We use cookies to enhance the usability of our website. If you continue, we'll assume that you are happy to receive all cookies. More information. Don't show this again.
CHAF1B
HPA
RESOURCES
  • TISSUE
  • BRAIN
  • SINGLE CELL
  • SUBCELLULAR
  • CANCER
  • BLOOD
  • CELL LINE
  • STRUCTURE & INTERACTION
ABOUT
  • INTRODUCTION
  • HISTORY
  • ORGANIZATION
  • PUBLICATIONS
  • ANTIBODY SUBMISSION
  • ANTIBODY AVAILABILITY
  • ACKNOWLEDGMENTS
  • CONTACT
NEWS
  • NEWS ARTICLES
  • PRESS ROOM
LEARN
  • DICTIONARY
  • PROTEIN CLASSES
  • PROTEIN EVIDENCE
  • METHODS
  • EDUCATIONAL VIDEOS
DATA
  • DOWNLOADABLE DATA
  • PUBLICATION DATA
  • RELEASE HISTORY
HELP
  • ANTIBODY VALIDATION
  • ASSAYS & ANNOTATION
  • DISCLAIMER
  • HELP & FAQ
  • PRIVACY STATEMENT
  • LICENCE & CITATION
Fields »
Search result

Field
Term
Gene name
Class
Subclass
Class
Keyword
Chromosome
External id
Tissue
Cell type
Expression
Antibody panel
Tissue
Main location
Patient ID
Annotation
Tissue
Category
Tau score
Cluster
Reliability
Brain region
Category
Tau score
Brain region
Category
Tau score
Brain region
Category
Tau score
Cluster
Reliability
Tissue
Cell type
Enrichment
Cell type
Category
Tau score
Cell type
Category
Tau score
Cell type
Category
Tau score
Cell lineage
Category
Tau score
Cluster
Cluster
Location
Searches
Location
Cell line
Class
Type
Phase
Reliability
Cancer
Prognosis
Cancer
Category
Cancer
Category
Tau score
Cluster
Variants
Interacting gene (ensg_id)
Type
Number of interactions
Pathway
Category
Score
Score
Score
Validation
Validation
Validation
Validation
Antibodies
Data type
Column


  • SUMMARY

  • TISSUE

  • BRAIN

  • SINGLE CELL

  • SUBCELL

  • CANCER

  • BLOOD

  • CELL LINE

  • STRUCT & INT

  • CHAF1B
TISSUE PRIMARY DATA ESOPHAGUS Show tissue menu
ADIPOSE TISSUE ADRENAL GLAND AMYGDALA APPENDIX BASAL GANGLIA BONE MARROW BREAST BRONCHUS CEREBELLUM CEREBRAL CORTEX CERVIX CHOROID PLEXUS COLON DUODENUM
ENDOMETRIUM EPIDIDYMIS ESOPHAGUS FALLOPIAN TUBE GALLBLADDER HEART MUSCLE HIPPOCAMPAL FORMATION HYPOTHALAMUS KIDNEY LIVER LUNG LYMPH NODE MIDBRAIN NASOPHARYNX
ORAL MUCOSA OVARY PANCREAS PARATHYROID GLAND PITUITARY GLAND PLACENTA PROSTATE RECTUM RETINA SALIVARY GLAND SEMINAL VESICLE SKELETAL MUSCLE SKIN SMALL INTESTINE
SMOOTH MUSCLE SOFT TISSUE SPINAL CORD SPLEEN STOMACH TESTIS THYMUS THYROID GLAND TONGUE TONSIL URINARY BLADDER VAGINA
ANTIBODIES
AND
VALIDATION
Dictionary
Esophagus
Tissue proteome
Esophagus
ESOPHAGUS - Expression summary
Protein expression
Esophagusi

On the top, protein expression in current human tissue, based on all annotated cell types, is reported with the units not detected (n), low (l), medium (m) and high (h). Underneath, protein expression in each annotated cell type are reported using the same units.

Protein expression data is based on knowledge-based annotation. For genes where more than one antibody has been used, a collective score is set.

If knowledge-based annotation could not be performed for a gene, no data is displayed here. View antibody staining data further down this page.

h
m
l
n
Squamous epithelial cells: Medium
RNA expressioni

A summary of mRNA expression data available for current tissue based on several datasets. The mRNA expression levels in human tissues are based on RNA-seq data generated by the Human Protein Atlas (HPA), Genotype-Tissue Expression (GTEx) portal and CAGE data generated by the FANTOM5 consortium. Consensus normalized expression levels for human tissues was created by combining the data from HPA and GTEx datasets.

The mRNA expression levels in pig are based on RNA-seq data generated by the Human Protein Atlas (HPA), and for mouse, HPA data and in situ hybridization generated by the Allen brain atlas are reported.

Scroll down to view mRNA expression data in more detail.
Consensus:2.4 nTPM
HPA:1.5 nTPM
GTEx:2.4 nTPM
FANTOM5:4.5 Scaled Tags Per Million

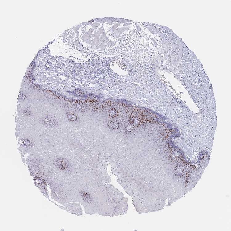
ESOPHAGUS - Antibody stainingi

Antibody staining in the annotated cell types in the current human tissue is reported as not detected, low, medium, or high, based on conventional immunohistochemistry profiling in selected tissues. This score is based on the combination of the staining intensity and fraction of stained cells.

Each image is clickable and will lead to virtual microscopy that enables deeper exploration of all samples and also displays staining intensity scores, fraction scores and subcellular localization as well as patient and tissue information for each sample.

Antibody HPA021679Antibody CAB033604
Squamous epithelial cells HighMedium



ESOPHAGUS - HPA RNA-seqi

The RNA-seq details section shows detailed information about the individual samples used for the transcript profiling and results of the RNA-seq analysis.

Information about each individual sample is listed below, including gender, age, a tissue section image and estimated fractions of cell types. nTPM (normalized transcripts per million) values give a quantification of the gene abundance which is comparable between different genes and samples.
Average nTPMi

Max subtype nTPM is the value for the subtype with the largest average nTPM across the subtype samples.

1.5
overview
Female, age 70
Esophagus sample 130
nTPM: 1.8
Cell types%
Squamous epithelial cells:
35

Smooth muscle cells:
15

Skeletal muscle cells:
5

Other cell types:
45

overview
Male, age 38
Esophagus sample 131
nTPM: 1.3
Cell types%
Squamous epithelial cells:
60

Smooth muscle cells:
20

Other cell types:
20

overview
Male, age 76
Esophagus sample 132
nTPM: 1.6
Cell types%
Squamous epithelial cells:
45

Smooth muscle cells:
15

Other cell types:
40


ESOPHAGUS - GTEx RNA-seqi

RNA-Seq data generated by the Genotype-Tissue Expression (GTEx) project from human tissues is reported as mean nTPM. More information can be found on the GTEx portal.

