We use cookies to enhance the usability of our website. If you continue, we'll assume that you are happy to receive all cookies. More information. Don't show this again.
CFAP298
HPA
RESOURCES
  • TISSUE
  • BRAIN
  • SINGLE CELL
  • SUBCELLULAR
  • CANCER
  • BLOOD
  • CELL LINE
  • STRUCTURE & INTERACTION
ABOUT
  • INTRODUCTION
  • HISTORY
  • ORGANIZATION
  • PUBLICATIONS
  • ANTIBODY SUBMISSION
  • ANTIBODY AVAILABILITY
  • ACKNOWLEDGMENTS
  • CONTACT
NEWS
  • NEWS ARTICLES
  • PRESS ROOM
LEARN
  • DICTIONARY
  • PROTEIN CLASSES
  • PROTEIN EVIDENCE
  • METHODS
  • EDUCATIONAL VIDEOS
DATA
  • DOWNLOADABLE DATA
  • PUBLICATION DATA
  • RELEASE HISTORY
HELP
  • ANTIBODY VALIDATION
  • ASSAYS & ANNOTATION
  • DISCLAIMER
  • HELP & FAQ
  • PRIVACY STATEMENT
  • LICENCE & CITATION
Fields »
Search result

Field
Term
Gene name
Class
Subclass
Class
Keyword
Chromosome
External id
Tissue
Cell type
Expression
Antibody panel
Tissue
Main location
Patient ID
Annotation
Tissue
Category
Tau score
Cluster
Reliability
Brain region
Category
Tau score
Brain region
Category
Tau score
Brain region
Category
Tau score
Cluster
Reliability
Tissue
Cell type
Enrichment
Cell type
Category
Tau score
Cell type
Category
Tau score
Cell type
Category
Tau score
Cell lineage
Category
Tau score
Cluster
Cluster
Location
Searches
Location
Cell line
Class
Type
Phase
Reliability
Cancer
Prognosis
Cancer
Category
Cancer
Category
Tau score
Cluster
Variants
Interacting gene (ensg_id)
Type
Number of interactions
Pathway
Category
Score
Score
Score
Validation
Validation
Validation
Validation
Antibodies
Data type
Column


  • SUMMARY

  • TISSUE

  • BRAIN

  • SINGLE CELL

  • SUBCELL

  • CANCER

  • BLOOD

  • CELL LINE

  • STRUCT & INT

  • CFAP298
BRAIN CEREBELLUM Show tissue menu
AMYGDALA BASAL GANGLIA CEREBELLUM CEREBRAL CORTEX CHOROID PLEXUS HIPPOCAMPAL FORMATION HYPOTHALAMUS MEDULLA OBLONGATA
MIDBRAIN OLFACTORY BULB PITUITARY GLAND PONS RETINA SPINAL CORD THALAMUS WHITE MATTER
ANTIBODIES
AND
VALIDATION
Brain proteome
Cerebellum
CEREBELLUM - Expression summary
Protein expression
Cerebellumi

On the top, protein expression in current human tissue, based on all annotated cell types, is reported with the units not detected (n), low (l), medium (m) and high (h). Underneath, protein expression in each annotated cell type are reported using the same units.

Protein expression data is based on knowledge-based annotation. For genes where more than one antibody has been used, a collective score is set.

If knowledge-based annotation could not be performed for a gene, no data is displayed here. View antibody staining data further down this page.

h
m
l
n
Cells in granular layer: Not detected
Cells in molecular layer: Not detected
Purkinje cells: Low
RNA expressioni

A summary of mRNA expression data available for current tissue based on several datasets. The mRNA expression levels in human tissues are based on RNA-seq data generated by the Human Protein Atlas (HPA), Genotype-Tissue Expression (GTEx) portal and CAGE data generated by the FANTOM5 consortium. Consensus normalized expression levels for human tissues was created by combining the data from HPA and GTEx datasets.

The mRNA expression levels in pig are based on RNA-seq data generated by the Human Protein Atlas (HPA), and for mouse, HPA data and in situ hybridization generated by the Allen brain atlas are reported.

Scroll down to view mRNA expression data in more detail.
Consensus:48.9 nTPM
HPA Brain:28.1 nTPM
GTEx:48.9 nTPM
FANTOM5:95.1 Scaled Tags Per Million
Pig:24.3 nTPM
Mouse:31.0 nTPM
Allen mouse:6.5 Expression energy

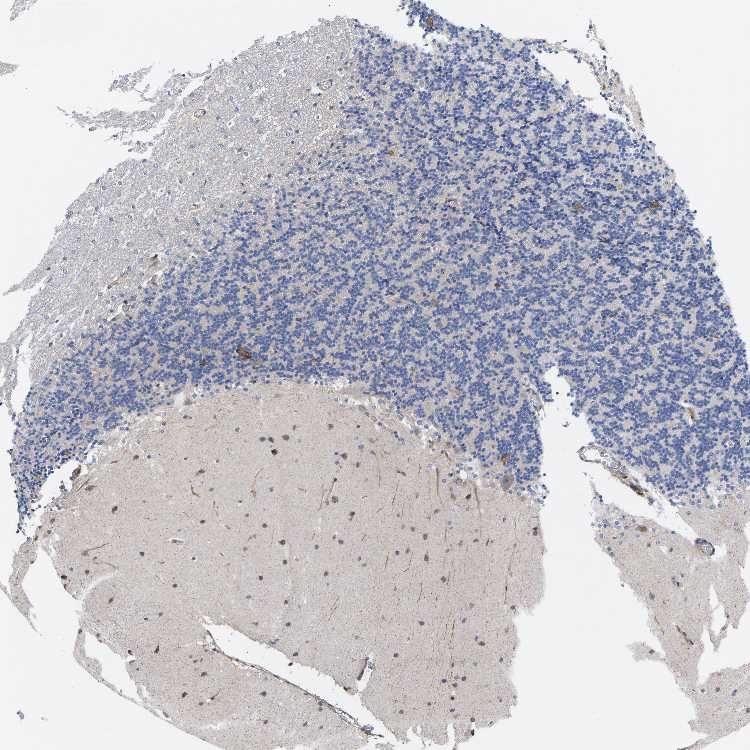
CEREBELLUM - Antibody stainingi

Antibody staining in the annotated cell types in the current human tissue is reported as not detected, low, medium, or high, based on conventional immunohistochemistry profiling in selected tissues. This score is based on the combination of the staining intensity and fraction of stained cells.

Each image is clickable and will lead to virtual microscopy that enables deeper exploration of all samples and also displays staining intensity scores, fraction scores and subcellular localization as well as patient and tissue information for each sample.

