We use cookies to enhance the usability of our website. If you continue, we'll assume that you are happy to receive all cookies. More information. Don't show this again.
MMP14
HPA
RESOURCES
  • TISSUE
  • BRAIN
  • SINGLE CELL
  • SUBCELLULAR
  • CANCER
  • BLOOD
  • CELL LINE
  • STRUCTURE & INTERACTION
ABOUT
  • INTRODUCTION
  • HISTORY
  • ORGANIZATION
  • PUBLICATIONS
  • ANTIBODY SUBMISSION
  • ANTIBODY AVAILABILITY
  • ACKNOWLEDGMENTS
  • CONTACT
NEWS
  • NEWS ARTICLES
  • PRESS ROOM
LEARN
  • DICTIONARY
  • PROTEIN CLASSES
  • PROTEIN EVIDENCE
  • METHODS
  • EDUCATIONAL VIDEOS
DATA
  • DOWNLOADABLE DATA
  • PUBLICATION DATA
  • RELEASE HISTORY
HELP
  • ANTIBODY VALIDATION
  • ASSAYS & ANNOTATION
  • DISCLAIMER
  • HELP & FAQ
  • PRIVACY STATEMENT
  • LICENCE & CITATION
Fields »
Search result

Field
Term
Gene name
Class
Subclass
Class
Keyword
Chromosome
External id
Tissue
Cell type
Expression
Antibody panel
Tissue
Main location
Patient ID
Annotation
Tissue
Category
Tau score
Cluster
Reliability
Brain region
Category
Tau score
Brain region
Category
Tau score
Brain region
Category
Tau score
Cluster
Reliability
Tissue
Cell type
Enrichment
Cell type
Category
Tau score
Cell type
Category
Tau score
Cell type
Category
Tau score
Cell lineage
Category
Tau score
Cluster
Cluster
Location
Searches
Location
Cell line
Class
Type
Phase
Reliability
Cancer
Prognosis
Cancer
Category
Cancer
Category
Tau score
Cluster
Variants
Interacting gene (ensg_id)
Type
Number of interactions
Pathway
Category
Score
Score
Score
Validation
Validation
Validation
Validation
Antibodies
Data type
Column


  • SUMMARY

  • TISSUE

  • BRAIN

  • SINGLE CELL

  • SUBCELL

  • CANCER

  • BLOOD

  • CELL LINE

  • STRUCT & INT

  • MMP14
TISSUE PRIMARY DATA SKIN Show tissue menu
ADIPOSE TISSUE ADRENAL GLAND AMYGDALA APPENDIX BASAL GANGLIA BONE MARROW BREAST BRONCHUS CEREBELLUM CEREBRAL CORTEX CERVIX CHOROID PLEXUS COLON DUODENUM
ENDOMETRIUM EPIDIDYMIS ESOPHAGUS FALLOPIAN TUBE GALLBLADDER HEART MUSCLE HIPPOCAMPAL FORMATION HYPOTHALAMUS KIDNEY LIVER LUNG LYMPH NODE MIDBRAIN NASOPHARYNX
ORAL MUCOSA OVARY PANCREAS PARATHYROID GLAND PITUITARY GLAND PLACENTA PROSTATE RECTUM RETINA SALIVARY GLAND SEMINAL VESICLE SKELETAL MUSCLE SKIN SMALL INTESTINE
SMOOTH MUSCLE SOFT TISSUE SPINAL CORD SPLEEN STOMACH TESTIS THYMUS THYROID GLAND TONGUE TONSIL URINARY BLADDER VAGINA
ANTIBODIES
AND
VALIDATION
Dictionary
Skin
Tissue proteome
Skin
SKIN - Expression summary
Protein expression
Skini

On the top, protein expression in current human tissue, based on all annotated cell types, is reported with the units not detected (n), low (l), medium (m) and high (h). Underneath, protein expression in each annotated cell type are reported using the same units.

Protein expression data is based on knowledge-based annotation. For genes where more than one antibody has been used, a collective score is set.

If knowledge-based annotation could not be performed for a gene, no data is displayed here. View antibody staining data further down this page.

h
m
l
n
Epidermal cells: Low
Fibroblasts: Medium
Keratinocytes: Medium
Langerhans: Medium
Melanocytes: Medium
RNA expressioni

A summary of mRNA expression data available for current tissue based on several datasets. The mRNA expression levels in human tissues are based on RNA-seq data generated by the Human Protein Atlas (HPA), Genotype-Tissue Expression (GTEx) portal and CAGE data generated by the FANTOM5 consortium. Consensus normalized expression levels for human tissues was created by combining the data from HPA and GTEx datasets.

The mRNA expression levels in pig are based on RNA-seq data generated by the Human Protein Atlas (HPA), and for mouse, HPA data and in situ hybridization generated by the Allen brain atlas are reported.

Scroll down to view mRNA expression data in more detail.
Consensus:123.4 nTPM
HPA:64.9 nTPM
GTEx:123.4 nTPM

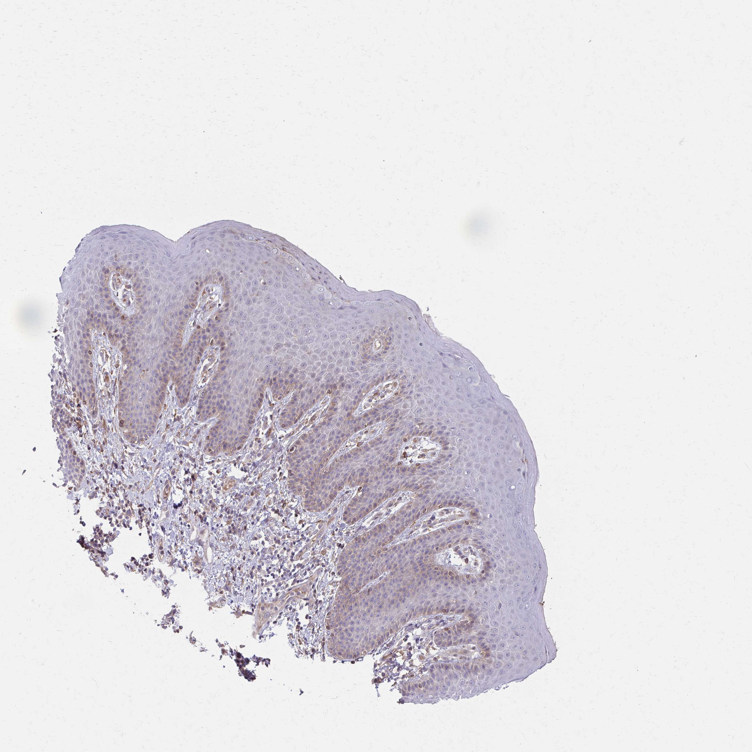
SKIN 1 - Antibody stainingi

Antibody staining in the annotated cell types in the current human tissue is reported as not detected, low, medium, or high, based on conventional immunohistochemistry profiling in selected tissues. This score is based on the combination of the staining intensity and fraction of stained cells.

Each image is clickable and will lead to virtual microscopy that enables deeper exploration of all samples and also displays staining intensity scores, fraction scores and subcellular localization as well as patient and tissue information for each sample.

Antibody HPA051432Antibody CAB009918
Langerhans LowMedium
Fibroblasts LowMedium
Keratinocytes Not detectedMedium
Melanocytes MediumMedium

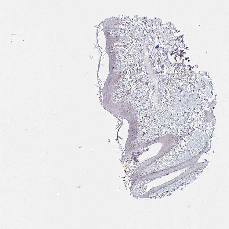
SKIN 2 - Antibody stainingi

Antibody staining in the annotated cell types in the current human tissue is reported as not detected, low, medium, or high, based on conventional immunohistochemistry profiling in selected tissues. This score is based on the combination of the staining intensity and fraction of stained cells.

Each image is clickable and will lead to virtual microscopy that enables deeper exploration of all samples and also displays staining intensity scores, fraction scores and subcellular localization as well as patient and tissue information for each sample.

Antibody HPA051432Antibody CAB009918
Epidermal cells Not detectedLow
  
  
  




SKIN - HPA RNA-seqi

The RNA-seq details section shows detailed information about the individual samples used for the transcript profiling and results of the RNA-seq analysis.

Information about each individual sample is listed below, including gender, age, a tissue section image and estimated fractions of cell types. nTPM (normalized transcripts per million) values give a quantification of the gene abundance which is comparable between different genes and samples.
Average nTPMi

Max subtype nTPM is the value for the subtype with the largest average nTPM across the subtype samples.

64.9
overview
Female, age 34
Skin sample 225
nTPM: 65.1
Cell types%
Keratinocytes:
60

Other cell types:
40

overview
Female, age 30
Skin sample 226
nTPM: 59.1
Cell types%
Keratinocytes:
55

Other cell types:
45

N/A
Male, age 57
Skin sample 227
nTPM: 70.4

SKIN - GTEx RNA-seqi

RNA-Seq data generated by the Genotype-Tissue Expression (GTEx) project from human tissues is reported as mean nTPM. More information can be found on the GTEx portal.

Distribution across the dataset is visualized with box plots, shown as median and 25th and 75th percentiles. Points are displayed as outliers if they are above or below 1.5 times the interquartile range. nTPM values of the individual samples are presented next to the box plot.
Max subtype nTPMi

Max subtype nTPM is the value for the subtype with the largest average nTPM across the subtype samples.