Distribution across the dataset is visualized with box plots, shown as median and 25th and 75th percentiles. Points are displayed as outliers if they are above or below 1.5 times the interquartile range. nTPM values of the individual samples are presented next to the box plot.
Max subtype nTPMi

Max subtype nTPM is the value for the subtype with the largest average nTPM across the subtype samples.

2.4
GTEx sample id Sample description nTPM
Esophagus - Mucosa
Average nTPM: 2.4
Samples: 555

Max nTPM: 6.5
Min nTPM: 0.6
Std nTPM: 0.9
Median nTPM: 2.2
GTEX-133LE-0626-SM-5IFFJ 20-29 years, female 6.5
GTEX-14PJ6-1026-SM-686ZB 60-69 years, female 6.1
GTEX-TMMY-1126-SM-4DXSX 40-49 years, female 6.0
GTEX-1F5PL-1726-SM-9QEGL 40-49 years, female 5.6
GTEX-14PJ4-1526-SM-664OA 60-69 years, male 5.5
GTEX-1GF9U-0826-SM-7MXTZ 40-49 years, female 5.5
GTEX-XGQ4-1526-SM-4AT6H 50-59 years, male 5.4
GTEX-13X6H-1326-SM-5LU42 50-59 years, female 5.3
GTEX-1C475-0926-SM-7MKFI 40-49 years, female 5.2
GTEX-RU72-0726-SM-46MUW 50-59 years, female 5.0
GTEX-1H1DE-1026-SM-9JGH6 20-29 years, male 5.0
GTEX-11EM3-0826-SM-5N9CC 20-29 years, female 4.9
GTEX-111YS-0926-SM-5EGGI 60-69 years, male 4.8
GTEX-12WSL-1526-SM-5GCP8 50-59 years, male 4.8
GTEX-16XZY-0926-SM-7938M 70-79 years, male 4.8
GTEX-XMK1-1326-SM-4B65Q 40-49 years, male 4.8
GTEX-148VI-1026-SM-5TDDJ 60-69 years, female 4.7
GTEX-14PK6-1326-SM-686ZE 70-79 years, female 4.7
GTEX-ZTX8-0226-SM-5E44D 20-29 years, male 4.7
GTEX-1QW4Y-0526-SM-EAZ3V 30-39 years, male 4.7
GTEX-15F5U-5010-SM-AHZ2D 40-49 years, male 4.6
GTEX-1PPH8-1626-SM-E6CQP 20-29 years, male 4.6
GTEX-1R7EU-0826-SM-DPRZL 60-69 years, male 4.6
GTEX-WFG8-1226-SM-4V6EI 20-29 years, male 4.5
GTEX-1AX8Z-5016-SM-AHZ2B 60-69 years, male 4.5
GTEX-1B996-1826-SM-7MGY6 60-69 years, male 4.5
GTEX-1I4MK-0426-SM-B2LWQ 50-59 years, female 4.4
GTEX-11DXX-1126-SM-5GZZK 60-69 years, female 4.3
GTEX-13CF3-1626-SM-5IFG9 60-69 years, female 4.3
GTEX-15DCE-1326-SM-6LPJL 20-29 years, male 4.3
GTEX-15RJ7-0926-SM-6LPJO 40-49 years, male 4.3
GTEX-RUSQ-0826-SM-47JWW 50-59 years, male 4.2
GTEX-1CB4J-2426-SM-7MXVC 60-69 years, male 4.2
GTEX-1IKOE-1526-SM-C1YSD 30-39 years, female 4.2
GTEX-132QS-1426-SM-5P9GE 60-69 years, male 4.1
GTEX-14PJM-1526-SM-664NY 50-59 years, female 4.1
GTEX-S3XE-0926-SM-4AD4S 50-59 years, male 4.1
GTEX-13O1R-1326-SM-5IJF5 60-69 years, male 4.0
GTEX-Y8E4-1726-SM-5LU9G 40-49 years, male 4.0
GTEX-1HC8U-1526-SM-9WPO4 40-49 years, female 4.0
GTEX-11LCK-1726-SM-5S2OQ 30-39 years, male 3.9
GTEX-11TT1-0526-SM-5P9JO 20-29 years, male 3.9
GTEX-Y111-1626-SM-57WCY 50-59 years, male 3.9
GTEX-1GPI7-1026-SM-7MGY2 20-29 years, male 3.9
GTEX-13FH7-0526-SM-5IJF8 50-59 years, female 3.8
GTEX-WHWD-0926-SM-4OORY 50-59 years, male 3.8
GTEX-Y3I4-1226-SM-4TT8N 50-59 years, male 3.8
GTEX-131XF-0826-SM-5GICG 60-69 years, male 3.7
GTEX-15EU6-1626-SM-6LPKF 50-59 years, male 3.7
GTEX-QEG5-1426-SM-447AS 20-29 years, male 3.7
GTEX-RU1J-0326-SM-46MUM 20-29 years, female 3.7
GTEX-ZDYS-0826-SM-4WWCR 50-59 years, male 3.7
GTEX-ZGAY-1126-SM-4WWBS 40-49 years, female 3.7
GTEX-18QFQ-1026-SM-7LG6B 30-39 years, male 3.7
GTEX-1JK1U-1726-SM-CNNPM 60-69 years, male 3.7
GTEX-1M5QR-0726-SM-DHXK7 40-49 years, male 3.7
GTEX-1QP67-0726-SM-DPRY1 40-49 years, female 3.6
GTEX-139T6-0626-SM-5IFF9 50-59 years, male 3.5
GTEX-14E6E-0726-SM-5S2R3 30-39 years, male 3.5
GTEX-16A39-1026-SM-6LPJU 30-39 years, female 3.5
GTEX-16BQI-1526-SM-6LLIE 30-39 years, female 3.5
GTEX-16MTA-0826-SM-6LLIC 50-59 years, male 3.5
GTEX-17MFQ-0526-SM-7KFTX 20-29 years, male 3.5
GTEX-1AX9K-1126-SM-731DQ 50-59 years, male 3.5
GTEX-WQUQ-1626-SM-4OOSH 60-69 years, male 3.5
GTEX-QEG4-0726-SM-CNNRF 30-39 years, male 3.5
GTEX-13OVG-0626-SM-5IFEP 60-69 years, male 3.4
GTEX-146FH-1726-SM-5QGQ2 50-59 years, female 3.4
GTEX-146FQ-1026-SM-5LU8I 30-39 years, male 3.4
GTEX-14PKV-1726-SM-6871U 20-29 years, female 3.4
GTEX-16NPX-1626-SM-6LLI5 50-59 years, male 3.4
GTEX-WFJO-0826-SM-4LVM5 30-39 years, male 3.4