Antibody HPA018453Antibody HPA019055Antibody HPA028849Antibody CAB034170
Purkinje cells Not detectedLowHighLow
Cells in granular layer LowNot detectedNot detectedNot detected
Cells in molecular layer MediumNot detectedNot detectedLow









CEREBELLUM - HPA Brain RNA-seq
Max subtype nTPMi

Max subtype nTPM is the value for the subtype with the largest average nTPM across the subtype samples.

28.1
Sample id Sample description nTPM
Cerebellar cortex
nTPM: 27.0
1774 Male, age 80, left hemisphere 35.6
1768 Female, age 72, unknown 30.1
2101 Male, age 74, right hemisphere 30.1
1788 Male, age 55, unknown 28.8
1769 Male, age 76, right hemisphere 27.9
2055 Female, age 91, right hemisphere 23.0
2006 Male, age 61, right hemisphere 20.4
2003 Female, age 85, right hemisphere 20.3
Cerebellar nuclei
nTPM: 14.1
2318 Male, age 74, left hemisphere 19.5
2175 Male, age 61, right hemisphere 16.2
2882 Male, age 76, left hemisphere 15.0
1871 Male, age 74, unknown 13.9
2005 Male, age 80, left hemisphere 13.7
1966 Female, age 91, left hemisphere 13.3
2177 Female, age 85, both hemispheres 12.4
1879 Male, age 55, unknown 12.3
2783 Female, age 72, unknown 11.0
Flocculonodular lobe
nTPM: 27.9
1771 Male, age 80, left hemisphere 35.3
1835 Female, age 85, right hemisphere 33.7
1767 Male, age 76, left hemisphere 30.7
2176 Female, age 91, right hemisphere 27.6
1765 Male, age 55, unknown 26.7
1792 Male, age 74, unknown 22.1
2004 Male, age 61, right hemisphere 19.3
Vermis
nTPM: 28.1
2834 Male, age 80, left hemisphere 36.3
1751 Male, age 74, right hemisphere 33.5
1988 Female, age 85, left hemisphere 31.8
1766 Male, age 55, unknown 29.1
1770 Male, age 76, left hemisphere 28.0
1778 Female, age 91, left hemisphere 27.0
1928 Female, age 72, unknown 26.4
1825 Male, age 74, unknown 24.5
2460 Male, age 61, both hemispheres 16.4

CEREBELLUM - GTEx RNA-seqi

RNA-Seq data generated by the Genotype-Tissue Expression (GTEx) project from human tissues is reported as mean nTPM. More information can be found on the GTEx portal.

Distribution across the dataset is visualized with box plots, shown as median and 25th and 75th percentiles. Points are displayed as outliers if they are above or below 1.5 times the interquartile range. nTPM values of the individual samples are presented next to the box plot.
Max subtype nTPMi

Max subtype nTPM is the value for the subtype with the largest average nTPM across the subtype samples.

