We use cookies to enhance the usability of our website. If you continue, we'll assume that you are happy to receive all cookies. More information. Don't show this again.
SHC1
HPA
RESOURCES
  • TISSUE
  • BRAIN
  • SINGLE CELL
  • SUBCELLULAR
  • CANCER
  • BLOOD
  • CELL LINE
  • STRUCTURE & INTERACTION
ABOUT
  • INTRODUCTION
  • HISTORY
  • ORGANIZATION
  • PUBLICATIONS
  • ANTIBODY SUBMISSION
  • ANTIBODY AVAILABILITY
  • ACKNOWLEDGMENTS
  • CONTACT
NEWS
  • NEWS ARTICLES
  • PRESS ROOM
LEARN
  • DICTIONARY
  • PROTEIN CLASSES
  • PROTEIN EVIDENCE
  • METHODS
  • EDUCATIONAL VIDEOS
DATA
  • DOWNLOADABLE DATA
  • PUBLICATION DATA
  • RELEASE HISTORY
HELP
  • ANTIBODY VALIDATION
  • ASSAYS & ANNOTATION
  • DISCLAIMER
  • HELP & FAQ
  • PRIVACY STATEMENT
  • LICENCE & CITATION
Fields »
Search result

Field
Term
Gene name
Class
Subclass
Class
Keyword
Chromosome
External id
Tissue
Cell type
Expression
Antibody panel
Tissue
Main location
Patient ID
Annotation
Tissue
Category
Tau score
Cluster
Reliability
Brain region
Category
Tau score
Brain region
Category
Tau score
Brain region
Category
Tau score
Cluster
Reliability
Tissue
Cell type
Enrichment
Cell type
Category
Tau score
Cell type
Category
Tau score
Cell type
Category
Tau score
Cell lineage
Category
Tau score
Cluster
Cluster
Location
Searches
Location
Cell line
Class
Type
Phase
Reliability
Cancer
Prognosis
Cancer
Category
Cancer
Category
Tau score
Cluster
Variants
Interacting gene (ensg_id)
Type
Number of interactions
Pathway
Category
Score
Score
Score
Validation
Validation
Validation
Validation
Antibodies
Data type
Column


  • SUMMARY

  • TISSUE

  • BRAIN

  • SINGLE CELL

  • SUBCELL

  • CANCER

  • BLOOD

  • CELL LINE

  • STRUCT & INT

  • SHC1
TISSUE PRIMARY DATA BREAST Show tissue menu
ADIPOSE TISSUE ADRENAL GLAND AMYGDALA APPENDIX BASAL GANGLIA BONE MARROW BREAST BRONCHUS CEREBELLUM CEREBRAL CORTEX CERVIX CHOROID PLEXUS COLON DUODENUM
ENDOMETRIUM EPIDIDYMIS ESOPHAGUS FALLOPIAN TUBE GALLBLADDER HEART MUSCLE HIPPOCAMPAL FORMATION HYPOTHALAMUS KIDNEY LIVER LUNG LYMPH NODE MIDBRAIN NASOPHARYNX
ORAL MUCOSA OVARY PANCREAS PARATHYROID GLAND PITUITARY GLAND PLACENTA PROSTATE RECTUM RETINA SALIVARY GLAND SEMINAL VESICLE SKELETAL MUSCLE SKIN SMALL INTESTINE
SMOOTH MUSCLE SOFT TISSUE SPINAL CORD SPLEEN STOMACH TESTIS THYMUS THYROID GLAND TONGUE TONSIL URINARY BLADDER VAGINA
ANTIBODIES
AND
VALIDATION
Dictionary
Breast
Tissue proteome
Breast
BREAST - Expression summary
Protein expression
Breasti

On the top, protein expression in current human tissue, based on all annotated cell types, is reported with the units not detected (n), low (l), medium (m) and high (h). Underneath, protein expression in each annotated cell type are reported using the same units.

Protein expression data is based on knowledge-based annotation. For genes where more than one antibody has been used, a collective score is set.

If knowledge-based annotation could not be performed for a gene, no data is displayed here. View antibody staining data further down this page.

h
m
l
n
Adipocytes: Medium
Glandular cells: Medium
Myoepithelial cells: Medium
RNA expressioni

A summary of mRNA expression data available for current tissue based on several datasets. The mRNA expression levels in human tissues are based on RNA-seq data generated by the Human Protein Atlas (HPA), Genotype-Tissue Expression (GTEx) portal and CAGE data generated by the FANTOM5 consortium. Consensus normalized expression levels for human tissues was created by combining the data from HPA and GTEx datasets.

The mRNA expression levels in pig are based on RNA-seq data generated by the Human Protein Atlas (HPA), and for mouse, HPA data and in situ hybridization generated by the Allen brain atlas are reported.

Scroll down to view mRNA expression data in more detail.
Consensus:122.6 nTPM
HPA:49.4 nTPM
GTEx:122.6 nTPM
FANTOM5:79.4 Scaled Tags Per Million

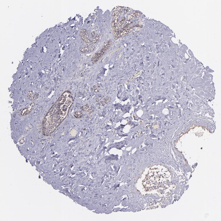
BREAST - Antibody stainingi

Antibody staining in the annotated cell types in the current human tissue is reported as not detected, low, medium, or high, based on conventional immunohistochemistry profiling in selected tissues. This score is based on the combination of the staining intensity and fraction of stained cells.

Each image is clickable and will lead to virtual microscopy that enables deeper exploration of all samples and also displays staining intensity scores, fraction scores and subcellular localization as well as patient and tissue information for each sample.

Antibody HPA001844Antibody CAB005374Antibody CAB016305
Adipocytes Not detectedNot detectedMedium
Glandular cells MediumLowMedium
Myoepithelial cells LowLowMedium




BREAST - HPA RNA-seqi

The RNA-seq details section shows detailed information about the individual samples used for the transcript profiling and results of the RNA-seq analysis.

