We use cookies to enhance the usability of our website. If you continue, we'll assume that you are happy to receive all cookies. More information. Don't show this again.
CYGB
HPA
RESOURCES
  • TISSUE
  • BRAIN
  • SINGLE CELL
  • SUBCELLULAR
  • CANCER
  • BLOOD
  • CELL LINE
  • STRUCTURE & INTERACTION
ABOUT
  • INTRODUCTION
  • HISTORY
  • ORGANIZATION
  • PUBLICATIONS
  • ANTIBODY SUBMISSION
  • ANTIBODY AVAILABILITY
  • ACKNOWLEDGMENTS
  • CONTACT
NEWS
  • NEWS ARTICLES
  • PRESS ROOM
LEARN
  • DICTIONARY
  • PROTEIN CLASSES
  • PROTEIN EVIDENCE
  • METHODS
  • EDUCATIONAL VIDEOS
DATA
  • DOWNLOADABLE DATA
  • PUBLICATION DATA
  • RELEASE HISTORY
HELP
  • ANTIBODY VALIDATION
  • ASSAYS & ANNOTATION
  • DISCLAIMER
  • HELP & FAQ
  • PRIVACY STATEMENT
  • LICENCE & CITATION
Fields »
Search result

Field
Term
Gene name
Class
Subclass
Class
Keyword
Chromosome
External id
Tissue
Cell type
Expression
Antibody panel
Tissue
Main location
Patient ID
Annotation
Tissue
Category
Tau score
Cluster
Reliability
Brain region
Category
Tau score
Brain region
Category
Tau score
Brain region
Category
Tau score
Cluster
Reliability
Tissue
Cell type
Enrichment
Cell type
Category
Tau score
Cell type
Category
Tau score
Cell type
Category
Tau score
Cell lineage
Category
Tau score
Cluster
Cluster
Location
Searches
Location
Cell line
Class
Type
Phase
Reliability
Cancer
Prognosis
Cancer
Category
Cancer
Category
Tau score
Cluster
Variants
Interacting gene (ensg_id)
Type
Number of interactions
Pathway
Category
Score
Score
Score
Validation
Validation
Validation
Validation
Antibodies
Data type
Column


  • SUMMARY

  • TISSUE

  • BRAIN

  • SINGLE CELL

  • SUBCELL

  • CANCER

  • BLOOD

  • CELL LINE

  • STRUCT & INT

  • CYGB
TISSUE PRIMARY DATA SKIN Show tissue menu
ADIPOSE TISSUE ADRENAL GLAND AMYGDALA APPENDIX BASAL GANGLIA BONE MARROW BREAST BRONCHUS CEREBELLUM CEREBRAL CORTEX CERVIX CHOROID PLEXUS COLON DUODENUM
ENDOMETRIUM EPIDIDYMIS ESOPHAGUS FALLOPIAN TUBE GALLBLADDER HEART MUSCLE HIPPOCAMPAL FORMATION HYPOTHALAMUS KIDNEY LIVER LUNG LYMPH NODE MIDBRAIN NASOPHARYNX
ORAL MUCOSA OVARY PANCREAS PARATHYROID GLAND PITUITARY GLAND PLACENTA PROSTATE RECTUM RETINA SALIVARY GLAND SEMINAL VESICLE SKELETAL MUSCLE SKIN SMALL INTESTINE
SMOOTH MUSCLE SOFT TISSUE SPINAL CORD SPLEEN STOMACH TESTIS THYMUS THYROID GLAND TONGUE TONSIL URINARY BLADDER VAGINA
ANTIBODIES
AND
VALIDATION
Dictionary
Skin
Tissue proteome
Skin
SKIN - Expression summary
Protein expression
Skini

On the top, protein expression in current human tissue, based on all annotated cell types, is reported with the units not detected (n), low (l), medium (m) and high (h). Underneath, protein expression in each annotated cell type are reported using the same units.

Protein expression data is based on knowledge-based annotation. For genes where more than one antibody has been used, a collective score is set.

If knowledge-based annotation could not be performed for a gene, no data is displayed here. View antibody staining data further down this page.

h
m
l
n
Epidermal cells: Not detected
Fibroblasts: Not detected
Keratinocytes: Not detected
Langerhans: Not detected
Melanocytes: Not detected
RNA expressioni

A summary of mRNA expression data available for current tissue based on several datasets. The mRNA expression levels in human tissues are based on RNA-seq data generated by the Human Protein Atlas (HPA), Genotype-Tissue Expression (GTEx) portal and CAGE data generated by the FANTOM5 consortium. Consensus normalized expression levels for human tissues was created by combining the data from HPA and GTEx datasets.

The mRNA expression levels in pig are based on RNA-seq data generated by the Human Protein Atlas (HPA), and for mouse, HPA data and in situ hybridization generated by the Allen brain atlas are reported.

Scroll down to view mRNA expression data in more detail.
Consensus:18.8 nTPM
HPA:11.4 nTPM
GTEx:18.8 nTPM

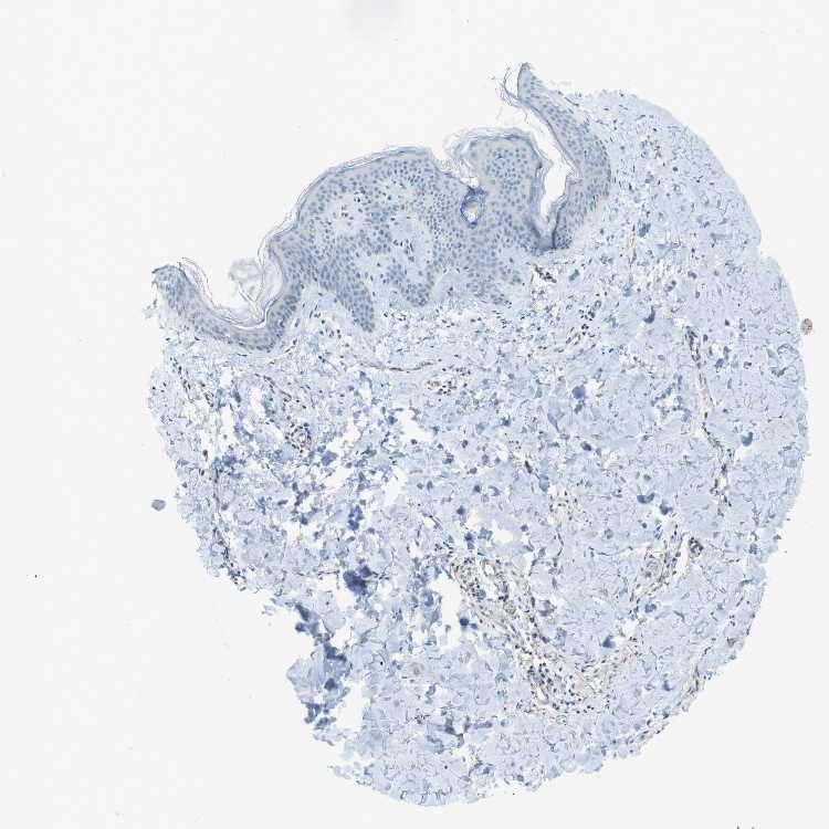
SKIN 1 - Antibody stainingi

Antibody staining in the annotated cell types in the current human tissue is reported as not detected, low, medium, or high, based on conventional immunohistochemistry profiling in selected tissues. This score is based on the combination of the staining intensity and fraction of stained cells.

Each image is clickable and will lead to virtual microscopy that enables deeper exploration of all samples and also displays staining intensity scores, fraction scores and subcellular localization as well as patient and tissue information for each sample.

Antibody HPA017757
Langerhans Not detected
Fibroblasts Not detected
Keratinocytes Not detected
Melanocytes Not detected
SKIN 2 - Antibody stainingi

Antibody staining in the annotated cell types in the current human tissue is reported as not detected, low, medium, or high, based on conventional immunohistochemistry profiling in selected tissues. This score is based on the combination of the staining intensity and fraction of stained cells.

Each image is clickable and will lead to virtual microscopy that enables deeper exploration of all samples and also displays staining intensity scores, fraction scores and subcellular localization as well as patient and tissue information for each sample.

Antibody HPA017757
Epidermal cells Not detected
 
 
 


SKIN - HPA RNA-seqi

The RNA-seq details section shows detailed information about the individual samples used for the transcript profiling and results of the RNA-seq analysis.

Information about each individual sample is listed below, including gender, age, a tissue section image and estimated fractions of cell types. nTPM (normalized transcripts per million) values give a quantification of the gene abundance which is comparable between different genes and samples.
Average nTPMi

Max subtype nTPM is the value for the subtype with the largest average nTPM across the subtype samples.

11.4
overview
Female, age 34
Skin sample 225
nTPM: 7
Cell types%
Keratinocytes:
60

Other cell types:
40

overview
Female, age 30
Skin sample 226
nTPM: 4.1
Cell types%
Keratinocytes:
55

Other cell types:
45

N/A
Male, age 57
Skin sample 227
nTPM: 23.1

SKIN - GTEx RNA-seqi

RNA-Seq data generated by the Genotype-Tissue Expression (GTEx) project from human tissues is reported as mean nTPM. More information can be found on the GTEx portal.

Distribution across the dataset is visualized with box plots, shown as median and 25th and 75th percentiles. Points are displayed as outliers if they are above or below 1.5 times the interquartile range. nTPM values of the individual samples are presented next to the box plot.
Max subtype nTPMi

Max subtype nTPM is the value for the subtype with the largest average nTPM across the subtype samples.