GTEX-1N2DW-1426-SM-EV7AZ 50-59 years, male 3.4
GTEX-1RAZA-1326-SM-DPS12 20-29 years, male 3.4
GTEX-1399U-1026-SM-5J1OC 50-59 years, female 3.3
GTEX-139UW-1126-SM-5IJEJ 60-69 years, male 3.3
GTEX-1AX9J-1826-SM-731FM 60-69 years, male 3.3
GTEX-Q2AI-0626-SM-48TZU 40-49 years, male 3.3
GTEX-QLQ7-0926-SM-447BC 60-69 years, male 3.3
GTEX-S32W-0926-SM-4AD5X 50-59 years, female 3.3
GTEX-ZT9X-0526-SM-5GCOP 40-49 years, male 3.3
GTEX-1IDJD-1626-SM-C1YRC 30-39 years, male 3.3
GTEX-1QCLZ-1626-SM-E9U5R 60-69 years, female 3.3
GTEX-11I78-1526-SM-5A5K7 50-59 years, female 3.2
GTEX-1211K-0926-SM-5FQTL 60-69 years, female 3.2
GTEX-15RJE-0926-SM-6LLHZ 40-49 years, male 3.2
GTEX-P78B-1026-SM-3NMC4 40-49 years, female 3.2
GTEX-RM2N-0726-SM-48FD5 50-59 years, male 3.2
GTEX-ZUA1-1226-SM-5NQ6O 40-49 years, male 3.2
GTEX-1GN73-1926-SM-9JGGS 60-69 years, male 3.2
GTEX-1H1ZS-1526-SM-9OSXR 70-79 years, male 3.2
GTEX-1I1GP-1026-SM-C1YRZ 50-59 years, male 3.2
GTEX-1I1GS-2126-SM-ARU7G 60-69 years, male 3.2
GTEX-1QP9N-0926-SM-E9U5S 30-39 years, male 3.2
GTEX-1R9K4-1926-SM-DPRZW 60-69 years, male 3.2
GTEX-13PVQ-1726-SM-5IFF3 50-59 years, male 3.1
GTEX-144FL-2726-SM-5O98Z 50-59 years, male 3.1
GTEX-17F98-1726-SM-7938O 40-49 years, female 3.1
GTEX-R55E-1326-SM-48FCR 20-29 years, male 3.1
GTEX-TKQ1-0326-SM-4DXSM 30-39 years, male 3.1
GTEX-X4LF-0626-SM-4QASB 50-59 years, male 3.1
GTEX-YFC4-1226-SM-5LU9R 40-49 years, female 3.1
GTEX-12WSN-5013-SM-7P8P9 40-49 years, male 3.1
GTEX-1PFEY-0826-SM-E9U6A 30-39 years, male 3.1
GTEX-11TUW-1326-SM-5EQKV 60-69 years, male 3.0
GTEX-1399S-1326-SM-5P9GH 30-39 years, female 3.0
GTEX-183WM-1726-SM-7KFT5 70-79 years, female 3.0
GTEX-18A67-2426-SM-7LT95 50-59 years, male 3.0
GTEX-Q2AH-0826-SM-48TZN 40-49 years, male 3.0
GTEX-QLQW-0526-SM-4R1KS 30-39 years, male 3.0
GTEX-S341-0526-SM-4AD5U 40-49 years, female 3.0
GTEX-X4EO-1226-SM-4QARR 60-69 years, female 3.0
GTEX-1H3VY-2026-SM-9JGHK 50-59 years, male 3.0
GTEX-1HBPI-0626-SM-9WPP4 50-59 years, male 3.0
GTEX-111CU-0726-SM-5GZYD 50-59 years, male 2.9
GTEX-144GN-0626-SM-5O9B2 50-59 years, male 2.9
GTEX-148VJ-1026-SM-5LU98 70-79 years, male 2.9
GTEX-1497J-2726-SM-5SI9W 60-69 years, male 2.9
GTEX-R55D-1126-SM-48FEB 50-59 years, male 2.9
GTEX-T2IS-0826-SM-4DM6L 20-29 years, female 2.9
GTEX-W5WG-1626-SM-4LMKG 50-59 years, female 2.9
GTEX-WK11-1026-SM-4OOS8 50-59 years, male 2.9
GTEX-Y5LM-1026-SM-4VDSQ 40-49 years, female 2.9
GTEX-ZV68-0926-SM-59HK7 50-59 years, female 2.9
GTEX-ZYFC-1626-SM-5N9EU 50-59 years, male 2.9
GTEX-1JKYR-2126-SM-CNNPC 20-29 years, male 2.9
GTEX-1RDX4-2126-SM-EV7B3 50-59 years, female 2.9
GTEX-ZLFU-1126-SM-DO11K 40-49 years, male 2.9
GTEX-11NUK-1326-SM-5P9GN 50-59 years, male 2.8
GTEX-12696-1326-SM-5FQTJ 60-69 years, male 2.8
GTEX-13G51-0926-SM-5IFFU 60-69 years, male 2.8
GTEX-13X6K-2126-SM-5O9D4 60-69 years, female 2.8
GTEX-15SHU-1426-SM-6LPIN 40-49 years, female 2.8
GTEX-17F9E-1926-SM-7IGQF 50-59 years, male 2.8
GTEX-P4QS-0626-SM-3NMD1 60-69 years, male 2.8
GTEX-QESD-0826-SM-47J4G 20-29 years, male 2.8
GTEX-QVUS-0626-SM-447CC 60-69 years, female 2.8
GTEX-SUCS-0726-SM-4DM7J 70-79 years, male 2.8
GTEX-TSE9-1226-SM-4DXTM 60-69 years, female 2.8
GTEX-WFG7-1126-SM-4LMK3 20-29 years, male 2.8
GTEX-Y114-0926-SM-4TT7J 50-59 years, female 2.8
GTEX-Y3IK-1126-SM-51MSV 50-59 years, female 2.8
GTEX-Y8LW-0726-SM-5IFI1 50-59 years, female 2.8
GTEX-145ME-5004-SM-7MGXP 40-49 years, female 2.8
GTEX-1JMQK-2026-SM-C1YQN 60-69 years, male 2.8
GTEX-1QP28-1826-SM-EAZ4L 50-59 years, female 2.8
GTEX-YEC3-2526-SM-CXZIH 50-59 years, male 2.8
GTEX-1122O-1726-SM-5GICM 60-69 years, female 2.7
GTEX-11NSD-1126-SM-5N9BQ 20-29 years, male 2.7
GTEX-144GO-2726-SM-5O9A2 60-69 years, male 2.7
GTEX-14BMU-0926-SM-5S2QB 20-29 years, female 2.7
GTEX-15RIE-0826-SM-6M47X 60-69 years, male 2.7
GTEX-169BO-0526-SM-793AK 50-59 years, male 2.7
GTEX-1F88F-1126-SM-7MKHL 60-69 years, female 2.7
GTEX-T5JW-1326-SM-4DM5G 20-29 years, female 2.7
