We use cookies to enhance the usability of our website. If you continue, we'll assume that you are happy to receive all cookies. More information. Don't show this again.
TFF3
HPA
RESOURCES
  • TISSUE
  • BRAIN
  • SINGLE CELL
  • SUBCELLULAR
  • CANCER
  • BLOOD
  • CELL LINE
  • STRUCTURE & INTERACTION
ABOUT
  • INTRODUCTION
  • HISTORY
  • ORGANIZATION
  • PUBLICATIONS
  • ANTIBODY SUBMISSION
  • ANTIBODY AVAILABILITY
  • ACKNOWLEDGMENTS
  • CONTACT
NEWS
  • NEWS ARTICLES
  • PRESS ROOM
LEARN
  • DICTIONARY
  • PROTEIN CLASSES
  • PROTEIN EVIDENCE
  • METHODS
  • EDUCATIONAL VIDEOS
DATA
  • DOWNLOADABLE DATA
  • PUBLICATION DATA
  • RELEASE HISTORY
HELP
  • ANTIBODY VALIDATION
  • ASSAYS & ANNOTATION
  • DISCLAIMER
  • HELP & FAQ
  • PRIVACY STATEMENT
  • LICENCE & CITATION
Fields »
Search result

Field
Term
Gene name
Class
Subclass
Class
Keyword
Chromosome
External id
Tissue
Cell type
Expression
Antibody panel
Tissue
Main location
Patient ID
Annotation
Tissue
Category
Tau score
Cluster
Reliability
Brain region
Category
Tau score
Brain region
Category
Tau score
Brain region
Category
Tau score
Cluster
Reliability
Tissue
Cell type
Enrichment
Cell type
Category
Tau score
Cell type
Category
Tau score
Cell type
Category
Tau score
Cell lineage
Category
Tau score
Cluster
Cluster
Location
Searches
Location
Cell line
Class
Type
Phase
Reliability
Cancer
Prognosis
Cancer
Category
Cancer
Category
Tau score
Cluster
Variants
Interacting gene (ensg_id)
Type
Number of interactions
Pathway
Category
Score
Score
Score
Validation
Validation
Validation
Validation
Antibodies
Data type
Column


  • SUMMARY

  • TISSUE

  • BRAIN

  • SINGLE CELL

  • SUBCELL

  • CANCER

  • BLOOD

  • CELL LINE

  • STRUCT & INT

  • TFF3
TISSUE PRIMARY DATA COLON Show tissue menu
ADIPOSE TISSUE ADRENAL GLAND AMYGDALA APPENDIX BASAL GANGLIA BONE MARROW BREAST BRONCHUS CEREBELLUM CEREBRAL CORTEX CERVIX CHOROID PLEXUS COLON DUODENUM
ENDOMETRIUM EPIDIDYMIS ESOPHAGUS FALLOPIAN TUBE GALLBLADDER HEART MUSCLE HIPPOCAMPAL FORMATION HYPOTHALAMUS KIDNEY LIVER LUNG LYMPH NODE MIDBRAIN NASOPHARYNX
ORAL MUCOSA OVARY PANCREAS PARATHYROID GLAND PITUITARY GLAND PLACENTA PROSTATE RECTUM RETINA SALIVARY GLAND SEMINAL VESICLE SKELETAL MUSCLE SKIN SMALL INTESTINE
SMOOTH MUSCLE SOFT TISSUE SPINAL CORD SPLEEN STOMACH TESTIS THYMUS THYROID GLAND TONGUE TONSIL URINARY BLADDER VAGINA
ANTIBODIES
AND
VALIDATION
Dictionary
Colon
Tissue proteome
Intestine
COLON - Expression summary
Protein expression
Coloni

On the top, protein expression in current human tissue, based on all annotated cell types, is reported with the units not detected (n), low (l), medium (m) and high (h). Underneath, protein expression in each annotated cell type are reported using the same units.

Protein expression data is based on knowledge-based annotation. For genes where more than one antibody has been used, a collective score is set.

If knowledge-based annotation could not be performed for a gene, no data is displayed here. View antibody staining data further down this page.

h
m
l
n
Endocrine cells: Not detected
Endothelial cells: Not detected
Enterocytes: Not detected
Enterocytes - Microvilli: Not detected
Fibroblasts: Not detected
Goblet cells: High
Mucosal lymphoid cells: Not detected
RNA expressioni

A summary of mRNA expression data available for current tissue based on several datasets. The mRNA expression levels in human tissues are based on RNA-seq data generated by the Human Protein Atlas (HPA), Genotype-Tissue Expression (GTEx) portal and CAGE data generated by the FANTOM5 consortium. Consensus normalized expression levels for human tissues was created by combining the data from HPA and GTEx datasets.

The mRNA expression levels in pig are based on RNA-seq data generated by the Human Protein Atlas (HPA), and for mouse, HPA data and in situ hybridization generated by the Allen brain atlas are reported.

Scroll down to view mRNA expression data in more detail.
Consensus:526.1 nTPM
HPA:526.1 nTPM
GTEx:282.1 nTPM
FANTOM5:569.0 Scaled Tags Per Million

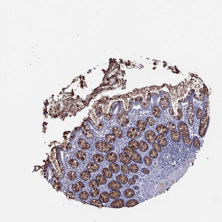
COLON - Antibody stainingi

Antibody staining in the annotated cell types in the current human tissue is reported as not detected, low, medium, or high, based on conventional immunohistochemistry profiling in selected tissues. This score is based on the combination of the staining intensity and fraction of stained cells.

Each image is clickable and will lead to virtual microscopy that enables deeper exploration of all samples and also displays staining intensity scores, fraction scores and subcellular localization as well as patient and tissue information for each sample.

Antibody HPA035464Antibody CAB020681
Endocrine cells Not detected-
Endothelial cells Not detectedNot detected
Enterocytes Not detected-
Enterocytes - Microvilli Not detected-
Fibroblasts Not detected-
Glandular cells -High
Goblet cells High-
Mucosal lymphoid cells Not detected-
Peripheral nerve/ganglion -Not detected





COLON - HPA RNA-seqi

The RNA-seq details section shows detailed information about the individual samples used for the transcript profiling and results of the RNA-seq analysis.

Information about each individual sample is listed below, including gender, age, a tissue section image and estimated fractions of cell types. nTPM (normalized transcripts per million) values give a quantification of the gene abundance which is comparable between different genes and samples.
Average nTPMi

Max subtype nTPM is the value for the subtype with the largest average nTPM across the subtype samples.

526.1
overview
Male, age 54
Colon sample 67
nTPM: 1714.4
Cell types%
Glandular cells:
65

Smooth muscle cells:
10

Other cell types:
25

overview
Female, age 57
Colon sample 68
nTPM: 468.1
Cell types%
Glandular cells:
40

Smooth muscle cells:
5

Other cell types:
55

overview
Male, age 80
Colon sample 69
nTPM: 1256.4
Cell types%
Glandular cells:
55

Smooth muscle cells:
5

Other cell types:
40

overview
Male, age 68
Colon sample 70
nTPM: 206.1
Cell types%
Glandular cells:
35

Smooth muscle cells:
10

Other cell types:
55

overview
Female, age 68
Colon sample 76
nTPM: 246.8
Cell types%
Glandular cells:
25

Smooth muscle cells:
5

Other cell types:
70

overview
Female, age 61
Colon sample 299
nTPM: 187.4
Cell types%
Glandular cells:
5

Smooth muscle cells:
65

Other cell types:
30

overview
Male, age 80
Colon sample 300
nTPM: 189.7
Cell types%
Glandular cells:
15

Smooth muscle cells:
20

Other cell types:
65

overview
Female, age 78
Colon sample 368
nTPM: 533.5
Cell types%
Glandular cells:
45

Smooth muscle cells:
5

Other cell types:
50

overview
Male, age 84
Colon sample 381
nTPM: 346.5
Cell types%
Glandular cells:
50

Smooth muscle cells:
15

Other cell types:
35

overview
Male, age 80
Colon sample 384
nTPM: 495.1
Cell types%
Glandular cells:
20

Smooth muscle cells:
35

Other cell types:
45

overview
Female, age 78
Colon sample 389
nTPM: 609.6
Cell types%
Glandular cells:
35

Smooth muscle cells:
10

Other cell types:
55

overview
Female, age 69
Colon sample 391
nTPM: 203.4
Cell types%
Glandular cells:
10

Smooth muscle cells:
45

Other cell types:
45

overview
Female, age 72
Colon sample 403
nTPM: 382
Cell types%
Glandular cells:
20

Smooth muscle cells:
15

Other cell types:
65


COLON - GTEx RNA-seqi

RNA-Seq data generated by the Genotype-Tissue Expression (GTEx) project from human tissues is reported as mean nTPM. More information can be found on the GTEx portal.

Distribution across the dataset is visualized with box plots, shown as median and 25th and 75th percentiles. Points are displayed as outliers if they are above or below 1.5 times the interquartile range. nTPM values of the individual samples are presented next to the box plot.
Max subtype nTPMi

Max subtype nTPM is the value for the subtype with the largest average nTPM across the subtype samples.

