We use cookies to enhance the usability of our website. If you continue, we'll assume that you are happy to receive all cookies. More information. Don't show this again.
NCF1
HPA
RESOURCES
  • TISSUE
  • BRAIN
  • SINGLE CELL
  • SUBCELLULAR
  • CANCER
  • BLOOD
  • CELL LINE
  • STRUCTURE & INTERACTION
ABOUT
  • INTRODUCTION
  • HISTORY
  • ORGANIZATION
  • PUBLICATIONS
  • ANTIBODY SUBMISSION
  • ANTIBODY AVAILABILITY
  • ACKNOWLEDGMENTS
  • CONTACT
NEWS
  • NEWS ARTICLES
  • PRESS ROOM
LEARN
  • DICTIONARY
  • PROTEIN CLASSES
  • PROTEIN EVIDENCE
  • METHODS
  • EDUCATIONAL VIDEOS
DATA
  • DOWNLOADABLE DATA
  • PUBLICATION DATA
  • RELEASE HISTORY
HELP
  • ANTIBODY VALIDATION
  • ASSAYS & ANNOTATION
  • DISCLAIMER
  • HELP & FAQ
  • PRIVACY STATEMENT
  • LICENCE & CITATION
Fields »
Search result

Field
Term
Gene name
Class
Subclass
Class
Keyword
Chromosome
External id
Tissue
Cell type
Expression
Antibody panel
Tissue
Main location
Patient ID
Annotation
Tissue
Category
Tau score
Cluster
Reliability
Brain region
Category
Tau score
Brain region
Category
Tau score
Brain region
Category
Tau score
Cluster
Reliability
Tissue
Cell type
Enrichment
Cell type
Category
Tau score
Cell type
Category
Tau score
Cell type
Category
Tau score
Cell lineage
Category
Tau score
Cluster
Cluster
Location
Searches
Location
Cell line
Class
Type
Phase
Reliability
Cancer
Prognosis
Cancer
Category
Cancer
Category
Tau score
Cluster
Variants
Interacting gene (ensg_id)
Type
Number of interactions
Pathway
Category
Score
Score
Score
Validation
Validation
Validation
Validation
Antibodies
Data type
Column


  • SUMMARY

  • TISSUE

  • BRAIN

  • SINGLE CELL

  • SUBCELL

  • CANCER

  • BLOOD

  • CELL LINE

  • STRUCT & INT

  • NCF1
TISSUE PRIMARY DATA THYROID GLAND Show tissue menu
ADIPOSE TISSUE ADRENAL GLAND AMYGDALA APPENDIX BASAL GANGLIA BONE MARROW BREAST BRONCHUS CEREBELLUM CEREBRAL CORTEX CERVIX CHOROID PLEXUS COLON DUODENUM
ENDOMETRIUM EPIDIDYMIS ESOPHAGUS FALLOPIAN TUBE GALLBLADDER HEART MUSCLE HIPPOCAMPAL FORMATION HYPOTHALAMUS KIDNEY LIVER LUNG LYMPH NODE MIDBRAIN NASOPHARYNX
ORAL MUCOSA OVARY PANCREAS PARATHYROID GLAND PITUITARY GLAND PLACENTA PROSTATE RECTUM RETINA SALIVARY GLAND SEMINAL VESICLE SKELETAL MUSCLE SKIN SMALL INTESTINE
SMOOTH MUSCLE SOFT TISSUE SPINAL CORD SPLEEN STOMACH TESTIS THYMUS THYROID GLAND TONGUE TONSIL URINARY BLADDER VAGINA
ANTIBODIES
AND
VALIDATION
Dictionary
Thyroid gland
Tissue proteome
Thyroid gland
THYROID GLAND - Expression summary
Protein expression
Thyroid glandi

On the top, protein expression in current human tissue, based on all annotated cell types, is reported with the units not detected (n), low (l), medium (m) and high (h). Underneath, protein expression in each annotated cell type are reported using the same units.

Protein expression data is based on knowledge-based annotation. For genes where more than one antibody has been used, a collective score is set.

If knowledge-based annotation could not be performed for a gene, no data is displayed here. View antibody staining data further down this page.

h
m
l
n
Glandular cells: Not detected
RNA expressioni

A summary of mRNA expression data available for current tissue based on several datasets. The mRNA expression levels in human tissues are based on RNA-seq data generated by the Human Protein Atlas (HPA), Genotype-Tissue Expression (GTEx) portal and CAGE data generated by the FANTOM5 consortium. Consensus normalized expression levels for human tissues was created by combining the data from HPA and GTEx datasets.

The mRNA expression levels in pig are based on RNA-seq data generated by the Human Protein Atlas (HPA), and for mouse, HPA data and in situ hybridization generated by the Allen brain atlas are reported.

Scroll down to view mRNA expression data in more detail.
Consensus:2.5 nTPM
HPA:1.3 nTPM
GTEx:2.5 nTPM

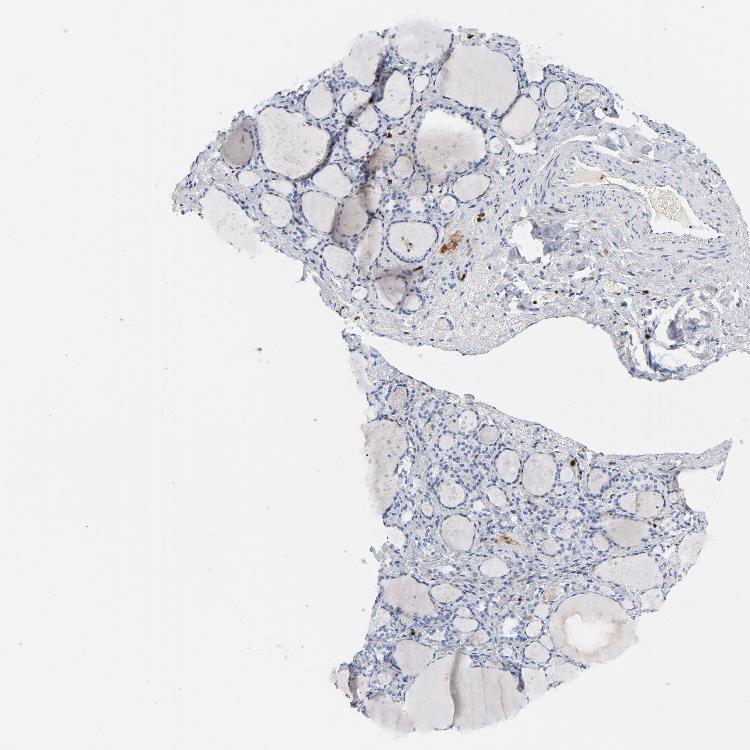
THYROID GLAND - Antibody stainingi

Antibody staining in the annotated cell types in the current human tissue is reported as not detected, low, medium, or high, based on conventional immunohistochemistry profiling in selected tissues. This score is based on the combination of the staining intensity and fraction of stained cells.

Each image is clickable and will lead to virtual microscopy that enables deeper exploration of all samples and also displays staining intensity scores, fraction scores and subcellular localization as well as patient and tissue information for each sample.

Antibody HPA047836Antibody HPA052095Antibody CAB004524
Glandular cells MediumLowNot detected







THYROID GLAND - HPA RNA-seqi

The RNA-seq details section shows detailed information about the individual samples used for the transcript profiling and results of the RNA-seq analysis.

Information about each individual sample is listed below, including gender, age, a tissue section image and estimated fractions of cell types. nTPM (normalized transcripts per million) values give a quantification of the gene abundance which is comparable between different genes and samples.
Average nTPMi

Max subtype nTPM is the value for the subtype with the largest average nTPM across the subtype samples.