GTEX-UJHI-0826-SM-4IHLM 50-59 years, female 2.7
GTEX-XXEK-0326-SM-4BRVV 50-59 years, male 2.7
GTEX-XYKS-1526-SM-4BRUP 60-69 years, female 2.7
GTEX-Y5V6-1026-SM-4VBS2 60-69 years, male 2.7
GTEX-ZA64-0626-SM-5HL9O 20-29 years, male 2.7
GTEX-ZZ64-0226-SM-5E44X 20-29 years, male 2.7
GTEX-1EKGG-1726-SM-7MXUP 60-69 years, male 2.7
GTEX-1I1GQ-1726-SM-B2LWZ 50-59 years, male 2.7
GTEX-1IY9M-1626-SM-AHZ39 60-69 years, male 2.7
GTEX-1J8EW-1326-SM-AHZ3S 60-69 years, female 2.7
GTEX-1JMPZ-2026-SM-C1YR8 30-39 years, male 2.7
GTEX-1K9T9-2026-SM-CXZK3 50-59 years, female 2.7
GTEX-1LVAM-1126-SM-DHXKP 50-59 years, female 2.7
GTEX-1RAZR-1226-SM-E6CRD 40-49 years, male 2.7
GTEX-ZF29-1326-SM-DNZYV 60-69 years, female 2.7
GTEX-11DYG-1326-SM-5N9DO 60-69 years, male 2.6
GTEX-11GSP-1826-SM-5N9DQ 60-69 years, female 2.6
GTEX-12ZZW-1726-SM-5DUVD 50-59 years, male 2.6
GTEX-13111-0826-SM-5LZV3 50-59 years, male 2.6
GTEX-13FTW-1626-SM-5KM4N 40-49 years, male 2.6
GTEX-13OVI-2626-SM-5KM4T 60-69 years, female 2.6
GTEX-146FR-0426-SM-5SI97 60-69 years, female 2.6
GTEX-147F3-0826-SM-5NQA7 50-59 years, female 2.6
GTEX-14BIM-1326-SM-7EWD1 60-69 years, female 2.6
GTEX-18D9B-2026-SM-7LT96 60-69 years, male 2.6
GTEX-18D9U-2126-SM-7LG4Y 40-49 years, male 2.6
GTEX-1A32A-1826-SM-72D5G 50-59 years, female 2.6
GTEX-1F5PK-1526-SM-7MKGV 50-59 years, male 2.6
GTEX-1F75I-1726-SM-7MKGW 40-49 years, male 2.6
GTEX-PWN1-0626-SM-48TDT 40-49 years, female 2.6
GTEX-S7SF-0926-SM-4AD4M 20-29 years, female 2.6
GTEX-U3ZH-1026-SM-4DXUZ 30-39 years, male 2.6
GTEX-U3ZM-0526-SM-4DXTB 40-49 years, male 2.6
GTEX-V955-1126-SM-4JBH3 60-69 years, male 2.6
GTEX-X3Y1-1326-SM-4PQZB 40-49 years, male 2.6
GTEX-YF7O-0926-SM-5IFIF 50-59 years, male 2.6
GTEX-Z9EW-0526-SM-5HL8S 40-49 years, male 2.6
GTEX-ZQUD-0426-SM-57WFR 30-39 years, male 2.6
GTEX-ZXES-1126-SM-5GZXN 30-39 years, female 2.6
GTEX-ZYW4-1326-SM-5E45N 60-69 years, male 2.6
GTEX-1HCUA-1426-SM-9WPP7 50-59 years, female 2.6
GTEX-1LGRB-1626-SM-CNNR7 50-59 years, female 2.6
GTEX-1N2EE-2426-SM-EXOIO 60-69 years, male 2.6
GTEX-1QPFJ-1226-SM-EAZ3M 30-39 years, female 2.6
GTEX-11P81-0826-SM-5P9GR 30-39 years, female 2.5
GTEX-12C56-1226-SM-5FQSU 20-29 years, male 2.5
GTEX-14B4R-0326-SM-5TDDP 30-39 years, male 2.5
GTEX-14JG6-0926-SM-6871Y 30-39 years, female 2.5
GTEX-16MT8-1326-SM-6M47R 60-69 years, female 2.5
GTEX-17KNJ-1326-SM-7KFTG 50-59 years, male 2.5
GTEX-1B8KE-1826-SM-731FD 50-59 years, male 2.5
GTEX-S4P3-0426-SM-4AD56 50-59 years, female 2.5
GTEX-SNMC-0526-SM-4DM69 20-29 years, male 2.5
GTEX-U3ZN-1726-SM-4DXUQ 30-39 years, female 2.5
GTEX-UJMC-0926-SM-4IHLK 50-59 years, male 2.5
GTEX-WH7G-0926-SM-4LVMJ 40-49 years, male 2.5
GTEX-WOFM-0626-SM-4OOS3 20-29 years, male 2.5
GTEX-WRHK-0526-SM-4MVOF 20-29 years, female 2.5
GTEX-ZEX8-1426-SM-4WKHQ 50-59 years, male 2.5
GTEX-ZT9W-1326-SM-51MTB 50-59 years, male 2.5
GTEX-ZYT6-1126-SM-5GZYR 30-39 years, male 2.5
GTEX-ZYY3-1526-SM-5SIA9 60-69 years, female 2.5
GTEX-1A8FM-1526-SM-7MXTA 50-59 years, female 2.5
GTEX-1HCVE-1226-SM-9WPPH 50-59 years, male 2.5
GTEX-1HGF4-0926-SM-9WPP8 60-69 years, male 2.5
GTEX-1I1GU-1426-SM-B2LX3 40-49 years, male 2.5
GTEX-1I6K7-1426-SM-B2LXP 40-49 years, male 2.5
GTEX-1IKK5-1326-SM-AHZ2X 60-69 years, male 2.5
GTEX-1K2DA-0626-SM-CGQGO 50-59 years, male 2.5
GTEX-1KANA-0626-SM-D4P3I 20-29 years, male 2.5
GTEX-1L5NE-1426-SM-DHXKV 50-59 years, male 2.5
GTEX-1MA7W-0426-SM-E9TJ5 20-29 years, female 2.5
GTEX-1MCYP-1026-SM-DPRYB 20-29 years, female 2.5
GTEX-1OKEX-1326-SM-E9J2U 60-69 years, male 2.5
GTEX-1PIGE-0926-SM-E9U5Z 20-29 years, male 2.5
GTEX-1QP2A-1926-SM-EXOJ9 50-59 years, male 2.5
GTEX-11EMC-2226-SM-5A5JW 60-69 years, female 2.4
GTEX-13D11-1926-SM-5IFGB 50-59 years, female 2.4
GTEX-13NZB-1226-SM-5J2MW 30-39 years, male 2.4
GTEX-13O21-0626-SM-5IJDI 50-59 years, male 2.4
GTEX-13O61-0926-SM-5IFFE 60-69 years, male 2.4
GTEX-13YAN-1926-SM-7EPH9 60-69 years, male 2.4
GTEX-14PJN-0526-SM-68724 30-39 years, male 2.4
GTEX-15EOM-5013-SM-7MKF9 20-29 years, female 2.4
