We use cookies to enhance the usability of our website. If you continue, we'll assume that you are happy to receive all cookies. More information. Don't show this again.
AZGP1
HPA
RESOURCES
  • TISSUE
  • BRAIN
  • SINGLE CELL
  • SUBCELLULAR
  • CANCER
  • BLOOD
  • CELL LINE
  • STRUCTURE & INTERACTION
ABOUT
  • INTRODUCTION
  • HISTORY
  • ORGANIZATION
  • PUBLICATIONS
  • ANTIBODY SUBMISSION
  • ANTIBODY AVAILABILITY
  • ACKNOWLEDGMENTS
  • CONTACT
NEWS
  • NEWS ARTICLES
  • PRESS ROOM
LEARN
  • DICTIONARY
  • PROTEIN CLASSES
  • PROTEIN EVIDENCE
  • METHODS
  • EDUCATIONAL VIDEOS
DATA
  • DOWNLOADABLE DATA
  • PUBLICATION DATA
  • RELEASE HISTORY
HELP
  • ANTIBODY VALIDATION
  • ASSAYS & ANNOTATION
  • DISCLAIMER
  • HELP & FAQ
  • PRIVACY STATEMENT
  • LICENCE & CITATION
Fields »
Search result

Field
Term
Gene name
Class
Subclass
Class
Keyword
Chromosome
External id
Tissue
Cell type
Expression
Antibody panel
Tissue
Main location
Patient ID
Annotation
Tissue
Category
Tau score
Cluster
Reliability
Brain region
Category
Tau score
Brain region
Category
Tau score
Brain region
Category
Tau score
Cluster
Reliability
Tissue
Cell type
Enrichment
Cell type
Category
Tau score
Cell type
Category
Tau score
Cell type
Category
Tau score
Cell lineage
Category
Tau score
Cluster
Cluster
Location
Searches
Location
Cell line
Class
Type
Phase
Reliability
Cancer
Prognosis
Cancer
Category
Cancer
Category
Tau score
Cluster
Variants
Interacting gene (ensg_id)
Type
Number of interactions
Pathway
Category
Score
Score
Score
Validation
Validation
Validation
Validation
Antibodies
Data type
Column


  • SUMMARY

  • TISSUE

  • BRAIN

  • SINGLE CELL

  • SUBCELL

  • CANCER

  • BLOOD

  • CELL LINE

  • STRUCT & INT

  • AZGP1
TISSUE PRIMARY DATA SKIN Show tissue menu
ADIPOSE TISSUE ADRENAL GLAND AMYGDALA APPENDIX BASAL GANGLIA BONE MARROW BREAST BRONCHUS CEREBELLUM CEREBRAL CORTEX CERVIX CHOROID PLEXUS COLON DUODENUM
ENDOMETRIUM EPIDIDYMIS ESOPHAGUS FALLOPIAN TUBE GALLBLADDER HEART MUSCLE HIPPOCAMPAL FORMATION HYPOTHALAMUS KIDNEY LIVER LUNG LYMPH NODE MIDBRAIN NASOPHARYNX
ORAL MUCOSA OVARY PANCREAS PARATHYROID GLAND PITUITARY GLAND PLACENTA PROSTATE RECTUM RETINA SALIVARY GLAND SEMINAL VESICLE SKELETAL MUSCLE SKIN SMALL INTESTINE
SMOOTH MUSCLE SOFT TISSUE SPINAL CORD SPLEEN STOMACH TESTIS THYMUS THYROID GLAND TONGUE TONSIL URINARY BLADDER VAGINA
ANTIBODIES
AND
VALIDATION
Dictionary
Skin
Tissue proteome
Skin
SKIN - Expression summary
Protein expression
Skini

On the top, protein expression in current human tissue, based on all annotated cell types, is reported with the units not detected (n), low (l), medium (m) and high (h). Underneath, protein expression in each annotated cell type are reported using the same units.

Protein expression data is based on knowledge-based annotation. For genes where more than one antibody has been used, a collective score is set.

If knowledge-based annotation could not be performed for a gene, no data is displayed here. View antibody staining data further down this page.

h
m
l
n
Cells in basal layer: Not detected
Cells in corneal layer: High
Cells in granular layer: High
Cells in spinous layer: Not detected
Endothelial cells: Not detected
Extracellular matrix: Not detected
Fibrohistiocytic cells: Not detected
Hair follicles: Medium
Langerhans cells: Not detected
Lymphocytes: Not detected
Melanocytes: Not detected
Vascular mural cells: Not detected
RNA expressioni

A summary of mRNA expression data available for current tissue based on several datasets. The mRNA expression levels in human tissues are based on RNA-seq data generated by the Human Protein Atlas (HPA), Genotype-Tissue Expression (GTEx) portal and CAGE data generated by the FANTOM5 consortium. Consensus normalized expression levels for human tissues was created by combining the data from HPA and GTEx datasets.

The mRNA expression levels in pig are based on RNA-seq data generated by the Human Protein Atlas (HPA), and for mouse, HPA data and in situ hybridization generated by the Allen brain atlas are reported.

Scroll down to view mRNA expression data in more detail.
Consensus:200.2 nTPM
HPA:159.5 nTPM
GTEx:200.2 nTPM

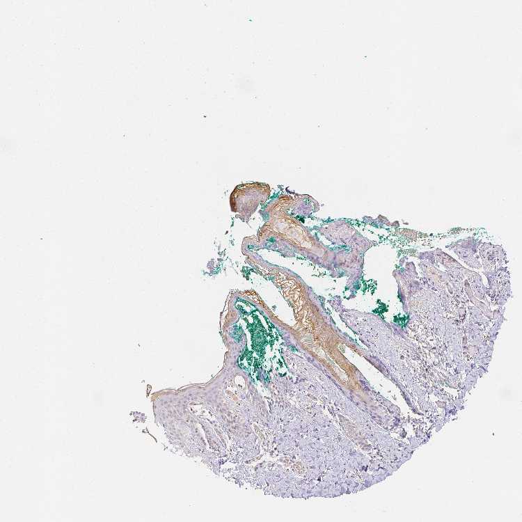
SKIN 1 - Antibody stainingi

Antibody staining in the annotated cell types in the current human tissue is reported as not detected, low, medium, or high, based on conventional immunohistochemistry profiling in selected tissues. This score is based on the combination of the staining intensity and fraction of stained cells.

Each image is clickable and will lead to virtual microscopy that enables deeper exploration of all samples and also displays staining intensity scores, fraction scores and subcellular localization as well as patient and tissue information for each sample.

Antibody HPA012582Antibody CAB016087Antibody CAB032276
Langerhans Not detected-Not detected
Cells in basal layer -Not detected-
Cells in corneal layer -High-
Cells in granular layer -Medium-
Cells in spinous layer -Not detected-
Endothelial cells -Not detected-
Extracellular matrix -Not detected-
Fibroblasts Not detected-Not detected
Fibrohistiocytic cells -Not detected-
Hair follicles -Medium-
Keratinocytes Not detected-Not detected
Langerhans cells -Not detected-
Lymphocytes -Not detected-
Melanocytes LowNot detectedNot detected
Vascular mural cells -Not detected-




SKIN 2 - Antibody stainingi

Antibody staining in the annotated cell types in the current human tissue is reported as not detected, low, medium, or high, based on conventional immunohistochemistry profiling in selected tissues. This score is based on the combination of the staining intensity and fraction of stained cells.

Each image is clickable and will lead to virtual microscopy that enables deeper exploration of all samples and also displays staining intensity scores, fraction scores and subcellular localization as well as patient and tissue information for each sample.

Antibody HPA012582Antibody CAB016087Antibody CAB032276
Cells in basal layer -Not detected-
Cells in corneal layer -High-
Cells in granular layer -High-
Cells in spinous layer -Not detected-
Endothelial cells -Not detected-
Epidermal cells Not detected-Not detected
Extracellular matrix -Not detected-
Fibrohistiocytic cells -Not detected-
Hair follicles -Medium-
Langerhans cells -Not detected-
Lymphocytes -Not detected-
Melanocytes -Not detected-
Vascular mural cells -Not detected-
   
   





SKIN - HPA RNA-seqi

The RNA-seq details section shows detailed information about the individual samples used for the transcript profiling and results of the RNA-seq analysis.

Information about each individual sample is listed below, including gender, age, a tissue section image and estimated fractions of cell types. nTPM (normalized transcripts per million) values give a quantification of the gene abundance which is comparable between different genes and samples.
Average nTPMi

Max subtype nTPM is the value for the subtype with the largest average nTPM across the subtype samples.

159.5
overview
Female, age 34
Skin sample 225
nTPM: 160.9
Cell types%
Keratinocytes:
60

Other cell types:
40

overview
Female, age 30
Skin sample 226
nTPM: 154.2
Cell types%
Keratinocytes:
55

Other cell types:
45

N/A
Male, age 57
Skin sample 227
nTPM: 163.2

SKIN - GTEx RNA-seqi

RNA-Seq data generated by the Genotype-Tissue Expression (GTEx) project from human tissues is reported as mean nTPM. More information can be found on the GTEx portal.

Distribution across the dataset is visualized with box plots, shown as median and 25th and 75th percentiles. Points are displayed as outliers if they are above or below 1.5 times the interquartile range. nTPM values of the individual samples are presented next to the box plot.
Max subtype nTPMi

Max subtype nTPM is the value for the subtype with the largest average nTPM across the subtype samples.

