We use cookies to enhance the usability of our website. If you continue, we'll assume that you are happy to receive all cookies. More information. Don't show this again.
PPP1R35
HPA
RESOURCES
  • TISSUE
  • BRAIN
  • SINGLE CELL
  • SUBCELLULAR
  • CANCER
  • BLOOD
  • CELL LINE
  • STRUCTURE & INTERACTION
ABOUT
  • INTRODUCTION
  • HISTORY
  • ORGANIZATION
  • PUBLICATIONS
  • ANTIBODY SUBMISSION
  • ANTIBODY AVAILABILITY
  • ACKNOWLEDGMENTS
  • CONTACT
NEWS
  • NEWS ARTICLES
  • PRESS ROOM
LEARN
  • DICTIONARY
  • PROTEIN CLASSES
  • PROTEIN EVIDENCE
  • METHODS
  • EDUCATIONAL VIDEOS
DATA
  • DOWNLOADABLE DATA
  • PUBLICATION DATA
  • RELEASE HISTORY
HELP
  • ANTIBODY VALIDATION
  • ASSAYS & ANNOTATION
  • DISCLAIMER
  • HELP & FAQ
  • PRIVACY STATEMENT
  • LICENCE & CITATION
Fields »
Search result

Field
Term
Gene name
Class
Subclass
Class
Keyword
Chromosome
External id
Tissue
Cell type
Expression
Antibody panel
Tissue
Main location
Patient ID
Annotation
Tissue
Category
Tau score
Cluster
Reliability
Brain region
Category
Tau score
Brain region
Category
Tau score
Brain region
Category
Tau score
Cluster
Reliability
Tissue
Cell type
Enrichment
Cell type
Category
Tau score
Cell type
Category
Tau score
Cell type
Category
Tau score
Cell lineage
Category
Tau score
Cluster
Cluster
Location
Searches
Location
Cell line
Class
Type
Phase
Reliability
Cancer
Prognosis
Cancer
Category
Cancer
Category
Tau score
Cluster
Variants
Interacting gene (ensg_id)
Type
Number of interactions
Pathway
Category
Score
Score
Score
Validation
Validation
Validation
Validation
Antibodies
Data type
Column


  • SUMMARY

  • TISSUE

  • BRAIN

  • SINGLE CELL

  • SUBCELL

  • CANCER

  • BLOOD

  • CELL LINE

  • STRUCT & INT

  • PPP1R35
TISSUE PRIMARY DATA SMALL INTESTINE Show tissue menu
ADIPOSE TISSUE ADRENAL GLAND AMYGDALA APPENDIX BASAL GANGLIA BONE MARROW BREAST BRONCHUS CEREBELLUM CEREBRAL CORTEX CERVIX CHOROID PLEXUS COLON DUODENUM
ENDOMETRIUM EPIDIDYMIS ESOPHAGUS FALLOPIAN TUBE GALLBLADDER HEART MUSCLE HIPPOCAMPAL FORMATION HYPOTHALAMUS KIDNEY LIVER LUNG LYMPH NODE MIDBRAIN ORAL MUCOSA
OVARY PANCREAS PARATHYROID GLAND PITUITARY GLAND PLACENTA PROSTATE RECTUM RETINA SALIVARY GLAND SEMINAL VESICLE SKELETAL MUSCLE SKIN SMALL INTESTINE SMOOTH MUSCLE
SOFT TISSUE SPINAL CORD SPLEEN STOMACH TESTIS THYMUS THYROID GLAND TONGUE TONSIL URINARY BLADDER VAGINA
ANTIBODIES
AND
VALIDATION
Dictionary
Small intestine
Tissue proteome
Intestine
SMALL INTESTINE - Expression summary
Protein expression
Small intestinei

On the top, protein expression in current human tissue, based on all annotated cell types, is reported with the units not detected (n), low (l), medium (m) and high (h). Underneath, protein expression in each annotated cell type are reported using the same units.

Protein expression data is based on knowledge-based annotation. For genes where more than one antibody has been used, a collective score is set.

