQ6M 60-69 years, female 8.0
GTEX-13OVL-0226-SM-5L3E9 50-59 years, male 8.0
GTEX-18A6Q-0126-SM-731BZ 60-69 years, male 8.0
GTEX-O5YT-0126-SM-48TBW 20-29 years, male 8.0
GTEX-OOBK-0126-SM-2YUND 40-49 years, male 8.0
GTEX-RN64-0126-SM-2TC68 50-59 years, male 8.0
GTEX-XAJ8-0826-SM-47JY6 40-49 years, male 8.0
GTEX-1PWST-0226-SM-E76QJ 70-79 years, male 8.0
GTEX-11OC5-0126-SM-5HL6A 60-69 years, male 7.9
GTEX-1313W-0126-SM-5LZUN 50-59 years, female 7.9
GTEX-13OW6-0426-SM-5L3HM 50-59 years, male 7.9
GTEX-OXRL-0126-SM-2YUMP 50-59 years, male 7.9
GTEX-ZU9S-0226-SM-5E441 30-39 years, male 7.9
GTEX-1GN2E-0426-SM-9MQKX 60-69 years, male 7.9
GTEX-1MCQQ-0826-SM-DLHC2 60-69 years, male 7.9
GTEX-117YW-2626-SM-5GZZH 50-59 years, male 7.8
GTEX-13G51-2526-SM-5LZYK 60-69 years, male 7.8
GTEX-13OVK-2026-SM-7KUEO 40-49 years, male 7.8
GTEX-183FY-0126-SM-7LT9P 20-29 years, male 7.8
GTEX-U8T8-0126-SM-3DB94 60-69 years, male 7.8
GTEX-ZDYS-2026-SM-5HL5L 50-59 years, male 7.8
GTEX-1CAV2-2226-SM-7P8P2 40-49 years, female 7.8
GTEX-1GZHY-0326-SM-9QEHI 50-59 years, female 7.8
GTEX-1JMPY-1326-SM-ARL8Y 30-39 years, male 7.8
GTEX-1MA7X-2226-SM-E6CIY 60-69 years, male 7.8
GTEX-1OFPY-2426-SM-DTXEJ 60-69 years, male 7.8
GTEX-1OJC3-0126-SM-E76QX 20-29 years, male 7.8
GTEX-1QAET-0926-SM-E76QM 50-59 years, male 7.8
GTEX-13PVR-2326-SM-5QGR1 60-69 years, female 7.7
GTEX-145MN-2226-SM-5SIAU 30-39 years, male 7.7
GTEX-1A3MX-0126-SM-731BR 60-69 years, male 7.7
GTEX-S95S-1226-SM-4GICG 60-69 years, male 7.7
GTEX-X4XX-0126-SM-3NMC2 60-69 years, male 7.7
GTEX-18A67-0126-SM-7LG5P 50-59 years, male 7.6
GTEX-SUCS-1926-SM-32PM3 70-79 years, male 7.6
GTEX-WZTO-0126-SM-3NM95 40-49 years, male 7.6
GTEX-Y111-0126-SM-4SOIV 50-59 years, male 7.6
GTEX-11DYG-0126-SM-59883 60-69 years, male 7.5
GTEX-13CF2-2526-SM-5LZYX 60-69 years, male 7.5
GTEX-PX3G-0126-SM-2I3EN 20-29 years, female 7.5
GTEX-QVJO-1626-SM-2S1QW 60-69 years, female 7.5
GTEX-XUZC-1726-SM-4BRWS 30-39 years, female 7.5
GTEX-1CB4F-0426-SM-9KNV4 60-69 years, male 7.5
GTEX-1HCUA-2426-SM-ADEIS 50-59 years, female 7.5
GTEX-1QP9N-1426-SM-DTXFL 30-39 years, male 7.5
GTEX-1R9K4-0126-SM-DTX9X 60-69 years, male 7.5
GTEX-1R9PM-2026-SM-E76OY 20-29 years, male 7.5
GTEX-SE5C-1626-SM-2XCE3 40-49 years, female 7.5
GTEX-17F97-0326-SM-7LG5B 50-59 years, male 7.4
GTEX-P4PQ-0126-SM-2S1NM 60-69 years, male 7.4
GTEX-U412-0426-SM-3DB9O 60-69 years, male 7.4
GTEX-XUYS-0126-SM-47JWZ 50-59 years, male 7.4
GTEX-1GF9X-2026-SM-7PC3A 40-49 years, female 7.4
GTEX-1ICG6-2526-SM-CGQFZ 70-79 years, female 7.4
GTEX-1KANB-0526-SM-E6CJH 50-59 years, male 7.4
GTEX-17F98-0626-SM-79OMX 40-49 years, female 7.3
GTEX-1KWVE-1426-SM-E9TJO 30-39 years, male 7.3
GTEX-1MJK2-0426-SM-DTXE5 50-59 years, male 7.3
GTEX-1497J-2426-SM-7IGNX 60-69 years, male 7.2
GTEX-YFC4-0126-SM-5CVLY 40-49 years, female 7.2
GTEX-ZE7O-0126-SM-57WC1 50-59 years, female 7.2
GTEX-OIZH-0126-SM-2HMIS 50-59 years, male 7.1
GTEX-WI4N-1026-SM-3LK7N 40-49 years, female 7.1