123.4
GTEx sample id Sample description nTPM
Skin - Not Sun Exposed (Suprapubic)
Average nTPM: 99.3
Samples: 604

Max nTPM: 354.7
Min nTPM: 36.7
Std nTPM: 42.2
Median nTPM: 88.1
GTEX-13113-1626-SM-5EQ4I 60-69 years, female 354.7
GTEX-14DAR-1226-SM-73KYV 50-59 years, male 338.8
GTEX-1117F-2926-SM-5GZYI 60-69 years, female 323.0
GTEX-ZGAY-1826-SM-DO91Q 40-49 years, female 288.9
GTEX-1RLM8-2926-SM-E8VON 50-59 years, male 280.7
GTEX-1JMOU-1026-SM-CYPSS 60-69 years, female 280.0
GTEX-139YR-1026-SM-5LZYN 50-59 years, male 270.8
GTEX-18D9B-0926-SM-7LG4U 60-69 years, male 266.6
GTEX-1IDJI-0126-SM-CMKHS 50-59 years, female 266.6
GTEX-Y3IK-1626-SM-4YCF5 50-59 years, female 263.1
GTEX-13YAN-0226-SM-5TDC6 60-69 years, male 251.4
GTEX-ZLWG-0826-SM-59888 50-59 years, female 249.1
GTEX-XV7Q-1826-SM-4BRUV 40-49 years, female 241.1
GTEX-WXYG-2026-SM-4E3IY 50-59 years, female 240.1
GTEX-1S82P-2126-SM-E6CI5 60-69 years, female 223.2
GTEX-16BQI-1326-SM-6M486 30-39 years, female 217.3
GTEX-1497J-0226-SM-5QGPU 60-69 years, male 217.2
GTEX-XYKS-1426-SM-4BRUO 60-69 years, female 208.9
GTEX-1399R-1326-SM-5PNYS 30-39 years, male 203.9
GTEX-15CHQ-0326-SM-69LQD 60-69 years, male 194.0
GTEX-ZZPU-0826-SM-5GZX5 50-59 years, female 192.9
GTEX-139T8-0626-SM-5KLZX 60-69 years, male 192.8
GTEX-X4EP-0626-SM-3P621 60-69 years, female 190.7
GTEX-X5EB-1926-SM-4E3IW 40-49 years, male 187.8
GTEX-13OVK-1426-SM-6PAN7 40-49 years, male 185.1
GTEX-1HUB1-1426-SM-CGQF5 60-69 years, male 184.9
GTEX-11P81-2226-SM-5PNYI 30-39 years, female 182.6
GTEX-13OVJ-0826-SM-5J1OK 50-59 years, female 181.8
GTEX-X8HC-0626-SM-4E3HQ 50-59 years, female 179.1
GTEX-15RJ7-2126-SM-6PAMD 40-49 years, male 178.7
GTEX-1F48J-0726-SM-7RHGS 50-59 years, female 175.8
GTEX-15UF6-1926-SM-7KUDV 70-79 years, female 174.7
GTEX-ZYW4-0626-SM-59HJR 60-69 years, male 174.6
GTEX-1GZ4H-0526-SM-9KNU9 50-59 years, female 173.9
GTEX-1HC8U-1326-SM-9YFMJ 40-49 years, female 173.6
GTEX-1LBAC-0826-SM-CY8IJ 20-29 years, male 169.6
GTEX-17EVQ-0126-SM-7IGLR 70-79 years, male 168.4
GTEX-ZYFG-1526-SM-5GZYM 60-69 years, female 168.2
GTEX-1F75B-0726-SM-7PC3R 50-59 years, male 167.6
GTEX-145ME-1726-SM-5Q5EU 40-49 years, female 167.0
GTEX-12WSL-2026-SM-5GCML 50-59 years, male 165.1
GTEX-14JG6-1426-SM-9WG7C 30-39 years, female 164.5
GTEX-ZLFU-1826-SM-4WWBV 40-49 years, male 164.0
GTEX-X3Y1-2026-SM-3P5YM 40-49 years, male 162.2
GTEX-ZT9W-1126-SM-57WDR 50-59 years, male 160.8
GTEX-1RAZR-2126-SM-E9U6T 40-49 years, male 160.8
GTEX-12WSJ-1126-SM-5LZVJ 40-49 years, female 159.8
GTEX-1C475-1326-SM-7SB73 40-49 years, female 158.4
GTEX-1F75I-2226-SM-7SB8U 40-49 years, male 158.4
GTEX-X585-2426-SM-46MW2 50-59 years, male 157.4
GTEX-1CB4H-1126-SM-7MKGL 60-69 years, female 157.2
GTEX-YF7O-1526-SM-5IFI6 50-59 years, male 156.0
GTEX-1OJC3-1226-SM-DTXER 20-29 years, male 155.4
GTEX-15FZZ-0526-SM-7KUGD 30-39 years, female 155.2
GTEX-133LE-2326-SM-5K7W3 20-29 years, female 153.0
GTEX-13OW5-2326-SM-5L3HO 60-69 years, male 150.5
GTEX-1JN1M-2726-SM-CY8I4 60-69 years, female 149.5
GTEX-13X6H-0926-SM-5SIB2 50-59 years, female 148.4
GTEX-U8XE-0226-SM-4E3J3 30-39 years, male 148.2
GTEX-14BMU-1226-SM-5S2OR 20-29 years, female 148.1
GTEX-1A32A-0626-SM-731AQ 50-59 years, female 145.9
GTEX-WI4N-2726-SM-3LK7Y 40-49 years, female 145.2
GTEX-1JJ6O-2726-SM-CNPOG 60-69 years, male 144.0
GTEX-1JMLX-0626-SM-ARL8T 50-59 years, male 143.1
GTEX-13FHO-0426-SM-5L3F5 60-69 years, male 141.0
GTEX-WFG7-2026-SM-5SI7P 20-29 years, male 140.6
GTEX-1S82U-1026-SM-E6CJK 30-39 years, female 138.5
GTEX-WYBS-0626-SM-3NMAS 60-69 years, female 138.1
GTEX-1QP29-1826-SM-DTX9S 50-59 years, male 137.3
GTEX-XK95-0226-SM-4AT58 40-49 years, male 137.1
GTEX-YFCO-1226-SM-5LUAT 40-49 years, male 136.7
GTEX-111CU-1126-SM-5EGIM 50-59 years, male 136.2
GTEX-131XF-2626-SM-5EQ6K 60-69 years, male 135.9
GTEX-1H2FU-0926-SM-9WPPT 60-69 years, female 135.9
GTEX-13VXT-1926-SM-5K7UO 20-29 years, female 135.4
GTEX-11WQC-1826-SM-5GU59 60-69 years, male 135.3
GTEX-1CAV2-0126-SM-7IGN7 40-49 years, female 135.3
GTEX-WHSE-0126-SM-3NMBT 20-29 years, male 134.6
GTEX-12ZZZ-0726-SM-5GCNZ 60-69 years, male 134.4
GTEX-11EM3-1226-SM-5N9DD 20-29 years, female 134.2
GTEX-13NYS-0626-SM-5L3F1 60-69 years, male 134.2
GTEX-12WSK-2126-SM-5CVNC 40-49 years, female 133.1
GTEX-13QBU-1226-SM-5LU4G 40-49 years, female 132.7
GTEX-ZVT2-0126-SM-5GIDQ 50-59 years, female 132.6
GTEX-13O61-1426-SM-5KM3D 60-69 years, male 132.5
GTEX-1HKZK-0726-SM-ACKW2 40-49 years, male 132.5
GTEX-ZF2S-1626-SM-57WES 50-59 years, female 132.2
GTEX-ZAB4-2126-SM-5HL8U 40-49 years, male 130.7
GTEX-1F52S-2926-SM-7MKGA 60-69 years, female 130.4
GTEX-14E6C-2426-SM-5S2NF 40-49 years, male 129.9
GTEX-XBEW-1126-SM-4QARW 40-49 years, male 129.9
GTEX-1H3NZ-2726-SM-9WYTQ 60-69 years, male 128.9
GTEX-1211K-1526-SM-5FQU4 60-69 years, female 128.4
GTEX-Y5V5-0126-SM-5S2NW 60-69 years, female 128.3
GTEX-WHPG-2626-SM-3NMBR 50-59 years, male 128.2
GTEX-ZTX8-1326-SM-4YCEL 20-29 years, male 128.2
GTEX-117YX-1926-SM-5GIEC 50-59 years, male 128.1
GTEX-12BJ1-0926-SM-5EQ62 60-69 years, male 127.4
GTEX-1MJK3-0726-SM-E6CJC 20-29 years, male 127.4
GTEX-11P82-1426-SM-DTXFY 20-29 years, male 127.3
GTEX-1HSMO-0626-SM-ACKXC 60-69 years, male 127.3
GTEX-1HSMQ-2626-SM-A9SML 50-59 years, male 127.3
GTEX-17HII-1426-SM-7EPGG 50-59 years, male 127.2
GTEX-14A5H-0826-SM-5QGPJ 60-69 years, male 126.8
GTEX-1LVAO-2726-SM-E9TJ8 60-69 years, male 126.8
GTEX-1IDJE-1426-SM-ADEIW 50-59 years, female 125.7
GTEX-11NSD-0626-SM-5A5LU 20-29 years, male 124.6
GTEX-18A66-0626-SM-7LT8Z 60-69 years, male 124.5
GTEX-1HCU6-2526-SM-ADEHL 60-69 years, female 124.2
GTEX-1GMR2-0826-SM-7PC3V 50-59 years, male 124.0
GTEX-13IVO-0726-SM-5LZYV 70-79 years, male 123.3
GTEX-14AS3-1526-SM-5Q5ED 40-49 years, female 122.9
GTEX-ZPU1-1126-SM-4YCF3 40-49 years, male 122.3
GTEX-17F97-2626-SM-7IGM5 50-59 years, male 122.2
GTEX-1A3MW-0626-SM-731CB 60-69 years, female 121.7
GTEX-13FTW-0326-SM-5K7UW 40-49 years, male 121.3
GTEX-146FQ-2126-SM-5RQHU 30-39 years, male 121.3
GTEX-145MN-1526-SM-5SI9T 30-39 years, male 121.0
GTEX-ZA64-1026-SM-5HL8R 20-29 years, male 121.0
GTEX-ZAK1-0626-SM-5HL8E 50-59 years, female 121.0
GTEX-Y114-2126-SM-4TT8B 50-59 years, female 120.9
GTEX-1122O-1026-SM-9WYSF 60-69 years, female 120.1
GTEX-18D9U-0126-SM-731BM 40-49 years, male 119.9
GTEX-17F98-1326-SM-7DUEP 40-49 years, female 119.6
GTEX-17F9E-2326-SM-79OKD 50-59 years, male 119.0
GTEX-147F3-1726-SM-5SIAW 50-59 years, female 118.8
GTEX-XQ8I-0926-SM-4BOOF 50-59 years, male 118.8
GTEX-1HFI7-2326-SM-CGQFS 50-59 years, female 118.2
GTEX-WEY5-2326-SM-3GIKK 40-49 years, female 118.0
GTEX-12584-0726-SM-5FQTK 40-49 years, male 117.3
GTEX-1314G-1326-SM-5BC6E 30-39 years, male 117.3
GTEX-1S831-1826-SM-EWROF 20-29 years, male 117.1
GTEX-1QP9N-1226-SM-E76QN 30-39 years, male 116.9
GTEX-139D8-1126-SM-5LU8W 30-39 years, female 116.8
GTEX-1IKOE-1426-SM-CE6T7 30-39 years, female 116.8
GTEX-16MTA-0926-SM-6M47Z 50-59 years, male 116.7
GTEX-1IDJD-2326-SM-ACKWX 30-39 years, male 116.3
GTEX-17MF6-2626-SM-79OKQ 40-49 years, male 116.2
GTEX-ZC5H-1526-SM-5HL9Y 40-49 years, female 115.6
GTEX-1N2DV-1526-SM-DTXEP 40-49 years, male 115.4
GTEX-WYVS-1626-SM-3NM9R 40-49 years, female 114.7
GTEX-1H23P-0626-SM-9WG6T 60-69 years, male 114.7
GTEX-148VJ-0626-SM-5LUAW 70-79 years, male 114.5
GTEX-14E1K-2026-SM-7DUEI 50-59 years, male 114.5
GTEX-1F6I4-2326-SM-7RHGL 60-69 years, male 114.5
GTEX-1H1ZS-2726-SM-9WG75 70-79 years, male 114.4
GTEX-1JMQL-2226-SM-CNPP4 50-59 years, female 114.4
GTEX-13NYB-0126-SM-5J1MD 40-49 years, male 113.6
GTEX-13JVG-0726-SM-5KM16 60-69 years, male 113.3
GTEX-11DYG-1526-SM-5A5JS 60-69 years, male 113.2
GTEX-Y3I4-1726-SM-4TT89 50-59 years, male 113.0
GTEX-1GTWX-2026-SM-9YFLM 60-69 years, male 113.0
GTEX-1NV5F-0626-SM-DTXEG 60-69 years, female 112.6
GTEX-14PHY-1226-SM-5ZZWK 60-69 years, female 112.3
GTEX-ZVE2-2826-SM-5GU51 50-59 years, male 112.3
GTEX-14PKV-1126-SM-6LLJ1 20-29 years, female 112.2
GTEX-ZZ64-1026-SM-5GZXG 20-29 years, male 112.1
GTEX-14PJN-1826-SM-6AJ98 30-39 years, male 112.0
GTEX-13FTX-1526-SM-5K7VJ 20-29 years, female 111.6
GTEX-Y8LW-1526-SM-5IFHL 50-59 years, female 111.6
GTEX-1IDJC-1526-SM-B2LW4 50-59 years, male 111.1
GTEX-1QPFJ-1926-SM-EVYBD 30-39 years, female 110.9
GTEX-14E6E-0526-SM-793DN 30-39 years, male 110.4
GTEX-1E2YA-2126-SM-7MXUO 50-59 years, male 110.4
GTEX-1MCC2-1826-SM-DIPEX 30-39 years, female 110.4
GTEX-WY7C-2126-SM-3NB2R 50-59 years, male 110.2
GTEX-1HCUA-0826-SM-ADEHM 50-59 years, female 110.1
GTEX-13PDP-0726-SM-5L3HP 60-69 years, male 109.4
GTEX-1H1CY-0126-SM-9YFLY 60-69 years, female 109.4
GTEX-18D9A-1426-SM-7LT8M 30-39 years, female 108.8
GTEX-1I1GS-2626-SM-B2LY3 60-69 years, male 108.5
GTEX-14C39-1726-SM-5RQIL 40-49 years, male 108.1
GTEX-13PL6-1126-SM-5L3IE 40-49 years, female 107.9
GTEX-1R9K4-2826-SM-DTX8F 60-69 years, male 107.7
GTEX-11DZ1-2426-SM-5GZZX 50-59 years, male 107.5
GTEX-1HBPM-0726-SM-9YFL7 60-69 years, female 107.4
GTEX-16MT8-2926-SM-7DUFO 60-69 years, female 107.1
GTEX-11ZU8-0126-SM-5EQ58 60-69 years, male 106.8
GTEX-17HGU-2326-SM-7DUFE 50-59 years, male 106.4
GTEX-17F96-0126-SM-7EWDU 70-79 years, male 106.3
GTEX-13D11-0926-SM-5J2NC 50-59 years, female 106.0
GTEX-14PK6-0226-SM-62LF5 70-79 years, female 105.5
GTEX-1L5NE-1126-SM-D3L9P 50-59 years, male 105.2
GTEX-1PIIG-2326-SM-DTXFR 30-39 years, male 105.0
GTEX-WFG8-2126-SM-3GIKQ 20-29 years, male 104.9
GTEX-ZVP2-0326-SM-57WBP 50-59 years, male 104.9
GTEX-13N2G-0226-SM-5K7VF 60-69 years, male 104.4
GTEX-1PIGE-1826-SM-E8VOU 20-29 years, male 104.3
GTEX-1HCU9-0426-SM-9WYSD 20-29 years, male 104.2
GTEX-15SHW-0226-SM-7LTAT 60-69 years, male 104.1
GTEX-ZP4G-1426-SM-4WWCL 20-29 years, female 103.9
GTEX-1K2DU-1226-SM-CYPT4 20-29 years, male 103.9
GTEX-ZPIC-0526-SM-DO91W 40-49 years, female 103.9
GTEX-15RJE-2826-SM-7KUM9 40-49 years, male 103.7
GTEX-11LCK-2226-SM-5HL4Q 30-39 years, male 103.6
GTEX-13N1W-2426-SM-5IJD1 70-79 years, male 103.5