1.3
overview
Female, age 20
Thyroid gland sample 249
nTPM: 0.7
Cell types%
Glandular cells:
70

Endothelial cells:
20

Other cell types:
10

overview
Female, age 55
Thyroid gland sample 250
nTPM: 2.1
Cell types%
Glandular cells:
70

Endothelial cells:
20

Other cell types:
10

overview
Female, age 58
Thyroid gland sample 251
nTPM: 1.3
Cell types%
Glandular cells:
70

Endothelial cells:
15

Other cell types:
15

overview
Female, age 48
Thyroid gland sample 252
nTPM: 1.5
Cell types%
Glandular cells:
70

Endothelial cells:
20

Other cell types:
10

overview
Male, age 21
Thyroid gland sample 363
nTPM: 1
Cell types%
Glandular cells:
75

Endothelial cells:
10

Other cell types:
15


THYROID GLAND - GTEx RNA-seqi

RNA-Seq data generated by the Genotype-Tissue Expression (GTEx) project from human tissues is reported as mean nTPM. More information can be found on the GTEx portal.

Distribution across the dataset is visualized with box plots, shown as median and 25th and 75th percentiles. Points are displayed as outliers if they are above or below 1.5 times the interquartile range. nTPM values of the individual samples are presented next to the box plot.
Max subtype nTPMi

Max subtype nTPM is the value for the subtype with the largest average nTPM across the subtype samples.

