We use cookies to enhance the usability of our website. If you continue, we'll assume that you are happy to receive all cookies. More information. Don't show this again.
TMEM171
HPA
RESOURCES
  • TISSUE
  • BRAIN
  • SINGLE CELL
  • SUBCELLULAR
  • CANCER
  • BLOOD
  • CELL LINE
  • STRUCTURE & INTERACTION
ABOUT
  • INTRODUCTION
  • HISTORY
  • ORGANIZATION
  • PUBLICATIONS
  • ANTIBODY SUBMISSION
  • ANTIBODY AVAILABILITY
  • ACKNOWLEDGMENTS
  • CONTACT
NEWS
  • NEWS ARTICLES
  • PRESS ROOM
LEARN
  • DICTIONARY
  • PROTEIN CLASSES
  • PROTEIN EVIDENCE
  • METHODS
  • EDUCATIONAL VIDEOS
DATA
  • DOWNLOADABLE DATA
  • PUBLICATION DATA
  • RELEASE HISTORY
HELP
  • ANTIBODY VALIDATION
  • ASSAYS & ANNOTATION
  • DISCLAIMER
  • HELP & FAQ
  • PRIVACY STATEMENT
  • LICENCE & CITATION
Fields »
Search result

Field
Term
Gene name
Class
Subclass
Class
Keyword
Chromosome
External id
Tissue
Cell type
Expression
Antibody panel
Tissue
Main location
Patient ID
Annotation
Tissue
Category
Tau score
Cluster
Reliability
Brain region
Category
Tau score
Brain region
Category
Tau score
Brain region
Category
Tau score
Cluster
Reliability
Tissue
Cell type
Enrichment
Cell type
Category
Tau score
Cell type
Category
Tau score
Cell type
Category
Tau score
Cell lineage
Category
Tau score
Cluster
Cluster
Location
Searches
Location
Cell line
Class
Type
Phase
Reliability
Cancer
Prognosis
Cancer
Category
Cancer
Category
Tau score
Cluster
Variants
Interacting gene (ensg_id)
Type
Number of interactions
Pathway
Category
Score
Score
Score
Validation
Validation
Validation
Validation
Antibodies
Data type
Column


  • SUMMARY

  • TISSUE

  • BRAIN

  • SINGLE CELL

  • SUBCELL

  • CANCER

  • BLOOD

  • CELL LINE

  • STRUCT & INT

  • TMEM171
TISSUE PRIMARY DATA COLON Show tissue menu
ADIPOSE TISSUE ADRENAL GLAND AMYGDALA APPENDIX BASAL GANGLIA BONE MARROW BREAST BRONCHUS CEREBELLUM CEREBRAL CORTEX CERVIX CHOROID PLEXUS COLON DUODENUM
ENDOMETRIUM EPIDIDYMIS ESOPHAGUS FALLOPIAN TUBE GALLBLADDER HEART MUSCLE HIPPOCAMPAL FORMATION HYPOTHALAMUS KIDNEY LIVER LUNG LYMPH NODE MIDBRAIN NASOPHARYNX
ORAL MUCOSA OVARY PANCREAS PARATHYROID GLAND PITUITARY GLAND PLACENTA PROSTATE RECTUM RETINA SALIVARY GLAND SEMINAL VESICLE SKELETAL MUSCLE SKIN SMALL INTESTINE
SMOOTH MUSCLE SOFT TISSUE SPINAL CORD SPLEEN STOMACH TESTIS THYMUS THYROID GLAND TONGUE TONSIL URINARY BLADDER VAGINA
ANTIBODIES
AND
VALIDATION
Dictionary
Colon
Tissue proteome
Intestine
COLON - Expression summary
Protein expression
Coloni

On the top, protein expression in current human tissue, based on all annotated cell types, is reported with the units not detected (n), low (l), medium (m) and high (h). Underneath, protein expression in each annotated cell type are reported using the same units.

Protein expression data is based on knowledge-based annotation. For genes where more than one antibody has been used, a collective score is set.

If knowledge-based annotation could not be performed for a gene, no data is displayed here. View antibody staining data further down this page.

h
m
l
n
Endothelial cells: Not detected
Glandular cells: Medium
RNA expressioni

A summary of mRNA expression data available for current tissue based on several datasets. The mRNA expression levels in human tissues are based on RNA-seq data generated by the Human Protein Atlas (HPA), Genotype-Tissue Expression (GTEx) portal and CAGE data generated by the FANTOM5 consortium. Consensus normalized expression levels for human tissues was created by combining the data from HPA and GTEx datasets.

The mRNA expression levels in pig are based on RNA-seq data generated by the Human Protein Atlas (HPA), and for mouse, HPA data and in situ hybridization generated by the Allen brain atlas are reported.

Scroll down to view mRNA expression data in more detail.
Consensus:34.4 nTPM
HPA:34.4 nTPM
GTEx:24.7 nTPM
FANTOM5:21.9 Scaled Tags Per Million

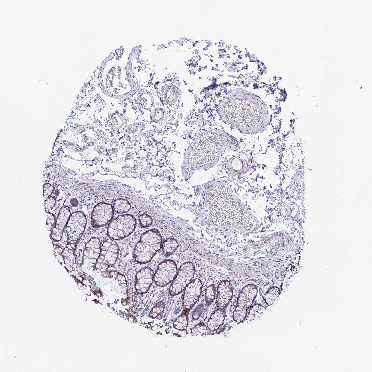
COLON - Antibody stainingi

Antibody staining in the annotated cell types in the current human tissue is reported as not detected, low, medium, or high, based on conventional immunohistochemistry profiling in selected tissues. This score is based on the combination of the staining intensity and fraction of stained cells.

Each image is clickable and will lead to virtual microscopy that enables deeper exploration of all samples and also displays staining intensity scores, fraction scores and subcellular localization as well as patient and tissue information for each sample.

Antibody HPA042308
Endothelial cells Not detected
Glandular cells Medium



COLON - HPA RNA-seqi

The RNA-seq details section shows detailed information about the individual samples used for the transcript profiling and results of the RNA-seq analysis.

Information about each individual sample is listed below, including gender, age, a tissue section image and estimated fractions of cell types. nTPM (normalized transcripts per million) values give a quantification of the gene abundance which is comparable between different genes and samples.
Average nTPMi

Max subtype nTPM is the value for the subtype with the largest average nTPM across the subtype samples.

34.4
overview
Male, age 54
Colon sample 67
nTPM: 29.7
Cell types%
Glandular cells:
65

Smooth muscle cells:
10

Other cell types:
25

overview
Female, age 57
Colon sample 68
nTPM: 45.3
Cell types%
Glandular cells:
40

Smooth muscle cells:
5

Other cell types:
55

overview
Male, age 80
Colon sample 69
nTPM: 28.6
Cell types%
Glandular cells:
55

Smooth muscle cells:
5

Other cell types:
40

overview
Male, age 68
Colon sample 70
nTPM: 64.3
Cell types%
Glandular cells:
35

Smooth muscle cells:
10

Other cell types:
55

overview
Female, age 68
Colon sample 76
nTPM: 14.2
Cell types%
Glandular cells:
25

Smooth muscle cells:
5

Other cell types:
70

overview
Female, age 61
Colon sample 299
nTPM: 19.2
Cell types%
Glandular cells:
5

Smooth muscle cells:
65

Other cell types:
30

overview
Male, age 80
Colon sample 300
nTPM: 45.6
Cell types%
Glandular cells:
15

Smooth muscle cells:
20

Other cell types:
65

overview
Female, age 78
Colon sample 368
nTPM: 40.4
Cell types%
Glandular cells:
45

Smooth muscle cells:
5

Other cell types:
50

overview
Male, age 84
Colon sample 381
nTPM: 18.7
Cell types%
Glandular cells:
50

Smooth muscle cells:
15

Other cell types:
35

overview
Male, age 80
Colon sample 384
nTPM: 41.1
Cell types%
Glandular cells:
20

Smooth muscle cells:
35

Other cell types:
45

overview
Female, age 78
Colon sample 389
nTPM: 37.7
Cell types%
Glandular cells:
35

Smooth muscle cells:
10

Other cell types:
55

overview
Female, age 69
Colon sample 391
nTPM: 32
Cell types%
Glandular cells:
10

Smooth muscle cells:
45

Other cell types:
45

overview
Female, age 72
Colon sample 403
nTPM: 30.9
Cell types%
Glandular cells:
20

Smooth muscle cells:
15

Other cell types:
65


COLON - GTEx RNA-seqi

RNA-Seq data generated by the Genotype-Tissue Expression (GTEx) project from human tissues is reported as mean nTPM. More information can be found on the GTEx portal.

Distribution across the dataset is visualized with box plots, shown as median and 25th and 75th percentiles. Points are displayed as outliers if they are above or below 1.5 times the interquartile range. nTPM values of the individual samples are presented next to the box plot.
Max subtype nTPMi

Max subtype nTPM is the value for the subtype with the largest average nTPM across the subtype samples.