If knowledge-based annotation could not be performed for a gene, no data is displayed here. View antibody staining data further down this page.

h
m
l
n
Glandular cells: Low
RNA expressioni

A summary of mRNA expression data available for current tissue based on several datasets. The mRNA expression levels in human tissues are based on RNA-seq data generated by the Human Protein Atlas (HPA), Genotype-Tissue Expression (GTEx) portal and CAGE data generated by the FANTOM5 consortium. Consensus normalized expression levels for human tissues was created by combining the data from HPA and GTEx datasets.

The mRNA expression levels in pig are based on RNA-seq data generated by the Human Protein Atlas (HPA), and for mouse, HPA data and in situ hybridization generated by the Allen brain atlas are reported.

Scroll down to view mRNA expression data in more detail.
Consensus:11.7 nTPM
HPA:9.9 nTPM
GTEx:11.7 nTPM
FANTOM5:14.3 Scaled Tags Per Million

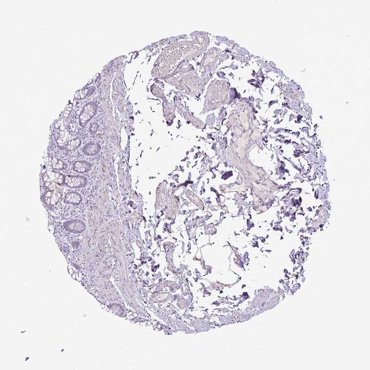
SMALL INTESTINE - Antibody stainingi

Antibody staining in the annotated cell types in the current human tissue is reported as not detected, low, medium, or high, based on conventional immunohistochemistry profiling in selected tissues. This score is based on the combination of the staining intensity and fraction of stained cells.

Each image is clickable and will lead to virtual microscopy that enables deeper exploration of all samples and also displays staining intensity scores, fraction scores and subcellular localization as well as patient and tissue information for each sample.

Antibody HPA051607
Glandular cells Low


SMALL INTESTINE - HPA RNA-seqi

The RNA-seq details section shows detailed information about the individual samples used for the transcript profiling and results of the RNA-seq analysis.

Information about each individual sample is listed below, including gender, age, a tissue section image and estimated fractions of cell types. nTPM (normalized transcripts per million) values give a quantification of the gene abundance which is comparable between different genes and samples.
Average nTPMi

Max subtype nTPM is the value for the subtype with the largest average nTPM across the subtype samples.

9.9
overview
Male, age 65
Small intestine sample 232
nTPM: 10.3
Cell types%
Glandular cells:
55

Smooth muscle cells:
5

Other cell types:
40

overview
Male, age 39
Small intestine sample 233
nTPM: 12.5
Cell types%
Glandular cells:
40

Smooth muscle cells:
5

Other cell types:
55

overview
Male, age 68
Small intestine sample 234
nTPM: 8.8
Cell types%
Glandular cells:
30

Smooth muscle cells:
15

Other cell types:
55

N/A
Male, age 85
Small intestine sample 235
nTPM: 7.9

SMALL INTESTINE - GTEx RNA-seqi

RNA-Seq data generated by the Genotype-Tissue Expression (GTEx) project from human tissues is reported as mean nTPM. More information can be found on the GTEx portal.

Distribution across the dataset is visualized with box plots, shown as median and 25th and 75th percentiles. Points are displayed as outliers if they are above or below 1.5 times the interquartile range. nTPM values of the individual samples are presented next to the box plot.
Max subtype nTPMi

Max subtype nTPM is the value for the subtype with the largest average nTPM across the subtype samples.