200.2
GTEx sample id Sample description nTPM
Skin - Not Sun Exposed (Suprapubic)
Average nTPM: 159.7
Samples: 604

Max nTPM: 1029.8
Min nTPM: 1.3
Std nTPM: 98.4
Median nTPM: 143.0
GTEX-1PIGE-1826-SM-E8VOU 20-29 years, male 1029.8
GTEX-11TT1-1826-SM-5EQLV 20-29 years, male 814.3
GTEX-1F52S-2926-SM-7MKGA 60-69 years, female 574.3
GTEX-1K9T9-1526-SM-DIPFR 50-59 years, female 570.6
GTEX-16NGA-0726-SM-731AO 40-49 years, female 568.6
GTEX-1RAZA-2226-SM-E9U4X 20-29 years, male 516.8
GTEX-1S3DN-2126-SM-E9TIN 50-59 years, male 452.8
GTEX-15SHW-0226-SM-7LTAT 60-69 years, male 439.3
GTEX-1QP9N-1226-SM-E76QN 30-39 years, male 421.4
GTEX-1F5PK-2226-SM-7SB6N 50-59 years, male 407.0
GTEX-1HCU9-0426-SM-9WYSD 20-29 years, male 404.3
GTEX-1H1E6-0426-SM-9WYUS 30-39 years, male 394.0
GTEX-YEC3-1326-SM-DO92X 50-59 years, male 391.9
GTEX-1KANC-1226-SM-CYPT7 50-59 years, female 390.0
GTEX-Y5V6-2326-SM-4VDSA 60-69 years, male 389.7
GTEX-14E6C-2426-SM-5S2NF 40-49 years, male 385.7
GTEX-ZAJG-1526-SM-5CVML 50-59 years, female 373.3
GTEX-1N2DV-1526-SM-DTXEP 40-49 years, male 365.9
GTEX-1F75I-2226-SM-7SB8U 40-49 years, male 361.2
GTEX-1KANA-1326-SM-DIPFA 20-29 years, male 361.1
GTEX-12BJ1-0926-SM-5EQ62 60-69 years, male 359.9
GTEX-ZT9W-1126-SM-57WDR 50-59 years, male 359.6
GTEX-YFCO-1226-SM-5LUAT 40-49 years, male 351.9
GTEX-WH7G-2026-SM-3NMBL 40-49 years, male 351.0
GTEX-146FQ-2126-SM-5RQHU 30-39 years, male 346.2
GTEX-11EQ9-1626-SM-5PNY8 30-39 years, male 346.0
GTEX-1C64O-1326-SM-7MGWR 60-69 years, male 344.4
GTEX-ZPU1-1126-SM-4YCF3 40-49 years, male 344.2
GTEX-117YX-1926-SM-5GIEC 50-59 years, male 341.6
GTEX-1QCLY-0226-SM-EWRNH 30-39 years, male 339.2
GTEX-11P7K-1126-SM-5HL4L 30-39 years, male 339.0
GTEX-ZDTT-0426-SM-4WKFL 60-69 years, male 335.9
GTEX-ZVZP-1226-SM-5GID7 50-59 years, male 324.5
GTEX-15UF6-1926-SM-7KUDV 70-79 years, female 323.8
GTEX-ZPCL-1126-SM-4WWFE 60-69 years, female 321.1
GTEX-18A66-0626-SM-7LT8Z 60-69 years, male 319.4
GTEX-11NSD-0626-SM-5A5LU 20-29 years, male 317.4
GTEX-1HCU7-0726-SM-A9SL1 50-59 years, male 316.8
GTEX-1QW4Y-1126-SM-DTXE3 30-39 years, male 312.9
GTEX-1I6K7-1926-SM-B2LXR 40-49 years, male 307.9
GTEX-WHPG-2626-SM-3NMBR 50-59 years, male 306.4
GTEX-1GF9X-1326-SM-7PC2Y 40-49 years, female 306.2
GTEX-UPK5-0426-SM-3GAEK 40-49 years, male 303.2
GTEX-1192X-2726-SM-5N9DN 50-59 years, male 298.7
GTEX-11EM3-1226-SM-5N9DD 20-29 years, female 295.3
GTEX-1NV5F-0626-SM-DTXEG 60-69 years, female 295.1
GTEX-1NSGN-0726-SM-DTXEF 50-59 years, male 295.0
GTEX-13PDP-0726-SM-5L3HP 60-69 years, male 293.6
GTEX-1QP66-1226-SM-DTX7U 50-59 years, male 293.3
GTEX-Y114-2126-SM-4TT8B 50-59 years, female 292.9
GTEX-12C56-1526-SM-5FQUQ 20-29 years, male 291.9
GTEX-1RAZQ-1326-SM-E9TK6 30-39 years, male 285.1
GTEX-VJYA-1526-SM-3GIJV 60-69 years, male 283.6
GTEX-1LG7Z-1626-SM-CXKYR 30-39 years, male 281.6
GTEX-1HSMP-0926-SM-A9SKX 70-79 years, male 280.8
GTEX-14ICL-1626-SM-5YYAO 30-39 years, male 272.8
GTEX-WXYG-2026-SM-4E3IY 50-59 years, female 270.8
GTEX-1HBPN-0126-SM-CGQEF 50-59 years, male 270.2
GTEX-18A6Q-0626-SM-7KFRP 60-69 years, male 270.1
GTEX-15RIE-1926-SM-7KUKJ 60-69 years, male 267.3
GTEX-1LVAM-0726-SM-E6CIL 50-59 years, female 267.0
GTEX-1PBJJ-1026-SM-E76OS 30-39 years, male 264.8
GTEX-17F96-0126-SM-7EWDU 70-79 years, male 261.7
GTEX-1HCVE-2726-SM-CL54F 50-59 years, male 261.7
GTEX-ZTX8-1326-SM-4YCEL 20-29 years, male 261.1
GTEX-ZP4G-1426-SM-4WWCL 20-29 years, female 259.9
GTEX-Y8E4-2026-SM-5IFJB 40-49 years, male 258.8
GTEX-1L5NE-1126-SM-D3L9P 50-59 years, male 257.4
GTEX-1OJC3-1226-SM-DTXER 20-29 years, male 257.4
GTEX-14E1K-2026-SM-7DUEI 50-59 years, male 255.2
GTEX-1IDJU-1726-SM-CMKHU 60-69 years, female 255.2
GTEX-1CAMQ-1326-SM-7P8RV 40-49 years, male 254.4
GTEX-ZT9X-1526-SM-5DUXD 40-49 years, male 254.0
GTEX-111YS-1526-SM-5GZYW 60-69 years, male 253.4
GTEX-139TS-2126-SM-5K7XC 60-69 years, male 253.1
GTEX-178AV-1726-SM-7KUL8 40-49 years, male 252.4
GTEX-ZLWG-0826-SM-59888 50-59 years, female 252.1
GTEX-1B8KE-1126-SM-7EPHI 50-59 years, male 251.6
GTEX-14PJ3-1126-SM-5ZZVX 50-59 years, male 251.4
GTEX-XPVG-2126-SM-4B667 50-59 years, male 250.4
GTEX-13NZ9-2626-SM-5L3FK 50-59 years, male 245.8
GTEX-1LGOU-1326-SM-D3L8M 20-29 years, female 244.7
GTEX-WHWD-1826-SM-3LK6I 50-59 years, male 243.4
GTEX-13QJC-0126-SM-5ZZWJ 60-69 years, female 243.1
GTEX-1GMR3-0126-SM-A9SLW 40-49 years, male 241.2
GTEX-1F5PL-0926-SM-7PC2W 40-49 years, female 240.8
GTEX-1399S-0126-SM-5IJCF 30-39 years, female 239.0
GTEX-UPJH-0226-SM-3GADV 50-59 years, male 238.5
GTEX-13PVR-0426-SM-5RQK2 60-69 years, female 235.8
GTEX-18A7B-2726-SM-7LG56 70-79 years, male 235.7
GTEX-145MN-1526-SM-5SI9T 30-39 years, male 235.6
GTEX-13X6I-1826-SM-5SIAO 60-69 years, male 234.9
GTEX-ZWKS-0626-SM-5GIDV 30-39 years, male 234.4
GTEX-1PPH7-1126-SM-DTX9A 40-49 years, male 234.3
GTEX-12696-0126-SM-5EQ4L 60-69 years, male 233.9
GTEX-183FY-1026-SM-7939A 20-29 years, male 233.4
GTEX-WHSB-1326-SM-3LK6W 50-59 years, male 233.0
GTEX-1HSGN-0826-SM-ACKW3 40-49 years, female 232.9
GTEX-1RMOY-1326-SM-E9TIH 50-59 years, male 232.7
GTEX-14BMU-1226-SM-5S2OR 20-29 years, female 231.7
GTEX-1R9K4-2826-SM-DTX8F 60-69 years, male 231.5
GTEX-1MCC2-1826-SM-DIPEX 30-39 years, female 231.4
GTEX-YB5K-2026-SM-4VDT3 40-49 years, female 231.2
GTEX-WY7C-2126-SM-3NB2R 50-59 years, male 231.1
GTEX-1I19N-0126-SM-CYPSF 70-79 years, male 231.1
GTEX-14DAR-1226-SM-73KYV 50-59 years, male 231.0
GTEX-1I6K6-1726-SM-CGQFD 30-39 years, male 230.4
GTEX-YEC4-1826-SM-4W1YP 40-49 years, male 230.3
GTEX-X585-2426-SM-46MW2 50-59 years, male 229.8
GTEX-X3Y1-2026-SM-3P5YM 40-49 years, male 228.7
GTEX-1H2FU-0926-SM-9WPPT 60-69 years, female 225.7
GTEX-15CHQ-0326-SM-69LQD 60-69 years, male 223.0
GTEX-ZDYS-2426-SM-4WKGI 50-59 years, male 221.6
GTEX-18QFQ-1826-SM-72D52 30-39 years, male 221.0
GTEX-11P82-1426-SM-DTXFY 20-29 years, male 221.0
GTEX-1S83E-1326-SM-E6CJM 40-49 years, male 220.4
GTEX-14AS3-1526-SM-5Q5ED 40-49 years, female 219.7
GTEX-ZXG5-2126-SM-59HKD 60-69 years, male 218.9
GTEX-131XG-0326-SM-5L3DX 50-59 years, female 218.8
GTEX-11ZUS-2626-SM-5FQUR 30-39 years, male 218.0
GTEX-ZVP2-0326-SM-57WBP 50-59 years, male 218.0
GTEX-1JKYN-0826-SM-ARU8S 30-39 years, male 217.5
GTEX-16MT8-2926-SM-7DUFO 60-69 years, female 216.1
GTEX-139YR-1026-SM-5LZYN 50-59 years, male 214.6
GTEX-1QEPI-2626-SM-DTXF4 60-69 years, female 214.3
GTEX-15RIG-0726-SM-7KUM7 40-49 years, male 213.5
GTEX-1QPFJ-1926-SM-EVYBD 30-39 years, female 212.3
GTEX-14PJN-1826-SM-6AJ98 30-39 years, male 211.9
GTEX-1497J-0226-SM-5QGPU 60-69 years, male 211.8
GTEX-1477Z-0326-SM-7IGLA 60-69 years, male 211.3
GTEX-1GZ4H-0526-SM-9KNU9 50-59 years, female 211.1
GTEX-13FTY-2126-SM-5IFFB 40-49 years, female 209.6
GTEX-XYKS-1426-SM-4BRUO 60-69 years, female 209.5
GTEX-XMD2-2126-SM-4YCF8 60-69 years, female 209.4
GTEX-13O61-1426-SM-5KM3D 60-69 years, male 208.9
GTEX-1JMPY-0226-SM-CKZOK 30-39 years, male 208.1
GTEX-WEY5-2326-SM-3GIKK 40-49 years, female 208.0
GTEX-17F98-1326-SM-7DUEP 40-49 years, female 207.9
GTEX-17KNJ-2126-SM-718AM 50-59 years, male 207.0
GTEX-XQ8I-0926-SM-4BOOF 50-59 years, male 206.9
GTEX-1RLM8-2926-SM-E8VON 50-59 years, male 205.7
GTEX-1IDJC-1526-SM-B2LW4 50-59 years, male 204.5
GTEX-ZF3C-0626-SM-DO92O 50-59 years, female 204.3
GTEX-17HHE-1326-SM-7EWDZ 50-59 years, male 204.2
GTEX-13RTJ-0126-SM-5S2NN 60-69 years, male 204.1
GTEX-14PHX-2226-SM-6EU2P 50-59 years, male 204.0
GTEX-1KAFJ-0126-SM-DIPEK 50-59 years, male 203.8
GTEX-1GN1U-0626-SM-9MQL9 50-59 years, female 203.6
GTEX-11EQ8-0926-SM-5H12V 60-69 years, male 203.5
GTEX-ZAB4-2126-SM-5HL8U 40-49 years, male 203.5
GTEX-WFG7-2026-SM-5SI7P 20-29 years, male 202.1
GTEX-ZYFG-1526-SM-5GZYM 60-69 years, female 202.1
GTEX-17F97-2626-SM-7IGM5 50-59 years, male 201.9
GTEX-11DXX-2126-SM-5PNYR 60-69 years, female 201.4
GTEX-YF7O-1526-SM-5IFI6 50-59 years, male 201.3
GTEX-1IDJF-2026-SM-CL53V 20-29 years, male 200.8
GTEX-1HSMQ-2626-SM-A9SML 50-59 years, male 200.7
GTEX-14B4R-1326-SM-5Q5EZ 30-39 years, male 200.3
GTEX-XBED-1926-SM-47JYP 60-69 years, male 199.7
GTEX-1MJK3-0726-SM-E6CJC 20-29 years, male 199.2
GTEX-1QP2A-1726-SM-E76QC 50-59 years, male 199.1
GTEX-111CU-1126-SM-5EGIM 50-59 years, male 198.3
GTEX-VUSG-2326-SM-4KL1U 50-59 years, male 197.8
GTEX-1K2DA-1026-SM-CGQGF 50-59 years, male 196.3
GTEX-1RAZS-2526-SM-E6CHT 50-59 years, male 196.3
GTEX-11WQC-1826-SM-5GU59 60-69 years, male 195.7
GTEX-14PJ2-0626-SM-6LLII 50-59 years, male 195.4
GTEX-111FC-2526-SM-5GZXU 60-69 years, male 194.9
GTEX-139T8-0626-SM-5KLZX 60-69 years, male 194.7
GTEX-ZZPU-0826-SM-5GZX5 50-59 years, female 193.1
GTEX-12WSD-0626-SM-5GCMW 60-69 years, female 191.4
GTEX-1IDJE-1426-SM-ADEIW 50-59 years, female 191.0
GTEX-12ZZX-2426-SM-5GCOE 40-49 years, female 190.5
GTEX-1S82P-2126-SM-E6CI5 60-69 years, female 190.3
GTEX-ZLV1-1526-SM-DO91J 60-69 years, female 190.2
GTEX-1JJ6O-2726-SM-CNPOG 60-69 years, male 189.8
GTEX-1F75B-0726-SM-7PC3R 50-59 years, male 189.6
GTEX-1IKOE-1426-SM-CE6T7 30-39 years, female 189.4
GTEX-1JMQJ-0826-SM-CNPP7 50-59 years, male 188.8
GTEX-13JUV-2026-SM-5K7UA 40-49 years, female 188.4
GTEX-14PJO-2526-SM-6AJBQ 60-69 years, male 188.1
GTEX-133LE-2326-SM-5K7W3 20-29 years, female 187.8
GTEX-Y9LG-1126-SM-4VBQ7 30-39 years, male 187.6
GTEX-15CHC-1126-SM-6LLHQ 60-69 years, female 187.3
GTEX-13OVH-0526-SM-5L3E6 70-79 years, male 187.1
GTEX-14C5O-0326-SM-5ZZUX 60-69 years, male 187.1
GTEX-16YQH-2226-SM-7IGM2 30-39 years, male 186.8
GTEX-145MO-2826-SM-5LU96 60-69 years, male 186.4
GTEX-X4EP-0626-SM-3P621 60-69 years, female 186.4
GTEX-ZC5H-1526-SM-5HL9Y 40-49 years, female 186.4
GTEX-18D9A-1426-SM-7LT8M 30-39 years, female 185.8
GTEX-XBEW-1126-SM-4QARW 40-49 years, male 185.4
GTEX-1314G-1326-SM-5BC6E 30-39 years, male 184.7
GTEX-147GR-2426-SM-5ZZWQ 60-69 years, male 184.7
GTEX-1R7EU-1626-SM-DTXG3 60-69 years, male 183.3
GTEX-145LT-0526-SM-5LUB2 40-49 years, male 183.1
GTEX-1QCLZ-2426-SM-EVYBW 60-69 years, female 182.1
GTEX-14PJ5-1526-SM-6LLIL 60-69 years, female 181.9
GTEX-1RAZR-2126-SM-E9U6T 40-49 years, male 181.5