282.1
GTEx sample id Sample description nTPM
Colon - Sigmoid
Average nTPM: 32.7
Samples: 373

Max nTPM: 953.7
Min nTPM: 0.3
Std nTPM: 104.9
Median nTPM: 7.0
GTEX-WOFM-1926-SM-4OOSP 20-29 years, male 953.7
GTEX-15FZZ-1826-SM-6LLJP 30-39 years, female 671.1
GTEX-WH7G-1426-SM-4LVMU 40-49 years, male 659.3
GTEX-13113-1426-SM-5EGHU 60-69 years, female 596.7
GTEX-ZQUD-1026-SM-4YCEZ 30-39 years, male 535.4
GTEX-1OJC3-1826-SM-DTX93 20-29 years, male 506.0
GTEX-W5WG-2026-SM-4LMIB 50-59 years, female 494.3
GTEX-Y5V6-1626-SM-4VDT2 60-69 years, male 487.3
GTEX-1AMEY-1826-SM-72D5L 30-39 years, female 475.8
GTEX-X5EB-1126-SM-46MVV 40-49 years, male 475.1
GTEX-11VI4-1426-SM-5GU6O 40-49 years, female 400.4
GTEX-VJYA-2126-SM-4KL1O 60-69 years, male 365.2
GTEX-13W3W-2226-SM-5LU4M 60-69 years, female 351.8
GTEX-WYJK-2326-SM-4ONDN 50-59 years, male 331.0
GTEX-Y8E4-2326-SM-EAZAZ 40-49 years, male 317.3
GTEX-1PFEY-1726-SM-DPRZ4 30-39 years, male 237.9
GTEX-1PPH8-2226-SM-EWRN7 20-29 years, male 178.3
GTEX-Y5LM-1426-SM-5RQJL 40-49 years, female 162.3
GTEX-WRHK-1126-SM-4MVOJ 20-29 years, female 118.9
GTEX-1C64O-2426-SM-7P8R3 60-69 years, male 118.1
GTEX-Y8LW-1126-SM-4VDS4 50-59 years, female 105.9
GTEX-11EQ9-1526-SM-5PNY7 30-39 years, male 104.1
GTEX-ZF29-1826-SM-4WKG8 60-69 years, female 87.2
GTEX-YJ8A-1726-SM-5P9IQ 20-29 years, male 77.4
GTEX-1PIEJ-1826-SM-EWRMN 20-29 years, female 72.9
GTEX-XBED-1726-SM-47JYO 60-69 years, male 72.3
GTEX-V955-1726-SM-4JBHF 60-69 years, male 71.3
GTEX-14PKV-1926-SM-686YU 20-29 years, female 68.9
GTEX-1S82P-2026-SM-E9TIQ 60-69 years, female 54.6
GTEX-17GQL-1626-SM-7LG69 60-69 years, male 50.0
GTEX-1HB9E-2526-SM-D4P35 50-59 years, male 44.0
GTEX-1I6K6-1926-SM-A96SN 30-39 years, male 43.9
GTEX-11ONC-1926-SM-5GU75 60-69 years, male 43.7
GTEX-1HBPN-2026-SM-B2LWA 50-59 years, male 43.7
GTEX-1A3MV-1026-SM-72D5U 30-39 years, male 43.4
GTEX-15F5U-1426-SM-7KUN2 40-49 years, male 41.9
GTEX-1C475-1526-SM-7DHM3 40-49 years, female 34.9
GTEX-1H23P-2626-SM-9KNVN 60-69 years, male 32.8
GTEX-15DZA-1026-SM-6PAND 30-39 years, female 30.6
GTEX-WQUQ-2626-SM-4MVNP 60-69 years, male 28.2
GTEX-1LSVX-2026-SM-E9TJD 60-69 years, male 26.3
GTEX-13FHO-2726-SM-5K7VG 60-69 years, male 26.2
GTEX-16Z82-2426-SM-7KUMS 60-69 years, male 26.0
GTEX-1GMR8-2926-SM-9KNW5 50-59 years, female 25.7
GTEX-1QP29-2526-SM-E6CQ3 50-59 years, male 24.7
GTEX-ZVZQ-2626-SM-59HLB 60-69 years, female 24.6
GTEX-1P4AB-2626-SM-DTXEU 50-59 years, male 24.3
GTEX-1R7EU-1826-SM-DTX9L 60-69 years, male 24.0
GTEX-1N2DV-1826-SM-E6CJ5 40-49 years, male 23.9
GTEX-YEC3-2026-SM-DKPOL 50-59 years, male 23.7
GTEX-14PJ4-1826-SM-5YY97 60-69 years, male 23.6
GTEX-14C39-1626-SM-5S2P4 40-49 years, male 23.5
GTEX-146FH-2426-SM-5Q5EW 50-59 years, female 22.6
GTEX-ZG7Y-1826-SM-4WWD3 50-59 years, male 22.5
GTEX-1BAJH-2726-SM-7IGNJ 70-79 years, male 21.9
GTEX-1EU9M-2726-SM-7P8QD 60-69 years, male 21.1
GTEX-12ZZY-2726-SM-5EQ45 60-69 years, male 20.7
GTEX-15RJ7-1726-SM-6PAL3 40-49 years, male 20.5
GTEX-1RDX4-1926-SM-E6CJJ 50-59 years, female 20.0
GTEX-1399U-2226-SM-5KLZI 50-59 years, female 19.9
GTEX-ZVT2-1726-SM-51MRO 50-59 years, female 19.4
GTEX-WFON-1326-SM-4LVMN 40-49 years, male 19.2
GTEX-13OVI-2126-SM-5KM3U 60-69 years, female 18.3
GTEX-13X6I-2726-SM-5Q5ET 60-69 years, male 18.2
GTEX-1B932-2126-SM-7IGMU 40-49 years, female 18.1
GTEX-16BQI-2026-SM-7KULQ 30-39 years, female 18.0
GTEX-1LVAO-2826-SM-E9TJH 60-69 years, male 17.7
GTEX-ZPCL-1626-SM-57WGC 60-69 years, female 17.6
GTEX-1JMQK-2326-SM-ARZN4 60-69 years, male 17.5
GTEX-1CAMR-1026-SM-7P8QI 20-29 years, male 17.4
GTEX-11PRG-2026-SM-5GU5F 50-59 years, male 17.1
GTEX-1PIIG-2126-SM-EXUSD 30-39 years, male 17.1
GTEX-11EMC-1426-SM-5N9E4 60-69 years, female 16.3
GTEX-12ZZW-2426-SM-5DUWE 50-59 years, male 16.3
GTEX-ZZ64-0826-SM-5E449 20-29 years, male 16.3
GTEX-117YX-0526-SM-5EGJH 50-59 years, male 16.0
GTEX-13OVJ-1826-SM-5KM2D 50-59 years, female 16.0
GTEX-1IL2U-2526-SM-C1YQV 60-69 years, male 15.9
GTEX-ZC5H-2426-SM-4WAZ6 40-49 years, female 15.6
GTEX-WHSE-2726-SM-EZ6ML 20-29 years, male 15.6
GTEX-15UF7-1326-SM-7KUKV 40-49 years, male 15.4
GTEX-1LVAM-1726-SM-DHXKQ 50-59 years, female 15.3
GTEX-1212Z-1826-SM-5FQSH 60-69 years, male 15.2
GTEX-17F9Y-2626-SM-7IGN9 70-79 years, female 14.9
GTEX-ZQG8-2426-SM-57WEE 60-69 years, female 14.8
GTEX-14PN3-1926-SM-6EU1Y 60-69 years, female 14.7
GTEX-1H3VY-2526-SM-9KNW1 50-59 years, male 14.7
GTEX-1J1R8-1426-SM-CL55O 40-49 years, male 14.0
GTEX-1H3NZ-2526-SM-9KNVO 60-69 years, male 13.8
GTEX-YF7O-1626-SM-5IFII 50-59 years, male 13.6
GTEX-1GTWX-2626-SM-9WPOT 60-69 years, male 13.6
GTEX-147JS-2626-SM-5S2UX 60-69 years, male 13.5
GTEX-WFG8-1726-SM-4LVM6 20-29 years, male 13.3
GTEX-XUW1-1826-SM-4BOQD 50-59 years, female 13.3
GTEX-ZF2S-1826-SM-4WKFF 50-59 years, female 13.0
GTEX-1GMR3-2526-SM-7P8QS 40-49 years, male 12.9
GTEX-1HSGN-2226-SM-A9SL6 40-49 years, female 12.9
GTEX-132AR-2826-SM-5IJFV 50-59 years, female 12.8
GTEX-1LKK1-2426-SM-DIPES 50-59 years, female 12.8
GTEX-14PJ3-1226-SM-5ZZVY 50-59 years, male 12.3
GTEX-WY7C-1926-SM-4ONCI 50-59 years, male 12.3
GTEX-ZAB4-2426-SM-5HL8A 40-49 years, male 12.2
GTEX-1JMPZ-2626-SM-ARU8Z 30-39 years, male 12.2
GTEX-1AX9J-2526-SM-73KUY 60-69 years, male 12.1
GTEX-1H1DE-1626-SM-9KNU5 20-29 years, male 12.1
GTEX-1RLM8-1726-SM-E9TKF 50-59 years, male 11.9
GTEX-1B996-2726-SM-7DUGG 60-69 years, male 11.8
GTEX-1HBPI-2226-SM-9WYTY 50-59 years, male 11.7
GTEX-15ETS-2326-SM-7KUGC 40-49 years, female 11.4
GTEX-17HG3-1126-SM-7DUFC 30-39 years, female 11.4
GTEX-15UF6-2726-SM-7KULY 70-79 years, female 11.3
GTEX-1477Z-2126-SM-5Q5CM 60-69 years, male 11.2
GTEX-1QP67-1426-SM-E8VOO 40-49 years, female 11.2
GTEX-15ER7-2826-SM-6PAN2 20-29 years, female 11.1
GTEX-11P81-1426-SM-5P9JN 30-39 years, female 11.0
GTEX-13FH7-1626-SM-5J2O9 50-59 years, female 11.0
GTEX-WHWD-1526-SM-4OORV 50-59 years, male 11.0
GTEX-139TS-2226-SM-5J2N1 60-69 years, male 10.5
GTEX-13OW6-2226-SM-5N9FL 50-59 years, male 10.5
GTEX-XAJ8-0726-SM-47JY5 40-49 years, male 10.3
GTEX-1GPI7-1926-SM-9KNUH 20-29 years, male 10.3
