We use cookies to enhance the usability of our website. If you continue, we'll assume that you are happy to receive all cookies. More information. Don't show this again.
TSPAN33
HPA
RESOURCES
  • TISSUE
  • BRAIN
  • SINGLE CELL
  • SUBCELLULAR
  • CANCER
  • BLOOD
  • CELL LINE
  • STRUCTURE & INTERACTION
ABOUT
  • INTRODUCTION
  • HISTORY
  • ORGANIZATION
  • PUBLICATIONS
  • ANTIBODY SUBMISSION
  • ANTIBODY AVAILABILITY
  • ACKNOWLEDGMENTS
  • CONTACT
NEWS
  • NEWS ARTICLES
  • PRESS ROOM
LEARN
  • DICTIONARY
  • PROTEIN CLASSES
  • PROTEIN EVIDENCE
  • METHODS
  • EDUCATIONAL VIDEOS
DATA
  • DOWNLOADABLE DATA
  • PUBLICATION DATA
  • RELEASE HISTORY
HELP
  • ANTIBODY VALIDATION
  • ASSAYS & ANNOTATION
  • DISCLAIMER
  • HELP & FAQ
  • PRIVACY STATEMENT
  • LICENCE & CITATION
Fields »
Search result

Field
Term
Gene name
Class
Subclass
Class
Keyword
Chromosome
External id
Tissue
Cell type
Expression
Antibody panel
Tissue
Main location
Patient ID
Annotation
Tissue
Category
Tau score
Cluster
Reliability
Brain region
Category
Tau score
Brain region
Category
Tau score
Brain region
Category
Tau score
Cluster
Reliability
Tissue
Cell type
Enrichment
Cell type
Category
Tau score
Cell type
Category
Tau score
Cell type
Category
Tau score
Cell lineage
Category
Tau score
Cluster
Cluster
Location
Searches
Location
Cell line
Class
Type
Phase
Reliability
Cancer
Prognosis
Cancer
Category
Cancer
Category
Tau score
Cluster
Variants
Interacting gene (ensg_id)
Type
Number of interactions
Pathway
Category
Score
Score
Score
Validation
Validation
Validation
Validation
Antibodies
Data type
Column


  • SUMMARY

  • TISSUE

  • BRAIN

  • SINGLE CELL

  • SUBCELL

  • CANCER

  • BLOOD

  • CELL LINE

  • STRUCT & INT

  • TSPAN33
TISSUE PRIMARY DATA SKIN Show tissue menu
ADIPOSE TISSUE ADRENAL GLAND AMYGDALA APPENDIX BASAL GANGLIA BONE MARROW BREAST BRONCHUS CEREBELLUM CEREBRAL CORTEX CERVIX CHOROID PLEXUS COLON DUODENUM
ENDOMETRIUM EPIDIDYMIS ESOPHAGUS FALLOPIAN TUBE GALLBLADDER HEART MUSCLE HIPPOCAMPAL FORMATION HYPOTHALAMUS KIDNEY LIVER LUNG LYMPH NODE MIDBRAIN NASOPHARYNX
ORAL MUCOSA OVARY PANCREAS PARATHYROID GLAND PITUITARY GLAND PLACENTA PROSTATE RECTUM RETINA SALIVARY GLAND SEMINAL VESICLE SKELETAL MUSCLE SKIN SMALL INTESTINE
SMOOTH MUSCLE SOFT TISSUE SPINAL CORD SPLEEN STOMACH TESTIS THYMUS THYROID GLAND TONGUE TONSIL URINARY BLADDER VAGINA
ANTIBODIES
AND
VALIDATION
Dictionary
Skin
Tissue proteome
Skin
SKIN - Expression summary
Protein expression
Skini

On the top, protein expression in current human tissue, based on all annotated cell types, is reported with the units not detected (n), low (l), medium (m) and high (h). Underneath, protein expression in each annotated cell type are reported using the same units.

Protein expression data is based on knowledge-based annotation. For genes where more than one antibody has been used, a collective score is set.

If knowledge-based annotation could not be performed for a gene, no data is displayed here. View antibody staining data further down this page.

h
m
l
n
Epidermal cells: Low
Fibroblasts: Medium
Keratinocytes: Not detected
Langerhans: Not detected
Melanocytes: Not detected
RNA expressioni

A summary of mRNA expression data available for current tissue based on several datasets. The mRNA expression levels in human tissues are based on RNA-seq data generated by the Human Protein Atlas (HPA), Genotype-Tissue Expression (GTEx) portal and CAGE data generated by the FANTOM5 consortium. Consensus normalized expression levels for human tissues was created by combining the data from HPA and GTEx datasets.

The mRNA expression levels in pig are based on RNA-seq data generated by the Human Protein Atlas (HPA), and for mouse, HPA data and in situ hybridization generated by the Allen brain atlas are reported.

Scroll down to view mRNA expression data in more detail.
Consensus:7.3 nTPM
HPA:2.7 nTPM
GTEx:7.3 nTPM

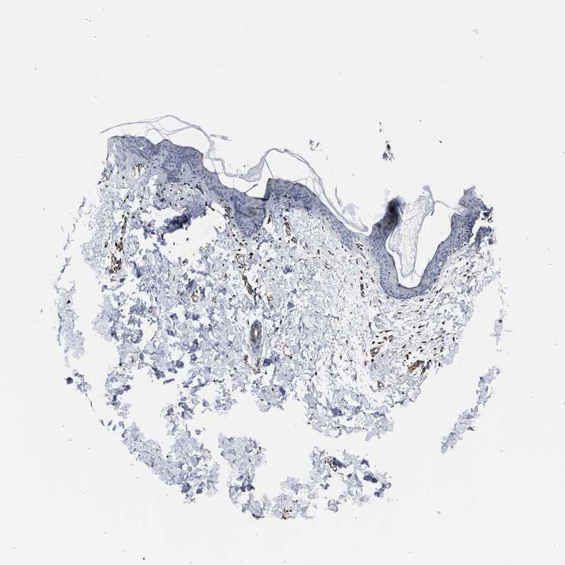
SKIN 1 - Antibody stainingi

Antibody staining in the annotated cell types in the current human tissue is reported as not detected, low, medium, or high, based on conventional immunohistochemistry profiling in selected tissues. This score is based on the combination of the staining intensity and fraction of stained cells.

Each image is clickable and will lead to virtual microscopy that enables deeper exploration of all samples and also displays staining intensity scores, fraction scores and subcellular localization as well as patient and tissue information for each sample.

Antibody HPA020357
Langerhans Not detected
Fibroblasts Medium
Keratinocytes Not detected
Melanocytes Not detected
SKIN 2 - Antibody stainingi

Antibody staining in the annotated cell types in the current human tissue is reported as not detected, low, medium, or high, based on conventional immunohistochemistry profiling in selected tissues. This score is based on the combination of the staining intensity and fraction of stained cells.

Each image is clickable and will lead to virtual microscopy that enables deeper exploration of all samples and also displays staining intensity scores, fraction scores and subcellular localization as well as patient and tissue information for each sample.

Antibody HPA020357
Epidermal cells Low
 
 
 



SKIN - HPA RNA-seqi

The RNA-seq details section shows detailed information about the individual samples used for the transcript profiling and results of the RNA-seq analysis.

Information about each individual sample is listed below, including gender, age, a tissue section image and estimated fractions of cell types. nTPM (normalized transcripts per million) values give a quantification of the gene abundance which is comparable between different genes and samples.
Average nTPMi

Max subtype nTPM is the value for the subtype with the largest average nTPM across the subtype samples.

2.7
overview
Female, age 34
Skin sample 225
nTPM: 2.1
Cell types%
Keratinocytes:
60

Other cell types:
40

overview
Female, age 30
Skin sample 226
nTPM: 3.6
Cell types%
Keratinocytes:
55

Other cell types:
45

N/A
Male, age 57
Skin sample 227
nTPM: 2.2

SKIN - GTEx RNA-seqi

RNA-Seq data generated by the Genotype-Tissue Expression (GTEx) project from human tissues is reported as mean nTPM. More information can be found on the GTEx portal.

Distribution across the dataset is visualized with box plots, shown as median and 25th and 75th percentiles. Points are displayed as outliers if they are above or below 1.5 times the interquartile range. nTPM values of the individual samples are presented next to the box plot.
Max subtype nTPMi

Max subtype nTPM is the value for the subtype with the largest average nTPM across the subtype samples.