GTEX-11DXY-0126-SM-5H11Q 60-69 years, male 181.2
GTEX-11LCK-2226-SM-5HL4Q 30-39 years, male 180.4
GTEX-1GF9V-0826-SM-9KNUV 60-69 years, male 180.3
GTEX-1LSNM-0826-SM-DIPG8 50-59 years, male 180.3
GTEX-145LS-0626-SM-7EPG7 60-69 years, female 178.5
GTEX-WFG8-2126-SM-3GIKQ 20-29 years, male 178.5
GTEX-1JN76-0626-SM-CKZOQ 20-29 years, female 177.1
GTEX-1212Z-0126-SM-59HK4 60-69 years, male 176.4
GTEX-Y5LM-0926-SM-6LLJG 40-49 years, female 176.4
GTEX-1HSKV-1226-SM-ADEI4 60-69 years, male 176.4
GTEX-1S831-1826-SM-EWROF 20-29 years, male 175.1
GTEX-1I1GS-2626-SM-B2LY3 60-69 years, male 175.0
GTEX-15DYW-2726-SM-6EU2I 60-69 years, female 174.7
GTEX-X5EB-1926-SM-4E3IW 40-49 years, male 174.3
GTEX-13FHO-0426-SM-5L3F5 60-69 years, male 173.0
GTEX-1ICG6-1226-SM-A9SLN 70-79 years, female 172.7
GTEX-ZVT4-2426-SM-5GIEI 50-59 years, female 172.3
GTEX-1GTWX-2026-SM-9YFLM 60-69 years, male 172.0
GTEX-1JN1M-2726-SM-CY8I4 60-69 years, female 171.7
GTEX-12ZZY-0726-SM-5EQ66 60-69 years, male 171.3
GTEX-13PL6-1126-SM-5L3IE 40-49 years, female 171.3
GTEX-WK11-2726-SM-3NMAQ 50-59 years, male 170.9
GTEX-1GMR2-0826-SM-7PC3V 50-59 years, male 170.1
GTEX-13OW5-2326-SM-5L3HO 60-69 years, male 169.5
GTEX-13W3W-0726-SM-5IJDQ 60-69 years, female 168.8
GTEX-XXEK-1626-SM-4BRUZ 50-59 years, male 168.8
GTEX-17HII-1426-SM-7EPGG 50-59 years, male 168.0
GTEX-ZZ64-1026-SM-5GZXG 20-29 years, male 167.9
GTEX-1A3MV-1826-SM-731CD 30-39 years, male 167.7
GTEX-131YS-2826-SM-5EQ47 60-69 years, female 167.4
GTEX-13IVO-0726-SM-5LZYV 70-79 years, male 167.1
GTEX-11VI4-1126-SM-5EQMD 40-49 years, female 167.0
GTEX-ZVT2-0126-SM-5GIDQ 50-59 years, female 167.0
GTEX-13FTW-0326-SM-5K7UW 40-49 years, male 166.5
GTEX-14DAQ-0626-SM-793DS 60-69 years, female 166.3
GTEX-147F3-1726-SM-5SIAW 50-59 years, female 165.9
GTEX-13D11-0926-SM-5J2NC 50-59 years, female 165.6
GTEX-1AMEY-0826-SM-72D65 30-39 years, female 165.6
GTEX-1KWVE-1026-SM-D3L9O 30-39 years, male 164.1
GTEX-12WSM-1926-SM-5BC65 60-69 years, male 163.4
GTEX-1OJC4-2726-SM-E76PJ 50-59 years, female 163.3
GTEX-1HB9E-0126-SM-CM2S5 50-59 years, male 161.6
GTEX-1IY9M-2826-SM-ARU8H 60-69 years, male 161.4
GTEX-12WSA-0426-SM-5EQ5X 60-69 years, male 160.8
GTEX-1C64N-2626-SM-7PC2N 50-59 years, male 160.7
GTEX-18D9U-0126-SM-731BM 40-49 years, male 160.6
GTEX-WHSE-0126-SM-3NMBT 20-29 years, male 160.5
GTEX-1122O-1026-SM-9WYSF 60-69 years, female 160.3
GTEX-11DYG-1526-SM-5A5JS 60-69 years, male 160.2
GTEX-13OVK-1426-SM-6PAN7 40-49 years, male 160.1
GTEX-14PII-0726-SM-6EU2B 60-69 years, male 157.6
GTEX-17F9Y-0126-SM-79OKX 70-79 years, female 157.6
GTEX-YECK-0326-SM-4W1YS 60-69 years, male 157.5
GTEX-1H23P-0626-SM-9WG6T 60-69 years, male 157.4
GTEX-ZDXO-3126-SM-5IJDF 60-69 years, male 157.1
GTEX-ZE9C-2526-SM-5IJDR 60-69 years, male 157.1
GTEX-131XH-0126-SM-5LZUY 50-59 years, male 156.7
GTEX-1PPH8-0126-SM-EWRN8 20-29 years, male 156.1
GTEX-147F4-0726-SM-5TDDD 50-59 years, male 155.6
GTEX-1R9PM-1926-SM-EVR3O 20-29 years, male 155.4
GTEX-15G1A-1626-SM-7KUKN 30-39 years, male 154.9
GTEX-139D8-1126-SM-5LU8W 30-39 years, female 154.8
GTEX-1H3NZ-2726-SM-9WYTQ 60-69 years, male 154.7
GTEX-1HFI7-2326-SM-CGQFS 50-59 years, female 154.5
GTEX-1GMRU-2126-SM-7P8RA 50-59 years, male 154.2
GTEX-111VG-1626-SM-5EGIO 60-69 years, male 153.7
GTEX-WYJK-0526-SM-3NM8Z 50-59 years, male 153.7
GTEX-1CAMR-1326-SM-7PC1F 20-29 years, male 153.7
GTEX-145MG-1526-SM-5Q5EM 50-59 years, male 153.6
GTEX-1399U-1126-SM-5L3DB 50-59 years, female 153.0
GTEX-16NPX-0726-SM-7KULC 50-59 years, male 153.0
GTEX-ZE7O-2726-SM-51MT5 50-59 years, female 151.5
GTEX-1HBPM-0726-SM-9YFL7 60-69 years, female 151.0
GTEX-11O72-0626-SM-5PNYE 40-49 years, male 150.3
GTEX-13FLV-0126-SM-5K7WT 50-59 years, male 150.3
GTEX-15RJ7-2126-SM-6PAMD 40-49 years, male 150.3
GTEX-18A67-1626-SM-7LT9T 50-59 years, male 150.1
GTEX-1H1CY-0126-SM-9YFLY 60-69 years, female 149.8
GTEX-1CB4I-0126-SM-7RHGG 50-59 years, male 149.7
GTEX-1I1GT-1026-SM-ARZLV 60-69 years, female 149.7
GTEX-1LGRB-0926-SM-COH3K 50-59 years, female 149.6
GTEX-1LVAO-2726-SM-E9TJ8 60-69 years, male 148.9
GTEX-12WSL-2026-SM-5GCML 50-59 years, male 148.8
GTEX-12126-0826-SM-5FQTZ 20-29 years, male 148.7
GTEX-1EU9M-1426-SM-793AI 60-69 years, male 148.7
GTEX-YJ8O-2526-SM-5HL85 40-49 years, female 148.6
GTEX-12WSF-1626-SM-7KUG5 70-79 years, male 148.5
GTEX-14JG6-1426-SM-9WG7C 30-39 years, female 148.3
GTEX-1AX9I-2226-SM-73KUO 60-69 years, male 147.9
GTEX-17F9E-2326-SM-79OKD 50-59 years, male 147.8
GTEX-1GN1W-2426-SM-9KNUU 50-59 years, female 147.6
GTEX-1IKJJ-2226-SM-CJI4C 60-69 years, male 147.6
GTEX-12KS4-2126-SM-5FQUT 30-39 years, male 147.0
GTEX-1GL5R-1326-SM-7RHHF 50-59 years, male 146.8
GTEX-12WSH-1526-SM-5BC5W 50-59 years, male 145.8
GTEX-ZTSS-1426-SM-5985P 40-49 years, male 145.6
GTEX-13113-1626-SM-5EQ4I 60-69 years, female 145.4
GTEX-Y3IK-1626-SM-4YCF5 50-59 years, female 145.4
GTEX-1HBPI-2126-SM-ARL9K 50-59 years, male 145.2
GTEX-Y8LW-1526-SM-5IFHL 50-59 years, female 144.5
GTEX-14JFF-0626-SM-5ZZVT 60-69 years, male 144.3
GTEX-13X6K-0626-SM-5LU5D 60-69 years, female 143.5
GTEX-14PJ6-2626-SM-6EU2T 60-69 years, female 143.1
GTEX-15FZZ-0526-SM-7KUGD 30-39 years, female 143.0
GTEX-1PPGY-1626-SM-EVYBL 60-69 years, male 142.9
GTEX-1R46S-2426-SM-E76QA 60-69 years, female 141.9
GTEX-1HCUA-0826-SM-ADEHM 50-59 years, female 141.6
GTEX-1F6RS-2026-SM-7RHHC 60-69 years, female 140.8
GTEX-1J8Q2-2626-SM-ACKWQ 60-69 years, male 140.7
GTEX-139TU-0726-SM-5L3EK 60-69 years, male 140.3
GTEX-X4EO-2926-SM-4E3JH 60-69 years, female 140.2
GTEX-1F75A-0726-SM-7RHHD 50-59 years, male 139.8
GTEX-13X6H-0926-SM-5SIB2 50-59 years, female 139.7
GTEX-14C39-1726-SM-5RQIL 40-49 years, male 139.7
GTEX-1C6WA-2626-SM-7MKGM 60-69 years, male 139.5
GTEX-1H1ZS-2726-SM-9WG75 70-79 years, male 139.5
GTEX-17MFQ-1526-SM-7KFRR 20-29 years, male 139.3
GTEX-15ER7-0626-SM-6PANF 20-29 years, female 139.1
GTEX-XOT4-0626-SM-4B66L 60-69 years, female 138.9
GTEX-ZVE2-2826-SM-5GU51 50-59 years, male 138.5
GTEX-16BQI-1326-SM-6M486 30-39 years, female 138.4
GTEX-ZYY3-2926-SM-5GIEB 60-69 years, female 138.4
GTEX-132AR-0326-SM-5KM2C 50-59 years, female 138.3
GTEX-13N11-2326-SM-5IJBF 50-59 years, female 138.2
GTEX-1KD5A-0126-SM-E9U54 50-59 years, male 138.0
GTEX-15G19-2426-SM-7KUMR 60-69 years, male 137.8
GTEX-1AX8Z-0726-SM-73KTS 60-69 years, male 137.8
GTEX-11EI6-2826-SM-5H11D 60-69 years, male 137.7
GTEX-1A32A-0626-SM-731AQ 50-59 years, female 137.5
GTEX-13112-0126-SM-5P9IU 50-59 years, male 137.2
GTEX-1JMLX-0626-SM-ARL8T 50-59 years, male 136.7
GTEX-15EU6-2226-SM-6EU2L 50-59 years, male 136.5
GTEX-18A7A-0126-SM-731AH 50-59 years, female 136.5
GTEX-1269C-0126-SM-5EQ5L 60-69 years, female 136.3
GTEX-ZA64-1026-SM-5HL8R 20-29 years, male 136.1
GTEX-1GZ4I-2626-SM-9KNU3 50-59 years, male 135.9
GTEX-13NYS-0626-SM-5L3F1 60-69 years, male 135.5
GTEX-ZUA1-2626-SM-5NQ92 40-49 years, male 134.8
GTEX-ZLFU-1826-SM-4WWBV 40-49 years, male 134.7
GTEX-1LB8K-0726-SM-D5OV2 50-59 years, male 134.3
GTEX-1LBAC-0826-SM-CY8IJ 20-29 years, male 134.1
GTEX-1K2DU-1226-SM-CYPT4 20-29 years, male 133.7
GTEX-1J1R8-2026-SM-CL53Y 40-49 years, male 133.6
GTEX-ZYW4-0626-SM-59HJR 60-69 years, male 133.5
GTEX-1JK1U-0226-SM-ARZMX 60-69 years, male 133.2
GTEX-13SLX-2226-SM-62LEP 50-59 years, female 132.9
GTEX-13OVG-1626-SM-5J1NF 60-69 years, male 132.6
GTEX-15RJE-2826-SM-7KUM9 40-49 years, male 132.4
GTEX-14753-0726-SM-5QGQO 60-69 years, male 132.1
GTEX-1GF9W-1426-SM-7PBYM 60-69 years, male 132.1
GTEX-ZVE1-0726-SM-51MRN 50-59 years, female 132.0
GTEX-131XF-2626-SM-5EQ6K 60-69 years, male 130.6
GTEX-15CHR-1126-SM-7EWF4 50-59 years, male 130.3
GTEX-139TT-2126-SM-5LZWC 60-69 years, male 128.6
GTEX-XK95-0226-SM-4AT58 40-49 years, male 128.3
GTEX-1B8KZ-0326-SM-73KY4 50-59 years, male 128.2
GTEX-1QP28-1126-SM-EVYC4 50-59 years, female 127.1
GTEX-1IDJH-0126-SM-D3L92 70-79 years, male 127.0
GTEX-1ICLZ-0326-SM-ARL82 60-69 years, male 126.7
GTEX-1313W-0626-SM-5EQ4H 50-59 years, female 126.4
GTEX-1HGF4-0126-SM-CNPPX 60-69 years, male 126.4
GTEX-144GM-0526-SM-79OJO 20-29 years, male 126.3
GTEX-1IE54-1126-SM-A9G2Z 40-49 years, female 126.3
GTEX-1AMFI-1326-SM-7939R 50-59 years, female 126.2
GTEX-XBEC-0726-SM-4QARZ 50-59 years, male 126.1
GTEX-1B996-0426-SM-7EWF8 60-69 years, male 125.9
GTEX-17HGU-2326-SM-7DUFE 50-59 years, male 125.7
GTEX-1JMPZ-0726-SM-CY8HZ 30-39 years, male 124.5
GTEX-13VXT-1926-SM-5K7UO 20-29 years, female 124.0
GTEX-13NZ8-1226-SM-5KM4A 60-69 years, female 123.6
GTEX-15EO6-2426-SM-6PALZ 50-59 years, male 123.6
GTEX-XAJ8-1426-SM-47JYM 40-49 years, male 123.3
GTEX-1N5O9-0926-SM-E9J3C 60-69 years, male 123.3
GTEX-13YAN-0226-SM-5TDC6 60-69 years, male 123.1
GTEX-15SKB-2826-SM-6PAMH 60-69 years, male 122.7
GTEX-11P81-2226-SM-5PNYI 30-39 years, female 122.6
GTEX-1PDJ9-1226-SM-EXUSX 20-29 years, male 122.5
GTEX-16XZZ-0726-SM-7KUF2 60-69 years, male 122.3
GTEX-1GN73-0726-SM-7P8TJ 60-69 years, male 122.3
GTEX-1KXAM-1626-SM-D3LAD 60-69 years, male 122.3
GTEX-145MI-0626-SM-5SI8S 60-69 years, female 122.2
GTEX-1B8SF-0126-SM-7DUG3 60-69 years, male 122.2
GTEX-11GSP-2326-SM-5HL63 60-69 years, female 122.1
GTEX-Z93S-1626-SM-5CVMB 50-59 years, male 122.1
GTEX-W5X1-2526-SM-3GILC 40-49 years, female 121.3
GTEX-1C2JI-1026-SM-73KY1 50-59 years, male 121.0
GTEX-ZF2S-1626-SM-57WES 50-59 years, female 121.0
GTEX-11ZTT-2126-SM-5CVLO 60-69 years, female 120.9
GTEX-1I1GV-0626-SM-ARL7M 60-69 years, male 120.8
GTEX-1F88E-1626-SM-7SB8Z 60-69 years, female 120.4
GTEX-1IDJD-2326-SM-ACKWX 30-39 years, male 120.0
GTEX-12WSK-2126-SM-5CVNC 40-49 years, female 119.8
GTEX-13OVJ-0826-SM-5J1OK 50-59 years, female 119.4
GTEX-1CB4H-1126-SM-7MKGL 60-69 years, female 119.4
GTEX-ZY6K-1426-SM-5GZX2 50-59 years, male 119.4
GTEX-18465-2826-SM-7LT9J 50-59 years, male 118.7
GTEX-11TUW-0626-SM-5LU9M 60-69 years, male 118.4
GTEX-1B97I-0626-SM-73KUZ 40-49 years, male 118.0
GTEX-1EWIQ-0326-SM-7DHMQ 70-79 years, female 117.9
GTEX-1JMQK-1226-SM-D4P2S 60-69 years, male 117.9
GTEX-1KANB-2826-SM-CY8I6 50-59 years, male 117.9
GTEX-13OW8-1026-SM-5J1NQ 60-69 years, male 117.8
