We use cookies to enhance the usability of our website. If you continue, we'll assume that you are happy to receive all cookies. More information. Don't show this again.
PSKH1
HPA
RESOURCES
  • TISSUE
  • BRAIN
  • SINGLE CELL
  • SUBCELLULAR
  • CANCER
  • BLOOD
  • CELL LINE
  • STRUCTURE & INTERACTION
ABOUT
  • INTRODUCTION
  • HISTORY
  • ORGANIZATION
  • PUBLICATIONS
  • ANTIBODY SUBMISSION
  • ANTIBODY AVAILABILITY
  • ACKNOWLEDGMENTS
  • CONTACT
NEWS
  • NEWS ARTICLES
  • PRESS ROOM
LEARN
  • DICTIONARY
  • PROTEIN CLASSES
  • PROTEIN EVIDENCE
  • METHODS
  • EDUCATIONAL VIDEOS
DATA
  • DOWNLOADABLE DATA
  • PUBLICATION DATA
  • RELEASE HISTORY
HELP
  • ANTIBODY VALIDATION
  • ASSAYS & ANNOTATION
  • DISCLAIMER
  • HELP & FAQ
  • PRIVACY STATEMENT
  • LICENCE & CITATION
Fields »
Search result

Field
Term
Gene name
Class
Subclass
Class
Keyword
Chromosome
External id
Tissue
Cell type
Expression
Antibody panel
Tissue
Main location
Patient ID
Annotation
Tissue
Category
Tau score
Cluster
Reliability
Brain region
Category
Tau score
Brain region
Category
Tau score
Brain region
Category
Tau score
Cluster
Reliability
Tissue
Cell type
Enrichment
Cell type
Category
Tau score
Cell type
Category
Tau score
Cell type
Category
Tau score
Cell lineage
Category
Tau score
Cluster
Cluster
Location
Searches
Location
Cell line
Class
Type
Phase
Reliability
Cancer
Prognosis
Cancer
Category
Cancer
Category
Tau score
Cluster
Variants
Interacting gene (ensg_id)
Type
Number of interactions
Pathway
Category
Score
Score
Score
Validation
Validation
Validation
Validation
Antibodies
Data type
Column


  • SUMMARY

  • TISSUE

  • BRAIN

  • SINGLE CELL

  • SUBCELL

  • CANCER

  • BLOOD

  • CELL LINE

  • STRUCT & INT

  • PSKH1
TISSUE PRIMARY DATA SKIN Show tissue menu
ADIPOSE TISSUE ADRENAL GLAND AMYGDALA APPENDIX BASAL GANGLIA BONE MARROW BREAST BRONCHUS CEREBELLUM CEREBRAL CORTEX CERVIX CHOROID PLEXUS COLON DUODENUM
ENDOMETRIUM EPIDIDYMIS ESOPHAGUS FALLOPIAN TUBE GALLBLADDER HEART MUSCLE HIPPOCAMPAL FORMATION HYPOTHALAMUS KIDNEY LIVER LUNG LYMPH NODE MIDBRAIN NASOPHARYNX
ORAL MUCOSA OVARY PANCREAS PARATHYROID GLAND PITUITARY GLAND PLACENTA PROSTATE RECTUM RETINA SALIVARY GLAND SEMINAL VESICLE SKELETAL MUSCLE SKIN SMALL INTESTINE
SMOOTH MUSCLE SOFT TISSUE SPINAL CORD SPLEEN STOMACH TESTIS THYMUS THYROID GLAND TONGUE TONSIL URINARY BLADDER VAGINA
ANTIBODIES
AND
VALIDATION
Dictionary
Skin
Tissue proteome
Skin
SKIN - Expression summary
Protein expression
Skini

On the top, protein expression in current human tissue, based on all annotated cell types, is reported with the units not detected (n), low (l), medium (m) and high (h). Underneath, protein expression in each annotated cell type are reported using the same units.

Protein expression data is based on knowledge-based annotation. For genes where more than one antibody has been used, a collective score is set.

If knowledge-based annotation could not be performed for a gene, no data is displayed here. View antibody staining data further down this page.

h
m
l
n
Epidermal cells: High
Fibroblasts: Medium
Keratinocytes: High
Langerhans: Low
Melanocytes: Medium
RNA expressioni

A summary of mRNA expression data available for current tissue based on several datasets. The mRNA expression levels in human tissues are based on RNA-seq data generated by the Human Protein Atlas (HPA), Genotype-Tissue Expression (GTEx) portal and CAGE data generated by the FANTOM5 consortium. Consensus normalized expression levels for human tissues was created by combining the data from HPA and GTEx datasets.

The mRNA expression levels in pig are based on RNA-seq data generated by the Human Protein Atlas (HPA), and for mouse, HPA data and in situ hybridization generated by the Allen brain atlas are reported.

Scroll down to view mRNA expression data in more detail.
Consensus:13.4 nTPM
HPA:13.4 nTPM
GTEx:12.4 nTPM

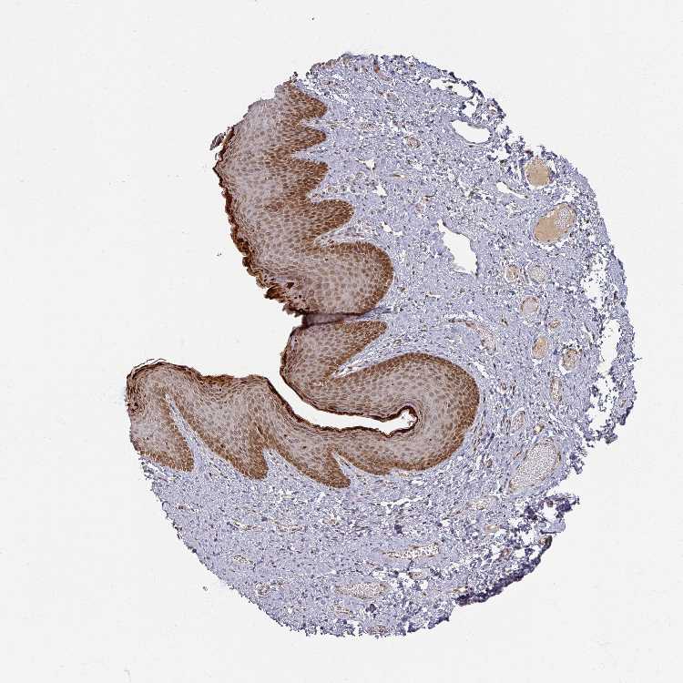
SKIN 1 - Antibody stainingi

Antibody staining in the annotated cell types in the current human tissue is reported as not detected, low, medium, or high, based on conventional immunohistochemistry profiling in selected tissues. This score is based on the combination of the staining intensity and fraction of stained cells.

Each image is clickable and will lead to virtual microscopy that enables deeper exploration of all samples and also displays staining intensity scores, fraction scores and subcellular localization as well as patient and tissue information for each sample.

Antibody HPA053927
Langerhans Low
Fibroblasts Medium
Keratinocytes High
Melanocytes Medium


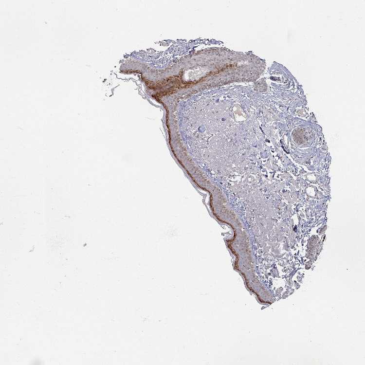
SKIN 2 - Antibody stainingi

Antibody staining in the annotated cell types in the current human tissue is reported as not detected, low, medium, or high, based on conventional immunohistochemistry profiling in selected tissues. This score is based on the combination of the staining intensity and fraction of stained cells.

Each image is clickable and will lead to virtual microscopy that enables deeper exploration of all samples and also displays staining intensity scores, fraction scores and subcellular localization as well as patient and tissue information for each sample.

Antibody HPA053927
Epidermal cells High
 
 
 



SKIN - HPA RNA-seqi

The RNA-seq details section shows detailed information about the individual samples used for the transcript profiling and results of the RNA-seq analysis.

Information about each individual sample is listed below, including gender, age, a tissue section image and estimated fractions of cell types. nTPM (normalized transcripts per million) values give a quantification of the gene abundance which is comparable between different genes and samples.
Average nTPMi

Max subtype nTPM is the value for the subtype with the largest average nTPM across the subtype samples.

13.4
overview
Female, age 34
Skin sample 225
nTPM: 13.5
Cell types%
Keratinocytes:
60

Other cell types:
40

overview
Female, age 30
Skin sample 226
nTPM: 13.4
Cell types%
Keratinocytes:
55

Other cell types:
45

N/A
Male, age 57
Skin sample 227
nTPM: 13.3

SKIN - GTEx RNA-seqi

RNA-Seq data generated by the Genotype-Tissue Expression (GTEx) project from human tissues is reported as mean nTPM. More information can be found on the GTEx portal.

Distribution across the dataset is visualized with box plots, shown as median and 25th and 75th percentiles. Points are displayed as outliers if they are above or below 1.5 times the interquartile range. nTPM values of the individual samples are presented next to the box plot.
Max subtype nTPMi

Max subtype nTPM is the value for the subtype with the largest average nTPM across the subtype samples.