7.3
GTEx sample id Sample description nTPM
Skin - Not Sun Exposed (Suprapubic)
Average nTPM: 7.3
Samples: 604

Max nTPM: 26.4
Min nTPM: 1.1
Std nTPM: 3.0
Median nTPM: 7.0
GTEX-Y114-2126-SM-4TT8B 50-59 years, female 26.4
GTEX-1PIGE-1826-SM-E8VOU 20-29 years, male 19.5
GTEX-WFG7-2026-SM-5SI7P 20-29 years, male 19.2
GTEX-1QP9N-1226-SM-E76QN 30-39 years, male 17.9
GTEX-1RMOY-1326-SM-E9TIH 50-59 years, male 17.5
GTEX-11DYG-1526-SM-5A5JS 60-69 years, male 17.1
GTEX-ZPCL-1126-SM-4WWFE 60-69 years, female 16.1
GTEX-1N2EE-0626-SM-E76PW 60-69 years, male 16.0
GTEX-1C6WA-2626-SM-7MKGM 60-69 years, male 15.7
GTEX-1OJC3-1226-SM-DTXER 20-29 years, male 15.7
GTEX-1GF9V-0826-SM-9KNUV 60-69 years, male 15.4
GTEX-1A8G6-2726-SM-731AR 60-69 years, male 15.0
GTEX-12WSF-1626-SM-7KUG5 70-79 years, male 14.5
GTEX-1B8SF-0126-SM-7DUG3 60-69 years, male 14.3
GTEX-13JUV-2026-SM-5K7UA 40-49 years, female 14.2
GTEX-1F6I4-2326-SM-7RHGL 60-69 years, male 14.2
GTEX-1PIIG-2326-SM-DTXFR 30-39 years, male 14.0
GTEX-1PBJJ-1026-SM-E76OS 30-39 years, male 13.7
GTEX-1I1GP-1326-SM-A9G28 50-59 years, male 13.6
GTEX-1HGF4-0126-SM-CNPPX 60-69 years, male 13.5
GTEX-ZT9X-1526-SM-5DUXD 40-49 years, male 13.4
GTEX-1F75I-2226-SM-7SB8U 40-49 years, male 13.4
GTEX-1GPI6-1926-SM-9KNV7 60-69 years, male 13.4
GTEX-18QFQ-1826-SM-72D52 30-39 years, male 13.2
GTEX-WH7G-2026-SM-3NMBL 40-49 years, male 13.2
GTEX-1H1CY-0126-SM-9YFLY 60-69 years, female 13.2
GTEX-X585-2426-SM-46MW2 50-59 years, male 13.0
GTEX-15RIE-1926-SM-7KUKJ 60-69 years, male 12.9
GTEX-1F52S-2926-SM-7MKGA 60-69 years, female 12.9
GTEX-17HHE-1326-SM-7EWDZ 50-59 years, male 12.8
GTEX-Y8E4-2026-SM-5IFJB 40-49 years, male 12.8
GTEX-13OW5-2326-SM-5L3HO 60-69 years, male 12.7
GTEX-1CAMQ-1326-SM-7P8RV 40-49 years, male 12.6
GTEX-13D11-0926-SM-5J2NC 50-59 years, female 12.4
GTEX-18A6Q-0626-SM-7KFRP 60-69 years, male 12.4
GTEX-1IE54-1126-SM-A9G2Z 40-49 years, female 12.4
GTEX-1IKOE-1426-SM-CE6T7 30-39 years, female 12.4
GTEX-1IY9M-2826-SM-ARU8H 60-69 years, male 12.4
GTEX-145MO-2826-SM-5LU96 60-69 years, male 12.2
GTEX-18A7B-2726-SM-7LG56 70-79 years, male 12.1
GTEX-14PKV-1126-SM-6LLJ1 20-29 years, female 12.0
GTEX-15RJ7-2126-SM-6PAMD 40-49 years, male 12.0
GTEX-13PDP-0726-SM-5L3HP 60-69 years, male 11.9
GTEX-14PJO-2526-SM-6AJBQ 60-69 years, male 11.9
GTEX-18465-2826-SM-7LT9J 50-59 years, male 11.9
GTEX-15RIG-0726-SM-7KUM7 40-49 years, male 11.8
GTEX-15RJE-2826-SM-7KUM9 40-49 years, male 11.7
GTEX-16YQH-2226-SM-7IGM2 30-39 years, male 11.7
GTEX-1AX9I-2226-SM-73KUO 60-69 years, male 11.7
GTEX-1399Q-2326-SM-5KM2X 40-49 years, male 11.6
GTEX-13O61-1426-SM-5KM3D 60-69 years, male 11.6
GTEX-1C64N-2626-SM-7PC2N 50-59 years, male 11.5
GTEX-1IDJU-1726-SM-CMKHU 60-69 years, female 11.5
GTEX-ZPU1-1126-SM-4YCF3 40-49 years, male 11.4
GTEX-1GMRU-2126-SM-7P8RA 50-59 years, male 11.4
GTEX-1NSGN-0726-SM-DTXEF 50-59 years, male 11.4
GTEX-1S82P-2126-SM-E6CI5 60-69 years, female 11.4
GTEX-11EQ8-0926-SM-5H12V 60-69 years, male 11.3
GTEX-1E2YA-2126-SM-7MXUO 50-59 years, male 11.3
GTEX-ZVT4-2426-SM-5GIEI 50-59 years, female 11.2
GTEX-ZYT6-2326-SM-5GZY3 30-39 years, male 11.2
GTEX-1F6RS-2026-SM-7RHHC 60-69 years, female 11.2
GTEX-1GN73-0726-SM-7P8TJ 60-69 years, male 11.2
GTEX-1HT8W-0626-SM-A9G2H 30-39 years, male 11.2
GTEX-11TUW-0626-SM-5LU9M 60-69 years, male 11.0
GTEX-14BIN-1126-SM-5RQJZ 50-59 years, female 11.0
GTEX-14PHX-2226-SM-6EU2P 50-59 years, male 11.0
GTEX-17KNJ-2126-SM-718AM 50-59 years, male 11.0
GTEX-14JG6-1426-SM-9WG7C 30-39 years, female 11.0
GTEX-131XG-0326-SM-5L3DX 50-59 years, female 10.9
GTEX-17F97-2626-SM-7IGM5 50-59 years, male 10.8
GTEX-ZT9W-1126-SM-57WDR 50-59 years, male 10.8
GTEX-111VG-1626-SM-5EGIO 60-69 years, male 10.7
GTEX-1LVAN-0626-SM-CNPOQ 50-59 years, female 10.7
GTEX-12ZZY-0726-SM-5EQ66 60-69 years, male 10.6
GTEX-UPJH-0226-SM-3GADV 50-59 years, male 10.6
GTEX-1I1GV-0626-SM-ARL7M 60-69 years, male 10.6
GTEX-12BJ1-0926-SM-5EQ62 60-69 years, male 10.5
GTEX-1BAJH-2426-SM-7IGP8 70-79 years, male 10.5
GTEX-ZUA1-2626-SM-5NQ92 40-49 years, male 10.5
GTEX-ZZ64-1026-SM-5GZXG 20-29 years, male 10.5
GTEX-139TT-2126-SM-5LZWC 60-69 years, male 10.4
GTEX-13PVR-0426-SM-5RQK2 60-69 years, female 10.4
GTEX-18A67-1626-SM-7LT9T 50-59 years, male 10.4
GTEX-13X6J-0626-SM-5LU5F 50-59 years, male 10.3
GTEX-1EKGG-0626-SM-7DUGJ 60-69 years, male 10.3
GTEX-1GN1W-2426-SM-9KNUU 50-59 years, female 10.3
GTEX-1N5O9-0926-SM-E9J3C 60-69 years, male 10.3
GTEX-UPK5-0426-SM-3GAEK 40-49 years, male 10.2
GTEX-11P82-1426-SM-DTXFY 20-29 years, male 10.2
GTEX-1GF9W-1426-SM-7PBYM 60-69 years, male 10.2
GTEX-1H1E6-0426-SM-9WYUS 30-39 years, male 10.2
GTEX-1MJK3-0726-SM-E6CJC 20-29 years, male 10.2
GTEX-1RAZR-2126-SM-E9U6T 40-49 years, male 10.2
GTEX-XQ3S-1426-SM-4BOPR 20-29 years, male 10.1
GTEX-1A8FM-0626-SM-7PC25 50-59 years, female 10.1
GTEX-1PPGY-1626-SM-EVYBL 60-69 years, male 10.1
GTEX-1192X-2726-SM-5N9DN 50-59 years, male 10.0
GTEX-11DXX-2126-SM-5PNYR 60-69 years, female 10.0
GTEX-13NZ9-2626-SM-5L3FK 50-59 years, male 10.0
GTEX-178AV-1726-SM-7KUL8 40-49 years, male 10.0
GTEX-1HKZK-0726-SM-ACKW2 40-49 years, male 10.0
GTEX-1314G-1326-SM-5BC6E 30-39 years, male 9.9
GTEX-1AMEY-0826-SM-72D65 30-39 years, female 9.9
GTEX-1B933-2426-SM-7DHMD 50-59 years, female 9.9
GTEX-ZVZP-1226-SM-5GID7 50-59 years, male 9.9
GTEX-1HBPI-2126-SM-ARL9K 50-59 years, male 9.9
GTEX-12ZZX-2426-SM-5GCOE 40-49 years, female 9.8
GTEX-13PL6-1126-SM-5L3IE 40-49 years, female 9.8
GTEX-ZVP2-0326-SM-57WBP 50-59 years, male 9.8
GTEX-1HCU9-0426-SM-9WYSD 20-29 years, male 9.8
GTEX-1JN6P-2926-SM-CL54D 60-69 years, male 9.8
GTEX-1R9PM-1926-SM-EVR3O 20-29 years, male 9.8
GTEX-1S83E-1326-SM-E6CJM 40-49 years, male 9.8
GTEX-139TU-0726-SM-5L3EK 60-69 years, male 9.7
GTEX-1R46S-2426-SM-E76QA 60-69 years, female 9.7
GTEX-15ER7-0626-SM-6PANF 20-29 years, female 9.6
GTEX-17F9E-2326-SM-79OKD 50-59 years, male 9.6
GTEX-1E1VI-0326-SM-793D1 50-59 years, male 9.6
GTEX-1EU9M-1426-SM-793AI 60-69 years, male 9.6
GTEX-1LBAC-0826-SM-CY8IJ 20-29 years, male 9.6
GTEX-1NV5F-0626-SM-DTXEG 60-69 years, female 9.6
GTEX-1PDJ9-1226-SM-EXUSX 20-29 years, male 9.6
GTEX-1QCLY-0226-SM-EWRNH 30-39 years, male 9.6
GTEX-1QPFJ-1926-SM-EVYBD 30-39 years, female 9.6
GTEX-145LU-1926-SM-79OJN 50-59 years, male 9.5
GTEX-WHSE-0126-SM-3NMBT 20-29 years, male 9.5
GTEX-13FTW-0326-SM-5K7UW 40-49 years, male 9.4
GTEX-16NPX-0726-SM-7KULC 50-59 years, male 9.4
GTEX-17EVP-2626-SM-7IGMA 40-49 years, male 9.4
GTEX-Z93S-1626-SM-5CVMB 50-59 years, male 9.4
GTEX-18D9A-1426-SM-7LT8M 30-39 years, female 9.4
GTEX-1LB8K-0726-SM-D5OV2 50-59 years, male 9.4
GTEX-13SLW-0626-SM-5Q5ER 70-79 years, male 9.3
GTEX-1A3MV-1826-SM-731CD 30-39 years, male 9.3
GTEX-WHPG-2626-SM-3NMBR 50-59 years, male 9.3
GTEX-Y111-0626-SM-4SOIT 50-59 years, male 9.3
GTEX-ZWKS-0626-SM-5GIDV 30-39 years, male 9.3
GTEX-1I6K7-1926-SM-B2LXR 40-49 years, male 9.3
GTEX-1J8Q2-2626-SM-ACKWQ 60-69 years, male 9.3
GTEX-11EQ9-1626-SM-5PNY8 30-39 years, male 9.2
GTEX-11PRG-0726-SM-5EGL1 50-59 years, male 9.2
GTEX-12WSD-0626-SM-5GCMW 60-69 years, female 9.2
GTEX-14LLW-2626-SM-62LDZ 70-79 years, female 9.2
GTEX-14PJ4-0226-SM-5YY92 60-69 years, male 9.2
GTEX-WYJK-0526-SM-3NM8Z 50-59 years, male 9.2
GTEX-YJ8O-2526-SM-5HL85 40-49 years, female 9.2
GTEX-1B8L1-2226-SM-7P8PT 60-69 years, male 9.2
GTEX-1N2DV-1526-SM-DTXEP 40-49 years, male 9.2
GTEX-11NUK-2726-SM-5A5MC 50-59 years, male 9.1
GTEX-11OF3-0126-SM-5PNYF 60-69 years, male 9.1
GTEX-13PVQ-0626-SM-5LU47 50-59 years, male 9.1
GTEX-16MTA-0926-SM-6M47Z 50-59 years, male 9.1
GTEX-17HGU-2326-SM-7DUFE 50-59 years, male 9.1
GTEX-1EMGI-2326-SM-7PBYA 60-69 years, male 9.1
GTEX-11DXW-0826-SM-5H118 40-49 years, male 9.0
GTEX-11EI6-2826-SM-5H11D 60-69 years, male 9.0
GTEX-13G51-1826-SM-5KLZH 60-69 years, male 9.0
GTEX-13OW6-2726-SM-5J2OE 50-59 years, male 9.0
GTEX-ZLV1-1526-SM-DO91J 60-69 years, female 9.0
GTEX-146FQ-2126-SM-5RQHU 30-39 years, male 8.9
GTEX-147GR-2426-SM-5ZZWQ 60-69 years, male 8.9
GTEX-ZA64-1026-SM-5HL8R 20-29 years, male 8.9
GTEX-1GMR3-0126-SM-A9SLW 40-49 years, male 8.9
GTEX-1H4P4-2126-SM-9WYSL 50-59 years, male 8.9
GTEX-1HSKV-1226-SM-ADEI4 60-69 years, male 8.9
GTEX-1MCYP-0526-SM-E9U6Q 20-29 years, female 8.9
GTEX-1R7EU-1626-SM-DTXG3 60-69 years, male 8.9
GTEX-YEC3-1326-SM-DO92X 50-59 years, male 8.9
GTEX-12KS4-2126-SM-5FQUT 30-39 years, male 8.8
GTEX-13112-0126-SM-5P9IU 50-59 years, male 8.8
GTEX-131XF-2626-SM-5EQ6K 60-69 years, male 8.8
GTEX-145MH-2826-SM-5RQJF 50-59 years, male 8.8
GTEX-1HCU6-2526-SM-ADEHL 60-69 years, female 8.8
GTEX-1K9T9-1526-SM-DIPFR 50-59 years, female 8.8
GTEX-1S831-1826-SM-EWROF 20-29 years, male 8.8
GTEX-13OVL-0126-SM-5L3GJ 50-59 years, male 8.7
GTEX-14JG1-1526-SM-5YY9X 40-49 years, male 8.7
GTEX-14PHY-1226-SM-5ZZWK 60-69 years, female 8.7
GTEX-16AAH-0626-SM-793C9 50-59 years, male 8.7
GTEX-17F96-0126-SM-7EWDU 70-79 years, male 8.7
GTEX-X4EO-2926-SM-4E3JH 60-69 years, female 8.7
GTEX-ZTX8-1326-SM-4YCEL 20-29 years, male 8.7
GTEX-1A8G7-1326-SM-73KVM 60-69 years, male 8.6
GTEX-1AX8Z-0726-SM-73KTS 60-69 years, male 8.6
GTEX-ZAK1-0626-SM-5HL8E 50-59 years, female 8.6
GTEX-1JMLX-0626-SM-ARL8T 50-59 years, male 8.6
GTEX-1M4P7-0726-SM-E6CJ3 60-69 years, male 8.6
GTEX-1RAZQ-1326-SM-E9TK6 30-39 years, male 8.6
GTEX-13N11-2326-SM-5IJBF 50-59 years, female 8.5
GTEX-14AS3-1526-SM-5Q5ED 40-49 years, female 8.5
GTEX-WHSB-1326-SM-3LK6W 50-59 years, male 8.5
GTEX-WK11-2726-SM-3NMAQ 50-59 years, male 8.5
GTEX-YF7O-1526-SM-5IFI6 50-59 years, male 8.5
GTEX-1GZHY-0626-SM-9KNVC 50-59 years, female 8.5
GTEX-1HSMQ-2626-SM-A9SML 50-59 years, male 8.5
GTEX-1JJEA-1826-SM-ARU8P 60-69 years, male 8.5
GTEX-1R9K4-2826-SM-DTX8F 60-69 years, male 8.5
GTEX-1RAZA-2226-SM-E9U4X 20-29 years, male 8.5