GTEX-ZDTS-0826-SM-4WKHL 60-69 years, male 117.6
GTEX-1J8EW-2726-SM-CY8HR 60-69 years, female 117.4
GTEX-13OVL-0126-SM-5L3GJ 50-59 years, male 117.3
GTEX-ZAK1-0626-SM-5HL8E 50-59 years, female 117.3
GTEX-13G51-1826-SM-5KLZH 60-69 years, male 117.2
GTEX-13OW6-2726-SM-5J2OE 50-59 years, male 117.1
GTEX-14A5H-0826-SM-5QGPJ 60-69 years, male 116.9
GTEX-13N1W-2426-SM-5IJD1 70-79 years, male 116.7
GTEX-1CB4J-1326-SM-7P8RX 60-69 years, male 116.4
GTEX-13FTX-1526-SM-5K7VJ 20-29 years, female 115.9
GTEX-WYBS-0626-SM-3NMAS 60-69 years, female 114.1
GTEX-12ZZZ-0726-SM-5GCNZ 60-69 years, male 114.0
GTEX-ZTTD-2826-SM-4YCFA 50-59 years, male 112.4
GTEX-13OW7-0426-SM-5K7VK 50-59 years, male 112.1
GTEX-14PKV-1126-SM-6LLJ1 20-29 years, female 112.1
GTEX-1M4P7-0726-SM-E6CJ3 60-69 years, male 109.8
GTEX-1MCYP-0526-SM-E9U6Q 20-29 years, female 109.7
GTEX-11GS4-0226-SM-5HL77 60-69 years, male 109.6
GTEX-1CB4F-1026-SM-7DUH1 60-69 years, male 108.3
GTEX-13N2G-0226-SM-5K7VF 60-69 years, male 107.4
GTEX-1QAET-0326-SM-EVR3U 50-59 years, male 106.7
GTEX-12WSC-2826-SM-5BC5Y 50-59 years, male 106.6
GTEX-13NYC-0126-SM-5L3F4 60-69 years, male 106.6
GTEX-144GL-0626-SM-5LU4D 50-59 years, male 106.4
GTEX-1IDJV-0126-SM-COH3Y 60-69 years, male 106.2
GTEX-11NUK-2726-SM-5A5MC 50-59 years, male 105.9
GTEX-14PK6-0226-SM-62LF5 70-79 years, female 105.8
GTEX-1F48J-0726-SM-7RHGS 50-59 years, female 105.5
GTEX-11DXZ-2026-SM-5987S 50-59 years, male 105.2
GTEX-13FH7-1126-SM-5K7UG 50-59 years, female 104.1
GTEX-145ME-1726-SM-5Q5EU 40-49 years, female 103.9
GTEX-18D9B-0926-SM-7LG4U 60-69 years, male 103.8
GTEX-Y3I4-1726-SM-4TT89 50-59 years, male 103.6
GTEX-WI4N-2726-SM-3LK7Y 40-49 years, female 103.4
GTEX-1GMR8-0626-SM-7RHI7 50-59 years, female 103.2
GTEX-11OF3-0126-SM-5PNYF 60-69 years, male 103.1
GTEX-1HC8U-1326-SM-9YFMJ 40-49 years, female 102.3
GTEX-1LKK1-2626-SM-DKPQE 50-59 years, female 102.1
GTEX-1PIIG-2326-SM-DTXFR 30-39 years, male 101.8
GTEX-ZVTK-0226-SM-51MRG 20-29 years, male 101.5
GTEX-1GPI7-1826-SM-9KNU1 20-29 years, male 101.3
GTEX-16AAH-0626-SM-793C9 50-59 years, male 101.2
GTEX-14BIN-1126-SM-5RQJZ 50-59 years, female 100.2
GTEX-131XW-0626-SM-5PNVD 50-59 years, female 99.8
GTEX-WYVS-1626-SM-3NM9R 40-49 years, female 98.4
GTEX-1H11D-1826-SM-9QEHM 40-49 years, male 98.4
GTEX-1117F-2926-SM-5GZYI 60-69 years, female 98.2
GTEX-1A8G7-1326-SM-73KVM 60-69 years, male 98.2
GTEX-1JJEA-1826-SM-ARU8P 60-69 years, male 97.9
GTEX-1C6VR-0126-SM-7RHGB 60-69 years, male 97.7
GTEX-14A6H-2026-SM-5Q5DD 30-39 years, male 96.9
GTEX-XQ3S-1426-SM-4BOPR 20-29 years, male 96.4
GTEX-1H4P4-2126-SM-9WYSL 50-59 years, male 96.4
GTEX-1C475-1326-SM-7SB73 40-49 years, female 95.8
GTEX-14LLW-2626-SM-62LDZ 70-79 years, female 95.5
GTEX-1QP29-1826-SM-DTX9S 50-59 years, male 95.4
GTEX-15DDE-2926-SM-6LLJ3 50-59 years, female 94.5
GTEX-14PJ4-0226-SM-5YY92 60-69 years, male 94.0
GTEX-17HHY-0426-SM-7DHLC 50-59 years, male 94.0
GTEX-1JKYR-0626-SM-ARL8R 20-29 years, male 93.5
GTEX-ZPIC-0526-SM-DO91W 40-49 years, female 93.5
GTEX-14PHY-1226-SM-5ZZWK 60-69 years, female 92.9
GTEX-1F6I4-2326-SM-7RHGL 60-69 years, male 92.9
GTEX-1GN2E-0226-SM-9WG6K 60-69 years, male 92.7
GTEX-1N2EE-0626-SM-E76PW 60-69 years, male 92.5
GTEX-1QMI2-2526-SM-E8VNZ 60-69 years, male 91.9
GTEX-13PVQ-0626-SM-5LU47 50-59 years, male 91.4
GTEX-1LSNL-2726-SM-E9TKJ 50-59 years, male 90.6
GTEX-11DZ1-2426-SM-5GZZX 50-59 years, male 90.4
GTEX-14BMV-2826-SM-5TDED 50-59 years, male 89.7
GTEX-Y5V5-0126-SM-5S2NW 60-69 years, female 89.1
GTEX-XUW1-0926-SM-4BONX 50-59 years, female 89.0
GTEX-1LVAN-0626-SM-CNPOQ 50-59 years, female 89.0
GTEX-14E6E-0526-SM-793DN 30-39 years, male 88.8
GTEX-12584-0726-SM-5FQTK 40-49 years, male 88.3
GTEX-14LZ3-0126-SM-69LPM 60-69 years, female 87.8
GTEX-1EH9U-2826-SM-7DUGT 60-69 years, male 87.6
GTEX-13SLW-0626-SM-5Q5ER 70-79 years, male 87.5
GTEX-1B933-2426-SM-7DHMD 50-59 years, female 86.6
GTEX-15D1Q-2826-SM-6LLH7 40-49 years, male 86.5
GTEX-V1D1-2026-SM-3GAF4 50-59 years, male 86.4
GTEX-1O9I2-0226-SM-EYYXD 50-59 years, male 86.4
GTEX-1E1VI-0326-SM-793D1 50-59 years, male 86.2
GTEX-1211K-1526-SM-5FQU4 60-69 years, female 86.0
GTEX-1R9PN-0426-SM-DTXDT 40-49 years, female 85.8
GTEX-ZGAY-1826-SM-DO91Q 40-49 years, female 85.1
GTEX-U8XE-0226-SM-4E3J3 30-39 years, male 84.5
GTEX-ZF29-0926-SM-4WKFZ 60-69 years, female 84.3
GTEX-148VJ-0626-SM-5LUAW 70-79 years, male 83.9
GTEX-14ABY-2026-SM-62LDL 50-59 years, male 83.7
GTEX-1A3MW-0626-SM-731CB 60-69 years, female 83.6
GTEX-1S5ZU-2526-SM-E6CIF 20-29 years, female 83.5
GTEX-17JCI-2926-SM-7DUFF 60-69 years, female 83.1
GTEX-XV7Q-1826-SM-4BRUV 40-49 years, female 83.1
GTEX-1ICLY-0826-SM-CMKG1 50-59 years, male 83.1
GTEX-1HR98-2226-SM-ADEI2 60-69 years, male 83.0
GTEX-1LG7Y-2526-SM-EWRO7 50-59 years, male 81.9
GTEX-1I1GU-0926-SM-ACKVS 40-49 years, male 81.3
GTEX-1J8JJ-0626-SM-ARZMQ 60-69 years, female 81.3
GTEX-1B8L1-2226-SM-7P8PT 60-69 years, male 81.1
GTEX-1HT8W-0626-SM-A9G2H 30-39 years, male 81.0
GTEX-1IL2V-1926-SM-B2LW8 70-79 years, male 80.6
GTEX-1CB4E-0926-SM-7EPHT 60-69 years, male 80.2
GTEX-1H1DG-2426-SM-9QEHJ 70-79 years, male 79.7
GTEX-1F6IF-0926-SM-7SB7M 60-69 years, male 79.1
GTEX-11DXW-0826-SM-5H118 40-49 years, male 78.8
GTEX-1EMGI-2326-SM-7PBYA 60-69 years, male 78.1
GTEX-16MTA-0926-SM-6M47Z 50-59 years, male 78.0
GTEX-1POEN-2326-SM-E9J2L 30-39 years, female 77.9
GTEX-1GF9U-2026-SM-7SB92 40-49 years, female 77.5
GTEX-1B932-2326-SM-79OL5 40-49 years, female 77.4
GTEX-Y111-0626-SM-4SOIT 50-59 years, male 77.1
GTEX-1EN7A-2426-SM-793DB 40-49 years, male 76.9
GTEX-1H1DF-1126-SM-9WG7G 40-49 years, female 76.8
GTEX-14PKU-0126-SM-6LLHV 40-49 years, female 76.1
GTEX-1CAV2-0126-SM-7IGN7 40-49 years, female 75.9
GTEX-1IOXB-2726-SM-CM2RI 50-59 years, male 75.8
GTEX-12WSJ-1126-SM-5LZVJ 40-49 years, female 75.4
GTEX-1RB15-1326-SM-E76Q9 60-69 years, male 74.9
GTEX-1JMQI-1726-SM-ARL93 50-59 years, male 74.6
GTEX-11ZU8-0126-SM-5EQ58 60-69 years, male 74.5
GTEX-13U4I-2226-SM-5LU5H 40-49 years, female 73.8
GTEX-1EKGG-0626-SM-7DUGJ 60-69 years, male 73.3
GTEX-1F75W-2726-SM-7SB8H 60-69 years, male 73.2
GTEX-1HCU6-2526-SM-ADEHL 60-69 years, female 72.7
GTEX-1GZ2Q-0126-SM-9WG6M 40-49 years, male 72.0
GTEX-1AYD5-2626-SM-7PBXY 50-59 years, male 70.8
GTEX-X8HC-0626-SM-4E3HQ 50-59 years, female 70.2
GTEX-1J1OQ-0126-SM-D4P2N 40-49 years, female 69.6
GTEX-17MF6-2626-SM-79OKQ 40-49 years, male 68.9
GTEX-1J8QM-2426-SM-A9SLS 60-69 years, female 68.9
GTEX-13O3O-2326-SM-5IJD6 60-69 years, female 68.3
GTEX-1E2YA-2126-SM-7MXUO 50-59 years, male 67.9
GTEX-16Z82-2626-SM-7KULU 60-69 years, male 67.8
GTEX-1H1DE-1326-SM-9KNUG 20-29 years, male 67.0
GTEX-17EVP-2626-SM-7IGMA 40-49 years, male 66.5
GTEX-WRHU-2826-SM-3MJG8 50-59 years, female 66.5
GTEX-1JN6P-2926-SM-CL54D 60-69 years, male 66.1
GTEX-1IDFM-0326-SM-ARL7V 60-69 years, male 64.8
GTEX-1I4MK-0126-SM-CY8G6 50-59 years, female 63.0
GTEX-1JMOU-1026-SM-CYPSS 60-69 years, female 62.8
GTEX-ZYFD-0626-SM-5E44E 50-59 years, male 61.9
GTEX-144GO-2026-SM-5O99P 60-69 years, male 59.6
GTEX-ZU9S-1826-SM-5NQ9E 30-39 years, male 59.5
GTEX-13O3Q-0126-SM-5KM34 50-59 years, male 58.4
GTEX-1CAMS-2226-SM-7PBXQ 40-49 years, female 57.6
GTEX-1IDJI-0126-SM-CMKHS 50-59 years, female 57.2
GTEX-WFON-1926-SM-3LK7L 40-49 years, male 57.1
GTEX-1JJE9-2626-SM-ARZMT 70-79 years, male 56.5
GTEX-16GPK-0626-SM-7KFSF 60-69 years, male 56.0
GTEX-1LSVX-2526-SM-DIPEU 60-69 years, male 55.8
GTEX-1I1CD-0626-SM-CE6SW 60-69 years, female 55.7
GTEX-1HSMO-0626-SM-ACKXC 60-69 years, male 54.1
GTEX-1399Q-2326-SM-5KM2X 40-49 years, male 54.0
GTEX-13NYB-0126-SM-5J1MD 40-49 years, male 51.2
GTEX-1J8Q3-0526-SM-ARL8U 60-69 years, male 50.1
GTEX-1BAJH-2426-SM-7IGP8 70-79 years, male 49.2
GTEX-1HFI6-0126-SM-CNPPI 40-49 years, male 49.2
GTEX-1399R-1326-SM-5PNYS 30-39 years, male 49.1
GTEX-145LU-1926-SM-79OJN 50-59 years, male 48.6
GTEX-11UD2-2526-SM-5CVNU 50-59 years, male 47.9
GTEX-1A3MX-2626-SM-7PC24 60-69 years, male 47.3
GTEX-1F88F-0126-SM-9WYSZ 60-69 years, female 47.1
GTEX-17EVQ-0126-SM-7IGLR 70-79 years, male 46.9
GTEX-1HR9M-2226-SM-CNPPY 60-69 years, male 45.7
GTEX-1I1HK-2326-SM-CKZOH 60-69 years, male 45.7
GTEX-ZYVF-0926-SM-5E44J 50-59 years, female 45.6
GTEX-145MH-2826-SM-5RQJF 50-59 years, male 45.5
GTEX-1EX96-1026-SM-7MKG2 50-59 years, male 43.9
GTEX-ZYFC-0426-SM-5GICQ 50-59 years, male 43.9
GTEX-139UW-0326-SM-5J1ML 60-69 years, male 43.1
GTEX-13QBU-1226-SM-5LU4G 40-49 years, female 43.1
GTEX-1GZHY-0626-SM-9KNVC 50-59 years, female 40.2
GTEX-1GPI6-1926-SM-9KNV7 60-69 years, male 39.5
GTEX-1A8FM-0626-SM-7PC25 50-59 years, female 39.0
GTEX-1HKZK-0726-SM-ACKW2 40-49 years, male 39.0
GTEX-145MF-0926-SM-5Q5EA 50-59 years, male 38.3
GTEX-ZYT6-2326-SM-5GZY3 30-39 years, male 37.7
GTEX-1I1GP-1326-SM-A9G28 50-59 years, male 36.5
GTEX-14XAO-1226-SM-6EU1C 60-69 years, female 34.0
GTEX-1HUB1-1426-SM-CGQF5 60-69 years, male 34.0
GTEX-147JS-0226-SM-5S2U9 60-69 years, male 33.1
GTEX-1S82U-1026-SM-E6CJK 30-39 years, female 32.2
GTEX-13VXU-0626-SM-5L3F9 50-59 years, male 30.1
GTEX-183WM-0326-SM-72D5V 70-79 years, female 28.1
GTEX-17HG3-2626-SM-7DUF2 30-39 years, female 27.7
GTEX-14JG1-1526-SM-5YY9X 40-49 years, male 22.4
GTEX-1LVA9-2626-SM-EVYD4 50-59 years, male 18.3
GTEX-1HCU8-2526-SM-CE6RX 60-69 years, female 17.8
GTEX-1A8G6-2726-SM-731AR 60-69 years, male 16.8
GTEX-1C6VQ-1226-SM-73KYD 50-59 years, male 14.8
GTEX-14C38-0726-SM-5SI6M 50-59 years, male 13.1
GTEX-11WQK-1026-SM-5EQLX 50-59 years, male 10.5
GTEX-144FL-0626-SM-5LU43 50-59 years, male 10.2
GTEX-1H3O1-1326-SM-9MQLD 60-69 years, male 8.2
GTEX-13X6J-0626-SM-5LU5F 50-59 years, male 8.1
GTEX-1GN1V-2826-SM-9JGIA 60-69 years, male 7.5
GTEX-11PRG-0726-SM-5EGL1 50-59 years, male 7.4
GTEX-1H3VE-0726-SM-9YFL5 40-49 years, male 3.8
GTEX-16MT9-0126-SM-7EPI8 60-69 years, female 3.6
GTEX-1JMQL-2226-SM-CNPP4 50-59 years, female 2.9
GTEX-13JVG-0726-SM-5KM16 60-69 years, male 2.3
GTEX-1AX9J-1326-SM-731BJ 60-69 years, male 1.3
Show allShow less
Skin - Sun Exposed (Lower leg)
Average nTPM: 200.2
Samples: 701

