We use cookies to enhance the usability of our website. If you continue, we'll assume that you are happy to receive all cookies. More information. Don't show this again.
RUNX1
HPA
RESOURCES
  • TISSUE
  • BRAIN
  • SINGLE CELL
  • SUBCELLULAR
  • CANCER
  • BLOOD
  • CELL LINE
  • STRUCTURE & INTERACTION
ABOUT
  • INTRODUCTION
  • HISTORY
  • ORGANIZATION
  • PUBLICATIONS
  • ANTIBODY SUBMISSION
  • ANTIBODY AVAILABILITY
  • ACKNOWLEDGMENTS
  • CONTACT
NEWS
  • NEWS ARTICLES
  • PRESS ROOM
LEARN
  • DICTIONARY
  • PROTEIN CLASSES
  • PROTEIN EVIDENCE
  • METHODS
  • EDUCATIONAL VIDEOS
DATA
  • DOWNLOADABLE DATA
  • PUBLICATION DATA
  • RELEASE HISTORY
HELP
  • ANTIBODY VALIDATION
  • ASSAYS & ANNOTATION
  • DISCLAIMER
  • HELP & FAQ
  • PRIVACY STATEMENT
  • LICENCE & CITATION
Fields »
Search result

Field
Term
Gene name
Class
Subclass
Class
Keyword
Chromosome
External id
Tissue
Cell type
Expression
Antibody panel
Tissue
Main location
Patient ID
Annotation
Tissue
Category
Tau score
Cluster
Reliability
Brain region
Category
Tau score
Brain region
Category
Tau score
Brain region
Category
Tau score
Cluster
Reliability
Tissue
Cell type
Enrichment
Cell type
Category
Tau score
Cell type
Category
Tau score
Cell type
Category
Tau score
Cell lineage
Category
Tau score
Cluster
Cluster
Location
Searches
Location
Cell line
Class
Type
Phase
Reliability
Cancer
Prognosis
Cancer
Category
Cancer
Category
Tau score
Cluster
Variants
Interacting gene (ensg_id)
Type
Number of interactions
Pathway
Category
Score
Score
Score
Validation
Validation
Validation
Validation
Antibodies
Data type
Column


  • SUMMARY

  • TISSUE

  • BRAIN

  • SINGLE CELL

  • SUBCELL

  • CANCER

  • BLOOD

  • CELL LINE

  • STRUCT & INT

  • RUNX1
TISSUE PRIMARY DATA SKIN Show tissue menu
ADIPOSE TISSUE ADRENAL GLAND AMYGDALA APPENDIX BASAL GANGLIA BONE MARROW BREAST BRONCHUS CEREBELLUM CEREBRAL CORTEX CERVIX CHOROID PLEXUS COLON DUODENUM
ENDOMETRIUM EPIDIDYMIS ESOPHAGUS FALLOPIAN TUBE GALLBLADDER HEART MUSCLE HIPPOCAMPAL FORMATION HYPOTHALAMUS KIDNEY LIVER LUNG LYMPH NODE MIDBRAIN NASOPHARYNX
ORAL MUCOSA OVARY PANCREAS PARATHYROID GLAND PITUITARY GLAND PLACENTA PROSTATE RECTUM RETINA SALIVARY GLAND SEMINAL VESICLE SKELETAL MUSCLE SKIN SMALL INTESTINE
SMOOTH MUSCLE SOFT TISSUE SPINAL CORD SPLEEN STOMACH TESTIS THYMUS THYROID GLAND TONGUE TONSIL URINARY BLADDER VAGINA
ANTIBODIES
AND
VALIDATION
Dictionary
Skin
Tissue proteome
Skin
SKIN - Expression summary
Protein expression
Skini

On the top, protein expression in current human tissue, based on all annotated cell types, is reported with the units not detected (n), low (l), medium (m) and high (h). Underneath, protein expression in each annotated cell type are reported using the same units.

Protein expression data is based on knowledge-based annotation. For genes where more than one antibody has been used, a collective score is set.

If knowledge-based annotation could not be performed for a gene, no data is displayed here. View antibody staining data further down this page.

h
m
l
n
Cells in basal layer: Not detected
Cells in corneal layer: Not detected
Cells in granular layer: Not detected
Cells in spinous layer: Not detected
Eccrine glands: High
Endothelial cells: Not detected
Extracellular matrix: Not detected
Fibrohistiocytic cells: Low
Hair follicles: Medium
Langerhans cells: Not detected
Lymphocytes: High
Melanocytes: Not detected
Vascular mural cells: Not detected
RNA expressioni

A summary of mRNA expression data available for current tissue based on several datasets. The mRNA expression levels in human tissues are based on RNA-seq data generated by the Human Protein Atlas (HPA), Genotype-Tissue Expression (GTEx) portal and CAGE data generated by the FANTOM5 consortium. Consensus normalized expression levels for human tissues was created by combining the data from HPA and GTEx datasets.

The mRNA expression levels in pig are based on RNA-seq data generated by the Human Protein Atlas (HPA), and for mouse, HPA data and in situ hybridization generated by the Allen brain atlas are reported.

Scroll down to view mRNA expression data in more detail.
Consensus:11.2 nTPM
HPA:3.9 nTPM
GTEx:11.2 nTPM

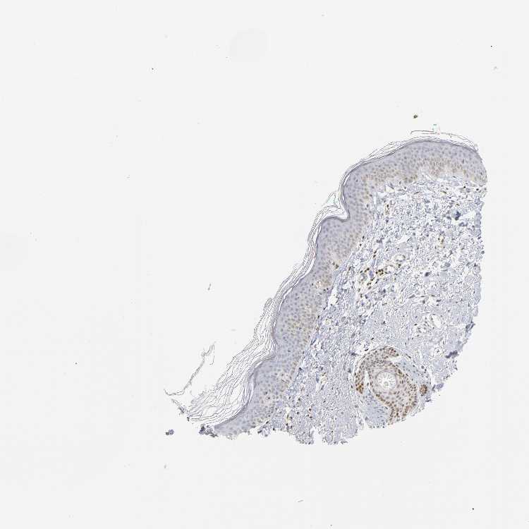
SKIN 1 - Antibody stainingi

Antibody staining in the annotated cell types in the current human tissue is reported as not detected, low, medium, or high, based on conventional immunohistochemistry profiling in selected tissues. This score is based on the combination of the staining intensity and fraction of stained cells.

Each image is clickable and will lead to virtual microscopy that enables deeper exploration of all samples and also displays staining intensity scores, fraction scores and subcellular localization as well as patient and tissue information for each sample.

Antibody HPA004176
Cells in basal layer Not detected
Cells in corneal layer Not detected
Cells in granular layer Not detected
Cells in spinous layer Not detected
Eccrine glands High
Endothelial cells Not detected
Extracellular matrix Not detected
Fibrohistiocytic cells Low
Hair follicles Medium
Langerhans cells Not detected
Lymphocytes High
Melanocytes Not detected
Vascular mural cells Not detected


SKIN 2 - Antibody stainingi

Antibody staining in the annotated cell types in the current human tissue is reported as not detected, low, medium, or high, based on conventional immunohistochemistry profiling in selected tissues. This score is based on the combination of the staining intensity and fraction of stained cells.

Each image is clickable and will lead to virtual microscopy that enables deeper exploration of all samples and also displays staining intensity scores, fraction scores and subcellular localization as well as patient and tissue information for each sample.

Antibody HPA004176
Cells in basal layer Not detected
Cells in corneal layer Not detected
Cells in granular layer Not detected
Cells in spinous layer Not detected
Endothelial cells Not detected
Extracellular matrix Not detected
Fibrohistiocytic cells Low
Langerhans cells Not detected
Lymphocytes High
Melanocytes Not detected
Vascular mural cells Not detected
 
 


SKIN - HPA RNA-seqi

The RNA-seq details section shows detailed information about the individual samples used for the transcript profiling and results of the RNA-seq analysis.

Information about each individual sample is listed below, including gender, age, a tissue section image and estimated fractions of cell types. nTPM (normalized transcripts per million) values give a quantification of the gene abundance which is comparable between different genes and samples.
Average nTPMi

Max subtype nTPM is the value for the subtype with the largest average nTPM across the subtype samples.

3.9
overview
Female, age 34
Skin sample 225
nTPM: 4.8
Cell types%
Keratinocytes:
60

Other cell types:
40

overview
Female, age 30
Skin sample 226
nTPM: 3.5
Cell types%
Keratinocytes:
55

Other cell types:
45

N/A
Male, age 57
Skin sample 227
nTPM: 3.4

SKIN - GTEx RNA-seqi

RNA-Seq data generated by the Genotype-Tissue Expression (GTEx) project from human tissues is reported as mean nTPM. More information can be found on the GTEx portal.

Distribution across the dataset is visualized with box plots, shown as median and 25th and 75th percentiles. Points are displayed as outliers if they are above or below 1.5 times the interquartile range. nTPM values of the individual samples are presented next to the box plot.
Max subtype nTPMi

Max subtype nTPM is the value for the subtype with the largest average nTPM across the subtype samples.