2.5
GTEx sample id Sample description nTPM
Thyroid
Average nTPM: 2.5
Samples: 653

Max nTPM: 51.5
Min nTPM: 0.0
Std nTPM: 4.6
Median nTPM: 1.4
GTEX-1QW4Y-0226-SM-EAZ3U 30-39 years, male 51.5
GTEX-ZLV1-0126-SM-4WWBZ 60-69 years, female 34.7
GTEX-1I6K6-0726-SM-B2LX4 30-39 years, male 34.5
GTEX-14PJM-1326-SM-664NX 50-59 years, female 34.4
GTEX-1LGOU-0126-SM-EV79W 20-29 years, female 32.6
GTEX-11NV4-0626-SM-5N9BR 60-69 years, male 32.4
GTEX-1CB4G-1526-SM-7P8QG 60-69 years, male 31.2
GTEX-11XUK-0226-SM-5EQLW 40-49 years, female 31.1
GTEX-15SHV-0426-SM-6M476 60-69 years, male 27.8
GTEX-YFC4-2626-SM-5P9FQ 40-49 years, female 27.1
GTEX-R55G-0726-SM-2TC6J 40-49 years, female 19.6
GTEX-178AV-0726-SM-6LPJI 40-49 years, male 19.5
GTEX-14BMU-0226-SM-5S2QA 20-29 years, female 19.0
GTEX-1C475-0226-SM-7MGXM 40-49 years, female 18.9
GTEX-1MJK3-0326-SM-DTX96 20-29 years, male 17.6
GTEX-15FZZ-0226-SM-6LLI4 30-39 years, female 17.5
GTEX-1QCLZ-0626-SM-E6CR2 60-69 years, female 15.4
GTEX-1HCU9-0226-SM-9WPNT 20-29 years, male 14.1
GTEX-1LG7Z-0526-SM-D4P3Q 30-39 years, male 13.2
GTEX-TMMY-0826-SM-33HB9 40-49 years, female 13.0
GTEX-13NZ9-1126-SM-5MR37 50-59 years, male 11.7
GTEX-111VG-0526-SM-5N9BW 60-69 years, male 11.3
GTEX-1J8QM-0726-SM-CE6RF 60-69 years, female 10.7
GTEX-1OJC4-0526-SM-E6CQV 50-59 years, female 10.4
GTEX-ZF28-0826-SM-4WKGJ 60-69 years, male 9.4
GTEX-12WSG-0226-SM-5EGIF 50-59 years, female 9.3
GTEX-131YS-0726-SM-5P9G9 60-69 years, female 8.6
GTEX-13FXS-0726-SM-5LZXJ 50-59 years, male 8.2
GTEX-1AX8Z-0826-SM-7DUFZ 60-69 years, male 8.1
GTEX-Z93S-0526-SM-EVYB4 50-59 years, male 7.9
GTEX-ZYY3-1926-SM-5GZXS 60-69 years, female 7.8
GTEX-12ZZX-1226-SM-5EGHS 40-49 years, female 7.7
GTEX-13QJC-0826-SM-5RQKC 60-69 years, female 7.5
GTEX-1H1ZS-0726-SM-A9G3K 70-79 years, male 7.4
GTEX-1MCC2-0526-SM-DHXJS 30-39 years, female 7.1
GTEX-1I1GQ-0826-SM-CNNQR 50-59 years, male 6.8
GTEX-OHPL-2626-SM-2HMJA 60-69 years, female 6.6
GTEX-16NGA-0326-SM-718AJ 40-49 years, female 6.4
GTEX-YJ89-0726-SM-5P9F7 60-69 years, male 6.4
GTEX-1JK1U-0326-SM-CXZJH 60-69 years, male 6.4
GTEX-11EQ8-0826-SM-5N9FG 60-69 years, male 6.3
GTEX-P4QT-2626-SM-2I3FM 50-59 years, female 6.2
GTEX-13D11-0226-SM-5LZXL 50-59 years, female 6.1
GTEX-1GN73-0826-SM-9OSW4 60-69 years, male 5.8
GTEX-1RMOY-0126-SM-EWRNN 50-59 years, male 5.8
GTEX-13PVR-0626-SM-5S2RC 60-69 years, female 5.7
GTEX-14AS3-0226-SM-5Q5B6 40-49 years, female 5.6
GTEX-14DAQ-0826-SM-73KWT 60-69 years, female 5.5
GTEX-SN8G-1526-SM-4DM79 50-59 years, female 5.4
GTEX-1HUB1-1226-SM-B2LWX 60-69 years, male 5.4
GTEX-11GSP-0126-SM-5A5KU 60-69 years, female 5.3
GTEX-1RQED-0926-SM-EWRNZ 60-69 years, male 5.3
GTEX-131XG-0226-SM-5IFG1 50-59 years, female 5.1
GTEX-13113-0126-SM-5LZVX 60-69 years, female 5.0
GTEX-16MTA-0726-SM-7KUL4 50-59 years, male 5.0
GTEX-17MF6-0626-SM-7LT8D 40-49 years, male 5.0
GTEX-14PJ6-0326-SM-6871H 60-69 years, female 4.9
GTEX-ZT9X-0226-SM-51MT2 40-49 years, male 4.7
GTEX-13111-0226-SM-5EQ55 50-59 years, male 4.6
GTEX-16MT8-0626-SM-6M47Q 60-69 years, female 4.6
GTEX-W5WG-1426-SM-4KKZP 50-59 years, female 4.6
GTEX-WYVS-0326-SM-3NM9V 40-49 years, female 4.6
GTEX-15DZA-0226-SM-7KFS6 30-39 years, female 4.4
GTEX-1HBPI-0826-SM-9WYTX 50-59 years, male 4.4
GTEX-1NV5F-0726-SM-DTXEH 60-69 years, female 4.4
GTEX-132AR-1126-SM-5P9GA 50-59 years, female 4.3
GTEX-YB5K-0526-SM-5LUAS 40-49 years, female 4.2
GTEX-13FH7-0126-SM-5KLZ1 50-59 years, female 4.0
GTEX-1KD5A-0426-SM-D4P3X 50-59 years, male 4.0
GTEX-ZGAY-1026-SM-4WWBR 40-49 years, female 3.9
GTEX-ZVZQ-0626-SM-59HJU 60-69 years, female 3.9
GTEX-14JG6-1326-SM-9OSXU 30-39 years, female 3.9
GTEX-11DXZ-0926-SM-5N9CG 50-59 years, male 3.8
GTEX-14BIN-0126-SM-5TDCG 50-59 years, female 3.8
GTEX-P78B-0526-SM-2I5F7 40-49 years, female 3.8
GTEX-1R46S-0426-SM-EVR48 60-69 years, female 3.8
GTEX-13FHO-0926-SM-5N9EW 60-69 years, male 3.7
GTEX-17HG3-0226-SM-7EWEA 30-39 years, female 3.7
GTEX-X15G-0526-SM-3NMB7 50-59 years, female 3.7
GTEX-ZLWG-0526-SM-4WWFB 50-59 years, female 3.7
GTEX-1LSVX-0726-SM-E9TJG 60-69 years, male 3.7
GTEX-1HKZK-0826-SM-A9G2C 40-49 years, male 3.6
GTEX-1K9T9-0826-SM-EAZ4X 50-59 years, female 3.6
GTEX-139TS-0126-SM-5K7XJ 60-69 years, male 3.5
GTEX-14PN4-1526-SM-6871V 50-59 years, male 3.5
GTEX-11ZTS-1126-SM-5LU9X 60-69 years, female 3.4
GTEX-16AAH-0326-SM-7DHML 50-59 years, male 3.4
GTEX-U3ZH-0226-SM-3DB7B 30-39 years, male 3.4
GTEX-WL46-0126-SM-3TW8I 50-59 years, male 3.4
GTEX-1JJ6O-0626-SM-AHZ3H 60-69 years, male 3.4
GTEX-1QAET-0226-SM-EVR3T 50-59 years, male 3.4
GTEX-1S83E-0726-SM-EV7B6 40-49 years, male 3.4
GTEX-131XF-1826-SM-5EGKG 60-69 years, male 3.3
GTEX-145ME-0126-SM-5S2QM 40-49 years, female 3.3
GTEX-RU72-0126-SM-2TF6Z 50-59 years, female 3.3
GTEX-ZDYS-0626-SM-5J2N5 50-59 years, male 3.3
GTEX-13U4I-0526-SM-5LU59 40-49 years, female 3.2
GTEX-1AMEY-0126-SM-73KTX 30-39 years, female 3.2
GTEX-OXRK-0626-SM-2HMJ5 50-59 years, female 3.2
GTEX-11I78-0526-SM-5986A 50-59 years, female 3.1
GTEX-147GR-0726-SM-5S2PL 60-69 years, male 3.1
GTEX-1A8G7-1026-SM-73KVA 60-69 years, male 3.1
GTEX-ZAJG-0726-SM-5HL9A 50-59 years, female 3.1
GTEX-1R9JW-0226-SM-EVR4K 30-39 years, female 3.1
GTEX-11ZVC-0126-SM-5986G 50-59 years, female 3.0
GTEX-13O1R-0826-SM-5J2MB 60-69 years, male 3.0