Max nTPM: 811.0
Min nTPM: 9.4
Std nTPM: 106.7
Median nTPM: 182.0
GTEX-1K2DA-1826-SM-CGQGT 50-59 years, male 811.0
GTEX-XQ8I-0426-SM-4BOPO 50-59 years, male 780.7
GTEX-131XF-5016-SM-7MGWE 60-69 years, male 733.8
GTEX-13113-5016-SM-7EPIP 60-69 years, female 724.1
GTEX-1122O-2126-SM-5EGIR 60-69 years, female 681.3
GTEX-ZXES-1826-SM-5E43S 30-39 years, female 608.5
GTEX-ZGAY-0526-SM-4WWBB 40-49 years, female 584.8
GTEX-1KANC-1526-SM-D3LAB 50-59 years, female 579.7
GTEX-1PIGE-0126-SM-EVYBJ 20-29 years, male 577.8
GTEX-15SB6-1726-SM-6PAME 50-59 years, female 563.7
GTEX-1S83E-0126-SM-EWRO4 40-49 years, male 548.4
GTEX-ZVT2-2526-SM-51MT1 50-59 years, female 537.9
GTEX-1PDJ9-0326-SM-DTX95 20-29 years, male 535.5
GTEX-1NV5F-0226-SM-E8VNY 60-69 years, female 497.9
GTEX-1S3DN-2226-SM-EVYCD 50-59 years, male 474.3
GTEX-1NHNU-1026-SM-E9J2A 50-59 years, male 458.8
GTEX-1QP9N-1426-SM-DTXFL 30-39 years, male 451.9
GTEX-1H2FU-0126-SM-9WYSI 60-69 years, female 448.1
GTEX-ZVZP-2426-SM-59HKJ 50-59 years, male 447.9
GTEX-15EU6-0426-SM-6PAN5 50-59 years, male 445.0
GTEX-1HSGN-0226-SM-CGQFV 40-49 years, female 444.9
GTEX-PWCY-1826-SM-DHXIZ 20-29 years, female 442.2
GTEX-UJHI-1526-SM-3DB99 50-59 years, female 439.8
GTEX-1QCLY-0326-SM-E8VOG 30-39 years, male 433.6
GTEX-1J8QM-2126-SM-CYPSJ 60-69 years, female 430.9
GTEX-ZF2S-2326-SM-4WWCE 50-59 years, female 428.5
GTEX-17F96-1626-SM-7DUFL 70-79 years, male 423.7
GTEX-YB5E-2026-SM-5IFIS 40-49 years, male 422.7
GTEX-1LSNM-1926-SM-E6CII 50-59 years, male 421.1
GTEX-O5YW-0126-SM-3LK6D 50-59 years, male 420.8
GTEX-1OJC3-0126-SM-E76QX 20-29 years, male 413.9
GTEX-OHPM-0126-SM-2YUN9 50-59 years, male 411.2
GTEX-14ICK-0226-SM-6EU25 40-49 years, male 408.9
GTEX-11ZUS-0626-SM-59885 30-39 years, male 404.9
GTEX-1ICG6-2526-SM-CGQFZ 70-79 years, female 399.6
GTEX-1F75I-0326-SM-9YFLU 40-49 years, male 399.0
GTEX-T5JC-0426-SM-32PLO 20-29 years, male 397.5
GTEX-13FTW-2626-SM-5K7WL 40-49 years, male 396.0
GTEX-TML8-1926-SM-32QOS 40-49 years, female 382.0
GTEX-X88G-0126-SM-47JZ3 30-39 years, male 381.4
GTEX-1S82Z-0826-SM-E6CHY 30-39 years, female 368.8
GTEX-S95S-1226-SM-4GICG 60-69 years, male 359.2
GTEX-ZYT6-0226-SM-5NQ6T 30-39 years, male 358.9
GTEX-1ICLY-0126-SM-D4P36 50-59 years, male 358.0
GTEX-PLZ6-1426-SM-DKPOT 30-39 years, male 355.8
GTEX-16NGA-1726-SM-731B4 40-49 years, female 354.6
GTEX-14PHX-2326-SM-62LEM 50-59 years, male 354.0
GTEX-13NZ8-0826-SM-5MR3I 60-69 years, female 349.9
GTEX-139D8-0226-SM-5KLZO 30-39 years, female 349.3
GTEX-145MO-0326-SM-5Q5B3 60-69 years, male 349.1
GTEX-1I4MK-2226-SM-ACKWD 50-59 years, female 347.4
GTEX-1MA7W-2026-SM-E9TJ6 20-29 years, female 345.7
GTEX-XBEW-0626-SM-4QASP 40-49 years, male 343.8
GTEX-17F98-0626-SM-79OMX 40-49 years, female 341.9
GTEX-YB5K-2126-SM-4WWDJ 40-49 years, female 341.1
GTEX-13FTX-1826-SM-5J1NX 20-29 years, female 339.8
GTEX-1JKYN-1326-SM-CGQG9 30-39 years, male 337.6
GTEX-1LBAC-0126-SM-DIPEZ 20-29 years, male 335.7
GTEX-X4EP-0126-SM-3P5YV 60-69 years, female 334.7
GTEX-1F6RS-0126-SM-9MQKZ 60-69 years, female 330.1
GTEX-12WSN-5019-SM-79OM6 40-49 years, male 329.8
GTEX-15SHU-0126-SM-7KUEH 40-49 years, female 322.1
GTEX-13OVH-0126-SM-5MR4B 70-79 years, male 319.7
GTEX-1I6K6-0126-SM-A9SLE 30-39 years, male 319.3
GTEX-1AMEY-1326-SM-73KYK 30-39 years, female 319.2
GTEX-11TT1-2526-SM-5EGIB 20-29 years, male 318.7
GTEX-18D9U-0226-SM-718BP 40-49 years, male 318.5
GTEX-1JMQI-2226-SM-CM2SD 50-59 years, male 317.8
GTEX-1C475-1826-SM-73KWA 40-49 years, female 316.8
GTEX-WYJK-0126-SM-3NMAB 50-59 years, male 316.8
GTEX-1JJ6O-0126-SM-E6CI8 60-69 years, male 316.2
GTEX-OXRK-0226-SM-3NB2G 50-59 years, female 316.0
GTEX-1R7EV-2426-SM-EVYBG 40-49 years, male 315.0
GTEX-T6MO-1626-SM-32QOM 40-49 years, female 314.5
GTEX-WXYG-2326-SM-4E3I6 50-59 years, female 314.2
GTEX-1R7EU-0226-SM-EVR4G 60-69 years, male 313.1
GTEX-1CAV2-2226-SM-7P8P2 40-49 years, female 312.5
GTEX-XAJ8-0826-SM-47JY6 40-49 years, male 312.3
GTEX-XYKS-2126-SM-4E3IB 60-69 years, female 311.5
GTEX-14A5I-0126-SM-5TDEA 50-59 years, female 311.0
GTEX-P4PP-0126-SM-3LK69 30-39 years, female 310.8
GTEX-ZF29-2326-SM-DO92K 60-69 years, female 309.7
GTEX-1H1E6-1726-SM-ACKVK 30-39 years, male 308.0
GTEX-1128S-2326-SM-5GZZY 60-69 years, female 307.7
GTEX-1RAZQ-0726-SM-EAZ43 30-39 years, male 307.1
GTEX-16AAH-1726-SM-7939C 50-59 years, male 307.0
GTEX-139T8-0126-SM-5K7XZ 60-69 years, male 306.1
GTEX-WI4N-1026-SM-3LK7N 40-49 years, female 304.0
GTEX-1KANA-0726-SM-D3L9I 20-29 years, male 303.9
GTEX-13OVK-2026-SM-7KUEO 40-49 years, male 303.0
GTEX-15F5U-1526-SM-6PANO 40-49 years, male 302.4
GTEX-145LV-2126-SM-5LU8N 50-59 years, male 301.2
GTEX-TMMY-0226-SM-33HBA 40-49 years, female 300.6
GTEX-S7PM-0126-SM-4AD6S 60-69 years, male 300.5
GTEX-Y3IK-2426-SM-4WWDU 50-59 years, female 298.4
GTEX-W5WG-1826-SM-4KL2Y 50-59 years, female 298.2
GTEX-17EUY-0426-SM-793BD 20-29 years, male 297.9
GTEX-13O21-1426-SM-5K7XI 50-59 years, male 297.6
GTEX-ZF3C-0126-SM-DO92D 50-59 years, female 297.2
GTEX-1MUQO-0126-SM-EAZ58 60-69 years, male 297.1
GTEX-14PJ3-1826-SM-62LEX 50-59 years, male 294.3
GTEX-13W46-0226-SM-5SIAG 50-59 years, male 294.1
GTEX-11EM3-2426-SM-59861 20-29 years, female 293.6
GTEX-1QP2A-0126-SM-E9J43 50-59 years, male 293.6
GTEX-1C2JI-1826-SM-73KXC 50-59 years, male 293.4
GTEX-1C4CL-0526-SM-73KVK 30-39 years, male 293.2
GTEX-1HSMQ-1226-SM-CGQFX 50-59 years, male 293.1
GTEX-ZE9C-2726-SM-57WB5 60-69 years, male 291.6
GTEX-ZPIC-1726-SM-DHXIU 40-49 years, female 290.9
GTEX-PSDG-0226-SM-DKPOZ 50-59 years, male 290.2
GTEX-1H23P-0126-SM-ADEJ3 60-69 years, male 289.0
GTEX-SUCS-1926-SM-32PM3 70-79 years, male 287.5
GTEX-1B996-0226-SM-7RHGO 60-69 years, male 286.1
GTEX-X4XX-0126-SM-3NMC2 60-69 years, male 285.2
GTEX-13PDP-0126-SM-5L3HD 60-69 years, male 284.7
GTEX-OIZH-0126-SM-2HMIS 50-59 years, male 283.0
GTEX-131YS-0126-SM-5KM1M 60-69 years, female 282.2
GTEX-XUYS-0126-SM-47JWZ 50-59 years, male 281.8
GTEX-ZDTT-2726-SM-4WKF8 60-69 years, male 281.4
GTEX-1JMPZ-0226-SM-CNPP1 30-39 years, male 281.0
GTEX-11UD1-0126-SM-5PNYG 40-49 years, female 280.8
GTEX-1LG7Z-1726-SM-D3LA4 30-39 years, male 280.8
GTEX-1IKK5-0626-SM-ARL8A 60-69 years, male 279.9
GTEX-Y5V6-2426-SM-4VDSB 60-69 years, male 279.4
GTEX-1R9PM-2026-SM-E76OY 20-29 years, male 279.4
GTEX-1KD5A-0226-SM-D5OV3 50-59 years, male 278.1
GTEX-1R9PO-2126-SM-E9J4O 60-69 years, female 278.1
GTEX-14LZ3-0226-SM-62LET 60-69 years, female 278.0
GTEX-13JUV-2726-SM-5LZZ8 40-49 years, female 277.7
GTEX-WRHK-1426-SM-3MJF9 20-29 years, female 276.6
GTEX-U412-0426-SM-3DB9O 60-69 years, male 276.2
GTEX-1QP29-0626-SM-EWRMX 50-59 years, male 275.9
GTEX-1H1CY-2826-SM-9MQM3 60-69 years, female 275.1
GTEX-1QW4Y-1526-SM-EAZ3Z 30-39 years, male 274.6
GTEX-XQ3S-1526-SM-4BOOC 20-29 years, male 273.5
GTEX-11WQC-2526-SM-5CVLE 60-69 years, male 273.4
GTEX-1I1GT-0626-SM-CGQER 60-69 years, female 273.4
GTEX-17JCI-0126-SM-7LG5G 60-69 years, female 273.3
GTEX-ZQUD-1426-SM-57WER 30-39 years, male 273.0
GTEX-OOBJ-0126-SM-E6CJW 60-69 years, male 273.0
GTEX-T2YK-0526-SM-32QPJ 50-59 years, male 272.8
GTEX-WQUQ-0426-SM-3MJFU 60-69 years, male 272.4
GTEX-1J1OQ-0226-SM-CYPSH 40-49 years, female 271.4
GTEX-14PJM-0226-SM-62LF1 50-59 years, female 270.4
GTEX-UPJH-0326-SM-3GADU 50-59 years, male 270.1
GTEX-18D9A-1926-SM-7LG6P 30-39 years, female 269.5
GTEX-13FXS-0226-SM-5IJCK 50-59 years, male 268.5
GTEX-1JK1U-2026-SM-CM2RZ 60-69 years, male 267.8
GTEX-1PPH7-2326-SM-EVYB8 40-49 years, male 266.4
GTEX-18A66-0226-SM-718BD 60-69 years, male 265.6
GTEX-T8EM-1026-SM-3DB7M 40-49 years, male 264.9
GTEX-14BMU-2226-SM-5TDE9 20-29 years, female 264.7
GTEX-1H3VY-0126-SM-ACKXD 50-59 years, male 264.1
GTEX-1OFPY-2426-SM-DTXEJ 60-69 years, male 263.5
GTEX-SN8G-0126-SM-32PLI 50-59 years, female 263.1
GTEX-13PVR-2326-SM-5QGR1 60-69 years, female 262.8
GTEX-1EWIQ-0126-SM-7RHH2 70-79 years, female 262.8
GTEX-W5X1-3026-SM-EAZAX 40-49 years, female 262.8
GTEX-1F5PL-0326-SM-7P8PQ 40-49 years, female 262.4
GTEX-Y5V5-2326-SM-4V6GA 60-69 years, female 261.5
GTEX-1J1R8-1726-SM-ARL8M 40-49 years, male 261.0
GTEX-146FQ-0126-SM-5NQA9 30-39 years, male 260.8
GTEX-P4PQ-0126-SM-2S1NM 60-69 years, male 258.3
GTEX-1313W-0126-SM-5LZUN 50-59 years, female 257.9
GTEX-16XZZ-0126-SM-793DV 60-69 years, male 257.5
GTEX-XBED-2226-SM-47JYQ 60-69 years, male 257.3
GTEX-ZDTS-0126-SM-4WAY5 60-69 years, male 257.2
GTEX-1PPH8-0226-SM-E8VND 20-29 years, male 256.6
GTEX-1CAMR-1926-SM-7EPI2 20-29 years, male 254.9
GTEX-1IDJF-0126-SM-CM2RS 20-29 years, male 254.7
GTEX-1HFI6-0226-SM-ADEHZ 40-49 years, male 254.1
GTEX-1LB8K-0226-SM-EWRNW 50-59 years, male 253.8
GTEX-13RTJ-2426-SM-5S2Q2 60-69 years, male 253.7
GTEX-14PHW-0126-SM-6LLJI 60-69 years, female 253.3
GTEX-13D11-2426-SM-5KM1V 50-59 years, female 251.6