GTEX-131XH-0126-SM-5LZUY 50-59 years, male 8.4
GTEX-13OVG-1626-SM-5J1NF 60-69 years, male 8.4
GTEX-14753-0726-SM-5QGQO 60-69 years, male 8.4
GTEX-15D1Q-2826-SM-6LLH7 40-49 years, male 8.4
GTEX-18D9U-0126-SM-731BM 40-49 years, male 8.4
GTEX-1C64O-1326-SM-7MGWR 60-69 years, male 8.4
GTEX-1F5PL-0926-SM-7PC2W 40-49 years, female 8.4
GTEX-1IKJJ-2226-SM-CJI4C 60-69 years, male 8.4
GTEX-11ZTT-2126-SM-5CVLO 60-69 years, female 8.3
GTEX-145MF-0926-SM-5Q5EA 50-59 years, male 8.3
GTEX-YEC4-1826-SM-4W1YP 40-49 years, male 8.3
GTEX-1F6IF-0926-SM-7SB7M 60-69 years, male 8.3
GTEX-1GZ4I-2626-SM-9KNU3 50-59 years, male 8.3
GTEX-1H1DE-1326-SM-9KNUG 20-29 years, male 8.3
GTEX-1I6K6-1726-SM-CGQFD 30-39 years, male 8.3
GTEX-11UD2-2526-SM-5CVNU 50-59 years, male 8.2
GTEX-145ME-1726-SM-5Q5EU 40-49 years, female 8.2
GTEX-145MG-1526-SM-5Q5EM 50-59 years, male 8.2
GTEX-14ABY-2026-SM-62LDL 50-59 years, male 8.2
GTEX-1EX96-1026-SM-7MKG2 50-59 years, male 8.2
GTEX-ZDTT-0426-SM-4WKFL 60-69 years, male 8.2
GTEX-1LVAM-0726-SM-E6CIL 50-59 years, female 8.2
GTEX-14ICL-1626-SM-5YYAO 30-39 years, male 8.1
GTEX-17JCI-2926-SM-7DUFF 60-69 years, female 8.1
GTEX-Y3IK-1626-SM-4YCF5 50-59 years, female 8.1
GTEX-1212Z-0126-SM-59HK4 60-69 years, male 8.0
GTEX-17F9Y-0126-SM-79OKX 70-79 years, female 8.0
GTEX-1HUB1-1426-SM-CGQF5 60-69 years, male 8.0
GTEX-1IDFM-0326-SM-ARL7V 60-69 years, male 8.0
GTEX-1RB15-1326-SM-E76Q9 60-69 years, male 8.0
GTEX-13NYB-0126-SM-5J1MD 40-49 years, male 7.9
GTEX-147F3-1726-SM-5SIAW 50-59 years, female 7.9
GTEX-14PJ3-1126-SM-5ZZVX 50-59 years, male 7.9
GTEX-ZDTS-0826-SM-4WKHL 60-69 years, male 7.8
GTEX-ZXG5-2126-SM-59HKD 60-69 years, male 7.8
GTEX-1H11D-1826-SM-9QEHM 40-49 years, male 7.8
GTEX-1I1GS-2626-SM-B2LY3 60-69 years, male 7.8
GTEX-1KXAM-1626-SM-D3LAD 60-69 years, male 7.8
GTEX-1RAZS-2526-SM-E6CHT 50-59 years, male 7.8
GTEX-13X6H-0926-SM-5SIB2 50-59 years, female 7.7
GTEX-13X6I-1826-SM-5SIAO 60-69 years, male 7.7
GTEX-14B4R-1326-SM-5Q5EZ 30-39 years, male 7.7
GTEX-15CHQ-0326-SM-69LQD 60-69 years, male 7.7
GTEX-15DDE-2926-SM-6LLJ3 50-59 years, female 7.7
GTEX-16GPK-0626-SM-7KFSF 60-69 years, male 7.7
GTEX-WHWD-1826-SM-3LK6I 50-59 years, male 7.7
GTEX-ZF2S-1626-SM-57WES 50-59 years, female 7.7
GTEX-ZVE1-0726-SM-51MRN 50-59 years, female 7.7
GTEX-1IDJF-2026-SM-CL53V 20-29 years, male 7.7
GTEX-1KWVE-1026-SM-D3L9O 30-39 years, male 7.7
GTEX-11NSD-0626-SM-5A5LU 20-29 years, male 7.6
GTEX-12696-0126-SM-5EQ4L 60-69 years, male 7.6
GTEX-1122O-1026-SM-9WYSF 60-69 years, female 7.6
GTEX-139D8-1126-SM-5LU8W 30-39 years, female 7.5
GTEX-13FHO-0426-SM-5L3F5 60-69 years, male 7.5
GTEX-13N1W-2426-SM-5IJD1 70-79 years, male 7.5
GTEX-1B8KE-1126-SM-7EPHI 50-59 years, male 7.5
GTEX-XOT4-0626-SM-4B66L 60-69 years, female 7.5
GTEX-Y5V5-0126-SM-5S2NW 60-69 years, female 7.5
GTEX-ZAB4-2126-SM-5HL8U 40-49 years, male 7.5
GTEX-1HBPN-0126-SM-CGQEF 50-59 years, male 7.5
GTEX-139TS-2126-SM-5K7XC 60-69 years, male 7.4
GTEX-13JVG-0726-SM-5KM16 60-69 years, male 7.4
GTEX-14PJ2-0626-SM-6LLII 50-59 years, male 7.4
GTEX-17HHY-0426-SM-7DHLC 50-59 years, male 7.4
GTEX-V1D1-2026-SM-3GAF4 50-59 years, male 7.4
GTEX-Y9LG-1126-SM-4VBQ7 30-39 years, male 7.4
GTEX-YECK-0326-SM-4W1YS 60-69 years, male 7.4
GTEX-1QP28-1126-SM-EVYC4 50-59 years, female 7.4
GTEX-11O72-0626-SM-5PNYE 40-49 years, male 7.3
GTEX-12WSH-1526-SM-5BC5W 50-59 years, male 7.3
GTEX-16NGA-0726-SM-731AO 40-49 years, female 7.3
GTEX-ZTTD-2826-SM-4YCFA 50-59 years, male 7.3
GTEX-ZZPU-0826-SM-5GZX5 50-59 years, female 7.3
GTEX-14JFF-0626-SM-5ZZVT 60-69 years, male 7.3
GTEX-1HCU7-0726-SM-A9SL1 50-59 years, male 7.3
GTEX-1IOXB-2726-SM-CM2RI 50-59 years, male 7.3
GTEX-1QEPI-2626-SM-DTXF4 60-69 years, female 7.3
GTEX-1QW4Y-1126-SM-DTXE3 30-39 years, male 7.3
GTEX-11P7K-1126-SM-5HL4L 30-39 years, male 7.2
GTEX-13NZ8-1226-SM-5KM4A 60-69 years, female 7.2
GTEX-13O3O-2326-SM-5IJD6 60-69 years, female 7.2
GTEX-144GM-0526-SM-79OJO 20-29 years, male 7.2
GTEX-18A66-0626-SM-7LT8Z 60-69 years, male 7.2
GTEX-WI4N-2726-SM-3LK7Y 40-49 years, female 7.2
GTEX-1F75W-2726-SM-7SB8H 60-69 years, male 7.2
GTEX-1GPI7-1826-SM-9KNU1 20-29 years, male 7.2
GTEX-1HSMO-0626-SM-ACKXC 60-69 years, male 7.2
GTEX-1JMQI-1726-SM-ARL93 50-59 years, male 7.2
GTEX-1K2DU-1226-SM-CYPT4 20-29 years, male 7.2
GTEX-12WSM-1926-SM-5BC65 60-69 years, male 7.1
GTEX-12ZZZ-0726-SM-5GCNZ 60-69 years, male 7.1
GTEX-13OW7-0426-SM-5K7VK 50-59 years, male 7.1
GTEX-13U4I-2226-SM-5LU5H 40-49 years, female 7.1
GTEX-1497J-0226-SM-5QGPU 60-69 years, male 7.1
GTEX-14BMV-2826-SM-5TDED 50-59 years, male 7.1
GTEX-15EO6-2426-SM-6PALZ 50-59 years, male 7.1
GTEX-XBEC-0726-SM-4QARZ 50-59 years, male 7.1
GTEX-1F75B-0726-SM-7PC3R 50-59 years, male 7.1
GTEX-1IDJE-1426-SM-ADEIW 50-59 years, female 7.1
GTEX-1IDJH-0126-SM-D3L92 70-79 years, male 7.1
GTEX-1KANA-1326-SM-DIPFA 20-29 years, male 7.1
GTEX-117YX-1926-SM-5GIEC 50-59 years, male 7.0
GTEX-11TT1-1826-SM-5EQLV 20-29 years, male 7.0
GTEX-11WQK-1026-SM-5EQLX 50-59 years, male 7.0
GTEX-13YAN-0226-SM-5TDC6 60-69 years, male 7.0
GTEX-14A6H-2026-SM-5Q5DD 30-39 years, male 7.0
GTEX-X5EB-1926-SM-4E3IW 40-49 years, male 7.0
GTEX-ZE9C-2526-SM-5IJDR 60-69 years, male 7.0
GTEX-1GN1U-0626-SM-9MQL9 50-59 years, female 7.0
GTEX-1IDJC-1526-SM-B2LW4 50-59 years, male 7.0
GTEX-14PJN-1826-SM-6AJ98 30-39 years, male 6.9
GTEX-15DYW-2726-SM-6EU2I 60-69 years, female 6.9
GTEX-183FY-1026-SM-7939A 20-29 years, male 6.9
GTEX-1EWIQ-0326-SM-7DHMQ 70-79 years, female 6.9
GTEX-WEY5-2326-SM-3GIKK 40-49 years, female 6.9
GTEX-1GMR2-0826-SM-7PC3V 50-59 years, male 6.9
GTEX-1HFI6-0126-SM-CNPPI 40-49 years, male 6.9
GTEX-1PPH7-1126-SM-DTX9A 40-49 years, male 6.9
GTEX-13OW8-1026-SM-5J1NQ 60-69 years, male 6.8
GTEX-15EU6-2226-SM-6EU2L 50-59 years, male 6.8
GTEX-17HG3-2626-SM-7DUF2 30-39 years, female 6.8
GTEX-1A32A-0626-SM-731AQ 50-59 years, female 6.8
GTEX-ZDXO-3126-SM-5IJDF 60-69 years, male 6.8
GTEX-1F5PK-2226-SM-7SB6N 50-59 years, male 6.8
GTEX-1QP66-1226-SM-DTX7U 50-59 years, male 6.8
GTEX-17MFQ-1526-SM-7KFRR 20-29 years, male 6.7
GTEX-1I1CD-0626-SM-CE6SW 60-69 years, female 6.7
GTEX-1LG7Y-2526-SM-EWRO7 50-59 years, male 6.7
GTEX-1LG7Z-1626-SM-CXKYR 30-39 years, male 6.7
GTEX-1LGOU-1326-SM-D3L8M 20-29 years, female 6.7
GTEX-ZGAY-1826-SM-DO91Q 40-49 years, female 6.7
GTEX-12WSL-2026-SM-5GCML 50-59 years, male 6.6
GTEX-139YR-1026-SM-5LZYN 50-59 years, male 6.6
GTEX-13FTY-2126-SM-5IFFB 40-49 years, female 6.6
GTEX-145LS-0626-SM-7EPG7 60-69 years, female 6.6
GTEX-147F4-0726-SM-5TDDD 50-59 years, male 6.6
GTEX-147JS-0226-SM-5S2U9 60-69 years, male 6.6
GTEX-WY7C-2126-SM-3NB2R 50-59 years, male 6.6
GTEX-WYVS-1626-SM-3NM9R 40-49 years, female 6.6
GTEX-1HR98-2226-SM-ADEI2 60-69 years, male 6.6
GTEX-12WSC-2826-SM-5BC5Y 50-59 years, male 6.5
GTEX-131XW-0626-SM-5PNVD 50-59 years, female 6.5
GTEX-13N2G-0226-SM-5K7VF 60-69 years, male 6.5
GTEX-14E1K-2026-SM-7DUEI 50-59 years, male 6.5
GTEX-1C2JI-1026-SM-73KY1 50-59 years, male 6.5
GTEX-WFON-1926-SM-3LK7L 40-49 years, male 6.5
GTEX-1LSVX-2526-SM-DIPEU 60-69 years, male 6.5
GTEX-12WSA-0426-SM-5EQ5X 60-69 years, male 6.4
GTEX-YFCO-1226-SM-5LUAT 40-49 years, male 6.4
GTEX-1GN2E-0226-SM-9WG6K 60-69 years, male 6.4
GTEX-1IL2V-1926-SM-B2LW8 70-79 years, male 6.4
GTEX-1J8JJ-0626-SM-ARZMQ 60-69 years, female 6.4
GTEX-1L5NE-1126-SM-D3L9P 50-59 years, male 6.4
GTEX-1QP29-1826-SM-DTX9S 50-59 years, male 6.4
GTEX-11EM3-1226-SM-5N9DD 20-29 years, female 6.3
GTEX-13OVK-1426-SM-6PAN7 40-49 years, male 6.3
GTEX-1B996-0426-SM-7EWF8 60-69 years, male 6.3
GTEX-XBEW-1126-SM-4QARW 40-49 years, male 6.3
GTEX-1I19N-0126-SM-CYPSF 70-79 years, male 6.3
GTEX-111FC-2526-SM-5GZXU 60-69 years, male 6.2
GTEX-1211K-1526-SM-5FQU4 60-69 years, female 6.2
GTEX-12C56-1526-SM-5FQUQ 20-29 years, male 6.2
GTEX-139T8-0626-SM-5KLZX 60-69 years, male 6.2
GTEX-13SLX-2226-SM-62LEP 50-59 years, female 6.2
GTEX-14BMU-1226-SM-5S2OR 20-29 years, female 6.2
GTEX-1CB4F-1026-SM-7DUH1 60-69 years, male 6.2
GTEX-Y5V6-2326-SM-4VDSA 60-69 years, male 6.2
GTEX-Y8LW-1526-SM-5IFHL 50-59 years, female 6.2
GTEX-1AYD5-2626-SM-7PBXY 50-59 years, male 6.2
GTEX-1KAFJ-0126-SM-DIPEK 50-59 years, male 6.2
GTEX-1QAET-0326-SM-EVR3U 50-59 years, male 6.2
GTEX-11DXZ-2026-SM-5987S 50-59 years, male 6.1
GTEX-13NYS-0626-SM-5L3F1 60-69 years, male 6.1
GTEX-13OVJ-0826-SM-5J1OK 50-59 years, female 6.1
GTEX-14DAR-1226-SM-73KYV 50-59 years, male 6.1
GTEX-15SHW-0226-SM-7LTAT 60-69 years, male 6.1
GTEX-18A7A-0126-SM-731AH 50-59 years, female 6.1
GTEX-1F75A-0726-SM-7RHHD 50-59 years, male 6.1
GTEX-1HFI7-2326-SM-CGQFS 50-59 years, female 6.1
GTEX-1I1GT-1026-SM-ARZLV 60-69 years, female 6.1
GTEX-11WQC-1826-SM-5GU59 60-69 years, male 6.0
GTEX-144GL-0626-SM-5LU4D 50-59 years, male 6.0
GTEX-1AX9J-1326-SM-731BJ 60-69 years, male 6.0
GTEX-WXYG-2026-SM-4E3IY 50-59 years, female 6.0
GTEX-X4EP-0626-SM-3P621 60-69 years, female 6.0
GTEX-ZYVF-0926-SM-5E44J 50-59 years, female 6.0
GTEX-1JMQJ-0826-SM-CNPP7 50-59 years, male 6.0
GTEX-1KANC-1226-SM-CYPT7 50-59 years, female 6.0
GTEX-1S5ZU-2526-SM-E6CIF 20-29 years, female 6.0
GTEX-144GO-2026-SM-5O99P 60-69 years, male 5.9
GTEX-XMD2-2126-SM-4YCF8 60-69 years, female 5.9
GTEX-XPVG-2126-SM-4B667 50-59 years, male 5.9
GTEX-1HR9M-2226-SM-CNPPY 60-69 years, male 5.9
GTEX-1ICLY-0826-SM-CMKG1 50-59 years, male 5.9
GTEX-1JKYR-0626-SM-ARL8R 20-29 years, male 5.9
GTEX-1JMPY-0226-SM-CKZOK 30-39 years, male 5.9
GTEX-1OJC4-2726-SM-E76PJ 50-59 years, female 5.9
GTEX-1S3DN-2126-SM-E9TIN 50-59 years, male 5.9
GTEX-111YS-1526-SM-5GZYW 60-69 years, male 5.8
GTEX-15FZZ-0526-SM-7KUGD 30-39 years, female 5.8
GTEX-15SKB-2826-SM-6PAMH 60-69 years, male 5.8
GTEX-16XZZ-0726-SM-7KUF2 60-69 years, male 5.8
GTEX-16Z82-2626-SM-7KULU 60-69 years, male 5.8