18.8
GTEx sample id Sample description nTPM
Skin - Not Sun Exposed (Suprapubic)
Average nTPM: 13.5
Samples: 604

Max nTPM: 42.9
Min nTPM: 2.8
Std nTPM: 6.3
Median nTPM: 12.4
GTEX-11DZ1-2426-SM-5GZZX 50-59 years, male 42.9
GTEX-ZYW4-0626-SM-59HJR 60-69 years, male 42.9
GTEX-17EVQ-0126-SM-7IGLR 70-79 years, male 42.1
GTEX-139YR-1026-SM-5LZYN 50-59 years, male 40.7
GTEX-X585-2426-SM-46MW2 50-59 years, male 39.6
GTEX-13OVJ-0826-SM-5J1OK 50-59 years, female 38.5
GTEX-YB5K-2026-SM-4VDT3 40-49 years, female 37.2
GTEX-14E6C-2426-SM-5S2NF 40-49 years, male 35.4
GTEX-12584-0726-SM-5FQTK 40-49 years, male 35.2
GTEX-ZLFU-1826-SM-4WWBV 40-49 years, male 33.6
GTEX-1CAV2-0126-SM-7IGN7 40-49 years, female 32.9
GTEX-1399R-1326-SM-5PNYS 30-39 years, male 32.2
GTEX-13FH7-1126-SM-5K7UG 50-59 years, female 31.0
GTEX-1RLM8-2926-SM-E8VON 50-59 years, male 30.9
GTEX-Y3IK-1626-SM-4YCF5 50-59 years, female 30.8
GTEX-X8HC-0626-SM-4E3HQ 50-59 years, female 30.3
GTEX-1F75B-0726-SM-7PC3R 50-59 years, male 29.8
GTEX-132AR-0326-SM-5KM2C 50-59 years, female 28.8
GTEX-1117F-2926-SM-5GZYI 60-69 years, female 28.6
GTEX-11DYG-1526-SM-5A5JS 60-69 years, male 28.1
GTEX-14A5H-0826-SM-5QGPJ 60-69 years, male 28.1
GTEX-1LVAO-2726-SM-E9TJ8 60-69 years, male 28.0
GTEX-WI4N-2726-SM-3LK7Y 40-49 years, female 27.9
GTEX-17F97-2626-SM-7IGM5 50-59 years, male 27.4
GTEX-13N2G-0226-SM-5K7VF 60-69 years, male 27.1
GTEX-XXEK-1626-SM-4BRUZ 50-59 years, male 27.1
GTEX-11NSD-0626-SM-5A5LU 20-29 years, male 26.5
GTEX-1A32A-0626-SM-731AQ 50-59 years, female 26.5
GTEX-13FHO-0426-SM-5L3F5 60-69 years, male 25.6
GTEX-12WSL-2026-SM-5GCML 50-59 years, male 25.4
GTEX-1497J-0226-SM-5QGPU 60-69 years, male 25.1
GTEX-1JMOU-1026-SM-CYPSS 60-69 years, female 25.1
GTEX-16MT8-2926-SM-7DUFO 60-69 years, female 24.7
GTEX-12WSJ-1126-SM-5LZVJ 40-49 years, female 24.1
GTEX-1LBAC-0826-SM-CY8IJ 20-29 years, male 24.1
GTEX-XYKS-1426-SM-4BRUO 60-69 years, female 23.7
GTEX-1GZ2Q-0126-SM-9WG6M 40-49 years, male 23.6
GTEX-1F6I4-2326-SM-7RHGL 60-69 years, male 23.3
GTEX-1IDJE-1426-SM-ADEIW 50-59 years, female 23.2
GTEX-X3Y1-2026-SM-3P5YM 40-49 years, male 23.1
GTEX-15UF6-1926-SM-7KUDV 70-79 years, female 23.0
GTEX-U8XE-0226-SM-4E3J3 30-39 years, male 23.0
GTEX-XK95-0226-SM-4AT58 40-49 years, male 22.9
GTEX-1H1ZS-2726-SM-9WG75 70-79 years, male 22.8
GTEX-12WSK-2126-SM-5CVNC 40-49 years, female 22.7
GTEX-Y114-2126-SM-4TT8B 50-59 years, female 22.6
GTEX-1H23P-0626-SM-9WG6T 60-69 years, male 22.6
GTEX-1192X-2726-SM-5N9DN 50-59 years, male 22.5
GTEX-1HC8U-1326-SM-9YFMJ 40-49 years, female 22.5
GTEX-13113-1626-SM-5EQ4I 60-69 years, female 22.1
GTEX-14PHY-1226-SM-5ZZWK 60-69 years, female 21.8
GTEX-11P7K-1126-SM-5HL4L 30-39 years, male 21.7
GTEX-1F48J-0726-SM-7RHGS 50-59 years, female 21.6
GTEX-139TS-2126-SM-5K7XC 60-69 years, male 21.5
GTEX-183WM-0326-SM-72D5V 70-79 years, female 21.5
GTEX-1RB15-1326-SM-E76Q9 60-69 years, male 21.5
GTEX-13YAN-0226-SM-5TDC6 60-69 years, male 21.3
GTEX-144GO-2026-SM-5O99P 60-69 years, male 21.3
GTEX-14DAR-1226-SM-73KYV 50-59 years, male 21.3
GTEX-1HUB1-1426-SM-CGQF5 60-69 years, male 21.1
GTEX-145ME-1726-SM-5Q5EU 40-49 years, female 20.8
GTEX-13RTJ-0126-SM-5S2NN 60-69 years, male 20.7
GTEX-XV7Q-1826-SM-4BRUV 40-49 years, female 20.7
GTEX-1GF9U-2026-SM-7SB92 40-49 years, female 20.7
GTEX-1JMQL-2226-SM-CNPP4 50-59 years, female 20.7
GTEX-Y8E4-2026-SM-5IFJB 40-49 years, male 20.5
GTEX-13SLX-2226-SM-62LEP 50-59 years, female 20.2
GTEX-1HCU6-2526-SM-ADEHL 60-69 years, female 20.1
GTEX-18D9B-0926-SM-7LG4U 60-69 years, male 20.0
GTEX-ZPU1-1126-SM-4YCF3 40-49 years, male 20.0
GTEX-17MF6-2626-SM-79OKQ 40-49 years, male 19.9
GTEX-1AX9J-1326-SM-731BJ 60-69 years, male 19.9
GTEX-ZAB4-2126-SM-5HL8U 40-49 years, male 19.9
GTEX-13NYS-0626-SM-5L3F1 60-69 years, male 19.8
GTEX-145MG-1526-SM-5Q5EM 50-59 years, male 19.7
GTEX-13JUV-2026-SM-5K7UA 40-49 years, female 19.6
GTEX-14E1K-2026-SM-7DUEI 50-59 years, male 19.6
GTEX-17HII-1426-SM-7EPGG 50-59 years, male 19.6
GTEX-1H3NZ-2726-SM-9WYTQ 60-69 years, male 19.6
GTEX-1HCU8-2526-SM-CE6RX 60-69 years, female 19.6
GTEX-1A3MW-0626-SM-731CB 60-69 years, female 19.5
GTEX-131XH-0126-SM-5LZUY 50-59 years, male 19.4
GTEX-13FTW-0326-SM-5K7UW 40-49 years, male 19.4
GTEX-1JMLX-0626-SM-ARL8T 50-59 years, male 19.4
GTEX-15CHQ-0326-SM-69LQD 60-69 years, male 19.3
GTEX-ZLWG-0826-SM-59888 50-59 years, female 19.3
GTEX-12126-0826-SM-5FQTZ 20-29 years, male 19.2
GTEX-139T8-0626-SM-5KLZX 60-69 years, male 19.2
GTEX-WHSE-0126-SM-3NMBT 20-29 years, male 19.2
GTEX-Y8LW-1526-SM-5IFHL 50-59 years, female 19.2
GTEX-X4EP-0626-SM-3P621 60-69 years, female 19.0
GTEX-ZY6K-1426-SM-5GZX2 50-59 years, male 19.0
GTEX-1IDJD-2326-SM-ACKWX 30-39 years, male 19.0
GTEX-ZU9S-1826-SM-5NQ9E 30-39 years, male 18.9
GTEX-1I1CD-0626-SM-CE6SW 60-69 years, female 18.8
GTEX-ZTX8-1326-SM-4YCEL 20-29 years, male 18.7
GTEX-1O9I2-0226-SM-EYYXD 50-59 years, male 18.7
GTEX-14BMU-1226-SM-5S2OR 20-29 years, female 18.6
GTEX-XOT4-0626-SM-4B66L 60-69 years, female 18.5
GTEX-1PIGE-1826-SM-E8VOU 20-29 years, male 18.5
GTEX-18A7A-0126-SM-731AH 50-59 years, female 18.3
GTEX-WFG8-2126-SM-3GIKQ 20-29 years, male 18.3
GTEX-ZVP2-0326-SM-57WBP 50-59 years, male 18.3
GTEX-13OW5-2326-SM-5L3HO 60-69 years, male 18.2
GTEX-1F6IF-0926-SM-7SB7M 60-69 years, male 18.2
GTEX-145MN-1526-SM-5SI9T 30-39 years, male 18.1
GTEX-15RJ7-2126-SM-6PAMD 40-49 years, male 18.1
GTEX-1I1GS-2626-SM-B2LY3 60-69 years, male 18.1
GTEX-18A7B-2726-SM-7LG56 70-79 years, male 18.0
GTEX-1F88E-1626-SM-7SB8Z 60-69 years, female 18.0
GTEX-16AAH-0626-SM-793C9 50-59 years, male 17.9
GTEX-16MTA-0926-SM-6M47Z 50-59 years, male 17.9
GTEX-WFG7-2026-SM-5SI7P 20-29 years, male 17.9
GTEX-WHPG-2626-SM-3NMBR 50-59 years, male 17.9
GTEX-13X6I-1826-SM-5SIAO 60-69 years, male 17.8
GTEX-XBEC-0726-SM-4QARZ 50-59 years, male 17.8
GTEX-ZYFG-1526-SM-5GZYM 60-69 years, female 17.8
GTEX-1HB9E-0126-SM-CM2S5 50-59 years, male 17.8
GTEX-1EH9U-2826-SM-7DUGT 60-69 years, male 17.6
GTEX-UPK5-0426-SM-3GAEK 40-49 years, male 17.6
GTEX-1IDJI-0126-SM-CMKHS 50-59 years, female 17.6
GTEX-1F52S-2926-SM-7MKGA 60-69 years, female 17.5
GTEX-1QP66-1226-SM-DTX7U 50-59 years, male 17.4
GTEX-ZDTS-0826-SM-4WKHL 60-69 years, male 17.3
GTEX-1GMR2-0826-SM-7PC3V 50-59 years, male 17.3
GTEX-17F9E-2326-SM-79OKD 50-59 years, male 17.2
GTEX-17HGU-2326-SM-7DUFE 50-59 years, male 17.2
GTEX-1JN1M-2726-SM-CY8I4 60-69 years, female 17.2
GTEX-1AX8Z-0726-SM-73KTS 60-69 years, male 17.1
GTEX-X5EB-1926-SM-4E3IW 40-49 years, male 17.1
GTEX-ZAJG-1526-SM-5CVML 50-59 years, female 17.1
GTEX-1KWVE-1026-SM-D3L9O 30-39 years, male 17.1
GTEX-1L5NE-1126-SM-D3L9P 50-59 years, male 17.1
GTEX-1OJC3-1226-SM-DTXER 20-29 years, male 17.1
GTEX-WXYG-2026-SM-4E3IY 50-59 years, female 17.0
GTEX-YEC4-1826-SM-4W1YP 40-49 years, male 17.0
GTEX-1H1CY-0126-SM-9YFLY 60-69 years, female 17.0
GTEX-14C38-0726-SM-5SI6M 50-59 years, male 16.9
GTEX-16BQI-1326-SM-6M486 30-39 years, female 16.9
GTEX-1HBPI-2126-SM-ARL9K 50-59 years, male 16.9
GTEX-1F75W-2726-SM-7SB8H 60-69 years, male 16.8
GTEX-1LG7Z-1626-SM-CXKYR 30-39 years, male 16.8
GTEX-117YX-1926-SM-5GIEC 50-59 years, male 16.7
GTEX-15RIE-1926-SM-7KUKJ 60-69 years, male 16.7
GTEX-17JCI-2926-SM-7DUFF 60-69 years, female 16.7
GTEX-1JN6P-2926-SM-CL54D 60-69 years, male 16.7
GTEX-11UD2-2526-SM-5CVNU 50-59 years, male 16.6
GTEX-11ZU8-0126-SM-5EQ58 60-69 years, male 16.6
GTEX-1CB4H-1126-SM-7MKGL 60-69 years, female 16.6
GTEX-111FC-2526-SM-5GZXU 60-69 years, male 16.5
GTEX-147F4-0726-SM-5TDDD 50-59 years, male 16.5
GTEX-17F96-0126-SM-7EWDU 70-79 years, male 16.5
GTEX-1RAZR-2126-SM-E9U6T 40-49 years, male 16.5
GTEX-16MT9-0126-SM-7EPI8 60-69 years, female 16.4
GTEX-ZVTK-0226-SM-51MRG 20-29 years, male 16.4
GTEX-1A3MX-2626-SM-7PC24 60-69 years, male 16.4
GTEX-11DXZ-2026-SM-5987S 50-59 years, male 16.3
GTEX-11O72-0626-SM-5PNYE 40-49 years, male 16.3
GTEX-1GTWX-2026-SM-9YFLM 60-69 years, male 16.3
GTEX-1IY9M-2826-SM-ARU8H 60-69 years, male 16.3
GTEX-1JMQK-1226-SM-D4P2S 60-69 years, male 16.3
GTEX-146FQ-2126-SM-5RQHU 30-39 years, male 16.2
GTEX-16YQH-2226-SM-7IGM2 30-39 years, male 16.2
GTEX-1HKZK-0726-SM-ACKW2 40-49 years, male 16.2
GTEX-1JJE9-2626-SM-ARZMT 70-79 years, male 16.2
GTEX-13NYB-0126-SM-5J1MD 40-49 years, male 16.1
GTEX-18D9U-0126-SM-731BM 40-49 years, male 16.1
GTEX-1EWIQ-0326-SM-7DHMQ 70-79 years, female 16.1
GTEX-WYVS-1626-SM-3NM9R 40-49 years, female 16.1
GTEX-ZE7O-2726-SM-51MT5 50-59 years, female 16.1
GTEX-1F75A-0726-SM-7RHHD 50-59 years, male 16.1
GTEX-14JG6-1426-SM-9WG7C 30-39 years, female 16.0
GTEX-1IL2V-1926-SM-B2LW8 70-79 years, male 16.0
GTEX-1LVA9-2626-SM-EVYD4 50-59 years, male 15.9
GTEX-1211K-1526-SM-5FQU4 60-69 years, female 15.8
GTEX-1H1DF-1126-SM-9WG7G 40-49 years, female 15.8
GTEX-ZF3C-0626-SM-DO92O 50-59 years, female 15.8
GTEX-11DXW-0826-SM-5H118 40-49 years, male 15.7
GTEX-ZTSS-1426-SM-5985P 40-49 years, male 15.7
GTEX-14E6E-0526-SM-793DN 30-39 years, male 15.6
GTEX-14PJO-2526-SM-6AJBQ 60-69 years, male 15.6
GTEX-18A66-0626-SM-7LT8Z 60-69 years, male 15.6
GTEX-1CAMR-1326-SM-7PC1F 20-29 years, male 15.6
GTEX-11EI6-2826-SM-5H11D 60-69 years, male 15.5
GTEX-14ABY-2026-SM-62LDL 50-59 years, male 15.5
GTEX-1C64N-2626-SM-7PC2N 50-59 years, male 15.5
GTEX-1IDJC-1526-SM-B2LW4 50-59 years, male 15.5
GTEX-Y3I4-1726-SM-4TT89 50-59 years, male 15.4
GTEX-1HBPM-0726-SM-9YFL7 60-69 years, female 15.4
GTEX-1S831-1826-SM-EWROF 20-29 years, male 15.4
GTEX-1ICLZ-0326-SM-ARL82 60-69 years, male 15.3
GTEX-1RAZA-2226-SM-E9U4X 20-29 years, male 15.3
GTEX-145LS-0626-SM-7EPG7 60-69 years, female 15.2
GTEX-18QFQ-1826-SM-72D52 30-39 years, male 15.2
GTEX-1477Z-0326-SM-7IGLA 60-69 years, male 15.1
GTEX-Y111-0626-SM-4SOIT 50-59 years, male 15.1
GTEX-1LVAN-0626-SM-CNPOQ 50-59 years, female 15.1
GTEX-1R9K4-2826-SM-DTX8F 60-69 years, male 15.1