GTEX-131XH-2226-SM-5DUXJ 50-59 years, male 251.2
GTEX-1MGNQ-0126-SM-EVYCJ 40-49 years, male 250.0
GTEX-1GN1U-0126-SM-7PBZK 50-59 years, female 249.8
GTEX-R55G-2526-SM-2TC6D 40-49 years, female 248.8
GTEX-145MI-0526-SM-5O9A8 60-69 years, female 248.7
GTEX-1CB4I-0226-SM-79OLH 50-59 years, male 248.6
GTEX-S33H-1026-SM-EZ6L6 30-39 years, male 248.6
GTEX-T2IS-0126-SM-4DM6O 20-29 years, female 248.2
GTEX-14PII-0226-SM-6EU1T 60-69 years, male 248.0
GTEX-1B8KE-2126-SM-73KYX 50-59 years, male 247.2
GTEX-11NSD-2226-SM-5986V 20-29 years, male 246.7
GTEX-117YX-2326-SM-5H12W 50-59 years, male 244.9
GTEX-1399R-2726-SM-5IJBA 30-39 years, male 244.3
GTEX-169BO-1326-SM-9MQK2 50-59 years, male 244.2
GTEX-1GPI7-0126-SM-9MQL8 20-29 years, male 243.9
GTEX-13NZB-2526-SM-5J1OM 30-39 years, male 243.8
GTEX-1J8EW-0126-SM-CJI4F 60-69 years, female 243.5
GTEX-1F5PK-2426-SM-7RHHY 50-59 years, male 243.0
GTEX-1QPFJ-0226-SM-E76PB 30-39 years, female 242.8
GTEX-15ER7-0326-SM-7KUEV 20-29 years, female 242.7
GTEX-YEC4-2126-SM-5IFJH 40-49 years, male 242.6
GTEX-17HHE-2026-SM-79OKF 50-59 years, male 242.4
GTEX-11P81-2326-SM-59875 30-39 years, female 242.1
GTEX-RVPV-0126-SM-EAZAW 60-69 years, male 242.0
GTEX-11P7K-2126-SM-5GU7G 30-39 years, male 240.8
GTEX-14E6C-0126-SM-5RQIP 40-49 years, male 240.5
GTEX-ZVTK-0426-SM-51MRS 20-29 years, male 239.5
GTEX-1J8Q3-1626-SM-CMKGC 60-69 years, male 239.4
GTEX-1JMPY-1326-SM-ARL8Y 30-39 years, male 236.9
GTEX-WY7C-2326-SM-3NB2U 50-59 years, male 236.7
GTEX-Y8E4-0626-SM-4WWDL 40-49 years, male 236.4
GTEX-NFK9-0226-SM-2HMKQ 40-49 years, male 235.6
GTEX-14BIL-0126-SM-5SI92 50-59 years, male 235.0
GTEX-145MN-2226-SM-5SIAU 30-39 years, male 234.8
GTEX-1497J-2426-SM-7IGNX 60-69 years, male 234.6
GTEX-QVJO-1626-SM-2S1QW 60-69 years, female 234.0
GTEX-T6MN-0126-SM-32PLP 50-59 years, male 233.3
GTEX-13CF2-2526-SM-5LZYX 60-69 years, male 232.9
GTEX-13G51-2526-SM-5LZYK 60-69 years, male 231.8
GTEX-1KANB-0526-SM-E6CJH 50-59 years, male 231.8
GTEX-1GN1W-0526-SM-9MQJQ 50-59 years, female 231.6
GTEX-1MCYP-1926-SM-E9J2R 20-29 years, female 231.4
GTEX-1IL2V-0126-SM-CM2TX 70-79 years, male 230.9
GTEX-P4QT-0126-SM-2I3FL 50-59 years, female 230.7
GTEX-1HCU6-0126-SM-CL54K 60-69 years, female 230.0
GTEX-11TUW-2726-SM-E9J4M 60-69 years, male 229.6
GTEX-ZZ64-1726-SM-5GZYB 20-29 years, male 229.4
GTEX-1F52S-0126-SM-9MQJU 60-69 years, female 229.2
GTEX-OIZG-0726-SM-33HBL 50-59 years, male 228.4
GTEX-12WSK-2326-SM-5GCOH 40-49 years, female 227.9
GTEX-1AX9J-0226-SM-73KXM 60-69 years, male 227.4
GTEX-1I1GQ-0126-SM-COH3H 50-59 years, male 226.4
GTEX-146FH-0126-SM-5QGPP 50-59 years, female 226.1
GTEX-RTLS-0126-SM-447CA 60-69 years, female 225.3
GTEX-ZTX8-1426-SM-5DUVO 20-29 years, male 224.7
GTEX-1J8Q2-0526-SM-CM2RW 60-69 years, male 224.6
GTEX-1H1DE-2126-SM-9WG6R 20-29 years, male 224.5
GTEX-145LS-0126-SM-5QGP1 60-69 years, female 224.3
GTEX-T5JW-1626-SM-3GADZ 20-29 years, female 223.9
GTEX-1AX9I-0126-SM-7SB74 60-69 years, male 223.7
GTEX-12WSD-0126-SM-59HKN 60-69 years, female 222.5
GTEX-145LT-1726-SM-5QGP3 40-49 years, male 221.0
GTEX-X5EB-2226-SM-46MW4 40-49 years, male 220.4
GTEX-17GQL-2026-SM-718BA 60-69 years, male 220.3
GTEX-13IVO-0126-SM-5J1NG 70-79 years, male 220.2
GTEX-11EQ9-2426-SM-5HL5T 30-39 years, male 219.8
GTEX-146FR-1326-SM-E9J48 60-69 years, female 219.1
GTEX-Y5LM-1926-SM-5RQJH 40-49 years, female 218.6
GTEX-1S5ZA-0126-SM-EVYCV 20-29 years, male 218.6
GTEX-QESD-1426-SM-2S1R9 20-29 years, male 217.4
GTEX-1CB4J-0626-SM-7DHMP 60-69 years, male 216.9
GTEX-14753-0426-SM-5NQAM 60-69 years, male 216.2
GTEX-145ME-1826-SM-5SI9G 40-49 years, female 215.7
GTEX-18465-0126-SM-731BN 50-59 years, male 215.2
GTEX-1K9T9-0126-SM-EVYCF 50-59 years, female 214.2
GTEX-13111-1626-SM-5EGJY 50-59 years, male 214.1
GTEX-18D9B-0526-SM-7LTAS 60-69 years, male 213.2
GTEX-13NYC-0326-SM-E9J4S 60-69 years, male 212.8
GTEX-1N2DV-0226-SM-E6CJ6 40-49 years, male 212.6
GTEX-U8XE-0326-SM-3DB8P 30-39 years, male 212.5
GTEX-1HSEH-0126-SM-ACKXN 60-69 years, male 212.4
GTEX-13OVI-1426-SM-5L3EY 60-69 years, female 212.3
GTEX-1A3MV-1926-SM-718BT 30-39 years, male 212.2
GTEX-ZZPT-0226-SM-5E43X 50-59 years, male 211.8
GTEX-13YAN-0326-SM-5O9DF 60-69 years, male 211.5
GTEX-1IL2U-0226-SM-CE6T8 60-69 years, male 211.5
GTEX-11DXZ-2326-SM-5EGGV 50-59 years, male 211.2
GTEX-1EMGI-0126-SM-9KNUE 60-69 years, male 210.8
GTEX-ZYFG-2326-SM-5E44B 60-69 years, female 210.7
GTEX-17HG3-2226-SM-7938L 30-39 years, female 210.5
GTEX-11ZVC-2526-SM-5FQTE 50-59 years, female 209.4
GTEX-1314G-1526-SM-5EGK2 30-39 years, male 209.3
GTEX-1HCU9-1526-SM-A9SL7 20-29 years, male 209.2
GTEX-14PN3-2426-SM-6LLHS 60-69 years, female 208.9
GTEX-1399U-2326-SM-5K7WY 50-59 years, female 208.6
GTEX-14C5O-0126-SM-5SI6N 60-69 years, male 208.6
GTEX-13OW6-0426-SM-5L3HM 50-59 years, male 208.3
GTEX-13W3W-2426-SM-5LU5B 60-69 years, female 208.1
GTEX-1HBPN-0226-SM-9YFM1 50-59 years, male 207.6
GTEX-1LC47-0326-SM-E9TJP 60-69 years, male 207.1
GTEX-11ZTS-0126-SM-5EQ6M 60-69 years, female 206.7
GTEX-11ZTT-2426-SM-5EQLS 60-69 years, female 206.5
GTEX-18QFQ-0126-SM-731BE 30-39 years, male 206.5
GTEX-1GL5R-1826-SM-9KNUY 50-59 years, male 205.5
GTEX-13QJ3-0326-SM-5S2RA 50-59 years, male 205.4
GTEX-1AX8Z-0126-SM-7DHM6 60-69 years, male 205.3
GTEX-1HT8W-0126-SM-CNPPP 30-39 years, male 205.3
GTEX-15DDE-0126-SM-6LPKH 50-59 years, female 204.9
GTEX-ZAB5-1826-SM-5HL7C 50-59 years, male 204.7
GTEX-133LE-1826-SM-5J1MV 20-29 years, female 204.6
GTEX-1A3MX-0126-SM-731BR 60-69 years, male 204.4
GTEX-ZWKS-0126-SM-5SIAA 30-39 years, male 204.4
GTEX-1JN6P-0126-SM-D3L98 60-69 years, male 204.3
GTEX-111VG-2426-SM-5GZXD 60-69 years, male 204.2
GTEX-1GF9V-0326-SM-7RHI5 60-69 years, male 203.9
GTEX-17HII-0226-SM-7LG4E 50-59 years, male 203.4
GTEX-1HCU7-0226-SM-CL545 50-59 years, male 203.4
GTEX-11DXX-2426-SM-5GZZW 60-69 years, female 202.8
GTEX-15G19-0126-SM-6PANQ 60-69 years, male 202.8
GTEX-1CB4H-0226-SM-7PBXM 60-69 years, female 202.8
GTEX-1RLM8-2326-SM-EWRN4 50-59 years, male 202.8
GTEX-1GF9W-0326-SM-9KNUN 60-69 years, male 201.4
GTEX-PX3G-0126-SM-2I3EN 20-29 years, female 201.2
GTEX-14DAR-2026-SM-5S2O3 50-59 years, male 200.9
GTEX-1LGRB-2526-SM-CNPPQ 50-59 years, female 200.4
GTEX-16MT8-0426-SM-7KUEY 60-69 years, female 199.5
GTEX-12WSE-0526-SM-793B2 20-29 years, male 198.2
GTEX-17MFQ-1726-SM-793C7 20-29 years, male 198.1
GTEX-1IDFM-0126-SM-COH2V 60-69 years, male 198.0
GTEX-1QP66-1726-SM-E8VO1 50-59 years, male 197.7
GTEX-XUW1-0426-SM-4BOOT 50-59 years, female 197.6
GTEX-ZTPG-0326-SM-5O9AX 20-29 years, female 196.7
GTEX-PW2O-1526-SM-7RHHB 20-29 years, male 196.5
GTEX-1IDJU-2626-SM-CM2RT 60-69 years, female 195.9
GTEX-1AMFI-2026-SM-731BH 50-59 years, female 195.8
GTEX-ZQG8-1626-SM-DHXIT 60-69 years, female 195.5
GTEX-VJWN-0126-SM-3GIK7 50-59 years, female 195.4
GTEX-13VXT-0126-SM-5LU4I 20-29 years, female 195.3
GTEX-1LGOU-2026-SM-DIPFF 20-29 years, female 195.1
GTEX-1JMLX-0226-SM-CM2RO 50-59 years, male 194.8
GTEX-RM2N-1426-SM-2TF4H 50-59 years, male 194.6
GTEX-16GPK-0126-SM-7DHLE 60-69 years, male 194.5
GTEX-1JN1M-0326-SM-CYPT3 60-69 years, female 194.1
GTEX-12ZZY-0226-SM-5LZVE 60-69 years, male 193.3
GTEX-131XE-2326-SM-5PNZ2 50-59 years, male 193.0
GTEX-1E2YA-0126-SM-9KNUC 50-59 years, male 193.0
GTEX-12ZZX-0126-SM-5EGK9 40-49 years, female 192.9
GTEX-ZAK1-0126-SM-5IJD3 50-59 years, female 192.9
GTEX-1CB4G-0226-SM-7PC3O 60-69 years, male 192.4
GTEX-1R46S-0626-SM-E9J41 60-69 years, female 191.0
GTEX-17EVP-0326-SM-7DHLG 40-49 years, male 190.6
GTEX-15DCD-0126-SM-7KUEK 70-79 years, female 190.1
GTEX-1JMQK-0226-SM-CL543 60-69 years, male 189.9
GTEX-1HBPI-1526-SM-C1YQ1 50-59 years, male 188.7
GTEX-S7SE-0126-SM-2XCD5 50-59 years, male 188.6
GTEX-ZV6S-2326-SM-4YCEY 40-49 years, female 187.5
GTEX-WVJS-0126-SM-4MVOT 50-59 years, male 187.3
GTEX-TKQ1-1026-SM-4GICL 30-39 years, male 187.2
GTEX-ZYFD-0126-SM-5GIDL 50-59 years, male 187.2
GTEX-XUZC-1726-SM-4BRWS 30-39 years, female 186.6
GTEX-ZVE2-0226-SM-59HJB 50-59 years, male 185.7
GTEX-1JN76-0126-SM-CNPPE 20-29 years, female 185.7
GTEX-1211K-2026-SM-5EQ4Z 60-69 years, female 185.6
GTEX-1LVAN-0226-SM-COH3S 50-59 years, female 185.2
GTEX-16BQI-0226-SM-7KUEX 30-39 years, female 184.4
GTEX-ZY6K-1826-SM-5GZXK 50-59 years, male 183.8
GTEX-1KXAM-2226-SM-CYPTC 60-69 years, male 183.8
GTEX-17HGU-0226-SM-7DHKV 50-59 years, male 183.6
GTEX-RWSA-0126-SM-2XCBB 40-49 years, male 182.9
GTEX-17EVQ-0226-SM-7LG4P 70-79 years, male 182.8
GTEX-ZV68-0126-SM-59HKS 50-59 years, female 182.7
GTEX-1I1GV-0526-SM-A9G29 60-69 years, male 182.7
GTEX-14PK6-1926-SM-6ETZU 70-79 years, female 182.2
GTEX-1HCUA-2426-SM-ADEIS 50-59 years, female 182.2
GTEX-1N2EF-0226-SM-EYYXB 60-69 years, male 182.2
GTEX-13X6J-0126-SM-5QGOU 50-59 years, male 182.0
GTEX-11DZ1-0126-SM-5985Q 50-59 years, male 181.8