24.7
GTEx sample id Sample description nTPM
Colon - Sigmoid
Average nTPM: 2.0
Samples: 373

Max nTPM: 111.2
Min nTPM: 0.0
Std nTPM: 9.2
Median nTPM: 0.0
GTEX-ZQUD-1026-SM-4YCEZ 30-39 years, male 111.2
GTEX-Y5V6-1626-SM-4VDT2 60-69 years, male 77.0
GTEX-WOFM-1926-SM-4OOSP 20-29 years, male 61.2
GTEX-W5WG-2026-SM-4LMIB 50-59 years, female 47.0
GTEX-WH7G-1426-SM-4LVMU 40-49 years, male 35.7
GTEX-13113-1426-SM-5EGHU 60-69 years, female 34.5
GTEX-13W3W-2226-SM-5LU4M 60-69 years, female 31.5
GTEX-X5EB-1126-SM-46MVV 40-49 years, male 31.3
GTEX-WYJK-2326-SM-4ONDN 50-59 years, male 28.4
GTEX-VJYA-2126-SM-4KL1O 60-69 years, male 26.8
GTEX-1C64O-2426-SM-7P8R3 60-69 years, male 22.8
GTEX-1AMEY-1826-SM-72D5L 30-39 years, female 22.3
GTEX-15FZZ-1826-SM-6LLJP 30-39 years, female 20.2
GTEX-1PFEY-1726-SM-DPRZ4 30-39 years, male 16.4
GTEX-1OJC3-1826-SM-DTX93 20-29 years, male 15.7
GTEX-Y8E4-2326-SM-EAZAZ 40-49 years, male 13.5
GTEX-11VI4-1426-SM-5GU6O 40-49 years, female 13.2
GTEX-ZF29-1826-SM-4WKG8 60-69 years, female 11.2
GTEX-XBED-1726-SM-47JYO 60-69 years, male 10.8
GTEX-Y5LM-1426-SM-5RQJL 40-49 years, female 8.3
GTEX-1HB9E-2526-SM-D4P35 50-59 years, male 6.8
GTEX-V955-1726-SM-4JBHF 60-69 years, male 5.7
GTEX-Y8LW-1126-SM-4VDS4 50-59 years, female 4.4
GTEX-1C475-1526-SM-7DHM3 40-49 years, female 3.3
GTEX-1PIEJ-1826-SM-EWRMN 20-29 years, female 3.3
GTEX-1PPH8-2226-SM-EWRN7 20-29 years, male 3.3
GTEX-ZF2S-1826-SM-4WKFF 50-59 years, female 3.2
GTEX-1I6K6-1926-SM-A96SN 30-39 years, male 3.2
GTEX-1QP29-2526-SM-E6CQ3 50-59 years, male 3.2
GTEX-1HBPN-2026-SM-B2LWA 50-59 years, male 3.1
GTEX-17GQL-1626-SM-7LG69 60-69 years, male 2.9
GTEX-11EQ9-1526-SM-5PNY7 30-39 years, male 2.8
GTEX-14PKV-1926-SM-686YU 20-29 years, female 2.8
GTEX-11ONC-1926-SM-5GU75 60-69 years, male 2.6
GTEX-WRHK-1126-SM-4MVOJ 20-29 years, female 2.6
GTEX-1R7EU-1826-SM-DTX9L 60-69 years, male 2.3
GTEX-146FH-2426-SM-5Q5EW 50-59 years, female 2.2
GTEX-YJ8A-1726-SM-5P9IQ 20-29 years, male 2.2
GTEX-1H1DE-1626-SM-9KNU5 20-29 years, male 1.9
GTEX-WQUQ-2626-SM-4MVNP 60-69 years, male 1.8
GTEX-14PN3-1926-SM-6EU1Y 60-69 years, female 1.5
GTEX-16BQI-2026-SM-7KULQ 30-39 years, female 1.5
GTEX-ZPCL-1626-SM-57WGC 60-69 years, female 1.5
GTEX-1CAMR-1026-SM-7P8QI 20-29 years, male 1.3
GTEX-132AR-2826-SM-5IJFV 50-59 years, female 1.2
GTEX-1H3VY-2526-SM-9KNW1 50-59 years, male 1.2
GTEX-14PJ4-1826-SM-5YY97 60-69 years, male 1.1
GTEX-15DZA-1026-SM-6PAND 30-39 years, female 1.1
GTEX-ZG7Y-1826-SM-4WWD3 50-59 years, male 1.1
GTEX-1H23P-2626-SM-9KNVN 60-69 years, male 1.1
GTEX-1J1R8-1426-SM-CL55O 40-49 years, male 1.1
GTEX-14PJ3-1226-SM-5ZZVY 50-59 years, male 1.0
GTEX-XAJ8-0726-SM-47JY5 40-49 years, male 1.0
GTEX-YEC3-2026-SM-DKPOL 50-59 years, male 1.0
GTEX-1HBPI-2226-SM-9WYTY 50-59 years, male 0.9
GTEX-15F5U-1426-SM-7KUN2 40-49 years, male 0.8
GTEX-15RIE-2026-SM-7KFRW 60-69 years, male 0.8
GTEX-17KNJ-1826-SM-7LT9N 50-59 years, male 0.8
GTEX-XUW1-1826-SM-4BOQD 50-59 years, female 0.8
GTEX-1S82P-2026-SM-E9TIQ 60-69 years, female 0.7
GTEX-14BMU-1326-SM-5RQIH 20-29 years, female 0.6
GTEX-15ER7-2826-SM-6PAN2 20-29 years, female 0.6
GTEX-1A3MV-1026-SM-72D5U 30-39 years, male 0.6
GTEX-ZQG8-2426-SM-57WEE 60-69 years, female 0.6
GTEX-1HSMQ-2526-SM-A9SMK 50-59 years, male 0.6
GTEX-117YX-0526-SM-5EGJH 50-59 years, male 0.5
GTEX-1399U-2226-SM-5KLZI 50-59 years, female 0.5
GTEX-13FH7-1626-SM-5J2O9 50-59 years, female 0.5
GTEX-14E6C-2226-SM-5QGQG 40-49 years, male 0.5
GTEX-WFON-1326-SM-4LVMN 40-49 years, male 0.5
GTEX-1CAMS-2626-SM-7PBY3 40-49 years, female 0.5
GTEX-1LVAN-2626-SM-CNPQF 50-59 years, female 0.5
GTEX-1N2DV-1826-SM-E6CJ5 40-49 years, male 0.5
GTEX-WHSE-2726-SM-EZ6ML 20-29 years, male 0.5
GTEX-13CF2-1826-SM-5N9GK 60-69 years, male 0.4
GTEX-13U4I-2626-SM-5SI9C 40-49 years, female 0.4
GTEX-17F9Y-2626-SM-7IGN9 70-79 years, female 0.4
GTEX-1B932-2126-SM-7IGMU 40-49 years, female 0.4
GTEX-WFG8-1726-SM-4LVM6 20-29 years, male 0.4
GTEX-XQ8I-2326-SM-4BOQC 50-59 years, male 0.4
GTEX-ZT9W-1726-SM-51MS3 50-59 years, male 0.4
GTEX-1GF9X-1426-SM-7RHGX 40-49 years, female 0.4
GTEX-1J8QM-1226-SM-CY8HI 60-69 years, female 0.4
GTEX-111CU-1226-SM-5EGIN 50-59 years, male 0.3
GTEX-12KS4-2326-SM-5EGJB 30-39 years, male 0.3
GTEX-WHWD-1526-SM-4OORV 50-59 years, male 0.3
GTEX-ZZ64-0826-SM-5E449 20-29 years, male 0.3
GTEX-1F5PL-1926-SM-7MXTP 40-49 years, female 0.3
GTEX-1GPI7-1926-SM-9KNUH 20-29 years, male 0.3
GTEX-1IL2U-2526-SM-C1YQV 60-69 years, male 0.3
GTEX-1LG7Z-1326-SM-DIPF3 30-39 years, male 0.3
GTEX-1MGNQ-2126-SM-EV7AC 40-49 years, male 0.3
GTEX-1QP9N-0826-SM-DTX9O 30-39 years, male 0.3
GTEX-12WSJ-1426-SM-5GCON 40-49 years, female 0.2
GTEX-12WSL-1826-SM-5LZW9 50-59 years, male 0.2
GTEX-139T6-1426-SM-5P9J7 50-59 years, male 0.2
GTEX-13OVJ-1826-SM-5KM2D 50-59 years, female 0.2
GTEX-13OVK-1026-SM-7KFTC 40-49 years, male 0.2
GTEX-13SLW-2826-SM-5Q5ES 70-79 years, male 0.2
GTEX-17MFQ-1226-SM-7KFSA 20-29 years, male 0.2
GTEX-18A6Q-2226-SM-7LG61 60-69 years, male 0.2
GTEX-18D9A-1326-SM-7LT8P 30-39 years, female 0.2
GTEX-1B97I-1526-SM-73KUK 40-49 years, male 0.2
GTEX-1B996-2726-SM-7DUGG 60-69 years, male 0.2
GTEX-ZTTD-2626-SM-57WEX 50-59 years, male 0.2
GTEX-ZVT2-1726-SM-51MRO 50-59 years, female 0.2
GTEX-1F5PK-1726-SM-7RHHW 50-59 years, male 0.2
GTEX-1HCU6-2926-SM-B2LWV 60-69 years, female 0.2
GTEX-1I1CD-2826-SM-A9SL4 60-69 years, female 0.2
GTEX-1I1GT-2026-SM-CKZPK 60-69 years, female 0.2
GTEX-1JMQK-2326-SM-ARZN4 60-69 years, male 0.2
GTEX-1PIGE-1526-SM-DTXFC 20-29 years, male 0.2
GTEX-1QCLY-2026-SM-EVR4C 30-39 years, male 0.2
GTEX-1QP2A-2226-SM-DTXF6 50-59 years, male 0.2
GTEX-1122O-1426-SM-5H11R 60-69 years, female 0.1
GTEX-11PRG-2026-SM-5GU5F 50-59 years, male 0.1
GTEX-1211K-1826-SM-5EGJ2 60-69 years, female 0.1
GTEX-1212Z-1826-SM-5FQSH 60-69 years, male 0.1
GTEX-12696-1926-SM-5EGJT 60-69 years, male 0.1
GTEX-13111-1926-SM-5GCOL 50-59 years, male 0.1
GTEX-131XG-1526-SM-5GCNQ 50-59 years, female 0.1
GTEX-1399R-2126-SM-5K7WZ 30-39 years, male 0.1