48.9
GTEx sample id Sample description nTPM
Brain - Cerebellar Hemisphere
Average nTPM: 48.9
Samples: 215

Max nTPM: 93.7
Min nTPM: 32.7
Std nTPM: 9.8
Median nTPM: 46.1
GTEX-131XW-0011-R11a-SM-5DUV9 50-59 years, female 93.7
GTEX-13CZV-0011-R11b-SM-5N9FN 60-69 years, male 92.4
GTEX-17EVQ-0011-R11a-SM-7LT9C 70-79 years, male 78.4
GTEX-1HUB1-0011-R11b-SM-CE6SC 60-69 years, male 75.4
GTEX-11EI6-0011-R11a-SM-DO11V 60-69 years, male 72.7
GTEX-X261-0011-R11A-SM-4E3JY 50-59 years, male 70.9
GTEX-13FLV-0011-R11a-SM-5LZZ7 50-59 years, male 69.0
GTEX-139UW-0011-R11a-SM-5IJGN 60-69 years, male 68.5
GTEX-1J8Q2-0011-R11a-SM-A9SKI 60-69 years, male 68.1
GTEX-13NZA-0011-R11b-SM-5KM4W 60-69 years, male 67.6
GTEX-13PLJ-0011-R11b-SM-5O9BS 60-69 years, female 65.5
GTEX-1F75W-0011-R11b-SM-AHZ34 60-69 years, male 65.5
GTEX-1H3VE-0011-R11b-SM-C1YRP 40-49 years, male 64.2
GTEX-1H4P4-0011-R11b-SM-CE6S8 50-59 years, male 64.0
GTEX-1A3MX-0011-R11b-SM-7DUGP 60-69 years, male 63.9
GTEX-ZVT3-0011-R11b-SM-57WBI 60-69 years, female 63.9
GTEX-1LKK1-0011-R11a-SM-EXOIG 50-59 years, female 63.6
GTEX-13SLW-0011-R11a-SM-5SI8Q 70-79 years, male 63.4
GTEX-13S7M-0011-R11b-SM-5P9HU 60-69 years, female 62.6
GTEX-16XZZ-0011-R11a-SM-7EPI3 60-69 years, male 62.4
GTEX-16NPV-0011-R11a-SM-7IGMK 50-59 years, female 62.3
GTEX-13QIC-0011-R11b-SM-5O9BU 60-69 years, female 62.1
GTEX-ZF28-0011-R11a-SM-4WWEI 60-69 years, male 61.9
GTEX-183WM-0011-R11a-SM-718A5 70-79 years, female 61.2
GTEX-12WSD-0011-R11a-SM-9OSVC 60-69 years, female 61.1
GTEX-UTHO-0011-R11A-SM-3GIJE 60-69 years, male 60.5
GTEX-11EMC-0011-R11b-SM-DNZZK 60-69 years, female 60.1
GTEX-139TT-0011-R11b-SM-5LZV1 60-69 years, male 59.8
GTEX-1ICLZ-0011-R11a-SM-CJI3N 60-69 years, male 59.7
GTEX-17EVP-0011-R11a-SM-7EWDL 40-49 years, male 59.5
GTEX-14BIN-0011-R11a-SM-5SI79 50-59 years, female 59.4
GTEX-1IOXB-0011-R11a-SM-A9G1X 50-59 years, male 59.2
GTEX-1GZHY-0011-R11a-SM-C1YRQ 50-59 years, female 59.1
GTEX-11WQC-0011-R11b-SM-57WD6 60-69 years, male 58.8
GTEX-QMR6-0011-R11A-SM-32PKK 50-59 years, male 58.3
GTEX-1GMRU-0011-R11b-SM-C1YQ4 50-59 years, male 58.3
GTEX-1R9K4-0011-R11a-SM-EZ6N9 60-69 years, male 58.0
GTEX-13X6I-0011-R11a-SM-5P9HN 60-69 years, male 57.9
GTEX-132Q8-0011-R11b-SM-5DUW9 60-69 years, male 57.6
GTEX-1IGQW-0011-R11a-SM-C1YRV 60-69 years, male 57.5
GTEX-14C39-0011-R11b-SM-5YYAF 40-49 years, male 57.2
GTEX-1BAJH-0011-R11b-SM-7IGLM 70-79 years, male 57.1
GTEX-18A6Q-0011-R11a-SM-72D6H 60-69 years, male 57.0
GTEX-ZE9C-0011-R11a-SM-4WKGG 60-69 years, male 57.0
GTEX-11DZ1-0011-R11b-SM-DO11W 50-59 years, male 56.9
GTEX-1F52S-0011-R11a-SM-CJI23 60-69 years, female 56.4
GTEX-1H3O1-0011-R11a-SM-A96RV 60-69 years, male 56.3
GTEX-145MI-0011-R11a-SM-5P9JZ 60-69 years, female 56.2
GTEX-145MH-0011-R11a-SM-5P9HQ 50-59 years, male 56.0
GTEX-14E6D-0011-R11b-SM-664NP 50-59 years, male 55.8
GTEX-14ASI-0011-R11b-SM-6AJBJ 60-69 years, male 55.6
GTEX-OHPN-0011-R11A-SM-2I5FM 60-69 years, female 55.4
GTEX-1M4P7-0011-R11b-SM-EXOIK 60-69 years, male 55.4
GTEX-13G51-0011-R11b-SM-5J2NE 60-69 years, male 55.0
GTEX-14BIM-0011-R11b-SM-5S2RN 60-69 years, female 54.6
GTEX-13X6J-0011-R11a-SM-5P9HE 50-59 years, male 54.4
GTEX-1CAV2-0011-R11a-SM-ARU8D 40-49 years, female 54.4
GTEX-Z93S-0011-R11a-SM-4RGNN 50-59 years, male 54.0
GTEX-17JCI-0011-R11a-SM-7189Y 60-69 years, female 53.9
GTEX-144GL-0011-R11b-SM-5P9F6 50-59 years, male 53.5
GTEX-13SLX-0011-R11b-SM-5O9C8 50-59 years, female 53.4
GTEX-1C64N-0011-R11b-SM-7P8Q6 50-59 years, male 53.3
GTEX-13FTY-0011-R11a-SM-5IJEA 40-49 years, female 53.1
GTEX-13FHP-0011-R11b-SM-5LZXP 50-59 years, male 53.0
GTEX-1GF9W-0011-R11b-SM-9OSXG 60-69 years, male 52.6
GTEX-12WSF-0011-R11a-SM-5LZVT 70-79 years, male 52.3
GTEX-11PRG-0011-R11b-SM-DNZZY 50-59 years, male 52.2
GTEX-NL4W-0011-R11A-SM-2I3DW 50-59 years, male 52.1
GTEX-1IKOH-0011-R11a-SM-AHZ38 60-69 years, female 51.9
GTEX-NPJ7-0011-R11A-SM-2I3E8 60-69 years, female 51.7