11.2
GTEx sample id Sample description nTPM
Skin - Not Sun Exposed (Suprapubic)
Average nTPM: 10.5
Samples: 604

Max nTPM: 41.4
Min nTPM: 0.9
Std nTPM: 6.0
Median nTPM: 9.0
GTEX-14A5H-0826-SM-5QGPJ 60-69 years, male 41.4
GTEX-ZAJG-1526-SM-5CVML 50-59 years, female 36.9
GTEX-X8HC-0626-SM-4E3HQ 50-59 years, female 36.8
GTEX-11WQK-1026-SM-5EQLX 50-59 years, male 34.0
GTEX-1F88E-1626-SM-7SB8Z 60-69 years, female 32.6
GTEX-13JUV-2026-SM-5K7UA 40-49 years, female 32.5
GTEX-U8XE-0226-SM-4E3J3 30-39 years, male 32.2
GTEX-14E6C-2426-SM-5S2NF 40-49 years, male 32.1
GTEX-ZYFD-0626-SM-5E44E 50-59 years, male 31.8
GTEX-1QP29-1826-SM-DTX9S 50-59 years, male 31.8
GTEX-1LVAO-2726-SM-E9TJ8 60-69 years, male 29.2
GTEX-1I19N-0126-SM-CYPSF 70-79 years, male 28.8
GTEX-WHSE-0126-SM-3NMBT 20-29 years, male 28.0
GTEX-18D9B-0926-SM-7LG4U 60-69 years, male 27.1
GTEX-14DAQ-0626-SM-793DS 60-69 years, female 26.9
GTEX-ZUA1-2626-SM-5NQ92 40-49 years, male 26.8
GTEX-1C64O-1326-SM-7MGWR 60-69 years, male 26.6
GTEX-111FC-2526-SM-5GZXU 60-69 years, male 25.9
GTEX-145MO-2826-SM-5LU96 60-69 years, male 25.7
GTEX-ZVTK-0226-SM-51MRG 20-29 years, male 25.7
GTEX-ZWKS-0626-SM-5GIDV 30-39 years, male 25.3
GTEX-XK95-0226-SM-4AT58 40-49 years, male 24.5
GTEX-1QP66-1226-SM-DTX7U 50-59 years, male 24.5
GTEX-1IDJE-1426-SM-ADEIW 50-59 years, female 24.4
GTEX-14PJ2-0626-SM-6LLII 50-59 years, male 23.7
GTEX-1HC8U-1326-SM-9YFMJ 40-49 years, female 22.7
GTEX-11P7K-1126-SM-5HL4L 30-39 years, male 22.6
GTEX-VJYA-1526-SM-3GIJV 60-69 years, male 22.6
GTEX-WH7G-2026-SM-3NMBL 40-49 years, male 22.5
GTEX-UPK5-0426-SM-3GAEK 40-49 years, male 21.7
GTEX-1F75W-2726-SM-7SB8H 60-69 years, male 21.1
GTEX-WFON-1926-SM-3LK7L 40-49 years, male 20.8
GTEX-1RAZA-2226-SM-E9U4X 20-29 years, male 20.8
GTEX-WI4N-2726-SM-3LK7Y 40-49 years, female 20.6
GTEX-16GPK-0626-SM-7KFSF 60-69 years, male 20.5
GTEX-X4EP-0626-SM-3P621 60-69 years, female 20.5
GTEX-13NZ9-2626-SM-5L3FK 50-59 years, male 20.4
GTEX-1R9PN-0426-SM-DTXDT 40-49 years, female 20.4
GTEX-144GM-0526-SM-79OJO 20-29 years, male 20.2
GTEX-18A7B-2726-SM-7LG56 70-79 years, male 20.2
GTEX-17JCI-2926-SM-7DUFF 60-69 years, female 20.1
GTEX-1H3NZ-2726-SM-9WYTQ 60-69 years, male 19.4
GTEX-1F75I-2226-SM-7SB8U 40-49 years, male 19.3
GTEX-11DZ1-2426-SM-5GZZX 50-59 years, male 19.2
GTEX-11TT1-1826-SM-5EQLV 20-29 years, male 19.2
GTEX-1HCU9-0426-SM-9WYSD 20-29 years, male 19.1
GTEX-11EI6-2826-SM-5H11D 60-69 years, male 19.0
GTEX-1H1CY-0126-SM-9YFLY 60-69 years, female 19.0
GTEX-17F96-0126-SM-7EWDU 70-79 years, male 18.8
GTEX-1B933-2426-SM-7DHMD 50-59 years, female 18.8
GTEX-15SHW-0226-SM-7LTAT 60-69 years, male 18.4
GTEX-1E1VI-0326-SM-793D1 50-59 years, male 18.2
GTEX-1AYD5-2626-SM-7PBXY 50-59 years, male 18.2
GTEX-1GF9U-2026-SM-7SB92 40-49 years, female 18.1
GTEX-1212Z-0126-SM-59HK4 60-69 years, male 18.0
GTEX-14PJO-2526-SM-6AJBQ 60-69 years, male 18.0
GTEX-1F52S-2926-SM-7MKGA 60-69 years, female 18.0
GTEX-1L5NE-1126-SM-D3L9P 50-59 years, male 18.0
GTEX-XMD2-2126-SM-4YCF8 60-69 years, female 17.9
GTEX-13OVL-0126-SM-5L3GJ 50-59 years, male 17.7
GTEX-ZT9W-1126-SM-57WDR 50-59 years, male 17.7
GTEX-132AR-0326-SM-5KM2C 50-59 years, female 17.6
GTEX-11EQ9-1626-SM-5PNY8 30-39 years, male 17.5
GTEX-W5X1-2526-SM-3GILC 40-49 years, female 17.5
GTEX-ZVE1-0726-SM-51MRN 50-59 years, female 17.5
GTEX-ZDXO-3126-SM-5IJDF 60-69 years, male 17.4
GTEX-1IL2V-1926-SM-B2LW8 70-79 years, male 17.3
GTEX-1K9T9-1526-SM-DIPFR 50-59 years, female 17.3
GTEX-117YX-1926-SM-5GIEC 50-59 years, male 17.1
GTEX-15RJ7-2126-SM-6PAMD 40-49 years, male 17.1
GTEX-YF7O-1526-SM-5IFI6 50-59 years, male 17.1
GTEX-11DXW-0826-SM-5H118 40-49 years, male 17.0
GTEX-12126-0826-SM-5FQTZ 20-29 years, male 17.0
GTEX-13RTJ-0126-SM-5S2NN 60-69 years, male 17.0
GTEX-1H23P-0626-SM-9WG6T 60-69 years, male 17.0
GTEX-1LGOU-1326-SM-D3L8M 20-29 years, female 17.0
GTEX-1RB15-1326-SM-E76Q9 60-69 years, male 17.0
GTEX-1HFI6-0126-SM-CNPPI 40-49 years, male 16.9
GTEX-WYBS-0626-SM-3NMAS 60-69 years, female 16.8
GTEX-Y5LM-0926-SM-6LLJG 40-49 years, female 16.8
GTEX-1I6K6-1726-SM-CGQFD 30-39 years, male 16.5
GTEX-1J8JJ-0626-SM-ARZMQ 60-69 years, female 16.5
GTEX-1R9K4-2826-SM-DTX8F 60-69 years, male 16.5
GTEX-12WSF-1626-SM-7KUG5 70-79 years, male 16.4
GTEX-1IDJC-1526-SM-B2LW4 50-59 years, male 16.4
GTEX-12696-0126-SM-5EQ4L 60-69 years, male 16.3
GTEX-131XH-0126-SM-5LZUY 50-59 years, male 16.2
GTEX-15G1A-1626-SM-7KUKN 30-39 years, male 16.2
GTEX-17EVQ-0126-SM-7IGLR 70-79 years, male 16.1
GTEX-1192X-2726-SM-5N9DN 50-59 years, male 16.0
GTEX-1JN1M-2726-SM-CY8I4 60-69 years, female 16.0
GTEX-139TS-2126-SM-5K7XC 60-69 years, male 15.9
GTEX-18A66-0626-SM-7LT8Z 60-69 years, male 15.9
GTEX-1AX8Z-0726-SM-73KTS 60-69 years, male 15.9
GTEX-1AX9J-1326-SM-731BJ 60-69 years, male 15.9
GTEX-1IDJD-2326-SM-ACKWX 30-39 years, male 15.9
GTEX-13N1W-2426-SM-5IJD1 70-79 years, male 15.8
GTEX-11DYG-1526-SM-5A5JS 60-69 years, male 15.7
GTEX-145MG-1526-SM-5Q5EM 50-59 years, male 15.7
GTEX-XBEC-0726-SM-4QARZ 50-59 years, male 15.7
GTEX-11DXZ-2026-SM-5987S 50-59 years, male 15.6
GTEX-1ICLZ-0326-SM-ARL82 60-69 years, male 15.6
GTEX-1314G-1326-SM-5BC6E 30-39 years, male 15.5
GTEX-18QFQ-1826-SM-72D52 30-39 years, male 15.5
GTEX-1F48J-0726-SM-7RHGS 50-59 years, female 15.5
GTEX-18A6Q-0626-SM-7KFRP 60-69 years, male 15.4
GTEX-1A32A-0626-SM-731AQ 50-59 years, female 15.3
GTEX-1NSGN-0726-SM-DTXEF 50-59 years, male 15.3
GTEX-1399R-1326-SM-5PNYS 30-39 years, male 15.2
GTEX-1GTWX-2026-SM-9YFLM 60-69 years, male 15.2
GTEX-12584-0726-SM-5FQTK 40-49 years, male 15.0
GTEX-183FY-1026-SM-7939A 20-29 years, male 15.0
GTEX-WK11-2726-SM-3NMAQ 50-59 years, male 14.9
GTEX-1ICLY-0826-SM-CMKG1 50-59 years, male 14.8
GTEX-1A3MW-0626-SM-731CB 60-69 years, female 14.6
GTEX-1LBAC-0826-SM-CY8IJ 20-29 years, male 14.6
GTEX-1H1DG-2426-SM-9QEHJ 70-79 years, male 14.5
GTEX-1O9I2-0226-SM-EYYXD 50-59 years, male 14.5
GTEX-146FQ-2126-SM-5RQHU 30-39 years, male 14.4
GTEX-1E2YA-2126-SM-7MXUO 50-59 years, male 14.4
GTEX-1HSMP-0926-SM-A9SKX 70-79 years, male 14.4
GTEX-1JMPZ-0726-SM-CY8HZ 30-39 years, male 14.4
GTEX-1JMQK-1226-SM-D4P2S 60-69 years, male 14.4
GTEX-1H1DF-1126-SM-9WG7G 40-49 years, female 14.3
GTEX-1KANC-1226-SM-CYPT7 50-59 years, female 14.3
GTEX-147JS-0226-SM-5S2U9 60-69 years, male 14.2
GTEX-1HSMO-0626-SM-ACKXC 60-69 years, male 14.2
GTEX-12WSA-0426-SM-5EQ5X 60-69 years, male 14.1
GTEX-ZVE2-2826-SM-5GU51 50-59 years, male 14.1
GTEX-12WSC-2826-SM-5BC5Y 50-59 years, male 14.0
GTEX-12BJ1-0926-SM-5EQ62 60-69 years, male 13.9
GTEX-XPVG-2126-SM-4B667 50-59 years, male 13.9
GTEX-1HCU6-2526-SM-ADEHL 60-69 years, female 13.9
GTEX-1IDJF-2026-SM-CL53V 20-29 years, male 13.9
GTEX-14BMV-2826-SM-5TDED 50-59 years, male 13.8
GTEX-XXEK-1626-SM-4BRUZ 50-59 years, male 13.8
GTEX-15D1Q-2826-SM-6LLH7 40-49 years, male 13.7
GTEX-12KS4-2126-SM-5FQUT 30-39 years, male 13.6
GTEX-13X6I-1826-SM-5SIAO 60-69 years, male 13.6
GTEX-15G19-2426-SM-7KUMR 60-69 years, male 13.6
GTEX-17F9E-2326-SM-79OKD 50-59 years, male 13.6
GTEX-1F6I4-2326-SM-7RHGL 60-69 years, male 13.6
GTEX-11TUW-0626-SM-5LU9M 60-69 years, male 13.5
GTEX-1F6IF-0926-SM-7SB7M 60-69 years, male 13.5
GTEX-13PVQ-0626-SM-5LU47 50-59 years, male 13.4
GTEX-X585-2426-SM-46MW2 50-59 years, male 13.4
GTEX-1GZ2Q-0126-SM-9WG6M 40-49 years, male 13.4
GTEX-1H1E6-0426-SM-9WYUS 30-39 years, male 13.4
GTEX-1HR98-2226-SM-ADEI2 60-69 years, male 13.4
GTEX-1I1GS-2626-SM-B2LY3 60-69 years, male 13.4
GTEX-145MF-0926-SM-5Q5EA 50-59 years, male 13.3
GTEX-ZU9S-1826-SM-5NQ9E 30-39 years, male 13.3
GTEX-WYJK-0526-SM-3NM8Z 50-59 years, male 13.2
GTEX-1F75B-0726-SM-7PC3R 50-59 years, male 13.2
GTEX-12WSD-0626-SM-5GCMW 60-69 years, female 13.1
GTEX-139TU-0726-SM-5L3EK 60-69 years, male 13.1
GTEX-ZYW4-0626-SM-59HJR 60-69 years, male 13.1
GTEX-1RAZS-2526-SM-E6CHT 50-59 years, male 13.1
GTEX-1KANA-1326-SM-DIPFA 20-29 years, male 13.0
GTEX-15CHQ-0326-SM-69LQD 60-69 years, male 12.9
GTEX-16MT8-2926-SM-7DUFO 60-69 years, female 12.9
GTEX-1CAV2-0126-SM-7IGN7 40-49 years, female 12.7
GTEX-1RAZR-2126-SM-E9U6T 40-49 years, male 12.7
GTEX-11NUK-2726-SM-5A5MC 50-59 years, male 12.6
GTEX-13OVJ-0826-SM-5J1OK 50-59 years, female 12.6
GTEX-18465-2826-SM-7LT9J 50-59 years, male 12.6
GTEX-11ZUS-2626-SM-5FQUR 30-39 years, male 12.5
GTEX-13N2G-0226-SM-5K7VF 60-69 years, male 12.5
GTEX-XQ3S-1426-SM-4BOPR 20-29 years, male 12.5
GTEX-Y8E4-2026-SM-5IFJB 40-49 years, male 12.5
GTEX-1PIGE-1826-SM-E8VOU 20-29 years, male 12.5
GTEX-1RLM8-2926-SM-E8VON 50-59 years, male 12.5
GTEX-ZY6K-1426-SM-5GZX2 50-59 years, male 12.4
GTEX-11UD2-2526-SM-5CVNU 50-59 years, male 12.3
GTEX-VUSG-2326-SM-4KL1U 50-59 years, male 12.3
GTEX-1A3MX-2626-SM-7PC24 60-69 years, male 12.3
GTEX-17HGU-2326-SM-7DUFE 50-59 years, male 12.2
GTEX-13U4I-2226-SM-5LU5H 40-49 years, female 12.0
GTEX-15UF6-1926-SM-7KUDV 70-79 years, female 12.0
GTEX-ZDTS-0826-SM-4WKHL 60-69 years, male 12.0
GTEX-1CAMQ-1326-SM-7P8RV 40-49 years, male 12.0
GTEX-1GMR3-0126-SM-A9SLW 40-49 years, male 12.0
GTEX-13NYB-0126-SM-5J1MD 40-49 years, male 11.9
GTEX-144GO-2026-SM-5O99P 60-69 years, male 11.9
GTEX-145LS-0626-SM-7EPG7 60-69 years, female 11.9
GTEX-14BIN-1126-SM-5RQJZ 50-59 years, female 11.9
GTEX-1I1GP-1326-SM-A9G28 50-59 years, male 11.9
GTEX-1N5O9-0926-SM-E9J3C 60-69 years, male 11.9
GTEX-11EQ8-0926-SM-5H12V 60-69 years, male 11.8
GTEX-18D9A-1426-SM-7LT8M 30-39 years, female 11.8
GTEX-14JG1-1526-SM-5YY9X 40-49 years, male 11.7
GTEX-17HG3-2626-SM-7DUF2 30-39 years, female 11.7
GTEX-17HHY-0426-SM-7DHLC 50-59 years, male 11.7
GTEX-14JG6-1426-SM-9WG7C 30-39 years, female 11.7
GTEX-1AX9I-2226-SM-73KUO 60-69 years, male 11.6
GTEX-1KD5A-0126-SM-E9U54 50-59 years, male 11.6
GTEX-11EM3-1226-SM-5N9DD 20-29 years, female 11.5
GTEX-139YR-1026-SM-5LZYN 50-59 years, male 11.5