12.4
GTEx sample id Sample description nTPM
Skin - Not Sun Exposed (Suprapubic)
Average nTPM: 11.6
Samples: 604

Max nTPM: 28.2
Min nTPM: 1.7
Std nTPM: 4.9
Median nTPM: 11.2
GTEX-WFG7-2026-SM-5SI7P 20-29 years, male 28.2
GTEX-1N2DV-1526-SM-DTXEP 40-49 years, male 28.0
GTEX-1OJC3-1226-SM-DTXER 20-29 years, male 26.8
GTEX-ZTX8-1326-SM-4YCEL 20-29 years, male 26.4
GTEX-Y114-2126-SM-4TT8B 50-59 years, female 24.8
GTEX-ZVP2-0326-SM-57WBP 50-59 years, male 24.4
GTEX-XBEW-1126-SM-4QARW 40-49 years, male 24.3
GTEX-11P7K-1126-SM-5HL4L 30-39 years, male 23.7
GTEX-14PJ3-1126-SM-5ZZVX 50-59 years, male 23.3
GTEX-1RMOY-1326-SM-E9TIH 50-59 years, male 23.3
GTEX-1HCUA-0826-SM-ADEHM 50-59 years, female 22.0
GTEX-1MCYP-0526-SM-E9U6Q 20-29 years, female 21.9
GTEX-WXYG-2026-SM-4E3IY 50-59 years, female 21.4
GTEX-1HSMP-0926-SM-A9SKX 70-79 years, male 21.0
GTEX-1IKOE-1426-SM-CE6T7 30-39 years, female 20.9
GTEX-11DXZ-2026-SM-5987S 50-59 years, male 20.8
GTEX-15RIE-1926-SM-7KUKJ 60-69 years, male 20.8
GTEX-15CHR-1126-SM-7EWF4 50-59 years, male 20.7
GTEX-11DXX-2126-SM-5PNYR 60-69 years, female 20.5
GTEX-16MTA-0926-SM-6M47Z 50-59 years, male 20.2
GTEX-1CAMR-1326-SM-7PC1F 20-29 years, male 20.2
GTEX-YFCO-1226-SM-5LUAT 40-49 years, male 20.1
GTEX-WY7C-2126-SM-3NB2R 50-59 years, male 19.8
GTEX-Y3IK-1626-SM-4YCF5 50-59 years, female 19.8
GTEX-12WSJ-1126-SM-5LZVJ 40-49 years, female 19.7
GTEX-1399S-0126-SM-5IJCF 30-39 years, female 19.7
GTEX-Y3I4-1726-SM-4TT89 50-59 years, male 19.7
GTEX-ZPU1-1126-SM-4YCF3 40-49 years, male 19.7
GTEX-117YX-1926-SM-5GIEC 50-59 years, male 19.5
GTEX-XYKS-1426-SM-4BRUO 60-69 years, female 19.5
GTEX-1QCLY-0226-SM-EWRNH 30-39 years, male 19.5
GTEX-XUW1-0926-SM-4BONX 50-59 years, female 19.4
GTEX-Y9LG-1126-SM-4VBQ7 30-39 years, male 19.4
GTEX-1PIGE-1826-SM-E8VOU 20-29 years, male 19.4
GTEX-13FTX-1526-SM-5K7VJ 20-29 years, female 19.3
GTEX-WH7G-2026-SM-3NMBL 40-49 years, male 19.2
GTEX-ZDTT-0426-SM-4WKFL 60-69 years, male 19.2
GTEX-1LSNM-0826-SM-DIPG8 50-59 years, male 19.2
GTEX-ZPCL-1126-SM-4WWFE 60-69 years, female 19.1
GTEX-1HBPN-0126-SM-CGQEF 50-59 years, male 19.1
GTEX-1QP9N-1226-SM-E76QN 30-39 years, male 19.1
GTEX-13FTW-0326-SM-5K7UW 40-49 years, male 19.0
GTEX-WHSB-1326-SM-3LK6W 50-59 years, male 19.0
GTEX-1GMR2-0826-SM-7PC3V 50-59 years, male 19.0
GTEX-1PPH8-0126-SM-EWRN8 20-29 years, male 19.0
GTEX-132AR-0326-SM-5KM2C 50-59 years, female 18.9
GTEX-15RJ7-2126-SM-6PAMD 40-49 years, male 18.9
GTEX-1S82U-1026-SM-E6CJK 30-39 years, female 18.9
GTEX-X3Y1-2026-SM-3P5YM 40-49 years, male 18.7
GTEX-17HII-1426-SM-7EPGG 50-59 years, male 18.6
GTEX-XXEK-1626-SM-4BRUZ 50-59 years, male 18.6
GTEX-1CAMS-2226-SM-7PBXQ 40-49 years, female 18.6
GTEX-111CU-1126-SM-5EGIM 50-59 years, male 18.4
GTEX-1JMPY-0226-SM-CKZOK 30-39 years, male 18.4
GTEX-XPVG-2126-SM-4B667 50-59 years, male 18.3
GTEX-Y111-0626-SM-4SOIT 50-59 years, male 18.3
GTEX-1H1E6-0426-SM-9WYUS 30-39 years, male 18.3
GTEX-ZVZP-1226-SM-5GID7 50-59 years, male 18.2
GTEX-ZP4G-1426-SM-4WWCL 20-29 years, female 18.1
GTEX-131XG-0326-SM-5L3DX 50-59 years, female 18.0
GTEX-WHPG-2626-SM-3NMBR 50-59 years, male 18.0
GTEX-1F75I-2226-SM-7SB8U 40-49 years, male 18.0
GTEX-WHWD-1826-SM-3LK6I 50-59 years, male 17.9
GTEX-1GZ4H-0526-SM-9KNU9 50-59 years, female 17.9
GTEX-1K2DA-1026-SM-CGQGF 50-59 years, male 17.9
GTEX-14PHY-1226-SM-5ZZWK 60-69 years, female 17.8
GTEX-ZY6K-1426-SM-5GZX2 50-59 years, male 17.8
GTEX-1LBAC-0826-SM-CY8IJ 20-29 years, male 17.7
GTEX-15RIG-0726-SM-7KUM7 40-49 years, male 17.6
GTEX-18D9B-0926-SM-7LG4U 60-69 years, male 17.6
GTEX-1B8KE-1126-SM-7EPHI 50-59 years, male 17.6
GTEX-111YS-1526-SM-5GZYW 60-69 years, male 17.5
GTEX-X5EB-1926-SM-4E3IW 40-49 years, male 17.5
GTEX-ZZ64-1026-SM-5GZXG 20-29 years, male 17.5
GTEX-1HSMQ-2626-SM-A9SML 50-59 years, male 17.5
GTEX-YEC3-1326-SM-DO92X 50-59 years, male 17.5
GTEX-11NSD-0626-SM-5A5LU 20-29 years, male 17.4
GTEX-17F9E-2326-SM-79OKD 50-59 years, male 17.4
GTEX-1211K-1526-SM-5FQU4 60-69 years, female 17.3
GTEX-12BJ1-0926-SM-5EQ62 60-69 years, male 17.3
GTEX-14DAR-1226-SM-73KYV 50-59 years, male 17.3
GTEX-XAJ8-1426-SM-47JYM 40-49 years, male 17.2
GTEX-1HC8U-1326-SM-9YFMJ 40-49 years, female 17.2
GTEX-1S831-1826-SM-EWROF 20-29 years, male 17.2
GTEX-WFON-1926-SM-3LK7L 40-49 years, male 17.1
GTEX-1JKYN-0826-SM-ARU8S 30-39 years, male 17.1
GTEX-ZDYS-2426-SM-4WKGI 50-59 years, male 17.0
GTEX-ZT9W-1126-SM-57WDR 50-59 years, male 17.0
GTEX-1LVAN-0626-SM-CNPOQ 50-59 years, female 17.0
GTEX-1399R-1326-SM-5PNYS 30-39 years, male 16.9
GTEX-14E1K-2026-SM-7DUEI 50-59 years, male 16.9
GTEX-14PK6-0226-SM-62LF5 70-79 years, female 16.9
GTEX-WYJK-0526-SM-3NM8Z 50-59 years, male 16.9
GTEX-XQ8I-0926-SM-4BOOF 50-59 years, male 16.9
GTEX-1122O-1026-SM-9WYSF 60-69 years, female 16.9
GTEX-16AAH-0626-SM-793C9 50-59 years, male 16.8
GTEX-ZLFU-1826-SM-4WWBV 40-49 years, male 16.8
GTEX-13O61-1426-SM-5KM3D 60-69 years, male 16.7
GTEX-1S3DN-2126-SM-E9TIN 50-59 years, male 16.7
GTEX-ZF29-0926-SM-4WKFZ 60-69 years, female 16.6
GTEX-1H11D-1826-SM-9QEHM 40-49 years, male 16.6
GTEX-1RB15-1326-SM-E76Q9 60-69 years, male 16.6
GTEX-ZTSS-1426-SM-5985P 40-49 years, male 16.4
GTEX-ZYFG-1526-SM-5GZYM 60-69 years, female 16.4
GTEX-1IDJU-1726-SM-CMKHU 60-69 years, female 16.4
GTEX-1LG7Z-1626-SM-CXKYR 30-39 years, male 16.4
GTEX-131XF-2626-SM-5EQ6K 60-69 years, male 16.3
GTEX-1497J-0226-SM-5QGPU 60-69 years, male 16.3
GTEX-14E6E-0526-SM-793DN 30-39 years, male 16.3
GTEX-17HHE-1326-SM-7EWDZ 50-59 years, male 16.3
GTEX-ZVT2-0126-SM-5GIDQ 50-59 years, female 16.3
GTEX-1C475-1326-SM-7SB73 40-49 years, female 16.3
GTEX-ZLV1-1526-SM-DO91J 60-69 years, female 16.3
GTEX-14PKV-1126-SM-6LLJ1 20-29 years, female 16.2
GTEX-WEY5-2326-SM-3GIKK 40-49 years, female 16.2
GTEX-Y8E4-2026-SM-5IFJB 40-49 years, male 16.2
GTEX-1JK1U-0226-SM-ARZMX 60-69 years, male 16.2
GTEX-1NSGN-0726-SM-DTXEF 50-59 years, male 16.2
GTEX-1R9PM-1926-SM-EVR3O 20-29 years, male 16.2
GTEX-1H2FU-0926-SM-9WPPT 60-69 years, female 16.1
GTEX-1HCU9-0426-SM-9WYSD 20-29 years, male 16.1
GTEX-18D9U-0126-SM-731BM 40-49 years, male 16.0
GTEX-18QFQ-1826-SM-72D52 30-39 years, male 16.0
GTEX-YEC4-1826-SM-4W1YP 40-49 years, male 16.0
GTEX-ZLWG-0826-SM-59888 50-59 years, female 16.0
GTEX-1ICG6-1226-SM-A9SLN 70-79 years, female 16.0
GTEX-1QPFJ-1926-SM-EVYBD 30-39 years, female 16.0
GTEX-11TT1-1826-SM-5EQLV 20-29 years, male 15.9
GTEX-1CB4E-0926-SM-7EPHT 60-69 years, male 15.9
GTEX-1HSGN-0826-SM-ACKW3 40-49 years, female 15.9
GTEX-1I6K7-1926-SM-B2LXR 40-49 years, male 15.9
GTEX-17F98-1326-SM-7DUEP 40-49 years, female 15.8
GTEX-XV7Q-1826-SM-4BRUV 40-49 years, female 15.8
GTEX-1IDJE-1426-SM-ADEIW 50-59 years, female 15.8
GTEX-1LGRB-0926-SM-COH3K 50-59 years, female 15.8
GTEX-11ZTT-2126-SM-5CVLO 60-69 years, female 15.7
GTEX-13FH7-1126-SM-5K7UG 50-59 years, female 15.7
GTEX-1C6WA-2626-SM-7MKGM 60-69 years, male 15.7
GTEX-11P82-1426-SM-DTXFY 20-29 years, male 15.7
GTEX-14PHX-2226-SM-6EU2P 50-59 years, male 15.6
GTEX-Y8LW-1526-SM-5IFHL 50-59 years, female 15.6
GTEX-YB5K-2026-SM-4VDT3 40-49 years, female 15.6
GTEX-ZF2S-1626-SM-57WES 50-59 years, female 15.6
GTEX-1GPI7-1826-SM-9KNU1 20-29 years, male 15.6
GTEX-1A3MV-1826-SM-731CD 30-39 years, male 15.5
GTEX-ZA64-1026-SM-5HL8R 20-29 years, male 15.5
GTEX-ZZPU-0826-SM-5GZX5 50-59 years, female 15.5
GTEX-1I1GT-1026-SM-ARZLV 60-69 years, female 15.5
GTEX-1KANC-1226-SM-CYPT7 50-59 years, female 15.5
GTEX-1QP2A-1726-SM-E76QC 50-59 years, male 15.5
GTEX-1QW4Y-1126-SM-DTXE3 30-39 years, male 15.5
GTEX-12WSH-1526-SM-5BC5W 50-59 years, male 15.4
GTEX-16NGA-0726-SM-731AO 40-49 years, female 15.4
GTEX-14JG6-1426-SM-9WG7C 30-39 years, female 15.4
GTEX-1IDJD-2326-SM-ACKWX 30-39 years, male 15.4
GTEX-139YR-1026-SM-5LZYN 50-59 years, male 15.3
GTEX-1CB4I-0126-SM-7RHGG 50-59 years, male 15.3
GTEX-1KANA-1326-SM-DIPFA 20-29 years, male 15.3
GTEX-15G1A-1626-SM-7KUKN 30-39 years, male 15.2
GTEX-1B996-0426-SM-7EWF8 60-69 years, male 15.2
GTEX-1I4MK-0126-SM-CY8G6 50-59 years, female 15.2
GTEX-13113-1626-SM-5EQ4I 60-69 years, female 15.1
GTEX-17HGU-2326-SM-7DUFE 50-59 years, male 15.1
GTEX-1C2JI-1026-SM-73KY1 50-59 years, male 15.1
GTEX-UPJH-0226-SM-3GADV 50-59 years, male 15.1
GTEX-1KXAM-1626-SM-D3LAD 60-69 years, male 15.1
GTEX-WFG8-2126-SM-3GIKQ 20-29 years, male 15.0
GTEX-145LT-0526-SM-5LUB2 40-49 years, male 14.9
GTEX-X585-2426-SM-46MW2 50-59 years, male 14.9
GTEX-XBED-1926-SM-47JYP 60-69 years, male 14.9
GTEX-1IDJC-1526-SM-B2LW4 50-59 years, male 14.9
GTEX-1IY9M-2826-SM-ARU8H 60-69 years, male 14.9
GTEX-14PJ4-0226-SM-5YY92 60-69 years, male 14.8
GTEX-ZT9X-1526-SM-5DUXD 40-49 years, male 14.8
GTEX-1LGOU-1326-SM-D3L8M 20-29 years, female 14.8
GTEX-146FQ-2126-SM-5RQHU 30-39 years, male 14.7
GTEX-1PIIG-2326-SM-DTXFR 30-39 years, male 14.7
GTEX-1QP28-1126-SM-EVYC4 50-59 years, female 14.7
GTEX-1R7EU-1626-SM-DTXG3 60-69 years, male 14.7
GTEX-ZPIC-0526-SM-DO91W 40-49 years, female 14.7
GTEX-12ZZZ-0726-SM-5GCNZ 60-69 years, male 14.6
GTEX-1B97I-0626-SM-73KUZ 40-49 years, male 14.6
GTEX-1GL5R-1326-SM-7RHHF 50-59 years, male 14.6
GTEX-1GTWX-2026-SM-9YFLM 60-69 years, male 14.6
GTEX-1AX8Z-0726-SM-73KTS 60-69 years, male 14.5
GTEX-1F6I4-2326-SM-7RHGL 60-69 years, male 14.5
GTEX-1GN1W-2426-SM-9KNUU 50-59 years, female 14.5
GTEX-1IDJF-2026-SM-CL53V 20-29 years, male 14.5
GTEX-1JN76-0626-SM-CKZOQ 20-29 years, female 14.5
GTEX-11VI4-1126-SM-5EQMD 40-49 years, female 14.4
GTEX-18A66-0626-SM-7LT8Z 60-69 years, male 14.4
GTEX-1AX9J-1326-SM-731BJ 60-69 years, male 14.4
GTEX-1IDJI-0126-SM-CMKHS 50-59 years, female 14.4
GTEX-1J1R8-2026-SM-CL53Y 40-49 years, male 14.4
GTEX-145ME-1726-SM-5Q5EU 40-49 years, female 14.3
GTEX-14PJN-1826-SM-6AJ98 30-39 years, male 14.3
GTEX-UPK5-0426-SM-3GAEK 40-49 years, male 14.3
GTEX-Y5LM-0926-SM-6LLJG 40-49 years, female 14.3