GTEX-12WSH-0011-R11a-SM-5LZVM 50-59 years, male 51.3
GTEX-P44H-0011-R11A-SM-2XCER 40-49 years, male 51.1
GTEX-13RTJ-0011-R11a-SM-5O9CK 60-69 years, male 50.7
GTEX-ZUA1-0011-R11b-SM-51MTI 40-49 years, male 50.6
GTEX-WL46-0011-R11A-SM-3MJFT 50-59 years, male 50.4
GTEX-1JMOU-0011-R11b-SM-EXUTA 60-69 years, female 50.3
GTEX-N7MS-0011-R11A-SM-2HMJS 60-69 years, male 50.0
GTEX-WWYW-0011-R11A-SM-3NB38 50-59 years, female 49.9
GTEX-13OVH-0011-R11b-SM-5KM4X 70-79 years, male 49.8
GTEX-ZDXO-0011-R11a-SM-4WWD9 60-69 years, male 49.8
GTEX-13X6K-0011-R11a-SM-5P9F5 60-69 years, female 49.7
GTEX-1B933-0011-R11a-SM-7P8PM 50-59 years, female 49.7
GTEX-1HBPI-0011-R11b-SM-CE6SH 50-59 years, male 49.7
GTEX-1H3NZ-0011-R11b-SM-CE6SF 60-69 years, male 49.4
GTEX-1HGF4-0011-R11a-SM-C1YRR 60-69 years, male 49.3
GTEX-13O3O-0011-R11b-SM-5KM4G 60-69 years, female 49.0
GTEX-14E7W-0011-R11a-SM-5ZZVA 70-79 years, male 49.0
GTEX-14ABY-0011-R11a-SM-5SI7C 50-59 years, male 48.8
GTEX-ZVZQ-0011-R11a-SM-51MS6 60-69 years, female 48.8
GTEX-1H1ZS-0011-R11a-SM-C1YQM 70-79 years, male 48.8
GTEX-WHSE-0011-R11A-SM-3P5YY 20-29 years, male 48.6
GTEX-13OW5-0011-R11b-SM-5L3GG 60-69 years, male 48.4
GTEX-11ZTS-0011-R11a-SM-DO113 60-69 years, female 48.0
GTEX-X585-0011-R11B-SM-46MUZ 50-59 years, male 47.9
GTEX-RU72-0011-R11A-SM-CM2U1 50-59 years, female 47.8
GTEX-13OW6-0011-R11a-SM-5L3H2 50-59 years, male 47.7
GTEX-1IL2U-0011-R11a-SM-CE6SO 60-69 years, male 47.3
GTEX-1JJEA-0011-R11a-SM-EXUTE 60-69 years, male 47.3
GTEX-ZE7O-0011-R11a-SM-57WBC 50-59 years, female 47.2
GTEX-11TTK-0011-R11b-SM-DO112 60-69 years, female 46.9
GTEX-1GZ4I-0011-R11b-SM-9OSWR 50-59 years, male 46.8
GTEX-1399T-0011-R11a-SM-5J2O1 60-69 years, male 46.7
GTEX-13JUV-0011-R11a-SM-5LZYH 40-49 years, female 46.6
GTEX-T2IS-0011-R11A-SM-32QPC 20-29 years, female 46.6
GTEX-15CHQ-0011-R11b-SM-686ZZ 60-69 years, male 46.3
GTEX-WZTO-0011-R11A-SM-4E3K9 40-49 years, male 46.3
GTEX-13OW7-0011-R11a-SM-5O9DY 50-59 years, male 46.1
GTEX-13PVQ-0011-R11a-SM-5O9DU 50-59 years, male 46.1
GTEX-13CF2-0011-R11b-SM-5LZXO 60-69 years, male 46.0
GTEX-1I19N-0011-R11b-SM-ARU6Y 70-79 years, male 46.0
GTEX-1I1HK-0011-R11a-SM-B2LVN 60-69 years, male 46.0
GTEX-1LSVX-0011-R11b-SM-EXOIA 60-69 years, male 46.0
GTEX-16YQH-0011-R11b-SM-7LT98 30-39 years, male 45.8
GTEX-13FHO-0011-R11b-SM-5LZYQ 60-69 years, male 45.7
GTEX-18464-0011-R11a-SM-72D76 50-59 years, male 45.7
GTEX-1F75A-0011-R11a-SM-AHZ35 50-59 years, male 45.7
GTEX-14PN4-0011-R11a-SM-686ZW 50-59 years, male 45.6
GTEX-13OVJ-0011-R11a-SM-5P9H8 50-59 years, female 45.5
GTEX-ZAB4-0011-R11a-SM-4SOKI 40-49 years, male 45.4
GTEX-1313W-0011-R11a-SM-5DUXN 50-59 years, female 45.3
GTEX-17HG3-0011-R11b-SM-7KFT4 30-39 years, female 45.3
GTEX-P44G-0011-R11A-SM-2I3FD 30-39 years, male 45.3
GTEX-17HII-0011-R11b-SM-7KFSX 50-59 years, male 45.2
GTEX-1R9PO-0011-R11b-SM-EZ6NB 60-69 years, female 45.2
GTEX-13FXS-0011-R11a-SM-5L3DM 50-59 years, male 45.0
GTEX-1HSKV-0011-R11b-SM-AHZ2E 60-69 years, male 44.9
GTEX-16Z82-0011-R11a-SM-79OKJ 60-69 years, male 44.8
GTEX-1F7RK-0011-R11b-SM-9QEI2 20-29 years, female 44.8
GTEX-12WSC-0011-R11a-SM-5GU5J 50-59 years, male 44.7
GTEX-12ZZZ-0011-R11a-SM-5EGLC 60-69 years, male 44.7
GTEX-1GMR8-0011-R11b-SM-9OSX2 50-59 years, female 44.7
GTEX-11ZUS-0011-R11b-SM-5BC7B 30-39 years, male 44.5
GTEX-17F97-0011-R11b-SM-7KFRQ 50-59 years, male 44.5
GTEX-1JMQJ-0011-R11a-SM-EXOJY 50-59 years, male 44.5
GTEX-16GPK-0011-R11b-SM-7MKFF 60-69 years, male 44.4
GTEX-1IDJH-0011-R11b-SM-C1YRT 70-79 years, male 44.4
GTEX-1J1OQ-0011-R11a-SM-A96S3 40-49 years, female 44.4
GTEX-11OF3-0011-R11a-SM-57WCR 60-69 years, male 44.2
GTEX-13N2G-0011-R11a-SM-5MR3F 60-69 years, male 44.2
GTEX-TSE9-0011-R11A-SM-3DB7N 60-69 years, female 44.2
GTEX-YJ89-0011-R11a-SM-4SOKA 60-69 years, male 44.2
GTEX-S7SE-0011-R11A-SM-2XCDD 50-59 years, male 44.1
GTEX-11GSP-0011-R11b-SM-5NQ7V 60-69 years, female 43.9