GTEX-12C56-1526-SM-5FQUQ 20-29 years, male 15.0
GTEX-ZC5H-1526-SM-5HL9Y 40-49 years, female 15.0
GTEX-VJYA-1526-SM-3GIJV 60-69 years, male 14.9
GTEX-13OVK-1426-SM-6PAN7 40-49 years, male 14.8
GTEX-ZYFC-0426-SM-5GICQ 50-59 years, male 14.8
GTEX-1JMQI-1726-SM-ARL93 50-59 years, male 14.8
GTEX-13FTX-1526-SM-5K7VJ 20-29 years, female 14.7
GTEX-13NYC-0126-SM-5L3F4 60-69 years, male 14.7
GTEX-14AS3-1526-SM-5Q5ED 40-49 years, female 14.7
GTEX-1HSMO-0626-SM-ACKXC 60-69 years, male 14.7
GTEX-11DXY-0126-SM-5H11Q 60-69 years, male 14.6
GTEX-15G1A-1626-SM-7KUKN 30-39 years, male 14.6
GTEX-16XZZ-0726-SM-7KUF2 60-69 years, male 14.6
GTEX-Z93S-1626-SM-5CVMB 50-59 years, male 14.6
GTEX-16Z82-2626-SM-7KULU 60-69 years, male 14.5
GTEX-183FY-1026-SM-7939A 20-29 years, male 14.5
GTEX-ZT9W-1126-SM-57WDR 50-59 years, male 14.5
GTEX-1H3O1-1326-SM-9MQLD 60-69 years, male 14.5
GTEX-1I6K6-1726-SM-CGQFD 30-39 years, male 14.5
GTEX-1J8JJ-0626-SM-ARZMQ 60-69 years, female 14.5
GTEX-11EM3-1226-SM-5N9DD 20-29 years, female 14.4
GTEX-12WSD-0626-SM-5GCMW 60-69 years, female 14.4
GTEX-13IVO-0726-SM-5LZYV 70-79 years, male 14.4
GTEX-144GM-0526-SM-79OJO 20-29 years, male 14.4
GTEX-1EMGI-2326-SM-7PBYA 60-69 years, male 14.4
GTEX-1JJ6O-2726-SM-CNPOG 60-69 years, male 14.4
GTEX-11WQC-1826-SM-5GU59 60-69 years, male 14.3
GTEX-Y5V5-0126-SM-5S2NW 60-69 years, female 14.3
GTEX-11OF3-0126-SM-5PNYF 60-69 years, male 14.2
GTEX-ZUA1-2626-SM-5NQ92 40-49 years, male 14.2
GTEX-14JG1-1526-SM-5YY9X 40-49 years, male 14.1
GTEX-1E2YA-2126-SM-7MXUO 50-59 years, male 14.1
GTEX-1HFI6-0126-SM-CNPPI 40-49 years, male 14.1
GTEX-1S5ZU-2526-SM-E6CIF 20-29 years, female 14.1
GTEX-ZTTD-2826-SM-4YCFA 50-59 years, male 14.0
GTEX-1IDJF-2026-SM-CL53V 20-29 years, male 14.0
GTEX-11TT1-1826-SM-5EQLV 20-29 years, male 13.9
GTEX-1GF9W-1426-SM-7PBYM 60-69 years, male 13.8
GTEX-ZGAY-1826-SM-DO91Q 40-49 years, female 13.8
GTEX-11EQ9-1626-SM-5PNY8 30-39 years, male 13.7
GTEX-133LE-2326-SM-5K7W3 20-29 years, female 13.7
GTEX-1EX96-1026-SM-7MKG2 50-59 years, male 13.7
GTEX-ZAK1-0626-SM-5HL8E 50-59 years, female 13.7
GTEX-13NZ9-2626-SM-5L3FK 50-59 years, male 13.6
GTEX-13QBU-1226-SM-5LU4G 40-49 years, female 13.6
GTEX-13U4I-2226-SM-5LU5H 40-49 years, female 13.6
GTEX-147JS-0226-SM-5S2U9 60-69 years, male 13.6
GTEX-17HG3-2626-SM-7DUF2 30-39 years, female 13.6
GTEX-12WSF-1626-SM-7KUG5 70-79 years, male 13.5
GTEX-13O61-1426-SM-5KM3D 60-69 years, male 13.5
GTEX-15EO6-2426-SM-6PALZ 50-59 years, male 13.5
GTEX-1EN7A-2426-SM-793DB 40-49 years, male 13.5
GTEX-1JK1U-0226-SM-ARZMX 60-69 years, male 13.5
GTEX-11NUK-2726-SM-5A5MC 50-59 years, male 13.4
GTEX-1B996-0426-SM-7EWF8 60-69 years, male 13.4
GTEX-1HFI7-2326-SM-CGQFS 50-59 years, female 13.4
GTEX-1I1GP-1326-SM-A9G28 50-59 years, male 13.4
GTEX-1J1R8-2026-SM-CL53Y 40-49 years, male 13.4
GTEX-1LKK1-2626-SM-DKPQE 50-59 years, female 13.4
GTEX-1PIIG-2326-SM-DTXFR 30-39 years, male 13.4
GTEX-12696-0126-SM-5EQ4L 60-69 years, male 13.3
GTEX-1AX9I-2226-SM-73KUO 60-69 years, male 13.3
GTEX-1E1VI-0326-SM-793D1 50-59 years, male 13.3
GTEX-1HCUA-0826-SM-ADEHM 50-59 years, female 13.3
GTEX-1IKOE-1426-SM-CE6T7 30-39 years, female 13.3
GTEX-1K2DA-1026-SM-CGQGF 50-59 years, male 13.3
GTEX-15FZZ-0526-SM-7KUGD 30-39 years, female 13.2
GTEX-16GPK-0626-SM-7KFSF 60-69 years, male 13.2
GTEX-W5X1-2526-SM-3GILC 40-49 years, female 13.2
GTEX-XQ3S-1426-SM-4BOPR 20-29 years, male 13.2
GTEX-YJ8O-2526-SM-5HL85 40-49 years, female 13.2
GTEX-ZYFD-0626-SM-5E44E 50-59 years, male 13.2
GTEX-1C64O-1326-SM-7MGWR 60-69 years, male 13.2
GTEX-1GMRU-2126-SM-7P8RA 50-59 years, male 13.2
GTEX-1JMPZ-0726-SM-CY8HZ 30-39 years, male 13.2
GTEX-11LCK-2226-SM-5HL4Q 30-39 years, male 13.1
GTEX-12WSA-0426-SM-5EQ5X 60-69 years, male 13.1
GTEX-131XF-2626-SM-5EQ6K 60-69 years, male 13.1
GTEX-1GMR8-0626-SM-7RHI7 50-59 years, female 13.1
GTEX-1H2FU-0926-SM-9WPPT 60-69 years, female 13.1
GTEX-WHWD-1826-SM-3LK6I 50-59 years, male 13.0
GTEX-1I4MK-0126-SM-CY8G6 50-59 years, female 13.0
GTEX-1MJK3-0726-SM-E6CJC 20-29 years, male 13.0
GTEX-12BJ1-0926-SM-5EQ62 60-69 years, male 12.9
GTEX-13PVQ-0626-SM-5LU47 50-59 years, male 12.9
GTEX-148VJ-0626-SM-5LUAW 70-79 years, male 12.9
GTEX-14PKV-1126-SM-6LLJ1 20-29 years, female 12.9
GTEX-1BAJH-2426-SM-7IGP8 70-79 years, male 12.9
GTEX-18D9A-1426-SM-7LT8M 30-39 years, female 12.9
GTEX-1C475-1326-SM-7SB73 40-49 years, female 12.9
GTEX-1KD5A-0126-SM-E9U54 50-59 years, male 12.9
GTEX-15D1Q-2826-SM-6LLH7 40-49 years, male 12.8
GTEX-WY7C-2126-SM-3NB2R 50-59 years, male 12.8
GTEX-11P82-1426-SM-DTXFY 20-29 years, male 12.8
GTEX-1CAMS-2226-SM-7PBXQ 40-49 years, female 12.8
GTEX-1F75I-2226-SM-7SB8U 40-49 years, male 12.8
GTEX-12WSC-2826-SM-5BC5Y 50-59 years, male 12.7
GTEX-12ZZX-2426-SM-5GCOE 40-49 years, female 12.7
GTEX-YF7O-1526-SM-5IFI6 50-59 years, male 12.7
GTEX-1EKGG-0626-SM-7DUGJ 60-69 years, male 12.6
GTEX-Y5LM-0926-SM-6LLJG 40-49 years, female 12.6
GTEX-1N2DV-1526-SM-DTXEP 40-49 years, male 12.6
GTEX-Y5V6-2326-SM-4VDSA 60-69 years, male 12.5
GTEX-18465-2826-SM-7LT9J 50-59 years, male 12.4
GTEX-1EU9M-1426-SM-793AI 60-69 years, male 12.4
GTEX-12ZZZ-0726-SM-5GCNZ 60-69 years, male 12.3
GTEX-1I6K7-1926-SM-B2LXR 40-49 years, male 12.3
GTEX-1QMI2-2526-SM-E8VNZ 60-69 years, male 12.3
GTEX-14PJ2-0626-SM-6LLII 50-59 years, male 12.2
GTEX-1C6WA-2626-SM-7MKGM 60-69 years, male 12.2
GTEX-XQ8I-0926-SM-4BOOF 50-59 years, male 12.2
GTEX-1GPI7-1826-SM-9KNU1 20-29 years, male 12.2
GTEX-1N5O9-0926-SM-E9J3C 60-69 years, male 12.2
GTEX-1HSMQ-2626-SM-A9SML 50-59 years, male 12.1
GTEX-1NSGN-0726-SM-DTXEF 50-59 years, male 12.1
GTEX-131YS-2826-SM-5EQ47 60-69 years, female 12.0
GTEX-14PK6-0226-SM-62LF5 70-79 years, female 12.0
GTEX-15RJE-2826-SM-7KUM9 40-49 years, male 12.0
GTEX-ZP4G-1426-SM-4WWCL 20-29 years, female 12.0
GTEX-ZZ64-1026-SM-5GZXG 20-29 years, male 12.0
GTEX-1I19N-0126-SM-CYPSF 70-79 years, male 12.0
GTEX-1LSNM-0826-SM-DIPG8 50-59 years, male 12.0
GTEX-1LSVX-2526-SM-DIPEU 60-69 years, male 12.0
GTEX-1S82U-1026-SM-E6CJK 30-39 years, female 12.0
GTEX-13OVG-1626-SM-5J1NF 60-69 years, male 11.9
GTEX-17F98-1326-SM-7DUEP 40-49 years, female 11.9
GTEX-YFCO-1226-SM-5LUAT 40-49 years, male 11.9
GTEX-1S82P-2126-SM-E6CI5 60-69 years, female 11.9
GTEX-VUSG-2326-SM-4KL1U 50-59 years, male 11.8
GTEX-WRHU-2826-SM-3MJG8 50-59 years, female 11.8
GTEX-XBEW-1126-SM-4QARW 40-49 years, male 11.8
GTEX-1J8Q3-0526-SM-ARL8U 60-69 years, male 11.8
GTEX-139TT-2126-SM-5LZWC 60-69 years, male 11.7
GTEX-139UW-0326-SM-5J1ML 60-69 years, male 11.7
GTEX-1J1OQ-0126-SM-D4P2N 40-49 years, female 11.7
GTEX-1KANC-1226-SM-CYPT7 50-59 years, female 11.7
GTEX-13N11-2326-SM-5IJBF 50-59 years, female 11.6
GTEX-13OVL-0126-SM-5L3GJ 50-59 years, male 11.6
GTEX-13VXT-1926-SM-5K7UO 20-29 years, female 11.6
GTEX-145LT-0526-SM-5LUB2 40-49 years, male 11.6
GTEX-15CHR-1126-SM-7EWF4 50-59 years, male 11.6
GTEX-WFON-1926-SM-3LK7L 40-49 years, male 11.6
GTEX-ZA64-1026-SM-5HL8R 20-29 years, male 11.6
GTEX-1IDJH-0126-SM-D3L92 70-79 years, male 11.6
GTEX-147F3-1726-SM-5SIAW 50-59 years, female 11.5
GTEX-15DYW-2726-SM-6EU2I 60-69 years, female 11.5
GTEX-15G19-2426-SM-7KUMR 60-69 years, male 11.5
GTEX-WEY5-2326-SM-3GIKK 40-49 years, female 11.5
GTEX-ZDXO-3126-SM-5IJDF 60-69 years, male 11.5
GTEX-1POEN-2326-SM-E9J2L 30-39 years, female 11.5
GTEX-1QP29-1826-SM-DTX9S 50-59 years, male 11.5
GTEX-1212Z-0126-SM-59HK4 60-69 years, male 11.4
GTEX-13OW8-1026-SM-5J1NQ 60-69 years, male 11.4
GTEX-1A3MV-1826-SM-731CD 30-39 years, male 11.4
GTEX-1F5PL-0926-SM-7PC2W 40-49 years, female 11.4
GTEX-1LGOU-1326-SM-D3L8M 20-29 years, female 11.4
GTEX-1LSNL-2726-SM-E9TKJ 50-59 years, male 11.4
GTEX-1QP9N-1226-SM-E76QN 30-39 years, male 11.4
GTEX-14PHX-2226-SM-6EU2P 50-59 years, male 11.3
GTEX-WK11-2726-SM-3NMAQ 50-59 years, male 11.3
GTEX-1H1DG-2426-SM-9QEHJ 70-79 years, male 11.2
GTEX-13JVG-0726-SM-5KM16 60-69 years, male 11.1
GTEX-14LZ3-0126-SM-69LPM 60-69 years, female 11.1
GTEX-17EVP-2626-SM-7IGMA 40-49 years, male 11.1
GTEX-1KAFJ-0126-SM-DIPEK 50-59 years, male 11.1
GTEX-12WSH-1526-SM-5BC5W 50-59 years, male 11.0
GTEX-17HHY-0426-SM-7DHLC 50-59 years, male 11.0
GTEX-1I1GU-0926-SM-ACKVS 40-49 years, male 11.0
GTEX-13X6H-0926-SM-5SIB2 50-59 years, female 10.9
GTEX-X4EO-2926-SM-4E3JH 60-69 years, female 10.9
GTEX-1GZ4H-0526-SM-9KNU9 50-59 years, female 10.9
GTEX-1MCC2-1826-SM-DIPEX 30-39 years, female 10.9
GTEX-15DDE-2926-SM-6LLJ3 50-59 years, female 10.8
GTEX-1QCLZ-2426-SM-EVYBW 60-69 years, female 10.8
GTEX-1314G-1326-SM-5BC6E 30-39 years, male 10.7
GTEX-139D8-1126-SM-5LU8W 30-39 years, female 10.7
GTEX-13FTY-2126-SM-5IFFB 40-49 years, female 10.6
GTEX-13O3Q-0126-SM-5KM34 50-59 years, male 10.6
GTEX-15SHW-0226-SM-7LTAT 60-69 years, male 10.6
GTEX-1ICLY-0826-SM-CMKG1 50-59 years, male 10.6
GTEX-1399S-0126-SM-5IJCF 30-39 years, female 10.5
GTEX-14LLW-2626-SM-62LDZ 70-79 years, female 10.5
GTEX-15RIG-0726-SM-7KUM7 40-49 years, male 10.5
GTEX-XUW1-0926-SM-4BONX 50-59 years, female 10.5
GTEX-ZXG5-2126-SM-59HKD 60-69 years, male 10.5
GTEX-131XG-0326-SM-5L3DX 50-59 years, female 10.4
GTEX-13X6J-0626-SM-5LU5F 50-59 years, male 10.4
GTEX-144FL-0626-SM-5LU43 50-59 years, male 10.4
GTEX-1H1E6-0426-SM-9WYUS 30-39 years, male 10.4
GTEX-1RAZS-2526-SM-E6CHT 50-59 years, male 10.4
GTEX-13FLV-0126-SM-5K7WT 50-59 years, male 10.3
GTEX-145MO-2826-SM-5LU96 60-69 years, male 10.3
GTEX-17MFQ-1526-SM-7KFRR 20-29 years, male 10.3
GTEX-1LGRB-0926-SM-COH3K 50-59 years, female 10.3
GTEX-14PII-0726-SM-6EU2B 60-69 years, male 10.2
GTEX-1HCU9-0426-SM-9WYSD 20-29 years, male 10.2
GTEX-1JMPY-0226-SM-CKZOK 30-39 years, male 10.2
GTEX-111CU-1126-SM-5EGIM 50-59 years, male 10.1
GTEX-13X6K-0626-SM-5LU5D 60-69 years, female 10.1
GTEX-15EU6-2226-SM-6EU2L 50-59 years, male 10.1
GTEX-1HSGN-0826-SM-ACKW3 40-49 years, female 10.1
GTEX-13112-0126-SM-5P9IU 50-59 years, male 10.0