Information about each individual sample is listed below, including gender, age, a tissue section image and estimated fractions of cell types. nTPM (normalized transcripts per million) values give a quantification of the gene abundance which is comparable between different genes and samples.
Average nTPMi

Max subtype nTPM is the value for the subtype with the largest average nTPM across the subtype samples.

49.4
overview
Female, age 52
Breast sample 373
nTPM: 52.3
Cell types%
Glandular cells:
15

Adipocytes:
5

Other cell types:
80

overview
Female, age 80
Breast sample 390
nTPM: 49.5
Cell types%
Glandular cells:
5

Adipocytes:
15

Other cell types:
80

overview
Female, age 47
Breast sample 405
nTPM: 48.5
Cell types%
Glandular cells:
5

Adipocytes:
5

Other cell types:
90

overview
Female, age 38
Breast sample 410
nTPM: 47.2
Cell types%
Glandular cells:
40

Adipocytes:
5

Other cell types:
55


BREAST - GTEx RNA-seqi

RNA-Seq data generated by the Genotype-Tissue Expression (GTEx) project from human tissues is reported as mean nTPM. More information can be found on the GTEx portal.

Distribution across the dataset is visualized with box plots, shown as median and 25th and 75th percentiles. Points are displayed as outliers if they are above or below 1.5 times the interquartile range. nTPM values of the individual samples are presented next to the box plot.
Max subtype nTPMi

Max subtype nTPM is the value for the subtype with the largest average nTPM across the subtype samples.