GTEX-15EO6-0011-R11b-SM-6M47M 50-59 years, male 43.9
GTEX-12WSM-0011-R11a-SM-5DUX8 60-69 years, male 43.8
GTEX-13NYS-0011-R11b-SM-5MR4P 60-69 years, male 43.8
GTEX-1HB9E-0011-R11b-SM-ARU79 50-59 years, male 43.7
GTEX-1B8SG-0011-R11a-SM-7P8PF 50-59 years, male 43.5
GTEX-X4XX-0011-R11A-SM-46MWQ 60-69 years, male 43.4
GTEX-1EKGG-0011-R11a-SM-9QEHZ 60-69 years, male 43.3
GTEX-1I1GS-0011-R11a-SM-C1YRU 60-69 years, male 43.2
GTEX-11DYG-0011-R11a-SM-DNZZP 60-69 years, male 43.1
GTEX-13JVG-0011-R11a-SM-5KM53 60-69 years, male 42.9
GTEX-12WSI-0011-R11b-SM-5P9EZ 50-59 years, male 42.8
GTEX-RVPV-0011-R11A-SM-2TF6F 60-69 years, male 42.8
GTEX-Y8DK-0011-R11A-SM-4SOK2 60-69 years, male 42.8
GTEX-1CB4G-0011-R11a-SM-9OSWG 60-69 years, male 42.8
GTEX-1F6I4-0011-R11b-SM-9OSWS 60-69 years, male 42.8
GTEX-11H98-0011-R11b-SM-5NQ6U 50-59 years, male 42.5
GTEX-1I1GR-0011-R11a-SM-CM2T5 60-69 years, male 42.5
GTEX-1IKK5-0011-R11a-SM-C1YRX 60-69 years, male 42.0
GTEX-1IY9M-0011-R11b-SM-A96TI 60-69 years, male 41.9
GTEX-1B8SF-0011-R11a-SM-79OOP 60-69 years, male 41.8
GTEX-1H1CY-0011-R11a-SM-C1YQR 60-69 years, female 41.8
GTEX-1I1GV-0011-R11a-SM-CJI3Z 60-69 years, male 41.8
GTEX-1JJ6O-0011-R11b-SM-EXUS2 60-69 years, male 41.8
GTEX-13OW8-0011-R11a-SM-5L3GT 60-69 years, male 41.6
GTEX-1B8L1-0011-R11b-SM-793DJ 60-69 years, male 41.6
GTEX-13NYB-0011-R11a-SM-5KM3Q 40-49 years, male 41.5
GTEX-1N2DW-0011-R11b-SM-EXOIL 50-59 years, male 41.5
GTEX-1E1VI-0011-R11a-SM-9OSWI 50-59 years, male 41.4
GTEX-1GTWX-0011-R11b-SM-C1YQJ 60-69 years, male 41.3
GTEX-1I1GQ-0011-R11b-SM-CKZPA 50-59 years, male 41.2
GTEX-1HCU6-0011-R11b-SM-AHZ2F 60-69 years, female 41.0
GTEX-15DYW-0011-R11a-SM-6LPIT 60-69 years, female 40.9
GTEX-1KD4Q-0011-R11b-SM-EXOIE 40-49 years, male 40.9
GTEX-14C5O-0011-R11b-SM-6872H 60-69 years, male 40.8
GTEX-QDT8-0011-R11A-SM-32PKD 30-39 years, female 40.7
GTEX-131YS-0011-R11b-SM-5EGLM 60-69 years, female 40.6
GTEX-18465-0011-R11a-SM-72D78 50-59 years, male 40.6
GTEX-1N2EE-0011-R11b-SM-EXOIJ 60-69 years, male 40.6
GTEX-13O3Q-0011-R11b-SM-5KM2W 50-59 years, male 40.5
GTEX-1H1DG-0011-R11a-SM-C1YQK 70-79 years, male 40.4
GTEX-YFC4-0011-R11a-SM-4SOK6 40-49 years, female 40.2
GTEX-1LVAO-0011-R11b-SM-EXOI8 60-69 years, male 39.8
GTEX-13OVL-0011-R11b-SM-5L3G7 50-59 years, male 39.7
GTEX-T5JC-0011-R11A-SM-32PMB 20-29 years, male 39.7
GTEX-13VXU-0011-R11b-SM-5O9DJ 50-59 years, male 39.6
GTEX-15DCD-0011-R11a-SM-D4P1R 70-79 years, female 39.5
GTEX-15ER7-0011-R11a-SM-6LPIL 20-29 years, female 39.3
GTEX-1LG7Y-0011-R11a-SM-EXOIH 50-59 years, male 39.1
GTEX-131XH-0011-R11a-SM-5EGLN 50-59 years, male 38.8
GTEX-12126-0011-R11a-SM-5BC6X 20-29 years, male 38.5
GTEX-1F48J-0011-R11b-SM-9OSWV 50-59 years, female 38.5
GTEX-1IL2V-0011-R11a-SM-ARU6T 70-79 years, male 38.5
GTEX-145LU-0011-R11b-SM-5P9JX 50-59 years, male 37.8
GTEX-12ZZX-0011-R11a-SM-5DUVJ 40-49 years, female 37.7
GTEX-T6MN-0011-R11A-SM-32QOX 50-59 years, male 37.7
GTEX-X4EP-0011-R11B-SM-4QASK 60-69 years, female 37.3
GTEX-1EMGI-0011-R11b-SM-9OSWX 60-69 years, male 37.1
GTEX-NPJ8-0011-R11A-SM-2YUMS 40-49 years, male 36.4
GTEX-NL3H-0011-R11A-SM-2I3E6 60-69 years, male 36.1
GTEX-WVLH-0011-R11A-SM-3MJFO 50-59 years, male 36.1
GTEX-1J8EW-0011-R11a-SM-AHZ37 60-69 years, female 36.0
GTEX-1GN73-0011-R11b-SM-9OSX4 60-69 years, male 35.7
GTEX-15G19-0011-R11b-SM-6LPIH 60-69 years, male 35.6
GTEX-14DAQ-0011-R11a-SM-664NO 60-69 years, female 35.5
GTEX-11DXY-0011-R11a-SM-DNZZN 60-69 years, male 35.5
GTEX-XMD1-0011-R11A-SM-4AT5J 60-69 years, male 35.1
GTEX-12WSE-0011-R11b-SM-5P9JW 20-29 years, male 35.0
GTEX-1AX9I-0011-R11b-SM-7DHN4 60-69 years, male 35.0
GTEX-R55E-0011-R11A-SM-2TC6I 20-29 years, male 34.3
GTEX-1HFI6-0011-R11b-SM-A96RU 40-49 years, male 33.9
GTEX-Q2AG-0011-R11A-SM-2HMKZ 40-49 years, female 33.5
GTEX-N7MT-0011-R11A-SM-2I3DZ 60-69 years, female 32.7
Show allShow less
Brain - Cerebellum
Average nTPM: 45.6
Samples: 241