11.7
GTEx sample id Sample description nTPM
Small Intestine - Terminal Ileum
Average nTPM: 11.7
Samples: 187

Max nTPM: 23.5
Min nTPM: 4.6
Std nTPM: 3.5
Median nTPM: 11.4
GTEX-1EMGI-2826-SM-7IGMR 60-69 years, male 23.5
GTEX-11TUW-1926-SM-5BC58 60-69 years, male 22.9
GTEX-11VI4-1626-SM-5EQKO 40-49 years, female 22.8
GTEX-148VJ-2226-SM-5NQ9M 70-79 years, male 21.3
GTEX-18A66-2526-SM-7KFTZ 60-69 years, male 21.0
GTEX-12BJ1-1926-SM-5HL9Z 60-69 years, male 20.1
GTEX-1MGNQ-2326-SM-EV7BG 40-49 years, male 20.1
GTEX-111YS-1426-SM-5GID8 60-69 years, male 19.7
GTEX-16A39-1426-SM-6LLI6 30-39 years, female 19.4
GTEX-1GMR3-2726-SM-7MKFB 40-49 years, male 19.1
GTEX-1LH75-1926-SM-DIPGD 50-59 years, female 18.8
GTEX-16AAH-1426-SM-7KFTR 50-59 years, male 16.8
GTEX-VUSG-1726-SM-4KKZL 50-59 years, male 16.8
GTEX-14E6E-1626-SM-5RQI7 30-39 years, male 16.6
GTEX-1PDJ9-1826-SM-E9U66 20-29 years, male 16.6
GTEX-14XAO-1926-SM-6ETZO 60-69 years, female 16.5
GTEX-WQUQ-2426-SM-4MVNW 60-69 years, male 16.4
GTEX-X15G-1426-SM-4PQZK 50-59 years, female 16.4
GTEX-ZC5H-2326-SM-4WAYT 40-49 years, female 16.2
GTEX-Z9EW-0926-SM-5CVMM 40-49 years, male 16.1
GTEX-1GL5R-2026-SM-7MKHP 50-59 years, male 16.0
GTEX-WFJO-0926-SM-4LVM2 30-39 years, male 15.9
GTEX-ZA64-1226-SM-5HL7B 20-29 years, male 15.7
GTEX-ZVZP-1826-SM-5GZXB 50-59 years, male 15.3
GTEX-Y9LG-1626-SM-5IFHM 30-39 years, male 15.2
GTEX-144GM-1026-SM-79OKU 20-29 years, male 15.0
GTEX-183FY-1626-SM-793D8 20-29 years, male 14.9
GTEX-13FH7-1226-SM-5IJFK 50-59 years, female 14.8
GTEX-14PN3-2026-SM-68729 60-69 years, female 14.8
GTEX-YF7O-1826-SM-5IFIU 50-59 years, male 14.6
GTEX-1CB4F-1826-SM-7MGXI 60-69 years, male 14.6
GTEX-1NSGN-2126-SM-DPRYN 50-59 years, male 14.6
GTEX-13QBU-1926-SM-5IJEW 40-49 years, female 14.5
GTEX-15DZA-0826-SM-6AJBF 30-39 years, female 14.5
GTEX-1B8KE-1726-SM-7IGMN 50-59 years, male 14.5
GTEX-1HSMQ-2226-SM-C1YRD 50-59 years, male 14.4
GTEX-1JN76-1126-SM-C1YRL 20-29 years, female 14.4
GTEX-16NGA-1126-SM-7KFSY 40-49 years, female 14.3
GTEX-WH7G-1626-SM-4LVMY 40-49 years, male 14.2
GTEX-VJYA-0926-SM-4KL1N 60-69 years, male 14.1
GTEX-ZXES-1526-SM-5NQ95 30-39 years, female 13.9
GTEX-1J8Q3-2526-SM-CNNQ4 60-69 years, male 13.9
GTEX-13D11-0726-SM-5LZZB 50-59 years, female 13.8
GTEX-ZEX8-1826-SM-57WBH 50-59 years, male 13.7
GTEX-1QP2A-2426-SM-EXOJA 50-59 years, male 13.7
GTEX-1192X-2526-SM-59868 50-59 years, male 13.5
GTEX-13111-1426-SM-5DUW3 50-59 years, male 13.5
GTEX-ZG7Y-1926-SM-DNZZ5 50-59 years, male 13.5