GTEX-139UW-2326-SM-5KM1Y 60-69 years, male 0.1
GTEX-13D11-0626-SM-5LZYY 50-59 years, female 0.1
GTEX-13OVI-2126-SM-5KM3U 60-69 years, female 0.1
GTEX-13RTJ-1926-SM-5YYA2 60-69 years, male 0.1
GTEX-13X6K-2726-SM-5O9DG 60-69 years, female 0.1
GTEX-144GM-1126-SM-79OJK 20-29 years, male 0.1
GTEX-145LT-0826-SM-5S2QL 40-49 years, male 0.1
GTEX-145ME-1126-SM-5SIAT 40-49 years, female 0.1
GTEX-147GR-2826-SM-5RQK8 60-69 years, male 0.1
GTEX-147JS-2626-SM-5S2UX 60-69 years, male 0.1
GTEX-14A5H-1626-SM-5SIAN 60-69 years, male 0.1
GTEX-14DAQ-2926-SM-664MV 60-69 years, female 0.1
GTEX-15CHQ-2626-SM-686YZ 60-69 years, male 0.1
GTEX-17EUY-1726-SM-79OK4 20-29 years, male 0.1
GTEX-17F96-2126-SM-7KFSM 70-79 years, male 0.1
GTEX-18A66-2626-SM-72D67 60-69 years, male 0.1
GTEX-1C6VQ-2626-SM-7IGMQ 50-59 years, male 0.1
GTEX-X15G-1526-SM-4PQZM 50-59 years, female 0.1
GTEX-XXEK-1826-SM-4BRVC 50-59 years, male 0.1
GTEX-YF7O-1626-SM-5IFII 50-59 years, male 0.1
GTEX-YFCO-1526-SM-5YYB8 40-49 years, male 0.1
GTEX-ZA64-1426-SM-5CVMC 20-29 years, male 0.1
GTEX-ZC5H-2426-SM-4WAZ6 40-49 years, female 0.1
GTEX-ZPIC-2626-SM-57WE2 40-49 years, female 0.1
GTEX-ZVT4-2626-SM-5N9GJ 50-59 years, female 0.1
GTEX-ZYT6-2826-SM-5GICX 30-39 years, male 0.1
GTEX-1EH9U-1926-SM-7P8QM 60-69 years, male 0.1
GTEX-1HSGN-2226-SM-A9SL6 40-49 years, female 0.1
GTEX-1I1GP-2826-SM-A9SKZ 50-59 years, male 0.1
GTEX-1JN76-1326-SM-ARU94 20-29 years, female 0.1
GTEX-1KXAM-1926-SM-D3LAG 60-69 years, male 0.1
GTEX-1LB8K-2526-SM-DIPEQ 50-59 years, male 0.1
GTEX-1QP67-1426-SM-E8VOO 40-49 years, female 0.1
GTEX-1RDX4-1926-SM-E6CJJ 50-59 years, female 0.1
GTEX-1RQEC-2626-SM-EVR3Z 60-69 years, male 0.1
GTEX-111YS-1826-SM-5GIEP 60-69 years, male 0.0
GTEX-117XS-2226-SM-5GIE1 60-69 years, male 0.0
GTEX-11DXX-1926-SM-5EGJK 60-69 years, female 0.0
GTEX-11DXY-2026-SM-5N9CZ 60-69 years, male 0.0
GTEX-11DXZ-1626-SM-5GIDI 50-59 years, male 0.0
GTEX-11EI6-2626-SM-5PNVT 60-69 years, male 0.0
GTEX-11EM3-1626-SM-5N9CO 20-29 years, female 0.0
GTEX-11EMC-1426-SM-5N9E4 60-69 years, female 0.0
GTEX-11EQ8-2626-SM-5N9BO 60-69 years, male 0.0
GTEX-11GS4-1826-SM-5HL4T 60-69 years, male 0.0
GTEX-11I78-1326-SM-5PNY9 50-59 years, female 0.0
GTEX-11P7K-1826-SM-5HL5A 30-39 years, male 0.0
GTEX-11P81-1426-SM-5P9JN 30-39 years, female 0.0
GTEX-11TT1-0926-SM-5GU5M 20-29 years, male 0.0
GTEX-11TUW-2326-SM-5EQMO 60-69 years, male 0.0
GTEX-11ZTS-1526-SM-5N9G7 60-69 years, female 0.0
GTEX-11ZTT-1626-SM-5EQKR 60-69 years, female 0.0
GTEX-11ZU8-1126-SM-5EQ5K 60-69 years, male 0.0
GTEX-12BJ1-2026-SM-5FQUH 60-69 years, male 0.0
GTEX-12WSD-2626-SM-5EGJE 60-69 years, female 0.0
GTEX-12WSG-2426-SM-5EQLZ 50-59 years, female 0.0
GTEX-12WSM-1426-SM-5GCPA 60-69 years, male 0.0
GTEX-12ZZW-2426-SM-5DUWE 50-59 years, male 0.0
GTEX-12ZZX-2726-SM-5N9FT 40-49 years, female 0.0
GTEX-12ZZY-2726-SM-5EQ45 60-69 years, male 0.0
GTEX-131XE-1026-SM-5EGKE 50-59 years, male 0.0
GTEX-131YS-2926-SM-5EGKI 60-69 years, female 0.0
GTEX-132NY-2726-SM-5PNY2 60-69 years, male 0.0
GTEX-1339X-1726-SM-5P9J9 40-49 years, male 0.0
GTEX-139D8-2926-SM-5IJBM 30-39 years, female 0.0
GTEX-139TS-2226-SM-5J2N1 60-69 years, male 0.0
GTEX-13CF3-1326-SM-5LZXZ 60-69 years, female 0.0
GTEX-13FHO-2726-SM-5K7VG 60-69 years, male 0.0
GTEX-13FTW-2126-SM-5K7YG 40-49 years, male 0.0
GTEX-13G51-2126-SM-5IJD9 60-69 years, male 0.0
GTEX-13N2G-2226-SM-5IJCU 60-69 years, male 0.0
GTEX-13O1R-2426-SM-5KLZZ 60-69 years, male 0.0
GTEX-13O61-1526-SM-5KM3P 60-69 years, male 0.0
GTEX-13OW5-2826-SM-5KM1G 60-69 years, male 0.0
GTEX-13OW6-2226-SM-5N9FL 50-59 years, male 0.0
GTEX-13OW8-2726-SM-5L3FZ 60-69 years, male 0.0
GTEX-13PL7-2426-SM-5J2N3 60-69 years, female 0.0
GTEX-13PVQ-2726-SM-5L3H7 50-59 years, male 0.0
GTEX-13PVR-1726-SM-5Q5EC 60-69 years, female 0.0
GTEX-13QBU-2026-SM-5KLZB 40-49 years, female 0.0
GTEX-13VXT-2026-SM-5L3EW 20-29 years, female 0.0
GTEX-13X6I-2726-SM-5Q5ET 60-69 years, male 0.0
GTEX-13X6J-2826-SM-7EPGA 50-59 years, male 0.0
GTEX-145LS-2926-SM-5O99G 60-69 years, female 0.0
GTEX-145MH-2726-SM-5QGQ6 50-59 years, male 0.0
GTEX-145MO-2626-SM-5QGPD 60-69 years, male 0.0
GTEX-1477Z-2126-SM-5Q5CM 60-69 years, male 0.0
GTEX-148VJ-2426-SM-5NQ9Y 70-79 years, male 0.0
GTEX-14A5I-2426-SM-5Q5CP 50-59 years, female 0.0
GTEX-14AS3-1026-SM-5TDD7 40-49 years, female 0.0
GTEX-14BIN-2426-SM-5TDCF 50-59 years, female 0.0
GTEX-14C39-1626-SM-5S2P4 40-49 years, male 0.0
GTEX-14C5O-2626-SM-5RQI5 60-69 years, male 0.0
GTEX-14E1K-1626-SM-664MO 50-59 years, male 0.0
GTEX-14E6E-1726-SM-5S2R6 30-39 years, male 0.0
GTEX-14JG6-1626-SM-5YYBC 30-39 years, female 0.0
GTEX-14PHX-1126-SM-5YYA5 50-59 years, male 0.0
GTEX-14PK6-1826-SM-69LOM 70-79 years, female 0.0
GTEX-15DYW-2426-SM-7KUG8 60-69 years, female 0.0
GTEX-15EO6-2326-SM-6LPKK 50-59 years, male 0.0
GTEX-15ETS-2326-SM-7KUGC 40-49 years, female 0.0
GTEX-15G19-2726-SM-6LPKG 60-69 years, male 0.0
GTEX-15RIF-1426-SM-7KUKQ 20-29 years, male 0.0
GTEX-15RJ7-1726-SM-6PAL3 40-49 years, male 0.0
GTEX-15RJE-2226-SM-6M46A 40-49 years, male 0.0
GTEX-15UF6-2726-SM-7KULY 70-79 years, female 0.0
GTEX-15UF7-1326-SM-7KUKV 40-49 years, male 0.0
GTEX-16MTA-1626-SM-6M47N 50-59 years, male 0.0
GTEX-16NGA-0926-SM-718AG 40-49 years, female 0.0
GTEX-16XZZ-2726-SM-7EWDO 60-69 years, male 0.0
GTEX-16Z82-2426-SM-7KUMS 60-69 years, male 0.0
GTEX-17HG3-1126-SM-7DUFC 30-39 years, female 0.0
GTEX-17HGU-2626-SM-79OKN 50-59 years, male 0.0
GTEX-17HHE-1626-SM-7DHLN 50-59 years, male 0.0
GTEX-17JCI-2826-SM-7IGNA 60-69 years, female 0.0
GTEX-183FY-1426-SM-7DHLM 20-29 years, male 0.0
GTEX-183WM-2526-SM-731BP 70-79 years, female 0.0
GTEX-18465-2726-SM-7LT9I 50-59 years, male 0.0
GTEX-18A67-2226-SM-7LT9Z 50-59 years, male 0.0
GTEX-18QFQ-1726-SM-731C9 30-39 years, male 0.0
GTEX-1A32A-2626-SM-73KX9 50-59 years, female 0.0
GTEX-1A3MX-2326-SM-718B4 60-69 years, male 0.0
GTEX-1AMFI-1826-SM-73KWB 50-59 years, female 0.0
GTEX-1AX9J-2526-SM-73KUY 60-69 years, male 0.0
GTEX-1AX9K-1626-SM-73KUS 50-59 years, male 0.0
GTEX-1AYCT-1926-SM-793AE 50-59 years, male 0.0