GTEX-1H3VE-0726-SM-9YFL5 40-49 years, male 103.0
GTEX-13FH7-1126-SM-5K7UG 50-59 years, female 102.8
GTEX-145LT-0526-SM-5LUB2 40-49 years, male 102.8
GTEX-1F6RS-2026-SM-7RHHC 60-69 years, female 102.8
GTEX-1CB4F-1026-SM-7DUH1 60-69 years, male 102.3
GTEX-Y5LM-0926-SM-6LLJG 40-49 years, female 102.3
GTEX-1BAJH-2426-SM-7IGP8 70-79 years, male 101.7
GTEX-17F9Y-0126-SM-79OKX 70-79 years, female 101.6
GTEX-15D1Q-2826-SM-6LLH7 40-49 years, male 101.4
GTEX-1CAMR-1326-SM-7PC1F 20-29 years, male 101.4
GTEX-1I19N-0126-SM-CYPSF 70-79 years, male 101.3
GTEX-11EQ9-1626-SM-5PNY8 30-39 years, male 101.0
GTEX-14PJ5-1526-SM-6LLIL 60-69 years, female 100.9
GTEX-Y8E4-2026-SM-5IFJB 40-49 years, male 100.9
GTEX-1S5ZU-2526-SM-E6CIF 20-29 years, female 100.9
GTEX-1F5PL-0926-SM-7PC2W 40-49 years, female 100.7
GTEX-16AAH-0626-SM-793C9 50-59 years, male 100.5
GTEX-1LGOU-1326-SM-D3L8M 20-29 years, female 100.5
GTEX-1GN1U-0626-SM-9MQL9 50-59 years, female 100.3
GTEX-15EO6-2426-SM-6PALZ 50-59 years, male 100.1
GTEX-1J8Q3-0526-SM-ARL8U 60-69 years, male 100.1
GTEX-1RB15-1326-SM-E76Q9 60-69 years, male 100.0
GTEX-14PJO-2526-SM-6AJBQ 60-69 years, male 99.9
GTEX-WHWD-1826-SM-3LK6I 50-59 years, male 99.9
GTEX-13X6I-1826-SM-5SIAO 60-69 years, male 99.8
GTEX-144FL-0626-SM-5LU43 50-59 years, male 99.8
GTEX-1KANC-1226-SM-CYPT7 50-59 years, female 99.8
GTEX-18QFQ-1826-SM-72D52 30-39 years, male 99.6
GTEX-15DDE-2926-SM-6LLJ3 50-59 years, female 99.2
GTEX-1EWIQ-0326-SM-7DHMQ 70-79 years, female 99.1
GTEX-1GPI7-1826-SM-9KNU1 20-29 years, male 99.0
GTEX-12126-0826-SM-5FQTZ 20-29 years, male 98.9
GTEX-11O72-0626-SM-5PNYE 40-49 years, male 98.7
GTEX-15DYW-2726-SM-6EU2I 60-69 years, female 98.7
GTEX-ZVTK-0226-SM-51MRG 20-29 years, male 98.7
GTEX-1F75A-0726-SM-7RHHD 50-59 years, male 98.5
GTEX-15EU6-2226-SM-6EU2L 50-59 years, male 98.2
GTEX-18A7A-0126-SM-731AH 50-59 years, female 98.2
GTEX-14753-0726-SM-5QGQO 60-69 years, male 97.9
GTEX-14PHX-2226-SM-6EU2P 50-59 years, male 97.9
GTEX-1QP66-1226-SM-DTX7U 50-59 years, male 97.3
GTEX-12C56-1526-SM-5FQUQ 20-29 years, male 97.2
GTEX-1JJE9-2626-SM-ARZMT 70-79 years, male 97.1
GTEX-1LG7Z-1626-SM-CXKYR 30-39 years, male 97.0
GTEX-1LSVX-2526-SM-DIPEU 60-69 years, male 96.9
GTEX-15ER7-0626-SM-6PANF 20-29 years, female 96.8
GTEX-11EI6-2826-SM-5H11D 60-69 years, male 95.7
GTEX-Y111-0626-SM-4SOIT 50-59 years, male 95.6
GTEX-14C5O-0326-SM-5ZZUX 60-69 years, male 95.5
GTEX-11GS4-0226-SM-5HL77 60-69 years, male 95.4
GTEX-1GF9W-1426-SM-7PBYM 60-69 years, male 95.4
GTEX-144GO-2026-SM-5O99P 60-69 years, male 95.3
GTEX-1B8KE-1126-SM-7EPHI 50-59 years, male 95.2
GTEX-18A7B-2726-SM-7LG56 70-79 years, male 94.7
GTEX-139UW-0326-SM-5J1ML 60-69 years, male 94.5
GTEX-1I1GP-1326-SM-A9G28 50-59 years, male 94.5
GTEX-14LLW-2626-SM-62LDZ 70-79 years, female 94.2
GTEX-16YQH-2226-SM-7IGM2 30-39 years, male 94.1
GTEX-144GM-0526-SM-79OJO 20-29 years, male 93.7
GTEX-W5X1-2526-SM-3GILC 40-49 years, female 93.7
GTEX-XQ3S-1426-SM-4BOPR 20-29 years, male 93.7
GTEX-11ZTT-2126-SM-5CVLO 60-69 years, female 93.6
GTEX-131XG-0326-SM-5L3DX 50-59 years, female 93.6
GTEX-11VI4-1126-SM-5EQMD 40-49 years, female 93.5
GTEX-145LS-0626-SM-7EPG7 60-69 years, female 93.5
GTEX-1H3O1-1326-SM-9MQLD 60-69 years, male 93.5
GTEX-11DXW-0826-SM-5H118 40-49 years, male 93.4
GTEX-1JKYN-0826-SM-ARU8S 30-39 years, male 93.1
GTEX-14PKU-0126-SM-6LLHV 40-49 years, female 93.0
GTEX-1GPI6-1926-SM-9KNV7 60-69 years, male 92.9
GTEX-11P7K-1126-SM-5HL4L 30-39 years, male 92.7
GTEX-ZYFC-0426-SM-5GICQ 50-59 years, male 92.6
GTEX-14C38-0726-SM-5SI6M 50-59 years, male 92.0
GTEX-ZXG5-2126-SM-59HKD 60-69 years, male 92.0
GTEX-1399U-1126-SM-5L3DB 50-59 years, female 91.9
GTEX-13JUV-2026-SM-5K7UA 40-49 years, female 91.8
GTEX-1HSGN-0826-SM-ACKW3 40-49 years, female 91.8
GTEX-11EQ8-0926-SM-5H12V 60-69 years, male 91.7
GTEX-1IKJJ-2226-SM-CJI4C 60-69 years, male 91.5
GTEX-ZLV1-1526-SM-DO91J 60-69 years, female 91.4
GTEX-1AX9I-2226-SM-73KUO 60-69 years, male 91.2
GTEX-1LVA9-2626-SM-EVYD4 50-59 years, male 91.1
GTEX-XAJ8-1426-SM-47JYM 40-49 years, male 91.0
GTEX-1HBPI-2126-SM-ARL9K 50-59 years, male 90.7
GTEX-1LVAN-0626-SM-CNPOQ 50-59 years, female 90.5
GTEX-13PVQ-0626-SM-5LU47 50-59 years, male 90.4
GTEX-139TU-0726-SM-5L3EK 60-69 years, male 90.3
GTEX-13O3Q-0126-SM-5KM34 50-59 years, male 90.2
GTEX-1R7EU-1626-SM-DTXG3 60-69 years, male 90.2
GTEX-1B97I-0626-SM-73KUZ 40-49 years, male 90.0
GTEX-132AR-0326-SM-5KM2C 50-59 years, female 89.9
GTEX-13U4I-2226-SM-5LU5H 40-49 years, female 89.8
GTEX-1HGF4-0126-SM-CNPPX 60-69 years, male 89.8
GTEX-1F75W-2726-SM-7SB8H 60-69 years, male 89.3
GTEX-1AX9J-1326-SM-731BJ 60-69 years, male 89.2
GTEX-1QCLZ-2426-SM-EVYBW 60-69 years, female 89.2
GTEX-111VG-1626-SM-5EGIO 60-69 years, male 89.1
GTEX-1F88E-1626-SM-7SB8Z 60-69 years, female 89.0
GTEX-1HCU8-2526-SM-CE6RX 60-69 years, female 89.0
GTEX-12WSD-0626-SM-5GCMW 60-69 years, female 88.9
GTEX-14LZ3-0126-SM-69LPM 60-69 years, female 88.7
GTEX-ZE7O-2726-SM-51MT5 50-59 years, female 88.7
GTEX-183WM-0326-SM-72D5V 70-79 years, female 88.6
GTEX-1KANA-1326-SM-DIPFA 20-29 years, male 88.5
GTEX-XUW1-0926-SM-4BONX 50-59 years, female 88.2
GTEX-ZVT4-2426-SM-5GIEI 50-59 years, female 88.1
GTEX-1C64N-2626-SM-7PC2N 50-59 years, male 88.1
GTEX-1LGRB-0926-SM-COH3K 50-59 years, female 88.1
GTEX-14PII-0726-SM-6EU2B 60-69 years, male 88.0
GTEX-1EU9M-1426-SM-793AI 60-69 years, male 88.0
GTEX-1ICLZ-0326-SM-ARL82 60-69 years, male 88.0
GTEX-17HG3-2626-SM-7DUF2 30-39 years, female 87.9
GTEX-1GMRU-2126-SM-7P8RA 50-59 years, male 87.9
GTEX-XOT4-0626-SM-4B66L 60-69 years, female 87.7
GTEX-1IDJU-1726-SM-CMKHU 60-69 years, female 87.7
GTEX-XBED-1926-SM-47JYP 60-69 years, male 87.6
GTEX-1J8QM-2426-SM-A9SLS 60-69 years, female 87.6
GTEX-1N5O9-0926-SM-E9J3C 60-69 years, male 87.5
GTEX-12ZZX-2426-SM-5GCOE 40-49 years, female 87.4
GTEX-1R9PN-0426-SM-DTXDT 40-49 years, female 87.4
GTEX-1HR98-2226-SM-ADEI2 60-69 years, male 87.3
GTEX-1IE54-1126-SM-A9G2Z 40-49 years, female 87.3
GTEX-ZF3C-0626-SM-DO92O 50-59 years, female 87.3
GTEX-1KAFJ-0126-SM-DIPEK 50-59 years, male 87.2
GTEX-1EX96-1026-SM-7MKG2 50-59 years, male 87.0
GTEX-13N11-2326-SM-5IJBF 50-59 years, female 86.7
GTEX-1AYD5-2626-SM-7PBXY 50-59 years, male 86.3
GTEX-1HCU7-0726-SM-A9SL1 50-59 years, male 86.2
GTEX-1F6IF-0926-SM-7SB7M 60-69 years, male 86.1
GTEX-ZT9X-1526-SM-5DUXD 40-49 years, male 85.8
GTEX-11PRG-0726-SM-5EGL1 50-59 years, male 85.2
GTEX-1QP28-1126-SM-EVYC4 50-59 years, female 85.1
GTEX-1477Z-0326-SM-7IGLA 60-69 years, male 85.0
GTEX-WHSB-1326-SM-3LK6W 50-59 years, male 84.9
GTEX-1I4MK-0126-SM-CY8G6 50-59 years, female 84.5
GTEX-1J1R8-2026-SM-CL53Y 40-49 years, male 84.5
GTEX-1J8JJ-0626-SM-ARZMQ 60-69 years, female 84.5
GTEX-X4EO-2926-SM-4E3JH 60-69 years, female 84.4
GTEX-ZDTS-0826-SM-4WKHL 60-69 years, male 84.4
GTEX-1I6K6-1726-SM-CGQFD 30-39 years, male 84.4
GTEX-1J8EW-2726-SM-CY8HR 60-69 years, female 84.0
GTEX-1I6K7-1926-SM-B2LXR 40-49 years, male 83.9
GTEX-1192X-2726-SM-5N9DN 50-59 years, male 83.8
GTEX-145MH-2826-SM-5RQJF 50-59 years, male 83.8
GTEX-1GF9X-1326-SM-7PC2Y 40-49 years, female 83.7
GTEX-ZAJG-1526-SM-5CVML 50-59 years, female 83.6
GTEX-15G1A-1626-SM-7KUKN 30-39 years, male 83.5
GTEX-1JMQI-1726-SM-ARL93 50-59 years, male 83.3
GTEX-14BIN-1126-SM-5RQJZ 50-59 years, female 83.2
GTEX-1C6VQ-1226-SM-73KYD 50-59 years, male 83.2
GTEX-17HHY-0426-SM-7DHLC 50-59 years, male 83.1
GTEX-ZF29-0926-SM-4WKFZ 60-69 years, female 83.0
GTEX-1GMR8-0626-SM-7RHI7 50-59 years, female 82.9
GTEX-ZYT6-2326-SM-5GZY3 30-39 years, male 82.8
GTEX-16MT9-0126-SM-7EPI8 60-69 years, female 82.7
GTEX-1S3DN-2126-SM-E9TIN 50-59 years, male 82.5
GTEX-11OF3-0126-SM-5PNYF 60-69 years, male 82.4
GTEX-15CHC-1126-SM-6LLHQ 60-69 years, female 82.4
GTEX-WK11-2726-SM-3NMAQ 50-59 years, male 82.3
GTEX-1H1DF-1126-SM-9WG7G 40-49 years, female 82.3
GTEX-YJ8O-2526-SM-5HL85 40-49 years, female 82.2
GTEX-YECK-0326-SM-4W1YS 60-69 years, male 82.1
GTEX-1JK1U-0226-SM-ARZMX 60-69 years, male 82.1
GTEX-13FLV-0126-SM-5K7WT 50-59 years, male 82.0
GTEX-WRHU-2826-SM-3MJG8 50-59 years, female 82.0
GTEX-1A8G6-2726-SM-731AR 60-69 years, male 81.9
GTEX-1B933-2426-SM-7DHMD 50-59 years, female 81.9
GTEX-147JS-0226-SM-5S2U9 60-69 years, male 81.6
GTEX-1KWVE-1026-SM-D3L9O 30-39 years, male 81.6
GTEX-1AX8Z-0726-SM-73KTS 60-69 years, male 81.5
GTEX-12WSH-1526-SM-5BC5W 50-59 years, male 81.4
GTEX-1EKGG-0626-SM-7DUGJ 60-69 years, male 81.4
GTEX-1I1GV-0626-SM-ARL7M 60-69 years, male 81.4
GTEX-1PBJJ-1026-SM-E76OS 30-39 years, male 80.9
GTEX-1CB4E-0926-SM-7EPHT 60-69 years, male 80.7
GTEX-1GZHY-0626-SM-9KNVC 50-59 years, female 80.7
GTEX-1LSNM-0826-SM-DIPG8 50-59 years, male 80.7
GTEX-11GSP-2326-SM-5HL63 60-69 years, female 80.5
GTEX-1I1CD-0626-SM-CE6SW 60-69 years, female 80.3
GTEX-131XW-0626-SM-5PNVD 50-59 years, female 80.2
GTEX-15SKB-2826-SM-6PAMH 60-69 years, male 80.1
GTEX-1C6WA-2626-SM-7MKGM 60-69 years, male 79.9
GTEX-13112-0126-SM-5P9IU 50-59 years, male 79.8
GTEX-1313W-0626-SM-5EQ4H 50-59 years, female 79.7
GTEX-14JFF-0626-SM-5ZZVT 60-69 years, male 79.7
GTEX-16NPX-0726-SM-7KULC 50-59 years, male 79.6
GTEX-1HT8W-0626-SM-A9G2H 30-39 years, male 79.6
GTEX-1KD5A-0126-SM-E9U54 50-59 years, male 79.6
GTEX-XXEK-1626-SM-4BRUZ 50-59 years, male 79.4
GTEX-15RIG-0726-SM-7KUM7 40-49 years, male 79.0
GTEX-1IDJF-2026-SM-CL53V 20-29 years, male 79.0
GTEX-11UD2-2526-SM-5CVNU 50-59 years, male 78.8
GTEX-WH7G-2026-SM-3NMBL 40-49 years, male 78.6
GTEX-YB5K-2026-SM-4VDT3 40-49 years, female 78.6
GTEX-183FY-1026-SM-7939A 20-29 years, male 78.5
GTEX-ZPCL-1126-SM-4WWFE 60-69 years, female 78.4
GTEX-1A8FM-0626-SM-7PC25 50-59 years, female 78.4
GTEX-1JMQJ-0826-SM-CNPP7 50-59 years, male 78.3
GTEX-14PJ3-1126-SM-5ZZVX 50-59 years, male 78.2
GTEX-18A6Q-0626-SM-7KFRP 60-69 years, male 78.2
GTEX-145MO-2826-SM-5LU96 60-69 years, male 78.1
GTEX-1GL5R-1326-SM-7RHHF 50-59 years, male 78.1
GTEX-XBEC-0726-SM-4QARZ 50-59 years, male 77.8
GTEX-11DXY-0126-SM-5H11Q 60-69 years, male 77.6