GTEX-16NPX-0726-SM-7KULC 50-59 years, male 11.5
GTEX-1CAMR-1326-SM-7PC1F 20-29 years, male 11.5
GTEX-1JKYN-0826-SM-ARU8S 30-39 years, male 11.5
GTEX-YEC3-1326-SM-DO92X 50-59 years, male 11.5
GTEX-12C56-1526-SM-5FQUQ 20-29 years, male 11.4
GTEX-13SLX-2226-SM-62LEP 50-59 years, female 11.4
GTEX-1B996-0426-SM-7EWF8 60-69 years, male 11.4
GTEX-1JMOU-1026-SM-CYPSS 60-69 years, female 11.4
GTEX-1LSNM-0826-SM-DIPG8 50-59 years, male 11.4
GTEX-1R9PM-1926-SM-EVR3O 20-29 years, male 11.4
GTEX-139TT-2126-SM-5LZWC 60-69 years, male 11.3
GTEX-16NGA-0726-SM-731AO 40-49 years, female 11.3
GTEX-18A7A-0126-SM-731AH 50-59 years, female 11.3
GTEX-1JMLX-0626-SM-ARL8T 50-59 years, male 11.3
GTEX-16XZZ-0726-SM-7KUF2 60-69 years, male 11.2
GTEX-17MF6-2626-SM-79OKQ 40-49 years, male 11.2
GTEX-1PPGY-1626-SM-EVYBL 60-69 years, male 11.2
GTEX-WRHU-2826-SM-3MJG8 50-59 years, female 11.1
GTEX-X4EO-2926-SM-4E3JH 60-69 years, female 11.1
GTEX-1CB4I-0126-SM-7RHGG 50-59 years, male 11.1
GTEX-14PK6-0226-SM-62LF5 70-79 years, female 11.0
GTEX-ZZ64-1026-SM-5GZXG 20-29 years, male 11.0
GTEX-1IDJH-0126-SM-D3L92 70-79 years, male 11.0
GTEX-1BAJH-2426-SM-7IGP8 70-79 years, male 10.9
GTEX-Z93S-1626-SM-5CVMB 50-59 years, male 10.9
GTEX-ZAK1-0626-SM-5HL8E 50-59 years, female 10.9
GTEX-12WSL-2026-SM-5GCML 50-59 years, male 10.8
GTEX-1HUB1-1426-SM-CGQF5 60-69 years, male 10.8
GTEX-1IDFM-0326-SM-ARL7V 60-69 years, male 10.8
GTEX-1J1R8-2026-SM-CL53Y 40-49 years, male 10.8
GTEX-1RMOY-1326-SM-E9TIH 50-59 years, male 10.8
GTEX-145LT-0526-SM-5LUB2 40-49 years, male 10.7
GTEX-16Z82-2626-SM-7KULU 60-69 years, male 10.7
GTEX-XOT4-0626-SM-4B66L 60-69 years, female 10.7
GTEX-14JFF-0626-SM-5ZZVT 60-69 years, male 10.7
GTEX-11WQC-1826-SM-5GU59 60-69 years, male 10.6
GTEX-1K2DA-1026-SM-CGQGF 50-59 years, male 10.6
GTEX-11O72-0626-SM-5PNYE 40-49 years, male 10.5
GTEX-12ZZX-2426-SM-5GCOE 40-49 years, female 10.5
GTEX-147F3-1726-SM-5SIAW 50-59 years, female 10.5
GTEX-147GR-2426-SM-5ZZWQ 60-69 years, male 10.5
GTEX-1EX96-1026-SM-7MKG2 50-59 years, male 10.5
GTEX-1GF9X-1326-SM-7PC2Y 40-49 years, female 10.5
GTEX-1JN6P-2926-SM-CL54D 60-69 years, male 10.5
GTEX-1QP9N-1226-SM-E76QN 30-39 years, male 10.5
GTEX-13FH7-1126-SM-5K7UG 50-59 years, female 10.4
GTEX-14AS3-1526-SM-5Q5ED 40-49 years, female 10.4
GTEX-1IDJV-0126-SM-COH3Y 60-69 years, male 10.4
GTEX-11DXY-0126-SM-5H11Q 60-69 years, male 10.3
GTEX-1M4P7-0726-SM-E6CJ3 60-69 years, male 10.3
GTEX-131YS-2826-SM-5EQ47 60-69 years, female 10.2
GTEX-13FLV-0126-SM-5K7WT 50-59 years, male 10.2
GTEX-13QBU-1226-SM-5LU4G 40-49 years, female 10.2
GTEX-V1D1-2026-SM-3GAF4 50-59 years, male 10.2
GTEX-YB5K-2026-SM-4VDT3 40-49 years, female 10.2
GTEX-1A8FM-0626-SM-7PC25 50-59 years, female 10.2
GTEX-1GF9W-1426-SM-7PBYM 60-69 years, male 10.2
GTEX-WFG8-2126-SM-3GIKQ 20-29 years, male 10.1
GTEX-1GZ4I-2626-SM-9KNU3 50-59 years, male 10.1
GTEX-1IY9M-2826-SM-ARU8H 60-69 years, male 10.1
GTEX-12WSK-2126-SM-5CVNC 40-49 years, female 10.0
GTEX-13YAN-0226-SM-5TDC6 60-69 years, male 10.0
GTEX-ZXG5-2126-SM-59HKD 60-69 years, male 10.0
GTEX-1ICG6-1226-SM-A9SLN 70-79 years, female 10.0
GTEX-145LU-1926-SM-79OJN 50-59 years, male 9.9
GTEX-15DDE-2926-SM-6LLJ3 50-59 years, female 9.9
GTEX-1F6RS-2026-SM-7RHHC 60-69 years, female 9.9
GTEX-1GZHY-0626-SM-9KNVC 50-59 years, female 9.9
GTEX-1H2FU-0926-SM-9WPPT 60-69 years, female 9.9
GTEX-1LG7Y-2526-SM-EWRO7 50-59 years, male 9.9
GTEX-139T8-0626-SM-5KLZX 60-69 years, male 9.8
GTEX-13N11-2326-SM-5IJBF 50-59 years, female 9.8
GTEX-ZPU1-1126-SM-4YCF3 40-49 years, male 9.8
GTEX-1C475-1326-SM-7SB73 40-49 years, female 9.8
GTEX-17MFQ-1526-SM-7KFRR 20-29 years, male 9.7
GTEX-1LG7Z-1626-SM-CXKYR 30-39 years, male 9.7
GTEX-1QAET-0326-SM-EVR3U 50-59 years, male 9.7
GTEX-111YS-1526-SM-5GZYW 60-69 years, male 9.6
GTEX-14XAO-1226-SM-6EU1C 60-69 years, female 9.6
GTEX-1I6K7-1926-SM-B2LXR 40-49 years, male 9.6
GTEX-1LSNL-2726-SM-E9TKJ 50-59 years, male 9.6
GTEX-147F4-0726-SM-5TDDD 50-59 years, male 9.5
GTEX-14ICL-1626-SM-5YYAO 30-39 years, male 9.5
GTEX-1CAMS-2226-SM-7PBXQ 40-49 years, female 9.5
GTEX-1QEPI-2626-SM-DTXF4 60-69 years, female 9.5
GTEX-12WSH-1526-SM-5BC5W 50-59 years, male 9.4
GTEX-13G51-1826-SM-5KLZH 60-69 years, male 9.4
GTEX-14BMU-1226-SM-5S2OR 20-29 years, female 9.4
GTEX-ZC5H-1526-SM-5HL9Y 40-49 years, female 9.4
GTEX-ZTSS-1426-SM-5985P 40-49 years, male 9.4
GTEX-ZVP2-0326-SM-57WBP 50-59 years, male 9.4
GTEX-13NYC-0126-SM-5L3F4 60-69 years, male 9.3
GTEX-13X6J-0626-SM-5LU5F 50-59 years, male 9.3
GTEX-14C38-0726-SM-5SI6M 50-59 years, male 9.3
GTEX-14E1K-2026-SM-7DUEI 50-59 years, male 9.3
GTEX-14PKV-1126-SM-6LLJ1 20-29 years, female 9.3
GTEX-13OVG-1626-SM-5J1NF 60-69 years, male 9.2
GTEX-145MN-1526-SM-5SI9T 30-39 years, male 9.2
GTEX-1PIIG-2326-SM-DTXFR 30-39 years, male 9.2
GTEX-1QCLY-0226-SM-EWRNH 30-39 years, male 9.2
GTEX-1C64N-2626-SM-7PC2N 50-59 years, male 9.1
GTEX-1GMR2-0826-SM-7PC3V 50-59 years, male 9.1
GTEX-1H1ZS-2726-SM-9WG75 70-79 years, male 9.1
GTEX-11OF3-0126-SM-5PNYF 60-69 years, male 9.0
GTEX-1211K-1526-SM-5FQU4 60-69 years, female 9.0
GTEX-1477Z-0326-SM-7IGLA 60-69 years, male 9.0
GTEX-15RIE-1926-SM-7KUKJ 60-69 years, male 9.0
GTEX-ZLWG-0826-SM-59888 50-59 years, female 9.0
GTEX-1LKK1-2626-SM-DKPQE 50-59 years, female 9.0
GTEX-16YQH-2226-SM-7IGM2 30-39 years, male 8.9
GTEX-183WM-0326-SM-72D5V 70-79 years, female 8.9
GTEX-1A8G6-2726-SM-731AR 60-69 years, male 8.9
GTEX-1S831-1826-SM-EWROF 20-29 years, male 8.9
GTEX-11NSD-0626-SM-5A5LU 20-29 years, male 8.8
GTEX-13112-0126-SM-5P9IU 50-59 years, male 8.8
GTEX-144FL-0626-SM-5LU43 50-59 years, male 8.8
GTEX-YJ8O-2526-SM-5HL85 40-49 years, female 8.8
GTEX-1N2DV-1526-SM-DTXEP 40-49 years, male 8.8
GTEX-1QCLZ-2426-SM-EVYBW 60-69 years, female 8.8
GTEX-ZLV1-1526-SM-DO91J 60-69 years, female 8.8
GTEX-14PHY-1226-SM-5ZZWK 60-69 years, female 8.7
GTEX-WHWD-1826-SM-3LK6I 50-59 years, male 8.7
GTEX-Y5V5-0126-SM-5S2NW 60-69 years, female 8.7
GTEX-ZYFC-0426-SM-5GICQ 50-59 years, male 8.7
GTEX-1IDJI-0126-SM-CMKHS 50-59 years, female 8.7
GTEX-1JJ6O-2726-SM-CNPOG 60-69 years, male 8.7
GTEX-13OW5-2326-SM-5L3HO 60-69 years, male 8.6
GTEX-Y114-2126-SM-4TT8B 50-59 years, female 8.6
GTEX-ZTTD-2826-SM-4YCFA 50-59 years, male 8.6
GTEX-1JMQI-1726-SM-ARL93 50-59 years, male 8.6
GTEX-13OVH-0526-SM-5L3E6 70-79 years, male 8.5
GTEX-13VXU-0626-SM-5L3F9 50-59 years, male 8.5
GTEX-14ABY-2026-SM-62LDL 50-59 years, male 8.5
GTEX-1EH9U-2826-SM-7DUGT 60-69 years, male 8.5
GTEX-WY7C-2126-SM-3NB2R 50-59 years, male 8.5
GTEX-ZYT6-2326-SM-5GZY3 30-39 years, male 8.5
GTEX-1HCU8-2526-SM-CE6RX 60-69 years, female 8.5
GTEX-1I1GV-0626-SM-ARL7M 60-69 years, male 8.5
GTEX-1LVAM-0726-SM-E6CIL 50-59 years, female 8.5
GTEX-1S83E-1326-SM-E6CJM 40-49 years, male 8.5
GTEX-1497J-0226-SM-5QGPU 60-69 years, male 8.4
GTEX-1F5PL-0926-SM-7PC2W 40-49 years, female 8.4
GTEX-1117F-2926-SM-5GZYI 60-69 years, female 8.3
GTEX-13OW8-1026-SM-5J1NQ 60-69 years, male 8.3
GTEX-18D9U-0126-SM-731BM 40-49 years, male 8.3
GTEX-1B932-2326-SM-79OL5 40-49 years, female 8.3
GTEX-15CHR-1126-SM-7EWF4 50-59 years, male 8.2
GTEX-WXYG-2026-SM-4E3IY 50-59 years, female 8.2
GTEX-XBED-1926-SM-47JYP 60-69 years, male 8.2
GTEX-Y3IK-1626-SM-4YCF5 50-59 years, female 8.2
GTEX-1LVAN-0626-SM-CNPOQ 50-59 years, female 8.2
GTEX-11VI4-1126-SM-5EQMD 40-49 years, female 8.1
GTEX-12ZZY-0726-SM-5EQ66 60-69 years, male 8.1
GTEX-13O3O-2326-SM-5IJD6 60-69 years, female 8.1
GTEX-14LZ3-0126-SM-69LPM 60-69 years, female 8.1
GTEX-WHPG-2626-SM-3NMBR 50-59 years, male 8.1
GTEX-ZYFG-1526-SM-5GZYM 60-69 years, female 8.1
GTEX-1IE54-1126-SM-A9G2Z 40-49 years, female 8.1
GTEX-1JKYR-0626-SM-ARL8R 20-29 years, male 8.1
GTEX-1POEN-2326-SM-E9J2L 30-39 years, female 8.1
GTEX-1S82P-2126-SM-E6CI5 60-69 years, female 8.1
GTEX-13W3W-0726-SM-5IJDQ 60-69 years, female 8.0
GTEX-14753-0726-SM-5QGQO 60-69 years, male 8.0
GTEX-15ER7-0626-SM-6PANF 20-29 years, female 8.0
GTEX-ZP4G-1426-SM-4WWCL 20-29 years, female 8.0
GTEX-1KANB-2826-SM-CY8I6 50-59 years, male 8.0
GTEX-1QMI2-2526-SM-E8VNZ 60-69 years, male 8.0
GTEX-13OVK-1426-SM-6PAN7 40-49 years, male 7.9
GTEX-14PHX-2226-SM-6EU2P 50-59 years, male 7.9
GTEX-1A3MV-1826-SM-731CD 30-39 years, male 7.9
GTEX-1HKZK-0726-SM-ACKW2 40-49 years, male 7.9
GTEX-1PPH8-0126-SM-EWRN8 20-29 years, male 7.9
GTEX-1F75A-0726-SM-7RHHD 50-59 years, male 7.8
GTEX-1GN1W-2426-SM-9KNUU 50-59 years, female 7.8
GTEX-1GPI7-1826-SM-9KNU1 20-29 years, male 7.8
GTEX-1HCU7-0726-SM-A9SL1 50-59 years, male 7.8
GTEX-1JJE9-2626-SM-ARZMT 70-79 years, male 7.8
GTEX-1JMQL-2226-SM-CNPP4 50-59 years, female 7.8
GTEX-ZGAY-1826-SM-DO91Q 40-49 years, female 7.8
GTEX-12WSM-1926-SM-5BC65 60-69 years, male 7.7
GTEX-131XG-0326-SM-5L3DX 50-59 years, female 7.7
GTEX-14PJ3-1126-SM-5ZZVX 50-59 years, male 7.7
GTEX-178AV-1726-SM-7KUL8 40-49 years, male 7.7
GTEX-1CB4F-1026-SM-7DUH1 60-69 years, male 7.7
GTEX-15EO6-2426-SM-6PALZ 50-59 years, male 7.6
GTEX-15EU6-2226-SM-6EU2L 50-59 years, male 7.6
GTEX-15RJE-2826-SM-7KUM9 40-49 years, male 7.6
GTEX-1CB4H-1126-SM-7MKGL 60-69 years, female 7.6
GTEX-Y8LW-1526-SM-5IFHL 50-59 years, female 7.6
GTEX-1F88F-0126-SM-9WYSZ 60-69 years, female 7.6
GTEX-1GL5R-1326-SM-7RHHF 50-59 years, male 7.6
GTEX-13OW7-0426-SM-5K7VK 50-59 years, male 7.5
GTEX-1N2EE-0626-SM-E76PW 60-69 years, male 7.5
GTEX-13113-1626-SM-5EQ4I 60-69 years, female 7.4
GTEX-13FTX-1526-SM-5K7VJ 20-29 years, female 7.4
GTEX-13X6K-0626-SM-5LU5D 60-69 years, female 7.4
GTEX-UPJH-0226-SM-3GADV 50-59 years, male 7.4
GTEX-YECK-0326-SM-4W1YS 60-69 years, male 7.4
GTEX-ZYY3-2926-SM-5GIEB 60-69 years, female 7.4
GTEX-1HB9E-0126-SM-CM2S5 50-59 years, male 7.4
GTEX-14DAR-1226-SM-73KYV 50-59 years, male 7.3
GTEX-17F9Y-0126-SM-79OKX 70-79 years, female 7.3
GTEX-1EWIQ-0326-SM-7DHMQ 70-79 years, female 7.3