GTEX-1B8KE-1526-SM-7DUG2 50-59 years, male 0.0
GTEX-1B8L1-1926-SM-7IGND 60-69 years, male 0.0
GTEX-1BAJH-2726-SM-7IGNJ 70-79 years, male 0.0
GTEX-1C2JI-1726-SM-73KUW 50-59 years, male 0.0
GTEX-1C4CL-1626-SM-7DUF3 30-39 years, male 0.0
GTEX-1CB4F-1926-SM-7MKFN 60-69 years, male 0.0
GTEX-1CB4G-2726-SM-79OO4 60-69 years, male 0.0
GTEX-1E2YA-2526-SM-7IGOU 50-59 years, male 0.0
GTEX-1EMGI-2626-SM-7IGNR 60-69 years, male 0.0
GTEX-WFG7-1626-SM-4LVMF 20-29 years, male 0.0
GTEX-WHPG-1626-SM-4M1ZL 50-59 years, male 0.0
GTEX-WI4N-2226-SM-4OOS9 40-49 years, female 0.0
GTEX-WXYG-1726-SM-4ONCU 50-59 years, female 0.0
GTEX-WY7C-1926-SM-4ONCI 50-59 years, male 0.0
GTEX-WYVS-1126-SM-4SOJX 40-49 years, female 0.0
GTEX-X4EO-2726-SM-4E3HS 60-69 years, female 0.0
GTEX-XUZC-1526-SM-4BRV4 30-39 years, female 0.0
GTEX-XV7Q-2226-SM-4BRVY 40-49 years, female 0.0
GTEX-Y114-1626-SM-4TT7I 50-59 years, female 0.0
GTEX-Y3I4-1126-SM-4TT7Y 50-59 years, male 0.0
GTEX-Y9LG-1326-SM-4VBQB 30-39 years, male 0.0
GTEX-YECK-2826-SM-5IFHF 60-69 years, male 0.0
GTEX-YJ8O-1426-SM-5PNV9 40-49 years, female 0.0
GTEX-Z93S-2626-SM-57WBX 50-59 years, male 0.0
GTEX-ZAB4-2426-SM-5HL8A 40-49 years, male 0.0
GTEX-ZAB5-1426-SM-5HL9D 50-59 years, male 0.0
GTEX-ZAJG-2626-SM-5S2NU 50-59 years, female 0.0
GTEX-ZDTS-2726-SM-5L3E2 60-69 years, male 0.0
GTEX-ZE7O-2626-SM-51MSS 50-59 years, female 0.0
GTEX-ZE9C-2126-SM-4WKGY 60-69 years, male 0.0
GTEX-ZF28-2526-SM-57WFH 60-69 years, male 0.0
GTEX-ZLFU-1426-SM-4WWEU 40-49 years, male 0.0
GTEX-ZP4G-1526-SM-57WE5 20-29 years, female 0.0
GTEX-ZPU1-1726-SM-4WWFV 40-49 years, male 0.0
GTEX-ZTSS-1226-SM-51MSZ 40-49 years, male 0.0
GTEX-ZV6S-1126-SM-57WE9 40-49 years, female 0.0
GTEX-ZVT3-2826-SM-5GU6A 60-69 years, female 0.0
GTEX-ZVZQ-2626-SM-59HLB 60-69 years, female 0.0
GTEX-ZXES-1726-SM-5E43G 30-39 years, female 0.0
GTEX-ZY6K-1326-SM-5GZWP 50-59 years, male 0.0
GTEX-ZYFD-2226-SM-5E43P 50-59 years, male 0.0
GTEX-ZYFG-1826-SM-5GZWX 60-69 years, female 0.0
GTEX-ZYY3-2226-SM-5E45A 60-69 years, female 0.0
GTEX-15G1A-1926-SM-7KUFF 30-39 years, male 0.0
GTEX-1C64N-2226-SM-7SB7C 50-59 years, male 0.0
GTEX-1EU9M-2726-SM-7P8QD 60-69 years, male 0.0
GTEX-1F75W-2126-SM-7RHIA 60-69 years, male 0.0
GTEX-1GL5R-1726-SM-9KNUX 50-59 years, male 0.0
GTEX-1GMR2-1826-SM-9KNUP 50-59 years, male 0.0
GTEX-1GMR3-2526-SM-7P8QS 40-49 years, male 0.0
GTEX-1GMR8-2926-SM-9KNW5 50-59 years, female 0.0
GTEX-1GMRU-2626-SM-9WPPM 50-59 years, male 0.0
GTEX-1GN73-2726-SM-9WYUB 60-69 years, male 0.0
GTEX-1GTWX-2626-SM-9WPOT 60-69 years, male 0.0
GTEX-1GZ4H-1326-SM-7P8TE 50-59 years, female 0.0
GTEX-1H1E6-1826-SM-A9G21 30-39 years, male 0.0
GTEX-1H1ZS-2626-SM-9QEIX 70-79 years, male 0.0
GTEX-1H3NZ-2526-SM-9KNVO 60-69 years, male 0.0
GTEX-1H3VE-2326-SM-9KNVU 40-49 years, male 0.0
GTEX-1HBPH-2526-SM-ACKXK 40-49 years, female 0.0
GTEX-1HBPM-2626-SM-9WYU5 60-69 years, female 0.0
GTEX-1HCU7-2726-SM-A9G3D 50-59 years, male 0.0
GTEX-1HCUA-1926-SM-B2LWE 50-59 years, female 0.0
GTEX-1HCVE-2326-SM-9WYUD 50-59 years, male 0.0
GTEX-1HFI7-1626-SM-9WYTR 50-59 years, female 0.0
GTEX-1HKZK-2026-SM-9WYUF 40-49 years, male 0.0
GTEX-1HSEH-1926-SM-A96SB 60-69 years, male 0.0
GTEX-1HSKV-2326-SM-A9SL9 60-69 years, male 0.0
GTEX-1HSMO-2526-SM-A9SKP 60-69 years, male 0.0
GTEX-1I1GR-2226-SM-ARL7F 60-69 years, male 0.0
GTEX-1ICG6-2226-SM-B2LY7 70-79 years, female 0.0
GTEX-1IDJH-2826-SM-CJI49 70-79 years, male 0.0
GTEX-1IDJI-2226-SM-CKZPM 50-59 years, female 0.0
GTEX-1IDJU-1926-SM-CL53W 60-69 years, female 0.0
GTEX-1IKOE-2126-SM-A96T5 30-39 years, female 0.0
GTEX-1J1OQ-2826-SM-D3L88 40-49 years, female 0.0
GTEX-1J8EW-2426-SM-CE6T5 60-69 years, female 0.0
GTEX-1J8JJ-2426-SM-D4P4A 60-69 years, female 0.0
GTEX-1J8Q3-2426-SM-CL53S 60-69 years, male 0.0
GTEX-1JJE9-2526-SM-ARU8K 70-79 years, male 0.0
GTEX-1JJEA-2526-SM-CY8HJ 60-69 years, male 0.0
GTEX-1JK1U-1426-SM-CNPOW 60-69 years, male 0.0
GTEX-1JKYN-2226-SM-ARZNE 30-39 years, male 0.0
GTEX-1JKYR-2026-SM-CNPON 20-29 years, male 0.0
GTEX-1JMLX-2526-SM-CY8HX 50-59 years, male 0.0
GTEX-1JMPY-1026-SM-ARZN1 30-39 years, male 0.0
GTEX-1JMPZ-2626-SM-ARU8Z 30-39 years, male 0.0
GTEX-1JMQJ-2626-SM-CY8HQ 50-59 years, male 0.0
GTEX-1JN6P-2126-SM-ARL98 60-69 years, male 0.0
GTEX-1K2DA-1626-SM-CGQGB 50-59 years, male 0.0
GTEX-1K9T9-2926-SM-E9TKD 50-59 years, female 0.0
GTEX-1KANA-1726-SM-CY8IG 20-29 years, male 0.0
GTEX-1L5NE-1926-SM-D3L9R 50-59 years, male 0.0
GTEX-1LBAC-1726-SM-D3L9W 20-29 years, male 0.0
GTEX-1LG7Y-2226-SM-E9U5K 50-59 years, male 0.0
GTEX-1LGOU-1726-SM-D3L8P 20-29 years, female 0.0
GTEX-1LGRB-2026-SM-COH47 50-59 years, female 0.0
GTEX-1LKK1-2426-SM-DIPES 50-59 years, female 0.0
GTEX-1LSNL-1626-SM-E9TJY 50-59 years, male 0.0
GTEX-1LSNM-1426-SM-E6CIH 50-59 years, male 0.0
GTEX-1LSVX-2026-SM-E9TJD 60-69 years, male 0.0
GTEX-1LVAM-1726-SM-DHXKQ 50-59 years, female 0.0
GTEX-1LVAO-2826-SM-E9TJH 60-69 years, male 0.0
GTEX-1N2EF-1726-SM-EXUSI 60-69 years, male 0.0
GTEX-1OFPY-1226-SM-E76OM 60-69 years, male 0.0
GTEX-1P4AB-2626-SM-DTXEU 50-59 years, male 0.0
GTEX-1PBJI-2526-SM-E6CP4 20-29 years, female 0.0
GTEX-1PBJJ-2026-SM-DTX8U 30-39 years, male 0.0
GTEX-1PDJ9-2026-SM-E76PT 20-29 years, male 0.0
GTEX-1PIIG-2126-SM-EXUSD 30-39 years, male 0.0
GTEX-1QCLZ-2026-SM-EAZ4A 60-69 years, female 0.0
GTEX-1QP28-2226-SM-DTX8C 50-59 years, female 0.0
GTEX-1QPFJ-2426-SM-EVR3L 30-39 years, female 0.0
GTEX-1QW4Y-1426-SM-E76P3 30-39 years, male 0.0
GTEX-1R9JW-2126-SM-E76QT 30-39 years, female 0.0
GTEX-1R9K5-2226-SM-DTX9G 50-59 years, male 0.0
GTEX-1R9PO-2026-SM-E9J4N 60-69 years, female 0.0
GTEX-1RAZQ-2026-SM-E76P7 30-39 years, male 0.0
GTEX-1RAZR-2026-SM-E9TKE 40-49 years, male 0.0
GTEX-1RLM8-1726-SM-E9TKF 50-59 years, male 0.0
GTEX-1RMOY-1726-SM-EVYC9 50-59 years, male 0.0
GTEX-1S5ZA-1426-SM-E6CJQ 20-29 years, male 0.0
GTEX-1S831-1726-SM-EWROJ 20-29 years, male 0.0
GTEX-ZLV1-1326-SM-DO11Q 60-69 years, female 0.0
GTEX-ZLWG-1826-SM-DO11I 50-59 years, female 0.0
Show allShow less
Colon - Transverse
Average nTPM: 24.7
Samples: 406