GTEX-VUSG-2326-SM-4KL1U 50-59 years, male 77.6
GTEX-1JJEA-1826-SM-ARU8P 60-69 years, male 77.6
GTEX-15CHR-1126-SM-7EWF4 50-59 years, male 77.5
GTEX-1A3MV-1826-SM-731CD 30-39 years, male 77.4
GTEX-12696-0126-SM-5EQ4L 60-69 years, male 77.3
GTEX-1HB9E-0126-SM-CM2S5 50-59 years, male 77.2
GTEX-1HCVE-2726-SM-CL54F 50-59 years, male 77.2
GTEX-1IY9M-2826-SM-ARU8H 60-69 years, male 77.1
GTEX-1RAZS-2526-SM-E6CHT 50-59 years, male 77.0
GTEX-1F88F-0126-SM-9WYSZ 60-69 years, female 76.8
GTEX-11DXZ-2026-SM-5987S 50-59 years, male 76.7
GTEX-1JMQK-1226-SM-D4P2S 60-69 years, male 76.7
GTEX-1LKK1-2626-SM-DKPQE 50-59 years, female 76.6
GTEX-1GN73-0726-SM-7P8TJ 60-69 years, male 76.5
GTEX-1EH9U-2826-SM-7DUGT 60-69 years, male 76.4
GTEX-1C6VR-0126-SM-7RHGB 60-69 years, male 76.4
GTEX-1B8SF-0126-SM-7DUG3 60-69 years, male 76.2
GTEX-13RTJ-0126-SM-5S2NN 60-69 years, male 76.1
GTEX-1IOXB-2726-SM-CM2RI 50-59 years, male 76.1
GTEX-13OVH-0526-SM-5L3E6 70-79 years, male 76.0
GTEX-1IDJV-0126-SM-COH3Y 60-69 years, male 76.0
GTEX-14ICL-1626-SM-5YYAO 30-39 years, male 75.8
GTEX-1POEN-2326-SM-E9J2L 30-39 years, female 75.8
GTEX-1PPH7-1126-SM-DTX9A 40-49 years, male 75.6
GTEX-1269C-0126-SM-5EQ5L 60-69 years, female 75.5
GTEX-13FTY-2126-SM-5IFFB 40-49 years, female 75.5
GTEX-ZDTT-0426-SM-4WKFL 60-69 years, male 75.3
GTEX-1IDFM-0326-SM-ARL7V 60-69 years, male 75.3
GTEX-1AMEY-0826-SM-72D65 30-39 years, female 75.2
GTEX-14PJ4-0226-SM-5YY92 60-69 years, male 75.1
GTEX-ZDYS-2426-SM-4WKGI 50-59 years, male 74.9
GTEX-1QEPI-2626-SM-DTXF4 60-69 years, female 74.9
GTEX-12ZZY-0726-SM-5EQ66 60-69 years, male 74.7
GTEX-17HHE-1326-SM-7EWDZ 50-59 years, male 74.7
GTEX-139TS-2126-SM-5K7XC 60-69 years, male 74.3
GTEX-ZTSS-1426-SM-5985P 40-49 years, male 74.3
GTEX-1KXAM-1626-SM-D3LAD 60-69 years, male 74.3
GTEX-ZYVF-0926-SM-5E44J 50-59 years, female 74.2
GTEX-1J8Q2-2626-SM-ACKWQ 60-69 years, male 74.2
GTEX-1JN76-0626-SM-CKZOQ 20-29 years, female 74.1
GTEX-WFON-1926-SM-3LK7L 40-49 years, male 74.0
GTEX-1GZ2Q-0126-SM-9WG6M 40-49 years, male 74.0
GTEX-111FC-2526-SM-5GZXU 60-69 years, male 73.6
GTEX-13OW7-0426-SM-5K7VK 50-59 years, male 73.6
GTEX-13PVR-0426-SM-5RQK2 60-69 years, female 73.6
GTEX-13SLX-2226-SM-62LEP 50-59 years, female 73.6
GTEX-1NSGN-0726-SM-DTXEF 50-59 years, male 73.6
GTEX-1R46S-2426-SM-E76QA 60-69 years, female 73.6
GTEX-1H4P4-2126-SM-9WYSL 50-59 years, male 73.4
GTEX-1B996-0426-SM-7EWF8 60-69 years, male 73.3
GTEX-1CAMS-2226-SM-7PBXQ 40-49 years, female 73.3
GTEX-1HSKV-1226-SM-ADEI4 60-69 years, male 73.3
GTEX-1JKYR-0626-SM-ARL8R 20-29 years, male 73.2
GTEX-1JMPY-0226-SM-CKZOK 30-39 years, male 73.1
GTEX-13X6J-0626-SM-5LU5F 50-59 years, male 73.0
GTEX-1N2EE-0626-SM-E76PW 60-69 years, male 73.0
GTEX-1PDJ9-1226-SM-EXUSX 20-29 years, male 73.0
GTEX-131XH-0126-SM-5LZUY 50-59 years, male 72.8
GTEX-Z93S-1626-SM-5CVMB 50-59 years, male 72.8
GTEX-12WSF-1626-SM-7KUG5 70-79 years, male 72.7
GTEX-147GR-2426-SM-5ZZWQ 60-69 years, male 72.7
GTEX-1GN2E-0226-SM-9WG6K 60-69 years, male 72.3
GTEX-1RAZA-2226-SM-E9U4X 20-29 years, male 72.2
GTEX-1QMI2-2526-SM-E8VNZ 60-69 years, male 71.8
GTEX-13SLW-0626-SM-5Q5ER 70-79 years, male 71.6
GTEX-1C2JI-1026-SM-73KY1 50-59 years, male 71.6
GTEX-139TT-2126-SM-5LZWC 60-69 years, male 71.5
GTEX-13NZ9-2626-SM-5L3FK 50-59 years, male 71.1
GTEX-12KS4-2126-SM-5FQUT 30-39 years, male 71.0
GTEX-ZYY3-2926-SM-5GIEB 60-69 years, female 70.9
GTEX-145MG-1526-SM-5Q5EM 50-59 years, male 70.7
GTEX-13X6K-0626-SM-5LU5D 60-69 years, female 70.4
GTEX-1399Q-2326-SM-5KM2X 40-49 years, male 70.1
GTEX-12WSA-0426-SM-5EQ5X 60-69 years, male 70.0
GTEX-1GF9U-2026-SM-7SB92 40-49 years, female 69.9
GTEX-1GF9V-0826-SM-9KNUV 60-69 years, male 69.9
GTEX-13OVL-0126-SM-5L3GJ 50-59 years, male 69.8
GTEX-1AMFI-1326-SM-7939R 50-59 years, female 69.7
GTEX-1EMGI-2326-SM-7PBYA 60-69 years, male 69.7
GTEX-13QJC-0126-SM-5ZZWJ 60-69 years, female 69.5
GTEX-16NGA-0726-SM-731AO 40-49 years, female 69.4
GTEX-14DAQ-0626-SM-793DS 60-69 years, female 69.3
GTEX-1K2DA-1026-SM-CGQGF 50-59 years, male 69.2
GTEX-1O9I2-0226-SM-EYYXD 50-59 years, male 69.1
GTEX-WYJK-0526-SM-3NM8Z 50-59 years, male 69.0
GTEX-1JMPZ-0726-SM-CY8HZ 30-39 years, male 69.0
GTEX-14JG1-1526-SM-5YY9X 40-49 years, male 68.9
GTEX-11ZUS-2626-SM-5FQUR 30-39 years, male 68.8
GTEX-1B8KZ-0326-SM-73KY4 50-59 years, male 68.8
GTEX-1EN7A-2426-SM-793DB 40-49 years, male 68.8
GTEX-1MCYP-0526-SM-E9U6Q 20-29 years, female 68.4
GTEX-14PJ6-2626-SM-6EU2T 60-69 years, female 68.3
GTEX-1CB4J-1326-SM-7P8RX 60-69 years, male 68.2
GTEX-1GN1W-2426-SM-9KNUU 50-59 years, female 68.2
GTEX-1LSNL-2726-SM-E9TKJ 50-59 years, male 68.0
GTEX-145LU-1926-SM-79OJN 50-59 years, male 67.9
GTEX-1GZ4I-2626-SM-9KNU3 50-59 years, male 67.6
GTEX-YEC4-1826-SM-4W1YP 40-49 years, male 67.5
GTEX-1GMR3-0126-SM-A9SLW 40-49 years, male 67.4
GTEX-13VXU-0626-SM-5L3F9 50-59 years, male 67.3
GTEX-145MF-0926-SM-5Q5EA 50-59 years, male 67.1
GTEX-ZY6K-1426-SM-5GZX2 50-59 years, male 67.1
GTEX-ZE9C-2526-SM-5IJDR 60-69 years, male 67.0
GTEX-1I1GT-1026-SM-ARZLV 60-69 years, female 67.0
GTEX-1E1VI-0326-SM-793D1 50-59 years, male 66.9
GTEX-1H1E6-0426-SM-9WYUS 30-39 years, male 66.9
GTEX-13G51-1826-SM-5KLZH 60-69 years, male 66.8
GTEX-1A8G7-1326-SM-73KVM 60-69 years, male 66.7
GTEX-13NZ8-1226-SM-5KM4A 60-69 years, female 66.5
GTEX-17MFQ-1526-SM-7KFRR 20-29 years, male 66.5
GTEX-11TUW-0626-SM-5LU9M 60-69 years, male 66.4
GTEX-ZUA1-2626-SM-5NQ92 40-49 years, male 66.3
GTEX-1PPGY-1626-SM-EVYBL 60-69 years, male 66.3
GTEX-1QAET-0326-SM-EVR3U 50-59 years, male 66.3
GTEX-13OVG-1626-SM-5J1NF 60-69 years, male 66.2
GTEX-1M4P7-0726-SM-E6CJ3 60-69 years, male 66.2
GTEX-UPJH-0226-SM-3GADV 50-59 years, male 66.0
GTEX-1IL2V-1926-SM-B2LW8 70-79 years, male 66.0
GTEX-14ABY-2026-SM-62LDL 50-59 years, male 65.7
GTEX-111YS-1526-SM-5GZYW 60-69 years, male 65.6
GTEX-1R9PM-1926-SM-EVR3O 20-29 years, male 65.5
GTEX-YEC3-1326-SM-DO92X 50-59 years, male 65.4
GTEX-14PJ2-0626-SM-6LLII 50-59 years, male 65.2
GTEX-ZTTD-2826-SM-4YCFA 50-59 years, male 65.1
GTEX-1LB8K-0726-SM-D5OV2 50-59 years, male 65.1
GTEX-14A6H-2026-SM-5Q5DD 30-39 years, male 65.0
GTEX-16XZZ-0726-SM-7KUF2 60-69 years, male 64.9
GTEX-18465-2826-SM-7LT9J 50-59 years, male 64.9
GTEX-1C64O-1326-SM-7MGWR 60-69 years, male 64.9
GTEX-1OJC4-2726-SM-E76PJ 50-59 years, female 64.9
GTEX-1QW4Y-1126-SM-DTXE3 30-39 years, male 64.9
GTEX-11DXX-2126-SM-5PNYR 60-69 years, female 64.7
GTEX-1KANB-2826-SM-CY8I6 50-59 years, male 64.7
GTEX-1HFI6-0126-SM-CNPPI 40-49 years, male 64.5
GTEX-1HBPN-0126-SM-CGQEF 50-59 years, male 64.4
GTEX-17EVP-2626-SM-7IGMA 40-49 years, male 64.1
GTEX-1H1DE-1326-SM-9KNUG 20-29 years, male 64.0
GTEX-147F4-0726-SM-5TDDD 50-59 years, male 63.9
GTEX-1LVAM-0726-SM-E6CIL 50-59 years, female 63.9
GTEX-14B4R-1326-SM-5Q5EZ 30-39 years, male 63.8
GTEX-11NUK-2726-SM-5A5MC 50-59 years, male 63.6
GTEX-XPVG-2126-SM-4B667 50-59 years, male 63.5
GTEX-12WSM-1926-SM-5BC65 60-69 years, male 63.4
GTEX-1CB4I-0126-SM-7RHGG 50-59 years, male 63.3
GTEX-ZVZP-1226-SM-5GID7 50-59 years, male 63.0
GTEX-1K9T9-1526-SM-DIPFR 50-59 years, female 63.0
GTEX-1HR9M-2226-SM-CNPPY 60-69 years, male 62.9
GTEX-UPK5-0426-SM-3GAEK 40-49 years, male 62.8
GTEX-1RAZQ-1326-SM-E9TK6 30-39 years, male 62.8
GTEX-12WSC-2826-SM-5BC5Y 50-59 years, male 62.7
GTEX-1CAMQ-1326-SM-7P8RV 40-49 years, male 62.7
GTEX-1IDJH-0126-SM-D3L92 70-79 years, male 62.7
GTEX-1B932-2326-SM-79OL5 40-49 years, female 62.4
GTEX-131YS-2826-SM-5EQ47 60-69 years, female 62.2
GTEX-1212Z-0126-SM-59HK4 60-69 years, male 61.6
GTEX-1GN1V-2826-SM-9JGIA 60-69 years, male 61.6
GTEX-1QP2A-1726-SM-E76QC 50-59 years, male 61.6
GTEX-1J1OQ-0126-SM-D4P2N 40-49 years, female 61.5
GTEX-1PPH8-0126-SM-EWRN8 20-29 years, male 61.5
GTEX-144GL-0626-SM-5LU4D 50-59 years, male 61.4
GTEX-XMD2-2126-SM-4YCF8 60-69 years, female 61.2
GTEX-ZYFD-0626-SM-5E44E 50-59 years, male 60.8
GTEX-13OW6-2726-SM-5J2OE 50-59 years, male 60.7
GTEX-13O3O-2326-SM-5IJD6 60-69 years, female 60.6
GTEX-VJYA-1526-SM-3GIJV 60-69 years, male 60.1
GTEX-1ICLY-0826-SM-CMKG1 50-59 years, male 60.1
GTEX-1QCLY-0226-SM-EWRNH 30-39 years, male 59.6
GTEX-13OW8-1026-SM-5J1NQ 60-69 years, male 58.7
GTEX-14XAO-1226-SM-6EU1C 60-69 years, female 58.6
GTEX-178AV-1726-SM-7KUL8 40-49 years, male 58.5
GTEX-1I1HK-2326-SM-CKZOH 60-69 years, male 58.4
GTEX-1399S-0126-SM-5IJCF 30-39 years, female 57.5
GTEX-ZVE1-0726-SM-51MRN 50-59 years, female 57.5
GTEX-1H11D-1826-SM-9QEHM 40-49 years, male 57.4
GTEX-1JN6P-2926-SM-CL54D 60-69 years, male 57.2
GTEX-1RMOY-1326-SM-E9TIH 50-59 years, male 57.1
GTEX-18A67-1626-SM-7LT9T 50-59 years, male 57.0
GTEX-145MI-0626-SM-5SI8S 60-69 years, female 56.7
GTEX-16GPK-0626-SM-7KFSF 60-69 years, male 56.6
GTEX-14BMV-2826-SM-5TDED 50-59 years, male 56.0
GTEX-1S83E-1326-SM-E6CJM 40-49 years, male 56.0
GTEX-1H1DG-2426-SM-9QEHJ 70-79 years, male 55.9
GTEX-ZU9S-1826-SM-5NQ9E 30-39 years, male 55.3
GTEX-15G19-2426-SM-7KUMR 60-69 years, male 55.2
GTEX-Y9LG-1126-SM-4VBQ7 30-39 years, male 55.2
GTEX-13W3W-0726-SM-5IJDQ 60-69 years, female 55.1
GTEX-1F5PK-2226-SM-7SB6N 50-59 years, male 54.9
GTEX-ZDXO-3126-SM-5IJDF 60-69 years, male 53.5
GTEX-17KNJ-2126-SM-718AM 50-59 years, male 53.3
GTEX-11TT1-1826-SM-5EQLV 20-29 years, male 52.6
GTEX-17JCI-2926-SM-7DUFF 60-69 years, female 52.6
GTEX-1A3MX-2626-SM-7PC24 60-69 years, male 52.3
GTEX-1B8L1-2226-SM-7P8PT 60-69 years, male 51.4
GTEX-11WQK-1026-SM-5EQLX 50-59 years, male 51.2
GTEX-16Z82-2626-SM-7KULU 60-69 years, male 50.9
GTEX-ZWKS-0626-SM-5GIDV 30-39 years, male 50.7
GTEX-15RIE-1926-SM-7KUKJ 60-69 years, male 50.0
GTEX-1HSMP-0926-SM-A9SKX 70-79 years, male 49.8
GTEX-1I1GU-0926-SM-ACKVS 40-49 years, male 48.9
GTEX-1LG7Y-2526-SM-EWRO7 50-59 years, male 48.4
GTEX-1ICG6-1226-SM-A9SLN 70-79 years, female 46.1
GTEX-13NYC-0126-SM-5L3F4 60-69 years, male 41.0
GTEX-V1D1-2026-SM-3GAF4 50-59 years, male 37.5
GTEX-Y5V6-2326-SM-4VDSA 60-69 years, male 36.7
Show allShow less
Skin - Sun Exposed (Lower leg)
Average nTPM: 123.4
Samples: 701