GTEX-12696-1926-SM-5EGJT 60-69 years, male 10.1
GTEX-WHPG-1626-SM-4M1ZL 50-59 years, male 10.1
GTEX-1HSMO-2526-SM-A9SKP 60-69 years, male 9.7
GTEX-11TUW-2326-SM-5EQMO 60-69 years, male 9.6
GTEX-12WSL-1826-SM-5LZW9 50-59 years, male 9.6
GTEX-13U4I-2626-SM-5SI9C 40-49 years, female 9.6
GTEX-18465-2726-SM-7LT9I 50-59 years, male 9.6
GTEX-1C6VQ-2626-SM-7IGMQ 50-59 years, male 9.5
GTEX-1211K-1826-SM-5EGJ2 60-69 years, female 9.4
GTEX-ZVT4-2626-SM-5N9GJ 50-59 years, female 9.3
GTEX-1PIGE-1526-SM-DTXFC 20-29 years, male 9.3
GTEX-111CU-1226-SM-5EGIN 50-59 years, male 9.2
GTEX-13X6K-2726-SM-5O9DG 60-69 years, female 9.2
GTEX-14AS3-1026-SM-5TDD7 40-49 years, female 9.2
GTEX-ZTTD-2626-SM-57WEX 50-59 years, male 9.1
GTEX-1J1OQ-2826-SM-D3L88 40-49 years, female 9.1
GTEX-1122O-1426-SM-5H11R 60-69 years, female 9.0
GTEX-1A3MX-2326-SM-718B4 60-69 years, male 9.0
GTEX-YECK-2826-SM-5IFHF 60-69 years, male 9.0
GTEX-ZAB5-1426-SM-5HL9D 50-59 years, male 9.0
GTEX-ZVT3-2826-SM-5GU6A 60-69 years, female 9.0
GTEX-1QP2A-2226-SM-DTXF6 50-59 years, male 9.0
GTEX-14BIN-2426-SM-5TDCF 50-59 years, female 8.9
GTEX-ZE9C-2126-SM-4WKGY 60-69 years, male 8.8
GTEX-1RMOY-1726-SM-EVYC9 50-59 years, male 8.8
GTEX-12WSJ-1426-SM-5GCON 40-49 years, female 8.7
GTEX-1I1GP-2826-SM-A9SKZ 50-59 years, male 8.7
GTEX-14DAQ-2926-SM-664MV 60-69 years, female 8.6
GTEX-183WM-2526-SM-731BP 70-79 years, female 8.6
GTEX-18A66-2626-SM-72D67 60-69 years, male 8.5
GTEX-1JMLX-2526-SM-CY8HX 50-59 years, male 8.5
GTEX-17F96-2126-SM-7KFSM 70-79 years, male 8.4
GTEX-1PBJI-2526-SM-E6CP4 20-29 years, female 8.4
GTEX-XQ8I-2326-SM-4BOQC 50-59 years, male 8.3
GTEX-1LVAN-2626-SM-CNPQF 50-59 years, female 8.3
GTEX-14BMU-1326-SM-5RQIH 20-29 years, female 8.2
GTEX-1GF9X-1426-SM-7RHGX 40-49 years, female 8.2
GTEX-11ZTS-1526-SM-5N9G7 60-69 years, female 8.1
GTEX-15G19-2726-SM-6LPKG 60-69 years, male 8.1
GTEX-1CAMS-2626-SM-7PBY3 40-49 years, female 8.0
GTEX-1F5PK-1726-SM-7RHHW 50-59 years, male 8.0
GTEX-12KS4-2326-SM-5EGJB 30-39 years, male 7.9
GTEX-139T6-1426-SM-5P9J7 50-59 years, male 7.9
GTEX-13SLW-2826-SM-5Q5ES 70-79 years, male 7.9
GTEX-145LS-2926-SM-5O99G 60-69 years, female 7.9
GTEX-ZLV1-1326-SM-DO11Q 60-69 years, female 7.9
GTEX-11EI6-2626-SM-5PNVT 60-69 years, male 7.8
GTEX-18QFQ-1726-SM-731C9 30-39 years, male 7.8
GTEX-X4EO-2726-SM-4E3HS 60-69 years, female 7.8
GTEX-12WSD-2626-SM-5EGJE 60-69 years, female 7.7
GTEX-13QBU-2026-SM-5KLZB 40-49 years, female 7.7
GTEX-ZYFG-1826-SM-5GZWX 60-69 years, female 7.7
GTEX-1H1ZS-2626-SM-9QEIX 70-79 years, male 7.7
GTEX-14E6C-2226-SM-5QGQG 40-49 years, male 7.6
GTEX-1CB4G-2726-SM-79OO4 60-69 years, male 7.6
GTEX-1QP9N-0826-SM-DTX9O 30-39 years, male 7.6
GTEX-1HBPH-2526-SM-ACKXK 40-49 years, female 7.5
GTEX-1R9PO-2026-SM-E9J4N 60-69 years, female 7.5
GTEX-1RQEC-2626-SM-EVR3Z 60-69 years, male 7.5
GTEX-14PHX-1126-SM-5YYA5 50-59 years, male 7.4
GTEX-1AMFI-1826-SM-73KWB 50-59 years, female 7.4
GTEX-1K2DA-1626-SM-CGQGB 50-59 years, male 7.4
GTEX-1JMQJ-2626-SM-CY8HQ 50-59 years, male 7.3
GTEX-1GZ4H-1326-SM-7P8TE 50-59 years, female 7.2
GTEX-144GM-1126-SM-79OJK 20-29 years, male 7.1
GTEX-139UW-2326-SM-5KM1Y 60-69 years, male 7.0
GTEX-1HSMQ-2526-SM-A9SMK 50-59 years, male 7.0
GTEX-11DXZ-1626-SM-5GIDI 50-59 years, male 6.7
GTEX-1HSKV-2326-SM-A9SL9 60-69 years, male 6.7
GTEX-1QP28-2226-SM-DTX8C 50-59 years, female 6.7
GTEX-Z93S-2626-SM-57WBX 50-59 years, male 6.6
GTEX-1R9JW-2126-SM-E76QT 30-39 years, female 6.6
GTEX-1RAZR-2026-SM-E9TKE 40-49 years, male 6.6
GTEX-132NY-2726-SM-5PNY2 60-69 years, male 6.5
GTEX-17EUY-1726-SM-79OK4 20-29 years, male 6.5
GTEX-13111-1926-SM-5GCOL 50-59 years, male 6.4
GTEX-13CF2-1826-SM-5N9GK 60-69 years, male 6.4
GTEX-13D11-0626-SM-5LZYY 50-59 years, female 6.4
GTEX-17MFQ-1226-SM-7KFSA 20-29 years, male 6.4
GTEX-131YS-2926-SM-5EGKI 60-69 years, female 6.3
GTEX-148VJ-2426-SM-5NQ9Y 70-79 years, male 6.3
GTEX-Y9LG-1326-SM-4VBQB 30-39 years, male 6.3
GTEX-1LSNM-1426-SM-E6CIH 50-59 years, male 6.3
GTEX-1PDJ9-2026-SM-E76PT 20-29 years, male 6.3
GTEX-15RIE-2026-SM-7KFRW 60-69 years, male 6.2
GTEX-17JCI-2826-SM-7IGNA 60-69 years, female 6.2
GTEX-13PVR-1726-SM-5Q5EC 60-69 years, female 6.1
GTEX-1ICG6-2226-SM-B2LY7 70-79 years, female 6.1
GTEX-1JJE9-2526-SM-ARU8K 70-79 years, male 6.1
GTEX-11GS4-1826-SM-5HL4T 60-69 years, male 6.0
GTEX-18D9A-1326-SM-7LT8P 30-39 years, female 5.9
GTEX-1HBPM-2626-SM-9WYU5 60-69 years, female 5.9
GTEX-1J8QM-1226-SM-CY8HI 60-69 years, female 5.9
GTEX-13VXT-2026-SM-5L3EW 20-29 years, female 5.8
GTEX-WI4N-2226-SM-4OOS9 40-49 years, female 5.8
GTEX-YJ8O-1426-SM-5PNV9 40-49 years, female 5.8
GTEX-1HCU6-2926-SM-B2LWV 60-69 years, female 5.8
GTEX-1R9K5-2226-SM-DTX9G 50-59 years, male 5.8
GTEX-12ZZX-2726-SM-5N9FT 40-49 years, female 5.7
GTEX-ZE7O-2626-SM-51MSS 50-59 years, female 5.7
GTEX-ZA64-1426-SM-5CVMC 20-29 years, male 5.6
GTEX-1OFPY-1226-SM-E76OM 60-69 years, male 5.6
GTEX-15CHQ-2626-SM-686YZ 60-69 years, male 5.5
GTEX-1B97I-1526-SM-73KUK 40-49 years, male 5.5
GTEX-ZTSS-1226-SM-51MSZ 40-49 years, male 5.5
GTEX-1F75W-2126-SM-7RHIA 60-69 years, male 5.5
GTEX-1LG7Z-1326-SM-DIPF3 30-39 years, male 5.5
GTEX-1H1E6-1826-SM-A9G21 30-39 years, male 5.4
GTEX-145ME-1126-SM-5SIAT 40-49 years, female 5.3
GTEX-Y3I4-1126-SM-4TT7Y 50-59 years, male 5.3
GTEX-1JN6P-2126-SM-ARL98 60-69 years, male 5.3
GTEX-1B8L1-1926-SM-7IGND 60-69 years, male 5.2
GTEX-1HCVE-2326-SM-9WYUD 50-59 years, male 5.2
GTEX-ZLWG-1826-SM-DO11I 50-59 years, female 5.2
GTEX-13O1R-2426-SM-5KLZZ 60-69 years, male 5.1
GTEX-13RTJ-1926-SM-5YYA2 60-69 years, male 5.0
GTEX-16NGA-0926-SM-718AG 40-49 years, female 5.0
GTEX-1CB4F-1926-SM-7MKFN 60-69 years, male 5.0
GTEX-ZYFD-2226-SM-5E43P 50-59 years, male 5.0
GTEX-1F5PL-1926-SM-7MXTP 40-49 years, female 5.0
GTEX-1JMPY-1026-SM-ARZN1 30-39 years, male 5.0
GTEX-1KANA-1726-SM-CY8IG 20-29 years, male 5.0
GTEX-15RIF-1426-SM-7KUKQ 20-29 years, male 4.8
GTEX-18A6Q-2226-SM-7LG61 60-69 years, male 4.8
GTEX-ZT9W-1726-SM-51MS3 50-59 years, male 4.8
GTEX-11EM3-1626-SM-5N9CO 20-29 years, female 4.7