Max nTPM: 211.0
Min nTPM: 0.0
Std nTPM: 28.2
Median nTPM: 16.6
GTEX-14JIY-3326-SM-6871E 60-69 years, male 211.0
GTEX-14XAO-2026-SM-69LOI 60-69 years, female 128.8
GTEX-R55G-1226-SM-48FDC 40-49 years, female 124.0
GTEX-1122O-1526-SM-5N9CL 60-69 years, female 108.7
GTEX-ZV7C-1526-SM-5NQ72 50-59 years, male 106.9
GTEX-132AR-2726-SM-5PNVN 50-59 years, female 103.1
GTEX-1JKYN-2326-SM-CGQG7 30-39 years, male 95.7
GTEX-14E6E-1526-SM-5RQIG 30-39 years, male 95.5
GTEX-U3ZN-2126-SM-4DXU1 30-39 years, female 92.7
GTEX-11DXX-1826-SM-5H126 60-69 years, female 91.7
GTEX-131XG-1826-SM-5LZV4 50-59 years, female 90.4
GTEX-13D11-0826-SM-5KLZJ 50-59 years, female 90.2
GTEX-1CAMR-0926-SM-7MXTD 20-29 years, male 89.9
GTEX-11P82-1026-SM-5BC5J 20-29 years, male 86.4
GTEX-P4QT-1426-SM-3NMCX 50-59 years, female 86.2
GTEX-Y5LM-1526-SM-4VDTA 40-49 years, female 84.9
GTEX-1K2DA-2026-SM-CGQGK 50-59 years, male 79.4
GTEX-1B8KE-1926-SM-731EE 50-59 years, male 79.1
GTEX-ZLWG-1726-SM-DNZZ2 50-59 years, female 78.4
GTEX-1399S-1926-SM-5J2M5 30-39 years, female 76.2
GTEX-WOFM-2026-SM-4OOSQ 20-29 years, male 75.3
GTEX-1399R-2226-SM-5P9JB 30-39 years, male 75.0
GTEX-15RIF-1326-SM-6LPKO 20-29 years, male 73.8
GTEX-1QP9N-1026-SM-E6CPX 30-39 years, male 73.8
GTEX-14DAR-1526-SM-5RQIX 50-59 years, male 73.5
GTEX-1H11D-2626-SM-9JGH4 40-49 years, male 72.1
GTEX-WHWD-1226-SM-4OOS1 50-59 years, male 71.9
GTEX-1J1R8-1126-SM-CNPQ3 40-49 years, male 71.5
GTEX-111CU-1426-SM-5GZYP 50-59 years, male 70.6
GTEX-PWN1-1426-SM-48TDF 40-49 years, female 70.3
GTEX-11EM3-1526-SM-5A5KN 20-29 years, female 68.4
GTEX-UJHI-1126-SM-4IHLN 50-59 years, female 67.6
GTEX-ZVT2-1926-SM-5GU5T 50-59 years, female 67.0
GTEX-11I78-1226-SM-5A5K6 50-59 years, female 66.4
GTEX-OHPM-1426-SM-3TW8Y 50-59 years, male 66.1
GTEX-13111-0726-SM-5DUVE 50-59 years, male 65.3
GTEX-11DXZ-1726-SM-5H12M 50-59 years, male 65.0
GTEX-1N2DV-1426-SM-DPRYQ 40-49 years, male 65.0
GTEX-13PL7-2526-SM-5IFGR 60-69 years, female 62.4
GTEX-PLZ5-1126-SM-3P613 50-59 years, male 62.2
GTEX-ZDTT-1926-SM-5HL5W 60-69 years, male 61.1
GTEX-Q734-1126-SM-48TZY 40-49 years, female 61.0
GTEX-TML8-1326-SM-4DXTO 40-49 years, female 61.0
GTEX-ZF2S-1926-SM-4WWAN 50-59 years, female 61.0
GTEX-14PKV-2126-SM-664O3 20-29 years, female 60.1
GTEX-1LG7Z-1426-SM-CXKYV 30-39 years, male 59.9
GTEX-1F5PK-1926-SM-7MXT7 50-59 years, male 58.5
GTEX-1C475-1626-SM-731FP 40-49 years, female 58.3
GTEX-1LVAM-1626-SM-EV79Y 50-59 years, female 58.2
GTEX-ZPIC-2226-SM-57WDX 40-49 years, female 57.7
GTEX-ZT9W-1826-SM-51MQX 50-59 years, male 57.3
GTEX-16AAH-1326-SM-7KFRG 50-59 years, male 57.2
GTEX-QV31-0826-SM-CKZNC 30-39 years, male 57.2
GTEX-1399U-1926-SM-5IFH7 50-59 years, female 56.8
GTEX-1I4MK-1126-SM-B2LWS 50-59 years, female 56.3
GTEX-11P7K-1526-SM-5EGI7 30-39 years, male 56.2
GTEX-Q2AI-0926-SM-48U1F 40-49 years, male 55.7
GTEX-1AMFI-1726-SM-7189L 50-59 years, female 54.5
GTEX-ZEX8-1926-SM-4WKFR 50-59 years, male 54.3
GTEX-178AV-1326-SM-6LPJX 40-49 years, male 54.0
GTEX-YB5E-1626-SM-5IFIQ 40-49 years, male 53.7
GTEX-R55D-1826-SM-48FEF 50-59 years, male 53.5
GTEX-1KANC-0926-SM-D3LA9 50-59 years, female 53.0
GTEX-1S83E-1626-SM-EV7B9 40-49 years, male 52.5
GTEX-W5WG-2426-SM-4LMI6 50-59 years, female 52.1
GTEX-1211K-1726-SM-5FQUJ 60-69 years, female 52.0
GTEX-1IKOE-2026-SM-AHZ31 30-39 years, female 51.3
GTEX-PLZ6-0926-SM-3P5ZQ 30-39 years, male 51.2
GTEX-OIZF-1426-SM-2HML2 60-69 years, male 51.2
GTEX-Y9LG-1526-SM-4WWDR 30-39 years, male 50.0
GTEX-ZG7Y-2126-SM-DO117 50-59 years, male 50.0
GTEX-1IDJU-2026-SM-A9SLM 60-69 years, female 49.9
GTEX-1JN76-1226-SM-C1YRM 20-29 years, female 49.6
GTEX-1B8KZ-1326-SM-7DUG6 50-59 years, male 49.5
GTEX-11TT1-1026-SM-5PNW7 20-29 years, male 49.3
GTEX-14PJ4-1926-SM-6LLHG 60-69 years, male 49.1
GTEX-R55C-1126-SM-48FCJ 40-49 years, male 47.7
GTEX-1RAZA-1726-SM-DPS13 20-29 years, male 47.5
GTEX-ZY6K-1226-SM-5GZYL 50-59 years, male 47.3
GTEX-145MN-1726-SM-5SIA6 30-39 years, male 47.0
GTEX-1RAZR-1926-SM-E6CRF 40-49 years, male 47.0
GTEX-T5JW-1126-SM-4DM5V 20-29 years, female 46.8
GTEX-XUZC-1326-SM-4BRV2 30-39 years, female 45.8
GTEX-ZLV1-1226-SM-4WWBX 60-69 years, female 45.8
GTEX-12BJ1-2126-SM-5BC5O 60-69 years, male 45.5
GTEX-1R7EU-1926-SM-E9U62 60-69 years, male 45.4
GTEX-TKQ2-1326-SM-4DXT9 50-59 years, male 45.3
GTEX-14PK6-1726-SM-6871J 70-79 years, female 45.2
GTEX-WFON-1426-SM-4LVMT 40-49 years, male 45.0
GTEX-13O21-2426-SM-5MR4A 50-59 years, male 44.6
GTEX-14PHX-1526-SM-68717 50-59 years, male 44.6
GTEX-1AYCT-1826-SM-731EG 50-59 years, male 44.5
GTEX-139YR-2126-SM-5KM11 50-59 years, male 44.3
GTEX-X15G-1326-SM-4PQZJ 50-59 years, female 43.8
GTEX-XMK1-1726-SM-4B64Z 40-49 years, male 43.0
GTEX-144GN-1126-SM-5LU33 50-59 years, male 42.8
GTEX-147F3-1926-SM-5SIB9 50-59 years, female 42.5
GTEX-U4B1-1126-SM-4DXV3 40-49 years, male 42.1
GTEX-1H1E6-1926-SM-9OSWD 30-39 years, male 41.6
GTEX-14BMU-1526-SM-5TDE6 20-29 years, female 41.1
GTEX-XPVG-1826-SM-4B64X 50-59 years, male 41.1
GTEX-1HSEH-1726-SM-B2LXH 60-69 years, male 41.0
GTEX-QLQW-0426-SM-447A7 30-39 years, male 40.7
GTEX-13PVR-1626-SM-73KVF 60-69 years, female 40.2