Max nTPM: 71.0
Min nTPM: 28.4
Std nTPM: 7.0
Median nTPM: 44.8
GTEX-1RNSC-3126-SM-EVR4V 60-69 years, male 71.0
GTEX-1A8G7-3026-SM-73KTT 60-69 years, male 68.7
GTEX-1KANB-3226-SM-D4P3G 50-59 years, male 64.6
GTEX-11EI6-2926-SM-5985U 60-69 years, male 64.1
GTEX-13S7M-3026-SM-5S2QQ 60-69 years, female 63.2
GTEX-14A5I-2826-SM-5SIBF 50-59 years, female 63.0
GTEX-X261-3126-SM-4PQZC 50-59 years, male 62.8
GTEX-1QEPI-3026-SM-EXOIW 60-69 years, female 62.7
GTEX-183WM-2726-SM-7KFRF 70-79 years, female 61.8
GTEX-16Z82-2926-SM-6LPJJ 60-69 years, male 60.7
GTEX-1H3NZ-2926-SM-9WPQ8 60-69 years, male 60.0
GTEX-UTHO-2926-SM-3P5Z9 60-69 years, male 59.7
GTEX-1EH9U-3126-SM-7MXU5 60-69 years, male 59.1
GTEX-1JMQK-2926-SM-D4P2T 60-69 years, male 58.6
GTEX-1A3MX-2926-SM-718B7 60-69 years, male 58.3
GTEX-ZVT3-2926-SM-5GU6M 60-69 years, female 57.3
GTEX-1E2YA-2926-SM-7MGWX 50-59 years, male 57.3
GTEX-1128S-2826-SM-5N9DI 60-69 years, female 56.7
GTEX-14JFF-2826-SM-6871Q 60-69 years, male 55.6
GTEX-12ZZY-2926-SM-5DUXO 60-69 years, male 55.4
GTEX-11ZVC-3026-SM-59HJM 50-59 years, female 55.0
GTEX-1EWIQ-3026-SM-7IGOJ 70-79 years, female 54.9
GTEX-11DYG-2926-SM-5H132 60-69 years, male 54.8
GTEX-16XZZ-2926-SM-6LPK4 60-69 years, male 54.7
GTEX-14E6D-2926-SM-664OP 50-59 years, male 54.0
GTEX-1R46S-3126-SM-DPRZ9 60-69 years, female 53.9
GTEX-13OVH-2926-SM-5IJFH 70-79 years, male 53.8
GTEX-17EVQ-2726-SM-7EWDT 70-79 years, male 53.5
GTEX-14PN4-3026-SM-664O4 50-59 years, male 53.2
GTEX-1GTWX-2926-SM-7MXV4 60-69 years, male 52.9
GTEX-1R9PO-2826-SM-E6CPV 60-69 years, female 52.7
GTEX-13RTJ-3126-SM-5S2Q4 60-69 years, male 52.6
GTEX-1JJE9-3026-SM-CNNPA 70-79 years, male 52.5
GTEX-14PJO-2926-SM-686ZI 60-69 years, male 52.4
GTEX-16YQH-2926-SM-6LPJE 30-39 years, male 52.4
GTEX-13X6K-2826-SM-5O9DS 60-69 years, female 52.3
GTEX-1J1OQ-3126-SM-D4P2O 40-49 years, female 52.2
GTEX-QVUS-2926-SM-3GIJB 60-69 years, female 52.1
GTEX-13X6I-2926-SM-5Q5C3 60-69 years, male 52.0
GTEX-12ZZZ-3126-SM-5LZU6 60-69 years, male 51.9
GTEX-13N2G-3126-SM-5IJGL 60-69 years, male 51.9
GTEX-1F52S-3026-SM-7P8PV 60-69 years, female 51.8
GTEX-1KD4Q-3026-SM-EV7A7 40-49 years, male 51.7
GTEX-1RQEC-3026-SM-DPRXM 60-69 years, male 51.6
GTEX-11GSO-3026-SM-5Q5AL 60-69 years, male 51.5
GTEX-131YS-3026-SM-5EGHY 60-69 years, female 51.5
GTEX-1HSMO-2926-SM-C1YR5 60-69 years, male 51.2
GTEX-14BIM-3126-SM-5Q5C7 60-69 years, female 51.1
GTEX-1E1VI-2926-SM-7IGLT 50-59 years, male 51.1
GTEX-1RDX4-3226-SM-DPS14 50-59 years, female 51.1
GTEX-1JMQJ-3126-SM-EV79G 50-59 years, male 51.0
GTEX-ZAK1-2926-SM-5HL9S 50-59 years, female 50.9
GTEX-1JJ6O-3026-SM-C1YQH 60-69 years, male 50.9
GTEX-13G51-3126-SM-5IJG7 60-69 years, male 50.8
GTEX-1H3O1-1826-SM-A96TO 60-69 years, male 50.7
GTEX-1192X-3226-SM-5987D 50-59 years, male 50.6
GTEX-14BIN-3326-SM-5Q5E6 50-59 years, female 50.5
GTEX-1GZ4I-2926-SM-9JGGO 50-59 years, male 50.5
GTEX-13FHP-2926-SM-5IJG9 50-59 years, male 50.2
GTEX-QDT8-3026-SM-32PKB 30-39 years, female 50.1
GTEX-14JIY-2326-SM-6AJAJ 60-69 years, male 49.9
GTEX-15EO6-2926-SM-6M48D 50-59 years, male 49.9
GTEX-1NV8Z-3026-SM-DTX8Z 60-69 years, male 49.9
GTEX-12WSM-2126-SM-5GCOC 60-69 years, male 49.8
GTEX-1C6VR-3026-SM-7IGLW 60-69 years, male 49.7
GTEX-1269C-3126-SM-5EGI6 60-69 years, female 49.6
GTEX-ZDXO-2926-SM-4WKFM 60-69 years, male 49.5
GTEX-T5JC-2326-SM-32PMR 20-29 years, male 49.4
GTEX-11DXW-1026-SM-5H11K 40-49 years, male 49.0
GTEX-13O3O-3026-SM-5KM42 60-69 years, female 49.0
GTEX-1LG7Y-3126-SM-EV7AS 50-59 years, male 49.0
GTEX-13CF2-3026-SM-5IFFX 60-69 years, male 48.8
GTEX-1IKOH-2826-SM-CNNRC 60-69 years, female 48.8
GTEX-1F75A-2926-SM-7MXVN 50-59 years, male 48.4
GTEX-1GF9W-2726-SM-9JGGW 60-69 years, male 48.4
GTEX-13SLX-3226-SM-5YYA6 50-59 years, female 48.3
GTEX-T2IS-2926-SM-32QPO 20-29 years, female 48.1
GTEX-145LS-3026-SM-5O99S 60-69 years, female 47.9
GTEX-1JMOU-2826-SM-EV79R 60-69 years, female 47.9
GTEX-1JMLX-3026-SM-EV79Q 50-59 years, male 47.7
GTEX-13OVL-3026-SM-5IJF1 50-59 years, male 47.5
GTEX-13PVQ-2926-SM-5L3HJ 50-59 years, male 47.4
GTEX-145MG-3126-SM-5Q5D3 50-59 years, male 47.4
GTEX-XLM4-2926-SM-4AT59 60-69 years, male 47.4
GTEX-1P4AB-3026-SM-EXOJS 50-59 years, male 47.4
GTEX-1B8SG-1926-SM-73KUB 50-59 years, male 47.3
GTEX-1I1CD-2926-SM-A96SJ 60-69 years, female 47.1
GTEX-ZYFD-2926-SM-5GID9 50-59 years, male 47.0
GTEX-ZYY3-3026-SM-5GIEJ 60-69 years, female 47.0
GTEX-147GR-3126-SM-5S2PM 60-69 years, male 46.9
GTEX-Y8DK-0726-SM-4TT3S 60-69 years, male 46.9
GTEX-1IL2V-3026-SM-CYPSA 70-79 years, male 46.9
GTEX-13OW5-3126-SM-5MR3Y 60-69 years, male 46.7
GTEX-Y111-2826-SM-4TT3O 50-59 years, male 46.7
GTEX-1PWST-3026-SM-EAZ3H 70-79 years, male 46.6
GTEX-Z93S-2826-SM-57WBL 50-59 years, male 46.5
GTEX-11ONC-3026-SM-5985W 60-69 years, male 46.4
GTEX-P44G-2526-SM-2I5EK 30-39 years, male 46.3
GTEX-1JJEA-2926-SM-C1YSK 60-69 years, male 46.3
GTEX-1399T-3126-SM-5IJFS 60-69 years, male 46.2
GTEX-13QIC-3026-SM-5LU58 60-69 years, female 46.2
GTEX-1HB9E-3126-SM-AHZ4M 50-59 years, male 46.2
GTEX-1A8G6-3126-SM-731D8 60-69 years, male 46.1
GTEX-139TS-3126-SM-5LZWX 60-69 years, male 46.0
GTEX-YFC4-3026-SM-5IFJK 40-49 years, female 45.9
GTEX-X4XX-2926-SM-3NMB1 60-69 years, male 45.8
GTEX-11ZTS-3226-SM-5EGID 60-69 years, female 45.7
GTEX-18A6Q-2826-SM-7LTAO 60-69 years, male 45.4
GTEX-1GF9V-3026-SM-7P8R8 60-69 years, male 45.4
GTEX-1GZHY-3026-SM-7MXVA 50-59 years, female 45.2
GTEX-1H1DG-2826-SM-9JGHB 70-79 years, male 45.2
GTEX-14ABY-3026-SM-664NE 50-59 years, male 45.1
GTEX-15DYW-3026-SM-7KFRM 60-69 years, female 45.1
GTEX-1GN73-3026-SM-7MXV8 60-69 years, male 45.1
GTEX-1MJK2-3026-SM-EV7A5 50-59 years, male 45.1
GTEX-13112-2926-SM-5DUWT 50-59 years, male 44.9
GTEX-145MH-2926-SM-5Q5D2 50-59 years, male 44.9
GTEX-1C6WA-3326-SM-7MKGN 60-69 years, male 44.9
GTEX-11GSP-3126-SM-5A5LL 60-69 years, female 44.8
GTEX-OHPN-2626-SM-2I5H1 60-69 years, female 44.8