GTEX-15RJ7-0326-SM-6M47H 40-49 years, male 3.0
GTEX-1H1DG-0726-SM-A96TN 70-79 years, male 3.0
GTEX-1ICLZ-0526-SM-ARZM8 60-69 years, male 3.0
GTEX-1J1OQ-0526-SM-A9G2P 40-49 years, female 3.0
GTEX-1LBAC-0726-SM-D3L9U 20-29 years, male 3.0
GTEX-1RAZR-1126-SM-E6CRC 40-49 years, male 3.0
GTEX-117XS-0526-SM-5987Q 60-69 years, male 2.9
GTEX-13NYB-0726-SM-5MR4J 40-49 years, male 2.9
GTEX-15SHU-0726-SM-7KUFI 40-49 years, female 2.9
GTEX-16NPX-1426-SM-6LPK3 50-59 years, male 2.9
GTEX-ZQUD-0126-SM-7EPIS 30-39 years, male 2.9
GTEX-ZVT3-0726-SM-5GICN 60-69 years, female 2.9
GTEX-1O9I2-1226-SM-E6CQC 50-59 years, male 2.9
GTEX-1QMI2-0826-SM-EXUT4 60-69 years, male 2.9
GTEX-11EMC-0226-SM-5EGLP 60-69 years, female 2.8
GTEX-132NY-1026-SM-5P9IY 60-69 years, male 2.8
GTEX-145MG-0826-SM-5Q5C2 50-59 years, male 2.8
GTEX-14ICK-1626-SM-6ETZX 40-49 years, male 2.8
GTEX-PWCY-2326-SM-2I3EQ 20-29 years, female 2.8
GTEX-WFJO-0226-SM-3GIKW 30-39 years, male 2.8
GTEX-X8HC-0726-SM-46MWG 50-59 years, female 2.8
GTEX-ZC5H-0626-SM-5LU9K 40-49 years, female 2.8
GTEX-ZYT6-0426-SM-5GID3 30-39 years, male 2.8
GTEX-1H3VE-0826-SM-9KNVQ 40-49 years, male 2.8
GTEX-1JMQL-0926-SM-CJI3F 50-59 years, female 2.8
GTEX-139UW-0126-SM-5KM1B 60-69 years, male 2.7
GTEX-139YR-1226-SM-5IFEU 50-59 years, male 2.7
GTEX-145LU-0426-SM-5O9AH 50-59 years, male 2.7
GTEX-1CAMQ-1126-SM-7EWFE 40-49 years, male 2.7
GTEX-ZAB5-0726-SM-5P9JG 50-59 years, male 2.7
GTEX-1C6VQ-0526-SM-7MGWD 50-59 years, male 2.7
GTEX-1H2FU-0626-SM-9WPPS 60-69 years, female 2.7
GTEX-1HB9E-0826-SM-CNNQJ 50-59 years, male 2.7
GTEX-1I1GS-0726-SM-C1YS7 60-69 years, male 2.7
GTEX-1IKJJ-1026-SM-A96SQ 60-69 years, male 2.7
GTEX-11DXX-0226-SM-5P9HL 60-69 years, female 2.6
GTEX-12WSC-0826-SM-5EQ5Q 50-59 years, male 2.6
GTEX-12ZZY-0826-SM-5EQMT 60-69 years, male 2.6
GTEX-17KNJ-1026-SM-79ONK 50-59 years, male 2.6
GTEX-1CAMR-0226-SM-7DUGO 20-29 years, male 2.6
GTEX-Q2AG-0826-SM-2HMKF 40-49 years, female 2.6
GTEX-1EU9M-0626-SM-7MXUT 60-69 years, male 2.6
GTEX-1H11D-0626-SM-9WPQ1 40-49 years, male 2.6
GTEX-OIZF-2626-SM-7P8QZ 60-69 years, male 2.6
GTEX-1399R-0126-SM-5IFEV 30-39 years, male 2.5
GTEX-13W46-0926-SM-5LU3T 50-59 years, male 2.5
GTEX-RNOR-0926-SM-2TF56 50-59 years, female 2.5
GTEX-WYJK-1626-SM-3NM9J 50-59 years, male 2.5
GTEX-1MA7X-0926-SM-DIPEJ 60-69 years, male 2.5
GTEX-1PBJJ-1926-SM-DTX8T 30-39 years, male 2.5
GTEX-111CU-0226-SM-5GZXC 50-59 years, male 2.4
GTEX-13FLV-0226-SM-5J2OF 50-59 years, male 2.4
GTEX-14A5H-0726-SM-5Q5DW 60-69 years, male 2.4
GTEX-18A67-0826-SM-7KFTI 50-59 years, male 2.4
GTEX-ZPCL-0126-SM-4WWC8 60-69 years, female 2.4
GTEX-ZTPG-0826-SM-5DUVC 20-29 years, female 2.4
GTEX-13FTW-0626-SM-5IFEX 40-49 years, male 2.3
GTEX-QLQ7-0726-SM-2I5G2 60-69 years, male 2.3
GTEX-T5JW-1226-SM-3GACY 20-29 years, female 2.3
GTEX-Y8E4-0126-SM-4VBQ2 40-49 years, male 2.3
GTEX-14A6H-2426-SM-5Q5BO 30-39 years, male 2.2
GTEX-14PJ3-0126-SM-69LQP 50-59 years, male 2.2
GTEX-14PJO-0626-SM-6LLHH 60-69 years, male 2.2
GTEX-15CHQ-0826-SM-69LOT 60-69 years, male 2.2
GTEX-15SB6-1526-SM-7KUMQ 50-59 years, female 2.2
GTEX-1C6VS-0826-SM-7EWEI 60-69 years, male 2.2
GTEX-1CB4J-1426-SM-7MKFR 60-69 years, male 2.2
GTEX-YEC4-0626-SM-5CVLU 40-49 years, male 2.2
GTEX-ZVP2-0426-SM-57WC2 50-59 years, male 2.2
GTEX-1GMRU-1126-SM-9KNV1 50-59 years, male 2.2
GTEX-1JN6P-0626-SM-ARZN6 60-69 years, male 2.2
GTEX-1LGRB-1226-SM-CNNPS 50-59 years, female 2.2
GTEX-1RAZA-0826-SM-EAZ4I 20-29 years, male 2.2
GTEX-XOT4-1526-SM-EAZ2W 60-69 years, female 2.2
GTEX-11DXY-0426-SM-5H12R 60-69 years, male 2.1
GTEX-11EQ9-0626-SM-5A5K1 30-39 years, male 2.1
GTEX-11NUK-1026-SM-5HL5J 50-59 years, male 2.1
GTEX-13OVK-0226-SM-6M472 40-49 years, male 2.1
GTEX-14B4R-0126-SM-5TDE4 30-39 years, male 2.1
GTEX-17EVQ-0526-SM-7KFSK 70-79 years, male 2.1
GTEX-1C6VR-0426-SM-7IGN6 60-69 years, male 2.1
GTEX-V1D1-0926-SM-4JBHQ 50-59 years, male 2.1
GTEX-XV7Q-0326-SM-4BRVM 40-49 years, female 2.1
GTEX-Y3IK-0526-SM-4WWE3 50-59 years, female 2.1
GTEX-ZPU1-0426-SM-4WWCA 40-49 years, male 2.1
GTEX-1HBPM-0926-SM-ARL9C 60-69 years, female 2.1
GTEX-1HCUA-0126-SM-B2LWC 50-59 years, female 2.1
GTEX-1ICG6-0426-SM-ARU7M 70-79 years, female 2.1
GTEX-1J8JJ-0726-SM-AHZ3E 60-69 years, female 2.1
GTEX-1R9K4-0726-SM-EWRN2 60-69 years, male 2.1
GTEX-11P81-0126-SM-5HL5Y 30-39 years, female 2.0
GTEX-1B97I-0326-SM-7DUGB 40-49 years, male 2.0
GTEX-OXRO-1226-SM-48TDL 60-69 years, female 2.0
GTEX-WRHU-0926-SM-4E3IG 50-59 years, female 2.0
GTEX-Y5V5-0326-SM-5RQJG 60-69 years, female 2.0
GTEX-1IKOH-0626-SM-CJI35 60-69 years, female 2.0
GTEX-1K2DA-1526-SM-CGQGQ 50-59 years, male 2.0
GTEX-1LB8K-0626-SM-D4P3Z 50-59 years, male 2.0
GTEX-1PBJI-0726-SM-EXUSQ 20-29 years, female 2.0
GTEX-1QP28-0626-SM-E76P5 50-59 years, female 2.0
GTEX-1RNSC-1126-SM-E9TIP 60-69 years, male 2.0
GTEX-13FTY-0726-SM-5J2OH 40-49 years, female 1.9
GTEX-13O21-2226-SM-5MR3L 50-59 years, male 1.9
GTEX-1477Z-0226-SM-5TDCI 60-69 years, male 1.9
GTEX-14ABY-0926-SM-5Q5DY 50-59 years, male 1.9
GTEX-15EO6-0126-SM-6LPKJ 50-59 years, male 1.9
GTEX-15ETS-0526-SM-6PAN3 40-49 years, female 1.9
GTEX-16BQI-0726-SM-6LPJZ 30-39 years, female 1.9
GTEX-18A66-0826-SM-72D5Z 60-69 years, male 1.9
GTEX-18A7A-0826-SM-7KFTJ 50-59 years, female 1.9
GTEX-QDVJ-0226-SM-2I5FV 50-59 years, male 1.9