GTEX-ZDTT-0426-SM-4WKFL 60-69 years, male 7.3
GTEX-1CB4J-1326-SM-7P8RX 60-69 years, male 7.3
GTEX-1EMGI-2326-SM-7PBYA 60-69 years, male 7.3
GTEX-131XF-2626-SM-5EQ6K 60-69 years, male 7.2
GTEX-16MT9-0126-SM-7EPI8 60-69 years, female 7.2
GTEX-YEC4-1826-SM-4W1YP 40-49 years, male 7.2
GTEX-11DXX-2126-SM-5PNYR 60-69 years, female 7.1
GTEX-13NZ8-1226-SM-5KM4A 60-69 years, female 7.1
GTEX-13PVR-0426-SM-5RQK2 60-69 years, female 7.1
GTEX-14LLW-2626-SM-62LDZ 70-79 years, female 7.1
GTEX-WYVS-1626-SM-3NM9R 40-49 years, female 7.1
GTEX-ZA64-1026-SM-5HL8R 20-29 years, male 7.1
GTEX-1H4P4-2126-SM-9WYSL 50-59 years, male 7.1
GTEX-1HSGN-0826-SM-ACKW3 40-49 years, female 7.1
GTEX-1HSMQ-2626-SM-A9SML 50-59 years, male 7.1
GTEX-1I4MK-0126-SM-CY8G6 50-59 years, female 7.1
GTEX-1LSVX-2526-SM-DIPEU 60-69 years, male 7.1
GTEX-1PPH7-1126-SM-DTX9A 40-49 years, male 7.1
GTEX-133LE-2326-SM-5K7W3 20-29 years, female 7.0
GTEX-XYKS-1426-SM-4BRUO 60-69 years, female 7.0
GTEX-ZYVF-0926-SM-5E44J 50-59 years, female 7.0
GTEX-1GMR8-0626-SM-7RHI7 50-59 years, female 7.0
GTEX-11GSP-2326-SM-5HL63 60-69 years, female 6.9
GTEX-131XW-0626-SM-5PNVD 50-59 years, female 6.9
GTEX-13OW6-2726-SM-5J2OE 50-59 years, male 6.9
GTEX-ZDYS-2426-SM-4WKGI 50-59 years, male 6.9
GTEX-1IKOE-1426-SM-CE6T7 30-39 years, female 6.9
GTEX-13FTW-0326-SM-5K7UW 40-49 years, male 6.8
GTEX-13O3Q-0126-SM-5KM34 50-59 years, male 6.7
GTEX-13VXT-1926-SM-5K7UO 20-29 years, female 6.7
GTEX-14A6H-2026-SM-5Q5DD 30-39 years, male 6.7
GTEX-17EVP-2626-SM-7IGMA 40-49 years, male 6.7
GTEX-1B8KZ-0326-SM-73KY4 50-59 years, male 6.7
GTEX-1EU9M-1426-SM-793AI 60-69 years, male 6.7
GTEX-YFCO-1226-SM-5LUAT 40-49 years, male 6.7
GTEX-1HGF4-0126-SM-CNPPX 60-69 years, male 6.7
GTEX-1269C-0126-SM-5EQ5L 60-69 years, female 6.6
GTEX-13NYS-0626-SM-5L3F1 60-69 years, male 6.6
GTEX-WEY5-2326-SM-3GIKK 40-49 years, female 6.6
GTEX-X3Y1-2026-SM-3P5YM 40-49 years, male 6.6
GTEX-XBEW-1126-SM-4QARW 40-49 years, male 6.6
GTEX-ZE9C-2526-SM-5IJDR 60-69 years, male 6.6
GTEX-11P82-1426-SM-DTXFY 20-29 years, male 6.6
GTEX-1JMPY-0226-SM-CKZOK 30-39 years, male 6.6
GTEX-1QW4Y-1126-SM-DTXE3 30-39 years, male 6.6
GTEX-1S5ZU-2526-SM-E6CIF 20-29 years, female 6.6
GTEX-11LCK-2226-SM-5HL4Q 30-39 years, male 6.5
GTEX-1HBPN-0126-SM-CGQEF 50-59 years, male 6.5
GTEX-1I1CD-0626-SM-CE6SW 60-69 years, female 6.5
GTEX-1B8KE-1126-SM-7EPHI 50-59 years, male 6.4
GTEX-Y5V6-2326-SM-4VDSA 60-69 years, male 6.4
GTEX-1KWVE-1026-SM-D3L9O 30-39 years, male 6.4
GTEX-1MJK3-0726-SM-E6CJC 20-29 years, male 6.4
GTEX-11P81-2226-SM-5PNYI 30-39 years, female 6.3
GTEX-148VJ-0626-SM-5LUAW 70-79 years, male 6.3
GTEX-16AAH-0626-SM-793C9 50-59 years, male 6.3
GTEX-1K2DU-1226-SM-CYPT4 20-29 years, male 6.3
GTEX-1MCC2-1826-SM-DIPEX 30-39 years, female 6.3
GTEX-13IVO-0726-SM-5LZYV 70-79 years, male 6.2
GTEX-145ME-1726-SM-5Q5EU 40-49 years, female 6.2
GTEX-16BQI-1326-SM-6M486 30-39 years, female 6.2
GTEX-16MTA-0926-SM-6M47Z 50-59 years, male 6.2
GTEX-1I1HK-2326-SM-CKZOH 60-69 years, male 6.2
GTEX-1IOXB-2726-SM-CM2RI 50-59 years, male 6.2
GTEX-1C2JI-1026-SM-73KY1 50-59 years, male 6.1
GTEX-1B8L1-2226-SM-7P8PT 60-69 years, male 6.1
GTEX-17F98-1326-SM-7DUEP 40-49 years, female 6.0
GTEX-18A67-1626-SM-7LT9T 50-59 years, male 6.0
GTEX-1J8QM-2426-SM-A9SLS 60-69 years, female 6.0
GTEX-1KAFJ-0126-SM-DIPEK 50-59 years, male 6.0
GTEX-17F97-2626-SM-7IGM5 50-59 years, male 5.9
GTEX-1HCVE-2726-SM-CL54F 50-59 years, male 5.9
GTEX-139D8-1126-SM-5LU8W 30-39 years, female 5.8
GTEX-1H1DE-1326-SM-9KNUG 20-29 years, male 5.8
GTEX-1HBPI-2126-SM-ARL9K 50-59 years, male 5.8
GTEX-1J8Q2-2626-SM-ACKWQ 60-69 years, male 5.8
GTEX-13PL6-1126-SM-5L3IE 40-49 years, female 5.7
GTEX-14E6E-0526-SM-793DN 30-39 years, male 5.7
GTEX-1AMEY-0826-SM-72D65 30-39 years, female 5.7
GTEX-1C6WA-2626-SM-7MKGM 60-69 years, male 5.7
GTEX-12WSJ-1126-SM-5LZVJ 40-49 years, female 5.6
GTEX-X5EB-1926-SM-4E3IW 40-49 years, male 5.6
GTEX-XQ8I-0926-SM-4BOOF 50-59 years, male 5.6
GTEX-1I1GU-0926-SM-ACKVS 40-49 years, male 5.6
GTEX-1IDJU-1726-SM-CMKHU 60-69 years, female 5.6
GTEX-1399U-1126-SM-5L3DB 50-59 years, female 5.5
GTEX-139UW-0326-SM-5J1ML 60-69 years, male 5.5
GTEX-15FZZ-0526-SM-7KUGD 30-39 years, female 5.5
GTEX-1B8SF-0126-SM-7DUG3 60-69 years, male 5.5
GTEX-XV7Q-1826-SM-4BRUV 40-49 years, female 5.5
GTEX-1GN1U-0626-SM-9MQL9 50-59 years, female 5.5
GTEX-12ZZZ-0726-SM-5GCNZ 60-69 years, male 5.4
GTEX-15CHC-1126-SM-6LLHQ 60-69 years, female 5.4
GTEX-15SKB-2826-SM-6PAMH 60-69 years, male 5.4
GTEX-17HHE-1326-SM-7EWDZ 50-59 years, male 5.4
GTEX-ZAB4-2126-SM-5HL8U 40-49 years, male 5.4
GTEX-1PDJ9-1226-SM-EXUSX 20-29 years, male 5.4
GTEX-13SLW-0626-SM-5Q5ER 70-79 years, male 5.3
GTEX-144GL-0626-SM-5LU4D 50-59 years, male 5.3
GTEX-15DYW-2726-SM-6EU2I 60-69 years, female 5.3
GTEX-17KNJ-2126-SM-718AM 50-59 years, male 5.3
GTEX-XAJ8-1426-SM-47JYM 40-49 years, male 5.3
GTEX-1GZ4H-0526-SM-9KNU9 50-59 years, female 5.3
GTEX-1H3O1-1326-SM-9MQLD 60-69 years, male 5.3
GTEX-1JJEA-1826-SM-ARU8P 60-69 years, male 5.3
GTEX-ZT9X-1526-SM-5DUXD 40-49 years, male 5.2
GTEX-1F5PK-2226-SM-7SB6N 50-59 years, male 5.2
GTEX-1GN2E-0226-SM-9WG6K 60-69 years, male 5.2
GTEX-1EKGG-0626-SM-7DUGJ 60-69 years, male 5.1
GTEX-ZF2S-1626-SM-57WES 50-59 years, female 5.1
GTEX-ZVT4-2426-SM-5GIEI 50-59 years, female 5.1
GTEX-1GPI6-1926-SM-9KNV7 60-69 years, male 5.1
GTEX-1J8Q3-0526-SM-ARL8U 60-69 years, male 5.1
GTEX-13FTY-2126-SM-5IFFB 40-49 years, female 5.0
GTEX-14PII-0726-SM-6EU2B 60-69 years, male 5.0
GTEX-15RIG-0726-SM-7KUM7 40-49 years, male 5.0
GTEX-1B97I-0626-SM-73KUZ 40-49 years, male 5.0
GTEX-ZLFU-1826-SM-4WWBV 40-49 years, male 5.0
GTEX-1HR9M-2226-SM-CNPPY 60-69 years, male 5.0
GTEX-1HT8W-0626-SM-A9G2H 30-39 years, male 5.0
GTEX-1EN7A-2426-SM-793DB 40-49 years, male 4.9
GTEX-Y111-0626-SM-4SOIT 50-59 years, male 4.9
GTEX-ZE7O-2726-SM-51MT5 50-59 years, female 4.9
GTEX-ZTX8-1326-SM-4YCEL 20-29 years, male 4.9
GTEX-1GF9V-0826-SM-9KNUV 60-69 years, male 4.9
GTEX-1JMQJ-0826-SM-CNPP7 50-59 years, male 4.9
GTEX-1LVA9-2626-SM-EVYD4 50-59 years, male 4.9
GTEX-13X6H-0926-SM-5SIB2 50-59 years, female 4.8
GTEX-1CB4E-0926-SM-7EPHT 60-69 years, male 4.8
GTEX-1JK1U-0226-SM-ARZMX 60-69 years, male 4.8
GTEX-1OJC3-1226-SM-DTXER 20-29 years, male 4.8
GTEX-1PBJJ-1026-SM-E76OS 30-39 years, male 4.8
GTEX-ZF3C-0626-SM-DO92O 50-59 years, female 4.8
GTEX-11ZTT-2126-SM-5CVLO 60-69 years, female 4.7
GTEX-1HSKV-1226-SM-ADEI4 60-69 years, male 4.7
GTEX-1399Q-2326-SM-5KM2X 40-49 years, male 4.5
GTEX-1313W-0626-SM-5EQ4H 50-59 years, female 4.4
GTEX-1GMRU-2126-SM-7P8RA 50-59 years, male 4.4
GTEX-13D11-0926-SM-5J2NC 50-59 years, female 4.3
GTEX-1A8G7-1326-SM-73KVM 60-69 years, male 4.3
GTEX-1AMFI-1326-SM-7939R 50-59 years, female 4.3
GTEX-1I1GT-1026-SM-ARZLV 60-69 years, female 4.3
GTEX-1JN76-0626-SM-CKZOQ 20-29 years, female 4.3
GTEX-13O61-1426-SM-5KM3D 60-69 years, male 4.2
GTEX-XUW1-0926-SM-4BONX 50-59 years, female 4.2
GTEX-1HBPM-0726-SM-9YFL7 60-69 years, female 4.2
GTEX-1J8EW-2726-SM-CY8HR 60-69 years, female 4.2
GTEX-145MI-0626-SM-5SI8S 60-69 years, female 4.1
GTEX-14PJ5-1526-SM-6LLIL 60-69 years, female 4.1
GTEX-14PKU-0126-SM-6LLHV 40-49 years, female 4.1
GTEX-1HFI7-2326-SM-CGQFS 50-59 years, female 4.1
GTEX-1KXAM-1626-SM-D3LAD 60-69 years, male 4.1
GTEX-11GS4-0226-SM-5HL77 60-69 years, male 4.0
GTEX-14B4R-1326-SM-5Q5EZ 30-39 years, male 4.0
GTEX-14PJN-1826-SM-6AJ98 30-39 years, male 4.0
GTEX-WFG7-2026-SM-5SI7P 20-29 years, male 4.0
GTEX-1HCUA-0826-SM-ADEHM 50-59 years, female 4.0
GTEX-1S3DN-2126-SM-E9TIN 50-59 years, male 4.0
GTEX-111CU-1126-SM-5EGIM 50-59 years, male 3.9
GTEX-1QPFJ-1926-SM-EVYBD 30-39 years, female 3.9
GTEX-1RAZQ-1326-SM-E9TK6 30-39 years, male 3.9
GTEX-13FHO-0426-SM-5L3F5 60-69 years, male 3.8
GTEX-14PJ6-2626-SM-6EU2T 60-69 years, female 3.8
GTEX-1QP28-1126-SM-EVYC4 50-59 years, female 3.8
GTEX-1LGRB-0926-SM-COH3K 50-59 years, female 3.7
GTEX-1S82U-1026-SM-E6CJK 30-39 years, female 3.7
GTEX-14C5O-0326-SM-5ZZUX 60-69 years, male 3.6
GTEX-1C6VQ-1226-SM-73KYD 50-59 years, male 3.6
GTEX-1C6VR-0126-SM-7RHGB 60-69 years, male 3.6
GTEX-1H11D-1826-SM-9QEHM 40-49 years, male 3.5
GTEX-1R7EU-1626-SM-DTXG3 60-69 years, male 3.5
GTEX-13PDP-0726-SM-5L3HP 60-69 years, male 3.4
GTEX-145MH-2826-SM-5RQJF 50-59 years, male 3.4
GTEX-1GN73-0726-SM-7P8TJ 60-69 years, male 3.4
GTEX-1MCYP-0526-SM-E9U6Q 20-29 years, female 3.4
GTEX-11PRG-0726-SM-5EGL1 50-59 years, male 3.3
GTEX-ZF29-0926-SM-4WKFZ 60-69 years, female 3.3
GTEX-ZPIC-0526-SM-DO91W 40-49 years, female 3.3
GTEX-ZVZP-1226-SM-5GID7 50-59 years, male 3.2
GTEX-ZZPU-0826-SM-5GZX5 50-59 years, female 3.2
GTEX-13JVG-0726-SM-5KM16 60-69 years, male 3.1
GTEX-17HII-1426-SM-7EPGG 50-59 years, male 3.1
GTEX-1H3VE-0726-SM-9YFL5 40-49 years, male 3.1
GTEX-Y3I4-1726-SM-4TT89 50-59 years, male 3.0
GTEX-Y9LG-1126-SM-4VBQ7 30-39 years, male 3.0
GTEX-13QJC-0126-SM-5ZZWJ 60-69 years, female 2.9
GTEX-1IKJJ-2226-SM-CJI4C 60-69 years, male 2.9
GTEX-14C39-1726-SM-5RQIL 40-49 years, male 2.8
GTEX-111VG-1626-SM-5EGIO 60-69 years, male 2.7
GTEX-1GN1V-2826-SM-9JGIA 60-69 years, male 2.5
GTEX-1R46S-2426-SM-E76QA 60-69 years, female 2.5
GTEX-14PJ4-0226-SM-5YY92 60-69 years, male 2.4
GTEX-ZVT2-0126-SM-5GIDQ 50-59 years, female 2.4
GTEX-1OJC4-2726-SM-E76PJ 50-59 years, female 2.4
GTEX-1LB8K-0726-SM-D5OV2 50-59 years, male 2.3
GTEX-11ZU8-0126-SM-5EQ58 60-69 years, male 2.1
GTEX-1122O-1026-SM-9WYSF 60-69 years, female 1.9
GTEX-1J1OQ-0126-SM-D4P2N 40-49 years, female 1.9
GTEX-1NV5F-0626-SM-DTXEG 60-69 years, female 1.9
GTEX-1399S-0126-SM-5IJCF 30-39 years, female 1.8
GTEX-ZPCL-1126-SM-4WWFE 60-69 years, female 1.8
GTEX-1QP2A-1726-SM-E76QC 50-59 years, male 1.7
GTEX-WHSB-1326-SM-3LK6W 50-59 years, male 0.9
Show allShow less
Skin - Sun Exposed (Lower leg)
Average nTPM: 11.2
Samples: 701