GTEX-T6MN-2526-SM-32PMN 50-59 years, male 44.8
GTEX-11ZUS-2826-SM-5EQKW 30-39 years, male 44.5
GTEX-12WSD-3026-SM-5LZU7 60-69 years, female 44.4
GTEX-1F75W-3126-SM-7P8SJ 60-69 years, male 44.3
GTEX-14PJM-3026-SM-6LLHM 50-59 years, female 44.2
GTEX-17EVP-2926-SM-793BU 40-49 years, male 44.1
GTEX-1BAJH-3126-SM-7MGXY 70-79 years, male 44.1
GTEX-13OVJ-2726-SM-5IJG6 50-59 years, female 44.0
GTEX-14E7W-2926-SM-5S2R8 70-79 years, male 44.0
GTEX-1CB4H-3026-SM-79OLX 60-69 years, female 44.0
GTEX-WL46-2826-SM-3LK81 50-59 years, male 43.9
GTEX-1H4P4-2726-SM-9JGGB 50-59 years, male 43.9
GTEX-1JMPZ-2826-SM-C1YRA 30-39 years, male 43.9
GTEX-17HG3-2826-SM-7EPGO 30-39 years, female 43.8
GTEX-12ZZX-2826-SM-5BC6K 40-49 years, female 43.7
GTEX-13OW6-2926-SM-5KM29 50-59 years, male 43.7
GTEX-P44H-2426-SM-2XCEJ 40-49 years, male 43.7
GTEX-144GL-2926-SM-5O99F 50-59 years, male 43.6
GTEX-13OW8-2926-SM-5L3FV 60-69 years, male 43.4
GTEX-1H1ZS-2926-SM-9WPP2 70-79 years, male 43.4
GTEX-1KWVE-2226-SM-CXZKN 30-39 years, male 43.4
GTEX-11TTK-2826-SM-5GU5K 60-69 years, female 43.3
GTEX-13O3Q-3026-SM-5IJGD 50-59 years, male 43.2
GTEX-QMR6-1326-SM-32PLB 50-59 years, male 43.2
GTEX-131XH-2926-SM-5LZU4 50-59 years, male 43.0
GTEX-11NUK-3026-SM-5986K 50-59 years, male 42.9
GTEX-12126-0926-SM-5FQTW 20-29 years, male 42.8
GTEX-13JVG-3226-SM-5IJGJ 60-69 years, male 42.8
GTEX-1PIIG-2826-SM-DTX7O 30-39 years, male 42.8
GTEX-15ER7-3026-SM-6M47W 20-29 years, female 42.7
GTEX-PWO3-1026-SM-2I5F2 60-69 years, female 42.7
GTEX-1B8L1-3226-SM-7P8OX 60-69 years, male 42.7
GTEX-11DXY-3126-SM-5N9BT 60-69 years, male 42.6
GTEX-12WSE-2926-SM-5RQJ9 20-29 years, male 42.5
GTEX-14BMV-2926-SM-5TDEE 50-59 years, male 42.3
GTEX-1LSVX-2826-SM-EVR58 60-69 years, male 42.3
GTEX-13FXS-3026-SM-5LZYO 50-59 years, male 42.2
GTEX-R55E-2526-SM-2TC6H 20-29 years, male 42.2
GTEX-11DZ1-2926-SM-5A5KI 50-59 years, male 42.1
GTEX-13X6J-2926-SM-7EPGP 50-59 years, male 42.1
GTEX-145LU-2626-SM-5LU9Z 50-59 years, male 42.1
GTEX-WZTO-2826-SM-3NM8P 40-49 years, male 42.0
GTEX-1H3VE-2826-SM-9WPOL 40-49 years, male 42.0
GTEX-18465-2926-SM-7KFSE 50-59 years, male 41.9
GTEX-12WSC-2926-SM-5BC5Z 50-59 years, male 41.8
GTEX-QVJO-1325-SM-2S1QX 60-69 years, female 41.8
GTEX-111FC-3326-SM-5GZYV 60-69 years, male 41.7
GTEX-147F4-3026-SM-5Q5BJ 50-59 years, male 41.7
GTEX-14JG1-2926-SM-686ZK 40-49 years, male 41.7
GTEX-TSE9-2926-SM-3DB77 60-69 years, female 41.7
GTEX-X4EP-3026-SM-3P5YP 60-69 years, female 41.7
GTEX-1EKGG-3126-SM-9WPO5 60-69 years, male 41.6
GTEX-11PRG-2826-SM-5BC54 50-59 years, male 41.4
GTEX-17F97-2926-SM-7DUEQ 50-59 years, male 41.4
GTEX-PVOW-2626-SM-32PL8 40-49 years, male 41.4
GTEX-1POEN-2726-SM-E9U6B 30-39 years, female 41.4
GTEX-1H1CY-3026-SM-9OSW7 60-69 years, female 41.3
GTEX-N7MT-1226-SM-DKPOK 60-69 years, female 41.3
GTEX-1C64N-3126-SM-79OO3 50-59 years, male 41.1
GTEX-1IDJH-3126-SM-C1YQS 70-79 years, male 41.1
GTEX-13OW7-2926-SM-5MR3Z 50-59 years, male 41.0
GTEX-ZUA1-2926-SM-59HL3 40-49 years, male 41.0
GTEX-1JN1M-3126-SM-AHZ4E 60-69 years, female 41.0
GTEX-YJ89-2926-SM-5P9IT 60-69 years, male 40.9
GTEX-11EMC-3326-SM-5P9JH 60-69 years, female 40.7
GTEX-1B8SF-3026-SM-731DX 60-69 years, male 40.7
GTEX-WVLH-2926-SM-3MJG5 50-59 years, male 40.7
GTEX-ZF28-2926-SM-4WKG1 60-69 years, male 40.6
GTEX-1F6IF-3026-SM-7P8QN 60-69 years, male 40.4
GTEX-1I1HK-2726-SM-AHZ2M 60-69 years, male 40.4
GTEX-1IY9M-3126-SM-AHZ3A 60-69 years, male 40.4
GTEX-139TT-2626-SM-5LZUB 60-69 years, male 40.3
GTEX-17JCI-3026-SM-7EWDR 60-69 years, female 40.3
GTEX-1HBPH-3026-SM-9WPNY 40-49 years, female 40.3
GTEX-13FHO-2926-SM-5L3ES 60-69 years, male 40.0
GTEX-1EX96-3126-SM-9JGGC 50-59 years, male 40.0
GTEX-1F48J-2726-SM-7P8PW 50-59 years, female 40.0
GTEX-13NYB-3226-SM-5J2ND 40-49 years, male 39.9
GTEX-132Q8-2926-SM-5IFFP 60-69 years, male 39.7
GTEX-14ASI-2926-SM-5Q5DG 60-69 years, male 39.7
GTEX-1CB4G-2926-SM-7MKFQ 60-69 years, male 39.7
GTEX-17HII-2926-SM-79OMK 50-59 years, male 39.4
GTEX-1B933-3026-SM-731DB 50-59 years, female 39.4
GTEX-1I1GV-3026-SM-CNNR9 60-69 years, male 39.3
GTEX-14C39-3026-SM-5S2QE 40-49 years, male 39.2
GTEX-1EU9M-2926-SM-793DF 60-69 years, male 39.2
GTEX-11O72-2826-SM-5HL6W 40-49 years, male 39.1
GTEX-1HCVE-2926-SM-9WPPJ 50-59 years, male 38.8
GTEX-1EMGI-3126-SM-7MXUR 60-69 years, male 38.7
GTEX-1GZ2Q-3026-SM-9JGG3 40-49 years, male 38.6
GTEX-1QP6S-3026-SM-EAZ4N 40-49 years, male 38.5
GTEX-14DAQ-3026-SM-5S2QZ 60-69 years, female 38.4
GTEX-WWYW-3026-SM-3NB36 50-59 years, female 38.3
GTEX-WHSE-2926-SM-3NMBG 20-29 years, male 38.2
GTEX-11OC5-0626-SM-5HL6M 60-69 years, male 38.1
GTEX-Q2AG-2826-SM-2HMJQ 40-49 years, female 38.1
GTEX-ZAB4-2926-SM-57WCV 40-49 years, male 38.0
GTEX-1HSKV-2926-SM-B2LWJ 60-69 years, male 38.0
GTEX-1313W-3026-SM-5LZUZ 50-59 years, female 37.7
GTEX-15G19-2826-SM-6M48K 60-69 years, male 37.2
GTEX-NPJ7-2826-SM-2I3FU 60-69 years, female 37.2
GTEX-17HHY-2926-SM-79OJW 50-59 years, male 37.1
GTEX-15SHU-3026-SM-6LPIB 40-49 years, female 37.0
GTEX-1F6I4-3026-SM-7P8SI 60-69 years, male 36.6
GTEX-N7MS-2526-SM-2D7W3 60-69 years, male 36.3
GTEX-12WSH-3126-SM-5LZW8 50-59 years, male 36.1
GTEX-13VXU-3026-SM-5LU3K 50-59 years, male 35.9
GTEX-117XS-3126-SM-5GIDP 60-69 years, male 35.8
GTEX-ZAJG-3026-SM-5HL92 50-59 years, female 35.8
GTEX-XMD1-2826-SM-4AT5F 60-69 years, male 35.2
GTEX-1B996-2926-SM-7MXUH 60-69 years, male 35.2
GTEX-1HBPI-2726-SM-9WPPF 50-59 years, male 34.6
GTEX-RNOR-2226-SM-2TF5O 50-59 years, female 34.5
GTEX-RU72-2926-SM-2TF66 50-59 years, female 34.5
GTEX-S7SE-2526-SM-2XCDL 50-59 years, male 34.3
GTEX-145MF-2826-SM-7EPGU 50-59 years, male 34.2
GTEX-11NV4-2226-SM-5BC4T 60-69 years, male 31.9
GTEX-13JUV-3026-SM-5K7WX 40-49 years, female 31.5
GTEX-ZZPT-2926-SM-5EQ5S 50-59 years, male 31.0
GTEX-14C5O-2926-SM-5RQI1 60-69 years, male 30.8
GTEX-NPJ8-2626-SM-2D7W2 40-49 years, male 28.4
Show allShow less