GTEX-1N5O9-0926-SM-E9J3C 60-69 years, male 14.3
GTEX-ZGAY-1826-SM-DO91Q 40-49 years, female 14.2
GTEX-12WSK-2126-SM-5CVNC 40-49 years, female 14.1
GTEX-1399U-1126-SM-5L3DB 50-59 years, female 14.1
GTEX-V1D1-2026-SM-3GAF4 50-59 years, male 14.1
GTEX-W5X1-2526-SM-3GILC 40-49 years, female 14.1
GTEX-1QCLZ-2426-SM-EVYBW 60-69 years, female 14.1
GTEX-1212Z-0126-SM-59HK4 60-69 years, male 14.0
GTEX-14AS3-1526-SM-5Q5ED 40-49 years, female 14.0
GTEX-1I6K6-1726-SM-CGQFD 30-39 years, male 14.0
GTEX-1RAZA-2226-SM-E9U4X 20-29 years, male 14.0
GTEX-1CB4F-1026-SM-7DUH1 60-69 years, male 13.9
GTEX-1CB4J-1326-SM-7P8RX 60-69 years, male 13.9
GTEX-1MJK3-0726-SM-E6CJC 20-29 years, male 13.9
GTEX-1S82P-2126-SM-E6CI5 60-69 years, female 13.9
GTEX-1S83E-1326-SM-E6CJM 40-49 years, male 13.9
GTEX-13OVG-1626-SM-5J1NF 60-69 years, male 13.8
GTEX-13W3W-0726-SM-5IJDQ 60-69 years, female 13.8
GTEX-1GF9V-0826-SM-9KNUV 60-69 years, male 13.8
GTEX-1HKZK-0726-SM-ACKW2 40-49 years, male 13.8
GTEX-1I1GV-0626-SM-ARL7M 60-69 years, male 13.8
GTEX-1R9PN-0426-SM-DTXDT 40-49 years, female 13.7
GTEX-1C64O-1326-SM-7MGWR 60-69 years, male 13.6
GTEX-1POEN-2326-SM-E9J2L 30-39 years, female 13.6
GTEX-11EQ9-1626-SM-5PNY8 30-39 years, male 13.5
GTEX-12ZZY-0726-SM-5EQ66 60-69 years, male 13.5
GTEX-13D11-0926-SM-5J2NC 50-59 years, female 13.5
GTEX-1L5NE-1126-SM-D3L9P 50-59 years, male 13.5
GTEX-1RAZQ-1326-SM-E9TK6 30-39 years, male 13.5
GTEX-1192X-2726-SM-5N9DN 50-59 years, male 13.4
GTEX-13U4I-2226-SM-5LU5H 40-49 years, female 13.4
GTEX-144GM-0526-SM-79OJO 20-29 years, male 13.4
GTEX-14PJ6-2626-SM-6EU2T 60-69 years, female 13.4
GTEX-YF7O-1526-SM-5IFI6 50-59 years, male 13.4
GTEX-18D9A-1426-SM-7LT8M 30-39 years, female 13.4
GTEX-17KNJ-2126-SM-718AM 50-59 years, male 13.3
GTEX-1GF9U-2026-SM-7SB92 40-49 years, female 13.3
GTEX-1PDJ9-1226-SM-EXUSX 20-29 years, male 13.3
GTEX-11EM3-1226-SM-5N9DD 20-29 years, female 13.2
GTEX-145MN-1526-SM-5SI9T 30-39 years, male 13.2
GTEX-12C56-1526-SM-5FQUQ 20-29 years, male 13.1
GTEX-14B4R-1326-SM-5Q5EZ 30-39 years, male 13.1
GTEX-1AMEY-0826-SM-72D65 30-39 years, female 13.1
GTEX-Y5V6-2326-SM-4VDSA 60-69 years, male 13.1
GTEX-111FC-2526-SM-5GZXU 60-69 years, male 13.0
GTEX-13PVR-0426-SM-5RQK2 60-69 years, female 13.0
GTEX-14BMU-1226-SM-5S2OR 20-29 years, female 13.0
GTEX-14ICL-1626-SM-5YYAO 30-39 years, male 13.0
GTEX-1H1DE-1326-SM-9KNUG 20-29 years, male 13.0
GTEX-1LB8K-0726-SM-D5OV2 50-59 years, male 13.0
GTEX-1MCC2-1826-SM-DIPEX 30-39 years, female 13.0
GTEX-13VXT-1926-SM-5K7UO 20-29 years, female 12.9
GTEX-1I1GU-0926-SM-ACKVS 40-49 years, male 12.9
GTEX-1PPGY-1626-SM-EVYBL 60-69 years, male 12.9
GTEX-11ZU8-0126-SM-5EQ58 60-69 years, male 12.8
GTEX-178AV-1726-SM-7KUL8 40-49 years, male 12.7
GTEX-ZVTK-0226-SM-51MRG 20-29 years, male 12.7
GTEX-1HFI7-2326-SM-CGQFS 50-59 years, female 12.7
GTEX-11P81-2226-SM-5PNYI 30-39 years, female 12.6
GTEX-13X6H-0926-SM-5SIB2 50-59 years, female 12.6
GTEX-Z93S-1626-SM-5CVMB 50-59 years, male 12.6
GTEX-1F5PK-2226-SM-7SB6N 50-59 years, male 12.6
GTEX-1J8QM-2426-SM-A9SLS 60-69 years, female 12.6
GTEX-13N11-2326-SM-5IJBF 50-59 years, female 12.5
GTEX-WYVS-1626-SM-3NM9R 40-49 years, female 12.5
GTEX-1HGF4-0126-SM-CNPPX 60-69 years, male 12.5
GTEX-ZYT6-2326-SM-5GZY3 30-39 years, male 12.4
GTEX-1K9T9-1526-SM-DIPFR 50-59 years, female 12.4
GTEX-17F96-0126-SM-7EWDU 70-79 years, male 12.3
GTEX-1B932-2326-SM-79OL5 40-49 years, female 12.3
GTEX-1GZHY-0626-SM-9KNVC 50-59 years, female 12.3
GTEX-1O9I2-0226-SM-EYYXD 50-59 years, male 12.3
GTEX-1RAZR-2126-SM-E9U6T 40-49 years, male 12.2
GTEX-11LCK-2226-SM-5HL4Q 30-39 years, male 12.1
GTEX-11O72-0626-SM-5PNYE 40-49 years, male 12.1
GTEX-14ABY-2026-SM-62LDL 50-59 years, male 12.1
GTEX-14PKU-0126-SM-6LLHV 40-49 years, female 12.1
GTEX-17EVQ-0126-SM-7IGLR 70-79 years, male 12.1
GTEX-1JKYR-0626-SM-ARL8R 20-29 years, male 12.1
GTEX-1QP29-1826-SM-DTX9S 50-59 years, male 12.1
GTEX-XQ3S-1426-SM-4BOPR 20-29 years, male 12.0
GTEX-1JMOU-1026-SM-CYPSS 60-69 years, female 12.0
GTEX-13OVK-1426-SM-6PAN7 40-49 years, male 11.9
GTEX-14PJ5-1526-SM-6LLIL 60-69 years, female 11.9
GTEX-1F52S-2926-SM-7MKGA 60-69 years, female 11.9
GTEX-ZUA1-2626-SM-5NQ92 40-49 years, male 11.9
GTEX-1GF9X-1326-SM-7PC2Y 40-49 years, female 11.9
GTEX-1RAZS-2526-SM-E6CHT 50-59 years, male 11.8
GTEX-11OF3-0126-SM-5PNYF 60-69 years, male 11.7
GTEX-139TT-2126-SM-5LZWC 60-69 years, male 11.7
GTEX-17MFQ-1526-SM-7KFRR 20-29 years, male 11.7
GTEX-1QP66-1226-SM-DTX7U 50-59 years, male 11.7
GTEX-145LU-1926-SM-79OJN 50-59 years, male 11.6
GTEX-11TUW-0626-SM-5LU9M 60-69 years, male 11.5
GTEX-12WSL-2026-SM-5GCML 50-59 years, male 11.5
GTEX-131XH-0126-SM-5LZUY 50-59 years, male 11.5
GTEX-VJYA-1526-SM-3GIJV 60-69 years, male 11.5
GTEX-1LVAM-0726-SM-E6CIL 50-59 years, female 11.5
GTEX-145MH-2826-SM-5RQJF 50-59 years, male 11.4
GTEX-14XAO-1226-SM-6EU1C 60-69 years, female 11.4
GTEX-1F5PL-0926-SM-7PC2W 40-49 years, female 11.4
GTEX-18A67-1626-SM-7LT9T 50-59 years, male 11.3
GTEX-1EMGI-2326-SM-7PBYA 60-69 years, male 11.3
GTEX-12WSC-2826-SM-5BC5Y 50-59 years, male 11.2
GTEX-12WSF-1626-SM-7KUG5 70-79 years, male 11.2
GTEX-17JCI-2926-SM-7DUFF 60-69 years, female 11.2
GTEX-1HBPI-2126-SM-ARL9K 50-59 years, male 11.2
GTEX-1S5ZU-2526-SM-E6CIF 20-29 years, female 11.2
GTEX-1AMFI-1326-SM-7939R 50-59 years, female 11.1
GTEX-YECK-0326-SM-4W1YS 60-69 years, male 11.1
GTEX-12126-0826-SM-5FQTZ 20-29 years, male 11.0
GTEX-12ZZX-2426-SM-5GCOE 40-49 years, female 11.0
GTEX-15EU6-2226-SM-6EU2L 50-59 years, male 11.0
GTEX-16BQI-1326-SM-6M486 30-39 years, female 11.0
GTEX-1EWIQ-0326-SM-7DHMQ 70-79 years, female 11.0
GTEX-1HSKV-1226-SM-ADEI4 60-69 years, male 10.9
GTEX-15FZZ-0526-SM-7KUGD 30-39 years, female 10.8
GTEX-183FY-1026-SM-7939A 20-29 years, male 10.8
GTEX-YJ8O-2526-SM-5HL85 40-49 years, female 10.8
GTEX-1F75A-0726-SM-7RHHD 50-59 years, male 10.7
GTEX-111VG-1626-SM-5EGIO 60-69 years, male 10.6
GTEX-13FTY-2126-SM-5IFFB 40-49 years, female 10.6
GTEX-ZDTS-0826-SM-4WKHL 60-69 years, male 10.6
GTEX-1GN73-0726-SM-7P8TJ 60-69 years, male 10.6
GTEX-1IKJJ-2226-SM-CJI4C 60-69 years, male 10.6
GTEX-1J8Q3-0526-SM-ARL8U 60-69 years, male 10.6
GTEX-13OVJ-0826-SM-5J1OK 50-59 years, female 10.5
GTEX-15ER7-0626-SM-6PANF 20-29 years, female 10.5
GTEX-ZAK1-0626-SM-5HL8E 50-59 years, female 10.5
GTEX-1JMQK-1226-SM-D4P2S 60-69 years, male 10.5
GTEX-1AX9I-2226-SM-73KUO 60-69 years, male 10.4
GTEX-11DZ1-2426-SM-5GZZX 50-59 years, male 10.3
GTEX-15CHC-1126-SM-6LLHQ 60-69 years, female 10.3
GTEX-1AYD5-2626-SM-7PBXY 50-59 years, male 10.3
GTEX-1H1DF-1126-SM-9WG7G 40-49 years, female 10.3
GTEX-1LKK1-2626-SM-DKPQE 50-59 years, female 10.3
GTEX-1QAET-0326-SM-EVR3U 50-59 years, male 10.3
GTEX-133LE-2326-SM-5K7W3 20-29 years, female 10.2
GTEX-139TU-0726-SM-5L3EK 60-69 years, male 10.2
GTEX-1KWVE-1026-SM-D3L9O 30-39 years, male 10.2
GTEX-1RLM8-2926-SM-E8VON 50-59 years, male 10.2
GTEX-1J8EW-2726-SM-CY8HR 60-69 years, female 10.1
GTEX-1JMLX-0626-SM-ARL8T 50-59 years, male 10.1
GTEX-WRHU-2826-SM-3MJG8 50-59 years, female 10.0
GTEX-1H1ZS-2726-SM-9WG75 70-79 years, male 10.0
GTEX-147F4-0726-SM-5TDDD 50-59 years, male 9.9
GTEX-1A32A-0626-SM-731AQ 50-59 years, female 9.9
GTEX-1B8SF-0126-SM-7DUG3 60-69 years, male 9.9
GTEX-WK11-2726-SM-3NMAQ 50-59 years, male 9.9
GTEX-1IDJH-0126-SM-D3L92 70-79 years, male 9.9
GTEX-131YS-2826-SM-5EQ47 60-69 years, female 9.8
GTEX-13NYS-0626-SM-5L3F1 60-69 years, male 9.8
GTEX-1B8KZ-0326-SM-73KY4 50-59 years, male 9.8
GTEX-ZC5H-1526-SM-5HL9Y 40-49 years, female 9.8
GTEX-ZYW4-0626-SM-59HJR 60-69 years, male 9.8
GTEX-1CAMQ-1326-SM-7P8RV 40-49 years, male 9.8
GTEX-1JMQJ-0826-SM-CNPP7 50-59 years, male 9.8
GTEX-1KD5A-0126-SM-E9U54 50-59 years, male 9.8
GTEX-16YQH-2226-SM-7IGM2 30-39 years, male 9.7
GTEX-1B8L1-2226-SM-7P8PT 60-69 years, male 9.7
GTEX-11GS4-0226-SM-5HL77 60-69 years, male 9.6
GTEX-XOT4-0626-SM-4B66L 60-69 years, female 9.6
GTEX-1F75W-2726-SM-7SB8H 60-69 years, male 9.6
GTEX-1PPH7-1126-SM-DTX9A 40-49 years, male 9.6
GTEX-145MG-1526-SM-5Q5EM 50-59 years, male 9.5
GTEX-14PII-0726-SM-6EU2B 60-69 years, male 9.5
GTEX-15DYW-2726-SM-6EU2I 60-69 years, female 9.5
GTEX-1GMRU-2126-SM-7P8RA 50-59 years, male 9.5
GTEX-1E1VI-0326-SM-793D1 50-59 years, male 9.4
GTEX-1H1CY-0126-SM-9YFLY 60-69 years, female 9.4
GTEX-11EI6-2826-SM-5H11D 60-69 years, male 9.3
GTEX-12696-0126-SM-5EQ4L 60-69 years, male 9.3
GTEX-13QBU-1226-SM-5LU4G 40-49 years, female 9.3
GTEX-WHSE-0126-SM-3NMBT 20-29 years, male 9.3
GTEX-XBEC-0726-SM-4QARZ 50-59 years, male 9.3
GTEX-1GN1U-0626-SM-9MQL9 50-59 years, female 9.3
GTEX-ZDXO-3126-SM-5IJDF 60-69 years, male 9.2
GTEX-ZE7O-2726-SM-51MT5 50-59 years, female 9.2
GTEX-ZU9S-1826-SM-5NQ9E 30-39 years, male 9.2
GTEX-1GN2E-0226-SM-9WG6K 60-69 years, male 9.2
GTEX-1JJE9-2626-SM-ARZMT 70-79 years, male 9.2
GTEX-1EU9M-1426-SM-793AI 60-69 years, male 9.1
GTEX-15CHQ-0326-SM-69LQD 60-69 years, male 9.0
GTEX-16MT8-2926-SM-7DUFO 60-69 years, female 9.0
GTEX-U8XE-0226-SM-4E3J3 30-39 years, male 9.0
GTEX-1HB9E-0126-SM-CM2S5 50-59 years, male 9.0
GTEX-X4EP-0626-SM-3P621 60-69 years, female 8.9
GTEX-1E2YA-2126-SM-7MXUO 50-59 years, male 8.9
GTEX-1H1DG-2426-SM-9QEHJ 70-79 years, male 8.9
GTEX-16GPK-0626-SM-7KFSF 60-69 years, male 8.8
GTEX-12WSD-0626-SM-5GCMW 60-69 years, female 8.7
GTEX-12WSM-1926-SM-5BC65 60-69 years, male 8.7
GTEX-147GR-2426-SM-5ZZWQ 60-69 years, male 8.7
GTEX-1C64N-2626-SM-7PC2N 50-59 years, male 8.7
GTEX-1F6IF-0926-SM-7SB7M 60-69 years, male 8.7
GTEX-1H4P4-2126-SM-9WYSL 50-59 years, male 8.7
GTEX-1K2DU-1226-SM-CYPT4 20-29 years, male 8.7
GTEX-11DYG-1526-SM-5A5JS 60-69 years, male 8.6
GTEX-147F3-1726-SM-5SIAW 50-59 years, female 8.6
GTEX-15D1Q-2826-SM-6LLH7 40-49 years, male 8.6
GTEX-16Z82-2626-SM-7KULU 60-69 years, male 8.6
GTEX-1EN7A-2426-SM-793DB 40-49 years, male 8.6