Max nTPM: 60.1
Min nTPM: 1.0
Std nTPM: 6.5
Median nTPM: 9.9
GTEX-13O1R-0126-SM-5L3EH 60-69 years, male 60.1
GTEX-14E6C-0126-SM-5RQIP 40-49 years, male 52.2
GTEX-X8HC-0126-SM-4E3JW 50-59 years, female 44.8
GTEX-X4XY-0226-SM-4E3IZ 60-69 years, male 36.3
GTEX-Q734-1926-SM-2I5EV 40-49 years, female 35.7
GTEX-YJ8A-0426-SM-5IFID 20-29 years, male 34.7
GTEX-1QW4Y-1526-SM-EAZ3Z 30-39 years, male 33.4
GTEX-XXEK-2226-SM-4BRUM 50-59 years, male 33.2
GTEX-1R9PO-2126-SM-E9J4O 60-69 years, female 33.1
GTEX-12584-0126-SM-5EGKQ 40-49 years, male 32.8
GTEX-1AX8Z-0126-SM-7DHM6 60-69 years, male 31.7
GTEX-11ZUS-0626-SM-59885 30-39 years, male 31.3
GTEX-X62O-0126-SM-4E3JN 50-59 years, male 30.4
GTEX-13O3Q-2426-SM-5IJBR 50-59 years, male 29.3
GTEX-1ICLY-0126-SM-D4P36 50-59 years, male 29.3
GTEX-15SHW-0326-SM-6PAML 60-69 years, male 29.2
GTEX-11O72-0126-SM-59887 40-49 years, male 28.9
GTEX-WI4N-1026-SM-3LK7N 40-49 years, female 28.1
GTEX-RUSQ-1526-SM-2TF62 50-59 years, male 28.0
GTEX-U8XE-0326-SM-3DB8P 30-39 years, male 28.0
GTEX-WOFL-0126-SM-3MJG2 60-69 years, male 28.0
GTEX-15EOM-0126-SM-7KUGG 20-29 years, female 27.9
GTEX-WVJS-0126-SM-4MVOT 50-59 years, male 27.9
GTEX-1H3VY-0126-SM-ACKXD 50-59 years, male 27.5
GTEX-13OVJ-0126-SM-5KM36 50-59 years, female 27.1
GTEX-1PBJI-0526-SM-E8VNK 20-29 years, female 27.1
GTEX-1A3MW-0126-SM-73KXX 60-69 years, female 26.6
GTEX-1RLM8-2326-SM-EWRN4 50-59 years, male 26.6
GTEX-16XZY-2126-SM-79OK1 70-79 years, male 26.5
GTEX-146FH-0126-SM-5QGPP 50-59 years, female 25.9
GTEX-1PWST-0226-SM-E76QJ 70-79 years, male 25.9
GTEX-11WQK-0526-SM-5EQLD 50-59 years, male 25.7
GTEX-11P7K-2126-SM-5GU7G 30-39 years, male 25.3
GTEX-144GN-2326-SM-5LU4F 50-59 years, male 25.1
GTEX-1F75I-0326-SM-9YFLU 40-49 years, male 24.9
GTEX-11OC5-0126-SM-5HL6A 60-69 years, male 24.3
GTEX-139T8-0126-SM-5K7XZ 60-69 years, male 24.3
GTEX-139T4-0226-SM-5HL5S 50-59 years, female 23.9
GTEX-14JIY-0126-SM-6LLH6 60-69 years, male 23.8
GTEX-ZYW4-0126-SM-5E44A 60-69 years, male 23.6
GTEX-1IKK5-0626-SM-ARL8A 60-69 years, male 23.4
GTEX-1C64O-0126-SM-7SB8P 60-69 years, male 23.3
GTEX-1K9T9-0126-SM-EVYCF 50-59 years, female 22.6
GTEX-1F75A-0126-SM-7RHGM 50-59 years, male 22.4
GTEX-12WSL-2526-SM-5GCNJ 50-59 years, male 21.1
GTEX-12126-0326-SM-5PNW3 20-29 years, male 21.0
GTEX-U4B1-1826-SM-4DXSU 40-49 years, male 21.0
GTEX-1F48J-0126-SM-7P8TT 50-59 years, female 21.0
GTEX-14ICK-0226-SM-6EU25 40-49 years, male 20.9
GTEX-11WQC-2526-SM-5CVLE 60-69 years, male 20.7
GTEX-13RTJ-2426-SM-5S2Q2 60-69 years, male 20.7
GTEX-183WM-0126-SM-7LTAB 70-79 years, female 20.6
GTEX-147F4-0226-SM-5QGPW 50-59 years, male 20.5
GTEX-1LNCM-1126-SM-E9U5E 50-59 years, female 20.3
GTEX-ZAJG-0126-SM-5HL94 50-59 years, female 20.1
GTEX-S7PM-0126-SM-4AD6S 60-69 years, male 19.9
GTEX-ZE7O-0126-SM-57WC1 50-59 years, female 19.9
GTEX-11NUK-0126-SM-5A5L3 50-59 years, male 19.8
GTEX-OOBK-0126-SM-2YUND 40-49 years, male 19.8
GTEX-1H2FU-0126-SM-9WYSI 60-69 years, female 19.8
GTEX-1I19N-0326-SM-ACKVX 70-79 years, male 19.3
GTEX-SE5C-1626-SM-2XCE3 40-49 years, female 19.2
GTEX-R55E-0126-SM-2TC5Y 20-29 years, male 19.1
GTEX-1KD5A-0226-SM-D5OV3 50-59 years, male 19.1
GTEX-14A6H-0126-SM-5QGPK 30-39 years, male 19.0
GTEX-117YW-2626-SM-5GZZH 50-59 years, male 18.8
GTEX-11UD1-0126-SM-5PNYG 40-49 years, female 18.8
GTEX-13FHO-0226-SM-5IFGY 60-69 years, male 18.8
GTEX-13YAN-0326-SM-5O9DF 60-69 years, male 18.8
GTEX-1JN1M-0326-SM-CYPT3 60-69 years, female 18.8
GTEX-1AX9I-0126-SM-7SB74 60-69 years, male 18.6
GTEX-1I1GP-2226-SM-CGQFK 50-59 years, male 18.5
GTEX-1C6WA-0126-SM-7PC2B 60-69 years, male 18.4
GTEX-1H1DE-2126-SM-9WG6R 20-29 years, male 18.4
GTEX-11DZ1-0126-SM-5985Q 50-59 years, male 18.3
GTEX-ZTPG-0326-SM-5O9AX 20-29 years, female 18.3
GTEX-1M4P7-0226-SM-DIPEV 60-69 years, male 18.3
GTEX-17HHE-2026-SM-79OKF 50-59 years, male 18.2
GTEX-OHPM-0126-SM-2YUN9 50-59 years, male 18.2
GTEX-1N2EF-0226-SM-EYYXB 60-69 years, male 18.2
GTEX-15G19-0126-SM-6PANQ 60-69 years, male 18.1
GTEX-1MA7X-2226-SM-E6CIY 60-69 years, male 18.0
GTEX-XQ8I-0426-SM-4BOPO 50-59 years, male 17.9
GTEX-1GPI6-0126-SM-9WG69 60-69 years, male 17.9
GTEX-1F6IF-0726-SM-7P8TW 60-69 years, male 17.8
GTEX-1JKYN-1326-SM-CGQG9 30-39 years, male 17.8
GTEX-14A5H-0426-SM-5QGQF 60-69 years, male 17.6
GTEX-1I6K6-0126-SM-A9SLE 30-39 years, male 17.6
GTEX-11TUW-2726-SM-E9J4M 60-69 years, male 17.4
GTEX-1C2JI-1826-SM-73KXC 50-59 years, male 17.3
GTEX-XV7Q-2526-SM-4BRV9 40-49 years, female 17.2
GTEX-1JMOU-1526-SM-CL54I 60-69 years, female 17.1
GTEX-1CB4F-0426-SM-9KNV4 60-69 years, male 16.9
GTEX-1NHNU-1026-SM-E9J2A 50-59 years, male 16.9
GTEX-1F88F-2726-SM-7PBZZ 60-69 years, female 16.7
GTEX-ZQUD-1426-SM-57WER 30-39 years, male 16.6
GTEX-1I1GV-0526-SM-A9G29 60-69 years, male 16.6
GTEX-ZF3C-0126-SM-DO92D 50-59 years, female 16.6
GTEX-OIZF-0126-SM-7SB8I 60-69 years, male 16.5
GTEX-1IE54-0126-SM-CMKHW 40-49 years, female 16.4
GTEX-1PIGE-0126-SM-EVYBJ 20-29 years, male 16.4
GTEX-117YX-2326-SM-5H12W 50-59 years, male 16.3
GTEX-13VXT-0126-SM-5LU4I 20-29 years, female 16.3
GTEX-ZDXO-3026-SM-5J1N5 60-69 years, male 16.3
GTEX-1F6I4-0126-SM-9MQL2 60-69 years, male 16.3
GTEX-1R9K4-0126-SM-DTX9X 60-69 years, male 16.3
GTEX-12WSD-0126-SM-59HKN 60-69 years, female 16.2
GTEX-13G51-2526-SM-5LZYK 60-69 years, male 16.0
GTEX-15D1Q-0126-SM-7KUG6 40-49 years, male 16.0
GTEX-1CAMR-1926-SM-7EPI2 20-29 years, male 16.0
GTEX-XYKS-2126-SM-4E3IB 60-69 years, female 15.9
GTEX-1ICLZ-0126-SM-CKZPO 60-69 years, male 15.9
GTEX-1IGQW-0126-SM-COH42 60-69 years, male 15.8
GTEX-1GPI7-0126-SM-9MQL8 20-29 years, male 15.7
GTEX-1HFI6-0226-SM-ADEHZ 40-49 years, male 15.7
GTEX-1AYCT-2426-SM-7IGQ3 50-59 years, male 15.6
GTEX-1AYD5-2426-SM-73KXR 50-59 years, male 15.6
GTEX-RN64-0126-SM-2TC68 50-59 years, male 15.5
GTEX-13NYC-0326-SM-E9J4S 60-69 years, male 15.5
GTEX-W5X1-3026-SM-EAZAX 40-49 years, female 15.5
GTEX-1B933-0126-SM-7PC29 50-59 years, female 15.4
GTEX-111VG-2426-SM-5GZXD 60-69 years, male 15.3
GTEX-11NSD-2226-SM-5986V 20-29 years, male 15.2
GTEX-QESD-1426-SM-2S1R9 20-29 years, male 15.2
GTEX-ZVT3-0126-SM-5GU6I 60-69 years, female 15.2
GTEX-12WSK-2326-SM-5GCOH 40-49 years, female 15.1
GTEX-15UKP-0426-SM-7KUFQ 20-29 years, male 15.1
GTEX-13X6I-0626-SM-5QGP9 60-69 years, male 15.0
GTEX-18QFQ-0126-SM-731BE 30-39 years, male 15.0
GTEX-1A3MX-0126-SM-731BR 60-69 years, male 15.0
GTEX-1GF9X-2026-SM-7PC3A 40-49 years, female 15.0
GTEX-14BIL-0126-SM-5SI92 50-59 years, male 14.9
GTEX-11TTK-0126-SM-5987B 60-69 years, female 14.8
GTEX-1C4CL-0526-SM-73KVK 30-39 years, male 14.8
GTEX-PLZ4-0126-SM-5SI8O 50-59 years, female 14.8
GTEX-1JMQK-0226-SM-CL543 60-69 years, male 14.8
GTEX-ZF28-0126-SM-4WKGK 60-69 years, male 14.7
GTEX-1I1GU-2226-SM-CGQFA 40-49 years, male 14.7
GTEX-PVOW-0126-SM-2XCFA 40-49 years, male 14.5
GTEX-1GN1V-0126-SM-9WPOS 60-69 years, male 14.5
GTEX-13W3W-2426-SM-5LU5B 60-69 years, female 14.4
GTEX-14PN4-0126-SM-6EU2V 50-59 years, male 14.4
GTEX-1H1CY-2826-SM-9MQM3 60-69 years, female 14.4
GTEX-14XAO-2326-SM-6EU1B 60-69 years, female 14.3
GTEX-U3ZM-1526-SM-3DB9D 40-49 years, male 14.3
GTEX-ZYFD-0126-SM-5GIDL 50-59 years, male 14.3
GTEX-1I1HK-0126-SM-COH49 60-69 years, male 14.3
GTEX-1192W-2626-SM-5Q5AF 60-69 years, male 14.2
GTEX-144FL-0126-SM-5TDC8 50-59 years, male 14.2
GTEX-1H3O1-0426-SM-9YFKY 60-69 years, male 14.2
GTEX-1LG7Y-0526-SM-DKPQC 50-59 years, male 14.2
GTEX-1HUB1-0426-SM-E9U4U 60-69 years, male 14.1
GTEX-11GS4-2726-SM-5A5LE 60-69 years, male 14.0
GTEX-17MF6-0126-SM-7LG4F 40-49 years, male 14.0
GTEX-ZU9S-0226-SM-5E441 30-39 years, male 14.0
GTEX-1HBPH-0426-SM-B2LW5 40-49 years, female 14.0
GTEX-PW2O-1526-SM-7RHHB 20-29 years, male 14.0
GTEX-11P81-2326-SM-59875 30-39 years, female 13.9
GTEX-12ZZX-0126-SM-5EGK9 40-49 years, female 13.8
GTEX-14PK6-1926-SM-6ETZU 70-79 years, female 13.8
GTEX-QDVN-2026-SM-3GAEP 50-59 years, male 13.8
GTEX-1C6VQ-0126-SM-7P8RI 50-59 years, male 13.7
GTEX-1H1E6-1726-SM-ACKVK 30-39 years, male 13.7
GTEX-145LV-2126-SM-5LU8N 50-59 years, male 13.6
GTEX-1EKGG-0226-SM-9WYTH 60-69 years, male 13.6
GTEX-1HR98-0126-SM-B2LWI 60-69 years, male 13.6
GTEX-132NY-0326-SM-5IJBL 60-69 years, male 13.5
GTEX-13O21-1426-SM-5K7XI 50-59 years, male 13.5
GTEX-14LLW-0126-SM-6LLIO 70-79 years, female 13.5
GTEX-15UF6-0826-SM-6PALJ 70-79 years, female 13.5
GTEX-VJYA-1126-SM-3GIJU 60-69 years, male 13.5
GTEX-ZZPT-0226-SM-5E43X 50-59 years, male 13.5
GTEX-1IL2V-0126-SM-CM2TX 70-79 years, male 13.5
GTEX-1PPH7-2326-SM-EVYB8 40-49 years, male 13.5
GTEX-V1D1-2226-SM-3NMAX 50-59 years, male 13.4