GTEX-ZDYS-2426-SM-4WKGI 50-59 years, male 5.8
GTEX-ZP4G-1426-SM-4WWCL 20-29 years, female 5.8
GTEX-1GN1V-2826-SM-9JGIA 60-69 years, male 5.8
GTEX-1ICLZ-0326-SM-ARL82 60-69 years, male 5.8
GTEX-13FLV-0126-SM-5K7WT 50-59 years, male 5.7
GTEX-13FTX-1526-SM-5K7VJ 20-29 years, female 5.7
GTEX-16BQI-1326-SM-6M486 30-39 years, female 5.7
GTEX-WRHU-2826-SM-3MJG8 50-59 years, female 5.7
GTEX-X8HC-0626-SM-4E3HQ 50-59 years, female 5.7
GTEX-ZTSS-1426-SM-5985P 40-49 years, male 5.7
GTEX-ZU9S-1826-SM-5NQ9E 30-39 years, male 5.7
GTEX-1H3NZ-2726-SM-9WYTQ 60-69 years, male 5.7
GTEX-1QP2A-1726-SM-E76QC 50-59 years, male 5.7
GTEX-XUW1-0926-SM-4BONX 50-59 years, female 5.6
GTEX-ZAJG-1526-SM-5CVML 50-59 years, female 5.6
GTEX-ZC5H-1526-SM-5HL9Y 40-49 years, female 5.6
GTEX-1ICG6-1226-SM-A9SLN 70-79 years, female 5.6
GTEX-1IDJV-0126-SM-COH3Y 60-69 years, male 5.6
GTEX-1269C-0126-SM-5EQ5L 60-69 years, female 5.5
GTEX-145MI-0626-SM-5SI8S 60-69 years, female 5.5
GTEX-1AMFI-1326-SM-7939R 50-59 years, female 5.5
GTEX-1C6VQ-1226-SM-73KYD 50-59 years, male 5.5
GTEX-W5X1-2526-SM-3GILC 40-49 years, female 5.5
GTEX-XK95-0226-SM-4AT58 40-49 years, male 5.5
GTEX-ZYW4-0626-SM-59HJR 60-69 years, male 5.5
GTEX-1GTWX-2026-SM-9YFLM 60-69 years, male 5.5
GTEX-1GZ2Q-0126-SM-9WG6M 40-49 years, male 5.5
GTEX-1H2FU-0926-SM-9WPPT 60-69 years, female 5.5
GTEX-1KD5A-0126-SM-E9U54 50-59 years, male 5.5
GTEX-1S82U-1026-SM-E6CJK 30-39 years, female 5.5
GTEX-14A5H-0826-SM-5QGPJ 60-69 years, male 5.4
GTEX-14PII-0726-SM-6EU2B 60-69 years, male 5.4
GTEX-15CHC-1126-SM-6LLHQ 60-69 years, female 5.4
GTEX-1CB4E-0926-SM-7EPHT 60-69 years, male 5.4
GTEX-1EN7A-2426-SM-793DB 40-49 years, male 5.4
GTEX-ZVT2-0126-SM-5GIDQ 50-59 years, female 5.4
GTEX-1I1HK-2326-SM-CKZOH 60-69 years, male 5.4
GTEX-1LSNL-2726-SM-E9TKJ 50-59 years, male 5.4
GTEX-XXEK-1626-SM-4BRUZ 50-59 years, male 5.3
GTEX-XYKS-1426-SM-4BRUO 60-69 years, female 5.3
GTEX-1POEN-2326-SM-E9J2L 30-39 years, female 5.3
GTEX-11DZ1-2426-SM-5GZZX 50-59 years, male 5.2
GTEX-11ZU8-0126-SM-5EQ58 60-69 years, male 5.2
GTEX-1399R-1326-SM-5PNYS 30-39 years, male 5.2
GTEX-145LT-0526-SM-5LUB2 40-49 years, male 5.2
GTEX-17HII-1426-SM-7EPGG 50-59 years, male 5.2
GTEX-1B932-2326-SM-79OL5 40-49 years, female 5.2
GTEX-XAJ8-1426-SM-47JYM 40-49 years, male 5.2
GTEX-XBED-1926-SM-47JYP 60-69 years, male 5.2
GTEX-1KANB-2826-SM-CY8I6 50-59 years, male 5.2
GTEX-11GS4-0226-SM-5HL77 60-69 years, male 5.1
GTEX-131YS-2826-SM-5EQ47 60-69 years, female 5.1
GTEX-13IVO-0726-SM-5LZYV 70-79 years, male 5.1
GTEX-14C5O-0326-SM-5ZZUX 60-69 years, male 5.1
GTEX-14LZ3-0126-SM-69LPM 60-69 years, female 5.1
GTEX-14PJ6-2626-SM-6EU2T 60-69 years, female 5.1
GTEX-1CB4J-1326-SM-7P8RX 60-69 years, male 5.1
GTEX-1GF9X-1326-SM-7PC2Y 40-49 years, female 5.1
GTEX-1K2DA-1026-SM-CGQGF 50-59 years, male 5.1
GTEX-13QBU-1226-SM-5LU4G 40-49 years, female 5.0
GTEX-15G19-2426-SM-7KUMR 60-69 years, male 5.0
GTEX-18D9B-0926-SM-7LG4U 60-69 years, male 5.0
GTEX-VJYA-1526-SM-3GIJV 60-69 years, male 5.0
GTEX-XV7Q-1826-SM-4BRUV 40-49 years, female 5.0
GTEX-ZVE2-2826-SM-5GU51 50-59 years, male 5.0
GTEX-ZYFD-0626-SM-5E44E 50-59 years, male 5.0
GTEX-139UW-0326-SM-5J1ML 60-69 years, male 4.9
GTEX-XQ8I-0926-SM-4BOOF 50-59 years, male 4.9
GTEX-1CB4I-0126-SM-7RHGG 50-59 years, male 4.9
GTEX-1GMR8-0626-SM-7RHI7 50-59 years, female 4.9
GTEX-13113-1626-SM-5EQ4I 60-69 years, female 4.8
GTEX-13OVH-0526-SM-5L3E6 70-79 years, male 4.8
GTEX-ZVTK-0226-SM-51MRG 20-29 years, male 4.8
GTEX-ZYFC-0426-SM-5GICQ 50-59 years, male 4.8
GTEX-1C6VR-0126-SM-7RHGB 60-69 years, male 4.8
GTEX-1GZ4H-0526-SM-9KNU9 50-59 years, female 4.8
GTEX-1LSNM-0826-SM-DIPG8 50-59 years, male 4.8
GTEX-1LGRB-0926-SM-COH3K 50-59 years, female 4.7
GTEX-1QMI2-2526-SM-E8VNZ 60-69 years, male 4.7
GTEX-12126-0826-SM-5FQTZ 20-29 years, male 4.6
GTEX-13QJC-0126-SM-5ZZWJ 60-69 years, female 4.6
GTEX-145MN-1526-SM-5SI9T 30-39 years, male 4.6
GTEX-1IDJI-0126-SM-CMKHS 50-59 years, female 4.6
GTEX-1JKYN-0826-SM-ARU8S 30-39 years, male 4.6
GTEX-ZF3C-0626-SM-DO92O 50-59 years, female 4.6
GTEX-11GSP-2326-SM-5HL63 60-69 years, female 4.5
GTEX-YB5K-2026-SM-4VDT3 40-49 years, female 4.5
GTEX-1CAMS-2226-SM-7PBXQ 40-49 years, female 4.5
GTEX-1HCUA-0826-SM-ADEHM 50-59 years, female 4.5
GTEX-1HSMP-0926-SM-A9SKX 70-79 years, male 4.5
GTEX-1O9I2-0226-SM-EYYXD 50-59 years, male 4.5
GTEX-1R9PN-0426-SM-DTXDT 40-49 years, female 4.5
GTEX-12584-0726-SM-5FQTK 40-49 years, male 4.4
GTEX-VUSG-2326-SM-4KL1U 50-59 years, male 4.4
GTEX-1F88E-1626-SM-7SB8Z 60-69 years, female 4.4
GTEX-11LCK-2226-SM-5HL4Q 30-39 years, male 4.3
GTEX-11ZUS-2626-SM-5FQUR 30-39 years, male 4.3
GTEX-13VXU-0626-SM-5L3F9 50-59 years, male 4.3
GTEX-14PJ5-1526-SM-6LLIL 60-69 years, female 4.3
GTEX-15CHR-1126-SM-7EWF4 50-59 years, male 4.3
GTEX-15UF6-1926-SM-7KUDV 70-79 years, female 4.3
GTEX-16MT8-2926-SM-7DUFO 60-69 years, female 4.3
GTEX-Y5LM-0926-SM-6LLJG 40-49 years, female 4.3
GTEX-ZE7O-2726-SM-51MT5 50-59 years, female 4.3
GTEX-1CAMR-1326-SM-7PC1F 20-29 years, male 4.3
GTEX-1JK1U-0226-SM-ARZMX 60-69 years, male 4.3
GTEX-133LE-2326-SM-5K7W3 20-29 years, female 4.2
GTEX-1399U-1126-SM-5L3DB 50-59 years, female 4.2
GTEX-14DAQ-0626-SM-793DS 60-69 years, female 4.2
GTEX-15G1A-1626-SM-7KUKN 30-39 years, male 4.2
GTEX-17EVQ-0126-SM-7IGLR 70-79 years, male 4.2
GTEX-U8XE-0226-SM-4E3J3 30-39 years, male 4.2
GTEX-WYBS-0626-SM-3NMAS 60-69 years, female 4.2
GTEX-Y3I4-1726-SM-4TT89 50-59 years, male 4.2
GTEX-1GF9U-2026-SM-7SB92 40-49 years, female 4.2
GTEX-1H3O1-1326-SM-9MQLD 60-69 years, male 4.2
GTEX-12WSK-2126-SM-5CVNC 40-49 years, female 4.1
GTEX-13VXT-1926-SM-5K7UO 20-29 years, female 4.1
GTEX-1HCVE-2726-SM-CL54F 50-59 years, male 4.1
GTEX-1HSGN-0826-SM-ACKW3 40-49 years, female 4.1
GTEX-1IDJD-2326-SM-ACKWX 30-39 years, male 4.1
GTEX-1JJ6O-2726-SM-CNPOG 60-69 years, male 4.1
GTEX-1PPH8-0126-SM-EWRN8 20-29 years, male 4.1
GTEX-1313W-0626-SM-5EQ4H 50-59 years, female 4.0
GTEX-1B97I-0626-SM-73KUZ 40-49 years, male 4.0
GTEX-ZLWG-0826-SM-59888 50-59 years, female 4.0
GTEX-1H23P-0626-SM-9WG6T 60-69 years, male 4.0
GTEX-1RLM8-2926-SM-E8VON 50-59 years, male 4.0
GTEX-13W3W-0726-SM-5IJDQ 60-69 years, female 3.9
GTEX-13X6K-0626-SM-5LU5D 60-69 years, female 3.9
GTEX-1477Z-0326-SM-7IGLA 60-69 years, male 3.9
GTEX-14PKU-0126-SM-6LLHV 40-49 years, female 3.9
GTEX-11DXY-0126-SM-5H11Q 60-69 years, male 3.8
GTEX-13FH7-1126-SM-5K7UG 50-59 years, female 3.8
GTEX-14C39-1726-SM-5RQIL 40-49 years, male 3.8
GTEX-14PK6-0226-SM-62LF5 70-79 years, female 3.8
GTEX-X3Y1-2026-SM-3P5YM 40-49 years, male 3.8
GTEX-ZYFG-1526-SM-5GZYM 60-69 years, female 3.8
GTEX-1LVA9-2626-SM-EVYD4 50-59 years, male 3.8
GTEX-1QCLZ-2426-SM-EVYBW 60-69 years, female 3.8
GTEX-ZPIC-0526-SM-DO91W 40-49 years, female 3.8
GTEX-111CU-1126-SM-5EGIM 50-59 years, male 3.7
GTEX-12WSJ-1126-SM-5LZVJ 40-49 years, female 3.7
GTEX-14E6C-2426-SM-5S2NF 40-49 years, male 3.7
GTEX-17F98-1326-SM-7DUEP 40-49 years, female 3.7
GTEX-1CB4H-1126-SM-7MKGL 60-69 years, female 3.7
GTEX-1C475-1326-SM-7SB73 40-49 years, female 3.7
GTEX-1J1R8-2026-SM-CL53Y 40-49 years, male 3.7
GTEX-1JN76-0626-SM-CKZOQ 20-29 years, female 3.7
GTEX-148VJ-0626-SM-5LUAW 70-79 years, male 3.6
GTEX-14E6E-0526-SM-793DN 30-39 years, male 3.6
GTEX-1GL5R-1326-SM-7RHHF 50-59 years, male 3.6
GTEX-1H1DF-1126-SM-9WG7G 40-49 years, female 3.6
GTEX-1JN1M-2726-SM-CY8I4 60-69 years, female 3.6
GTEX-WFG8-2126-SM-3GIKQ 20-29 years, male 3.5
GTEX-ZYY3-2926-SM-5GIEB 60-69 years, female 3.5
GTEX-13NYC-0126-SM-5L3F4 60-69 years, male 3.4
GTEX-1B8KZ-0326-SM-73KY4 50-59 years, male 3.4
GTEX-ZF29-0926-SM-4WKFZ 60-69 years, female 3.4
GTEX-1J8EW-2726-SM-CY8HR 60-69 years, female 3.4
GTEX-1J8QM-2426-SM-A9SLS 60-69 years, female 3.4
GTEX-11P81-2226-SM-5PNYI 30-39 years, female 3.3
GTEX-13O3Q-0126-SM-5KM34 50-59 years, male 3.3
GTEX-14XAO-1226-SM-6EU1C 60-69 years, female 3.3
GTEX-1F88F-0126-SM-9WYSZ 60-69 years, female 3.3
GTEX-1HB9E-0126-SM-CM2S5 50-59 years, male 3.3
GTEX-1J8Q3-0526-SM-ARL8U 60-69 years, male 3.3
GTEX-1JMQK-1226-SM-D4P2S 60-69 years, male 3.3
GTEX-1LVAO-2726-SM-E9TJ8 60-69 years, male 3.3
GTEX-1CAV2-0126-SM-7IGN7 40-49 years, female 3.2
GTEX-1EH9U-2826-SM-7DUGT 60-69 years, male 3.2
GTEX-1JMPZ-0726-SM-CY8HZ 30-39 years, male 3.2
GTEX-1MCC2-1826-SM-DIPEX 30-39 years, female 3.2
GTEX-132AR-0326-SM-5KM2C 50-59 years, female 3.0
GTEX-17MF6-2626-SM-79OKQ 40-49 years, male 3.0
GTEX-1A3MX-2626-SM-7PC24 60-69 years, male 3.0
GTEX-1F48J-0726-SM-7RHGS 50-59 years, female 3.0
GTEX-1I1GU-0926-SM-ACKVS 40-49 years, male 3.0
GTEX-11VI4-1126-SM-5EQMD 40-49 years, female 2.9
GTEX-1H1DG-2426-SM-9QEHJ 70-79 years, male 2.9
GTEX-1H1ZS-2726-SM-9WG75 70-79 years, male 2.9
GTEX-1JJE9-2626-SM-ARZMT 70-79 years, male 2.9
GTEX-1A3MW-0626-SM-731CB 60-69 years, female 2.7
GTEX-ZY6K-1426-SM-5GZX2 50-59 years, male 2.7
GTEX-1I4MK-0126-SM-CY8G6 50-59 years, female 2.7
GTEX-1JMOU-1026-SM-CYPSS 60-69 years, female 2.7
GTEX-1LKK1-2626-SM-DKPQE 50-59 years, female 2.7
GTEX-14C38-0726-SM-5SI6M 50-59 years, male 2.5
GTEX-1HC8U-1326-SM-9YFMJ 40-49 years, female 2.4
GTEX-1J1OQ-0126-SM-D4P2N 40-49 years, female 2.4
GTEX-183WM-0326-SM-72D5V 70-79 years, female 2.3
GTEX-1HCU8-2526-SM-CE6RX 60-69 years, female 2.2
GTEX-144FL-0626-SM-5LU43 50-59 years, male 2.1
GTEX-1H3VE-0726-SM-9YFL5 40-49 years, male 2.1
GTEX-1HBPM-0726-SM-9YFL7 60-69 years, female 2.1
GTEX-1399S-0126-SM-5IJCF 30-39 years, female 2.0
GTEX-1JMQL-2226-SM-CNPP4 50-59 years, female 1.9
GTEX-ZLFU-1826-SM-4WWBV 40-49 years, male 1.8
GTEX-16MT9-0126-SM-7EPI8 60-69 years, female 1.5
GTEX-1117F-2926-SM-5GZYI 60-69 years, female 1.3
GTEX-13RTJ-0126-SM-5S2NN 60-69 years, male 1.1
Show allShow less
Skin - Sun Exposed (Lower leg)
Average nTPM: 7.2
Samples: 701