CEREBELLUM - FANTOM5 CAGEi

RNA expression in human tissues obtained through Cap Analysis of Gene Expression (CAGE) generated by the FANTOM5 project are reported as Scaled Tags Per Million.

Max subtype Scaled Tags Per Millioni

Max subtype Scaled Tags Per Million is the value for the subtype with the largest average Scaled Tags Per Million across the subtype samples.

95.1
FANTOM5 sample id Sample description Scaled Tags Per Million
Cerebellum
Scaled Tags Per Million: 95.1
FF:10166-103B4 76 years, female 111.4
FF:10083-102B2 22-68 years, mixed 78.8

CEREBELLUM - Pig RNA-seqi

RNA-seq data obtained from pig brain is reported as nTPM .

Normal distribution across the dataset is visualized with box plots, shown as median and 25th and 75th percentiles. Points are displayed as outliers if they are above or below 1.5 times the interquartile range. nTPM values of the individual samples are presented next to the box plot.
Max subtype nTPMi

Max subtype nTPM is the value for the subtype with the largest average nTPM across the subtype samples.

24.3
Pig sample Sample description nTPM
Cerebellum
nTPM: 24.3
Samples: 4

Max nTPM: 30.7
Min nTPM: 19.5
Sample A Female 30.7
Sample B Female 24.4
Sample C Male 22.7
Sample D Male 19.5

CEREBELLUM - Mouse RNA-seqi

RNA-seq data obtained from mouse brain is reported as nTPM .

Normal distribution across the dataset is visualized with box plots, shown as median and 25th and 75th percentiles. Points are displayed as outliers if they are above or below 1.5 times the interquartile range. nTPM values of the individual samples are presented next to the box plot.
Max subtype nTPMi

Max subtype nTPM is the value for the subtype with the largest average nTPM across the subtype samples.

31.0
Mouse sample Sample description nTPM
Cerebellum
nTPM: 31.0
Samples: 4

Max nTPM: 36.7
Min nTPM: 23.4
Sample A Male 33.7
Sample B Male 30.2
Sample C Female 36.7
Sample D Female 23.4

CEREBELLUM - Allen Mouse ISHi

In situ hybridization (ISH) data generated by the Allen brain atlas from mouse brain is reported as expression energy. For more details about a particular experiment, click on the corresponding Allen experiment ID.

Max subtype Expression energyi

Max subtype Expression energy is the value for the subtype with the largest average Expression energy across the subtype samples.

6.5
Allen experiment id Experiment description Expression energy
Cerebellum
Expression energy: 6.5
68342003 Antisense, RP_041207_02_F02, Mouse strain C57BL/6J (56 days, male) 6.5

Contact

  • NEWS ARTICLES
  • PRESS ROOM

The Project

  • INTRODUCTION
  • ORGANIZATION
  • PUBLICATIONS

The Human Protein Atlas

  • DOWNLOADABLE DATA
  • LICENCE & CITATION
  • HELP & FAQ
The Human Protein Atlas project is funded
by the Knut & Alice Wallenberg Foundation.


contact@proteinatlas.org