GTEX-13PVQ-2726-SM-5L3H7 50-59 years, male 4.7
GTEX-1AYCT-1926-SM-793AE 50-59 years, male 4.7
GTEX-X15G-1526-SM-4PQZM 50-59 years, female 4.7
GTEX-1J8EW-2426-SM-CE6T5 60-69 years, female 4.7
GTEX-1JKYR-2026-SM-CNPON 20-29 years, male 4.7
GTEX-ZAJG-2626-SM-5S2NU 50-59 years, female 4.6
GTEX-1HCUA-1926-SM-B2LWE 50-59 years, female 4.6
GTEX-1HFI7-1626-SM-9WYTR 50-59 years, female 4.6
GTEX-1J8JJ-2426-SM-D4P4A 60-69 years, female 4.6
GTEX-13OVK-1026-SM-7KFTC 40-49 years, male 4.5
GTEX-14E6E-1726-SM-5S2R6 30-39 years, male 4.5
GTEX-1LSNL-1626-SM-E9TJY 50-59 years, male 4.5
GTEX-13OW8-2726-SM-5L3FZ 60-69 years, male 4.4
GTEX-145MO-2626-SM-5QGPD 60-69 years, male 4.4
GTEX-17HGU-2626-SM-79OKN 50-59 years, male 4.4
GTEX-17KNJ-1826-SM-7LT9N 50-59 years, male 4.4
GTEX-ZYT6-2826-SM-5GICX 30-39 years, male 4.4
GTEX-1I1GT-2026-SM-CKZPK 60-69 years, female 4.4
GTEX-1IDJU-1926-SM-CL53W 60-69 years, female 4.4
GTEX-147GR-2826-SM-5RQK8 60-69 years, male 4.3
GTEX-16XZZ-2726-SM-7EWDO 60-69 years, male 4.3
GTEX-1B8KE-1526-SM-7DUG2 50-59 years, male 4.3
GTEX-1E2YA-2526-SM-7IGOU 50-59 years, male 4.3
GTEX-YFCO-1526-SM-5YYB8 40-49 years, male 4.3
GTEX-12WSM-1426-SM-5GCPA 60-69 years, male 4.2
GTEX-14PK6-1826-SM-69LOM 70-79 years, female 4.1
GTEX-1QCLY-2026-SM-EVR4C 30-39 years, male 4.1
GTEX-XUZC-1526-SM-4BRV4 30-39 years, female 4.0
GTEX-ZPU1-1726-SM-4WWFV 40-49 years, male 4.0
GTEX-15DYW-2426-SM-7KUG8 60-69 years, female 3.9
GTEX-1C2JI-1726-SM-73KUW 50-59 years, male 3.9
GTEX-1HSEH-1926-SM-A96SB 60-69 years, male 3.9
GTEX-1I1GR-2226-SM-ARL7F 60-69 years, male 3.9
GTEX-1K9T9-2926-SM-E9TKD 50-59 years, female 3.9
GTEX-1KXAM-1926-SM-D3LAG 60-69 years, male 3.9
GTEX-11ZTT-1626-SM-5EQKR 60-69 years, female 3.8
GTEX-1399R-2126-SM-5K7WZ 30-39 years, male 3.8
GTEX-145LT-0826-SM-5S2QL 40-49 years, male 3.8
GTEX-1EMGI-2626-SM-7IGNR 60-69 years, male 3.8
GTEX-WFG7-1626-SM-4LVMF 20-29 years, male 3.8
GTEX-1IDJH-2826-SM-CJI49 70-79 years, male 3.8
GTEX-11TT1-0926-SM-5GU5M 20-29 years, male 3.7
GTEX-13CF3-1326-SM-5LZXZ 60-69 years, female 3.7
GTEX-13O61-1526-SM-5KM3P 60-69 years, male 3.7
GTEX-1JKYN-2226-SM-ARZNE 30-39 years, male 3.7
GTEX-1LB8K-2526-SM-DIPEQ 50-59 years, male 3.6
GTEX-1S831-1726-SM-EWROJ 20-29 years, male 3.6
GTEX-145MH-2726-SM-5QGQ6 50-59 years, male 3.5
GTEX-14A5I-2426-SM-5Q5CP 50-59 years, female 3.5
GTEX-183FY-1426-SM-7DHLM 20-29 years, male 3.5
GTEX-11DXX-1926-SM-5EGJK 60-69 years, female 3.4
GTEX-1EH9U-1926-SM-7P8QM 60-69 years, male 3.4
GTEX-11I78-1326-SM-5PNY9 50-59 years, female 3.3
GTEX-11ZU8-1126-SM-5EQ5K 60-69 years, male 3.3
GTEX-139D8-2926-SM-5IJBM 30-39 years, female 3.3
GTEX-ZXES-1726-SM-5E43G 30-39 years, female 3.3
GTEX-14JG6-1626-SM-5YYBC 30-39 years, female 3.2
GTEX-15EO6-2326-SM-6LPKK 50-59 years, male 3.2
GTEX-1C4CL-1626-SM-7DUF3 30-39 years, male 3.2
GTEX-ZYY3-2226-SM-5E45A 60-69 years, female 3.2
GTEX-1GMR2-1826-SM-9KNUP 50-59 years, male 3.2
GTEX-117XS-2226-SM-5GIE1 60-69 years, male 3.1
GTEX-1IDJI-2226-SM-CKZPM 50-59 years, female 3.1
GTEX-1JN76-1326-SM-ARU94 20-29 years, female 3.1
GTEX-1LG7Y-2226-SM-E9U5K 50-59 years, male 3.1
GTEX-1PBJJ-2026-SM-DTX8U 30-39 years, male 3.1
GTEX-13N2G-2226-SM-5IJCU 60-69 years, male 3.0
GTEX-17HHE-1626-SM-7DHLN 50-59 years, male 3.0
GTEX-XV7Q-2226-SM-4BRVY 40-49 years, female 2.9
GTEX-Y114-1626-SM-4TT7I 50-59 years, female 2.9
GTEX-15G1A-1926-SM-7KUFF 30-39 years, male 2.9
GTEX-1339X-1726-SM-5P9J9 40-49 years, male 2.8
GTEX-13G51-2126-SM-5IJD9 60-69 years, male 2.8
GTEX-1J8Q3-2426-SM-CL53S 60-69 years, male 2.8
GTEX-1JJEA-2526-SM-CY8HJ 60-69 years, male 2.8
GTEX-1MGNQ-2126-SM-EV7AC 40-49 years, male 2.8
GTEX-1AX9K-1626-SM-73KUS 50-59 years, male 2.7
GTEX-ZF28-2526-SM-57WFH 60-69 years, male 2.7
GTEX-111YS-1826-SM-5GIEP 60-69 years, male 2.6
GTEX-13OW5-2826-SM-5KM1G 60-69 years, male 2.6
GTEX-WXYG-1726-SM-4ONCU 50-59 years, female 2.6
GTEX-ZY6K-1326-SM-5GZWP 50-59 years, male 2.6
GTEX-1H3VE-2326-SM-9KNVU 40-49 years, male 2.6
GTEX-1IKOE-2126-SM-A96T5 30-39 years, female 2.6
GTEX-1LBAC-1726-SM-D3L9W 20-29 years, male 2.6
GTEX-1I1CD-2826-SM-A9SL4 60-69 years, female 2.5
GTEX-1QCLZ-2026-SM-EAZ4A 60-69 years, female 2.5
GTEX-11DXY-2026-SM-5N9CZ 60-69 years, male 2.4
GTEX-14E1K-1626-SM-664MO 50-59 years, male 2.4
GTEX-1LGRB-2026-SM-COH47 50-59 years, female 2.4
GTEX-1QPFJ-2426-SM-EVR3L 30-39 years, female 2.4
GTEX-12BJ1-2026-SM-5FQUH 60-69 years, male 2.3
GTEX-1S5ZA-1426-SM-E6CJQ 20-29 years, male 2.3
GTEX-15RJE-2226-SM-6M46A 40-49 years, male 2.2
GTEX-18A67-2226-SM-7LT9Z 50-59 years, male 2.2
GTEX-1L5NE-1926-SM-D3L9R 50-59 years, male 2.1
GTEX-ZLFU-1426-SM-4WWEU 40-49 years, male 2.0
GTEX-1GMRU-2626-SM-9WPPM 50-59 years, male 2.0
GTEX-1HCU7-2726-SM-A9G3D 50-59 years, male 2.0
GTEX-1N2EF-1726-SM-EXUSI 60-69 years, male 2.0
GTEX-XXEK-1826-SM-4BRVC 50-59 years, male 1.9
GTEX-ZPIC-2626-SM-57WE2 40-49 years, female 1.9
GTEX-ZV6S-1126-SM-57WE9 40-49 years, female 1.9
GTEX-ZDTS-2726-SM-5L3E2 60-69 years, male 1.8
GTEX-ZP4G-1526-SM-57WE5 20-29 years, female 1.8
GTEX-13X6J-2826-SM-7EPGA 50-59 years, male 1.7
GTEX-1GL5R-1726-SM-9KNUX 50-59 years, male 1.6
GTEX-1A32A-2626-SM-73KX9 50-59 years, female 1.5
GTEX-14C5O-2626-SM-5RQI5 60-69 years, male 1.4
GTEX-1C64N-2226-SM-7SB7C 50-59 years, male 1.4
GTEX-1HKZK-2026-SM-9WYUF 40-49 years, male 1.4
GTEX-1LGOU-1726-SM-D3L8P 20-29 years, female 1.4
GTEX-14A5H-1626-SM-5SIAN 60-69 years, male 1.3
GTEX-WYVS-1126-SM-4SOJX 40-49 years, female 1.3
GTEX-11EQ8-2626-SM-5N9BO 60-69 years, male 1.2
GTEX-131XE-1026-SM-5EGKE 50-59 years, male 1.2
GTEX-13PL7-2426-SM-5J2N3 60-69 years, female 1.1
GTEX-1JK1U-1426-SM-CNPOW 60-69 years, male 1.1
GTEX-131XG-1526-SM-5GCNQ 50-59 years, female 1.0
GTEX-16MTA-1626-SM-6M47N 50-59 years, male 1.0
GTEX-1RAZQ-2026-SM-E76P7 30-39 years, male 0.9
GTEX-13FTW-2126-SM-5K7YG 40-49 years, male 0.8
GTEX-1GN73-2726-SM-9WYUB 60-69 years, male 0.7
GTEX-11P7K-1826-SM-5HL5A 30-39 years, male 0.6
GTEX-12WSG-2426-SM-5EQLZ 50-59 years, female 0.4
GTEX-1QW4Y-1426-SM-E76P3 30-39 years, male 0.3
Show allShow less
Colon - Transverse
Average nTPM: 282.1
Samples: 406