Max nTPM: 24.2
Min nTPM: 0.3
Std nTPM: 3.2
Median nTPM: 6.8
GTEX-Y114-2426-SM-4TT8A 50-59 years, female 24.2
GTEX-13111-1626-SM-5EGJY 50-59 years, male 21.7
GTEX-1B8SF-1426-SM-7DUGL 60-69 years, male 19.7
GTEX-13FTW-2626-SM-5K7WL 40-49 years, male 19.3
GTEX-T6MN-0126-SM-32PLP 50-59 years, male 19.1
GTEX-1QP9N-1426-SM-DTXFL 30-39 years, male 17.5
GTEX-1JN6P-0126-SM-D3L98 60-69 years, male 17.4
GTEX-11DYG-0126-SM-59883 60-69 years, male 16.7
GTEX-17JCI-0126-SM-7LG5G 60-69 years, female 16.2
GTEX-1PIGE-0126-SM-EVYBJ 20-29 years, male 16.0
GTEX-OIZH-0126-SM-2HMIS 50-59 years, male 15.7
GTEX-QESD-1426-SM-2S1R9 20-29 years, male 15.4
GTEX-SNMC-1226-SM-2XCFP 20-29 years, male 15.4
GTEX-T5JW-1626-SM-3GADZ 20-29 years, female 15.2
GTEX-1S83E-0126-SM-EWRO4 40-49 years, male 15.2
GTEX-ZXES-1826-SM-5E43S 30-39 years, female 15.0
GTEX-Y8DK-0126-SM-4TT3L 60-69 years, male 14.9
GTEX-WYJK-0126-SM-3NMAB 50-59 years, male 14.8
GTEX-ZGAY-0526-SM-4WWBB 40-49 years, female 14.6
GTEX-1F6IF-0726-SM-7P8TW 60-69 years, male 14.4
GTEX-1IL2U-0226-SM-CE6T8 60-69 years, male 14.2
GTEX-1GF9V-0326-SM-7RHI5 60-69 years, male 13.9
GTEX-1LBAC-0126-SM-DIPEZ 20-29 years, male 13.9
GTEX-13PVR-2326-SM-5QGR1 60-69 years, female 13.8
GTEX-15ER7-0326-SM-7KUEV 20-29 years, female 13.8
GTEX-NFK9-0226-SM-2HMKQ 40-49 years, male 13.8
GTEX-SUCS-1926-SM-32PM3 70-79 years, male 13.8
GTEX-13O21-1426-SM-5K7XI 50-59 years, male 13.7
GTEX-1HKZK-0326-SM-9WYUH 40-49 years, male 13.7
GTEX-1AX9J-0226-SM-73KXM 60-69 years, male 13.6
GTEX-RM2N-1426-SM-2TF4H 50-59 years, male 13.6
GTEX-1R7EU-0226-SM-EVR4G 60-69 years, male 13.5
GTEX-P4PP-0126-SM-3LK69 30-39 years, female 13.1
GTEX-Y111-0126-SM-4SOIV 50-59 years, male 13.1
GTEX-1EMGI-0126-SM-9KNUE 60-69 years, male 13.1
GTEX-14PHX-2326-SM-62LEM 50-59 years, male 13.0
GTEX-OIZG-0726-SM-33HBL 50-59 years, male 13.0
GTEX-1IDJU-2626-SM-CM2RT 60-69 years, female 12.9
GTEX-T6MO-1626-SM-32QOM 40-49 years, female 12.8
GTEX-1F6RS-0126-SM-9MQKZ 60-69 years, female 12.8
GTEX-17HG3-2226-SM-7938L 30-39 years, female 12.7
GTEX-OXRK-0226-SM-3NB2G 50-59 years, female 12.7
GTEX-1HCU6-0126-SM-CL54K 60-69 years, female 12.6
GTEX-PLZ6-1426-SM-DKPOT 30-39 years, male 12.6
GTEX-1GF9W-0326-SM-9KNUN 60-69 years, male 12.5
GTEX-1LB8K-0226-SM-EWRNW 50-59 years, male 12.5
GTEX-11EM3-2426-SM-59861 20-29 years, female 12.4
GTEX-11ZTS-0126-SM-5EQ6M 60-69 years, female 12.3
GTEX-18QFQ-0126-SM-731BE 30-39 years, male 12.3
GTEX-1B8L1-2526-SM-9WYTF 60-69 years, male 12.3
GTEX-1F5PL-0326-SM-7P8PQ 40-49 years, female 12.3
GTEX-131XF-5016-SM-7MGWE 60-69 years, male 12.1
GTEX-1KANC-1526-SM-D3LAB 50-59 years, female 12.1
GTEX-1RAZA-0126-SM-E6CI3 20-29 years, male 12.1
GTEX-13D11-2426-SM-5KM1V 50-59 years, female 12.0
GTEX-18D9U-0226-SM-718BP 40-49 years, male 12.0
GTEX-1HT8W-0126-SM-CNPPP 30-39 years, male 12.0
GTEX-1I6K6-0126-SM-A9SLE 30-39 years, male 12.0
GTEX-145LU-0126-SM-5TDCB 50-59 years, male 11.9
GTEX-Y3IK-2426-SM-4WWDU 50-59 years, female 11.9
GTEX-YJ89-0126-SM-4TT3X 60-69 years, male 11.9
GTEX-1PDJ9-0326-SM-DTX95 20-29 years, male 11.9
GTEX-13X6J-0126-SM-5QGOU 50-59 years, male 11.8
GTEX-11TUW-2726-SM-E9J4M 60-69 years, male 11.8
GTEX-15SB6-1726-SM-6PAME 50-59 years, female 11.7
GTEX-WH7G-2326-SM-3NMBC 40-49 years, male 11.7
GTEX-1GMR3-1926-SM-9KNUZ 40-49 years, male 11.7
GTEX-S7PM-0126-SM-4AD6S 60-69 years, male 11.6
GTEX-17EVP-0326-SM-7DHLG 40-49 years, male 11.5
GTEX-1C64N-0126-SM-793D7 50-59 years, male 11.5
GTEX-1GPI6-0126-SM-9WG69 60-69 years, male 11.5
GTEX-13FXS-0226-SM-5IJCK 50-59 years, male 11.4
GTEX-18465-0126-SM-731BN 50-59 years, male 11.4
GTEX-T5JC-0426-SM-32PLO 20-29 years, male 11.4
GTEX-ZY6K-1826-SM-5GZXK 50-59 years, male 11.4
GTEX-1C6WA-0126-SM-7PC2B 60-69 years, male 11.4
GTEX-1EKGG-0226-SM-9WYTH 60-69 years, male 11.4
GTEX-13JUV-2726-SM-5LZZ8 40-49 years, female 11.3
GTEX-145ME-1826-SM-5SI9G 40-49 years, female 11.3
GTEX-1LG7Z-1726-SM-D3LA4 30-39 years, male 11.3
GTEX-1HGF4-2426-SM-ACKXM 60-69 years, male 11.2
GTEX-1MA7X-2226-SM-E6CIY 60-69 years, male 11.2
GTEX-1OJC3-0126-SM-E76QX 20-29 years, male 11.2
GTEX-1122O-2126-SM-5EGIR 60-69 years, female 11.1
GTEX-WZTO-0126-SM-3NM95 40-49 years, male 11.1
GTEX-11UD1-0126-SM-5PNYG 40-49 years, female 11.0
GTEX-1399T-2826-SM-5KLYZ 60-69 years, male 11.0
GTEX-U8T8-0126-SM-3DB94 60-69 years, male 11.0
GTEX-1LVAN-0226-SM-COH3S 50-59 years, female 11.0
GTEX-1MGNQ-0126-SM-EVYCJ 40-49 years, male 11.0
GTEX-1OFPY-2426-SM-DTXEJ 60-69 years, male 11.0
GTEX-1PFEY-1526-SM-E76PP 30-39 years, male 11.0
GTEX-ZVT4-0126-SM-DTXFN 50-59 years, female 11.0
GTEX-139TU-0126-SM-5K7WH 60-69 years, male 10.9
GTEX-XUZC-1726-SM-4BRWS 30-39 years, female 10.9
GTEX-Z93T-0126-SM-5HL5N 50-59 years, male 10.8
GTEX-1AX9I-0126-SM-7SB74 60-69 years, male 10.7
GTEX-Y5V5-2326-SM-4V6GA 60-69 years, female 10.6
GTEX-1HCU9-1526-SM-A9SL7 20-29 years, male 10.6
GTEX-13OW6-0426-SM-5L3HM 50-59 years, male 10.5
GTEX-18A6Q-0126-SM-731BZ 60-69 years, male 10.5
GTEX-S7SE-0126-SM-2XCD5 50-59 years, male 10.5
GTEX-1I1GV-0526-SM-A9G29 60-69 years, male 10.5
GTEX-1CAMQ-0226-SM-7IGPK 40-49 years, male 10.4
GTEX-1I1GR-0126-SM-CL55F 60-69 years, male 10.4
GTEX-1MJK2-0426-SM-DTXE5 50-59 years, male 10.4
GTEX-12ZZX-0126-SM-5EGK9 40-49 years, female 10.3
GTEX-ZAB5-1826-SM-5HL7C 50-59 years, male 10.2
GTEX-1RQEC-0426-SM-E6CHU 60-69 years, male 10.2
GTEX-111FC-0126-SM-5N9DL 60-69 years, male 10.1
GTEX-139D8-0226-SM-5KLZO 30-39 years, female 10.1
GTEX-1KD4Q-0226-SM-E9TJ9 40-49 years, male 10.1
GTEX-RVPV-0126-SM-EAZAW 60-69 years, male 10.1
GTEX-12WSA-0226-SM-5BC5V 60-69 years, male 10.0
GTEX-139TS-2826-SM-5J1OO 60-69 years, male 10.0
GTEX-1B8SG-0126-SM-73KZ3 50-59 years, male 10.0
GTEX-1QPFJ-0226-SM-E76PB 30-39 years, female 10.0
GTEX-11NUK-0126-SM-5A5L3 50-59 years, male 9.9
GTEX-16AAH-1726-SM-7939C 50-59 years, male 9.9
GTEX-T2IS-0126-SM-4DM6O 20-29 years, female 9.9
GTEX-VJWN-0126-SM-3GIK7 50-59 years, female 9.9
GTEX-12WSG-2826-SM-E9J4H 50-59 years, female 9.9
GTEX-1GN73-0226-SM-9WG67 60-69 years, male 9.9
GTEX-1HSEH-0126-SM-ACKXN 60-69 years, male 9.9
GTEX-1IDJH-0326-SM-A9SLQ 70-79 years, male 9.9
GTEX-1JMLX-0226-SM-CM2RO 50-59 years, male 9.9
GTEX-11UD2-0226-SM-5EQKY 50-59 years, male 9.8
GTEX-18D9A-1926-SM-7LG6P 30-39 years, female 9.8
GTEX-YB5E-2026-SM-5IFIS 40-49 years, male 9.8
GTEX-1H11D-0226-SM-9WG6Z 40-49 years, male 9.8
GTEX-11XUK-2026-SM-5EQLF 40-49 years, female 9.7
GTEX-146FQ-0126-SM-5NQA9 30-39 years, male 9.7
GTEX-OHPM-0126-SM-2YUN9 50-59 years, male 9.7
GTEX-PX3G-0126-SM-2I3EN 20-29 years, female 9.7
GTEX-XQ3S-1526-SM-4BOOC 20-29 years, male 9.7
GTEX-1EWIQ-0126-SM-7RHH2 70-79 years, female 9.7
GTEX-1F52S-0126-SM-9MQJU 60-69 years, female 9.7
GTEX-1H3VY-0126-SM-ACKXD 50-59 years, male 9.7
GTEX-13OVL-0226-SM-5L3E9 50-59 years, male 9.6
GTEX-14JG6-2226-SM-6EU2G 30-39 years, female 9.6
GTEX-15EU6-0426-SM-6PAN5 50-59 years, male 9.6
GTEX-17HHE-2026-SM-79OKF 50-59 years, male 9.6
GTEX-QVJO-1626-SM-2S1QW 60-69 years, female 9.6
GTEX-11P82-1626-SM-59879 20-29 years, male 9.5
GTEX-12ZZY-0226-SM-5LZVE 60-69 years, male 9.5
GTEX-13CF2-2526-SM-5LZYX 60-69 years, male 9.5
GTEX-R55E-0126-SM-2TC5Y 20-29 years, male 9.5
GTEX-1CB4G-0226-SM-7PC3O 60-69 years, male 9.5
GTEX-1HBPI-1526-SM-C1YQ1 50-59 years, male 9.5
GTEX-117YW-2626-SM-5GZZH 50-59 years, male 9.4
GTEX-YEC4-2126-SM-5IFJH 40-49 years, male 9.4
GTEX-ZF2S-2326-SM-4WWCE 50-59 years, female 9.4
GTEX-1F5PK-2426-SM-7RHHY 50-59 years, male 9.4
GTEX-1LSNM-1926-SM-E6CII 50-59 years, male 9.4
GTEX-1R9PM-2026-SM-E76OY 20-29 years, male 9.4
GTEX-UPJH-0326-SM-3GADU 50-59 years, male 9.3
GTEX-1F75A-0126-SM-7RHGM 50-59 years, male 9.3
GTEX-13NZ8-0826-SM-5MR3I 60-69 years, female 9.2
GTEX-S32W-2126-SM-2XCB1 50-59 years, female 9.2
GTEX-WQUQ-0426-SM-3MJFU 60-69 years, male 9.2
GTEX-Y5V6-2426-SM-4VDSB 60-69 years, male 9.2
GTEX-1KWVE-1426-SM-E9TJO 30-39 years, male 9.2
GTEX-TKQ1-1026-SM-4GICL 30-39 years, male 9.1
GTEX-1F75B-0126-SM-9KNVL 50-59 years, male 9.1
GTEX-1MA7W-2026-SM-E9TJ6 20-29 years, female 9.1
GTEX-1POEN-0126-SM-EYYXJ 30-39 years, female 9.1
GTEX-12WSK-2326-SM-5GCOH 40-49 years, female 9.0
GTEX-1399R-2726-SM-5IJBA 30-39 years, male 9.0
GTEX-145MO-0326-SM-5Q5B3 60-69 years, male 9.0
GTEX-14LLW-0126-SM-6LLIO 70-79 years, female 9.0
GTEX-15F5U-1526-SM-6PANO 40-49 years, male 9.0
GTEX-O5YW-0126-SM-3LK6D 50-59 years, male 9.0
GTEX-13OW5-0126-SM-DTXFS 60-69 years, male 9.0
GTEX-1B996-0226-SM-7RHGO 60-69 years, male 9.0
GTEX-1H1CY-2826-SM-9MQM3 60-69 years, female 9.0