Max nTPM: 451.8
Min nTPM: 27.3
Std nTPM: 57.8
Median nTPM: 107.3
GTEX-1H2FU-0126-SM-9WYSI 60-69 years, female 451.8
GTEX-XV7Q-2526-SM-4BRV9 40-49 years, female 444.4
GTEX-WI4N-1026-SM-3LK7N 40-49 years, female 428.5
GTEX-ZTPG-0326-SM-5O9AX 20-29 years, female 377.9
GTEX-1PWST-0226-SM-E76QJ 70-79 years, male 375.9
GTEX-11TTK-0126-SM-5987B 60-69 years, female 366.7
GTEX-14E6C-0126-SM-5RQIP 40-49 years, male 365.1
GTEX-RTLS-0126-SM-447CA 60-69 years, female 360.5
GTEX-ZF28-0126-SM-4WKGK 60-69 years, male 347.6
GTEX-PLZ4-0126-SM-5SI8O 50-59 years, female 342.4
GTEX-P4PQ-0126-SM-2S1NM 60-69 years, male 340.7
GTEX-1HBPM-0226-SM-ARL9F 60-69 years, female 336.8
GTEX-ZAB4-0226-SM-5N9F5 40-49 years, male 335.5
GTEX-13OVJ-0126-SM-5KM36 50-59 years, female 293.4
GTEX-1JN1M-0326-SM-CYPT3 60-69 years, female 291.1
GTEX-X4EP-0126-SM-3P5YV 60-69 years, female 289.2
GTEX-QDT8-0126-SM-48TZ1 30-39 years, female 287.4
GTEX-17EVQ-0226-SM-7LG4P 70-79 years, male 272.2
GTEX-15EOM-0126-SM-7KUGG 20-29 years, female 270.2
GTEX-11DZ1-0126-SM-5985Q 50-59 years, male 270.1
GTEX-15UF6-0826-SM-6PALJ 70-79 years, female 256.9
GTEX-139D8-0226-SM-5KLZO 30-39 years, female 256.1
GTEX-145LV-2126-SM-5LU8N 50-59 years, male 252.1
GTEX-1A3MW-0126-SM-73KXX 60-69 years, female 251.1
GTEX-R45C-0126-SM-EAZ2R 60-69 years, female 248.7
GTEX-P4PP-0126-SM-3LK69 30-39 years, female 245.5
GTEX-145MO-0326-SM-5Q5B3 60-69 years, male 243.5
GTEX-ZAJG-0126-SM-5HL94 50-59 years, female 242.9
GTEX-1GMR8-0126-SM-9WYTM 50-59 years, female 241.9
GTEX-13VXT-0126-SM-5LU4I 20-29 years, female 237.8
GTEX-X8HC-0126-SM-4E3JW 50-59 years, female 234.5
GTEX-148VJ-0126-SM-5TDDN 70-79 years, male 234.0
GTEX-1S82Y-2026-SM-EVYCM 40-49 years, male 233.6
GTEX-17HII-0226-SM-7LG4E 50-59 years, male 231.8
GTEX-13D11-2426-SM-5KM1V 50-59 years, female 229.7
GTEX-X5EB-2226-SM-46MW4 40-49 years, male 229.7
GTEX-1I1GS-0126-SM-B2LVW 60-69 years, male 228.4
GTEX-15SHU-0126-SM-7KUEH 40-49 years, female 227.3
GTEX-13YAN-0326-SM-5O9DF 60-69 years, male 226.1
GTEX-ZYY3-0126-SM-5GZY5 60-69 years, female 223.7
GTEX-OXRK-0226-SM-3NB2G 50-59 years, female 223.6
GTEX-SN8G-0126-SM-32PLI 50-59 years, female 223.5
GTEX-1211K-2026-SM-5EQ4Z 60-69 years, female 223.4
GTEX-11H98-0126-SM-5EGHG 50-59 years, male 222.6
GTEX-1H3VE-0326-SM-9YFLH 40-49 years, male 221.9
GTEX-1I1CD-0126-SM-CM2TK 60-69 years, female 221.9
GTEX-12WSJ-1826-SM-5GCNY 40-49 years, female 221.7
GTEX-Y5LM-1926-SM-5RQJH 40-49 years, female 218.9
GTEX-1LC47-0326-SM-E9TJP 60-69 years, male 215.7
GTEX-12584-0126-SM-5EGKQ 40-49 years, male 214.0
GTEX-11DXX-2426-SM-5GZZW 60-69 years, female 211.6
GTEX-WXYG-2326-SM-4E3I6 50-59 years, female 210.7
GTEX-1LNCM-1126-SM-E9U5E 50-59 years, female 210.1
GTEX-11VI4-1726-SM-5CVLH 40-49 years, female 209.0
GTEX-17MF6-0126-SM-7LG4F 40-49 years, male 208.9
GTEX-1QP67-1626-SM-EAZ3X 40-49 years, female 208.9
GTEX-1HSMO-0126-SM-CL547 60-69 years, male 208.7
GTEX-O5YW-0126-SM-3LK6D 50-59 years, male 207.7
GTEX-Y114-2426-SM-4TT8A 50-59 years, female 205.0
GTEX-13OVI-1426-SM-5L3EY 60-69 years, female 204.7
GTEX-1S82Z-0826-SM-E6CHY 30-39 years, female 204.7
GTEX-117YX-2326-SM-5H12W 50-59 years, male 204.6
GTEX-1192X-0226-SM-5H12D 50-59 years, male 202.6
GTEX-13O1R-0126-SM-5L3EH 60-69 years, male 202.3
GTEX-1H3NZ-0126-SM-ACKX7 60-69 years, male 201.6
GTEX-Y3IK-2426-SM-4WWDU 50-59 years, female 197.7
GTEX-1RB15-2126-SM-E9TIM 60-69 years, male 197.7
GTEX-18A67-0126-SM-7LG5P 50-59 years, male 196.5
GTEX-ZY6K-1826-SM-5GZXK 50-59 years, male 196.0
GTEX-Q2AI-1326-SM-2S1PL 40-49 years, male 195.8
GTEX-S33H-1026-SM-EZ6L6 30-39 years, male 195.7
GTEX-1R46S-0626-SM-E9J41 60-69 years, female 195.5
GTEX-13NZ8-0826-SM-5MR3I 60-69 years, female 192.8
GTEX-14PHW-0126-SM-6LLJI 60-69 years, female 189.8
GTEX-111VG-2426-SM-5GZXD 60-69 years, male 189.7
GTEX-13IVO-0126-SM-5J1NG 70-79 years, male 189.7
GTEX-X62O-0126-SM-4E3JN 50-59 years, male 189.6
GTEX-13O3P-0126-SM-5KM4S 50-59 years, male 189.2
GTEX-13X6H-2126-SM-7EWD5 50-59 years, female 189.1
GTEX-1AYD5-2426-SM-73KXR 50-59 years, male 189.1
GTEX-XUW1-0426-SM-4BOOT 50-59 years, female 188.3
GTEX-RUSQ-1526-SM-2TF62 50-59 years, male 187.9
GTEX-ZE7O-0126-SM-57WC1 50-59 years, female 187.2
GTEX-1B8KE-2126-SM-73KYX 50-59 years, male 187.1
GTEX-ZC5H-0226-SM-4WAY9 40-49 years, female 187.1
GTEX-11P82-1626-SM-59879 20-29 years, male 187.0
GTEX-1R7EV-2426-SM-EVYBG 40-49 years, male 186.3
GTEX-Q734-1926-SM-2I5EV 40-49 years, female 186.2
GTEX-139T8-0126-SM-5K7XZ 60-69 years, male 185.6
GTEX-TML8-1926-SM-32QOS 40-49 years, female 185.6
GTEX-ZVE2-0226-SM-59HJB 50-59 years, male 185.1
GTEX-ZF3C-0126-SM-DO92D 50-59 years, female 183.4
GTEX-PLZ5-2026-SM-2S1O4 50-59 years, male 182.9
GTEX-U4B1-1826-SM-4DXSU 40-49 years, male 182.4
GTEX-145MN-2226-SM-5SIAU 30-39 years, male 182.2
GTEX-14BIL-0126-SM-5SI92 50-59 years, male 180.9
GTEX-WH7G-2326-SM-3NMBC 40-49 years, male 180.0
GTEX-13O21-1426-SM-5K7XI 50-59 years, male 179.1
GTEX-1GN1U-0126-SM-7PBZK 50-59 years, female 179.1
GTEX-ZZPT-0226-SM-5E43X 50-59 years, male 178.5
GTEX-QCQG-1726-SM-3GIJ9 50-59 years, female 177.6
GTEX-146FR-1326-SM-E9J48 60-69 years, female 177.5
GTEX-WOFL-0126-SM-3MJG2 60-69 years, male 176.4
GTEX-1F48J-0126-SM-7P8TT 50-59 years, female 174.6
GTEX-14LLW-0126-SM-6LLIO 70-79 years, female 174.5
GTEX-1CB4H-0226-SM-7PBXM 60-69 years, female 174.3
GTEX-1399U-2326-SM-5K7WY 50-59 years, female 173.3
GTEX-18A66-0226-SM-718BD 60-69 years, male 173.1
GTEX-ZYW4-0126-SM-5E44A 60-69 years, male 172.6
GTEX-17F97-0326-SM-7LG5B 50-59 years, male 171.5
GTEX-1F52S-0126-SM-9MQJU 60-69 years, female 171.5
GTEX-131XG-2626-SM-5KM17 50-59 years, female 170.5
GTEX-1CAV2-2226-SM-7P8P2 40-49 years, female 170.2
GTEX-1HGF4-2426-SM-ACKXM 60-69 years, male 170.0
GTEX-ZVT2-2526-SM-51MT1 50-59 years, female 169.3
GTEX-1RAZA-0126-SM-E6CI3 20-29 years, male 169.2
GTEX-1F6IF-0726-SM-7P8TW 60-69 years, male 167.0
GTEX-144GN-2326-SM-5LU4F 50-59 years, male 165.7
GTEX-OOBK-0126-SM-2YUND 40-49 years, male 165.6
GTEX-117YW-2626-SM-5GZZH 50-59 years, male 164.8
GTEX-WRHK-1426-SM-3MJF9 20-29 years, female 163.3
GTEX-13NYS-0126-SM-5MR3W 60-69 years, male 163.2
GTEX-1ICLZ-0126-SM-CKZPO 60-69 years, male 162.8
GTEX-146FQ-0126-SM-5NQA9 30-39 years, male 162.5
GTEX-16MT8-0426-SM-7KUEY 60-69 years, female 162.3
GTEX-R55E-0126-SM-2TC5Y 20-29 years, male 162.3
GTEX-OXRN-0126-SM-48TDM 50-59 years, male 161.1
GTEX-UJHI-1526-SM-3DB99 50-59 years, female 160.5
GTEX-1KD5A-0226-SM-D5OV3 50-59 years, male 160.2
GTEX-OXRL-0126-SM-2YUMP 50-59 years, male 160.1
GTEX-13FTX-1826-SM-5J1NX 20-29 years, female 159.7
GTEX-13X6I-0626-SM-5QGP9 60-69 years, male 159.3
GTEX-ZV6S-2326-SM-4YCEY 40-49 years, female 158.5
GTEX-ZQG8-1626-SM-DHXIT 60-69 years, female 158.2
GTEX-1314G-1526-SM-5EGK2 30-39 years, male 158.0
GTEX-Q2AH-1626-SM-3GAF8 40-49 years, male 156.6
GTEX-11DXW-0226-SM-5H122 40-49 years, male 156.1
GTEX-1R9K4-0126-SM-DTX9X 60-69 years, male 155.6
GTEX-1N2EF-0226-SM-EYYXB 60-69 years, male 155.5
GTEX-P4QT-0126-SM-2I3FL 50-59 years, female 154.7
GTEX-14PN4-0126-SM-6EU2V 50-59 years, male 154.2
GTEX-NPJ8-0126-SM-2YUNR 40-49 years, male 154.1
GTEX-T6MO-1626-SM-32QOM 40-49 years, female 153.8
GTEX-145LT-1726-SM-5QGP3 40-49 years, male 153.2
GTEX-NFK9-0226-SM-2HMKQ 40-49 years, male 153.1
GTEX-1MUQO-0126-SM-EAZ58 60-69 years, male 152.6
GTEX-1JMQK-0226-SM-CL543 60-69 years, male 152.4
GTEX-13QJ3-0326-SM-5S2RA 50-59 years, male 152.2
GTEX-U3ZM-1526-SM-3DB9D 40-49 years, male 151.8
GTEX-1H23P-0126-SM-ADEJ3 60-69 years, male 151.5
GTEX-1QP66-1726-SM-E8VO1 50-59 years, male 150.6
GTEX-12WSK-2326-SM-5GCOH 40-49 years, female 150.3
GTEX-ZF29-2326-SM-DO92K 60-69 years, female 150.3
GTEX-ZGAY-0526-SM-4WWBB 40-49 years, female 149.8
GTEX-13OW7-0126-SM-5MR3B 50-59 years, male 149.5
GTEX-15SHW-0326-SM-6PAML 60-69 years, male 149.3
GTEX-ZEX8-2426-SM-4WKG4 50-59 years, male 149.0
GTEX-PWCY-1826-SM-DHXIZ 20-29 years, female 148.8
GTEX-1C6VQ-0126-SM-7P8RI 50-59 years, male 148.7
GTEX-14DAR-2026-SM-5S2O3 50-59 years, male 148.3
GTEX-YB5E-2026-SM-5IFIS 40-49 years, male 148.3
GTEX-11EMC-2926-SM-5EQ4F 60-69 years, female 147.0
GTEX-144FL-0126-SM-5TDC8 50-59 years, male 146.8
GTEX-148VI-1626-SM-5SI6E 60-69 years, female 146.7
GTEX-1GZ4H-1726-SM-7PBZJ 50-59 years, female 146.0
GTEX-133LE-1826-SM-5J1MV 20-29 years, female 145.4
GTEX-X4XX-0126-SM-3NMC2 60-69 years, male 144.7
GTEX-YJ8A-0426-SM-5IFID 20-29 years, male 144.3
GTEX-W5X1-3026-SM-EAZAX 40-49 years, female 144.3
GTEX-1J1OQ-0226-SM-CYPSH 40-49 years, female 143.3
GTEX-1CB4G-0226-SM-7PC3O 60-69 years, male 143.2
GTEX-OIZF-0126-SM-7SB8I 60-69 years, male 143.2
GTEX-ZXES-1826-SM-5E43S 30-39 years, female 142.5
GTEX-11P81-2326-SM-59875 30-39 years, female 142.3