GTEX-15RIF-0826-SM-6M47C 20-29 years, male 2.4
GTEX-15UF6-2326-SM-6M465 70-79 years, female 2.4
GTEX-17EUY-1426-SM-7938X 20-29 years, male 2.4
GTEX-1AMEY-0226-SM-7189Q 30-39 years, female 2.4
GTEX-R3RS-1326-SM-48FE7 40-49 years, female 2.4
GTEX-SNOS-0626-SM-4DM5F 40-49 years, male 2.4
GTEX-WFON-0826-SM-4LVMI 40-49 years, male 2.4
GTEX-WHPG-1126-SM-4M1XT 50-59 years, male 2.4
GTEX-ZVP2-1326-SM-57WCE 50-59 years, male 2.4
GTEX-ZVT2-1326-SM-5E45H 50-59 years, female 2.4
GTEX-ZYFG-1126-SM-5GICY 60-69 years, female 2.4
GTEX-14PJ3-0626-SM-6UGC5 50-59 years, male 2.4
GTEX-1GMR2-1526-SM-7MXV6 50-59 years, male 2.4
GTEX-1GMR8-1826-SM-9WYUE 50-59 years, female 2.4
GTEX-1GTWX-1326-SM-9JGHU 60-69 years, male 2.4
GTEX-1HCU6-1326-SM-A96TZ 60-69 years, female 2.4
GTEX-1HKZK-1426-SM-A96U1 40-49 years, male 2.4
GTEX-1HSKV-2426-SM-A8N8K 60-69 years, male 2.4
GTEX-1KANB-1826-SM-DHXJU 50-59 years, male 2.4
GTEX-1LVAN-2326-SM-CNNPY 50-59 years, female 2.4
GTEX-1RAZQ-1726-SM-EAZ4T 30-39 years, male 2.4
GTEX-11ZTS-2626-SM-5EGIC 60-69 years, female 2.3
GTEX-131XG-1026-SM-5GCMX 50-59 years, female 2.3
GTEX-13FTX-0526-SM-5IFGS 20-29 years, female 2.3
GTEX-14BIN-2726-SM-5RQIE 50-59 years, female 2.3
GTEX-14ICL-0526-SM-5RQJ6 30-39 years, male 2.3
GTEX-17HHE-0926-SM-7938K 50-59 years, male 2.3
GTEX-18465-1126-SM-7LG6E 50-59 years, male 2.3
GTEX-1CB4E-1026-SM-793AB 60-69 years, male 2.3
GTEX-OOBK-0625-SM-3LK5P 40-49 years, male 2.3
GTEX-P4PQ-0626-SM-3NMCU 60-69 years, male 2.3
GTEX-PSDG-1326-SM-48TD2 50-59 years, male 2.3
GTEX-X15G-0826-SM-4PQZD 50-59 years, female 2.3
GTEX-ZG7Y-1126-SM-4WWEZ 50-59 years, male 2.3
GTEX-1J1OQ-2526-SM-AHZ3Q 40-49 years, female 2.3
GTEX-1KXAM-0826-SM-CXZK9 60-69 years, male 2.3
GTEX-1LG7Z-0926-SM-CXKYK 30-39 years, male 2.3
GTEX-11EQ9-0726-SM-5A5K2 30-39 years, male 2.2
GTEX-11P82-0526-SM-5986P 20-29 years, male 2.2
GTEX-12WSA-1426-SM-5EGJU 60-69 years, male 2.2
GTEX-12WSG-5007-SM-7DUGZ 50-59 years, female 2.2
GTEX-12WSK-1126-SM-5LZV8 40-49 years, female 2.2
GTEX-13U4I-1126-SM-5LU3S 40-49 years, female 2.2
GTEX-13W3W-1626-SM-5LU35 60-69 years, female 2.2
GTEX-145LV-1326-SM-5S2QI 50-59 years, male 2.2
GTEX-14PJ5-0526-SM-664OE 60-69 years, female 2.2
GTEX-15UF7-0926-SM-6M46F 40-49 years, male 2.2
GTEX-18A66-1426-SM-7KFRT 60-69 years, male 2.2
GTEX-18A6Q-1226-SM-7KFS9 60-69 years, male 2.2
GTEX-18A7A-2326-SM-7KFRH 50-59 years, female 2.2
GTEX-1C2JI-1126-SM-731FH 50-59 years, male 2.2
GTEX-1C64O-1826-SM-7DHM4 60-69 years, male 2.2
GTEX-1C6VQ-1826-SM-7EWEH 50-59 years, male 2.2
GTEX-1E1VI-1526-SM-7IGQ2 50-59 years, male 2.2
GTEX-NFK9-1126-SM-3LK78 40-49 years, male 2.2
GTEX-Q2AG-1326-SM-43V8K 40-49 years, female 2.2
GTEX-QDVJ-0726-SM-48U1W 50-59 years, male 2.2
GTEX-UPK5-1226-SM-4IHL8 40-49 years, male 2.2
GTEX-VJYA-0726-SM-4KL1T 60-69 years, male 2.2
GTEX-WHSE-1526-SM-4M1XH 20-29 years, male 2.2
GTEX-WXYG-1226-SM-4ONCJ 50-59 years, female 2.2
GTEX-Y9LG-0626-SM-4WWDH 30-39 years, male 2.2
GTEX-YB5K-0826-SM-5YYB7 40-49 years, female 2.2
GTEX-ZPU1-1426-SM-4WWFU 40-49 years, male 2.2
GTEX-ZY6K-0626-SM-59HJL 50-59 years, male 2.2
GTEX-1BAJH-2026-SM-7P8OZ 70-79 years, male 2.2
GTEX-1EN7A-1226-SM-7MGX9 40-49 years, male 2.2
GTEX-1NSGN-2026-SM-DPRYM 50-59 years, male 2.2
GTEX-1QCLY-1526-SM-DPRXX 30-39 years, male 2.2
GTEX-1RAZS-2626-SM-EV79C 50-59 years, male 2.2
GTEX-11VI4-0526-SM-5EQ48 40-49 years, female 2.1
GTEX-131YS-1426-SM-5IJF7 60-69 years, female 2.1
GTEX-13FLV-1126-SM-5J2NO 50-59 years, male 2.1
GTEX-13NYB-0926-SM-5IFFA 40-49 years, male 2.1
GTEX-15DCD-1626-SM-6AJBH 70-79 years, female 2.1
GTEX-15ER7-2126-SM-7939E 20-29 years, female 2.1
GTEX-17HGU-1426-SM-7938G 50-59 years, male 2.1
GTEX-1AYD5-0926-SM-793AF 50-59 years, male 2.1
GTEX-1GL5R-1526-SM-7MKHO 50-59 years, male 2.1
GTEX-PLZ5-0926-SM-3TW8L 50-59 years, male 2.1
GTEX-POYW-1326-SM-48TCG 60-69 years, male 2.1
GTEX-QDVN-1026-SM-48TZA 50-59 years, male 2.1
GTEX-RNOR-1226-SM-48FDQ 50-59 years, female 2.1