GTEX-13G51-2526-SM-5LZYK 60-69 years, male 8.9
GTEX-14753-0426-SM-5NQAM 60-69 years, male 8.9
GTEX-16NPX-0226-SM-79OMT 50-59 years, male 8.9
GTEX-QCQG-1726-SM-3GIJ9 50-59 years, female 8.9
GTEX-T8EM-1026-SM-3DB7M 40-49 years, male 8.9
GTEX-XBEW-0626-SM-4QASP 40-49 years, male 8.9
GTEX-ZVTK-0426-SM-51MRS 20-29 years, male 8.9
GTEX-ZVZP-2426-SM-59HKJ 50-59 years, male 8.9
GTEX-1HR98-0126-SM-B2LWI 60-69 years, male 8.9
GTEX-1J1R8-1726-SM-ARL8M 40-49 years, male 8.9
GTEX-11EQ9-2426-SM-5HL5T 30-39 years, male 8.8
GTEX-ZE9C-2726-SM-57WB5 60-69 years, male 8.8
GTEX-1H1DE-2126-SM-9WG6R 20-29 years, male 8.8
GTEX-1ICLY-0126-SM-D4P36 50-59 years, male 8.8
GTEX-1MCQQ-0826-SM-DLHC2 60-69 years, male 8.8
GTEX-1N2EF-0226-SM-EYYXB 60-69 years, male 8.8
GTEX-13X6H-2126-SM-7EWD5 50-59 years, female 8.7
GTEX-PVOW-0126-SM-2XCFA 40-49 years, male 8.7
GTEX-1GN2E-0426-SM-9MQKX 60-69 years, male 8.7
GTEX-1JMQI-2226-SM-CM2SD 50-59 years, male 8.7
GTEX-1QCLY-0326-SM-E8VOG 30-39 years, male 8.7
GTEX-132NY-0326-SM-5IJBL 60-69 years, male 8.6
GTEX-14BMU-2226-SM-5TDE9 20-29 years, female 8.6
GTEX-16YQH-0126-SM-7DUFJ 30-39 years, male 8.6
GTEX-1AX8Z-0126-SM-7DHM6 60-69 years, male 8.6
GTEX-1GN1U-0126-SM-7PBZK 50-59 years, female 8.6
GTEX-1IKK5-0626-SM-ARL8A 60-69 years, male 8.6
GTEX-15DDE-0126-SM-6LPKH 50-59 years, female 8.5
GTEX-QEG4-0226-SM-2S1PY 30-39 years, male 8.5
GTEX-WYVS-2126-SM-3NMA3 40-49 years, female 8.5
GTEX-1IE54-0126-SM-CMKHW 40-49 years, female 8.5
GTEX-1JJEA-0326-SM-CNPOT 60-69 years, male 8.5
GTEX-1PBJI-0526-SM-E8VNK 20-29 years, female 8.5
GTEX-1PIIG-0226-SM-EWRN6 30-39 years, male 8.5
GTEX-1QW4Y-1526-SM-EAZ3Z 30-39 years, male 8.5
GTEX-1314G-1526-SM-5EGK2 30-39 years, male 8.4
GTEX-13OVK-2026-SM-7KUEO 40-49 years, male 8.4
GTEX-13YAN-0326-SM-5O9DF 60-69 years, male 8.4
GTEX-SSA3-0126-SM-32QPU 60-69 years, male 8.4
GTEX-WXYG-2326-SM-4E3I6 50-59 years, female 8.4
GTEX-XAJ8-0826-SM-47JY6 40-49 years, male 8.4
GTEX-ZAB4-0226-SM-5N9F5 40-49 years, male 8.4
GTEX-1F75I-0326-SM-9YFLU 40-49 years, male 8.4
GTEX-1J8QM-2126-SM-CYPSJ 60-69 years, female 8.4
GTEX-1RB15-2126-SM-E9TIM 60-69 years, male 8.4
GTEX-111VG-2426-SM-5GZXD 60-69 years, male 8.3
GTEX-12696-2426-SM-5EQ6H 60-69 years, male 8.3
GTEX-12WSD-0126-SM-59HKN 60-69 years, female 8.3
GTEX-13PDP-0126-SM-5L3HD 60-69 years, male 8.3
GTEX-14PJM-0226-SM-62LF1 50-59 years, female 8.3
GTEX-NPJ8-0126-SM-2YUNR 40-49 years, male 8.3
GTEX-X4XX-0126-SM-3NMC2 60-69 years, male 8.3
GTEX-1HSKV-0226-SM-A9SKJ 60-69 years, male 8.3
GTEX-1211K-2026-SM-5EQ4Z 60-69 years, female 8.2
GTEX-15D1Q-0126-SM-7KUG6 40-49 years, male 8.2
GTEX-1AMEY-1326-SM-73KYK 30-39 years, female 8.2
GTEX-ZYT6-0226-SM-5NQ6T 30-39 years, male 8.2
GTEX-1MUQO-0126-SM-EAZ58 60-69 years, male 8.2
GTEX-1PPH7-2326-SM-EVYB8 40-49 years, male 8.2
GTEX-17KNJ-2326-SM-7DHLQ 50-59 years, male 8.1
GTEX-1A3MV-1926-SM-718BT 30-39 years, male 8.1
GTEX-PLZ5-2026-SM-2S1O4 50-59 years, male 8.1
GTEX-Y8E4-0626-SM-4WWDL 40-49 years, male 8.1
GTEX-YFC4-0126-SM-5CVLY 40-49 years, female 8.1
GTEX-1GMRU-0126-SM-9YFLV 50-59 years, male 8.1
GTEX-144GL-0126-SM-5TDE2 50-59 years, male 8.0
GTEX-P44H-0226-SM-2XCEU 40-49 years, male 8.0
GTEX-RU72-0926-SM-2TF6B 50-59 years, female 8.0
GTEX-SIU8-0126-SM-2XCDT 50-59 years, male 8.0
GTEX-XYKS-2126-SM-4E3IB 60-69 years, female 8.0
GTEX-13O3O-0126-SM-E9J49 60-69 years, female 8.0
GTEX-1F6I4-0126-SM-9MQL2 60-69 years, male 8.0
GTEX-13OVJ-0126-SM-5KM36 50-59 years, female 7.9
GTEX-TMZS-0126-SM-3DB9Q 60-69 years, male 7.9
GTEX-WI4N-1026-SM-3LK7N 40-49 years, female 7.9
GTEX-X4EP-0126-SM-3P5YV 60-69 years, female 7.9
GTEX-11DXW-0226-SM-5H122 40-49 years, male 7.8
GTEX-145LV-2126-SM-5LU8N 50-59 years, male 7.8
GTEX-14PJ6-2126-SM-6EU1V 60-69 years, female 7.8
GTEX-ZAK1-0126-SM-5IJD3 50-59 years, female 7.8
GTEX-1CB4F-0426-SM-9KNV4 60-69 years, male 7.8
GTEX-1H2FU-0126-SM-9WYSI 60-69 years, female 7.8
GTEX-1LGOU-2026-SM-DIPFF 20-29 years, female 7.8
GTEX-11OF3-2626-SM-5GU7F 60-69 years, male 7.7
GTEX-131XH-2226-SM-5DUXJ 50-59 years, male 7.7
GTEX-13RTK-1426-SM-5QGQJ 20-29 years, male 7.7
GTEX-1497J-2426-SM-7IGNX 60-69 years, male 7.7
GTEX-1BAJH-0526-SM-793CQ 70-79 years, male 7.7
GTEX-QLQ7-1626-SM-2S1R8 60-69 years, male 7.7
GTEX-1RDX4-0126-SM-E9J4P 50-59 years, female 7.7
GTEX-PSDG-0226-SM-DKPOZ 50-59 years, male 7.7
GTEX-11DXZ-2326-SM-5EGGV 50-59 years, male 7.6
GTEX-1269C-2526-SM-5EGJ3 60-69 years, female 7.6
GTEX-13SLX-0526-SM-5S2ON 50-59 years, female 7.6
GTEX-14BIN-0626-SM-793DP 50-59 years, female 7.6
GTEX-ZYFD-0126-SM-5GIDL 50-59 years, male 7.6
GTEX-ZZ64-1726-SM-5GZYB 20-29 years, male 7.6
GTEX-1GPI7-0126-SM-9MQL8 20-29 years, male 7.6
GTEX-1JKYR-0126-SM-CNPOJ 20-29 years, male 7.6
GTEX-1K2DU-2326-SM-E9TIV 20-29 years, male 7.6
GTEX-1KXAM-2226-SM-CYPTC 60-69 years, male 7.6
GTEX-OIZF-0126-SM-7SB8I 60-69 years, male 7.6
GTEX-1399U-2326-SM-5K7WY 50-59 years, female 7.5
GTEX-145MI-0526-SM-5O9A8 60-69 years, female 7.5
GTEX-14E7W-0126-SM-6LLJ9 70-79 years, male 7.5
GTEX-16NGA-1726-SM-731B4 40-49 years, female 7.5
GTEX-17HHY-0126-SM-7LG5D 50-59 years, male 7.5
GTEX-S95S-1226-SM-4GICG 60-69 years, male 7.5
GTEX-WVJS-0126-SM-4MVOT 50-59 years, male 7.5
GTEX-X585-0226-SM-4QAS2 50-59 years, male 7.5
GTEX-YB5K-2126-SM-4WWDJ 40-49 years, female 7.5
GTEX-1GF9X-2026-SM-7PC3A 40-49 years, female 7.5
GTEX-1H1E6-1726-SM-ACKVK 30-39 years, male 7.5
GTEX-1I1GQ-0126-SM-COH3H 50-59 years, male 7.5
GTEX-146FH-0126-SM-5QGPP 50-59 years, female 7.4
GTEX-1B8KZ-2026-SM-7DHMB 50-59 years, male 7.4
GTEX-1C2JI-1826-SM-73KXC 50-59 years, male 7.4
GTEX-QLQW-1126-SM-2S1Q8 30-39 years, male 7.4
GTEX-XUYS-0126-SM-47JWZ 50-59 years, male 7.4
GTEX-ZVT2-2526-SM-51MT1 50-59 years, female 7.4
GTEX-1K9T9-0126-SM-EVYCF 50-59 years, female 7.4
GTEX-1QMI2-0226-SM-EVYBX 60-69 years, male 7.4
GTEX-S33H-1026-SM-EZ6L6 30-39 years, male 7.4
GTEX-131XG-2626-SM-5KM17 50-59 years, female 7.3
GTEX-14BIL-0126-SM-5SI92 50-59 years, male 7.3
GTEX-17F98-0626-SM-79OMX 40-49 years, female 7.3
GTEX-QDVN-2026-SM-3GAEP 50-59 years, male 7.3
GTEX-X4EO-0326-SM-3P5YO 60-69 years, female 7.3
GTEX-Z9EW-1626-SM-5CVMN 40-49 years, male 7.3
GTEX-1HSMQ-1226-SM-CGQFX 50-59 years, male 7.3
GTEX-1I1CD-0126-SM-CM2TK 60-69 years, female 7.3
GTEX-1LG7Y-0526-SM-DKPQC 50-59 years, male 7.3
GTEX-1N2DV-0226-SM-E6CJ6 40-49 years, male 7.3
GTEX-139UW-2826-SM-5L3E7 60-69 years, male 7.2
GTEX-13SLW-0126-SM-5SI6C 70-79 years, male 7.2
GTEX-OOBK-0126-SM-2YUND 40-49 years, male 7.2
GTEX-UJHI-1526-SM-3DB99 50-59 years, female 7.2
GTEX-X261-0126-SM-3NMD6 50-59 years, male 7.2
GTEX-XPVG-2626-SM-4B669 50-59 years, male 7.2
GTEX-YJ8A-0426-SM-5IFID 20-29 years, male 7.2
GTEX-ZDTS-0126-SM-4WAY5 60-69 years, male 7.2
GTEX-ZV68-0126-SM-59HKS 50-59 years, female 7.2
GTEX-1CAV2-2226-SM-7P8P2 40-49 years, female 7.2
GTEX-1IGQW-0126-SM-COH42 60-69 years, male 7.2
GTEX-11GSO-2426-SM-5A5LY 60-69 years, male 7.1
GTEX-13N2G-2626-SM-5J1OT 60-69 years, male 7.1
GTEX-13NYS-0126-SM-5MR3W 60-69 years, male 7.1
GTEX-13OVG-1926-SM-5L3DK 60-69 years, male 7.1
GTEX-14ICK-0226-SM-6EU25 40-49 years, male 7.1
GTEX-1E1VI-0126-SM-7DHMZ 50-59 years, male 7.1
GTEX-U3ZM-1526-SM-3DB9D 40-49 years, male 7.1
GTEX-U8XE-0326-SM-3DB8P 30-39 years, male 7.1
GTEX-XQ8I-0426-SM-4BOPO 50-59 years, male 7.1
GTEX-1EX96-1626-SM-7PBXR 50-59 years, male 7.1
GTEX-133LE-1826-SM-5J1MV 20-29 years, female 7.0
GTEX-13FTX-1826-SM-5J1NX 20-29 years, female 7.0
GTEX-145MF-0626-SM-5LUAI 50-59 years, male 7.0
GTEX-1AMFI-2026-SM-731BH 50-59 years, female 7.0
GTEX-OXRL-0126-SM-2YUMP 50-59 years, male 7.0
GTEX-RN64-0126-SM-2TC68 50-59 years, male 7.0
GTEX-SJXC-0126-SM-2XCFF 60-69 years, male 7.0
GTEX-U3ZH-2026-SM-3DB78 30-39 years, male 7.0
GTEX-1F88F-2726-SM-7PBZZ 60-69 years, female 7.0
GTEX-1GL5R-1826-SM-9KNUY 50-59 years, male 7.0
GTEX-1IDJF-0126-SM-CM2RS 20-29 years, male 7.0
GTEX-1K2DA-1826-SM-CGQGT 50-59 years, male 7.0
GTEX-1QAET-0926-SM-E76QM 50-59 years, male 7.0
GTEX-11TT1-2526-SM-5EGIB 20-29 years, male 6.9
GTEX-13O3Q-2426-SM-5IJBR 50-59 years, male 6.9
GTEX-14BIM-0226-SM-7IGLD 60-69 years, female 6.9
GTEX-14PJ3-1826-SM-62LEX 50-59 years, male 6.9
GTEX-1B933-0126-SM-7PC29 50-59 years, female 6.9
GTEX-1I1GS-0126-SM-B2LVW 60-69 years, male 6.9
GTEX-11GSP-2526-SM-5N9BP 60-69 years, female 6.8
GTEX-147F4-0226-SM-5QGPW 50-59 years, male 6.8
GTEX-14JG1-0426-SM-6ETZZ 40-49 years, male 6.8
GTEX-15DYW-0126-SM-7KULE 60-69 years, female 6.8
GTEX-1A32A-0126-SM-718B1 50-59 years, female 6.8