Max nTPM: 1386.3
Min nTPM: 0.6
Std nTPM: 288.1
Median nTPM: 208.4
GTEX-13O21-2426-SM-5MR4A 50-59 years, male 1386.3
GTEX-R55G-1226-SM-48FDC 40-49 years, female 1296.1
GTEX-TML8-1326-SM-4DXTO 40-49 years, female 1226.7
GTEX-Y3IK-1826-SM-4WWDS 50-59 years, female 1149.2
GTEX-YB5E-1626-SM-5IFIQ 40-49 years, male 1139.2
GTEX-Y5LM-1526-SM-4VDTA 40-49 years, female 1060.9
GTEX-1KANC-0926-SM-D3LA9 50-59 years, female 1053.6
GTEX-1K2DA-2026-SM-CGQGK 50-59 years, male 998.4
GTEX-ZLWG-1726-SM-DNZZ2 50-59 years, female 985.1
GTEX-1I4MK-1126-SM-B2LWS 50-59 years, female 976.4
GTEX-T5JW-1126-SM-4DM5V 20-29 years, female 960.6
GTEX-1122O-1526-SM-5N9CL 60-69 years, female 959.4
GTEX-UJHI-1126-SM-4IHLN 50-59 years, female 953.3
GTEX-1F75I-2426-SM-9WPOY 40-49 years, male 949.6
GTEX-QCQG-1626-SM-48U26 50-59 years, female 934.5
GTEX-1N2DV-1426-SM-DPRYQ 40-49 years, male 905.0
GTEX-XUZC-1326-SM-4BRV2 30-39 years, female 901.7
GTEX-14E6E-1526-SM-5RQIG 30-39 years, male 886.4
GTEX-13QBU-1826-SM-5IJG3 40-49 years, female 879.4
GTEX-OXRK-1726-SM-3NB16 50-59 years, female 858.8
GTEX-XPVG-1826-SM-4B64X 50-59 years, male 851.0
GTEX-1KANA-1926-SM-DHXKF 20-29 years, male 838.0
GTEX-14PJ4-1926-SM-6LLHG 60-69 years, male 815.6
GTEX-WOFM-2026-SM-4OOSQ 20-29 years, male 815.6
GTEX-1CAMR-0926-SM-7MXTD 20-29 years, male 799.8
GTEX-117YW-1826-SM-5PNY5 50-59 years, male 792.6
GTEX-15RIF-1326-SM-6LPKO 20-29 years, male 787.3
GTEX-WFON-1426-SM-4LVMT 40-49 years, male 785.3
GTEX-1399R-2226-SM-5P9JB 30-39 years, male 779.8
GTEX-18D9U-1926-SM-7KFTM 40-49 years, male 765.0
GTEX-11I78-1226-SM-5A5K6 50-59 years, female 763.4
GTEX-1JN76-1226-SM-C1YRM 20-29 years, female 759.1
GTEX-1F5PK-1926-SM-7MXT7 50-59 years, male 756.2
GTEX-YF7O-1726-SM-5IFJ9 50-59 years, male 747.8
GTEX-14PKV-2126-SM-664O3 20-29 years, female 743.7
GTEX-11DXX-1826-SM-5H126 60-69 years, female 743.3
GTEX-13X6H-1926-SM-7EWD3 50-59 years, female 725.3
GTEX-11LCK-2026-SM-5A5MA 30-39 years, male 712.3
GTEX-1JKYN-2326-SM-CGQG7 30-39 years, male 702.0
GTEX-14BMU-1526-SM-5TDE6 20-29 years, female 701.6
GTEX-1PFEY-1426-SM-E9U6U 30-39 years, male 701.0
GTEX-OIZF-1426-SM-2HML2 60-69 years, male 694.6
GTEX-OHPM-1426-SM-3TW8Y 50-59 years, male 670.9
GTEX-133LE-1526-SM-5IFEN 20-29 years, female 656.8
GTEX-14DAR-1526-SM-5RQIX 50-59 years, male 653.0
GTEX-Q734-1126-SM-48TZY 40-49 years, female 651.5
GTEX-1B8KE-1926-SM-731EE 50-59 years, male 650.6
GTEX-1HFI7-1726-SM-A9G22 50-59 years, female 648.4
GTEX-PLZ5-1126-SM-3P613 50-59 years, male 637.2
GTEX-1MA7W-0626-SM-EV79Z 20-29 years, female 633.9
GTEX-147GR-2726-SM-664OO 60-69 years, male 631.9
GTEX-1HSEH-1726-SM-B2LXH 60-69 years, male 629.7
GTEX-145MN-1726-SM-5SIA6 30-39 years, male 629.0
GTEX-145LT-0926-SM-5LU9C 40-49 years, male 628.6
GTEX-14PHX-1526-SM-68717 50-59 years, male 627.2
GTEX-PWN1-1426-SM-48TDF 40-49 years, female 626.5
GTEX-WHWD-1226-SM-4OOS1 50-59 years, male 622.8
GTEX-14XAO-2026-SM-69LOI 60-69 years, female 617.7
GTEX-OOBJ-1426-SM-E6CHH 60-69 years, male 607.2
GTEX-QV31-0826-SM-CKZNC 30-39 years, male 603.1
GTEX-PLZ6-0926-SM-3P5ZQ 30-39 years, male 602.6
GTEX-1399S-1926-SM-5J2M5 30-39 years, female 597.1
GTEX-1B932-2826-SM-73KUD 40-49 years, female 588.8
GTEX-1IKOE-2026-SM-AHZ31 30-39 years, female 581.0
GTEX-14JG6-1726-SM-69LPL 30-39 years, female 579.6
GTEX-18A66-2426-SM-7KFSQ 60-69 years, male 576.0
GTEX-P4PP-1426-SM-3NM9L 30-39 years, female 559.1
GTEX-1399U-1926-SM-5IFH7 50-59 years, female 555.4
GTEX-111CU-1426-SM-5GZYP 50-59 years, male 553.1
GTEX-1PIEJ-2026-SM-E6CPA 20-29 years, female 553.1
GTEX-1B8KZ-1326-SM-7DUG6 50-59 years, male 551.1
GTEX-1J1R8-1126-SM-CNPQ3 40-49 years, male 550.2
GTEX-Q2AI-0926-SM-48U1F 40-49 years, male 541.1
GTEX-W5WG-2426-SM-4LMI6 50-59 years, female 532.0
GTEX-UJMC-1326-SM-4IHLS 50-59 years, male 528.8
GTEX-ZPIC-2226-SM-57WDX 40-49 years, female 525.3
GTEX-1CAMS-2526-SM-7EPH7 40-49 years, female 523.3
GTEX-ZVP2-1526-SM-5NQ82 50-59 years, male 518.0
GTEX-15CHR-1426-SM-7DUGV 50-59 years, male 516.3
GTEX-1AMFI-1726-SM-7189L 50-59 years, female 513.0
GTEX-12C56-0626-SM-5EGGC 20-29 years, male 505.7
GTEX-S4Q7-0826-SM-4AD5E 20-29 years, male 504.0
GTEX-1H1E6-1926-SM-9OSWD 30-39 years, male 503.1
GTEX-1JKYR-1926-SM-C1YR7 20-29 years, male 498.6
GTEX-SNOS-1226-SM-4DM5H 40-49 years, male 496.6
GTEX-S4UY-0826-SM-4AD4Z 40-49 years, female 496.4
GTEX-ZEX8-1926-SM-4WKFR 50-59 years, male 495.0
GTEX-1RDX4-1826-SM-EVR54 50-59 years, female 494.6
GTEX-146FQ-1926-SM-5NQBY 30-39 years, male 492.1
GTEX-ZF2S-1926-SM-4WWAN 50-59 years, female 492.1
GTEX-1QP67-1326-SM-EAZ4D 40-49 years, female 482.0
GTEX-14JIY-3326-SM-6871E 60-69 years, male 473.3
GTEX-WFG7-1526-SM-4LVMG 20-29 years, male 470.0
GTEX-12BJ1-2126-SM-5BC5O 60-69 years, male 466.5
GTEX-139T6-1326-SM-5IFFO 50-59 years, male 464.7
GTEX-1PIGE-1426-SM-E9U61 20-29 years, male 463.5
GTEX-13FTW-1826-SM-5IJEN 40-49 years, male 460.6
GTEX-1C4CL-2126-SM-7IGQC 30-39 years, male 460.3
GTEX-U4B1-1126-SM-4DXV3 40-49 years, male 459.8
GTEX-11DXZ-1726-SM-5H12M 50-59 years, male 449.4
GTEX-1HSGN-2626-SM-CE6S1 40-49 years, female 449.3
GTEX-1H11D-2626-SM-9JGH4 40-49 years, male 448.4
GTEX-ZLV1-1226-SM-4WWBX 60-69 years, female 447.2