GTEX-13FTW-1826-SM-5IJEN 40-49 years, male 39.8
GTEX-Q2AH-1226-SM-48TZL 40-49 years, male 39.7
GTEX-18A66-2426-SM-7KFSQ 60-69 years, male 39.6
GTEX-XQ8I-2126-SM-4BOOM 50-59 years, male 39.4
GTEX-WHSB-0926-SM-4M1XJ 50-59 years, male 39.2
GTEX-XBED-1526-SM-4AT5W 60-69 years, male 39.1
GTEX-ZTSS-1126-SM-5985O 40-49 years, male 38.9
GTEX-1PFEY-1426-SM-E9U6U 30-39 years, male 38.8
GTEX-15CHR-1426-SM-7DUGV 50-59 years, male 38.5
GTEX-1KANA-1926-SM-DHXKF 20-29 years, male 38.3
GTEX-PWCY-1026-SM-48TD4 20-29 years, female 38.2
GTEX-ZVP2-1526-SM-5NQ82 50-59 years, male 38.2
GTEX-1S3DN-1826-SM-EV79K 50-59 years, male 38.2
GTEX-UJMC-1326-SM-4IHLS 50-59 years, male 38.0
GTEX-QCQG-1626-SM-48U26 50-59 years, female 37.7
GTEX-1QP67-1326-SM-EAZ4D 40-49 years, female 37.7
GTEX-1F5PL-2126-SM-7PC2O 40-49 years, female 37.4
GTEX-1MA7W-0626-SM-EV79Z 20-29 years, female 37.3
GTEX-WFG7-1526-SM-4LVMG 20-29 years, male 37.2
GTEX-133LE-1526-SM-5IFEN 20-29 years, female 37.1
GTEX-S7SF-1926-SM-4AT5B 20-29 years, female 37.0
GTEX-1H3VY-2426-SM-9WPPD 50-59 years, male 36.7
GTEX-13QBU-1826-SM-5IJG3 40-49 years, female 36.6
GTEX-S4UY-0826-SM-4AD4Z 40-49 years, female 36.2
GTEX-13S86-1626-SM-5Q5C5 40-49 years, male 36.0
GTEX-S4Q7-0826-SM-4AD5E 20-29 years, male 35.9
GTEX-145LT-0926-SM-5LU9C 40-49 years, male 35.8
GTEX-OXRK-1726-SM-3NB16 50-59 years, female 35.7
GTEX-OIZH-1426-SM-3NB1O 50-59 years, male 35.0
GTEX-ZDYS-2326-SM-4WKG6 50-59 years, male 34.6
GTEX-YEC3-2426-SM-DO11A 50-59 years, male 34.4
GTEX-139T6-1326-SM-5IFFO 50-59 years, male 34.3
GTEX-P4PP-1426-SM-3NM9L 30-39 years, female 34.3
GTEX-1QPFJ-2326-SM-E6CR7 30-39 years, female 33.5
GTEX-117YW-1826-SM-5PNY5 50-59 years, male 33.3
GTEX-17HHE-1826-SM-79OKE 50-59 years, male 33.3
GTEX-ZPU1-1926-SM-57WDT 40-49 years, male 32.7
GTEX-O5YT-1426-SM-3MJHC 20-29 years, male 32.5
GTEX-1L5NE-2026-SM-CXZKR 50-59 years, male 32.2
GTEX-1B932-2826-SM-73KUD 40-49 years, female 31.7
GTEX-SNOS-1226-SM-4DM5H 40-49 years, male 31.5
GTEX-U3ZM-1126-SM-4DXUB 40-49 years, male 31.1
GTEX-XV7Q-2126-SM-4BRVX 40-49 years, female 31.1
GTEX-Y3IK-1826-SM-4WWDS 50-59 years, female 31.0
GTEX-139TS-1926-SM-5IJFO 60-69 years, male 30.6
GTEX-11LCK-2026-SM-5A5MA 30-39 years, male 30.3
GTEX-WYVS-1826-SM-4OND6 40-49 years, female 29.9
GTEX-13X6H-1926-SM-7EWD3 50-59 years, female 29.1
GTEX-146FQ-1926-SM-5NQBY 30-39 years, male 28.7
GTEX-RM2N-0926-SM-48FD1 50-59 years, male 28.5
GTEX-1PIEJ-2026-SM-E6CPA 20-29 years, female 28.5
GTEX-144GM-1226-SM-5LU52 20-29 years, male 28.2
GTEX-ZP4G-1726-SM-4WWCM 20-29 years, female 27.9
GTEX-1F75I-2426-SM-9WPOY 40-49 years, male 27.8
GTEX-QDVN-1326-SM-48TZ3 50-59 years, male 27.7
GTEX-12C56-0626-SM-5EGGC 20-29 years, male 27.4
GTEX-14JG6-1726-SM-69LPL 30-39 years, female 27.4
GTEX-1LGRB-1426-SM-CNNPT 50-59 years, female 27.4
GTEX-11VI4-1526-SM-5EQKC 40-49 years, female 27.1
GTEX-1JKYR-1926-SM-C1YR7 20-29 years, male 27.0
GTEX-17HGU-2426-SM-7EWDP 50-59 years, male 26.9
GTEX-YF7O-1726-SM-5IFJ9 50-59 years, male 26.8
GTEX-ZPCL-1826-SM-57WF1 60-69 years, female 26.7
GTEX-131XE-0826-SM-5HL9W 50-59 years, male 26.4
GTEX-OOBJ-1426-SM-E6CHH 60-69 years, male 25.7
GTEX-18D9A-1126-SM-7KFRJ 30-39 years, female 25.6
GTEX-XBEW-1926-SM-4SOJO 40-49 years, male 25.3
GTEX-QEL4-1926-SM-D3L8D 50-59 years, male 24.7
GTEX-1C4CL-2126-SM-7IGQC 30-39 years, male 24.6
GTEX-QMRM-1226-SM-447C6 50-59 years, male 24.6
GTEX-S4P3-1226-SM-4AD4Y 50-59 years, female 24.3
GTEX-1HCU9-1326-SM-B2LXT 20-29 years, male 23.8
GTEX-1IOXB-2626-SM-CJI2N 50-59 years, male 23.7
GTEX-1QCLY-1726-SM-DPRXY 30-39 years, male 22.9
GTEX-1GF9U-1526-SM-7MXUW 40-49 years, female 22.7
GTEX-15RIE-1826-SM-6M48P 60-69 years, male 22.6
GTEX-17EUY-1826-SM-7DUEZ 20-29 years, male 22.4
GTEX-1JK1U-1526-SM-AHZ46 60-69 years, male 22.2
GTEX-VJYA-2026-SM-4KL1K 60-69 years, male 21.9
GTEX-1128S-1626-SM-5H12O 60-69 years, female 21.6
GTEX-1HFI7-1726-SM-A9G22 50-59 years, female 21.6
GTEX-XGQ4-1226-SM-4AT67 50-59 years, male 21.4
GTEX-QDVJ-1326-SM-48U1X 50-59 years, male 21.1
GTEX-1GMR3-2826-SM-9WPOG 40-49 years, male 20.9
GTEX-1JMPY-0426-SM-C1YQ3 30-39 years, male 20.9
GTEX-1RDX4-1826-SM-EVR54 50-59 years, female 20.8
GTEX-ZGAY-2126-SM-4YCFB 40-49 years, female 20.6
GTEX-SE5C-1526-SM-4BRWU 40-49 years, female 20.3
GTEX-18D9U-1926-SM-7KFTM 40-49 years, male 20.0
GTEX-147GR-2726-SM-664OO 60-69 years, male 19.9
GTEX-1QCLZ-1926-SM-E6CR3 60-69 years, female 19.6
GTEX-1R9JW-2026-SM-EAZ4O 30-39 years, female 19.6
GTEX-1GF9X-1526-SM-7P8QP 40-49 years, female 19.0
GTEX-17KNJ-1726-SM-7LG6A 50-59 years, male 18.6
GTEX-1KXAM-2126-SM-CY8I9 60-69 years, male 18.5
GTEX-R53T-1326-SM-48FCQ 50-59 years, female 18.0
GTEX-PX3G-1426-SM-48U1J 20-29 years, female 17.9
GTEX-WH7G-1326-SM-4LVMS 40-49 years, male 17.6
GTEX-1MGNQ-2026-SM-EAZ51 40-49 years, male 17.1
GTEX-X3Y1-1726-SM-4PQZL 40-49 years, male 16.2
GTEX-Y8E4-2426-SM-4WWDN 40-49 years, male 16.2
GTEX-1R9PM-1526-SM-DPRY8 20-29 years, male 15.4
GTEX-1NSGN-2326-SM-E9U5X 50-59 years, male 15.3
GTEX-11NSD-1626-SM-5986U 20-29 years, male 14.8
GTEX-ZZ64-0726-SM-5GZX4 20-29 years, male 14.7