122.6
GTEx sample id Sample description nTPM
Breast - Mammary Tissue
Average nTPM: 122.6
Samples: 459

Max nTPM: 396.8
Min nTPM: 39.0
Std nTPM: 52.9
Median nTPM: 108.3
GTEX-11P82-1326-SM-5HL62 20-29 years, male 396.8
GTEX-13PVQ-1026-SM-5KM3M 50-59 years, male 383.0
GTEX-1R7EV-1526-SM-E8VOD 40-49 years, male 354.0
GTEX-Y9LG-1426-SM-5IFJZ 30-39 years, male 327.4
GTEX-S32W-2026-SM-4AD6E 50-59 years, female 309.2
GTEX-14B4R-1226-SM-5TDDT 30-39 years, male 293.7
GTEX-1RLM8-2226-SM-EVYD1 50-59 years, male 287.5
GTEX-11DZ1-0326-SM-5N9BN 50-59 years, male 285.8
GTEX-12WSN-1326-SM-5GCNT 40-49 years, male 278.1
GTEX-REY6-2426-SM-48FF5 60-69 years, male 276.3
GTEX-13N1W-0626-SM-5MR4U 70-79 years, male 266.4
GTEX-RUSQ-2026-SM-4GIAK 50-59 years, male 265.5
GTEX-1ICLY-1726-SM-B2LVT 50-59 years, male 258.3
GTEX-ZT9W-2026-SM-51MRA 50-59 years, male 247.5
GTEX-1S82Z-0726-SM-E6CHX 30-39 years, female 243.5
GTEX-1I1GP-0426-SM-COH3N 50-59 years, male 238.5
GTEX-13CF3-2126-SM-5IFJP 60-69 years, female 233.7
GTEX-1H23P-0726-SM-9WG7K 60-69 years, male 233.1
GTEX-11WQK-2426-SM-5GU5C 50-59 years, male 230.2
GTEX-11ZTT-2326-SM-5EQLG 60-69 years, female 225.2
GTEX-1A3MX-2726-SM-718B6 60-69 years, male 220.9
GTEX-1IDJF-2326-SM-ARL86 20-29 years, male 218.5
GTEX-14E6C-1326-SM-62LEQ 40-49 years, male 215.4
GTEX-ZA64-1526-SM-5CVMD 20-29 years, male 215.1
GTEX-17GQL-0326-SM-7LG5U 60-69 years, male 214.8
GTEX-17MF6-0326-SM-7EPH5 40-49 years, male 212.6
GTEX-144GM-0926-SM-5O994 20-29 years, male 212.3
GTEX-1I1GU-1026-SM-ADEHJ 40-49 years, male 211.9
GTEX-13O61-1826-SM-5KM4I 60-69 years, male 211.1
GTEX-1MJK3-1126-SM-E9J3F 20-29 years, male 209.1
GTEX-S4Q7-1126-SM-4AD6R 20-29 years, male 208.8
GTEX-1QP9N-1826-SM-E8VMP 30-39 years, male 204.4
GTEX-1JN6P-2426-SM-ARL99 60-69 years, male 204.2
GTEX-1LC47-1226-SM-D4P44 60-69 years, male 204.2
GTEX-1IDJH-2226-SM-E6CJV 70-79 years, male 200.8
GTEX-1HBPM-0126-SM-ARL9E 60-69 years, female 198.9
GTEX-1JKYN-0726-SM-ARZMY 30-39 years, male 197.2
GTEX-XGQ4-0926-SM-4AT4U 50-59 years, male 196.7
GTEX-WI4N-1426-SM-3LK7H 40-49 years, female 194.6
GTEX-ZZ64-1226-SM-5E43R 20-29 years, male 194.0
GTEX-U412-1826-SM-4DXTJ 60-69 years, male 193.6
GTEX-1IOXB-1926-SM-ARL8E 50-59 years, male 192.3
GTEX-YEC3-1026-SM-5IFI5 50-59 years, male 192.1
GTEX-183FY-1126-SM-7DHLJ 20-29 years, male 192.0
GTEX-R55D-0826-SM-48FEA 50-59 years, male 191.9
GTEX-11LCK-2426-SM-5HL5F 30-39 years, male 191.6
GTEX-1L5NE-2126-SM-CY8IH 50-59 years, male 190.7
GTEX-TKQ1-0226-SM-33HB5 30-39 years, male 190.2
GTEX-132AR-0826-SM-5EGK6 50-59 years, female 190.0
GTEX-YFCO-1826-SM-4W1YH 40-49 years, male 188.5
GTEX-U8XE-0826-SM-4E3J1 30-39 years, male 187.3
GTEX-Y5V6-2126-SM-4WWFX 60-69 years, male 186.6
GTEX-15EOM-5019-SM-793DK 20-29 years, female 186.3
GTEX-11TUW-1826-SM-5BC5D 60-69 years, male 183.8
GTEX-13S86-1226-SM-5S2OA 40-49 years, male 181.9
GTEX-15RJE-2626-SM-7KFT1 40-49 years, male 181.6
GTEX-12BJ1-1826-SM-5HL9N 60-69 years, male 180.7
GTEX-1HSEH-2026-SM-ADEHN 60-69 years, male 180.1
GTEX-13O3Q-2226-SM-5KM4O 50-59 years, male 179.8
GTEX-145ME-1526-SM-5Q5F2 40-49 years, female 178.9
GTEX-1AX9J-1126-SM-731B7 60-69 years, male 178.7
GTEX-17F98-0526-SM-79OK5 40-49 years, female 178.1
GTEX-14PJ4-2126-SM-6ETZJ 60-69 years, male 178.0
GTEX-12KS4-0126-SM-5Q5A5 30-39 years, male 177.7
GTEX-1CAMR-1426-SM-793BO 20-29 years, male 177.0
GTEX-1HR9M-2426-SM-ACKXI 60-69 years, male 176.3
GTEX-1HSMO-0826-SM-ADEIV 60-69 years, male 173.9
GTEX-1NHNU-0926-SM-E9J2T 50-59 years, male 173.9
GTEX-1LGRB-1826-SM-CNPQL 50-59 years, female 173.6
GTEX-1HCU8-0126-SM-ADEHH 60-69 years, female 173.5
GTEX-1JN1M-3026-SM-CMKGK 60-69 years, female 173.4
GTEX-ZLWG-1926-SM-DO92J 50-59 years, female 173.1
GTEX-YB5E-1726-SM-5IFJ3 40-49 years, male 172.7
GTEX-14PN4-0626-SM-62LFP 50-59 years, male 172.6
GTEX-1H3VY-0926-SM-ACKXE 50-59 years, male 171.6
GTEX-V955-2026-SM-3GAFA 60-69 years, male 171.3