GTEX-1I1HK-2326-SM-CKZOH 60-69 years, male 8.6
GTEX-ZF3C-0626-SM-DO92O 50-59 years, female 8.6
GTEX-13G51-1826-SM-5KLZH 60-69 years, male 8.5
GTEX-13JUV-2026-SM-5K7UA 40-49 years, female 8.5
GTEX-ZYVF-0926-SM-5E44J 50-59 years, female 8.5
GTEX-13NZ9-2626-SM-5L3FK 50-59 years, male 8.4
GTEX-16NPX-0726-SM-7KULC 50-59 years, male 8.4
GTEX-1B933-2426-SM-7DHMD 50-59 years, female 8.4
GTEX-139T8-0626-SM-5KLZX 60-69 years, male 8.3
GTEX-14PJO-2526-SM-6AJBQ 60-69 years, male 8.3
GTEX-17HHY-0426-SM-7DHLC 50-59 years, male 8.3
GTEX-18A7B-2726-SM-7LG56 70-79 years, male 8.3
GTEX-1HT8W-0626-SM-A9G2H 30-39 years, male 8.3
GTEX-1LVA9-2626-SM-EVYD4 50-59 years, male 8.3
GTEX-1PBJJ-1026-SM-E76OS 30-39 years, male 8.3
GTEX-17MF6-2626-SM-79OKQ 40-49 years, male 8.2
GTEX-1I1GP-1326-SM-A9G28 50-59 years, male 8.2
GTEX-13FHO-0426-SM-5L3F5 60-69 years, male 8.1
GTEX-1A8G7-1326-SM-73KVM 60-69 years, male 8.1
GTEX-WI4N-2726-SM-3LK7Y 40-49 years, female 8.1
GTEX-XK95-0226-SM-4AT58 40-49 years, male 8.1
GTEX-ZWKS-0626-SM-5GIDV 30-39 years, male 8.1
GTEX-11ZUS-2626-SM-5FQUR 30-39 years, male 8.0
GTEX-1313W-0626-SM-5EQ4H 50-59 years, female 8.0
GTEX-14BIN-1126-SM-5RQJZ 50-59 years, female 8.0
GTEX-1IE54-1126-SM-A9G2Z 40-49 years, female 8.0
GTEX-12WSA-0426-SM-5EQ5X 60-69 years, male 7.9
GTEX-1EKGG-0626-SM-7DUGJ 60-69 years, male 7.9
GTEX-1HCU7-0726-SM-A9SL1 50-59 years, male 7.9
GTEX-1JN1M-2726-SM-CY8I4 60-69 years, female 7.9
GTEX-1GZ2Q-0126-SM-9WG6M 40-49 years, male 7.8
GTEX-1HFI6-0126-SM-CNPPI 40-49 years, male 7.8
GTEX-1IOXB-2726-SM-CM2RI 50-59 years, male 7.8
GTEX-1J8Q2-2626-SM-ACKWQ 60-69 years, male 7.8
GTEX-11NUK-2726-SM-5A5MC 50-59 years, male 7.7
GTEX-139TS-2126-SM-5K7XC 60-69 years, male 7.7
GTEX-13OW8-1026-SM-5J1NQ 60-69 years, male 7.7
GTEX-13RTJ-0126-SM-5S2NN 60-69 years, male 7.7
GTEX-18A6Q-0626-SM-7KFRP 60-69 years, male 7.7
GTEX-1HCU8-2526-SM-CE6RX 60-69 years, female 7.7
GTEX-1LG7Y-2526-SM-EWRO7 50-59 years, male 7.7
GTEX-11DXW-0826-SM-5H118 40-49 years, male 7.6
GTEX-12584-0726-SM-5FQTK 40-49 years, male 7.6
GTEX-131XW-0626-SM-5PNVD 50-59 years, female 7.6
GTEX-13OVL-0126-SM-5L3GJ 50-59 years, male 7.6
GTEX-13PVQ-0626-SM-5LU47 50-59 years, male 7.6
GTEX-13X6J-0626-SM-5LU5F 50-59 years, male 7.6
GTEX-1KANB-2826-SM-CY8I6 50-59 years, male 7.6
GTEX-1N2EE-0626-SM-E76PW 60-69 years, male 7.6
GTEX-11UD2-2526-SM-5CVNU 50-59 years, male 7.5
GTEX-14A6H-2026-SM-5Q5DD 30-39 years, male 7.5
GTEX-17EVP-2626-SM-7IGMA 40-49 years, male 7.5
GTEX-13OVH-0526-SM-5L3E6 70-79 years, male 7.4
GTEX-145MF-0926-SM-5Q5EA 50-59 years, male 7.4
GTEX-1EH9U-2826-SM-7DUGT 60-69 years, male 7.4
GTEX-1H3NZ-2726-SM-9WYTQ 60-69 years, male 7.4
GTEX-13112-0126-SM-5P9IU 50-59 years, male 7.3
GTEX-14C5O-0326-SM-5ZZUX 60-69 years, male 7.3
GTEX-1C6VR-0126-SM-7RHGB 60-69 years, male 7.3
GTEX-1F48J-0726-SM-7RHGS 50-59 years, female 7.3
GTEX-1GF9W-1426-SM-7PBYM 60-69 years, male 7.3
GTEX-13JVG-0726-SM-5KM16 60-69 years, male 7.2
GTEX-13SLX-2226-SM-62LEP 50-59 years, female 7.2
GTEX-1C6VQ-1226-SM-73KYD 50-59 years, male 7.2
GTEX-ZTTD-2826-SM-4YCFA 50-59 years, male 7.2
GTEX-1HCVE-2726-SM-CL54F 50-59 years, male 7.2
GTEX-1I1CD-0626-SM-CE6SW 60-69 years, female 7.2
GTEX-1QMI2-2526-SM-E8VNZ 60-69 years, male 7.2
GTEX-X4EO-2926-SM-4E3JH 60-69 years, female 7.1
GTEX-1QEPI-2626-SM-DTXF4 60-69 years, female 7.1
GTEX-13VXU-0626-SM-5L3F9 50-59 years, male 7.0
GTEX-1A3MX-2626-SM-7PC24 60-69 years, male 7.0
GTEX-1GMR8-0626-SM-7RHI7 50-59 years, female 7.0
GTEX-1F88F-0126-SM-9WYSZ 60-69 years, female 6.9
GTEX-1LSNL-2726-SM-E9TKJ 50-59 years, male 6.9
GTEX-1477Z-0326-SM-7IGLA 60-69 years, male 6.8
GTEX-14E6C-2426-SM-5S2NF 40-49 years, male 6.8
GTEX-1F75B-0726-SM-7PC3R 50-59 years, male 6.8
GTEX-1GZ4I-2626-SM-9KNU3 50-59 years, male 6.8
GTEX-1ICLZ-0326-SM-ARL82 60-69 years, male 6.8
GTEX-13N2G-0226-SM-5K7VF 60-69 years, male 6.7
GTEX-15EO6-2426-SM-6PALZ 50-59 years, male 6.7
GTEX-1NV5F-0626-SM-DTXEG 60-69 years, female 6.7
GTEX-17F97-2626-SM-7IGM5 50-59 years, male 6.6
GTEX-Y5V5-0126-SM-5S2NW 60-69 years, female 6.6
GTEX-ZE9C-2526-SM-5IJDR 60-69 years, male 6.6
GTEX-ZYFC-0426-SM-5GICQ 50-59 years, male 6.6
GTEX-1HCU6-2526-SM-ADEHL 60-69 years, female 6.6
GTEX-1JN6P-2926-SM-CL54D 60-69 years, male 6.6
GTEX-1R46S-2426-SM-E76QA 60-69 years, female 6.6
GTEX-13QJC-0126-SM-5ZZWJ 60-69 years, female 6.5
GTEX-13X6I-1826-SM-5SIAO 60-69 years, male 6.5
GTEX-14C39-1726-SM-5RQIL 40-49 years, male 6.5
GTEX-11DXY-0126-SM-5H11Q 60-69 years, male 6.4
GTEX-13O3Q-0126-SM-5KM34 50-59 years, male 6.4
GTEX-144GO-2026-SM-5O99P 60-69 years, male 6.4
GTEX-1HUB1-1426-SM-CGQF5 60-69 years, male 6.4
GTEX-1I19N-0126-SM-CYPSF 70-79 years, male 6.4
GTEX-14JG1-1526-SM-5YY9X 40-49 years, male 6.3
GTEX-17HG3-2626-SM-7DUF2 30-39 years, female 6.3
GTEX-1CB4H-1126-SM-7MKGL 60-69 years, female 6.3
GTEX-1JJ6O-2726-SM-CNPOG 60-69 years, male 6.3
GTEX-1LSVX-2526-SM-DIPEU 60-69 years, male 6.3
GTEX-11GSP-2326-SM-5HL63 60-69 years, female 6.2
GTEX-13FLV-0126-SM-5K7WT 50-59 years, male 6.2
GTEX-13IVO-0726-SM-5LZYV 70-79 years, male 6.2
GTEX-13OW6-2726-SM-5J2OE 50-59 years, male 6.2
GTEX-18A7A-0126-SM-731AH 50-59 years, female 6.2
GTEX-VUSG-2326-SM-4KL1U 50-59 years, male 6.2
GTEX-ZVT4-2426-SM-5GIEI 50-59 years, female 6.2
GTEX-1M4P7-0726-SM-E6CJ3 60-69 years, male 6.2
GTEX-11EQ8-0926-SM-5H12V 60-69 years, male 6.1
GTEX-1314G-1326-SM-5BC6E 30-39 years, male 6.1
GTEX-13X6K-0626-SM-5LU5D 60-69 years, female 6.1
GTEX-1A8G6-2726-SM-731AR 60-69 years, male 6.1
GTEX-ZYFD-0626-SM-5E44E 50-59 years, male 6.1
GTEX-15RJE-2826-SM-7KUM9 40-49 years, male 6.0
GTEX-11WQC-1826-SM-5GU59 60-69 years, male 5.9
GTEX-1399Q-2326-SM-5KM2X 40-49 years, male 5.9
GTEX-13NYB-0126-SM-5J1MD 40-49 years, male 5.9
GTEX-1I1GS-2626-SM-B2LY3 60-69 years, male 5.9
GTEX-18465-2826-SM-7LT9J 50-59 years, male 5.8
GTEX-ZAB4-2126-SM-5HL8U 40-49 years, male 5.8
GTEX-ZAJG-1526-SM-5CVML 50-59 years, female 5.8
GTEX-1GMR3-0126-SM-A9SLW 40-49 years, male 5.8
GTEX-1OJC4-2726-SM-E76PJ 50-59 years, female 5.8
GTEX-147JS-0226-SM-5S2U9 60-69 years, male 5.7
GTEX-14BMV-2826-SM-5TDED 50-59 years, male 5.7
GTEX-14DAQ-0626-SM-793DS 60-69 years, female 5.7
GTEX-14LZ3-0126-SM-69LPM 60-69 years, female 5.7
GTEX-16XZZ-0726-SM-7KUF2 60-69 years, male 5.7
GTEX-1J1OQ-0126-SM-D4P2N 40-49 years, female 5.7
GTEX-1R9K4-2826-SM-DTX8F 60-69 years, male 5.7
GTEX-13OW7-0426-SM-5K7VK 50-59 years, male 5.6
GTEX-WYBS-0626-SM-3NMAS 60-69 years, female 5.6
GTEX-14JFF-0626-SM-5ZZVT 60-69 years, male 5.6
GTEX-1JJEA-1826-SM-ARU8P 60-69 years, male 5.6
GTEX-1JMQL-2226-SM-CNPP4 50-59 years, female 5.6
GTEX-13NYC-0126-SM-5L3F4 60-69 years, male 5.5
GTEX-145MO-2826-SM-5LU96 60-69 years, male 5.5
GTEX-15G19-2426-SM-7KUMR 60-69 years, male 5.5
GTEX-15SHW-0226-SM-7LTAT 60-69 years, male 5.5
GTEX-11PRG-0726-SM-5EGL1 50-59 years, male 5.4
GTEX-13N1W-2426-SM-5IJD1 70-79 years, male 5.4
GTEX-13OW5-2326-SM-5L3HO 60-69 years, male 5.4
GTEX-ZYY3-2926-SM-5GIEB 60-69 years, female 5.4
GTEX-1H23P-0626-SM-9WG6T 60-69 years, male 5.4
GTEX-14PJ2-0626-SM-6LLII 50-59 years, male 5.3
GTEX-15DDE-2926-SM-6LLJ3 50-59 years, female 5.3
GTEX-16MT9-0126-SM-7EPI8 60-69 years, female 5.3
GTEX-1J8JJ-0626-SM-ARZMQ 60-69 years, female 5.3
GTEX-1A3MW-0626-SM-731CB 60-69 years, female 5.2
GTEX-XMD2-2126-SM-4YCF8 60-69 years, female 5.2
GTEX-145LS-0626-SM-7EPG7 60-69 years, female 5.1
GTEX-14A5H-0826-SM-5QGPJ 60-69 years, male 5.1
GTEX-14LLW-2626-SM-62LDZ 70-79 years, female 5.1
GTEX-1BAJH-2426-SM-7IGP8 70-79 years, male 5.1
GTEX-X8HC-0626-SM-4E3HQ 50-59 years, female 5.1
GTEX-1HSMO-0626-SM-ACKXC 60-69 years, male 5.1
GTEX-1IDJV-0126-SM-COH3Y 60-69 years, male 5.1
GTEX-1KAFJ-0126-SM-DIPEK 50-59 years, male 5.1
GTEX-1117F-2926-SM-5GZYI 60-69 years, female 5.0
GTEX-12KS4-2126-SM-5FQUT 30-39 years, male 5.0
GTEX-1HR9M-2226-SM-CNPPY 60-69 years, male 5.0
GTEX-1IL2V-1926-SM-B2LW8 70-79 years, male 5.0
GTEX-1HR98-2226-SM-ADEI2 60-69 years, male 4.9
GTEX-183WM-0326-SM-72D5V 70-79 years, female 4.8
GTEX-1CAV2-0126-SM-7IGN7 40-49 years, female 4.8
GTEX-1JMPZ-0726-SM-CY8HZ 30-39 years, male 4.8
GTEX-ZXG5-2126-SM-59HKD 60-69 years, male 4.7
GTEX-1GPI6-1926-SM-9KNV7 60-69 years, male 4.7
GTEX-1JMQI-1726-SM-ARL93 50-59 years, male 4.7
GTEX-1LVAO-2726-SM-E9TJ8 60-69 years, male 4.7
GTEX-1269C-0126-SM-5EQ5L 60-69 years, female 4.6
GTEX-14C38-0726-SM-5SI6M 50-59 years, male 4.6
GTEX-13O3O-2326-SM-5IJD6 60-69 years, female 4.5
GTEX-15UF6-1926-SM-7KUDV 70-79 years, female 4.5
GTEX-ZVE1-0726-SM-51MRN 50-59 years, female 4.4
GTEX-1H3O1-1326-SM-9MQLD 60-69 years, male 4.4
GTEX-1IDFM-0326-SM-ARL7V 60-69 years, male 4.4
GTEX-139D8-1126-SM-5LU8W 30-39 years, female 4.3
GTEX-144FL-0626-SM-5LU43 50-59 years, male 4.3
GTEX-11WQK-1026-SM-5EQLX 50-59 years, male 4.1
GTEX-13PL6-1126-SM-5L3IE 40-49 years, female 4.1
GTEX-145MI-0626-SM-5SI8S 60-69 years, female 4.1
GTEX-14753-0726-SM-5QGQO 60-69 years, male 4.1
GTEX-17F9Y-0126-SM-79OKX 70-79 years, female 4.1
GTEX-1ICLY-0826-SM-CMKG1 50-59 years, male 4.1
GTEX-13NZ8-1226-SM-5KM4A 60-69 years, female 4.0
GTEX-ZVE2-2826-SM-5GU51 50-59 years, male 4.0
GTEX-1F6RS-2026-SM-7RHHC 60-69 years, female 3.9
GTEX-1EX96-1026-SM-7MKG2 50-59 years, male 3.8
GTEX-1H3VE-0726-SM-9YFL5 40-49 years, male 3.8
GTEX-13SLW-0626-SM-5Q5ER 70-79 years, male 3.7
GTEX-13PDP-0726-SM-5L3HP 60-69 years, male 3.6
GTEX-1A8FM-0626-SM-7PC25 50-59 years, female 3.5
GTEX-1GN1V-2826-SM-9JGIA 60-69 years, male 3.5
GTEX-148VJ-0626-SM-5LUAW 70-79 years, male 3.4
GTEX-1F88E-1626-SM-7SB8Z 60-69 years, female 3.2
GTEX-1HBPM-0726-SM-9YFL7 60-69 years, female 3.2
GTEX-139UW-0326-SM-5J1ML 60-69 years, male 2.9
GTEX-144GL-0626-SM-5LU4D 50-59 years, male 2.5
GTEX-15SKB-2826-SM-6PAMH 60-69 years, male 1.9
GTEX-13YAN-0226-SM-5TDC6 60-69 years, male 1.7
Show allShow less
Skin - Sun Exposed (Lower leg)
Average nTPM: 12.4
Samples: 701