GTEX-13CF3-1226-SM-5LZXN 60-69 years, female 13.4
GTEX-XAJ8-0526-SM-47JYK 40-49 years, male 13.4
GTEX-YB5E-1526-SM-5IFIE 40-49 years, male 13.4
GTEX-UPK5-2026-SM-4JBIM 40-49 years, male 13.3
GTEX-XBED-1426-SM-4AT4G 60-69 years, male 13.3
GTEX-14PK6-1626-SM-6871I 70-79 years, female 13.0
GTEX-14PKU-1626-SM-6871C 40-49 years, female 13.0
GTEX-18QFQ-1626-SM-72D7H 30-39 years, male 13.0
GTEX-1QPFJ-2626-SM-DPRZU 30-39 years, female 13.0
GTEX-ZLWG-1626-SM-DNZZ1 50-59 years, female 12.9
GTEX-13FTW-2026-SM-5IJE2 40-49 years, male 12.8
GTEX-1GMR2-1026-SM-7MKHJ 50-59 years, male 12.8
GTEX-X5EB-1626-SM-4E3IV 40-49 years, male 12.8
GTEX-ZTSS-0926-SM-59865 40-49 years, male 12.8
GTEX-1JK1U-1226-SM-CNNPN 60-69 years, male 12.8
GTEX-1RAZQ-2226-SM-DPRZR 30-39 years, male 12.8
GTEX-11NSD-1726-SM-5N9C3 20-29 years, male 12.7
GTEX-139T6-1026-SM-5IJGC 50-59 years, male 12.7
GTEX-ZDTT-1726-SM-5HL69 60-69 years, male 12.6
GTEX-1497J-1926-SM-5TDCC 60-69 years, male 12.5
GTEX-ZPIC-2326-SM-57WDW 40-49 years, female 12.5
GTEX-13NYB-1826-SM-5J1N3 40-49 years, male 12.4
GTEX-ZTX8-0526-SM-59HLD 20-29 years, male 12.3
GTEX-1LBAC-1526-SM-CXZKU 20-29 years, male 12.3
GTEX-1OJC3-1626-SM-E9U65 20-29 years, male 12.3
GTEX-11EQ9-1326-SM-5985X 30-39 years, male 12.2
GTEX-131XG-1726-SM-5LZUR 50-59 years, female 12.1
GTEX-1PIEJ-1526-SM-E6CP8 20-29 years, female 12.1
GTEX-1S5ZA-1326-SM-EV7BB 20-29 years, male 12.1
GTEX-1B8KZ-1126-SM-7IGLX 50-59 years, male 12.0
GTEX-1JJE9-2226-SM-CXZJM 70-79 years, male 12.0
GTEX-13O61-1326-SM-5KM31 60-69 years, male 11.9
GTEX-145LT-1026-SM-5LU9O 40-49 years, male 11.9
GTEX-YEC4-1726-SM-4W21E 40-49 years, male 11.9
GTEX-1KXAM-2026-SM-DHXKI 60-69 years, male 11.9
GTEX-1QP28-1726-SM-E6CRK 50-59 years, female 11.9
GTEX-1CAMR-0826-SM-7MKFK 20-29 years, male 11.8
GTEX-ZYFG-2026-SM-5E43Y 60-69 years, female 11.8
GTEX-1F75I-2526-SM-9WPOZ 40-49 years, male 11.8
GTEX-1QW4Y-1226-SM-EWRMY 30-39 years, male 11.8
GTEX-133LE-1426-SM-5IFH1 20-29 years, female 11.7
GTEX-14C39-1826-SM-5ZZW4 40-49 years, male 11.7
GTEX-1H1DE-1426-SM-9JGHV 20-29 years, male 11.7
GTEX-1399S-2026-SM-5KM4B 30-39 years, female 11.6
GTEX-1IKOE-1926-SM-ARU7V 30-39 years, female 11.6
GTEX-11I78-1126-SM-5A5K5 50-59 years, female 11.4
GTEX-1JMQK-2426-SM-CXZJU 60-69 years, male 11.4
GTEX-1R7EU-1326-SM-E6CQ6 60-69 years, male 11.4
GTEX-11P7K-1626-SM-5GU63 30-39 years, male 11.3
GTEX-131XF-1326-SM-5GCMQ 60-69 years, male 11.3
GTEX-1AMFI-1926-SM-731F2 50-59 years, female 11.3
GTEX-14PJN-0826-SM-686ZL 30-39 years, male 11.2