GTEX-13OVJ-1726-SM-5IJDZ 50-59 years, female 14.6
GTEX-O5YW-1426-SM-3MJHF 50-59 years, male 14.6
GTEX-S3XE-1126-SM-4AD4N 50-59 years, male 14.6
GTEX-15SB6-1226-SM-7KUMP 50-59 years, female 14.2
GTEX-XUW1-1926-SM-4BOP1 50-59 years, female 14.0
GTEX-1CAMS-2526-SM-7EPH7 40-49 years, female 13.8
GTEX-1PIGE-1426-SM-E9U61 20-29 years, male 13.6
GTEX-XYKS-2226-SM-4E3IU 60-69 years, female 12.7
GTEX-1HSMQ-2726-SM-C1YRE 50-59 years, male 12.1
GTEX-1NHNU-2326-SM-E6CQE 50-59 years, male 11.3
GTEX-15DCE-2026-SM-7KUFE 20-29 years, male 10.7
GTEX-1GPI7-1726-SM-7P8R1 20-29 years, male 10.5
GTEX-1HSGN-2626-SM-CE6S1 40-49 years, female 10.5
GTEX-16NGA-1026-SM-7KFS3 40-49 years, female 10.3
GTEX-1I6K6-1826-SM-B2LX5 30-39 years, male 10.1
GTEX-15ER7-2926-SM-7KUFK 20-29 years, female 9.5
GTEX-WYJK-2226-SM-4ONDJ 50-59 years, male 9.1
GTEX-SNMC-1126-SM-4DM5M 20-29 years, male 8.8
GTEX-14PJM-2626-SM-686ZD 50-59 years, female 8.6
GTEX-NFK9-2026-SM-3LK5K 40-49 years, male 8.6
GTEX-17GQL-1526-SM-7LTAC 60-69 years, male 8.4
GTEX-14ICK-1026-SM-6AJA4 40-49 years, male 7.3
GTEX-RU1J-1326-SM-46MUL 20-29 years, female 7.2
GTEX-1K9T9-2826-SM-D4P3F 50-59 years, female 7.1
GTEX-12KS4-2426-SM-5LU8P 30-39 years, male 6.5
GTEX-13OW6-2126-SM-5N9GL 50-59 years, male 6.2
GTEX-18A7A-2226-SM-7LT8K 50-59 years, female 5.9
GTEX-P78B-1726-SM-3P5ZV 40-49 years, female 5.9
GTEX-1MJK3-0926-SM-EV7AY 20-29 years, male 5.9
GTEX-13VXT-2426-SM-5LU46 20-29 years, female 5.5
GTEX-17F9E-1826-SM-7IGMC 50-59 years, male 5.2
GTEX-WQUQ-2526-SM-4MVNO 60-69 years, male 5.2
GTEX-1HKZK-2126-SM-A9SL3 40-49 years, male 5.2
GTEX-1PPH8-2026-SM-DTX7P 20-29 years, male 5.0
GTEX-17F98-1026-SM-7IGO8 40-49 years, female 4.9
GTEX-1N5O9-2726-SM-E76QH 60-69 years, male 4.7
GTEX-1H1DE-1526-SM-ARL9B 20-29 years, male 4.3
GTEX-14C39-1926-SM-5ZZW5 40-49 years, male 4.0
GTEX-16MT8-2726-SM-7IGLJ 60-69 years, female 3.8
GTEX-1AMEY-1926-SM-73KVT 30-39 years, female 3.7
GTEX-OHPN-2026-SM-E9TIA 60-69 years, female 3.6
GTEX-PSDG-1826-SM-EAZ2S 50-59 years, male 3.5
GTEX-1I1GT-1926-SM-ARU7D 60-69 years, female 3.2
GTEX-14BIN-3026-SM-5ZZUS 50-59 years, female 2.7
GTEX-Y8LW-1226-SM-4WWDP 50-59 years, female 2.6
GTEX-13OVG-1426-SM-5K7VP 60-69 years, male 2.5
GTEX-1IDJC-1326-SM-CL53H 50-59 years, male 2.5
GTEX-V955-1626-SM-4JBHJ 60-69 years, male 2.3
GTEX-11ZVC-2126-SM-5EGJ1 50-59 years, female 2.2
GTEX-1I1GR-2526-SM-CNNQF 60-69 years, male 2.2
GTEX-1C64O-2326-SM-73KU8 60-69 years, male 2.1
GTEX-13OW5-2626-SM-5MR3M 60-69 years, male 1.9
GTEX-1JJ6O-2426-SM-ARU8J 60-69 years, male 1.9
GTEX-1IDJD-2226-SM-A96TD 30-39 years, male 1.7
GTEX-1LGOU-1626-SM-D3LAK 20-29 years, female 1.7
GTEX-1E2YA-2626-SM-7MGWW 50-59 years, male 1.4
GTEX-17MF6-2426-SM-7LTAM 40-49 years, male 1.3
GTEX-144GL-2526-SM-5TDDL 50-59 years, male 1.2
GTEX-17EVQ-1826-SM-7IGPH 70-79 years, male 1.2
GTEX-13OVK-0826-SM-7KULZ 40-49 years, male 1.1
GTEX-1LH75-2126-SM-EVR5F 50-59 years, female 1.1
GTEX-1LSVX-1726-SM-DHXJP 60-69 years, male 1.1
GTEX-1MCC2-1626-SM-DIPEW 30-39 years, female 1.1
GTEX-1RMOY-1626-SM-EVYC8 50-59 years, male 1.1
GTEX-1C6VQ-2726-SM-73KUL 50-59 years, male 1.0
GTEX-17HII-2726-SM-7MGVM 50-59 years, male 1.0
GTEX-1H1DG-2226-SM-9WPPC 70-79 years, male 1.0
GTEX-OXRN-2026-SM-E6CHK 50-59 years, male 1.0
GTEX-15DYW-2326-SM-6PAMU 60-69 years, female 0.9
GTEX-1GZ4I-2426-SM-9WPPP 50-59 years, male 0.9
GTEX-12WSJ-1526-SM-5GCNI 40-49 years, female 0.8
GTEX-18D9B-2526-SM-718BN 60-69 years, male 0.8
GTEX-1AX9I-2626-SM-73KU5 60-69 years, male 0.8
GTEX-1BAJH-2326-SM-7IGMO 70-79 years, male 0.8
GTEX-1QW4Y-1326-SM-EWRMZ 30-39 years, male 0.8
GTEX-11O72-2226-SM-5PNW2 40-49 years, male 0.7
GTEX-12WSL-1626-SM-5GCMU 50-59 years, male 0.7
GTEX-ZAB4-2226-SM-5HL97 40-49 years, male 0.7
GTEX-1J1OQ-2726-SM-AHZ3R 40-49 years, female 0.7
GTEX-1QMI2-2626-SM-E6CR4 60-69 years, male 0.7
GTEX-R45C-2126-SM-EZ6KZ 60-69 years, female 0.7
GTEX-SJXC-2226-SM-EVYAK 60-69 years, male 0.7
GTEX-13FH7-1526-SM-5J2N6 50-59 years, female 0.6
GTEX-13FHP-2426-SM-5KLZ5 50-59 years, male 0.6
GTEX-13W3W-2126-SM-5K7UX 60-69 years, female 0.6
GTEX-14BMV-2426-SM-5S2PP 50-59 years, male 0.6
GTEX-16XZZ-2626-SM-6M47S 60-69 years, male 0.6
GTEX-OXRL-1426-SM-3NM9E 50-59 years, male 0.6
GTEX-U3ZH-1326-SM-4DXSF 30-39 years, male 0.6
GTEX-1JN1M-2626-SM-CY8I3 60-69 years, female 0.6
GTEX-1PWST-2426-SM-EWRMP 70-79 years, male 0.6
GTEX-1S5VW-2926-SM-E9U6H 60-69 years, male 0.6
GTEX-147JS-2526-SM-5S2Q8 60-69 years, male 0.5
GTEX-16Z82-2226-SM-6LPJ7 60-69 years, male 0.5
GTEX-ZYVF-2826-SM-5GIDK 50-59 years, female 0.5
GTEX-1JMPZ-2426-SM-C1YQP 30-39 years, male 0.5
GTEX-1LVAN-2526-SM-CNPPC 50-59 years, female 0.5
GTEX-1MUQO-2626-SM-EWRO3 60-69 years, male 0.5
GTEX-OXRO-0726-SM-E9U4C 60-69 years, female 0.5
GTEX-18A7B-2026-SM-72D71 70-79 years, male 0.4
GTEX-1A3MV-1126-SM-718BS 30-39 years, male 0.4
GTEX-T6MO-0826-SM-4DM51 40-49 years, female 0.4
GTEX-Y114-1526-SM-4TT79 50-59 years, female 0.4
GTEX-ZXES-1626-SM-5NQ7L 30-39 years, female 0.4
GTEX-1HCVE-2526-SM-A9G2G 50-59 years, male 0.4
GTEX-1IDJF-1826-SM-CKZOE 20-29 years, male 0.4
GTEX-1KANB-1526-SM-CXZK4 50-59 years, male 0.4