Max nTPM: 26.6
Min nTPM: 2.2
Std nTPM: 3.6
Median nTPM: 12.2
GTEX-X88G-0126-SM-47JZ3 30-39 years, male 26.6
GTEX-XUZC-1726-SM-4BRWS 30-39 years, female 26.0
GTEX-T6MN-0126-SM-32PLP 50-59 years, male 23.0
GTEX-TMZS-0126-SM-3DB9Q 60-69 years, male 22.1
GTEX-Y114-2426-SM-4TT8A 50-59 years, female 21.9
GTEX-WXYG-2326-SM-4E3I6 50-59 years, female 21.6
GTEX-1QP9N-1426-SM-DTXFL 30-39 years, male 21.6
GTEX-SUCS-1926-SM-32PM3 70-79 years, male 21.2
GTEX-ZGAY-0526-SM-4WWBB 40-49 years, female 21.2
GTEX-17F98-0626-SM-79OMX 40-49 years, female 20.9
GTEX-XQ3S-1526-SM-4BOOC 20-29 years, male 20.8
GTEX-Y3IK-2426-SM-4WWDU 50-59 years, female 20.8
GTEX-QEG4-0226-SM-2S1PY 30-39 years, male 20.4
GTEX-Y111-0126-SM-4SOIV 50-59 years, male 20.4
GTEX-11P7K-2126-SM-5GU7G 30-39 years, male 20.3
GTEX-1OJC3-0126-SM-E76QX 20-29 years, male 20.3
GTEX-1R9PM-2026-SM-E76OY 20-29 years, male 20.3
GTEX-NFK9-0226-SM-2HMKQ 40-49 years, male 20.2
GTEX-1JMLX-0226-SM-CM2RO 50-59 years, male 20.2
GTEX-1399U-2326-SM-5K7WY 50-59 years, female 20.1
GTEX-1S5ZA-0126-SM-EVYCV 20-29 years, male 20.0
GTEX-W5X1-3026-SM-EAZAX 40-49 years, female 19.9
GTEX-T5JW-1626-SM-3GADZ 20-29 years, female 19.8
GTEX-13RTK-1426-SM-5QGQJ 20-29 years, male 19.7
GTEX-OHPL-0126-SM-2HMJ7 60-69 years, female 19.7
GTEX-OXRL-0126-SM-2YUMP 50-59 years, male 19.7
GTEX-PX3G-0126-SM-2I3EN 20-29 years, female 19.7
GTEX-WY7C-2326-SM-3NB2U 50-59 years, male 19.7
GTEX-ZXES-1826-SM-5E43S 30-39 years, female 19.5
GTEX-TML8-1926-SM-32QOS 40-49 years, female 19.3
GTEX-PWCY-1826-SM-DHXIZ 20-29 years, female 19.1
GTEX-WFON-2126-SM-3LK7O 40-49 years, male 19.0
GTEX-O5YW-0126-SM-3LK6D 50-59 years, male 18.9
GTEX-S7PM-0126-SM-4AD6S 60-69 years, male 18.9
GTEX-1PPH8-0226-SM-E8VND 20-29 years, male 18.9
GTEX-1211K-2026-SM-5EQ4Z 60-69 years, female 18.8
GTEX-WRHK-1426-SM-3MJF9 20-29 years, female 18.8
GTEX-X638-0126-SM-47JZ8 70-79 years, female 18.8
GTEX-1OFPY-2426-SM-DTXEJ 60-69 years, male 18.8
GTEX-WYJK-0126-SM-3NMAB 50-59 years, male 18.7
GTEX-1J8EW-0126-SM-CJI4F 60-69 years, female 18.7
GTEX-XUYS-0126-SM-47JWZ 50-59 years, male 18.6
GTEX-1CAV2-2226-SM-7P8P2 40-49 years, female 18.6
GTEX-12WSK-2326-SM-5GCOH 40-49 years, female 18.4
GTEX-13FTW-2626-SM-5K7WL 40-49 years, male 18.4
GTEX-QCQG-1726-SM-3GIJ9 50-59 years, female 18.4
GTEX-UPJH-0326-SM-3GADU 50-59 years, male 18.4
GTEX-1MCYP-1926-SM-E9J2R 20-29 years, female 18.4
GTEX-U3ZM-1526-SM-3DB9D 40-49 years, male 18.3
GTEX-ZVZO-0126-SM-5A5L9 40-49 years, male 18.3
GTEX-1K2DA-1826-SM-CGQGT 50-59 years, male 18.3
GTEX-12WSD-0126-SM-59HKN 60-69 years, female 18.2
GTEX-Q2AH-1626-SM-3GAF8 40-49 years, male 18.2
GTEX-S95S-1226-SM-4GICG 60-69 years, male 18.2
GTEX-WH7G-2326-SM-3NMBC 40-49 years, male 18.2
GTEX-YB5K-2126-SM-4WWDJ 40-49 years, female 18.2
GTEX-1MGNQ-0126-SM-EVYCJ 40-49 years, male 18.2
GTEX-TKQ1-1026-SM-4GICL 30-39 years, male 18.1
GTEX-OHPM-0126-SM-2YUN9 50-59 years, male 18.0
GTEX-U8T8-0126-SM-3DB94 60-69 years, male 17.9
GTEX-X5EB-2226-SM-46MW4 40-49 years, male 17.9
GTEX-Y3I4-2126-SM-4TT7C 50-59 years, male 17.9
GTEX-PLZ6-1426-SM-DKPOT 30-39 years, male 17.9
GTEX-131XG-2626-SM-5KM17 50-59 years, female 17.7
GTEX-18D9U-0226-SM-718BP 40-49 years, male 17.7
GTEX-1QCLY-0326-SM-E8VOG 30-39 years, male 17.7
GTEX-1F5PL-0326-SM-7P8PQ 40-49 years, female 17.6
GTEX-12126-0326-SM-5PNW3 20-29 years, male 17.5
GTEX-P4PQ-0126-SM-2S1NM 60-69 years, male 17.5
GTEX-RM2N-1426-SM-2TF4H 50-59 years, male 17.5
GTEX-11UD1-0126-SM-5PNYG 40-49 years, female 17.4
GTEX-ZQUD-1426-SM-57WER 30-39 years, male 17.4
GTEX-1B8L1-2526-SM-9WYTF 60-69 years, male 17.4
GTEX-1C4CL-0526-SM-73KVK 30-39 years, male 17.3
GTEX-PLZ5-2026-SM-2S1O4 50-59 years, male 17.3
GTEX-R55E-0126-SM-2TC5Y 20-29 years, male 17.3
GTEX-144GN-2326-SM-5LU4F 50-59 years, male 17.2
GTEX-O5YT-0126-SM-48TBW 20-29 years, male 17.2
GTEX-P4PP-0126-SM-3LK69 30-39 years, female 17.2
GTEX-W5WG-1826-SM-4KL2Y 50-59 years, female 17.2
GTEX-113IC-0126-SM-5HL6T 60-69 years, male 17.1
GTEX-OIZG-0726-SM-33HBL 50-59 years, male 17.0
GTEX-Y8DK-0126-SM-4TT3L 60-69 years, male 16.9
GTEX-YB5E-2026-SM-5IFIS 40-49 years, male 16.9
GTEX-ZVT2-2526-SM-51MT1 50-59 years, female 16.9
GTEX-XPVG-2626-SM-4B669 50-59 years, male 16.8
GTEX-RNOR-0126-SM-E9J4R 50-59 years, female 16.8
GTEX-Q2AI-1326-SM-2S1PL 40-49 years, male 16.7
GTEX-Z93T-0126-SM-5HL5N 50-59 years, male 16.7
GTEX-ZVTK-0426-SM-51MRS 20-29 years, male 16.7
GTEX-1GTWX-0126-SM-9YFLK 60-69 years, male 16.6
GTEX-RVPV-0126-SM-EAZAW 60-69 years, male 16.6
GTEX-WQUQ-0426-SM-3MJFU 60-69 years, male 16.4
GTEX-1ICG6-2526-SM-CGQFZ 70-79 years, female 16.4
GTEX-RU72-0926-SM-2TF6B 50-59 years, female 16.3
GTEX-169BO-1326-SM-9MQK2 50-59 years, male 16.3
GTEX-1CAMS-0426-SM-7P8T2 40-49 years, female 16.3
GTEX-1EWIQ-0126-SM-7RHH2 70-79 years, female 16.3
GTEX-1LVAN-0226-SM-COH3S 50-59 years, female 16.3
GTEX-117YX-2326-SM-5H12W 50-59 years, male 16.2
GTEX-15SB6-1726-SM-6PAME 50-59 years, female 16.2
GTEX-ZVZP-2426-SM-59HKJ 50-59 years, male 16.2
GTEX-1HCU6-0126-SM-CL54K 60-69 years, female 16.1
GTEX-13X6J-0126-SM-5QGOU 50-59 years, male 16.0
GTEX-1CB4E-2226-SM-793DC 60-69 years, male 16.0
GTEX-QLQ7-1626-SM-2S1R8 60-69 years, male 16.0
GTEX-X4XX-0126-SM-3NMC2 60-69 years, male 16.0
GTEX-ZQG8-1626-SM-DHXIT 60-69 years, female 16.0
GTEX-WZTO-0126-SM-3NM95 40-49 years, male 15.9
GTEX-XBED-2226-SM-47JYQ 60-69 years, male 15.9
GTEX-S7SE-0126-SM-2XCD5 50-59 years, male 15.8
GTEX-T2IS-0126-SM-4DM6O 20-29 years, female 15.8
GTEX-XYKS-2126-SM-4E3IB 60-69 years, female 15.8
GTEX-13FH7-2026-SM-E9J4I 50-59 years, female 15.8
GTEX-1GF9W-0326-SM-9KNUN 60-69 years, male 15.8
GTEX-1N2DV-0226-SM-E6CJ6 40-49 years, male 15.8
GTEX-13OVI-1426-SM-5L3EY 60-69 years, female 15.7
GTEX-1CB4J-0626-SM-7DHMP 60-69 years, male 15.7
GTEX-X585-0226-SM-4QAS2 50-59 years, male 15.7
GTEX-XAJ8-0826-SM-47JY6 40-49 years, male 15.7
GTEX-1MA7W-2026-SM-E9TJ6 20-29 years, female 15.7
GTEX-13111-1626-SM-5EGJY 50-59 years, male 15.6
GTEX-QV44-1926-SM-2S1RF 50-59 years, male 15.6
GTEX-SSA3-0126-SM-32QPU 60-69 years, male 15.6
GTEX-YEC4-2126-SM-5IFJH 40-49 years, male 15.6
GTEX-ZDYS-2026-SM-5HL5L 50-59 years, male 15.6
GTEX-1CAMR-1926-SM-7EPI2 20-29 years, male 15.5
GTEX-S33H-1026-SM-EZ6L6 30-39 years, male 15.5
GTEX-11GSP-2526-SM-5N9BP 60-69 years, female 15.4
GTEX-13X6H-2126-SM-7EWD5 50-59 years, female 15.4
GTEX-17EUY-0426-SM-793BD 20-29 years, male 15.4
GTEX-1AX8Z-0126-SM-7DHM6 60-69 years, male 15.4
GTEX-Q734-1926-SM-2I5EV 40-49 years, female 15.4
GTEX-SIU8-0126-SM-2XCDT 50-59 years, male 15.4
GTEX-1F75A-0126-SM-7RHGM 50-59 years, male 15.4
GTEX-1PIIG-0226-SM-EWRN6 30-39 years, male 15.4
GTEX-ZPIC-1726-SM-DHXIU 40-49 years, female 15.4
GTEX-11OC5-0126-SM-5HL6A 60-69 years, male 15.3
GTEX-13PVR-2326-SM-5QGR1 60-69 years, female 15.3
GTEX-14BMU-2226-SM-5TDE9 20-29 years, female 15.3
GTEX-15ER7-0326-SM-7KUEV 20-29 years, female 15.3
GTEX-RWSA-0126-SM-2XCBB 40-49 years, male 15.3
GTEX-11DXX-2426-SM-5GZZW 60-69 years, female 15.2
GTEX-145LV-2126-SM-5LU8N 50-59 years, male 15.2
GTEX-T5JC-0426-SM-32PLO 20-29 years, male 15.2
GTEX-1HSMP-0126-SM-E6CJS 70-79 years, male 15.2
GTEX-QLQW-1126-SM-2S1Q8 30-39 years, male 15.1
GTEX-ZYFC-0226-SM-5NQ75 50-59 years, male 15.1
GTEX-1I1GV-0526-SM-A9G29 60-69 years, male 15.1
GTEX-1J1OQ-0226-SM-CYPSH 40-49 years, female 15.1
GTEX-PSDG-0226-SM-DKPOZ 50-59 years, male 15.1
GTEX-1192X-0226-SM-5H12D 50-59 years, male 15.0
GTEX-PLZ4-0126-SM-5SI8O 50-59 years, female 15.0
GTEX-QVJO-1626-SM-2S1QW 60-69 years, female 15.0
GTEX-XQ8I-0426-SM-4BOPO 50-59 years, male 15.0
GTEX-1AX9I-0126-SM-7SB74 60-69 years, male 15.0
GTEX-1IKK5-0626-SM-ARL8A 60-69 years, male 15.0
GTEX-1LBAC-0126-SM-DIPEZ 20-29 years, male 15.0
GTEX-1NHNU-1026-SM-E9J2A 50-59 years, male 15.0
GTEX-1S83E-0126-SM-EWRO4 40-49 years, male 15.0
GTEX-18D9A-1926-SM-7LG6P 30-39 years, female 14.9
GTEX-OIZH-0126-SM-2HMIS 50-59 years, male 14.9
GTEX-T2YK-0526-SM-32QPJ 50-59 years, male 14.9
GTEX-ZDTS-0126-SM-4WAY5 60-69 years, male 14.9
GTEX-1H1ZS-0426-SM-9WG6G 70-79 years, male 14.9
GTEX-ZF29-2326-SM-DO92K 60-69 years, female 14.9
GTEX-16YQH-0126-SM-7DUFJ 30-39 years, male 14.8
GTEX-17HHE-2026-SM-79OKF 50-59 years, male 14.8
GTEX-1AYCT-2426-SM-7IGQ3 50-59 years, male 14.8
GTEX-POMQ-2226-SM-2I5FK 20-29 years, female 14.8
GTEX-U3ZN-2326-SM-3DB7W 30-39 years, female 14.8
GTEX-1B996-0226-SM-7RHGO 60-69 years, male 14.8
GTEX-1PFEY-1526-SM-E76PP 30-39 years, male 14.8
GTEX-1PIGE-0126-SM-EVYBJ 20-29 years, male 14.8
GTEX-1C475-1826-SM-73KWA 40-49 years, female 14.7
GTEX-1LG7Z-1726-SM-D3LA4 30-39 years, male 14.7