GTEX-1122O-1326-SM-5H11F 60-69 years, female 11.1
GTEX-14PKV-2026-SM-6AJ9A 20-29 years, female 11.1
GTEX-XUZC-1426-SM-4BRV3 30-39 years, female 11.1
GTEX-Y5LM-1626-SM-4VDTB 40-49 years, female 11.1
GTEX-1L5NE-1826-SM-EV79T 50-59 years, male 11.1
GTEX-15G1A-1726-SM-6LPI4 30-39 years, male 11.0
GTEX-XGQ4-1326-SM-4GIDU 50-59 years, male 11.0
GTEX-ZTPG-2626-SM-57WFX 20-29 years, female 10.9
GTEX-ZLFU-1526-SM-4WWBT 40-49 years, male 10.8
GTEX-1H11D-2526-SM-9JGGU 40-49 years, male 10.8
GTEX-13O21-1026-SM-5IJDU 50-59 years, male 10.6
GTEX-17HHE-1726-SM-79OKT 50-59 years, male 10.6
GTEX-Y111-2226-SM-4SOJB 50-59 years, male 10.6
GTEX-ZZ64-0526-SM-5GZXM 20-29 years, male 10.6
GTEX-1R9K4-2326-SM-E6CRB 60-69 years, male 10.6
GTEX-17KNJ-1626-SM-718AL 50-59 years, male 10.4
GTEX-1BAJH-2526-SM-7IGOT 70-79 years, male 10.3
GTEX-13PL7-2626-SM-5IFH4 60-69 years, female 10.2
GTEX-WY7C-1826-SM-4ONCE 50-59 years, male 10.1
GTEX-1RAZA-1826-SM-DTXA2 20-29 years, male 10.1
GTEX-13113-1226-SM-5EGHT 60-69 years, female 10.0
GTEX-YFCO-1326-SM-664NV 40-49 years, male 10.0
GTEX-1K9T9-2726-SM-D4P3E 50-59 years, female 10.0
GTEX-145ME-0926-SM-5O9AR 40-49 years, female 9.9
GTEX-ZF29-1626-SM-4WKFJ 60-69 years, female 9.8
GTEX-11XUK-1426-SM-5EQMG 40-49 years, female 9.7
GTEX-13X6H-1826-SM-7EWCZ 50-59 years, female 9.7
GTEX-1J8QM-1026-SM-C1YQA 60-69 years, female 9.7
GTEX-13OVI-1926-SM-5IJCG 60-69 years, female 9.6
GTEX-1C475-1426-SM-793CH 40-49 years, female 9.6
GTEX-1CAMS-2426-SM-7DHMV 40-49 years, female 9.6
GTEX-14BMU-1426-SM-5TDE5 20-29 years, female 9.5
GTEX-WEY5-1526-SM-4LMJF 40-49 years, female 9.5
GTEX-11DXX-1626-SM-5H11H 60-69 years, female 9.4
GTEX-1399R-2026-SM-5K7WN 30-39 years, male 9.4
GTEX-13W3W-2026-SM-5K7UL 60-69 years, female 9.4
GTEX-14PJ6-1726-SM-6AJBN 60-69 years, female 9.4
GTEX-XMK1-1826-SM-4B66F 40-49 years, male 9.3
GTEX-ZP4G-1626-SM-57WGD 20-29 years, female 9.3
GTEX-1LGOU-1426-SM-D3L8N 20-29 years, female 9.3
GTEX-1RAZR-1826-SM-E6CRE 40-49 years, male 9.2
GTEX-117YX-0326-SM-5GICL 50-59 years, male 9.1
GTEX-11LCK-1926-SM-5A5KE 30-39 years, male 9.0
GTEX-17MFQ-1026-SM-7KFSZ 20-29 years, male 9.0
GTEX-ZAB5-1526-SM-5HL9P 50-59 years, male 9.0
GTEX-11P82-0826-SM-5P9GU 20-29 years, male 8.9
GTEX-ZVP2-1726-SM-5GU5P 50-59 years, male 8.9
GTEX-1R9PM-1626-SM-DPRY9 20-29 years, male 8.9
GTEX-1R7EV-1226-SM-DTX82 40-49 years, male 8.7
GTEX-1R9JW-1926-SM-EVR4J 30-39 years, female 8.7
GTEX-14PJ3-1326-SM-664O7 50-59 years, male 8.6
GTEX-1AX8Z-2526-SM-731E3 60-69 years, male 8.6