GTEX-1R9K5-2126-SM-E8VN1 50-59 years, male 0.4
GTEX-111VG-2226-SM-5N9DU 60-69 years, male 0.3
GTEX-1339X-1626-SM-5IJDN 40-49 years, male 0.3
GTEX-14C5O-2526-SM-73KU2 60-69 years, male 0.3
GTEX-14H4A-1926-SM-5ZZWN 40-49 years, female 0.3
GTEX-15CHC-1626-SM-5ZZWS 60-69 years, female 0.3
GTEX-17JCI-2626-SM-7EWE6 60-69 years, female 0.3
GTEX-18QFQ-1526-SM-72D57 30-39 years, male 0.3
GTEX-1B996-2626-SM-73KZ1 60-69 years, male 0.3
GTEX-WEY5-1426-SM-4LMJ3 40-49 years, female 0.3
GTEX-ZYFC-2626-SM-5NQ6S 50-59 years, male 0.3
GTEX-13QJ3-2626-SM-9OSXQ 50-59 years, male 0.3
GTEX-1IGQW-2326-SM-CE6RV 60-69 years, male 0.3
GTEX-1NV5F-2226-SM-DTX8O 60-69 years, female 0.3
GTEX-1PPGY-2826-SM-DTX9H 60-69 years, male 0.3
GTEX-1RAZQ-2126-SM-DTX9V 30-39 years, male 0.3
GTEX-11EQ9-1426-SM-5987G 30-39 years, male 0.2
GTEX-11ONC-2026-SM-5HL61 60-69 years, male 0.2
GTEX-13O3O-2526-SM-5L3DR 60-69 years, female 0.2
GTEX-145MO-2426-SM-5NQ9W 60-69 years, male 0.2
GTEX-15SHU-2526-SM-6M47D 40-49 years, female 0.2
GTEX-1C2JI-1626-SM-7EPHC 50-59 years, male 0.2
GTEX-WY7C-1626-SM-4ONC8 50-59 years, male 0.2
GTEX-XXEK-1926-SM-4BRVD 50-59 years, male 0.2
GTEX-1AYD5-1726-SM-7RHFW 50-59 years, male 0.2
GTEX-1CB4I-2226-SM-7P8SL 50-59 years, male 0.2
GTEX-1F75B-2726-SM-7P8QO 50-59 years, male 0.2
GTEX-1HCU7-2626-SM-C1YQO 50-59 years, male 0.2
GTEX-1IKK5-2726-SM-CNPQ6 60-69 years, male 0.2
GTEX-117YX-0826-SM-5H11J 50-59 years, male 0.1
GTEX-11GSP-1626-SM-5986N 60-69 years, female 0.1
GTEX-12ZZZ-2426-SM-5GCNN 60-69 years, male 0.1
GTEX-13CF3-1426-SM-5K7YY 60-69 years, female 0.1
GTEX-13O61-1626-SM-5KM3T 60-69 years, male 0.1
GTEX-13U4I-2426-SM-5LU34 40-49 years, female 0.1
GTEX-145ME-0826-SM-5O9AF 40-49 years, female 0.1
GTEX-14AS3-1126-SM-5Q5CR 40-49 years, female 0.1
GTEX-14DAQ-2726-SM-5S2QY 60-69 years, female 0.1
GTEX-15UF6-2626-SM-6M466 70-79 years, female 0.1
GTEX-16NPV-2626-SM-6M484 50-59 years, female 0.1
GTEX-17F96-2026-SM-79ON4 70-79 years, male 0.1
GTEX-1CB4F-2026-SM-79OLU 60-69 years, male 0.1
GTEX-S341-1426-SM-4AD6U 40-49 years, female 0.1
GTEX-Y3I4-1426-SM-4TT9C 50-59 years, male 0.1
GTEX-YEC4-1926-SM-5IFHJ 40-49 years, male 0.1
GTEX-ZV6S-1226-SM-59HLH 40-49 years, female 0.1
GTEX-1GL5R-2426-SM-7MXV1 50-59 years, male 0.1
GTEX-1JJE9-2426-SM-D3L8T 70-79 years, male 0.1
GTEX-1OKEX-1226-SM-DTXEC 60-69 years, male 0.1
GTEX-1POEN-2026-SM-E6CRL 30-39 years, female 0.1
GTEX-QLQ7-1126-SM-CYPRB 60-69 years, male 0.1
GTEX-111YS-1626-SM-5GZZ9 60-69 years, male 0.0
GTEX-11P81-1126-SM-5GU5G 30-39 years, female 0.0
GTEX-11TTK-2426-SM-5PNYO 60-69 years, female 0.0
GTEX-11TUW-2026-SM-5EQL8 60-69 years, male 0.0
GTEX-13O3P-2326-SM-5KM55 50-59 years, male 0.0
GTEX-13OVI-2026-SM-5J1MU 60-69 years, female 0.0
GTEX-145LS-2726-SM-5Q5D8 60-69 years, female 0.0
GTEX-148VJ-2626-SM-5QGPI 70-79 years, male 0.0
GTEX-14E1K-1826-SM-793DT 50-59 years, male 0.0
GTEX-14ICL-1226-SM-5S2RD 30-39 years, male 0.0
GTEX-14PJ3-0926-SM-69LQG 50-59 years, male 0.0
GTEX-14PJ5-0926-SM-6LLIK 60-69 years, female 0.0
GTEX-15CHQ-2526-SM-6EU24 60-69 years, male 0.0
GTEX-15DZA-0926-SM-69LQ3 30-39 years, female 0.0
GTEX-15G1A-1826-SM-7KUKO 30-39 years, male 0.0
GTEX-1AX8Z-2726-SM-73KUC 60-69 years, male 0.0
GTEX-RWS6-1826-SM-47JXX 60-69 years, female 0.0
GTEX-TKQ1-0626-SM-4DXTS 30-39 years, male 0.0
GTEX-X5EB-0926-SM-46MVT 40-49 years, male 0.0
GTEX-XAJ8-0426-SM-47JYJ 40-49 years, male 0.0
GTEX-Z93S-2426-SM-5HL8N 50-59 years, male 0.0
GTEX-ZF29-1726-SM-4WKFV 60-69 years, female 0.0
GTEX-ZYFG-1926-SM-5GID5 60-69 years, female 0.0
GTEX-1EH9U-2026-SM-7PBYS 60-69 years, male 0.0
GTEX-1EMGI-2726-SM-7P8S4 60-69 years, male 0.0
GTEX-1GMR2-1726-SM-9JGI2 50-59 years, male 0.0
GTEX-1GN73-2626-SM-9KNUQ 60-69 years, male 0.0
GTEX-1GZ4H-1226-SM-9KNUA 50-59 years, female 0.0
GTEX-1HCU6-2726-SM-A9SKV 60-69 years, female 0.0
GTEX-1HSMP-2326-SM-D3L8R 70-79 years, male 0.0
GTEX-1ICLZ-2426-SM-CKZOD 60-69 years, male 0.0
GTEX-1JMLX-2726-SM-CM2SB 50-59 years, male 0.0
GTEX-1LBAC-1626-SM-CXZKV 20-29 years, male 0.0
GTEX-1LG7Y-2126-SM-DIPER 50-59 years, male 0.0
GTEX-1N2EF-1926-SM-DTX8M 60-69 years, male 0.0
GTEX-1S82U-0726-SM-E9TKI 30-39 years, female 0.0
GTEX-U412-1726-SM-EZ6KX 60-69 years, male 0.0
GTEX-WVJS-2426-SM-EZ6LI 50-59 years, male 0.0
GTEX-X4EO-2526-SM-EWRM8 60-69 years, female 0.0
Show allShow less

COLON - FANTOM5 CAGEi

RNA expression in human tissues obtained through Cap Analysis of Gene Expression (CAGE) generated by the FANTOM5 project are reported as Scaled Tags Per Million.

Max subtype Scaled Tags Per Millioni

Max subtype Scaled Tags Per Million is the value for the subtype with the largest average Scaled Tags Per Million across the subtype samples.

21.9
FANTOM5 sample id Sample description Scaled Tags Per Million
Colon
Scaled Tags Per Million: 21.9
FF:10014-101C5 62,83,84 years, mixed 21.9

Contact

  • NEWS ARTICLES
  • PRESS ROOM

The Project

  • INTRODUCTION
  • ORGANIZATION
  • PUBLICATIONS

The Human Protein Atlas

  • DOWNLOADABLE DATA
  • LICENCE & CITATION
  • HELP & FAQ
The Human Protein Atlas project is funded
by the Knut & Alice Wallenberg Foundation.


contact@proteinatlas.org