GTEX-S7SF-0226-SM-5SI7H 20-29 years, female 1.9
GTEX-T2IS-0626-SM-32QP6 20-29 years, female 1.9
GTEX-WEY5-0526-SM-3GIKZ 40-49 years, female 1.9
GTEX-X4LF-0426-SM-3NMB5 50-59 years, male 1.9
GTEX-Y111-1926-SM-4SOIS 50-59 years, male 1.9
GTEX-YF7O-0726-SM-4W213 50-59 years, male 1.9
GTEX-1HGF4-0726-SM-9WYU9 60-69 years, male 1.9
GTEX-1I6K7-1126-SM-A96SW 40-49 years, male 1.9
GTEX-13VXT-0626-SM-5SIA1 20-29 years, female 1.8
GTEX-13X6H-0526-SM-5LU4Q 50-59 years, female 1.8
GTEX-17F96-0526-SM-79OLE 70-79 years, male 1.8
GTEX-P4PQ-2626-SM-33HC9 60-69 years, male 1.8
GTEX-PWN1-2626-SM-2I3FH 40-49 years, female 1.8
GTEX-XBEW-0126-SM-4AT66 40-49 years, male 1.8
GTEX-15RIF-0326-SM-7KUFR 20-29 years, male 1.8
GTEX-1IDJU-1626-SM-CJI4B 60-69 years, female 1.8
GTEX-1KD4Q-1026-SM-CXZKJ 40-49 years, male 1.8
GTEX-O5YV-1526-SM-EV799 60-69 years, female 1.8
GTEX-ZF3C-0826-SM-DO11E 50-59 years, female 1.8
GTEX-113JC-0126-SM-5EGJW 50-59 years, female 1.7
GTEX-1269C-0226-SM-5EGKS 60-69 years, female 1.7
GTEX-12WSE-1226-SM-73KUF 20-29 years, male 1.7
GTEX-12ZZZ-1226-SM-59HK1 60-69 years, male 1.7
GTEX-13IVO-0926-SM-5KLZP 70-79 years, male 1.7
GTEX-13OVJ-0626-SM-5J2O2 50-59 years, female 1.7
GTEX-1497J-0126-SM-5Q5BK 60-69 years, male 1.7
GTEX-14PHW-2926-SM-6AJBA 60-69 years, female 1.7
GTEX-15G19-0626-SM-6M474 60-69 years, male 1.7
GTEX-15G1A-0326-SM-6M467 30-39 years, male 1.7
GTEX-18D9A-0126-SM-7KFSI 30-39 years, female 1.7
GTEX-1C2JI-0326-SM-7EWFD 50-59 years, male 1.7
GTEX-PX3G-2626-SM-2I3EG 20-29 years, female 1.7
GTEX-Q2AI-0326-SM-2I3EK 40-49 years, male 1.7
GTEX-QDVN-0626-SM-2I3FP 50-59 years, male 1.7
GTEX-WYBS-1926-SM-3NM8N 60-69 years, female 1.7
GTEX-XLM4-0726-SM-4AT64 60-69 years, male 1.7
GTEX-1F6IF-1126-SM-9KNV2 60-69 years, male 1.7
GTEX-1HC8U-1226-SM-9WYUW 40-49 years, female 1.7
GTEX-1HSGN-0726-SM-A9G2F 40-49 years, female 1.7
GTEX-1JMLX-0826-SM-CNNPP 50-59 years, male 1.7
GTEX-11EI6-0726-SM-59866 60-69 years, male 1.6
GTEX-11NSD-0126-SM-5987F 20-29 years, male 1.6
GTEX-14E6E-0326-SM-73KY6 30-39 years, male 1.6
GTEX-17JCI-0626-SM-7IGM7 60-69 years, female 1.6
GTEX-183WM-2626-SM-7KFRY 70-79 years, female 1.6
GTEX-18D9U-1026-SM-72D5R 40-49 years, male 1.6
GTEX-1C4CL-0726-SM-7IGP9 30-39 years, male 1.6
GTEX-1EKGG-0726-SM-7IGPX 60-69 years, male 1.6
GTEX-OHPK-2626-SM-2HMK9 50-59 years, female 1.6
GTEX-R3RS-0726-SM-3GIJR 40-49 years, female 1.6
GTEX-S7SE-0726-SM-2XCD7 50-59 years, male 1.6
GTEX-WXYG-0226-SM-3NB2Y 50-59 years, female 1.6
GTEX-Y114-0626-SM-4TT98 50-59 years, female 1.6
GTEX-Y3I4-0226-SM-4TT27 50-59 years, male 1.6
GTEX-ZQG8-0926-SM-57WFF 60-69 years, female 1.6
GTEX-1EWIQ-0826-SM-7MXTH 70-79 years, female 1.6
GTEX-1F88F-0726-SM-7P8R7 60-69 years, female 1.6
GTEX-1HCVE-0726-SM-A96SH 50-59 years, male 1.6
GTEX-1I1GR-1126-SM-A9G2I 60-69 years, male 1.6
GTEX-1IDJC-1026-SM-A96T2 50-59 years, male 1.6
GTEX-1JMQJ-2026-SM-CNPP9 50-59 years, male 1.6
GTEX-1O97I-1026-SM-E76PI 60-69 years, male 1.6
GTEX-1PFEY-0226-SM-EVR3M 30-39 years, male 1.6
GTEX-1RAZS-1026-SM-E9TID 50-59 years, male 1.6
GTEX-1RQEC-1026-SM-EVR5B 60-69 years, male 1.6
GTEX-11P7K-0226-SM-5986Z 30-39 years, male 1.5
GTEX-13NZ8-0226-SM-5J2OK 60-69 years, female 1.5
GTEX-13OW6-0726-SM-5L3FX 50-59 years, male 1.5
GTEX-146FQ-0726-SM-5LUA7 30-39 years, male 1.5
GTEX-14XAO-0426-SM-6AJB6 60-69 years, female 1.5
GTEX-169BO-0326-SM-7EPIM 50-59 years, male 1.5
GTEX-16YQH-0326-SM-6LPJV 30-39 years, male 1.5
GTEX-17F97-0626-SM-7IGOH 50-59 years, male 1.5
GTEX-17HGU-0826-SM-7EWE5 50-59 years, male 1.5
GTEX-17HHY-0826-SM-7EPID 50-59 years, male 1.5
GTEX-1AX9K-0626-SM-73KVD 50-59 years, male 1.5
GTEX-1AYCT-0226-SM-73KVB 50-59 years, male 1.5
GTEX-OOBJ-2626-SM-2I3F6 60-69 years, male 1.5
GTEX-PLZ4-1226-SM-2I5FE 50-59 years, female 1.5
GTEX-RN64-0626-SM-2TC5V 50-59 years, male 1.5
GTEX-Y5LM-0626-SM-4V6G4 40-49 years, female 1.5
GTEX-Y9LG-0426-SM-4VBRT 30-39 years, male 1.5
GTEX-YFCO-0326-SM-4W1ZP 40-49 years, male 1.5
GTEX-Z9EW-0226-SM-5CVM7 40-49 years, male 1.5
GTEX-ZDTS-0926-SM-5YY9D 60-69 years, male 1.5
GTEX-ZTSS-0226-SM-59877 40-49 years, male 1.5
GTEX-ZV6S-0226-SM-59HJT 40-49 years, female 1.5
GTEX-1F75I-0926-SM-7MXUU 40-49 years, male 1.5
GTEX-1IKOE-0926-SM-ARU7X 30-39 years, female 1.5
GTEX-1J8EW-1126-SM-A96T8 60-69 years, female 1.5
GTEX-1JKYN-1126-SM-CGQG5 30-39 years, male 1.5
GTEX-1JMPZ-0626-SM-CY8HY 30-39 years, male 1.5
GTEX-1LG7Y-0626-SM-DHXJM 50-59 years, male 1.5
GTEX-1LVAM-0826-SM-EV79X 50-59 years, female 1.5
GTEX-1PDJ9-0826-SM-E76PS 20-29 years, male 1.5
GTEX-1QP6S-2526-SM-DTX9Z 40-49 years, male 1.5
GTEX-1192X-1126-SM-5EGGU 50-59 years, male 1.4
GTEX-139T6-0326-SM-5J2LY 50-59 years, male 1.4
GTEX-13X6J-0826-SM-5LU32 50-59 years, male 1.4
GTEX-14753-0926-SM-5Q5BI 60-69 years, male 1.4
GTEX-148VI-0526-SM-5TDDG 60-69 years, female 1.4
GTEX-14C39-0226-SM-5TDDW 40-49 years, male 1.4
GTEX-15CHR-1726-SM-7DUGW 50-59 years, male 1.4
GTEX-SIU8-0626-SM-2XCDN 50-59 years, male 1.4
GTEX-WHPG-0226-SM-3NMB9 50-59 years, male 1.4
GTEX-WHSB-1626-SM-3LK6J 50-59 years, male 1.4
GTEX-ZE7O-1126-SM-57WC8 50-59 years, female 1.4
GTEX-ZLFU-0626-SM-4WWBO 40-49 years, male 1.4
GTEX-ZUA1-0926-SM-4YCDX 40-49 years, male 1.4
GTEX-ZZPU-1326-SM-5GZWS 50-59 years, female 1.4