GTEX-W5WG-1826-SM-4KL2Y 50-59 years, female 6.8
GTEX-XUW1-0426-SM-4BOOT 50-59 years, female 6.8
GTEX-ZQUD-1426-SM-57WER 30-39 years, male 6.8
GTEX-1E2YA-0126-SM-9KNUC 50-59 years, male 6.8
GTEX-11ZTT-2426-SM-5EQLS 60-69 years, female 6.7
GTEX-13112-2826-SM-5DUWH 50-59 years, male 6.7
GTEX-13OW7-0126-SM-5MR3B 50-59 years, male 6.7
GTEX-18A7B-0126-SM-7LG64 70-79 years, male 6.7
GTEX-ZTX8-1426-SM-5DUVO 20-29 years, male 6.7
GTEX-ZVT3-0126-SM-5GU6I 60-69 years, female 6.7
GTEX-1EU9M-0226-SM-7P8SP 60-69 years, male 6.7
GTEX-1I19N-0326-SM-ACKVX 70-79 years, male 6.7
GTEX-1IOXB-0126-SM-ARL8G 50-59 years, male 6.7
GTEX-1PPH8-0226-SM-E8VND 20-29 years, male 6.7
GTEX-1B97I-1626-SM-73KYO 40-49 years, male 6.6
GTEX-1C4CL-0526-SM-73KVK 30-39 years, male 6.6
GTEX-OHPL-0126-SM-2HMJ7 60-69 years, female 6.6
GTEX-Q2AG-0126-SM-33HBV 40-49 years, female 6.6
GTEX-X5EB-2226-SM-46MW4 40-49 years, male 6.6
GTEX-1HFI6-0226-SM-ADEHZ 40-49 years, male 6.6
GTEX-1NV5F-0226-SM-E8VNY 60-69 years, female 6.6
GTEX-OOBJ-0126-SM-E6CJW 60-69 years, male 6.6
GTEX-11DXX-2426-SM-5GZZW 60-69 years, female 6.5
GTEX-13O3P-0126-SM-5KM4S 50-59 years, male 6.5
GTEX-13U4I-0126-SM-5LU38 40-49 years, female 6.5
GTEX-13W46-0226-SM-5SIAG 50-59 years, male 6.5
GTEX-15UF6-0826-SM-6PALJ 70-79 years, female 6.5
GTEX-17F96-1626-SM-7DUFL 70-79 years, male 6.5
GTEX-183FY-0126-SM-7LT9P 20-29 years, male 6.5
GTEX-1212Z-2526-SM-5EGKP 60-69 years, male 6.4
GTEX-12ZZZ-0626-SM-5DUXI 60-69 years, male 6.4
GTEX-14PN3-2426-SM-6LLHS 60-69 years, female 6.4
GTEX-15ETS-0126-SM-7KUMW 40-49 years, female 6.4
GTEX-1GZ2Q-0226-SM-7P8TL 40-49 years, male 6.4
GTEX-PW2O-1526-SM-7RHHB 20-29 years, male 6.4
GTEX-145LT-1726-SM-5QGP3 40-49 years, male 6.3
GTEX-14ABY-0226-SM-5TDCQ 50-59 years, male 6.3
GTEX-14PII-0226-SM-6EU1T 60-69 years, male 6.3
GTEX-RWSA-0126-SM-2XCBB 40-49 years, male 6.3
GTEX-XMD2-0126-SM-4YCDU 60-69 years, female 6.3
GTEX-1F7RK-0126-SM-7PC2S 20-29 years, female 6.3
GTEX-1HBPN-0226-SM-9YFM1 50-59 years, male 6.3
GTEX-1IY9M-0126-SM-D3L8S 60-69 years, male 6.3
GTEX-1QEPI-0126-SM-EWRMQ 60-69 years, female 6.3
GTEX-1R7EV-2426-SM-EVYBG 40-49 years, male 6.3
GTEX-ZF3C-0126-SM-DO92D 50-59 years, female 6.3
GTEX-11DZ1-0126-SM-5985Q 50-59 years, male 6.2
GTEX-147GR-0526-SM-5S2MY 60-69 years, male 6.2
GTEX-17F97-0326-SM-7LG5B 50-59 years, male 6.2
GTEX-1GZ4H-1726-SM-7PBZJ 50-59 years, female 6.2
GTEX-1MCYP-1926-SM-E9J2R 20-29 years, female 6.2
GTEX-1QP2A-0126-SM-E9J43 50-59 years, male 6.2
GTEX-117YX-2326-SM-5H12W 50-59 years, male 6.1
GTEX-13OVI-1426-SM-5L3EY 60-69 years, female 6.1
GTEX-13QJ3-0326-SM-5S2RA 50-59 years, male 6.1
GTEX-16XZZ-0126-SM-793DV 60-69 years, male 6.1
GTEX-WRHK-1426-SM-3MJF9 20-29 years, female 6.1
GTEX-1H4P4-0726-SM-9YFLR 50-59 years, male 6.1
GTEX-1QP29-0626-SM-EWRMX 50-59 years, male 6.1
GTEX-1QP66-1726-SM-E8VO1 50-59 years, male 6.1
GTEX-1S3DN-2226-SM-EVYCD 50-59 years, male 6.1
GTEX-113IC-0126-SM-5HL6T 60-69 years, male 6.0
GTEX-1192W-2626-SM-5Q5AF 60-69 years, male 6.0
GTEX-13FHO-0226-SM-5IFGY 60-69 years, male 6.0
GTEX-18A7A-0226-SM-718BH 50-59 years, female 6.0
GTEX-1CB4E-2226-SM-793DC 60-69 years, male 6.0
GTEX-1JMQJ-0526-SM-CYPSU 50-59 years, male 6.0
GTEX-11P81-2326-SM-59875 30-39 years, female 5.9
GTEX-12126-0326-SM-5PNW3 20-29 years, male 5.9
GTEX-13113-5016-SM-7EPIP 60-69 years, female 5.9
GTEX-13O1R-0126-SM-5L3EH 60-69 years, male 5.9
GTEX-13W3W-2426-SM-5LU5B 60-69 years, female 5.9
GTEX-15SDE-2226-SM-7IGLO 50-59 years, female 5.9
GTEX-17HGU-0226-SM-7DHKV 50-59 years, male 5.9
GTEX-Q2AI-1326-SM-2S1PL 40-49 years, male 5.9
GTEX-R3RS-0126-SM-3GIJL 40-49 years, female 5.9
GTEX-X88G-0126-SM-47JZ3 30-39 years, male 5.9
GTEX-ZTSS-1926-SM-57WEW 40-49 years, male 5.9
GTEX-1HFI7-1826-SM-ACKXH 50-59 years, female 5.9
GTEX-1I4MK-2226-SM-ACKWD 50-59 years, female 5.9
GTEX-1JJ6O-0126-SM-E6CI8 60-69 years, male 5.9
GTEX-1JN76-0126-SM-CNPPE 20-29 years, female 5.9
GTEX-1NHNU-1026-SM-E9J2A 50-59 years, male 5.9
GTEX-1S82Y-2026-SM-EVYCM 40-49 years, male 5.9
GTEX-SE5C-1626-SM-2XCE3 40-49 years, female 5.9
GTEX-11OC5-0126-SM-5HL6A 60-69 years, male 5.8
GTEX-145LS-0126-SM-5QGP1 60-69 years, female 5.8
GTEX-15G19-0126-SM-6PANQ 60-69 years, male 5.8
GTEX-16BQI-0226-SM-7KUEX 30-39 years, female 5.8
GTEX-WFON-2126-SM-3LK7O 40-49 years, male 5.8
GTEX-1I1GP-2226-SM-CGQFK 50-59 years, male 5.8
GTEX-1J8JJ-0226-SM-CL53I 60-69 years, female 5.8
GTEX-1J8Q2-0526-SM-CM2RW 60-69 years, male 5.8
GTEX-PWCY-1826-SM-DHXIZ 20-29 years, female 5.8
GTEX-11P7K-2126-SM-5GU7G 30-39 years, male 5.7
GTEX-12WSC-0126-SM-5EQ4P 50-59 years, male 5.7
GTEX-1313W-0126-SM-5LZUN 50-59 years, female 5.7
GTEX-13VXU-0126-SM-5SI9F 50-59 years, male 5.7
GTEX-14BMV-0126-SM-5S2PO 50-59 years, male 5.7
GTEX-X8HC-0126-SM-4E3JW 50-59 years, female 5.7
GTEX-ZYW4-0126-SM-5E44A 60-69 years, male 5.7
GTEX-1IKOH-0226-SM-COH4E 60-69 years, female 5.7
GTEX-11ZVC-2526-SM-5FQTE 50-59 years, female 5.6
GTEX-14PN4-0126-SM-6EU2V 50-59 years, male 5.6
GTEX-1C6VS-0526-SM-7DUEN 60-69 years, male 5.6
GTEX-T2YK-0526-SM-32QPJ 50-59 years, male 5.6
GTEX-TML8-1926-SM-32QOS 40-49 years, female 5.6
GTEX-ZE7O-0126-SM-57WC1 50-59 years, female 5.6
GTEX-1A8FM-0226-SM-7SB7Q 50-59 years, female 5.6
GTEX-11EI6-0126-SM-5985R 60-69 years, male 5.5
GTEX-12KS4-0326-SM-5EQ41 30-39 years, male 5.5
GTEX-13OVH-0126-SM-5MR4B 70-79 years, male 5.5
GTEX-14A6H-0126-SM-5QGPK 30-39 years, male 5.5
GTEX-14E6C-0126-SM-5RQIP 40-49 years, male 5.5
GTEX-15RIG-0226-SM-7KFTL 40-49 years, male 5.5
GTEX-15SHU-0126-SM-7KUEH 40-49 years, female 5.5
GTEX-15SHW-0326-SM-6PAML 60-69 years, male 5.5
GTEX-1CB4J-0626-SM-7DHMP 60-69 years, male 5.5
GTEX-OXRN-0126-SM-48TDM 50-59 years, male 5.5
GTEX-ZYFC-0226-SM-5NQ75 50-59 years, male 5.5
GTEX-1GN1V-0126-SM-9WPOS 60-69 years, male 5.5
GTEX-1JKYN-1326-SM-CGQG9 30-39 years, male 5.5
GTEX-1KAFJ-2026-SM-CY8ID 50-59 years, male 5.5
GTEX-11ZU8-2526-SM-5EQKI 60-69 years, male 5.4
GTEX-139T8-0126-SM-5K7XZ 60-69 years, male 5.4
GTEX-144GN-2326-SM-5LU4F 50-59 years, male 5.4
GTEX-147F3-0526-SM-5SI98 50-59 years, female 5.4
GTEX-18D9B-0526-SM-7LTAS 60-69 years, male 5.4
GTEX-1CAMR-1926-SM-7EPI2 20-29 years, male 5.4
GTEX-VJYA-1126-SM-3GIJU 60-69 years, male 5.4
GTEX-XXEK-2226-SM-4BRUM 50-59 years, male 5.4
GTEX-1GN1W-0526-SM-9MQJQ 50-59 years, female 5.4
GTEX-1HUB1-0426-SM-E9U4U 60-69 years, male 5.4
GTEX-1KANA-0726-SM-D3L9I 20-29 years, male 5.4
GTEX-R45C-0126-SM-EAZ2R 60-69 years, female 5.4
GTEX-W5X1-3026-SM-EAZAX 40-49 years, female 5.4
GTEX-11O72-0126-SM-59887 40-49 years, male 5.3
GTEX-11ZUS-0626-SM-59885 30-39 years, male 5.3
GTEX-12WSJ-1826-SM-5GCNY 40-49 years, female 5.3
GTEX-131XW-0426-SM-5LZWP 50-59 years, female 5.3
GTEX-13FHP-0126-SM-5IJBG 50-59 years, male 5.3
GTEX-17MFQ-1726-SM-793C7 20-29 years, male 5.3
GTEX-1CB4I-0226-SM-79OLH 50-59 years, male 5.3
GTEX-XBED-2226-SM-47JYQ 60-69 years, male 5.3
GTEX-1GMR8-0126-SM-9WYTM 50-59 years, female 5.3
GTEX-1HSMP-0126-SM-E6CJS 70-79 years, male 5.3
GTEX-1M5QR-1226-SM-EWROB 40-49 years, male 5.3
GTEX-11GS4-2726-SM-5A5LE 60-69 years, male 5.2
GTEX-11NSD-2226-SM-5986V 20-29 years, male 5.2
GTEX-11TTK-0126-SM-5987B 60-69 years, female 5.2
GTEX-13FTY-0526-SM-5L3EV 40-49 years, female 5.2
GTEX-14JIY-0126-SM-6LLH6 60-69 years, male 5.2
GTEX-1C6VR-2426-SM-79OLD 60-69 years, male 5.2
GTEX-P4PQ-0126-SM-2S1NM 60-69 years, male 5.2
GTEX-QDVJ-1726-SM-2I5FX 50-59 years, male 5.2
GTEX-WFG8-2226-SM-3GIL9 20-29 years, male 5.2
GTEX-ZDXO-3026-SM-5J1N5 60-69 years, male 5.2
GTEX-1C6VQ-0126-SM-7P8RI 50-59 years, male 5.2
GTEX-1GF9U-2126-SM-7SB7L 40-49 years, female 5.2
GTEX-1H3O1-0426-SM-9YFKY 60-69 years, male 5.2
GTEX-1HSMO-0126-SM-CL547 60-69 years, male 5.2
GTEX-1IDFM-0126-SM-COH2V 60-69 years, male 5.2
GTEX-12584-0126-SM-5EGKQ 40-49 years, male 5.1
GTEX-139TT-0126-SM-5K7Y5 60-69 years, male 5.1
GTEX-13OW8-1326-SM-5J1OW 60-69 years, male 5.1
GTEX-13S7M-0126-SM-5SI6A 60-69 years, female 5.1
GTEX-PLZ4-0126-SM-5SI8O 50-59 years, female 5.1
GTEX-1IL2V-0126-SM-CM2TX 70-79 years, male 5.1
GTEX-1N2DW-0226-SM-E9TK2 50-59 years, male 5.1
GTEX-ZPIC-1726-SM-DHXIU 40-49 years, female 5.1
GTEX-13N11-2526-SM-5K7UE 50-59 years, female 5.0
GTEX-13VXT-0126-SM-5LU4I 20-29 years, female 5.0
GTEX-13X6I-0626-SM-5QGP9 60-69 years, male 5.0
GTEX-17HII-0226-SM-7LG4E 50-59 years, male 5.0
GTEX-1B8KE-2126-SM-73KYX 50-59 years, male 5.0
GTEX-VUSG-2526-SM-4KL1V 50-59 years, male 5.0
GTEX-ZDTT-2726-SM-4WKF8 60-69 years, male 5.0
GTEX-1HCUA-2426-SM-ADEIS 50-59 years, female 5.0