GTEX-14DAQ-0626-SM-793DS 60-69 years, female 10.0
GTEX-1B933-2426-SM-7DHMD 50-59 years, female 10.0
GTEX-ZVE2-2826-SM-5GU51 50-59 years, male 10.0
GTEX-1J8EW-2726-SM-CY8HR 60-69 years, female 10.0
GTEX-1QEPI-2626-SM-DTXF4 60-69 years, female 10.0
GTEX-1R46S-2426-SM-E76QA 60-69 years, female 10.0
GTEX-12ZZY-0726-SM-5EQ66 60-69 years, male 9.9
GTEX-14C5O-0326-SM-5ZZUX 60-69 years, male 9.9
GTEX-1C6VQ-1226-SM-73KYD 50-59 years, male 9.9
GTEX-1CB4F-1026-SM-7DUH1 60-69 years, male 9.9
GTEX-1HGF4-0126-SM-CNPPX 60-69 years, male 9.9
GTEX-1R9PN-0426-SM-DTXDT 40-49 years, female 9.9
GTEX-1B8KE-1126-SM-7EPHI 50-59 years, male 9.8
GTEX-ZVT2-0126-SM-5GIDQ 50-59 years, female 9.8
GTEX-1GL5R-1326-SM-7RHHF 50-59 years, male 9.8
GTEX-1IKJJ-2226-SM-CJI4C 60-69 years, male 9.8
GTEX-ZPIC-0526-SM-DO91W 40-49 years, female 9.8
GTEX-14C39-1726-SM-5RQIL 40-49 years, male 9.7
GTEX-17HHE-1326-SM-7EWDZ 50-59 years, male 9.7
GTEX-1JKYN-0826-SM-ARU8S 30-39 years, male 9.7
GTEX-11EQ8-0926-SM-5H12V 60-69 years, male 9.6
GTEX-12KS4-2126-SM-5FQUT 30-39 years, male 9.6
GTEX-1KANB-2826-SM-CY8I6 50-59 years, male 9.6
GTEX-11P81-2226-SM-5PNYI 30-39 years, female 9.5
GTEX-18A6Q-0626-SM-7KFRP 60-69 years, male 9.5
GTEX-WYBS-0626-SM-3NMAS 60-69 years, female 9.5
GTEX-ZYVF-0926-SM-5E44J 50-59 years, female 9.5
GTEX-1GZHY-0626-SM-9KNVC 50-59 years, female 9.5
GTEX-1HSMP-0926-SM-A9SKX 70-79 years, male 9.5
GTEX-131XW-0626-SM-5PNVD 50-59 years, female 9.4
GTEX-1CB4J-1326-SM-7P8RX 60-69 years, male 9.4
GTEX-1399U-1126-SM-5L3DB 50-59 years, female 9.3
GTEX-13N1W-2426-SM-5IJD1 70-79 years, male 9.3
GTEX-13SLW-0626-SM-5Q5ER 70-79 years, male 9.3
GTEX-ZF2S-1626-SM-57WES 50-59 years, female 9.3
GTEX-1CAMQ-1326-SM-7P8RV 40-49 years, male 9.3
GTEX-1R7EU-1626-SM-DTXG3 60-69 years, male 9.3
GTEX-1GF9V-0826-SM-9KNUV 60-69 years, male 9.2
GTEX-1S3DN-2126-SM-E9TIN 50-59 years, male 9.2
GTEX-145LU-1926-SM-79OJN 50-59 years, male 9.1
GTEX-16NPX-0726-SM-7KULC 50-59 years, male 9.1
GTEX-XMD2-2126-SM-4YCF8 60-69 years, female 9.1
GTEX-1AYD5-2626-SM-7PBXY 50-59 years, male 9.1
GTEX-1B97I-0626-SM-73KUZ 40-49 years, male 9.0
GTEX-ZF29-0926-SM-4WKFZ 60-69 years, female 9.0
GTEX-1H1DE-1326-SM-9KNUG 20-29 years, male 9.0
GTEX-1HCVE-2726-SM-CL54F 50-59 years, male 9.0
GTEX-1I1GV-0626-SM-ARL7M 60-69 years, male 9.0
GTEX-1IE54-1126-SM-A9G2Z 40-49 years, female 9.0
GTEX-13OW6-2726-SM-5J2OE 50-59 years, male 8.9
GTEX-XAJ8-1426-SM-47JYM 40-49 years, male 8.9
GTEX-XPVG-2126-SM-4B667 50-59 years, male 8.9
GTEX-1H4P4-2126-SM-9WYSL 50-59 years, male 8.9
GTEX-YEC3-1326-SM-DO92X 50-59 years, male 8.9
GTEX-XBED-1926-SM-47JYP 60-69 years, male 8.8
GTEX-1GF9X-1326-SM-7PC2Y 40-49 years, female 8.8
GTEX-1HT8W-0626-SM-A9G2H 30-39 years, male 8.8
GTEX-1JKYR-0626-SM-ARL8R 20-29 years, male 8.8
GTEX-1PPGY-1626-SM-EVYBL 60-69 years, male 8.8
GTEX-111YS-1526-SM-5GZYW 60-69 years, male 8.7
GTEX-139TU-0726-SM-5L3EK 60-69 years, male 8.7
GTEX-1GN2E-0226-SM-9WG6K 60-69 years, male 8.7
GTEX-1PBJJ-1026-SM-E76OS 30-39 years, male 8.7
GTEX-1PPH8-0126-SM-EWRN8 20-29 years, male 8.7
GTEX-1269C-0126-SM-5EQ5L 60-69 years, female 8.6
GTEX-14753-0726-SM-5QGQO 60-69 years, male 8.6
GTEX-178AV-1726-SM-7KUL8 40-49 years, male 8.6
GTEX-UPJH-0226-SM-3GADV 50-59 years, male 8.6
GTEX-ZPCL-1126-SM-4WWFE 60-69 years, female 8.6
GTEX-ZVE1-0726-SM-51MRN 50-59 years, female 8.6
GTEX-1QW4Y-1126-SM-DTXE3 30-39 years, male 8.6
GTEX-11TUW-0626-SM-5LU9M 60-69 years, male 8.5
GTEX-11ZTT-2126-SM-5CVLO 60-69 years, female 8.5
GTEX-1B932-2326-SM-79OL5 40-49 years, female 8.5
GTEX-1A8FM-0626-SM-7PC25 50-59 years, female 8.5
GTEX-ZYT6-2326-SM-5GZY3 30-39 years, male 8.4
GTEX-ZZPU-0826-SM-5GZX5 50-59 years, female 8.4
GTEX-1H11D-1826-SM-9QEHM 40-49 years, male 8.4
GTEX-1H3VE-0726-SM-9YFL5 40-49 years, male 8.4
GTEX-11VI4-1126-SM-5EQMD 40-49 years, female 8.3
GTEX-14BMV-2826-SM-5TDED 50-59 years, male 8.3
GTEX-WH7G-2026-SM-3NMBL 40-49 years, male 8.3
GTEX-WYJK-0526-SM-3NM8Z 50-59 years, male 8.3
GTEX-ZYY3-2926-SM-5GIEB 60-69 years, female 8.3
GTEX-1I1HK-2326-SM-CKZOH 60-69 years, male 8.3
GTEX-11ZUS-2626-SM-5FQUR 30-39 years, male 8.2
GTEX-1ICG6-1226-SM-A9SLN 70-79 years, female 8.2
GTEX-1R9PM-1926-SM-EVR3O 20-29 years, male 8.2
GTEX-1313W-0626-SM-5EQ4H 50-59 years, female 8.1
GTEX-13PVR-0426-SM-5RQK2 60-69 years, female 8.1
GTEX-14PKU-0126-SM-6LLHV 40-49 years, female 8.1
GTEX-15ER7-0626-SM-6PANF 20-29 years, female 8.1
GTEX-ZDTT-0426-SM-4WKFL 60-69 years, male 8.1
GTEX-1HR98-2226-SM-ADEI2 60-69 years, male 8.1
GTEX-1J8Q2-2626-SM-ACKWQ 60-69 years, male 8.1
GTEX-1K2DU-1226-SM-CYPT4 20-29 years, male 8.1
GTEX-1M4P7-0726-SM-E6CJ3 60-69 years, male 8.1
GTEX-1MCYP-0526-SM-E9U6Q 20-29 years, female 8.1
GTEX-13OW7-0426-SM-5K7VK 50-59 years, male 8.0
GTEX-13PDP-0726-SM-5L3HP 60-69 years, male 8.0
GTEX-1IDJU-1726-SM-CMKHU 60-69 years, female 8.0
GTEX-1JMQJ-0826-SM-CNPP7 50-59 years, male 8.0
GTEX-1PDJ9-1226-SM-EXUSX 20-29 years, male 8.0
GTEX-13W3W-0726-SM-5IJDQ 60-69 years, female 7.9
GTEX-16NGA-0726-SM-731AO 40-49 years, female 7.9
GTEX-YECK-0326-SM-4W1YS 60-69 years, male 7.9
GTEX-1GMR3-0126-SM-A9SLW 40-49 years, male 7.9
GTEX-111VG-1626-SM-5EGIO 60-69 years, male 7.8
GTEX-13O3O-2326-SM-5IJD6 60-69 years, female 7.8
GTEX-14PJ5-1526-SM-6LLIL 60-69 years, female 7.7
GTEX-1HBPN-0126-SM-CGQEF 50-59 years, male 7.7
GTEX-1LG7Y-2526-SM-EWRO7 50-59 years, male 7.7
GTEX-11GS4-0226-SM-5HL77 60-69 years, male 7.6
GTEX-14PJN-1826-SM-6AJ98 30-39 years, male 7.6
GTEX-ZT9X-1526-SM-5DUXD 40-49 years, male 7.6
GTEX-1CB4I-0126-SM-7RHGG 50-59 years, male 7.6
GTEX-1IDJV-0126-SM-COH3Y 60-69 years, male 7.6
GTEX-1JN76-0626-SM-CKZOQ 20-29 years, female 7.6
GTEX-11GSP-2326-SM-5HL63 60-69 years, female 7.5
GTEX-13D11-0926-SM-5J2NC 50-59 years, female 7.5
GTEX-13OVH-0526-SM-5L3E6 70-79 years, male 7.5
GTEX-1CB4E-0926-SM-7EPHT 60-69 years, male 7.5
GTEX-1HCU7-0726-SM-A9SL1 50-59 years, male 7.5
GTEX-1GN1U-0626-SM-9MQL9 50-59 years, female 7.4
GTEX-1IDFM-0326-SM-ARL7V 60-69 years, male 7.4
GTEX-1KANA-1326-SM-DIPFA 20-29 years, male 7.4
GTEX-ZLV1-1526-SM-DO91J 60-69 years, female 7.4
GTEX-13PL6-1126-SM-5L3IE 40-49 years, female 7.3
GTEX-ZVT4-2426-SM-5GIEI 50-59 years, female 7.3
GTEX-1HSKV-1226-SM-ADEI4 60-69 years, male 7.3
GTEX-1LVAM-0726-SM-E6CIL 50-59 years, female 7.3
GTEX-13VXU-0626-SM-5L3F9 50-59 years, male 7.2
GTEX-147GR-2426-SM-5ZZWQ 60-69 years, male 7.2
GTEX-1B8SF-0126-SM-7DUG3 60-69 years, male 7.2
GTEX-ZDYS-2426-SM-4WKGI 50-59 years, male 7.2
GTEX-1RAZQ-1326-SM-E9TK6 30-39 years, male 7.2
GTEX-15CHC-1126-SM-6LLHQ 60-69 years, female 7.1
GTEX-1AMEY-0826-SM-72D65 30-39 years, female 7.1
GTEX-1N2EE-0626-SM-E76PW 60-69 years, male 7.1
GTEX-1RMOY-1326-SM-E9TIH 50-59 years, male 7.1
GTEX-11PRG-0726-SM-5EGL1 50-59 years, male 7.0
GTEX-13G51-1826-SM-5KLZH 60-69 years, male 7.0
GTEX-145MF-0926-SM-5Q5EA 50-59 years, male 7.0
GTEX-14JFF-0626-SM-5ZZVT 60-69 years, male 7.0
GTEX-1B8KZ-0326-SM-73KY4 50-59 years, male 6.9
GTEX-1QCLY-0226-SM-EWRNH 30-39 years, male 6.9
GTEX-15SKB-2826-SM-6PAMH 60-69 years, male 6.8
GTEX-1A8G6-2726-SM-731AR 60-69 years, male 6.8
GTEX-WHSB-1326-SM-3LK6W 50-59 years, male 6.8
GTEX-ZE9C-2526-SM-5IJDR 60-69 years, male 6.8
GTEX-17KNJ-2126-SM-718AM 50-59 years, male 6.7
GTEX-1GN1W-2426-SM-9KNUU 50-59 years, female 6.7
GTEX-1QPFJ-1926-SM-EVYBD 30-39 years, female 6.7
GTEX-145MH-2826-SM-5RQJF 50-59 years, male 6.6
GTEX-1AMFI-1326-SM-7939R 50-59 years, female 6.5
GTEX-Y9LG-1126-SM-4VBQ7 30-39 years, male 6.5
GTEX-ZWKS-0626-SM-5GIDV 30-39 years, male 6.4
GTEX-1GZ4I-2626-SM-9KNU3 50-59 years, male 6.4
GTEX-14A6H-2026-SM-5Q5DD 30-39 years, male 6.3
GTEX-14BIN-1126-SM-5RQJZ 50-59 years, female 6.3
GTEX-1QP28-1126-SM-EVYC4 50-59 years, female 6.3
GTEX-1GN73-0726-SM-7P8TJ 60-69 years, male 6.2
GTEX-1I1GT-1026-SM-ARZLV 60-69 years, female 6.2
GTEX-14ICL-1626-SM-5YYAO 30-39 years, male 6.1
GTEX-18A67-1626-SM-7LT9T 50-59 years, male 6.1
GTEX-1A8G7-1326-SM-73KVM 60-69 years, male 6.1
GTEX-1399Q-2326-SM-5KM2X 40-49 years, male 6.0
GTEX-1LB8K-0726-SM-D5OV2 50-59 years, male 6.0
GTEX-1KXAM-1626-SM-D3LAD 60-69 years, male 5.9
GTEX-14XAO-1226-SM-6EU1C 60-69 years, female 5.8
GTEX-1JJEA-1826-SM-ARU8P 60-69 years, male 5.8
GTEX-1K9T9-1526-SM-DIPFR 50-59 years, female 5.8
GTEX-1OJC4-2726-SM-E76PJ 50-59 years, female 5.8
GTEX-1QAET-0326-SM-EVR3U 50-59 years, male 5.8
GTEX-12WSM-1926-SM-5BC65 60-69 years, male 5.7
GTEX-13NZ8-1226-SM-5KM4A 60-69 years, female 5.7
GTEX-14PJ3-1126-SM-5ZZVX 50-59 years, male 5.5
GTEX-14PJ4-0226-SM-5YY92 60-69 years, male 5.5
GTEX-1IOXB-2726-SM-CM2RI 50-59 years, male 5.4
GTEX-14PJ6-2626-SM-6EU2T 60-69 years, female 5.3
GTEX-1C2JI-1026-SM-73KY1 50-59 years, male 5.3
GTEX-17F9Y-0126-SM-79OKX 70-79 years, female 5.2
GTEX-11WQK-1026-SM-5EQLX 50-59 years, male 5.1
GTEX-1F88F-0126-SM-9WYSZ 60-69 years, female 5.1
GTEX-11DXX-2126-SM-5PNYR 60-69 years, female 4.9
GTEX-1GN1V-2826-SM-9JGIA 60-69 years, male 4.8
GTEX-1122O-1026-SM-9WYSF 60-69 years, female 4.7
GTEX-1GPI6-1926-SM-9KNV7 60-69 years, male 4.7
GTEX-1S83E-1326-SM-E6CJM 40-49 years, male 4.7
GTEX-13QJC-0126-SM-5ZZWJ 60-69 years, female 4.6
GTEX-V1D1-2026-SM-3GAF4 50-59 years, male 4.6
GTEX-1C6VR-0126-SM-7RHGB 60-69 years, male 4.6
GTEX-1J8QM-2426-SM-A9SLS 60-69 years, female 4.6
GTEX-14B4R-1326-SM-5Q5EZ 30-39 years, male 4.4
GTEX-ZVZP-1226-SM-5GID7 50-59 years, male 4.3
GTEX-1B8L1-2226-SM-7P8PT 60-69 years, male 4.2
GTEX-1HR9M-2226-SM-CNPPY 60-69 years, male 4.1
GTEX-1PPH7-1126-SM-DTX9A 40-49 years, male 4.0
GTEX-1F6RS-2026-SM-7RHHC 60-69 years, female 3.9
GTEX-144GL-0626-SM-5LU4D 50-59 years, male 3.8
GTEX-145MI-0626-SM-5SI8S 60-69 years, female 3.8
GTEX-1NV5F-0626-SM-DTXEG 60-69 years, female 3.6
GTEX-1F5PK-2226-SM-7SB6N 50-59 years, male 3.4
GTEX-1QP2A-1726-SM-E76QC 50-59 years, male 2.8
Show allShow less
Skin - Sun Exposed (Lower leg)
Average nTPM: 18.8
Samples: 701