GTEX-1F5PL-0826-SM-7MXU7 40-49 years, female 1.4
GTEX-1F75A-0326-SM-7MXTR 50-59 years, male 1.4
GTEX-1HSEH-0826-SM-B2LXE 60-69 years, male 1.4
GTEX-1HT8W-1526-SM-CE6S3 30-39 years, male 1.4
GTEX-1IDJH-0826-SM-CE6SY 70-79 years, male 1.4
GTEX-1JJE9-0226-SM-CY8HU 70-79 years, male 1.4
GTEX-1KANC-0826-SM-D3LA8 50-59 years, female 1.4
GTEX-QDT8-1226-SM-EVR35 30-39 years, female 1.4
GTEX-117YW-0126-SM-5EGGN 50-59 years, male 1.3
GTEX-11GS4-0826-SM-5986J 60-69 years, male 1.3
GTEX-11LCK-0526-SM-5A5M9 30-39 years, male 1.3
GTEX-1212Z-0426-SM-5FQT6 60-69 years, male 1.3
GTEX-133LE-0326-SM-5P9G4 20-29 years, female 1.3
GTEX-1399U-0326-SM-5P9G5 50-59 years, female 1.3
GTEX-13N2G-0726-SM-5MR38 60-69 years, male 1.3
GTEX-14C38-0826-SM-5S2U8 50-59 years, male 1.3
GTEX-16XZY-0726-SM-79OMU 70-79 years, male 1.3
GTEX-17HII-1926-SM-79OLB 50-59 years, male 1.3
GTEX-18465-1426-SM-7KFTF 50-59 years, male 1.3
GTEX-1A3MV-0326-SM-73KW7 30-39 years, male 1.3
GTEX-1EN7A-1026-SM-7IGPZ 40-49 years, male 1.3
GTEX-RWS6-0626-SM-2XCAS 60-69 years, female 1.3
GTEX-SUCS-0226-SM-32PLQ 70-79 years, male 1.3
GTEX-WWYW-0826-SM-3NB2X 50-59 years, female 1.3
GTEX-XGQ4-0426-SM-4AT4I 50-59 years, male 1.3
GTEX-ZYFD-0826-SM-5NQ9A 50-59 years, male 1.3
GTEX-1B933-1026-SM-7P8RO 50-59 years, female 1.3
GTEX-1CAMS-0826-SM-7P8P1 40-49 years, female 1.3
GTEX-1F48J-0926-SM-7P8PZ 50-59 years, female 1.3
GTEX-1F75B-0826-SM-9QEIT 50-59 years, male 1.3
GTEX-1GMR8-0826-SM-9KNUR 50-59 years, female 1.3
GTEX-1HBPH-0926-SM-A9SME 40-49 years, female 1.3
GTEX-1HR9M-0626-SM-A96S6 60-69 years, male 1.3
GTEX-1I1GT-0826-SM-B2LWO 60-69 years, female 1.3
GTEX-1K2DU-0126-SM-E9TIU 20-29 years, male 1.3
GTEX-1KAFJ-0426-SM-DHXJH 50-59 years, male 1.3
GTEX-1MGNQ-0726-SM-DPRYH 40-49 years, male 1.3
GTEX-1QEPI-0726-SM-E76QG 60-69 years, female 1.3
GTEX-ZDXO-1726-SM-5HL6L 60-69 years, male 1.3
GTEX-131XH-0526-SM-5DUX7 50-59 years, male 1.2
GTEX-13NZA-1026-SM-5MR48 60-69 years, male 1.2
GTEX-147F4-0826-SM-5QGRB 50-59 years, male 1.2
GTEX-16Z82-0426-SM-7EPGX 60-69 years, male 1.2
GTEX-183FY-0626-SM-79OKR 20-29 years, male 1.2
GTEX-1B8KZ-0426-SM-731DP 50-59 years, male 1.2
GTEX-R53T-0526-SM-3GADL 50-59 years, female 1.2
GTEX-T6MN-0626-SM-32PM9 50-59 years, male 1.2
GTEX-X5EB-0726-SM-46MVR 40-49 years, male 1.2
GTEX-XMK1-0626-SM-4B65A 40-49 years, male 1.2
GTEX-XYKS-0826-SM-4BRVF 60-69 years, female 1.2
GTEX-ZV7C-0126-SM-57WDE 50-59 years, male 1.2
GTEX-1B97J-0626-SM-7P8RU 50-59 years, female 1.2
GTEX-1GF9U-0226-SM-7P8TY 40-49 years, female 1.2
GTEX-1GL5R-0626-SM-7PBZY 50-59 years, male 1.2
GTEX-1GN2E-0826-SM-9WYT8 60-69 years, male 1.2
GTEX-1H1DE-0226-SM-ARZN8 20-29 years, male 1.2
GTEX-1HBPN-1226-SM-B2LW9 50-59 years, male 1.2
GTEX-1HFI7-0326-SM-9WPOX 50-59 years, female 1.2
GTEX-1IOXB-1026-SM-CJI4D 50-59 years, male 1.2
GTEX-1OJC3-0626-SM-E8VMO 20-29 years, male 1.2
GTEX-1QCLY-0826-SM-DTX8A 30-39 years, male 1.2
GTEX-1QP9N-0126-SM-DPRZS 30-39 years, male 1.2
GTEX-1R9K5-0726-SM-EAZ4E 50-59 years, male 1.2
GTEX-S341-0226-SM-D4P1Y 40-49 years, female 1.2
GTEX-WFG7-0326-SM-DKPO8 20-29 years, male 1.2
GTEX-ZF29-0726-SM-DO92H 60-69 years, female 1.2
GTEX-ZPIC-0226-SM-DO91T 40-49 years, female 1.2
GTEX-11OF3-0626-SM-5BC4Y 60-69 years, male 1.1
GTEX-13O3Q-0626-SM-5IJG1 50-59 years, male 1.1
GTEX-13OVG-0226-SM-5LU93 60-69 years, male 1.1
GTEX-13RTJ-0326-SM-5YYAE 60-69 years, male 1.1
GTEX-13RTK-0326-SM-5RQHS 20-29 years, male 1.1
GTEX-144GL-1226-SM-5O9A4 50-59 years, male 1.1
GTEX-14JIY-1226-SM-6871R 60-69 years, male 1.1
GTEX-14PN3-0826-SM-69LOS 60-69 years, female 1.1
GTEX-14PQA-1226-SM-6M47A 50-59 years, female 1.1
GTEX-17F9Y-0526-SM-7EWDC 70-79 years, female 1.1
GTEX-17HHE-0426-SM-79OK3 50-59 years, male 1.1
GTEX-18QFQ-0726-SM-7LG6D 30-39 years, male 1.1
GTEX-1A8FM-0726-SM-7DUGK 50-59 years, female 1.1
GTEX-1A8G6-0626-SM-7IGNB 60-69 years, male 1.1
GTEX-OIZG-0226-SM-2TC5L 50-59 years, male 1.1
GTEX-RTLS-0626-SM-5SI7Z 60-69 years, female 1.1
GTEX-RVPV-1226-SM-2TF73 60-69 years, male 1.1
GTEX-S32W-0726-SM-2XCBL 50-59 years, female 1.1
GTEX-ZA64-0426-SM-5HL96 20-29 years, male 1.1
GTEX-ZYFG-0626-SM-5GZYA 60-69 years, female 1.1
GTEX-ZYVF-1126-SM-5E458 50-59 years, female 1.1
GTEX-1EX96-0126-SM-9KNVH 50-59 years, male 1.1
GTEX-1GF9X-0126-SM-A9G38 40-49 years, female 1.1
GTEX-1HCU7-0826-SM-B2LX7 50-59 years, male 1.1
GTEX-1HSKV-1026-SM-B2LWK 60-69 years, male 1.1
GTEX-1I19N-0226-SM-CE6ST 70-79 years, male 1.1
GTEX-1I1GV-0726-SM-ARZLY 60-69 years, male 1.1
GTEX-1IY9M-1026-SM-A96TG 60-69 years, male 1.1
GTEX-1JMPY-0126-SM-CJI39 30-39 years, male 1.1
GTEX-1JMQK-2126-SM-CY8I2 60-69 years, male 1.1
GTEX-1M4P7-0626-SM-EVR51 60-69 years, male 1.1
GTEX-1NUQO-0926-SM-DTXEX 20-29 years, female 1.1
GTEX-1PIIG-2026-SM-EVR43 30-39 years, male 1.1
GTEX-1QP67-0326-SM-EVR45 40-49 years, female 1.1
GTEX-1QPFJ-0626-SM-DTX7Y 30-39 years, female 1.1
GTEX-1R9PM-0226-SM-DPRY7 20-29 years, male 1.1
GTEX-OXRN-1526-SM-E6CHM 50-59 years, male 1.1
GTEX-RN5K-2826-SM-EZ6L3 50-59 years, female 1.1
GTEX-111YS-0726-SM-5GZY8 60-69 years, male 1.0
GTEX-11EM3-0126-SM-5985K 20-29 years, female 1.0
GTEX-11UD2-0626-SM-5GU6L 50-59 years, male 1.0
GTEX-1313W-0726-SM-5EGK1 50-59 years, female 1.0
GTEX-13S86-1126-SM-5RQJX 40-49 years, male 1.0
GTEX-13YAN-0926-SM-5O9C3 60-69 years, male 1.0