GTEX-Z9EW-1526-SM-EZ6LU 40-49 years, male 171.0
GTEX-1211K-1926-SM-5EQLB 60-69 years, female 170.9
GTEX-1I4MK-1626-SM-CM2TJ 50-59 years, female 168.2
GTEX-1IDFM-0426-SM-B2LVV 60-69 years, male 166.3
GTEX-ZQG8-0726-SM-5P9H9 60-69 years, female 166.0
GTEX-1HCU7-1026-SM-ADEIP 50-59 years, male 165.4
GTEX-1C6WA-2426-SM-7SB86 60-69 years, male 164.1
GTEX-1OKEX-0826-SM-E9J2B 60-69 years, male 163.8
GTEX-13FTX-1126-SM-5N9EN 20-29 years, female 163.1
GTEX-15UF7-0726-SM-6M46D 40-49 years, male 162.8
GTEX-17F9E-2526-SM-7MGW2 50-59 years, male 162.8
GTEX-ZDYS-1126-SM-5K7UB 50-59 years, male 162.2
GTEX-132NY-0826-SM-5K7Y7 60-69 years, male 160.4
GTEX-14PKU-0426-SM-6EU1P 40-49 years, female 160.3
GTEX-1PPH7-0826-SM-E8VNX 40-49 years, male 160.3
GTEX-XQ8I-2426-SM-4WAXY 50-59 years, male 160.2
GTEX-Y8LW-1626-SM-5IFHX 50-59 years, female 159.9
GTEX-14E6E-1326-SM-5S2NR 30-39 years, male 159.6
GTEX-1H1ZS-0126-SM-9YFKQ 70-79 years, male 159.5
GTEX-1HCU9-0326-SM-9WYSC 20-29 years, male 159.1
GTEX-18A7B-2626-SM-7LG55 70-79 years, male 158.2
GTEX-1F5PK-2126-SM-7PC28 50-59 years, male 158.2
GTEX-QEG5-0726-SM-D4P1T 20-29 years, male 158.0
GTEX-UTHO-1026-SM-3GAF7 60-69 years, male 156.5
GTEX-12WSM-1726-SM-5BC6J 60-69 years, male 156.4
GTEX-132Q8-1426-SM-5EGK7 60-69 years, male 156.2
GTEX-1GF9V-2526-SM-7SB8K 60-69 years, male 156.1
GTEX-17EVQ-0426-SM-7LG57 70-79 years, male 154.2
GTEX-169BO-1126-SM-7MGWN 50-59 years, male 153.9
GTEX-1MA7X-1626-SM-E9U5B 60-69 years, male 153.8
GTEX-1MCYP-0126-SM-E6CIS 20-29 years, female 153.7
GTEX-ZWKS-2826-SM-5NQ74 30-39 years, male 153.1
GTEX-14E7W-0826-SM-62LEJ 70-79 years, male 152.2
GTEX-13W3W-1226-SM-5LU4H 60-69 years, female 151.9
GTEX-1KANC-1426-SM-CYPT9 50-59 years, female 151.8
GTEX-145MN-1926-SM-5SIAI 30-39 years, male 151.7
GTEX-14PJO-0726-SM-69LO8 60-69 years, male 151.2
GTEX-11O72-2126-SM-5N9FO 40-49 years, male 149.2
GTEX-1JMOU-2026-SM-CMKGU 60-69 years, female 149.2
GTEX-1HFI7-0126-SM-CGQFQ 50-59 years, female 148.8
GTEX-1LSVX-2426-SM-E6CJX 60-69 years, male 148.7
GTEX-1PDJ9-1126-SM-EXUSW 20-29 years, male 148.7
GTEX-1QP28-1226-SM-E9J2M 50-59 years, female 148.1
GTEX-1QW4Y-1026-SM-DTXE2 30-39 years, male 148.1
GTEX-ZYW4-0826-SM-5GIDG 60-69 years, male 147.7
GTEX-11EQ9-1826-SM-5Q5AJ 30-39 years, male 147.0
GTEX-1GMR2-1926-SM-9MQLZ 50-59 years, male 146.4
GTEX-Y3I4-1526-SM-4TT7K 50-59 years, male 145.5
GTEX-1ICLZ-0426-SM-B2LW2 60-69 years, male 145.2
GTEX-1J8Q3-1326-SM-CMKI1 60-69 years, male 145.0
GTEX-ZQUD-1926-SM-51MSA 30-39 years, male 144.5
GTEX-14753-2426-SM-5LU8U 60-69 years, male 144.1
GTEX-WFG8-2026-SM-EXOHO 20-29 years, male 143.7
GTEX-WOFL-0826-SM-3MJG1 60-69 years, male 143.3
GTEX-1GPI7-0926-SM-7PC3J 20-29 years, male 143.1
GTEX-17EVP-0226-SM-79OND 40-49 years, male 142.1
GTEX-ZV7C-1826-SM-5NQ83 50-59 years, male 141.9
GTEX-1N2EF-2226-SM-E9J33 60-69 years, male 141.4
GTEX-1H1DG-0526-SM-9YFLN 70-79 years, male 141.0
GTEX-1JK1U-1826-SM-ARL8W 60-69 years, male 141.0
GTEX-1F75B-0626-SM-7SB8A 50-59 years, male 140.9
GTEX-133LE-1726-SM-5K7VQ 20-29 years, female 140.7
GTEX-183WM-0726-SM-7LTAA 70-79 years, female 140.1
GTEX-16YQH-2826-SM-6PAMY 30-39 years, male 138.6
GTEX-1A3MV-1626-SM-731C1 30-39 years, male 138.6
GTEX-YB5K-1626-SM-5IFIN 40-49 years, female 138.6
GTEX-17HGU-1326-SM-79OKB 50-59 years, male 137.8
GTEX-1C6VQ-0426-SM-79OOX 50-59 years, male 137.3
GTEX-X4EP-2926-SM-3P5YQ 60-69 years, female 136.2
GTEX-13O3P-0826-SM-5L3DH 50-59 years, male 136.0
GTEX-1C475-1226-SM-7SB72 40-49 years, female 135.2
GTEX-1QPFJ-2026-SM-EVYBE 30-39 years, female 135.2
GTEX-1I6K6-0826-SM-ARL7Z 30-39 years, male 133.8
GTEX-1J8Q2-2726-SM-A9G2X 60-69 years, male 133.5
GTEX-PSDG-1626-SM-48TCQ 50-59 years, male 133.4
GTEX-1M4P7-2626-SM-E9U5F 60-69 years, male 132.6
GTEX-11NSD-0926-SM-5N9DR 20-29 years, male 131.7
GTEX-WFON-1826-SM-3GILG 40-49 years, male 131.5
GTEX-1GF9U-1726-SM-7MGY5 40-49 years, female 131.3
GTEX-1IDJU-1826-SM-CMKHV 60-69 years, female 131.2