GTEX-T5JC-1726-SM-4DM6U 20-29 years, male 2.1
GTEX-T6MO-0526-SM-4DM6R 40-49 years, female 2.1
GTEX-T8EM-0526-SM-4DM64 40-49 years, male 2.1
GTEX-U4B1-0826-SM-4DXTW 40-49 years, male 2.1
GTEX-ZAB4-1126-SM-5HL86 40-49 years, male 2.1
GTEX-ZTPG-1626-SM-5DUX2 20-29 years, female 2.1
GTEX-1GN1W-2226-SM-9JGI5 50-59 years, female 2.1
GTEX-1H1DG-1226-SM-9JGH3 70-79 years, male 2.1
GTEX-1HSMQ-2026-SM-B2LY1 50-59 years, male 2.1
GTEX-1IDJF-1226-SM-C1YPX 20-29 years, male 2.1
GTEX-1IDJH-2026-SM-CNNQX 70-79 years, male 2.1
GTEX-1J8QM-1926-SM-AHZ3Z 60-69 years, female 2.1
GTEX-1JKYN-1526-SM-CGQGA 30-39 years, male 2.1
GTEX-1NUQO-1126-SM-DTX98 20-29 years, female 2.1
GTEX-1OJC3-0826-SM-DPRYU 20-29 years, male 2.1
GTEX-1RLM8-0726-SM-E6CRH 50-59 years, male 2.1
GTEX-QV44-1126-SM-CL55C 50-59 years, male 2.1
GTEX-11DZ1-2026-SM-5A5KG 50-59 years, male 2.0
GTEX-1212Z-2126-SM-5FQTM 60-69 years, male 2.0
GTEX-13JVG-2026-SM-5KM1N 60-69 years, male 2.0
GTEX-13X6I-1026-SM-5LU4C 60-69 years, male 2.0
GTEX-145MF-1426-SM-5O9B6 50-59 years, male 2.0
GTEX-14DAR-0826-SM-73KYJ 50-59 years, male 2.0
GTEX-14H4A-1626-SM-5SI69 40-49 years, female 2.0
GTEX-17EVQ-1926-SM-7IGOF 70-79 years, male 2.0
GTEX-183FY-1526-SM-7IGOW 20-29 years, male 2.0
GTEX-1B97I-0926-SM-731DZ 40-49 years, male 2.0
GTEX-1EU9M-2326-SM-7MKGS 60-69 years, male 2.0
GTEX-OIZG-1026-SM-3LK5X 50-59 years, male 2.0
GTEX-OIZI-1426-SM-3NB1T 40-49 years, male 2.0
GTEX-OXRL-0626-SM-3NM9C 50-59 years, male 2.0
GTEX-PLZ6-0526-SM-3P61C 30-39 years, male 2.0
GTEX-QCQG-0626-SM-48U21 50-59 years, female 2.0
GTEX-R45C-1226-SM-48FEE 60-69 years, female 2.0
GTEX-RVPV-0526-SM-47JYL 60-69 years, male 2.0
GTEX-S33H-0826-SM-4AD5Y 30-39 years, male 2.0
GTEX-V1D1-1026-SM-4JBHE 50-59 years, male 2.0
GTEX-Y5V5-1626-SM-4VDSG 60-69 years, female 2.0
GTEX-13FHO-1726-SM-DPRZX 60-69 years, male 2.0
GTEX-17F97-1326-SM-7MGVO 50-59 years, male 2.0
GTEX-1H11D-2126-SM-9OSXM 40-49 years, male 2.0
GTEX-1ICG6-1926-SM-ARU7L 70-79 years, female 2.0
GTEX-1JMLX-2326-SM-CXZJP 50-59 years, male 2.0
GTEX-1MJIX-0826-SM-DTXEO 40-49 years, male 2.0
GTEX-1R9K5-1526-SM-DPRZA 50-59 years, male 2.0
GTEX-OHPN-1026-SM-E9TI8 60-69 years, female 2.0
GTEX-XLM4-2326-SM-4AT5E 60-69 years, male 2.0
GTEX-YEC4-1026-SM-9WG7N 40-49 years, male 2.0
GTEX-11DXZ-1226-SM-5H11L 50-59 years, male 1.9
GTEX-12WSD-1826-SM-5GCOA 60-69 years, female 1.9
GTEX-139TU-1226-SM-5J2NL 60-69 years, male 1.9
GTEX-13RTK-0526-SM-5S2QF 20-29 years, male 1.9
GTEX-14E1K-1226-SM-5S2PD 50-59 years, male 1.9
GTEX-15DYW-1826-SM-6LPIY 60-69 years, female 1.9
GTEX-15SB6-0726-SM-6M48F 50-59 years, female 1.9
GTEX-1AMFI-0226-SM-731D5 50-59 years, female 1.9
GTEX-1CB4I-1026-SM-7MKFZ 50-59 years, male 1.9
GTEX-O5YV-1026-SM-3LK72 60-69 years, female 1.9
GTEX-RWS6-0826-SM-47JXF 60-69 years, female 1.9
GTEX-S95S-0426-SM-4B64I 60-69 years, male 1.9
GTEX-U8XE-1726-SM-4E3IF 30-39 years, male 1.9
GTEX-VUSG-1226-SM-4KKZF 50-59 years, male 1.9
GTEX-X4EP-1626-SM-4QAS6 60-69 years, female 1.9
GTEX-XUZC-0426-SM-4BOPE 30-39 years, female 1.9
GTEX-YECK-1626-SM-5IFHQ 60-69 years, male 1.9
GTEX-ZAB5-0926-SM-5CVMV 50-59 years, male 1.9
GTEX-ZDTT-1326-SM-4WKFH 60-69 years, male 1.9
GTEX-ZF2S-1226-SM-4WWAX 50-59 years, female 1.9
GTEX-1H23P-1426-SM-9JGH5 60-69 years, male 1.9
GTEX-1HFI6-1226-SM-A96SK 40-49 years, male 1.9
GTEX-1HSGN-1626-SM-A96U2 40-49 years, female 1.9
GTEX-1KD4Q-1126-SM-CXZKK 40-49 years, male 1.9
GTEX-1LNCM-0626-SM-EV7AI 50-59 years, female 1.9
GTEX-1LSVX-1226-SM-DHXJN 60-69 years, male 1.9
GTEX-1N2DV-2026-SM-EV7BL 40-49 years, male 1.9
GTEX-1S82Y-1226-SM-EV7BD 40-49 years, male 1.9
GTEX-OIZF-0626-SM-7MKHG 60-69 years, male 1.9
GTEX-139YR-1726-SM-5IFFK 50-59 years, male 1.8
GTEX-13OVK-1126-SM-6PAMR 40-49 years, male 1.8
GTEX-13PVR-1826-SM-5Q5CC 60-69 years, female 1.8
GTEX-144GM-1426-SM-5LU31 20-29 years, male 1.8
GTEX-145LS-1826-SM-5LUAZ 60-69 years, female 1.8
GTEX-145MN-1026-SM-5NQ9G 30-39 years, male 1.8
GTEX-14C38-2126-SM-5RQJO 50-59 years, male 1.8