GTEX-18QFQ-0126-SM-731BE 30-39 years, male 142.2
GTEX-14PHX-2326-SM-62LEM 50-59 years, male 141.7
GTEX-1269C-2526-SM-5EGJ3 60-69 years, female 141.5
GTEX-S7PM-0126-SM-4AD6S 60-69 years, male 141.2
GTEX-1GTWX-0126-SM-9YFLK 60-69 years, male 141.1
GTEX-1JMOU-1526-SM-CL54I 60-69 years, female 141.1
GTEX-1H1ZS-0426-SM-9WG6G 70-79 years, male 140.7
GTEX-1HUB1-0426-SM-E9U4U 60-69 years, male 140.7
GTEX-17HGU-0226-SM-7DHKV 50-59 years, male 140.6
GTEX-1C2JI-1826-SM-73KXC 50-59 years, male 140.1
GTEX-1JK1U-2026-SM-CM2RZ 60-69 years, male 140.1
GTEX-X585-0226-SM-4QAS2 50-59 years, male 140.0
GTEX-QDVN-2026-SM-3GAEP 50-59 years, male 139.9
GTEX-11ZVC-2526-SM-5FQTE 50-59 years, female 139.1
GTEX-14JIY-0126-SM-6LLH6 60-69 years, male 139.1
GTEX-13FHO-0226-SM-5IFGY 60-69 years, male 139.0
GTEX-15D1Q-0126-SM-7KUG6 40-49 years, male 138.8
GTEX-1QPFJ-0226-SM-E76PB 30-39 years, female 138.7
GTEX-139T4-0226-SM-5HL5S 50-59 years, female 138.2
GTEX-QVJO-1626-SM-2S1QW 60-69 years, female 137.9
GTEX-Y5V5-2326-SM-4V6GA 60-69 years, female 137.2
GTEX-TMZS-0126-SM-3DB9Q 60-69 years, male 137.0
GTEX-1HCUA-2426-SM-ADEIS 50-59 years, female 137.0
GTEX-13SLW-0126-SM-5SI6C 70-79 years, male 136.9
GTEX-OIZH-0126-SM-2HMIS 50-59 years, male 136.0
GTEX-1MGNQ-0126-SM-EVYCJ 40-49 years, male 135.4
GTEX-X638-0126-SM-47JZ8 70-79 years, female 135.3
GTEX-13W46-0226-SM-5SIAG 50-59 years, male 135.1
GTEX-17F98-0626-SM-79OMX 40-49 years, female 135.1
GTEX-18A7B-0126-SM-7LG64 70-79 years, male 134.8
GTEX-11GSP-2526-SM-5N9BP 60-69 years, female 134.5
GTEX-ZF2S-2326-SM-4WWCE 50-59 years, female 134.1
GTEX-13N11-2526-SM-5K7UE 50-59 years, female 134.0
GTEX-1AX8Z-0126-SM-7DHM6 60-69 years, male 133.4
GTEX-11EM3-2426-SM-59861 20-29 years, female 133.1
GTEX-13CF2-2526-SM-5LZYX 60-69 years, male 132.5
GTEX-1A32A-0126-SM-718B1 50-59 years, female 132.5
GTEX-15SB6-1726-SM-6PAME 50-59 years, female 132.4
GTEX-ZYFG-2326-SM-5E44B 60-69 years, female 132.3
GTEX-1GMRU-0126-SM-9YFLV 50-59 years, male 132.1
GTEX-X4EO-0326-SM-3P5YO 60-69 years, female 132.0
GTEX-XQ8I-0426-SM-4BOPO 50-59 years, male 131.0
GTEX-1CAMS-0426-SM-7P8T2 40-49 years, female 131.0
GTEX-1497J-2426-SM-7IGNX 60-69 years, male 130.9
GTEX-1F75B-0126-SM-9KNVL 50-59 years, male 130.8
GTEX-1I4MK-2226-SM-ACKWD 50-59 years, female 130.8
GTEX-1CB4J-0626-SM-7DHMP 60-69 years, male 130.1
GTEX-XYKS-2126-SM-4E3IB 60-69 years, female 129.8
GTEX-1IDFM-0126-SM-COH2V 60-69 years, male 129.7
GTEX-13OVG-1926-SM-5L3DK 60-69 years, male 129.6
GTEX-Y3I4-2126-SM-4TT7C 50-59 years, male 129.6
GTEX-RN64-0126-SM-2TC68 50-59 years, male 129.5
GTEX-1EMGI-0126-SM-9KNUE 60-69 years, male 129.3
GTEX-TMMY-0226-SM-33HBA 40-49 years, female 129.2
GTEX-WQUQ-0426-SM-3MJFU 60-69 years, male 128.9
GTEX-1ICG6-2526-SM-CGQFZ 70-79 years, female 128.9
GTEX-1HBPH-0426-SM-B2LW5 40-49 years, female 128.7
GTEX-1PIGE-0126-SM-EVYBJ 20-29 years, male 128.7
GTEX-R55G-2526-SM-2TC6D 40-49 years, female 128.6
GTEX-1N2DV-0226-SM-E6CJ6 40-49 years, male 128.5
GTEX-TSE9-0126-SM-3DB83 60-69 years, female 128.3
GTEX-XQ3S-1526-SM-4BOOC 20-29 years, male 128.2
GTEX-SSA3-0126-SM-32QPU 60-69 years, male 127.3
GTEX-WYVS-2126-SM-3NMA3 40-49 years, female 127.0
GTEX-WYJK-0126-SM-3NMAB 50-59 years, male 126.7
GTEX-17GQL-2026-SM-718BA 60-69 years, male 126.3
GTEX-1F6RS-0126-SM-9MQKZ 60-69 years, female 126.1
GTEX-OXRP-0126-SM-3NB32 60-69 years, female 125.7
GTEX-U3ZN-2326-SM-3DB7W 30-39 years, female 125.5
GTEX-1JKYN-1326-SM-CGQG9 30-39 years, male 125.5
GTEX-16XZZ-0126-SM-793DV 60-69 years, male 125.4
GTEX-Z9EW-1626-SM-5CVMN 40-49 years, male 125.3
GTEX-Y8LW-1826-SM-5S2MV 50-59 years, female 124.9
GTEX-QV44-1926-SM-2S1RF 50-59 years, male 124.7
GTEX-13NZA-0226-SM-5K7Z7 60-69 years, male 124.4
GTEX-X88G-0126-SM-47JZ3 30-39 years, male 124.3
GTEX-OOBJ-0126-SM-E6CJW 60-69 years, male 124.3
GTEX-11DXZ-2326-SM-5EGGV 50-59 years, male 124.1
GTEX-15ETS-0126-SM-7KUMW 40-49 years, female 124.1
GTEX-ZAB5-1826-SM-5HL7C 50-59 years, male 123.8
GTEX-1NV5F-0226-SM-E8VNY 60-69 years, female 123.4
GTEX-14ICK-0226-SM-6EU25 40-49 years, male 122.8
GTEX-13OW5-0126-SM-DTXFS 60-69 years, male 122.8
GTEX-11UD1-0126-SM-5PNYG 40-49 years, female 122.5
GTEX-1OJC4-0126-SM-E9J2E 50-59 years, female 122.2
GTEX-13NZB-2526-SM-5J1OM 30-39 years, male 122.1
GTEX-13PDP-0126-SM-5L3HD 60-69 years, male 121.9
GTEX-131XE-2326-SM-5PNZ2 50-59 years, male 121.1
GTEX-13N1W-0126-SM-5K7VT 70-79 years, male 121.1
GTEX-17EUY-0426-SM-793BD 20-29 years, male 121.1
GTEX-13FXS-0226-SM-5IJCK 50-59 years, male 120.1
GTEX-ZXG5-0126-SM-5GIEU 60-69 years, male 119.8
GTEX-113IC-0126-SM-5HL6T 60-69 years, male 119.6
GTEX-OHPM-0126-SM-2YUN9 50-59 years, male 119.5
GTEX-18A7A-0226-SM-718BH 50-59 years, female 119.4
GTEX-1PFEY-1526-SM-E76PP 30-39 years, male 119.4
GTEX-PLZ6-1426-SM-DKPOT 30-39 years, male 119.0
GTEX-1C64O-0126-SM-7SB8P 60-69 years, male 118.8
GTEX-1GF9X-2026-SM-7PC3A 40-49 years, female 118.8
GTEX-YEC4-2126-SM-5IFJH 40-49 years, male 118.7
GTEX-1J8EW-0126-SM-CJI4F 60-69 years, female 118.7
GTEX-1PDJ9-0326-SM-DTX95 20-29 years, male 118.5
GTEX-XBEW-0626-SM-4QASP 40-49 years, male 118.2
GTEX-1LVAN-0226-SM-COH3S 50-59 years, female 117.8
GTEX-XAJ8-0826-SM-47JY6 40-49 years, male 117.6
GTEX-12ZZX-0126-SM-5EGK9 40-49 years, female 117.4
GTEX-W5WG-1826-SM-4KL2Y 50-59 years, female 117.4
GTEX-13113-5016-SM-7EPIP 60-69 years, female 117.3
GTEX-1F5PK-2426-SM-7RHHY 50-59 years, male 117.1
GTEX-15ER7-0326-SM-7KUEV 20-29 years, female 116.6
GTEX-PSDG-0226-SM-DKPOZ 50-59 years, male 116.6
GTEX-12696-2426-SM-5EQ6H 60-69 years, male 116.5
GTEX-14BIM-0226-SM-7IGLD 60-69 years, female 116.3
GTEX-1H1DG-0126-SM-9WYU2 70-79 years, male 116.2
GTEX-13RTL-0126-SM-7LG5S 40-49 years, male 116.1
GTEX-ZDTT-2726-SM-4WKF8 60-69 years, male 115.7
GTEX-1C6WA-0126-SM-7PC2B 60-69 years, male 115.4
GTEX-14PII-0226-SM-6EU1T 60-69 years, male 115.3
GTEX-Q2AG-0126-SM-33HBV 40-49 years, female 115.1
GTEX-1H11D-0226-SM-9WG6Z 40-49 years, male 115.1
GTEX-12WSD-0126-SM-59HKN 60-69 years, female 115.0
GTEX-ZV68-0126-SM-59HKS 50-59 years, female 115.0
GTEX-YB5K-2126-SM-4WWDJ 40-49 years, female 114.6
GTEX-1IE54-0126-SM-CMKHW 40-49 years, female 114.6
GTEX-1GF9W-0326-SM-9KNUN 60-69 years, male 114.5
GTEX-1HFI6-0226-SM-ADEHZ 40-49 years, male 114.5
GTEX-1H3O1-0426-SM-9YFKY 60-69 years, male 114.4
GTEX-14BMU-2226-SM-5TDE9 20-29 years, female 114.2
GTEX-1RLM8-2326-SM-EWRN4 50-59 years, male 114.1
GTEX-QLQW-1126-SM-2S1Q8 30-39 years, male 114.0
GTEX-13CF3-2426-SM-5IFGX 60-69 years, female 113.7
GTEX-VUSG-2526-SM-4KL1V 50-59 years, male 113.5
GTEX-1HKZK-0326-SM-9WYUH 40-49 years, male 113.1
GTEX-SIU8-0126-SM-2XCDT 50-59 years, male 112.9
GTEX-UPJH-0326-SM-3GADU 50-59 years, male 112.9
GTEX-1GN1V-0126-SM-9WPOS 60-69 years, male 112.9
GTEX-XXEK-2226-SM-4BRUM 50-59 years, male 112.8
GTEX-ZVT4-0126-SM-DTXFN 50-59 years, female 112.7
GTEX-SUCS-1926-SM-32PM3 70-79 years, male 112.6
GTEX-11ZTT-2426-SM-5EQLS 60-69 years, female 112.3
GTEX-1BAJH-0526-SM-793CQ 70-79 years, male 112.2
GTEX-14753-0426-SM-5NQAM 60-69 years, male 111.9
GTEX-T2IS-0126-SM-4DM6O 20-29 years, female 111.9
GTEX-PX3G-0126-SM-2I3EN 20-29 years, female 111.7
GTEX-13RTK-1426-SM-5QGQJ 20-29 years, male 111.5
GTEX-U8T8-0126-SM-3DB94 60-69 years, male 111.5
GTEX-1AX9K-2326-SM-73KWU 50-59 years, male 111.4
GTEX-1GN1W-0526-SM-9MQJQ 50-59 years, female 111.2
GTEX-U3ZH-2026-SM-3DB78 30-39 years, male 110.8
GTEX-1QP29-0626-SM-EWRMX 50-59 years, male 110.7
GTEX-1LGOU-2026-SM-DIPFF 20-29 years, female 110.6
GTEX-12WSG-2826-SM-E9J4H 50-59 years, female 110.3
GTEX-1J8Q3-1626-SM-CMKGC 60-69 years, male 110.3
GTEX-Z93T-0126-SM-5HL5N 50-59 years, male 110.2
GTEX-14JG6-2226-SM-6EU2G 30-39 years, female 110.0
GTEX-1B8KZ-2026-SM-7DHMB 50-59 years, male 109.9
GTEX-12C56-1726-SM-5EQ61 20-29 years, male 109.8
GTEX-14PN3-2426-SM-6LLHS 60-69 years, female 109.8
GTEX-ZYFD-0126-SM-5GIDL 50-59 years, male 109.7
GTEX-11XUK-2026-SM-5EQLF 40-49 years, female 109.3
GTEX-1HSGN-0226-SM-CGQFV 40-49 years, female 109.3
GTEX-13U4I-0126-SM-5LU38 40-49 years, female 109.0
GTEX-1LBAC-0126-SM-DIPEZ 20-29 years, male 109.0
GTEX-1MA7W-2026-SM-E9TJ6 20-29 years, female 109.0
GTEX-1R9PO-2126-SM-E9J4O 60-69 years, female 109.0
GTEX-117XS-2726-SM-5N9BL 60-69 years, male 108.8
GTEX-1PPH7-2326-SM-EVYB8 40-49 years, male 108.8
GTEX-1HCU6-0126-SM-CL54K 60-69 years, female 108.6
GTEX-145LS-0126-SM-5QGP1 60-69 years, female 108.5
GTEX-13FTW-2626-SM-5K7WL 40-49 years, male 108.3
GTEX-15G19-0126-SM-6PANQ 60-69 years, male 108.2
GTEX-15SDE-2226-SM-7IGLO 50-59 years, female 108.0
GTEX-1M4P7-0226-SM-DIPEV 60-69 years, male 108.0
GTEX-1JN6P-0126-SM-D3L98 60-69 years, male 107.9
GTEX-18D9B-0526-SM-7LTAS 60-69 years, male 107.5