GTEX-14PJ6-2126-SM-6EU1V 60-69 years, female 14.6
GTEX-Y5V6-2426-SM-4VDSB 60-69 years, male 14.6
GTEX-ZDXO-3026-SM-5J1N5 60-69 years, male 14.6
GTEX-ZYFG-2326-SM-5E44B 60-69 years, female 14.6
GTEX-1GF9V-0326-SM-7RHI5 60-69 years, male 14.6
GTEX-1IY9M-0126-SM-D3L8S 60-69 years, male 14.6
GTEX-1R7EU-0226-SM-EVR4G 60-69 years, male 14.6
GTEX-11GS4-2726-SM-5A5LE 60-69 years, male 14.5
GTEX-XUW1-0426-SM-4BOOT 50-59 years, female 14.5
GTEX-1EMGI-0126-SM-9KNUE 60-69 years, male 14.5
GTEX-117YW-2626-SM-5GZZH 50-59 years, male 14.4
GTEX-13113-5016-SM-7EPIP 60-69 years, female 14.4
GTEX-RWS6-2026-SM-2XCB5 60-69 years, female 14.4
GTEX-VJYA-1126-SM-3GIJU 60-69 years, male 14.4
GTEX-ZYY3-0126-SM-5GZY5 60-69 years, female 14.4
GTEX-1GZHY-0326-SM-9QEHI 50-59 years, female 14.4
GTEX-13D11-2426-SM-5KM1V 50-59 years, female 14.3
GTEX-17HHY-0126-SM-7LG5D 50-59 years, male 14.3
GTEX-1AYD5-2426-SM-73KXR 50-59 years, male 14.3
GTEX-1B8SG-0126-SM-73KZ3 50-59 years, male 14.3
GTEX-XXEK-2226-SM-4BRUM 50-59 years, male 14.3
GTEX-1I1GU-2226-SM-CGQFA 40-49 years, male 14.3
GTEX-1J1R8-1726-SM-ARL8M 40-49 years, male 14.3
GTEX-1RAZA-0126-SM-E6CI3 20-29 years, male 14.3
GTEX-11VI4-1726-SM-5CVLH 40-49 years, female 14.2
GTEX-R55G-2526-SM-2TC6D 40-49 years, female 14.2
GTEX-1F75I-0326-SM-9YFLU 40-49 years, male 14.2
GTEX-1H11D-0226-SM-9WG6Z 40-49 years, male 14.2
GTEX-1HGF4-2426-SM-ACKXM 60-69 years, male 14.2
GTEX-1HSKV-0226-SM-A9SKJ 60-69 years, male 14.2
GTEX-1MUQO-0126-SM-EAZ58 60-69 years, male 14.2
GTEX-1S3DN-2226-SM-EVYCD 50-59 years, male 14.2
GTEX-PW2O-1526-SM-7RHHB 20-29 years, male 14.2
GTEX-11ZTS-0126-SM-5EQ6M 60-69 years, female 14.1
GTEX-18QFQ-0126-SM-731BE 30-39 years, male 14.1
GTEX-1B8KE-2126-SM-73KYX 50-59 years, male 14.1
GTEX-1IL2U-0226-SM-CE6T8 60-69 years, male 14.1
GTEX-1JMPY-1326-SM-ARL8Y 30-39 years, male 14.1
GTEX-111FC-0126-SM-5N9DL 60-69 years, male 14.0
GTEX-1128S-2326-SM-5GZZY 60-69 years, female 14.0
GTEX-11ZTT-2426-SM-5EQLS 60-69 years, female 14.0
GTEX-1F48J-0126-SM-7P8TT 50-59 years, female 14.0
GTEX-1KWVE-1426-SM-E9TJO 30-39 years, male 14.0
GTEX-1OJC4-0126-SM-E9J2E 50-59 years, female 14.0
GTEX-11EM3-2426-SM-59861 20-29 years, female 13.9
GTEX-12ZZY-0226-SM-5LZVE 60-69 years, male 13.9
GTEX-17HGU-0226-SM-7DHKV 50-59 years, male 13.9
GTEX-QESD-1426-SM-2S1R9 20-29 years, male 13.9
GTEX-U3ZH-2026-SM-3DB78 30-39 years, male 13.9
GTEX-1KANC-1526-SM-D3LAB 50-59 years, female 13.9
GTEX-11DYG-0126-SM-59883 60-69 years, male 13.8
GTEX-11XUK-2026-SM-5EQLF 40-49 years, female 13.8
GTEX-1AMFI-2026-SM-731BH 50-59 years, female 13.8
GTEX-RN64-0126-SM-2TC68 50-59 years, male 13.8
GTEX-ZY6K-1826-SM-5GZXK 50-59 years, male 13.8
GTEX-1GPI7-0126-SM-9MQL8 20-29 years, male 13.8
GTEX-1H3VY-0126-SM-ACKXD 50-59 years, male 13.8
GTEX-1MCQQ-0826-SM-DLHC2 60-69 years, male 13.8
GTEX-12WSJ-1826-SM-5GCNY 40-49 years, female 13.7
GTEX-1EKGG-0226-SM-9WYTH 60-69 years, male 13.7
GTEX-1GN1W-0526-SM-9MQJQ 50-59 years, female 13.7
GTEX-1KANA-0726-SM-D3L9I 20-29 years, male 13.7
GTEX-1R9K4-0126-SM-DTX9X 60-69 years, male 13.7
GTEX-13RTJ-2426-SM-5S2Q2 60-69 years, male 13.6
GTEX-17EVQ-0226-SM-7LG4P 70-79 years, male 13.6
GTEX-P4QT-0126-SM-2I3FL 50-59 years, female 13.6
GTEX-UJHI-1526-SM-3DB99 50-59 years, female 13.6
GTEX-1CB4F-0426-SM-9KNV4 60-69 years, male 13.6
GTEX-1GL5R-1826-SM-9KNUY 50-59 years, male 13.6
GTEX-1GZ4H-1726-SM-7PBZJ 50-59 years, female 13.6
GTEX-1JN76-0126-SM-CNPPE 20-29 years, female 13.6
GTEX-13CF2-2526-SM-5LZYX 60-69 years, male 13.5
GTEX-146FQ-0126-SM-5NQA9 30-39 years, male 13.5
GTEX-14E6D-0126-SM-62LDV 50-59 years, male 13.5
GTEX-1HSEH-0126-SM-ACKXN 60-69 years, male 13.5
GTEX-1I1HK-0126-SM-COH49 60-69 years, male 13.5
GTEX-117XS-2726-SM-5N9BL 60-69 years, male 13.4
GTEX-139TU-0126-SM-5K7WH 60-69 years, male 13.4
GTEX-145MN-2226-SM-5SIAU 30-39 years, male 13.4
GTEX-14PJ3-1826-SM-62LEX 50-59 years, male 13.4
GTEX-15SHU-0126-SM-7KUEH 40-49 years, female 13.4
GTEX-16NGA-1726-SM-731B4 40-49 years, female 13.4
GTEX-1C6WA-0126-SM-7PC2B 60-69 years, male 13.4
GTEX-1H1DE-2126-SM-9WG6R 20-29 years, male 13.4
GTEX-1LGOU-2026-SM-DIPFF 20-29 years, female 13.4
GTEX-1LSNM-1926-SM-E6CII 50-59 years, male 13.4
GTEX-1RAZQ-0726-SM-EAZ43 30-39 years, male 13.4
GTEX-139TT-0126-SM-5K7Y5 60-69 years, male 13.3
GTEX-14PN4-0126-SM-6EU2V 50-59 years, male 13.3
GTEX-1B97I-1626-SM-73KYO 40-49 years, male 13.3
GTEX-X4XY-0226-SM-4E3IZ 60-69 years, male 13.3
GTEX-1HKZK-0326-SM-9WYUH 40-49 years, male 13.3
GTEX-1HSMQ-1226-SM-CGQFX 50-59 years, male 13.3
GTEX-1122O-2126-SM-5EGIR 60-69 years, female 13.2
GTEX-13OW6-0426-SM-5L3HM 50-59 years, male 13.2
GTEX-16GPK-0126-SM-7DHLE 60-69 years, male 13.2
GTEX-RTLS-0126-SM-447CA 60-69 years, female 13.2
GTEX-RUSQ-1526-SM-2TF62 50-59 years, male 13.2
GTEX-1F52S-0126-SM-9MQJU 60-69 years, female 13.2
GTEX-1HBPN-0226-SM-9YFM1 50-59 years, male 13.2
GTEX-1IL2V-0126-SM-CM2TX 70-79 years, male 13.2
GTEX-1QP66-1726-SM-E8VO1 50-59 years, male 13.2
GTEX-SE5C-1626-SM-2XCE3 40-49 years, female 13.2
GTEX-1399R-2726-SM-5IJBA 30-39 years, male 13.1
GTEX-1497J-2426-SM-7IGNX 60-69 years, male 13.1
GTEX-14PHX-2326-SM-62LEM 50-59 years, male 13.1
GTEX-1AMEY-1326-SM-73KYK 30-39 years, female 13.1
GTEX-WFG8-2226-SM-3GIL9 20-29 years, male 13.1
GTEX-ZC5H-0226-SM-4WAY9 40-49 years, female 13.1
GTEX-1GN1U-0126-SM-7PBZK 50-59 years, female 13.1
GTEX-T6MO-1626-SM-32QOM 40-49 years, female 13.0
GTEX-WYVS-2126-SM-3NMA3 40-49 years, female 13.0
GTEX-1GF9X-2026-SM-7PC3A 40-49 years, female 13.0
GTEX-1HSGN-0226-SM-CGQFV 40-49 years, female 13.0
GTEX-1IDJU-2626-SM-CM2RT 60-69 years, female 13.0
GTEX-1QAET-0926-SM-E76QM 50-59 years, male 13.0
GTEX-1R9PO-2126-SM-E9J4O 60-69 years, female 13.0
GTEX-1S82Y-2026-SM-EVYCM 40-49 years, male 13.0
GTEX-OOBJ-0126-SM-E6CJW 60-69 years, male 13.0
GTEX-1269C-2526-SM-5EGJ3 60-69 years, female 12.9
GTEX-12C56-1726-SM-5EQ61 20-29 years, male 12.9
GTEX-14E7W-0126-SM-6LLJ9 70-79 years, male 12.9
GTEX-14ICK-0226-SM-6EU25 40-49 years, male 12.9
GTEX-18A6Q-0126-SM-731BZ 60-69 years, male 12.9
GTEX-NPJ8-0126-SM-2YUNR 40-49 years, male 12.9
GTEX-ZYT6-0226-SM-5NQ6T 30-39 years, male 12.9
GTEX-1I4MK-2226-SM-ACKWD 50-59 years, female 12.9
GTEX-1JMQK-0226-SM-CL543 60-69 years, male 12.9
GTEX-12696-2426-SM-5EQ6H 60-69 years, male 12.8
GTEX-12ZZZ-0626-SM-5DUXI 60-69 years, male 12.8
GTEX-14XAO-2326-SM-6EU1B 60-69 years, female 12.8
GTEX-ZTPG-0326-SM-5O9AX 20-29 years, female 12.8
GTEX-1JKYR-0126-SM-CNPOJ 20-29 years, male 12.8
GTEX-11LCK-1026-SM-5A5KB 30-39 years, male 12.7
GTEX-13O21-1426-SM-5K7XI 50-59 years, male 12.7
GTEX-16AAH-1726-SM-7939C 50-59 years, male 12.7
GTEX-16MT8-0426-SM-7KUEY 60-69 years, female 12.7
GTEX-17MFQ-1726-SM-793C7 20-29 years, male 12.7
GTEX-1CB4I-0226-SM-79OLH 50-59 years, male 12.7
GTEX-Q2AG-0126-SM-33HBV 40-49 years, female 12.7
GTEX-T8EM-1026-SM-3DB7M 40-49 years, male 12.7
GTEX-ZAB4-0226-SM-5N9F5 40-49 years, male 12.7
GTEX-146FR-1326-SM-E9J48 60-69 years, female 12.7
GTEX-1I1GQ-0126-SM-COH3H 50-59 years, male 12.7
GTEX-1I6K6-0126-SM-A9SLE 30-39 years, male 12.7
GTEX-1K9T9-0126-SM-EVYCF 50-59 years, female 12.7
GTEX-1KANB-0526-SM-E6CJH 50-59 years, male 12.7
GTEX-1RDX4-0126-SM-E9J4P 50-59 years, female 12.7
GTEX-11DXZ-2326-SM-5EGGV 50-59 years, male 12.6
GTEX-13CF3-2426-SM-5IFGX 60-69 years, female 12.6
GTEX-14PJM-0226-SM-62LF1 50-59 years, female 12.6
GTEX-15EU6-0426-SM-6PAN5 50-59 years, male 12.6
GTEX-15SDE-2226-SM-7IGLO 50-59 years, female 12.6
GTEX-1E1VI-0126-SM-7DHMZ 50-59 years, male 12.6
GTEX-1GMRU-0126-SM-9YFLV 50-59 years, male 12.6
GTEX-1HCU9-1526-SM-A9SL7 20-29 years, male 12.6
GTEX-1HCVE-0126-SM-CGQEU 50-59 years, male 12.6
GTEX-1ICLZ-0126-SM-CKZPO 60-69 years, male 12.6
GTEX-1NV5F-0226-SM-E8VNY 60-69 years, female 12.6
GTEX-ZE7O-0126-SM-57WC1 50-59 years, female 12.5
GTEX-ZYW4-0126-SM-5E44A 60-69 years, male 12.5
GTEX-1I1GP-2226-SM-CGQFK 50-59 years, male 12.5
GTEX-1KD5A-0226-SM-D5OV3 50-59 years, male 12.5
GTEX-X4EP-0126-SM-3P5YV 60-69 years, female 12.4
GTEX-ZF28-0126-SM-4WKGK 60-69 years, male 12.4
GTEX-1K2DU-2326-SM-E9TIV 20-29 years, male 12.4
GTEX-14DAR-2026-SM-5S2O3 50-59 years, male 12.3
GTEX-16XZY-2126-SM-79OK1 70-79 years, male 12.3
GTEX-18D9B-0526-SM-7LTAS 60-69 years, male 12.3
GTEX-ZZ64-1726-SM-5GZYB 20-29 years, male 12.3
GTEX-1I1GS-0126-SM-B2LVW 60-69 years, male 12.3
GTEX-13FHO-0226-SM-5IFGY 60-69 years, male 12.2
GTEX-146FH-0126-SM-5QGPP 50-59 years, female 12.2
GTEX-1GPI6-0126-SM-9WG69 60-69 years, male 12.2
GTEX-1POEN-0126-SM-EYYXJ 30-39 years, female 12.2
GTEX-11P81-2326-SM-59875 30-39 years, female 12.1