GTEX-11VI4-1526-SM-5EQKC 40-49 years, female 446.0
GTEX-144GN-1126-SM-5LU33 50-59 years, male 445.0
GTEX-RM2N-0926-SM-48FD1 50-59 years, male 442.3
GTEX-1RAZA-1726-SM-DPS13 20-29 years, male 442.3
GTEX-XV7Q-2126-SM-4BRVX 40-49 years, female 441.6
GTEX-ZT9W-1826-SM-51MQX 50-59 years, male 440.3
GTEX-1GPI7-1726-SM-7P8R1 20-29 years, male 438.1
GTEX-U3ZN-2126-SM-4DXU1 30-39 years, female 435.9
GTEX-ZDTT-1926-SM-5HL5W 60-69 years, male 432.5
GTEX-1RAZR-1926-SM-E6CRF 40-49 years, male 430.2
GTEX-13PL7-2526-SM-5IFGR 60-69 years, female 429.5
GTEX-ZDYS-2326-SM-4WKG6 50-59 years, male 428.3
GTEX-132AR-2726-SM-5PNVN 50-59 years, female 427.1
GTEX-11EM3-1526-SM-5A5KN 20-29 years, female 426.5
GTEX-1S83E-1626-SM-EV7B9 40-49 years, male 426.3
GTEX-131XG-1826-SM-5LZV4 50-59 years, female 422.7
GTEX-1KXAM-2126-SM-CY8I9 60-69 years, male 419.7
GTEX-QDVN-1326-SM-48TZ3 50-59 years, male 418.8
GTEX-O5YW-1426-SM-3MJHF 50-59 years, male 418.7
GTEX-15SB6-1226-SM-7KUMP 50-59 years, female 418.0
GTEX-18D9A-1126-SM-7KFRJ 30-39 years, female 417.0
GTEX-139YR-2126-SM-5KM11 50-59 years, male 414.7
GTEX-11P7K-1526-SM-5EGI7 30-39 years, male 413.2
GTEX-14PK6-1726-SM-6871J 70-79 years, female 412.1
GTEX-XQ8I-2126-SM-4BOOM 50-59 years, male 409.2
GTEX-13D11-0826-SM-5KLZJ 50-59 years, female 407.4
GTEX-SE5C-1526-SM-4BRWU 40-49 years, female 404.6
GTEX-YEC3-2426-SM-DO11A 50-59 years, male 403.3
GTEX-Q2AH-1226-SM-48TZL 40-49 years, male 401.1
GTEX-R53T-1326-SM-48FCQ 50-59 years, female 399.4
GTEX-1NSGN-2326-SM-E9U5X 50-59 years, male 398.3
GTEX-147F3-1926-SM-5SIB9 50-59 years, female 395.3
GTEX-16AAH-1326-SM-7KFRG 50-59 years, male 393.0
GTEX-ZV7C-1526-SM-5NQ72 50-59 years, male 391.5
GTEX-ZPU1-1926-SM-57WDT 40-49 years, male 391.2
GTEX-13PVR-1626-SM-73KVF 60-69 years, female 390.7
GTEX-ZG7Y-2126-SM-DO117 50-59 years, male 390.7
GTEX-U3ZM-1126-SM-4DXUB 40-49 years, male 385.6
GTEX-1H3VY-2426-SM-9WPPD 50-59 years, male 379.5
GTEX-1QP9N-1026-SM-E6CPX 30-39 years, male 375.7
GTEX-144GM-1226-SM-5LU52 20-29 years, male 374.5
GTEX-Y9LG-1526-SM-4WWDR 30-39 years, male 374.2
GTEX-1LGRB-1426-SM-CNNPT 50-59 years, female 369.4
GTEX-XBED-1526-SM-4AT5W 60-69 years, male 368.6
GTEX-1QCLY-1726-SM-DPRXY 30-39 years, male 367.3
GTEX-R55C-1126-SM-48FCJ 40-49 years, male 365.1
GTEX-XMK1-1726-SM-4B64Z 40-49 years, male 363.5
GTEX-QLQW-0426-SM-447A7 30-39 years, male 361.0
GTEX-1C475-1626-SM-731FP 40-49 years, female 357.9
GTEX-P4QT-1426-SM-3NMCX 50-59 years, female 354.9
GTEX-131XE-0826-SM-5HL9W 50-59 years, male 346.9
GTEX-ZVT2-1926-SM-5GU5T 50-59 years, female 336.1
GTEX-WHSB-0926-SM-4M1XJ 50-59 years, male 332.1
GTEX-17HHE-1826-SM-79OKE 50-59 years, male 326.1
GTEX-1S3DN-1826-SM-EV79K 50-59 years, male 323.6
GTEX-13S86-1626-SM-5Q5C5 40-49 years, male 321.8
GTEX-R55D-1826-SM-48FEF 50-59 years, male 320.7
GTEX-XUW1-1926-SM-4BOP1 50-59 years, female 320.3
GTEX-XBEW-1926-SM-4SOJO 40-49 years, male 319.3
GTEX-1MGNQ-2026-SM-EAZ51 40-49 years, male 317.6
GTEX-QMRM-1226-SM-447C6 50-59 years, male 317.4
GTEX-QEL4-1926-SM-D3L8D 50-59 years, male 313.8
GTEX-WYJK-2226-SM-4ONDJ 50-59 years, male 311.8
GTEX-1JK1U-1526-SM-AHZ46 60-69 years, male 307.6
GTEX-139TS-1926-SM-5IJFO 60-69 years, male 307.0
GTEX-1LVAM-1626-SM-EV79Y 50-59 years, female 306.4
GTEX-S7SF-1926-SM-4AT5B 20-29 years, female 299.6
GTEX-1LG7Z-1426-SM-CXKYV 30-39 years, male 296.9
GTEX-178AV-1326-SM-6LPJX 40-49 years, male 293.8
GTEX-17HGU-2426-SM-7EWDP 50-59 years, male 293.3
GTEX-OIZH-1426-SM-3NB1O 50-59 years, male 285.7
GTEX-15DCE-2026-SM-7KUFE 20-29 years, male 283.8
GTEX-1R7EU-1926-SM-E9U62 60-69 years, male 274.9
GTEX-PWCY-1026-SM-48TD4 20-29 years, female 269.3
GTEX-1IOXB-2626-SM-CJI2N 50-59 years, male 268.4
GTEX-1JMPY-0426-SM-C1YQ3 30-39 years, male 267.5
GTEX-17F98-1026-SM-7IGO8 40-49 years, female 266.1
GTEX-ZP4G-1726-SM-4WWCM 20-29 years, female 265.6
GTEX-XYKS-2226-SM-4E3IU 60-69 years, female 263.8
GTEX-S4P3-1226-SM-4AD4Y 50-59 years, female 261.6
GTEX-O5YT-1426-SM-3MJHC 20-29 years, male 258.3
GTEX-1NHNU-2326-SM-E6CQE 50-59 years, male 256.7
GTEX-1AYCT-1826-SM-731EG 50-59 years, male 256.5
GTEX-1211K-1726-SM-5FQUJ 60-69 years, female 256.1
GTEX-14ICK-1026-SM-6AJA4 40-49 years, male 253.9
GTEX-17EUY-1826-SM-7DUEZ 20-29 years, male 251.0
GTEX-13OVJ-1726-SM-5IJDZ 50-59 years, female 239.0
GTEX-14PJM-2626-SM-686ZD 50-59 years, female 235.2
GTEX-TKQ2-1326-SM-4DXT9 50-59 years, male 234.7
GTEX-X15G-1326-SM-4PQZJ 50-59 years, female 234.5
GTEX-13111-0726-SM-5DUVE 50-59 years, male 234.2
GTEX-11NSD-1626-SM-5986U 20-29 years, male 225.8
GTEX-1QPFJ-2326-SM-E6CR7 30-39 years, female 222.1
GTEX-1F5PL-2126-SM-7PC2O 40-49 years, female 219.9
GTEX-WH7G-1326-SM-4LVMS 40-49 years, male 217.2
GTEX-ZPCL-1826-SM-57WF1 60-69 years, female 216.9
GTEX-1R9JW-2026-SM-EAZ4O 30-39 years, female 216.7
GTEX-15RIE-1826-SM-6M48P 60-69 years, male 215.5
GTEX-11TT1-1026-SM-5PNW7 20-29 years, male 212.3
GTEX-16NGA-1026-SM-7KFS3 40-49 years, female 211.8
GTEX-11P82-1026-SM-5BC5J 20-29 years, male 205.0
GTEX-X3Y1-1726-SM-4PQZL 40-49 years, male 204.7
GTEX-17KNJ-1726-SM-7LG6A 50-59 years, male 203.2
GTEX-1GF9X-1526-SM-7P8QP 40-49 years, female 198.6
GTEX-1HCU9-1326-SM-B2LXT 20-29 years, male 196.4
GTEX-1IDJU-2026-SM-A9SLM 60-69 years, female 192.4