GTEX-1PIIG-0226-SM-EWRN6 30-39 years, male 107.4
GTEX-XMD2-0126-SM-4YCDU 60-69 years, female 107.3
GTEX-11WQC-2526-SM-5CVLE 60-69 years, male 107.1
GTEX-1QP9N-1426-SM-DTXFL 30-39 years, male 107.1
GTEX-13VXU-0126-SM-5SI9F 50-59 years, male 107.0
GTEX-13111-1626-SM-5EGJY 50-59 years, male 106.9
GTEX-1JMQJ-0526-SM-CYPSU 50-59 years, male 106.9
GTEX-11ZU8-2526-SM-5EQKI 60-69 years, male 106.8
GTEX-18A6Q-0126-SM-731BZ 60-69 years, male 106.8
GTEX-139TS-2826-SM-5J1OO 60-69 years, male 106.6
GTEX-WY7C-2326-SM-3NB2U 50-59 years, male 106.4
GTEX-T6MN-0126-SM-32PLP 50-59 years, male 106.2
GTEX-1QW4Y-1526-SM-EAZ3Z 30-39 years, male 106.1
GTEX-14PJ3-1826-SM-62LEX 50-59 years, male 106.0
GTEX-1OJC3-0126-SM-E76QX 20-29 years, male 105.9
GTEX-1LH75-2426-SM-E9TJE 50-59 years, female 105.7
GTEX-15F5U-1526-SM-6PANO 40-49 years, male 105.3
GTEX-VJWN-0126-SM-3GIK7 50-59 years, female 105.2
GTEX-1MCYP-1926-SM-E9J2R 20-29 years, female 105.2
GTEX-1K2DA-1826-SM-CGQGT 50-59 years, male 105.1
GTEX-11GSO-2426-SM-5A5LY 60-69 years, male 104.9
GTEX-11P7K-2126-SM-5GU7G 30-39 years, male 104.9
GTEX-139TT-0126-SM-5K7Y5 60-69 years, male 104.8
GTEX-ZZ64-1726-SM-5GZYB 20-29 years, male 104.8
GTEX-13RTJ-2426-SM-5S2Q2 60-69 years, male 104.6
GTEX-13FH7-2026-SM-E9J4I 50-59 years, female 104.6
GTEX-1KANB-0526-SM-E6CJH 50-59 years, male 104.5
GTEX-147F3-0526-SM-5SI98 50-59 years, female 104.4
GTEX-ZVT3-0126-SM-5GU6I 60-69 years, female 104.4
GTEX-Y111-0126-SM-4SOIV 50-59 years, male 104.2
GTEX-Y8DK-0126-SM-4TT3L 60-69 years, male 104.2
GTEX-XBED-2226-SM-47JYQ 60-69 years, male 104.1
GTEX-13G51-2526-SM-5LZYK 60-69 years, male 104.0
GTEX-TKQ1-1026-SM-4GICL 30-39 years, male 103.8
GTEX-17HHY-0126-SM-7LG5D 50-59 years, male 103.7
GTEX-PWO3-1526-SM-48TCM 60-69 years, female 103.5
GTEX-11DYG-0126-SM-59883 60-69 years, male 103.3
GTEX-ZTX8-1426-SM-5DUVO 20-29 years, male 103.3
GTEX-ZVZO-0126-SM-5A5L9 40-49 years, male 103.1
GTEX-RNOR-0126-SM-E9J4R 50-59 years, female 103.1
GTEX-14C5O-0126-SM-5SI6N 60-69 years, male 103.0
GTEX-1HFI7-1826-SM-ACKXH 50-59 years, female 102.8
GTEX-QEG4-0226-SM-2S1PY 30-39 years, male 102.6
GTEX-13PVR-2326-SM-5QGR1 60-69 years, female 102.5
GTEX-ZTSS-1926-SM-57WEW 40-49 years, male 102.5
GTEX-1B8L1-2526-SM-9WYTF 60-69 years, male 102.2
GTEX-11ZUS-0626-SM-59885 30-39 years, male 101.9
GTEX-14A6H-0126-SM-5QGPK 30-39 years, male 101.8
GTEX-13112-2826-SM-5DUWH 50-59 years, male 101.7
GTEX-1GMR3-1926-SM-9KNUZ 40-49 years, male 101.6
GTEX-1313W-0126-SM-5LZUN 50-59 years, female 101.4
GTEX-1IDJU-2626-SM-CM2RT 60-69 years, female 101.4
GTEX-1A8FM-0226-SM-7SB7Q 50-59 years, female 101.2
GTEX-1IL2U-0226-SM-CE6T8 60-69 years, male 101.1
GTEX-1KD4Q-0226-SM-E9TJ9 40-49 years, male 101.1
GTEX-1J8JJ-0226-SM-CL53I 60-69 years, female 100.9
GTEX-1HR98-0126-SM-B2LWI 60-69 years, male 100.8
GTEX-17HG3-2226-SM-7938L 30-39 years, female 100.7
GTEX-131YS-0126-SM-5KM1M 60-69 years, female 100.6
GTEX-16AAH-1726-SM-7939C 50-59 years, male 100.6
GTEX-1HSMQ-1226-SM-CGQFX 50-59 years, male 100.3
GTEX-Y8E4-0626-SM-4WWDL 40-49 years, male 100.2
GTEX-1EWIQ-0126-SM-7RHH2 70-79 years, female 100.2
GTEX-113JC-2326-SM-5EQ4E 50-59 years, female 100.1
GTEX-1CB4E-2226-SM-793DC 60-69 years, male 100.0
GTEX-1S3DN-2226-SM-EVYCD 50-59 years, male 99.5
GTEX-15DDE-0126-SM-6LPKH 50-59 years, female 99.3
GTEX-ZDTS-0126-SM-4WAY5 60-69 years, male 99.3
GTEX-17F96-1626-SM-7DUFL 70-79 years, male 99.1
GTEX-XUZC-1726-SM-4BRWS 30-39 years, female 98.9
GTEX-131XF-5016-SM-7MGWE 60-69 years, male 98.9
GTEX-1PPH8-0226-SM-E8VND 20-29 years, male 98.7
GTEX-15DYW-0126-SM-7KULE 60-69 years, female 98.5
GTEX-RM2N-1426-SM-2TF4H 50-59 years, male 98.5
GTEX-RU72-0926-SM-2TF6B 50-59 years, female 98.4
GTEX-11OF3-2626-SM-5GU7F 60-69 years, male 98.3
GTEX-1JMQI-2226-SM-CM2SD 50-59 years, male 98.3
GTEX-1MCQQ-0826-SM-DLHC2 60-69 years, male 98.3
GTEX-11UD2-0226-SM-5EQKY 50-59 years, male 98.0
GTEX-1C4CL-0526-SM-73KVK 30-39 years, male 98.0
GTEX-T8EM-1026-SM-3DB7M 40-49 years, male 97.9
GTEX-1I6K6-0126-SM-A9SLE 30-39 years, male 97.9
GTEX-14PJM-0226-SM-62LF1 50-59 years, female 97.7
GTEX-RWSA-0126-SM-2XCBB 40-49 years, male 97.4
GTEX-1AX9J-0226-SM-73KXM 60-69 years, male 97.3
GTEX-11TUW-2726-SM-E9J4M 60-69 years, male 97.3
GTEX-1S5ZA-0126-SM-EVYCV 20-29 years, male 97.3
GTEX-1192W-2626-SM-5Q5AF 60-69 years, male 97.0
GTEX-12KS4-0326-SM-5EQ41 30-39 years, male 97.0
GTEX-1H1CY-2826-SM-9MQM3 60-69 years, female 97.0
GTEX-1H1E6-1726-SM-ACKVK 30-39 years, male 97.0
GTEX-1J1R8-1726-SM-ARL8M 40-49 years, male 97.0
GTEX-O5YT-0126-SM-48TBW 20-29 years, male 96.8
GTEX-1POEN-0126-SM-EYYXJ 30-39 years, female 96.7
GTEX-1HBPN-0226-SM-9YFM1 50-59 years, male 96.3
GTEX-ZPIC-1726-SM-DHXIU 40-49 years, female 96.3
GTEX-13SLX-0526-SM-5S2ON 50-59 years, female 95.8
GTEX-1GPI7-0126-SM-9MQL8 20-29 years, male 95.6
GTEX-131XW-0426-SM-5LZWP 50-59 years, female 95.4
GTEX-11OC5-0126-SM-5HL6A 60-69 years, male 95.3
GTEX-1AYCT-2426-SM-7IGQ3 50-59 years, male 95.3
GTEX-17MFQ-1726-SM-793C7 20-29 years, male 94.9
GTEX-1QEPI-0126-SM-EWRMQ 60-69 years, female 94.9
GTEX-1LGRB-2526-SM-CNPPQ 50-59 years, female 94.8
GTEX-U412-0426-SM-3DB9O 60-69 years, male 94.7
GTEX-OIZG-0726-SM-33HBL 50-59 years, male 94.2
GTEX-15DCD-0126-SM-7KUEK 70-79 years, female 94.0
GTEX-1F6I4-0126-SM-9MQL2 60-69 years, male 94.0
GTEX-14LZ3-0226-SM-62LET 60-69 years, female 93.7
GTEX-1IY9M-0126-SM-D3L8S 60-69 years, male 93.7
GTEX-147GR-0526-SM-5S2MY 60-69 years, male 93.3
GTEX-18D9U-0226-SM-718BP 40-49 years, male 93.1
GTEX-13X6J-0126-SM-5QGOU 50-59 years, male 93.0
GTEX-1R7EU-0226-SM-EVR4G 60-69 years, male 93.0
GTEX-ZDYS-2026-SM-5HL5L 50-59 years, male 92.8
GTEX-11EQ9-2426-SM-5HL5T 30-39 years, male 92.4
GTEX-1HCVE-0126-SM-CGQEU 50-59 years, male 92.4
GTEX-183FY-0126-SM-7LT9P 20-29 years, male 92.3
GTEX-12ZZZ-0626-SM-5DUXI 60-69 years, male 92.2
GTEX-1H1DE-2126-SM-9WG6R 20-29 years, male 92.2
GTEX-X261-0126-SM-3NMD6 50-59 years, male 91.8
GTEX-14DAQ-0126-SM-5S2MQ 60-69 years, female 91.6
GTEX-183WM-0126-SM-7LTAB 70-79 years, female 91.4
GTEX-18D9A-1926-SM-7LG6P 30-39 years, female 91.4
GTEX-1CAMR-1926-SM-7EPI2 20-29 years, male 91.4
GTEX-1H3VY-0126-SM-ACKXD 50-59 years, male 91.3
GTEX-12WSN-5019-SM-79OM6 40-49 years, male 91.2
GTEX-13JUV-2726-SM-5LZZ8 40-49 years, female 91.0
GTEX-1LG7Z-1726-SM-D3LA4 30-39 years, male 90.9
GTEX-WFG8-2226-SM-3GIL9 20-29 years, male 90.8
GTEX-ZQUD-1426-SM-57WER 30-39 years, male 90.8
GTEX-16BQI-0226-SM-7KUEX 30-39 years, female 90.7
GTEX-ZUA1-0126-SM-5GU76 40-49 years, male 90.7
GTEX-1NHNU-1026-SM-E9J2A 50-59 years, male 90.7
GTEX-1HCU8-0626-SM-A9SM9 60-69 years, female 90.5
GTEX-1I19N-0326-SM-ACKVX 70-79 years, male 90.2
GTEX-11GS4-2726-SM-5A5LE 60-69 years, male 90.1
GTEX-11LCK-1026-SM-5A5KB 30-39 years, male 90.1
GTEX-17HHE-2026-SM-79OKF 50-59 years, male 90.1
GTEX-13O3O-0126-SM-E9J49 60-69 years, female 89.9
GTEX-1GN73-0226-SM-9WG67 60-69 years, male 89.8
GTEX-11EI6-0126-SM-5985R 60-69 years, male 89.7
GTEX-VJYA-1126-SM-3GIJU 60-69 years, male 89.5
GTEX-XUYS-0126-SM-47JWZ 50-59 years, male 89.4
GTEX-1RQEC-0426-SM-E6CHU 60-69 years, male 89.2
GTEX-1A3MX-0126-SM-731BR 60-69 years, male 89.1
GTEX-169BO-1326-SM-9MQK2 50-59 years, male 89.1
GTEX-1GN2E-0426-SM-9MQKX 60-69 years, male 88.9
GTEX-1B97I-1626-SM-73KYO 40-49 years, male 88.8
GTEX-1OFPY-2426-SM-DTXEJ 60-69 years, male 88.8
GTEX-1C6VS-0526-SM-7DUEN 60-69 years, male 88.6
GTEX-1JMPZ-0226-SM-CNPP1 30-39 years, male 88.6
GTEX-1JMPY-1326-SM-ARL8Y 30-39 years, male 88.3
GTEX-1JN76-0126-SM-CNPPE 20-29 years, female 87.7
GTEX-ZYT6-0226-SM-5NQ6T 30-39 years, male 87.6
GTEX-U8XE-0326-SM-3DB8P 30-39 years, male 87.5
GTEX-1LSNM-1926-SM-E6CII 50-59 years, male 87.5
GTEX-1ICLY-0126-SM-D4P36 50-59 years, male 87.4
GTEX-13FHP-0126-SM-5IJBG 50-59 years, male 87.3
GTEX-16NGA-1726-SM-731B4 40-49 years, female 87.3
GTEX-P44H-0226-SM-2XCEU 40-49 years, male 87.3
GTEX-11DXY-2626-SM-5GIE7 60-69 years, male 87.2
GTEX-13OVK-2026-SM-7KUEO 40-49 years, male 87.2
GTEX-1HSEH-0126-SM-ACKXN 60-69 years, male 87.2
GTEX-1N2DW-0226-SM-E9TK2 50-59 years, male 87.2
GTEX-1QMI2-0226-SM-EVYBX 60-69 years, male 87.1
GTEX-ZVZP-2426-SM-59HKJ 50-59 years, male 87.0
GTEX-1I1GT-0626-SM-CGQER 60-69 years, female 87.0
GTEX-1A3MV-1926-SM-718BT 30-39 years, male 86.9
GTEX-1K2DU-2326-SM-E9TIV 20-29 years, male 86.9
GTEX-ZAK1-0126-SM-5IJD3 50-59 years, female 86.8
GTEX-1E2YA-0126-SM-9KNUC 50-59 years, male 86.8
GTEX-16XZY-2126-SM-79OK1 70-79 years, male 86.2
GTEX-OXRO-0126-SM-2YUN4 60-69 years, female 86.2
GTEX-14A5I-0126-SM-5TDEA 50-59 years, female 86.0
GTEX-1JMLX-0226-SM-CM2RO 50-59 years, male 86.0
GTEX-16YQH-0126-SM-7DUFJ 30-39 years, male 85.9
GTEX-X4XY-0226-SM-4E3IZ 60-69 years, male 85.9
GTEX-13N2G-2626-SM-5J1OT 60-69 years, male 85.7