GTEX-14C5O-0826-SM-5TDEG 60-69 years, male 1.0
GTEX-16XZZ-0826-SM-7IGM3 60-69 years, male 1.0
GTEX-17F9E-0626-SM-79ON5 50-59 years, male 1.0
GTEX-1B932-0926-SM-73KUP 40-49 years, female 1.0
GTEX-1CB4H-0126-SM-7IGN2 60-69 years, female 1.0
GTEX-QEG5-0826-SM-2I5GF 20-29 years, male 1.0
GTEX-U3ZN-0326-SM-3DB86 30-39 years, female 1.0
GTEX-WOFL-0726-SM-3MJG4 60-69 years, male 1.0
GTEX-WY7C-0226-SM-3NB37 50-59 years, male 1.0
GTEX-ZVZP-1026-SM-5GICI 50-59 years, male 1.0
GTEX-ZY6K-0226-SM-5SIAY 50-59 years, male 1.0
GTEX-1E1VI-0726-SM-7P8QJ 50-59 years, male 1.0
GTEX-1GF9V-0926-SM-9KNW7 60-69 years, male 1.0
GTEX-1GZ2Q-0826-SM-7P8TK 40-49 years, male 1.0
GTEX-1GZ4I-0626-SM-9WPPN 50-59 years, male 1.0
GTEX-1JJEA-0626-SM-D3L96 60-69 years, male 1.0
GTEX-1LH75-0626-SM-DIPG3 50-59 years, female 1.0
GTEX-1QP2A-0626-SM-DTX9C 50-59 years, male 1.0
GTEX-1QP66-0326-SM-DTX7V 50-59 years, male 1.0
GTEX-11DZ1-2726-SM-5A5KH 50-59 years, male 0.9
GTEX-11P82-0226-SM-5HL4O 20-29 years, male 0.9
GTEX-13112-0326-SM-5P9IW 50-59 years, male 0.9
GTEX-131XE-0126-SM-5LZVC 50-59 years, male 0.9
GTEX-13CF3-0926-SM-5LZZC 60-69 years, female 0.9
GTEX-13O3P-0726-SM-5J2OM 50-59 years, male 0.9
GTEX-144GM-0226-SM-5Q5CB 20-29 years, male 0.9
GTEX-145LT-0226-SM-5S2QK 40-49 years, male 0.9
GTEX-146FR-0326-SM-5SI8U 60-69 years, female 0.9
GTEX-14BMV-0726-SM-73KVE 50-59 years, male 0.9
GTEX-14E6C-2626-SM-5RQJP 40-49 years, male 0.9
GTEX-14E7W-0926-SM-5YYA4 70-79 years, male 0.9
GTEX-14PJ4-0326-SM-664OT 60-69 years, male 0.9
GTEX-15ER7-0726-SM-7KUMF 20-29 years, female 0.9
GTEX-15UF6-1126-SM-6LPJ3 70-79 years, female 0.9
GTEX-16GPK-0926-SM-6LPJ9 60-69 years, male 0.9
GTEX-1B8L1-1626-SM-7IGMH 60-69 years, male 0.9
GTEX-1B8SG-1126-SM-7IGMT 50-59 years, male 0.9
GTEX-1EMGI-0826-SM-7EPHY 60-69 years, male 0.9
GTEX-N7MS-2326-SM-2HMLD 60-69 years, male 0.9
GTEX-Q734-0526-SM-2I3EH 40-49 years, female 0.9
GTEX-REY6-0526-SM-2TF5M 60-69 years, male 0.9
GTEX-RWSA-0826-SM-2XCBF 40-49 years, male 0.9
GTEX-SE5C-0726-SM-4BRWY 40-49 years, female 0.9
GTEX-U3ZM-0126-SM-3DB8M 40-49 years, male 0.9
GTEX-U4B1-0626-SM-3DB8L 40-49 years, male 0.9
GTEX-V955-0426-SM-3GAEL 60-69 years, male 0.9
GTEX-WFG8-0426-SM-3GILD 20-29 years, male 0.9
GTEX-ZZ64-0126-SM-5GZXA 20-29 years, male 0.9
GTEX-1CB4E-0326-SM-7MXT3 60-69 years, male 0.9
GTEX-1IL2V-0626-SM-ARU7S 70-79 years, male 0.9
GTEX-1LVAN-0726-SM-CNNPF 50-59 years, female 0.9
GTEX-1MJK2-0826-SM-DTXE8 50-59 years, male 0.9
GTEX-1PIGE-0726-SM-DPRZD 20-29 years, male 0.9
GTEX-1PPGY-1426-SM-EVR3R 60-69 years, male 0.9
GTEX-117YX-1226-SM-5H11S 50-59 years, male 0.8
GTEX-12696-0326-SM-5EGL4 60-69 years, male 0.8
GTEX-12WSH-0226-SM-5GCOG 50-59 years, male 0.8
GTEX-12WSL-0626-SM-5GCOY 50-59 years, male 0.8
GTEX-13OVI-0826-SM-5KLZ8 60-69 years, female 0.8
GTEX-13OW7-0826-SM-5L3EL 50-59 years, male 0.8
GTEX-13VXU-0826-SM-5KLZ2 50-59 years, male 0.8
GTEX-144GO-0126-SM-5LUAO 60-69 years, male 0.8
GTEX-145MI-1126-SM-5O9AK 60-69 years, female 0.8
GTEX-14ASI-0726-SM-5Q5DC 60-69 years, male 0.8
GTEX-14PII-0826-SM-6871S 60-69 years, male 0.8
GTEX-15CHC-0126-SM-5YYBA 60-69 years, female 0.8
GTEX-15D1Q-0626-SM-6AJAZ 40-49 years, male 0.8
GTEX-15DDE-0626-SM-69LOK 50-59 years, female 0.8
GTEX-15RIE-0426-SM-7KUMH 60-69 years, male 0.8
GTEX-17EVP-0126-SM-7EPHW 40-49 years, male 0.8
GTEX-18D9B-0726-SM-72D6K 60-69 years, male 0.8
GTEX-1B8SF-0626-SM-73KVV 60-69 years, male 0.8
GTEX-1CB4I-0726-SM-7DUGS 50-59 years, male 0.8
GTEX-OXRP-0326-SM-33HBJ 60-69 years, female 0.8
GTEX-P4QS-2626-SM-2I3EV 60-69 years, male 0.8
GTEX-POYW-0826-SM-2XCEM 60-69 years, male 0.8
GTEX-Q2AH-0726-SM-2I3EA 40-49 years, male 0.8
GTEX-QEL4-0726-SM-3GIJ5 50-59 years, male 0.8
GTEX-R55E-0826-SM-2TC5M 20-29 years, male 0.8
GTEX-XBED-0126-SM-47JY7 60-69 years, male 0.8
GTEX-XUZC-0126-SM-4BOO6 30-39 years, female 0.8
GTEX-YB5E-0626-SM-4VDSE 40-49 years, male 0.8
GTEX-YEC3-0826-SM-4WWFP 50-59 years, male 0.8
GTEX-ZAK1-0726-SM-5HL8Q 50-59 years, female 0.8
GTEX-ZXG5-0926-SM-5NQ8H 60-69 years, male 0.8
GTEX-ZYFC-0926-SM-5GZWW 50-59 years, male 0.8
GTEX-17GQL-0226-SM-7LTAK 60-69 years, male 0.8
GTEX-1GN1W-0126-SM-7MXV7 50-59 years, female 0.8
GTEX-1GTWX-0726-SM-9WPPA 60-69 years, male 0.8
GTEX-1H1E6-0326-SM-9OSWE 30-39 years, male 0.8
GTEX-1HSMO-0726-SM-A96TM 60-69 years, male 0.8
GTEX-1I1GP-0326-SM-CNPQ4 50-59 years, male 0.8
GTEX-1KXAM-1726-SM-D3LAE 60-69 years, male 0.8
GTEX-1MUQO-0726-SM-E9TJM 60-69 years, male 0.8
GTEX-1PWST-0726-SM-EWRMO 70-79 years, male 0.8
GTEX-1122O-0226-SM-5N9DA 60-69 years, female 0.7
GTEX-1128S-0126-SM-5H12S 60-69 years, female 0.7
GTEX-11TTK-0826-SM-5N9EG 60-69 years, female 0.7
GTEX-11VI4-0226-SM-5GU6C 40-49 years, female 0.7
GTEX-12584-0826-SM-5FQSK 40-49 years, male 0.7
GTEX-12WSD-0926-SM-5GCNL 60-69 years, female 0.7
GTEX-132QS-0326-SM-5IJFN 60-69 years, male 0.7
GTEX-1399T-0126-SM-5KM15 60-69 years, male 0.7
GTEX-13NYC-2426-SM-5MR3K 60-69 years, male 0.7
GTEX-13OW5-0626-SM-5J2N2 60-69 years, male 0.7
GTEX-13PDP-1026-SM-5L3FA 60-69 years, male 0.7
GTEX-13QJ3-0926-SM-73KX5 50-59 years, male 0.7
GTEX-145MH-0426-SM-5LU8T 50-59 years, male 0.7
GTEX-14PKU-0326-SM-6AJA7 40-49 years, female 0.7
GTEX-1BAJH-0926-SM-79OO6 70-79 years, male 0.7
GTEX-1C64N-1026-SM-79ONM 50-59 years, male 0.7