GTEX-ZAB4-0226-SM-5N9F5 40-49 years, male 181.8
GTEX-1HGF4-2426-SM-ACKXM 60-69 years, male 181.7
GTEX-14LLW-0126-SM-6LLIO 70-79 years, female 181.2
GTEX-1GZ4H-1726-SM-7PBZJ 50-59 years, female 181.2
GTEX-13O1R-0126-SM-5L3EH 60-69 years, male 180.7
GTEX-QEG4-0226-SM-2S1PY 30-39 years, male 180.5
GTEX-ZU9S-0226-SM-5E441 30-39 years, male 179.4
GTEX-1I1GS-0126-SM-B2LVW 60-69 years, male 179.1
GTEX-13SLX-0526-SM-5S2ON 50-59 years, female 178.7
GTEX-1CAMS-0426-SM-7P8T2 40-49 years, female 178.6
GTEX-15UKP-0426-SM-7KUFQ 20-29 years, male 177.4
GTEX-1EU9M-0226-SM-7P8SP 60-69 years, male 176.8
GTEX-15D1Q-0126-SM-7KUG6 40-49 years, male 176.4
GTEX-15DYW-0126-SM-7KULE 60-69 years, female 176.4
GTEX-117XS-2726-SM-5N9BL 60-69 years, male 176.1
GTEX-Y114-2426-SM-4TT8A 50-59 years, female 176.0
GTEX-12KS4-0326-SM-5EQ41 30-39 years, male 175.8
GTEX-11XUK-2026-SM-5EQLF 40-49 years, female 175.7
GTEX-13O3P-0126-SM-5KM4S 50-59 years, male 175.7
GTEX-1E1VI-0126-SM-7DHMZ 50-59 years, male 175.7
GTEX-13OW5-0126-SM-DTXFS 60-69 years, male 175.5
GTEX-12126-0326-SM-5PNW3 20-29 years, male 175.2
GTEX-Z93T-0126-SM-5HL5N 50-59 years, male 173.7
GTEX-QV44-1926-SM-2S1RF 50-59 years, male 173.2
GTEX-12WSA-0226-SM-5BC5V 60-69 years, male 172.9
GTEX-18A7B-0126-SM-7LG64 70-79 years, male 172.9
GTEX-11GS4-2726-SM-5A5LE 60-69 years, male 172.6
GTEX-1F75A-0126-SM-7RHGM 50-59 years, male 171.6
GTEX-1GF9X-2026-SM-7PC3A 40-49 years, female 171.3
GTEX-18A7A-0226-SM-718BH 50-59 years, female 171.1
GTEX-OXRP-0126-SM-3NB32 60-69 years, female 170.9
GTEX-1GMRU-0126-SM-9YFLV 50-59 years, male 170.8
GTEX-13FHP-0126-SM-5IJBG 50-59 years, male 170.6
GTEX-13FHO-0226-SM-5IFGY 60-69 years, male 170.2
GTEX-1QP67-1626-SM-EAZ3X 40-49 years, female 170.2
GTEX-1L5NE-2526-SM-E6CIE 50-59 years, male 170.1
GTEX-14DAQ-0126-SM-5S2MQ 60-69 years, female 169.9
GTEX-1AX9K-2326-SM-73KWU 50-59 years, male 169.9
GTEX-12C56-1726-SM-5EQ61 20-29 years, male 169.5
GTEX-1C64O-0126-SM-7SB8P 60-69 years, male 169.4
GTEX-1HSMP-0126-SM-E6CJS 70-79 years, male 169.4
GTEX-13RTK-1426-SM-5QGQJ 20-29 years, male 169.3
GTEX-TMZS-0126-SM-3DB9Q 60-69 years, male 169.0
GTEX-ZAJG-0126-SM-5HL94 50-59 years, female 168.9
GTEX-1H1DG-0126-SM-9WYU2 70-79 years, male 168.3
GTEX-U4B1-1826-SM-4DXSU 40-49 years, male 168.2
GTEX-1C6WA-0126-SM-7PC2B 60-69 years, male 168.2
GTEX-WYVS-2126-SM-3NMA3 40-49 years, female 168.0
GTEX-S32W-2126-SM-2XCB1 50-59 years, female 167.9
GTEX-1RB15-2126-SM-E9TIM 60-69 years, male 167.9
GTEX-1H11D-0226-SM-9WG6Z 40-49 years, male 167.7
GTEX-1GMR3-1926-SM-9KNUZ 40-49 years, male 167.3
GTEX-PLZ4-0126-SM-5SI8O 50-59 years, female 167.0
GTEX-X4EO-0326-SM-3P5YO 60-69 years, female 166.8
GTEX-Y8DK-0126-SM-4TT3L 60-69 years, male 166.8
GTEX-1MCQQ-0826-SM-DLHC2 60-69 years, male 166.7
GTEX-13VXU-0126-SM-5SI9F 50-59 years, male 166.3
GTEX-1I19N-0326-SM-ACKVX 70-79 years, male 165.6
GTEX-U3ZM-1526-SM-3DB9D 40-49 years, male 165.3
GTEX-1B8KZ-2026-SM-7DHMB 50-59 years, male 164.3
GTEX-1B8L1-2526-SM-9WYTF 60-69 years, male 164.2
GTEX-1I1GR-0126-SM-CL55F 60-69 years, male 163.0
GTEX-1IDJH-0326-SM-A9SLQ 70-79 years, male 161.5
GTEX-148VI-1626-SM-5SI6E 60-69 years, female 161.3
GTEX-15UF6-0826-SM-6PALJ 70-79 years, female 160.9
GTEX-18A6Q-0126-SM-731BZ 60-69 years, male 159.3
GTEX-WZTO-0126-SM-3NM95 40-49 years, male 158.6
GTEX-13SLW-0126-SM-5SI6C 70-79 years, male 158.1
GTEX-1192X-0226-SM-5H12D 50-59 years, male 158.0
GTEX-R3RS-0126-SM-3GIJL 40-49 years, female 158.0
GTEX-X261-0126-SM-3NMD6 50-59 years, male 157.9
GTEX-1K2DU-2326-SM-E9TIV 20-29 years, male 157.8
GTEX-11DYG-0126-SM-59883 60-69 years, male 157.6
GTEX-WOFL-0126-SM-3MJG2 60-69 years, male 157.5
GTEX-1PFEY-1526-SM-E76PP 30-39 years, male 157.4
GTEX-1PBJI-0526-SM-E8VNK 20-29 years, female 157.2
GTEX-1GZHY-0326-SM-9QEHI 50-59 years, female 157.1
GTEX-1CB4F-0426-SM-9KNV4 60-69 years, male 156.1
GTEX-12WSJ-1826-SM-5GCNY 40-49 years, female 155.8
GTEX-1PIIG-0226-SM-EWRN6 30-39 years, male 155.5
GTEX-15RIG-0226-SM-7KFTL 40-49 years, male 155.4
GTEX-1POEN-0126-SM-EYYXJ 30-39 years, female 154.9
GTEX-1GN2E-0426-SM-9MQKX 60-69 years, male 154.4
GTEX-144FL-0126-SM-5TDC8 50-59 years, male 153.8
GTEX-1CAMQ-0226-SM-7IGPK 40-49 years, male 153.8
GTEX-13X6I-0626-SM-5QGP9 60-69 years, male 153.7
GTEX-ZVT3-0126-SM-5GU6I 60-69 years, female 153.6
GTEX-131XW-0426-SM-5LZWP 50-59 years, female 153.3
GTEX-OHPL-0126-SM-2HMJ7 60-69 years, female 153.0
GTEX-145LU-0126-SM-5TDCB 50-59 years, male 152.7
GTEX-OXRO-0126-SM-2YUN4 60-69 years, female 152.6
GTEX-11UD2-0226-SM-5EQKY 50-59 years, male 152.3
GTEX-16YQH-0126-SM-7DUFJ 30-39 years, male 152.1
GTEX-ZE7O-0126-SM-57WC1 50-59 years, female 151.9
GTEX-15ETS-0126-SM-7KUMW 40-49 years, female 151.6
GTEX-113JC-2326-SM-5EQ4E 50-59 years, female 151.4
GTEX-14JG6-2226-SM-6EU2G 30-39 years, female 151.3
GTEX-OXRL-0126-SM-2YUMP 50-59 years, male 150.6
GTEX-12696-2426-SM-5EQ6H 60-69 years, male 150.4
GTEX-17F97-0326-SM-7LG5B 50-59 years, male 150.4
GTEX-11VI4-1726-SM-5CVLH 40-49 years, female 150.2
GTEX-15CHC-2126-SM-6EU21 60-69 years, female 149.9
GTEX-1C6VS-0526-SM-7DUEN 60-69 years, male 148.8
GTEX-16NPX-0226-SM-79OMT 50-59 years, male 147.9
GTEX-X585-0226-SM-4QAS2 50-59 years, male 147.9
GTEX-ZVT4-0126-SM-DTXFN 50-59 years, female 147.8
GTEX-SNMC-1226-SM-2XCFP 20-29 years, male 147.5
GTEX-13FH7-2026-SM-E9J4I 50-59 years, female 147.1
GTEX-183FY-0126-SM-7LT9P 20-29 years, male 146.6
GTEX-Z9EW-1626-SM-5CVMN 40-49 years, male 146.4
GTEX-XPVG-2626-SM-4B669 50-59 years, male 146.3
GTEX-11GSO-2426-SM-5A5LY 60-69 years, male 146.0
GTEX-PVOW-0126-SM-2XCFA 40-49 years, male 146.0
GTEX-1H4P4-0726-SM-9YFLR 50-59 years, male 146.0
GTEX-OXRN-0126-SM-48TDM 50-59 years, male 145.5
GTEX-1F6I4-0126-SM-9MQL2 60-69 years, male 145.2
GTEX-13OVL-0226-SM-5L3E9 50-59 years, male 145.1
GTEX-1MJK2-0426-SM-DTXE5 50-59 years, male 144.5
GTEX-1269C-2526-SM-5EGJ3 60-69 years, female 144.3
GTEX-17KNJ-2326-SM-7DHLQ 50-59 years, male 144.2
GTEX-X638-0126-SM-47JZ8 70-79 years, female 143.9
GTEX-12WSG-2826-SM-E9J4H 50-59 years, female 143.2
GTEX-1I1CD-0126-SM-CM2TK 60-69 years, female 142.8
GTEX-XV7Q-2526-SM-4BRV9 40-49 years, female 142.7
GTEX-Y8LW-1826-SM-5S2MV 50-59 years, female 141.6
GTEX-QLQW-1126-SM-2S1Q8 30-39 years, male 141.0
GTEX-1HSKV-0226-SM-A9SKJ 60-69 years, male 139.9
GTEX-14ABY-0226-SM-5TDCQ 50-59 years, male 139.7
GTEX-1HBPM-0226-SM-ARL9F 60-69 years, female 139.6
GTEX-1M5QR-1226-SM-EWROB 40-49 years, male 139.3
GTEX-14A5H-0426-SM-5QGQF 60-69 years, male 139.0
GTEX-1IKJJ-0126-SM-CNPQB 60-69 years, male 138.5
GTEX-1IY9M-0126-SM-D3L8S 60-69 years, male 138.5
GTEX-132NY-0326-SM-5IJBL 60-69 years, male 138.4
GTEX-139TT-0126-SM-5K7Y5 60-69 years, male 138.0
GTEX-VUSG-2526-SM-4KL1V 50-59 years, male 137.7
GTEX-X8HC-0126-SM-4E3JW 50-59 years, female 137.7
GTEX-11LCK-1026-SM-5A5KB 30-39 years, male 137.6
GTEX-VJYA-1126-SM-3GIJU 60-69 years, male 136.2
GTEX-1B8SG-0126-SM-73KZ3 50-59 years, male 136.1
GTEX-13X6H-2126-SM-7EWD5 50-59 years, female 135.7
GTEX-XXEK-2226-SM-4BRUM 50-59 years, male 135.7
GTEX-1JMOU-1526-SM-CL54I 60-69 years, female 135.7
GTEX-1F48J-0126-SM-7P8TT 50-59 years, female 135.6
GTEX-ZTSS-1926-SM-57WEW 40-49 years, male 135.3
GTEX-YJ8A-0426-SM-5IFID 20-29 years, male 134.8
GTEX-11ZU8-2526-SM-5EQKI 60-69 years, male 134.3
GTEX-U8T8-0126-SM-3DB94 60-69 years, male 134.3
GTEX-1F75B-0126-SM-9KNVL 50-59 years, male 134.1
GTEX-14BMV-0126-SM-5S2PO 50-59 years, male 133.8
GTEX-ZEX8-2426-SM-4WKG4 50-59 years, male 133.8
GTEX-1IE54-0126-SM-CMKHW 40-49 years, female 133.2
GTEX-1RDX4-0126-SM-E9J4P 50-59 years, female 133.2
GTEX-1B8SF-1426-SM-7DUGL 60-69 years, male 132.9
GTEX-15SHW-0326-SM-6PAML 60-69 years, male 132.2
GTEX-ZYY3-0126-SM-5GZY5 60-69 years, female 132.0
GTEX-1JKYR-0126-SM-CNPOJ 20-29 years, male 131.7
GTEX-1RQEC-0426-SM-E6CHU 60-69 years, male 131.3
GTEX-12ZZZ-0626-SM-5DUXI 60-69 years, male 131.2
GTEX-ZC5H-0226-SM-4WAY9 40-49 years, female 131.2
GTEX-1I1GU-2226-SM-CGQFA 40-49 years, male 131.2
GTEX-U3ZH-2026-SM-3DB78 30-39 years, male 130.4
GTEX-14JIY-0126-SM-6LLH6 60-69 years, male 130.3
GTEX-111FC-0126-SM-5N9DL 60-69 years, male 129.8
GTEX-12584-0126-SM-5EGKQ 40-49 years, male 128.7
GTEX-YJ89-0126-SM-4TT3X 60-69 years, male 128.5
GTEX-WH7G-2326-SM-3NMBC 40-49 years, male 128.2
GTEX-1HCU8-0626-SM-A9SM9 60-69 years, female 128.0
GTEX-1IOXB-0126-SM-ARL8G 50-59 years, male 127.7
GTEX-R55E-0126-SM-2TC5Y 20-29 years, male 127.6
GTEX-1GMR8-0126-SM-9WYTM 50-59 years, female 127.2
GTEX-1JMQJ-0526-SM-CYPSU 50-59 years, male 127.1
GTEX-139TU-0126-SM-5K7WH 60-69 years, male 126.9
GTEX-12WSC-0126-SM-5EQ4P 50-59 years, male 126.4
GTEX-14PJ6-2126-SM-6EU1V 60-69 years, female 126.4
GTEX-11OC5-0126-SM-5HL6A 60-69 years, male 125.8
GTEX-13OW8-1326-SM-5J1OW 60-69 years, male 125.5