GTEX-ZWKS-0126-SM-5SIAA 30-39 years, male 85.6
GTEX-1I1GU-2226-SM-CGQFA 40-49 years, male 85.6
GTEX-WZTO-0126-SM-3NM95 40-49 years, male 85.5
GTEX-OHPL-0126-SM-2HMJ7 60-69 years, female 85.3
GTEX-1IDJF-0126-SM-CM2RS 20-29 years, male 85.3
GTEX-ZE9C-2726-SM-57WB5 60-69 years, male 85.1
GTEX-11O72-0126-SM-59887 40-49 years, male 84.8
GTEX-1J8QM-2126-SM-CYPSJ 60-69 years, female 84.8
GTEX-1MJK2-0426-SM-DTXE5 50-59 years, male 84.8
GTEX-13FTY-0526-SM-5L3EV 40-49 years, female 84.7
GTEX-13OW6-0426-SM-5L3HM 50-59 years, male 84.5
GTEX-16NPX-0226-SM-79OMT 50-59 years, male 84.3
GTEX-T5JW-1626-SM-3GADZ 20-29 years, female 84.3
GTEX-1HSMP-0126-SM-E6CJS 70-79 years, male 84.3
GTEX-1128S-2326-SM-5GZZY 60-69 years, female 84.2
GTEX-1C475-1826-SM-73KWA 40-49 years, female 84.2
GTEX-16GPK-0126-SM-7DHLE 60-69 years, male 84.1
GTEX-WFON-2126-SM-3LK7O 40-49 years, male 84.0
GTEX-1GF9U-2126-SM-7SB7L 40-49 years, female 84.0
GTEX-YFC4-0126-SM-5CVLY 40-49 years, female 83.9
GTEX-1IKK5-0626-SM-ARL8A 60-69 years, male 83.7
GTEX-1CB4F-0426-SM-9KNV4 60-69 years, male 83.6
GTEX-1B8SF-1426-SM-7DUGL 60-69 years, male 83.3
GTEX-1F75A-0126-SM-7RHGM 50-59 years, male 83.2
GTEX-1B8SG-0126-SM-73KZ3 50-59 years, male 82.9
GTEX-1E1VI-0126-SM-7DHMZ 50-59 years, male 82.9
GTEX-1HT8W-0126-SM-CNPPP 30-39 years, male 82.7
GTEX-ZYFC-0226-SM-5NQ75 50-59 years, male 82.6
GTEX-17EVP-0326-SM-7DHLG 40-49 years, male 82.3
GTEX-1IGQW-0126-SM-COH42 60-69 years, male 81.9
GTEX-1F88F-2726-SM-7PBZZ 60-69 years, female 81.8
GTEX-1QAET-0926-SM-E76QM 50-59 years, male 81.8
GTEX-12WSC-0126-SM-5EQ4P 50-59 years, male 81.5
GTEX-RVPV-0126-SM-EAZAW 60-69 years, male 81.5
GTEX-1C64N-0126-SM-793D7 50-59 years, male 81.3
GTEX-1JJE9-0326-SM-CL53Z 70-79 years, male 81.3
GTEX-T5JC-0426-SM-32PLO 20-29 years, male 81.0
GTEX-139UW-2826-SM-5L3E7 60-69 years, male 80.8
GTEX-1HBPI-1526-SM-C1YQ1 50-59 years, male 80.7
GTEX-1KANC-1526-SM-D3LAB 50-59 years, female 80.7
GTEX-1KXAM-2226-SM-CYPTC 60-69 years, male 80.7
GTEX-146FH-0126-SM-5QGPP 50-59 years, female 80.6
GTEX-R3RS-0126-SM-3GIJL 40-49 years, female 80.4
GTEX-WVJS-0126-SM-4MVOT 50-59 years, male 80.4
GTEX-1MA7X-2226-SM-E6CIY 60-69 years, male 80.4
GTEX-1O97I-0326-SM-EYYX7 60-69 years, male 80.4
GTEX-12126-0326-SM-5PNW3 20-29 years, male 80.2
GTEX-1AX9I-0126-SM-7SB74 60-69 years, male 79.9
GTEX-1B933-0126-SM-7PC29 50-59 years, female 79.9
GTEX-1122O-2126-SM-5EGIR 60-69 years, female 79.6
GTEX-1I1GR-0126-SM-CL55F 60-69 years, male 79.6
GTEX-1S83E-0126-SM-EWRO4 40-49 years, male 79.6
GTEX-1EU9M-0226-SM-7P8SP 60-69 years, male 79.5
GTEX-11ZTS-0126-SM-5EQ6M 60-69 years, female 79.4
GTEX-139TU-0126-SM-5K7WH 60-69 years, male 79.4
GTEX-RWS6-2026-SM-2XCB5 60-69 years, female 79.4
GTEX-1I1GV-0526-SM-A9G29 60-69 years, male 79.4
GTEX-1399R-2726-SM-5IJBA 30-39 years, male 79.3
GTEX-XPVG-2626-SM-4B669 50-59 years, male 79.3
GTEX-1JJ6O-0126-SM-E6CI8 60-69 years, male 78.9
GTEX-18465-0126-SM-731BN 50-59 years, male 78.7
GTEX-1AMEY-1326-SM-73KYK 30-39 years, female 78.7
GTEX-S95S-1226-SM-4GICG 60-69 years, male 78.7
GTEX-132NY-0326-SM-5IJBL 60-69 years, male 78.5
GTEX-1HSKV-0226-SM-A9SKJ 60-69 years, male 78.5
GTEX-1RAZQ-0726-SM-EAZ43 30-39 years, male 78.5
GTEX-11NSD-2226-SM-5986V 20-29 years, male 78.2
GTEX-15CHC-2126-SM-6EU21 60-69 years, female 78.1
GTEX-YJ89-0126-SM-4TT3X 60-69 years, male 78.1
GTEX-13OVL-0226-SM-5L3E9 50-59 years, male 77.9
GTEX-14A5H-0426-SM-5QGQF 60-69 years, male 77.7
GTEX-1H4P4-0726-SM-9YFLR 50-59 years, male 77.7
GTEX-1R9PM-2026-SM-E76OY 20-29 years, male 76.7
GTEX-1GF9V-0326-SM-7RHI5 60-69 years, male 76.3
GTEX-1EX96-1626-SM-7PBXR 50-59 years, male 76.2
GTEX-1F75I-0326-SM-9YFLU 40-49 years, male 76.2
GTEX-1RDX4-0126-SM-E9J4P 50-59 years, female 76.1
GTEX-ZDXO-3026-SM-5J1N5 60-69 years, male 76.0
GTEX-PW2O-1526-SM-7RHHB 20-29 years, male 75.7
GTEX-1EKGG-0226-SM-9WYTH 60-69 years, male 75.6
GTEX-13NYB-2526-SM-5K7Z6 40-49 years, male 75.5
GTEX-1IKOH-0226-SM-COH4E 60-69 years, female 75.5
GTEX-ZVTK-0426-SM-51MRS 20-29 years, male 75.4
GTEX-1K9T9-0126-SM-EVYCF 50-59 years, female 75.4
GTEX-14E7W-0126-SM-6LLJ9 70-79 years, male 75.3
GTEX-POMQ-2226-SM-2I5FK 20-29 years, female 75.1
GTEX-Z93S-0126-SM-5HL7M 50-59 years, male 75.1
GTEX-147F4-0226-SM-5QGPW 50-59 years, male 75.0
GTEX-T2YK-0526-SM-32QPJ 50-59 years, male 75.0
GTEX-1EN7A-0126-SM-7SB81 40-49 years, male 74.9
GTEX-1HCU7-0226-SM-CL545 50-59 years, male 74.8
GTEX-1I1HK-0126-SM-COH49 60-69 years, male 74.8
GTEX-1M5QR-1226-SM-EWROB 40-49 years, male 74.6
GTEX-1AMFI-2026-SM-731BH 50-59 years, female 74.5
GTEX-QESD-1426-SM-2S1R9 20-29 years, male 74.1
GTEX-14JG1-0426-SM-6ETZZ 40-49 years, male 74.0
GTEX-1GZ2Q-0226-SM-7P8TL 40-49 years, male 73.8
GTEX-1HCU9-1526-SM-A9SL7 20-29 years, male 73.7
GTEX-1212Z-2526-SM-5EGKP 60-69 years, male 73.5
GTEX-1KWVE-1426-SM-E9TJO 30-39 years, male 73.5
GTEX-14BMV-0126-SM-5S2PO 50-59 years, male 73.1
GTEX-QLQ7-1626-SM-2S1R8 60-69 years, male 72.8
GTEX-1GL5R-1826-SM-9KNUY 50-59 years, male 72.5
GTEX-12ZZY-0226-SM-5LZVE 60-69 years, male 72.2
GTEX-1C6VR-2426-SM-79OLD 60-69 years, male 72.2
GTEX-1CB4I-0226-SM-79OLH 50-59 years, male 72.2
GTEX-1GZHY-0326-SM-9QEHI 50-59 years, female 72.2
GTEX-1IDJH-0326-SM-A9SLQ 70-79 years, male 72.2
GTEX-14BIN-0626-SM-793DP 50-59 years, female 72.0
GTEX-14PJ6-2126-SM-6EU1V 60-69 years, female 72.0
GTEX-1HB9E-0226-SM-E9U4R 50-59 years, male 71.6
GTEX-11WQK-0526-SM-5EQLD 50-59 years, male 71.5
GTEX-12WSL-2526-SM-5GCNJ 50-59 years, male 71.5
GTEX-1QCLY-0326-SM-E8VOG 30-39 years, male 71.1
GTEX-1IOXB-0126-SM-ARL8G 50-59 years, male 70.8
GTEX-1F5PL-0326-SM-7P8PQ 40-49 years, female 70.7
GTEX-111FC-0126-SM-5N9DL 60-69 years, male 70.6
GTEX-11TT1-2526-SM-5EGIB 20-29 years, male 70.6
GTEX-13S7M-0126-SM-5SI6A 60-69 years, female 70.4
GTEX-SNMC-1226-SM-2XCFP 20-29 years, male 70.4
GTEX-1399T-2826-SM-5KLYZ 60-69 years, male 70.3
GTEX-1GPI6-0126-SM-9WG69 60-69 years, male 70.0
GTEX-14ABY-0226-SM-5TDCQ 50-59 years, male 69.9
GTEX-144GL-0126-SM-5TDE2 50-59 years, male 69.7
GTEX-13W3W-2426-SM-5LU5B 60-69 years, female 69.1
GTEX-PVOW-0126-SM-2XCFA 40-49 years, male 69.0
GTEX-S32W-2126-SM-2XCB1 50-59 years, female 69.0
GTEX-1LB8K-0226-SM-EWRNW 50-59 years, male 68.9
GTEX-1F7RK-0126-SM-7PC2S 20-29 years, female 68.5
GTEX-SJXC-0126-SM-2XCFF 60-69 years, male 68.3
GTEX-1I1GQ-0126-SM-COH3H 50-59 years, male 67.4
GTEX-15RIG-0226-SM-7KFTL 40-49 years, male 66.7
GTEX-11NUK-0126-SM-5A5L3 50-59 years, male 66.6
GTEX-14PK6-1926-SM-6ETZU 70-79 years, female 66.6
GTEX-1KAFJ-2026-SM-CY8ID 50-59 years, male 65.3
GTEX-1B996-0226-SM-7RHGO 60-69 years, male 65.0
GTEX-1JKYR-0126-SM-CNPOJ 20-29 years, male 65.0
GTEX-15EU6-0426-SM-6PAN5 50-59 years, male 64.8
GTEX-1LG7Y-0526-SM-DKPQC 50-59 years, male 64.7
GTEX-145MF-0626-SM-5LUAI 50-59 years, male 64.6
GTEX-QDVJ-1726-SM-2I5FX 50-59 years, male 64.6
GTEX-12WSE-0526-SM-793B2 20-29 years, male 64.2
GTEX-S7SE-0126-SM-2XCD5 50-59 years, male 63.9
GTEX-145ME-1826-SM-5SI9G 40-49 years, female 63.6
GTEX-131XH-2226-SM-5DUXJ 50-59 years, male 63.4
GTEX-ZU9S-0226-SM-5E441 30-39 years, male 63.3
GTEX-1QP2A-0126-SM-E9J43 50-59 years, male 63.1
GTEX-14E6D-0126-SM-62LDV 50-59 years, male 62.5
GTEX-17JCI-0126-SM-7LG5G 60-69 years, female 61.8
GTEX-145MI-0526-SM-5O9A8 60-69 years, female 61.5
GTEX-1JJEA-0326-SM-CNPOT 60-69 years, male 61.2
GTEX-1J8Q2-0526-SM-CM2RW 60-69 years, male 61.0
GTEX-14XAO-2326-SM-6EU1B 60-69 years, female 60.1
GTEX-1JMQL-0226-SM-CNPP5 50-59 years, female 59.4
GTEX-1IKJJ-0126-SM-CNPQB 60-69 years, male 58.7
GTEX-12WSA-0226-SM-5BC5V 60-69 years, male 58.4
GTEX-17KNJ-2326-SM-7DHLQ 50-59 years, male 57.5
GTEX-1PBJI-0526-SM-E8VNK 20-29 years, female 57.5
GTEX-V1D1-2226-SM-3NMAX 50-59 years, male 55.9
GTEX-1I1GP-2226-SM-CGQFK 50-59 years, male 55.8
GTEX-13OW8-1326-SM-5J1OW 60-69 years, male 55.7
GTEX-1L5NE-2526-SM-E6CIE 50-59 years, male 55.6
GTEX-13O3Q-2426-SM-5IJBR 50-59 years, male 55.5
GTEX-1KANA-0726-SM-D3L9I 20-29 years, male 55.0
GTEX-145LU-0126-SM-5TDCB 50-59 years, male 53.7
GTEX-13NYC-0326-SM-E9J4S 60-69 years, male 51.1
GTEX-1CAMQ-0226-SM-7IGPK 40-49 years, male 50.6
GTEX-13OVH-0126-SM-5MR4B 70-79 years, male 49.9
GTEX-14E6E-1826-SM-5S2R7 30-39 years, male 49.7
GTEX-15UKP-0426-SM-7KUFQ 20-29 years, male 48.4
GTEX-1IL2V-0126-SM-CM2TX 70-79 years, male 45.9
GTEX-Y5V6-2426-SM-4VDSB 60-69 years, male 30.4
GTEX-SE5C-1626-SM-2XCE3 40-49 years, female 27.3
Show allShow less

Contact

  • NEWS ARTICLES
  • PRESS ROOM

The Project

  • INTRODUCTION
  • ORGANIZATION
  • PUBLICATIONS

The Human Protein Atlas

  • DOWNLOADABLE DATA
  • LICENCE & CITATION
  • HELP & FAQ
The Human Protein Atlas project is funded
by the Knut & Alice Wallenberg Foundation.


contact@proteinatlas.org