GTEX-14ICK-2026-SM-6AJB2 40-49 years, male 1.8
GTEX-16NGA-1426-SM-718AC 40-49 years, female 1.8
GTEX-OIZH-0626-SM-3NB1L 50-59 years, male 1.8
GTEX-PVOW-1626-SM-48TC9 40-49 years, male 1.8
GTEX-WVLH-1426-SM-4MVNX 50-59 years, male 1.8
GTEX-XBED-1026-SM-48TCB 60-69 years, male 1.8
GTEX-YB5E-0926-SM-4WWDQ 40-49 years, male 1.8
GTEX-ZC5H-1326-SM-5HL7E 40-49 years, female 1.8
GTEX-ZE9C-1126-SM-4WWBD 60-69 years, male 1.8
GTEX-ZVE2-1326-SM-5NQ94 50-59 years, male 1.8
GTEX-ZYVF-2226-SM-5GIDD 50-59 years, female 1.8
GTEX-145MO-1426-SM-DTX9W 60-69 years, male 1.8
GTEX-1F52S-1426-SM-7P8PU 60-69 years, female 1.8
GTEX-1HB9E-1526-SM-D3LA6 50-59 years, male 1.8
GTEX-1I1CD-1726-SM-A9G3P 60-69 years, female 1.8
GTEX-1JMQJ-1226-SM-D3L97 50-59 years, male 1.8
GTEX-1LB8K-1326-SM-CXZKB 50-59 years, male 1.8
GTEX-1LBAC-1226-SM-DHXK1 20-29 years, male 1.8
GTEX-1LG7Y-1726-SM-EV7AR 50-59 years, male 1.8
GTEX-1LSNL-2226-SM-DHXKM 50-59 years, male 1.8
GTEX-ZLWG-1326-SM-DNZYZ 50-59 years, female 1.8
GTEX-11XUK-0826-SM-5GU6P 40-49 years, female 1.7
GTEX-11ZU8-1526-SM-5EGHX 60-69 years, male 1.7
GTEX-13O3Q-0826-SM-5IFGF 50-59 years, male 1.7
GTEX-13OVJ-1226-SM-5L3HA 50-59 years, female 1.7
GTEX-13OW8-2326-SM-5L3I9 60-69 years, male 1.7
GTEX-13QBU-1026-SM-5LU3R 40-49 years, female 1.7
GTEX-14JIY-0926-SM-6871D 60-69 years, male 1.7
GTEX-15ETS-1926-SM-7KUN5 40-49 years, female 1.7
GTEX-18D9A-0526-SM-7KFSW 30-39 years, female 1.7
GTEX-1B8KZ-0726-SM-7938W 50-59 years, male 1.7
GTEX-1CB4G-1326-SM-7MKFP 60-69 years, male 1.7
GTEX-1EX96-2226-SM-7MKGT 50-59 years, male 1.7
GTEX-OXRP-0926-SM-48TC1 60-69 years, female 1.7
GTEX-PWCY-0726-SM-48TCS 20-29 years, female 1.7
GTEX-WHSB-0426-SM-4M1XI 50-59 years, male 1.7
GTEX-XBEW-1326-SM-4AT63 40-49 years, male 1.7
GTEX-ZF3C-1626-SM-4WWB4 50-59 years, female 1.7
GTEX-1GMR3-1526-SM-9JGGL 40-49 years, male 1.7
GTEX-1HBPM-1426-SM-9WPPE 60-69 years, female 1.7
GTEX-1J1R8-0326-SM-AHZ3D 40-49 years, male 1.7
GTEX-1JMPY-0826-SM-AHZ4A 30-39 years, male 1.7
GTEX-1KAFJ-0626-SM-D3L8X 50-59 years, male 1.7
GTEX-1MCC2-1926-SM-DHXJR 30-39 years, female 1.7
GTEX-1MGNQ-1626-SM-EAZ4Z 40-49 years, male 1.7
GTEX-UPJH-1026-SM-EAZB2 50-59 years, male 1.7
GTEX-11ONC-1526-SM-5GU6S 60-69 years, male 1.6
GTEX-12KS4-0926-SM-5BC5S 30-39 years, male 1.6
GTEX-132Q8-1826-SM-5EGIY 60-69 years, male 1.6
GTEX-145LU-0926-SM-79OJL 50-59 years, male 1.6
GTEX-14C5O-1626-SM-73KYH 60-69 years, male 1.6
GTEX-14DAQ-1426-SM-5RQJD 60-69 years, female 1.6
GTEX-178AV-0526-SM-6LPJH 40-49 years, male 1.6
GTEX-1CB4F-1526-SM-7MKFM 60-69 years, male 1.6
GTEX-1EH9U-2426-SM-7EWFG 60-69 years, male 1.6
GTEX-1EMGI-1926-SM-7938Y 60-69 years, male 1.6
GTEX-N7MT-0326-SM-48TDP 60-69 years, female 1.6
GTEX-QEL4-1426-SM-447AC 50-59 years, male 1.6
GTEX-R55C-0826-SM-48FCL 40-49 years, male 1.6
GTEX-R55G-1026-SM-48FDI 40-49 years, female 1.6
GTEX-S4Q7-0626-SM-4AD5M 20-29 years, male 1.6
GTEX-TML8-1526-SM-4DXUX 40-49 years, female 1.6
GTEX-XQ3S-1126-SM-4BOPK 20-29 years, male 1.6
GTEX-YJ89-1526-SM-5P9IR 60-69 years, male 1.6
GTEX-1I1GV-2226-SM-ARU7E 60-69 years, male 1.6
GTEX-1K2DU-1726-SM-EV79S 20-29 years, male 1.6
GTEX-1R9PM-0926-SM-DPRYA 20-29 years, male 1.6
GTEX-SJXC-1426-SM-EYYVB 60-69 years, male 1.6
GTEX-12BJ1-1626-SM-5HL8Y 60-69 years, male 1.5
GTEX-12ZZY-1426-SM-5N9EI 60-69 years, male 1.5
GTEX-1399Q-1126-SM-5P9JA 40-49 years, male 1.5
GTEX-1399R-0826-SM-5IJEL 30-39 years, male 1.5
GTEX-13S86-0826-SM-5SI6J 40-49 years, male 1.5
GTEX-13W46-1926-SM-5J2MF 50-59 years, male 1.5
GTEX-14AS3-0626-SM-5QGQD 40-49 years, female 1.5
GTEX-14PHY-0626-SM-664NN 60-69 years, female 1.5
GTEX-17F96-2526-SM-7DHL3 70-79 years, male 1.5
GTEX-17JCI-1226-SM-793D9 60-69 years, female 1.5
GTEX-1A3MV-1326-SM-7LG6C 30-39 years, male 1.5
GTEX-REY6-1326-SM-48FDO 60-69 years, male 1.5
GTEX-RN64-1026-SM-48FDX 50-59 years, male 1.5
GTEX-ZPCL-1426-SM-57WEC 60-69 years, female 1.5
GTEX-1GN1U-1826-SM-9JGH2 50-59 years, female 1.5