GTEX-11P82-1626-SM-59879 20-29 years, male 12.1
GTEX-132NY-0326-SM-5IJBL 60-69 years, male 12.1
GTEX-139D8-0226-SM-5KLZO 30-39 years, female 12.1
GTEX-13OVL-0226-SM-5L3E9 50-59 years, male 12.1
GTEX-15DYW-0126-SM-7KULE 60-69 years, female 12.1
GTEX-17JCI-0126-SM-7LG5G 60-69 years, female 12.1
GTEX-18A67-0126-SM-7LG5P 50-59 years, male 12.1
GTEX-18A7A-0226-SM-718BH 50-59 years, female 12.1
GTEX-TMMY-0226-SM-33HBA 40-49 years, female 12.1
GTEX-WI4N-1026-SM-3LK7N 40-49 years, female 12.1
GTEX-ZV68-0126-SM-59HKS 50-59 years, female 12.1
GTEX-13O3O-0126-SM-E9J49 60-69 years, female 12.1
GTEX-1CB4G-0226-SM-7PC3O 60-69 years, male 12.1
GTEX-1H2FU-0126-SM-9WYSI 60-69 years, female 12.1
GTEX-1IKOH-0226-SM-COH4E 60-69 years, female 12.1
GTEX-1J8Q2-0526-SM-CM2RW 60-69 years, male 12.1
GTEX-1MJK2-0426-SM-DTXE5 50-59 years, male 12.1
GTEX-11NUK-0126-SM-5A5L3 50-59 years, male 12.0
GTEX-12ZZX-0126-SM-5EGK9 40-49 years, female 12.0
GTEX-1313W-0126-SM-5LZUN 50-59 years, female 12.0
GTEX-131XH-2226-SM-5DUXJ 50-59 years, male 12.0
GTEX-13FTY-0526-SM-5L3EV 40-49 years, female 12.0
GTEX-13QJ3-0326-SM-5S2RA 50-59 years, male 12.0
GTEX-1CAMQ-0226-SM-7IGPK 40-49 years, male 12.0
GTEX-Z9EW-1626-SM-5CVMN 40-49 years, male 12.0
GTEX-1IDJF-0126-SM-CM2RS 20-29 years, male 12.0
GTEX-1KXAM-2226-SM-CYPTC 60-69 years, male 12.0
GTEX-11EQ9-2426-SM-5HL5T 30-39 years, male 11.9
GTEX-11GSO-2426-SM-5A5LY 60-69 years, male 11.9
GTEX-13G51-2526-SM-5LZYK 60-69 years, male 11.9
GTEX-17F97-0326-SM-7LG5B 50-59 years, male 11.9
GTEX-ZAK1-0126-SM-5IJD3 50-59 years, female 11.9
GTEX-ZF2S-2326-SM-4WWCE 50-59 years, female 11.9
GTEX-1C64O-0126-SM-7SB8P 60-69 years, male 11.9
GTEX-1JN6P-0126-SM-D3L98 60-69 years, male 11.9
GTEX-14PK6-1926-SM-6ETZU 70-79 years, female 11.8
GTEX-S32W-2126-SM-2XCB1 50-59 years, female 11.8
GTEX-ZTSS-1926-SM-57WEW 40-49 years, male 11.8
GTEX-1M5QR-1226-SM-EWROB 40-49 years, male 11.8
GTEX-131YS-0126-SM-5KM1M 60-69 years, female 11.7
GTEX-183FY-0126-SM-7LT9P 20-29 years, male 11.7
GTEX-1AX9J-0226-SM-73KXM 60-69 years, male 11.7
GTEX-OXRN-0126-SM-48TDM 50-59 years, male 11.7
GTEX-Z93S-0126-SM-5HL7M 50-59 years, male 11.7
GTEX-1EN7A-0126-SM-7SB81 40-49 years, male 11.7
GTEX-1F6I4-0126-SM-9MQL2 60-69 years, male 11.7
GTEX-1ICLY-0126-SM-D4P36 50-59 years, male 11.7
GTEX-1JMOU-1526-SM-CL54I 60-69 years, female 11.7
GTEX-R45C-0126-SM-EAZ2R 60-69 years, female 11.7
GTEX-111VG-2426-SM-5GZXD 60-69 years, male 11.6
GTEX-11ZU8-2526-SM-5EQKI 60-69 years, male 11.6
GTEX-1C2JI-1826-SM-73KXC 50-59 years, male 11.6
GTEX-X8HC-0126-SM-4E3JW 50-59 years, female 11.6
GTEX-ZWKS-0126-SM-5SIAA 30-39 years, male 11.6
GTEX-1JJ6O-0126-SM-E6CI8 60-69 years, male 11.6
GTEX-1JMQJ-0526-SM-CYPSU 50-59 years, male 11.6
GTEX-1O97I-0326-SM-EYYX7 60-69 years, male 11.6
GTEX-1PBJI-0526-SM-E8VNK 20-29 years, female 11.6
GTEX-147F4-0226-SM-5QGPW 50-59 years, male 11.5
GTEX-16BQI-0226-SM-7KUEX 30-39 years, female 11.5
GTEX-17F96-1626-SM-7DUFL 70-79 years, male 11.5
GTEX-1A3MV-1926-SM-718BT 30-39 years, male 11.5
GTEX-QDVJ-1726-SM-2I5FX 50-59 years, male 11.5
GTEX-1HFI6-0226-SM-ADEHZ 40-49 years, male 11.5
GTEX-1J8Q3-1626-SM-CMKGC 60-69 years, male 11.5
GTEX-12WSC-0126-SM-5EQ4P 50-59 years, male 11.4
GTEX-1314G-1526-SM-5EGK2 30-39 years, male 11.4
GTEX-13W3W-2426-SM-5LU5B 60-69 years, female 11.4
GTEX-OXRO-0126-SM-2YUN4 60-69 years, female 11.4
GTEX-R3RS-0126-SM-3GIJL 40-49 years, female 11.4
GTEX-1HCUA-2426-SM-ADEIS 50-59 years, female 11.4
GTEX-11DXW-0226-SM-5H122 40-49 years, male 11.3
GTEX-13X6I-0626-SM-5QGP9 60-69 years, male 11.3
GTEX-P44H-0226-SM-2XCEU 40-49 years, male 11.3
GTEX-ZF3C-0126-SM-DO92D 50-59 years, female 11.3
GTEX-13FXS-0226-SM-5IJCK 50-59 years, male 11.2
GTEX-14JG6-2226-SM-6EU2G 30-39 years, female 11.2
GTEX-14PN3-2426-SM-6LLHS 60-69 years, female 11.2
GTEX-U4B1-1826-SM-4DXSU 40-49 years, male 11.2
GTEX-WVJS-0126-SM-4MVOT 50-59 years, male 11.2
GTEX-12WSG-2826-SM-E9J4H 50-59 years, female 11.2
GTEX-1QW4Y-1526-SM-EAZ3Z 30-39 years, male 11.2
GTEX-1S82Z-0826-SM-E6CHY 30-39 years, female 11.2
GTEX-13S7M-0126-SM-5SI6A 60-69 years, female 11.1
GTEX-145MI-0526-SM-5O9A8 60-69 years, female 11.1
GTEX-ZDTT-2726-SM-4WKF8 60-69 years, male 11.1
GTEX-ZUA1-0126-SM-5GU76 40-49 years, male 11.1
GTEX-1QEPI-0126-SM-EWRMQ 60-69 years, female 11.1
GTEX-15SHW-0326-SM-6PAML 60-69 years, male 11.0
GTEX-17HII-0226-SM-7LG4E 50-59 years, male 11.0
GTEX-ZEX8-2426-SM-4WKG4 50-59 years, male 11.0
GTEX-1B933-0126-SM-7PC29 50-59 years, female 11.0
GTEX-1GN73-0226-SM-9WG67 60-69 years, male 11.0
GTEX-1JMPZ-0226-SM-CNPP1 30-39 years, male 11.0
GTEX-1PWST-0226-SM-E76QJ 70-79 years, male 11.0
GTEX-14PII-0226-SM-6EU1T 60-69 years, male 10.9
GTEX-1H3O1-0426-SM-9YFKY 60-69 years, male 10.9
GTEX-1LG7Y-0526-SM-DKPQC 50-59 years, male 10.9
GTEX-11NSD-2226-SM-5986V 20-29 years, male 10.8
GTEX-13O3P-0126-SM-5KM4S 50-59 years, male 10.8
GTEX-14JIY-0126-SM-6LLH6 60-69 years, male 10.8
GTEX-1C64N-0126-SM-793D7 50-59 years, male 10.8
GTEX-XBEW-0626-SM-4QASP 40-49 years, male 10.8
GTEX-1H3NZ-0126-SM-ACKX7 60-69 years, male 10.8
GTEX-1HUB1-0426-SM-E9U4U 60-69 years, male 10.8
GTEX-11DZ1-0126-SM-5985Q 50-59 years, male 10.7
GTEX-13O1R-0126-SM-5L3EH 60-69 years, male 10.7
GTEX-1A32A-0126-SM-718B1 50-59 years, female 10.7
GTEX-ZAJG-0126-SM-5HL94 50-59 years, female 10.7
GTEX-1H1DG-0126-SM-9WYU2 70-79 years, male 10.7
GTEX-1IKJJ-0126-SM-CNPQB 60-69 years, male 10.7
GTEX-1LB8K-0226-SM-EWRNW 50-59 years, male 10.7
GTEX-1RLM8-2326-SM-EWRN4 50-59 years, male 10.7
GTEX-13112-2826-SM-5DUWH 50-59 years, male 10.6
GTEX-139T4-0226-SM-5HL5S 50-59 years, female 10.6
GTEX-13OW8-1326-SM-5J1OW 60-69 years, male 10.6
GTEX-15F5U-1526-SM-6PANO 40-49 years, male 10.6
GTEX-ZVT3-0126-SM-5GU6I 60-69 years, female 10.6
GTEX-1H3VE-0326-SM-9YFLH 40-49 years, male 10.6
GTEX-1JK1U-2026-SM-CM2RZ 60-69 years, male 10.6
GTEX-1LNCM-1126-SM-E9U5E 50-59 years, female 10.6
GTEX-1R46S-0626-SM-E9J41 60-69 years, female 10.6
GTEX-144GL-0126-SM-5TDE2 50-59 years, male 10.5
GTEX-14JG1-0426-SM-6ETZZ 40-49 years, male 10.5
GTEX-XMD2-0126-SM-4YCDU 60-69 years, female 10.5
GTEX-11TUW-2726-SM-E9J4M 60-69 years, male 10.5
GTEX-1A8FM-0226-SM-7SB7Q 50-59 years, female 10.5
GTEX-1F7RK-0126-SM-7PC2S 20-29 years, female 10.5
GTEX-1HBPI-1526-SM-C1YQ1 50-59 years, male 10.5
GTEX-1HCU8-0626-SM-A9SM9 60-69 years, female 10.5
GTEX-145ME-1826-SM-5SI9G 40-49 years, female 10.4
GTEX-XV7Q-2526-SM-4BRV9 40-49 years, female 10.4
GTEX-ZU9S-0226-SM-5E441 30-39 years, male 10.4
GTEX-1RB15-2126-SM-E9TIM 60-69 years, male 10.4
GTEX-13N11-2526-SM-5K7UE 50-59 years, female 10.3
GTEX-Y5V5-2326-SM-4V6GA 60-69 years, female 10.3
GTEX-1KD4Q-0226-SM-E9TJ9 40-49 years, male 10.3
GTEX-1QP2A-0126-SM-E9J43 50-59 years, male 10.3
GTEX-15CHC-2126-SM-6EU21 60-69 years, female 10.2
GTEX-15ETS-0126-SM-7KUMW 40-49 years, female 10.2
GTEX-1IDJH-0326-SM-A9SLQ 70-79 years, male 10.2
GTEX-1MA7X-2226-SM-E6CIY 60-69 years, male 10.2
GTEX-1QPFJ-0226-SM-E76PB 30-39 years, female 10.2
GTEX-13O3Q-2426-SM-5IJBR 50-59 years, male 10.1
GTEX-14A6H-0126-SM-5QGPK 30-39 years, male 10.1
GTEX-QDT8-0126-SM-48TZ1 30-39 years, female 10.1
GTEX-1H4P4-0726-SM-9YFLR 50-59 years, male 10.1
GTEX-1HB9E-0226-SM-E9U4R 50-59 years, male 10.1
GTEX-1I1GR-0126-SM-CL55F 60-69 years, male 10.1
GTEX-1KAFJ-2026-SM-CY8ID 50-59 years, male 10.1
GTEX-1QP67-1626-SM-EAZ3X 40-49 years, female 10.1
GTEX-12WSN-5019-SM-79OM6 40-49 years, male 10.0
GTEX-14ABY-0226-SM-5TDCQ 50-59 years, male 10.0
GTEX-1HR98-0126-SM-B2LWI 60-69 years, male 10.0
GTEX-1LGRB-2526-SM-CNPPQ 50-59 years, female 10.0
GTEX-12WSA-0226-SM-5BC5V 60-69 years, male 9.9
GTEX-13OVG-1926-SM-5L3DK 60-69 years, male 9.9
GTEX-13VXT-0126-SM-5LU4I 20-29 years, female 9.9
GTEX-145LT-1726-SM-5QGP3 40-49 years, male 9.9
GTEX-1GMR8-0126-SM-9WYTM 50-59 years, female 9.9
GTEX-1GN1V-0126-SM-9WPOS 60-69 years, male 9.9
GTEX-1J8QM-2126-SM-CYPSJ 60-69 years, female 9.9
GTEX-1JMQI-2226-SM-CM2SD 50-59 years, male 9.9
GTEX-13FTX-1826-SM-5J1NX 20-29 years, female 9.8
GTEX-13N2G-2626-SM-5J1OT 60-69 years, male 9.8
GTEX-13NZ8-0826-SM-5MR3I 60-69 years, female 9.8
GTEX-13NZA-0226-SM-5K7Z7 60-69 years, male 9.8
GTEX-13U4I-0126-SM-5LU38 40-49 years, female 9.8
GTEX-144FL-0126-SM-5TDC8 50-59 years, male 9.8
GTEX-1H23P-0126-SM-ADEJ3 60-69 years, male 9.8
GTEX-11EI6-0126-SM-5985R 60-69 years, male 9.7
GTEX-11OF3-2626-SM-5GU7F 60-69 years, male 9.7
GTEX-11ZVC-2526-SM-5FQTE 50-59 years, female 9.7
GTEX-13FHP-0126-SM-5IJBG 50-59 years, male 9.7
GTEX-13NZB-2526-SM-5J1OM 30-39 years, male 9.7
GTEX-15DCD-0126-SM-7KUEK 70-79 years, female 9.7