Max nTPM: 66.6
Min nTPM: 4.1
Std nTPM: 9.0
Median nTPM: 17.4
GTEX-X585-0226-SM-4QAS2 50-59 years, male 66.6
GTEX-1HBPM-0226-SM-ARL9F 60-69 years, female 61.5
GTEX-ZTPG-0326-SM-5O9AX 20-29 years, female 61.2
GTEX-1192X-0226-SM-5H12D 50-59 years, male 56.3
GTEX-11TTK-0126-SM-5987B 60-69 years, female 56.0
GTEX-RTLS-0126-SM-447CA 60-69 years, female 54.2
GTEX-ZAB4-0226-SM-5N9F5 40-49 years, male 53.3
GTEX-P4PQ-0126-SM-2S1NM 60-69 years, male 48.4
GTEX-RUSQ-1526-SM-2TF62 50-59 years, male 46.9
GTEX-1RAZQ-0726-SM-EAZ43 30-39 years, male 46.8
GTEX-QDT8-0126-SM-48TZ1 30-39 years, female 46.4
GTEX-1QP67-1626-SM-EAZ3X 40-49 years, female 46.2
GTEX-17EVQ-0226-SM-7LG4P 70-79 years, male 45.9
GTEX-11UD1-0126-SM-5PNYG 40-49 years, female 44.5
GTEX-X8HC-0126-SM-4E3JW 50-59 years, female 43.9
GTEX-1QW4Y-1526-SM-EAZ3Z 30-39 years, male 43.4
GTEX-WI4N-1026-SM-3LK7N 40-49 years, female 43.3
GTEX-1HSMO-0126-SM-CL547 60-69 years, male 42.9
GTEX-1HUB1-0426-SM-E9U4U 60-69 years, male 42.7
GTEX-1I1GS-0126-SM-B2LVW 60-69 years, male 41.8
GTEX-X638-0126-SM-47JZ8 70-79 years, female 40.5
GTEX-1LC47-0326-SM-E9TJP 60-69 years, male 39.5
GTEX-NPJ8-0126-SM-2YUNR 40-49 years, male 38.8
GTEX-1OJC4-0126-SM-E9J2E 50-59 years, female 38.5
GTEX-12584-0126-SM-5EGKQ 40-49 years, male 38.4
GTEX-14A6H-0126-SM-5QGPK 30-39 years, male 38.4
GTEX-1A3MW-0126-SM-73KXX 60-69 years, female 38.3
GTEX-1R9PO-2126-SM-E9J4O 60-69 years, female 38.3
GTEX-16MT8-0426-SM-7KUEY 60-69 years, female 38.2
GTEX-WOFL-0126-SM-3MJG2 60-69 years, male 37.9
GTEX-11DZ1-0126-SM-5985Q 50-59 years, male 37.7
GTEX-14PN4-0126-SM-6EU2V 50-59 years, male 37.6
GTEX-145LV-2126-SM-5LU8N 50-59 years, male 37.5
GTEX-PLZ4-0126-SM-5SI8O 50-59 years, female 37.5
GTEX-11H98-0126-SM-5EGHG 50-59 years, male 36.3
GTEX-1I1CD-0126-SM-CM2TK 60-69 years, female 36.3
GTEX-Y3IK-2426-SM-4WWDU 50-59 years, female 35.5
GTEX-15SDE-2226-SM-7IGLO 50-59 years, female 35.3
GTEX-15SHU-0126-SM-7KUEH 40-49 years, female 35.2
GTEX-14JIY-0126-SM-6LLH6 60-69 years, male 35.1
GTEX-1AYD5-2426-SM-73KXR 50-59 years, male 35.0
GTEX-13IVO-0126-SM-5J1NG 70-79 years, male 34.9
GTEX-1PWST-0226-SM-E76QJ 70-79 years, male 34.9
GTEX-1399U-2326-SM-5K7WY 50-59 years, female 34.5
GTEX-132NY-0326-SM-5IJBL 60-69 years, male 33.8
GTEX-1LNCM-1126-SM-E9U5E 50-59 years, female 33.8
GTEX-1H2FU-0126-SM-9WYSI 60-69 years, female 33.7
GTEX-13CF2-2526-SM-5LZYX 60-69 years, male 33.1
GTEX-1AYCT-2426-SM-7IGQ3 50-59 years, male 32.8
GTEX-W5X1-3026-SM-EAZAX 40-49 years, female 32.7
GTEX-16YQH-0126-SM-7DUFJ 30-39 years, male 32.3
GTEX-X88G-0126-SM-47JZ3 30-39 years, male 32.1
GTEX-ZE7O-0126-SM-57WC1 50-59 years, female 32.0
GTEX-139T4-0226-SM-5HL5S 50-59 years, female 31.9
GTEX-XV7Q-2526-SM-4BRV9 40-49 years, female 31.8
GTEX-XXEK-2226-SM-4BRUM 50-59 years, male 31.8
GTEX-13NZ8-0826-SM-5MR3I 60-69 years, female 31.5
GTEX-113IC-0126-SM-5HL6T 60-69 years, male 31.4
GTEX-117YW-2626-SM-5GZZH 50-59 years, male 31.3
GTEX-TMZS-0126-SM-3DB9Q 60-69 years, male 31.0
GTEX-139T8-0126-SM-5K7XZ 60-69 years, male 30.8
GTEX-OOBK-0126-SM-2YUND 40-49 years, male 30.8
GTEX-ZYY3-0126-SM-5GZY5 60-69 years, female 30.7
GTEX-Y114-2426-SM-4TT8A 50-59 years, female 30.6
GTEX-14E6C-0126-SM-5RQIP 40-49 years, male 30.4
GTEX-YJ8A-0426-SM-5IFID 20-29 years, male 30.0
GTEX-ZY6K-1826-SM-5GZXK 50-59 years, male 29.9
GTEX-11GSP-2526-SM-5N9BP 60-69 years, female 29.6
GTEX-11DXW-0226-SM-5H122 40-49 years, male 29.1
GTEX-13NYS-0126-SM-5MR3W 60-69 years, male 28.7
GTEX-R45C-0126-SM-EAZ2R 60-69 years, female 28.7
GTEX-1RLM8-2326-SM-EWRN4 50-59 years, male 28.5
GTEX-13RTL-0126-SM-7LG5S 40-49 years, male 28.4
GTEX-139D8-0226-SM-5KLZO 30-39 years, female 28.3
GTEX-145MO-0326-SM-5Q5B3 60-69 years, male 28.3
GTEX-148VJ-0126-SM-5TDDN 70-79 years, male 28.3
GTEX-11P7K-2126-SM-5GU7G 30-39 years, male 28.2
GTEX-1S82Y-2026-SM-EVYCM 40-49 years, male 28.2
GTEX-OOBJ-0126-SM-E6CJW 60-69 years, male 28.0
GTEX-17F97-0326-SM-7LG5B 50-59 years, male 27.9
GTEX-Y111-0126-SM-4SOIV 50-59 years, male 27.9
GTEX-X5EB-2226-SM-46MW4 40-49 years, male 27.8
GTEX-1H3O1-0426-SM-9YFKY 60-69 years, male 27.7
GTEX-11P82-1626-SM-59879 20-29 years, male 27.6
GTEX-1JN1M-0326-SM-CYPT3 60-69 years, female 27.5
GTEX-1PBJI-0526-SM-E8VNK 20-29 years, female 27.5
GTEX-S7PM-0126-SM-4AD6S 60-69 years, male 27.3
GTEX-U412-0426-SM-3DB9O 60-69 years, male 27.3
GTEX-X4XY-0226-SM-4E3IZ 60-69 years, male 27.2
GTEX-1N2EF-0226-SM-EYYXB 60-69 years, male 27.2
GTEX-13X6I-0626-SM-5QGP9 60-69 years, male 27.1
GTEX-1ICLY-0126-SM-D4P36 50-59 years, male 27.1
GTEX-13W46-0226-SM-5SIAG 50-59 years, male 27.0
GTEX-18A67-0126-SM-7LG5P 50-59 years, male 27.0
GTEX-1B933-0126-SM-7PC29 50-59 years, female 27.0
GTEX-1F6I4-0126-SM-9MQL2 60-69 years, male 27.0
GTEX-1GTWX-0126-SM-9YFLK 60-69 years, male 27.0
GTEX-1HBPH-0426-SM-B2LW5 40-49 years, female 27.0
GTEX-146FH-0126-SM-5QGPP 50-59 years, female 26.9
GTEX-T2IS-0126-SM-4DM6O 20-29 years, female 26.9
GTEX-X4EP-0126-SM-3P5YV 60-69 years, female 26.9
GTEX-1HSMP-0126-SM-E6CJS 70-79 years, male 26.9
GTEX-11ZVC-2526-SM-5FQTE 50-59 years, female 26.7
GTEX-18QFQ-0126-SM-731BE 30-39 years, male 26.7
GTEX-P4PP-0126-SM-3LK69 30-39 years, female 26.7
GTEX-13O1R-0126-SM-5L3EH 60-69 years, male 26.6
GTEX-XYKS-2126-SM-4E3IB 60-69 years, female 26.6
GTEX-RNOR-0126-SM-E9J4R 50-59 years, female 26.5
GTEX-1314G-1526-SM-5EGK2 30-39 years, male 26.4
GTEX-13YAN-0326-SM-5O9DF 60-69 years, male 26.4
GTEX-12WSG-2826-SM-E9J4H 50-59 years, female 26.4
GTEX-Z93T-0126-SM-5HL5N 50-59 years, male 26.3
GTEX-1HCU6-0126-SM-CL54K 60-69 years, female 26.3
GTEX-13O3P-0126-SM-5KM4S 50-59 years, male 26.1
GTEX-UJHI-1526-SM-3DB99 50-59 years, female 26.1
GTEX-1JMQK-0226-SM-CL543 60-69 years, male 26.1
GTEX-1A32A-0126-SM-718B1 50-59 years, female 26.0
GTEX-PWO3-1526-SM-48TCM 60-69 years, female 26.0
GTEX-X62O-0126-SM-4E3JN 50-59 years, male 26.0
GTEX-Y3I4-2126-SM-4TT7C 50-59 years, male 26.0
GTEX-1C6WA-0126-SM-7PC2B 60-69 years, male 26.0
GTEX-11EMC-2926-SM-5EQ4F 60-69 years, female 25.9
GTEX-13OVJ-0126-SM-5KM36 50-59 years, female 25.8
GTEX-14PHW-0126-SM-6LLJI 60-69 years, female 25.8
GTEX-ZDTS-0126-SM-4WAY5 60-69 years, male 25.8
GTEX-12WSJ-1826-SM-5GCNY 40-49 years, female 25.7
GTEX-12ZZX-0126-SM-5EGK9 40-49 years, female 25.6
GTEX-13X6H-2126-SM-7EWD5 50-59 years, female 25.6
GTEX-13N1W-0126-SM-5K7VT 70-79 years, male 25.5
GTEX-13O21-1426-SM-5K7XI 50-59 years, male 25.5
GTEX-ZVT2-2526-SM-51MT1 50-59 years, female 25.5
GTEX-1IDFM-0126-SM-COH2V 60-69 years, male 25.5
GTEX-QV44-1926-SM-2S1RF 50-59 years, male 25.4
GTEX-1CAV2-2226-SM-7P8P2 40-49 years, female 25.4
GTEX-13RTJ-2426-SM-5S2Q2 60-69 years, male 25.3
GTEX-WQUQ-0426-SM-3MJFU 60-69 years, male 25.3
GTEX-15SB6-1726-SM-6PAME 50-59 years, female 25.2
GTEX-PLZ5-2026-SM-2S1O4 50-59 years, male 25.2
GTEX-15UF6-0826-SM-6PALJ 70-79 years, female 25.1
GTEX-ZZPT-0226-SM-5E43X 50-59 years, male 25.1
GTEX-11GSO-2426-SM-5A5LY 60-69 years, male 25.0
GTEX-1HGF4-2426-SM-ACKXM 60-69 years, male 24.9
GTEX-15DDE-0126-SM-6LPKH 50-59 years, female 24.8
GTEX-ZYW4-0126-SM-5E44A 60-69 years, male 24.8
GTEX-11TUW-2726-SM-E9J4M 60-69 years, male 24.8
GTEX-S33H-1026-SM-EZ6L6 30-39 years, male 24.8
GTEX-12WSD-0126-SM-59HKN 60-69 years, female 24.6
GTEX-13G51-2526-SM-5LZYK 60-69 years, male 24.6
GTEX-146FQ-0126-SM-5NQA9 30-39 years, male 24.6
GTEX-1H1DG-0126-SM-9WYU2 70-79 years, male 24.6
GTEX-1R46S-0626-SM-E9J41 60-69 years, female 24.6
GTEX-1269C-2526-SM-5EGJ3 60-69 years, female 24.4
GTEX-13N11-2526-SM-5K7UE 50-59 years, female 24.3
GTEX-O5YW-0126-SM-3LK6D 50-59 years, male 24.3
GTEX-1JMOU-1526-SM-CL54I 60-69 years, female 24.3
GTEX-16XZY-2126-SM-79OK1 70-79 years, male 24.2
GTEX-17HHE-2026-SM-79OKF 50-59 years, male 23.9
GTEX-QEG4-0226-SM-2S1PY 30-39 years, male 23.9
GTEX-1GN1V-0126-SM-9WPOS 60-69 years, male 23.9
GTEX-1H3VY-0126-SM-ACKXD 50-59 years, male 23.9
GTEX-1IKK5-0626-SM-ARL8A 60-69 years, male 23.8
GTEX-11ZUS-0626-SM-59885 30-39 years, male 23.7
GTEX-OXRL-0126-SM-2YUMP 50-59 years, male 23.6
GTEX-ZDXO-3026-SM-5J1N5 60-69 years, male 23.6
GTEX-13OW7-0126-SM-5MR3B 50-59 years, male 23.5
GTEX-X4XX-0126-SM-3NMC2 60-69 years, male 23.5
GTEX-OXRP-0126-SM-3NB32 60-69 years, female 23.4
GTEX-U8XE-0326-SM-3DB8P 30-39 years, male 23.4
GTEX-1MCYP-1926-SM-E9J2R 20-29 years, female 23.4
GTEX-1J1OQ-0226-SM-CYPSH 40-49 years, female 23.3
GTEX-12126-0326-SM-5PNW3 20-29 years, male 23.2
GTEX-17MF6-0126-SM-7LG4F 40-49 years, male 23.2
GTEX-13NZB-2526-SM-5J1OM 30-39 years, male 23.1
GTEX-1192W-2626-SM-5Q5AF 60-69 years, male 23.0
GTEX-11DYG-0126-SM-59883 60-69 years, male 23.0