GTEX-1IKJJ-0126-SM-CNPQB 60-69 years, male 5.0
GTEX-ZF29-2326-SM-DO92K 60-69 years, female 5.0
GTEX-12WSE-0526-SM-793B2 20-29 years, male 4.9
GTEX-14DAR-2026-SM-5S2O3 50-59 years, male 4.9
GTEX-14E6D-0126-SM-62LDV 50-59 years, male 4.9
GTEX-15EOM-0126-SM-7KUGG 20-29 years, female 4.9
GTEX-17EVQ-0226-SM-7LG4P 70-79 years, male 4.9
GTEX-ZC5H-0226-SM-4WAY9 40-49 years, female 4.9
GTEX-ZDYS-2026-SM-5HL5L 50-59 years, male 4.9
GTEX-ZYFG-2326-SM-5E44B 60-69 years, female 4.9
GTEX-1H3VE-0326-SM-9YFLH 40-49 years, male 4.9
GTEX-12WSL-2526-SM-5GCNJ 50-59 years, male 4.8
GTEX-12WSN-5019-SM-79OM6 40-49 years, male 4.8
GTEX-R55G-2526-SM-2TC6D 40-49 years, female 4.8
GTEX-U4B1-1826-SM-4DXSU 40-49 years, male 4.8
GTEX-WY7C-2326-SM-3NB2U 50-59 years, male 4.8
GTEX-ZU9S-0226-SM-5E441 30-39 years, male 4.8
GTEX-1J8Q3-1626-SM-CMKGC 60-69 years, male 4.8
GTEX-13N1W-0126-SM-5K7VT 70-79 years, male 4.7
GTEX-148VJ-0126-SM-5TDDN 70-79 years, male 4.7
GTEX-17EUY-0426-SM-793BD 20-29 years, male 4.7
GTEX-18A66-0226-SM-718BD 60-69 years, male 4.7
GTEX-ZVE2-0226-SM-59HJB 50-59 years, male 4.7
GTEX-ZWKS-0126-SM-5SIAA 30-39 years, male 4.7
GTEX-1C64O-0126-SM-7SB8P 60-69 years, male 4.7
GTEX-1H3NZ-0126-SM-ACKX7 60-69 years, male 4.7
GTEX-1HSGN-0226-SM-CGQFV 40-49 years, female 4.7
GTEX-1JMPY-1326-SM-ARL8Y 30-39 years, male 4.7
GTEX-1L5NE-2526-SM-E6CIE 50-59 years, male 4.7
GTEX-16XZY-2126-SM-79OK1 70-79 years, male 4.6
GTEX-17GQL-2026-SM-718BA 60-69 years, male 4.6
GTEX-17MF6-0126-SM-7LG4F 40-49 years, male 4.6
GTEX-18A67-0126-SM-7LG5P 50-59 years, male 4.6
GTEX-1AX9K-2326-SM-73KWU 50-59 years, male 4.6
GTEX-OXRP-0126-SM-3NB32 60-69 years, female 4.6
GTEX-V1D1-2226-SM-3NMAX 50-59 years, male 4.6
GTEX-1I1HK-0126-SM-COH49 60-69 years, male 4.6
GTEX-1LGRB-2526-SM-CNPPQ 50-59 years, female 4.6
GTEX-148VI-1626-SM-5SI6E 60-69 years, female 4.5
GTEX-14A5H-0426-SM-5QGQF 60-69 years, male 4.5
GTEX-15UKP-0426-SM-7KUFQ 20-29 years, male 4.5
GTEX-1EN7A-0126-SM-7SB81 40-49 years, male 4.5
GTEX-1HCU7-0226-SM-CL545 50-59 years, male 4.5
GTEX-1I1GT-0626-SM-CGQER 60-69 years, female 4.5
GTEX-1JMOU-1526-SM-CL54I 60-69 years, female 4.5
GTEX-1KD5A-0226-SM-D5OV3 50-59 years, male 4.5
GTEX-1O97I-0326-SM-EYYX7 60-69 years, male 4.5
GTEX-113JC-2326-SM-5EQ4E 50-59 years, female 4.4
GTEX-O5YT-0126-SM-48TBW 20-29 years, male 4.4
GTEX-XV7Q-2526-SM-4BRV9 40-49 years, female 4.4
GTEX-1GZHY-0326-SM-9QEHI 50-59 years, female 4.4
GTEX-1KANB-0526-SM-E6CJH 50-59 years, male 4.4
GTEX-1S5ZA-0126-SM-EVYCV 20-29 years, male 4.4
GTEX-11WQC-2526-SM-5CVLE 60-69 years, male 4.3
GTEX-131XE-2326-SM-5PNZ2 50-59 years, male 4.3
GTEX-145MN-2226-SM-5SIAU 30-39 years, male 4.3
GTEX-P4QT-0126-SM-2I3FL 50-59 years, female 4.3
GTEX-QV44-1926-SM-2S1RF 50-59 years, male 4.3
GTEX-1CAMS-0426-SM-7P8T2 40-49 years, female 4.3
GTEX-1HCVE-0126-SM-CGQEU 50-59 years, male 4.3
GTEX-1JK1U-2026-SM-CM2RZ 60-69 years, male 4.3
GTEX-1R9PO-2126-SM-E9J4O 60-69 years, female 4.3
GTEX-1S82Z-0826-SM-E6CHY 30-39 years, female 4.3
GTEX-11WQK-0526-SM-5EQLD 50-59 years, male 4.2
GTEX-15DCD-0126-SM-7KUEK 70-79 years, female 4.2
GTEX-1ICG6-2526-SM-CGQFZ 70-79 years, female 4.2
GTEX-OXRO-0126-SM-2YUN4 60-69 years, female 4.1
GTEX-RWS6-2026-SM-2XCB5 60-69 years, female 4.1
GTEX-TSE9-0126-SM-3DB83 60-69 years, female 4.1
GTEX-Y5LM-1926-SM-5RQJH 40-49 years, female 4.1
GTEX-1GTWX-0126-SM-9YFLK 60-69 years, male 4.1
GTEX-1H23P-0126-SM-ADEJ3 60-69 years, male 4.1
GTEX-1R46S-0626-SM-E9J41 60-69 years, female 4.1
GTEX-12C56-1726-SM-5EQ61 20-29 years, male 4.0
GTEX-13NZA-0226-SM-5K7Z7 60-69 years, male 4.0
GTEX-14DAQ-0126-SM-5S2MQ 60-69 years, female 4.0
GTEX-14PK6-1926-SM-6ETZU 70-79 years, female 4.0
GTEX-1AYCT-2426-SM-7IGQ3 50-59 years, male 4.0
GTEX-Y3I4-2126-SM-4TT7C 50-59 years, male 4.0
GTEX-ZTPG-0326-SM-5O9AX 20-29 years, female 4.0
GTEX-13NYC-0326-SM-E9J4S 60-69 years, male 4.0
GTEX-117XS-2726-SM-5N9BL 60-69 years, male 3.9
GTEX-13NYB-2526-SM-5K7Z6 40-49 years, male 3.9
GTEX-14C5O-0126-SM-5SI6N 60-69 years, male 3.9
GTEX-15CHC-2126-SM-6EU21 60-69 years, female 3.9
GTEX-RTLS-0126-SM-447CA 60-69 years, female 3.9
GTEX-U412-0426-SM-3DB9O 60-69 years, male 3.9
GTEX-1CB4H-0226-SM-7PBXM 60-69 years, female 3.9
GTEX-1ICLZ-0126-SM-CKZPO 60-69 years, male 3.9
GTEX-1192X-0226-SM-5H12D 50-59 years, male 3.8
GTEX-1A3MX-0126-SM-731BR 60-69 years, male 3.8
GTEX-ZUA1-0126-SM-5GU76 40-49 years, male 3.8
GTEX-1F48J-0126-SM-7P8TT 50-59 years, female 3.8
GTEX-ZQG8-1626-SM-DHXIT 60-69 years, female 3.8
GTEX-131YS-0126-SM-5KM1M 60-69 years, female 3.7
GTEX-139T4-0226-SM-5HL5S 50-59 years, female 3.7
GTEX-WOFL-0126-SM-3MJG2 60-69 years, male 3.7
GTEX-Z93S-0126-SM-5HL7M 50-59 years, male 3.7
GTEX-ZF28-0126-SM-4WKGK 60-69 years, male 3.7
GTEX-1J1OQ-0226-SM-CYPSH 40-49 years, female 3.7
GTEX-1M4P7-0226-SM-DIPEV 60-69 years, male 3.7
GTEX-1QP67-1626-SM-EAZ3X 40-49 years, female 3.7
GTEX-RNOR-0126-SM-E9J4R 50-59 years, female 3.7
GTEX-Y8LW-1826-SM-5S2MV 50-59 years, female 3.6
GTEX-13FH7-2026-SM-E9J4I 50-59 years, female 3.6
GTEX-13NZB-2526-SM-5J1OM 30-39 years, male 3.5
GTEX-X4XY-0226-SM-4E3IZ 60-69 years, male 3.5
GTEX-ZV6S-2326-SM-4YCEY 40-49 years, female 3.5
GTEX-1LNCM-1126-SM-E9U5E 50-59 years, female 3.5
GTEX-1RAZQ-0726-SM-EAZ43 30-39 years, male 3.5
GTEX-11LCK-1026-SM-5A5KB 30-39 years, male 3.4
GTEX-16GPK-0126-SM-7DHLE 60-69 years, male 3.4
GTEX-1AYD5-2426-SM-73KXR 50-59 years, male 3.4
GTEX-SN8G-0126-SM-32PLI 50-59 years, female 3.4
GTEX-ZXG5-0126-SM-5GIEU 60-69 years, male 3.4
GTEX-1128S-2326-SM-5GZZY 60-69 years, female 3.3
GTEX-14A5I-0126-SM-5TDEA 50-59 years, female 3.3
GTEX-14XAO-2326-SM-6EU1B 60-69 years, female 3.3
GTEX-U3ZN-2326-SM-3DB7W 30-39 years, female 3.3
GTEX-1OJC4-0126-SM-E9J2E 50-59 years, female 3.3
GTEX-11EMC-2926-SM-5EQ4F 60-69 years, female 3.2
GTEX-13RTL-0126-SM-7LG5S 40-49 years, male 3.2
GTEX-16MT8-0426-SM-7KUEY 60-69 years, female 3.2
GTEX-1RLM8-2326-SM-EWRN4 50-59 years, male 3.2
GTEX-11VI4-1726-SM-5CVLH 40-49 years, female 3.1
GTEX-TMMY-0226-SM-33HBA 40-49 years, female 3.1
GTEX-X62O-0126-SM-4E3JN 50-59 years, male 3.1
GTEX-X638-0126-SM-47JZ8 70-79 years, female 3.1
GTEX-ZYY3-0126-SM-5GZY5 60-69 years, female 3.1
GTEX-1JMPZ-0226-SM-CNPP1 30-39 years, male 3.1
GTEX-Q734-1926-SM-2I5EV 40-49 years, female 3.0
GTEX-ZEX8-2426-SM-4WKG4 50-59 years, male 3.0
GTEX-169BO-1326-SM-9MQK2 50-59 years, male 3.0
GTEX-1HBPH-0426-SM-B2LW5 40-49 years, female 3.0
GTEX-11DXY-2626-SM-5GIE7 60-69 years, male 2.8
GTEX-1A3MW-0126-SM-73KXX 60-69 years, female 2.8
GTEX-RUSQ-1526-SM-2TF62 50-59 years, male 2.8
GTEX-1HB9E-0226-SM-E9U4R 50-59 years, male 2.8
GTEX-14PHW-0126-SM-6LLJI 60-69 years, female 2.7
GTEX-ZVZO-0126-SM-5A5L9 40-49 years, male 2.7
GTEX-146FR-1326-SM-E9J48 60-69 years, female 2.7
GTEX-11H98-0126-SM-5EGHG 50-59 years, male 2.6
GTEX-144FL-0126-SM-5TDC8 50-59 years, male 2.6
GTEX-14LZ3-0226-SM-62LET 60-69 years, female 2.6
GTEX-ZZPT-0226-SM-5E43X 50-59 years, male 2.6
GTEX-1HBPM-0226-SM-ARL9F 60-69 years, female 2.6
GTEX-1JMQK-0226-SM-CL543 60-69 years, male 2.6
GTEX-1LC47-0326-SM-E9TJP 60-69 years, male 2.6
GTEX-14E6E-1826-SM-5S2R7 30-39 years, male 2.5
GTEX-1H1DG-0126-SM-9WYU2 70-79 years, male 2.5
GTEX-1JJE9-0326-SM-CL53Z 70-79 years, male 2.4
GTEX-1C475-1826-SM-73KWA 40-49 years, female 2.3
GTEX-PWO3-1526-SM-48TCM 60-69 years, female 2.3
GTEX-1PWST-0226-SM-E76QJ 70-79 years, male 2.3
GTEX-1HCU8-0626-SM-A9SM9 60-69 years, female 2.2
GTEX-1I1GU-2226-SM-CGQFA 40-49 years, male 2.2
GTEX-1JN1M-0326-SM-CYPT3 60-69 years, female 2.2
GTEX-1H1ZS-0426-SM-9WG6G 70-79 years, male 2.1
GTEX-1J8EW-0126-SM-CJI4F 60-69 years, female 2.1
GTEX-1JMQL-0226-SM-CNPP5 50-59 years, female 2.0
GTEX-1LH75-2426-SM-E9TJE 50-59 years, female 2.0
GTEX-13IVO-0126-SM-5J1NG 70-79 years, male 1.9
GTEX-1R9K4-0126-SM-DTX9X 60-69 years, male 1.9
GTEX-QDT8-0126-SM-48TZ1 30-39 years, female 1.8
GTEX-POMQ-2226-SM-2I5FK 20-29 years, female 1.6
GTEX-13CF3-2426-SM-5IFGX 60-69 years, female 1.5
GTEX-ZAJG-0126-SM-5HL94 50-59 years, female 1.3
GTEX-13RTJ-2426-SM-5S2Q2 60-69 years, male 0.9
GTEX-183WM-0126-SM-7LTAB 70-79 years, female 0.9
GTEX-Q2AH-1626-SM-3GAF8 40-49 years, male 0.3
Show allShow less

Contact

  • NEWS ARTICLES
  • PRESS ROOM

The Project

  • INTRODUCTION
  • ORGANIZATION
  • PUBLICATIONS

The Human Protein Atlas

  • DOWNLOADABLE DATA
  • LICENCE & CITATION
  • HELP & FAQ
The Human Protein Atlas project is funded
by the Knut & Alice Wallenberg Foundation.


contact@proteinatlas.org