GTEX-ZVT4-1026-SM-57WC4 50-59 years, female 131.1
GTEX-14DAR-1326-SM-7DUEG 50-59 years, male 130.9
GTEX-1122O-1226-SM-5H113 60-69 years, female 130.7
GTEX-X261-0626-SM-3NMD9 50-59 years, male 130.4
GTEX-ZLFU-2126-SM-DO931 40-49 years, male 129.8
GTEX-XBED-1626-SM-47JYN 60-69 years, male 129.5
GTEX-1F5PL-1026-SM-7RHI1 40-49 years, female 129.1
GTEX-11TT1-2126-SM-5GU5Y 20-29 years, male 127.6
GTEX-139T6-1626-SM-5PNYZ 50-59 years, male 127.6
GTEX-ZPIC-1126-SM-5BC7F 40-49 years, female 127.1
GTEX-1E2YA-2726-SM-7IGPW 50-59 years, male 126.9
GTEX-X4XY-0926-SM-4E3JD 60-69 years, male 126.8
GTEX-145MO-0826-SM-5NQBL 60-69 years, male 126.5
GTEX-S33H-0326-SM-4AD6N 30-39 years, male 126.3
GTEX-1KXAM-1026-SM-CY8IA 60-69 years, male 125.2
GTEX-1GZ2Q-2626-SM-7MXV9 40-49 years, male 124.9
GTEX-1S82U-1126-SM-E9U6I 30-39 years, female 124.9
GTEX-1IGQW-0926-SM-ADEH6 60-69 years, male 124.7
GTEX-1B8KE-1226-SM-73KWK 50-59 years, male 124.6
GTEX-1PPGY-1526-SM-EVYBK 60-69 years, male 124.5
GTEX-ZAJG-0626-SM-5HL8X 50-59 years, female 123.0
GTEX-1C6VS-0726-SM-7EPHF 60-69 years, male 122.8
GTEX-XMK1-1126-SM-4IHJ8 40-49 years, male 122.5
GTEX-14A5I-0726-SM-5TDEB 50-59 years, female 122.4
GTEX-1KAFJ-0226-SM-DIPEL 50-59 years, male 121.7
GTEX-117YX-1426-SM-5H12H 50-59 years, male 121.5
GTEX-1H11D-1526-SM-9MQJY 40-49 years, male 121.5
GTEX-WHSB-1926-SM-EXOHH 50-59 years, male 121.4
GTEX-1EKGG-2626-SM-7IGPY 60-69 years, male 120.1
GTEX-T6MO-0326-SM-32QOK 40-49 years, female 119.7
GTEX-XUW1-2326-SM-4BOO5 50-59 years, female 119.6
GTEX-117XS-1926-SM-5GICO 60-69 years, male 119.4
GTEX-17F97-2526-SM-7EWDV 50-59 years, male 118.9
GTEX-1399U-1826-SM-5PNZ1 50-59 years, female 118.8
GTEX-S4UY-0726-SM-4AD6X 40-49 years, female 118.7
GTEX-11I78-2226-SM-5PNYA 50-59 years, female 118.6
GTEX-YJ8O-2226-SM-5IFHW 40-49 years, female 116.8
GTEX-17HG3-0126-SM-7IGNH 30-39 years, female 116.7
GTEX-1H1E6-0926-SM-9YFLT 30-39 years, male 116.7
GTEX-ZUA1-1526-SM-59HLS 40-49 years, male 116.6
GTEX-1JMLX-2026-SM-CMKGN 50-59 years, male 116.5
GTEX-R3RS-0626-SM-48FE1 40-49 years, female 116.1
GTEX-1313W-0826-SM-5EQ4T 50-59 years, female 116.0
GTEX-1AX8Z-0926-SM-731AW 60-69 years, male 115.9
GTEX-UJHI-1426-SM-3DB9C 50-59 years, female 115.9
GTEX-1K9T9-1426-SM-DIPFQ 50-59 years, female 115.7
GTEX-13OW8-0226-SM-5K7UP 60-69 years, male 115.6
GTEX-RWS6-1926-SM-47JXY 60-69 years, female 115.5
GTEX-13O3O-0826-SM-5K7WE 60-69 years, female 115.0
GTEX-1R46S-2526-SM-E8VN2 60-69 years, female 114.9
GTEX-ZDTT-2126-SM-DKPOM 60-69 years, male 114.7
GTEX-1GZ4H-0326-SM-7P8QX 50-59 years, female 114.6
GTEX-1LG7Z-0726-SM-CXKYD 30-39 years, male 114.2
GTEX-XV7Q-2326-SM-4BRVZ 40-49 years, female 113.7
GTEX-1H4P4-2226-SM-9MQKQ 50-59 years, male 113.0
GTEX-1GF9X-1026-SM-ACKX2 40-49 years, female 112.5
GTEX-15UF6-0126-SM-6PAMB 70-79 years, female 112.0
GTEX-18465-2026-SM-718AP 50-59 years, male 111.8
GTEX-1HC8U-0826-SM-ADEIL 40-49 years, female 111.7
GTEX-18A66-1726-SM-7LG5N 60-69 years, male 111.5
GTEX-ZEX8-2226-SM-57WC6 50-59 years, male 111.4
GTEX-1QCLZ-2326-SM-DTXDO 60-69 years, female 110.8
GTEX-17MFQ-0926-SM-7LG4S 20-29 years, male 110.5
GTEX-1IKOE-1326-SM-CE6T6 30-39 years, female 110.5
GTEX-15ETS-0626-SM-7KUMX 40-49 years, female 110.3
GTEX-QEL4-2126-SM-447AE 50-59 years, male 110.3
GTEX-13D11-1026-SM-5IJFB 50-59 years, female 110.1
GTEX-18D9A-1526-SM-7LG4J 30-39 years, female 109.9
GTEX-XQ3S-1326-SM-4BOPQ 20-29 years, male 109.6
GTEX-1CAMS-1426-SM-7IGPM 40-49 years, female 109.3
GTEX-13NZ8-0126-SM-5IJCT 60-69 years, female 109.1
GTEX-QMRM-1626-SM-D4P1U 50-59 years, male 109.1
GTEX-1117F-2826-SM-5GZXL 60-69 years, female 108.9
GTEX-S7SE-0826-SM-4AT4D 50-59 years, male 108.3
GTEX-11OF3-1926-SM-59889 60-69 years, male 108.2
GTEX-146FH-0826-SM-5SI8T 50-59 years, female 108.1
GTEX-XMD1-0826-SM-4AT52 60-69 years, male 107.8
GTEX-ZTX8-1226-SM-4YCE9 20-29 years, male 107.7
GTEX-1JMQK-2626-SM-COH2W 60-69 years, male 107.6