GTEX-1IDFM-0126-SM-COH2V 60-69 years, male 13.4
GTEX-14DAQ-0126-SM-5S2MQ 60-69 years, female 13.3
GTEX-14E7W-0126-SM-6LLJ9 70-79 years, male 13.3
GTEX-QEG4-0226-SM-2S1PY 30-39 years, male 13.3
GTEX-11TT1-2526-SM-5EGIB 20-29 years, male 13.2
GTEX-13NZ8-0826-SM-5MR3I 60-69 years, female 13.2
GTEX-1QP66-1726-SM-E8VO1 50-59 years, male 13.2
GTEX-RVPV-0126-SM-EAZAW 60-69 years, male 13.2
GTEX-13NYS-0126-SM-5MR3W 60-69 years, male 13.1
GTEX-OIZG-0726-SM-33HBL 50-59 years, male 13.1
GTEX-OXRL-0126-SM-2YUMP 50-59 years, male 13.1
GTEX-ZVE2-0226-SM-59HJB 50-59 years, male 13.1
GTEX-1LSNM-1926-SM-E6CII 50-59 years, male 13.1
GTEX-1N2DV-0226-SM-E6CJ6 40-49 years, male 13.1
GTEX-1F75B-0126-SM-9KNVL 50-59 years, male 13.0
GTEX-1QP67-1626-SM-EAZ3X 40-49 years, female 13.0
GTEX-183FY-0126-SM-7LT9P 20-29 years, male 12.9
GTEX-OXRP-0126-SM-3NB32 60-69 years, female 12.9
GTEX-12WSG-2826-SM-E9J4H 50-59 years, female 12.9
GTEX-1GN2E-0426-SM-9MQKX 60-69 years, male 12.9
GTEX-1GZ2Q-0226-SM-7P8TL 40-49 years, male 12.9
GTEX-1H23P-0126-SM-ADEJ3 60-69 years, male 12.9
GTEX-11ZU8-2526-SM-5EQKI 60-69 years, male 12.8
GTEX-Q2AH-1626-SM-3GAF8 40-49 years, male 12.8
GTEX-XMD2-0126-SM-4YCDU 60-69 years, female 12.8
GTEX-XQ3S-1526-SM-4BOOC 20-29 years, male 12.8
GTEX-Y3I4-2126-SM-4TT7C 50-59 years, male 12.8
GTEX-Y3IK-2426-SM-4WWDU 50-59 years, female 12.8
GTEX-17EUY-0426-SM-793BD 20-29 years, male 12.7
GTEX-113IC-0126-SM-5HL6T 60-69 years, male 12.6
GTEX-11ZVC-2526-SM-5FQTE 50-59 years, female 12.6
GTEX-S7SE-0126-SM-2XCD5 50-59 years, male 12.6
GTEX-1H3NZ-0126-SM-ACKX7 60-69 years, male 12.6
GTEX-1IDJF-0126-SM-CM2RS 20-29 years, male 12.6
GTEX-Q2AG-0126-SM-33HBV 40-49 years, female 12.5
GTEX-SIU8-0126-SM-2XCDT 50-59 years, male 12.5
GTEX-WZTO-0126-SM-3NM95 40-49 years, male 12.5
GTEX-1CB4J-0626-SM-7DHMP 60-69 years, male 12.4
GTEX-13U4I-0126-SM-5LU38 40-49 years, female 12.3
GTEX-15SB6-1726-SM-6PAME 50-59 years, female 12.3
GTEX-18A7A-0226-SM-718BH 50-59 years, female 12.3
GTEX-TMZS-0126-SM-3DB9Q 60-69 years, male 12.3
GTEX-VUSG-2526-SM-4KL1V 50-59 years, male 12.3
GTEX-1IY9M-0126-SM-D3L8S 60-69 years, male 12.3
GTEX-131XW-0426-SM-5LZWP 50-59 years, female 12.2
GTEX-U3ZH-2026-SM-3DB78 30-39 years, male 12.2
GTEX-1I1GS-0126-SM-B2LVW 60-69 years, male 12.2
GTEX-1N2DW-0226-SM-E9TK2 50-59 years, male 12.2
GTEX-1QCLY-0326-SM-E8VOG 30-39 years, male 12.2
GTEX-131XG-2626-SM-5KM17 50-59 years, female 12.1
GTEX-13N1W-0126-SM-5K7VT 70-79 years, male 12.1
GTEX-14ABY-0226-SM-5TDCQ 50-59 years, male 12.0
GTEX-ZAB4-0226-SM-5N9F5 40-49 years, male 12.0
GTEX-1HBPN-0226-SM-9YFM1 50-59 years, male 12.0
GTEX-1ICG6-2526-SM-CGQFZ 70-79 years, female 12.0
GTEX-1S82Y-2026-SM-EVYCM 40-49 years, male 12.0
GTEX-13OVL-0226-SM-5L3E9 50-59 years, male 11.9
GTEX-14PJ3-1826-SM-62LEX 50-59 years, male 11.9
GTEX-ZAB5-1826-SM-5HL7C 50-59 years, male 11.9
GTEX-1JJE9-0326-SM-CL53Z 70-79 years, male 11.9
GTEX-1AMEY-1326-SM-73KYK 30-39 years, female 11.8
GTEX-QV44-1926-SM-2S1RF 50-59 years, male 11.8
GTEX-TKQ1-1026-SM-4GICL 30-39 years, male 11.8
GTEX-131XF-5016-SM-7MGWE 60-69 years, male 11.8
GTEX-1EX96-1626-SM-7PBXR 50-59 years, male 11.8
GTEX-1GTWX-0126-SM-9YFLK 60-69 years, male 11.8
GTEX-13W46-0226-SM-5SIAG 50-59 years, male 11.7
GTEX-147GR-0526-SM-5S2MY 60-69 years, male 11.7
GTEX-148VI-1626-SM-5SI6E 60-69 years, female 11.7
GTEX-15CHC-2126-SM-6EU21 60-69 years, female 11.7
GTEX-18465-0126-SM-731BN 50-59 years, male 11.7
GTEX-ZUA1-0126-SM-5GU76 40-49 years, male 11.7
GTEX-1QP2A-0126-SM-E9J43 50-59 years, male 11.7
GTEX-1RB15-2126-SM-E9TIM 60-69 years, male 11.7
GTEX-OOBJ-0126-SM-E6CJW 60-69 years, male 11.7
GTEX-15SDE-2226-SM-7IGLO 50-59 years, female 11.6
GTEX-17EVQ-0226-SM-7LG4P 70-79 years, male 11.6
GTEX-17MFQ-1726-SM-793C7 20-29 years, male 11.6
GTEX-1AX9K-2326-SM-73KWU 50-59 years, male 11.6
GTEX-T2YK-0526-SM-32QPJ 50-59 years, male 11.6
GTEX-WQUQ-0426-SM-3MJFU 60-69 years, male 11.6
GTEX-Y111-0126-SM-4SOIV 50-59 years, male 11.6
GTEX-Y8DK-0126-SM-4TT3L 60-69 years, male 11.6
GTEX-1JN6P-0126-SM-D3L98 60-69 years, male 11.6
GTEX-11GSP-2526-SM-5N9BP 60-69 years, female 11.5
GTEX-18A6Q-0126-SM-731BZ 60-69 years, male 11.5
GTEX-RU72-0926-SM-2TF6B 50-59 years, female 11.4
GTEX-X585-0226-SM-4QAS2 50-59 years, male 11.4
GTEX-X638-0126-SM-47JZ8 70-79 years, female 11.4
GTEX-1F7RK-0126-SM-7PC2S 20-29 years, female 11.4
GTEX-1HSMO-0126-SM-CL547 60-69 years, male 11.4
GTEX-OXRK-0226-SM-3NB2G 50-59 years, female 11.3
GTEX-OXRO-0126-SM-2YUN4 60-69 years, female 11.3
GTEX-UPJH-0326-SM-3GADU 50-59 years, male 11.3
GTEX-1HKZK-0326-SM-9WYUH 40-49 years, male 11.3
GTEX-1JMQJ-0526-SM-CYPSU 50-59 years, male 11.3
GTEX-1RQEC-0426-SM-E6CHU 60-69 years, male 11.3
GTEX-13FHP-0126-SM-5IJBG 50-59 years, male 11.2
GTEX-13NZB-2526-SM-5J1OM 30-39 years, male 11.2
GTEX-PWO3-1526-SM-48TCM 60-69 years, female 11.2
GTEX-X4XX-0126-SM-3NMC2 60-69 years, male 11.2
GTEX-ZC5H-0226-SM-4WAY9 40-49 years, female 11.2
GTEX-1CAV2-2226-SM-7P8P2 40-49 years, female 11.2
GTEX-1F6RS-0126-SM-9MQKZ 60-69 years, female 11.2
GTEX-1J1R8-1726-SM-ARL8M 40-49 years, male 11.2
GTEX-12WSA-0226-SM-5BC5V 60-69 years, male 11.1
GTEX-13OW7-0126-SM-5MR3B 50-59 years, male 11.1
GTEX-14BIM-0226-SM-7IGLD 60-69 years, female 11.1
GTEX-1B8SG-0126-SM-73KZ3 50-59 years, male 11.1
GTEX-1EMGI-0126-SM-9KNUE 60-69 years, male 11.1
GTEX-1J8JJ-0226-SM-CL53I 60-69 years, female 11.1
GTEX-1JMPY-1326-SM-ARL8Y 30-39 years, male 11.1
GTEX-1RAZA-0126-SM-E6CI3 20-29 years, male 11.1
GTEX-1192X-0226-SM-5H12D 50-59 years, male 11.0
GTEX-12WSN-5019-SM-79OM6 40-49 years, male 11.0
GTEX-YEC4-2126-SM-5IFJH 40-49 years, male 11.0
GTEX-113JC-2326-SM-5EQ4E 50-59 years, female 10.9
GTEX-13CF2-2526-SM-5LZYX 60-69 years, male 10.9
GTEX-13QJ3-0326-SM-5S2RA 50-59 years, male 10.9
GTEX-1497J-2426-SM-7IGNX 60-69 years, male 10.8
GTEX-13FH7-2026-SM-E9J4I 50-59 years, female 10.8
GTEX-146FR-1326-SM-E9J48 60-69 years, female 10.8
GTEX-1HSEH-0126-SM-ACKXN 60-69 years, male 10.8
GTEX-1K2DA-1826-SM-CGQGT 50-59 years, male 10.8
GTEX-1K2DU-2326-SM-E9TIV 20-29 years, male 10.8
GTEX-1GN73-0226-SM-9WG67 60-69 years, male 10.7
GTEX-12KS4-0326-SM-5EQ41 30-39 years, male 10.6
GTEX-13IVO-0126-SM-5J1NG 70-79 years, male 10.6
GTEX-SSA3-0126-SM-32QPU 60-69 years, male 10.6
GTEX-1GF9U-2126-SM-7SB7L 40-49 years, female 10.6
GTEX-1HCVE-0126-SM-CGQEU 50-59 years, male 10.6
GTEX-1MCYP-1926-SM-E9J2R 20-29 years, female 10.6
GTEX-1314G-1526-SM-5EGK2 30-39 years, male 10.5
GTEX-1399R-2726-SM-5IJBA 30-39 years, male 10.5
GTEX-13X6J-0126-SM-5QGOU 50-59 years, male 10.5
GTEX-17F96-1626-SM-7DUFL 70-79 years, male 10.5
GTEX-17F97-0326-SM-7LG5B 50-59 years, male 10.5
GTEX-17HHY-0126-SM-7LG5D 50-59 years, male 10.5
GTEX-ZDTS-0126-SM-4WAY5 60-69 years, male 10.5
GTEX-1F52S-0126-SM-9MQJU 60-69 years, female 10.5
GTEX-1KD4Q-0226-SM-E9TJ9 40-49 years, male 10.5
GTEX-1AMFI-2026-SM-731BH 50-59 years, female 10.4
GTEX-ZEX8-2426-SM-4WKG4 50-59 years, male 10.4
GTEX-1HSMP-0126-SM-E6CJS 70-79 years, male 10.4
GTEX-1PPH8-0226-SM-E8VND 20-29 years, male 10.4
GTEX-11DXW-0226-SM-5H122 40-49 years, male 10.3
GTEX-13OVI-1426-SM-5L3EY 60-69 years, female 10.3
GTEX-1B8L1-2526-SM-9WYTF 60-69 years, male 10.3
GTEX-11DXY-2626-SM-5GIE7 60-69 years, male 10.2
GTEX-14E6E-1826-SM-5S2R7 30-39 years, male 10.2
GTEX-18A7B-0126-SM-7LG64 70-79 years, male 10.2
GTEX-R3RS-0126-SM-3GIJL 40-49 years, female 10.2
GTEX-X4EP-0126-SM-3P5YV 60-69 years, female 10.2
GTEX-1CAMS-0426-SM-7P8T2 40-49 years, female 10.2
GTEX-1HB9E-0226-SM-E9U4R 50-59 years, male 10.2
GTEX-16GPK-0126-SM-7DHLE 60-69 years, male 10.1
GTEX-P44H-0226-SM-2XCEU 40-49 years, male 10.1
GTEX-WRHK-1426-SM-3MJF9 20-29 years, female 10.1
GTEX-X261-0126-SM-3NMD6 50-59 years, male 10.1
GTEX-ZYFC-0226-SM-5NQ75 50-59 years, male 10.1
GTEX-1GF9W-0326-SM-9KNUN 60-69 years, male 10.1
GTEX-1QP29-0626-SM-EWRMX 50-59 years, male 10.1
GTEX-11P82-1626-SM-59879 20-29 years, male 10.0
GTEX-1A32A-0126-SM-718B1 50-59 years, female 10.0
GTEX-1B8KZ-2026-SM-7DHMB 50-59 years, male 10.0
GTEX-NPJ8-0126-SM-2YUNR 40-49 years, male 10.0
GTEX-SUCS-1926-SM-32PM3 70-79 years, male 10.0
GTEX-1B996-0226-SM-7RHGO 60-69 years, male 10.0
GTEX-1GN1W-0526-SM-9MQJQ 50-59 years, female 10.0
GTEX-1GZ4H-1726-SM-7PBZJ 50-59 years, female 10.0
GTEX-1HSMQ-1226-SM-CGQFX 50-59 years, male 10.0
GTEX-1JKYR-0126-SM-CNPOJ 20-29 years, male 10.0
GTEX-1KANB-0526-SM-E6CJH 50-59 years, male 10.0
GTEX-1NV5F-0226-SM-E8VNY 60-69 years, female 10.0
GTEX-16MT8-0426-SM-7KUEY 60-69 years, female 9.9