GTEX-XXEK-1026-SM-4BRUW 50-59 years, male 8.6
GTEX-139YR-2226-SM-5IFFW 50-59 years, male 8.5
GTEX-1R9K5-2026-SM-E6CPS 50-59 years, male 8.5
GTEX-13RTK-0826-SM-5Q5C6 20-29 years, male 8.4
GTEX-16MTA-1526-SM-6LPJB 50-59 years, male 8.4
GTEX-ZF2S-1726-SM-57WFT 50-59 years, female 8.3
GTEX-15EU6-1826-SM-7PC1W 50-59 years, male 8.3
GTEX-11DXZ-1326-SM-5H11X 50-59 years, male 8.2
GTEX-ZLV1-1126-SM-4WWBW 60-69 years, female 8.0
GTEX-1MUQO-2426-SM-EAZ5A 60-69 years, male 8.0
GTEX-1OKEX-1126-SM-DTXEB 60-69 years, male 8.0
GTEX-131XE-0926-SM-5HL7J 50-59 years, male 7.9
GTEX-Y114-1426-SM-4TT6W 50-59 years, female 7.9
GTEX-1399U-2126-SM-5IFEZ 50-59 years, female 7.8
GTEX-Y3IK-1726-SM-4YCCR 50-59 years, female 7.7
GTEX-ZQG8-2526-SM-57WEQ 60-69 years, female 7.7
GTEX-ZPCL-1726-SM-57WEO 60-69 years, female 7.6
GTEX-1I1GT-1826-SM-ARZLW 60-69 years, female 7.6
GTEX-WFON-1526-SM-4LVMP 40-49 years, male 7.5
GTEX-12WSK-1526-SM-5CVNO 40-49 years, female 7.4
GTEX-WFG7-1726-SM-4LVME 20-29 years, male 7.1
GTEX-Y5V5-1826-SM-4VDS5 60-69 years, female 7.1
GTEX-14DAR-1426-SM-5RQIR 50-59 years, male 7.0
GTEX-WHSB-1026-SM-4M1XN 50-59 years, male 6.9
GTEX-1S82Z-1826-SM-E9TIK 30-39 years, female 6.7
GTEX-1C64O-2526-SM-79ONO 60-69 years, male 6.4
GTEX-1QCLZ-2126-SM-EWRNC 60-69 years, female 6.4
GTEX-ZVT2-2126-SM-5NQ93 50-59 years, female 6.1
GTEX-XPVG-1726-SM-4B65W 50-59 years, male 6.0
GTEX-Y3I4-1326-SM-4TT8Z 50-59 years, male 5.9
GTEX-ZQUD-0926-SM-57WE3 30-39 years, male 5.6
GTEX-WFG8-1626-SM-4LVMB 20-29 years, male 5.3
GTEX-WRHK-1026-SM-4MVOD 20-29 years, female 4.8
GTEX-WYJK-1526-SM-4ONCW 50-59 years, male 4.7
GTEX-111CU-1326-SM-5NQ8L 50-59 years, male 4.6
Show allShow less

SMALL INTESTINE - FANTOM5 CAGEi

RNA expression in human tissues obtained through Cap Analysis of Gene Expression (CAGE) generated by the FANTOM5 project are reported as Scaled Tags Per Million.

Max subtype Scaled Tags Per Millioni

Max subtype Scaled Tags Per Million is the value for the subtype with the largest average Scaled Tags Per Million across the subtype samples.

14.3
FANTOM5 sample id Sample description Scaled Tags Per Million
Small intestine
Scaled Tags Per Million: 14.3
FF:10024-101D6 15,40,85 years, mixed 14.3

Contact

  • NEWS ARTICLES
  • PRESS ROOM

The Project

  • INTRODUCTION
  • ORGANIZATION
  • PUBLICATIONS

The Human Protein Atlas

  • DOWNLOADABLE DATA
  • LICENCE & CITATION
  • HELP & FAQ
The Human Protein Atlas project is funded
by the Knut & Alice Wallenberg Foundation.


contact@proteinatlas.org