GTEX-11ZTS-0126-SM-5EQ6M 60-69 years, female 23.0
GTEX-1C4CL-0526-SM-73KVK 30-39 years, male 23.0
GTEX-1F52S-0126-SM-9MQJU 60-69 years, female 22.9
GTEX-13SLW-0126-SM-5SI6C 70-79 years, male 22.8
GTEX-RU72-0926-SM-2TF6B 50-59 years, female 22.8
GTEX-ZXES-1826-SM-5E43S 30-39 years, female 22.7
GTEX-13SLX-0526-SM-5S2ON 50-59 years, female 22.6
GTEX-TML8-1926-SM-32QOS 40-49 years, female 22.6
GTEX-1ICLZ-0126-SM-CKZPO 60-69 years, male 22.6
GTEX-11OF3-2626-SM-5GU7F 60-69 years, male 22.4
GTEX-147F4-0226-SM-5QGPW 50-59 years, male 22.4
GTEX-1MUQO-0126-SM-EAZ58 60-69 years, male 22.4
GTEX-WVJS-0126-SM-4MVOT 50-59 years, male 22.3
GTEX-1NV5F-0226-SM-E8VNY 60-69 years, female 22.3
GTEX-139TS-2826-SM-5J1OO 60-69 years, male 22.2
GTEX-OXRN-0126-SM-48TDM 50-59 years, male 22.2
GTEX-ZYFD-0126-SM-5GIDL 50-59 years, male 22.2
GTEX-13O3O-0126-SM-E9J49 60-69 years, female 22.2
GTEX-1GF9X-2026-SM-7PC3A 40-49 years, female 22.2
GTEX-1H1ZS-0426-SM-9WG6G 70-79 years, male 22.2
GTEX-ZPIC-1726-SM-DHXIU 40-49 years, female 22.2
GTEX-13QJ3-0326-SM-5S2RA 50-59 years, male 22.1
GTEX-1F48J-0126-SM-7P8TT 50-59 years, female 22.1
GTEX-1EWIQ-0126-SM-7RHH2 70-79 years, female 22.0
GTEX-131XG-2626-SM-5KM17 50-59 years, female 21.9
GTEX-U4B1-1826-SM-4DXSU 40-49 years, male 21.9
GTEX-1RB15-2126-SM-E9TIM 60-69 years, male 21.9
GTEX-18A7A-0226-SM-718BH 50-59 years, female 21.8
GTEX-X4EO-0326-SM-3P5YO 60-69 years, female 21.8
GTEX-1EN7A-0126-SM-7SB81 40-49 years, male 21.8
GTEX-1GN73-0226-SM-9WG67 60-69 years, male 21.8
GTEX-1H3NZ-0126-SM-ACKX7 60-69 years, male 21.8
GTEX-17HII-0226-SM-7LG4E 50-59 years, male 21.7
GTEX-WH7G-2326-SM-3NMBC 40-49 years, male 21.6
GTEX-ZF28-0126-SM-4WKGK 60-69 years, male 21.6
GTEX-12WSK-2326-SM-5GCOH 40-49 years, female 21.5
GTEX-15SHW-0326-SM-6PAML 60-69 years, male 21.5
GTEX-ZVE2-0226-SM-59HJB 50-59 years, male 21.5
GTEX-1R9K4-0126-SM-DTX9X 60-69 years, male 21.5
GTEX-WZTO-0126-SM-3NM95 40-49 years, male 21.4
GTEX-1H3VE-0326-SM-9YFLH 40-49 years, male 21.4
GTEX-XUW1-0426-SM-4BOOT 50-59 years, female 21.3
GTEX-1JMPY-1326-SM-ARL8Y 30-39 years, male 21.3
GTEX-SN8G-0126-SM-32PLI 50-59 years, female 21.1
GTEX-1GMR8-0126-SM-9WYTM 50-59 years, female 21.1
GTEX-1I1GP-2226-SM-CGQFK 50-59 years, male 21.1
GTEX-11TT1-2526-SM-5EGIB 20-29 years, male 21.0
GTEX-ZAB5-1826-SM-5HL7C 50-59 years, male 21.0
GTEX-1N2DV-0226-SM-E6CJ6 40-49 years, male 21.0
GTEX-ZAJG-0126-SM-5HL94 50-59 years, female 20.9
GTEX-1C6VQ-0126-SM-7P8RI 50-59 years, male 20.9
GTEX-13X6J-0126-SM-5QGOU 50-59 years, male 20.8
GTEX-14PK6-1926-SM-6ETZU 70-79 years, female 20.8
GTEX-Q2AI-1326-SM-2S1PL 40-49 years, male 20.8
GTEX-R55E-0126-SM-2TC5Y 20-29 years, male 20.8
GTEX-SIU8-0126-SM-2XCDT 50-59 years, male 20.8
GTEX-1I1HK-0126-SM-COH49 60-69 years, male 20.8
GTEX-SSA3-0126-SM-32QPU 60-69 years, male 20.7
GTEX-1I1GU-2226-SM-CGQFA 40-49 years, male 20.7
GTEX-13FHO-0226-SM-5IFGY 60-69 years, male 20.6
GTEX-1497J-2426-SM-7IGNX 60-69 years, male 20.6
GTEX-XUYS-0126-SM-47JWZ 50-59 years, male 20.6
GTEX-1GF9U-2126-SM-7SB7L 40-49 years, female 20.6
GTEX-13OVG-1926-SM-5L3DK 60-69 years, male 20.5
GTEX-14LLW-0126-SM-6LLIO 70-79 years, female 20.5
GTEX-14ICK-0226-SM-6EU25 40-49 years, male 20.4
GTEX-17HGU-0226-SM-7DHKV 50-59 years, male 20.4
GTEX-183WM-0126-SM-7LTAB 70-79 years, female 20.4
GTEX-RN64-0126-SM-2TC68 50-59 years, male 20.4
GTEX-WXYG-2326-SM-4E3I6 50-59 years, female 20.4
GTEX-12696-2426-SM-5EQ6H 60-69 years, male 20.3
GTEX-1313W-0126-SM-5LZUN 50-59 years, female 20.3
GTEX-XAJ8-0826-SM-47JY6 40-49 years, male 20.3
GTEX-YEC4-2126-SM-5IFJH 40-49 years, male 20.3
GTEX-1B8L1-2526-SM-9WYTF 60-69 years, male 20.3
GTEX-1F75A-0126-SM-7RHGM 50-59 years, male 20.3
GTEX-111VG-2426-SM-5GZXD 60-69 years, male 20.2
GTEX-13FTX-1826-SM-5J1NX 20-29 years, female 20.2
GTEX-1B8SG-0126-SM-73KZ3 50-59 years, male 20.2
GTEX-1RAZA-0126-SM-E6CI3 20-29 years, male 20.2
GTEX-113JC-2326-SM-5EQ4E 50-59 years, female 20.1
GTEX-11OC5-0126-SM-5HL6A 60-69 years, male 20.1
GTEX-14XAO-2326-SM-6EU1B 60-69 years, female 20.0
GTEX-1CB4H-0226-SM-7PBXM 60-69 years, female 20.0
GTEX-1H1DE-2126-SM-9WG6R 20-29 years, male 20.0
GTEX-11DXX-2426-SM-5GZZW 60-69 years, female 19.9
GTEX-11P81-2326-SM-59875 30-39 years, female 19.9
GTEX-17F98-0626-SM-79OMX 40-49 years, female 19.9
GTEX-146FR-1326-SM-E9J48 60-69 years, female 19.9
GTEX-PW2O-1526-SM-7RHHB 20-29 years, male 19.9
GTEX-ZF29-2326-SM-DO92K 60-69 years, female 19.9
GTEX-13OVL-0226-SM-5L3E9 50-59 years, male 19.8
GTEX-WYVS-2126-SM-3NMA3 40-49 years, female 19.8
GTEX-169BO-1326-SM-9MQK2 50-59 years, male 19.7
GTEX-1F7RK-0126-SM-7PC2S 20-29 years, female 19.7
GTEX-13NZA-0226-SM-5K7Z7 60-69 years, male 19.6
GTEX-13PDP-0126-SM-5L3HD 60-69 years, male 19.6
GTEX-144GN-2326-SM-5LU4F 50-59 years, male 19.6
GTEX-15EOM-0126-SM-7KUGG 20-29 years, female 19.6
GTEX-XQ3S-1526-SM-4BOOC 20-29 years, male 19.6
GTEX-117YX-2326-SM-5H12W 50-59 years, male 19.5
GTEX-15DYW-0126-SM-7KULE 60-69 years, female 19.5
GTEX-1GMRU-0126-SM-9YFLV 50-59 years, male 19.5
GTEX-1HBPI-1526-SM-C1YQ1 50-59 years, male 19.5
GTEX-1KD4Q-0226-SM-E9TJ9 40-49 years, male 19.5
GTEX-1J8JJ-0226-SM-CL53I 60-69 years, female 19.4
GTEX-11GS4-2726-SM-5A5LE 60-69 years, male 19.3
GTEX-1A8FM-0226-SM-7SB7Q 50-59 years, female 19.3
GTEX-14BIL-0126-SM-5SI92 50-59 years, male 19.2
GTEX-15D1Q-0126-SM-7KUG6 40-49 years, male 19.2
GTEX-1AX8Z-0126-SM-7DHM6 60-69 years, male 19.2
GTEX-U3ZH-2026-SM-3DB78 30-39 years, male 19.2
GTEX-1MCQQ-0826-SM-DLHC2 60-69 years, male 19.2
GTEX-11DXY-2626-SM-5GIE7 60-69 years, male 19.1
GTEX-11DXZ-2326-SM-5EGGV 50-59 years, male 19.1
GTEX-139TT-0126-SM-5K7Y5 60-69 years, male 19.1
GTEX-ZQG8-1626-SM-DHXIT 60-69 years, female 19.1
GTEX-1A3MX-0126-SM-731BR 60-69 years, male 19.0
GTEX-Y5LM-1926-SM-5RQJH 40-49 years, female 19.0
GTEX-1GZ2Q-0226-SM-7P8TL 40-49 years, male 19.0
GTEX-13FTW-2626-SM-5K7WL 40-49 years, male 18.9
GTEX-13FTY-0526-SM-5L3EV 40-49 years, female 18.9
GTEX-Z93S-0126-SM-5HL7M 50-59 years, male 18.9
GTEX-ZEX8-2426-SM-4WKG4 50-59 years, male 18.9
GTEX-1F6RS-0126-SM-9MQKZ 60-69 years, female 18.9
GTEX-1J8EW-0126-SM-CJI4F 60-69 years, female 18.9
GTEX-1JMLX-0226-SM-CM2RO 50-59 years, male 18.9
GTEX-145MN-2226-SM-5SIAU 30-39 years, male 18.8
GTEX-ZUA1-0126-SM-5GU76 40-49 years, male 18.8
GTEX-1H23P-0126-SM-ADEJ3 60-69 years, male 18.8
GTEX-1HT8W-0126-SM-CNPPP 30-39 years, male 18.6
GTEX-117XS-2726-SM-5N9BL 60-69 years, male 18.5
GTEX-18A7B-0126-SM-7LG64 70-79 years, male 18.5
GTEX-1B8KZ-2026-SM-7DHMB 50-59 years, male 18.5
GTEX-YB5K-2126-SM-4WWDJ 40-49 years, female 18.5
GTEX-1H1CY-2826-SM-9MQM3 60-69 years, female 18.5
GTEX-1HFI6-0226-SM-ADEHZ 40-49 years, male 18.5
GTEX-18465-0126-SM-731BN 50-59 years, male 18.4
GTEX-1LBAC-0126-SM-DIPEZ 20-29 years, male 18.4
GTEX-1LG7Y-0526-SM-DKPQC 50-59 years, male 18.4
GTEX-147GR-0526-SM-5S2MY 60-69 years, male 18.3
GTEX-OXRO-0126-SM-2YUN4 60-69 years, female 18.3
GTEX-Q2AH-1626-SM-3GAF8 40-49 years, male 18.3
GTEX-QVJO-1626-SM-2S1QW 60-69 years, female 18.3
GTEX-1IY9M-0126-SM-D3L8S 60-69 years, male 18.3
GTEX-PWCY-1826-SM-DHXIZ 20-29 years, female 18.3
GTEX-13VXU-0126-SM-5SI9F 50-59 years, male 18.2
GTEX-1F75B-0126-SM-9KNVL 50-59 years, male 18.2
GTEX-1J1R8-1726-SM-ARL8M 40-49 years, male 18.2
GTEX-1KWVE-1426-SM-E9TJO 30-39 years, male 18.2
GTEX-1QP66-1726-SM-E8VO1 50-59 years, male 18.2
GTEX-1GN1U-0126-SM-7PBZK 50-59 years, female 18.1
GTEX-Y8DK-0126-SM-4TT3L 60-69 years, male 18.0
GTEX-1GF9V-0326-SM-7RHI5 60-69 years, male 18.0
GTEX-148VI-1626-SM-5SI6E 60-69 years, female 17.9
GTEX-1BAJH-0526-SM-793CQ 70-79 years, male 17.9
GTEX-11NUK-0126-SM-5A5L3 50-59 years, male 17.8
GTEX-183FY-0126-SM-7LT9P 20-29 years, male 17.8
GTEX-1CB4G-0226-SM-7PC3O 60-69 years, male 17.8
GTEX-1HKZK-0326-SM-9WYUH 40-49 years, male 17.8
GTEX-11UD2-0226-SM-5EQKY 50-59 years, male 17.7
GTEX-12WSC-0126-SM-5EQ4P 50-59 years, male 17.7
GTEX-T5JC-0426-SM-32PLO 20-29 years, male 17.7
GTEX-13FH7-2026-SM-E9J4I 50-59 years, female 17.7
GTEX-15ETS-0126-SM-7KUMW 40-49 years, female 17.6
GTEX-17HG3-2226-SM-7938L 30-39 years, female 17.6
GTEX-OXRK-0226-SM-3NB2G 50-59 years, female 17.6
GTEX-U8T8-0126-SM-3DB94 60-69 years, male 17.6
GTEX-18A6Q-0126-SM-731BZ 60-69 years, male 17.5
GTEX-18D9B-0526-SM-7LTAS 60-69 years, male 17.5
GTEX-1MA7X-2226-SM-E6CIY 60-69 years, male 17.5
GTEX-13VXT-0126-SM-5LU4I 20-29 years, female 17.4
GTEX-QESD-1426-SM-2S1R9 20-29 years, male 17.4
GTEX-T2YK-0526-SM-32QPJ 50-59 years, male 17.4
GTEX-ZC5H-0226-SM-4WAY9 40-49 years, female 17.4
GTEX-1GF9W-0326-SM-9KNUN 60-69 years, male 17.4
GTEX-1GZ4H-1726-SM-7PBZJ 50-59 years, female 17.4