GTEX-111YS-1926-SM-5GICC 60-69 years, male 107.4
GTEX-1ICG6-1326-SM-ACKWR 70-79 years, female 107.2
GTEX-1KD5A-1926-SM-DKPQA 50-59 years, male 107.1
GTEX-1LNCM-0226-SM-DIPF4 50-59 years, female 107.1
GTEX-1HKZK-1826-SM-ADEJ2 40-49 years, male 107.0
GTEX-ZYFC-0826-SM-5E44K 50-59 years, male 106.8
GTEX-13PVR-2226-SM-7DHKP 60-69 years, female 106.7
GTEX-17EUY-1926-SM-7DUF6 20-29 years, male 106.7
GTEX-13FTW-1426-SM-5LZWZ 40-49 years, male 106.4
GTEX-WRHU-0326-SM-3MJFY 50-59 years, female 106.2
GTEX-16BQI-1026-SM-7KUEA 30-39 years, female 105.9
GTEX-18A6Q-0926-SM-7LG4N 60-69 years, male 105.5
GTEX-14ICK-2426-SM-6EU27 40-49 years, male 105.4
GTEX-1P4AB-1826-SM-E76PU 50-59 years, male 105.1
GTEX-1JMPY-0526-SM-CL54O 30-39 years, male 105.0
GTEX-T5JC-2126-SM-32PMO 20-29 years, male 104.9
GTEX-ZV6S-1826-SM-5NQ8D 40-49 years, female 104.8
GTEX-13FHO-0826-SM-5L3E8 60-69 years, male 104.7
GTEX-14BMU-1626-SM-5TDE7 20-29 years, female 104.5
GTEX-14PHY-1926-SM-5YY95 60-69 years, female 104.5
GTEX-YECK-0726-SM-EZ6LV 60-69 years, male 104.5
GTEX-11GSO-1926-SM-5A5K3 60-69 years, male 104.2
GTEX-11NV4-2026-SM-5N9DG 60-69 years, male 104.2
GTEX-13W46-0826-SM-5LU3H 50-59 years, male 103.9
GTEX-Q2AG-0326-SM-48U1O 40-49 years, female 103.8
GTEX-QVJO-1826-SM-447C9 60-69 years, female 103.5
GTEX-TKQ2-1826-SM-33HB2 50-59 years, male 103.2
GTEX-1GN1W-1926-SM-7P8TH 50-59 years, female 103.0
GTEX-1CB4J-1826-SM-7EWF9 60-69 years, male 102.9
GTEX-15SHW-1326-SM-6PAL8 60-69 years, male 102.7
GTEX-ZDXO-0126-SM-5S2ND 60-69 years, male 102.2
GTEX-1269C-2426-SM-5FQSN 60-69 years, female 102.1
GTEX-13NZ9-1026-SM-5MR5K 50-59 years, male 102.0
GTEX-1B8SG-1226-SM-7IGPF 50-59 years, male 101.2
GTEX-WYJK-1326-SM-3NB2T 50-59 years, male 101.0
GTEX-XMD2-0926-SM-4WWEF 60-69 years, female 100.6
GTEX-Y8E4-1626-SM-5S2MW 40-49 years, male 100.4
GTEX-1GZHY-0726-SM-9WG6B 50-59 years, female 100.0
GTEX-1AMEY-1026-SM-718AA 30-39 years, female 99.7
GTEX-1B97I-0426-SM-79OL7 40-49 years, male 98.9
GTEX-1KANA-2026-SM-DIPFB 20-29 years, male 98.6
GTEX-13OW5-2226-SM-5L3HC 60-69 years, male 98.2
GTEX-1AX9I-0726-SM-73KWV 60-69 years, male 98.0
GTEX-1QMI2-0726-SM-E9J4F 60-69 years, male 97.7
GTEX-SE5C-2126-SM-4BRUJ 40-49 years, female 97.6
GTEX-1I1GT-1126-SM-ARL7J 60-69 years, female 97.6
GTEX-11EM3-1326-SM-5N9C6 20-29 years, female 97.4
GTEX-T2YK-2226-SM-32QPT 50-59 years, male 96.9
GTEX-1KD4Q-2326-SM-D4P3M 40-49 years, male 96.9
GTEX-Y5LM-1726-SM-4VDSX 40-49 years, female 96.7
GTEX-ZTTD-1026-SM-51MRD 50-59 years, male 96.5
GTEX-13N11-1726-SM-5J1OJ 50-59 years, female 96.2
GTEX-1B8KZ-1526-SM-7DUG7 50-59 years, male 96.1
GTEX-1K2DA-1726-SM-CGQGS 50-59 years, male 96.1
GTEX-1I6K7-1026-SM-A9SLK 40-49 years, male 95.6
GTEX-1J8QM-2026-SM-ARZMW 60-69 years, female 95.6
GTEX-1C64O-0726-SM-7DUFU 60-69 years, male 95.3
GTEX-ZLV1-1426-SM-DO92Z 60-69 years, female 95.2
GTEX-RU72-0626-SM-46MUI 50-59 years, female 95.0
GTEX-1GMRU-0826-SM-9WYT7 50-59 years, male 94.9
GTEX-1R9PN-0326-SM-DTX85 40-49 years, female 94.8
GTEX-11ZUS-0826-SM-5FQUY 30-39 years, male 94.5
GTEX-T5JW-2026-SM-4DM63 20-29 years, female 94.5
GTEX-1GMR3-2626-SM-7RHHG 40-49 years, male 94.4
GTEX-1HT8W-2226-SM-CGQEC 30-39 years, male 94.2
GTEX-1M5QR-2526-SM-E9U5P 40-49 years, male 93.9
GTEX-1I1GV-2426-SM-CGQFM 60-69 years, male 93.6
GTEX-1NV8Z-2826-SM-E8VME 60-69 years, male 93.4
GTEX-Y114-2026-SM-4TT7L 50-59 years, female 93.3
GTEX-1IKOH-2326-SM-CM2TW 60-69 years, female 93.1
GTEX-14LLW-0626-SM-62LFC 70-79 years, female 92.8
GTEX-1B97J-0426-SM-79OLQ 50-59 years, female 92.8
GTEX-1H1CY-2226-SM-9WG7E 60-69 years, female 92.7
GTEX-147F4-2826-SM-5NQBN 50-59 years, male 92.5
GTEX-13VXU-2826-SM-664MA 50-59 years, male 91.8
GTEX-13113-5013-SM-7SB7G 60-69 years, female 91.6
GTEX-ZY6K-1626-SM-5GZWV 50-59 years, male 91.3
GTEX-13SLW-2526-SM-62LDQ 70-79 years, male 91.2
GTEX-17JCI-0726-SM-7EPH1 60-69 years, female 91.0
GTEX-Y3IK-2326-SM-4WWDT 50-59 years, female 90.6