GTEX-Y8DK-0126-SM-4TT3L 60-69 years, male 7.1
GTEX-1EKGG-0226-SM-9WYTH 60-69 years, male 7.1
GTEX-17JCI-0126-SM-7LG5G 60-69 years, female 7.0
GTEX-ZDXO-3026-SM-5J1N5 60-69 years, male 7.0
GTEX-1B933-0126-SM-7PC29 50-59 years, female 7.0
GTEX-1J8JJ-0226-SM-CL53I 60-69 years, female 7.0
GTEX-1RQEC-0426-SM-E6CHU 60-69 years, male 6.9
GTEX-S33H-1026-SM-EZ6L6 30-39 years, male 6.9
GTEX-144GN-2326-SM-5LU4F 50-59 years, male 6.8
GTEX-T6MN-0126-SM-32PLP 50-59 years, male 6.8
GTEX-YJ8A-0426-SM-5IFID 20-29 years, male 6.8
GTEX-1GZ2Q-0226-SM-7P8TL 40-49 years, male 6.8
GTEX-POMQ-2226-SM-2I5FK 20-29 years, female 6.7
GTEX-SIU8-0126-SM-2XCDT 50-59 years, male 6.7
GTEX-T5JC-0426-SM-32PLO 20-29 years, male 6.7
GTEX-ZVZO-0126-SM-5A5L9 40-49 years, male 6.7
GTEX-15SB6-1726-SM-6PAME 50-59 years, female 6.6
GTEX-Q734-1926-SM-2I5EV 40-49 years, female 6.6
GTEX-S7PM-0126-SM-4AD6S 60-69 years, male 6.6
GTEX-U8XE-0326-SM-3DB8P 30-39 years, male 6.6
GTEX-1HSMP-0126-SM-E6CJS 70-79 years, male 6.6
GTEX-OOBJ-0126-SM-E6CJW 60-69 years, male 6.6
GTEX-18A7A-0226-SM-718BH 50-59 years, female 6.5
GTEX-XXEK-2226-SM-4BRUM 50-59 years, male 6.5
GTEX-XYKS-2126-SM-4E3IB 60-69 years, female 6.5
GTEX-1KD4Q-0226-SM-E9TJ9 40-49 years, male 6.5
GTEX-1N2DW-0226-SM-E9TK2 50-59 years, male 6.5
GTEX-PWCY-1826-SM-DHXIZ 20-29 years, female 6.5
GTEX-132NY-0326-SM-5IJBL 60-69 years, male 6.4
GTEX-XQ3S-1526-SM-4BOOC 20-29 years, male 6.4
GTEX-1IKK5-0626-SM-ARL8A 60-69 years, male 6.4
GTEX-QLQW-1126-SM-2S1Q8 30-39 years, male 6.3
GTEX-RUSQ-1526-SM-2TF62 50-59 years, male 6.3
GTEX-1C6WA-0126-SM-7PC2B 60-69 years, male 6.3
GTEX-QEG4-0226-SM-2S1PY 30-39 years, male 6.2
GTEX-1B8L1-2526-SM-9WYTF 60-69 years, male 6.2
GTEX-1IOXB-0126-SM-ARL8G 50-59 years, male 6.2
GTEX-131XF-5016-SM-7MGWE 60-69 years, male 6.1
GTEX-1HR98-0126-SM-B2LWI 60-69 years, male 6.0
GTEX-ZF3C-0126-SM-DO92D 50-59 years, female 5.9
GTEX-12126-0326-SM-5PNW3 20-29 years, male 5.8
GTEX-17HHY-0126-SM-7LG5D 50-59 years, male 5.8
GTEX-NPJ8-0126-SM-2YUNR 40-49 years, male 5.7
GTEX-Q2AI-1326-SM-2S1PL 40-49 years, male 5.7
GTEX-TMZS-0126-SM-3DB9Q 60-69 years, male 5.6
GTEX-1J8EW-0126-SM-CJI4F 60-69 years, female 5.6
GTEX-Y3IK-2426-SM-4WWDU 50-59 years, female 5.5
GTEX-OHPL-0126-SM-2HMJ7 60-69 years, female 5.4
GTEX-X88G-0126-SM-47JZ3 30-39 years, male 5.4
GTEX-1HFI6-0226-SM-ADEHZ 40-49 years, male 5.4
GTEX-RVPV-0126-SM-EAZAW 60-69 years, male 5.3
GTEX-X8HC-0126-SM-4E3JW 50-59 years, female 5.1
GTEX-QESD-1426-SM-2S1R9 20-29 years, male 4.7
GTEX-1399U-2326-SM-5K7WY 50-59 years, female 4.5
GTEX-W5X1-3026-SM-EAZAX 40-49 years, female 3.8
Show allShow less

Contact

  • NEWS ARTICLES
  • PRESS ROOM

The Project

  • INTRODUCTION
  • ORGANIZATION
  • PUBLICATIONS

The Human Protein Atlas

  • DOWNLOADABLE DATA
  • LICENCE & CITATION
  • HELP & FAQ
The Human Protein Atlas project is funded
by the Knut & Alice Wallenberg Foundation.


contact@proteinatlas.org