GTEX-1H3NZ-1326-SM-9JGHI 60-69 years, male 1.5
GTEX-1LGOU-0526-SM-D3LAO 20-29 years, female 1.5
GTEX-1S83E-0826-SM-EV7B7 40-49 years, male 1.5
GTEX-11P7K-1326-SM-5BC5G 30-39 years, male 1.4
GTEX-12ZZX-1326-SM-5DUWI 40-49 years, female 1.4
GTEX-OXRN-1726-SM-3NM9B 50-59 years, male 1.4
GTEX-PLZ4-1626-SM-3P618 50-59 years, female 1.4
GTEX-SE5C-1226-SM-4BRWV 40-49 years, female 1.4
GTEX-WYVS-0726-SM-4ONDO 40-49 years, female 1.4
GTEX-XQ8I-1526-SM-4BOOH 50-59 years, male 1.4
GTEX-ZAJG-1326-SM-5S2NV 50-59 years, female 1.4
GTEX-1CB4H-1526-SM-7MXU4 60-69 years, female 1.4
GTEX-1F7RK-1526-SM-7P8T6 20-29 years, female 1.4
GTEX-1MA7X-0726-SM-EV7AB 60-69 years, male 1.4
GTEX-1PPGY-1726-SM-EVR3S 60-69 years, male 1.4
GTEX-11DXY-1426-SM-5N9CN 60-69 years, male 1.3
GTEX-11EI6-1526-SM-5P9GL 60-69 years, male 1.3
GTEX-13QJ3-1726-SM-5RQK9 50-59 years, male 1.3
GTEX-13SLX-1726-SM-5Q5E5 50-59 years, female 1.3
GTEX-145LT-1126-SM-5LUA1 40-49 years, male 1.3
GTEX-15EO6-1026-SM-7KUG9 50-59 years, male 1.3
GTEX-16Z82-1926-SM-6M47U 60-69 years, male 1.3
GTEX-1B933-2026-SM-7EWFC 50-59 years, female 1.3
GTEX-NPJ8-1926-SM-3MJGB 40-49 years, male 1.3
GTEX-RTLS-1126-SM-46MUQ 60-69 years, female 1.3
GTEX-WYJK-1926-SM-4ONDP 50-59 years, male 1.3
GTEX-X585-1226-SM-46MW7 50-59 years, male 1.3
GTEX-ZTSS-0626-SM-59867 40-49 years, male 1.3
GTEX-17HII-1526-SM-9OSVD 50-59 years, male 1.3
GTEX-1B97J-1026-SM-7MXTE 50-59 years, female 1.3
GTEX-1HCU7-2126-SM-A96SG 50-59 years, male 1.3
GTEX-1HCU8-2226-SM-9WPOV 60-69 years, female 1.3
GTEX-1QEPI-1826-SM-EAZ3J 60-69 years, female 1.3
GTEX-13PL7-0226-SM-731DT 60-69 years, female 1.2
GTEX-1AX9I-1426-SM-7DHM8 60-69 years, male 1.2
GTEX-1EWIQ-1526-SM-79OO7 70-79 years, female 1.2
GTEX-P4PP-0626-SM-3NM9X 30-39 years, female 1.2
GTEX-R53T-1126-SM-48FD4 50-59 years, female 1.2
GTEX-XK95-1026-SM-4GIDV 40-49 years, male 1.2
GTEX-XMD2-1326-SM-4YCET 60-69 years, female 1.2
GTEX-XV7Q-1126-SM-4BRVS 40-49 years, female 1.2
GTEX-ZAK1-1526-SM-5S2OV 50-59 years, female 1.2
GTEX-ZZPT-1426-SM-5N9C5 50-59 years, male 1.2
GTEX-1CAMQ-2726-SM-7MKGD 40-49 years, male 1.2
GTEX-1I1GR-1326-SM-ARU7B 60-69 years, male 1.2
GTEX-1R9JW-1526-SM-DPRZK 30-39 years, female 1.2
GTEX-117YW-1926-SM-5H121 50-59 years, male 1.1
GTEX-131XE-1426-SM-5HL7V 50-59 years, male 1.1
GTEX-16AAH-0726-SM-793A9 50-59 years, male 1.1
GTEX-N7MS-1225-SM-3LK5G 60-69 years, male 1.1
GTEX-T2YK-1326-SM-4DM6S 50-59 years, male 1.1
GTEX-WEY5-0926-SM-4LMI4 40-49 years, female 1.1
GTEX-X4XY-1726-SM-46MVO 60-69 years, male 1.1
GTEX-X62O-2226-SM-46MW3 50-59 years, male 1.1
GTEX-1LVA9-2126-SM-DLHBY 50-59 years, male 1.1
GTEX-P4QT-0626-SM-3NMCP 50-59 years, female 1.0
GTEX-1MCQQ-1026-SM-EV7AX 60-69 years, male 1.0
GTEX-1QP29-2126-SM-E6CPZ 50-59 years, male 1.0
GTEX-13FHP-1526-SM-5IJGE 50-59 years, male 0.9
GTEX-14A6H-1326-SM-5NQBC 30-39 years, male 0.9
GTEX-OXRK-1326-SM-3NB1A 50-59 years, female 0.9
GTEX-ZLV1-0526-SM-4WWD4 60-69 years, female 0.9
GTEX-1IDFM-1126-SM-A96SY 60-69 years, male 0.9
GTEX-1269C-1026-SM-5N9EY 60-69 years, female 0.8
GTEX-1HBPH-1126-SM-A96TU 40-49 years, female 0.8
GTEX-132AR-2226-SM-5J2NT 50-59 years, female 0.6
Show allShow less

ESOPHAGUS - FANTOM5 CAGEi

RNA expression in human tissues obtained through Cap Analysis of Gene Expression (CAGE) generated by the FANTOM5 project are reported as Scaled Tags Per Million.

Max subtype Scaled Tags Per Millioni

Max subtype Scaled Tags Per Million is the value for the subtype with the largest average Scaled Tags Per Million across the subtype samples.

4.5
FANTOM5 sample id Sample description Scaled Tags Per Million
Esophagus
Scaled Tags Per Million: 4.5
FF:10015-101C6 68,74,75 years, mixed 4.5

Contact

  • NEWS ARTICLES
  • PRESS ROOM

The Project

  • INTRODUCTION
  • ORGANIZATION
  • PUBLICATIONS

The Human Protein Atlas

  • DOWNLOADABLE DATA
  • LICENCE & CITATION
  • HELP & FAQ
The Human Protein Atlas project is funded
by the Knut & Alice Wallenberg Foundation.


contact@proteinatlas.org