GTEX-17HG3-2226-SM-7938L 30-39 years, female 9.7
GTEX-SN8G-0126-SM-32PLI 50-59 years, female 9.7
GTEX-U412-0426-SM-3DB9O 60-69 years, male 9.7
GTEX-1F5PK-2426-SM-7RHHY 50-59 years, male 9.7
GTEX-1JKYN-1326-SM-CGQG9 30-39 years, male 9.7
GTEX-12584-0126-SM-5EGKQ 40-49 years, male 9.6
GTEX-13OVJ-0126-SM-5KM36 50-59 years, female 9.6
GTEX-15RIG-0226-SM-7KFTL 40-49 years, male 9.6
GTEX-18A7B-0126-SM-7LG64 70-79 years, male 9.6
GTEX-1H1CY-2826-SM-9MQM3 60-69 years, female 9.6
GTEX-1399T-2826-SM-5KLYZ 60-69 years, male 9.5
GTEX-13JUV-2726-SM-5LZZ8 40-49 years, female 9.5
GTEX-13RTL-0126-SM-7LG5S 40-49 years, male 9.5
GTEX-13YAN-0326-SM-5O9DF 60-69 years, male 9.5
GTEX-14BMV-0126-SM-5S2PO 50-59 years, male 9.5
GTEX-Y8E4-0626-SM-4WWDL 40-49 years, male 9.5
GTEX-YFC4-0126-SM-5CVLY 40-49 years, female 9.5
GTEX-1F6IF-0726-SM-7P8TW 60-69 years, male 9.5
GTEX-145MO-0326-SM-5Q5B3 60-69 years, male 9.4
GTEX-14A5I-0126-SM-5TDEA 50-59 years, female 9.4
GTEX-14C5O-0126-SM-5SI6N 60-69 years, male 9.4
GTEX-VUSG-2526-SM-4KL1V 50-59 years, male 9.4
GTEX-1RQEC-0426-SM-E6CHU 60-69 years, male 9.4
GTEX-1212Z-2526-SM-5EGKP 60-69 years, male 9.3
GTEX-17KNJ-2326-SM-7DHLQ 50-59 years, male 9.3
GTEX-OOBK-0126-SM-2YUND 40-49 years, male 9.3
GTEX-SJXC-0126-SM-2XCFF 60-69 years, male 9.3
GTEX-ZZPT-0226-SM-5E43X 50-59 years, male 9.3
GTEX-1IOXB-0126-SM-ARL8G 50-59 years, male 9.3
GTEX-1QP29-0626-SM-EWRMX 50-59 years, male 9.3
GTEX-13OW7-0126-SM-5MR3B 50-59 years, male 9.2
GTEX-17MF6-0126-SM-7LG4F 40-49 years, male 9.2
GTEX-11UD2-0226-SM-5EQKY 50-59 years, male 9.1
GTEX-12WSL-2526-SM-5GCNJ 50-59 years, male 9.1
GTEX-1I1CD-0126-SM-CM2TK 60-69 years, female 9.1
GTEX-113JC-2326-SM-5EQ4E 50-59 years, female 9.0
GTEX-11ZUS-0626-SM-59885 30-39 years, male 9.0
GTEX-1A3MX-0126-SM-731BR 60-69 years, male 9.0
GTEX-ZTX8-1426-SM-5DUVO 20-29 years, male 9.0
GTEX-1HBPM-0226-SM-ARL9F 60-69 years, female 9.0
GTEX-13NYB-2526-SM-5K7Z6 40-49 years, male 8.9
GTEX-1F88F-2726-SM-7PBZZ 60-69 years, female 8.9
GTEX-1LC47-0326-SM-E9TJP 60-69 years, male 8.9
GTEX-148VI-1626-SM-5SI6E 60-69 years, female 8.8
GTEX-X4EO-0326-SM-3P5YO 60-69 years, female 8.8
GTEX-ZXG5-0126-SM-5GIEU 60-69 years, male 8.8
GTEX-1GF9U-2126-SM-7SB7L 40-49 years, female 8.8
GTEX-1PDJ9-0326-SM-DTX95 20-29 years, male 8.8
GTEX-17GQL-2026-SM-718BA 60-69 years, male 8.7
GTEX-TSE9-0126-SM-3DB83 60-69 years, female 8.7
GTEX-V1D1-2226-SM-3NMAX 50-59 years, male 8.7
GTEX-1C6VQ-0126-SM-7P8RI 50-59 years, male 8.7
GTEX-1HT8W-0126-SM-CNPPP 30-39 years, male 8.7
GTEX-1I1GT-0626-SM-CGQER 60-69 years, female 8.7
GTEX-14E6E-1826-SM-5S2R7 30-39 years, male 8.6
GTEX-17EVP-0326-SM-7DHLG 40-49 years, male 8.6
GTEX-WOFL-0126-SM-3MJG2 60-69 years, male 8.6
GTEX-131XF-5016-SM-7MGWE 60-69 years, male 8.6
GTEX-1GN2E-0426-SM-9MQKX 60-69 years, male 8.6
GTEX-1JJE9-0326-SM-CL53Z 70-79 years, male 8.6
GTEX-1JJEA-0326-SM-CNPOT 60-69 years, male 8.6
GTEX-133LE-1826-SM-5J1MV 20-29 years, female 8.5
GTEX-145LS-0126-SM-5QGP1 60-69 years, female 8.5
GTEX-145MF-0626-SM-5LUAI 50-59 years, male 8.5
GTEX-18465-0126-SM-731BN 50-59 years, male 8.5
GTEX-OXRP-0126-SM-3NB32 60-69 years, female 8.5
GTEX-Y5LM-1926-SM-5RQJH 40-49 years, female 8.5
GTEX-ZAB5-1826-SM-5HL7C 50-59 years, male 8.5
GTEX-1I19N-0326-SM-ACKVX 70-79 years, male 8.5
GTEX-1IGQW-0126-SM-COH42 60-69 years, male 8.5
GTEX-11EMC-2926-SM-5EQ4F 60-69 years, female 8.4
GTEX-14LLW-0126-SM-6LLIO 70-79 years, female 8.4
GTEX-1B8KZ-2026-SM-7DHMB 50-59 years, male 8.4
GTEX-147F3-0526-SM-5SI98 50-59 years, female 8.3
GTEX-14A5H-0426-SM-5QGQF 60-69 years, male 8.3
GTEX-1B8SF-1426-SM-7DUGL 60-69 years, male 8.3
GTEX-1HFI7-1826-SM-ACKXH 50-59 years, female 8.3
GTEX-1L5NE-2526-SM-E6CIE 50-59 years, male 8.3
GTEX-1N2EF-0226-SM-EYYXB 60-69 years, male 8.3
GTEX-ZVT4-0126-SM-DTXFN 50-59 years, female 8.3
GTEX-11H98-0126-SM-5EGHG 50-59 years, male 8.2
GTEX-131XE-2326-SM-5PNZ2 50-59 years, male 8.2
GTEX-14753-0426-SM-5NQAM 60-69 years, male 8.2
GTEX-14BIM-0226-SM-7IGLD 60-69 years, female 8.2
GTEX-1AX9K-2326-SM-73KWU 50-59 years, male 8.2
GTEX-1BAJH-0526-SM-793CQ 70-79 years, male 8.2
GTEX-X62O-0126-SM-4E3JN 50-59 years, male 8.2
GTEX-1IE54-0126-SM-CMKHW 40-49 years, female 8.2
GTEX-12WSE-0526-SM-793B2 20-29 years, male 8.1
GTEX-YJ8A-0426-SM-5IFID 20-29 years, male 8.1
GTEX-13OW5-0126-SM-DTXFS 60-69 years, male 8.1
GTEX-139T8-0126-SM-5K7XZ 60-69 years, male 8.0
GTEX-U8XE-0326-SM-3DB8P 30-39 years, male 8.0
GTEX-1N2DW-0226-SM-E9TK2 50-59 years, male 8.0
GTEX-1PPH7-2326-SM-EVYB8 40-49 years, male 8.0
GTEX-1QMI2-0226-SM-EVYBX 60-69 years, male 8.0
GTEX-PWO3-1526-SM-48TCM 60-69 years, female 7.9
GTEX-X261-0126-SM-3NMD6 50-59 years, male 7.9
GTEX-145LU-0126-SM-5TDCB 50-59 years, male 7.8
GTEX-OXRK-0226-SM-3NB2G 50-59 years, female 7.8
GTEX-Y8LW-1826-SM-5S2MV 50-59 years, female 7.8
GTEX-1GMR3-1926-SM-9KNUZ 40-49 years, male 7.8
GTEX-1LH75-2426-SM-E9TJE 50-59 years, female 7.8
GTEX-147GR-0526-SM-5S2MY 60-69 years, male 7.7
GTEX-1EU9M-0226-SM-7P8SP 60-69 years, male 7.7
GTEX-1HSMO-0126-SM-CL547 60-69 years, male 7.7
GTEX-15DDE-0126-SM-6LPKH 50-59 years, female 7.6
GTEX-12KS4-0326-SM-5EQ41 30-39 years, male 7.5
GTEX-13IVO-0126-SM-5J1NG 70-79 years, male 7.5
GTEX-13VXU-0126-SM-5SI9F 50-59 years, male 7.5
GTEX-14BIN-0626-SM-793DP 50-59 years, female 7.5
GTEX-15UKP-0426-SM-7KUFQ 20-29 years, male 7.5
GTEX-18A66-0226-SM-718BD 60-69 years, male 7.5
GTEX-1JN1M-0326-SM-CYPT3 60-69 years, female 7.5
GTEX-11TTK-0126-SM-5987B 60-69 years, female 7.4
GTEX-13SLX-0526-SM-5S2ON 50-59 years, female 7.4
GTEX-14BIL-0126-SM-5SI92 50-59 years, male 7.4
GTEX-16XZZ-0126-SM-793DV 60-69 years, male 7.4
GTEX-YJ89-0126-SM-4TT3X 60-69 years, male 7.4
GTEX-11TT1-2526-SM-5EGIB 20-29 years, male 7.3
GTEX-13NYS-0126-SM-5MR3W 60-69 years, male 7.3
GTEX-13W46-0226-SM-5SIAG 50-59 years, male 7.3
GTEX-ZE9C-2726-SM-57WB5 60-69 years, male 7.3
GTEX-ZV6S-2326-SM-4YCEY 40-49 years, female 7.3
GTEX-1E2YA-0126-SM-9KNUC 50-59 years, male 7.3
GTEX-1GZ2Q-0226-SM-7P8TL 40-49 years, male 7.3
GTEX-13N1W-0126-SM-5K7VT 70-79 years, male 7.2
GTEX-16NPX-0226-SM-79OMT 50-59 years, male 7.2
GTEX-PVOW-0126-SM-2XCFA 40-49 years, male 7.2
GTEX-1CB4H-0226-SM-7PBXM 60-69 years, female 7.2
GTEX-1F75B-0126-SM-9KNVL 50-59 years, male 7.2
GTEX-14DAQ-0126-SM-5S2MQ 60-69 years, female 7.1
GTEX-13OVH-0126-SM-5MR4B 70-79 years, male 7.0
GTEX-13SLW-0126-SM-5SI6C 70-79 years, male 7.0
GTEX-1A3MW-0126-SM-73KXX 60-69 years, female 7.0
GTEX-1J8JJ-0226-SM-CL53I 60-69 years, female 6.9
GTEX-1JMQL-0226-SM-CNPP5 50-59 years, female 6.9
GTEX-QDVN-2026-SM-3GAEP 50-59 years, male 6.8
GTEX-13OVK-2026-SM-7KUEO 40-49 years, male 6.7
GTEX-15UF6-0826-SM-6PALJ 70-79 years, female 6.7
GTEX-1C6VS-0526-SM-7DUEN 60-69 years, male 6.7
GTEX-ZYFD-0126-SM-5GIDL 50-59 years, male 6.7
GTEX-1F6RS-0126-SM-9MQKZ 60-69 years, female 6.7
GTEX-1EX96-1626-SM-7PBXR 50-59 years, male 6.6
GTEX-1H1E6-1726-SM-ACKVK 30-39 years, male 6.6
GTEX-11DXY-2626-SM-5GIE7 60-69 years, male 6.5
GTEX-139TS-2826-SM-5J1OO 60-69 years, male 6.4
GTEX-1HBPH-0426-SM-B2LW5 40-49 years, female 6.4
GTEX-11O72-0126-SM-59887 40-49 years, male 6.3
GTEX-131XW-0426-SM-5LZWP 50-59 years, female 6.2
GTEX-14PHW-0126-SM-6LLJI 60-69 years, female 6.2
GTEX-1192W-2626-SM-5Q5AF 60-69 years, male 6.1
GTEX-11WQC-2526-SM-5CVLE 60-69 years, male 6.1
GTEX-1R7EV-2426-SM-EVYBG 40-49 years, male 6.0
GTEX-15D1Q-0126-SM-7KUG6 40-49 years, male 5.9
GTEX-1C6VR-2426-SM-79OLD 60-69 years, male 5.9
GTEX-ZVE2-0226-SM-59HJB 50-59 years, male 5.9
GTEX-1IDFM-0126-SM-COH2V 60-69 years, male 5.8
GTEX-15G19-0126-SM-6PANQ 60-69 years, male 5.7
GTEX-OIZF-0126-SM-7SB8I 60-69 years, male 5.7
GTEX-VJWN-0126-SM-3GIK7 50-59 years, female 5.6
GTEX-15EOM-0126-SM-7KUGG 20-29 years, female 5.5
GTEX-13NYC-0326-SM-E9J4S 60-69 years, male 5.4
GTEX-11WQK-0526-SM-5EQLD 50-59 years, male 5.3
GTEX-14LZ3-0226-SM-62LET 60-69 years, female 5.3
GTEX-1HCU7-0226-SM-CL545 50-59 years, male 5.3
GTEX-139UW-2826-SM-5L3E7 60-69 years, male 5.2
GTEX-SNMC-1226-SM-2XCFP 20-29 years, male 5.2
GTEX-13PDP-0126-SM-5L3HD 60-69 years, male 4.3
GTEX-14E6C-0126-SM-5RQIP 40-49 years, male 4.2
GTEX-1M4P7-0226-SM-DIPEV 60-69 years, male 4.1
GTEX-148VJ-0126-SM-5TDDN 70-79 years, male 2.5
GTEX-183WM-0126-SM-7LTAB 70-79 years, female 2.2
Show allShow less

Contact

  • NEWS ARTICLES
  • PRESS ROOM

The Project

  • INTRODUCTION
  • ORGANIZATION
  • PUBLICATIONS

The Human Protein Atlas

  • DOWNLOADABLE DATA
  • LICENCE & CITATION
  • HELP & FAQ
The Human Protein Atlas project is funded
by the Knut & Alice Wallenberg Foundation.


contact@proteinatlas.org