GTEX-1N2DW-0226-SM-E9TK2 50-59 years, male 17.4
GTEX-1PIGE-0126-SM-EVYBJ 20-29 years, male 17.4
GTEX-1211K-2026-SM-5EQ4Z 60-69 years, female 17.2
GTEX-13112-2826-SM-5DUWH 50-59 years, male 17.2
GTEX-14ABY-0226-SM-5TDCQ 50-59 years, male 17.2
GTEX-14PJ3-1826-SM-62LEX 50-59 years, male 17.2
GTEX-YFC4-0126-SM-5CVLY 40-49 years, female 17.2
GTEX-ZGAY-0526-SM-4WWBB 40-49 years, female 17.2
GTEX-1LB8K-0226-SM-EWRNW 50-59 years, male 17.2
GTEX-OHPM-0126-SM-2YUN9 50-59 years, male 17.1
GTEX-1KD5A-0226-SM-D5OV3 50-59 years, male 17.1
GTEX-13D11-2426-SM-5KM1V 50-59 years, female 17.0
GTEX-16XZZ-0126-SM-793DV 60-69 years, male 17.0
GTEX-18A66-0226-SM-718BD 60-69 years, male 17.0
GTEX-XMD2-0126-SM-4YCDU 60-69 years, female 17.0
GTEX-Y8LW-1826-SM-5S2MV 50-59 years, female 17.0
GTEX-11VI4-1726-SM-5CVLH 40-49 years, female 16.9
GTEX-13U4I-0126-SM-5LU38 40-49 years, female 16.9
GTEX-SUCS-1926-SM-32PM3 70-79 years, male 16.9
GTEX-1JN6P-0126-SM-D3L98 60-69 years, male 16.9
GTEX-12KS4-0326-SM-5EQ41 30-39 years, male 16.8
GTEX-145LT-1726-SM-5QGP3 40-49 years, male 16.8
GTEX-1B8KE-2126-SM-73KYX 50-59 years, male 16.8
GTEX-S7SE-0126-SM-2XCD5 50-59 years, male 16.8
GTEX-1AMEY-1326-SM-73KYK 30-39 years, female 16.7
GTEX-131XE-2326-SM-5PNZ2 50-59 years, male 16.6
GTEX-13CF3-2426-SM-5IFGX 60-69 years, female 16.6
GTEX-1CB4J-0626-SM-7DHMP 60-69 years, male 16.6
GTEX-V1D1-2226-SM-3NMAX 50-59 years, male 16.6
GTEX-1GPI6-0126-SM-9WG69 60-69 years, male 16.6
GTEX-1HB9E-0226-SM-E9U4R 50-59 years, male 16.6
GTEX-SE5C-1626-SM-2XCE3 40-49 years, female 16.6
GTEX-131XW-0426-SM-5LZWP 50-59 years, female 16.5
GTEX-U3ZN-2326-SM-3DB7W 30-39 years, female 16.5
GTEX-XQ8I-0426-SM-4BOPO 50-59 years, male 16.4
GTEX-ZE9C-2726-SM-57WB5 60-69 years, male 16.4
GTEX-1C64O-0126-SM-7SB8P 60-69 years, male 16.4
GTEX-1GPI7-0126-SM-9MQL8 20-29 years, male 16.4
GTEX-1HSEH-0126-SM-ACKXN 60-69 years, male 16.4
GTEX-1ICG6-2526-SM-CGQFZ 70-79 years, female 16.4
GTEX-1JN76-0126-SM-CNPPE 20-29 years, female 16.4
GTEX-QDVN-2026-SM-3GAEP 50-59 years, male 16.3
GTEX-1F6IF-0726-SM-7P8TW 60-69 years, male 16.3
GTEX-1MA7W-2026-SM-E9TJ6 20-29 years, female 16.3
GTEX-12ZZZ-0626-SM-5DUXI 60-69 years, male 16.2
GTEX-P44H-0226-SM-2XCEU 40-49 years, male 16.2
GTEX-VJWN-0126-SM-3GIK7 50-59 years, female 16.2
GTEX-14PJM-0226-SM-62LF1 50-59 years, female 16.1
GTEX-OIZH-0126-SM-2HMIS 50-59 years, male 16.1
GTEX-1AX9I-0126-SM-7SB74 60-69 years, male 16.1
GTEX-1POEN-0126-SM-EYYXJ 30-39 years, female 16.1
GTEX-11EM3-2426-SM-59861 20-29 years, female 16.0
GTEX-11ZU8-2526-SM-5EQKI 60-69 years, male 16.0
GTEX-14JG6-2226-SM-6EU2G 30-39 years, female 16.0
GTEX-15ER7-0326-SM-7KUEV 20-29 years, female 16.0
GTEX-13O3Q-2426-SM-5IJBR 50-59 years, male 15.9
GTEX-14753-0426-SM-5NQAM 60-69 years, male 15.9
GTEX-OIZG-0726-SM-33HBL 50-59 years, male 15.9
GTEX-ZVTK-0426-SM-51MRS 20-29 years, male 15.9
GTEX-1IGQW-0126-SM-COH42 60-69 years, male 15.9
GTEX-ZVT3-0126-SM-5GU6I 60-69 years, female 15.8
GTEX-1MGNQ-0126-SM-EVYCJ 40-49 years, male 15.8
GTEX-131XH-2226-SM-5DUXJ 50-59 years, male 15.7
GTEX-14E7W-0126-SM-6LLJ9 70-79 years, male 15.7
GTEX-ZYFC-0226-SM-5NQ75 50-59 years, male 15.7
GTEX-131YS-0126-SM-5KM1M 60-69 years, female 15.6
GTEX-Q2AG-0126-SM-33HBV 40-49 years, female 15.6
GTEX-QLQ7-1626-SM-2S1R8 60-69 years, male 15.6
GTEX-1JK1U-2026-SM-CM2RZ 60-69 years, male 15.6
GTEX-13OVK-2026-SM-7KUEO 40-49 years, male 15.5
GTEX-14PII-0226-SM-6EU1T 60-69 years, male 15.5
GTEX-U3ZM-1526-SM-3DB9D 40-49 years, male 15.5
GTEX-UPJH-0326-SM-3GADU 50-59 years, male 15.5
GTEX-Y5V5-2326-SM-4V6GA 60-69 years, female 15.5
GTEX-1JMPZ-0226-SM-CNPP1 30-39 years, male 15.5
GTEX-1LH75-2426-SM-E9TJE 50-59 years, female 15.4
GTEX-11O72-0126-SM-59887 40-49 years, male 15.3
GTEX-139UW-2826-SM-5L3E7 60-69 years, male 15.3
GTEX-XUZC-1726-SM-4BRWS 30-39 years, female 15.3
GTEX-1EMGI-0126-SM-9KNUE 60-69 years, male 15.3
GTEX-13113-5016-SM-7EPIP 60-69 years, female 15.2
GTEX-WRHK-1426-SM-3MJF9 20-29 years, female 15.2
GTEX-1IE54-0126-SM-CMKHW 40-49 years, female 15.2
GTEX-1C2JI-1826-SM-73KXC 50-59 years, male 15.1
GTEX-O5YT-0126-SM-48TBW 20-29 years, male 15.1
GTEX-Q734-1926-SM-2I5EV 40-49 years, female 15.1
GTEX-XBED-2226-SM-47JYQ 60-69 years, male 15.1
GTEX-1GN2E-0426-SM-9MQKX 60-69 years, male 15.1
GTEX-1EU9M-0226-SM-7P8SP 60-69 years, male 15.0
GTEX-1HSGN-0226-SM-CGQFV 40-49 years, female 15.0
GTEX-1KANB-0526-SM-E6CJH 50-59 years, male 14.9
GTEX-1NHNU-1026-SM-E9J2A 50-59 years, male 14.8
GTEX-RM2N-1426-SM-2TF4H 50-59 years, male 14.7
GTEX-R55G-2526-SM-2TC6D 40-49 years, female 14.6
GTEX-1I1GV-0526-SM-A9G29 60-69 years, male 14.6
GTEX-1IDJF-0126-SM-CM2RS 20-29 years, male 14.6
GTEX-13OVI-1426-SM-5L3EY 60-69 years, female 14.5
GTEX-17EUY-0426-SM-793BD 20-29 years, male 14.5
GTEX-17HHY-0126-SM-7LG5D 50-59 years, male 14.5
GTEX-WYJK-0126-SM-3NMAB 50-59 years, male 14.5
GTEX-1S82Z-0826-SM-E6CHY 30-39 years, female 14.5
GTEX-145LS-0126-SM-5QGP1 60-69 years, female 14.4
GTEX-T6MO-1626-SM-32QOM 40-49 years, female 14.4
GTEX-1IL2V-0126-SM-CM2TX 70-79 years, male 14.4
GTEX-17MFQ-1726-SM-793C7 20-29 years, male 14.3
GTEX-11WQC-2526-SM-5CVLE 60-69 years, male 14.2
GTEX-QDVJ-1726-SM-2I5FX 50-59 years, male 14.2
GTEX-1GN1W-0526-SM-9MQJQ 50-59 years, female 14.2
GTEX-1S3DN-2226-SM-EVYCD 50-59 years, male 14.2
GTEX-TSE9-0126-SM-3DB83 60-69 years, female 14.1
GTEX-1KAFJ-2026-SM-CY8ID 50-59 years, male 14.1
GTEX-RVPV-0126-SM-EAZAW 60-69 years, male 14.1
GTEX-13OW5-0126-SM-DTXFS 60-69 years, male 14.0
GTEX-15RIG-0226-SM-7KFTL 40-49 years, male 13.9
GTEX-16GPK-0126-SM-7DHLE 60-69 years, male 13.9
GTEX-16NPX-0226-SM-79OMT 50-59 years, male 13.9
GTEX-VJYA-1126-SM-3GIJU 60-69 years, male 13.8
GTEX-1EX96-1626-SM-7PBXR 50-59 years, male 13.8
GTEX-1R7EV-2426-SM-EVYBG 40-49 years, male 13.8
GTEX-144FL-0126-SM-5TDC8 50-59 years, male 13.7
GTEX-1GMR3-1926-SM-9KNUZ 40-49 years, male 13.7
GTEX-VUSG-2526-SM-4KL1V 50-59 years, male 13.6
GTEX-Y8E4-0626-SM-4WWDL 40-49 years, male 13.6
GTEX-1EKGG-0226-SM-9WYTH 60-69 years, male 13.6
GTEX-1F75I-0326-SM-9YFLU 40-49 years, male 13.6
GTEX-11NSD-2226-SM-5986V 20-29 years, male 13.5
GTEX-P4QT-0126-SM-2I3FL 50-59 years, female 13.5
GTEX-R3RS-0126-SM-3GIJL 40-49 years, female 13.5
GTEX-ZDTT-2726-SM-4WKF8 60-69 years, male 13.5
GTEX-1F88F-2726-SM-7PBZZ 60-69 years, female 13.5
GTEX-1HCUA-2426-SM-ADEIS 50-59 years, female 13.5
GTEX-1JKYN-1326-SM-CGQG9 30-39 years, male 13.5
GTEX-OIZF-0126-SM-7SB8I 60-69 years, male 13.4
GTEX-XBEW-0626-SM-4QASP 40-49 years, male 13.3
GTEX-1PPH8-0226-SM-E8VND 20-29 years, male 13.3
GTEX-1S5ZA-0126-SM-EVYCV 20-29 years, male 13.3
GTEX-13PVR-2326-SM-5QGR1 60-69 years, female 13.2
GTEX-1IDJH-0326-SM-A9SLQ 70-79 years, male 13.2
GTEX-1OJC3-0126-SM-E76QX 20-29 years, male 13.2
GTEX-ZVT4-0126-SM-DTXFN 50-59 years, female 13.2
GTEX-14E6D-0126-SM-62LDV 50-59 years, male 13.1
GTEX-1GZHY-0326-SM-9QEHI 50-59 years, female 13.1
GTEX-1H1E6-1726-SM-ACKVK 30-39 years, male 13.1
GTEX-1HSMQ-1226-SM-CGQFX 50-59 years, male 13.1
GTEX-1PPH7-2326-SM-EVYB8 40-49 years, male 13.1
GTEX-1QP9N-1426-SM-DTXFL 30-39 years, male 13.1
GTEX-15CHC-2126-SM-6EU21 60-69 years, female 13.0
GTEX-1CAMS-0426-SM-7P8T2 40-49 years, female 13.0
GTEX-14DAQ-0126-SM-5S2MQ 60-69 years, female 12.9
GTEX-14PN3-2426-SM-6LLHS 60-69 years, female 12.9
GTEX-ZU9S-0226-SM-5E441 30-39 years, male 12.9
GTEX-ZVZO-0126-SM-5A5L9 40-49 years, male 12.9
GTEX-PLZ6-1426-SM-DKPOT 30-39 years, male 12.9
GTEX-1B8SF-1426-SM-7DUGL 60-69 years, male 12.8
GTEX-1CB4E-2226-SM-793DC 60-69 years, male 12.8
GTEX-QCQG-1726-SM-3GIJ9 50-59 years, female 12.8
GTEX-1I6K6-0126-SM-A9SLE 30-39 years, male 12.8
GTEX-12C56-1726-SM-5EQ61 20-29 years, male 12.7
GTEX-1HCU8-0626-SM-A9SM9 60-69 years, female 12.7
GTEX-1J8QM-2126-SM-CYPSJ 60-69 years, female 12.7
GTEX-1JMQJ-0526-SM-CYPSU 50-59 years, male 12.7
GTEX-1RDX4-0126-SM-E9J4P 50-59 years, female 12.7
GTEX-18D9U-0226-SM-718BP 40-49 years, male 12.6
GTEX-QLQW-1126-SM-2S1Q8 30-39 years, male 12.6
GTEX-1JMQI-2226-SM-CM2SD 50-59 years, male 12.6
GTEX-14A5H-0426-SM-5QGQF 60-69 years, male 12.5
GTEX-1QCLY-0326-SM-E8VOG 30-39 years, male 12.5
GTEX-ZDYS-2026-SM-5HL5L 50-59 years, male 12.4
GTEX-1JJE9-0326-SM-CL53Z 70-79 years, male 12.4
GTEX-1RQEC-0426-SM-E6CHU 60-69 years, male 12.4
GTEX-14BIM-0226-SM-7IGLD 60-69 years, female 12.3
GTEX-1K2DA-1826-SM-CGQGT 50-59 years, male 12.3
GTEX-1HCVE-0126-SM-CGQEU 50-59 years, male 12.2
GTEX-1JKYR-0126-SM-CNPOJ 20-29 years, male 12.2
GTEX-ZF3C-0126-SM-DO92D 50-59 years, female 12.2
GTEX-14DAR-2026-SM-5S2O3 50-59 years, male 12.1
GTEX-1C64N-0126-SM-793D7 50-59 years, male 12.1