GTEX-15ER7-2926-SM-7KUFK 20-29 years, female 189.1
GTEX-XGQ4-1226-SM-4AT67 50-59 years, male 186.0
GTEX-WYVS-1826-SM-4OND6 40-49 years, female 184.4
GTEX-Y8E4-2426-SM-4WWDN 40-49 years, male 182.6
GTEX-ZGAY-2126-SM-4YCFB 40-49 years, female 179.9
GTEX-ZTSS-1126-SM-5985O 40-49 years, male 178.7
GTEX-1N5O9-2726-SM-E76QH 60-69 years, male 176.4
GTEX-14C39-1926-SM-5ZZW5 40-49 years, male 175.3
GTEX-1R9PM-1526-SM-DPRY8 20-29 years, male 172.9
GTEX-1MJK3-0926-SM-EV7AY 20-29 years, male 171.9
GTEX-PX3G-1426-SM-48U1J 20-29 years, female 170.3
GTEX-1PPH8-2026-SM-DTX7P 20-29 years, male 165.6
GTEX-ZY6K-1226-SM-5GZYL 50-59 years, male 159.1
GTEX-1L5NE-2026-SM-CXZKR 50-59 years, male 153.9
GTEX-1LGOU-1626-SM-D3LAK 20-29 years, female 153.8
GTEX-14BIN-3026-SM-5ZZUS 50-59 years, female 153.7
GTEX-1QCLZ-1926-SM-E6CR3 60-69 years, female 153.3
GTEX-1HSMQ-2726-SM-C1YRE 50-59 years, male 151.6
GTEX-13VXT-2426-SM-5LU46 20-29 years, female 148.3
GTEX-1I1GT-1926-SM-ARU7D 60-69 years, female 139.7
GTEX-1I6K6-1826-SM-B2LX5 30-39 years, male 136.7
GTEX-WQUQ-2526-SM-4MVNO 60-69 years, male 130.4
GTEX-1H1DE-1526-SM-ARL9B 20-29 years, male 130.2
GTEX-17GQL-1526-SM-7LTAC 60-69 years, male 127.4
GTEX-QDVJ-1326-SM-48U1X 50-59 years, male 124.9
GTEX-ZZ64-0726-SM-5GZX4 20-29 years, male 123.5
GTEX-1MCC2-1626-SM-DIPEW 30-39 years, female 119.3
GTEX-P78B-1726-SM-3P5ZV 40-49 years, female 117.1
GTEX-VJYA-2026-SM-4KL1K 60-69 years, male 111.1
GTEX-RU1J-1326-SM-46MUL 20-29 years, female 110.4
GTEX-PSDG-1826-SM-EAZ2S 50-59 years, male 109.3
GTEX-1I1GR-2526-SM-CNNQF 60-69 years, male 105.2
GTEX-SNMC-1126-SM-4DM5M 20-29 years, male 103.0
GTEX-1GF9U-1526-SM-7MXUW 40-49 years, female 100.5
GTEX-1HKZK-2126-SM-A9SL3 40-49 years, male 90.2
GTEX-17F9E-1826-SM-7IGMC 50-59 years, male 89.1
GTEX-S3XE-1126-SM-4AD4N 50-59 years, male 86.1
GTEX-1GZ4I-2426-SM-9WPPP 50-59 years, male 84.0
GTEX-1AMEY-1926-SM-73KVT 30-39 years, female 81.8
GTEX-13OVK-0826-SM-7KULZ 40-49 years, male 81.2
GTEX-111VG-2226-SM-5N9DU 60-69 years, male 78.3
GTEX-144GL-2526-SM-5TDDL 50-59 years, male 74.4
GTEX-13OVI-2026-SM-5J1MU 60-69 years, female 71.6
GTEX-1GMR3-2826-SM-9WPOG 40-49 years, male 66.1
GTEX-147JS-2526-SM-5S2Q8 60-69 years, male 66.0
GTEX-OXRO-0726-SM-E9U4C 60-69 years, female 63.8
GTEX-1K9T9-2826-SM-D4P3F 50-59 years, female 61.2
GTEX-1E2YA-2626-SM-7MGWW 50-59 years, male 58.8
GTEX-1128S-1626-SM-5H12O 60-69 years, female 56.0
GTEX-17HII-2726-SM-7MGVM 50-59 years, male 54.9
GTEX-1R9K5-2126-SM-E8VN1 50-59 years, male 53.1
GTEX-Y8LW-1226-SM-4WWDP 50-59 years, female 52.9
GTEX-17MF6-2426-SM-7LTAM 40-49 years, male 52.8
GTEX-V955-1626-SM-4JBHJ 60-69 years, male 52.5
GTEX-12KS4-2426-SM-5LU8P 30-39 years, male 52.3
GTEX-1C64O-2326-SM-73KU8 60-69 years, male 51.9
GTEX-16MT8-2726-SM-7IGLJ 60-69 years, female 49.2
GTEX-16XZZ-2626-SM-6M47S 60-69 years, male 48.5
GTEX-1C2JI-1626-SM-7EPHC 50-59 years, male 47.1
GTEX-NFK9-2026-SM-3LK5K 40-49 years, male 44.6
GTEX-1RMOY-1626-SM-EVYC8 50-59 years, male 42.1
GTEX-1PWST-2426-SM-EWRMP 70-79 years, male 41.7
GTEX-15CHQ-2526-SM-6EU24 60-69 years, male 41.5
GTEX-1IDJC-1326-SM-CL53H 50-59 years, male 40.2
GTEX-15DYW-2326-SM-6PAMU 60-69 years, female 40.0
GTEX-ZXES-1626-SM-5NQ7L 30-39 years, female 39.0
GTEX-1BAJH-2326-SM-7IGMO 70-79 years, male 35.7
GTEX-SJXC-2226-SM-EVYAK 60-69 years, male 35.3
GTEX-18A7A-2226-SM-7LT8K 50-59 years, female 33.5
GTEX-17JCI-2626-SM-7EWE6 60-69 years, female 32.1
GTEX-17EVQ-1826-SM-7IGPH 70-79 years, male 32.0
GTEX-18A7B-2026-SM-72D71 70-79 years, male 31.4
GTEX-1C6VQ-2726-SM-73KUL 50-59 years, male 29.9
GTEX-13OVG-1426-SM-5K7VP 60-69 years, male 29.6
GTEX-1H1DG-2226-SM-9WPPC 70-79 years, male 29.3
GTEX-148VJ-2626-SM-5QGPI 70-79 years, male 28.9
GTEX-14BMV-2426-SM-5S2PP 50-59 years, male 28.3
GTEX-1NV5F-2226-SM-DTX8O 60-69 years, female 28.1
GTEX-13OW6-2126-SM-5N9GL 50-59 years, male 28.0
GTEX-13W3W-2126-SM-5K7UX 60-69 years, female 27.4
GTEX-1A3MV-1126-SM-718BS 30-39 years, male 27.1
GTEX-145MO-2426-SM-5NQ9W 60-69 years, male 26.9
GTEX-11TTK-2426-SM-5PNYO 60-69 years, female 25.4
GTEX-1AX9I-2626-SM-73KU5 60-69 years, male 24.5
GTEX-1PPGY-2826-SM-DTX9H 60-69 years, male 22.9
GTEX-11ONC-2026-SM-5HL61 60-69 years, male 22.8
GTEX-1CB4I-2226-SM-7P8SL 50-59 years, male 22.7
GTEX-T6MO-0826-SM-4DM51 40-49 years, female 22.6
GTEX-16Z82-2226-SM-6LPJ7 60-69 years, male 22.0
GTEX-1LSVX-1726-SM-DHXJP 60-69 years, male 21.9
GTEX-ZYFC-2626-SM-5NQ6S 50-59 years, male 21.5
GTEX-1JJ6O-2426-SM-ARU8J 60-69 years, male 21.5
GTEX-1KANB-1526-SM-CXZK4 50-59 years, male 21.1
GTEX-1IDJD-2226-SM-A96TD 30-39 years, male 20.9
GTEX-11ZVC-2126-SM-5EGJ1 50-59 years, female 20.1
GTEX-1S5VW-2926-SM-E9U6H 60-69 years, male 20.0
GTEX-15SHU-2526-SM-6M47D 40-49 years, female 19.9
GTEX-1LVAN-2526-SM-CNPPC 50-59 years, female 19.8
GTEX-1J1OQ-2726-SM-AHZ3R 40-49 years, female 19.4
GTEX-OXRL-1426-SM-3NM9E 50-59 years, male 19.1
GTEX-1QMI2-2626-SM-E6CR4 60-69 years, male 19.1
GTEX-12WSJ-1526-SM-5GCNI 40-49 years, female 19.0
GTEX-1QW4Y-1326-SM-EWRMZ 30-39 years, male 18.8
GTEX-R45C-2126-SM-EZ6KZ 60-69 years, female 18.8
GTEX-1JMLX-2726-SM-CM2SB 50-59 years, male 18.5
GTEX-1IKK5-2726-SM-CNPQ6 60-69 years, male 18.2