GTEX-1EH9U-0926-SM-7EWF1 60-69 years, male 0.7
GTEX-P44G-0626-SM-2I5EO 30-39 years, male 0.7
GTEX-UJMC-0326-SM-3GAE2 50-59 years, male 0.7
GTEX-VJYA-0426-SM-3GIJK 60-69 years, male 0.7
GTEX-VUSG-0426-SM-3GIKD 50-59 years, male 0.7
GTEX-W5X1-0426-SM-3GILB 40-49 years, female 0.7
GTEX-WH7G-0526-SM-3NMBI 40-49 years, male 0.7
GTEX-WK11-0926-SM-3NMAU 50-59 years, male 0.7
GTEX-WVLH-0626-SM-3MJG7 50-59 years, male 0.7
GTEX-X4XX-0926-SM-46MV7 60-69 years, male 0.7
GTEX-1FIGZ-0226-SM-7P8QR 40-49 years, male 0.7
GTEX-1GF9W-0626-SM-7MXVJ 60-69 years, male 0.7
GTEX-1GN1U-0826-SM-9WPPX 50-59 years, female 0.7
GTEX-1GZ4H-0226-SM-9JGGJ 50-59 years, female 0.7
GTEX-1GZHY-1426-SM-9WG5H 50-59 years, female 0.7
GTEX-1H1CY-0726-SM-9OSXX 60-69 years, female 0.7
GTEX-1HFI6-1326-SM-A9SL8 40-49 years, male 0.7
GTEX-1HSMQ-0526-SM-A96TY 50-59 years, male 0.7
GTEX-1J1R8-0126-SM-CJI36 40-49 years, male 0.7
GTEX-1J8Q3-0226-SM-C1YR4 60-69 years, male 0.7
GTEX-1JKYR-0826-SM-ARU8L 20-29 years, male 0.7
GTEX-1RAZQ-0926-SM-EAZ4Q 30-39 years, male 0.7
GTEX-111FC-1026-SM-5GZX1 60-69 years, male 0.6
GTEX-1192W-0126-SM-5EGGS 60-69 years, male 0.6
GTEX-13O3O-0926-SM-5KM1F 60-69 years, female 0.6
GTEX-13OW8-0126-SM-5IJE5 60-69 years, male 0.6
GTEX-13PVQ-0726-SM-5L3GI 50-59 years, male 0.6
GTEX-14ICL-0426-SM-5RQJ3 30-39 years, male 0.6
GTEX-14PK6-0426-SM-6EU1J 70-79 years, female 0.6
GTEX-15RJE-1326-SM-6LPI6 40-49 years, male 0.6
GTEX-18A6Q-0726-SM-7LT8Y 60-69 years, male 0.6
GTEX-1AMFI-0526-SM-7189M 50-59 years, female 0.6
GTEX-1B8KE-0626-SM-7189H 50-59 years, male 0.6
GTEX-NFK9-0726-SM-2HMJW 40-49 years, male 0.6
GTEX-OIZI-0726-SM-2XCEI 40-49 years, male 0.6
GTEX-OXRL-2626-SM-2I3F1 50-59 years, male 0.6
GTEX-RM2N-0526-SM-2TF4N 50-59 years, male 0.6
GTEX-RUSQ-1026-SM-2TF6V 50-59 years, male 0.6
GTEX-SNOS-0226-SM-32PLR 40-49 years, male 0.6
GTEX-TKQ1-0126-SM-33HB3 30-39 years, male 0.6
GTEX-TSE9-0626-SM-3DB8B 60-69 years, female 0.6
GTEX-Y5V6-0526-SM-4VBRV 60-69 years, male 0.6
GTEX-1H1DF-1026-SM-9QEJ1 40-49 years, female 0.6
GTEX-1HR98-0326-SM-CGQEL 60-69 years, male 0.6
GTEX-1IL2U-0826-SM-CL53Q 60-69 years, male 0.6
GTEX-1N5O9-1026-SM-DTX8Y 60-69 years, male 0.6
GTEX-1OFPY-1526-SM-DTX8R 60-69 years, male 0.6
GTEX-1P4AB-1126-SM-DTX94 50-59 years, male 0.6
GTEX-11O72-2326-SM-5BC7H 40-49 years, male 0.5
GTEX-11ZTT-1026-SM-5EQKF 60-69 years, female 0.5
GTEX-12WSN-0726-SM-5GCMS 40-49 years, male 0.5
GTEX-13FHP-0926-SM-5L3EC 50-59 years, male 0.5
GTEX-13JVG-0926-SM-5IJE1 60-69 years, male 0.5
GTEX-13N11-1026-SM-5K7XQ 50-59 years, female 0.5
GTEX-13N1W-0826-SM-5MR5J 70-79 years, male 0.5
GTEX-QXCU-0326-SM-2TC63 50-59 years, male 0.5
GTEX-X4XY-0826-SM-4E3JM 60-69 years, male 0.5
GTEX-XUW1-1026-SM-4BONY 50-59 years, female 0.5
GTEX-ZYW4-1126-SM-5SI99 60-69 years, male 0.5
GTEX-1GMR3-0726-SM-9WPOF 40-49 years, male 0.5
GTEX-1IGQW-0626-SM-C1YR9 60-69 years, male 0.5
GTEX-1S5ZU-0726-SM-EWROH 20-29 years, female 0.5
GTEX-11TT1-1126-SM-5P9GV 20-29 years, male 0.4
GTEX-1211K-0726-SM-5FQUW 60-69 years, female 0.4
GTEX-13FLW-0326-SM-5J2M4 50-59 years, male 0.4
GTEX-13G51-1226-SM-5K7Z3 60-69 years, male 0.4
GTEX-13O61-0226-SM-5KM52 60-69 years, male 0.4
GTEX-1AX9J-2126-SM-731DD 60-69 years, male 0.4
GTEX-1CB4F-0826-SM-793CV 60-69 years, male 0.4
GTEX-SJXC-0726-SM-2XCFJ 60-69 years, male 0.4
GTEX-T8EM-0226-SM-3DB7C 40-49 years, male 0.4
GTEX-U8T8-2326-SM-3DB96 60-69 years, male 0.4
GTEX-1F52S-0526-SM-7P8TP 60-69 years, female 0.4
GTEX-1GPI7-0726-SM-9WG84 20-29 years, male 0.4
GTEX-1ICLY-0726-SM-A96TB 50-59 years, male 0.4
GTEX-1IE54-0926-SM-A9G2Y 40-49 years, female 0.4
GTEX-1PPH8-0926-SM-DTX9U 20-29 years, male 0.4
GTEX-1RDX4-0926-SM-E9U6D 50-59 years, female 0.4
GTEX-X261-0726-SM-EZ6MH 50-59 years, male 0.4
GTEX-ZT9W-0226-SM-7SB6H 50-59 years, male 0.4
GTEX-13PL6-1026-SM-5L3E5 40-49 years, female 0.3
GTEX-14PKV-0626-SM-6AJA2 20-29 years, female 0.3
GTEX-1AX9I-0626-SM-72D54 60-69 years, male 0.3
GTEX-OHPM-2626-SM-33HC5 50-59 years, male 0.3
GTEX-QV44-0826-SM-2S1RG 50-59 years, male 0.3
GTEX-WHSE-0626-SM-4RGNF 20-29 years, male 0.3
GTEX-XXEK-1326-SM-4BRV1 50-59 years, male 0.3
GTEX-1I1GU-0826-SM-ARZM5 40-49 years, male 0.3
GTEX-11DYG-0826-SM-5N9GH 60-69 years, male 0.2
GTEX-11GSO-0626-SM-5A5LW 60-69 years, male 0.2
GTEX-11TUW-0226-SM-5LU8X 60-69 years, male 0.2
GTEX-12BJ1-0426-SM-5FQSO 60-69 years, male 0.2
GTEX-12WSK-0926-SM-5CVNQ 40-49 years, female 0.2
GTEX-ZTX8-0626-SM-59HKC 20-29 years, male 0.2
GTEX-1GN1V-0626-SM-7P8QU 60-69 years, male 0.2
GTEX-U412-0726-SM-EVR2Y 60-69 years, male 0.2
GTEX-12WSJ-0326-SM-5GCMT 40-49 years, female 0.1
GTEX-13QBU-0626-SM-5J2OG 40-49 years, female 0.1
GTEX-15EU6-1426-SM-6M48E 50-59 years, male 0.1
GTEX-148VJ-0726-SM-5LU8J 70-79 years, male 0.0
GTEX-QV31-0726-SM-3GAEG 30-39 years, male 0.0
GTEX-R55C-0626-SM-2TF4Q 40-49 years, male 0.0
GTEX-RU1J-0226-SM-2TF5Y 20-29 years, female 0.0
GTEX-T6MO-0226-SM-32QOL 40-49 years, female 0.0
Show allShow less

Contact

  • NEWS ARTICLES
  • PRESS ROOM

The Project

  • INTRODUCTION
  • ORGANIZATION
  • PUBLICATIONS

The Human Protein Atlas

  • DOWNLOADABLE DATA
  • LICENCE & CITATION
  • HELP & FAQ
The Human Protein Atlas project is funded
by the Knut & Alice Wallenberg Foundation.


contact@proteinatlas.org