GTEX-1399R-2726-SM-5IJBA 30-39 years, male 12.0
GTEX-139TU-0126-SM-5K7WH 60-69 years, male 12.0
GTEX-14C5O-0126-SM-5SI6N 60-69 years, male 12.0
GTEX-OHPL-0126-SM-2HMJ7 60-69 years, female 12.0
GTEX-1QMI2-0226-SM-EVYBX 60-69 years, male 12.0
GTEX-13FXS-0226-SM-5IJCK 50-59 years, male 11.9
GTEX-13JUV-2726-SM-5LZZ8 40-49 years, female 11.9
GTEX-13OW6-0426-SM-5L3HM 50-59 years, male 11.9
GTEX-15F5U-1526-SM-6PANO 40-49 years, male 11.9
GTEX-YB5E-2026-SM-5IFIS 40-49 years, male 11.9
GTEX-1M4P7-0226-SM-DIPEV 60-69 years, male 11.9
GTEX-1212Z-2526-SM-5EGKP 60-69 years, male 11.8
GTEX-1IKOH-0226-SM-COH4E 60-69 years, female 11.8
GTEX-1QEPI-0126-SM-EWRMQ 60-69 years, female 11.8
GTEX-1AX9J-0226-SM-73KXM 60-69 years, male 11.7
GTEX-NFK9-0226-SM-2HMKQ 40-49 years, male 11.7
GTEX-ZXG5-0126-SM-5GIEU 60-69 years, male 11.7
GTEX-1QAET-0926-SM-E76QM 50-59 years, male 11.7
GTEX-13OW8-1326-SM-5J1OW 60-69 years, male 11.6
GTEX-147F3-0526-SM-5SI98 50-59 years, female 11.6
GTEX-15G19-0126-SM-6PANQ 60-69 years, male 11.6
GTEX-ZTSS-1926-SM-57WEW 40-49 years, male 11.6
GTEX-1JMQL-0226-SM-CNPP5 50-59 years, female 11.6
GTEX-1A3MV-1926-SM-718BT 30-39 years, male 11.5
GTEX-S95S-1226-SM-4GICG 60-69 years, male 11.5
GTEX-ZZ64-1726-SM-5GZYB 20-29 years, male 11.5
GTEX-13NYC-0326-SM-E9J4S 60-69 years, male 11.5
GTEX-1HFI7-1826-SM-ACKXH 50-59 years, female 11.5
GTEX-1I1GR-0126-SM-CL55F 60-69 years, male 11.5
GTEX-14A5I-0126-SM-5TDEA 50-59 years, female 11.4
GTEX-1C6VS-0526-SM-7DUEN 60-69 years, male 11.4
GTEX-RWSA-0126-SM-2XCBB 40-49 years, male 11.4
GTEX-ZAK1-0126-SM-5IJD3 50-59 years, female 11.4
GTEX-1CB4F-0426-SM-9KNV4 60-69 years, male 11.4
GTEX-1QP29-0626-SM-EWRMX 50-59 years, male 11.4
GTEX-1128S-2326-SM-5GZZY 60-69 years, female 11.3
GTEX-11EQ9-2426-SM-5HL5T 30-39 years, male 11.3
GTEX-12WSN-5019-SM-79OM6 40-49 years, male 11.3
GTEX-TKQ1-1026-SM-4GICL 30-39 years, male 11.3
GTEX-TMMY-0226-SM-33HBA 40-49 years, female 11.3
GTEX-ZQUD-1426-SM-57WER 30-39 years, male 11.3
GTEX-1CAMR-1926-SM-7EPI2 20-29 years, male 11.2
GTEX-W5WG-1826-SM-4KL2Y 50-59 years, female 11.2
GTEX-1QP2A-0126-SM-E9J43 50-59 years, male 11.2
GTEX-16BQI-0226-SM-7KUEX 30-39 years, female 11.1
GTEX-PX3G-0126-SM-2I3EN 20-29 years, female 11.1
GTEX-SJXC-0126-SM-2XCFF 60-69 years, male 11.1
GTEX-WY7C-2326-SM-3NB2U 50-59 years, male 11.1
GTEX-Z9EW-1626-SM-5CVMN 40-49 years, male 11.1
GTEX-131XF-5016-SM-7MGWE 60-69 years, male 11.1
GTEX-1H11D-0226-SM-9WG6Z 40-49 years, male 11.1
GTEX-1I1GQ-0126-SM-COH3H 50-59 years, male 11.1
GTEX-13N2G-2626-SM-5J1OT 60-69 years, male 11.0
GTEX-1IOXB-0126-SM-ARL8G 50-59 years, male 11.0
GTEX-145ME-1826-SM-5SI9G 40-49 years, female 10.9
GTEX-14PHX-2326-SM-62LEM 50-59 years, male 10.9
GTEX-PVOW-0126-SM-2XCFA 40-49 years, male 10.9
GTEX-RWS6-2026-SM-2XCB5 60-69 years, female 10.9
GTEX-1LVAN-0226-SM-COH3S 50-59 years, female 10.9
GTEX-1PFEY-1526-SM-E76PP 30-39 years, male 10.9
GTEX-1C6VR-2426-SM-79OLD 60-69 years, male 10.8
GTEX-X261-0126-SM-3NMD6 50-59 years, male 10.8
GTEX-1IL2U-0226-SM-CE6T8 60-69 years, male 10.8
GTEX-1PIIG-0226-SM-EWRN6 30-39 years, male 10.8
GTEX-13S7M-0126-SM-5SI6A 60-69 years, female 10.7
GTEX-145MI-0526-SM-5O9A8 60-69 years, female 10.7
GTEX-14BMU-2226-SM-5TDE9 20-29 years, female 10.7
GTEX-14JG1-0426-SM-6ETZZ 40-49 years, male 10.7
GTEX-1E1VI-0126-SM-7DHMZ 50-59 years, male 10.7
GTEX-T6MN-0126-SM-32PLP 50-59 years, male 10.7
GTEX-1J8Q3-1626-SM-CMKGC 60-69 years, male 10.7
GTEX-1LGOU-2026-SM-DIPFF 20-29 years, female 10.7
GTEX-1MJK2-0426-SM-DTXE5 50-59 years, male 10.7
GTEX-145MF-0626-SM-5LUAI 50-59 years, male 10.6
GTEX-1J8Q2-0526-SM-CM2RW 60-69 years, male 10.6
GTEX-15DCD-0126-SM-7KUEK 70-79 years, female 10.5
GTEX-ZYFG-2326-SM-5E44B 60-69 years, female 10.5
GTEX-1O97I-0326-SM-EYYX7 60-69 years, male 10.5
GTEX-1I19N-0326-SM-ACKVX 70-79 years, male 10.4
GTEX-13W3W-2426-SM-5LU5B 60-69 years, female 10.3
GTEX-1F5PK-2426-SM-7RHHY 50-59 years, male 10.3
GTEX-15UKP-0426-SM-7KUFQ 20-29 years, male 10.2
GTEX-17GQL-2026-SM-718BA 60-69 years, male 10.2
GTEX-1HBPN-0226-SM-9YFM1 50-59 years, male 10.2
GTEX-ZYT6-0226-SM-5NQ6T 30-39 years, male 10.1
GTEX-1OFPY-2426-SM-DTXEJ 60-69 years, male 10.1
GTEX-11ZTT-2426-SM-5EQLS 60-69 years, female 10.0
GTEX-12WSL-2526-SM-5GCNJ 50-59 years, male 10.0
GTEX-13RTK-1426-SM-5QGQJ 20-29 years, male 10.0
GTEX-17KNJ-2326-SM-7DHLQ 50-59 years, male 10.0
GTEX-ZV6S-2326-SM-4YCEY 40-49 years, female 10.0
GTEX-1B996-0226-SM-7RHGO 60-69 years, male 10.0
GTEX-1I4MK-2226-SM-ACKWD 50-59 years, female 10.0
GTEX-1LGRB-2526-SM-CNPPQ 50-59 years, female 10.0
GTEX-1R7EU-0226-SM-EVR4G 60-69 years, male 10.0
GTEX-11XUK-2026-SM-5EQLF 40-49 years, female 9.9
GTEX-Y5V6-2426-SM-4VDSB 60-69 years, male 9.9
GTEX-14PJ6-2126-SM-6EU1V 60-69 years, female 9.8
GTEX-1399T-2826-SM-5KLYZ 60-69 years, male 9.7
GTEX-133LE-1826-SM-5J1MV 20-29 years, female 9.6
GTEX-14BIN-0626-SM-793DP 50-59 years, female 9.6
GTEX-17F96-1626-SM-7DUFL 70-79 years, male 9.6
GTEX-1AX9K-2326-SM-73KWU 50-59 years, male 9.5
GTEX-1JJ6O-0126-SM-E6CI8 60-69 years, male 9.5
GTEX-1QPFJ-0226-SM-E76PB 30-39 years, female 9.5
GTEX-13NYB-2526-SM-5K7Z6 40-49 years, male 9.4
GTEX-1HSKV-0226-SM-A9SKJ 60-69 years, male 9.4
GTEX-11EI6-0126-SM-5985R 60-69 years, male 9.3
GTEX-14LZ3-0226-SM-62LET 60-69 years, female 9.3
GTEX-18D9A-1926-SM-7LG6P 30-39 years, female 9.2
GTEX-T5JW-1626-SM-3GADZ 20-29 years, female 9.2
GTEX-WFG8-2226-SM-3GIL9 20-29 years, male 9.2
GTEX-1H4P4-0726-SM-9YFLR 50-59 years, male 9.2
GTEX-111FC-0126-SM-5N9DL 60-69 years, male 9.1
GTEX-12ZZY-0226-SM-5LZVE 60-69 years, male 9.1
GTEX-POMQ-2226-SM-2I5FK 20-29 years, female 9.1
GTEX-ZV68-0126-SM-59HKS 50-59 years, female 9.1
GTEX-T8EM-1026-SM-3DB7M 40-49 years, male 9.0
GTEX-11LCK-1026-SM-5A5KB 30-39 years, male 8.8
GTEX-17EVP-0326-SM-7DHLG 40-49 years, male 8.8
GTEX-1E2YA-0126-SM-9KNUC 50-59 years, male 8.8
GTEX-1AMFI-2026-SM-731BH 50-59 years, female 8.7
GTEX-1IDJU-2626-SM-CM2RT 60-69 years, female 8.7
GTEX-12WSA-0226-SM-5BC5V 60-69 years, male 8.6
GTEX-XPVG-2626-SM-4B669 50-59 years, male 8.5
GTEX-1KXAM-2226-SM-CYPTC 60-69 years, male 8.5
GTEX-1K9T9-0126-SM-EVYCF 50-59 years, female 8.4
GTEX-16AAH-1726-SM-7939C 50-59 years, male 8.3
GTEX-1C475-1826-SM-73KWA 40-49 years, female 8.3
GTEX-PSDG-0226-SM-DKPOZ 50-59 years, male 8.3
GTEX-13FHP-0126-SM-5IJBG 50-59 years, male 8.2
GTEX-145LU-0126-SM-5TDCB 50-59 years, male 8.2
GTEX-1R9PM-2026-SM-E76OY 20-29 years, male 8.2
GTEX-1122O-2126-SM-5EGIR 60-69 years, female 8.1
GTEX-12WSE-0526-SM-793B2 20-29 years, male 8.1
GTEX-1K2DU-2326-SM-E9TIV 20-29 years, male 8.1
GTEX-ZWKS-0126-SM-5SIAA 30-39 years, male 8.0
GTEX-16NGA-1726-SM-731B4 40-49 years, female 7.9
GTEX-1PDJ9-0326-SM-DTX95 20-29 years, male 7.9
GTEX-1CB4I-0226-SM-79OLH 50-59 years, male 7.8
GTEX-1F5PL-0326-SM-7P8PQ 40-49 years, female 7.8
GTEX-13111-1626-SM-5EGJY 50-59 years, male 7.7
GTEX-11WQK-0526-SM-5EQLD 50-59 years, male 7.6
GTEX-YJ89-0126-SM-4TT3X 60-69 years, male 7.6
GTEX-1HCU9-1526-SM-A9SL7 20-29 years, male 7.6
GTEX-ZVZP-2426-SM-59HKJ 50-59 years, male 7.4
GTEX-14BMV-0126-SM-5S2PO 50-59 years, male 7.3
GTEX-1LSNM-1926-SM-E6CII 50-59 years, male 7.1
GTEX-1I1GT-0626-SM-CGQER 60-69 years, female 7.0
GTEX-1KANC-1526-SM-D3LAB 50-59 years, female 7.0
GTEX-144GL-0126-SM-5TDE2 50-59 years, male 6.9
GTEX-1HCU7-0226-SM-CL545 50-59 years, male 6.9
GTEX-1HR98-0126-SM-B2LWI 60-69 years, male 6.9
GTEX-1M5QR-1226-SM-EWROB 40-49 years, male 6.9
GTEX-1S83E-0126-SM-EWRO4 40-49 years, male 6.9
GTEX-ZF2S-2326-SM-4WWCE 50-59 years, female 6.8
GTEX-1CAMQ-0226-SM-7IGPK 40-49 years, male 6.5
GTEX-13OVH-0126-SM-5MR4B 70-79 years, male 6.2
GTEX-S32W-2126-SM-2XCB1 50-59 years, female 6.1
GTEX-17JCI-0126-SM-7LG5G 60-69 years, female 5.8
GTEX-14E6E-1826-SM-5S2R7 30-39 years, male 5.7
GTEX-1LG7Z-1726-SM-D3LA4 30-39 years, male 5.5
GTEX-15EU6-0426-SM-6PAN5 50-59 years, male 5.4
GTEX-1JJEA-0326-SM-CNPOT 60-69 years, male 5.3
GTEX-WFON-2126-SM-3LK7O 40-49 years, male 5.2
GTEX-1IKJJ-0126-SM-CNPQB 60-69 years, male 5.2
GTEX-1B97I-1626-SM-73KYO 40-49 years, male 4.9
GTEX-SNMC-1226-SM-2XCFP 20-29 years, male 4.9
GTEX-ZTX8-1426-SM-5DUVO 20-29 years, male 4.8
GTEX-1GL5R-1826-SM-9KNUY 50-59 years, male 4.6
GTEX-1KANA-0726-SM-D3L9I 20-29 years, male 4.4
GTEX-1L5NE-2526-SM-E6CIE 50-59 years, male 4.1
Show allShow less

Contact

  • NEWS ARTICLES
  • PRESS ROOM

The Project

  • INTRODUCTION
  • ORGANIZATION
  • PUBLICATIONS

The Human Protein Atlas

  • DOWNLOADABLE DATA
  • LICENCE & CITATION
  • HELP & FAQ
The Human Protein Atlas project is funded
by the Knut & Alice Wallenberg Foundation.


contact@proteinatlas.org