GTEX-WY7C-2726-SM-3NB3P 50-59 years, male 90.5
GTEX-1B933-2526-SM-7IGO5 50-59 years, female 90.3
GTEX-W5X1-2326-SM-3GIL6 40-49 years, female 90.3
GTEX-1192X-2326-SM-5987X 50-59 years, male 89.9
GTEX-QDT8-0626-SM-48TYW 30-39 years, female 89.9
GTEX-11ONC-2126-SM-5HL6E 60-69 years, male 89.8
GTEX-1CB4E-0226-SM-79OLW 60-69 years, male 89.7
GTEX-TML8-1226-SM-32QON 40-49 years, female 89.0
GTEX-1LSNM-1326-SM-E9TJ1 50-59 years, male 89.0
GTEX-1MA7W-1026-SM-DKPQK 20-29 years, female 88.9
GTEX-ZYT6-0126-SM-5E45J 30-39 years, male 88.8
GTEX-1HCUA-0726-SM-ACKVU 50-59 years, female 88.8
GTEX-1B932-0826-SM-73KXG 40-49 years, female 88.5
GTEX-X62O-0526-SM-EWRMA 50-59 years, male 88.0
GTEX-1HR98-0426-SM-COH36 60-69 years, male 87.4
GTEX-15G19-2126-SM-6M48J 60-69 years, male 87.1
GTEX-1R7EU-1226-SM-E8VMR 60-69 years, male 87.1
GTEX-16NGA-0826-SM-718AF 40-49 years, female 86.3
GTEX-ZVT2-1826-SM-5NQ8W 50-59 years, female 86.2
GTEX-ZAK1-1326-SM-EVYAS 50-59 years, female 86.2
GTEX-11EMC-2026-SM-5A5JV 60-69 years, female 86.0
GTEX-14H4A-2526-SM-5YYAY 40-49 years, female 85.4
GTEX-UPK5-2326-SM-3P5Z8 40-49 years, male 85.3
GTEX-11EI6-0626-SM-5985T 60-69 years, male 85.2
GTEX-S4P3-1326-SM-4AD6V 50-59 years, female 84.9
GTEX-1IE54-0626-SM-ARL8D 40-49 years, female 84.3
GTEX-1JKYR-0926-SM-CMKGJ 20-29 years, male 84.0
GTEX-1R9PM-1826-SM-EVYBH 20-29 years, male 83.6
GTEX-12WSK-2226-SM-5GCO5 40-49 years, female 83.5
GTEX-XYKS-1326-SM-4BRUN 60-69 years, female 83.1
GTEX-13QJ3-0826-SM-7DHKK 50-59 years, male 83.0
GTEX-YFC4-1426-SM-5IFJG 40-49 years, female 82.7
GTEX-1QEPI-0926-SM-DTXF3 60-69 years, female 82.5
GTEX-14BMV-0626-SM-793AU 50-59 years, male 82.4
GTEX-U3ZN-1926-SM-4DXSG 30-39 years, female 82.4
GTEX-1GN1U-0526-SM-9KNTT 50-59 years, female 82.2
GTEX-ZF29-1926-SM-5S2P1 60-69 years, female 82.0
GTEX-144GL-2026-SM-5LU3O 50-59 years, male 81.7
GTEX-1RAZQ-1226-SM-EWRNL 30-39 years, male 81.6
GTEX-T6MN-0726-SM-32PML 50-59 years, male 81.5
GTEX-1EU9M-2826-SM-7EWFH 60-69 years, male 81.4
GTEX-S341-1526-SM-4AD6K 40-49 years, female 81.4
GTEX-17HHE-1426-SM-7EPH4 50-59 years, male 81.3
GTEX-1EN7A-1426-SM-7PBY4 40-49 years, male 81.3
GTEX-13QIC-2326-SM-5LU5N 60-69 years, female 81.2
GTEX-11P81-1926-SM-5BC53 30-39 years, female 81.1
GTEX-WXYG-2226-SM-4E3IM 50-59 years, female 80.6
GTEX-1HUB1-1626-SM-CM2SL 60-69 years, male 80.5
GTEX-1LVAM-0926-SM-E9TJ2 50-59 years, female 79.7
GTEX-11DXY-2326-SM-5GICW 60-69 years, male 79.3
GTEX-1GPI6-0626-SM-7RHHJ 60-69 years, male 79.2
GTEX-1POEN-0926-SM-DTX88 30-39 years, female 79.1
GTEX-18QFQ-0826-SM-718AX 30-39 years, male 78.8
GTEX-1A8G7-2426-SM-731AK 60-69 years, male 78.4
GTEX-1R9JW-0326-SM-EAZ45 30-39 years, female 78.4
GTEX-11GS4-2126-SM-5A5KR 60-69 years, male 78.2
GTEX-ZU9S-1926-SM-5NQBP 30-39 years, male 77.7
GTEX-ZGAY-1726-SM-DO91P 40-49 years, female 77.6
GTEX-1QCLY-1626-SM-DTXDW 30-39 years, male 77.3
GTEX-145LT-0726-SM-5S2VM 40-49 years, male 76.9
GTEX-17HHY-0926-SM-793C1 50-59 years, male 76.9
GTEX-1J8EW-2626-SM-CL53E 60-69 years, female 76.9
GTEX-11DXW-0626-SM-5N9ER 40-49 years, male 76.8
GTEX-13NZB-2126-SM-5MR4Y 30-39 years, male 76.7
GTEX-1GZ4I-2826-SM-9MQK5 50-59 years, male 76.7
GTEX-ZAB4-2526-SM-5HL8M 40-49 years, male 76.6
GTEX-1CB4G-2326-SM-79OOI 60-69 years, male 76.4
GTEX-XOT4-0726-SM-4GIAW 60-69 years, female 76.1
GTEX-1HCVE-2626-SM-ADEJ8 50-59 years, male 76.0
GTEX-1B8L1-2426-SM-9WYTE 60-69 years, male 75.8
GTEX-1GMR8-0726-SM-9KNVI 50-59 years, female 75.4
GTEX-17F96-2426-SM-7IGLN 70-79 years, male 75.3
GTEX-1RAZS-1226-SM-E8VMT 50-59 years, male 75.3
GTEX-VUSG-2226-SM-4KKZO 50-59 years, male 75.2
GTEX-13SLX-2326-SM-5ZZWE 50-59 years, female 74.6
GTEX-15FZZ-0726-SM-7KUFZ 30-39 years, female 74.5
GTEX-17KNJ-2026-SM-7LG53 50-59 years, male 74.5
GTEX-ZVE2-1226-SM-5NQ8R 50-59 years, male 73.8
GTEX-1I1HK-2426-SM-ADEHX 60-69 years, male 73.7
GTEX-11GSP-0926-SM-9WYSG 60-69 years, female 73.3
GTEX-ZF3C-2326-SM-5S2NC 50-59 years, female 73.3