GTEX-QLQW-1126-SM-2S1Q8 30-39 years, male 9.9
GTEX-WY7C-2326-SM-3NB2U 50-59 years, male 9.9
GTEX-ZDYS-2026-SM-5HL5L 50-59 years, male 9.9
GTEX-ZWKS-0126-SM-5SIAA 30-39 years, male 9.9
GTEX-ZZ64-1726-SM-5GZYB 20-29 years, male 9.9
GTEX-12C56-1726-SM-5EQ61 20-29 years, male 9.8
GTEX-14753-0426-SM-5NQAM 60-69 years, male 9.7
GTEX-17F98-0626-SM-79OMX 40-49 years, female 9.7
GTEX-O5YW-0126-SM-3LK6D 50-59 years, male 9.7
GTEX-RM2N-1426-SM-2TF4H 50-59 years, male 9.7
GTEX-1GN1U-0126-SM-7PBZK 50-59 years, female 9.7
GTEX-1HCU8-0626-SM-A9SM9 60-69 years, female 9.7
GTEX-S33H-1026-SM-EZ6L6 30-39 years, male 9.7
GTEX-13OVK-2026-SM-7KUEO 40-49 years, male 9.6
GTEX-15DCD-0126-SM-7KUEK 70-79 years, female 9.6
GTEX-18A66-0226-SM-718BD 60-69 years, male 9.6
GTEX-T5JC-0426-SM-32PLO 20-29 years, male 9.6
GTEX-ZVZO-0126-SM-5A5L9 40-49 years, male 9.6
GTEX-1JMQI-2226-SM-CM2SD 50-59 years, male 9.6
GTEX-131XH-2226-SM-5DUXJ 50-59 years, male 9.5
GTEX-Z93T-0126-SM-5HL5N 50-59 years, male 9.5
GTEX-1LH75-2426-SM-E9TJE 50-59 years, female 9.5
GTEX-145MN-2226-SM-5SIAU 30-39 years, male 9.4
GTEX-QDVJ-1726-SM-2I5FX 50-59 years, male 9.4
GTEX-TML8-1926-SM-32QOS 40-49 years, female 9.4
GTEX-X88G-0126-SM-47JZ3 30-39 years, male 9.4
GTEX-11EMC-2926-SM-5EQ4F 60-69 years, female 9.3
GTEX-11OF3-2626-SM-5GU7F 60-69 years, male 9.3
GTEX-1MGNQ-0126-SM-EVYCJ 40-49 years, male 9.3
GTEX-146FQ-0126-SM-5NQA9 30-39 years, male 9.2
GTEX-15F5U-1526-SM-6PANO 40-49 years, male 9.2
GTEX-WYVS-2126-SM-3NMA3 40-49 years, female 9.2
GTEX-YFC4-0126-SM-5CVLY 40-49 years, female 9.2
GTEX-11ZTT-2426-SM-5EQLS 60-69 years, female 9.1
GTEX-14BMV-0126-SM-5S2PO 50-59 years, male 9.1
GTEX-1E1VI-0126-SM-7DHMZ 50-59 years, male 9.1
GTEX-1IOXB-0126-SM-ARL8G 50-59 years, male 9.1
GTEX-11UD2-0226-SM-5EQKY 50-59 years, male 9.0
GTEX-13NZA-0226-SM-5K7Z7 60-69 years, male 9.0
GTEX-NFK9-0226-SM-2HMKQ 40-49 years, male 9.0
GTEX-QLQ7-1626-SM-2S1R8 60-69 years, male 9.0
GTEX-1IKOH-0226-SM-COH4E 60-69 years, female 9.0
GTEX-13OW6-0426-SM-5L3HM 50-59 years, male 8.9
GTEX-13RTK-1426-SM-5QGQJ 20-29 years, male 8.9
GTEX-13VXU-0126-SM-5SI9F 50-59 years, male 8.9
GTEX-145MO-0326-SM-5Q5B3 60-69 years, male 8.9
GTEX-15DDE-0126-SM-6LPKH 50-59 years, female 8.9
GTEX-18D9B-0526-SM-7LTAS 60-69 years, male 8.9
GTEX-XAJ8-0826-SM-47JY6 40-49 years, male 8.9
GTEX-1EU9M-0226-SM-7P8SP 60-69 years, male 8.9
GTEX-1I1CD-0126-SM-CM2TK 60-69 years, female 8.9
GTEX-16YQH-0126-SM-7DUFJ 30-39 years, male 8.8
GTEX-P4PQ-0126-SM-2S1NM 60-69 years, male 8.8
GTEX-WH7G-2326-SM-3NMBC 40-49 years, male 8.8
GTEX-XBED-2226-SM-47JYQ 60-69 years, male 8.8
GTEX-1CB4G-0226-SM-7PC3O 60-69 years, male 8.8
GTEX-1F5PK-2426-SM-7RHHY 50-59 years, male 8.8
GTEX-1HCUA-2426-SM-ADEIS 50-59 years, female 8.8
GTEX-1LC47-0326-SM-E9TJP 60-69 years, male 8.8
GTEX-1QEPI-0126-SM-EWRMQ 60-69 years, female 8.8
GTEX-1128S-2326-SM-5GZZY 60-69 years, female 8.7
GTEX-11EI6-0126-SM-5985R 60-69 years, male 8.7
GTEX-11ZTS-0126-SM-5EQ6M 60-69 years, female 8.7
GTEX-131XE-2326-SM-5PNZ2 50-59 years, male 8.7
GTEX-13FXS-0226-SM-5IJCK 50-59 years, male 8.7
GTEX-13RTL-0126-SM-7LG5S 40-49 years, male 8.7
GTEX-148VJ-0126-SM-5TDDN 70-79 years, male 8.7
GTEX-U3ZN-2326-SM-3DB7W 30-39 years, female 8.7
GTEX-1H3VE-0326-SM-9YFLH 40-49 years, male 8.7
GTEX-1R7EV-2426-SM-EVYBG 40-49 years, male 8.7
GTEX-11DXZ-2326-SM-5EGGV 50-59 years, male 8.6
GTEX-139TT-0126-SM-5K7Y5 60-69 years, male 8.6
GTEX-14PN3-2426-SM-6LLHS 60-69 years, female 8.6
GTEX-18A67-0126-SM-7LG5P 50-59 years, male 8.6
GTEX-Y5V5-2326-SM-4V6GA 60-69 years, female 8.6
GTEX-ZAK1-0126-SM-5IJD3 50-59 years, female 8.6
GTEX-13O3O-0126-SM-E9J49 60-69 years, female 8.6
GTEX-1I4MK-2226-SM-ACKWD 50-59 years, female 8.6
GTEX-1211K-2026-SM-5EQ4Z 60-69 years, female 8.5
GTEX-1A3MV-1926-SM-718BT 30-39 years, male 8.5
GTEX-QDT8-0126-SM-48TZ1 30-39 years, female 8.5
GTEX-1IDJH-0326-SM-A9SLQ 70-79 years, male 8.5
GTEX-1RAZQ-0726-SM-EAZ43 30-39 years, male 8.5
GTEX-12ZZZ-0626-SM-5DUXI 60-69 years, male 8.4
GTEX-139D8-0226-SM-5KLZO 30-39 years, female 8.4
GTEX-145LU-0126-SM-5TDCB 50-59 years, male 8.4
GTEX-15EU6-0426-SM-6PAN5 50-59 years, male 8.4
GTEX-16NPX-0226-SM-79OMT 50-59 years, male 8.4
GTEX-OXRN-0126-SM-48TDM 50-59 years, male 8.4
GTEX-VJWN-0126-SM-3GIK7 50-59 years, female 8.4
GTEX-1HBPI-1526-SM-C1YQ1 50-59 years, male 8.4
GTEX-1LBAC-0126-SM-DIPEZ 20-29 years, male 8.4
GTEX-1QP9N-1426-SM-DTXFL 30-39 years, male 8.4
GTEX-13PDP-0126-SM-5L3HD 60-69 years, male 8.3
GTEX-13SLW-0126-SM-5SI6C 70-79 years, male 8.3
GTEX-145MI-0526-SM-5O9A8 60-69 years, female 8.3
GTEX-1JK1U-2026-SM-CM2RZ 60-69 years, male 8.3
GTEX-12WSC-0126-SM-5EQ4P 50-59 years, male 8.2
GTEX-1399T-2826-SM-5KLYZ 60-69 years, male 8.2
GTEX-13FTX-1826-SM-5J1NX 20-29 years, female 8.2
GTEX-15ETS-0126-SM-7KUMW 40-49 years, female 8.2
GTEX-1B8KE-2126-SM-73KYX 50-59 years, male 8.2
GTEX-Q2AI-1326-SM-2S1PL 40-49 years, male 8.2
GTEX-RTLS-0126-SM-447CA 60-69 years, female 8.2
GTEX-1EWIQ-0126-SM-7RHH2 70-79 years, female 8.2
GTEX-1J8Q3-1626-SM-CMKGC 60-69 years, male 8.2
GTEX-ZQG8-1626-SM-DHXIT 60-69 years, female 8.2
GTEX-13113-5016-SM-7EPIP 60-69 years, female 8.1
GTEX-13OVG-1926-SM-5L3DK 60-69 years, male 8.1
GTEX-17HG3-2226-SM-7938L 30-39 years, female 8.1
GTEX-RWSA-0126-SM-2XCBB 40-49 years, male 8.1
GTEX-WXYG-2326-SM-4E3I6 50-59 years, female 8.1
GTEX-1HBPM-0226-SM-ARL9F 60-69 years, female 8.1
GTEX-1HGF4-2426-SM-ACKXM 60-69 years, male 8.1
GTEX-1I1GR-0126-SM-CL55F 60-69 years, male 8.1
GTEX-1313W-0126-SM-5LZUN 50-59 years, female 8.0
GTEX-1CB4I-0226-SM-79OLH 50-59 years, male 8.0
GTEX-OHPL-0126-SM-2HMJ7 60-69 years, female 8.0
GTEX-SJXC-0126-SM-2XCFF 60-69 years, male 8.0
GTEX-YB5K-2126-SM-4WWDJ 40-49 years, female 8.0
GTEX-11GSO-2426-SM-5A5LY 60-69 years, male 7.9
GTEX-12696-2426-SM-5EQ6H 60-69 years, male 7.9
GTEX-13D11-2426-SM-5KM1V 50-59 years, female 7.9
GTEX-13N2G-2626-SM-5J1OT 60-69 years, male 7.9
GTEX-WYJK-0126-SM-3NMAB 50-59 years, male 7.9
GTEX-Z93S-0126-SM-5HL7M 50-59 years, male 7.9
GTEX-1HCU6-0126-SM-CL54K 60-69 years, female 7.9
GTEX-1POEN-0126-SM-EYYXJ 30-39 years, female 7.9
GTEX-16XZZ-0126-SM-793DV 60-69 years, male 7.8
GTEX-X4EO-0326-SM-3P5YO 60-69 years, female 7.8
GTEX-169BO-1326-SM-9MQK2 50-59 years, male 7.8
GTEX-1JMPZ-0226-SM-CNPP1 30-39 years, male 7.8
GTEX-11EM3-2426-SM-59861 20-29 years, female 7.7
GTEX-13SLX-0526-SM-5S2ON 50-59 years, female 7.7
GTEX-14PHW-0126-SM-6LLJI 60-69 years, female 7.7
GTEX-U412-0426-SM-3DB9O 60-69 years, male 7.7
GTEX-1H11D-0226-SM-9WG6Z 40-49 years, male 7.7
GTEX-1J8QM-2126-SM-CYPSJ 60-69 years, female 7.7
GTEX-1S5ZA-0126-SM-EVYCV 20-29 years, male 7.7
GTEX-RNOR-0126-SM-E9J4R 50-59 years, female 7.7
GTEX-13CF3-2426-SM-5IFGX 60-69 years, female 7.6
GTEX-1HSGN-0226-SM-CGQFV 40-49 years, female 7.6
GTEX-12ZZY-0226-SM-5LZVE 60-69 years, male 7.5
GTEX-13O3P-0126-SM-5KM4S 50-59 years, male 7.5
GTEX-145LT-1726-SM-5QGP3 40-49 years, male 7.5
GTEX-1C6VR-2426-SM-79OLD 60-69 years, male 7.5
GTEX-POMQ-2226-SM-2I5FK 20-29 years, female 7.5
GTEX-TMMY-0226-SM-33HBA 40-49 years, female 7.5
GTEX-ZXG5-0126-SM-5GIEU 60-69 years, male 7.5
GTEX-1KANC-1526-SM-D3LAB 50-59 years, female 7.5
GTEX-PWCY-1826-SM-DHXIZ 20-29 years, female 7.5
GTEX-14DAR-2026-SM-5S2O3 50-59 years, male 7.4
GTEX-U8T8-0126-SM-3DB94 60-69 years, male 7.4
GTEX-ZE9C-2726-SM-57WB5 60-69 years, male 7.4
GTEX-11XUK-2026-SM-5EQLF 40-49 years, female 7.3
GTEX-13N11-2526-SM-5K7UE 50-59 years, female 7.3
GTEX-17HII-0226-SM-7LG4E 50-59 years, male 7.3
GTEX-PLZ5-2026-SM-2S1O4 50-59 years, male 7.3
GTEX-1HCU9-1526-SM-A9SL7 20-29 years, male 7.3
GTEX-1S82Z-0826-SM-E6CHY 30-39 years, female 7.3
GTEX-17HGU-0226-SM-7DHKV 50-59 years, male 7.2
GTEX-R55G-2526-SM-2TC6D 40-49 years, female 7.2
GTEX-Y8E4-0626-SM-4WWDL 40-49 years, male 7.2
GTEX-1GZHY-0326-SM-9QEHI 50-59 years, female 7.2
GTEX-1KANA-0726-SM-D3L9I 20-29 years, male 7.2
GTEX-1MCQQ-0826-SM-DLHC2 60-69 years, male 7.2
GTEX-1OJC3-0126-SM-E76QX 20-29 years, male 7.2
GTEX-1RDX4-0126-SM-E9J4P 50-59 years, female 7.2
GTEX-11DXX-2426-SM-5GZZW 60-69 years, female 7.1
GTEX-17KNJ-2326-SM-7DHLQ 50-59 years, male 7.1
GTEX-QVJO-1626-SM-2S1QW 60-69 years, female 7.1
GTEX-11EQ9-2426-SM-5HL5T 30-39 years, male 7.0
GTEX-145MF-0626-SM-5LUAI 50-59 years, male 7.0
GTEX-14C5O-0126-SM-5SI6N 60-69 years, male 7.0
GTEX-T6MO-1626-SM-32QOM 40-49 years, female 7.0
GTEX-T8EM-1026-SM-3DB7M 40-49 years, male 7.0
GTEX-YB5E-2026-SM-5IFIS 40-49 years, male 7.0
GTEX-13FTY-0526-SM-5L3EV 40-49 years, female 6.9
GTEX-147F3-0526-SM-5SI98 50-59 years, female 6.9