GTEX-13OW5-2626-SM-5MR3M 60-69 years, male 17.1
GTEX-12ZZZ-2426-SM-5GCNN 60-69 years, male 16.1
GTEX-1IDJF-1826-SM-CKZOE 20-29 years, male 16.0
GTEX-12WSL-1626-SM-5GCMU 50-59 years, male 15.2
GTEX-17F96-2026-SM-79ON4 70-79 years, male 14.9
GTEX-Z93S-2426-SM-5HL8N 50-59 years, male 14.6
GTEX-13O3P-2326-SM-5KM55 50-59 years, male 14.5
GTEX-145ME-0826-SM-5O9AF 40-49 years, female 14.3
GTEX-ZAB4-2226-SM-5HL97 40-49 years, male 14.0
GTEX-1LH75-2126-SM-EVR5F 50-59 years, female 14.0
GTEX-1HCU6-2726-SM-A9SKV 60-69 years, female 13.8
GTEX-1JMPZ-2426-SM-C1YQP 30-39 years, male 13.8
GTEX-Y114-1526-SM-4TT79 50-59 years, female 13.4
GTEX-OXRN-2026-SM-E6CHK 50-59 years, male 13.4
GTEX-13FHP-2426-SM-5KLZ5 50-59 years, male 13.1
GTEX-13O3O-2526-SM-5L3DR 60-69 years, female 12.4
GTEX-16NPV-2626-SM-6M484 50-59 years, female 12.4
GTEX-WEY5-1426-SM-4LMJ3 40-49 years, female 12.3
GTEX-1F75B-2726-SM-7P8QO 50-59 years, male 12.3
GTEX-1ICLZ-2426-SM-CKZOD 60-69 years, male 12.3
GTEX-X4EO-2526-SM-EWRM8 60-69 years, female 12.2
GTEX-14ICL-1226-SM-5S2RD 30-39 years, male 12.1
GTEX-11O72-2226-SM-5PNW2 40-49 years, male 12.0
GTEX-1B996-2626-SM-73KZ1 60-69 years, male 11.9
GTEX-14PJ3-0926-SM-69LQG 50-59 years, male 11.6
GTEX-ZYVF-2826-SM-5GIDK 50-59 years, female 11.5
GTEX-14H4A-1926-SM-5ZZWN 40-49 years, female 11.2
GTEX-1JJE9-2426-SM-D3L8T 70-79 years, male 11.2
GTEX-145LS-2726-SM-5Q5D8 60-69 years, female 11.1
GTEX-14C5O-2526-SM-73KU2 60-69 years, male 11.0
GTEX-1MUQO-2626-SM-EWRO3 60-69 years, male 10.9
GTEX-1POEN-2026-SM-E6CRL 30-39 years, female 10.9
GTEX-1HCU7-2626-SM-C1YQO 50-59 years, male 10.2
GTEX-1RAZQ-2126-SM-DTX9V 30-39 years, male 10.2
GTEX-11GSP-1626-SM-5986N 60-69 years, female 10.0
GTEX-18D9B-2526-SM-718BN 60-69 years, male 9.7
GTEX-U3ZH-1326-SM-4DXSF 30-39 years, male 9.6
GTEX-1IGQW-2326-SM-CE6RV 60-69 years, male 9.6
GTEX-S341-1426-SM-4AD6U 40-49 years, female 9.5
GTEX-QLQ7-1126-SM-CYPRB 60-69 years, male 9.5
GTEX-1JN1M-2626-SM-CY8I3 60-69 years, female 9.4
GTEX-1S82U-0726-SM-E9TKI 30-39 years, female 9.4
GTEX-Y3I4-1426-SM-4TT9C 50-59 years, male 9.3
GTEX-1AYD5-1726-SM-7RHFW 50-59 years, male 9.2
GTEX-1EMGI-2726-SM-7P8S4 60-69 years, male 8.8
GTEX-WVJS-2426-SM-EZ6LI 50-59 years, male 8.7
GTEX-117YX-0826-SM-5H11J 50-59 years, male 8.5
GTEX-13FH7-1526-SM-5J2N6 50-59 years, female 8.4
GTEX-14DAQ-2726-SM-5S2QY 60-69 years, female 8.4
GTEX-14AS3-1126-SM-5Q5CR 40-49 years, female 8.3
GTEX-13QJ3-2626-SM-9OSXQ 50-59 years, male 8.3
GTEX-15UF6-2626-SM-6M466 70-79 years, female 8.2
GTEX-ZF29-1726-SM-4WKFV 60-69 years, female 8.2
GTEX-1HCVE-2526-SM-A9G2G 50-59 years, male 8.1
GTEX-15G1A-1826-SM-7KUKO 30-39 years, male 7.7
GTEX-1HSMP-2326-SM-D3L8R 70-79 years, male 7.7
GTEX-11EQ9-1426-SM-5987G 30-39 years, male 7.5
GTEX-1OKEX-1226-SM-DTXEC 60-69 years, male 7.4
GTEX-13CF3-1426-SM-5K7YY 60-69 years, female 6.8
GTEX-1CB4F-2026-SM-79OLU 60-69 years, male 6.7
GTEX-1GL5R-2426-SM-7MXV1 50-59 years, male 6.7
GTEX-1LG7Y-2126-SM-DIPER 50-59 years, male 6.3
GTEX-TKQ1-0626-SM-4DXTS 30-39 years, male 6.2
GTEX-1GZ4H-1226-SM-9KNUA 50-59 years, female 6.1
GTEX-ZYFG-1926-SM-5GID5 60-69 years, female 5.9
GTEX-1N2EF-1926-SM-DTX8M 60-69 years, male 5.9
GTEX-11P81-1126-SM-5GU5G 30-39 years, female 5.8
GTEX-14PJ5-0926-SM-6LLIK 60-69 years, female 5.8
GTEX-XXEK-1926-SM-4BRVD 50-59 years, male 5.7
GTEX-1EH9U-2026-SM-7PBYS 60-69 years, male 5.7
GTEX-YEC4-1926-SM-5IFHJ 40-49 years, male 5.6
GTEX-1LBAC-1626-SM-CXZKV 20-29 years, male 5.6
GTEX-ZV6S-1226-SM-59HLH 40-49 years, female 5.5
GTEX-OHPN-2026-SM-E9TIA 60-69 years, female 5.5
GTEX-18QFQ-1526-SM-72D57 30-39 years, male 5.2
GTEX-111YS-1626-SM-5GZZ9 60-69 years, male 4.7
GTEX-1GN73-2626-SM-9KNUQ 60-69 years, male 4.7
GTEX-13U4I-2426-SM-5LU34 40-49 years, female 4.5
GTEX-X5EB-0926-SM-46MVT 40-49 years, male 4.3
GTEX-15DZA-0926-SM-69LQ3 30-39 years, female 4.2
GTEX-WY7C-1626-SM-4ONC8 50-59 years, male 4.2
GTEX-U412-1726-SM-EZ6KX 60-69 years, male 3.9
GTEX-1GMR2-1726-SM-9JGI2 50-59 years, male 3.5
GTEX-RWS6-1826-SM-47JXX 60-69 years, female 3.2
GTEX-11TUW-2026-SM-5EQL8 60-69 years, male 2.9
GTEX-13O61-1626-SM-5KM3T 60-69 years, male 2.9
GTEX-1339X-1626-SM-5IJDN 40-49 years, male 2.8
GTEX-15CHC-1626-SM-5ZZWS 60-69 years, female 2.6
GTEX-1AX8Z-2726-SM-73KUC 60-69 years, male 2.2
GTEX-14E1K-1826-SM-793DT 50-59 years, male 0.8
GTEX-XAJ8-0426-SM-47JYJ 40-49 years, male 0.6
Show allShow less

COLON - FANTOM5 CAGEi

RNA expression in human tissues obtained through Cap Analysis of Gene Expression (CAGE) generated by the FANTOM5 project are reported as Scaled Tags Per Million.

Max subtype Scaled Tags Per Millioni

Max subtype Scaled Tags Per Million is the value for the subtype with the largest average Scaled Tags Per Million across the subtype samples.

569.0
FANTOM5 sample id Sample description Scaled Tags Per Million
Colon
Scaled Tags Per Million: 569.0
FF:10014-101C5 62,83,84 years, mixed 569.0

Contact

  • NEWS ARTICLES
  • PRESS ROOM

The Project

  • INTRODUCTION
  • ORGANIZATION
  • PUBLICATIONS

The Human Protein Atlas

  • DOWNLOADABLE DATA
  • LICENCE & CITATION
  • HELP & FAQ
The Human Protein Atlas project is funded
by the Knut & Alice Wallenberg Foundation.


contact@proteinatlas.org