GTEX-ZC5H-2626-SM-5J2MG 40-49 years, female 73.2
GTEX-1IKJJ-2326-SM-COH3U 60-69 years, male 73.2
GTEX-ZVZQ-0826-SM-51MRF 60-69 years, female 73.0
GTEX-1NUQO-2226-SM-E9U68 20-29 years, female 72.7
GTEX-R53T-1526-SM-48FEK 50-59 years, female 72.6
GTEX-11WQC-1726-SM-5GU4W 60-69 years, male 72.4
GTEX-T2IS-1526-SM-32QPR 20-29 years, female 72.4
GTEX-13FTY-2226-SM-5J1ND 40-49 years, female 71.9
GTEX-1MCC2-2126-SM-EWRON 30-39 years, female 71.8
GTEX-X15G-1626-SM-3NMB3 50-59 years, female 71.6
GTEX-1HSGN-1526-SM-A9SMO 40-49 years, female 71.5
GTEX-ZTPG-2826-SM-57WGA 20-29 years, female 71.5
GTEX-13CF2-2026-SM-5K7VI 60-69 years, male 71.1
GTEX-139TU-0626-SM-5KM3X 60-69 years, male 70.7
GTEX-1IDJE-0826-SM-CKZNZ 50-59 years, female 70.7
GTEX-14AS3-1626-SM-5S2OY 40-49 years, female 70.6
GTEX-15ER7-1626-SM-6PAMZ 20-29 years, female 70.5
GTEX-1I19N-2826-SM-CL55D 70-79 years, male 70.5
GTEX-1EWIQ-1726-SM-7SB7T 70-79 years, female 69.7
GTEX-11P7K-0726-SM-5EGKX 30-39 years, male 69.6
GTEX-1GN2E-2226-SM-9WG6J 60-69 years, male 69.5
GTEX-ZXES-0826-SM-5E43C 30-39 years, female 69.4
GTEX-11DXZ-1926-SM-5GZZL 50-59 years, male 69.3
GTEX-1JJE9-2326-SM-ARL8Q 70-79 years, male 69.3
GTEX-1F6I4-2526-SM-7SB8F 60-69 years, male 68.7
GTEX-1314G-1226-SM-5BC6D 30-39 years, male 68.5
GTEX-1LVAN-1326-SM-CNPQE 50-59 years, female 68.5
GTEX-VJWN-0726-SM-3GIJ8 50-59 years, female 68.2
GTEX-1HBPN-2326-SM-9WPPU 50-59 years, male 67.9
GTEX-1F75A-1826-SM-7SB8G 50-59 years, male 67.7
GTEX-RU1J-0626-SM-4WAWY 20-29 years, female 67.5
GTEX-18A7A-0726-SM-7LTAI 50-59 years, female 67.1
GTEX-TMMY-0726-SM-33HBE 40-49 years, female 67.1
GTEX-1LSNL-2826-SM-E9U5L 50-59 years, male 67.0
GTEX-1F75I-2026-SM-7SB7N 40-49 years, male 66.8
GTEX-WYBS-0926-SM-3NM94 60-69 years, female 66.5
GTEX-13PL6-2926-SM-5L3I2 40-49 years, female 66.4
GTEX-U3ZH-1426-SM-4DXSR 30-39 years, male 65.9
GTEX-Y111-2026-SM-4SOJA 50-59 years, male 65.7
GTEX-145MF-2226-SM-7EPIR 50-59 years, male 64.6
GTEX-131XW-0726-SM-5EGK3 50-59 years, female 64.4
GTEX-1JJEA-2726-SM-ARL8V 60-69 years, male 63.9
GTEX-ZF2S-2026-SM-5E461 50-59 years, female 63.8
GTEX-1QP29-1726-SM-E8VMQ 50-59 years, male 63.8
GTEX-131YS-0626-SM-5EGKL 60-69 years, female 63.7
GTEX-11PRG-0826-SM-5EQ6A 50-59 years, male 63.6
GTEX-Y5V5-2126-SM-4WWFO 60-69 years, female 62.6
GTEX-ZVTK-0326-SM-51MRR 20-29 years, male 62.1
GTEX-ZZPU-0626-SM-5E43T 50-59 years, female 62.0
GTEX-1LBAC-0926-SM-CXKY9 20-29 years, male 61.2
GTEX-1N2EE-2126-SM-E8VNN 60-69 years, male 60.1
GTEX-1RQEC-2026-SM-DTXDM 60-69 years, male 60.0
GTEX-12ZZX-1126-SM-5EGKB 40-49 years, female 59.5
GTEX-1N5O9-1126-SM-DTXEQ 60-69 years, male 59.4
GTEX-139T8-0826-SM-5L3DE 60-69 years, male 58.8
GTEX-1IY9M-2726-SM-CMKG5 60-69 years, male 58.8
GTEX-WYVS-1726-SM-3NMAY 40-49 years, female 57.8
GTEX-1JMPZ-1626-SM-COH31 30-39 years, male 56.9
GTEX-1BAJH-0826-SM-7EWEF 70-79 years, male 55.6
GTEX-1HSKV-2026-SM-CMKGX 60-69 years, male 53.0
GTEX-1MJK2-2226-SM-EVYCR 50-59 years, male 52.7
GTEX-XUZC-1626-SM-4BRVP 30-39 years, female 48.3
GTEX-14ABY-2126-SM-5QGQZ 50-59 years, male 39.0
Show allShow less

BREAST - FANTOM5 CAGEi

RNA expression in human tissues obtained through Cap Analysis of Gene Expression (CAGE) generated by the FANTOM5 project are reported as Scaled Tags Per Million.

Max subtype Scaled Tags Per Millioni

Max subtype Scaled Tags Per Million is the value for the subtype with the largest average Scaled Tags Per Million across the subtype samples.

79.4
FANTOM5 sample id Sample description Scaled Tags Per Million
Breast
Scaled Tags Per Million: 79.4
FF:10080-102A8 77 years, female 79.4

Contact

  • NEWS ARTICLES
  • PRESS ROOM

The Project

  • INTRODUCTION
  • ORGANIZATION
  • PUBLICATIONS

The Human Protein Atlas

  • DOWNLOADABLE DATA
  • LICENCE & CITATION
  • HELP & FAQ
The Human Protein Atlas project is funded
by the Knut & Alice Wallenberg Foundation.


contact@proteinatlas.org