GTEX-14PJM-0226-SM-62LF1 50-59 years, female 6.9
GTEX-T2IS-0126-SM-4DM6O 20-29 years, female 6.9
GTEX-ZVTK-0426-SM-51MRS 20-29 years, male 6.9
GTEX-1HSKV-0226-SM-A9SKJ 60-69 years, male 6.9
GTEX-1H1DG-0126-SM-9WYU2 70-79 years, male 6.8
GTEX-1I1GT-0626-SM-CGQER 60-69 years, female 6.8
GTEX-131YS-0126-SM-5KM1M 60-69 years, female 6.7
GTEX-13FTW-2626-SM-5K7WL 40-49 years, male 6.7
GTEX-15DYW-0126-SM-7KULE 60-69 years, female 6.7
GTEX-16BQI-0226-SM-7KUEX 30-39 years, female 6.7
GTEX-Y114-2426-SM-4TT8A 50-59 years, female 6.7
GTEX-Y8LW-1826-SM-5S2MV 50-59 years, female 6.7
GTEX-1GMR8-0126-SM-9WYTM 50-59 years, female 6.7
GTEX-1R7EU-0226-SM-EVR4G 60-69 years, male 6.7
GTEX-12WSE-0526-SM-793B2 20-29 years, male 6.6
GTEX-O5YT-0126-SM-48TBW 20-29 years, male 6.6
GTEX-UJHI-1526-SM-3DB99 50-59 years, female 6.6
GTEX-W5WG-1826-SM-4KL2Y 50-59 years, female 6.6
GTEX-Y5V6-2426-SM-4VDSB 60-69 years, male 6.6
GTEX-1GL5R-1826-SM-9KNUY 50-59 years, male 6.6
GTEX-1GMRU-0126-SM-9YFLV 50-59 years, male 6.6
GTEX-1MUQO-0126-SM-EAZ58 60-69 years, male 6.6
GTEX-1O97I-0326-SM-EYYX7 60-69 years, male 6.6
GTEX-ZVT4-0126-SM-DTXFN 50-59 years, female 6.6
GTEX-11H98-0126-SM-5EGHG 50-59 years, male 6.5
GTEX-14PHX-2326-SM-62LEM 50-59 years, male 6.5
GTEX-1C64N-0126-SM-793D7 50-59 years, male 6.5
GTEX-11DYG-0126-SM-59883 60-69 years, male 6.4
GTEX-14JG6-2226-SM-6EU2G 30-39 years, female 6.4
GTEX-S95S-1226-SM-4GICG 60-69 years, male 6.4
GTEX-1A8FM-0226-SM-7SB7Q 50-59 years, female 6.4
GTEX-1KWVE-1426-SM-E9TJO 30-39 years, male 6.4
GTEX-1PDJ9-0326-SM-DTX95 20-29 years, male 6.3
GTEX-R45C-0126-SM-EAZ2R 60-69 years, female 6.3
GTEX-139TU-0126-SM-5K7WH 60-69 years, male 6.2
GTEX-145ME-1826-SM-5SI9G 40-49 years, female 6.2
GTEX-15SHU-0126-SM-7KUEH 40-49 years, female 6.2
GTEX-18D9U-0226-SM-718BP 40-49 years, male 6.2
GTEX-SN8G-0126-SM-32PLI 50-59 years, female 6.2
GTEX-XUYS-0126-SM-47JWZ 50-59 years, male 6.2
GTEX-13OW5-0126-SM-DTXFS 60-69 years, male 6.2
GTEX-1R46S-0626-SM-E9J41 60-69 years, female 6.2
GTEX-11VI4-1726-SM-5CVLH 40-49 years, female 6.1
GTEX-14E6D-0126-SM-62LDV 50-59 years, male 6.1
GTEX-WFG8-2226-SM-3GIL9 20-29 years, male 6.1
GTEX-1EN7A-0126-SM-7SB81 40-49 years, male 6.1
GTEX-1J8EW-0126-SM-CJI4F 60-69 years, female 6.1
GTEX-1KAFJ-2026-SM-CY8ID 50-59 years, male 6.1
GTEX-1269C-2526-SM-5EGJ3 60-69 years, female 6.0
GTEX-13X6H-2126-SM-7EWD5 50-59 years, female 6.0
GTEX-16NGA-1726-SM-731B4 40-49 years, female 6.0
GTEX-T6MN-0126-SM-32PLP 50-59 years, male 6.0
GTEX-Y5LM-1926-SM-5RQJH 40-49 years, female 6.0
GTEX-1PFEY-1526-SM-E76PP 30-39 years, male 6.0
GTEX-PSDG-0226-SM-DKPOZ 50-59 years, male 6.0
GTEX-13JUV-2726-SM-5LZZ8 40-49 years, female 5.9
GTEX-14JG1-0426-SM-6ETZZ 40-49 years, male 5.9
GTEX-16AAH-1726-SM-7939C 50-59 years, male 5.9
GTEX-17EVP-0326-SM-7DHLG 40-49 years, male 5.9
GTEX-1JMQL-0226-SM-CNPP5 50-59 years, female 5.9
GTEX-13112-2826-SM-5DUWH 50-59 years, male 5.8
GTEX-14LZ3-0226-SM-62LET 60-69 years, female 5.8
GTEX-1BAJH-0526-SM-793CQ 70-79 years, male 5.8
GTEX-P4PP-0126-SM-3LK69 30-39 years, female 5.8
GTEX-PX3G-0126-SM-2I3EN 20-29 years, female 5.8
GTEX-RWS6-2026-SM-2XCB5 60-69 years, female 5.8
GTEX-ZVZP-2426-SM-59HKJ 50-59 years, male 5.8
GTEX-1J8Q2-0526-SM-CM2RW 60-69 years, male 5.8
GTEX-1LGRB-2526-SM-CNPPQ 50-59 years, female 5.8
GTEX-PLZ6-1426-SM-DKPOT 30-39 years, male 5.8
GTEX-11LCK-1026-SM-5A5KB 30-39 years, male 5.7
GTEX-139TS-2826-SM-5J1OO 60-69 years, male 5.7
GTEX-14BIN-0626-SM-793DP 50-59 years, female 5.7
GTEX-SNMC-1226-SM-2XCFP 20-29 years, male 5.7
GTEX-1OFPY-2426-SM-DTXEJ 60-69 years, male 5.7
GTEX-1399U-2326-SM-5K7WY 50-59 years, female 5.6
GTEX-139UW-2826-SM-5L3E7 60-69 years, male 5.6
GTEX-ZDTT-2726-SM-4WKF8 60-69 years, male 5.6
GTEX-ZYT6-0226-SM-5NQ6T 30-39 years, male 5.6
GTEX-1H1ZS-0426-SM-9WG6G 70-79 years, male 5.6
GTEX-1HCU7-0226-SM-CL545 50-59 years, male 5.6
GTEX-QCQG-1726-SM-3GIJ9 50-59 years, female 5.5
GTEX-1F5PL-0326-SM-7P8PQ 40-49 years, female 5.5
GTEX-144GL-0126-SM-5TDE2 50-59 years, male 5.4
GTEX-1C6VS-0526-SM-7DUEN 60-69 years, male 5.4
GTEX-X5EB-2226-SM-46MW4 40-49 years, male 5.4
GTEX-111FC-0126-SM-5N9DL 60-69 years, male 5.3
GTEX-1CB4E-2226-SM-793DC 60-69 years, male 5.3
GTEX-S32W-2126-SM-2XCB1 50-59 years, female 5.3
GTEX-1LB8K-0226-SM-EWRNW 50-59 years, male 5.3
GTEX-12WSJ-1826-SM-5GCNY 40-49 years, female 5.2
GTEX-13NYB-2526-SM-5K7Z6 40-49 years, male 5.2
GTEX-1I1GQ-0126-SM-COH3H 50-59 years, male 5.2
GTEX-1IL2U-0226-SM-CE6T8 60-69 years, male 5.2
GTEX-1OJC4-0126-SM-E9J2E 50-59 years, female 5.2
GTEX-14A5I-0126-SM-5TDEA 50-59 years, female 5.1
GTEX-ZY6K-1826-SM-5GZXK 50-59 years, male 5.1
GTEX-1JJEA-0326-SM-CNPOT 60-69 years, male 5.1
GTEX-OIZH-0126-SM-2HMIS 50-59 years, male 5.0
GTEX-TSE9-0126-SM-3DB83 60-69 years, female 5.0
GTEX-XPVG-2626-SM-4B669 50-59 years, male 5.0
GTEX-Z9EW-1626-SM-5CVMN 40-49 years, male 5.0
GTEX-ZGAY-0526-SM-4WWBB 40-49 years, female 5.0
GTEX-ZV6S-2326-SM-4YCEY 40-49 years, female 5.0
GTEX-1HFI7-1826-SM-ACKXH 50-59 years, female 5.0
GTEX-1IDJU-2626-SM-CM2RT 60-69 years, female 5.0
GTEX-1IKJJ-0126-SM-CNPQB 60-69 years, male 5.0
GTEX-14PII-0226-SM-6EU1T 60-69 years, male 4.9
GTEX-15ER7-0326-SM-7KUEV 20-29 years, female 4.9
GTEX-13OVH-0126-SM-5MR4B 70-79 years, male 4.8
GTEX-1AX9J-0226-SM-73KXM 60-69 years, male 4.8
GTEX-1GF9V-0326-SM-7RHI5 60-69 years, male 4.8
GTEX-1JN76-0126-SM-CNPPE 20-29 years, female 4.8
GTEX-1QPFJ-0226-SM-E76PB 30-39 years, female 4.8
GTEX-13S7M-0126-SM-5SI6A 60-69 years, female 4.7
GTEX-1B8SF-1426-SM-7DUGL 60-69 years, male 4.7
GTEX-XUW1-0426-SM-4BOOT 50-59 years, female 4.7
GTEX-ZTSS-1926-SM-57WEW 40-49 years, male 4.7
GTEX-1S3DN-2226-SM-EVYCD 50-59 years, male 4.7
GTEX-13PVR-2326-SM-5QGR1 60-69 years, female 4.6
GTEX-14BMU-2226-SM-5TDE9 20-29 years, female 4.6
GTEX-14PJ6-2126-SM-6EU1V 60-69 years, female 4.6
GTEX-ZVT2-2526-SM-51MT1 50-59 years, female 4.6
GTEX-ZYY3-0126-SM-5GZY5 60-69 years, female 4.6
GTEX-1CB4H-0226-SM-7PBXM 60-69 years, female 4.6
GTEX-1HT8W-0126-SM-CNPPP 30-39 years, male 4.6
GTEX-1QAET-0926-SM-E76QM 50-59 years, male 4.6
GTEX-13OW8-1326-SM-5J1OW 60-69 years, male 4.5
GTEX-15RIG-0226-SM-7KFTL 40-49 years, male 4.5
GTEX-18D9A-1926-SM-7LG6P 30-39 years, female 4.5
GTEX-1R9PM-2026-SM-E76OY 20-29 years, male 4.4
GTEX-133LE-1826-SM-5J1MV 20-29 years, female 4.3
GTEX-1J1OQ-0226-SM-CYPSH 40-49 years, female 4.3
GTEX-ZF29-2326-SM-DO92K 60-69 years, female 4.3
GTEX-1CAMQ-0226-SM-7IGPK 40-49 years, male 4.2
GTEX-1LGOU-2026-SM-DIPFF 20-29 years, female 4.1
GTEX-ZPIC-1726-SM-DHXIU 40-49 years, female 4.1
GTEX-145LS-0126-SM-5QGP1 60-69 years, female 4.0
GTEX-17GQL-2026-SM-718BA 60-69 years, male 4.0
GTEX-1QMI2-0226-SM-EVYBX 60-69 years, male 4.0
GTEX-ZTX8-1426-SM-5DUVO 20-29 years, male 3.8
GTEX-1JJ6O-0126-SM-E6CI8 60-69 years, male 3.8
GTEX-1LG7Z-1726-SM-D3LA4 30-39 years, male 3.8
GTEX-1S83E-0126-SM-EWRO4 40-49 years, male 3.8
GTEX-1H4P4-0726-SM-9YFLR 50-59 years, male 3.7
GTEX-1LVAN-0226-SM-COH3S 50-59 years, female 3.5
GTEX-1122O-2126-SM-5EGIR 60-69 years, female 3.4
GTEX-1212Z-2526-SM-5EGKP 60-69 years, male 3.4
GTEX-ZYFG-2326-SM-5E44B 60-69 years, female 3.4
GTEX-1M5QR-1226-SM-EWROB 40-49 years, male 3.4
GTEX-1PIIG-0226-SM-EWRN6 30-39 years, male 3.4
GTEX-1KXAM-2226-SM-CYPTC 60-69 years, male 3.3
GTEX-117XS-2726-SM-5N9BL 60-69 years, male 3.1
GTEX-13111-1626-SM-5EGJY 50-59 years, male 3.1
GTEX-1E2YA-0126-SM-9KNUC 50-59 years, male 3.1
GTEX-1C475-1826-SM-73KWA 40-49 years, female 3.0
GTEX-ZV68-0126-SM-59HKS 50-59 years, female 2.9
GTEX-P4QT-0126-SM-2I3FL 50-59 years, female 2.8
GTEX-T5JW-1626-SM-3GADZ 20-29 years, female 2.8
GTEX-XBEW-0626-SM-4QASP 40-49 years, male 2.7
GTEX-XUZC-1726-SM-4BRWS 30-39 years, female 2.7
GTEX-ZF2S-2326-SM-4WWCE 50-59 years, female 2.7
GTEX-1MA7W-2026-SM-E9TJ6 20-29 years, female 2.7
GTEX-1MJK2-0426-SM-DTXE5 50-59 years, male 2.7
GTEX-1JMLX-0226-SM-CM2RO 50-59 years, male 2.6
GTEX-1B97I-1626-SM-73KYO 40-49 years, male 2.5
GTEX-WFON-2126-SM-3LK7O 40-49 years, male 2.5
GTEX-YJ89-0126-SM-4TT3X 60-69 years, male 2.2
GTEX-ZXES-1826-SM-5E43S 30-39 years, female 2.2
GTEX-17JCI-0126-SM-7LG5G 60-69 years, female 2.1
GTEX-1GMR3-1926-SM-9KNUZ 40-49 years, male 1.7
GTEX-1L5NE-2526-SM-E6CIE 50-59 years, male 1.0
Show allShow less

Contact

  • NEWS ARTICLES
  • PRESS ROOM

The Project

  • INTRODUCTION
  • ORGANIZATION
  • PUBLICATIONS

The Human Protein Atlas

  • DOWNLOADABLE DATA
  • LICENCE & CITATION
  • HELP & FAQ
The Human Protein Atlas project is funded
by the Knut & Alice Wallenberg Foundation.


contact@proteinatlas.org