GTEX-1B97I-1626-SM-73KYO 40-49 years, male 124.9
GTEX-13N2G-2626-SM-5J1OT 60-69 years, male 124.6
GTEX-147GR-0526-SM-5S2MY 60-69 years, male 124.6
GTEX-QCQG-1726-SM-3GIJ9 50-59 years, female 124.6
GTEX-PLZ5-2026-SM-2S1O4 50-59 years, male 124.1
GTEX-1RAZA-0126-SM-E6CI3 20-29 years, male 124.0
GTEX-1HFI7-1826-SM-ACKXH 50-59 years, female 122.4
GTEX-1QEPI-0126-SM-EWRMQ 60-69 years, female 122.4
GTEX-1399T-2826-SM-5KLYZ 60-69 years, male 121.3
GTEX-1GTWX-0126-SM-9YFLK 60-69 years, male 120.7
GTEX-13NYS-0126-SM-5MR3W 60-69 years, male 120.6
GTEX-SJXC-0126-SM-2XCFF 60-69 years, male 120.6
GTEX-131XG-2626-SM-5KM17 50-59 years, female 120.3
GTEX-1C64N-0126-SM-793D7 50-59 years, male 120.2
GTEX-XMD2-0126-SM-4YCDU 60-69 years, female 120.2
GTEX-144GL-0126-SM-5TDE2 50-59 years, male 119.7
GTEX-1BAJH-0526-SM-793CQ 70-79 years, male 119.7
GTEX-QDVN-2026-SM-3GAEP 50-59 years, male 119.5
GTEX-Y3I4-2126-SM-4TT7C 50-59 years, male 119.4
GTEX-1QMI2-0226-SM-EVYBX 60-69 years, male 119.3
GTEX-1QAET-0926-SM-E76QM 50-59 years, male 119.1
GTEX-QDVJ-1726-SM-2I5FX 50-59 years, male 118.8
GTEX-14XAO-2326-SM-6EU1B 60-69 years, female 118.6
GTEX-11P82-1626-SM-59879 20-29 years, male 118.2
GTEX-Q2AH-1626-SM-3GAF8 40-49 years, male 118.1
GTEX-13FTY-0526-SM-5L3EV 40-49 years, female 118.0
GTEX-13S7M-0126-SM-5SI6A 60-69 years, female 118.0
GTEX-Y111-0126-SM-4SOIV 50-59 years, male 118.0
GTEX-13OVJ-0126-SM-5KM36 50-59 years, female 117.3
GTEX-13O3Q-2426-SM-5IJBR 50-59 years, male 117.2
GTEX-1KAFJ-2026-SM-CY8ID 50-59 years, male 117.2
GTEX-1B933-0126-SM-7PC29 50-59 years, female 117.1
GTEX-1GN73-0226-SM-9WG67 60-69 years, male 116.7
GTEX-1O97I-0326-SM-EYYX7 60-69 years, male 116.7
GTEX-1J8JJ-0226-SM-CL53I 60-69 years, female 116.2
GTEX-1H3NZ-0126-SM-ACKX7 60-69 years, male 115.7
GTEX-13NZA-0226-SM-5K7Z7 60-69 years, male 115.5
GTEX-14BIN-0626-SM-793DP 50-59 years, female 115.5
GTEX-QLQ7-1626-SM-2S1R8 60-69 years, male 115.3
GTEX-Z93S-0126-SM-5HL7M 50-59 years, male 115.3
GTEX-ZXG5-0126-SM-5GIEU 60-69 years, male 115.1
GTEX-14E6D-0126-SM-62LDV 50-59 years, male 113.9
GTEX-1I1GP-2226-SM-CGQFK 50-59 years, male 113.4
GTEX-1LH75-2426-SM-E9TJE 50-59 years, female 113.3
GTEX-RU72-0926-SM-2TF6B 50-59 years, female 112.7
GTEX-OIZF-0126-SM-7SB8I 60-69 years, male 112.0
GTEX-11OF3-2626-SM-5GU7F 60-69 years, male 111.6
GTEX-1F88F-2726-SM-7PBZZ 60-69 years, female 111.5
GTEX-11EI6-0126-SM-5985R 60-69 years, male 111.2
GTEX-14A6H-0126-SM-5QGPK 30-39 years, male 111.2
GTEX-X62O-0126-SM-4E3JN 50-59 years, male 111.2
GTEX-1H3O1-0426-SM-9YFKY 60-69 years, male 111.0
GTEX-RWS6-2026-SM-2XCB5 60-69 years, female 110.6
GTEX-1GZ2Q-0226-SM-7P8TL 40-49 years, male 110.0
GTEX-14JG1-0426-SM-6ETZZ 40-49 years, male 109.5
GTEX-15SDE-2226-SM-7IGLO 50-59 years, female 109.3
GTEX-Q2AI-1326-SM-2S1PL 40-49 years, male 109.3
GTEX-1GPI6-0126-SM-9WG69 60-69 years, male 109.0
GTEX-PWO3-1526-SM-48TCM 60-69 years, female 107.9
GTEX-Q2AG-0126-SM-33HBV 40-49 years, female 107.9
GTEX-147F4-0226-SM-5QGPW 50-59 years, male 107.8
GTEX-144GN-2326-SM-5LU4F 50-59 years, male 107.6
GTEX-13112-2826-SM-5DUWH 50-59 years, male 107.1
GTEX-117YW-2626-SM-5GZZH 50-59 years, male 107.0
GTEX-1HCVE-0126-SM-CGQEU 50-59 years, male 106.6
GTEX-1PWST-0226-SM-E76QJ 70-79 years, male 105.9
GTEX-1C6VR-2426-SM-79OLD 60-69 years, male 105.8
GTEX-YFC4-0126-SM-5CVLY 40-49 years, female 105.8
GTEX-1GN1V-0126-SM-9WPOS 60-69 years, male 104.6
GTEX-1IGQW-0126-SM-COH42 60-69 years, male 103.5
GTEX-X4XY-0226-SM-4E3IZ 60-69 years, male 103.2
GTEX-11O72-0126-SM-59887 40-49 years, male 102.5
GTEX-WFON-2126-SM-3LK7O 40-49 years, male 101.7
GTEX-13U4I-0126-SM-5LU38 40-49 years, female 101.3
GTEX-139TS-2826-SM-5J1OO 60-69 years, male 101.2
GTEX-13CF3-2426-SM-5IFGX 60-69 years, female 101.1
GTEX-13RTL-0126-SM-7LG5S 40-49 years, male 101.1
GTEX-14BIM-0226-SM-7IGLD 60-69 years, female 100.6
GTEX-O5YT-0126-SM-48TBW 20-29 years, male 100.5
GTEX-1EN7A-0126-SM-7SB81 40-49 years, male 100.3
GTEX-RNOR-0126-SM-E9J4R 50-59 years, female 100.1
GTEX-1LNCM-1126-SM-E9U5E 50-59 years, female 100.0
GTEX-11DXW-0226-SM-5H122 40-49 years, male 99.9
GTEX-V1D1-2226-SM-3NMAX 50-59 years, male 99.9
GTEX-13NYB-2526-SM-5K7Z6 40-49 years, male 99.6
GTEX-1IKOH-0226-SM-COH4E 60-69 years, female 99.6
GTEX-ZDYS-2026-SM-5HL5L 50-59 years, male 99.5
GTEX-11DXY-2626-SM-5GIE7 60-69 years, male 99.3
GTEX-13N1W-0126-SM-5K7VT 70-79 years, male 99.3
GTEX-OOBK-0126-SM-2YUND 40-49 years, male 99.1
GTEX-SIU8-0126-SM-2XCDT 50-59 years, male 98.7
GTEX-14E7W-0126-SM-6LLJ9 70-79 years, male 98.6
GTEX-1JJE9-0326-SM-CL53Z 70-79 years, male 98.5
GTEX-1KWVE-1426-SM-E9TJO 30-39 years, male 98.1
GTEX-1S82Y-2026-SM-EVYCM 40-49 years, male 97.9
GTEX-13OVG-1926-SM-5L3DK 60-69 years, male 95.6
GTEX-1JJEA-0326-SM-CNPOT 60-69 years, male 95.3
GTEX-16XZY-2126-SM-79OK1 70-79 years, male 94.6
GTEX-113IC-0126-SM-5HL6T 60-69 years, male 93.9
GTEX-RN64-0126-SM-2TC68 50-59 years, male 93.2
GTEX-U3ZN-2326-SM-3DB7W 30-39 years, female 92.3
GTEX-1EX96-1626-SM-7PBXR 50-59 years, male 92.3
GTEX-POMQ-2226-SM-2I5FK 20-29 years, female 92.1
GTEX-1HKZK-0326-SM-9WYUH 40-49 years, male 91.8
GTEX-1H1ZS-0426-SM-9WG6G 70-79 years, male 91.7
GTEX-1F7RK-0126-SM-7PC2S 20-29 years, female 91.5
GTEX-12WSL-2526-SM-5GCNJ 50-59 years, male 90.9
GTEX-TSE9-0126-SM-3DB83 60-69 years, female 90.5
GTEX-11TTK-0126-SM-5987B 60-69 years, female 89.4
GTEX-13O3O-0126-SM-E9J49 60-69 years, female 89.2
GTEX-1HSMO-0126-SM-CL547 60-69 years, male 89.1
GTEX-11H98-0126-SM-5EGHG 50-59 years, male 88.7
GTEX-1LG7Y-0526-SM-DKPQC 50-59 years, male 88.6
GTEX-1MA7X-2226-SM-E6CIY 60-69 years, male 88.6
GTEX-18A67-0126-SM-7LG5P 50-59 years, male 87.6
GTEX-ZF28-0126-SM-4WKGK 60-69 years, male 87.6
GTEX-1H3VE-0326-SM-9YFLH 40-49 years, male 85.7
GTEX-1A32A-0126-SM-718B1 50-59 years, female 85.4
GTEX-1A8FM-0226-SM-7SB7Q 50-59 years, female 84.9
GTEX-13OW7-0126-SM-5MR3B 50-59 years, male 83.8
GTEX-ZYFC-0226-SM-5NQ75 50-59 years, male 82.6
GTEX-17HHY-0126-SM-7LG5D 50-59 years, male 82.4
GTEX-139T4-0226-SM-5HL5S 50-59 years, female 81.6
GTEX-P44H-0226-SM-2XCEU 40-49 years, male 81.6
GTEX-11NUK-0126-SM-5A5L3 50-59 years, male 80.8
GTEX-1I1HK-0126-SM-COH49 60-69 years, male 78.3
GTEX-1CB4E-2226-SM-793DC 60-69 years, male 76.8
GTEX-SSA3-0126-SM-32QPU 60-69 years, male 76.8
GTEX-15EOM-0126-SM-7KUGG 20-29 years, female 76.1
GTEX-14E6E-1826-SM-5S2R7 30-39 years, male 75.7
GTEX-14PN4-0126-SM-6EU2V 50-59 years, male 75.6
GTEX-1HB9E-0226-SM-E9U4R 50-59 years, male 75.4
GTEX-147F3-0526-SM-5SI98 50-59 years, female 75.0
GTEX-1GF9U-2126-SM-7SB7L 40-49 years, female 74.4
GTEX-1212Z-2526-SM-5EGKP 60-69 years, male 73.5
GTEX-1HUB1-0426-SM-E9U4U 60-69 years, male 72.4
GTEX-11GSP-2526-SM-5N9BP 60-69 years, female 71.9
GTEX-1HBPH-0426-SM-B2LW5 40-49 years, female 71.6
GTEX-ZDXO-3026-SM-5J1N5 60-69 years, male 71.5
GTEX-ZYW4-0126-SM-5E44A 60-69 years, male 70.3
GTEX-R45C-0126-SM-EAZ2R 60-69 years, female 69.8
GTEX-NPJ8-0126-SM-2YUNR 40-49 years, male 69.5
GTEX-1HR98-0126-SM-B2LWI 60-69 years, male 67.6
GTEX-148VJ-0126-SM-5TDDN 70-79 years, male 67.4
GTEX-1KD4Q-0226-SM-E9TJ9 40-49 years, male 66.1
GTEX-139UW-2826-SM-5L3E7 60-69 years, male 66.0
GTEX-13N11-2526-SM-5K7UE 50-59 years, female 61.3
GTEX-1EKGG-0226-SM-9WYTH 60-69 years, male 61.3
GTEX-ZUA1-0126-SM-5GU76 40-49 years, male 60.5
GTEX-ZVZO-0126-SM-5A5L9 40-49 years, male 59.5
GTEX-11EMC-2926-SM-5EQ4F 60-69 years, female 58.2
GTEX-1A3MW-0126-SM-73KXX 60-69 years, female 55.8
GTEX-1AYD5-2426-SM-73KXR 50-59 years, male 54.3
GTEX-QDT8-0126-SM-48TZ1 30-39 years, female 49.1
GTEX-RUSQ-1526-SM-2TF62 50-59 years, male 48.1
GTEX-1AYCT-2426-SM-7IGQ3 50-59 years, male 47.5
GTEX-WFG8-2226-SM-3GIL9 20-29 years, male 47.0
GTEX-1192W-2626-SM-5Q5AF 60-69 years, male 46.9
GTEX-SE5C-1626-SM-2XCE3 40-49 years, female 44.6
GTEX-1ICLZ-0126-SM-CKZPO 60-69 years, male 41.7
GTEX-1OJC4-0126-SM-E9J2E 50-59 years, female 40.8
GTEX-1C6VQ-0126-SM-7P8RI 50-59 years, male 39.1
GTEX-1N2DW-0226-SM-E9TK2 50-59 years, male 38.6
GTEX-17MF6-0126-SM-7LG4F 40-49 years, male 37.6
GTEX-11WQK-0526-SM-5EQLD 50-59 years, male 35.1
GTEX-Q734-1926-SM-2I5EV 40-49 years, female 29.8
GTEX-145MF-0626-SM-5LUAI 50-59 years, male 28.5
GTEX-1F6IF-0726-SM-7P8TW 60-69 years, male 26.3
GTEX-1R9K4-0126-SM-DTX9X 60-69 years, male 21.5
GTEX-1JMQL-0226-SM-CNPP5 50-59 years, female 20.2
GTEX-183WM-0126-SM-7LTAB 70-79 years, female 17.8
GTEX-1M4P7-0226-SM-DIPEV 60-69 years, male 9.4
Show allShow less

Contact

  • NEWS ARTICLES
  • PRESS ROOM

The Project

  • INTRODUCTION
  • ORGANIZATION
  • PUBLICATIONS

The Human Protein Atlas

  • DOWNLOADABLE DATA
  • LICENCE & CITATION
  • HELP & FAQ
The Human Protein Atlas project is funded
by the Knut & Alice Wallenberg Foundation.


contact@proteinatlas.org